We use cookies to enhance the usability of our website. If you continue, we'll assume that you are happy to receive all cookies. More information. Don't show this again.
GPRIN1
HPA
RESOURCES
  • TISSUE
  • BRAIN
  • SINGLE CELL
  • SUBCELLULAR
  • CANCER
  • BLOOD
  • CELL LINE
  • STRUCTURE & INTERACTION
ABOUT
  • INTRODUCTION
  • HISTORY
  • ORGANIZATION
  • PUBLICATIONS
  • ANTIBODY SUBMISSION
  • ANTIBODY AVAILABILITY
  • ACKNOWLEDGMENTS
  • CONTACT
NEWS
  • NEWS ARTICLES
  • PRESS ROOM
LEARN
  • DICTIONARY
  • PROTEIN CLASSES
  • PROTEIN EVIDENCE
  • METHODS
  • EDUCATIONAL VIDEOS
DATA
  • DOWNLOADABLE DATA
  • PUBLICATION DATA
  • RELEASE HISTORY
HELP
  • ANTIBODY VALIDATION
  • ASSAYS & ANNOTATION
  • DISCLAIMER
  • HELP & FAQ
  • PRIVACY STATEMENT
  • LICENCE & CITATION
Fields »
Search result

Field
Term
Gene name
Class
Subclass
Class
Keyword
Chromosome
External id
Tissue
Cell type
Expression
Antibody panel
Tissue
Main location
Patient ID
Annotation
Tissue
Category
Tau score
Cluster
Reliability
Brain region
Category
Tau score
Brain region
Category
Tau score
Brain region
Category
Tau score
Cluster
Reliability
Tissue
Cell type
Enrichment
Cell type
Category
Tau score
Cell type
Category
Tau score
Cell type
Category
Tau score
Cell lineage
Category
Tau score
Cluster
Cluster
Location
Searches
Location
Cell line
Class
Type
Phase
Reliability
Cancer
Prognosis
Cancer
Category
Cancer
Category
Tau score
Cluster
Variants
Interacting gene (ensg_id)
Type
Number of interactions
Pathway
Category
Score
Score
Score
Validation
Validation
Validation
Validation
Antibodies
Data type
Column


  • SUMMARY

  • TISSUE

  • BRAIN

  • SINGLE CELL

  • SUBCELL

  • CANCER

  • BLOOD

  • CELL LINE

  • STRUCT & INT

  • GPRIN1
TISSUE PRIMARY DATA PANCREAS Show tissue menu
ADIPOSE TISSUE ADRENAL GLAND AMYGDALA APPENDIX BASAL GANGLIA BONE MARROW BREAST BRONCHUS CEREBELLUM CEREBRAL CORTEX CERVIX CHOROID PLEXUS COLON DUODENUM
ENDOMETRIUM EPIDIDYMIS ESOPHAGUS FALLOPIAN TUBE GALLBLADDER HEART MUSCLE HIPPOCAMPAL FORMATION HYPOTHALAMUS KIDNEY LIVER LUNG LYMPH NODE MIDBRAIN NASOPHARYNX
ORAL MUCOSA OVARY PANCREAS PARATHYROID GLAND PITUITARY GLAND PLACENTA PROSTATE RECTUM RETINA SALIVARY GLAND SEMINAL VESICLE SKELETAL MUSCLE SKIN SMALL INTESTINE
SMOOTH MUSCLE SOFT TISSUE SPINAL CORD SPLEEN STOMACH TESTIS THYMUS THYROID GLAND TONGUE TONSIL URINARY BLADDER VAGINA
ANTIBODIES
AND
VALIDATION
Dictionary
Pancreas
Tissue proteome
Pancreas
PANCREAS - Expression summary
Protein expression
Pancreasi

On the top, protein expression in current human tissue, based on all annotated cell types, is reported with the units not detected (n), low (l), medium (m) and high (h). Underneath, protein expression in each annotated cell type are reported using the same units.

Protein expression data is based on knowledge-based annotation. For genes where more than one antibody has been used, a collective score is set.

If knowledge-based annotation could not be performed for a gene, no data is displayed here. View antibody staining data further down this page.

h
m
l
n
Exocrine glandular cells: Not detected
Pancreatic endocrine cells: Low
RNA expressioni

A summary of mRNA expression data available for current tissue based on several datasets. The mRNA expression levels in human tissues are based on RNA-seq data generated by the Human Protein Atlas (HPA), Genotype-Tissue Expression (GTEx) portal and CAGE data generated by the FANTOM5 consortium. Consensus normalized expression levels for human tissues was created by combining the data from HPA and GTEx datasets.

The mRNA expression levels in pig are based on RNA-seq data generated by the Human Protein Atlas (HPA), and for mouse, HPA data and in situ hybridization generated by the Allen brain atlas are reported.

