We use cookies to enhance the usability of our website. If you continue, we'll assume that you are happy to receive all cookies. More information. Don't show this again.
METTL18
HPA
RESOURCES
  • TISSUE
  • BRAIN
  • SINGLE CELL
  • SUBCELLULAR
  • CANCER
  • BLOOD
  • CELL LINE
  • STRUCTURE & INTERACTION
ABOUT
  • INTRODUCTION
  • HISTORY
  • ORGANIZATION
  • PUBLICATIONS
  • ANTIBODY SUBMISSION
  • ANTIBODY AVAILABILITY
  • ACKNOWLEDGMENTS
  • CONTACT
NEWS
  • NEWS ARTICLES
  • PRESS ROOM
LEARN
  • DICTIONARY
  • PROTEIN CLASSES
  • PROTEIN EVIDENCE
  • METHODS
  • EDUCATIONAL VIDEOS
DATA
  • DOWNLOADABLE DATA
  • PUBLICATION DATA
  • RELEASE HISTORY
HELP
  • ANTIBODY VALIDATION
  • ASSAYS & ANNOTATION
  • DISCLAIMER
  • HELP & FAQ
  • PRIVACY STATEMENT
  • LICENCE & CITATION
Fields »
Search result

Field
Term
Gene name
Class
Subclass
Class
Keyword
Chromosome
External id
Tissue
Cell type
Expression
Antibody panel
Tissue
Main location
Patient ID
Annotation
Tissue
Category
Tau score
Cluster
Reliability
Brain region
Category
Tau score
Brain region
Category
Tau score
Brain region
Category
Tau score
Cluster
Reliability
Tissue
Cell type
Enrichment
Cell type
Category
Tau score
Cell type
Category
Tau score
Cell type
Category
Tau score
Cell lineage
Category
Tau score
Cluster
Cluster
Location
Searches
Location
Cell line
Class
Type
Phase
Reliability
Cancer
Prognosis
Cancer
Category
Cancer
Category
Tau score
Cluster
Variants
Interacting gene (ensg_id)
Type
Number of interactions
Pathway
Category
Score
Score
Score
Validation
Validation
Validation
Validation
Antibodies
Data type
Column


  • SUMMARY

  • TISSUE

  • BRAIN

  • SINGLE CELL

  • SUBCELL

  • CANCER

  • BLOOD

  • CELL LINE

  • STRUCT & INT

  • METTL18
TISSUE PRIMARY DATA SKIN Show tissue menu
ADIPOSE TISSUE ADRENAL GLAND AMYGDALA APPENDIX BASAL GANGLIA BONE MARROW BREAST BRONCHUS CEREBELLUM CEREBRAL CORTEX CERVIX CHOROID PLEXUS COLON DUODENUM
ENDOMETRIUM EPIDIDYMIS ESOPHAGUS FALLOPIAN TUBE GALLBLADDER HEART MUSCLE HIPPOCAMPAL FORMATION HYPOTHALAMUS KIDNEY LIVER LUNG LYMPH NODE MIDBRAIN NASOPHARYNX
ORAL MUCOSA OVARY PANCREAS PARATHYROID GLAND PITUITARY GLAND PLACENTA PROSTATE RECTUM RETINA SALIVARY GLAND SEMINAL VESICLE SKELETAL MUSCLE SKIN SMALL INTESTINE
SMOOTH MUSCLE SOFT TISSUE SPINAL CORD SPLEEN STOMACH TESTIS THYMUS THYROID GLAND TONGUE TONSIL URINARY BLADDER VAGINA
ANTIBODIES
AND
VALIDATION
Dictionary
Skin
Tissue proteome
Skin
SKIN - Expression summary
Protein expression
Skini

On the top, protein expression in current human tissue, based on all annotated cell types, is reported with the units not detected (n), low (l), medium (m) and high (h). Underneath, protein expression in each annotated cell type are reported using the same units.

Protein expression data is based on knowledge-based annotation. For genes where more than one antibody has been used, a collective score is set.

If knowledge-based annotation could not be performed for a gene, no data is displayed here. View antibody staining data further down this page.

h
m
l
n
Epidermal cells: Not detected
Keratinocytes: Not detected
Langerhans: Not detected
Melanocytes: Not detected
RNA expressioni

A summary of mRNA expression data available for current tissue based on several datasets. The mRNA expression levels in human tissues are based on RNA-seq data generated by the Human Protein Atlas (HPA), Genotype-Tissue Expression (GTEx) portal and CAGE data generated by the FANTOM5 consortium. Consensus normalized expression levels for human tissues was created by combining the data from HPA and GTEx datasets.

The mRNA expression levels in pig are based on RNA-seq data generated by the Human Protein Atlas (HPA), and for mouse, HPA data and in situ hybridization generated by the Allen brain atlas are reported.

Scroll down to view mRNA expression data in more detail.
Consensus:6.0 nTPM
HPA:6.0 nTPM
GTEx:3.1 nTPM

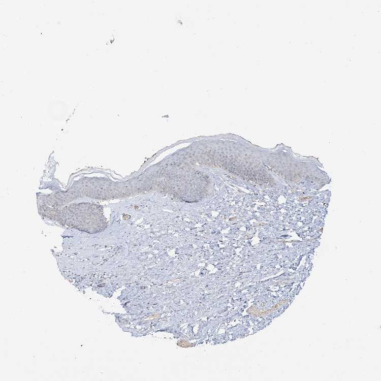
SKIN 1 - Antibody stainingi

Antibody staining in the annotated cell types in the current human tissue is reported as not detected, low, medium, or high, based on conventional immunohistochemistry profiling in selected tissues. This score is based on the combination of the staining intensity and fraction of stained cells.

Each image is clickable and will lead to virtual microscopy that enables deeper exploration of all samples and also displays staining intensity scores, fraction scores and subcellular localization as well as patient and tissue information for each sample.

Antibody HPA035314
Langerhans Not detected
Keratinocytes Not detected
Melanocytes Not detected
SKIN 2 - Antibody stainingi

Antibody staining in the annotated cell types in the current human tissue is reported as not detected, low, medium, or high, based on conventional immunohistochemistry profiling in selected tissues. This score is based on the combination of the staining intensity and fraction of stained cells.

Each image is clickable and will lead to virtual microscopy that enables deeper exploration of all samples and also displays staining intensity scores, fraction scores and subcellular localization as well as patient and tissue information for each sample.

Antibody HPA035314
Epidermal cells Not detected
 
 


SKIN - HPA RNA-seqi

The RNA-seq details section shows detailed information about the individual samples used for the transcript profiling and results of the RNA-seq analysis.

Information about each individual sample is listed below, including gender, age, a tissue section image and estimated fractions of cell types. nTPM (normalized transcripts per million) values give a quantification of the gene abundance which is comparable between different genes and samples.
Average nTPMi

Max subtype nTPM is the value for the subtype with the largest average nTPM across the subtype samples.

6.0
overview
Female, age 34
Skin sample 225
nTPM: 5.2
Cell types%
Keratinocytes:
60

Other cell types:
40

overview
Female, age 30
Skin sample 226
nTPM: 7.9
Cell types%
Keratinocytes:
55

Other cell types:
45

N/A
Male, age 57
Skin sample 227
nTPM: 4.9

SKIN - GTEx RNA-seqi

RNA-Seq data generated by the Genotype-Tissue Expression (GTEx) project from human tissues is reported as mean nTPM. More information can be found on the GTEx portal.

Distribution across the dataset is visualized with box plots, shown as median and 25th and 75th percentiles. Points are displayed as outliers if they are above or below 1.5 times the interquartile range. nTPM values of the individual samples are presented next to the box plot.
Max subtype nTPMi

Max subtype nTPM is the value for the subtype with the largest average nTPM across the subtype samples.

