We use cookies to enhance the usability of our website. If you continue, we'll assume that you are happy to receive all cookies. More information. Don't show this again.
PARM1
HPA
RESOURCES
  • TISSUE
  • BRAIN
  • SINGLE CELL
  • SUBCELLULAR
  • CANCER
  • BLOOD
  • CELL LINE
  • STRUCTURE & INTERACTION
ABOUT
  • INTRODUCTION
  • HISTORY
  • ORGANIZATION
  • PUBLICATIONS
  • ANTIBODY SUBMISSION
  • ANTIBODY AVAILABILITY
  • ACKNOWLEDGMENTS
  • CONTACT
NEWS
  • NEWS ARTICLES
  • PRESS ROOM
LEARN
  • DICTIONARY
  • PROTEIN CLASSES
  • PROTEIN EVIDENCE
  • METHODS
  • EDUCATIONAL VIDEOS
DATA
  • DOWNLOADABLE DATA
  • PUBLICATION DATA
  • RELEASE HISTORY
HELP
  • ANTIBODY VALIDATION
  • ASSAYS & ANNOTATION
  • DISCLAIMER
  • HELP & FAQ
  • PRIVACY STATEMENT
  • LICENCE & CITATION
Fields »
Search result

Field
Term
Gene name
Class
Subclass
Class
Keyword
Chromosome
External id
Tissue
Cell type
Expression
Antibody panel
Tissue
Main location
Patient ID
Annotation
Tissue
Category
Tau score
Cluster
Reliability
Brain region
Category
Tau score
Brain region
Category
Tau score
Brain region
Category
Tau score
Cluster
Reliability
Tissue
Cell type
Enrichment
Cell type
Category
Tau score
Cell type
Category
Tau score
Cell type
Category
Tau score
Cell lineage
Category
Tau score
Cluster
Cluster
Location
Searches
Location
Cell line
Class
Type
Phase
Reliability
Cancer
Prognosis
Cancer
Category
Cancer
Category
Tau score
Cluster
Variants
Interacting gene (ensg_id)
Type
Number of interactions
Pathway
Category
Score
Score
Score
Validation
Validation
Validation
Validation
Antibodies
Data type
Column


  • SUMMARY

  • TISSUE

  • BRAIN

  • SINGLE CELL

  • SUBCELL

  • CANCER

  • BLOOD

  • CELL LINE

  • STRUCT & INT

  • PARM1
TISSUE PRIMARY DATA SKIN Show tissue menu
ADIPOSE TISSUE ADRENAL GLAND AMYGDALA APPENDIX BASAL GANGLIA BONE MARROW BREAST BRONCHUS CEREBELLUM CEREBRAL CORTEX CERVIX CHOROID PLEXUS COLON DUODENUM
ENDOMETRIUM EPIDIDYMIS ESOPHAGUS FALLOPIAN TUBE GALLBLADDER HEART MUSCLE HIPPOCAMPAL FORMATION HYPOTHALAMUS KIDNEY LIVER LUNG LYMPH NODE MIDBRAIN NASOPHARYNX
ORAL MUCOSA OVARY PANCREAS PARATHYROID GLAND PITUITARY GLAND PLACENTA PROSTATE RECTUM RETINA SALIVARY GLAND SEMINAL VESICLE SKELETAL MUSCLE SKIN SMALL INTESTINE
SMOOTH MUSCLE SOFT TISSUE SPINAL CORD SPLEEN STOMACH TESTIS THYMUS THYROID GLAND TONGUE TONSIL URINARY BLADDER VAGINA
ANTIBODIES
AND
VALIDATION
Dictionary
Skin
Tissue proteome
Skin
SKIN - Expression summary
Protein expression
Skini

On the top, protein expression in current human tissue, based on all annotated cell types, is reported with the units not detected (n), low (l), medium (m) and high (h). Underneath, protein expression in each annotated cell type are reported using the same units.

Protein expression data is based on knowledge-based annotation. For genes where more than one antibody has been used, a collective score is set.

If knowledge-based annotation could not be performed for a gene, no data is displayed here. View antibody staining data further down this page.

h
m
l
n
Epidermal cells: Medium
Fibroblasts: Medium
Keratinocytes: Low
Langerhans: Medium
Melanocytes: Medium
RNA expressioni

A summary of mRNA expression data available for current tissue based on several datasets. The mRNA expression levels in human tissues are based on RNA-seq data generated by the Human Protein Atlas (HPA), Genotype-Tissue Expression (GTEx) portal and CAGE data generated by the FANTOM5 consortium. Consensus normalized expression levels for human tissues was created by combining the data from HPA and GTEx datasets.

The mRNA expression levels in pig are based on RNA-seq data generated by the Human Protein Atlas (HPA), and for mouse, HPA data and in situ hybridization generated by the Allen brain atlas are reported.

Scroll down to view mRNA expression data in more detail.
Consensus:10.7 nTPM
HPA:5.0 nTPM
GTEx:10.7 nTPM

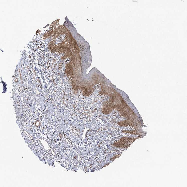
SKIN 1 - Antibody stainingi

Antibody staining in the annotated cell types in the current human tissue is reported as not detected, low, medium, or high, based on conventional immunohistochemistry profiling in selected tissues. This score is based on the combination of the staining intensity and fraction of stained cells.

Each image is clickable and will lead to virtual microscopy that enables deeper exploration of all samples and also displays staining intensity scores, fraction scores and subcellular localization as well as patient and tissue information for each sample.

Antibody HPA038236
Langerhans Medium
Fibroblasts Medium
Keratinocytes Low
Melanocytes Medium

SKIN 2 - Antibody stainingi

Antibody staining in the annotated cell types in the current human tissue is reported as not detected, low, medium, or high, based on conventional immunohistochemistry profiling in selected tissues. This score is based on the combination of the staining intensity and fraction of stained cells.

Each image is clickable and will lead to virtual microscopy that enables deeper exploration of all samples and also displays staining intensity scores, fraction scores and subcellular localization as well as patient and tissue information for each sample.

Antibody HPA038236
Epidermal cells Medium
 
 
 

SKIN - HPA RNA-seqi

The RNA-seq details section shows detailed information about the individual samples used for the transcript profiling and results of the RNA-seq analysis.

Information about each individual sample is listed below, including gender, age, a tissue section image and estimated fractions of cell types. nTPM (normalized transcripts per million) values give a quantification of the gene abundance which is comparable between different genes and samples.
Average nTPMi

Max subtype nTPM is the value for the subtype with the largest average nTPM across the subtype samples.

5.0
overview
Female, age 34
Skin sample 225
nTPM: 4.7
Cell types%
Keratinocytes:
60

Other cell types:
40

overview
Female, age 30
Skin sample 226
nTPM: 6
Cell types%
Keratinocytes:
55

Other cell types:
45

N/A
Male, age 57
Skin sample 227
nTPM: 4.4

SKIN - GTEx RNA-seqi

RNA-Seq data generated by the Genotype-Tissue Expression (GTEx) project from human tissues is reported as mean nTPM. More information can be found on the GTEx portal.

Distribution across the dataset is visualized with box plots, shown as median and 25th and 75th percentiles. Points are displayed as outliers if they are above or below 1.5 times the interquartile range. nTPM values of the individual samples are presented next to the box plot.
Max subtype nTPMi

Max subtype nTPM is the value for the subtype with the largest average nTPM across the subtype samples.

