We use cookies to enhance the usability of our website. If you continue, we'll assume that you are happy to receive all cookies. More information. Don't show this again.
PDILT
HPA
RESOURCES
  • TISSUE
  • BRAIN
  • SINGLE CELL
  • SUBCELLULAR
  • CANCER
  • BLOOD
  • CELL LINE
  • STRUCTURE & INTERACTION
ABOUT
  • INTRODUCTION
  • HISTORY
  • ORGANIZATION
  • PUBLICATIONS
  • ANTIBODY SUBMISSION
  • ANTIBODY AVAILABILITY
  • ACKNOWLEDGMENTS
  • CONTACT
NEWS
  • NEWS ARTICLES
  • PRESS ROOM
LEARN
  • DICTIONARY
  • PROTEIN CLASSES
  • PROTEIN EVIDENCE
  • METHODS
  • EDUCATIONAL VIDEOS
DATA
  • DOWNLOADABLE DATA
  • PUBLICATION DATA
  • RELEASE HISTORY
HELP
  • ANTIBODY VALIDATION
  • ASSAYS & ANNOTATION
  • DISCLAIMER
  • HELP & FAQ
  • PRIVACY STATEMENT
  • LICENCE & CITATION
Fields »
Search result

Field
Term
Gene name
Class
Subclass
Class
Keyword
Chromosome
External id
Tissue
Cell type
Expression
Antibody panel
Tissue
Main location
Patient ID
Annotation
Tissue
Category
Tau score
Cluster
Reliability
Brain region
Category
Tau score
Brain region
Category
Tau score
Brain region
Category
Tau score
Cluster
Reliability
Tissue
Cell type
Enrichment
Cell type
Category
Tau score
Cell type
Category
Tau score
Cell type
Category
Tau score
Cell lineage
Category
Tau score
Cluster
Cluster
Location
Searches
Location
Cell line
Class
Type
Phase
Reliability
Cancer
Prognosis
Cancer
Category
Cancer
Category
Tau score
Cluster
Variants
Interacting gene (ensg_id)
Type
Number of interactions
Pathway
Category
Score
Score
Score
Validation
Validation
Validation
Validation
Antibodies
Data type
Column


  • SUMMARY

  • TISSUE

  • BRAIN

  • SINGLE CELL

  • SUBCELL

  • CANCER

  • BLOOD

  • CELL LINE

  • STRUCT & INT

  • PDILT
TISSUE PRIMARY DATA STOMACH Show tissue menu
ADIPOSE TISSUE ADRENAL GLAND AMYGDALA APPENDIX BASAL GANGLIA BONE MARROW BREAST BRONCHUS CEREBELLUM CEREBRAL CORTEX CERVIX CHOROID PLEXUS COLON DUODENUM
ENDOMETRIUM EPIDIDYMIS ESOPHAGUS FALLOPIAN TUBE GALLBLADDER HEART MUSCLE HIPPOCAMPAL FORMATION HYPOTHALAMUS KIDNEY LIVER LUNG LYMPH NODE MIDBRAIN NASOPHARYNX
ORAL MUCOSA OVARY PANCREAS PARATHYROID GLAND PITUITARY GLAND PLACENTA PROSTATE RECTUM RETINA SALIVARY GLAND SEMINAL VESICLE SKELETAL MUSCLE SKIN SMALL INTESTINE
SMOOTH MUSCLE SOFT TISSUE SPINAL CORD SPLEEN STOMACH TESTIS THYMUS THYROID GLAND TONGUE TONSIL URINARY BLADDER VAGINA
ANTIBODIES
AND
VALIDATION
Dictionary
Tissue proteome
Stomach
STOMACH - Expression summary
Protein expression
Stomachi

On the top, protein expression in current human tissue, based on all annotated cell types, is reported with the units not detected (n), low (l), medium (m) and high (h). Underneath, protein expression in each annotated cell type are reported using the same units.

Protein expression data is based on knowledge-based annotation. For genes where more than one antibody has been used, a collective score is set.

If knowledge-based annotation could not be performed for a gene, no data is displayed here. View antibody staining data further down this page.

h
m
l
n
Glandular cells: Low
RNA expressioni

A summary of mRNA expression data available for current tissue based on several datasets. The mRNA expression levels in human tissues are based on RNA-seq data generated by the Human Protein Atlas (HPA), Genotype-Tissue Expression (GTEx) portal and CAGE data generated by the FANTOM5 consortium. Consensus normalized expression levels for human tissues was created by combining the data from HPA and GTEx datasets.

The mRNA expression levels in pig are based on RNA-seq data generated by the Human Protein Atlas (HPA), and for mouse, HPA data and in situ hybridization generated by the Allen brain atlas are reported.

Scroll down to view mRNA expression data in more detail.
Consensus:119.4 nTPM
HPA:6.7 nTPM
GTEx:119.4 nTPM

STOMACH 1 - Antibody stainingi

Antibody staining in the annotated cell types in the current human tissue is reported as not detected, low, medium, or high, based on conventional immunohistochemistry profiling in selected tissues. This score is based on the combination of the staining intensity and fraction of stained cells.