3.1
GTEx sample id Sample description nTPM
Skin - Not Sun Exposed (Suprapubic)
Average nTPM: 3.1
Samples: 604

Max nTPM: 7.5
Min nTPM: 0.5
Std nTPM: 0.9
Median nTPM: 3.0
GTEX-UPK5-0426-SM-3GAEK 40-49 years, male 7.5
GTEX-1H3VE-0726-SM-9YFL5 40-49 years, male 7.4
GTEX-1H1ZS-2726-SM-9WG75 70-79 years, male 6.7
GTEX-X4EP-0626-SM-3P621 60-69 years, female 5.9
GTEX-1JMPZ-0726-SM-CY8HZ 30-39 years, male 5.8
GTEX-1F88E-1626-SM-7SB8Z 60-69 years, female 5.7
GTEX-1ICLY-0826-SM-CMKG1 50-59 years, male 5.3
GTEX-1399R-1326-SM-5PNYS 30-39 years, male 5.2
GTEX-15G1A-1626-SM-7KUKN 30-39 years, male 5.1
GTEX-1B932-2326-SM-79OL5 40-49 years, female 5.1
GTEX-131YS-2826-SM-5EQ47 60-69 years, female 5.0
GTEX-ZVE1-0726-SM-51MRN 50-59 years, female 5.0
GTEX-1IDJU-1726-SM-CMKHU 60-69 years, female 5.0
GTEX-ZPIC-0526-SM-DO91W 40-49 years, female 5.0
GTEX-15G19-2426-SM-7KUMR 60-69 years, male 4.9
GTEX-XYKS-1426-SM-4BRUO 60-69 years, female 4.9
GTEX-Y5LM-0926-SM-6LLJG 40-49 years, female 4.9
GTEX-1HFI6-0126-SM-CNPPI 40-49 years, male 4.9
GTEX-1PIGE-1826-SM-E8VOU 20-29 years, male 4.9
GTEX-14AS3-1526-SM-5Q5ED 40-49 years, female 4.8
GTEX-15RIE-1926-SM-7KUKJ 60-69 years, male 4.8
GTEX-17MF6-2626-SM-79OKQ 40-49 years, male 4.8
GTEX-ZTTD-2826-SM-4YCFA 50-59 years, male 4.8
GTEX-ZYY3-2926-SM-5GIEB 60-69 years, female 4.8
GTEX-1HCVE-2726-SM-CL54F 50-59 years, male 4.8
GTEX-11P7K-1126-SM-5HL4L 30-39 years, male 4.7
GTEX-13N11-2326-SM-5IJBF 50-59 years, female 4.7
GTEX-145MI-0626-SM-5SI8S 60-69 years, female 4.7
GTEX-1AMFI-1326-SM-7939R 50-59 years, female 4.7
GTEX-VUSG-2326-SM-4KL1U 50-59 years, male 4.7
GTEX-1ICG6-1226-SM-A9SLN 70-79 years, female 4.7
GTEX-1KANC-1226-SM-CYPT7 50-59 years, female 4.7
GTEX-XV7Q-1826-SM-4BRUV 40-49 years, female 4.6
GTEX-1B8L1-2226-SM-7P8PT 60-69 years, male 4.6
GTEX-13QJC-0126-SM-5ZZWJ 60-69 years, female 4.5
GTEX-183WM-0326-SM-72D5V 70-79 years, female 4.5
GTEX-ZF2S-1626-SM-57WES 50-59 years, female 4.5
GTEX-1GF9U-2026-SM-7SB92 40-49 years, female 4.5
GTEX-1HBPM-0726-SM-9YFL7 60-69 years, female 4.5
GTEX-1L5NE-1126-SM-D3L9P 50-59 years, male 4.5
GTEX-1LG7Y-2526-SM-EWRO7 50-59 years, male 4.5
GTEX-1LVAO-2726-SM-E9TJ8 60-69 years, male 4.5
GTEX-1M4P7-0726-SM-E6CJ3 60-69 years, male 4.5
GTEX-11TT1-1826-SM-5EQLV 20-29 years, male 4.4
GTEX-13IVO-0726-SM-5LZYV 70-79 years, male 4.4
GTEX-14E6E-0526-SM-793DN 30-39 years, male 4.4
GTEX-14JG1-1526-SM-5YY9X 40-49 years, male 4.4
GTEX-ZE9C-2526-SM-5IJDR 60-69 years, male 4.4
GTEX-ZPCL-1126-SM-4WWFE 60-69 years, female 4.4
GTEX-ZVZP-1226-SM-5GID7 50-59 years, male 4.4
GTEX-1HSGN-0826-SM-ACKW3 40-49 years, female 4.4
GTEX-1IL2V-1926-SM-B2LW8 70-79 years, male 4.4
GTEX-1JMQJ-0826-SM-CNPP7 50-59 years, male 4.4
GTEX-1LGRB-0926-SM-COH3K 50-59 years, female 4.4
GTEX-1LVAM-0726-SM-E6CIL 50-59 years, female 4.4
GTEX-11VI4-1126-SM-5EQMD 40-49 years, female 4.3
GTEX-11ZUS-2626-SM-5FQUR 30-39 years, male 4.3
GTEX-12WSJ-1126-SM-5LZVJ 40-49 years, female 4.3
GTEX-1399Q-2326-SM-5KM2X 40-49 years, male 4.3
GTEX-147GR-2426-SM-5ZZWQ 60-69 years, male 4.3
GTEX-14A5H-0826-SM-5QGPJ 60-69 years, male 4.3
GTEX-178AV-1726-SM-7KUL8 40-49 years, male 4.3
GTEX-Y3IK-1626-SM-4YCF5 50-59 years, female 4.3
GTEX-1C6VR-0126-SM-7RHGB 60-69 years, male 4.3
GTEX-1GMR8-0626-SM-7RHI7 50-59 years, female 4.3
GTEX-1IDJV-0126-SM-COH3Y 60-69 years, male 4.3
GTEX-1J8QM-2426-SM-A9SLS 60-69 years, female 4.3
GTEX-1O9I2-0226-SM-EYYXD 50-59 years, male 4.3
GTEX-1117F-2926-SM-5GZYI 60-69 years, female 4.2
GTEX-XPVG-2126-SM-4B667 50-59 years, male 4.2
GTEX-YFCO-1226-SM-5LUAT 40-49 years, male 4.2
GTEX-ZF29-0926-SM-4WKFZ 60-69 years, female 4.2
GTEX-ZYFG-1526-SM-5GZYM 60-69 years, female 4.2
GTEX-1I19N-0126-SM-CYPSF 70-79 years, male 4.2
GTEX-1JN76-0626-SM-CKZOQ 20-29 years, female 4.2
GTEX-1KD5A-0126-SM-E9U54 50-59 years, male 4.2
GTEX-1LGOU-1326-SM-D3L8M 20-29 years, female 4.2
GTEX-1S831-1826-SM-EWROF 20-29 years, male 4.2
GTEX-13SLW-0626-SM-5Q5ER 70-79 years, male 4.1
GTEX-14PII-0726-SM-6EU2B 60-69 years, male 4.1
GTEX-14PJ2-0626-SM-6LLII 50-59 years, male 4.1
GTEX-14PJ5-1526-SM-6LLIL 60-69 years, female 4.1
GTEX-17HHE-1326-SM-7EWDZ 50-59 years, male 4.1
GTEX-1B8KZ-0326-SM-73KY4 50-59 years, male 4.1
GTEX-W5X1-2526-SM-3GILC 40-49 years, female 4.1
GTEX-XBEC-0726-SM-4QARZ 50-59 years, male 4.1
GTEX-XMD2-2126-SM-4YCF8 60-69 years, female 4.1
GTEX-ZZPU-0826-SM-5GZX5 50-59 years, female 4.1
GTEX-1HR9M-2226-SM-CNPPY 60-69 years, male 4.1
GTEX-1JJE9-2626-SM-ARZMT 70-79 years, male 4.1
GTEX-1K2DA-1026-SM-CGQGF 50-59 years, male 4.1
GTEX-1N2EE-0626-SM-E76PW 60-69 years, male 4.1
GTEX-1QP66-1226-SM-DTX7U 50-59 years, male 4.1
GTEX-11ZU8-0126-SM-5EQ58 60-69 years, male 4.0
GTEX-139D8-1126-SM-5LU8W 30-39 years, female 4.0
GTEX-13D11-0926-SM-5J2NC 50-59 years, female 4.0
GTEX-13NYC-0126-SM-5L3F4 60-69 years, male 4.0
GTEX-14DAQ-0626-SM-793DS 60-69 years, female 4.0
GTEX-14DAR-1226-SM-73KYV 50-59 years, male 4.0
GTEX-Y5V5-0126-SM-5S2NW 60-69 years, female 4.0
GTEX-ZYW4-0626-SM-59HJR 60-69 years, male 4.0
GTEX-1122O-1026-SM-9WYSF 60-69 years, female 4.0
GTEX-1C475-1326-SM-7SB73 40-49 years, female 4.0
GTEX-1HSMO-0626-SM-ACKXC 60-69 years, male 4.0
GTEX-1KANB-2826-SM-CY8I6 50-59 years, male 4.0
GTEX-1KXAM-1626-SM-D3LAD 60-69 years, male 4.0
GTEX-1S83E-1326-SM-E6CJM 40-49 years, male 4.0
GTEX-1399S-0126-SM-5IJCF 30-39 years, female 3.9
GTEX-13PVR-0426-SM-5RQK2 60-69 years, female 3.9
GTEX-14A6H-2026-SM-5Q5DD 30-39 years, male 3.9
GTEX-VJYA-1526-SM-3GIJV 60-69 years, male 3.9
GTEX-WHWD-1826-SM-3LK6I 50-59 years, male 3.9
GTEX-X4EO-2926-SM-4E3JH 60-69 years, female 3.9
GTEX-1MCC2-1826-SM-DIPEX 30-39 years, female 3.9
GTEX-1NV5F-0626-SM-DTXEG 60-69 years, female 3.9
GTEX-12WSL-2026-SM-5GCML 50-59 years, male 3.8
GTEX-1313W-0626-SM-5EQ4H 50-59 years, female 3.8
GTEX-1314G-1326-SM-5BC6E 30-39 years, male 3.8
GTEX-139TS-2126-SM-5K7XC 60-69 years, male 3.8
GTEX-139YR-1026-SM-5LZYN 50-59 years, male 3.8
GTEX-XAJ8-1426-SM-47JYM 40-49 years, male 3.8
GTEX-Y3I4-1726-SM-4TT89 50-59 years, male 3.8
GTEX-1F6RS-2026-SM-7RHHC 60-69 years, female 3.8
GTEX-1H3NZ-2726-SM-9WYTQ 60-69 years, male 3.8
GTEX-1OJC4-2726-SM-E76PJ 50-59 years, female 3.8
GTEX-1RLM8-2926-SM-E8VON 50-59 years, male 3.8
GTEX-12584-0726-SM-5FQTK 40-49 years, male 3.7
GTEX-12WSA-0426-SM-5EQ5X 60-69 years, male 3.7
GTEX-12WSM-1926-SM-5BC65 60-69 years, male 3.7
GTEX-13PL6-1126-SM-5L3IE 40-49 years, female 3.7
GTEX-13X6K-0626-SM-5LU5D 60-69 years, female 3.7
GTEX-14C38-0726-SM-5SI6M 50-59 years, male 3.7
GTEX-1C6VQ-1226-SM-73KYD 50-59 years, male 3.7
GTEX-1EH9U-2826-SM-7DUGT 60-69 years, male 3.7
GTEX-WYJK-0526-SM-3NM8Z 50-59 years, male 3.7
GTEX-Y5V6-2326-SM-4VDSA 60-69 years, male 3.7
GTEX-ZE7O-2726-SM-51MT5 50-59 years, female 3.7
GTEX-1GF9X-1326-SM-7PC2Y 40-49 years, female 3.7
GTEX-1HFI7-2326-SM-CGQFS 50-59 years, female 3.7
GTEX-1I6K7-1926-SM-B2LXR 40-49 years, male 3.7
GTEX-1J1OQ-0126-SM-D4P2N 40-49 years, female 3.7
GTEX-1LBAC-0826-SM-CY8IJ 20-29 years, male 3.7
GTEX-1POEN-2326-SM-E9J2L 30-39 years, female 3.7
GTEX-1S82U-1026-SM-E6CJK 30-39 years, female 3.7
GTEX-ZF3C-0626-SM-DO92O 50-59 years, female 3.7
GTEX-117YX-1926-SM-5GIEC 50-59 years, male 3.6
GTEX-11UD2-2526-SM-5CVNU 50-59 years, male 3.6
GTEX-13NYB-0126-SM-5J1MD 40-49 years, male 3.6
GTEX-144FL-0626-SM-5LU43 50-59 years, male 3.6
GTEX-14B4R-1326-SM-5Q5EZ 30-39 years, male 3.6
GTEX-14BMU-1226-SM-5S2OR 20-29 years, female 3.6
GTEX-14PJN-1826-SM-6AJ98 30-39 years, male 3.6
GTEX-14PKU-0126-SM-6LLHV 40-49 years, female 3.6
GTEX-15EO6-2426-SM-6PALZ 50-59 years, male 3.6
GTEX-15SKB-2826-SM-6PAMH 60-69 years, male 3.6
GTEX-16MT9-0126-SM-7EPI8 60-69 years, female 3.6
GTEX-V1D1-2026-SM-3GAF4 50-59 years, male 3.6
GTEX-YF7O-1526-SM-5IFI6 50-59 years, male 3.6
GTEX-ZAB4-2126-SM-5HL8U 40-49 years, male 3.6
GTEX-ZLFU-1826-SM-4WWBV 40-49 years, male 3.6
GTEX-ZPU1-1126-SM-4YCF3 40-49 years, male 3.6
GTEX-ZU9S-1826-SM-5NQ9E 30-39 years, male 3.6
GTEX-ZYT6-2326-SM-5GZY3 30-39 years, male 3.6
GTEX-1F5PL-0926-SM-7PC2W 40-49 years, female 3.6
GTEX-1HCU7-0726-SM-A9SL1 50-59 years, male 3.6
GTEX-1HR98-2226-SM-ADEI2 60-69 years, male 3.6
GTEX-1ICLZ-0326-SM-ARL82 60-69 years, male 3.6
GTEX-1IDJF-2026-SM-CL53V 20-29 years, male 3.6
GTEX-1K2DU-1226-SM-CYPT4 20-29 years, male 3.6
GTEX-1R46S-2426-SM-E76QA 60-69 years, female 3.6
GTEX-1RAZR-2126-SM-E9U6T 40-49 years, male 3.6
GTEX-11NSD-0626-SM-5A5LU 20-29 years, male 3.5
GTEX-131XW-0626-SM-5PNVD 50-59 years, female 3.5
GTEX-133LE-2326-SM-5K7W3 20-29 years, female 3.5
GTEX-1399U-1126-SM-5L3DB 50-59 years, female 3.5
GTEX-13FH7-1126-SM-5K7UG 50-59 years, female 3.5
GTEX-13NZ8-1226-SM-5KM4A 60-69 years, female 3.5
GTEX-13PDP-0726-SM-5L3HP 60-69 years, male 3.5
GTEX-144GL-0626-SM-5LU4D 50-59 years, male 3.5
GTEX-16NGA-0726-SM-731AO 40-49 years, female 3.5
GTEX-17KNJ-2126-SM-718AM 50-59 years, male 3.5
GTEX-1CB4H-1126-SM-7MKGL 60-69 years, female 3.5
GTEX-XOT4-0626-SM-4B66L 60-69 years, female 3.5
GTEX-XQ8I-0926-SM-4BOOF 50-59 years, male 3.5
GTEX-Y9LG-1126-SM-4VBQ7 30-39 years, male 3.5
GTEX-14JFF-0626-SM-5ZZVT 60-69 years, male 3.5
GTEX-1F75W-2726-SM-7SB8H 60-69 years, male 3.5
GTEX-1H11D-1826-SM-9QEHM 40-49 years, male 3.5
GTEX-1H1DF-1126-SM-9WG7G 40-49 years, female 3.5
GTEX-1I1GU-0926-SM-ACKVS 40-49 years, male 3.5
GTEX-1JJ6O-2726-SM-CNPOG 60-69 years, male 3.5
GTEX-1LSNL-2726-SM-E9TKJ 50-59 years, male 3.5
GTEX-1R7EU-1626-SM-DTXG3 60-69 years, male 3.5
GTEX-1RAZS-2526-SM-E6CHT 50-59 years, male 3.5
GTEX-ZGAY-1826-SM-DO91Q 40-49 years, female 3.5
GTEX-11DZ1-2426-SM-5GZZX 50-59 years, male 3.4
GTEX-11EQ8-0926-SM-5H12V 60-69 years, male 3.4
GTEX-1212Z-0126-SM-59HK4 60-69 years, male 3.4
GTEX-1269C-0126-SM-5EQ5L 60-69 years, female 3.4
