We use cookies to enhance the usability of our website. If you continue, we'll assume that you are happy to receive all cookies. More information. Don't show this again.
COPRS
HPA
RESOURCES
  • TISSUE
  • BRAIN
  • SINGLE CELL
  • SUBCELLULAR
  • CANCER
  • BLOOD
  • CELL LINE
  • STRUCTURE & INTERACTION
ABOUT
  • INTRODUCTION
  • HISTORY
  • ORGANIZATION
  • PUBLICATIONS
  • ANTIBODY SUBMISSION
  • ANTIBODY AVAILABILITY
  • ACKNOWLEDGMENTS
  • CONTACT
NEWS
  • NEWS ARTICLES
  • PRESS ROOM
LEARN
  • DICTIONARY
  • PROTEIN CLASSES
  • PROTEIN EVIDENCE
  • METHODS
  • EDUCATIONAL VIDEOS
DATA
  • DOWNLOADABLE DATA
  • PUBLICATION DATA
  • RELEASE HISTORY
HELP
  • ANTIBODY VALIDATION
  • ASSAYS & ANNOTATION
  • DISCLAIMER
  • HELP & FAQ
  • PRIVACY STATEMENT
  • LICENCE & CITATION
Fields »
Search result

Field
Term
Gene name
Class
Subclass
Class
Keyword
Chromosome
External id
Tissue
Cell type
Expression
Antibody panel
Tissue
Main location
Patient ID
Annotation
Tissue
Category
Tau score
Cluster
Reliability
Brain region
Category
Tau score
Brain region
Category
Tau score
Brain region
Category
Tau score
Cluster
Reliability
Tissue
Cell type
Enrichment
Cell type
Category
Tau score
Cell type
Category
Tau score
Cell type
Category
Tau score
Cell lineage
Category
Tau score
Cluster
Cluster
Location
Searches
Location
Cell line
Class
Type
Phase
Reliability
Cancer
Prognosis
Cancer
Category
Cancer
Category
Tau score
Cluster
Variants
Interacting gene (ensg_id)
Type
Number of interactions
Pathway
Category
Score
Score
Score
Validation
Validation
Validation
Validation
Antibodies
Data type
Column


  • SUMMARY

  • TISSUE

  • BRAIN

  • SINGLE CELL

  • SUBCELL

  • CANCER

  • BLOOD

  • CELL LINE

  • STRUCT & INT

  • COPRS
TISSUE PRIMARY DATA HEART MUSCLE Show tissue menu
ADIPOSE TISSUE ADRENAL GLAND AMYGDALA APPENDIX BASAL GANGLIA BONE MARROW BREAST BRONCHUS CEREBELLUM CEREBRAL CORTEX CERVIX CHOROID PLEXUS COLON DUODENUM
ENDOMETRIUM EPIDIDYMIS ESOPHAGUS FALLOPIAN TUBE GALLBLADDER HEART MUSCLE HIPPOCAMPAL FORMATION HYPOTHALAMUS KIDNEY LIVER LUNG LYMPH NODE MIDBRAIN NASOPHARYNX
ORAL MUCOSA OVARY PANCREAS PARATHYROID GLAND PITUITARY GLAND PLACENTA PROSTATE RECTUM RETINA SALIVARY GLAND SEMINAL VESICLE SKELETAL MUSCLE SKIN SMALL INTESTINE
SMOOTH MUSCLE SOFT TISSUE SPINAL CORD SPLEEN STOMACH TESTIS THYMUS THYROID GLAND TONGUE TONSIL URINARY BLADDER VAGINA
ANTIBODIES
AND
VALIDATION
Dictionary
Heart muscle
Tissue proteome
Heart
HEART MUSCLE - Expression summary
Protein expression
Heart musclei

On the top, protein expression in current human tissue, based on all annotated cell types, is reported with the units not detected (n), low (l), medium (m) and high (h). Underneath, protein expression in each annotated cell type are reported using the same units.

Protein expression data is based on knowledge-based annotation. For genes where more than one antibody has been used, a collective score is set.