Each image is clickable and will lead to virtual microscopy that enables deeper exploration of all samples and also displays staining intensity scores, fraction scores and subcellular localization as well as patient and tissue information for each sample.

Antibody HPA041913
Glandular cells Not detected


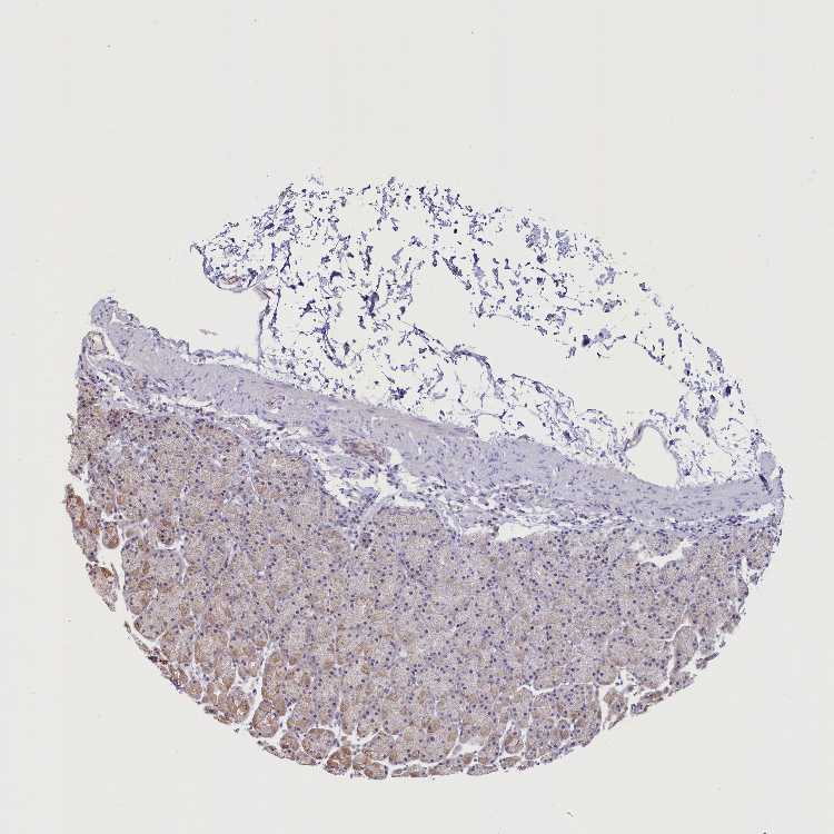
STOMACH 2 - Antibody stainingi

Antibody staining in the annotated cell types in the current human tissue is reported as not detected, low, medium, or high, based on conventional immunohistochemistry profiling in selected tissues. This score is based on the combination of the staining intensity and fraction of stained cells.

Each image is clickable and will lead to virtual microscopy that enables deeper exploration of all samples and also displays staining intensity scores, fraction scores and subcellular localization as well as patient and tissue information for each sample.

Antibody HPA041913
Glandular cells Low



STOMACH - HPA RNA-seqi

The RNA-seq details section shows detailed information about the individual samples used for the transcript profiling and results of the RNA-seq analysis.

Information about each individual sample is listed below, including gender, age, a tissue section image and estimated fractions of cell types. nTPM (normalized transcripts per million) values give a quantification of the gene abundance which is comparable between different genes and samples.
Average nTPMi

Max subtype nTPM is the value for the subtype with the largest average nTPM across the subtype samples.

6.7
overview
Female, age 33
Stomach sample 61
nTPM: 14.3
Cell types%
Glandular cells:
60

Smooth muscle cells:
5

Other cell types:
35

N/A
Male, age 82
Stomach sample 240
nTPM: 1.1
Cell types%
Glandular cells:
65

Smooth muscle cells:
5

Other cell types:
30

overview
Male, age 71
Stomach sample 241
nTPM: 1.5
Cell types%
Glandular cells:
50

Smooth muscle cells:
5

Other cell types:
45

overview
Female, age 66
Stomach sample 369
nTPM: 9.7
Cell types%
Glandular cells:
50

Smooth muscle cells:
10

Other cell types:
40


STOMACH - GTEx RNA-seqi

RNA-Seq data generated by the Genotype-Tissue Expression (GTEx) project from human tissues is reported as mean nTPM. More information can be found on the GTEx portal.

Distribution across the dataset is visualized with box plots, shown as median and 25th and 75th percentiles. Points are displayed as outliers if they are above or below 1.5 times the interquartile range. nTPM values of the individual samples are presented next to the box plot.
Max subtype nTPMi

Max subtype nTPM is the value for the subtype with the largest average nTPM across the subtype samples.

