We use cookies to enhance the usability of our website. If you continue, we'll assume that you are happy to receive all cookies. More information. Don't show this again.
HNRNPH1
HPA
RESOURCES
  • TISSUE
  • BRAIN
  • SINGLE CELL
  • SUBCELLULAR
  • CANCER
  • BLOOD
  • CELL LINE
  • STRUCTURE & INTERACTION
ABOUT
  • INTRODUCTION
  • HISTORY
  • ORGANIZATION
  • PUBLICATIONS
  • ANTIBODY SUBMISSION
  • ANTIBODY AVAILABILITY
  • ACKNOWLEDGMENTS
  • CONTACT
NEWS
  • NEWS ARTICLES
  • PRESS ROOM
LEARN
  • DICTIONARY
  • PROTEIN CLASSES
  • PROTEIN EVIDENCE
  • METHODS
  • EDUCATIONAL VIDEOS
DATA
  • DOWNLOADABLE DATA
  • PUBLICATION DATA
  • RELEASE HISTORY
HELP
  • ANTIBODY VALIDATION
  • ASSAYS & ANNOTATION
  • DISCLAIMER
  • HELP & FAQ
  • PRIVACY STATEMENT
  • LICENCE & CITATION
Fields »
Search result

Field
Term
Gene name
Class
Subclass
Class
Keyword
Chromosome
External id
Tissue
Cell type
Expression
Antibody panel
Tissue
Main location
Patient ID
Annotation
Tissue
Category
Tau score
Cluster
Reliability
Brain region
Category
Tau score
Brain region
Category
Tau score
Brain region
Category
Tau score
Cluster
Reliability
Tissue
Cell type
Enrichment
Cell type
Category
Tau score
Cell type
Category
Tau score
Cell type
Category
Tau score
Cell lineage
Category
Tau score
Cluster
Cluster
Location
Searches
Location
Cell line
Class
Type
Phase
Reliability
Cancer
Prognosis
Cancer
Category
Cancer
Category
Tau score
Cluster
Variants
Interacting gene (ensg_id)
Type
Number of interactions
Pathway
Category
Score
Score
Score
Validation
Validation
Validation
Validation
Antibodies
Data type
Column


  • SUMMARY

  • TISSUE

  • BRAIN

  • SINGLE CELL

  • SUBCELL

  • CANCER

  • BLOOD

  • CELL LINE

  • STRUCT & INT

  • HNRNPH1
TISSUE PRIMARY DATA SKIN Show tissue menu
ADIPOSE TISSUE ADRENAL GLAND AMYGDALA APPENDIX BASAL GANGLIA BONE MARROW BREAST BRONCHUS CEREBELLUM CEREBRAL CORTEX CERVIX CHOROID PLEXUS COLON DUODENUM
ENDOMETRIUM EPIDIDYMIS ESOPHAGUS FALLOPIAN TUBE GALLBLADDER HEART MUSCLE HIPPOCAMPAL FORMATION HYPOTHALAMUS KIDNEY LIVER LUNG LYMPH NODE MIDBRAIN NASOPHARYNX
ORAL MUCOSA OVARY PANCREAS PARATHYROID GLAND PITUITARY GLAND PLACENTA PROSTATE RECTUM RETINA SALIVARY GLAND SEMINAL VESICLE SKELETAL MUSCLE SKIN SMALL INTESTINE
SMOOTH MUSCLE SOFT TISSUE SPINAL CORD SPLEEN STOMACH TESTIS THYMUS THYROID GLAND TONGUE TONSIL URINARY BLADDER VAGINA
ANTIBODIES
AND
VALIDATION
Dictionary
Skin
Tissue proteome
Skin
SKIN - Expression summary
Protein expression
Skini

On the top, protein expression in current human tissue, based on all annotated cell types, is reported with the units not detected (n), low (l), medium (m) and high (h). Underneath, protein expression in each annotated cell type are reported using the same units.

Protein expression data is based on knowledge-based annotation. For genes where more than one antibody has been used, a collective score is set.

If knowledge-based annotation could not be performed for a gene, no data is displayed here. View antibody staining data further down this page.

h
m
l
n
Cells in basal layer: Medium
Cells in corneal layer: Not detected
Cells in granular layer: High
Cells in spinous layer: High
Eccrine glands: High
Endothelial cells: High
Extracellular matrix: Not detected
Fibrohistiocytic cells: High
Langerhans cells: High
Lymphocytes: High
Melanocytes: High
Vascular mural cells: High
RNA expressioni

A summary of mRNA expression data available for current tissue based on several datasets. The mRNA expression levels in human tissues are based on RNA-seq data generated by the Human Protein Atlas (HPA), Genotype-Tissue Expression (GTEx) portal and CAGE data generated by the FANTOM5 consortium. Consensus normalized expression levels for human tissues was created by combining the data from HPA and GTEx datasets.

The mRNA expression levels in pig are based on RNA-seq data generated by the Human Protein Atlas (HPA), and for mouse, HPA data and in situ hybridization generated by the Allen brain atlas are reported.

Scroll down to view mRNA expression data in more detail.
Consensus:108.8 nTPM
HPA:108.8 nTPM
GTEx:94.6 nTPM

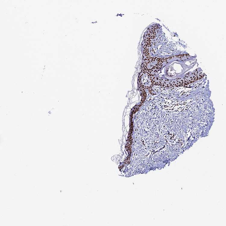
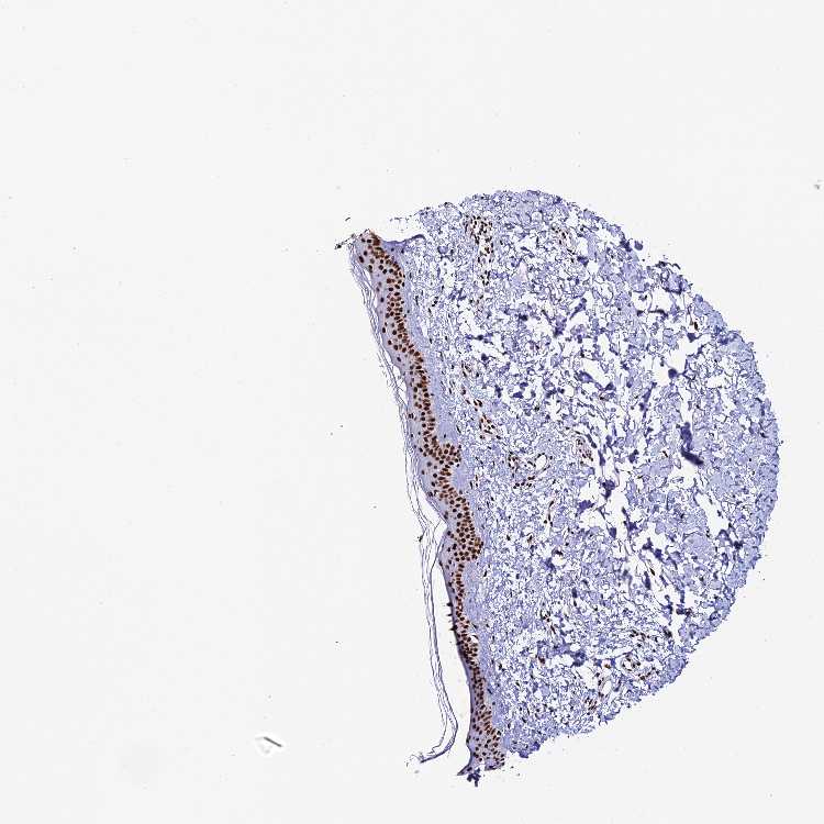
SKIN 1 - Antibody stainingi

Antibody staining in the annotated cell types in the current human tissue is reported as not detected, low, medium, or high, based on conventional immunohistochemistry profiling in selected tissues. This score is based on the combination of the staining intensity and fraction of stained cells.

Each image is clickable and will lead to virtual microscopy that enables deeper exploration of all samples and also displays staining intensity scores, fraction scores and subcellular localization as well as patient and tissue information for each sample.

Antibody HPA001359Antibody HPA016884Antibody CAB032820
Langerhans -HighHigh
Cells in basal layer Medium--
Cells in corneal layer Not detected--
Cells in granular layer High--
Cells in spinous layer High--
Eccrine glands High--
Endothelial cells High--
Extracellular matrix Not detected--
Fibroblasts -HighHigh
Fibrohistiocytic cells High--
Keratinocytes -HighHigh
Langerhans cells High--
Lymphocytes High--
Melanocytes HighHighHigh
Vascular mural cells High--





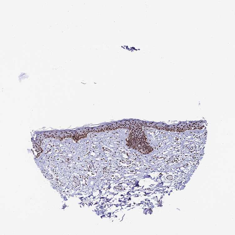
SKIN 2 - Antibody stainingi

Antibody staining in the annotated cell types in the current human tissue is reported as not detected, low, medium, or high, based on conventional immunohistochemistry profiling in selected tissues. This score is based on the combination of the staining intensity and fraction of stained cells.

Each image is clickable and will lead to virtual microscopy that enables deeper exploration of all samples and also displays staining intensity scores, fraction scores and subcellular localization as well as patient and tissue information for each sample.

Antibody HPA001359Antibody HPA016884Antibody CAB032820
Cells in basal layer Medium--
Cells in corneal layer Not detected--
Cells in granular layer High--
Cells in spinous layer High--
Endothelial cells High--
Epidermal cells -HighHigh
Extracellular matrix Not detected--
Fibrohistiocytic cells High--
Langerhans cells High--
Lymphocytes High--
Melanocytes High--
Vascular mural cells High--
   
   
   






SKIN - HPA RNA-seqi

The RNA-seq details section shows detailed information about the individual samples used for the transcript profiling and results of the RNA-seq analysis.

Information about each individual sample is listed below, including gender, age, a tissue section image and estimated fractions of cell types. nTPM (normalized transcripts per million) values give a quantification of the gene abundance which is comparable between different genes and samples.
Average nTPMi

Max subtype nTPM is the value for the subtype with the largest average nTPM across the subtype samples.

108.8
overview
Female, age 34
Skin sample 225
nTPM: 93.7
Cell types%
Keratinocytes:
60

Other cell types:
40

overview
Female, age 30
Skin sample 226
nTPM: 113.3
Cell types%
Keratinocytes:
55

Other cell types:
45

N/A
Male, age 57
Skin sample 227
nTPM: 119.5

SKIN - GTEx RNA-seqi

RNA-Seq data generated by the Genotype-Tissue Expression (GTEx) project from human tissues is reported as mean nTPM. More information can be found on the GTEx portal.

Distribution across the dataset is visualized with box plots, shown as median and 25th and 75th percentiles. Points are displayed as outliers if they are above or below 1.5 times the interquartile range. nTPM values of the individual samples are presented next to the box plot.
Max subtype nTPMi

Max subtype nTPM is the value for the subtype with the largest average nTPM across the subtype samples.