GTEX-12ZZX-2426-SM-5GCOE 40-49 years, female 3.4
GTEX-13FTY-2126-SM-5IFFB 40-49 years, female 3.4
GTEX-13OW6-2726-SM-5J2OE 50-59 years, male 3.4
GTEX-13X6H-0926-SM-5SIB2 50-59 years, female 3.4
GTEX-145LT-0526-SM-5LUB2 40-49 years, male 3.4
GTEX-145MG-1526-SM-5Q5EM 50-59 years, male 3.4
GTEX-145MH-2826-SM-5RQJF 50-59 years, male 3.4
GTEX-145MN-1526-SM-5SI9T 30-39 years, male 3.4
GTEX-1477Z-0326-SM-7IGLA 60-69 years, male 3.4
GTEX-14PJ6-2626-SM-6EU2T 60-69 years, female 3.4
GTEX-15EU6-2226-SM-6EU2L 50-59 years, male 3.4
GTEX-16YQH-2226-SM-7IGM2 30-39 years, male 3.4
GTEX-17F9E-2326-SM-79OKD 50-59 years, male 3.4
GTEX-18A6Q-0626-SM-7KFRP 60-69 years, male 3.4
GTEX-1F52S-2926-SM-7MKGA 60-69 years, female 3.4
GTEX-WXYG-2026-SM-4E3IY 50-59 years, female 3.4
GTEX-X5EB-1926-SM-4E3IW 40-49 years, male 3.4
GTEX-ZT9X-1526-SM-5DUXD 40-49 years, male 3.4
GTEX-ZVE2-2826-SM-5GU51 50-59 years, male 3.4
GTEX-1H1DG-2426-SM-9QEHJ 70-79 years, male 3.4
GTEX-1HBPN-0126-SM-CGQEF 50-59 years, male 3.4
GTEX-1IDJD-2326-SM-ACKWX 30-39 years, male 3.4
GTEX-1J8Q3-0526-SM-ARL8U 60-69 years, male 3.4
GTEX-1KWVE-1026-SM-D3L9O 30-39 years, male 3.4
GTEX-1LSVX-2526-SM-DIPEU 60-69 years, male 3.4
GTEX-1MCYP-0526-SM-E9U6Q 20-29 years, female 3.4
GTEX-12WSC-2826-SM-5BC5Y 50-59 years, male 3.3
GTEX-13113-1626-SM-5EQ4I 60-69 years, female 3.3
GTEX-139UW-0326-SM-5J1ML 60-69 years, male 3.3
GTEX-13JUV-2026-SM-5K7UA 40-49 years, female 3.3
GTEX-13NYS-0626-SM-5L3F1 60-69 years, male 3.3
GTEX-13NZ9-2626-SM-5L3FK 50-59 years, male 3.3
GTEX-13QBU-1226-SM-5LU4G 40-49 years, female 3.3
GTEX-13U4I-2226-SM-5LU5H 40-49 years, female 3.3
GTEX-144GO-2026-SM-5O99P 60-69 years, male 3.3
GTEX-145ME-1726-SM-5Q5EU 40-49 years, female 3.3
GTEX-145MF-0926-SM-5Q5EA 50-59 years, male 3.3
GTEX-147JS-0226-SM-5S2U9 60-69 years, male 3.3
GTEX-1497J-0226-SM-5QGPU 60-69 years, male 3.3
GTEX-14E1K-2026-SM-7DUEI 50-59 years, male 3.3
GTEX-14XAO-1226-SM-6EU1C 60-69 years, female 3.3
GTEX-15CHC-1126-SM-6LLHQ 60-69 years, female 3.3
GTEX-15DYW-2726-SM-6EU2I 60-69 years, female 3.3
GTEX-15FZZ-0526-SM-7KUGD 30-39 years, female 3.3
GTEX-18D9U-0126-SM-731BM 40-49 years, male 3.3
GTEX-WFG8-2126-SM-3GIKQ 20-29 years, male 3.3
GTEX-X3Y1-2026-SM-3P5YM 40-49 years, male 3.3
GTEX-ZAK1-0626-SM-5HL8E 50-59 years, female 3.3
GTEX-ZLWG-0826-SM-59888 50-59 years, female 3.3
GTEX-1JMQK-1226-SM-D4P2S 60-69 years, male 3.3
GTEX-1QP9N-1226-SM-E76QN 30-39 years, male 3.3
GTEX-111CU-1126-SM-5EGIM 50-59 years, male 3.2
GTEX-111YS-1526-SM-5GZYW 60-69 years, male 3.2
GTEX-11DXX-2126-SM-5PNYR 60-69 years, female 3.2
GTEX-11EM3-1226-SM-5N9DD 20-29 years, female 3.2
GTEX-11EQ9-1626-SM-5PNY8 30-39 years, male 3.2
GTEX-12WSD-0626-SM-5GCMW 60-69 years, female 3.2
GTEX-131XH-0126-SM-5LZUY 50-59 years, male 3.2
GTEX-132AR-0326-SM-5KM2C 50-59 years, female 3.2
GTEX-13FHO-0426-SM-5L3F5 60-69 years, male 3.2
GTEX-13FTW-0326-SM-5K7UW 40-49 years, male 3.2
GTEX-13N2G-0226-SM-5K7VF 60-69 years, male 3.2
GTEX-14LLW-2626-SM-62LDZ 70-79 years, female 3.2
GTEX-14LZ3-0126-SM-69LPM 60-69 years, female 3.2
GTEX-15DDE-2926-SM-6LLJ3 50-59 years, female 3.2
GTEX-15RIG-0726-SM-7KUM7 40-49 years, male 3.2
GTEX-16XZZ-0726-SM-7KUF2 60-69 years, male 3.2
GTEX-17MFQ-1526-SM-7KFRR 20-29 years, male 3.2
GTEX-18A67-1626-SM-7LT9T 50-59 years, male 3.2
GTEX-18A7A-0126-SM-731AH 50-59 years, female 3.2
GTEX-1AMEY-0826-SM-72D65 30-39 years, female 3.2
GTEX-XBED-1926-SM-47JYP 60-69 years, male 3.2
GTEX-Y8E4-2026-SM-5IFJB 40-49 years, male 3.2
GTEX-ZVT2-0126-SM-5GIDQ 50-59 years, female 3.2
GTEX-ZYVF-0926-SM-5E44J 50-59 years, female 3.2
GTEX-11P82-1426-SM-DTXFY 20-29 years, male 3.2
GTEX-1CB4I-0126-SM-7RHGG 50-59 years, male 3.2
GTEX-1GZ4H-0526-SM-9KNU9 50-59 years, female 3.2
GTEX-1H1E6-0426-SM-9WYUS 30-39 years, male 3.2
GTEX-1I6K6-1726-SM-CGQFD 30-39 years, male 3.2
GTEX-1QCLZ-2426-SM-EVYBW 60-69 years, female 3.2
GTEX-ZLV1-1526-SM-DO91J 60-69 years, female 3.2
GTEX-12696-0126-SM-5EQ4L 60-69 years, male 3.1
GTEX-12C56-1526-SM-5FQUQ 20-29 years, male 3.1
GTEX-13FTX-1526-SM-5K7VJ 20-29 years, female 3.1
GTEX-13VXT-1926-SM-5K7UO 20-29 years, female 3.1
GTEX-145LS-0626-SM-7EPG7 60-69 years, female 3.1
GTEX-14C39-1726-SM-5RQIL 40-49 years, male 3.1
GTEX-15CHQ-0326-SM-69LQD 60-69 years, male 3.1
GTEX-17F9Y-0126-SM-79OKX 70-79 years, female 3.1
GTEX-1E1VI-0326-SM-793D1 50-59 years, male 3.1
GTEX-18D9A-1426-SM-7LT8M 30-39 years, female 3.1
GTEX-1CB4J-1326-SM-7P8RX 60-69 years, male 3.1
GTEX-1IDJE-1426-SM-ADEIW 50-59 years, female 3.1
GTEX-1LG7Z-1626-SM-CXKYR 30-39 years, male 3.1
GTEX-11WQK-1026-SM-5EQLX 50-59 years, male 3.0
GTEX-131XF-2626-SM-5EQ6K 60-69 years, male 3.0
GTEX-13X6I-1826-SM-5SIAO 60-69 years, male 3.0
GTEX-14C5O-0326-SM-5ZZUX 60-69 years, male 3.0
GTEX-15CHR-1126-SM-7EWF4 50-59 years, male 3.0
GTEX-16GPK-0626-SM-7KFSF 60-69 years, male 3.0
GTEX-16Z82-2626-SM-7KULU 60-69 years, male 3.0
GTEX-17EVQ-0126-SM-7IGLR 70-79 years, male 3.0
GTEX-17HGU-2326-SM-7DUFE 50-59 years, male 3.0
GTEX-183FY-1026-SM-7939A 20-29 years, male 3.0
GTEX-1A8G6-2726-SM-731AR 60-69 years, male 3.0
GTEX-1AX8Z-0726-SM-73KTS 60-69 years, male 3.0
GTEX-WFON-1926-SM-3LK7L 40-49 years, male 3.0
GTEX-WYBS-0626-SM-3NMAS 60-69 years, female 3.0
GTEX-YB5K-2026-SM-4VDT3 40-49 years, female 3.0
GTEX-YECK-0326-SM-4W1YS 60-69 years, male 3.0
GTEX-ZXG5-2126-SM-59HKD 60-69 years, male 3.0
GTEX-ZYFD-0626-SM-5E44E 50-59 years, male 3.0
GTEX-1CAMQ-1326-SM-7P8RV 40-49 years, male 3.0
GTEX-1H3O1-1326-SM-9MQLD 60-69 years, male 3.0
GTEX-1HT8W-0626-SM-A9G2H 30-39 years, male 3.0
GTEX-1I1HK-2326-SM-CKZOH 60-69 years, male 3.0
GTEX-1J8Q2-2626-SM-ACKWQ 60-69 years, male 3.0
GTEX-1JN1M-2726-SM-CY8I4 60-69 years, female 3.0
GTEX-1PPGY-1626-SM-EVYBL 60-69 years, male 3.0
GTEX-11DXY-0126-SM-5H11Q 60-69 years, male 2.9
GTEX-12126-0826-SM-5FQTZ 20-29 years, male 2.9
GTEX-13112-0126-SM-5P9IU 50-59 years, male 2.9
GTEX-13OVL-0126-SM-5L3GJ 50-59 years, male 2.9
GTEX-13SLX-2226-SM-62LEP 50-59 years, female 2.9
GTEX-14PKV-1126-SM-6LLJ1 20-29 years, female 2.9
GTEX-15RJE-2826-SM-7KUM9 40-49 years, male 2.9
GTEX-15SHW-0226-SM-7LTAT 60-69 years, male 2.9
GTEX-15UF6-1926-SM-7KUDV 70-79 years, female 2.9
GTEX-1B933-2426-SM-7DHMD 50-59 years, female 2.9
GTEX-1CAV2-0126-SM-7IGN7 40-49 years, female 2.9
GTEX-UPJH-0226-SM-3GADV 50-59 years, male 2.9
GTEX-WK11-2726-SM-3NMAQ 50-59 years, male 2.9
GTEX-WY7C-2126-SM-3NB2R 50-59 years, male 2.9
GTEX-ZAJG-1526-SM-5CVML 50-59 years, female 2.9
GTEX-ZDXO-3126-SM-5IJDF 60-69 years, male 2.9
GTEX-ZP4G-1426-SM-4WWCL 20-29 years, female 2.9
GTEX-ZT9W-1126-SM-57WDR 50-59 years, male 2.9
GTEX-ZUA1-2626-SM-5NQ92 40-49 years, male 2.9
GTEX-ZVTK-0226-SM-51MRG 20-29 years, male 2.9
GTEX-ZY6K-1426-SM-5GZX2 50-59 years, male 2.9
GTEX-1A3MX-2626-SM-7PC24 60-69 years, male 2.9
GTEX-1A8FM-0626-SM-7PC25 50-59 years, female 2.9
GTEX-1EMGI-2326-SM-7PBYA 60-69 years, male 2.9
GTEX-1F6IF-0926-SM-7SB7M 60-69 years, male 2.9
GTEX-1F75B-0726-SM-7PC3R 50-59 years, male 2.9
GTEX-1GMR3-0126-SM-A9SLW 40-49 years, male 2.9
GTEX-1HBPI-2126-SM-ARL9K 50-59 years, male 2.9
GTEX-1HCU9-0426-SM-9WYSD 20-29 years, male 2.9
GTEX-1IOXB-2726-SM-CM2RI 50-59 years, male 2.9
GTEX-1QPFJ-1926-SM-EVYBD 30-39 years, female 2.9
GTEX-12WSF-1626-SM-7KUG5 70-79 years, male 2.8
GTEX-139T8-0626-SM-5KLZX 60-69 years, male 2.8
GTEX-13OW8-1026-SM-5J1NQ 60-69 years, male 2.8
GTEX-13RTJ-0126-SM-5S2NN 60-69 years, male 2.8
GTEX-145MO-2826-SM-5LU96 60-69 years, male 2.8
GTEX-16BQI-1326-SM-6M486 30-39 years, female 2.8
GTEX-17EVP-2626-SM-7IGMA 40-49 years, male 2.8
GTEX-18A66-0626-SM-7LT8Z 60-69 years, male 2.8
GTEX-18D9B-0926-SM-7LG4U 60-69 years, male 2.8
GTEX-1A8G7-1326-SM-73KVM 60-69 years, male 2.8
GTEX-1CB4E-0926-SM-7EPHT 60-69 years, male 2.8
GTEX-1CB4F-1026-SM-7DUH1 60-69 years, male 2.8
GTEX-U8XE-0226-SM-4E3J3 30-39 years, male 2.8
GTEX-Z93S-1626-SM-5CVMB 50-59 years, male 2.8
GTEX-1GMR2-0826-SM-7PC3V 50-59 years, male 2.8
GTEX-1GN1U-0626-SM-9MQL9 50-59 years, female 2.8
GTEX-1GZ2Q-0126-SM-9WG6M 40-49 years, male 2.8
GTEX-1GZ4I-2626-SM-9KNU3 50-59 years, male 2.8
GTEX-1PDJ9-1226-SM-EXUSX 20-29 years, male 2.8
GTEX-1PPH7-1126-SM-DTX9A 40-49 years, male 2.8
GTEX-1QAET-0326-SM-EVR3U 50-59 years, male 2.8
GTEX-1QCLY-0226-SM-EWRNH 30-39 years, male 2.8
GTEX-1QMI2-2526-SM-E8VNZ 60-69 years, male 2.8
GTEX-1QP2A-1726-SM-E76QC 50-59 years, male 2.8
GTEX-11GSP-2326-SM-5HL63 60-69 years, female 2.7
GTEX-11P81-2226-SM-5PNYI 30-39 years, female 2.7
GTEX-12KS4-2126-SM-5FQUT 30-39 years, male 2.7
GTEX-13X6J-0626-SM-5LU5F 50-59 years, male 2.7
GTEX-146FQ-2126-SM-5RQHU 30-39 years, male 2.7
GTEX-15RJ7-2126-SM-6PAMD 40-49 years, male 2.7
GTEX-18465-2826-SM-7LT9J 50-59 years, male 2.7
GTEX-WHSB-1326-SM-3LK6W 50-59 years, male 2.7
GTEX-ZC5H-1526-SM-5HL9Y 40-49 years, female 2.7
GTEX-ZTX8-1326-SM-4YCEL 20-29 years, male 2.7
GTEX-ZVP2-0326-SM-57WBP 50-59 years, male 2.7
GTEX-ZWKS-0626-SM-5GIDV 30-39 years, male 2.7
GTEX-1I1GV-0626-SM-ARL7M 60-69 years, male 2.7
GTEX-1IDJH-0126-SM-D3L92 70-79 years, male 2.7
GTEX-1KAFJ-0126-SM-DIPEK 50-59 years, male 2.7
GTEX-1RB15-1326-SM-E76Q9 60-69 years, male 2.7
GTEX-1RMOY-1326-SM-E9TIH 50-59 years, male 2.7
GTEX-1S82P-2126-SM-E6CI5 60-69 years, female 2.7
GTEX-YEC3-1326-SM-DO92X 50-59 years, male 2.7
GTEX-11DXW-0826-SM-5H118 40-49 years, male 2.6
GTEX-11GS4-0226-SM-5HL77 60-69 years, male 2.6
GTEX-11PRG-0726-SM-5EGL1 50-59 years, male 2.6
GTEX-139TT-2126-SM-5LZWC 60-69 years, male 2.6
GTEX-13VXU-0626-SM-5L3F9 50-59 years, male 2.6
GTEX-148VJ-0626-SM-5LUAW 70-79 years, male 2.6
GTEX-15D1Q-2826-SM-6LLH7 40-49 years, male 2.6
GTEX-1B8KE-1126-SM-7EPHI 50-59 years, male 2.6
GTEX-1B996-0426-SM-7EWF8 60-69 years, male 2.6
GTEX-XXEK-1626-SM-4BRUZ 50-59 years, male 2.6