119.4
GTEx sample id Sample description nTPM
Stomach
Average nTPM: 119.4
Samples: 359

Max nTPM: 698.7
Min nTPM: 0.0
Std nTPM: 131.4
Median nTPM: 80.1
GTEX-14PJ4-1626-SM-664OB 60-69 years, male 698.7
GTEX-1B97I-1226-SM-7MGWQ 40-49 years, male 619.6
GTEX-1HKZK-1526-SM-B2LWG 40-49 years, male 576.9
GTEX-14DAR-0926-SM-73KUQ 50-59 years, male 502.2
GTEX-PWCY-0926-SM-48TD7 20-29 years, female 496.3
GTEX-1ICG6-1826-SM-AHZ2O 70-79 years, female 486.1
GTEX-Q2AI-0826-SM-48TZO 40-49 years, male 477.7
GTEX-1H1E6-1626-SM-9OSWC 30-39 years, male 469.4
GTEX-WEY5-1226-SM-4LMIQ 40-49 years, female 458.1
GTEX-WRHK-0626-SM-4MVOE 20-29 years, female 452.5
GTEX-ZT9W-1526-SM-4YCDE 50-59 years, male 443.5
GTEX-13D11-2126-SM-5IFH2 50-59 years, female 423.2
GTEX-13FTW-1726-SM-5KM2B 40-49 years, male 410.8
GTEX-1J8QM-1126-SM-C1YQB 60-69 years, female 399.7
GTEX-ZGAY-1626-SM-DNZZ3 40-49 years, female 394.9
GTEX-YFCO-0826-SM-5LUAG 40-49 years, male 394.8
GTEX-ZVZP-1726-SM-5GZWY 50-59 years, male 394.5
GTEX-T5JW-0926-SM-4DM5K 20-29 years, female 383.8
GTEX-ZA64-0826-SM-5HL9U 20-29 years, male 367.9
GTEX-1QCLZ-1826-SM-DPRXP 60-69 years, female 362.5
GTEX-13PVR-2126-SM-73KVR 60-69 years, female 358.9
GTEX-W5WG-1726-SM-4LMI5 50-59 years, female 352.0
GTEX-111CU-0926-SM-5EGIK 50-59 years, male 348.9
GTEX-OXRK-1626-SM-3NB17 50-59 years, female 344.9
GTEX-ZLWG-1526-SM-DO12F 50-59 years, female 343.7
GTEX-ZP4G-1226-SM-4WWCJ 20-29 years, female 334.4
GTEX-14E6E-0926-SM-664N8 30-39 years, male 333.8
GTEX-12696-1726-SM-5EQLH 60-69 years, male 332.9
GTEX-14BMU-1126-SM-5RQJ8 20-29 years, female 331.5
GTEX-14PJ3-1426-SM-664O8 50-59 years, male 328.9
GTEX-1LGOU-1526-SM-D3LAJ 20-29 years, female 328.7
GTEX-OHPM-1526-SM-EV796 50-59 years, male 328.5
GTEX-XUZC-0726-SM-4BOPH 30-39 years, female 324.9
GTEX-1122O-1926-SM-5EGIQ 60-69 years, female 317.9
GTEX-RM2N-0826-SM-48FD3 50-59 years, male 316.4
GTEX-1AMEY-1226-SM-731DU 30-39 years, female 315.6
GTEX-1C475-1026-SM-7MKFJ 40-49 years, female 315.6
GTEX-11I78-1726-SM-5A5M3 50-59 years, female 312.1
GTEX-1AMFI-1226-SM-731CZ 50-59 years, female 307.7
GTEX-12WSK-1426-SM-5CVNN 40-49 years, female 300.4
GTEX-14JG6-1226-SM-664O6 30-39 years, female 297.2
GTEX-13QBU-1126-SM-5LU44 40-49 years, female 295.6
GTEX-1KXAM-0926-SM-CXZKA 60-69 years, male 292.7
GTEX-1MUQO-1926-SM-EAZ59 60-69 years, male 291.2
GTEX-145LT-1426-SM-5O9B3 40-49 years, male 290.6
GTEX-QV31-0626-SM-447C5 30-39 years, male 289.4
GTEX-13O21-0926-SM-5IFGT 50-59 years, male 287.6
GTEX-ZV7C-1626-SM-5NQ7E 50-59 years, male 284.4
GTEX-13FH7-1026-SM-5IJGF 50-59 years, female 274.7
GTEX-1QPFJ-1526-SM-DPRXT 30-39 years, female 269.8
GTEX-SNMC-0626-SM-4DM6H 20-29 years, male 269.7
GTEX-WFON-1126-SM-4LVMA 40-49 years, male 269.3
GTEX-14PKV-1826-SM-69LO9 20-29 years, female 267.9
GTEX-T6MO-0726-SM-4DM58 40-49 years, female 265.3
GTEX-14PHX-1026-SM-664OL 50-59 years, male 264.4
GTEX-1I1GT-1726-SM-C1YS3 60-69 years, female 261.3
GTEX-1LG7Z-1226-SM-DHXK4 30-39 years, male 260.8
