We use cookies to enhance the usability of our website. If you continue, we'll assume that you are happy to receive all cookies. More information. Don't show this again.
WIPF2
HPA
RESOURCES
  • TISSUE
  • BRAIN
  • SINGLE CELL
  • SUBCELLULAR
  • CANCER
  • BLOOD
  • CELL LINE
  • STRUCTURE & INTERACTION
ABOUT
  • INTRODUCTION
  • HISTORY
  • ORGANIZATION
  • PUBLICATIONS
  • ANTIBODY SUBMISSION
  • ANTIBODY AVAILABILITY
  • ACKNOWLEDGMENTS
  • CONTACT
NEWS
  • NEWS ARTICLES
  • PRESS ROOM
LEARN
  • DICTIONARY
  • PROTEIN CLASSES
  • PROTEIN EVIDENCE
  • METHODS
  • EDUCATIONAL VIDEOS
DATA
  • DOWNLOADABLE DATA
  • PUBLICATION DATA
  • RELEASE HISTORY
HELP
  • ANTIBODY VALIDATION
  • ASSAYS & ANNOTATION
  • DISCLAIMER
  • HELP & FAQ
  • PRIVACY STATEMENT
  • LICENCE & CITATION
Fields »
Search result

Field
Term
Gene name
Class
Subclass
Class
Keyword
Chromosome
External id
Tissue
Cell type
Expression
Antibody panel
Tissue
Main location
Patient ID
Annotation
Tissue
Category
Tau score
Cluster
Reliability
Brain region
Category
Tau score
Brain region
Category
Tau score
Brain region
Category
Tau score
Cluster
Reliability
Tissue
Cell type
Enrichment
Cell type
Category
Tau score
Cell type
Category
Tau score
Cell type
Category
Tau score
Cell lineage
Category
Tau score
Cluster
Cluster
Location
Searches
Location
Cell line
Class
Type
Phase
Reliability
Cancer
Prognosis
Cancer
Category
Cancer
Category
Tau score
Cluster
Variants
Interacting gene (ensg_id)
Type
Number of interactions
Pathway
Category
Score
Score
Score
Validation
Validation
Validation
Validation
Antibodies
Data type
Column


  • SUMMARY

  • TISSUE

  • BRAIN

  • SINGLE CELL

  • SUBCELL

  • CANCER

  • BLOOD

  • CELL LINE

  • STRUCT & INT

  • WIPF2
TISSUE PRIMARY DATA STOMACH Show tissue menu
ADIPOSE TISSUE ADRENAL GLAND AMYGDALA APPENDIX BASAL GANGLIA BONE MARROW BREAST BRONCHUS CEREBELLUM CEREBRAL CORTEX CERVIX CHOROID PLEXUS COLON DUODENUM
ENDOMETRIUM EPIDIDYMIS ESOPHAGUS FALLOPIAN TUBE GALLBLADDER HEART MUSCLE HIPPOCAMPAL FORMATION HYPOTHALAMUS KIDNEY LIVER LUNG LYMPH NODE MIDBRAIN NASOPHARYNX
ORAL MUCOSA OVARY PANCREAS PARATHYROID GLAND PITUITARY GLAND PLACENTA PROSTATE RECTUM RETINA SALIVARY GLAND SEMINAL VESICLE SKELETAL MUSCLE SKIN SMALL INTESTINE
SMOOTH MUSCLE SOFT TISSUE SPINAL CORD SPLEEN STOMACH TESTIS THYMUS THYROID GLAND TONGUE TONSIL URINARY BLADDER VAGINA
ANTIBODIES
AND
VALIDATION
Dictionary
Tissue proteome
Stomach
STOMACH - Expression summary
Protein expression
Stomachi

On the top, protein expression in current human tissue, based on all annotated cell types, is reported with the units not detected (n), low (l), medium (m) and high (h). Underneath, protein expression in each annotated cell type are reported using the same units.

Protein expression data is based on knowledge-based annotation. For genes where more than one antibody has been used, a collective score is set.

If knowledge-based annotation could not be performed for a gene, no data is displayed here. View antibody staining data further down this page.

h
m
l
n
Glandular cells: High
RNA expressioni

A summary of mRNA expression data available for current tissue based on several datasets. The mRNA expression levels in human tissues are based on RNA-seq data generated by the Human Protein Atlas (HPA), Genotype-Tissue Expression (GTEx) portal and CAGE data generated by the FANTOM5 consortium. Consensus normalized expression levels for human tissues was created by combining the data from HPA and GTEx datasets.

The mRNA expression levels in pig are based on RNA-seq data generated by the Human Protein Atlas (HPA), and for mouse, HPA data and in situ hybridization generated by the Allen brain atlas are reported.

