We use cookies to enhance the usability of our website. If you continue, we'll assume that you are happy to receive all cookies. More information. Don't show this again.
KRT19
HPA
RESOURCES
  • TISSUE
  • BRAIN
  • SINGLE CELL
  • SUBCELLULAR
  • CANCER
  • BLOOD
  • CELL LINE
  • STRUCTURE & INTERACTION
ABOUT
  • INTRODUCTION
  • HISTORY
  • ORGANIZATION
  • PUBLICATIONS
  • ANTIBODY SUBMISSION
  • ANTIBODY AVAILABILITY
  • ACKNOWLEDGMENTS
  • CONTACT
NEWS
  • NEWS ARTICLES
  • PRESS ROOM
LEARN
  • DICTIONARY
  • PROTEIN CLASSES
  • PROTEIN EVIDENCE
  • METHODS
  • EDUCATIONAL VIDEOS
DATA
  • DOWNLOADABLE DATA
  • PUBLICATION DATA
  • RELEASE HISTORY
HELP
  • ANTIBODY VALIDATION
  • ASSAYS & ANNOTATION
  • DISCLAIMER
  • HELP & FAQ
  • PRIVACY STATEMENT
  • LICENCE & CITATION
Fields »
Search result

Field
Term
Gene name
Class
Subclass
Class
Keyword
Chromosome
External id
Tissue
Cell type
Expression
Antibody panel
Tissue
Main location
Patient ID
Annotation
Tissue
Category
Tau score
Cluster
Reliability
Brain region
Category
Tau score
Brain region
Category
Tau score
Brain region
Category
Tau score
Cluster
Reliability
Tissue
Cell type
Enrichment
Cell type
Category
Tau score
Cell type
Category
Tau score
Cell type
Category
Tau score
Cell lineage
Category
Tau score
Cluster
Cluster
Location
Searches
Location
Cell line
Class
Type
Phase
Reliability
Cancer
Prognosis
Cancer
Category
Cancer
Category
Tau score
Cluster
Variants
Interacting gene (ensg_id)
Type
Number of interactions
Pathway
Category
Score
Score
Score
Validation
Validation
Validation
Validation
Antibodies
Data type
Column


  • SUMMARY

  • TISSUE

  • BRAIN

  • SINGLE CELL

  • SUBCELL

  • CANCER

  • BLOOD

  • CELL LINE

  • STRUCT & INT

  • KRT19
BRAIN CEREBELLUM Show tissue menu
AMYGDALA BASAL GANGLIA CEREBELLUM CEREBRAL CORTEX CHOROID PLEXUS HIPPOCAMPAL FORMATION HYPOTHALAMUS MEDULLA OBLONGATA
MIDBRAIN OLFACTORY BULB PITUITARY GLAND PONS RETINA SPINAL CORD THALAMUS WHITE MATTER
ANTIBODIES
AND
VALIDATION
Brain proteome
Cerebellum
CEREBELLUM - Expression summary
Protein expression
Cerebellumi

On the top, protein expression in current human tissue, based on all annotated cell types, is reported with the units not detected (n), low (l), medium (m) and high (h). Underneath, protein expression in each annotated cell type are reported using the same units.

Protein expression data is based on knowledge-based annotation. For genes where more than one antibody has been used, a collective score is set.

If knowledge-based annotation could not be performed for a gene, no data is displayed here. View antibody staining data further down this page.

h
m
l
n
Cells in granular layer: Not detected
Cells in molecular layer: Not detected
Purkinje cells: Not detected
RNA expressioni

A summary of mRNA expression data available for current tissue based on several datasets. The mRNA expression levels in human tissues are based on RNA-seq data generated by the Human Protein Atlas (HPA), Genotype-Tissue Expression (GTEx) portal and CAGE data generated by the FANTOM5 consortium. Consensus normalized expression levels for human tissues was created by combining the data from HPA and GTEx datasets.

The mRNA expression levels in pig are based on RNA-seq data generated by the Human Protein Atlas (HPA), and for mouse, HPA data and in situ hybridization generated by the Allen brain atlas are reported.

Scroll down to view mRNA expression data in more detail.
Consensus:20.3 nTPM
HPA Brain:13.9 nTPM
GTEx:20.3 nTPM
FANTOM5:14.8 Scaled Tags Per Million
Pig:1.6 nTPM
Mouse:0.2 nTPM

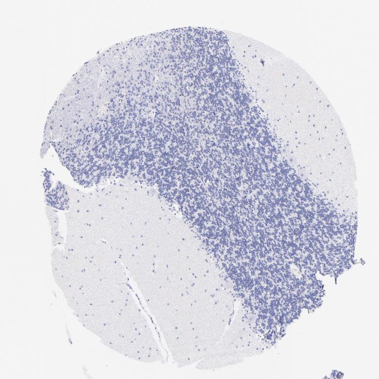
CEREBELLUM - Antibody stainingi

Antibody staining in the annotated cell types in the current human tissue is reported as not detected, low, medium, or high, based on conventional immunohistochemistry profiling in selected tissues. This score is based on the combination of the staining intensity and fraction of stained cells.

Each image is clickable and will lead to virtual microscopy that enables deeper exploration of all samples and also displays staining intensity scores, fraction scores and subcellular localization as well as patient and tissue information for each sample.

Antibody HPA002465Antibody CAB000031
Purkinje cells Not detectedNot detected
Cells in granular layer Not detectedNot detected
Cells in molecular layer Not detectedNot detected





CEREBELLUM - HPA Brain RNA-seq
Max subtype nTPMi

Max subtype nTPM is the value for the subtype with the largest average nTPM across the subtype samples.

