We use cookies to enhance the usability of our website. If you continue, we'll assume that you are happy to receive all cookies. More information. Don't show this again.
DYDC1
HPA
RESOURCES
  • TISSUE
  • BRAIN
  • SINGLE CELL
  • SUBCELLULAR
  • CANCER
  • BLOOD
  • CELL LINE
  • STRUCTURE & INTERACTION
ABOUT
  • INTRODUCTION
  • HISTORY
  • ORGANIZATION
  • PUBLICATIONS
  • ANTIBODY SUBMISSION
  • ANTIBODY AVAILABILITY
  • ACKNOWLEDGMENTS
  • CONTACT
NEWS
  • NEWS ARTICLES
  • PRESS ROOM
LEARN
  • DICTIONARY
  • PROTEIN CLASSES
  • PROTEIN EVIDENCE
  • METHODS
  • EDUCATIONAL VIDEOS
DATA
  • DOWNLOADABLE DATA
  • PUBLICATION DATA
  • RELEASE HISTORY
HELP
  • ANTIBODY VALIDATION
  • ASSAYS & ANNOTATION
  • DISCLAIMER
  • HELP & FAQ
  • PRIVACY STATEMENT
  • LICENCE & CITATION
Fields »
Search result

Field
Term
Gene name
Class
Subclass
Class
Keyword
Chromosome
External id
Tissue
Cell type
Expression
Antibody panel
Tissue
Main location
Patient ID
Annotation
Tissue
Category
Tau score
Cluster
Reliability
Brain region
Category
Tau score
Brain region
Category
Tau score
Brain region
Category
Tau score
Cluster
Reliability
Tissue
Cell type
Enrichment
Cell type
Category
Tau score
Cell type
Category
Tau score
Cell type
Category
Tau score
Cell lineage
Category
Tau score
Cluster
Cluster
Location
Searches
Location
Cell line
Class
Type
Phase
Reliability
Cancer
Prognosis
Cancer
Category
Cancer
Category
Tau score
Cluster
Variants
Interacting gene (ensg_id)
Type
Number of interactions
Pathway
Category
Score
Score
Score
Validation
Validation
Validation
Validation
Antibodies
Data type
Column


  • SUMMARY

  • TISSUE

  • BRAIN

  • SINGLE CELL

  • SUBCELL

  • CANCER

  • BLOOD

  • CELL LINE

  • STRUCT & INT

  • DYDC1
TISSUE PRIMARY DATA ADRENAL GLAND Show tissue menu
ADIPOSE TISSUE ADRENAL GLAND AMYGDALA APPENDIX BASAL GANGLIA BONE MARROW BREAST CEREBELLUM CEREBRAL CORTEX CERVIX CHOROID PLEXUS COLON DUODENUM
ENDOMETRIUM EPIDIDYMIS ESOPHAGUS FALLOPIAN TUBE GALLBLADDER HEART MUSCLE HIPPOCAMPAL FORMATION HYPOTHALAMUS KIDNEY LIVER LUNG LYMPH NODE MIDBRAIN
OVARY PANCREAS PARATHYROID GLAND PITUITARY GLAND PLACENTA PROSTATE RECTUM RETINA SALIVARY GLAND SEMINAL VESICLE SKELETAL MUSCLE SKIN SMALL INTESTINE
SMOOTH MUSCLE SPINAL CORD SPLEEN STOMACH TESTIS THYMUS THYROID GLAND TONGUE TONSIL URINARY BLADDER VAGINA
ANTIBODIES
AND
VALIDATION
Dictionary
Adrenal gland
Tissue proteome
Adrenal gland
ADRENAL GLAND - Expression summary
Protein expressioni

On the top, protein expression in current human tissue, based on all annotated cell types, is reported with the units not detected (n), low (l), medium (m) and high (h). Underneath, protein expression in each annotated cell type are reported using the same units.

Protein expression data is based on knowledge-based annotation. For genes where more than one antibody has been used, a collective score is set.

