We use cookies to enhance the usability of our website. If you continue, we'll assume that you are happy to receive all cookies. More information. Don't show this again.
RPS21
HPA
RESOURCES
  • TISSUE
  • BRAIN
  • SINGLE CELL
  • SUBCELLULAR
  • CANCER
  • BLOOD
  • CELL LINE
  • STRUCTURE & INTERACTION
ABOUT
  • INTRODUCTION
  • HISTORY
  • ORGANIZATION
  • PUBLICATIONS
  • ANTIBODY SUBMISSION
  • ANTIBODY AVAILABILITY
  • ACKNOWLEDGMENTS
  • CONTACT
NEWS
  • NEWS ARTICLES
  • PRESS ROOM
LEARN
  • DICTIONARY
  • PROTEIN CLASSES
  • PROTEIN EVIDENCE
  • METHODS
  • EDUCATIONAL VIDEOS
DATA
  • DOWNLOADABLE DATA
  • PUBLICATION DATA
  • RELEASE HISTORY
HELP
  • ANTIBODY VALIDATION
  • ASSAYS & ANNOTATION
  • DISCLAIMER
  • HELP & FAQ
  • PRIVACY STATEMENT
  • LICENCE & CITATION
Fields »
Search result

Field
Term
Gene name
Class
Subclass
Class
Keyword
Chromosome
External id
Tissue
Cell type
Expression
Antibody panel
Tissue
Main location
Patient ID
Annotation
Tissue
Category
Tau score
Cluster
Reliability
Brain region
Category
Tau score
Brain region
Category
Tau score
Brain region
Category
Tau score
Cluster
Reliability
Tissue
Cell type
Enrichment
Cell type
Category
Tau score
Cell type
Category
Tau score
Cell type
Category
Tau score
Cell lineage
Category
Tau score
Cluster
Cluster
Location
Searches
Location
Cell line
Class
Type
Phase
Reliability
Cancer
Prognosis
Cancer
Category
Cancer
Category
Tau score
Cluster
Variants
Interacting gene (ensg_id)
Type
Number of interactions
Pathway
Category
Score
Score
Score
Validation
Validation
Validation
Validation
Antibodies
Data type
Column


  • SUMMARY

  • TISSUE

  • BRAIN

  • SINGLE CELL

  • SUBCELL

  • CANCER

  • BLOOD

  • CELL LINE

  • STRUCT & INT

  • RPS21
CANCER LIVER CANCER Show tissue menu
BREAST CANCER CARCINOID CERVICAL CANCER COLORECTAL CANCER ENDOMETRIAL CANCER GLIOMA HEAD AND NECK CANCER LIVER CANCER LUNG CANCER LYMPHOMA
MELANOMA OVARIAN CANCER PANCREATIC CANCER PROSTATE CANCER RENAL CANCER SKIN CANCER STOMACH CANCER TESTIS CANCER THYROID CANCER UROTHELIAL CANCER
LIHC TCGA LIHC VALIDATION PROTEIN LIHC CPTAC PROTEIN EXPRESSION
ANTIBODIES
AND
VALIDATION
Dictionary
Liver cancer
Human cancer
Liver hepatocellular carcinoma
LIVER HEPATOCELLULAR CARCINOMA (TCGA) - Interactive survival scatter ploti

The Survival Scatter plot shows the clinical status (i.e. dead or alive) for all individuals in the patient cohort, based on the same data that underlies the corresponding Kaplan-Meier plots. Patients that are alive at last time for follow-up are shown in blue and patients who have died during the study are shown in red.

The x-axis shows the expression levels (FPKM) of the investigated gene in the tumor tissue at the time of diagnosis. The y-axis shows the follow-up time after diagnosis (years). Both axes are complimented with kernel density curves demonstrating the data density over the axes. The top density plot shows the expression levels (FPKM) distribution among dead (red) and alive patients (blue). The right density plot shows the data density of the survived years of dead patients with high and low expression levels respectively, stratified using the cutoff indicated by the vertical dashed line through the Survival Scatter plot. This cutoff is automatically defined based on the FPKM cutoff that minimizes the p-score. The cutoff can be changed by dragging the vertical line or by entering a cutoff value in the square labeled "Current cut-off".

Under the Survival Scatter plot the p-score landscape (black curve; left axis) is shown together with dead median separation (red curve; right axis). Dead median separation is the difference in median mRNA expression between patients who have died with high and low expression, respectively. It is calculated as follows: median FPKM expression of dead patients with high expression - median FPKM expression of dead patients with low expression. This is intended to aid the user in visually exploring custom cutoffs and the associated p-scores and dead median separation.

Individual patient data is displayed and can be filtered by clicking on one or more of the category buttons on the top of the page. Categories describing expression level and patient information include: high, low, alive, dead, female, male and tumor stages. The scale of the x-axis can be toggled between linear and log-scale by clicking on the "x log" button. Mouse-over function shows TCGA ID, patient information and mRNA expression (FPKM) for each patient.

& Survival analysisi

Kaplan-Meier plots summarize results from analysis of correlation between mRNA expression level and patient survival. Patients were divided based on level of expression into one of the two groups "low" (under cut off) or "high" (over cut off). X-axis shows time for survival (years) and y-axis shows the probability of survival, where 1.0 corresponds to 100 percent.

RPS21 is validated prognostic, high expression is unfavorable in Liver Hepatocellular Carcinoma (TCGA)


Stage:


Survival analysis
Current cut offi

Current cut-off shows the cut-off (FPKM) currently selected. It may be changed manually. When the current cut-off is changed, the vertical dashed line indicating cut-off, the interactive survival scatter plot and the Kaplan-Meier curve will be automatically adjusted to show results accordingly.

:
Best expression cut offi

Based on the FPKM value of each gene, patients were classified into two groups and association between prognosis (survival) and gene expression (FPKM) was examined. The best expression cut-off refers the FPKM value that yields maximal difference with regard to survival between the two groups at the lowest log-rank P-value. Best expression cut-off was selected based on survival analysis .

When clicking on this number, the vertical dashed line indicating cut-off, the interactive survival plot, and the Kaplan-Meier curve will be adjusted to show results based on the best expression cut-off.

: 1731.67
Median expressioni

Median expression refers to the median FPKM value calculated based on the gene expression (FPKM) data from all patients in this dataset. When clicking on this number, the vertical dashed line indicating cut-off, the interactive survival plot, and the Kaplan-Meier curve will be adjusted to show results based on the median expression.

: N/A
Median follow up timei

Median follow up time refers to the median time (years) after diagnosis with this type of cancer, based on clinical data from all patients in this dataset.

: N/A
P scorei

Log-rank P value for Kaplan-Meier plot showing results from analysis of correlation between mRNA expression level and patient survival.

N/A
5-year survival highi

5-year survival for patients with higher expression than the expression cutoff.

For melanoma and glioma, 3-year survival is shown.

N/A
5-year survival lowi

5-year survival for patients with lower expression than the expression cutoff.

For melanoma and glioma, 3-year survival is shown.

N/A
TCGA RNA samplesi

RNA-seq data is reported as average FPKM (number Fragments Per Kilobase of exon per Million reads), generated by the The Cancer Genome Atlas (TCGA) .

Normal distribution across the dataset is visualized with box plots, shown as median and 25th and 75th percentiles. Points are displayed as outliers if they are above or below 1.5 times the interquartile range. FPKM values of the individual samples are presented next to the box plot.

