We use cookies to enhance the usability of our website. If you continue, we'll assume that you are happy to receive all cookies. More information. Don't show this again.
TM4SF1
HPA
RESOURCES
  • TISSUE
  • BRAIN
  • SINGLE CELL
  • SUBCELLULAR
  • CANCER
  • BLOOD
  • CELL LINE
  • STRUCTURE & INTERACTION
ABOUT
  • INTRODUCTION
  • HISTORY
  • ORGANIZATION
  • PUBLICATIONS
  • ANTIBODY SUBMISSION
  • ANTIBODY AVAILABILITY
  • ACKNOWLEDGMENTS
  • CONTACT
NEWS
  • NEWS ARTICLES
  • PRESS ROOM
LEARN
  • DICTIONARY
  • PROTEIN CLASSES
  • PROTEIN EVIDENCE
  • METHODS
  • EDUCATIONAL VIDEOS
DATA
  • DOWNLOADABLE DATA
  • PUBLICATION DATA
  • RELEASE HISTORY
HELP
  • ANTIBODY VALIDATION
  • ASSAYS & ANNOTATION
  • DISCLAIMER
  • HELP & FAQ
  • PRIVACY STATEMENT
  • LICENCE & CITATION
Fields »
Search result

Field
Term
Gene name
Class
Subclass
Class
Keyword
Chromosome
External id
Tissue
Cell type
Expression
Antibody panel
Tissue
Main location
Patient ID
Annotation
Tissue
Category
Tau score
Cluster
Reliability
Brain region
Category
Tau score
Brain region
Category
Tau score
Brain region
Category
Tau score
Cluster
Reliability
Tissue
Cell type
Enrichment
Cell type
Category
Tau score
Cell type
Category
Tau score
Cell type
Category
Tau score
Cell lineage
Category
Tau score
Cluster
Cluster
Location
Searches
Location
Cell line
Class
Type
Phase
Reliability
Cancer
Prognosis
Cancer
Category
Cancer
Category
Tau score
Cluster
Variants
Interacting gene (ensg_id)
Type
Number of interactions
Pathway
Category
Score
Score
Score
Validation
Validation
Validation
Validation
Antibodies
Data type
Column


  • SUMMARY

  • TISSUE

  • BRAIN

  • SINGLE CELL

  • SUBCELL

  • CANCER

  • BLOOD

  • CELL LINE

  • STRUCT & INT

  • TM4SF1
TISSUE PRIMARY DATA SKIN Show tissue menu
ADIPOSE TISSUE ADRENAL GLAND AMYGDALA APPENDIX BASAL GANGLIA BONE MARROW BREAST BRONCHUS CEREBELLUM CEREBRAL CORTEX CERVIX CHOROID PLEXUS COLON DUODENUM
ENDOMETRIUM EPIDIDYMIS ESOPHAGUS FALLOPIAN TUBE GALLBLADDER HEART MUSCLE HIPPOCAMPAL FORMATION HYPOTHALAMUS KIDNEY LIVER LUNG LYMPH NODE MIDBRAIN NASOPHARYNX
ORAL MUCOSA OVARY PANCREAS PARATHYROID GLAND PITUITARY GLAND PLACENTA PROSTATE RECTUM RETINA SALIVARY GLAND SEMINAL VESICLE SKELETAL MUSCLE SKIN SMALL INTESTINE
SMOOTH MUSCLE SOFT TISSUE SPINAL CORD SPLEEN STOMACH TESTIS THYMUS THYROID GLAND TONGUE TONSIL URINARY BLADDER VAGINA
ANTIBODIES
AND
VALIDATION
Dictionary
Skin
Tissue proteome
Skin
SKIN - Expression summary
Protein expression
Skini

On the top, protein expression in current human tissue, based on all annotated cell types, is reported with the units not detected (n), low (l), medium (m) and high (h). Underneath, protein expression in each annotated cell type are reported using the same units.

Protein expression data is based on knowledge-based annotation. For genes where more than one antibody has been used, a collective score is set.

If knowledge-based annotation could not be performed for a gene, no data is displayed here. View antibody staining data further down this page.

h
m
l
n
Epidermal cells: Low
Fibroblasts: Not detected
Keratinocytes: Not detected
Langerhans: Not detected
Melanocytes: Not detected
RNA expressioni

A summary of mRNA expression data available for current tissue based on several datasets. The mRNA expression levels in human tissues are based on RNA-seq data generated by the Human Protein Atlas (HPA), Genotype-Tissue Expression (GTEx) portal and CAGE data generated by the FANTOM5 consortium. Consensus normalized expression levels for human tissues was created by combining the data from HPA and GTEx datasets.

The mRNA expression levels in pig are based on RNA-seq data generated by the Human Protein Atlas (HPA), and for mouse, HPA data and in situ hybridization generated by the Allen brain atlas are reported.

Scroll down to view mRNA expression data in more detail.
Consensus:61.5 nTPM
HPA:20.0 nTPM
GTEx:61.5 nTPM

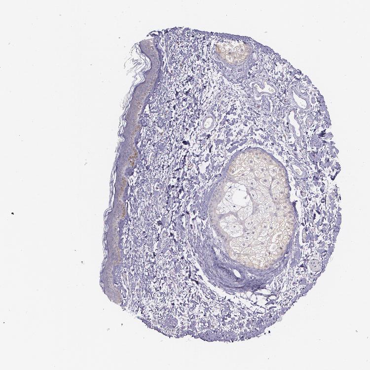
SKIN 1 - Antibody stainingi

Antibody staining in the annotated cell types in the current human tissue is reported as not detected, low, medium, or high, based on conventional immunohistochemistry profiling in selected tissues. This score is based on the combination of the staining intensity and fraction of stained cells.

Each image is clickable and will lead to virtual microscopy that enables deeper exploration of all samples and also displays staining intensity scores, fraction scores and subcellular localization as well as patient and tissue information for each sample.

Antibody HPA002823Antibody CAB002760
Langerhans Not detectedNot detected
Fibroblasts Not detectedNot detected
Keratinocytes Not detectedNot detected
Melanocytes Not detectedNot detected



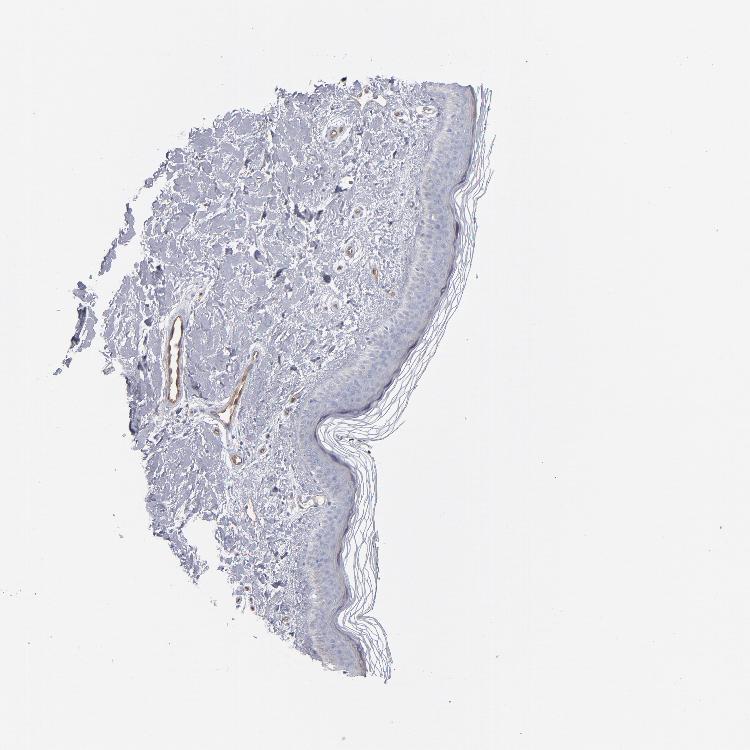
SKIN 2 - Antibody stainingi

Antibody staining in the annotated cell types in the current human tissue is reported as not detected, low, medium, or high, based on conventional immunohistochemistry profiling in selected tissues. This score is based on the combination of the staining intensity and fraction of stained cells.

Each image is clickable and will lead to virtual microscopy that enables deeper exploration of all samples and also displays staining intensity scores, fraction scores and subcellular localization as well as patient and tissue information for each sample.

Antibody HPA002823Antibody CAB002760
Epidermal cells LowNot detected
  
  
  




SKIN - HPA RNA-seqi

The RNA-seq details section shows detailed information about the individual samples used for the transcript profiling and results of the RNA-seq analysis.

Information about each individual sample is listed below, including gender, age, a tissue section image and estimated fractions of cell types. nTPM (normalized transcripts per million) values give a quantification of the gene abundance which is comparable between different genes and samples.
Average nTPMi

Max subtype nTPM is the value for the subtype with the largest average nTPM across the subtype samples.

20.0
overview
Female, age 34
Skin sample 225
nTPM: 22.8
Cell types%
Keratinocytes:
60

Other cell types:
40

overview
Female, age 30
Skin sample 226
nTPM: 16.9
Cell types%
Keratinocytes:
55

Other cell types:
45

N/A
Male, age 57
Skin sample 227
nTPM: 20.4

SKIN - GTEx RNA-seqi

RNA-Seq data generated by the Genotype-Tissue Expression (GTEx) project from human tissues is reported as mean nTPM. More information can be found on the GTEx portal.

Distribution across the dataset is visualized with box plots, shown as median and 25th and 75th percentiles. Points are displayed as outliers if they are above or below 1.5 times the interquartile range. nTPM values of the individual samples are presented next to the box plot.
Max subtype nTPMi

Max subtype nTPM is the value for the subtype with the largest average nTPM across the subtype samples.

