We use cookies to enhance the usability of our website. If you continue, we'll assume that you are happy to receive all cookies. More information. Don't show this again.
ZNF584
HPA
RESOURCES
  • TISSUE
  • BRAIN
  • SINGLE CELL
  • SUBCELLULAR
  • CANCER
  • BLOOD
  • CELL LINE
  • STRUCTURE & INTERACTION
ABOUT
  • INTRODUCTION
  • HISTORY
  • ORGANIZATION
  • PUBLICATIONS
  • ANTIBODY SUBMISSION
  • ANTIBODY AVAILABILITY
  • ACKNOWLEDGMENTS
  • CONTACT
NEWS
  • NEWS ARTICLES
  • PRESS ROOM
LEARN
  • DICTIONARY
  • PROTEIN CLASSES
  • PROTEIN EVIDENCE
  • METHODS
  • EDUCATIONAL VIDEOS
DATA
  • DOWNLOADABLE DATA
  • PUBLICATION DATA
  • RELEASE HISTORY
HELP
  • ANTIBODY VALIDATION
  • ASSAYS & ANNOTATION
  • DISCLAIMER
  • HELP & FAQ
  • PRIVACY STATEMENT
  • LICENCE & CITATION
Fields »
Search result

Field
Term
Gene name
Class
Subclass
Class
Keyword
Chromosome
External id
Tissue
Cell type
Expression
Antibody panel
Tissue
Main location
Patient ID
Annotation
Tissue
Category
Tau score
Cluster
Reliability
Brain region
Category
Tau score
Brain region
Category
Tau score
Brain region
Category
Tau score
Cluster
Reliability
Tissue
Cell type
Enrichment
Cell type
Category
Tau score
Cell type
Category
Tau score
Cell type
Category
Tau score
Cell lineage
Category
Tau score
Cluster
Cluster
Location
Searches
Location
Cell line
Class
Type
Phase
Reliability
Cancer
Prognosis
Cancer
Category
Cancer
Category
Tau score
Cluster
Variants
Interacting gene (ensg_id)
Type
Number of interactions
Pathway
Category
Score
Score
Score
Validation
Validation
Validation
Validation
Antibodies
Data type
Column


  • SUMMARY

  • TISSUE

  • BRAIN

  • SINGLE CELL

  • SUBCELL

  • CANCER

  • BLOOD

  • CELL LINE

  • STRUCT & INT

  • ZNF584
TISSUE PRIMARY DATA VAGINA Show tissue menu
ADIPOSE TISSUE ADRENAL GLAND AMYGDALA APPENDIX BASAL GANGLIA BONE MARROW BREAST CEREBELLUM CEREBRAL CORTEX CERVIX CHOROID PLEXUS COLON DUODENUM
ENDOMETRIUM EPIDIDYMIS ESOPHAGUS FALLOPIAN TUBE GALLBLADDER HEART MUSCLE HIPPOCAMPAL FORMATION HYPOTHALAMUS KIDNEY LIVER LUNG LYMPH NODE MIDBRAIN
OVARY PANCREAS PARATHYROID GLAND PITUITARY GLAND PLACENTA PROSTATE RECTUM RETINA SALIVARY GLAND SEMINAL VESICLE SKELETAL MUSCLE SKIN SMALL INTESTINE
SMOOTH MUSCLE SPINAL CORD SPLEEN STOMACH TESTIS THYMUS THYROID GLAND TONGUE TONSIL URINARY BLADDER VAGINA
ANTIBODIES
AND
VALIDATION
Dictionary
Vagina
Tissue proteome
Vagina
VAGINA - Expression summary
Protein expressioni

On the top, protein expression in current human tissue, based on all annotated cell types, is reported with the units not detected (n), low (l), medium (m) and high (h). Underneath, protein expression in each annotated cell type are reported using the same units.

Protein expression data is based on knowledge-based annotation. For genes where more than one antibody has been used, a collective score is set.

If knowledge-based annotation could not be performed for a gene, no data is displayed here. View antibody staining data further down this page.

No data
RNA expressioni

A summary of mRNA expression data available for current tissue based on several datasets. The mRNA expression levels in human tissues are based on RNA-seq data generated by the Human Protein Atlas (HPA), Genotype-Tissue Expression (GTEx) portal and CAGE data generated by the FANTOM5 consortium. Consensus normalized expression levels for human tissues was created by combining the data from HPA and GTEx datasets.

