We use cookies to enhance the usability of our website. If you continue, we'll assume that you are happy to receive all cookies. More information. Don't show this again.
DLK2
HPA
RESOURCES
  • TISSUE
  • BRAIN
  • SINGLE CELL
  • SUBCELLULAR
  • CANCER
  • BLOOD
  • CELL LINE
  • STRUCTURE & INTERACTION
ABOUT
  • INTRODUCTION
  • HISTORY
  • ORGANIZATION
  • PUBLICATIONS
  • ANTIBODY SUBMISSION
  • ANTIBODY AVAILABILITY
  • ACKNOWLEDGMENTS
  • CONTACT
NEWS
  • NEWS ARTICLES
  • PRESS ROOM
LEARN
  • DICTIONARY
  • PROTEIN CLASSES
  • PROTEIN EVIDENCE
  • METHODS
  • EDUCATIONAL VIDEOS
DATA
  • DOWNLOADABLE DATA
  • PUBLICATION DATA
  • RELEASE HISTORY
HELP
  • ANTIBODY VALIDATION
  • ASSAYS & ANNOTATION
  • DISCLAIMER
  • HELP & FAQ
  • PRIVACY STATEMENT
  • LICENCE & CITATION
Fields »
Search result

Field
Term
Gene name
Class
Subclass
Class
Keyword
Chromosome
External id
Tissue
Cell type
Expression
Antibody panel
Tissue
Main location
Patient ID
Annotation
Tissue
Category
Tau score
Cluster
Reliability
Brain region
Category
Tau score
Brain region
Category
Tau score
Brain region
Category
Tau score
Cluster
Reliability
Tissue
Cell type
Enrichment
Cell type
Category
Tau score
Cell type
Category
Tau score
Cell type
Category
Tau score
Cell lineage
Category
Tau score
Cluster
Cluster
Location
Searches
Location
Cell line
Class
Type
Phase
Reliability
Cancer
Prognosis
Cancer
Category
Cancer
Category
Tau score
Cluster
Variants
Interacting gene (ensg_id)
Type
Number of interactions
Pathway
Category
Score
Score
Score
Validation
Validation
Validation
Validation
Antibodies
Data type
Column


  • SUMMARY

  • TISSUE

  • BRAIN

  • SINGLE CELL

  • SUBCELL

  • CANCER

  • BLOOD

  • CELL LINE

  • STRUCT & INT

  • DLK2
TISSUE PRIMARY DATA SKIN Show tissue menu
ADIPOSE TISSUE ADRENAL GLAND AMYGDALA APPENDIX BASAL GANGLIA BONE MARROW BREAST CEREBELLUM CEREBRAL CORTEX CERVIX CHOROID PLEXUS COLON DUODENUM
ENDOMETRIUM EPIDIDYMIS ESOPHAGUS FALLOPIAN TUBE GALLBLADDER HEART MUSCLE HIPPOCAMPAL FORMATION HYPOTHALAMUS KIDNEY LIVER LUNG LYMPH NODE MIDBRAIN
OVARY PANCREAS PARATHYROID GLAND PITUITARY GLAND PLACENTA PROSTATE RECTUM RETINA SALIVARY GLAND SEMINAL VESICLE SKELETAL MUSCLE SKIN SMALL INTESTINE
SMOOTH MUSCLE SPINAL CORD SPLEEN STOMACH TESTIS THYMUS THYROID GLAND TONGUE TONSIL URINARY BLADDER VAGINA
ANTIBODIES
AND
VALIDATION
Dictionary
Skin
Tissue proteome
Skin
SKIN - Expression summary
Protein expressioni

On the top, protein expression in current human tissue, based on all annotated cell types, is reported with the units not detected (n), low (l), medium (m) and high (h). Underneath, protein expression in each annotated cell type are reported using the same units.

Protein expression data is based on knowledge-based annotation. For genes where more than one antibody has been used, a collective score is set.

If knowledge-based annotation could not be performed for a gene, no data is displayed here. View antibody staining data further down this page.

No data
RNA expressioni

A summary of mRNA expression data available for current tissue based on several datasets. The mRNA expression levels in human tissues are based on RNA-seq data generated by the Human Protein Atlas (HPA), Genotype-Tissue Expression (GTEx) portal and CAGE data generated by the FANTOM5 consortium. Consensus normalized expression levels for human tissues was created by combining the data from HPA and GTEx datasets.

The mRNA expression levels in pig are based on RNA-seq data generated by the Human Protein Atlas (HPA), and for mouse, HPA data and in situ hybridization generated by the Allen brain atlas are reported.

Scroll down to view mRNA expression data in more detail.
Consensus:12.3 nTPM
HPA:11.9 nTPM
GTEx:12.3 nTPM

SKIN - Annotated protein expression
Pending normal tissue analysis

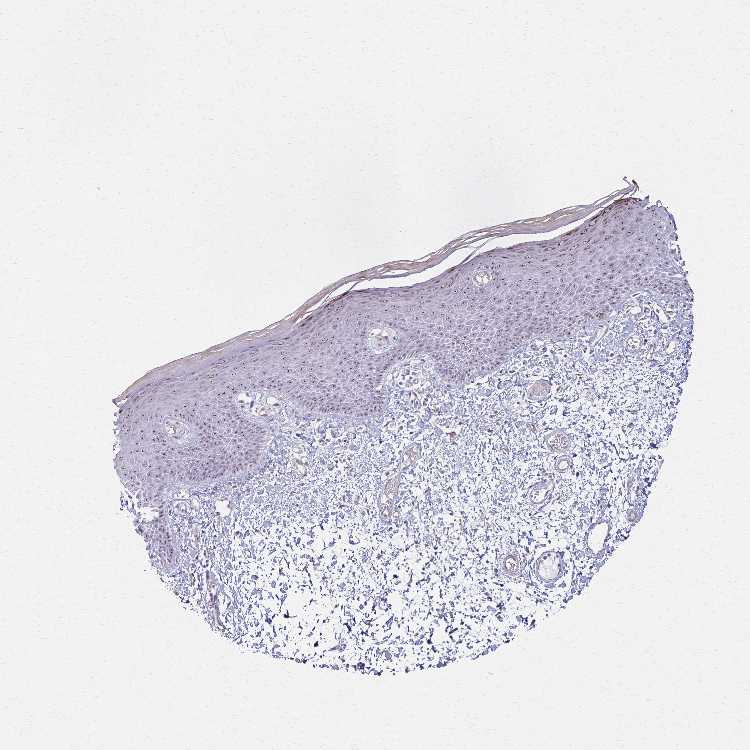
SKIN 1 - Antibody stainingi

Antibody staining in the annotated cell types in the current human tissue is reported as not detected, low, medium, or high, based on conventional immunohistochemistry profiling in selected tissues. This score is based on the combination of the staining intensity and fraction of stained cells.

Each image is clickable and will lead to virtual microscopy that enables deeper exploration of all samples and also displays staining intensity scores, fraction scores and subcellular localization as well as patient and tissue information for each sample.

Antibody HPA061223
Langerhans Not detected
Fibroblasts Not detected
Keratinocytes Medium
Melanocytes Low
SKIN 2 - Antibody stainingi

Antibody staining in the annotated cell types in the current human tissue is reported as not detected, low, medium, or high, based on conventional immunohistochemistry profiling in selected tissues. This score is based on the combination of the staining intensity and fraction of stained cells.

Each image is clickable and will lead to virtual microscopy that enables deeper exploration of all samples and also displays staining intensity scores, fraction scores and subcellular localization as well as patient and tissue information for each sample.

Antibody HPA061223
Epidermal cells Medium
 
 
 

SKIN - HPA RNA-seqi

The RNA-seq details section shows detailed information about the individual samples used for the transcript profiling and results of the RNA-seq analysis.

Information about each individual sample is listed below, including gender, age, a tissue section image and estimated fractions of cell types. nTPM (normalized transcripts per million) values give a quantification of the gene abundance which is comparable between different genes and samples.
Average nTPMi

Max subtype nTPM is the value for the subtype with the largest average nTPM across the subtype samples.

11.9
overview
Female, age 34
Skin sample 225
nTPM: 11.1
Cell types%
Keratinocytes:
60

Other cell types:
40

overview
Female, age 30
Skin sample 226
nTPM: 9.4
Cell types%
Keratinocytes:
55

Other cell types:
45

N/A
Male, age 57
Skin sample 227
nTPM: 15.2

SKIN - GTEx RNA-seqi

RNA-Seq data generated by the Genotype-Tissue Expression (GTEx) project from human tissues is reported as mean nTPM. More information can be found on the GTEx portal.

Distribution across the dataset is visualized with box plots, shown as median and 25th and 75th percentiles. Points are displayed as outliers if they are above or below 1.5 times the interquartile range. nTPM values of the individual samples are presented next to the box plot.
Max subtype nTPMi

Max subtype nTPM is the value for the subtype with the largest average nTPM across the subtype samples.