61.5
GTEx sample id Sample description nTPM
Skin - Not Sun Exposed (Suprapubic)
Average nTPM: 61.5
Samples: 604

Max nTPM: 474.5
Min nTPM: 5.5
Std nTPM: 49.2
Median nTPM: 48.3
GTEX-14E6C-2426-SM-5S2NF 40-49 years, male 474.5
GTEX-13JUV-2026-SM-5K7UA 40-49 years, female 352.5
GTEX-16GPK-0626-SM-7KFSF 60-69 years, male 334.1
GTEX-YF7O-1526-SM-5IFI6 50-59 years, male 270.5
GTEX-17EVQ-0126-SM-7IGLR 70-79 years, male 254.4
GTEX-14A5H-0826-SM-5QGPJ 60-69 years, male 249.9
GTEX-1AX9J-1326-SM-731BJ 60-69 years, male 234.7
GTEX-ZUA1-2626-SM-5NQ92 40-49 years, male 232.3
GTEX-13N1W-2426-SM-5IJD1 70-79 years, male 226.3
GTEX-145MO-2826-SM-5LU96 60-69 years, male 216.3
GTEX-1RB15-1326-SM-E76Q9 60-69 years, male 203.8
GTEX-WH7G-2026-SM-3NMBL 40-49 years, male 203.1
GTEX-1F75W-2726-SM-7SB8H 60-69 years, male 202.0
GTEX-1GF9U-2026-SM-7SB92 40-49 years, female 199.8
GTEX-1H1CY-0126-SM-9YFLY 60-69 years, female 195.3
GTEX-WHSE-0126-SM-3NMBT 20-29 years, male 193.2
GTEX-13NZ9-2626-SM-5L3FK 50-59 years, male 191.2
GTEX-1O9I2-0226-SM-EYYXD 50-59 years, male 189.2
GTEX-1N5O9-0926-SM-E9J3C 60-69 years, male 188.2
GTEX-18A7B-2726-SM-7LG56 70-79 years, male 173.6
GTEX-111FC-2526-SM-5GZXU 60-69 years, male 165.7
GTEX-145MF-0926-SM-5Q5EA 50-59 years, male 164.9
GTEX-145MG-1526-SM-5Q5EM 50-59 years, male 161.3
GTEX-XK95-0226-SM-4AT58 40-49 years, male 159.8
GTEX-12584-0726-SM-5FQTK 40-49 years, male 157.9
GTEX-1I1GP-1326-SM-A9G28 50-59 years, male 157.1
GTEX-ZYFD-0626-SM-5E44E 50-59 years, male 155.3
GTEX-14JG1-1526-SM-5YY9X 40-49 years, male 154.8
GTEX-11EI6-2826-SM-5H11D 60-69 years, male 152.9
GTEX-X8HC-0626-SM-4E3HQ 50-59 years, female 151.9
GTEX-12WSF-1626-SM-7KUG5 70-79 years, male 149.6
GTEX-ZVTK-0226-SM-51MRG 20-29 years, male 146.2
GTEX-WYJK-0526-SM-3NM8Z 50-59 years, male 145.0
GTEX-1B933-2426-SM-7DHMD 50-59 years, female 144.8
GTEX-13OVL-0126-SM-5L3GJ 50-59 years, male 142.3
GTEX-1A8G6-2726-SM-731AR 60-69 years, male 141.4
GTEX-1QP66-1226-SM-DTX7U 50-59 years, male 139.9
GTEX-139TT-2126-SM-5LZWC 60-69 years, male 139.4
GTEX-16XZZ-0726-SM-7KUF2 60-69 years, male 139.0
GTEX-1F88E-1626-SM-7SB8Z 60-69 years, female 139.0
GTEX-WFON-1926-SM-3LK7L 40-49 years, male 138.7
GTEX-1IL2V-1926-SM-B2LW8 70-79 years, male 138.1
GTEX-UPK5-0426-SM-3GAEK 40-49 years, male 136.5
GTEX-1PIIG-2326-SM-DTXFR 30-39 years, male 136.4
GTEX-11DXW-0826-SM-5H118 40-49 years, male 135.5
GTEX-11WQK-1026-SM-5EQLX 50-59 years, male 135.0
GTEX-ZVE1-0726-SM-51MRN 50-59 years, female 134.5
GTEX-WK11-2726-SM-3NMAQ 50-59 years, male 132.4
GTEX-18D9A-1426-SM-7LT8M 30-39 years, female 131.9
GTEX-1HFI6-0126-SM-CNPPI 40-49 years, male 131.7
GTEX-1E1VI-0326-SM-793D1 50-59 years, male 130.9
GTEX-14PJ2-0626-SM-6LLII 50-59 years, male 128.4
GTEX-1LVAO-2726-SM-E9TJ8 60-69 years, male 127.5
GTEX-12WSC-2826-SM-5BC5Y 50-59 years, male 127.2
GTEX-ZT9W-1126-SM-57WDR 50-59 years, male 127.2
GTEX-1E2YA-2126-SM-7MXUO 50-59 years, male 124.5
GTEX-ZYW4-0626-SM-59HJR 60-69 years, male 124.1
GTEX-ZWKS-0626-SM-5GIDV 30-39 years, male 121.5
GTEX-11O72-0626-SM-5PNYE 40-49 years, male 120.7
GTEX-ZAJG-1526-SM-5CVML 50-59 years, female 120.1
GTEX-11DZ1-2426-SM-5GZZX 50-59 years, male 119.4
GTEX-WRHU-2826-SM-3MJG8 50-59 years, female 118.0
GTEX-17JCI-2926-SM-7DUFF 60-69 years, female 116.7
GTEX-ZU9S-1826-SM-5NQ9E 30-39 years, male 115.7
GTEX-146FQ-2126-SM-5RQHU 30-39 years, male 115.6
GTEX-1IDJE-1426-SM-ADEIW 50-59 years, female 115.5
GTEX-1J8JJ-0626-SM-ARZMQ 60-69 years, female 114.4
GTEX-1L5NE-1126-SM-D3L9P 50-59 years, male 114.4
GTEX-12WSL-2026-SM-5GCML 50-59 years, male 114.2
GTEX-XMD2-2126-SM-4YCF8 60-69 years, female 114.2
GTEX-1QEPI-2626-SM-DTXF4 60-69 years, female 113.4
GTEX-1314G-1326-SM-5BC6E 30-39 years, male 112.3
GTEX-WYBS-0626-SM-3NMAS 60-69 years, female 111.0
GTEX-11TT1-1826-SM-5EQLV 20-29 years, male 110.9
GTEX-Y5LM-0926-SM-6LLJG 40-49 years, female 110.7
GTEX-1M4P7-0726-SM-E6CJ3 60-69 years, male 110.7
GTEX-14JG6-1426-SM-9WG7C 30-39 years, female 110.3
GTEX-18465-2826-SM-7LT9J 50-59 years, male 109.1
GTEX-1IDJH-0126-SM-D3L92 70-79 years, male 109.1
GTEX-1F48J-0726-SM-7RHGS 50-59 years, female 107.1
GTEX-1HUB1-1426-SM-CGQF5 60-69 years, male 107.1
GTEX-1399R-1326-SM-5PNYS 30-39 years, male 106.6
GTEX-ZVE2-2826-SM-5GU51 50-59 years, male 106.6
GTEX-183FY-1026-SM-7939A 20-29 years, male 106.3
GTEX-17MF6-2626-SM-79OKQ 40-49 years, male 106.2
GTEX-1C64O-1326-SM-7MGWR 60-69 years, male 106.1
GTEX-14DAQ-0626-SM-793DS 60-69 years, female 105.1
GTEX-1N2EE-0626-SM-E76PW 60-69 years, male 105.1
GTEX-1I19N-0126-SM-CYPSF 70-79 years, male 104.9
GTEX-1JN1M-2726-SM-CY8I4 60-69 years, female 104.2
GTEX-1PIGE-1826-SM-E8VOU 20-29 years, male 102.8
GTEX-ZDXO-3126-SM-5IJDF 60-69 years, male 99.6
GTEX-1HSMP-0926-SM-A9SKX 70-79 years, male 99.2
GTEX-15CHQ-0326-SM-69LQD 60-69 years, male 98.7
GTEX-18A6Q-0626-SM-7KFRP 60-69 years, male 98.4
GTEX-1HR98-2226-SM-ADEI2 60-69 years, male 97.3
GTEX-1RAZA-2226-SM-E9U4X 20-29 years, male 96.5
GTEX-1192X-2726-SM-5N9DN 50-59 years, male 95.8
GTEX-1HCU8-2526-SM-CE6RX 60-69 years, female 95.8
GTEX-1I6K6-1726-SM-CGQFD 30-39 years, male 95.7
GTEX-14BMV-2826-SM-5TDED 50-59 years, male 94.8
GTEX-1A8FM-0626-SM-7PC25 50-59 years, female 94.8
GTEX-1JMPZ-0726-SM-CY8HZ 30-39 years, male 94.7
GTEX-1R9PM-1926-SM-EVR3O 20-29 years, male 94.3
GTEX-11EQ9-1626-SM-5PNY8 30-39 years, male 94.2
GTEX-1KANA-1326-SM-DIPFA 20-29 years, male 92.9
GTEX-17HHY-0426-SM-7DHLC 50-59 years, male 92.6
GTEX-1F6IF-0926-SM-7SB7M 60-69 years, male 92.2
GTEX-13YAN-0226-SM-5TDC6 60-69 years, male 91.6
GTEX-15UF6-1926-SM-7KUDV 70-79 years, female 91.4
GTEX-1A32A-0626-SM-731AQ 50-59 years, female 91.4
GTEX-1LGOU-1326-SM-D3L8M 20-29 years, female 91.1
GTEX-1LG7Z-1626-SM-CXKYR 30-39 years, male 90.8
GTEX-1CAV2-0126-SM-7IGN7 40-49 years, female 90.7
GTEX-17F9E-2326-SM-79OKD 50-59 years, male 90.3
GTEX-1R9K4-2826-SM-DTX8F 60-69 years, male 90.0
GTEX-1JN6P-2926-SM-CL54D 60-69 years, male 89.8
GTEX-1IDFM-0326-SM-ARL7V 60-69 years, male 89.6
GTEX-16MT8-2926-SM-7DUFO 60-69 years, female 88.4
GTEX-15SHW-0226-SM-7LTAT 60-69 years, male 87.8
GTEX-131XW-0626-SM-5PNVD 50-59 years, female 87.3
GTEX-ZTTD-2826-SM-4YCFA 50-59 years, male 87.2
GTEX-12KS4-2126-SM-5FQUT 30-39 years, male 86.6
GTEX-13OVJ-0826-SM-5J1OK 50-59 years, female 86.4
GTEX-1IDJC-1526-SM-B2LW4 50-59 years, male 86.4
GTEX-1H3NZ-2726-SM-9WYTQ 60-69 years, male 85.8
GTEX-139T8-0626-SM-5KLZX 60-69 years, male 85.7
GTEX-13X6J-0626-SM-5LU5F 50-59 years, male 84.2
GTEX-1HCU6-2526-SM-ADEHL 60-69 years, female 84.0
GTEX-14JFF-0626-SM-5ZZVT 60-69 years, male 83.8
GTEX-1HB9E-0126-SM-CM2S5 50-59 years, male 83.7
GTEX-XQ3S-1426-SM-4BOPR 20-29 years, male 83.2
GTEX-14PKV-1126-SM-6LLJ1 20-29 years, female 82.9
GTEX-U8XE-0226-SM-4E3J3 30-39 years, male 82.6
GTEX-117YX-1926-SM-5GIEC 50-59 years, male 82.3
GTEX-1I6K7-1926-SM-B2LXR 40-49 years, male 82.3
GTEX-12WSA-0426-SM-5EQ5X 60-69 years, male 82.1
GTEX-1KD5A-0126-SM-E9U54 50-59 years, male 82.1
GTEX-131YS-2826-SM-5EQ47 60-69 years, female 82.0
GTEX-11UD2-2526-SM-5CVNU 50-59 years, male 81.9
GTEX-16NPX-0726-SM-7KULC 50-59 years, male 81.9
GTEX-1211K-1526-SM-5FQU4 60-69 years, female 81.8
GTEX-15RJE-2826-SM-7KUM9 40-49 years, male 81.7
GTEX-1JJE9-2626-SM-ARZMT 70-79 years, male 81.1
GTEX-15D1Q-2826-SM-6LLH7 40-49 years, male 81.0
GTEX-YJ8O-2526-SM-5HL85 40-49 years, female 80.9
GTEX-1HCU9-0426-SM-9WYSD 20-29 years, male 80.2
GTEX-11EM3-1226-SM-5N9DD 20-29 years, female 80.1
GTEX-13RTJ-0126-SM-5S2NN 60-69 years, male 80.1
GTEX-14PJO-2526-SM-6AJBQ 60-69 years, male 79.3
GTEX-ZZ64-1026-SM-5GZXG 20-29 years, male 79.3
GTEX-1GZ2Q-0126-SM-9WG6M 40-49 years, male 78.9
GTEX-YB5K-2026-SM-4VDT3 40-49 years, female 78.7
GTEX-12WSD-0626-SM-5GCMW 60-69 years, female 78.0
GTEX-18A66-0626-SM-7LT8Z 60-69 years, male 77.9
GTEX-1I1GS-2626-SM-B2LY3 60-69 years, male 77.4
GTEX-14BIN-1126-SM-5RQJZ 50-59 years, female 77.3
GTEX-139TS-2126-SM-5K7XC 60-69 years, male 76.8
GTEX-1LSVX-2526-SM-DIPEU 60-69 years, male 76.5
GTEX-ZF3C-0626-SM-DO92O 50-59 years, female 76.4
GTEX-XOT4-0626-SM-4B66L 60-69 years, female 75.7
GTEX-1GMR3-0126-SM-A9SLW 40-49 years, male 75.4
GTEX-1F6I4-2326-SM-7RHGL 60-69 years, male 75.1
GTEX-1IOXB-2726-SM-CM2RI 50-59 years, male 74.8
GTEX-1F75B-0726-SM-7PC3R 50-59 years, male 74.7
GTEX-139TU-0726-SM-5L3EK 60-69 years, male 74.4
GTEX-13OVH-0526-SM-5L3E6 70-79 years, male 74.2
GTEX-1H1ZS-2726-SM-9WG75 70-79 years, male 74.0
GTEX-1H1E6-0426-SM-9WYUS 30-39 years, male 73.6
GTEX-11ZUS-2626-SM-5FQUR 30-39 years, male 73.0
GTEX-1AX8Z-0726-SM-73KTS 60-69 years, male 73.0
GTEX-1HSMO-0626-SM-ACKXC 60-69 years, male 72.7
GTEX-1I1CD-0626-SM-CE6SW 60-69 years, female 71.6
GTEX-17MFQ-1526-SM-7KFRR 20-29 years, male 71.1
GTEX-13SLX-2226-SM-62LEP 50-59 years, female 71.0
GTEX-13FLV-0126-SM-5K7WT 50-59 years, male 70.2
GTEX-1KANC-1226-SM-CYPT7 50-59 years, female 69.8
GTEX-11WQC-1826-SM-5GU59 60-69 years, male 69.7
GTEX-13N2G-0226-SM-5K7VF 60-69 years, male 69.6
GTEX-147F3-1726-SM-5SIAW 50-59 years, female 69.3
GTEX-1I1GV-0626-SM-ARL7M 60-69 years, male 69.3
GTEX-V1D1-2026-SM-3GAF4 50-59 years, male 68.7
GTEX-1C64N-2626-SM-7PC2N 50-59 years, male 68.6
GTEX-1GZ4I-2626-SM-9KNU3 50-59 years, male 68.6
GTEX-1ICLZ-0326-SM-ARL82 60-69 years, male 67.8
GTEX-12WSM-1926-SM-5BC65 60-69 years, male 67.6
GTEX-1IY9M-2826-SM-ARU8H 60-69 years, male 67.5
GTEX-13O3O-2326-SM-5IJD6 60-69 years, female 67.3
GTEX-1RAZR-2126-SM-E9U6T 40-49 years, male 67.1
GTEX-ZDTS-0826-SM-4WKHL 60-69 years, male 66.7
GTEX-13X6K-0626-SM-5LU5D 60-69 years, female 66.6
GTEX-15RIE-1926-SM-7KUKJ 60-69 years, male 66.6
GTEX-1LSNM-0826-SM-DIPG8 50-59 years, male 66.3
GTEX-1QP29-1826-SM-DTX9S 50-59 years, male 66.3
GTEX-14LZ3-0126-SM-69LPM 60-69 years, female 66.1
GTEX-16Z82-2626-SM-7KULU 60-69 years, male 65.7
GTEX-13VXU-0626-SM-5L3F9 50-59 years, male 65.6
GTEX-1NSGN-0726-SM-DTXEF 50-59 years, male 65.3
GTEX-1GTWX-2026-SM-9YFLM 60-69 years, male 65.0