13.9
Sample id Sample description nTPM
Cerebellar cortex
nTPM: 10.8
1774 Male, age 80, left hemisphere 19.0
2006 Male, age 61, right hemisphere 15.1
2101 Male, age 74, right hemisphere 11.0
2003 Female, age 85, right hemisphere 9.9
1768 Female, age 72, unknown 8.5
1788 Male, age 55, unknown 8.4
2055 Female, age 91, right hemisphere 8.1
1769 Male, age 76, right hemisphere 6.1
Cerebellar nuclei
nTPM: 1.7
2318 Male, age 74, left hemisphere 4.4
2005 Male, age 80, left hemisphere 2.0
2783 Female, age 72, unknown 2.0
1966 Female, age 91, left hemisphere 1.6
1871 Male, age 74, unknown 1.4
2177 Female, age 85, both hemispheres 1.1
2175 Male, age 61, right hemisphere 0.9
2882 Male, age 76, left hemisphere 0.9
1879 Male, age 55, unknown 0.8
Flocculonodular lobe
nTPM: 13.9
1771 Male, age 80, left hemisphere 20.7
2004 Male, age 61, right hemisphere 18.0
1765 Male, age 55, unknown 17.2
1835 Female, age 85, right hemisphere 15.6
2176 Female, age 91, right hemisphere 11.7
1792 Male, age 74, unknown 9.0
1767 Male, age 76, left hemisphere 5.1
Vermis
nTPM: 11.6
1766 Male, age 55, unknown 19.2
1988 Female, age 85, left hemisphere 18.9
2834 Male, age 80, left hemisphere 13.8
1825 Male, age 74, unknown 10.5
2460 Male, age 61, both hemispheres 9.3
1778 Female, age 91, left hemisphere 9.1
1751 Male, age 74, right hemisphere 8.9
1928 Female, age 72, unknown 8.5
1770 Male, age 76, left hemisphere 6.4

CEREBELLUM - GTEx RNA-seqi

RNA-Seq data generated by the Genotype-Tissue Expression (GTEx) project from human tissues is reported as mean nTPM. More information can be found on the GTEx portal.

Distribution across the dataset is visualized with box plots, shown as median and 25th and 75th percentiles. Points are displayed as outliers if they are above or below 1.5 times the interquartile range. nTPM values of the individual samples are presented next to the box plot.
Max subtype nTPMi

Max subtype nTPM is the value for the subtype with the largest average nTPM across the subtype samples.

