We use cookies to enhance the usability of our website. If you continue, we'll assume that you are happy to receive all cookies. More information. Don't show this again.
LIMS1
HPA
RESOURCES
  • TISSUE
  • BRAIN
  • SINGLE CELL
  • SUBCELLULAR
  • CANCER
  • BLOOD
  • CELL LINE
  • STRUCTURE & INTERACTION
ABOUT
  • INTRODUCTION
  • HISTORY
  • ORGANIZATION
  • PUBLICATIONS
  • ANTIBODY SUBMISSION
  • ANTIBODY AVAILABILITY
  • ACKNOWLEDGMENTS
  • CONTACT
NEWS
  • NEWS ARTICLES
  • PRESS ROOM
LEARN
  • DICTIONARY
  • PROTEIN CLASSES
  • PROTEIN EVIDENCE
  • METHODS
  • EDUCATIONAL VIDEOS
DATA
  • DOWNLOADABLE DATA
  • PUBLICATION DATA
  • RELEASE HISTORY
HELP
  • ANTIBODY VALIDATION
  • ASSAYS & ANNOTATION
  • DISCLAIMER
  • HELP & FAQ
  • PRIVACY STATEMENT
  • LICENCE & CITATION
Fields »
Search result

Field
Term
Gene name
Class
Subclass
Class
Keyword
Chromosome
External id
Tissue
Cell type
Expression
Antibody panel
Tissue
Main location
Patient ID
Annotation
Tissue
Category
Tau score
Cluster
Reliability
Brain region
Category
Tau score
Brain region
Category
Tau score
Brain region
Category
Tau score
Cluster
Reliability
Tissue
Cell type
Enrichment
Cell type
Category
Tau score
Cell type
Category
Tau score
Cell type
Category
Tau score
Cell lineage
Category
Tau score
Cluster
Cluster
Location
Searches
Location
Cell line
Class
Type
Phase
Reliability
Cancer
Prognosis
Cancer
Category
Cancer
Category
Tau score
Cluster
Variants
Interacting gene (ensg_id)
Type
Number of interactions
Pathway
Category
Score
Score
Score
Validation
Validation
Validation
Validation
Antibodies
Data type
Column


  • SUMMARY

  • TISSUE

  • BRAIN

  • SINGLE CELL

  • SUBCELL

  • CANCER

  • BLOOD

  • CELL LINE

  • STRUCT & INT

  • LIMS1
TISSUE PRIMARY DATA LUNG Show tissue menu
ADIPOSE TISSUE ADRENAL GLAND AMYGDALA APPENDIX BASAL GANGLIA BONE MARROW BREAST BRONCHUS CEREBELLUM CEREBRAL CORTEX CERVIX CHOROID PLEXUS COLON DUODENUM
ENDOMETRIUM EPIDIDYMIS ESOPHAGUS FALLOPIAN TUBE GALLBLADDER HEART MUSCLE HIPPOCAMPAL FORMATION HYPOTHALAMUS KIDNEY LIVER LUNG LYMPH NODE MIDBRAIN NASOPHARYNX
ORAL MUCOSA OVARY PANCREAS PARATHYROID GLAND PITUITARY GLAND PLACENTA PROSTATE RECTUM RETINA SALIVARY GLAND SEMINAL VESICLE SKELETAL MUSCLE SKIN SMALL INTESTINE
SMOOTH MUSCLE SOFT TISSUE SPINAL CORD SPLEEN STOMACH TESTIS THYMUS THYROID GLAND TONGUE TONSIL URINARY BLADDER VAGINA
ANTIBODIES
AND
VALIDATION
Dictionary
Lung
Tissue proteome
Lung
LUNG - Expression summary
Protein expression
Lungi

On the top, protein expression in current human tissue, based on all annotated cell types, is reported with the units not detected (n), low (l), medium (m) and high (h). Underneath, protein expression in each annotated cell type are reported using the same units.

Protein expression data is based on knowledge-based annotation. For genes where more than one antibody has been used, a collective score is set.

If knowledge-based annotation could not be performed for a gene, no data is displayed here. View antibody staining data further down this page.

h
m
l
n
Alveolar cells: Not detected
Macrophages: Medium
RNA expressioni

A summary of mRNA expression data available for current tissue based on several datasets. The mRNA expression levels in human tissues are based on RNA-seq data generated by the Human Protein Atlas (HPA), Genotype-Tissue Expression (GTEx) portal and CAGE data generated by the FANTOM5 consortium. Consensus normalized expression levels for human tissues was created by combining the data from HPA and GTEx datasets.

The mRNA expression levels in pig are based on RNA-seq data generated by the Human Protein Atlas (HPA), and for mouse, HPA data and in situ hybridization generated by the Allen brain atlas are reported.

Scroll down to view mRNA expression data in more detail.
Consensus:35.8 nTPM
HPA:29.7 nTPM
GTEx:35.8 nTPM
FANTOM5:90.6 Scaled Tags Per Million

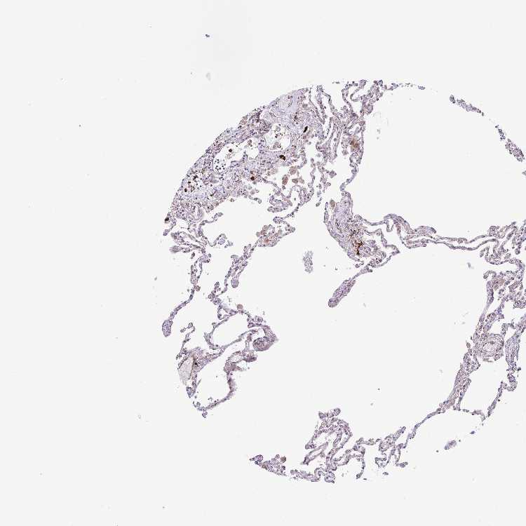
LUNG - Antibody stainingi

Antibody staining in the annotated cell types in the current human tissue is reported as not detected, low, medium, or high, based on conventional immunohistochemistry profiling in selected tissues. This score is based on the combination of the staining intensity and fraction of stained cells.

Each image is clickable and will lead to virtual microscopy that enables deeper exploration of all samples and also displays staining intensity scores, fraction scores and subcellular localization as well as patient and tissue information for each sample.

Antibody HPA058455Antibody HPA061230
Alveolar cells MediumNot detected
Macrophages MediumMedium





LUNG - HPA RNA-seqi

The RNA-seq details section shows detailed information about the individual samples used for the transcript profiling and results of the RNA-seq analysis.

Information about each individual sample is listed below, including gender, age, a tissue section image and estimated fractions of cell types. nTPM (normalized transcripts per million) values give a quantification of the gene abundance which is comparable between different genes and samples.
Average nTPMi

Max subtype nTPM is the value for the subtype with the largest average nTPM across the subtype samples.