GTEX-ZDYS-2426-SM-4WKGI 50-59 years, male 2.6
GTEX-ZYFC-0426-SM-5GICQ 50-59 years, male 2.6
GTEX-1CAMR-1326-SM-7PC1F 20-29 years, male 2.6
GTEX-1F6I4-2326-SM-7RHGL 60-69 years, male 2.6
GTEX-1GPI6-1926-SM-9KNV7 60-69 years, male 2.6
GTEX-1I4MK-0126-SM-CY8G6 50-59 years, female 2.6
GTEX-1IE54-1126-SM-A9G2Z 40-49 years, female 2.6
GTEX-1NSGN-0726-SM-DTXEF 50-59 years, male 2.6
GTEX-1PBJJ-1026-SM-E76OS 30-39 years, male 2.6
GTEX-13O61-1426-SM-5KM3D 60-69 years, male 2.5
GTEX-13OVH-0526-SM-5L3E6 70-79 years, male 2.5
GTEX-13W3W-0726-SM-5IJDQ 60-69 years, female 2.5
GTEX-14753-0726-SM-5QGQO 60-69 years, male 2.5
GTEX-147F4-0726-SM-5TDDD 50-59 years, male 2.5
GTEX-14ABY-2026-SM-62LDL 50-59 years, male 2.5
GTEX-14BMV-2826-SM-5TDED 50-59 years, male 2.5
GTEX-14PJO-2526-SM-6AJBQ 60-69 years, male 2.5
GTEX-16MT8-2926-SM-7DUFO 60-69 years, female 2.5
GTEX-17F96-0126-SM-7EWDU 70-79 years, male 2.5
GTEX-17F97-2626-SM-7IGM5 50-59 years, male 2.5
GTEX-18A7B-2726-SM-7LG56 70-79 years, male 2.5
GTEX-1BAJH-2426-SM-7IGP8 70-79 years, male 2.5
GTEX-WHPG-2626-SM-3NMBR 50-59 years, male 2.5
GTEX-WRHU-2826-SM-3MJG8 50-59 years, female 2.5
GTEX-Y111-0626-SM-4SOIT 50-59 years, male 2.5
GTEX-1AYD5-2626-SM-7PBXY 50-59 years, male 2.5
GTEX-1C64O-1326-SM-7MGWR 60-69 years, male 2.5
GTEX-1CAMS-2226-SM-7PBXQ 40-49 years, female 2.5
GTEX-1F48J-0726-SM-7RHGS 50-59 years, female 2.5
GTEX-1F75I-2226-SM-7SB8U 40-49 years, male 2.5
GTEX-1F88F-0126-SM-9WYSZ 60-69 years, female 2.5
GTEX-1GN1V-2826-SM-9JGIA 60-69 years, male 2.5
GTEX-1H4P4-2126-SM-9WYSL 50-59 years, male 2.5
GTEX-1HC8U-1326-SM-9YFMJ 40-49 years, female 2.5
GTEX-1HKZK-0726-SM-ACKW2 40-49 years, male 2.5
GTEX-1HSMQ-2626-SM-A9SML 50-59 years, male 2.5
GTEX-1J1R8-2026-SM-CL53Y 40-49 years, male 2.5
GTEX-1JK1U-0226-SM-ARZMX 60-69 years, male 2.5
GTEX-1JKYR-0626-SM-ARL8R 20-29 years, male 2.5
GTEX-1QEPI-2626-SM-DTXF4 60-69 years, female 2.5
GTEX-1192X-2726-SM-5N9DN 50-59 years, male 2.4
GTEX-12WSK-2126-SM-5CVNC 40-49 years, female 2.4
GTEX-12ZZY-0726-SM-5EQ66 60-69 years, male 2.4
GTEX-13OVG-1626-SM-5J1NF 60-69 years, male 2.4
GTEX-13OW7-0426-SM-5K7VK 50-59 years, male 2.4
GTEX-14BIN-1126-SM-5RQJZ 50-59 years, female 2.4
GTEX-14E6C-2426-SM-5S2NF 40-49 years, male 2.4
GTEX-14PHY-1226-SM-5ZZWK 60-69 years, female 2.4
GTEX-1A3MV-1826-SM-731CD 30-39 years, male 2.4
GTEX-1B8SF-0126-SM-7DUG3 60-69 years, male 2.4
GTEX-14JG6-1426-SM-9WG7C 30-39 years, female 2.4
GTEX-1E2YA-2126-SM-7MXUO 50-59 years, male 2.4
GTEX-1F5PK-2226-SM-7SB6N 50-59 years, male 2.4
GTEX-1GMRU-2126-SM-7P8RA 50-59 years, male 2.4
GTEX-1GN73-0726-SM-7P8TJ 60-69 years, male 2.4
GTEX-1H1DE-1326-SM-9KNUG 20-29 years, male 2.4
GTEX-1H2FU-0926-SM-9WPPT 60-69 years, female 2.4
GTEX-1HB9E-0126-SM-CM2S5 50-59 years, male 2.4
GTEX-1HSKV-1226-SM-ADEI4 60-69 years, male 2.4
GTEX-1HUB1-1426-SM-CGQF5 60-69 years, male 2.4
GTEX-1JKYN-0826-SM-ARU8S 30-39 years, male 2.4
GTEX-1JMQI-1726-SM-ARL93 50-59 years, male 2.4
GTEX-1LVA9-2626-SM-EVYD4 50-59 years, male 2.4
GTEX-111FC-2526-SM-5GZXU 60-69 years, male 2.3
GTEX-13JVG-0726-SM-5KM16 60-69 years, male 2.3
GTEX-13OVK-1426-SM-6PAN7 40-49 years, male 2.3
GTEX-17HG3-2626-SM-7DUF2 30-39 years, female 2.3
GTEX-1C2JI-1026-SM-73KY1 50-59 years, male 2.3
GTEX-1EX96-1026-SM-7MKG2 50-59 years, male 2.3
GTEX-1JMOU-1026-SM-CYPSS 60-69 years, female 2.3
GTEX-1JMQL-2226-SM-CNPP4 50-59 years, female 2.3
GTEX-1JN6P-2926-SM-CL54D 60-69 years, male 2.3
GTEX-1LSNM-0826-SM-DIPG8 50-59 years, male 2.3
GTEX-1QW4Y-1126-SM-DTXE3 30-39 years, male 2.3
GTEX-1RAZA-2226-SM-E9U4X 20-29 years, male 2.3
GTEX-111VG-1626-SM-5EGIO 60-69 years, male 2.2
GTEX-11EI6-2826-SM-5H11D 60-69 years, male 2.2
GTEX-11LCK-2226-SM-5HL4Q 30-39 years, male 2.2
GTEX-11OF3-0126-SM-5PNYF 60-69 years, male 2.2
GTEX-13OVJ-0826-SM-5J1OK 50-59 years, female 2.2
GTEX-145LU-1926-SM-79OJN 50-59 years, male 2.2
GTEX-14PJ4-0226-SM-5YY92 60-69 years, male 2.2
GTEX-16MTA-0926-SM-6M47Z 50-59 years, male 2.2
GTEX-16NPX-0726-SM-7KULC 50-59 years, male 2.2
GTEX-17JCI-2926-SM-7DUFF 60-69 years, female 2.2
GTEX-WEY5-2326-SM-3GIKK 40-49 years, female 2.2
GTEX-XBEW-1126-SM-4QARW 40-49 years, male 2.2
GTEX-ZDTT-0426-SM-4WKFL 60-69 years, male 2.2
GTEX-1GF9W-1426-SM-7PBYM 60-69 years, male 2.2
GTEX-1GN1W-2426-SM-9KNUU 50-59 years, female 2.2
GTEX-1GN2E-0226-SM-9WG6K 60-69 years, male 2.2
GTEX-1GZHY-0626-SM-9KNVC 50-59 years, female 2.2
GTEX-1HCU8-2526-SM-CE6RX 60-69 years, female 2.2
GTEX-1HCUA-0826-SM-ADEHM 50-59 years, female 2.2
GTEX-1HGF4-0126-SM-CNPPX 60-69 years, male 2.2
GTEX-1HSMP-0926-SM-A9SKX 70-79 years, male 2.2
GTEX-1IDJC-1526-SM-B2LW4 50-59 years, male 2.2
GTEX-1IDJI-0126-SM-CMKHS 50-59 years, female 2.2
GTEX-1J8EW-2726-SM-CY8HR 60-69 years, female 2.2
GTEX-1K9T9-1526-SM-DIPFR 50-59 years, female 2.2
GTEX-1LKK1-2626-SM-DKPQE 50-59 years, female 2.2
GTEX-1S3DN-2126-SM-E9TIN 50-59 years, male 2.2
GTEX-11DXZ-2026-SM-5987S 50-59 years, male 2.1
GTEX-13G51-1826-SM-5KLZH 60-69 years, male 2.1
GTEX-17HHY-0426-SM-7DHLC 50-59 years, male 2.1
GTEX-17HII-1426-SM-7EPGG 50-59 years, male 2.1
GTEX-1B97I-0626-SM-73KUZ 40-49 years, male 2.1
GTEX-1EU9M-1426-SM-793AI 60-69 years, male 2.1
GTEX-XK95-0226-SM-4AT58 40-49 years, male 2.1
GTEX-1J8JJ-0626-SM-ARZMQ 60-69 years, female 2.1
GTEX-1OJC3-1226-SM-DTXER 20-29 years, male 2.1
GTEX-1211K-1526-SM-5FQU4 60-69 years, female 2.0
GTEX-12ZZZ-0726-SM-5GCNZ 60-69 years, male 2.0
GTEX-13FLV-0126-SM-5K7WT 50-59 years, male 2.0
GTEX-147F3-1726-SM-5SIAW 50-59 years, female 2.0
GTEX-15ER7-0626-SM-6PANF 20-29 years, female 2.0
GTEX-17F98-1326-SM-7DUEP 40-49 years, female 2.0
GTEX-1EKGG-0626-SM-7DUGJ 60-69 years, male 2.0
GTEX-WH7G-2026-SM-3NMBL 40-49 years, male 2.0
GTEX-X8HC-0626-SM-4E3HQ 50-59 years, female 2.0
GTEX-XQ3S-1426-SM-4BOPR 20-29 years, male 2.0
GTEX-ZVT4-2426-SM-5GIEI 50-59 years, female 2.0
GTEX-1I1CD-0626-SM-CE6SW 60-69 years, female 2.0
GTEX-1I1GP-1326-SM-A9G28 50-59 years, male 2.0
GTEX-1IKJJ-2226-SM-CJI4C 60-69 years, male 2.0
GTEX-1IY9M-2826-SM-ARU8H 60-69 years, male 2.0
GTEX-1JMPY-0226-SM-CKZOK 30-39 years, male 2.0
GTEX-1LB8K-0726-SM-D5OV2 50-59 years, male 2.0
GTEX-1LVAN-0626-SM-CNPOQ 50-59 years, female 2.0
GTEX-1N5O9-0926-SM-E9J3C 60-69 years, male 2.0
GTEX-1PPH8-0126-SM-EWRN8 20-29 years, male 2.0
GTEX-1R9K4-2826-SM-DTX8F 60-69 years, male 2.0
GTEX-11DYG-1526-SM-5A5JS 60-69 years, male 1.9
GTEX-11WQC-1826-SM-5GU59 60-69 years, male 1.9
GTEX-11ZTT-2126-SM-5CVLO 60-69 years, female 1.9
GTEX-12BJ1-0926-SM-5EQ62 60-69 years, male 1.9
GTEX-139TU-0726-SM-5L3EK 60-69 years, male 1.9
GTEX-13OW5-2326-SM-5L3HO 60-69 years, male 1.9
GTEX-144GM-0526-SM-79OJO 20-29 years, male 1.9
GTEX-14PHX-2226-SM-6EU2P 50-59 years, male 1.9
GTEX-ZTSS-1426-SM-5985P 40-49 years, male 1.9
GTEX-ZZ64-1026-SM-5GZXG 20-29 years, male 1.9
GTEX-1GF9V-0826-SM-9KNUV 60-69 years, male 1.9
GTEX-1H1CY-0126-SM-9YFLY 60-69 years, female 1.9
GTEX-1QP28-1126-SM-EVYC4 50-59 years, female 1.9
GTEX-1QP29-1826-SM-DTX9S 50-59 years, male 1.9
GTEX-11O72-0626-SM-5PNYE 40-49 years, male 1.8
GTEX-11TUW-0626-SM-5LU9M 60-69 years, male 1.8
GTEX-131XG-0326-SM-5L3DX 50-59 years, female 1.8
GTEX-13YAN-0226-SM-5TDC6 60-69 years, male 1.8
GTEX-14PJ3-1126-SM-5ZZVX 50-59 years, male 1.8
GTEX-1A3MW-0626-SM-731CB 60-69 years, female 1.8
GTEX-1AX9J-1326-SM-731BJ 60-69 years, male 1.8
GTEX-1EN7A-2426-SM-793DB 40-49 years, male 1.8
GTEX-WYVS-1626-SM-3NM9R 40-49 years, female 1.8
GTEX-Y114-2126-SM-4TT8B 50-59 years, female 1.8
GTEX-1F75A-0726-SM-7RHHD 50-59 years, male 1.8
GTEX-1GPI7-1826-SM-9KNU1 20-29 years, male 1.8
GTEX-1I1GS-2626-SM-B2LY3 60-69 years, male 1.8
GTEX-1IDFM-0326-SM-ARL7V 60-69 years, male 1.8
GTEX-1KANA-1326-SM-DIPFA 20-29 years, male 1.8
GTEX-1PIIG-2326-SM-DTXFR 30-39 years, male 1.8
GTEX-1R9PN-0426-SM-DTXDT 40-49 years, female 1.8
GTEX-YJ8O-2526-SM-5HL85 40-49 years, female 1.7
GTEX-ZA64-1026-SM-5HL8R 20-29 years, male 1.7
GTEX-ZDTS-0826-SM-4WKHL 60-69 years, male 1.7
GTEX-1GL5R-1326-SM-7RHHF 50-59 years, male 1.7
GTEX-1IKOE-1426-SM-CE6T7 30-39 years, female 1.7
GTEX-1MJK3-0726-SM-E6CJC 20-29 years, male 1.7
GTEX-1N2DV-1526-SM-DTXEP 40-49 years, male 1.7
GTEX-1RAZQ-1326-SM-E9TK6 30-39 years, male 1.7
GTEX-11NUK-2726-SM-5A5MC 50-59 years, male 1.6
GTEX-13N1W-2426-SM-5IJD1 70-79 years, male 1.6
GTEX-18QFQ-1826-SM-72D52 30-39 years, male 1.6
GTEX-1C6WA-2626-SM-7MKGM 60-69 years, male 1.6
GTEX-WI4N-2726-SM-3LK7Y 40-49 years, female 1.6
GTEX-X585-2426-SM-46MW2 50-59 years, male 1.6
GTEX-1JJEA-1826-SM-ARU8P 60-69 years, male 1.6
GTEX-1S5ZU-2526-SM-E6CIF 20-29 years, female 1.6
GTEX-13O3Q-0126-SM-5KM34 50-59 years, male 1.5
GTEX-16AAH-0626-SM-793C9 50-59 years, male 1.5
GTEX-1EWIQ-0326-SM-7DHMQ 70-79 years, female 1.5
GTEX-YEC4-1826-SM-4W1YP 40-49 years, male 1.5
GTEX-13PVQ-0626-SM-5LU47 50-59 years, male 1.4
GTEX-1A32A-0626-SM-731AQ 50-59 years, female 1.4
GTEX-1C64N-2626-SM-7PC2N 50-59 years, male 1.4
GTEX-1HCU6-2526-SM-ADEHL 60-69 years, female 1.4
GTEX-1I1GT-1026-SM-ARZLV 60-69 years, female 1.4
GTEX-1JMLX-0626-SM-ARL8T 50-59 years, male 1.4
GTEX-12WSH-1526-SM-5BC5W 50-59 years, male 1.3
GTEX-14PK6-0226-SM-62LF5 70-79 years, female 1.3
GTEX-Y8LW-1526-SM-5IFHL 50-59 years, female 1.3
GTEX-1GTWX-2026-SM-9YFLM 60-69 years, male 1.3
GTEX-13O3O-2326-SM-5IJD6 60-69 years, female 1.2
GTEX-14ICL-1626-SM-5YYAO 30-39 years, male 1.2
GTEX-1AX9I-2226-SM-73KUO 60-69 years, male 1.2
GTEX-WFG7-2026-SM-5SI7P 20-29 years, male 1.1
GTEX-XUW1-0926-SM-4BONX 50-59 years, female 1.1
GTEX-1R9PM-1926-SM-EVR3O 20-29 years, male 1.1
GTEX-WHSE-0126-SM-3NMBT 20-29 years, male 0.7
GTEX-1H23P-0626-SM-9WG6T 60-69 years, male 0.5
Show allShow less
Skin - Sun Exposed (Lower leg)
Average nTPM: 2.8
Samples: 701