12.3
GTEx sample id Sample description nTPM
Skin - Not Sun Exposed (Suprapubic)
Average nTPM: 12.3
Samples: 604

Max nTPM: 29.0
Min nTPM: 0.3
Std nTPM: 5.1
Median nTPM: 11.5
GTEX-1S82U-1026-SM-E6CJK 30-39 years, female 29.0
GTEX-1J8QM-2426-SM-A9SLS 60-69 years, female 28.1
GTEX-13OVH-0526-SM-5L3E6 70-79 years, male 26.5
GTEX-131XG-0326-SM-5L3DX 50-59 years, female 26.4
GTEX-17F96-0126-SM-7EWDU 70-79 years, male 26.4
GTEX-1IKOE-1426-SM-CE6T7 30-39 years, female 26.4
GTEX-11ZU8-0126-SM-5EQ58 60-69 years, male 26.2
GTEX-1LKK1-2626-SM-DKPQE 50-59 years, female 25.4
GTEX-1J1OQ-0126-SM-D4P2N 40-49 years, female 25.3
GTEX-1JN76-0626-SM-CKZOQ 20-29 years, female 24.8
GTEX-1399S-0126-SM-5IJCF 30-39 years, female 24.7
GTEX-1LVAM-0726-SM-E6CIL 50-59 years, female 24.6
GTEX-13QJC-0126-SM-5ZZWJ 60-69 years, female 24.5
GTEX-1HBPN-0126-SM-CGQEF 50-59 years, male 24.5
GTEX-YFCO-1226-SM-5LUAT 40-49 years, male 24.4
GTEX-ZYY3-2926-SM-5GIEB 60-69 years, female 24.4
GTEX-139TS-2126-SM-5K7XC 60-69 years, male 24.3
GTEX-1HSMQ-2626-SM-A9SML 50-59 years, male 24.2
GTEX-1HGF4-0126-SM-CNPPX 60-69 years, male 24.1
GTEX-133LE-2326-SM-5K7W3 20-29 years, female 24.0
GTEX-13VXT-1926-SM-5K7UO 20-29 years, female 23.4
GTEX-13X6H-0926-SM-5SIB2 50-59 years, female 23.3
GTEX-XV7Q-1826-SM-4BRUV 40-49 years, female 23.3
GTEX-1N2DV-1526-SM-DTXEP 40-49 years, male 23.3
GTEX-183WM-0326-SM-72D5V 70-79 years, female 23.0
GTEX-11DXX-2126-SM-5PNYR 60-69 years, female 22.9
GTEX-1QP2A-1726-SM-E76QC 50-59 years, male 22.6
GTEX-15UF6-1926-SM-7KUDV 70-79 years, female 22.4
GTEX-X585-2426-SM-46MW2 50-59 years, male 22.2
GTEX-1JMQK-1226-SM-D4P2S 60-69 years, male 22.2
GTEX-1JK1U-0226-SM-ARZMX 60-69 years, male 22.1
GTEX-15RJE-2826-SM-7KUM9 40-49 years, male 21.9
GTEX-XAJ8-1426-SM-47JYM 40-49 years, male 21.9
GTEX-14PJ3-1126-SM-5ZZVX 50-59 years, male 21.7
GTEX-15RIG-0726-SM-7KUM7 40-49 years, male 21.5
GTEX-144GO-2026-SM-5O99P 60-69 years, male 21.4
GTEX-14PJ5-1526-SM-6LLIL 60-69 years, female 21.4
GTEX-12696-0126-SM-5EQ4L 60-69 years, male 21.3
GTEX-1JMLX-0626-SM-ARL8T 50-59 years, male 21.3
GTEX-15DDE-2926-SM-6LLJ3 50-59 years, female 21.1
GTEX-1H3O1-1326-SM-9MQLD 60-69 years, male 21.1
GTEX-1H1ZS-2726-SM-9WG75 70-79 years, male 21.0
GTEX-1IDJV-0126-SM-COH3Y 60-69 years, male 21.0
GTEX-17F97-2626-SM-7IGM5 50-59 years, male 20.9
GTEX-13RTJ-0126-SM-5S2NN 60-69 years, male 20.8
GTEX-144FL-0626-SM-5LU43 50-59 years, male 20.8
GTEX-Y3I4-1726-SM-4TT89 50-59 years, male 20.8
GTEX-1MCC2-1826-SM-DIPEX 30-39 years, female 20.8
GTEX-1QP28-1126-SM-EVYC4 50-59 years, female 20.7
GTEX-13NYS-0626-SM-5L3F1 60-69 years, male 20.4
GTEX-1B8KE-1126-SM-7EPHI 50-59 years, male 20.3
GTEX-Y5V6-2326-SM-4VDSA 60-69 years, male 20.2
GTEX-13SLW-0626-SM-5Q5ER 70-79 years, male 20.0
GTEX-1EH9U-2826-SM-7DUGT 60-69 years, male 20.0
GTEX-ZF2S-1626-SM-57WES 50-59 years, female 20.0
GTEX-1QPFJ-1926-SM-EVYBD 30-39 years, female 19.8
GTEX-ZZPU-0826-SM-5GZX5 50-59 years, female 19.7
GTEX-11ZTT-2126-SM-5CVLO 60-69 years, female 19.6
GTEX-Y114-2126-SM-4TT8B 50-59 years, female 19.6
GTEX-1RMOY-1326-SM-E9TIH 50-59 years, male 19.6
GTEX-11PRG-0726-SM-5EGL1 50-59 years, male 19.5
GTEX-14C5O-0326-SM-5ZZUX 60-69 years, male 19.5
GTEX-ZAB4-2126-SM-5HL8U 40-49 years, male 19.5
GTEX-1H1DE-1326-SM-9KNUG 20-29 years, male 19.5
GTEX-13X6K-0626-SM-5LU5D 60-69 years, female 19.4
GTEX-14PHY-1226-SM-5ZZWK 60-69 years, female 19.4
GTEX-18QFQ-1826-SM-72D52 30-39 years, male 19.2
GTEX-1PPH8-0126-SM-EWRN8 20-29 years, male 19.2
GTEX-1HSMP-0926-SM-A9SKX 70-79 years, male 19.1
GTEX-16MT8-2926-SM-7DUFO 60-69 years, female 19.0
GTEX-ZTTD-2826-SM-4YCFA 50-59 years, male 19.0
GTEX-1OJC3-1226-SM-DTXER 20-29 years, male 19.0
GTEX-ZF3C-0626-SM-DO92O 50-59 years, female 19.0
GTEX-13OVG-1626-SM-5J1NF 60-69 years, male 18.9
GTEX-1K2DA-1026-SM-CGQGF 50-59 years, male 18.9
GTEX-11LCK-2226-SM-5HL4Q 30-39 years, male 18.8
GTEX-16BQI-1326-SM-6M486 30-39 years, female 18.8
GTEX-13IVO-0726-SM-5LZYV 70-79 years, male 18.7
GTEX-WHSB-1326-SM-3LK6W 50-59 years, male 18.7
GTEX-XBEW-1126-SM-4QARW 40-49 years, male 18.7
GTEX-ZYVF-0926-SM-5E44J 50-59 years, female 18.7
GTEX-WHWD-1826-SM-3LK6I 50-59 years, male 18.6
GTEX-1E2YA-2126-SM-7MXUO 50-59 years, male 18.6
GTEX-1GMR8-0626-SM-7RHI7 50-59 years, female 18.5
GTEX-1GZ4H-0526-SM-9KNU9 50-59 years, female 18.5
GTEX-15G1A-1626-SM-7KUKN 30-39 years, male 18.4
GTEX-WFG7-2026-SM-5SI7P 20-29 years, male 18.4
GTEX-XYKS-1426-SM-4BRUO 60-69 years, female 18.3
GTEX-1K2DU-1226-SM-CYPT4 20-29 years, male 18.3
GTEX-1KAFJ-0126-SM-DIPEK 50-59 years, male 18.3
GTEX-1R46S-2426-SM-E76QA 60-69 years, female 18.3
GTEX-X5EB-1926-SM-4E3IW 40-49 years, male 18.2
GTEX-1I1GS-2626-SM-B2LY3 60-69 years, male 18.2
GTEX-14XAO-1226-SM-6EU1C 60-69 years, female 17.9
GTEX-XMD2-2126-SM-4YCF8 60-69 years, female 17.9
GTEX-1JKYR-0626-SM-ARL8R 20-29 years, male 17.8
GTEX-ZF29-0926-SM-4WKFZ 60-69 years, female 17.7
GTEX-1H3VE-0726-SM-9YFL5 40-49 years, male 17.7
GTEX-1HCU7-0726-SM-A9SL1 50-59 years, male 17.7
GTEX-WXYG-2026-SM-4E3IY 50-59 years, female 17.6
GTEX-14PJO-2526-SM-6AJBQ 60-69 years, male 17.5
GTEX-1MCYP-0526-SM-E9U6Q 20-29 years, female 17.5
GTEX-16NGA-0726-SM-731AO 40-49 years, female 17.3
GTEX-17F9Y-0126-SM-79OKX 70-79 years, female 17.3
GTEX-17HII-1426-SM-7EPGG 50-59 years, male 17.3
GTEX-139T8-0626-SM-5KLZX 60-69 years, male 17.2
GTEX-14C39-1726-SM-5RQIL 40-49 years, male 17.2
GTEX-15EU6-2226-SM-6EU2L 50-59 years, male 17.2
GTEX-1F5PK-2226-SM-7SB6N 50-59 years, male 17.2
GTEX-1ICLZ-0326-SM-ARL82 60-69 years, male 17.1
GTEX-WEY5-2326-SM-3GIKK 40-49 years, female 17.0
GTEX-ZPIC-0526-SM-DO91W 40-49 years, female 16.9
GTEX-13FTW-0326-SM-5K7UW 40-49 years, male 16.8
GTEX-YEC4-1826-SM-4W1YP 40-49 years, male 16.8
GTEX-1CAMS-2226-SM-7PBXQ 40-49 years, female 16.8
GTEX-1PPH7-1126-SM-DTX9A 40-49 years, male 16.8
GTEX-X3Y1-2026-SM-3P5YM 40-49 years, male 16.6
GTEX-1JJ6O-2726-SM-CNPOG 60-69 years, male 16.6
GTEX-1QP9N-1226-SM-E76QN 30-39 years, male 16.6
GTEX-11VI4-1126-SM-5EQMD 40-49 years, female 16.5
GTEX-139TU-0726-SM-5L3EK 60-69 years, male 16.5
GTEX-14PII-0726-SM-6EU2B 60-69 years, male 16.5
GTEX-X4EO-2926-SM-4E3JH 60-69 years, female 16.5
GTEX-1H1DF-1126-SM-9WG7G 40-49 years, female 16.5
GTEX-1IKJJ-2226-SM-CJI4C 60-69 years, male 16.3
GTEX-139UW-0326-SM-5J1ML 60-69 years, male 16.2
GTEX-15EO6-2426-SM-6PALZ 50-59 years, male 16.2
GTEX-XXEK-1626-SM-4BRUZ 50-59 years, male 16.2
GTEX-13FTX-1526-SM-5K7VJ 20-29 years, female 16.0
GTEX-1C6VQ-1226-SM-73KYD 50-59 years, male 16.0
GTEX-ZTX8-1326-SM-4YCEL 20-29 years, male 16.0
GTEX-1S82P-2126-SM-E6CI5 60-69 years, female 16.0
GTEX-1399Q-2326-SM-5KM2X 40-49 years, male 15.9
GTEX-13FHO-0426-SM-5L3F5 60-69 years, male 15.9
GTEX-1H2FU-0926-SM-9WPPT 60-69 years, female 15.9
GTEX-1HR9M-2226-SM-CNPPY 60-69 years, male 15.9
GTEX-1JJE9-2626-SM-ARZMT 70-79 years, male 15.8
GTEX-1NSGN-0726-SM-DTXEF 50-59 years, male 15.8
GTEX-1F52S-2926-SM-7MKGA 60-69 years, female 15.7
GTEX-1OJC4-2726-SM-E76PJ 50-59 years, female 15.7
GTEX-139D8-1126-SM-5LU8W 30-39 years, female 15.6
GTEX-14PJ4-0226-SM-5YY92 60-69 years, male 15.6
GTEX-1JMQI-1726-SM-ARL93 50-59 years, male 15.6
GTEX-13YAN-0226-SM-5TDC6 60-69 years, male 15.5
GTEX-15G19-2426-SM-7KUMR 60-69 years, male 15.5
GTEX-1C2JI-1026-SM-73KY1 50-59 years, male 15.5
GTEX-ZC5H-1526-SM-5HL9Y 40-49 years, female 15.5
GTEX-1CB4J-1326-SM-7P8RX 60-69 years, male 15.5
GTEX-1H1DG-2426-SM-9QEHJ 70-79 years, male 15.5
GTEX-1211K-1526-SM-5FQU4 60-69 years, female 15.3
GTEX-1HBPM-0726-SM-9YFL7 60-69 years, female 15.3
GTEX-1S3DN-2126-SM-E9TIN 50-59 years, male 15.3
GTEX-11DXZ-2026-SM-5987S 50-59 years, male 15.2
GTEX-ZA64-1026-SM-5HL8R 20-29 years, male 15.2
GTEX-13PDP-0726-SM-5L3HP 60-69 years, male 15.1
GTEX-14PJ6-2626-SM-6EU2T 60-69 years, female 15.1
GTEX-1R7EU-1626-SM-DTXG3 60-69 years, male 15.1
GTEX-15RIE-1926-SM-7KUKJ 60-69 years, male 15.0
GTEX-1GN1W-2426-SM-9KNUU 50-59 years, female 15.0
GTEX-1A8G7-1326-SM-73KVM 60-69 years, male 14.9
GTEX-1QCLY-0226-SM-EWRNH 30-39 years, male 14.9
GTEX-13X6I-1826-SM-5SIAO 60-69 years, male 14.8
GTEX-ZVZP-1226-SM-5GID7 50-59 years, male 14.8
GTEX-16MTA-0926-SM-6M47Z 50-59 years, male 14.7
GTEX-1AX9I-2226-SM-73KUO 60-69 years, male 14.7
GTEX-1HSGN-0826-SM-ACKW3 40-49 years, female 14.7
GTEX-14C38-0726-SM-5SI6M 50-59 years, male 14.6
GTEX-14E1K-2026-SM-7DUEI 50-59 years, male 14.6
GTEX-1GN73-0726-SM-7P8TJ 60-69 years, male 14.6
GTEX-131XF-2626-SM-5EQ6K 60-69 years, male 14.5
GTEX-16MT9-0126-SM-7EPI8 60-69 years, female 14.5
GTEX-1CB4E-0926-SM-7EPHT 60-69 years, male 14.5
GTEX-131XH-0126-SM-5LZUY 50-59 years, male 14.4
GTEX-1HFI7-2326-SM-CGQFS 50-59 years, female 14.4
GTEX-12WSJ-1126-SM-5LZVJ 40-49 years, female 14.3
GTEX-14BMV-2826-SM-5TDED 50-59 years, male 14.3
GTEX-14E6E-0526-SM-793DN 30-39 years, male 14.3
GTEX-1ICG6-1226-SM-A9SLN 70-79 years, female 14.3
GTEX-111CU-1126-SM-5EGIM 50-59 years, male 14.2
GTEX-1B996-0426-SM-7EWF8 60-69 years, male 14.2
GTEX-ZYW4-0626-SM-59HJR 60-69 years, male 14.2
GTEX-1GF9X-1326-SM-7PC2Y 40-49 years, female 14.2
GTEX-1HKZK-0726-SM-ACKW2 40-49 years, male 14.2
GTEX-1NV5F-0626-SM-DTXEG 60-69 years, female 14.2
GTEX-13D11-0926-SM-5J2NC 50-59 years, female 14.0
GTEX-13PVR-0426-SM-5RQK2 60-69 years, female 14.0
GTEX-1I1GU-0926-SM-ACKVS 40-49 years, male 14.0
GTEX-1KXAM-1626-SM-D3LAD 60-69 years, male 14.0
GTEX-13OVK-1426-SM-6PAN7 40-49 years, male 13.9
GTEX-145MH-2826-SM-5RQJF 50-59 years, male 13.8
GTEX-17EVP-2626-SM-7IGMA 40-49 years, male 13.8
GTEX-1GMR2-0826-SM-7PC3V 50-59 years, male 13.8
GTEX-1GMRU-2126-SM-7P8RA 50-59 years, male 13.8
GTEX-1JJEA-1826-SM-ARU8P 60-69 years, male 13.8
GTEX-1PIGE-1826-SM-E8VOU 20-29 years, male 13.8
GTEX-13JVG-0726-SM-5KM16 60-69 years, male 13.7
GTEX-15SKB-2826-SM-6PAMH 60-69 years, male 13.7
GTEX-13W3W-0726-SM-5IJDQ 60-69 years, female 13.6