20.3
GTEx sample id Sample description nTPM
Brain - Cerebellar Hemisphere
Average nTPM: 20.3
Samples: 215

Max nTPM: 57.3
Min nTPM: 1.6
Std nTPM: 10.1
Median nTPM: 19.2
GTEX-13FLV-0011-R11a-SM-5LZZ7 50-59 years, male 57.3
GTEX-13X6J-0011-R11a-SM-5P9HE 50-59 years, male 50.5
GTEX-1313W-0011-R11a-SM-5DUXN 50-59 years, female 50.3
GTEX-14E6D-0011-R11b-SM-664NP 50-59 years, male 48.5
GTEX-13OW7-0011-R11a-SM-5O9DY 50-59 years, male 46.5
GTEX-WWYW-0011-R11A-SM-3NB38 50-59 years, female 44.1
GTEX-N7MS-0011-R11A-SM-2HMJS 60-69 years, male 42.7
GTEX-1F6I4-0011-R11b-SM-9OSWS 60-69 years, male 41.2
GTEX-1H3O1-0011-R11a-SM-A96RV 60-69 years, male 41.1
GTEX-11ZUS-0011-R11b-SM-5BC7B 30-39 years, male 38.8
GTEX-1IGQW-0011-R11a-SM-C1YRV 60-69 years, male 38.6
GTEX-14ASI-0011-R11b-SM-6AJBJ 60-69 years, male 38.5
GTEX-NL3H-0011-R11A-SM-2I3E6 60-69 years, male 38.2
GTEX-12WSM-0011-R11a-SM-5DUX8 60-69 years, male 37.4
GTEX-13JUV-0011-R11a-SM-5LZYH 40-49 years, female 37.2
GTEX-18A6Q-0011-R11a-SM-72D6H 60-69 years, male 37.0
GTEX-ZE9C-0011-R11a-SM-4WKGG 60-69 years, male 37.0
GTEX-NL4W-0011-R11A-SM-2I3DW 50-59 years, male 36.7
GTEX-11EMC-0011-R11b-SM-DNZZK 60-69 years, female 36.2
GTEX-15CHQ-0011-R11b-SM-686ZZ 60-69 years, male 35.4
GTEX-18464-0011-R11a-SM-72D76 50-59 years, male 35.4
GTEX-ZE7O-0011-R11a-SM-57WBC 50-59 years, female 34.6
GTEX-11EI6-0011-R11a-SM-DO11V 60-69 years, male 34.4
GTEX-ZVT3-0011-R11b-SM-57WBI 60-69 years, female 34.1
GTEX-13X6K-0011-R11a-SM-5P9F5 60-69 years, female 32.2
GTEX-ZVZQ-0011-R11a-SM-51MS6 60-69 years, female 32.2
GTEX-13S7M-0011-R11b-SM-5P9HU 60-69 years, female 31.9
GTEX-ZDXO-0011-R11a-SM-4WWD9 60-69 years, male 31.9
GTEX-17JCI-0011-R11a-SM-7189Y 60-69 years, female 31.5
GTEX-1GZ4I-0011-R11b-SM-9OSWR 50-59 years, male 31.0
GTEX-13FHO-0011-R11b-SM-5LZYQ 60-69 years, male 30.9
GTEX-YJ89-0011-R11a-SM-4SOKA 60-69 years, male 30.2
GTEX-1IOXB-0011-R11a-SM-A9G1X 50-59 years, male 30.1
GTEX-13OVH-0011-R11b-SM-5KM4X 70-79 years, male 29.9
GTEX-13QIC-0011-R11b-SM-5O9BU 60-69 years, female 29.8
GTEX-145MH-0011-R11a-SM-5P9HQ 50-59 years, male 29.2
GTEX-13OW8-0011-R11a-SM-5L3GT 60-69 years, male 29.0
GTEX-1C64N-0011-R11b-SM-7P8Q6 50-59 years, male 29.0
GTEX-13NZA-0011-R11b-SM-5KM4W 60-69 years, male 28.8
GTEX-P44G-0011-R11A-SM-2I3FD 30-39 years, male 28.3
GTEX-1GZHY-0011-R11a-SM-C1YRQ 50-59 years, female 27.5
GTEX-139TT-0011-R11b-SM-5LZV1 60-69 years, male 27.3
GTEX-16GPK-0011-R11b-SM-7MKFF 60-69 years, male 27.2
GTEX-13OW6-0011-R11a-SM-5L3H2 50-59 years, male 27.0
GTEX-1ICLZ-0011-R11a-SM-CJI3N 60-69 years, male 26.9
GTEX-1LG7Y-0011-R11a-SM-EXOIH 50-59 years, male 26.9
GTEX-11ZTS-0011-R11a-SM-DO113 60-69 years, female 26.8
GTEX-145LU-0011-R11b-SM-5P9JX 50-59 years, male 26.5
GTEX-1F75A-0011-R11a-SM-AHZ35 50-59 years, male 26.2
GTEX-13NYB-0011-R11a-SM-5KM3Q 40-49 years, male 26.1
GTEX-1F75W-0011-R11b-SM-AHZ34 60-69 years, male 26.1
GTEX-12WSF-0011-R11a-SM-5LZVT 70-79 years, male 25.7
GTEX-11DZ1-0011-R11b-SM-DO11W 50-59 years, male 25.7
GTEX-13SLW-0011-R11a-SM-5SI8Q 70-79 years, male 25.5
GTEX-1R9K4-0011-R11a-SM-EZ6N9 60-69 years, male 25.3
GTEX-14E7W-0011-R11a-SM-5ZZVA 70-79 years, male 25.2
GTEX-1M4P7-0011-R11b-SM-EXOIK 60-69 years, male 25.2
GTEX-12WSE-0011-R11b-SM-5P9JW 20-29 years, male 25.1
GTEX-1I1GS-0011-R11a-SM-C1YRU 60-69 years, male 25.1
GTEX-131XH-0011-R11a-SM-5EGLN 50-59 years, male 25.0
GTEX-17F97-0011-R11b-SM-7KFRQ 50-59 years, male 24.8
GTEX-1B8SG-0011-R11a-SM-7P8PF 50-59 years, male 24.5
GTEX-1H3VE-0011-R11b-SM-C1YRP 40-49 years, male 24.4
GTEX-1HFI6-0011-R11b-SM-A96RU 40-49 years, male 24.4
GTEX-1JMOU-0011-R11b-SM-EXUTA 60-69 years, female 24.0
GTEX-132Q8-0011-R11b-SM-5DUW9 60-69 years, male 23.9
GTEX-Z93S-0011-R11a-SM-4RGNN 50-59 years, male 23.9
GTEX-17HG3-0011-R11b-SM-7KFT4 30-39 years, female 23.7
GTEX-1E1VI-0011-R11a-SM-9OSWI 50-59 years, male 23.7
GTEX-13G51-0011-R11b-SM-5J2NE 60-69 years, male 23.6