Scroll down to view mRNA expression data in more detail.
Consensus:0.6 nTPM
HPA:0.6 nTPM
GTEx:0.5 nTPM
FANTOM5:1.2 Scaled Tags Per Million

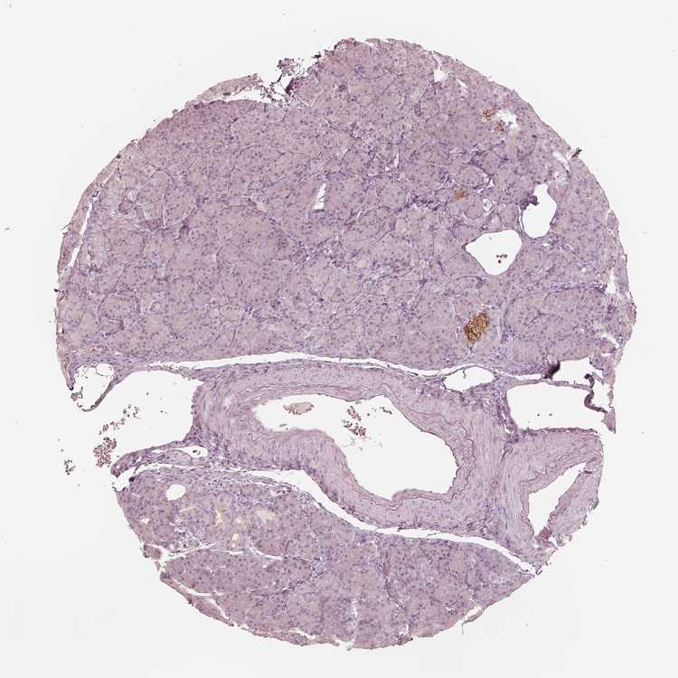
PANCREAS - Antibody stainingi

Antibody staining in the annotated cell types in the current human tissue is reported as not detected, low, medium, or high, based on conventional immunohistochemistry profiling in selected tissues. This score is based on the combination of the staining intensity and fraction of stained cells.

Each image is clickable and will lead to virtual microscopy that enables deeper exploration of all samples and also displays staining intensity scores, fraction scores and subcellular localization as well as patient and tissue information for each sample.

Antibody HPA070892
Exocrine glandular cells Not detected
Pancreatic endocrine cells High



PANCREAS - HPA RNA-seqi

The RNA-seq details section shows detailed information about the individual samples used for the transcript profiling and results of the RNA-seq analysis.

Information about each individual sample is listed below, including gender, age, a tissue section image and estimated fractions of cell types. nTPM (normalized transcripts per million) values give a quantification of the gene abundance which is comparable between different genes and samples.
Average nTPMi

Max subtype nTPM is the value for the subtype with the largest average nTPM across the subtype samples.

0.6
overview
Female, age 59
Pancreas sample 194
nTPM: 0.8
Cell types%
Exocrine glandular cells:
75

Pancreatic endocrine cells:
10

Ductal cells:
5

Other cell types:
10

overview
Male, age 60
Pancreas sample 195
nTPM: 0.3
Cell types%
Exocrine glandular cells:
90

Pancreatic endocrine cells:
5

Ductal cells:
5


PANCREAS - GTEx RNA-seqi

RNA-Seq data generated by the Genotype-Tissue Expression (GTEx) project from human tissues is reported as mean nTPM. More information can be found on the GTEx portal.

Distribution across the dataset is visualized with box plots, shown as median and 25th and 75th percentiles. Points are displayed as outliers if they are above or below 1.5 times the interquartile range. nTPM values of the individual samples are presented next to the box plot.
Max subtype nTPMi

Max subtype nTPM is the value for the subtype with the largest average nTPM across the subtype samples.

