We use cookies to enhance the usability of our website. If you continue, we'll assume that you are happy to receive all cookies. More information. Don't show this again.
Please wait until image is loaded before changing channels
GENERAL INFORMATIONi
General description of the gene and the encoded protein(s) using information from HGNC and Ensembl, as well as predictions made by the Human Protein Atlas project.
Gene namei
Official gene symbol, which is typically a short form of the gene name, according to HGNC.
Assigned HPA protein class(es) for the encoded protein(s).
Cancer-related genes Plasma proteins Transporters
Predicted locationi
All transcripts of all genes have been analyzed regarding the location(s) of corresponding protein based on prediction methods for signal peptides and transmembrane regions.
Genes with at least one transcript predicted to encode a secreted protein, according to prediction methods or to UniProt location data, have been further annotated and classified with the aim to determine if the corresponding protein(s) are secreted or actually retained in intracellular locations or membrane-attached.
Remaining genes, with no transcript predicted to encode a secreted protein, will be assigned the prediction-based location(s).
The annotated location overrules the predicted location, so that a gene encoding a predicted secreted protein that has been annotated as intracellular will have intracellular as the final location.
Intracellular
Number of transcriptsi
Number of protein-coding transcripts from the gene as defined by Ensembl.
1
HUMAN PROTEIN ATLAS INFORMATIONi
Summary of RNA expression and protein localization based on data generated within the Human Protein Atlas project.
Main locationi
Main subcellular location(s) and reliability score(s) for the encoded protein(s) in human cells. The main location(s) may be characterized by presence in all tested cell lines and/or ihigher staining intensity compared to the potential additional location(s). If available, links to overrepresentation analyses in Reactome, a free, open-source, curated and peer reviewed biological pathway database, are provided. An analysis is done for the corresponding gene set of the proteome localizing to the main and additional locations of the protein on this page, respectively.
Localized to the Centriolar satellite (approved), Cytosol (supported)
Additional locationi
Additonal subcellular location(s) for the encoded protein(s) in human cells. The additional location(s) may not be present i all cell lines and may have lower staining intensity compared to the main location(s). If available, links to overrepresentation analyses in Reactome, a free, open-source, curated and peer reviewed biological pathway database, are provided. An analysis is done for the corresponding gene set of the proteome localizing to the main and additional locations of the protein on this page, respectively.
In addition localized to the End piece (approved)
Cell cycle dependencyi
Cell-cycle dependance of single-cell varations in RNA and/or protein expression as observed in an additional assay for characterizing single-cell varations. "NA" indicates a lack of such data.
Variation in transcript expression is correlated to the cell cycle.
GFPi
Validation score for the subcellular location(s) of the encoded proteins(s) according to a GFP assay.
The location(s) are Enhanced based on analysis of GFP-tagged protein.
Mousei
Subcellular location for the protein(s) encoded by orthologous genes in mouse cells.
Localized to the Centriolar satellite in mouse cells.
Reliability scorei
Overall gene reliability score for the subcellular location(s) of the encoded protein(s). The score indicates the level of reliability of the annotated protein localization based on agreement with available experimental gene/protein characterization data in the UniProtKB/Swiss-Prot database and presence of antibody validation assays for immunocytochemistry.
Supported
Antibodiesi
Antibodies used for this assay. Click on an antibody for more information.
Links to data for different assays avaliable in the Cell Atlas. Click on the miniature images to directly get to the respective section.
Summaryi
Summary of the subcellular location, based on the immunofluorescent analysis in all studied cell lines and with all tested antibodies.
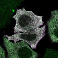
Mainly localized to the cytosol and centriolar satellites. In addition localized to the end piece.
Main locationi
Main subcellular location(s) and reliability score(s) for the encoded protein(s) in human cells. The main location(s) may be characterized by presence in all tested cell lines and/or higher staining intensity compared to the potential additional location(s).