GTEX-145LT-0526-SM-5LUB2 40-49 years, male 13.6
GTEX-18A67-1626-SM-7LT9T 50-59 years, male 13.6
GTEX-1RAZQ-1326-SM-E9TK6 30-39 years, male 13.6
GTEX-12WSD-0626-SM-5GCMW 60-69 years, female 13.5
GTEX-13PL6-1126-SM-5L3IE 40-49 years, female 13.5
GTEX-17KNJ-2126-SM-718AM 50-59 years, male 13.5
GTEX-1C475-1326-SM-7SB73 40-49 years, female 13.5
GTEX-111YS-1526-SM-5GZYW 60-69 years, male 13.4
GTEX-12WSA-0426-SM-5EQ5X 60-69 years, male 13.4
GTEX-1399U-1126-SM-5L3DB 50-59 years, female 13.4
GTEX-147GR-2426-SM-5ZZWQ 60-69 years, male 13.4
GTEX-14PHX-2226-SM-6EU2P 50-59 years, male 13.4
GTEX-Y111-0626-SM-4SOIT 50-59 years, male 13.4
GTEX-11P82-1426-SM-DTXFY 20-29 years, male 13.4
GTEX-1A8FM-0626-SM-7PC25 50-59 years, female 13.4
GTEX-1GN2E-0226-SM-9WG6K 60-69 years, male 13.4
GTEX-1HFI6-0126-SM-CNPPI 40-49 years, male 13.4
GTEX-13PVQ-0626-SM-5LU47 50-59 years, male 13.3
GTEX-14LLW-2626-SM-62LDZ 70-79 years, female 13.3
GTEX-1122O-1026-SM-9WYSF 60-69 years, female 13.3
GTEX-1HCVE-2726-SM-CL54F 50-59 years, male 13.3
GTEX-13VXU-0626-SM-5L3F9 50-59 years, male 13.2
GTEX-ZDTS-0826-SM-4WKHL 60-69 years, male 13.2
GTEX-1C6VR-0126-SM-7RHGB 60-69 years, male 13.2
GTEX-1CAMQ-1326-SM-7P8RV 40-49 years, male 13.2
GTEX-1IDJU-1726-SM-CMKHU 60-69 years, female 13.2
GTEX-1PBJJ-1026-SM-E76OS 30-39 years, male 13.2
GTEX-YEC3-1326-SM-DO92X 50-59 years, male 13.2
GTEX-12WSK-2126-SM-5CVNC 40-49 years, female 13.1
GTEX-145MI-0626-SM-5SI8S 60-69 years, female 13.1
GTEX-14LZ3-0126-SM-69LPM 60-69 years, female 13.1
GTEX-15CHC-1126-SM-6LLHQ 60-69 years, female 13.1
GTEX-1CB4H-1126-SM-7MKGL 60-69 years, female 13.1
GTEX-ZXG5-2126-SM-59HKD 60-69 years, male 13.1
GTEX-1JMPY-0226-SM-CKZOK 30-39 years, male 13.1
GTEX-11OF3-0126-SM-5PNYF 60-69 years, male 13.0
GTEX-14PKU-0126-SM-6LLHV 40-49 years, female 13.0
GTEX-1H1E6-0426-SM-9WYUS 30-39 years, male 13.0
GTEX-1QW4Y-1126-SM-DTXE3 30-39 years, male 13.0
GTEX-132AR-0326-SM-5KM2C 50-59 years, female 12.9
GTEX-13N11-2326-SM-5IJBF 50-59 years, female 12.9
GTEX-13NZ8-1226-SM-5KM4A 60-69 years, female 12.9
GTEX-17MF6-2626-SM-79OKQ 40-49 years, male 12.9
GTEX-1LSNL-2726-SM-E9TKJ 50-59 years, male 12.9
GTEX-145MN-1526-SM-5SI9T 30-39 years, male 12.8
GTEX-ZE7O-2726-SM-51MT5 50-59 years, female 12.8
GTEX-1IDJI-0126-SM-CMKHS 50-59 years, female 12.8
GTEX-14AS3-1526-SM-5Q5ED 40-49 years, female 12.7
GTEX-17F98-1326-SM-7DUEP 40-49 years, female 12.7
GTEX-ZYT6-2326-SM-5GZY3 30-39 years, male 12.7
GTEX-1CB4I-0126-SM-7RHGG 50-59 years, male 12.7
GTEX-11P7K-1126-SM-5HL4L 30-39 years, male 12.6
GTEX-13QBU-1226-SM-5LU4G 40-49 years, female 12.6
GTEX-1JMPZ-0726-SM-CY8HZ 30-39 years, male 12.6
GTEX-1MJK3-0726-SM-E6CJC 20-29 years, male 12.6
GTEX-18D9U-0126-SM-731BM 40-49 years, male 12.5
GTEX-1GF9V-0826-SM-9KNUV 60-69 years, male 12.5
GTEX-1GN1U-0626-SM-9MQL9 50-59 years, female 12.5
GTEX-17F9E-2326-SM-79OKD 50-59 years, male 12.4
GTEX-ZVT4-2426-SM-5GIEI 50-59 years, female 12.4
GTEX-ZY6K-1426-SM-5GZX2 50-59 years, male 12.4
GTEX-1JN6P-2926-SM-CL54D 60-69 years, male 12.4
GTEX-1269C-0126-SM-5EQ5L 60-69 years, female 12.3
GTEX-14ICL-1626-SM-5YYAO 30-39 years, male 12.3
GTEX-ZT9X-1526-SM-5DUXD 40-49 years, male 12.3
GTEX-1I6K7-1926-SM-B2LXR 40-49 years, male 12.3
GTEX-1R9PN-0426-SM-DTXDT 40-49 years, female 12.3
GTEX-13U4I-2226-SM-5LU5H 40-49 years, female 12.2
GTEX-1J8EW-2726-SM-CY8HR 60-69 years, female 12.2
GTEX-12KS4-2126-SM-5FQUT 30-39 years, male 12.1
GTEX-17HHE-1326-SM-7EWDZ 50-59 years, male 12.1
GTEX-17MFQ-1526-SM-7KFRR 20-29 years, male 12.1
GTEX-1S5ZU-2526-SM-E6CIF 20-29 years, female 12.1
GTEX-111VG-1626-SM-5EGIO 60-69 years, male 12.0
GTEX-13O3Q-0126-SM-5KM34 50-59 years, male 12.0
GTEX-W5X1-2526-SM-3GILC 40-49 years, female 12.0
GTEX-1F48J-0726-SM-7RHGS 50-59 years, female 12.0
GTEX-1RLM8-2926-SM-E8VON 50-59 years, male 12.0
GTEX-1313W-0626-SM-5EQ4H 50-59 years, female 11.9
GTEX-13O3O-2326-SM-5IJD6 60-69 years, female 11.9
GTEX-147F3-1726-SM-5SIAW 50-59 years, female 11.9
GTEX-1497J-0226-SM-5QGPU 60-69 years, male 11.9
GTEX-XUW1-0926-SM-4BONX 50-59 years, female 11.9
GTEX-ZPU1-1126-SM-4YCF3 40-49 years, male 11.9
GTEX-ZWKS-0626-SM-5GIDV 30-39 years, male 11.9
GTEX-1HB9E-0126-SM-CM2S5 50-59 years, male 11.9
GTEX-1J1R8-2026-SM-CL53Y 40-49 years, male 11.9
GTEX-1J8Q2-2626-SM-ACKWQ 60-69 years, male 11.9
GTEX-14BIN-1126-SM-5RQJZ 50-59 years, female 11.8
GTEX-16NPX-0726-SM-7KULC 50-59 years, male 11.8
GTEX-ZZ64-1026-SM-5GZXG 20-29 years, male 11.8
GTEX-1F75B-0726-SM-7PC3R 50-59 years, male 11.8
GTEX-Y5V5-0126-SM-5S2NW 60-69 years, female 11.7
GTEX-1GN1V-2826-SM-9JGIA 60-69 years, male 11.7
GTEX-1GZ4I-2626-SM-9KNU3 50-59 years, male 11.7
GTEX-1117F-2926-SM-5GZYI 60-69 years, female 11.6
GTEX-11DYG-1526-SM-5A5JS 60-69 years, male 11.6
GTEX-16AAH-0626-SM-793C9 50-59 years, male 11.6
GTEX-178AV-1726-SM-7KUL8 40-49 years, male 11.6
GTEX-1B932-2326-SM-79OL5 40-49 years, female 11.6
GTEX-Y8E4-2026-SM-5IFJB 40-49 years, male 11.6
GTEX-1LSVX-2526-SM-DIPEU 60-69 years, male 11.6
GTEX-13112-0126-SM-5P9IU 50-59 years, male 11.5
GTEX-1GPI7-1826-SM-9KNU1 20-29 years, male 11.5
GTEX-1R9PM-1926-SM-EVR3O 20-29 years, male 11.5
GTEX-13NYB-0126-SM-5J1MD 40-49 years, male 11.4
GTEX-15CHR-1126-SM-7EWF4 50-59 years, male 11.4
GTEX-1A8G6-2726-SM-731AR 60-69 years, male 11.4
GTEX-Y9LG-1126-SM-4VBQ7 30-39 years, male 11.4
GTEX-1I1GT-1026-SM-ARZLV 60-69 years, female 11.4
GTEX-1JMOU-1026-SM-CYPSS 60-69 years, female 11.4
GTEX-1LVAN-0626-SM-CNPOQ 50-59 years, female 11.4
GTEX-1R9K4-2826-SM-DTX8F 60-69 years, male 11.4
GTEX-14PJN-1826-SM-6AJ98 30-39 years, male 11.3
GTEX-15DYW-2726-SM-6EU2I 60-69 years, female 11.3
GTEX-XQ8I-0926-SM-4BOOF 50-59 years, male 11.3
GTEX-ZLFU-1826-SM-4WWBV 40-49 years, male 11.3
GTEX-ZLWG-0826-SM-59888 50-59 years, female 11.3
GTEX-1GPI6-1926-SM-9KNV7 60-69 years, male 11.3
GTEX-12ZZZ-0726-SM-5GCNZ 60-69 years, male 11.2
GTEX-139YR-1026-SM-5LZYN 50-59 years, male 11.2
GTEX-13OW5-2326-SM-5L3HO 60-69 years, male 11.2
GTEX-1BAJH-2426-SM-7IGP8 70-79 years, male 11.2
GTEX-1I4MK-0126-SM-CY8G6 50-59 years, female 11.2
GTEX-12WSM-1926-SM-5BC65 60-69 years, male 11.1
GTEX-14PKV-1126-SM-6LLJ1 20-29 years, female 11.1
GTEX-XPVG-2126-SM-4B667 50-59 years, male 11.1
GTEX-1K9T9-1526-SM-DIPFR 50-59 years, female 11.1
GTEX-1477Z-0326-SM-7IGLA 60-69 years, male 11.0
GTEX-15SHW-0226-SM-7LTAT 60-69 years, male 11.0
GTEX-WY7C-2126-SM-3NB2R 50-59 years, male 11.0
GTEX-1IE54-1126-SM-A9G2Z 40-49 years, female 11.0
GTEX-1192X-2726-SM-5N9DN 50-59 years, male 10.9
GTEX-13FLV-0126-SM-5K7WT 50-59 years, male 10.9
GTEX-14753-0726-SM-5QGQO 60-69 years, male 10.9
GTEX-1HR98-2226-SM-ADEI2 60-69 years, male 10.9
GTEX-1JMQL-2226-SM-CNPP4 50-59 years, female 10.9
GTEX-1PDJ9-1226-SM-EXUSX 20-29 years, male 10.9
GTEX-1S83E-1326-SM-E6CJM 40-49 years, male 10.9
GTEX-11P81-2226-SM-5PNYI 30-39 years, female 10.8
GTEX-1B8KZ-0326-SM-73KY4 50-59 years, male 10.8
GTEX-1B8SF-0126-SM-7DUG3 60-69 years, male 10.8
GTEX-1GMR3-0126-SM-A9SLW 40-49 years, male 10.8
GTEX-1H23P-0626-SM-9WG6T 60-69 years, male 10.8
GTEX-1IOXB-2726-SM-CM2RI 50-59 years, male 10.8
GTEX-1LG7Y-2526-SM-EWRO7 50-59 years, male 10.8
GTEX-13SLX-2226-SM-62LEP 50-59 years, female 10.7
GTEX-XQ3S-1426-SM-4BOPR 20-29 years, male 10.7
GTEX-1H4P4-2126-SM-9WYSL 50-59 years, male 10.7
GTEX-11WQC-1826-SM-5GU59 60-69 years, male 10.6
GTEX-14B4R-1326-SM-5Q5EZ 30-39 years, male 10.6
GTEX-ZDTT-0426-SM-4WKFL 60-69 years, male 10.6
GTEX-ZE9C-2526-SM-5IJDR 60-69 years, male 10.6
GTEX-1HCU6-2526-SM-ADEHL 60-69 years, female 10.6
GTEX-13O61-1426-SM-5KM3D 60-69 years, male 10.5
GTEX-147JS-0226-SM-5S2U9 60-69 years, male 10.5
GTEX-15FZZ-0526-SM-7KUGD 30-39 years, female 10.5
GTEX-17HGU-2326-SM-7DUFE 50-59 years, male 10.5
GTEX-1A3MW-0626-SM-731CB 60-69 years, female 10.5
GTEX-1CAMR-1326-SM-7PC1F 20-29 years, male 10.5
GTEX-1GL5R-1326-SM-7RHHF 50-59 years, male 10.5
GTEX-1GTWX-2026-SM-9YFLM 60-69 years, male 10.5
GTEX-1H11D-1826-SM-9QEHM 40-49 years, male 10.5
GTEX-1N5O9-0926-SM-E9J3C 60-69 years, male 10.5
GTEX-YECK-0326-SM-4W1YS 60-69 years, male 10.4
GTEX-ZDYS-2426-SM-4WKGI 50-59 years, male 10.4
GTEX-ZYFC-0426-SM-5GICQ 50-59 years, male 10.4
GTEX-1AYD5-2626-SM-7PBXY 50-59 years, male 10.4
GTEX-1J8Q3-0526-SM-ARL8U 60-69 years, male 10.4
GTEX-1POEN-2326-SM-E9J2L 30-39 years, female 10.4
GTEX-11NSD-0626-SM-5A5LU 20-29 years, male 10.3
GTEX-11TUW-0626-SM-5LU9M 60-69 years, male 10.3
GTEX-1IL2V-1926-SM-B2LW8 70-79 years, male 10.3
GTEX-139TT-2126-SM-5LZWC 60-69 years, male 10.2
GTEX-13NYC-0126-SM-5L3F4 60-69 years, male 10.2
GTEX-145LU-1926-SM-79OJN 50-59 years, male 10.2
GTEX-Y8LW-1526-SM-5IFHL 50-59 years, female 10.2
GTEX-1F6IF-0926-SM-7SB7M 60-69 years, male 10.2
GTEX-1KD5A-0126-SM-E9U54 50-59 years, male 10.2
GTEX-1LSNM-0826-SM-DIPG8 50-59 years, male 10.2
GTEX-147F4-0726-SM-5TDDD 50-59 years, male 10.1
GTEX-1AMFI-1326-SM-7939R 50-59 years, female 10.1
GTEX-XBEC-0726-SM-4QARZ 50-59 years, male 10.1
GTEX-1I6K6-1726-SM-CGQFD 30-39 years, male 10.1
GTEX-1QCLZ-2426-SM-EVYBW 60-69 years, female 10.1
GTEX-14DAQ-0626-SM-793DS 60-69 years, female 10.0
GTEX-ZP4G-1426-SM-4WWCL 20-29 years, female 10.0
GTEX-ZPCL-1126-SM-4WWFE 60-69 years, female 10.0
GTEX-1C64O-1326-SM-7MGWR 60-69 years, male 10.0
GTEX-12WSH-1526-SM-5BC5W 50-59 years, male 9.9
GTEX-13N2G-0226-SM-5K7VF 60-69 years, male 9.9
GTEX-UPJH-0226-SM-3GADV 50-59 years, male 9.9
GTEX-Z93S-1626-SM-5CVMB 50-59 years, male 9.9
GTEX-11EQ8-0926-SM-5H12V 60-69 years, male 9.8
GTEX-WK11-2726-SM-3NMAQ 50-59 years, male 9.8
GTEX-1KANC-1226-SM-CYPT7 50-59 years, female 9.8
GTEX-1LGOU-1326-SM-D3L8M 20-29 years, female 9.8
GTEX-148VJ-0626-SM-5LUAW 70-79 years, male 9.7
GTEX-14A5H-0826-SM-5QGPJ 60-69 years, male 9.7
GTEX-16XZZ-0726-SM-7KUF2 60-69 years, male 9.7
GTEX-1E1VI-0326-SM-793D1 50-59 years, male 9.7
GTEX-1B8L1-2226-SM-7P8PT 60-69 years, male 9.7