Max nTPM: 6.6
Min nTPM: 0.6
Std nTPM: 0.8
Median nTPM: 2.7
GTEX-VJWN-0126-SM-3GIK7 50-59 years, female 6.6
GTEX-VJYA-1126-SM-3GIJU 60-69 years, male 6.1
GTEX-1122O-2126-SM-5EGIR 60-69 years, female 5.9
GTEX-13NYC-0326-SM-E9J4S 60-69 years, male 5.6
GTEX-14PHW-0126-SM-6LLJI 60-69 years, female 5.5
GTEX-SSA3-0126-SM-32QPU 60-69 years, male 5.3
GTEX-1C6VQ-0126-SM-7P8RI 50-59 years, male 5.3
GTEX-1NV5F-0226-SM-E8VNY 60-69 years, female 5.3
GTEX-TML8-1926-SM-32QOS 40-49 years, female 5.1
GTEX-ZE9C-2726-SM-57WB5 60-69 years, male 5.1
GTEX-1QW4Y-1526-SM-EAZ3Z 30-39 years, male 5.1
GTEX-Y8E4-0626-SM-4WWDL 40-49 years, male 4.9
GTEX-1JJE9-0326-SM-CL53Z 70-79 years, male 4.9
GTEX-NPJ8-0126-SM-2YUNR 40-49 years, male 4.8
GTEX-R3RS-0126-SM-3GIJL 40-49 years, female 4.8
GTEX-11WQK-0526-SM-5EQLD 50-59 years, male 4.7
GTEX-ZXG5-0126-SM-5GIEU 60-69 years, male 4.7
GTEX-1H1ZS-0426-SM-9WG6G 70-79 years, male 4.6
GTEX-1K2DU-2326-SM-E9TIV 20-29 years, male 4.6
GTEX-12WSN-5019-SM-79OM6 40-49 years, male 4.5
GTEX-14BIM-0226-SM-7IGLD 60-69 years, female 4.5
GTEX-15G19-0126-SM-6PANQ 60-69 years, male 4.5
GTEX-T5JW-1626-SM-3GADZ 20-29 years, female 4.5
GTEX-WOFL-0126-SM-3MJG2 60-69 years, male 4.5
GTEX-XPVG-2626-SM-4B669 50-59 years, male 4.5
GTEX-1HT8W-0126-SM-CNPPP 30-39 years, male 4.5
GTEX-1J8QM-2126-SM-CYPSJ 60-69 years, female 4.5
GTEX-1QP29-0626-SM-EWRMX 50-59 years, male 4.5
GTEX-1HCU7-0226-SM-CL545 50-59 years, male 4.4
GTEX-1IDFM-0126-SM-COH2V 60-69 years, male 4.4
GTEX-11EQ9-2426-SM-5HL5T 30-39 years, male 4.3
GTEX-13PDP-0126-SM-5L3HD 60-69 years, male 4.3
GTEX-183WM-0126-SM-7LTAB 70-79 years, female 4.3
GTEX-ZYFG-2326-SM-5E44B 60-69 years, female 4.3
GTEX-1H3NZ-0126-SM-ACKX7 60-69 years, male 4.3
GTEX-1HBPH-0426-SM-B2LW5 40-49 years, female 4.3
GTEX-1IE54-0126-SM-CMKHW 40-49 years, female 4.3
GTEX-148VJ-0126-SM-5TDDN 70-79 years, male 4.2
GTEX-15D1Q-0126-SM-7KUG6 40-49 years, male 4.2
GTEX-18D9B-0526-SM-7LTAS 60-69 years, male 4.2
GTEX-UJHI-1526-SM-3DB99 50-59 years, female 4.2
GTEX-V1D1-2226-SM-3NMAX 50-59 years, male 4.2
GTEX-XMD2-0126-SM-4YCDU 60-69 years, female 4.2
GTEX-1GF9U-2126-SM-7SB7L 40-49 years, female 4.2
GTEX-113IC-0126-SM-5HL6T 60-69 years, male 4.1
GTEX-13U4I-0126-SM-5LU38 40-49 years, female 4.1
GTEX-16XZY-2126-SM-79OK1 70-79 years, male 4.1
GTEX-POMQ-2226-SM-2I5FK 20-29 years, female 4.1
GTEX-PWO3-1526-SM-48TCM 60-69 years, female 4.1
GTEX-S7SE-0126-SM-2XCD5 50-59 years, male 4.1
GTEX-1F75I-0326-SM-9YFLU 40-49 years, male 4.1
GTEX-1KANB-0526-SM-E6CJH 50-59 years, male 4.1
GTEX-11P82-1626-SM-59879 20-29 years, male 4.0
GTEX-13113-5016-SM-7EPIP 60-69 years, female 4.0
GTEX-13JUV-2726-SM-5LZZ8 40-49 years, female 4.0
GTEX-13NYB-2526-SM-5K7Z6 40-49 years, male 4.0
GTEX-13OVK-2026-SM-7KUEO 40-49 years, male 4.0
GTEX-13RTJ-2426-SM-5S2Q2 60-69 years, male 4.0
GTEX-17F96-1626-SM-7DUFL 70-79 years, male 4.0
GTEX-1H1E6-1726-SM-ACKVK 30-39 years, male 4.0
GTEX-1I1HK-0126-SM-COH49 60-69 years, male 4.0
GTEX-1NHNU-1026-SM-E9J2A 50-59 years, male 4.0
GTEX-PWCY-1826-SM-DHXIZ 20-29 years, female 4.0
GTEX-ZPIC-1726-SM-DHXIU 40-49 years, female 4.0
GTEX-11EMC-2926-SM-5EQ4F 60-69 years, female 3.9
GTEX-13RTK-1426-SM-5QGQJ 20-29 years, male 3.9
GTEX-14A6H-0126-SM-5QGPK 30-39 years, male 3.9
GTEX-14BMU-2226-SM-5TDE9 20-29 years, female 3.9
GTEX-15EU6-0426-SM-6PAN5 50-59 years, male 3.9
GTEX-15RIG-0226-SM-7KFTL 40-49 years, male 3.9
GTEX-1C6VR-2426-SM-79OLD 60-69 years, male 3.9
GTEX-P44H-0226-SM-2XCEU 40-49 years, male 3.9
GTEX-R55E-0126-SM-2TC5Y 20-29 years, male 3.9
GTEX-TMZS-0126-SM-3DB9Q 60-69 years, male 3.9
GTEX-1B933-0126-SM-7PC29 50-59 years, female 3.9
GTEX-1F48J-0126-SM-7P8TT 50-59 years, female 3.9
GTEX-1JN76-0126-SM-CNPPE 20-29 years, female 3.9
GTEX-1QP67-1626-SM-EAZ3X 40-49 years, female 3.9
GTEX-139D8-0226-SM-5KLZO 30-39 years, female 3.8
GTEX-13FTX-1826-SM-5J1NX 20-29 years, female 3.8
GTEX-13OVG-1926-SM-5L3DK 60-69 years, male 3.8
GTEX-147F3-0526-SM-5SI98 50-59 years, female 3.8
GTEX-147GR-0526-SM-5S2MY 60-69 years, male 3.8
GTEX-16BQI-0226-SM-7KUEX 30-39 years, female 3.8
GTEX-1AX9K-2326-SM-73KWU 50-59 years, male 3.8
GTEX-Q2AG-0126-SM-33HBV 40-49 years, female 3.8
GTEX-Z93T-0126-SM-5HL5N 50-59 years, male 3.8
GTEX-ZE7O-0126-SM-57WC1 50-59 years, female 3.8
GTEX-ZQUD-1426-SM-57WER 30-39 years, male 3.8
GTEX-1IDJU-2626-SM-CM2RT 60-69 years, female 3.8
GTEX-1JMPZ-0226-SM-CNPP1 30-39 years, male 3.8
GTEX-1MA7W-2026-SM-E9TJ6 20-29 years, female 3.8
GTEX-1PBJI-0526-SM-E8VNK 20-29 years, female 3.8
GTEX-1PPH7-2326-SM-EVYB8 40-49 years, male 3.8
GTEX-1QAET-0926-SM-E76QM 50-59 years, male 3.8
GTEX-1RLM8-2326-SM-EWRN4 50-59 years, male 3.8
GTEX-OIZF-0126-SM-7SB8I 60-69 years, male 3.8
GTEX-11DXW-0226-SM-5H122 40-49 years, male 3.7
GTEX-11ZU8-2526-SM-5EQKI 60-69 years, male 3.7
GTEX-13IVO-0126-SM-5J1NG 70-79 years, male 3.7
GTEX-15DCD-0126-SM-7KUEK 70-79 years, female 3.7
GTEX-15DDE-0126-SM-6LPKH 50-59 years, female 3.7
GTEX-16NGA-1726-SM-731B4 40-49 years, female 3.7
GTEX-P4PQ-0126-SM-2S1NM 60-69 years, male 3.7
GTEX-X62O-0126-SM-4E3JN 50-59 years, male 3.7
GTEX-Y5LM-1926-SM-5RQJH 40-49 years, female 3.7
GTEX-ZTPG-0326-SM-5O9AX 20-29 years, female 3.7
GTEX-ZUA1-0126-SM-5GU76 40-49 years, male 3.7
GTEX-ZXES-1826-SM-5E43S 30-39 years, female 3.7
GTEX-1I1GU-2226-SM-CGQFA 40-49 years, male 3.7
GTEX-1JK1U-2026-SM-CM2RZ 60-69 years, male 3.7
GTEX-1MCYP-1926-SM-E9J2R 20-29 years, female 3.7
GTEX-1O97I-0326-SM-EYYX7 60-69 years, male 3.7
GTEX-1RAZQ-0726-SM-EAZ43 30-39 years, male 3.7
GTEX-1RDX4-0126-SM-E9J4P 50-59 years, female 3.7
GTEX-1S83E-0126-SM-EWRO4 40-49 years, male 3.7
GTEX-PW2O-1526-SM-7RHHB 20-29 years, male 3.7
GTEX-11DXY-2626-SM-5GIE7 60-69 years, male 3.6
GTEX-11EI6-0126-SM-5985R 60-69 years, male 3.6
GTEX-13D11-2426-SM-5KM1V 50-59 years, female 3.6
GTEX-13RTL-0126-SM-7LG5S 40-49 years, male 3.6
GTEX-145LS-0126-SM-5QGP1 60-69 years, female 3.6
GTEX-15SHU-0126-SM-7KUEH 40-49 years, female 3.6
GTEX-16MT8-0426-SM-7KUEY 60-69 years, female 3.6
GTEX-1AYCT-2426-SM-7IGQ3 50-59 years, male 3.6
GTEX-OXRK-0226-SM-3NB2G 50-59 years, female 3.6
GTEX-RWS6-2026-SM-2XCB5 60-69 years, female 3.6
GTEX-SNMC-1226-SM-2XCFP 20-29 years, male 3.6
GTEX-UPJH-0326-SM-3GADU 50-59 years, male 3.6
GTEX-X88G-0126-SM-47JZ3 30-39 years, male 3.6
GTEX-ZC5H-0226-SM-4WAY9 40-49 years, female 3.6
GTEX-ZVZP-2426-SM-59HKJ 50-59 years, male 3.6
GTEX-1GF9V-0326-SM-7RHI5 60-69 years, male 3.6
GTEX-1GZ4H-1726-SM-7PBZJ 50-59 years, female 3.6
GTEX-1HSMQ-1226-SM-CGQFX 50-59 years, male 3.6
GTEX-1JKYN-1326-SM-CGQG9 30-39 years, male 3.6
GTEX-1JMQK-0226-SM-CL543 60-69 years, male 3.6
GTEX-SE5C-1626-SM-2XCE3 40-49 years, female 3.6
GTEX-W5X1-3026-SM-EAZAX 40-49 years, female 3.6
GTEX-11ZUS-0626-SM-59885 30-39 years, male 3.5
GTEX-14LZ3-0226-SM-62LET 60-69 years, female 3.5
GTEX-15SDE-2226-SM-7IGLO 50-59 years, female 3.5
GTEX-1AX8Z-0126-SM-7DHM6 60-69 years, male 3.5
GTEX-QCQG-1726-SM-3GIJ9 50-59 years, female 3.5
GTEX-QDT8-0126-SM-48TZ1 30-39 years, female 3.5
GTEX-QDVN-2026-SM-3GAEP 50-59 years, male 3.5
GTEX-XBEW-0626-SM-4QASP 40-49 years, male 3.5
GTEX-Z9EW-1626-SM-5CVMN 40-49 years, male 3.5
GTEX-ZVZO-0126-SM-5A5L9 40-49 years, male 3.5
GTEX-ZYY3-0126-SM-5GZY5 60-69 years, female 3.5
GTEX-1F5PK-2426-SM-7RHHY 50-59 years, male 3.5
GTEX-1GN1W-0526-SM-9MQJQ 50-59 years, female 3.5
GTEX-1IGQW-0126-SM-COH42 60-69 years, male 3.5
GTEX-1LBAC-0126-SM-DIPEZ 20-29 years, male 3.5
GTEX-1OJC4-0126-SM-E9J2E 50-59 years, female 3.5
GTEX-RNOR-0126-SM-E9J4R 50-59 years, female 3.5
GTEX-111FC-0126-SM-5N9DL 60-69 years, male 3.4
GTEX-133LE-1826-SM-5J1MV 20-29 years, female 3.4
GTEX-13X6I-0626-SM-5QGP9 60-69 years, male 3.4
GTEX-147F4-0226-SM-5QGPW 50-59 years, male 3.4
GTEX-14E6E-1826-SM-5S2R7 30-39 years, male 3.4
GTEX-1CAMQ-0226-SM-7IGPK 40-49 years, male 3.4
GTEX-PX3G-0126-SM-2I3EN 20-29 years, female 3.4
GTEX-QVJO-1626-SM-2S1QW 60-69 years, female 3.4
GTEX-RN64-0126-SM-2TC68 50-59 years, male 3.4
GTEX-TSE9-0126-SM-3DB83 60-69 years, female 3.4
GTEX-XYKS-2126-SM-4E3IB 60-69 years, female 3.4
GTEX-169BO-1326-SM-9MQK2 50-59 years, male 3.4
GTEX-1ICG6-2526-SM-CGQFZ 70-79 years, female 3.4
GTEX-1JMQI-2226-SM-CM2SD 50-59 years, male 3.4
GTEX-1LGRB-2526-SM-CNPPQ 50-59 years, female 3.4
GTEX-1LH75-2426-SM-E9TJE 50-59 years, female 3.4
GTEX-1LVAN-0226-SM-COH3S 50-59 years, female 3.4
GTEX-1R9PO-2126-SM-E9J4O 60-69 years, female 3.4
GTEX-PLZ6-1426-SM-DKPOT 30-39 years, male 3.4
GTEX-11DXX-2426-SM-5GZZW 60-69 years, female 3.3