29.7
overview
Female, age 71
Lung sample 164
nTPM: 39
Cell types%
Alveolar cells:
40

Bronchial epithelium:
5

Endothelial cells:
25

Macrophages:
10

Other cell types:
20

overview
Male, age 57
Lung sample 165
nTPM: 21.4
Cell types%
Alveolar cells:
35

Bronchial epithelium:
5

Endothelial cells:
30

Macrophages:
10

Other cell types:
20

overview
Female, age 71
Lung sample 166
nTPM: 27.1
Cell types%
Alveolar cells:
35

Bronchial epithelium:
10

Endothelial cells:
25

Macrophages:
10

Other cell types:
20

overview
Female, age 74
Lung sample 167
nTPM: 29.3
Cell types%
Alveolar cells:
40

Bronchial epithelium:
0

Endothelial cells:
30

Macrophages:
15

Other cell types:
15

overview
Female, age 73
Lung sample 168
nTPM: 23.2
Cell types%
Alveolar cells:
30

Bronchial epithelium:
5

Endothelial cells:
30

Macrophages:
10

Other cell types:
25

overview
Male, age 74
Lung sample 376
nTPM: 30.8
Cell types%
Alveolar cells:
25

Bronchial epithelium:
0

Endothelial cells:
35

Macrophages:
5

Other cell types:
35

overview
Female, age 70
Lung sample 379
nTPM: 25.4
Cell types%
Alveolar cells:
35

Bronchial epithelium:
5

Endothelial cells:
35

Macrophages:
5

Other cell types:
20

overview
Female, age 75
Lung sample 387
nTPM: 34.4
Cell types%
Alveolar cells:
20

Bronchial epithelium:
10

Endothelial cells:
20

Macrophages:
10

Other cell types:
40

overview
Male, age 63
Lung sample 406
nTPM: 36.5
Cell types%
Alveolar cells:
25

Bronchial epithelium:
5

Endothelial cells:
25

Macrophages:
15

Other cell types:
30


LUNG - GTEx RNA-seqi

RNA-Seq data generated by the Genotype-Tissue Expression (GTEx) project from human tissues is reported as mean nTPM. More information can be found on the GTEx portal.

Distribution across the dataset is visualized with box plots, shown as median and 25th and 75th percentiles. Points are displayed as outliers if they are above or below 1.5 times the interquartile range. nTPM values of the individual samples are presented next to the box plot.
Max subtype nTPMi

Max subtype nTPM is the value for the subtype with the largest average nTPM across the subtype samples.