GTEX-1JMQJ-0826-SM-CNPP7 50-59 years, male 9.7
GTEX-11GSP-2326-SM-5HL63 60-69 years, female 9.6
GTEX-13FTY-2126-SM-5IFFB 40-49 years, female 9.6
GTEX-13N1W-2426-SM-5IJD1 70-79 years, male 9.6
GTEX-18A66-0626-SM-7LT8Z 60-69 years, male 9.6
GTEX-1AMEY-0826-SM-72D65 30-39 years, female 9.6
GTEX-1C6WA-2626-SM-7MKGM 60-69 years, male 9.6
GTEX-1CB4F-1026-SM-7DUH1 60-69 years, male 9.6
GTEX-Y5LM-0926-SM-6LLJG 40-49 years, female 9.6
GTEX-1A3MX-2626-SM-7PC24 60-69 years, male 9.6
GTEX-ZLV1-1526-SM-DO91J 60-69 years, female 9.6
GTEX-YB5K-2026-SM-4VDT3 40-49 years, female 9.5
GTEX-1QAET-0326-SM-EVR3U 50-59 years, male 9.5
GTEX-145ME-1726-SM-5Q5EU 40-49 years, female 9.4
GTEX-12ZZY-0726-SM-5EQ66 60-69 years, male 9.3
GTEX-145LS-0626-SM-7EPG7 60-69 years, female 9.3
GTEX-14ABY-2026-SM-62LDL 50-59 years, male 9.3
GTEX-1EMGI-2326-SM-7PBYA 60-69 years, male 9.3
GTEX-1F88E-1626-SM-7SB8Z 60-69 years, female 9.3
GTEX-1I1CD-0626-SM-CE6SW 60-69 years, female 9.3
GTEX-11TT1-1826-SM-5EQLV 20-29 years, male 9.2
GTEX-11ZUS-2626-SM-5FQUR 30-39 years, male 9.2
GTEX-13OW7-0426-SM-5K7VK 50-59 years, male 9.2
GTEX-14BMU-1226-SM-5S2OR 20-29 years, female 9.2
GTEX-1B933-2426-SM-7DHMD 50-59 years, female 9.2
GTEX-1EU9M-1426-SM-793AI 60-69 years, male 9.2
GTEX-WYBS-0626-SM-3NMAS 60-69 years, female 9.2
GTEX-ZVP2-0326-SM-57WBP 50-59 years, male 9.2
GTEX-ZVT2-0126-SM-5GIDQ 50-59 years, female 9.2
GTEX-14JFF-0626-SM-5ZZVT 60-69 years, male 9.2
GTEX-1RAZS-2526-SM-E6CHT 50-59 years, male 9.2
GTEX-13OW6-2726-SM-5J2OE 50-59 years, male 9.1
GTEX-1A3MV-1826-SM-731CD 30-39 years, male 9.1
GTEX-VUSG-2326-SM-4KL1U 50-59 years, male 9.1
GTEX-11UD2-2526-SM-5CVNU 50-59 years, male 9.0
GTEX-13G51-1826-SM-5KLZH 60-69 years, male 9.0
GTEX-14DAR-1226-SM-73KYV 50-59 years, male 9.0
GTEX-18A7A-0126-SM-731AH 50-59 years, female 9.0
GTEX-X4EP-0626-SM-3P621 60-69 years, female 9.0
GTEX-Y3IK-1626-SM-4YCF5 50-59 years, female 9.0
GTEX-11GS4-0226-SM-5HL77 60-69 years, male 8.9
GTEX-12584-0726-SM-5FQTK 40-49 years, male 8.9
GTEX-15CHQ-0326-SM-69LQD 60-69 years, male 8.9
GTEX-1AX8Z-0726-SM-73KTS 60-69 years, male 8.9
GTEX-1PPGY-1626-SM-EVYBL 60-69 years, male 8.9
GTEX-15ER7-0626-SM-6PANF 20-29 years, female 8.8
GTEX-WHPG-2626-SM-3NMBR 50-59 years, male 8.8
GTEX-ZAK1-0626-SM-5HL8E 50-59 years, female 8.8
GTEX-1HBPI-2126-SM-ARL9K 50-59 years, male 8.8
GTEX-1LGRB-0926-SM-COH3K 50-59 years, female 8.8
GTEX-146FQ-2126-SM-5RQHU 30-39 years, male 8.7
GTEX-WI4N-2726-SM-3LK7Y 40-49 years, female 8.7
GTEX-ZTSS-1426-SM-5985P 40-49 years, male 8.7
GTEX-1F5PL-0926-SM-7PC2W 40-49 years, female 8.7
GTEX-1GZHY-0626-SM-9KNVC 50-59 years, female 8.7
GTEX-1HSMO-0626-SM-ACKXC 60-69 years, male 8.7
GTEX-1212Z-0126-SM-59HK4 60-69 years, male 8.6
GTEX-1EWIQ-0326-SM-7DHMQ 70-79 years, female 8.6
GTEX-18D9A-1426-SM-7LT8M 30-39 years, female 8.6
GTEX-1C64N-2626-SM-7PC2N 50-59 years, male 8.6
GTEX-1QMI2-2526-SM-E8VNZ 60-69 years, male 8.6
GTEX-1EKGG-0626-SM-7DUGJ 60-69 years, male 8.5
GTEX-1GZ2Q-0126-SM-9WG6M 40-49 years, male 8.5
GTEX-1KWVE-1026-SM-D3L9O 30-39 years, male 8.5
GTEX-13113-1626-SM-5EQ4I 60-69 years, female 8.4
GTEX-1F75A-0726-SM-7RHHD 50-59 years, male 8.4
GTEX-1LB8K-0726-SM-D5OV2 50-59 years, male 8.4
GTEX-1HT8W-0626-SM-A9G2H 30-39 years, male 8.3
GTEX-1I1GP-1326-SM-A9G28 50-59 years, male 8.3
GTEX-15RJ7-2126-SM-6PAMD 40-49 years, male 8.2
GTEX-ZVE2-2826-SM-5GU51 50-59 years, male 8.2
GTEX-1IDJD-2326-SM-ACKWX 30-39 years, male 8.2
GTEX-1N2EE-0626-SM-E76PW 60-69 years, male 8.2
GTEX-1RAZA-2226-SM-E9U4X 20-29 years, male 8.2
GTEX-117YX-1926-SM-5GIEC 50-59 years, male 8.1
GTEX-11NUK-2726-SM-5A5MC 50-59 years, male 8.1
GTEX-13X6J-0626-SM-5LU5F 50-59 years, male 8.1
GTEX-144GL-0626-SM-5LU4D 50-59 years, male 8.1
GTEX-18465-2826-SM-7LT9J 50-59 years, male 8.1
GTEX-1EX96-1026-SM-7MKG2 50-59 years, male 8.1
GTEX-WH7G-2026-SM-3NMBL 40-49 years, male 8.1
GTEX-1GF9W-1426-SM-7PBYM 60-69 years, male 8.1
GTEX-1I1HK-2326-SM-CKZOH 60-69 years, male 8.1
GTEX-12126-0826-SM-5FQTZ 20-29 years, male 8.0
GTEX-13JUV-2026-SM-5K7UA 40-49 years, female 8.0
GTEX-16Z82-2626-SM-7KULU 60-69 years, male 8.0
GTEX-13OVL-0126-SM-5L3GJ 50-59 years, male 7.9
GTEX-18D9B-0926-SM-7LG4U 60-69 years, male 7.9
GTEX-1EN7A-2426-SM-793DB 40-49 years, male 7.9
GTEX-WHSE-0126-SM-3NMBT 20-29 years, male 7.9
GTEX-1HUB1-1426-SM-CGQF5 60-69 years, male 7.9
GTEX-1LVA9-2626-SM-EVYD4 50-59 years, male 7.9
GTEX-11EQ9-1626-SM-5PNY8 30-39 years, male 7.8
GTEX-131XW-0626-SM-5PNVD 50-59 years, female 7.8
GTEX-144GM-0526-SM-79OJO 20-29 years, male 7.8
GTEX-14A6H-2026-SM-5Q5DD 30-39 years, male 7.8
GTEX-17HG3-2626-SM-7DUF2 30-39 years, female 7.8
GTEX-1F75I-2226-SM-7SB8U 40-49 years, male 7.8
GTEX-1I19N-0126-SM-CYPSF 70-79 years, male 7.8
GTEX-18A6Q-0626-SM-7KFRP 60-69 years, male 7.7
GTEX-14JG6-1426-SM-9WG7C 30-39 years, female 7.7
GTEX-12WSF-1626-SM-7KUG5 70-79 years, male 7.6
GTEX-1IDJF-2026-SM-CL53V 20-29 years, male 7.6
GTEX-1LBAC-0826-SM-CY8IJ 20-29 years, male 7.6
GTEX-12ZZX-2426-SM-5GCOE 40-49 years, female 7.5
GTEX-16YQH-2226-SM-7IGM2 30-39 years, male 7.5
GTEX-ZYFG-1526-SM-5GZYM 60-69 years, female 7.5
GTEX-1F6I4-2326-SM-7RHGL 60-69 years, male 7.5
GTEX-1IDJC-1526-SM-B2LW4 50-59 years, male 7.5
GTEX-145MF-0926-SM-5Q5EA 50-59 years, male 7.4
GTEX-183FY-1026-SM-7939A 20-29 years, male 7.4
GTEX-1B97I-0626-SM-73KUZ 40-49 years, male 7.4
GTEX-WYJK-0526-SM-3NM8Z 50-59 years, male 7.4
GTEX-1HCU9-0426-SM-9WYSD 20-29 years, male 7.4
GTEX-1ICLY-0826-SM-CMKG1 50-59 years, male 7.4
GTEX-1IDFM-0326-SM-ARL7V 60-69 years, male 7.3
GTEX-12WSL-2026-SM-5GCML 50-59 years, male 7.2
GTEX-13OW8-1026-SM-5J1NQ 60-69 years, male 7.2
GTEX-13FH7-1126-SM-5K7UG 50-59 years, female 7.1
GTEX-17HHY-0426-SM-7DHLC 50-59 years, male 7.1
GTEX-XK95-0226-SM-4AT58 40-49 years, male 7.1
GTEX-1H3NZ-2726-SM-9WYTQ 60-69 years, male 7.0
GTEX-1RAZR-2126-SM-E9U6T 40-49 years, male 7.0
GTEX-WFG8-2126-SM-3GIKQ 20-29 years, male 6.9
GTEX-XBED-1926-SM-47JYP 60-69 years, male 6.9
GTEX-1M4P7-0726-SM-E6CJ3 60-69 years, male 6.8
GTEX-11EM3-1226-SM-5N9DD 20-29 years, female 6.7
GTEX-1IDJH-0126-SM-D3L92 70-79 years, male 6.7
GTEX-1KANA-1326-SM-DIPFA 20-29 years, male 6.7
GTEX-12C56-1526-SM-5FQUQ 20-29 years, male 6.6
GTEX-14JG1-1526-SM-5YY9X 40-49 years, male 6.6
GTEX-1JKYN-0826-SM-ARU8S 30-39 years, male 6.6
GTEX-1JN1M-2726-SM-CY8I4 60-69 years, female 6.6
GTEX-12BJ1-0926-SM-5EQ62 60-69 years, male 6.5
GTEX-1KANB-2826-SM-CY8I6 50-59 years, male 6.4
GTEX-WYVS-1626-SM-3NM9R 40-49 years, female 6.3
GTEX-1314G-1326-SM-5BC6E 30-39 years, male 6.2
GTEX-13OVJ-0826-SM-5J1OK 50-59 years, female 6.1
GTEX-1CAV2-0126-SM-7IGN7 40-49 years, female 6.1
GTEX-1F6RS-2026-SM-7RHHC 60-69 years, female 6.1
GTEX-1IY9M-2826-SM-ARU8H 60-69 years, male 6.1
GTEX-1LG7Z-1626-SM-CXKYR 30-39 years, male 6.1
GTEX-11DXW-0826-SM-5H118 40-49 years, male 6.0
GTEX-11DXY-0126-SM-5H11Q 60-69 years, male 6.0
GTEX-V1D1-2026-SM-3GAF4 50-59 years, male 6.0
GTEX-ZDXO-3126-SM-5IJDF 60-69 years, male 6.0
GTEX-1QEPI-2626-SM-DTXF4 60-69 years, female 6.0
GTEX-WFON-1926-SM-3LK7L 40-49 years, male 5.9
GTEX-1F88F-0126-SM-9WYSZ 60-69 years, female 5.9
GTEX-ZGAY-1826-SM-DO91Q 40-49 years, female 5.9
GTEX-11DZ1-2426-SM-5GZZX 50-59 years, male 5.8
GTEX-14PK6-0226-SM-62LF5 70-79 years, female 5.8
GTEX-ZVE1-0726-SM-51MRN 50-59 years, female 5.8
GTEX-1IDJE-1426-SM-ADEIW 50-59 years, female 5.8
GTEX-18A7B-2726-SM-7LG56 70-79 years, male 5.7
GTEX-X8HC-0626-SM-4E3HQ 50-59 years, female 5.7
GTEX-1HSKV-1226-SM-ADEI4 60-69 years, male 5.7
GTEX-13NZ9-2626-SM-5L3FK 50-59 years, male 5.6
GTEX-1H1CY-0126-SM-9YFLY 60-69 years, female 5.6
GTEX-1HC8U-1326-SM-9YFMJ 40-49 years, female 5.6
GTEX-11O72-0626-SM-5PNYE 40-49 years, male 5.5
GTEX-YJ8O-2526-SM-5HL85 40-49 years, female 5.5
GTEX-1HCUA-0826-SM-ADEHM 50-59 years, female 5.5
GTEX-ZVTK-0226-SM-51MRG 20-29 years, male 5.4
GTEX-1S831-1826-SM-EWROF 20-29 years, male 5.4
GTEX-UPK5-0426-SM-3GAEK 40-49 years, male 5.3
GTEX-145MG-1526-SM-5Q5EM 50-59 years, male 5.2
GTEX-1O9I2-0226-SM-EYYXD 50-59 years, male 5.2
GTEX-11EI6-2826-SM-5H11D 60-69 years, male 5.1
GTEX-ZAJG-1526-SM-5CVML 50-59 years, female 5.1
GTEX-ZYFD-0626-SM-5E44E 50-59 years, male 5.1
GTEX-1LVAO-2726-SM-E9TJ8 60-69 years, male 5.1
GTEX-1QP66-1226-SM-DTX7U 50-59 years, male 5.1
GTEX-145MO-2826-SM-5LU96 60-69 years, male 5.0
GTEX-1J8JJ-0626-SM-ARZMQ 60-69 years, female 5.0
GTEX-15D1Q-2826-SM-6LLH7 40-49 years, male 4.9
GTEX-1PIIG-2326-SM-DTXFR 30-39 years, male 4.9
GTEX-131YS-2826-SM-5EQ47 60-69 years, female 4.8
GTEX-WRHU-2826-SM-3MJG8 50-59 years, female 4.8
GTEX-1HCU8-2526-SM-CE6RX 60-69 years, female 4.8
GTEX-1QP29-1826-SM-DTX9S 50-59 years, male 4.8
GTEX-11WQK-1026-SM-5EQLX 50-59 years, male 4.7
GTEX-14PJ2-0626-SM-6LLII 50-59 years, male 4.7
GTEX-VJYA-1526-SM-3GIJV 60-69 years, male 4.7
GTEX-1RB15-1326-SM-E76Q9 60-69 years, male 4.7
GTEX-14E6C-2426-SM-5S2NF 40-49 years, male 4.6
GTEX-XOT4-0626-SM-4B66L 60-69 years, female 4.6
GTEX-1F75W-2726-SM-7SB8H 60-69 years, male 4.2
GTEX-ZU9S-1826-SM-5NQ9E 30-39 years, male 4.1
GTEX-U8XE-0226-SM-4E3J3 30-39 years, male 4.0
GTEX-ZT9W-1126-SM-57WDR 50-59 years, male 4.0
GTEX-ZUA1-2626-SM-5NQ92 40-49 years, male 3.9
GTEX-1I1GV-0626-SM-ARL7M 60-69 years, male 3.8
GTEX-1A32A-0626-SM-731AQ 50-59 years, female 3.7
GTEX-17JCI-2926-SM-7DUFF 60-69 years, female 3.6
GTEX-12WSC-2826-SM-5BC5Y 50-59 years, male 3.4
GTEX-111FC-2526-SM-5GZXU 60-69 years, male 2.7
GTEX-1399R-1326-SM-5PNYS 30-39 years, male 2.4
GTEX-YF7O-1526-SM-5IFI6 50-59 years, male 2.1
GTEX-1L5NE-1126-SM-D3L9P 50-59 years, male 2.0
GTEX-16GPK-0626-SM-7KFSF 60-69 years, male 1.8
GTEX-1GF9U-2026-SM-7SB92 40-49 years, female 1.3
GTEX-17EVQ-0126-SM-7IGLR 70-79 years, male 0.9
GTEX-1AX9J-1326-SM-731BJ 60-69 years, male 0.3
Show allShow less
Skin - Sun Exposed (Lower leg)
Average nTPM: 12.2
Samples: 701