GTEX-13OVL-0011-R11b-SM-5L3G7 50-59 years, male 23.5
GTEX-11DYG-0011-R11a-SM-DNZZP 60-69 years, male 23.4
GTEX-12WSC-0011-R11a-SM-5GU5J 50-59 years, male 23.2
GTEX-OHPN-0011-R11A-SM-2I5FM 60-69 years, female 23.2
GTEX-1H3NZ-0011-R11b-SM-CE6SF 60-69 years, male 22.9
GTEX-NPJ7-0011-R11A-SM-2I3E8 60-69 years, female 22.8
GTEX-P44H-0011-R11A-SM-2XCER 40-49 years, male 22.8
GTEX-X261-0011-R11A-SM-4E3JY 50-59 years, male 22.6
GTEX-1B933-0011-R11a-SM-7P8PM 50-59 years, female 22.5
GTEX-1HGF4-0011-R11a-SM-C1YRR 60-69 years, male 22.5
GTEX-14ABY-0011-R11a-SM-5SI7C 50-59 years, male 22.4
GTEX-1R9PO-0011-R11b-SM-EZ6NB 60-69 years, female 22.4
GTEX-1IL2V-0011-R11a-SM-ARU6T 70-79 years, male 22.2
GTEX-1H4P4-0011-R11b-SM-CE6S8 50-59 years, male 22.1
GTEX-1HCU6-0011-R11b-SM-AHZ2F 60-69 years, female 22.1
GTEX-1KD4Q-0011-R11b-SM-EXOIE 40-49 years, male 21.8
GTEX-15DCD-0011-R11a-SM-D4P1R 70-79 years, female 21.7
GTEX-15DYW-0011-R11a-SM-6LPIT 60-69 years, female 21.4
GTEX-T6MN-0011-R11A-SM-32QOX 50-59 years, male 21.2
GTEX-1I1GQ-0011-R11b-SM-CKZPA 50-59 years, male 21.2
GTEX-13N2G-0011-R11a-SM-5MR3F 60-69 years, male 21.1
GTEX-12126-0011-R11a-SM-5BC6X 20-29 years, male 21.0
GTEX-XMD1-0011-R11A-SM-4AT5J 60-69 years, male 21.0
GTEX-YFC4-0011-R11a-SM-4SOK6 40-49 years, female 21.0
GTEX-13FHP-0011-R11b-SM-5LZXP 50-59 years, male 20.7
GTEX-14C39-0011-R11b-SM-5YYAF 40-49 years, male 20.5
GTEX-1BAJH-0011-R11b-SM-7IGLM 70-79 years, male 20.5
GTEX-1HBPI-0011-R11b-SM-CE6SH 50-59 years, male 20.3
GTEX-15G19-0011-R11b-SM-6LPIH 60-69 years, male 20.1
GTEX-15ER7-0011-R11a-SM-6LPIL 20-29 years, female 20.0
GTEX-13SLX-0011-R11b-SM-5O9C8 50-59 years, female 19.9
GTEX-1IL2U-0011-R11a-SM-CE6SO 60-69 years, male 19.9
GTEX-13FTY-0011-R11a-SM-5IJEA 40-49 years, female 19.5
GTEX-17HII-0011-R11b-SM-7KFSX 50-59 years, male 19.4
GTEX-WHSE-0011-R11A-SM-3P5YY 20-29 years, male 19.3
GTEX-1H1CY-0011-R11a-SM-C1YQR 60-69 years, female 19.3
GTEX-131XW-0011-R11a-SM-5DUV9 50-59 years, female 19.2
GTEX-WL46-0011-R11A-SM-3MJFT 50-59 years, male 19.2
GTEX-WVLH-0011-R11A-SM-3MJFO 50-59 years, male 19.2
GTEX-1F7RK-0011-R11b-SM-9QEI2 20-29 years, female 18.9
GTEX-13RTJ-0011-R11a-SM-5O9CK 60-69 years, male 18.8
GTEX-14BIN-0011-R11a-SM-5SI79 50-59 years, female 18.6
GTEX-1CB4G-0011-R11a-SM-9OSWG 60-69 years, male 18.4
GTEX-1B8SF-0011-R11a-SM-79OOP 60-69 years, male 18.3
GTEX-1GTWX-0011-R11b-SM-C1YQJ 60-69 years, male 18.3
GTEX-12ZZZ-0011-R11a-SM-5EGLC 60-69 years, male 18.2
GTEX-T2IS-0011-R11A-SM-32QPC 20-29 years, female 18.0
GTEX-15EO6-0011-R11b-SM-6M47M 50-59 years, male 17.8
GTEX-1N2DW-0011-R11b-SM-EXOIL 50-59 years, male 17.8
GTEX-1B8L1-0011-R11b-SM-793DJ 60-69 years, male 17.7
GTEX-1JJ6O-0011-R11b-SM-EXUS2 60-69 years, male 17.7
GTEX-R55E-0011-R11A-SM-2TC6I 20-29 years, male 17.6
GTEX-Y8DK-0011-R11A-SM-4SOK2 60-69 years, male 17.6
GTEX-12WSH-0011-R11a-SM-5LZVM 50-59 years, male 17.5
GTEX-12ZZX-0011-R11a-SM-5DUVJ 40-49 years, female 17.5
GTEX-1HUB1-0011-R11b-SM-CE6SC 60-69 years, male 17.5
GTEX-1A3MX-0011-R11b-SM-7DUGP 60-69 years, male 17.3
GTEX-QDT8-0011-R11A-SM-32PKD 30-39 years, female 17.2
GTEX-17EVQ-0011-R11a-SM-7LT9C 70-79 years, male 16.8
GTEX-T5JC-0011-R11A-SM-32PMB 20-29 years, male 16.7
GTEX-1F52S-0011-R11a-SM-CJI23 60-69 years, female 16.7
GTEX-ZF28-0011-R11a-SM-4WWEI 60-69 years, male 16.6
GTEX-131YS-0011-R11b-SM-5EGLM 60-69 years, female 16.5
GTEX-RU72-0011-R11A-SM-CM2U1 50-59 years, female 16.3
GTEX-12WSD-0011-R11a-SM-9OSVC 60-69 years, female 16.2
GTEX-13PLJ-0011-R11b-SM-5O9BS 60-69 years, female 16.1
GTEX-1GMRU-0011-R11b-SM-C1YQ4 50-59 years, male 16.1
GTEX-139UW-0011-R11a-SM-5IJGN 60-69 years, male 16.0
GTEX-1GF9W-0011-R11b-SM-9OSXG 60-69 years, male 16.0
GTEX-1H1ZS-0011-R11a-SM-C1YQM 70-79 years, male 16.0
GTEX-144GL-0011-R11b-SM-5P9F6 50-59 years, male 15.7
GTEX-1J1OQ-0011-R11a-SM-A96S3 40-49 years, female 15.6
GTEX-16YQH-0011-R11b-SM-7LT98 30-39 years, male 15.5
