We use cookies to enhance the usability of our website. If you continue, we'll assume that you are happy to receive all cookies. More information. Don't show this again.
KRT20
HPA
RESOURCES
  • TISSUE
  • BRAIN
  • SINGLE CELL
  • SUBCELLULAR
  • CANCER
  • BLOOD
  • CELL LINE
  • STRUCTURE & INTERACTION
ABOUT
  • INTRODUCTION
  • HISTORY
  • ORGANIZATION
  • PUBLICATIONS
  • ANTIBODY SUBMISSION
  • ANTIBODY AVAILABILITY
  • ACKNOWLEDGMENTS
  • CONTACT
NEWS
  • NEWS ARTICLES
  • PRESS ROOM
LEARN
  • DICTIONARY
  • PROTEIN CLASSES
  • PROTEIN EVIDENCE
  • METHODS
  • EDUCATIONAL VIDEOS
DATA
  • DOWNLOADABLE DATA
  • PUBLICATION DATA
  • RELEASE HISTORY
HELP
  • ANTIBODY VALIDATION
  • ASSAYS & ANNOTATION
  • DISCLAIMER
  • HELP & FAQ
  • PRIVACY STATEMENT
  • LICENCE & CITATION
Fields »
Search result

Field
Term
Gene name
Class
Subclass
Class
Keyword
Chromosome
External id
Tissue
Cell type
Expression
Antibody panel
Tissue
Main location
Patient ID
Annotation
Tissue
Category
Tau score
Cluster
Reliability
Brain region
Category
Tau score
Brain region
Category
Tau score
Brain region
Category
Tau score
Cluster
Reliability
Tissue
Cell type
Enrichment
Cell type
Category
Tau score
Cell type
Category
Tau score
Cell type
Category
Tau score
Cell lineage
Category
Tau score
Cluster
Cluster
Location
Searches
Location
Cell line
Class
Type
Phase
Reliability
Cancer
Prognosis
Cancer
Category
Cancer
Category
Tau score
Cluster
Variants
Interacting gene (ensg_id)
Type
Number of interactions
Pathway
Category
Score
Score
Score
Validation
Validation
Validation
Validation
Antibodies
Data type
Column


  • SUMMARY

  • TISSUE

  • BRAIN

  • SINGLE CELL

  • SUBCELL

  • CANCER

  • BLOOD

  • CELL LINE

  • STRUCT & INT

  • KRT20
TISSUE PRIMARY DATA COLON Show tissue menu
ADIPOSE TISSUE ADRENAL GLAND AMYGDALA APPENDIX BASAL GANGLIA BONE MARROW BREAST BRONCHUS CEREBELLUM CEREBRAL CORTEX CERVIX CHOROID PLEXUS COLON DUODENUM
ENDOMETRIUM EPIDIDYMIS ESOPHAGUS FALLOPIAN TUBE GALLBLADDER HEART MUSCLE HIPPOCAMPAL FORMATION HYPOTHALAMUS KIDNEY LIVER LUNG LYMPH NODE MIDBRAIN NASOPHARYNX
ORAL MUCOSA OVARY PANCREAS PARATHYROID GLAND PITUITARY GLAND PLACENTA PROSTATE RECTUM RETINA SALIVARY GLAND SEMINAL VESICLE SKELETAL MUSCLE SKIN SMALL INTESTINE
SMOOTH MUSCLE SOFT TISSUE SPINAL CORD SPLEEN STOMACH TESTIS THYMUS THYROID GLAND TONGUE TONSIL URINARY BLADDER VAGINA
ANTIBODIES
AND
VALIDATION
Dictionary
Colon
Tissue proteome
Intestine
COLON - Expression summary
Protein expression
Coloni

On the top, protein expression in current human tissue, based on all annotated cell types, is reported with the units not detected (n), low (l), medium (m) and high (h). Underneath, protein expression in each annotated cell type are reported using the same units.

Protein expression data is based on knowledge-based annotation. For genes where more than one antibody has been used, a collective score is set.

If knowledge-based annotation could not be performed for a gene, no data is displayed here. View antibody staining data further down this page.

h
m
l
n
Endocrine cells: High
Endothelial cells: Not detected
Enterocytes: High
Enterocytes - Gradient: Ascending
Enterocytes - Microvilli: High
Fibroblasts: Not detected
Goblet cells: High
Mucosal lymphoid cells: Not detected
RNA expressioni

A summary of mRNA expression data available for current tissue based on several datasets. The mRNA expression levels in human tissues are based on RNA-seq data generated by the Human Protein Atlas (HPA), Genotype-Tissue Expression (GTEx) portal and CAGE data generated by the FANTOM5 consortium. Consensus normalized expression levels for human tissues was created by combining the data from HPA and GTEx datasets.

The mRNA expression levels in pig are based on RNA-seq data generated by the Human Protein Atlas (HPA), and for mouse, HPA data and in situ hybridization generated by the Allen brain atlas are reported.

Scroll down to view mRNA expression data in more detail.
Consensus:578.2 nTPM
HPA:578.2 nTPM
GTEx:284.1 nTPM
FANTOM5:472.7 Scaled Tags Per Million

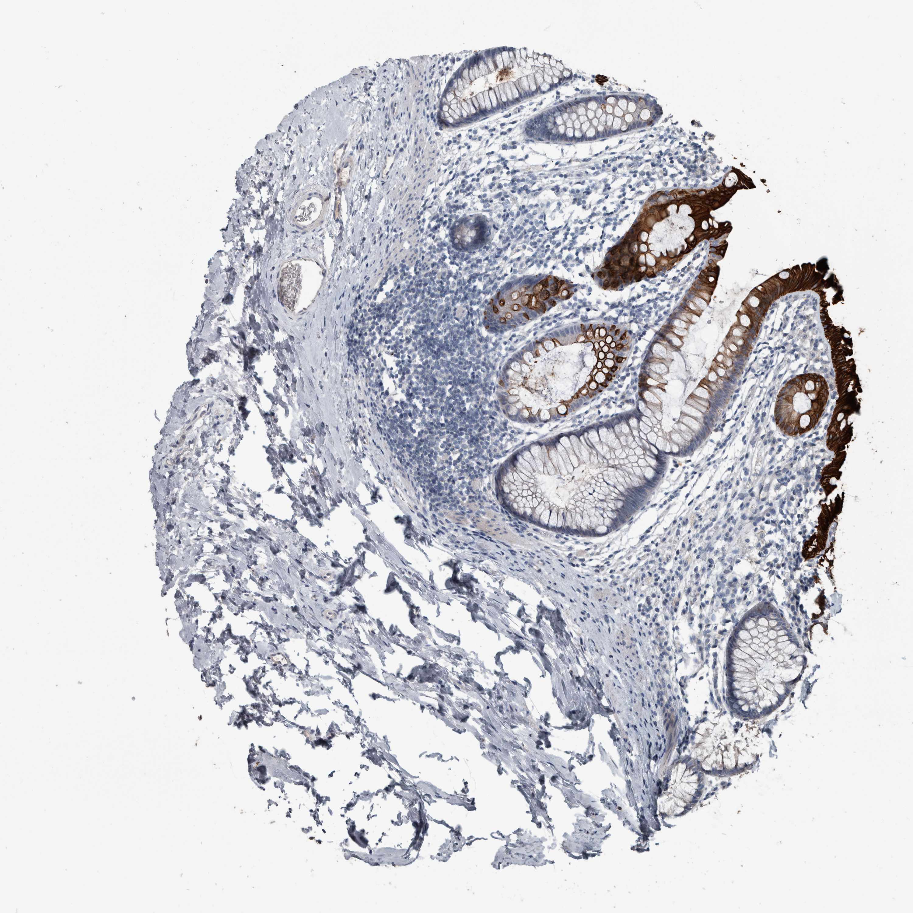
COLON - Antibody stainingi

Antibody staining in the annotated cell types in the current human tissue is reported as not detected, low, medium, or high, based on conventional immunohistochemistry profiling in selected tissues. This score is based on the combination of the staining intensity and fraction of stained cells.

Each image is clickable and will lead to virtual microscopy that enables deeper exploration of all samples and also displays staining intensity scores, fraction scores and subcellular localization as well as patient and tissue information for each sample.

Antibody HPA024309Antibody HPA024684Antibody HPA027236Antibody CAB000032
Endocrine cells ---High
Endothelial cells Not detectedNot detectedLowNot detected
Enterocytes ---High
Enterocytes - Gradient ---Ascending
Enterocytes - Microvilli ---High
Fibroblasts ---Not detected
Glandular cells HighHighHigh-
Goblet cells ---High
Mucosal lymphoid cells ---Not detected
Peripheral nerve/ganglion Not detectedNot detectedNot detected-





COLON - HPA RNA-seqi

The RNA-seq details section shows detailed information about the individual samples used for the transcript profiling and results of the RNA-seq analysis.

Information about each individual sample is listed below, including gender, age, a tissue section image and estimated fractions of cell types. nTPM (normalized transcripts per million) values give a quantification of the gene abundance which is comparable between different genes and samples.
Average nTPMi

Max subtype nTPM is the value for the subtype with the largest average nTPM across the subtype samples.