Max nTPM: 40.1
Min nTPM: 0.7
Std nTPM: 5.8
Median nTPM: 11.3
GTEX-P4PP-0126-SM-3LK69 30-39 years, female 40.1
GTEX-P4QT-0126-SM-2I3FL 50-59 years, female 37.9
GTEX-1K2DA-1826-SM-CGQGT 50-59 years, male 35.7
GTEX-13YAN-0326-SM-5O9DF 60-69 years, male 32.8
GTEX-1KANC-1526-SM-D3LAB 50-59 years, female 31.7
GTEX-1H3VE-0326-SM-9YFLH 40-49 years, male 31.6
GTEX-139TS-2826-SM-5J1OO 60-69 years, male 31.5
GTEX-XUZC-1726-SM-4BRWS 30-39 years, female 29.9
GTEX-12696-2426-SM-5EQ6H 60-69 years, male 29.3
GTEX-1HSGN-0226-SM-CGQFV 40-49 years, female 28.4
GTEX-17F96-1626-SM-7DUFL 70-79 years, male 28.3
GTEX-S32W-2126-SM-2XCB1 50-59 years, female 27.4
GTEX-ZTSS-1926-SM-57WEW 40-49 years, male 26.4
GTEX-1I1GT-0626-SM-CGQER 60-69 years, female 26.0
GTEX-1QP9N-1426-SM-DTXFL 30-39 years, male 25.8
GTEX-13SLW-0126-SM-5SI6C 70-79 years, male 25.2
GTEX-15SB6-1726-SM-6PAME 50-59 years, female 24.7
GTEX-1NV5F-0226-SM-E8VNY 60-69 years, female 24.6
GTEX-OIZH-0126-SM-2HMIS 50-59 years, male 24.5
GTEX-X261-0126-SM-3NMD6 50-59 years, male 24.3
GTEX-13OVH-0126-SM-5MR4B 70-79 years, male 24.2
GTEX-1C475-1826-SM-73KWA 40-49 years, female 24.2
GTEX-1JJ6O-0126-SM-E6CI8 60-69 years, male 24.2
GTEX-18D9A-1926-SM-7LG6P 30-39 years, female 24.1
GTEX-RTLS-0126-SM-447CA 60-69 years, female 24.1
GTEX-1PPH8-0226-SM-E8VND 20-29 years, male 23.9
GTEX-ZPIC-1726-SM-DHXIU 40-49 years, female 23.8
GTEX-14PII-0226-SM-6EU1T 60-69 years, male 23.6
GTEX-1OJC3-0126-SM-E76QX 20-29 years, male 23.6
GTEX-ZQG8-1626-SM-DHXIT 60-69 years, female 23.6
GTEX-1OFPY-2426-SM-DTXEJ 60-69 years, male 23.5
GTEX-XYKS-2126-SM-4E3IB 60-69 years, female 23.3
GTEX-11EQ9-2426-SM-5HL5T 30-39 years, male 23.1
GTEX-1J1OQ-0226-SM-CYPSH 40-49 years, female 23.0
GTEX-XAJ8-0826-SM-47JY6 40-49 years, male 22.9
GTEX-X4XX-0126-SM-3NMC2 60-69 years, male 22.8
GTEX-15SHU-0126-SM-7KUEH 40-49 years, female 22.7
GTEX-1HBPN-0226-SM-9YFM1 50-59 years, male 22.7
GTEX-1S83E-0126-SM-EWRO4 40-49 years, male 22.6
GTEX-1S5ZA-0126-SM-EVYCV 20-29 years, male 22.5
GTEX-13OVK-2026-SM-7KUEO 40-49 years, male 22.4
GTEX-1S3DN-2226-SM-EVYCD 50-59 years, male 22.4
GTEX-Y5V6-2426-SM-4VDSB 60-69 years, male 22.3
GTEX-WFON-2126-SM-3LK7O 40-49 years, male 22.2
GTEX-ZGAY-0526-SM-4WWBB 40-49 years, female 22.2
GTEX-14A5I-0126-SM-5TDEA 50-59 years, female 21.9
GTEX-13IVO-0126-SM-5J1NG 70-79 years, male 21.8
GTEX-UJHI-1526-SM-3DB99 50-59 years, female 21.7
GTEX-1QAET-0926-SM-E76QM 50-59 years, male 21.6
GTEX-169BO-1326-SM-9MQK2 50-59 years, male 21.5
GTEX-131XH-2226-SM-5DUXJ 50-59 years, male 21.3
GTEX-1GL5R-1826-SM-9KNUY 50-59 years, male 21.3
GTEX-1IDJF-0126-SM-CM2RS 20-29 years, male 21.3
GTEX-131XE-2326-SM-5PNZ2 50-59 years, male 21.1
GTEX-13X6H-2126-SM-7EWD5 50-59 years, female 21.1
GTEX-1JMPZ-0226-SM-CNPP1 30-39 years, male 21.1
GTEX-1269C-2526-SM-5EGJ3 60-69 years, female 21.0
GTEX-1R7EU-0226-SM-EVR4G 60-69 years, male 21.0
GTEX-11DXZ-2326-SM-5EGGV 50-59 years, male 20.9
GTEX-ZVTK-0426-SM-51MRS 20-29 years, male 20.9
GTEX-13OVI-1426-SM-5L3EY 60-69 years, female 20.8
GTEX-TML8-1926-SM-32QOS 40-49 years, female 20.8
GTEX-1JMLX-0226-SM-CM2RO 50-59 years, male 20.7
GTEX-15RIG-0226-SM-7KFTL 40-49 years, male 20.5
GTEX-1B8KE-2126-SM-73KYX 50-59 years, male 20.4
GTEX-OXRO-0126-SM-2YUN4 60-69 years, female 20.4
GTEX-1E2YA-0126-SM-9KNUC 50-59 years, male 20.4
GTEX-145MO-0326-SM-5Q5B3 60-69 years, male 20.3
GTEX-NFK9-0226-SM-2HMKQ 40-49 years, male 20.2
GTEX-1HCU7-0226-SM-CL545 50-59 years, male 20.2
GTEX-11UD1-0126-SM-5PNYG 40-49 years, female 20.1
GTEX-W5WG-1826-SM-4KL2Y 50-59 years, female 20.1
GTEX-1L5NE-2526-SM-E6CIE 50-59 years, male 20.1
GTEX-1JMQL-0226-SM-CNPP5 50-59 years, female 19.9
GTEX-145MN-2226-SM-5SIAU 30-39 years, male 19.7
GTEX-13111-1626-SM-5EGJY 50-59 years, male 19.6
GTEX-X585-0226-SM-4QAS2 50-59 years, male 19.6
GTEX-YB5E-2026-SM-5IFIS 40-49 years, male 19.5
GTEX-1GMR3-1926-SM-9KNUZ 40-49 years, male 19.5
GTEX-1399U-2326-SM-5K7WY 50-59 years, female 19.4
GTEX-145LS-0126-SM-5QGP1 60-69 years, female 19.4
GTEX-PLZ6-1426-SM-DKPOT 30-39 years, male 19.4
GTEX-14PHX-2326-SM-62LEM 50-59 years, male 19.3
GTEX-1R9PM-2026-SM-E76OY 20-29 years, male 19.3
GTEX-1I1GS-0126-SM-B2LVW 60-69 years, male 19.2
GTEX-1GN1U-0126-SM-7PBZK 50-59 years, female 19.0
GTEX-1I6K6-0126-SM-A9SLE 30-39 years, male 18.9
GTEX-1122O-2126-SM-5EGIR 60-69 years, female 18.8
GTEX-15CHC-2126-SM-6EU21 60-69 years, female 18.8
GTEX-O5YT-0126-SM-48TBW 20-29 years, male 18.8
GTEX-1KAFJ-2026-SM-CY8ID 50-59 years, male 18.8
GTEX-1PDJ9-0326-SM-DTX95 20-29 years, male 18.8
GTEX-OOBJ-0126-SM-E6CJW 60-69 years, male 18.8
GTEX-1CB4I-0226-SM-79OLH 50-59 years, male 18.7
GTEX-XQ8I-0426-SM-4BOPO 50-59 years, male 18.6
GTEX-ZTX8-1426-SM-5DUVO 20-29 years, male 18.6
GTEX-WYJK-0126-SM-3NMAB 50-59 years, male 18.5
GTEX-1F75B-0126-SM-9KNVL 50-59 years, male 18.5
GTEX-1LG7Z-1726-SM-D3LA4 30-39 years, male 18.5
GTEX-11VI4-1726-SM-5CVLH 40-49 years, female 18.4
GTEX-1JN76-0126-SM-CNPPE 20-29 years, female 18.4
GTEX-O5YW-0126-SM-3LK6D 50-59 years, male 18.3
GTEX-15DDE-0126-SM-6LPKH 50-59 years, female 18.2
GTEX-YB5K-2126-SM-4WWDJ 40-49 years, female 18.2
GTEX-1HCU9-1526-SM-A9SL7 20-29 years, male 18.2
GTEX-13JUV-2726-SM-5LZZ8 40-49 years, female 18.1
GTEX-ZV6S-2326-SM-4YCEY 40-49 years, female 18.1
GTEX-1H1CY-2826-SM-9MQM3 60-69 years, female 18.1
GTEX-1IDJH-0326-SM-A9SLQ 70-79 years, male 18.1
GTEX-14PJ6-2126-SM-6EU1V 60-69 years, female 18.0
GTEX-15ER7-0326-SM-7KUEV 20-29 years, female 18.0
GTEX-Y5LM-1926-SM-5RQJH 40-49 years, female 18.0
GTEX-ZV68-0126-SM-59HKS 50-59 years, female 18.0
GTEX-WY7C-2326-SM-3NB2U 50-59 years, male 17.9
GTEX-1HFI7-1826-SM-ACKXH 50-59 years, female 17.9
GTEX-17F98-0626-SM-79OMX 40-49 years, female 17.8
GTEX-SN8G-0126-SM-32PLI 50-59 years, female 17.8
GTEX-WVJS-0126-SM-4MVOT 50-59 years, male 17.8
GTEX-X5EB-2226-SM-46MW4 40-49 years, male 17.8
GTEX-1GMR8-0126-SM-9WYTM 50-59 years, female 17.8
GTEX-1MA7W-2026-SM-E9TJ6 20-29 years, female 17.8
GTEX-12WSE-0526-SM-793B2 20-29 years, male 17.7
GTEX-14C5O-0126-SM-5SI6N 60-69 years, male 17.7
GTEX-ZXG5-0126-SM-5GIEU 60-69 years, male 17.7
GTEX-13FTW-2626-SM-5K7WL 40-49 years, male 17.6
GTEX-T5JW-1626-SM-3GADZ 20-29 years, female 17.6
GTEX-Y5V5-2326-SM-4V6GA 60-69 years, female 17.6
GTEX-1F6RS-0126-SM-9MQKZ 60-69 years, female 17.6
GTEX-12WSA-0226-SM-5BC5V 60-69 years, male 17.5
GTEX-15EU6-0426-SM-6PAN5 50-59 years, male 17.5
GTEX-1H1DG-0126-SM-9WYU2 70-79 years, male 17.5
GTEX-1JMQK-0226-SM-CL543 60-69 years, male 17.5
GTEX-1HGF4-2426-SM-ACKXM 60-69 years, male 17.4
GTEX-13CF3-2426-SM-5IFGX 60-69 years, female 17.3
GTEX-1CB4H-0226-SM-7PBXM 60-69 years, female 17.3
GTEX-QV44-1926-SM-2S1RF 50-59 years, male 17.2
GTEX-XPVG-2626-SM-4B669 50-59 years, male 17.2
GTEX-1IKK5-0626-SM-ARL8A 60-69 years, male 17.2
GTEX-11H98-0126-SM-5EGHG 50-59 years, male 17.1
GTEX-16MT8-0426-SM-7KUEY 60-69 years, female 17.1
GTEX-17EVQ-0226-SM-7LG4P 70-79 years, male 17.1
GTEX-1LH75-2426-SM-E9TJE 50-59 years, female 17.1
GTEX-13OW8-1326-SM-5J1OW 60-69 years, male 17.0
GTEX-1IKJJ-0126-SM-CNPQB 60-69 years, male 17.0
GTEX-1M5QR-1226-SM-EWROB 40-49 years, male 17.0
GTEX-1GZ4H-1726-SM-7PBZJ 50-59 years, female 16.8
GTEX-ZVZP-2426-SM-59HKJ 50-59 years, male 16.7
GTEX-1LC47-0326-SM-E9TJP 60-69 years, male 16.7
GTEX-13113-5016-SM-7EPIP 60-69 years, female 16.6
GTEX-17EVP-0326-SM-7DHLG 40-49 years, male 16.6
GTEX-WXYG-2326-SM-4E3I6 50-59 years, female 16.6
GTEX-ZWKS-0126-SM-5SIAA 30-39 years, male 16.6
GTEX-SUCS-1926-SM-32PM3 70-79 years, male 16.5
GTEX-1H1ZS-0426-SM-9WG6G 70-79 years, male 16.5
GTEX-14PJ3-1826-SM-62LEX 50-59 years, male 16.4
GTEX-15ETS-0126-SM-7KUMW 40-49 years, female 16.4
GTEX-1HSMP-0126-SM-E6CJS 70-79 years, male 16.4
GTEX-13S7M-0126-SM-5SI6A 60-69 years, female 16.3
GTEX-1KXAM-2226-SM-CYPTC 60-69 years, male 16.3
GTEX-1EMGI-0126-SM-9KNUE 60-69 years, male 16.2
GTEX-11DYG-0126-SM-59883 60-69 years, male 16.1
GTEX-13VXT-0126-SM-5LU4I 20-29 years, female 16.1
GTEX-17EUY-0426-SM-793BD 20-29 years, male 16.1
GTEX-P4PQ-0126-SM-2S1NM 60-69 years, male 16.1
GTEX-1QP2A-0126-SM-E9J43 50-59 years, male 16.1
GTEX-133LE-1826-SM-5J1MV 20-29 years, female 16.0
GTEX-13PVR-2326-SM-5QGR1 60-69 years, female 15.9
GTEX-1CB4E-2226-SM-793DC 60-69 years, male 15.9
GTEX-1B8SF-1426-SM-7DUGL 60-69 years, male 15.8
GTEX-OXRN-0126-SM-48TDM 50-59 years, male 15.8
GTEX-16BQI-0226-SM-7KUEX 30-39 years, female 15.7
GTEX-1HBPM-0226-SM-ARL9F 60-69 years, female 15.7
GTEX-1JMPY-1326-SM-ARL8Y 30-39 years, male 15.7
GTEX-1JN1M-0326-SM-CYPT3 60-69 years, female 15.7