35.8
GTEx sample id Sample description nTPM
Lung
Average nTPM: 35.8
Samples: 578

Max nTPM: 226.7
Min nTPM: 10.8
Std nTPM: 26.9
Median nTPM: 26.6
GTEX-15ER7-0926-SM-7KUMG 20-29 years, female 226.7
GTEX-13OW7-0926-SM-5L3EX 50-59 years, male 220.8
GTEX-14E7W-1326-SM-5RQIV 70-79 years, male 219.8
GTEX-11NV4-1126-SM-5HL6J 60-69 years, male 180.5
GTEX-RNOR-0726-SM-2TF5I 50-59 years, female 176.0
GTEX-1N2DW-1126-SM-EVR59 50-59 years, male 165.8
GTEX-1A8FM-0826-SM-793D5 50-59 years, female 142.8
GTEX-1B996-0726-SM-7IGPI 60-69 years, male 136.2
GTEX-1PIIG-1826-SM-DTX7N 30-39 years, male 135.2
GTEX-11GSP-0726-SM-5986L 60-69 years, female 134.9
GTEX-17JCI-1526-SM-7IGOQ 60-69 years, female 133.0
GTEX-1HT8W-1426-SM-CE6S2 30-39 years, male 124.5
GTEX-1E2YA-0926-SM-7MXUK 50-59 years, male 113.9
GTEX-YFC4-1126-SM-5RQJN 40-49 years, female 112.0
GTEX-ZUA1-1026-SM-4YCEA 40-49 years, male 111.5
GTEX-1F88F-0926-SM-7RHH8 60-69 years, female 110.2
GTEX-1A8G6-0726-SM-73KV5 60-69 years, male 107.4
GTEX-111VG-0726-SM-5GIDC 60-69 years, male 105.9
GTEX-147F4-0926-SM-5Q5EO 50-59 years, male 103.0
GTEX-1H1CY-0626-SM-9KNVE 60-69 years, female 100.5
GTEX-1GZ2Q-0726-SM-9KNVV 40-49 years, male 98.5
GTEX-1PPGY-1826-SM-EXOJ8 60-69 years, male 96.6
GTEX-16Z82-1026-SM-6M48A 60-69 years, male 95.2
GTEX-11OF3-1126-SM-5986C 60-69 years, male 95.1
GTEX-1F6I4-1026-SM-7P8PS 60-69 years, male 93.9
GTEX-1RQED-1026-SM-EVYCT 60-69 years, male 92.7
GTEX-14BMV-0826-SM-73KXU 50-59 years, male 92.6
GTEX-13G51-0426-SM-5K7Z5 60-69 years, male 89.7
GTEX-145LS-1226-SM-5Q5D9 60-69 years, female 89.2
GTEX-14JIY-1326-SM-6AJB3 60-69 years, male 87.2
GTEX-13VXU-2726-SM-5LU4N 50-59 years, male 85.7
GTEX-13FLV-0426-SM-5KLZA 50-59 years, male 84.0
GTEX-1OJC4-0626-SM-DTXEY 50-59 years, female 80.1
GTEX-ZDXO-1326-SM-57WBS 60-69 years, male 80.0
GTEX-1JMQJ-2126-SM-CNPPA 50-59 years, male 79.5
GTEX-1269C-0926-SM-5FQSR 60-69 years, female 77.2
GTEX-ZYY3-0926-SM-5E454 60-69 years, female 77.2
GTEX-139TT-0726-SM-5K7XW 60-69 years, male 76.6
GTEX-RU72-0526-SM-2TF5Z 50-59 years, female 74.3
GTEX-1LB8K-0826-SM-D4P41 50-59 years, male 74.3
GTEX-1NSGN-1626-SM-EXOJF 50-59 years, male 73.1
GTEX-1C6WA-0726-SM-7IGQ5 60-69 years, male 72.9
GTEX-11O72-1326-SM-5BC5A 40-49 years, male 72.4
GTEX-1GN73-1026-SM-9KNV9 60-69 years, male 71.0
GTEX-13O3O-0726-SM-5J1N7 60-69 years, female 70.6
GTEX-1B8L1-0626-SM-7EPHL 60-69 years, male 69.7
GTEX-131XH-0426-SM-5DUWU 50-59 years, male 68.5
GTEX-1J8JJ-1126-SM-CL55P 60-69 years, female 68.5
GTEX-1EMGI-1426-SM-7IGNQ 60-69 years, male 68.0
GTEX-18465-0626-SM-7LT8X 50-59 years, male 67.7
GTEX-QXCU-0626-SM-2TC69 50-59 years, male 67.3
GTEX-1B8SF-0826-SM-73KW8 60-69 years, male 65.2
GTEX-1BAJH-1326-SM-7RHFS 70-79 years, male 65.2
GTEX-1IL2U-0926-SM-CKZOB 60-69 years, male 65.1
GTEX-VJWN-1326-SM-EVR2Z 50-59 years, female 64.9
GTEX-17EVP-0726-SM-7EWDX 40-49 years, male 64.7
GTEX-1GZHY-0826-SM-9OSXT 50-59 years, female 63.7
GTEX-13O3Q-0526-SM-5KM18 50-59 years, male 63.6
GTEX-1MA7X-0626-SM-E9TJI 60-69 years, male 63.6
GTEX-1LG7Y-0826-SM-E9TJX 50-59 years, male 63.5
GTEX-R3RS-1026-SM-3GADF 40-49 years, female 62.8
GTEX-OXRN-0526-SM-2I5EN 50-59 years, male 62.6
GTEX-1IKK5-1926-SM-A9G2V 60-69 years, male 61.2
GTEX-1B933-0926-SM-9OSVH 50-59 years, female 60.9
GTEX-13S7M-2126-SM-5S2QR 60-69 years, female 60.4
GTEX-1QEPI-0826-SM-DTX9B 60-69 years, female 60.4
GTEX-XOT4-1426-SM-4B65T 60-69 years, female 59.5
GTEX-144GO-0226-SM-5LUB1 60-69 years, male 58.9
GTEX-RVPV-1726-SM-2NKAQ 60-69 years, male 58.8
GTEX-145MF-0726-SM-5Q5BT 50-59 years, male 58.1
GTEX-14JG1-0926-SM-5YY8W 40-49 years, male 58.0
GTEX-145MO-1326-SM-5Q5EF 60-69 years, male 57.8
GTEX-1I1GP-0526-SM-ARL7G 50-59 years, male 57.7
GTEX-SIU8-0926-SM-COH1X 50-59 years, male 57.2
GTEX-1EWIQ-0926-SM-7RHG7 70-79 years, female 56.9
GTEX-1IKJJ-0926-SM-A9G2L 60-69 years, male 56.7
GTEX-13OW6-0826-SM-5L3GA 50-59 years, male 55.9
GTEX-1C6VR-0626-SM-79OOY 60-69 years, male 55.6
GTEX-11ZTS-1226-SM-5EQMQ 60-69 years, female 55.5
GTEX-1I1GQ-1126-SM-CNNQT 50-59 years, male 54.9
GTEX-1212Z-1026-SM-5EGJ8 60-69 years, male 54.4
GTEX-17MF6-0826-SM-7LT8F 40-49 years, male 54.1
GTEX-1AX9K-0826-SM-731F9 50-59 years, male 54.1
GTEX-1CAV2-0626-SM-7P8QE 40-49 years, female 54.1
GTEX-YJ8O-1826-SM-5HL82 40-49 years, female 53.7
GTEX-TSE9-0726-SM-3DB8C 60-69 years, female 53.5
GTEX-1J1OQ-0926-SM-CJI34 40-49 years, female 53.2
GTEX-11WQC-0626-SM-5EQMF 60-69 years, male 52.8
GTEX-UPJH-0826-SM-4WKFD 50-59 years, male 52.5
GTEX-1EKGG-1326-SM-7MXUM 60-69 years, male 52.1
GTEX-1IDJH-0726-SM-ARU7U 70-79 years, male 50.8
GTEX-N7MS-0926-SM-2HMIZ 60-69 years, male 50.7
GTEX-ZYW4-1526-SM-5SIBA 60-69 years, male 50.7
GTEX-WYBS-1126-SM-3NMAM 60-69 years, female 50.0
GTEX-1GMR3-0226-SM-7RHIB 40-49 years, male 49.9
GTEX-U8XE-1426-SM-3DB8Q 30-39 years, male 49.2