10.7
GTEx sample id Sample description nTPM
Skin - Not Sun Exposed (Suprapubic)
Average nTPM: 10.3
Samples: 604

Max nTPM: 75.1
Min nTPM: 1.1
Std nTPM: 8.5
Median nTPM: 7.6
GTEX-ZUA1-2626-SM-5NQ92 40-49 years, male 75.1
GTEX-18A7B-2726-SM-7LG56 70-79 years, male 53.8
GTEX-1H1CY-0126-SM-9YFLY 60-69 years, female 52.0
GTEX-1AX9J-1326-SM-731BJ 60-69 years, male 51.7
GTEX-16GPK-0626-SM-7KFSF 60-69 years, male 47.8
GTEX-11TT1-1826-SM-5EQLV 20-29 years, male 44.9
GTEX-WFON-1926-SM-3LK7L 40-49 years, male 44.4
GTEX-1RB15-1326-SM-E76Q9 60-69 years, male 42.4
GTEX-145MO-2826-SM-5LU96 60-69 years, male 39.9
GTEX-18A66-0626-SM-7LT8Z 60-69 years, male 39.5
GTEX-13NZ9-2626-SM-5L3FK 50-59 years, male 39.1
GTEX-ZWKS-0626-SM-5GIDV 30-39 years, male 36.8
GTEX-14JG1-1526-SM-5YY9X 40-49 years, male 36.4
GTEX-1B933-2426-SM-7DHMD 50-59 years, female 35.2
GTEX-139TT-2126-SM-5LZWC 60-69 years, male 34.6
GTEX-1A8G6-2726-SM-731AR 60-69 years, male 33.2
GTEX-11DYG-1526-SM-5A5JS 60-69 years, male 32.9
GTEX-17EVQ-0126-SM-7IGLR 70-79 years, male 32.8
GTEX-1I1GP-1326-SM-A9G28 50-59 years, male 32.4
GTEX-145MF-0926-SM-5Q5EA 50-59 years, male 31.8
GTEX-WH7G-2026-SM-3NMBL 40-49 years, male 31.8
GTEX-12WSF-1626-SM-7KUG5 70-79 years, male 31.4
GTEX-13JUV-2026-SM-5K7UA 40-49 years, female 31.3
GTEX-14JG6-1426-SM-9WG7C 30-39 years, female 31.1
GTEX-1HFI6-0126-SM-CNPPI 40-49 years, male 30.7
GTEX-1CAV2-0126-SM-7IGN7 40-49 years, female 30.4
GTEX-17HHY-0426-SM-7DHLC 50-59 years, male 30.1
GTEX-1PIIG-2326-SM-DTXFR 30-39 years, male 29.6
GTEX-ZT9W-1126-SM-57WDR 50-59 years, male 29.4
GTEX-YF7O-1526-SM-5IFI6 50-59 years, male 28.9
GTEX-1GF9U-2026-SM-7SB92 40-49 years, female 28.5
GTEX-13OVL-0126-SM-5L3GJ 50-59 years, male 27.8
GTEX-1N2EE-0626-SM-E76PW 60-69 years, male 27.5
GTEX-1E2YA-2126-SM-7MXUO 50-59 years, male 26.2
GTEX-1C64O-1326-SM-7MGWR 60-69 years, male 26.1
GTEX-1N5O9-0926-SM-E9J3C 60-69 years, male 25.7
GTEX-18D9A-1426-SM-7LT8M 30-39 years, female 25.4
GTEX-UPJH-0226-SM-3GADV 50-59 years, male 25.1
GTEX-14BIN-1126-SM-5RQJZ 50-59 years, female 25.0
GTEX-ZYFD-0626-SM-5E44E 50-59 years, male 24.9
GTEX-14PKV-1126-SM-6LLJ1 20-29 years, female 24.4
GTEX-WYJK-0526-SM-3NM8Z 50-59 years, male 24.4
GTEX-1R9PM-1926-SM-EVR3O 20-29 years, male 24.2
GTEX-1IY9M-2826-SM-ARU8H 60-69 years, male 24.0
GTEX-111FC-2526-SM-5GZXU 60-69 years, male 23.9
GTEX-1IDFM-0326-SM-ARL7V 60-69 years, male 23.9
GTEX-YEC3-1326-SM-DO92X 50-59 years, male 23.3
GTEX-11O72-0626-SM-5PNYE 40-49 years, male 23.2
GTEX-YB5K-2026-SM-4VDT3 40-49 years, female 23.0
GTEX-ZU9S-1826-SM-5NQ9E 30-39 years, male 22.3
GTEX-1L5NE-1126-SM-D3L9P 50-59 years, male 22.3
GTEX-17MFQ-1526-SM-7KFRR 20-29 years, male 22.1
GTEX-1IOXB-2726-SM-CM2RI 50-59 years, male 22.1
GTEX-12WSC-2826-SM-5BC5Y 50-59 years, male 21.8
GTEX-XQ3S-1426-SM-4BOPR 20-29 years, male 21.3
GTEX-1192X-2726-SM-5N9DN 50-59 years, male 20.8
GTEX-183FY-1026-SM-7939A 20-29 years, male 20.5
GTEX-1QP66-1226-SM-DTX7U 50-59 years, male 20.5
GTEX-11WQK-1026-SM-5EQLX 50-59 years, male 20.4
GTEX-ZLFU-1826-SM-4WWBV 40-49 years, male 20.4
GTEX-1F75W-2726-SM-7SB8H 60-69 years, male 20.3
GTEX-14JFF-0626-SM-5ZZVT 60-69 years, male 20.1
GTEX-V1D1-2026-SM-3GAF4 50-59 years, male 19.9
GTEX-ZVTK-0226-SM-51MRG 20-29 years, male 19.7
GTEX-11EI6-2826-SM-5H11D 60-69 years, male 19.6
GTEX-18465-2826-SM-7LT9J 50-59 years, male 19.6
GTEX-146FQ-2126-SM-5RQHU 30-39 years, male 19.5
GTEX-17F9E-2326-SM-79OKD 50-59 years, male 19.3
GTEX-1IDJF-2026-SM-CL53V 20-29 years, male 19.3
GTEX-1O9I2-0226-SM-EYYXD 50-59 years, male 19.3
GTEX-11DXW-0826-SM-5H118 40-49 years, male 18.9
GTEX-13N1W-2426-SM-5IJD1 70-79 years, male 18.9
GTEX-1QP9N-1226-SM-E76QN 30-39 years, male 18.8
GTEX-1I6K7-1926-SM-B2LXR 40-49 years, male 18.7
GTEX-ZDXO-3126-SM-5IJDF 60-69 years, male 18.5
GTEX-WRHU-2826-SM-3MJG8 50-59 years, female 18.4
GTEX-12WSL-2026-SM-5GCML 50-59 years, male 18.2
GTEX-14BMV-2826-SM-5TDED 50-59 years, male 18.2
GTEX-18A6Q-0626-SM-7KFRP 60-69 years, male 18.2
GTEX-1399R-1326-SM-5PNYS 30-39 years, male 18.1
GTEX-14PJO-2526-SM-6AJBQ 60-69 years, male 18.0
GTEX-XK95-0226-SM-4AT58 40-49 years, male 17.9
GTEX-17JCI-2926-SM-7DUFF 60-69 years, female 17.6
GTEX-ZYT6-2326-SM-5GZY3 30-39 years, male 17.6
GTEX-1IDJC-1526-SM-B2LW4 50-59 years, male 17.4
GTEX-13OW8-1026-SM-5J1NQ 60-69 years, male 17.3
GTEX-1HGF4-0126-SM-CNPPX 60-69 years, male 17.3
GTEX-13N2G-0226-SM-5K7VF 60-69 years, male 17.2
GTEX-1AX8Z-0726-SM-73KTS 60-69 years, male 17.1
GTEX-1I6K6-1726-SM-CGQFD 30-39 years, male 17.1
GTEX-1GZ4I-2626-SM-9KNU3 50-59 years, male 17.0
GTEX-12ZZX-2426-SM-5GCOE 40-49 years, female 16.9
GTEX-1E1VI-0326-SM-793D1 50-59 years, male 16.9
GTEX-1LG7Z-1626-SM-CXKYR 30-39 years, male 16.7
GTEX-145MG-1526-SM-5Q5EM 50-59 years, male 16.6
GTEX-1AX9I-2226-SM-73KUO 60-69 years, male 16.6
GTEX-WHSE-0126-SM-3NMBT 20-29 years, male 16.6
GTEX-1CB4I-0126-SM-7RHGG 50-59 years, male 16.6
GTEX-13G51-1826-SM-5KLZH 60-69 years, male 16.5
GTEX-1S831-1826-SM-EWROF 20-29 years, male 16.4
GTEX-1JKYN-0826-SM-ARU8S 30-39 years, male 16.3
GTEX-1IL2V-1926-SM-B2LW8 70-79 years, male 16.2
GTEX-1J8JJ-0626-SM-ARZMQ 60-69 years, female 16.1
GTEX-1QCLZ-2426-SM-EVYBW 60-69 years, female 16.1
GTEX-14LZ3-0126-SM-69LPM 60-69 years, female 15.8
GTEX-1A8FM-0626-SM-7PC25 50-59 years, female 15.7
GTEX-1KD5A-0126-SM-E9U54 50-59 years, male 15.7
GTEX-1F6I4-2326-SM-7RHGL 60-69 years, male 15.6
GTEX-YJ8O-2526-SM-5HL85 40-49 years, female 15.4
GTEX-1JN1M-2726-SM-CY8I4 60-69 years, female 15.4
GTEX-1A32A-0626-SM-731AQ 50-59 years, female 15.3
GTEX-UPK5-0426-SM-3GAEK 40-49 years, male 15.3
GTEX-WFG8-2126-SM-3GIKQ 20-29 years, male 15.3
GTEX-139TU-0726-SM-5L3EK 60-69 years, male 15.2
GTEX-X3Y1-2026-SM-3P5YM 40-49 years, male 15.2
GTEX-1M4P7-0726-SM-E6CJ3 60-69 years, male 15.1
GTEX-1GZ2Q-0126-SM-9WG6M 40-49 years, male 14.9
GTEX-13FH7-1126-SM-5K7UG 50-59 years, female 14.8
GTEX-1BAJH-2426-SM-7IGP8 70-79 years, male 14.5
GTEX-ZDTS-0826-SM-4WKHL 60-69 years, male 14.5
GTEX-13OW6-2726-SM-5J2OE 50-59 years, male 14.3
GTEX-13VXU-0626-SM-5L3F9 50-59 years, male 14.3
GTEX-15RIE-1926-SM-7KUKJ 60-69 years, male 14.2
GTEX-ZVE1-0726-SM-51MRN 50-59 years, female 14.2
GTEX-1LGOU-1326-SM-D3L8M 20-29 years, female 14.2
GTEX-12BJ1-0926-SM-5EQ62 60-69 years, male 14.1
GTEX-12KS4-2126-SM-5FQUT 30-39 years, male 14.0
GTEX-WK11-2726-SM-3NMAQ 50-59 years, male 14.0
GTEX-132AR-0326-SM-5KM2C 50-59 years, female 13.9
GTEX-15DDE-2926-SM-6LLJ3 50-59 years, female 13.9
GTEX-14PJ2-0626-SM-6LLII 50-59 years, male 13.7
GTEX-ZVP2-0326-SM-57WBP 50-59 years, male 13.5
GTEX-1S83E-1326-SM-E6CJM 40-49 years, male 13.3
GTEX-13U4I-2226-SM-5LU5H 40-49 years, female 13.2
GTEX-ZYFG-1526-SM-5GZYM 60-69 years, female 13.1
GTEX-1GMR2-0826-SM-7PC3V 50-59 years, male 13.1
GTEX-1KANC-1226-SM-CYPT7 50-59 years, female 13.1
GTEX-11EQ9-1626-SM-5PNY8 30-39 years, male 13.0
GTEX-1211K-1526-SM-5FQU4 60-69 years, female 13.0
GTEX-ZZ64-1026-SM-5GZXG 20-29 years, male 13.0
GTEX-1HCU9-0426-SM-9WYSD 20-29 years, male 13.0
GTEX-12WSM-1926-SM-5BC65 60-69 years, male 12.9
GTEX-ZTTD-2826-SM-4YCFA 50-59 years, male 12.8
GTEX-17MF6-2626-SM-79OKQ 40-49 years, male 12.7
GTEX-12C56-1526-SM-5FQUQ 20-29 years, male 12.6
GTEX-147F3-1726-SM-5SIAW 50-59 years, female 12.5
GTEX-14E6E-0526-SM-793DN 30-39 years, male 12.5
GTEX-14ICL-1626-SM-5YYAO 30-39 years, male 12.5
GTEX-145LT-0526-SM-5LUB2 40-49 years, male 12.3
GTEX-1H1E6-0426-SM-9WYUS 30-39 years, male 12.3
GTEX-1HSMP-0926-SM-A9SKX 70-79 years, male 12.3
GTEX-1RAZA-2226-SM-E9U4X 20-29 years, male 12.3
GTEX-131XW-0626-SM-5PNVD 50-59 years, female 12.2
GTEX-13PVR-0426-SM-5RQK2 60-69 years, female 12.2
GTEX-11DZ1-2426-SM-5GZZX 50-59 years, male 12.0
GTEX-1HCU8-2526-SM-CE6RX 60-69 years, female 12.0
GTEX-1GMR3-0126-SM-A9SLW 40-49 years, male 11.9
GTEX-1HCU6-2526-SM-ADEHL 60-69 years, female 11.8
GTEX-12584-0726-SM-5FQTK 40-49 years, male 11.7
GTEX-1314G-1326-SM-5BC6E 30-39 years, male 11.5
GTEX-16AAH-0626-SM-793C9 50-59 years, male 11.5
GTEX-1F6IF-0926-SM-7SB7M 60-69 years, male 11.5
GTEX-1I1GV-0626-SM-ARL7M 60-69 years, male 11.5
GTEX-1LSVX-2526-SM-DIPEU 60-69 years, male 11.5
GTEX-144GO-2026-SM-5O99P 60-69 years, male 11.4
GTEX-Z93S-1626-SM-5CVMB 50-59 years, male 11.4
GTEX-ZLWG-0826-SM-59888 50-59 years, female 11.4
GTEX-13N11-2326-SM-5IJBF 50-59 years, female 11.3
GTEX-ZYW4-0626-SM-59HJR 60-69 years, male 11.3
GTEX-1LSNM-0826-SM-DIPG8 50-59 years, male 11.3
GTEX-13OVJ-0826-SM-5J1OK 50-59 years, female 11.2
GTEX-145MN-1526-SM-5SI9T 30-39 years, male 11.2
GTEX-1CAMQ-1326-SM-7P8RV 40-49 years, male 11.1
GTEX-11P7K-1126-SM-5HL4L 30-39 years, male 11.0
GTEX-XMD2-2126-SM-4YCF8 60-69 years, female 11.0
GTEX-117YX-1926-SM-5GIEC 50-59 years, male 10.9
GTEX-1S5ZU-2526-SM-E6CIF 20-29 years, female 10.9
GTEX-11EQ8-0926-SM-5H12V 60-69 years, male 10.7
GTEX-131YS-2826-SM-5EQ47 60-69 years, female 10.7
GTEX-1F75I-2226-SM-7SB8U 40-49 years, male 10.7
GTEX-1RAZR-2126-SM-E9U6T 40-49 years, male 10.7
GTEX-12WSA-0426-SM-5EQ5X 60-69 years, male 10.6
GTEX-13X6J-0626-SM-5LU5F 50-59 years, male 10.6
GTEX-1KWVE-1026-SM-D3L9O 30-39 years, male 10.6
GTEX-17F96-0126-SM-7EWDU 70-79 years, male 10.5
GTEX-ZAJG-1526-SM-5CVML 50-59 years, female 10.5
GTEX-11UD2-2526-SM-5CVNU 50-59 years, male 10.4
GTEX-1I4MK-0126-SM-CY8G6 50-59 years, female 10.4
GTEX-1IDJE-1426-SM-ADEIW 50-59 years, female 10.4
GTEX-14E1K-2026-SM-7DUEI 50-59 years, male 10.3
GTEX-178AV-1726-SM-7KUL8 40-49 years, male 10.3
GTEX-WXYG-2026-SM-4E3IY 50-59 years, female 10.3
GTEX-1GL5R-1326-SM-7RHHF 50-59 years, male 10.3
GTEX-139YR-1026-SM-5LZYN 50-59 years, male 10.2
GTEX-13NYB-0126-SM-5J1MD 40-49 years, male 10.2
GTEX-16NPX-0726-SM-7KULC 50-59 years, male 10.2
GTEX-11ZUS-2626-SM-5FQUR 30-39 years, male 10.1
GTEX-14DAQ-0626-SM-793DS 60-69 years, female 10.1