Average pTPM 1729.9
Number of samples 362
Samples
Sample Description pTPM
TCGA-CC-A7II-01A 54 years, male, asian, stage:Stage IIIA, alive, 399 days 12387.8
TCGA-DD-AAE0-01A 45 years, female, asian, stage:Stage IIIA, alive, 555 days 10631.0
TCGA-BC-A69H-01A 64 years, male, white, stage:Stage II, alive, 444 days 7439.6
TCGA-FV-A4ZP-01A 78 years, male, white, stage:Stage IIIA, dead, 2486 days 6846.5
TCGA-G3-A25X-01A 73 years, male, asian, stage:Stage II, alive, 1779 days 6134.2
TCGA-G3-AAV6-01A 53 years, female, white, stage:Stage IIIA, dead, 65 days 5939.2
TCGA-G3-A7M9-01A 70 years, male, white, stage:Stage IIIB, dead, 56 days 5711.3
TCGA-CC-A8HU-01A 39 years, female, asian, stage:Stage IIIA, dead, 344 days 5658.6
TCGA-DD-AADN-01A 59 years, male, asian, stage:Stage I, alive, 898 days 5179.3
TCGA-DD-A39V-01A 77 years, male, white, stage:Stage II, dead, 643 days 5020.8
TCGA-DD-AACP-01A 64 years, male, asian, stage:Stage I, alive, 415 days 4788.0
TCGA-DD-AADO-01A 55 years, male, asian, stage:Stage I, alive, 453 days 4786.9
TCGA-EP-A2KA-01A 52 years, female, white, stage:Stage IIIA, dead, 627 days 4748.8
TCGA-CC-A123-01A 24 years, female, asian, stage:Stage IIIA, alive, 219 days 4744.1
TCGA-KR-A7K7-01A 61 years, female, white, stage:Stage II, alive, 951 days 4401.4
TCGA-DD-A73G-01A 73 years, female, white, stage:Stage I, alive, 3478 days 4226.4
TCGA-DD-AAVU-01A 46 years, male, asian, stage:Stage II, alive, 2202 days 4212.1
TCGA-CC-A8HS-01A 18 years, male, asian, stage:Stage IIIC, dead, 300 days 4205.5
TCGA-ES-A2HS-01A 80 years, male, white, stage:Stage I, dead, 688 days 4156.0
TCGA-CC-A5UE-01A 48 years, male, asian, stage:Stage IIIB, dead, 272 days 4102.0
TCGA-ED-A8O5-01A 59 years, female, asian, stage:Stage IIIA, alive, 406 days 4078.6
TCGA-BW-A5NO-01A 50 years, male, black or african american, stage:Stage IIIA, alive, 20 days 3923.3
TCGA-UB-A7MA-01A 62 years, female, white, stage:Stage II, alive, 848 days 3917.9
TCGA-G3-A25T-01A 45 years, female, white, stage:Stage IIIA, alive, 1553 days 3843.8
TCGA-DD-AA3A-01A 81 years, female, white, stage:Stage I, dead, 410 days 3827.2
TCGA-DD-AACB-01A 74 years, female, asian, stage:Stage I, alive, 2324 days 3761.2
TCGA-RC-A6M6-01A 75 years, male, white, stage:Stage II, alive, 9 days 3740.4
TCGA-DD-AADS-01A 63 years, male, asian, stage:Stage I, alive, 474 days 3705.6
TCGA-DD-AADI-01A 43 years, female, asian, stage:Stage I, alive, 1085 days 3664.0
TCGA-DD-A4NN-01A 56 years, female, white, stage:Stage I, dead, 899 days 3631.6
TCGA-DD-AADD-01A 51 years, male, asian, stage:Stage I, alive, 1231 days 3457.8
TCGA-ED-A8O6-01A 50 years, female, asian, stage:Stage IIIA, dead, 56 days 3404.9
TCGA-CC-A3M9-01A 45 years, male, asian, stage:Stage IIIA, dead, 300 days 3308.1
TCGA-G3-A7M6-01A 60 years, female, white, stage:Stage I, alive, 632 days 3289.2
TCGA-CC-A7IE-01A 57 years, male, asian, stage:Stage IIIA, dead, 217 days 3262.0
TCGA-DD-AAC8-01A 72 years, male, asian, stage:Stage I, dead, 16 days 3233.3
TCGA-PD-A5DF-01A 58 years, female, white, stage:Stage IIIB, dead, 639 days 3225.2
TCGA-FV-A4ZQ-01A 52 years, male, white, stage:Stage I, alive, 12 days 3180.2
TCGA-DD-A3A9-01A 64 years, female, white, stage:Stage IVB, dead, 931 days 3169.6
TCGA-DD-AACG-01A 52 years, male, asian, stage:Stage II, dead, 469 days 3168.9
TCGA-FV-A3I0-01A 76 years, female, white, stage:Stage II, alive, 848 days 3123.7
TCGA-CC-5261-01A 44 years, male, asian, stage:Stage II, dead, 97 days 3073.0
TCGA-RG-A7D4-01A 69 years, male, black or african american, stage:Stage II, alive, 1098 days 3047.5
TCGA-CC-A7IG-01A 47 years, male, asian, stage:Stage II, dead, 299 days 3034.3
TCGA-CC-A9FW-01A 68 years, male, asian, stage:Stage IIIA, alive, 248 days 2950.5
TCGA-DD-A3A7-01A 67 years, male, stage:Stage IIIB, dead, 419 days 2945.9
TCGA-XR-A8TF-01A 74 years, male, white, stage:Stage I, dead, 693 days 2945.1
TCGA-DD-AACN-01A 32 years, male, asian, stage:Stage I, alive, 1302 days 2920.8
TCGA-UB-A7ME-01A 51 years, male, asian, stage:Stage I, alive, 486 days 2817.8
TCGA-FV-A495-01A 51 years, female, white, stage:Stage II, alive, 1 days 2761.3
TCGA-MI-A75G-01A 63 years, male, white, stage:Stage II, alive, 698 days 2744.5
TCGA-DD-A39Z-01A 43 years, female, stage:Stage II, dead, 601 days 2701.8
TCGA-BC-A10Q-01A 72 years, female, white, stage:'--, dead, 1135 days 2664.4
TCGA-DD-A39X-01A 78 years, female, white, stage:Stage I, dead, 1694 days 2655.4
TCGA-5C-A9VG-01A 58 years, male, white, stage:Stage II, alive, 328 days 2632.9
TCGA-DD-AACO-01A 40 years, male, asian, stage:Stage I, alive, 1876 days 2624.1
TCGA-CC-A1HT-01A 50 years, male, asian, stage:Stage IIIA, dead, 101 days 2583.6
TCGA-G3-A25S-01A 64 years, male, white, stage:Stage I, dead, 416 days 2582.3
TCGA-DD-AAD5-01A 54 years, male, asian, stage:Stage I, alive, 1345 days 2581.4
TCGA-DD-AACL-01A 66 years, female, asian, stage:Stage I, dead, 107 days 2535.5
TCGA-CC-A3MA-01A 61 years, male, asian, stage:Stage IIIA, dead, 303 days 2514.3
TCGA-DD-AACI-01A 69 years, male, asian, stage:Stage II, alive, 1618 days 2502.2
TCGA-ED-A5KG-01A 60 years, female, asian, stage:Stage II, alive, 854 days 2481.3
TCGA-BC-A112-01A 80 years, male, white, stage:'--, dead, 153 days 2480.3
TCGA-CC-A5UC-01A 63 years, male, asian, stage:Stage IIIA, dead, 347 days 2475.0
TCGA-DD-AAE6-01A 59 years, female, asian, stage:Stage I, alive, 141 days 2469.1
TCGA-DD-AAVV-01A 56 years, male, asian, stage:Stage II, alive, 2455 days 2427.8
TCGA-EP-A2KB-01A 46 years, female, white, stage:Stage I, dead, 596 days 2412.4
TCGA-CC-A8HV-01A 51 years, female, asian, stage:Stage II, dead, 279 days 2386.0
TCGA-2Y-A9GY-01A 64 years, female, white, stage:Stage II, dead, 757 days 2345.9
TCGA-G3-AAUZ-01A 48 years, male, stage:Stage I, alive, 480 days 2321.8
TCGA-DD-A3A5-01A 66 years, female, white, stage:Stage III, dead, 3125 days 2321.5
TCGA-DD-AADW-01A 48 years, male, asian, stage:Stage I, alive, 587 days 2302.6
TCGA-DD-AADC-01A 53 years, male, asian, stage:Stage I, dead, 425 days 2268.1
TCGA-2Y-A9HA-01A 70 years, male, white, stage:Stage II, dead, 36 days 2230.7
TCGA-CC-A5UD-01A 45 years, male, asian, stage:Stage IIIA, dead, 304 days 2220.6
TCGA-ED-A82E-01A 60 years, female, asian, stage:Stage IIIA, alive, 408 days 2215.0
TCGA-DD-AACV-01A 53 years, male, asian, stage:Stage I, alive, 1531 days 2214.9
TCGA-DD-A4NR-01A 85 years, female, white, stage:Stage I, dead, 9 days 2191.3
TCGA-BC-A217-01A 75 years, female, white, stage:Stage II, dead, 1397 days 2170.7
TCGA-G3-A25Y-01A 52 years, female, asian, stage:Stage I, dead, 452 days 2165.9
TCGA-DD-AAE3-01A 50 years, male, asian, stage:Stage I, alive, 566 days 2163.4
TCGA-DD-AACQ-01A 50 years, male, asian, stage:Stage II, dead, 432 days 2149.6
TCGA-MI-A75H-01A 77 years, male, white, stage:'--, alive, 747 days 2134.4
TCGA-CC-5260-01A 61 years, female, asian, stage:Stage IIIC, dead, 87 days 2109.9
TCGA-DD-A1EF-01A 57 years, female, white, stage:Stage I, dead, 394 days 2086.5
TCGA-ED-A7PZ-01A 61 years, male, asian, stage:Stage II, alive, 6 days 2062.0
TCGA-CC-A7IK-01A 59 years, male, asian, stage:Stage IIIA, dead, 262 days 2046.2
TCGA-DD-AAE4-01A 49 years, female, asian, stage:Stage I, alive, 608 days 2045.4
TCGA-DD-A1EJ-01A 71 years, female, white, stage:Stage IIIC, dead, 1005 days 2033.6
TCGA-DD-A1EL-01A 23 years, male, black or african american, stage:Stage II, dead, 415 days 2030.3
TCGA-BC-A10Y-01A 76 years, male, white, stage:'--, dead, 711 days 2017.2
TCGA-DD-AACA-01A 65 years, male, asian, stage:Stage I, alive, 2301 days 2005.3
TCGA-CC-A7IL-01A 61 years, male, asian, stage:Stage IIIA, dead, 278 days 1997.8
TCGA-UB-A7MB-01A 24 years, male, white, stage:Stage II, alive, 601 days 1994.4
TCGA-UB-A7MF-01A 56 years, male, white, stage:Stage IIIA, dead, 214 days 1991.2
TCGA-WQ-A9G7-01A 71 years, female, white, stage:'--, alive, 30 days 1977.4
TCGA-DD-AACU-01A 59 years, male, asian, stage:Stage I, alive, 1567 days 1975.4
TCGA-DD-AAVQ-01A 38 years, male, asian, stage:Stage I, alive, 2728 days 1952.3
TCGA-DD-AACZ-01A 63 years, female, asian, stage:Stage I, dead, 171 days 1944.2
TCGA-DD-AACX-01A 66 years, male, asian, stage:Stage II, alive, 170 days 1919.9
TCGA-YA-A8S7-01A 68 years, male, white, stage:Stage IIIA, dead, 412 days 1892.3
TCGA-5C-AAPD-01A 61 years, male, asian, stage:Stage II, alive, 20 days 1888.0
TCGA-G3-AAV4-01A 83 years, female, white, stage:Stage I, dead, 27 days 1886.8
TCGA-G3-AAV7-01A 38 years, male, asian, stage:Stage II, alive, 361 days 1846.7
TCGA-ED-A66Y-01A 51 years, female, asian, stage:Stage IIIA, dead, 296 days 1838.1
TCGA-DD-AADV-01A 50 years, male, asian, stage:Stage I, alive, 574 days 1821.7
TCGA-DD-AACF-01A 68 years, male, asian, stage:Stage I, dead, 365 days 1792.4
TCGA-FV-A23B-01A 70 years, female, white, stage:Stage II, dead, 1852 days 1789.2
TCGA-HP-A5N0-01A 90 years, female, stage:'--, dead, 752 days 1782.7
TCGA-2Y-A9H1-01A 58 years, male, white, stage:Stage I, dead, 1229 days 1781.1
TCGA-G3-A7M5-01A 76 years, male, asian, stage:Stage I, alive, 447 days 1754.6
TCGA-CC-A3MB-01A 36 years, male, asian, stage:Stage IIIA, dead, 315 days 1745.9
TCGA-DD-AACC-01A 61 years, male, asian, stage:Stage I, dead, 1685 days 1739.7
TCGA-DD-AAVP-01A 48 years, male, asian, stage:Stage I, alive, 2752 days 1723.6
TCGA-DD-AACJ-01A 75 years, male, asian, stage:Stage II, alive, 2102 days 1721.9
TCGA-ED-A7XO-01A 29 years, male, asian, stage:Stage IIIA, alive, 427 days 1720.7
TCGA-DD-AAEH-01A 73 years, male, asian, stage:Stage I, alive, 784 days 1710.2
TCGA-ED-A66X-01A 35 years, male, asian, stage:Stage IIIA, alive, 406 days 1686.2
TCGA-DD-AAD0-01A 73 years, female, asian, stage:Stage I, alive, 137 days 1686.2
TCGA-DD-AADP-01A 45 years, male, asian, stage:Stage I, alive, 458 days 1684.3