GTEX-13FTX-0726-SM-5N9BI 20-29 years, female 259.5
GTEX-1QP2A-2126-SM-DPRZ7 50-59 years, male 255.7
GTEX-ZYFG-1326-SM-5GICJ 60-69 years, female 255.6
GTEX-YEC4-1426-SM-5IFHS 40-49 years, male 254.6
GTEX-111YS-1126-SM-5GZYQ 60-69 years, male 250.0
GTEX-O5YW-1526-SM-3MJGL 50-59 years, male 248.6
GTEX-WFG7-1326-SM-4LMK1 20-29 years, male 248.1
GTEX-1MJIX-1126-SM-EV7AO 40-49 years, male 244.0
GTEX-ZF29-1526-SM-4WKF7 60-69 years, female 241.4
GTEX-S4Q7-0726-SM-4AD5F 20-29 years, male 239.0
GTEX-YB5E-1126-SM-664NU 40-49 years, male 235.2
GTEX-1RQEC-2126-SM-DPS15 60-69 years, male 233.0
GTEX-133LE-1326-SM-5IFGO 20-29 years, female 232.6
GTEX-ZVT2-1626-SM-51MRC 50-59 years, female 230.9
GTEX-ZZPU-1426-SM-5GZZ6 50-59 years, female 225.1
GTEX-WY7C-1726-SM-4ONCC 50-59 years, male 223.8
GTEX-SUCS-0926-SM-4DM4Z 70-79 years, male 223.3
GTEX-1GZ4H-1026-SM-9OSXL 50-59 years, female 223.1
GTEX-QV44-1226-SM-CJI1S 50-59 years, male 223.0
GTEX-UJMC-1226-SM-4IHLI 50-59 years, male 222.2
GTEX-17MF6-2126-SM-7KFS7 40-49 years, male 220.2
GTEX-PLZ5-1226-SM-EXOHA 50-59 years, male 211.5
GTEX-1R7EU-1126-SM-EAZ4M 60-69 years, male 211.4
GTEX-S3XE-1026-SM-4AD4O 50-59 years, male 211.2
GTEX-WHSB-1226-SM-4M1XR 50-59 years, male 207.3
GTEX-17F98-1526-SM-7EWD8 40-49 years, female 205.9
GTEX-1RMOY-1126-SM-EV79E 50-59 years, male 205.6
GTEX-1H1DG-2126-SM-9WPPB 70-79 years, male 203.4
GTEX-18QFQ-1226-SM-718AE 30-39 years, male 203.2
GTEX-1JK1U-1326-SM-AHZ45 60-69 years, male 202.4
GTEX-Y8LW-0826-SM-4WWDO 50-59 years, female 196.6
GTEX-145MN-1326-SM-5NQ9S 30-39 years, male 196.0
GTEX-V955-1326-SM-4JBHR 60-69 years, male 194.9
GTEX-1LSNM-1026-SM-DHXL2 50-59 years, male 189.9
GTEX-1GF9U-1126-SM-AHZ4H 40-49 years, female 185.8
GTEX-17F9E-2226-SM-7IGNC 50-59 years, male 185.2
GTEX-Y5LM-1326-SM-5RQIS 40-49 years, female 184.9
GTEX-144GM-1726-SM-5O9AS 20-29 years, male 184.2
GTEX-PWN1-1526-SM-48TDA 40-49 years, female 184.1
GTEX-16AAH-1226-SM-79OO9 50-59 years, male 180.0
GTEX-X15G-1126-SM-4PQZG 50-59 years, female 177.9
GTEX-1RB15-1026-SM-E9U6V 60-69 years, male 177.1
GTEX-11EM3-1026-SM-5A5KL 20-29 years, female 176.6
GTEX-14ICL-0826-SM-5YY9W 30-39 years, male 176.1
GTEX-1QP29-2326-SM-EXOJO 50-59 years, male 174.8
GTEX-1IDJU-1526-SM-CNNR3 60-69 years, female 174.0
GTEX-1RAZR-1526-SM-EAZ4U 40-49 years, male 171.8
GTEX-15CHR-1326-SM-79OLT 50-59 years, male 167.1
GTEX-17HHE-1026-SM-79ON6 50-59 years, male 165.8
GTEX-13OVK-0926-SM-7KUFX 40-49 years, male 165.4
GTEX-11NSD-1426-SM-5HL67 20-29 years, male 162.9
GTEX-OXRL-1526-SM-E6CHQ 50-59 years, male 158.4
GTEX-12BJ1-1726-SM-5HL9B 60-69 years, male 157.8
GTEX-Y5V6-1326-SM-4VDTF 60-69 years, male 157.2
GTEX-1JKYN-1726-SM-AHZ48 30-39 years, male 157.2
GTEX-144GN-1226-SM-5O991 50-59 years, male 157.1
GTEX-1HFI7-1526-SM-9WG7W 50-59 years, female 156.4
GTEX-ZZ64-0426-SM-5E43F 20-29 years, male 156.3
GTEX-Y3I4-1626-SM-4TT7W 50-59 years, male 151.0
GTEX-1J8Q3-1926-SM-C1YSJ 60-69 years, male 150.2
GTEX-1LVAN-2426-SM-CNNPZ 50-59 years, female 150.2
