We use cookies to enhance the usability of our website. If you continue, we'll assume that you are happy to receive all cookies. More information. Don't show this again.
FOXN2
HPA
RESOURCES
  • TISSUE
  • BRAIN
  • SINGLE CELL
  • SUBCELLULAR
  • CANCER
  • BLOOD
  • CELL LINE
  • STRUCTURE & INTERACTION
ABOUT
  • INTRODUCTION
  • HISTORY
  • ORGANIZATION
  • PUBLICATIONS
  • ANTIBODY SUBMISSION
  • ANTIBODY AVAILABILITY
  • ACKNOWLEDGMENTS
  • CONTACT
NEWS
  • NEWS ARTICLES
  • PRESS ROOM
LEARN
  • DICTIONARY
  • PROTEIN CLASSES
  • PROTEIN EVIDENCE
  • METHODS
  • EDUCATIONAL VIDEOS
DATA
  • DOWNLOADABLE DATA
  • PUBLICATION DATA
  • RELEASE HISTORY
HELP
  • ANTIBODY VALIDATION
  • ASSAYS & ANNOTATION
  • DISCLAIMER
  • HELP & FAQ
  • PRIVACY STATEMENT
  • LICENCE & CITATION
Fields »
Search result

Field
Term
Gene name
Class
Subclass
Class
Keyword
Chromosome
External id
Tissue
Cell type
Expression
Antibody panel
Tissue
Main location
Patient ID
Annotation
Tissue
Category
Tau score
Cluster
Reliability
Brain region
Category
Tau score
Brain region
Category
Tau score
Brain region
Category
Tau score
Cluster
Reliability
Tissue
Cell type
Enrichment
Cell type
Category
Tau score
Cell type
Category
Tau score
Cell type
Category
Tau score
Cell lineage
Category
Tau score
Cluster
Cluster
Location
Searches
Location
Cell line
Class
Type
Phase
Reliability
Cancer
Prognosis
Cancer
Category
Cancer
Category
Tau score
Cluster
Variants
Interacting gene (ensg_id)
Type
Number of interactions
Pathway
Category
Score
Score
Score
Validation
Validation
Validation
Validation
Antibodies
Data type
Column


  • SUMMARY

  • TISSUE

  • BRAIN

  • SINGLE CELL

  • SUBCELL

  • CANCER

  • BLOOD

  • CELL LINE

  • STRUCT & INT

  • FOXN2
TISSUE PRIMARY DATA ADIPOSE TISSUE Show tissue menu
ADIPOSE TISSUE ADRENAL GLAND AMYGDALA APPENDIX BASAL GANGLIA BONE MARROW BREAST BRONCHUS CEREBELLUM CEREBRAL CORTEX CERVIX CHOROID PLEXUS COLON DUODENUM
ENDOMETRIUM EPIDIDYMIS ESOPHAGUS FALLOPIAN TUBE GALLBLADDER HEART MUSCLE HIPPOCAMPAL FORMATION HYPOTHALAMUS KIDNEY LIVER LUNG LYMPH NODE MIDBRAIN NASOPHARYNX
ORAL MUCOSA OVARY PANCREAS PARATHYROID GLAND PITUITARY GLAND PLACENTA PROSTATE RECTUM RETINA SALIVARY GLAND SEMINAL VESICLE SKELETAL MUSCLE SKIN SMALL INTESTINE
SMOOTH MUSCLE SOFT TISSUE SPINAL CORD SPLEEN STOMACH TESTIS THYMUS THYROID GLAND TONGUE TONSIL URINARY BLADDER VAGINA
ANTIBODIES
AND
VALIDATION
Dictionary
Tissue proteome
Adipose tissue
ADIPOSE TISSUE - Expression summary
Protein expression
Adipose tissuei

On the top, protein expression in current human tissue, based on all annotated cell types, is reported with the units not detected (n), low (l), medium (m) and high (h). Underneath, protein expression in each annotated cell type are reported using the same units.

Protein expression data is based on knowledge-based annotation. For genes where more than one antibody has been used, a collective score is set.

If knowledge-based annotation could not be performed for a gene, no data is displayed here. View antibody staining data further down this page.

h
m
l
n
Adipocytes: Low
RNA expressioni

A summary of mRNA expression data available for current tissue based on several datasets. The mRNA expression levels in human tissues are based on RNA-seq data generated by the Human Protein Atlas (HPA), Genotype-Tissue Expression (GTEx) portal and CAGE data generated by the FANTOM5 consortium. Consensus normalized expression levels for human tissues was created by combining the data from HPA and GTEx datasets.

The mRNA expression levels in pig are based on RNA-seq data generated by the Human Protein Atlas (HPA), and for mouse, HPA data and in situ hybridization generated by the Allen brain atlas are reported.

Scroll down to view mRNA expression data in more detail.
Consensus:17.3 nTPM
HPA:17.3 nTPM
GTEx:9.4 nTPM
FANTOM5:88.8 Scaled Tags Per Million

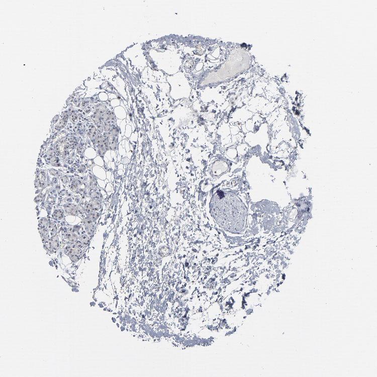
ADIPOSE TISSUE - Antibody stainingi

Antibody staining in the annotated cell types in the current human tissue is reported as not detected, low, medium, or high, based on conventional immunohistochemistry profiling in selected tissues. This score is based on the combination of the staining intensity and fraction of stained cells.

Each image is clickable and will lead to virtual microscopy that enables deeper exploration of all samples and also displays staining intensity scores, fraction scores and subcellular localization as well as patient and tissue information for each sample.

Antibody HPA003485
Adipocytes Low






ADIPOSE TISSUE - HPA RNA-seqi

The RNA-seq details section shows detailed information about the individual samples used for the transcript profiling and results of the RNA-seq analysis.

Information about each individual sample is listed below, including gender, age, a tissue section image and estimated fractions of cell types. nTPM (normalized transcripts per million) values give a quantification of the gene abundance which is comparable between different genes and samples.
Average nTPMi

Max subtype nTPM is the value for the subtype with the largest average nTPM across the subtype samples.

17.3
N/A
Female, age 80
Adipose tissue sample 86
nTPM: 18.8
Cell types%
Adipocytes:
95

Other cell types:
5

N/A
Female, age 45
Adipose tissue sample 115
nTPM: 21.7
N/A
Female, age 57
Adipose tissue sample 137
nTPM: 18.4
Cell types%
Adipocytes:
60

Fibroblasts:
20

Smooth muscle cells:
15

Other cell types:
5

overview
Female, age 74
Adipose tissue sample 329
nTPM: 12.1
Cell types%
Adipocytes:
50

Fibroblasts:
30

Smooth muscle cells:
15

Other cell types:
5

overview
Female, age 59
Adipose tissue sample 331
nTPM: 15.3
Cell types%
Adipocytes:
40

Fibroblasts:
40

Smooth muscle cells:
15

Other cell types:
5


ADIPOSE TISSUE - GTEx RNA-seqi

RNA-Seq data generated by the Genotype-Tissue Expression (GTEx) project from human tissues is reported as mean nTPM. More information can be found on the GTEx portal.

Distribution across the dataset is visualized with box plots, shown as median and 25th and 75th percentiles. Points are displayed as outliers if they are above or below 1.5 times the interquartile range. nTPM values of the individual samples are presented next to the box plot.
Max subtype nTPMi

Max subtype nTPM is the value for the subtype with the largest average nTPM across the subtype samples.