578.2
overview
Male, age 54
Colon sample 67
nTPM: 193.5
Cell types%
Glandular cells:
65

Smooth muscle cells:
10

Other cell types:
25

overview
Female, age 57
Colon sample 68
nTPM: 329.7
Cell types%
Glandular cells:
40

Smooth muscle cells:
5

Other cell types:
55

overview
Male, age 80
Colon sample 69
nTPM: 481.1
Cell types%
Glandular cells:
55

Smooth muscle cells:
5

Other cell types:
40

overview
Male, age 68
Colon sample 70
nTPM: 981
Cell types%
Glandular cells:
35

Smooth muscle cells:
10

Other cell types:
55

overview
Female, age 68
Colon sample 76
nTPM: 301.4
Cell types%
Glandular cells:
25

Smooth muscle cells:
5

Other cell types:
70

overview
Female, age 61
Colon sample 299
nTPM: 499.4
Cell types%
Glandular cells:
5

Smooth muscle cells:
65

Other cell types:
30

overview
Male, age 80
Colon sample 300
nTPM: 562.6
Cell types%
Glandular cells:
15

Smooth muscle cells:
20

Other cell types:
65

overview
Female, age 78
Colon sample 368
nTPM: 785.3
Cell types%
Glandular cells:
45

Smooth muscle cells:
5

Other cell types:
50

overview
Male, age 84
Colon sample 381
nTPM: 439.3
Cell types%
Glandular cells:
50

Smooth muscle cells:
15

Other cell types:
35

overview
Male, age 80
Colon sample 384
nTPM: 1079.6
Cell types%
Glandular cells:
20

Smooth muscle cells:
35

Other cell types:
45

overview
Female, age 78
Colon sample 389
nTPM: 733.8
Cell types%
Glandular cells:
35

Smooth muscle cells:
10

Other cell types:
55

overview
Female, age 69
Colon sample 391
nTPM: 486.5
Cell types%
Glandular cells:
10

Smooth muscle cells:
45

Other cell types:
45

overview
Female, age 72
Colon sample 403
nTPM: 643.8
Cell types%
Glandular cells:
20

Smooth muscle cells:
15

Other cell types:
65


COLON - GTEx RNA-seqi

RNA-Seq data generated by the Genotype-Tissue Expression (GTEx) project from human tissues is reported as mean nTPM. More information can be found on the GTEx portal.

Distribution across the dataset is visualized with box plots, shown as median and 25th and 75th percentiles. Points are displayed as outliers if they are above or below 1.5 times the interquartile range. nTPM values of the individual samples are presented next to the box plot.
Max subtype nTPMi

Max subtype nTPM is the value for the subtype with the largest average nTPM across the subtype samples.