Scroll down to view mRNA expression data in more detail.
Consensus:12.4 nTPM
HPA:12.4 nTPM
GTEx:9.9 nTPM

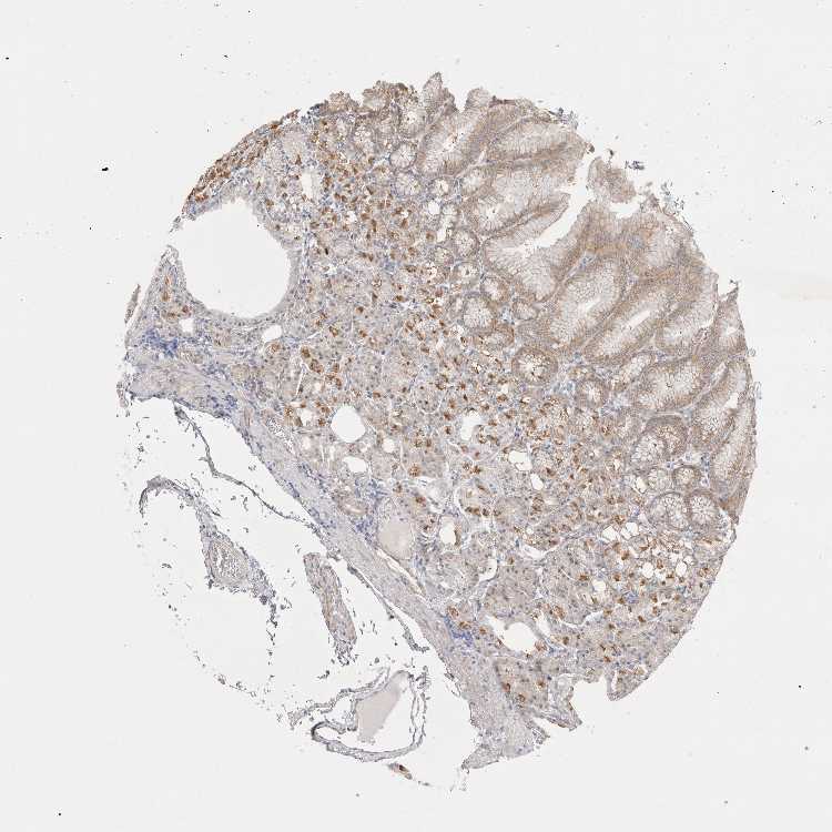
STOMACH 1 - Antibody stainingi

Antibody staining in the annotated cell types in the current human tissue is reported as not detected, low, medium, or high, based on conventional immunohistochemistry profiling in selected tissues. This score is based on the combination of the staining intensity and fraction of stained cells.

Each image is clickable and will lead to virtual microscopy that enables deeper exploration of all samples and also displays staining intensity scores, fraction scores and subcellular localization as well as patient and tissue information for each sample.

Antibody HPA024000Antibody HPA024001Antibody HPA024467
Glandular cells HighHighMedium






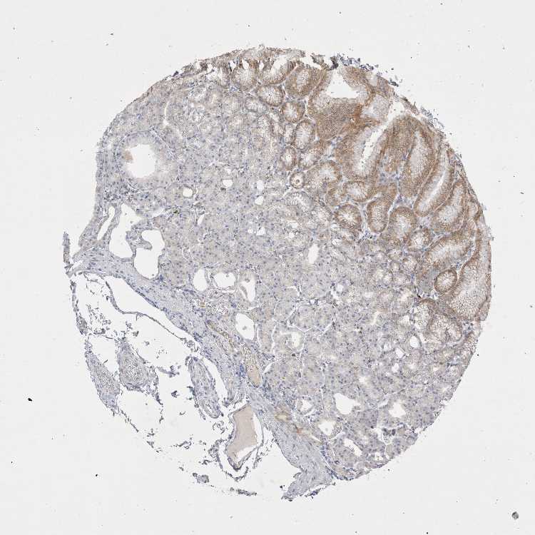
STOMACH 2 - Antibody stainingi

Antibody staining in the annotated cell types in the current human tissue is reported as not detected, low, medium, or high, based on conventional immunohistochemistry profiling in selected tissues. This score is based on the combination of the staining intensity and fraction of stained cells.

Each image is clickable and will lead to virtual microscopy that enables deeper exploration of all samples and also displays staining intensity scores, fraction scores and subcellular localization as well as patient and tissue information for each sample.

Antibody HPA024000Antibody HPA024001Antibody HPA024467
Glandular cells MediumHighMedium







STOMACH - HPA RNA-seqi

The RNA-seq details section shows detailed information about the individual samples used for the transcript profiling and results of the RNA-seq analysis.

Information about each individual sample is listed below, including gender, age, a tissue section image and estimated fractions of cell types. nTPM (normalized transcripts per million) values give a quantification of the gene abundance which is comparable between different genes and samples.
Average nTPMi

Max subtype nTPM is the value for the subtype with the largest average nTPM across the subtype samples.

12.4
overview
Female, age 33
Stomach sample 61
nTPM: 10.6
Cell types%
Glandular cells:
60

Smooth muscle cells:
5

Other cell types:
35

N/A
Male, age 82
Stomach sample 240
nTPM: 13.9
Cell types%
Glandular cells:
65

Smooth muscle cells:
5

Other cell types:
30

overview
Male, age 71
Stomach sample 241
nTPM: 13.5
Cell types%
Glandular cells:
50

Smooth muscle cells:
5

Other cell types:
45

overview
Female, age 66
Stomach sample 369
nTPM: 11.7
Cell types%
Glandular cells:
50

Smooth muscle cells:
10

Other cell types:
40


STOMACH - GTEx RNA-seqi

RNA-Seq data generated by the Genotype-Tissue Expression (GTEx) project from human tissues is reported as mean nTPM. More information can be found on the GTEx portal.