If knowledge-based annotation could not be performed for a gene, no data is displayed here. View antibody staining data further down this page.

No data
RNA expressioni

A summary of mRNA expression data available for current tissue based on several datasets. The mRNA expression levels in human tissues are based on RNA-seq data generated by the Human Protein Atlas (HPA), Genotype-Tissue Expression (GTEx) portal and CAGE data generated by the FANTOM5 consortium. Consensus normalized expression levels for human tissues was created by combining the data from HPA and GTEx datasets.

The mRNA expression levels in pig are based on RNA-seq data generated by the Human Protein Atlas (HPA), and for mouse, HPA data and in situ hybridization generated by the Allen brain atlas are reported.

Scroll down to view mRNA expression data in more detail.
Consensus:0.0 nTPM
HPA:0.0 nTPM
GTEx:0.0 nTPM

ADRENAL GLAND - Annotated protein expression
Pending normal tissue analysis

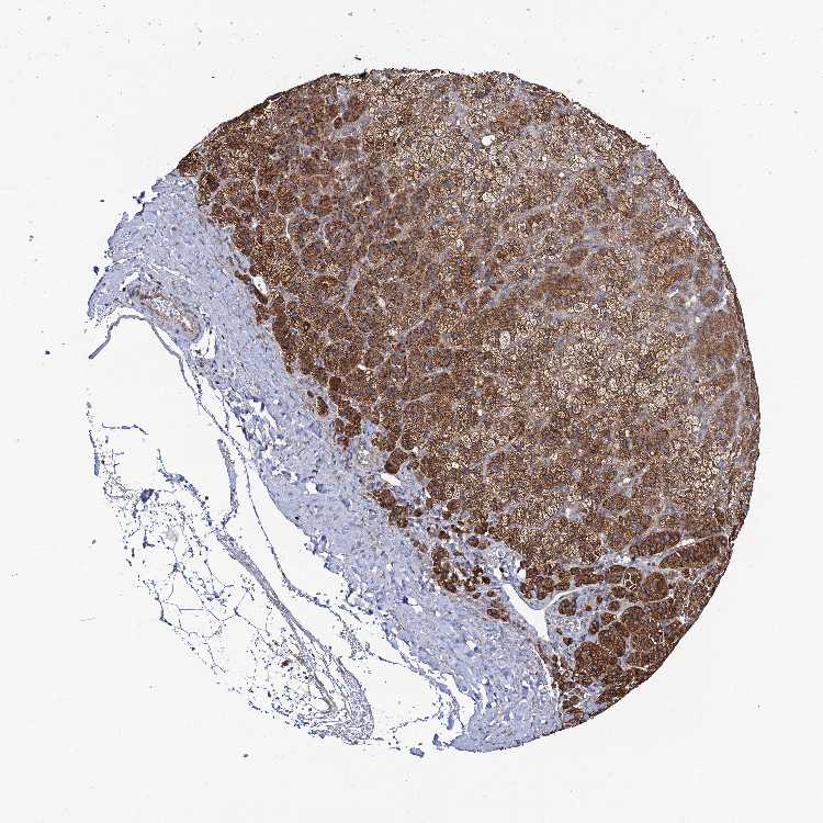
ADRENAL GLAND - Antibody stainingi

Antibody staining in the annotated cell types in the current human tissue is reported as not detected, low, medium, or high, based on conventional immunohistochemistry profiling in selected tissues. This score is based on the combination of the staining intensity and fraction of stained cells.

Each image is clickable and will lead to virtual microscopy that enables deeper exploration of all samples and also displays staining intensity scores, fraction scores and subcellular localization as well as patient and tissue information for each sample.

Antibody HPA037790Antibody HPA037791
Glandular cells HighHigh





ADRENAL GLAND - HPA RNA-seqi

The RNA-seq details section shows detailed information about the individual samples used for the transcript profiling and results of the RNA-seq analysis.