GTEX-13U4I-2226-SM-5LU5H 40-49 years, female 64.9
GTEX-17HG3-2626-SM-7DUF2 30-39 years, female 64.8
GTEX-12BJ1-0926-SM-5EQ62 60-69 years, male 64.6
GTEX-145LS-0626-SM-7EPG7 60-69 years, female 64.6
GTEX-1QCLZ-2426-SM-EVYBW 60-69 years, female 64.4
GTEX-11DYG-1526-SM-5A5JS 60-69 years, male 64.3
GTEX-14ICL-1626-SM-5YYAO 30-39 years, male 64.3
GTEX-11P82-1426-SM-DTXFY 20-29 years, male 64.1
GTEX-13112-0126-SM-5P9IU 50-59 years, male 63.7
GTEX-14DAR-1226-SM-73KYV 50-59 years, male 63.6
GTEX-12696-0126-SM-5EQ4L 60-69 years, male 63.4
GTEX-13FH7-1126-SM-5K7UG 50-59 years, female 63.3
GTEX-1BAJH-2426-SM-7IGP8 70-79 years, male 63.3
GTEX-12ZZX-2426-SM-5GCOE 40-49 years, female 63.2
GTEX-15DYW-2726-SM-6EU2I 60-69 years, female 63.2
GTEX-147F4-0726-SM-5TDDD 50-59 years, male 63.1
GTEX-VUSG-2326-SM-4KL1U 50-59 years, male 63.1
GTEX-144GO-2026-SM-5O99P 60-69 years, male 62.8
GTEX-XBEC-0726-SM-4QARZ 50-59 years, male 62.5
GTEX-15DDE-2926-SM-6LLJ3 50-59 years, female 62.1
GTEX-1EH9U-2826-SM-7DUGT 60-69 years, male 61.4
GTEX-Z93S-1626-SM-5CVMB 50-59 years, male 61.3
GTEX-13OVG-1626-SM-5J1NF 60-69 years, male 61.2
GTEX-ZYT6-2326-SM-5GZY3 30-39 years, male 61.2
GTEX-ZYFG-1526-SM-5GZYM 60-69 years, female 61.0
GTEX-1HBPI-2126-SM-ARL9K 50-59 years, male 61.0
GTEX-1CAMQ-1326-SM-7P8RV 40-49 years, male 60.7
GTEX-1IDJF-2026-SM-CL53V 20-29 years, male 59.9
GTEX-1JJ6O-2726-SM-CNPOG 60-69 years, male 59.5
GTEX-1K9T9-1526-SM-DIPFR 50-59 years, female 59.4
GTEX-1H23P-0626-SM-9WG6T 60-69 years, male 59.3
GTEX-VJYA-1526-SM-3GIJV 60-69 years, male 59.2
GTEX-X4EP-0626-SM-3P621 60-69 years, female 59.2
GTEX-YEC3-1326-SM-DO92X 50-59 years, male 59.0
GTEX-1S831-1826-SM-EWROF 20-29 years, male 58.8
GTEX-1F75I-2226-SM-7SB8U 40-49 years, male 58.7
GTEX-1QP9N-1226-SM-E76QN 30-39 years, male 58.7
GTEX-ZYFC-0426-SM-5GICQ 50-59 years, male 58.5
GTEX-1CB4I-0126-SM-7RHGG 50-59 years, male 58.2
GTEX-1IDJD-2326-SM-ACKWX 30-39 years, male 58.0
GTEX-1LBAC-0826-SM-CY8IJ 20-29 years, male 57.9
GTEX-1LVA9-2626-SM-EVYD4 50-59 years, male 57.9
GTEX-1QMI2-2526-SM-E8VNZ 60-69 years, male 57.7
GTEX-WFG8-2126-SM-3GIKQ 20-29 years, male 57.6
GTEX-1B996-0426-SM-7EWF8 60-69 years, male 57.5
GTEX-1A3MW-0626-SM-731CB 60-69 years, female 57.4
GTEX-1212Z-0126-SM-59HK4 60-69 years, male 56.9
GTEX-WI4N-2726-SM-3LK7Y 40-49 years, female 56.9
GTEX-13PVR-0426-SM-5RQK2 60-69 years, female 56.8
GTEX-13X6I-1826-SM-5SIAO 60-69 years, male 56.7
GTEX-1KWVE-1026-SM-D3L9O 30-39 years, male 56.3
GTEX-1QCLY-0226-SM-EWRNH 30-39 years, male 56.3
GTEX-ZE9C-2526-SM-5IJDR 60-69 years, male 56.1
GTEX-1EN7A-2426-SM-793DB 40-49 years, male 56.0
GTEX-13NYC-0126-SM-5L3F4 60-69 years, male 55.9
GTEX-1JMQL-2226-SM-CNPP4 50-59 years, female 55.7
GTEX-1A3MV-1826-SM-731CD 30-39 years, male 55.6
GTEX-12126-0826-SM-5FQTZ 20-29 years, male 55.3
GTEX-13N11-2326-SM-5IJBF 50-59 years, female 55.2
GTEX-1ICLY-0826-SM-CMKG1 50-59 years, male 55.1
GTEX-14BMU-1226-SM-5S2OR 20-29 years, female 54.9
GTEX-UPJH-0226-SM-3GADV 50-59 years, male 54.9
GTEX-16MT9-0126-SM-7EPI8 60-69 years, female 54.6
GTEX-13QBU-1226-SM-5LU4G 40-49 years, female 54.3
GTEX-1JMOU-1026-SM-CYPSS 60-69 years, female 54.0
GTEX-13OW8-1026-SM-5J1NQ 60-69 years, male 53.8
GTEX-1F5PL-0926-SM-7PC2W 40-49 years, female 53.5
GTEX-13PVQ-0626-SM-5LU47 50-59 years, male 53.2
GTEX-13OW5-2326-SM-5L3HO 60-69 years, male 53.1
GTEX-1JMLX-0626-SM-ARL8T 50-59 years, male 53.1
GTEX-X4EO-2926-SM-4E3JH 60-69 years, female 52.8
GTEX-1J1R8-2026-SM-CL53Y 40-49 years, male 52.5
GTEX-1QAET-0326-SM-EVR3U 50-59 years, male 52.4
GTEX-139YR-1026-SM-5LZYN 50-59 years, male 51.9
GTEX-1JMQJ-0826-SM-CNPP7 50-59 years, male 51.5
GTEX-1LSNL-2726-SM-E9TKJ 50-59 years, male 51.5
GTEX-1ICG6-1226-SM-A9SLN 70-79 years, female 51.4
GTEX-14753-0726-SM-5QGQO 60-69 years, male 51.2
GTEX-1GZHY-0626-SM-9KNVC 50-59 years, female 51.2
GTEX-13NYB-0126-SM-5J1MD 40-49 years, male 51.0
GTEX-1H4P4-2126-SM-9WYSL 50-59 years, male 50.7
GTEX-1CB4F-1026-SM-7DUH1 60-69 years, male 50.6
GTEX-11GSP-2326-SM-5HL63 60-69 years, female 50.4
GTEX-14PJ3-1126-SM-5ZZVX 50-59 years, male 50.4
GTEX-147JS-0226-SM-5S2U9 60-69 years, male 50.3
GTEX-1HC8U-1326-SM-9YFMJ 40-49 years, female 50.3
GTEX-16YQH-2226-SM-7IGM2 30-39 years, male 50.1
GTEX-1AX9I-2226-SM-73KUO 60-69 years, male 50.1
GTEX-183WM-0326-SM-72D5V 70-79 years, female 50.0
GTEX-1LG7Y-2526-SM-EWRO7 50-59 years, male 49.7
GTEX-145LT-0526-SM-5LUB2 40-49 years, male 49.6
GTEX-12WSK-2126-SM-5CVNC 40-49 years, female 49.4
GTEX-YEC4-1826-SM-4W1YP 40-49 years, male 49.4
GTEX-11NUK-2726-SM-5A5MC 50-59 years, male 49.3
GTEX-1GF9W-1426-SM-7PBYM 60-69 years, male 49.2
GTEX-ZY6K-1426-SM-5GZX2 50-59 years, male 49.1
GTEX-1J8Q2-2626-SM-ACKWQ 60-69 years, male 48.9
GTEX-1RLM8-2926-SM-E8VON 50-59 years, male 48.6
GTEX-11DXZ-2026-SM-5987S 50-59 years, male 48.5
GTEX-18A7A-0126-SM-731AH 50-59 years, female 48.5
GTEX-11DXY-0126-SM-5H11Q 60-69 years, male 48.4
GTEX-14LLW-2626-SM-62LDZ 70-79 years, female 48.4
GTEX-1477Z-0326-SM-7IGLA 60-69 years, male 48.3
GTEX-1C6WA-2626-SM-7MKGM 60-69 years, male 48.3
GTEX-1GMR2-0826-SM-7PC3V 50-59 years, male 48.2
GTEX-11P7K-1126-SM-5HL4L 30-39 years, male 48.0
GTEX-144GM-0526-SM-79OJO 20-29 years, male 47.9
GTEX-16NGA-0726-SM-731AO 40-49 years, female 47.9
GTEX-1A3MX-2626-SM-7PC24 60-69 years, male 47.9
GTEX-1117F-2926-SM-5GZYI 60-69 years, female 47.7
GTEX-147GR-2426-SM-5ZZWQ 60-69 years, male 47.6
GTEX-178AV-1726-SM-7KUL8 40-49 years, male 47.3
GTEX-1S5ZU-2526-SM-E6CIF 20-29 years, female 47.1
GTEX-13G51-1826-SM-5KLZH 60-69 years, male 46.8
GTEX-17F96-0126-SM-7EWDU 70-79 years, male 46.5
GTEX-1KANB-2826-SM-CY8I6 50-59 years, male 46.3
GTEX-ZLWG-0826-SM-59888 50-59 years, female 46.2
GTEX-16AAH-0626-SM-793C9 50-59 years, male 46.0
GTEX-15EU6-2226-SM-6EU2L 50-59 years, male 45.9
GTEX-1A8G7-1326-SM-73KVM 60-69 years, male 45.6
GTEX-1RAZS-2526-SM-E6CHT 50-59 years, male 45.6
GTEX-132AR-0326-SM-5KM2C 50-59 years, female 45.5
GTEX-1H1DG-2426-SM-9QEHJ 70-79 years, male 45.4
GTEX-1POEN-2326-SM-E9J2L 30-39 years, female 45.3
GTEX-131XH-0126-SM-5LZUY 50-59 years, male 45.0
GTEX-14ABY-2026-SM-62LDL 50-59 years, male 45.0
GTEX-13FTW-0326-SM-5K7UW 40-49 years, male 44.9
GTEX-13OW6-2726-SM-5J2OE 50-59 years, male 44.8
GTEX-12ZZY-0726-SM-5EQ66 60-69 years, male 44.7
GTEX-WYVS-1626-SM-3NM9R 40-49 years, female 44.6
GTEX-ZLFU-1826-SM-4WWBV 40-49 years, male 44.6
GTEX-YFCO-1226-SM-5LUAT 40-49 years, male 44.3
GTEX-1LKK1-2626-SM-DKPQE 50-59 years, female 44.3
GTEX-1GMR8-0626-SM-7RHI7 50-59 years, female 44.1
GTEX-ZPU1-1126-SM-4YCF3 40-49 years, male 44.0
GTEX-1S83E-1326-SM-E6CJM 40-49 years, male 43.7
GTEX-Y3IK-1626-SM-4YCF5 50-59 years, female 43.6
GTEX-13FTY-2126-SM-5IFFB 40-49 years, female 43.5
GTEX-12C56-1526-SM-5FQUQ 20-29 years, male 43.4
GTEX-1HR9M-2226-SM-CNPPY 60-69 years, male 43.2
GTEX-1F52S-2926-SM-7MKGA 60-69 years, female 43.0
GTEX-Y5V5-0126-SM-5S2NW 60-69 years, female 43.0
GTEX-ZAB4-2126-SM-5HL8U 40-49 years, male 42.9
GTEX-1JKYN-0826-SM-ARU8S 30-39 years, male 42.8
GTEX-1F75A-0726-SM-7RHHD 50-59 years, male 42.6
GTEX-1EWIQ-0326-SM-7DHMQ 70-79 years, female 42.5
GTEX-14AS3-1526-SM-5Q5ED 40-49 years, female 42.3
GTEX-15EO6-2426-SM-6PALZ 50-59 years, male 42.3
GTEX-11EQ8-0926-SM-5H12V 60-69 years, male 42.1
GTEX-111YS-1526-SM-5GZYW 60-69 years, male 41.9
GTEX-ZAK1-0626-SM-5HL8E 50-59 years, female 41.9
GTEX-X3Y1-2026-SM-3P5YM 40-49 years, male 41.7
GTEX-139UW-0326-SM-5J1ML 60-69 years, male 41.6
GTEX-1QW4Y-1126-SM-DTXE3 30-39 years, male 41.5
GTEX-1JMQI-1726-SM-ARL93 50-59 years, male 41.4
GTEX-1K2DA-1026-SM-CGQGF 50-59 years, male 41.2
GTEX-1JMQK-1226-SM-D4P2S 60-69 years, male 41.1
GTEX-18QFQ-1826-SM-72D52 30-39 years, male 40.9
GTEX-Y8E4-2026-SM-5IFJB 40-49 years, male 40.9
GTEX-148VJ-0626-SM-5LUAW 70-79 years, male 40.7
GTEX-13NYS-0626-SM-5L3F1 60-69 years, male 40.4
GTEX-14E1K-2026-SM-7DUEI 50-59 years, male 40.2
GTEX-XBED-1926-SM-47JYP 60-69 years, male 40.2
GTEX-1HKZK-0726-SM-ACKW2 40-49 years, male 40.2
GTEX-144FL-0626-SM-5LU43 50-59 years, male 40.0
GTEX-1CAMR-1326-SM-7PC1F 20-29 years, male 40.0
GTEX-1HCVE-2726-SM-CL54F 50-59 years, male 39.9
GTEX-1HBPM-0726-SM-9YFL7 60-69 years, female 39.6
GTEX-11NSD-0626-SM-5A5LU 20-29 years, male 39.5
GTEX-1JKYR-0626-SM-ARL8R 20-29 years, male 39.5
GTEX-1PPGY-1626-SM-EVYBL 60-69 years, male 39.4
GTEX-ZVT4-2426-SM-5GIEI 50-59 years, female 39.2
GTEX-1HGF4-0126-SM-CNPPX 60-69 years, male 39.1
GTEX-XPVG-2126-SM-4B667 50-59 years, male 39.0
GTEX-1IDJV-0126-SM-COH3Y 60-69 years, male 38.5
GTEX-Y5V6-2326-SM-4VDSA 60-69 years, male 38.3
GTEX-15ER7-0626-SM-6PANF 20-29 years, female 38.2
GTEX-ZXG5-2126-SM-59HKD 60-69 years, male 38.2
GTEX-15G19-2426-SM-7KUMR 60-69 years, male 38.0
GTEX-1GL5R-1326-SM-7RHHF 50-59 years, male 38.0
GTEX-WHWD-1826-SM-3LK6I 50-59 years, male 37.8
GTEX-1I1HK-2326-SM-CKZOH 60-69 years, male 37.7
GTEX-XAJ8-1426-SM-47JYM 40-49 years, male 37.4
GTEX-1H1DF-1126-SM-9WG7G 40-49 years, female 37.1
GTEX-139D8-1126-SM-5LU8W 30-39 years, female 37.0
GTEX-14PHX-2226-SM-6EU2P 50-59 years, male 36.9
GTEX-1497J-0226-SM-5QGPU 60-69 years, male 36.8
GTEX-1IDJI-0126-SM-CMKHS 50-59 years, female 36.7
GTEX-WHPG-2626-SM-3NMBR 50-59 years, male 36.6
GTEX-WEY5-2326-SM-3GIKK 40-49 years, female 36.5
GTEX-1HT8W-0626-SM-A9G2H 30-39 years, male 36.2
GTEX-145LU-1926-SM-79OJN 50-59 years, male 36.1
GTEX-1I4MK-0126-SM-CY8G6 50-59 years, female 36.1
GTEX-1HFI7-2326-SM-CGQFS 50-59 years, female 35.9
GTEX-13FHO-0426-SM-5L3F5 60-69 years, male 35.5
GTEX-XXEK-1626-SM-4BRUZ 50-59 years, male 35.3
GTEX-1GPI7-1826-SM-9KNU1 20-29 years, male 35.2
GTEX-XYKS-1426-SM-4BRUO 60-69 years, female 35.1
GTEX-1KAFJ-0126-SM-DIPEK 50-59 years, male 35.0
GTEX-1PBJJ-1026-SM-E76OS 30-39 years, male 35.0
GTEX-17F98-1326-SM-7DUEP 40-49 years, female 34.9
GTEX-WXYG-2026-SM-4E3IY 50-59 years, female 34.9
GTEX-1B8KZ-0326-SM-73KY4 50-59 years, male 34.8
GTEX-1PPH8-0126-SM-EWRN8 20-29 years, male 34.6