GTEX-11VI4-1726-SM-5CVLH 40-49 years, female 3.3
GTEX-12KS4-0326-SM-5EQ41 30-39 years, male 3.3
GTEX-13NYS-0126-SM-5MR3W 60-69 years, male 3.3
GTEX-13VXT-0126-SM-5LU4I 20-29 years, female 3.3
GTEX-13X6H-2126-SM-7EWD5 50-59 years, female 3.3
GTEX-145LT-1726-SM-5QGP3 40-49 years, male 3.3
GTEX-14A5I-0126-SM-5TDEA 50-59 years, female 3.3
GTEX-14BIL-0126-SM-5SI92 50-59 years, male 3.3
GTEX-15UKP-0426-SM-7KUFQ 20-29 years, male 3.3
GTEX-OIZG-0726-SM-33HBL 50-59 years, male 3.3
GTEX-OIZH-0126-SM-2HMIS 50-59 years, male 3.3
GTEX-QV44-1926-SM-2S1RF 50-59 years, male 3.3
GTEX-U3ZH-2026-SM-3DB78 30-39 years, male 3.3
GTEX-U3ZM-1526-SM-3DB9D 40-49 years, male 3.3
GTEX-X261-0126-SM-3NMD6 50-59 years, male 3.3
GTEX-XUYS-0126-SM-47JWZ 50-59 years, male 3.3
GTEX-ZVE2-0226-SM-59HJB 50-59 years, male 3.3
GTEX-1E2YA-0126-SM-9KNUC 50-59 years, male 3.3
GTEX-1HSGN-0226-SM-CGQFV 40-49 years, female 3.3
GTEX-1I19N-0326-SM-ACKVX 70-79 years, male 3.3
GTEX-1ICLZ-0126-SM-CKZPO 60-69 years, male 3.3
GTEX-1IY9M-0126-SM-D3L8S 60-69 years, male 3.3
GTEX-1K2DA-1826-SM-CGQGT 50-59 years, male 3.3
GTEX-1M4P7-0226-SM-DIPEV 60-69 years, male 3.3
GTEX-1OJC3-0126-SM-E76QX 20-29 years, male 3.3
GTEX-1RQEC-0426-SM-E6CHU 60-69 years, male 3.3
GTEX-1S82Y-2026-SM-EVYCM 40-49 years, male 3.3
GTEX-117YX-2326-SM-5H12W 50-59 years, male 3.2
GTEX-11NSD-2226-SM-5986V 20-29 years, male 3.2
GTEX-11P81-2326-SM-59875 30-39 years, female 3.2
GTEX-11ZVC-2526-SM-5FQTE 50-59 years, female 3.2
GTEX-12696-2426-SM-5EQ6H 60-69 years, male 3.2
GTEX-12WSE-0526-SM-793B2 20-29 years, male 3.2
GTEX-13CF3-2426-SM-5IFGX 60-69 years, female 3.2
GTEX-14PJ3-1826-SM-62LEX 50-59 years, male 3.2
GTEX-17MFQ-1726-SM-793C7 20-29 years, male 3.2
GTEX-18D9U-0226-SM-718BP 40-49 years, male 3.2
GTEX-1AMFI-2026-SM-731BH 50-59 years, female 3.2
GTEX-O5YW-0126-SM-3LK6D 50-59 years, male 3.2
GTEX-OXRL-0126-SM-2YUMP 50-59 years, male 3.2
GTEX-P4PP-0126-SM-3LK69 30-39 years, female 3.2
GTEX-WXYG-2326-SM-4E3I6 50-59 years, female 3.2
GTEX-X638-0126-SM-47JZ8 70-79 years, female 3.2
GTEX-ZF2S-2326-SM-4WWCE 50-59 years, female 3.2
GTEX-13FH7-2026-SM-E9J4I 50-59 years, female 3.2
GTEX-146FR-1326-SM-E9J48 60-69 years, female 3.2
GTEX-1HBPN-0226-SM-9YFM1 50-59 years, male 3.2
GTEX-1I1GQ-0126-SM-COH3H 50-59 years, male 3.2
GTEX-1ICLY-0126-SM-D4P36 50-59 years, male 3.2
GTEX-1IDJF-0126-SM-CM2RS 20-29 years, male 3.2
GTEX-1J8Q3-1626-SM-CMKGC 60-69 years, male 3.2
GTEX-1KANC-1526-SM-D3LAB 50-59 years, female 3.2
GTEX-1KXAM-2226-SM-CYPTC 60-69 years, male 3.2
GTEX-1MUQO-0126-SM-EAZ58 60-69 years, male 3.2
GTEX-1QP2A-0126-SM-E9J43 50-59 years, male 3.2
GTEX-ZF29-2326-SM-DO92K 60-69 years, female 3.2
GTEX-1212Z-2526-SM-5EGKP 60-69 years, male 3.1
GTEX-12WSJ-1826-SM-5GCNY 40-49 years, female 3.1
GTEX-131XH-2226-SM-5DUXJ 50-59 years, male 3.1
GTEX-13N11-2526-SM-5K7UE 50-59 years, female 3.1
GTEX-144FL-0126-SM-5TDC8 50-59 years, male 3.1
GTEX-1497J-2426-SM-7IGNX 60-69 years, male 3.1
GTEX-14BIN-0626-SM-793DP 50-59 years, female 3.1
GTEX-14DAR-2026-SM-5S2O3 50-59 years, male 3.1
GTEX-17GQL-2026-SM-718BA 60-69 years, male 3.1
GTEX-183FY-0126-SM-7LT9P 20-29 years, male 3.1
GTEX-1BAJH-0526-SM-793CQ 70-79 years, male 3.1
GTEX-OXRN-0126-SM-48TDM 50-59 years, male 3.1
GTEX-QLQ7-1626-SM-2S1R8 60-69 years, male 3.1
GTEX-T6MO-1626-SM-32QOM 40-49 years, female 3.1
GTEX-Y5V5-2326-SM-4V6GA 60-69 years, female 3.1
GTEX-ZV6S-2326-SM-4YCEY 40-49 years, female 3.1
GTEX-1C64O-0126-SM-7SB8P 60-69 years, male 3.1
GTEX-1IKJJ-0126-SM-CNPQB 60-69 years, male 3.1
GTEX-1L5NE-2526-SM-E6CIE 50-59 years, male 3.1
GTEX-1LC47-0326-SM-E9TJP 60-69 years, male 3.1
GTEX-1N2DW-0226-SM-E9TK2 50-59 years, male 3.1
GTEX-1PDJ9-0326-SM-DTX95 20-29 years, male 3.1
GTEX-11EM3-2426-SM-59861 20-29 years, female 3.0
GTEX-1314G-1526-SM-5EGK2 30-39 years, male 3.0
GTEX-131XW-0426-SM-5LZWP 50-59 years, female 3.0
GTEX-13OVH-0126-SM-5MR4B 70-79 years, male 3.0
GTEX-13QJ3-0326-SM-5S2RA 50-59 years, male 3.0
GTEX-145ME-1826-SM-5SI9G 40-49 years, female 3.0
GTEX-15SB6-1726-SM-6PAME 50-59 years, female 3.0
GTEX-16XZZ-0126-SM-793DV 60-69 years, male 3.0
GTEX-17HGU-0226-SM-7DHKV 50-59 years, male 3.0
GTEX-17JCI-0126-SM-7LG5G 60-69 years, female 3.0
GTEX-1AMEY-1326-SM-73KYK 30-39 years, female 3.0
GTEX-1B8SG-0126-SM-73KZ3 50-59 years, male 3.0
GTEX-S95S-1226-SM-4GICG 60-69 years, male 3.0
GTEX-U4B1-1826-SM-4DXSU 40-49 years, male 3.0
GTEX-WFG8-2226-SM-3GIL9 20-29 years, male 3.0
GTEX-WY7C-2326-SM-3NB2U 50-59 years, male 3.0
GTEX-Y3I4-2126-SM-4TT7C 50-59 years, male 3.0
GTEX-YFC4-0126-SM-5CVLY 40-49 years, female 3.0
GTEX-ZAB4-0226-SM-5N9F5 40-49 years, male 3.0
GTEX-ZTX8-1426-SM-5DUVO 20-29 years, male 3.0
GTEX-ZZPT-0226-SM-5E43X 50-59 years, male 3.0
GTEX-12WSG-2826-SM-E9J4H 50-59 years, female 3.0
GTEX-1CAMS-0426-SM-7P8T2 40-49 years, female 3.0
GTEX-1F6I4-0126-SM-9MQL2 60-69 years, male 3.0
GTEX-1F75B-0126-SM-9KNVL 50-59 years, male 3.0
GTEX-1H11D-0226-SM-9WG6Z 40-49 years, male 3.0
GTEX-1H1CY-2826-SM-9MQM3 60-69 years, female 3.0
GTEX-1H1DE-2126-SM-9WG6R 20-29 years, male 3.0
GTEX-1J8Q2-0526-SM-CM2RW 60-69 years, male 3.0
GTEX-1LG7Y-0526-SM-DKPQC 50-59 years, male 3.0
GTEX-1LGOU-2026-SM-DIPFF 20-29 years, female 3.0
GTEX-1QP66-1726-SM-E8VO1 50-59 years, male 3.0
GTEX-11H98-0126-SM-5EGHG 50-59 years, male 2.9
GTEX-12C56-1726-SM-5EQ61 20-29 years, male 2.9
GTEX-12WSA-0226-SM-5BC5V 60-69 years, male 2.9
GTEX-1399T-2826-SM-5KLYZ 60-69 years, male 2.9
GTEX-13FHO-0226-SM-5IFGY 60-69 years, male 2.9
GTEX-13FHP-0126-SM-5IJBG 50-59 years, male 2.9
GTEX-13S7M-0126-SM-5SI6A 60-69 years, female 2.9
GTEX-13W3W-2426-SM-5LU5B 60-69 years, female 2.9
GTEX-14ABY-0226-SM-5TDCQ 50-59 years, male 2.9
GTEX-17MF6-0126-SM-7LG4F 40-49 years, male 2.9
GTEX-1C6VS-0526-SM-7DUEN 60-69 years, male 2.9
GTEX-1CB4I-0226-SM-79OLH 50-59 years, male 2.9
GTEX-OHPL-0126-SM-2HMJ7 60-69 years, female 2.9
GTEX-PLZ4-0126-SM-5SI8O 50-59 years, female 2.9
GTEX-Q734-1926-SM-2I5EV 40-49 years, female 2.9
GTEX-XV7Q-2526-SM-4BRV9 40-49 years, female 2.9
GTEX-YJ89-0126-SM-4TT3X 60-69 years, male 2.9
GTEX-1F5PL-0326-SM-7P8PQ 40-49 years, female 2.9
GTEX-1F7RK-0126-SM-7PC2S 20-29 years, female 2.9
GTEX-1H4P4-0726-SM-9YFLR 50-59 years, male 2.9
GTEX-1HCVE-0126-SM-CGQEU 50-59 years, male 2.9
GTEX-1JKYR-0126-SM-CNPOJ 20-29 years, male 2.9
GTEX-1PIGE-0126-SM-EVYBJ 20-29 years, male 2.9
GTEX-1QEPI-0126-SM-EWRMQ 60-69 years, female 2.9
GTEX-1QPFJ-0226-SM-E76PB 30-39 years, female 2.9
GTEX-11P7K-2126-SM-5GU7G 30-39 years, male 2.8
GTEX-131XE-2326-SM-5PNZ2 50-59 years, male 2.8
GTEX-139TS-2826-SM-5J1OO 60-69 years, male 2.8
GTEX-13N2G-2626-SM-5J1OT 60-69 years, male 2.8
GTEX-145MI-0526-SM-5O9A8 60-69 years, female 2.8
GTEX-14E6D-0126-SM-62LDV 50-59 years, male 2.8
GTEX-14JIY-0126-SM-6LLH6 60-69 years, male 2.8
GTEX-14PJ6-2126-SM-6EU1V 60-69 years, female 2.8
GTEX-14PN3-2426-SM-6LLHS 60-69 years, female 2.8
GTEX-15SHW-0326-SM-6PAML 60-69 years, male 2.8
GTEX-17F98-0626-SM-79OMX 40-49 years, female 2.8
GTEX-17HHE-2026-SM-79OKF 50-59 years, male 2.8
GTEX-1A3MX-0126-SM-731BR 60-69 years, male 2.8
GTEX-1B97I-1626-SM-73KYO 40-49 years, male 2.8
GTEX-1C2JI-1826-SM-73KXC 50-59 years, male 2.8
GTEX-1C4CL-0526-SM-73KVK 30-39 years, male 2.8
GTEX-1C64N-0126-SM-793D7 50-59 years, male 2.8
GTEX-X4EP-0126-SM-3P5YV 60-69 years, female 2.8
GTEX-ZYT6-0226-SM-5NQ6T 30-39 years, male 2.8
GTEX-1CB4H-0226-SM-7PBXM 60-69 years, female 2.8
GTEX-1F52S-0126-SM-9MQJU 60-69 years, female 2.8
GTEX-1GF9X-2026-SM-7PC3A 40-49 years, female 2.8
GTEX-1GPI7-0126-SM-9MQL8 20-29 years, male 2.8
GTEX-1HR98-0126-SM-B2LWI 60-69 years, male 2.8
GTEX-1I1GT-0626-SM-CGQER 60-69 years, female 2.8
GTEX-1J8EW-0126-SM-CJI4F 60-69 years, female 2.8
GTEX-1R7EU-0226-SM-EVR4G 60-69 years, male 2.8
GTEX-1S3DN-2226-SM-EVYCD 50-59 years, male 2.8
GTEX-1S5ZA-0126-SM-EVYCV 20-29 years, male 2.8
GTEX-1S82Z-0826-SM-E6CHY 30-39 years, female 2.8
GTEX-S33H-1026-SM-EZ6L6 30-39 years, male 2.8
GTEX-11GS4-2726-SM-5A5LE 60-69 years, male 2.7
GTEX-12126-0326-SM-5PNW3 20-29 years, male 2.7
GTEX-12ZZY-0226-SM-5LZVE 60-69 years, male 2.7
GTEX-13G51-2526-SM-5LZYK 60-69 years, male 2.7
GTEX-13OVI-1426-SM-5L3EY 60-69 years, female 2.7
GTEX-145MN-2226-SM-5SIAU 30-39 years, male 2.7
GTEX-15UF6-0826-SM-6PALJ 70-79 years, female 2.7
GTEX-17EUY-0426-SM-793BD 20-29 years, male 2.7
GTEX-18A67-0126-SM-7LG5P 50-59 years, male 2.7
GTEX-PLZ5-2026-SM-2S1O4 50-59 years, male 2.7
GTEX-QDVJ-1726-SM-2I5FX 50-59 years, male 2.7