GTEX-X4XX-0011-R11A-SM-46MWQ 60-69 years, male 15.4
GTEX-ZAB4-0011-R11a-SM-4SOKI 40-49 years, male 15.0
GTEX-14BIM-0011-R11b-SM-5S2RN 60-69 years, female 14.9
GTEX-17EVP-0011-R11a-SM-7EWDL 40-49 years, male 14.9
GTEX-13X6I-0011-R11a-SM-5P9HN 60-69 years, male 14.8
GTEX-13OW5-0011-R11b-SM-5L3GG 60-69 years, male 14.7
GTEX-1399T-0011-R11a-SM-5J2O1 60-69 years, male 14.6
GTEX-1IY9M-0011-R11b-SM-A96TI 60-69 years, male 14.6
GTEX-13CF2-0011-R11b-SM-5LZXO 60-69 years, male 14.4
GTEX-1GMR8-0011-R11b-SM-9OSX2 50-59 years, female 14.4
GTEX-13PVQ-0011-R11a-SM-5O9DU 50-59 years, male 14.3
GTEX-1HB9E-0011-R11b-SM-ARU79 50-59 years, male 14.0
GTEX-14PN4-0011-R11a-SM-686ZW 50-59 years, male 13.9
GTEX-13CZV-0011-R11b-SM-5N9FN 60-69 years, male 13.8
GTEX-WZTO-0011-R11A-SM-4E3K9 40-49 years, male 13.8
GTEX-1F48J-0011-R11b-SM-9OSWV 50-59 years, female 13.7
GTEX-Q2AG-0011-R11A-SM-2HMKZ 40-49 years, female 13.3
GTEX-1IKOH-0011-R11a-SM-AHZ38 60-69 years, female 13.3
GTEX-1I1GV-0011-R11a-SM-CJI3Z 60-69 years, male 13.2
GTEX-11DXY-0011-R11a-SM-DNZZN 60-69 years, male 13.1
GTEX-1I19N-0011-R11b-SM-ARU6Y 70-79 years, male 12.6
GTEX-ZUA1-0011-R11b-SM-51MTI 40-49 years, male 12.5
GTEX-1IDJH-0011-R11b-SM-C1YRT 70-79 years, male 12.4
GTEX-13O3Q-0011-R11b-SM-5KM2W 50-59 years, male 12.3
GTEX-183WM-0011-R11a-SM-718A5 70-79 years, female 12.2
GTEX-X4EP-0011-R11B-SM-4QASK 60-69 years, female 12.0
GTEX-1EMGI-0011-R11b-SM-9OSWX 60-69 years, male 11.9
GTEX-11H98-0011-R11b-SM-5NQ6U 50-59 years, male 11.6
GTEX-1J8Q2-0011-R11a-SM-A9SKI 60-69 years, male 11.6
GTEX-1JJEA-0011-R11a-SM-EXUTE 60-69 years, male 11.6
GTEX-13OVJ-0011-R11a-SM-5P9H8 50-59 years, female 11.5
GTEX-16NPV-0011-R11a-SM-7IGMK 50-59 years, female 11.5
GTEX-RVPV-0011-R11A-SM-2TF6F 60-69 years, male 11.3
GTEX-1JMQJ-0011-R11a-SM-EXOJY 50-59 years, male 11.2
GTEX-1LSVX-0011-R11b-SM-EXOIA 60-69 years, male 11.2
GTEX-1J8EW-0011-R11a-SM-AHZ37 60-69 years, female 11.0
GTEX-11OF3-0011-R11a-SM-57WCR 60-69 years, male 10.5
GTEX-13JVG-0011-R11a-SM-5KM53 60-69 years, male 10.3
GTEX-13O3O-0011-R11b-SM-5KM4G 60-69 years, female 9.9
GTEX-18465-0011-R11a-SM-72D78 50-59 years, male 9.8
GTEX-1I1GR-0011-R11a-SM-CM2T5 60-69 years, male 9.8
GTEX-12WSI-0011-R11b-SM-5P9EZ 50-59 years, male 9.5
GTEX-16Z82-0011-R11a-SM-79OKJ 60-69 years, male 9.4
GTEX-1CAV2-0011-R11a-SM-ARU8D 40-49 years, female 9.4
GTEX-13VXU-0011-R11b-SM-5O9DJ 50-59 years, male 9.2
GTEX-1EKGG-0011-R11a-SM-9QEHZ 60-69 years, male 9.2
GTEX-14DAQ-0011-R11a-SM-664NO 60-69 years, female 9.0
GTEX-16XZZ-0011-R11a-SM-7EPI3 60-69 years, male 8.9
GTEX-QMR6-0011-R11A-SM-32PKK 50-59 years, male 8.4
GTEX-S7SE-0011-R11A-SM-2XCDD 50-59 years, male 8.0
GTEX-145MI-0011-R11a-SM-5P9JZ 60-69 years, female 7.7
GTEX-TSE9-0011-R11A-SM-3DB7N 60-69 years, female 7.6
GTEX-1GN73-0011-R11b-SM-9OSX4 60-69 years, male 7.5
GTEX-11PRG-0011-R11b-SM-DNZZY 50-59 years, male 7.4
GTEX-1I1HK-0011-R11a-SM-B2LVN 60-69 years, male 7.3
GTEX-1IKK5-0011-R11a-SM-C1YRX 60-69 years, male 7.1
GTEX-1LKK1-0011-R11a-SM-EXOIG 50-59 years, female 7.0
GTEX-X585-0011-R11B-SM-46MUZ 50-59 years, male 6.9
GTEX-UTHO-0011-R11A-SM-3GIJE 60-69 years, male 6.6
GTEX-NPJ8-0011-R11A-SM-2YUMS 40-49 years, male 6.5
GTEX-1H1DG-0011-R11a-SM-C1YQK 70-79 years, male 6.0
GTEX-11TTK-0011-R11b-SM-DO112 60-69 years, female 5.7
GTEX-1HSKV-0011-R11b-SM-AHZ2E 60-69 years, male 5.2
GTEX-13FXS-0011-R11a-SM-5L3DM 50-59 years, male 5.1
GTEX-13NYS-0011-R11b-SM-5MR4P 60-69 years, male 4.4
GTEX-11GSP-0011-R11b-SM-5NQ7V 60-69 years, female 4.3
GTEX-1N2EE-0011-R11b-SM-EXOIJ 60-69 years, male 4.3
GTEX-1AX9I-0011-R11b-SM-7DHN4 60-69 years, male 4.0
GTEX-14C5O-0011-R11b-SM-6872H 60-69 years, male 3.2
GTEX-11WQC-0011-R11b-SM-57WD6 60-69 years, male 3.0
GTEX-1LVAO-0011-R11b-SM-EXOI8 60-69 years, male 2.6
GTEX-N7MT-0011-R11A-SM-2I3DZ 60-69 years, female 1.6
Show allShow less
Brain - Cerebellum
Average nTPM: 19.5
Samples: 241