94.6
GTEx sample id Sample description nTPM
Skin - Not Sun Exposed (Suprapubic)
Average nTPM: 94.6
Samples: 604

Max nTPM: 198.3
Min nTPM: 38.0
Std nTPM: 26.4
Median nTPM: 90.9
GTEX-13NZ8-1226-SM-5KM4A 60-69 years, female 198.3
GTEX-ZF3C-0626-SM-DO92O 50-59 years, female 197.5
GTEX-UPK5-0426-SM-3GAEK 40-49 years, male 192.4
GTEX-ZYW4-0626-SM-59HJR 60-69 years, male 189.4
GTEX-14A5H-0826-SM-5QGPJ 60-69 years, male 182.0
GTEX-ZVE1-0726-SM-51MRN 50-59 years, female 181.1
GTEX-1S82U-1026-SM-E6CJK 30-39 years, female 179.7
GTEX-XBEC-0726-SM-4QARZ 50-59 years, male 177.1
GTEX-Y5V6-2326-SM-4VDSA 60-69 years, male 176.7
GTEX-1RMOY-1326-SM-E9TIH 50-59 years, male 168.9
GTEX-147GR-2426-SM-5ZZWQ 60-69 years, male 166.6
GTEX-16MT9-0126-SM-7EPI8 60-69 years, female 166.5
GTEX-ZTSS-1426-SM-5985P 40-49 years, male 165.3
GTEX-11OF3-0126-SM-5PNYF 60-69 years, male 164.8
GTEX-11EQ8-0926-SM-5H12V 60-69 years, male 161.8
GTEX-1399Q-2326-SM-5KM2X 40-49 years, male 161.8
GTEX-11PRG-0726-SM-5EGL1 50-59 years, male 161.1
GTEX-1HFI6-0126-SM-CNPPI 40-49 years, male 157.4
GTEX-1R9PN-0426-SM-DTXDT 40-49 years, female 156.1
GTEX-1E2YA-2126-SM-7MXUO 50-59 years, male 153.1
GTEX-1B8KE-1126-SM-7EPHI 50-59 years, male 152.2
GTEX-14C39-1726-SM-5RQIL 40-49 years, male 151.6
GTEX-15RIG-0726-SM-7KUM7 40-49 years, male 149.9
GTEX-1A8G6-2726-SM-731AR 60-69 years, male 147.6
GTEX-15SHW-0226-SM-7LTAT 60-69 years, male 144.8
GTEX-15CHR-1126-SM-7EWF4 50-59 years, male 144.4
GTEX-ZE9C-2526-SM-5IJDR 60-69 years, male 144.1
GTEX-144GL-0626-SM-5LU4D 50-59 years, male 144.0
GTEX-15G19-2426-SM-7KUMR 60-69 years, male 143.4
GTEX-YECK-0326-SM-4W1YS 60-69 years, male 143.4
GTEX-11DZ1-2426-SM-5GZZX 50-59 years, male 142.9
GTEX-13JVG-0726-SM-5KM16 60-69 years, male 142.4
GTEX-ZYY3-2926-SM-5GIEB 60-69 years, female 142.4
GTEX-132AR-0326-SM-5KM2C 50-59 years, female 141.2
GTEX-1S82P-2126-SM-E6CI5 60-69 years, female 140.6
GTEX-1JMQJ-0826-SM-CNPP7 50-59 years, male 139.4
GTEX-13IVO-0726-SM-5LZYV 70-79 years, male 138.8
GTEX-1399R-1326-SM-5PNYS 30-39 years, male 138.7
GTEX-1LVAM-0726-SM-E6CIL 50-59 years, female 138.2
GTEX-V1D1-2026-SM-3GAF4 50-59 years, male 137.9
GTEX-1R9PM-1926-SM-EVR3O 20-29 years, male 137.9
GTEX-1S83E-1326-SM-E6CJM 40-49 years, male 137.6
GTEX-13NYC-0126-SM-5L3F4 60-69 years, male 136.8
GTEX-16MTA-0926-SM-6M47Z 50-59 years, male 136.2
GTEX-ZE7O-2726-SM-51MT5 50-59 years, female 136.2
GTEX-17F96-0126-SM-7EWDU 70-79 years, male 135.4
GTEX-13SLW-0626-SM-5Q5ER 70-79 years, male 134.7
GTEX-14LZ3-0126-SM-69LPM 60-69 years, female 134.5
GTEX-YB5K-2026-SM-4VDT3 40-49 years, female 134.3
GTEX-ZAK1-0626-SM-5HL8E 50-59 years, female 133.7
GTEX-1OJC4-2726-SM-E76PJ 50-59 years, female 133.7
GTEX-ZU9S-1826-SM-5NQ9E 30-39 years, male 131.3
GTEX-11WQK-1026-SM-5EQLX 50-59 years, male 129.2
GTEX-1EMGI-2326-SM-7PBYA 60-69 years, male 128.1
GTEX-11TT1-1826-SM-5EQLV 20-29 years, male 127.9
GTEX-1F88F-0126-SM-9WYSZ 60-69 years, female 127.8
GTEX-1K9T9-1526-SM-DIPFR 50-59 years, female 127.7
GTEX-1S3DN-2126-SM-E9TIN 50-59 years, male 127.4
GTEX-13NZ9-2626-SM-5L3FK 50-59 years, male 127.3
GTEX-1HCUA-0826-SM-ADEHM 50-59 years, female 126.9
GTEX-ZWKS-0626-SM-5GIDV 30-39 years, male 126.8
GTEX-145ME-1726-SM-5Q5EU 40-49 years, female 126.7
GTEX-Y9LG-1126-SM-4VBQ7 30-39 years, male 126.3
GTEX-111VG-1626-SM-5EGIO 60-69 years, male 126.2
GTEX-13OVH-0526-SM-5L3E6 70-79 years, male 126.2
GTEX-XOT4-0626-SM-4B66L 60-69 years, female 126.1
GTEX-1KAFJ-0126-SM-DIPEK 50-59 years, male 125.9
GTEX-13O3O-2326-SM-5IJD6 60-69 years, female 125.4
GTEX-11GS4-0226-SM-5HL77 60-69 years, male 125.1
GTEX-VUSG-2326-SM-4KL1U 50-59 years, male 124.8
GTEX-ZPCL-1126-SM-4WWFE 60-69 years, female 124.6
GTEX-17HII-1426-SM-7EPGG 50-59 years, male 124.3
GTEX-15DYW-2726-SM-6EU2I 60-69 years, female 124.1
GTEX-1K2DA-1026-SM-CGQGF 50-59 years, male 123.1
GTEX-14PHY-1226-SM-5ZZWK 60-69 years, female 122.7
GTEX-1RAZS-2526-SM-E6CHT 50-59 years, male 122.1
GTEX-ZVTK-0226-SM-51MRG 20-29 years, male 122.0
GTEX-11VI4-1126-SM-5EQMD 40-49 years, female 121.9
GTEX-15SKB-2826-SM-6PAMH 60-69 years, male 121.7
GTEX-WH7G-2026-SM-3NMBL 40-49 years, male 121.6
GTEX-YFCO-1226-SM-5LUAT 40-49 years, male 121.6
GTEX-13NYB-0126-SM-5J1MD 40-49 years, male 121.5
GTEX-1S5ZU-2526-SM-E6CIF 20-29 years, female 121.4
GTEX-1269C-0126-SM-5EQ5L 60-69 years, female 121.3
GTEX-131XH-0126-SM-5LZUY 50-59 years, male 121.3
GTEX-XV7Q-1826-SM-4BRUV 40-49 years, female 121.0
GTEX-15CHQ-0326-SM-69LQD 60-69 years, male 120.6
GTEX-16BQI-1326-SM-6M486 30-39 years, female 120.6
GTEX-139D8-1126-SM-5LU8W 30-39 years, female 120.4
GTEX-ZYT6-2326-SM-5GZY3 30-39 years, male 120.4
GTEX-1J8EW-2726-SM-CY8HR 60-69 years, female 120.4
GTEX-145LS-0626-SM-7EPG7 60-69 years, female 120.1
GTEX-1LVAN-0626-SM-CNPOQ 50-59 years, female 119.9
GTEX-14PJ6-2626-SM-6EU2T 60-69 years, female 119.4
GTEX-13PL6-1126-SM-5L3IE 40-49 years, female 119.2
GTEX-1212Z-0126-SM-59HK4 60-69 years, male 118.5
GTEX-17HHE-1326-SM-7EWDZ 50-59 years, male 117.6
GTEX-1J1OQ-0126-SM-D4P2N 40-49 years, female 117.4
GTEX-13QJC-0126-SM-5ZZWJ 60-69 years, female 117.1
GTEX-1BAJH-2426-SM-7IGP8 70-79 years, male 117.1
GTEX-14JFF-0626-SM-5ZZVT 60-69 years, male 117.0
GTEX-144FL-0626-SM-5LU43 50-59 years, male 116.6
GTEX-1NSGN-0726-SM-DTXEF 50-59 years, male 116.6
GTEX-XYKS-1426-SM-4BRUO 60-69 years, female 116.5
GTEX-11GSP-2326-SM-5HL63 60-69 years, female 116.4
GTEX-13FTW-0326-SM-5K7UW 40-49 years, male 116.0
GTEX-13PDP-0726-SM-5L3HP 60-69 years, male 116.0
GTEX-ZVZP-1226-SM-5GID7 50-59 years, male 115.9
GTEX-1JJ6O-2726-SM-CNPOG 60-69 years, male 115.7
GTEX-11P81-2226-SM-5PNYI 30-39 years, female 115.6
GTEX-13O3Q-0126-SM-5KM34 50-59 years, male 115.6
GTEX-1QP2A-1726-SM-E76QC 50-59 years, male 115.3
GTEX-1GF9X-1326-SM-7PC2Y 40-49 years, female 115.2
GTEX-1JJEA-1826-SM-ARU8P 60-69 years, male 115.2
GTEX-13112-0126-SM-5P9IU 50-59 years, male 115.0
GTEX-18A7A-0126-SM-731AH 50-59 years, female 115.0
GTEX-1PPH8-0126-SM-EWRN8 20-29 years, male 114.9
GTEX-14PK6-0226-SM-62LF5 70-79 years, female 114.6
GTEX-1J1R8-2026-SM-CL53Y 40-49 years, male 114.4
GTEX-1H1ZS-2726-SM-9WG75 70-79 years, male 114.2
GTEX-16YQH-2226-SM-7IGM2 30-39 years, male 113.5
GTEX-14ABY-2026-SM-62LDL 50-59 years, male 113.2
GTEX-12696-0126-SM-5EQ4L 60-69 years, male 113.1
GTEX-144GO-2026-SM-5O99P 60-69 years, male 113.1
GTEX-1GPI7-1826-SM-9KNU1 20-29 years, male 112.6
GTEX-133LE-2326-SM-5K7W3 20-29 years, female 111.9
GTEX-1C2JI-1026-SM-73KY1 50-59 years, male 111.9
GTEX-11WQC-1826-SM-5GU59 60-69 years, male 111.8
GTEX-13SLX-2226-SM-62LEP 50-59 years, female 111.3
GTEX-1HB9E-0126-SM-CM2S5 50-59 years, male 111.2
GTEX-1LSNM-0826-SM-DIPG8 50-59 years, male 110.8
GTEX-13OVK-1426-SM-6PAN7 40-49 years, male 110.7
GTEX-XK95-0226-SM-4AT58 40-49 years, male 110.7
GTEX-ZF2S-1626-SM-57WES 50-59 years, female 110.7
GTEX-ZDXO-3126-SM-5IJDF 60-69 years, male 110.6
GTEX-1PIGE-1826-SM-E8VOU 20-29 years, male 110.6
GTEX-13G51-1826-SM-5KLZH 60-69 years, male 110.5
GTEX-1IL2V-1926-SM-B2LW8 70-79 years, male 110.5
GTEX-12WSJ-1126-SM-5LZVJ 40-49 years, female 110.4
GTEX-XAJ8-1426-SM-47JYM 40-49 years, male 110.4
GTEX-1RAZQ-1326-SM-E9TK6 30-39 years, male 110.1
GTEX-1HR98-2226-SM-ADEI2 60-69 years, male 110.0
GTEX-11DXZ-2026-SM-5987S 50-59 years, male 109.9
GTEX-WEY5-2326-SM-3GIKK 40-49 years, female 109.9
GTEX-1313W-0626-SM-5EQ4H 50-59 years, female 109.8
GTEX-WHSE-0126-SM-3NMBT 20-29 years, male 109.8
GTEX-15DDE-2926-SM-6LLJ3 50-59 years, female 109.5
GTEX-1JMQL-2226-SM-CNPP4 50-59 years, female 109.3
GTEX-1117F-2926-SM-5GZYI 60-69 years, female 109.2
GTEX-15CHC-1126-SM-6LLHQ 60-69 years, female 108.5
GTEX-1HT8W-0626-SM-A9G2H 30-39 years, male 108.5
GTEX-13FTY-2126-SM-5IFFB 40-49 years, female 108.4
GTEX-1F6RS-2026-SM-7RHHC 60-69 years, female 108.4
GTEX-1MCC2-1826-SM-DIPEX 30-39 years, female 108.4
GTEX-1QMI2-2526-SM-E8VNZ 60-69 years, male 108.3
GTEX-145MG-1526-SM-5Q5EM 50-59 years, male 108.0
GTEX-1EN7A-2426-SM-793DB 40-49 years, male 108.0
GTEX-1JMOU-1026-SM-CYPSS 60-69 years, female 108.0
GTEX-WI4N-2726-SM-3LK7Y 40-49 years, female 107.9
GTEX-YEC4-1826-SM-4W1YP 40-49 years, male 107.8
GTEX-1R46S-2426-SM-E76QA 60-69 years, female 107.8
GTEX-1I1GT-1026-SM-ARZLV 60-69 years, female 107.4
GTEX-1HGF4-0126-SM-CNPPX 60-69 years, male 107.2
GTEX-13QBU-1226-SM-5LU4G 40-49 years, female 107.1
GTEX-18QFQ-1826-SM-72D52 30-39 years, male 107.0
GTEX-14PJ3-1126-SM-5ZZVX 50-59 years, male 106.9
GTEX-14LLW-2626-SM-62LDZ 70-79 years, female 106.6
GTEX-X3Y1-2026-SM-3P5YM 40-49 years, male 106.5
GTEX-13FLV-0126-SM-5K7WT 50-59 years, male 106.3
GTEX-1LG7Y-2526-SM-EWRO7 50-59 years, male 106.3
GTEX-XQ8I-0926-SM-4BOOF 50-59 years, male 105.9
GTEX-1HBPM-0726-SM-9YFL7 60-69 years, female 105.9
GTEX-15EO6-2426-SM-6PALZ 50-59 years, male 105.7
GTEX-13OW8-1026-SM-5J1NQ 60-69 years, male 105.6
GTEX-1AYD5-2626-SM-7PBXY 50-59 years, male 105.4
GTEX-Y5LM-0926-SM-6LLJG 40-49 years, female 105.3
GTEX-17HG3-2626-SM-7DUF2 30-39 years, female 105.0
GTEX-13VXT-1926-SM-5K7UO 20-29 years, female 104.8
GTEX-1HSGN-0826-SM-ACKW3 40-49 years, female 104.8
GTEX-WXYG-2026-SM-4E3IY 50-59 years, female 104.3
GTEX-1A3MX-2626-SM-7PC24 60-69 years, male 104.3
GTEX-1I1HK-2326-SM-CKZOH 60-69 years, male 104.3
GTEX-111FC-2526-SM-5GZXU 60-69 years, male 104.2
GTEX-14PJ4-0226-SM-5YY92 60-69 years, male 104.0
GTEX-11ZU8-0126-SM-5EQ58 60-69 years, male 103.9
GTEX-XUW1-0926-SM-4BONX 50-59 years, female 103.8
GTEX-1C64O-1326-SM-7MGWR 60-69 years, male 103.8
GTEX-WYJK-0526-SM-3NM8Z 50-59 years, male 103.5
GTEX-ZAB4-2126-SM-5HL8U 40-49 years, male 103.5
GTEX-VJYA-1526-SM-3GIJV 60-69 years, male 103.3
GTEX-1H3O1-1326-SM-9MQLD 60-69 years, male 103.1
GTEX-1MJK3-0726-SM-E6CJC 20-29 years, male 103.0
GTEX-13RTJ-0126-SM-5S2NN 60-69 years, male 102.9
GTEX-15RJE-2826-SM-7KUM9 40-49 years, male 102.8
GTEX-1CB4E-0926-SM-7EPHT 60-69 years, male 102.8
GTEX-ZYVF-0926-SM-5E44J 50-59 years, female 102.8
GTEX-1HBPN-0126-SM-CGQEF 50-59 years, male 102.6
