We use cookies to enhance the usability of our website. If you continue, we'll assume that you are happy to receive all cookies. More information. Don't show this again.
ZEB2
HPA
RESOURCES
  • TISSUE
  • BRAIN
  • SINGLE CELL
  • SUBCELLULAR
  • CANCER
  • BLOOD
  • CELL LINE
  • STRUCTURE & INTERACTION
ABOUT
  • INTRODUCTION
  • HISTORY
  • ORGANIZATION
  • PUBLICATIONS
  • ANTIBODY SUBMISSION
  • ANTIBODY AVAILABILITY
  • ACKNOWLEDGMENTS
  • CONTACT
NEWS
  • NEWS ARTICLES
  • PRESS ROOM
LEARN
  • DICTIONARY
  • PROTEIN CLASSES
  • PROTEIN EVIDENCE
  • METHODS
  • EDUCATIONAL VIDEOS
DATA
  • DOWNLOADABLE DATA
  • PUBLICATION DATA
  • RELEASE HISTORY
HELP
  • ANTIBODY VALIDATION
  • ASSAYS & ANNOTATION
  • DISCLAIMER
  • HELP & FAQ
  • PRIVACY STATEMENT
  • LICENCE & CITATION
Fields »
Search result

Field
Term
Gene name
Class
Subclass
Class
Keyword
Chromosome
External id
Tissue
Cell type
Expression
Antibody panel
Tissue
Main location
Patient ID
Annotation
Tissue
Category
Tau score
Cluster
Reliability
Brain region
Category
Tau score
Brain region
Category
Tau score
Brain region
Category
Tau score
Cluster
Reliability
Tissue
Cell type
Enrichment
Cell type
Category
Tau score
Cell type
Category
Tau score
Cell type
Category
Tau score
Cell lineage
Category
Tau score
Cluster
Cluster
Location
Searches
Location
Cell line
Class
Type
Phase
Reliability
Cancer
Prognosis
Cancer
Category
Cancer
Category
Tau score
Cluster
Variants
Interacting gene (ensg_id)
Type
Number of interactions
Pathway
Category
Score
Score
Score
Validation
Validation
Validation
Validation
Antibodies
Data type
Column


  • SUMMARY

  • TISSUE

  • BRAIN

  • SINGLE CELL

  • SUBCELL

  • CANCER

  • BLOOD

  • CELL LINE

  • STRUCT & INT

  • ZEB2
TISSUE PRIMARY DATA SKIN Show tissue menu
ADIPOSE TISSUE ADRENAL GLAND AMYGDALA APPENDIX BASAL GANGLIA BONE MARROW BREAST BRONCHUS CEREBELLUM CEREBRAL CORTEX CERVIX CHOROID PLEXUS COLON DUODENUM
ENDOMETRIUM EPIDIDYMIS ESOPHAGUS FALLOPIAN TUBE GALLBLADDER HEART MUSCLE HIPPOCAMPAL FORMATION HYPOTHALAMUS KIDNEY LIVER LUNG LYMPH NODE MIDBRAIN NASOPHARYNX
ORAL MUCOSA OVARY PANCREAS PARATHYROID GLAND PITUITARY GLAND PLACENTA PROSTATE RECTUM RETINA SALIVARY GLAND SEMINAL VESICLE SKELETAL MUSCLE SKIN SMALL INTESTINE
SMOOTH MUSCLE SOFT TISSUE SPINAL CORD SPLEEN STOMACH TESTIS THYMUS THYROID GLAND TONGUE TONSIL URINARY BLADDER VAGINA
ANTIBODIES
AND
VALIDATION
Dictionary
Skin
Tissue proteome
Skin
SKIN - Expression summary
Protein expression
Skini

On the top, protein expression in current human tissue, based on all annotated cell types, is reported with the units not detected (n), low (l), medium (m) and high (h). Underneath, protein expression in each annotated cell type are reported using the same units.

Protein expression data is based on knowledge-based annotation. For genes where more than one antibody has been used, a collective score is set.

If knowledge-based annotation could not be performed for a gene, no data is displayed here. View antibody staining data further down this page.

h
m
l
n
Epidermal cells: Not detected
Fibroblasts: Low
Keratinocytes: Not detected
Langerhans: Not detected
Melanocytes: Low
RNA expressioni

A summary of mRNA expression data available for current tissue based on several datasets. The mRNA expression levels in human tissues are based on RNA-seq data generated by the Human Protein Atlas (HPA), Genotype-Tissue Expression (GTEx) portal and CAGE data generated by the FANTOM5 consortium. Consensus normalized expression levels for human tissues was created by combining the data from HPA and GTEx datasets.

The mRNA expression levels in pig are based on RNA-seq data generated by the Human Protein Atlas (HPA), and for mouse, HPA data and in situ hybridization generated by the Allen brain atlas are reported.

Scroll down to view mRNA expression data in more detail.
Consensus:12.4 nTPM
HPA:10.1 nTPM
GTEx:12.4 nTPM

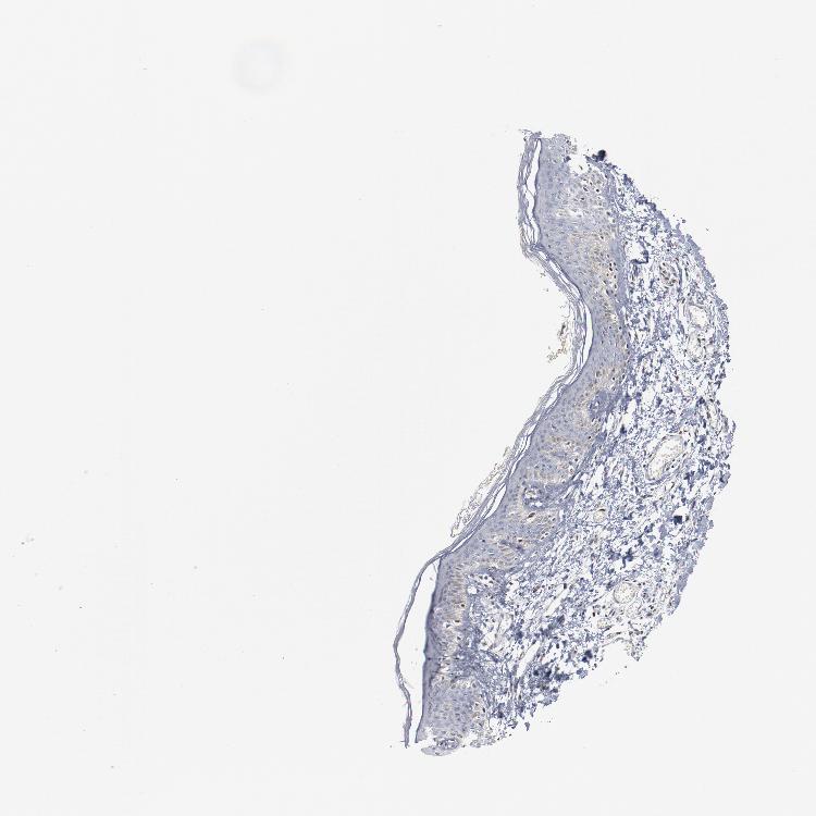
SKIN 1 - Antibody stainingi

Antibody staining in the annotated cell types in the current human tissue is reported as not detected, low, medium, or high, based on conventional immunohistochemistry profiling in selected tissues. This score is based on the combination of the staining intensity and fraction of stained cells.

Each image is clickable and will lead to virtual microscopy that enables deeper exploration of all samples and also displays staining intensity scores, fraction scores and subcellular localization as well as patient and tissue information for each sample.

Antibody HPA003456
Langerhans Not detected
Fibroblasts Low
Keratinocytes Not detected
Melanocytes Low
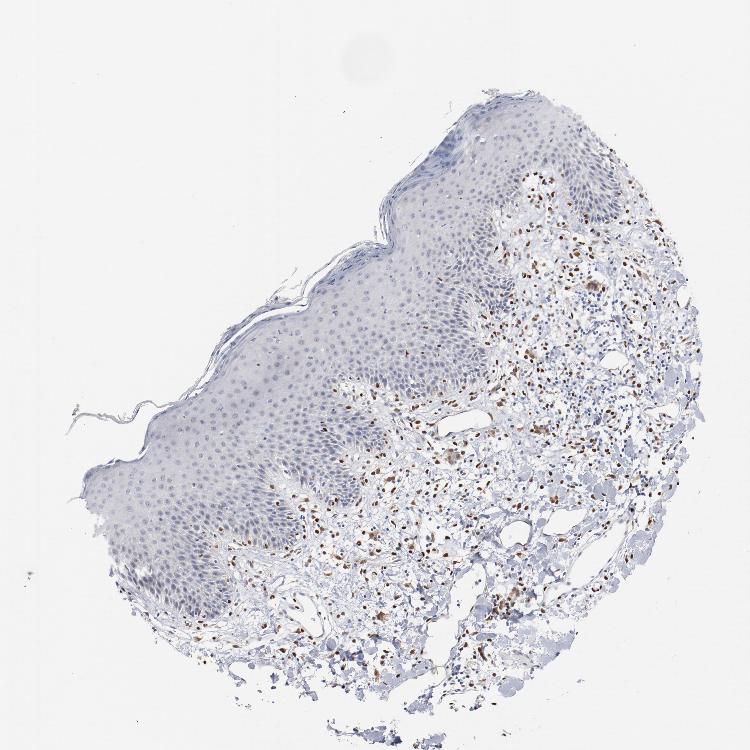
SKIN 2 - Antibody stainingi

Antibody staining in the annotated cell types in the current human tissue is reported as not detected, low, medium, or high, based on conventional immunohistochemistry profiling in selected tissues. This score is based on the combination of the staining intensity and fraction of stained cells.

Each image is clickable and will lead to virtual microscopy that enables deeper exploration of all samples and also displays staining intensity scores, fraction scores and subcellular localization as well as patient and tissue information for each sample.

Antibody HPA003456
Epidermal cells Not detected
 
 
 



SKIN - HPA RNA-seqi

The RNA-seq details section shows detailed information about the individual samples used for the transcript profiling and results of the RNA-seq analysis.

Information about each individual sample is listed below, including gender, age, a tissue section image and estimated fractions of cell types. nTPM (normalized transcripts per million) values give a quantification of the gene abundance which is comparable between different genes and samples.
Average nTPMi

Max subtype nTPM is the value for the subtype with the largest average nTPM across the subtype samples.

10.1
overview
Female, age 34
Skin sample 225
nTPM: 9.5
Cell types%
Keratinocytes:
60

Other cell types:
40

overview
Female, age 30
Skin sample 226
nTPM: 8.9
Cell types%
Keratinocytes:
55

Other cell types:
45

N/A
Male, age 57
Skin sample 227
nTPM: 11.9

SKIN - GTEx RNA-seqi

RNA-Seq data generated by the Genotype-Tissue Expression (GTEx) project from human tissues is reported as mean nTPM. More information can be found on the GTEx portal.

Distribution across the dataset is visualized with box plots, shown as median and 25th and 75th percentiles. Points are displayed as outliers if they are above or below 1.5 times the interquartile range. nTPM values of the individual samples are presented next to the box plot.
Max subtype nTPMi

Max subtype nTPM is the value for the subtype with the largest average nTPM across the subtype samples.