Additonal subcellular location(s) for the encoded protein(s) in human cells. The additional location(s) may not be present i all cell lines and may have lower staining intensity compared to the main location(s).
Assay for determining the subcellular location of the encoded protein(s) in human cells by indirect immunofluorescence and confocal microscopy. The antibody-based staining is generally carried out in U2OS and two additional cell lines, selected based on RNA expression. Representative multi-color images showing the protein of interest in green are displayed below. The images also include markers for the nucleus (blue), microtubules (red) and ER (yellow). All images are clickable for an enlarged view. For cell structure reference, visit the cell dictionary.
Toggle channelsi
Buttons for turning on and off the different channels in the multi-color images. The intensity toggle shows the pixel intensity range in 16 different colors for the selected channel. The object toggle shows the computational segmentation of the cells used for further analysis in the HPA project. For samples where cell cycle dependency for the protein is suggested according to a correlation assay the predicted cell cycle position of each cell is displayed when using the object toggle.
Low
High
Thumbnaili
Minatures of all available images. The checkboxes can be used to select which three images to compare in the window above. All images are also clickable for an enlarged view. The selected image will appear in large size and miniature images with all other staining results for this gene will be listed at the top left of the image. The selected miniature image has an orange overlay.
Antibodyi
Antibody used for analysis. Clicking the antibody ID links to the antibody validation page.
Cell linei
Cell line used for analysis. Read more about the cell lines in the Human Protein Atlas.
Cell line RNA Expression (nTPM)i
RNA expression level in the cell line based on normalised RNA sequencing data. Genes with a value above 1 NX are considered to be expressed.
Locationi
Observed subcellular location(s).
Single-cell variationi
Observed single-cell variation(s) in the staining pattern. Variation in protein expression levels can be observed as varaiations in the intensity of the immunofluorescent signal, while spatial variations can be observed as variations in subcellular distribution of the protein.
Cell cycle dependent variationi
Cell-cycle dependance of observed single-cell varations in RNA and/or protein expression as observed in an additional assay for characterizing single-cell varations.
Assay for determining the subcellular location of the encoded protein(s) in human cells by indirect immunofluorescence and confocal microscopy. The antibody-based staining is generally carried out in U2OS and two additional cell lines, selected based on RNA expression. Representative multi-color images showing the protein of interest in green are displayed below. The images also include markers for the nucleus (blue), microtubules (red) and ER (yellow). All images are clickable for an enlarged view. For cell structure reference, visit the cell dictionary.
Toggle channelsi
Buttons for turning on and off the different channels in the multi-color images. The intensity toggle shows the pixel intensity range in 16 different colors for the selected channel. The object toggle shows the computational segmentation of the cells used for further analysis in the HPA project. For samples where cell cycle dependency for the protein is suggested according to a correlation assay the predicted cell cycle position of each cell is displayed when using the object toggle.
Low
High
Thumbnaili
Minatures of all available images. The checkboxes can be used to select which three images to compare in the window above. All images are also clickable for an enlarged view. The selected image will appear in large size and miniature images with all other staining results for this gene will be listed at the top left of the image. The selected miniature image has an orange overlay.
Antibodyi
Antibody used for analysis. Clicking the antibody ID links to the antibody validation page.
Cell linei
Cell line used for analysis. Read more about the cell lines in the Human Protein Atlas.
Cell line RNA Expression (nTPM)i
RNA expression level in the cell line based on normalised RNA sequencing data. Genes with a value above 1 NX are considered to be expressed.
Locationi
Observed subcellular location(s).
Single-cell variationi
Observed single-cell variation(s) in the staining pattern. Variation in protein expression levels can be observed as varaiations in the intensity of the immunofluorescent signal, while spatial variations can be observed as variations in subcellular distribution of the protein.
Cell cycle dependent variationi
Cell-cycle dependance of observed single-cell varations in RNA and/or protein expression as observed in an additional assay for characterizing single-cell varations.