284.1
GTEx sample id Sample description nTPM
Colon - Sigmoid
Average nTPM: 13.6
Samples: 373

Max nTPM: 701.0
Min nTPM: 0.0
Std nTPM: 58.1
Median nTPM: 0.4
GTEX-ZQUD-1026-SM-4YCEZ 30-39 years, male 701.0
GTEX-VJYA-2126-SM-4KL1O 60-69 years, male 389.5
GTEX-13W3W-2226-SM-5LU4M 60-69 years, female 370.8
GTEX-WOFM-1926-SM-4OOSP 20-29 years, male 353.9
GTEX-WH7G-1426-SM-4LVMU 40-49 years, male 297.0
GTEX-X5EB-1126-SM-46MVV 40-49 years, male 253.1
GTEX-W5WG-2026-SM-4LMIB 50-59 years, female 235.6
GTEX-1AMEY-1826-SM-72D5L 30-39 years, female 232.9
GTEX-13113-1426-SM-5EGHU 60-69 years, female 199.3
GTEX-15FZZ-1826-SM-6LLJP 30-39 years, female 168.8
GTEX-Y5V6-1626-SM-4VDT2 60-69 years, male 121.4
GTEX-WYJK-2326-SM-4ONDN 50-59 years, male 101.4
GTEX-1PIEJ-1826-SM-EWRMN 20-29 years, female 88.0
GTEX-Y8E4-2326-SM-EAZAZ 40-49 years, male 84.4
GTEX-1C64O-2426-SM-7P8R3 60-69 years, male 82.0
GTEX-XBED-1726-SM-47JYO 60-69 years, male 75.8
GTEX-1PFEY-1726-SM-DPRZ4 30-39 years, male 73.3
GTEX-ZF29-1826-SM-4WKG8 60-69 years, female 70.9
GTEX-ZF2S-1826-SM-4WKFF 50-59 years, female 70.5
GTEX-1OJC3-1826-SM-DTX93 20-29 years, male 58.9
GTEX-Y8LW-1126-SM-4VDS4 50-59 years, female 49.4
GTEX-11VI4-1426-SM-5GU6O 40-49 years, female 47.6
GTEX-1H1DE-1626-SM-9KNU5 20-29 years, male 42.2
GTEX-1HBPN-2026-SM-B2LWA 50-59 years, male 42.2
GTEX-1C475-1526-SM-7DHM3 40-49 years, female 40.0
GTEX-16BQI-2026-SM-7KULQ 30-39 years, female 39.8
GTEX-XAJ8-0726-SM-47JY5 40-49 years, male 33.9
GTEX-ZPCL-1626-SM-57WGC 60-69 years, female 31.3
GTEX-1CAMR-1026-SM-7P8QI 20-29 years, male 29.0
GTEX-V955-1726-SM-4JBHF 60-69 years, male 25.0
GTEX-15F5U-1426-SM-7KUN2 40-49 years, male 24.5
GTEX-146FH-2426-SM-5Q5EW 50-59 years, female 24.4
GTEX-YEC3-2026-SM-DKPOL 50-59 years, male 20.8
GTEX-15RIE-2026-SM-7KFRW 60-69 years, male 19.7
GTEX-Y5LM-1426-SM-5RQJL 40-49 years, female 19.6
GTEX-1I6K6-1926-SM-A96SN 30-39 years, male 18.7
GTEX-14PJ3-1226-SM-5ZZVY 50-59 years, male 17.9
GTEX-WRHK-1126-SM-4MVOJ 20-29 years, female 16.9
GTEX-1QP29-2526-SM-E6CQ3 50-59 years, male 15.6
GTEX-17KNJ-1826-SM-7LT9N 50-59 years, male 14.7
GTEX-1H23P-2626-SM-9KNVN 60-69 years, male 14.5
GTEX-14PKV-1926-SM-686YU 20-29 years, female 14.3
GTEX-1CAMS-2626-SM-7PBY3 40-49 years, female 13.9
GTEX-1PPH8-2226-SM-EWRN7 20-29 years, male 13.3
GTEX-1R7EU-1826-SM-DTX9L 60-69 years, male 13.2
GTEX-11EQ9-1526-SM-5PNY7 30-39 years, male 12.7
GTEX-ZQG8-2426-SM-57WEE 60-69 years, female 10.0
GTEX-XUW1-1826-SM-4BOQD 50-59 years, female 9.6
GTEX-1H3VY-2526-SM-9KNW1 50-59 years, male 9.5
GTEX-1GF9X-1426-SM-7RHGX 40-49 years, female 8.8
GTEX-13U4I-2626-SM-5SI9C 40-49 years, female 8.6
GTEX-17GQL-1626-SM-7LG69 60-69 years, male 8.0
GTEX-WFON-1326-SM-4LVMN 40-49 years, male 8.0
GTEX-1LG7Z-1326-SM-DIPF3 30-39 years, male 7.7
GTEX-WFG8-1726-SM-4LVM6 20-29 years, male 7.6
GTEX-132AR-2826-SM-5IJFV 50-59 years, female 7.3
GTEX-1LVAN-2626-SM-CNPQF 50-59 years, female 7.2
GTEX-ZZ64-0826-SM-5E449 20-29 years, male 6.9
GTEX-ZG7Y-1826-SM-4WWD3 50-59 years, male 6.7
GTEX-YJ8A-1726-SM-5P9IQ 20-29 years, male 6.6
GTEX-145LT-0826-SM-5S2QL 40-49 years, male 6.3
GTEX-15DZA-1026-SM-6PAND 30-39 years, female 6.3
GTEX-15ER7-2826-SM-6PAN2 20-29 years, female 6.2
GTEX-14PN3-1926-SM-6EU1Y 60-69 years, female 6.0
GTEX-1GPI7-1926-SM-9KNUH 20-29 years, male 5.9
GTEX-1E2YA-2526-SM-7IGOU 50-59 years, male 5.8
GTEX-1J1R8-1426-SM-CL55O 40-49 years, male 5.7
GTEX-YFCO-1526-SM-5YYB8 40-49 years, male 5.3
GTEX-1A3MV-1026-SM-72D5U 30-39 years, male 5.0
GTEX-1N2DV-1826-SM-E6CJ5 40-49 years, male 5.0
GTEX-13FH7-1626-SM-5J2O9 50-59 years, female 4.9
GTEX-WQUQ-2626-SM-4MVNP 60-69 years, male 4.9
GTEX-ZA64-1426-SM-5CVMC 20-29 years, male 4.9
GTEX-13D11-0626-SM-5LZYY 50-59 years, female 4.7
GTEX-17MFQ-1226-SM-7KFSA 20-29 years, male 4.7
GTEX-1B932-2126-SM-7IGMU 40-49 years, female 4.6
GTEX-111CU-1226-SM-5EGIN 50-59 years, male 4.5
GTEX-1399U-2226-SM-5KLZI 50-59 years, female 4.5
GTEX-14BMU-1326-SM-5RQIH 20-29 years, female 4.5
GTEX-1HB9E-2526-SM-D4P35 50-59 years, male 4.5
GTEX-11ONC-1926-SM-5GU75 60-69 years, male 4.4
GTEX-11PRG-2026-SM-5GU5F 50-59 years, male 3.7
GTEX-12WSJ-1426-SM-5GCON 40-49 years, female 3.6
GTEX-1PIGE-1526-SM-DTXFC 20-29 years, male 3.6
GTEX-14PJ4-1826-SM-5YY97 60-69 years, male 3.4
GTEX-1F5PK-1726-SM-7RHHW 50-59 years, male 3.3
GTEX-13CF2-1826-SM-5N9GK 60-69 years, male 3.2
GTEX-1QP9N-0826-SM-DTX9O 30-39 years, male 3.2
GTEX-139T6-1426-SM-5P9J7 50-59 years, male 3.1
GTEX-ZT9W-1726-SM-51MS3 50-59 years, male 3.0
GTEX-11TT1-0926-SM-5GU5M 20-29 years, male 2.8
GTEX-1HSMQ-2526-SM-A9SMK 50-59 years, male 2.8
GTEX-YF7O-1626-SM-5IFII 50-59 years, male 2.7
GTEX-131XG-1526-SM-5GCNQ 50-59 years, female 2.6
GTEX-1MGNQ-2126-SM-EV7AC 40-49 years, male 2.6
GTEX-1S82P-2026-SM-E9TIQ 60-69 years, female 2.5
GTEX-1B97I-1526-SM-73KUK 40-49 years, male 2.4
GTEX-WHSE-2726-SM-EZ6ML 20-29 years, male 2.4
GTEX-XQ8I-2326-SM-4BOQC 50-59 years, male 2.3
GTEX-ZVZQ-2626-SM-59HLB 60-69 years, female 2.3
GTEX-13OVK-1026-SM-7KFTC 40-49 years, male 2.2
GTEX-13OVI-2126-SM-5KM3U 60-69 years, female 2.1
GTEX-18D9A-1326-SM-7LT8P 30-39 years, female 2.1
GTEX-ZTTD-2626-SM-57WEX 50-59 years, male 2.1
GTEX-1QP2A-2226-SM-DTXF6 50-59 years, male 2.1
GTEX-1QCLY-2026-SM-EVR4C 30-39 years, male 2.0
GTEX-X15G-1526-SM-4PQZM 50-59 years, female 1.9
GTEX-1HSGN-2226-SM-A9SL6 40-49 years, female 1.9
GTEX-13PVR-1726-SM-5Q5EC 60-69 years, female 1.8
GTEX-1B996-2726-SM-7DUGG 60-69 years, male 1.8
GTEX-1399R-2126-SM-5K7WZ 30-39 years, male 1.7
GTEX-144GM-1126-SM-79OJK 20-29 years, male 1.7
GTEX-1IL2U-2526-SM-C1YQV 60-69 years, male 1.7
GTEX-1K9T9-2926-SM-E9TKD 50-59 years, female 1.7
GTEX-1HBPI-2226-SM-9WYTY 50-59 years, male 1.6
GTEX-139TS-2226-SM-5J2N1 60-69 years, male 1.5
GTEX-14JG6-1626-SM-5YYBC 30-39 years, female 1.5
GTEX-XUZC-1526-SM-4BRV4 30-39 years, female 1.5
GTEX-ZYFD-2226-SM-5E43P 50-59 years, male 1.5
GTEX-1F5PL-1926-SM-7MXTP 40-49 years, female 1.5
GTEX-14E1K-1626-SM-664MO 50-59 years, male 1.4
GTEX-18QFQ-1726-SM-731C9 30-39 years, male 1.3