TCGA-2Y-A9H3-01A 45 years, male, white, stage:Stage II, alive, 1516 days 1674.3
TCGA-DD-A1EH-01A 23 years, male, white, stage:Stage III, alive, 1495 days 1674.0
TCGA-G3-AAV5-01A 67 years, male, white, stage:Stage II, alive, 354 days 1669.9
TCGA-CC-5259-01A 60 years, female, asian, stage:Stage IIIC, alive, 250 days 1662.9
TCGA-KR-A7K2-01A 64 years, male, white, stage:Stage I, alive, 829 days 1662.4
TCGA-CC-5263-01A 35 years, male, asian, stage:Stage IIIA, dead, 129 days 1660.2
TCGA-DD-A39Y-01A 67 years, male, asian, stage:Stage I, dead, 171 days 1657.9
TCGA-DD-AAEK-01A 51 years, male, asian, stage:Stage II, alive, 1067 days 1635.7
TCGA-DD-A73D-01A 68 years, female, white, stage:Stage II, alive, 693 days 1618.6
TCGA-G3-A5SJ-01A 59 years, male, white, stage:Stage I, alive, 698 days 1617.4
TCGA-MI-A75C-01A 64 years, male, white, stage:Stage I, alive, 291 days 1616.4
TCGA-DD-AACW-01A 43 years, male, asian, stage:Stage I, alive, 1424 days 1591.9
TCGA-DD-AAEG-01A 59 years, female, asian, stage:Stage I, alive, 719 days 1589.5
TCGA-DD-A73E-01A 66 years, male, white, stage:Stage I, alive, 44 days 1584.8
TCGA-2Y-A9GS-01A 58 years, male, white, stage:'--, dead, 724 days 1575.6
TCGA-DD-AADA-01A 66 years, female, asian, stage:Stage I, alive, 1233 days 1568.5
TCGA-G3-A25U-01A 63 years, female, asian, stage:Stage I, alive, 1636 days 1554.3
TCGA-DD-A4NO-01A 65 years, male, white, stage:Stage I, alive, 2245 days 1548.6
TCGA-ED-A7PX-01A 48 years, female, asian, stage:Stage II, alive, 6 days 1546.7
TCGA-DD-AADB-01A 51 years, male, asian, stage:Stage I, alive, 1242 days 1543.5
TCGA-DD-AADM-01A 58 years, male, asian, stage:Stage II, dead, 12 days 1541.3
TCGA-CC-A8HT-01A 74 years, male, asian, stage:Stage IIIA, dead, 140 days 1540.4
TCGA-XR-A8TD-01A 49 years, female, white, stage:Stage IIIB, alive, 1030 days 1537.6
TCGA-DD-AADJ-01A 70 years, female, asian, stage:Stage I, alive, 1066 days 1526.3
TCGA-ED-A7PY-01A 20 years, female, asian, stage:Stage II, alive, 390 days 1515.0
TCGA-RC-A6M4-01A 74 years, female, white, stage:Stage IIIA, alive, 22 days 1512.1
TCGA-BC-A5W4-01A 69 years, male, white, stage:Stage IIIA, dead, 547 days 1507.4
TCGA-DD-A4NA-01A 67 years, female, white, stage:Stage IIIC, alive, 1008 days 1504.9
TCGA-DD-A3A3-01A 45 years, male, asian, stage:Stage I, dead, 535 days 1496.7
TCGA-DD-AAW2-01A 69 years, male, asian, stage:Stage I, alive, 1855 days 1495.2
TCGA-DD-AACD-01A 48 years, male, asian, stage:Stage I, dead, 381 days 1485.9
TCGA-DD-A119-01A 40 years, male, asian, stage:Stage IV, dead, 223 days 1482.9
TCGA-DD-AACS-01A 39 years, male, asian, stage:Stage I, alive, 1804 days 1466.0
TCGA-EP-A3RK-01A 73 years, male, white, stage:Stage IIIA, alive, 363 days 1465.2
TCGA-DD-AADY-01A 55 years, female, asian, stage:Stage I, alive, 555 days 1454.4
TCGA-DD-AAEE-01A 55 years, male, asian, stage:Stage I, alive, 810 days 1447.5
TCGA-CC-5258-01A 48 years, male, asian, stage:Stage II, dead, 129 days 1436.4
TCGA-BC-A69I-01A 69 years, male, white, stage:Stage I, alive, 387 days 1429.0
TCGA-DD-AAVS-01A 56 years, male, asian, stage:Stage I, alive, 1823 days 1414.0
TCGA-ZS-A9CE-01A 79 years, female, white, stage:Stage II, alive, 1241 days 1412.6
TCGA-KR-A7K8-01A 57 years, male, stage:Stage I, alive, 906 days 1409.7
TCGA-DD-A11C-01A 69 years, male, white, stage:Stage I, alive, 662 days 1394.9
TCGA-ZS-A9CD-01A 73 years, male, white, stage:Stage II, dead, 1386 days 1387.0
TCGA-BD-A2L6-01A 69 years, male, white, stage:'--, alive, 1363 days 1378.4
TCGA-2Y-A9H7-01A 81 years, female, white, stage:Stage I, alive, 1168 days 1378.0
TCGA-CC-A7IJ-01A 56 years, male, asian, stage:Stage II, alive, 382 days 1372.9
TCGA-DD-AAED-01A 51 years, male, asian, stage:Stage I, alive, 763 days 1370.1
TCGA-K7-AAU7-01A 61 years, male, white, stage:Stage II, alive, 359 days 1366.3
TCGA-DD-AAE9-01A 69 years, male, asian, stage:Stage I, alive, 722 days 1356.0
TCGA-DD-AAD1-01A 51 years, female, asian, stage:Stage I, alive, 564 days 1354.4
TCGA-3K-AAZ8-01A 65 years, male, black or african american, stage:Stage IIIB, alive, 396 days 1351.7
TCGA-FV-A3R2-01A 75 years, male, white, stage:Stage I, dead, 194 days 1340.8
TCGA-EP-A3JL-01A 76 years, male, white, stage:Stage I, alive, 303 days 1337.7
TCGA-BD-A3EP-01A 75 years, female, black or african american, stage:Stage I, alive, 409 days 1336.4
TCGA-DD-AADG-01A 70 years, male, asian, stage:Stage IIIA, alive, 1145 days 1336.4
TCGA-G3-A3CJ-01A 52 years, male, american indian or alaska native, stage:Stage II, alive, 594 days 1329.2
TCGA-DD-A4NS-01A 61 years, female, white, stage:Stage I, dead, 2456 days 1328.4
TCGA-5R-AAAM-01A 65 years, female, white, stage:Stage II, dead, 46 days 1319.7
TCGA-ED-A97K-01A 54 years, male, asian, stage:Stage IIIA, alive, 6 days 1314.1
TCGA-GJ-A3OU-01A 59 years, male, white, stage:Stage I, alive, 879 days 1305.2
TCGA-DD-AACY-01A 61 years, male, asian, stage:Stage I, alive, 1450 days 1302.1
TCGA-WQ-AB4B-01A 62 years, male, white, stage:Stage II, alive, 395 days 1286.8
TCGA-G3-AAV0-01A 58 years, male, asian, stage:Stage I, alive, 476 days 1285.1
TCGA-2Y-A9H2-01A 64 years, female, white, stage:Stage I, alive, 1731 days 1284.3
TCGA-DD-AAD6-01A 66 years, male, asian, stage:Stage IIIA, alive, 672 days 1281.7
TCGA-DD-A1EG-01A 76 years, male, white, stage:Stage I, dead, 1372 days 1275.3
TCGA-ZP-A9D2-01A 51 years, male, white, stage:'--, dead, 765 days 1269.1
TCGA-DD-AAW3-01A 69 years, male, asian, stage:Stage I, alive, 1633 days 1268.5
TCGA-QA-A7B7-01A 48 years, male, black or african american, stage:Stage II, alive, 94 days 1268.4
TCGA-DD-AACK-01A 70 years, male, asian, stage:Stage I, alive, 9 days 1268.1
TCGA-DD-AAVY-01A 56 years, male, asian, stage:Stage IIIA, alive, 1970 days 1257.8
TCGA-RC-A7S9-01A 47 years, female, asian, stage:Stage I, alive, 640 days 1257.4
TCGA-CC-A7IF-01A 59 years, male, asian, stage:Stage IIIA, dead, 649 days 1256.9
TCGA-XR-A8TC-01A 43 years, female, white, stage:Stage I, alive, 1339 days 1254.2
TCGA-UB-A7MC-01A 59 years, male, white, stage:Stage IIIA, alive, 500 days 1252.6
TCGA-DD-A116-01A 68 years, male, asian, stage:Stage IIIA, dead, 1622 days 1250.9
TCGA-EP-A2KC-01A 62 years, male, black or african american, stage:Stage I, dead, 19 days 1242.7
TCGA-WX-AA44-01A 64 years, female, white, stage:Stage I, alive, 615 days 1235.1
TCGA-DD-AAE1-01A 52 years, male, asian, stage:Stage I, alive, 552 days 1227.4
TCGA-MI-A75E-01A 61 years, male, white, stage:Stage IIIC, alive, 507 days 1224.2
TCGA-DD-AACE-01A 62 years, male, asian, stage:Stage I, alive, 2184 days 1215.0
TCGA-BC-A8YO-01A 66 years, female, white, stage:Stage IIIC, alive, 562 days 1212.3
TCGA-DD-A118-01A 77 years, female, white, stage:Stage II, alive, 3437 days 1210.6
TCGA-DD-AAVR-01A 44 years, male, asian, stage:Stage I, alive, 2513 days 1207.0
TCGA-G3-A7M7-01A 65 years, male, white, stage:Stage I, alive, 361 days 1201.0
TCGA-BC-A3KG-01A 68 years, female, white, stage:Stage II, alive, 680 days 1200.3
TCGA-DD-A4NJ-01A 54 years, female, white, stage:Stage II, alive, 928 days 1197.5
TCGA-ED-A459-01A 47 years, male, asian, stage:Stage II, alive, 910 days 1185.0
TCGA-FV-A496-01A 84 years, female, white, stage:Stage I, alive, 10 days 1180.4
TCGA-G3-AAV1-01A 51 years, male, asian, stage:Stage IIIC, dead, 359 days 1177.8
TCGA-BC-A3KF-01A 66 years, female, white, stage:Stage I, alive, 8 days 1170.0
TCGA-G3-A6UC-01A 65 years, male, white, stage:Stage IIIB, alive, 671 days 1165.6
TCGA-G3-A25Z-01A 58 years, male, asian, stage:Stage I, alive, 655 days 1161.7
TCGA-DD-AAVZ-01A 38 years, male, asian, stage:Stage I, alive, 1900 days 1161.4
TCGA-MI-A75I-01A 61 years, male, black or african american, stage:'--, alive, 630 days 1159.0
TCGA-ES-A2HT-01A 54 years, male, black or african american, stage:Stage I, dead, 438 days 1157.3
TCGA-DD-AAEA-01A 65 years, male, asian, stage:Stage I, alive, 575 days 1150.7
TCGA-2Y-A9H6-01A 68 years, female, white, stage:Stage I, alive, 357 days 1147.5
TCGA-CC-5262-01A 67 years, male, asian, stage:Stage IIIC, dead, 103 days 1146.3
TCGA-5C-A9VH-01A 70 years, male, white, stage:Stage I, alive, 322 days 1145.0
TCGA-2Y-A9GZ-01A 82 years, female, white, stage:Stage II, dead, 848 days 1141.9
TCGA-RC-A6M5-01A 20 years, female, white, stage:Stage IVA, alive, 15 days 1141.1
TCGA-CC-A3MC-01A 54 years, male, asian, stage:Stage IIIA, alive, 363 days 1136.6
TCGA-DD-A1EI-01A 46 years, male, asian, stage:Stage I, alive, 183 days 1130.1
TCGA-2Y-A9H8-01A 85 years, female, white, stage:'--, dead, 633 days 1129.3
TCGA-ZP-A9CZ-01A 72 years, male, asian, stage:'--, alive, 706 days 1128.5
TCGA-ZS-A9CG-01A 55 years, male, white, stage:Stage II, alive, 341 days 1124.4
TCGA-ED-A627-01A 74 years, male, white, stage:Stage I, alive, 423 days 1115.6
TCGA-EP-A26S-01A 70 years, male, white, stage:Stage I, alive, 608 days 1112.4
TCGA-K7-A6G5-01A 66 years, male, white, stage:Stage I, alive, 512 days 1108.7
TCGA-G3-A25V-01A 68 years, male, white, stage:Stage I, alive, 860 days 1107.9
TCGA-DD-A114-01A 42 years, male, black or african american, stage:Stage II, dead, 1149 days 1102.8
TCGA-DD-AADF-01A 64 years, female, asian, stage:Stage I, dead, 115 days 1102.6
TCGA-FV-A2QQ-01A 80 years, male, white, stage:Stage I, alive, 729 days 1092.7
TCGA-RC-A7SH-01A 42 years, male, asian, stage:Stage II, alive, 468 days 1090.8
TCGA-BC-A10S-01A 81 years, male, white, stage:'--, dead, 1423 days 1087.9
TCGA-G3-A3CK-01A 61 years, male, asian, stage:Stage I, alive, 585 days 1085.7
TCGA-2Y-A9H9-01A 70 years, male, white, stage:Stage I, alive, 697 days 1083.5
TCGA-BC-A110-01A 51 years, female, black or african american, stage:'--, dead, 2116 days 1069.8
TCGA-DD-A3A1-01A 65 years, male, stage:Stage IIIA, dead, 233 days 1067.8