If knowledge-based annotation could not be performed for a gene, no data is displayed here. View antibody staining data further down this page.

h
m
l
n
Cardiomyocytes: Medium
RNA expressioni

A summary of mRNA expression data available for current tissue based on several datasets. The mRNA expression levels in human tissues are based on RNA-seq data generated by the Human Protein Atlas (HPA), Genotype-Tissue Expression (GTEx) portal and CAGE data generated by the FANTOM5 consortium. Consensus normalized expression levels for human tissues was created by combining the data from HPA and GTEx datasets.

The mRNA expression levels in pig are based on RNA-seq data generated by the Human Protein Atlas (HPA), and for mouse, HPA data and in situ hybridization generated by the Allen brain atlas are reported.

Scroll down to view mRNA expression data in more detail.
Consensus:64.0 nTPM
HPA:46.3 nTPM
GTEx:64.0 nTPM
FANTOM5:102.2 Scaled Tags Per Million

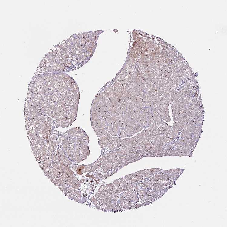
HEART MUSCLE - Antibody stainingi

Antibody staining in the annotated cell types in the current human tissue is reported as not detected, low, medium, or high, based on conventional immunohistochemistry profiling in selected tissues. This score is based on the combination of the staining intensity and fraction of stained cells.

Each image is clickable and will lead to virtual microscopy that enables deeper exploration of all samples and also displays staining intensity scores, fraction scores and subcellular localization as well as patient and tissue information for each sample.

Antibody HPA052552
Cardiomyocytes Medium



HEART MUSCLE - HPA RNA-seqi

The RNA-seq details section shows detailed information about the individual samples used for the transcript profiling and results of the RNA-seq analysis.

Information about each individual sample is listed below, including gender, age, a tissue section image and estimated fractions of cell types. nTPM (normalized transcripts per million) values give a quantification of the gene abundance which is comparable between different genes and samples.
Average nTPMi

Max subtype nTPM is the value for the subtype with the largest average nTPM across the subtype samples.

46.3
overview
Female, age 48
Heart muscle sample 149
nTPM: 62
Cell types%
Myocytes:
15

Fibroblasts:
55

Endothelial cells:
25

Other cell types:
5

overview
Female, age 42
Heart muscle sample 150
nTPM: 40.3
Cell types%
Myocytes:
20

Fibroblasts:
45

Endothelial cells:
30

Other cell types:
5

overview
Male, age 53
Heart muscle sample 151
nTPM: 43
Cell types%
Myocytes:
20

Fibroblasts:
45

Endothelial cells:
30

Other cell types:
5

overview
Female, age 69
Heart muscle sample 152
nTPM: 40.1
Cell types%
Myocytes:
20

Fibroblasts:
45

Endothelial cells:
30

Other cell types:
5


HEART MUSCLE - GTEx RNA-seqi

RNA-Seq data generated by the Genotype-Tissue Expression (GTEx) project from human tissues is reported as mean nTPM. More information can be found on the GTEx portal.

Distribution across the dataset is visualized with box plots, shown as median and 25th and 75th percentiles. Points are displayed as outliers if they are above or below 1.5 times the interquartile range. nTPM values of the individual samples are presented next to the box plot.
Max subtype nTPMi

Max subtype nTPM is the value for the subtype with the largest average nTPM across the subtype samples.