GTEX-1E1VI-0926-SM-7P8T3 50-59 years, male 49.1
GTEX-1ICLY-0926-SM-CM2RJ 50-59 years, male 48.2
GTEX-117YW-0526-SM-5H11C 50-59 years, male 47.8
GTEX-1B97I-0226-SM-73KVO 40-49 years, male 47.2
GTEX-1QP29-1226-SM-E6CQ1 50-59 years, male 47.0
GTEX-ZVZQ-1526-SM-5N9G6 60-69 years, female 46.6
GTEX-12WSI-0826-SM-5EGKD 50-59 years, male 46.5
GTEX-SJXC-1026-SM-EYYVA 60-69 years, male 46.2
GTEX-1F75W-0626-SM-7PC13 60-69 years, male 45.9
GTEX-1AYCT-0726-SM-7IGNG 50-59 years, male 45.6
GTEX-PLZ4-0726-SM-2TC6Q 50-59 years, female 45.3
GTEX-1313W-0926-SM-5EQ56 50-59 years, female 45.2
GTEX-13X6K-1626-SM-7EWCX 60-69 years, female 45.0
GTEX-12584-1426-SM-5EGJ9 40-49 years, male 44.7
GTEX-T8EM-0326-SM-3DB7F 40-49 years, male 44.6
GTEX-13RTJ-1126-SM-5S2UJ 60-69 years, male 44.5
GTEX-12KS4-0726-SM-5FQSX 30-39 years, male 44.3
GTEX-15UKP-1926-SM-6LPI9 20-29 years, male 43.9
GTEX-1KD5A-1126-SM-CXZK6 50-59 years, male 43.9
GTEX-13JVG-1426-SM-5MR4W 60-69 years, male 43.5
GTEX-147JS-1226-SM-5RQK4 60-69 years, male 43.3
GTEX-18QFQ-0926-SM-7LG4V 30-39 years, male 43.3
GTEX-18A7A-1026-SM-7LT8B 50-59 years, female 42.9
GTEX-1QMI2-0926-SM-DTX7S 60-69 years, male 42.5
GTEX-131YS-0926-SM-5IJB9 60-69 years, female 42.4
GTEX-1JKYN-2126-SM-ARU8W 30-39 years, male 42.1
GTEX-1GF9V-1026-SM-9KNW3 60-69 years, male 41.7
GTEX-OIZG-0526-SM-2HMLF 50-59 years, male 41.4
GTEX-T6MN-0826-SM-32PM4 50-59 years, male 41.1
GTEX-1RNSC-1226-SM-E9U52 60-69 years, male 41.1
GTEX-13FTY-0126-SM-5J2NZ 40-49 years, female 41.0
GTEX-1CAMQ-1026-SM-7EPIC 40-49 years, male 40.7
GTEX-14PJM-0926-SM-6AJ9Y 50-59 years, female 40.6
GTEX-1EX96-0226-SM-7RHHR 50-59 years, male 40.6
GTEX-145LU-0526-SM-5O9AT 50-59 years, male 40.5
GTEX-12WSH-0126-SM-5GCO3 50-59 years, male 40.4
GTEX-1JMLX-0926-SM-CNNPQ 50-59 years, male 40.4
GTEX-13N1W-0726-SM-5MR57 70-79 years, male 40.2
GTEX-ZVT3-0926-SM-5GICK 60-69 years, female 40.1
GTEX-11EMC-0126-SM-5EGKV 60-69 years, female 40.0
GTEX-139UW-0226-SM-5K7WU 60-69 years, male 40.0
GTEX-ZAB4-0626-SM-5CVN3 40-49 years, male 39.9
GTEX-SN8G-0926-SM-4DM5I 50-59 years, female 39.8
GTEX-1JJEA-1126-SM-CKZOC 60-69 years, male 39.7
GTEX-1AX8Z-5010-SM-AHZ33 60-69 years, male 39.1
GTEX-RTLS-0926-SM-2TF5X 60-69 years, female 39.0
GTEX-148VJ-0826-SM-5LU8V 70-79 years, male 38.8
GTEX-RWSA-1126-SM-2XCAZ 40-49 years, male 38.7
GTEX-13OVG-0326-SM-5KM57 60-69 years, male 38.5
GTEX-1H1DG-1026-SM-9MQJS 70-79 years, male 38.4
GTEX-14A6H-0526-SM-5NQAZ 30-39 years, male 38.1
GTEX-111CU-0326-SM-5GZXO 50-59 years, male 38.0
GTEX-13PVQ-0926-SM-5IJFD 50-59 years, male 38.0
GTEX-147GR-1226-SM-5TDCL 60-69 years, male 37.9
GTEX-XQ3S-0926-SM-4BOPI 20-29 years, male 37.8
GTEX-15EOM-5010-SM-7P8PA 20-29 years, female 37.6
GTEX-11ZUS-0126-SM-5EQM5 30-39 years, male 37.5
GTEX-1GZ4I-0726-SM-9QEHL 50-59 years, male 37.5
GTEX-13OVH-1026-SM-5J2NP 70-79 years, male 37.3
GTEX-TMMY-0926-SM-4TT1Z 40-49 years, female 37.1
GTEX-1CB4F-0926-SM-7DHMJ 60-69 years, male 36.9
GTEX-13YAN-1026-SM-5O9CF 60-69 years, male 36.8
GTEX-1IL2V-0726-SM-ARZMB 70-79 years, male 36.8
GTEX-15D1Q-0526-SM-6AJAY 40-49 years, male 36.6
GTEX-ZDTS-1026-SM-4WAXS 60-69 years, male 36.6
GTEX-1A32A-0726-SM-731D4 50-59 years, female 36.4
GTEX-1K9T9-0926-SM-D3L9C 50-59 years, female 36.2
GTEX-1JMPZ-1126-SM-ARU8X 30-39 years, male 35.9
GTEX-1HSMO-0926-SM-A96S7 60-69 years, male 35.7
GTEX-17HII-0926-SM-79ON7 50-59 years, male 35.6
GTEX-1S5VW-0926-SM-EWRNU 60-69 years, male 35.4
GTEX-OHPM-0526-SM-2YUMJ 50-59 years, male 35.3
GTEX-T2IS-0526-SM-32QP9 20-29 years, female 35.2
GTEX-1I1GS-1426-SM-COH3W 60-69 years, male 35.2
GTEX-ZC5H-0926-SM-5CVMZ 40-49 years, female 35.1
GTEX-1KD4Q-0926-SM-CXZKI 40-49 years, male 34.9
GTEX-WYJK-0826-SM-3NM8Y 50-59 years, male 34.8
GTEX-XMD2-1026-SM-4WWE8 60-69 years, female 34.7
GTEX-148VI-0226-SM-5RQKA 60-69 years, female 34.6
GTEX-13FTZ-0526-SM-5IJCW 60-69 years, male 34.2
GTEX-RN64-1226-SM-2TC6E 50-59 years, male 34.2
GTEX-Y111-1026-SM-4TT22 50-59 years, male 34.2
GTEX-1KWVE-0426-SM-DHXJX 30-39 years, male 34.2
GTEX-RM2N-0426-SM-2TF4T 50-59 years, male 34.0
GTEX-13OW8-1726-SM-5L3GO 60-69 years, male 33.9
GTEX-1HFI6-0926-SM-9WPPV 40-49 years, male 33.9
GTEX-11ZVC-0226-SM-731E8 50-59 years, female 33.8
GTEX-QESD-0626-SM-2I5G4 20-29 years, male 33.8
GTEX-1GN2E-1526-SM-7P8TD 60-69 years, male 33.8
GTEX-1HSMQ-0726-SM-B2LXY 50-59 years, male 33.8
GTEX-13OVL-0626-SM-5KM13 50-59 years, male 33.7
GTEX-15FZZ-0326-SM-6M48O 30-39 years, female 33.7
GTEX-1LVAO-1226-SM-DIPGB 60-69 years, male 33.7
GTEX-1RDX4-1626-SM-EVR53 50-59 years, female 33.7
GTEX-13QJC-0526-SM-5RQKB 60-69 years, female 33.5
GTEX-1HSKV-1126-SM-ADEIA 60-69 years, male 33.5
GTEX-1I1GR-0726-SM-B2LWL 60-69 years, male 33.4
GTEX-11TUW-0526-SM-5LU9A 60-69 years, male 33.0
GTEX-12WSE-0826-SM-5S2VL 20-29 years, male 33.0
GTEX-1GTWX-0626-SM-9WYU1 60-69 years, male 33.0
GTEX-13NYB-0626-SM-5MR47 40-49 years, male 32.9