GTEX-15EU6-2226-SM-6EU2L 50-59 years, male 10.1
GTEX-15CHQ-0326-SM-69LQD 60-69 years, male 10.0
GTEX-15ER7-0626-SM-6PANF 20-29 years, female 10.0
GTEX-1H3NZ-2726-SM-9WYTQ 60-69 years, male 10.0
GTEX-1HCVE-2726-SM-CL54F 50-59 years, male 10.0
GTEX-1I1CD-0626-SM-CE6SW 60-69 years, female 10.0
GTEX-13O3O-2326-SM-5IJD6 60-69 years, female 9.9
GTEX-14BMU-1226-SM-5S2OR 20-29 years, female 9.9
GTEX-1KANA-1326-SM-DIPFA 20-29 years, male 9.9
GTEX-13OW5-2326-SM-5L3HO 60-69 years, male 9.8
GTEX-WYVS-1626-SM-3NM9R 40-49 years, female 9.8
GTEX-13X6K-0626-SM-5LU5D 60-69 years, female 9.7
GTEX-15RJ7-2126-SM-6PAMD 40-49 years, male 9.7
GTEX-1J1R8-2026-SM-CL53Y 40-49 years, male 9.7
GTEX-11NSD-0626-SM-5A5LU 20-29 years, male 9.6
GTEX-13SLX-2226-SM-62LEP 50-59 years, female 9.6
GTEX-WEY5-2326-SM-3GIKK 40-49 years, female 9.6
GTEX-1QP29-1826-SM-DTX9S 50-59 years, male 9.6
GTEX-16Z82-2626-SM-7KULU 60-69 years, male 9.5
GTEX-1EX96-1026-SM-7MKG2 50-59 years, male 9.5
GTEX-1I19N-0126-SM-CYPSF 70-79 years, male 9.5
GTEX-1ICLY-0826-SM-CMKG1 50-59 years, male 9.5
GTEX-1LVA9-2626-SM-EVYD4 50-59 years, male 9.5
GTEX-145ME-1726-SM-5Q5EU 40-49 years, female 9.4
GTEX-18A7A-0126-SM-731AH 50-59 years, female 9.4
GTEX-1PIGE-1826-SM-E8VOU 20-29 years, male 9.4
GTEX-12WSD-0626-SM-5GCMW 60-69 years, female 9.3
GTEX-15D1Q-2826-SM-6LLH7 40-49 years, male 9.3
GTEX-1EU9M-1426-SM-793AI 60-69 years, male 9.3
GTEX-131XH-0126-SM-5LZUY 50-59 years, male 9.2
GTEX-13PVQ-0626-SM-5LU47 50-59 years, male 9.2
GTEX-14E6C-2426-SM-5S2NF 40-49 years, male 9.2
GTEX-1EWIQ-0326-SM-7DHMQ 70-79 years, female 9.2
GTEX-VJYA-1526-SM-3GIJV 60-69 years, male 9.2
GTEX-1C64N-2626-SM-7PC2N 50-59 years, male 9.2
GTEX-XPVG-2126-SM-4B667 50-59 years, male 9.1
GTEX-1GN1W-2426-SM-9KNUU 50-59 years, female 9.1
GTEX-1HUB1-1426-SM-CGQF5 60-69 years, male 9.1
GTEX-1IDJH-0126-SM-D3L92 70-79 years, male 9.1
GTEX-1LVAN-0626-SM-CNPOQ 50-59 years, female 9.1
GTEX-1A8G7-1326-SM-73KVM 60-69 years, male 9.0
GTEX-1JMPZ-0726-SM-CY8HZ 30-39 years, male 9.0
GTEX-111YS-1526-SM-5GZYW 60-69 years, male 8.9
GTEX-14ABY-2026-SM-62LDL 50-59 years, male 8.9
GTEX-16XZZ-0726-SM-7KUF2 60-69 years, male 8.9
GTEX-1B932-2326-SM-79OL5 40-49 years, female 8.9
GTEX-1EH9U-2826-SM-7DUGT 60-69 years, male 8.9
GTEX-11P82-1426-SM-DTXFY 20-29 years, male 8.8
GTEX-1CAMR-1326-SM-7PC1F 20-29 years, male 8.8
GTEX-1F5PL-0926-SM-7PC2W 40-49 years, female 8.8
GTEX-1H1DF-1126-SM-9WG7G 40-49 years, female 8.8
GTEX-1ICG6-1226-SM-A9SLN 70-79 years, female 8.8
GTEX-12126-0826-SM-5FQTZ 20-29 years, male 8.7
GTEX-139TS-2126-SM-5K7XC 60-69 years, male 8.7
GTEX-17HG3-2626-SM-7DUF2 30-39 years, female 8.7
GTEX-ZAK1-0626-SM-5HL8E 50-59 years, female 8.7
GTEX-ZVE2-2826-SM-5GU51 50-59 years, male 8.7
GTEX-1GF9W-1426-SM-7PBYM 60-69 years, male 8.7
GTEX-1IDJD-2326-SM-ACKWX 30-39 years, male 8.7
GTEX-14PHX-2226-SM-6EU2P 50-59 years, male 8.6
GTEX-1F75B-0726-SM-7PC3R 50-59 years, male 8.6
GTEX-1HSMO-0626-SM-ACKXC 60-69 years, male 8.6
GTEX-1LSNL-2726-SM-E9TKJ 50-59 years, male 8.6
GTEX-11NUK-2726-SM-5A5MC 50-59 years, male 8.5
GTEX-XBEC-0726-SM-4QARZ 50-59 years, male 8.5
GTEX-Y5V5-0126-SM-5S2NW 60-69 years, female 8.5
GTEX-11EM3-1226-SM-5N9DD 20-29 years, female 8.4
GTEX-145LU-1926-SM-79OJN 50-59 years, male 8.4
GTEX-1497J-0226-SM-5QGPU 60-69 years, male 8.4
GTEX-17F98-1326-SM-7DUEP 40-49 years, female 8.4
GTEX-18D9U-0126-SM-731BM 40-49 years, male 8.4
GTEX-1B8KE-1126-SM-7EPHI 50-59 years, male 8.4
GTEX-X585-2426-SM-46MW2 50-59 years, male 8.4
GTEX-1JMQI-1726-SM-ARL93 50-59 years, male 8.4
GTEX-131XF-2626-SM-5EQ6K 60-69 years, male 8.3
GTEX-14DAR-1226-SM-73KYV 50-59 years, male 8.3
GTEX-1A3MV-1826-SM-731CD 30-39 years, male 8.3
GTEX-WHWD-1826-SM-3LK6I 50-59 years, male 8.3
GTEX-14A5H-0826-SM-5QGPJ 60-69 years, male 8.2
GTEX-X4EO-2926-SM-4E3JH 60-69 years, female 8.2
GTEX-Y8E4-2026-SM-5IFJB 40-49 years, male 8.2
GTEX-1JMQK-1226-SM-D4P2S 60-69 years, male 8.2
GTEX-11WQC-1826-SM-5GU59 60-69 years, male 8.1
GTEX-145LS-0626-SM-7EPG7 60-69 years, female 8.1
GTEX-18QFQ-1826-SM-72D52 30-39 years, male 8.1
GTEX-1QCLY-0226-SM-EWRNH 30-39 years, male 8.1
GTEX-1R9K4-2826-SM-DTX8F 60-69 years, male 8.1
GTEX-139D8-1126-SM-5LU8W 30-39 years, female 8.0
GTEX-18D9B-0926-SM-7LG4U 60-69 years, male 8.0
GTEX-1JKYR-0626-SM-ARL8R 20-29 years, male 8.0
GTEX-13VXT-1926-SM-5K7UO 20-29 years, female 7.9
GTEX-15SHW-0226-SM-7LTAT 60-69 years, male 7.9
GTEX-1HFI7-2326-SM-CGQFS 50-59 years, female 7.9
GTEX-1QMI2-2526-SM-E8VNZ 60-69 years, male 7.9
GTEX-17HGU-2326-SM-7DUFE 50-59 years, male 7.8
GTEX-1A3MW-0626-SM-731CB 60-69 years, female 7.8
GTEX-XAJ8-1426-SM-47JYM 40-49 years, male 7.8
GTEX-1KANB-2826-SM-CY8I6 50-59 years, male 7.8
GTEX-1R7EU-1626-SM-DTXG3 60-69 years, male 7.8
GTEX-13O61-1426-SM-5KM3D 60-69 years, male 7.7
GTEX-XYKS-1426-SM-4BRUO 60-69 years, female 7.7
GTEX-1HKZK-0726-SM-ACKW2 40-49 years, male 7.7
GTEX-1477Z-0326-SM-7IGLA 60-69 years, male 7.6
GTEX-147JS-0226-SM-5S2U9 60-69 years, male 7.6
GTEX-16MT8-2926-SM-7DUFO 60-69 years, female 7.6
GTEX-WYBS-0626-SM-3NMAS 60-69 years, female 7.6
GTEX-ZXG5-2126-SM-59HKD 60-69 years, male 7.6
GTEX-13113-1626-SM-5EQ4I 60-69 years, female 7.5
GTEX-16NGA-0726-SM-731AO 40-49 years, female 7.5
GTEX-1MJK3-0726-SM-E6CJC 20-29 years, male 7.5
GTEX-Y3IK-1626-SM-4YCF5 50-59 years, female 7.4
GTEX-1H1DG-2426-SM-9QEHJ 70-79 years, male 7.4
GTEX-WHPG-2626-SM-3NMBR 50-59 years, male 7.3
GTEX-YEC4-1826-SM-4W1YP 40-49 years, male 7.3
GTEX-1MCC2-1826-SM-DIPEX 30-39 years, female 7.3
GTEX-13FTW-0326-SM-5K7UW 40-49 years, male 7.2
GTEX-XXEK-1626-SM-4BRUZ 50-59 years, male 7.2
GTEX-1117F-2926-SM-5GZYI 60-69 years, female 7.1
GTEX-131XG-0326-SM-5L3DX 50-59 years, female 7.1
GTEX-133LE-2326-SM-5K7W3 20-29 years, female 7.1
GTEX-WY7C-2126-SM-3NB2R 50-59 years, male 7.1
GTEX-Y9LG-1126-SM-4VBQ7 30-39 years, male 7.1
GTEX-1GTWX-2026-SM-9YFLM 60-69 years, male 7.1
GTEX-1H1ZS-2726-SM-9WG75 70-79 years, male 7.1
GTEX-1HCUA-0826-SM-ADEHM 50-59 years, female 7.1
GTEX-1KXAM-1626-SM-D3LAD 60-69 years, male 7.1
GTEX-1LG7Y-2526-SM-EWRO7 50-59 years, male 7.1
GTEX-1POEN-2326-SM-E9J2L 30-39 years, female 7.1
GTEX-139T8-0626-SM-5KLZX 60-69 years, male 7.0
GTEX-13OVG-1626-SM-5J1NF 60-69 years, male 7.0
GTEX-13QBU-1226-SM-5LU4G 40-49 years, female 7.0
GTEX-13X6I-1826-SM-5SIAO 60-69 years, male 7.0
GTEX-1B996-0426-SM-7EWF8 60-69 years, male 7.0
GTEX-1HR98-2226-SM-ADEI2 60-69 years, male 7.0
GTEX-1JN6P-2926-SM-CL54D 60-69 years, male 7.0
GTEX-1212Z-0126-SM-59HK4 60-69 years, male 6.9
GTEX-12ZZY-0726-SM-5EQ66 60-69 years, male 6.9
GTEX-144GM-0526-SM-79OJO 20-29 years, male 6.9
GTEX-1F52S-2926-SM-7MKGA 60-69 years, female 6.9
GTEX-YFCO-1226-SM-5LUAT 40-49 years, male 6.9
GTEX-1IE54-1126-SM-A9G2Z 40-49 years, female 6.9
GTEX-13NYC-0126-SM-5L3F4 60-69 years, male 6.8
GTEX-1C475-1326-SM-7SB73 40-49 years, female 6.8
GTEX-1GMR8-0626-SM-7RHI7 50-59 years, female 6.8
GTEX-1JMQJ-0826-SM-CNPP7 50-59 years, male 6.8
GTEX-1K2DA-1026-SM-CGQGF 50-59 years, male 6.8
GTEX-1QEPI-2626-SM-DTXF4 60-69 years, female 6.8
GTEX-12WSH-1526-SM-5BC5W 50-59 years, male 6.7
GTEX-14PK6-0226-SM-62LF5 70-79 years, female 6.7
GTEX-ZPU1-1126-SM-4YCF3 40-49 years, male 6.7
GTEX-1JJE9-2626-SM-ARZMT 70-79 years, male 6.7
GTEX-1JMLX-0626-SM-ARL8T 50-59 years, male 6.7
GTEX-1LGRB-0926-SM-COH3K 50-59 years, female 6.7
GTEX-ZYFC-0426-SM-5GICQ 50-59 years, male 6.5
GTEX-1HSMQ-2626-SM-A9SML 50-59 years, male 6.5
GTEX-ZGAY-1826-SM-DO91Q 40-49 years, female 6.5
GTEX-11VI4-1126-SM-5EQMD 40-49 years, female 6.4
GTEX-15CHR-1126-SM-7EWF4 50-59 years, male 6.4
GTEX-15EO6-2426-SM-6PALZ 50-59 years, male 6.4
GTEX-Y8LW-1526-SM-5IFHL 50-59 years, female 6.4
GTEX-1F48J-0726-SM-7RHGS 50-59 years, female 6.4
GTEX-1I1HK-2326-SM-CKZOH 60-69 years, male 6.4
GTEX-1K9T9-1526-SM-DIPFR 50-59 years, female 6.4
GTEX-1RMOY-1326-SM-E9TIH 50-59 years, male 6.4
GTEX-17F9Y-0126-SM-79OKX 70-79 years, female 6.3
GTEX-1A3MX-2626-SM-7PC24 60-69 years, male 6.3
GTEX-1H4P4-2126-SM-9WYSL 50-59 years, male 6.3
GTEX-1LKK1-2626-SM-DKPQE 50-59 years, female 6.3
GTEX-1N2DV-1526-SM-DTXEP 40-49 years, male 6.3
GTEX-1QW4Y-1126-SM-DTXE3 30-39 years, male 6.3
GTEX-14A6H-2026-SM-5Q5DD 30-39 years, male 6.2
GTEX-1AMFI-1326-SM-7939R 50-59 years, female 6.2
GTEX-Y5LM-0926-SM-6LLJG 40-49 years, female 6.2
GTEX-ZTSS-1426-SM-5985P 40-49 years, male 6.2
GTEX-15G1A-1626-SM-7KUKN 30-39 years, male 6.1
GTEX-16YQH-2226-SM-7IGM2 30-39 years, male 6.1
GTEX-17KNJ-2126-SM-718AM 50-59 years, male 6.1
GTEX-VUSG-2326-SM-4KL1U 50-59 years, male 6.1
GTEX-14753-0726-SM-5QGQO 60-69 years, male 6.0
GTEX-147F4-0726-SM-5TDDD 50-59 years, male 6.0
GTEX-14PJ5-1526-SM-6LLIL 60-69 years, female 6.0
GTEX-XUW1-0926-SM-4BONX 50-59 years, female 6.0
GTEX-1HSKV-1226-SM-ADEI4 60-69 years, male 6.0
GTEX-1LVAM-0726-SM-E6CIL 50-59 years, female 6.0
GTEX-1PPGY-1626-SM-EVYBL 60-69 years, male 6.0
GTEX-1RAZS-2526-SM-E6CHT 50-59 years, male 6.0
GTEX-12WSJ-1126-SM-5LZVJ 40-49 years, female 5.9
GTEX-15DYW-2726-SM-6EU2I 60-69 years, female 5.9
GTEX-16BQI-1326-SM-6M486 30-39 years, female 5.9
GTEX-1EN7A-2426-SM-793DB 40-49 years, male 5.9
GTEX-U8XE-0226-SM-4E3J3 30-39 years, male 5.9
GTEX-1HBPI-2126-SM-ARL9K 50-59 years, male 5.9
GTEX-1KAFJ-0126-SM-DIPEK 50-59 years, male 5.9
GTEX-1LVAO-2726-SM-E9TJ8 60-69 years, male 5.9
GTEX-1RLM8-2926-SM-E8VON 50-59 years, male 5.9
GTEX-11ZTT-2126-SM-5CVLO 60-69 years, female 5.8
GTEX-13FLV-0126-SM-5K7WT 50-59 years, male 5.8
GTEX-13RTJ-0126-SM-5S2NN 60-69 years, male 5.8
GTEX-1CB4H-1126-SM-7MKGL 60-69 years, female 5.8
GTEX-XOT4-0626-SM-4B66L 60-69 years, female 5.8
GTEX-1F75A-0726-SM-7RHHD 50-59 years, male 5.8
GTEX-12696-0126-SM-5EQ4L 60-69 years, male 5.7
GTEX-12WSK-2126-SM-5CVNC 40-49 years, female 5.7
GTEX-ZDYS-2426-SM-4WKGI 50-59 years, male 5.7
