We use cookies to enhance the usability of our website. If you continue, we'll assume that you are happy to receive all cookies. More information. Don't show this again.
CERS6
HPA
RESOURCES
  • TISSUE
  • BRAIN
  • SINGLE CELL
  • SUBCELLULAR
  • CANCER
  • BLOOD
  • CELL LINE
  • STRUCTURE & INTERACTION
ABOUT
  • INTRODUCTION
  • HISTORY
  • ORGANIZATION
  • PUBLICATIONS
  • ANTIBODY SUBMISSION
  • ANTIBODY AVAILABILITY
  • ACKNOWLEDGMENTS
  • CONTACT
NEWS
  • NEWS ARTICLES
  • PRESS ROOM
LEARN
  • DICTIONARY
  • PROTEIN CLASSES
  • PROTEIN EVIDENCE
  • METHODS
  • EDUCATIONAL VIDEOS
DATA
  • DOWNLOADABLE DATA
  • PUBLICATION DATA
  • RELEASE HISTORY
HELP
  • ANTIBODY VALIDATION
  • ASSAYS & ANNOTATION
  • DISCLAIMER
  • HELP & FAQ
  • PRIVACY STATEMENT
  • LICENCE & CITATION
Fields »
Search result

Field
Term
Gene name
Class
Subclass
Class
Keyword
Chromosome
External id
Tissue
Cell type
Expression
Antibody panel
Tissue
Main location
Patient ID
Annotation
Tissue
Category
Tau score
Cluster
Reliability
Brain region
Category
Tau score
Brain region
Category
Tau score
Brain region
Category
Tau score
Cluster
Reliability
Tissue
Cell type
Enrichment
Cell type
Category
Tau score
Cell type
Category
Tau score
Cell type
Category
Tau score
Cell lineage
Category
Tau score
Cluster
Cluster
Location
Searches
Location
Cell line
Class
Type
Phase
Reliability
Cancer
Prognosis
Cancer
Category
Cancer
Category
Tau score
Cluster
Variants
Interacting gene (ensg_id)
Type
Number of interactions
Pathway
Category
Score
Score
Score
Validation
Validation
Validation
Validation
Antibodies
Data type
Column


  • SUMMARY

  • TISSUE

  • BRAIN

  • SINGLE CELL

  • SUBCELL

  • CANCER

  • BLOOD

  • CELL LINE

  • STRUCT & INT

  • CERS6
TISSUE PRIMARY DATA SKIN Show tissue menu
ADIPOSE TISSUE ADRENAL GLAND AMYGDALA APPENDIX BASAL GANGLIA BONE MARROW BREAST BRONCHUS CEREBELLUM CEREBRAL CORTEX CERVIX CHOROID PLEXUS COLON DUODENUM
ENDOMETRIUM EPIDIDYMIS ESOPHAGUS FALLOPIAN TUBE GALLBLADDER HEART MUSCLE HIPPOCAMPAL FORMATION HYPOTHALAMUS KIDNEY LIVER LUNG LYMPH NODE MIDBRAIN NASOPHARYNX
ORAL MUCOSA OVARY PANCREAS PARATHYROID GLAND PITUITARY GLAND PLACENTA PROSTATE RECTUM RETINA SALIVARY GLAND SEMINAL VESICLE SKELETAL MUSCLE SKIN SMALL INTESTINE
SMOOTH MUSCLE SOFT TISSUE SPINAL CORD SPLEEN STOMACH TESTIS THYMUS THYROID GLAND TONGUE TONSIL URINARY BLADDER VAGINA
ANTIBODIES
AND
VALIDATION
Dictionary
Skin
Tissue proteome
Skin
SKIN - Expression summary
Protein expression
Skini

On the top, protein expression in current human tissue, based on all annotated cell types, is reported with the units not detected (n), low (l), medium (m) and high (h). Underneath, protein expression in each annotated cell type are reported using the same units.

Protein expression data is based on knowledge-based annotation. For genes where more than one antibody has been used, a collective score is set.

If knowledge-based annotation could not be performed for a gene, no data is displayed here. View antibody staining data further down this page.

h
m
l
n
Epidermal cells: Low
Fibroblasts: Not detected
Keratinocytes: Not detected
Langerhans: Not detected
Melanocytes: Not detected
RNA expressioni

A summary of mRNA expression data available for current tissue based on several datasets. The mRNA expression levels in human tissues are based on RNA-seq data generated by the Human Protein Atlas (HPA), Genotype-Tissue Expression (GTEx) portal and CAGE data generated by the FANTOM5 consortium. Consensus normalized expression levels for human tissues was created by combining the data from HPA and GTEx datasets.

The mRNA expression levels in pig are based on RNA-seq data generated by the Human Protein Atlas (HPA), and for mouse, HPA data and in situ hybridization generated by the Allen brain atlas are reported.

Scroll down to view mRNA expression data in more detail.
Consensus:18.6 nTPM
HPA:18.6 nTPM
GTEx:13.2 nTPM

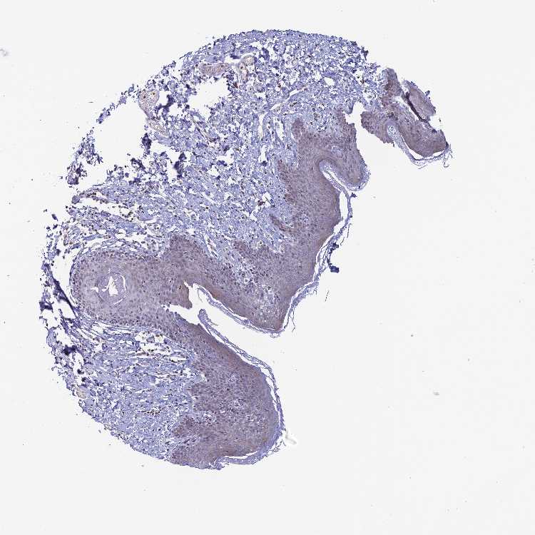
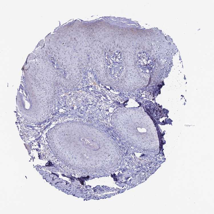
SKIN 1 - Antibody stainingi

Antibody staining in the annotated cell types in the current human tissue is reported as not detected, low, medium, or high, based on conventional immunohistochemistry profiling in selected tissues. This score is based on the combination of the staining intensity and fraction of stained cells.

Each image is clickable and will lead to virtual microscopy that enables deeper exploration of all samples and also displays staining intensity scores, fraction scores and subcellular localization as well as patient and tissue information for each sample.

Antibody HPA044683
Langerhans Not detected
Fibroblasts Not detected
Keratinocytes Not detected
Melanocytes Not detected


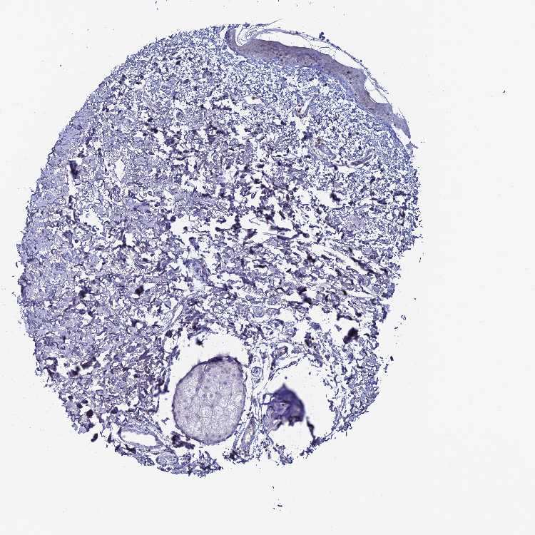
SKIN 2 - Antibody stainingi

Antibody staining in the annotated cell types in the current human tissue is reported as not detected, low, medium, or high, based on conventional immunohistochemistry profiling in selected tissues. This score is based on the combination of the staining intensity and fraction of stained cells.

Each image is clickable and will lead to virtual microscopy that enables deeper exploration of all samples and also displays staining intensity scores, fraction scores and subcellular localization as well as patient and tissue information for each sample.

Antibody HPA044683
Epidermal cells Low
 
 
 



SKIN - HPA RNA-seqi

The RNA-seq details section shows detailed information about the individual samples used for the transcript profiling and results of the RNA-seq analysis.

Information about each individual sample is listed below, including gender, age, a tissue section image and estimated fractions of cell types. nTPM (normalized transcripts per million) values give a quantification of the gene abundance which is comparable between different genes and samples.
Average nTPMi

Max subtype nTPM is the value for the subtype with the largest average nTPM across the subtype samples.

18.6
overview
Female, age 34
Skin sample 225
nTPM: 19.3
Cell types%
Keratinocytes:
60

Other cell types:
40

overview
Female, age 30
Skin sample 226
nTPM: 24.9
Cell types%
Keratinocytes:
55

Other cell types:
45

N/A
Male, age 57
Skin sample 227
nTPM: 11.5

SKIN - GTEx RNA-seqi

RNA-Seq data generated by the Genotype-Tissue Expression (GTEx) project from human tissues is reported as mean nTPM. More information can be found on the GTEx portal.

Distribution across the dataset is visualized with box plots, shown as median and 25th and 75th percentiles. Points are displayed as outliers if they are above or below 1.5 times the interquartile range. nTPM values of the individual samples are presented next to the box plot.
Max subtype nTPMi

Max subtype nTPM is the value for the subtype with the largest average nTPM across the subtype samples.

