We use cookies to enhance the usability of our website. If you continue, we'll assume that you are happy to receive all cookies. More information. Don't show this again.
STAT3
HPA
RESOURCES
  • TISSUE
  • BRAIN
  • SINGLE CELL
  • SUBCELLULAR
  • CANCER
  • BLOOD
  • CELL LINE
  • STRUCTURE & INTERACTION
ABOUT
  • INTRODUCTION
  • HISTORY
  • ORGANIZATION
  • PUBLICATIONS
  • ANTIBODY SUBMISSION
  • ANTIBODY AVAILABILITY
  • ACKNOWLEDGMENTS
  • CONTACT
NEWS
  • NEWS ARTICLES
  • PRESS ROOM
LEARN
  • DICTIONARY
  • PROTEIN CLASSES
  • PROTEIN EVIDENCE
  • METHODS
  • EDUCATIONAL VIDEOS
DATA
  • DOWNLOADABLE DATA
  • PUBLICATION DATA
  • RELEASE HISTORY
HELP
  • ANTIBODY VALIDATION
  • ASSAYS & ANNOTATION
  • DISCLAIMER
  • HELP & FAQ
  • PRIVACY STATEMENT
  • LICENCE & CITATION
Fields »
Search result

Field
Term
Gene name
Class
Subclass
Class
Keyword
Chromosome
External id
Tissue
Cell type
Expression
Antibody panel
Tissue
Main location
Patient ID
Annotation
Tissue
Category
Tau score
Cluster
Reliability
Brain region
Category
Tau score
Brain region
Category
Tau score
Brain region
Category
Tau score
Cluster
Reliability
Tissue
Cell type
Enrichment
Cell type
Category
Tau score
Cell type
Category
Tau score
Cell type
Category
Tau score
Cell lineage
Category
Tau score
Cluster
Cluster
Location
Searches
Location
Cell line
Class
Type
Phase
Reliability
Cancer
Prognosis
Cancer
Category
Cancer
Category
Tau score
Cluster
Variants
Interacting gene (ensg_id)
Type
Number of interactions
Pathway
Category
Score
Score
Score
Validation
Validation
Validation
Validation
Antibodies
Data type
Column


  • SUMMARY

  • TISSUE

  • BRAIN

  • SINGLE CELL

  • SUBCELL

  • CANCER

  • BLOOD

  • CELL LINE

  • STRUCT & INT

  • STAT3
TISSUE PRIMARY DATA SKIN Show tissue menu
ADIPOSE TISSUE ADRENAL GLAND AMYGDALA APPENDIX BASAL GANGLIA BONE MARROW BREAST BRONCHUS CEREBELLUM CEREBRAL CORTEX CERVIX CHOROID PLEXUS COLON DUODENUM
ENDOMETRIUM EPIDIDYMIS ESOPHAGUS FALLOPIAN TUBE GALLBLADDER HEART MUSCLE HIPPOCAMPAL FORMATION HYPOTHALAMUS KIDNEY LIVER LUNG LYMPH NODE MIDBRAIN NASOPHARYNX
ORAL MUCOSA OVARY PANCREAS PARATHYROID GLAND PITUITARY GLAND PLACENTA PROSTATE RECTUM RETINA SALIVARY GLAND SEMINAL VESICLE SKELETAL MUSCLE SKIN SMALL INTESTINE
SMOOTH MUSCLE SOFT TISSUE SPINAL CORD SPLEEN STOMACH TESTIS THYMUS THYROID GLAND TONGUE TONSIL URINARY BLADDER VAGINA
ANTIBODIES
AND
VALIDATION
Dictionary
Skin
Tissue proteome
Skin
SKIN - Expression summary
Protein expression
Skini

On the top, protein expression in current human tissue, based on all annotated cell types, is reported with the units not detected (n), low (l), medium (m) and high (h). Underneath, protein expression in each annotated cell type are reported using the same units.

Protein expression data is based on knowledge-based annotation. For genes where more than one antibody has been used, a collective score is set.

If knowledge-based annotation could not be performed for a gene, no data is displayed here. View antibody staining data further down this page.

h
m
l
n
Cells in basal layer: Medium
Cells in corneal layer: Not detected
Cells in granular layer: Medium
Cells in spinous layer: Medium
Endothelial cells: High
Extracellular matrix: Not detected
Fibrohistiocytic cells: High
Hair follicles: Medium
Langerhans cells: Medium
Lymphocytes: High
Melanocytes: Medium
Sebaceous glands: Medium
Vascular mural cells: Not detected
RNA expressioni

A summary of mRNA expression data available for current tissue based on several datasets. The mRNA expression levels in human tissues are based on RNA-seq data generated by the Human Protein Atlas (HPA), Genotype-Tissue Expression (GTEx) portal and CAGE data generated by the FANTOM5 consortium. Consensus normalized expression levels for human tissues was created by combining the data from HPA and GTEx datasets.

The mRNA expression levels in pig are based on RNA-seq data generated by the Human Protein Atlas (HPA), and for mouse, HPA data and in situ hybridization generated by the Allen brain atlas are reported.

Scroll down to view mRNA expression data in more detail.
Consensus:64.7 nTPM
HPA:48.2 nTPM
GTEx:64.7 nTPM

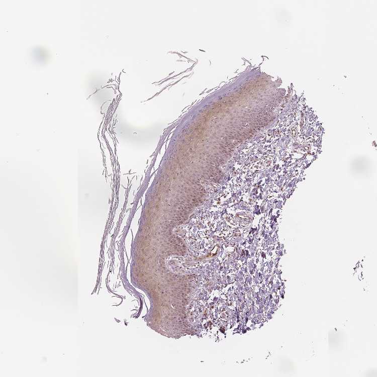
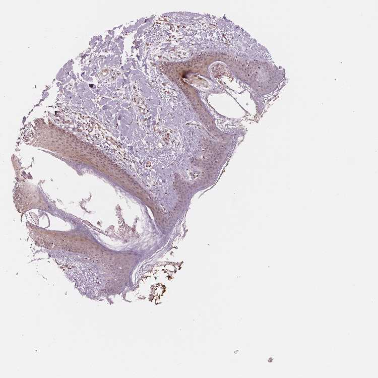
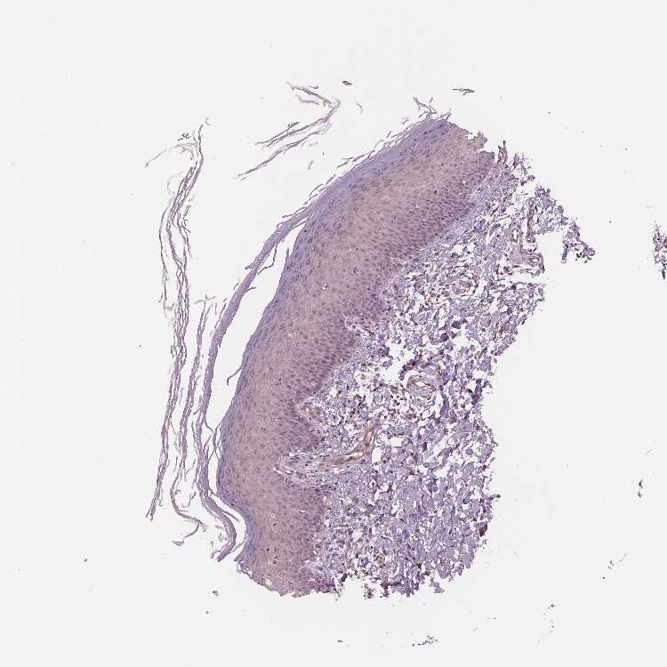
SKIN 1 - Antibody stainingi

Antibody staining in the annotated cell types in the current human tissue is reported as not detected, low, medium, or high, based on conventional immunohistochemistry profiling in selected tissues. This score is based on the combination of the staining intensity and fraction of stained cells.

Each image is clickable and will lead to virtual microscopy that enables deeper exploration of all samples and also displays staining intensity scores, fraction scores and subcellular localization as well as patient and tissue information for each sample.

Antibody HPA001671Antibody HPA058603Antibody CAB003859Antibody CAB068241Antibody CAB068242
Langerhans MediumMediumNot detectedNot detected-
Cells in basal layer ----Low
Cells in corneal layer ----Not detected
Cells in granular layer ----Low
Cells in spinous layer ----Low
Endothelial cells ----Medium
Extracellular matrix ----Not detected
Fibroblasts HighMediumMediumMedium-
Fibrohistiocytic cells ----Medium
Hair follicles ----Medium
Keratinocytes HighMediumMediumMedium-
Langerhans cells ----Low
Lymphocytes ----Medium
Melanocytes MediumLowMediumMediumNot detected
Sebaceous glands ----Medium
Vascular mural cells ----Not detected









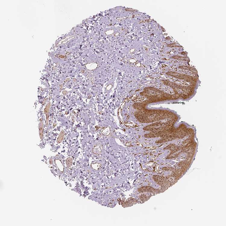
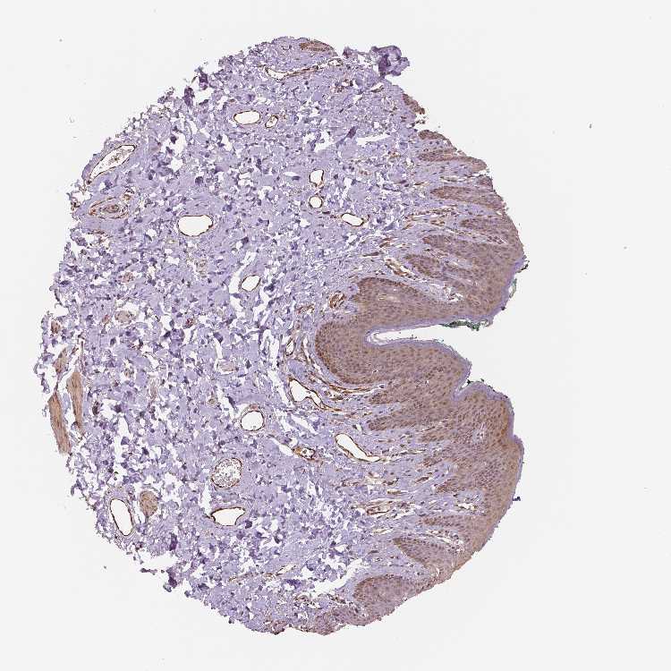
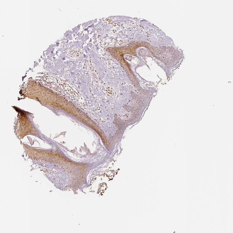
SKIN 2 - Antibody stainingi

Antibody staining in the annotated cell types in the current human tissue is reported as not detected, low, medium, or high, based on conventional immunohistochemistry profiling in selected tissues. This score is based on the combination of the staining intensity and fraction of stained cells.

Each image is clickable and will lead to virtual microscopy that enables deeper exploration of all samples and also displays staining intensity scores, fraction scores and subcellular localization as well as patient and tissue information for each sample.

Antibody HPA001671Antibody HPA058603Antibody CAB003859Antibody CAB068241Antibody CAB068242
Cells in basal layer ----Medium
Cells in corneal layer ----Not detected
Cells in granular layer ----Medium
Cells in spinous layer ----Medium
Endothelial cells ----High
Epidermal cells HighMediumLowMedium-
Extracellular matrix ----Not detected
Fibrohistiocytic cells ----High
Langerhans cells ----Medium
Lymphocytes ----High
Melanocytes ----Medium
Vascular mural cells ----Not detected
     
     
     
     










SKIN - HPA RNA-seqi

The RNA-seq details section shows detailed information about the individual samples used for the transcript profiling and results of the RNA-seq analysis.

Information about each individual sample is listed below, including gender, age, a tissue section image and estimated fractions of cell types. nTPM (normalized transcripts per million) values give a quantification of the gene abundance which is comparable between different genes and samples.
Average nTPMi

Max subtype nTPM is the value for the subtype with the largest average nTPM across the subtype samples.

48.2
overview
Female, age 34
Skin sample 225
nTPM: 54.6
Cell types%
Keratinocytes:
60

Other cell types:
40

overview
Female, age 30
Skin sample 226
nTPM: 54.3
Cell types%
Keratinocytes:
55

Other cell types:
45

N/A
Male, age 57
Skin sample 227
nTPM: 35.8

SKIN - GTEx RNA-seqi

RNA-Seq data generated by the Genotype-Tissue Expression (GTEx) project from human tissues is reported as mean nTPM. More information can be found on the GTEx portal.

Distribution across the dataset is visualized with box plots, shown as median and 25th and 75th percentiles. Points are displayed as outliers if they are above or below 1.5 times the interquartile range. nTPM values of the individual samples are presented next to the box plot.
Max subtype nTPMi

Max subtype nTPM is the value for the subtype with the largest average nTPM across the subtype samples.

