We use cookies to enhance the usability of our website. If you continue, we'll assume that you are happy to receive all cookies. More information. Don't show this again.
CLSTN1
HPA
RESOURCES
  • TISSUE
  • BRAIN
  • SINGLE CELL
  • SUBCELLULAR
  • CANCER
  • BLOOD
  • CELL LINE
  • STRUCTURE & INTERACTION
ABOUT
  • INTRODUCTION
  • HISTORY
  • ORGANIZATION
  • PUBLICATIONS
  • ANTIBODY SUBMISSION
  • ANTIBODY AVAILABILITY
  • ACKNOWLEDGMENTS
  • CONTACT
NEWS
  • NEWS ARTICLES
  • PRESS ROOM
LEARN
  • DICTIONARY
  • PROTEIN CLASSES
  • PROTEIN EVIDENCE
  • METHODS
  • EDUCATIONAL VIDEOS
DATA
  • DOWNLOADABLE DATA
  • PUBLICATION DATA
  • RELEASE HISTORY
HELP
  • ANTIBODY VALIDATION
  • ASSAYS & ANNOTATION
  • DISCLAIMER
  • HELP & FAQ
  • PRIVACY STATEMENT
  • LICENCE & CITATION
Fields »
Search result

Field
Term
Gene name
Class
Subclass
Class
Keyword
Chromosome
External id
Tissue
Cell type
Expression
Antibody panel
Tissue
Main location
Patient ID
Annotation
Tissue
Category
Tau score
Cluster
Reliability
Brain region
Category
Tau score
Brain region
Category
Tau score
Brain region
Category
Tau score
Cluster
Reliability
Tissue
Cell type
Enrichment
Cell type
Category
Tau score
Cell type
Category
Tau score
Cell type
Category
Tau score
Cell lineage
Category
Tau score
Cluster
Cluster
Location
Searches
Location
Cell line
Class
Type
Phase
Reliability
Cancer
Prognosis
Cancer
Category
Cancer
Category
Tau score
Cluster
Variants
Interacting gene (ensg_id)
Type
Number of interactions
Pathway
Category
Score
Score
Score
Validation
Validation
Validation
Validation
Antibodies
Data type
Column


  • SUMMARY

  • TISSUE

  • BRAIN

  • SINGLE CELL

  • SUBCELL

  • CANCER

  • BLOOD

  • CELL LINE

  • STRUCT & INT

  • CLSTN1
TISSUE PRIMARY DATA SKIN Show tissue menu
ADIPOSE TISSUE ADRENAL GLAND AMYGDALA APPENDIX BASAL GANGLIA BONE MARROW BREAST BRONCHUS CEREBELLUM CEREBRAL CORTEX CERVIX CHOROID PLEXUS COLON DUODENUM
ENDOMETRIUM EPIDIDYMIS ESOPHAGUS FALLOPIAN TUBE GALLBLADDER HEART MUSCLE HIPPOCAMPAL FORMATION HYPOTHALAMUS KIDNEY LIVER LUNG LYMPH NODE MIDBRAIN NASOPHARYNX
ORAL MUCOSA OVARY PANCREAS PARATHYROID GLAND PITUITARY GLAND PLACENTA PROSTATE RECTUM RETINA SALIVARY GLAND SEMINAL VESICLE SKELETAL MUSCLE SKIN SMALL INTESTINE
SMOOTH MUSCLE SOFT TISSUE SPINAL CORD SPLEEN STOMACH TESTIS THYMUS THYROID GLAND TONGUE TONSIL URINARY BLADDER VAGINA
ANTIBODIES
AND
VALIDATION
Dictionary
Skin
Tissue proteome
Skin
SKIN - Expression summary
Protein expression
Skini

On the top, protein expression in current human tissue, based on all annotated cell types, is reported with the units not detected (n), low (l), medium (m) and high (h). Underneath, protein expression in each annotated cell type are reported using the same units.

Protein expression data is based on knowledge-based annotation. For genes where more than one antibody has been used, a collective score is set.

If knowledge-based annotation could not be performed for a gene, no data is displayed here. View antibody staining data further down this page.

h
m
l
n
Epidermal cells: Low
Fibroblasts: High
Keratinocytes: Not detected
Langerhans: Not detected
Melanocytes: High
RNA expressioni

A summary of mRNA expression data available for current tissue based on several datasets. The mRNA expression levels in human tissues are based on RNA-seq data generated by the Human Protein Atlas (HPA), Genotype-Tissue Expression (GTEx) portal and CAGE data generated by the FANTOM5 consortium. Consensus normalized expression levels for human tissues was created by combining the data from HPA and GTEx datasets.

The mRNA expression levels in pig are based on RNA-seq data generated by the Human Protein Atlas (HPA), and for mouse, HPA data and in situ hybridization generated by the Allen brain atlas are reported.

Scroll down to view mRNA expression data in more detail.
Consensus:81.4 nTPM
HPA:81.4 nTPM
GTEx:70.2 nTPM

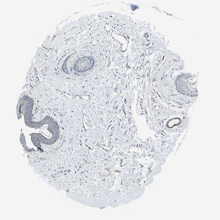
SKIN 1 - Antibody stainingi

Antibody staining in the annotated cell types in the current human tissue is reported as not detected, low, medium, or high, based on conventional immunohistochemistry profiling in selected tissues. This score is based on the combination of the staining intensity and fraction of stained cells.

Each image is clickable and will lead to virtual microscopy that enables deeper exploration of all samples and also displays staining intensity scores, fraction scores and subcellular localization as well as patient and tissue information for each sample.

Antibody HPA012412Antibody HPA077705
Langerhans Not detectedNot detected
Fibroblasts Not detectedHigh
Keratinocytes Not detectedNot detected
Melanocytes Not detectedHigh



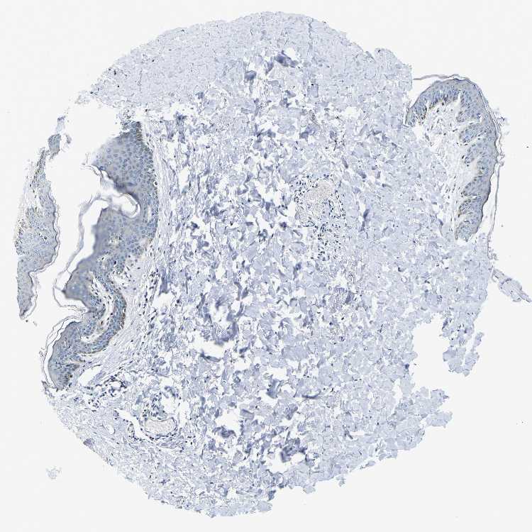
SKIN 2 - Antibody stainingi

Antibody staining in the annotated cell types in the current human tissue is reported as not detected, low, medium, or high, based on conventional immunohistochemistry profiling in selected tissues. This score is based on the combination of the staining intensity and fraction of stained cells.

Each image is clickable and will lead to virtual microscopy that enables deeper exploration of all samples and also displays staining intensity scores, fraction scores and subcellular localization as well as patient and tissue information for each sample.

Antibody HPA012412Antibody HPA077705
Epidermal cells LowLow
  
  
  




SKIN - HPA RNA-seqi

The RNA-seq details section shows detailed information about the individual samples used for the transcript profiling and results of the RNA-seq analysis.

Information about each individual sample is listed below, including gender, age, a tissue section image and estimated fractions of cell types. nTPM (normalized transcripts per million) values give a quantification of the gene abundance which is comparable between different genes and samples.
Average nTPMi

Max subtype nTPM is the value for the subtype with the largest average nTPM across the subtype samples.

81.4
overview
Female, age 34
Skin sample 225
nTPM: 83.9
Cell types%
Keratinocytes:
60

Other cell types:
40

overview
Female, age 30
Skin sample 226
nTPM: 72.1
Cell types%
Keratinocytes:
55

Other cell types:
45

N/A
Male, age 57
Skin sample 227
nTPM: 88.2

SKIN - GTEx RNA-seqi

RNA-Seq data generated by the Genotype-Tissue Expression (GTEx) project from human tissues is reported as mean nTPM. More information can be found on the GTEx portal.

Distribution across the dataset is visualized with box plots, shown as median and 25th and 75th percentiles. Points are displayed as outliers if they are above or below 1.5 times the interquartile range. nTPM values of the individual samples are presented next to the box plot.
Max subtype nTPMi

Max subtype nTPM is the value for the subtype with the largest average nTPM across the subtype samples.