9.4
GTEx sample id Sample description nTPM
Adipose - Subcutaneous
Average nTPM: 9.4
Samples: 663

Max nTPM: 20.3
Min nTPM: 3.7
Std nTPM: 2.5
Median nTPM: 9.1
GTEX-1H1E6-2026-SM-9KNVK 30-39 years, male 20.3
GTEX-ZLV1-1826-SM-5FQU5 60-69 years, female 18.1
GTEX-VUSH-0226-SM-EXUQV 30-39 years, male 17.0
GTEX-T6MO-1726-SM-33HB8 40-49 years, female 16.4
GTEX-SNMC-1326-SM-2XCFK 20-29 years, male 16.2
GTEX-13VXT-0226-SM-5LU9Q 20-29 years, female 16.1
GTEX-1QPFJ-0126-SM-E9J4B 30-39 years, female 16.0
GTEX-ZZPU-2726-SM-5NQ8O 50-59 years, female 15.9
GTEX-O5YT-0226-SM-32PK5 20-29 years, male 15.7
GTEX-U3ZN-2626-SM-3DB7T 30-39 years, female 15.7
GTEX-1JMQI-2026-SM-CMKGP 50-59 years, male 15.5
GTEX-1A8FM-0126-SM-7SB7P 50-59 years, female 15.4
GTEX-1S831-0326-SM-EVYD3 20-29 years, male 15.2
GTEX-15ER7-0426-SM-6PAM3 20-29 years, female 15.1
GTEX-145MO-0426-SM-5QGP6 60-69 years, male 15.0
GTEX-R53T-1626-SM-3GAEW 50-59 years, female 15.0
GTEX-14E6D-0226-SM-62LDW 50-59 years, male 14.9
GTEX-PLZ6-1326-SM-3NB24 30-39 years, male 14.9
GTEX-15G19-0226-SM-6PAL2 60-69 years, male 14.8
GTEX-QDT8-0226-SM-32PL4 30-39 years, female 14.8
GTEX-139T8-0226-SM-5L3EA 60-69 years, male 14.7
GTEX-13N2G-2726-SM-5J1MG 60-69 years, male 14.7
GTEX-1GZ2Q-0326-SM-9WG6N 40-49 years, male 14.7
GTEX-1C2JI-2226-SM-7IGPJ 50-59 years, male 14.5
GTEX-1EU9M-0326-SM-7RHGF 60-69 years, male 14.5
GTEX-1PPH8-0626-SM-EWRN9 20-29 years, male 14.4
GTEX-ZF28-0226-SM-5S2OE 60-69 years, male 14.3
GTEX-1QCLY-0526-SM-EAZ47 30-39 years, male 14.3
GTEX-11P7K-2026-SM-5GU74 30-39 years, male 14.2
GTEX-1MUQO-0526-SM-E9J31 60-69 years, male 14.2
GTEX-1PDJ9-0426-SM-E9J3E 20-29 years, male 14.2
GTEX-ZE9C-2826-SM-5S2MO 60-69 years, male 14.1
GTEX-111YS-2426-SM-5GZZQ 60-69 years, male 13.9
GTEX-U3ZM-1026-SM-EZ6LD 40-49 years, male 13.9
GTEX-13D11-2326-SM-5IJCY 50-59 years, female 13.8
GTEX-ZXES-2026-SM-5NQ6R 30-39 years, female 13.8
GTEX-1MCC2-2326-SM-E9U5G 30-39 years, female 13.8
GTEX-1MGNQ-0226-SM-EVYCK 40-49 years, male 13.8
GTEX-QEL4-0326-SM-3GAE5 50-59 years, male 13.7
GTEX-1F88E-0526-SM-7SB8J 60-69 years, female 13.7
GTEX-12KS4-0426-SM-5EQMC 30-39 years, male 13.6
GTEX-TKQ1-1126-SM-4GIAZ 30-39 years, male 13.6
GTEX-OIZF-0226-SM-E9TI3 60-69 years, male 13.6
GTEX-13JVG-0226-SM-5J1MW 60-69 years, male 13.5
GTEX-1H2FU-0226-SM-9YFKO 60-69 years, female 13.5
GTEX-1IE54-0226-SM-CMKHX 40-49 years, female 13.5
GTEX-QLQW-1226-SM-2S1Q9 30-39 years, male 13.4
GTEX-S33H-1126-SM-2XCB6 30-39 years, male 13.4
GTEX-XPVG-2726-SM-4B66W 50-59 years, male 13.4
GTEX-ZDYS-2126-SM-5S2P2 50-59 years, male 13.4
GTEX-131XW-0526-SM-5PNXZ 50-59 years, female 13.3
GTEX-R55C-1626-SM-48FEG 40-49 years, male 13.3
GTEX-1J8EW-0226-SM-CYPSW 60-69 years, female 13.3
GTEX-1QP67-1726-SM-E8VOP 40-49 years, female 13.3
GTEX-WFG7-2526-SM-EWRM5 20-29 years, male 13.3
GTEX-16YQH-0226-SM-6PALD 30-39 years, male 13.2
GTEX-OIZH-0226-SM-2YUMH 50-59 years, male 13.2
GTEX-1JJE9-1226-SM-CNPOI 70-79 years, male 13.2
GTEX-1MCYP-1826-SM-E9J2Q 20-29 years, female 13.2
GTEX-1269C-2726-SM-5EGJ4 60-69 years, female 13.1
GTEX-18A66-0326-SM-718BE 60-69 years, male 13.1
GTEX-13VXU-0226-SM-5SI9R 50-59 years, male 13.0
GTEX-17F98-1126-SM-79OJS 40-49 years, female 13.0
GTEX-ZDTT-2626-SM-5S2OP 60-69 years, male 13.0
GTEX-ZE7O-0226-SM-5S2N1 50-59 years, female 13.0
GTEX-1HSEH-0226-SM-ACKVV 60-69 years, male 13.0
GTEX-1LSVX-0126-SM-EVYCY 60-69 years, male 13.0
GTEX-1S5ZU-0226-SM-E6CHW 20-29 years, female 13.0
GTEX-14ICL-2026-SM-62LDN 30-39 years, male 12.9
GTEX-1AX9I-0226-SM-7SB75 60-69 years, male 12.9
GTEX-1EMGI-0226-SM-9MQL1 60-69 years, male 12.9
GTEX-1HBPH-0526-SM-9YFMN 40-49 years, female 12.8
GTEX-11ZVC-2626-SM-5FQTA 50-59 years, female 12.7
GTEX-17EVP-0426-SM-79OKG 40-49 years, male 12.7
GTEX-18D9A-2026-SM-718BL 30-39 years, female 12.7
GTEX-ZUA1-0226-SM-5NQ9Q 40-49 years, male 12.7
GTEX-1K2DA-2126-SM-CGQGL 50-59 years, male 12.7
GTEX-1L5NE-2626-SM-E9U6P 50-59 years, male 12.7
GTEX-144FL-0226-SM-5Q5D4 50-59 years, male 12.6
GTEX-15DDE-0226-SM-6LLJ6 50-59 years, female 12.6
GTEX-RTLS-0226-SM-2TF5E 60-69 years, female 12.6
GTEX-YFC4-0226-SM-57WD2 40-49 years, female 12.6
GTEX-1E2YA-0226-SM-9MQLY 50-59 years, male 12.6
GTEX-1RAZR-0226-SM-EVYC6 40-49 years, male 12.6
GTEX-13O21-1526-SM-5K7W4 50-59 years, male 12.5
GTEX-14DAR-1926-SM-5S2NQ 50-59 years, male 12.5
GTEX-1B8L1-2626-SM-7SB77 60-69 years, male 12.5
GTEX-1F52S-0226-SM-7SB7U 60-69 years, female 12.5
GTEX-11EQ9-2526-SM-5HL66 30-39 years, male 12.4
GTEX-1R9PM-2126-SM-E8VOB 20-29 years, male 12.4
GTEX-1CB4I-0426-SM-7IGPR 50-59 years, male 12.3
GTEX-RM2N-1726-SM-2TF55 50-59 years, male 12.3
GTEX-1399R-2626-SM-5KLZ7 30-39 years, male 12.2
GTEX-13S7M-0226-SM-5S2UG 60-69 years, female 12.2
GTEX-YEC4-2426-SM-57WFO 40-49 years, male 12.2
GTEX-13FHP-0226-SM-5K7WD 50-59 years, male 12.1
GTEX-13SLW-0226-SM-5S2NA 70-79 years, male 12.1
GTEX-1GMR8-0226-SM-9YFL3 50-59 years, female 12.1
GTEX-NFK9-0326-SM-3MJGV 40-49 years, male 12.0
GTEX-ZYY3-0226-SM-5E45M 60-69 years, female 12.0
GTEX-1AMEY-1426-SM-7939I 30-39 years, female 11.9
GTEX-1F6I4-0226-SM-9MQMA 60-69 years, male 11.9
GTEX-1H1CY-2626-SM-9MQKJ 60-69 years, female 11.9
GTEX-1HCVE-0226-SM-CGQEV 50-59 years, male 11.9
GTEX-11WQC-2426-SM-5EQKQ 60-69 years, male 11.8
GTEX-13O61-2426-SM-5J1NV 60-69 years, male 11.8
GTEX-1C6VS-0426-SM-79OJV 60-69 years, male 11.8
GTEX-P4QT-0226-SM-3LK68 50-59 years, female 11.8
GTEX-T2IS-0226-SM-32QPH 20-29 years, female 11.8
GTEX-ZTX8-1526-SM-5N9GI 20-29 years, male 11.8
GTEX-18QFQ-0226-SM-731BQ 30-39 years, male 11.8
GTEX-1HBPM-0326-SM-CMKGR 60-69 years, female 11.8
GTEX-13NZB-2426-SM-5K7UF 30-39 years, male 11.7
GTEX-1B97I-1726-SM-7939V 40-49 years, male 11.7
GTEX-WFJO-1926-SM-3GILA 30-39 years, male 11.7
GTEX-XK95-0426-SM-4AT4R 40-49 years, male 11.7
GTEX-ZTSS-2026-SM-5987K 40-49 years, male 11.7
GTEX-1HR9M-0226-SM-COH3E 60-69 years, male 11.7
GTEX-1HSMP-0226-SM-CGQFI 70-79 years, male 11.7
GTEX-17F96-1726-SM-7IGMB 70-79 years, male 11.6
GTEX-P44H-0326-SM-2XCES 40-49 years, male 11.6
GTEX-ZQG8-1526-SM-5HL65 60-69 years, female 11.6
GTEX-1F6RS-0226-SM-9MQKO 60-69 years, female 11.6
GTEX-1I1GT-0526-SM-CGQEQ 60-69 years, female 11.6
GTEX-1KXAM-2326-SM-CYPTD 60-69 years, male 11.6
GTEX-1M5QR-2126-SM-DKPQM 40-49 years, male 11.6
GTEX-S4P3-1526-SM-E9J3W 50-59 years, female 11.6
GTEX-12696-2526-SM-5EQLN 60-69 years, male 11.5
GTEX-145MF-0526-SM-5LUA6 50-59 years, male 11.5
GTEX-TMZS-0226-SM-3DB9N 60-69 years, male 11.5
GTEX-ZVT2-2226-SM-5NQ6P 50-59 years, female 11.5
GTEX-1HFI7-2026-SM-CGQFR 50-59 years, female 11.5
GTEX-1JK1U-2126-SM-CNPOU 60-69 years, male 11.5
GTEX-RNOR-0226-SM-EZ6MF 50-59 years, female 11.5
GTEX-1314G-1626-SM-5EQ67 30-39 years, male 11.4
GTEX-13X6K-0226-SM-5QGPB 60-69 years, female 11.4
GTEX-18D9U-0726-SM-7LG5J 40-49 years, male 11.4
GTEX-SJXC-0226-SM-2XCDU 60-69 years, male 11.4
GTEX-ZPCL-2126-SM-57WFZ 60-69 years, female 11.4
GTEX-1F5PK-2526-SM-9MQKN 50-59 years, male 11.4
GTEX-1H1DE-2026-SM-9WG6Q 20-29 years, male 11.4
GTEX-14JG6-2326-SM-6LLH3 30-39 years, female 11.3
GTEX-QV31-1326-SM-2S1QE 30-39 years, male 11.3
GTEX-14C5O-0226-SM-5SI6O 60-69 years, male 11.2
GTEX-14JG1-0526-SM-6LLHW 40-49 years, male 11.2
GTEX-14PHX-2426-SM-62LEN 50-59 years, male 11.2
GTEX-OIZI-0226-SM-2XCEE 40-49 years, male 11.2
GTEX-R55D-0326-SM-48FES 50-59 years, male 11.2
GTEX-1GF9V-0226-SM-9MQKA 60-69 years, male 11.2
GTEX-1GMR3-2026-SM-9MQLG 40-49 years, male 11.2
GTEX-1BAJH-0426-SM-73KWY 70-79 years, male 11.1
GTEX-OXRK-0326-SM-3NB3R 50-59 years, female 11.1
GTEX-Y111-0226-SM-4SOIW 50-59 years, male 11.1
GTEX-YB5K-2226-SM-4WWG1 40-49 years, female 11.1
GTEX-1122O-2026-SM-9YFMG 60-69 years, female 11.1
GTEX-1KANA-0826-SM-D3L9J 20-29 years, male 11.1
GTEX-1OFPY-2326-SM-E8VNU 60-69 years, male 11.1
GTEX-117YX-2226-SM-5EGJJ 50-59 years, male 11.0
GTEX-14PJ6-2226-SM-6LLIV 60-69 years, female 11.0
GTEX-VJYA-1326-SM-3GIJC 60-69 years, male 11.0
GTEX-Z93T-0226-SM-5HL5Z 50-59 years, male 11.0
GTEX-ZC5H-0126-SM-4WAYL 40-49 years, female 11.0