64.0
GTEx sample id Sample description nTPM
Heart - Atrial Appendage
Average nTPM: 52.2
Samples: 429

Max nTPM: 150.8
Min nTPM: 31.6
Std nTPM: 11.4
Median nTPM: 51.3
GTEX-14PJM-0826-SM-6LLIW 50-59 years, female 150.8
GTEX-1GF9U-0526-SM-7P8SK 40-49 years, female 115.3
GTEX-ZYFC-1026-SM-5GZX9 50-59 years, male 85.2
GTEX-1KANB-1126-SM-DHXJT 50-59 years, male 81.4
GTEX-1CB4J-0226-SM-7P8T4 60-69 years, male 81.1
GTEX-14BIM-2726-SM-5Q5EG 60-69 years, female 79.9
GTEX-12WSI-0426-SM-5EQ5J 50-59 years, male 79.5
GTEX-12696-1226-SM-5FQSM 60-69 years, male 78.0
GTEX-13PDP-1326-SM-5K7U9 60-69 years, male 77.9
GTEX-ZYFD-2026-SM-5E459 50-59 years, male 75.9
GTEX-XLM4-2026-SM-4AT4X 60-69 years, male 74.9
GTEX-14JG1-0826-SM-5ZZWR 40-49 years, male 74.1
GTEX-ZAK1-1126-SM-5PNXU 50-59 years, female 74.1
GTEX-146FH-1126-SM-5NQAT 50-59 years, female 74.0
GTEX-13OW5-0926-SM-5L3GZ 60-69 years, male 73.6
GTEX-132NY-1426-SM-5J1MJ 60-69 years, male 73.0
GTEX-1F75A-1026-SM-7PC3W 50-59 years, male 72.9
GTEX-W5X1-0826-SM-3GILN 40-49 years, female 72.5
GTEX-ZE7O-0626-SM-57WCD 50-59 years, female 71.4
GTEX-14PN4-0826-SM-69LON 50-59 years, male 71.3
GTEX-ZYVF-1826-SM-5E44F 50-59 years, female 70.5
GTEX-111FC-0626-SM-5N9CU 60-69 years, male 70.1
GTEX-XQ3S-0526-SM-4BOQA 20-29 years, male 69.4
GTEX-1IY9M-0626-SM-D4P2L 60-69 years, male 69.3
GTEX-13S86-0326-SM-5SI6K 40-49 years, male 68.9
GTEX-1POEN-0726-SM-DTXDU 30-39 years, female 68.3
GTEX-12WSC-1026-SM-5EQ5Y 50-59 years, male 68.1
GTEX-14PJ2-1126-SM-69LOD 50-59 years, male 68.0
GTEX-1GMR8-1026-SM-9MQLA 50-59 years, female 67.7
GTEX-1MJIX-0426-SM-DTXEN 40-49 years, male 67.0
GTEX-13FHP-0826-SM-5K7V5 50-59 years, male 66.8
GTEX-13RTJ-0526-SM-62LDP 60-69 years, male 66.8
GTEX-YEC4-0226-SM-4W1YG 40-49 years, male 66.7
GTEX-1GF9V-1726-SM-9KNW4 60-69 years, male 66.4
GTEX-1QEPI-1126-SM-E8VN7 60-69 years, female 66.3
GTEX-13112-0526-SM-5EQ4S 50-59 years, male 66.1
GTEX-17JCI-0826-SM-7LT8W 60-69 years, female 66.1
GTEX-16YQH-0726-SM-7IGM1 30-39 years, male 66.0
GTEX-117XS-0726-SM-5H131 60-69 years, male 65.7
GTEX-13FXS-1026-SM-62LFQ 50-59 years, male 65.6
GTEX-1H1ZS-1026-SM-9WG6E 70-79 years, male 65.5
GTEX-11O72-1026-SM-5986B 40-49 years, male 65.4
GTEX-1I1GP-0626-SM-ARL7H 50-59 years, male 65.1
GTEX-1J1OQ-2226-SM-A96SS 40-49 years, female 65.0
GTEX-1K2DU-0226-SM-DIPF6 20-29 years, male 64.9
GTEX-14PJO-0826-SM-6ETZK 60-69 years, male 64.8
GTEX-XBEC-1226-SM-4AT65 50-59 years, male 64.7
GTEX-1RB15-0426-SM-E9U4Y 60-69 years, male 64.7
GTEX-ZTTD-0626-SM-4YCCY 50-59 years, male 64.6