70.2
GTEx sample id Sample description nTPM
Skin - Not Sun Exposed (Suprapubic)
Average nTPM: 70.2
Samples: 604

Max nTPM: 144.2
Min nTPM: 15.1
Std nTPM: 21.2
Median nTPM: 67.9
GTEX-1OJC3-1226-SM-DTXER 20-29 years, male 144.2
GTEX-15RJ7-2126-SM-6PAMD 40-49 years, male 143.7
GTEX-11WQC-1826-SM-5GU59 60-69 years, male 143.5
GTEX-11DYG-1526-SM-5A5JS 60-69 years, male 141.0
GTEX-ZTX8-1326-SM-4YCEL 20-29 years, male 140.9
GTEX-1N2DV-1526-SM-DTXEP 40-49 years, male 135.3
GTEX-1HBPI-2126-SM-ARL9K 50-59 years, male 129.6
GTEX-ZYVF-0926-SM-5E44J 50-59 years, female 124.5
GTEX-WHWD-1826-SM-3LK6I 50-59 years, male 123.6
GTEX-1IKJJ-2226-SM-CJI4C 60-69 years, male 123.1
GTEX-Y111-0626-SM-4SOIT 50-59 years, male 120.9
GTEX-145MH-2826-SM-5RQJF 50-59 years, male 118.3
GTEX-1HSMQ-2626-SM-A9SML 50-59 years, male 117.3
GTEX-1LSVX-2526-SM-DIPEU 60-69 years, male 116.7
GTEX-1EX96-1026-SM-7MKG2 50-59 years, male 116.1
GTEX-1GF9V-0826-SM-9KNUV 60-69 years, male 114.3
GTEX-1F75A-0726-SM-7RHHD 50-59 years, male 114.2
GTEX-W5X1-2526-SM-3GILC 40-49 years, female 114.1
GTEX-15ER7-0626-SM-6PANF 20-29 years, female 113.7
GTEX-Y114-2126-SM-4TT8B 50-59 years, female 113.7
GTEX-1C6VQ-1226-SM-73KYD 50-59 years, male 113.0
GTEX-ZYFC-0426-SM-5GICQ 50-59 years, male 112.9
GTEX-1F75I-2226-SM-7SB8U 40-49 years, male 112.7
GTEX-1HT8W-0626-SM-A9G2H 30-39 years, male 112.6
GTEX-X585-2426-SM-46MW2 50-59 years, male 112.4
GTEX-1BAJH-2426-SM-7IGP8 70-79 years, male 112.1
GTEX-1EU9M-1426-SM-793AI 60-69 years, male 112.1
GTEX-1HCU6-2526-SM-ADEHL 60-69 years, female 111.9
GTEX-17HHE-1326-SM-7EWDZ 50-59 years, male 111.8
GTEX-1GMRU-2126-SM-7P8RA 50-59 years, male 110.6
GTEX-WFG7-2026-SM-5SI7P 20-29 years, male 110.5
GTEX-13PL6-1126-SM-5L3IE 40-49 years, female 110.1
GTEX-1GPI6-1926-SM-9KNV7 60-69 years, male 109.4
GTEX-131XG-0326-SM-5L3DX 50-59 years, female 108.9
GTEX-1PIIG-2326-SM-DTXFR 30-39 years, male 108.5
GTEX-1J8EW-2726-SM-CY8HR 60-69 years, female 107.2
GTEX-1S82U-1026-SM-E6CJK 30-39 years, female 106.1
GTEX-17F9Y-0126-SM-79OKX 70-79 years, female 106.0
GTEX-1GZ4I-2626-SM-9KNU3 50-59 years, male 105.6
GTEX-1PBJJ-1026-SM-E76OS 30-39 years, male 105.6
GTEX-1IKOE-1426-SM-CE6T7 30-39 years, female 105.4
GTEX-148VJ-0626-SM-5LUAW 70-79 years, male 105.2
GTEX-131XF-2626-SM-5EQ6K 60-69 years, male 104.8
GTEX-ZT9X-1526-SM-5DUXD 40-49 years, male 103.6
GTEX-1B8SF-0126-SM-7DUG3 60-69 years, male 103.5
GTEX-12ZZY-0726-SM-5EQ66 60-69 years, male 103.2
GTEX-1JJEA-1826-SM-ARU8P 60-69 years, male 103.1
GTEX-1HR98-2226-SM-ADEI2 60-69 years, male 102.9
GTEX-139UW-0326-SM-5J1ML 60-69 years, male 102.8
GTEX-1F6I4-2326-SM-7RHGL 60-69 years, male 102.1
GTEX-1H1DG-2426-SM-9QEHJ 70-79 years, male 102.1
GTEX-1GN73-0726-SM-7P8TJ 60-69 years, male 101.6
GTEX-1A8G6-2726-SM-731AR 60-69 years, male 101.0
GTEX-17HHY-0426-SM-7DHLC 50-59 years, male 100.0
GTEX-12126-0826-SM-5FQTZ 20-29 years, male 99.9
GTEX-14BIN-1126-SM-5RQJZ 50-59 years, female 99.7
GTEX-11DXZ-2026-SM-5987S 50-59 years, male 99.0
GTEX-1H4P4-2126-SM-9WYSL 50-59 years, male 98.7
GTEX-1CB4F-1026-SM-7DUH1 60-69 years, male 98.6
GTEX-13FLV-0126-SM-5K7WT 50-59 years, male 98.2
GTEX-13X6J-0626-SM-5LU5F 50-59 years, male 98.0
GTEX-1QP2A-1726-SM-E76QC 50-59 years, male 97.5
GTEX-1GN1U-0626-SM-9MQL9 50-59 years, female 97.2
GTEX-12ZZX-2426-SM-5GCOE 40-49 years, female 97.1
GTEX-13OVK-1426-SM-6PAN7 40-49 years, male 97.1
GTEX-17F98-1326-SM-7DUEP 40-49 years, female 97.1
GTEX-1GZHY-0626-SM-9KNVC 50-59 years, female 97.1
GTEX-11P7K-1126-SM-5HL4L 30-39 years, male 96.9
GTEX-1H2FU-0926-SM-9WPPT 60-69 years, female 96.9
GTEX-1CB4J-1326-SM-7P8RX 60-69 years, male 96.7
GTEX-14PJ3-1126-SM-5ZZVX 50-59 years, male 96.6
GTEX-147GR-2426-SM-5ZZWQ 60-69 years, male 96.3
GTEX-14PHX-2226-SM-6EU2P 50-59 years, male 96.0
GTEX-WHPG-2626-SM-3NMBR 50-59 years, male 96.0
GTEX-Y8E4-2026-SM-5IFJB 40-49 years, male 96.0
GTEX-13SLW-0626-SM-5Q5ER 70-79 years, male 95.8
GTEX-1A8FM-0626-SM-7PC25 50-59 years, female 95.6
GTEX-15SKB-2826-SM-6PAMH 60-69 years, male 95.5
GTEX-1GF9X-1326-SM-7PC2Y 40-49 years, female 95.4
GTEX-1IY9M-2826-SM-ARU8H 60-69 years, male 95.4
GTEX-1IE54-1126-SM-A9G2Z 40-49 years, female 95.3
GTEX-18A6Q-0626-SM-7KFRP 60-69 years, male 94.2
GTEX-1B933-2426-SM-7DHMD 50-59 years, female 94.2
GTEX-1R9K4-2826-SM-DTX8F 60-69 years, male 93.4
GTEX-ZDTS-0826-SM-4WKHL 60-69 years, male 92.8
GTEX-12WSD-0626-SM-5GCMW 60-69 years, female 92.5
GTEX-13VXT-1926-SM-5K7UO 20-29 years, female 92.5
GTEX-ZC5H-1526-SM-5HL9Y 40-49 years, female 92.2
GTEX-1PPGY-1626-SM-EVYBL 60-69 years, male 92.2
GTEX-1313W-0626-SM-5EQ4H 50-59 years, female 92.1
GTEX-139TS-2126-SM-5K7XC 60-69 years, male 92.1
GTEX-1H1DE-1326-SM-9KNUG 20-29 years, male 91.9
GTEX-1JN76-0626-SM-CKZOQ 20-29 years, female 91.9
GTEX-13NYB-0126-SM-5J1MD 40-49 years, male 91.8
GTEX-1C6VR-0126-SM-7RHGB 60-69 years, male 91.8
GTEX-1C64N-2626-SM-7PC2N 50-59 years, male 91.7
GTEX-1LVA9-2626-SM-EVYD4 50-59 years, male 91.7
GTEX-16NGA-0726-SM-731AO 40-49 years, female 91.1
GTEX-12ZZZ-0726-SM-5GCNZ 60-69 years, male 90.5
GTEX-11GS4-0226-SM-5HL77 60-69 years, male 90.2
GTEX-1JMLX-0626-SM-ARL8T 50-59 years, male 90.0
GTEX-ZVT4-2426-SM-5GIEI 50-59 years, female 89.8
GTEX-13OW5-2326-SM-5L3HO 60-69 years, male 89.7
GTEX-1F75B-0726-SM-7PC3R 50-59 years, male 89.5
GTEX-14C39-1726-SM-5RQIL 40-49 years, male 89.3
GTEX-WYBS-0626-SM-3NMAS 60-69 years, female 89.0
GTEX-146FQ-2126-SM-5RQHU 30-39 years, male 88.7
GTEX-14ICL-1626-SM-5YYAO 30-39 years, male 88.6
GTEX-18QFQ-1826-SM-72D52 30-39 years, male 88.6
GTEX-ZY6K-1426-SM-5GZX2 50-59 years, male 88.5
GTEX-1I1GT-1026-SM-ARZLV 60-69 years, female 88.5
GTEX-145LU-1926-SM-79OJN 50-59 years, male 88.4
GTEX-1HCU7-0726-SM-A9SL1 50-59 years, male 88.3
GTEX-X4EO-2926-SM-4E3JH 60-69 years, female 88.2
GTEX-11ZU8-0126-SM-5EQ58 60-69 years, male 88.0
GTEX-1AX9I-2226-SM-73KUO 60-69 years, male 87.6
GTEX-XBEW-1126-SM-4QARW 40-49 years, male 87.6
GTEX-11OF3-0126-SM-5PNYF 60-69 years, male 87.5
GTEX-1269C-0126-SM-5EQ5L 60-69 years, female 87.2
GTEX-WXYG-2026-SM-4E3IY 50-59 years, female 87.2
GTEX-ZF2S-1626-SM-57WES 50-59 years, female 87.0
GTEX-ZE7O-2726-SM-51MT5 50-59 years, female 86.7
GTEX-1LSNL-2726-SM-E9TKJ 50-59 years, male 86.6
GTEX-1B97I-0626-SM-73KUZ 40-49 years, male 86.5
GTEX-1QP28-1126-SM-EVYC4 50-59 years, female 86.3
GTEX-WY7C-2126-SM-3NB2R 50-59 years, male 86.0
GTEX-13FHO-0426-SM-5L3F5 60-69 years, male 85.9
GTEX-1PDJ9-1226-SM-EXUSX 20-29 years, male 85.9
GTEX-1NSGN-0726-SM-DTXEF 50-59 years, male 85.8
GTEX-1GTWX-2026-SM-9YFLM 60-69 years, male 85.7
GTEX-1NV5F-0626-SM-DTXEG 60-69 years, female 85.6
GTEX-11PRG-0726-SM-5EGL1 50-59 years, male 85.5
GTEX-1JMQI-1726-SM-ARL93 50-59 years, male 85.4
GTEX-13O3O-2326-SM-5IJD6 60-69 years, female 85.1
GTEX-1HGF4-0126-SM-CNPPX 60-69 years, male 85.0
GTEX-1I1GV-0626-SM-ARL7M 60-69 years, male 84.6
GTEX-17F9E-2326-SM-79OKD 50-59 years, male 84.4
GTEX-ZE9C-2526-SM-5IJDR 60-69 years, male 84.2
GTEX-1HSMO-0626-SM-ACKXC 60-69 years, male 84.2
GTEX-13N11-2326-SM-5IJBF 50-59 years, female 84.1
GTEX-13VXU-0626-SM-5L3F9 50-59 years, male 84.1
GTEX-1F48J-0726-SM-7RHGS 50-59 years, female 84.0
GTEX-11O72-0626-SM-5PNYE 40-49 years, male 83.7
GTEX-1314G-1326-SM-5BC6E 30-39 years, male 83.6
GTEX-13112-0126-SM-5P9IU 50-59 years, male 83.5
GTEX-13OW7-0426-SM-5K7VK 50-59 years, male 83.3
GTEX-14PHY-1226-SM-5ZZWK 60-69 years, female 83.3
GTEX-111VG-1626-SM-5EGIO 60-69 years, male 82.8
GTEX-13PDP-0726-SM-5L3HP 60-69 years, male 82.6
GTEX-18A7A-0126-SM-731AH 50-59 years, female 82.4
GTEX-12WSH-1526-SM-5BC5W 50-59 years, male 82.3
GTEX-XQ3S-1426-SM-4BOPR 20-29 years, male 82.2
GTEX-1I1GP-1326-SM-A9G28 50-59 years, male 82.2
GTEX-13G51-1826-SM-5KLZH 60-69 years, male 82.1
GTEX-13JVG-0726-SM-5KM16 60-69 years, male 82.0
GTEX-139YR-1026-SM-5LZYN 50-59 years, male 81.9
GTEX-1H11D-1826-SM-9QEHM 40-49 years, male 81.9
GTEX-13IVO-0726-SM-5LZYV 70-79 years, male 81.8
GTEX-14JFF-0626-SM-5ZZVT 60-69 years, male 81.8
GTEX-1F6RS-2026-SM-7RHHC 60-69 years, female 81.8
GTEX-133LE-2326-SM-5K7W3 20-29 years, female 81.5
GTEX-1GN2E-0226-SM-9WG6K 60-69 years, male 81.4
GTEX-11DXY-0126-SM-5H11Q 60-69 years, male 81.3
GTEX-12KS4-2126-SM-5FQUT 30-39 years, male 81.2
GTEX-14C5O-0326-SM-5ZZUX 60-69 years, male 81.1
GTEX-17HGU-2326-SM-7DUFE 50-59 years, male 81.1
GTEX-1HR9M-2226-SM-CNPPY 60-69 years, male 81.1
GTEX-18A66-0626-SM-7LT8Z 60-69 years, male 81.0
GTEX-1GN1W-2426-SM-9KNUU 50-59 years, female 81.0
GTEX-145MI-0626-SM-5SI8S 60-69 years, female 80.9
GTEX-1EKGG-0626-SM-7DUGJ 60-69 years, male 80.9
GTEX-1KWVE-1026-SM-D3L9O 30-39 years, male 80.9
GTEX-1S5ZU-2526-SM-E6CIF 20-29 years, female 80.8
GTEX-144GO-2026-SM-5O99P 60-69 years, male 80.3
GTEX-X5EB-1926-SM-4E3IW 40-49 years, male 80.2
GTEX-11P82-1426-SM-DTXFY 20-29 years, male 80.2
GTEX-144GM-0526-SM-79OJO 20-29 years, male 79.8
GTEX-139TU-0726-SM-5L3EK 60-69 years, male 79.7
GTEX-1B8KE-1126-SM-7EPHI 50-59 years, male 79.7
GTEX-1HSKV-1226-SM-ADEI4 60-69 years, male 79.3
GTEX-1EH9U-2826-SM-7DUGT 60-69 years, male 79.2
GTEX-13FTX-1526-SM-5K7VJ 20-29 years, female 78.8
GTEX-13O3Q-0126-SM-5KM34 50-59 years, male 78.8
GTEX-15RJE-2826-SM-7KUM9 40-49 years, male 78.7
GTEX-1GN1V-2826-SM-9JGIA 60-69 years, male 78.4
GTEX-1H3O1-1326-SM-9MQLD 60-69 years, male 78.4
GTEX-144GL-0626-SM-5LU4D 50-59 years, male 78.3
GTEX-12WSK-2126-SM-5CVNC 40-49 years, female 78.2
GTEX-139TT-2126-SM-5LZWC 60-69 years, male 78.2
GTEX-13X6K-0626-SM-5LU5D 60-69 years, female 78.2
GTEX-18A67-1626-SM-7LT9T 50-59 years, male 78.2
GTEX-1A32A-0626-SM-731AQ 50-59 years, female 78.0
GTEX-1EMGI-2326-SM-7PBYA 60-69 years, male 78.0
GTEX-1J1OQ-0126-SM-D4P2N 40-49 years, female 77.9
GTEX-1QW4Y-1126-SM-DTXE3 30-39 years, male 77.9
GTEX-1J8QM-2426-SM-A9SLS 60-69 years, female 77.8
GTEX-XBED-1926-SM-47JYP 60-69 years, male 77.7
GTEX-1QMI2-2526-SM-E8VNZ 60-69 years, male 77.7
GTEX-11NUK-2726-SM-5A5MC 50-59 years, male 77.5