TCGA-WX-AA47-01A 33 years, female, white, stage:Stage IIIA, dead, 556 days 1067.4
TCGA-G3-AAV2-01A 50 years, male, white, stage:Stage I, alive, 372 days 1067.2
TCGA-DD-A4ND-01A 56 years, female, white, stage:Stage I, alive, 2746 days 1066.3
TCGA-ZS-A9CF-01A 64 years, male, white, stage:Stage II, alive, 2412 days 1063.2
TCGA-CC-5264-01A 71 years, male, asian, stage:Stage IIIA, dead, 102 days 1053.5
TCGA-DD-AADR-01A 58 years, male, asian, stage:Stage I, alive, 2028 days 1053.5
TCGA-DD-AAE2-01A 51 years, male, asian, stage:Stage I, alive, 638 days 1048.6
TCGA-BC-A10W-01A 50 years, male, asian, stage:'--, dead, 91 days 1047.8
TCGA-5R-AA1C-01A 57 years, male, white, stage:Stage II, alive, 520 days 1047.4
TCGA-DD-AAD3-01A 43 years, male, asian, stage:Stage I, alive, 1295 days 1044.6
TCGA-FV-A2QR-01A 75 years, male, white, stage:Stage I, dead, 581 days 1037.9
TCGA-DD-A73F-01A 77 years, female, white, stage:Stage I, alive, 1085 days 1032.0
TCGA-DD-A4NH-01A 65 years, female, white, stage:Stage IIIB, alive, 917 days 1021.4
TCGA-DD-AADK-01A 68 years, female, asian, stage:Stage II, alive, 1049 days 1021.0
TCGA-BC-A10T-01A 76 years, male, white, stage:'--, dead, 837 days 1014.6
TCGA-DD-A3A6-01A 72 years, female, white, stage:Stage II, dead, 3258 days 1012.4
TCGA-DD-A4NE-01A 75 years, female, white, stage:Stage IIIA, dead, 660 days 1011.5
TCGA-O8-A75V-01A 54 years, male, stage:Stage I, alive, 538 days 1011.4
TCGA-ZP-A9D0-01A 67 years, female, black or african american, stage:'--, alive, 1091 days 1007.2
TCGA-DD-AACT-01A 69 years, female, asian, stage:Stage I, alive, 1562 days 1002.8
TCGA-G3-A3CH-01A 53 years, male, asian, stage:Stage IIIA, alive, 780 days 1002.3
TCGA-G3-A5SI-01A 44 years, male, asian, stage:Stage II, dead, 768 days 999.4
TCGA-UB-AA0U-01A 60 years, male, white, stage:Stage II, alive, 327 days 998.6
TCGA-KR-A7K0-01A 65 years, male, white, stage:Stage I, dead, 65 days 995.2
TCGA-DD-AAEI-01A 72 years, male, asian, stage:Stage I, alive, 1531 days 985.8
TCGA-DD-A39W-01A 29 years, female, white, stage:Stage III, dead, 827 days 983.9
TCGA-DD-AAVX-01A 38 years, male, asian, stage:Stage II, alive, 1718 days 978.2
TCGA-DD-A1EC-01A 20 years, female, white, stage:Stage I, alive, 602 days 976.2
TCGA-LG-A6GG-01A 79 years, female, white, stage:Stage II, alive, 387 days 975.0
TCGA-LG-A9QC-01A 48 years, male, white, stage:Stage I, alive, 425 days 965.5
TCGA-DD-AAD2-01A 66 years, male, asian, stage:Stage I, alive, 658 days 963.5
TCGA-GJ-A9DB-01A 68 years, male, white, stage:Stage I, dead, 67 days 960.6
TCGA-2Y-A9H5-01A 59 years, female, white, stage:Stage I, dead, 555 days 959.2
TCGA-XR-A8TE-01A 16 years, male, white, stage:Stage IIIA, alive, 925 days 956.7
TCGA-DD-AAW0-01A 54 years, male, asian, stage:Stage I, alive, 2015 days 956.0
TCGA-2Y-A9H4-01A 68 years, male, black or african american, stage:Stage I, alive, 1452 days 950.1
TCGA-CC-A7IH-01A 58 years, male, asian, stage:Stage IIIA, alive, 365 days 945.6
TCGA-UB-A7MD-01A 67 years, male, black or african american, stage:Stage I, dead, 52 days 937.9
TCGA-WJ-A86L-01A 68 years, female, white, stage:Stage I, alive, 345 days 937.7
TCGA-FV-A3I1-01A 81 years, female, white, stage:Stage II, dead, 247 days 927.1
TCGA-2Y-A9GX-01A 68 years, male, white, stage:Stage I, alive, 2442 days 926.3
TCGA-DD-AACH-01A 69 years, male, asian, stage:Stage II, dead, 195 days 921.6
TCGA-RC-A7SK-01A 59 years, male, asian, stage:Stage I, alive, 472 days 921.6
TCGA-DD-AADQ-01A 59 years, male, asian, stage:Stage II, alive, 436 days 921.3
TCGA-WX-AA46-01A 61 years, male, white, stage:Stage II, alive, 756 days 919.9
TCGA-DD-A4NV-01A 61 years, male, white, stage:Stage IIIA, alive, 2398 days 912.9
TCGA-DD-AAW1-01A 55 years, male, asian, stage:Stage IIIA, alive, 1989 days 910.2
TCGA-G3-AAV3-01A 58 years, female, white, stage:Stage II, alive, 412 days 910.1
TCGA-GJ-A6C0-01A 75 years, female, white, stage:Stage II, dead, 31 days 894.3
TCGA-T1-A6J8-01A 68 years, male, white, stage:'--, alive, 23 days 888.0
TCGA-XR-A8TG-01A 58 years, male, white, stage:Stage I, alive, 898 days 879.1
TCGA-DD-AAC9-01A 51 years, male, asian, stage:Stage I, alive, 347 days 874.6
TCGA-BC-A216-01A 62 years, female, white, stage:Stage IIIA, alive, 1351 days 870.5
TCGA-DD-A4NB-01A 25 years, male, white, stage:Stage I, alive, 989 days 866.7
TCGA-BC-A10U-01A 69 years, male, white, stage:'--, dead, 837 days 865.6
TCGA-ED-A7XP-01A 53 years, female, asian, stage:Stage II, alive, 400 days 860.9
TCGA-ZP-A9D4-01A 64 years, female, white, stage:'--, alive, 395 days 860.2
TCGA-DD-AAD8-01A 73 years, female, asian, stage:Stage I, alive, 1219 days 853.6
TCGA-DD-A73C-01A 65 years, female, white, stage:Stage IIIA, alive, 701 days 851.1
TCGA-G3-A5SM-01A 58 years, male, white, stage:Stage II, alive, 520 days 843.0
TCGA-DD-A3A8-01A 75 years, male, white, stage:Stage II, dead, 11 days 842.2
TCGA-CC-A9FS-01A 55 years, male, asian, stage:Stage II, alive, 211 days 831.1
TCGA-DD-AADL-01A 58 years, male, asian, stage:Stage I, alive, 636 days 827.7
TCGA-G3-A5SL-01A 70 years, male, white, stage:Stage II, alive, 621 days 825.6
TCGA-NI-A4U2-01A 71 years, male, white, stage:Stage IIIA, dead, 1791 days 825.2
TCGA-DD-A11B-01A 73 years, male, white, stage:Stage I, dead, 14 days 821.3
TCGA-DD-A3A4-01A 37 years, male, white, stage:Stage IIIA, dead, 612 days 820.0
TCGA-RC-A7SB-01A 53 years, male, asian, stage:Stage II, alive, 588 days 812.3
TCGA-2Y-A9H0-01A 49 years, male, white, stage:Stage IIIA, alive, 3675 days 805.1
TCGA-RC-A7SF-01A 66 years, male, asian, stage:Stage I, alive, 579 days 803.5
TCGA-4R-AA8I-01A 66 years, male, white, stage:Stage II, dead, 262 days 803.5
TCGA-DD-AAEB-01A 60 years, male, asian, stage:Stage I, alive, 478 days 797.1
TCGA-DD-A4NP-01A 32 years, male, white, stage:Stage I, alive, 3308 days 787.0
TCGA-EP-A12J-01A 62 years, male, black or african american, stage:Stage I, alive, 570 days 786.1
TCGA-K7-A5RG-01A 66 years, male, black or african american, stage:Stage I, alive, 519 days 780.5
TCGA-2Y-A9HB-01A 66 years, male, stage:Stage I, alive, 260 days 775.1
TCGA-DD-AAVW-01A 35 years, male, asian, stage:Stage I, alive, 2317 days 772.4
TCGA-DD-A4NQ-01A 60 years, male, white, stage:Stage II, dead, 373 days 762.7
TCGA-DD-A4NG-01A 77 years, male, white, stage:Stage IIIA, dead, 802 days 758.6
TCGA-MR-A8JO-01A 34 years, male, white, stage:Stage I, alive, 330 days 749.5
TCGA-ED-A4XI-01A 58 years, male, asian, stage:Stage II, alive, 819 days 742.9
TCGA-DD-A113-01A 55 years, female, white, stage:Stage II, alive, 2425 days 736.1
TCGA-DD-A1EE-01A 73 years, male, white, stage:Stage IIIA, dead, 349 days 728.4
TCGA-DD-AADU-01A 60 years, male, asian, stage:Stage II, alive, 554 days 725.6
TCGA-ZP-A9D1-01A 56 years, female, white, stage:'--, alive, 21 days 725.2
TCGA-2Y-A9GV-01A 54 years, female, white, stage:Stage I, dead, 2532 days 707.5
TCGA-5R-AA1D-01A 17 years, female, white, stage:Stage IIIA, alive, 449 days 694.7
TCGA-DD-A73B-01A 72 years, female, white, stage:Stage I, dead, 283 days 689.9
TCGA-DD-A115-01A 53 years, male, white, stage:Stage IIIA, dead, 2542 days 689.4
TCGA-2Y-A9GW-01A 64 years, male, white, stage:Stage I, dead, 1271 days 680.3
TCGA-BC-A10X-01A 52 years, female, white, stage:Stage IIIA, dead, 770 days 675.2
TCGA-UB-AA0V-01A 69 years, female, white, stage:Stage I, alive, 314 days 674.7
TCGA-HP-A5MZ-01A 78 years, male, stage:Stage I, dead, 91 days 673.2
TCGA-ZP-A9CV-01A 59 years, male, white, stage:'--, dead, 1088 days 670.4
TCGA-DD-A1EA-01A 68 years, male, asian, stage:Stage II, alive, 2415 days 665.0
TCGA-DD-A73A-01A 71 years, male, white, stage:Stage I, alive, 728 days 654.4
TCGA-BC-A10R-01A 66 years, female, white, stage:'--, dead, 308 days 653.0
TCGA-LG-A9QD-01A 68 years, male, white, stage:Stage IIIA, alive, 366 days 652.4
TCGA-G3-A3CG-01A 80 years, male, white, stage:Stage I, alive, 673 days 633.4
TCGA-ZP-A9CY-01A 66 years, female, white, stage:'--, alive, 782 days 625.6
TCGA-K7-A5RF-01A 64 years, male, white, stage:Stage I, alive, 631 days 623.7
TCGA-FV-A3R3-01A 38 years, female, white, stage:Stage I, dead, 366 days 623.4
TCGA-DD-AAE7-01A 72 years, male, asian, stage:Stage I, alive, 644 days 621.8
TCGA-DD-A1ED-01A 68 years, male, white, stage:Stage I, alive, 2301 days 612.8
TCGA-DD-A4NK-01A 80 years, female, white, stage:Stage IIIA, dead, 1210 days 612.7
TCGA-2Y-A9GU-01A 55 years, female, white, stage:Stage I, alive, 1939 days 597.8
TCGA-DD-A4NF-01A 72 years, male, white, stage:Stage I, alive, 942 days 581.6
TCGA-DD-A11D-01A 57 years, female, white, stage:Stage I, dead, 1560 days 579.9
TCGA-G3-A5SK-01A 58 years, male, white, stage:Stage I, alive, 744 days 573.6
TCGA-DD-A4NI-01A 67 years, male, white, stage:Stage II, alive, 816 days 552.9
TCGA-DD-A1EK-01A 64 years, female, white, stage:Stage IVB, dead, 558 days 549.3
TCGA-2Y-A9GT-01A 51 years, male, white, stage:Stage I, dead, 1624 days 548.9
TCGA-G3-A3CI-01A 71 years, male, white, stage:Stage I, alive, 180 days 539.2
TCGA-G3-A7M8-01A 31 years, male, asian, stage:Stage I, alive, 430 days 528.0
TCGA-MR-A520-01A 58 years, male, white, stage:Stage I, alive, 229 days 525.5
TCGA-DD-A4NL-01A 46 years, male, white, stage:Stage I, alive, 1711 days 504.0
TCGA-BC-A10Z-01A 62 years, female, white, stage:Stage I, dead, 34 days 502.6
TCGA-DD-A1EB-01A 72 years, female, stage:Stage I, alive, 2017 days 485.3
TCGA-BD-A3ER-01A 62 years, male, white, stage:Stage II, alive, 1115 days 482.0
TCGA-DD-A3A2-01A 76 years, female, white, stage:Stage I, dead, 2131 days 474.5
TCGA-NI-A8LF-01A 74 years, male, white, stage:Stage I, alive, 799 days 374.9
Show allShow less
LIVER HEPATOCELLULAR CARCINOMA (VALIDATION) - Interactive survival scatter ploti

