We use cookies to enhance the usability of our website. If you continue, we'll assume that you are happy to receive all cookies. More information. Don't show this again.
ZNF274
HPA
RESOURCES
  • TISSUE
  • BRAIN
  • SINGLE CELL
  • SUBCELLULAR
  • CANCER
  • BLOOD
  • CELL LINE
  • STRUCTURE & INTERACTION
ABOUT
  • INTRODUCTION
  • HISTORY
  • ORGANIZATION
  • PUBLICATIONS
  • ANTIBODY SUBMISSION
  • ANTIBODY AVAILABILITY
  • ACKNOWLEDGMENTS
  • CONTACT
NEWS
  • NEWS ARTICLES
  • PRESS ROOM
LEARN
  • DICTIONARY
  • PROTEIN CLASSES
  • PROTEIN EVIDENCE
  • METHODS
  • EDUCATIONAL VIDEOS
DATA
  • DOWNLOADABLE DATA
  • PUBLICATION DATA
  • RELEASE HISTORY
HELP
  • ANTIBODY VALIDATION
  • ASSAYS & ANNOTATION
  • DISCLAIMER
  • HELP & FAQ
  • PRIVACY STATEMENT
  • LICENCE & CITATION
Fields »
Search result

Field
Term
Gene name
Class
Subclass
Class
Keyword
Chromosome
External id
Tissue
Cell type
Expression
Antibody panel
Tissue
Main location
Patient ID
Annotation
Tissue
Category
Tau score
Cluster
Reliability
Brain region
Category
Tau score
Brain region
Category
Tau score
Brain region
Category
Tau score
Cluster
Reliability
Tissue
Cell type
Enrichment
Cell type
Category
Tau score
Cell type
Category
Tau score
Cell type
Category
Tau score
Cell lineage
Category
Tau score
Cluster
Cluster
Location
Searches
Location
Cell line
Class
Type
Phase
Reliability
Cancer
Prognosis
Cancer
Category
Cancer
Category
Tau score
Cluster
Variants
Interacting gene (ensg_id)
Type
Number of interactions
Pathway
Category
Score
Score
Score
Validation
Validation
Validation
Validation
Antibodies
Data type
Column


  • SUMMARY

  • TISSUE

  • BRAIN

  • SINGLE CELL

  • SUBCELL

  • CANCER

  • BLOOD

  • CELL LINE

  • STRUCT & INT

  • ZNF274
CANCER HEAD & NECK CANCER Show tissue menu
BREAST CANCER CARCINOID CERVICAL CANCER COLORECTAL CANCER ENDOMETRIAL CANCER GLIOMA HEAD AND NECK CANCER LIVER CANCER LUNG CANCER LYMPHOMA
MELANOMA OVARIAN CANCER PANCREATIC CANCER PROSTATE CANCER RENAL CANCER SKIN CANCER STOMACH CANCER TESTIS CANCER THYROID CANCER UROTHELIAL CANCER
HNSC TCGA PROTEIN HNSC CPTAC PROTEIN EXPRESSION
ANTIBODIES
AND
VALIDATION
Dictionary
Head and neck cancer
Human cancer
Head and neck squamous cell carcinoma
HEAD AND NECK SQUAMOUS CELL CARCINOMA (TCGA) - Interactive survival scatter ploti

The Survival Scatter plot shows the clinical status (i.e. dead or alive) for all individuals in the patient cohort, based on the same data that underlies the corresponding Kaplan-Meier plots. Patients that are alive at last time for follow-up are shown in blue and patients who have died during the study are shown in red.

The x-axis shows the expression levels (FPKM) of the investigated gene in the tumor tissue at the time of diagnosis. The y-axis shows the follow-up time after diagnosis (years). Both axes are complimented with kernel density curves demonstrating the data density over the axes. The top density plot shows the expression levels (FPKM) distribution among dead (red) and alive patients (blue). The right density plot shows the data density of the survived years of dead patients with high and low expression levels respectively, stratified using the cutoff indicated by the vertical dashed line through the Survival Scatter plot. This cutoff is automatically defined based on the FPKM cutoff that minimizes the p-score. The cutoff can be changed by dragging the vertical line or by entering a cutoff value in the square labeled "Current cut-off".

Under the Survival Scatter plot the p-score landscape (black curve; left axis) is shown together with dead median separation (red curve; right axis). Dead median separation is the difference in median mRNA expression between patients who have died with high and low expression, respectively. It is calculated as follows: median FPKM expression of dead patients with high expression - median FPKM expression of dead patients with low expression. This is intended to aid the user in visually exploring custom cutoffs and the associated p-scores and dead median separation.

Individual patient data is displayed and can be filtered by clicking on one or more of the category buttons on the top of the page. Categories describing expression level and patient information include: high, low, alive, dead, female, male and tumor stages. The scale of the x-axis can be toggled between linear and log-scale by clicking on the "x log" button. Mouse-over function shows TCGA ID, patient information and mRNA expression (FPKM) for each patient.

& Survival analysisi

Kaplan-Meier plots summarize results from analysis of correlation between mRNA expression level and patient survival. Patients were divided based on level of expression into one of the two groups "low" (under cut off) or "high" (over cut off). X-axis shows time for survival (years) and y-axis shows the probability of survival, where 1.0 corresponds to 100 percent.

ZNF274 is not prognostic in Head and Neck Squamous Cell Carcinoma (TCGA)


Stage:

Survival analysis
Current cut offi

Current cut-off shows the cut-off (FPKM) currently selected. It may be changed manually. When the current cut-off is changed, the vertical dashed line indicating cut-off, the interactive survival scatter plot and the Kaplan-Meier curve will be automatically adjusted to show results accordingly.

:
Best expression cut offi

Based on the FPKM value of each gene, patients were classified into two groups and association between prognosis (survival) and gene expression (FPKM) was examined. The best expression cut-off refers the FPKM value that yields maximal difference with regard to survival between the two groups at the lowest log-rank P-value. Best expression cut-off was selected based on survival analysis .

When clicking on this number, the vertical dashed line indicating cut-off, the interactive survival plot, and the Kaplan-Meier curve will be adjusted to show results based on the best expression cut-off.

: 11.55
Median expressioni

Median expression refers to the median FPKM value calculated based on the gene expression (FPKM) data from all patients in this dataset. When clicking on this number, the vertical dashed line indicating cut-off, the interactive survival plot, and the Kaplan-Meier curve will be adjusted to show results based on the median expression.

: N/A
Median follow up timei

Median follow up time refers to the median time (years) after diagnosis with this type of cancer, based on clinical data from all patients in this dataset.

: N/A
P scorei

Log-rank P value for Kaplan-Meier plot showing results from analysis of correlation between mRNA expression level and patient survival.

N/A
5-year survival highi

5-year survival for patients with higher expression than the expression cutoff.

For melanoma and glioma, 3-year survival is shown.

N/A
5-year survival lowi

5-year survival for patients with lower expression than the expression cutoff.

For melanoma and glioma, 3-year survival is shown.

N/A
TCGA RNA samplesi

RNA-seq data is reported as average FPKM (number Fragments Per Kilobase of exon per Million reads), generated by the The Cancer Genome Atlas (TCGA) .

Normal distribution across the dataset is visualized with box plots, shown as median and 25th and 75th percentiles. Points are displayed as outliers if they are above or below 1.5 times the interquartile range. FPKM values of the individual samples are presented next to the box plot.