GTEX-UPJH-0226-SM-3GADV 50-59 years, male 77.5
GTEX-13O61-1426-SM-5KM3D 60-69 years, male 77.4
GTEX-1QCLY-0226-SM-EWRNH 30-39 years, male 77.4
GTEX-12696-0126-SM-5EQ4L 60-69 years, male 77.3
GTEX-13FTY-2126-SM-5IFFB 40-49 years, female 77.2
GTEX-17F97-2626-SM-7IGM5 50-59 years, male 77.2
GTEX-1CB4E-0926-SM-7EPHT 60-69 years, male 77.2
GTEX-14PJO-2526-SM-6AJBQ 60-69 years, male 77.1
GTEX-15DDE-2926-SM-6LLJ3 50-59 years, female 77.1
GTEX-ZF29-0926-SM-4WKFZ 60-69 years, female 77.0
GTEX-1I1CD-0626-SM-CE6SW 60-69 years, female 77.0
GTEX-183FY-1026-SM-7939A 20-29 years, male 76.5
GTEX-1S83E-1326-SM-E6CJM 40-49 years, male 76.5
GTEX-15DYW-2726-SM-6EU2I 60-69 years, female 76.2
GTEX-1A8G7-1326-SM-73KVM 60-69 years, male 75.8
GTEX-ZXG5-2126-SM-59HKD 60-69 years, male 75.8
GTEX-1RAZR-2126-SM-E9U6T 40-49 years, male 75.8
GTEX-Z93S-1626-SM-5CVMB 50-59 years, male 75.5
GTEX-1JKYR-0626-SM-ARL8R 20-29 years, male 75.5
GTEX-131XH-0126-SM-5LZUY 50-59 years, male 75.3
GTEX-13OVL-0126-SM-5L3GJ 50-59 years, male 75.3
GTEX-14PJ5-1526-SM-6LLIL 60-69 years, female 75.3
GTEX-1LVAM-0726-SM-E6CIL 50-59 years, female 75.3
GTEX-1497J-0226-SM-5QGPU 60-69 years, male 75.2
GTEX-WHSE-0126-SM-3NMBT 20-29 years, male 75.2
GTEX-1QPFJ-1926-SM-EVYBD 30-39 years, female 74.9
GTEX-18D9U-0126-SM-731BM 40-49 years, male 74.8
GTEX-16MT9-0126-SM-7EPI8 60-69 years, female 74.6
GTEX-14E6C-2426-SM-5S2NF 40-49 years, male 74.2
GTEX-13OVH-0526-SM-5L3E6 70-79 years, male 74.1
GTEX-1C2JI-1026-SM-73KY1 50-59 years, male 74.0
GTEX-12WSJ-1126-SM-5LZVJ 40-49 years, female 73.9
GTEX-1H1DF-1126-SM-9WG7G 40-49 years, female 73.7
GTEX-144FL-0626-SM-5LU43 50-59 years, male 73.6
GTEX-1EWIQ-0326-SM-7DHMQ 70-79 years, female 73.6
GTEX-1GZ4H-0526-SM-9KNU9 50-59 years, female 73.6
GTEX-1MCYP-0526-SM-E9U6Q 20-29 years, female 73.6
GTEX-145MF-0926-SM-5Q5EA 50-59 years, male 73.5
GTEX-16AAH-0626-SM-793C9 50-59 years, male 73.4
GTEX-11ZUS-2626-SM-5FQUR 30-39 years, male 73.3
GTEX-13113-1626-SM-5EQ4I 60-69 years, female 73.0
GTEX-13YAN-0226-SM-5TDC6 60-69 years, male 73.0
GTEX-ZDYS-2426-SM-4WKGI 50-59 years, male 73.0
GTEX-1B932-2326-SM-79OL5 40-49 years, female 72.9
GTEX-WYVS-1626-SM-3NM9R 40-49 years, female 72.9
GTEX-11P81-2226-SM-5PNYI 30-39 years, female 72.8
GTEX-13OW6-2726-SM-5J2OE 50-59 years, male 72.6
GTEX-14LLW-2626-SM-62LDZ 70-79 years, female 72.4
GTEX-1399U-1126-SM-5L3DB 50-59 years, female 72.1
GTEX-1HSMP-0926-SM-A9SKX 70-79 years, male 72.1
GTEX-13PVQ-0626-SM-5LU47 50-59 years, male 72.0
GTEX-ZVP2-0326-SM-57WBP 50-59 years, male 72.0
GTEX-1HCVE-2726-SM-CL54F 50-59 years, male 72.0
GTEX-1MJK3-0726-SM-E6CJC 20-29 years, male 71.9
GTEX-12C56-1526-SM-5FQUQ 20-29 years, male 71.6
GTEX-XXEK-1626-SM-4BRUZ 50-59 years, male 71.5
GTEX-1JN1M-2726-SM-CY8I4 60-69 years, female 71.5
GTEX-Y3IK-1626-SM-4YCF5 50-59 years, female 71.4
GTEX-1JMPZ-0726-SM-CY8HZ 30-39 years, male 71.3
GTEX-11EQ9-1626-SM-5PNY8 30-39 years, male 71.1
GTEX-1F52S-2926-SM-7MKGA 60-69 years, female 70.5
GTEX-1IL2V-1926-SM-B2LW8 70-79 years, male 70.5
GTEX-16YQH-2226-SM-7IGM2 30-39 years, male 70.4
GTEX-1E2YA-2126-SM-7MXUO 50-59 years, male 70.3
GTEX-1KANA-1326-SM-DIPFA 20-29 years, male 70.3
GTEX-13OVJ-0826-SM-5J1OK 50-59 years, female 70.2
GTEX-1GF9W-1426-SM-7PBYM 60-69 years, male 70.2
GTEX-1C6WA-2626-SM-7MKGM 60-69 years, male 70.1
GTEX-139D8-1126-SM-5LU8W 30-39 years, female 70.0
GTEX-14PKU-0126-SM-6LLHV 40-49 years, female 70.0
GTEX-13SLX-2226-SM-62LEP 50-59 years, female 69.9
GTEX-147JS-0226-SM-5S2U9 60-69 years, male 69.9
GTEX-1B8KZ-0326-SM-73KY4 50-59 years, male 69.9
GTEX-WRHU-2826-SM-3MJG8 50-59 years, female 69.9
GTEX-1AYD5-2626-SM-7PBXY 50-59 years, male 69.9
GTEX-1EN7A-2426-SM-793DB 40-49 years, male 69.8
GTEX-14A6H-2026-SM-5Q5DD 30-39 years, male 69.7
GTEX-1A3MV-1826-SM-731CD 30-39 years, male 69.7
GTEX-ZYT6-2326-SM-5GZY3 30-39 years, male 69.7
GTEX-1HC8U-1326-SM-9YFMJ 40-49 years, female 69.7
GTEX-1399S-0126-SM-5IJCF 30-39 years, female 69.6
GTEX-15G1A-1626-SM-7KUKN 30-39 years, male 69.5
GTEX-1RAZQ-1326-SM-E9TK6 30-39 years, male 69.5
GTEX-VJYA-1526-SM-3GIJV 60-69 years, male 69.4
GTEX-1IDJC-1526-SM-B2LW4 50-59 years, male 69.4
GTEX-1JMQL-2226-SM-CNPP4 50-59 years, female 69.3
GTEX-1H1CY-0126-SM-9YFLY 60-69 years, female 69.1
GTEX-1H1E6-0426-SM-9WYUS 30-39 years, male 68.9
GTEX-1JK1U-0226-SM-ARZMX 60-69 years, male 68.9
GTEX-11LCK-2226-SM-5HL4Q 30-39 years, male 68.8
GTEX-14AS3-1526-SM-5Q5ED 40-49 years, female 68.7
GTEX-ZPU1-1126-SM-4YCF3 40-49 years, male 68.7
GTEX-1PPH8-0126-SM-EWRN8 20-29 years, male 68.7
GTEX-ZAK1-0626-SM-5HL8E 50-59 years, female 68.5
GTEX-1KANB-2826-SM-CY8I6 50-59 years, male 68.5
GTEX-11DXX-2126-SM-5PNYR 60-69 years, female 68.4
GTEX-147F4-0726-SM-5TDDD 50-59 years, male 68.3
GTEX-18A7B-2726-SM-7LG56 70-79 years, male 68.3
GTEX-14C38-0726-SM-5SI6M 50-59 years, male 68.2
GTEX-15EO6-2426-SM-6PALZ 50-59 years, male 68.2
GTEX-1GL5R-1326-SM-7RHHF 50-59 years, male 68.2
GTEX-15CHQ-0326-SM-69LQD 60-69 years, male 68.0
GTEX-11ZTT-2126-SM-5CVLO 60-69 years, female 67.9
GTEX-15EU6-2226-SM-6EU2L 50-59 years, male 67.8
GTEX-15UF6-1926-SM-7KUDV 70-79 years, female 67.8
GTEX-1122O-1026-SM-9WYSF 60-69 years, female 67.8
GTEX-17MFQ-1526-SM-7KFRR 20-29 years, male 67.7
GTEX-17HG3-2626-SM-7DUF2 30-39 years, female 67.5
GTEX-1HCU9-0426-SM-9WYSD 20-29 years, male 67.5
GTEX-14LZ3-0126-SM-69LPM 60-69 years, female 67.4
GTEX-1GMR8-0626-SM-7RHI7 50-59 years, female 67.4
GTEX-1RAZS-2526-SM-E6CHT 50-59 years, male 67.3
GTEX-1H3NZ-2726-SM-9WYTQ 60-69 years, male 67.2
GTEX-14PJN-1826-SM-6AJ98 30-39 years, male 67.1
GTEX-WHSB-1326-SM-3LK6W 50-59 years, male 67.1
GTEX-XYKS-1426-SM-4BRUO 60-69 years, female 67.1
GTEX-1I1GS-2626-SM-B2LY3 60-69 years, male 67.1
GTEX-11NSD-0626-SM-5A5LU 20-29 years, male 66.9
GTEX-16NPX-0726-SM-7KULC 50-59 years, male 66.9
GTEX-ZLV1-1526-SM-DO91J 60-69 years, female 66.9
GTEX-14E1K-2026-SM-7DUEI 50-59 years, male 66.8
GTEX-14B4R-1326-SM-5Q5EZ 30-39 years, male 66.6
GTEX-1ICLZ-0326-SM-ARL82 60-69 years, male 66.6
GTEX-12WSF-1626-SM-7KUG5 70-79 years, male 66.5
GTEX-VUSG-2326-SM-4KL1U 50-59 years, male 66.3
GTEX-1CAMR-1326-SM-7PC1F 20-29 years, male 66.1
GTEX-1LGOU-1326-SM-D3L8M 20-29 years, female 66.0
GTEX-YJ8O-2526-SM-5HL85 40-49 years, female 65.9
GTEX-ZYY3-2926-SM-5GIEB 60-69 years, female 65.8
GTEX-1QEPI-2626-SM-DTXF4 60-69 years, female 65.8
GTEX-11VI4-1126-SM-5EQMD 40-49 years, female 65.7
GTEX-14BMV-2826-SM-5TDED 50-59 years, male 65.7
GTEX-1IDJH-0126-SM-D3L92 70-79 years, male 65.7
GTEX-12WSM-1926-SM-5BC65 60-69 years, male 65.6
GTEX-145LS-0626-SM-7EPG7 60-69 years, female 65.5
GTEX-14753-0726-SM-5QGQO 60-69 years, male 65.5
GTEX-Y3I4-1726-SM-4TT89 50-59 years, male 65.5
GTEX-1F88E-1626-SM-7SB8Z 60-69 years, female 65.5
GTEX-131YS-2826-SM-5EQ47 60-69 years, female 65.4
GTEX-1192X-2726-SM-5N9DN 50-59 years, male 65.2
GTEX-11EQ8-0926-SM-5H12V 60-69 years, male 65.1
GTEX-1R46S-2426-SM-E76QA 60-69 years, female 65.0
GTEX-1CAV2-0126-SM-7IGN7 40-49 years, female 64.9
GTEX-15SHW-0226-SM-7LTAT 60-69 years, male 64.6
GTEX-1JMQJ-0826-SM-CNPP7 50-59 years, male 64.6
GTEX-1211K-1526-SM-5FQU4 60-69 years, female 64.5
GTEX-1399Q-2326-SM-5KM2X 40-49 years, male 64.5
GTEX-14ABY-2026-SM-62LDL 50-59 years, male 64.5
GTEX-1A3MW-0626-SM-731CB 60-69 years, female 64.4
GTEX-111CU-1126-SM-5EGIM 50-59 years, male 64.3
GTEX-1HBPN-0126-SM-CGQEF 50-59 years, male 64.3
GTEX-1J8Q2-2626-SM-ACKWQ 60-69 years, male 64.3
GTEX-1C64O-1326-SM-7MGWR 60-69 years, male 64.2
GTEX-183WM-0326-SM-72D5V 70-79 years, female 63.9
GTEX-18D9B-0926-SM-7LG4U 60-69 years, male 63.9
GTEX-15CHC-1126-SM-6LLHQ 60-69 years, female 63.8
GTEX-1LBAC-0826-SM-CY8IJ 20-29 years, male 63.8
GTEX-1PPH7-1126-SM-DTX9A 40-49 years, male 63.8
GTEX-1117F-2926-SM-5GZYI 60-69 years, female 63.5
GTEX-1MCC2-1826-SM-DIPEX 30-39 years, female 63.5
GTEX-XQ8I-0926-SM-4BOOF 50-59 years, male 63.3
GTEX-1IDJV-0126-SM-COH3Y 60-69 years, male 63.2
GTEX-ZPIC-0526-SM-DO91W 40-49 years, female 63.2
GTEX-17KNJ-2126-SM-718AM 50-59 years, male 63.0
GTEX-1HSGN-0826-SM-ACKW3 40-49 years, female 63.0
GTEX-1QP9N-1226-SM-E76QN 30-39 years, male 63.0
GTEX-13N1W-2426-SM-5IJD1 70-79 years, male 62.9
GTEX-13NZ8-1226-SM-5KM4A 60-69 years, female 62.9
GTEX-1IOXB-2726-SM-CM2RI 50-59 years, male 62.9
GTEX-16BQI-1326-SM-6M486 30-39 years, female 62.8
GTEX-14PJ6-2626-SM-6EU2T 60-69 years, female 62.7
GTEX-13X6H-0926-SM-5SIB2 50-59 years, female 62.6
GTEX-139T8-0626-SM-5KLZX 60-69 years, male 62.5
GTEX-1B8L1-2226-SM-7P8PT 60-69 years, male 62.4
GTEX-1LGRB-0926-SM-COH3K 50-59 years, female 62.4
GTEX-1R7EU-1626-SM-DTXG3 60-69 years, male 62.4
GTEX-13RTJ-0126-SM-5S2NN 60-69 years, male 62.1
GTEX-ZAJG-1526-SM-5CVML 50-59 years, female 62.0
GTEX-1GPI7-1826-SM-9KNU1 20-29 years, male 62.0
GTEX-1LKK1-2626-SM-DKPQE 50-59 years, female 61.9
GTEX-13JUV-2026-SM-5K7UA 40-49 years, female 61.7
GTEX-1JMQK-1226-SM-D4P2S 60-69 years, male 61.6
GTEX-1JMPY-0226-SM-CKZOK 30-39 years, male 61.5
GTEX-1RB15-1326-SM-E76Q9 60-69 years, male 61.2
GTEX-ZAB4-2126-SM-5HL8U 40-49 years, male 61.1
GTEX-1J8JJ-0626-SM-ARZMQ 60-69 years, female 61.1
GTEX-1I1HK-2326-SM-CKZOH 60-69 years, male 61.0
GTEX-131XW-0626-SM-5PNVD 50-59 years, female 60.9
GTEX-1KXAM-1626-SM-D3LAD 60-69 years, male 60.9
GTEX-13PVR-0426-SM-5RQK2 60-69 years, female 60.6
GTEX-1F5PK-2226-SM-7SB6N 50-59 years, male 60.6
GTEX-1J8Q3-0526-SM-ARL8U 60-69 years, male 60.6
GTEX-1N5O9-0926-SM-E9J3C 60-69 years, male 60.6
GTEX-ZDTT-0426-SM-4WKFL 60-69 years, male 60.5
GTEX-1F88F-0126-SM-9WYSZ 60-69 years, female 60.5
GTEX-11EI6-2826-SM-5H11D 60-69 years, male 60.4
GTEX-1OJC4-2726-SM-E76PJ 50-59 years, female 60.2
GTEX-1GMR3-0126-SM-A9SLW 40-49 years, male 60.1
GTEX-14DAQ-0626-SM-793DS 60-69 years, female 60.0
GTEX-1F5PL-0926-SM-7PC2W 40-49 years, female 60.0
GTEX-1I6K7-1926-SM-B2LXR 40-49 years, male 60.0
GTEX-XAJ8-1426-SM-47JYM 40-49 years, male 59.9
GTEX-ZT9W-1126-SM-57WDR 50-59 years, male 59.7