GTEX-1J8QM-1226-SM-CY8HI 60-69 years, female 1.3
GTEX-12WSL-1826-SM-5LZW9 50-59 years, male 1.2
GTEX-12ZZY-2726-SM-5EQ45 60-69 years, male 1.2
GTEX-16NGA-0926-SM-718AG 40-49 years, female 1.2
GTEX-WHWD-1526-SM-4OORV 50-59 years, male 1.2
GTEX-1211K-1826-SM-5EGJ2 60-69 years, female 1.1
GTEX-14PK6-1826-SM-69LOM 70-79 years, female 1.1
GTEX-ZAB5-1426-SM-5HL9D 50-59 years, male 1.1
GTEX-ZVT2-1726-SM-51MRO 50-59 years, female 1.1
GTEX-1QP67-1426-SM-E8VOO 40-49 years, female 1.1
GTEX-145ME-1126-SM-5SIAT 40-49 years, female 1.0
GTEX-14AS3-1026-SM-5TDD7 40-49 years, female 1.0
GTEX-18A66-2626-SM-72D67 60-69 years, male 1.0
GTEX-1HCUA-1926-SM-B2LWE 50-59 years, female 1.0
GTEX-1I1CD-2826-SM-A9SL4 60-69 years, female 1.0
GTEX-1I1GR-2226-SM-ARL7F 60-69 years, male 1.0
GTEX-1JKYR-2026-SM-CNPON 20-29 years, male 1.0
GTEX-1LBAC-1726-SM-D3L9W 20-29 years, male 1.0
GTEX-1RDX4-1926-SM-E6CJJ 50-59 years, female 1.0
GTEX-11ZTT-1626-SM-5EQKR 60-69 years, female 0.9
GTEX-13O1R-2426-SM-5KLZZ 60-69 years, male 0.9
GTEX-15DYW-2426-SM-7KUG8 60-69 years, female 0.9
GTEX-1KXAM-1926-SM-D3LAG 60-69 years, male 0.9
GTEX-17HHE-1626-SM-7DHLN 50-59 years, male 0.8
GTEX-1JMQJ-2626-SM-CY8HQ 50-59 years, male 0.8
GTEX-1LKK1-2426-SM-DIPES 50-59 years, female 0.8
GTEX-11ZTS-1526-SM-5N9G7 60-69 years, female 0.7
GTEX-1212Z-1826-SM-5FQSH 60-69 years, male 0.7
GTEX-12696-1926-SM-5EGJT 60-69 years, male 0.7
GTEX-13111-1926-SM-5GCOL 50-59 years, male 0.7
GTEX-13FHO-2726-SM-5K7VG 60-69 years, male 0.7
GTEX-15ETS-2326-SM-7KUGC 40-49 years, female 0.7
GTEX-1GMR8-2926-SM-9KNW5 50-59 years, female 0.7
GTEX-1I1GP-2826-SM-A9SKZ 50-59 years, male 0.7
GTEX-1P4AB-2626-SM-DTXEU 50-59 years, male 0.7
GTEX-1QW4Y-1426-SM-E76P3 30-39 years, male 0.7
GTEX-11P81-1426-SM-5P9JN 30-39 years, female 0.6
GTEX-131YS-2926-SM-5EGKI 60-69 years, female 0.6
GTEX-139UW-2326-SM-5KM1Y 60-69 years, male 0.6
GTEX-13O61-1526-SM-5KM3P 60-69 years, male 0.6
GTEX-13OVJ-1826-SM-5KM2D 50-59 years, female 0.6
GTEX-1C2JI-1726-SM-73KUW 50-59 years, male 0.6
GTEX-1CB4F-1926-SM-7MKFN 60-69 years, male 0.6
GTEX-1CB4G-2726-SM-79OO4 60-69 years, male 0.6
GTEX-XXEK-1826-SM-4BRVC 50-59 years, male 0.6
GTEX-ZY6K-1326-SM-5GZWP 50-59 years, male 0.6
GTEX-1EU9M-2726-SM-7P8QD 60-69 years, male 0.6
GTEX-1I1GT-2026-SM-CKZPK 60-69 years, female 0.6
GTEX-12KS4-2326-SM-5EGJB 30-39 years, male 0.5
GTEX-12WSD-2626-SM-5EGJE 60-69 years, female 0.5
GTEX-12WSM-1426-SM-5GCPA 60-69 years, male 0.5
GTEX-131XE-1026-SM-5EGKE 50-59 years, male 0.5
GTEX-13RTJ-1926-SM-5YYA2 60-69 years, male 0.5
GTEX-1AYCT-1926-SM-793AE 50-59 years, male 0.5
GTEX-YECK-2826-SM-5IFHF 60-69 years, male 0.5
GTEX-Z93S-2626-SM-57WBX 50-59 years, male 0.5
GTEX-ZF28-2526-SM-57WFH 60-69 years, male 0.5
GTEX-1HCU6-2926-SM-B2LWV 60-69 years, female 0.5
GTEX-1JMPZ-2626-SM-ARU8Z 30-39 years, male 0.5
GTEX-117YX-0526-SM-5EGJH 50-59 years, male 0.4
GTEX-11DXX-1926-SM-5EGJK 60-69 years, female 0.4
GTEX-12WSG-2426-SM-5EQLZ 50-59 years, female 0.4
GTEX-14C39-1626-SM-5S2P4 40-49 years, male 0.4
GTEX-15RJ7-1726-SM-6PAL3 40-49 years, male 0.4
GTEX-17HGU-2626-SM-79OKN 50-59 years, male 0.4
GTEX-1AX9J-2526-SM-73KUY 60-69 years, male 0.4
GTEX-1AX9K-1626-SM-73KUS 50-59 years, male 0.4
GTEX-1C6VQ-2626-SM-7IGMQ 50-59 years, male 0.4
GTEX-WXYG-1726-SM-4ONCU 50-59 years, female 0.4
GTEX-ZYY3-2226-SM-5E45A 60-69 years, female 0.4
GTEX-1IKOE-2126-SM-A96T5 30-39 years, female 0.4
GTEX-1JN76-1326-SM-ARU94 20-29 years, female 0.4
GTEX-11I78-1326-SM-5PNY9 50-59 years, female 0.3
GTEX-14BIN-2426-SM-5TDCF 50-59 years, female 0.3
GTEX-14E6C-2226-SM-5QGQG 40-49 years, male 0.3
GTEX-16XZZ-2726-SM-7EWDO 60-69 years, male 0.3
GTEX-17JCI-2826-SM-7IGNA 60-69 years, female 0.3
GTEX-183FY-1426-SM-7DHLM 20-29 years, male 0.3
GTEX-18A6Q-2226-SM-7LG61 60-69 years, male 0.3
GTEX-1A32A-2626-SM-73KX9 50-59 years, female 0.3
GTEX-WYVS-1126-SM-4SOJX 40-49 years, female 0.3
GTEX-X4EO-2726-SM-4E3HS 60-69 years, female 0.3
GTEX-Y3I4-1126-SM-4TT7Y 50-59 years, male 0.3
GTEX-1HBPM-2626-SM-9WYU5 60-69 years, female 0.3
GTEX-1HSEH-1926-SM-A96SB 60-69 years, male 0.3
GTEX-1LGOU-1726-SM-D3L8P 20-29 years, female 0.3
GTEX-1RAZR-2026-SM-E9TKE 40-49 years, male 0.3
GTEX-1RLM8-1726-SM-E9TKF 50-59 years, male 0.3
GTEX-1S5ZA-1426-SM-E6CJQ 20-29 years, male 0.3
GTEX-1122O-1426-SM-5H11R 60-69 years, female 0.2
GTEX-11DXY-2026-SM-5N9CZ 60-69 years, male 0.2
GTEX-11DXZ-1626-SM-5GIDI 50-59 years, male 0.2
GTEX-11EMC-1426-SM-5N9E4 60-69 years, female 0.2
GTEX-12BJ1-2026-SM-5FQUH 60-69 years, male 0.2
GTEX-132NY-2726-SM-5PNY2 60-69 years, male 0.2
GTEX-13FTW-2126-SM-5K7YG 40-49 years, male 0.2
GTEX-13N2G-2226-SM-5IJCU 60-69 years, male 0.2
GTEX-13PVQ-2726-SM-5L3H7 50-59 years, male 0.2
GTEX-13SLW-2826-SM-5Q5ES 70-79 years, male 0.2
GTEX-13VXT-2026-SM-5L3EW 20-29 years, female 0.2
GTEX-13X6J-2826-SM-7EPGA 50-59 years, male 0.2
GTEX-13X6K-2726-SM-5O9DG 60-69 years, female 0.2
GTEX-145LS-2926-SM-5O99G 60-69 years, female 0.2
GTEX-147GR-2826-SM-5RQK8 60-69 years, male 0.2
GTEX-14C5O-2626-SM-5RQI5 60-69 years, male 0.2
GTEX-15CHQ-2626-SM-686YZ 60-69 years, male 0.2
GTEX-17HG3-1126-SM-7DUFC 30-39 years, female 0.2
GTEX-1B8KE-1526-SM-7DUG2 50-59 years, male 0.2
GTEX-1B8L1-1926-SM-7IGND 60-69 years, male 0.2
GTEX-1C4CL-1626-SM-7DUF3 30-39 years, male 0.2
GTEX-ZE7O-2626-SM-51MSS 50-59 years, female 0.2
GTEX-ZE9C-2126-SM-4WKGY 60-69 years, male 0.2
GTEX-ZP4G-1526-SM-57WE5 20-29 years, female 0.2
GTEX-ZPIC-2626-SM-57WE2 40-49 years, female 0.2
GTEX-ZPU1-1726-SM-4WWFV 40-49 years, male 0.2
GTEX-ZVT4-2626-SM-5N9GJ 50-59 years, female 0.2
GTEX-ZYFG-1826-SM-5GZWX 60-69 years, female 0.2
GTEX-ZYT6-2826-SM-5GICX 30-39 years, male 0.2
GTEX-1GTWX-2626-SM-9WPOT 60-69 years, male 0.2
GTEX-1H1E6-1826-SM-A9G21 30-39 years, male 0.2
GTEX-1H3VE-2326-SM-9KNVU 40-49 years, male 0.2
GTEX-1HFI7-1626-SM-9WYTR 50-59 years, female 0.2
GTEX-1IDJU-1926-SM-CL53W 60-69 years, female 0.2
GTEX-1J8EW-2426-SM-CE6T5 60-69 years, female 0.2
GTEX-1JMPY-1026-SM-ARZN1 30-39 years, male 0.2
GTEX-1LB8K-2526-SM-DIPEQ 50-59 years, male 0.2