GTEX-W5X1-2526-SM-3GILC 40-49 years, female 34.5
GTEX-14E6E-0526-SM-793DN 30-39 years, male 34.2
GTEX-1MCC2-1826-SM-DIPEX 30-39 years, female 34.0
GTEX-1MJK3-0726-SM-E6CJC 20-29 years, male 33.7
GTEX-1S82P-2126-SM-E6CI5 60-69 years, female 33.6
GTEX-131XF-2626-SM-5EQ6K 60-69 years, male 33.5
GTEX-1CB4H-1126-SM-7MKGL 60-69 years, female 33.5
GTEX-ZA64-1026-SM-5HL8R 20-29 years, male 33.3
GTEX-1H3O1-1326-SM-9MQLD 60-69 years, male 33.3
GTEX-15RJ7-2126-SM-6PAMD 40-49 years, male 33.2
GTEX-1S3DN-2126-SM-E9TIN 50-59 years, male 33.2
GTEX-1EU9M-1426-SM-793AI 60-69 years, male 33.1
GTEX-1HSKV-1226-SM-ADEI4 60-69 years, male 33.1
GTEX-XQ8I-0926-SM-4BOOF 50-59 years, male 33.0
GTEX-145MN-1526-SM-5SI9T 30-39 years, male 32.9
GTEX-17HGU-2326-SM-7DUFE 50-59 years, male 32.9
GTEX-1GN1U-0626-SM-9MQL9 50-59 years, female 32.7
GTEX-133LE-2326-SM-5K7W3 20-29 years, female 32.5
GTEX-14C38-0726-SM-5SI6M 50-59 years, male 32.4
GTEX-1LVAN-0626-SM-CNPOQ 50-59 years, female 32.3
GTEX-13OW7-0426-SM-5K7VK 50-59 years, male 32.2
GTEX-ZVP2-0326-SM-57WBP 50-59 years, male 32.2
GTEX-1B932-2326-SM-79OL5 40-49 years, female 32.1
GTEX-Y8LW-1526-SM-5IFHL 50-59 years, female 32.0
GTEX-1AYD5-2626-SM-7PBXY 50-59 years, male 32.0
GTEX-YECK-0326-SM-4W1YS 60-69 years, male 31.8
GTEX-1R9PN-0426-SM-DTXDT 40-49 years, female 31.8
GTEX-ZC5H-1526-SM-5HL9Y 40-49 years, female 31.4
GTEX-1GN1W-2426-SM-9KNUU 50-59 years, female 31.4
GTEX-14PII-0726-SM-6EU2B 60-69 years, male 31.0
GTEX-1GMRU-2126-SM-7P8RA 50-59 years, male 30.8
GTEX-1GN2E-0226-SM-9WG6K 60-69 years, male 30.6
GTEX-11TUW-0626-SM-5LU9M 60-69 years, male 30.5
GTEX-13113-1626-SM-5EQ4I 60-69 years, female 30.5
GTEX-145MI-0626-SM-5SI8S 60-69 years, female 30.5
GTEX-18D9U-0126-SM-731BM 40-49 years, male 30.5
GTEX-ZGAY-1826-SM-DO91Q 40-49 years, female 30.5
GTEX-13D11-0926-SM-5J2NC 50-59 years, female 30.4
GTEX-Y9LG-1126-SM-4VBQ7 30-39 years, male 30.4
GTEX-1JN76-0626-SM-CKZOQ 20-29 years, female 30.1
GTEX-ZDTT-0426-SM-4WKFL 60-69 years, male 30.0
GTEX-1F5PK-2226-SM-7SB6N 50-59 years, male 30.0
GTEX-13O3Q-0126-SM-5KM34 50-59 years, male 29.7
GTEX-ZE7O-2726-SM-51MT5 50-59 years, female 29.6
GTEX-ZYVF-0926-SM-5E44J 50-59 years, female 29.6
GTEX-1LGRB-0926-SM-COH3K 50-59 years, female 29.2
GTEX-WY7C-2126-SM-3NB2R 50-59 years, male 29.1
GTEX-1LVAM-0726-SM-E6CIL 50-59 years, female 29.0
GTEX-13O61-1426-SM-5KM3D 60-69 years, male 28.9
GTEX-16BQI-1326-SM-6M486 30-39 years, female 28.9
GTEX-ZP4G-1426-SM-4WWCL 20-29 years, female 28.9
GTEX-131XG-0326-SM-5L3DX 50-59 years, female 28.8
GTEX-14PK6-0226-SM-62LF5 70-79 years, female 28.8
GTEX-13NZ8-1226-SM-5KM4A 60-69 years, female 28.7
GTEX-15G1A-1626-SM-7KUKN 30-39 years, male 28.6
GTEX-17EVP-2626-SM-7IGMA 40-49 years, male 28.6
GTEX-1GF9X-1326-SM-7PC2Y 40-49 years, female 28.6
GTEX-1K2DU-1226-SM-CYPT4 20-29 years, male 28.6
GTEX-11DXX-2126-SM-5PNYR 60-69 years, female 28.4
GTEX-15CHR-1126-SM-7EWF4 50-59 years, male 28.4
GTEX-15SKB-2826-SM-6PAMH 60-69 years, male 28.4
GTEX-11OF3-0126-SM-5PNYF 60-69 years, male 28.2
GTEX-13SLW-0626-SM-5Q5ER 70-79 years, male 27.9
GTEX-13W3W-0726-SM-5IJDQ 60-69 years, female 27.9
GTEX-1GF9V-0826-SM-9KNUV 60-69 years, male 27.8
GTEX-1N2DV-1526-SM-DTXEP 40-49 years, male 27.8
GTEX-13IVO-0726-SM-5LZYV 70-79 years, male 27.7
GTEX-ZDYS-2426-SM-4WKGI 50-59 years, male 27.6
GTEX-13PL6-1126-SM-5L3IE 40-49 years, female 27.5
GTEX-12ZZZ-0726-SM-5GCNZ 60-69 years, male 27.4
GTEX-13VXT-1926-SM-5K7UO 20-29 years, female 27.3
GTEX-1IKJJ-2226-SM-CJI4C 60-69 years, male 27.3
GTEX-1PDJ9-1226-SM-EXUSX 20-29 years, male 27.3
GTEX-145MH-2826-SM-5RQJF 50-59 years, male 27.2
GTEX-14C5O-0326-SM-5ZZUX 60-69 years, male 27.2
GTEX-1C475-1326-SM-7SB73 40-49 years, female 26.9
GTEX-11VI4-1126-SM-5EQMD 40-49 years, female 26.8
GTEX-1PPH7-1126-SM-DTX9A 40-49 years, male 26.8
GTEX-12WSH-1526-SM-5BC5W 50-59 years, male 26.7
GTEX-17F97-2626-SM-7IGM5 50-59 years, male 26.6
GTEX-1EKGG-0626-SM-7DUGJ 60-69 years, male 26.6
GTEX-13OVK-1426-SM-6PAN7 40-49 years, male 26.3
GTEX-1R7EU-1626-SM-DTXG3 60-69 years, male 26.2
GTEX-1AMEY-0826-SM-72D65 30-39 years, female 25.8
GTEX-18D9B-0926-SM-7LG4U 60-69 years, male 25.7
GTEX-17HII-1426-SM-7EPGG 50-59 years, male 25.5
GTEX-1B8KE-1126-SM-7EPHI 50-59 years, male 25.5
GTEX-1EMGI-2326-SM-7PBYA 60-69 years, male 25.4
GTEX-15RIG-0726-SM-7KUM7 40-49 years, male 25.1
GTEX-1H2FU-0926-SM-9WPPT 60-69 years, female 25.1
GTEX-1HSGN-0826-SM-ACKW3 40-49 years, female 25.1
GTEX-1F88F-0126-SM-9WYSZ 60-69 years, female 24.9
GTEX-1B8SF-0126-SM-7DUG3 60-69 years, male 24.8
GTEX-1RMOY-1326-SM-E9TIH 50-59 years, male 24.6
GTEX-1C2JI-1026-SM-73KY1 50-59 years, male 24.3
GTEX-1RAZQ-1326-SM-E9TK6 30-39 years, male 24.3
GTEX-1C6VQ-1226-SM-73KYD 50-59 years, male 24.2
GTEX-1J1OQ-0126-SM-D4P2N 40-49 years, female 23.9
GTEX-145ME-1726-SM-5Q5EU 40-49 years, female 23.8
GTEX-1IE54-1126-SM-A9G2Z 40-49 years, female 23.7
GTEX-X585-2426-SM-46MW2 50-59 years, male 23.4
GTEX-1269C-0126-SM-5EQ5L 60-69 years, female 23.3
GTEX-17KNJ-2126-SM-718AM 50-59 years, male 23.3
GTEX-13X6H-0926-SM-5SIB2 50-59 years, female 23.2
GTEX-1J8EW-2726-SM-CY8HR 60-69 years, female 23.1
GTEX-11LCK-2226-SM-5HL4Q 30-39 years, male 22.9
GTEX-1IDJU-1726-SM-CMKHU 60-69 years, female 22.9
GTEX-1F6RS-2026-SM-7RHHC 60-69 years, female 22.8
GTEX-144GL-0626-SM-5LU4D 50-59 years, male 22.7
GTEX-XV7Q-1826-SM-4BRUV 40-49 years, female 22.6
GTEX-1B8L1-2226-SM-7P8PT 60-69 years, male 22.4
GTEX-14B4R-1326-SM-5Q5EZ 30-39 years, male 22.3
GTEX-ZF2S-1626-SM-57WES 50-59 years, female 22.3
GTEX-17HHE-1326-SM-7EWDZ 50-59 years, male 22.2
GTEX-1EX96-1026-SM-7MKG2 50-59 years, male 22.2
GTEX-15FZZ-0526-SM-7KUGD 30-39 years, female 22.1
GTEX-XUW1-0926-SM-4BONX 50-59 years, female 21.9
GTEX-14A6H-2026-SM-5Q5DD 30-39 years, male 21.7
GTEX-X5EB-1926-SM-4E3IW 40-49 years, male 21.5
GTEX-14PHY-1226-SM-5ZZWK 60-69 years, female 21.4
GTEX-1J8Q3-0526-SM-ARL8U 60-69 years, male 21.4
GTEX-1JMPY-0226-SM-CKZOK 30-39 years, male 21.4
GTEX-15CHC-1126-SM-6LLHQ 60-69 years, female 21.3
GTEX-17F9Y-0126-SM-79OKX 70-79 years, female 21.3
GTEX-1KXAM-1626-SM-D3LAD 60-69 years, male 21.3
GTEX-1399U-1126-SM-5L3DB 50-59 years, female 21.2
GTEX-1H1DE-1326-SM-9KNUG 20-29 years, male 21.2
GTEX-111VG-1626-SM-5EGIO 60-69 years, male 20.9
GTEX-ZTSS-1426-SM-5985P 40-49 years, male 20.9
GTEX-1HCU7-0726-SM-A9SL1 50-59 years, male 20.8
GTEX-ZPIC-0526-SM-DO91W 40-49 years, female 20.8
GTEX-ZLV1-1526-SM-DO91J 60-69 years, female 20.7
GTEX-13FTX-1526-SM-5K7VJ 20-29 years, female 20.0
GTEX-ZZPU-0826-SM-5GZX5 50-59 years, female 19.8
GTEX-18A67-1626-SM-7LT9T 50-59 years, male 19.7
GTEX-1HCUA-0826-SM-ADEHM 50-59 years, female 19.7
GTEX-1IKOE-1426-SM-CE6T7 30-39 years, female 19.5
GTEX-11GS4-0226-SM-5HL77 60-69 years, male 19.4
GTEX-14PJ6-2626-SM-6EU2T 60-69 years, female 19.4
GTEX-11P81-2226-SM-5PNYI 30-39 years, female 19.0
GTEX-1AMFI-1326-SM-7939R 50-59 years, female 19.0
GTEX-14PJ5-1526-SM-6LLIL 60-69 years, female 18.8
GTEX-XBEW-1126-SM-4QARW 40-49 years, male 18.8
GTEX-ZYY3-2926-SM-5GIEB 60-69 years, female 18.8
GTEX-1JK1U-0226-SM-ARZMX 60-69 years, male 18.5
GTEX-1HBPN-0126-SM-CGQEF 50-59 years, male 18.4
GTEX-14PJN-1826-SM-6AJ98 30-39 years, male 18.2
GTEX-Y111-0626-SM-4SOIT 50-59 years, male 18.0
GTEX-1OJC4-2726-SM-E76PJ 50-59 years, female 18.0
GTEX-11ZU8-0126-SM-5EQ58 60-69 years, male 17.7
GTEX-1R46S-2426-SM-E76QA 60-69 years, female 17.4
GTEX-1313W-0626-SM-5EQ4H 50-59 years, female 17.3
GTEX-1J8QM-2426-SM-A9SLS 60-69 years, female 17.3
GTEX-1H3VE-0726-SM-9YFL5 40-49 years, male 17.2
GTEX-111CU-1126-SM-5EGIM 50-59 years, male 17.1
GTEX-13JVG-0726-SM-5KM16 60-69 years, male 16.9
GTEX-13PDP-0726-SM-5L3HP 60-69 years, male 16.7
GTEX-Y3I4-1726-SM-4TT89 50-59 years, male 16.7
GTEX-1QPFJ-1926-SM-EVYBD 30-39 years, female 16.7
GTEX-ZVT2-0126-SM-5GIDQ 50-59 years, female 16.6
GTEX-1CAMS-2226-SM-7PBXQ 40-49 years, female 16.6
GTEX-1CB4J-1326-SM-7P8RX 60-69 years, male 16.5
GTEX-1LB8K-0726-SM-D5OV2 50-59 years, male 16.5
GTEX-1GPI6-1926-SM-9KNV7 60-69 years, male 16.4
GTEX-1HSMQ-2626-SM-A9SML 50-59 years, male 16.3
GTEX-1B97I-0626-SM-73KUZ 40-49 years, male 16.2
GTEX-1399Q-2326-SM-5KM2X 40-49 years, male 16.1
GTEX-ZPCL-1126-SM-4WWFE 60-69 years, female 16.1
GTEX-1CB4E-0926-SM-7EPHT 60-69 years, male 15.7
GTEX-1GZ4H-0526-SM-9KNU9 50-59 years, female 15.0
GTEX-1S82U-1026-SM-E6CJK 30-39 years, female 15.0
GTEX-14PKU-0126-SM-6LLHV 40-49 years, female 14.9
GTEX-13QJC-0126-SM-5ZZWJ 60-69 years, female 14.8
GTEX-11ZTT-2126-SM-5CVLO 60-69 years, female 14.7
GTEX-1H11D-1826-SM-9QEHM 40-49 years, male 14.6
GTEX-1399S-0126-SM-5IJCF 30-39 years, female 14.5
GTEX-ZT9X-1526-SM-5DUXD 40-49 years, male 14.4
GTEX-1OJC3-1226-SM-DTXER 20-29 years, male 14.3
GTEX-1C6VR-0126-SM-7RHGB 60-69 years, male 13.9
GTEX-ZF29-0926-SM-4WKFZ 60-69 years, female 13.6
GTEX-Y114-2126-SM-4TT8B 50-59 years, female 13.4
GTEX-ZVZP-1226-SM-5GID7 50-59 years, male 13.3
GTEX-1GN73-0726-SM-7P8TJ 60-69 years, male 12.9
GTEX-12WSJ-1126-SM-5LZVJ 40-49 years, female 12.8
GTEX-1JJEA-1826-SM-ARU8P 60-69 years, male 12.6
GTEX-14PJ4-0226-SM-5YY92 60-69 years, male 11.3
GTEX-1NV5F-0626-SM-DTXEG 60-69 years, female 11.3
GTEX-11PRG-0726-SM-5EGL1 50-59 years, male 11.1
GTEX-14XAO-1226-SM-6EU1C 60-69 years, female 10.7
GTEX-14C39-1726-SM-5RQIL 40-49 years, male 10.6
GTEX-1I1GU-0926-SM-ACKVS 40-49 years, male 10.6
GTEX-1122O-1026-SM-9WYSF 60-69 years, female 10.2
GTEX-1QP28-1126-SM-EVYC4 50-59 years, female 10.1
GTEX-16MTA-0926-SM-6M47Z 50-59 years, male 10.0
GTEX-1I1GT-1026-SM-ARZLV 60-69 years, female 9.7
GTEX-1MCYP-0526-SM-E9U6Q 20-29 years, female 8.8
GTEX-WFG7-2026-SM-5SI7P 20-29 years, male 8.3
GTEX-1GN1V-2826-SM-9JGIA 60-69 years, male 8.2
GTEX-ZTX8-1326-SM-4YCEL 20-29 years, male 7.4
GTEX-1QP2A-1726-SM-E76QC 50-59 years, male 6.6
GTEX-WHSB-1326-SM-3LK6W 50-59 years, male 5.5
Show allShow less
Skin - Sun Exposed (Lower leg)
Average nTPM: 60.0
Samples: 701