GTEX-1RLM8-2926-SM-E8VON 50-59 years, male 59.7
GTEX-1GZ2Q-0126-SM-9WG6M 40-49 years, male 59.6
GTEX-14BMU-1226-SM-5S2OR 20-29 years, female 59.4
GTEX-ZVZP-1226-SM-5GID7 50-59 years, male 59.4
GTEX-1IDJE-1426-SM-ADEIW 50-59 years, female 59.3
GTEX-YEC3-1326-SM-DO92X 50-59 years, male 59.2
GTEX-1E1VI-0326-SM-793D1 50-59 years, male 59.0
GTEX-Y8LW-1526-SM-5IFHL 50-59 years, female 58.9
GTEX-11EM3-1226-SM-5N9DD 20-29 years, female 58.8
GTEX-11TUW-0626-SM-5LU9M 60-69 years, male 58.8
GTEX-16MT8-2926-SM-7DUFO 60-69 years, female 58.8
GTEX-13NYS-0626-SM-5L3F1 60-69 years, male 58.7
GTEX-14PJ4-0226-SM-5YY92 60-69 years, male 58.7
GTEX-1HFI6-0126-SM-CNPPI 40-49 years, male 58.7
GTEX-1LB8K-0726-SM-D5OV2 50-59 years, male 58.7
GTEX-13D11-0926-SM-5J2NC 50-59 years, female 58.5
GTEX-15D1Q-2826-SM-6LLH7 40-49 years, male 58.5
GTEX-14PII-0726-SM-6EU2B 60-69 years, male 58.4
GTEX-1S3DN-2126-SM-E9TIN 50-59 years, male 58.4
GTEX-ZZ64-1026-SM-5GZXG 20-29 years, male 58.3
GTEX-1HKZK-0726-SM-ACKW2 40-49 years, male 58.3
GTEX-1N2EE-0626-SM-E76PW 60-69 years, male 57.9
GTEX-13QJC-0126-SM-5ZZWJ 60-69 years, female 57.8
GTEX-14A5H-0826-SM-5QGPJ 60-69 years, male 57.8
GTEX-ZLWG-0826-SM-59888 50-59 years, female 57.8
GTEX-17F96-0126-SM-7EWDU 70-79 years, male 57.7
GTEX-1LG7Y-2526-SM-EWRO7 50-59 years, male 57.6
GTEX-13X6I-1826-SM-5SIAO 60-69 years, male 57.5
GTEX-WEY5-2326-SM-3GIKK 40-49 years, female 57.4
GTEX-1212Z-0126-SM-59HK4 60-69 years, male 57.3
GTEX-YFCO-1226-SM-5LUAT 40-49 years, male 57.3
GTEX-12WSL-2026-SM-5GCML 50-59 years, male 57.0
GTEX-1KAFJ-0126-SM-DIPEK 50-59 years, male 56.8
GTEX-1POEN-2326-SM-E9J2L 30-39 years, female 56.7
GTEX-132AR-0326-SM-5KM2C 50-59 years, female 56.1
GTEX-145MN-1526-SM-5SI9T 30-39 years, male 56.1
GTEX-145MO-2826-SM-5LU96 60-69 years, male 56.0
GTEX-16XZZ-0726-SM-7KUF2 60-69 years, male 56.0
GTEX-X8HC-0626-SM-4E3HQ 50-59 years, female 56.0
GTEX-14JG6-1426-SM-9WG7C 30-39 years, female 55.9
GTEX-WK11-2726-SM-3NMAQ 50-59 years, male 55.8
GTEX-13U4I-2226-SM-5LU5H 40-49 years, female 55.7
GTEX-XOT4-0626-SM-4B66L 60-69 years, female 55.7
GTEX-1K9T9-1526-SM-DIPFR 50-59 years, female 55.7
GTEX-12584-0726-SM-5FQTK 40-49 years, male 55.6
GTEX-ZYW4-0626-SM-59HJR 60-69 years, male 55.5
GTEX-1QP29-1826-SM-DTX9S 50-59 years, male 55.5
GTEX-1HFI7-2326-SM-CGQFS 50-59 years, female 55.4
GTEX-ZA64-1026-SM-5HL8R 20-29 years, male 55.3
GTEX-15CHR-1126-SM-7EWF4 50-59 years, male 55.2
GTEX-1CB4H-1126-SM-7MKGL 60-69 years, female 55.2
GTEX-1RAZA-2226-SM-E9U4X 20-29 years, male 55.1
GTEX-15RIG-0726-SM-7KUM7 40-49 years, male 55.0
GTEX-WI4N-2726-SM-3LK7Y 40-49 years, female 55.0
GTEX-11DXW-0826-SM-5H118 40-49 years, male 54.9
GTEX-147F3-1726-SM-5SIAW 50-59 years, female 54.9
GTEX-1QP66-1226-SM-DTX7U 50-59 years, male 54.9
GTEX-15G19-2426-SM-7KUMR 60-69 years, male 54.8
GTEX-13FTW-0326-SM-5K7UW 40-49 years, male 54.7
GTEX-14PJ2-0626-SM-6LLII 50-59 years, male 54.6
GTEX-1KD5A-0126-SM-E9U54 50-59 years, male 54.5
GTEX-1AMFI-1326-SM-7939R 50-59 years, female 54.4
GTEX-17EVP-2626-SM-7IGMA 40-49 years, male 54.3
GTEX-111YS-1526-SM-5GZYW 60-69 years, male 54.2
GTEX-1AMEY-0826-SM-72D65 30-39 years, female 53.9
GTEX-11UD2-2526-SM-5CVNU 50-59 years, male 53.7
GTEX-1CAMQ-1326-SM-7P8RV 40-49 years, male 53.7
GTEX-1ICLY-0826-SM-CMKG1 50-59 years, male 53.7
GTEX-1I19N-0126-SM-CYPSF 70-79 years, male 53.6
GTEX-1IDJU-1726-SM-CMKHU 60-69 years, female 53.6
GTEX-1KANC-1226-SM-CYPT7 50-59 years, female 53.5
GTEX-X4EP-0626-SM-3P621 60-69 years, female 53.4
GTEX-XV7Q-1826-SM-4BRUV 40-49 years, female 53.4
GTEX-1O9I2-0226-SM-EYYXD 50-59 years, male 53.1
GTEX-1R9PM-1926-SM-EVR3O 20-29 years, male 53.1
GTEX-15FZZ-0526-SM-7KUGD 30-39 years, female 53.0
GTEX-1C475-1326-SM-7SB73 40-49 years, female 52.9
GTEX-1AX8Z-0726-SM-73KTS 60-69 years, male 52.8
GTEX-178AV-1726-SM-7KUL8 40-49 years, male 52.7
GTEX-17HII-1426-SM-7EPGG 50-59 years, male 52.7
GTEX-ZVE2-2826-SM-5GU51 50-59 years, male 52.7
GTEX-1IDFM-0326-SM-ARL7V 60-69 years, male 52.6
GTEX-YECK-0326-SM-4W1YS 60-69 years, male 52.3
GTEX-1A3MX-2626-SM-7PC24 60-69 years, male 52.3
GTEX-16Z82-2626-SM-7KULU 60-69 years, male 52.2
GTEX-ZTTD-2826-SM-4YCFA 50-59 years, male 52.1
GTEX-1LVAN-0626-SM-CNPOQ 50-59 years, female 52.0
GTEX-1M4P7-0726-SM-E6CJ3 60-69 years, male 52.0
GTEX-ZUA1-2626-SM-5NQ92 40-49 years, male 51.9
GTEX-XMD2-2126-SM-4YCF8 60-69 years, female 51.5
GTEX-18D9A-1426-SM-7LT8M 30-39 years, female 51.5
GTEX-145LT-0526-SM-5LUB2 40-49 years, male 51.3
GTEX-1H23P-0626-SM-9WG6T 60-69 years, male 51.3
GTEX-1S82P-2126-SM-E6CI5 60-69 years, female 51.3
GTEX-WH7G-2026-SM-3NMBL 40-49 years, male 51.2
GTEX-1K2DU-1226-SM-CYPT4 20-29 years, male 51.2
GTEX-117YX-1926-SM-5GIEC 50-59 years, male 51.1
GTEX-1HBPM-0726-SM-9YFL7 60-69 years, female 51.0
GTEX-1F6IF-0926-SM-7SB7M 60-69 years, male 50.9
GTEX-1H3VE-0726-SM-9YFL5 40-49 years, male 50.7
GTEX-13FH7-1126-SM-5K7UG 50-59 years, female 50.6
GTEX-ZGAY-1826-SM-DO91Q 40-49 years, female 50.6
GTEX-11GSP-2326-SM-5HL63 60-69 years, female 50.5
GTEX-1QAET-0326-SM-EVR3U 50-59 years, male 50.3
GTEX-ZVTK-0226-SM-51MRG 20-29 years, male 50.0
GTEX-1PIGE-1826-SM-E8VOU 20-29 years, male 50.0
GTEX-Y5V5-0126-SM-5S2NW 60-69 years, female 49.6
GTEX-1GMR2-0826-SM-7PC3V 50-59 years, male 49.5
GTEX-1IDJF-2026-SM-CL53V 20-29 years, male 49.4
GTEX-13N2G-0226-SM-5K7VF 60-69 years, male 49.2
GTEX-13W3W-0726-SM-5IJDQ 60-69 years, female 49.2
GTEX-14XAO-1226-SM-6EU1C 60-69 years, female 49.2
GTEX-1I6K6-1726-SM-CGQFD 30-39 years, male 48.8
GTEX-145ME-1726-SM-5Q5EU 40-49 years, female 48.4
GTEX-17MF6-2626-SM-79OKQ 40-49 years, male 48.4
GTEX-1F75W-2726-SM-7SB8H 60-69 years, male 48.4
GTEX-1HCUA-0826-SM-ADEHM 50-59 years, female 48.4
GTEX-13OW8-1026-SM-5J1NQ 60-69 years, male 48.3
GTEX-12BJ1-0926-SM-5EQ62 60-69 years, male 48.0
GTEX-UPK5-0426-SM-3GAEK 40-49 years, male 47.8
GTEX-XUW1-0926-SM-4BONX 50-59 years, female 47.8
GTEX-ZP4G-1426-SM-4WWCL 20-29 years, female 47.7
GTEX-1JJE9-2626-SM-ARZMT 70-79 years, male 47.4
GTEX-14JG1-1526-SM-5YY9X 40-49 years, male 47.3
GTEX-1IDJD-2326-SM-ACKWX 30-39 years, male 47.1
GTEX-1HUB1-1426-SM-CGQF5 60-69 years, male 47.0
GTEX-1I1GU-0926-SM-ACKVS 40-49 years, male 46.9
GTEX-12WSC-2826-SM-5BC5Y 50-59 years, male 46.7
GTEX-13QBU-1226-SM-5LU4G 40-49 years, female 46.6
GTEX-V1D1-2026-SM-3GAF4 50-59 years, male 46.5
GTEX-X3Y1-2026-SM-3P5YM 40-49 years, male 46.5
GTEX-ZDXO-3126-SM-5IJDF 60-69 years, male 46.4
GTEX-14PKV-1126-SM-6LLJ1 20-29 years, female 46.0
GTEX-1R9PN-0426-SM-DTXDT 40-49 years, female 45.8
GTEX-1JN6P-2926-SM-CL54D 60-69 years, male 45.7
GTEX-ZPCL-1126-SM-4WWFE 60-69 years, female 45.4
GTEX-11DZ1-2426-SM-5GZZX 50-59 years, male 45.3
GTEX-ZZPU-0826-SM-5GZX5 50-59 years, female 45.3
GTEX-1S831-1826-SM-EWROF 20-29 years, male 45.2
GTEX-WFON-1926-SM-3LK7L 40-49 years, male 44.7
GTEX-YEC4-1826-SM-4W1YP 40-49 years, male 44.7
GTEX-1IDJI-0126-SM-CMKHS 50-59 years, female 44.7
GTEX-1J1R8-2026-SM-CL53Y 40-49 years, male 44.7
GTEX-1L5NE-1126-SM-D3L9P 50-59 years, male 44.6
GTEX-13NZ9-2626-SM-5L3FK 50-59 years, male 44.4
GTEX-1JMOU-1026-SM-CYPSS 60-69 years, female 44.4
GTEX-18465-2826-SM-7LT9J 50-59 years, male 44.3
GTEX-1CAMS-2226-SM-7PBXQ 40-49 years, female 44.3
GTEX-1HB9E-0126-SM-CM2S5 50-59 years, male 44.3
GTEX-1QCLZ-2426-SM-EVYBW 60-69 years, female 43.9
GTEX-ZVT2-0126-SM-5GIDQ 50-59 years, female 43.5
GTEX-14DAR-1226-SM-73KYV 50-59 years, male 43.1
GTEX-11WQK-1026-SM-5EQLX 50-59 years, male 43.0
GTEX-YF7O-1526-SM-5IFI6 50-59 years, male 43.0
GTEX-13OVG-1626-SM-5J1NF 60-69 years, male 42.9
GTEX-ZLFU-1826-SM-4WWBV 40-49 years, male 42.7
GTEX-13NYC-0126-SM-5L3F4 60-69 years, male 42.5
GTEX-WFG8-2126-SM-3GIKQ 20-29 years, male 42.5
GTEX-1RMOY-1326-SM-E9TIH 50-59 years, male 42.4
GTEX-11TT1-1826-SM-5EQLV 20-29 years, male 42.2
GTEX-XBEC-0726-SM-4QARZ 50-59 years, male 42.2
GTEX-Y9LG-1126-SM-4VBQ7 30-39 years, male 41.9
GTEX-ZWKS-0626-SM-5GIDV 30-39 years, male 41.7
GTEX-1477Z-0326-SM-7IGLA 60-69 years, male 41.6
GTEX-1B996-0426-SM-7EWF8 60-69 years, male 41.2
GTEX-1ICG6-1226-SM-A9SLN 70-79 years, female 41.1
GTEX-1JKYN-0826-SM-ARU8S 30-39 years, male 40.5
GTEX-14PK6-0226-SM-62LF5 70-79 years, female 40.3
GTEX-1LG7Z-1626-SM-CXKYR 30-39 years, male 40.0
GTEX-1JJ6O-2726-SM-CNPOG 60-69 years, male 39.8
GTEX-17JCI-2926-SM-7DUFF 60-69 years, female 39.5
GTEX-ZTSS-1426-SM-5985P 40-49 years, male 39.3
GTEX-14E6E-0526-SM-793DN 30-39 years, male 39.0
GTEX-15RIE-1926-SM-7KUKJ 60-69 years, male 38.1
GTEX-XPVG-2126-SM-4B667 50-59 years, male 37.5
GTEX-ZF3C-0626-SM-DO92O 50-59 years, female 37.5
GTEX-1K2DA-1026-SM-CGQGF 50-59 years, male 37.4
GTEX-111FC-2526-SM-5GZXU 60-69 years, male 37.2
GTEX-12WSA-0426-SM-5EQ5X 60-69 years, male 37.1
GTEX-1LVAO-2726-SM-E9TJ8 60-69 years, male 36.6
GTEX-ZYFG-1526-SM-5GZYM 60-69 years, female 36.4
GTEX-1CB4I-0126-SM-7RHGG 50-59 years, male 36.4
GTEX-145MG-1526-SM-5Q5EM 50-59 years, male 35.5
GTEX-WYJK-0526-SM-3NM8Z 50-59 years, male 35.5
GTEX-YB5K-2026-SM-4VDT3 40-49 years, female 35.3
GTEX-XK95-0226-SM-4AT58 40-49 years, male 35.1
GTEX-1LSNM-0826-SM-DIPG8 50-59 years, male 34.4
GTEX-1H1ZS-2726-SM-9WG75 70-79 years, male 34.0
GTEX-ZU9S-1826-SM-5NQ9E 30-39 years, male 33.9
GTEX-U8XE-0226-SM-4E3J3 30-39 years, male 33.5
GTEX-16MTA-0926-SM-6M47Z 50-59 years, male 33.0
GTEX-1HCU8-2526-SM-CE6RX 60-69 years, female 32.6
GTEX-Y5LM-0926-SM-6LLJG 40-49 years, female 31.8
GTEX-1I4MK-0126-SM-CY8G6 50-59 years, female 31.8
GTEX-ZYFD-0626-SM-5E44E 50-59 years, male 31.0
GTEX-1399R-1326-SM-5PNYS 30-39 years, male 30.8
GTEX-1AX9J-1326-SM-731BJ 60-69 years, male 30.7
GTEX-ZVE1-0726-SM-51MRN 50-59 years, female 30.5
GTEX-16GPK-0626-SM-7KFSF 60-69 years, male 29.2
GTEX-1GF9U-2026-SM-7SB92 40-49 years, female 29.1
GTEX-17EVQ-0126-SM-7IGLR 70-79 years, male 29.0
GTEX-Y5V6-2326-SM-4VDSA 60-69 years, male 15.1
Show allShow less
Skin - Sun Exposed (Lower leg)
Average nTPM: 70.0
Samples: 701