GTEX-13OVJ-0726-SM-5KM1W 50-59 years, female 32.8
GTEX-14E6D-1026-SM-5S2RS 50-59 years, male 32.7
GTEX-1GMRU-1426-SM-9WPPL 50-59 years, male 32.7
GTEX-1H1ZS-0826-SM-A9SMD 70-79 years, male 32.6
GTEX-1I6K7-1226-SM-B2LVS 40-49 years, male 32.6
GTEX-1QCLY-1026-SM-EWRNI 30-39 years, male 32.6
GTEX-11NUK-0826-SM-5HL4U 50-59 years, male 32.3
GTEX-QEG4-0526-SM-48TZD 30-39 years, male 32.3
GTEX-1F7RK-0826-SM-7SB8V 20-29 years, female 32.2
GTEX-15G1A-0426-SM-6M468 30-39 years, male 32.1
GTEX-1KANB-1026-SM-D3L9F 50-59 years, male 31.8
GTEX-P4PP-0526-SM-2HMKE 30-39 years, female 31.7
GTEX-1J8EW-1026-SM-A96T7 60-69 years, female 31.7
GTEX-14BMU-0526-SM-73KW4 20-29 years, female 31.6
GTEX-111FC-1126-SM-5GZWU 60-69 years, male 31.4
GTEX-1I1GU-0526-SM-B2LX2 40-49 years, male 31.3
GTEX-1H3VY-1426-SM-9WPOB 50-59 years, male 31.1
GTEX-1HB9E-0726-SM-AHZ4L 50-59 years, male 31.1
GTEX-YECK-0926-SM-4W214 60-69 years, male 30.9
GTEX-1MJK2-1126-SM-E9TJ7 50-59 years, male 30.9
GTEX-Q2AG-1026-SM-33HBW 40-49 years, female 30.8
GTEX-1GN1U-1026-SM-9WYUP 50-59 years, female 30.6
GTEX-18A6Q-0826-SM-7KFRD 60-69 years, male 30.4
GTEX-13FH7-1726-SM-5IJE7 50-59 years, female 30.3
GTEX-1EN7A-0826-SM-7MKFV 40-49 years, male 30.3
GTEX-OXRO-0326-SM-33HBM 60-69 years, female 30.3
GTEX-1H23P-1026-SM-9QEHQ 60-69 years, male 30.2
GTEX-X4EO-0926-SM-3P5Z2 60-69 years, female 30.1
GTEX-133LE-0526-SM-5N9EJ 20-29 years, female 30.0
GTEX-13OW5-0726-SM-5KLZK 60-69 years, male 29.9
GTEX-UPK5-1126-SM-3GAEJ 40-49 years, male 29.9
GTEX-WOFM-0126-SM-3MJFE 20-29 years, male 29.9
GTEX-WZTO-0426-SM-3NM99 40-49 years, male 29.8
GTEX-13O3P-1026-SM-5N9E7 50-59 years, male 29.7
GTEX-QDT8-0926-SM-32PL2 30-39 years, female 29.7
GTEX-WFG7-0526-SM-3GIKI 20-29 years, male 29.7
GTEX-P44H-1126-SM-48TBU 40-49 years, male 29.5
GTEX-16GPK-1826-SM-7MGW5 60-69 years, male 29.5
GTEX-1GPI7-1526-SM-9JGG8 20-29 years, male 29.4
GTEX-R55C-0526-SM-3GIKA 40-49 years, male 29.3
GTEX-14ABY-1126-SM-5Q5F8 50-59 years, male 29.2
GTEX-1RAZQ-1026-SM-EAZ4R 30-39 years, male 29.1
GTEX-NFK9-1026-SM-2HMK1 40-49 years, male 29.0
GTEX-13JUV-0526-SM-5K7XE 40-49 years, female 28.9
GTEX-ZTPG-0926-SM-5O99H 20-29 years, female 28.9
GTEX-13W3W-0326-SM-731DS 60-69 years, female 28.8
GTEX-144GM-0126-SM-5Q5AX 20-29 years, male 28.8
GTEX-1I1CD-0926-SM-CL55I 60-69 years, female 28.8
GTEX-X261-1026-SM-3NMDL 50-59 years, male 28.7
GTEX-13FHO-1026-SM-5KM1Q 60-69 years, male 28.6
GTEX-13FHP-0726-SM-5K7YI 50-59 years, male 28.6
GTEX-X4EP-0526-SM-3P5YW 60-69 years, female 28.6
GTEX-14E6C-1426-SM-5ZZWH 40-49 years, male 28.5
GTEX-1PWST-0826-SM-DTXF1 70-79 years, male 28.5
GTEX-15RJ7-0626-SM-6M47V 40-49 years, male 28.4
GTEX-12WSN-5004-SM-793CE 40-49 years, male 28.3
GTEX-18A66-0926-SM-718BG 60-69 years, male 28.2
GTEX-14DAQ-0926-SM-793AZ 60-69 years, female 28.1
GTEX-17F96-0626-SM-793CC 70-79 years, male 28.0
GTEX-1J8QM-0526-SM-AHZ3Y 60-69 years, female 28.0
GTEX-17EVQ-1526-SM-79ONG 70-79 years, male 27.8
GTEX-132NY-1226-SM-5PNVF 60-69 years, male 27.7
GTEX-13PL7-1726-SM-5J2NX 60-69 years, female 27.7
GTEX-13QBU-0726-SM-5J2OA 40-49 years, female 27.7
GTEX-OXRP-0526-SM-2I3EW 60-69 years, female 27.7
GTEX-Y3IK-0626-SM-4WWE4 50-59 years, female 27.7
GTEX-12BJ1-1026-SM-5EGJA 60-69 years, male 27.6
GTEX-XPVG-1026-SM-4B64Y 50-59 years, male 27.5
GTEX-ZF29-1026-SM-4WKGC 60-69 years, female 27.4
GTEX-11PRG-0926-SM-5EGI8 50-59 years, male 27.3
GTEX-11WQK-1226-SM-5GU5Z 50-59 years, male 27.3
GTEX-XBED-0826-SM-47JYC 60-69 years, male 27.3
GTEX-1FIGZ-0326-SM-7RHGT 40-49 years, male 27.3
GTEX-1JMOU-0526-SM-CNNPE 60-69 years, female 27.3
GTEX-145LT-0326-SM-5LUAD 40-49 years, male 27.1
GTEX-1H3O1-0326-SM-9WPO8 60-69 years, male 27.1
GTEX-1QP2A-1226-SM-EVR3I 50-59 years, male 27.1
GTEX-11LCK-0426-SM-5A5M8 30-39 years, male 27.0
GTEX-Y5V5-0826-SM-4VBQD 60-69 years, female 27.0
GTEX-YEC4-0526-SM-4W21U 40-49 years, male 27.0
GTEX-1J1R8-0226-SM-AHZ3C 40-49 years, male 27.0
GTEX-147F3-0726-SM-5NQ9U 50-59 years, female 26.9
GTEX-18D9A-0226-SM-7KFSJ 30-39 years, female 26.9
GTEX-1I4MK-0326-SM-B2LWP 50-59 years, female 26.9
GTEX-ZT9W-0726-SM-9JGG2 50-59 years, male 26.9
GTEX-11TT1-1626-SM-5EQL7 20-29 years, male 26.8
GTEX-R55G-0826-SM-2TC5U 40-49 years, female 26.8
GTEX-T5JC-0826-SM-32PMC 20-29 years, male 26.8
GTEX-14E6E-0426-SM-73KUE 30-39 years, male 26.7
GTEX-14PK6-0326-SM-6AJ9S 70-79 years, female 26.7
GTEX-11UD2-0726-SM-5EQ69 50-59 years, male 26.6
GTEX-U8T8-2226-SM-3DB95 60-69 years, male 26.6
GTEX-13CF3-0426-SM-5IJEU 60-69 years, female 26.5
GTEX-1NV5F-0926-SM-DTX8N 60-69 years, female 26.5
GTEX-1128S-0726-SM-5N9D6 60-69 years, female 26.4
GTEX-14BIL-1226-SM-79OME 50-59 years, male 26.4
GTEX-14DAR-0226-SM-5S2PR 50-59 years, male 26.4
GTEX-132QS-0726-SM-5IJE9 60-69 years, male 26.3
GTEX-1CB4J-1726-SM-79OOL 60-69 years, male 26.3
GTEX-1JJE9-0926-SM-CNNP9 70-79 years, male 26.2