Average pTPM 9.8
Number of samples 492
Samples
Sample Description pTPM
TCGA-DQ-7592-01A 57 years, male, american indian or alaska native, stage:'--, alive, 1143 days 39.1
TCGA-CV-7253-01A 58 years, male, black or african american, stage:Stage IVA, dead, 361 days 38.7
TCGA-BA-5153-01A 51 years, male, white, stage:'--, dead, 1762 days 36.2
TCGA-CR-7368-01A 54 years, male, white, stage:Stage IVA, alive, 1245 days 29.0
TCGA-QK-A6V9-01A 56 years, male, white, stage:Stage II, alive, 833 days 28.8
TCGA-BB-A6UM-01A 52 years, male, white, stage:Stage III, alive, 393 days 27.0
TCGA-BA-5559-01A 71 years, male, white, stage:'--, dead, 2083 days 25.7
TCGA-CR-6467-01A 59 years, male, white, stage:Stage III, alive, 1777 days 23.1
TCGA-CN-6011-01A 57 years, male, white, stage:Stage IVA, alive, 933 days 22.9
TCGA-CX-7082-01A 82 years, male, white, stage:Stage IVA, dead, 11 days 22.6
TCGA-P3-A5QE-01A 49 years, male, white, stage:Stage III, alive, 1559 days 22.3
TCGA-BA-A6DL-01A 59 years, male, white, stage:'--, alive, 623 days 22.0
TCGA-CV-7235-01A 67 years, male, white, stage:Stage II, alive, 2347 days 21.6
TCGA-BB-A5HY-01A 64 years, male, white, stage:Stage IVA, dead, 321 days 21.1
TCGA-CQ-6221-01A 79 years, male, white, stage:'--, alive, 1000 days 20.8
TCGA-D6-6825-01A 73 years, male, white, stage:Stage I, alive, 491 days 20.5
TCGA-F7-A61W-01A 51 years, male, asian, stage:Stage IVA, alive, 14 days 20.4
TCGA-CR-6480-01A 53 years, male, white, stage:'--, alive, 362 days 19.9
TCGA-CR-7404-01A 53 years, male, white, stage:'--, alive, 1472 days 19.9
TCGA-CR-7385-01A 42 years, male, white, stage:'--, alive, 997 days 19.5
TCGA-D6-6823-01A 50 years, male, white, stage:Stage II, alive, 701 days 19.5
TCGA-DQ-7591-01A 62 years, male, white, stage:'--, alive, 622 days 19.2
TCGA-CV-7091-01A 54 years, male, white, stage:Stage I, alive, 3381 days 19.2
TCGA-P3-A6T4-01A 54 years, male, white, stage:Stage IVA, dead, 62 days 19.1
TCGA-CQ-5330-01A 69 years, female, white, stage:Stage IVA, alive, 1897 days 18.8
TCGA-CN-A499-01A 60 years, female, white, stage:Stage II, alive, 717 days 18.3
TCGA-CN-A63W-01A 48 years, female, white, stage:Stage IVA, dead, 377 days 18.1
TCGA-QK-A6VB-01A 66 years, male, white, stage:Stage IVA, alive, 641 days 18.0
TCGA-CN-6988-01A 47 years, male, white, stage:Stage IVA, alive, 318 days 17.8
TCGA-CN-A497-01A 63 years, male, stage:Stage III, alive, 1065 days 17.7
TCGA-BA-A6DE-01A 70 years, female, white, stage:Stage II, alive, 440 days 17.6
TCGA-P3-A6SX-01A 67 years, male, white, stage:Stage III, dead, 1430 days 17.6
TCGA-HD-8224-01A 63 years, male, white, stage:Stage IVA, dead, 446 days 17.5
TCGA-P3-A5QF-01A 49 years, male, white, stage:Stage IVA, dead, 330 days 17.3
TCGA-CQ-6228-01A 71 years, female, white, stage:Stage IVA, dead, 456 days 17.1
TCGA-CV-6939-01A 60 years, male, white, stage:Stage IVA, dead, 666 days 17.0
TCGA-HD-7753-01A 62 years, male, black or african american, stage:Stage I, alive, 866 days 17.0
TCGA-CR-7373-01A 66 years, male, white, stage:Stage IVA, alive, 889 days 16.8
TCGA-CV-A461-01A 65 years, male, white, stage:'--, dead, 2064 days 16.8
TCGA-CV-7446-01A 66 years, male, white, stage:Stage IVA, dead, 1093 days 16.8
TCGA-CN-5365-01A 38 years, male, white, stage:Stage IVB, dead, 351 days 16.8
TCGA-CR-7369-01A 59 years, male, white, stage:Stage IVA, dead, 1090 days 16.6
TCGA-CX-7219-01A 47 years, male, black or african american, stage:Stage IVA, alive, 1045 days 16.6
TCGA-CN-A63V-01A 59 years, male, white, stage:Stage IVA, alive, 679 days 16.6
TCGA-CR-5243-01A 51 years, male, white, stage:'--, alive, 2562 days 16.5
TCGA-D6-A74Q-01A 67 years, male, white, stage:Stage IVA, alive, 710 days 16.4
TCGA-CV-6954-01A 59 years, male, black or african american, stage:Stage IVA, dead, 2002 days 16.3
TCGA-QK-A6IF-01A 61 years, male, white, stage:'--, alive, 704 days 16.2
TCGA-QK-AA3J-01A 69 years, male, black or african american, stage:Stage I, alive, 466 days 16.2
TCGA-CN-A49C-01A 67 years, male, white, stage:'--, alive, 645 days 16.2
TCGA-CV-7414-01A 78 years, male, white, stage:Stage IVA, dead, 14 days 16.1
TCGA-CQ-A4C7-01A 88 years, male, white, stage:Stage III, dead, 353 days 16.0
TCGA-F7-A50J-01A 67 years, female, white, stage:Stage III, alive, 947 days 15.8
TCGA-RS-A6TP-01A 58 years, male, white, stage:Stage II, alive, 516 days 15.8
TCGA-HD-8635-01A 61 years, female, white, stage:Stage III, alive, 695 days 15.8
TCGA-CR-6488-01A 68 years, female, white, stage:Stage II, alive, 379 days 15.6
TCGA-BB-4228-01A 50 years, male, white, stage:Stage III, alive, 559 days 15.5
TCGA-QK-AA3K-01A 60 years, male, black or african american, stage:Stage IVA, alive, 253 days 15.4
TCGA-CN-4727-01A 56 years, male, white, stage:Stage IVA, alive, 1560 days 15.4
TCGA-CR-5250-01A 71 years, male, white, stage:'--, alive, 799 days 15.4
TCGA-CN-5361-01A 80 years, male, white, stage:Stage IVA, dead, 2120 days 15.3
TCGA-CN-4731-01A 63 years, female, white, stage:Stage IVA, dead, 998 days 15.2
TCGA-CV-6959-01A 48 years, male, white, stage:Stage III, dead, 256 days 15.2
TCGA-CV-7100-01A 66 years, male, white, stage:Stage III, dead, 274 days 15.2
TCGA-BB-4224-01A 52 years, male, white, stage:Stage IVA, alive, 278 days 15.2
TCGA-CV-5435-01A 57 years, male, white, stage:Stage IVA, dead, 2319 days 15.1
TCGA-KU-A66T-01A 53 years, female, white, stage:Stage IVA, alive, 552 days 15.1
TCGA-HL-7533-01A 65 years, male, white, stage:'--, alive, 1057 days 15.0
TCGA-CQ-A4CH-01A 58 years, male, asian, stage:Stage II, dead, 379 days 15.0
TCGA-H7-8501-01A 54 years, male, white, stage:Stage IVA, alive, 461 days 14.9
TCGA-CV-7255-01A 32 years, female, white, stage:Stage IVA, dead, 64 days 14.9
TCGA-CV-6950-01A 64 years, male, white, stage:Stage IVA, dead, 459 days 14.9
TCGA-BA-A4IG-01A 77 years, male, white, stage:'--, alive, 855 days 14.9
TCGA-BB-4225-01A 73 years, male, white, stage:'--, alive, 146 days 14.9
TCGA-CQ-6224-01A 52 years, male, white, stage:Stage IVA, alive, 1721 days 14.8
TCGA-CV-7406-01A 49 years, male, white, stage:Stage II, dead, 1748 days 14.7
TCGA-CR-7402-01A 68 years, male, white, stage:'--, alive, 911 days 14.7
TCGA-CR-6473-01A 68 years, male, white, stage:'--, alive, 1125 days 14.5
TCGA-BA-4078-01A 83 years, male, white, stage:'--, dead, 276 days 14.4
TCGA-P3-A6SW-01A 50 years, male, white, stage:Stage IVB, alive, 1120 days 14.2
TCGA-TN-A7HJ-01A 51 years, male, white, stage:Stage IVA, alive, 403 days 14.2
TCGA-CQ-A4CB-01A 59 years, male, stage:Stage III, alive, 893 days 14.2
TCGA-HD-7832-01A 52 years, male, white, stage:Stage IVA, alive, 836 days 14.2
TCGA-HD-8314-01A 58 years, male, white, stage:Stage III, alive, 670 days 14.1
TCGA-CV-5441-01A 58 years, male, white, stage:Stage IVA, alive, 2886 days 14.0
TCGA-D6-A4Z9-01A 59 years, male, white, stage:Stage IVA, alive, 539 days 13.9
TCGA-CV-5977-01A 66 years, male, white, stage:Stage IVA, alive, 1840 days 13.8
TCGA-CN-A63U-01A 50 years, male, white, stage:Stage IVA, alive, 964 days 13.7
TCGA-F7-7848-01A 47 years, male, white, stage:Stage IVA, alive, 1131 days 13.6
TCGA-CV-5430-01A 61 years, male, white, stage:Stage IVA, alive, 4241 days 13.6
TCGA-CR-7398-01A 53 years, female, white, stage:Stage II, alive, 156 days 13.6
TCGA-CQ-7063-01A 59 years, female, white, stage:Stage I, alive, 2133 days 13.6