13.2
GTEx sample id Sample description nTPM
Skin - Not Sun Exposed (Suprapubic)
Average nTPM: 13.2
Samples: 604

Max nTPM: 38.9
Min nTPM: 4.0
Std nTPM: 4.6
Median nTPM: 12.4
GTEX-1F6RS-2026-SM-7RHHC 60-69 years, female 38.9
GTEX-13VXT-1926-SM-5K7UO 20-29 years, female 31.1
GTEX-13PDP-0726-SM-5L3HP 60-69 years, male 28.5
GTEX-1NV5F-0626-SM-DTXEG 60-69 years, female 27.5
GTEX-XQ8I-0926-SM-4BOOF 50-59 years, male 27.3
GTEX-12WSK-2126-SM-5CVNC 40-49 years, female 27.2
GTEX-13IVO-0726-SM-5LZYV 70-79 years, male 27.0
GTEX-1AMFI-1326-SM-7939R 50-59 years, female 27.0
GTEX-13YAN-0226-SM-5TDC6 60-69 years, male 25.7
GTEX-131XF-2626-SM-5EQ6K 60-69 years, male 25.1
GTEX-148VJ-0626-SM-5LUAW 70-79 years, male 24.8
GTEX-1122O-1026-SM-9WYSF 60-69 years, female 24.6
GTEX-1JJ6O-2726-SM-CNPOG 60-69 years, male 24.6
GTEX-1HKZK-0726-SM-ACKW2 40-49 years, male 24.2
GTEX-1I1GT-1026-SM-ARZLV 60-69 years, female 24.2
GTEX-1QP2A-1726-SM-E76QC 50-59 years, male 23.9
GTEX-1HCVE-2726-SM-CL54F 50-59 years, male 23.7
GTEX-12WSM-1926-SM-5BC65 60-69 years, male 23.6
GTEX-1H3VE-0726-SM-9YFL5 40-49 years, male 23.6
GTEX-1EH9U-2826-SM-7DUGT 60-69 years, male 23.4
GTEX-1HSGN-0826-SM-ACKW3 40-49 years, female 23.1
GTEX-14C39-1726-SM-5RQIL 40-49 years, male 22.8
GTEX-14PJN-1826-SM-6AJ98 30-39 years, male 22.8
GTEX-17F9Y-0126-SM-79OKX 70-79 years, female 22.7
GTEX-1MCYP-0526-SM-E9U6Q 20-29 years, female 22.7
GTEX-13JVG-0726-SM-5KM16 60-69 years, male 22.3
GTEX-ZVT2-0126-SM-5GIDQ 50-59 years, female 22.2
GTEX-13PL6-1126-SM-5L3IE 40-49 years, female 22.1
GTEX-13O61-1426-SM-5KM3D 60-69 years, male 21.9
GTEX-WYBS-0626-SM-3NMAS 60-69 years, female 21.9
GTEX-1GN1U-0626-SM-9MQL9 50-59 years, female 21.7
GTEX-1AMEY-0826-SM-72D65 30-39 years, female 21.6
GTEX-1H3O1-1326-SM-9MQLD 60-69 years, male 21.6
GTEX-1GZ4H-0526-SM-9KNU9 50-59 years, female 21.5
GTEX-13NZ8-1226-SM-5KM4A 60-69 years, female 21.4
GTEX-1LKK1-2626-SM-DKPQE 50-59 years, female 21.4
GTEX-1399U-1126-SM-5L3DB 50-59 years, female 21.2
GTEX-14PJ5-1526-SM-6LLIL 60-69 years, female 21.2
GTEX-18QFQ-1826-SM-72D52 30-39 years, male 21.2
GTEX-1J8EW-2726-SM-CY8HR 60-69 years, female 21.2
GTEX-14PKU-0126-SM-6LLHV 40-49 years, female 21.1
GTEX-WHSB-1326-SM-3LK6W 50-59 years, male 21.1
GTEX-1HBPM-0726-SM-9YFL7 60-69 years, female 21.1
GTEX-1F5PL-0926-SM-7PC2W 40-49 years, female 21.0
GTEX-1JMPY-0226-SM-CKZOK 30-39 years, male 21.0
GTEX-1C6VQ-1226-SM-73KYD 50-59 years, male 20.7
GTEX-Y9LG-1126-SM-4VBQ7 30-39 years, male 20.6
GTEX-13QJC-0126-SM-5ZZWJ 60-69 years, female 20.5
GTEX-ZYY3-2926-SM-5GIEB 60-69 years, female 20.5
GTEX-1HSMQ-2626-SM-A9SML 50-59 years, male 20.3
GTEX-14PJ6-2626-SM-6EU2T 60-69 years, female 19.8
GTEX-1HSMO-0626-SM-ACKXC 60-69 years, male 19.8
GTEX-1IE54-1126-SM-A9G2Z 40-49 years, female 19.8
GTEX-1MCC2-1826-SM-DIPEX 30-39 years, female 19.8
GTEX-1QP28-1126-SM-EVYC4 50-59 years, female 19.8
GTEX-1LGRB-0926-SM-COH3K 50-59 years, female 19.7
GTEX-1C2JI-1026-SM-73KY1 50-59 years, male 19.6
GTEX-ZVZP-1226-SM-5GID7 50-59 years, male 19.5
GTEX-1IDJU-1726-SM-CMKHU 60-69 years, female 19.5
GTEX-1PDJ9-1226-SM-EXUSX 20-29 years, male 19.4
GTEX-15SKB-2826-SM-6PAMH 60-69 years, male 19.2
GTEX-ZAB4-2126-SM-5HL8U 40-49 years, male 19.2
GTEX-1269C-0126-SM-5EQ5L 60-69 years, female 19.1
GTEX-13SLW-0626-SM-5Q5ER 70-79 years, male 19.0
GTEX-1GPI6-1926-SM-9KNV7 60-69 years, male 19.0
GTEX-1GN73-0726-SM-7P8TJ 60-69 years, male 18.9
GTEX-12ZZZ-0726-SM-5GCNZ 60-69 years, male 18.8
GTEX-139UW-0326-SM-5J1ML 60-69 years, male 18.8
GTEX-1CAMQ-1326-SM-7P8RV 40-49 years, male 18.8
GTEX-1QPFJ-1926-SM-EVYBD 30-39 years, female 18.7
GTEX-14C5O-0326-SM-5ZZUX 60-69 years, male 18.6
GTEX-1HCU7-0726-SM-A9SL1 50-59 years, male 18.6
GTEX-1GMR8-0626-SM-7RHI7 50-59 years, female 18.3
GTEX-1F52S-2926-SM-7MKGA 60-69 years, female 18.2
GTEX-1F75B-0726-SM-7PC3R 50-59 years, male 18.2
GTEX-13QBU-1226-SM-5LU4G 40-49 years, female 18.1
GTEX-14LLW-2626-SM-62LDZ 70-79 years, female 18.1
GTEX-15UF6-1926-SM-7KUDV 70-79 years, female 18.1
GTEX-145MI-0626-SM-5SI8S 60-69 years, female 18.0
GTEX-14PJ4-0226-SM-5YY92 60-69 years, male 18.0
GTEX-1F5PK-2226-SM-7SB6N 50-59 years, male 18.0
GTEX-1HGF4-0126-SM-CNPPX 60-69 years, male 18.0
GTEX-1HSKV-1226-SM-ADEI4 60-69 years, male 18.0
GTEX-139D8-1126-SM-5LU8W 30-39 years, female 17.9
GTEX-15EO6-2426-SM-6PALZ 50-59 years, male 17.9
GTEX-XAJ8-1426-SM-47JYM 40-49 years, male 17.9
GTEX-1GN1W-2426-SM-9KNUU 50-59 years, female 17.9
GTEX-ZGAY-1826-SM-DO91Q 40-49 years, female 17.9
GTEX-11ZU8-0126-SM-5EQ58 60-69 years, male 17.8
GTEX-14753-0726-SM-5QGQO 60-69 years, male 17.8
GTEX-15CHC-1126-SM-6LLHQ 60-69 years, female 17.8
GTEX-XUW1-0926-SM-4BONX 50-59 years, female 17.8
GTEX-1JK1U-0226-SM-ARZMX 60-69 years, male 17.8
GTEX-ZLV1-1526-SM-DO91J 60-69 years, female 17.8
GTEX-14PII-0726-SM-6EU2B 60-69 years, male 17.7
GTEX-14B4R-1326-SM-5Q5EZ 30-39 years, male 17.6
GTEX-1IDJI-0126-SM-CMKHS 50-59 years, female 17.5
GTEX-1S5ZU-2526-SM-E6CIF 20-29 years, female 17.5
GTEX-13X6H-0926-SM-5SIB2 50-59 years, female 17.4
GTEX-ZF29-0926-SM-4WKFZ 60-69 years, female 17.4
GTEX-1HB9E-0126-SM-CM2S5 50-59 years, male 17.4
GTEX-1IDJV-0126-SM-COH3Y 60-69 years, male 17.4
GTEX-1KXAM-1626-SM-D3LAD 60-69 years, male 17.4
GTEX-1PPH7-1126-SM-DTX9A 40-49 years, male 17.4
GTEX-12C56-1526-SM-5FQUQ 20-29 years, male 17.3
GTEX-WY7C-2126-SM-3NB2R 50-59 years, male 17.3
GTEX-1B8L1-2226-SM-7P8PT 60-69 years, male 17.3
GTEX-14ICL-1626-SM-5YYAO 30-39 years, male 17.2
GTEX-1J1OQ-0126-SM-D4P2N 40-49 years, female 17.2
GTEX-1JMQJ-0826-SM-CNPP7 50-59 years, male 17.2
GTEX-13NYS-0626-SM-5L3F1 60-69 years, male 17.0
GTEX-1QMI2-2526-SM-E8VNZ 60-69 years, male 17.0
GTEX-1R46S-2426-SM-E76QA 60-69 years, female 17.0
GTEX-15RJE-2826-SM-7KUM9 40-49 years, male 16.9
GTEX-1B97I-0626-SM-73KUZ 40-49 years, male 16.9
GTEX-1CB4H-1126-SM-7MKGL 60-69 years, female 16.9
GTEX-ZDYS-2426-SM-4WKGI 50-59 years, male 16.9
GTEX-ZE7O-2726-SM-51MT5 50-59 years, female 16.9
GTEX-13PVR-0426-SM-5RQK2 60-69 years, female 16.7
GTEX-ZVT4-2426-SM-5GIEI 50-59 years, female 16.7
GTEX-13D11-0926-SM-5J2NC 50-59 years, female 16.6
GTEX-1I1GS-2626-SM-B2LY3 60-69 years, male 16.6
GTEX-1S3DN-2126-SM-E9TIN 50-59 years, male 16.6
GTEX-UPJH-0226-SM-3GADV 50-59 years, male 16.5
GTEX-1EMGI-2326-SM-7PBYA 60-69 years, male 16.5
GTEX-WEY5-2326-SM-3GIKK 40-49 years, female 16.4
GTEX-ZDTT-0426-SM-4WKFL 60-69 years, male 16.4
GTEX-1KAFJ-0126-SM-DIPEK 50-59 years, male 16.4
GTEX-17MFQ-1526-SM-7KFRR 20-29 years, male 16.3
GTEX-1HFI7-2326-SM-CGQFS 50-59 years, female 16.3
GTEX-11P81-2226-SM-5PNYI 30-39 years, female 16.2
GTEX-147JS-0226-SM-5S2U9 60-69 years, male 16.1
GTEX-1HR9M-2226-SM-CNPPY 60-69 years, male 16.1
GTEX-11VI4-1126-SM-5EQMD 40-49 years, female 16.0
GTEX-147F3-1726-SM-5SIAW 50-59 years, female 16.0
GTEX-16BQI-1326-SM-6M486 30-39 years, female 16.0
GTEX-16NGA-0726-SM-731AO 40-49 years, female 16.0
GTEX-1AX9I-2226-SM-73KUO 60-69 years, male 16.0
GTEX-11P82-1426-SM-DTXFY 20-29 years, male 16.0
GTEX-1ICLY-0826-SM-CMKG1 50-59 years, male 16.0
GTEX-1IKJJ-2226-SM-CJI4C 60-69 years, male 16.0
GTEX-1JKYR-0626-SM-ARL8R 20-29 years, male 16.0
GTEX-ZF3C-0626-SM-DO92O 50-59 years, female 16.0
GTEX-YFCO-1226-SM-5LUAT 40-49 years, male 15.9
GTEX-1GF9V-0826-SM-9KNUV 60-69 years, male 15.9
GTEX-1JJEA-1826-SM-ARU8P 60-69 years, male 15.9
GTEX-13O3O-2326-SM-5IJD6 60-69 years, female 15.8
GTEX-ZPCL-1126-SM-4WWFE 60-69 years, female 15.8
GTEX-1J1R8-2026-SM-CL53Y 40-49 years, male 15.8
GTEX-1J8QM-2426-SM-A9SLS 60-69 years, female 15.8
GTEX-17F98-1326-SM-7DUEP 40-49 years, female 15.7
GTEX-1J8Q2-2626-SM-ACKWQ 60-69 years, male 15.7
GTEX-WFG7-2026-SM-5SI7P 20-29 years, male 15.6
GTEX-ZZPU-0826-SM-5GZX5 50-59 years, female 15.6
GTEX-1H1DE-1326-SM-9KNUG 20-29 years, male 15.6
GTEX-1A8FM-0626-SM-7PC25 50-59 years, female 15.5
GTEX-11LCK-2226-SM-5HL4Q 30-39 years, male 15.4
GTEX-1313W-0626-SM-5EQ4H 50-59 years, female 15.4
GTEX-13N1W-2426-SM-5IJD1 70-79 years, male 15.4
GTEX-1B8KE-1126-SM-7EPHI 50-59 years, male 15.4
GTEX-ZXG5-2126-SM-59HKD 60-69 years, male 15.4
GTEX-1LVAN-0626-SM-CNPOQ 50-59 years, female 15.4
GTEX-13RTJ-0126-SM-5S2NN 60-69 years, male 15.3
GTEX-1GPI7-1826-SM-9KNU1 20-29 years, male 15.3
GTEX-1HR98-2226-SM-ADEI2 60-69 years, male 15.3
GTEX-1RAZQ-1326-SM-E9TK6 30-39 years, male 15.3
GTEX-ZA64-1026-SM-5HL8R 20-29 years, male 15.2
GTEX-1I1GV-0626-SM-ARL7M 60-69 years, male 15.2
GTEX-11EQ8-0926-SM-5H12V 60-69 years, male 15.1
GTEX-13FTX-1526-SM-5K7VJ 20-29 years, female 15.1
GTEX-XBED-1926-SM-47JYP 60-69 years, male 15.1
GTEX-1CAMS-2226-SM-7PBXQ 40-49 years, female 15.1
GTEX-1LG7Y-2526-SM-EWRO7 50-59 years, male 15.1
GTEX-13OW6-2726-SM-5J2OE 50-59 years, male 15.0
GTEX-1BAJH-2426-SM-7IGP8 70-79 years, male 15.0
GTEX-1IDFM-0326-SM-ARL7V 60-69 years, male 15.0
GTEX-1K2DU-1226-SM-CYPT4 20-29 years, male 15.0
GTEX-183WM-0326-SM-72D5V 70-79 years, female 14.9
GTEX-1EU9M-1426-SM-793AI 60-69 years, male 14.9
GTEX-1GF9W-1426-SM-7PBYM 60-69 years, male 14.9
GTEX-13OW5-2326-SM-5L3HO 60-69 years, male 14.8
GTEX-145LU-1926-SM-79OJN 50-59 years, male 14.8
GTEX-14JG6-1426-SM-9WG7C 30-39 years, female 14.8
GTEX-18D9A-1426-SM-7LT8M 30-39 years, female 14.8
GTEX-1KANA-1326-SM-DIPFA 20-29 years, male 14.8
GTEX-17EVP-2626-SM-7IGMA 40-49 years, male 14.7
GTEX-1A3MV-1826-SM-731CD 30-39 years, male 14.7
GTEX-1I1GP-1326-SM-A9G28 50-59 years, male 14.7
GTEX-1PBJJ-1026-SM-E76OS 30-39 years, male 14.7
GTEX-14PHX-2226-SM-6EU2P 50-59 years, male 14.6
GTEX-1R7EU-1626-SM-DTXG3 60-69 years, male 14.6
GTEX-11DXY-0126-SM-5H11Q 60-69 years, male 14.5
GTEX-139T8-0626-SM-5KLZX 60-69 years, male 14.5
GTEX-1IOXB-2726-SM-CM2RI 50-59 years, male 14.5
GTEX-1J8Q3-0526-SM-ARL8U 60-69 years, male 14.5
GTEX-13FLV-0126-SM-5K7WT 50-59 years, male 14.4
GTEX-15DDE-2926-SM-6LLJ3 50-59 years, female 14.4
GTEX-ZLWG-0826-SM-59888 50-59 years, female 14.4