GTEX-1H23P-2726-SM-9JGHN 60-69 years, male 148.6
GTEX-1I6K7-1726-SM-B2LXQ 40-49 years, male 146.6
GTEX-132QS-1826-SM-5IFFN 60-69 years, male 144.0
GTEX-ZEX8-1626-SM-4WKG7 50-59 years, male 140.5
GTEX-QLQ7-0826-SM-447B3 60-69 years, male 139.9
GTEX-S4UY-1626-SM-4AD55 40-49 years, female 139.0
GTEX-XBED-1226-SM-4AT5V 60-69 years, male 138.2
GTEX-ZAB4-1526-SM-5CVN7 40-49 years, male 138.0
GTEX-18A66-2226-SM-7189E 60-69 years, male 137.8
GTEX-SNOS-0826-SM-4DM5N 40-49 years, male 137.5
GTEX-R53T-1226-SM-48FCT 50-59 years, female 136.5
GTEX-PW2O-1226-SM-48TCH 20-29 years, male 135.8
GTEX-15UF7-1226-SM-6M46G 40-49 years, male 132.6
GTEX-131XF-1226-SM-5HL8V 60-69 years, male 131.7
GTEX-ZQUD-0826-SM-57WDQ 30-39 years, male 130.8
GTEX-13CF3-1926-SM-5K7WF 60-69 years, female 129.2
GTEX-XQ8I-2026-SM-4BOOL 50-59 years, male 127.9
GTEX-18D9A-0626-SM-7KFTY 30-39 years, female 125.1
GTEX-WYJK-2526-SM-4ONDF 50-59 years, male 124.2
GTEX-17GQL-1226-SM-7KFTS 60-69 years, male 121.2
GTEX-P4PP-1526-SM-3P61M 30-39 years, female 120.4
GTEX-WXYG-1626-SM-4ONCR 50-59 years, female 119.5
GTEX-14BIL-1926-SM-73KYI 50-59 years, male 118.9
GTEX-1AYCT-1326-SM-7MKHB 50-59 years, male 118.2
GTEX-QDVN-1226-SM-48TZ5 50-59 years, male 117.4
GTEX-TMMY-1626-SM-4DXTY 40-49 years, female 117.3
GTEX-QDVJ-1426-SM-48U1Y 50-59 years, male 116.6
GTEX-15DZA-1126-SM-6LPK8 30-39 years, female 114.4
GTEX-13113-0726-SM-5LZUF 60-69 years, female 113.9
GTEX-XBEW-1826-SM-4RTWX 40-49 years, male 113.1
GTEX-OHPK-1526-SM-3MJGM 50-59 years, female 112.9
GTEX-1LGRB-1726-SM-CNNRA 50-59 years, female 112.0
GTEX-1GL5R-1926-SM-9WG7U 50-59 years, male 107.9
GTEX-1H3VY-2326-SM-9WG81 50-59 years, male 106.9
GTEX-1399R-1126-SM-5IFIO 30-39 years, male 106.8
GTEX-Y9LG-1026-SM-5IFJN 30-39 years, male 106.8
GTEX-131XG-1226-SM-5EGH9 50-59 years, female 105.0
GTEX-ZDYS-1926-SM-5HL59 50-59 years, male 104.0
GTEX-1KANA-1126-SM-D3L9M 20-29 years, male 98.6
GTEX-14B4R-0726-SM-5TDDR 30-39 years, male 97.2
GTEX-WHWD-1426-SM-4OORU 50-59 years, male 96.8
GTEX-1A3MX-1926-SM-72D7F 60-69 years, male 94.9
GTEX-RWS6-0926-SM-47JXE 60-69 years, female 94.8
GTEX-ZPU1-1626-SM-4WWB2 40-49 years, male 94.8
GTEX-1CAMR-0726-SM-7EPIE 20-29 years, male 92.7
GTEX-1IDJD-2426-SM-C1YS6 30-39 years, male 91.9
GTEX-1HBPN-1626-SM-9WPNP 50-59 years, male 90.3
GTEX-1F5PL-1426-SM-7MKFH 40-49 years, female 89.4
GTEX-1I4MK-0926-SM-A9SLD 50-59 years, female 88.7
GTEX-Q2AH-1126-SM-48TZM 40-49 years, male 88.4
GTEX-1B8KZ-1226-SM-793CP 50-59 years, male 88.3
GTEX-U4B1-1026-SM-4DXT1 40-49 years, male 87.0
GTEX-WFG8-1326-SM-4LVN3 20-29 years, male 86.2
GTEX-ZY6K-0726-SM-5A5L8 50-59 years, male 85.5
GTEX-S95S-0826-SM-4B64N 60-69 years, male 84.4
GTEX-U3ZN-2026-SM-4DXUC 30-39 years, female 84.3
GTEX-17HII-2426-SM-7KFTT 50-59 years, male 84.2
GTEX-15DCE-1626-SM-6LPJM 20-29 years, male 84.1
GTEX-1B8KE-1326-SM-73KVI 50-59 years, male 83.1
GTEX-ZLV1-0826-SM-DO11P 60-69 years, female 83.1
GTEX-1AX9J-2626-SM-731EK 60-69 years, male 81.3