Distribution across the dataset is visualized with box plots, shown as median and 25th and 75th percentiles. Points are displayed as outliers if they are above or below 1.5 times the interquartile range. nTPM values of the individual samples are presented next to the box plot.
Max subtype nTPMi

Max subtype nTPM is the value for the subtype with the largest average nTPM across the subtype samples.

9.9
GTEx sample id Sample description nTPM
Stomach
Average nTPM: 9.9
Samples: 359

Max nTPM: 21.2
Min nTPM: 3.6
Std nTPM: 2.3
Median nTPM: 10.2
GTEX-1GMRU-2526-SM-9WG7T 50-59 years, male 21.2
GTEX-ZYY3-1726-SM-5EGH3 60-69 years, female 18.5
GTEX-OIZF-1526-SM-2I5GR 60-69 years, male 16.4
GTEX-11GSP-2126-SM-5HL5E 60-69 years, female 15.4
GTEX-ZVT3-2126-SM-59HL2 60-69 years, female 15.4
GTEX-11NUK-2426-SM-5BC4U 50-59 years, male 15.1
GTEX-1I1HK-2026-SM-CNNRB 60-69 years, male 14.6
GTEX-1399R-1126-SM-5IFIO 30-39 years, male 14.5
GTEX-13OVK-0926-SM-7KUFX 40-49 years, male 14.5
GTEX-13OW6-2526-SM-5IJEC 50-59 years, male 13.8
GTEX-15CHR-1326-SM-79OLT 50-59 years, male 13.8
GTEX-XXEK-0826-SM-4BRWG 50-59 years, male 13.8
GTEX-1RB15-1026-SM-E9U6V 60-69 years, male 13.8
GTEX-QV44-1226-SM-CJI1S 50-59 years, male 13.8
GTEX-14PJ6-0826-SM-686Z9 60-69 years, female 13.6
GTEX-1B97J-1826-SM-7IGPP 50-59 years, female 13.4
GTEX-13FTW-1726-SM-5KM2B 40-49 years, male 13.3
GTEX-15RIE-1026-SM-6LPJQ 60-69 years, male 13.3
GTEX-PX3G-1526-SM-48U11 20-29 years, female 13.3
GTEX-117YX-1026-SM-5H11V 50-59 years, male 13.1
GTEX-11I78-1726-SM-5A5M3 50-59 years, female 13.1
GTEX-1B8KZ-1226-SM-793CP 50-59 years, male 13.1
GTEX-QCQG-0526-SM-48U2A 50-59 years, female 13.1
GTEX-ZDYS-1926-SM-5HL59 50-59 years, male 13.1
GTEX-ZVP2-1626-SM-5GU5D 50-59 years, male 13.1
GTEX-R53T-1226-SM-48FCT 50-59 years, female 13.0
GTEX-S95S-0826-SM-4B64N 60-69 years, male 12.9
GTEX-ZPU1-1626-SM-4WWB2 40-49 years, male 12.9
GTEX-1MGNQ-1826-SM-DPRYI 40-49 years, male 12.9
GTEX-131XG-1226-SM-5EGH9 50-59 years, female 12.8
GTEX-Q734-1026-SM-48U16 40-49 years, female 12.8
GTEX-YEC4-1426-SM-5IFHS 40-49 years, male 12.8
GTEX-1HBPI-0726-SM-9WG7Z 50-59 years, male 12.8
GTEX-145MN-1326-SM-5NQ9S 30-39 years, male 12.7
GTEX-1CAMR-0726-SM-7EPIE 20-29 years, male 12.7
GTEX-QDVJ-1426-SM-48U1Y 50-59 years, male 12.7
GTEX-X15G-1126-SM-4PQZG 50-59 years, female 12.7
GTEX-16AAH-1226-SM-79OO9 50-59 years, male 12.6
GTEX-Q2AH-1126-SM-48TZM 40-49 years, male 12.6
GTEX-13D11-2126-SM-5IFH2 50-59 years, female 12.5
GTEX-13FTX-0726-SM-5N9BI 20-29 years, female 12.5
GTEX-U3ZN-2026-SM-4DXUC 30-39 years, female 12.5
GTEX-1GL5R-1926-SM-9WG7U 50-59 years, male 12.5
GTEX-W5WG-1726-SM-4LMI5 50-59 years, female 12.3
GTEX-WY7C-1726-SM-4ONCC 50-59 years, male 12.3
GTEX-ZF29-1526-SM-4WKF7 60-69 years, female 12.3
GTEX-V955-1326-SM-4JBHR 60-69 years, male 12.2
GTEX-1KANA-1126-SM-D3L9M 20-29 years, male 12.2
GTEX-RM2N-0826-SM-48FD3 50-59 years, male 12.1
GTEX-Y8LW-0826-SM-4WWDO 50-59 years, female 12.1
GTEX-1H3VY-2326-SM-9WG81 50-59 years, male 12.1