TCGA-CN-A6UY-01A 57 years, male, white, stage:Stage IVA, alive, 713 days 13.6
TCGA-T3-A92N-01A 79 years, male, black or african american, stage:Stage IVA, dead, 95 days 13.4
TCGA-CN-A63T-01A 60 years, male, white, stage:Stage IVA, alive, 225 days 13.4
TCGA-CV-7245-01A 62 years, male, white, stage:Stage IVA, alive, 797 days 13.4
TCGA-CV-7097-01A 53 years, male, white, stage:Stage II, dead, 385 days 13.4
TCGA-CV-A6K2-01A 79 years, male, white, stage:Stage IVA, dead, 317 days 13.4
TCGA-C9-A47Z-01A 72 years, female, asian, stage:Stage III, dead, 191 days 13.3
TCGA-CN-6994-01A 67 years, male, white, stage:Stage IVA, alive, 1183 days 13.3
TCGA-BA-A6DG-01A 49 years, male, white, stage:'--, dead, 69 days 13.3
TCGA-UF-A71B-01A 50 years, male, white, stage:Stage IVA, alive, 1506 days 13.2
TCGA-WA-A7H4-01A 69 years, male, white, stage:Stage II, alive, 443 days 13.2
TCGA-CV-7434-01A 64 years, male, white, stage:Stage IVA, dead, 218 days 13.2
TCGA-CV-5442-01A 76 years, female, white, stage:Stage IVA, alive, 2327 days 13.2
TCGA-D6-A6EO-01A 44 years, male, white, stage:Stage IVA, alive, 759 days 13.1
TCGA-CR-5249-01A 35 years, female, white, stage:Stage II, alive, 1152 days 13.1
TCGA-F7-A50I-01A 72 years, male, white, stage:Stage IVA, alive, 92 days 13.1
TCGA-CN-5374-01A 56 years, female, white, stage:Stage IVA, dead, 1732 days 13.1
TCGA-WA-A7GZ-01A 58 years, male, white, stage:'--, dead, 625 days 13.0
TCGA-CV-5979-01A 26 years, male, white, stage:Stage IVA, alive, 1315 days 13.0
TCGA-CR-7364-01A 66 years, male, white, stage:Stage III, alive, 1435 days 13.0
TCGA-CQ-6229-01A 61 years, male, white, stage:Stage II, alive, 1179 days 13.0
TCGA-CR-7374-01A 67 years, female, white, stage:'--, alive, 30 days 12.9
TCGA-CR-6470-01A 38 years, male, white, stage:Stage II, alive, 1521 days 12.9
TCGA-CQ-6225-01A 65 years, male, white, stage:Stage III, dead, 403 days 12.9
TCGA-CX-7086-01A 53 years, male, black or african american, stage:Stage III, alive, 573 days 12.8
TCGA-BA-5556-01A 58 years, female, white, stage:Stage II, alive, 725 days 12.7
TCGA-UF-A7JC-01A 42 years, male, white, stage:Stage IVA, dead, 546 days 12.7
TCGA-BB-A5HU-01A 47 years, male, white, stage:Stage IVA, alive, 782 days 12.7
TCGA-CN-5367-01A 60 years, female, white, stage:Stage IVA, dead, 352 days 12.6
TCGA-HD-7229-01A 60 years, male, white, stage:Stage IVA, alive, 1027 days 12.6
TCGA-P3-A6T6-01A 53 years, male, white, stage:Stage IVA, dead, 395 days 12.5
TCGA-CR-6487-01A 50 years, male, white, stage:Stage I, alive, 234 days 12.5
TCGA-BA-4075-01A 49 years, male, black or african american, stage:Stage III, dead, 283 days 12.3
TCGA-HD-7831-01A 74 years, male, white, stage:Stage IVA, alive, 667 days 12.3
TCGA-UF-A7JK-01A 59 years, male, stage:Stage IVA, dead, 424 days 12.3
TCGA-CV-7438-01A 87 years, female, white, stage:Stage I, dead, 194 days 12.2
TCGA-CN-A6V7-01A 40 years, male, white, stage:Stage IVA, alive, 594 days 12.2
TCGA-UF-A718-01A 62 years, male, white, stage:Stage IVA, alive, 1971 days 12.2
TCGA-BA-A8YP-01A 50 years, male, black or african american, stage:Stage IVB, alive, 499 days 12.1
TCGA-BA-6873-01A 28 years, male, white, stage:Stage IVA, alive, 122 days 12.1
TCGA-BA-A4II-01A 46 years, male, white, stage:Stage II, alive, 918 days 12.1
TCGA-HD-7754-01A 69 years, male, white, stage:Stage IVA, alive, 783 days 12.1
TCGA-CV-7422-01A 60 years, female, white, stage:Stage IVA, dead, 1037 days 12.1
TCGA-P3-A6T0-01A 47 years, female, white, stage:Stage IVA, alive, 578 days 12.0
TCGA-CQ-A4C6-01A 63 years, male, asian, stage:Stage II, alive, 1353 days 11.9
TCGA-CN-4737-01A 19 years, male, white, stage:Stage IVA, alive, 625 days 11.8
TCGA-CQ-7068-01A 80 years, female, white, stage:Stage II, alive, 1309 days 11.8
TCGA-CV-7263-01A 64 years, male, black or african american, stage:Stage II, dead, 560 days 11.8
TCGA-CV-6433-01A 57 years, male, white, stage:Stage II, alive, 641 days 11.8
TCGA-CV-7090-01A 39 years, male, white, stage:Stage II, alive, 5252 days 11.8
TCGA-CQ-5331-01A 73 years, female, white, stage:'--, alive, 1399 days 11.8
TCGA-CV-5443-01A 63 years, male, black or african american, stage:Stage III, alive, 2784 days 11.8
TCGA-CN-6998-01A 53 years, male, white, stage:Stage IVA, dead, 357 days 11.8
TCGA-CN-4736-01A 70 years, female, white, stage:'--, dead, 395 days 11.7
TCGA-CN-5356-01A 56 years, male, white, stage:Stage III, alive, 1409 days 11.7
TCGA-CV-5970-01A 59 years, male, white, stage:Stage IVA, dead, 406 days 11.6
TCGA-CV-5976-01A 50 years, male, white, stage:Stage IVA, alive, 1478 days 11.6
TCGA-F7-A61S-01A 62 years, male, white, stage:Stage III, alive, 576 days 11.6
TCGA-UF-A7JH-01A 59 years, male, black or african american, stage:Stage IVA, alive, 896 days 11.6
TCGA-CR-7376-01A 83 years, male, white, stage:Stage III, alive, 972 days 11.6
TCGA-T2-A6WX-01A 73 years, female, white, stage:'--, dead, 209 days 11.5
TCGA-MZ-A6I9-01A 68 years, male, white, stage:'--, dead, 489 days 11.5
TCGA-CV-5966-01A 63 years, female, white, stage:Stage IVA, dead, 545 days 11.5
TCGA-CV-5440-01A 52 years, male, white, stage:Stage IVA, alive, 3270 days 11.4
TCGA-MZ-A5BI-01A 53 years, male, white, stage:'--, dead, 217 days 11.4
TCGA-BB-8596-01A 69 years, female, white, stage:Stage IVA, alive, 2161 days 11.4
TCGA-QK-A6IG-01A 69 years, male, white, stage:Stage III, dead, 222 days 11.4
TCGA-CN-A49A-01A 60 years, male, white, stage:Stage IVB, dead, 526 days 11.3
TCGA-IQ-A6SG-01A 61 years, female, white, stage:Stage III, alive, 579 days 11.2
TCGA-MT-A51W-01A 52 years, female, white, stage:Stage I, alive, 437 days 11.2
TCGA-CN-4739-01A 71 years, male, white, stage:Stage IVA, dead, 1394 days 11.2
TCGA-CR-6482-01A 62 years, male, black or african american, stage:'--, alive, 345 days 11.2
TCGA-CV-7427-01A 73 years, female, white, stage:Stage II, dead, 4760 days 11.2
TCGA-BA-A4IH-01A 57 years, male, white, stage:'--, alive, 622 days 11.1
TCGA-CQ-5323-01A 82 years, male, white, stage:Stage I, alive, 1466 days 11.1
TCGA-CQ-5329-01A 46 years, female, white, stage:Stage II, alive, 2143 days 11.1
TCGA-CV-6934-01A 66 years, female, white, stage:Stage IVA, dead, 65 days 11.0
TCGA-CR-7382-01A 49 years, male, white, stage:Stage IVA, alive, 796 days 11.0
TCGA-P3-A5Q6-01A 49 years, male, white, stage:Stage IVA, dead, 480 days 11.0
TCGA-CQ-A4C9-01A 56 years, male, stage:Stage III, alive, 707 days 10.9
TCGA-CN-6024-01A 66 years, male, white, stage:Stage IVA, dead, 337 days 10.9
TCGA-CN-A641-01A 47 years, male, white, stage:Stage IVA, alive, 367 days 10.9
TCGA-IQ-A61I-01A 63 years, male, black or african american, stage:Stage IVA, dead, 2 days 10.9
TCGA-F7-8489-01A 48 years, male, white, stage:Stage II, alive, 658 days 10.9
TCGA-BB-4223-01A 48 years, male, white, stage:Stage IVA, alive, 3221 days 10.9
TCGA-CV-A460-01A 72 years, male, white, stage:'--, dead, 1838 days 10.8
TCGA-HD-A6HZ-01A 79 years, female, white, stage:Stage III, alive, 111 days 10.7
TCGA-MT-A67D-01A 55 years, male, white, stage:Stage II, alive, 56 days 10.7
TCGA-CV-6441-01A 60 years, male, white, stage:Stage III, dead, 292 days 10.7
TCGA-P3-A6T8-01A 54 years, male, white, stage:Stage IVA, alive, 400 days 10.7
TCGA-CN-A6V6-01A 59 years, male, white, stage:Stage IVA, alive, 635 days 10.6