The Survival Scatter plot shows the clinical status (i.e. dead or alive) for all individuals in the patient cohort, based on the same data that underlies the corresponding Kaplan-Meier plots. Patients that are alive at last time for follow-up are shown in blue and patients who have died during the study are shown in red.

The x-axis shows the expression levels (FPKM) of the investigated gene in the tumor tissue at the time of diagnosis. The y-axis shows the follow-up time after diagnosis (years). Both axes are complimented with kernel density curves demonstrating the data density over the axes. The top density plot shows the expression levels (FPKM) distribution among dead (red) and alive patients (blue). The right density plot shows the data density of the survived years of dead patients with high and low expression levels respectively, stratified using the cutoff indicated by the vertical dashed line through the Survival Scatter plot. This cutoff is automatically defined based on the FPKM cutoff that minimizes the p-score. The cutoff can be changed by dragging the vertical line or by entering a cutoff value in the square labeled "Current cut-off".

Under the Survival Scatter plot the p-score landscape (black curve; left axis) is shown together with dead median separation (red curve; right axis). Dead median separation is the difference in median mRNA expression between patients who have died with high and low expression, respectively. It is calculated as follows: median FPKM expression of dead patients with high expression - median FPKM expression of dead patients with low expression. This is intended to aid the user in visually exploring custom cutoffs and the associated p-scores and dead median separation.

Individual patient data is displayed and can be filtered by clicking on one or more of the category buttons on the top of the page. Categories describing expression level and patient information include: high, low, alive, dead, female, male and tumor stages. The scale of the x-axis can be toggled between linear and log-scale by clicking on the "x log" button. Mouse-over function shows TCGA ID, patient information and mRNA expression (FPKM) for each patient.

& Survival analysisi

Kaplan-Meier plots summarize results from analysis of correlation between mRNA expression level and patient survival. Patients were divided based on level of expression into one of the two groups "low" (under cut off) or "high" (over cut off). X-axis shows time for survival (years) and y-axis shows the probability of survival, where 1.0 corresponds to 100 percent.

RPS21 is validated prognostic, high expression is unfavorable in Liver Hepatocellular Carcinoma (validation)


Stage:
Survival analysis
Current cut offi

Current cut-off shows the cut-off (FPKM) currently selected. It may be changed manually. When the current cut-off is changed, the vertical dashed line indicating cut-off, the interactive survival scatter plot and the Kaplan-Meier curve will be automatically adjusted to show results accordingly.

:
Best expression cut offi

Based on the FPKM value of each gene, patients were classified into two groups and association between prognosis (survival) and gene expression (FPKM) was examined. The best expression cut-off refers the FPKM value that yields maximal difference with regard to survival between the two groups at the lowest log-rank P-value. Best expression cut-off was selected based on survival analysis .

When clicking on this number, the vertical dashed line indicating cut-off, the interactive survival plot, and the Kaplan-Meier curve will be adjusted to show results based on the best expression cut-off.

: 936.35
Median expressioni

Median expression refers to the median FPKM value calculated based on the gene expression (FPKM) data from all patients in this dataset. When clicking on this number, the vertical dashed line indicating cut-off, the interactive survival plot, and the Kaplan-Meier curve will be adjusted to show results based on the median expression.

: N/A
Median follow up timei

Median follow up time refers to the median time (years) after diagnosis with this type of cancer, based on clinical data from all patients in this dataset.

: N/A
P scorei

Log-rank P value for Kaplan-Meier plot showing results from analysis of correlation between mRNA expression level and patient survival.

N/A
5-year survival highi

5-year survival for patients with higher expression than the expression cutoff.

For melanoma and glioma, 3-year survival is shown.

N/A
5-year survival lowi

5-year survival for patients with lower expression than the expression cutoff.

For melanoma and glioma, 3-year survival is shown.

N/A
TCGA RNA samplesi

RNA-seq data is reported as average FPKM (number Fragments Per Kilobase of exon per Million reads), generated by the The Cancer Genome Atlas (TCGA) .

Normal distribution across the dataset is visualized with box plots, shown as median and 25th and 75th percentiles. Points are displayed as outliers if they are above or below 1.5 times the interquartile range. FPKM values of the individual samples are presented next to the box plot.