Max nTPM: 176.0
Min nTPM: 17.7
Std nTPM: 24.1
Median nTPM: 65.8
GTEX-1EMGI-0126-SM-9KNUE 60-69 years, male 176.0
GTEX-13CF2-2526-SM-5LZYX 60-69 years, male 174.6
GTEX-11DXZ-2326-SM-5EGGV 50-59 years, male 172.7
GTEX-1HFI6-0226-SM-ADEHZ 40-49 years, male 164.8
GTEX-Y3IK-2426-SM-4WWDU 50-59 years, female 161.6
GTEX-13FXS-0226-SM-5IJCK 50-59 years, male 158.0
GTEX-PX3G-0126-SM-2I3EN 20-29 years, female 153.0
GTEX-1PIIG-0226-SM-EWRN6 30-39 years, male 152.2
GTEX-T6MN-0126-SM-32PLP 50-59 years, male 152.0
GTEX-1CB4F-0426-SM-9KNV4 60-69 years, male 145.3
GTEX-Y111-0126-SM-4SOIV 50-59 years, male 142.5
GTEX-1CB4G-0226-SM-7PC3O 60-69 years, male 138.2
GTEX-1CAV2-2226-SM-7P8P2 40-49 years, female 137.4
GTEX-18A6Q-0126-SM-731BZ 60-69 years, male 136.6
GTEX-12584-0126-SM-5EGKQ 40-49 years, male 134.7
GTEX-15ER7-0326-SM-7KUEV 20-29 years, female 133.9
GTEX-13YAN-0326-SM-5O9DF 60-69 years, male 131.7
GTEX-13111-1626-SM-5EGJY 50-59 years, male 130.9
GTEX-11DYG-0126-SM-59883 60-69 years, male 128.3
GTEX-ZYFD-0126-SM-5GIDL 50-59 years, male 126.1
GTEX-1JN6P-0126-SM-D3L98 60-69 years, male 123.7
GTEX-11OF3-2626-SM-5GU7F 60-69 years, male 120.4
GTEX-13X6J-0126-SM-5QGOU 50-59 years, male 118.4
GTEX-ZV68-0126-SM-59HKS 50-59 years, female 118.2
GTEX-17HG3-2226-SM-7938L 30-39 years, female 117.8
GTEX-Y8DK-0126-SM-4TT3L 60-69 years, male 116.4
GTEX-1CB4E-2226-SM-793DC 60-69 years, male 115.6
GTEX-1GMR3-1926-SM-9KNUZ 40-49 years, male 114.8
GTEX-1JMQI-2226-SM-CM2SD 50-59 years, male 114.4
GTEX-YJ89-0126-SM-4TT3X 60-69 years, male 113.7
GTEX-131YS-0126-SM-5KM1M 60-69 years, female 113.4
GTEX-13112-2826-SM-5DUWH 50-59 years, male 113.3
GTEX-1BAJH-0526-SM-793CQ 70-79 years, male 113.3
GTEX-P4QT-0126-SM-2I3FL 50-59 years, female 113.3
GTEX-1GN1U-0126-SM-7PBZK 50-59 years, female 112.8
GTEX-13FHP-0126-SM-5IJBG 50-59 years, male 112.5
GTEX-1H1CY-2826-SM-9MQM3 60-69 years, female 112.3
GTEX-1HCU6-0126-SM-CL54K 60-69 years, female 112.1
GTEX-QESD-1426-SM-2S1R9 20-29 years, male 111.9
GTEX-1B8SF-1426-SM-7DUGL 60-69 years, male 111.8
GTEX-139TS-2826-SM-5J1OO 60-69 years, male 111.7
GTEX-RWSA-0126-SM-2XCBB 40-49 years, male 111.3
GTEX-16GPK-0126-SM-7DHLE 60-69 years, male 111.2
GTEX-1AX9I-0126-SM-7SB74 60-69 years, male 111.2
GTEX-13G51-2526-SM-5LZYK 60-69 years, male 111.1
GTEX-S7PM-0126-SM-4AD6S 60-69 years, male 110.9
GTEX-145MI-0526-SM-5O9A8 60-69 years, female 110.5
GTEX-T2YK-0526-SM-32QPJ 50-59 years, male 108.5
GTEX-1H3VE-0326-SM-9YFLH 40-49 years, male 108.4
GTEX-1B8L1-2526-SM-9WYTF 60-69 years, male 107.9
GTEX-131XH-2226-SM-5DUXJ 50-59 years, male 107.2
GTEX-1C64N-0126-SM-793D7 50-59 years, male 107.2
GTEX-14PN4-0126-SM-6EU2V 50-59 years, male 106.2
GTEX-139UW-2826-SM-5L3E7 60-69 years, male 106.1
GTEX-1H1DG-0126-SM-9WYU2 70-79 years, male 106.0
GTEX-PVOW-0126-SM-2XCFA 40-49 years, male 104.4
GTEX-1C6VR-2426-SM-79OLD 60-69 years, male 104.1
GTEX-X4EO-0326-SM-3P5YO 60-69 years, female 104.0
GTEX-12696-2426-SM-5EQ6H 60-69 years, male 103.8
GTEX-1MJK2-0426-SM-DTXE5 50-59 years, male 103.8
GTEX-1J8JJ-0226-SM-CL53I 60-69 years, female 102.9
GTEX-1C4CL-0526-SM-73KVK 30-39 years, male 102.3
GTEX-15F5U-1526-SM-6PANO 40-49 years, male 101.9
GTEX-ZTX8-1426-SM-5DUVO 20-29 years, male 101.6
GTEX-12ZZX-0126-SM-5EGK9 40-49 years, female 101.5
GTEX-12WSK-2326-SM-5GCOH 40-49 years, female 101.2
GTEX-1399R-2726-SM-5IJBA 30-39 years, male 100.4
GTEX-1KD4Q-0226-SM-E9TJ9 40-49 years, male 100.3
GTEX-XUYS-0126-SM-47JWZ 50-59 years, male 100.0
GTEX-XQ3S-1526-SM-4BOOC 20-29 years, male 99.6
GTEX-ZAK1-0126-SM-5IJD3 50-59 years, female 99.4
GTEX-1N2DW-0226-SM-E9TK2 50-59 years, male 99.3
GTEX-1JMQJ-0526-SM-CYPSU 50-59 years, male 99.2
GTEX-WFON-2126-SM-3LK7O 40-49 years, male 99.0
GTEX-VJYA-1126-SM-3GIJU 60-69 years, male 98.9
GTEX-1KANC-1526-SM-D3LAB 50-59 years, female 98.3
GTEX-1F75B-0126-SM-9KNVL 50-59 years, male 98.2
GTEX-1H3O1-0426-SM-9YFKY 60-69 years, male 97.8
GTEX-1QMI2-0226-SM-EVYBX 60-69 years, male 97.6
GTEX-13U4I-0126-SM-5LU38 40-49 years, female 97.2
GTEX-UPJH-0326-SM-3GADU 50-59 years, male 96.9
GTEX-Y114-2426-SM-4TT8A 50-59 years, female 96.7
GTEX-11ZVC-2526-SM-5FQTE 50-59 years, female 96.5
GTEX-1B8SG-0126-SM-73KZ3 50-59 years, male 95.9
GTEX-SIU8-0126-SM-2XCDT 50-59 years, male 95.9
GTEX-1EWIQ-0126-SM-7RHH2 70-79 years, female 95.8
GTEX-1HFI7-1826-SM-ACKXH 50-59 years, female 95.7
GTEX-131XE-2326-SM-5PNZ2 50-59 years, male 95.6
GTEX-17EVP-0326-SM-7DHLG 40-49 years, male 95.6
GTEX-YB5K-2126-SM-4WWDJ 40-49 years, female 95.6
GTEX-145MF-0626-SM-5LUAI 50-59 years, male 95.5
GTEX-14BIN-0626-SM-793DP 50-59 years, female 95.5
GTEX-1269C-2526-SM-5EGJ3 60-69 years, female 95.3
GTEX-1F6IF-0726-SM-7P8TW 60-69 years, male 95.3
GTEX-S33H-1026-SM-EZ6L6 30-39 years, male 95.0
GTEX-OXRP-0126-SM-3NB32 60-69 years, female 94.9
GTEX-ZF2S-2326-SM-4WWCE 50-59 years, female 94.6
GTEX-1IDJH-0326-SM-A9SLQ 70-79 years, male 94.6
GTEX-1HBPI-1526-SM-C1YQ1 50-59 years, male 94.3
GTEX-12WSC-0126-SM-5EQ4P 50-59 years, male 94.1
GTEX-1B8KE-2126-SM-73KYX 50-59 years, male 93.9
GTEX-13S7M-0126-SM-5SI6A 60-69 years, female 93.2
GTEX-1HGF4-2426-SM-ACKXM 60-69 years, male 93.1
GTEX-12WSE-0526-SM-793B2 20-29 years, male 92.8
GTEX-1H3VY-0126-SM-ACKXD 50-59 years, male 92.7
GTEX-1GMR8-0126-SM-9WYTM 50-59 years, female 92.5
GTEX-1IKJJ-0126-SM-CNPQB 60-69 years, male 92.5
GTEX-1JJEA-0326-SM-CNPOT 60-69 years, male 92.4
GTEX-1B8KZ-2026-SM-7DHMB 50-59 years, male 92.3
GTEX-1OJC3-0126-SM-E76QX 20-29 years, male 92.3
GTEX-1IL2U-0226-SM-CE6T8 60-69 years, male 92.1
GTEX-14PII-0226-SM-6EU1T 60-69 years, male 92.0
GTEX-U8T8-0126-SM-3DB94 60-69 years, male 91.7
GTEX-11TUW-2726-SM-E9J4M 60-69 years, male 91.7
GTEX-1J8EW-0126-SM-CJI4F 60-69 years, female 91.6
GTEX-ZF3C-0126-SM-DO92D 50-59 years, female 91.6
GTEX-1K2DA-1826-SM-CGQGT 50-59 years, male 91.4
GTEX-S32W-2126-SM-2XCB1 50-59 years, female 91.2
GTEX-14A5I-0126-SM-5TDEA 50-59 years, female 91.0
GTEX-1GZHY-0326-SM-9QEHI 50-59 years, female 91.0
GTEX-1313W-0126-SM-5LZUN 50-59 years, female 90.8
GTEX-1GMRU-0126-SM-9YFLV 50-59 years, male 90.8
GTEX-17HII-0226-SM-7LG4E 50-59 years, male 90.7
GTEX-1AX8Z-0126-SM-7DHM6 60-69 years, male 90.5
GTEX-1I6K6-0126-SM-A9SLE 30-39 years, male 90.4
GTEX-13N1W-0126-SM-5K7VT 70-79 years, male 90.1
GTEX-TKQ1-1026-SM-4GICL 30-39 years, male 90.1
GTEX-12KS4-0326-SM-5EQ41 30-39 years, male 89.9
GTEX-XYKS-2126-SM-4E3IB 60-69 years, female 89.9
GTEX-1IGQW-0126-SM-COH42 60-69 years, male 89.7
GTEX-T5JW-1626-SM-3GADZ 20-29 years, female 89.4
GTEX-18A7A-0226-SM-718BH 50-59 years, female 88.9
GTEX-1GF9W-0326-SM-9KNUN 60-69 years, male 88.8
GTEX-144GL-0126-SM-5TDE2 50-59 years, male 88.5
GTEX-1QAET-0926-SM-E76QM 50-59 years, male 88.3
GTEX-ZVTK-0426-SM-51MRS 20-29 years, male 88.2
GTEX-15DDE-0126-SM-6LPKH 50-59 years, female 88.0
GTEX-11P81-2326-SM-59875 30-39 years, female 87.9
GTEX-131XW-0426-SM-5LZWP 50-59 years, female 87.8
GTEX-13X6H-2126-SM-7EWD5 50-59 years, female 87.8
GTEX-SN8G-0126-SM-32PLI 50-59 years, female 87.4
GTEX-1RDX4-0126-SM-E9J4P 50-59 years, female 87.4
GTEX-1GN2E-0426-SM-9MQKX 60-69 years, male 87.3
GTEX-11H98-0126-SM-5EGHG 50-59 years, male 87.2
GTEX-ZYT6-0226-SM-5NQ6T 30-39 years, male 87.1
GTEX-1PIGE-0126-SM-EVYBJ 20-29 years, male 87.0
GTEX-14PJM-0226-SM-62LF1 50-59 years, female 86.9
GTEX-QEG4-0226-SM-2S1PY 30-39 years, male 86.9
GTEX-X261-0126-SM-3NMD6 50-59 years, male 86.9
GTEX-1314G-1526-SM-5EGK2 30-39 years, male 86.7
GTEX-15SHU-0126-SM-7KUEH 40-49 years, female 86.6
GTEX-1JMPZ-0226-SM-CNPP1 30-39 years, male 86.6
GTEX-11DZ1-0126-SM-5985Q 50-59 years, male 86.1
GTEX-ZGAY-0526-SM-4WWBB 40-49 years, female 86.1
GTEX-1HT8W-0126-SM-CNPPP 30-39 years, male 86.1
GTEX-1M4P7-0226-SM-DIPEV 60-69 years, male 85.9
GTEX-1B97I-1626-SM-73KYO 40-49 years, male 85.7
GTEX-14ABY-0226-SM-5TDCQ 50-59 years, male 85.3
GTEX-1GN73-0226-SM-9WG67 60-69 years, male 85.3
GTEX-1E1VI-0126-SM-7DHMZ 50-59 years, male 85.2
GTEX-XUZC-1726-SM-4BRWS 30-39 years, female 84.9
GTEX-1212Z-2526-SM-5EGKP 60-69 years, male 84.8
GTEX-1C475-1826-SM-73KWA 40-49 years, female 84.8
GTEX-1POEN-0126-SM-EYYXJ 30-39 years, female 84.8
GTEX-1PWST-0226-SM-E76QJ 70-79 years, male 84.7
GTEX-X88G-0126-SM-47JZ3 30-39 years, male 84.6
GTEX-1HCU7-0226-SM-CL545 50-59 years, male 84.6
GTEX-17F96-1626-SM-7DUFL 70-79 years, male 84.5
GTEX-1PDJ9-0326-SM-DTX95 20-29 years, male 84.3
GTEX-OIZH-0126-SM-2HMIS 50-59 years, male 84.1
GTEX-OXRO-0126-SM-2YUN4 60-69 years, female 84.1
GTEX-P44H-0226-SM-2XCEU 40-49 years, male 84.1
GTEX-14DAQ-0126-SM-5S2MQ 60-69 years, female 84.0
GTEX-1F6RS-0126-SM-9MQKZ 60-69 years, female 83.9
GTEX-1F6I4-0126-SM-9MQL2 60-69 years, male 83.8