GTEX-1LGOU-1526-SM-D3LAJ 20-29 years, female 12.1
GTEX-13S7M-1826-SM-5RQK6 60-69 years, female 12.0
GTEX-14PHX-1026-SM-664OL 50-59 years, male 12.0
GTEX-1B8KE-1326-SM-73KVI 50-59 years, male 12.0
GTEX-PWCY-0926-SM-48TD7 20-29 years, female 12.0
GTEX-QLQW-0726-SM-447AA 30-39 years, male 12.0
GTEX-RWS6-0926-SM-47JXE 60-69 years, female 12.0
GTEX-ZAB4-1526-SM-5CVN7 40-49 years, male 12.0
GTEX-14PKV-1826-SM-69LO9 20-29 years, female 11.9
GTEX-PWN1-1526-SM-48TDA 40-49 years, female 11.9
GTEX-S4UY-1626-SM-4AD55 40-49 years, female 11.9
GTEX-SNMC-0626-SM-4DM6H 20-29 years, male 11.9
GTEX-1ICG6-1826-SM-AHZ2O 70-79 years, female 11.9
GTEX-1RMOY-1126-SM-EV79E 50-59 years, male 11.9
GTEX-17HHE-1026-SM-79ON6 50-59 years, male 11.8
GTEX-18A67-2626-SM-718AD 50-59 years, male 11.8
GTEX-WHSB-1226-SM-4M1XR 50-59 years, male 11.8
GTEX-ZP4G-1226-SM-4WWCJ 20-29 years, female 11.8
GTEX-1HFI7-1526-SM-9WG7W 50-59 years, female 11.8
GTEX-1R9K5-1026-SM-EAZ4F 50-59 years, male 11.8
GTEX-111CU-0926-SM-5EGIK 50-59 years, male 11.7
GTEX-144GN-1226-SM-5O991 50-59 years, male 11.7
GTEX-145LT-1426-SM-5O9B3 40-49 years, male 11.7
GTEX-17F98-1526-SM-7EWD8 40-49 years, female 11.7
GTEX-1C475-1026-SM-7MKFJ 40-49 years, female 11.7
GTEX-UJMC-1226-SM-4IHLI 50-59 years, male 11.7
GTEX-11TT1-0726-SM-5GU5A 20-29 years, male 11.6
GTEX-132QS-1826-SM-5IFFN 60-69 years, male 11.6
GTEX-1399S-1626-SM-5P9GI 30-39 years, female 11.6
GTEX-14DAR-0926-SM-73KUQ 50-59 years, male 11.6
GTEX-14PJ3-1426-SM-664O8 50-59 years, male 11.6
GTEX-15DZA-1126-SM-6LPK8 30-39 years, female 11.6
GTEX-18A66-2226-SM-7189E 60-69 years, male 11.6
GTEX-P4PP-1526-SM-3P61M 30-39 years, female 11.6
GTEX-ZYFG-1326-SM-5GICJ 60-69 years, female 11.6
GTEX-ZLV1-0826-SM-DO11P 60-69 years, female 11.6
GTEX-11NSD-1426-SM-5HL67 20-29 years, male 11.5
GTEX-OHPK-1526-SM-3MJGM 50-59 years, female 11.5
GTEX-S341-0626-SM-4AD5T 40-49 years, female 11.5
GTEX-TMMY-1626-SM-4DXTY 40-49 years, female 11.5
GTEX-T5JW-0926-SM-4DM5K 20-29 years, female 11.4
GTEX-U4B1-1026-SM-4DXT1 40-49 years, male 11.4
GTEX-VJYA-1026-SM-4KL21 60-69 years, male 11.4
GTEX-Y3IK-1426-SM-4YCES 50-59 years, female 11.4
GTEX-ZVZP-1726-SM-5GZWY 50-59 years, male 11.4
GTEX-ZY6K-0726-SM-5A5L8 50-59 years, male 11.4
GTEX-ZZ64-0426-SM-5E43F 20-29 years, male 11.4
GTEX-1J8JJ-1726-SM-C1YQG 60-69 years, female 11.4
GTEX-12WSK-1426-SM-5CVNN 40-49 years, female 11.3
GTEX-18QFQ-1226-SM-718AE 30-39 years, male 11.3
GTEX-XQ8I-2026-SM-4BOOL 50-59 years, male 11.3
GTEX-1RAZR-1526-SM-EAZ4U 40-49 years, male 11.3
GTEX-111YS-1126-SM-5GZYQ 60-69 years, male 11.2
GTEX-11DXX-1326-SM-5GIDZ 60-69 years, female 11.2
GTEX-12BJ1-1726-SM-5HL9B 60-69 years, male 11.2
GTEX-13113-0726-SM-5LZUF 60-69 years, female 11.2
GTEX-131XF-1226-SM-5HL8V 60-69 years, male 11.2
GTEX-17F9E-2226-SM-7IGNC 50-59 years, male 11.2
GTEX-18A7A-2726-SM-7LG6U 50-59 years, female 11.2
GTEX-QDVN-1226-SM-48TZ5 50-59 years, male 11.2
GTEX-YFCO-0826-SM-5LUAG 40-49 years, male 11.2
GTEX-1JMPZ-1826-SM-CXZJT 30-39 years, male 11.2