0.5
GTEx sample id Sample description nTPM
Pancreas
Average nTPM: 0.5
Samples: 328

Max nTPM: 2.2
Min nTPM: 0.0
Std nTPM: 0.2
Median nTPM: 0.4
GTEX-VUSG-0326-SM-3GIJ7 50-59 years, male 2.2
GTEX-XYKS-1226-SM-4BRVI 60-69 years, female 1.5
GTEX-1IDJD-0126-SM-C1YQZ 30-39 years, male 1.3
GTEX-11I78-0626-SM-5A5LZ 50-59 years, female 1.2
GTEX-1CB4G-1826-SM-7MKGO 60-69 years, male 1.2
GTEX-1K2DU-1026-SM-DHXKC 20-29 years, male 1.1
GTEX-1PPH8-2326-SM-EAZ48 20-29 years, male 1.1
GTEX-13FTX-1226-SM-5IFGN 20-29 years, female 1.0
GTEX-1B933-1726-SM-731FC 50-59 years, female 1.0
GTEX-Q2AH-0926-SM-48TZK 40-49 years, male 1.0
GTEX-1N2EF-2126-SM-DPRYL 60-69 years, male 1.0
GTEX-1PBJI-2126-SM-DPRYG 20-29 years, female 1.0
GTEX-1R9K5-1226-SM-E6CPQ 50-59 years, male 1.0
GTEX-1RAZQ-1426-SM-EV7B2 30-39 years, male 1.0
GTEX-ZPCL-0726-SM-DO91S 60-69 years, female 1.0
GTEX-1339X-1026-SM-5IFH5 40-49 years, male 0.9
GTEX-1399R-0426-SM-5IJE3 30-39 years, male 0.9
GTEX-14AS3-0326-SM-5Q5DB 40-49 years, female 0.9
GTEX-1AX8Z-1726-SM-731DE 60-69 years, male 0.9
GTEX-1B932-1626-SM-731EA 40-49 years, female 0.9
GTEX-NPJ8-2126-SM-3MJGK 40-49 years, male 0.9
GTEX-QESD-0226-SM-447BH 20-29 years, male 0.9
GTEX-XXEK-1726-SM-4BRVB 50-59 years, male 0.9
GTEX-1GZ4H-0626-SM-9OSXJ 50-59 years, female 0.9
GTEX-1JKYN-0426-SM-CGQG2 30-39 years, male 0.9
GTEX-1LVAN-1226-SM-CNNQY 50-59 years, female 0.9
GTEX-1PFEY-1126-SM-DPRZ3 30-39 years, male 0.9
GTEX-1A3MW-1926-SM-7IGM8 60-69 years, female 0.8
GTEX-1B97J-1526-SM-79ONI 50-59 years, female 0.8
GTEX-R53T-0426-SM-48FEM 50-59 years, female 0.8
GTEX-U8XE-2026-SM-3DB8S 30-39 years, male 0.8
GTEX-V955-0326-SM-4JBGV 60-69 years, male 0.8
GTEX-WQUQ-2126-SM-4OOSO 60-69 years, male 0.8
GTEX-Y9LG-0726-SM-4VDS3 30-39 years, male 0.8
GTEX-1H23P-2026-SM-9OSXY 60-69 years, male 0.8
GTEX-1PWST-1526-SM-EXOIT 70-79 years, male 0.8
GTEX-1QPFJ-2226-SM-EXOJW 30-39 years, female 0.8
GTEX-QLQ7-0626-SM-CE6QX 60-69 years, male 0.8
GTEX-139YR-1526-SM-5IFJ1 50-59 years, male 0.7
GTEX-144GM-0726-SM-79OJQ 20-29 years, male 0.7
GTEX-14PKU-0626-SM-6EU1Q 40-49 years, female 0.7
GTEX-15FZZ-0626-SM-7KFTO 30-39 years, female 0.7
GTEX-15RJ7-0826-SM-6LLI8 40-49 years, male 0.7
GTEX-15UF7-0826-SM-6M46E 40-49 years, male 0.7
GTEX-15UKP-1326-SM-6LPI8 20-29 years, male 0.7
GTEX-178AV-0226-SM-793B7 40-49 years, male 0.7
GTEX-18A67-1726-SM-7KFT9 50-59 years, male 0.7
GTEX-1C6VQ-1726-SM-7IGLQ 50-59 years, male 0.7
GTEX-Q734-0426-SM-48TZX 40-49 years, female 0.7
GTEX-QLQW-0326-SM-447A8 30-39 years, male 0.7
GTEX-SE5C-0326-SM-4BRWX 40-49 years, female 0.7
GTEX-WFON-0626-SM-4LVLX 40-49 years, male 0.7
GTEX-WHWD-0726-SM-4OORX 50-59 years, male 0.7
GTEX-WI4N-1826-SM-4OOSF 40-49 years, female 0.7
GTEX-WYJK-2426-SM-4ONDQ 50-59 years, male 0.7