64.7
GTEx sample id Sample description nTPM
Skin - Not Sun Exposed (Suprapubic)
Average nTPM: 61.8
Samples: 604

Max nTPM: 190.6
Min nTPM: 29.3
Std nTPM: 21.6
Median nTPM: 56.3
GTEX-U8XE-0226-SM-4E3J3 30-39 years, male 190.6
GTEX-15G1A-1626-SM-7KUKN 30-39 years, male 183.6
GTEX-WHSE-0126-SM-3NMBT 20-29 years, male 180.9
GTEX-14C38-0726-SM-5SI6M 50-59 years, male 170.1
GTEX-WI4N-2726-SM-3LK7Y 40-49 years, female 165.5
GTEX-14XAO-1226-SM-6EU1C 60-69 years, female 163.9
GTEX-1I1GU-0926-SM-ACKVS 40-49 years, male 160.0
GTEX-14E6C-2426-SM-5S2NF 40-49 years, male 146.0
GTEX-11WQK-1026-SM-5EQLX 50-59 years, male 141.7
GTEX-1F48J-0726-SM-7RHGS 50-59 years, female 140.0
GTEX-1A3MW-0626-SM-731CB 60-69 years, female 136.0
GTEX-13NYC-0126-SM-5L3F4 60-69 years, male 129.0
GTEX-1CB4J-1326-SM-7P8RX 60-69 years, male 128.7
GTEX-ZYFD-0626-SM-5E44E 50-59 years, male 127.8
GTEX-X8HC-0626-SM-4E3HQ 50-59 years, female 127.0
GTEX-1H1DF-1126-SM-9WG7G 40-49 years, female 122.3
GTEX-1F88E-1626-SM-7SB8Z 60-69 years, female 120.0
GTEX-15G19-2426-SM-7KUMR 60-69 years, male 115.5
GTEX-WH7G-2026-SM-3NMBL 40-49 years, male 111.0
GTEX-1F75I-2226-SM-7SB8U 40-49 years, male 110.9
GTEX-1QAET-0326-SM-EVR3U 50-59 years, male 109.1
GTEX-1JN1M-2726-SM-CY8I4 60-69 years, female 108.6
GTEX-1F6RS-2026-SM-7RHHC 60-69 years, female 107.5
GTEX-14A5H-0826-SM-5QGPJ 60-69 years, male 107.4
GTEX-1JMQL-2226-SM-CNPP4 50-59 years, female 107.1
GTEX-13RTJ-0126-SM-5S2NN 60-69 years, male 105.4
GTEX-1F75B-0726-SM-7PC3R 50-59 years, male 104.3
GTEX-XXEK-1626-SM-4BRUZ 50-59 years, male 104.1
GTEX-11TUW-0626-SM-5LU9M 60-69 years, male 102.0
GTEX-1GZHY-0626-SM-9KNVC 50-59 years, female 101.5
GTEX-1H23P-0626-SM-9WG6T 60-69 years, male 101.0
GTEX-1QP29-1826-SM-DTX9S 50-59 years, male 100.8
GTEX-1R9PN-0426-SM-DTXDT 40-49 years, female 100.8
GTEX-1A32A-0626-SM-731AQ 50-59 years, female 100.7
GTEX-Y5LM-0926-SM-6LLJG 40-49 years, female 100.4
GTEX-15SHW-0226-SM-7LTAT 60-69 years, male 99.0
GTEX-XK95-0226-SM-4AT58 40-49 years, male 99.0
GTEX-18D9B-0926-SM-7LG4U 60-69 years, male 98.2
GTEX-144GM-0526-SM-79OJO 20-29 years, male 98.1
GTEX-1ICLZ-0326-SM-ARL82 60-69 years, male 97.9
GTEX-1R9K4-2826-SM-DTX8F 60-69 years, male 96.9
GTEX-WYBS-0626-SM-3NMAS 60-69 years, female 95.9
GTEX-144FL-0626-SM-5LU43 50-59 years, male 95.5
GTEX-1AYD5-2626-SM-7PBXY 50-59 years, male 95.0
GTEX-15UF6-1926-SM-7KUDV 70-79 years, female 93.9
GTEX-1JMQK-1226-SM-D4P2S 60-69 years, male 93.9
GTEX-13OVJ-0826-SM-5J1OK 50-59 years, female 93.6
GTEX-1H3NZ-2726-SM-9WYTQ 60-69 years, male 93.0
GTEX-1IE54-1126-SM-A9G2Z 40-49 years, female 92.9
GTEX-15RJ7-2126-SM-6PAMD 40-49 years, male 91.7
GTEX-1RLM8-2926-SM-E8VON 50-59 years, male 90.6
GTEX-1A3MX-2626-SM-7PC24 60-69 years, male 89.8
GTEX-ZAJG-1526-SM-5CVML 50-59 years, female 89.2
GTEX-11DZ1-2426-SM-5GZZX 50-59 years, male 88.9
GTEX-1HCU7-0726-SM-A9SL1 50-59 years, male 87.9
GTEX-17HGU-2326-SM-7DUFE 50-59 years, male 87.6
GTEX-ZYW4-0626-SM-59HJR 60-69 years, male 87.5
GTEX-1399Q-2326-SM-5KM2X 40-49 years, male 87.1
GTEX-14PHX-2226-SM-6EU2P 50-59 years, male 87.0
GTEX-1R46S-2426-SM-E76QA 60-69 years, female 87.0
GTEX-131YS-2826-SM-5EQ47 60-69 years, female 86.5
GTEX-ZY6K-1426-SM-5GZX2 50-59 years, male 86.0
GTEX-14PK6-0226-SM-62LF5 70-79 years, female 84.9
GTEX-1ICLY-0826-SM-CMKG1 50-59 years, male 84.6
GTEX-1LVAO-2726-SM-E9TJ8 60-69 years, male 84.5
GTEX-11TT1-1826-SM-5EQLV 20-29 years, male 84.0
GTEX-13YAN-0226-SM-5TDC6 60-69 years, male 83.8
GTEX-VJYA-1526-SM-3GIJV 60-69 years, male 83.8
GTEX-1HC8U-1326-SM-9YFMJ 40-49 years, female 83.6
GTEX-WFON-1926-SM-3LK7L 40-49 years, male 83.5
GTEX-14PJO-2526-SM-6AJBQ 60-69 years, male 82.5
GTEX-13FH7-1126-SM-5K7UG 50-59 years, female 82.3
GTEX-183FY-1026-SM-7939A 20-29 years, male 82.2
GTEX-1J8Q2-2626-SM-ACKWQ 60-69 years, male 82.0
GTEX-ZTTD-2826-SM-4YCFA 50-59 years, male 81.9
GTEX-1IDJF-2026-SM-CL53V 20-29 years, male 81.7
GTEX-1N2DV-1526-SM-DTXEP 40-49 years, male 81.5
GTEX-132AR-0326-SM-5KM2C 50-59 years, female 81.3
GTEX-1HSMO-0626-SM-ACKXC 60-69 years, male 80.3
GTEX-W5X1-2526-SM-3GILC 40-49 years, female 80.1
GTEX-1PPH8-0126-SM-EWRN8 20-29 years, male 79.6
GTEX-ZLFU-1826-SM-4WWBV 40-49 years, male 79.5
GTEX-1L5NE-1126-SM-D3L9P 50-59 years, male 79.3
GTEX-X4EP-0626-SM-3P621 60-69 years, female 79.0
GTEX-13OVH-0526-SM-5L3E6 70-79 years, male 78.9
GTEX-1EX96-1026-SM-7MKG2 50-59 years, male 78.9
GTEX-1IY9M-2826-SM-ARU8H 60-69 years, male 78.9
GTEX-1MJK3-0726-SM-E6CJC 20-29 years, male 78.7
GTEX-X585-2426-SM-46MW2 50-59 years, male 78.3
GTEX-1S5ZU-2526-SM-E6CIF 20-29 years, female 78.2
GTEX-13NYS-0626-SM-5L3F1 60-69 years, male 77.9
GTEX-WFG8-2126-SM-3GIKQ 20-29 years, male 77.7
GTEX-1CAV2-0126-SM-7IGN7 40-49 years, female 77.3
GTEX-ZVP2-0326-SM-57WBP 50-59 years, male 77.3
GTEX-17HG3-2626-SM-7DUF2 30-39 years, female 76.7
GTEX-1HCU6-2526-SM-ADEHL 60-69 years, female 76.7
GTEX-1CAMS-2226-SM-7PBXQ 40-49 years, female 76.6
GTEX-1GPI6-1926-SM-9KNV7 60-69 years, male 76.2
GTEX-11DYG-1526-SM-5A5JS 60-69 years, male 76.0
GTEX-1NV5F-0626-SM-DTXEG 60-69 years, female 75.9
GTEX-1HBPM-0726-SM-9YFL7 60-69 years, female 75.2
GTEX-1QP66-1226-SM-DTX7U 50-59 years, male 75.0
GTEX-1E1VI-0326-SM-793D1 50-59 years, male 74.9
GTEX-1HKZK-0726-SM-ACKW2 40-49 years, male 74.9
GTEX-17F98-1326-SM-7DUEP 40-49 years, female 74.8
GTEX-11EM3-1226-SM-5N9DD 20-29 years, female 74.7
GTEX-12ZZX-2426-SM-5GCOE 40-49 years, female 74.7
GTEX-13OW5-2326-SM-5L3HO 60-69 years, male 74.5
GTEX-1AX8Z-0726-SM-73KTS 60-69 years, male 74.3
GTEX-12WSH-1526-SM-5BC5W 50-59 years, male 74.2
GTEX-1AX9I-2226-SM-73KUO 60-69 years, male 74.2
GTEX-12WSK-2126-SM-5CVNC 40-49 years, female 74.0
GTEX-ZDTS-0826-SM-4WKHL 60-69 years, male 74.0
GTEX-WFG7-2026-SM-5SI7P 20-29 years, male 73.0
GTEX-17HII-1426-SM-7EPGG 50-59 years, male 72.8
GTEX-1H2FU-0926-SM-9WPPT 60-69 years, female 72.1
GTEX-1IDJV-0126-SM-COH3Y 60-69 years, male 72.0
GTEX-18A66-0626-SM-7LT8Z 60-69 years, male 71.9
GTEX-WHWD-1826-SM-3LK6I 50-59 years, male 71.8
GTEX-1GL5R-1326-SM-7RHHF 50-59 years, male 71.8
GTEX-1IDJC-1526-SM-B2LW4 50-59 years, male 71.4
GTEX-ZVE2-2826-SM-5GU51 50-59 years, male 70.9
GTEX-1314G-1326-SM-5BC6E 30-39 years, male 70.8
GTEX-13JUV-2026-SM-5K7UA 40-49 years, female 70.7
GTEX-ZTX8-1326-SM-4YCEL 20-29 years, male 70.7
GTEX-139YR-1026-SM-5LZYN 50-59 years, male 70.5
GTEX-14BMU-1226-SM-5S2OR 20-29 years, female 70.5
GTEX-16XZZ-0726-SM-7KUF2 60-69 years, male 70.5
GTEX-1HSMP-0926-SM-A9SKX 70-79 years, male 70.5
GTEX-1497J-0226-SM-5QGPU 60-69 years, male 70.4
GTEX-1GF9W-1426-SM-7PBYM 60-69 years, male 70.2
GTEX-15SKB-2826-SM-6PAMH 60-69 years, male 70.1
GTEX-16MT8-2926-SM-7DUFO 60-69 years, female 70.1
GTEX-11DXX-2126-SM-5PNYR 60-69 years, female 69.9
GTEX-11WQC-1826-SM-5GU59 60-69 years, male 69.9
GTEX-131XG-0326-SM-5L3DX 50-59 years, female 69.8
GTEX-13G51-1826-SM-5KLZH 60-69 years, male 69.8
GTEX-17HHY-0426-SM-7DHLC 50-59 years, male 69.5
GTEX-Y8LW-1526-SM-5IFHL 50-59 years, female 69.4
GTEX-13FTX-1526-SM-5K7VJ 20-29 years, female 69.1
GTEX-Y111-0626-SM-4SOIT 50-59 years, male 68.7
GTEX-12696-0126-SM-5EQ4L 60-69 years, male 68.6
GTEX-1I1HK-2326-SM-CKZOH 60-69 years, male 68.6
GTEX-12WSL-2026-SM-5GCML 50-59 years, male 68.5
GTEX-1JMOU-1026-SM-CYPSS 60-69 years, female 68.5
GTEX-144GL-0626-SM-5LU4D 50-59 years, male 68.4
GTEX-1C64N-2626-SM-7PC2N 50-59 years, male 68.4
GTEX-14ICL-1626-SM-5YYAO 30-39 years, male 68.2
GTEX-16AAH-0626-SM-793C9 50-59 years, male 67.9
GTEX-1RMOY-1326-SM-E9TIH 50-59 years, male 67.6
GTEX-12WSD-0626-SM-5GCMW 60-69 years, female 67.3
GTEX-1IKOE-1426-SM-CE6T7 30-39 years, female 67.3
GTEX-17F9E-2326-SM-79OKD 50-59 years, male 67.2
GTEX-1LSNL-2726-SM-E9TKJ 50-59 years, male 67.2
GTEX-15D1Q-2826-SM-6LLH7 40-49 years, male 66.9
GTEX-1B933-2426-SM-7DHMD 50-59 years, female 66.8
GTEX-13PVQ-0626-SM-5LU47 50-59 years, male 66.7
GTEX-15EU6-2226-SM-6EU2L 50-59 years, male 66.6
GTEX-1GTWX-2026-SM-9YFLM 60-69 years, male 66.5
GTEX-YECK-0326-SM-4W1YS 60-69 years, male 66.3
GTEX-1H1DG-2426-SM-9QEHJ 70-79 years, male 66.3
GTEX-1399S-0126-SM-5IJCF 30-39 years, female 66.2
GTEX-148VJ-0626-SM-5LUAW 70-79 years, male 66.2
GTEX-1EH9U-2826-SM-7DUGT 60-69 years, male 66.1
GTEX-1JJEA-1826-SM-ARU8P 60-69 years, male 65.9
GTEX-ZC5H-1526-SM-5HL9Y 40-49 years, female 65.8
GTEX-17F9Y-0126-SM-79OKX 70-79 years, female 65.7
GTEX-1GZ4I-2626-SM-9KNU3 50-59 years, male 65.6
GTEX-1OJC3-1226-SM-DTXER 20-29 years, male 65.6
GTEX-13O61-1426-SM-5KM3D 60-69 years, male 65.5
GTEX-1HBPI-2126-SM-ARL9K 50-59 years, male 65.2
GTEX-13O3O-2326-SM-5IJD6 60-69 years, female 65.1
GTEX-139UW-0326-SM-5J1ML 60-69 years, male 65.0
GTEX-ZT9W-1126-SM-57WDR 50-59 years, male 65.0
GTEX-12BJ1-0926-SM-5EQ62 60-69 years, male 64.9
GTEX-1GMR3-0126-SM-A9SLW 40-49 years, male 64.9
GTEX-1LBAC-0826-SM-CY8IJ 20-29 years, male 64.9
GTEX-1IDFM-0326-SM-ARL7V 60-69 years, male 64.6
GTEX-1F88F-0126-SM-9WYSZ 60-69 years, female 64.5
GTEX-12ZZY-0726-SM-5EQ66 60-69 years, male 64.4
GTEX-13OW6-2726-SM-5J2OE 50-59 years, male 64.4
GTEX-15DDE-2926-SM-6LLJ3 50-59 years, female 64.4
GTEX-1C64O-1326-SM-7MGWR 60-69 years, male 64.3
GTEX-1211K-1526-SM-5FQU4 60-69 years, female 64.2
GTEX-14BMV-2826-SM-5TDED 50-59 years, male 64.0
GTEX-1C6WA-2626-SM-7MKGM 60-69 years, male 63.9
GTEX-1LSVX-2526-SM-DIPEU 60-69 years, male 63.9
GTEX-1E2YA-2126-SM-7MXUO 50-59 years, male 63.6
GTEX-15ER7-0626-SM-6PANF 20-29 years, female 63.5
GTEX-Y114-2126-SM-4TT8B 50-59 years, female 63.5
GTEX-1CB4F-1026-SM-7DUH1 60-69 years, male 63.4
GTEX-ZYVF-0926-SM-5E44J 50-59 years, female 63.4
GTEX-14PJ4-0226-SM-5YY92 60-69 years, male 63.3
GTEX-1LKK1-2626-SM-DKPQE 50-59 years, female 63.3
GTEX-1O9I2-0226-SM-EYYXD 50-59 years, male 63.3
GTEX-Y8E4-2026-SM-5IFJB 40-49 years, male 63.2
GTEX-117YX-1926-SM-5GIEC 50-59 years, male 63.1
GTEX-1F75A-0726-SM-7RHHD 50-59 years, male 63.1
GTEX-12WSJ-1126-SM-5LZVJ 40-49 years, female 63.0