GTEX-13O3Q-0126-SM-5KM34 50-59 years, male 14.3
GTEX-13X6K-0626-SM-5LU5D 60-69 years, female 14.3
GTEX-145MO-2826-SM-5LU96 60-69 years, male 14.3
GTEX-1GF9X-1326-SM-7PC2Y 40-49 years, female 14.3
GTEX-1S83E-1326-SM-E6CJM 40-49 years, male 14.3
GTEX-13OVH-0526-SM-5L3E6 70-79 years, male 14.2
GTEX-145MH-2826-SM-5RQJF 50-59 years, male 14.2
GTEX-16AAH-0626-SM-793C9 50-59 years, male 14.2
GTEX-1EKGG-0626-SM-7DUGJ 60-69 years, male 14.2
GTEX-1F48J-0726-SM-7RHGS 50-59 years, female 14.2
GTEX-1GL5R-1326-SM-7RHHF 50-59 years, male 14.2
GTEX-1HBPN-0126-SM-CGQEF 50-59 years, male 14.2
GTEX-111VG-1626-SM-5EGIO 60-69 years, male 14.1
GTEX-11EQ9-1626-SM-5PNY8 30-39 years, male 14.1
GTEX-11GSP-2326-SM-5HL63 60-69 years, female 14.0
GTEX-12KS4-2126-SM-5FQUT 30-39 years, male 14.0
GTEX-15EU6-2226-SM-6EU2L 50-59 years, male 14.0
GTEX-17F97-2626-SM-7IGM5 50-59 years, male 14.0
GTEX-1B932-2326-SM-79OL5 40-49 years, female 14.0
GTEX-1C64N-2626-SM-7PC2N 50-59 years, male 14.0
GTEX-18A67-1626-SM-7LT9T 50-59 years, male 13.9
GTEX-1A8G6-2726-SM-731AR 60-69 years, male 13.9
GTEX-XV7Q-1826-SM-4BRUV 40-49 years, female 13.9
GTEX-1RMOY-1326-SM-E9TIH 50-59 years, male 13.9
GTEX-139TU-0726-SM-5L3EK 60-69 years, male 13.8
GTEX-13FHO-0426-SM-5L3F5 60-69 years, male 13.8
GTEX-15RIG-0726-SM-7KUM7 40-49 years, male 13.8
GTEX-17HHE-1326-SM-7EWDZ 50-59 years, male 13.8
GTEX-X4EO-2926-SM-4E3JH 60-69 years, female 13.8
GTEX-Y3I4-1726-SM-4TT89 50-59 years, male 13.8
GTEX-1PPH8-0126-SM-EWRN8 20-29 years, male 13.8
GTEX-13FTW-0326-SM-5K7UW 40-49 years, male 13.7
GTEX-ZTX8-1326-SM-4YCEL 20-29 years, male 13.7
GTEX-1GMR2-0826-SM-7PC3V 50-59 years, male 13.7
GTEX-1LB8K-0726-SM-D5OV2 50-59 years, male 13.7
GTEX-1POEN-2326-SM-E9J2L 30-39 years, female 13.7
GTEX-1QCLY-0226-SM-EWRNH 30-39 years, male 13.7
GTEX-111YS-1526-SM-5GZYW 60-69 years, male 13.6
GTEX-144GM-0526-SM-79OJO 20-29 years, male 13.6
GTEX-145LS-0626-SM-7EPG7 60-69 years, female 13.6
GTEX-14A6H-2026-SM-5Q5DD 30-39 years, male 13.6
GTEX-14BIN-1126-SM-5RQJZ 50-59 years, female 13.6
GTEX-15DYW-2726-SM-6EU2I 60-69 years, female 13.6
GTEX-V1D1-2026-SM-3GAF4 50-59 years, male 13.6
GTEX-1NSGN-0726-SM-DTXEF 50-59 years, male 13.6
GTEX-YEC3-1326-SM-DO92X 50-59 years, male 13.6
GTEX-13NYB-0126-SM-5J1MD 40-49 years, male 13.5
GTEX-1A8G7-1326-SM-73KVM 60-69 years, male 13.5
GTEX-ZVE1-0726-SM-51MRN 50-59 years, female 13.5
GTEX-1GN1V-2826-SM-9JGIA 60-69 years, male 13.5
GTEX-11TUW-0626-SM-5LU9M 60-69 years, male 13.4
GTEX-11UD2-2526-SM-5CVNU 50-59 years, male 13.4
GTEX-X5EB-1926-SM-4E3IW 40-49 years, male 13.4
GTEX-ZYT6-2326-SM-5GZY3 30-39 years, male 13.4
GTEX-1C64O-1326-SM-7MGWR 60-69 years, male 13.4
GTEX-1HT8W-0626-SM-A9G2H 30-39 years, male 13.4
GTEX-11WQC-1826-SM-5GU59 60-69 years, male 13.3
GTEX-13VXU-0626-SM-5L3F9 50-59 years, male 13.3
GTEX-14DAQ-0626-SM-793DS 60-69 years, female 13.3
GTEX-15ER7-0626-SM-6PANF 20-29 years, female 13.3
GTEX-17HII-1426-SM-7EPGG 50-59 years, male 13.3
GTEX-1HCUA-0826-SM-ADEHM 50-59 years, female 13.3
GTEX-1JJE9-2626-SM-ARZMT 70-79 years, male 13.3
GTEX-1JKYN-0826-SM-ARU8S 30-39 years, male 13.3
GTEX-13OVL-0126-SM-5L3GJ 50-59 years, male 13.2
GTEX-1C6VR-0126-SM-7RHGB 60-69 years, male 13.2
GTEX-1H1DF-1126-SM-9WG7G 40-49 years, female 13.2
GTEX-12WSL-2026-SM-5GCML 50-59 years, male 13.1
GTEX-1GMRU-2126-SM-7P8RA 50-59 years, male 13.1
GTEX-133LE-2326-SM-5K7W3 20-29 years, female 13.0
GTEX-144GO-2026-SM-5O99P 60-69 years, male 13.0
GTEX-ZZ64-1026-SM-5GZXG 20-29 years, male 13.0
GTEX-1GN2E-0226-SM-9WG6K 60-69 years, male 13.0
GTEX-1GZ4I-2626-SM-9KNU3 50-59 years, male 13.0
GTEX-1LGOU-1326-SM-D3L8M 20-29 years, female 13.0
GTEX-1N2DV-1526-SM-DTXEP 40-49 years, male 13.0
GTEX-1CB4E-0926-SM-7EPHT 60-69 years, male 12.9
GTEX-1CAMR-1326-SM-7PC1F 20-29 years, male 12.9
GTEX-1PPGY-1626-SM-EVYBL 60-69 years, male 12.9
GTEX-1RLM8-2926-SM-E8VON 50-59 years, male 12.9
GTEX-111CU-1126-SM-5EGIM 50-59 years, male 12.8
GTEX-13X6J-0626-SM-5LU5F 50-59 years, male 12.8
GTEX-14AS3-1526-SM-5Q5ED 40-49 years, female 12.8
GTEX-1B8KZ-0326-SM-73KY4 50-59 years, male 12.8
GTEX-1GMR3-0126-SM-A9SLW 40-49 years, male 12.8
GTEX-1KWVE-1026-SM-D3L9O 30-39 years, male 12.8
GTEX-1RAZR-2126-SM-E9U6T 40-49 years, male 12.8
GTEX-1S82P-2126-SM-E6CI5 60-69 years, female 12.8
GTEX-147GR-2426-SM-5ZZWQ 60-69 years, male 12.7
GTEX-1LVAM-0726-SM-E6CIL 50-59 years, female 12.7
GTEX-16NPX-0726-SM-7KULC 50-59 years, male 12.6
GTEX-YECK-0326-SM-4W1YS 60-69 years, male 12.6
GTEX-1N5O9-0926-SM-E9J3C 60-69 years, male 12.6
GTEX-1117F-2926-SM-5GZYI 60-69 years, female 12.5
GTEX-11ZTT-2126-SM-5CVLO 60-69 years, female 12.5
GTEX-16MT8-2926-SM-7DUFO 60-69 years, female 12.5
GTEX-18D9U-0126-SM-731BM 40-49 years, male 12.5
GTEX-1EN7A-2426-SM-793DB 40-49 years, male 12.5
GTEX-14JFF-0626-SM-5ZZVT 60-69 years, male 12.5
GTEX-1F75A-0726-SM-7RHHD 50-59 years, male 12.5
GTEX-1JMLX-0626-SM-ARL8T 50-59 years, male 12.5
GTEX-1399Q-2326-SM-5KM2X 40-49 years, male 12.4
GTEX-13FTY-2126-SM-5IFFB 40-49 years, female 12.4
GTEX-144GL-0626-SM-5LU4D 50-59 years, male 12.4
GTEX-14BMV-2826-SM-5TDED 50-59 years, male 12.4
GTEX-15FZZ-0526-SM-7KUGD 30-39 years, female 12.4
GTEX-16XZZ-0726-SM-7KUF2 60-69 years, male 12.4
GTEX-17F9E-2326-SM-79OKD 50-59 years, male 12.4
GTEX-Y111-0626-SM-4SOIT 50-59 years, male 12.4
GTEX-1H2FU-0926-SM-9WPPT 60-69 years, female 12.4
GTEX-1H4P4-2126-SM-9WYSL 50-59 years, male 12.4
GTEX-1HCU6-2526-SM-ADEHL 60-69 years, female 12.4
GTEX-1ICG6-1226-SM-A9SLN 70-79 years, female 12.4
GTEX-1JN76-0626-SM-CKZOQ 20-29 years, female 12.4
GTEX-11PRG-0726-SM-5EGL1 50-59 years, male 12.3
GTEX-XMD2-2126-SM-4YCF8 60-69 years, female 12.3
GTEX-1F88E-1626-SM-7SB8Z 60-69 years, female 12.3
GTEX-1IDJF-2026-SM-CL53V 20-29 years, male 12.3
GTEX-1N2EE-0626-SM-E76PW 60-69 years, male 12.3
GTEX-14PJ3-1126-SM-5ZZVX 50-59 years, male 12.2
GTEX-14PKV-1126-SM-6LLJ1 20-29 years, female 12.2
GTEX-ZF2S-1626-SM-57WES 50-59 years, female 12.2
GTEX-1H1E6-0426-SM-9WYUS 30-39 years, male 12.2
GTEX-1HCU9-0426-SM-9WYSD 20-29 years, male 12.2
GTEX-1KD5A-0126-SM-E9U54 50-59 years, male 12.2
GTEX-1QCLZ-2426-SM-EVYBW 60-69 years, female 12.2
GTEX-1399S-0126-SM-5IJCF 30-39 years, female 12.1
GTEX-1CB4F-1026-SM-7DUH1 60-69 years, male 12.1
GTEX-YJ8O-2526-SM-5HL85 40-49 years, female 12.1
GTEX-ZT9X-1526-SM-5DUXD 40-49 years, male 12.1
GTEX-ZVE2-2826-SM-5GU51 50-59 years, male 12.1
GTEX-1CB4J-1326-SM-7P8RX 60-69 years, male 12.1
GTEX-1HFI6-0126-SM-CNPPI 40-49 years, male 12.1
GTEX-1KANC-1226-SM-CYPT7 50-59 years, female 12.1
GTEX-12WSD-0626-SM-5GCMW 60-69 years, female 12.0
GTEX-145MF-0926-SM-5Q5EA 50-59 years, male 12.0
GTEX-18465-2826-SM-7LT9J 50-59 years, male 12.0
GTEX-18A7A-0126-SM-731AH 50-59 years, female 12.0
GTEX-1B933-2426-SM-7DHMD 50-59 years, female 12.0
GTEX-1F75I-2226-SM-7SB8U 40-49 years, male 12.0
GTEX-1IKOE-1426-SM-CE6T7 30-39 years, female 12.0
GTEX-1JMQI-1726-SM-ARL93 50-59 years, male 12.0
GTEX-1LSVX-2526-SM-DIPEU 60-69 years, male 12.0
GTEX-117YX-1926-SM-5GIEC 50-59 years, male 11.9
GTEX-145ME-1726-SM-5Q5EU 40-49 years, female 11.9
GTEX-18A7B-2726-SM-7LG56 70-79 years, male 11.9
GTEX-1EX96-1026-SM-7MKG2 50-59 years, male 11.9
GTEX-WRHU-2826-SM-3MJG8 50-59 years, female 11.9
GTEX-WXYG-2026-SM-4E3IY 50-59 years, female 11.9
GTEX-XBEW-1126-SM-4QARW 40-49 years, male 11.9
GTEX-ZC5H-1526-SM-5HL9Y 40-49 years, female 11.9
GTEX-ZE9C-2526-SM-5IJDR 60-69 years, male 11.9
GTEX-1211K-1526-SM-5FQU4 60-69 years, female 11.8
GTEX-1B8SF-0126-SM-7DUG3 60-69 years, male 11.8
GTEX-ZVP2-0326-SM-57WBP 50-59 years, male 11.8
GTEX-1H11D-1826-SM-9QEHM 40-49 years, male 11.8
GTEX-1HBPI-2126-SM-ARL9K 50-59 years, male 11.8
GTEX-1LVA9-2626-SM-EVYD4 50-59 years, male 11.8
GTEX-11EM3-1226-SM-5N9DD 20-29 years, female 11.7
GTEX-13X6I-1826-SM-5SIAO 60-69 years, male 11.7
GTEX-14BMU-1226-SM-5S2OR 20-29 years, female 11.7
GTEX-17KNJ-2126-SM-718AM 50-59 years, male 11.7
GTEX-1A32A-0626-SM-731AQ 50-59 years, female 11.7
GTEX-XYKS-1426-SM-4BRUO 60-69 years, female 11.7
GTEX-1PIIG-2326-SM-DTXFR 30-39 years, male 11.7
GTEX-11GS4-0226-SM-5HL77 60-69 years, male 11.6
GTEX-1477Z-0326-SM-7IGLA 60-69 years, male 11.6
GTEX-1JMQK-1226-SM-D4P2S 60-69 years, male 11.6
GTEX-11DXZ-2026-SM-5987S 50-59 years, male 11.5
GTEX-12ZZX-2426-SM-5GCOE 40-49 years, female 11.5
GTEX-12ZZY-0726-SM-5EQ66 60-69 years, male 11.5
GTEX-144FL-0626-SM-5LU43 50-59 years, male 11.5
GTEX-14LZ3-0126-SM-69LPM 60-69 years, female 11.5
GTEX-183FY-1026-SM-7939A 20-29 years, male 11.5
GTEX-XOT4-0626-SM-4B66L 60-69 years, female 11.5
GTEX-Y114-2126-SM-4TT8B 50-59 years, female 11.5
GTEX-1F88F-0126-SM-9WYSZ 60-69 years, female 11.5
GTEX-1H1DG-2426-SM-9QEHJ 70-79 years, male 11.5
GTEX-17MF6-2626-SM-79OKQ 40-49 years, male 11.4
GTEX-ZWKS-0626-SM-5GIDV 30-39 years, male 11.4
GTEX-11P7K-1126-SM-5HL4L 30-39 years, male 11.3
GTEX-12696-0126-SM-5EQ4L 60-69 years, male 11.3
GTEX-14PHY-1226-SM-5ZZWK 60-69 years, female 11.3
GTEX-1C475-1326-SM-7SB73 40-49 years, female 11.3
GTEX-1K9T9-1526-SM-DIPFR 50-59 years, female 11.3
GTEX-WYJK-0526-SM-3NM8Z 50-59 years, male 11.2
GTEX-Y5V6-2326-SM-4VDSA 60-69 years, male 11.2
GTEX-11NUK-2726-SM-5A5MC 50-59 years, male 11.1
GTEX-178AV-1726-SM-7KUL8 40-49 years, male 11.1
GTEX-ZTSS-1426-SM-5985P 40-49 years, male 11.1
GTEX-1192X-2726-SM-5N9DN 50-59 years, male 11.0
GTEX-WK11-2726-SM-3NMAQ 50-59 years, male 11.0
GTEX-13OVK-1426-SM-6PAN7 40-49 years, male 10.9
GTEX-13OW7-0426-SM-5K7VK 50-59 years, male 10.9
GTEX-13SLX-2226-SM-62LEP 50-59 years, female 10.9
GTEX-ZYFC-0426-SM-5GICQ 50-59 years, male 10.9
GTEX-1HUB1-1426-SM-CGQF5 60-69 years, male 10.9
GTEX-1I4MK-0126-SM-CY8G6 50-59 years, female 10.9
GTEX-1KANB-2826-SM-CY8I6 50-59 years, male 10.9
GTEX-14JG1-1526-SM-5YY9X 40-49 years, male 10.8
GTEX-18A6Q-0626-SM-7KFRP 60-69 years, male 10.8
GTEX-1CAV2-0126-SM-7IGN7 40-49 years, female 10.8