GTEX-1HCU7-0726-SM-A9SL1 50-59 years, male 5.7
GTEX-ZF3C-0626-SM-DO92O 50-59 years, female 5.7
GTEX-13IVO-0726-SM-5LZYV 70-79 years, male 5.6
GTEX-15UF6-1926-SM-7KUDV 70-79 years, female 5.6
GTEX-X5EB-1926-SM-4E3IW 40-49 years, male 5.6
GTEX-1J8Q3-0526-SM-ARL8U 60-69 years, male 5.6
GTEX-1JMPY-0226-SM-CKZOK 30-39 years, male 5.6
GTEX-ZDTT-0426-SM-4WKFL 60-69 years, male 5.5
GTEX-1GF9V-0826-SM-9KNUV 60-69 years, male 5.5
GTEX-1HB9E-0126-SM-CM2S5 50-59 years, male 5.5
GTEX-1IDJU-1726-SM-CMKHU 60-69 years, female 5.5
GTEX-1IDJV-0126-SM-COH3Y 60-69 years, male 5.5
GTEX-1LBAC-0826-SM-CY8IJ 20-29 years, male 5.5
GTEX-1S3DN-2126-SM-E9TIN 50-59 years, male 5.5
GTEX-111CU-1126-SM-5EGIM 50-59 years, male 5.4
GTEX-139UW-0326-SM-5J1ML 60-69 years, male 5.4
GTEX-13OVK-1426-SM-6PAN7 40-49 years, male 5.4
GTEX-1B8KZ-0326-SM-73KY4 50-59 years, male 5.4
GTEX-W5X1-2526-SM-3GILC 40-49 years, female 5.4
GTEX-XBEW-1126-SM-4QARW 40-49 years, male 5.4
GTEX-ZC5H-1526-SM-5HL9Y 40-49 years, female 5.4
GTEX-1HSGN-0826-SM-ACKW3 40-49 years, female 5.4
GTEX-1I1GS-2626-SM-B2LY3 60-69 years, male 5.4
GTEX-1IKOE-1426-SM-CE6T7 30-39 years, female 5.4
GTEX-11DXZ-2026-SM-5987S 50-59 years, male 5.3
GTEX-13PL6-1126-SM-5L3IE 40-49 years, female 5.3
GTEX-1AMEY-0826-SM-72D65 30-39 years, female 5.3
GTEX-ZA64-1026-SM-5HL8R 20-29 years, male 5.3
GTEX-ZVT4-2426-SM-5GIEI 50-59 years, female 5.3
GTEX-1GN2E-0226-SM-9WG6K 60-69 years, male 5.3
GTEX-1GPI7-1826-SM-9KNU1 20-29 years, male 5.3
GTEX-1JN76-0626-SM-CKZOQ 20-29 years, female 5.3
GTEX-1R46S-2426-SM-E76QA 60-69 years, female 5.3
GTEX-11GS4-0226-SM-5HL77 60-69 years, male 5.2
GTEX-13112-0126-SM-5P9IU 50-59 years, male 5.2
GTEX-1399Q-2326-SM-5KM2X 40-49 years, male 5.2
GTEX-13W3W-0726-SM-5IJDQ 60-69 years, female 5.2
GTEX-17F97-2626-SM-7IGM5 50-59 years, male 5.2
GTEX-1C6WA-2626-SM-7MKGM 60-69 years, male 5.2
GTEX-WFG7-2026-SM-5SI7P 20-29 years, male 5.2
GTEX-1JJ6O-2726-SM-CNPOG 60-69 years, male 5.2
GTEX-1R9PN-0426-SM-DTXDT 40-49 years, female 5.2
GTEX-ZLV1-1526-SM-DO91J 60-69 years, female 5.2
GTEX-11OF3-0126-SM-5PNYF 60-69 years, male 5.1
GTEX-Y3I4-1726-SM-4TT89 50-59 years, male 5.1
GTEX-1F5PK-2226-SM-7SB6N 50-59 years, male 5.1
GTEX-15G19-2426-SM-7KUMR 60-69 years, male 5.0
GTEX-183WM-0326-SM-72D5V 70-79 years, female 5.0
GTEX-1B8SF-0126-SM-7DUG3 60-69 years, male 5.0
GTEX-Y114-2126-SM-4TT8B 50-59 years, female 5.0
GTEX-Y5V6-2326-SM-4VDSA 60-69 years, male 5.0
GTEX-ZT9X-1526-SM-5DUXD 40-49 years, male 5.0
GTEX-1F6RS-2026-SM-7RHHC 60-69 years, female 5.0
GTEX-1HC8U-1326-SM-9YFMJ 40-49 years, female 5.0
GTEX-1J8QM-2426-SM-A9SLS 60-69 years, female 5.0
GTEX-11LCK-2226-SM-5HL4Q 30-39 years, male 4.9
GTEX-145MH-2826-SM-5RQJF 50-59 years, male 4.9
GTEX-1AYD5-2626-SM-7PBXY 50-59 years, male 4.9
GTEX-1CB4J-1326-SM-7P8RX 60-69 years, male 4.9
GTEX-1H23P-0626-SM-9WG6T 60-69 years, male 4.9
GTEX-1QAET-0326-SM-EVR3U 50-59 years, male 4.9
GTEX-ZPIC-0526-SM-DO91W 40-49 years, female 4.9
GTEX-1269C-0126-SM-5EQ5L 60-69 years, female 4.8
GTEX-13YAN-0226-SM-5TDC6 60-69 years, male 4.8
GTEX-14LLW-2626-SM-62LDZ 70-79 years, female 4.8
GTEX-1K2DU-1226-SM-CYPT4 20-29 years, male 4.8
GTEX-1PDJ9-1226-SM-EXUSX 20-29 years, male 4.8
GTEX-13NYS-0626-SM-5L3F1 60-69 years, male 4.7
GTEX-13OW7-0426-SM-5K7VK 50-59 years, male 4.7
GTEX-13PDP-0726-SM-5L3HP 60-69 years, male 4.7
GTEX-14PJ3-1126-SM-5ZZVX 50-59 years, male 4.7
GTEX-15SKB-2826-SM-6PAMH 60-69 years, male 4.7
GTEX-WI4N-2726-SM-3LK7Y 40-49 years, female 4.7
GTEX-ZF2S-1626-SM-57WES 50-59 years, female 4.7
GTEX-1GF9X-1326-SM-7PC2Y 40-49 years, female 4.7
GTEX-1GMRU-2126-SM-7P8RA 50-59 years, male 4.7
GTEX-1GZHY-0626-SM-9KNVC 50-59 years, female 4.7
GTEX-1JMQL-2226-SM-CNPP4 50-59 years, female 4.7
GTEX-1CB4E-0926-SM-7EPHT 60-69 years, male 4.6
GTEX-1CB4F-1026-SM-7DUH1 60-69 years, male 4.6
GTEX-ZVT2-0126-SM-5GIDQ 50-59 years, female 4.6
GTEX-ZY6K-1426-SM-5GZX2 50-59 years, male 4.6
GTEX-1JK1U-0226-SM-ARZMX 60-69 years, male 4.6
GTEX-11TUW-0626-SM-5LU9M 60-69 years, male 4.5
GTEX-14AS3-1526-SM-5Q5ED 40-49 years, female 4.5
GTEX-14C5O-0326-SM-5ZZUX 60-69 years, male 4.5
GTEX-14PII-0726-SM-6EU2B 60-69 years, male 4.5
GTEX-1F88F-0126-SM-9WYSZ 60-69 years, female 4.5
GTEX-1IDJI-0126-SM-CMKHS 50-59 years, female 4.5
GTEX-1OJC3-1226-SM-DTXER 20-29 years, male 4.5
GTEX-11DXY-0126-SM-5H11Q 60-69 years, male 4.4
GTEX-13X6H-0926-SM-5SIB2 50-59 years, female 4.4
GTEX-147GR-2426-SM-5ZZWQ 60-69 years, male 4.4
GTEX-14PKU-0126-SM-6LLHV 40-49 years, female 4.4
GTEX-15CHC-1126-SM-6LLHQ 60-69 years, female 4.4
GTEX-ZAB4-2126-SM-5HL8U 40-49 years, male 4.4
GTEX-ZP4G-1426-SM-4WWCL 20-29 years, female 4.4
GTEX-ZZPU-0826-SM-5GZX5 50-59 years, female 4.4
GTEX-1B8L1-2226-SM-7P8PT 60-69 years, male 4.4
GTEX-1H1DE-1326-SM-9KNUG 20-29 years, male 4.4
GTEX-1PPH7-1126-SM-DTX9A 40-49 years, male 4.4
GTEX-11DXX-2126-SM-5PNYR 60-69 years, female 4.3
GTEX-144FL-0626-SM-5LU43 50-59 years, male 4.3
GTEX-X8HC-0626-SM-4E3HQ 50-59 years, female 4.3
GTEX-YECK-0326-SM-4W1YS 60-69 years, male 4.3
GTEX-1GZ4H-0526-SM-9KNU9 50-59 years, female 4.3
GTEX-144GL-0626-SM-5LU4D 50-59 years, male 4.2
GTEX-15RIG-0726-SM-7KUM7 40-49 years, male 4.2
GTEX-XQ8I-0926-SM-4BOOF 50-59 years, male 4.2
GTEX-1J8EW-2726-SM-CY8HR 60-69 years, female 4.2
GTEX-13D11-0926-SM-5J2NC 50-59 years, female 4.1
GTEX-13FTX-1526-SM-5K7VJ 20-29 years, female 4.1
GTEX-13OVH-0526-SM-5L3E6 70-79 years, male 4.1
GTEX-14B4R-1326-SM-5Q5EZ 30-39 years, male 4.1
GTEX-14PHY-1226-SM-5ZZWK 60-69 years, female 4.1
GTEX-14PJN-1826-SM-6AJ98 30-39 years, male 4.1
GTEX-15RJE-2826-SM-7KUM9 40-49 years, male 4.1
GTEX-17HHE-1326-SM-7EWDZ 50-59 years, male 4.1
GTEX-ZYVF-0926-SM-5E44J 50-59 years, female 4.1
GTEX-1NSGN-0726-SM-DTXEF 50-59 years, male 4.1
GTEX-1QPFJ-1926-SM-EVYBD 30-39 years, female 4.1
GTEX-13O3Q-0126-SM-5KM34 50-59 years, male 4.0
GTEX-145MI-0626-SM-5SI8S 60-69 years, female 4.0
GTEX-16MTA-0926-SM-6M47Z 50-59 years, male 4.0
GTEX-1C6VQ-1226-SM-73KYD 50-59 years, male 4.0
GTEX-1LB8K-0726-SM-D5OV2 50-59 years, male 4.0
GTEX-148VJ-0626-SM-5LUAW 70-79 years, male 3.9
GTEX-14PJ6-2626-SM-6EU2T 60-69 years, female 3.9
GTEX-17EVP-2626-SM-7IGMA 40-49 years, male 3.9
GTEX-XBED-1926-SM-47JYP 60-69 years, male 3.9
GTEX-ZTX8-1326-SM-4YCEL 20-29 years, male 3.9
GTEX-1GPI6-1926-SM-9KNV7 60-69 years, male 3.9
GTEX-1I1GU-0926-SM-ACKVS 40-49 years, male 3.9
GTEX-1JMOU-1026-SM-CYPSS 60-69 years, female 3.9
GTEX-1PBJJ-1026-SM-E76OS 30-39 years, male 3.9
GTEX-11GSP-2326-SM-5HL63 60-69 years, female 3.8
GTEX-13FTY-2126-SM-5IFFB 40-49 years, female 3.8
GTEX-14PJ4-0226-SM-5YY92 60-69 years, male 3.8
GTEX-18A67-1626-SM-7LT9T 50-59 years, male 3.8
GTEX-XV7Q-1826-SM-4BRUV 40-49 years, female 3.8
GTEX-1HBPM-0726-SM-9YFL7 60-69 years, female 3.8
GTEX-1399U-1126-SM-5L3DB 50-59 years, female 3.7
GTEX-17HII-1426-SM-7EPGG 50-59 years, male 3.7
GTEX-1EKGG-0626-SM-7DUGJ 60-69 years, male 3.7
GTEX-Y111-0626-SM-4SOIT 50-59 years, male 3.7
GTEX-1H2FU-0926-SM-9WPPT 60-69 years, female 3.7
GTEX-1J8Q2-2626-SM-ACKWQ 60-69 years, male 3.7
GTEX-1JJEA-1826-SM-ARU8P 60-69 years, male 3.7
GTEX-ZE9C-2526-SM-5IJDR 60-69 years, male 3.6
GTEX-1EMGI-2326-SM-7PBYA 60-69 years, male 3.6
GTEX-1H11D-1826-SM-9QEHM 40-49 years, male 3.6
GTEX-12ZZZ-0726-SM-5GCNZ 60-69 years, male 3.5
GTEX-X4EP-0626-SM-3P621 60-69 years, female 3.5
GTEX-ZPCL-1126-SM-4WWFE 60-69 years, female 3.5
GTEX-1QP28-1126-SM-EVYC4 50-59 years, female 3.5
GTEX-1S82P-2126-SM-E6CI5 60-69 years, female 3.5
GTEX-13FHO-0426-SM-5L3F5 60-69 years, male 3.4
GTEX-15FZZ-0526-SM-7KUGD 30-39 years, female 3.4
GTEX-1C6VR-0126-SM-7RHGB 60-69 years, male 3.4
GTEX-11P81-2226-SM-5PNYI 30-39 years, female 3.3
GTEX-14XAO-1226-SM-6EU1C 60-69 years, female 3.3
GTEX-11ZU8-0126-SM-5EQ58 60-69 years, male 3.2
GTEX-13SLW-0626-SM-5Q5ER 70-79 years, male 3.2
GTEX-16MT9-0126-SM-7EPI8 60-69 years, female 3.2
GTEX-1B97I-0626-SM-73KUZ 40-49 years, male 3.2
GTEX-1122O-1026-SM-9WYSF 60-69 years, female 3.2
GTEX-1GN1U-0626-SM-9MQL9 50-59 years, female 3.2
GTEX-1GN73-0726-SM-7P8TJ 60-69 years, male 3.1
GTEX-1HBPN-0126-SM-CGQEF 50-59 years, male 3.1
GTEX-1IKJJ-2226-SM-CJI4C 60-69 years, male 3.1
GTEX-1PPH8-0126-SM-EWRN8 20-29 years, male 3.1
GTEX-111VG-1626-SM-5EGIO 60-69 years, male 3.0
GTEX-1399S-0126-SM-5IJCF 30-39 years, female 3.0
GTEX-1HR9M-2226-SM-CNPPY 60-69 years, male 3.0
GTEX-1OJC4-2726-SM-E76PJ 50-59 years, female 3.0
GTEX-1S82U-1026-SM-E6CJK 30-39 years, female 3.0
GTEX-13QJC-0126-SM-5ZZWJ 60-69 years, female 2.9
GTEX-ZVZP-1226-SM-5GID7 50-59 years, male 2.9
GTEX-14C38-0726-SM-5SI6M 50-59 years, male 2.8
GTEX-1C2JI-1026-SM-73KY1 50-59 years, male 2.8
GTEX-1CAMS-2226-SM-7PBXQ 40-49 years, female 2.8
GTEX-1H3O1-1326-SM-9MQLD 60-69 years, male 2.8
GTEX-1RAZQ-1326-SM-E9TK6 30-39 years, male 2.8
GTEX-13NZ8-1226-SM-5KM4A 60-69 years, female 2.6
GTEX-14C39-1726-SM-5RQIL 40-49 years, male 2.6
GTEX-1F88E-1626-SM-7SB8Z 60-69 years, female 2.6
GTEX-13JVG-0726-SM-5KM16 60-69 years, male 2.5
GTEX-ZE7O-2726-SM-51MT5 50-59 years, female 2.5
GTEX-ZF29-0926-SM-4WKFZ 60-69 years, female 2.5
GTEX-11PRG-0726-SM-5EGL1 50-59 years, male 2.4
GTEX-1ICLZ-0326-SM-ARL82 60-69 years, male 2.4
GTEX-1NV5F-0626-SM-DTXEG 60-69 years, female 2.4
GTEX-1H3VE-0726-SM-9YFL5 40-49 years, male 2.3
GTEX-1HT8W-0626-SM-A9G2H 30-39 years, male 2.3
GTEX-1QP2A-1726-SM-E76QC 50-59 years, male 2.3
GTEX-1MCYP-0526-SM-E9U6Q 20-29 years, female 2.2
GTEX-ZYY3-2926-SM-5GIEB 60-69 years, female 2.1
GTEX-1I1GT-1026-SM-ARZLV 60-69 years, female 2.1
GTEX-WHSB-1326-SM-3LK6W 50-59 years, male 1.9
GTEX-1J1OQ-0126-SM-D4P2N 40-49 years, female 1.7
GTEX-1313W-0626-SM-5EQ4H 50-59 years, female 1.6
GTEX-1GN1V-2826-SM-9JGIA 60-69 years, male 1.1
Show allShow less
Skin - Sun Exposed (Lower leg)
Average nTPM: 10.7
Samples: 701