GTEX-1H1E6-0426-SM-9WYUS 30-39 years, male 63.0
GTEX-14PJ2-0626-SM-6LLII 50-59 years, male 62.8
GTEX-18A7B-2726-SM-7LG56 70-79 years, male 62.8
GTEX-1EU9M-1426-SM-793AI 60-69 years, male 62.7
GTEX-1192X-2726-SM-5N9DN 50-59 years, male 62.6
GTEX-145MO-2826-SM-5LU96 60-69 years, male 62.3
GTEX-14C5O-0326-SM-5ZZUX 60-69 years, male 62.3
GTEX-ZTSS-1426-SM-5985P 40-49 years, male 62.3
GTEX-ZWKS-0626-SM-5GIDV 30-39 years, male 62.3
GTEX-13OVK-1426-SM-6PAN7 40-49 years, male 62.2
GTEX-1F52S-2926-SM-7MKGA 60-69 years, female 62.2
GTEX-11O72-0626-SM-5PNYE 40-49 years, male 62.0
GTEX-12584-0726-SM-5FQTK 40-49 years, male 62.0
GTEX-11P7K-1126-SM-5HL4L 30-39 years, male 61.9
GTEX-1PBJJ-1026-SM-E76OS 30-39 years, male 61.9
GTEX-16MT9-0126-SM-7EPI8 60-69 years, female 61.8
GTEX-1A8G7-1326-SM-73KVM 60-69 years, male 61.8
GTEX-1GMRU-2126-SM-7P8RA 50-59 years, male 61.8
GTEX-1HUB1-1426-SM-CGQF5 60-69 years, male 61.8
GTEX-1JK1U-0226-SM-ARZMX 60-69 years, male 61.8
GTEX-111YS-1526-SM-5GZYW 60-69 years, male 61.7
GTEX-1KAFJ-0126-SM-DIPEK 50-59 years, male 61.7
GTEX-12WSF-1626-SM-7KUG5 70-79 years, male 61.6
GTEX-1B8SF-0126-SM-7DUG3 60-69 years, male 61.5
GTEX-VUSG-2326-SM-4KL1U 50-59 years, male 61.5
GTEX-1S83E-1326-SM-E6CJM 40-49 years, male 61.5
GTEX-1IDJE-1426-SM-ADEIW 50-59 years, female 61.4
GTEX-1PPH7-1126-SM-DTX9A 40-49 years, male 61.4
GTEX-13X6K-0626-SM-5LU5D 60-69 years, female 61.3
GTEX-139TT-2126-SM-5LZWC 60-69 years, male 61.2
GTEX-13113-1626-SM-5EQ4I 60-69 years, female 61.1
GTEX-ZDYS-2426-SM-4WKGI 50-59 years, male 61.1
GTEX-13IVO-0726-SM-5LZYV 70-79 years, male 60.9
GTEX-1GN1W-2426-SM-9KNUU 50-59 years, female 60.9
GTEX-13QBU-1226-SM-5LU4G 40-49 years, female 60.8
GTEX-18D9U-0126-SM-731BM 40-49 years, male 60.7
GTEX-1HB9E-0126-SM-CM2S5 50-59 years, male 60.6
GTEX-16NPX-0726-SM-7KULC 50-59 years, male 60.4
GTEX-17F96-0126-SM-7EWDU 70-79 years, male 60.4
GTEX-XBED-1926-SM-47JYP 60-69 years, male 60.4
GTEX-14PJ3-1126-SM-5ZZVX 50-59 years, male 60.2
GTEX-17F97-2626-SM-7IGM5 50-59 years, male 60.2
GTEX-1J1OQ-0126-SM-D4P2N 40-49 years, female 60.2
GTEX-14B4R-1326-SM-5Q5EZ 30-39 years, male 60.1
GTEX-1A3MV-1826-SM-731CD 30-39 years, male 60.1
GTEX-1I1CD-0626-SM-CE6SW 60-69 years, female 60.1
GTEX-11NUK-2726-SM-5A5MC 50-59 years, male 59.9
GTEX-1GF9X-1326-SM-7PC2Y 40-49 years, female 59.9
GTEX-1GZ2Q-0126-SM-9WG6M 40-49 years, male 59.9
GTEX-144GO-2026-SM-5O99P 60-69 years, male 59.5
GTEX-1HR98-2226-SM-ADEI2 60-69 years, male 59.5
GTEX-145MH-2826-SM-5RQJF 50-59 years, male 59.4
GTEX-WHPG-2626-SM-3NMBR 50-59 years, male 59.4
GTEX-1J8JJ-0626-SM-ARZMQ 60-69 years, female 59.4
GTEX-13X6I-1826-SM-5SIAO 60-69 years, male 59.3
GTEX-17MF6-2626-SM-79OKQ 40-49 years, male 59.3
GTEX-ZDXO-3126-SM-5IJDF 60-69 years, male 59.3
GTEX-11LCK-2226-SM-5HL4Q 30-39 years, male 59.2
GTEX-11PRG-0726-SM-5EGL1 50-59 years, male 59.2
GTEX-147GR-2426-SM-5ZZWQ 60-69 years, male 59.1
GTEX-1B932-2326-SM-79OL5 40-49 years, female 59.1
GTEX-V1D1-2026-SM-3GAF4 50-59 years, male 59.1
GTEX-1GN73-0726-SM-7P8TJ 60-69 years, male 59.1
GTEX-11EQ8-0926-SM-5H12V 60-69 years, male 59.0
GTEX-12126-0826-SM-5FQTZ 20-29 years, male 58.9
GTEX-139TS-2126-SM-5K7XC 60-69 years, male 58.9
GTEX-1BAJH-2426-SM-7IGP8 70-79 years, male 58.8
GTEX-1IDJD-2326-SM-ACKWX 30-39 years, male 58.6
GTEX-1CB4H-1126-SM-7MKGL 60-69 years, female 58.5
GTEX-1HGF4-0126-SM-CNPPX 60-69 years, male 58.5
GTEX-1CAMR-1326-SM-7PC1F 20-29 years, male 58.4
GTEX-1F75W-2726-SM-7SB8H 60-69 years, male 58.4
GTEX-14JFF-0626-SM-5ZZVT 60-69 years, male 58.3
GTEX-1JKYN-0826-SM-ARU8S 30-39 years, male 58.2
GTEX-18A67-1626-SM-7LT9T 50-59 years, male 58.1
GTEX-1PPGY-1626-SM-EVYBL 60-69 years, male 58.1
GTEX-1S82P-2126-SM-E6CI5 60-69 years, female 58.1
GTEX-YB5K-2026-SM-4VDT3 40-49 years, female 58.0
GTEX-ZPU1-1126-SM-4YCF3 40-49 years, male 58.0
GTEX-1I1GS-2626-SM-B2LY3 60-69 years, male 57.8
GTEX-Y3I4-1726-SM-4TT89 50-59 years, male 57.7
GTEX-1F6IF-0926-SM-7SB7M 60-69 years, male 57.7
GTEX-131XH-0126-SM-5LZUY 50-59 years, male 57.6
GTEX-1JMQI-1726-SM-ARL93 50-59 years, male 57.6
GTEX-1B996-0426-SM-7EWF8 60-69 years, male 57.5
GTEX-1QCLY-0226-SM-EWRNH 30-39 years, male 57.4
GTEX-1RAZA-2226-SM-E9U4X 20-29 years, male 57.4
GTEX-15RIE-1926-SM-7KUKJ 60-69 years, male 57.3
GTEX-14JG1-1526-SM-5YY9X 40-49 years, male 57.2
GTEX-1EN7A-2426-SM-793DB 40-49 years, male 57.1
GTEX-11EQ9-1626-SM-5PNY8 30-39 years, male 56.9
GTEX-183WM-0326-SM-72D5V 70-79 years, female 56.9
GTEX-ZZ64-1026-SM-5GZXG 20-29 years, male 56.9
GTEX-13X6J-0626-SM-5LU5F 50-59 years, male 56.8
GTEX-1F6I4-2326-SM-7RHGL 60-69 years, male 56.8
GTEX-1I19N-0126-SM-CYPSF 70-79 years, male 56.7
GTEX-1I6K7-1926-SM-B2LXR 40-49 years, male 56.7
GTEX-1IDJH-0126-SM-D3L92 70-79 years, male 56.7
GTEX-13PL6-1126-SM-5L3IE 40-49 years, female 56.6
GTEX-ZLV1-1526-SM-DO91J 60-69 years, female 56.5
GTEX-11UD2-2526-SM-5CVNU 50-59 years, male 56.4
GTEX-131XF-2626-SM-5EQ6K 60-69 years, male 56.3
GTEX-11P82-1426-SM-DTXFY 20-29 years, male 56.3
GTEX-YEC4-1826-SM-4W1YP 40-49 years, male 56.2
GTEX-1H3VE-0726-SM-9YFL5 40-49 years, male 56.1
GTEX-13112-0126-SM-5P9IU 50-59 years, male 56.0
GTEX-145ME-1726-SM-5Q5EU 40-49 years, female 56.0
GTEX-18A6Q-0626-SM-7KFRP 60-69 years, male 56.0
GTEX-1JMLX-0626-SM-ARL8T 50-59 years, male 56.0
GTEX-16NGA-0726-SM-731AO 40-49 years, female 55.9
GTEX-ZVT4-2426-SM-5GIEI 50-59 years, female 55.9
GTEX-1LVA9-2626-SM-EVYD4 50-59 years, male 55.9
GTEX-1I6K6-1726-SM-CGQFD 30-39 years, male 55.8
GTEX-139D8-1126-SM-5LU8W 30-39 years, female 55.7
GTEX-145MI-0626-SM-5SI8S 60-69 years, female 55.7
GTEX-1HBPN-0126-SM-CGQEF 50-59 years, male 55.7
GTEX-1LGOU-1326-SM-D3L8M 20-29 years, female 55.7
GTEX-12C56-1526-SM-5FQUQ 20-29 years, male 55.5
GTEX-1A8G6-2726-SM-731AR 60-69 years, male 55.4
GTEX-1HT8W-0626-SM-A9G2H 30-39 years, male 55.4
GTEX-12KS4-2126-SM-5FQUT 30-39 years, male 55.3
GTEX-1F5PK-2226-SM-7SB6N 50-59 years, male 55.3
GTEX-11VI4-1126-SM-5EQMD 40-49 years, female 55.2
GTEX-13X6H-0926-SM-5SIB2 50-59 years, female 55.2
GTEX-WEY5-2326-SM-3GIKK 40-49 years, female 55.2
GTEX-ZE7O-2726-SM-51MT5 50-59 years, female 55.2
GTEX-147JS-0226-SM-5S2U9 60-69 years, male 55.1
GTEX-1HR9M-2226-SM-CNPPY 60-69 years, male 55.1
GTEX-1F5PL-0926-SM-7PC2W 40-49 years, female 55.0
GTEX-1GMR8-0626-SM-7RHI7 50-59 years, female 55.0
GTEX-1QW4Y-1126-SM-DTXE3 30-39 years, male 55.0
GTEX-133LE-2326-SM-5K7W3 20-29 years, female 54.9
GTEX-1I4MK-0126-SM-CY8G6 50-59 years, female 54.9
GTEX-XBEW-1126-SM-4QARW 40-49 years, male 54.8
GTEX-UPJH-0226-SM-3GADV 50-59 years, male 54.7
GTEX-1HSKV-1226-SM-ADEI4 60-69 years, male 54.6
GTEX-1LGRB-0926-SM-COH3K 50-59 years, female 54.6
GTEX-1RAZR-2126-SM-E9U6T 40-49 years, male 54.6
GTEX-13FHO-0426-SM-5L3F5 60-69 years, male 54.5
GTEX-Z93S-1626-SM-5CVMB 50-59 years, male 54.5
GTEX-17KNJ-2126-SM-718AM 50-59 years, male 54.4
GTEX-1LG7Y-2526-SM-EWRO7 50-59 years, male 54.4
GTEX-1C6VQ-1226-SM-73KYD 50-59 years, male 54.3
GTEX-1H1DE-1326-SM-9KNUG 20-29 years, male 54.3
GTEX-1JMPZ-0726-SM-CY8HZ 30-39 years, male 54.3
GTEX-139TU-0726-SM-5L3EK 60-69 years, male 54.2
GTEX-11GS4-0226-SM-5HL77 60-69 years, male 54.1
GTEX-ZT9X-1526-SM-5DUXD 40-49 years, male 54.0
GTEX-YEC3-1326-SM-DO92X 50-59 years, male 54.0
GTEX-145LS-0626-SM-7EPG7 60-69 years, female 53.9
GTEX-14PJ5-1526-SM-6LLIL 60-69 years, female 53.9
GTEX-1H1CY-0126-SM-9YFLY 60-69 years, female 53.9
GTEX-1I1GP-1326-SM-A9G28 50-59 years, male 53.9
GTEX-1KXAM-1626-SM-D3LAD 60-69 years, male 53.9
GTEX-1GF9V-0826-SM-9KNUV 60-69 years, male 53.8
GTEX-1QP9N-1226-SM-E76QN 30-39 years, male 53.8
GTEX-XV7Q-1826-SM-4BRUV 40-49 years, female 53.5
GTEX-13VXU-0626-SM-5L3F9 50-59 years, male 53.4
GTEX-17JCI-2926-SM-7DUFF 60-69 years, female 53.4
GTEX-1PIIG-2326-SM-DTXFR 30-39 years, male 53.4
GTEX-14C39-1726-SM-5RQIL 40-49 years, male 53.3
GTEX-14E6E-0526-SM-793DN 30-39 years, male 53.3
GTEX-18D9A-1426-SM-7LT8M 30-39 years, female 53.3
GTEX-1GPI7-1826-SM-9KNU1 20-29 years, male 53.3
GTEX-1K2DU-1226-SM-CYPT4 20-29 years, male 53.2
GTEX-16BQI-1326-SM-6M486 30-39 years, female 53.1
GTEX-18QFQ-1826-SM-72D52 30-39 years, male 52.9
GTEX-14LZ3-0126-SM-69LPM 60-69 years, female 52.8
GTEX-14A6H-2026-SM-5Q5DD 30-39 years, male 52.7
GTEX-1IL2V-1926-SM-B2LW8 70-79 years, male 52.7
GTEX-1H4P4-2126-SM-9WYSL 50-59 years, male 52.6
GTEX-1JJ6O-2726-SM-CNPOG 60-69 years, male 52.6
GTEX-14PKV-1126-SM-6LLJ1 20-29 years, female 52.5
GTEX-1NSGN-0726-SM-DTXEF 50-59 years, male 52.5
GTEX-13FTY-2126-SM-5IFFB 40-49 years, female 52.3
GTEX-13N11-2326-SM-5IJBF 50-59 years, female 52.3
GTEX-1QPFJ-1926-SM-EVYBD 30-39 years, female 52.2
GTEX-1QP2A-1726-SM-E76QC 50-59 years, male 52.1
GTEX-1LVAM-0726-SM-E6CIL 50-59 years, female 52.0
GTEX-Y3IK-1626-SM-4YCF5 50-59 years, female 51.9
GTEX-1HCU9-0426-SM-9WYSD 20-29 years, male 51.9
GTEX-ZDTT-0426-SM-4WKFL 60-69 years, male 51.8
GTEX-XOT4-0626-SM-4B66L 60-69 years, female 51.5
GTEX-1HSMQ-2626-SM-A9SML 50-59 years, male 51.5
GTEX-1KANC-1226-SM-CYPT7 50-59 years, female 51.5
GTEX-13NZ9-2626-SM-5L3FK 50-59 years, male 51.4
GTEX-14PKU-0126-SM-6LLHV 40-49 years, female 51.4
GTEX-UPK5-0426-SM-3GAEK 40-49 years, male 51.4
GTEX-1GN1U-0626-SM-9MQL9 50-59 years, female 51.4
GTEX-1GF9U-2026-SM-7SB92 40-49 years, female 51.3
GTEX-1KWVE-1026-SM-D3L9O 30-39 years, male 51.3
GTEX-ZU9S-1826-SM-5NQ9E 30-39 years, male 51.2
GTEX-1HCUA-0826-SM-ADEHM 50-59 years, female 51.2
GTEX-111CU-1126-SM-5EGIM 50-59 years, male 51.1
GTEX-1CB4E-0926-SM-7EPHT 60-69 years, male 51.1
GTEX-1GMR2-0826-SM-7PC3V 50-59 years, male 51.1
GTEX-1HCU8-2526-SM-CE6RX 60-69 years, female 51.1
GTEX-1PDJ9-1226-SM-EXUSX 20-29 years, male 51.1
GTEX-139T8-0626-SM-5KLZX 60-69 years, male 51.0
GTEX-11ZUS-2626-SM-5FQUR 30-39 years, male 50.9
GTEX-13OW7-0426-SM-5K7VK 50-59 years, male 50.9
GTEX-ZYFC-0426-SM-5GICQ 50-59 years, male 50.9
GTEX-1H11D-1826-SM-9QEHM 40-49 years, male 50.9
GTEX-1JN6P-2926-SM-CL54D 60-69 years, male 50.9