TCGA-CV-7429-01A 55 years, male, white, stage:Stage IVA, dead, 107 days 10.6
TCGA-BA-6871-01A 75 years, male, white, stage:'--, dead, 108 days 10.5
TCGA-CR-7380-01A 58 years, male, white, stage:Stage IVB, dead, 606 days 10.5
TCGA-CQ-7069-01A 77 years, female, white, stage:Stage II, alive, 1274 days 10.5
TCGA-CV-7440-01A 38 years, male, white, stage:Stage II, dead, 675 days 10.4
TCGA-DQ-5625-01A 52 years, female, white, stage:'--, dead, 1133 days 10.4
TCGA-CN-5370-01A 78 years, male, white, stage:Stage III, dead, 259 days 10.4
TCGA-CN-5359-01A 59 years, male, white, stage:Stage IVA, dead, 377 days 10.4
TCGA-UF-A719-01A 54 years, male, stage:Stage II, alive, 1663 days 10.3
TCGA-UF-A7JT-01A 72 years, female, white, stage:Stage IVA, dead, 993 days 10.3
TCGA-CN-5358-01A 60 years, male, white, stage:Stage II, dead, 261 days 10.3
TCGA-D6-A4ZB-01A 61 years, male, white, stage:Stage III, alive, 376 days 10.3
TCGA-CN-4738-01A 53 years, male, white, stage:Stage IVA, dead, 436 days 10.2
TCGA-CV-6943-01A 74 years, male, white, stage:Stage III, dead, 602 days 10.2
TCGA-CN-6989-01A 64 years, male, white, stage:Stage IVA, dead, 980 days 10.2
TCGA-CR-6478-01A 66 years, female, white, stage:'--, dead, 183 days 10.2
TCGA-T2-A6X0-01A 49 years, male, white, stage:'--, alive, 216 days 10.2
TCGA-KU-A6H7-01A 55 years, female, white, stage:Stage IVA, alive, 586 days 10.2
TCGA-CV-A6JD-01A 82 years, female, white, stage:'--, dead, 182 days 10.1
TCGA-RS-A6TO-01A 82 years, female, white, stage:Stage IVA, dead, 387 days 10.1
TCGA-D6-6515-01A 82 years, female, white, stage:Stage II, dead, 403 days 10.1
TCGA-P3-A6T7-01A 55 years, male, white, stage:Stage IVA, dead, 487 days 10.1
TCGA-KU-A6H8-01A 41 years, male, white, stage:Stage IVA, dead, 327 days 10.0
TCGA-MT-A51X-01A 30 years, male, white, stage:Stage IVA, alive, 242 days 10.0
TCGA-CR-7392-01A 67 years, female, white, stage:Stage IVA, alive, 1425 days 9.9
TCGA-BB-4217-01A 68 years, male, black or african american, stage:Stage IVA, alive, 187 days 9.9
TCGA-CN-4741-01A 75 years, male, white, stage:Stage IVA, alive, 2239 days 9.9
TCGA-CR-5248-01A 53 years, male, white, stage:'--, alive, 1663 days 9.8
TCGA-CQ-6218-01A 52 years, female, white, stage:Stage IVA, alive, 1253 days 9.7
TCGA-CN-4730-01A 62 years, male, white, stage:Stage IVA, alive, 817 days 9.7
TCGA-UF-A7JD-01A 71 years, male, stage:Stage IVA, dead, 739 days 9.7
TCGA-CV-7099-01A 85 years, female, white, stage:Stage II, dead, 243 days 9.7
TCGA-D6-6827-01A 55 years, female, white, stage:Stage I, alive, 568 days 9.7
TCGA-BA-4074-01A 69 years, male, white, stage:Stage IVA, dead, 462 days 9.7
TCGA-CV-7236-01A 77 years, female, white, stage:Stage IVA, dead, 144 days 9.6
TCGA-CQ-7071-01A 76 years, female, white, stage:Stage III, alive, 1311 days 9.6
TCGA-4P-AA8J-01A 66 years, male, black or african american, stage:Stage IVA, alive, 102 days 9.5
TCGA-BA-5555-01A 54 years, male, black or african american, stage:Stage IVA, alive, 520 days 9.5
TCGA-CV-7435-01A 57 years, female, white, stage:Stage IVA, dead, 4680 days 9.5
TCGA-CR-6481-01A 47 years, male, white, stage:'--, alive, 311 days 9.5
TCGA-CX-7085-01A 77 years, female, white, stage:Stage I, alive, 321 days 9.5
TCGA-CN-5360-01A 68 years, male, white, stage:Stage IVA, alive, 2169 days 9.5
TCGA-UF-A7JJ-01A 68 years, male, stage:Stage IVA, alive, 549 days 9.4
TCGA-CN-A6V3-01A 61 years, male, white, stage:Stage IVA, alive, 742 days 9.4
TCGA-CN-5363-01A 48 years, male, black or african american, stage:Stage IVB, dead, 253 days 9.4
TCGA-CN-6020-01A 58 years, male, black or african american, stage:Stage III, dead, 205 days 9.3
TCGA-CV-5971-01A 60 years, male, white, stage:Stage IVA, alive, 701 days 9.3
TCGA-CR-6477-01A 56 years, female, white, stage:'--, alive, 514 days 9.3
TCGA-UP-A6WW-01A 58 years, male, white, stage:'--, alive, 518 days 9.3
TCGA-P3-A6T2-01A 45 years, male, white, stage:Stage IVA, alive, 2298 days 9.3
TCGA-F7-A620-01A 47 years, male, white, stage:Stage III, alive, 543 days 9.2
TCGA-BB-A6UO-01A 61 years, female, white, stage:Stage IVA, dead, 268 days 9.2
TCGA-CV-7410-01A 61 years, male, white, stage:Stage III, dead, 6417 days 9.1
TCGA-IQ-A61J-01A 54 years, male, white, stage:Stage IVA, alive, 1021 days 9.1
TCGA-CV-7089-01A 74 years, male, white, stage:Stage IVA, dead, 1972 days 9.1
TCGA-BA-A4IF-01A 59 years, male, white, stage:'--, alive, 895 days 9.1
TCGA-D6-6824-01A 61 years, male, white, stage:Stage IVA, alive, 77 days 9.1
TCGA-HD-8634-01A 51 years, female, white, stage:Stage I, dead, 385 days 9.1
TCGA-QK-A8ZA-01A 60 years, male, black or african american, stage:'--, dead, 371 days 9.1
TCGA-CQ-A4CD-01A 69 years, male, white, stage:Stage IVA, alive, 1022 days 9.1
TCGA-CV-5444-01A 64 years, male, black or african american, stage:Stage IVA, alive, 2437 days 9.1
TCGA-CV-6003-01A 50 years, female, white, stage:Stage III, alive, 1665 days 9.0
TCGA-CN-6016-01A 64 years, male, white, stage:Stage IVA, alive, 1443 days 9.0
TCGA-UF-A7JV-01A 62 years, female, white, stage:Stage IVA, dead, 90 days 9.0
TCGA-KU-A66S-01A 69 years, female, white, stage:Stage III, dead, 406 days 8.9
TCGA-BA-A6DI-01A 62 years, male, black or african american, stage:'--, dead, 336 days 8.9
TCGA-CV-A45Z-01A 75 years, male, white, stage:'--, dead, 1466 days 8.9
TCGA-CV-7432-01A 79 years, male, white, stage:Stage II, dead, 2570 days 8.9
TCGA-CV-5978-01A 53 years, female, black or african american, stage:Stage IVB, dead, 215 days 8.9
TCGA-CV-7250-01A 64 years, male, white, stage:Stage IVA, dead, 2900 days 8.8
TCGA-D6-6826-01A 64 years, female, white, stage:Stage IVA, dead, 348 days 8.8
TCGA-CQ-5325-01A 65 years, male, white, stage:Stage I, dead, 654 days 8.8
TCGA-CV-7416-01A 29 years, female, white, stage:Stage IVA, dead, 763 days 8.8
TCGA-CV-7242-01A 60 years, female, white, stage:Stage II, alive, 1095 days 8.8
TCGA-CQ-5326-01A 67 years, male, white, stage:Stage IVA, dead, 89 days 8.8
TCGA-CR-7393-01A 26 years, male, white, stage:Stage III, alive, 993 days 8.8
TCGA-CV-6960-01A 49 years, male, black or african american, stage:Stage III, dead, 862 days 8.8
TCGA-CR-6492-01A 78 years, male, white, stage:Stage III, alive, 479 days 8.7
TCGA-H7-A6C4-01A 35 years, female, white, stage:Stage IVA, dead, 414 days 8.7
TCGA-P3-A6T5-01A 79 years, female, white, stage:Stage IVA, dead, 882 days 8.7
TCGA-CV-A465-01A 24 years, male, white, stage:Stage III, dead, 215 days 8.6
TCGA-CV-A45X-01A 47 years, male, white, stage:Stage IVA, dead, 198 days 8.6
TCGA-CV-7433-01A 49 years, male, white, stage:Stage IVA, dead, 601 days 8.6
TCGA-QK-A64Z-01A 79 years, female, white, stage:Stage IVA, dead, 641 days 8.6
TCGA-BA-6869-01A 62 years, male, white, stage:Stage III, alive, 644 days 8.6
TCGA-BB-8601-01A 84 years, male, black or african american, stage:Stage III, alive, 624 days 8.5
TCGA-QK-A8Z8-01A 60 years, female, black or african american, stage:Stage IVC, dead, 171 days 8.5
TCGA-DQ-5630-01A 73 years, male, white, stage:'--, alive, 1030 days 8.5
TCGA-CR-7367-01A 52 years, male, white, stage:Stage IVA, alive, 1440 days 8.5
TCGA-CR-7365-01A 60 years, male, white, stage:Stage IVA, alive, 1191 days 8.5
TCGA-CV-7421-01A 76 years, male, white, stage:Stage IVA, dead, 2 days 8.4
TCGA-CR-7397-01A 44 years, male, white, stage:Stage IVA, alive, 754 days 8.4