GTEX-ZVE2-0326-SM-57WFC 50-59 years, male 11.0
GTEX-1CAMQ-0126-SM-7SB7S 40-49 years, male 11.0
GTEX-1128S-2126-SM-5H12U 60-69 years, female 10.9
GTEX-13QJ3-0426-SM-5RQHP 50-59 years, male 10.9
GTEX-YF7O-2426-SM-5IFJL 50-59 years, male 10.9
GTEX-1HBPI-1426-SM-B2LW7 50-59 years, male 10.9
GTEX-11EI6-0226-SM-5EQ64 60-69 years, male 10.8
GTEX-11P81-2426-SM-5GU65 30-39 years, female 10.8
GTEX-11ZTT-2526-SM-5EQM9 60-69 years, female 10.8
GTEX-13OW8-1226-SM-5K7XD 60-69 years, male 10.8
GTEX-XMD2-0226-SM-4WWEE 60-69 years, female 10.8
GTEX-XUYS-0226-SM-47JX1 50-59 years, male 10.8
GTEX-ZVTK-0526-SM-5GZWT 20-29 years, male 10.8
GTEX-145ME-1926-SM-5MR6T 40-49 years, female 10.8
GTEX-1CB4E-1826-SM-7RHG8 60-69 years, male 10.8
GTEX-1CB4H-0326-SM-9WG5G 60-69 years, female 10.8
GTEX-1F48J-0226-SM-7SB82 50-59 years, female 10.8
GTEX-1JMLX-0126-SM-CMKG9 50-59 years, male 10.8
GTEX-P4PP-0226-SM-D4P1Z 30-39 years, female 10.8
GTEX-WYJK-0226-SM-EYYV8 50-59 years, male 10.8
GTEX-14PJ4-2226-SM-6LLIS 60-69 years, male 10.7
GTEX-14PJM-0326-SM-62LF2 50-59 years, female 10.7
GTEX-16GPK-0226-SM-7DUFI 60-69 years, male 10.7
GTEX-XMK1-2226-SM-4B673 40-49 years, male 10.7
GTEX-1EKGG-0126-SM-9YFLS 60-69 years, male 10.7
GTEX-1HFI6-0326-SM-ADEI5 40-49 years, male 10.7
GTEX-15ETS-0426-SM-6PANI 40-49 years, female 10.6
GTEX-O5YV-0226-SM-48TBY 60-69 years, female 10.6
GTEX-TML8-2026-SM-32QOP 40-49 years, female 10.6
GTEX-ZT9X-1926-SM-57WE7 40-49 years, male 10.6
GTEX-ZV68-0226-SM-59HJF 50-59 years, female 10.6
GTEX-1PIIG-0326-SM-EVYBV 30-39 years, male 10.6
GTEX-UTHO-0426-SM-CE6QU 60-69 years, male 10.6
GTEX-13PDP-0226-SM-5K7W9 60-69 years, male 10.5
GTEX-145MN-2626-SM-5NQAH 30-39 years, male 10.5
GTEX-1AMFI-2126-SM-731BT 50-59 years, female 10.5
GTEX-OHPK-0226-SM-3MJH6 50-59 years, female 10.5
GTEX-QV44-1825-SM-447CF 50-59 years, male 10.5
GTEX-WEY5-1926-SM-3GIL8 40-49 years, female 10.5
GTEX-1FIGZ-1626-SM-7SB8L 40-49 years, male 10.5
GTEX-1IDJF-0226-SM-CMKGE 20-29 years, male 10.5
GTEX-1IGQW-0226-SM-COH43 60-69 years, male 10.5
GTEX-139D8-0326-SM-5IJCJ 30-39 years, female 10.4
GTEX-13OVK-2126-SM-6PAN1 40-49 years, male 10.4
GTEX-146FR-1826-SM-5QGPF 60-69 years, female 10.4
GTEX-14JIY-0526-SM-62LFH 60-69 years, male 10.4
GTEX-18A7A-0326-SM-731AT 50-59 years, female 10.4
GTEX-1A32A-0226-SM-718B2 50-59 years, female 10.4
GTEX-1B8KZ-1926-SM-7DUG8 50-59 years, male 10.4
GTEX-PLZ5-1826-SM-3NB22 50-59 years, male 10.4
GTEX-1GPI7-0226-SM-9MQKB 20-29 years, male 10.4
GTEX-1LGOU-2226-SM-E9U56 20-29 years, female 10.4
GTEX-1QW4Y-1626-SM-EAZ41 30-39 years, male 10.4
GTEX-16MT8-0526-SM-6PAM6 60-69 years, female 10.3
GTEX-16MTA-2126-SM-6PALC 50-59 years, male 10.3
GTEX-ZXG5-0226-SM-59HJI 60-69 years, male 10.3
GTEX-ZZ64-1626-SM-5E43W 20-29 years, male 10.3
GTEX-1HSKV-0326-SM-ADEJC 60-69 years, male 10.3
GTEX-1MA7W-1926-SM-E6CIO 20-29 years, female 10.3
GTEX-1PFEY-1626-SM-E9J3M 30-39 years, male 10.3
GTEX-RVPV-1526-SM-EXOHF 60-69 years, male 10.3
GTEX-11EM3-2326-SM-5H12B 20-29 years, female 10.2
GTEX-Q2AG-0226-SM-2S1P4 40-49 years, female 10.2
GTEX-TSE9-0226-SM-3DB84 60-69 years, female 10.2
GTEX-WFON-2226-SM-3TW8W 40-49 years, male 10.2
GTEX-WL46-0326-SM-3LK6Y 50-59 years, male 10.2
GTEX-XBED-2326-SM-47JYR 60-69 years, male 10.2
GTEX-1B932-0226-SM-7PBYH 40-49 years, female 10.2
GTEX-1F88F-2626-SM-9WG5K 60-69 years, female 10.2
GTEX-1GZ4H-1826-SM-9MQLE 50-59 years, female 10.2
GTEX-1I19N-0426-SM-ACKVY 70-79 years, male 10.2
GTEX-1JKYN-1226-SM-CGQG8 30-39 years, male 10.2
GTEX-1LGRB-2426-SM-CNPP3 50-59 years, female 10.2
GTEX-11LCK-1126-SM-5A5KC 30-39 years, male 10.1
GTEX-11TTK-0226-SM-5N9EC 60-69 years, female 10.1
GTEX-147F3-0626-SM-5NQ9I 50-59 years, female 10.1
GTEX-183FY-0326-SM-793BY 20-29 years, male 10.1
GTEX-ZAK1-0226-SM-5CVMX 50-59 years, female 10.1
GTEX-1B996-0126-SM-7PBYF 60-69 years, male 10.1
GTEX-1I6K7-0226-SM-CJI46 40-49 years, male 10.1
GTEX-RUSQ-1626-SM-EZ6L4 50-59 years, male 10.1
GTEX-11P82-1726-SM-5Q5AT 20-29 years, male 10.0
GTEX-15RIE-2326-SM-7KFSC 60-69 years, male 10.0
GTEX-1B8KE-2526-SM-73KYQ 50-59 years, male 10.0
GTEX-P78B-0226-SM-3NB1Z 40-49 years, female 10.0
GTEX-QDVJ-1826-SM-2S1P3 50-59 years, male 10.0
GTEX-QLQ7-1526-SM-2S1QA 60-69 years, male 10.0
GTEX-12WSM-0226-SM-5LZV6 60-69 years, male 9.9
GTEX-13G51-2626-SM-5LZYW 60-69 years, male 9.9
GTEX-OHPM-0226-SM-3LK61 50-59 years, male 9.9
GTEX-WY7C-2426-SM-3NB2V 50-59 years, male 9.9
GTEX-1I1GP-2326-SM-CGQFL 50-59 years, male 9.9
GTEX-1IDJU-2526-SM-CMKGF 60-69 years, female 9.9
GTEX-1IOXB-0226-SM-CMKHY 50-59 years, male 9.9
GTEX-1LG7Z-2026-SM-DLHBP 30-39 years, male 9.9
GTEX-12WSA-0326-SM-5BC6I 60-69 years, male 9.8
GTEX-14BIN-0726-SM-793DQ 50-59 years, female 9.8
GTEX-R55G-2426-SM-2TC5I 40-49 years, female 9.8
GTEX-U4B1-1726-SM-3DB9F 40-49 years, male 9.8
GTEX-X261-0226-SM-3NMD2 50-59 years, male 9.8
GTEX-Y8E5-0226-SM-57WCM 60-69 years, male 9.8
GTEX-YJ8O-2426-SM-5HL7S 40-49 years, female 9.8
GTEX-1CB4F-0526-SM-9KNW2 60-69 years, male 9.8
GTEX-1GN1W-0626-SM-9MQK3 50-59 years, female 9.8
GTEX-1IDFM-0226-SM-CMKFX 60-69 years, male 9.8
GTEX-1NHNU-1126-SM-E9J2C 50-59 years, male 9.8
GTEX-1RQEC-0526-SM-E6CHV 60-69 years, male 9.8
GTEX-13FTW-2526-SM-5IJC8 40-49 years, male 9.7
GTEX-14ABY-0326-SM-5TDDK 50-59 years, male 9.7
GTEX-14H4A-1026-SM-62LDY 40-49 years, female 9.7
GTEX-14ICK-0326-SM-6LLIZ 40-49 years, male 9.7
GTEX-14PN3-2526-SM-6EU15 60-69 years, female 9.7
GTEX-17EUY-0526-SM-7EWDE 20-29 years, male 9.7
GTEX-Y5V5-2426-SM-5IFJA 60-69 years, female 9.7
GTEX-169BO-1426-SM-9MQJT 50-59 years, male 9.7
GTEX-1CAMR-1826-SM-7MXUJ 20-29 years, male 9.7
GTEX-1QP9N-1526-SM-DTXFK 30-39 years, male 9.7
GTEX-12WSC-0226-SM-5EQ52 50-59 years, male 9.6
GTEX-13O3P-0226-SM-5KM3Z 50-59 years, male 9.6
GTEX-14C39-2526-SM-5S2UH 40-49 years, male 9.6
GTEX-S95S-1326-SM-2XCDK 60-69 years, male 9.6
GTEX-X4EO-0426-SM-4QASA 60-69 years, female 9.6
GTEX-ZEX8-2326-SM-5S2MN 50-59 years, male 9.6
GTEX-1I1CD-0226-SM-CM2TL 60-69 years, female 9.6
GTEX-1QP29-0726-SM-DTXFM 50-59 years, male 9.6
GTEX-1QP6S-0126-SM-E9J4K 40-49 years, male 9.6
GTEX-11OF3-2426-SM-5Q5AS 60-69 years, male 9.5
GTEX-14DAQ-0226-SM-664MQ 60-69 years, female 9.5
GTEX-YEC3-1226-SM-5IFI8 50-59 years, male 9.5
GTEX-16XZZ-0226-SM-7MGVJ 60-69 years, male 9.5
GTEX-1HSMO-0226-SM-CGQEZ 60-69 years, male 9.5
GTEX-1JMQL-0326-SM-CNPP6 50-59 years, female 9.5
GTEX-1RAZQ-0626-SM-E8VOR 30-39 years, male 9.5
GTEX-1S83E-0226-SM-EVYCW 40-49 years, male 9.5
GTEX-PX3G-0226-SM-DKPOF 20-29 years, female 9.5
GTEX-14E6E-1926-SM-664N4 30-39 years, male 9.4
GTEX-1B8SF-0526-SM-7939F 60-69 years, male 9.4
GTEX-1C64O-0226-SM-73KXB 60-69 years, male 9.4
GTEX-Y8LW-1926-SM-4WWFZ 50-59 years, female 9.4
GTEX-1AYCT-2226-SM-7SB98 50-59 years, male 9.4
GTEX-1HSGN-0126-SM-CGQFU 40-49 years, female 9.4
GTEX-1QP2A-0226-SM-EVYBC 50-59 years, male 9.4
GTEX-12WSD-0226-SM-59HKO 60-69 years, female 9.3
GTEX-139T6-2126-SM-5KM37 50-59 years, male 9.3
GTEX-1497J-2326-SM-5NQBK 60-69 years, male 9.3
GTEX-14LLW-0226-SM-62LEL 70-79 years, female 9.3
GTEX-OOBK-0226-SM-2YUMF 40-49 years, male 9.3
GTEX-POYW-0726-SM-2XCEO 60-69 years, male 9.3
GTEX-ZDXO-2426-SM-5S2NJ 60-69 years, male 9.3
GTEX-13NYB-2626-SM-9YFMI 40-49 years, male 9.3
GTEX-1C6VR-2626-SM-7MGX2 60-69 years, male 9.3
GTEX-1GZ4I-0226-SM-7RHHO 50-59 years, male 9.3
GTEX-1H3O1-0526-SM-9MQLS 60-69 years, male 9.3
GTEX-131YS-0226-SM-5IJEH 60-69 years, female 9.2
GTEX-13OVL-0326-SM-5IJCS 50-59 years, male 9.2
GTEX-146FH-0226-SM-5QGPQ 50-59 years, female 9.2
GTEX-1C475-1926-SM-7DUFV 40-49 years, female 9.2
GTEX-Q2AI-1426-SM-2S1P5 40-49 years, male 9.2
GTEX-QCQG-1826-SM-2S1P2 50-59 years, female 9.2
GTEX-WVLH-0226-SM-3MJG6 50-59 years, male 9.2
GTEX-Y9LG-2026-SM-62LFS 30-39 years, male 9.2
GTEX-Z93S-0226-SM-5HL7R 50-59 years, male 9.2
GTEX-1CB4G-0326-SM-7SB8R 60-69 years, male 9.2
GTEX-1HGF4-2526-SM-ADEIZ 60-69 years, male 9.2
GTEX-1IKJJ-0226-SM-COH3T 60-69 years, male 9.2
GTEX-1LSNL-0526-SM-DIPFI 50-59 years, male 9.2