12.4
GTEx sample id Sample description nTPM
Skin - Not Sun Exposed (Suprapubic)
Average nTPM: 10.2
Samples: 604

Max nTPM: 35.6
Min nTPM: 1.9
Std nTPM: 4.6
Median nTPM: 9.4
GTEX-1399R-1326-SM-5PNYS 30-39 years, male 35.6
GTEX-1F75W-2726-SM-7SB8H 60-69 years, male 32.2
GTEX-1F6IF-0926-SM-7SB7M 60-69 years, male 30.7
GTEX-1IDJE-1426-SM-ADEIW 50-59 years, female 29.0
GTEX-1HUB1-1426-SM-CGQF5 60-69 years, male 26.8
GTEX-1J8JJ-0626-SM-ARZMQ 60-69 years, female 25.3
GTEX-139YR-1026-SM-5LZYN 50-59 years, male 25.0
GTEX-1H3NZ-2726-SM-9WYTQ 60-69 years, male 24.3
GTEX-17JCI-2926-SM-7DUFF 60-69 years, female 23.8
GTEX-ZVTK-0226-SM-51MRG 20-29 years, male 23.6
GTEX-Y5V5-0126-SM-5S2NW 60-69 years, female 23.1
GTEX-146FQ-2126-SM-5RQHU 30-39 years, male 23.0
GTEX-1A32A-0626-SM-731AQ 50-59 years, female 23.0
GTEX-1F48J-0726-SM-7RHGS 50-59 years, female 22.7
GTEX-1H1ZS-2726-SM-9WG75 70-79 years, male 22.7
GTEX-11EI6-2826-SM-5H11D 60-69 years, male 22.5
GTEX-1RAZR-2126-SM-E9U6T 40-49 years, male 22.5
GTEX-14PJ2-0626-SM-6LLII 50-59 years, male 22.3
GTEX-13113-1626-SM-5EQ4I 60-69 years, female 21.7
GTEX-YB5K-2026-SM-4VDT3 40-49 years, female 21.2
GTEX-147JS-0226-SM-5S2U9 60-69 years, male 20.9
GTEX-1IDJD-2326-SM-ACKWX 30-39 years, male 20.3
GTEX-YJ8O-2526-SM-5HL85 40-49 years, female 20.1
GTEX-13N2G-0226-SM-5K7VF 60-69 years, male 20.0
GTEX-15RJ7-2126-SM-6PAMD 40-49 years, male 20.0
GTEX-1IDJI-0126-SM-CMKHS 50-59 years, female 19.8
GTEX-16Z82-2626-SM-7KULU 60-69 years, male 19.4
GTEX-12584-0726-SM-5FQTK 40-49 years, male 18.9
GTEX-WYVS-1626-SM-3NM9R 40-49 years, female 18.8
GTEX-14BMU-1226-SM-5S2OR 20-29 years, female 18.7
GTEX-VJYA-1526-SM-3GIJV 60-69 years, male 18.7
GTEX-ZAK1-0626-SM-5HL8E 50-59 years, female 18.7
GTEX-12WSL-2026-SM-5GCML 50-59 years, male 18.6
GTEX-17MF6-2626-SM-79OKQ 40-49 years, male 18.6
GTEX-17EVQ-0126-SM-7IGLR 70-79 years, male 18.5
GTEX-17HG3-2626-SM-7DUF2 30-39 years, female 18.4
GTEX-15CHQ-0326-SM-69LQD 60-69 years, male 18.2
GTEX-WYBS-0626-SM-3NMAS 60-69 years, female 18.2
GTEX-11DXW-0826-SM-5H118 40-49 years, male 18.0
GTEX-11DZ1-2426-SM-5GZZX 50-59 years, male 18.0
GTEX-132AR-0326-SM-5KM2C 50-59 years, female 17.9
GTEX-UPK5-0426-SM-3GAEK 40-49 years, male 17.7
GTEX-1117F-2926-SM-5GZYI 60-69 years, female 17.4
GTEX-1EWIQ-0326-SM-7DHMQ 70-79 years, female 17.4
GTEX-18A66-0626-SM-7LT8Z 60-69 years, male 17.3
GTEX-Y3IK-1626-SM-4YCF5 50-59 years, female 17.3
GTEX-12126-0826-SM-5FQTZ 20-29 years, male 17.2
GTEX-ZVE2-2826-SM-5GU51 50-59 years, male 17.2
GTEX-1AX8Z-0726-SM-73KTS 60-69 years, male 17.0
GTEX-11NSD-0626-SM-5A5LU 20-29 years, male 16.9
GTEX-1GF9U-2026-SM-7SB92 40-49 years, female 16.9
GTEX-139T8-0626-SM-5KLZX 60-69 years, male 16.8
GTEX-13SLX-2226-SM-62LEP 50-59 years, female 16.8
GTEX-18A7A-0126-SM-731AH 50-59 years, female 16.8
GTEX-1QCLZ-2426-SM-EVYBW 60-69 years, female 16.8
GTEX-183FY-1026-SM-7939A 20-29 years, male 16.7
GTEX-1JMOU-1026-SM-CYPSS 60-69 years, female 16.5
GTEX-14A5H-0826-SM-5QGPJ 60-69 years, male 16.4
GTEX-15FZZ-0526-SM-7KUGD 30-39 years, female 16.4
GTEX-1CAV2-0126-SM-7IGN7 40-49 years, female 16.4
GTEX-1LG7Z-1626-SM-CXKYR 30-39 years, male 16.4
GTEX-1QP66-1226-SM-DTX7U 50-59 years, male 16.4
GTEX-16GPK-0626-SM-7KFSF 60-69 years, male 16.2
GTEX-1GF9W-1426-SM-7PBYM 60-69 years, male 16.2
GTEX-131YS-2826-SM-5EQ47 60-69 years, female 16.1
GTEX-145MG-1526-SM-5Q5EM 50-59 years, male 16.1
GTEX-ZUA1-2626-SM-5NQ92 40-49 years, male 16.0
GTEX-ZLWG-0826-SM-59888 50-59 years, female 15.6
GTEX-ZYFG-1526-SM-5GZYM 60-69 years, female 15.6
GTEX-111FC-2526-SM-5GZXU 60-69 years, male 15.5
GTEX-12WSA-0426-SM-5EQ5X 60-69 years, male 15.4
GTEX-14JG1-1526-SM-5YY9X 40-49 years, male 15.4
GTEX-1F88E-1626-SM-7SB8Z 60-69 years, female 15.4
GTEX-1QP29-1826-SM-DTX9S 50-59 years, male 15.4
GTEX-ZGAY-1826-SM-DO91Q 40-49 years, female 15.4
GTEX-14ABY-2026-SM-62LDL 50-59 years, male 15.3
GTEX-1I19N-0126-SM-CYPSF 70-79 years, male 15.3
GTEX-13OVK-1426-SM-6PAN7 40-49 years, male 15.2
GTEX-14AS3-1526-SM-5Q5ED 40-49 years, female 15.2
GTEX-1H1CY-0126-SM-9YFLY 60-69 years, female 15.2
GTEX-1POEN-2326-SM-E9J2L 30-39 years, female 15.1
GTEX-16MTA-0926-SM-6M47Z 50-59 years, male 15.0
GTEX-ZZPU-0826-SM-5GZX5 50-59 years, female 15.0
GTEX-1GZ2Q-0126-SM-9WG6M 40-49 years, male 14.9
GTEX-1IY9M-2826-SM-ARU8H 60-69 years, male 14.9
GTEX-1KWVE-1026-SM-D3L9O 30-39 years, male 14.9
GTEX-12WSC-2826-SM-5BC5Y 50-59 years, male 14.8
GTEX-1C64N-2626-SM-7PC2N 50-59 years, male 14.8
GTEX-139D8-1126-SM-5LU8W 30-39 years, female 14.7
GTEX-13QBU-1226-SM-5LU4G 40-49 years, female 14.7
GTEX-13VXT-1926-SM-5K7UO 20-29 years, female 14.7
GTEX-ZPU1-1126-SM-4YCF3 40-49 years, male 14.7
GTEX-145LS-0626-SM-7EPG7 60-69 years, female 14.6
GTEX-1F75A-0726-SM-7RHHD 50-59 years, male 14.6
GTEX-1314G-1326-SM-5BC6E 30-39 years, male 14.5
GTEX-WHSE-0126-SM-3NMBT 20-29 years, male 14.5
GTEX-13N1W-2426-SM-5IJD1 70-79 years, male 14.4
GTEX-18A7B-2726-SM-7LG56 70-79 years, male 14.4
GTEX-1B932-2326-SM-79OL5 40-49 years, female 14.4
GTEX-1CB4F-1026-SM-7DUH1 60-69 years, male 14.4
GTEX-14JG6-1426-SM-9WG7C 30-39 years, female 14.4
GTEX-1L5NE-1126-SM-D3L9P 50-59 years, male 14.4
GTEX-1RLM8-2926-SM-E8VON 50-59 years, male 14.4
GTEX-1RAZA-2226-SM-E9U4X 20-29 years, male 14.2
GTEX-13OW8-1026-SM-5J1NQ 60-69 years, male 14.1
GTEX-14DAQ-0626-SM-793DS 60-69 years, female 14.1
GTEX-XBEC-0726-SM-4QARZ 50-59 years, male 14.0
GTEX-1I6K6-1726-SM-CGQFD 30-39 years, male 14.0
GTEX-13OVJ-0826-SM-5J1OK 50-59 years, female 13.9
GTEX-15DYW-2726-SM-6EU2I 60-69 years, female 13.9
GTEX-X585-2426-SM-46MW2 50-59 years, male 13.9
GTEX-ZYW4-0626-SM-59HJR 60-69 years, male 13.9
GTEX-13JUV-2026-SM-5K7UA 40-49 years, female 13.8
GTEX-1A8FM-0626-SM-7PC25 50-59 years, female 13.8
GTEX-16MT8-2926-SM-7DUFO 60-69 years, female 13.7
GTEX-16YQH-2226-SM-7IGM2 30-39 years, male 13.7
GTEX-W5X1-2526-SM-3GILC 40-49 years, female 13.7
GTEX-ZT9W-1126-SM-57WDR 50-59 years, male 13.7
GTEX-1HSMO-0626-SM-ACKXC 60-69 years, male 13.7
GTEX-13U4I-2226-SM-5LU5H 40-49 years, female 13.6
GTEX-14PK6-0226-SM-62LF5 70-79 years, female 13.5
GTEX-WRHU-2826-SM-3MJG8 50-59 years, female 13.4
GTEX-1HCU9-0426-SM-9WYSD 20-29 years, male 13.4
GTEX-1HSKV-1226-SM-ADEI4 60-69 years, male 13.4
GTEX-1LBAC-0826-SM-CY8IJ 20-29 years, male 13.4
GTEX-11VI4-1126-SM-5EQMD 40-49 years, female 13.3
GTEX-17HGU-2326-SM-7DUFE 50-59 years, male 13.3
GTEX-1EN7A-2426-SM-793DB 40-49 years, male 13.3
GTEX-1CAMR-1326-SM-7PC1F 20-29 years, male 13.3
GTEX-1HC8U-1326-SM-9YFMJ 40-49 years, female 13.3
GTEX-1IDJH-0126-SM-D3L92 70-79 years, male 13.3
GTEX-11EQ8-0926-SM-5H12V 60-69 years, male 13.1
GTEX-ZDTS-0826-SM-4WKHL 60-69 years, male 13.1
GTEX-1HR98-2226-SM-ADEI2 60-69 years, male 13.1
GTEX-1RB15-1326-SM-E76Q9 60-69 years, male 13.1
GTEX-ZE7O-2726-SM-51MT5 50-59 years, female 12.9
GTEX-1HKZK-0726-SM-ACKW2 40-49 years, male 12.9
GTEX-1I4MK-0126-SM-CY8G6 50-59 years, female 12.9
GTEX-ZU9S-1826-SM-5NQ9E 30-39 years, male 12.7
GTEX-1EMGI-2326-SM-7PBYA 60-69 years, male 12.7
GTEX-1F6I4-2326-SM-7RHGL 60-69 years, male 12.7
GTEX-12KS4-2126-SM-5FQUT 30-39 years, male 12.6
GTEX-13NZ9-2626-SM-5L3FK 50-59 years, male 12.6
GTEX-145ME-1726-SM-5Q5EU 40-49 years, female 12.6
GTEX-ZYFC-0426-SM-5GICQ 50-59 years, male 12.6
GTEX-1211K-1526-SM-5FQU4 60-69 years, female 12.5
GTEX-12WSD-0626-SM-5GCMW 60-69 years, female 12.5
GTEX-1F75B-0726-SM-7PC3R 50-59 years, male 12.5
GTEX-1LVA9-2626-SM-EVYD4 50-59 years, male 12.4
GTEX-13FH7-1126-SM-5K7UG 50-59 years, female 12.3
GTEX-145MN-1526-SM-5SI9T 30-39 years, male 12.3
GTEX-ZAB4-2126-SM-5HL8U 40-49 years, male 12.3
GTEX-13N11-2326-SM-5IJBF 50-59 years, female 12.2
GTEX-145LT-0526-SM-5LUB2 40-49 years, male 12.2
GTEX-1HCU8-2526-SM-CE6RX 60-69 years, female 12.2
GTEX-12ZZZ-0726-SM-5GCNZ 60-69 years, male 12.1
GTEX-1AX9J-1326-SM-731BJ 60-69 years, male 12.1
GTEX-Y8E4-2026-SM-5IFJB 40-49 years, male 12.1
GTEX-1JKYN-0826-SM-ARU8S 30-39 years, male 12.1
GTEX-ZDXO-3126-SM-5IJDF 60-69 years, male 12.0
GTEX-139TS-2126-SM-5K7XC 60-69 years, male 11.9
GTEX-1477Z-0326-SM-7IGLA 60-69 years, male 11.9
GTEX-15ER7-0626-SM-6PANF 20-29 years, female 11.9
GTEX-16BQI-1326-SM-6M486 30-39 years, female 11.9
GTEX-178AV-1726-SM-7KUL8 40-49 years, male 11.9
GTEX-WK11-2726-SM-3NMAQ 50-59 years, male 11.9
GTEX-WXYG-2026-SM-4E3IY 50-59 years, female 11.9
GTEX-1IDJC-1526-SM-B2LW4 50-59 years, male 11.9
GTEX-1QEPI-2626-SM-DTXF4 60-69 years, female 11.9
GTEX-1QMI2-2526-SM-E8VNZ 60-69 years, male 11.9
GTEX-1R7EU-1626-SM-DTXG3 60-69 years, male 11.9
GTEX-117YX-1926-SM-5GIEC 50-59 years, male 11.8
GTEX-1EU9M-1426-SM-793AI 60-69 years, male 11.8
GTEX-1LGOU-1326-SM-D3L8M 20-29 years, female 11.8
GTEX-1LVAO-2726-SM-E9TJ8 60-69 years, male 11.8
GTEX-13X6K-0626-SM-5LU5D 60-69 years, female 11.7
GTEX-13YAN-0226-SM-5TDC6 60-69 years, male 11.7
GTEX-14E6C-2426-SM-5S2NF 40-49 years, male 11.7
GTEX-1I1CD-0626-SM-CE6SW 60-69 years, female 11.7
GTEX-1JN6P-2926-SM-CL54D 60-69 years, male 11.7
GTEX-12BJ1-0926-SM-5EQ62 60-69 years, male 11.6
GTEX-147F3-1726-SM-5SIAW 50-59 years, female 11.6
GTEX-X4EP-0626-SM-3P621 60-69 years, female 11.6
GTEX-ZF2S-1626-SM-57WES 50-59 years, female 11.6
GTEX-ZLFU-1826-SM-4WWBV 40-49 years, male 11.6
GTEX-1IDJF-2026-SM-CL53V 20-29 years, male 11.6
GTEX-1O9I2-0226-SM-EYYXD 50-59 years, male 11.6
GTEX-WHPG-2626-SM-3NMBR 50-59 years, male 11.5
GTEX-1ICG6-1226-SM-A9SLN 70-79 years, female 11.5
GTEX-1PIGE-1826-SM-E8VOU 20-29 years, male 11.5
GTEX-12WSK-2126-SM-5CVNC 40-49 years, female 11.4
GTEX-15CHR-1126-SM-7EWF4 50-59 years, male 11.4
GTEX-183WM-0326-SM-72D5V 70-79 years, female 11.4
GTEX-1E1VI-0326-SM-793D1 50-59 years, male 11.4
GTEX-ZZ64-1026-SM-5GZXG 20-29 years, male 11.4
GTEX-133LE-2326-SM-5K7W3 20-29 years, female 11.3
GTEX-18D9U-0126-SM-731BM 40-49 years, male 11.3