GTEX-13OW7-1626-SM-5IJDH 50-59 years, male 64.4
GTEX-139TU-1926-SM-5J2OC 60-69 years, male 64.3
GTEX-18465-0726-SM-7LG4L 50-59 years, male 64.3
GTEX-11EQ8-1326-SM-5EGJQ 60-69 years, male 64.0
GTEX-14C5O-1226-SM-664N3 60-69 years, male 64.0
GTEX-11DXY-1026-SM-5987V 60-69 years, male 63.9
GTEX-1HR98-1026-SM-CKZOM 60-69 years, male 63.7
GTEX-1RLM8-0226-SM-E6CJY 50-59 years, male 63.3
GTEX-11TUW-1126-SM-5EQKJ 60-69 years, male 63.1
GTEX-13JVG-1126-SM-5KM2M 60-69 years, male 63.1
GTEX-183WM-0926-SM-718AN 70-79 years, female 63.1
GTEX-17F9Y-1226-SM-7EPGE 70-79 years, female 63.0
GTEX-11DYG-1026-SM-5A5JQ 60-69 years, male 62.9
GTEX-1CAMQ-0726-SM-7P8SG 40-49 years, male 62.8
GTEX-U8XE-0926-SM-3DB8V 30-39 years, male 62.7
GTEX-1LVAO-0626-SM-EWRNT 60-69 years, male 62.7
GTEX-1GN2E-1426-SM-7RHHI 60-69 years, male 62.5
GTEX-1HT8W-1326-SM-CGQEN 30-39 years, male 62.4
GTEX-11NUK-0926-SM-5HL57 50-59 years, male 62.2
GTEX-11UD2-0926-SM-5CVL6 50-59 years, male 62.2
GTEX-14ASI-0826-SM-5Q5EB 60-69 years, male 62.0
GTEX-XOT4-1126-SM-4B66E 60-69 years, female 62.0
GTEX-ZZPT-0926-SM-5GICZ 50-59 years, male 61.7
GTEX-1BAJH-1026-SM-7EWEG 70-79 years, male 61.5
GTEX-148VJ-1426-SM-5TDE3 70-79 years, male 61.3
GTEX-1C64N-0826-SM-7RHGQ 50-59 years, male 61.3
GTEX-1P4AB-0926-SM-E76PV 50-59 years, male 61.2
GTEX-15SKB-0926-SM-7KUFC 60-69 years, male 61.1
GTEX-13CF2-0226-SM-5L3DV 60-69 years, male 61.0
GTEX-1JN6P-0826-SM-ARL97 60-69 years, male 61.0
GTEX-1399T-0726-SM-5J1MH 60-69 years, male 60.8
GTEX-1EU9M-1926-SM-7RHH4 60-69 years, male 60.7
GTEX-12ZZY-1226-SM-5GCNK 60-69 years, male 60.6
GTEX-X4XX-1126-SM-3NMBY 60-69 years, male 60.6
GTEX-1HBPH-0226-SM-9WYSM 40-49 years, female 60.5
GTEX-1MJK2-1626-SM-EVYCQ 50-59 years, male 60.5
GTEX-1JMLX-1826-SM-CNPOX 50-59 years, male 60.4
GTEX-12ZZX-0726-SM-5EGKA 40-49 years, female 60.2
GTEX-ZDTS-1226-SM-4WKGL 60-69 years, male 60.0
GTEX-ZYT6-0926-SM-5GIEM 30-39 years, male 60.0
GTEX-15RIE-1326-SM-6PAMM 60-69 years, male 59.9
GTEX-1GN1U-1426-SM-7P8TF 50-59 years, female 59.9
GTEX-1QMI2-1026-SM-DTX7T 60-69 years, male 59.8
GTEX-145LS-1326-SM-5Q5EP 60-69 years, female 59.6
GTEX-1HSKV-0726-SM-ACKWE 60-69 years, male 59.6
GTEX-12WSG-1226-SM-5EQ4C 50-59 years, female 59.5
GTEX-111VG-0326-SM-5GZX7 60-69 years, male 59.4
GTEX-ZVT4-1326-SM-5NQ8E 50-59 years, female 59.4
GTEX-1PPGY-0926-SM-DTXFF 60-69 years, male 59.3
GTEX-144GL-1026-SM-5O99R 50-59 years, male 59.1
GTEX-1KD5A-0926-SM-D4P3U 50-59 years, male 59.1
GTEX-1EH9U-0626-SM-7PC33 60-69 years, male 59.0