GTEX-139TT-0226-SM-5K7YH 60-69 years, male 9.1
GTEX-1A3MV-2126-SM-718BV 30-39 years, male 9.1
GTEX-RU72-1026-SM-46MUG 50-59 years, female 9.1
GTEX-XBEW-0726-SM-4QARX 40-49 years, male 9.1
GTEX-ZF3C-0226-SM-4WWB3 50-59 years, female 9.1
GTEX-11NUK-0326-SM-5HL5K 50-59 years, male 9.1
GTEX-1LG7Y-0426-SM-DKPQB 50-59 years, male 9.1
GTEX-1MJK2-0526-SM-DTXE6 50-59 years, male 9.1
GTEX-11I78-2626-SM-5Q5AI 50-59 years, female 9.0
GTEX-13113-1826-SM-5LZW4 60-69 years, female 9.0
GTEX-13N1W-0226-SM-5K7W6 70-79 years, male 9.0
GTEX-14AS3-2026-SM-5TDD9 40-49 years, female 9.0
GTEX-17HHE-1926-SM-7EPGW 50-59 years, male 9.0
GTEX-183WM-0226-SM-7LT8T 70-79 years, female 9.0
GTEX-1B8SG-0226-SM-7939Q 50-59 years, male 9.0
GTEX-1EWIQ-0226-SM-793D3 70-79 years, female 9.0
GTEX-OOBJ-0226-SM-2YUMM 60-69 years, male 9.0
GTEX-OXRP-0226-SM-3NB14 60-69 years, female 9.0
GTEX-PSDG-0326-SM-48TCP 50-59 years, male 9.0
GTEX-XLM4-0226-SM-4AT4N 60-69 years, male 9.0
GTEX-XUW1-0526-SM-4BOP3 50-59 years, female 9.0
GTEX-Y8E4-0726-SM-4WWFN 40-49 years, male 9.0
GTEX-1HT8W-0226-SM-CMKGT 30-39 years, male 9.0
GTEX-ZLWG-2226-SM-DO92V 50-59 years, female 9.0
GTEX-111CU-1826-SM-5GZYN 50-59 years, male 8.9
GTEX-1399T-2726-SM-5K7XK 60-69 years, male 8.9
GTEX-15DCD-0226-SM-6LPKC 70-79 years, female 8.9
GTEX-XQ3S-1626-SM-4WAYN 20-29 years, male 8.9
GTEX-XQ8I-0526-SM-4BOPS 50-59 years, male 8.9
GTEX-YJ89-0226-SM-4TT3Y 60-69 years, male 8.9
GTEX-1I1GQ-0226-SM-COH3I 50-59 years, male 8.9
GTEX-1I1GV-0426-SM-ARZLX 60-69 years, male 8.9
GTEX-11GSO-2326-SM-5A5LX 60-69 years, male 8.8
GTEX-131XF-2226-SM-5EQKG 60-69 years, male 8.8
GTEX-13FH7-2226-SM-5IJD4 50-59 years, female 8.8
GTEX-13NZ8-0926-SM-5MR3U 60-69 years, female 8.8
GTEX-14PK6-2026-SM-6LLHP 70-79 years, female 8.8
GTEX-P44G-2326-SM-2XCCZ 30-39 years, male 8.8
GTEX-PWCY-1926-SM-3NB25 20-29 years, female 8.8
GTEX-REY6-0326-SM-2TF5A 60-69 years, male 8.8
GTEX-U412-0526-SM-3DB9I 60-69 years, male 8.8
GTEX-ZYT6-0326-SM-7LG5R 30-39 years, male 8.8
GTEX-1I4MK-2026-SM-B2LVR 50-59 years, female 8.8
GTEX-1IL2U-0326-SM-CE6T9 60-69 years, male 8.8
GTEX-PLZ4-0226-SM-CYPR1 50-59 years, female 8.8
GTEX-PWN1-0226-SM-DKPO9 40-49 years, female 8.8
GTEX-ZGAY-0626-SM-DO92E 40-49 years, female 8.8
GTEX-11XUK-2126-SM-5EQLR 40-49 years, female 8.7
GTEX-11ZUS-0726-SM-59886 30-39 years, male 8.7
GTEX-12126-0426-SM-5Q5AP 20-29 years, male 8.7
GTEX-13NYS-0226-SM-5MR49 60-69 years, male 8.7
GTEX-13O3Q-2326-SM-5KM3G 50-59 years, male 8.7
GTEX-13OW6-0526-SM-5L3HY 50-59 years, male 8.7
GTEX-145LT-1826-SM-5QGP4 40-49 years, male 8.7
GTEX-16BQI-0526-SM-6PAM8 30-39 years, female 8.7
GTEX-1C4CL-0426-SM-7939N 30-39 years, male 8.7
GTEX-YECK-0226-SM-4W215 60-69 years, male 8.7
GTEX-ZF29-2226-SM-4WWB9 60-69 years, female 8.7
GTEX-ZVP2-1826-SM-5GU62 50-59 years, male 8.7
GTEX-1F75I-0426-SM-7PC3S 40-49 years, male 8.7
GTEX-1HCUA-2226-SM-ADEHF 50-59 years, female 8.7
GTEX-OIZG-0826-SM-E9TI4 50-59 years, male 8.7
GTEX-XOT4-0226-SM-4B66Z 60-69 years, female 8.7
GTEX-139T4-0126-SM-5HL5G 50-59 years, female 8.6
GTEX-13CF3-2326-SM-5IFGL 60-69 years, female 8.6
GTEX-13NZA-0126-SM-5K7UH 60-69 years, male 8.6
GTEX-14753-0326-SM-5QGQB 60-69 years, male 8.6
GTEX-147JS-0426-SM-5TDD2 60-69 years, male 8.6
GTEX-148VI-1726-SM-5S2W9 60-69 years, female 8.6
GTEX-16NPX-0326-SM-7EWDI 50-59 years, male 8.6
GTEX-T5JC-0526-SM-32PM7 20-29 years, male 8.6
GTEX-X638-0226-SM-47JZ9 70-79 years, female 8.6
GTEX-1A8G6-0526-SM-7PC1E 60-69 years, male 8.6
GTEX-1J1OQ-0326-SM-CYPTJ 40-49 years, female 8.6
GTEX-1J8Q3-1526-SM-CMKGB 60-69 years, male 8.6
GTEX-1JJEA-0226-SM-COH2X 60-69 years, male 8.6
GTEX-1KAFJ-2426-SM-D4P32 50-59 years, male 8.6
GTEX-1PIGE-0526-SM-DTXFA 20-29 years, male 8.6
GTEX-111FC-0226-SM-5N9B8 60-69 years, male 8.5
GTEX-11ZTS-0226-SM-5EQKD 60-69 years, female 8.5
GTEX-1211K-2226-SM-5FQU6 60-69 years, female 8.5
GTEX-133LE-1926-SM-5N9FV 20-29 years, female 8.5
GTEX-16XZY-2526-SM-7DHL2 70-79 years, male 8.5
GTEX-17F9Y-0326-SM-7IGLS 70-79 years, female 8.5
GTEX-1AX9K-2426-SM-73KZ4 50-59 years, male 8.5
GTEX-P4QS-0226-SM-3NB1U 60-69 years, male 8.5
GTEX-T8EM-1126-SM-3DB7D 40-49 years, male 8.5
GTEX-W5X1-2626-SM-4LMI8 40-49 years, female 8.5
GTEX-XV7Q-2626-SM-4BRVA 40-49 years, female 8.5
GTEX-Y3I4-2226-SM-4TT7O 50-59 years, male 8.5
GTEX-YB5E-2126-SM-5IFI7 40-49 years, male 8.5
GTEX-1J8QM-2326-SM-CYPSL 60-69 years, female 8.5
GTEX-1QP28-0226-SM-E9J2N 50-59 years, female 8.5
GTEX-R45C-0226-SM-EVYAJ 60-69 years, female 8.5
GTEX-11O72-0226-SM-59869 40-49 years, male 8.4
GTEX-13112-2726-SM-5DUW5 50-59 years, male 8.4
GTEX-13RTJ-2526-SM-5S2Q3 60-69 years, male 8.4
GTEX-145LS-0226-SM-5O9A5 60-69 years, female 8.4
GTEX-147GR-0426-SM-5S2OL 60-69 years, male 8.4
GTEX-17HG3-2326-SM-79OKH 30-39 years, female 8.4
GTEX-1A8G7-0226-SM-731AS 60-69 years, male 8.4
GTEX-ZDTS-0226-SM-5HL7Q 60-69 years, male 8.4
GTEX-1GN1U-0226-SM-9YFLQ 50-59 years, female 8.4
GTEX-1GN2E-0326-SM-COH3C 60-69 years, male 8.4
GTEX-1H3VE-0226-SM-9WYST 40-49 years, male 8.4
GTEX-1R7EU-0326-SM-EWRNJ 60-69 years, male 8.4
GTEX-113IC-0226-SM-5HL5C 60-69 years, male 8.3
GTEX-13JUV-2826-SM-5LZWU 40-49 years, female 8.3
GTEX-13NZ9-0526-SM-5J1OX 50-59 years, male 8.3
GTEX-15SDE-2426-SM-7KFRC 50-59 years, female 8.3
GTEX-SNOS-1426-SM-32PLY 40-49 years, male 8.3
GTEX-ZTPG-0226-SM-5O99I 20-29 years, female 8.3
GTEX-ZYFC-0326-SM-5NQ7H 50-59 years, male 8.3
GTEX-ZYVF-0226-SM-5GIEG 50-59 years, female 8.3
GTEX-1HSMQ-1426-SM-ADEHT 50-59 years, male 8.3
GTEX-QEG4-0326-SM-DIPE3 30-39 years, male 8.3
GTEX-13IVO-0226-SM-5LZXU 70-79 years, male 8.2
GTEX-13SLX-0426-SM-5QGRC 50-59 years, female 8.2
GTEX-13X6J-0226-SM-7EPGC 50-59 years, male 8.2
GTEX-14BIL-0226-SM-5SI9E 50-59 years, male 8.2
GTEX-OHPN-0226-SM-48TBV 60-69 years, female 8.2
GTEX-WVJS-0226-SM-4MVOU 50-59 years, male 8.2
GTEX-XAJ8-0926-SM-47JXZ 40-49 years, male 8.2
GTEX-1PBJI-0426-SM-E8VNM 20-29 years, female 8.2
GTEX-11PRG-0626-SM-5BC56 50-59 years, male 8.1
GTEX-14PII-0326-SM-6LLIQ 60-69 years, male 8.1
GTEX-QMRM-1726-SM-2S1QG 50-59 years, male 8.1
GTEX-VUSG-2426-SM-4KKZG 50-59 years, male 8.1
GTEX-X4LF-1726-SM-3NMBZ 50-59 years, male 8.1
GTEX-11DXX-2326-SM-9YFKS 60-69 years, female 8.1
GTEX-1EH9U-0226-SM-7PBY8 60-69 years, male 8.1
GTEX-1F75A-0226-SM-7PC2K 50-59 years, male 8.1
GTEX-1JMPY-1426-SM-ARL8Z 30-39 years, male 8.1
GTEX-1POEN-0226-SM-EYYXE 30-39 years, female 8.1
GTEX-11ONC-2526-SM-5986W 60-69 years, male 8.0
GTEX-11UD2-0126-SM-5EQL2 50-59 years, male 8.0
GTEX-12584-0226-SM-5EQL5 40-49 years, male 8.0
GTEX-13N11-2626-SM-5K7UQ 50-59 years, female 8.0
GTEX-13U4I-0226-SM-5SIB1 40-49 years, female 8.0
GTEX-14BMU-2126-SM-5S2TS 20-29 years, female 8.0
GTEX-14PJ3-1926-SM-62LEY 50-59 years, male 8.0
GTEX-18A6Q-0226-SM-718AS 60-69 years, male 8.0
GTEX-1AX9J-0326-SM-73KXY 60-69 years, male 8.0
GTEX-OXRL-0226-SM-3NB18 50-59 years, male 8.0
GTEX-WHPG-2126-SM-4M1ZM 50-59 years, male 8.0
GTEX-Y3IK-2526-SM-4WWDM 50-59 years, female 8.0
GTEX-ZAJG-0226-SM-5HL81 50-59 years, female 8.0
GTEX-1GF9X-1926-SM-ADEIC 40-49 years, female 8.0
GTEX-1H4P4-0226-SM-9YFKT 50-59 years, male 8.0
GTEX-1R46S-0526-SM-EVYBZ 60-69 years, female 8.0
GTEX-17MF6-0226-SM-7LG4G 40-49 years, male 7.9
GTEX-ZPU1-2426-SM-4WWFM 40-49 years, male 7.9
GTEX-ZVT4-0226-SM-51MSD 50-59 years, female 7.9
GTEX-ZVZO-0226-SM-5A5LA 40-49 years, male 7.9
GTEX-1ICG6-2626-SM-CGQG1 70-79 years, female 7.9
GTEX-1IKK5-0526-SM-CMKGG 60-69 years, male 7.9
GTEX-1212Z-2426-SM-5EQ5D 60-69 years, male 7.8
GTEX-12ZZX-0226-SM-5DUXU 40-49 years, female 7.8
GTEX-146FQ-0226-SM-5NQAL 30-39 years, male 7.8
GTEX-16NGA-1826-SM-7LG5L 40-49 years, female 7.8
GTEX-SUCS-1826-SM-32PM1 70-79 years, male 7.8
GTEX-1JN76-0226-SM-CMKGO 20-29 years, female 7.8
GTEX-1K9T9-0226-SM-E9U6K 50-59 years, female 7.8
GTEX-131XE-2426-SM-5EQ5V 50-59 years, male 7.7
GTEX-139TU-0226-SM-5J1NM 60-69 years, male 7.7
GTEX-XGQ4-2226-SM-4AT4Y 50-59 years, male 7.7
GTEX-XUZC-1826-SM-4BRVO 30-39 years, female 7.7
GTEX-1CB4J-1126-SM-7PBY1 60-69 years, male 7.7