GTEX-WHPG-2626-SM-3NMBR 50-59 years, male 10.8
GTEX-14C38-0726-SM-5SI6M 50-59 years, male 10.7
GTEX-15CHR-1126-SM-7EWF4 50-59 years, male 10.7
GTEX-16Z82-2626-SM-7KULU 60-69 years, male 10.7
GTEX-ZP4G-1426-SM-4WWCL 20-29 years, female 10.7
GTEX-1H1ZS-2726-SM-9WG75 70-79 years, male 10.7
GTEX-1R9K4-2826-SM-DTX8F 60-69 years, male 10.7
GTEX-12WSH-1526-SM-5BC5W 50-59 years, male 10.6
GTEX-13JUV-2026-SM-5K7UA 40-49 years, female 10.6
GTEX-13N11-2326-SM-5IJBF 50-59 years, female 10.6
GTEX-13PVQ-0626-SM-5LU47 50-59 years, male 10.6
GTEX-1497J-0226-SM-5QGPU 60-69 years, male 10.6
GTEX-17F96-0126-SM-7EWDU 70-79 years, male 10.6
GTEX-1EWIQ-0326-SM-7DHMQ 70-79 years, female 10.6
GTEX-ZYW4-0626-SM-59HJR 60-69 years, male 10.6
GTEX-1E2YA-2126-SM-7MXUO 50-59 years, male 10.6
GTEX-1I6K6-1726-SM-CGQFD 30-39 years, male 10.6
GTEX-11O72-0626-SM-5PNYE 40-49 years, male 10.5
GTEX-139TS-2126-SM-5K7XC 60-69 years, male 10.5
GTEX-13OW8-1026-SM-5J1NQ 60-69 years, male 10.5
GTEX-15D1Q-2826-SM-6LLH7 40-49 years, male 10.5
GTEX-VUSG-2326-SM-4KL1U 50-59 years, male 10.5
GTEX-Y5V5-0126-SM-5S2NW 60-69 years, female 10.5
GTEX-ZAJG-1526-SM-5CVML 50-59 years, female 10.5
GTEX-1IDJH-0126-SM-D3L92 70-79 years, male 10.5
GTEX-15G1A-1626-SM-7KUKN 30-39 years, male 10.4
GTEX-17HHY-0426-SM-7DHLC 50-59 years, male 10.4
GTEX-WHWD-1826-SM-3LK6I 50-59 years, male 10.4
GTEX-X3Y1-2026-SM-3P5YM 40-49 years, male 10.4
GTEX-1314G-1326-SM-5BC6E 30-39 years, male 10.3
GTEX-15G19-2426-SM-7KUMR 60-69 years, male 10.3
GTEX-YEC4-1826-SM-4W1YP 40-49 years, male 10.3
GTEX-1CB4I-0126-SM-7RHGG 50-59 years, male 10.3
GTEX-1GTWX-2026-SM-9YFLM 60-69 years, male 10.3
GTEX-1JMQL-2226-SM-CNPP4 50-59 years, female 10.3
GTEX-1JN1M-2726-SM-CY8I4 60-69 years, female 10.3
GTEX-1QEPI-2626-SM-DTXF4 60-69 years, female 10.3
GTEX-11ZUS-2626-SM-5FQUR 30-39 years, male 10.2
GTEX-12WSA-0426-SM-5EQ5X 60-69 years, male 10.2
GTEX-13OVG-1626-SM-5J1NF 60-69 years, male 10.2
GTEX-ZT9W-1126-SM-57WDR 50-59 years, male 10.2
GTEX-1GZHY-0626-SM-9KNVC 50-59 years, female 10.2
GTEX-1ICLZ-0326-SM-ARL82 60-69 years, male 10.2
GTEX-1IL2V-1926-SM-B2LW8 70-79 years, male 10.2
GTEX-1JN6P-2926-SM-CL54D 60-69 years, male 10.2
GTEX-1K2DA-1026-SM-CGQGF 50-59 years, male 10.2
GTEX-1OJC4-2726-SM-E76PJ 50-59 years, female 10.2
GTEX-11DXX-2126-SM-5PNYR 60-69 years, female 10.1
GTEX-131XW-0626-SM-5PNVD 50-59 years, female 10.1
GTEX-Z93S-1626-SM-5CVMB 50-59 years, male 10.1
GTEX-1OJC3-1226-SM-DTXER 20-29 years, male 10.1
GTEX-1S82U-1026-SM-E6CJK 30-39 years, female 10.1
GTEX-11EI6-2826-SM-5H11D 60-69 years, male 10.0
GTEX-1JMPZ-0726-SM-CY8HZ 30-39 years, male 10.0
GTEX-13NYC-0126-SM-5L3F4 60-69 years, male 9.9
GTEX-14E6E-0526-SM-793DN 30-39 years, male 9.9
GTEX-16YQH-2226-SM-7IGM2 30-39 years, male 9.9
GTEX-1QW4Y-1126-SM-DTXE3 30-39 years, male 9.9
GTEX-13G51-1826-SM-5KLZH 60-69 years, male 9.8
GTEX-WFON-1926-SM-3LK7L 40-49 years, male 9.8
GTEX-1I1GU-0926-SM-ACKVS 40-49 years, male 9.8
GTEX-1QP9N-1226-SM-E76QN 30-39 years, male 9.8
GTEX-13W3W-0726-SM-5IJDQ 60-69 years, female 9.7
GTEX-147F4-0726-SM-5TDDD 50-59 years, male 9.7
GTEX-14PJO-2526-SM-6AJBQ 60-69 years, male 9.7
GTEX-ZLFU-1826-SM-4WWBV 40-49 years, male 9.7
GTEX-1IDJC-1526-SM-B2LW4 50-59 years, male 9.7
GTEX-1RB15-1326-SM-E76Q9 60-69 years, male 9.7
GTEX-1S831-1826-SM-EWROF 20-29 years, male 9.7
GTEX-XQ3S-1426-SM-4BOPR 20-29 years, male 9.6
GTEX-ZTTD-2826-SM-4YCFA 50-59 years, male 9.6
GTEX-1LG7Z-1626-SM-CXKYR 30-39 years, male 9.6
GTEX-13N2G-0226-SM-5K7VF 60-69 years, male 9.5
GTEX-13OVJ-0826-SM-5J1OK 50-59 years, female 9.5
GTEX-146FQ-2126-SM-5RQHU 30-39 years, male 9.5
GTEX-15SHW-0226-SM-7LTAT 60-69 years, male 9.5
GTEX-1I19N-0126-SM-CYPSF 70-79 years, male 9.5
GTEX-1IY9M-2826-SM-ARU8H 60-69 years, male 9.5
GTEX-1R9PM-1926-SM-EVR3O 20-29 years, male 9.5
GTEX-12584-0726-SM-5FQTK 40-49 years, male 9.4
GTEX-12WSF-1626-SM-7KUG5 70-79 years, male 9.4
GTEX-131XG-0326-SM-5L3DX 50-59 years, female 9.4
GTEX-139YR-1026-SM-5LZYN 50-59 years, male 9.4
GTEX-145MN-1526-SM-5SI9T 30-39 years, male 9.4
GTEX-14PJ2-0626-SM-6LLII 50-59 years, male 9.4
GTEX-18A66-0626-SM-7LT8Z 60-69 years, male 9.4
GTEX-1C6WA-2626-SM-7MKGM 60-69 years, male 9.4
GTEX-WYVS-1626-SM-3NM9R 40-49 years, female 9.4
GTEX-11OF3-0126-SM-5PNYF 60-69 years, male 9.3
GTEX-145LT-0526-SM-5LUB2 40-49 years, male 9.3
GTEX-WH7G-2026-SM-3NMBL 40-49 years, male 9.3
GTEX-XBEC-0726-SM-4QARZ 50-59 years, male 9.3
GTEX-XPVG-2126-SM-4B667 50-59 years, male 9.3
GTEX-Y8E4-2026-SM-5IFJB 40-49 years, male 9.3
GTEX-YF7O-1526-SM-5IFI6 50-59 years, male 9.3
GTEX-1I1HK-2326-SM-CKZOH 60-69 years, male 9.3
GTEX-1M4P7-0726-SM-E6CJ3 60-69 years, male 9.3
GTEX-15CHQ-0326-SM-69LQD 60-69 years, male 9.2
GTEX-X4EP-0626-SM-3P621 60-69 years, female 9.2
GTEX-Y8LW-1526-SM-5IFHL 50-59 years, female 9.2
GTEX-1HSMP-0926-SM-A9SKX 70-79 years, male 9.2
GTEX-13113-1626-SM-5EQ4I 60-69 years, female 9.1
GTEX-18D9B-0926-SM-7LG4U 60-69 years, male 9.1
GTEX-1B996-0426-SM-7EWF8 60-69 years, male 9.1
GTEX-WHSE-0126-SM-3NMBT 20-29 years, male 9.0
GTEX-ZAK1-0626-SM-5HL8E 50-59 years, female 9.0
GTEX-1LSNL-2726-SM-E9TKJ 50-59 years, male 9.0
GTEX-1LSNM-0826-SM-DIPG8 50-59 years, male 9.0
GTEX-12WSC-2826-SM-5BC5Y 50-59 years, male 8.9
GTEX-13112-0126-SM-5P9IU 50-59 years, male 8.9
GTEX-139TT-2126-SM-5LZWC 60-69 years, male 8.8
GTEX-ZYFG-1526-SM-5GZYM 60-69 years, female 8.8
GTEX-1AYD5-2626-SM-7PBXY 50-59 years, male 8.8
GTEX-1H23P-0626-SM-9WG6T 60-69 years, male 8.8
GTEX-1RAZS-2526-SM-E6CHT 50-59 years, male 8.8
GTEX-ZUA1-2626-SM-5NQ92 40-49 years, male 8.7
GTEX-1I1CD-0626-SM-CE6SW 60-69 years, female 8.7
GTEX-1RAZA-2226-SM-E9U4X 20-29 years, male 8.7
GTEX-1GZ2Q-0126-SM-9WG6M 40-49 years, male 8.6
GTEX-1I6K7-1926-SM-B2LXR 40-49 years, male 8.6
GTEX-14A5H-0826-SM-5QGPJ 60-69 years, male 8.5
GTEX-YB5K-2026-SM-4VDT3 40-49 years, female 8.5
GTEX-1F6IF-0926-SM-7SB7M 60-69 years, male 8.5
GTEX-1LVAO-2726-SM-E9TJ8 60-69 years, male 8.5
GTEX-1QP29-1826-SM-DTX9S 50-59 years, male 8.5
GTEX-12BJ1-0926-SM-5EQ62 60-69 years, male 8.4
GTEX-16MTA-0926-SM-6M47Z 50-59 years, male 8.4
GTEX-XK95-0226-SM-4AT58 40-49 years, male 8.4
GTEX-1H1CY-0126-SM-9YFLY 60-69 years, female 8.4
GTEX-11WQK-1026-SM-5EQLX 50-59 years, male 8.3
GTEX-17HGU-2326-SM-7DUFE 50-59 years, male 8.3
GTEX-X585-2426-SM-46MW2 50-59 years, male 8.3
GTEX-131XH-0126-SM-5LZUY 50-59 years, male 8.2
GTEX-14E1K-2026-SM-7DUEI 50-59 years, male 8.2
GTEX-12WSJ-1126-SM-5LZVJ 40-49 years, female 8.1
GTEX-1GF9U-2026-SM-7SB92 40-49 years, female 8.1
GTEX-1MJK3-0726-SM-E6CJC 20-29 years, male 8.1
GTEX-1212Z-0126-SM-59HK4 60-69 years, male 8.0
GTEX-14ABY-2026-SM-62LDL 50-59 years, male 8.0
GTEX-UPK5-0426-SM-3GAEK 40-49 years, male 8.0
GTEX-XXEK-1626-SM-4BRUZ 50-59 years, male 8.0
GTEX-ZYVF-0926-SM-5E44J 50-59 years, female 8.0
GTEX-1O9I2-0226-SM-EYYXD 50-59 years, male 8.0
GTEX-1E1VI-0326-SM-793D1 50-59 years, male 7.9
GTEX-X8HC-0626-SM-4E3HQ 50-59 years, female 7.9
GTEX-Y3IK-1626-SM-4YCF5 50-59 years, female 7.9
GTEX-1H3NZ-2726-SM-9WYTQ 60-69 years, male 7.9
GTEX-ZYFD-0626-SM-5E44E 50-59 years, male 7.8
GTEX-15RJ7-2126-SM-6PAMD 40-49 years, male 7.7
GTEX-14E6C-2426-SM-5S2NF 40-49 years, male 7.6
GTEX-1A3MW-0626-SM-731CB 60-69 years, female 7.6
GTEX-WFG8-2126-SM-3GIKQ 20-29 years, male 7.6
GTEX-11DZ1-2426-SM-5GZZX 50-59 years, male 7.5
GTEX-14DAR-1226-SM-73KYV 50-59 years, male 7.5
GTEX-15RIE-1926-SM-7KUKJ 60-69 years, male 7.5
GTEX-1HC8U-1326-SM-9YFMJ 40-49 years, female 7.5
GTEX-1QP66-1226-SM-DTX7U 50-59 years, male 7.5
GTEX-11DYG-1526-SM-5A5JS 60-69 years, male 7.4
GTEX-WI4N-2726-SM-3LK7Y 40-49 years, female 7.4
GTEX-1LBAC-0826-SM-CY8IJ 20-29 years, male 7.4
GTEX-ZPIC-0526-SM-DO91W 40-49 years, female 7.4
GTEX-11TT1-1826-SM-5EQLV 20-29 years, male 7.3
GTEX-ZDTS-0826-SM-4WKHL 60-69 years, male 7.3
GTEX-1A3MX-2626-SM-7PC24 60-69 years, male 7.3
GTEX-1JMOU-1026-SM-CYPSS 60-69 years, female 7.3
GTEX-131YS-2826-SM-5EQ47 60-69 years, female 7.2
GTEX-13FH7-1126-SM-5K7UG 50-59 years, female 7.2
GTEX-ZU9S-1826-SM-5NQ9E 30-39 years, male 7.1
GTEX-1F6I4-2326-SM-7RHGL 60-69 years, male 7.1
GTEX-1QAET-0326-SM-EVR3U 50-59 years, male 7.1
GTEX-13NZ9-2626-SM-5L3FK 50-59 years, male 7.0
GTEX-14XAO-1226-SM-6EU1C 60-69 years, female 7.0
GTEX-1AX9J-1326-SM-731BJ 60-69 years, male 7.0
GTEX-1L5NE-1126-SM-D3L9P 50-59 years, male 6.9
GTEX-11DXW-0826-SM-5H118 40-49 years, male 6.8
GTEX-ZPU1-1126-SM-4YCF3 40-49 years, male 6.8
GTEX-ZY6K-1426-SM-5GZX2 50-59 years, male 6.8
GTEX-1IDJE-1426-SM-ADEIW 50-59 years, female 6.8
GTEX-1J8JJ-0626-SM-ARZMQ 60-69 years, female 6.8
GTEX-11NSD-0626-SM-5A5LU 20-29 years, male 6.7
GTEX-145MG-1526-SM-5Q5EM 50-59 years, male 6.7
GTEX-13U4I-2226-SM-5LU5H 40-49 years, female 6.6
GTEX-17HG3-2626-SM-7DUF2 30-39 years, female 6.6
GTEX-1AX8Z-0726-SM-73KTS 60-69 years, male 6.6
GTEX-VJYA-1526-SM-3GIJV 60-69 years, male 6.6
GTEX-1F75W-2726-SM-7SB8H 60-69 years, male 6.6
GTEX-12126-0826-SM-5FQTZ 20-29 years, male 6.5
GTEX-16GPK-0626-SM-7KFSF 60-69 years, male 6.5
GTEX-U8XE-0226-SM-4E3J3 30-39 years, male 6.4
GTEX-1PIGE-1826-SM-E8VOU 20-29 years, male 6.4
GTEX-ZVTK-0226-SM-51MRG 20-29 years, male 6.2
GTEX-14PK6-0226-SM-62LF5 70-79 years, female 6.1
GTEX-W5X1-2526-SM-3GILC 40-49 years, female 5.9
GTEX-1IDJD-2326-SM-ACKWX 30-39 years, male 5.9
GTEX-ZDXO-3126-SM-5IJDF 60-69 years, male 5.8
GTEX-132AR-0326-SM-5KM2C 50-59 years, female 5.3
GTEX-17JCI-2926-SM-7DUFF 60-69 years, female 5.3
GTEX-1R9PN-0426-SM-DTXDT 40-49 years, female 5.3
GTEX-1HCU8-2526-SM-CE6RX 60-69 years, female 5.2
GTEX-16MT9-0126-SM-7EPI8 60-69 years, female 5.1
GTEX-Y5LM-0926-SM-6LLJG 40-49 years, female 5.0
GTEX-17EVQ-0126-SM-7IGLR 70-79 years, male 4.5
GTEX-111FC-2526-SM-5GZXU 60-69 years, male 4.4
GTEX-1399R-1326-SM-5PNYS 30-39 years, male 4.0
Show allShow less
Skin - Sun Exposed (Lower leg)
Average nTPM: 10.5
Samples: 701