GTEX-13SLW-0126-SM-5SI6C 70-79 years, male 83.3
GTEX-W5WG-1826-SM-4KL2Y 50-59 years, female 83.2
GTEX-1I1CD-0126-SM-CM2TK 60-69 years, female 83.0
GTEX-17HHY-0126-SM-7LG5D 50-59 years, male 82.7
GTEX-1GF9V-0326-SM-7RHI5 60-69 years, male 82.7
GTEX-1H4P4-0726-SM-9YFLR 50-59 years, male 82.6
GTEX-1S83E-0126-SM-EWRO4 40-49 years, male 82.6
GTEX-ZPIC-1726-SM-DHXIU 40-49 years, female 82.3
GTEX-ZU9S-0226-SM-5E441 30-39 years, male 82.2
GTEX-111FC-0126-SM-5N9DL 60-69 years, male 82.0
GTEX-113JC-2326-SM-5EQ4E 50-59 years, female 81.8
GTEX-14PHX-2326-SM-62LEM 50-59 years, male 81.8
GTEX-T5JC-0426-SM-32PLO 20-29 years, male 81.8
GTEX-13OVK-2026-SM-7KUEO 40-49 years, male 81.7
GTEX-QVJO-1626-SM-2S1QW 60-69 years, female 81.7
GTEX-WXYG-2326-SM-4E3I6 50-59 years, female 81.7
GTEX-1HCU9-1526-SM-A9SL7 20-29 years, male 81.5
GTEX-1HCUA-2426-SM-ADEIS 50-59 years, female 81.4
GTEX-139TU-0126-SM-5K7WH 60-69 years, male 81.3
GTEX-145MO-0326-SM-5Q5B3 60-69 years, male 81.3
GTEX-1I4MK-2226-SM-ACKWD 50-59 years, female 81.2
GTEX-1LG7Z-1726-SM-D3LA4 30-39 years, male 81.0
GTEX-1HSKV-0226-SM-A9SKJ 60-69 years, male 80.8
GTEX-ZQG8-1626-SM-DHXIT 60-69 years, female 80.8
GTEX-12ZZY-0226-SM-5LZVE 60-69 years, male 80.7
GTEX-13OW5-0126-SM-DTXFS 60-69 years, male 80.7
GTEX-1GPI6-0126-SM-9WG69 60-69 years, male 80.7
GTEX-13VXU-0126-SM-5SI9F 50-59 years, male 80.6
GTEX-1I1GR-0126-SM-CL55F 60-69 years, male 80.4
GTEX-147GR-0526-SM-5S2MY 60-69 years, male 80.2
GTEX-11UD1-0126-SM-5PNYG 40-49 years, female 80.1
GTEX-1B996-0226-SM-7RHGO 60-69 years, male 80.1
GTEX-139TT-0126-SM-5K7Y5 60-69 years, male 79.9
GTEX-1F88F-2726-SM-7PBZZ 60-69 years, female 79.8
GTEX-1QP9N-1426-SM-DTXFL 30-39 years, male 79.8
GTEX-1S5ZA-0126-SM-EVYCV 20-29 years, male 79.8
GTEX-17HHE-2026-SM-79OKF 50-59 years, male 79.3
GTEX-145LU-0126-SM-5TDCB 50-59 years, male 79.2
GTEX-T2IS-0126-SM-4DM6O 20-29 years, female 79.2
GTEX-TML8-1926-SM-32QOS 40-49 years, female 78.9
GTEX-1R7EU-0226-SM-EVR4G 60-69 years, male 78.8
GTEX-13OVL-0226-SM-5L3E9 50-59 years, male 78.7
GTEX-1IKK5-0626-SM-ARL8A 60-69 years, male 78.5
GTEX-18465-0126-SM-731BN 50-59 years, male 78.4
GTEX-ZDTS-0126-SM-4WAY5 60-69 years, male 78.3
GTEX-15EU6-0426-SM-6PAN5 50-59 years, male 78.1
GTEX-132NY-0326-SM-5IJBL 60-69 years, male 78.0
GTEX-148VI-1626-SM-5SI6E 60-69 years, female 77.9
GTEX-17GQL-2026-SM-718BA 60-69 years, male 77.9
GTEX-RTLS-0126-SM-447CA 60-69 years, female 77.8
GTEX-1IY9M-0126-SM-D3L8S 60-69 years, male 77.8
GTEX-1JN76-0126-SM-CNPPE 20-29 years, female 77.8
GTEX-11WQC-2526-SM-5CVLE 60-69 years, male 77.7
GTEX-1JMLX-0226-SM-CM2RO 50-59 years, male 77.5
GTEX-16XZZ-0126-SM-793DV 60-69 years, male 77.4
GTEX-NFK9-0226-SM-2HMKQ 40-49 years, male 77.4
GTEX-ZWKS-0126-SM-5SIAA 30-39 years, male 77.4
GTEX-11UD2-0226-SM-5EQKY 50-59 years, male 77.3
GTEX-1H1DE-2126-SM-9WG6R 20-29 years, male 77.3
GTEX-ZE7O-0126-SM-57WC1 50-59 years, female 77.2
GTEX-1KWVE-1426-SM-E9TJO 30-39 years, male 77.2
GTEX-WYJK-0126-SM-3NMAB 50-59 years, male 77.0
GTEX-ZDYS-2026-SM-5HL5L 50-59 years, male 76.9
GTEX-1JMQL-0226-SM-CNPP5 50-59 years, female 76.9
GTEX-13SLX-0526-SM-5S2ON 50-59 years, female 76.8
GTEX-11GS4-2726-SM-5A5LE 60-69 years, male 76.7
GTEX-OXRN-0126-SM-48TDM 50-59 years, male 76.7
GTEX-1O97I-0326-SM-EYYX7 60-69 years, male 76.7
GTEX-13OVH-0126-SM-5MR4B 70-79 years, male 76.6
GTEX-1MA7W-2026-SM-E9TJ6 20-29 years, female 76.5
GTEX-PSDG-0226-SM-DKPOZ 50-59 years, male 76.3
GTEX-1EU9M-0226-SM-7P8SP 60-69 years, male 76.2
GTEX-ZVT4-0126-SM-DTXFN 50-59 years, female 76.2
GTEX-1GL5R-1826-SM-9KNUY 50-59 years, male 76.1
GTEX-WQUQ-0426-SM-3MJFU 60-69 years, male 76.0
GTEX-1H2FU-0126-SM-9WYSI 60-69 years, female 75.9
GTEX-OHPL-0126-SM-2HMJ7 60-69 years, female 75.8
GTEX-1HSGN-0226-SM-CGQFV 40-49 years, female 75.8
GTEX-1IOXB-0126-SM-ARL8G 50-59 years, male 75.6
GTEX-WYVS-2126-SM-3NMA3 40-49 years, female 75.3
GTEX-Y5V5-2326-SM-4V6GA 60-69 years, female 75.3
GTEX-17JCI-0126-SM-7LG5G 60-69 years, female 75.1
GTEX-13NZ8-0826-SM-5MR3I 60-69 years, female 74.6
GTEX-W5X1-3026-SM-EAZAX 40-49 years, female 74.5
GTEX-XBED-2226-SM-47JYQ 60-69 years, male 74.1
GTEX-1A8FM-0226-SM-7SB7Q 50-59 years, female 74.0
GTEX-1F48J-0126-SM-7P8TT 50-59 years, female 74.0
GTEX-1NV5F-0226-SM-E8VNY 60-69 years, female 74.0
GTEX-16YQH-0126-SM-7DUFJ 30-39 years, male 73.9
GTEX-1IDJF-0126-SM-CM2RS 20-29 years, male 73.8
GTEX-14BMV-0126-SM-5S2PO 50-59 years, male 73.7
GTEX-1192X-0226-SM-5H12D 50-59 years, male 73.6
GTEX-1CB4J-0626-SM-7DHMP 60-69 years, male 73.6
GTEX-OIZF-0126-SM-7SB8I 60-69 years, male 73.5
GTEX-13FTW-2626-SM-5K7WL 40-49 years, male 73.4
GTEX-13O3P-0126-SM-5KM4S 50-59 years, male 73.3
GTEX-17EUY-0426-SM-793BD 20-29 years, male 73.3
GTEX-ZC5H-0226-SM-4WAY9 40-49 years, female 73.3
GTEX-Z93S-0126-SM-5HL7M 50-59 years, male 73.2
GTEX-1QP66-1726-SM-E8VO1 50-59 years, male 73.2
GTEX-11XUK-2026-SM-5EQLF 40-49 years, female 73.0
GTEX-YB5E-2026-SM-5IFIS 40-49 years, male 72.8
GTEX-11ZU8-2526-SM-5EQKI 60-69 years, male 72.7
GTEX-13113-5016-SM-7EPIP 60-69 years, female 72.4
GTEX-S7SE-0126-SM-2XCD5 50-59 years, male 72.4
GTEX-1211K-2026-SM-5EQ4Z 60-69 years, female 72.3
GTEX-13PVR-2326-SM-5QGR1 60-69 years, female 72.3
GTEX-13QJ3-0326-SM-5S2RA 50-59 years, male 72.3
GTEX-15SHW-0326-SM-6PAML 60-69 years, male 72.3
GTEX-1LB8K-0226-SM-EWRNW 50-59 years, male 72.3
GTEX-11ZTS-0126-SM-5EQ6M 60-69 years, female 72.1
GTEX-14C5O-0126-SM-5SI6N 60-69 years, male 71.7
GTEX-X4XX-0126-SM-3NMC2 60-69 years, male 71.7
GTEX-117XS-2726-SM-5N9BL 60-69 years, male 71.5
GTEX-11GSP-2526-SM-5N9BP 60-69 years, female 71.3
GTEX-1S82Y-2026-SM-EVYCM 40-49 years, male 71.2
GTEX-U3ZH-2026-SM-3DB78 30-39 years, male 71.1
GTEX-1C6WA-0126-SM-7PC2B 60-69 years, male 71.1
GTEX-R55E-0126-SM-2TC5Y 20-29 years, male 70.7
GTEX-1R9K4-0126-SM-DTX9X 60-69 years, male 70.7
GTEX-1JMQK-0226-SM-CL543 60-69 years, male 70.6
GTEX-1R9PM-2026-SM-E76OY 20-29 years, male 70.6
GTEX-13OVI-1426-SM-5L3EY 60-69 years, female 70.5
GTEX-1QCLY-0326-SM-E8VOG 30-39 years, male 70.5
GTEX-1399T-2826-SM-5KLYZ 60-69 years, male 70.3
GTEX-1E2YA-0126-SM-9KNUC 50-59 years, male 69.9
GTEX-1I19N-0326-SM-ACKVX 70-79 years, male 69.9
GTEX-12WSL-2526-SM-5GCNJ 50-59 years, male 69.8
GTEX-1LGRB-2526-SM-CNPPQ 50-59 years, female 69.8
GTEX-1PPH8-0226-SM-E8VND 20-29 years, male 69.8
GTEX-13O1R-0126-SM-5L3EH 60-69 years, male 69.4
GTEX-SJXC-0126-SM-2XCFF 60-69 years, male 69.4
GTEX-ZF29-2326-SM-DO92K 60-69 years, female 69.4
GTEX-1KXAM-2226-SM-CYPTC 60-69 years, male 69.3
GTEX-14JG1-0426-SM-6ETZZ 40-49 years, male 69.2
GTEX-YJ8A-0426-SM-5IFID 20-29 years, male 69.1
GTEX-1N2EF-0226-SM-EYYXB 60-69 years, male 69.0
GTEX-16AAH-1726-SM-7939C 50-59 years, male 68.8
GTEX-18D9A-1926-SM-7LG6P 30-39 years, female 68.8
GTEX-1C6VQ-0126-SM-7P8RI 50-59 years, male 68.8
GTEX-1EN7A-0126-SM-7SB81 40-49 years, male 68.8
GTEX-1HSMQ-1226-SM-CGQFX 50-59 years, male 68.8
GTEX-1KANB-0526-SM-E6CJH 50-59 years, male 68.7
GTEX-148VJ-0126-SM-5TDDN 70-79 years, male 68.5
GTEX-15DYW-0126-SM-7KULE 60-69 years, female 68.5
GTEX-15D1Q-0126-SM-7KUG6 40-49 years, male 68.4
GTEX-13NYB-2526-SM-5K7Z6 40-49 years, male 68.3
GTEX-17F98-0626-SM-79OMX 40-49 years, female 68.3
GTEX-WFG8-2226-SM-3GIL9 20-29 years, male 68.3
GTEX-ZVT3-0126-SM-5GU6I 60-69 years, female 68.3
GTEX-11DXW-0226-SM-5H122 40-49 years, male 68.2
GTEX-13OW6-0426-SM-5L3HM 50-59 years, male 68.1
GTEX-13OW7-0126-SM-5MR3B 50-59 years, male 68.1
GTEX-ZY6K-1826-SM-5GZXK 50-59 years, male 68.0
GTEX-RNOR-0126-SM-E9J4R 50-59 years, female 68.0
GTEX-12ZZZ-0626-SM-5DUXI 60-69 years, male 67.6
GTEX-17EVQ-0226-SM-7LG4P 70-79 years, male 67.5
GTEX-ZXG5-0126-SM-5GIEU 60-69 years, male 67.5
GTEX-11EI6-0126-SM-5985R 60-69 years, male 67.2
GTEX-XQ8I-0426-SM-4BOPO 50-59 years, male 67.1
GTEX-Y8E4-0626-SM-4WWDL 40-49 years, male 67.1
GTEX-13W46-0226-SM-5SIAG 50-59 years, male 67.0
GTEX-11P7K-2126-SM-5GU7G 30-39 years, male 66.9
GTEX-12WSJ-1826-SM-5GCNY 40-49 years, female 66.9
GTEX-WRHK-1426-SM-3MJF9 20-29 years, female 66.9
GTEX-14PJ3-1826-SM-62LEX 50-59 years, male 66.7
GTEX-1HR98-0126-SM-B2LWI 60-69 years, male 66.7
GTEX-11TT1-2526-SM-5EGIB 20-29 years, male 66.6
GTEX-14E6D-0126-SM-62LDV 50-59 years, male 66.4
GTEX-1I1GP-2226-SM-CGQFK 50-59 years, male 66.3
GTEX-XPVG-2626-SM-4B669 50-59 years, male 66.2
GTEX-1RB15-2126-SM-E9TIM 60-69 years, male 66.1
GTEX-UJHI-1526-SM-3DB99 50-59 years, female 66.0
GTEX-ZYFC-0226-SM-5NQ75 50-59 years, male 65.9
GTEX-PLZ6-1426-SM-DKPOT 30-39 years, male 65.9
GTEX-ZVZP-2426-SM-59HKJ 50-59 years, male 65.8
GTEX-ZE9C-2726-SM-57WB5 60-69 years, male 65.6
GTEX-12126-0326-SM-5PNW3 20-29 years, male 65.5