GTEX-1JN6P-0226-SM-COH34 60-69 years, male 7.7
GTEX-1QP66-1326-SM-DTXDQ 50-59 years, male 7.7
GTEX-1313W-0226-SM-5LZV7 50-59 years, female 7.6
GTEX-13CF2-2626-SM-5LZZA 60-69 years, male 7.6
GTEX-13OW7-0226-SM-5MR3N 50-59 years, male 7.6
GTEX-1OJC4-1726-SM-EXUSV 50-59 years, female 7.6
GTEX-11DZ1-0226-SM-5A5KF 50-59 years, male 7.5
GTEX-12ZZY-0326-SM-5LZVQ 60-69 years, male 7.5
GTEX-1399U-2426-SM-5K7XB 50-59 years, female 7.5
GTEX-13W3W-2526-SM-5SI9P 60-69 years, female 7.5
GTEX-14E6C-0226-SM-5S2N3 40-49 years, male 7.5
GTEX-WH7G-2226-SM-3NMBN 40-49 years, male 7.5
GTEX-Z9EW-1826-SM-5CVMA 40-49 years, male 7.5
GTEX-1H1ZS-0526-SM-9WG5L 70-79 years, male 7.5
GTEX-1HCU7-0326-SM-CMKGI 50-59 years, male 7.5
GTEX-1JKYR-0226-SM-CNPOK 20-29 years, male 7.5
GTEX-14PJ2-0226-SM-6LLH4 50-59 years, male 7.4
GTEX-1A3MX-0226-SM-731C4 60-69 years, male 7.4
GTEX-S32W-2226-SM-2XCAY 50-59 years, female 7.4
GTEX-YFCO-2026-SM-4W21Q 40-49 years, male 7.4
GTEX-1EX96-1426-SM-7PBZ5 50-59 years, male 7.4
GTEX-1ICLZ-0226-SM-CKZPP 60-69 years, male 7.4
GTEX-1JJ6O-0226-SM-E6CI9 60-69 years, male 7.4
GTEX-1KWVE-1326-SM-E6CJ1 30-39 years, male 7.4
GTEX-1LVAN-0126-SM-COH4H 50-59 years, female 7.4
GTEX-16AAH-2026-SM-7LG5F 50-59 years, male 7.3
GTEX-1A3MW-0226-SM-7939O 60-69 years, female 7.3
GTEX-S7SE-0226-SM-2XCD4 50-59 years, male 7.3
GTEX-SIU8-0226-SM-2XCDS 50-59 years, male 7.3
GTEX-X5EB-2426-SM-4E3HX 40-49 years, male 7.3
GTEX-XBEC-0326-SM-4AT4M 50-59 years, male 7.3
GTEX-Y114-2326-SM-4TT7X 50-59 years, female 7.3
GTEX-1H1DF-0226-SM-ARL9A 40-49 years, female 7.3
GTEX-1I1HK-0226-SM-COH4A 60-69 years, male 7.3
GTEX-1JMQK-0126-SM-CM2S3 60-69 years, male 7.3
GTEX-145MG-0126-SM-5TDDA 50-59 years, male 7.2
GTEX-OXRN-0226-SM-2I5EJ 50-59 years, male 7.2
GTEX-QEG5-0326-SM-2S1PB 20-29 years, male 7.2
GTEX-XXEK-2426-SM-4BRUS 50-59 years, male 7.2
GTEX-ZPIC-1826-SM-57WFE 40-49 years, female 7.2
GTEX-1GMRU-0226-SM-9YFLW 50-59 years, male 7.2
GTEX-1GN73-0326-SM-9KNTW 60-69 years, male 7.2
GTEX-1HR98-0226-SM-CGQEK 60-69 years, male 7.2
GTEX-1RAZA-0226-SM-E9U4W 20-29 years, male 7.2
GTEX-RWSA-0226-SM-2XCBA 40-49 years, male 7.1
GTEX-W5WG-2526-SM-4SOJ2 50-59 years, female 7.1
GTEX-ZP4G-2326-SM-57WEM 20-29 years, female 7.1
GTEX-1H23P-0226-SM-9YFLO 60-69 years, male 7.1
GTEX-1MA7X-2126-SM-E6CIX 60-69 years, male 7.1
GTEX-WFG8-2326-SM-DIPDX 20-29 years, male 7.1
GTEX-11EQ8-0226-SM-5EQ5G 60-69 years, male 7.0
GTEX-13FHO-0326-SM-5IJBH 60-69 years, male 7.0
GTEX-13FTY-0626-SM-5L3F8 40-49 years, female 7.0
GTEX-17MFQ-1826-SM-7DHLS 20-29 years, male 7.0
GTEX-Q734-1826-SM-2I3EL 40-49 years, female 7.0
GTEX-1HUB1-0326-SM-A9SKQ 60-69 years, male 7.0
GTEX-1I6K6-0226-SM-ADEID 30-39 years, male 7.0
GTEX-ZLFU-2626-SM-DO91L 40-49 years, male 7.0
GTEX-11DXW-0326-SM-5H11W 40-49 years, male 6.9
GTEX-11GS4-2626-SM-5A5LD 60-69 years, male 6.9
GTEX-144GO-1626-SM-7EPG5 60-69 years, male 6.9
GTEX-17F97-0426-SM-7LT9U 50-59 years, male 6.9
GTEX-17HHY-0226-SM-793BQ 50-59 years, male 6.9
GTEX-1C6WA-0226-SM-7IGPO 60-69 years, male 6.9
GTEX-SSA3-0226-SM-32QPN 60-69 years, male 6.9
GTEX-Y5V6-2526-SM-5IFJV 60-69 years, male 6.9
GTEX-ZYW4-0226-SM-5E44M 60-69 years, male 6.9
GTEX-1I1GR-0226-SM-CMKHQ 60-69 years, male 6.9
GTEX-144GM-1926-SM-5LUAN 20-29 years, male 6.8
GTEX-15CHQ-0226-SM-6EU2S 60-69 years, male 6.8
GTEX-T5JW-1726-SM-3GADN 20-29 years, female 6.8
GTEX-T6MN-0226-SM-32PMD 50-59 years, male 6.8
GTEX-1C6VQ-0226-SM-7P8S5 50-59 years, male 6.8
GTEX-1R9K5-0226-SM-EWRNF 50-59 years, male 6.8
GTEX-13PVR-2426-SM-5RQHN 60-69 years, female 6.7
GTEX-14BMV-0226-SM-5S2N2 50-59 years, male 6.7
GTEX-P4PQ-0226-SM-2S1NK 60-69 years, male 6.7
GTEX-X88G-0226-SM-4GIE4 30-39 years, male 6.7
GTEX-1CAMS-0326-SM-7PC35 40-49 years, female 6.7
GTEX-1HB9E-0426-SM-CNPPV 50-59 years, male 6.7
GTEX-1J8JJ-0326-SM-CMKG6 60-69 years, female 6.7
GTEX-Q2AH-1726-SM-DIPDV 40-49 years, male 6.7
GTEX-11H98-0226-SM-5NQ89 50-59 years, male 6.6
GTEX-N7MS-0326-SM-4E3K2 60-69 years, male 6.6
GTEX-UJHI-1626-SM-3DB9A 50-59 years, female 6.6
GTEX-WI4N-1126-SM-3LK7Q 40-49 years, female 6.6
GTEX-1H3VY-0226-SM-9YFMF 50-59 years, male 6.6
GTEX-1IY9M-0226-SM-CMKHP 60-69 years, male 6.6
GTEX-1R7EV-1926-SM-EVYBF 40-49 years, male 6.6
GTEX-145MI-0426-SM-5O99V 60-69 years, female 6.5
GTEX-17HGU-0326-SM-7DUER 50-59 years, male 6.5
GTEX-1B933-0526-SM-7EPHM 50-59 years, female 6.5
GTEX-1I1GU-2326-SM-CGQFB 40-49 years, male 6.5
GTEX-1KD5A-0326-SM-D5OVD 50-59 years, male 6.5
GTEX-13PVQ-0226-SM-5SIBG 50-59 years, male 6.4
GTEX-13QBU-2526-SM-5LU4X 40-49 years, female 6.4
GTEX-1JN1M-0126-SM-D4P23 60-69 years, female 6.4
GTEX-12C56-1626-SM-5FQUO 20-29 years, male 6.3
GTEX-1LVA9-0226-SM-E9U5N 50-59 years, male 6.3
GTEX-11TT1-2426-SM-5EQMK 20-29 years, male 6.2
GTEX-1AYD5-2326-SM-73KXF 50-59 years, male 6.2
GTEX-SN8G-0226-SM-4DM6B 50-59 years, female 6.2
GTEX-ZVZP-2326-SM-59HL4 50-59 years, male 6.2
GTEX-1F75W-0226-SM-9JGGP 60-69 years, male 6.2
GTEX-1GMR2-2526-SM-9MQKW 50-59 years, male 6.2
GTEX-111VG-2326-SM-5N9BK 60-69 years, male 6.1
GTEX-11UD1-0226-SM-5EQKL 40-49 years, female 6.1
GTEX-YJ8A-0526-SM-5IFHT 20-29 years, male 6.1
GTEX-17KNJ-2226-SM-DKPOU 50-59 years, male 6.1
GTEX-1J1R8-2226-SM-ARZMP 40-49 years, male 6.1
GTEX-11ZU8-2426-SM-5EQMV 60-69 years, male 6.0
GTEX-13OVJ-0326-SM-5L3GL 50-59 years, female 6.0
GTEX-144GL-0226-SM-5QGOX 50-59 years, male 6.0
GTEX-1E1VI-0226-SM-793CZ 50-59 years, male 6.0
GTEX-X8HC-0226-SM-4E3K1 50-59 years, female 6.0
GTEX-132AR-0226-SM-5IJBE 50-59 years, female 5.9
GTEX-1GN1V-0226-SM-9WYTN 60-69 years, male 5.9
GTEX-1HCU6-0226-SM-CGQES 60-69 years, female 5.9
GTEX-VJWN-0226-SM-EZ6LF 50-59 years, female 5.9
GTEX-12ZZZ-0526-SM-5DUX6 60-69 years, male 5.8
GTEX-13111-1726-SM-5EGJZ 50-59 years, male 5.8
GTEX-15UKP-0526-SM-7KFRO 20-29 years, male 5.8
GTEX-X4XY-0326-SM-46MVZ 60-69 years, male 5.8
GTEX-1I1GS-0226-SM-B2LVX 60-69 years, male 5.8
GTEX-1LH75-2526-SM-E9U5A 50-59 years, female 5.8
GTEX-18A67-0226-SM-7LG67 50-59 years, male 5.7
GTEX-1HCU8-0726-SM-ADEIR 60-69 years, female 5.7
GTEX-1LB8K-0326-SM-E9TJC 50-59 years, male 5.7
GTEX-13PLJ-0126-SM-5L3HU 60-69 years, female 5.6
GTEX-1QAET-1126-SM-E8VML 50-59 years, male 5.6
GTEX-R3RS-0226-SM-EYYVE 40-49 years, female 5.6
GTEX-18465-0226-SM-7LG5M 50-59 years, male 5.5
GTEX-X15G-2326-SM-4PQZS 50-59 years, female 5.5
GTEX-1GTWX-0226-SM-9YFLL 60-69 years, male 5.5
GTEX-1LBAC-0226-SM-DHXJZ 20-29 years, male 5.5
GTEX-1LSNM-2026-SM-E6CIJ 50-59 years, male 5.5
GTEX-12WSL-2426-SM-5GCN7 50-59 years, male 5.4
GTEX-13OVI-1326-SM-5IJBO 60-69 years, female 5.4
GTEX-17HII-0326-SM-7LG4X 50-59 years, male 5.4
GTEX-1PWST-0326-SM-EAZ42 70-79 years, male 5.4
GTEX-POMQ-2326-SM-DHXIS 20-29 years, female 5.3
GTEX-132QS-2526-SM-62LFJ 60-69 years, male 5.2
GTEX-139YR-2426-SM-5J1OB 50-59 years, male 5.2
GTEX-1ICLY-0226-SM-ARL7R 50-59 years, male 5.2
GTEX-1IDJD-1226-SM-CM2TP 30-39 years, male 5.2
GTEX-1RDX4-0226-SM-DTXG1 50-59 years, female 5.2
GTEX-14A5H-0526-SM-5TDCN 60-69 years, male 5.1
GTEX-1QEPI-0226-SM-EWRMR 60-69 years, female 5.1
GTEX-11EMC-2826-SM-5PNY6 60-69 years, female 5.0
GTEX-NPJ8-0226-SM-48TBN 40-49 years, male 5.0
GTEX-QDVN-2126-SM-33HBS 50-59 years, male 4.9
GTEX-1N2EF-0626-SM-E9J32 60-69 years, male 4.9
GTEX-OXRO-0226-SM-3LK6F 60-69 years, female 4.8
GTEX-1S82P-0226-SM-E6CI6 60-69 years, female 4.7
GTEX-13O1R-0226-SM-5K7U5 60-69 years, male 4.6
GTEX-13YAN-0426-SM-5O9DR 60-69 years, male 4.6
GTEX-XYKS-2726-SM-4E3IC 60-69 years, female 4.6
GTEX-1LVAO-0226-SM-E9U6O 60-69 years, male 4.6
GTEX-11TUW-2626-SM-5EQKZ 60-69 years, male 4.4
GTEX-ZYFD-0226-SM-5NQ86 50-59 years, male 4.3
GTEX-14E1K-2126-SM-793DU 50-59 years, male 4.2
GTEX-1PPGY-0326-SM-DTXFD 60-69 years, male 4.2
GTEX-QESD-1526-SM-2S1QT 20-29 years, male 4.0
GTEX-1117F-0226-SM-5GZZ7 60-69 years, female 3.9
GTEX-1N2DW-0326-SM-E9TK3 50-59 years, male 3.9
GTEX-U8XE-0426-SM-3DB91 30-39 years, male 3.8
GTEX-1IL2V-0226-SM-CMKI2 70-79 years, male 3.7
Show allShow less
Adipose - Visceral (Omentum)
Average nTPM: 7.1
Samples: 541