GTEX-13U4I-2226-SM-5LU5H 40-49 years, female 50.8
GTEX-1B8KZ-0326-SM-73KY4 50-59 years, male 50.8
GTEX-14JG6-1426-SM-9WG7C 30-39 years, female 50.8
GTEX-11ZU8-0126-SM-5EQ58 60-69 years, male 50.7
GTEX-14DAQ-0626-SM-793DS 60-69 years, female 50.7
GTEX-ZVE1-0726-SM-51MRN 50-59 years, female 50.7
GTEX-14AS3-1526-SM-5Q5ED 40-49 years, female 50.6
GTEX-1LSNM-0826-SM-DIPG8 50-59 years, male 50.6
GTEX-1R7EU-1626-SM-DTXG3 60-69 years, male 50.6
GTEX-13PVR-0426-SM-5RQK2 60-69 years, female 50.5
GTEX-1M4P7-0726-SM-E6CJ3 60-69 years, male 50.5
GTEX-13OVG-1626-SM-5J1NF 60-69 years, male 50.4
GTEX-13W3W-0726-SM-5IJDQ 60-69 years, female 50.4
GTEX-18A7A-0126-SM-731AH 50-59 years, female 50.4
GTEX-1I1GV-0626-SM-ARL7M 60-69 years, male 50.4
GTEX-11ZTT-2126-SM-5CVLO 60-69 years, female 50.2
GTEX-12WSC-2826-SM-5BC5Y 50-59 years, male 50.2
GTEX-X4EO-2926-SM-4E3JH 60-69 years, female 50.2
GTEX-XQ3S-1426-SM-4BOPR 20-29 years, male 50.2
GTEX-1GN1V-2826-SM-9JGIA 60-69 years, male 50.2
GTEX-WRHU-2826-SM-3MJG8 50-59 years, female 50.1
GTEX-ZA64-1026-SM-5HL8R 20-29 years, male 50.0
GTEX-ZYFG-1526-SM-5GZYM 60-69 years, female 50.0
GTEX-1IKJJ-2226-SM-CJI4C 60-69 years, male 50.0
GTEX-1K9T9-1526-SM-DIPFR 50-59 years, female 50.0
GTEX-1399U-1126-SM-5L3DB 50-59 years, female 49.9
GTEX-13N1W-2426-SM-5IJD1 70-79 years, male 49.7
GTEX-11DXZ-2026-SM-5987S 50-59 years, male 49.6
GTEX-14BIN-1126-SM-5RQJZ 50-59 years, female 49.6
GTEX-15RJE-2826-SM-7KUM9 40-49 years, male 49.6
GTEX-1EWIQ-0326-SM-7DHMQ 70-79 years, female 49.6
GTEX-145MN-1526-SM-5SI9T 30-39 years, male 49.5
GTEX-16YQH-2226-SM-7IGM2 30-39 years, male 49.5
GTEX-1B97I-0626-SM-73KUZ 40-49 years, male 49.5
GTEX-12WSM-1926-SM-5BC65 60-69 years, male 49.4
GTEX-XQ8I-0926-SM-4BOOF 50-59 years, male 49.3
GTEX-Y9LG-1126-SM-4VBQ7 30-39 years, male 49.3
GTEX-1IDJI-0126-SM-CMKHS 50-59 years, female 49.3
GTEX-14E1K-2026-SM-7DUEI 50-59 years, male 49.2
GTEX-WY7C-2126-SM-3NB2R 50-59 years, male 49.2
GTEX-XPVG-2126-SM-4B667 50-59 years, male 49.2
GTEX-1QP28-1126-SM-EVYC4 50-59 years, female 49.2
GTEX-1RB15-1326-SM-E76Q9 60-69 years, male 49.2
GTEX-146FQ-2126-SM-5RQHU 30-39 years, male 49.1
GTEX-1N5O9-0926-SM-E9J3C 60-69 years, male 49.1
GTEX-11OF3-0126-SM-5PNYF 60-69 years, male 49.0
GTEX-1313W-0626-SM-5EQ4H 50-59 years, female 49.0
GTEX-14LLW-2626-SM-62LDZ 70-79 years, female 49.0
GTEX-13NYB-0126-SM-5J1MD 40-49 years, male 48.9
GTEX-178AV-1726-SM-7KUL8 40-49 years, male 48.9
GTEX-YF7O-1526-SM-5IFI6 50-59 years, male 48.9
GTEX-1C6VR-0126-SM-7RHGB 60-69 years, male 48.9
GTEX-13PDP-0726-SM-5L3HP 60-69 years, male 48.8
GTEX-13D11-0926-SM-5J2NC 50-59 years, female 48.7
GTEX-13OVL-0126-SM-5L3GJ 50-59 years, male 48.7
GTEX-1KD5A-0126-SM-E9U54 50-59 years, male 48.6
GTEX-131XW-0626-SM-5PNVD 50-59 years, female 48.3
GTEX-145LT-0526-SM-5LUB2 40-49 years, male 48.3
GTEX-1RAZS-2526-SM-E6CHT 50-59 years, male 48.3
GTEX-YJ8O-2526-SM-5HL85 40-49 years, female 48.2
GTEX-1HFI7-2326-SM-CGQFS 50-59 years, female 48.2
GTEX-11DXW-0826-SM-5H118 40-49 years, male 48.1
GTEX-X5EB-1926-SM-4E3IW 40-49 years, male 48.1
GTEX-ZVZP-1226-SM-5GID7 50-59 years, male 48.1
GTEX-1S82U-1026-SM-E6CJK 30-39 years, female 48.1
GTEX-11NSD-0626-SM-5A5LU 20-29 years, male 48.0
GTEX-15CHQ-0326-SM-69LQD 60-69 years, male 48.0
GTEX-13SLW-0626-SM-5Q5ER 70-79 years, male 47.9
GTEX-16Z82-2626-SM-7KULU 60-69 years, male 47.9
GTEX-YFCO-1226-SM-5LUAT 40-49 years, male 47.9
GTEX-13FLV-0126-SM-5K7WT 50-59 years, male 47.8
GTEX-16MTA-0926-SM-6M47Z 50-59 years, male 47.8
GTEX-1S831-1826-SM-EWROF 20-29 years, male 47.8
GTEX-1212Z-0126-SM-59HK4 60-69 years, male 47.7
GTEX-1477Z-0326-SM-7IGLA 60-69 years, male 47.6
GTEX-18465-2826-SM-7LT9J 50-59 years, male 47.6
GTEX-1B8KE-1126-SM-7EPHI 50-59 years, male 47.6
GTEX-1LVAN-0626-SM-CNPOQ 50-59 years, female 47.6
GTEX-11EI6-2826-SM-5H11D 60-69 years, male 47.5
GTEX-145MF-0926-SM-5Q5EA 50-59 years, male 47.5
GTEX-ZYT6-2326-SM-5GZY3 30-39 years, male 47.5
GTEX-1J8EW-2726-SM-CY8HR 60-69 years, female 47.5
GTEX-1JN76-0626-SM-CKZOQ 20-29 years, female 47.5
GTEX-WK11-2726-SM-3NMAQ 50-59 years, male 47.4
GTEX-ZXG5-2126-SM-59HKD 60-69 years, male 47.4
GTEX-12ZZZ-0726-SM-5GCNZ 60-69 years, male 47.3
GTEX-17MFQ-1526-SM-7KFRR 20-29 years, male 47.3
GTEX-1KANA-1326-SM-DIPFA 20-29 years, male 47.3
GTEX-1JKYR-0626-SM-ARL8R 20-29 years, male 47.2
GTEX-1117F-2926-SM-5GZYI 60-69 years, female 47.1
GTEX-ZE9C-2526-SM-5IJDR 60-69 years, male 47.1
GTEX-1HCVE-2726-SM-CL54F 50-59 years, male 47.1
GTEX-1HFI6-0126-SM-CNPPI 40-49 years, male 47.0
GTEX-WXYG-2026-SM-4E3IY 50-59 years, female 46.9
GTEX-1GN2E-0226-SM-9WG6K 60-69 years, male 46.9
GTEX-14PJ6-2626-SM-6EU2T 60-69 years, female 46.8
GTEX-1CAMQ-1326-SM-7P8RV 40-49 years, male 46.8
GTEX-14ABY-2026-SM-62LDL 50-59 years, male 46.7
GTEX-XBEC-0726-SM-4QARZ 50-59 years, male 46.7
GTEX-ZLWG-0826-SM-59888 50-59 years, female 46.7
GTEX-14PHY-1226-SM-5ZZWK 60-69 years, female 46.5
GTEX-12WSA-0426-SM-5EQ5X 60-69 years, male 46.2
GTEX-13N2G-0226-SM-5K7VF 60-69 years, male 46.2
GTEX-ZGAY-1826-SM-DO91Q 40-49 years, female 46.2
GTEX-13OW8-1026-SM-5J1NQ 60-69 years, male 46.1
GTEX-11DXY-0126-SM-5H11Q 60-69 years, male 46.0
GTEX-145LU-1926-SM-79OJN 50-59 years, male 46.0
GTEX-1QEPI-2626-SM-DTXF4 60-69 years, female 46.0
GTEX-147F3-1726-SM-5SIAW 50-59 years, female 45.9
GTEX-1A8FM-0626-SM-7PC25 50-59 years, female 45.9
GTEX-147F4-0726-SM-5TDDD 50-59 years, male 45.8
GTEX-ZYY3-2926-SM-5GIEB 60-69 years, female 45.8
GTEX-15EO6-2426-SM-6PALZ 50-59 years, male 45.6
GTEX-ZPIC-0526-SM-DO91W 40-49 years, female 45.4
GTEX-XMD2-2126-SM-4YCF8 60-69 years, female 45.3
GTEX-13NZ8-1226-SM-5KM4A 60-69 years, female 45.2
GTEX-1GZ4H-0526-SM-9KNU9 50-59 years, female 45.2
GTEX-1JMPY-0226-SM-CKZOK 30-39 years, male 45.2
GTEX-WYVS-1626-SM-3NM9R 40-49 years, female 45.1
GTEX-1RAZQ-1326-SM-E9TK6 30-39 years, male 45.1
GTEX-13VXT-1926-SM-5K7UO 20-29 years, female 45.0
GTEX-1C2JI-1026-SM-73KY1 50-59 years, male 44.9
GTEX-1AMEY-0826-SM-72D65 30-39 years, female 44.6
GTEX-1QCLZ-2426-SM-EVYBW 60-69 years, female 44.6
GTEX-1IOXB-2726-SM-CM2RI 50-59 years, male 44.5
GTEX-1QMI2-2526-SM-E8VNZ 60-69 years, male 44.4
GTEX-ZF2S-1626-SM-57WES 50-59 years, female 44.3
GTEX-111FC-2526-SM-5GZXU 60-69 years, male 44.1
GTEX-14PII-0726-SM-6EU2B 60-69 years, male 44.1
GTEX-XYKS-1426-SM-4BRUO 60-69 years, female 44.1
GTEX-1JJE9-2626-SM-ARZMT 70-79 years, male 43.9
GTEX-ZUA1-2626-SM-5NQ92 40-49 years, male 43.8
GTEX-1AMFI-1326-SM-7939R 50-59 years, female 43.7
GTEX-1J8Q3-0526-SM-ARL8U 60-69 years, male 43.7
GTEX-14PJN-1826-SM-6AJ98 30-39 years, male 43.6
GTEX-17HHE-1326-SM-7EWDZ 50-59 years, male 43.6
GTEX-Y5V5-0126-SM-5S2NW 60-69 years, female 43.6
GTEX-1POEN-2326-SM-E9J2L 30-39 years, female 43.4
GTEX-ZAK1-0626-SM-5HL8E 50-59 years, female 43.3
GTEX-1ICG6-1226-SM-A9SLN 70-79 years, female 43.3
GTEX-11P81-2226-SM-5PNYI 30-39 years, female 43.1
GTEX-13O3Q-0126-SM-5KM34 50-59 years, male 43.1
GTEX-1B8L1-2226-SM-7P8PT 60-69 years, male 43.0
GTEX-1KANB-2826-SM-CY8I6 50-59 years, male 43.0
GTEX-XUW1-0926-SM-4BONX 50-59 years, female 42.8
GTEX-1K2DA-1026-SM-CGQGF 50-59 years, male 42.8
GTEX-1OJC4-2726-SM-E76PJ 50-59 years, female 42.7
GTEX-1IDJU-1726-SM-CMKHU 60-69 years, female 42.5
GTEX-1J1R8-2026-SM-CL53Y 40-49 years, male 42.4
GTEX-1N2EE-0626-SM-E76PW 60-69 years, male 42.4
GTEX-1H1ZS-2726-SM-9WG75 70-79 years, male 42.3
GTEX-13JVG-0726-SM-5KM16 60-69 years, male 42.2
GTEX-1MCYP-0526-SM-E9U6Q 20-29 years, female 42.2
GTEX-145MG-1526-SM-5Q5EM 50-59 years, male 42.1
GTEX-14753-0726-SM-5QGQO 60-69 years, male 41.9
GTEX-1MCC2-1826-SM-DIPEX 30-39 years, female 41.9
GTEX-14DAR-1226-SM-73KYV 50-59 years, male 41.7
GTEX-1LG7Z-1626-SM-CXKYR 30-39 years, male 41.7
GTEX-ZVTK-0226-SM-51MRG 20-29 years, male 41.4
GTEX-1JMQJ-0826-SM-CNPP7 50-59 years, male 41.4
GTEX-13QJC-0126-SM-5ZZWJ 60-69 years, female 41.3
GTEX-1CB4I-0126-SM-7RHGG 50-59 years, male 41.3
GTEX-1269C-0126-SM-5EQ5L 60-69 years, female 41.1
GTEX-13SLX-2226-SM-62LEP 50-59 years, female 41.1
GTEX-ZZPU-0826-SM-5GZX5 50-59 years, female 40.9
GTEX-ZAB4-2126-SM-5HL8U 40-49 years, male 40.8
GTEX-ZP4G-1426-SM-4WWCL 20-29 years, female 40.8
GTEX-1EMGI-2326-SM-7PBYA 60-69 years, male 40.8
GTEX-X3Y1-2026-SM-3P5YM 40-49 years, male 40.6
GTEX-13FTW-0326-SM-5K7UW 40-49 years, male 40.5
GTEX-15CHR-1126-SM-7EWF4 50-59 years, male 40.5
GTEX-XAJ8-1426-SM-47JYM 40-49 years, male 40.4
GTEX-ZF29-0926-SM-4WKFZ 60-69 years, female 40.2
GTEX-15DYW-2726-SM-6EU2I 60-69 years, female 40.1
GTEX-15RIG-0726-SM-7KUM7 40-49 years, male 39.9
GTEX-1EKGG-0626-SM-7DUGJ 60-69 years, male 39.9
GTEX-1C475-1326-SM-7SB73 40-49 years, female 39.5
GTEX-1H3O1-1326-SM-9MQLD 60-69 years, male 39.3
GTEX-1S3DN-2126-SM-E9TIN 50-59 years, male 39.3
GTEX-1399R-1326-SM-5PNYS 30-39 years, male 39.0
GTEX-1PIGE-1826-SM-E8VOU 20-29 years, male 38.6
GTEX-1R9PM-1926-SM-EVR3O 20-29 years, male 38.6
GTEX-15CHC-1126-SM-6LLHQ 60-69 years, female 38.4
GTEX-17EVQ-0126-SM-7IGLR 70-79 years, male 38.3
GTEX-ZVT2-0126-SM-5GIDQ 50-59 years, female 38.1
GTEX-1J8QM-2426-SM-A9SLS 60-69 years, female 37.9
GTEX-ZF3C-0626-SM-DO92O 50-59 years, female 37.9
GTEX-1AX9J-1326-SM-731BJ 60-69 years, male 37.5
GTEX-WHSB-1326-SM-3LK6W 50-59 years, male 36.9
GTEX-1LB8K-0726-SM-D5OV2 50-59 years, male 36.5
GTEX-WYJK-0526-SM-3NM8Z 50-59 years, male 36.1
GTEX-1I1GT-1026-SM-ARZLV 60-69 years, female 36.0
GTEX-ZPCL-1126-SM-4WWFE 60-69 years, female 35.7
GTEX-15FZZ-0526-SM-7KUGD 30-39 years, female 34.4
GTEX-17EVP-2626-SM-7IGMA 40-49 years, male 34.0
GTEX-1HSGN-0826-SM-ACKW3 40-49 years, female 33.2
GTEX-11GSP-2326-SM-5HL63 60-69 years, female 33.1
GTEX-Y5V6-2326-SM-4VDSA 60-69 years, male 32.4
GTEX-1122O-1026-SM-9WYSF 60-69 years, female 32.4
GTEX-16GPK-0626-SM-7KFSF 60-69 years, male 32.0
GTEX-111VG-1626-SM-5EGIO 60-69 years, male 29.3
Show allShow less
Skin - Sun Exposed (Lower leg)
Average nTPM: 64.7
Samples: 701