The mRNA expression levels in pig are based on RNA-seq data generated by the Human Protein Atlas (HPA), and for mouse, HPA data and in situ hybridization generated by the Allen brain atlas are reported.

Scroll down to view mRNA expression data in more detail.
Consensus:4.9 nTPM
GTEx:4.9 nTPM
FANTOM5:14.7 Scaled Tags Per Million

VAGINA - Annotated protein expression
Pending normal tissue analysis

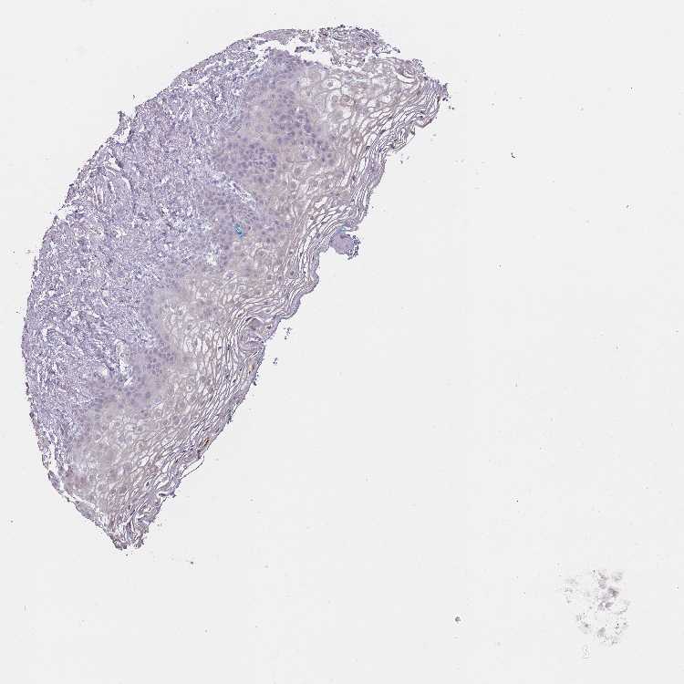
VAGINA - Antibody stainingi

Antibody staining in the annotated cell types in the current human tissue is reported as not detected, low, medium, or high, based on conventional immunohistochemistry profiling in selected tissues. This score is based on the combination of the staining intensity and fraction of stained cells.

Each image is clickable and will lead to virtual microscopy that enables deeper exploration of all samples and also displays staining intensity scores, fraction scores and subcellular localization as well as patient and tissue information for each sample.

Antibody HPA043408Antibody HPA048075
Squamous epithelial cells HighNot detected



VAGINA - GTEx RNA-seqi

RNA-Seq data generated by the Genotype-Tissue Expression (GTEx) project from human tissues is reported as mean nTPM. More information can be found on the GTEx portal.

Distribution across the dataset is visualized with box plots, shown as median and 25th and 75th percentiles. Points are displayed as outliers if they are above or below 1.5 times the interquartile range. nTPM values of the individual samples are presented next to the box plot.
Max subtype nTPMi

Max subtype nTPM is the value for the subtype with the largest average nTPM across the subtype samples.