GTEX-VUSG-2326-SM-4KL1U 50-59 years, male 11.3
GTEX-ZA64-1026-SM-5HL8R 20-29 years, male 11.3
GTEX-1MCC2-1826-SM-DIPEX 30-39 years, female 11.3
GTEX-11P7K-1126-SM-5HL4L 30-39 years, male 11.2
GTEX-YF7O-1526-SM-5IFI6 50-59 years, male 11.2
GTEX-1GZHY-0626-SM-9KNVC 50-59 years, female 11.2
GTEX-1ICLZ-0326-SM-ARL82 60-69 years, male 11.2
GTEX-1IL2V-1926-SM-B2LW8 70-79 years, male 11.2
GTEX-13VXU-0626-SM-5L3F9 50-59 years, male 11.1
GTEX-1AX9I-2226-SM-73KUO 60-69 years, male 11.1
GTEX-1BAJH-2426-SM-7IGP8 70-79 years, male 11.1
GTEX-X3Y1-2026-SM-3P5YM 40-49 years, male 11.1
GTEX-XOT4-0626-SM-4B66L 60-69 years, female 11.1
GTEX-1KD5A-0126-SM-E9U54 50-59 years, male 11.1
GTEX-16MT9-0126-SM-7EPI8 60-69 years, female 11.0
GTEX-17F96-0126-SM-7EWDU 70-79 years, male 11.0
GTEX-18D9B-0926-SM-7LG4U 60-69 years, male 11.0
GTEX-11P81-2226-SM-5PNYI 30-39 years, female 10.9
GTEX-12C56-1526-SM-5FQUQ 20-29 years, male 10.9
GTEX-ZTSS-1426-SM-5985P 40-49 years, male 10.9
GTEX-1KANC-1226-SM-CYPT7 50-59 years, female 10.9
GTEX-11GSP-2326-SM-5HL63 60-69 years, female 10.8
GTEX-13OVL-0126-SM-5L3GJ 50-59 years, male 10.8
GTEX-17HHY-0426-SM-7DHLC 50-59 years, male 10.8
GTEX-18QFQ-1826-SM-72D52 30-39 years, male 10.8
GTEX-XYKS-1426-SM-4BRUO 60-69 years, female 10.8
GTEX-ZC5H-1526-SM-5HL9Y 40-49 years, female 10.8
GTEX-ZP4G-1426-SM-4WWCL 20-29 years, female 10.8
GTEX-1192X-2726-SM-5N9DN 50-59 years, male 10.7
GTEX-11NUK-2726-SM-5A5MC 50-59 years, male 10.7
GTEX-11WQC-1826-SM-5GU59 60-69 years, male 10.7
GTEX-15EO6-2426-SM-6PALZ 50-59 years, male 10.7
GTEX-1F75I-2226-SM-7SB8U 40-49 years, male 10.7
GTEX-1S82P-2126-SM-E6CI5 60-69 years, female 10.7
GTEX-17EVP-2626-SM-7IGMA 40-49 years, male 10.6
GTEX-1A3MW-0626-SM-731CB 60-69 years, female 10.6
GTEX-1H1DF-1126-SM-9WG7G 40-49 years, female 10.6
GTEX-1LVAN-0626-SM-CNPOQ 50-59 years, female 10.6
GTEX-11DYG-1526-SM-5A5JS 60-69 years, male 10.5
GTEX-13IVO-0726-SM-5LZYV 70-79 years, male 10.5
GTEX-13OW5-2326-SM-5L3HO 60-69 years, male 10.5
GTEX-1EKGG-0626-SM-7DUGJ 60-69 years, male 10.5
GTEX-1J8Q3-0526-SM-ARL8U 60-69 years, male 10.5
GTEX-1JKYR-0626-SM-ARL8R 20-29 years, male 10.5
GTEX-11DXY-0126-SM-5H11Q 60-69 years, male 10.4
GTEX-1B8KZ-0326-SM-73KY4 50-59 years, male 10.4
GTEX-1F52S-2926-SM-7MKGA 60-69 years, female 10.4
GTEX-WFG8-2126-SM-3GIKQ 20-29 years, male 10.4
GTEX-1GPI7-1826-SM-9KNU1 20-29 years, male 10.4
GTEX-1JMPZ-0726-SM-CY8HZ 30-39 years, male 10.4
GTEX-14PKV-1126-SM-6LLJ1 20-29 years, female 10.3
GTEX-1A3MV-1826-SM-731CD 30-39 years, male 10.3
GTEX-1A8G6-2726-SM-731AR 60-69 years, male 10.3
GTEX-1GMR2-0826-SM-7PC3V 50-59 years, male 10.3
GTEX-1GMR3-0126-SM-A9SLW 40-49 years, male 10.3
GTEX-1HBPI-2126-SM-ARL9K 50-59 years, male 10.3
GTEX-1IKOE-1426-SM-CE6T7 30-39 years, female 10.3
GTEX-1JMQI-1726-SM-ARL93 50-59 years, male 10.3
GTEX-11DXZ-2026-SM-5987S 50-59 years, male 10.2
GTEX-18465-2826-SM-7LT9J 50-59 years, male 10.2
GTEX-1KANA-1326-SM-DIPFA 20-29 years, male 10.2
GTEX-13X6J-0626-SM-5LU5F 50-59 years, male 10.1
GTEX-ZAJG-1526-SM-5CVML 50-59 years, female 10.1
GTEX-ZVP2-0326-SM-57WBP 50-59 years, male 10.1
GTEX-1I1GV-0626-SM-ARL7M 60-69 years, male 10.1
GTEX-1JJE9-2626-SM-ARZMT 70-79 years, male 10.1
GTEX-1JMQK-1226-SM-D4P2S 60-69 years, male 10.1
GTEX-1M4P7-0726-SM-E6CJ3 60-69 years, male 10.1
GTEX-13FHO-0426-SM-5L3F5 60-69 years, male 10.0
GTEX-13NYB-0126-SM-5J1MD 40-49 years, male 10.0
GTEX-13OW7-0426-SM-5K7VK 50-59 years, male 10.0
GTEX-WI4N-2726-SM-3LK7Y 40-49 years, female 10.0
GTEX-X8HC-0626-SM-4E3HQ 50-59 years, female 10.0
GTEX-XXEK-1626-SM-4BRUZ 50-59 years, male 10.0
GTEX-1I1GS-2626-SM-B2LY3 60-69 years, male 10.0
GTEX-13OVG-1626-SM-5J1NF 60-69 years, male 9.9
GTEX-WEY5-2326-SM-3GIKK 40-49 years, female 9.9
GTEX-12WSF-1626-SM-7KUG5 70-79 years, male 9.8
GTEX-XK95-0226-SM-4AT58 40-49 years, male 9.8
GTEX-Y8LW-1526-SM-5IFHL 50-59 years, female 9.8
GTEX-1GZ4H-0526-SM-9KNU9 50-59 years, female 9.8
GTEX-1HFI6-0126-SM-CNPPI 40-49 years, male 9.8
GTEX-1JN1M-2726-SM-CY8I4 60-69 years, female 9.8
GTEX-1S5ZU-2526-SM-E6CIF 20-29 years, female 9.8
GTEX-11EQ9-1626-SM-5PNY8 30-39 years, male 9.7
GTEX-13NYS-0626-SM-5L3F1 60-69 years, male 9.7
GTEX-14PJ5-1526-SM-6LLIL 60-69 years, female 9.7
GTEX-1EH9U-2826-SM-7DUGT 60-69 years, male 9.7
GTEX-XUW1-0926-SM-4BONX 50-59 years, female 9.7
GTEX-ZXG5-2126-SM-59HKD 60-69 years, male 9.7
GTEX-1N5O9-0926-SM-E9J3C 60-69 years, male 9.7
GTEX-1NSGN-0726-SM-DTXEF 50-59 years, male 9.7
GTEX-11GS4-0226-SM-5HL77 60-69 years, male 9.6
GTEX-145LU-1926-SM-79OJN 50-59 years, male 9.6
GTEX-15EU6-2226-SM-6EU2L 50-59 years, male 9.6
GTEX-1K2DA-1026-SM-CGQGF 50-59 years, male 9.6
GTEX-13FLV-0126-SM-5K7WT 50-59 years, male 9.5
GTEX-14E6E-0526-SM-793DN 30-39 years, male 9.5
GTEX-15D1Q-2826-SM-6LLH7 40-49 years, male 9.5
GTEX-1B996-0426-SM-7EWF8 60-69 years, male 9.5
GTEX-1C475-1326-SM-7SB73 40-49 years, female 9.5
GTEX-1GTWX-2026-SM-9YFLM 60-69 years, male 9.5
GTEX-1H3VE-0726-SM-9YFL5 40-49 years, male 9.5
GTEX-1I6K7-1926-SM-B2LXR 40-49 years, male 9.5
GTEX-11OF3-0126-SM-5PNYF 60-69 years, male 9.4
GTEX-13X6H-0926-SM-5SIB2 50-59 years, female 9.4
GTEX-16AAH-0626-SM-793C9 50-59 years, male 9.4
GTEX-XQ3S-1426-SM-4BOPR 20-29 years, male 9.4
GTEX-Y5LM-0926-SM-6LLJG 40-49 years, female 9.4
GTEX-1I1HK-2326-SM-CKZOH 60-69 years, male 9.4
GTEX-1J1R8-2026-SM-CL53Y 40-49 years, male 9.4
GTEX-11UD2-2526-SM-5CVNU 50-59 years, male 9.3
GTEX-WFON-1926-SM-3LK7L 40-49 years, male 9.3
GTEX-XV7Q-1826-SM-4BRUV 40-49 years, female 9.3
GTEX-1H11D-1826-SM-9QEHM 40-49 years, male 9.3
GTEX-1R9PN-0426-SM-DTXDT 40-49 years, female 9.3
GTEX-145MO-2826-SM-5LU96 60-69 years, male 9.2
GTEX-U8XE-0226-SM-4E3J3 30-39 years, male 9.2
GTEX-1LSNL-2726-SM-E9TKJ 50-59 years, male 9.2
GTEX-12ZZY-0726-SM-5EQ66 60-69 years, male 9.1
GTEX-131XW-0626-SM-5PNVD 50-59 years, female 9.1
GTEX-13FTW-0326-SM-5K7UW 40-49 years, male 9.1
GTEX-13O3Q-0126-SM-5KM34 50-59 years, male 9.1
GTEX-13X6I-1826-SM-5SIAO 60-69 years, male 9.1
GTEX-1497J-0226-SM-5QGPU 60-69 years, male 9.1
GTEX-16NPX-0726-SM-7KULC 50-59 years, male 9.1
GTEX-1IE54-1126-SM-A9G2Z 40-49 years, female 9.1
GTEX-1J8QM-2426-SM-A9SLS 60-69 years, female 9.1
GTEX-1KANB-2826-SM-CY8I6 50-59 years, male 9.1
GTEX-11O72-0626-SM-5PNYE 40-49 years, male 9.0
GTEX-1CB4H-1126-SM-7MKGL 60-69 years, female 9.0
GTEX-1H1DE-1326-SM-9KNUG 20-29 years, male 9.0
GTEX-1HCUA-0826-SM-ADEHM 50-59 years, female 9.0
GTEX-13PVQ-0626-SM-5LU47 50-59 years, male 8.9
GTEX-15UF6-1926-SM-7KUDV 70-79 years, female 8.9
GTEX-17F9E-2326-SM-79OKD 50-59 years, male 8.9
GTEX-17HHE-1326-SM-7EWDZ 50-59 years, male 8.9
GTEX-1B97I-0626-SM-73KUZ 40-49 years, male 8.9
GTEX-XMD2-2126-SM-4YCF8 60-69 years, female 8.9
GTEX-1GMR8-0626-SM-7RHI7 50-59 years, female 8.9
GTEX-1GMRU-2126-SM-7P8RA 50-59 years, male 8.9
GTEX-1H4P4-2126-SM-9WYSL 50-59 years, male 8.9
GTEX-15CHC-1126-SM-6LLHQ 60-69 years, female 8.8
GTEX-V1D1-2026-SM-3GAF4 50-59 years, male 8.8
GTEX-1GN1U-0626-SM-9MQL9 50-59 years, female 8.8
GTEX-1K9T9-1526-SM-DIPFR 50-59 years, female 8.8
GTEX-139TU-0726-SM-5L3EK 60-69 years, male 8.7
GTEX-13NYC-0126-SM-5L3F4 60-69 years, male 8.7
GTEX-15SHW-0226-SM-7LTAT 60-69 years, male 8.7
GTEX-1EX96-1026-SM-7MKG2 50-59 years, male 8.7
GTEX-Z93S-1626-SM-5CVMB 50-59 years, male 8.7
GTEX-1H1E6-0426-SM-9WYUS 30-39 years, male 8.7
GTEX-11EM3-1226-SM-5N9DD 20-29 years, female 8.6
GTEX-14PHX-2226-SM-6EU2P 50-59 years, male 8.6
GTEX-1AYD5-2626-SM-7PBXY 50-59 years, male 8.6
GTEX-1GL5R-1326-SM-7RHHF 50-59 years, male 8.6
GTEX-1HSMQ-2626-SM-A9SML 50-59 years, male 8.6
GTEX-111CU-1126-SM-5EGIM 50-59 years, male 8.5
GTEX-11ZTT-2126-SM-5CVLO 60-69 years, female 8.5
GTEX-131XF-2626-SM-5EQ6K 60-69 years, male 8.5
GTEX-13O61-1426-SM-5KM3D 60-69 years, male 8.5
GTEX-WY7C-2126-SM-3NB2R 50-59 years, male 8.5
GTEX-18D9A-1426-SM-7LT8M 30-39 years, female 8.5
GTEX-1JMQL-2226-SM-CNPP4 50-59 years, female 8.5
GTEX-111YS-1526-SM-5GZYW 60-69 years, male 8.4
GTEX-1212Z-0126-SM-59HK4 60-69 years, male 8.4
GTEX-18A6Q-0626-SM-7KFRP 60-69 years, male 8.4
GTEX-1GN2E-0226-SM-9WG6K 60-69 years, male 8.4
GTEX-1LSNM-0826-SM-DIPG8 50-59 years, male 8.4
GTEX-1N2EE-0626-SM-E76PW 60-69 years, male 8.4
GTEX-1PPGY-1626-SM-EVYBL 60-69 years, male 8.4
GTEX-1S82U-1026-SM-E6CJK 30-39 years, female 8.4
GTEX-13112-0126-SM-5P9IU 50-59 years, male 8.3
GTEX-139TT-2126-SM-5LZWC 60-69 years, male 8.3
GTEX-14DAR-1226-SM-73KYV 50-59 years, male 8.3
GTEX-15RIE-1926-SM-7KUKJ 60-69 years, male 8.3
GTEX-XQ8I-0926-SM-4BOOF 50-59 years, male 8.2
GTEX-17F97-2626-SM-7IGM5 50-59 years, male 8.1
GTEX-YEC4-1826-SM-4W1YP 40-49 years, male 8.1
GTEX-ZVT2-0126-SM-5GIDQ 50-59 years, female 8.1
GTEX-1I1GP-1326-SM-A9G28 50-59 years, male 8.1
GTEX-1JJ6O-2726-SM-CNPOG 60-69 years, male 8.1
GTEX-11TT1-1826-SM-5EQLV 20-29 years, male 8.0
GTEX-1B8KE-1126-SM-7EPHI 50-59 years, male 8.0
GTEX-X5EB-1926-SM-4E3IW 40-49 years, male 8.0
GTEX-XPVG-2126-SM-4B667 50-59 years, male 8.0
GTEX-1CB4I-0126-SM-7RHGG 50-59 years, male 8.0
GTEX-1MJK3-0726-SM-E6CJC 20-29 years, male 8.0
GTEX-12WSH-1526-SM-5BC5W 50-59 years, male 7.9
GTEX-147F4-0726-SM-5TDDD 50-59 years, male 7.9
GTEX-ZYY3-2926-SM-5GIEB 60-69 years, female 7.9
GTEX-14JFF-0626-SM-5ZZVT 60-69 years, male 7.9
GTEX-ZF3C-0626-SM-DO92O 50-59 years, female 7.9
GTEX-12WSJ-1126-SM-5LZVJ 40-49 years, female 7.8
GTEX-14A6H-2026-SM-5Q5DD 30-39 years, male 7.8
GTEX-17F98-1326-SM-7DUEP 40-49 years, female 7.8
GTEX-X4EO-2926-SM-4E3JH 60-69 years, female 7.8
GTEX-ZVE1-0726-SM-51MRN 50-59 years, female 7.8
GTEX-1CAMS-2226-SM-7PBXQ 40-49 years, female 7.8
GTEX-1S831-1826-SM-EWROF 20-29 years, male 7.8
GTEX-131XH-0126-SM-5LZUY 50-59 years, male 7.7
GTEX-13O3O-2326-SM-5IJD6 60-69 years, female 7.7
GTEX-17HII-1426-SM-7EPGG 50-59 years, male 7.7
GTEX-UPJH-0226-SM-3GADV 50-59 years, male 7.7