Max nTPM: 16.8
Min nTPM: 1.7
Std nTPM: 2.0
Median nTPM: 6.8
GTEX-WFJO-1026-SM-3GIKL 30-39 years, male 16.8
GTEX-Y5V5-0226-SM-5S2N8 60-69 years, female 15.0
GTEX-ZDYS-2226-SM-5S2MI 50-59 years, male 14.3
GTEX-1JKYR-1226-SM-CM2S7 20-29 years, male 14.2
GTEX-1K2DA-1126-SM-CGQGG 50-59 years, male 13.9
GTEX-1IKK5-0826-SM-ACKWN 60-69 years, male 13.5
GTEX-1C6VS-1826-SM-73KXN 60-69 years, male 13.4
GTEX-13O21-3126-SM-5J1OI 50-59 years, male 13.3
GTEX-1J8EW-1526-SM-CMKFZ 60-69 years, female 12.5
GTEX-1MA7W-0526-SM-E6CIN 20-29 years, female 12.3
GTEX-18D9U-0426-SM-731AN 40-49 years, male 12.2
GTEX-117YW-0826-SM-5H11O 50-59 years, male 11.8
GTEX-15SHU-2326-SM-7KUMC 40-49 years, female 11.7
GTEX-UTHO-1826-SM-3GAFE 60-69 years, male 11.7
GTEX-ZF29-0826-SM-5S2O2 60-69 years, female 11.7
GTEX-13NYS-0726-SM-5J1OR 60-69 years, male 11.6
GTEX-13N2G-1926-SM-5J1O3 60-69 years, male 11.3
GTEX-ZDTS-1826-SM-5S2N6 60-69 years, male 11.3
GTEX-14BIM-1626-SM-7EWD2 60-69 years, female 11.2
GTEX-1B8KE-0826-SM-72D6S 50-59 years, male 11.2
GTEX-ZXG5-1626-SM-59HJK 60-69 years, male 11.2
GTEX-1GTWX-1526-SM-9MQLF 60-69 years, male 11.1
GTEX-13JUV-0626-SM-5J1MQ 40-49 years, female 11.0
GTEX-146FH-2026-SM-5SI9I 50-59 years, female 11.0
GTEX-ZDTT-0526-SM-5HL4M 60-69 years, male 11.0
GTEX-1JMQI-1026-SM-COH2U 50-59 years, male 10.9
GTEX-11ZTS-1326-SM-5EQMA 60-69 years, female 10.8
GTEX-139YR-0326-SM-5J1MC 50-59 years, male 10.8
GTEX-1A8G6-2026-SM-73KYC 60-69 years, male 10.8
GTEX-ZF2S-1526-SM-5S2OO 50-59 years, female 10.7
GTEX-1HR9M-1426-SM-A9SMB 60-69 years, male 10.7
GTEX-16MTA-1326-SM-6PALX 50-59 years, male 10.6
GTEX-1KXAM-0526-SM-DKPQN 60-69 years, male 10.6
GTEX-1NV5F-2526-SM-EXUSK 60-69 years, female 10.6
GTEX-13X6K-0726-SM-5LU2Z 60-69 years, female 10.5
GTEX-18A7B-1226-SM-718AU 70-79 years, male 10.5
GTEX-15G19-1126-SM-7KUEL 60-69 years, male 10.4
GTEX-Y8LW-0926-SM-4VBQ8 50-59 years, female 10.4
GTEX-1I1CD-1026-SM-COH3G 60-69 years, female 10.4
GTEX-18A66-1926-SM-7LTAG 60-69 years, male 10.3
GTEX-WY7C-0926-SM-3NB34 50-59 years, male 10.3
GTEX-1GN1W-1226-SM-9MQLW 50-59 years, female 10.2
GTEX-W5X1-1426-SM-3GIKH 40-49 years, female 10.1
GTEX-XQ8I-1426-SM-4BOPW 50-59 years, male 10.1
GTEX-1GZ4H-0926-SM-9WG6Y 50-59 years, female 10.1
GTEX-1399T-1326-SM-5PNVH 60-69 years, male 10.0
GTEX-ZT9W-1026-SM-57WG5 50-59 years, male 10.0
GTEX-1A8FM-2126-SM-7PC27 50-59 years, female 10.0
GTEX-1HGF4-0226-SM-CNNQL 60-69 years, male 10.0
GTEX-17EVP-1426-SM-79OMN 40-49 years, male 9.9
GTEX-ZPCL-1026-SM-5GCOX 60-69 years, female 9.9
GTEX-1EKGG-1426-SM-7PBY2 60-69 years, male 9.9
GTEX-YECK-1426-SM-5IFHE 60-69 years, male 9.8
GTEX-ZYFG-1426-SM-5GICS 60-69 years, female 9.7
GTEX-1B97J-1126-SM-7SB79 50-59 years, female 9.7
GTEX-1F48J-1826-SM-7SB8T 50-59 years, female 9.7
GTEX-1LGRB-0526-SM-COH3A 50-59 years, female 9.7
GTEX-146FR-0226-SM-5Q5F6 60-69 years, female 9.6
GTEX-15DYW-1526-SM-7KUEP 60-69 years, female 9.6
GTEX-1GL5R-0726-SM-9MQL5 50-59 years, male 9.6
GTEX-1JMLX-1026-SM-D3L8U 50-59 years, male 9.6
GTEX-1QP67-1126-SM-EAZ4C 40-49 years, female 9.6
GTEX-1117F-1326-SM-5EGHH 60-69 years, female 9.5
GTEX-ZQUD-0526-SM-57WG4 30-39 years, male 9.5
GTEX-1IE54-1426-SM-CL53C 40-49 years, female 9.5
GTEX-1LG7Y-1126-SM-CYPTE 50-59 years, male 9.5
GTEX-145LU-1226-SM-5LU9B 50-59 years, male 9.4
GTEX-ZDXO-2326-SM-5LU9W 60-69 years, male 9.4
GTEX-ZLV1-0926-SM-5S2MR 60-69 years, female 9.4
GTEX-12ZZW-2326-SM-5DUW2 50-59 years, male 9.3
GTEX-WYVS-0626-SM-4SOJY 40-49 years, female 9.3
GTEX-1IDJF-1726-SM-A9SLL 20-29 years, male 9.3
GTEX-Y3I4-0726-SM-E9J3Y 50-59 years, male 9.3
GTEX-11OF3-0826-SM-5BC51 60-69 years, male 9.2
GTEX-13VXU-1026-SM-5KLZE 50-59 years, male 9.2
GTEX-WHWD-0826-SM-3LK6R 50-59 years, male 9.2
GTEX-WYBS-1026-SM-4ONCY 60-69 years, female 9.2
GTEX-ZE7O-1526-SM-5J1NH 50-59 years, female 9.2
GTEX-1HB9E-0526-SM-ARZNM 50-59 years, male 9.2
GTEX-13G51-0526-SM-5IJCQ 60-69 years, male 9.1
GTEX-14BIL-2426-SM-5QGQR 50-59 years, male 9.1
GTEX-17HHE-1526-SM-793AS 50-59 years, male 9.1
GTEX-1H1DE-0826-SM-ARU8V 20-29 years, male 9.1
GTEX-1HSGN-1926-SM-CMKGS 40-49 years, female 9.1
GTEX-11DXY-0326-SM-5H12F 60-69 years, male 9.0
GTEX-14ICK-1726-SM-6AJA5 40-49 years, male 9.0
GTEX-178AV-0626-SM-6PAM1 40-49 years, male 9.0
GTEX-1GZ2Q-1226-SM-9MQM8 40-49 years, male 9.0
GTEX-1KD4Q-1426-SM-D4P3K 40-49 years, male 9.0
GTEX-111YS-1326-SM-5EGGK 60-69 years, male 8.9
GTEX-13N11-1826-SM-5IJDS 50-59 years, female 8.9
GTEX-13PDP-1226-SM-5K7TW 60-69 years, male 8.9
GTEX-14ABY-1926-SM-62LDJ 50-59 years, male 8.9
GTEX-14E6E-0226-SM-7DUEF 30-39 years, male 8.9
GTEX-1AX9J-2226-SM-731CW 60-69 years, male 8.9
GTEX-1CB4F-1126-SM-79OLG 60-69 years, male 8.9
GTEX-1EN7A-1626-SM-79OLV 40-49 years, male 8.9
GTEX-ZT9X-0926-SM-5O9C4 40-49 years, male 8.9
GTEX-1JJE9-1526-SM-CM2RR 70-79 years, male 8.9
GTEX-13NZB-0826-SM-5K7X5 30-39 years, male 8.8
GTEX-13OW8-0326-SM-5L3FB 60-69 years, male 8.8
GTEX-1B8SF-1726-SM-73KZ5 60-69 years, male 8.8
GTEX-XBED-1326-SM-4AT4F 60-69 years, male 8.8
GTEX-XYKS-1826-SM-4E3JV 60-69 years, female 8.8
GTEX-1H2FU-1426-SM-9WPO6 60-69 years, female 8.8
GTEX-12ZZX-1726-SM-5BC63 40-49 years, female 8.7
GTEX-13111-0626-SM-5LZVR 50-59 years, male 8.7
GTEX-ZPU1-1226-SM-5HL71 40-49 years, male 8.7
GTEX-ZVZP-1126-SM-5GICU 50-59 years, male 8.7
GTEX-14PKU-0226-SM-6EU16 40-49 years, female 8.6
GTEX-1AX9K-0926-SM-7939G 50-59 years, male 8.6
GTEX-WHPG-0626-SM-3NMBD 50-59 years, male 8.6
GTEX-Z9EW-0826-SM-5HL9T 40-49 years, male 8.6
GTEX-1C64N-1326-SM-7SB7D 50-59 years, male 8.6
GTEX-13O61-1926-SM-5KM1R 60-69 years, male 8.5
GTEX-14PHY-1026-SM-62LEV 60-69 years, female 8.5
GTEX-1F52S-1326-SM-7SB6Q 60-69 years, female 8.5
GTEX-1I1GR-1726-SM-COH39 60-69 years, male 8.5
GTEX-1I1GU-0626-SM-CMKHR 40-49 years, male 8.5
GTEX-144GN-0726-SM-5O98O 50-59 years, male 8.4
GTEX-14E6C-1226-SM-5ZZUN 40-49 years, male 8.4
GTEX-16NPV-0626-SM-7IGOR 50-59 years, female 8.4
GTEX-ZQG8-1026-SM-51MR9 60-69 years, female 8.4
GTEX-1MA7X-1026-SM-DKPQ8 60-69 years, male 8.4
GTEX-VJYA-1626-SM-EXOHL 60-69 years, male 8.4
GTEX-13OW6-2426-SM-5K7WO 50-59 years, male 8.3
GTEX-14PJ5-0426-SM-5ZZW2 60-69 years, female 8.3
GTEX-WXYG-0926-SM-3NB2O 50-59 years, female 8.3
GTEX-ZYFC-1826-SM-5GZZA 50-59 years, male 8.3
GTEX-1IDJH-1626-SM-A9SLP 70-79 years, male 8.3
GTEX-1JMQJ-1926-SM-D4P3A 50-59 years, male 8.3
GTEX-113JC-0726-SM-5GZZR 50-59 years, female 8.2
GTEX-1B8KZ-1026-SM-73KYN 50-59 years, male 8.2
GTEX-YEC4-0926-SM-5PNXY 40-49 years, male 8.2
GTEX-ZAB5-1126-SM-5Q5AD 50-59 years, male 8.2
GTEX-1HSMQ-1026-SM-ADEHU 50-59 years, male 8.2
GTEX-1IDJU-0926-SM-ARL88 60-69 years, female 8.2
GTEX-1RLM8-1026-SM-EWROE 50-59 years, male 8.2
GTEX-11PRG-1526-SM-5HL6Z 50-59 years, male 8.1
GTEX-13OVL-0826-SM-5L3GV 50-59 years, male 8.1
GTEX-1445S-2426-SM-79ON2 60-69 years, male 8.1
GTEX-14BMV-1626-SM-73KVQ 50-59 years, male 8.1
GTEX-14E6D-1326-SM-62LES 50-59 years, male 8.1
GTEX-1A8G7-1226-SM-73KYP 60-69 years, male 8.1
GTEX-1H1CY-0826-SM-9WYTU 60-69 years, female 8.1
GTEX-1QMI2-1626-SM-EYYXK 60-69 years, male 8.1
GTEX-1QPFJ-2126-SM-EXOJV 30-39 years, female 8.1
GTEX-11P7K-0826-SM-5BC5F 30-39 years, male 8.0
GTEX-145MI-0826-SM-5SI95 60-69 years, female 8.0
GTEX-17F98-0326-SM-7DHLH 40-49 years, female 8.0
GTEX-17KNJ-0426-SM-718AK 50-59 years, male 8.0
GTEX-XAJ8-0226-SM-4GIB2 40-49 years, male 8.0
GTEX-Y111-0926-SM-4SOIU 50-59 years, male 8.0
GTEX-ZF28-1426-SM-5S2OG 60-69 years, male 8.0
GTEX-ZP4G-1326-SM-5EGIW 20-29 years, female 8.0
GTEX-1C475-0326-SM-7SB8O 40-49 years, female 8.0
GTEX-1KD5A-1326-SM-CYPTB 50-59 years, male 8.0
GTEX-1QP9N-0426-SM-DTXFT 30-39 years, male 8.0
GTEX-1S82P-0926-SM-EWRNP 60-69 years, female 8.0
GTEX-16NGA-0526-SM-731AJ 40-49 years, female 7.9
GTEX-16NPX-1026-SM-6PAM7 50-59 years, male 7.9
GTEX-17F96-0726-SM-793CB 70-79 years, male 7.9
GTEX-1AYCT-1126-SM-79OO8 50-59 years, male 7.9
GTEX-X3Y1-0926-SM-3P5YT 40-49 years, male 7.9
GTEX-XQ3S-2426-SM-4WAYB 20-29 years, male 7.9
GTEX-XV7Q-1726-SM-4BRUU 40-49 years, female 7.9
GTEX-ZYVF-1026-SM-5E44V 50-59 years, female 7.9
GTEX-1LH75-1026-SM-EWROK 50-59 years, female 7.9
GTEX-11LCK-0326-SM-5A5M7 30-39 years, male 7.8
GTEX-11ZUS-1826-SM-5FQTR 30-39 years, male 7.8
GTEX-13OW7-1126-SM-5K7V6 50-59 years, male 7.8
GTEX-13S86-0926-SM-5SI6I 40-49 years, male 7.8
GTEX-17MF6-1326-SM-79ONE 40-49 years, male 7.8
GTEX-ZEX8-1226-SM-5S2OK 50-59 years, male 7.8
GTEX-1KANA-1426-SM-CY8IF 20-29 years, male 7.8
GTEX-1KWVE-0226-SM-E9TKK 30-39 years, male 7.8
GTEX-1128S-0926-SM-5GZZU 60-69 years, female 7.7
GTEX-11NV4-1426-SM-5BC4W 60-69 years, male 7.7
GTEX-12WSI-1526-SM-5GCNM 50-59 years, male 7.7
GTEX-12WSL-1126-SM-5CVNK 50-59 years, male 7.7
GTEX-14C39-0826-SM-5TDDU 40-49 years, male 7.7
GTEX-18A6Q-1026-SM-7LT9S 60-69 years, male 7.7
GTEX-VUSG-1426-SM-3GIJN 50-59 years, male 7.7
GTEX-11GSP-1026-SM-9WYSH 60-69 years, female 7.7
GTEX-1CAMS-0926-SM-7SB7F 40-49 years, female 7.7