Max nTPM: 50.9
Min nTPM: 4.2
Std nTPM: 7.5
Median nTPM: 19.0
GTEX-13OW7-2926-SM-5MR3Z 50-59 years, male 50.9
GTEX-13QIC-3026-SM-5LU58 60-69 years, female 47.1
GTEX-13NYB-3226-SM-5J2ND 40-49 years, male 40.1
GTEX-14E6D-2926-SM-664OP 50-59 years, male 39.8
GTEX-11EI6-2926-SM-5985U 60-69 years, male 38.9
GTEX-WWYW-3026-SM-3NB36 50-59 years, female 38.4
GTEX-1F6I4-3026-SM-7P8SI 60-69 years, male 37.3
GTEX-12WSM-2126-SM-5GCOC 60-69 years, male 37.2
GTEX-1313W-3026-SM-5LZUZ 50-59 years, female 36.3
GTEX-13S7M-3026-SM-5S2QQ 60-69 years, female 35.7
GTEX-ZDXO-2926-SM-4WKFM 60-69 years, male 34.4
GTEX-12ZZY-2926-SM-5DUXO 60-69 years, male 33.5
GTEX-1QP6S-3026-SM-EAZ4N 40-49 years, male 32.7
GTEX-1LG7Y-3126-SM-EV7AS 50-59 years, male 32.1
GTEX-12WSE-2926-SM-5RQJ9 20-29 years, male 31.8
GTEX-14C39-3026-SM-5S2QE 40-49 years, male 31.4
GTEX-1GF9W-2726-SM-9JGGW 60-69 years, male 30.7
GTEX-11ZUS-2826-SM-5EQKW 30-39 years, male 30.3
GTEX-11DZ1-2926-SM-5A5KI 50-59 years, male 30.1
GTEX-1H3O1-1826-SM-A96TO 60-69 years, male 30.0
GTEX-1GZHY-3026-SM-7MXVA 50-59 years, female 29.4
GTEX-1A3MX-2926-SM-718B7 60-69 years, male 29.2
GTEX-1269C-3126-SM-5EGI6 60-69 years, female 29.0
GTEX-ZVT3-2926-SM-5GU6M 60-69 years, female 28.9
GTEX-1C64N-3126-SM-79OO3 50-59 years, male 28.8
GTEX-T6MN-2526-SM-32PMN 50-59 years, male 28.5
GTEX-1RDX4-3226-SM-DPS14 50-59 years, female 28.5
GTEX-13OW8-2926-SM-5L3FV 60-69 years, male 28.2
GTEX-T2IS-2926-SM-32QPO 20-29 years, female 27.9
GTEX-11ONC-3026-SM-5985W 60-69 years, male 27.6
GTEX-131XH-2926-SM-5LZU4 50-59 years, male 27.5
GTEX-11NUK-3026-SM-5986K 50-59 years, male 27.3
GTEX-WL46-2826-SM-3LK81 50-59 years, male 27.3
GTEX-13X6K-2826-SM-5O9DS 60-69 years, female 27.0
GTEX-WVLH-2926-SM-3MJG5 50-59 years, male 26.8
GTEX-12ZZX-2826-SM-5BC6K 40-49 years, female 26.7
GTEX-13FHO-2926-SM-5L3ES 60-69 years, male 26.7
GTEX-ZAK1-2926-SM-5HL9S 50-59 years, female 26.4
GTEX-1C6VR-3026-SM-7IGLW 60-69 years, male 26.3
GTEX-14JG1-2926-SM-686ZK 40-49 years, male 26.2
GTEX-X261-3126-SM-4PQZC 50-59 years, male 26.2
GTEX-11DXW-1026-SM-5H11K 40-49 years, male 25.9
GTEX-1RQEC-3026-SM-DPRXM 60-69 years, male 25.9
GTEX-15DYW-3026-SM-7KFRM 60-69 years, female 25.6
GTEX-13CF2-3026-SM-5IFFX 60-69 years, male 25.3
GTEX-14ASI-2926-SM-5Q5DG 60-69 years, male 24.9
GTEX-14E7W-2926-SM-5S2R8 70-79 years, male 24.9
GTEX-17EVP-2926-SM-793BU 40-49 years, male 24.8
GTEX-1J1OQ-3126-SM-D4P2O 40-49 years, female 24.8
GTEX-1F48J-2726-SM-7P8PW 50-59 years, female 24.6
GTEX-11NV4-2226-SM-5BC4T 60-69 years, male 24.3
GTEX-11ZTS-3226-SM-5EGID 60-69 years, female 24.3
GTEX-13OVH-2926-SM-5IJFH 70-79 years, male 24.3
GTEX-14BIN-3326-SM-5Q5E6 50-59 years, female 24.1
GTEX-17JCI-3026-SM-7EWDR 60-69 years, female 24.0
GTEX-1E1VI-2926-SM-7IGLT 50-59 years, male 24.0
GTEX-1JJEA-2926-SM-C1YSK 60-69 years, male 23.8
GTEX-13FHP-2926-SM-5IJG9 50-59 years, male 23.7
GTEX-14BIM-3126-SM-5Q5C7 60-69 years, female 23.6
GTEX-145LS-3026-SM-5O99S 60-69 years, female 23.5
GTEX-RU72-2926-SM-2TF66 50-59 years, female 23.5
GTEX-1192X-3226-SM-5987D 50-59 years, male 23.2
GTEX-11EMC-3326-SM-5P9JH 60-69 years, female 23.2
GTEX-1R9PO-2826-SM-E6CPV 60-69 years, female 23.1
GTEX-145LU-2626-SM-5LU9Z 50-59 years, male 22.8
GTEX-17EVQ-2726-SM-7EWDT 70-79 years, male 22.8
GTEX-ZUA1-2926-SM-59HL3 40-49 years, male 22.7
GTEX-YJ89-2926-SM-5P9IT 60-69 years, male 22.6
GTEX-Z93S-2826-SM-57WBL 50-59 years, male 22.6
GTEX-1I1GV-3026-SM-CNNR9 60-69 years, male 22.5
GTEX-1GZ4I-2926-SM-9JGGO 50-59 years, male 22.4
GTEX-147F4-3026-SM-5Q5BJ 50-59 years, male 22.2
GTEX-14ABY-3026-SM-664NE 50-59 years, male 22.2
GTEX-14PN4-3026-SM-664O4 50-59 years, male 22.2
GTEX-1R46S-3126-SM-DPRZ9 60-69 years, female 22.2
GTEX-145MG-3126-SM-5Q5D3 50-59 years, male 22.1
GTEX-15ER7-3026-SM-6M47W 20-29 years, female 22.1
GTEX-17HG3-2826-SM-7EPGO 30-39 years, female 22.1
GTEX-QDT8-3026-SM-32PKB 30-39 years, female 22.0
GTEX-1LSVX-2826-SM-EVR58 60-69 years, male 22.0
GTEX-1PIIG-2826-SM-DTX7O 30-39 years, male 22.0
GTEX-1HBPH-3026-SM-9WPNY 40-49 years, female 21.8
GTEX-ZYFD-2926-SM-5GID9 50-59 years, male 21.7
GTEX-12126-0926-SM-5FQTW 20-29 years, male 21.6
GTEX-13JVG-3226-SM-5IJGJ 60-69 years, male 21.5
GTEX-P44H-2426-SM-2XCEJ 40-49 years, male 21.3
GTEX-1F75A-2926-SM-7MXVN 50-59 years, male 21.2
GTEX-1GN73-3026-SM-7MXV8 60-69 years, male 21.1
GTEX-145MH-2926-SM-5Q5D2 50-59 years, male 21.0
GTEX-TSE9-2926-SM-3DB77 60-69 years, female 21.0
GTEX-XMD1-2826-SM-4AT5F 60-69 years, male 21.0
GTEX-13O3O-3026-SM-5KM42 60-69 years, female 20.9
GTEX-14PJM-3026-SM-6LLHM 50-59 years, female 20.9
GTEX-16YQH-2926-SM-6LPJE 30-39 years, male 20.9
GTEX-1B8SG-1926-SM-73KUB 50-59 years, male 20.8
GTEX-ZAJG-3026-SM-5HL92 50-59 years, female 20.8
GTEX-1NV8Z-3026-SM-DTX8Z 60-69 years, male 20.8
GTEX-T5JC-2326-SM-32PMR 20-29 years, male 20.7
GTEX-YFC4-3026-SM-5IFJK 40-49 years, female 20.7
GTEX-12WSD-3026-SM-5LZU7 60-69 years, female 20.5
GTEX-R55E-2526-SM-2TC6H 20-29 years, male 20.5
GTEX-1HSMO-2926-SM-C1YR5 60-69 years, male 20.5
GTEX-13N2G-3126-SM-5IJGL 60-69 years, male 20.4
GTEX-13OW6-2926-SM-5KM29 50-59 years, male 20.4
GTEX-1EMGI-3126-SM-7MXUR 60-69 years, male 20.4
GTEX-1HBPI-2726-SM-9WPPF 50-59 years, male 20.2
GTEX-13SLX-3226-SM-5YYA6 50-59 years, female 20.1
GTEX-15SHU-3026-SM-6LPIB 40-49 years, female 20.1
GTEX-XLM4-2926-SM-4AT59 60-69 years, male 20.1
GTEX-1POEN-2726-SM-E9U6B 30-39 years, female 20.0
GTEX-1A8G7-3026-SM-73KTT 60-69 years, male 19.9
GTEX-1EX96-3126-SM-9JGGC 50-59 years, male 19.9
GTEX-QVUS-2926-SM-3GIJB 60-69 years, female 19.8
GTEX-1QEPI-3026-SM-EXOIW 60-69 years, female 19.8
GTEX-17F97-2926-SM-7DUEQ 50-59 years, male 19.4
GTEX-1C6WA-3326-SM-7MKGN 60-69 years, male 19.4
GTEX-1IL2V-3026-SM-CYPSA 70-79 years, male 19.3
GTEX-1B8SF-3026-SM-731DX 60-69 years, male 19.2
GTEX-15EO6-2926-SM-6M48D 50-59 years, male 19.1
GTEX-ZYY3-3026-SM-5GIEJ 60-69 years, female 19.1