GTEX-NFK9-1526-SM-3LK7B 40-49 years, male 80.1
GTEX-S341-0626-SM-4AD5T 40-49 years, female 79.1
GTEX-1GN1W-2126-SM-9JGI7 50-59 years, female 77.9
GTEX-ZXES-1426-SM-5NQ8S 30-39 years, female 75.9
GTEX-OIZF-1526-SM-2I5GR 60-69 years, male 72.6
GTEX-P78B-1826-SM-3P5YX 40-49 years, female 71.7
GTEX-139YR-1926-SM-5LZXM 50-59 years, male 70.9
GTEX-T8EM-1226-SM-4DM5J 40-49 years, male 69.7
GTEX-1QCLY-1126-SM-EAZ4J 30-39 years, male 68.5
GTEX-ZLFU-1326-SM-DO11R 40-49 years, male 67.7
GTEX-XMK1-1526-SM-EYYVO 40-49 years, male 67.6
GTEX-1F5PK-1826-SM-7RHHX 50-59 years, male 67.0
GTEX-1399S-1626-SM-5P9GI 30-39 years, female 65.4
GTEX-15RIE-1026-SM-6LPJQ 60-69 years, male 64.3
GTEX-QCQG-0526-SM-48U2A 50-59 years, female 62.7
GTEX-QMRM-1126-SM-447BN 50-59 years, male 62.5
GTEX-XXEK-0826-SM-4BRWG 50-59 years, male 61.8
GTEX-1JMLX-2426-SM-CXZJQ 50-59 years, male 58.9
GTEX-1B97J-1826-SM-7IGPP 50-59 years, female 58.7
GTEX-139D8-2326-SM-5IFGE 30-39 years, female 58.0
GTEX-1JMQJ-1326-SM-D4P3B 50-59 years, male 57.5
GTEX-1MGNQ-1826-SM-DPRYI 40-49 years, male 57.1
GTEX-1QMI2-2126-SM-DPRXQ 60-69 years, male 56.2
GTEX-Q734-1026-SM-48U16 40-49 years, female 56.1
GTEX-WYVS-1326-SM-4ONCQ 40-49 years, female 54.3
GTEX-1H11D-2226-SM-9OSXN 40-49 years, male 54.3
GTEX-1F75I-1826-SM-7MKGX 40-49 years, male 53.8
GTEX-13OW6-2526-SM-5IJEC 50-59 years, male 53.7
GTEX-ZVP2-1626-SM-5GU5D 50-59 years, male 51.9
GTEX-12WSG-2026-SM-5FQUU 50-59 years, female 51.6
GTEX-1A3MV-1226-SM-718BW 30-39 years, male 51.6
GTEX-17HGU-2126-SM-7IGOV 50-59 years, male 49.9
GTEX-13U4I-2526-SM-5SI8Z 40-49 years, female 49.7
GTEX-117YX-1026-SM-5H11V 50-59 years, male 48.9
GTEX-14PJ5-0826-SM-6AJAR 60-69 years, female 48.3
GTEX-1R9K5-1026-SM-EAZ4F 50-59 years, male 47.1
GTEX-1HSEH-1526-SM-B2LXG 60-69 years, male 45.9
GTEX-O5YV-1926-SM-EV797 60-69 years, female 44.9
GTEX-1JN1M-2926-SM-CNNPJ 60-69 years, female 43.5
GTEX-13RTK-0226-SM-5RQHR 20-29 years, male 42.8
GTEX-11DXX-1326-SM-5GIDZ 60-69 years, female 41.7
GTEX-1LBAC-1426-SM-CXZKT 20-29 years, male 41.6
GTEX-1A8G6-1426-SM-731EZ 60-69 years, male 40.8
GTEX-11GSP-2126-SM-5HL5E 60-69 years, female 40.7
GTEX-PX3G-1526-SM-48U11 20-29 years, female 39.9
GTEX-145MO-2226-SM-5Q5BN 60-69 years, male 38.8
GTEX-1I1HK-2026-SM-CNNRB 60-69 years, male 37.8
GTEX-13PVQ-2126-SM-5L3FW 50-59 years, male 35.5
GTEX-QLQW-0726-SM-447AA 30-39 years, male 35.3
GTEX-ZF2S-1426-SM-57WET 50-59 years, female 33.7
GTEX-14DAQ-2826-SM-664MU 60-69 years, female 32.7
GTEX-Y8E4-1526-SM-4WWDI 40-49 years, male 31.4
GTEX-18A7A-2726-SM-7LG6U 50-59 years, female 30.4
GTEX-V1D1-1726-SM-4JBHB 50-59 years, male 30.3
GTEX-14PJ6-0826-SM-686Z9 60-69 years, female 28.9
GTEX-16NGA-1526-SM-72D56 40-49 years, female 26.9
GTEX-1HBPI-0726-SM-9WG7Z 50-59 years, male 26.0
GTEX-1JMPY-0926-SM-ARL92 30-39 years, male 23.5
GTEX-QDT8-2026-SM-EZ6LS 30-39 years, female 22.0
GTEX-1J8JJ-1726-SM-C1YQG 60-69 years, female 21.9
GTEX-XV7Q-1326-SM-4BRWM 40-49 years, female 21.6