GTEX-1H11D-1126-SM-9YFM5 40-49 years, male 7.7
GTEX-1HCU7-2026-SM-A9G2B 50-59 years, male 7.7
GTEX-1IDJD-0926-SM-ACKWW 30-39 years, male 7.7
GTEX-14PJM-1226-SM-686Z7 50-59 years, female 7.6
GTEX-1AX9I-1726-SM-731BX 60-69 years, male 7.6
GTEX-1HKZK-1726-SM-ADEJ9 40-49 years, male 7.6
GTEX-13FH7-1926-SM-5J2OL 50-59 years, female 7.5
GTEX-183FY-1226-SM-7DHLK 20-29 years, male 7.5
GTEX-1B996-1226-SM-73KWZ 60-69 years, male 7.5
GTEX-WK11-2426-SM-3NMAA 50-59 years, male 7.5
GTEX-YFCO-1126-SM-5S2N9 40-49 years, male 7.5
GTEX-ZUA1-2126-SM-57YRB 40-49 years, male 7.5
GTEX-1H1DF-1426-SM-9YFMC 40-49 years, female 7.5
GTEX-1I1GQ-1026-SM-CNNQS 50-59 years, male 7.5
GTEX-1N2EE-1526-SM-DTXE9 60-69 years, male 7.5
GTEX-1QEPI-2226-SM-E8VN6 60-69 years, female 7.5
GTEX-1192X-1526-SM-5H11I 50-59 years, male 7.4
GTEX-11DXZ-1426-SM-5H12A 50-59 years, male 7.4
GTEX-11GS4-1026-SM-5N9DE 60-69 years, male 7.4
GTEX-13IVO-2426-SM-5K7V9 70-79 years, male 7.4
GTEX-14AS3-0426-SM-5QGQK 40-49 years, female 7.4
GTEX-1C2JI-0826-SM-7EPHB 50-59 years, male 7.4
GTEX-1C6VR-1126-SM-7EPHD 60-69 years, male 7.4
GTEX-1I6K7-1826-SM-CGQFO 40-49 years, male 7.4
GTEX-1JN6P-1626-SM-CYPSV 60-69 years, male 7.4
GTEX-1RMOY-0826-SM-E9TIF 50-59 years, male 7.4
GTEX-1RQEC-2526-SM-EVYD2 60-69 years, male 7.4
GTEX-11NUK-2026-SM-5PNVZ 50-59 years, male 7.3
GTEX-12C56-0826-SM-5EGJ5 20-29 years, male 7.3
GTEX-14E1K-0426-SM-5S2PF 50-59 years, male 7.3
GTEX-17HGU-1726-SM-79OKM 50-59 years, male 7.3
GTEX-1GF9V-1126-SM-9MQM7 60-69 years, male 7.3
GTEX-1HBPI-1826-SM-ADEHE 50-59 years, male 7.3
GTEX-1HT8W-0726-SM-A9SLB 30-39 years, male 7.3
GTEX-1I1GS-0926-SM-A9SL5 60-69 years, male 7.3
GTEX-1IDJC-0226-SM-CMKG2 50-59 years, male 7.3
GTEX-1QP66-0626-SM-E76PD 50-59 years, male 7.3
GTEX-YJ8A-1926-SM-EZ6LQ 20-29 years, male 7.3
GTEX-13D11-0526-SM-5LZYM 50-59 years, female 7.2
GTEX-145MF-1026-SM-5Q5EQ 50-59 years, male 7.2
GTEX-14PHW-1626-SM-6EU2H 60-69 years, female 7.2
GTEX-18D9A-0726-SM-7LTA7 30-39 years, female 7.2
GTEX-WL46-2026-SM-3LK7U 50-59 years, male 7.2
GTEX-ZVP2-0226-SM-57WBD 50-59 years, male 7.2
GTEX-1GMRU-0726-SM-7PBZH 50-59 years, male 7.2
GTEX-1H3VE-1926-SM-9YFL4 40-49 years, male 7.2
GTEX-1LVAM-1026-SM-DIPFK 50-59 years, female 7.2
GTEX-1POEN-1626-SM-EVYC2 30-39 years, female 7.2
GTEX-139D8-1626-SM-5IJFZ 30-39 years, female 7.1
GTEX-13FHO-2026-SM-5J1OA 60-69 years, male 7.1
GTEX-145LT-1526-SM-5O98P 40-49 years, male 7.1
GTEX-15CHQ-1126-SM-686YY 60-69 years, male 7.1
GTEX-169BO-0426-SM-7EPI1 50-59 years, male 7.1
GTEX-16GPK-1326-SM-7KUE4 60-69 years, male 7.1
GTEX-1BAJH-2126-SM-7EWFB 70-79 years, male 7.1
GTEX-1F5PL-1326-SM-7SB83 40-49 years, female 7.1
GTEX-1IDJI-0926-SM-ACKWZ 50-59 years, female 7.1
GTEX-11P81-0726-SM-5PNYH 30-39 years, female 7.0
GTEX-12584-2126-SM-5FQUM 40-49 years, male 7.0
GTEX-12KS4-1526-SM-5EQ6E 30-39 years, male 7.0
GTEX-13PL6-0926-SM-5KLYY 40-49 years, female 7.0
GTEX-13PL7-1226-SM-5SIAR 60-69 years, female 7.0
GTEX-1AMFI-1026-SM-73KYM 50-59 years, female 7.0
GTEX-1C6VQ-1526-SM-73KU9 50-59 years, male 7.0
GTEX-1CB4G-2126-SM-7IGQ8 60-69 years, male 7.0
GTEX-ZE9C-1326-SM-5S2OW 60-69 years, male 7.0
GTEX-ZYT6-2126-SM-5GZZ4 30-39 years, male 7.0
GTEX-1HSKV-1926-SM-CNPPN 60-69 years, male 7.0
GTEX-1N2DW-0726-SM-DTX97 50-59 years, male 7.0
GTEX-VJWN-2326-SM-EVYAP 50-59 years, female 7.0
GTEX-12696-1826-SM-5EGJS 60-69 years, male 6.9
GTEX-13OVG-1326-SM-5K7Y3 60-69 years, male 6.9
GTEX-14C38-1026-SM-73KY7 50-59 years, male 6.9
GTEX-Y5V6-0626-SM-4WWFY 60-69 years, male 6.9
GTEX-ZVT2-0226-SM-5GIE3 50-59 years, female 6.9
GTEX-1HUB1-1526-SM-CGQF6 60-69 years, male 6.9
GTEX-1IL2U-2726-SM-C1YSG 60-69 years, male 6.9
GTEX-1KAFJ-0826-SM-CYPTF 50-59 years, male 6.9
GTEX-1MUQO-0826-SM-EVYCZ 60-69 years, male 6.9
GTEX-1QP6S-1626-SM-EVYC5 40-49 years, male 6.9
GTEX-1S3DN-1626-SM-EVYCC 50-59 years, male 6.9
GTEX-12WSA-1626-SM-5EGJV 60-69 years, male 6.8
GTEX-12WSK-1026-SM-5CVNR 40-49 years, female 6.8
GTEX-131XE-2026-SM-5LZW1 50-59 years, male 6.8
GTEX-13FXS-1326-SM-62LFR 50-59 years, male 6.8
GTEX-13X6J-1926-SM-5TDCU 50-59 years, male 6.8
GTEX-14BIN-1226-SM-5S2OM 50-59 years, female 6.8
GTEX-15EOM-2326-SM-7KUMV 20-29 years, female 6.8
GTEX-17HII-0826-SM-7DUFH 50-59 years, male 6.8
GTEX-18QFQ-1326-SM-731CF 30-39 years, male 6.8
GTEX-1B932-1726-SM-793A5 40-49 years, female 6.8
GTEX-WH7G-1126-SM-3NMBK 40-49 years, male 6.8
GTEX-1EMGI-0726-SM-7PBZ4 60-69 years, male 6.8
GTEX-1F75I-1026-SM-7SB8B 40-49 years, male 6.8
GTEX-1HFI6-1726-SM-CGQFH 40-49 years, male 6.8
GTEX-1LKK1-1526-SM-EVYCO 50-59 years, female 6.8
GTEX-1QCLY-1226-SM-EVYC3 30-39 years, male 6.8
GTEX-1313W-1626-SM-5J1OE 50-59 years, female 6.7
GTEX-15CHC-0826-SM-686YW 60-69 years, female 6.7
GTEX-15SKB-1626-SM-6PAL6 60-69 years, male 6.7
GTEX-XGQ4-1026-SM-4AT4L 50-59 years, male 6.7
GTEX-XMK1-0926-SM-4B66X 40-49 years, male 6.7
GTEX-XXEK-1426-SM-4BRW1 50-59 years, male 6.7
GTEX-ZAB4-1426-SM-5CVN6 40-49 years, male 6.7
GTEX-ZTPG-2326-SM-57WFL 20-29 years, female 6.7
GTEX-ZTSS-1026-SM-5985N 40-49 years, male 6.7
GTEX-1GF9X-0926-SM-7PC2X 40-49 years, female 6.7
GTEX-1LVAN-0926-SM-CNNQ2 50-59 years, female 6.7
GTEX-11DXX-2026-SM-5EGJL 60-69 years, female 6.6
GTEX-11VI4-1226-SM-5EQMP 40-49 years, female 6.6
GTEX-13112-1126-SM-5GCMY 50-59 years, male 6.6
GTEX-132AR-0526-SM-5J2MJ 50-59 years, female 6.6
GTEX-132Q8-1726-SM-5EGK8 60-69 years, male 6.6
GTEX-13OVJ-0926-SM-5K7U1 50-59 years, female 6.6
GTEX-15DZA-0626-SM-6PANC 30-39 years, female 6.6
GTEX-16XZZ-1626-SM-7KUEC 60-69 years, male 6.6
GTEX-18A67-1326-SM-7LT8V 50-59 years, male 6.6
GTEX-ZGAY-1326-SM-5S2NS 40-49 years, female 6.6
GTEX-1F6IF-2026-SM-7P8SE 60-69 years, male 6.6
GTEX-1KANB-2426-SM-EV7BE 50-59 years, male 6.6
GTEX-1211K-1226-SM-5EQ4N 60-69 years, female 6.5
GTEX-13113-1126-SM-5LZU9 60-69 years, female 6.5
GTEX-131XG-0126-SM-5K7UJ 50-59 years, female 6.5
GTEX-15D1Q-1326-SM-69LOA 40-49 years, male 6.5
GTEX-18465-1826-SM-731BB 50-59 years, male 6.5
GTEX-1A3MV-0626-SM-731CH 30-39 years, male 6.5
GTEX-UPK5-1826-SM-3GAEB 40-49 years, male 6.5
GTEX-ZC5H-1626-SM-5HL7L 40-49 years, female 6.5
GTEX-1F6I4-2126-SM-7PC2J 60-69 years, male 6.5
GTEX-1GF9W-1026-SM-7SB8X 60-69 years, male 6.5
GTEX-1GMR2-0226-SM-9JGHO 50-59 years, male 6.5
GTEX-1HBPH-2226-SM-9WYSO 40-49 years, female 6.5
GTEX-1J1R8-0526-SM-ACKWO 40-49 years, male 6.5
GTEX-1LSVX-1326-SM-DIPET 60-69 years, male 6.5
GTEX-1MCC2-0626-SM-DKPQI 30-39 years, female 6.5
GTEX-1R7EV-1026-SM-DTX81 40-49 years, male 6.5
GTEX-11XUK-1726-SM-5GU61 40-49 years, female 6.4
GTEX-X585-2526-SM-4QAS1 50-59 years, male 6.4
GTEX-ZG7Y-1626-SM-5S2NO 50-59 years, male 6.4
GTEX-ZV7C-0826-SM-59HK8 50-59 years, male 6.4
GTEX-1JKYN-0526-SM-CGQG3 30-39 years, male 6.4
GTEX-1K9T9-1626-SM-DIPFS 50-59 years, female 6.4
GTEX-1MCQQ-1426-SM-E6CJA 60-69 years, male 6.4
GTEX-1OJC3-1326-SM-E9J3D 20-29 years, male 6.4
GTEX-111CU-1026-SM-5EGIL 50-59 years, male 6.3
GTEX-132NY-1126-SM-5PNVE 60-69 years, male 6.3
GTEX-132QS-0826-SM-5K7WV 60-69 years, male 6.3
GTEX-13OVK-0326-SM-7KUEJ 40-49 years, male 6.3
GTEX-15ER7-1026-SM-7KUMD 20-29 years, female 6.3
GTEX-17EVQ-0626-SM-7KFTB 70-79 years, male 6.3
GTEX-WWTW-1326-SM-4MVNT 50-59 years, male 6.3
GTEX-ZF3C-1026-SM-5S2OC 50-59 years, female 6.3
GTEX-1H4P4-0326-SM-9WYTD 50-59 years, male 6.3
GTEX-1IY9M-1226-SM-ACKX1 60-69 years, male 6.3
GTEX-11EQ9-1126-SM-5987I 30-39 years, male 6.2
GTEX-11WQK-1526-SM-5EGKN 50-59 years, male 6.2
GTEX-12BJ1-0826-SM-5EQ5P 60-69 years, male 6.2
GTEX-13VXT-0926-SM-5LU5K 20-29 years, female 6.2
GTEX-145ME-0726-SM-5O9A3 40-49 years, female 6.2
GTEX-1A3MX-0826-SM-72D64 60-69 years, male 6.2
GTEX-1GZ4I-2326-SM-9YFMO 50-59 years, male 6.2
GTEX-1HCU8-1126-SM-CM2SA 60-69 years, female 6.2
GTEX-1HFI7-0726-SM-ACKVN 50-59 years, female 6.2
GTEX-1I6K6-1526-SM-CGQFC 30-39 years, male 6.2
GTEX-1P4AB-1226-SM-DTXET 50-59 years, male 6.2
GTEX-12WSM-0626-SM-5GCOK 60-69 years, male 6.1
GTEX-131XF-0726-SM-5GIE5 60-69 years, male 6.1
GTEX-139T6-0526-SM-5IJC9 50-59 years, male 6.1
GTEX-13N1W-1226-SM-5K7UM 70-79 years, male 6.1
GTEX-13O3Q-1126-SM-5K7YK 50-59 years, male 6.1
GTEX-14C5O-0926-SM-793DM 60-69 years, male 6.1
GTEX-14ICL-0926-SM-5S2TU 30-39 years, male 6.1
GTEX-15EU6-1726-SM-6M48H 50-59 years, male 6.1
GTEX-1CAV2-0226-SM-7IGPQ 40-49 years, female 6.1
GTEX-WEY5-1326-SM-3GILS 40-49 years, female 6.1
GTEX-YEC3-0926-SM-5Q5AC 50-59 years, male 6.1
GTEX-ZV6S-1626-SM-5NQ81 40-49 years, female 6.1
GTEX-1399U-2026-SM-9WPNN 50-59 years, female 6.1
GTEX-1CAMQ-1226-SM-7SB7E 40-49 years, male 6.1
GTEX-1ICG6-1726-SM-ARU7K 70-79 years, female 6.1
GTEX-1LSNL-1426-SM-E6CJ9 50-59 years, male 6.1
GTEX-1CAMR-0326-SM-793AH 20-29 years, male 6.0
GTEX-XOT4-0826-SM-4B66Y 60-69 years, female 6.0
GTEX-ZZPU-0326-SM-5N9BJ 50-59 years, female 6.0
GTEX-1GMR3-0826-SM-9WYT4 40-49 years, male 6.0
GTEX-1HC8U-0926-SM-A9G3L 40-49 years, female 6.0
GTEX-1ICLZ-1626-SM-CE6SS 60-69 years, male 6.0