GTEX-1JKYR-1026-SM-CGQGI 20-29 years, male 0.7
GTEX-1KANA-1526-SM-CXZKG 20-29 years, male 0.7
GTEX-1NSGN-1726-SM-EXOJG 50-59 years, male 0.7
GTEX-1QP2A-1326-SM-EAZ3K 50-59 years, male 0.7
GTEX-1QW4Y-0926-SM-DPRY2 30-39 years, male 0.7
GTEX-OIZF-1026-SM-2HML5 60-69 years, male 0.7
GTEX-12WSL-0426-SM-5GCNX 50-59 years, male 0.6
GTEX-13O1R-1826-SM-5KM3B 60-69 years, male 0.6
GTEX-146FQ-1526-SM-5Q5CX 30-39 years, male 0.6
GTEX-14DAR-0526-SM-664MX 50-59 years, male 0.6
GTEX-14E6E-1426-SM-5RQI2 30-39 years, male 0.6
GTEX-14ICL-1126-SM-5S2RE 30-39 years, male 0.6
GTEX-15SDE-0826-SM-6M463 50-59 years, female 0.6
GTEX-17F9E-1426-SM-793BG 50-59 years, male 0.6
GTEX-18A66-2126-SM-7189D 60-69 years, male 0.6
GTEX-18D9U-1626-SM-7KFTW 40-49 years, male 0.6
GTEX-1AYD5-0326-SM-7EWEO 50-59 years, male 0.6
GTEX-1C64O-1426-SM-7EWER 60-69 years, male 0.6
GTEX-1CAMS-1926-SM-7DUEU 40-49 years, female 0.6
GTEX-O5YT-1026-SM-3MJGF 20-29 years, male 0.6
GTEX-QEL4-1326-SM-447AD 50-59 years, male 0.6
GTEX-QV44-0426-SM-4R1KF 50-59 years, male 0.6
GTEX-V1D1-0726-SM-4JBH7 50-59 years, male 0.6
GTEX-WFJO-0626-SM-4LVMC 30-39 years, male 0.6
GTEX-X3Y1-0726-SM-3P5YU 40-49 years, male 0.6
GTEX-XBED-0226-SM-47JY8 60-69 years, male 0.6
GTEX-XV7Q-0926-SM-4BRVQ 40-49 years, female 0.6
GTEX-YB5E-0526-SM-4VDSD 40-49 years, male 0.6
GTEX-ZAB5-0826-SM-5P9FU 50-59 years, male 0.6
GTEX-ZC5H-0826-SM-5N9FH 40-49 years, female 0.6
GTEX-ZTPG-1026-SM-5DUWP 20-29 years, female 0.6
GTEX-1CAMR-1126-SM-7MGXF 20-29 years, male 0.6
GTEX-1GN1U-1126-SM-9WPPZ 50-59 years, female 0.6
GTEX-1HSMO-2026-SM-CNNQO 60-69 years, male 0.6
GTEX-1IDJC-0526-SM-AHZ2Q 50-59 years, male 0.6
GTEX-1O97I-1726-SM-EXOIP 60-69 years, male 0.6
GTEX-1RAZA-1626-SM-EV79I 20-29 years, male 0.6
GTEX-1128S-0826-SM-5GZZI 60-69 years, female 0.5
GTEX-117YX-0226-SM-5EGH6 50-59 years, male 0.5
GTEX-11XUK-0626-SM-5N9ES 40-49 years, female 0.5
GTEX-13SLX-1326-SM-5S2QS 50-59 years, female 0.5
GTEX-13VXT-1226-SM-5LU3M 20-29 years, female 0.5
GTEX-13X6H-0626-SM-5LU53 50-59 years, female 0.5
GTEX-144FL-1526-SM-5Q5CA 50-59 years, male 0.5
GTEX-144GN-0826-SM-5LU5G 50-59 years, male 0.5
GTEX-145ME-0326-SM-5S2QO 40-49 years, female 0.5
GTEX-1497J-0426-SM-5Q5CO 60-69 years, male 0.5
GTEX-14BMU-0726-SM-73KXS 20-29 years, female 0.5
GTEX-14PHX-2026-SM-6872C 50-59 years, male 0.5
GTEX-14PK6-1026-SM-664NZ 70-79 years, female 0.5
GTEX-14PKV-0926-SM-6AJB4 20-29 years, female 0.5
GTEX-14PN3-0126-SM-6AJAU 60-69 years, female 0.5
GTEX-15UF6-1826-SM-6LLI9 70-79 years, female 0.5
GTEX-17HGU-2026-SM-79OKS 50-59 years, male 0.5
GTEX-1AYCT-1226-SM-7EPGH 50-59 years, male 0.5
GTEX-1B8KZ-0926-SM-731D7 50-59 years, male 0.5
GTEX-1CB4F-1226-SM-7DHKU 60-69 years, male 0.5
GTEX-1CB4I-1326-SM-79OLY 50-59 years, male 0.5