GTEX-1RAZR-0726-SM-EV7BA 40-49 years, male 26.2
GTEX-16MTA-1226-SM-7KULL 50-59 years, male 26.1
GTEX-PLZ6-0426-SM-5IJDW 30-39 years, male 26.0
GTEX-16MT8-1026-SM-6LPK1 60-69 years, female 25.9
GTEX-1AX9I-0826-SM-73KUT 60-69 years, male 25.9
GTEX-TML8-0326-SM-4GICN 40-49 years, female 25.9
GTEX-X585-1026-SM-46MW6 50-59 years, male 25.8
GTEX-14PJ4-0626-SM-6AJBS 60-69 years, male 25.7
GTEX-139YR-0926-SM-5LZYB 50-59 years, male 25.6
GTEX-OXRL-0526-SM-2I3EZ 50-59 years, male 25.6
GTEX-W5X1-0526-SM-3GILH 40-49 years, female 25.6
GTEX-Y8LW-0326-SM-4VBQ9 50-59 years, female 25.6
GTEX-1RLM8-0626-SM-E76OW 50-59 years, male 25.6
GTEX-13QJ3-1026-SM-5QGQU 50-59 years, male 25.5
GTEX-PSDG-1126-SM-2S1ON 50-59 years, male 25.5
GTEX-XBEC-1026-SM-4QASM 50-59 years, male 25.5
GTEX-WHSB-0326-SM-5FQSD 50-59 years, male 25.4
GTEX-1C64O-1226-SM-79OOC 60-69 years, male 25.3
GTEX-RUSQ-0626-SM-2TF5V 50-59 years, male 25.3
GTEX-VUSG-0926-SM-3GIK6 50-59 years, male 25.3
GTEX-1GMR2-0126-SM-9JGHC 50-59 years, male 25.3
GTEX-131XE-0726-SM-5HL9K 50-59 years, male 25.2
GTEX-131XW-1126-SM-5EGK4 50-59 years, female 25.2
GTEX-1HBPH-1326-SM-9WYSN 40-49 years, female 25.2
GTEX-N7MT-0126-SM-2D7VT 60-69 years, female 25.1
GTEX-O5YV-0526-SM-2I5GE 60-69 years, female 25.1
GTEX-QDVJ-0926-SM-2I5FU 50-59 years, male 25.1
GTEX-ZA64-0326-SM-5HL8T 20-29 years, male 25.1
GTEX-1M4P7-0826-SM-E9TJR 60-69 years, male 25.0
GTEX-1MJIX-0626-SM-DTX8V 40-49 years, male 25.0
GTEX-ZF3C-0926-SM-DO92P 50-59 years, female 25.0
GTEX-U3ZN-0626-SM-3DB7U 30-39 years, female 24.9
GTEX-Y9LG-0526-SM-4VBRY 30-39 years, male 24.9
GTEX-ZF2S-0626-SM-4WKH2 50-59 years, female 24.9
GTEX-1HCVE-0626-SM-A9SL2 50-59 years, male 24.9
GTEX-13D11-0326-SM-5LZXX 50-59 years, female 24.8
GTEX-16AAH-0426-SM-7DUFM 50-59 years, male 24.8
GTEX-1AX9J-1626-SM-73KUI 60-69 years, male 24.8
GTEX-1C6VS-1226-SM-79OO2 60-69 years, male 24.8
GTEX-1ICLZ-0926-SM-CKZPQ 60-69 years, male 24.8
GTEX-11EI6-0826-SM-5985V 60-69 years, male 24.7
GTEX-13SLW-1226-SM-5S2Q7 70-79 years, male 24.7
GTEX-OIZI-1026-SM-3NB1K 40-49 years, male 24.7
GTEX-1JMQL-1126-SM-CKZOP 50-59 years, female 24.6
GTEX-SE5C-0526-SM-2XCE1 40-49 years, female 24.5
GTEX-U3ZM-0426-SM-3DB73 40-49 years, male 24.5
GTEX-15EU6-1226-SM-6AJBE 50-59 years, male 24.4
GTEX-15RJE-1026-SM-6M46X 40-49 years, male 24.4
GTEX-REY6-0426-SM-2TF5G 60-69 years, male 24.4
GTEX-YF7O-0626-SM-4W21R 50-59 years, male 24.4
GTEX-1IY9M-1126-SM-A9SLV 60-69 years, male 24.4
GTEX-WK11-0526-SM-3NB3O 50-59 years, male 24.2
GTEX-WYVS-0526-SM-3NM9W 40-49 years, female 24.2
GTEX-XQ8I-1126-SM-4BOO2 50-59 years, male 24.2
GTEX-1H11D-0726-SM-9OSWA 40-49 years, male 24.2
GTEX-11ZTT-0626-SM-5EQLM 60-69 years, female 24.1
GTEX-17F98-0226-SM-793BV 40-49 years, female 24.1
GTEX-14PQA-1126-SM-7KUM4 50-59 years, female 24.0
GTEX-18D9U-0526-SM-72D7C 40-49 years, male 24.0
GTEX-18D9B-1026-SM-CNPO5 60-69 years, male 24.0
GTEX-P4QT-0526-SM-2I3EX 50-59 years, female 23.9
GTEX-XBEW-0226-SM-4AT6A 40-49 years, male 23.9
GTEX-1HCUA-0226-SM-A8N88 50-59 years, female 23.9
GTEX-13NZA-1426-SM-5KM4Y 60-69 years, male 23.7
GTEX-ZYT6-0526-SM-5GIEA 30-39 years, male 23.7
GTEX-1CB4I-2126-SM-793AG 50-59 years, male 23.6
GTEX-1F75B-1026-SM-9JGFS 50-59 years, male 23.6
GTEX-111YS-0626-SM-5GZXV 60-69 years, male 23.5
GTEX-O5YW-0526-SM-2YUMX 50-59 years, male 23.5
GTEX-R55D-0926-SM-3GAEU 50-59 years, male 23.5
GTEX-SUCS-0626-SM-32PM5 70-79 years, male 23.5
GTEX-1GL5R-0526-SM-9WPOQ 50-59 years, male 23.5
GTEX-1KXAM-0426-SM-DHXKG 60-69 years, male 23.5
GTEX-139T6-0426-SM-5IJEM 50-59 years, male 23.4
GTEX-17GQL-0726-SM-731BL 60-69 years, male 23.4
GTEX-WH7G-0726-SM-3NMBM 40-49 years, male 23.4
GTEX-WRHU-0226-SM-3MJFV 50-59 years, female 23.4
GTEX-14C39-0326-SM-5TDDX 40-49 years, male 23.3
GTEX-15SB6-0426-SM-6LPJ5 50-59 years, female 23.3
GTEX-14C5O-1126-SM-5TDEH 60-69 years, male 23.2
GTEX-PVOW-1026-SM-2XCF9 40-49 years, male 23.2
GTEX-1H2FU-1226-SM-9KNVY 60-69 years, female 23.2
GTEX-17HG3-0326-SM-7IGP4 30-39 years, female 23.1
GTEX-17HGU-0926-SM-79OKO 50-59 years, male 23.1
GTEX-RWS6-0226-SM-2XCA9 60-69 years, female 23.1
GTEX-WWYW-0926-SM-3NB2Z 50-59 years, female 23.1
GTEX-1K2DU-0526-SM-D4P2Y 20-29 years, male 23.1
GTEX-QEG5-1126-SM-33HC2 20-29 years, male 23.0
GTEX-WHPG-1426-SM-3NMBB 50-59 years, male 23.0
GTEX-13VXT-1426-SM-5LU4B 20-29 years, female 22.9
GTEX-V1D1-0826-SM-3P5ZA 50-59 years, male 22.9
GTEX-ZPU1-0926-SM-57WDO 40-49 years, male 22.9
GTEX-ZYVF-1726-SM-5E443 50-59 years, female 22.9
GTEX-11P81-0226-SM-5HL5M 30-39 years, female 22.8
GTEX-13113-5004-SM-79ONL 60-69 years, female 22.8
GTEX-12696-1026-SM-5FQUV 60-69 years, male 22.7
GTEX-1GF9X-0326-SM-7P8R9 40-49 years, female 22.7
GTEX-ZDYS-0426-SM-5IJEQ 50-59 years, male 22.6
GTEX-1JN76-0826-SM-C1YRK 20-29 years, female 22.6
GTEX-12WSD-0826-SM-5GCNE 60-69 years, female 22.5