GTEX-WHSB-1326-SM-3LK6W 50-59 years, male 102.5
GTEX-1J8Q3-0526-SM-ARL8U 60-69 years, male 102.4
GTEX-ZVT4-2426-SM-5GIEI 50-59 years, female 102.2
GTEX-13X6I-1826-SM-5SIAO 60-69 years, male 102.0
GTEX-WHWD-1826-SM-3LK6I 50-59 years, male 102.0
GTEX-12WSL-2026-SM-5GCML 50-59 years, male 101.9
GTEX-13JUV-2026-SM-5K7UA 40-49 years, female 101.8
GTEX-14DAQ-0626-SM-793DS 60-69 years, female 101.8
GTEX-16AAH-0626-SM-793C9 50-59 years, male 101.5
GTEX-1CB4I-0126-SM-7RHGG 50-59 years, male 101.4
GTEX-15D1Q-2826-SM-6LLH7 40-49 years, male 101.2
GTEX-1EWIQ-0326-SM-7DHMQ 70-79 years, female 100.8
GTEX-12584-0726-SM-5FQTK 40-49 years, male 100.7
GTEX-ZLV1-1526-SM-DO91J 60-69 years, female 100.6
GTEX-1EX96-1026-SM-7MKG2 50-59 years, male 100.5
GTEX-1H11D-1826-SM-9QEHM 40-49 years, male 100.5
GTEX-ZDTT-0426-SM-4WKFL 60-69 years, male 100.2
GTEX-1H3VE-0726-SM-9YFL5 40-49 years, male 100.0
GTEX-111CU-1126-SM-5EGIM 50-59 years, male 99.9
GTEX-11UD2-2526-SM-5CVNU 50-59 years, male 99.8
GTEX-14PJO-2526-SM-6AJBQ 60-69 years, male 99.8
GTEX-ZVT2-0126-SM-5GIDQ 50-59 years, female 99.8
GTEX-12ZZZ-0726-SM-5GCNZ 60-69 years, male 99.7
GTEX-12BJ1-0926-SM-5EQ62 60-69 years, male 99.4
GTEX-13NYS-0626-SM-5L3F1 60-69 years, male 99.2
GTEX-13VXU-0626-SM-5L3F9 50-59 years, male 99.2
GTEX-15RIE-1926-SM-7KUKJ 60-69 years, male 99.2
GTEX-17EVP-2626-SM-7IGMA 40-49 years, male 99.0
GTEX-ZT9X-1526-SM-5DUXD 40-49 years, male 99.0
GTEX-1GN1V-2826-SM-9JGIA 60-69 years, male 99.0
GTEX-1LSVX-2526-SM-DIPEU 60-69 years, male 99.0
GTEX-11DXW-0826-SM-5H118 40-49 years, male 98.6
GTEX-14PII-0726-SM-6EU2B 60-69 years, male 98.5
GTEX-XMD2-2126-SM-4YCF8 60-69 years, female 98.5
GTEX-1LG7Z-1626-SM-CXKYR 30-39 years, male 98.5
GTEX-1POEN-2326-SM-E9J2L 30-39 years, female 98.4
GTEX-139TU-0726-SM-5L3EK 60-69 years, male 98.3
GTEX-183WM-0326-SM-72D5V 70-79 years, female 98.2
GTEX-13OW7-0426-SM-5K7VK 50-59 years, male 98.0
GTEX-147F4-0726-SM-5TDDD 50-59 years, male 98.0
GTEX-1QEPI-2626-SM-DTXF4 60-69 years, female 97.8
GTEX-XPVG-2126-SM-4B667 50-59 years, male 97.7
GTEX-13OW6-2726-SM-5J2OE 50-59 years, male 97.6
GTEX-ZVP2-0326-SM-57WBP 50-59 years, male 97.6
GTEX-ZY6K-1426-SM-5GZX2 50-59 years, male 97.6
GTEX-ZYFC-0426-SM-5GICQ 50-59 years, male 97.6
GTEX-1399S-0126-SM-5IJCF 30-39 years, female 97.4
GTEX-15ER7-0626-SM-6PANF 20-29 years, female 97.4
GTEX-1GMR2-0826-SM-7PC3V 50-59 years, male 97.4
GTEX-13X6K-0626-SM-5LU5D 60-69 years, female 97.3
GTEX-X4EP-0626-SM-3P621 60-69 years, female 97.3
GTEX-11ZUS-2626-SM-5FQUR 30-39 years, male 97.1
GTEX-17F9Y-0126-SM-79OKX 70-79 years, female 97.1
GTEX-1A3MV-1826-SM-731CD 30-39 years, male 97.1
GTEX-1CB4H-1126-SM-7MKGL 60-69 years, female 97.1
GTEX-1IDJU-1726-SM-CMKHU 60-69 years, female 97.0
GTEX-UPJH-0226-SM-3GADV 50-59 years, male 96.9
GTEX-1EKGG-0626-SM-7DUGJ 60-69 years, male 96.8
GTEX-1K2DU-1226-SM-CYPT4 20-29 years, male 96.8
GTEX-18A7B-2726-SM-7LG56 70-79 years, male 96.5
GTEX-1HCU8-2526-SM-CE6RX 60-69 years, female 96.5
GTEX-13OVL-0126-SM-5L3GJ 50-59 years, male 96.3
GTEX-146FQ-2126-SM-5RQHU 30-39 years, male 96.3
GTEX-14PHX-2226-SM-6EU2P 50-59 years, male 96.3
GTEX-18A6Q-0626-SM-7KFRP 60-69 years, male 96.3
GTEX-1H1DG-2426-SM-9QEHJ 70-79 years, male 96.3
GTEX-14753-0726-SM-5QGQO 60-69 years, male 96.2
GTEX-14E6E-0526-SM-793DN 30-39 years, male 96.2
GTEX-13FHO-0426-SM-5L3F5 60-69 years, male 96.1
GTEX-11NSD-0626-SM-5A5LU 20-29 years, male 96.0
GTEX-14BIN-1126-SM-5RQJZ 50-59 years, female 95.8
GTEX-1AMEY-0826-SM-72D65 30-39 years, female 95.6
GTEX-1F6I4-2326-SM-7RHGL 60-69 years, male 95.2
GTEX-13113-1626-SM-5EQ4I 60-69 years, female 94.8
GTEX-1A8FM-0626-SM-7PC25 50-59 years, female 94.8
GTEX-139UW-0326-SM-5J1ML 60-69 years, male 94.6
GTEX-16Z82-2626-SM-7KULU 60-69 years, male 94.5
GTEX-1C6VR-0126-SM-7RHGB 60-69 years, male 94.5
GTEX-1HBPI-2126-SM-ARL9K 50-59 years, male 94.3
GTEX-145MF-0926-SM-5Q5EA 50-59 years, male 94.2
GTEX-1J8JJ-0626-SM-ARZMQ 60-69 years, female 94.2
GTEX-139TT-2126-SM-5LZWC 60-69 years, male 93.9
GTEX-14E6C-2426-SM-5S2NF 40-49 years, male 93.6
GTEX-14PJN-1826-SM-6AJ98 30-39 years, male 93.6
GTEX-Y3I4-1726-SM-4TT89 50-59 years, male 93.4
GTEX-14PKV-1126-SM-6LLJ1 20-29 years, female 93.2
GTEX-1H1CY-0126-SM-9YFLY 60-69 years, female 93.2
GTEX-1B97I-0626-SM-73KUZ 40-49 years, male 93.1
GTEX-14JG1-1526-SM-5YY9X 40-49 years, male 93.0
GTEX-1A3MW-0626-SM-731CB 60-69 years, female 93.0
GTEX-1ICG6-1226-SM-A9SLN 70-79 years, female 92.9
GTEX-14PJ2-0626-SM-6LLII 50-59 years, male 92.8
GTEX-1JN1M-2726-SM-CY8I4 60-69 years, female 92.8
GTEX-14E1K-2026-SM-7DUEI 50-59 years, male 92.7
GTEX-18D9A-1426-SM-7LT8M 30-39 years, female 92.6
GTEX-1LVAO-2726-SM-E9TJ8 60-69 years, male 92.6
GTEX-1JMLX-0626-SM-ARL8T 50-59 years, male 92.5
GTEX-11DXY-0126-SM-5H11Q 60-69 years, male 92.3
GTEX-13N1W-2426-SM-5IJD1 70-79 years, male 92.1
GTEX-145LU-1926-SM-79OJN 50-59 years, male 91.8
GTEX-15EU6-2226-SM-6EU2L 50-59 years, male 91.4
GTEX-XBEW-1126-SM-4QARW 40-49 years, male 91.4
GTEX-1LSNL-2726-SM-E9TKJ 50-59 years, male 91.1
GTEX-1KANB-2826-SM-CY8I6 50-59 years, male 91.0
GTEX-13D11-0926-SM-5J2NC 50-59 years, female 90.9
GTEX-1HKZK-0726-SM-ACKW2 40-49 years, male 90.8
GTEX-1JKYN-0826-SM-ARU8S 30-39 years, male 90.6
GTEX-12WSD-0626-SM-5GCMW 60-69 years, female 90.5
GTEX-WY7C-2126-SM-3NB2R 50-59 years, male 90.5
GTEX-17HHY-0426-SM-7DHLC 50-59 years, male 90.3
GTEX-1IDFM-0326-SM-ARL7V 60-69 years, male 90.3
GTEX-1KANA-1326-SM-DIPFA 20-29 years, male 90.2
GTEX-13FTX-1526-SM-5K7VJ 20-29 years, female 90.1
GTEX-1I4MK-0126-SM-CY8G6 50-59 years, female 90.1
GTEX-W5X1-2526-SM-3GILC 40-49 years, female 90.0
GTEX-1IKOE-1426-SM-CE6T7 30-39 years, female 90.0
GTEX-1JMQI-1726-SM-ARL93 50-59 years, male 89.8
GTEX-13YAN-0226-SM-5TDC6 60-69 years, male 89.5
GTEX-17KNJ-2126-SM-718AM 50-59 years, male 89.4
GTEX-17EVQ-0126-SM-7IGLR 70-79 years, male 89.3
GTEX-13X6J-0626-SM-5LU5F 50-59 years, male 89.1
GTEX-X4EO-2926-SM-4E3JH 60-69 years, female 89.1
GTEX-YJ8O-2526-SM-5HL85 40-49 years, female 88.9
GTEX-14ICL-1626-SM-5YYAO 30-39 years, male 88.8
GTEX-1KD5A-0126-SM-E9U54 50-59 years, male 88.8
GTEX-145MI-0626-SM-5SI8S 60-69 years, female 88.7
GTEX-XQ3S-1426-SM-4BOPR 20-29 years, male 88.7
GTEX-ZC5H-1526-SM-5HL9Y 40-49 years, female 88.7
GTEX-ZTTD-2826-SM-4YCFA 50-59 years, male 88.7
GTEX-1H23P-0626-SM-9WG6T 60-69 years, male 88.5
GTEX-17F97-2626-SM-7IGM5 50-59 years, male 88.4
GTEX-14BMU-1226-SM-5S2OR 20-29 years, female 88.3
GTEX-X585-2426-SM-46MW2 50-59 years, male 88.3
GTEX-12KS4-2126-SM-5FQUT 30-39 years, male 88.2
GTEX-1GN73-0726-SM-7P8TJ 60-69 years, male 88.2
GTEX-11ZTT-2126-SM-5CVLO 60-69 years, female 88.1
GTEX-ZYFG-1526-SM-5GZYM 60-69 years, female 88.1
GTEX-12WSC-2826-SM-5BC5Y 50-59 years, male 88.0
GTEX-1PPH7-1126-SM-DTX9A 40-49 years, male 88.0
GTEX-17HGU-2326-SM-7DUFE 50-59 years, male 87.9
GTEX-1QP9N-1226-SM-E76QN 30-39 years, male 87.8
GTEX-12126-0826-SM-5FQTZ 20-29 years, male 87.7
GTEX-Y8LW-1526-SM-5IFHL 50-59 years, female 87.7
GTEX-1CAMS-2226-SM-7PBXQ 40-49 years, female 87.6
GTEX-145MO-2826-SM-5LU96 60-69 years, male 87.4
GTEX-Y5V5-0126-SM-5S2NW 60-69 years, female 87.3
GTEX-1GN1W-2426-SM-9KNUU 50-59 years, female 87.3
GTEX-1H1DE-1326-SM-9KNUG 20-29 years, male 87.3
GTEX-1LB8K-0726-SM-D5OV2 50-59 years, male 87.2
GTEX-1M4P7-0726-SM-E6CJ3 60-69 years, male 87.0
GTEX-WK11-2726-SM-3NMAQ 50-59 years, male 86.9
GTEX-1F88E-1626-SM-7SB8Z 60-69 years, female 86.9
GTEX-1F75B-0726-SM-7PC3R 50-59 years, male 86.7
GTEX-145MH-2826-SM-5RQJF 50-59 years, male 86.6
GTEX-1A8G7-1326-SM-73KVM 60-69 years, male 86.6
GTEX-1GF9V-0826-SM-9KNUV 60-69 years, male 86.6
GTEX-XXEK-1626-SM-4BRUZ 50-59 years, male 86.4
GTEX-1RAZA-2226-SM-E9U4X 20-29 years, male 86.3
GTEX-13PVR-0426-SM-5RQK2 60-69 years, female 86.2
GTEX-12WSK-2126-SM-5CVNC 40-49 years, female 86.1
GTEX-12ZZX-2426-SM-5GCOE 40-49 years, female 86.1
GTEX-131XF-2626-SM-5EQ6K 60-69 years, male 86.1
GTEX-16XZZ-0726-SM-7KUF2 60-69 years, male 86.1
GTEX-1HCVE-2726-SM-CL54F 50-59 years, male 85.7
GTEX-1RB15-1326-SM-E76Q9 60-69 years, male 85.5
GTEX-139TS-2126-SM-5K7XC 60-69 years, male 85.2
GTEX-13W3W-0726-SM-5IJDQ 60-69 years, female 85.2
GTEX-1H2FU-0926-SM-9WPPT 60-69 years, female 85.2
GTEX-139YR-1026-SM-5LZYN 50-59 years, male 85.1
GTEX-13U4I-2226-SM-5LU5H 40-49 years, female 84.9
GTEX-1GZ4H-0526-SM-9KNU9 50-59 years, female 84.8
GTEX-111YS-1526-SM-5GZYW 60-69 years, male 84.6
GTEX-1477Z-0326-SM-7IGLA 60-69 years, male 84.5
GTEX-14XAO-1226-SM-6EU1C 60-69 years, female 84.3
GTEX-11DXX-2126-SM-5PNYR 60-69 years, female 84.2
GTEX-1B8SF-0126-SM-7DUG3 60-69 years, male 84.1
GTEX-1CAMQ-1326-SM-7P8RV 40-49 years, male 84.1
GTEX-1IOXB-2726-SM-CM2RI 50-59 years, male 84.0
GTEX-1C6VQ-1226-SM-73KYD 50-59 years, male 83.9
GTEX-1C64N-2626-SM-7PC2N 50-59 years, male 83.9
GTEX-13OVG-1626-SM-5J1NF 60-69 years, male 83.7
GTEX-1AX8Z-0726-SM-73KTS 60-69 years, male 83.6
GTEX-WFG8-2126-SM-3GIKQ 20-29 years, male 83.6
GTEX-1LKK1-2626-SM-DKPQE 50-59 years, female 83.5
GTEX-1R9K4-2826-SM-DTX8F 60-69 years, male 83.4
GTEX-17MFQ-1526-SM-7KFRR 20-29 years, male 83.2
GTEX-139T8-0626-SM-5KLZX 60-69 years, male 83.1
GTEX-1L5NE-1126-SM-D3L9P 50-59 years, male 83.1
GTEX-14BMV-2826-SM-5TDED 50-59 years, male 82.9
GTEX-1JN6P-2926-SM-CL54D 60-69 years, male 82.9
GTEX-ZP4G-1426-SM-4WWCL 20-29 years, female 82.8
GTEX-1IDJV-0126-SM-COH3Y 60-69 years, male 82.7
GTEX-148VJ-0626-SM-5LUAW 70-79 years, male 82.6
GTEX-14C5O-0326-SM-5ZZUX 60-69 years, male 82.6
GTEX-14AS3-1526-SM-5Q5ED 40-49 years, female 82.5
GTEX-12WSH-1526-SM-5BC5W 50-59 years, male 82.4
GTEX-13FH7-1126-SM-5K7UG 50-59 years, female 82.4
GTEX-ZLFU-1826-SM-4WWBV 40-49 years, male 82.4
GTEX-ZPU1-1126-SM-4YCF3 40-49 years, male 82.3
GTEX-ZUA1-2626-SM-5NQ92 40-49 years, male 82.2
GTEX-1A32A-0626-SM-731AQ 50-59 years, female 82.1
GTEX-1F75A-0726-SM-7RHHD 50-59 years, male 82.1
GTEX-1HSMO-0626-SM-ACKXC 60-69 years, male 82.0
GTEX-1211K-1526-SM-5FQU4 60-69 years, female 81.9