Max nTPM: 588.7
Min nTPM: 7.6
Std nTPM: 39.7
Median nTPM: 51.8
GTEX-14E6C-0126-SM-5RQIP 40-49 years, male 588.7
GTEX-15EOM-0126-SM-7KUGG 20-29 years, female 259.6
GTEX-1PBJI-0526-SM-E8VNK 20-29 years, female 234.1
GTEX-1HSMO-0126-SM-CL547 60-69 years, male 226.4
GTEX-1R9PO-2126-SM-E9J4O 60-69 years, female 223.0
GTEX-17MF6-0126-SM-7LG4F 40-49 years, male 193.3
GTEX-131XW-0426-SM-5LZWP 50-59 years, female 192.9
GTEX-1QW4Y-1526-SM-EAZ3Z 30-39 years, male 185.4
GTEX-1N2EF-0226-SM-EYYXB 60-69 years, male 167.3
GTEX-14JIY-0126-SM-6LLH6 60-69 years, male 165.3
GTEX-117YW-2626-SM-5GZZH 50-59 years, male 162.7
GTEX-X62O-0126-SM-4E3JN 50-59 years, male 162.1
GTEX-139T8-0126-SM-5K7XZ 60-69 years, male 160.4
GTEX-11ZUS-0626-SM-59885 30-39 years, male 155.4
GTEX-VJWN-0126-SM-3GIK7 50-59 years, female 152.1
GTEX-X8HC-0126-SM-4E3JW 50-59 years, female 150.4
GTEX-1PPH7-2326-SM-EVYB8 40-49 years, male 149.6
GTEX-11TT1-2526-SM-5EGIB 20-29 years, male 149.5
GTEX-OXRP-0126-SM-3NB32 60-69 years, female 149.4
GTEX-1RAZQ-0726-SM-EAZ43 30-39 years, male 145.9
GTEX-1F75A-0126-SM-7RHGM 50-59 years, male 145.6
GTEX-1QP67-1626-SM-EAZ3X 40-49 years, female 144.6
GTEX-WOFL-0126-SM-3MJG2 60-69 years, male 143.3
GTEX-13O3Q-2426-SM-5IJBR 50-59 years, male 140.2
GTEX-1F75I-0326-SM-9YFLU 40-49 years, male 137.1
GTEX-1RLM8-2326-SM-EWRN4 50-59 years, male 137.0
GTEX-1F7RK-0126-SM-7PC2S 20-29 years, female 135.8
GTEX-Q2AG-0126-SM-33HBV 40-49 years, female 133.9
GTEX-1IL2V-0126-SM-CM2TX 70-79 years, male 130.6
GTEX-X4XY-0226-SM-4E3IZ 60-69 years, male 130.0
GTEX-V1D1-2226-SM-3NMAX 50-59 years, male 129.2
GTEX-1C6WA-0126-SM-7PC2B 60-69 years, male 128.5
GTEX-OIZG-0726-SM-33HBL 50-59 years, male 128.3
GTEX-11UD1-0126-SM-5PNYG 40-49 years, female 128.2
GTEX-ZQUD-1426-SM-57WER 30-39 years, male 127.7
GTEX-13N1W-0126-SM-5K7VT 70-79 years, male 127.3
GTEX-ZE9C-2726-SM-57WB5 60-69 years, male 125.5
GTEX-15D1Q-0126-SM-7KUG6 40-49 years, male 124.4
GTEX-1M4P7-0226-SM-DIPEV 60-69 years, male 122.2
GTEX-11DXW-0226-SM-5H122 40-49 years, male 121.9
GTEX-1I1HK-0126-SM-COH49 60-69 years, male 121.8
GTEX-S7PM-0126-SM-4AD6S 60-69 years, male 120.5
GTEX-16YQH-0126-SM-7DUFJ 30-39 years, male 118.9
GTEX-1GPI6-0126-SM-9WG69 60-69 years, male 118.5
GTEX-ZE7O-0126-SM-57WC1 50-59 years, female 118.3
GTEX-1JN1M-0326-SM-CYPT3 60-69 years, female 117.3
GTEX-1H3O1-0426-SM-9YFKY 60-69 years, male 117.2
GTEX-RUSQ-1526-SM-2TF62 50-59 years, male 116.6
GTEX-13RTJ-2426-SM-5S2Q2 60-69 years, male 115.8
GTEX-11WQC-2526-SM-5CVLE 60-69 years, male 115.6
GTEX-131XF-5016-SM-7MGWE 60-69 years, male 115.4
GTEX-14ICK-0226-SM-6EU25 40-49 years, male 114.6
GTEX-147F4-0226-SM-5QGPW 50-59 years, male 114.2
GTEX-113JC-2326-SM-5EQ4E 50-59 years, female 114.1
GTEX-1HBPH-0426-SM-B2LW5 40-49 years, female 113.8
GTEX-11ZU8-2526-SM-5EQKI 60-69 years, male 113.5
GTEX-132NY-0326-SM-5IJBL 60-69 years, male 113.1
GTEX-12WSA-0226-SM-5BC5V 60-69 years, male 111.9
GTEX-RN64-0126-SM-2TC68 50-59 years, male 110.8
GTEX-12WSG-2826-SM-E9J4H 50-59 years, female 110.0
GTEX-P44H-0226-SM-2XCEU 40-49 years, male 109.8
GTEX-148VJ-0126-SM-5TDDN 70-79 years, male 109.7
GTEX-12WSN-5019-SM-79OM6 40-49 years, male 109.1
GTEX-13FHO-0226-SM-5IFGY 60-69 years, male 108.4
GTEX-1CAMR-1926-SM-7EPI2 20-29 years, male 108.4
GTEX-1I1GR-0126-SM-CL55F 60-69 years, male 107.5
GTEX-14DAQ-0126-SM-5S2MQ 60-69 years, female 107.2
GTEX-1OJC4-0126-SM-E9J2E 50-59 years, female 106.8
GTEX-1HUB1-0426-SM-E9U4U 60-69 years, male 106.1
GTEX-11H98-0126-SM-5EGHG 50-59 years, male 105.7
GTEX-U8XE-0326-SM-3DB8P 30-39 years, male 105.2
GTEX-1N2DW-0226-SM-E9TK2 50-59 years, male 104.9
GTEX-1IGQW-0126-SM-COH42 60-69 years, male 104.5
GTEX-1GN1V-0126-SM-9WPOS 60-69 years, male 104.2
GTEX-147F3-0526-SM-5SI98 50-59 years, female 104.1
GTEX-146FR-1326-SM-E9J48 60-69 years, female 103.8
GTEX-16XZY-2126-SM-79OK1 70-79 years, male 103.5
GTEX-R45C-0126-SM-EAZ2R 60-69 years, female 103.2
GTEX-13OW7-0126-SM-5MR3B 50-59 years, male 103.0
GTEX-183FY-0126-SM-7LT9P 20-29 years, male 102.1
GTEX-13W46-0226-SM-5SIAG 50-59 years, male 101.8
GTEX-11P82-1626-SM-59879 20-29 years, male 100.7
GTEX-139T4-0226-SM-5HL5S 50-59 years, female 100.2
GTEX-1A3MW-0126-SM-73KXX 60-69 years, female 97.9
GTEX-12WSD-0126-SM-59HKN 60-69 years, female 97.8
GTEX-12126-0326-SM-5PNW3 20-29 years, male 96.9
GTEX-1B8SG-0126-SM-73KZ3 50-59 years, male 95.7
GTEX-1I1GP-2226-SM-CGQFK 50-59 years, male 95.2
GTEX-13OVL-0226-SM-5L3E9 50-59 years, male 95.0
GTEX-1IDFM-0126-SM-COH2V 60-69 years, male 94.9
GTEX-1LG7Y-0526-SM-DKPQC 50-59 years, male 94.9
GTEX-OHPM-0126-SM-2YUN9 50-59 years, male 94.6
GTEX-1LC47-0326-SM-E9TJP 60-69 years, male 94.6
GTEX-1HCVE-0126-SM-CGQEU 50-59 years, male 94.0
GTEX-146FH-0126-SM-5QGPP 50-59 years, female 93.6
GTEX-1H1DE-2126-SM-9WG6R 20-29 years, male 93.1
GTEX-14A5H-0426-SM-5QGQF 60-69 years, male 93.0
GTEX-1AYCT-2426-SM-7IGQ3 50-59 years, male 92.7
GTEX-11WQK-0526-SM-5EQLD 50-59 years, male 92.6
GTEX-11EMC-2926-SM-5EQ4F 60-69 years, female 92.3
GTEX-1EKGG-0226-SM-9WYTH 60-69 years, male 92.3
GTEX-14A6H-0126-SM-5QGPK 30-39 years, male 92.1
GTEX-1IKOH-0226-SM-COH4E 60-69 years, female 92.0
GTEX-1AMEY-1326-SM-73KYK 30-39 years, female 91.9
GTEX-1NHNU-1026-SM-E9J2A 50-59 years, male 91.6
GTEX-15UKP-0426-SM-7KUFQ 20-29 years, male 91.4
GTEX-11TTK-0126-SM-5987B 60-69 years, female 91.2
GTEX-14BIL-0126-SM-5SI92 50-59 years, male 91.0
GTEX-11GS4-2726-SM-5A5LE 60-69 years, male 90.9
GTEX-13O21-1426-SM-5K7XI 50-59 years, male 89.7
GTEX-SIU8-0126-SM-2XCDT 50-59 years, male 89.3
GTEX-16NPX-0226-SM-79OMT 50-59 years, male 89.0
GTEX-1ICLY-0126-SM-D4P36 50-59 years, male 89.0
GTEX-17HHE-2026-SM-79OKF 50-59 years, male 88.8
GTEX-X4EP-0126-SM-3P5YV 60-69 years, female 88.7
GTEX-1JJE9-0326-SM-CL53Z 70-79 years, male 88.7
GTEX-145MF-0626-SM-5LUAI 50-59 years, male 88.1
GTEX-1399T-2826-SM-5KLYZ 60-69 years, male 88.0
GTEX-145LT-1726-SM-5QGP3 40-49 years, male 86.6
GTEX-SJXC-0126-SM-2XCFF 60-69 years, male 85.9
GTEX-OXRO-0126-SM-2YUN4 60-69 years, female 85.6
GTEX-1LNCM-1126-SM-E9U5E 50-59 years, female 84.9
GTEX-R55E-0126-SM-2TC5Y 20-29 years, male 84.8
GTEX-1B933-0126-SM-7PC29 50-59 years, female 84.8
GTEX-16XZZ-0126-SM-793DV 60-69 years, male 84.7
GTEX-WVJS-0126-SM-4MVOT 50-59 years, male 84.3
GTEX-11ZVC-2526-SM-5FQTE 50-59 years, female 83.8
GTEX-113IC-0126-SM-5HL6T 60-69 years, male 83.7
GTEX-1MCYP-1926-SM-E9J2R 20-29 years, female 83.4
GTEX-1F88F-2726-SM-7PBZZ 60-69 years, female 83.0
GTEX-18465-0126-SM-731BN 50-59 years, male 82.6
GTEX-13NYS-0126-SM-5MR3W 60-69 years, male 81.5
GTEX-1C6VQ-0126-SM-7P8RI 50-59 years, male 80.8
GTEX-11O72-0126-SM-59887 40-49 years, male 80.4
GTEX-148VI-1626-SM-5SI6E 60-69 years, female 80.4
GTEX-1GF9U-2126-SM-7SB7L 40-49 years, female 79.8
GTEX-1QCLY-0326-SM-E8VOG 30-39 years, male 79.5
GTEX-15SDE-2226-SM-7IGLO 50-59 years, female 79.2
GTEX-ZDTS-0126-SM-4WAY5 60-69 years, male 79.0
GTEX-PLZ4-0126-SM-5SI8O 50-59 years, female 78.8
GTEX-1JKYR-0126-SM-CNPOJ 20-29 years, male 78.1
GTEX-1POEN-0126-SM-EYYXJ 30-39 years, female 78.0
GTEX-14E7W-0126-SM-6LLJ9 70-79 years, male 77.4
GTEX-1H1CY-2826-SM-9MQM3 60-69 years, female 77.3
GTEX-1192W-2626-SM-5Q5AF 60-69 years, male 77.1
GTEX-1JMOU-1526-SM-CL54I 60-69 years, female 77.1
GTEX-1F6IF-0726-SM-7P8TW 60-69 years, male 76.9
GTEX-14LLW-0126-SM-6LLIO 70-79 years, female 76.8
GTEX-13VXU-0126-SM-5SI9F 50-59 years, male 76.5
GTEX-WZTO-0126-SM-3NM95 40-49 years, male 76.5
GTEX-1QP29-0626-SM-EWRMX 50-59 years, male 76.3
GTEX-ZTPG-0326-SM-5O9AX 20-29 years, female 76.2
GTEX-1GN1W-0526-SM-9MQJQ 50-59 years, female 76.2
GTEX-1K2DU-2326-SM-E9TIV 20-29 years, male 76.2
GTEX-11EM3-2426-SM-59861 20-29 years, female 76.1
GTEX-ZYW4-0126-SM-5E44A 60-69 years, male 76.1
GTEX-1KD5A-0226-SM-D5OV3 50-59 years, male 76.0
GTEX-ZVT3-0126-SM-5GU6I 60-69 years, female 75.7
GTEX-SN8G-0126-SM-32PLI 50-59 years, female 75.6
GTEX-PW2O-1526-SM-7RHHB 20-29 years, male 75.5
GTEX-QDT8-0126-SM-48TZ1 30-39 years, female 75.1
GTEX-RVPV-0126-SM-EAZAW 60-69 years, male 75.1
GTEX-QDVJ-1726-SM-2I5FX 50-59 years, male 74.8
GTEX-131XG-2626-SM-5KM17 50-59 years, female 74.6
GTEX-1I6K6-0126-SM-A9SLE 30-39 years, male 74.5
GTEX-X4EO-0326-SM-3P5YO 60-69 years, female 74.2
GTEX-1GPI7-0126-SM-9MQL8 20-29 years, male 74.2
GTEX-ZAB4-0226-SM-5N9F5 40-49 years, male 73.8
GTEX-1A3MV-1926-SM-718BT 30-39 years, male 73.7
GTEX-13OVJ-0126-SM-5KM36 50-59 years, female 73.6
GTEX-1GTWX-0126-SM-9YFLK 60-69 years, male 73.6
GTEX-1H3VY-0126-SM-ACKXD 50-59 years, male 73.4
GTEX-UPJH-0326-SM-3GADU 50-59 years, male 73.3
GTEX-PWCY-1826-SM-DHXIZ 20-29 years, female 72.9
GTEX-ZUA1-0126-SM-5GU76 40-49 years, male 72.7