GTEX-12WSK-0826-SM-5CVNP 40-49 years, female 22.5
GTEX-12ZZY-0926-SM-5EQ6I 60-69 years, male 22.5
GTEX-14PJO-0926-SM-686YT 60-69 years, male 22.5
GTEX-15SHV-0326-SM-6M475 60-69 years, male 22.5
GTEX-P4QS-0526-SM-2I3ET 60-69 years, male 22.4
GTEX-X4XY-1026-SM-46MVX 60-69 years, male 22.4
GTEX-1GMR8-1426-SM-7RHHL 50-59 years, female 22.4
GTEX-1MGNQ-0826-SM-EVR41 40-49 years, male 22.4
GTEX-11EQ9-0226-SM-5A5JX 30-39 years, male 22.3
GTEX-PW2O-0526-SM-2I3DX 20-29 years, male 22.3
GTEX-1QAET-0426-SM-EXUSM 50-59 years, male 22.3
GTEX-13U4I-1426-SM-5J2M3 40-49 years, female 22.2
GTEX-1GN1W-1026-SM-9OSW2 50-59 years, female 22.2
GTEX-1P4AB-1026-SM-DTXES 50-59 years, male 22.2
GTEX-11DZ1-0426-SM-5H11A 50-59 years, male 22.1
GTEX-SNOS-0426-SM-32PMH 40-49 years, male 22.1
GTEX-14PHY-0526-SM-664NM 60-69 years, female 22.0
GTEX-QMR6-1926-SM-32PL9 50-59 years, male 22.0
GTEX-1HSMP-1326-SM-A96TR 70-79 years, male 22.0
GTEX-14JG6-0326-SM-6AJBT 30-39 years, female 21.9
GTEX-16NGA-0226-SM-718AI 40-49 years, female 21.9
GTEX-16XZZ-0926-SM-7DHLI 60-69 years, male 21.9
GTEX-Y5V6-0226-SM-4V6G7 60-69 years, male 21.9
GTEX-1A3MV-0526-SM-72D5A 30-39 years, male 21.8
GTEX-1IDJU-0226-SM-CKZOF 60-69 years, female 21.8
GTEX-12WSG-5004-SM-7EPG9 50-59 years, female 21.7
GTEX-POMQ-0526-SM-3GADD 20-29 years, female 21.7
GTEX-S7SE-0926-SM-2XCD6 50-59 years, male 21.7
GTEX-ZF28-0726-SM-4WKFU 60-69 years, male 21.7
GTEX-1JN6P-0726-SM-ARZN7 60-69 years, male 21.7
GTEX-1211K-0826-SM-5FQUP 60-69 years, female 21.6
GTEX-1I19N-0526-SM-A9G27 70-79 years, male 21.6
GTEX-OIZH-0526-SM-2HMKV 50-59 years, male 21.5
GTEX-1B932-0726-SM-731EY 40-49 years, female 21.4
GTEX-P78B-0926-SM-2I5FA 40-49 years, female 21.4
GTEX-QCQG-0326-SM-2I3ES 50-59 years, female 21.4
GTEX-ZLWG-0626-SM-4WWFR 50-59 years, female 21.4
GTEX-1AYD5-1226-SM-7EWEP 50-59 years, male 21.3
GTEX-QVUS-2026-SM-EYYW9 60-69 years, female 21.3
GTEX-131XF-1026-SM-5BC6A 60-69 years, male 21.2
GTEX-18A67-1126-SM-7KFSB 50-59 years, male 21.2
GTEX-1B8KZ-0526-SM-73KW2 50-59 years, male 21.2
GTEX-1H1E6-0726-SM-9WPQ4 30-39 years, male 21.2
GTEX-13NYS-1626-SM-5J2MU 60-69 years, male 21.1
GTEX-OHPL-0526-SM-3NM8U 60-69 years, female 21.1
GTEX-WVJS-0826-SM-4MVNR 50-59 years, male 21.1
GTEX-ZG7Y-1026-SM-4WWDG 50-59 years, male 21.1
GTEX-145ME-0226-SM-5S2QN 40-49 years, female 21.0
GTEX-ZPIC-0626-SM-57WDY 40-49 years, female 21.0
GTEX-1MCC2-0726-SM-EV7AL 30-39 years, female 21.0
GTEX-14LLW-0726-SM-5ZZVV 70-79 years, female 20.9
GTEX-14XAO-0526-SM-6AJB7 60-69 years, female 20.9
GTEX-PLZ5-0726-SM-2I5F9 50-59 years, male 20.9
GTEX-1R9PM-0426-SM-EVR3P 20-29 years, male 20.9
GTEX-11DXX-0626-SM-5Q5AG 60-69 years, female 20.8
GTEX-VJYA-0326-SM-3GAEX 60-69 years, male 20.8
GTEX-1I6K6-0926-SM-AHZ2N 30-39 years, male 20.7
GTEX-1LVAN-1126-SM-CNNRE 50-59 years, female 20.7
GTEX-OIZF-0526-SM-7MXVM 60-69 years, male 20.7
GTEX-ZY6K-0326-SM-5SIBB 50-59 years, male 20.6
GTEX-1JMQI-1126-SM-ARZN2 50-59 years, male 20.6
GTEX-12ZZW-0926-SM-5LZUD 50-59 years, male 20.5
GTEX-14PJ5-0226-SM-5YY99 60-69 years, female 20.5
GTEX-O5YT-0526-SM-32PK8 20-29 years, male 20.5
GTEX-YFCO-0426-SM-4W1Z7 40-49 years, male 20.5
GTEX-1LSVX-0626-SM-E9U59 60-69 years, male 20.5
GTEX-1OJC3-0726-SM-DTX92 20-29 years, male 20.5
GTEX-13111-0426-SM-5DUXR 50-59 years, male 20.3
GTEX-S33H-0626-SM-2XCBJ 30-39 years, male 20.3
GTEX-WFON-0426-SM-3GIL4 40-49 years, male 20.3
GTEX-1KAFJ-0326-SM-DHXJG 50-59 years, male 20.3
GTEX-12WSJ-0226-SM-5GCP7 40-49 years, female 20.2
GTEX-1399U-0826-SM-5KM1P 50-59 years, female 20.2
GTEX-15SHW-0926-SM-6LPIO 60-69 years, male 20.2
GTEX-U412-0826-SM-3DB9K 60-69 years, male 20.2
GTEX-14E1K-0226-SM-62LDT 50-59 years, male 20.1
GTEX-Y5LM-0726-SM-4VBRP 40-49 years, female 20.0
GTEX-1IOXB-1126-SM-CNNQ5 50-59 years, male 20.0
GTEX-XV7Q-0426-SM-4BRVN 40-49 years, female 19.9
GTEX-ZT9X-0326-SM-51MTE 40-49 years, male 19.9
GTEX-1399S-1726-SM-5L3DI 30-39 years, female 19.8
GTEX-146FH-1226-SM-5NQB6 50-59 years, female 19.8
GTEX-WY7C-0426-SM-3NB3C 50-59 years, male 19.8
GTEX-1HBPM-0826-SM-9WYSP 60-69 years, female 19.8
GTEX-17KNJ-0926-SM-7IGP2 50-59 years, male 19.7
GTEX-QEL4-0826-SM-3GAF2 50-59 years, male 19.7
GTEX-YB5E-0726-SM-4VDSH 40-49 years, male 19.7
GTEX-ZZPU-0526-SM-5E44U 50-59 years, female 19.7
GTEX-1F48J-0826-SM-9WPOD 50-59 years, female 19.7
GTEX-1RAZS-2226-SM-E8VMU 50-59 years, male 19.7
GTEX-ZEX8-0526-SM-DO115 50-59 years, male 19.7
GTEX-S32W-0326-SM-2XCBI 50-59 years, female 19.6
GTEX-UJMC-0726-SM-3GADX 50-59 years, male 19.5
GTEX-ZYFG-0226-SM-5GIDT 60-69 years, female 19.5
GTEX-12WSL-1026-SM-5CVNJ 50-59 years, male 19.4
GTEX-1497J-0326-SM-5Q5CN 60-69 years, male 19.4
GTEX-T6MO-0426-SM-32QOI 40-49 years, female 19.4
GTEX-ZTTD-1126-SM-51MRP 50-59 years, male 19.4
GTEX-1S82P-0826-SM-EVR4P 60-69 years, female 19.4
GTEX-146FQ-0926-SM-5LUAV 30-39 years, male 19.3