GTEX-16MT8-2926-SM-7DUFO 60-69 years, female 81.9
GTEX-16NGA-0726-SM-731AO 40-49 years, female 81.9
GTEX-Y3IK-1626-SM-4YCF5 50-59 years, female 81.9
GTEX-1GZ4I-2626-SM-9KNU3 50-59 years, male 81.9
GTEX-ZXG5-2126-SM-59HKD 60-69 years, male 81.7
GTEX-ZZPU-0826-SM-5GZX5 50-59 years, female 81.7
GTEX-1J8QM-2426-SM-A9SLS 60-69 years, female 81.7
GTEX-18465-2826-SM-7LT9J 50-59 years, male 81.6
GTEX-15RJ7-2126-SM-6PAMD 40-49 years, male 81.5
GTEX-ZYFD-0626-SM-5E44E 50-59 years, male 81.5
GTEX-1CAMR-1326-SM-7PC1F 20-29 years, male 81.4
GTEX-1PDJ9-1226-SM-EXUSX 20-29 years, male 81.4
GTEX-1399U-1126-SM-5L3DB 50-59 years, female 81.3
GTEX-Y8E4-2026-SM-5IFJB 40-49 years, male 81.3
GTEX-1HFI7-2326-SM-CGQFS 50-59 years, female 81.3
GTEX-131XW-0626-SM-5PNVD 50-59 years, female 81.0
GTEX-14C38-0726-SM-5SI6M 50-59 years, male 81.0
GTEX-1QAET-0326-SM-EVR3U 50-59 years, male 81.0
GTEX-11DYG-1526-SM-5A5JS 60-69 years, male 80.9
GTEX-1JMQK-1226-SM-D4P2S 60-69 years, male 80.9
GTEX-11LCK-2226-SM-5HL4Q 30-39 years, male 80.8
GTEX-16GPK-0626-SM-7KFSF 60-69 years, male 80.8
GTEX-1B996-0426-SM-7EWF8 60-69 years, male 80.8
GTEX-1QCLY-0226-SM-EWRNH 30-39 years, male 80.8
GTEX-14A6H-2026-SM-5Q5DD 30-39 years, male 80.6
GTEX-X5EB-1926-SM-4E3IW 40-49 years, male 80.5
GTEX-12WSA-0426-SM-5EQ5X 60-69 years, male 80.2
GTEX-1CAV2-0126-SM-7IGN7 40-49 years, female 80.2
GTEX-1IDJD-2326-SM-ACKWX 30-39 years, male 80.2
GTEX-1192X-2726-SM-5N9DN 50-59 years, male 80.1
GTEX-1QPFJ-1926-SM-EVYBD 30-39 years, female 79.9
GTEX-13O61-1426-SM-5KM3D 60-69 years, male 79.8
GTEX-18D9U-0126-SM-731BM 40-49 years, male 79.7
GTEX-1AX9J-1326-SM-731BJ 60-69 years, male 79.4
GTEX-Y111-0626-SM-4SOIT 50-59 years, male 79.4
GTEX-1R7EU-1626-SM-DTXG3 60-69 years, male 79.3
GTEX-1AX9I-2226-SM-73KUO 60-69 years, male 79.0
GTEX-Z93S-1626-SM-5CVMB 50-59 years, male 78.5
GTEX-1QP66-1226-SM-DTX7U 50-59 years, male 78.5
GTEX-1N2EE-0626-SM-E76PW 60-69 years, male 78.1
GTEX-13PVQ-0626-SM-5LU47 50-59 years, male 77.9
GTEX-13OVJ-0826-SM-5J1OK 50-59 years, female 77.7
GTEX-1HCU9-0426-SM-9WYSD 20-29 years, male 77.7
GTEX-13N2G-0226-SM-5K7VF 60-69 years, male 77.6
GTEX-WRHU-2826-SM-3MJG8 50-59 years, female 77.6
GTEX-131XG-0326-SM-5L3DX 50-59 years, female 77.5
GTEX-131YS-2826-SM-5EQ47 60-69 years, female 77.4
GTEX-U8XE-0226-SM-4E3J3 30-39 years, male 77.4
GTEX-11P82-1426-SM-DTXFY 20-29 years, male 77.4
GTEX-1QP28-1126-SM-EVYC4 50-59 years, female 77.4
GTEX-1H1E6-0426-SM-9WYUS 30-39 years, male 77.2
GTEX-1HCU6-2526-SM-ADEHL 60-69 years, female 77.1
GTEX-1LVA9-2626-SM-EVYD4 50-59 years, male 76.9
GTEX-1ICLZ-0326-SM-ARL82 60-69 years, male 76.8
GTEX-1PPGY-1626-SM-EVYBL 60-69 years, male 76.7
GTEX-1GTWX-2026-SM-9YFLM 60-69 years, male 76.6
GTEX-1F6IF-0926-SM-7SB7M 60-69 years, male 76.4
GTEX-17JCI-2926-SM-7DUFF 60-69 years, female 76.3
GTEX-1LGRB-0926-SM-COH3K 50-59 years, female 76.3
GTEX-1IKJJ-2226-SM-CJI4C 60-69 years, male 76.0
GTEX-1IDJI-0126-SM-CMKHS 50-59 years, female 75.7
GTEX-1J8Q2-2626-SM-ACKWQ 60-69 years, male 75.7
GTEX-147JS-0226-SM-5S2U9 60-69 years, male 75.5
GTEX-ZAJG-1526-SM-5CVML 50-59 years, female 75.2
GTEX-1NV5F-0626-SM-DTXEG 60-69 years, female 75.2
GTEX-1HSMP-0926-SM-A9SKX 70-79 years, male 75.1
GTEX-1RAZR-2126-SM-E9U6T 40-49 years, male 75.1
GTEX-ZA64-1026-SM-5HL8R 20-29 years, male 75.0
GTEX-1I19N-0126-SM-CYPSF 70-79 years, male 75.0
GTEX-1JKYR-0626-SM-ARL8R 20-29 years, male 74.9
GTEX-1F48J-0726-SM-7RHGS 50-59 years, female 74.7
GTEX-1F52S-2926-SM-7MKGA 60-69 years, female 73.9
GTEX-WFG7-2026-SM-5SI7P 20-29 years, male 73.9
GTEX-1KWVE-1026-SM-D3L9O 30-39 years, male 73.9
GTEX-11EQ9-1626-SM-5PNY8 30-39 years, male 73.8
GTEX-145LT-0526-SM-5LUB2 40-49 years, male 73.8
GTEX-1GPI6-1926-SM-9KNV7 60-69 years, male 73.8
GTEX-11O72-0626-SM-5PNYE 40-49 years, male 73.7
GTEX-117YX-1926-SM-5GIEC 50-59 years, male 73.6
GTEX-1JJE9-2626-SM-ARZMT 70-79 years, male 73.6
GTEX-12C56-1526-SM-5FQUQ 20-29 years, male 73.5
GTEX-16NPX-0726-SM-7KULC 50-59 years, male 73.4
GTEX-1S831-1826-SM-EWROF 20-29 years, male 73.4
GTEX-1QP29-1826-SM-DTX9S 50-59 years, male 73.3
GTEX-1QCLZ-2426-SM-EVYBW 60-69 years, female 73.2
GTEX-Y114-2126-SM-4TT8B 50-59 years, female 73.1
GTEX-1GF9U-2026-SM-7SB92 40-49 years, female 73.1
GTEX-1GMR8-0626-SM-7RHI7 50-59 years, female 72.9
GTEX-YF7O-1526-SM-5IFI6 50-59 years, male 72.8
GTEX-X8HC-0626-SM-4E3HQ 50-59 years, female 72.6
GTEX-1JMPY-0226-SM-CKZOK 30-39 years, male 72.6
GTEX-13X6H-0926-SM-5SIB2 50-59 years, female 72.4
GTEX-1KANC-1226-SM-CYPT7 50-59 years, female 72.4
GTEX-147F3-1726-SM-5SIAW 50-59 years, female 72.2
GTEX-ZVE2-2826-SM-5GU51 50-59 years, male 72.2
GTEX-13OW5-2326-SM-5L3HO 60-69 years, male 72.1
GTEX-1JN76-0626-SM-CKZOQ 20-29 years, female 71.7
GTEX-ZT9W-1126-SM-57WDR 50-59 years, male 71.1
GTEX-ZPIC-0526-SM-DO91W 40-49 years, female 71.1
GTEX-11EI6-2826-SM-5H11D 60-69 years, male 70.9
GTEX-1MCYP-0526-SM-E9U6Q 20-29 years, female 70.9
GTEX-1H4P4-2126-SM-9WYSL 50-59 years, male 70.8
GTEX-11NUK-2726-SM-5A5MC 50-59 years, male 70.7
GTEX-13N11-2326-SM-5IJBF 50-59 years, female 70.7
GTEX-1B8L1-2226-SM-7P8PT 60-69 years, male 70.7
GTEX-1GZ2Q-0126-SM-9WG6M 40-49 years, male 70.7
GTEX-1F5PL-0926-SM-7PC2W 40-49 years, female 70.6
GTEX-1EH9U-2826-SM-7DUGT 60-69 years, male 70.5
GTEX-1LBAC-0826-SM-CY8IJ 20-29 years, male 69.9
GTEX-1H1DF-1126-SM-9WG7G 40-49 years, female 69.7
GTEX-1GN2E-0226-SM-9WG6K 60-69 years, male 69.5
GTEX-1GMRU-2126-SM-7P8RA 50-59 years, male 69.1
GTEX-1B8KZ-0326-SM-73KY4 50-59 years, male 69.0
GTEX-14PJ5-1526-SM-6LLIL 60-69 years, female 68.8
GTEX-1GMR3-0126-SM-A9SLW 40-49 years, male 68.8
GTEX-WYVS-1626-SM-3NM9R 40-49 years, female 68.4
GTEX-1I1GP-1326-SM-A9G28 50-59 years, male 68.3
GTEX-1EU9M-1426-SM-793AI 60-69 years, male 68.1
GTEX-1PBJJ-1026-SM-E76OS 30-39 years, male 68.1
GTEX-ZLWG-0826-SM-59888 50-59 years, female 68.0
GTEX-18A66-0626-SM-7LT8Z 60-69 years, male 67.9
GTEX-1I1GS-2626-SM-B2LY3 60-69 years, male 67.9
GTEX-1PIIG-2326-SM-DTXFR 30-39 years, male 67.6
GTEX-12WSF-1626-SM-7KUG5 70-79 years, male 67.2
GTEX-WFON-1926-SM-3LK7L 40-49 years, male 67.2
GTEX-11EM3-1226-SM-5N9DD 20-29 years, female 67.1
GTEX-1IDJH-0126-SM-D3L92 70-79 years, male 66.9
GTEX-ZDTS-0826-SM-4WKHL 60-69 years, male 66.6
GTEX-WHPG-2626-SM-3NMBR 50-59 years, male 66.5
GTEX-WYBS-0626-SM-3NMAS 60-69 years, female 66.5
GTEX-1HR9M-2226-SM-CNPPY 60-69 years, male 66.5
GTEX-1122O-1026-SM-9WYSF 60-69 years, female 66.3
GTEX-1F75W-2726-SM-7SB8H 60-69 years, male 66.3
GTEX-1ICLY-0826-SM-CMKG1 50-59 years, male 66.0
GTEX-1LGOU-1326-SM-D3L8M 20-29 years, female 66.0
GTEX-1JMPZ-0726-SM-CY8HZ 30-39 years, male 65.7
GTEX-178AV-1726-SM-7KUL8 40-49 years, male 65.5
GTEX-17F98-1326-SM-7DUEP 40-49 years, female 65.5
GTEX-1HCU7-0726-SM-A9SL1 50-59 years, male 65.4
GTEX-14PKU-0126-SM-6LLHV 40-49 years, female 65.3
GTEX-ZDYS-2426-SM-4WKGI 50-59 years, male 65.0
GTEX-144GM-0526-SM-79OJO 20-29 years, male 64.9
GTEX-15G1A-1626-SM-7KUKN 30-39 years, male 64.7
GTEX-1JK1U-0226-SM-ARZMX 60-69 years, male 64.7
GTEX-1N2DV-1526-SM-DTXEP 40-49 years, male 64.2
GTEX-11TUW-0626-SM-5LU9M 60-69 years, male 64.0
GTEX-1F5PK-2226-SM-7SB6N 50-59 years, male 63.6
GTEX-1QW4Y-1126-SM-DTXE3 30-39 years, male 63.5
GTEX-1CB4F-1026-SM-7DUH1 60-69 years, male 63.3
GTEX-YEC3-1326-SM-DO92X 50-59 years, male 63.1
GTEX-ZF29-0926-SM-4WKFZ 60-69 years, female 62.9
GTEX-1IDJE-1426-SM-ADEIW 50-59 years, female 62.9
GTEX-XBED-1926-SM-47JYP 60-69 years, male 62.2
GTEX-1B933-2426-SM-7DHMD 50-59 years, female 61.8
GTEX-145MN-1526-SM-5SI9T 30-39 years, male 61.6
GTEX-1I6K6-1726-SM-CGQFD 30-39 years, male 61.5
GTEX-1E1VI-0326-SM-793D1 50-59 years, male 61.3
GTEX-1H3NZ-2726-SM-9WYTQ 60-69 years, male 61.1
GTEX-12WSM-1926-SM-5BC65 60-69 years, male 60.8
GTEX-15UF6-1926-SM-7KUDV 70-79 years, female 60.6
GTEX-1I1CD-0626-SM-CE6SW 60-69 years, female 60.5
GTEX-1I6K7-1926-SM-B2LXR 40-49 years, male 59.9
GTEX-17F9E-2326-SM-79OKD 50-59 years, male 59.7
GTEX-18D9B-0926-SM-7LG4U 60-69 years, male 59.5
GTEX-14DAR-1226-SM-73KYV 50-59 years, male 59.2
GTEX-1C6WA-2626-SM-7MKGM 60-69 years, male 59.1
GTEX-1IDJC-1526-SM-B2LW4 50-59 years, male 58.4
GTEX-1IDJF-2026-SM-CL53V 20-29 years, male 57.8
GTEX-1OJC3-1226-SM-DTXER 20-29 years, male 57.8
GTEX-1KXAM-1626-SM-D3LAD 60-69 years, male 57.7
GTEX-183FY-1026-SM-7939A 20-29 years, male 57.6
GTEX-1RLM8-2926-SM-E8VON 50-59 years, male 57.3
GTEX-1HUB1-1426-SM-CGQF5 60-69 years, male 57.0
GTEX-1GF9W-1426-SM-7PBYM 60-69 years, male 56.9
GTEX-11P7K-1126-SM-5HL4L 30-39 years, male 56.4
GTEX-14JG6-1426-SM-9WG7C 30-39 years, female 56.2
GTEX-1B932-2326-SM-79OL5 40-49 years, female 56.0
GTEX-1HSMQ-2626-SM-A9SML 50-59 years, male 55.6
GTEX-1314G-1326-SM-5BC6E 30-39 years, male 55.5
GTEX-1IY9M-2826-SM-ARU8H 60-69 years, male 55.2
GTEX-1F75I-2226-SM-7SB8U 40-49 years, male 55.0
GTEX-12ZZY-0726-SM-5EQ66 60-69 years, male 54.3
GTEX-ZGAY-1826-SM-DO91Q 40-49 years, female 54.0
GTEX-18A67-1626-SM-7LT9T 50-59 years, male 53.5
GTEX-1GL5R-1326-SM-7RHHF 50-59 years, male 53.1
GTEX-1I1GV-0626-SM-ARL7M 60-69 years, male 52.9
GTEX-ZTX8-1326-SM-4YCEL 20-29 years, male 52.4
GTEX-1N5O9-0926-SM-E9J3C 60-69 years, male 52.3
GTEX-17MF6-2626-SM-79OKQ 40-49 years, male 52.1
GTEX-1HSKV-1226-SM-ADEI4 60-69 years, male 52.1
GTEX-1HC8U-1326-SM-9YFMJ 40-49 years, female 51.6
GTEX-1I1GU-0926-SM-ACKVS 40-49 years, male 50.0
GTEX-14B4R-1326-SM-5Q5EZ 30-39 years, male 49.5
GTEX-1IE54-1126-SM-A9G2Z 40-49 years, female 47.7
GTEX-ZZ64-1026-SM-5GZXG 20-29 years, male 47.3
GTEX-1AMFI-1326-SM-7939R 50-59 years, female 47.2
GTEX-1O9I2-0226-SM-EYYXD 50-59 years, male 46.8
GTEX-1CB4J-1326-SM-7P8RX 60-69 years, male 45.9
GTEX-1GN1U-0626-SM-9MQL9 50-59 years, female 42.3
GTEX-1GZHY-0626-SM-9KNVC 50-59 years, female 41.4
GTEX-1C475-1326-SM-7SB73 40-49 years, female 40.4
GTEX-1497J-0226-SM-5QGPU 60-69 years, male 39.6
GTEX-15FZZ-0526-SM-7KUGD 30-39 years, female 38.0
Show allShow less
Skin - Sun Exposed (Lower leg)
Average nTPM: 83.3
Samples: 701