GTEX-13PL6-1126-SM-5L3IE 40-49 years, female 7.6
GTEX-14PJO-2526-SM-6AJBQ 60-69 years, male 7.6
GTEX-17MFQ-1526-SM-7KFRR 20-29 years, male 7.6
GTEX-1B8SF-0126-SM-7DUG3 60-69 years, male 7.6
GTEX-WYJK-0526-SM-3NM8Z 50-59 years, male 7.6
GTEX-11P82-1426-SM-DTXFY 20-29 years, male 7.6
GTEX-1F5PL-0926-SM-7PC2W 40-49 years, female 7.6
GTEX-1GPI6-1926-SM-9KNV7 60-69 years, male 7.6
GTEX-1HSGN-0826-SM-ACKW3 40-49 years, female 7.6
GTEX-1LGRB-0926-SM-COH3K 50-59 years, female 7.6
GTEX-139UW-0326-SM-5J1ML 60-69 years, male 7.5
GTEX-144GO-2026-SM-5O99P 60-69 years, male 7.5
GTEX-14BIN-1126-SM-5RQJZ 50-59 years, female 7.5
GTEX-14PJN-1826-SM-6AJ98 30-39 years, male 7.5
GTEX-16XZZ-0726-SM-7KUF2 60-69 years, male 7.5
GTEX-17F9Y-0126-SM-79OKX 70-79 years, female 7.5
GTEX-1A3MX-2626-SM-7PC24 60-69 years, male 7.5
GTEX-1HBPM-0726-SM-9YFL7 60-69 years, female 7.5
GTEX-1JN76-0626-SM-CKZOQ 20-29 years, female 7.5
GTEX-ZPIC-0526-SM-DO91W 40-49 years, female 7.5
GTEX-1269C-0126-SM-5EQ5L 60-69 years, female 7.4
GTEX-13OW6-2726-SM-5J2OE 50-59 years, male 7.4
GTEX-ZY6K-1426-SM-5GZX2 50-59 years, male 7.4
GTEX-1H3O1-1326-SM-9MQLD 60-69 years, male 7.4
GTEX-1HB9E-0126-SM-CM2S5 50-59 years, male 7.4
GTEX-1HFI7-2326-SM-CGQFS 50-59 years, female 7.4
GTEX-1J8EW-2726-SM-CY8HR 60-69 years, female 7.4
GTEX-1R9PM-1926-SM-EVR3O 20-29 years, male 7.4
GTEX-12ZZX-2426-SM-5GCOE 40-49 years, female 7.3
GTEX-15SKB-2826-SM-6PAMH 60-69 years, male 7.3
GTEX-YFCO-1226-SM-5LUAT 40-49 years, male 7.3
GTEX-1LSVX-2526-SM-DIPEU 60-69 years, male 7.3
GTEX-15DDE-2926-SM-6LLJ3 50-59 years, female 7.2
GTEX-16NGA-0726-SM-731AO 40-49 years, female 7.2
GTEX-Y5V6-2326-SM-4VDSA 60-69 years, male 7.2
GTEX-1IDJU-1726-SM-CMKHU 60-69 years, female 7.2
GTEX-1KXAM-1626-SM-D3LAD 60-69 years, male 7.2
GTEX-145MF-0926-SM-5Q5EA 50-59 years, male 7.1
GTEX-17KNJ-2126-SM-718AM 50-59 years, male 7.1
GTEX-ZVT4-2426-SM-5GIEI 50-59 years, female 7.1
GTEX-1K2DU-1226-SM-CYPT4 20-29 years, male 7.1
GTEX-1MCYP-0526-SM-E9U6Q 20-29 years, female 7.1
GTEX-11LCK-2226-SM-5HL4Q 30-39 years, male 7.0
GTEX-13FTX-1526-SM-5K7VJ 20-29 years, female 7.0
GTEX-14BMV-2826-SM-5TDED 50-59 years, male 7.0
GTEX-14PHY-1226-SM-5ZZWK 60-69 years, female 7.0
GTEX-15G1A-1626-SM-7KUKN 30-39 years, male 7.0
GTEX-1A8G7-1326-SM-73KVM 60-69 years, male 7.0
GTEX-ZWKS-0626-SM-5GIDV 30-39 years, male 7.0
GTEX-1JMLX-0626-SM-ARL8T 50-59 years, male 7.0
GTEX-1LB8K-0726-SM-D5OV2 50-59 years, male 7.0
GTEX-1PIIG-2326-SM-DTXFR 30-39 years, male 7.0
GTEX-1QP28-1126-SM-EVYC4 50-59 years, female 7.0
GTEX-14PKU-0126-SM-6LLHV 40-49 years, female 6.9
GTEX-15RJE-2826-SM-7KUM9 40-49 years, male 6.9
GTEX-1IOXB-2726-SM-CM2RI 50-59 years, male 6.9
GTEX-13FTY-2126-SM-5IFFB 40-49 years, female 6.8
GTEX-14753-0726-SM-5QGQO 60-69 years, male 6.8
GTEX-1GF9V-0826-SM-9KNUV 60-69 years, male 6.8
GTEX-1HCU6-2526-SM-ADEHL 60-69 years, female 6.8
GTEX-13PVR-0426-SM-5RQK2 60-69 years, female 6.7
GTEX-1R9K4-2826-SM-DTX8F 60-69 years, male 6.7
GTEX-YEC3-1326-SM-DO92X 50-59 years, male 6.7
GTEX-111VG-1626-SM-5EGIO 60-69 years, male 6.6
GTEX-14E1K-2026-SM-7DUEI 50-59 years, male 6.6
GTEX-1B933-2426-SM-7DHMD 50-59 years, female 6.6
GTEX-ZDYS-2426-SM-4WKGI 50-59 years, male 6.6
GTEX-ZYFD-0626-SM-5E44E 50-59 years, male 6.6
GTEX-131XG-0326-SM-5L3DX 50-59 years, female 6.5
GTEX-13PDP-0726-SM-5L3HP 60-69 years, male 6.5
GTEX-1AMEY-0826-SM-72D65 30-39 years, female 6.5
GTEX-XAJ8-1426-SM-47JYM 40-49 years, male 6.5
GTEX-1HSMP-0926-SM-A9SKX 70-79 years, male 6.5
GTEX-1OJC3-1226-SM-DTXER 20-29 years, male 6.5
GTEX-1QPFJ-1926-SM-EVYBD 30-39 years, female 6.5
GTEX-1399U-1126-SM-5L3DB 50-59 years, female 6.4
GTEX-13G51-1826-SM-5KLZH 60-69 years, male 6.4
GTEX-14PJ6-2626-SM-6EU2T 60-69 years, female 6.4
GTEX-1GF9X-1326-SM-7PC2Y 40-49 years, female 6.4
GTEX-1LG7Y-2526-SM-EWRO7 50-59 years, male 6.4
GTEX-13NZ8-1226-SM-5KM4A 60-69 years, female 6.3
GTEX-14PII-0726-SM-6EU2B 60-69 years, male 6.3
GTEX-1CB4E-0926-SM-7EPHT 60-69 years, male 6.3
GTEX-Y3I4-1726-SM-4TT89 50-59 years, male 6.3
GTEX-ZTX8-1326-SM-4YCEL 20-29 years, male 6.3
GTEX-1F88F-0126-SM-9WYSZ 60-69 years, female 6.3
GTEX-1H2FU-0926-SM-9WPPT 60-69 years, female 6.3
GTEX-1IKJJ-2226-SM-CJI4C 60-69 years, male 6.3
GTEX-13RTJ-0126-SM-5S2NN 60-69 years, male 6.2
GTEX-1C6WA-2626-SM-7MKGM 60-69 years, male 6.2
GTEX-WHWD-1826-SM-3LK6I 50-59 years, male 6.2
GTEX-XBED-1926-SM-47JYP 60-69 years, male 6.2
GTEX-1B8L1-2226-SM-7P8PT 60-69 years, male 6.2
GTEX-1GN1W-2426-SM-9KNUU 50-59 years, female 6.2
GTEX-1HCVE-2726-SM-CL54F 50-59 years, male 6.2
GTEX-1IDFM-0326-SM-ARL7V 60-69 years, male 6.2
GTEX-1JK1U-0226-SM-ARZMX 60-69 years, male 6.2
GTEX-1RAZS-2526-SM-E6CHT 50-59 years, male 6.2
GTEX-12WSM-1926-SM-5BC65 60-69 years, male 6.0
GTEX-13W3W-0726-SM-5IJDQ 60-69 years, female 6.0
GTEX-145MH-2826-SM-5RQJF 50-59 years, male 6.0
GTEX-14LZ3-0126-SM-69LPM 60-69 years, female 6.0
GTEX-15G19-2426-SM-7KUMR 60-69 years, male 6.0
GTEX-1C2JI-1026-SM-73KY1 50-59 years, male 6.0
GTEX-ZT9X-1526-SM-5DUXD 40-49 years, male 6.0
GTEX-1C64O-1326-SM-7MGWR 60-69 years, male 6.0
GTEX-1H1DG-2426-SM-9QEHJ 70-79 years, male 6.0
GTEX-144FL-0626-SM-5LU43 50-59 years, male 5.9
GTEX-14B4R-1326-SM-5Q5EZ 30-39 years, male 5.9
GTEX-14LLW-2626-SM-62LDZ 70-79 years, female 5.9
GTEX-WFG7-2026-SM-5SI7P 20-29 years, male 5.9
GTEX-XBEW-1126-SM-4QARW 40-49 years, male 5.9
GTEX-1F6RS-2026-SM-7RHHC 60-69 years, female 5.9
GTEX-1GN73-0726-SM-7P8TJ 60-69 years, male 5.9
GTEX-1OJC4-2726-SM-E76PJ 50-59 years, female 5.9
GTEX-1QW4Y-1126-SM-DTXE3 30-39 years, male 5.9
GTEX-WH7G-2026-SM-3NMBL 40-49 years, male 5.8
GTEX-1H23P-0626-SM-9WG6T 60-69 years, male 5.8
GTEX-1JMQJ-0826-SM-CNPP7 50-59 years, male 5.8
GTEX-Y111-0626-SM-4SOIT 50-59 years, male 5.7
GTEX-ZYT6-2326-SM-5GZY3 30-39 years, male 5.7
GTEX-1122O-1026-SM-9WYSF 60-69 years, female 5.7
GTEX-1N2DV-1526-SM-DTXEP 40-49 years, male 5.7
GTEX-1PDJ9-1226-SM-EXUSX 20-29 years, male 5.7
GTEX-11ZUS-2626-SM-5FQUR 30-39 years, male 5.6
GTEX-144GM-0526-SM-79OJO 20-29 years, male 5.6
GTEX-1AMFI-1326-SM-7939R 50-59 years, female 5.6
GTEX-Y114-2126-SM-4TT8B 50-59 years, female 5.6
GTEX-ZPCL-1126-SM-4WWFE 60-69 years, female 5.6
GTEX-ZTTD-2826-SM-4YCFA 50-59 years, male 5.6
GTEX-12696-0126-SM-5EQ4L 60-69 years, male 5.5
GTEX-14PJ3-1126-SM-5ZZVX 50-59 years, male 5.5
GTEX-15RIG-0726-SM-7KUM7 40-49 years, male 5.5
GTEX-1HCU7-0726-SM-A9SL1 50-59 years, male 5.5
GTEX-1IDJV-0126-SM-COH3Y 60-69 years, male 5.5
GTEX-1LVAM-0726-SM-E6CIL 50-59 years, female 5.5
GTEX-144GL-0626-SM-5LU4D 50-59 years, male 5.4
GTEX-14C38-0726-SM-5SI6M 50-59 years, male 5.4
GTEX-1HT8W-0626-SM-A9G2H 30-39 years, male 5.4
GTEX-14C5O-0326-SM-5ZZUX 60-69 years, male 5.3
GTEX-ZDTT-0426-SM-4WKFL 60-69 years, male 5.3
GTEX-1PPH7-1126-SM-DTX9A 40-49 years, male 5.3
GTEX-ZLV1-1526-SM-DO91J 60-69 years, female 5.3
GTEX-11ZU8-0126-SM-5EQ58 60-69 years, male 5.2
GTEX-ZE9C-2526-SM-5IJDR 60-69 years, male 5.2
GTEX-ZYVF-0926-SM-5E44J 50-59 years, female 5.2
GTEX-1E2YA-2126-SM-7MXUO 50-59 years, male 5.2
GTEX-147GR-2426-SM-5ZZWQ 60-69 years, male 5.0
GTEX-14XAO-1226-SM-6EU1C 60-69 years, female 5.0
GTEX-YECK-0326-SM-4W1YS 60-69 years, male 5.0
GTEX-1CAMQ-1326-SM-7P8RV 40-49 years, male 5.0
GTEX-1ICLY-0826-SM-CMKG1 50-59 years, male 5.0
GTEX-1J8Q2-2626-SM-ACKWQ 60-69 years, male 5.0
GTEX-13OVH-0526-SM-5L3E6 70-79 years, male 4.9
GTEX-14PJ4-0226-SM-5YY92 60-69 years, male 4.9
GTEX-Y9LG-1126-SM-4VBQ7 30-39 years, male 4.9
GTEX-1KAFJ-0126-SM-DIPEK 50-59 years, male 4.9
GTEX-1QCLY-0226-SM-EWRNH 30-39 years, male 4.9
GTEX-11TUW-0626-SM-5LU9M 60-69 years, male 4.8
GTEX-13JVG-0726-SM-5KM16 60-69 years, male 4.8
GTEX-148VJ-0626-SM-5LUAW 70-79 years, male 4.8
GTEX-1CB4J-1326-SM-7P8RX 60-69 years, male 4.7
GTEX-1GZ4I-2626-SM-9KNU3 50-59 years, male 4.7
GTEX-1I1GU-0926-SM-ACKVS 40-49 years, male 4.7
GTEX-1QP9N-1226-SM-E76QN 30-39 years, male 4.7
GTEX-1313W-0626-SM-5EQ4H 50-59 years, female 4.6
GTEX-1C6VQ-1226-SM-73KYD 50-59 years, male 4.6
GTEX-11WQK-1026-SM-5EQLX 50-59 years, male 4.5
GTEX-145MI-0626-SM-5SI8S 60-69 years, female 4.5
GTEX-1C6VR-0126-SM-7RHGB 60-69 years, male 4.5
GTEX-1I1GT-1026-SM-ARZLV 60-69 years, female 4.5
GTEX-1JJEA-1826-SM-ARU8P 60-69 years, male 4.5
GTEX-1PBJJ-1026-SM-E76OS 30-39 years, male 4.5
GTEX-1S3DN-2126-SM-E9TIN 50-59 years, male 4.5
GTEX-13SLW-0626-SM-5Q5ER 70-79 years, male 4.4
GTEX-1J1OQ-0126-SM-D4P2N 40-49 years, female 4.4
GTEX-18A67-1626-SM-7LT9T 50-59 years, male 4.3
GTEX-1S83E-1326-SM-E6CJM 40-49 years, male 4.3
GTEX-11DXX-2126-SM-5PNYR 60-69 years, female 4.2
GTEX-1R46S-2426-SM-E76QA 60-69 years, female 4.2
GTEX-1RMOY-1326-SM-E9TIH 50-59 years, male 4.2
GTEX-1LKK1-2626-SM-DKPQE 50-59 years, female 4.1
GTEX-1399S-0126-SM-5IJCF 30-39 years, female 4.0
GTEX-ZF29-0926-SM-4WKFZ 60-69 years, female 4.0
GTEX-ZVZP-1226-SM-5GID7 50-59 years, male 4.0
GTEX-1QAET-0326-SM-EVR3U 50-59 years, male 4.0
GTEX-14ICL-1626-SM-5YYAO 30-39 years, male 3.9
GTEX-1F5PK-2226-SM-7SB6N 50-59 years, male 3.9
GTEX-1HR9M-2226-SM-CNPPY 60-69 years, male 3.7
GTEX-1JMPY-0226-SM-CKZOK 30-39 years, male 3.7
GTEX-13QJC-0126-SM-5ZZWJ 60-69 years, female 3.6
GTEX-14C39-1726-SM-5RQIL 40-49 years, male 3.5
GTEX-1PPH8-0126-SM-EWRN8 20-29 years, male 3.3
GTEX-1RAZQ-1326-SM-E9TK6 30-39 years, male 3.3
GTEX-1399Q-2326-SM-5KM2X 40-49 years, male 3.2
GTEX-13D11-0926-SM-5J2NC 50-59 years, female 3.2
GTEX-1HBPN-0126-SM-CGQEF 50-59 years, male 3.1
GTEX-WHSB-1326-SM-3LK6W 50-59 years, male 2.9
GTEX-1GN1V-2826-SM-9JGIA 60-69 years, male 2.9
GTEX-1HGF4-0126-SM-CNPPX 60-69 years, male 2.7
GTEX-11PRG-0726-SM-5EGL1 50-59 years, male 2.4
GTEX-1QP2A-1726-SM-E76QC 50-59 years, male 2.3
GTEX-1NV5F-0626-SM-DTXEG 60-69 years, female 1.9
Show allShow less
Skin - Sun Exposed (Lower leg)
Average nTPM: 12.4
Samples: 701