GTEX-1L5NE-0526-SM-DIPG5 50-59 years, male 59.0
GTEX-Y114-0126-SM-4TT8K 50-59 years, female 58.7
GTEX-1GZ2Q-0926-SM-7RHHN 40-49 years, male 58.5
GTEX-18A7A-1226-SM-7LTAJ 50-59 years, female 58.4
GTEX-XQ8I-0226-SM-4BOPM 50-59 years, male 58.4
GTEX-13PVQ-1326-SM-5LU4J 50-59 years, male 58.3
GTEX-1JJ6O-2226-SM-AHZ3I 60-69 years, male 58.3
GTEX-14PK6-0726-SM-6LLIX 70-79 years, female 58.1
GTEX-XGQ4-0526-SM-4AT6C 50-59 years, male 58.1
GTEX-13O3O-1426-SM-5KM2S 60-69 years, female 58.0
GTEX-1C2JI-0626-SM-7DHM1 50-59 years, male 57.8
GTEX-1F75B-1126-SM-7RHGP 50-59 years, male 57.8
GTEX-1B996-1026-SM-793CF 60-69 years, male 57.7
GTEX-11GS4-0426-SM-5N9CD 60-69 years, male 57.6
GTEX-1GZ4I-0826-SM-9WG6O 50-59 years, male 57.6
GTEX-1JJEA-0926-SM-CYPSO 60-69 years, male 57.6
GTEX-X261-0926-SM-3NMCY 50-59 years, male 57.4
GTEX-1EMGI-1126-SM-9KNUF 60-69 years, male 57.4
GTEX-15SDE-1826-SM-7KUFN 50-59 years, female 57.3
GTEX-X3Y1-0226-SM-3P5Z5 40-49 years, male 57.3
GTEX-14BMV-1026-SM-5SI6B 50-59 years, male 57.1
GTEX-147JS-1326-SM-5SI6D 60-69 years, male 57.0
GTEX-1B933-0826-SM-79OMW 50-59 years, female 57.0
GTEX-1LSNL-0626-SM-DIPFJ 50-59 years, male 57.0
GTEX-13JUV-0226-SM-5IJCC 40-49 years, female 56.9
GTEX-14PN3-0726-SM-6EU14 60-69 years, female 56.8
GTEX-17KNJ-0626-SM-7LT9L 50-59 years, male 56.8
GTEX-ZPU1-0726-SM-5HL6O 40-49 years, male 56.8
GTEX-1313W-1126-SM-5EQ5U 50-59 years, female 56.7
GTEX-131XG-0526-SM-5DUWF 50-59 years, female 56.6
GTEX-ZDXO-0426-SM-4WKF6 60-69 years, male 56.6
GTEX-1GMRU-1326-SM-9WYUI 50-59 years, male 56.4
GTEX-13X6K-1726-SM-7IGLG 60-69 years, female 56.2
GTEX-VUSG-0726-SM-3GIK1 50-59 years, male 56.2
GTEX-145LV-0226-SM-5S2QG 50-59 years, male 56.1
GTEX-1HFI7-0526-SM-A9SMA 50-59 years, female 56.1
GTEX-13O1R-0926-SM-5L3DS 60-69 years, male 56.0
GTEX-14BIL-0926-SM-7DHKN 50-59 years, male 56.0
GTEX-1B8SG-0726-SM-79ONS 50-59 years, male 56.0
GTEX-13FTZ-0326-SM-5J1O1 60-69 years, male 55.8
GTEX-ZAJG-0926-SM-5Q5AB 50-59 years, female 55.8
GTEX-1GMR3-0426-SM-7PC17 40-49 years, male 55.7
GTEX-13SLX-0926-SM-5S2NM 50-59 years, female 55.6
GTEX-1CB4G-0726-SM-79OOJ 60-69 years, male 55.6
GTEX-WK11-0626-SM-3NMAV 50-59 years, male 55.6
GTEX-ZLFU-0326-SM-4WWBK 40-49 years, male 55.6
GTEX-WZTO-1226-SM-3NMAZ 40-49 years, male 55.5
GTEX-1LB8K-0926-SM-D4P42 50-59 years, male 55.5
GTEX-11ZUS-0326-SM-5EQ4W 30-39 years, male 55.4
GTEX-1A32A-1326-SM-73KWW 50-59 years, female 55.4
GTEX-1HSMO-1126-SM-CGQF2 60-69 years, male 55.4
GTEX-11NV4-0826-SM-5BC4S 60-69 years, male 55.3