GTEX-1F48J-0126-SM-7P8TT 50-59 years, female 72.7
GTEX-111VG-2426-SM-5GZXD 60-69 years, male 72.6
GTEX-1HBPI-1526-SM-C1YQ1 50-59 years, male 72.6
GTEX-1A32A-0126-SM-718B1 50-59 years, female 72.5
GTEX-14BIM-0226-SM-7IGLD 60-69 years, female 72.2
GTEX-1AX9I-0126-SM-7SB74 60-69 years, male 71.6
GTEX-1F6I4-0126-SM-9MQL2 60-69 years, male 71.6
GTEX-1HCU8-0626-SM-A9SM9 60-69 years, female 71.5
GTEX-1QP2A-0126-SM-E9J43 50-59 years, male 71.5
GTEX-1C64O-0126-SM-7SB8P 60-69 years, male 70.9
GTEX-1AX8Z-0126-SM-7DHM6 60-69 years, male 70.8
GTEX-11NUK-0126-SM-5A5L3 50-59 years, male 70.7
GTEX-YJ8A-0426-SM-5IFID 20-29 years, male 70.6
GTEX-13NZA-0226-SM-5K7Z7 60-69 years, male 70.5
GTEX-1I1CD-0126-SM-CM2TK 60-69 years, female 70.4
GTEX-RU72-0926-SM-2TF6B 50-59 years, female 70.3
GTEX-1KANA-0726-SM-D3L9I 20-29 years, male 69.8
GTEX-145MO-0326-SM-5Q5B3 60-69 years, male 69.4
GTEX-XMD2-0126-SM-4YCDU 60-69 years, female 69.4
GTEX-ZZPT-0226-SM-5E43X 50-59 years, male 69.4
GTEX-14E6D-0126-SM-62LDV 50-59 years, male 69.1
GTEX-15UF6-0826-SM-6PALJ 70-79 years, female 69.1
GTEX-S33H-1026-SM-EZ6L6 30-39 years, male 69.1
GTEX-1ICG6-2526-SM-CGQFZ 70-79 years, female 68.8
GTEX-1HKZK-0326-SM-9WYUH 40-49 years, male 68.7
GTEX-QEG4-0226-SM-2S1PY 30-39 years, male 68.2
GTEX-W5X1-3026-SM-EAZAX 40-49 years, female 68.2
GTEX-U3ZH-2026-SM-3DB78 30-39 years, male 68.1
GTEX-1R7EV-2426-SM-EVYBG 40-49 years, male 68.1
GTEX-1HBPM-0226-SM-ARL9F 60-69 years, female 67.9
GTEX-147GR-0526-SM-5S2MY 60-69 years, male 67.8
GTEX-TMZS-0126-SM-3DB9Q 60-69 years, male 67.8
GTEX-17MFQ-1726-SM-793C7 20-29 years, male 67.5
GTEX-QV44-1926-SM-2S1RF 50-59 years, male 67.3
GTEX-11GSP-2526-SM-5N9BP 60-69 years, female 67.1
GTEX-13YAN-0326-SM-5O9DF 60-69 years, male 67.1
GTEX-1HSMP-0126-SM-E6CJS 70-79 years, male 67.0
GTEX-17EUY-0426-SM-793BD 20-29 years, male 66.9
GTEX-ZU9S-0226-SM-5E441 30-39 years, male 66.4
GTEX-13U4I-0126-SM-5LU38 40-49 years, female 66.3
GTEX-14PJ3-1826-SM-62LEX 50-59 years, male 66.2
GTEX-1EU9M-0226-SM-7P8SP 60-69 years, male 66.2
GTEX-1GZ2Q-0226-SM-7P8TL 40-49 years, male 66.1
GTEX-13FTX-1826-SM-5J1NX 20-29 years, female 65.9
GTEX-1IY9M-0126-SM-D3L8S 60-69 years, male 65.9
GTEX-1AYD5-2426-SM-73KXR 50-59 years, male 65.8
GTEX-13FTY-0526-SM-5L3EV 40-49 years, female 65.4
GTEX-1PIGE-0126-SM-EVYBJ 20-29 years, male 65.4
GTEX-15CHC-2126-SM-6EU21 60-69 years, female 65.0
GTEX-18A66-0226-SM-718BD 60-69 years, male 65.0
GTEX-1497J-2426-SM-7IGNX 60-69 years, male 64.8
GTEX-14ABY-0226-SM-5TDCQ 50-59 years, male 64.8
GTEX-14PHW-0126-SM-6LLJI 60-69 years, female 64.7
GTEX-15SB6-1726-SM-6PAME 50-59 years, female 64.6
GTEX-PWO3-1526-SM-48TCM 60-69 years, female 64.5
GTEX-1GN2E-0426-SM-9MQKX 60-69 years, male 64.4
GTEX-1LSNM-1926-SM-E6CII 50-59 years, male 64.4
GTEX-1JKYN-1326-SM-CGQG9 30-39 years, male 64.3
GTEX-13CF2-2526-SM-5LZYX 60-69 years, male 63.7
GTEX-11DZ1-0126-SM-5985Q 50-59 years, male 63.5
GTEX-1LBAC-0126-SM-DIPEZ 20-29 years, male 63.2
GTEX-X585-0226-SM-4QAS2 50-59 years, male 63.1
GTEX-1I19N-0326-SM-ACKVX 70-79 years, male 63.1
GTEX-S7SE-0126-SM-2XCD5 50-59 years, male 63.0
GTEX-1A3MX-0126-SM-731BR 60-69 years, male 62.8
GTEX-T2YK-0526-SM-32QPJ 50-59 years, male 62.8
GTEX-1J1R8-1726-SM-ARL8M 40-49 years, male 62.8
GTEX-1LH75-2426-SM-E9TJE 50-59 years, female 62.8
GTEX-13SLX-0526-SM-5S2ON 50-59 years, female 62.5
GTEX-15DDE-0126-SM-6LPKH 50-59 years, female 62.4
GTEX-183WM-0126-SM-7LTAB 70-79 years, female 62.4
GTEX-ZAJG-0126-SM-5HL94 50-59 years, female 62.4
GTEX-13RTL-0126-SM-7LG5S 40-49 years, male 62.3
GTEX-15SHW-0326-SM-6PAML 60-69 years, male 62.3
GTEX-13O1R-0126-SM-5L3EH 60-69 years, male 62.2
GTEX-17EVQ-0226-SM-7LG4P 70-79 years, male 62.2
GTEX-11TUW-2726-SM-E9J4M 60-69 years, male 62.0
GTEX-11GSO-2426-SM-5A5LY 60-69 years, male 61.9
GTEX-15DYW-0126-SM-7KULE 60-69 years, female 61.8
GTEX-14C5O-0126-SM-5SI6N 60-69 years, male 61.7
GTEX-1NV5F-0226-SM-E8VNY 60-69 years, female 61.2
GTEX-11DXY-2626-SM-5GIE7 60-69 years, male 61.1
GTEX-13QJ3-0326-SM-5S2RA 50-59 years, male 61.1
GTEX-1C64N-0126-SM-793D7 50-59 years, male 61.0
GTEX-QCQG-1726-SM-3GIJ9 50-59 years, female 61.0
GTEX-1C2JI-1826-SM-73KXC 50-59 years, male 60.6
GTEX-QESD-1426-SM-2S1R9 20-29 years, male 60.5
GTEX-13NZ8-0826-SM-5MR3I 60-69 years, female 60.2
GTEX-18A7A-0226-SM-718BH 50-59 years, female 60.2
GTEX-1H4P4-0726-SM-9YFLR 50-59 years, male 60.1
GTEX-1IE54-0126-SM-CMKHW 40-49 years, female 60.1
GTEX-1N2DV-0226-SM-E6CJ6 40-49 years, male 60.1
GTEX-13G51-2526-SM-5LZYK 60-69 years, male 60.0
GTEX-TML8-1926-SM-32QOS 40-49 years, female 60.0
GTEX-13PDP-0126-SM-5L3HD 60-69 years, male 59.8
GTEX-Y8DK-0126-SM-4TT3L 60-69 years, male 59.7
GTEX-1I1GS-0126-SM-B2LVW 60-69 years, male 59.6
GTEX-VUSG-2526-SM-4KL1V 50-59 years, male 59.5
GTEX-RNOR-0126-SM-E9J4R 50-59 years, female 59.5
GTEX-13X6I-0626-SM-5QGP9 60-69 years, male 59.0
GTEX-17HG3-2226-SM-7938L 30-39 years, female 59.0
GTEX-1KWVE-1426-SM-E9TJO 30-39 years, male 59.0
GTEX-11UD2-0226-SM-5EQKY 50-59 years, male 58.9
GTEX-12ZZX-0126-SM-5EGK9 40-49 years, female 58.8
GTEX-Q2AH-1626-SM-3GAF8 40-49 years, male 58.8
GTEX-U4B1-1826-SM-4DXSU 40-49 years, male 58.8
GTEX-U3ZN-2326-SM-3DB7W 30-39 years, female 58.6
GTEX-16MT8-0426-SM-7KUEY 60-69 years, female 58.5
GTEX-1MA7X-2226-SM-E6CIY 60-69 years, male 58.5
GTEX-T8EM-1026-SM-3DB7M 40-49 years, male 58.4
GTEX-Y111-0126-SM-4SOIV 50-59 years, male 58.4
GTEX-X638-0126-SM-47JZ8 70-79 years, female 58.3
GTEX-11NSD-2226-SM-5986V 20-29 years, male 58.2
GTEX-1JMQJ-0526-SM-CYPSU 50-59 years, male 58.2
GTEX-139D8-0226-SM-5KLZO 30-39 years, female 58.0
GTEX-1S82Y-2026-SM-EVYCM 40-49 years, male 58.0
GTEX-12ZZZ-0626-SM-5DUXI 60-69 years, male 57.8
GTEX-13OVK-2026-SM-7KUEO 40-49 years, male 57.4
GTEX-1LB8K-0226-SM-EWRNW 50-59 years, male 57.4
GTEX-1B8L1-2526-SM-9WYTF 60-69 years, male 57.1
GTEX-1H1DG-0126-SM-9WYU2 70-79 years, male 57.1
GTEX-12584-0126-SM-5EGKQ 40-49 years, male 57.0
GTEX-1MUQO-0126-SM-EAZ58 60-69 years, male 56.9
GTEX-14PK6-1926-SM-6ETZU 70-79 years, female 56.7
GTEX-11OC5-0126-SM-5HL6A 60-69 years, male 56.6
GTEX-1I1GV-0526-SM-A9G29 60-69 years, male 56.5
GTEX-18A6Q-0126-SM-731BZ 60-69 years, male 56.1
GTEX-13NZB-2526-SM-5J1OM 30-39 years, male 56.0
GTEX-WRHK-1426-SM-3MJF9 20-29 years, female 56.0
GTEX-17HGU-0226-SM-7DHKV 50-59 years, male 55.9
GTEX-1B996-0226-SM-7RHGO 60-69 years, male 55.9
GTEX-11ZTS-0126-SM-5EQ6M 60-69 years, female 55.8
GTEX-1314G-1526-SM-5EGK2 30-39 years, male 55.8
GTEX-ZAB5-1826-SM-5HL7C 50-59 years, male 55.8
GTEX-13IVO-0126-SM-5J1NG 70-79 years, male 55.6
GTEX-WH7G-2326-SM-3NMBC 40-49 years, male 55.6
GTEX-1H1ZS-0426-SM-9WG6G 70-79 years, male 55.6
GTEX-1J8Q2-0526-SM-CM2RW 60-69 years, male 55.6
GTEX-146FQ-0126-SM-5NQA9 30-39 years, male 55.4
GTEX-17F97-0326-SM-7LG5B 50-59 years, male 55.4
GTEX-1IKK5-0626-SM-ARL8A 60-69 years, male 55.4
GTEX-ZF3C-0126-SM-DO92D 50-59 years, female 55.4
GTEX-ZVE2-0226-SM-59HJB 50-59 years, male 55.2
GTEX-QDVN-2026-SM-3GAEP 50-59 years, male 55.0
GTEX-1H23P-0126-SM-ADEJ3 60-69 years, male 55.0
GTEX-XQ3S-1526-SM-4BOOC 20-29 years, male 54.9
GTEX-RTLS-0126-SM-447CA 60-69 years, female 54.8
GTEX-ZDXO-3026-SM-5J1N5 60-69 years, male 54.8
GTEX-1GN73-0226-SM-9WG67 60-69 years, male 54.8
GTEX-1J8JJ-0226-SM-CL53I 60-69 years, female 54.8
GTEX-1MCQQ-0826-SM-DLHC2 60-69 years, male 54.6
GTEX-1GF9X-2026-SM-7PC3A 40-49 years, female 54.5
GTEX-1JMPY-1326-SM-ARL8Y 30-39 years, male 54.1
GTEX-P4PQ-0126-SM-2S1NM 60-69 years, male 53.9
GTEX-ZYFD-0126-SM-5GIDL 50-59 years, male 53.8
GTEX-1RB15-2126-SM-E9TIM 60-69 years, male 53.8
GTEX-144FL-0126-SM-5TDC8 50-59 years, male 53.7
GTEX-15G19-0126-SM-6PANQ 60-69 years, male 53.5
GTEX-1H2FU-0126-SM-9WYSI 60-69 years, female 53.5
GTEX-SUCS-1926-SM-32PM3 70-79 years, male 53.4
GTEX-1HCU6-0126-SM-CL54K 60-69 years, female 53.4
GTEX-1HGF4-2426-SM-ACKXM 60-69 years, male 53.3
GTEX-13O3P-0126-SM-5KM4S 50-59 years, male 53.2
GTEX-1C4CL-0526-SM-73KVK 30-39 years, male 53.2
GTEX-1CB4G-0226-SM-7PC3O 60-69 years, male 53.1
GTEX-Q734-1926-SM-2I5EV 40-49 years, female 53.0
GTEX-14JG6-2226-SM-6EU2G 30-39 years, female 52.6
GTEX-WYVS-2126-SM-3NMA3 40-49 years, female 52.6
GTEX-13X6J-0126-SM-5QGOU 50-59 years, male 52.4
GTEX-13OW8-1326-SM-5J1OW 60-69 years, male 52.3
GTEX-1AMFI-2026-SM-731BH 50-59 years, female 52.2
GTEX-1H3VE-0326-SM-9YFLH 40-49 years, male 52.2
GTEX-14DAR-2026-SM-5S2O3 50-59 years, male 51.8
GTEX-1E1VI-0126-SM-7DHMZ 50-59 years, male 51.8
GTEX-OXRN-0126-SM-48TDM 50-59 years, male 51.8
GTEX-U3ZM-1526-SM-3DB9D 40-49 years, male 51.8
GTEX-13FHP-0126-SM-5IJBG 50-59 years, male 51.7