Max nTPM: 53.9
Min nTPM: 1.6
Std nTPM: 6.0
Median nTPM: 9.1
GTEX-1RAZQ-0726-SM-EAZ43 30-39 years, male 53.9
GTEX-1OJC4-0126-SM-E9J2E 50-59 years, female 48.6
GTEX-146FR-1326-SM-E9J48 60-69 years, female 47.1
GTEX-1QP67-1626-SM-EAZ3X 40-49 years, female 37.5
GTEX-V1D1-2226-SM-3NMAX 50-59 years, male 36.8
GTEX-14JIY-0126-SM-6LLH6 60-69 years, male 35.3
GTEX-1GN1W-0526-SM-9MQJQ 50-59 years, female 34.5
GTEX-ZZPT-0226-SM-5E43X 50-59 years, male 33.1
GTEX-WH7G-2326-SM-3NMBC 40-49 years, male 32.7
GTEX-RN64-0126-SM-2TC68 50-59 years, male 32.5
GTEX-11ZUS-0626-SM-59885 30-39 years, male 28.6
GTEX-1F75I-0326-SM-9YFLU 40-49 years, male 28.3
GTEX-1AYCT-2426-SM-7IGQ3 50-59 years, male 27.8
GTEX-145MF-0626-SM-5LUAI 50-59 years, male 27.7
GTEX-1QW4Y-1526-SM-EAZ3Z 30-39 years, male 27.2
GTEX-15SDE-2226-SM-7IGLO 50-59 years, female 27.1
GTEX-1AMEY-1326-SM-73KYK 30-39 years, female 26.9
GTEX-1PBJI-0526-SM-E8VNK 20-29 years, female 26.6
GTEX-Q2AG-0126-SM-33HBV 40-49 years, female 26.3
GTEX-OIZG-0726-SM-33HBL 50-59 years, male 25.5
GTEX-1I6K6-0126-SM-A9SLE 30-39 years, male 24.9
GTEX-1MCYP-1926-SM-E9J2R 20-29 years, female 24.9
GTEX-113IC-0126-SM-5HL6T 60-69 years, male 24.5
GTEX-13OVL-0226-SM-5L3E9 50-59 years, male 23.3
GTEX-WXYG-2326-SM-4E3I6 50-59 years, female 22.7
GTEX-1EKGG-0226-SM-9WYTH 60-69 years, male 22.4
GTEX-1N2DV-0226-SM-E6CJ6 40-49 years, male 22.3
GTEX-13O21-1426-SM-5K7XI 50-59 years, male 22.2
GTEX-1I1GR-0126-SM-CL55F 60-69 years, male 22.1
GTEX-144GN-2326-SM-5LU4F 50-59 years, male 22.0
GTEX-1I1HK-0126-SM-COH49 60-69 years, male 22.0
GTEX-1LBAC-0126-SM-DIPEZ 20-29 years, male 22.0
GTEX-11P7K-2126-SM-5GU7G 30-39 years, male 21.9
GTEX-1AYD5-2426-SM-73KXR 50-59 years, male 21.9
GTEX-RUSQ-1526-SM-2TF62 50-59 years, male 21.7
GTEX-1HUB1-0426-SM-E9U4U 60-69 years, male 21.5
GTEX-1B8L1-2526-SM-9WYTF 60-69 years, male 21.3
GTEX-ZQUD-1426-SM-57WER 30-39 years, male 21.2
GTEX-1R9PO-2126-SM-E9J4O 60-69 years, female 21.1
GTEX-147F4-0226-SM-5QGPW 50-59 years, male 21.0
GTEX-14A6H-0126-SM-5QGPK 30-39 years, male 20.8
GTEX-1C6WA-0126-SM-7PC2B 60-69 years, male 20.6
GTEX-1B8SG-0126-SM-73KZ3 50-59 years, male 20.5
GTEX-1F6I4-0126-SM-9MQL2 60-69 years, male 20.4
GTEX-1AX9K-2326-SM-73KWU 50-59 years, male 20.2
GTEX-OXRL-0126-SM-2YUMP 50-59 years, male 20.2
GTEX-1HKZK-0326-SM-9WYUH 40-49 years, male 20.1
GTEX-1IDFM-0126-SM-COH2V 60-69 years, male 20.1
GTEX-X62O-0126-SM-4E3JN 50-59 years, male 19.7
GTEX-1HBPH-0426-SM-B2LW5 40-49 years, female 19.7
GTEX-1MUQO-0126-SM-EAZ58 60-69 years, male 19.7
GTEX-OHPM-0126-SM-2YUN9 50-59 years, male 19.6
GTEX-1EMGI-0126-SM-9KNUE 60-69 years, male 19.6
GTEX-1CAMR-1926-SM-7EPI2 20-29 years, male 19.5
GTEX-11GS4-2726-SM-5A5LE 60-69 years, male 19.4
GTEX-1PPH7-2326-SM-EVYB8 40-49 years, male 19.3
GTEX-14PHW-0126-SM-6LLJI 60-69 years, female 19.1
GTEX-Y8DK-0126-SM-4TT3L 60-69 years, male 19.1
GTEX-1A3MV-1926-SM-718BT 30-39 years, male 19.0
GTEX-RM2N-1426-SM-2TF4H 50-59 years, male 18.9
GTEX-QEG4-0226-SM-2S1PY 30-39 years, male 18.4
GTEX-1IE54-0126-SM-CMKHW 40-49 years, female 18.4
GTEX-ZUA1-0126-SM-5GU76 40-49 years, male 18.2
GTEX-1QCLY-0326-SM-E8VOG 30-39 years, male 18.2
GTEX-16YQH-0126-SM-7DUFJ 30-39 years, male 18.1
GTEX-14PN3-2426-SM-6LLHS 60-69 years, female 17.9
GTEX-TKQ1-1026-SM-4GICL 30-39 years, male 17.9
GTEX-YEC4-2126-SM-5IFJH 40-49 years, male 17.8
GTEX-XUW1-0426-SM-4BOOT 50-59 years, female 17.7
GTEX-1JKYR-0126-SM-CNPOJ 20-29 years, male 17.7
GTEX-147F3-0526-SM-5SI98 50-59 years, female 17.6
GTEX-14ICK-0226-SM-6EU25 40-49 years, male 17.6
GTEX-117YW-2626-SM-5GZZH 50-59 years, male 17.5
GTEX-11P82-1626-SM-59879 20-29 years, male 17.5
GTEX-13N1W-0126-SM-5K7VT 70-79 years, male 17.5
GTEX-16AAH-1726-SM-7939C 50-59 years, male 17.5
GTEX-17MF6-0126-SM-7LG4F 40-49 years, male 17.5
GTEX-QLQ7-1626-SM-2S1R8 60-69 years, male 17.4
GTEX-145LT-1726-SM-5QGP3 40-49 years, male 17.3
GTEX-15CHC-2126-SM-6EU21 60-69 years, female 17.3
GTEX-1F75A-0126-SM-7RHGM 50-59 years, male 17.3
GTEX-1RLM8-2326-SM-EWRN4 50-59 years, male 17.3
GTEX-11TT1-2526-SM-5EGIB 20-29 years, male 17.0
GTEX-13FTX-1826-SM-5J1NX 20-29 years, female 16.8
GTEX-1GPI6-0126-SM-9WG69 60-69 years, male 16.8
GTEX-1J1R8-1726-SM-ARL8M 40-49 years, male 16.8
GTEX-WRHK-1426-SM-3MJF9 20-29 years, female 16.7
GTEX-1RAZA-0126-SM-E6CI3 20-29 years, male 16.7
GTEX-18A7A-0226-SM-718BH 50-59 years, female 16.6
GTEX-139T8-0126-SM-5K7XZ 60-69 years, male 16.5
GTEX-1IGQW-0126-SM-COH42 60-69 years, male 16.5
GTEX-139TT-0126-SM-5K7Y5 60-69 years, male 16.4
GTEX-P4PQ-0126-SM-2S1NM 60-69 years, male 16.4
GTEX-1QP2A-0126-SM-E9J43 50-59 years, male 16.4
GTEX-1399T-2826-SM-5KLYZ 60-69 years, male 16.3
GTEX-ZEX8-2426-SM-4WKG4 50-59 years, male 16.3
GTEX-1F6IF-0726-SM-7P8TW 60-69 years, male 16.3
GTEX-18A66-0226-SM-718BD 60-69 years, male 16.2
GTEX-1A32A-0126-SM-718B1 50-59 years, female 16.1
GTEX-Q2AI-1326-SM-2S1PL 40-49 years, male 16.1
GTEX-SIU8-0126-SM-2XCDT 50-59 years, male 16.1
GTEX-1LG7Y-0526-SM-DKPQC 50-59 years, male 16.1
GTEX-13VXT-0126-SM-5LU4I 20-29 years, female 16.0
GTEX-1LNCM-1126-SM-E9U5E 50-59 years, female 16.0
GTEX-1GPI7-0126-SM-9MQL8 20-29 years, male 15.9
GTEX-14PJ3-1826-SM-62LEX 50-59 years, male 15.8
GTEX-131XG-2626-SM-5KM17 50-59 years, female 15.7
GTEX-XAJ8-0826-SM-47JY6 40-49 years, male 15.7
GTEX-1GF9X-2026-SM-7PC3A 40-49 years, female 15.7
GTEX-1HSMQ-1226-SM-CGQFX 50-59 years, male 15.7
GTEX-1I1GU-2226-SM-CGQFA 40-49 years, male 15.7
GTEX-R45C-0126-SM-EAZ2R 60-69 years, female 15.7
GTEX-U4B1-1826-SM-4DXSU 40-49 years, male 15.5
GTEX-1H1E6-1726-SM-ACKVK 30-39 years, male 15.5
GTEX-1HFI6-0226-SM-ADEHZ 40-49 years, male 15.5
GTEX-1NHNU-1026-SM-E9J2A 50-59 years, male 15.5
GTEX-13OW7-0126-SM-5MR3B 50-59 years, male 15.4
GTEX-R55E-0126-SM-2TC5Y 20-29 years, male 15.4
GTEX-X585-0226-SM-4QAS2 50-59 years, male 15.3
GTEX-Y3I4-2126-SM-4TT7C 50-59 years, male 15.3
GTEX-OOBK-0126-SM-2YUND 40-49 years, male 15.2
GTEX-U3ZH-2026-SM-3DB78 30-39 years, male 15.2
GTEX-PLZ4-0126-SM-5SI8O 50-59 years, female 15.1
GTEX-1J8QM-2126-SM-CYPSJ 60-69 years, female 15.1
GTEX-PWCY-1826-SM-DHXIZ 20-29 years, female 15.0
GTEX-QLQW-1126-SM-2S1Q8 30-39 years, male 14.9
GTEX-S7PM-0126-SM-4AD6S 60-69 years, male 14.9
GTEX-139T4-0226-SM-5HL5S 50-59 years, female 14.8
GTEX-13OVK-2026-SM-7KUEO 40-49 years, male 14.8
GTEX-U3ZM-1526-SM-3DB9D 40-49 years, male 14.8
GTEX-1I19N-0326-SM-ACKVX 70-79 years, male 14.8
GTEX-11O72-0126-SM-59887 40-49 years, male 14.7
GTEX-17HHE-2026-SM-79OKF 50-59 years, male 14.7
GTEX-12WSA-0226-SM-5BC5V 60-69 years, male 14.6
GTEX-17F98-0626-SM-79OMX 40-49 years, female 14.6
GTEX-QDT8-0126-SM-48TZ1 30-39 years, female 14.6
GTEX-QDVJ-1726-SM-2I5FX 50-59 years, male 14.6
GTEX-UPJH-0326-SM-3GADU 50-59 years, male 14.6
GTEX-1HCVE-0126-SM-CGQEU 50-59 years, male 14.6
GTEX-1399U-2326-SM-5K7WY 50-59 years, female 14.4
GTEX-14E6D-0126-SM-62LDV 50-59 years, male 14.4
GTEX-1AX9I-0126-SM-7SB74 60-69 years, male 14.4
GTEX-1JKYN-1326-SM-CGQG9 30-39 years, male 14.4
GTEX-14JG6-2226-SM-6EU2G 30-39 years, female 14.3
GTEX-RWS6-2026-SM-2XCB5 60-69 years, female 14.3
GTEX-ZE9C-2726-SM-57WB5 60-69 years, male 14.3
GTEX-16XZY-2126-SM-79OK1 70-79 years, male 14.2
GTEX-11ZU8-2526-SM-5EQKI 60-69 years, male 14.1
GTEX-1AMFI-2026-SM-731BH 50-59 years, female 14.1
GTEX-SUCS-1926-SM-32PM3 70-79 years, male 14.1
GTEX-11GSP-2526-SM-5N9BP 60-69 years, female 13.9
GTEX-1QP29-0626-SM-EWRMX 50-59 years, male 13.9
GTEX-ZF29-2326-SM-DO92K 60-69 years, female 13.9
GTEX-1192X-0226-SM-5H12D 50-59 years, male 13.8
GTEX-131XW-0426-SM-5LZWP 50-59 years, female 13.8
GTEX-139TU-0126-SM-5K7WH 60-69 years, male 13.8
GTEX-13W46-0226-SM-5SIAG 50-59 years, male 13.8
GTEX-1GZ4H-1726-SM-7PBZJ 50-59 years, female 13.8
GTEX-1HCUA-2426-SM-ADEIS 50-59 years, female 13.8
GTEX-OOBJ-0126-SM-E6CJW 60-69 years, male 13.8
GTEX-12ZZX-0126-SM-5EGK9 40-49 years, female 13.7
GTEX-1N2EF-0226-SM-EYYXB 60-69 years, male 13.7
GTEX-1R7EU-0226-SM-EVR4G 60-69 years, male 13.7
GTEX-1I4MK-2226-SM-ACKWD 50-59 years, female 13.6
GTEX-12WSN-5019-SM-79OM6 40-49 years, male 13.5
GTEX-SJXC-0126-SM-2XCFF 60-69 years, male 13.5
GTEX-1F7RK-0126-SM-7PC2S 20-29 years, female 13.5
GTEX-1J8Q3-1626-SM-CMKGC 60-69 years, male 13.5
GTEX-1PIGE-0126-SM-EVYBJ 20-29 years, male 13.5
GTEX-1LSNM-1926-SM-E6CII 50-59 years, male 13.4
GTEX-1B8KZ-2026-SM-7DHMB 50-59 years, male 13.3
GTEX-OXRK-0226-SM-3NB2G 50-59 years, female 13.3
GTEX-1C2JI-1826-SM-73KXC 50-59 years, male 13.2
GTEX-QCQG-1726-SM-3GIJ9 50-59 years, female 13.2