GTEX-N7MT-1626-SM-3LK71 60-69 years, female 0.5
GTEX-OHPM-1026-SM-3LK74 50-59 years, male 0.5
GTEX-PLZ6-0726-SM-3P619 30-39 years, male 0.5
GTEX-RM2N-0326-SM-48FD8 50-59 years, male 0.5
GTEX-TML8-0526-SM-32QOQ 40-49 years, female 0.5
GTEX-UJHI-0626-SM-3DB8T 50-59 years, female 0.5
GTEX-UJMC-1126-SM-3GADP 50-59 years, male 0.5
GTEX-WFG8-0326-SM-4LVN4 20-29 years, male 0.5
GTEX-WHSB-0726-SM-4M1XQ 50-59 years, male 0.5
GTEX-WXYG-0826-SM-4ONC7 50-59 years, female 0.5
GTEX-XPVG-0326-SM-4B653 50-59 years, male 0.5
GTEX-ZDYS-2526-SM-4WKGU 50-59 years, male 0.5
GTEX-ZEX8-1026-SM-4WKHE 50-59 years, male 0.5
GTEX-ZYY3-0826-SM-5E44R 60-69 years, female 0.5
GTEX-1GMR3-1226-SM-7MGY1 40-49 years, male 0.5
GTEX-1GN1W-1126-SM-9OSW3 50-59 years, female 0.5
GTEX-1H11D-0926-SM-9OSXO 40-49 years, male 0.5
GTEX-1I1GT-0926-SM-AHZ2G 60-69 years, female 0.5
GTEX-1I1GU-0326-SM-AHZ2K 40-49 years, male 0.5
GTEX-1JK1U-1026-SM-AHZ44 60-69 years, male 0.5
GTEX-1L5NE-0826-SM-DHXKU 50-59 years, male 0.5
GTEX-1LG7Z-0326-SM-DHXK3 30-39 years, male 0.5
GTEX-1LGRB-0426-SM-CNNRD 50-59 years, female 0.5
GTEX-1QAET-1326-SM-E9U64 50-59 years, male 0.5
GTEX-1R46S-1426-SM-EXOJD 60-69 years, female 0.5
GTEX-1S82P-1026-SM-EAZ4W 60-69 years, female 0.5
GTEX-1S83E-1426-SM-EV7B8 40-49 years, male 0.5
GTEX-OIZI-1526-SM-E6CHI 40-49 years, male 0.5
GTEX-OXRK-1526-SM-E6CHJ 50-59 years, female 0.5
GTEX-11DXX-0926-SM-5H112 60-69 years, female 0.4
GTEX-11EQ9-1026-SM-5H134 30-39 years, male 0.4
GTEX-11NSD-0526-SM-5A5LT 20-29 years, male 0.4
GTEX-11VI4-0426-SM-5EGHZ 40-49 years, female 0.4
GTEX-12WSN-0826-SM-5GCOF 40-49 years, male 0.4
GTEX-131XF-1426-SM-5BC68 60-69 years, male 0.4
GTEX-1399S-0326-SM-5IFFS 30-39 years, female 0.4
GTEX-13CF3-1026-SM-5LZWY 60-69 years, female 0.4
GTEX-13FLV-0626-SM-5IFEY 50-59 years, male 0.4
GTEX-13FTW-0526-SM-5IFIP 40-49 years, male 0.4
GTEX-13U4I-1526-SM-5IFFF 40-49 years, female 0.4
GTEX-13W3W-1026-SM-5IFG4 60-69 years, female 0.4
GTEX-14PJ2-1526-SM-686Z4 50-59 years, male 0.4
GTEX-14PJ4-0726-SM-6872E 60-69 years, male 0.4
GTEX-14PJ6-0926-SM-686ZA 60-69 years, female 0.4
GTEX-15DYW-1626-SM-6LLI1 60-69 years, female 0.4
GTEX-15EU6-1126-SM-68721 50-59 years, male 0.4
GTEX-15RIF-0626-SM-6LLI3 20-29 years, male 0.4
GTEX-15SB6-0226-SM-6LLIA 50-59 years, female 0.4
GTEX-15SHV-1526-SM-6LLIB 60-69 years, male 0.4
GTEX-18A6Q-1726-SM-7LT9A 60-69 years, male 0.4
GTEX-1AX9J-1726-SM-731FF 60-69 years, male 0.4
GTEX-1B996-1326-SM-731EO 60-69 years, male 0.4
GTEX-1C4CL-0926-SM-79OL2 30-39 years, male 0.4
GTEX-1F5PL-0726-SM-7MKH8 40-49 years, female 0.4
GTEX-OHPL-1026-SM-3MJGI 60-69 years, female 0.4
GTEX-OOBJ-1026-SM-3NB2L 60-69 years, male 0.4
GTEX-PW2O-0826-SM-48TC5 20-29 years, male 0.4
GTEX-Q2AI-0426-SM-48U13 40-49 years, male 0.4