GTEX-14E6E-0926-SM-664N8 30-39 years, male 11.1
GTEX-14ICL-0826-SM-5YY9W 30-39 years, male 11.1
GTEX-1AMFI-1226-SM-731CZ 50-59 years, female 11.1
GTEX-OXRK-1626-SM-3NB17 50-59 years, female 11.1
GTEX-Q2AI-0826-SM-48TZO 40-49 years, male 11.1
GTEX-1MJIX-1126-SM-EV7AO 40-49 years, male 11.1
GTEX-ZLFU-1326-SM-DO11R 40-49 years, male 11.1
GTEX-ZLWG-1526-SM-DO12F 50-59 years, female 11.1
GTEX-1122O-1926-SM-5EGIQ 60-69 years, female 11.0
GTEX-12WSG-2026-SM-5FQUU 50-59 years, female 11.0
GTEX-13O21-0926-SM-5IFGT 50-59 years, male 11.0
GTEX-1AYCT-1326-SM-7MKHB 50-59 years, male 11.0
GTEX-P78B-1826-SM-3P5YX 40-49 years, female 11.0
GTEX-POMQ-0826-SM-3P61H 20-29 years, female 11.0
GTEX-T6MO-0726-SM-4DM58 40-49 years, female 11.0
GTEX-WHPG-0426-SM-4M1XW 50-59 years, male 11.0
GTEX-1HKZK-1526-SM-B2LWG 40-49 years, male 11.0
GTEX-1J8Q3-1926-SM-C1YSJ 60-69 years, male 11.0
GTEX-1J8QM-1126-SM-C1YQB 60-69 years, female 11.0
GTEX-OXRL-1526-SM-E6CHQ 50-59 years, male 11.0
GTEX-11EM3-1026-SM-5A5KL 20-29 years, female 10.9
GTEX-14BIL-1926-SM-73KYI 50-59 years, male 10.9
GTEX-14BMU-1126-SM-5RQJ8 20-29 years, female 10.9
GTEX-S3XE-1026-SM-4AD4O 50-59 years, male 10.9
GTEX-ZA64-0826-SM-5HL9U 20-29 years, male 10.9
GTEX-1GZ4H-1026-SM-9OSXL 50-59 years, female 10.9
GTEX-1JK1U-1326-SM-AHZ45 60-69 years, male 10.9
GTEX-14JG6-1226-SM-664O6 30-39 years, female 10.8
GTEX-1I6K7-1726-SM-B2LXQ 40-49 years, male 10.8
GTEX-1IDJU-1526-SM-CNNR3 60-69 years, female 10.8
GTEX-1JMLX-2426-SM-CXZJQ 50-59 years, male 10.8
GTEX-1LG7Z-1226-SM-DHXK4 30-39 years, male 10.8
GTEX-1MUQO-1926-SM-EAZ59 60-69 years, male 10.8
GTEX-117YW-2226-SM-5N9DB 50-59 years, male 10.7
GTEX-12WSD-2326-SM-59HKQ 60-69 years, female 10.7
GTEX-1A3MV-1226-SM-718BW 30-39 years, male 10.7
GTEX-1A8G6-1426-SM-731EZ 60-69 years, male 10.7
GTEX-OOBJ-1526-SM-3NB1Q 60-69 years, male 10.7
GTEX-WFG7-1326-SM-4LMK1 20-29 years, male 10.7
GTEX-WFG8-1326-SM-4LVN3 20-29 years, male 10.7
GTEX-XUZC-0726-SM-4BOPH 30-39 years, female 10.7
GTEX-1LBAC-1426-SM-CXZKT 20-29 years, male 10.7
GTEX-1QPFJ-1526-SM-DPRXT 30-39 years, female 10.7
GTEX-RUSQ-1126-SM-EAZAU 50-59 years, male 10.7
GTEX-14B4R-0726-SM-5TDDR 30-39 years, male 10.6
GTEX-15DCE-1626-SM-6LPJM 20-29 years, male 10.6
GTEX-QV31-0626-SM-447C5 30-39 years, male 10.6
GTEX-WFON-1126-SM-4LVMA 40-49 years, male 10.6
GTEX-ZV7C-1626-SM-5NQ7E 50-59 years, male 10.6
GTEX-OHPM-1526-SM-EV796 50-59 years, male 10.6
GTEX-XMK1-1526-SM-EYYVO 40-49 years, male 10.6
GTEX-17HGU-2126-SM-7IGOV 50-59 years, male 10.5
GTEX-17HII-2426-SM-7KFTT 50-59 years, male 10.5
GTEX-PW2O-1226-SM-48TCH 20-29 years, male 10.5
GTEX-XV7Q-1326-SM-4BRWM 40-49 years, female 10.5
GTEX-ZQUD-0826-SM-57WDQ 30-39 years, male 10.5
GTEX-ZXES-1426-SM-5NQ8S 30-39 years, female 10.5
GTEX-1R7EU-1126-SM-EAZ4M 60-69 years, male 10.5
GTEX-WHWD-1426-SM-4OORU 50-59 years, male 10.4
GTEX-Y5LM-1326-SM-5RQIS 40-49 years, female 10.4
GTEX-RTLS-2626-SM-46MUJ 60-69 years, female 10.3
GTEX-ZF2S-1426-SM-57WET 50-59 years, female 10.3
GTEX-ZVT2-1626-SM-51MRC 50-59 years, female 10.3