Information about each individual sample is listed below, including gender, age, a tissue section image and estimated fractions of cell types. nTPM (normalized transcripts per million) values give a quantification of the gene abundance which is comparable between different genes and samples.
Average nTPMi

Max subtype nTPM is the value for the subtype with the largest average nTPM across the subtype samples.

0.0
overview
Female, age 62
Adrenal gland sample 87
nTPM: 0
Cell types%
Cortical cells:
50

Medullary cells:
40

Other cell types:
10

overview
Female, age 36
Adrenal gland sample 88
nTPM: 0
Cell types%
Cortical cells:
50

Medullary cells:
40

Other cell types:
10

overview
Female, age 63
Adrenal gland sample 89
nTPM: 0
Cell types%
Cortical cells:
50

Medullary cells:
40

Other cell types:
10


ADRENAL GLAND - GTEx RNA-seqi

RNA-Seq data generated by the Genotype-Tissue Expression (GTEx) project from human tissues is reported as mean nTPM. More information can be found on the GTEx portal.

Distribution across the dataset is visualized with box plots, shown as median and 25th and 75th percentiles. Points are displayed as outliers if they are above or below 1.5 times the interquartile range. nTPM values of the individual samples are presented next to the box plot.
Max subtype nTPMi

Max subtype nTPM is the value for the subtype with the largest average nTPM across the subtype samples.