GTEX-R55G-0326-SM-48FDM 40-49 years, female 0.4
GTEX-RWS6-1126-SM-47JXC 60-69 years, female 0.4
GTEX-S32W-0826-SM-4AD5Z 50-59 years, female 0.4
GTEX-S3XE-0526-SM-4AD4G 50-59 years, male 0.4
GTEX-T8EM-0826-SM-4DM76 40-49 years, male 0.4
GTEX-TMMY-1326-SM-4DXU9 40-49 years, female 0.4
GTEX-U4B1-0726-SM-4DXUA 40-49 years, male 0.4
GTEX-WFG7-0426-SM-4LMK5 20-29 years, male 0.4
GTEX-WH7G-0826-SM-4LVMR 40-49 years, male 0.4
GTEX-X4LF-0326-SM-4QAS9 50-59 years, male 0.4
GTEX-XUW1-1726-SM-4BOOZ 50-59 years, female 0.4
GTEX-Y114-0826-SM-4TT77 50-59 years, female 0.4
GTEX-Y3IK-0426-SM-4WWE2 50-59 years, female 0.4
GTEX-ZAK1-2326-SM-5CVMY 50-59 years, female 0.4
GTEX-ZDTT-1126-SM-4WKFW 60-69 years, male 0.4
GTEX-ZG7Y-0326-SM-4WWEY 50-59 years, male 0.4
GTEX-ZLWG-0326-SM-4WWC7 50-59 years, female 0.4
GTEX-ZPIC-0926-SM-4WWFK 40-49 years, female 0.4
GTEX-ZPU1-0226-SM-4WWC9 40-49 years, male 0.4
GTEX-ZVP2-0726-SM-59HKY 50-59 years, male 0.4
GTEX-ZVT2-2026-SM-5NQ8Q 50-59 years, female 0.4
GTEX-1CAMQ-1626-SM-7MGXG 40-49 years, male 0.4
GTEX-1GF9X-1126-SM-7MKHC 40-49 years, female 0.4
GTEX-1HKZK-1126-SM-9WG82 40-49 years, male 0.4
GTEX-1HSGN-1426-SM-A8NAA 40-49 years, female 0.4
GTEX-1I4MK-1026-SM-AHZ2H 50-59 years, female 0.4
GTEX-1K9T9-1726-SM-CXZK1 50-59 years, female 0.4
GTEX-1KXAM-0226-SM-EV7AP 60-69 years, male 0.4
GTEX-1LSNM-0726-SM-DHXL1 50-59 years, male 0.4
GTEX-1MUQO-1426-SM-DPRYJ 60-69 years, male 0.4
GTEX-1N2DV-1726-SM-DPRYR 40-49 years, male 0.4
GTEX-1OKEX-1726-SM-E9U4F 60-69 years, male 0.4
GTEX-1QP28-1026-SM-EAZ4K 50-59 years, female 0.4
GTEX-1S831-0626-SM-EV79N 20-29 years, male 0.4
GTEX-QMRM-0326-SM-CKZNB 50-59 years, male 0.4
GTEX-111YS-1226-SM-5EGGJ 60-69 years, male 0.3
GTEX-11ONC-0526-SM-5BC57 60-69 years, male 0.3
GTEX-11P7K-0526-SM-5BC5I 30-39 years, male 0.3
GTEX-11TT1-0326-SM-5LUAY 20-29 years, male 0.3
GTEX-12BJ1-1126-SM-5EGGG 60-69 years, male 0.3
GTEX-12WSK-0226-SM-5BC62 40-49 years, female 0.3
GTEX-131XE-1926-SM-5IFER 50-59 years, male 0.3
GTEX-131XG-1426-SM-5GCMO 50-59 years, female 0.3
GTEX-132AR-1826-SM-5EGHR 50-59 years, female 0.3
GTEX-1399U-0926-SM-5IFHA 50-59 years, female 0.3
GTEX-13D11-2226-SM-5IFEO 50-59 years, female 0.3
GTEX-13FH7-1426-SM-5IFIC 50-59 years, female 0.3
GTEX-13N11-0226-SM-5KM3C 50-59 years, female 0.3
GTEX-13PL7-2226-SM-5L3IC 60-69 years, female 0.3
GTEX-13PVR-0726-SM-5S2PX 60-69 years, female 0.3
GTEX-145MN-1426-SM-5SI9H 30-39 years, male 0.3
GTEX-146FR-0126-SM-5Q5F3 60-69 years, female 0.3
GTEX-14C39-1026-SM-73KWG 40-49 years, male 0.3
GTEX-14JG6-0426-SM-68715 30-39 years, female 0.3
GTEX-14PJM-2126-SM-6AJAS 50-59 years, female 0.3
GTEX-14PJN-1526-SM-6AJBP 30-39 years, male 0.3
GTEX-14PN4-1626-SM-6AJB5 50-59 years, male 0.3
GTEX-15ER7-1326-SM-6LPK9 20-29 years, female 0.3