Max nTPM: 28.0
Min nTPM: 2.4
Std nTPM: 4.0
Median nTPM: 9.8
GTEX-1LVAN-0226-SM-COH3S 50-59 years, female 28.0
GTEX-1HSGN-0226-SM-CGQFV 40-49 years, female 26.4
GTEX-1B97I-1626-SM-73KYO 40-49 years, male 25.6
GTEX-ZTX8-1426-SM-5DUVO 20-29 years, male 24.6
GTEX-1HCU7-0226-SM-CL545 50-59 years, male 24.3
GTEX-15ETS-0126-SM-7KUMW 40-49 years, female 23.9
GTEX-16AAH-1726-SM-7939C 50-59 years, male 23.9
GTEX-WFG8-2226-SM-3GIL9 20-29 years, male 23.9
GTEX-1F5PK-2426-SM-7RHHY 50-59 years, male 23.1
GTEX-1S3DN-2226-SM-EVYCD 50-59 years, male 22.4
GTEX-17F96-1626-SM-7DUFL 70-79 years, male 22.0
GTEX-14PJ6-2126-SM-6EU1V 60-69 years, female 21.4
GTEX-13FTX-1826-SM-5J1NX 20-29 years, female 21.2
GTEX-1GL5R-1826-SM-9KNUY 50-59 years, male 21.2
GTEX-14A5I-0126-SM-5TDEA 50-59 years, female 21.1
GTEX-1I1GT-0626-SM-CGQER 60-69 years, female 20.9
GTEX-1MA7W-2026-SM-E9TJ6 20-29 years, female 20.9
GTEX-1C475-1826-SM-73KWA 40-49 years, female 20.8
GTEX-SNMC-1226-SM-2XCFP 20-29 years, male 20.5
GTEX-1122O-2126-SM-5EGIR 60-69 years, female 20.4
GTEX-T8EM-1026-SM-3DB7M 40-49 years, male 20.4
GTEX-17GQL-2026-SM-718BA 60-69 years, male 20.3
GTEX-1A3MV-1926-SM-718BT 30-39 years, male 20.0
GTEX-1KANC-1526-SM-D3LAB 50-59 years, female 19.8
GTEX-12WSK-2326-SM-5GCOH 40-49 years, female 19.7
GTEX-1J8QM-2126-SM-CYPSJ 60-69 years, female 19.7
GTEX-1CB4I-0226-SM-79OLH 50-59 years, male 19.5
GTEX-15EU6-0426-SM-6PAN5 50-59 years, male 19.4
GTEX-1CAMQ-0226-SM-7IGPK 40-49 years, male 19.3
GTEX-X261-0126-SM-3NMD6 50-59 years, male 19.0
GTEX-1KANA-0726-SM-D3L9I 20-29 years, male 18.8
GTEX-1GMR8-0126-SM-9WYTM 50-59 years, female 18.7
GTEX-1IDJU-2626-SM-CM2RT 60-69 years, female 18.6
GTEX-16NGA-1726-SM-731B4 40-49 years, female 18.4
GTEX-15RIG-0226-SM-7KFTL 40-49 years, male 18.2
GTEX-1HSMQ-1226-SM-CGQFX 50-59 years, male 18.2
GTEX-1I4MK-2226-SM-ACKWD 50-59 years, female 17.8
GTEX-XPVG-2626-SM-4B669 50-59 years, male 17.5
GTEX-ZXG5-0126-SM-5GIEU 60-69 years, male 17.5
GTEX-WFON-2126-SM-3LK7O 40-49 years, male 17.4
GTEX-13D11-2426-SM-5KM1V 50-59 years, female 17.3
GTEX-P4QT-0126-SM-2I3FL 50-59 years, female 17.3
GTEX-1QP66-1726-SM-E8VO1 50-59 years, male 17.3
GTEX-1AMFI-2026-SM-731BH 50-59 years, female 17.2
GTEX-ZWKS-0126-SM-5SIAA 30-39 years, male 17.2
GTEX-1F75B-0126-SM-9KNVL 50-59 years, male 17.2
GTEX-1JK1U-2026-SM-CM2RZ 60-69 years, male 17.2
GTEX-1LG7Z-1726-SM-D3LA4 30-39 years, male 17.1
GTEX-1KXAM-2226-SM-CYPTC 60-69 years, male 17.0
GTEX-13YAN-0326-SM-5O9DF 60-69 years, male 16.8
GTEX-1J8Q3-1626-SM-CMKGC 60-69 years, male 16.8
GTEX-1S83E-0126-SM-EWRO4 40-49 years, male 16.7
GTEX-11EQ9-2426-SM-5HL5T 30-39 years, male 16.6
GTEX-13111-1626-SM-5EGJY 50-59 years, male 16.6
GTEX-1LGOU-2026-SM-DIPFF 20-29 years, female 16.6
GTEX-1PDJ9-0326-SM-DTX95 20-29 years, male 16.6
GTEX-15F5U-1526-SM-6PANO 40-49 years, male 16.4
GTEX-ZF2S-2326-SM-4WWCE 50-59 years, female 16.4
GTEX-ZGAY-0526-SM-4WWBB 40-49 years, female 16.4
GTEX-1PPH8-0226-SM-E8VND 20-29 years, male 16.4
GTEX-P44H-0226-SM-2XCEU 40-49 years, male 16.3
GTEX-1HFI7-1826-SM-ACKXH 50-59 years, female 16.3
GTEX-TSE9-0126-SM-3DB83 60-69 years, female 16.1
GTEX-1MUQO-0126-SM-EAZ58 60-69 years, male 16.1
GTEX-14753-0426-SM-5NQAM 60-69 years, male 16.0
GTEX-1AX9J-0226-SM-73KXM 60-69 years, male 16.0
GTEX-VJWN-0126-SM-3GIK7 50-59 years, female 16.0
GTEX-18D9A-1926-SM-7LG6P 30-39 years, female 15.9
GTEX-1LGRB-2526-SM-CNPPQ 50-59 years, female 15.9
GTEX-T6MO-1626-SM-32QOM 40-49 years, female 15.8
GTEX-1QP2A-0126-SM-E9J43 50-59 years, male 15.8
GTEX-13VXT-0126-SM-5LU4I 20-29 years, female 15.6
GTEX-RWS6-2026-SM-2XCB5 60-69 years, female 15.6
GTEX-ZTSS-1926-SM-57WEW 40-49 years, male 15.6
GTEX-1E2YA-0126-SM-9KNUC 50-59 years, male 15.6
GTEX-ZZ64-1726-SM-5GZYB 20-29 years, male 15.5
GTEX-WYJK-0126-SM-3NMAB 50-59 years, male 15.4
GTEX-1GMR3-1926-SM-9KNUZ 40-49 years, male 15.4
GTEX-XBEW-0626-SM-4QASP 40-49 years, male 15.3
GTEX-1QCLY-0326-SM-E8VOG 30-39 years, male 15.3
GTEX-1GZ4H-1726-SM-7PBZJ 50-59 years, female 15.2
GTEX-11EM3-2426-SM-59861 20-29 years, female 15.1
GTEX-1AX9K-2326-SM-73KWU 50-59 years, male 15.1
GTEX-XYKS-2126-SM-4E3IB 60-69 years, female 15.1
GTEX-OIZH-0126-SM-2HMIS 50-59 years, male 15.0
GTEX-YB5E-2026-SM-5IFIS 40-49 years, male 15.0
GTEX-PLZ6-1426-SM-DKPOT 30-39 years, male 15.0
GTEX-ZF29-2326-SM-DO92K 60-69 years, female 15.0
GTEX-14BMU-2226-SM-5TDE9 20-29 years, female 14.9
GTEX-1F52S-0126-SM-9MQJU 60-69 years, female 14.9
GTEX-1GN1U-0126-SM-7PBZK 50-59 years, female 14.9
GTEX-1H3VE-0326-SM-9YFLH 40-49 years, male 14.9
GTEX-1M5QR-1226-SM-EWROB 40-49 years, male 14.9
GTEX-14C5O-0126-SM-5SI6N 60-69 years, male 14.8
GTEX-1B8KE-2126-SM-73KYX 50-59 years, male 14.7
GTEX-OXRK-0226-SM-3NB2G 50-59 years, female 14.7
GTEX-ZV6S-2326-SM-4YCEY 40-49 years, female 14.7
GTEX-PSDG-0226-SM-DKPOZ 50-59 years, male 14.7
GTEX-15CHC-2126-SM-6EU21 60-69 years, female 14.6
GTEX-15SHU-0126-SM-7KUEH 40-49 years, female 14.6
GTEX-P4PP-0126-SM-3LK69 30-39 years, female 14.6
GTEX-1F6RS-0126-SM-9MQKZ 60-69 years, female 14.6
GTEX-13PVR-2326-SM-5QGR1 60-69 years, female 14.5
GTEX-TKQ1-1026-SM-4GICL 30-39 years, male 14.5
GTEX-ZYFG-2326-SM-5E44B 60-69 years, female 14.5
GTEX-1QPFJ-0226-SM-E76PB 30-39 years, female 14.4
GTEX-1R7EU-0226-SM-EVR4G 60-69 years, male 14.4
GTEX-11OF3-2626-SM-5GU7F 60-69 years, male 14.3
GTEX-11XUK-2026-SM-5EQLF 40-49 years, female 14.3
GTEX-ZDYS-2026-SM-5HL5L 50-59 years, male 14.3
GTEX-1I1GR-0126-SM-CL55F 60-69 years, male 14.3
GTEX-1J1R8-1726-SM-ARL8M 40-49 years, male 14.3
GTEX-148VJ-0126-SM-5TDDN 70-79 years, male 14.2
GTEX-145LS-0126-SM-5QGP1 60-69 years, female 14.1
GTEX-145LV-2126-SM-5LU8N 50-59 years, male 14.1
GTEX-14PN3-2426-SM-6LLHS 60-69 years, female 14.1
GTEX-17EUY-0426-SM-793BD 20-29 years, male 14.1
GTEX-ZDTT-2726-SM-4WKF8 60-69 years, male 14.0
GTEX-13NYC-0326-SM-E9J4S 60-69 years, male 14.0
GTEX-145ME-1826-SM-5SI9G 40-49 years, female 13.9
GTEX-WXYG-2326-SM-4E3I6 50-59 years, female 13.9
GTEX-XUW1-0426-SM-4BOOT 50-59 years, female 13.9
GTEX-1HCU9-1526-SM-A9SL7 20-29 years, male 13.9
GTEX-1LH75-2426-SM-E9TJE 50-59 years, female 13.9
GTEX-1QMI2-0226-SM-EVYBX 60-69 years, male 13.9
GTEX-1H1E6-1726-SM-ACKVK 30-39 years, male 13.8
GTEX-1IDJF-0126-SM-CM2RS 20-29 years, male 13.8
GTEX-12KS4-0326-SM-5EQ41 30-39 years, male 13.7
GTEX-145LU-0126-SM-5TDCB 50-59 years, male 13.7
GTEX-14JG6-2226-SM-6EU2G 30-39 years, female 13.7
GTEX-14LLW-0126-SM-6LLIO 70-79 years, female 13.7
GTEX-14PHX-2326-SM-62LEM 50-59 years, male 13.7
GTEX-11VI4-1726-SM-5CVLH 40-49 years, female 13.6
GTEX-14BIN-0626-SM-793DP 50-59 years, female 13.6
GTEX-TMMY-0226-SM-33HBA 40-49 years, female 13.6
GTEX-PX3G-0126-SM-2I3EN 20-29 years, female 13.5
GTEX-RM2N-1426-SM-2TF4H 50-59 years, male 13.5
GTEX-T5JW-1626-SM-3GADZ 20-29 years, female 13.5
GTEX-1JJ6O-0126-SM-E6CI8 60-69 years, male 13.5
GTEX-11EI6-0126-SM-5985R 60-69 years, male 13.4
GTEX-145MN-2226-SM-5SIAU 30-39 years, male 13.4
GTEX-TML8-1926-SM-32QOS 40-49 years, female 13.4
GTEX-18A66-0226-SM-718BD 60-69 years, male 13.3
GTEX-XQ8I-0426-SM-4BOPO 50-59 years, male 13.3
GTEX-ZXES-1826-SM-5E43S 30-39 years, female 13.3
GTEX-1GPI7-0126-SM-9MQL8 20-29 years, male 13.3
GTEX-1HCUA-2426-SM-ADEIS 50-59 years, female 13.3
GTEX-1R46S-0626-SM-E9J41 60-69 years, female 13.3
GTEX-147F3-0526-SM-5SI98 50-59 years, female 13.2
GTEX-1J1OQ-0226-SM-CYPSH 40-49 years, female 13.2
GTEX-1JKYN-1326-SM-CGQG9 30-39 years, male 13.2
GTEX-14LZ3-0226-SM-62LET 60-69 years, female 13.1
GTEX-1AMEY-1326-SM-73KYK 30-39 years, female 13.1
GTEX-1F5PL-0326-SM-7P8PQ 40-49 years, female 13.1
GTEX-11P81-2326-SM-59875 30-39 years, female 13.0
GTEX-13PDP-0126-SM-5L3HD 60-69 years, male 13.0
GTEX-WRHK-1426-SM-3MJF9 20-29 years, female 13.0
GTEX-ZY6K-1826-SM-5GZXK 50-59 years, male 13.0
GTEX-17EVP-0326-SM-7DHLG 40-49 years, male 12.9
GTEX-XUZC-1726-SM-4BRWS 30-39 years, female 12.9
GTEX-1K2DA-1826-SM-CGQGT 50-59 years, male 12.9
GTEX-13RTK-1426-SM-5QGQJ 20-29 years, male 12.8
GTEX-1PPH7-2326-SM-EVYB8 40-49 years, male 12.8
GTEX-11H98-0126-SM-5EGHG 50-59 years, male 12.7
GTEX-1BAJH-0526-SM-793CQ 70-79 years, male 12.7
GTEX-SUCS-1926-SM-32PM3 70-79 years, male 12.7
GTEX-W5WG-1826-SM-4KL2Y 50-59 years, female 12.7
GTEX-1MCYP-1926-SM-E9J2R 20-29 years, female 12.7
GTEX-OIZF-0126-SM-7SB8I 60-69 years, male 12.7
GTEX-PWO3-1526-SM-48TCM 60-69 years, female 12.6
GTEX-Z9EW-1626-SM-5CVMN 40-49 years, male 12.6
GTEX-1H2FU-0126-SM-9WYSI 60-69 years, female 12.6
GTEX-1H3O1-0426-SM-9YFKY 60-69 years, male 12.6