GTEX-18A67-2626-SM-718AD 50-59 years, male 21.0
GTEX-ZVT3-2126-SM-59HL2 60-69 years, female 20.3
GTEX-ZYY3-1726-SM-5EGH3 60-69 years, female 19.9
GTEX-132AR-2426-SM-5IFFD 50-59 years, female 18.9
GTEX-1J8EW-2226-SM-AHZ3T 60-69 years, female 17.8
GTEX-POMQ-0826-SM-3P61H 20-29 years, female 16.6
GTEX-YJ8A-1526-SM-5P9FT 20-29 years, male 15.1
GTEX-QXCU-1926-SM-48FE4 50-59 years, male 14.4
GTEX-Y3IK-1426-SM-4YCES 50-59 years, female 13.6
GTEX-VJYA-1026-SM-4KL21 60-69 years, male 13.3
GTEX-1GMRU-2526-SM-9WG7T 50-59 years, male 12.3
GTEX-11TT1-0726-SM-5GU5A 20-29 years, male 11.8
GTEX-13S7M-1826-SM-5RQK6 60-69 years, female 11.8
GTEX-1JMPZ-1826-SM-CXZJT 30-39 years, male 11.8
GTEX-RTLS-2626-SM-46MUJ 60-69 years, female 10.6
GTEX-1E1VI-2826-SM-7MGWU 50-59 years, male 9.6
GTEX-WHPG-0426-SM-4M1XW 50-59 years, male 7.0
GTEX-13X6J-2126-SM-5TDCV 50-59 years, male 5.9
GTEX-WZTO-2126-SM-4PQYW 40-49 years, male 5.9
GTEX-OOBJ-1526-SM-3NB1Q 60-69 years, male 5.3
GTEX-1211K-1426-SM-5FQTF 60-69 years, female 5.2
GTEX-17JCI-2226-SM-7LTA1 60-69 years, female 5.2
GTEX-117YW-2226-SM-5N9DB 50-59 years, male 4.6
GTEX-1HSMQ-2426-SM-CE6RY 50-59 years, male 3.5
GTEX-12WSD-2326-SM-59HKQ 60-69 years, female 3.3
GTEX-15G19-1526-SM-6LPKP 60-69 years, male 2.9
GTEX-1HCU8-1326-SM-C1YQQ 60-69 years, female 2.7
GTEX-11EI6-2426-SM-5PNVS 60-69 years, male 2.5
GTEX-146FH-2126-SM-5SI9U 50-59 years, female 2.5
GTEX-11EQ9-1226-SM-5987E 30-39 years, male 2.0
GTEX-T5JC-1926-SM-4DM6Q 20-29 years, male 1.7
GTEX-11NUK-2426-SM-5BC4U 50-59 years, male 1.5
GTEX-18D9B-2226-SM-718BM 60-69 years, male 1.5
GTEX-14BMV-2226-SM-5RQHX 50-59 years, male 1.2
GTEX-1E2YA-2426-SM-7EPIG 50-59 years, male 1.1
GTEX-1MCYP-1126-SM-E9J2P 20-29 years, female 1.1
GTEX-145ME-1026-SM-5O9B4 40-49 years, female 1.0
GTEX-15G1A-1226-SM-7KUF3 30-39 years, male 1.0
GTEX-ZYVF-2726-SM-5GID4 50-59 years, female 0.7
GTEX-14PHY-0926-SM-5ZZWL 60-69 years, female 0.6
GTEX-1KD5A-1426-SM-D4P3V 50-59 years, male 0.4
GTEX-13QJ3-2726-SM-5SI6L 50-59 years, male 0.3
GTEX-1EH9U-2226-SM-7PBXX 60-69 years, male 0.3
GTEX-1NSGN-1926-SM-E9J36 50-59 years, male 0.3
GTEX-1L5NE-1526-SM-DIPFW 50-59 years, male 0.2
GTEX-12C56-0526-SM-5FQST 20-29 years, male 0.1
GTEX-13O3Q-2126-SM-5KM4C 50-59 years, male 0.1
GTEX-P4PQ-1526-SM-3NMCK 60-69 years, male 0.1
GTEX-PLZ6-0826-SM-3P61K 30-39 years, male 0.1
GTEX-R55D-1526-SM-48FEJ 50-59 years, male 0.1
GTEX-S4Z8-1226-SM-4AD6W 60-69 years, male 0.1
GTEX-1PPH8-1326-SM-DTXFO 20-29 years, male 0.1
GTEX-11P7K-1726-SM-5GU6F 30-39 years, male 0.0
GTEX-11P82-0726-SM-5PNYL 20-29 years, male 0.0
GTEX-11VI4-0326-SM-5EQ6L 40-49 years, female 0.0
GTEX-11WQK-2626-SM-5EQ4K 50-59 years, male 0.0
GTEX-12WSJ-0926-SM-5P9JD 40-49 years, female 0.0
GTEX-13111-1226-SM-5GCNC 50-59 years, male 0.0
GTEX-131XE-2226-SM-5PNYX 50-59 years, male 0.0
GTEX-1339X-1426-SM-5K7YO 40-49 years, male 0.0
GTEX-1399U-1626-SM-5P9J3 50-59 years, female 0.0
GTEX-13N1W-2026-SM-5K7YU 70-79 years, male 0.0
GTEX-13O61-1126-SM-5L3FI 60-69 years, male 0.0