Assay for determining the subcellular location of the encoded protein(s) in human cells by indirect immunofluorescence and confocal microscopy. The antibody-based staining is generally carried out in U2OS and two additional cell lines, selected based on RNA expression. Representative multi-color images showing the protein of interest in green are displayed below. The images also include markers for the nucleus (blue), microtubules (red) and ER (yellow). All images are clickable for an enlarged view. For cell structure reference, visit the cell dictionary.
Toggle channelsi
Buttons for turning on and off the different channels in the multi-color images. The intensity toggle shows the pixel intensity range in 16 different colors for the selected channel. The object toggle shows the computational segmentation of the cells used for further analysis in the HPA project. For samples where cell cycle dependency for the protein is suggested according to a correlation assay the predicted cell cycle position of each cell is displayed when using the object toggle.
Low
High
Thumbnaili
Minatures of all available images. The checkboxes can be used to select which three images to compare in the window above. All images are also clickable for an enlarged view. The selected image will appear in large size and miniature images with all other staining results for this gene will be listed at the top left of the image. The selected miniature image has an orange overlay.
Antibodyi
Antibody used for analysis. Clicking the antibody ID links to the antibody validation page.
Cell linei
Cell line used for analysis. Read more about the cell lines in the Human Protein Atlas.
Cell line RNA Expression (nTPM)i
RNA expression level in the cell line based on normalised RNA sequencing data. Genes with a value above 1 NX are considered to be expressed.
Locationi
Observed subcellular location(s).
Single-cell variationi
Observed single-cell variation(s) in the staining pattern. Variation in protein expression levels can be observed as varaiations in the intensity of the immunofluorescent signal, while spatial variations can be observed as variations in subcellular distribution of the protein.
Cell cycle dependent variationi
Cell-cycle dependance of observed single-cell varations in RNA and/or protein expression as observed in an additional assay for characterizing single-cell varations.
Assays for determining cell cycle dependency of RNA and protein expression, based on stainings in the U-2 OS FUCCI (Fluorescence Ubiquitination Cell Cycle Indicator) cell line, or a computational model for cell cycle position, or localization to cell cycle dependent compartments (e.g. mitotic spindle, cytokinetic bridge).
Summaryi
Summary of observed cell cycle dependency of RNA and/or protein expression. "NA" indicates a lack of such data.
Variation in transcript expression is correlated to the cell cycle.
RNA expression peak phase
G1
RNA expression across cell cyclei
Assay for determining RNA expression level and cell cycle phase in single cells by single-cell RNA sequencing of the U-2 OS FUCCI cell line. Normalized RNA expression in individual cells is plotted along a linear representation of cell cycle pseudotime, as determined from the fluorescence intensities of the cell cycle markers.
GFPi
Assay for validation of subcellular location by colocalization of an antibody targeting the endogenous protein and an antibody targeting a GFP-tagged version of the protein in HeLa cells. The top section shows a summary of the results of the GFP validation assay. Representative images of the negative control cells are displayed to the left and representative immunofluorescence images of cells expressing a GFP-tagged version of the protein as well as in untransfected HeLa cells are displayed below. All images are clickable for an enlarged view. The selected image will appear in large size and miniature images with all other staining results for this gene will be listed at the top left of the image. The selected miniature image has an orange overlay.
Antibodyi
Antibody used for analysis. Clicking the antibody ID links to the antibody validation page.
Summary of the recombinant expression validation. The target protein can be tagged at either the N- or C-terminal end. For some genes, both versions are available. The identity of the BAC cell line, stably expressing the GFP-tagged protein, is indicated. For each GFP validation assay a validation score is assigned based on colocalization of the antibody staining and the GFP-tagged protein.
N-terminal tag BAC cell line: 5114 Enhanced: Antibody staining overlaps with GFP tagged protein but show additional locations
Antibodyi
Antibody used for analysis. Clicking the antibody ID links to the antibody validation page.