GTEX-13RTJ-3126-SM-5S2Q4 60-69 years, male 19.0
GTEX-1F52S-3026-SM-7P8PV 60-69 years, female 19.0
GTEX-1KD4Q-3026-SM-EV7A7 40-49 years, male 18.9
GTEX-14A5I-2826-SM-5SIBF 50-59 years, female 18.8
GTEX-18A6Q-2826-SM-7LTAO 60-69 years, male 18.7
GTEX-WHSE-2926-SM-3NMBG 20-29 years, male 18.7
GTEX-1B996-2926-SM-7MXUH 60-69 years, male 18.7
GTEX-11O72-2826-SM-5HL6W 40-49 years, male 18.6
GTEX-13OVL-3026-SM-5IJF1 50-59 years, male 18.5
GTEX-1GF9V-3026-SM-7P8R8 60-69 years, male 18.4
GTEX-1H3NZ-2926-SM-9WPQ8 60-69 years, male 18.4
GTEX-1H4P4-2726-SM-9JGGB 50-59 years, male 18.4
GTEX-11DYG-2926-SM-5H132 60-69 years, male 18.3
GTEX-1128S-2826-SM-5N9DI 60-69 years, female 18.1
GTEX-12WSC-2926-SM-5BC5Z 50-59 years, male 17.9
GTEX-13PVQ-2926-SM-5L3HJ 50-59 years, male 17.9
GTEX-11DXY-3126-SM-5N9BT 60-69 years, male 17.7
GTEX-14JFF-2826-SM-6871Q 60-69 years, male 17.6
GTEX-1F75W-3126-SM-7P8SJ 60-69 years, male 17.5
GTEX-139TT-2626-SM-5LZUB 60-69 years, male 17.4
GTEX-1B8L1-3226-SM-7P8OX 60-69 years, male 17.4
GTEX-1E2YA-2926-SM-7MGWX 50-59 years, male 17.4
GTEX-1KANB-3226-SM-D4P3G 50-59 years, male 17.4
GTEX-15G19-2826-SM-6M48K 60-69 years, male 17.3
GTEX-1EU9M-2926-SM-793DF 60-69 years, male 17.2
GTEX-13OW5-3126-SM-5MR3Y 60-69 years, male 17.1
GTEX-117XS-3126-SM-5GIDP 60-69 years, male 17.0
GTEX-145MF-2826-SM-7EPGU 50-59 years, male 16.9
GTEX-14JIY-2326-SM-6AJAJ 60-69 years, male 16.9
GTEX-1EWIQ-3026-SM-7IGOJ 70-79 years, female 16.9
GTEX-Q2AG-2826-SM-2HMJQ 40-49 years, female 16.9
GTEX-Y111-2826-SM-4TT3O 50-59 years, male 16.7
GTEX-11TTK-2826-SM-5GU5K 60-69 years, female 16.6
GTEX-N7MS-2526-SM-2D7W3 60-69 years, male 16.5
GTEX-131YS-3026-SM-5EGHY 60-69 years, female 16.4
GTEX-PWO3-1026-SM-2I5F2 60-69 years, female 16.4
GTEX-1JMQK-2926-SM-D4P2T 60-69 years, male 16.4
GTEX-13X6I-2926-SM-5Q5C3 60-69 years, male 16.3
GTEX-ZF28-2926-SM-4WKG1 60-69 years, male 16.3
GTEX-QMR6-1326-SM-32PLB 50-59 years, male 16.2
GTEX-1HB9E-3126-SM-AHZ4M 50-59 years, male 16.2
GTEX-OHPN-2626-SM-2I5H1 60-69 years, female 16.0
GTEX-1BAJH-3126-SM-7MGXY 70-79 years, male 16.0
GTEX-1A8G6-3126-SM-731D8 60-69 years, male 15.9
GTEX-1H1ZS-2926-SM-9WPP2 70-79 years, male 15.8
GTEX-13X6J-2926-SM-7EPGP 50-59 years, male 15.6
GTEX-13OVJ-2726-SM-5IJG6 50-59 years, female 15.4
GTEX-16Z82-2926-SM-6LPJJ 60-69 years, male 15.4
GTEX-13FXS-3026-SM-5LZYO 50-59 years, male 15.2
GTEX-1H3VE-2826-SM-9WPOL 40-49 years, male 15.2
GTEX-144GL-2926-SM-5O99F 50-59 years, male 15.0
GTEX-RNOR-2226-SM-2TF5O 50-59 years, female 15.0
GTEX-1JMLX-3026-SM-EV79Q 50-59 years, male 15.0
GTEX-1JMPZ-2826-SM-C1YRA 30-39 years, male 15.0
GTEX-1B933-3026-SM-731DB 50-59 years, female 14.9
GTEX-1CB4G-2926-SM-7MKFQ 60-69 years, male 14.9
GTEX-1H1CY-3026-SM-9OSW7 60-69 years, female 14.8
GTEX-WZTO-2826-SM-3NM8P 40-49 years, male 14.7
GTEX-111FC-3326-SM-5GZYV 60-69 years, male 14.6
GTEX-1GTWX-2926-SM-7MXV4 60-69 years, male 14.6
GTEX-1GZ2Q-3026-SM-9JGG3 40-49 years, male 14.5
GTEX-1IY9M-3126-SM-AHZ3A 60-69 years, male 14.5
GTEX-1PWST-3026-SM-EAZ3H 70-79 years, male 14.3
GTEX-1RNSC-3126-SM-EVR4V 60-69 years, male 14.3
GTEX-1JMQJ-3126-SM-EV79G 50-59 years, male 14.2
GTEX-12ZZZ-3126-SM-5LZU6 60-69 years, male 14.0
GTEX-P44G-2526-SM-2I5EK 30-39 years, male 14.0
GTEX-1JJ6O-3026-SM-C1YQH 60-69 years, male 13.9
GTEX-11OC5-0626-SM-5HL6M 60-69 years, male 13.8
GTEX-13O3Q-3026-SM-5IJGD 50-59 years, male 13.8
GTEX-Y8DK-0726-SM-4TT3S 60-69 years, male 13.8
GTEX-12WSH-3126-SM-5LZW8 50-59 years, male 13.7
GTEX-14BMV-2926-SM-5TDEE 50-59 years, male 13.7
GTEX-1KWVE-2226-SM-CXZKN 30-39 years, male 13.7
GTEX-ZZPT-2926-SM-5EQ5S 50-59 years, male 13.5
GTEX-14DAQ-3026-SM-5S2QZ 60-69 years, female 13.4
GTEX-1EH9U-3126-SM-7MXU5 60-69 years, male 13.4
GTEX-ZAB4-2926-SM-57WCV 40-49 years, male 13.2
GTEX-1P4AB-3026-SM-EXOJS 50-59 years, male 13.0
GTEX-1JJE9-3026-SM-CNNPA 70-79 years, male 12.9
GTEX-X4XX-2926-SM-3NMB1 60-69 years, male 12.8
GTEX-1F6IF-3026-SM-7P8QN 60-69 years, male 12.1
GTEX-1H1DG-2826-SM-9JGHB 70-79 years, male 12.1
GTEX-1JN1M-3126-SM-AHZ4E 60-69 years, female 12.0
GTEX-S7SE-2526-SM-2XCDL 50-59 years, male 11.8
GTEX-132Q8-2926-SM-5IFFP 60-69 years, male 11.7
GTEX-13JUV-3026-SM-5K7WX 40-49 years, female 11.7
GTEX-17HII-2926-SM-79OMK 50-59 years, male 11.7
GTEX-13VXU-3026-SM-5LU3K 50-59 years, male 11.4
GTEX-183WM-2726-SM-7KFRF 70-79 years, female 11.4
GTEX-1EKGG-3126-SM-9WPO5 60-69 years, male 11.3
GTEX-1I1HK-2726-SM-AHZ2M 60-69 years, male 11.3
GTEX-147GR-3126-SM-5S2PM 60-69 years, male 11.1
GTEX-1IDJH-3126-SM-C1YQS 70-79 years, male 11.1
GTEX-13112-2926-SM-5DUWT 50-59 years, male 11.0
GTEX-PVOW-2626-SM-32PL8 40-49 years, male 10.9
GTEX-1JMOU-2826-SM-EV79R 60-69 years, female 10.6
GTEX-1HCVE-2926-SM-9WPPJ 50-59 years, male 10.3
GTEX-13G51-3126-SM-5IJG7 60-69 years, male 9.9
GTEX-1I1CD-2926-SM-A96SJ 60-69 years, female 9.9
GTEX-NPJ7-2826-SM-2I3FU 60-69 years, female 9.7
GTEX-139TS-3126-SM-5LZWX 60-69 years, male 9.6
GTEX-17HHY-2926-SM-79OJW 50-59 years, male 9.5
GTEX-UTHO-2926-SM-3P5Z9 60-69 years, male 9.1
GTEX-NPJ8-2626-SM-2D7W2 40-49 years, male 8.6
GTEX-X4EP-3026-SM-3P5YP 60-69 years, female 8.6
GTEX-1399T-3126-SM-5IJFS 60-69 years, male 8.3
GTEX-1MJK2-3026-SM-EV7A5 50-59 years, male 8.3
GTEX-11PRG-2826-SM-5BC54 50-59 years, male 8.2
GTEX-18465-2926-SM-7KFSE 50-59 years, male 7.7
GTEX-1CB4H-3026-SM-79OLX 60-69 years, female 7.7
GTEX-16XZZ-2926-SM-6LPK4 60-69 years, male 7.3
GTEX-11GSP-3126-SM-5A5LL 60-69 years, female 7.2
GTEX-1IKOH-2826-SM-CNNRC 60-69 years, female 6.9
GTEX-14C5O-2926-SM-5RQI1 60-69 years, male 6.8
GTEX-N7MT-1226-SM-DKPOK 60-69 years, female 6.8
GTEX-14PJO-2926-SM-686ZI 60-69 years, male 6.7
GTEX-11GSO-3026-SM-5Q5AL 60-69 years, male 6.2
GTEX-1HSKV-2926-SM-B2LWJ 60-69 years, male 5.6
GTEX-11ZVC-3026-SM-59HJM 50-59 years, female 4.6
GTEX-QVJO-1325-SM-2S1QX 60-69 years, female 4.2
Show allShow less