Max nTPM: 197.6
Min nTPM: 26.3
Std nTPM: 22.7
Median nTPM: 79.7
GTEX-14PK6-1926-SM-6ETZU 70-79 years, female 197.6
GTEX-P4PP-0126-SM-3LK69 30-39 years, female 177.2
GTEX-1L5NE-2526-SM-E6CIE 50-59 years, male 167.7
GTEX-1JMQL-0226-SM-CNPP5 50-59 years, female 164.9
GTEX-14LZ3-0226-SM-62LET 60-69 years, female 161.5
GTEX-131XF-5016-SM-7MGWE 60-69 years, male 158.3
GTEX-PLZ5-2026-SM-2S1O4 50-59 years, male 150.1
GTEX-XYKS-2126-SM-4E3IB 60-69 years, female 147.9
GTEX-13113-5016-SM-7EPIP 60-69 years, female 147.3
GTEX-Y5V6-2426-SM-4VDSB 60-69 years, male 146.0
GTEX-17JCI-0126-SM-7LG5G 60-69 years, female 143.4
GTEX-1KANB-0526-SM-E6CJH 50-59 years, male 141.8
GTEX-OXRL-0126-SM-2YUMP 50-59 years, male 138.7
GTEX-TMZS-0126-SM-3DB9Q 60-69 years, male 138.1
GTEX-1HSMP-0126-SM-E6CJS 70-79 years, male 138.0
GTEX-1QPFJ-0226-SM-E76PB 30-39 years, female 136.1
GTEX-P4QT-0126-SM-2I3FL 50-59 years, female 135.7
GTEX-QCQG-1726-SM-3GIJ9 50-59 years, female 135.5
GTEX-Y3IK-2426-SM-4WWDU 50-59 years, female 134.8
GTEX-WVJS-0126-SM-4MVOT 50-59 years, male 134.5
GTEX-OIZH-0126-SM-2HMIS 50-59 years, male 134.4
GTEX-11OF3-2626-SM-5GU7F 60-69 years, male 133.7
GTEX-Q734-1926-SM-2I5EV 40-49 years, female 133.3
GTEX-1S82Z-0826-SM-E6CHY 30-39 years, female 133.3
GTEX-QV44-1926-SM-2S1RF 50-59 years, male 132.4
GTEX-POMQ-2226-SM-2I5FK 20-29 years, female 131.9
GTEX-OOBJ-0126-SM-E6CJW 60-69 years, male 131.6
GTEX-14PJ6-2126-SM-6EU1V 60-69 years, female 131.3
GTEX-1RAZA-0126-SM-E6CI3 20-29 years, male 131.0
GTEX-15CHC-2126-SM-6EU21 60-69 years, female 130.9
GTEX-ZEX8-2426-SM-4WKG4 50-59 years, male 130.3
GTEX-11WQK-0526-SM-5EQLD 50-59 years, male 129.8
GTEX-SUCS-1926-SM-32PM3 70-79 years, male 129.0
GTEX-SJXC-0126-SM-2XCFF 60-69 years, male 128.8
GTEX-18D9A-1926-SM-7LG6P 30-39 years, female 127.2
GTEX-15G19-0126-SM-6PANQ 60-69 years, male 126.8
GTEX-RVPV-0126-SM-EAZAW 60-69 years, male 126.3
GTEX-TMMY-0226-SM-33HBA 40-49 years, female 126.2
GTEX-1RQEC-0426-SM-E6CHU 60-69 years, male 126.0
GTEX-OHPL-0126-SM-2HMJ7 60-69 years, female 124.4
GTEX-13OVK-2026-SM-7KUEO 40-49 years, male 123.6
GTEX-1LBAC-0126-SM-DIPEZ 20-29 years, male 123.1
GTEX-1JJ6O-0126-SM-E6CI8 60-69 years, male 122.9
GTEX-12C56-1726-SM-5EQ61 20-29 years, male 122.7
GTEX-OIZG-0726-SM-33HBL 50-59 years, male 122.0
GTEX-ZXES-1826-SM-5E43S 30-39 years, female 120.8
GTEX-14E6C-0126-SM-5RQIP 40-49 years, male 120.6
GTEX-14PHX-2326-SM-62LEM 50-59 years, male 120.1
GTEX-XUZC-1726-SM-4BRWS 30-39 years, female 119.6
GTEX-U8XE-0326-SM-3DB8P 30-39 years, male 118.3
GTEX-11DXZ-2326-SM-5EGGV 50-59 years, male 118.0
GTEX-139UW-2826-SM-5L3E7 60-69 years, male 117.8
GTEX-11OC5-0126-SM-5HL6A 60-69 years, male 117.4
GTEX-13NYB-2526-SM-5K7Z6 40-49 years, male 117.3
GTEX-YJ89-0126-SM-4TT3X 60-69 years, male 117.1
GTEX-RUSQ-1526-SM-2TF62 50-59 years, male 117.0
GTEX-Z93S-0126-SM-5HL7M 50-59 years, male 116.9
GTEX-139D8-0226-SM-5KLZO 30-39 years, female 116.4
GTEX-TSE9-0126-SM-3DB83 60-69 years, female 116.4
GTEX-12126-0326-SM-5PNW3 20-29 years, male 116.3
GTEX-R3RS-0126-SM-3GIJL 40-49 years, female 115.4
GTEX-1C64N-0126-SM-793D7 50-59 years, male 115.3
GTEX-ZAB5-1826-SM-5HL7C 50-59 years, male 115.2
GTEX-SE5C-1626-SM-2XCE3 40-49 years, female 114.6
GTEX-NPJ8-0126-SM-2YUNR 40-49 years, male 113.9
GTEX-146FQ-0126-SM-5NQA9 30-39 years, male 113.6
GTEX-113IC-0126-SM-5HL6T 60-69 years, male 113.5
GTEX-P4PQ-0126-SM-2S1NM 60-69 years, male 112.9
GTEX-1B8SF-1426-SM-7DUGL 60-69 years, male 112.5
GTEX-15RIG-0226-SM-7KFTL 40-49 years, male 112.2
GTEX-13RTJ-2426-SM-5S2Q2 60-69 years, male 112.0
GTEX-13FTY-0526-SM-5L3EV 40-49 years, female 111.9
GTEX-SN8G-0126-SM-32PLI 50-59 years, female 111.9
GTEX-O5YW-0126-SM-3LK6D 50-59 years, male 111.7
GTEX-1MA7X-2226-SM-E6CIY 60-69 years, male 111.5
GTEX-VJWN-0126-SM-3GIK7 50-59 years, female 111.4
GTEX-O5YT-0126-SM-48TBW 20-29 years, male 111.2
GTEX-ZVT2-2526-SM-51MT1 50-59 years, female 111.2
GTEX-13QJ3-0326-SM-5S2RA 50-59 years, male 111.1
GTEX-14753-0426-SM-5NQAM 60-69 years, male 110.8
GTEX-11NSD-2226-SM-5986V 20-29 years, male 110.7
GTEX-12WSC-0126-SM-5EQ4P 50-59 years, male 110.3
GTEX-1F5PL-0326-SM-7P8PQ 40-49 years, female 109.9
GTEX-ZAJG-0126-SM-5HL94 50-59 years, female 109.7
GTEX-14E6E-1826-SM-5S2R7 30-39 years, male 109.4
GTEX-XMD2-0126-SM-4YCDU 60-69 years, female 109.2
GTEX-X261-0126-SM-3NMD6 50-59 years, male 108.8
GTEX-S33H-1026-SM-EZ6L6 30-39 years, male 108.8
GTEX-1A3MX-0126-SM-731BR 60-69 years, male 108.7
GTEX-18QFQ-0126-SM-731BE 30-39 years, male 108.5
GTEX-PVOW-0126-SM-2XCFA 40-49 years, male 108.2
GTEX-1122O-2126-SM-5EGIR 60-69 years, female 108.0
GTEX-13G51-2526-SM-5LZYK 60-69 years, male 107.8
GTEX-TML8-1926-SM-32QOS 40-49 years, female 107.5
GTEX-1J8EW-0126-SM-CJI4F 60-69 years, female 107.0
GTEX-14E6D-0126-SM-62LDV 50-59 years, male 106.8
GTEX-ZF2S-2326-SM-4WWCE 50-59 years, female 106.8
GTEX-PLZ4-0126-SM-5SI8O 50-59 years, female 106.5
GTEX-PX3G-0126-SM-2I3EN 20-29 years, female 106.5
GTEX-1N2DV-0226-SM-E6CJ6 40-49 years, male 106.4
GTEX-11ZTT-2426-SM-5EQLS 60-69 years, female 106.1
GTEX-ZE9C-2726-SM-57WB5 60-69 years, male 106.0
GTEX-14BMU-2226-SM-5TDE9 20-29 years, female 105.7
GTEX-11DYG-0126-SM-59883 60-69 years, male 105.6
GTEX-11DXX-2426-SM-5GZZW 60-69 years, female 105.5
GTEX-1MJK2-0426-SM-DTXE5 50-59 years, male 105.5
GTEX-U3ZM-1526-SM-3DB9D 40-49 years, male 105.3
GTEX-1QP29-0626-SM-EWRMX 50-59 years, male 105.3
GTEX-14BIN-0626-SM-793DP 50-59 years, female 104.9
GTEX-OXRK-0226-SM-3NB2G 50-59 years, female 104.8
GTEX-S7SE-0126-SM-2XCD5 50-59 years, male 104.7
GTEX-X88G-0126-SM-47JZ3 30-39 years, male 104.7
GTEX-1HSEH-0126-SM-ACKXN 60-69 years, male 104.6
GTEX-ZYFG-2326-SM-5E44B 60-69 years, female 104.5
GTEX-QDVN-2026-SM-3GAEP 50-59 years, male 104.4
GTEX-1ICG6-2526-SM-CGQFZ 70-79 years, female 104.2
GTEX-18A67-0126-SM-7LG5P 50-59 years, male 103.7
GTEX-14A5H-0426-SM-5QGQF 60-69 years, male 103.5
GTEX-ZY6K-1826-SM-5GZXK 50-59 years, male 103.5
GTEX-T6MN-0126-SM-32PLP 50-59 years, male 103.2
GTEX-1128S-2326-SM-5GZZY 60-69 years, female 103.0
GTEX-13O3Q-2426-SM-5IJBR 50-59 years, male 103.0
GTEX-X585-0226-SM-4QAS2 50-59 years, male 102.9
GTEX-1JN1M-0326-SM-CYPT3 60-69 years, female 102.9
GTEX-15SB6-1726-SM-6PAME 50-59 years, female 102.6
GTEX-ZV6S-2326-SM-4YCEY 40-49 years, female 102.6
GTEX-1CB4H-0226-SM-7PBXM 60-69 years, female 102.5
GTEX-17GQL-2026-SM-718BA 60-69 years, male 102.2
GTEX-1JJEA-0326-SM-CNPOT 60-69 years, male 102.1
GTEX-11P82-1626-SM-59879 20-29 years, male 101.9
GTEX-X4EP-0126-SM-3P5YV 60-69 years, female 101.8
GTEX-RTLS-0126-SM-447CA 60-69 years, female 101.7
GTEX-ZQG8-1626-SM-DHXIT 60-69 years, female 101.5
GTEX-1212Z-2526-SM-5EGKP 60-69 years, male 101.3
GTEX-1HR98-0126-SM-B2LWI 60-69 years, male 101.1
GTEX-PWO3-1526-SM-48TCM 60-69 years, female 100.9
GTEX-1CAMR-1926-SM-7EPI2 20-29 years, male 100.8
GTEX-139T4-0226-SM-5HL5S 50-59 years, female 100.7
GTEX-13SLW-0126-SM-5SI6C 70-79 years, male 100.7
GTEX-1269C-2526-SM-5EGJ3 60-69 years, female 100.5
GTEX-U3ZN-2326-SM-3DB7W 30-39 years, female 100.2
GTEX-UJHI-1526-SM-3DB99 50-59 years, female 99.8
GTEX-ZF3C-0126-SM-DO92D 50-59 years, female 99.4
GTEX-11UD2-0226-SM-5EQKY 50-59 years, male 99.1
GTEX-W5WG-1826-SM-4KL2Y 50-59 years, female 99.1
GTEX-QVJO-1626-SM-2S1QW 60-69 years, female 99.0
GTEX-OOBK-0126-SM-2YUND 40-49 years, male 98.8
GTEX-1I1GT-0626-SM-CGQER 60-69 years, female 98.8
GTEX-1RB15-2126-SM-E9TIM 60-69 years, male 98.8
GTEX-145MF-0626-SM-5LUAI 50-59 years, male 98.7
GTEX-1A32A-0126-SM-718B1 50-59 years, female 98.5
GTEX-T5JW-1626-SM-3GADZ 20-29 years, female 98.5
GTEX-13NZB-2526-SM-5J1OM 30-39 years, male 98.4
GTEX-13NZA-0226-SM-5K7Z7 60-69 years, male 98.2
GTEX-15EOM-0126-SM-7KUGG 20-29 years, female 97.9
GTEX-1GMR3-1926-SM-9KNUZ 40-49 years, male 97.8
GTEX-ZWKS-0126-SM-5SIAA 30-39 years, male 97.7
GTEX-XXEK-2226-SM-4BRUM 50-59 years, male 97.5
GTEX-147F3-0526-SM-5SI98 50-59 years, female 97.4
GTEX-ZVT4-0126-SM-DTXFN 50-59 years, female 97.4
GTEX-XV7Q-2526-SM-4BRV9 40-49 years, female 97.2
GTEX-11P81-2326-SM-59875 30-39 years, female 97.0
GTEX-11DXW-0226-SM-5H122 40-49 years, male 96.8
GTEX-SIU8-0126-SM-2XCDT 50-59 years, male 96.6
GTEX-1M5QR-1226-SM-EWROB 40-49 years, male 96.5
GTEX-VJYA-1126-SM-3GIJU 60-69 years, male 96.4
GTEX-133LE-1826-SM-5J1MV 20-29 years, female 96.3
GTEX-1IDFM-0126-SM-COH2V 60-69 years, male 96.3
GTEX-13N2G-2626-SM-5J1OT 60-69 years, male 96.1
GTEX-18A7A-0226-SM-718BH 50-59 years, female 96.1
GTEX-14BMV-0126-SM-5S2PO 50-59 years, male 96.0
GTEX-ZV68-0126-SM-59HKS 50-59 years, female 95.9
GTEX-111FC-0126-SM-5N9DL 60-69 years, male 95.7
GTEX-1LSNM-1926-SM-E6CII 50-59 years, male 95.7