Max nTPM: 201.8
Min nTPM: 30.0
Std nTPM: 25.8
Median nTPM: 57.8
GTEX-WI4N-1026-SM-3LK7N 40-49 years, female 201.8
GTEX-1A3MW-0126-SM-73KXX 60-69 years, female 193.0
GTEX-11TT1-2526-SM-5EGIB 20-29 years, male 185.4
GTEX-RUSQ-1526-SM-2TF62 50-59 years, male 180.9
GTEX-14E6E-1826-SM-5S2R7 30-39 years, male 180.3
GTEX-15UF6-0826-SM-6PALJ 70-79 years, female 179.5
GTEX-W5X1-3026-SM-EAZAX 40-49 years, female 169.9
GTEX-12WSL-2526-SM-5GCNJ 50-59 years, male 165.5
GTEX-14PN4-0126-SM-6EU2V 50-59 years, male 165.4
GTEX-183WM-0126-SM-7LTAB 70-79 years, female 161.3
GTEX-14XAO-2326-SM-6EU1B 60-69 years, female 157.0
GTEX-ZTPG-0326-SM-5O9AX 20-29 years, female 154.9
GTEX-ZF3C-0126-SM-DO92D 50-59 years, female 154.7
GTEX-11TUW-2726-SM-E9J4M 60-69 years, male 153.6
GTEX-146FH-0126-SM-5QGPP 50-59 years, female 152.4
GTEX-13NYC-0326-SM-E9J4S 60-69 years, male 152.4
GTEX-15EOM-0126-SM-7KUGG 20-29 years, female 151.4
GTEX-13O1R-0126-SM-5L3EH 60-69 years, male 150.1
GTEX-X4XY-0226-SM-4E3IZ 60-69 years, male 148.7
GTEX-U8XE-0326-SM-3DB8P 30-39 years, male 147.1
GTEX-S32W-2126-SM-2XCB1 50-59 years, female 144.4
GTEX-YJ8A-0426-SM-5IFID 20-29 years, male 144.0
GTEX-11WQK-0526-SM-5EQLD 50-59 years, male 142.3
GTEX-1I1GU-2226-SM-CGQFA 40-49 years, male 140.8
GTEX-13NYS-0126-SM-5MR3W 60-69 years, male 138.7
GTEX-1A3MX-0126-SM-731BR 60-69 years, male 137.1
GTEX-QESD-1426-SM-2S1R9 20-29 years, male 133.4
GTEX-1JMQL-0226-SM-CNPP5 50-59 years, female 126.2
GTEX-1PWST-0226-SM-E76QJ 70-79 years, male 125.4
GTEX-X8HC-0126-SM-4E3JW 50-59 years, female 123.5
GTEX-1H23P-0126-SM-ADEJ3 60-69 years, male 122.7
GTEX-15G19-0126-SM-6PANQ 60-69 years, male 122.4
GTEX-XXEK-2226-SM-4BRUM 50-59 years, male 121.0
GTEX-OOBK-0126-SM-2YUND 40-49 years, male 118.9
GTEX-ZYFD-0126-SM-5GIDL 50-59 years, male 118.9
GTEX-1H1DE-2126-SM-9WG6R 20-29 years, male 116.5
GTEX-OXRO-0126-SM-2YUN4 60-69 years, female 113.6
GTEX-1JMQK-0226-SM-CL543 60-69 years, male 113.6
GTEX-1ICLZ-0126-SM-CKZPO 60-69 years, male 112.8
GTEX-15UKP-0426-SM-7KUFQ 20-29 years, male 112.4
GTEX-14ICK-0226-SM-6EU25 40-49 years, male 112.2
GTEX-13CF3-2426-SM-5IFGX 60-69 years, female 111.0
GTEX-11DZ1-0126-SM-5985Q 50-59 years, male 110.9
GTEX-144GN-2326-SM-5LU4F 50-59 years, male 110.7
GTEX-1N2EF-0226-SM-EYYXB 60-69 years, male 110.4
GTEX-14E6C-0126-SM-5RQIP 40-49 years, male 108.6
GTEX-1LC47-0326-SM-E9TJP 60-69 years, male 107.6
GTEX-12584-0126-SM-5EGKQ 40-49 years, male 107.5
GTEX-1HBPM-0226-SM-ARL9F 60-69 years, female 106.8
GTEX-16XZY-2126-SM-79OK1 70-79 years, male 106.4
GTEX-OHPL-0126-SM-2HMJ7 60-69 years, female 106.3
GTEX-Q2AH-1626-SM-3GAF8 40-49 years, male 105.4
GTEX-Y3I4-2126-SM-4TT7C 50-59 years, male 105.2
GTEX-NPJ8-0126-SM-2YUNR 40-49 years, male 104.7
GTEX-1JN76-0126-SM-CNPPE 20-29 years, female 103.4
GTEX-1AX8Z-0126-SM-7DHM6 60-69 years, male 103.1
GTEX-ZE7O-0126-SM-57WC1 50-59 years, female 103.0
GTEX-S7PM-0126-SM-4AD6S 60-69 years, male 101.8
GTEX-ZVZO-0126-SM-5A5L9 40-49 years, male 99.8
GTEX-1AYD5-2426-SM-73KXR 50-59 years, male 99.4
GTEX-1R46S-0626-SM-E9J41 60-69 years, female 98.9
GTEX-POMQ-2226-SM-2I5FK 20-29 years, female 98.7
GTEX-13RTJ-2426-SM-5S2Q2 60-69 years, male 97.7
GTEX-1HUB1-0426-SM-E9U4U 60-69 years, male 97.6
GTEX-Q2AI-1326-SM-2S1PL 40-49 years, male 97.3
GTEX-16XZZ-0126-SM-793DV 60-69 years, male 96.1
GTEX-1L5NE-2526-SM-E6CIE 50-59 years, male 95.9
GTEX-144FL-0126-SM-5TDC8 50-59 years, male 95.2
GTEX-13FH7-2026-SM-E9J4I 50-59 years, female 95.2
GTEX-1RLM8-2326-SM-EWRN4 50-59 years, male 95.2
GTEX-1QAET-0926-SM-E76QM 50-59 years, male 95.1
GTEX-Y3IK-2426-SM-4WWDU 50-59 years, female 94.7
GTEX-11O72-0126-SM-59887 40-49 years, male 94.2
GTEX-13YAN-0326-SM-5O9DF 60-69 years, male 94.0
GTEX-U4B1-1826-SM-4DXSU 40-49 years, male 93.5
GTEX-1211K-2026-SM-5EQ4Z 60-69 years, female 93.2
GTEX-1N2DW-0226-SM-E9TK2 50-59 years, male 92.6
GTEX-1JN1M-0326-SM-CYPT3 60-69 years, female 91.7
GTEX-Q734-1926-SM-2I5EV 40-49 years, female 91.6
GTEX-13OVH-0126-SM-5MR4B 70-79 years, male 91.1
GTEX-QDVN-2026-SM-3GAEP 50-59 years, male 90.1
GTEX-T5JC-0426-SM-32PLO 20-29 years, male 89.0
GTEX-14A5H-0426-SM-5QGQF 60-69 years, male 88.0
GTEX-145MI-0526-SM-5O9A8 60-69 years, female 87.9
GTEX-1H3VE-0326-SM-9YFLH 40-49 years, male 87.7
GTEX-1J8Q2-0526-SM-CM2RW 60-69 years, male 87.7
GTEX-13OVJ-0126-SM-5KM36 50-59 years, female 87.5
GTEX-ZDYS-2026-SM-5HL5L 50-59 years, male 87.1
GTEX-146FR-1326-SM-E9J48 60-69 years, female 86.8
GTEX-12WSN-5019-SM-79OM6 40-49 years, male 86.6
GTEX-131XG-2626-SM-5KM17 50-59 years, female 86.4
GTEX-1HB9E-0226-SM-E9U4R 50-59 years, male 86.4
GTEX-1ICLY-0126-SM-D4P36 50-59 years, male 86.3
GTEX-13X6H-2126-SM-7EWD5 50-59 years, female 86.0
GTEX-1HSMO-0126-SM-CL547 60-69 years, male 85.5
GTEX-1CB4J-0626-SM-7DHMP 60-69 years, male 85.4
GTEX-1LH75-2426-SM-E9TJE 50-59 years, female 85.4
GTEX-1JMOU-1526-SM-CL54I 60-69 years, female 85.1
GTEX-13CF2-2526-SM-5LZYX 60-69 years, male 84.7
GTEX-SE5C-1626-SM-2XCE3 40-49 years, female 84.7
GTEX-WFG8-2226-SM-3GIL9 20-29 years, male 84.6
GTEX-O5YT-0126-SM-48TBW 20-29 years, male 84.5
GTEX-ZU9S-0226-SM-5E441 30-39 years, male 84.4
GTEX-1R9K4-0126-SM-DTX9X 60-69 years, male 84.4
GTEX-17EUY-0426-SM-793BD 20-29 years, male 84.3
GTEX-12WSK-2326-SM-5GCOH 40-49 years, female 83.9
GTEX-14A5I-0126-SM-5TDEA 50-59 years, female 83.7
GTEX-15D1Q-0126-SM-7KUG6 40-49 years, male 83.7
GTEX-1B8SG-0126-SM-73KZ3 50-59 years, male 83.6
GTEX-VJYA-1126-SM-3GIJU 60-69 years, male 83.2
GTEX-1F75I-0326-SM-9YFLU 40-49 years, male 83.2
GTEX-13O3P-0126-SM-5KM4S 50-59 years, male 83.0
GTEX-U8T8-0126-SM-3DB94 60-69 years, male 81.4
GTEX-1GF9X-2026-SM-7PC3A 40-49 years, female 81.4
GTEX-1B8KE-2126-SM-73KYX 50-59 years, male 80.5
GTEX-Y5LM-1926-SM-5RQJH 40-49 years, female 80.5
GTEX-ZAJG-0126-SM-5HL94 50-59 years, female 80.2
GTEX-14PK6-1926-SM-6ETZU 70-79 years, female 80.1
GTEX-1C2JI-1826-SM-73KXC 50-59 years, male 80.1
GTEX-15SHW-0326-SM-6PAML 60-69 years, male 79.7
GTEX-WOFL-0126-SM-3MJG2 60-69 years, male 79.7
GTEX-1F6RS-0126-SM-9MQKZ 60-69 years, female 79.7
GTEX-ZTX8-1426-SM-5DUVO 20-29 years, male 79.6
GTEX-ZYW4-0126-SM-5E44A 60-69 years, male 79.5
GTEX-1R9PO-2126-SM-E9J4O 60-69 years, female 79.0
GTEX-QDVJ-1726-SM-2I5FX 50-59 years, male 78.6
GTEX-1H2FU-0126-SM-9WYSI 60-69 years, female 78.1
GTEX-P44H-0226-SM-2XCEU 40-49 years, male 77.9
GTEX-11DXZ-2326-SM-5EGGV 50-59 years, male 77.0
GTEX-1192W-2626-SM-5Q5AF 60-69 years, male 76.9
GTEX-1NV5F-0226-SM-E8VNY 60-69 years, female 76.7
GTEX-RU72-0926-SM-2TF6B 50-59 years, female 76.6
GTEX-1IE54-0126-SM-CMKHW 40-49 years, female 76.6
GTEX-1F48J-0126-SM-7P8TT 50-59 years, female 75.9
GTEX-OHPM-0126-SM-2YUN9 50-59 years, male 75.8
GTEX-XYKS-2126-SM-4E3IB 60-69 years, female 75.4
GTEX-TKQ1-1026-SM-4GICL 30-39 years, male 75.3
GTEX-1IKK5-0626-SM-ARL8A 60-69 years, male 75.0
GTEX-1C6WA-0126-SM-7PC2B 60-69 years, male 74.7
GTEX-183FY-0126-SM-7LT9P 20-29 years, male 74.6
GTEX-1QW4Y-1526-SM-EAZ3Z 30-39 years, male 74.6
GTEX-X62O-0126-SM-4E3JN 50-59 years, male 74.5
GTEX-1128S-2326-SM-5GZZY 60-69 years, female 74.4
GTEX-T2YK-0526-SM-32QPJ 50-59 years, male 74.4
GTEX-12WSJ-1826-SM-5GCNY 40-49 years, female 74.3
GTEX-SUCS-1926-SM-32PM3 70-79 years, male 74.3
GTEX-1B996-0226-SM-7RHGO 60-69 years, male 74.3
GTEX-1HGF4-2426-SM-ACKXM 60-69 years, male 74.3
GTEX-OXRN-0126-SM-48TDM 50-59 years, male 74.0
GTEX-1F75B-0126-SM-9KNVL 50-59 years, male 73.9
GTEX-1JMQI-2226-SM-CM2SD 50-59 years, male 73.8
GTEX-1JN6P-0126-SM-D3L98 60-69 years, male 73.7
GTEX-1K9T9-0126-SM-EVYCF 50-59 years, female 73.3
GTEX-1CB4F-0426-SM-9KNV4 60-69 years, male 73.1
GTEX-XV7Q-2526-SM-4BRV9 40-49 years, female 72.7
GTEX-1F6I4-0126-SM-9MQL2 60-69 years, male 72.7
GTEX-1PPH8-0226-SM-E8VND 20-29 years, male 72.5
GTEX-11H98-0126-SM-5EGHG 50-59 years, male 72.4
GTEX-17GQL-2026-SM-718BA 60-69 years, male 72.4
GTEX-1H1DG-0126-SM-9WYU2 70-79 years, male 72.4
GTEX-ZPIC-1726-SM-DHXIU 40-49 years, female 72.2
GTEX-145MF-0626-SM-5LUAI 50-59 years, male 72.0
GTEX-11UD1-0126-SM-5PNYG 40-49 years, female 71.7
GTEX-11WQC-2526-SM-5CVLE 60-69 years, male 71.6
GTEX-1GZ2Q-0226-SM-7P8TL 40-49 years, male 71.6
GTEX-1PBJI-0526-SM-E8VNK 20-29 years, female 71.6
GTEX-QLQ7-1626-SM-2S1R8 60-69 years, male 71.5
GTEX-1H3VY-0126-SM-ACKXD 50-59 years, male 71.5
GTEX-YEC4-2126-SM-5IFJH 40-49 years, male 71.2
GTEX-11UD2-0226-SM-5EQKY 50-59 years, male 71.1
GTEX-14BIL-0126-SM-5SI92 50-59 years, male 71.1
GTEX-1K2DA-1826-SM-CGQGT 50-59 years, male 71.1
GTEX-14C5O-0126-SM-5SI6N 60-69 years, male 70.8
GTEX-WRHK-1426-SM-3MJF9 20-29 years, female 70.8
GTEX-12696-2426-SM-5EQ6H 60-69 years, male 70.7