Summary of the recombinant expression validation. The target protein can be tagged at either the N- or C-terminal end. For some genes, both versions are available. The identity of the BAC cell line, stably expressing the GFP-tagged protein, is indicated. For each GFP validation assay a validation score is assigned based on colocalization of the antibody staining and the GFP-tagged protein.
N-terminal tag BAC cell line: 5114 Enhanced: Antibody staining overlaps with GFP tagged protein
Toggle channelsi
Buttons for turning on and off the different channels in the multi-color images. The HPA-antibody staining targeting the protein of interest is shown in green and the staining of the GFP-tagged protein in purple. The intensity toggle shows the pixel intensity range in 16 different colors for the selected channel.
Low
High
Thumbnaili
Minatures of all available images. The checkboxes can be used to select which three images to compare in the window above. All images are also clickable for an enlarged view. The selected image will appear in large size and miniature images with all other staining results for this gene will be listed at the top left of the image. The selected miniature image has an orange overlay.
Antibodyi
Antibody used for analysis. Clicking the antibody ID links to the antibody validation page.
Cell linei
Cell line used for analysis. Read more about the cell lines in the Human Protein Atlas.
BAC idi
BAC cell line used in the analysis. BAC cell lines have been obtained from the Hyman lab. The untransfected HeLa control cells are referred to as "normal".
Tagi
The GFP construct can be tagged to the target protein at either the N- or C-terminal, for some genes both versions are available.
Location antibody stainingi
Observed subcellular location(s) annotated for HPA-antibody targeting the endogenous protein.
Location tagged proteini
Observed subcellular location(s) for the antibody targeting the GFP-tagged version of the protein.
Assay for determining the subcellular location of protein(s) encoded by an orthologous mouse gene by indirect immunofluorescence and confocal microscopy in the mouse cell line NIH 3T3. Representative multi-color images showing the protein of interest in green are displayed below. The images also include markers for the nucleus (blue), microtubules (red) and ER (yellow). All images are clickable for an enlarged view.
Main locationi
Main subcellular location(s) and reliability score(s) for the encoded protein(s) in mouse cells. The main location(s) may be characterized by presence in all tested cell lines and/or ihigher staining intensity compared to the potential additional location(s).
Buttons for turning on and off the different channels in the multi-color images. The intensity toggle shows the pixel intensity range in 16 different colors for the selected channel. The object toggle shows the computational segmentation of the cells used for further analysis in the HPA project. For samples where cell cycle dependency for the protein is suggested according to a correlation assay the predicted cell cycle position of each cell is displayed when using the object toggle.
Low
High
Thumbnaili
Minatures of all available images. The checkboxes can be used to select which three images to compare in the window above. All images are also clickable for an enlarged view. The selected image will appear in large size and miniature images with all other staining results for this gene will be listed at the top left of the image. The selected miniature image has an orange overlay.
Antibodyi
Antibody used for analysis. Clicking the antibody ID links to the antibody validation page.
Cell linei
Cell line used for analysis. Read more about the cell lines in the Human Protein Atlas.
Overview of RNA expression levels in different cell lines analyzed in the Human Protein Atlas. The RNA-sequencing results generated in the HPA are reported as normalized transcript per million (nTPM) values. In the Human Protein Atlas a nTPM value of 1.0 is defined as a threshold for expression of the corresponding protein. The cell lines are divided into color-coded groups according to their origin in the human body. By clicking the toolbars in the top right corner it is possible to sort the cell lines in the chart by different criteria: the organ and the origin that the cell line was obtained from, the category of the cell line according to cellosaurus, alphabetically or by descending RNA expression. Detailed information about a specific cell line can be accessed by hovering over the corresponding bar in the chart.
Organ
Origin
Category
Expression
Alphabetical
Cell lines ordered by organ of phenotypic resemblance.
Cell lines ordered by biological source for establishment order.
Cell lines ordered by category according to Cellosaurus.
Cell lines ordered by descending RNA expression order.