GTEX-R45C-0126-SM-EAZ2R 60-69 years, female 95.6
GTEX-18A6Q-0126-SM-731BZ 60-69 years, male 95.4
GTEX-XBEW-0626-SM-4QASP 40-49 years, male 95.3
GTEX-11O72-0126-SM-59887 40-49 years, male 95.2
GTEX-13O21-1426-SM-5K7XI 50-59 years, male 95.2
GTEX-14JG1-0426-SM-6ETZZ 40-49 years, male 95.0
GTEX-1HCU7-0226-SM-CL545 50-59 years, male 95.0
GTEX-ZVTK-0426-SM-51MRS 20-29 years, male 94.9
GTEX-1BAJH-0526-SM-793CQ 70-79 years, male 94.7
GTEX-XQ8I-0426-SM-4BOPO 50-59 years, male 94.7
GTEX-XQ3S-1526-SM-4BOOC 20-29 years, male 94.5
GTEX-13NZ8-0826-SM-5MR3I 60-69 years, female 94.4
GTEX-YFC4-0126-SM-5CVLY 40-49 years, female 94.4
GTEX-13NYS-0126-SM-5MR3W 60-69 years, male 94.3
GTEX-ZAK1-0126-SM-5IJD3 50-59 years, female 94.3
GTEX-1HCU9-1526-SM-A9SL7 20-29 years, male 94.2
GTEX-X4XY-0226-SM-4E3IZ 60-69 years, male 94.1
GTEX-13FHP-0126-SM-5IJBG 50-59 years, male 93.8
GTEX-QDT8-0126-SM-48TZ1 30-39 years, female 93.7
GTEX-1K2DU-2326-SM-E9TIV 20-29 years, male 93.6
GTEX-XPVG-2626-SM-4B669 50-59 years, male 93.5
GTEX-ZVZP-2426-SM-59HKJ 50-59 years, male 93.5
GTEX-1MCYP-1926-SM-E9J2R 20-29 years, female 93.5
GTEX-11NUK-0126-SM-5A5L3 50-59 years, male 93.3
GTEX-1314G-1526-SM-5EGK2 30-39 years, male 93.1
GTEX-147GR-0526-SM-5S2MY 60-69 years, male 93.1
GTEX-Y5LM-1926-SM-5RQJH 40-49 years, female 93.1
GTEX-ZF28-0126-SM-4WKGK 60-69 years, male 93.1
GTEX-13IVO-0126-SM-5J1NG 70-79 years, male 92.9
GTEX-WYJK-0126-SM-3NMAB 50-59 years, male 92.9
GTEX-145LS-0126-SM-5QGP1 60-69 years, female 92.7
GTEX-RM2N-1426-SM-2TF4H 50-59 years, male 92.7
GTEX-17HHY-0126-SM-7LG5D 50-59 years, male 92.6
GTEX-QDVJ-1726-SM-2I5FX 50-59 years, male 92.4
GTEX-W5X1-3026-SM-EAZAX 40-49 years, female 92.4
GTEX-ZTPG-0326-SM-5O9AX 20-29 years, female 92.3
GTEX-1HCVE-0126-SM-CGQEU 50-59 years, male 92.3
GTEX-1R7EU-0226-SM-EVR4G 60-69 years, male 92.3
GTEX-131XE-2326-SM-5PNZ2 50-59 years, male 92.2
GTEX-OXRP-0126-SM-3NB32 60-69 years, female 92.2
GTEX-1IE54-0126-SM-CMKHW 40-49 years, female 92.2
GTEX-1J1OQ-0226-SM-CYPSH 40-49 years, female 92.1
GTEX-T5JC-0426-SM-32PLO 20-29 years, male 91.5
GTEX-1HFI6-0226-SM-ADEHZ 40-49 years, male 91.5
GTEX-1497J-2426-SM-7IGNX 60-69 years, male 91.4
GTEX-18D9B-0526-SM-7LTAS 60-69 years, male 91.4
GTEX-1LG7Z-1726-SM-D3LA4 30-39 years, male 91.4
GTEX-11ZUS-0626-SM-59885 30-39 years, male 91.1
GTEX-1C6VR-2426-SM-79OLD 60-69 years, male 90.9
GTEX-14JG6-2226-SM-6EU2G 30-39 years, female 90.8
GTEX-1J8Q3-1626-SM-CMKGC 60-69 years, male 90.8
GTEX-1GN2E-0426-SM-9MQKX 60-69 years, male 90.7
GTEX-12ZZZ-0626-SM-5DUXI 60-69 years, male 90.6
GTEX-16NPX-0226-SM-79OMT 50-59 years, male 90.5
GTEX-1R9PM-2026-SM-E76OY 20-29 years, male 90.4
GTEX-13X6I-0626-SM-5QGP9 60-69 years, male 90.3
GTEX-12WSE-0526-SM-793B2 20-29 years, male 90.2
GTEX-13W3W-2426-SM-5LU5B 60-69 years, female 90.2
GTEX-145MO-0326-SM-5Q5B3 60-69 years, male 90.2
GTEX-T2YK-0526-SM-32QPJ 50-59 years, male 90.2
GTEX-1IOXB-0126-SM-ARL8G 50-59 years, male 90.1
GTEX-Y111-0126-SM-4SOIV 50-59 years, male 90.0
GTEX-1IKOH-0226-SM-COH4E 60-69 years, female 90.0
GTEX-VUSG-2526-SM-4KL1V 50-59 years, male 89.8
GTEX-11ZVC-2526-SM-5FQTE 50-59 years, female 89.7
GTEX-12ZZY-0226-SM-5LZVE 60-69 years, male 89.7
GTEX-ZDXO-3026-SM-5J1N5 60-69 years, male 89.7
GTEX-1NHNU-1026-SM-E9J2A 50-59 years, male 89.4
GTEX-13N11-2526-SM-5K7UE 50-59 years, female 89.3
GTEX-1EMGI-0126-SM-9KNUE 60-69 years, male 89.1
GTEX-11EQ9-2426-SM-5HL5T 30-39 years, male 88.9
GTEX-1JMQI-2226-SM-CM2SD 50-59 years, male 88.9
GTEX-1KD4Q-0226-SM-E9TJ9 40-49 years, male 88.9
GTEX-11TT1-2526-SM-5EGIB 20-29 years, male 88.8
GTEX-16GPK-0126-SM-7DHLE 60-69 years, male 88.4
GTEX-1HB9E-0226-SM-E9U4R 50-59 years, male 88.4
GTEX-1OJC3-0126-SM-E76QX 20-29 years, male 88.3
GTEX-Q2AH-1626-SM-3GAF8 40-49 years, male 88.1
GTEX-WY7C-2326-SM-3NB2U 50-59 years, male 88.1
GTEX-1CB4F-0426-SM-9KNV4 60-69 years, male 88.1
GTEX-1399T-2826-SM-5KLYZ 60-69 years, male 88.0
GTEX-1AMEY-1326-SM-73KYK 30-39 years, female 88.0
GTEX-12696-2426-SM-5EQ6H 60-69 years, male 87.9
GTEX-V1D1-2226-SM-3NMAX 50-59 years, male 87.6
GTEX-13OW5-0126-SM-DTXFS 60-69 years, male 87.5
GTEX-1EX96-1626-SM-7PBXR 50-59 years, male 87.5
GTEX-16NGA-1726-SM-731B4 40-49 years, female 87.3
GTEX-17KNJ-2326-SM-7DHLQ 50-59 years, male 87.3
GTEX-1JKYR-0126-SM-CNPOJ 20-29 years, male 87.3
GTEX-1QMI2-0226-SM-EVYBX 60-69 years, male 87.3
GTEX-1S83E-0126-SM-EWRO4 40-49 years, male 87.3
GTEX-14PII-0226-SM-6EU1T 60-69 years, male 87.2
GTEX-1GF9X-2026-SM-7PC3A 40-49 years, female 87.2
GTEX-12ZZX-0126-SM-5EGK9 40-49 years, female 87.1
GTEX-1399R-2726-SM-5IJBA 30-39 years, male 87.1
GTEX-X4XX-0126-SM-3NMC2 60-69 years, male 87.0
GTEX-13JUV-2726-SM-5LZZ8 40-49 years, female 86.9
GTEX-1H11D-0226-SM-9WG6Z 40-49 years, male 86.9
GTEX-1QP67-1626-SM-EAZ3X 40-49 years, female 86.9
GTEX-ZC5H-0226-SM-4WAY9 40-49 years, female 86.8
GTEX-14ICK-0226-SM-6EU25 40-49 years, male 86.7
GTEX-1MA7W-2026-SM-E9TJ6 20-29 years, female 86.7
GTEX-13OVH-0126-SM-5MR4B 70-79 years, male 86.6
GTEX-Y114-2426-SM-4TT8A 50-59 years, female 86.5
GTEX-1I6K6-0126-SM-A9SLE 30-39 years, male 86.5
GTEX-1HCUA-2426-SM-ADEIS 50-59 years, female 86.4
GTEX-139TS-2826-SM-5J1OO 60-69 years, male 86.1
GTEX-RU72-0926-SM-2TF6B 50-59 years, female 86.1
GTEX-1C4CL-0526-SM-73KVK 30-39 years, male 85.9
GTEX-ZYT6-0226-SM-5NQ6T 30-39 years, male 85.9
GTEX-PWCY-1826-SM-DHXIZ 20-29 years, female 85.8
GTEX-Y8E4-0626-SM-4WWDL 40-49 years, male 85.6
GTEX-1CB4E-2226-SM-793DC 60-69 years, male 85.5
GTEX-U412-0426-SM-3DB9O 60-69 years, male 85.4
GTEX-11VI4-1726-SM-5CVLH 40-49 years, female 85.2
GTEX-183WM-0126-SM-7LTAB 70-79 years, female 85.2
GTEX-11ZTS-0126-SM-5EQ6M 60-69 years, female 85.1
GTEX-1GZ2Q-0226-SM-7P8TL 40-49 years, male 84.9
GTEX-1J8JJ-0226-SM-CL53I 60-69 years, female 84.9
GTEX-14BIM-0226-SM-7IGLD 60-69 years, female 84.7
GTEX-13111-1626-SM-5EGJY 50-59 years, male 84.5
GTEX-15DDE-0126-SM-6LPKH 50-59 years, female 84.5
GTEX-1KANC-1526-SM-D3LAB 50-59 years, female 84.5
GTEX-Q2AG-0126-SM-33HBV 40-49 years, female 84.4
GTEX-13OW6-0426-SM-5L3HM 50-59 years, male 84.3
GTEX-WQUQ-0426-SM-3MJFU 60-69 years, male 84.3
GTEX-1KANA-0726-SM-D3L9I 20-29 years, male 84.0
GTEX-1H4P4-0726-SM-9YFLR 50-59 years, male 83.9
GTEX-17F96-1626-SM-7DUFL 70-79 years, male 83.8
GTEX-1GN73-0226-SM-9WG67 60-69 years, male 83.4
GTEX-ZTSS-1926-SM-57WEW 40-49 years, male 83.3
GTEX-13PVR-2326-SM-5QGR1 60-69 years, female 83.2
GTEX-SSA3-0126-SM-32QPU 60-69 years, male 83.2
GTEX-1QP66-1726-SM-E8VO1 50-59 years, male 83.2
GTEX-14ABY-0226-SM-5TDCQ 50-59 years, male 83.1
GTEX-QLQW-1126-SM-2S1Q8 30-39 years, male 83.0
GTEX-1LC47-0326-SM-E9TJP 60-69 years, male 82.8
GTEX-1QEPI-0126-SM-EWRMQ 60-69 years, female 82.8
GTEX-117YX-2326-SM-5H12W 50-59 years, male 82.3
GTEX-S95S-1226-SM-4GICG 60-69 years, male 82.2
GTEX-ZVZO-0126-SM-5A5L9 40-49 years, male 82.2
GTEX-WZTO-0126-SM-3NM95 40-49 years, male 82.1
GTEX-1IGQW-0126-SM-COH42 60-69 years, male 82.1
GTEX-13VXU-0126-SM-5SI9F 50-59 years, male 81.9
GTEX-1AYCT-2426-SM-7IGQ3 50-59 years, male 81.9
GTEX-X4EO-0326-SM-3P5YO 60-69 years, female 81.9
GTEX-1KD5A-0226-SM-D5OV3 50-59 years, male 81.9
GTEX-14PJM-0226-SM-62LF1 50-59 years, female 81.8
GTEX-QLQ7-1626-SM-2S1R8 60-69 years, male 81.6
GTEX-13NYC-0326-SM-E9J4S 60-69 years, male 81.6
GTEX-P44H-0226-SM-2XCEU 40-49 years, male 81.5
GTEX-PSDG-0226-SM-DKPOZ 50-59 years, male 81.5
GTEX-OHPM-0126-SM-2YUN9 50-59 years, male 81.4
GTEX-T2IS-0126-SM-4DM6O 20-29 years, female 81.4
GTEX-1192X-0226-SM-5H12D 50-59 years, male 81.3
GTEX-YB5E-2026-SM-5IFIS 40-49 years, male 81.3
GTEX-145LT-1726-SM-5QGP3 40-49 years, male 81.2
GTEX-1QP2A-0126-SM-E9J43 50-59 years, male 81.1
GTEX-1GZ4H-1726-SM-7PBZJ 50-59 years, female 81.0
GTEX-11GSO-2426-SM-5A5LY 60-69 years, male 80.8
GTEX-17MFQ-1726-SM-793C7 20-29 years, male 80.8
GTEX-13O3P-0126-SM-5KM4S 50-59 years, male 80.7
GTEX-RWS6-2026-SM-2XCB5 60-69 years, female 80.7
GTEX-1PFEY-1526-SM-E76PP 30-39 years, male 80.7
GTEX-S32W-2126-SM-2XCB1 50-59 years, female 80.6
GTEX-1N2DW-0226-SM-E9TK2 50-59 years, male 80.5
GTEX-1RLM8-2326-SM-EWRN4 50-59 years, male 80.5
GTEX-11WQC-2526-SM-5CVLE 60-69 years, male 80.4
GTEX-131XW-0426-SM-5LZWP 50-59 years, female 80.4
GTEX-13N1W-0126-SM-5K7VT 70-79 years, male 80.3
GTEX-1F6I4-0126-SM-9MQL2 60-69 years, male 80.1
GTEX-131YS-0126-SM-5KM1M 60-69 years, female 80.0
GTEX-139T8-0126-SM-5K7XZ 60-69 years, male 80.0
GTEX-13D11-2426-SM-5KM1V 50-59 years, female 79.8
GTEX-1F7RK-0126-SM-7PC2S 20-29 years, female 79.8
GTEX-ZDYS-2026-SM-5HL5L 50-59 years, male 79.7
GTEX-1RAZQ-0726-SM-EAZ43 30-39 years, male 79.7
GTEX-14XAO-2326-SM-6EU1B 60-69 years, female 79.6