GTEX-1497J-2426-SM-7IGNX 60-69 years, male 70.5
GTEX-1AX9I-0126-SM-7SB74 60-69 years, male 70.5
GTEX-131XE-2326-SM-5PNZ2 50-59 years, male 70.4
GTEX-14JIY-0126-SM-6LLH6 60-69 years, male 70.4
GTEX-1HCU7-0226-SM-CL545 50-59 years, male 70.3
GTEX-1HFI6-0226-SM-ADEHZ 40-49 years, male 70.3
GTEX-1LNCM-1126-SM-E9U5E 50-59 years, female 70.3
GTEX-1CB4H-0226-SM-7PBXM 60-69 years, female 70.1
GTEX-1GPI6-0126-SM-9WG69 60-69 years, male 70.0
GTEX-17KNJ-2326-SM-7DHLQ 50-59 years, male 69.8
GTEX-X585-0226-SM-4QAS2 50-59 years, male 69.5
GTEX-14A6H-0126-SM-5QGPK 30-39 years, male 69.3
GTEX-RM2N-1426-SM-2TF4H 50-59 years, male 69.1
GTEX-1HCU6-0126-SM-CL54K 60-69 years, female 69.1
GTEX-1GMR3-1926-SM-9KNUZ 40-49 years, male 69.0
GTEX-16YQH-0126-SM-7DUFJ 30-39 years, male 68.9
GTEX-13111-1626-SM-5EGJY 50-59 years, male 68.8
GTEX-QLQW-1126-SM-2S1Q8 30-39 years, male 68.8
GTEX-R55G-2526-SM-2TC6D 40-49 years, female 68.8
GTEX-132NY-0326-SM-5IJBL 60-69 years, male 68.7
GTEX-17HG3-2226-SM-7938L 30-39 years, female 68.7
GTEX-Y111-0126-SM-4SOIV 50-59 years, male 68.7
GTEX-1RB15-2126-SM-E9TIM 60-69 years, male 68.6
GTEX-13U4I-0126-SM-5LU38 40-49 years, female 68.4
GTEX-139T8-0126-SM-5K7XZ 60-69 years, male 68.2
GTEX-1AYCT-2426-SM-7IGQ3 50-59 years, male 68.2
GTEX-PVOW-0126-SM-2XCFA 40-49 years, male 68.2
GTEX-1IDJF-0126-SM-CM2RS 20-29 years, male 68.2
GTEX-13OVI-1426-SM-5L3EY 60-69 years, female 67.9
GTEX-1H1E6-1726-SM-ACKVK 30-39 years, male 67.5
GTEX-117YW-2626-SM-5GZZH 50-59 years, male 67.4
GTEX-18A7A-0226-SM-718BH 50-59 years, female 67.4
GTEX-1HCUA-2426-SM-ADEIS 50-59 years, female 67.2
GTEX-13FHO-0226-SM-5IFGY 60-69 years, male 67.0
GTEX-11LCK-1026-SM-5A5KB 30-39 years, male 66.9
GTEX-13X6I-0626-SM-5QGP9 60-69 years, male 66.9
GTEX-1399U-2326-SM-5K7WY 50-59 years, female 66.7
GTEX-XBED-2226-SM-47JYQ 60-69 years, male 66.7
GTEX-11GS4-2726-SM-5A5LE 60-69 years, male 66.6
GTEX-1I6K6-0126-SM-A9SLE 30-39 years, male 66.5
GTEX-139UW-2826-SM-5L3E7 60-69 years, male 66.4
GTEX-15EU6-0426-SM-6PAN5 50-59 years, male 66.4
GTEX-X88G-0126-SM-47JZ3 30-39 years, male 66.4
GTEX-14PHW-0126-SM-6LLJI 60-69 years, female 66.0
GTEX-T6MO-1626-SM-32QOM 40-49 years, female 65.6
GTEX-13FTX-1826-SM-5J1NX 20-29 years, female 65.5
GTEX-V1D1-2226-SM-3NMAX 50-59 years, male 65.5
GTEX-1LSNM-1926-SM-E6CII 50-59 years, male 65.5
GTEX-13FTW-2626-SM-5K7WL 40-49 years, male 64.9
GTEX-145LV-2126-SM-5LU8N 50-59 years, male 64.8
GTEX-11TTK-0126-SM-5987B 60-69 years, female 64.6
GTEX-17HGU-0226-SM-7DHKV 50-59 years, male 64.6
GTEX-SN8G-0126-SM-32PLI 50-59 years, female 64.6
GTEX-11ZUS-0626-SM-59885 30-39 years, male 64.5
GTEX-1RAZQ-0726-SM-EAZ43 30-39 years, male 64.4
GTEX-1HCU8-0626-SM-A9SM9 60-69 years, female 64.2
GTEX-14BIM-0226-SM-7IGLD 60-69 years, female 64.1
GTEX-1C475-1826-SM-73KWA 40-49 years, female 64.0
GTEX-13O3O-0126-SM-E9J49 60-69 years, female 64.0
GTEX-1GL5R-1826-SM-9KNUY 50-59 years, male 63.8
GTEX-1CAV2-2226-SM-7P8P2 40-49 years, female 63.7
GTEX-1HBPH-0426-SM-B2LW5 40-49 years, female 63.6
GTEX-1A3MV-1926-SM-718BT 30-39 years, male 63.5
GTEX-1CB4E-2226-SM-793DC 60-69 years, male 63.5
GTEX-1OJC3-0126-SM-E76QX 20-29 years, male 63.5
GTEX-OXRP-0126-SM-3NB32 60-69 years, female 63.4
GTEX-18465-0126-SM-731BN 50-59 years, male 63.3
GTEX-1GN2E-0426-SM-9MQKX 60-69 years, male 63.3
GTEX-1HR98-0126-SM-B2LWI 60-69 years, male 63.3
GTEX-15DDE-0126-SM-6LPKH 50-59 years, female 63.2
GTEX-WH7G-2326-SM-3NMBC 40-49 years, male 62.9
GTEX-1RDX4-0126-SM-E9J4P 50-59 years, female 62.9
GTEX-18D9B-0526-SM-7LTAS 60-69 years, male 62.8
GTEX-XMD2-0126-SM-4YCDU 60-69 years, female 62.8
GTEX-1GN1W-0526-SM-9MQJQ 50-59 years, female 62.8
GTEX-1CAMR-1926-SM-7EPI2 20-29 years, male 62.7
GTEX-XAJ8-0826-SM-47JY6 40-49 years, male 62.7
GTEX-13OW5-0126-SM-DTXFS 60-69 years, male 62.6
GTEX-16MT8-0426-SM-7KUEY 60-69 years, female 62.3
GTEX-18A66-0226-SM-718BD 60-69 years, male 62.3
GTEX-1CB4G-0226-SM-7PC3O 60-69 years, male 62.3
GTEX-1I4MK-2226-SM-ACKWD 50-59 years, female 62.3
GTEX-1PDJ9-0326-SM-DTX95 20-29 years, male 62.3
GTEX-S33H-1026-SM-EZ6L6 30-39 years, male 62.3
GTEX-ZZPT-0226-SM-5E43X 50-59 years, male 62.2
GTEX-17HII-0226-SM-7LG4E 50-59 years, male 62.1
GTEX-P4QT-0126-SM-2I3FL 50-59 years, female 62.1
GTEX-1KD5A-0226-SM-D5OV3 50-59 years, male 62.1
GTEX-T8EM-1026-SM-3DB7M 40-49 years, male 61.8
GTEX-1CAMS-0426-SM-7P8T2 40-49 years, female 61.8
GTEX-1QP2A-0126-SM-E9J43 50-59 years, male 61.8
GTEX-1EX96-1626-SM-7PBXR 50-59 years, male 61.7
GTEX-1F6IF-0726-SM-7P8TW 60-69 years, male 61.7
GTEX-1GN1U-0126-SM-7PBZK 50-59 years, female 61.7
GTEX-14PHX-2326-SM-62LEM 50-59 years, male 61.6
GTEX-ZC5H-0226-SM-4WAY9 40-49 years, female 61.6
GTEX-1GN1V-0126-SM-9WPOS 60-69 years, male 61.6
GTEX-1KAFJ-2026-SM-CY8ID 50-59 years, male 61.6
GTEX-1GTWX-0126-SM-9YFLK 60-69 years, male 61.5
GTEX-17F98-0626-SM-79OMX 40-49 years, female 61.4
GTEX-1C6VQ-0126-SM-7P8RI 50-59 years, male 61.4
GTEX-13FHP-0126-SM-5IJBG 50-59 years, male 61.3
GTEX-148VI-1626-SM-5SI6E 60-69 years, female 61.3
GTEX-13S7M-0126-SM-5SI6A 60-69 years, female 61.2
GTEX-1N2DV-0226-SM-E6CJ6 40-49 years, male 61.2
GTEX-XUYS-0126-SM-47JWZ 50-59 years, male 61.1
GTEX-12ZZX-0126-SM-5EGK9 40-49 years, female 61.0
GTEX-131XW-0426-SM-5LZWP 50-59 years, female 61.0
GTEX-139T4-0226-SM-5HL5S 50-59 years, female 61.0
GTEX-ZWKS-0126-SM-5SIAA 30-39 years, male 61.0
GTEX-1MA7X-2226-SM-E6CIY 60-69 years, male 61.0
GTEX-1314G-1526-SM-5EGK2 30-39 years, male 60.9
GTEX-WQUQ-0426-SM-3MJFU 60-69 years, male 60.9
GTEX-13OW7-0126-SM-5MR3B 50-59 years, male 60.7
GTEX-15F5U-1526-SM-6PANO 40-49 years, male 60.7
GTEX-17HHY-0126-SM-7LG5D 50-59 years, male 60.6
GTEX-X4XX-0126-SM-3NMC2 60-69 years, male 60.6
GTEX-ZVZP-2426-SM-59HKJ 50-59 years, male 60.6
GTEX-11DXW-0226-SM-5H122 40-49 years, male 60.5
GTEX-11EM3-2426-SM-59861 20-29 years, female 60.5
GTEX-11NUK-0126-SM-5A5L3 50-59 years, male 60.4
GTEX-1B8KZ-2026-SM-7DHMB 50-59 years, male 60.4
GTEX-13112-2826-SM-5DUWH 50-59 years, male 60.3
GTEX-X5EB-2226-SM-46MW4 40-49 years, male 60.2
GTEX-ZDTS-0126-SM-4WAY5 60-69 years, male 60.0
GTEX-1GF9W-0326-SM-9KNUN 60-69 years, male 60.0
GTEX-1H1CY-2826-SM-9MQM3 60-69 years, female 60.0
GTEX-1QP9N-1426-SM-DTXFL 30-39 years, male 60.0
GTEX-148VJ-0126-SM-5TDDN 70-79 years, male 59.9
GTEX-14LLW-0126-SM-6LLIO 70-79 years, female 59.9
GTEX-PLZ4-0126-SM-5SI8O 50-59 years, female 59.9
GTEX-ZDXO-3026-SM-5J1N5 60-69 years, male 59.9
GTEX-1F88F-2726-SM-7PBZZ 60-69 years, female 59.9
GTEX-Y114-2426-SM-4TT8A 50-59 years, female 59.8
GTEX-ZY6K-1826-SM-5GZXK 50-59 years, male 59.7
GTEX-12WSG-2826-SM-E9J4H 50-59 years, female 59.7
GTEX-18A67-0126-SM-7LG5P 50-59 years, male 59.6
GTEX-RTLS-0126-SM-447CA 60-69 years, female 59.5
GTEX-11OC5-0126-SM-5HL6A 60-69 years, male 59.4
GTEX-1B933-0126-SM-7PC29 50-59 years, female 59.4
GTEX-1I1GS-0126-SM-B2LVW 60-69 years, male 59.4
GTEX-1R7EU-0226-SM-EVR4G 60-69 years, male 59.4
GTEX-117YX-2326-SM-5H12W 50-59 years, male 59.2
GTEX-13NZ8-0826-SM-5MR3I 60-69 years, female 59.2
GTEX-OIZF-0126-SM-7SB8I 60-69 years, male 59.1
GTEX-13W46-0226-SM-5SIAG 50-59 years, male 59.0
GTEX-P4PQ-0126-SM-2S1NM 60-69 years, male 59.0
GTEX-PX3G-0126-SM-2I3EN 20-29 years, female 59.0
GTEX-X4EP-0126-SM-3P5YV 60-69 years, female 59.0
GTEX-ZYT6-0226-SM-5NQ6T 30-39 years, male 59.0
GTEX-11ZU8-2526-SM-5EQKI 60-69 years, male 58.9
GTEX-16AAH-1726-SM-7939C 50-59 years, male 58.8
GTEX-1HFI7-1826-SM-ACKXH 50-59 years, female 58.8
GTEX-1LG7Z-1726-SM-D3LA4 30-39 years, male 58.8
GTEX-QEG4-0226-SM-2S1PY 30-39 years, male 58.7
GTEX-113JC-2326-SM-5EQ4E 50-59 years, female 58.6
GTEX-1C4CL-0526-SM-73KVK 30-39 years, male 58.6
GTEX-1NHNU-1026-SM-E9J2A 50-59 years, male 58.6
GTEX-1QP66-1726-SM-E8VO1 50-59 years, male 58.6
GTEX-12C56-1726-SM-5EQ61 20-29 years, male 58.5
GTEX-17MF6-0126-SM-7LG4F 40-49 years, male 58.2
GTEX-1OFPY-2426-SM-DTXEJ 60-69 years, male 58.2
GTEX-SIU8-0126-SM-2XCDT 50-59 years, male 58.1
GTEX-T5JW-1626-SM-3GADZ 20-29 years, female 58.1
GTEX-1HBPI-1526-SM-C1YQ1 50-59 years, male 58.1
GTEX-147F4-0226-SM-5QGPW 50-59 years, male 58.0
GTEX-X261-0126-SM-3NMD6 50-59 years, male 58.0
GTEX-Y8DK-0126-SM-4TT3L 60-69 years, male 58.0
GTEX-13N11-2526-SM-5K7UE 50-59 years, female 57.9
GTEX-18A6Q-0126-SM-731BZ 60-69 years, male 57.9
GTEX-ZAB4-0226-SM-5N9F5 40-49 years, male 57.9
GTEX-1MUQO-0126-SM-EAZ58 60-69 years, male 57.9
GTEX-1QP67-1626-SM-EAZ3X 40-49 years, female 57.9
GTEX-11NSD-2226-SM-5986V 20-29 years, male 57.8
GTEX-YB5K-2126-SM-4WWDJ 40-49 years, female 57.8
GTEX-1JKYN-1326-SM-CGQG9 30-39 years, male 57.8
GTEX-1EMGI-0126-SM-9KNUE 60-69 years, male 57.7
GTEX-1I1GV-0526-SM-A9G29 60-69 years, male 57.7