GTEX-1N2EF-1726-SM-EXUSI 60-69 years, male 0.2
GTEX-1PBJI-2526-SM-E6CP4 20-29 years, female 0.2
GTEX-1PDJ9-2026-SM-E76PT 20-29 years, male 0.2
GTEX-1RQEC-2626-SM-EVR3Z 60-69 years, male 0.2
GTEX-11P7K-1826-SM-5HL5A 30-39 years, male 0.1
GTEX-11TUW-2326-SM-5EQMO 60-69 years, male 0.1
GTEX-13CF3-1326-SM-5LZXZ 60-69 years, female 0.1
GTEX-13OW6-2226-SM-5N9FL 50-59 years, male 0.1
GTEX-145MH-2726-SM-5QGQ6 50-59 years, male 0.1
GTEX-147JS-2626-SM-5S2UX 60-69 years, male 0.1
GTEX-148VJ-2426-SM-5NQ9Y 70-79 years, male 0.1
GTEX-14E6E-1726-SM-5S2R6 30-39 years, male 0.1
GTEX-15G19-2726-SM-6LPKG 60-69 years, male 0.1
GTEX-15RJE-2226-SM-6M46A 40-49 years, male 0.1
GTEX-15UF6-2726-SM-7KULY 70-79 years, female 0.1
GTEX-16MTA-1626-SM-6M47N 50-59 years, male 0.1
GTEX-17F96-2126-SM-7KFSM 70-79 years, male 0.1
GTEX-17F9Y-2626-SM-7IGN9 70-79 years, female 0.1
GTEX-183WM-2526-SM-731BP 70-79 years, female 0.1
GTEX-18A67-2226-SM-7LT9Z 50-59 years, male 0.1
GTEX-1A3MX-2326-SM-718B4 60-69 years, male 0.1
GTEX-1AMFI-1826-SM-73KWB 50-59 years, female 0.1
GTEX-1BAJH-2726-SM-7IGNJ 70-79 years, male 0.1
GTEX-XV7Q-2226-SM-4BRVY 40-49 years, female 0.1
GTEX-Y114-1626-SM-4TT7I 50-59 years, female 0.1
GTEX-YJ8O-1426-SM-5PNV9 40-49 years, female 0.1
GTEX-ZC5H-2426-SM-4WAZ6 40-49 years, female 0.1
GTEX-ZTSS-1226-SM-51MSZ 40-49 years, male 0.1
GTEX-ZVT3-2826-SM-5GU6A 60-69 years, female 0.1
GTEX-ZXES-1726-SM-5E43G 30-39 years, female 0.1
GTEX-1C64N-2226-SM-7SB7C 50-59 years, male 0.1
GTEX-1F75W-2126-SM-7RHIA 60-69 years, male 0.1
GTEX-1GMR3-2526-SM-7P8QS 40-49 years, male 0.1
GTEX-1H1ZS-2626-SM-9QEIX 70-79 years, male 0.1
GTEX-1HCVE-2326-SM-9WYUD 50-59 years, male 0.1
GTEX-1HSKV-2326-SM-A9SL9 60-69 years, male 0.1
GTEX-1JN6P-2126-SM-ARL98 60-69 years, male 0.1
GTEX-1K2DA-1626-SM-CGQGB 50-59 years, male 0.1
GTEX-1LG7Y-2226-SM-E9U5K 50-59 years, male 0.1
GTEX-1LSVX-2026-SM-E9TJD 60-69 years, male 0.1
GTEX-1LVAM-1726-SM-DHXKQ 50-59 years, female 0.1
GTEX-1PIIG-2126-SM-EXUSD 30-39 years, male 0.1
GTEX-1QCLZ-2026-SM-EAZ4A 60-69 years, female 0.1
GTEX-111YS-1826-SM-5GIEP 60-69 years, male 0.0
GTEX-117XS-2226-SM-5GIE1 60-69 years, male 0.0
GTEX-11EI6-2626-SM-5PNVT 60-69 years, male 0.0
GTEX-11EM3-1626-SM-5N9CO 20-29 years, female 0.0
GTEX-11EQ8-2626-SM-5N9BO 60-69 years, male 0.0
GTEX-11GS4-1826-SM-5HL4T 60-69 years, male 0.0
GTEX-11ZU8-1126-SM-5EQ5K 60-69 years, male 0.0
GTEX-12ZZW-2426-SM-5DUWE 50-59 years, male 0.0
GTEX-12ZZX-2726-SM-5N9FT 40-49 years, female 0.0
GTEX-1339X-1726-SM-5P9J9 40-49 years, male 0.0
GTEX-139D8-2926-SM-5IJBM 30-39 years, female 0.0
GTEX-13G51-2126-SM-5IJD9 60-69 years, male 0.0
GTEX-13OW5-2826-SM-5KM1G 60-69 years, male 0.0
GTEX-13OW8-2726-SM-5L3FZ 60-69 years, male 0.0
GTEX-13PL7-2426-SM-5J2N3 60-69 years, female 0.0
GTEX-13QBU-2026-SM-5KLZB 40-49 years, female 0.0
GTEX-13X6I-2726-SM-5Q5ET 60-69 years, male 0.0
GTEX-145MO-2626-SM-5QGPD 60-69 years, male 0.0
GTEX-1477Z-2126-SM-5Q5CM 60-69 years, male 0.0
GTEX-14A5H-1626-SM-5SIAN 60-69 years, male 0.0
GTEX-14A5I-2426-SM-5Q5CP 50-59 years, female 0.0
GTEX-14DAQ-2926-SM-664MV 60-69 years, female 0.0
GTEX-14PHX-1126-SM-5YYA5 50-59 years, male 0.0
GTEX-15EO6-2326-SM-6LPKK 50-59 years, male 0.0
GTEX-15RIF-1426-SM-7KUKQ 20-29 years, male 0.0
GTEX-15UF7-1326-SM-7KUKV 40-49 years, male 0.0
GTEX-16Z82-2426-SM-7KUMS 60-69 years, male 0.0
GTEX-17EUY-1726-SM-79OK4 20-29 years, male 0.0
GTEX-18465-2726-SM-7LT9I 50-59 years, male 0.0
GTEX-1EMGI-2626-SM-7IGNR 60-69 years, male 0.0
GTEX-WFG7-1626-SM-4LVMF 20-29 years, male 0.0
GTEX-WHPG-1626-SM-4M1ZL 50-59 years, male 0.0
GTEX-WI4N-2226-SM-4OOS9 40-49 years, female 0.0
GTEX-WY7C-1926-SM-4ONCI 50-59 years, male 0.0
GTEX-Y9LG-1326-SM-4VBQB 30-39 years, male 0.0
GTEX-ZAB4-2426-SM-5HL8A 40-49 years, male 0.0
GTEX-ZAJG-2626-SM-5S2NU 50-59 years, female 0.0
GTEX-ZDTS-2726-SM-5L3E2 60-69 years, male 0.0
GTEX-ZLFU-1426-SM-4WWEU 40-49 years, male 0.0
GTEX-ZV6S-1126-SM-57WE9 40-49 years, female 0.0
GTEX-15G1A-1926-SM-7KUFF 30-39 years, male 0.0
GTEX-1EH9U-1926-SM-7P8QM 60-69 years, male 0.0
GTEX-1GL5R-1726-SM-9KNUX 50-59 years, male 0.0
GTEX-1GMR2-1826-SM-9KNUP 50-59 years, male 0.0
GTEX-1GMRU-2626-SM-9WPPM 50-59 years, male 0.0
GTEX-1GN73-2726-SM-9WYUB 60-69 years, male 0.0
GTEX-1GZ4H-1326-SM-7P8TE 50-59 years, female 0.0
GTEX-1H3NZ-2526-SM-9KNVO 60-69 years, male 0.0
GTEX-1HBPH-2526-SM-ACKXK 40-49 years, female 0.0
GTEX-1HCU7-2726-SM-A9G3D 50-59 years, male 0.0
GTEX-1HKZK-2026-SM-9WYUF 40-49 years, male 0.0
GTEX-1HSMO-2526-SM-A9SKP 60-69 years, male 0.0
GTEX-1ICG6-2226-SM-B2LY7 70-79 years, female 0.0
GTEX-1IDJH-2826-SM-CJI49 70-79 years, male 0.0
GTEX-1IDJI-2226-SM-CKZPM 50-59 years, female 0.0
GTEX-1J1OQ-2826-SM-D3L88 40-49 years, female 0.0
GTEX-1J8JJ-2426-SM-D4P4A 60-69 years, female 0.0
GTEX-1J8Q3-2426-SM-CL53S 60-69 years, male 0.0
GTEX-1JJE9-2526-SM-ARU8K 70-79 years, male 0.0
GTEX-1JJEA-2526-SM-CY8HJ 60-69 years, male 0.0
GTEX-1JK1U-1426-SM-CNPOW 60-69 years, male 0.0
GTEX-1JKYN-2226-SM-ARZNE 30-39 years, male 0.0
GTEX-1JMLX-2526-SM-CY8HX 50-59 years, male 0.0
GTEX-1JMQK-2326-SM-ARZN4 60-69 years, male 0.0
GTEX-1KANA-1726-SM-CY8IG 20-29 years, male 0.0
GTEX-1L5NE-1926-SM-D3L9R 50-59 years, male 0.0
GTEX-1LGRB-2026-SM-COH47 50-59 years, female 0.0
GTEX-1LSNL-1626-SM-E9TJY 50-59 years, male 0.0
GTEX-1LSNM-1426-SM-E6CIH 50-59 years, male 0.0
GTEX-1LVAO-2826-SM-E9TJH 60-69 years, male 0.0
GTEX-1OFPY-1226-SM-E76OM 60-69 years, male 0.0
GTEX-1PBJJ-2026-SM-DTX8U 30-39 years, male 0.0
GTEX-1QP28-2226-SM-DTX8C 50-59 years, female 0.0
GTEX-1QPFJ-2426-SM-EVR3L 30-39 years, female 0.0
GTEX-1R9JW-2126-SM-E76QT 30-39 years, female 0.0
GTEX-1R9K5-2226-SM-DTX9G 50-59 years, male 0.0
GTEX-1R9PO-2026-SM-E9J4N 60-69 years, female 0.0
GTEX-1RAZQ-2026-SM-E76P7 30-39 years, male 0.0
GTEX-1RMOY-1726-SM-EVYC9 50-59 years, male 0.0
GTEX-1S831-1726-SM-EWROJ 20-29 years, male 0.0
GTEX-ZLV1-1326-SM-DO11Q 60-69 years, female 0.0
GTEX-ZLWG-1826-SM-DO11I 50-59 years, female 0.0
Show allShow less
Colon - Transverse
Average nTPM: 284.1
Samples: 406