CEREBELLUM - FANTOM5 CAGEi

RNA expression in human tissues obtained through Cap Analysis of Gene Expression (CAGE) generated by the FANTOM5 project are reported as Scaled Tags Per Million.

Max subtype Scaled Tags Per Millioni

Max subtype Scaled Tags Per Million is the value for the subtype with the largest average Scaled Tags Per Million across the subtype samples.

14.8
FANTOM5 sample id Sample description Scaled Tags Per Million
Cerebellum
Scaled Tags Per Million: 14.8
FF:10083-102B2 22-68 years, mixed 19.2
FF:10166-103B4 76 years, female 10.5

CEREBELLUM - Pig RNA-seqi

RNA-seq data obtained from pig brain is reported as nTPM .

Normal distribution across the dataset is visualized with box plots, shown as median and 25th and 75th percentiles. Points are displayed as outliers if they are above or below 1.5 times the interquartile range. nTPM values of the individual samples are presented next to the box plot.
Max subtype nTPMi

Max subtype nTPM is the value for the subtype with the largest average nTPM across the subtype samples.

1.6
Pig sample Sample description nTPM
Cerebellum
nTPM: 1.6
Samples: 4

Max nTPM: 3.0
Min nTPM: 0.6
Sample A Female 3.0
Sample B Female 0.6
Sample C Male 1.1
Sample D Male 1.7

CEREBELLUM - Mouse RNA-seqi

RNA-seq data obtained from mouse brain is reported as nTPM .

Normal distribution across the dataset is visualized with box plots, shown as median and 25th and 75th percentiles. Points are displayed as outliers if they are above or below 1.5 times the interquartile range. nTPM values of the individual samples are presented next to the box plot.
Max subtype nTPMi

Max subtype nTPM is the value for the subtype with the largest average nTPM across the subtype samples.

0.2
Mouse sample Sample description nTPM
Cerebellum
nTPM: 0.2
Samples: 4

Max nTPM: 0.5
Min nTPM: 0.0
Sample A Male 0.0
Sample B Male 0.5
Sample C Female 0.3
Sample D Female 0.1

Contact

  • NEWS ARTICLES
  • PRESS ROOM

The Project

  • INTRODUCTION
  • ORGANIZATION
  • PUBLICATIONS

The Human Protein Atlas

  • DOWNLOADABLE DATA
  • LICENCE & CITATION
  • HELP & FAQ
The Human Protein Atlas project is funded
by the Knut & Alice Wallenberg Foundation.


contact@proteinatlas.org