GTEX-12C56-1726-SM-5EQ61 20-29 years, male 13.1
GTEX-145LV-2126-SM-5LU8N 50-59 years, male 13.1
GTEX-17EUY-0426-SM-793BD 20-29 years, male 13.1
GTEX-QESD-1426-SM-2S1R9 20-29 years, male 13.1
GTEX-X638-0126-SM-47JZ8 70-79 years, female 13.1
GTEX-15DDE-0126-SM-6LPKH 50-59 years, female 13.0
GTEX-ZDXO-3026-SM-5J1N5 60-69 years, male 13.0
GTEX-1IY9M-0126-SM-D3L8S 60-69 years, male 13.0
GTEX-13OVG-1926-SM-5L3DK 60-69 years, male 12.9
GTEX-183FY-0126-SM-7LT9P 20-29 years, male 12.9
GTEX-1NV5F-0226-SM-E8VNY 60-69 years, female 12.9
GTEX-12KS4-0326-SM-5EQ41 30-39 years, male 12.8
GTEX-T2YK-0526-SM-32QPJ 50-59 years, male 12.8
GTEX-T6MO-1626-SM-32QOM 40-49 years, female 12.8
GTEX-WQUQ-0426-SM-3MJFU 60-69 years, male 12.8
GTEX-ZYFD-0126-SM-5GIDL 50-59 years, male 12.8
GTEX-1HSEH-0126-SM-ACKXN 60-69 years, male 12.8
GTEX-17F97-0326-SM-7LG5B 50-59 years, male 12.7
GTEX-11WQC-2526-SM-5CVLE 60-69 years, male 12.6
GTEX-13N11-2526-SM-5K7UE 50-59 years, female 12.6
GTEX-145LU-0126-SM-5TDCB 50-59 years, male 12.6
GTEX-18A67-0126-SM-7LG5P 50-59 years, male 12.6
GTEX-RTLS-0126-SM-447CA 60-69 years, female 12.6
GTEX-T5JC-0426-SM-32PLO 20-29 years, male 12.5
GTEX-1K2DU-2326-SM-E9TIV 20-29 years, male 12.5
GTEX-PLZ6-1426-SM-DKPOT 30-39 years, male 12.5
GTEX-13W3W-2426-SM-5LU5B 60-69 years, female 12.4
GTEX-14BIL-0126-SM-5SI92 50-59 years, male 12.4
GTEX-18QFQ-0126-SM-731BE 30-39 years, male 12.3
GTEX-Q734-1926-SM-2I5EV 40-49 years, female 12.3
GTEX-1H3O1-0426-SM-9YFKY 60-69 years, male 12.3
GTEX-1MCQQ-0826-SM-DLHC2 60-69 years, male 12.3
GTEX-11OF3-2626-SM-5GU7F 60-69 years, male 12.2
GTEX-1MGNQ-0126-SM-EVYCJ 40-49 years, male 12.2
GTEX-13NZ8-0826-SM-5MR3I 60-69 years, female 12.1
GTEX-17MFQ-1726-SM-793C7 20-29 years, male 12.1
GTEX-13O3O-0126-SM-E9J49 60-69 years, female 12.1
GTEX-1KANA-0726-SM-D3L9I 20-29 years, male 12.1
GTEX-1R7EV-2426-SM-EVYBG 40-49 years, male 12.1
GTEX-PW2O-1526-SM-7RHHB 20-29 years, male 12.0
GTEX-117YX-2326-SM-5H12W 50-59 years, male 11.9
GTEX-11EM3-2426-SM-59861 20-29 years, female 11.9
GTEX-132NY-0326-SM-5IJBL 60-69 years, male 11.9
GTEX-R55G-2526-SM-2TC6D 40-49 years, female 11.9
GTEX-XBEW-0626-SM-4QASP 40-49 years, male 11.9
GTEX-1IDJF-0126-SM-CM2RS 20-29 years, male 11.9
GTEX-12126-0326-SM-5PNW3 20-29 years, male 11.8
GTEX-17EVQ-0226-SM-7LG4P 70-79 years, male 11.8
GTEX-RU72-0926-SM-2TF6B 50-59 years, female 11.8
GTEX-1HSMP-0126-SM-E6CJS 70-79 years, male 11.8
GTEX-131XH-2226-SM-5DUXJ 50-59 years, male 11.7
GTEX-T8EM-1026-SM-3DB7M 40-49 years, male 11.7
GTEX-XYKS-2126-SM-4E3IB 60-69 years, female 11.7
GTEX-11DZ1-0126-SM-5985Q 50-59 years, male 11.6
GTEX-11EMC-2926-SM-5EQ4F 60-69 years, female 11.6
GTEX-14ABY-0226-SM-5TDCQ 50-59 years, male 11.6
GTEX-NPJ8-0126-SM-2YUNR 40-49 years, male 11.6
GTEX-131XF-5016-SM-7MGWE 60-69 years, male 11.6
GTEX-1C64O-0126-SM-7SB8P 60-69 years, male 11.6
GTEX-1GF9U-2126-SM-7SB7L 40-49 years, female 11.6
GTEX-1H1ZS-0426-SM-9WG6G 70-79 years, male 11.6
GTEX-1ICG6-2526-SM-CGQFZ 70-79 years, female 11.6
GTEX-1RQEC-0426-SM-E6CHU 60-69 years, male 11.6
GTEX-13O3Q-2426-SM-5IJBR 50-59 years, male 11.5
GTEX-13OVI-1426-SM-5L3EY 60-69 years, female 11.5
GTEX-WVJS-0126-SM-4MVOT 50-59 years, male 11.5
GTEX-X261-0126-SM-3NMD6 50-59 years, male 11.5
GTEX-1H1DE-2126-SM-9WG6R 20-29 years, male 11.5
GTEX-1HCU6-0126-SM-CL54K 60-69 years, female 11.5
GTEX-1I1GP-2226-SM-CGQFK 50-59 years, male 11.5
GTEX-1MA7X-2226-SM-E6CIY 60-69 years, male 11.5
GTEX-14DAQ-0126-SM-5S2MQ 60-69 years, female 11.4
GTEX-15ETS-0126-SM-7KUMW 40-49 years, female 11.4
GTEX-OHPL-0126-SM-2HMJ7 60-69 years, female 11.4
GTEX-ZDTS-0126-SM-4WAY5 60-69 years, male 11.4
GTEX-ZE7O-0126-SM-57WC1 50-59 years, female 11.4
GTEX-1POEN-0126-SM-EYYXJ 30-39 years, female 11.4
GTEX-146FH-0126-SM-5QGPP 50-59 years, female 11.3
GTEX-1F88F-2726-SM-7PBZZ 60-69 years, female 11.3
GTEX-11XUK-2026-SM-5EQLF 40-49 years, female 11.2
GTEX-1B8KE-2126-SM-73KYX 50-59 years, male 11.2
GTEX-1C4CL-0526-SM-73KVK 30-39 years, male 11.2
GTEX-NFK9-0226-SM-2HMKQ 40-49 years, male 11.2
GTEX-SSA3-0126-SM-32QPU 60-69 years, male 11.2
GTEX-XQ8I-0426-SM-4BOPO 50-59 years, male 11.2
GTEX-ZAK1-0126-SM-5IJD3 50-59 years, female 11.2
GTEX-1H2FU-0126-SM-9WYSI 60-69 years, female 11.2
GTEX-13G51-2526-SM-5LZYK 60-69 years, male 11.1
GTEX-QV44-1926-SM-2S1RF 50-59 years, male 11.1
GTEX-1GTWX-0126-SM-9YFLK 60-69 years, male 11.1
GTEX-RNOR-0126-SM-E9J4R 50-59 years, female 11.1
GTEX-13VXU-0126-SM-5SI9F 50-59 years, male 11.0
GTEX-14XAO-2326-SM-6EU1B 60-69 years, female 11.0
GTEX-QDVN-2026-SM-3GAEP 50-59 years, male 11.0
GTEX-15SHW-0326-SM-6PAML 60-69 years, male 10.9
GTEX-OXRP-0126-SM-3NB32 60-69 years, female 10.9
GTEX-11UD1-0126-SM-5PNYG 40-49 years, female 10.7
GTEX-13X6I-0626-SM-5QGP9 60-69 years, male 10.7
GTEX-1CB4G-0226-SM-7PC3O 60-69 years, male 10.7
GTEX-12WSL-2526-SM-5GCNJ 50-59 years, male 10.6
GTEX-14BIN-0626-SM-793DP 50-59 years, female 10.6
GTEX-P44H-0226-SM-2XCEU 40-49 years, male 10.6
GTEX-WZTO-0126-SM-3NM95 40-49 years, male 10.6
GTEX-1JK1U-2026-SM-CM2RZ 60-69 years, male 10.6
GTEX-1HR98-0126-SM-B2LWI 60-69 years, male 10.5
GTEX-1ICLY-0126-SM-D4P36 50-59 years, male 10.5
GTEX-1JMPY-1326-SM-ARL8Y 30-39 years, male 10.5
GTEX-1KAFJ-2026-SM-CY8ID 50-59 years, male 10.5
GTEX-16NGA-1726-SM-731B4 40-49 years, female 10.4
GTEX-1AX8Z-0126-SM-7DHM6 60-69 years, male 10.4
GTEX-XUYS-0126-SM-47JWZ 50-59 years, male 10.4
GTEX-ZC5H-0226-SM-4WAY9 40-49 years, female 10.4
GTEX-12WSJ-1826-SM-5GCNY 40-49 years, female 10.3
GTEX-18465-0126-SM-731BN 50-59 years, male 10.3
GTEX-QVJO-1626-SM-2S1QW 60-69 years, female 10.3
GTEX-1JN76-0126-SM-CNPPE 20-29 years, female 10.3
GTEX-1QP9N-1426-SM-DTXFL 30-39 years, male 10.3
GTEX-OIZF-0126-SM-7SB8I 60-69 years, male 10.3
GTEX-RVPV-0126-SM-EAZAW 60-69 years, male 10.3
GTEX-145ME-1826-SM-5SI9G 40-49 years, female 10.2
GTEX-14C5O-0126-SM-5SI6N 60-69 years, male 10.2
GTEX-15DYW-0126-SM-7KULE 60-69 years, female 10.2
GTEX-15RIG-0226-SM-7KFTL 40-49 years, male 10.2
GTEX-15SB6-1726-SM-6PAME 50-59 years, female 10.2
GTEX-16XZZ-0126-SM-793DV 60-69 years, male 10.2
GTEX-1C64N-0126-SM-793D7 50-59 years, male 10.2
GTEX-1B996-0226-SM-7RHGO 60-69 years, male 10.2
GTEX-1KD4Q-0226-SM-E9TJ9 40-49 years, male 10.2
GTEX-1KD5A-0226-SM-D5OV3 50-59 years, male 10.2
GTEX-11NUK-0126-SM-5A5L3 50-59 years, male 10.1
GTEX-WYJK-0126-SM-3NMAB 50-59 years, male 10.1
GTEX-1CB4F-0426-SM-9KNV4 60-69 years, male 10.1
GTEX-14E7W-0126-SM-6LLJ9 70-79 years, male 10.0
GTEX-TMZS-0126-SM-3DB9Q 60-69 years, male 10.0
GTEX-ZVE2-0226-SM-59HJB 50-59 years, male 10.0
GTEX-1S3DN-2226-SM-EVYCD 50-59 years, male 10.0
GTEX-1C6VS-0526-SM-7DUEN 60-69 years, male 9.9
GTEX-1HFI7-1826-SM-ACKXH 50-59 years, female 9.9
GTEX-1S5ZA-0126-SM-EVYCV 20-29 years, male 9.9
GTEX-11VI4-1726-SM-5CVLH 40-49 years, female 9.8
GTEX-1211K-2026-SM-5EQ4Z 60-69 years, female 9.8
GTEX-12WSD-0126-SM-59HKN 60-69 years, female 9.8
GTEX-ZAB5-1826-SM-5HL7C 50-59 years, male 9.8
GTEX-12ZZY-0226-SM-5LZVE 60-69 years, male 9.7
GTEX-14PJM-0226-SM-62LF1 50-59 years, female 9.7
GTEX-15F5U-1526-SM-6PANO 40-49 years, male 9.7
GTEX-TMMY-0226-SM-33HBA 40-49 years, female 9.7
GTEX-ZDTT-2726-SM-4WKF8 60-69 years, male 9.7
GTEX-1H3VY-0126-SM-ACKXD 50-59 years, male 9.7
GTEX-1M4P7-0226-SM-DIPEV 60-69 years, male 9.7
GTEX-11ZVC-2526-SM-5FQTE 50-59 years, female 9.6
GTEX-13O3P-0126-SM-5KM4S 50-59 years, male 9.6
GTEX-PVOW-0126-SM-2XCFA 40-49 years, male 9.6
GTEX-XMD2-0126-SM-4YCDU 60-69 years, female 9.6
GTEX-Y114-2426-SM-4TT8A 50-59 years, female 9.6
GTEX-1B933-0126-SM-7PC29 50-59 years, female 9.6
GTEX-15UKP-0426-SM-7KUFQ 20-29 years, male 9.5
GTEX-1KXAM-2226-SM-CYPTC 60-69 years, male 9.5
GTEX-13NZA-0226-SM-5K7Z7 60-69 years, male 9.4
GTEX-1GN73-0226-SM-9WG67 60-69 years, male 9.4
GTEX-11ZTT-2426-SM-5EQLS 60-69 years, female 9.3
GTEX-16NPX-0226-SM-79OMT 50-59 years, male 9.3
GTEX-TML8-1926-SM-32QOS 40-49 years, female 9.3
GTEX-1GZ2Q-0226-SM-7P8TL 40-49 years, male 9.3
GTEX-1I1GS-0126-SM-B2LVW 60-69 years, male 9.3
GTEX-11NSD-2226-SM-5986V 20-29 years, male 9.2
GTEX-13NYS-0126-SM-5MR3W 60-69 years, male 9.2
GTEX-1497J-2426-SM-7IGNX 60-69 years, male 9.2
GTEX-PLZ5-2026-SM-2S1O4 50-59 years, male 9.2
GTEX-WFG8-2226-SM-3GIL9 20-29 years, male 9.2
GTEX-1GMR8-0126-SM-9WYTM 50-59 years, female 9.2
GTEX-1I1CD-0126-SM-CM2TK 60-69 years, female 9.2
GTEX-1JMPZ-0226-SM-CNPP1 30-39 years, male 9.2
GTEX-1KWVE-1426-SM-E9TJO 30-39 years, male 9.2
GTEX-1LGRB-2526-SM-CNPPQ 50-59 years, female 9.2
GTEX-13O1R-0126-SM-5L3EH 60-69 years, male 9.1
GTEX-1CB4J-0626-SM-7DHMP 60-69 years, male 9.1