4.9
GTEx sample id Sample description nTPM
Vagina
Average nTPM: 4.9
Samples: 156

Max nTPM: 9.6
Min nTPM: 2.2
Std nTPM: 1.3
Median nTPM: 4.8
GTEX-14PKU-1326-SM-6871B 40-49 years, female 9.6
GTEX-11I78-2026-SM-5987C 50-59 years, female 8.4
GTEX-1QPFJ-1626-SM-DTX7X 30-39 years, female 8.1
GTEX-Y8LW-1426-SM-5RQJJ 50-59 years, female 7.9
GTEX-14H4A-2426-SM-664OQ 40-49 years, female 7.5
GTEX-PWN1-2526-SM-48TDS 40-49 years, female 7.4
GTEX-ZP4G-0826-SM-4WWF3 20-29 years, female 7.4
GTEX-W5WG-1026-SM-4LMIF 50-59 years, female 7.3
GTEX-1LH75-1726-SM-DHXKZ 50-59 years, female 7.3
GTEX-ZLWG-1126-SM-4WWFQ 50-59 years, female 7.1
GTEX-S4UY-1326-SM-4AD4X 40-49 years, female 7.0
GTEX-11EM3-1826-SM-5A5KO 20-29 years, female 6.9
GTEX-WEY5-0826-SM-4LMIH 40-49 years, female 6.9
GTEX-1F5PL-1826-SM-7P8PP 40-49 years, female 6.9
GTEX-11XUK-1326-SM-5EQM4 40-49 years, female 6.8
GTEX-14BMU-1926-SM-5S2QC 20-29 years, female 6.8
GTEX-14JG6-0726-SM-69LQH 30-39 years, female 6.7
GTEX-Y114-1926-SM-4TT8J 50-59 years, female 6.7
GTEX-1AMFI-1526-SM-73KVY 50-59 years, female 6.6
GTEX-PWCY-1726-SM-48TD3 20-29 years, female 6.5
GTEX-RU1J-1426-SM-46MUV 20-29 years, female 6.4
GTEX-1IDJU-1026-SM-AHZ2U 60-69 years, female 6.4
GTEX-1LVAM-1926-SM-E6CIM 50-59 years, female 6.4
GTEX-1NUQO-1826-SM-E6CQU 20-29 years, female 6.4
GTEX-XUZC-1226-SM-4BRVJ 30-39 years, female 6.4
GTEX-1CAMS-2326-SM-793CR 40-49 years, female 6.3
GTEX-ZGAY-2226-SM-4YCCX 40-49 years, female 6.3
GTEX-1LVAN-1626-SM-CNPQ7 50-59 years, female 6.3
GTEX-13PL7-2726-SM-5L3GB 60-69 years, female 6.1
GTEX-14PN3-1626-SM-6AJAV 60-69 years, female 6.1
GTEX-16NGA-1626-SM-72D6M 40-49 years, female 6.1
GTEX-1I4MK-1726-SM-ARL7O 50-59 years, female 6.1
GTEX-OHPN-2426-SM-E9TI5 60-69 years, female 6.1
GTEX-13OVI-0926-SM-5J1MI 60-69 years, female 6.0
GTEX-1117F-2526-SM-5GZY6 60-69 years, female 5.8
GTEX-S341-1226-SM-4AD5S 40-49 years, female 5.8
GTEX-1LGOU-1126-SM-D3LAI 20-29 years, female 5.8
GTEX-1MCYP-1326-SM-EV7AD 20-29 years, female 5.8
GTEX-S7SF-1426-SM-4AT5A 20-29 years, female 5.7
GTEX-1399S-2326-SM-5K7YV 30-39 years, female 5.6
GTEX-1GF9U-1926-SM-7P8TZ 40-49 years, female 5.6
GTEX-11EMC-1926-SM-5A5JU 60-69 years, female 5.5
GTEX-1399U-1526-SM-5J2N7 50-59 years, female 5.5
GTEX-SE5C-1126-SM-4BRWZ 40-49 years, female 5.5
GTEX-11DXX-1726-SM-5H11T 60-69 years, female 5.4
GTEX-12WSJ-1326-SM-5GCOB 40-49 years, female 5.4
GTEX-13U4I-2026-SM-5LU3L 40-49 years, female 5.4
GTEX-13W3W-2326-SM-5LU4Y 60-69 years, female 5.4
GTEX-145ME-1426-SM-5RQJS 40-49 years, female 5.4
GTEX-14DAQ-2326-SM-5S2QX 60-69 years, female 5.4
GTEX-14PJ6-1626-SM-6872D 60-69 years, female 5.4
GTEX-OHPK-2526-SM-3MJH9 50-59 years, female 5.4
GTEX-OHPL-2526-SM-3MJGT 60-69 years, female 5.4
GTEX-PX3G-2526-SM-48TZV 20-29 years, female 5.4
GTEX-U3ZN-0926-SM-4DXTU 30-39 years, female 5.4
GTEX-Y3IK-2226-SM-4YCD4 50-59 years, female 5.4