Max nTPM: 41.0
Min nTPM: 1.7
Std nTPM: 5.8
Median nTPM: 11.1
GTEX-1RAZQ-0726-SM-EAZ43 30-39 years, male 41.0
GTEX-14JIY-0126-SM-6LLH6 60-69 years, male 40.4
GTEX-146FR-1326-SM-E9J48 60-69 years, female 38.6
GTEX-1OJC4-0126-SM-E9J2E 50-59 years, female 38.3
GTEX-1QP67-1626-SM-EAZ3X 40-49 years, female 37.7
GTEX-113IC-0126-SM-5HL6T 60-69 years, male 37.3
GTEX-1LNCM-1126-SM-E9U5E 50-59 years, female 36.5
GTEX-ZZPT-0226-SM-5E43X 50-59 years, male 33.7
GTEX-ZUA1-0126-SM-5GU76 40-49 years, male 33.0
GTEX-1HUB1-0426-SM-E9U4U 60-69 years, male 32.4
GTEX-1QW4Y-1526-SM-EAZ3Z 30-39 years, male 31.9
GTEX-1I1HK-0126-SM-COH49 60-69 years, male 31.8
GTEX-1AYCT-2426-SM-7IGQ3 50-59 years, male 30.6
GTEX-14A6H-0126-SM-5QGPK 30-39 years, male 28.4
GTEX-ZEX8-2426-SM-4WKG4 50-59 years, male 28.4
GTEX-Q734-1926-SM-2I5EV 40-49 years, female 28.3
GTEX-11ZUS-0626-SM-59885 30-39 years, male 27.3
GTEX-1F48J-0126-SM-7P8TT 50-59 years, female 27.1
GTEX-1AYD5-2426-SM-73KXR 50-59 years, male 26.9
GTEX-ZDXO-3026-SM-5J1N5 60-69 years, male 26.9
GTEX-R55E-0126-SM-2TC5Y 20-29 years, male 26.5
GTEX-1HBPH-0426-SM-B2LW5 40-49 years, female 26.3
GTEX-1PBJI-0526-SM-E8VNK 20-29 years, female 26.2
GTEX-PLZ4-0126-SM-5SI8O 50-59 years, female 25.4
GTEX-11TTK-0126-SM-5987B 60-69 years, female 25.2
GTEX-R45C-0126-SM-EAZ2R 60-69 years, female 25.1
GTEX-139T4-0226-SM-5HL5S 50-59 years, female 24.8
GTEX-1IY9M-0126-SM-D3L8S 60-69 years, male 24.7
GTEX-139TT-0126-SM-5K7Y5 60-69 years, male 24.6
GTEX-1F6I4-0126-SM-9MQL2 60-69 years, male 24.5
GTEX-15SHW-0326-SM-6PAML 60-69 years, male 24.0
GTEX-SSA3-0126-SM-32QPU 60-69 years, male 23.6
GTEX-V1D1-2226-SM-3NMAX 50-59 years, male 23.5
GTEX-1F6IF-0726-SM-7P8TW 60-69 years, male 23.3
GTEX-ZF28-0126-SM-4WKGK 60-69 years, male 22.9
GTEX-13OW7-0126-SM-5MR3B 50-59 years, male 22.6
GTEX-ZVT3-0126-SM-5GU6I 60-69 years, female 22.6
GTEX-QDT8-0126-SM-48TZ1 30-39 years, female 22.5
GTEX-13N1W-0126-SM-5K7VT 70-79 years, male 22.3
GTEX-1RLM8-2326-SM-EWRN4 50-59 years, male 22.3
GTEX-148VJ-0126-SM-5TDDN 70-79 years, male 22.2
GTEX-13VXT-0126-SM-5LU4I 20-29 years, female 22.0
GTEX-X62O-0126-SM-4E3JN 50-59 years, male 21.7
GTEX-13W46-0226-SM-5SIAG 50-59 years, male 21.5
GTEX-11WQC-2526-SM-5CVLE 60-69 years, male 21.3
GTEX-1GN1W-0526-SM-9MQJQ 50-59 years, female 21.2
GTEX-14ABY-0226-SM-5TDCQ 50-59 years, male 20.8
GTEX-17HHE-2026-SM-79OKF 50-59 years, male 20.8
GTEX-16YQH-0126-SM-7DUFJ 30-39 years, male 20.7
GTEX-1IDFM-0126-SM-COH2V 60-69 years, male 20.6
GTEX-1MA7X-2226-SM-E6CIY 60-69 years, male 20.6
GTEX-OIZF-0126-SM-7SB8I 60-69 years, male 20.6
GTEX-WH7G-2326-SM-3NMBC 40-49 years, male 20.5
GTEX-X585-0226-SM-4QAS2 50-59 years, male 20.4
GTEX-1PIGE-0126-SM-EVYBJ 20-29 years, male 20.3
GTEX-1C6WA-0126-SM-7PC2B 60-69 years, male 20.2
GTEX-1RAZA-0126-SM-E6CI3 20-29 years, male 20.2
GTEX-15EOM-0126-SM-7KUGG 20-29 years, female 20.0
GTEX-15SDE-2226-SM-7IGLO 50-59 years, female 19.9
GTEX-11ZVC-2526-SM-5FQTE 50-59 years, female 19.6
GTEX-13SLX-0526-SM-5S2ON 50-59 years, female 19.4
GTEX-117YW-2626-SM-5GZZH 50-59 years, male 19.3
GTEX-1AX8Z-0126-SM-7DHM6 60-69 years, male 19.3
GTEX-U3ZN-2326-SM-3DB7W 30-39 years, female 19.3
GTEX-1192X-0226-SM-5H12D 50-59 years, male 19.2
GTEX-1192W-2626-SM-5Q5AF 60-69 years, male 19.1
GTEX-139T8-0126-SM-5K7XZ 60-69 years, male 19.1
GTEX-16XZY-2126-SM-79OK1 70-79 years, male 19.1
GTEX-12WSD-0126-SM-59HKN 60-69 years, female 19.0
GTEX-ZC5H-0226-SM-4WAY9 40-49 years, female 19.0
GTEX-144GN-2326-SM-5LU4F 50-59 years, male 18.9
GTEX-1LBAC-0126-SM-DIPEZ 20-29 years, male 18.9
GTEX-ZAB5-1826-SM-5HL7C 50-59 years, male 18.8
GTEX-147F4-0226-SM-5QGPW 50-59 years, male 18.6
GTEX-X638-0126-SM-47JZ8 70-79 years, female 18.6
GTEX-11DXW-0226-SM-5H122 40-49 years, male 18.5
GTEX-11EMC-2926-SM-5EQ4F 60-69 years, female 18.5
GTEX-1AMEY-1326-SM-73KYK 30-39 years, female 18.5
GTEX-1S82Y-2026-SM-EVYCM 40-49 years, male 18.4
GTEX-146FQ-0126-SM-5NQA9 30-39 years, male 18.3
GTEX-14PHW-0126-SM-6LLJI 60-69 years, female 18.3
GTEX-17MF6-0126-SM-7LG4F 40-49 years, male 18.3
GTEX-1A32A-0126-SM-718B1 50-59 years, female 18.3
GTEX-1HBPI-1526-SM-C1YQ1 50-59 years, male 18.3
GTEX-1MCYP-1926-SM-E9J2R 20-29 years, female 18.3
GTEX-1R9PO-2126-SM-E9J4O 60-69 years, female 18.3
GTEX-15DYW-0126-SM-7KULE 60-69 years, female 18.2
GTEX-11GS4-2726-SM-5A5LE 60-69 years, male 18.1
GTEX-14E7W-0126-SM-6LLJ9 70-79 years, male 18.1
GTEX-RUSQ-1526-SM-2TF62 50-59 years, male 18.1
GTEX-11GSP-2526-SM-5N9BP 60-69 years, female 18.0
GTEX-11P82-1626-SM-59879 20-29 years, male 18.0
GTEX-ZE7O-0126-SM-57WC1 50-59 years, female 18.0
GTEX-1IE54-0126-SM-CMKHW 40-49 years, female 18.0
GTEX-1KD5A-0226-SM-D5OV3 50-59 years, male 18.0
GTEX-13NZ8-0826-SM-5MR3I 60-69 years, female 17.9
GTEX-1H3O1-0426-SM-9YFKY 60-69 years, male 17.9
GTEX-12WSN-5019-SM-79OM6 40-49 years, male 17.8
GTEX-Q2AG-0126-SM-33HBV 40-49 years, female 17.8
GTEX-11DZ1-0126-SM-5985Q 50-59 years, male 17.7
GTEX-U3ZH-2026-SM-3DB78 30-39 years, male 17.7
GTEX-XUW1-0426-SM-4BOOT 50-59 years, female 17.7
GTEX-1GF9X-2026-SM-7PC3A 40-49 years, female 17.7
GTEX-1H1ZS-0426-SM-9WG6G 70-79 years, male 17.7
GTEX-1HSMO-0126-SM-CL547 60-69 years, male 17.7
GTEX-VUSG-2526-SM-4KL1V 50-59 years, male 17.6
GTEX-ZAB4-0226-SM-5N9F5 40-49 years, male 17.6
GTEX-1F75I-0326-SM-9YFLU 40-49 years, male 17.6
GTEX-11OF3-2626-SM-5GU7F 60-69 years, male 17.5
GTEX-18A66-0226-SM-718BD 60-69 years, male 17.5
GTEX-Y3I4-2126-SM-4TT7C 50-59 years, male 17.5
GTEX-1C64O-0126-SM-7SB8P 60-69 years, male 17.5
GTEX-1F75A-0126-SM-7RHGM 50-59 years, male 17.5
GTEX-1H3NZ-0126-SM-ACKX7 60-69 years, male 17.5
GTEX-ZTPG-0326-SM-5O9AX 20-29 years, female 17.4
GTEX-1B8L1-2526-SM-9WYTF 60-69 years, male 17.4
GTEX-1QEPI-0126-SM-EWRMQ 60-69 years, female 17.4
GTEX-12KS4-0326-SM-5EQ41 30-39 years, male 17.3
GTEX-1AX9K-2326-SM-73KWU 50-59 years, male 17.3
GTEX-111VG-2426-SM-5GZXD 60-69 years, male 17.1
GTEX-13NZA-0226-SM-5K7Z7 60-69 years, male 17.0
GTEX-14BIL-0126-SM-5SI92 50-59 years, male 17.0
GTEX-11VI4-1726-SM-5CVLH 40-49 years, female 16.9
GTEX-13OVJ-0126-SM-5KM36 50-59 years, female 16.9
GTEX-17HII-0226-SM-7LG4E 50-59 years, male 16.8
GTEX-18A67-0126-SM-7LG5P 50-59 years, male 16.8
GTEX-U4B1-1826-SM-4DXSU 40-49 years, male 16.8
GTEX-1F88F-2726-SM-7PBZZ 60-69 years, female 16.8
GTEX-1I1CD-0126-SM-CM2TK 60-69 years, female 16.8
GTEX-14LLW-0126-SM-6LLIO 70-79 years, female 16.7
GTEX-11EI6-0126-SM-5985R 60-69 years, male 16.6
GTEX-13N11-2526-SM-5K7UE 50-59 years, female 16.5
GTEX-18QFQ-0126-SM-731BE 30-39 years, male 16.5
GTEX-Q2AI-1326-SM-2S1PL 40-49 years, male 16.5
GTEX-1CB4G-0226-SM-7PC3O 60-69 years, male 16.5
GTEX-1GN73-0226-SM-9WG67 60-69 years, male 16.5
GTEX-1H1E6-1726-SM-ACKVK 30-39 years, male 16.5
GTEX-18A7A-0226-SM-718BH 50-59 years, female 16.4
GTEX-1EKGG-0226-SM-9WYTH 60-69 years, male 16.4
GTEX-13OVL-0226-SM-5L3E9 50-59 years, male 16.3
GTEX-13QJ3-0326-SM-5S2RA 50-59 years, male 16.3
GTEX-1B8KZ-2026-SM-7DHMB 50-59 years, male 16.3
GTEX-1GPI7-0126-SM-9MQL8 20-29 years, male 16.3
GTEX-1GMR8-0126-SM-9WYTM 50-59 years, female 16.2
GTEX-14PJ3-1826-SM-62LEX 50-59 years, male 16.1
GTEX-17HGU-0226-SM-7DHKV 50-59 years, male 16.1
GTEX-RN64-0126-SM-2TC68 50-59 years, male 16.1
GTEX-1HKZK-0326-SM-9WYUH 40-49 years, male 16.1
GTEX-12584-0126-SM-5EGKQ 40-49 years, male 16.0
GTEX-13VXU-0126-SM-5SI9F 50-59 years, male 16.0
GTEX-WYVS-2126-SM-3NMA3 40-49 years, female 16.0
GTEX-131XG-2626-SM-5KM17 50-59 years, female 15.9
GTEX-14DAQ-0126-SM-5S2MQ 60-69 years, female 15.9
GTEX-183FY-0126-SM-7LT9P 20-29 years, male 15.9
GTEX-13OVG-1926-SM-5L3DK 60-69 years, male 15.8
GTEX-1C4CL-0526-SM-73KVK 30-39 years, male 15.8
GTEX-1HFI6-0226-SM-ADEHZ 40-49 years, male 15.8
GTEX-1POEN-0126-SM-EYYXJ 30-39 years, female 15.8
GTEX-1MGNQ-0126-SM-EVYCJ 40-49 years, male 15.7
GTEX-1MUQO-0126-SM-EAZ58 60-69 years, male 15.7
GTEX-147GR-0526-SM-5S2MY 60-69 years, male 15.6
GTEX-148VI-1626-SM-5SI6E 60-69 years, female 15.5
GTEX-OXRL-0126-SM-2YUMP 50-59 years, male 15.5
GTEX-1GF9U-2126-SM-7SB7L 40-49 years, female 15.5
GTEX-1JMOU-1526-SM-CL54I 60-69 years, female 15.5
GTEX-1N2DV-0226-SM-E6CJ6 40-49 years, male 15.5
GTEX-117YX-2326-SM-5H12W 50-59 years, male 15.4
GTEX-14PK6-1926-SM-6ETZU 70-79 years, female 15.4
GTEX-12WSG-2826-SM-E9J4H 50-59 years, female 15.4
GTEX-11NUK-0126-SM-5A5L3 50-59 years, male 15.3
GTEX-145LV-2126-SM-5LU8N 50-59 years, male 15.3
GTEX-OOBK-0126-SM-2YUND 40-49 years, male 15.3
GTEX-1H2FU-0126-SM-9WYSI 60-69 years, female 15.3
GTEX-1GPI6-0126-SM-9WG69 60-69 years, male 15.2