GTEX-1PFEY-1526-SM-E76PP 30-39 years, male 12.6
GTEX-1QP29-0626-SM-EWRMX 50-59 years, male 12.6
GTEX-14PII-0226-SM-6EU1T 60-69 years, male 12.5
GTEX-1HCVE-0126-SM-CGQEU 50-59 years, male 12.5
GTEX-PVOW-0126-SM-2XCFA 40-49 years, male 12.4
GTEX-ZV68-0126-SM-59HKS 50-59 years, female 12.4
GTEX-11TUW-2726-SM-E9J4M 60-69 years, male 12.4
GTEX-13OW5-0126-SM-DTXFS 60-69 years, male 12.4
GTEX-1H11D-0226-SM-9WG6Z 40-49 years, male 12.4
GTEX-1JKYR-0126-SM-CNPOJ 20-29 years, male 12.4
GTEX-11DXZ-2326-SM-5EGGV 50-59 years, male 12.3
GTEX-18D9B-0526-SM-7LTAS 60-69 years, male 12.3
GTEX-1B8KZ-2026-SM-7DHMB 50-59 years, male 12.3
GTEX-1H1DG-0126-SM-9WYU2 70-79 years, male 12.3
GTEX-1H4P4-0726-SM-9YFLR 50-59 years, male 12.3
GTEX-1IDJH-0326-SM-A9SLQ 70-79 years, male 12.3
GTEX-1JMOU-1526-SM-CL54I 60-69 years, female 12.3
GTEX-1R7EV-2426-SM-EVYBG 40-49 years, male 12.3
GTEX-ZQG8-1626-SM-DHXIT 60-69 years, female 12.3
GTEX-QCQG-1726-SM-3GIJ9 50-59 years, female 12.2
GTEX-1N2EF-0226-SM-EYYXB 60-69 years, male 12.2
GTEX-1S5ZA-0126-SM-EVYCV 20-29 years, male 12.2
GTEX-1C2JI-1826-SM-73KXC 50-59 years, male 12.1
GTEX-1ICLY-0126-SM-D4P36 50-59 years, male 12.1
GTEX-15G19-0126-SM-6PANQ 60-69 years, male 12.0
GTEX-16XZZ-0126-SM-793DV 60-69 years, male 12.0
GTEX-PLZ5-2026-SM-2S1O4 50-59 years, male 12.0
GTEX-SJXC-0126-SM-2XCFF 60-69 years, male 12.0
GTEX-UJHI-1526-SM-3DB99 50-59 years, female 12.0
GTEX-ZVZP-2426-SM-59HKJ 50-59 years, male 12.0
GTEX-1HBPN-0226-SM-9YFM1 50-59 years, male 12.0
GTEX-12WSN-5019-SM-79OM6 40-49 years, male 11.9
GTEX-1HBPI-1526-SM-C1YQ1 50-59 years, male 11.9
GTEX-1I19N-0326-SM-ACKVX 70-79 years, male 11.9
GTEX-1IKJJ-0126-SM-CNPQB 60-69 years, male 11.9
GTEX-1JN1M-0326-SM-CYPT3 60-69 years, female 11.9
GTEX-117YX-2326-SM-5H12W 50-59 years, male 11.8
GTEX-13FHP-0126-SM-5IJBG 50-59 years, male 11.8
GTEX-145MI-0526-SM-5O9A8 60-69 years, female 11.8
GTEX-NFK9-0226-SM-2HMKQ 40-49 years, male 11.8
GTEX-1CB4H-0226-SM-7PBXM 60-69 years, female 11.8
GTEX-12ZZZ-0626-SM-5DUXI 60-69 years, male 11.7
GTEX-13OVK-2026-SM-7KUEO 40-49 years, male 11.7
GTEX-13SLW-0126-SM-5SI6C 70-79 years, male 11.7
GTEX-1HCU8-0626-SM-A9SM9 60-69 years, female 11.7
GTEX-1OFPY-2426-SM-DTXEJ 60-69 years, male 11.7
GTEX-11LCK-1026-SM-5A5KB 30-39 years, male 11.6
GTEX-1399T-2826-SM-5KLYZ 60-69 years, male 11.6
GTEX-13JUV-2726-SM-5LZZ8 40-49 years, female 11.6
GTEX-1CB4J-0626-SM-7DHMP 60-69 years, male 11.6
GTEX-12WSA-0226-SM-5BC5V 60-69 years, male 11.5
GTEX-1399R-2726-SM-5IJBA 30-39 years, male 11.5
GTEX-13NZ8-0826-SM-5MR3I 60-69 years, female 11.5
GTEX-17F98-0626-SM-79OMX 40-49 years, female 11.5
GTEX-18D9U-0226-SM-718BP 40-49 years, male 11.5
GTEX-OIZG-0726-SM-33HBL 50-59 years, male 11.5
GTEX-T2YK-0526-SM-32QPJ 50-59 years, male 11.5
GTEX-ZVT2-2526-SM-51MT1 50-59 years, female 11.5
GTEX-13IVO-0126-SM-5J1NG 70-79 years, male 11.4
GTEX-147GR-0526-SM-5S2MY 60-69 years, male 11.4
GTEX-17HHE-2026-SM-79OKF 50-59 years, male 11.4
GTEX-1H3NZ-0126-SM-ACKX7 60-69 years, male 11.4
GTEX-1KAFJ-2026-SM-CY8ID 50-59 years, male 11.4
GTEX-1PIGE-0126-SM-EVYBJ 20-29 years, male 11.4
GTEX-11P82-1626-SM-59879 20-29 years, male 11.3
GTEX-131YS-0126-SM-5KM1M 60-69 years, female 11.3
GTEX-133LE-1826-SM-5J1MV 20-29 years, female 11.3
GTEX-14DAR-2026-SM-5S2O3 50-59 years, male 11.3
GTEX-11ZTT-2426-SM-5EQLS 60-69 years, female 11.2
GTEX-139T8-0126-SM-5K7XZ 60-69 years, male 11.2
GTEX-139TS-2826-SM-5J1OO 60-69 years, male 11.2
GTEX-13S7M-0126-SM-5SI6A 60-69 years, female 11.2
GTEX-17MFQ-1726-SM-793C7 20-29 years, male 11.2
GTEX-O5YW-0126-SM-3LK6D 50-59 years, male 11.2
GTEX-S32W-2126-SM-2XCB1 50-59 years, female 11.2
GTEX-Y5V5-2326-SM-4V6GA 60-69 years, female 11.2
GTEX-1B996-0226-SM-7RHGO 60-69 years, male 11.2
GTEX-13FTW-2626-SM-5K7WL 40-49 years, male 11.1
GTEX-16BQI-0226-SM-7KUEX 30-39 years, female 11.1
GTEX-Y5V6-2426-SM-4VDSB 60-69 years, male 11.1
GTEX-131XF-5016-SM-7MGWE 60-69 years, male 11.1
GTEX-1F75I-0326-SM-9YFLU 40-49 years, male 11.1
GTEX-1JJE9-0326-SM-CL53Z 70-79 years, male 11.1
GTEX-OXRN-0126-SM-48TDM 50-59 years, male 11.0
GTEX-XBED-2226-SM-47JYQ 60-69 years, male 11.0
GTEX-1MGNQ-0126-SM-EVYCJ 40-49 years, male 11.0
GTEX-139TU-0126-SM-5K7WH 60-69 years, male 10.9
GTEX-13FXS-0226-SM-5IJCK 50-59 years, male 10.9
GTEX-13NYS-0126-SM-5MR3W 60-69 years, male 10.9
GTEX-U3ZH-2026-SM-3DB78 30-39 years, male 10.9
GTEX-1GMRU-0126-SM-9YFLV 50-59 years, male 10.9
GTEX-1HGF4-2426-SM-ACKXM 60-69 years, male 10.9
GTEX-1211K-2026-SM-5EQ4Z 60-69 years, female 10.8
GTEX-139D8-0226-SM-5KLZO 30-39 years, female 10.8
GTEX-17KNJ-2326-SM-7DHLQ 50-59 years, male 10.8
GTEX-UPJH-0326-SM-3GADU 50-59 years, male 10.8
GTEX-1C64O-0126-SM-7SB8P 60-69 years, male 10.8
GTEX-1GN1W-0526-SM-9MQJQ 50-59 years, female 10.8
GTEX-1LSNM-1926-SM-E6CII 50-59 years, male 10.8
GTEX-1QP9N-1426-SM-DTXFL 30-39 years, male 10.8
GTEX-11UD2-0226-SM-5EQKY 50-59 years, male 10.7
GTEX-13CF3-2426-SM-5IFGX 60-69 years, female 10.7
GTEX-13QJ3-0326-SM-5S2RA 50-59 years, male 10.7
GTEX-14BMV-0126-SM-5S2PO 50-59 years, male 10.7
GTEX-16NPX-0226-SM-79OMT 50-59 years, male 10.7
GTEX-1CAMR-1926-SM-7EPI2 20-29 years, male 10.7
GTEX-1CB4E-2226-SM-793DC 60-69 years, male 10.7
GTEX-ZAB5-1826-SM-5HL7C 50-59 years, male 10.7
GTEX-1L5NE-2526-SM-E6CIE 50-59 years, male 10.7
GTEX-1NHNU-1026-SM-E9J2A 50-59 years, male 10.7
GTEX-131XW-0426-SM-5LZWP 50-59 years, female 10.6
GTEX-18QFQ-0126-SM-731BE 30-39 years, male 10.6
GTEX-OXRP-0126-SM-3NB32 60-69 years, female 10.6
GTEX-QDVJ-1726-SM-2I5FX 50-59 years, male 10.6
GTEX-QLQ7-1626-SM-2S1R8 60-69 years, male 10.6
GTEX-WY7C-2326-SM-3NB2U 50-59 years, male 10.6
GTEX-1HKZK-0326-SM-9WYUH 40-49 years, male 10.6
GTEX-1HSMO-0126-SM-CL547 60-69 years, male 10.6
GTEX-1IGQW-0126-SM-COH42 60-69 years, male 10.6
GTEX-1J8JJ-0226-SM-CL53I 60-69 years, female 10.6
GTEX-1RDX4-0126-SM-E9J4P 50-59 years, female 10.6
GTEX-11ZU8-2526-SM-5EQKI 60-69 years, male 10.5
GTEX-14E6C-0126-SM-5RQIP 40-49 years, male 10.5
GTEX-14PHW-0126-SM-6LLJI 60-69 years, female 10.5
GTEX-Y114-2426-SM-4TT8A 50-59 years, female 10.5
GTEX-1AX9I-0126-SM-7SB74 60-69 years, male 10.5
GTEX-1JJEA-0326-SM-CNPOT 60-69 years, male 10.5
GTEX-1269C-2526-SM-5EGJ3 60-69 years, female 10.4
GTEX-12C56-1726-SM-5EQ61 20-29 years, male 10.4
GTEX-13N2G-2626-SM-5J1OT 60-69 years, male 10.4
GTEX-145LT-1726-SM-5QGP3 40-49 years, male 10.4
GTEX-1B8SF-1426-SM-7DUGL 60-69 years, male 10.4
GTEX-WQUQ-0426-SM-3MJFU 60-69 years, male 10.4
GTEX-X4EO-0326-SM-3P5YO 60-69 years, female 10.4
GTEX-Y8E4-0626-SM-4WWDL 40-49 years, male 10.4
GTEX-1GF9U-2126-SM-7SB7L 40-49 years, female 10.4
GTEX-1JN6P-0126-SM-D3L98 60-69 years, male 10.4
GTEX-OHPM-0126-SM-2YUN9 50-59 years, male 10.3
GTEX-QV44-1926-SM-2S1RF 50-59 years, male 10.3
GTEX-YJ89-0126-SM-4TT3X 60-69 years, male 10.3
GTEX-1HT8W-0126-SM-CNPPP 30-39 years, male 10.3
GTEX-1I6K6-0126-SM-A9SLE 30-39 years, male 10.3
GTEX-1LBAC-0126-SM-DIPEZ 20-29 years, male 10.3
GTEX-117XS-2726-SM-5N9BL 60-69 years, male 10.2
GTEX-ZYY3-0126-SM-5GZY5 60-69 years, female 10.2
GTEX-1JMQL-0226-SM-CNPP5 50-59 years, female 10.2
GTEX-11DXX-2426-SM-5GZZW 60-69 years, female 10.1
GTEX-12WSC-0126-SM-5EQ4P 50-59 years, male 10.1
GTEX-14PJM-0226-SM-62LF1 50-59 years, female 10.1
GTEX-18A6Q-0126-SM-731BZ 60-69 years, male 10.1
GTEX-YEC4-2126-SM-5IFJH 40-49 years, male 10.1
GTEX-1CAMS-0426-SM-7P8T2 40-49 years, female 10.1
GTEX-1GZHY-0326-SM-9QEHI 50-59 years, female 10.1
GTEX-1HCU6-0126-SM-CL54K 60-69 years, female 10.1
GTEX-12WSE-0526-SM-793B2 20-29 years, male 10.0
GTEX-14PJ3-1826-SM-62LEX 50-59 years, male 10.0
GTEX-OHPL-0126-SM-2HMJ7 60-69 years, female 10.0
GTEX-QVJO-1626-SM-2S1QW 60-69 years, female 10.0
GTEX-ZVE2-0226-SM-59HJB 50-59 years, male 10.0
GTEX-1CB4G-0226-SM-7PC3O 60-69 years, male 10.0
GTEX-1MJK2-0426-SM-DTXE5 50-59 years, male 10.0
GTEX-1PIIG-0226-SM-EWRN6 30-39 years, male 10.0
GTEX-ZVT4-0126-SM-DTXFN 50-59 years, female 10.0
GTEX-13X6H-2126-SM-7EWD5 50-59 years, female 9.9
GTEX-O5YT-0126-SM-48TBW 20-29 years, male 9.9
GTEX-Y5LM-1926-SM-5RQJH 40-49 years, female 9.9
GTEX-YB5K-2126-SM-4WWDJ 40-49 years, female 9.9
GTEX-1HSKV-0226-SM-A9SKJ 60-69 years, male 9.9
GTEX-1IL2U-0226-SM-CE6T8 60-69 years, male 9.9
GTEX-1JMQI-2226-SM-CM2SD 50-59 years, male 9.9
GTEX-1O97I-0326-SM-EYYX7 60-69 years, male 9.9
GTEX-12696-2426-SM-5EQ6H 60-69 years, male 9.8
GTEX-12WSJ-1826-SM-5GCNY 40-49 years, female 9.8
GTEX-13OVI-1426-SM-5L3EY 60-69 years, female 9.8
GTEX-183FY-0126-SM-7LT9P 20-29 years, male 9.8
GTEX-ZAK1-0126-SM-5IJD3 50-59 years, female 9.8