TCGA-CV-7407-01A 67 years, female, white, stage:Stage II, dead, 1081 days 8.4
TCGA-CV-7177-01A 82 years, female, white, stage:Stage II, dead, 663 days 8.4
TCGA-F7-A50G-01A 66 years, male, white, stage:Stage III, alive, 616 days 8.4
TCGA-CR-7399-01A 60 years, female, white, stage:Stage IVA, alive, 181 days 8.4
TCGA-QK-A652-01A 60 years, male, white, stage:Stage III, alive, 645 days 8.4
TCGA-CN-A642-01A 57 years, male, white, stage:Stage IVB, dead, 82 days 8.4
TCGA-CV-A45V-01A 87 years, female, white, stage:Stage IVA, dead, 32 days 8.3
TCGA-IQ-A61E-01A 55 years, female, white, stage:Stage III, alive, 1147 days 8.3
TCGA-CR-7395-01A 80 years, female, white, stage:Stage II, alive, 930 days 8.3
TCGA-TN-A7HL-01A 59 years, male, white, stage:Stage IVA, alive, 619 days 8.3
TCGA-CV-7102-01A 76 years, female, white, stage:Stage IVA, dead, 56 days 8.2
TCGA-CQ-7072-01A 51 years, male, white, stage:Stage II, alive, 2359 days 8.2
TCGA-IQ-A6SH-01A 55 years, male, black or african american, stage:Stage III, alive, 471 days 8.1
TCGA-CN-6996-01A 58 years, female, white, stage:Stage IVA, dead, 530 days 8.1
TCGA-CN-5366-01A 51 years, male, white, stage:Stage IVA, dead, 360 days 8.1
TCGA-DQ-5629-01A 64 years, male, white, stage:'--, dead, 941 days 8.1
TCGA-CQ-6223-01A 69 years, male, white, stage:Stage II, alive, 1428 days 8.1
TCGA-T3-A92M-01A 52 years, male, black or african american, stage:Stage IVA, alive, 417 days 8.1
TCGA-CV-7095-01A 87 years, female, stage:Stage II, dead, 572 days 8.1
TCGA-CV-A6JU-01A 61 years, female, white, stage:Stage IVB, alive, 110 days 8.1
TCGA-CV-7430-01A 56 years, male, white, stage:Stage IVA, dead, 495 days 8.1
TCGA-D6-6517-01A 59 years, male, white, stage:Stage III, alive, 292 days 8.0
TCGA-CR-7391-01A 36 years, female, white, stage:Stage I, alive, 913 days 8.0
TCGA-CV-A6JZ-01A 68 years, male, white, stage:Stage II, alive, 714 days 8.0
TCGA-UF-A71D-01A 54 years, female, white, stage:Stage IVA, alive, 1461 days 8.0
TCGA-CN-4734-01A 70 years, male, white, stage:Stage II, alive, 1690 days 8.0
TCGA-CN-6012-01A 66 years, male, white, stage:Stage IVA, alive, 1460 days 7.9
TCGA-BA-5558-01A 65 years, male, white, stage:'--, alive, 1995 days 7.9
TCGA-CN-4728-01A 56 years, male, white, stage:Stage IVA, alive, 1724 days 7.9
TCGA-CN-6023-01A 73 years, male, white, stage:Stage IVA, alive, 1584 days 7.8
TCGA-IQ-A61G-01A 57 years, male, white, stage:Stage IVA, alive, 360 days 7.8
TCGA-CV-6936-01A 68 years, male, white, stage:Stage IVA, dead, 166 days 7.8
TCGA-DQ-7588-01A 66 years, male, white, stage:'--, dead, 427 days 7.8
TCGA-D6-8569-01A 52 years, male, white, stage:Stage II, alive, 770 days 7.8
TCGA-CV-A468-01A 42 years, male, stage:Stage IVA, dead, 464 days 7.8
TCGA-CV-5436-01A 65 years, male, stage:Stage IVA, dead, 584 days 7.7
TCGA-CR-7379-01A 78 years, female, white, stage:Stage IVA, alive, 1036 days 7.7
TCGA-CN-6021-01A 63 years, female, white, stage:'--, dead, 276 days 7.7
TCGA-CV-7437-01A 77 years, male, stage:Stage II, dead, 506 days 7.7
TCGA-UF-A7J9-01A 75 years, male, white, stage:Stage IVA, alive, 1358 days 7.7
TCGA-QK-A6IH-01A 65 years, female, white, stage:Stage IVB, alive, 653 days 7.7
TCGA-CR-7371-01A 45 years, female, white, stage:Stage III, dead, 94 days 7.6
TCGA-CV-6945-01A 41 years, male, white, stage:Stage IVA, dead, 366 days 7.5
TCGA-CN-A498-01A 61 years, female, white, stage:Stage III, dead, 773 days 7.5
TCGA-CV-7247-01A 55 years, male, white, stage:Stage III, dead, 577 days 7.5
TCGA-CV-7103-01A 49 years, male, white, stage:Stage IVA, dead, 1591 days 7.5
TCGA-D6-8568-01A 62 years, male, white, stage:Stage II, alive, 759 days 7.5
TCGA-CR-7394-01A 70 years, male, white, stage:Stage IVA, alive, 1346 days 7.4
TCGA-CV-7424-01A 67 years, male, asian, stage:Stage IVA, dead, 453 days 7.4
TCGA-CV-7252-01A 62 years, female, black or african american, stage:Stage IVA, dead, 151 days 7.4
TCGA-CN-5369-01A 90 years, female, white, stage:Stage IVA, dead, 1 days 7.4
TCGA-CV-A45W-01A 75 years, male, white, stage:Stage II, dead, 1398 days 7.4
TCGA-HD-A4C1-01A 41 years, female, black or african american, stage:Stage IVA, alive, 11 days 7.4
TCGA-CN-4725-01A 60 years, male, white, stage:Stage II, alive, 1157 days 7.3
TCGA-CQ-5327-01A 61 years, female, asian, stage:Stage IVA, alive, 1660 days 7.3
TCGA-F7-A623-01A 70 years, male, white, stage:Stage IVA, alive, 616 days 7.3
TCGA-CV-6951-01A 57 years, male, white, stage:Stage IVA, dead, 915 days 7.3
TCGA-CR-6471-01A 58 years, male, white, stage:Stage IVA, dead, 1202 days 7.3
TCGA-CV-6953-01A 80 years, female, white, stage:Stage III, dead, 1641 days 7.3
TCGA-CQ-5334-01A 87 years, male, white, stage:Stage IVA, dead, 129 days 7.3
TCGA-CV-5434-01A 60 years, male, black or african american, stage:Stage IVA, dead, 3314 days 7.2
TCGA-BA-6872-01A 47 years, male, white, stage:'--, dead, 384 days 7.2
TCGA-CQ-6227-01A 77 years, male, white, stage:Stage IVA, dead, 129 days 7.2
TCGA-CV-7248-01A 63 years, female, black or african american, stage:Stage IVA, dead, 521 days 7.1
TCGA-CV-A45U-01A 59 years, male, white, stage:Stage IVA, dead, 1079 days 7.1
TCGA-CV-5439-01A 62 years, male, white, stage:Stage IVA, dead, 546 days 7.1
TCGA-CQ-6222-01A 63 years, male, white, stage:Stage IVA, alive, 2016 days 7.0
TCGA-CV-A464-01A 48 years, male, white, stage:Stage III, alive, 1722 days 7.0
TCGA-UF-A71E-01A 63 years, male, white, stage:Stage IVA, dead, 1504 days 7.0
TCGA-QK-A8ZB-01A 68 years, male, black or african american, stage:Stage IVA, alive, 542 days 7.0
TCGA-DQ-5631-01A 52 years, male, white, stage:'--, dead, 548 days 7.0
TCGA-CR-7377-01A 58 years, male, white, stage:Stage IVA, dead, 279 days 6.9
TCGA-CV-A45R-01A 46 years, male, white, stage:Stage III, alive, 5480 days 6.9
TCGA-H7-A76A-01A 57 years, male, white, stage:'--, alive, 637 days 6.9
TCGA-CV-6942-01A 73 years, female, white, stage:Stage II, alive, 4282 days 6.8
TCGA-CV-7423-01A 65 years, male, white, stage:Stage II, dead, 3059 days 6.8
TCGA-CN-6010-01A 53 years, male, white, stage:Stage IVA, alive, 1523 days 6.8
TCGA-CQ-5333-01A 74 years, male, white, stage:Stage II, dead, 341 days 6.8
TCGA-CV-6935-01A 67 years, male, white, stage:Stage IVA, dead, 295 days 6.8
TCGA-CQ-6220-01A 69 years, male, white, stage:Stage III, dead, 985 days 6.8
TCGA-UF-A7JA-01A 66 years, female, white, stage:Stage IVA, alive, 2265 days 6.7
TCGA-CN-6017-01A 55 years, male, white, stage:Stage IVA, dead, 853 days 6.7
TCGA-IQ-7632-01A 68 years, female, white, stage:Stage IVA, alive, 441 days 6.7
TCGA-CQ-6219-01A 50 years, female, white, stage:Stage IVA, dead, 479 days 6.7
TCGA-CQ-7065-01A 40 years, male, asian, stage:Stage II, alive, 1628 days 6.7
TCGA-CR-7390-01A 67 years, male, white, stage:Stage IVA, alive, 1508 days 6.7
TCGA-CV-6933-01A 53 years, male, white, stage:Stage III, dead, 2741 days 6.7
TCGA-CV-7415-01A 60 years, male, white, stage:Stage IVA, dead, 695 days 6.6
TCGA-CN-6018-01A 85 years, female, white, stage:Stage IVA, dead, 580 days 6.6
TCGA-P3-A5Q5-01A 54 years, male, white, stage:Stage IVA, alive, 910 days 6.6
TCGA-MZ-A7D7-01A 51 years, male, white, stage:Stage IVA, alive, 547 days 6.5
TCGA-H7-8502-01A 50 years, male, white, stage:Stage IVA, alive, 458 days 6.5