Max nTPM: 1974.2
Min nTPM: 0.0
Std nTPM: 352.0
Median nTPM: 130.8
GTEX-14E6E-1526-SM-5RQIG 30-39 years, male 1974.2
GTEX-131XG-1826-SM-5LZV4 50-59 years, female 1892.8
GTEX-14XAO-2026-SM-69LOI 60-69 years, female 1594.0
GTEX-11P82-1026-SM-5BC5J 20-29 years, male 1542.9
GTEX-111CU-1426-SM-5GZYP 50-59 years, male 1520.3
GTEX-ZT9W-1826-SM-51MQX 50-59 years, male 1436.2
GTEX-1399R-2226-SM-5P9JB 30-39 years, male 1323.9
GTEX-14PK6-1726-SM-6871J 70-79 years, female 1317.7
GTEX-1CAMR-0926-SM-7MXTD 20-29 years, male 1296.4
GTEX-ZDYS-2326-SM-4WKG6 50-59 years, male 1154.4
GTEX-ZDTT-1926-SM-5HL5W 60-69 years, male 1126.5
GTEX-1H1E6-1926-SM-9OSWD 30-39 years, male 1115.7
GTEX-ZF2S-1926-SM-4WWAN 50-59 years, female 1112.4
GTEX-144GM-1226-SM-5LU52 20-29 years, male 1048.9
GTEX-14JIY-3326-SM-6871E 60-69 years, male 1023.7
GTEX-U4B1-1126-SM-4DXV3 40-49 years, male 1022.9
GTEX-146FQ-1926-SM-5NQBY 30-39 years, male 1015.8
GTEX-QV31-0826-SM-CKZNC 30-39 years, male 1005.9
GTEX-TML8-1326-SM-4DXTO 40-49 years, female 990.2
GTEX-11EM3-1526-SM-5A5KN 20-29 years, female 966.7
GTEX-Q2AI-0926-SM-48U1F 40-49 years, male 946.4
GTEX-1LG7Z-1426-SM-CXKYV 30-39 years, male 927.4
GTEX-132AR-2726-SM-5PNVN 50-59 years, female 925.2
GTEX-ZV7C-1526-SM-5NQ72 50-59 years, male 908.5
GTEX-UJHI-1126-SM-4IHLN 50-59 years, female 891.2
GTEX-13X6H-1926-SM-7EWD3 50-59 years, female 883.5
GTEX-QLQW-0426-SM-447A7 30-39 years, male 878.7
GTEX-O5YT-1426-SM-3MJHC 20-29 years, male 878.3
GTEX-1F5PK-1926-SM-7MXT7 50-59 years, male 867.6
GTEX-Y5LM-1526-SM-4VDTA 40-49 years, female 859.1
GTEX-1H11D-2626-SM-9JGH4 40-49 years, male 852.1
GTEX-ZEX8-1926-SM-4WKFR 50-59 years, male 851.9
GTEX-ZLWG-1726-SM-DNZZ2 50-59 years, female 846.1
GTEX-Q2AH-1226-SM-48TZL 40-49 years, male 839.4
GTEX-XUZC-1326-SM-4BRV2 30-39 years, female 839.0
GTEX-1IKOE-2026-SM-AHZ31 30-39 years, female 824.5
GTEX-11TT1-1026-SM-5PNW7 20-29 years, male 821.4
GTEX-1399S-1926-SM-5J2M5 30-39 years, female 807.8
GTEX-1399U-1926-SM-5IFH7 50-59 years, female 804.4
GTEX-1C475-1626-SM-731FP 40-49 years, female 803.4
GTEX-U3ZN-2126-SM-4DXU1 30-39 years, female 796.9
GTEX-18A66-2426-SM-7KFSQ 60-69 years, male 770.9
GTEX-14PKV-2126-SM-664O3 20-29 years, female 764.4
GTEX-1122O-1526-SM-5N9CL 60-69 years, female 748.2
GTEX-Q734-1126-SM-48TZY 40-49 years, female 748.2
GTEX-1J1R8-1126-SM-CNPQ3 40-49 years, male 742.5
GTEX-1JKYN-2326-SM-CGQG7 30-39 years, male 725.6
GTEX-15RIF-1326-SM-6LPKO 20-29 years, male 722.1
GTEX-P4QT-1426-SM-3NMCX 50-59 years, female 717.4
GTEX-17HHE-1826-SM-79OKE 50-59 years, male 713.8
GTEX-15CHR-1426-SM-7DUGV 50-59 years, male 706.2
GTEX-1KANC-0926-SM-D3LA9 50-59 years, female 706.2
GTEX-1JN76-1226-SM-C1YRM 20-29 years, female 692.8
GTEX-13D11-0826-SM-5KLZJ 50-59 years, female 688.2
GTEX-R55D-1826-SM-48FEF 50-59 years, male 675.8
GTEX-14PHX-1526-SM-68717 50-59 years, male 673.2
GTEX-1QP9N-1026-SM-E6CPX 30-39 years, male 670.9
GTEX-11P7K-1526-SM-5EGI7 30-39 years, male 667.4
GTEX-W5WG-2426-SM-4LMI6 50-59 years, female 661.3
GTEX-178AV-1326-SM-6LPJX 40-49 years, male 658.0
GTEX-1MA7W-0626-SM-EV79Z 20-29 years, female 639.6
GTEX-1PFEY-1426-SM-E9U6U 30-39 years, male 638.5
GTEX-145MN-1726-SM-5SIA6 30-39 years, male 637.3
GTEX-139YR-2126-SM-5KM11 50-59 years, male 635.9
GTEX-1QP67-1326-SM-EAZ4D 40-49 years, female 631.9
GTEX-15RIE-1826-SM-6M48P 60-69 years, male 628.4
GTEX-ZVT2-1926-SM-5GU5T 50-59 years, female 626.7
GTEX-13PL7-2526-SM-5IFGR 60-69 years, female 617.0
GTEX-11DXX-1826-SM-5H126 60-69 years, female 613.6
GTEX-1AMFI-1726-SM-7189L 50-59 years, female 612.5
GTEX-1RAZR-1926-SM-E6CRF 40-49 years, male 605.5
GTEX-1H3VY-2426-SM-9WPPD 50-59 years, male 604.9
GTEX-144GN-1126-SM-5LU33 50-59 years, male 600.2
GTEX-13111-0726-SM-5DUVE 50-59 years, male 592.9
GTEX-XMK1-1726-SM-4B64Z 40-49 years, male 591.8
GTEX-117YW-1826-SM-5PNY5 50-59 years, male 591.5
GTEX-XBED-1526-SM-4AT5W 60-69 years, male 590.6
GTEX-11DXZ-1726-SM-5H12M 50-59 years, male 587.5
GTEX-ZVP2-1526-SM-5NQ82 50-59 years, male 579.7
GTEX-12BJ1-2126-SM-5BC5O 60-69 years, male 579.6
GTEX-R55G-1226-SM-48FDC 40-49 years, female 573.9
GTEX-1LVAM-1626-SM-EV79Y 50-59 years, female 562.4
GTEX-1B8KE-1926-SM-731EE 50-59 years, male 561.6
GTEX-Y3IK-1826-SM-4WWDS 50-59 years, female 559.7
GTEX-S4UY-0826-SM-4AD4Z 40-49 years, female 547.8
GTEX-1AYCT-1826-SM-731EG 50-59 years, male 543.5
GTEX-1HCU9-1326-SM-B2LXT 20-29 years, male 543.4
GTEX-OIZF-1426-SM-2HML2 60-69 years, male 526.8
GTEX-WFON-1426-SM-4LVMT 40-49 years, male 520.6
GTEX-11I78-1226-SM-5A5K6 50-59 years, female 517.8
GTEX-T5JW-1126-SM-4DM5V 20-29 years, female 516.9
GTEX-SNOS-1226-SM-4DM5H 40-49 years, male 512.8
GTEX-1S83E-1626-SM-EV7B9 40-49 years, male 508.8
GTEX-YB5E-1626-SM-5IFIQ 40-49 years, male 503.3
GTEX-TKQ2-1326-SM-4DXT9 50-59 years, male 491.5
GTEX-RM2N-0926-SM-48FD1 50-59 years, male 491.0
GTEX-ZPU1-1926-SM-57WDT 40-49 years, male 490.9
GTEX-1B932-2826-SM-73KUD 40-49 years, female 489.7
GTEX-13FTW-1826-SM-5IJEN 40-49 years, male 489.4
GTEX-PLZ5-1126-SM-3P613 50-59 years, male 489.2
GTEX-S7SF-1926-SM-4AT5B 20-29 years, female 488.7
GTEX-1N2DV-1426-SM-DPRYQ 40-49 years, male 488.2
GTEX-X15G-1326-SM-4PQZJ 50-59 years, female 478.9
GTEX-14BMU-1526-SM-5TDE6 20-29 years, female 473.3
GTEX-WHWD-1226-SM-4OOS1 50-59 years, male 473.2
GTEX-PLZ6-0926-SM-3P5ZQ 30-39 years, male 472.8
GTEX-QMRM-1226-SM-447C6 50-59 years, male 463.5
GTEX-ZY6K-1226-SM-5GZYL 50-59 years, male 462.7
GTEX-1I4MK-1126-SM-B2LWS 50-59 years, female 461.4
GTEX-139TS-1926-SM-5IJFO 60-69 years, male 453.5
GTEX-14PJ4-1926-SM-6LLHG 60-69 years, male 450.2
GTEX-ZTSS-1126-SM-5985O 40-49 years, male 445.4
GTEX-133LE-1526-SM-5IFEN 20-29 years, female 434.6
GTEX-13QBU-1826-SM-5IJG3 40-49 years, female 431.8
GTEX-13PVR-1626-SM-73KVF 60-69 years, female 424.4
GTEX-1K2DA-2026-SM-CGQGK 50-59 years, male 424.0
GTEX-WHSB-0926-SM-4M1XJ 50-59 years, male 421.1
GTEX-1RAZA-1726-SM-DPS13 20-29 years, male 417.9
GTEX-1B8KZ-1326-SM-7DUG6 50-59 years, male 414.9
GTEX-P4PP-1426-SM-3NM9L 30-39 years, female 414.8
GTEX-WOFM-2026-SM-4OOSQ 20-29 years, male 414.7
GTEX-S4Q7-0826-SM-4AD5E 20-29 years, male 402.8
GTEX-17KNJ-1726-SM-7LG6A 50-59 years, male 402.1
GTEX-131XE-0826-SM-5HL9W 50-59 years, male 397.6
GTEX-OXRK-1726-SM-3NB16 50-59 years, female 390.9
GTEX-XGQ4-1226-SM-4AT67 50-59 years, male 387.5
GTEX-PWCY-1026-SM-48TD4 20-29 years, female 386.9
GTEX-QEL4-1926-SM-D3L8D 50-59 years, male 381.3
GTEX-1KXAM-2126-SM-CY8I9 60-69 years, male 381.1
GTEX-XV7Q-2126-SM-4BRVX 40-49 years, female 380.1
GTEX-1QPFJ-2326-SM-E6CR7 30-39 years, female 374.5
GTEX-13S86-1626-SM-5Q5C5 40-49 years, male 371.4
GTEX-OHPM-1426-SM-3TW8Y 50-59 years, male 365.6
GTEX-ZLV1-1226-SM-4WWBX 60-69 years, female 363.8
GTEX-18D9A-1126-SM-7KFRJ 30-39 years, female 359.7
GTEX-13O21-2426-SM-5MR4A 50-59 years, male 353.5
GTEX-ZPCL-1826-SM-57WF1 60-69 years, female 353.1
GTEX-14DAR-1526-SM-5RQIX 50-59 years, male 346.7