GTEX-ZZPT-0226-SM-5E43X 50-59 years, male 79.6
GTEX-15F5U-1526-SM-6PANO 40-49 years, male 79.5
GTEX-1PDJ9-0326-SM-DTX95 20-29 years, male 79.5
GTEX-14DAQ-0126-SM-5S2MQ 60-69 years, female 79.4
GTEX-131XG-2626-SM-5KM17 50-59 years, female 79.3
GTEX-Y8LW-1826-SM-5S2MV 50-59 years, female 79.3
GTEX-1EKGG-0226-SM-9WYTH 60-69 years, male 79.3
GTEX-1HKZK-0326-SM-9WYUH 40-49 years, male 79.3
GTEX-U3ZH-2026-SM-3DB78 30-39 years, male 79.2
GTEX-1QCLY-0326-SM-E8VOG 30-39 years, male 79.2
GTEX-147F4-0226-SM-5QGPW 50-59 years, male 79.1
GTEX-1HBPI-1526-SM-C1YQ1 50-59 years, male 78.9
GTEX-PW2O-1526-SM-7RHHB 20-29 years, male 78.8
GTEX-15EU6-0426-SM-6PAN5 50-59 years, male 78.7
GTEX-1F75B-0126-SM-9KNVL 50-59 years, male 78.7
GTEX-1GL5R-1826-SM-9KNUY 50-59 years, male 78.7
GTEX-1PBJI-0526-SM-E8VNK 20-29 years, female 78.6
GTEX-1HSMO-0126-SM-CL547 60-69 years, male 78.5
GTEX-13CF2-2526-SM-5LZYX 60-69 years, male 78.4
GTEX-ZVT3-0126-SM-5GU6I 60-69 years, female 78.3
GTEX-13OW8-1326-SM-5J1OW 60-69 years, male 78.1
GTEX-1H3NZ-0126-SM-ACKX7 60-69 years, male 78.1
GTEX-1JMQJ-0526-SM-CYPSU 50-59 years, male 78.1
GTEX-1IL2V-0126-SM-CM2TX 70-79 years, male 77.9
GTEX-13FXS-0226-SM-5IJCK 50-59 years, male 77.7
GTEX-14A6H-0126-SM-5QGPK 30-39 years, male 77.7
GTEX-1B933-0126-SM-7PC29 50-59 years, female 77.7
GTEX-1CB4G-0226-SM-7PC3O 60-69 years, male 77.7
GTEX-1ICLY-0126-SM-D4P36 50-59 years, male 77.7
GTEX-15UF6-0826-SM-6PALJ 70-79 years, female 77.6
GTEX-1HBPM-0226-SM-ARL9F 60-69 years, female 77.6
GTEX-ZZ64-1726-SM-5GZYB 20-29 years, male 77.3
GTEX-1GMR8-0126-SM-9WYTM 50-59 years, female 77.2
GTEX-1K9T9-0126-SM-EVYCF 50-59 years, female 77.2
GTEX-11LCK-1026-SM-5A5KB 30-39 years, male 77.1
GTEX-12WSN-5019-SM-79OM6 40-49 years, male 77.1
GTEX-ZYY3-0126-SM-5GZY5 60-69 years, female 77.1
GTEX-PLZ6-1426-SM-DKPOT 30-39 years, male 77.1
GTEX-1AX9K-2326-SM-73KWU 50-59 years, male 77.0
GTEX-17EUY-0426-SM-793BD 20-29 years, male 76.9
GTEX-YEC4-2126-SM-5IFJH 40-49 years, male 76.8
GTEX-Z9EW-1626-SM-5CVMN 40-49 years, male 76.7
GTEX-1F88F-2726-SM-7PBZZ 60-69 years, female 76.7
GTEX-1LNCM-1126-SM-E9U5E 50-59 years, female 76.7
GTEX-13112-2826-SM-5DUWH 50-59 years, male 76.6
GTEX-Y8DK-0126-SM-4TT3L 60-69 years, male 76.6
GTEX-1KXAM-2226-SM-CYPTC 60-69 years, male 76.6
GTEX-11P7K-2126-SM-5GU7G 30-39 years, male 76.5
GTEX-12WSL-2526-SM-5GCNJ 50-59 years, male 76.5
GTEX-Y5V5-2326-SM-4V6GA 60-69 years, female 76.5
GTEX-1GN1V-0126-SM-9WPOS 60-69 years, male 76.5
GTEX-1HT8W-0126-SM-CNPPP 30-39 years, male 76.5
GTEX-11TTK-0126-SM-5987B 60-69 years, female 76.4
GTEX-ZVE2-0226-SM-59HJB 50-59 years, male 76.4
GTEX-1PIIG-0226-SM-EWRN6 30-39 years, male 76.4
GTEX-1S82Y-2026-SM-EVYCM 40-49 years, male 76.4
GTEX-1C64O-0126-SM-7SB8P 60-69 years, male 76.3
GTEX-1AMFI-2026-SM-731BH 50-59 years, female 76.2
GTEX-11DXY-2626-SM-5GIE7 60-69 years, male 76.0
GTEX-X8HC-0126-SM-4E3JW 50-59 years, female 76.0
GTEX-1KWVE-1426-SM-E9TJO 30-39 years, male 76.0
GTEX-1PIGE-0126-SM-EVYBJ 20-29 years, male 75.9
GTEX-13RTL-0126-SM-7LG5S 40-49 years, male 75.6
GTEX-1RDX4-0126-SM-E9J4P 50-59 years, female 75.6
GTEX-117XS-2726-SM-5N9BL 60-69 years, male 75.5
GTEX-14PN3-2426-SM-6LLHS 60-69 years, female 75.5
GTEX-16AAH-1726-SM-7939C 50-59 years, male 75.5
GTEX-1B8KZ-2026-SM-7DHMB 50-59 years, male 75.5
GTEX-1JJE9-0326-SM-CL53Z 70-79 years, male 75.3
GTEX-1QAET-0926-SM-E76QM 50-59 years, male 75.3
GTEX-WFG8-2226-SM-3GIL9 20-29 years, male 75.2
GTEX-XAJ8-0826-SM-47JY6 40-49 years, male 75.1
GTEX-13FTX-1826-SM-5J1NX 20-29 years, female 74.9
GTEX-13OVL-0226-SM-5L3E9 50-59 years, male 74.9
GTEX-18465-0126-SM-731BN 50-59 years, male 74.9
GTEX-1C6VS-0526-SM-7DUEN 60-69 years, male 74.9
GTEX-1CB4I-0226-SM-79OLH 50-59 years, male 74.9
GTEX-1CAV2-2226-SM-7P8P2 40-49 years, female 74.9
GTEX-1JKYN-1326-SM-CGQG9 30-39 years, male 74.9
GTEX-Q2AI-1326-SM-2S1PL 40-49 years, male 74.8
GTEX-OXRN-0126-SM-48TDM 50-59 years, male 74.7
GTEX-XUW1-0426-SM-4BOOT 50-59 years, female 74.7
GTEX-131XH-2226-SM-5DUXJ 50-59 years, male 74.6
GTEX-TKQ1-1026-SM-4GICL 30-39 years, male 74.6
GTEX-1KAFJ-2026-SM-CY8ID 50-59 years, male 74.5
GTEX-1GF9V-0326-SM-7RHI5 60-69 years, male 74.4
GTEX-1399U-2326-SM-5K7WY 50-59 years, female 74.3
GTEX-14A5I-0126-SM-5TDEA 50-59 years, female 74.3
GTEX-15SHU-0126-SM-7KUEH 40-49 years, female 74.3
GTEX-15SHW-0326-SM-6PAML 60-69 years, male 74.2
GTEX-1H1CY-2826-SM-9MQM3 60-69 years, female 74.2
GTEX-1H3O1-0426-SM-9YFKY 60-69 years, male 74.2
GTEX-16BQI-0226-SM-7KUEX 30-39 years, female 74.0
GTEX-1B97I-1626-SM-73KYO 40-49 years, male 74.0
GTEX-SNMC-1226-SM-2XCFP 20-29 years, male 74.0
GTEX-ZE7O-0126-SM-57WC1 50-59 years, female 74.0
GTEX-13U4I-0126-SM-5LU38 40-49 years, female 73.9
GTEX-1LGOU-2026-SM-DIPFF 20-29 years, female 73.7
GTEX-1313W-0126-SM-5LZUN 50-59 years, female 73.6
GTEX-144FL-0126-SM-5TDC8 50-59 years, male 73.6
GTEX-144GL-0126-SM-5TDE2 50-59 years, male 73.5
GTEX-13VXT-0126-SM-5LU4I 20-29 years, female 73.3
GTEX-1H1E6-1726-SM-ACKVK 30-39 years, male 73.3
GTEX-ZQUD-1426-SM-57WER 30-39 years, male 73.2
GTEX-1I1GP-2226-SM-CGQFK 50-59 years, male 73.2
GTEX-1MCQQ-0826-SM-DLHC2 60-69 years, male 73.1
GTEX-11XUK-2026-SM-5EQLF 40-49 years, female 73.0
GTEX-11EMC-2926-SM-5EQ4F 60-69 years, female 72.9
GTEX-1M4P7-0226-SM-DIPEV 60-69 years, male 72.8
GTEX-1LG7Y-0526-SM-DKPQC 50-59 years, male 72.7
GTEX-1LB8K-0226-SM-EWRNW 50-59 years, male 72.5
GTEX-T6MO-1626-SM-32QOM 40-49 years, female 72.4
GTEX-ZTX8-1426-SM-5DUVO 20-29 years, male 72.4
GTEX-1J8Q2-0526-SM-CM2RW 60-69 years, male 72.3
GTEX-15D1Q-0126-SM-7KUG6 40-49 years, male 72.0
GTEX-1R9K4-0126-SM-DTX9X 60-69 years, male 72.0
GTEX-Z93T-0126-SM-5HL5N 50-59 years, male 71.9
GTEX-ZU9S-0226-SM-5E441 30-39 years, male 71.9
GTEX-1E2YA-0126-SM-9KNUC 50-59 years, male 71.9
GTEX-1I1HK-0126-SM-COH49 60-69 years, male 71.9
GTEX-1B8L1-2526-SM-9WYTF 60-69 years, male 71.8
GTEX-1J8QM-2126-SM-CYPSJ 60-69 years, female 71.8
GTEX-1GZHY-0326-SM-9QEHI 50-59 years, female 71.7
GTEX-11EI6-0126-SM-5985R 60-69 years, male 71.6
GTEX-18D9U-0226-SM-718BP 40-49 years, male 71.6
GTEX-11H98-0126-SM-5EGHG 50-59 years, male 71.5
GTEX-139TU-0126-SM-5K7WH 60-69 years, male 71.5
GTEX-13FTW-2626-SM-5K7WL 40-49 years, male 71.5
GTEX-1HBPH-0426-SM-B2LW5 40-49 years, female 71.5
GTEX-1LGRB-2526-SM-CNPPQ 50-59 years, female 71.5
GTEX-11UD1-0126-SM-5PNYG 40-49 years, female 71.3
GTEX-1A3MV-1926-SM-718BT 30-39 years, male 71.3
GTEX-RN64-0126-SM-2TC68 50-59 years, male 71.3
GTEX-UPJH-0326-SM-3GADU 50-59 years, male 71.3
GTEX-1CAMQ-0226-SM-7IGPK 40-49 years, male 71.2
GTEX-132NY-0326-SM-5IJBL 60-69 years, male 71.1
GTEX-17EVP-0326-SM-7DHLG 40-49 years, male 71.1
GTEX-1I1GQ-0126-SM-COH3H 50-59 years, male 71.1
GTEX-1EWIQ-0126-SM-7RHH2 70-79 years, female 71.0
GTEX-1211K-2026-SM-5EQ4Z 60-69 years, female 70.9
GTEX-17F97-0326-SM-7LG5B 50-59 years, male 70.9
GTEX-13S7M-0126-SM-5SI6A 60-69 years, female 70.8
GTEX-1S3DN-2226-SM-EVYCD 50-59 years, male 70.8
GTEX-R55E-0126-SM-2TC5Y 20-29 years, male 70.7
GTEX-13PDP-0126-SM-5L3HD 60-69 years, male 70.6
GTEX-1HCU8-0626-SM-A9SM9 60-69 years, female 70.6
GTEX-1NV5F-0226-SM-E8VNY 60-69 years, female 70.5
GTEX-13X6H-2126-SM-7EWD5 50-59 years, female 70.4
GTEX-R55G-2526-SM-2TC6D 40-49 years, female 70.3
GTEX-13OVI-1426-SM-5L3EY 60-69 years, female 70.2
GTEX-145ME-1826-SM-5SI9G 40-49 years, female 70.1
GTEX-1QP9N-1426-SM-DTXFL 30-39 years, male 70.1
GTEX-X62O-0126-SM-4E3JN 50-59 years, male 70.0
GTEX-X638-0126-SM-47JZ8 70-79 years, female 70.0
GTEX-ZF29-2326-SM-DO92K 60-69 years, female 70.0
GTEX-U4B1-1826-SM-4DXSU 40-49 years, male 69.9
GTEX-145LU-0126-SM-5TDCB 50-59 years, male 69.8
GTEX-1H23P-0126-SM-ADEJ3 60-69 years, male 69.8
GTEX-1JMPY-1326-SM-ARL8Y 30-39 years, male 69.8
GTEX-111VG-2426-SM-5GZXD 60-69 years, male 69.6
GTEX-NFK9-0226-SM-2HMKQ 40-49 years, male 69.6
GTEX-1JMQK-0226-SM-CL543 60-69 years, male 69.6
GTEX-13FHO-0226-SM-5IFGY 60-69 years, male 69.3
GTEX-13OW7-0126-SM-5MR3B 50-59 years, male 69.3
GTEX-ZDTT-2726-SM-4WKF8 60-69 years, male 69.3
GTEX-11GS4-2726-SM-5A5LE 60-69 years, male 69.1
GTEX-1JMPZ-0226-SM-CNPP1 30-39 years, male 69.0
GTEX-13SLX-0526-SM-5S2ON 50-59 years, female 68.9
GTEX-13W46-0226-SM-5SIAG 50-59 years, male 68.9
GTEX-1F52S-0126-SM-9MQJU 60-69 years, female 68.9
GTEX-1F75A-0126-SM-7RHGM 50-59 years, male 68.7
GTEX-1IY9M-0126-SM-D3L8S 60-69 years, male 68.5
GTEX-RNOR-0126-SM-E9J4R 50-59 years, female 68.5
GTEX-1IDJU-2626-SM-CM2RT 60-69 years, female 68.4
GTEX-QEG4-0226-SM-2S1PY 30-39 years, male 68.3
GTEX-113JC-2326-SM-5EQ4E 50-59 years, female 68.2
GTEX-1IDJH-0326-SM-A9SLQ 70-79 years, male 68.2
GTEX-146FR-1326-SM-E9J48 60-69 years, female 68.1