GTEX-1GN2E-0426-SM-9MQKX 60-69 years, male 9.8
GTEX-1I1GQ-0126-SM-COH3H 50-59 years, male 9.8
GTEX-1JMQJ-0526-SM-CYPSU 50-59 years, male 9.8
GTEX-11P7K-2126-SM-5GU7G 30-39 years, male 9.7
GTEX-13OVH-0126-SM-5MR4B 70-79 years, male 9.7
GTEX-P4PQ-0126-SM-2S1NM 60-69 years, male 9.7
GTEX-V1D1-2226-SM-3NMAX 50-59 years, male 9.7
GTEX-1CAV2-2226-SM-7P8P2 40-49 years, female 9.7
GTEX-1EMGI-0126-SM-9KNUE 60-69 years, male 9.7
GTEX-1EX96-1626-SM-7PBXR 50-59 years, male 9.7
GTEX-1S82Z-0826-SM-E6CHY 30-39 years, female 9.7
GTEX-139UW-2826-SM-5L3E7 60-69 years, male 9.6
GTEX-13NYB-2526-SM-5K7Z6 40-49 years, male 9.6
GTEX-13NZB-2526-SM-5J1OM 30-39 years, male 9.6
GTEX-14BIM-0226-SM-7IGLD 60-69 years, female 9.6
GTEX-17HII-0226-SM-7LG4E 50-59 years, male 9.6
GTEX-Y3I4-2126-SM-4TT7C 50-59 years, male 9.6
GTEX-1JMPY-1326-SM-ARL8Y 30-39 years, male 9.6
GTEX-1OJC3-0126-SM-E76QX 20-29 years, male 9.6
GTEX-11NSD-2226-SM-5986V 20-29 years, male 9.5
GTEX-11WQK-0526-SM-5EQLD 50-59 years, male 9.5
GTEX-13W3W-2426-SM-5LU5B 60-69 years, female 9.5
GTEX-144FL-0126-SM-5TDC8 50-59 years, male 9.5
GTEX-14E6E-1826-SM-5S2R7 30-39 years, male 9.5
GTEX-16GPK-0126-SM-7DHLE 60-69 years, male 9.5
GTEX-18465-0126-SM-731BN 50-59 years, male 9.5
GTEX-1B8SG-0126-SM-73KZ3 50-59 years, male 9.5
GTEX-R3RS-0126-SM-3GIJL 40-49 years, female 9.5
GTEX-WH7G-2326-SM-3NMBC 40-49 years, male 9.5
GTEX-Y8LW-1826-SM-5S2MV 50-59 years, female 9.5
GTEX-1EWIQ-0126-SM-7RHH2 70-79 years, female 9.5
GTEX-1JMPZ-0226-SM-CNPP1 30-39 years, male 9.5
GTEX-1KD4Q-0226-SM-E9TJ9 40-49 years, male 9.5
GTEX-13N1W-0126-SM-5K7VT 70-79 years, male 9.4
GTEX-1C4CL-0526-SM-73KVK 30-39 years, male 9.4
GTEX-ZYFD-0126-SM-5GIDL 50-59 years, male 9.4
GTEX-1H3VY-0126-SM-ACKXD 50-59 years, male 9.4
GTEX-1IE54-0126-SM-CMKHW 40-49 years, female 9.4
GTEX-1JMQK-0226-SM-CL543 60-69 years, male 9.4
GTEX-1POEN-0126-SM-EYYXJ 30-39 years, female 9.3
GTEX-1R9PM-2026-SM-E76OY 20-29 years, male 9.3
GTEX-1S82Y-2026-SM-EVYCM 40-49 years, male 9.3
GTEX-144GL-0126-SM-5TDE2 50-59 years, male 9.2
GTEX-XAJ8-0826-SM-47JY6 40-49 years, male 9.2
GTEX-PW2O-1526-SM-7RHHB 20-29 years, male 9.2
GTEX-1128S-2326-SM-5GZZY 60-69 years, female 9.1
GTEX-11DYG-0126-SM-59883 60-69 years, male 9.1
GTEX-13112-2826-SM-5DUWH 50-59 years, male 9.1
GTEX-13N11-2526-SM-5K7UE 50-59 years, female 9.1
GTEX-13O3P-0126-SM-5KM4S 50-59 years, male 9.1
GTEX-13RTJ-2426-SM-5S2Q2 60-69 years, male 9.1
GTEX-15ER7-0326-SM-7KUEV 20-29 years, female 9.1
GTEX-T5JC-0426-SM-32PLO 20-29 years, male 9.1
GTEX-1A8FM-0226-SM-7SB7Q 50-59 years, female 9.1
GTEX-1HFI6-0226-SM-ADEHZ 40-49 years, male 9.1
GTEX-1K2DU-2326-SM-E9TIV 20-29 years, male 9.1
GTEX-1RAZQ-0726-SM-EAZ43 30-39 years, male 9.1
GTEX-RNOR-0126-SM-E9J4R 50-59 years, female 9.1
GTEX-1C64N-0126-SM-793D7 50-59 years, male 9.0
GTEX-U3ZN-2326-SM-3DB7W 30-39 years, female 9.0
GTEX-ZVTK-0426-SM-51MRS 20-29 years, male 9.0
GTEX-146FR-1326-SM-E9J48 60-69 years, female 9.0
GTEX-1GF9V-0326-SM-7RHI5 60-69 years, male 9.0
GTEX-1I1CD-0126-SM-CM2TK 60-69 years, female 9.0
GTEX-1I1GS-0126-SM-B2LVW 60-69 years, male 9.0
GTEX-1ICG6-2526-SM-CGQFZ 70-79 years, female 9.0
GTEX-1J8Q2-0526-SM-CM2RW 60-69 years, male 9.0
GTEX-1NV5F-0226-SM-E8VNY 60-69 years, female 9.0
GTEX-13OW8-1326-SM-5J1OW 60-69 years, male 8.9
GTEX-13W46-0226-SM-5SIAG 50-59 years, male 8.9
GTEX-1A32A-0126-SM-718B1 50-59 years, female 8.9
GTEX-1C6VR-2426-SM-79OLD 60-69 years, male 8.9
GTEX-1E1VI-0126-SM-7DHMZ 50-59 years, male 8.9
GTEX-Q2AG-0126-SM-33HBV 40-49 years, female 8.9
GTEX-VUSG-2526-SM-4KL1V 50-59 years, male 8.9
GTEX-ZE9C-2726-SM-57WB5 60-69 years, male 8.9
GTEX-ZEX8-2426-SM-4WKG4 50-59 years, male 8.9
GTEX-13FH7-2026-SM-E9J4I 50-59 years, female 8.9
GTEX-1GPI6-0126-SM-9WG69 60-69 years, male 8.9
GTEX-1JMLX-0226-SM-CM2RO 50-59 years, male 8.9
GTEX-1N2DV-0226-SM-E6CJ6 40-49 years, male 8.9
GTEX-PWCY-1826-SM-DHXIZ 20-29 years, female 8.9
GTEX-113JC-2326-SM-5EQ4E 50-59 years, female 8.8
GTEX-1192W-2626-SM-5Q5AF 60-69 years, male 8.8
GTEX-11WQC-2526-SM-5CVLE 60-69 years, male 8.8
GTEX-13O21-1426-SM-5K7XI 50-59 years, male 8.8
GTEX-145MF-0626-SM-5LUAI 50-59 years, male 8.8
GTEX-U8T8-0126-SM-3DB94 60-69 years, male 8.8
GTEX-1IKOH-0226-SM-COH4E 60-69 years, female 8.8
GTEX-1IOXB-0126-SM-ARL8G 50-59 years, male 8.8
GTEX-R45C-0126-SM-EAZ2R 60-69 years, female 8.8
GTEX-1212Z-2526-SM-5EGKP 60-69 years, male 8.7
GTEX-14E7W-0126-SM-6LLJ9 70-79 years, male 8.7
GTEX-1GZ2Q-0226-SM-7P8TL 40-49 years, male 8.7
GTEX-XMD2-0126-SM-4YCDU 60-69 years, female 8.6
GTEX-1F88F-2726-SM-7PBZZ 60-69 years, female 8.6
GTEX-1GN73-0226-SM-9WG67 60-69 years, male 8.6
GTEX-1HSEH-0126-SM-ACKXN 60-69 years, male 8.6
GTEX-1QP67-1626-SM-EAZ3X 40-49 years, female 8.6
GTEX-11GSO-2426-SM-5A5LY 60-69 years, male 8.5
GTEX-15DDE-0126-SM-6LPKH 50-59 years, female 8.5
GTEX-17JCI-0126-SM-7LG5G 60-69 years, female 8.5
GTEX-RTLS-0126-SM-447CA 60-69 years, female 8.5
GTEX-ZQUD-1426-SM-57WER 30-39 years, male 8.5
GTEX-1I1GP-2226-SM-CGQFK 50-59 years, male 8.5
GTEX-1JN76-0126-SM-CNPPE 20-29 years, female 8.5
GTEX-1MCQQ-0826-SM-DLHC2 60-69 years, male 8.5
GTEX-12WSL-2526-SM-5GCNJ 50-59 years, male 8.4
GTEX-13FHO-0226-SM-5IFGY 60-69 years, male 8.4
GTEX-13FTY-0526-SM-5L3EV 40-49 years, female 8.4
GTEX-14ICK-0226-SM-6EU25 40-49 years, male 8.4
GTEX-1F48J-0126-SM-7P8TT 50-59 years, female 8.4
GTEX-1IDFM-0126-SM-COH2V 60-69 years, male 8.4
GTEX-1KD5A-0226-SM-D5OV3 50-59 years, male 8.4
GTEX-11DZ1-0126-SM-5985Q 50-59 years, male 8.3
GTEX-12ZZX-0126-SM-5EGK9 40-49 years, female 8.3
GTEX-131XE-2326-SM-5PNZ2 50-59 years, male 8.3
GTEX-14PN4-0126-SM-6EU2V 50-59 years, male 8.3
GTEX-15D1Q-0126-SM-7KUG6 40-49 years, male 8.3
GTEX-17HG3-2226-SM-7938L 30-39 years, female 8.3
GTEX-S95S-1226-SM-4GICG 60-69 years, male 8.3
GTEX-1CB4F-0426-SM-9KNV4 60-69 years, male 8.3
GTEX-1M4P7-0226-SM-DIPEV 60-69 years, male 8.3
GTEX-RVPV-0126-SM-EAZAW 60-69 years, male 8.3
GTEX-13NZA-0226-SM-5K7Z7 60-69 years, male 8.2
GTEX-13X6I-0626-SM-5QGP9 60-69 years, male 8.2
GTEX-145MO-0326-SM-5Q5B3 60-69 years, male 8.2
GTEX-1C6VS-0526-SM-7DUEN 60-69 years, male 8.2
GTEX-WYVS-2126-SM-3NMA3 40-49 years, female 8.2
GTEX-YFC4-0126-SM-5CVLY 40-49 years, female 8.2
GTEX-15SHW-0326-SM-6PAML 60-69 years, male 8.1
GTEX-16MT8-0426-SM-7KUEY 60-69 years, female 8.1
GTEX-1F7RK-0126-SM-7PC2S 20-29 years, female 8.1
GTEX-1GF9X-2026-SM-7PC3A 40-49 years, female 8.1
GTEX-11DXY-2626-SM-5GIE7 60-69 years, male 8.0
GTEX-12ZZY-0226-SM-5LZVE 60-69 years, male 8.0
GTEX-131XH-2226-SM-5DUXJ 50-59 years, male 8.0
GTEX-1399U-2326-SM-5K7WY 50-59 years, female 8.0
GTEX-13OVL-0226-SM-5L3E9 50-59 years, male 8.0
GTEX-14BIL-0126-SM-5SI92 50-59 years, male 8.0
GTEX-15SDE-2226-SM-7IGLO 50-59 years, female 8.0
GTEX-17EVQ-0226-SM-7LG4P 70-79 years, male 8.0
GTEX-QEG4-0226-SM-2S1PY 30-39 years, male 8.0
GTEX-U3ZM-1526-SM-3DB9D 40-49 years, male 8.0
GTEX-ZF28-0126-SM-4WKGK 60-69 years, male 8.0
GTEX-ZYT6-0226-SM-5NQ6T 30-39 years, male 8.0
GTEX-14JG1-0426-SM-6ETZZ 40-49 years, male 7.9
GTEX-Q2AH-1626-SM-3GAF8 40-49 years, male 7.9
GTEX-X4XX-0126-SM-3NMC2 60-69 years, male 7.9
GTEX-1B8L1-2526-SM-9WYTF 60-69 years, male 7.9
GTEX-1I1GU-2226-SM-CGQFA 40-49 years, male 7.9
GTEX-1KWVE-1426-SM-E9TJO 30-39 years, male 7.9
GTEX-1LG7Y-0526-SM-DKPQC 50-59 years, male 7.9
GTEX-1RB15-2126-SM-E9TIM 60-69 years, male 7.9
GTEX-111VG-2426-SM-5GZXD 60-69 years, male 7.8
GTEX-13OVG-1926-SM-5L3DK 60-69 years, male 7.8
GTEX-13SLX-0526-SM-5S2ON 50-59 years, female 7.8
GTEX-14DAQ-0126-SM-5S2MQ 60-69 years, female 7.8
GTEX-18A7B-0126-SM-7LG64 70-79 years, male 7.8
GTEX-X585-0226-SM-4QAS2 50-59 years, male 7.8
GTEX-Z93S-0126-SM-5HL7M 50-59 years, male 7.8
GTEX-ZC5H-0226-SM-4WAY9 40-49 years, female 7.8
GTEX-169BO-1326-SM-9MQK2 50-59 years, male 7.8
GTEX-1192X-0226-SM-5H12D 50-59 years, male 7.7
GTEX-QDVN-2026-SM-3GAEP 50-59 years, male 7.7
GTEX-R55G-2526-SM-2TC6D 40-49 years, female 7.7
GTEX-VJYA-1126-SM-3GIJU 60-69 years, male 7.7
GTEX-1EN7A-0126-SM-7SB81 40-49 years, male 7.7
GTEX-1F6I4-0126-SM-9MQL2 60-69 years, male 7.7
GTEX-1LC47-0326-SM-E9TJP 60-69 years, male 7.7
GTEX-OOBJ-0126-SM-E6CJW 60-69 years, male 7.7
GTEX-13113-5016-SM-7EPIP 60-69 years, female 7.6
GTEX-13OW6-0426-SM-5L3HM 50-59 years, male 7.6
GTEX-17HGU-0226-SM-7DHKV 50-59 years, male 7.6
GTEX-RN64-0126-SM-2TC68 50-59 years, male 7.6
GTEX-RU72-0926-SM-2TF6B 50-59 years, female 7.6
GTEX-S7SE-0126-SM-2XCD5 50-59 years, male 7.6
GTEX-SSA3-0126-SM-32QPU 60-69 years, male 7.6
GTEX-1EU9M-0226-SM-7P8SP 60-69 years, male 7.6
GTEX-1H23P-0126-SM-ADEJ3 60-69 years, male 7.6