GTEX-RM2N-1426-SM-2TF4H 50-59 years, male 2.7
GTEX-U3ZN-2326-SM-3DB7W 30-39 years, female 2.7
GTEX-X4XX-0126-SM-3NMC2 60-69 years, male 2.7
GTEX-XQ8I-0426-SM-4BOPO 50-59 years, male 2.7
GTEX-Z93S-0126-SM-5HL7M 50-59 years, male 2.7
GTEX-ZGAY-0526-SM-4WWBB 40-49 years, female 2.7
GTEX-ZVT2-2526-SM-51MT1 50-59 years, female 2.7
GTEX-ZY6K-1826-SM-5GZXK 50-59 years, male 2.7
GTEX-131XF-5016-SM-7MGWE 60-69 years, male 2.7
GTEX-1B996-0226-SM-7RHGO 60-69 years, male 2.7
GTEX-1CB4F-0426-SM-9KNV4 60-69 years, male 2.7
GTEX-1GMR8-0126-SM-9WYTM 50-59 years, female 2.7
GTEX-1GPI6-0126-SM-9WG69 60-69 years, male 2.7
GTEX-1I1GP-2226-SM-CGQFK 50-59 years, male 2.7
GTEX-1IL2V-0126-SM-CM2TX 70-79 years, male 2.7
GTEX-1J1OQ-0226-SM-CYPSH 40-49 years, female 2.7
GTEX-1JJEA-0326-SM-CNPOT 60-69 years, male 2.7
GTEX-1KANA-0726-SM-D3L9I 20-29 years, male 2.7
GTEX-1KD4Q-0226-SM-E9TJ9 40-49 years, male 2.7
GTEX-1KD5A-0226-SM-D5OV3 50-59 years, male 2.7
GTEX-1LG7Z-1726-SM-D3LA4 30-39 years, male 2.7
GTEX-1POEN-0126-SM-EYYXJ 30-39 years, female 2.7
GTEX-1QCLY-0326-SM-E8VOG 30-39 years, male 2.7
GTEX-1RB15-2126-SM-E9TIM 60-69 years, male 2.7
GTEX-RVPV-0126-SM-EAZAW 60-69 years, male 2.7
GTEX-13112-2826-SM-5DUWH 50-59 years, male 2.6
GTEX-13OW6-0426-SM-5L3HM 50-59 years, male 2.6
GTEX-13PVR-2326-SM-5QGR1 60-69 years, female 2.6
GTEX-13SLX-0526-SM-5S2ON 50-59 years, female 2.6
GTEX-13X6J-0126-SM-5QGOU 50-59 years, male 2.6
GTEX-148VI-1626-SM-5SI6E 60-69 years, female 2.6
GTEX-14BMV-0126-SM-5S2PO 50-59 years, male 2.6
GTEX-15DYW-0126-SM-7KULE 60-69 years, female 2.6
GTEX-15EOM-0126-SM-7KUGG 20-29 years, female 2.6
GTEX-1C475-1826-SM-73KWA 40-49 years, female 2.6
GTEX-1CB4J-0626-SM-7DHMP 60-69 years, male 2.6
GTEX-Q2AI-1326-SM-2S1PL 40-49 years, male 2.6
GTEX-SIU8-0126-SM-2XCDT 50-59 years, male 2.6
GTEX-X4EO-0326-SM-3P5YO 60-69 years, female 2.6
GTEX-X4XY-0226-SM-4E3IZ 60-69 years, male 2.6
GTEX-ZAJG-0126-SM-5HL94 50-59 years, female 2.6
GTEX-1F6RS-0126-SM-9MQKZ 60-69 years, female 2.6
GTEX-1H3VE-0326-SM-9YFLH 40-49 years, male 2.6
GTEX-1HBPI-1526-SM-C1YQ1 50-59 years, male 2.6
GTEX-1HKZK-0326-SM-9WYUH 40-49 years, male 2.6
GTEX-1IL2U-0226-SM-CE6T8 60-69 years, male 2.6
GTEX-1PFEY-1526-SM-E76PP 30-39 years, male 2.6
GTEX-ZVT4-0126-SM-DTXFN 50-59 years, female 2.6
GTEX-1192X-0226-SM-5H12D 50-59 years, male 2.5
GTEX-11TTK-0126-SM-5987B 60-69 years, female 2.5
GTEX-13CF2-2526-SM-5LZYX 60-69 years, male 2.5
GTEX-13FTW-2626-SM-5K7WL 40-49 years, male 2.5
GTEX-145LU-0126-SM-5TDCB 50-59 years, male 2.5
GTEX-145MF-0626-SM-5LUAI 50-59 years, male 2.5
GTEX-14A5H-0426-SM-5QGQF 60-69 years, male 2.5
GTEX-14DAQ-0126-SM-5S2MQ 60-69 years, female 2.5
GTEX-14JG6-2226-SM-6EU2G 30-39 years, female 2.5
GTEX-17EVQ-0226-SM-7LG4P 70-79 years, male 2.5
GTEX-17KNJ-2326-SM-7DHLQ 50-59 years, male 2.5
GTEX-18A6Q-0126-SM-731BZ 60-69 years, male 2.5
GTEX-18QFQ-0126-SM-731BE 30-39 years, male 2.5
GTEX-PVOW-0126-SM-2XCFA 40-49 years, male 2.5
GTEX-SUCS-1926-SM-32PM3 70-79 years, male 2.5
GTEX-VUSG-2526-SM-4KL1V 50-59 years, male 2.5
GTEX-W5WG-1826-SM-4KL2Y 50-59 years, female 2.5
GTEX-WVJS-0126-SM-4MVOT 50-59 years, male 2.5
GTEX-WYJK-0126-SM-3NMAB 50-59 years, male 2.5
GTEX-XAJ8-0826-SM-47JY6 40-49 years, male 2.5
GTEX-XBED-2226-SM-47JYQ 60-69 years, male 2.5
GTEX-XUZC-1726-SM-4BRWS 30-39 years, female 2.5
GTEX-YJ8A-0426-SM-5IFID 20-29 years, male 2.5
GTEX-ZAB5-1826-SM-5HL7C 50-59 years, male 2.5
GTEX-ZEX8-2426-SM-4WKG4 50-59 years, male 2.5
GTEX-ZTSS-1926-SM-57WEW 40-49 years, male 2.5
GTEX-ZVT3-0126-SM-5GU6I 60-69 years, female 2.5
GTEX-1GMRU-0126-SM-9YFLV 50-59 years, male 2.5
GTEX-1GN1U-0126-SM-7PBZK 50-59 years, female 2.5
GTEX-1HCU9-1526-SM-A9SL7 20-29 years, male 2.5
GTEX-1HFI6-0226-SM-ADEHZ 40-49 years, male 2.5
GTEX-1HFI7-1826-SM-ACKXH 50-59 years, female 2.5
GTEX-1I1GR-0126-SM-CL55F 60-69 years, male 2.5
GTEX-1M5QR-1226-SM-EWROB 40-49 years, male 2.5
GTEX-1R7EV-2426-SM-EVYBG 40-49 years, male 2.5
GTEX-11LCK-1026-SM-5A5KB 30-39 years, male 2.4
GTEX-11UD2-0226-SM-5EQKY 50-59 years, male 2.4
GTEX-1269C-2526-SM-5EGJ3 60-69 years, female 2.4
GTEX-13O21-1426-SM-5K7XI 50-59 years, male 2.4
GTEX-13SLW-0126-SM-5SI6C 70-79 years, male 2.4
GTEX-145MO-0326-SM-5Q5B3 60-69 years, male 2.4
GTEX-146FH-0126-SM-5QGPP 50-59 years, female 2.4
GTEX-17EVP-0326-SM-7DHLG 40-49 years, male 2.4
GTEX-17HHY-0126-SM-7LG5D 50-59 years, male 2.4
GTEX-18465-0126-SM-731BN 50-59 years, male 2.4
GTEX-1AYD5-2426-SM-73KXR 50-59 years, male 2.4
GTEX-P4QT-0126-SM-2I3FL 50-59 years, female 2.4
GTEX-QESD-1426-SM-2S1R9 20-29 years, male 2.4
GTEX-QLQW-1126-SM-2S1Q8 30-39 years, male 2.4
GTEX-R55G-2526-SM-2TC6D 40-49 years, female 2.4
GTEX-TMMY-0226-SM-33HBA 40-49 years, female 2.4
GTEX-WFON-2126-SM-3LK7O 40-49 years, male 2.4
GTEX-ZVTK-0426-SM-51MRS 20-29 years, male 2.4
GTEX-1A8FM-0226-SM-7SB7Q 50-59 years, female 2.4
GTEX-1CB4G-0226-SM-7PC3O 60-69 years, male 2.4
GTEX-1HSEH-0126-SM-ACKXN 60-69 years, male 2.4
GTEX-1IDJH-0326-SM-A9SLQ 70-79 years, male 2.4
GTEX-1JMLX-0226-SM-CM2RO 50-59 years, male 2.4
GTEX-1MCQQ-0826-SM-DLHC2 60-69 years, male 2.4
GTEX-1OFPY-2426-SM-DTXEJ 60-69 years, male 2.4
GTEX-113JC-2326-SM-5EQ4E 50-59 years, female 2.3
GTEX-117YW-2626-SM-5GZZH 50-59 years, male 2.3
GTEX-11O72-0126-SM-59887 40-49 years, male 2.3
GTEX-13111-1626-SM-5EGJY 50-59 years, male 2.3
GTEX-13FTY-0526-SM-5L3EV 40-49 years, female 2.3
GTEX-144GL-0126-SM-5TDE2 50-59 years, male 2.3
GTEX-146FQ-0126-SM-5NQA9 30-39 years, male 2.3
GTEX-14JG1-0426-SM-6ETZZ 40-49 years, male 2.3
GTEX-15ER7-0326-SM-7KUEV 20-29 years, female 2.3
GTEX-16GPK-0126-SM-7DHLE 60-69 years, male 2.3
GTEX-16NPX-0226-SM-79OMT 50-59 years, male 2.3
GTEX-OOBK-0126-SM-2YUND 40-49 years, male 2.3
GTEX-T2IS-0126-SM-4DM6O 20-29 years, female 2.3
GTEX-T2YK-0526-SM-32QPJ 50-59 years, male 2.3
GTEX-T5JC-0426-SM-32PLO 20-29 years, male 2.3
GTEX-X5EB-2226-SM-46MW4 40-49 years, male 2.3
GTEX-ZF28-0126-SM-4WKGK 60-69 years, male 2.3
GTEX-11TUW-2726-SM-E9J4M 60-69 years, male 2.3
GTEX-1HB9E-0226-SM-E9U4R 50-59 years, male 2.3
GTEX-1HSMO-0126-SM-CL547 60-69 years, male 2.3
GTEX-1I1CD-0126-SM-CM2TK 60-69 years, female 2.3
GTEX-1JMQJ-0526-SM-CYPSU 50-59 years, male 2.3
GTEX-1LSNM-1926-SM-E6CII 50-59 years, male 2.3
GTEX-1N2DV-0226-SM-E6CJ6 40-49 years, male 2.3
GTEX-1R46S-0626-SM-E9J41 60-69 years, female 2.3
GTEX-1R9K4-0126-SM-DTX9X 60-69 years, male 2.3
GTEX-R45C-0126-SM-EAZ2R 60-69 years, female 2.3
GTEX-11DYG-0126-SM-59883 60-69 years, male 2.2
GTEX-11OC5-0126-SM-5HL6A 60-69 years, male 2.2
GTEX-12584-0126-SM-5EGKQ 40-49 years, male 2.2
GTEX-12WSC-0126-SM-5EQ4P 50-59 years, male 2.2
GTEX-12ZZX-0126-SM-5EGK9 40-49 years, female 2.2
GTEX-1313W-0126-SM-5LZUN 50-59 years, female 2.2
GTEX-132NY-0326-SM-5IJBL 60-69 years, male 2.2
GTEX-1399R-2726-SM-5IJBA 30-39 years, male 2.2
GTEX-139T4-0226-SM-5HL5S 50-59 years, female 2.2
GTEX-13O1R-0126-SM-5L3EH 60-69 years, male 2.2
GTEX-13OW8-1326-SM-5J1OW 60-69 years, male 2.2
GTEX-14PII-0226-SM-6EU1T 60-69 years, male 2.2
GTEX-17F97-0326-SM-7LG5B 50-59 years, male 2.2
GTEX-18A7B-0126-SM-7LG64 70-79 years, male 2.2
GTEX-18D9A-1926-SM-7LG6P 30-39 years, female 2.2
GTEX-1CAMR-1926-SM-7EPI2 20-29 years, male 2.2
GTEX-1CB4E-2226-SM-793DC 60-69 years, male 2.2
GTEX-1E1VI-0126-SM-7DHMZ 50-59 years, male 2.2
GTEX-OXRO-0126-SM-2YUN4 60-69 years, female 2.2
GTEX-S32W-2126-SM-2XCB1 50-59 years, female 2.2
GTEX-ZDXO-3026-SM-5J1N5 60-69 years, male 2.2
GTEX-ZYW4-0126-SM-5E44A 60-69 years, male 2.2
GTEX-1GZ2Q-0226-SM-7P8TL 40-49 years, male 2.2
GTEX-1H1DG-0126-SM-9WYU2 70-79 years, male 2.2
GTEX-1HCU6-0126-SM-CL54K 60-69 years, female 2.2
GTEX-1HSMP-0126-SM-E6CJS 70-79 years, male 2.2
GTEX-1JJ6O-0126-SM-E6CI8 60-69 years, male 2.2
GTEX-1K9T9-0126-SM-EVYCF 50-59 years, female 2.2
GTEX-1KAFJ-2026-SM-CY8ID 50-59 years, male 2.2
GTEX-1MJK2-0426-SM-DTXE5 50-59 years, male 2.2
GTEX-OOBJ-0126-SM-E6CJW 60-69 years, male 2.2
GTEX-11DZ1-0126-SM-5985Q 50-59 years, male 2.1
GTEX-11OF3-2626-SM-5GU7F 60-69 years, male 2.1
GTEX-11TT1-2526-SM-5EGIB 20-29 years, male 2.1
GTEX-131YS-0126-SM-5KM1M 60-69 years, female 2.1
GTEX-139T8-0126-SM-5K7XZ 60-69 years, male 2.1
GTEX-144GN-2326-SM-5LU4F 50-59 years, male 2.1
GTEX-145LV-2126-SM-5LU8N 50-59 years, male 2.1
GTEX-14753-0426-SM-5NQAM 60-69 years, male 2.1
GTEX-14C5O-0126-SM-5SI6N 60-69 years, male 2.1
GTEX-14ICK-0226-SM-6EU25 40-49 years, male 2.1
GTEX-14PJM-0226-SM-62LF1 50-59 years, female 2.1