GTEX-OXRO-0126-SM-2YUN4 60-69 years, female 9.1
GTEX-U8XE-0326-SM-3DB8P 30-39 years, male 9.1
GTEX-WYVS-2126-SM-3NMA3 40-49 years, female 9.1
GTEX-1F5PK-2426-SM-7RHHY 50-59 years, male 9.1
GTEX-1RB15-2126-SM-E9TIM 60-69 years, male 9.1
GTEX-14PK6-1926-SM-6ETZU 70-79 years, female 9.0
GTEX-17HII-0226-SM-7LG4E 50-59 years, male 9.0
GTEX-U8T8-0126-SM-3DB94 60-69 years, male 9.0
GTEX-Z9EW-1626-SM-5CVMN 40-49 years, male 9.0
GTEX-1EU9M-0226-SM-7P8SP 60-69 years, male 9.0
GTEX-1HB9E-0226-SM-E9U4R 50-59 years, male 9.0
GTEX-1JJE9-0326-SM-CL53Z 70-79 years, male 9.0
GTEX-1S82Y-2026-SM-EVYCM 40-49 years, male 9.0
GTEX-13U4I-0126-SM-5LU38 40-49 years, female 8.9
GTEX-Q2AH-1626-SM-3GAF8 40-49 years, male 8.9
GTEX-ZTPG-0326-SM-5O9AX 20-29 years, female 8.9
GTEX-1N2DW-0226-SM-E9TK2 50-59 years, male 8.9
GTEX-11P81-2326-SM-59875 30-39 years, female 8.8
GTEX-139D8-0226-SM-5KLZO 30-39 years, female 8.8
GTEX-139UW-2826-SM-5L3E7 60-69 years, male 8.8
GTEX-13NZB-2526-SM-5J1OM 30-39 years, male 8.8
GTEX-145MO-0326-SM-5Q5B3 60-69 years, male 8.8
GTEX-14BIM-0226-SM-7IGLD 60-69 years, female 8.8
GTEX-PWO3-1526-SM-48TCM 60-69 years, female 8.8
GTEX-U3ZN-2326-SM-3DB7W 30-39 years, female 8.8
GTEX-Y5LM-1926-SM-5RQJH 40-49 years, female 8.8
GTEX-1HBPI-1526-SM-C1YQ1 50-59 years, male 8.8
GTEX-1IKOH-0226-SM-COH4E 60-69 years, female 8.8
GTEX-1PPH8-0226-SM-E8VND 20-29 years, male 8.8
GTEX-S33H-1026-SM-EZ6L6 30-39 years, male 8.8
GTEX-1269C-2526-SM-5EGJ3 60-69 years, female 8.7
GTEX-13PVR-2326-SM-5QGR1 60-69 years, female 8.7
GTEX-13QJ3-0326-SM-5S2RA 50-59 years, male 8.7
GTEX-14753-0426-SM-5NQAM 60-69 years, male 8.7
GTEX-18A6Q-0126-SM-731BZ 60-69 years, male 8.7
GTEX-O5YW-0126-SM-3LK6D 50-59 years, male 8.7
GTEX-VJYA-1126-SM-3GIJU 60-69 years, male 8.7
GTEX-Z93S-0126-SM-5HL7M 50-59 years, male 8.7
GTEX-ZF28-0126-SM-4WKGK 60-69 years, male 8.7
GTEX-1HCU9-1526-SM-A9SL7 20-29 years, male 8.7
GTEX-13FHO-0226-SM-5IFGY 60-69 years, male 8.6
GTEX-14BMU-2226-SM-5TDE9 20-29 years, female 8.6
GTEX-13FH7-2026-SM-E9J4I 50-59 years, female 8.6
GTEX-1EWIQ-0126-SM-7RHH2 70-79 years, female 8.6
GTEX-1F48J-0126-SM-7P8TT 50-59 years, female 8.6
GTEX-1LB8K-0226-SM-EWRNW 50-59 years, male 8.6
GTEX-1LC47-0326-SM-E9TJP 60-69 years, male 8.6
GTEX-13OVJ-0126-SM-5KM36 50-59 years, female 8.5
GTEX-13YAN-0326-SM-5O9DF 60-69 years, male 8.5
GTEX-14DAR-2026-SM-5S2O3 50-59 years, male 8.5
GTEX-14PII-0226-SM-6EU1T 60-69 years, male 8.5
GTEX-15SHU-0126-SM-7KUEH 40-49 years, female 8.5
GTEX-U412-0426-SM-3DB9O 60-69 years, male 8.5
GTEX-YB5K-2126-SM-4WWDJ 40-49 years, female 8.5
GTEX-YJ8A-0426-SM-5IFID 20-29 years, male 8.5
GTEX-11TUW-2726-SM-E9J4M 60-69 years, male 8.5
GTEX-1CAMS-0426-SM-7P8T2 40-49 years, female 8.5
GTEX-1R46S-0626-SM-E9J41 60-69 years, female 8.5
GTEX-13FHP-0126-SM-5IJBG 50-59 years, male 8.4
GTEX-13RTJ-2426-SM-5S2Q2 60-69 years, male 8.4
GTEX-14E6E-1826-SM-5S2R7 30-39 years, male 8.4
GTEX-18A7B-0126-SM-7LG64 70-79 years, male 8.4
GTEX-Y111-0126-SM-4SOIV 50-59 years, male 8.4
GTEX-1CAV2-2226-SM-7P8P2 40-49 years, female 8.4
GTEX-1S82Z-0826-SM-E6CHY 30-39 years, female 8.4
GTEX-13D11-2426-SM-5KM1V 50-59 years, female 8.3
GTEX-13SLX-0526-SM-5S2ON 50-59 years, female 8.3
GTEX-RWSA-0126-SM-2XCBB 40-49 years, male 8.3
GTEX-Y8E4-0626-SM-4WWDL 40-49 years, male 8.3
GTEX-13FTW-2626-SM-5K7WL 40-49 years, male 8.2
GTEX-13RTK-1426-SM-5QGQJ 20-29 years, male 8.2
GTEX-148VJ-0126-SM-5TDDN 70-79 years, male 8.2
GTEX-15G19-0126-SM-6PANQ 60-69 years, male 8.2
GTEX-16BQI-0226-SM-7KUEX 30-39 years, female 8.2
GTEX-1A3MX-0126-SM-731BR 60-69 years, male 8.2
GTEX-1314G-1526-SM-5EGK2 30-39 years, male 8.1
GTEX-13RTL-0126-SM-7LG5S 40-49 years, male 8.1
GTEX-148VI-1626-SM-5SI6E 60-69 years, female 8.1
GTEX-1BAJH-0526-SM-793CQ 70-79 years, male 8.1
GTEX-WY7C-2326-SM-3NB2U 50-59 years, male 8.1
GTEX-12WSG-2826-SM-E9J4H 50-59 years, female 8.1
GTEX-1H3NZ-0126-SM-ACKX7 60-69 years, male 8.1
GTEX-1J8JJ-0226-SM-CL53I 60-69 years, female 8.1
GTEX-11EQ9-2426-SM-5HL5T 30-39 years, male 8.0
GTEX-13112-2826-SM-5DUWH 50-59 years, male 8.0
GTEX-1313W-0126-SM-5LZUN 50-59 years, female 8.0
GTEX-15D1Q-0126-SM-7KUG6 40-49 years, male 8.0
GTEX-17HGU-0226-SM-7DHKV 50-59 years, male 8.0
GTEX-18D9B-0526-SM-7LTAS 60-69 years, male 8.0
GTEX-1E1VI-0126-SM-7DHMZ 50-59 years, male 8.0
GTEX-W5WG-1826-SM-4KL2Y 50-59 years, female 8.0
GTEX-XXEK-2226-SM-4BRUM 50-59 years, male 8.0
GTEX-1H11D-0226-SM-9WG6Z 40-49 years, male 8.0
GTEX-1IKK5-0626-SM-ARL8A 60-69 years, male 8.0
GTEX-1QEPI-0126-SM-EWRMQ 60-69 years, female 8.0
GTEX-17HG3-2226-SM-7938L 30-39 years, female 7.9
GTEX-VJWN-0126-SM-3GIK7 50-59 years, female 7.9
GTEX-XBED-2226-SM-47JYQ 60-69 years, male 7.9
GTEX-ZVT3-0126-SM-5GU6I 60-69 years, female 7.9
GTEX-ZYW4-0126-SM-5E44A 60-69 years, male 7.9
GTEX-1H4P4-0726-SM-9YFLR 50-59 years, male 7.9
GTEX-1HBPM-0226-SM-ARL9F 60-69 years, female 7.9
GTEX-18D9U-0226-SM-718BP 40-49 years, male 7.8
GTEX-X4XY-0226-SM-4E3IZ 60-69 years, male 7.8
GTEX-ZGAY-0526-SM-4WWBB 40-49 years, female 7.8
GTEX-1GMRU-0126-SM-9YFLV 50-59 years, male 7.8
GTEX-1LGOU-2026-SM-DIPFF 20-29 years, female 7.8
GTEX-14A5H-0426-SM-5QGQF 60-69 years, male 7.7
GTEX-14LLW-0126-SM-6LLIO 70-79 years, female 7.7
GTEX-14PHX-2326-SM-62LEM 50-59 years, male 7.7
GTEX-S95S-1226-SM-4GICG 60-69 years, male 7.7
GTEX-SNMC-1226-SM-2XCFP 20-29 years, male 7.7
GTEX-1HGF4-2426-SM-ACKXM 60-69 years, male 7.7
GTEX-1O97I-0326-SM-EYYX7 60-69 years, male 7.7
GTEX-12WSC-0126-SM-5EQ4P 50-59 years, male 7.6
GTEX-13OW8-1326-SM-5J1OW 60-69 years, male 7.6
GTEX-16MT8-0426-SM-7KUEY 60-69 years, female 7.6
GTEX-1HSGN-0226-SM-CGQFV 40-49 years, female 7.6
GTEX-1HSKV-0226-SM-A9SKJ 60-69 years, male 7.6
GTEX-1JMQI-2226-SM-CM2SD 50-59 years, male 7.6
GTEX-1K2DA-1826-SM-CGQGT 50-59 years, male 7.6
GTEX-UJHI-1526-SM-3DB99 50-59 years, female 7.5
GTEX-ZDYS-2026-SM-5HL5L 50-59 years, male 7.5
GTEX-ZZ64-1726-SM-5GZYB 20-29 years, male 7.5
GTEX-1EX96-1626-SM-7PBXR 50-59 years, male 7.5
GTEX-1H1CY-2826-SM-9MQM3 60-69 years, female 7.5
GTEX-1IDJU-2626-SM-CM2RT 60-69 years, female 7.5
GTEX-1OFPY-2426-SM-DTXEJ 60-69 years, male 7.5
GTEX-11H98-0126-SM-5EGHG 50-59 years, male 7.4
GTEX-15DCD-0126-SM-7KUEK 70-79 years, female 7.4
GTEX-16GPK-0126-SM-7DHLE 60-69 years, male 7.4
GTEX-1A3MW-0126-SM-73KXX 60-69 years, female 7.4
GTEX-1CB4E-2226-SM-793DC 60-69 years, male 7.4
GTEX-ZU9S-0226-SM-5E441 30-39 years, male 7.4
GTEX-169BO-1326-SM-9MQK2 50-59 years, male 7.4
GTEX-11OC5-0126-SM-5HL6A 60-69 years, male 7.3
GTEX-131YS-0126-SM-5KM1M 60-69 years, female 7.3
GTEX-1AX9J-0226-SM-73KXM 60-69 years, male 7.3
GTEX-X4XX-0126-SM-3NMC2 60-69 years, male 7.3
GTEX-X88G-0126-SM-47JZ3 30-39 years, male 7.3
GTEX-1F6RS-0126-SM-9MQKZ 60-69 years, female 7.3
GTEX-1H23P-0126-SM-ADEJ3 60-69 years, male 7.3
GTEX-1JMOU-1526-SM-CL54I 60-69 years, female 7.3
GTEX-111FC-0126-SM-5N9DL 60-69 years, male 7.2
GTEX-11LCK-1026-SM-5A5KB 30-39 years, male 7.2
GTEX-145MN-2226-SM-5SIAU 30-39 years, male 7.2
GTEX-T2IS-0126-SM-4DM6O 20-29 years, female 7.2
GTEX-1A8FM-0226-SM-7SB7Q 50-59 years, female 7.2
GTEX-ZQG8-1626-SM-DHXIT 60-69 years, female 7.2
GTEX-1399R-2726-SM-5IJBA 30-39 years, male 7.1
GTEX-13S7M-0126-SM-5SI6A 60-69 years, female 7.1
GTEX-XQ3S-1526-SM-4BOOC 20-29 years, male 7.1
GTEX-113JC-2326-SM-5EQ4E 50-59 years, female 7.0
GTEX-13N2G-2626-SM-5J1OT 60-69 years, male 7.0
GTEX-147GR-0526-SM-5S2MY 60-69 years, male 7.0
GTEX-14BMV-0126-SM-5S2PO 50-59 years, male 7.0
GTEX-15EOM-0126-SM-7KUGG 20-29 years, female 7.0
GTEX-13OW5-0126-SM-DTXFS 60-69 years, male 7.0
GTEX-1F52S-0126-SM-9MQJU 60-69 years, female 7.0
GTEX-1F5PL-0326-SM-7P8PQ 40-49 years, female 7.0
GTEX-1HSMO-0126-SM-CL547 60-69 years, male 7.0
GTEX-1ICLZ-0126-SM-CKZPO 60-69 years, male 7.0
GTEX-SE5C-1626-SM-2XCE3 40-49 years, female 7.0
GTEX-11TTK-0126-SM-5987B 60-69 years, female 6.9
GTEX-13X6J-0126-SM-5QGOU 50-59 years, male 6.9
GTEX-146FQ-0126-SM-5NQA9 30-39 years, male 6.9
GTEX-17HHY-0126-SM-7LG5D 50-59 years, male 6.9
GTEX-ZY6K-1826-SM-5GZXK 50-59 years, male 6.9
GTEX-1GN1U-0126-SM-7PBZK 50-59 years, female 6.9
GTEX-1HCU7-0226-SM-CL545 50-59 years, male 6.9
GTEX-1IL2V-0126-SM-CM2TX 70-79 years, male 6.9
GTEX-1J8Q2-0526-SM-CM2RW 60-69 years, male 6.9
GTEX-1LH75-2426-SM-E9TJE 50-59 years, female 6.9
GTEX-11DXY-2626-SM-5GIE7 60-69 years, male 6.8
GTEX-144FL-0126-SM-5TDC8 50-59 years, male 6.8
GTEX-17KNJ-2326-SM-7DHLQ 50-59 years, male 6.8
GTEX-TSE9-0126-SM-3DB83 60-69 years, female 6.8
GTEX-Y8LW-1826-SM-5S2MV 50-59 years, female 6.8