TCGA-BA-4076-01A 39 years, male, white, stage:'--, dead, 415 days 6.5
TCGA-CV-5431-01A 73 years, male, white, stage:Stage IVA, dead, 522 days 6.5
TCGA-HD-A633-01A 74 years, male, white, stage:Stage IVA, alive, 421 days 6.5
TCGA-BA-A6DD-01A 44 years, male, black or african american, stage:Stage IVA, dead, 173 days 6.5
TCGA-UF-A7JO-01A 79 years, female, white, stage:Stage IVA, dead, 631 days 6.4
TCGA-CV-6941-01A 51 years, male, white, stage:Stage III, dead, 342 days 6.4
TCGA-CV-5432-01A 68 years, male, white, stage:Stage III, alive, 3930 days 6.4
TCGA-CR-6484-01A 67 years, female, asian, stage:Stage IVA, alive, 354 days 6.4
TCGA-DQ-5624-01A 43 years, female, white, stage:'--, alive, 1778 days 6.4
TCGA-CV-7101-01A 80 years, male, white, stage:Stage II, dead, 160 days 6.4
TCGA-CV-7425-01A 77 years, female, white, stage:Stage III, dead, 1718 days 6.4
TCGA-CV-A45Y-01A 61 years, male, american indian or alaska native, stage:Stage IVA, dead, 2703 days 6.3
TCGA-IQ-7631-01A 60 years, female, white, stage:Stage II, alive, 1172 days 6.3
TCGA-CV-6961-01A 61 years, male, white, stage:Stage II, dead, 76 days 6.3
TCGA-CR-6493-01A 69 years, male, black or african american, stage:Stage IVA, dead, 282 days 6.2
TCGA-CN-6019-01A 61 years, male, white, stage:Stage IVA, alive, 1038 days 6.2
TCGA-IQ-7630-01A 49 years, male, white, stage:Stage II, alive, 485 days 6.2
TCGA-QK-A8Z7-01A 59 years, male, black or african american, stage:Stage IVA, alive, 392 days 6.2
TCGA-CR-6474-01A 51 years, male, white, stage:Stage IVA, dead, 564 days 6.2
TCGA-CQ-A4CE-01A 76 years, female, stage:Stage II, alive, 897 days 6.2
TCGA-BA-5151-01A 72 years, male, white, stage:Stage IVA, alive, 722 days 6.1
TCGA-F7-8298-01A 58 years, male, white, stage:Stage I, alive, 995 days 6.1
TCGA-CN-6022-01A 49 years, male, white, stage:Stage IVA, dead, 281 days 6.1
TCGA-F7-A624-01A 73 years, male, white, stage:Stage II, alive, 378 days 6.0
TCGA-CQ-5324-01A 59 years, male, white, stage:Stage III, alive, 1593 days 6.0
TCGA-CV-7411-01A 64 years, female, white, stage:Stage IVA, dead, 2717 days 5.9
TCGA-BB-4227-01A 66 years, male, white, stage:Stage IVA, alive, 134 days 5.8
TCGA-CR-7389-01A 55 years, male, black or african american, stage:'--, alive, 392 days 5.8
TCGA-CQ-A4CI-01A 73 years, male, white, stage:Stage III, alive, 950 days 5.7
TCGA-CN-6013-01A 56 years, male, white, stage:Stage IVA, dead, 727 days 5.7
TCGA-CR-5247-01A 48 years, male, black or african american, stage:'--, alive, 358 days 5.7
TCGA-CN-4733-01A 61 years, male, white, stage:Stage III, alive, 1586 days 5.7
TCGA-CV-6955-01A 74 years, female, white, stage:Stage II, dead, 334 days 5.7
TCGA-CV-7104-01A 61 years, female, white, stage:Stage IVA, dead, 393 days 5.7
TCGA-BA-A6DB-01A 24 years, female, white, stage:Stage I, alive, 216 days 5.6
TCGA-CN-4735-01A 52 years, male, white, stage:Stage IVA, alive, 1737 days 5.6
TCGA-CR-7370-01A 72 years, female, white, stage:'--, alive, 105 days 5.5
TCGA-CV-7180-01A 34 years, male, white, stage:Stage II, dead, 327 days 5.4
TCGA-CV-A45T-01A 64 years, female, white, stage:'--, dead, 4856 days 5.4
TCGA-CV-6948-01A 79 years, female, white, stage:Stage IVB, dead, 1289 days 5.4
TCGA-CV-7428-01A 47 years, male, white, stage:Stage IVA, dead, 1671 days 5.4
TCGA-P3-A5QA-01A 41 years, male, stage:Stage I, alive, 2182 days 5.3
TCGA-CV-6962-01A 65 years, male, white, stage:Stage IVA, dead, 126 days 5.3
TCGA-CN-6992-01A 61 years, male, white, stage:Stage IVA, alive, 1066 days 5.3
TCGA-H7-7774-01A 75 years, female, white, stage:Stage IVA, alive, 407 days 5.3
TCGA-BA-6870-01A 60 years, female, black or african american, stage:'--, dead, 451 days 5.2
TCGA-CV-6938-01A 87 years, male, white, stage:Stage II, dead, 144 days 5.2
TCGA-CV-A45P-01A 82 years, female, white, stage:Stage I, alive, 639 days 5.1
TCGA-CN-4740-01A 79 years, female, white, stage:Stage IVA, dead, 839 days 5.0
TCGA-CV-A463-01A 82 years, female, white, stage:Stage IVA, dead, 23 days 5.0
TCGA-CV-7238-01A 69 years, female, white, stage:Stage II, alive, 2727 days 5.0
TCGA-IQ-A61H-01A 76 years, male, white, stage:Stage II, alive, 1138 days 4.9
TCGA-CV-A6JY-01A 69 years, male, white, stage:Stage IVA, alive, 646 days 4.9
TCGA-HD-A634-01A 56 years, male, white, stage:Stage IVA, dead, 130 days 4.9
TCGA-P3-A6T3-01A 49 years, male, white, stage:Stage IVA, dead, 577 days 4.9
TCGA-CV-6940-01A 80 years, female, white, stage:Stage III, dead, 804 days 4.8
TCGA-CN-5355-01A 64 years, male, black or african american, stage:Stage IVA, alive, 1278 days 4.8
TCGA-CR-7383-01A 79 years, female, white, stage:Stage I, dead, 521 days 4.8
TCGA-CN-6997-01A 66 years, male, white, stage:Stage IVA, dead, 988 days 4.8
TCGA-QK-A6VC-01A 62 years, female, black or african american, stage:Stage IVA, alive, 600 days 4.7
TCGA-MT-A67F-01A 60 years, female, white, stage:Stage IVA, alive, 384 days 4.7
TCGA-TN-A7HI-01A 56 years, male, white, stage:Stage IVA, alive, 412 days 4.7
TCGA-CN-5373-01A 55 years, female, white, stage:Stage I, alive, 1584 days 4.7
TCGA-CV-7178-01A 64 years, female, white, stage:Stage IVA, dead, 2166 days 4.6
TCGA-CV-6952-01A 65 years, female, white, stage:Stage IVA, dead, 185 days 4.6
TCGA-BA-7269-01A 61 years, male, white, stage:Stage III, alive, 1273 days 4.6
TCGA-BA-5557-01A 41 years, female, stage:Stage III, alive, 623 days 4.6
TCGA-IQ-A61O-01A 43 years, male, white, stage:Stage IVA, dead, 421 days 4.5
TCGA-T2-A6X2-01A 82 years, male, white, stage:Stage III, alive, 987 days 4.5
TCGA-CR-7401-01A 64 years, male, white, stage:Stage I, alive, 1077 days 4.5
TCGA-CR-7388-01A 70 years, female, white, stage:'--, dead, 823 days 4.4
TCGA-CN-5364-01A 55 years, male, white, stage:Stage IVA, dead, 493 days 4.4
TCGA-F7-A622-01A 75 years, male, white, stage:Stage III, dead, 359 days 4.4
TCGA-CV-A45O-01A 57 years, male, white, stage:'--, alive, 851 days 4.4
TCGA-F7-A61V-01A 54 years, male, white, stage:Stage II, alive, 759 days 4.4
TCGA-CR-7372-01A 45 years, male, white, stage:Stage I, alive, 759 days 4.3
TCGA-CV-A6JT-01A 65 years, male, white, stage:Stage II, alive, 852 days 4.2
TCGA-CR-6472-01A 59 years, male, white, stage:'--, alive, 1050 days 4.2
TCGA-BA-A6DA-01A 41 years, female, white, stage:Stage IVA, alive, 351 days 4.2
TCGA-CV-7413-01A 74 years, female, white, stage:Stage II, dead, 294 days 4.2
TCGA-CV-6937-01A 71 years, male, white, stage:Stage II, dead, 624 days 4.1
TCGA-UF-A71A-01A 67 years, male, white, stage:Stage IVA, dead, 86 days 4.1
TCGA-CX-A4AQ-01A 56 years, male, white, stage:Stage IVA, alive, 1555 days 4.0
TCGA-CV-7418-01A 62 years, male, black or african american, stage:Stage IVA, dead, 789 days 4.0
TCGA-CR-6491-01A 60 years, male, black or african american, stage:Stage IVA, alive, 693 days 4.0
TCGA-CN-4722-01A 61 years, female, white, stage:Stage II, alive, 1483 days 3.9
TCGA-CR-7386-01A 69 years, male, white, stage:Stage IVA, alive, 1430 days 3.9
TCGA-CV-6436-01A 62 years, male, white, stage:Stage IVA, alive, 1899 days 3.8
TCGA-UF-A7JF-01A 80 years, male, white, stage:Stage IVA, alive, 1686 days 3.8
TCGA-CV-A6K1-01A 65 years, male, white, stage:Stage IVA, alive, 685 days 3.8
TCGA-CN-6995-01A 78 years, male, white, stage:Stage IVA, dead, 112 days 3.6
TCGA-CV-A6JE-01A 78 years, male, white, stage:'--, alive, 1075 days 3.6