0.0
GTEx sample id Sample description nTPM
Adrenal Gland
Average nTPM: 0.0
Samples: 258

Max nTPM: 0.6
Min nTPM: 0.0
Std nTPM: 0.0
Median nTPM:
GTEX-S341-0126-SM-4AD64 40-49 years, female 0.6
GTEX-14A5H-2126-SM-7IGNV 60-69 years, male 0.5
GTEX-1GN1V-1626-SM-7PBZF 60-69 years, male 0.3
GTEX-13FTW-0126-SM-5IJED 40-49 years, male 0.2
GTEX-1B8L1-1326-SM-7MKG6 60-69 years, male 0.2
GTEX-1A8FM-1926-SM-7MXTX 50-59 years, female 0.2
GTEX-1F88F-1526-SM-9JGG1 60-69 years, female 0.2
GTEX-11XUK-0126-SM-5CVLK 40-49 years, female 0.1
GTEX-12BJ1-0526-SM-5FQUD 60-69 years, male 0.1
GTEX-132NY-2226-SM-5J2LZ 60-69 years, male 0.1
GTEX-139YR-0126-SM-5IJEY 50-59 years, male 0.1
GTEX-13QBU-0526-SM-5IJFE 40-49 years, female 0.1
GTEX-18A6Q-1826-SM-72D6I 60-69 years, male 0.1
GTEX-1A3MW-2126-SM-731DO 60-69 years, female 0.1
GTEX-NFK9-1726-SM-3TW8P 40-49 years, male 0.1
GTEX-Q734-0126-SM-48U1E 40-49 years, female 0.1
GTEX-QXCU-1326-SM-48FE2 50-59 years, male 0.1
GTEX-TKQ2-0226-SM-4DM6V 50-59 years, male 0.1
GTEX-1F5PK-0826-SM-7MXVI 50-59 years, male 0.1
GTEX-1F75I-0126-SM-9WPPW 40-49 years, male 0.1
GTEX-1QMI2-1926-SM-EAZ4B 60-69 years, male 0.1
GTEX-1R7EV-1726-SM-E6CR8 40-49 years, male 0.1
GTEX-111CU-0126-SM-5GZWZ 50-59 years, male 0.0
GTEX-111YS-0126-SM-5987T 60-69 years, male 0.0
GTEX-1122O-0326-SM-5H124 60-69 years, female 0.0
GTEX-117YX-0126-SM-5EGH5 50-59 years, male 0.0
GTEX-11DXX-0126-SM-5EGH7 60-69 years, female 0.0
GTEX-11DXY-1626-SM-5H12L 60-69 years, male 0.0
GTEX-11DXZ-0226-SM-5EGGZ 50-59 years, male 0.0
GTEX-11EM3-0326-SM-5A5KJ 20-29 years, female 0.0
GTEX-11EMC-0526-SM-5EGJN 60-69 years, female 0.0
GTEX-11EQ9-0126-SM-5986I 30-39 years, male 0.0
GTEX-11GSP-0326-SM-5A5KW 60-69 years, female 0.0
GTEX-11I78-1826-SM-5A5M4 50-59 years, female 0.0
GTEX-11NSD-0226-SM-5A5LR 20-29 years, male 0.0
GTEX-11P7K-0126-SM-5986E 30-39 years, male 0.0
GTEX-11TT1-0126-SM-5LUAA 20-29 years, male 0.0
GTEX-1211K-0126-SM-59HJE 60-69 years, female 0.0
GTEX-12696-0626-SM-5EGGD 60-69 years, male 0.0
GTEX-12WSD-2126-SM-5LZWK 60-69 years, female 0.0
GTEX-12WSG-0726-SM-5EGIG 50-59 years, female 0.0
GTEX-12WSJ-0126-SM-5GCOM 40-49 years, female 0.0
GTEX-12WSK-0326-SM-5GCOJ 40-49 years, female 0.0
GTEX-12WSL-0326-SM-5CVMK 50-59 years, male 0.0
GTEX-12WSN-0926-SM-5GCN1 40-49 years, male 0.0
GTEX-12ZZZ-0926-SM-5N9EQ 60-69 years, male 0.0
GTEX-13111-0326-SM-5DUXF 50-59 years, male 0.0
GTEX-131XF-0126-SM-5DUVF 60-69 years, male 0.0
GTEX-131XG-1326-SM-5DUX4 50-59 years, female 0.0
GTEX-131YS-2026-SM-5P9J8 60-69 years, female 0.0