GTEX-ZAB4-0226-SM-5N9F5 40-49 years, male 15.6
GTEX-1HCUA-2426-SM-ADEIS 50-59 years, female 15.6
GTEX-1AX9J-0226-SM-73KXM 60-69 years, male 15.5
GTEX-1KANA-0726-SM-D3L9I 20-29 years, male 15.5
GTEX-12WSJ-1826-SM-5GCNY 40-49 years, female 15.4
GTEX-T6MN-0126-SM-32PLP 50-59 years, male 15.4
GTEX-U412-0426-SM-3DB9O 60-69 years, male 15.4
GTEX-1H3O1-0426-SM-9YFKY 60-69 years, male 15.4
GTEX-1B8SG-0126-SM-73KZ3 50-59 years, male 15.3
GTEX-X4EO-0326-SM-3P5YO 60-69 years, female 15.3
GTEX-1PIIG-0226-SM-EWRN6 30-39 years, male 15.2
GTEX-13PDP-0126-SM-5L3HD 60-69 years, male 15.1
GTEX-ZYY3-0126-SM-5GZY5 60-69 years, female 15.1
GTEX-11GSO-2426-SM-5A5LY 60-69 years, male 15.0
GTEX-TMMY-0226-SM-33HBA 40-49 years, female 15.0
GTEX-1QPFJ-0226-SM-E76PB 30-39 years, female 15.0
GTEX-1CAMQ-0226-SM-7IGPK 40-49 years, male 14.9
GTEX-1EWIQ-0126-SM-7RHH2 70-79 years, female 14.9
GTEX-1IL2U-0226-SM-CE6T8 60-69 years, male 14.8
GTEX-16NGA-1726-SM-731B4 40-49 years, female 14.7
GTEX-17GQL-2026-SM-718BA 60-69 years, male 14.7
GTEX-1128S-2326-SM-5GZZY 60-69 years, female 14.6
GTEX-14XAO-2326-SM-6EU1B 60-69 years, female 14.6
GTEX-1F5PK-2426-SM-7RHHY 50-59 years, male 14.6
GTEX-1JJEA-0326-SM-CNPOT 60-69 years, male 14.6
GTEX-1QCLY-0326-SM-E8VOG 30-39 years, male 14.6
GTEX-ZY6K-1826-SM-5GZXK 50-59 years, male 14.5
GTEX-13O3P-0126-SM-5KM4S 50-59 years, male 14.4
GTEX-RU72-0926-SM-2TF6B 50-59 years, female 14.4
GTEX-1CAV2-2226-SM-7P8P2 40-49 years, female 14.4
GTEX-1H1DE-2126-SM-9WG6R 20-29 years, male 14.4
GTEX-1LSNM-1926-SM-E6CII 50-59 years, male 14.4
GTEX-1R46S-0626-SM-E9J41 60-69 years, female 14.4
GTEX-11P7K-2126-SM-5GU7G 30-39 years, male 14.3
GTEX-11ZVC-2526-SM-5FQTE 50-59 years, female 14.3
GTEX-1212Z-2526-SM-5EGKP 60-69 years, male 14.3
GTEX-14753-0426-SM-5NQAM 60-69 years, male 14.3
GTEX-148VI-1626-SM-5SI6E 60-69 years, female 14.3
GTEX-QVJO-1626-SM-2S1QW 60-69 years, female 14.3
GTEX-1ICG6-2526-SM-CGQFZ 70-79 years, female 14.3
GTEX-1NHNU-1026-SM-E9J2A 50-59 years, male 14.3
GTEX-11ZTT-2426-SM-5EQLS 60-69 years, female 14.2
GTEX-PWO3-1526-SM-48TCM 60-69 years, female 14.2
GTEX-ZXES-1826-SM-5E43S 30-39 years, female 14.2
GTEX-1GMRU-0126-SM-9YFLV 50-59 years, male 14.2
GTEX-1S82Y-2026-SM-EVYCM 40-49 years, male 14.2
GTEX-148VJ-0126-SM-5TDDN 70-79 years, male 14.1
GTEX-QESD-1426-SM-2S1R9 20-29 years, male 14.1
GTEX-ZYFD-0126-SM-5GIDL 50-59 years, male 14.1
GTEX-1CAMS-0426-SM-7P8T2 40-49 years, female 14.1
GTEX-1J8QM-2126-SM-CYPSJ 60-69 years, female 14.1
GTEX-1313W-0126-SM-5LZUN 50-59 years, female 14.0
GTEX-139T8-0126-SM-5K7XZ 60-69 years, male 14.0
GTEX-Y111-0126-SM-4SOIV 50-59 years, male 14.0
GTEX-145ME-1826-SM-5SI9G 40-49 years, female 13.9
GTEX-1R7EV-2426-SM-EVYBG 40-49 years, male 13.9
GTEX-14PN4-0126-SM-6EU2V 50-59 years, male 13.8
GTEX-1H3VY-0126-SM-ACKXD 50-59 years, male 13.8
GTEX-1KWVE-1426-SM-E9TJO 30-39 years, male 13.8
GTEX-13NZB-2526-SM-5J1OM 30-39 years, male 13.7
GTEX-15F5U-1526-SM-6PANO 40-49 years, male 13.7
GTEX-1BAJH-0526-SM-793CQ 70-79 years, male 13.6
GTEX-13OW5-0126-SM-DTXFS 60-69 years, male 13.6
GTEX-1GF9V-0326-SM-7RHI5 60-69 years, male 13.6
GTEX-14BMU-2226-SM-5TDE9 20-29 years, female 13.5
GTEX-1B97I-1626-SM-73KYO 40-49 years, male 13.5
GTEX-1C4CL-0526-SM-73KVK 30-39 years, male 13.5
GTEX-QDT8-0126-SM-48TZ1 30-39 years, female 13.5
GTEX-1LVAN-0226-SM-COH3S 50-59 years, female 13.5
GTEX-1314G-1526-SM-5EGK2 30-39 years, male 13.4
GTEX-1497J-2426-SM-7IGNX 60-69 years, male 13.4
GTEX-1K2DU-2326-SM-E9TIV 20-29 years, male 13.4
GTEX-13FHP-0126-SM-5IJBG 50-59 years, male 13.3
GTEX-13X6J-0126-SM-5QGOU 50-59 years, male 13.3
GTEX-17JCI-0126-SM-7LG5G 60-69 years, female 13.3
GTEX-1C64N-0126-SM-793D7 50-59 years, male 13.3
GTEX-1C6VR-2426-SM-79OLD 60-69 years, male 13.3
GTEX-OXRK-0226-SM-3NB2G 50-59 years, female 13.3
GTEX-RWSA-0126-SM-2XCBB 40-49 years, male 13.3
GTEX-T8EM-1026-SM-3DB7M 40-49 years, male 13.3
GTEX-XBEW-0626-SM-4QASP 40-49 years, male 13.3
GTEX-1RAZA-0126-SM-E6CI3 20-29 years, male 13.3
GTEX-PSDG-0226-SM-DKPOZ 50-59 years, male 13.2
GTEX-TKQ1-1026-SM-4GICL 30-39 years, male 13.1
GTEX-1F48J-0126-SM-7P8TT 50-59 years, female 13.1
GTEX-13112-2826-SM-5DUWH 50-59 years, male 13.0
GTEX-14LZ3-0226-SM-62LET 60-69 years, female 13.0
GTEX-QCQG-1726-SM-3GIJ9 50-59 years, female 13.0
GTEX-RWS6-2026-SM-2XCB5 60-69 years, female 13.0
GTEX-S7PM-0126-SM-4AD6S 60-69 years, male 13.0
GTEX-Y114-2426-SM-4TT8A 50-59 years, female 13.0
GTEX-ZAK1-0126-SM-5IJD3 50-59 years, female 13.0
GTEX-1F5PL-0326-SM-7P8PQ 40-49 years, female 13.0
GTEX-1JK1U-2026-SM-CM2RZ 60-69 years, male 13.0
GTEX-145LT-1726-SM-5QGP3 40-49 years, male 12.9
GTEX-15DCD-0126-SM-7KUEK 70-79 years, female 12.9
GTEX-ZVT2-2526-SM-51MT1 50-59 years, female 12.9
GTEX-1LGRB-2526-SM-CNPPQ 50-59 years, female 12.9
GTEX-WQUQ-0426-SM-3MJFU 60-69 years, male 12.8
GTEX-1JMQI-2226-SM-CM2SD 50-59 years, male 12.8
GTEX-1JN6P-0126-SM-D3L98 60-69 years, male 12.8
GTEX-1K9T9-0126-SM-EVYCF 50-59 years, female 12.8
GTEX-1PFEY-1526-SM-E76PP 30-39 years, male 12.8
GTEX-1B8KZ-2026-SM-7DHMB 50-59 years, male 12.7
GTEX-1JKYN-1326-SM-CGQG9 30-39 years, male 12.7
GTEX-1JMOU-1526-SM-CL54I 60-69 years, female 12.7
GTEX-1N2DW-0226-SM-E9TK2 50-59 years, male 12.7
GTEX-1RDX4-0126-SM-E9J4P 50-59 years, female 12.7
GTEX-OHPL-0126-SM-2HMJ7 60-69 years, female 12.6
GTEX-ZDTT-2726-SM-4WKF8 60-69 years, male 12.6
GTEX-1H23P-0126-SM-ADEJ3 60-69 years, male 12.6
GTEX-139D8-0226-SM-5KLZO 30-39 years, female 12.5
GTEX-18A7B-0126-SM-7LG64 70-79 years, male 12.5
GTEX-R55G-2526-SM-2TC6D 40-49 years, female 12.5
GTEX-T2IS-0126-SM-4DM6O 20-29 years, female 12.5
GTEX-12WSC-0126-SM-5EQ4P 50-59 years, male 12.4
GTEX-SNMC-1226-SM-2XCFP 20-29 years, male 12.4
GTEX-TSE9-0126-SM-3DB83 60-69 years, female 12.4
GTEX-1MUQO-0126-SM-EAZ58 60-69 years, male 12.4
GTEX-12WSK-2326-SM-5GCOH 40-49 years, female 12.3
GTEX-13N11-2526-SM-5K7UE 50-59 years, female 12.3
GTEX-11DXX-2426-SM-5GZZW 60-69 years, female 12.2
GTEX-12WSL-2526-SM-5GCNJ 50-59 years, male 12.2
GTEX-13FH7-2026-SM-E9J4I 50-59 years, female 12.2
GTEX-13NYC-0326-SM-E9J4S 60-69 years, male 12.2
GTEX-11LCK-1026-SM-5A5KB 30-39 years, male 12.1
GTEX-11OC5-0126-SM-5HL6A 60-69 years, male 12.1
GTEX-14BMV-0126-SM-5S2PO 50-59 years, male 12.1
GTEX-17KNJ-2326-SM-7DHLQ 50-59 years, male 12.1
GTEX-18A6Q-0126-SM-731BZ 60-69 years, male 12.1
GTEX-1AMFI-2026-SM-731BH 50-59 years, female 12.1
GTEX-QLQ7-1626-SM-2S1R8 60-69 years, male 12.1
GTEX-1H4P4-0726-SM-9YFLR 50-59 years, male 12.1
GTEX-1O97I-0326-SM-EYYX7 60-69 years, male 12.1
GTEX-18QFQ-0126-SM-731BE 30-39 years, male 12.0
GTEX-OIZG-0726-SM-33HBL 50-59 years, male 12.0
GTEX-ZAJG-0126-SM-5HL94 50-59 years, female 12.0
GTEX-1B996-0226-SM-7RHGO 60-69 years, male 12.0
GTEX-1GPI7-0126-SM-9MQL8 20-29 years, male 12.0
GTEX-131YS-0126-SM-5KM1M 60-69 years, female 11.9
GTEX-1H3NZ-0126-SM-ACKX7 60-69 years, male 11.9
GTEX-1I4MK-2226-SM-ACKWD 50-59 years, female 11.9
GTEX-1KD5A-0226-SM-D5OV3 50-59 years, male 11.9
GTEX-11P81-2326-SM-59875 30-39 years, female 11.8
GTEX-13W3W-2426-SM-5LU5B 60-69 years, female 11.8
GTEX-13W46-0226-SM-5SIAG 50-59 years, male 11.8
GTEX-U8T8-0126-SM-3DB94 60-69 years, male 11.8
GTEX-VJWN-0126-SM-3GIK7 50-59 years, female 11.8
GTEX-X4EP-0126-SM-3P5YV 60-69 years, female 11.8
GTEX-X88G-0126-SM-47JZ3 30-39 years, male 11.8
GTEX-ZDTS-0126-SM-4WAY5 60-69 years, male 11.8
GTEX-131XF-5016-SM-7MGWE 60-69 years, male 11.8
GTEX-1AX9I-0126-SM-7SB74 60-69 years, male 11.8
GTEX-1HFI6-0226-SM-ADEHZ 40-49 years, male 11.8
GTEX-1JKYR-0126-SM-CNPOJ 20-29 years, male 11.8
GTEX-111FC-0126-SM-5N9DL 60-69 years, male 11.7
GTEX-PX3G-0126-SM-2I3EN 20-29 years, female 11.7
GTEX-YJ89-0126-SM-4TT3X 60-69 years, male 11.7
GTEX-Z9EW-1626-SM-5CVMN 40-49 years, male 11.7
GTEX-PWCY-1826-SM-DHXIZ 20-29 years, female 11.7
GTEX-139TU-0126-SM-5K7WH 60-69 years, male 11.5
GTEX-18D9U-0226-SM-718BP 40-49 years, male 11.5
GTEX-1AX8Z-0126-SM-7DHM6 60-69 years, male 11.5
GTEX-T2YK-0526-SM-32QPJ 50-59 years, male 11.5
GTEX-1C64O-0126-SM-7SB8P 60-69 years, male 11.5
GTEX-1JMQJ-0526-SM-CYPSU 50-59 years, male 11.5
GTEX-145LV-2126-SM-5LU8N 50-59 years, male 11.4
GTEX-16XZZ-0126-SM-793DV 60-69 years, male 11.4
GTEX-OHPM-0126-SM-2YUN9 50-59 years, male 11.4
GTEX-OXRP-0126-SM-3NB32 60-69 years, female 11.4
GTEX-1B8L1-2526-SM-9WYTF 60-69 years, male 11.4
GTEX-1N2DV-0226-SM-E6CJ6 40-49 years, male 11.4
GTEX-13QJ3-0326-SM-5S2RA 50-59 years, male 11.3
GTEX-UPJH-0326-SM-3GADU 50-59 years, male 11.3
GTEX-ZE9C-2726-SM-57WB5 60-69 years, male 11.3
GTEX-1F52S-0126-SM-9MQJU 60-69 years, female 11.3