GTEX-1JJE9-0326-SM-CL53Z 70-79 years, male 57.7
GTEX-1JJEA-0326-SM-CNPOT 60-69 years, male 57.7
GTEX-1F5PK-2426-SM-7RHHY 50-59 years, male 57.6
GTEX-139TS-2826-SM-5J1OO 60-69 years, male 57.5
GTEX-13FXS-0226-SM-5IJCK 50-59 years, male 57.5
GTEX-11P82-1626-SM-59879 20-29 years, male 57.4
GTEX-12WSD-0126-SM-59HKN 60-69 years, female 57.3
GTEX-WVJS-0126-SM-4MVOT 50-59 years, male 57.3
GTEX-XQ3S-1526-SM-4BOOC 20-29 years, male 57.3
GTEX-1HSMP-0126-SM-E6CJS 70-79 years, male 57.2
GTEX-11ZVC-2526-SM-5FQTE 50-59 years, female 57.1
GTEX-14BIN-0626-SM-793DP 50-59 years, female 57.1
GTEX-1F75A-0126-SM-7RHGM 50-59 years, male 57.0
GTEX-1I1CD-0126-SM-CM2TK 60-69 years, female 56.9
GTEX-1JMPZ-0226-SM-CNPP1 30-39 years, male 56.9
GTEX-1AX9K-2326-SM-73KWU 50-59 years, male 56.8
GTEX-1192X-0226-SM-5H12D 50-59 years, male 56.7
GTEX-14DAQ-0126-SM-5S2MQ 60-69 years, female 56.7
GTEX-ZE9C-2726-SM-57WB5 60-69 years, male 56.7
GTEX-1399R-2726-SM-5IJBA 30-39 years, male 56.6
GTEX-1KD4Q-0226-SM-E9TJ9 40-49 years, male 56.6
GTEX-1M5QR-1226-SM-EWROB 40-49 years, male 56.6
GTEX-PWO3-1526-SM-48TCM 60-69 years, female 56.5
GTEX-1I19N-0326-SM-ACKVX 70-79 years, male 56.5
GTEX-13G51-2526-SM-5LZYK 60-69 years, male 56.4
GTEX-ZGAY-0526-SM-4WWBB 40-49 years, female 56.4
GTEX-1IKJJ-0126-SM-CNPQB 60-69 years, male 56.4
GTEX-13PDP-0126-SM-5L3HD 60-69 years, male 56.3
GTEX-VUSG-2526-SM-4KL1V 50-59 years, male 56.2
GTEX-1HSEH-0126-SM-ACKXN 60-69 years, male 56.2
GTEX-1JMPY-1326-SM-ARL8Y 30-39 years, male 56.1
GTEX-139TU-0126-SM-5K7WH 60-69 years, male 56.0
GTEX-13IVO-0126-SM-5J1NG 70-79 years, male 56.0
GTEX-1C64N-0126-SM-793D7 50-59 years, male 55.9
GTEX-SSA3-0126-SM-32QPU 60-69 years, male 55.8
GTEX-U412-0426-SM-3DB9O 60-69 years, male 55.7
GTEX-1H3NZ-0126-SM-ACKX7 60-69 years, male 55.7
GTEX-1S82Z-0826-SM-E6CHY 30-39 years, female 55.7
GTEX-17EVQ-0226-SM-7LG4P 70-79 years, male 55.6
GTEX-1H3O1-0426-SM-9YFKY 60-69 years, male 55.6
GTEX-1LGRB-2526-SM-CNPPQ 50-59 years, female 55.6
GTEX-13SLW-0126-SM-5SI6C 70-79 years, male 55.4
GTEX-1JMQJ-0526-SM-CYPSU 50-59 years, male 55.4
GTEX-13N1W-0126-SM-5K7VT 70-79 years, male 55.3
GTEX-WXYG-2326-SM-4E3I6 50-59 years, female 55.3
GTEX-145MO-0326-SM-5Q5B3 60-69 years, male 55.1
GTEX-139D8-0226-SM-5KLZO 30-39 years, female 54.9
GTEX-14ABY-0226-SM-5TDCQ 50-59 years, male 54.9
GTEX-UPJH-0326-SM-3GADU 50-59 years, male 54.9
GTEX-12WSA-0226-SM-5BC5V 60-69 years, male 54.8
GTEX-145ME-1826-SM-5SI9G 40-49 years, female 54.8
GTEX-14PJM-0226-SM-62LF1 50-59 years, female 54.8
GTEX-15ER7-0326-SM-7KUEV 20-29 years, female 54.8
GTEX-1AX9J-0226-SM-73KXM 60-69 years, male 54.8
GTEX-PWCY-1826-SM-DHXIZ 20-29 years, female 54.7
GTEX-13OVL-0226-SM-5L3E9 50-59 years, male 54.4
GTEX-1PIIG-0226-SM-EWRN6 30-39 years, male 54.4
GTEX-11OF3-2626-SM-5GU7F 60-69 years, male 54.3
GTEX-13X6J-0126-SM-5QGOU 50-59 years, male 54.3
GTEX-SNMC-1226-SM-2XCFP 20-29 years, male 54.0
GTEX-ZF29-2326-SM-DO92K 60-69 years, female 53.9
GTEX-13W3W-2426-SM-5LU5B 60-69 years, female 53.8
GTEX-1K2DU-2326-SM-E9TIV 20-29 years, male 53.8
GTEX-1MGNQ-0126-SM-EVYCJ 40-49 years, male 53.8
GTEX-16GPK-0126-SM-7DHLE 60-69 years, male 53.7
GTEX-OXRK-0226-SM-3NB2G 50-59 years, female 53.7
GTEX-1B8L1-2526-SM-9WYTF 60-69 years, male 53.7
GTEX-1GMR8-0126-SM-9WYTM 50-59 years, female 53.6
GTEX-18QFQ-0126-SM-731BE 30-39 years, male 53.5
GTEX-1AMEY-1326-SM-73KYK 30-39 years, female 53.5
GTEX-1C64O-0126-SM-7SB8P 60-69 years, male 53.5
GTEX-1HKZK-0326-SM-9WYUH 40-49 years, male 53.5
GTEX-18A7B-0126-SM-7LG64 70-79 years, male 53.3
GTEX-VJWN-0126-SM-3GIK7 50-59 years, female 53.3
GTEX-ZVE2-0226-SM-59HJB 50-59 years, male 53.3
GTEX-1IGQW-0126-SM-COH42 60-69 years, male 53.3
GTEX-1JK1U-2026-SM-CM2RZ 60-69 years, male 53.3
GTEX-1IOXB-0126-SM-ARL8G 50-59 years, male 53.2
GTEX-14PN3-2426-SM-6LLHS 60-69 years, female 53.1
GTEX-1IDFM-0126-SM-COH2V 60-69 years, male 53.1
GTEX-14PJ3-1826-SM-62LEX 50-59 years, male 53.0
GTEX-OXRL-0126-SM-2YUMP 50-59 years, male 53.0
GTEX-RWSA-0126-SM-2XCBB 40-49 years, male 53.0
GTEX-YB5E-2026-SM-5IFIS 40-49 years, male 53.0
GTEX-RN64-0126-SM-2TC68 50-59 years, male 52.8
GTEX-1LBAC-0126-SM-DIPEZ 20-29 years, male 52.8
GTEX-1S5ZA-0126-SM-EVYCV 20-29 years, male 52.7
GTEX-147GR-0526-SM-5S2MY 60-69 years, male 52.6
GTEX-13RTK-1426-SM-5QGQJ 20-29 years, male 52.5
GTEX-1C6VR-2426-SM-79OLD 60-69 years, male 52.5
GTEX-13N2G-2626-SM-5J1OT 60-69 years, male 52.4
GTEX-13O21-1426-SM-5K7XI 50-59 years, male 52.4
GTEX-1M4P7-0226-SM-DIPEV 60-69 years, male 52.4
GTEX-1J8QM-2126-SM-CYPSJ 60-69 years, female 52.3
GTEX-1EU9M-0226-SM-7P8SP 60-69 years, male 52.2
GTEX-RNOR-0126-SM-E9J4R 50-59 years, female 52.2
GTEX-12KS4-0326-SM-5EQ41 30-39 years, male 52.1
GTEX-1HBPN-0226-SM-9YFM1 50-59 years, male 52.1
GTEX-1J1OQ-0226-SM-CYPSH 40-49 years, female 52.1
GTEX-1J1R8-1726-SM-ARL8M 40-49 years, male 52.1
GTEX-12126-0326-SM-5PNW3 20-29 years, male 52.0
GTEX-1313W-0126-SM-5LZUN 50-59 years, female 52.0
GTEX-13VXT-0126-SM-5LU4I 20-29 years, female 52.0
GTEX-1A32A-0126-SM-718B1 50-59 years, female 52.0
GTEX-Y8LW-1826-SM-5S2MV 50-59 years, female 52.0
GTEX-1IL2U-0226-SM-CE6T8 60-69 years, male 52.0
GTEX-18D9U-0226-SM-718BP 40-49 years, male 51.9
GTEX-R55E-0126-SM-2TC5Y 20-29 years, male 51.9
GTEX-WYJK-0126-SM-3NMAB 50-59 years, male 51.9
GTEX-YFC4-0126-SM-5CVLY 40-49 years, female 51.9
GTEX-ZV6S-2326-SM-4YCEY 40-49 years, female 51.9
GTEX-1I1GR-0126-SM-CL55F 60-69 years, male 51.9
GTEX-1POEN-0126-SM-EYYXJ 30-39 years, female 51.9
GTEX-SJXC-0126-SM-2XCFF 60-69 years, male 51.8
GTEX-YJ89-0126-SM-4TT3X 60-69 years, male 51.8
GTEX-1QP29-0626-SM-EWRMX 50-59 years, male 51.8
GTEX-1J8Q3-1626-SM-CMKGC 60-69 years, male 51.7
GTEX-1R7EV-2426-SM-EVYBG 40-49 years, male 51.7
GTEX-139TT-0126-SM-5K7Y5 60-69 years, male 51.6
GTEX-14DAR-2026-SM-5S2O3 50-59 years, male 51.6
GTEX-T6MN-0126-SM-32PLP 50-59 years, male 51.6
GTEX-1PPH7-2326-SM-EVYB8 40-49 years, male 51.5
GTEX-ZF28-0126-SM-4WKGK 60-69 years, male 51.4
GTEX-1GZHY-0326-SM-9QEHI 50-59 years, female 51.3
GTEX-14E7W-0126-SM-6LLJ9 70-79 years, male 51.2
GTEX-XQ8I-0426-SM-4BOPO 50-59 years, male 51.1
GTEX-1QCLY-0326-SM-E8VOG 30-39 years, male 51.1
GTEX-1GN73-0226-SM-9WG67 60-69 years, male 51.0
GTEX-1HSMQ-1226-SM-CGQFX 50-59 years, male 51.0
GTEX-131XH-2226-SM-5DUXJ 50-59 years, male 50.9
GTEX-1IY9M-0126-SM-D3L8S 60-69 years, male 50.9
GTEX-11DXX-2426-SM-5GZZW 60-69 years, female 50.7
GTEX-1JJ6O-0126-SM-E6CI8 60-69 years, male 50.6
GTEX-1E1VI-0126-SM-7DHMZ 50-59 years, male 50.5
GTEX-U3ZM-1526-SM-3DB9D 40-49 years, male 50.5
GTEX-1GPI7-0126-SM-9MQL8 20-29 years, male 50.5
GTEX-13VXU-0126-SM-5SI9F 50-59 years, male 50.4
GTEX-145MN-2226-SM-5SIAU 30-39 years, male 50.4
GTEX-W5WG-1826-SM-4KL2Y 50-59 years, female 50.3
GTEX-13D11-2426-SM-5KM1V 50-59 years, female 50.2
GTEX-ZV68-0126-SM-59HKS 50-59 years, female 50.1
GTEX-1J8JJ-0226-SM-CL53I 60-69 years, female 50.1
GTEX-11P81-2326-SM-59875 30-39 years, female 50.0
GTEX-1QPFJ-0226-SM-E76PB 30-39 years, female 50.0
GTEX-12ZZY-0226-SM-5LZVE 60-69 years, male 49.9
GTEX-17F97-0326-SM-7LG5B 50-59 years, male 49.9
GTEX-X4EO-0326-SM-3P5YO 60-69 years, female 49.9
GTEX-11DYG-0126-SM-59883 60-69 years, male 49.8
GTEX-15DCD-0126-SM-7KUEK 70-79 years, female 49.8
GTEX-PLZ6-1426-SM-DKPOT 30-39 years, male 49.8
GTEX-146FQ-0126-SM-5NQA9 30-39 years, male 49.7
GTEX-1B8SF-1426-SM-7DUGL 60-69 years, male 49.7
GTEX-XBEW-0626-SM-4QASP 40-49 years, male 49.7
GTEX-Y5V6-2426-SM-4VDSB 60-69 years, male 49.6
GTEX-1HCVE-0126-SM-CGQEU 50-59 years, male 49.6
GTEX-PSDG-0226-SM-DKPOZ 50-59 years, male 49.6
GTEX-145LT-1726-SM-5QGP3 40-49 years, male 49.5
GTEX-15SHU-0126-SM-7KUEH 40-49 years, female 49.5
GTEX-ZEX8-2426-SM-4WKG4 50-59 years, male 49.5
GTEX-1QMI2-0226-SM-EVYBX 60-69 years, male 49.5
GTEX-RVPV-0126-SM-EAZAW 60-69 years, male 49.5
GTEX-XUW1-0426-SM-4BOOT 50-59 years, female 49.4
GTEX-Z93S-0126-SM-5HL7M 50-59 years, male 49.3
GTEX-1I1GP-2226-SM-CGQFK 50-59 years, male 49.3
GTEX-17HHE-2026-SM-79OKF 50-59 years, male 49.2
GTEX-12WSE-0526-SM-793B2 20-29 years, male 49.1
GTEX-ZYFC-0226-SM-5NQ75 50-59 years, male 49.1
GTEX-1H11D-0226-SM-9WG6Z 40-49 years, male 49.1
GTEX-OOBJ-0126-SM-E6CJW 60-69 years, male 49.1
GTEX-14PII-0226-SM-6EU1T 60-69 years, male 49.0
GTEX-QV44-1926-SM-2S1RF 50-59 years, male 49.0
GTEX-1HSKV-0226-SM-A9SKJ 60-69 years, male 49.0
GTEX-1MCYP-1926-SM-E9J2R 20-29 years, female 49.0
GTEX-13RTL-0126-SM-7LG5S 40-49 years, male 48.9
GTEX-QDT8-0126-SM-48TZ1 30-39 years, female 48.9
GTEX-ZUA1-0126-SM-5GU76 40-49 years, male 48.9
GTEX-12WSC-0126-SM-5EQ4P 50-59 years, male 48.8
GTEX-1S3DN-2226-SM-EVYCD 50-59 years, male 48.8