GTEX-132AR-1726-SM-5EGHQ 50-59 years, female 0.0
GTEX-132QS-0126-SM-5IFH9 60-69 years, male 0.0
GTEX-1339X-0826-SM-5J2O6 40-49 years, male 0.0
GTEX-1399R-0326-SM-5KM1X 30-39 years, male 0.0
GTEX-1399S-0426-SM-5IFG5 30-39 years, female 0.0
GTEX-1399U-0226-SM-5P9J2 50-59 years, female 0.0
GTEX-13CF3-0126-SM-5IFFM 60-69 years, female 0.0
GTEX-13D11-0426-SM-5LZYA 50-59 years, female 0.0
GTEX-13FH7-0226-SM-5IFGG 50-59 years, female 0.0
GTEX-13N11-0826-SM-5IJFP 50-59 years, female 0.0
GTEX-13O1R-2326-SM-5IJF9 60-69 years, male 0.0
GTEX-13O21-0126-SM-5IJE8 50-59 years, male 0.0
GTEX-13O3O-1626-SM-5KM1O 60-69 years, female 0.0
GTEX-13O61-0126-SM-5KM4P 60-69 years, male 0.0
GTEX-13OVI-1226-SM-5J2ME 60-69 years, female 0.0
GTEX-13OW6-1726-SM-5IJGI 50-59 years, male 0.0
GTEX-13OW7-2726-SM-5L3HN 50-59 years, male 0.0
GTEX-13PL7-1026-SM-5MR5C 60-69 years, female 0.0
GTEX-13PVR-0226-SM-5RQJI 60-69 years, female 0.0
GTEX-13W3W-1326-SM-5LU4T 60-69 years, female 0.0
GTEX-144GL-1826-SM-79OMB 50-59 years, male 0.0
GTEX-145LT-0126-SM-5S2QJ 40-49 years, male 0.0
GTEX-145MN-0226-SM-5QGPY 30-39 years, male 0.0
GTEX-146FR-1526-SM-5SIB8 60-69 years, female 0.0
GTEX-14753-1726-SM-5NQ9X 60-69 years, male 0.0
GTEX-147F4-2526-SM-5NQBB 50-59 years, male 0.0
GTEX-14A5I-2126-SM-5NQA8 50-59 years, female 0.0
GTEX-14BMU-0126-SM-5S2Q9 20-29 years, female 0.0
GTEX-14C38-1726-SM-5RQJC 50-59 years, male 0.0
GTEX-14DAQ-1826-SM-5S2VV 60-69 years, female 0.0
GTEX-14DAR-1726-SM-664MZ 50-59 years, male 0.0
GTEX-14E1K-0626-SM-5S2PG 50-59 years, male 0.0
GTEX-14E6E-0126-SM-73KXH 30-39 years, male 0.0
GTEX-14H4A-0226-SM-5SI6Q 40-49 years, female 0.0
GTEX-14JG6-0126-SM-68726 30-39 years, female 0.0
GTEX-14PJ4-0426-SM-6871F 60-69 years, male 0.0
GTEX-14PJ6-0126-SM-686Z5 60-69 years, female 0.0
GTEX-14PJM-2226-SM-6AJAT 50-59 years, female 0.0
GTEX-14PK6-0126-SM-664O1 70-79 years, female 0.0
GTEX-14PKV-0726-SM-686ZF 20-29 years, female 0.0
GTEX-14PN3-1426-SM-686Z8 60-69 years, female 0.0
GTEX-14XAO-0326-SM-6ETZN 60-69 years, female 0.0
GTEX-15CHR-0626-SM-7938V 50-59 years, male 0.0
GTEX-15DYW-2126-SM-6M47B 60-69 years, female 0.0
GTEX-15ER7-1126-SM-6M47F 20-29 years, female 0.0
GTEX-15EU6-0326-SM-6M48I 50-59 years, male 0.0
GTEX-15SHU-1926-SM-7KUMO 40-49 years, female 0.0
GTEX-16AAH-0226-SM-793A8 50-59 years, male 0.0
GTEX-16MT8-1626-SM-7EWDW 60-69 years, female 0.0
GTEX-16NGA-0126-SM-72D6U 40-49 years, female 0.0
GTEX-17HGU-0126-SM-7DHLV 50-59 years, male 0.0
GTEX-17HHE-0226-SM-79399 50-59 years, male 0.0
GTEX-17HHY-2226-SM-7KFS4 50-59 years, male 0.0