GTEX-16MT8-1726-SM-7EWE7 60-69 years, female 0.3
GTEX-17F98-0426-SM-79ONZ 40-49 years, female 0.3
GTEX-17HHE-0526-SM-7DUGR 50-59 years, male 0.3
GTEX-1B8KE-0726-SM-72D7G 50-59 years, male 0.3
GTEX-PSDG-1526-SM-48TCY 50-59 years, male 0.3
GTEX-PX3G-1026-SM-48TZW 20-29 years, female 0.3
GTEX-QDVJ-1226-SM-48U1V 50-59 years, male 0.3
GTEX-QDVN-0926-SM-2I5GL 50-59 years, male 0.3
GTEX-QV31-0226-SM-447BO 30-39 years, male 0.3
GTEX-R55D-1426-SM-48FEN 50-59 years, male 0.3
GTEX-S4P3-0626-SM-4AD59 50-59 years, female 0.3
GTEX-S95S-0726-SM-4B64H 60-69 years, male 0.3
GTEX-T5JW-0226-SM-4DM7I 20-29 years, female 0.3
GTEX-TKQ2-0426-SM-4DXUO 50-59 years, male 0.3
GTEX-WRHK-0226-SM-4MVOH 20-29 years, female 0.3
GTEX-WY7C-1026-SM-4OND3 50-59 years, male 0.3
GTEX-X15G-0726-SM-4PQZ5 50-59 years, female 0.3
GTEX-XBEW-1626-SM-4SOJP 40-49 years, male 0.3
GTEX-Y3I4-0826-SM-4TT2A 50-59 years, male 0.3
GTEX-Y5LM-0526-SM-4V6G3 40-49 years, female 0.3
GTEX-Y8E4-1326-SM-5IFIY 40-49 years, male 0.3
GTEX-YB5K-1826-SM-5IFJC 40-49 years, female 0.3
GTEX-YF7O-1326-SM-4W1ZR 50-59 years, male 0.3
GTEX-YFCO-1026-SM-5LU9S 40-49 years, male 0.3
GTEX-ZF29-1126-SM-4WKGO 60-69 years, female 0.3
GTEX-ZF3C-2026-SM-4WWB5 50-59 years, female 0.3
GTEX-ZV7C-0726-SM-59HKH 50-59 years, male 0.3
GTEX-ZVZP-0626-SM-59HL5 50-59 years, male 0.3
GTEX-ZYFG-0826-SM-5BC5T 60-69 years, female 0.3
GTEX-ZYT6-1326-SM-5E453 30-39 years, male 0.3
GTEX-ZZPU-0726-SM-5N9C8 50-59 years, female 0.3
GTEX-16Z82-1726-SM-7MGX3 60-69 years, male 0.3
GTEX-1A8FM-1826-SM-7MGXO 50-59 years, female 0.3
GTEX-1GL5R-0926-SM-9JGFO 50-59 years, male 0.3
GTEX-1IDJU-0326-SM-CGQEE 60-69 years, female 0.3
GTEX-1J8Q3-0626-SM-AHZ3V 60-69 years, male 0.3
GTEX-1K2DA-0326-SM-CGQGX 50-59 years, male 0.3
GTEX-1M5QR-0926-SM-DHXK8 40-49 years, male 0.3
GTEX-1OFPY-0626-SM-EXOJ4 60-69 years, male 0.3
GTEX-1QEPI-1626-SM-EAZ3I 60-69 years, female 0.3
GTEX-1QP29-1926-SM-DPRZO 50-59 years, male 0.3
GTEX-111CU-0526-SM-5EGHK 50-59 years, male 0.2
GTEX-1122O-0726-SM-5GIEV 60-69 years, female 0.2
GTEX-11GSP-0426-SM-5A5KX 60-69 years, female 0.2
GTEX-1211K-1126-SM-5EGGB 60-69 years, female 0.2
GTEX-12WSD-1626-SM-5GCNR 60-69 years, female 0.2
GTEX-12WSG-1026-SM-5EGII 50-59 years, female 0.2
GTEX-13O61-2126-SM-5IJEO 60-69 years, male 0.2
GTEX-13OVI-0526-SM-5IFFQ 60-69 years, female 0.2
GTEX-13YAN-2126-SM-5Q5C4 60-69 years, male 0.2
GTEX-145MO-2126-SM-5Q5CZ 60-69 years, male 0.2
GTEX-148VI-0826-SM-5TDDI 60-69 years, female 0.2
GTEX-14PHY-1126-SM-664OR 60-69 years, female 0.2
GTEX-14PJ3-0426-SM-6LLHF 50-59 years, male 0.2
GTEX-14PJO-1826-SM-69LPR 60-69 years, male 0.2
GTEX-17KNJ-1926-SM-7KFRV 50-59 years, male 0.2
GTEX-18A7A-1726-SM-7LT93 50-59 years, female 0.2
GTEX-1AMFI-0726-SM-731D9 50-59 years, female 0.2