GTEX-ZEX8-2426-SM-4WKG4 50-59 years, male 51.7
GTEX-139TT-0126-SM-5K7Y5 60-69 years, male 51.6
GTEX-131XH-2226-SM-5DUXJ 50-59 years, male 51.5
GTEX-14BIN-0626-SM-793DP 50-59 years, female 51.5
GTEX-16AAH-1726-SM-7939C 50-59 years, male 51.2
GTEX-XUYS-0126-SM-47JWZ 50-59 years, male 51.2
GTEX-13JUV-2726-SM-5LZZ8 40-49 years, female 51.1
GTEX-14PN3-2426-SM-6LLHS 60-69 years, female 51.1
GTEX-1QEPI-0126-SM-EWRMQ 60-69 years, female 51.1
GTEX-XQ8I-0426-SM-4BOPO 50-59 years, male 51.0
GTEX-12ZZY-0226-SM-5LZVE 60-69 years, male 50.8
GTEX-17F98-0626-SM-79OMX 40-49 years, female 50.8
GTEX-1192X-0226-SM-5H12D 50-59 years, male 50.6
GTEX-SSA3-0126-SM-32QPU 60-69 years, male 50.6
GTEX-1KANB-0526-SM-E6CJH 50-59 years, male 50.6
GTEX-13W3W-2426-SM-5LU5B 60-69 years, female 50.3
GTEX-1EMGI-0126-SM-9KNUE 60-69 years, male 50.3
GTEX-T2IS-0126-SM-4DM6O 20-29 years, female 50.2
GTEX-Y3IK-2426-SM-4WWDU 50-59 years, female 49.7
GTEX-1JMPZ-0226-SM-CNPP1 30-39 years, male 49.7
GTEX-1313W-0126-SM-5LZUN 50-59 years, female 49.5
GTEX-PVOW-0126-SM-2XCFA 40-49 years, male 49.5
GTEX-1H3NZ-0126-SM-ACKX7 60-69 years, male 49.5
GTEX-1RDX4-0126-SM-E9J4P 50-59 years, female 49.5
GTEX-139TU-0126-SM-5K7WH 60-69 years, male 49.4
GTEX-TKQ1-1026-SM-4GICL 30-39 years, male 49.4
GTEX-1IL2U-0226-SM-CE6T8 60-69 years, male 49.4
GTEX-1LGOU-2026-SM-DIPFF 20-29 years, female 49.4
GTEX-17HII-0226-SM-7LG4E 50-59 years, male 49.3
GTEX-Z93S-0126-SM-5HL7M 50-59 years, male 49.2
GTEX-1HFI6-0226-SM-ADEHZ 40-49 years, male 49.0
GTEX-1GN1U-0126-SM-7PBZK 50-59 years, female 48.9
GTEX-ZVT4-0126-SM-DTXFN 50-59 years, female 48.9
GTEX-1EX96-1626-SM-7PBXR 50-59 years, male 48.8
GTEX-1F75B-0126-SM-9KNVL 50-59 years, male 48.8
GTEX-11OF3-2626-SM-5GU7F 60-69 years, male 48.7
GTEX-QLQW-1126-SM-2S1Q8 30-39 years, male 48.7
GTEX-R3RS-0126-SM-3GIJL 40-49 years, female 48.7
GTEX-YEC4-2126-SM-5IFJH 40-49 years, male 48.7
GTEX-14753-0426-SM-5NQAM 60-69 years, male 48.6
GTEX-1EN7A-0126-SM-7SB81 40-49 years, male 48.4
GTEX-117YX-2326-SM-5H12W 50-59 years, male 48.3
GTEX-WI4N-1026-SM-3LK7N 40-49 years, female 48.3
GTEX-13O3O-0126-SM-E9J49 60-69 years, female 48.2
GTEX-15DCD-0126-SM-7KUEK 70-79 years, female 48.1
GTEX-15ETS-0126-SM-7KUMW 40-49 years, female 48.0
GTEX-1JMQI-2226-SM-CM2SD 50-59 years, male 47.9
GTEX-OOBK-0126-SM-2YUND 40-49 years, male 47.8
GTEX-1EWIQ-0126-SM-7RHH2 70-79 years, female 47.4
GTEX-1GZ4H-1726-SM-7PBZJ 50-59 years, female 47.4
GTEX-1IDJH-0326-SM-A9SLQ 70-79 years, male 47.4
GTEX-1J8Q3-1626-SM-CMKGC 60-69 years, male 47.3
GTEX-1JN6P-0126-SM-D3L98 60-69 years, male 47.2
GTEX-13OVI-1426-SM-5L3EY 60-69 years, female 46.8
GTEX-1O97I-0326-SM-EYYX7 60-69 years, male 46.8
GTEX-13113-5016-SM-7EPIP 60-69 years, female 46.7
GTEX-XUW1-0426-SM-4BOOT 50-59 years, female 46.7
GTEX-131YS-0126-SM-5KM1M 60-69 years, female 46.6
GTEX-T5JC-0426-SM-32PLO 20-29 years, male 46.6
GTEX-X261-0126-SM-3NMD6 50-59 years, male 46.6
GTEX-1IDJF-0126-SM-CM2RS 20-29 years, male 46.6
GTEX-1J8EW-0126-SM-CJI4F 60-69 years, female 46.6
GTEX-11EI6-0126-SM-5985R 60-69 years, male 46.3
GTEX-11P7K-2126-SM-5GU7G 30-39 years, male 46.3
GTEX-14LZ3-0226-SM-62LET 60-69 years, female 46.3
GTEX-Z93T-0126-SM-5HL5N 50-59 years, male 46.3
GTEX-11P81-2326-SM-59875 30-39 years, female 46.2
GTEX-144GN-2326-SM-5LU4F 50-59 years, male 46.1
GTEX-1RQEC-0426-SM-E6CHU 60-69 years, male 46.1
GTEX-1HT8W-0126-SM-CNPPP 30-39 years, male 45.9
GTEX-Y5LM-1926-SM-5RQJH 40-49 years, female 45.8
GTEX-14A5I-0126-SM-5TDEA 50-59 years, female 45.6
GTEX-1GMRU-0126-SM-9YFLV 50-59 years, male 45.5
GTEX-1J8QM-2126-SM-CYPSJ 60-69 years, female 45.5
GTEX-18QFQ-0126-SM-731BE 30-39 years, male 45.4
GTEX-TSE9-0126-SM-3DB83 60-69 years, female 45.4
GTEX-ZVT2-2526-SM-51MT1 50-59 years, female 45.4
GTEX-1K9T9-0126-SM-EVYCF 50-59 years, female 45.4
GTEX-1QP66-1726-SM-E8VO1 50-59 years, male 45.4
GTEX-OXRL-0126-SM-2YUMP 50-59 years, male 45.2
GTEX-1CB4F-0426-SM-9KNV4 60-69 years, male 45.2
GTEX-1HR98-0126-SM-B2LWI 60-69 years, male 45.2
GTEX-1PWST-0226-SM-E76QJ 70-79 years, male 45.2
GTEX-ZAK1-0126-SM-5IJD3 50-59 years, female 45.1
GTEX-1RAZA-0126-SM-E6CI3 20-29 years, male 45.0
GTEX-14PN4-0126-SM-6EU2V 50-59 years, male 44.8
GTEX-1H1E6-1726-SM-ACKVK 30-39 years, male 44.8
GTEX-WQUQ-0426-SM-3MJFU 60-69 years, male 44.6
GTEX-U412-0426-SM-3DB9O 60-69 years, male 44.5
GTEX-13VXT-0126-SM-5LU4I 20-29 years, female 44.4
GTEX-12WSC-0126-SM-5EQ4P 50-59 years, male 44.2
GTEX-1C6VR-2426-SM-79OLD 60-69 years, male 44.2
GTEX-18A67-0126-SM-7LG5P 50-59 years, male 44.1
GTEX-1IOXB-0126-SM-ARL8G 50-59 years, male 43.5
GTEX-OIZF-0126-SM-7SB8I 60-69 years, male 43.5
GTEX-14BMV-0126-SM-5S2PO 50-59 years, male 43.2
GTEX-QVJO-1626-SM-2S1QW 60-69 years, female 43.0
GTEX-1JK1U-2026-SM-CM2RZ 60-69 years, male 42.9
GTEX-1128S-2326-SM-5GZZY 60-69 years, female 42.8
GTEX-S95S-1226-SM-4GICG 60-69 years, male 42.8
GTEX-ZYFC-0226-SM-5NQ75 50-59 years, male 42.8
GTEX-ZPIC-1726-SM-DHXIU 40-49 years, female 42.8
GTEX-12KS4-0326-SM-5EQ41 30-39 years, male 42.7
GTEX-14PJM-0226-SM-62LF1 50-59 years, female 42.7
GTEX-144GL-0126-SM-5TDE2 50-59 years, male 42.6
GTEX-PLZ6-1426-SM-DKPOT 30-39 years, male 42.6
GTEX-17HHY-0126-SM-7LG5D 50-59 years, male 42.4
GTEX-1ICLZ-0126-SM-CKZPO 60-69 years, male 42.3
GTEX-1399U-2326-SM-5K7WY 50-59 years, female 42.2
GTEX-NPJ8-0126-SM-2YUNR 40-49 years, male 42.2
GTEX-1JN76-0126-SM-CNPPE 20-29 years, female 42.2
GTEX-1PPH8-0226-SM-E8VND 20-29 years, male 42.2
GTEX-YFC4-0126-SM-5CVLY 40-49 years, female 42.1
GTEX-1269C-2526-SM-5EGJ3 60-69 years, female 42.0
GTEX-13NYC-0326-SM-E9J4S 60-69 years, male 42.0
GTEX-1KAFJ-2026-SM-CY8ID 50-59 years, male 42.0
GTEX-1KD4Q-0226-SM-E9TJ9 40-49 years, male 42.0
GTEX-OOBJ-0126-SM-E6CJW 60-69 years, male 41.9
GTEX-1HB9E-0226-SM-E9U4R 50-59 years, male 41.8
GTEX-1S3DN-2226-SM-EVYCD 50-59 years, male 41.8
GTEX-139TS-2826-SM-5J1OO 60-69 years, male 41.7
GTEX-139UW-2826-SM-5L3E7 60-69 years, male 41.7
GTEX-RWSA-0126-SM-2XCBB 40-49 years, male 41.7
GTEX-XBED-2226-SM-47JYQ 60-69 years, male 41.7
GTEX-18A7B-0126-SM-7LG64 70-79 years, male 41.5
GTEX-1B8KZ-2026-SM-7DHMB 50-59 years, male 41.4
GTEX-13OW6-0426-SM-5L3HM 50-59 years, male 41.1
GTEX-Y5V6-2426-SM-4VDSB 60-69 years, male 41.1
GTEX-169BO-1326-SM-9MQK2 50-59 years, male 41.0
GTEX-1CAV2-2226-SM-7P8P2 40-49 years, female 40.8
GTEX-1R7EU-0226-SM-EVR4G 60-69 years, male 40.8
GTEX-11XUK-2026-SM-5EQLF 40-49 years, female 40.7
GTEX-13OVG-1926-SM-5L3DK 60-69 years, male 40.6
GTEX-145LV-2126-SM-5LU8N 50-59 years, male 40.5
GTEX-1F5PL-0326-SM-7P8PQ 40-49 years, female 40.3
GTEX-1R46S-0626-SM-E9J41 60-69 years, female 40.1
GTEX-1I1GT-0626-SM-CGQER 60-69 years, female 40.0
GTEX-1AX9K-2326-SM-73KWU 50-59 years, male 39.9
GTEX-VJYA-1126-SM-3GIJU 60-69 years, male 39.8
GTEX-1C6VS-0526-SM-7DUEN 60-69 years, male 39.7
GTEX-1HCUA-2426-SM-ADEIS 50-59 years, female 39.7
GTEX-1JMQK-0226-SM-CL543 60-69 years, male 39.6
GTEX-ZF29-2326-SM-DO92K 60-69 years, female 39.6
GTEX-16GPK-0126-SM-7DHLE 60-69 years, male 39.4
GTEX-1BAJH-0526-SM-793CQ 70-79 years, male 38.9
GTEX-WXYG-2326-SM-4E3I6 50-59 years, female 38.7
GTEX-1GZHY-0326-SM-9QEHI 50-59 years, female 38.7
GTEX-145LU-0126-SM-5TDCB 50-59 years, male 38.6
GTEX-UJHI-1526-SM-3DB99 50-59 years, female 38.4
GTEX-XAJ8-0826-SM-47JY6 40-49 years, male 38.4
GTEX-1I1GU-2226-SM-CGQFA 40-49 years, male 38.4
GTEX-15EU6-0426-SM-6PAN5 50-59 years, male 38.3
GTEX-17F96-1626-SM-7DUFL 70-79 years, male 38.3
GTEX-ZC5H-0226-SM-4WAY9 40-49 years, female 38.2
GTEX-1MGNQ-0126-SM-EVYCJ 40-49 years, male 38.1
GTEX-13SLW-0126-SM-5SI6C 70-79 years, male 37.9
GTEX-14XAO-2326-SM-6EU1B 60-69 years, female 37.9
GTEX-1GMR8-0126-SM-9WYTM 50-59 years, female 37.9
GTEX-15SHU-0126-SM-7KUEH 40-49 years, female 37.7
GTEX-WYJK-0126-SM-3NMAB 50-59 years, male 37.7
GTEX-Y8LW-1826-SM-5S2MV 50-59 years, female 37.6
GTEX-13FH7-2026-SM-E9J4I 50-59 years, female 37.4
GTEX-1I4MK-2226-SM-ACKWD 50-59 years, female 37.4
GTEX-RM2N-1426-SM-2TF4H 50-59 years, male 37.3
GTEX-ZV6S-2326-SM-4YCEY 40-49 years, female 37.3
GTEX-1E2YA-0126-SM-9KNUC 50-59 years, male 37.3
GTEX-1CB4J-0626-SM-7DHMP 60-69 years, male 37.2
GTEX-13N11-2526-SM-5K7UE 50-59 years, female 37.1
GTEX-ZZ64-1726-SM-5GZYB 20-29 years, male 37.0
GTEX-1HSMQ-1226-SM-CGQFX 50-59 years, male 36.7
GTEX-1CB4H-0226-SM-7PBXM 60-69 years, female 36.5
GTEX-T6MO-1626-SM-32QOM 40-49 years, female 36.4
GTEX-1LGRB-2526-SM-CNPPQ 50-59 years, female 36.4
GTEX-11EQ9-2426-SM-5HL5T 30-39 years, male 36.3
GTEX-U8T8-0126-SM-3DB94 60-69 years, male 36.3
GTEX-RWS6-2026-SM-2XCB5 60-69 years, female 36.2
GTEX-XV7Q-2526-SM-4BRV9 40-49 years, female 36.1
GTEX-1GF9V-0326-SM-7RHI5 60-69 years, male 36.0