TCGA-BA-A6DJ-01A 62 years, male, asian, stage:Stage IVA, dead, 407 days 3.5
TCGA-CN-4723-01A 67 years, male, white, stage:Stage IVA, alive, 1699 days 3.5
TCGA-MT-A7BN-01A 74 years, male, white, stage:Stage IVA, alive, 469 days 3.5
TCGA-C9-A480-01A 45 years, female, asian, stage:Stage III, alive, 386 days 3.4
TCGA-D6-6516-01A 69 years, male, white, stage:Stage I, alive, 773 days 3.3
TCGA-CV-7183-01A 53 years, male, white, stage:Stage II, alive, 3981 days 3.3
TCGA-CN-A49B-01A 71 years, male, white, stage:Stage III, alive, 904 days 3.2
TCGA-CV-A6JN-01A 53 years, male, white, stage:'--, alive, 906 days 3.2
TCGA-MT-A67A-01A 85 years, female, white, stage:Stage I, alive, 914 days 3.2
TCGA-CN-4726-01A 68 years, male, white, stage:Stage IVA, dead, 142 days 3.2
TCGA-BB-A5HZ-01A 65 years, male, white, stage:Stage IVA, alive, 827 days 3.1
TCGA-CN-4742-01A 48 years, female, white, stage:Stage IVA, dead, 397 days 3.1
TCGA-CV-7254-01A 55 years, male, white, stage:Stage II, dead, 1459 days 3.0
TCGA-D6-A6EM-01A 65 years, female, white, stage:Stage III, alive, 232 days 3.0
TCGA-CV-7568-01A 48 years, female, white, stage:Stage IVA, dead, 927 days 2.9
TCGA-T2-A6WZ-01A 53 years, male, white, stage:'--, dead, 484 days 2.9
TCGA-CQ-A4CG-01A 78 years, female, white, stage:Stage III, dead, 430 days 2.9
TCGA-BA-A6D8-01A 59 years, male, black or african american, stage:Stage IVA, alive, 850 days 2.8
TCGA-CQ-5332-01A 87 years, male, white, stage:Stage III, dead, 317 days 2.8
TCGA-BA-5152-01A 56 years, male, white, stage:Stage IVA, alive, 1288 days 2.8
TCGA-D6-A6EK-01A 67 years, male, white, stage:Stage III, alive, 875 days 2.5
TCGA-CV-A6JM-01A 85 years, male, white, stage:'--, dead, 194 days 2.5
TCGA-D6-A6ES-01A 50 years, male, white, stage:Stage IVA, alive, 389 days 2.2
TCGA-CN-4729-01A 73 years, male, white, stage:Stage III, alive, 392 days 2.1
TCGA-HD-A6I0-01A 56 years, male, white, stage:Stage IVA, alive, 210 days 2.1
TCGA-D6-A6EN-01A 71 years, male, white, stage:Stage III, alive, 687 days 2.1
TCGA-D6-A6EP-01A 62 years, male, white, stage:Stage III, alive, 424 days 1.9
TCGA-D6-A6EQ-01A 57 years, male, white, stage:Stage IVA, alive, 368 days 1.9
TCGA-QK-A6IJ-01A 71 years, male, white, stage:Stage III, alive, 387 days 1.9
TCGA-CV-7261-01A 57 years, male, white, stage:Stage IVA, alive, 1512 days 1.2
TCGA-CV-A45Q-01A 69 years, female, white, stage:'--, dead, 5152 days 1.1
TCGA-QK-A6II-01A 52 years, male, white, stage:Stage IVA, dead, 284 days 1.0
TCGA-UF-A7JS-01A 59 years, male, white, stage:Stage IVA, dead, 680 days 0.8
Show allShow less
HEAD AND NECK SQUAMOUS CELL CARCINOMA - Protein relative expression (CPTAC)
Number of samples 183
Samples
Sample ID Sample type nRPX
CPT0163610003 Normal N/A
CPT0162990004 Tumor N/A
CPT0199710003 Normal N/A
CPT0222180003 Tumor N/A
CPT0245600003 Tumor N/A
CPT0163530003 Tumor N/A
CPT0226250004 Tumor N/A
CPT0250310003 Tumor N/A
CPT0087820003 Tumor N/A
CPT0169730003 Tumor N/A
CPT0245010003 Tumor N/A
CPT0008630003 Tumor N/A
CPT0163020003 Normal N/A
CPT0163170003 Normal N/A
CPT0011130005 Tumor N/A
CPT0226090003 Normal N/A
CPT0194790003 Tumor N/A
CPT0226130003 Tumor N/A
CPT0163650003 Tumor N/A
CPT0094580003 Normal N/A
CPT0245130003 Tumor N/A
CPT0196060003 Normal N/A
CPT0245560003 Normal N/A
CPT0223460003 Normal N/A
C3N-04276-06 Normal N/A
CPT0163840003 Tumor N/A
CPT0177220003 Normal N/A
CPT0226450003 Normal N/A
CPT0163410003 Tumor N/A
CPT0244940004 Tumor N/A
CPT0223970003 Tumor N/A
CPT0123260003 Tumor N/A
CPT0196210003 Tumor N/A
CPT0199820003 Tumor N/A
CPT0245410003 Normal N/A
CPT0163090003 Tumor N/A
CPT0094350004 Tumor N/A
CPT0169920003 Normal N/A
CPT0184530003 Tumor N/A
CPT0194800003 Normal N/A
CPT0088430003 Normal N/A
CPT0235460003 Tumor N/A
CPT0195680003 Tumor N/A
CPT0237130004 Tumor N/A
CPT0163790003 Tumor N/A
CPT0245350003 Tumor N/A
CPT0088010003 Normal N/A
CPT0243140004 Normal N/A
CPT0244890004 Tumor N/A
CPT0190850003 Tumor N/A
CPT0024810003 Tumor N/A
CPT0245190003 Normal N/A
C3N-01859-04 Normal N/A
C3N-02693-06 Normal N/A
CPT0194250003 Tumor N/A
CPT0123280003 Normal N/A
CPT0163800003 Normal N/A
CPT0245630003 Tumor N/A
CPT0084650004 Normal N/A
CPT0226440003 Tumor N/A
CPT0237620004 Tumor N/A
C3N-04275-05 Normal N/A
CPT0194960003 Tumor N/A
CPT0222200003 Normal N/A
CPT0248330003 Tumor N/A
CPT0011320003 Normal N/A
CPT0163910003 Tumor N/A
CPT0245140003 Normal N/A
CPT0195860003 Tumor N/A
CPT0163740003 Tumor N/A
CPT0236620003 Tumor N/A
CPT0088060004 Tumor N/A
CPT0008930003 Tumor N/A
CPT0177390003 Tumor N/A
CPT0163250003 Normal N/A
CPT0094490004 Tumor N/A
CPT0229230003 Normal N/A
CPT0201860004 Normal N/A
CPT0176770003 Tumor N/A
CPT0194260003 Normal N/A
CPT0222360003 Tumor N/A
CPT0199830003 Normal N/A
CPT0245680003 Tumor N/A
CPT0162890003 Tumor N/A
CPT0087990003 Tumor N/A
CPT0190860003 Normal N/A
CPT0278700002 Normal N/A
C3N-01620-05 Normal N/A
CPT0123190003 Normal N/A
CPT0241980004 Tumor N/A
CPT0194420003 Tumor N/A
CPT0245180003 Tumor N/A
CPT0094560004 Tumor N/A
CPT0245460003 Normal N/A
CPT0226270003 Normal N/A
CPT0245500003 Tumor N/A
CPT0236640003 Normal N/A
CPT0243090003 Tumor N/A
CPT0281470002 Normal N/A
CPT0248520003 Tumor N/A
CPT0237500003 Normal N/A
CPT0008960003 Normal N/A
CPT0199880003 Tumor N/A
CPT0201830004 Tumor N/A
C3N-00295-05 Normal N/A
CPT0094280004 Tumor N/A
C3N-04279-05 Normal N/A
CPT0246540003 Tumor N/A
CPT0162940003 Tumor N/A
CPT0235910003 Tumor N/A
CPT0245730003 Tumor N/A
CPT0207870004 Tumor N/A
CPT0245300003 Tumor N/A
CPT0163240003 Tumor N/A
CPT0088410003 Tumor N/A
C3N-01758-04 Normal N/A
CPT0220620003 Normal N/A
CPT0195700003 Normal N/A
CPT0013430003 Tumor N/A
CPT0013000004 Tumor N/A
CPT0013130003 Tumor N/A
CPT0256560003 Tumor N/A
CPT0196040003 Tumor N/A
CPT0177010003 Tumor N/A
CPT0226340003 Tumor N/A
CPT0229220002 Normal N/A
CPT0163430003 Normal N/A
CPT0226400003 Normal N/A
CPT0163860003 Normal N/A
CPT0177200003 Tumor N/A
CPT0163600003 Tumor N/A
CPT0169750003 Normal N/A
CPT0236870003 Normal N/A
CPT0237480004 Tumor N/A
CPT0246670003 Tumor N/A
CPT0246590003 Tumor N/A
CPT0237640003 Normal N/A
CPT0084630009 Tumor N/A
CPT0199890003 Normal N/A
CPT0169890003 Tumor N/A
CPT0013250003 Normal N/A
CPT0236850004 Tumor N/A
CPT0011290003 Tumor N/A
CPT0169640003 Tumor N/A
CPT0242000004 Normal N/A
CPT0008520008 Tumor N/A
CPT0163340003 Tumor N/A
CPT0013210004 Tumor N/A
C3N-00857-05 Normal N/A
CPT0123180003 Tumor N/A
CPT0163160003 Tumor N/A
CPT0245020003 Normal N/A
CPT0248350003 Normal N/A
CPT0245450003 Tumor N/A
CPT0163480003 Tumor N/A
CPT0261520003 Tumor N/A
CPT0177710003 Tumor N/A
CPT0237150003 Normal N/A
CPT0226390003 Tumor N/A
CPT0127050003 Tumor N/A
CPT0226030003 Tumor N/A
CPT0163490003 Normal N/A
CPT0229210003 Tumor N/A
CPT0094420004 Tumor N/A
CPT0246620003 Tumor N/A
CPT0245060004 Tumor N/A
CPT0245400003 Tumor N/A
CPT0220610003 Tumor N/A
CPT0245230004 Tumor N/A
CPT0013030003 Normal N/A
CPT0195880003 Normal N/A
CPT0235920003 Normal N/A
CPT0013460003 Normal N/A
CPT0223450003 Tumor N/A
CPT0169740004 Normal N/A
CPT0163720003 Normal N/A
CPT0229190003 Tumor N/A
CPT0235470002 Normal N/A
CPT0088080003 Normal N/A
CPT0095040003 Tumor N/A
CPT0199700003 Tumor N/A
CPT0245550003 Tumor N/A
CPT0226350003 Normal N/A
Show allShow less
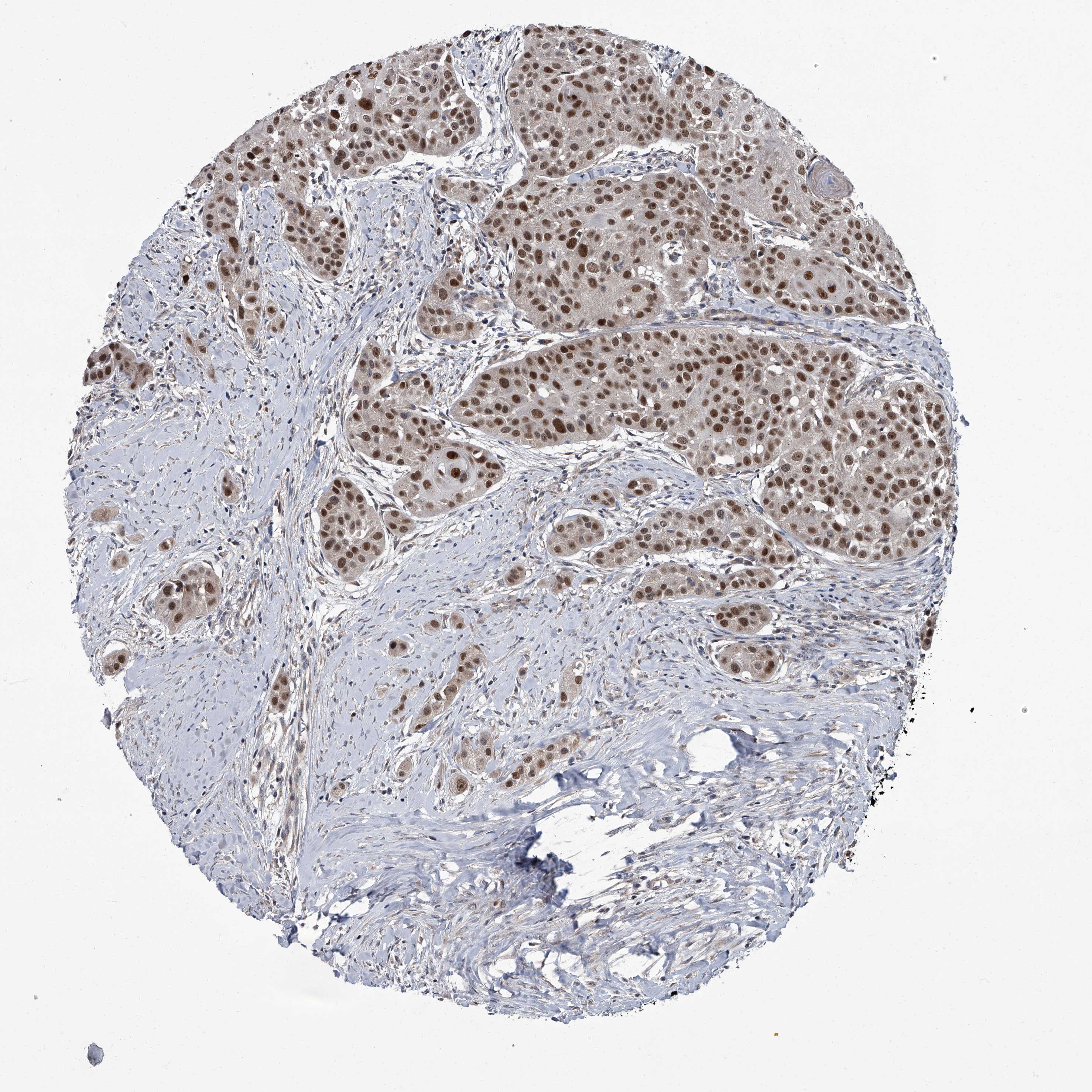
HEAD AND NECK CANCER - Protein expressioni