GTEX-17KNJ-0326-SM-7KFS5 50-59 years, male 0.0
GTEX-18A7A-1826-SM-7KFTU 50-59 years, female 0.0
GTEX-18D9B-1926-SM-7KFSV 60-69 years, male 0.0
GTEX-1A32A-2126-SM-718AZ 50-59 years, female 0.0
GTEX-1A3MV-0226-SM-731FS 30-39 years, male 0.0
GTEX-1AMFI-0626-SM-731DR 50-59 years, female 0.0
GTEX-1AX8Z-2426-SM-72D7D 60-69 years, male 0.0
GTEX-1AX9J-0626-SM-72D7L 60-69 years, male 0.0
GTEX-1B8KE-0926-SM-7189I 50-59 years, male 0.0
GTEX-1B8KZ-0126-SM-7DHM5 50-59 years, male 0.0
GTEX-1B996-2026-SM-7MKG7 60-69 years, male 0.0
GTEX-1BAJH-2626-SM-7EPG6 70-79 years, male 0.0
GTEX-1C475-0126-SM-731DC 40-49 years, female 0.0
GTEX-1CAMR-0126-SM-79391 20-29 years, male 0.0
GTEX-1CAMS-0226-SM-79397 40-49 years, female 0.0
GTEX-1EKGG-2126-SM-7MKFT 60-69 years, male 0.0
GTEX-1F5PL-2326-SM-7MKFC 40-49 years, female 0.0
GTEX-O5YT-1326-SM-3MJGR 20-29 years, male 0.0
GTEX-O5YV-1126-SM-3LK73 60-69 years, female 0.0
GTEX-OHPK-1326-SM-3MJGN 50-59 years, female 0.0
GTEX-OHPL-1326-SM-3MJGG 60-69 years, female 0.0
GTEX-OIZH-1326-SM-3NB1H 50-59 years, male 0.0
GTEX-OOBK-3125-SM-3LK5R 40-49 years, male 0.0
GTEX-OXRK-0126-SM-3NB1E 50-59 years, female 0.0
GTEX-P4QS-1326-SM-3NMCD 60-69 years, male 0.0
GTEX-P4QT-1326-SM-3NMD3 50-59 years, female 0.0
GTEX-PLZ5-0326-SM-3P614 50-59 years, male 0.0
GTEX-PLZ6-0226-SM-3P61I 30-39 years, male 0.0
GTEX-PW2O-0226-SM-48TC7 20-29 years, male 0.0
GTEX-PWCY-0226-SM-48TD8 20-29 years, female 0.0
GTEX-PX3G-1326-SM-48U18 20-29 years, female 0.0
GTEX-Q2AH-0126-SM-48U2B 40-49 years, male 0.0
GTEX-Q2AI-0226-SM-48U1D 40-49 years, male 0.0
GTEX-QCQG-0126-SM-48U27 50-59 years, female 0.0
GTEX-QDVJ-1126-SM-48U1U 50-59 years, male 0.0
GTEX-QDVN-0426-SM-48TZ6 50-59 years, male 0.0
GTEX-QLQW-0226-SM-447BJ 30-39 years, male 0.0
GTEX-R53T-0226-SM-48FEH 50-59 years, female 0.0
GTEX-R55C-0226-SM-48FEO 40-49 years, male 0.0
GTEX-R55G-0126-SM-48FDS 40-49 years, female 0.0
GTEX-REY6-1726-SM-48FDL 60-69 years, male 0.0
GTEX-RM2N-0126-SM-48FDD 50-59 years, male 0.0
GTEX-RUSQ-0226-SM-47JWT 50-59 years, male 0.0
GTEX-RWSA-1726-SM-47JX7 40-49 years, male 0.0
GTEX-S32W-0126-SM-4AD61 50-59 years, female 0.0
GTEX-S33H-1326-SM-4AD6A 30-39 years, male 0.0
GTEX-S3XE-0126-SM-4AD4R 50-59 years, male 0.0
GTEX-S4Q7-0226-SM-4AD5O 20-29 years, male 0.0
GTEX-S4Z8-0126-SM-4GICC 60-69 years, male 0.0
GTEX-SUCS-0526-SM-4DM56 70-79 years, male 0.0
GTEX-T6MO-0126-SM-4DM6X 40-49 years, female 0.0
GTEX-TMMY-0126-SM-4DXTP 40-49 years, female 0.0
GTEX-U3ZM-0226-SM-4DXTA 40-49 years, male 0.0
GTEX-U3ZN-0826-SM-4DXSZ 30-39 years, female 0.0