GTEX-1QP29-0626-SM-EWRMX 50-59 years, male 15.1
GTEX-11P7K-2126-SM-5GU7G 30-39 years, male 15.0
GTEX-1A3MW-0126-SM-73KXX 60-69 years, female 15.0
GTEX-1GZ4H-1726-SM-7PBZJ 50-59 years, female 15.0
GTEX-1HSMQ-1226-SM-CGQFX 50-59 years, male 15.0
GTEX-13U4I-0126-SM-5LU38 40-49 years, female 14.9
GTEX-YJ8A-0426-SM-5IFID 20-29 years, male 14.9
GTEX-1GN1U-0126-SM-7PBZK 50-59 years, female 14.9
GTEX-13CF2-2526-SM-5LZYX 60-69 years, male 14.8
GTEX-13NZB-2526-SM-5J1OM 30-39 years, male 14.8
GTEX-13OVI-1426-SM-5L3EY 60-69 years, female 14.8
GTEX-13RTL-0126-SM-7LG5S 40-49 years, male 14.8
GTEX-17F97-0326-SM-7LG5B 50-59 years, male 14.8
GTEX-XUYS-0126-SM-47JWZ 50-59 years, male 14.8
GTEX-13FTX-1826-SM-5J1NX 20-29 years, female 14.7
GTEX-13X6I-0626-SM-5QGP9 60-69 years, male 14.7
GTEX-ZYFC-0226-SM-5NQ75 50-59 years, male 14.7
GTEX-RNOR-0126-SM-E9J4R 50-59 years, female 14.7
GTEX-17MFQ-1726-SM-793C7 20-29 years, male 14.6
GTEX-18A6Q-0126-SM-731BZ 60-69 years, male 14.6
GTEX-1C2JI-1826-SM-73KXC 50-59 years, male 14.6
GTEX-ZDTT-2726-SM-4WKF8 60-69 years, male 14.6
GTEX-1I19N-0326-SM-ACKVX 70-79 years, male 14.6
GTEX-11DXY-2626-SM-5GIE7 60-69 years, male 14.5
GTEX-139D8-0226-SM-5KLZO 30-39 years, female 14.5
GTEX-14JG6-2226-SM-6EU2G 30-39 years, female 14.5
GTEX-14PN3-2426-SM-6LLHS 60-69 years, female 14.5
GTEX-17HHY-0126-SM-7LG5D 50-59 years, male 14.5
GTEX-RTLS-0126-SM-447CA 60-69 years, female 14.5
GTEX-ZY6K-1826-SM-5GZXK 50-59 years, male 14.5
GTEX-1A8FM-0226-SM-7SB7Q 50-59 years, female 14.5
GTEX-1H11D-0226-SM-9WG6Z 40-49 years, male 14.5
GTEX-1J8JJ-0226-SM-CL53I 60-69 years, female 14.5
GTEX-1MCQQ-0826-SM-DLHC2 60-69 years, male 14.5
GTEX-1JKYN-1326-SM-CGQG9 30-39 years, male 14.4
GTEX-13112-2826-SM-5DUWH 50-59 years, male 14.3
GTEX-14E6C-0126-SM-5RQIP 40-49 years, male 14.3
GTEX-OXRK-0226-SM-3NB2G 50-59 years, female 14.3
GTEX-ZAK1-0126-SM-5IJD3 50-59 years, female 14.3
GTEX-ZYW4-0126-SM-5E44A 60-69 years, male 14.3
GTEX-1JK1U-2026-SM-CM2RZ 60-69 years, male 14.3
GTEX-15DDE-0126-SM-6LPKH 50-59 years, female 14.2
GTEX-YEC4-2126-SM-5IFJH 40-49 years, male 14.2
GTEX-P4PQ-0126-SM-2S1NM 60-69 years, male 14.0
GTEX-PW2O-1526-SM-7RHHB 20-29 years, male 14.0
GTEX-14BIM-0226-SM-7IGLD 60-69 years, female 13.9
GTEX-1B8KE-2126-SM-73KYX 50-59 years, male 13.9
GTEX-PLZ5-2026-SM-2S1O4 50-59 years, male 13.9
GTEX-Z93T-0126-SM-5HL5N 50-59 years, male 13.9
GTEX-1GZHY-0326-SM-9QEHI 50-59 years, female 13.9
GTEX-OXRP-0126-SM-3NB32 60-69 years, female 13.8
GTEX-TMZS-0126-SM-3DB9Q 60-69 years, male 13.8
GTEX-XV7Q-2526-SM-4BRV9 40-49 years, female 13.8
GTEX-Y8E4-0626-SM-4WWDL 40-49 years, male 13.8
GTEX-Z9EW-1626-SM-5CVMN 40-49 years, male 13.8
GTEX-1NHNU-1026-SM-E9J2A 50-59 years, male 13.8
GTEX-PVOW-0126-SM-2XCFA 40-49 years, male 13.7
GTEX-RWS6-2026-SM-2XCB5 60-69 years, female 13.7
GTEX-1S82Z-0826-SM-E6CHY 30-39 years, female 13.7
GTEX-QV44-1926-SM-2S1RF 50-59 years, male 13.6
GTEX-1H3VY-0126-SM-ACKXD 50-59 years, male 13.6
GTEX-1QCLY-0326-SM-E8VOG 30-39 years, male 13.6
GTEX-11P81-2326-SM-59875 30-39 years, female 13.5
GTEX-131XW-0426-SM-5LZWP 50-59 years, female 13.5
GTEX-13O1R-0126-SM-5L3EH 60-69 years, male 13.5
GTEX-SNMC-1226-SM-2XCFP 20-29 years, male 13.5
GTEX-WXYG-2326-SM-4E3I6 50-59 years, female 13.5
GTEX-1I1GP-2226-SM-CGQFK 50-59 years, male 13.5
GTEX-1IGQW-0126-SM-COH42 60-69 years, male 13.5
GTEX-1K9T9-0126-SM-EVYCF 50-59 years, female 13.5
GTEX-11H98-0126-SM-5EGHG 50-59 years, male 13.4
GTEX-11ZTS-0126-SM-5EQ6M 60-69 years, female 13.4
GTEX-12C56-1726-SM-5EQ61 20-29 years, male 13.4
GTEX-TML8-1926-SM-32QOS 40-49 years, female 13.4
GTEX-1I1GS-0126-SM-B2LVW 60-69 years, male 13.4
GTEX-1M4P7-0226-SM-DIPEV 60-69 years, male 13.4
GTEX-11NSD-2226-SM-5986V 20-29 years, male 13.3
GTEX-11O72-0126-SM-59887 40-49 years, male 13.3
GTEX-15G19-0126-SM-6PANQ 60-69 years, male 13.3
GTEX-ZVE2-0226-SM-59HJB 50-59 years, male 13.3
GTEX-1GN1V-0126-SM-9WPOS 60-69 years, male 13.3
GTEX-WOFL-0126-SM-3MJG2 60-69 years, male 13.2
GTEX-1GMRU-0126-SM-9YFLV 50-59 years, male 13.2
GTEX-1H1DE-2126-SM-9WG6R 20-29 years, male 13.2
GTEX-1HSEH-0126-SM-ACKXN 60-69 years, male 13.2
GTEX-14ICK-0226-SM-6EU25 40-49 years, male 13.1
GTEX-U3ZM-1526-SM-3DB9D 40-49 years, male 13.1
GTEX-1QP66-1726-SM-E8VO1 50-59 years, male 13.1
GTEX-13G51-2526-SM-5LZYK 60-69 years, male 13.0
GTEX-14PJM-0226-SM-62LF1 50-59 years, female 13.0
GTEX-Y5LM-1926-SM-5RQJH 40-49 years, female 13.0
GTEX-1H3VE-0326-SM-9YFLH 40-49 years, male 13.0
GTEX-1JJE9-0326-SM-CL53Z 70-79 years, male 13.0
GTEX-113JC-2326-SM-5EQ4E 50-59 years, female 12.9
GTEX-12WSC-0126-SM-5EQ4P 50-59 years, male 12.9
GTEX-1I6K6-0126-SM-A9SLE 30-39 years, male 12.9
GTEX-11GSO-2426-SM-5A5LY 60-69 years, male 12.8
GTEX-1313W-0126-SM-5LZUN 50-59 years, female 12.8
GTEX-132NY-0326-SM-5IJBL 60-69 years, male 12.8
GTEX-13FHO-0226-SM-5IFGY 60-69 years, male 12.8
GTEX-18465-0126-SM-731BN 50-59 years, male 12.8
GTEX-YFC4-0126-SM-5CVLY 40-49 years, female 12.8
GTEX-ZYY3-0126-SM-5GZY5 60-69 years, female 12.8
GTEX-1J8Q3-1626-SM-CMKGC 60-69 years, male 12.8
GTEX-1PWST-0226-SM-E76QJ 70-79 years, male 12.8
GTEX-1R7EV-2426-SM-EVYBG 40-49 years, male 12.8
GTEX-S33H-1026-SM-EZ6L6 30-39 years, male 12.8
GTEX-1C6VS-0526-SM-7DUEN 60-69 years, male 12.7
GTEX-RM2N-1426-SM-2TF4H 50-59 years, male 12.7
GTEX-XMD2-0126-SM-4YCDU 60-69 years, female 12.7
GTEX-1I1GR-0126-SM-CL55F 60-69 years, male 12.7
GTEX-13IVO-0126-SM-5J1NG 70-79 years, male 12.6
GTEX-17EVQ-0226-SM-7LG4P 70-79 years, male 12.6
GTEX-ZDTS-0126-SM-4WAY5 60-69 years, male 12.6
GTEX-1HCUA-2426-SM-ADEIS 50-59 years, female 12.6
GTEX-13O21-1426-SM-5K7XI 50-59 years, male 12.5
GTEX-13X6J-0126-SM-5QGOU 50-59 years, male 12.5
GTEX-PWO3-1526-SM-48TCM 60-69 years, female 12.5
GTEX-VJYA-1126-SM-3GIJU 60-69 years, male 12.5
GTEX-ZXG5-0126-SM-5GIEU 60-69 years, male 12.5
GTEX-1EX96-1626-SM-7PBXR 50-59 years, male 12.5
GTEX-11OC5-0126-SM-5HL6A 60-69 years, male 12.4
GTEX-WRHK-1426-SM-3MJF9 20-29 years, female 12.4
GTEX-1ICLZ-0126-SM-CKZPO 60-69 years, male 12.4
GTEX-ZF29-2326-SM-DO92K 60-69 years, female 12.4
GTEX-QEG4-0226-SM-2S1PY 30-39 years, male 12.3
GTEX-R3RS-0126-SM-3GIJL 40-49 years, female 12.3
GTEX-SIU8-0126-SM-2XCDT 50-59 years, male 12.3
GTEX-Y8LW-1826-SM-5S2MV 50-59 years, female 12.3
GTEX-1RQEC-0426-SM-E6CHU 60-69 years, male 12.3
GTEX-11ZU8-2526-SM-5EQKI 60-69 years, male 12.2
GTEX-17HG3-2226-SM-7938L 30-39 years, female 12.2
GTEX-NFK9-0226-SM-2HMKQ 40-49 years, male 12.2
GTEX-ZAJG-0126-SM-5HL94 50-59 years, female 12.2
GTEX-13O3Q-2426-SM-5IJBR 50-59 years, male 12.1
GTEX-SJXC-0126-SM-2XCFF 60-69 years, male 12.1
GTEX-1R9K4-0126-SM-DTX9X 60-69 years, male 12.1
GTEX-11DXX-2426-SM-5GZZW 60-69 years, female 12.0
GTEX-131YS-0126-SM-5KM1M 60-69 years, female 12.0
GTEX-13FTY-0526-SM-5L3EV 40-49 years, female 12.0
GTEX-15DCD-0126-SM-7KUEK 70-79 years, female 12.0
GTEX-OHPM-0126-SM-2YUN9 50-59 years, male 12.0
GTEX-RU72-0926-SM-2TF6B 50-59 years, female 12.0
GTEX-1IDJF-0126-SM-CM2RS 20-29 years, male 12.0
GTEX-13PDP-0126-SM-5L3HD 60-69 years, male 11.9
GTEX-13YAN-0326-SM-5O9DF 60-69 years, male 11.9
GTEX-1EN7A-0126-SM-7SB81 40-49 years, male 11.9
GTEX-1F7RK-0126-SM-7PC2S 20-29 years, female 11.9
GTEX-1RB15-2126-SM-E9TIM 60-69 years, male 11.9
GTEX-12ZZX-0126-SM-5EGK9 40-49 years, female 11.8
GTEX-1314G-1526-SM-5EGK2 30-39 years, male 11.8
GTEX-Q2AH-1626-SM-3GAF8 40-49 years, male 11.8
GTEX-ZE9C-2726-SM-57WB5 60-69 years, male 11.8
GTEX-1CB4E-2226-SM-793DC 60-69 years, male 11.7
GTEX-1EU9M-0226-SM-7P8SP 60-69 years, male 11.7
GTEX-11UD1-0126-SM-5PNYG 40-49 years, female 11.6
GTEX-13RTJ-2426-SM-5S2Q2 60-69 years, male 11.6
GTEX-146FH-0126-SM-5QGPP 50-59 years, female 11.6
GTEX-17EUY-0426-SM-793BD 20-29 years, male 11.6
GTEX-P44H-0226-SM-2XCEU 40-49 years, male 11.6
GTEX-T2IS-0126-SM-4DM6O 20-29 years, female 11.6
GTEX-X4EO-0326-SM-3P5YO 60-69 years, female 11.6
GTEX-1F52S-0126-SM-9MQJU 60-69 years, female 11.6
GTEX-1H4P4-0726-SM-9YFLR 50-59 years, male 11.6
GTEX-1HGF4-2426-SM-ACKXM 60-69 years, male 11.6
GTEX-WZTO-0126-SM-3NM95 40-49 years, male 11.5
GTEX-1AX9I-0126-SM-7SB74 60-69 years, male 11.5
GTEX-1GTWX-0126-SM-9YFLK 60-69 years, male 11.4
GTEX-1HCU6-0126-SM-CL54K 60-69 years, female 11.4
GTEX-1IL2V-0126-SM-CM2TX 70-79 years, male 11.4
GTEX-1A3MV-1926-SM-718BT 30-39 years, male 11.3
GTEX-1B933-0126-SM-7PC29 50-59 years, female 11.3
GTEX-139TS-2826-SM-5J1OO 60-69 years, male 11.2
GTEX-1E1VI-0126-SM-7DHMZ 50-59 years, male 11.2
GTEX-XAJ8-0826-SM-47JY6 40-49 years, male 11.2
GTEX-1EMGI-0126-SM-9KNUE 60-69 years, male 11.2