GTEX-15CHC-2126-SM-6EU21 60-69 years, female 2.1
GTEX-17HII-0226-SM-7LG4E 50-59 years, male 2.1
GTEX-1B8KE-2126-SM-73KYX 50-59 years, male 2.1
GTEX-1B8KZ-2026-SM-7DHMB 50-59 years, male 2.1
GTEX-T6MN-0126-SM-32PLP 50-59 years, male 2.1
GTEX-U8T8-0126-SM-3DB94 60-69 years, male 2.1
GTEX-WQUQ-0426-SM-3MJFU 60-69 years, male 2.1
GTEX-Y114-2426-SM-4TT8A 50-59 years, female 2.1
GTEX-Y8LW-1826-SM-5S2MV 50-59 years, female 2.1
GTEX-ZAK1-0126-SM-5IJD3 50-59 years, female 2.1
GTEX-ZDTS-0126-SM-4WAY5 60-69 years, male 2.1
GTEX-ZU9S-0226-SM-5E441 30-39 years, male 2.1
GTEX-ZV68-0126-SM-59HKS 50-59 years, female 2.1
GTEX-ZZ64-1726-SM-5GZYB 20-29 years, male 2.1
GTEX-1EX96-1626-SM-7PBXR 50-59 years, male 2.1
GTEX-1F6IF-0726-SM-7P8TW 60-69 years, male 2.1
GTEX-1F88F-2726-SM-7PBZZ 60-69 years, female 2.1
GTEX-1GF9W-0326-SM-9KNUN 60-69 years, male 2.1
GTEX-1GTWX-0126-SM-9YFLK 60-69 years, male 2.1
GTEX-1LNCM-1126-SM-E9U5E 50-59 years, female 2.1
GTEX-1PPH8-0226-SM-E8VND 20-29 years, male 2.1
GTEX-11WQC-2526-SM-5CVLE 60-69 years, male 2.0
GTEX-11ZTT-2426-SM-5EQLS 60-69 years, female 2.0
GTEX-12WSD-0126-SM-59HKN 60-69 years, female 2.0
GTEX-139UW-2826-SM-5L3E7 60-69 years, male 2.0
GTEX-13OVL-0226-SM-5L3E9 50-59 years, male 2.0
GTEX-13OW7-0126-SM-5MR3B 50-59 years, male 2.0
GTEX-13YAN-0326-SM-5O9DF 60-69 years, male 2.0
GTEX-14E7W-0126-SM-6LLJ9 70-79 years, male 2.0
GTEX-14PN4-0126-SM-6EU2V 50-59 years, male 2.0
GTEX-15ETS-0126-SM-7KUMW 40-49 years, female 2.0
GTEX-18A66-0226-SM-718BD 60-69 years, male 2.0
GTEX-18A7A-0226-SM-718BH 50-59 years, female 2.0
GTEX-1A3MV-1926-SM-718BT 30-39 years, male 2.0
GTEX-SJXC-0126-SM-2XCFF 60-69 years, male 2.0
GTEX-WZTO-0126-SM-3NM95 40-49 years, male 2.0
GTEX-X585-0226-SM-4QAS2 50-59 years, male 2.0
GTEX-XXEK-2226-SM-4BRUM 50-59 years, male 2.0
GTEX-ZDTT-2726-SM-4WKF8 60-69 years, male 2.0
GTEX-1EMGI-0126-SM-9KNUE 60-69 years, male 2.0
GTEX-1EN7A-0126-SM-7SB81 40-49 years, male 2.0
GTEX-1GN1V-0126-SM-9WPOS 60-69 years, male 2.0
GTEX-1H3O1-0426-SM-9YFKY 60-69 years, male 2.0
GTEX-1HCU8-0626-SM-A9SM9 60-69 years, female 2.0
GTEX-1HSKV-0226-SM-A9SKJ 60-69 years, male 2.0
GTEX-1I6K6-0126-SM-A9SLE 30-39 years, male 2.0
GTEX-1J8JJ-0226-SM-CL53I 60-69 years, female 2.0
GTEX-1KWVE-1426-SM-E9TJO 30-39 years, male 2.0
GTEX-PSDG-0226-SM-DKPOZ 50-59 years, male 2.0
GTEX-1128S-2326-SM-5GZZY 60-69 years, female 1.9
GTEX-11UD1-0126-SM-5PNYG 40-49 years, female 1.9
GTEX-12WSL-2526-SM-5GCNJ 50-59 years, male 1.9
GTEX-139TU-0126-SM-5K7WH 60-69 years, male 1.9
GTEX-13O3P-0126-SM-5KM4S 50-59 years, male 1.9
GTEX-14LLW-0126-SM-6LLIO 70-79 years, female 1.9
GTEX-14PK6-1926-SM-6ETZU 70-79 years, female 1.9
GTEX-1B8SF-1426-SM-7DUGL 60-69 years, male 1.9
GTEX-O5YT-0126-SM-48TBW 20-29 years, male 1.9
GTEX-RTLS-0126-SM-447CA 60-69 years, female 1.9
GTEX-Y5V6-2426-SM-4VDSB 60-69 years, male 1.9
GTEX-ZYFD-0126-SM-5GIDL 50-59 years, male 1.9
GTEX-1B8L1-2526-SM-9WYTF 60-69 years, male 1.9
GTEX-1GMR3-1926-SM-9KNUZ 40-49 years, male 1.9
GTEX-1HCUA-2426-SM-ADEIS 50-59 years, female 1.9
GTEX-1I1GS-0126-SM-B2LVW 60-69 years, male 1.9
GTEX-1JMOU-1526-SM-CL54I 60-69 years, female 1.9
GTEX-1JN1M-0326-SM-CYPT3 60-69 years, female 1.9
GTEX-1JN6P-0126-SM-D3L98 60-69 years, male 1.9
GTEX-ZQG8-1626-SM-DHXIT 60-69 years, female 1.9
GTEX-11GSO-2426-SM-5A5LY 60-69 years, male 1.8
GTEX-1211K-2026-SM-5EQ4Z 60-69 years, female 1.8
GTEX-12ZZZ-0626-SM-5DUXI 60-69 years, male 1.8
GTEX-14XAO-2326-SM-6EU1B 60-69 years, female 1.8
GTEX-15F5U-1526-SM-6PANO 40-49 years, male 1.8
GTEX-16AAH-1726-SM-7939C 50-59 years, male 1.8
GTEX-RUSQ-1526-SM-2TF62 50-59 years, male 1.8
GTEX-YB5E-2026-SM-5IFIS 40-49 years, male 1.8
GTEX-13OW5-0126-SM-DTXFS 60-69 years, male 1.8
GTEX-1C6WA-0126-SM-7PC2B 60-69 years, male 1.8
GTEX-1CAV2-2226-SM-7P8P2 40-49 years, female 1.8
GTEX-1EU9M-0226-SM-7P8SP 60-69 years, male 1.8
GTEX-1GN2E-0426-SM-9MQKX 60-69 years, male 1.8
GTEX-1HUB1-0426-SM-E9U4U 60-69 years, male 1.8
GTEX-1I4MK-2226-SM-ACKWD 50-59 years, female 1.8
GTEX-1IKK5-0626-SM-ARL8A 60-69 years, male 1.8
GTEX-1J1R8-1726-SM-ARL8M 40-49 years, male 1.8
GTEX-1QP9N-1426-SM-DTXFL 30-39 years, male 1.8
GTEX-11GSP-2526-SM-5N9BP 60-69 years, female 1.7
GTEX-11NUK-0126-SM-5A5L3 50-59 years, male 1.7
GTEX-11ZTS-0126-SM-5EQ6M 60-69 years, female 1.7
GTEX-12WSK-2326-SM-5GCOH 40-49 years, female 1.7
GTEX-13NZ8-0826-SM-5MR3I 60-69 years, female 1.7
GTEX-13NZA-0226-SM-5K7Z7 60-69 years, male 1.7
GTEX-13NZB-2526-SM-5J1OM 30-39 years, male 1.7
GTEX-1A3MW-0126-SM-73KXX 60-69 years, female 1.7
GTEX-T8EM-1026-SM-3DB7M 40-49 years, male 1.7
GTEX-U8XE-0326-SM-3DB8P 30-39 years, male 1.7
GTEX-WH7G-2326-SM-3NMBC 40-49 years, male 1.7
GTEX-XQ3S-1526-SM-4BOOC 20-29 years, male 1.7
GTEX-ZYFC-0226-SM-5NQ75 50-59 years, male 1.7
GTEX-13O3O-0126-SM-E9J49 60-69 years, female 1.7
GTEX-1F75A-0126-SM-7RHGM 50-59 years, male 1.7
GTEX-1GL5R-1826-SM-9KNUY 50-59 years, male 1.7
GTEX-1HGF4-2426-SM-ACKXM 60-69 years, male 1.7
GTEX-1JMQL-0226-SM-CNPP5 50-59 years, female 1.7
GTEX-1MA7X-2226-SM-E6CIY 60-69 years, male 1.7
GTEX-1QMI2-0226-SM-EVYBX 60-69 years, male 1.7
GTEX-1RAZA-0126-SM-E6CI3 20-29 years, male 1.7
GTEX-111VG-2426-SM-5GZXD 60-69 years, male 1.6
GTEX-117XS-2726-SM-5N9BL 60-69 years, male 1.6
GTEX-13W46-0226-SM-5SIAG 50-59 years, male 1.6
GTEX-1A32A-0126-SM-718B1 50-59 years, female 1.6
GTEX-OHPM-0126-SM-2YUN9 50-59 years, male 1.6
GTEX-RU72-0926-SM-2TF6B 50-59 years, female 1.6
GTEX-U412-0426-SM-3DB9O 60-69 years, male 1.6
GTEX-WI4N-1026-SM-3LK7N 40-49 years, female 1.6
GTEX-1EKGG-0226-SM-9WYTH 60-69 years, male 1.6
GTEX-1EWIQ-0126-SM-7RHH2 70-79 years, female 1.6
GTEX-1GN73-0226-SM-9WG67 60-69 years, male 1.6
GTEX-1H2FU-0126-SM-9WYSI 60-69 years, female 1.6
GTEX-1I1GV-0526-SM-A9G29 60-69 years, male 1.6
GTEX-1IKOH-0226-SM-COH4E 60-69 years, female 1.6
GTEX-1PIIG-0226-SM-EWRN6 30-39 years, male 1.6
GTEX-1PWST-0226-SM-E76QJ 70-79 years, male 1.6
GTEX-139TT-0126-SM-5K7Y5 60-69 years, male 1.5
GTEX-13FXS-0226-SM-5IJCK 50-59 years, male 1.5
GTEX-13N1W-0126-SM-5K7VT 70-79 years, male 1.5
GTEX-OXRP-0126-SM-3NB32 60-69 years, female 1.5
GTEX-TKQ1-1026-SM-4GICL 30-39 years, male 1.5
GTEX-WRHK-1426-SM-3MJF9 20-29 years, female 1.5
GTEX-WYVS-2126-SM-3NMA3 40-49 years, female 1.5
GTEX-1H3VY-0126-SM-ACKXD 50-59 years, male 1.5
GTEX-13VXU-0126-SM-5SI9F 50-59 years, male 1.4
GTEX-14E6C-0126-SM-5RQIP 40-49 years, male 1.4
GTEX-14PHX-2326-SM-62LEM 50-59 years, male 1.4
GTEX-16YQH-0126-SM-7DUFJ 30-39 years, male 1.4
GTEX-17HG3-2226-SM-7938L 30-39 years, female 1.4
GTEX-NFK9-0226-SM-2HMKQ 40-49 years, male 1.4
GTEX-SN8G-0126-SM-32PLI 50-59 years, female 1.4
GTEX-ZDYS-2026-SM-5HL5L 50-59 years, male 1.4
GTEX-ZWKS-0126-SM-5SIAA 30-39 years, male 1.4
GTEX-1IOXB-0126-SM-ARL8G 50-59 years, male 1.4
GTEX-1LB8K-0226-SM-EWRNW 50-59 years, male 1.4
GTEX-1MGNQ-0126-SM-EVYCJ 40-49 years, male 1.4
GTEX-ZF3C-0126-SM-DO92D 50-59 years, female 1.4
GTEX-1192W-2626-SM-5Q5AF 60-69 years, male 1.3
GTEX-11DXZ-2326-SM-5EGGV 50-59 years, male 1.3
GTEX-13OVJ-0126-SM-5KM36 50-59 years, female 1.3
GTEX-S7PM-0126-SM-4AD6S 60-69 years, male 1.3
GTEX-Y3IK-2426-SM-4WWDU 50-59 years, female 1.3
GTEX-Y8DK-0126-SM-4TT3L 60-69 years, male 1.3
GTEX-YB5K-2126-SM-4WWDJ 40-49 years, female 1.3
GTEX-1HBPM-0226-SM-ARL9F 60-69 years, female 1.3
GTEX-1N2EF-0226-SM-EYYXB 60-69 years, male 1.3
GTEX-131XG-2626-SM-5KM17 50-59 years, female 1.2
GTEX-13O3Q-2426-SM-5IJBR 50-59 years, male 1.2
GTEX-1AX9J-0226-SM-73KXM 60-69 years, male 1.2
GTEX-QEG4-0226-SM-2S1PY 30-39 years, male 1.2
GTEX-RWSA-0126-SM-2XCBB 40-49 years, male 1.2
GTEX-1R9PM-2026-SM-E76OY 20-29 years, male 1.2
GTEX-1399U-2326-SM-5K7WY 50-59 years, female 1.1
GTEX-1GZHY-0326-SM-9QEHI 50-59 years, female 1.1
GTEX-1JMPY-1326-SM-ARL8Y 30-39 years, male 1.1
GTEX-X8HC-0126-SM-4E3JW 50-59 years, female 1.0
GTEX-YEC4-2126-SM-5IFJH 40-49 years, male 1.0
GTEX-1H23P-0126-SM-ADEJ3 60-69 years, male 1.0
GTEX-Q2AH-1626-SM-3GAF8 40-49 years, male 0.9
GTEX-Y111-0126-SM-4SOIV 50-59 years, male 0.9
GTEX-1AX9I-0126-SM-7SB74 60-69 years, male 0.9
GTEX-XUW1-0426-SM-4BOOT 50-59 years, female 0.8
GTEX-11XUK-2026-SM-5EQLF 40-49 years, female 0.6
Show allShow less

Contact

  • NEWS ARTICLES
  • PRESS ROOM

The Project

  • INTRODUCTION
  • ORGANIZATION
  • PUBLICATIONS

The Human Protein Atlas

  • DOWNLOADABLE DATA
  • LICENCE & CITATION
  • HELP & FAQ
The Human Protein Atlas project is funded
by the Knut & Alice Wallenberg Foundation.


contact@proteinatlas.org