GTEX-ZQG8-1126-SM-51MRL 60-69 years, female 5.4
GTEX-13D11-1326-SM-5IJFY 50-59 years, female 5.3
GTEX-18D9A-1026-SM-7KFRU 30-39 years, female 5.3
GTEX-QCQG-1226-SM-48U23 50-59 years, female 5.3
GTEX-147F3-1526-SM-5SIAK 50-59 years, female 5.2
GTEX-XUW1-0326-SM-4BOOR 50-59 years, female 5.2
GTEX-UJHI-1326-SM-4IHJO 50-59 years, female 5.1
GTEX-YJ8O-1226-SM-5P9JE 40-49 years, female 5.1
GTEX-ZXES-0626-SM-5E45P 30-39 years, female 5.1
GTEX-1HCU6-2326-SM-ACKXP 60-69 years, female 5.1
GTEX-146FR-2426-SM-5NQAU 60-69 years, female 5.0
GTEX-RWS6-1726-SM-47JXP 60-69 years, female 5.0
GTEX-ZV6S-1326-SM-59HJA 40-49 years, female 5.0
GTEX-1JN76-1526-SM-CNPPF 20-29 years, female 5.0
GTEX-13PVR-1426-SM-5S2PW 60-69 years, female 4.9
GTEX-TMMY-1926-SM-4DXUU 40-49 years, female 4.9
GTEX-WYVS-1426-SM-4ONCV 40-49 years, female 4.9
GTEX-ZVT2-0626-SM-5GICR 50-59 years, female 4.9
GTEX-1QCLZ-2226-SM-DTX7R 60-69 years, female 4.9
GTEX-11P81-2126-SM-5HL6N 30-39 years, female 4.8
GTEX-1C475-0526-SM-793AC 40-49 years, female 4.8
GTEX-1LGRB-2126-SM-COH48 50-59 years, female 4.8
GTEX-1R9JW-1426-SM-DTX9K 30-39 years, female 4.8
GTEX-TML8-1126-SM-4DXSS 40-49 years, female 4.7
GTEX-1HCUA-1026-SM-A9SMI 50-59 years, female 4.7
GTEX-1JN1M-2326-SM-ARZNG 60-69 years, female 4.7
GTEX-XV7Q-1626-SM-4BRWC 40-49 years, female 4.6
GTEX-ZZPU-2226-SM-5EGIV 50-59 years, female 4.6
GTEX-1GMR8-2526-SM-7RHI9 50-59 years, female 4.6
GTEX-1QP28-1426-SM-EVR4E 50-59 years, female 4.6
GTEX-13QBU-1726-SM-5IJFQ 40-49 years, female 4.5
GTEX-PLZ4-2726-SM-3P61A 50-59 years, female 4.5
GTEX-1GN1W-1526-SM-7P8TG 50-59 years, female 4.5
GTEX-131YS-2426-SM-5J2OD 60-69 years, female 4.4
GTEX-15SDE-1726-SM-6LPJS 50-59 years, female 4.4
GTEX-T2IS-1926-SM-4DM74 20-29 years, female 4.4
GTEX-1F48J-2526-SM-7P8TU 50-59 years, female 4.4
GTEX-Q734-1426-SM-DTXFX 40-49 years, female 4.4
GTEX-QVJO-2526-SM-CYPRA 60-69 years, female 4.4
GTEX-12ZZX-1926-SM-5EGKC 40-49 years, female 4.3
GTEX-P4PP-2526-SM-3P61P 30-39 years, female 4.3
GTEX-X15G-1926-SM-4PQZQ 50-59 years, female 4.3
GTEX-1ICG6-1626-SM-ARL81 70-79 years, female 4.3
GTEX-1MCC2-1126-SM-EVYD6 30-39 years, female 4.3
GTEX-NPJ7-2526-SM-EV79A 60-69 years, female 4.3
GTEX-14AS3-1726-SM-5RQJV 40-49 years, female 4.2
GTEX-15DYW-2926-SM-6PANA 60-69 years, female 4.2
GTEX-15SB6-1426-SM-7KUEM 50-59 years, female 4.2
GTEX-15SHU-2926-SM-7KUKT 40-49 years, female 4.2
GTEX-QDT8-2526-SM-48TYX 30-39 years, female 4.2
GTEX-11GSP-2226-SM-5HL5Q 60-69 years, female 4.1
GTEX-13N11-1526-SM-5L3FL 50-59 years, female 4.1
GTEX-T6MO-1226-SM-4DM5S 40-49 years, female 4.1
GTEX-1IE54-2626-SM-CMKFY 40-49 years, female 4.1
GTEX-11VI4-0726-SM-5GU5B 40-49 years, female 4.0
GTEX-ZC5H-2226-SM-4WAWS 40-49 years, female 4.0
GTEX-11TTK-2726-SM-5GU58 60-69 years, female 3.9
GTEX-146FH-2626-SM-5Q5E1 50-59 years, female 3.9