GTEX-13OVI-2426-SM-5KM4J 60-69 years, female 0.0
GTEX-13X6H-1626-SM-5Q5CT 50-59 years, female 0.0
GTEX-146FR-2026-SM-5NQAI 60-69 years, female 0.0
GTEX-14E1K-1526-SM-664MN 50-59 years, male 0.0
GTEX-14PKU-1126-SM-69LOU 40-49 years, female 0.0
GTEX-14PN3-1326-SM-6AJ9U 60-69 years, female 0.0
GTEX-15EU6-2526-SM-7KUGB 50-59 years, male 0.0
GTEX-15RIF-1126-SM-7KUG2 20-29 years, male 0.0
GTEX-15SHW-2126-SM-6M46Y 60-69 years, male 0.0
GTEX-17EUY-1526-SM-793CA 20-29 years, male 0.0
GTEX-17KNJ-1526-SM-7LTA9 50-59 years, male 0.0
GTEX-1B8L1-1526-SM-79OLK 60-69 years, male 0.0
GTEX-1C64O-2226-SM-73KTV 60-69 years, male 0.0
GTEX-1CB4E-1326-SM-7DUGD 60-69 years, male 0.0
GTEX-OIZH-1526-SM-3NB1J 50-59 years, male 0.0
GTEX-P4QT-1526-SM-3NMCT 50-59 years, female 0.0
GTEX-R55C-1026-SM-48FCM 40-49 years, male 0.0
GTEX-R55G-1126-SM-48FDG 40-49 years, female 0.0
GTEX-RU1J-0526-SM-46MUT 20-29 years, female 0.0
GTEX-S4P3-0726-SM-4AD57 50-59 years, female 0.0
GTEX-S7SF-0626-SM-4AD4V 20-29 years, female 0.0
GTEX-TKQ1-0526-SM-4DXTG 30-39 years, male 0.0
GTEX-TKQ2-0926-SM-4DXU5 50-59 years, male 0.0
GTEX-UJHI-1026-SM-4IHJP 50-59 years, female 0.0
GTEX-UPK5-2126-SM-4JBJK 40-49 years, male 0.0
GTEX-WFJO-1126-SM-4LVLZ 30-39 years, male 0.0
GTEX-WH7G-1526-SM-4LVMX 40-49 years, male 0.0
GTEX-XAJ8-0326-SM-47JYI 40-49 years, male 0.0
GTEX-XPVG-1526-SM-4B66C 50-59 years, male 0.0
GTEX-Y114-1226-SM-4TT88 50-59 years, female 0.0
GTEX-ZE7O-3026-SM-51MS4 50-59 years, female 0.0
GTEX-ZPIC-2026-SM-57WG3 40-49 years, female 0.0
GTEX-ZTX8-0426-SM-59HLG 20-29 years, male 0.0
GTEX-ZV6S-0926-SM-57WGB 40-49 years, female 0.0
GTEX-1CB4H-2426-SM-7PBYR 60-69 years, female 0.0
GTEX-1GPI7-1326-SM-9KNVA 20-29 years, male 0.0
GTEX-1H1DE-1226-SM-9JGHH 20-29 years, male 0.0
GTEX-1H3NZ-2226-SM-9WYUT 60-69 years, male 0.0
GTEX-1HCUA-1626-SM-A9SMG 50-59 years, female 0.0
GTEX-1HR9M-2326-SM-CNPPZ 60-69 years, male 0.0
GTEX-1HT8W-2326-SM-A9SLA 30-39 years, male 0.0
GTEX-1IDJF-1426-SM-ACKWK 20-29 years, male 0.0
GTEX-1IL2V-2026-SM-ARZMA 70-79 years, male 0.0
GTEX-1JN76-0926-SM-ARZNH 20-29 years, female 0.0
GTEX-1K2DA-0826-SM-CGQGD 50-59 years, male 0.0
GTEX-1LVAM-1426-SM-E9TJ4 50-59 years, female 0.0
GTEX-1N2DV-0926-SM-E9TJT 40-49 years, male 0.0
GTEX-1PIGE-1126-SM-EWRMV 20-29 years, male 0.0
GTEX-1QP28-2126-SM-DTX8B 50-59 years, female 0.0
GTEX-1QP67-1026-SM-EVR47 40-49 years, female 0.0
GTEX-1QW4Y-0726-SM-DTX8E 30-39 years, male 0.0
GTEX-1S3DN-1526-SM-EVYCB 50-59 years, male 0.0
GTEX-1S82Z-1726-SM-E6CHZ 30-39 years, female 0.0
GTEX-1S831-1126-SM-EWROI 20-29 years, male 0.0
GTEX-RUSQ-1126-SM-EAZAU 50-59 years, male 0.0
GTEX-YEC3-1426-SM-D4P1S 50-59 years, male 0.0
Show allShow less

Contact

  • NEWS ARTICLES
  • PRESS ROOM

The Project

  • INTRODUCTION
  • ORGANIZATION
  • PUBLICATIONS

The Human Protein Atlas

  • DOWNLOADABLE DATA
  • LICENCE & CITATION
  • HELP & FAQ
The Human Protein Atlas project is funded
by the Knut & Alice Wallenberg Foundation.


contact@proteinatlas.org