GTEX-13JUV-2726-SM-5LZZ8 40-49 years, female 65.5
GTEX-18A66-0226-SM-718BD 60-69 years, male 65.5
GTEX-1JMPY-1326-SM-ARL8Y 30-39 years, male 65.5
GTEX-145ME-1826-SM-5SI9G 40-49 years, female 65.4
GTEX-17KNJ-2326-SM-7DHLQ 50-59 years, male 65.4
GTEX-RU72-0926-SM-2TF6B 50-59 years, female 65.4
GTEX-SSA3-0126-SM-32QPU 60-69 years, male 65.3
GTEX-144FL-0126-SM-5TDC8 50-59 years, male 65.2
GTEX-1GZ2Q-0226-SM-7P8TL 40-49 years, male 65.2
GTEX-X8HC-0126-SM-4E3JW 50-59 years, female 65.1
GTEX-1J1OQ-0226-SM-CYPSH 40-49 years, female 65.1
GTEX-1S3DN-2226-SM-EVYCD 50-59 years, male 65.1
GTEX-183FY-0126-SM-7LT9P 20-29 years, male 65.0
GTEX-13CF3-2426-SM-5IFGX 60-69 years, female 64.5
GTEX-ZZ64-1726-SM-5GZYB 20-29 years, male 64.5
GTEX-1I1GV-0526-SM-A9G29 60-69 years, male 64.5
GTEX-145LS-0126-SM-5QGP1 60-69 years, female 64.4
GTEX-11O72-0126-SM-59887 40-49 years, male 64.3
GTEX-1AX9J-0226-SM-73KXM 60-69 years, male 64.3
GTEX-1H3NZ-0126-SM-ACKX7 60-69 years, male 64.3
GTEX-13NYS-0126-SM-5MR3W 60-69 years, male 64.2
GTEX-1LSNM-1926-SM-E6CII 50-59 years, male 64.0
GTEX-OHPM-0126-SM-2YUN9 50-59 years, male 63.9
GTEX-QV44-1926-SM-2S1RF 50-59 years, male 63.9
GTEX-T8EM-1026-SM-3DB7M 40-49 years, male 63.8
GTEX-1H11D-0226-SM-9WG6Z 40-49 years, male 63.8
GTEX-1OFPY-2426-SM-DTXEJ 60-69 years, male 63.8
GTEX-U412-0426-SM-3DB9O 60-69 years, male 63.7
GTEX-1LBAC-0126-SM-DIPEZ 20-29 years, male 63.7
GTEX-XAJ8-0826-SM-47JY6 40-49 years, male 63.4
GTEX-1MGNQ-0126-SM-EVYCJ 40-49 years, male 63.4
GTEX-145LV-2126-SM-5LU8N 50-59 years, male 63.3
GTEX-ZYW4-0126-SM-5E44A 60-69 years, male 63.2
GTEX-11DXY-2626-SM-5GIE7 60-69 years, male 63.0
GTEX-YFC4-0126-SM-5CVLY 40-49 years, female 62.9
GTEX-12WSG-2826-SM-E9J4H 50-59 years, female 62.9
GTEX-145MN-2226-SM-5SIAU 30-39 years, male 62.8
GTEX-17HGU-0226-SM-7DHKV 50-59 years, male 62.8
GTEX-P4PP-0126-SM-3LK69 30-39 years, female 62.8
GTEX-139T8-0126-SM-5K7XZ 60-69 years, male 62.3
GTEX-1I1GS-0126-SM-B2LVW 60-69 years, male 62.3
GTEX-1MCQQ-0826-SM-DLHC2 60-69 years, male 62.3
GTEX-1F5PK-2426-SM-7RHHY 50-59 years, male 62.2
GTEX-146FH-0126-SM-5QGPP 50-59 years, female 62.1
GTEX-V1D1-2226-SM-3NMAX 50-59 years, male 62.1
GTEX-XBEW-0626-SM-4QASP 40-49 years, male 62.1
GTEX-VJWN-0126-SM-3GIK7 50-59 years, female 62.0
GTEX-1HB9E-0226-SM-E9U4R 50-59 years, male 62.0
GTEX-1L5NE-2526-SM-E6CIE 50-59 years, male 61.9
GTEX-1A3MV-1926-SM-718BT 30-39 years, male 61.8
GTEX-1R46S-0626-SM-E9J41 60-69 years, female 61.8
GTEX-11LCK-1026-SM-5A5KB 30-39 years, male 61.7
GTEX-1399U-2326-SM-5K7WY 50-59 years, female 61.6
GTEX-13NZA-0226-SM-5K7Z7 60-69 years, male 61.6
GTEX-X4EP-0126-SM-3P5YV 60-69 years, female 61.5
GTEX-14E6C-0126-SM-5RQIP 40-49 years, male 61.4
GTEX-15G19-0126-SM-6PANQ 60-69 years, male 61.4
GTEX-1B933-0126-SM-7PC29 50-59 years, female 61.4
GTEX-11OC5-0126-SM-5HL6A 60-69 years, male 61.3
GTEX-13OW8-1326-SM-5J1OW 60-69 years, male 61.1
GTEX-1HCU8-0626-SM-A9SM9 60-69 years, female 61.1
GTEX-11EM3-2426-SM-59861 20-29 years, female 61.0
GTEX-14E7W-0126-SM-6LLJ9 70-79 years, male 60.9
GTEX-1A3MX-0126-SM-731BR 60-69 years, male 60.9
GTEX-T6MO-1626-SM-32QOM 40-49 years, female 60.9
GTEX-1I1GQ-0126-SM-COH3H 50-59 years, male 60.9
GTEX-144GN-2326-SM-5LU4F 50-59 years, male 60.8
GTEX-POMQ-2226-SM-2I5FK 20-29 years, female 60.8
GTEX-1GZ4H-1726-SM-7PBZJ 50-59 years, female 60.8
GTEX-X5EB-2226-SM-46MW4 40-49 years, male 60.6
GTEX-1QP2A-0126-SM-E9J43 50-59 years, male 60.3
GTEX-1GTWX-0126-SM-9YFLK 60-69 years, male 60.2
GTEX-1JJ6O-0126-SM-E6CI8 60-69 years, male 60.2
GTEX-1KAFJ-2026-SM-CY8ID 50-59 years, male 60.2
GTEX-WH7G-2326-SM-3NMBC 40-49 years, male 60.0
GTEX-1K9T9-0126-SM-EVYCF 50-59 years, female 59.9
GTEX-PLZ5-2026-SM-2S1O4 50-59 years, male 59.7
GTEX-13O21-1426-SM-5K7XI 50-59 years, male 59.6
GTEX-1497J-2426-SM-7IGNX 60-69 years, male 59.6
GTEX-16NPX-0226-SM-79OMT 50-59 years, male 59.6
GTEX-1EX96-1626-SM-7PBXR 50-59 years, male 59.6
GTEX-1H1E6-1726-SM-ACKVK 30-39 years, male 59.6
GTEX-18D9U-0226-SM-718BP 40-49 years, male 59.5
GTEX-ZTPG-0326-SM-5O9AX 20-29 years, female 59.5
GTEX-1MUQO-0126-SM-EAZ58 60-69 years, male 59.5
GTEX-117YW-2626-SM-5GZZH 50-59 years, male 59.2
GTEX-1F7RK-0126-SM-7PC2S 20-29 years, female 59.2
GTEX-1LH75-2426-SM-E9TJE 50-59 years, female 59.2
GTEX-13X6I-0626-SM-5QGP9 60-69 years, male 59.1
GTEX-SNMC-1226-SM-2XCFP 20-29 years, male 59.1
GTEX-14BIL-0126-SM-5SI92 50-59 years, male 58.9
GTEX-1GF9X-2026-SM-7PC3A 40-49 years, female 58.9
GTEX-1AYD5-2426-SM-73KXR 50-59 years, male 58.8
GTEX-SUCS-1926-SM-32PM3 70-79 years, male 58.8
GTEX-13OVJ-0126-SM-5KM36 50-59 years, female 58.6
GTEX-X585-0226-SM-4QAS2 50-59 years, male 58.6
GTEX-PWCY-1826-SM-DHXIZ 20-29 years, female 58.6
GTEX-13RTK-1426-SM-5QGQJ 20-29 years, male 58.5
GTEX-13N11-2526-SM-5K7UE 50-59 years, female 58.4
GTEX-O5YW-0126-SM-3LK6D 50-59 years, male 58.4
GTEX-1JKYN-1326-SM-CGQG9 30-39 years, male 58.4
GTEX-11EQ9-2426-SM-5HL5T 30-39 years, male 58.3
GTEX-14DAR-2026-SM-5S2O3 50-59 years, male 58.3
GTEX-WVJS-0126-SM-4MVOT 50-59 years, male 58.3
GTEX-14LLW-0126-SM-6LLIO 70-79 years, female 58.1
GTEX-1CB4I-0226-SM-79OLH 50-59 years, male 58.1
GTEX-13VXT-0126-SM-5LU4I 20-29 years, female 57.9
GTEX-11NUK-0126-SM-5A5L3 50-59 years, male 57.8
GTEX-117YX-2326-SM-5H12W 50-59 years, male 57.6
GTEX-PLZ4-0126-SM-5SI8O 50-59 years, female 57.6
GTEX-1MA7X-2226-SM-E6CIY 60-69 years, male 57.6
GTEX-14A5H-0426-SM-5QGQF 60-69 years, male 57.5
GTEX-OXRK-0226-SM-3NB2G 50-59 years, female 57.5
GTEX-Q2AH-1626-SM-3GAF8 40-49 years, male 57.5
GTEX-13NYC-0326-SM-E9J4S 60-69 years, male 57.5
GTEX-147F4-0226-SM-5QGPW 50-59 years, male 57.4
GTEX-Q2AI-1326-SM-2S1PL 40-49 years, male 57.4
GTEX-QLQ7-1626-SM-2S1R8 60-69 years, male 57.4
GTEX-11GSO-2426-SM-5A5LY 60-69 years, male 57.3
GTEX-14PN3-2426-SM-6LLHS 60-69 years, female 57.2
GTEX-15ETS-0126-SM-7KUMW 40-49 years, female 57.2
GTEX-RWS6-2026-SM-2XCB5 60-69 years, female 57.2
GTEX-ZAB4-0226-SM-5N9F5 40-49 years, male 57.1
GTEX-1AX9K-2326-SM-73KWU 50-59 years, male 56.9
GTEX-RVPV-0126-SM-EAZAW 60-69 years, male 56.9
GTEX-1F75A-0126-SM-7RHGM 50-59 years, male 56.7
GTEX-1IKOH-0226-SM-COH4E 60-69 years, female 56.7
GTEX-1H23P-0126-SM-ADEJ3 60-69 years, male 56.5
GTEX-15SDE-2226-SM-7IGLO 50-59 years, female 56.4
GTEX-1GPI7-0126-SM-9MQL8 20-29 years, male 56.4
GTEX-OIZG-0726-SM-33HBL 50-59 years, male 56.3
GTEX-Z9EW-1626-SM-5CVMN 40-49 years, male 56.3
GTEX-1C6VS-0526-SM-7DUEN 60-69 years, male 56.1
GTEX-1KD5A-0226-SM-D5OV3 50-59 years, male 56.1
GTEX-1192W-2626-SM-5Q5AF 60-69 years, male 56.0
GTEX-11ZTT-2426-SM-5EQLS 60-69 years, female 56.0
GTEX-QCQG-1726-SM-3GIJ9 50-59 years, female 56.0
GTEX-1R7EV-2426-SM-EVYBG 40-49 years, male 55.9
GTEX-15SB6-1726-SM-6PAME 50-59 years, female 55.7
GTEX-RN64-0126-SM-2TC68 50-59 years, male 55.7
GTEX-1LGOU-2026-SM-DIPFF 20-29 years, female 55.4
GTEX-QLQW-1126-SM-2S1Q8 30-39 years, male 55.1
GTEX-R3RS-0126-SM-3GIJL 40-49 years, female 55.1
GTEX-VUSG-2526-SM-4KL1V 50-59 years, male 55.1
GTEX-WI4N-1026-SM-3LK7N 40-49 years, female 55.1
GTEX-14XAO-2326-SM-6EU1B 60-69 years, female 55.0
GTEX-16XZY-2126-SM-79OK1 70-79 years, male 55.0
GTEX-1EKGG-0226-SM-9WYTH 60-69 years, male 55.0
GTEX-1C2JI-1826-SM-73KXC 50-59 years, male 54.9
GTEX-Y3I4-2126-SM-4TT7C 50-59 years, male 54.9
GTEX-ZVE2-0226-SM-59HJB 50-59 years, male 54.9
GTEX-ZVZO-0126-SM-5A5L9 40-49 years, male 54.9
GTEX-WY7C-2326-SM-3NB2U 50-59 years, male 54.7
GTEX-X638-0126-SM-47JZ8 70-79 years, female 54.6
GTEX-1LNCM-1126-SM-E9U5E 50-59 years, female 54.6
GTEX-11TTK-0126-SM-5987B 60-69 years, female 54.4
GTEX-13FTX-1826-SM-5J1NX 20-29 years, female 54.4
GTEX-145LT-1726-SM-5QGP3 40-49 years, male 54.3
GTEX-15DCD-0126-SM-7KUEK 70-79 years, female 54.3
GTEX-16BQI-0226-SM-7KUEX 30-39 years, female 54.3
GTEX-1ICLY-0126-SM-D4P36 50-59 years, male 54.3
GTEX-ZTSS-1926-SM-57WEW 40-49 years, male 54.2
GTEX-1CB4H-0226-SM-7PBXM 60-69 years, female 54.2
GTEX-146FQ-0126-SM-5NQA9 30-39 years, male 54.1
GTEX-14JIY-0126-SM-6LLH6 60-69 years, male 54.1
GTEX-1A32A-0126-SM-718B1 50-59 years, female 54.1
GTEX-1HSMO-0126-SM-CL547 60-69 years, male 54.0
GTEX-1QEPI-0126-SM-EWRMQ 60-69 years, female 54.0
GTEX-PW2O-1526-SM-7RHHB 20-29 years, male 53.9
GTEX-14A6H-0126-SM-5QGPK 30-39 years, male 53.7
GTEX-YEC4-2126-SM-5IFJH 40-49 years, male 53.7
GTEX-OOBJ-0126-SM-E6CJW 60-69 years, male 53.4
GTEX-XUW1-0426-SM-4BOOT 50-59 years, female 53.3
GTEX-ZV6S-2326-SM-4YCEY 40-49 years, female 53.3
GTEX-13D11-2426-SM-5KM1V 50-59 years, female 53.2
GTEX-1F75I-0326-SM-9YFLU 40-49 years, male 53.0
GTEX-1NHNU-1026-SM-E9J2A 50-59 years, male 53.0
GTEX-1JKYR-0126-SM-CNPOJ 20-29 years, male 52.8