GTEX-1F75I-1826-SM-7MKGX 40-49 years, male 10.2
GTEX-O5YW-1526-SM-3MJGL 50-59 years, male 10.2
GTEX-1KXAM-0926-SM-CXZKA 60-69 years, male 10.2
GTEX-1LGRB-1726-SM-CNNRA 50-59 years, female 10.2
GTEX-12696-1726-SM-5EQLH 60-69 years, male 10.1
GTEX-133LE-1326-SM-5IFGO 20-29 years, female 10.1
GTEX-145ME-1026-SM-5O9B4 40-49 years, female 10.1
GTEX-17GQL-1226-SM-7KFTS 60-69 years, male 10.0
GTEX-1F5PL-1426-SM-7MKFH 40-49 years, female 10.0
GTEX-1HBPN-1626-SM-9WPNP 50-59 years, male 10.0
GTEX-14PJ4-1626-SM-664OB 60-69 years, male 9.9
GTEX-QLQ7-0826-SM-447B3 60-69 years, male 9.9
GTEX-V1D1-1726-SM-4JBHB 50-59 years, male 9.9
GTEX-ZT9W-1526-SM-4YCDE 50-59 years, male 9.9
GTEX-1LVAN-2426-SM-CNNPZ 50-59 years, female 9.9
GTEX-1QMI2-2126-SM-DPRXQ 60-69 years, male 9.9
GTEX-139D8-2326-SM-5IFGE 30-39 years, female 9.8
GTEX-13CF3-1926-SM-5K7WF 60-69 years, female 9.8
GTEX-14DAQ-2826-SM-664MU 60-69 years, female 9.8
GTEX-Y5V6-1326-SM-4VDTF 60-69 years, male 9.8
GTEX-1H11D-2226-SM-9OSXN 40-49 years, male 9.8
GTEX-14PJ5-0826-SM-6AJAR 60-69 years, female 9.6
GTEX-WH7G-1526-SM-4LVMX 40-49 years, male 9.6
GTEX-XBED-1226-SM-4AT5V 60-69 years, male 9.6
GTEX-YB5E-1126-SM-664NU 40-49 years, male 9.6
GTEX-YJ8A-1526-SM-5P9FT 20-29 years, male 9.6
GTEX-1F5PK-1826-SM-7RHHX 50-59 years, male 9.6
GTEX-15G19-1526-SM-6LPKP 60-69 years, male 9.5
GTEX-15UF7-1226-SM-6M46G 40-49 years, male 9.5
GTEX-17KNJ-1526-SM-7LTA9 50-59 years, male 9.5
GTEX-1AMEY-1226-SM-731DU 30-39 years, female 9.5
GTEX-T8EM-1226-SM-4DM5J 40-49 years, male 9.5
GTEX-1JKYN-1726-SM-AHZ48 30-39 years, male 9.5
GTEX-13U4I-2526-SM-5SI8Z 40-49 years, female 9.4
GTEX-S4P3-0726-SM-4AD57 50-59 years, female 9.4
GTEX-S4Q7-0726-SM-4AD5F 20-29 years, male 9.4
GTEX-SNOS-0826-SM-4DM5N 40-49 years, male 9.4
GTEX-WYJK-2526-SM-4ONDF 50-59 years, male 9.4
GTEX-1JN76-0926-SM-ARZNH 20-29 years, female 9.4
GTEX-1QCLZ-1826-SM-DPRXP 60-69 years, female 9.4
GTEX-1QP2A-2126-SM-DPRZ7 50-59 years, male 9.4
GTEX-13FH7-1026-SM-5IJGF 50-59 years, female 9.3
GTEX-14PHY-0926-SM-5ZZWL 60-69 years, female 9.3
GTEX-1AX9J-2626-SM-731EK 60-69 years, male 9.3
GTEX-UJHI-1026-SM-4IHJP 50-59 years, female 9.3
GTEX-ZZPU-1426-SM-5GZZ6 50-59 years, female 9.3
GTEX-1QCLY-1126-SM-EAZ4J 30-39 years, male 9.3
GTEX-ZGAY-1626-SM-DNZZ3 40-49 years, female 9.3
GTEX-1IDJD-2426-SM-C1YS6 30-39 years, male 9.2
GTEX-1RQEC-2126-SM-DPS15 60-69 years, male 9.2
GTEX-13PVR-2126-SM-73KVR 60-69 years, female 9.1
GTEX-NFK9-1526-SM-3LK7B 40-49 years, male 9.1
GTEX-WEY5-1226-SM-4LMIQ 40-49 years, female 9.1
GTEX-1H1E6-1626-SM-9OSWC 30-39 years, male 9.1
GTEX-132AR-2426-SM-5IFFD 50-59 years, female 9.0
GTEX-1C64O-2226-SM-73KTV 60-69 years, male 9.0
GTEX-QMRM-1126-SM-447BN 50-59 years, male 9.0
GTEX-Y9LG-1026-SM-5IFJN 30-39 years, male 9.0
GTEX-1339X-1426-SM-5K7YO 40-49 years, male 8.9
GTEX-1B97I-1226-SM-7MGWQ 40-49 years, male 8.9
GTEX-139YR-1926-SM-5LZXM 50-59 years, male 8.8
GTEX-OIZH-1526-SM-3NB1J 50-59 years, male 8.7
GTEX-R55G-1126-SM-48FDG 40-49 years, female 8.7