GTEX-1LB8K-0226-SM-EWRNW 50-59 years, male 11.3
GTEX-145MI-0526-SM-5O9A8 60-69 years, female 11.2
GTEX-ZZ64-1726-SM-5GZYB 20-29 years, male 11.2
GTEX-1H1E6-1726-SM-ACKVK 30-39 years, male 11.2
GTEX-1I1GP-2226-SM-CGQFK 50-59 years, male 11.2
GTEX-1I1GQ-0126-SM-COH3H 50-59 years, male 11.2
GTEX-1JJE9-0326-SM-CL53Z 70-79 years, male 11.2
GTEX-ZF29-2326-SM-DO92K 60-69 years, female 11.2
GTEX-11XUK-2026-SM-5EQLF 40-49 years, female 11.1
GTEX-14PJM-0226-SM-62LF1 50-59 years, female 11.1
GTEX-17HII-0226-SM-7LG4E 50-59 years, male 11.1
GTEX-1E1VI-0126-SM-7DHMZ 50-59 years, male 11.1
GTEX-13O3O-0126-SM-E9J49 60-69 years, female 11.1
GTEX-1CB4G-0226-SM-7PC3O 60-69 years, male 11.1
GTEX-13NYB-2526-SM-5K7Z6 40-49 years, male 11.0
GTEX-14DAR-2026-SM-5S2O3 50-59 years, male 11.0
GTEX-1AX9K-2326-SM-73KWU 50-59 years, male 11.0
GTEX-1CB4J-0626-SM-7DHMP 60-69 years, male 11.0
GTEX-U3ZH-2026-SM-3DB78 30-39 years, male 11.0
GTEX-XMD2-0126-SM-4YCDU 60-69 years, female 11.0
GTEX-ZYT6-0226-SM-5NQ6T 30-39 years, male 11.0
GTEX-1QMI2-0226-SM-EVYBX 60-69 years, male 11.0
GTEX-14BIN-0626-SM-793DP 50-59 years, female 10.9
GTEX-16AAH-1726-SM-7939C 50-59 years, male 10.9
GTEX-18D9B-0526-SM-7LTAS 60-69 years, male 10.9
GTEX-TMZS-0126-SM-3DB9Q 60-69 years, male 10.9
GTEX-XQ3S-1526-SM-4BOOC 20-29 years, male 10.9
GTEX-Y8LW-1826-SM-5S2MV 50-59 years, female 10.9
GTEX-1MCQQ-0826-SM-DLHC2 60-69 years, male 10.9
GTEX-13U4I-0126-SM-5LU38 40-49 years, female 10.8
GTEX-18A66-0226-SM-718BD 60-69 years, male 10.8
GTEX-1GF9W-0326-SM-9KNUN 60-69 years, male 10.8
GTEX-1HSMQ-1226-SM-CGQFX 50-59 years, male 10.8
GTEX-1KD4Q-0226-SM-E9TJ9 40-49 years, male 10.8
GTEX-13NZ8-0826-SM-5MR3I 60-69 years, female 10.7
GTEX-15G19-0126-SM-6PANQ 60-69 years, male 10.7
GTEX-15SDE-2226-SM-7IGLO 50-59 years, female 10.7
GTEX-17HGU-0226-SM-7DHKV 50-59 years, male 10.7
GTEX-YEC4-2126-SM-5IFJH 40-49 years, male 10.7
GTEX-117YX-2326-SM-5H12W 50-59 years, male 10.6
GTEX-11GSP-2526-SM-5N9BP 60-69 years, female 10.6
GTEX-14E6E-1826-SM-5S2R7 30-39 years, male 10.6
GTEX-14PHW-0126-SM-6LLJI 60-69 years, female 10.6
GTEX-139UW-2826-SM-5L3E7 60-69 years, male 10.5
GTEX-Y8DK-0126-SM-4TT3L 60-69 years, male 10.5
GTEX-1HSKV-0226-SM-A9SKJ 60-69 years, male 10.5
GTEX-1IDJU-2626-SM-CM2RT 60-69 years, female 10.5
GTEX-1MJK2-0426-SM-DTXE5 50-59 years, male 10.5
GTEX-RNOR-0126-SM-E9J4R 50-59 years, female 10.5
GTEX-Y8E4-0626-SM-4WWDL 40-49 years, male 10.4
GTEX-1GTWX-0126-SM-9YFLK 60-69 years, male 10.4
GTEX-1J1R8-1726-SM-ARL8M 40-49 years, male 10.4
GTEX-11NSD-2226-SM-5986V 20-29 years, male 10.3
GTEX-13O21-1426-SM-5K7XI 50-59 years, male 10.2
GTEX-13RTK-1426-SM-5QGQJ 20-29 years, male 10.2
GTEX-QEG4-0226-SM-2S1PY 30-39 years, male 10.2
GTEX-ZVE2-0226-SM-59HJB 50-59 years, male 10.2
GTEX-1M4P7-0226-SM-DIPEV 60-69 years, male 10.2
GTEX-12584-0126-SM-5EGKQ 40-49 years, male 10.1
GTEX-12ZZY-0226-SM-5LZVE 60-69 years, male 10.1
GTEX-132NY-0326-SM-5IJBL 60-69 years, male 10.1
GTEX-1399R-2726-SM-5IJBA 30-39 years, male 10.1
GTEX-13FXS-0226-SM-5IJCK 50-59 years, male 10.1
GTEX-13CF2-2526-SM-5LZYX 60-69 years, male 10.0
GTEX-13NZA-0226-SM-5K7Z7 60-69 years, male 10.0
GTEX-T6MO-1626-SM-32QOM 40-49 years, female 10.0
GTEX-13FHO-0226-SM-5IFGY 60-69 years, male 9.9
GTEX-17HG3-2226-SM-7938L 30-39 years, female 9.9
GTEX-P44H-0226-SM-2XCEU 40-49 years, male 9.9
GTEX-144GL-0126-SM-5TDE2 50-59 years, male 9.8
GTEX-146FQ-0126-SM-5NQA9 30-39 years, male 9.8
GTEX-WYVS-2126-SM-3NMA3 40-49 years, female 9.8
GTEX-X8HC-0126-SM-4E3JW 50-59 years, female 9.8
GTEX-1EU9M-0226-SM-7P8SP 60-69 years, male 9.8
GTEX-1GZHY-0326-SM-9QEHI 50-59 years, female 9.8
GTEX-1HCVE-0126-SM-CGQEU 50-59 years, male 9.8
GTEX-1I1CD-0126-SM-CM2TK 60-69 years, female 9.8
GTEX-S33H-1026-SM-EZ6L6 30-39 years, male 9.8
GTEX-11ZU8-2526-SM-5EQKI 60-69 years, male 9.7
GTEX-12KS4-0326-SM-5EQ41 30-39 years, male 9.7
GTEX-13X6I-0626-SM-5QGP9 60-69 years, male 9.7
GTEX-14DAQ-0126-SM-5S2MQ 60-69 years, female 9.7
GTEX-WH7G-2326-SM-3NMBC 40-49 years, male 9.7
GTEX-Y3I4-2126-SM-4TT7C 50-59 years, male 9.7
GTEX-1LGOU-2026-SM-DIPFF 20-29 years, female 9.7
GTEX-1S82Z-0826-SM-E6CHY 30-39 years, female 9.7
GTEX-11EM3-2426-SM-59861 20-29 years, female 9.6
GTEX-1CAMR-1926-SM-7EPI2 20-29 years, male 9.6
GTEX-NPJ8-0126-SM-2YUNR 40-49 years, male 9.6
GTEX-1GN2E-0426-SM-9MQKX 60-69 years, male 9.6
GTEX-1IGQW-0126-SM-COH42 60-69 years, male 9.6
GTEX-13NYS-0126-SM-5MR3W 60-69 years, male 9.5
GTEX-147GR-0526-SM-5S2MY 60-69 years, male 9.5
GTEX-Q2AI-1326-SM-2S1PL 40-49 years, male 9.5
GTEX-Y3IK-2426-SM-4WWDU 50-59 years, female 9.5
GTEX-1I19N-0326-SM-ACKVX 70-79 years, male 9.5
GTEX-1N2EF-0226-SM-EYYXB 60-69 years, male 9.5
GTEX-ZVT4-0126-SM-DTXFN 50-59 years, female 9.5
GTEX-13N1W-0126-SM-5K7VT 70-79 years, male 9.4
GTEX-16NPX-0226-SM-79OMT 50-59 years, male 9.4
GTEX-1AMEY-1326-SM-73KYK 30-39 years, female 9.4
GTEX-SIU8-0126-SM-2XCDT 50-59 years, male 9.4
GTEX-YFC4-0126-SM-5CVLY 40-49 years, female 9.4
GTEX-1HCU6-0126-SM-CL54K 60-69 years, female 9.4
GTEX-11DZ1-0126-SM-5985Q 50-59 years, male 9.3
GTEX-12C56-1726-SM-5EQ61 20-29 years, male 9.3
GTEX-12ZZX-0126-SM-5EGK9 40-49 years, female 9.3
GTEX-131XG-2626-SM-5KM17 50-59 years, female 9.3
GTEX-1A3MV-1926-SM-718BT 30-39 years, male 9.3
GTEX-R3RS-0126-SM-3GIJL 40-49 years, female 9.3
GTEX-XUW1-0426-SM-4BOOT 50-59 years, female 9.3
GTEX-1GF9U-2126-SM-7SB7L 40-49 years, female 9.3
GTEX-1HB9E-0226-SM-E9U4R 50-59 years, male 9.3
GTEX-1HCU8-0626-SM-A9SM9 60-69 years, female 9.3
GTEX-1J8JJ-0226-SM-CL53I 60-69 years, female 9.3
GTEX-117XS-2726-SM-5N9BL 60-69 years, male 9.2
GTEX-1211K-2026-SM-5EQ4Z 60-69 years, female 9.2
GTEX-ZYFC-0226-SM-5NQ75 50-59 years, male 9.2
GTEX-11TUW-2726-SM-E9J4M 60-69 years, male 9.2
GTEX-13G51-2526-SM-5LZYK 60-69 years, male 9.1
GTEX-13RTJ-2426-SM-5S2Q2 60-69 years, male 9.1
GTEX-18A67-0126-SM-7LG5P 50-59 years, male 9.1
GTEX-1HBPI-1526-SM-C1YQ1 50-59 years, male 9.1
GTEX-1IOXB-0126-SM-ARL8G 50-59 years, male 9.1
GTEX-PW2O-1526-SM-7RHHB 20-29 years, male 9.1
GTEX-11TT1-2526-SM-5EGIB 20-29 years, male 9.0
GTEX-144FL-0126-SM-5TDC8 50-59 years, male 9.0
GTEX-147F3-0526-SM-5SI98 50-59 years, female 9.0
GTEX-14JG6-2226-SM-6EU2G 30-39 years, female 9.0
GTEX-16GPK-0126-SM-7DHLE 60-69 years, male 9.0
GTEX-1C6VS-0526-SM-7DUEN 60-69 years, male 9.0
GTEX-S7SE-0126-SM-2XCD5 50-59 years, male 9.0
GTEX-1RB15-2126-SM-E9TIM 60-69 years, male 9.0
GTEX-14PN3-2426-SM-6LLHS 60-69 years, female 8.9
GTEX-WRHK-1426-SM-3MJF9 20-29 years, female 8.9
GTEX-1HT8W-0126-SM-CNPPP 30-39 years, male 8.9
GTEX-1RQEC-0426-SM-E6CHU 60-69 years, male 8.9
GTEX-OXRL-0126-SM-2YUMP 50-59 years, male 8.8
GTEX-U3ZM-1526-SM-3DB9D 40-49 years, male 8.8
GTEX-1J8EW-0126-SM-CJI4F 60-69 years, female 8.8
GTEX-1EX96-1626-SM-7PBXR 50-59 years, male 8.7
GTEX-1J8Q3-1626-SM-CMKGC 60-69 years, male 8.7
GTEX-1LBAC-0126-SM-DIPEZ 20-29 years, male 8.7
GTEX-12126-0326-SM-5PNW3 20-29 years, male 8.6
GTEX-14E6C-0126-SM-5RQIP 40-49 years, male 8.6
GTEX-RM2N-1426-SM-2TF4H 50-59 years, male 8.6
GTEX-XBED-2226-SM-47JYQ 60-69 years, male 8.6
GTEX-ZEX8-2426-SM-4WKG4 50-59 years, male 8.6
GTEX-ZU9S-0226-SM-5E441 30-39 years, male 8.6
GTEX-1H2FU-0126-SM-9WYSI 60-69 years, female 8.6
GTEX-1MCYP-1926-SM-E9J2R 20-29 years, female 8.6
GTEX-11OF3-2626-SM-5GU7F 60-69 years, male 8.5
GTEX-131XW-0426-SM-5LZWP 50-59 years, female 8.5
GTEX-1A3MX-0126-SM-731BR 60-69 years, male 8.5
GTEX-S95S-1226-SM-4GICG 60-69 years, male 8.5
GTEX-ZYFG-2326-SM-5E44B 60-69 years, female 8.5
GTEX-1GN73-0226-SM-9WG67 60-69 years, male 8.5
GTEX-1HR98-0126-SM-B2LWI 60-69 years, male 8.5
GTEX-1AYD5-2426-SM-73KXR 50-59 years, male 8.4
GTEX-PVOW-0126-SM-2XCFA 40-49 years, male 8.4
GTEX-ZVZO-0126-SM-5A5L9 40-49 years, male 8.4
GTEX-113JC-2326-SM-5EQ4E 50-59 years, female 8.3
GTEX-11ZTS-0126-SM-5EQ6M 60-69 years, female 8.3
GTEX-12ZZZ-0626-SM-5DUXI 60-69 years, male 8.3
GTEX-13OVJ-0126-SM-5KM36 50-59 years, female 8.3
GTEX-1EN7A-0126-SM-7SB81 40-49 years, male 8.3
GTEX-1GZ2Q-0226-SM-7P8TL 40-49 years, male 8.3
GTEX-1J8Q2-0526-SM-CM2RW 60-69 years, male 8.3
GTEX-1KANB-0526-SM-E6CJH 50-59 years, male 8.3
GTEX-1PIGE-0126-SM-EVYBJ 20-29 years, male 8.3
GTEX-1PWST-0226-SM-E76QJ 70-79 years, male 8.3
GTEX-11DXY-2626-SM-5GIE7 60-69 years, male 8.2
GTEX-13RTL-0126-SM-7LG5S 40-49 years, male 8.2
GTEX-QDVN-2026-SM-3GAEP 50-59 years, male 8.2
GTEX-XUYS-0126-SM-47JWZ 50-59 years, male 8.2
GTEX-1IKOH-0226-SM-COH4E 60-69 years, female 8.2
GTEX-1QP29-0626-SM-EWRMX 50-59 years, male 8.2
GTEX-11EI6-0126-SM-5985R 60-69 years, male 8.1