Average pTPM 988.6
Number of samples 231
Samples
Sample Description pTPM
DO45285 59 years, male, NA, stage:3, alive, 480 days 5997.6
DO45127 73 years, male, NA, stage:3, dead, 420 days 3862.2
DO23515 71 years, male, NA, stage:2, alive, 1230 days 3244.4
DO45259 65 years, male, NA, stage:3, alive, 330 days 2745.7
DO23508 79 years, female, NA, stage:2, alive, 390 days 2745.3
DO50799 66 years, female, NA, stage:2, alive, 540 days 2728.7
DO23545 67 years, male, NA, stage:2, dead, 570 days 2696.3
DO23519 65 years, male, NA, stage:3, alive, 630 days 2672.4
DO45211 76 years, male, NA, stage:3, alive, 240 days 2606.5
DO45189 85 years, female, NA, stage:2, alive, 1200 days 2535.8
DO45301 56 years, male, NA, stage:2, dead, 1440 days 2526.8
DO50814 83 years, male, NA, stage:3, alive, 420 days 2497.7
DO48737 52 years, male, NA, stage:1, alive, 720 days 2464.4
DO45299 70 years, female, NA, stage:1, alive, 1440 days 2462.3
DO48747 62 years, male, NA, stage:3, alive, 540 days 2346.5
DO45303 62 years, female, NA, stage:3, alive, 990 days 2197.7
DO45245 75 years, female, NA, stage:2, dead, 240 days 2192.0
DO50806 70 years, male, NA, stage:4, alive, 540 days 2169.1
DO45289 78 years, female, NA, stage:3, alive, 360 days 2115.8
DO45307 54 years, female, NA, stage:4, dead, 240 days 2095.2
DO50785 37 years, male, NA, stage:4, dead, 90 days 2095.1
DO45287 74 years, male, NA, stage:1, alive, 390 days 2069.5
DO45305 66 years, male, NA, stage:4, alive, 300 days 2040.3
DO45283 60 years, male, NA, stage:3, alive, 510 days 2036.6
DO45269 59 years, male, NA, stage:3, alive, 750 days 1916.2
DO45251 57 years, female, NA, stage:2, alive, 900 days 1912.0
DO50791 79 years, female, NA, stage:1, dead, 480 days 1855.9
DO45097 69 years, male, NA, stage:3, alive, 1620 days 1780.8
DO45217 69 years, female, NA, stage:3, dead, 270 days 1764.1
DO45213 58 years, male, NA, stage:1, alive, 1200 days 1691.6
DO48697 64 years, female, NA, stage:2, dead, 810 days 1558.5
DO23526 66 years, male, NA, stage:3, alive, 1050 days 1515.9
DO23537 79 years, male, NA, stage:2, dead, 900 days 1479.6
DO48682 72 years, female, NA, stage:3, dead, 120 days 1478.7
DO48732 73 years, male, NA, stage:3, alive, 630 days 1477.0
DO45297 61 years, female, NA, stage:4, dead, 1260 days 1467.5
DO23530 53 years, male, NA, stage:4, dead, 180 days 1461.9
DO45145 78 years, male, NA, stage:3, dead, 60 days 1456.9
DO45161 74 years, male, NA, stage:2, dead, 540 days 1449.3
DO45231 84 years, male, NA, stage:2, alive, 930 days 1433.0
DO45279 67 years, male, NA, stage:3, alive, 1290 days 1427.4
DO45209 70 years, male, NA, stage:4, alive, 1350 days 1399.7
DO45193 68 years, female, NA, stage:4, dead, 120 days 1398.0
DO45257 46 years, male, NA, stage:3, alive, 810 days 1386.8
DO48741 64 years, male, NA, stage:3, alive, 240 days 1378.9
DO45207 68 years, male, NA, stage:1, alive, 1050 days 1354.4
DO45277 64 years, male, NA, stage:3, alive, 600 days 1350.1
DO48715 58 years, female, NA, stage:2, dead, 690 days 1342.6
DO45093 71 years, male, NA, stage:2, dead, 720 days 1316.4
DO45103 47 years, male, NA, stage:3, alive, 450 days 1312.1
DO45219 78 years, male, NA, stage:2, alive, 1080 days 1296.8
DO50855 47 years, male, NA, stage:2, alive, 570 days 1265.8
DO45281 83 years, male, NA, stage:4, alive, 750 days 1261.2
DO45249 57 years, male, NA, stage:1, alive, 630 days 1260.5
DO23521 63 years, male, NA, stage:3, alive, 1110 days 1248.9
DO23525 71 years, male, NA, stage:4, alive, 1050 days 1246.0
DO48759 73 years, male, NA, stage:3, alive, 720 days 1245.0
DO50809 56 years, male, NA, stage:3, dead, 720 days 1237.2
DO45273 62 years, male, NA, stage:2, alive, 480 days 1202.5
DO23516 69 years, male, NA, stage:3, dead, 20 days 1198.5
DO45237 58 years, male, NA, stage:2, alive, 900 days 1190.5
DO45253 50 years, male, NA, stage:2, alive, 870 days 1147.6
DO50825 70 years, male, NA, stage:2, alive, 390 days 1143.9
DO48712 50 years, male, NA, stage:2, alive, 810 days 1138.3
DO45095 66 years, male, NA, stage:2, alive, 1620 days 1125.9
DO45221 75 years, female, NA, stage:4, dead, 390 days 1119.0
DO48757 68 years, female, NA, stage:3, alive, 480 days 1113.6
DO45091 56 years, male, NA, stage:2, dead, 1320 days 1113.5
DO48730 73 years, female, NA, stage:2, alive, 630 days 1108.3
DO45135 77 years, male, NA, stage:1, alive, 1410 days 1098.2
DO50839 47 years, female, NA, stage:3, alive, 330 days 1075.5
DO50857 72 years, male, NA, stage:2, alive, 210 days 1018.1
DO45275 65 years, male, NA, stage:3, dead, 10 days 1017.9
DO45187 32 years, female, NA, stage:1, alive, 1260 days 1009.2
DO45205 67 years, female, NA, stage:2, dead, 90 days 1002.3
DO48723 73 years, male, NA, stage:1, alive, 600 days 997.4
DO45117 73 years, female, NA, stage:2, dead, 1110 days 980.3
DO45165 75 years, male, NA, stage:2, alive, 690 days 978.8
DO48736 76 years, female, NA, stage:1, alive, 600 days 966.3
DO50783 62 years, male, NA, stage:3, alive, 480 days 956.8
DO45092 62 years, male, NA, stage:4, dead, 1200 days 952.0
DO45183 72 years, female, NA, stage:2, dead, 570 days 936.3
DO45227 57 years, female, NA, stage:2, alive, 1020 days 927.7
DO50819 72 years, female, NA, stage:2, alive, 510 days 924.3
DO45139 63 years, male, NA, stage:3, alive, 1320 days 923.5
DO23523 52 years, male, NA, stage:3, alive, 1080 days 917.7
DO45179 78 years, female, NA, stage:2, alive, 600 days 917.4
DO45131 53 years, male, NA, stage:4, dead, 360 days 910.4
DO45199 86 years, female, NA, stage:2, alive, 1350 days 905.5
DO45175 74 years, male, NA, stage:2, alive, 1140 days 905.4
DO45225 69 years, male, NA, stage:1, alive, 1050 days 898.8
DO23528 45 years, female, NA, stage:2, alive, 1020 days 897.6
DO48725 66 years, male, NA, stage:1, alive, 780 days 894.7
DO48681 57 years, male, NA, stage:2, alive, 900 days 894.1
DO45261 74 years, male, NA, stage:3, alive, 990 days 889.1
DO45239 42 years, male, NA, stage:2, alive, 870 days 884.9
DO45141 73 years, male, NA, stage:2, alive, 1320 days 884.2
DO48751 68 years, male, NA, stage:2, dead, 480 days 880.0
DO45265 73 years, male, NA, stage:3, alive, 1020 days 875.5
DO48717 54 years, male, NA, stage:4, dead, 180 days 857.7
DO48727 81 years, female, NA, stage:2, dead, 390 days 854.5
DO45155 69 years, male, NA, stage:2, alive, 2160 days 843.3
DO50859 77 years, male, NA, stage:2, alive, 180 days 843.2
DO45267 73 years, male, NA, stage:3, dead, 570 days 833.4
DO48672 81 years, male, NA, stage:2, alive, 450 days 827.2
DO50811 62 years, male, NA, stage:1, alive, 450 days 827.0
DO45247 31 years, female, NA, stage:2, alive, 210 days 815.0
DO45243 74 years, female, NA, stage:3, alive, 930 days 809.6
DO23533 61 years, male, NA, stage:2, alive, 900 days 807.2
DO48720 62 years, female, NA, stage:2, alive, 570 days 803.2
DO50840 49 years, male, NA, stage:2, alive, 330 days 796.2
DO50815 62 years, male, NA, stage:3, alive, 150 days 795.1
DO50802 49 years, male, NA, stage:2, alive, 930 days 790.4
DO45203 71 years, female, NA, stage:2, alive, 1170 days 788.6
DO50787 63 years, male, NA, stage:3, alive, 480 days 788.1
DO45185 89 years, male, NA, stage:2, alive, 600 days 784.2
DO45173 63 years, male, NA, stage:3, alive, 1170 days 778.7
DO45096 69 years, male, NA, stage:2, dead, 1290 days 757.3
DO23552 80 years, female, NA, stage:1, alive, 810 days 752.8
DO48679 72 years, male, NA, stage:2, alive, 1200 days 752.7
DO50813 56 years, male, NA, stage:2, alive, 420 days 750.3
DO45163 76 years, male, NA, stage:2, alive, 960 days 750.2
DO50832 73 years, male, NA, stage:3, alive, 90 days 744.3
DO45143 69 years, male, NA, stage:3, alive, 1290 days 737.3
DO50805 72 years, male, NA, stage:2, alive, 690 days 736.8
DO50778 60 years, male, NA, stage:4, alive, 630 days 727.6
DO50800 74 years, male, NA, stage:2, alive, 510 days 724.1
DO50808 68 years, male, NA, stage:2, alive, 570 days 721.1
DO48677 58 years, male, NA, stage:3, alive, 1140 days 718.1
DO45159 65 years, male, NA, stage:3, alive, 1470 days 717.9
DO50822 66 years, male, NA, stage:2, alive, 510 days 714.5
DO50820 77 years, female, NA, stage:3, alive, 510 days 708.4
DO45201 49 years, male, NA, stage:1, alive, 900 days 707.2
DO45113 58 years, male, NA, stage:3, alive, 1560 days 693.8
DO45157 62 years, male, NA, stage:2, alive, 1980 days 692.3
DO48746 76 years, male, NA, stage:3, alive, 570 days 688.9
DO45241 49 years, male, NA, stage:1, alive, 1080 days 688.2
DO50789 73 years, female, NA, stage:2, alive, 570 days 686.1
DO45191 61 years, female, NA, stage:2, alive, 1200 days 680.1
DO23536 56 years, male, NA, stage:2, alive, 930 days 677.9
DO50776 75 years, male, NA, stage:1, alive, 690 days 673.1
DO48728 74 years, female, NA, stage:2, alive, 150 days 665.7
DO45121 61 years, male, NA, stage:3, alive, 1530 days 665.6
DO23538 67 years, male, NA, stage:2, alive, 450 days 652.6
DO48719 80 years, male, NA, stage:2, alive, 690 days 651.7
DO45263 67 years, male, NA, stage:3, dead, 270 days 650.8
DO45125 58 years, male, NA, stage:3, alive, 1680 days 648.0
DO50807 67 years, male, NA, stage:1, alive, 540 days 633.6
DO23514 64 years, male, NA, stage:2, alive, 1290 days 618.3
DO45109 63 years, male, NA, stage:2, alive, 1590 days 617.2
DO23510 80 years, female, NA, stage:2, alive, 870 days 616.1
DO23524 71 years, female, NA, stage:2, alive, 1050 days 615.8
DO45255 81 years, male, NA, stage:3, alive, 720 days 615.4
DO23511 83 years, female, NA, stage:3, dead, 180 days 614.2
DO45223 67 years, male, NA, stage:4, alive, 1020 days 608.8
DO45137 38 years, male, NA, stage:1, alive, 1320 days 604.7
DO50798 77 years, male, NA, stage:3, dead, 30 days 604.0
DO45099 46 years, male, NA, stage:3, alive, 1590 days 590.6
DO45229 74 years, male, NA, stage:1, alive, 990 days 588.0