GTEX-ZDYS-2026-SM-5HL5L 50-59 years, male 11.1
GTEX-1JN6P-0126-SM-D3L98 60-69 years, male 11.1
GTEX-1R46S-0626-SM-E9J41 60-69 years, female 11.1
GTEX-13OW8-1326-SM-5J1OW 60-69 years, male 11.0
GTEX-14753-0426-SM-5NQAM 60-69 years, male 11.0
GTEX-O5YW-0126-SM-3LK6D 50-59 years, male 11.0
GTEX-QDVN-2026-SM-3GAEP 50-59 years, male 11.0
GTEX-1F6RS-0126-SM-9MQKZ 60-69 years, female 11.0
GTEX-1ICG6-2526-SM-CGQFZ 70-79 years, female 11.0
GTEX-1ICLY-0126-SM-D4P36 50-59 years, male 11.0
GTEX-12WSL-2526-SM-5GCNJ 50-59 years, male 10.9
GTEX-139TU-0126-SM-5K7WH 60-69 years, male 10.9
GTEX-QLQW-1126-SM-2S1Q8 30-39 years, male 10.9
GTEX-1IKOH-0226-SM-COH4E 60-69 years, female 10.9
GTEX-1J8QM-2126-SM-CYPSJ 60-69 years, female 10.9
GTEX-1LB8K-0226-SM-EWRNW 50-59 years, male 10.9
GTEX-1N2EF-0226-SM-EYYXB 60-69 years, male 10.9
GTEX-13D11-2426-SM-5KM1V 50-59 years, female 10.8
GTEX-13FXS-0226-SM-5IJCK 50-59 years, male 10.8
GTEX-145LT-1726-SM-5QGP3 40-49 years, male 10.8
GTEX-145MO-0326-SM-5Q5B3 60-69 years, male 10.8
GTEX-OXRO-0126-SM-2YUN4 60-69 years, female 10.8
GTEX-WQUQ-0426-SM-3MJFU 60-69 years, male 10.8
GTEX-WVJS-0126-SM-4MVOT 50-59 years, male 10.8
GTEX-1EWIQ-0126-SM-7RHH2 70-79 years, female 10.8
GTEX-11EQ9-2426-SM-5HL5T 30-39 years, male 10.7
GTEX-14BMU-2226-SM-5TDE9 20-29 years, female 10.7
GTEX-16MT8-0426-SM-7KUEY 60-69 years, female 10.7
GTEX-UPJH-0326-SM-3GADU 50-59 years, male 10.7
GTEX-1HR98-0126-SM-B2LWI 60-69 years, male 10.7
GTEX-11ZTT-2426-SM-5EQLS 60-69 years, female 10.6
GTEX-1269C-2526-SM-5EGJ3 60-69 years, female 10.6
GTEX-WI4N-1026-SM-3LK7N 40-49 years, female 10.6
GTEX-1I1GU-2226-SM-CGQFA 40-49 years, male 10.6
GTEX-14E6D-0126-SM-62LDV 50-59 years, male 10.5
GTEX-15D1Q-0126-SM-7KUG6 40-49 years, male 10.5
GTEX-16BQI-0226-SM-7KUEX 30-39 years, female 10.5
GTEX-16NPX-0226-SM-79OMT 50-59 years, male 10.5
GTEX-R55G-2526-SM-2TC6D 40-49 years, female 10.5
GTEX-X4EP-0126-SM-3P5YV 60-69 years, female 10.5
GTEX-ZVTK-0426-SM-51MRS 20-29 years, male 10.5
GTEX-169BO-1326-SM-9MQK2 50-59 years, male 10.5
GTEX-1J1R8-1726-SM-ARL8M 40-49 years, male 10.5
GTEX-1J8EW-0126-SM-CJI4F 60-69 years, female 10.5
GTEX-1JN1M-0326-SM-CYPT3 60-69 years, female 10.5
GTEX-1QMI2-0226-SM-EVYBX 60-69 years, male 10.4
GTEX-11EM3-2426-SM-59861 20-29 years, female 10.3
GTEX-11XUK-2026-SM-5EQLF 40-49 years, female 10.3
GTEX-15ETS-0126-SM-7KUMW 40-49 years, female 10.3
GTEX-15F5U-1526-SM-6PANO 40-49 years, male 10.3
GTEX-15SB6-1726-SM-6PAME 50-59 years, female 10.3
GTEX-QVJO-1626-SM-2S1QW 60-69 years, female 10.3
GTEX-TMMY-0226-SM-33HBA 40-49 years, female 10.3
GTEX-XBEW-0626-SM-4QASP 40-49 years, male 10.3
GTEX-1JKYR-0126-SM-CNPOJ 20-29 years, male 10.3
GTEX-1JMPY-1326-SM-ARL8Y 30-39 years, male 10.3
GTEX-1QP2A-0126-SM-E9J43 50-59 years, male 10.3
GTEX-1S5ZA-0126-SM-EVYCV 20-29 years, male 10.3
GTEX-14DAR-2026-SM-5S2O3 50-59 years, male 10.2
GTEX-15CHC-2126-SM-6EU21 60-69 years, female 10.2
GTEX-Y5V5-2326-SM-4V6GA 60-69 years, female 10.2
GTEX-ZVT2-2526-SM-51MT1 50-59 years, female 10.2
GTEX-13O3O-0126-SM-E9J49 60-69 years, female 10.2
GTEX-15UKP-0426-SM-7KUFQ 20-29 years, male 10.1
GTEX-NPJ8-0126-SM-2YUNR 40-49 years, male 10.1
GTEX-QLQ7-1626-SM-2S1R8 60-69 years, male 10.1
GTEX-WY7C-2326-SM-3NB2U 50-59 years, male 10.1
GTEX-ZXES-1826-SM-5E43S 30-39 years, female 10.1
GTEX-1I4MK-2226-SM-ACKWD 50-59 years, female 10.1
GTEX-OOBJ-0126-SM-E6CJW 60-69 years, male 10.1
GTEX-1211K-2026-SM-5EQ4Z 60-69 years, female 10.0
GTEX-13N2G-2626-SM-5J1OT 60-69 years, male 10.0
GTEX-13NYS-0126-SM-5MR3W 60-69 years, male 10.0
GTEX-144FL-0126-SM-5TDC8 50-59 years, male 10.0
GTEX-1C64N-0126-SM-793D7 50-59 years, male 10.0
GTEX-1CAMR-1926-SM-7EPI2 20-29 years, male 10.0
GTEX-XQ3S-1526-SM-4BOOC 20-29 years, male 10.0
GTEX-1F5PK-2426-SM-7RHHY 50-59 years, male 10.0
GTEX-1HBPM-0226-SM-ARL9F 60-69 years, female 10.0
GTEX-1KANB-0526-SM-E6CJH 50-59 years, male 10.0
GTEX-1LSNM-1926-SM-E6CII 50-59 years, male 10.0
GTEX-147F3-0526-SM-5SI98 50-59 years, female 9.9
GTEX-S7PM-0126-SM-4AD6S 60-69 years, male 9.9
GTEX-T8EM-1026-SM-3DB7M 40-49 years, male 9.9
GTEX-1JMQJ-0526-SM-CYPSU 50-59 years, male 9.9
GTEX-14BMV-0126-SM-5S2PO 50-59 years, male 9.8
GTEX-16GPK-0126-SM-7DHLE 60-69 years, male 9.8
GTEX-RWSA-0126-SM-2XCBB 40-49 years, male 9.8
GTEX-X88G-0126-SM-47JZ3 30-39 years, male 9.8
GTEX-Y111-0126-SM-4SOIV 50-59 years, male 9.8
GTEX-1CB4F-0426-SM-9KNV4 60-69 years, male 9.8
GTEX-1GF9W-0326-SM-9KNUN 60-69 years, male 9.8
GTEX-1HB9E-0226-SM-E9U4R 50-59 years, male 9.8
GTEX-12ZZZ-0626-SM-5DUXI 60-69 years, male 9.7
GTEX-14LZ3-0226-SM-62LET 60-69 years, female 9.7
GTEX-T6MO-1626-SM-32QOM 40-49 years, female 9.7
GTEX-1CAMS-0426-SM-7P8T2 40-49 years, female 9.7
GTEX-1IDJU-2626-SM-CM2RT 60-69 years, female 9.7
GTEX-1JN76-0126-SM-CNPPE 20-29 years, female 9.7
GTEX-1LC47-0326-SM-E9TJP 60-69 years, male 9.7
GTEX-12126-0326-SM-5PNW3 20-29 years, male 9.6
GTEX-16AAH-1726-SM-7939C 50-59 years, male 9.6
GTEX-T2YK-0526-SM-32QPJ 50-59 years, male 9.6
GTEX-XXEK-2226-SM-4BRUM 50-59 years, male 9.6
GTEX-11TUW-2726-SM-E9J4M 60-69 years, male 9.6
GTEX-1HSKV-0226-SM-A9SKJ 60-69 years, male 9.6
GTEX-1497J-2426-SM-7IGNX 60-69 years, male 9.5
GTEX-XQ8I-0426-SM-4BOPO 50-59 years, male 9.5
GTEX-1HCU9-1526-SM-A9SL7 20-29 years, male 9.5
GTEX-1HSMP-0126-SM-E6CJS 70-79 years, male 9.5
GTEX-14PII-0226-SM-6EU1T 60-69 years, male 9.4
GTEX-1CB4J-0626-SM-7DHMP 60-69 years, male 9.4
GTEX-OXRN-0126-SM-48TDM 50-59 years, male 9.4
GTEX-Y3IK-2426-SM-4WWDU 50-59 years, female 9.4
GTEX-1H1CY-2826-SM-9MQM3 60-69 years, female 9.4
GTEX-1KAFJ-2026-SM-CY8ID 50-59 years, male 9.4
GTEX-15SHU-0126-SM-7KUEH 40-49 years, female 9.3
GTEX-15UF6-0826-SM-6PALJ 70-79 years, female 9.3
GTEX-133LE-1826-SM-5J1MV 20-29 years, female 9.2
GTEX-13W3W-2426-SM-5LU5B 60-69 years, female 9.2
GTEX-1H1DG-0126-SM-9WYU2 70-79 years, male 9.2
GTEX-1JMQK-0226-SM-CL543 60-69 years, male 9.2
GTEX-1KD4Q-0226-SM-E9TJ9 40-49 years, male 9.2
GTEX-ZQG8-1626-SM-DHXIT 60-69 years, female 9.2
GTEX-117XS-2726-SM-5N9BL 60-69 years, male 9.1
GTEX-13PVR-2326-SM-5QGR1 60-69 years, female 9.1
GTEX-13SLW-0126-SM-5SI6C 70-79 years, male 9.1
GTEX-QCQG-1726-SM-3GIJ9 50-59 years, female 9.1
GTEX-Z93S-0126-SM-5HL7M 50-59 years, male 9.1
GTEX-PLZ6-1426-SM-DKPOT 30-39 years, male 9.1
GTEX-SE5C-1626-SM-2XCE3 40-49 years, female 9.1
GTEX-ZVT4-0126-SM-DTXFN 50-59 years, female 9.1
GTEX-11DXZ-2326-SM-5EGGV 50-59 years, male 9.0
GTEX-12WSK-2326-SM-5GCOH 40-49 years, female 9.0
GTEX-1399R-2726-SM-5IJBA 30-39 years, male 9.0
GTEX-QESD-1426-SM-2S1R9 20-29 years, male 9.0
GTEX-VJWN-0126-SM-3GIK7 50-59 years, female 9.0
GTEX-Y8DK-0126-SM-4TT3L 60-69 years, male 9.0
GTEX-1CAV2-2226-SM-7P8P2 40-49 years, female 9.0
GTEX-1I1GV-0526-SM-A9G29 60-69 years, male 9.0
GTEX-1LG7Y-0526-SM-DKPQC 50-59 years, male 9.0
GTEX-18D9B-0526-SM-7LTAS 60-69 years, male 8.9
GTEX-18D9U-0226-SM-718BP 40-49 years, male 8.9
GTEX-TSE9-0126-SM-3DB83 60-69 years, female 8.9
GTEX-13RTK-1426-SM-5QGQJ 20-29 years, male 8.8
GTEX-14BIN-0626-SM-793DP 50-59 years, female 8.8
GTEX-15ER7-0326-SM-7KUEV 20-29 years, female 8.8
GTEX-15RIG-0226-SM-7KFTL 40-49 years, male 8.8
GTEX-18A7B-0126-SM-7LG64 70-79 years, male 8.8
GTEX-S7SE-0126-SM-2XCD5 50-59 years, male 8.8
GTEX-X8HC-0126-SM-4E3JW 50-59 years, female 8.8
GTEX-1LGRB-2526-SM-CNPPQ 50-59 years, female 8.8
GTEX-ZYFD-0126-SM-5GIDL 50-59 years, male 8.7
GTEX-1HCU8-0626-SM-A9SM9 60-69 years, female 8.7
GTEX-1LGOU-2026-SM-DIPFF 20-29 years, female 8.7
GTEX-111FC-0126-SM-5N9DL 60-69 years, male 8.6
GTEX-12WSJ-1826-SM-5GCNY 40-49 years, female 8.6
GTEX-14C5O-0126-SM-5SI6N 60-69 years, male 8.6
GTEX-17F98-0626-SM-79OMX 40-49 years, female 8.6
GTEX-1AMFI-2026-SM-731BH 50-59 years, female 8.6
GTEX-1AX9J-0226-SM-73KXM 60-69 years, male 8.6
GTEX-X4XY-0226-SM-4E3IZ 60-69 years, male 8.6
GTEX-1HBPN-0226-SM-9YFM1 50-59 years, male 8.6
GTEX-1PPH7-2326-SM-EVYB8 40-49 years, male 8.6
GTEX-13FHP-0126-SM-5IJBG 50-59 years, male 8.5
GTEX-183WM-0126-SM-7LTAB 70-79 years, female 8.5
GTEX-W5WG-1826-SM-4KL2Y 50-59 years, female 8.5
GTEX-W5X1-3026-SM-EAZAX 40-49 years, female 8.5
GTEX-SN8G-0126-SM-32PLI 50-59 years, female 8.4
GTEX-XYKS-2126-SM-4E3IB 60-69 years, female 8.4
GTEX-1GZ2Q-0226-SM-7P8TL 40-49 years, male 8.4
GTEX-1HFI7-1826-SM-ACKXH 50-59 years, female 8.4
GTEX-13X6H-2126-SM-7EWD5 50-59 years, female 8.3
GTEX-12ZZY-0226-SM-5LZVE 60-69 years, male 8.2
GTEX-139UW-2826-SM-5L3E7 60-69 years, male 8.2
GTEX-14PN4-0126-SM-6EU2V 50-59 years, male 8.2
GTEX-16XZZ-0126-SM-793DV 60-69 years, male 8.2
GTEX-1C6VR-2426-SM-79OLD 60-69 years, male 8.2