GTEX-13FTX-0626-SM-5J2NS 20-29 years, female 5.9
GTEX-13W46-1226-SM-5SIAS 50-59 years, male 5.9
GTEX-17MFQ-1126-SM-7LT9O 20-29 years, male 5.9
GTEX-1B97I-0526-SM-73KXE 40-49 years, male 5.9
GTEX-WRHK-0826-SM-3MJFG 20-29 years, female 5.9
GTEX-Y8E4-1226-SM-5IFIM 40-49 years, male 5.9
GTEX-1122O-0926-SM-9YFLC 60-69 years, female 5.9
GTEX-1B8L1-0126-SM-9KNVS 60-69 years, male 5.9
GTEX-1J8Q2-2226-SM-CM2TZ 60-69 years, male 5.9
GTEX-1LGOU-0826-SM-DHXKL 20-29 years, female 5.9
GTEX-1PBJI-1326-SM-E9J2V 20-29 years, female 5.9
GTEX-131XH-0826-SM-5GCN8 50-59 years, male 5.8
GTEX-13U4I-1726-SM-5J1MF 40-49 years, female 5.8
GTEX-14DAQ-2526-SM-5RQIO 60-69 years, female 5.8
GTEX-17F9E-1326-SM-7DHL4 50-59 years, male 5.8
GTEX-17GQL-0826-SM-731AM 60-69 years, male 5.8
GTEX-18A7A-0926-SM-7LT8H 50-59 years, female 5.8
GTEX-1AX8Z-1626-SM-73KWD 60-69 years, male 5.8
GTEX-1B933-1326-SM-7939U 50-59 years, female 5.8
GTEX-1EWIQ-2526-SM-7EPIJ 70-79 years, female 5.8
GTEX-WYJK-1426-SM-3NM8V 50-59 years, male 5.8
GTEX-1JMPY-0326-SM-CM2S2 30-39 years, male 5.8
GTEX-1O9I2-1326-SM-E6CQD 50-59 years, male 5.8
GTEX-1PIGE-1226-SM-EVR3Q 20-29 years, male 5.8
GTEX-14JG6-0526-SM-6LLIH 30-39 years, female 5.7
GTEX-14PJ4-0126-SM-62LEZ 60-69 years, male 5.7
GTEX-18D9B-1726-SM-7LTAP 60-69 years, male 5.7
GTEX-ZA64-0926-SM-5HL7H 20-29 years, male 5.7
GTEX-1JMQK-1326-SM-CNPOR 60-69 years, male 5.7
GTEX-1QP28-0926-SM-EVR4D 50-59 years, female 5.7
GTEX-1RAZA-0926-SM-E6CQ8 20-29 years, male 5.7
GTEX-13NZ9-2026-SM-5KM1U 50-59 years, male 5.6
GTEX-13PVR-0526-SM-5S2OB 60-69 years, female 5.6
GTEX-145LV-1026-SM-5O9AE 50-59 years, male 5.6
GTEX-14B4R-0526-SM-5QGQT 30-39 years, male 5.6
GTEX-14JIY-1426-SM-6EU29 60-69 years, male 5.6
GTEX-14PN4-1426-SM-6LLJ4 50-59 years, male 5.6
GTEX-Y9LG-1226-SM-4VBQA 30-39 years, male 5.6
GTEX-ZTX8-0726-SM-59HL9 20-29 years, male 5.6
GTEX-1I4MK-0726-SM-ACKWC 50-59 years, female 5.6
GTEX-1KANC-0526-SM-D4P3T 50-59 years, female 5.6
GTEX-1LSNM-0626-SM-DIPG7 50-59 years, male 5.6
GTEX-11GSO-0226-SM-5A5LV 60-69 years, male 5.5
GTEX-11TT1-1926-SM-5PNYN 20-29 years, male 5.5
GTEX-13X6I-1526-SM-5SIAC 60-69 years, male 5.5
GTEX-14DAR-0426-SM-664MW 50-59 years, male 5.5
GTEX-14PJ2-1426-SM-62LFF 50-59 years, male 5.5
GTEX-16AAH-1526-SM-7LT9W 50-59 years, male 5.5
GTEX-ZAJG-1626-SM-5HL7I 50-59 years, female 5.5
GTEX-1HBPN-1526-SM-9WYSB 50-59 years, male 5.5
GTEX-1HCUA-0926-SM-ADEIX 50-59 years, female 5.5
GTEX-1HSEH-1326-SM-ADEI1 60-69 years, male 5.5
GTEX-1HSMP-1126-SM-B2LXJ 70-79 years, male 5.5
GTEX-1I1GP-1426-SM-ACKVZ 50-59 years, male 5.5
GTEX-14E7W-2326-SM-69LQC 70-79 years, male 5.4
GTEX-15RIE-0126-SM-7KUF8 60-69 years, male 5.4
GTEX-17F9Y-0726-SM-7LT9G 70-79 years, female 5.4
GTEX-1S5ZA-1026-SM-EWRO2 20-29 years, male 5.4
GTEX-WVLH-1626-SM-EXURN 50-59 years, male 5.4
GTEX-11EM3-1126-SM-5A5KM 20-29 years, female 5.3
GTEX-13OVH-1126-SM-5K7YP 70-79 years, male 5.3
GTEX-15UKP-1426-SM-7KUDX 20-29 years, male 5.3
GTEX-1EU9M-1126-SM-793DE 60-69 years, male 5.3
GTEX-WOFM-0726-SM-3MJF8 20-29 years, male 5.3
GTEX-1H23P-1726-SM-A9SMN 60-69 years, male 5.3
GTEX-1JJ6O-2826-SM-CNNP7 60-69 years, male 5.3
GTEX-1LG7Z-0226-SM-E6CIG 30-39 years, male 5.3
GTEX-ZLWG-0726-SM-5S2N4 50-59 years, female 5.3
GTEX-117YX-0726-SM-5GIET 50-59 years, male 5.2
GTEX-12WSG-0426-SM-5FQSE 50-59 years, female 5.2
GTEX-147JS-1026-SM-5S2MP 60-69 years, male 5.2
GTEX-17HHY-1026-SM-7LG5E 50-59 years, male 5.2
GTEX-1GF9U-1226-SM-ARL9I 40-49 years, female 5.2
GTEX-1L5NE-1726-SM-DHXKX 50-59 years, male 5.2
GTEX-12WSF-1526-SM-6PAN6 70-79 years, male 5.1
GTEX-13RTK-0726-SM-5Q5EN 20-29 years, male 5.1
GTEX-14753-2526-SM-5LU97 60-69 years, male 5.1
GTEX-X8HC-2326-SM-4QAS4 50-59 years, female 5.1
GTEX-1CB4I-0826-SM-7MGX1 50-59 years, male 5.1
GTEX-1J1OQ-1526-SM-CJI4E 40-49 years, female 5.1
GTEX-1S5VW-2426-SM-EAZ52 60-69 years, male 5.1
GTEX-131YS-1726-SM-5HL7G 60-69 years, female 5.0
GTEX-13FTW-0426-SM-5K7X2 40-49 years, male 5.0
GTEX-14PJN-0626-SM-6EU13 30-39 years, male 5.0
GTEX-17JCI-1626-SM-7EPGZ 60-69 years, female 5.0
GTEX-1AMEY-0526-SM-72D62 30-39 years, female 5.0
GTEX-U8XE-1926-SM-3DB98 30-39 years, male 5.0
GTEX-WFON-1226-SM-3TW8F 40-49 years, male 5.0
GTEX-XUZC-1126-SM-4BOPZ 30-39 years, female 5.0
GTEX-1H1ZS-1326-SM-9WG74 70-79 years, male 5.0
GTEX-1LBAC-1026-SM-CXKYA 20-29 years, male 5.0
GTEX-1R9PO-0926-SM-E9U4Q 60-69 years, female 5.0
GTEX-12WSC-1726-SM-5GCN3 50-59 years, male 4.9
GTEX-1EH9U-1326-SM-79OM3 60-69 years, male 4.9
GTEX-Y5LM-0826-SM-4VDSW 40-49 years, female 4.9
GTEX-1H1DG-2026-SM-9QEIV 70-79 years, male 4.9
GTEX-1HSMO-1426-SM-CNNQN 60-69 years, male 4.9
GTEX-1I19N-1026-SM-A96TT 70-79 years, male 4.9
GTEX-1JN76-1026-SM-ARZNI 20-29 years, female 4.9
GTEX-1K2DU-0726-SM-DIPF7 20-29 years, male 4.9
GTEX-1QW4Y-0826-SM-DTXE1 30-39 years, male 4.9
GTEX-XPVG-1626-SM-EYYVK 50-59 years, male 4.9
GTEX-133LE-0926-SM-5P9J1 20-29 years, female 4.8
GTEX-13CF3-1126-SM-5LZXB 60-69 years, female 4.8
GTEX-14PHX-1626-SM-69LQB 50-59 years, male 4.8
GTEX-1GPI7-0826-SM-9JGG7 20-29 years, male 4.8
GTEX-1LVAO-2126-SM-DIPGA 60-69 years, male 4.8
GTEX-1N2DV-0626-SM-E9U5H 40-49 years, male 4.8
GTEX-11DYG-2026-SM-5EGGX 60-69 years, male 4.7
GTEX-13O3P-0926-SM-5IFFI 50-59 years, male 4.7
GTEX-1E1VI-1826-SM-9WG5J 50-59 years, male 4.7
GTEX-1GN1U-0726-SM-9MQKL 50-59 years, female 4.7
GTEX-1GN73-0626-SM-7PC3I 60-69 years, male 4.7
GTEX-1HCU6-1626-SM-CMKGW 60-69 years, female 4.7
GTEX-13QBU-1326-SM-5LU4K 40-49 years, female 4.6
GTEX-13S7M-0826-SM-5QGQX 60-69 years, female 4.6
GTEX-14PK6-0926-SM-62LF4 70-79 years, female 4.6
GTEX-1CB4E-0826-SM-793CS 60-69 years, male 4.6
GTEX-ZYW4-2226-SM-5GZYG 60-69 years, male 4.6
GTEX-ZZ64-0626-SM-5GZWR 20-29 years, male 4.6
GTEX-1ICLY-1426-SM-CJI48 50-59 years, male 4.6
GTEX-1RAZR-1026-SM-E8VOJ 40-49 years, male 4.6
GTEX-11I78-0226-SM-5HL6R 50-59 years, female 4.5
GTEX-ZPIC-0726-SM-57WFM 40-49 years, female 4.5
GTEX-1QP29-1626-SM-EXUSZ 50-59 years, male 4.5
GTEX-1339X-0726-SM-5L3FF 40-49 years, male 4.4
GTEX-139TU-1426-SM-5LZY9 60-69 years, male 4.4
GTEX-13W3W-1126-SM-5L3DO 60-69 years, female 4.4
GTEX-XBEC-1826-SM-4QASN 50-59 years, male 4.4
GTEX-XBEW-1726-SM-4RGMA 40-49 years, male 4.4
GTEX-YJ89-1926-SM-5IFJ6 60-69 years, male 4.4
GTEX-1F75B-1226-SM-7MXTW 50-59 years, male 4.4
GTEX-1N2EF-0926-SM-E8VNW 60-69 years, male 4.4
GTEX-1OFPY-0826-SM-DTX8P 60-69 years, male 4.4
GTEX-1PFEY-0726-SM-E76PO 30-39 years, male 4.4
GTEX-1MJK3-0626-SM-E6CJB 20-29 years, male 4.3
GTEX-16BQI-1126-SM-7KULF 30-39 years, female 4.2
GTEX-1AYD5-0126-SM-7DUG5 50-59 years, male 4.2
GTEX-XLM4-1026-SM-4AT51 60-69 years, male 4.2
GTEX-1IKOE-1726-SM-CNNQ6 30-39 years, female 4.2
GTEX-13PVQ-2226-SM-5L3G9 50-59 years, male 4.1
GTEX-14BMU-0626-SM-73KZ6 20-29 years, female 4.1
GTEX-11P82-0326-SM-5HL51 20-29 years, male 4.0
GTEX-1212Z-0526-SM-5FQSQ 60-69 years, male 3.9
GTEX-1H1E6-1126-SM-9JGGV 30-39 years, male 3.9
GTEX-1HCU9-0626-SM-ACKW6 20-29 years, male 3.9
GTEX-1I1GT-1326-SM-ACKWB 60-69 years, female 3.9
GTEX-1RNTQ-0826-SM-E9TK8 20-29 years, female 3.9
GTEX-13YAN-1126-SM-5TDC7 60-69 years, male 3.8
GTEX-144GM-0626-SM-79OKY 20-29 years, male 3.8
GTEX-ZXES-0926-SM-5E43O 30-39 years, female 3.8
GTEX-1PPH8-1026-SM-DPRXN 20-29 years, male 3.8
GTEX-1399S-1426-SM-5PNYQ 30-39 years, female 3.6
GTEX-17F97-1226-SM-79OJT 50-59 years, male 3.6
GTEX-ZVE2-1826-SM-51MRZ 50-59 years, male 3.6
GTEX-1S831-1926-SM-EV79P 20-29 years, male 3.6
GTEX-14PJ3-0726-SM-69LQE 50-59 years, male 3.5
GTEX-1RAZQ-1526-SM-E6CJI 30-39 years, male 3.5
GTEX-1B8SG-1426-SM-7EWEM 50-59 years, male 3.4
GTEX-1A32A-0926-SM-718AB 50-59 years, female 3.3
GTEX-WI4N-1526-SM-EZ6LG 40-49 years, female 3.3
GTEX-Y114-1326-SM-4TT9A 50-59 years, female 3.2
GTEX-1R9K4-1426-SM-DPRY4 60-69 years, male 3.1
GTEX-1QAET-1226-SM-DTX9I 50-59 years, male 3.0
GTEX-14PJO-1626-SM-69LPQ 60-69 years, male 2.9
GTEX-1OKEX-0926-SM-E8VNJ 60-69 years, male 2.9
GTEX-14PN3-0326-SM-6EU1X 60-69 years, female 2.3
GTEX-1RB15-1126-SM-E8VMX 60-69 years, male 2.0
GTEX-13X6H-1726-SM-5Q5EH 50-59 years, female 1.7
Show allShow less

ADIPOSE TISSUE - FANTOM5 CAGEi

RNA expression in human tissues obtained through Cap Analysis of Gene Expression (CAGE) generated by the FANTOM5 project are reported as Scaled Tags Per Million.

Max subtype Scaled Tags Per Millioni

Max subtype Scaled Tags Per Million is the value for the subtype with the largest average Scaled Tags Per Million across the subtype samples.

88.8
FANTOM5 sample id Sample description Scaled Tags Per Million
Adipose tissue
Scaled Tags Per Million: 88.8
FF:10010-101C1 65,65,76 years, mixed 88.8

Contact

  • NEWS ARTICLES
  • PRESS ROOM

The Project

  • INTRODUCTION
  • ORGANIZATION
  • PUBLICATIONS

The Human Protein Atlas

  • DOWNLOADABLE DATA
  • LICENCE & CITATION
  • HELP & FAQ
The Human Protein Atlas project is funded
by the Knut & Alice Wallenberg Foundation.


contact@proteinatlas.org