DO23509 60 years, male, NA, stage:3, dead, 780 days 580.4
DO23518 67 years, male, NA, stage:2, alive, 1320 days 578.0
DO23529 72 years, male, NA, stage:4, alive, 930 days 577.1
DO23543 63 years, male, NA, stage:2, alive, 1020 days 577.0
DO50844 75 years, male, NA, stage:4, alive, 300 days 576.5
DO45177 81 years, female, NA, stage:3, alive, 1260 days 575.5
DO45181 84 years, female, NA, stage:2, alive, 1200 days 572.1
DO50774 68 years, female, NA, stage:2, alive, 720 days 559.1
DO48743 69 years, female, NA, stage:2, alive, 570 days 558.5
DO45115 81 years, male, NA, stage:2, alive, 840 days 556.5
DO45119 74 years, male, NA, stage:3, dead, 510 days 556.0
DO23540 73 years, male, NA, stage:1, alive, 750 days 552.9
DO48706 72 years, male, NA, stage:2, alive, 870 days 550.9
DO23539 77 years, male, NA, stage:1, alive, 1110 days 545.8
DO48693 71 years, male, NA, stage:2, alive, 900 days 545.2
DO48700 78 years, female, NA, stage:2, alive, 810 days 535.8
DO48695 77 years, male, NA, stage:2, alive, 720 days 534.0
DO23542 66 years, male, NA, stage:3, alive, 960 days 531.6
DO50818 65 years, male, NA, stage:2, alive, 510 days 527.9
DO50829 78 years, male, NA, stage:3, alive, 570 days 525.2
DO45233 83 years, male, NA, stage:3, alive, 900 days 519.4
DO227801 77 years, female, NA, stage:1, alive, 660 days 518.4
DO45149 70 years, female, NA, stage:2, alive, 1260 days 509.0
DO23549 74 years, male, NA, stage:3, alive, 990 days 508.3
DO23534 60 years, male, NA, stage:2, alive, 840 days 500.1
DO45235 68 years, female, NA, stage:1, alive, 900 days 497.9
DO45153 77 years, female, NA, stage:2, alive, 1380 days 496.9
DO23513 76 years, male, NA, stage:3, alive, 1200 days 496.3
DO45171 56 years, male, NA, stage:3, alive, 600 days 489.9
DO45123 78 years, female, NA, stage:2, dead, 570 days 489.8
DO50804 81 years, male, NA, stage:2, alive, 720 days 489.3
DO23548 78 years, female, NA, stage:1, alive, 840 days 483.4
DO50850 74 years, male, NA, stage:3, alive, 720 days 458.5
DO227643 79 years, male, NA, stage:2, alive, 1260 days 457.6
DO23517 62 years, male, NA, stage:2, alive, 1200 days 453.0
DO48674 80 years, male, NA, stage:2, alive, 1260 days 447.2
DO23544 67 years, male, NA, stage:2, alive, 960 days 445.7
DO45129 61 years, male, NA, stage:3, alive, 1470 days 443.9
DO45169 74 years, male, NA, stage:3, alive, 1350 days 434.5
DO23512 60 years, male, NA, stage:1, alive, 1260 days 427.6
DO23547 74 years, male, NA, stage:1, alive, 1020 days 420.8
DO48733 72 years, male, NA, stage:2, alive, 600 days 420.6
DO48761 55 years, male, NA, stage:2, alive, 870 days 418.7
DO45133 64 years, male, NA, stage:3, dead, 660 days 416.8
DO48721 58 years, female, NA, stage:1, alive, 900 days 416.7
DO45215 65 years, male, NA, stage:2, alive, 1170 days 412.8
DO23531 78 years, female, NA, stage:3, alive, 900 days 412.4
DO23527 72 years, male, NA, stage:1, alive, 1050 days 408.0
DO50803 62 years, female, NA, stage:1, alive, 540 days 406.1
DO50793 76 years, male, NA, stage:4, alive, 540 days 402.2
DO45111 74 years, male, NA, stage:2, alive, 1590 days 400.1
DO50817 75 years, male, NA, stage:2, alive, 390 days 395.8
DO50816 63 years, male, NA, stage:2, alive, 390 days 388.9
DO48704 68 years, female, NA, stage:3, alive, 750 days 381.3
DO48716 71 years, male, NA, stage:2, alive, 720 days 376.8
DO48760 70 years, female, NA, stage:2, alive, 690 days 371.0
DO23532 71 years, female, NA, stage:1, alive, 960 days 359.5
DO23546 63 years, male, NA, stage:2, alive, 1050 days 355.8
DO48742 76 years, male, NA, stage:2, alive, 600 days 354.4
DO45094 76 years, male, NA, stage:3, alive, 1650 days 350.8
DO23541 65 years, male, NA, stage:2, alive, 930 days 343.7
DO23535 67 years, male, NA, stage:1, alive, 960 days 333.3
DO48701 78 years, male, NA, stage:2, alive, 780 days 330.1
DO50845 72 years, male, NA, stage:3, alive, 210 days 304.8
DO45195 62 years, male, NA, stage:1, alive, 390 days 282.0
DO45197 51 years, male, NA, stage:2, alive, 1170 days 266.5
DO23551 73 years, male, NA, stage:3, dead, 150 days 247.3
DO23550 69 years, male, NA, stage:1, alive, 990 days 244.7
DO45107 63 years, female, NA, stage:2, alive, 1710 days 242.7
DO45101 63 years, male, NA, stage:2, alive, 1680 days 238.2
DO45105 61 years, male, NA, stage:1, alive, 1680 days 222.2
DO45167 67 years, male, NA, stage:2, dead, 1440 days 180.9
Show allShow less
LIVER HEPATOCELLULAR CARCINOMA - Protein relative expression (CPTAC)
Number of samples 330
Samples
Sample ID Sample type nRPX
327 Tumor 0.5
537 Tumor 0.5
557 Tumor 0.5
981 Tumor 0.5
497 Tumor 0.5
965 Tumor 0.4
527 Tumor 0.4
525 Tumor 0.4
516 Normal 0.4
523 Tumor 0.4
937 Tumor 0.4
955 Tumor 0.3
473 Tumor 0.3
285 Tumor 0.3
698 Normal 0.3
353 Tumor 0.3
957 Tumor 0.3
524 Normal 0.3
545 Tumor 0.3
515 Tumor 0.3
518 Normal 0.3
964 Normal 0.3
494 Normal 0.3
982 Normal 0.3
492 Normal 0.3
526 Normal 0.3
553 Tumor 0.3
484 Normal 0.3
728 Normal 0.2
918 Normal 0.2
968 Normal 0.2
951 Tumor 0.2
944 Normal 0.2
958 Normal 0.2
131 Tumor 0.2
1025 Tumor 0.2
1043 Tumor 0.2
514 Normal 0.2
685 Tumor 0.2
358 Normal 0.2
533 Tumor 0.2
983 Tumor 0.2
925 Tumor 0.2
535 Tumor 0.2
488 Normal 0.2
1021 Tumor 0.2
938 Normal 0.2
727 Tumor 0.2
534 Normal 0.2
546 Normal 0.2
966 Normal 0.2
745 Tumor 0.2
481 Tumor 0.2
1026 Normal 0.2
393 Tumor 0.2
412 Normal 0.2
1027 Tumor 0.2
926 Normal 0.2
976 Normal 0.2
191 Tumor 0.2
1042 Normal 0.2
697 Tumor 0.2
696 Normal 0.2
851 Tumor 0.1
1014 Normal 0.1
448 Normal 0.1
355 Tumor 0.1
777 Tumor 0.1
436 Normal 0.1
472 Normal 0.1
536 Normal 0.1
865 Tumor 0.1
483 Tumor 0.1
352 Normal 0.1
967 Tumor 0.1
113 Tumor 0.1
785 Tumor 0.1
392 Normal 0.1
1032 Normal 0.1
917 Tumor 0.1
212 Normal 0.1
817 Tumor 0.1
912 Normal 0.1
956 Normal 0.1
135 Tumor 0.1
387 Tumor 0.1
513 Tumor 0.1
1016 Normal 0.1
954 Normal 0.1
478 Normal 0.1
943 Tumor 0.1
554 Normal 0.1
1028 Normal 0.1
778 Normal 0.1
471 Tumor 0.1
314 Normal 0.1
218 Normal 0.1
332 Normal 0.1
923 Tumor 0.1
517 Tumor 0.1
493 Tumor 0.1
924 Normal 0.1
953 Tumor 0.1
952 Normal 0.1
385 Tumor 0.1
223 Tumor 0.1
528 Normal 0.1
286 Normal 0.1
474 Normal 0.1
538 Normal 0.1
756 Normal 0.1
686 Normal 0.1
716 Normal 0.1
344 Normal 0.1
257 Tumor 0.1
978 Normal 0.1
196 Normal 0.1
567 Tumor 0.1
873 Tumor 0.1
394 Normal 0.1
464 Normal 0.0
312 Normal 0.0
1022 Normal 0.0
922 Normal 0.0
221 Tumor 0.0
963 Tumor 0.0
714 Normal 0.0
467 Tumor 0.0
395 Tumor 0.0
342 Normal 0.0
142 Normal 0.0
498 Normal 0.0
426 Normal 0.0
823 Tumor 0.0
1044 Normal 0.0
363 Tumor 0.0
913 Tumor 0.0
432 Normal 0.0
738 Normal 0.0
411 Tumor 0.0
573 Tumor 0.0
477 Tumor 0.0
882 Normal 0.0
482 Normal 0.0
975 Tumor 0.0
354 Normal 0.0
815 Tumor 0.0
331 Tumor 0.0
214 Normal 0.0
1015 Tumor 0.0
661 Tumor 0.0
227 Tumor 0.0
386 Normal 0.0
721 Tumor 0.0
462 Normal 0.0
713 Tumor 0.0
388 Normal 0.0
416 Normal 0.0
341 Tumor 0.0
715 Tumor 0.0
224 Normal 0.0
916 Normal 0.0
866 Normal 0.0
137 Tumor 0.0
1031 Tumor 0.0
298 Normal 0.0
192 Normal 0.0
195 Tumor 0.0
984 Normal 0.0
755 Tumor 0.0
222 Normal 0.0
376 Normal 0.0
466 Normal 0.0
737 Tumor 0.0
446 Normal 0.0
861 Tumor 0.0
356 Normal 0.0
915 Tumor 0.0
443 Tumor 0.0
864 Normal 0.0
413 Tumor 0.0
278 Normal 0.0
421 Tumor 0.0
447 Tumor 0.0
883 Tumor 0.0
211 Tumor 0.0
364 Normal 0.0
396 Normal 0.0
568 Normal 0.0
868 Normal 0.0
878 Normal 0.0
786 Normal -0.1
415 Tumor -0.1
857 Tumor -0.1
311 Tumor -0.1
213 Tumor -0.1
351 Tumor -0.1
722 Normal -0.1
558 Normal -0.1
456 Normal -0.1
422 Normal -0.1
433 Tumor -0.1
444 Normal -0.1
434 Normal -0.1
746 Normal -0.1
487 Tumor -0.1
914 Normal -0.1
723 Tumor -0.1
862 Normal -0.1
228 Normal -0.1
128 Normal -0.1
867 Tumor -0.1
414 Normal -0.1
816 Normal -0.1
617 Tumor -0.1
111 Normal -0.1
367 Tumor -0.1
431 Tumor -0.1
455 Tumor -0.1
186 Normal -0.1
884 Normal -0.1
148 Normal -0.1
343 Tumor -0.1
1041 Tumor -0.1
742 Normal -0.1
824 Normal -0.1
232 Normal -0.1
468 Normal -0.1
136 Normal -0.1
695 Tumor -0.1
217 Tumor -0.1
572 Normal -0.1
921 Tumor -0.1
636 Normal -0.1
672 Normal -0.1
1046 Normal -0.1
874 Normal -0.1
141 Tumor -0.1
126 Normal -0.1
1045 Tumor -0.1
852 Normal -0.1
461 Tumor -0.1
424 Normal -0.1
357 Tumor -0.1
435 Tumor -0.1
283 Tumor -0.1
328 Normal -0.1
114 Normal -0.1
172 Normal -0.1
445 Tumor -0.1
616 Normal -0.1
267 Tumor -0.2
391 Tumor -0.2
162 Normal -0.2
858 Normal -0.2
132 Normal -0.2
187 Tumor -0.2
814 Normal -0.2
145 Tumor -0.2
465 Tumor -0.2
146 Normal -0.2
564 Normal -0.2
188 Normal -0.2
818 Normal -0.2
138 Normal -0.2
451 Tumor -0.2
452 Normal -0.2
362 Normal -0.2
262 Normal -0.2
881 Tumor -0.2
425 Tumor -0.2
258 Normal -0.2
863 Tumor -0.2
1013 Tumor -0.2
427 Tumor -0.2
463 Tumor -0.2
813 Tumor -0.2
428 Normal -0.2
261 Tumor -0.2
615 Tumor -0.2
384 Normal -0.2
744 Normal -0.2
662 Normal -0.2
724 Normal -0.2
423 Tumor -0.2
147 Tumor -0.2
977 Tumor -0.2
618 Normal -0.2
284 Normal -0.2
272 Normal -0.2
648 Normal -0.2
664 Normal -0.2
628 Normal -0.3
297 Tumor -0.3
491 Tumor -0.3
563 Tumor -0.3
365 Tumor -0.3
268 Normal -0.3
574 Normal -0.3
185 Tumor -0.3
231 Tumor -0.3
375 Tumor -0.3
666 Normal -0.3
911 Tumor -0.3
366 Normal -0.3
277 Tumor -0.3
313 Tumor -0.3
743 Tumor -0.3
383 Tumor -0.4
642 Normal -0.4
647 Tumor -0.4
124 Normal -0.4
571 Tumor -0.4
361 Tumor -0.4
171 Tumor -0.4
663 Tumor -0.4
665 Tumor -0.4
271 Tumor -0.4
127 Tumor -0.4
877 Tumor -0.4
112 Tumor -0.5
627 Tumor -0.5
123 Tumor -0.5
741 Tumor -0.5
671 Tumor -0.5
125 Tumor -0.5
641 Tumor -0.5
161 Tumor -0.5
635 Tumor -0.6
368 Normal -0.6
Show allShow less
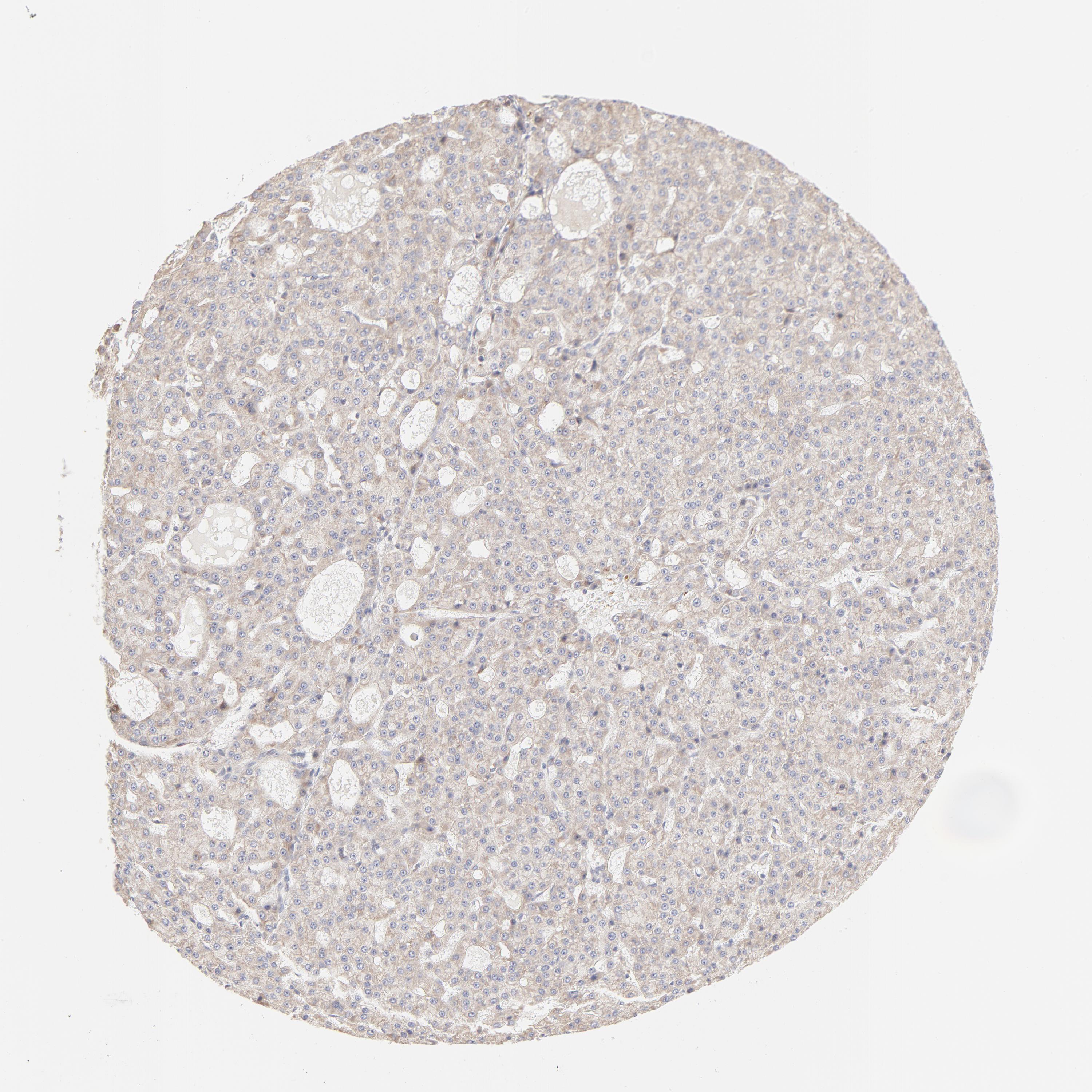
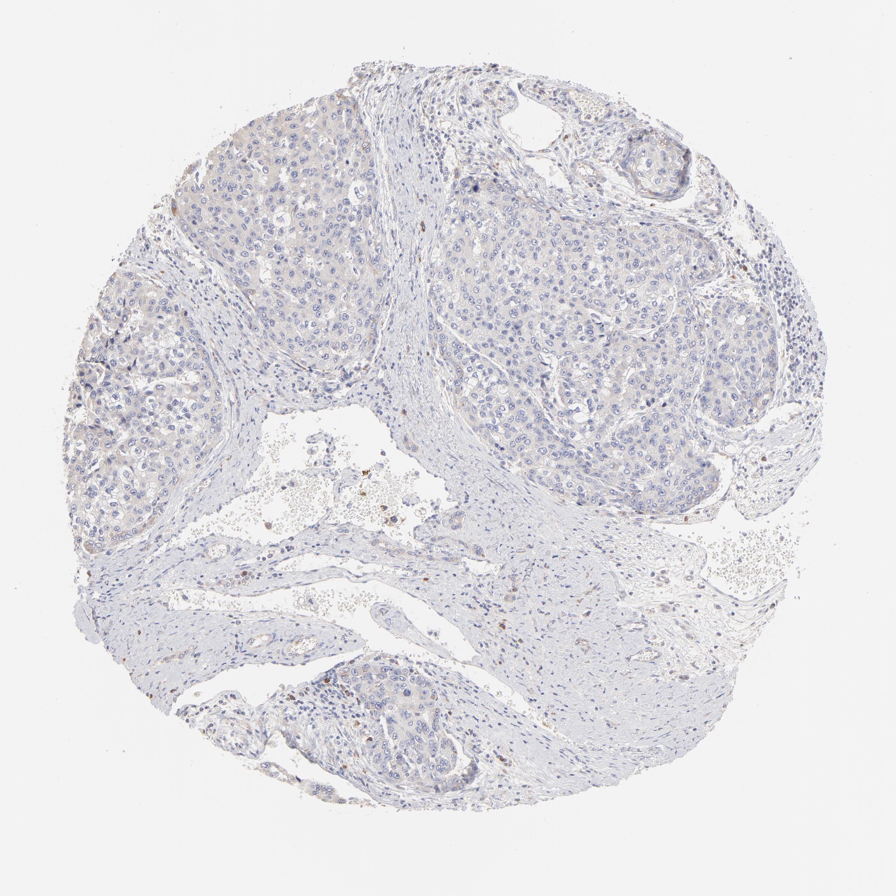
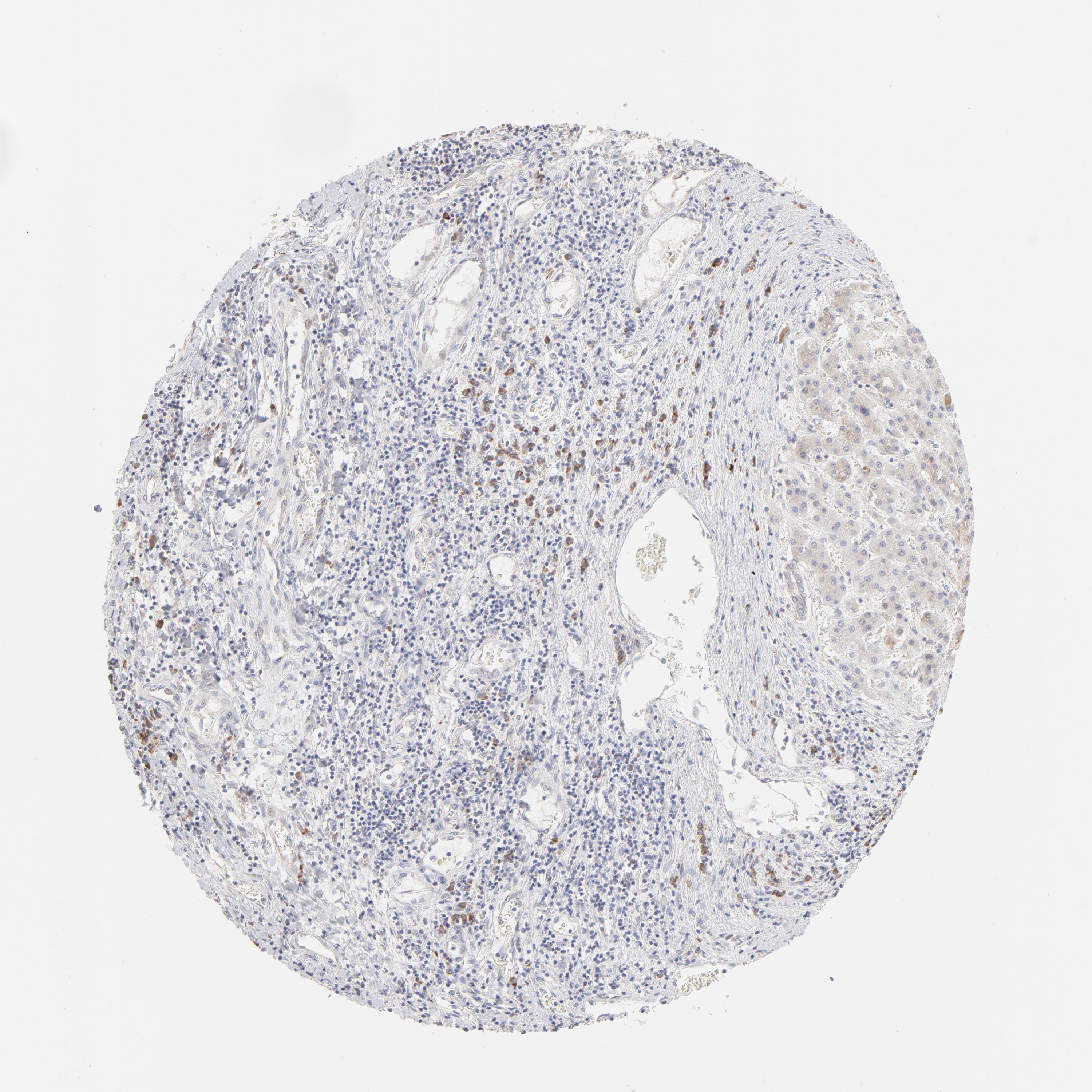
LIVER CANCER - Protein expressioni