GTEX-1HBPM-0226-SM-ARL9F 60-69 years, female 7.6
GTEX-14E6D-0126-SM-62LDV 50-59 years, male 7.5
GTEX-X4EP-0126-SM-3P5YV 60-69 years, female 7.5
GTEX-13O3O-0126-SM-E9J49 60-69 years, female 7.5
GTEX-1F6IF-0726-SM-7P8TW 60-69 years, male 7.5
GTEX-1IL2V-0126-SM-CM2TX 70-79 years, male 7.5
GTEX-QLQW-1126-SM-2S1Q8 30-39 years, male 7.4
GTEX-XQ3S-1526-SM-4BOOC 20-29 years, male 7.4
GTEX-1C6VQ-0126-SM-7P8RI 50-59 years, male 7.4
GTEX-1H1CY-2826-SM-9MQM3 60-69 years, female 7.4
GTEX-1313W-0126-SM-5LZUN 50-59 years, female 7.3
GTEX-1497J-2426-SM-7IGNX 60-69 years, male 7.3
GTEX-15EOM-0126-SM-7KUGG 20-29 years, female 7.3
GTEX-17F97-0326-SM-7LG5B 50-59 years, male 7.3
GTEX-SIU8-0126-SM-2XCDT 50-59 years, male 7.3
GTEX-XUYS-0126-SM-47JWZ 50-59 years, male 7.3
GTEX-Y8DK-0126-SM-4TT3L 60-69 years, male 7.3
GTEX-ZU9S-0226-SM-5E441 30-39 years, male 7.3
GTEX-1F75A-0126-SM-7RHGM 50-59 years, male 7.3
GTEX-1GF9W-0326-SM-9KNUN 60-69 years, male 7.3
GTEX-1H1DE-2126-SM-9WG6R 20-29 years, male 7.3
GTEX-1IY9M-0126-SM-D3L8S 60-69 years, male 7.3
GTEX-1LB8K-0226-SM-EWRNW 50-59 years, male 7.3
GTEX-1PWST-0226-SM-E76QJ 70-79 years, male 7.3
GTEX-1RAZA-0126-SM-E6CI3 20-29 years, male 7.3
GTEX-11TTK-0126-SM-5987B 60-69 years, female 7.2
GTEX-11ZVC-2526-SM-5FQTE 50-59 years, female 7.2
GTEX-139TT-0126-SM-5K7Y5 60-69 years, male 7.2
GTEX-14A6H-0126-SM-5QGPK 30-39 years, male 7.2
GTEX-15DYW-0126-SM-7KULE 60-69 years, female 7.2
GTEX-17MF6-0126-SM-7LG4F 40-49 years, male 7.2
GTEX-18A7A-0226-SM-718BH 50-59 years, female 7.2
GTEX-13U4I-0126-SM-5LU38 40-49 years, female 7.1
GTEX-Q2AI-1326-SM-2S1PL 40-49 years, male 7.1
GTEX-12WSG-2826-SM-E9J4H 50-59 years, female 7.1
GTEX-1H1ZS-0426-SM-9WG6G 70-79 years, male 7.1
GTEX-11TT1-2526-SM-5EGIB 20-29 years, male 7.0
GTEX-12584-0126-SM-5EGKQ 40-49 years, male 7.0
GTEX-13VXU-0126-SM-5SI9F 50-59 years, male 7.0
GTEX-13X6J-0126-SM-5QGOU 50-59 years, male 7.0
GTEX-146FQ-0126-SM-5NQA9 30-39 years, male 7.0
GTEX-183WM-0126-SM-7LTAB 70-79 years, female 7.0
GTEX-1AX8Z-0126-SM-7DHM6 60-69 years, male 7.0
GTEX-U412-0426-SM-3DB9O 60-69 years, male 7.0
GTEX-WVJS-0126-SM-4MVOT 50-59 years, male 7.0
GTEX-XV7Q-2526-SM-4BRV9 40-49 years, female 7.0
GTEX-1HR98-0126-SM-B2LWI 60-69 years, male 7.0
GTEX-1I1GV-0526-SM-A9G29 60-69 years, male 7.0
GTEX-1ICLZ-0126-SM-CKZPO 60-69 years, male 7.0
GTEX-1IKK5-0626-SM-ARL8A 60-69 years, male 7.0
GTEX-15DCD-0126-SM-7KUEK 70-79 years, female 6.9
GTEX-PLZ4-0126-SM-5SI8O 50-59 years, female 6.9
GTEX-Y111-0126-SM-4SOIV 50-59 years, male 6.9
GTEX-Z93T-0126-SM-5HL5N 50-59 years, male 6.9
GTEX-1R9PO-2126-SM-E9J4O 60-69 years, female 6.9
GTEX-ZDTS-0126-SM-4WAY5 60-69 years, male 6.8
GTEX-146FH-0126-SM-5QGPP 50-59 years, female 6.7
GTEX-15UF6-0826-SM-6PALJ 70-79 years, female 6.7
GTEX-X5EB-2226-SM-46MW4 40-49 years, male 6.7
GTEX-ZAB4-0226-SM-5N9F5 40-49 years, male 6.7
GTEX-ZZPT-0226-SM-5E43X 50-59 years, male 6.7
GTEX-1GN1V-0126-SM-9WPOS 60-69 years, male 6.7
GTEX-1PBJI-0526-SM-E8VNK 20-29 years, female 6.7
GTEX-18A67-0126-SM-7LG5P 50-59 years, male 6.6
GTEX-NPJ8-0126-SM-2YUNR 40-49 years, male 6.6
GTEX-ZF3C-0126-SM-DO92D 50-59 years, female 6.6
GTEX-14ABY-0226-SM-5TDCQ 50-59 years, male 6.5
GTEX-16XZY-2126-SM-79OK1 70-79 years, male 6.5
GTEX-OOBK-0126-SM-2YUND 40-49 years, male 6.5
GTEX-RWSA-0126-SM-2XCBB 40-49 years, male 6.5
GTEX-T6MN-0126-SM-32PLP 50-59 years, male 6.5
GTEX-1HB9E-0226-SM-E9U4R 50-59 years, male 6.5
GTEX-11NUK-0126-SM-5A5L3 50-59 years, male 6.4
GTEX-11UD1-0126-SM-5PNYG 40-49 years, female 6.4
GTEX-13G51-2526-SM-5LZYK 60-69 years, male 6.4
GTEX-13O3Q-2426-SM-5IJBR 50-59 years, male 6.4
GTEX-17HHY-0126-SM-7LG5D 50-59 years, male 6.4
GTEX-ZAJG-0126-SM-5HL94 50-59 years, female 6.4
GTEX-1QAET-0926-SM-E76QM 50-59 years, male 6.4
GTEX-11O72-0126-SM-59887 40-49 years, male 6.3
GTEX-148VI-1626-SM-5SI6E 60-69 years, female 6.3
GTEX-POMQ-2226-SM-2I5FK 20-29 years, female 6.3
GTEX-SN8G-0126-SM-32PLI 50-59 years, female 6.3
GTEX-T2IS-0126-SM-4DM6O 20-29 years, female 6.3
GTEX-U4B1-1826-SM-4DXSU 40-49 years, male 6.3
GTEX-WOFL-0126-SM-3MJG2 60-69 years, male 6.3
GTEX-Y3IK-2426-SM-4WWDU 50-59 years, female 6.3
GTEX-ZUA1-0126-SM-5GU76 40-49 years, male 6.3
GTEX-11GS4-2726-SM-5A5LE 60-69 years, male 6.2
GTEX-11ZTS-0126-SM-5EQ6M 60-69 years, female 6.2
GTEX-13CF2-2526-SM-5LZYX 60-69 years, male 6.2
GTEX-16YQH-0126-SM-7DUFJ 30-39 years, male 6.2
GTEX-1A3MX-0126-SM-731BR 60-69 years, male 6.2
GTEX-S7PM-0126-SM-4AD6S 60-69 years, male 6.2
GTEX-YJ8A-0426-SM-5IFID 20-29 years, male 6.2
GTEX-1HUB1-0426-SM-E9U4U 60-69 years, male 6.2
GTEX-1K9T9-0126-SM-EVYCF 50-59 years, female 6.2
GTEX-1N2DW-0226-SM-E9TK2 50-59 years, male 6.2
GTEX-11OC5-0126-SM-5HL6A 60-69 years, male 6.1
GTEX-144GN-2326-SM-5LU4F 50-59 years, male 6.1
GTEX-1GTWX-0126-SM-9YFLK 60-69 years, male 6.1
GTEX-1QW4Y-1526-SM-EAZ3Z 30-39 years, male 6.1
GTEX-15SB6-1726-SM-6PAME 50-59 years, female 6.0
GTEX-15UKP-0426-SM-7KUFQ 20-29 years, male 6.0
GTEX-1EKGG-0226-SM-9WYTH 60-69 years, male 6.0
GTEX-11GSP-2526-SM-5N9BP 60-69 years, female 5.9
GTEX-1314G-1526-SM-5EGK2 30-39 years, male 5.9
GTEX-ZVZO-0126-SM-5A5L9 40-49 years, male 5.9
GTEX-111FC-0126-SM-5N9DL 60-69 years, male 5.8
GTEX-1AYD5-2426-SM-73KXR 50-59 years, male 5.8
GTEX-WZTO-0126-SM-3NM95 40-49 years, male 5.8
GTEX-XXEK-2226-SM-4BRUM 50-59 years, male 5.8
GTEX-1QEPI-0126-SM-EWRMQ 60-69 years, female 5.8
GTEX-13OVJ-0126-SM-5KM36 50-59 years, female 5.7
GTEX-13OW7-0126-SM-5MR3B 50-59 years, male 5.7
GTEX-OXRL-0126-SM-2YUMP 50-59 years, male 5.7
GTEX-QESD-1426-SM-2S1R9 20-29 years, male 5.7
GTEX-X8HC-0126-SM-4E3JW 50-59 years, female 5.7
GTEX-ZVT3-0126-SM-5GU6I 60-69 years, female 5.7
GTEX-1A3MW-0126-SM-73KXX 60-69 years, female 5.6
GTEX-U8XE-0326-SM-3DB8P 30-39 years, male 5.6
GTEX-ZTPG-0326-SM-5O9AX 20-29 years, female 5.6
GTEX-ZYFC-0226-SM-5NQ75 50-59 years, male 5.6
GTEX-S33H-1026-SM-EZ6L6 30-39 years, male 5.6
GTEX-13O1R-0126-SM-5L3EH 60-69 years, male 5.5
GTEX-147F4-0226-SM-5QGPW 50-59 years, male 5.5
GTEX-14XAO-2326-SM-6EU1B 60-69 years, female 5.5
GTEX-R55E-0126-SM-2TC5Y 20-29 years, male 5.5
GTEX-X62O-0126-SM-4E3JN 50-59 years, male 5.5
GTEX-X638-0126-SM-47JZ8 70-79 years, female 5.5
GTEX-X88G-0126-SM-47JZ3 30-39 years, male 5.5
GTEX-1HSMP-0126-SM-E6CJS 70-79 years, male 5.5
GTEX-1J8EW-0126-SM-CJI4F 60-69 years, female 5.5
GTEX-ZPIC-1726-SM-DHXIU 40-49 years, female 5.5
GTEX-11ZUS-0626-SM-59885 30-39 years, male 5.4
GTEX-12WSD-0126-SM-59HKN 60-69 years, female 5.4
GTEX-132NY-0326-SM-5IJBL 60-69 years, male 5.4
GTEX-13RTL-0126-SM-7LG5S 40-49 years, male 5.4
GTEX-1I1HK-0126-SM-COH49 60-69 years, male 5.4
GTEX-SE5C-1626-SM-2XCE3 40-49 years, female 5.4
GTEX-12126-0326-SM-5PNW3 20-29 years, male 5.3
GTEX-TMZS-0126-SM-3DB9Q 60-69 years, male 5.3
GTEX-1RLM8-2326-SM-EWRN4 50-59 years, male 5.3
GTEX-14PK6-1926-SM-6ETZU 70-79 years, female 5.2
GTEX-ZE7O-0126-SM-57WC1 50-59 years, female 5.2
GTEX-X4XY-0226-SM-4E3IZ 60-69 years, male 5.1
GTEX-1MA7X-2226-SM-E6CIY 60-69 years, male 5.0
GTEX-1RQEC-0426-SM-E6CHU 60-69 years, male 5.0
GTEX-11DXW-0226-SM-5H122 40-49 years, male 4.9
GTEX-OXRO-0126-SM-2YUN4 60-69 years, female 4.9
GTEX-1LNCM-1126-SM-E9U5E 50-59 years, female 4.9
GTEX-131XG-2626-SM-5KM17 50-59 years, female 4.8
GTEX-QDT8-0126-SM-48TZ1 30-39 years, female 4.7
GTEX-ZYW4-0126-SM-5E44A 60-69 years, male 4.7
GTEX-WI4N-1026-SM-3LK7N 40-49 years, female 4.5
GTEX-1OJC4-0126-SM-E9J2E 50-59 years, female 4.5
GTEX-1B933-0126-SM-7PC29 50-59 years, female 4.4
GTEX-1HBPH-0426-SM-B2LW5 40-49 years, female 4.4
GTEX-117YW-2626-SM-5GZZH 50-59 years, male 4.3
GTEX-1KANB-0526-SM-E6CJH 50-59 years, male 4.3
GTEX-14A5H-0426-SM-5QGQF 60-69 years, male 4.2
GTEX-1AYCT-2426-SM-7IGQ3 50-59 years, male 4.2
GTEX-Q734-1926-SM-2I5EV 40-49 years, female 4.2
GTEX-113IC-0126-SM-5HL6T 60-69 years, male 4.1
GTEX-14JIY-0126-SM-6LLH6 60-69 years, male 4.1
GTEX-RUSQ-1526-SM-2TF62 50-59 years, male 4.1
GTEX-1C6WA-0126-SM-7PC2B 60-69 years, male 4.0
GTEX-11EMC-2926-SM-5EQ4F 60-69 years, female 3.7
GTEX-139T4-0226-SM-5HL5S 50-59 years, female 3.7
GTEX-W5X1-3026-SM-EAZAX 40-49 years, female 3.7
GTEX-1R9K4-0126-SM-DTX9X 60-69 years, male 3.3
GTEX-ZDXO-3026-SM-5J1N5 60-69 years, male 2.4
Show allShow less

Contact

  • NEWS ARTICLES
  • PRESS ROOM

The Project

  • INTRODUCTION
  • ORGANIZATION
  • PUBLICATIONS

The Human Protein Atlas

  • DOWNLOADABLE DATA
  • LICENCE & CITATION
  • HELP & FAQ
The Human Protein Atlas project is funded
by the Knut & Alice Wallenberg Foundation.


contact@proteinatlas.org