GTEX-1KANA-1926-SM-DHXKF 20-29 years, male 344.1
GTEX-ZPIC-2226-SM-57WDX 40-49 years, female 340.1
GTEX-139T6-1326-SM-5IFFO 50-59 years, male 338.5
GTEX-OOBJ-1426-SM-E6CHH 60-69 years, male 329.2
GTEX-QDVN-1326-SM-48TZ3 50-59 years, male 328.4
GTEX-S3XE-1126-SM-4AD4N 50-59 years, male 326.6
GTEX-PWN1-1426-SM-48TDF 40-49 years, female 323.6
GTEX-1F5PL-2126-SM-7PC2O 40-49 years, female 323.1
GTEX-WYVS-1826-SM-4OND6 40-49 years, female 320.7
GTEX-ZP4G-1726-SM-4WWCM 20-29 years, female 319.2
GTEX-1S3DN-1826-SM-EV79K 50-59 years, male 319.2
GTEX-1IOXB-2626-SM-CJI2N 50-59 years, male 315.1
GTEX-16AAH-1326-SM-7KFRG 50-59 years, male 305.5
GTEX-Y8E4-2426-SM-4WWDN 40-49 years, male 305.1
GTEX-1JK1U-1526-SM-AHZ46 60-69 years, male 304.2
GTEX-XPVG-1826-SM-4B64X 50-59 years, male 298.9
GTEX-1LGRB-1426-SM-CNNPT 50-59 years, female 290.1
GTEX-ZG7Y-2126-SM-DO117 50-59 years, male 286.5
GTEX-R53T-1326-SM-48FCQ 50-59 years, female 282.7
GTEX-YF7O-1726-SM-5IFJ9 50-59 years, male 274.5
GTEX-1GF9U-1526-SM-7MXUW 40-49 years, female 268.0
GTEX-QDVJ-1326-SM-48U1X 50-59 years, male 267.2
GTEX-1GF9X-1526-SM-7P8QP 40-49 years, female 266.9
GTEX-VJYA-2026-SM-4KL1K 60-69 years, male 262.1
GTEX-OIZH-1426-SM-3NB1O 50-59 years, male 258.4
GTEX-1R7EU-1926-SM-E9U62 60-69 years, male 258.4
GTEX-1L5NE-2026-SM-CXZKR 50-59 years, male 254.4
GTEX-S4P3-1226-SM-4AD4Y 50-59 years, female 253.2
GTEX-WFG7-1526-SM-4LVMG 20-29 years, male 253.1
GTEX-1R9JW-2026-SM-EAZ4O 30-39 years, female 246.5
GTEX-1NHNU-2326-SM-E6CQE 50-59 years, male 245.8
GTEX-147F3-1926-SM-5SIB9 50-59 years, female 242.8
GTEX-Y9LG-1526-SM-4WWDR 30-39 years, male 238.0
GTEX-1JMPY-0426-SM-C1YQ3 30-39 years, male 227.8
GTEX-13OVJ-1726-SM-5IJDZ 50-59 years, female 224.9
GTEX-QCQG-1626-SM-48U26 50-59 years, female 219.1
GTEX-YEC3-2426-SM-DO11A 50-59 years, male 218.5
GTEX-ZGAY-2126-SM-4YCFB 40-49 years, female 218.1
GTEX-1PIEJ-2026-SM-E6CPA 20-29 years, female 213.1
GTEX-17HGU-2426-SM-7EWDP 50-59 years, male 212.9
GTEX-PX3G-1426-SM-48U1J 20-29 years, female 212.2
GTEX-1CAMS-2526-SM-7EPH7 40-49 years, female 210.7
GTEX-ZZ64-0726-SM-5GZX4 20-29 years, male 207.9
GTEX-1JKYR-1926-SM-C1YR7 20-29 years, male 207.6
GTEX-145LT-0926-SM-5LU9C 40-49 years, male 200.1
GTEX-R55C-1126-SM-48FCJ 40-49 years, male 187.3
GTEX-XYKS-2226-SM-4E3IU 60-69 years, female 183.4
GTEX-12C56-0626-SM-5EGGC 20-29 years, male 182.4
GTEX-1IDJU-2026-SM-A9SLM 60-69 years, female 180.6
GTEX-1211K-1726-SM-5FQUJ 60-69 years, female 180.3
GTEX-1HSEH-1726-SM-B2LXH 60-69 years, male 175.4
GTEX-1LGOU-1626-SM-D3LAK 20-29 years, female 174.2
GTEX-WYJK-2226-SM-4ONDJ 50-59 years, male 173.8
GTEX-XQ8I-2126-SM-4BOOM 50-59 years, male 173.4
GTEX-XUW1-1926-SM-4BOP1 50-59 years, female 172.8
GTEX-WH7G-1326-SM-4LVMS 40-49 years, male 169.1
GTEX-17EUY-1826-SM-7DUEZ 20-29 years, male 166.6
GTEX-11VI4-1526-SM-5EQKC 40-49 years, female 166.2
GTEX-14JG6-1726-SM-69LPL 30-39 years, female 161.8
GTEX-SE5C-1526-SM-4BRWU 40-49 years, female 158.9
GTEX-11LCK-2026-SM-5A5MA 30-39 years, male 157.4
GTEX-1PIGE-1426-SM-E9U61 20-29 years, male 154.4
GTEX-UJMC-1326-SM-4IHLS 50-59 years, male 148.0
GTEX-1F75I-2426-SM-9WPOY 40-49 years, male 135.9
GTEX-O5YW-1426-SM-3MJHF 50-59 years, male 132.2
GTEX-15DCE-2026-SM-7KUFE 20-29 years, male 129.5
GTEX-1MGNQ-2026-SM-EAZ51 40-49 years, male 122.2
GTEX-1C4CL-2126-SM-7IGQC 30-39 years, male 119.3
GTEX-1AMEY-1926-SM-73KVT 30-39 years, female 115.5
GTEX-16NGA-1026-SM-7KFS3 40-49 years, female 112.8
GTEX-P78B-1726-SM-3P5ZV 40-49 years, female 105.4
GTEX-1RDX4-1826-SM-EVR54 50-59 years, female 102.8
GTEX-11NSD-1626-SM-5986U 20-29 years, male 98.3
GTEX-1H1DE-1526-SM-ARL9B 20-29 years, male 96.2
GTEX-X3Y1-1726-SM-4PQZL 40-49 years, male 96.0
GTEX-U3ZM-1126-SM-4DXUB 40-49 years, male 92.8
GTEX-1R9PM-1526-SM-DPRY8 20-29 years, male 92.5
GTEX-SNMC-1126-SM-4DM5M 20-29 years, male 92.0
GTEX-1QCLY-1726-SM-DPRXY 30-39 years, male 89.6
GTEX-1HSMQ-2726-SM-C1YRE 50-59 years, male 89.3
GTEX-14ICK-1026-SM-6AJA4 40-49 years, male 87.8
GTEX-18D9U-1926-SM-7KFTM 40-49 years, male 85.6
GTEX-1HFI7-1726-SM-A9G22 50-59 years, female 85.4
GTEX-1NSGN-2326-SM-E9U5X 50-59 years, male 83.9
GTEX-147GR-2726-SM-664OO 60-69 years, male 80.8
GTEX-1E2YA-2626-SM-7MGWW 50-59 years, male 78.6
GTEX-XBEW-1926-SM-4SOJO 40-49 years, male 77.9
GTEX-1K9T9-2826-SM-D4P3F 50-59 years, female 76.9
GTEX-15SB6-1226-SM-7KUMP 50-59 years, female 74.6
GTEX-13OVG-1426-SM-5K7VP 60-69 years, male 61.6
GTEX-18A7A-2226-SM-7LT8K 50-59 years, female 57.4
GTEX-WQUQ-2526-SM-4MVNO 60-69 years, male 56.5
GTEX-NFK9-2026-SM-3LK5K 40-49 years, male 54.7
GTEX-13FHP-2426-SM-5KLZ5 50-59 years, male 54.5
GTEX-1128S-1626-SM-5H12O 60-69 years, female 52.1
GTEX-RU1J-1326-SM-46MUL 20-29 years, female 51.1
GTEX-13VXT-2426-SM-5LU46 20-29 years, female 50.8
GTEX-1IDJD-2226-SM-A96TD 30-39 years, male 50.3
GTEX-1GPI7-1726-SM-7P8R1 20-29 years, male 49.8
GTEX-1H1DG-2226-SM-9WPPC 70-79 years, male 48.9
GTEX-15DYW-2326-SM-6PAMU 60-69 years, female 43.4
GTEX-1QCLZ-1926-SM-E6CR3 60-69 years, female 42.8
GTEX-17F9E-1826-SM-7IGMC 50-59 years, male 41.5
GTEX-17F98-1026-SM-7IGO8 40-49 years, female 41.3
GTEX-1IDJC-1326-SM-CL53H 50-59 years, male 41.2
GTEX-1LSVX-1726-SM-DHXJP 60-69 years, male 39.3
GTEX-17MF6-2426-SM-7LTAM 40-49 years, male 39.2
GTEX-1HSGN-2626-SM-CE6S1 40-49 years, female 37.5
GTEX-1HKZK-2126-SM-A9SL3 40-49 years, male 37.1
GTEX-12KS4-2426-SM-5LU8P 30-39 years, male 34.5
GTEX-1I6K6-1826-SM-B2LX5 30-39 years, male 34.3
GTEX-1AX9I-2626-SM-73KU5 60-69 years, male 32.3
GTEX-Y8LW-1226-SM-4WWDP 50-59 years, female 29.7
GTEX-16MT8-2726-SM-7IGLJ 60-69 years, female 26.7
GTEX-13OW6-2126-SM-5N9GL 50-59 years, male 26.0
GTEX-11ZVC-2126-SM-5EGJ1 50-59 years, female 25.9
GTEX-12WSJ-1526-SM-5GCNI 40-49 years, female 25.9
GTEX-1I1GR-2526-SM-CNNQF 60-69 years, male 25.7
GTEX-1MJK3-0926-SM-EV7AY 20-29 years, male 24.6
GTEX-1JMPZ-2426-SM-C1YQP 30-39 years, male 24.5
GTEX-1LVAN-2526-SM-CNPPC 50-59 years, female 24.5
GTEX-14PJM-2626-SM-686ZD 50-59 years, female 23.8
GTEX-ZAB4-2226-SM-5HL97 40-49 years, male 23.1
GTEX-1C6VQ-2726-SM-73KUL 50-59 years, male 21.4
GTEX-1JJ6O-2426-SM-ARU8J 60-69 years, male 21.3
GTEX-1KANB-1526-SM-CXZK4 50-59 years, male 20.7
GTEX-14BIN-3026-SM-5ZZUS 50-59 years, female 20.3
GTEX-18A7B-2026-SM-72D71 70-79 years, male 19.9
GTEX-1HCVE-2526-SM-A9G2G 50-59 years, male 19.8
GTEX-17JCI-2626-SM-7EWE6 60-69 years, female 19.4
GTEX-1C2JI-1626-SM-7EPHC 50-59 years, male 18.6
GTEX-1GMR3-2826-SM-9WPOG 40-49 years, male 17.9
GTEX-1RMOY-1626-SM-EVYC8 50-59 years, male 17.7
GTEX-1C64O-2326-SM-73KU8 60-69 years, male 16.9
GTEX-1I1GT-1926-SM-ARU7D 60-69 years, female 16.8
GTEX-1PPH8-2026-SM-DTX7P 20-29 years, male 16.4
GTEX-ZYFC-2626-SM-5NQ6S 50-59 years, male 15.8
GTEX-1N5O9-2726-SM-E76QH 60-69 years, male 15.3
GTEX-16XZZ-2626-SM-6M47S 60-69 years, male 14.5
GTEX-13OVK-0826-SM-7KULZ 40-49 years, male 13.7
GTEX-1PPGY-2826-SM-DTX9H 60-69 years, male 13.2