A mouse-over function shows sample information and annotation data. Click on an image to view it in a full screen mode. Samples can be filtered based on level of antibody staining by selecting one or several of the following categories: high, medium, low and not detected. The assay and annotation is described here.

Note that samples used for immunohistochemistry by the Human Protein Atlas do not correspond to samples in the TCGA dataset.

 

Antibody stainingi

Antibody staining in the annotated cell types in the current human tissue is reported as not detected, low, medium, or high, based on conventional immunohistochemistry profiling in selected tissues. This score is based on the combination of the staining intensity and fraction of stained cells.

Each image is clickable and will lead to virtual microscopy that enables deeper exploration of all samples and also displays staining intensity scores, fraction scores and subcellular localization as well as patient and tissue information for each sample.


Antibody HPA003371
 Staining
  High
  Medium
  Low
  Not detected
 Intensity
  Strong
  Moderate
  Weak
  Negative
 Quantity
  >75%
  75%-25%
  <25%
  None
 Location
  Nuclear
  Cytoplasmic/membranous
  Cytoplasmic/membranous,nuclear
  None
Carcinoma, Hepatocellular, NOS
Cholangiocarcinoma

Contact

  • NEWS ARTICLES
  • PRESS ROOM

The Project

  • INTRODUCTION
  • ORGANIZATION
  • PUBLICATIONS

The Human Protein Atlas

  • DOWNLOADABLE DATA
  • LICENCE & CITATION
  • HELP & FAQ
The Human Protein Atlas project is funded
by the Knut & Alice Wallenberg Foundation.


contact@proteinatlas.org