GTEX-U4B1-0126-SM-4DXSN 40-49 years, male 0.0
GTEX-UJMC-0226-SM-4IHLH 50-59 years, male 0.0
GTEX-V1D1-0226-SM-4JBHG 50-59 years, male 0.0
GTEX-V955-0126-SM-4JBH5 60-69 years, male 0.0
GTEX-VJYA-0526-SM-4KL1R 60-69 years, male 0.0
GTEX-VUSG-1526-SM-4KKZH 50-59 years, male 0.0
GTEX-W5WG-1126-SM-4LMK4 50-59 years, female 0.0
GTEX-WFG8-0126-SM-4LVMH 20-29 years, male 0.0
GTEX-WHPG-1526-SM-4M1ZK 50-59 years, male 0.0
GTEX-WQUQ-0126-SM-4OOSS 60-69 years, male 0.0
GTEX-WY7C-0326-SM-4OND5 50-59 years, male 0.0
GTEX-WYVS-0226-SM-4ONDK 40-49 years, female 0.0
GTEX-X4EO-1726-SM-4QARN 60-69 years, female 0.0
GTEX-X4LF-0126-SM-4QAS7 50-59 years, male 0.0
GTEX-XMK1-0226-SM-4B65D 40-49 years, male 0.0
GTEX-XQ3S-1726-SM-4BOOD 20-29 years, male 0.0
GTEX-XUZC-0226-SM-4BOO7 30-39 years, female 0.0
GTEX-XV7Q-0226-SM-4BRVL 40-49 years, female 0.0
GTEX-XYKS-0926-SM-4BRVG 60-69 years, female 0.0
GTEX-Y114-0526-SM-4TT8V 50-59 years, female 0.0
GTEX-Y3IK-0226-SM-51MRJ 50-59 years, female 0.0
GTEX-Y5LM-0126-SM-4VBRL 40-49 years, female 0.0
GTEX-Y5V5-1326-SM-4V6G9 60-69 years, female 0.0
GTEX-Y5V6-1926-SM-5IFIL 60-69 years, male 0.0
GTEX-Y9LG-0126-SM-5Q59W 30-39 years, male 0.0
GTEX-YB5E-0226-SM-5IFHI 40-49 years, male 0.0
GTEX-YF7O-0126-SM-5IFIR 50-59 years, male 0.0
GTEX-YFCO-0126-SM-4W1YT 40-49 years, male 0.0
GTEX-ZA64-0226-SM-5HL9C 20-29 years, male 0.0
GTEX-ZDTT-0126-SM-4WKHA 60-69 years, male 0.0
GTEX-ZF2S-0126-SM-4WKFO 50-59 years, female 0.0
GTEX-ZLFU-0826-SM-4WWBP 40-49 years, male 0.0
GTEX-ZLV1-0226-SM-4WWC1 60-69 years, female 0.0
GTEX-ZLWG-0126-SM-4WWC5 50-59 years, female 0.0
GTEX-ZP4G-0126-SM-4YCE3 20-29 years, female 0.0
GTEX-ZT9W-0126-SM-4YCFD 50-59 years, male 0.0
GTEX-ZT9X-0126-SM-4YCFC 40-49 years, male 0.0
GTEX-ZTSS-0326-SM-5987M 40-49 years, male 0.0
GTEX-ZUA1-1926-SM-5E45E 40-49 years, male 0.0
GTEX-ZVP2-0126-SM-5NQ7D 50-59 years, male 0.0
GTEX-ZVT2-0826-SM-5GIEO 50-59 years, female 0.0
GTEX-ZY6K-0126-SM-5SIAM 50-59 years, male 0.0
GTEX-ZYFG-0926-SM-5BC5U 60-69 years, female 0.0
GTEX-ZYVF-1626-SM-5N9EH 50-59 years, female 0.0
GTEX-ZZPU-1226-SM-5N9CK 50-59 years, female 0.0
GTEX-1AX9K-0126-SM-7PC1B 50-59 years, male 0.0
GTEX-1CB4F-0126-SM-9JGGZ 60-69 years, male 0.0
GTEX-1EH9U-1726-SM-7P8QK 60-69 years, male 0.0
GTEX-1F75A-2026-SM-9KNTR 50-59 years, male 0.0
GTEX-1GF9V-2026-SM-9JGHS 60-69 years, male 0.0
GTEX-1GL5R-1026-SM-7P8U1 50-59 years, male 0.0
GTEX-1GMR3-0926-SM-9WPP9 40-49 years, male 0.0
GTEX-1GN73-1526-SM-9WPP1 60-69 years, male 0.0
GTEX-1H11D-2426-SM-9JGGN 40-49 years, male 0.0