GTEX-X88G-0126-SM-47JZ3 30-39 years, male 35.9
GTEX-13OVH-0126-SM-5MR4B 70-79 years, male 35.8
GTEX-Y3I4-2126-SM-4TT7C 50-59 years, male 35.7
GTEX-1HSKV-0226-SM-A9SKJ 60-69 years, male 35.7
GTEX-POMQ-2226-SM-2I5FK 20-29 years, female 35.6
GTEX-1HFI7-1826-SM-ACKXH 50-59 years, female 35.6
GTEX-1HSEH-0126-SM-ACKXN 60-69 years, male 35.6
GTEX-1A8FM-0226-SM-7SB7Q 50-59 years, female 35.5
GTEX-X4XX-0126-SM-3NMC2 60-69 years, male 35.1
GTEX-1R9K4-0126-SM-DTX9X 60-69 years, male 35.1
GTEX-12C56-1726-SM-5EQ61 20-29 years, male 35.0
GTEX-13NYB-2526-SM-5K7Z6 40-49 years, male 35.0
GTEX-13S7M-0126-SM-5SI6A 60-69 years, female 35.0
GTEX-1F52S-0126-SM-9MQJU 60-69 years, female 35.0
GTEX-13112-2826-SM-5DUWH 50-59 years, male 34.9
GTEX-1K2DA-1826-SM-CGQGT 50-59 years, male 34.8
GTEX-13RTK-1426-SM-5QGQJ 20-29 years, male 34.6
GTEX-Q2AI-1326-SM-2S1PL 40-49 years, male 34.6
GTEX-ZF28-0126-SM-4WKGK 60-69 years, male 34.6
GTEX-1PIIG-0226-SM-EWRN6 30-39 years, male 34.3
GTEX-1QP9N-1426-SM-DTXFL 30-39 years, male 34.2
GTEX-ZDTT-2726-SM-4WKF8 60-69 years, male 34.1
GTEX-ZWKS-0126-SM-5SIAA 30-39 years, male 34.1
GTEX-111FC-0126-SM-5N9DL 60-69 years, male 33.8
GTEX-QLQ7-1626-SM-2S1R8 60-69 years, male 33.8
GTEX-145ME-1826-SM-5SI9G 40-49 years, female 33.7
GTEX-13PVR-2326-SM-5QGR1 60-69 years, female 33.6
GTEX-Y8E4-0626-SM-4WWDL 40-49 years, male 33.6
GTEX-13FXS-0226-SM-5IJCK 50-59 years, male 33.4
GTEX-1B8KE-2126-SM-73KYX 50-59 years, male 33.4
GTEX-XXEK-2226-SM-4BRUM 50-59 years, male 33.3
GTEX-1QMI2-0226-SM-EVYBX 60-69 years, male 33.3
GTEX-11VI4-1726-SM-5CVLH 40-49 years, female 33.2
GTEX-14JG1-0426-SM-6ETZZ 40-49 years, male 33.2
GTEX-14PII-0226-SM-6EU1T 60-69 years, male 33.2
GTEX-X5EB-2226-SM-46MW4 40-49 years, male 33.2
GTEX-1211K-2026-SM-5EQ4Z 60-69 years, female 33.0
GTEX-1KXAM-2226-SM-CYPTC 60-69 years, male 32.8
GTEX-PSDG-0226-SM-DKPOZ 50-59 years, male 32.7
GTEX-13D11-2426-SM-5KM1V 50-59 years, female 32.6
GTEX-1F6RS-0126-SM-9MQKZ 60-69 years, female 32.6
GTEX-15RIG-0226-SM-7KFTL 40-49 years, male 32.2
GTEX-11ZTT-2426-SM-5EQLS 60-69 years, female 32.0
GTEX-13OW5-0126-SM-DTXFS 60-69 years, male 31.7
GTEX-12WSL-2526-SM-5GCNJ 50-59 years, male 31.4
GTEX-NFK9-0226-SM-2HMKQ 40-49 years, male 31.4
GTEX-O5YW-0126-SM-3LK6D 50-59 years, male 31.4
GTEX-XYKS-2126-SM-4E3IB 60-69 years, female 31.4
GTEX-13N2G-2626-SM-5J1OT 60-69 years, male 31.2
GTEX-15F5U-1526-SM-6PANO 40-49 years, male 31.2
GTEX-TMMY-0226-SM-33HBA 40-49 years, female 31.2
GTEX-1H11D-0226-SM-9WG6Z 40-49 years, male 31.0
GTEX-18D9B-0526-SM-7LTAS 60-69 years, male 30.9
GTEX-1PDJ9-0326-SM-DTX95 20-29 years, male 30.9
GTEX-WY7C-2326-SM-3NB2U 50-59 years, male 30.8
GTEX-O5YT-0126-SM-48TBW 20-29 years, male 30.7
GTEX-1IDJU-2626-SM-CM2RT 60-69 years, female 30.7
GTEX-ZDYS-2026-SM-5HL5L 50-59 years, male 30.2
GTEX-1CAMS-0426-SM-7P8T2 40-49 years, female 30.1
GTEX-12WSJ-1826-SM-5GCNY 40-49 years, female 29.9
GTEX-11LCK-1026-SM-5A5KB 30-39 years, male 29.8
GTEX-12696-2426-SM-5EQ6H 60-69 years, male 29.7
GTEX-12WSK-2326-SM-5GCOH 40-49 years, female 29.7
GTEX-1399R-2726-SM-5IJBA 30-39 years, male 29.4
GTEX-PLZ5-2026-SM-2S1O4 50-59 years, male 29.4
GTEX-1HBPN-0226-SM-9YFM1 50-59 years, male 29.4
GTEX-16NGA-1726-SM-731B4 40-49 years, female 29.2
GTEX-1CAMQ-0226-SM-7IGPK 40-49 years, male 29.2
GTEX-ZQG8-1626-SM-DHXIT 60-69 years, female 29.0
GTEX-14BMU-2226-SM-5TDE9 20-29 years, female 28.6
GTEX-OHPL-0126-SM-2HMJ7 60-69 years, female 27.8
GTEX-1I1GQ-0126-SM-COH3H 50-59 years, male 27.7
GTEX-14E6E-1826-SM-5S2R7 30-39 years, male 27.5
GTEX-1KANC-1526-SM-D3LAB 50-59 years, female 27.5
GTEX-145MI-0526-SM-5O9A8 60-69 years, female 27.4
GTEX-ZYY3-0126-SM-5GZY5 60-69 years, female 27.1
GTEX-18D9A-1926-SM-7LG6P 30-39 years, female 27.0
GTEX-ZXG5-0126-SM-5GIEU 60-69 years, male 27.0
GTEX-1J1OQ-0226-SM-CYPSH 40-49 years, female 27.0
GTEX-11DXX-2426-SM-5GZZW 60-69 years, female 26.3
GTEX-YB5K-2126-SM-4WWDJ 40-49 years, female 26.3
GTEX-17GQL-2026-SM-718BA 60-69 years, male 26.1
GTEX-Y5V5-2326-SM-4V6GA 60-69 years, female 25.8
GTEX-1OFPY-2426-SM-DTXEJ 60-69 years, male 25.6
GTEX-1S82Z-0826-SM-E6CHY 30-39 years, female 25.6
GTEX-OXRK-0226-SM-3NB2G 50-59 years, female 25.5
GTEX-XBEW-0626-SM-4QASP 40-49 years, male 25.5
GTEX-13X6H-2126-SM-7EWD5 50-59 years, female 25.3
GTEX-P4PP-0126-SM-3LK69 30-39 years, female 25.3
GTEX-WFG8-2226-SM-3GIL9 20-29 years, male 25.3
GTEX-1S5ZA-0126-SM-EVYCV 20-29 years, male 25.2
GTEX-1GF9W-0326-SM-9KNUN 60-69 years, male 25.1
GTEX-1IKJJ-0126-SM-CNPQB 60-69 years, male 25.0
GTEX-18D9U-0226-SM-718BP 40-49 years, male 24.9
GTEX-1QAET-0926-SM-E76QM 50-59 years, male 24.9
GTEX-1B8SF-1426-SM-7DUGL 60-69 years, male 24.7
GTEX-ZVZP-2426-SM-59HKJ 50-59 years, male 24.7
GTEX-14PHX-2326-SM-62LEM 50-59 years, male 24.6
GTEX-17KNJ-2326-SM-7DHLQ 50-59 years, male 24.6
GTEX-S32W-2126-SM-2XCB1 50-59 years, female 24.6
GTEX-11DXZ-2326-SM-5EGGV 50-59 years, male 24.4
GTEX-R55G-2526-SM-2TC6D 40-49 years, female 24.4
GTEX-XPVG-2626-SM-4B669 50-59 years, male 24.2
GTEX-ZGAY-0526-SM-4WWBB 40-49 years, female 24.2
GTEX-11DYG-0126-SM-59883 60-69 years, male 24.1
GTEX-1HCU9-1526-SM-A9SL7 20-29 years, male 24.1
GTEX-1122O-2126-SM-5EGIR 60-69 years, female 23.9
GTEX-OIZH-0126-SM-2HMIS 50-59 years, male 23.9
GTEX-1AX9J-0226-SM-73KXM 60-69 years, male 23.8
GTEX-1MA7W-2026-SM-E9TJ6 20-29 years, female 23.6
GTEX-15ER7-0326-SM-7KUEV 20-29 years, female 23.4
GTEX-13FTW-2626-SM-5K7WL 40-49 years, male 23.1
GTEX-ZYT6-0226-SM-5NQ6T 30-39 years, male 22.9
GTEX-17EVP-0326-SM-7DHLG 40-49 years, male 22.6
GTEX-1F5PK-2426-SM-7RHHY 50-59 years, male 22.4
GTEX-1JMQL-0226-SM-CNPP5 50-59 years, female 22.4
GTEX-YJ89-0126-SM-4TT3X 60-69 years, male 22.3
GTEX-1HSGN-0226-SM-CGQFV 40-49 years, female 22.3
GTEX-1GL5R-1826-SM-9KNUY 50-59 years, male 22.0
GTEX-145LS-0126-SM-5QGP1 60-69 years, female 21.9
GTEX-1QPFJ-0226-SM-E76PB 30-39 years, female 21.8
GTEX-W5WG-1826-SM-4KL2Y 50-59 years, female 21.6
GTEX-12WSE-0526-SM-793B2 20-29 years, male 21.5
GTEX-14PJ6-2126-SM-6EU1V 60-69 years, female 21.5
GTEX-13CF3-2426-SM-5IFGX 60-69 years, female 21.4
GTEX-1212Z-2526-SM-5EGKP 60-69 years, male 21.3
GTEX-SNMC-1226-SM-2XCFP 20-29 years, male 21.3
GTEX-117XS-2726-SM-5N9BL 60-69 years, male 21.0
GTEX-SE5C-1626-SM-2XCE3 40-49 years, female 20.7
GTEX-T6MN-0126-SM-32PLP 50-59 years, male 20.5
GTEX-1OJC3-0126-SM-E76QX 20-29 years, male 20.3
GTEX-PX3G-0126-SM-2I3EN 20-29 years, female 20.1
GTEX-YB5E-2026-SM-5IFIS 40-49 years, male 20.0
GTEX-ZTSS-1926-SM-57WEW 40-49 years, male 19.8
GTEX-ZVTK-0426-SM-51MRS 20-29 years, male 19.8
GTEX-16BQI-0226-SM-7KUEX 30-39 years, female 19.6
GTEX-ZY6K-1826-SM-5GZXK 50-59 years, male 19.6
GTEX-131XE-2326-SM-5PNZ2 50-59 years, male 19.5
GTEX-Y114-2426-SM-4TT8A 50-59 years, female 19.4
GTEX-1JJEA-0326-SM-CNPOT 60-69 years, male 19.4
GTEX-1LG7Z-1726-SM-D3LA4 30-39 years, male 19.3
GTEX-1S83E-0126-SM-EWRO4 40-49 years, male 18.8
GTEX-Z9EW-1626-SM-5CVMN 40-49 years, male 18.3
GTEX-1PFEY-1526-SM-E76PP 30-39 years, male 18.1
GTEX-1R9PM-2026-SM-E76OY 20-29 years, male 17.5
GTEX-1HCU7-0226-SM-CL545 50-59 years, male 17.1
GTEX-133LE-1826-SM-5J1MV 20-29 years, female 16.9
GTEX-145MN-2226-SM-5SIAU 30-39 years, male 16.7
GTEX-ZVZO-0126-SM-5A5L9 40-49 years, male 16.3
GTEX-1JJ6O-0126-SM-E6CI8 60-69 years, male 16.3
GTEX-17JCI-0126-SM-7LG5G 60-69 years, female 15.9
GTEX-1CB4E-2226-SM-793DC 60-69 years, male 15.8
GTEX-1LVAN-0226-SM-COH3S 50-59 years, female 15.6
GTEX-1GMR3-1926-SM-9KNUZ 40-49 years, male 14.4
GTEX-1CB4I-0226-SM-79OLH 50-59 years, male 14.3
GTEX-1JMLX-0226-SM-CM2RO 50-59 years, male 14.1
GTEX-1MJK2-0426-SM-DTXE5 50-59 years, male 14.1
GTEX-P4QT-0126-SM-2I3FL 50-59 years, female 13.3
GTEX-ZYFG-2326-SM-5E44B 60-69 years, female 12.0
GTEX-ZXES-1826-SM-5E43S 30-39 years, female 11.0
GTEX-1M5QR-1226-SM-EWROB 40-49 years, male 11.0
GTEX-1C475-1826-SM-73KWA 40-49 years, female 10.8
GTEX-T5JW-1626-SM-3GADZ 20-29 years, female 10.8
GTEX-1B97I-1626-SM-73KYO 40-49 years, male 9.7
GTEX-ZF2S-2326-SM-4WWCE 50-59 years, female 9.3
GTEX-WFON-2126-SM-3LK7O 40-49 years, male 9.0
GTEX-1L5NE-2526-SM-E6CIE 50-59 years, male 8.8
GTEX-ZV68-0126-SM-59HKS 50-59 years, female 8.1
GTEX-XUZC-1726-SM-4BRWS 30-39 years, female 7.9
GTEX-ZTX8-1426-SM-5DUVO 20-29 years, male 7.7
GTEX-13111-1626-SM-5EGJY 50-59 years, male 7.6
Show allShow less

Contact

  • NEWS ARTICLES
  • PRESS ROOM

The Project

  • INTRODUCTION
  • ORGANIZATION
  • PUBLICATIONS

The Human Protein Atlas

  • DOWNLOADABLE DATA
  • LICENCE & CITATION
  • HELP & FAQ
The Human Protein Atlas project is funded
by the Knut & Alice Wallenberg Foundation.


contact@proteinatlas.org