GTEX-ZQUD-1426-SM-57WER 30-39 years, male 8.2
GTEX-1GN2E-0426-SM-9MQKX 60-69 years, male 8.2
GTEX-131XH-2226-SM-5DUXJ 50-59 years, male 8.1
GTEX-1399T-2826-SM-5KLYZ 60-69 years, male 8.1
GTEX-1399U-2326-SM-5K7WY 50-59 years, female 8.1
GTEX-13FTW-2626-SM-5K7WL 40-49 years, male 8.1
GTEX-145MN-2226-SM-5SIAU 30-39 years, male 8.1
GTEX-16NGA-1726-SM-731B4 40-49 years, female 8.1
GTEX-17F96-1626-SM-7DUFL 70-79 years, male 8.1
GTEX-QDVJ-1726-SM-2I5FX 50-59 years, male 8.1
GTEX-T5JC-0426-SM-32PLO 20-29 years, male 8.1
GTEX-ZYFG-2326-SM-5E44B 60-69 years, female 8.1
GTEX-13FH7-2026-SM-E9J4I 50-59 years, female 8.1
GTEX-1N2DW-0226-SM-E9TK2 50-59 years, male 8.1
GTEX-1QPFJ-0226-SM-E76PB 30-39 years, female 8.1
GTEX-1RDX4-0126-SM-E9J4P 50-59 years, female 8.1
GTEX-1122O-2126-SM-5EGIR 60-69 years, female 8.0
GTEX-11UD2-0226-SM-5EQKY 50-59 years, male 8.0
GTEX-14XAO-2326-SM-6EU1B 60-69 years, female 8.0
GTEX-XBED-2226-SM-47JYQ 60-69 years, male 8.0
GTEX-1C6VQ-0126-SM-7P8RI 50-59 years, male 8.0
GTEX-1K2DU-2326-SM-E9TIV 20-29 years, male 8.0
GTEX-1O97I-0326-SM-EYYX7 60-69 years, male 8.0
GTEX-X5EB-2226-SM-46MW4 40-49 years, male 7.9
GTEX-YB5K-2126-SM-4WWDJ 40-49 years, female 7.9
GTEX-ZU9S-0226-SM-5E441 30-39 years, male 7.9
GTEX-1B996-0226-SM-7RHGO 60-69 years, male 7.9
GTEX-1CB4H-0226-SM-7PBXM 60-69 years, female 7.9
GTEX-1F75B-0126-SM-9KNVL 50-59 years, male 7.9
GTEX-1S3DN-2226-SM-EVYCD 50-59 years, male 7.9
GTEX-13OW6-0426-SM-5L3HM 50-59 years, male 7.8
GTEX-OIZG-0726-SM-33HBL 50-59 years, male 7.8
GTEX-13OVK-2026-SM-7KUEO 40-49 years, male 7.7
GTEX-ZTSS-1926-SM-57WEW 40-49 years, male 7.7
GTEX-ZVZO-0126-SM-5A5L9 40-49 years, male 7.7
GTEX-1H23P-0126-SM-ADEJ3 60-69 years, male 7.7
GTEX-1128S-2326-SM-5GZZY 60-69 years, female 7.6
GTEX-14PHX-2326-SM-62LEM 50-59 years, male 7.6
GTEX-UJHI-1526-SM-3DB99 50-59 years, female 7.6
GTEX-13OW5-0126-SM-DTXFS 60-69 years, male 7.6
GTEX-1I1GT-0626-SM-CGQER 60-69 years, female 7.6
GTEX-1JMPZ-0226-SM-CNPP1 30-39 years, male 7.6
GTEX-PWCY-1826-SM-DHXIZ 20-29 years, female 7.6
GTEX-14JG1-0426-SM-6ETZZ 40-49 years, male 7.5
GTEX-1BAJH-0526-SM-793CQ 70-79 years, male 7.5
GTEX-P4PP-0126-SM-3LK69 30-39 years, female 7.5
GTEX-X4XX-0126-SM-3NMC2 60-69 years, male 7.5
GTEX-1IKK5-0626-SM-ARL8A 60-69 years, male 7.5
GTEX-145LS-0126-SM-5QGP1 60-69 years, female 7.4
GTEX-1OJC3-0126-SM-E76QX 20-29 years, male 7.4
GTEX-SUCS-1926-SM-32PM3 70-79 years, male 7.3
GTEX-U8XE-0326-SM-3DB8P 30-39 years, male 7.3
GTEX-1HSGN-0226-SM-CGQFV 40-49 years, female 7.3
GTEX-1LH75-2426-SM-E9TJE 50-59 years, female 7.3
GTEX-1PPH8-0226-SM-E8VND 20-29 years, male 7.3
GTEX-11LCK-1026-SM-5A5KB 30-39 years, male 7.2
GTEX-1B8SF-1426-SM-7DUGL 60-69 years, male 7.2
GTEX-Y114-2426-SM-4TT8A 50-59 years, female 7.2
GTEX-12WSA-0226-SM-5BC5V 60-69 years, male 7.1
GTEX-17EVP-0326-SM-7DHLG 40-49 years, male 7.1
GTEX-17KNJ-2326-SM-7DHLQ 50-59 years, male 7.1
GTEX-U412-0426-SM-3DB9O 60-69 years, male 7.1
GTEX-1HT8W-0126-SM-CNPPP 30-39 years, male 7.1
GTEX-1K2DA-1826-SM-CGQGT 50-59 years, male 7.1
GTEX-1NV5F-0226-SM-E8VNY 60-69 years, female 7.1
GTEX-1R9PM-2026-SM-E76OY 20-29 years, male 7.1
GTEX-RVPV-0126-SM-EAZAW 60-69 years, male 7.1
GTEX-12696-2426-SM-5EQ6H 60-69 years, male 7.0
GTEX-145LU-0126-SM-5TDCB 50-59 years, male 7.0
GTEX-ZGAY-0526-SM-4WWBB 40-49 years, female 7.0
GTEX-ZWKS-0126-SM-5SIAA 30-39 years, male 7.0
GTEX-ZYT6-0226-SM-5NQ6T 30-39 years, male 7.0
GTEX-1HCVE-0126-SM-CGQEU 50-59 years, male 7.0
GTEX-1IOXB-0126-SM-ARL8G 50-59 years, male 7.0
GTEX-1R7EU-0226-SM-EVR4G 60-69 years, male 7.0
GTEX-13S7M-0126-SM-5SI6A 60-69 years, female 6.9
GTEX-14A5I-0126-SM-5TDEA 50-59 years, female 6.9
GTEX-U8T8-0126-SM-3DB94 60-69 years, male 6.9
GTEX-ZV6S-2326-SM-4YCEY 40-49 years, female 6.9
GTEX-1GF9V-0326-SM-7RHI5 60-69 years, male 6.8
GTEX-11DYG-0126-SM-59883 60-69 years, male 6.7
GTEX-14PJ6-2126-SM-6EU1V 60-69 years, female 6.7
GTEX-WYJK-0126-SM-3NMAB 50-59 years, male 6.7
GTEX-ZF2S-2326-SM-4WWCE 50-59 years, female 6.7
GTEX-ZZ64-1726-SM-5GZYB 20-29 years, male 6.7
GTEX-1JMQI-2226-SM-CM2SD 50-59 years, male 6.7
GTEX-ZF3C-0126-SM-DO92D 50-59 years, female 6.7
GTEX-1J1OQ-0226-SM-CYPSH 40-49 years, female 6.6
GTEX-145MI-0526-SM-5O9A8 60-69 years, female 6.5
GTEX-1B8SG-0126-SM-73KZ3 50-59 years, male 6.5
GTEX-S95S-1226-SM-4GICG 60-69 years, male 6.5
GTEX-X261-0126-SM-3NMD6 50-59 years, male 6.5
GTEX-1E2YA-0126-SM-9KNUC 50-59 years, male 6.5
GTEX-1KWVE-1426-SM-E9TJO 30-39 years, male 6.5
GTEX-1PDJ9-0326-SM-DTX95 20-29 years, male 6.5
GTEX-1212Z-2526-SM-5EGKP 60-69 years, male 6.4
GTEX-13O3P-0126-SM-5KM4S 50-59 years, male 6.4
GTEX-1B97I-1626-SM-73KYO 40-49 years, male 6.4
GTEX-WFG8-2226-SM-3GIL9 20-29 years, male 6.4
GTEX-1LVAN-0226-SM-COH3S 50-59 years, female 6.4
GTEX-14E6E-1826-SM-5S2R7 30-39 years, male 6.3
GTEX-OHPL-0126-SM-2HMJ7 60-69 years, female 6.3
GTEX-T6MN-0126-SM-32PLP 50-59 years, male 6.3
GTEX-XPVG-2626-SM-4B669 50-59 years, male 6.3
GTEX-1KANA-0726-SM-D3L9I 20-29 years, male 6.3
GTEX-1MA7W-2026-SM-E9TJ6 20-29 years, female 6.3
GTEX-131XE-2326-SM-5PNZ2 50-59 years, male 6.2
GTEX-144GL-0126-SM-5TDE2 50-59 years, male 6.2
GTEX-1GMR3-1926-SM-9KNUZ 40-49 years, male 6.2
GTEX-1HCU7-0226-SM-CL545 50-59 years, male 6.2
GTEX-11WQK-0526-SM-5EQLD 50-59 years, male 6.1
GTEX-1IL2U-0226-SM-CE6T8 60-69 years, male 6.1
GTEX-1JMLX-0226-SM-CM2RO 50-59 years, male 6.1
GTEX-1PFEY-1526-SM-E76PP 30-39 years, male 6.1
GTEX-1QP9N-1426-SM-DTXFL 30-39 years, male 6.1
GTEX-PSDG-0226-SM-DKPOZ 50-59 years, male 6.1
GTEX-13CF3-2426-SM-5IFGX 60-69 years, female 6.0
GTEX-145ME-1826-SM-5SI9G 40-49 years, female 6.0
GTEX-1CAMQ-0226-SM-7IGPK 40-49 years, male 6.0
GTEX-1CB4I-0226-SM-79OLH 50-59 years, male 6.0
GTEX-1I1GQ-0126-SM-COH3H 50-59 years, male 6.0
GTEX-1MJK2-0426-SM-DTXE5 50-59 years, male 6.0
GTEX-TKQ1-1026-SM-4GICL 30-39 years, male 5.9
GTEX-YB5E-2026-SM-5IFIS 40-49 years, male 5.9
GTEX-ZV68-0126-SM-59HKS 50-59 years, female 5.9
GTEX-1IDJH-0326-SM-A9SLQ 70-79 years, male 5.9
GTEX-11TT1-2526-SM-5EGIB 20-29 years, male 5.8
GTEX-17GQL-2026-SM-718BA 60-69 years, male 5.8
GTEX-1S83E-0126-SM-EWRO4 40-49 years, male 5.8
GTEX-1KANC-1526-SM-D3LAB 50-59 years, female 5.7
GTEX-O5YT-0126-SM-48TBW 20-29 years, male 5.6
GTEX-Y5V6-2426-SM-4VDSB 60-69 years, male 5.6
GTEX-15EU6-0426-SM-6PAN5 50-59 years, male 5.5
GTEX-PX3G-0126-SM-2I3EN 20-29 years, female 5.5
GTEX-1A3MX-0126-SM-731BR 60-69 years, male 5.4
GTEX-13NYC-0326-SM-E9J4S 60-69 years, male 5.4
GTEX-1M5QR-1226-SM-EWROB 40-49 years, male 5.4
GTEX-WFON-2126-SM-3LK7O 40-49 years, male 5.3
GTEX-1LG7Z-1726-SM-D3LA4 30-39 years, male 5.3
GTEX-1OFPY-2426-SM-DTXEJ 60-69 years, male 5.3
GTEX-12WSE-0526-SM-793B2 20-29 years, male 5.2
GTEX-145MF-0626-SM-5LUAI 50-59 years, male 5.0
GTEX-T5JW-1626-SM-3GADZ 20-29 years, female 5.0
GTEX-13113-5016-SM-7EPIP 60-69 years, female 4.9
GTEX-13OVH-0126-SM-5MR4B 70-79 years, male 4.8
GTEX-14A5H-0426-SM-5QGQF 60-69 years, male 4.8
GTEX-1J8Q2-0526-SM-CM2RW 60-69 years, male 4.8
GTEX-1IKJJ-0126-SM-CNPQB 60-69 years, male 4.7
GTEX-13JUV-2726-SM-5LZZ8 40-49 years, female 4.6
GTEX-1C475-1826-SM-73KWA 40-49 years, female 4.6
GTEX-POMQ-2226-SM-2I5FK 20-29 years, female 4.6
GTEX-OIZH-0126-SM-2HMIS 50-59 years, male 4.5
GTEX-1GL5R-1826-SM-9KNUY 50-59 years, male 4.5
GTEX-13111-1626-SM-5EGJY 50-59 years, male 4.4
GTEX-ZVZP-2426-SM-59HKJ 50-59 years, male 4.4
GTEX-1F5PL-0326-SM-7P8PQ 40-49 years, female 4.4
GTEX-YJ89-0126-SM-4TT3X 60-69 years, male 4.3
GTEX-1JJ6O-0126-SM-E6CI8 60-69 years, male 4.3
GTEX-1KXAM-2226-SM-CYPTC 60-69 years, male 4.3
GTEX-1PIIG-0226-SM-EWRN6 30-39 years, male 4.3
GTEX-ZPIC-1726-SM-DHXIU 40-49 years, female 4.3
GTEX-13NYB-2526-SM-5K7Z6 40-49 years, male 4.2
GTEX-ZTX8-1426-SM-5DUVO 20-29 years, male 4.1
GTEX-18D9A-1926-SM-7LG6P 30-39 years, female 4.0
GTEX-P4QT-0126-SM-2I3FL 50-59 years, female 3.8
GTEX-17JCI-0126-SM-7LG5G 60-69 years, female 3.6
GTEX-1QAET-0926-SM-E76QM 50-59 years, male 3.6
GTEX-S32W-2126-SM-2XCB1 50-59 years, female 3.5
GTEX-131XF-5016-SM-7MGWE 60-69 years, male 3.4
GTEX-XUZC-1726-SM-4BRWS 30-39 years, female 3.2
GTEX-1JJEA-0326-SM-CNPOT 60-69 years, male 2.9
GTEX-1L5NE-2526-SM-E6CIE 50-59 years, male 1.9
GTEX-1JMQL-0226-SM-CNPP5 50-59 years, female 1.7
Show allShow less

Contact

  • NEWS ARTICLES
  • PRESS ROOM

The Project

  • INTRODUCTION
  • ORGANIZATION
  • PUBLICATIONS

The Human Protein Atlas

  • DOWNLOADABLE DATA
  • LICENCE & CITATION
  • HELP & FAQ
The Human Protein Atlas project is funded
by the Knut & Alice Wallenberg Foundation.


contact@proteinatlas.org