GTEX-1H1E6-1026-SM-9JGFZ 30-39 years, male 0.0
GTEX-1H3VY-1826-SM-9JGI4 50-59 years, male 0.0
GTEX-1HBPI-1926-SM-CE6RT 50-59 years, male 0.0
GTEX-1HC8U-0226-SM-9WG7Q 40-49 years, female 0.0
GTEX-1HCU6-1826-SM-C1YRN 60-69 years, female 0.0
GTEX-1HKZK-0126-SM-B2LWF 40-49 years, male 0.0
GTEX-1I1GP-1826-SM-C1YS1 50-59 years, male 0.0
GTEX-1I1GQ-2026-SM-ARU7F 50-59 years, male 0.0
GTEX-1I1GT-0126-SM-B2LWM 60-69 years, female 0.0
GTEX-1I1GU-0226-SM-AHZ2J 40-49 years, male 0.0
GTEX-1I1GV-1826-SM-CNNR8 60-69 years, male 0.0
GTEX-1ICG6-0226-SM-AHZ2P 70-79 years, female 0.0
GTEX-1IDJH-1726-SM-A96T3 70-79 years, male 0.0
GTEX-1IDJU-0126-SM-CNNR2 60-69 years, female 0.0
GTEX-1J8EW-1826-SM-C1YQW 60-69 years, female 0.0
GTEX-1J8Q3-0326-SM-CE6TD 60-69 years, male 0.0
GTEX-1JKYN-0126-SM-AHZ4C 30-39 years, male 0.0
GTEX-1JMLX-1126-SM-CXZJN 50-59 years, male 0.0
GTEX-1K2DA-0226-SM-CGQGW 50-59 years, male 0.0
GTEX-1K2DU-0826-SM-DHXKA 20-29 years, male 0.0
GTEX-1KANB-2626-SM-EV7BF 50-59 years, male 0.0
GTEX-1KD4Q-1826-SM-DIPFV 40-49 years, male 0.0
GTEX-1KWVE-0726-SM-D4P3O 30-39 years, male 0.0
GTEX-1KXAM-0326-SM-EV7AQ 60-69 years, male 0.0
GTEX-1LG7Z-0426-SM-D4P47 30-39 years, male 0.0
GTEX-1LGRB-0326-SM-CNPQC 50-59 years, female 0.0
GTEX-1LNCM-0826-SM-DHXL6 50-59 years, female 0.0
GTEX-1LVAN-0826-SM-CNNPG 50-59 years, female 0.0
GTEX-1M5QR-1726-SM-EV7AU 40-49 years, male 0.0
GTEX-1NUQO-0626-SM-E6CQT 20-29 years, female 0.0
GTEX-1PIIG-1426-SM-EXOIS 30-39 years, male 0.0
GTEX-1PPH8-0826-SM-DTX9T 20-29 years, male 0.0
GTEX-1PWST-2126-SM-DPRZ5 70-79 years, male 0.0
GTEX-1QP29-0326-SM-E6CQ4 50-59 years, male 0.0
GTEX-1QP2A-2626-SM-EAZ3L 50-59 years, male 0.0
GTEX-1QPFJ-2526-SM-EXOJX 30-39 years, female 0.0
GTEX-1RAZQ-0226-SM-EV7BK 30-39 years, male 0.0
GTEX-1RQEC-1926-SM-DTX7M 60-69 years, male 0.0
GTEX-1S82P-1126-SM-EV79M 60-69 years, female 0.0
GTEX-OIZF-1326-SM-3MJGU 60-69 years, male 0.0
GTEX-QEG5-1826-SM-CE6QW 20-29 years, male 0.0
GTEX-QLQ7-0126-SM-CL55R 60-69 years, male 0.0
GTEX-QMRM-0126-SM-CJI1R 50-59 years, male 0.0
GTEX-R55E-1826-SM-EXOHD 20-29 years, male 0.0
GTEX-RNOR-1626-SM-EZ6MM 50-59 years, female 0.0
GTEX-ZEX8-0626-SM-DO118 50-59 years, male 0.0
GTEX-ZPCL-0826-SM-DNZZ7 60-69 years, female 0.0
Show allShow less

Contact

  • NEWS ARTICLES
  • PRESS ROOM

The Project

  • INTRODUCTION
  • ORGANIZATION
  • PUBLICATIONS

The Human Protein Atlas

  • DOWNLOADABLE DATA
  • LICENCE & CITATION
  • HELP & FAQ
The Human Protein Atlas project is funded
by the Knut & Alice Wallenberg Foundation.


contact@proteinatlas.org