GTEX-1K9T9-0126-SM-EVYCF 50-59 years, female 6.8
GTEX-12584-0126-SM-5EGKQ 40-49 years, male 6.7
GTEX-X4EP-0126-SM-3P5YV 60-69 years, female 6.7
GTEX-1C6VQ-0126-SM-7P8RI 50-59 years, male 6.7
GTEX-1EN7A-0126-SM-7SB81 40-49 years, male 6.7
GTEX-1H1DG-0126-SM-9WYU2 70-79 years, male 6.7
GTEX-11DXX-2426-SM-5GZZW 60-69 years, female 6.6
GTEX-17F96-1626-SM-7DUFL 70-79 years, male 6.6
GTEX-XV7Q-2526-SM-4BRV9 40-49 years, female 6.6
GTEX-1GN1V-0126-SM-9WPOS 60-69 years, male 6.6
GTEX-W5X1-3026-SM-EAZAX 40-49 years, female 6.6
GTEX-11DXW-0226-SM-5H122 40-49 years, male 6.5
GTEX-12WSK-2326-SM-5GCOH 40-49 years, female 6.5
GTEX-13X6H-2126-SM-7EWD5 50-59 years, female 6.5
GTEX-1PDJ9-0326-SM-DTX95 20-29 years, male 6.5
GTEX-11ZTS-0126-SM-5EQ6M 60-69 years, female 6.4
GTEX-15EU6-0426-SM-6PAN5 50-59 years, male 6.4
GTEX-WOFL-0126-SM-3MJG2 60-69 years, male 6.4
GTEX-1GF9W-0326-SM-9KNUN 60-69 years, male 6.4
GTEX-1LG7Z-1726-SM-D3LA4 30-39 years, male 6.4
GTEX-11EI6-0126-SM-5985R 60-69 years, male 6.3
GTEX-11UD2-0226-SM-5EQKY 50-59 years, male 6.3
GTEX-1CB4I-0226-SM-79OLH 50-59 years, male 6.3
GTEX-YB5E-2026-SM-5IFIS 40-49 years, male 6.3
GTEX-ZVZP-2426-SM-59HKJ 50-59 years, male 6.3
GTEX-1HBPN-0226-SM-9YFM1 50-59 years, male 6.3
GTEX-1JN6P-0126-SM-D3L98 60-69 years, male 6.3
GTEX-1128S-2326-SM-5GZZY 60-69 years, female 6.2
GTEX-1192W-2626-SM-5Q5AF 60-69 years, male 6.2
GTEX-133LE-1826-SM-5J1MV 20-29 years, female 6.2
GTEX-OIZH-0126-SM-2HMIS 50-59 years, male 6.2
GTEX-VUSG-2526-SM-4KL1V 50-59 years, male 6.2
GTEX-ZVTK-0426-SM-51MRS 20-29 years, male 6.2
GTEX-1F75B-0126-SM-9KNVL 50-59 years, male 6.2
GTEX-1J8EW-0126-SM-CJI4F 60-69 years, female 6.2
GTEX-ZAB4-0226-SM-5N9F5 40-49 years, male 6.1
GTEX-ZVT2-2526-SM-51MT1 50-59 years, female 6.1
GTEX-1HCU8-0626-SM-A9SM9 60-69 years, female 6.1
GTEX-1JMQK-0226-SM-CL543 60-69 years, male 6.1
GTEX-1122O-2126-SM-5EGIR 60-69 years, female 6.0
GTEX-13FXS-0226-SM-5IJCK 50-59 years, male 6.0
GTEX-R3RS-0126-SM-3GIJL 40-49 years, female 6.0
GTEX-X4EO-0326-SM-3P5YO 60-69 years, female 6.0
GTEX-ZWKS-0126-SM-5SIAA 30-39 years, male 6.0
GTEX-1GN2E-0426-SM-9MQKX 60-69 years, male 6.0
GTEX-1GZHY-0326-SM-9QEHI 50-59 years, female 6.0
GTEX-1I1GT-0626-SM-CGQER 60-69 years, female 6.0
GTEX-1JJEA-0326-SM-CNPOT 60-69 years, male 6.0
GTEX-13CF3-2426-SM-5IFGX 60-69 years, female 5.9
GTEX-13FTY-0526-SM-5L3EV 40-49 years, female 5.9
GTEX-13PDP-0126-SM-5L3HD 60-69 years, male 5.9
GTEX-14LZ3-0226-SM-62LET 60-69 years, female 5.9
GTEX-P4QT-0126-SM-2I3FL 50-59 years, female 5.9
GTEX-YFC4-0126-SM-5CVLY 40-49 years, female 5.9
GTEX-11GSO-2426-SM-5A5LY 60-69 years, male 5.8
GTEX-12696-2426-SM-5EQ6H 60-69 years, male 5.8
GTEX-14A5I-0126-SM-5TDEA 50-59 years, female 5.8
GTEX-14JG1-0426-SM-6ETZZ 40-49 years, male 5.8
GTEX-1C6VR-2426-SM-79OLD 60-69 years, male 5.8
GTEX-1H3VE-0326-SM-9YFLH 40-49 years, male 5.8
GTEX-1PFEY-1526-SM-E76PP 30-39 years, male 5.8
GTEX-1QP66-1726-SM-E8VO1 50-59 years, male 5.8
GTEX-12ZZZ-0626-SM-5DUXI 60-69 years, male 5.7
GTEX-13CF2-2526-SM-5LZYX 60-69 years, male 5.7
GTEX-1I1GV-0526-SM-A9G29 60-69 years, male 5.7
GTEX-14PN4-0126-SM-6EU2V 50-59 years, male 5.6
GTEX-17GQL-2026-SM-718BA 60-69 years, male 5.6
GTEX-P4PP-0126-SM-3LK69 30-39 years, female 5.6
GTEX-Y3IK-2426-SM-4WWDU 50-59 years, female 5.6
GTEX-ZTSS-1926-SM-57WEW 40-49 years, male 5.6
GTEX-1KANB-0526-SM-E6CJH 50-59 years, male 5.6
GTEX-SN8G-0126-SM-32PLI 50-59 years, female 5.5
GTEX-X5EB-2226-SM-46MW4 40-49 years, male 5.5
GTEX-ZXG5-0126-SM-5GIEU 60-69 years, male 5.5
GTEX-ZYT6-0226-SM-5NQ6T 30-39 years, male 5.5
GTEX-T6MN-0126-SM-32PLP 50-59 years, male 5.4
GTEX-X8HC-0126-SM-4E3JW 50-59 years, female 5.4
GTEX-XPVG-2626-SM-4B669 50-59 years, male 5.4
GTEX-XUZC-1726-SM-4BRWS 30-39 years, female 5.4
GTEX-Y5V6-2426-SM-4VDSB 60-69 years, male 5.4
GTEX-1MA7W-2026-SM-E9TJ6 20-29 years, female 5.4
GTEX-1OJC3-0126-SM-E76QX 20-29 years, male 5.4
GTEX-ZVT4-0126-SM-DTXFN 50-59 years, female 5.4
GTEX-13NYB-2526-SM-5K7Z6 40-49 years, male 5.3
GTEX-O5YT-0126-SM-48TBW 20-29 years, male 5.3
GTEX-ZV6S-2326-SM-4YCEY 40-49 years, female 5.3
GTEX-1IDJH-0326-SM-A9SLQ 70-79 years, male 5.3
GTEX-1JMQJ-0526-SM-CYPSU 50-59 years, male 5.3
GTEX-13OVH-0126-SM-5MR4B 70-79 years, male 5.2
GTEX-13OW6-0426-SM-5L3HM 50-59 years, male 5.2
GTEX-OXRN-0126-SM-48TDM 50-59 years, male 5.2
GTEX-Z93T-0126-SM-5HL5N 50-59 years, male 5.2
GTEX-PSDG-0226-SM-DKPOZ 50-59 years, male 5.2
GTEX-11WQK-0526-SM-5EQLD 50-59 years, male 5.1
GTEX-145MI-0526-SM-5O9A8 60-69 years, female 5.1
GTEX-1IL2U-0226-SM-CE6T8 60-69 years, male 5.1
GTEX-1R9K4-0126-SM-DTX9X 60-69 years, male 5.1
GTEX-111VG-2426-SM-5GZXD 60-69 years, male 5.0
GTEX-13IVO-0126-SM-5J1NG 70-79 years, male 5.0
GTEX-144GL-0126-SM-5TDE2 50-59 years, male 5.0
GTEX-14E6C-0126-SM-5RQIP 40-49 years, male 5.0
GTEX-Y5V5-2326-SM-4V6GA 60-69 years, female 5.0
GTEX-YJ89-0126-SM-4TT3X 60-69 years, male 5.0
GTEX-ZF2S-2326-SM-4WWCE 50-59 years, female 5.0
GTEX-13NYC-0326-SM-E9J4S 60-69 years, male 5.0
GTEX-1LVAN-0226-SM-COH3S 50-59 years, female 5.0
GTEX-11DXZ-2326-SM-5EGGV 50-59 years, male 4.9
GTEX-14PJ6-2126-SM-6EU1V 60-69 years, female 4.9
GTEX-15UF6-0826-SM-6PALJ 70-79 years, female 4.9
GTEX-ZYFG-2326-SM-5E44B 60-69 years, female 4.9
GTEX-11DYG-0126-SM-59883 60-69 years, male 4.8
GTEX-139TS-2826-SM-5J1OO 60-69 years, male 4.8
GTEX-S7SE-0126-SM-2XCD5 50-59 years, male 4.8
GTEX-ZYFC-0226-SM-5NQ75 50-59 years, male 4.8
GTEX-ZYY3-0126-SM-5GZY5 60-69 years, female 4.8
GTEX-1I1GQ-0126-SM-COH3H 50-59 years, male 4.8
GTEX-1IOXB-0126-SM-ARL8G 50-59 years, male 4.8
GTEX-1PWST-0226-SM-E76QJ 70-79 years, male 4.8
GTEX-T5JW-1626-SM-3GADZ 20-29 years, female 4.7
GTEX-1S83E-0126-SM-EWRO4 40-49 years, male 4.7
GTEX-13113-5016-SM-7EPIP 60-69 years, female 4.6
GTEX-15ER7-0326-SM-7KUEV 20-29 years, female 4.6
GTEX-17EVP-0326-SM-7DHLG 40-49 years, male 4.6
GTEX-1CAMQ-0226-SM-7IGPK 40-49 years, male 4.6
GTEX-1GL5R-1826-SM-9KNUY 50-59 years, male 4.6
GTEX-1QPFJ-0226-SM-E76PB 30-39 years, female 4.6
GTEX-1RDX4-0126-SM-E9J4P 50-59 years, female 4.6
GTEX-ZPIC-1726-SM-DHXIU 40-49 years, female 4.6
GTEX-13SLW-0126-SM-5SI6C 70-79 years, male 4.5
GTEX-18D9A-1926-SM-7LG6P 30-39 years, female 4.5
GTEX-WFON-2126-SM-3LK7O 40-49 years, male 4.5
GTEX-WI4N-1026-SM-3LK7N 40-49 years, female 4.5
GTEX-ZV68-0126-SM-59HKS 50-59 years, female 4.5
GTEX-1KANC-1526-SM-D3LAB 50-59 years, female 4.5
GTEX-1M5QR-1226-SM-EWROB 40-49 years, male 4.5
GTEX-1CB4H-0226-SM-7PBXM 60-69 years, female 4.4
GTEX-1PIIG-0226-SM-EWRN6 30-39 years, male 4.3
GTEX-1IKJJ-0126-SM-CNPQB 60-69 years, male 4.2
GTEX-1QMI2-0226-SM-EVYBX 60-69 years, male 4.2
GTEX-1B97I-1626-SM-73KYO 40-49 years, male 4.1
GTEX-S32W-2126-SM-2XCB1 50-59 years, female 4.1
GTEX-1212Z-2526-SM-5EGKP 60-69 years, male 4.0
GTEX-1B8SF-1426-SM-7DUGL 60-69 years, male 4.0
GTEX-1GMR3-1926-SM-9KNUZ 40-49 years, male 4.0
GTEX-1JMLX-0226-SM-CM2RO 50-59 years, male 4.0
GTEX-1JN1M-0326-SM-CYPT3 60-69 years, female 4.0
GTEX-1MJK2-0426-SM-DTXE5 50-59 years, male 4.0
GTEX-1R9PM-2026-SM-E76OY 20-29 years, male 4.0
GTEX-PX3G-0126-SM-2I3EN 20-29 years, female 3.9
GTEX-ZF3C-0126-SM-DO92D 50-59 years, female 3.8
GTEX-183WM-0126-SM-7LTAB 70-79 years, female 3.7
GTEX-13111-1626-SM-5EGJY 50-59 years, male 3.6
GTEX-1E2YA-0126-SM-9KNUC 50-59 years, male 3.6
GTEX-ZVZO-0126-SM-5A5L9 40-49 years, male 3.5
GTEX-1GF9V-0326-SM-7RHI5 60-69 years, male 3.5
GTEX-13JUV-2726-SM-5LZZ8 40-49 years, female 3.4
GTEX-17JCI-0126-SM-7LG5G 60-69 years, female 3.4
GTEX-12WSE-0526-SM-793B2 20-29 years, male 3.3
GTEX-ZTX8-1426-SM-5DUVO 20-29 years, male 3.2
GTEX-ZXES-1826-SM-5E43S 30-39 years, female 3.2
GTEX-1HT8W-0126-SM-CNPPP 30-39 years, male 3.1
GTEX-1J1OQ-0226-SM-CYPSH 40-49 years, female 3.1
GTEX-ZAJG-0126-SM-5HL94 50-59 years, female 3.0
GTEX-1JJ6O-0126-SM-E6CI8 60-69 years, male 3.0
GTEX-1QAET-0926-SM-E76QM 50-59 years, male 3.0
GTEX-117XS-2726-SM-5N9BL 60-69 years, male 2.9
GTEX-POMQ-2226-SM-2I5FK 20-29 years, female 2.8
GTEX-131XE-2326-SM-5PNZ2 50-59 years, male 2.6
GTEX-1C475-1826-SM-73KWA 40-49 years, female 2.5
GTEX-1L5NE-2526-SM-E6CIE 50-59 years, male 2.5
GTEX-145LS-0126-SM-5QGP1 60-69 years, female 2.4
GTEX-1JMQL-0226-SM-CNPP5 50-59 years, female 1.6
Show allShow less

Contact

  • NEWS ARTICLES
  • PRESS ROOM

The Project

  • INTRODUCTION
  • ORGANIZATION
  • PUBLICATIONS

The Human Protein Atlas

  • DOWNLOADABLE DATA
  • LICENCE & CITATION
  • HELP & FAQ
The Human Protein Atlas project is funded
by the Knut & Alice Wallenberg Foundation.


contact@proteinatlas.org