GTEX-1C4CL-0826-SM-7EWEZ 30-39 years, male 19.3
GTEX-QV44-0926-SM-2S1RH 50-59 years, male 19.3
GTEX-ZAB5-0626-SM-5PNVB 50-59 years, male 19.3
GTEX-YEC3-0226-SM-DO11B 50-59 years, male 19.3
GTEX-OOBK-0526-SM-2HMJJ 40-49 years, male 19.2
GTEX-Q734-0626-SM-2I3EF 40-49 years, female 19.2
GTEX-WFG8-0926-SM-3GIKJ 20-29 years, male 19.2
GTEX-ZXG5-0826-SM-5GID6 60-69 years, male 19.2
GTEX-1JK1U-1126-SM-CY8HK 60-69 years, male 19.2
GTEX-117YX-1326-SM-5H125 50-59 years, male 19.1
GTEX-145MH-0626-SM-5NQAK 50-59 years, male 19.0
GTEX-1GZ4H-0426-SM-7MXV5 50-59 years, female 19.0
GTEX-1477Z-0626-SM-5NQB7 60-69 years, male 18.9
GTEX-P4PQ-0526-SM-2HMKR 60-69 years, male 18.9
GTEX-Y8E4-0526-SM-4V6GC 40-49 years, male 18.8
GTEX-1L5NE-0726-SM-CXZKQ 50-59 years, male 18.8
GTEX-144GN-0426-SM-5O9AP 50-59 years, male 18.7
GTEX-17HHE-0626-SM-7DHL6 50-59 years, male 18.7
GTEX-S341-0326-SM-2XCAU 40-49 years, female 18.7
GTEX-XXEK-0626-SM-4BRWE 50-59 years, male 18.6
GTEX-13N2G-0826-SM-5IJE6 60-69 years, male 18.4
GTEX-11P7K-0326-SM-59871 30-39 years, male 18.3
GTEX-ZQG8-0326-SM-51MSE 60-69 years, female 18.3
GTEX-1HCU7-0926-SM-A96TK 50-59 years, male 18.3
GTEX-1I1GV-0926-SM-B2LXM 60-69 years, male 18.3
GTEX-145MN-0926-SM-5NQBT 30-39 years, male 18.2
GTEX-15CHC-0226-SM-5YYBB 60-69 years, female 18.2
GTEX-13NZ8-0326-SM-5L3DF 60-69 years, female 18.0
GTEX-17F9Y-1026-SM-7IGO4 70-79 years, female 18.0
GTEX-WFJO-0326-SM-3GIL3 30-39 years, male 18.0
GTEX-X4XX-1026-SM-4QARO 60-69 years, male 18.0
GTEX-Q2AH-0426-SM-2I3EP 40-49 years, male 17.9
GTEX-178AV-0326-SM-6LPJF 40-49 years, male 17.8
GTEX-183FY-0726-SM-793C3 20-29 years, male 17.8
GTEX-POYW-1226-SM-2XCEP 60-69 years, male 17.8
GTEX-Y3I4-0426-SM-4TT29 50-59 years, male 17.8
GTEX-1PPH7-0226-SM-E76Q1 40-49 years, male 17.8
GTEX-X4LF-0526-SM-3NMB6 50-59 years, male 17.7
GTEX-ZPCL-0926-SM-DNZZ8 60-69 years, female 17.7
GTEX-15SKB-0826-SM-7KUFB 60-69 years, male 17.6
GTEX-ZZPT-1326-SM-5E43H 50-59 years, male 17.6
GTEX-13O61-0726-SM-5J2MD 60-69 years, male 17.5
GTEX-1339X-0626-SM-5IJER 40-49 years, male 17.4
GTEX-11NSD-0326-SM-5A5LS 20-29 years, male 17.3
GTEX-ZE7O-0826-SM-57WCP 50-59 years, female 17.3
GTEX-X5EB-0426-SM-46MVY 40-49 years, male 17.2
GTEX-S3LF-1126-SM-EVR33 70-79 years, male 17.2
GTEX-13NZ9-0926-SM-5KM12 50-59 years, male 17.1
GTEX-15RIE-0326-SM-6PAMC 60-69 years, male 17.1
GTEX-RU1J-0126-SM-2TF6Y 20-29 years, female 17.1
GTEX-1IDJI-0626-SM-C1YQD 50-59 years, female 17.1
GTEX-11DXZ-0726-SM-5N9C4 50-59 years, male 17.0
GTEX-12WSA-1026-SM-5EGHN 60-69 years, male 17.0
GTEX-XGQ4-0826-SM-4AT4T 50-59 years, male 17.0
GTEX-1F6RS-0826-SM-7P8T9 60-69 years, female 17.0
GTEX-1122O-0126-SM-5GICA 60-69 years, female 16.9
GTEX-U3ZH-0526-SM-3DB75 30-39 years, male 16.9
GTEX-X3Y1-0626-SM-3P5YS 40-49 years, male 16.9
GTEX-OOBJ-0526-SM-48TDK 60-69 years, male 16.8
GTEX-UJHI-0726-SM-3DB92 50-59 years, female 16.8
GTEX-OXRK-0926-SM-2HMKP 50-59 years, female 16.6
GTEX-1LC47-1126-SM-D4P43 60-69 years, male 16.6
GTEX-13FTX-0326-SM-5J2NG 20-29 years, female 16.5
GTEX-QMRM-0826-SM-3NB33 50-59 years, male 16.5
GTEX-1LGRB-0226-SM-CNPQK 50-59 years, female 16.5
GTEX-13O21-3026-SM-5J2NI 50-59 years, male 16.4
GTEX-13S86-0626-SM-5Q5E7 40-49 years, male 16.3
GTEX-1F5PK-0526-SM-7MXUA 50-59 years, male 16.3
GTEX-11I78-0126-SM-5HL6F 50-59 years, female 16.2
GTEX-ZDTT-0926-SM-5J2MS 60-69 years, male 16.2
GTEX-X15G-0626-SM-EVR32 50-59 years, female 16.0
GTEX-14AS3-0926-SM-5TDD6 40-49 years, female 15.8
GTEX-14LZ3-0726-SM-5YYAB 60-69 years, female 15.7
GTEX-XYKS-0526-SM-4BRW2 60-69 years, female 15.6
GTEX-NPJ8-0326-SM-2D7VV 40-49 years, male 15.5
GTEX-ZLV1-0426-SM-4WWC2 60-69 years, female 15.5
GTEX-PX3G-0526-SM-2I3EM 20-29 years, female 14.9
GTEX-QDVN-0726-SM-4B64L 50-59 years, male 13.2
GTEX-15CHR-0726-SM-7EPHG 50-59 years, male 13.0
GTEX-169BO-0226-SM-79OL1 50-59 years, male 12.8
GTEX-13N11-0326-SM-5LUA3 50-59 years, female 10.8
Show allShow less

LUNG - FANTOM5 CAGEi

RNA expression in human tissues obtained through Cap Analysis of Gene Expression (CAGE) generated by the FANTOM5 project are reported as Scaled Tags Per Million.

Max subtype Scaled Tags Per Millioni

Max subtype Scaled Tags Per Million is the value for the subtype with the largest average Scaled Tags Per Million across the subtype samples.

90.6
FANTOM5 sample id Sample description Scaled Tags Per Million
Lung
Scaled Tags Per Million: 90.6
FF:10019-101D1 46,65,94 years, mixed 90.6
Lung - right lower lobe
Scaled Tags Per Million: 43.0
FF:10075-102A3 29 years, male 43.0

Contact

  • NEWS ARTICLES
  • PRESS ROOM

The Project

  • INTRODUCTION
  • ORGANIZATION
  • PUBLICATIONS

The Human Protein Atlas

  • DOWNLOADABLE DATA
  • LICENCE & CITATION
  • HELP & FAQ
The Human Protein Atlas project is funded
by the Knut & Alice Wallenberg Foundation.


contact@proteinatlas.org