GTEX-144GN-2326-SM-5LU4F 50-59 years, male 68.0
GTEX-17F98-0626-SM-79OMX 40-49 years, female 67.7
GTEX-1F5PK-2426-SM-7RHHY 50-59 years, male 67.7
GTEX-1GPI6-0126-SM-9WG69 60-69 years, male 67.6
GTEX-13YAN-0326-SM-5O9DF 60-69 years, male 67.5
GTEX-14DAR-2026-SM-5S2O3 50-59 years, male 67.5
GTEX-13X6J-0126-SM-5QGOU 50-59 years, male 67.4
GTEX-16XZY-2126-SM-79OK1 70-79 years, male 67.4
GTEX-1F75I-0326-SM-9YFLU 40-49 years, male 67.3
GTEX-1PPH7-2326-SM-EVYB8 40-49 years, male 67.3
GTEX-13CF3-2426-SM-5IFGX 60-69 years, female 67.1
GTEX-1IL2U-0226-SM-CE6T8 60-69 years, male 67.0
GTEX-WI4N-1026-SM-3LK7N 40-49 years, female 66.7
GTEX-1J1R8-1726-SM-ARL8M 40-49 years, male 66.7
GTEX-ZYW4-0126-SM-5E44A 60-69 years, male 66.6
GTEX-1QW4Y-1526-SM-EAZ3Z 30-39 years, male 66.4
GTEX-14PHW-0126-SM-6LLJI 60-69 years, female 66.3
GTEX-145LV-2126-SM-5LU8N 50-59 years, male 66.2
GTEX-1GMRU-0126-SM-9YFLV 50-59 years, male 66.2
GTEX-X5EB-2226-SM-46MW4 40-49 years, male 65.5
GTEX-1E1VI-0126-SM-7DHMZ 50-59 years, male 65.4
GTEX-1AX9J-0226-SM-73KXM 60-69 years, male 65.3
GTEX-148VI-1626-SM-5SI6E 60-69 years, female 65.2
GTEX-14LLW-0126-SM-6LLIO 70-79 years, female 65.0
GTEX-1IDJF-0126-SM-CM2RS 20-29 years, male 65.0
GTEX-17HGU-0226-SM-7DHKV 50-59 years, male 64.6
GTEX-11DZ1-0126-SM-5985Q 50-59 years, male 64.4
GTEX-12WSD-0126-SM-59HKN 60-69 years, female 64.3
GTEX-183FY-0126-SM-7LT9P 20-29 years, male 64.2
GTEX-1AX8Z-0126-SM-7DHM6 60-69 years, male 64.2
GTEX-ZYFD-0126-SM-5GIDL 50-59 years, male 64.2
GTEX-WFON-2126-SM-3LK7O 40-49 years, male 63.6
GTEX-WRHK-1426-SM-3MJF9 20-29 years, female 63.5
GTEX-169BO-1326-SM-9MQK2 50-59 years, male 63.5
GTEX-1GTWX-0126-SM-9YFLK 60-69 years, male 63.5
GTEX-1H1ZS-0426-SM-9WG6G 70-79 years, male 63.5
GTEX-11GSP-2526-SM-5N9BP 60-69 years, female 63.4
GTEX-12KS4-0326-SM-5EQ41 30-39 years, male 63.4
GTEX-11ZU8-2526-SM-5EQKI 60-69 years, male 63.3
GTEX-YB5K-2126-SM-4WWDJ 40-49 years, female 63.3
GTEX-1EU9M-0226-SM-7P8SP 60-69 years, male 63.3
GTEX-15ETS-0126-SM-7KUMW 40-49 years, female 63.2
GTEX-12WSG-2826-SM-E9J4H 50-59 years, female 63.2
GTEX-148VJ-0126-SM-5TDDN 70-79 years, male 63.1
GTEX-18A7B-0126-SM-7LG64 70-79 years, male 63.1
GTEX-Y3I4-2126-SM-4TT7C 50-59 years, male 63.1
GTEX-16YQH-0126-SM-7DUFJ 30-39 years, male 62.7
GTEX-YJ8A-0426-SM-5IFID 20-29 years, male 62.6
GTEX-13FH7-2026-SM-E9J4I 50-59 years, female 62.6
GTEX-17HG3-2226-SM-7938L 30-39 years, female 62.5
GTEX-1I1CD-0126-SM-CM2TK 60-69 years, female 62.5
GTEX-1IKK5-0626-SM-ARL8A 60-69 years, male 62.5
GTEX-12584-0126-SM-5EGKQ 40-49 years, male 62.4
GTEX-OIZF-0126-SM-7SB8I 60-69 years, male 62.4
GTEX-18A66-0226-SM-718BD 60-69 years, male 62.3
GTEX-1C2JI-1826-SM-73KXC 50-59 years, male 62.3
GTEX-1I19N-0326-SM-ACKVX 70-79 years, male 62.3
GTEX-14PJ3-1826-SM-62LEX 50-59 years, male 62.1
GTEX-1CB4J-0626-SM-7DHMP 60-69 years, male 62.1
GTEX-WYVS-2126-SM-3NMA3 40-49 years, female 61.7
GTEX-1I1GV-0526-SM-A9G29 60-69 years, male 61.5
GTEX-12WSJ-1826-SM-5GCNY 40-49 years, female 61.4
GTEX-1GPI7-0126-SM-9MQL8 20-29 years, male 61.3
GTEX-1GF9W-0326-SM-9KNUN 60-69 years, male 61.1
GTEX-1F6RS-0126-SM-9MQKZ 60-69 years, female 60.9
GTEX-1HSGN-0226-SM-CGQFV 40-49 years, female 60.8
GTEX-1C6WA-0126-SM-7PC2B 60-69 years, male 60.7
GTEX-1PPH8-0226-SM-E8VND 20-29 years, male 60.7
GTEX-15UKP-0426-SM-7KUFQ 20-29 years, male 60.6
GTEX-145MN-2226-SM-5SIAU 30-39 years, male 60.5
GTEX-QESD-1426-SM-2S1R9 20-29 years, male 60.5
GTEX-17EVQ-0226-SM-7LG4P 70-79 years, male 60.4
GTEX-1R7EV-2426-SM-EVYBG 40-49 years, male 60.3
GTEX-117YW-2626-SM-5GZZH 50-59 years, male 60.0
GTEX-WH7G-2326-SM-3NMBC 40-49 years, male 60.0
GTEX-1LH75-2426-SM-E9TJE 50-59 years, female 60.0
GTEX-13OVG-1926-SM-5L3DK 60-69 years, male 59.9
GTEX-ZUA1-0126-SM-5GU76 40-49 years, male 59.9
GTEX-1HSMQ-1226-SM-CGQFX 50-59 years, male 59.9
GTEX-1JK1U-2026-SM-CM2RZ 60-69 years, male 59.7
GTEX-15SDE-2226-SM-7IGLO 50-59 years, female 59.5
GTEX-1CAMS-0426-SM-7P8T2 40-49 years, female 59.5
GTEX-U8T8-0126-SM-3DB94 60-69 years, male 59.3
GTEX-XBED-2226-SM-47JYQ 60-69 years, male 59.3
GTEX-OXRO-0126-SM-2YUN4 60-69 years, female 59.1
GTEX-1I1GU-2226-SM-CGQFA 40-49 years, male 59.1
GTEX-ZPIC-1726-SM-DHXIU 40-49 years, female 59.1
GTEX-S7PM-0126-SM-4AD6S 60-69 years, male 59.0
GTEX-ZDTS-0126-SM-4WAY5 60-69 years, male 58.5
GTEX-15DCD-0126-SM-7KUEK 70-79 years, female 58.4
GTEX-1H3VE-0326-SM-9YFLH 40-49 years, male 58.4
GTEX-1HFI7-1826-SM-ACKXH 50-59 years, female 58.2
GTEX-1JN6P-0126-SM-D3L98 60-69 years, male 58.2
GTEX-1OFPY-2426-SM-DTXEJ 60-69 years, male 58.1
GTEX-1F48J-0126-SM-7P8TT 50-59 years, female 57.9
GTEX-1H1DE-2126-SM-9WG6R 20-29 years, male 57.9
GTEX-1JMLX-0226-SM-CM2RO 50-59 years, male 57.9
GTEX-1LVAN-0226-SM-COH3S 50-59 years, female 57.9
GTEX-1JN76-0126-SM-CNPPE 20-29 years, female 57.6
GTEX-1K2DA-1826-SM-CGQGT 50-59 years, male 57.6
GTEX-ZGAY-0526-SM-4WWBB 40-49 years, female 57.5
GTEX-T8EM-1026-SM-3DB7M 40-49 years, male 56.9
GTEX-ZYFC-0226-SM-5NQ75 50-59 years, male 56.9
GTEX-1GN1U-0126-SM-7PBZK 50-59 years, female 56.9
GTEX-1S5ZA-0126-SM-EVYCV 20-29 years, male 56.9
GTEX-1H1DG-0126-SM-9WYU2 70-79 years, male 56.3
GTEX-1I4MK-2226-SM-ACKWD 50-59 years, female 56.3
GTEX-1MGNQ-0126-SM-EVYCJ 40-49 years, male 56.2
GTEX-1GN1W-0526-SM-9MQJQ 50-59 years, female 56.1
GTEX-1HBPN-0226-SM-9YFM1 50-59 years, male 55.9
GTEX-145MI-0526-SM-5O9A8 60-69 years, female 55.8
GTEX-1R46S-0626-SM-E9J41 60-69 years, female 55.8
GTEX-1GF9U-2126-SM-7SB7L 40-49 years, female 55.7
GTEX-1MUQO-0126-SM-EAZ58 60-69 years, male 55.2
GTEX-17HHE-2026-SM-79OKF 50-59 years, male 55.0
GTEX-1B8SG-0126-SM-73KZ3 50-59 years, male 55.0
GTEX-1IKJJ-0126-SM-CNPQB 60-69 years, male 54.9
GTEX-1192W-2626-SM-5Q5AF 60-69 years, male 54.8
GTEX-146FH-0126-SM-5QGPP 50-59 years, female 54.7
GTEX-14PN4-0126-SM-6EU2V 50-59 years, male 54.7
GTEX-1I1GR-0126-SM-CL55F 60-69 years, male 54.6
GTEX-RWSA-0126-SM-2XCBB 40-49 years, male 54.5
GTEX-1POEN-0126-SM-EYYXJ 30-39 years, female 54.5
GTEX-139TT-0126-SM-5K7Y5 60-69 years, male 54.4
GTEX-1R9PO-2126-SM-E9J4O 60-69 years, female 54.2
GTEX-12WSK-2326-SM-5GCOH 40-49 years, female 53.9
GTEX-1C475-1826-SM-73KWA 40-49 years, female 53.8
GTEX-15ER7-0326-SM-7KUEV 20-29 years, female 53.6
GTEX-ZAB4-0226-SM-5N9F5 40-49 years, male 53.5
GTEX-1HUB1-0426-SM-E9U4U 60-69 years, male 53.5
GTEX-16MT8-0426-SM-7KUEY 60-69 years, female 53.4
GTEX-1OJC4-0126-SM-E9J2E 50-59 years, female 52.9
GTEX-13O3O-0126-SM-E9J49 60-69 years, female 52.8
GTEX-13OVJ-0126-SM-5KM36 50-59 years, female 52.5
GTEX-14C5O-0126-SM-5SI6N 60-69 years, male 52.5
GTEX-WOFL-0126-SM-3MJG2 60-69 years, male 52.4
GTEX-1F6IF-0726-SM-7P8TW 60-69 years, male 52.0
GTEX-14BIL-0126-SM-5SI92 50-59 years, male 51.3
GTEX-WXYG-2326-SM-4E3I6 50-59 years, female 51.2
GTEX-1C6VQ-0126-SM-7P8RI 50-59 years, male 51.1
GTEX-11TUW-2726-SM-E9J4M 60-69 years, male 50.8
GTEX-1H2FU-0126-SM-9WYSI 60-69 years, female 50.3
GTEX-12WSA-0226-SM-5BC5V 60-69 years, male 50.2
GTEX-11EM3-2426-SM-59861 20-29 years, female 50.1
GTEX-1JMOU-1526-SM-CL54I 60-69 years, female 50.0
GTEX-13O1R-0126-SM-5L3EH 60-69 years, male 49.6
GTEX-1O97I-0326-SM-EYYX7 60-69 years, male 49.1
GTEX-1HGF4-2426-SM-ACKXM 60-69 years, male 48.9
GTEX-14JIY-0126-SM-6LLH6 60-69 years, male 48.2
GTEX-1H3VY-0126-SM-ACKXD 50-59 years, male 48.1
GTEX-ZXG5-0126-SM-5GIEU 60-69 years, male 47.3
GTEX-1HCU6-0126-SM-CL54K 60-69 years, female 47.3
GTEX-1A3MW-0126-SM-73KXX 60-69 years, female 47.2
GTEX-1B996-0226-SM-7RHGO 60-69 years, male 47.2
GTEX-1AX9I-0126-SM-7SB74 60-69 years, male 47.1
GTEX-13RTK-1426-SM-5QGQJ 20-29 years, male 46.9
GTEX-17MF6-0126-SM-7LG4F 40-49 years, male 46.9
GTEX-1EN7A-0126-SM-7SB81 40-49 years, male 46.5
GTEX-1PWST-0226-SM-E76QJ 70-79 years, male 45.9
GTEX-1I1GS-0126-SM-B2LVW 60-69 years, male 45.8
GTEX-1ICLZ-0126-SM-CKZPO 60-69 years, male 44.9
GTEX-1N2EF-0226-SM-EYYXB 60-69 years, male 43.8
GTEX-16XZZ-0126-SM-793DV 60-69 years, male 43.6
GTEX-1A8FM-0226-SM-7SB7Q 50-59 years, female 42.8
GTEX-XUYS-0126-SM-47JWZ 50-59 years, male 41.8
GTEX-17HII-0226-SM-7LG4E 50-59 years, male 41.3
GTEX-1AYD5-2426-SM-73KXR 50-59 years, male 40.9
GTEX-1HSKV-0226-SM-A9SKJ 60-69 years, male 40.8
GTEX-1B8KE-2126-SM-73KYX 50-59 years, male 39.5
GTEX-15DYW-0126-SM-7KULE 60-69 years, female 39.3
GTEX-14E7W-0126-SM-6LLJ9 70-79 years, male 26.3
Show allShow less

Contact

  • NEWS ARTICLES
  • PRESS ROOM

The Project

  • INTRODUCTION
  • ORGANIZATION
  • PUBLICATIONS

The Human Protein Atlas

  • DOWNLOADABLE DATA
  • LICENCE & CITATION
  • HELP & FAQ
The Human Protein Atlas project is funded
by the Knut & Alice Wallenberg Foundation.


contact@proteinatlas.org