A mouse-over function shows sample information and annotation data. Click on an image to view it in a full screen mode. Samples can be filtered based on level of antibody staining by selecting one or several of the following categories: high, medium, low and not detected. The assay and annotation is described here.

Note that samples used for immunohistochemistry by the Human Protein Atlas do not correspond to samples in the TCGA dataset.

 

Antibody stainingi

Antibody staining in the annotated cell types in the current human tissue is reported as not detected, low, medium, or high, based on conventional immunohistochemistry profiling in selected tissues. This score is based on the combination of the staining intensity and fraction of stained cells.

Each image is clickable and will lead to virtual microscopy that enables deeper exploration of all samples and also displays staining intensity scores, fraction scores and subcellular localization as well as patient and tissue information for each sample.


Antibody HPA028880
 Staining
  High
  Medium
  Low
  Not detected
 Intensity
  Strong
  Moderate
  Weak
  Negative
 Quantity
  >75%
  75%-25%
  <25%
  None
 Location
  Nuclear
  Cytoplasmic/membranous
  Cytoplasmic/membranous,nuclear
  None
Squamous cell carcinoma, NOS
Squamous cell carcinoma, NOS
Squamous cell carcinoma, metastatic, NOS
Adenocarcinoma, NOS

Contact

  • NEWS ARTICLES
  • PRESS ROOM

The Project

  • INTRODUCTION
  • ORGANIZATION
  • PUBLICATIONS

The Human Protein Atlas

  • DOWNLOADABLE DATA
  • LICENCE & CITATION
  • HELP & FAQ
The Human Protein Atlas project is funded
by the Knut & Alice Wallenberg Foundation.


contact@proteinatlas.org