GTEX-18A7A-2826-SM-7LT8J 50-59 years, female 3.9
GTEX-P78B-2226-SM-3P5ZZ 40-49 years, female 3.9
GTEX-131XG-2126-SM-5DUXG 50-59 years, female 3.8
GTEX-S4P3-1126-SM-4AD52 50-59 years, female 3.8
GTEX-1HFI7-1126-SM-A96S5 50-59 years, female 3.8
GTEX-1I1GT-1226-SM-B2LVK 60-69 years, female 3.8
GTEX-1J8EW-2526-SM-CKZO2 60-69 years, female 3.8
GTEX-ZAK1-2426-SM-EXOHM 50-59 years, female 3.8
GTEX-12WSD-2926-SM-5LZUH 60-69 years, female 3.7
GTEX-15UF6-2126-SM-6M46Z 70-79 years, female 3.7
GTEX-16NPV-2526-SM-6M483 50-59 years, female 3.7
GTEX-X8HC-2826-SM-46MWJ 50-59 years, female 3.7
GTEX-1GN1U-2426-SM-9KNTU 50-59 years, female 3.7
GTEX-1J1OQ-1826-SM-CL53R 40-49 years, female 3.7
GTEX-15ER7-2526-SM-7KUFW 20-29 years, female 3.6
GTEX-183WM-2126-SM-7LG4I 70-79 years, female 3.6
GTEX-ZE7O-2426-SM-57WD7 50-59 years, female 3.6
GTEX-1HBPH-2926-SM-9WPNX 40-49 years, female 3.6
GTEX-145LS-2526-SM-5TDC9 60-69 years, female 3.5
GTEX-TSE9-2526-SM-4DXUS 60-69 years, female 3.5
GTEX-WRHU-2926-SM-4MVNQ 50-59 years, female 3.5
GTEX-ZYVF-0326-SM-5GIES 50-59 years, female 3.5
GTEX-1EWIQ-2326-SM-7IGNF 70-79 years, female 3.4
GTEX-ZVT3-2726-SM-5GU5X 60-69 years, female 3.4
GTEX-17F9Y-2326-SM-7DUFP 70-79 years, female 3.3
GTEX-1JMQL-2326-SM-CNNPV 50-59 years, female 3.2
GTEX-17JCI-2526-SM-7DHLB 60-69 years, female 3.0
GTEX-N7MT-1926-SM-3LK5N 60-69 years, female 3.0
GTEX-YFC4-2926-SM-5IFJ8 40-49 years, female 3.0
GTEX-1S5ZU-2626-SM-E9TII 20-29 years, female 3.0
GTEX-13QIC-1826-SM-5J1MY 60-69 years, female 2.9
GTEX-14A5I-2726-SM-5SIB3 50-59 years, female 2.9
GTEX-ZYY3-2626-SM-5N9DH 60-69 years, female 2.8
GTEX-1HCU8-2026-SM-9YFLE 60-69 years, female 2.8
GTEX-1PIEJ-1926-SM-EVYB7 20-29 years, female 2.8
GTEX-113JC-1926-SM-5N9GE 50-59 years, female 2.7
GTEX-1A8FM-2426-SM-7IGPE 50-59 years, female 2.7
GTEX-1LNCM-1026-SM-E9U5D 50-59 years, female 2.7
GTEX-1HBPM-2726-SM-9WYUA 60-69 years, female 2.4
GTEX-SN8G-2626-SM-EXUQT 50-59 years, female 2.3
GTEX-14PJM-2926-SM-69LOE 50-59 years, female 2.2
GTEX-ZTPG-2226-SM-57WF9 20-29 years, female 2.2
Show allShow less

VAGINA - FANTOM5 CAGEi

RNA expression in human tissues obtained through Cap Analysis of Gene Expression (CAGE) generated by the FANTOM5 project are reported as Scaled Tags Per Million.

Max subtype Scaled Tags Per Millioni

Max subtype Scaled Tags Per Million is the value for the subtype with the largest average Scaled Tags Per Million across the subtype samples.

14.7
FANTOM5 sample id Sample description Scaled Tags Per Million
Vagina
Scaled Tags Per Million: 14.7
FF:10204-103F6 68 years, female 14.7

Contact

  • NEWS ARTICLES
  • PRESS ROOM

The Project

  • INTRODUCTION
  • ORGANIZATION
  • PUBLICATIONS

The Human Protein Atlas

  • DOWNLOADABLE DATA
  • LICENCE & CITATION
  • HELP & FAQ
The Human Protein Atlas project is funded
by the Knut & Alice Wallenberg Foundation.


contact@proteinatlas.org