GTEX-13NZB-2526-SM-5J1OM 30-39 years, male 48.6
GTEX-16NPX-0226-SM-79OMT 50-59 years, male 48.5
GTEX-11EMC-2926-SM-5EQ4F 60-69 years, female 48.4
GTEX-U3ZH-2026-SM-3DB78 30-39 years, male 48.4
GTEX-ZF2S-2326-SM-4WWCE 50-59 years, female 48.4
GTEX-1PFEY-1526-SM-E76PP 30-39 years, male 48.4
GTEX-1S82Y-2026-SM-EVYCM 40-49 years, male 48.4
GTEX-145LU-0126-SM-5TDCB 50-59 years, male 48.3
GTEX-17EVP-0326-SM-7DHLG 40-49 years, male 48.3
GTEX-1KANC-1526-SM-D3LAB 50-59 years, female 48.3
GTEX-1399T-2826-SM-5KLYZ 60-69 years, male 48.2
GTEX-1F52S-0126-SM-9MQJU 60-69 years, female 48.2
GTEX-11ZTS-0126-SM-5EQ6M 60-69 years, female 48.1
GTEX-13113-5016-SM-7EPIP 60-69 years, female 48.1
GTEX-TMZS-0126-SM-3DB9Q 60-69 years, male 48.1
GTEX-ZDTT-2726-SM-4WKF8 60-69 years, male 48.1
GTEX-11P7K-2126-SM-5GU7G 30-39 years, male 48.0
GTEX-1A8FM-0226-SM-7SB7Q 50-59 years, female 47.9
GTEX-1GZ4H-1726-SM-7PBZJ 50-59 years, female 47.9
GTEX-ZQG8-1626-SM-DHXIT 60-69 years, female 47.9
GTEX-18D9A-1926-SM-7LG6P 30-39 years, female 47.8
GTEX-1PIGE-0126-SM-EVYBJ 20-29 years, male 47.7
GTEX-PLZ5-2026-SM-2S1O4 50-59 years, male 47.6
GTEX-ZQUD-1426-SM-57WER 30-39 years, male 47.5
GTEX-1LG7Y-0526-SM-DKPQC 50-59 years, male 47.5
GTEX-1OJC4-0126-SM-E9J2E 50-59 years, female 47.5
GTEX-1RAZA-0126-SM-E6CI3 20-29 years, male 47.5
GTEX-ZTSS-1926-SM-57WEW 40-49 years, male 47.4
GTEX-1BAJH-0526-SM-793CQ 70-79 years, male 47.3
GTEX-R3RS-0126-SM-3GIJL 40-49 years, female 47.3
GTEX-WY7C-2326-SM-3NB2U 50-59 years, male 47.3
GTEX-RWS6-2026-SM-2XCB5 60-69 years, female 47.2
GTEX-S95S-1226-SM-4GICG 60-69 years, male 47.2
GTEX-113IC-0126-SM-5HL6T 60-69 years, male 47.1
GTEX-11ZTT-2426-SM-5EQLS 60-69 years, female 47.1
GTEX-145LS-0126-SM-5QGP1 60-69 years, female 47.1
GTEX-1JKYR-0126-SM-CNPOJ 20-29 years, male 47.1
GTEX-1KXAM-2226-SM-CYPTC 60-69 years, male 47.1
GTEX-1MJK2-0426-SM-DTXE5 50-59 years, male 47.1
GTEX-Y8E4-0626-SM-4WWDL 40-49 years, male 47.0
GTEX-1EKGG-0226-SM-9WYTH 60-69 years, male 47.0
GTEX-NFK9-0226-SM-2HMKQ 40-49 years, male 46.9
GTEX-1IDJH-0326-SM-A9SLQ 70-79 years, male 46.9
GTEX-13NZA-0226-SM-5K7Z7 60-69 years, male 46.8
GTEX-13OVG-1926-SM-5L3DK 60-69 years, male 46.8
GTEX-O5YW-0126-SM-3LK6D 50-59 years, male 46.7
GTEX-131YS-0126-SM-5KM1M 60-69 years, female 46.6
GTEX-13SLX-0526-SM-5S2ON 50-59 years, female 46.6
GTEX-1R9PM-2026-SM-E76OY 20-29 years, male 46.3
GTEX-OIZH-0126-SM-2HMIS 50-59 years, male 46.2
GTEX-1H1ZS-0426-SM-9WG6G 70-79 years, male 46.1
GTEX-1KWVE-1426-SM-E9TJO 30-39 years, male 46.1
GTEX-1RQEC-0426-SM-E6CHU 60-69 years, male 46.1
GTEX-117XS-2726-SM-5N9BL 60-69 years, male 46.0
GTEX-15ETS-0126-SM-7KUMW 40-49 years, female 46.0
GTEX-14BMV-0126-SM-5S2PO 50-59 years, male 45.9
GTEX-Y5V5-2326-SM-4V6GA 60-69 years, female 45.9
GTEX-ZZ64-1726-SM-5GZYB 20-29 years, male 45.8
GTEX-1S83E-0126-SM-EWRO4 40-49 years, male 45.7
GTEX-15SDE-2226-SM-7IGLO 50-59 years, female 45.6
GTEX-17F96-1626-SM-7DUFL 70-79 years, male 45.6
GTEX-1AMFI-2026-SM-731BH 50-59 years, female 45.5
GTEX-1E2YA-0126-SM-9KNUC 50-59 years, male 45.5
GTEX-1J8EW-0126-SM-CJI4F 60-69 years, female 45.4
GTEX-1MCQQ-0826-SM-DLHC2 60-69 years, male 45.4
GTEX-13O3Q-2426-SM-5IJBR 50-59 years, male 45.3
GTEX-TSE9-0126-SM-3DB83 60-69 years, female 45.3
GTEX-1F5PL-0326-SM-7P8PQ 40-49 years, female 45.3
GTEX-13OVK-2026-SM-7KUEO 40-49 years, male 45.2
GTEX-1EWIQ-0126-SM-7RHH2 70-79 years, female 45.1
GTEX-1KANB-0526-SM-E6CJH 50-59 years, male 45.1
GTEX-14BMU-2226-SM-5TDE9 20-29 years, female 45.0
GTEX-Q2AG-0126-SM-33HBV 40-49 years, female 45.0
GTEX-X638-0126-SM-47JZ8 70-79 years, female 45.0
GTEX-TML8-1926-SM-32QOS 40-49 years, female 44.9
GTEX-14JG1-0426-SM-6ETZZ 40-49 years, male 44.8
GTEX-WYVS-2126-SM-3NMA3 40-49 years, female 44.8
GTEX-WZTO-0126-SM-3NM95 40-49 years, male 44.7
GTEX-13OW6-0426-SM-5L3HM 50-59 years, male 44.5
GTEX-T2IS-0126-SM-4DM6O 20-29 years, female 44.5
GTEX-131XF-5016-SM-7MGWE 60-69 years, male 44.5
GTEX-169BO-1326-SM-9MQK2 50-59 years, male 44.5
GTEX-QCQG-1726-SM-3GIJ9 50-59 years, female 44.4
GTEX-1O97I-0326-SM-EYYX7 60-69 years, male 44.4
GTEX-111FC-0126-SM-5N9DL 60-69 years, male 44.3
GTEX-1F7RK-0126-SM-7PC2S 20-29 years, female 44.3
GTEX-13PVR-2326-SM-5QGR1 60-69 years, female 44.2
GTEX-1B97I-1626-SM-73KYO 40-49 years, male 44.2
GTEX-1ICG6-2526-SM-CGQFZ 70-79 years, female 44.2
GTEX-R45C-0126-SM-EAZ2R 60-69 years, female 44.2
GTEX-WFON-2126-SM-3LK7O 40-49 years, male 44.0
GTEX-1GMRU-0126-SM-9YFLV 50-59 years, male 44.0
GTEX-1MA7W-2026-SM-E9TJ6 20-29 years, female 44.0
GTEX-133LE-1826-SM-5J1MV 20-29 years, female 43.9
GTEX-17MFQ-1726-SM-793C7 20-29 years, male 43.9
GTEX-ZAK1-0126-SM-5IJD3 50-59 years, female 43.8
GTEX-ZVT3-0126-SM-5GU6I 60-69 years, female 43.8
GTEX-ZVT2-2526-SM-51MT1 50-59 years, female 43.7
GTEX-1EN7A-0126-SM-7SB81 40-49 years, male 43.6
GTEX-1HT8W-0126-SM-CNPPP 30-39 years, male 43.6
GTEX-1KANA-0726-SM-D3L9I 20-29 years, male 43.6
GTEX-12ZZZ-0626-SM-5DUXI 60-69 years, male 43.4
GTEX-13JUV-2726-SM-5LZZ8 40-49 years, female 43.3
GTEX-144GL-0126-SM-5TDE2 50-59 years, male 43.3
GTEX-OIZG-0726-SM-33HBL 50-59 years, male 43.3
GTEX-Z93T-0126-SM-5HL5N 50-59 years, male 43.3
GTEX-ZVT4-0126-SM-DTXFN 50-59 years, female 43.3
GTEX-13QJ3-0326-SM-5S2RA 50-59 years, male 43.2
GTEX-1CB4I-0226-SM-79OLH 50-59 years, male 43.0
GTEX-ZVTK-0426-SM-51MRS 20-29 years, male 42.9
GTEX-1JMLX-0226-SM-CM2RO 50-59 years, male 42.8
GTEX-14753-0426-SM-5NQAM 60-69 years, male 42.6
GTEX-1LGOU-2026-SM-DIPFF 20-29 years, female 42.5
GTEX-15DYW-0126-SM-7KULE 60-69 years, female 42.4
GTEX-QVJO-1626-SM-2S1QW 60-69 years, female 42.4
GTEX-1IKOH-0226-SM-COH4E 60-69 years, female 42.4
GTEX-14JG6-2226-SM-6EU2G 30-39 years, female 42.3
GTEX-XUZC-1726-SM-4BRWS 30-39 years, female 42.3
GTEX-1H4P4-0726-SM-9YFLR 50-59 years, male 42.3
GTEX-14E6D-0126-SM-62LDV 50-59 years, male 42.2
GTEX-ZAB5-1826-SM-5HL7C 50-59 years, male 42.2
GTEX-11DXY-2626-SM-5GIE7 60-69 years, male 41.9
GTEX-11GSP-2526-SM-5N9BP 60-69 years, female 41.9
GTEX-1IL2V-0126-SM-CM2TX 70-79 years, male 41.9
GTEX-11EQ9-2426-SM-5HL5T 30-39 years, male 41.8
GTEX-ZYY3-0126-SM-5GZY5 60-69 years, female 41.7
GTEX-S7SE-0126-SM-2XCD5 50-59 years, male 41.6
GTEX-1I1HK-0126-SM-COH49 60-69 years, male 41.4
GTEX-1LB8K-0226-SM-EWRNW 50-59 years, male 41.3
GTEX-14LZ3-0226-SM-62LET 60-69 years, female 40.7
GTEX-15SB6-1726-SM-6PAME 50-59 years, female 40.7
GTEX-TMMY-0226-SM-33HBA 40-49 years, female 40.6
GTEX-Z9EW-1626-SM-5CVMN 40-49 years, male 40.6
GTEX-111VG-2426-SM-5GZXD 60-69 years, male 40.4
GTEX-1C6VS-0526-SM-7DUEN 60-69 years, male 40.1
GTEX-1LVAN-0226-SM-COH3S 50-59 years, female 39.9
GTEX-1QEPI-0126-SM-EWRMQ 60-69 years, female 39.7
GTEX-1212Z-2526-SM-5EGKP 60-69 years, male 39.6
GTEX-UJHI-1526-SM-3DB99 50-59 years, female 39.6
GTEX-1GF9V-0326-SM-7RHI5 60-69 years, male 39.6
GTEX-13FTY-0526-SM-5L3EV 40-49 years, female 39.5
GTEX-PW2O-1526-SM-7RHHB 20-29 years, male 39.5
GTEX-1122O-2126-SM-5EGIR 60-69 years, female 39.4
GTEX-16NGA-1726-SM-731B4 40-49 years, female 39.4
GTEX-P4PP-0126-SM-3LK69 30-39 years, female 39.1
GTEX-1HCU9-1526-SM-A9SL7 20-29 years, male 39.1
GTEX-ZXES-1826-SM-5E43S 30-39 years, female 39.0
GTEX-1IDJU-2626-SM-CM2RT 60-69 years, female 38.9
GTEX-1HSGN-0226-SM-CGQFV 40-49 years, female 38.8
GTEX-1CAMQ-0226-SM-7IGPK 40-49 years, male 38.7
GTEX-11XUK-2026-SM-5EQLF 40-49 years, female 38.6
GTEX-13OW8-1326-SM-5J1OW 60-69 years, male 38.6
GTEX-16BQI-0226-SM-7KUEX 30-39 years, female 38.4
GTEX-ZXG5-0126-SM-5GIEU 60-69 years, male 38.4
GTEX-1GF9U-2126-SM-7SB7L 40-49 years, female 38.2
GTEX-XPVG-2626-SM-4B669 50-59 years, male 37.9
GTEX-15CHC-2126-SM-6EU21 60-69 years, female 37.4
GTEX-11GSO-2426-SM-5A5LY 60-69 years, male 37.3
GTEX-1I1GQ-0126-SM-COH3H 50-59 years, male 37.1
GTEX-1269C-2526-SM-5EGJ3 60-69 years, female 37.0
GTEX-1I1GT-0626-SM-CGQER 60-69 years, female 36.8
GTEX-11VI4-1726-SM-5CVLH 40-49 years, female 36.0
GTEX-13NYB-2526-SM-5K7Z6 40-49 years, male 36.0
GTEX-14PJ6-2126-SM-6EU1V 60-69 years, female 35.6
GTEX-11EI6-0126-SM-5985R 60-69 years, male 34.8
GTEX-17JCI-0126-SM-7LG5G 60-69 years, female 34.8
GTEX-ZYFG-2326-SM-5E44B 60-69 years, female 34.7
GTEX-15RIG-0226-SM-7KFTL 40-49 years, male 33.3
GTEX-U3ZN-2326-SM-3DB7W 30-39 years, female 31.6
GTEX-147F3-0526-SM-5SI98 50-59 years, female 30.0
Show allShow less

Contact

  • NEWS ARTICLES
  • PRESS ROOM

The Project

  • INTRODUCTION
  • ORGANIZATION
  • PUBLICATIONS

The Human Protein Atlas

  • DOWNLOADABLE DATA
  • LICENCE & CITATION
  • HELP & FAQ
The Human Protein Atlas project is funded
by the Knut & Alice Wallenberg Foundation.


contact@proteinatlas.org