GTEX-1AX9K-2026-SM-731D1 50-59 years, male 0.2
GTEX-NFK9-1626-SM-3LK5J 40-49 years, male 0.2
GTEX-P4PP-1026-SM-3NM9O 30-39 years, female 0.2
GTEX-P4QS-1026-SM-3NMCW 60-69 years, male 0.2
GTEX-QCQG-0426-SM-48U29 50-59 years, female 0.2
GTEX-S33H-1226-SM-4AD69 30-39 years, male 0.2
GTEX-SNOS-0926-SM-4DM7A 40-49 years, male 0.2
GTEX-SUCS-1426-SM-4DM5W 70-79 years, male 0.2
GTEX-VJYA-0826-SM-4KL1M 60-69 years, male 0.2
GTEX-WYVS-0926-SM-4SOJV 40-49 years, female 0.2
GTEX-XMK1-0326-SM-4B652 40-49 years, male 0.2
GTEX-XQ8I-1926-SM-4BOOK 50-59 years, male 0.2
GTEX-Y8LW-1026-SM-5IFJY 50-59 years, female 0.2
GTEX-ZAB4-1726-SM-5HL8C 40-49 years, male 0.2
GTEX-ZLFU-0726-SM-57WF6 40-49 years, male 0.2
GTEX-ZP4G-0426-SM-4YCER 20-29 years, female 0.2
GTEX-ZT9W-0926-SM-57WFS 50-59 years, male 0.2
GTEX-15CHR-2026-SM-7MXU2 50-59 years, male 0.2
GTEX-1H1DG-1426-SM-9OSXP 70-79 years, male 0.2
GTEX-1H1E6-0826-SM-9WG83 30-39 years, male 0.2
GTEX-1IL2U-2326-SM-CNNQV 60-69 years, male 0.2
GTEX-1J8EW-1926-SM-CGQGR 60-69 years, female 0.2
GTEX-1JMPZ-1026-SM-CXZJS 30-39 years, male 0.2
GTEX-1MGNQ-1226-SM-EV7BM 40-49 years, male 0.2
GTEX-1R7EU-0726-SM-DPRZM 60-69 years, male 0.2
GTEX-YEC3-0626-SM-CMKFG 50-59 years, male 0.2
GTEX-11LCK-0226-SM-5A5M6 30-39 years, male 0.1
GTEX-132QS-0926-SM-5P9GB 60-69 years, male 0.1
GTEX-17MF6-1426-SM-7IGOX 40-49 years, male 0.1
GTEX-1C2JI-0926-SM-731F1 50-59 years, male 0.1
GTEX-OOBK-1026-SM-48TC2 40-49 years, male 0.1
GTEX-P4PQ-1026-SM-3NMCN 60-69 years, male 0.1
GTEX-WHPG-0326-SM-4M1XV 50-59 years, male 0.1
GTEX-X5EB-0526-SM-46MVP 40-49 years, male 0.1
GTEX-XGQ4-0226-SM-4GIDS 50-59 years, male 0.1
GTEX-YEC4-1326-SM-5IFHG 40-49 years, male 0.1
GTEX-ZYW4-2126-SM-59HJ9 60-69 years, male 0.1
GTEX-1I1GQ-2226-SM-B2LX1 50-59 years, male 0.1
GTEX-1NUQO-0826-SM-DPS16 20-29 years, female 0.1
GTEX-1R7EV-1126-SM-DPRXU 40-49 years, male 0.1
GTEX-W5WG-0826-SM-4RGNE 50-59 years, female 0.0
Show allShow less

PANCREAS - FANTOM5 CAGEi

RNA expression in human tissues obtained through Cap Analysis of Gene Expression (CAGE) generated by the FANTOM5 project are reported as Scaled Tags Per Million.

Max subtype Scaled Tags Per Millioni

Max subtype Scaled Tags Per Million is the value for the subtype with the largest average Scaled Tags Per Million across the subtype samples.

1.2
FANTOM5 sample id Sample description Scaled Tags Per Million
Pancreas
Scaled Tags Per Million: 1.2
FF:10049-101G4 52 years, male 1.2

Contact

  • NEWS ARTICLES
  • PRESS ROOM

The Project

  • INTRODUCTION
  • ORGANIZATION
  • PUBLICATIONS

The Human Protein Atlas

  • DOWNLOADABLE DATA
  • LICENCE & CITATION
  • HELP & FAQ
The Human Protein Atlas project is funded
by the Knut & Alice Wallenberg Foundation.


contact@proteinatlas.org