GTEX-RU1J-0526-SM-46MUT 20-29 years, female 8.7
GTEX-TKQ2-0926-SM-4DXU5 50-59 years, male 8.7
GTEX-Y8E4-1526-SM-4WWDI 40-49 years, male 8.7
GTEX-1H1DE-1226-SM-9JGHH 20-29 years, male 8.7
GTEX-18D9A-0626-SM-7KFTY 30-39 years, female 8.6
GTEX-1GPI7-1326-SM-9KNVA 20-29 years, male 8.6
GTEX-1HR9M-2326-SM-CNPPZ 60-69 years, male 8.6
GTEX-1I1GT-1726-SM-C1YS3 60-69 years, female 8.6
GTEX-1JN1M-2926-SM-CNNPJ 60-69 years, female 8.6
GTEX-1S82Z-1726-SM-E6CHZ 30-39 years, female 8.6
GTEX-13X6H-1626-SM-5Q5CT 50-59 years, female 8.5
GTEX-144GM-1726-SM-5O9AS 20-29 years, male 8.5
GTEX-14PN3-1326-SM-6AJ9U 60-69 years, female 8.5
GTEX-1GN1W-2126-SM-9JGI7 50-59 years, female 8.5
GTEX-1H1DG-2126-SM-9WPPB 70-79 years, male 8.5
GTEX-1H23P-2726-SM-9JGHN 60-69 years, male 8.5
GTEX-13RTK-0226-SM-5RQHR 20-29 years, male 8.4
GTEX-16NGA-1526-SM-72D56 40-49 years, female 8.4
GTEX-QXCU-1926-SM-48FE4 50-59 years, male 8.4
GTEX-1H3NZ-2226-SM-9WYUT 60-69 years, male 8.4
GTEX-11WQK-2626-SM-5EQ4K 50-59 years, male 8.3
GTEX-146FR-2026-SM-5NQAI 60-69 years, female 8.3
GTEX-PLZ6-0826-SM-3P61K 30-39 years, male 8.3
GTEX-WYVS-1326-SM-4ONCQ 40-49 years, female 8.3
GTEX-XBEW-1826-SM-4RTWX 40-49 years, male 8.3
GTEX-1E1VI-2826-SM-7MGWU 50-59 years, male 8.3
GTEX-1GF9U-1126-SM-AHZ4H 40-49 years, female 8.3
GTEX-1HSEH-1526-SM-B2LXG 60-69 years, male 8.3
GTEX-O5YV-1926-SM-EV797 60-69 years, female 8.3
GTEX-13QBU-1126-SM-5LU44 40-49 years, female 8.2
GTEX-SUCS-0926-SM-4DM4Z 70-79 years, male 8.2
GTEX-WRHK-0626-SM-4MVOE 20-29 years, female 8.2
GTEX-1I4MK-0926-SM-A9SLD 50-59 years, female 8.2
GTEX-13X6J-2126-SM-5TDCV 50-59 years, male 8.1
GTEX-P4QT-1526-SM-3NMCT 50-59 years, female 8.1
GTEX-WXYG-1626-SM-4ONCR 50-59 years, female 8.1
GTEX-Y3I4-1626-SM-4TT7W 50-59 years, male 8.1
GTEX-1J8EW-2226-SM-AHZ3T 60-69 years, female 8.1
GTEX-S4Z8-1226-SM-4AD6W 60-69 years, male 8.0
GTEX-11P7K-1726-SM-5GU6F 30-39 years, male 7.9
GTEX-R55C-1026-SM-48FCM 40-49 years, male 7.9
GTEX-ZEX8-1626-SM-4WKG7 50-59 years, male 7.9
GTEX-1LVAM-1426-SM-E9TJ4 50-59 years, female 7.9
GTEX-PLZ5-1226-SM-EXOHA 50-59 years, male 7.9
GTEX-1211K-1426-SM-5FQTF 60-69 years, female 7.8
GTEX-13111-1226-SM-5GCNC 50-59 years, male 7.8
GTEX-R55D-1526-SM-48FEJ 50-59 years, male 7.8
GTEX-TKQ1-0526-SM-4DXTG 30-39 years, male 7.8
GTEX-1IDJF-1426-SM-ACKWK 20-29 years, male 7.8
GTEX-11P82-0726-SM-5PNYL 20-29 years, male 7.7
GTEX-P4PQ-1526-SM-3NMCK 60-69 years, male 7.7
GTEX-WFJO-1126-SM-4LVLZ 30-39 years, male 7.7
GTEX-XAJ8-0326-SM-47JYI 40-49 years, male 7.7
GTEX-ZV6S-0926-SM-57WGB 40-49 years, female 7.7
GTEX-1PIGE-1126-SM-EWRMV 20-29 years, male 7.7
GTEX-1HCU8-1326-SM-C1YQQ 60-69 years, female 7.6
GTEX-1QP29-2326-SM-EXOJO 50-59 years, male 7.6
GTEX-13PVQ-2126-SM-5L3FW 50-59 years, male 7.5
GTEX-146FH-2126-SM-5SI9U 50-59 years, female 7.5
GTEX-17EUY-1526-SM-793CA 20-29 years, male 7.5
GTEX-1E2YA-2426-SM-7EPIG 50-59 years, male 7.5
GTEX-S7SF-0626-SM-4AD4V 20-29 years, female 7.5
GTEX-WZTO-2126-SM-4PQYW 40-49 years, male 7.5