GTEX-V955-1626-SM-4JBHJ 60-69 years, male 12.9
GTEX-1MCC2-1626-SM-DIPEW 30-39 years, female 12.7
GTEX-147JS-2526-SM-5S2Q8 60-69 years, male 12.5
GTEX-17GQL-1526-SM-7LTAC 60-69 years, male 12.2
GTEX-1R9K5-2126-SM-E8VN1 50-59 years, male 12.2
GTEX-15ER7-2926-SM-7KUFK 20-29 years, female 11.7
GTEX-1MUQO-2626-SM-EWRO3 60-69 years, male 11.3
GTEX-R45C-2126-SM-EZ6KZ 60-69 years, female 11.0
GTEX-1CB4F-2026-SM-79OLU 60-69 years, male 10.8
GTEX-15SHU-2526-SM-6M47D 40-49 years, female 10.4
GTEX-1IDJF-1826-SM-CKZOE 20-29 years, male 10.4
GTEX-1B996-2626-SM-73KZ1 60-69 years, male 10.3
GTEX-1QW4Y-1326-SM-EWRMZ 30-39 years, male 10.0
GTEX-1RAZQ-2126-SM-DTX9V 30-39 years, male 9.2
GTEX-144GL-2526-SM-5TDDL 50-59 years, male 9.1
GTEX-18D9B-2526-SM-718BN 60-69 years, male 9.0
GTEX-1PWST-2426-SM-EWRMP 70-79 years, male 8.3
GTEX-PSDG-1826-SM-EAZ2S 50-59 years, male 8.3
GTEX-11O72-2226-SM-5PNW2 40-49 years, male 8.1
GTEX-14C39-1926-SM-5ZZW5 40-49 years, male 8.0
GTEX-1BAJH-2326-SM-7IGMO 70-79 years, male 7.5
GTEX-1J1OQ-2726-SM-AHZ3R 40-49 years, female 7.4
GTEX-13W3W-2126-SM-5K7UX 60-69 years, female 7.3
GTEX-13QJ3-2626-SM-9OSXQ 50-59 years, male 7.1
GTEX-1A3MV-1126-SM-718BS 30-39 years, male 7.0
GTEX-12ZZZ-2426-SM-5GCNN 60-69 years, male 6.9
GTEX-111VG-2226-SM-5N9DU 60-69 years, male 6.3
GTEX-145MO-2426-SM-5NQ9W 60-69 years, male 6.1
GTEX-1GZ4I-2426-SM-9WPPP 50-59 years, male 5.9
GTEX-SJXC-2226-SM-EVYAK 60-69 years, male 5.7
GTEX-1339X-1626-SM-5IJDN 40-49 years, male 5.6
GTEX-15CHC-1626-SM-5ZZWS 60-69 years, female 5.6
GTEX-U3ZH-1326-SM-4DXSF 30-39 years, male 5.6
GTEX-1CB4I-2226-SM-7P8SL 50-59 years, male 5.6
GTEX-17EVQ-1826-SM-7IGPH 70-79 years, male 5.5
GTEX-18QFQ-1526-SM-72D57 30-39 years, male 5.5
GTEX-14BMV-2426-SM-5S2PP 50-59 years, male 5.1
GTEX-14C5O-2526-SM-73KU2 60-69 years, male 5.1
GTEX-ZXES-1626-SM-5NQ7L 30-39 years, female 5.1
GTEX-ZYVF-2826-SM-5GIDK 50-59 years, female 5.1
GTEX-13O3O-2526-SM-5L3DR 60-69 years, female 4.9
GTEX-16Z82-2226-SM-6LPJ7 60-69 years, male 4.8
GTEX-17HII-2726-SM-7MGVM 50-59 years, male 4.7
GTEX-11EQ9-1426-SM-5987G 30-39 years, male 4.5
GTEX-17F96-2026-SM-79ON4 70-79 years, male 4.5
GTEX-1JJE9-2426-SM-D3L8T 70-79 years, male 4.5
GTEX-1IKK5-2726-SM-CNPQ6 60-69 years, male 4.2
GTEX-1S5VW-2926-SM-E9U6H 60-69 years, male 4.1
GTEX-13FH7-1526-SM-5J2N6 50-59 years, female 4.0
GTEX-14AS3-1126-SM-5Q5CR 40-49 years, female 4.0
GTEX-WEY5-1426-SM-4LMJ3 40-49 years, female 4.0
GTEX-1LH75-2126-SM-EVR5F 50-59 years, female 3.8
GTEX-T6MO-0826-SM-4DM51 40-49 years, female 3.7
GTEX-12WSL-1626-SM-5GCMU 50-59 years, male 3.6
GTEX-16NPV-2626-SM-6M484 50-59 years, female 3.6
GTEX-1IGQW-2326-SM-CE6RV 60-69 years, male 3.6
GTEX-OXRN-2026-SM-E6CHK 50-59 years, male 3.6
GTEX-14DAQ-2726-SM-5S2QY 60-69 years, female 2.8
GTEX-ZV6S-1226-SM-59HLH 40-49 years, female 2.8
GTEX-13O3P-2326-SM-5KM55 50-59 years, male 2.7
GTEX-WY7C-1626-SM-4ONC8 50-59 years, male 2.7
GTEX-QLQ7-1126-SM-CYPRB 60-69 years, male 2.7
GTEX-145ME-0826-SM-5O9AF 40-49 years, female 2.5
GTEX-YEC4-1926-SM-5IFHJ 40-49 years, male 2.5
GTEX-11ONC-2026-SM-5HL61 60-69 years, male 2.3
GTEX-13O61-1626-SM-5KM3T 60-69 years, male 2.3
GTEX-Y114-1526-SM-4TT79 50-59 years, female 2.3
GTEX-1HSMP-2326-SM-D3L8R 70-79 years, male 2.3
GTEX-13OW5-2626-SM-5MR3M 60-69 years, male 2.2
GTEX-14H4A-1926-SM-5ZZWN 40-49 years, female 2.2
GTEX-ZYFG-1926-SM-5GID5 60-69 years, female 2.1
GTEX-1GL5R-2426-SM-7MXV1 50-59 years, male 2.1
GTEX-1POEN-2026-SM-E6CRL 30-39 years, female 2.0
GTEX-1HCU7-2626-SM-C1YQO 50-59 years, male 1.8
GTEX-148VJ-2626-SM-5QGPI 70-79 years, male 1.7
GTEX-X4EO-2526-SM-EWRM8 60-69 years, female 1.7
GTEX-Y3I4-1426-SM-4TT9C 50-59 years, male 1.6
GTEX-1N2EF-1926-SM-DTX8M 60-69 years, male 1.6
GTEX-13U4I-2426-SM-5LU34 40-49 years, female 1.4
GTEX-1F75B-2726-SM-7P8QO 50-59 years, male 1.4
GTEX-XXEK-1926-SM-4BRVD 50-59 years, male 1.2
GTEX-1LBAC-1626-SM-CXZKV 20-29 years, male 1.2
GTEX-WVJS-2426-SM-EZ6LI 50-59 years, male 1.2
GTEX-1QMI2-2626-SM-E6CR4 60-69 years, male 1.1
GTEX-OXRL-1426-SM-3NM9E 50-59 years, male 1.0
GTEX-OXRO-0726-SM-E9U4C 60-69 years, female 1.0
GTEX-11GSP-1626-SM-5986N 60-69 years, female 0.9
GTEX-15UF6-2626-SM-6M466 70-79 years, female 0.9
GTEX-TKQ1-0626-SM-4DXTS 30-39 years, male 0.9
GTEX-1JMLX-2726-SM-CM2SB 50-59 years, male 0.9
GTEX-RWS6-1826-SM-47JXX 60-69 years, female 0.7
GTEX-1HCU6-2726-SM-A9SKV 60-69 years, female 0.7
GTEX-1ICLZ-2426-SM-CKZOD 60-69 years, male 0.7
GTEX-111YS-1626-SM-5GZZ9 60-69 years, male 0.6
GTEX-145LS-2726-SM-5Q5D8 60-69 years, female 0.6
GTEX-1AYD5-1726-SM-7RHFW 50-59 years, male 0.6
GTEX-1LG7Y-2126-SM-DIPER 50-59 years, male 0.6
GTEX-U412-1726-SM-EZ6KX 60-69 years, male 0.6
GTEX-14PJ5-0926-SM-6LLIK 60-69 years, female 0.5
GTEX-15DZA-0926-SM-69LQ3 30-39 years, female 0.5
GTEX-1NV5F-2226-SM-DTX8O 60-69 years, female 0.5
GTEX-11TTK-2426-SM-5PNYO 60-69 years, female 0.4
GTEX-13CF3-1426-SM-5K7YY 60-69 years, female 0.4
GTEX-14ICL-1226-SM-5S2RD 30-39 years, male 0.4
GTEX-117YX-0826-SM-5H11J 50-59 years, male 0.3
GTEX-11P81-1126-SM-5GU5G 30-39 years, female 0.3
GTEX-1JN1M-2626-SM-CY8I3 60-69 years, female 0.3
GTEX-OHPN-2026-SM-E9TIA 60-69 years, female 0.3
GTEX-13OVI-2026-SM-5J1MU 60-69 years, female 0.2
GTEX-14PJ3-0926-SM-69LQG 50-59 years, male 0.2
GTEX-15G1A-1826-SM-7KUKO 30-39 years, male 0.2
GTEX-S341-1426-SM-4AD6U 40-49 years, female 0.2
GTEX-XAJ8-0426-SM-47JYJ 40-49 years, male 0.2
GTEX-1EH9U-2026-SM-7PBYS 60-69 years, male 0.2
GTEX-1OKEX-1226-SM-DTXEC 60-69 years, male 0.2
GTEX-Z93S-2426-SM-5HL8N 50-59 years, male 0.1
GTEX-ZF29-1726-SM-4WKFV 60-69 years, female 0.1
GTEX-11TUW-2026-SM-5EQL8 60-69 years, male 0.0
GTEX-14E1K-1826-SM-793DT 50-59 years, male 0.0
GTEX-15CHQ-2526-SM-6EU24 60-69 years, male 0.0
GTEX-1AX8Z-2726-SM-73KUC 60-69 years, male 0.0
GTEX-X5EB-0926-SM-46MVT 40-49 years, male 0.0
GTEX-1EMGI-2726-SM-7P8S4 60-69 years, male 0.0
GTEX-1GMR2-1726-SM-9JGI2 50-59 years, male 0.0
GTEX-1GN73-2626-SM-9KNUQ 60-69 years, male 0.0
GTEX-1GZ4H-1226-SM-9KNUA 50-59 years, female 0.0
GTEX-1S82U-0726-SM-E9TKI 30-39 years, female 0.0
Show allShow less

COLON - FANTOM5 CAGEi

RNA expression in human tissues obtained through Cap Analysis of Gene Expression (CAGE) generated by the FANTOM5 project are reported as Scaled Tags Per Million.

Max subtype Scaled Tags Per Millioni

Max subtype Scaled Tags Per Million is the value for the subtype with the largest average Scaled Tags Per Million across the subtype samples.

472.7
FANTOM5 sample id Sample description Scaled Tags Per Million
Colon
Scaled Tags Per Million: 472.7
FF:10014-101C5 62,83,84 years, mixed 472.7

Contact

  • NEWS ARTICLES
  • PRESS ROOM

The Project

  • INTRODUCTION
  • ORGANIZATION
  • PUBLICATIONS

The Human Protein Atlas

  • DOWNLOADABLE DATA
  • LICENCE & CITATION
  • HELP & FAQ
The Human Protein Atlas project is funded
by the Knut & Alice Wallenberg Foundation.


contact@proteinatlas.org