GTEX-13D11-2426-SM-5KM1V 50-59 years, female 8.1
GTEX-13FTX-1826-SM-5J1NX 20-29 years, female 8.1
GTEX-145MF-0626-SM-5LUAI 50-59 years, male 8.1
GTEX-14JG1-0426-SM-6ETZZ 40-49 years, male 8.1
GTEX-ZC5H-0226-SM-4WAY9 40-49 years, female 8.1
GTEX-1F7RK-0126-SM-7PC2S 20-29 years, female 8.1
GTEX-1ICLY-0126-SM-D4P36 50-59 years, male 8.1
GTEX-1IY9M-0126-SM-D3L8S 60-69 years, male 8.1
GTEX-W5X1-3026-SM-EAZAX 40-49 years, female 8.1
GTEX-117YW-2626-SM-5GZZH 50-59 years, male 8.0
GTEX-1192X-0226-SM-5H12D 50-59 years, male 7.9
GTEX-17MF6-0126-SM-7LG4F 40-49 years, male 7.9
GTEX-ZAB5-1826-SM-5HL7C 50-59 years, male 7.9
GTEX-OIZF-0126-SM-7SB8I 60-69 years, male 7.9
GTEX-ZF3C-0126-SM-DO92D 50-59 years, female 7.9
GTEX-15UF6-0826-SM-6PALJ 70-79 years, female 7.8
GTEX-13FTY-0526-SM-5L3EV 40-49 years, female 7.7
GTEX-QDVJ-1726-SM-2I5FX 50-59 years, male 7.7
GTEX-13SLX-0526-SM-5S2ON 50-59 years, female 7.6
GTEX-15D1Q-0126-SM-7KUG6 40-49 years, male 7.6
GTEX-17F97-0326-SM-7LG5B 50-59 years, male 7.6
GTEX-1F6I4-0126-SM-9MQL2 60-69 years, male 7.6
GTEX-14BIL-0126-SM-5SI92 50-59 years, male 7.5
GTEX-WZTO-0126-SM-3NM95 40-49 years, male 7.5
GTEX-Z93T-0126-SM-5HL5N 50-59 years, male 7.5
GTEX-1399T-2826-SM-5KLYZ 60-69 years, male 7.4
GTEX-U3ZN-2326-SM-3DB7W 30-39 years, female 7.4
GTEX-1F75I-0326-SM-9YFLU 40-49 years, male 7.4
GTEX-1IL2V-0126-SM-CM2TX 70-79 years, male 7.4
GTEX-1PPH7-2326-SM-EVYB8 40-49 years, male 7.4
GTEX-13N2G-2626-SM-5J1OT 60-69 years, male 7.3
GTEX-1C2JI-1826-SM-73KXC 50-59 years, male 7.3
GTEX-PLZ4-0126-SM-5SI8O 50-59 years, female 7.3
GTEX-ZDYS-2026-SM-5HL5L 50-59 years, male 7.3
GTEX-1B933-0126-SM-7PC29 50-59 years, female 7.3
GTEX-1QP66-1726-SM-E8VO1 50-59 years, male 7.3
GTEX-1RLM8-2326-SM-EWRN4 50-59 years, male 7.3
GTEX-11NUK-0126-SM-5A5L3 50-59 years, male 7.2
GTEX-Z93S-0126-SM-5HL7M 50-59 years, male 7.2
GTEX-11TTK-0126-SM-5987B 60-69 years, female 7.1
GTEX-17HHE-2026-SM-79OKF 50-59 years, male 7.1
GTEX-17HHY-0126-SM-7LG5D 50-59 years, male 7.1
GTEX-17MFQ-1726-SM-793C7 20-29 years, male 7.1
GTEX-18465-0126-SM-731BN 50-59 years, male 7.1
GTEX-SJXC-0126-SM-2XCFF 60-69 years, male 7.1
GTEX-ZF28-0126-SM-4WKGK 60-69 years, male 7.1
GTEX-ZF2S-2326-SM-4WWCE 50-59 years, female 7.1
GTEX-1GF9X-2026-SM-7PC3A 40-49 years, female 7.1
GTEX-1HSEH-0126-SM-ACKXN 60-69 years, male 7.1
GTEX-1MGNQ-0126-SM-EVYCJ 40-49 years, male 7.1
GTEX-144GN-2326-SM-5LU4F 50-59 years, male 7.0
GTEX-ZTPG-0326-SM-5O9AX 20-29 years, female 6.9
GTEX-139TT-0126-SM-5K7Y5 60-69 years, male 6.8
GTEX-14BIM-0226-SM-7IGLD 60-69 years, female 6.8
GTEX-PLZ5-2026-SM-2S1O4 50-59 years, male 6.8
GTEX-XV7Q-2526-SM-4BRV9 40-49 years, female 6.8
GTEX-11O72-0126-SM-59887 40-49 years, male 6.7
GTEX-13VXU-0126-SM-5SI9F 50-59 years, male 6.7
GTEX-147F4-0226-SM-5QGPW 50-59 years, male 6.7
GTEX-14E6D-0126-SM-62LDV 50-59 years, male 6.7
GTEX-14LLW-0126-SM-6LLIO 70-79 years, female 6.7
GTEX-13OW7-0126-SM-5MR3B 50-59 years, male 6.6
GTEX-T5JC-0426-SM-32PLO 20-29 years, male 6.6
GTEX-XXEK-2226-SM-4BRUM 50-59 years, male 6.6
GTEX-1CB4F-0426-SM-9KNV4 60-69 years, male 6.6
GTEX-1F6IF-0726-SM-7P8TW 60-69 years, male 6.6
GTEX-1I1GV-0526-SM-A9G29 60-69 years, male 6.6
GTEX-13O1R-0126-SM-5L3EH 60-69 years, male 6.5
GTEX-VJYA-1126-SM-3GIJU 60-69 years, male 6.5
GTEX-VUSG-2526-SM-4KL1V 50-59 years, male 6.5
GTEX-1ICLZ-0126-SM-CKZPO 60-69 years, male 6.5
GTEX-11UD2-0226-SM-5EQKY 50-59 years, male 6.4
GTEX-145LU-0126-SM-5TDCB 50-59 years, male 6.4
GTEX-1GPI6-0126-SM-9WG69 60-69 years, male 6.4
GTEX-111VG-2426-SM-5GZXD 60-69 years, male 6.3
GTEX-ZE7O-0126-SM-57WC1 50-59 years, female 6.3
GTEX-1I1GR-0126-SM-CL55F 60-69 years, male 6.3
GTEX-1LNCM-1126-SM-E9U5E 50-59 years, female 6.3
GTEX-POMQ-2226-SM-2I5FK 20-29 years, female 6.2
GTEX-ZYW4-0126-SM-5E44A 60-69 years, male 6.2
GTEX-1F88F-2726-SM-7PBZZ 60-69 years, female 6.2
GTEX-1HUB1-0426-SM-E9U4U 60-69 years, male 6.2
GTEX-1MA7X-2226-SM-E6CIY 60-69 years, male 6.2
GTEX-1QEPI-0126-SM-EWRMQ 60-69 years, female 6.2
GTEX-11GS4-2726-SM-5A5LE 60-69 years, male 6.1
GTEX-15UKP-0426-SM-7KUFQ 20-29 years, male 6.1
GTEX-183FY-0126-SM-7LT9P 20-29 years, male 6.1
GTEX-1A3MW-0126-SM-73KXX 60-69 years, female 6.1
GTEX-R55E-0126-SM-2TC5Y 20-29 years, male 6.1
GTEX-WI4N-1026-SM-3LK7N 40-49 years, female 6.1
GTEX-ZVT3-0126-SM-5GU6I 60-69 years, female 6.1
GTEX-ZZPT-0226-SM-5E43X 50-59 years, male 6.1
GTEX-1I1GU-2226-SM-CGQFA 40-49 years, male 6.1
GTEX-146FH-0126-SM-5QGPP 50-59 years, female 6.0
GTEX-11WQC-2526-SM-5CVLE 60-69 years, male 5.9
GTEX-14A5H-0426-SM-5QGQF 60-69 years, male 5.9
GTEX-14PK6-1926-SM-6ETZU 70-79 years, female 5.9
GTEX-16YQH-0126-SM-7DUFJ 30-39 years, male 5.9
GTEX-Q2AH-1626-SM-3GAF8 40-49 years, male 5.9
GTEX-SSA3-0126-SM-32QPU 60-69 years, male 5.9
GTEX-1GN1W-0526-SM-9MQJQ 50-59 years, female 5.9
GTEX-1IE54-0126-SM-CMKHW 40-49 years, female 5.9
GTEX-OOBK-0126-SM-2YUND 40-49 years, male 5.8
GTEX-U8XE-0326-SM-3DB8P 30-39 years, male 5.8
GTEX-12WSG-2826-SM-E9J4H 50-59 years, female 5.8
GTEX-1HKZK-0326-SM-9WYUH 40-49 years, male 5.8
GTEX-1POEN-0126-SM-EYYXJ 30-39 years, female 5.8
GTEX-RVPV-0126-SM-EAZAW 60-69 years, male 5.8
GTEX-11EMC-2926-SM-5EQ4F 60-69 years, female 5.7
GTEX-13O3Q-2426-SM-5IJBR 50-59 years, male 5.7
GTEX-Q2AG-0126-SM-33HBV 40-49 years, female 5.7
GTEX-QLQW-1126-SM-2S1Q8 30-39 years, male 5.7
GTEX-ZQUD-1426-SM-57WER 30-39 years, male 5.7
GTEX-1H11D-0226-SM-9WG6Z 40-49 years, male 5.7
GTEX-R45C-0126-SM-EAZ2R 60-69 years, female 5.7
GTEX-15DYW-0126-SM-7KULE 60-69 years, female 5.6
GTEX-1AYCT-2426-SM-7IGQ3 50-59 years, male 5.6
GTEX-X638-0126-SM-47JZ8 70-79 years, female 5.6
GTEX-1LG7Y-0526-SM-DKPQC 50-59 years, male 5.6
GTEX-11P82-1626-SM-59879 20-29 years, male 5.5
GTEX-14ICK-0226-SM-6EU25 40-49 years, male 5.4
GTEX-11DXW-0226-SM-5H122 40-49 years, male 5.3
GTEX-1A32A-0126-SM-718B1 50-59 years, female 5.3
GTEX-1GN1V-0126-SM-9WPOS 60-69 years, male 5.3
GTEX-1I1HK-0126-SM-COH49 60-69 years, male 5.3
GTEX-1IDFM-0126-SM-COH2V 60-69 years, male 5.3
GTEX-WFG8-2226-SM-3GIL9 20-29 years, male 5.2
GTEX-12WSD-0126-SM-59HKN 60-69 years, female 5.1
GTEX-WOFL-0126-SM-3MJG2 60-69 years, male 5.0
GTEX-1HSMO-0126-SM-CL547 60-69 years, male 5.0
GTEX-18A7A-0226-SM-718BH 50-59 years, female 4.9
GTEX-YJ8A-0426-SM-5IFID 20-29 years, male 4.9
GTEX-15SHW-0326-SM-6PAML 60-69 years, male 4.8
GTEX-1C6VQ-0126-SM-7P8RI 50-59 years, male 4.7
GTEX-1EKGG-0226-SM-9WYTH 60-69 years, male 4.6
GTEX-1R9PO-2126-SM-E9J4O 60-69 years, female 4.6
GTEX-139T4-0226-SM-5HL5S 50-59 years, female 4.5
GTEX-13OVG-1926-SM-5L3DK 60-69 years, male 4.5
GTEX-183WM-0126-SM-7LTAB 70-79 years, female 4.5
GTEX-X62O-0126-SM-4E3JN 50-59 years, male 4.5
GTEX-14E7W-0126-SM-6LLJ9 70-79 years, male 4.4
GTEX-13OVL-0226-SM-5L3E9 50-59 years, male 4.3
GTEX-14ABY-0226-SM-5TDCQ 50-59 years, male 4.3
GTEX-RN64-0126-SM-2TC68 50-59 years, male 4.3
GTEX-U4B1-1826-SM-4DXSU 40-49 years, male 4.3
GTEX-1A8FM-0226-SM-7SB7Q 50-59 years, female 4.3
GTEX-1192W-2626-SM-5Q5AF 60-69 years, male 4.1
GTEX-16XZY-2126-SM-79OK1 70-79 years, male 4.1
GTEX-V1D1-2226-SM-3NMAX 50-59 years, male 4.0
GTEX-11ZUS-0626-SM-59885 30-39 years, male 3.8
GTEX-X4XY-0226-SM-4E3IZ 60-69 years, male 3.8
GTEX-ZUA1-0126-SM-5GU76 40-49 years, male 3.8
GTEX-13OW6-0426-SM-5L3HM 50-59 years, male 3.6
GTEX-ZDXO-3026-SM-5J1N5 60-69 years, male 3.5
GTEX-1F75A-0126-SM-7RHGM 50-59 years, male 3.5
GTEX-1PBJI-0526-SM-E8VNK 20-29 years, female 3.5
GTEX-11WQK-0526-SM-5EQLD 50-59 years, male 3.3
GTEX-RUSQ-1526-SM-2TF62 50-59 years, male 3.3
GTEX-1C6WA-0126-SM-7PC2B 60-69 years, male 3.3
GTEX-1R9K4-0126-SM-DTX9X 60-69 years, male 3.2
GTEX-14A6H-0126-SM-5QGPK 30-39 years, male 3.1
GTEX-1OJC4-0126-SM-E9J2E 50-59 years, female 3.1
GTEX-1QW4Y-1526-SM-EAZ3Z 30-39 years, male 2.7
GTEX-SE5C-1626-SM-2XCE3 40-49 years, female 2.6
GTEX-113IC-0126-SM-5HL6T 60-69 years, male 2.5
GTEX-12WSN-5019-SM-79OM6 40-49 years, male 2.5
GTEX-1HBPH-0426-SM-B2LW5 40-49 years, female 2.5
GTEX-1QP67-1626-SM-EAZ3X 40-49 years, female 2.1
GTEX-146FR-1326-SM-E9J48 60-69 years, female 1.3
GTEX-15EOM-0126-SM-7KUGG 20-29 years, female 1.2
GTEX-Q734-1926-SM-2I5EV 40-49 years, female 1.2
GTEX-14JIY-0126-SM-6LLH6 60-69 years, male 0.7
GTEX-1RAZQ-0726-SM-EAZ43 30-39 years, male 0.7
Show allShow less

Contact

  • NEWS ARTICLES
  • PRESS ROOM

The Project

  • INTRODUCTION
  • ORGANIZATION
  • PUBLICATIONS

The Human Protein Atlas

  • DOWNLOADABLE DATA
  • LICENCE & CITATION
  • HELP & FAQ
The Human Protein Atlas project is funded
by the Knut & Alice Wallenberg Foundation.


contact@proteinatlas.org