GTEX-XPVG-1526-SM-4B66C 50-59 years, male 7.5
GTEX-1IL2V-2026-SM-ARZMA 70-79 years, male 7.5
GTEX-1JMQJ-1326-SM-D4P3B 50-59 years, male 7.5
GTEX-11EQ9-1226-SM-5987E 30-39 years, male 7.4
GTEX-14E1K-1526-SM-664MN 50-59 years, male 7.4
GTEX-1NSGN-1926-SM-E9J36 50-59 years, male 7.4
GTEX-YEC3-1426-SM-D4P1S 50-59 years, male 7.4
GTEX-12C56-0526-SM-5FQST 20-29 years, male 7.3
GTEX-13O3Q-2126-SM-5KM4C 50-59 years, male 7.3
GTEX-14PKU-1126-SM-69LOU 40-49 years, female 7.3
GTEX-1JMPY-0926-SM-ARL92 30-39 years, male 7.3
GTEX-131XE-2226-SM-5PNYX 50-59 years, male 7.2
GTEX-1N2DV-0926-SM-E9TJT 40-49 years, male 7.2
GTEX-11VI4-0326-SM-5EQ6L 40-49 years, female 7.1
GTEX-12WSJ-0926-SM-5P9JD 40-49 years, female 7.1
GTEX-145MO-2226-SM-5Q5BN 60-69 years, male 7.1
GTEX-ZPIC-2026-SM-57WG3 40-49 years, female 7.1
GTEX-1CB4H-2426-SM-7PBYR 60-69 years, female 7.1
GTEX-1KD5A-1426-SM-D4P3V 50-59 years, male 7.1
GTEX-15EU6-2526-SM-7KUGB 50-59 years, male 7.0
GTEX-ZTX8-0426-SM-59HLG 20-29 years, male 7.0
GTEX-1QP67-1026-SM-EVR47 40-49 years, female 7.0
GTEX-1A3MX-1926-SM-72D7F 60-69 years, male 6.9
GTEX-11EI6-2426-SM-5PNVS 60-69 years, male 6.8
GTEX-13OVI-2426-SM-5KM4J 60-69 years, female 6.8
GTEX-17MF6-2126-SM-7KFS7 40-49 years, male 6.8
GTEX-1HCUA-1626-SM-A9SMG 50-59 years, female 6.8
GTEX-1HSMQ-2426-SM-CE6RY 50-59 years, male 6.8
GTEX-1K2DA-0826-SM-CGQGD 50-59 years, male 6.8
GTEX-1QP28-2126-SM-DTX8B 50-59 years, female 6.8
GTEX-1B8L1-1526-SM-79OLK 60-69 years, male 6.7
GTEX-1L5NE-1526-SM-DIPFW 50-59 years, male 6.7
GTEX-1399U-1626-SM-5P9J3 50-59 years, female 6.6
GTEX-1LSNM-1026-SM-DHXL2 50-59 years, male 6.6
GTEX-18D9B-2226-SM-718BM 60-69 years, male 6.5
GTEX-UPK5-2126-SM-4JBJK 40-49 years, male 6.5
GTEX-1QW4Y-0726-SM-DTX8E 30-39 years, male 6.5
GTEX-QDT8-2026-SM-EZ6LS 30-39 years, female 6.5
GTEX-15SHW-2126-SM-6M46Y 60-69 years, male 6.4
GTEX-14BMV-2226-SM-5RQHX 50-59 years, male 6.3
GTEX-1CB4E-1326-SM-7DUGD 60-69 years, male 6.3
GTEX-13QJ3-2726-SM-5SI6L 50-59 years, male 6.2
GTEX-17JCI-2226-SM-7LTA1 60-69 years, female 6.2
GTEX-1EH9U-2226-SM-7PBXX 60-69 years, male 6.2
GTEX-1HT8W-2326-SM-A9SLA 30-39 years, male 6.2
GTEX-T5JC-1926-SM-4DM6Q 20-29 years, male 6.0
GTEX-ZYVF-2726-SM-5GID4 50-59 years, female 6.0
GTEX-1PPH8-1326-SM-DTXFO 20-29 years, male 5.9
GTEX-1S3DN-1526-SM-EVYCB 50-59 years, male 5.8
GTEX-13O61-1126-SM-5L3FI 60-69 years, male 5.6
GTEX-ZE7O-3026-SM-51MS4 50-59 years, female 5.6
GTEX-Y114-1226-SM-4TT88 50-59 years, female 5.4
GTEX-1S831-1126-SM-EWROI 20-29 years, male 5.4
GTEX-1MCYP-1126-SM-E9J2P 20-29 years, female 5.1
GTEX-15G1A-1226-SM-7KUF3 30-39 years, male 4.8
GTEX-15RIF-1126-SM-7KUG2 20-29 years, male 4.8
GTEX-13N1W-2026-SM-5K7YU 70-79 years, male 3.6
Show allShow less

Contact

  • NEWS ARTICLES
  • PRESS ROOM

The Project

  • INTRODUCTION
  • ORGANIZATION
  • PUBLICATIONS

The Human Protein Atlas

  • DOWNLOADABLE DATA
  • LICENCE & CITATION
  • HELP & FAQ
The Human Protein Atlas project is funded
by the Knut & Alice Wallenberg Foundation.


contact@proteinatlas.org