GTEX-13N2G-2626-SM-5J1OT 60-69 years, male 52.6
GTEX-P4PQ-0126-SM-2S1NM 60-69 years, male 52.5
GTEX-PWO3-1526-SM-48TCM 60-69 years, female 52.5
GTEX-1R9PO-2126-SM-E9J4O 60-69 years, female 52.4
GTEX-13IVO-0126-SM-5J1NG 70-79 years, male 52.3
GTEX-1LVAN-0226-SM-COH3S 50-59 years, female 52.2
GTEX-R55G-2526-SM-2TC6D 40-49 years, female 52.0
GTEX-TMZS-0126-SM-3DB9Q 60-69 years, male 52.0
GTEX-12WSD-0126-SM-59HKN 60-69 years, female 51.9
GTEX-1LG7Y-0526-SM-DKPQC 50-59 years, male 51.9
GTEX-ZUA1-0126-SM-5GU76 40-49 years, male 51.7
GTEX-XMD2-0126-SM-4YCDU 60-69 years, female 51.6
GTEX-11ZUS-0626-SM-59885 30-39 years, male 51.4
GTEX-1HUB1-0426-SM-E9U4U 60-69 years, male 51.4
GTEX-1CAMS-0426-SM-7P8T2 40-49 years, female 51.3
GTEX-111VG-2426-SM-5GZXD 60-69 years, male 51.2
GTEX-14ICK-0226-SM-6EU25 40-49 years, male 51.2
GTEX-1ICLZ-0126-SM-CKZPO 60-69 years, male 51.2
GTEX-RM2N-1426-SM-2TF4H 50-59 years, male 50.9
GTEX-1GN1W-0526-SM-9MQJQ 50-59 years, female 50.9
GTEX-13NZB-2526-SM-5J1OM 30-39 years, male 50.8
GTEX-TSE9-0126-SM-3DB83 60-69 years, female 50.7
GTEX-1JN1M-0326-SM-CYPT3 60-69 years, female 50.7
GTEX-1RQEC-0426-SM-E6CHU 60-69 years, male 50.7
GTEX-1HBPM-0226-SM-ARL9F 60-69 years, female 50.6
GTEX-131XG-2626-SM-5KM17 50-59 years, female 50.3
GTEX-1M5QR-1226-SM-EWROB 40-49 years, male 50.3
GTEX-16NGA-1726-SM-731B4 40-49 years, female 50.2
GTEX-1F5PL-0326-SM-7P8PQ 40-49 years, female 50.1
GTEX-17MFQ-1726-SM-793C7 20-29 years, male 50.0
GTEX-1PPH7-2326-SM-EVYB8 40-49 years, male 50.0
GTEX-12C56-1726-SM-5EQ61 20-29 years, male 49.9
GTEX-18QFQ-0126-SM-731BE 30-39 years, male 49.9
GTEX-1AMFI-2026-SM-731BH 50-59 years, female 49.9
GTEX-1I1GT-0626-SM-CGQER 60-69 years, female 49.7
GTEX-13FTY-0526-SM-5L3EV 40-49 years, female 49.6
GTEX-1CAMR-1926-SM-7EPI2 20-29 years, male 49.6
GTEX-139D8-0226-SM-5KLZO 30-39 years, female 49.4
GTEX-1J8QM-2126-SM-CYPSJ 60-69 years, female 49.4
GTEX-1IL2V-0126-SM-CM2TX 70-79 years, male 49.3
GTEX-WZTO-0126-SM-3NM95 40-49 years, male 49.2
GTEX-1J1R8-1726-SM-ARL8M 40-49 years, male 49.2
GTEX-14BMU-2226-SM-5TDE9 20-29 years, female 49.1
GTEX-14E6E-1826-SM-5S2R7 30-39 years, male 48.9
GTEX-ZDTT-2726-SM-4WKF8 60-69 years, male 48.8
GTEX-ZXES-1826-SM-5E43S 30-39 years, female 48.8
GTEX-1GN1V-0126-SM-9WPOS 60-69 years, male 48.8
GTEX-1J8Q2-0526-SM-CM2RW 60-69 years, male 48.7
GTEX-1QPFJ-0226-SM-E76PB 30-39 years, female 48.5
GTEX-133LE-1826-SM-5J1MV 20-29 years, female 48.4
GTEX-13FHO-0226-SM-5IFGY 60-69 years, male 48.4
GTEX-1AYCT-2426-SM-7IGQ3 50-59 years, male 48.4
GTEX-1128S-2326-SM-5GZZY 60-69 years, female 48.1
GTEX-11NSD-2226-SM-5986V 20-29 years, male 48.1
GTEX-11P82-1626-SM-59879 20-29 years, male 48.1
GTEX-13PDP-0126-SM-5L3HD 60-69 years, male 48.1
GTEX-Z93T-0126-SM-5HL5N 50-59 years, male 47.8
GTEX-Q2AG-0126-SM-33HBV 40-49 years, female 47.7
GTEX-1KANA-0726-SM-D3L9I 20-29 years, male 47.7
GTEX-18A7B-0126-SM-7LG64 70-79 years, male 47.6
GTEX-1QW4Y-1526-SM-EAZ3Z 30-39 years, male 47.6
GTEX-12WSN-5019-SM-79OM6 40-49 years, male 47.5
GTEX-1CAMQ-0226-SM-7IGPK 40-49 years, male 47.5
GTEX-1ICG6-2526-SM-CGQFZ 70-79 years, female 47.5
GTEX-1IE54-0126-SM-CMKHW 40-49 years, female 47.3
GTEX-1JMOU-1526-SM-CL54I 60-69 years, female 47.0
GTEX-ZYY3-0126-SM-5GZY5 60-69 years, female 46.6
GTEX-1JK1U-2026-SM-CM2RZ 60-69 years, male 46.6
GTEX-17MF6-0126-SM-7LG4F 40-49 years, male 46.4
GTEX-169BO-1326-SM-9MQK2 50-59 years, male 46.4
GTEX-15RIG-0226-SM-7KFTL 40-49 years, male 46.3
GTEX-XXEK-2226-SM-4BRUM 50-59 years, male 46.3
GTEX-14753-0426-SM-5NQAM 60-69 years, male 46.0
GTEX-13RTJ-2426-SM-5S2Q2 60-69 years, male 45.9
GTEX-1PFEY-1526-SM-E76PP 30-39 years, male 45.8
GTEX-ZAB5-1826-SM-5HL7C 50-59 years, male 45.7
GTEX-1HBPH-0426-SM-B2LW5 40-49 years, female 45.4
GTEX-12WSA-0226-SM-5BC5V 60-69 years, male 45.3
GTEX-XV7Q-2526-SM-4BRV9 40-49 years, female 45.3
GTEX-16MT8-0426-SM-7KUEY 60-69 years, female 45.2
GTEX-13FH7-2026-SM-E9J4I 50-59 years, female 45.2
GTEX-1C64O-0126-SM-7SB8P 60-69 years, male 45.2
GTEX-11DXX-2426-SM-5GZZW 60-69 years, female 45.0
GTEX-18A67-0126-SM-7LG5P 50-59 years, male 45.0
GTEX-18D9B-0526-SM-7LTAS 60-69 years, male 45.0
GTEX-113IC-0126-SM-5HL6T 60-69 years, male 44.9
GTEX-S95S-1226-SM-4GICG 60-69 years, male 44.6
GTEX-14LZ3-0226-SM-62LET 60-69 years, female 44.4
GTEX-OOBK-0126-SM-2YUND 40-49 years, male 44.4
GTEX-1F52S-0126-SM-9MQJU 60-69 years, female 44.4
GTEX-1J8Q3-1626-SM-CMKGC 60-69 years, male 44.4
GTEX-11VI4-1726-SM-5CVLH 40-49 years, female 44.0
GTEX-11WQK-0526-SM-5EQLD 50-59 years, male 44.0
GTEX-1HBPN-0226-SM-9YFM1 50-59 years, male 44.0
GTEX-1LC47-0326-SM-E9TJP 60-69 years, male 44.0
GTEX-15UF6-0826-SM-6PALJ 70-79 years, female 43.8
GTEX-13O3O-0126-SM-E9J49 60-69 years, female 43.5
GTEX-1AMEY-1326-SM-73KYK 30-39 years, female 43.4
GTEX-ZVT2-2526-SM-51MT1 50-59 years, female 43.4
GTEX-17F97-0326-SM-7LG5B 50-59 years, male 43.3
GTEX-U8XE-0326-SM-3DB8P 30-39 years, male 43.1
GTEX-ZEX8-2426-SM-4WKG4 50-59 years, male 43.0
GTEX-O5YT-0126-SM-48TBW 20-29 years, male 42.8
GTEX-147F3-0526-SM-5SI98 50-59 years, female 42.6
GTEX-13RTL-0126-SM-7LG5S 40-49 years, male 42.4
GTEX-Y8LW-1826-SM-5S2MV 50-59 years, female 42.4
GTEX-1RAZA-0126-SM-E6CI3 20-29 years, male 42.4
GTEX-13W3W-2426-SM-5LU5B 60-69 years, female 42.3
GTEX-ZAJG-0126-SM-5HL94 50-59 years, female 42.3
GTEX-131XF-5016-SM-7MGWE 60-69 years, male 42.3
GTEX-11EMC-2926-SM-5EQ4F 60-69 years, female 42.1
GTEX-NPJ8-0126-SM-2YUNR 40-49 years, male 42.0
GTEX-X4XY-0226-SM-4E3IZ 60-69 years, male 41.5
GTEX-1PBJI-0526-SM-E8VNK 20-29 years, female 41.5
GTEX-14PHW-0126-SM-6LLJI 60-69 years, female 41.3
GTEX-183WM-0126-SM-7LTAB 70-79 years, female 41.3
GTEX-15CHC-2126-SM-6EU21 60-69 years, female 41.1
GTEX-QDVJ-1726-SM-2I5FX 50-59 years, male 41.1
GTEX-1GF9U-2126-SM-7SB7L 40-49 years, female 41.1
GTEX-1IDJU-2626-SM-CM2RT 60-69 years, female 41.1
GTEX-14PJ6-2126-SM-6EU1V 60-69 years, female 41.0
GTEX-TMMY-0226-SM-33HBA 40-49 years, female 40.8
GTEX-1RLM8-2326-SM-EWRN4 50-59 years, male 40.8
GTEX-Y5LM-1926-SM-5RQJH 40-49 years, female 40.4
GTEX-1OJC4-0126-SM-E9J2E 50-59 years, female 40.3
GTEX-ZZPT-0226-SM-5E43X 50-59 years, male 40.2
GTEX-1JJE9-0326-SM-CL53Z 70-79 years, male 40.0
GTEX-14JG6-2226-SM-6EU2G 30-39 years, female 39.8
GTEX-13OVG-1926-SM-5L3DK 60-69 years, male 39.7
GTEX-1H1ZS-0426-SM-9WG6G 70-79 years, male 39.7
GTEX-1QP29-0626-SM-EWRMX 50-59 years, male 39.7
GTEX-1A3MW-0126-SM-73KXX 60-69 years, female 39.6
GTEX-QDVN-2026-SM-3GAEP 50-59 years, male 39.6
GTEX-1K2DU-2326-SM-E9TIV 20-29 years, male 39.4
GTEX-146FR-1326-SM-E9J48 60-69 years, female 39.2
GTEX-ZQUD-1426-SM-57WER 30-39 years, male 38.5
GTEX-U3ZN-2326-SM-3DB7W 30-39 years, female 38.0
GTEX-U3ZM-1526-SM-3DB9D 40-49 years, male 37.8
GTEX-1S82Z-0826-SM-E6CHY 30-39 years, female 37.8
GTEX-X62O-0126-SM-4E3JN 50-59 years, male 37.7
GTEX-QDT8-0126-SM-48TZ1 30-39 years, female 37.6
GTEX-1I1GU-2226-SM-CGQFA 40-49 years, male 37.3
GTEX-1I1HK-0126-SM-COH49 60-69 years, male 36.7
GTEX-1HSMP-0126-SM-E6CJS 70-79 years, male 36.6
GTEX-1122O-2126-SM-5EGIR 60-69 years, female 36.5
GTEX-1N2DV-0226-SM-E6CJ6 40-49 years, male 36.4
GTEX-14BIM-0226-SM-7IGLD 60-69 years, female 36.3
GTEX-13O3Q-2426-SM-5IJBR 50-59 years, male 35.7
GTEX-RUSQ-1526-SM-2TF62 50-59 years, male 35.3
GTEX-OXRL-0126-SM-2YUMP 50-59 years, male 35.2
GTEX-139T4-0226-SM-5HL5S 50-59 years, female 34.7
GTEX-R45C-0126-SM-EAZ2R 60-69 years, female 34.2
GTEX-ZDXO-3026-SM-5J1N5 60-69 years, male 33.7
GTEX-15UKP-0426-SM-7KUFQ 20-29 years, male 33.4
GTEX-15EOM-0126-SM-7KUGG 20-29 years, female 33.2
GTEX-ZYFG-2326-SM-5E44B 60-69 years, female 33.2
GTEX-1MCYP-1926-SM-E9J2R 20-29 years, female 33.2
GTEX-U4B1-1826-SM-4DXSU 40-49 years, male 33.1
GTEX-1HSEH-0126-SM-ACKXN 60-69 years, male 33.1
GTEX-1IDFM-0126-SM-COH2V 60-69 years, male 32.8
GTEX-1QP67-1626-SM-EAZ3X 40-49 years, female 32.2
GTEX-1HKZK-0326-SM-9WYUH 40-49 years, male 31.8
GTEX-WOFL-0126-SM-3MJG2 60-69 years, male 31.2
GTEX-SE5C-1626-SM-2XCE3 40-49 years, female 30.7
GTEX-1HCVE-0126-SM-CGQEU 50-59 years, male 28.5
GTEX-ZF28-0126-SM-4WKGK 60-69 years, male 28.3
GTEX-Q734-1926-SM-2I5EV 40-49 years, female 27.8
GTEX-1RAZQ-0726-SM-EAZ43 30-39 years, male 24.8
GTEX-Y5V6-2426-SM-4VDSB 60-69 years, male 18.3
GTEX-14PK6-1926-SM-6ETZU 70-79 years, female 17.7
Show allShow less

Contact

  • NEWS ARTICLES
  • PRESS ROOM

The Project

  • INTRODUCTION
  • ORGANIZATION
  • PUBLICATIONS

The Human Protein Atlas

  • DOWNLOADABLE DATA
  • LICENCE & CITATION
  • HELP & FAQ
The Human Protein Atlas project is funded
by the Knut & Alice Wallenberg Foundation.


contact@proteinatlas.org