GTEX-13W3W-0526-SM-5LU3X 60-69 years, female 55.1
GTEX-12WSE-0926-SM-5S2VX 20-29 years, male 54.8
GTEX-13FTW-0826-SM-5K7XR 40-49 years, male 54.8
GTEX-1192X-0726-SM-5987R 50-59 years, male 54.7
GTEX-Z93S-0326-SM-5HL84 50-59 years, male 54.7
GTEX-1C6VQ-0826-SM-7PBZT 50-59 years, male 54.7
GTEX-1I1GV-1426-SM-B2LXN 60-69 years, male 54.7
GTEX-1J8EW-0626-SM-CM2TY 60-69 years, female 54.5
GTEX-1E1VI-1426-SM-793CY 50-59 years, male 54.4
GTEX-WYBS-1226-SM-3NM9N 60-69 years, female 54.4
GTEX-1339X-0326-SM-5K7Z8 40-49 years, male 54.3
GTEX-13NYB-0326-SM-5IJDP 40-49 years, male 54.3
GTEX-13NZA-0826-SM-5K7WS 60-69 years, male 54.3
GTEX-1F75I-1326-SM-7PBZX 40-49 years, male 54.3
GTEX-1IDJH-1126-SM-COH3R 70-79 years, male 54.3
GTEX-11GSP-1226-SM-5985M 60-69 years, female 54.2
GTEX-13SLW-0826-SM-5QGP7 70-79 years, male 54.2
GTEX-1A8G6-1826-SM-73KY8 60-69 years, male 54.1
GTEX-11WQK-0226-SM-5EQLI 50-59 years, male 54.0
GTEX-13QBU-0226-SM-5LU48 40-49 years, female 54.0
GTEX-UPK5-0226-SM-3GAEV 40-49 years, male 54.0
GTEX-1GN1V-1026-SM-CNPPS 60-69 years, male 54.0
GTEX-1H1DG-0826-SM-9QEIW 70-79 years, male 54.0
GTEX-1NHNU-0626-SM-E6CP1 50-59 years, male 54.0
GTEX-YF7O-0526-SM-5P9IO 50-59 years, male 53.9
GTEX-1C6WA-0826-SM-7PBXS 60-69 years, male 53.9
GTEX-1F6I4-0826-SM-7RHGK 60-69 years, male 53.9
GTEX-132QS-0526-SM-5IJC7 60-69 years, male 53.8
GTEX-15CHQ-1326-SM-6871Z 60-69 years, male 53.7
GTEX-18A6Q-1526-SM-731CO 60-69 years, male 53.7
GTEX-ZVT3-0826-SM-5GIC8 60-69 years, female 53.6
GTEX-1I1GQ-1226-SM-CL55J 50-59 years, male 53.6
GTEX-12WSD-1226-SM-5HL9Q 60-69 years, female 53.5
GTEX-13NZB-0426-SM-5KM26 30-39 years, male 53.5
GTEX-X8HC-1026-SM-46MWH 50-59 years, female 53.5
GTEX-147F4-1126-SM-5TDDE 50-59 years, male 53.4
GTEX-1A8FM-1026-SM-7PC26 50-59 years, female 53.3
GTEX-14XAO-0926-SM-69LPZ 60-69 years, female 53.0
GTEX-1LVAN-1526-SM-CNPQN 50-59 years, female 52.9
GTEX-11DXX-0526-SM-5PNVR 60-69 years, female 52.8
GTEX-1AX9J-0926-SM-73KXA 60-69 years, male 52.8
GTEX-YFC4-0426-SM-4TT3J 40-49 years, female 52.8
GTEX-1EX96-2626-SM-9MQJV 50-59 years, male 52.8
GTEX-1AX9K-0426-SM-73KUG 50-59 years, male 52.7
GTEX-1445S-1226-SM-5O9BF 60-69 years, male 52.4
GTEX-14PII-1026-SM-5ZZVW 60-69 years, male 52.4
GTEX-WQUQ-1326-SM-3MJFF 60-69 years, male 52.3
GTEX-YECK-1226-SM-4W21G 60-69 years, male 52.3
GTEX-131XE-0526-SM-5K7YT 50-59 years, male 52.2
GTEX-WHSE-0826-SM-4SOJU 20-29 years, male 52.1
GTEX-1IKK5-1726-SM-CM2RU 60-69 years, male 52.1
GTEX-13NZ9-0126-SM-5K7XV 50-59 years, male 52.0
GTEX-16XZY-0526-SM-7DHKY 70-79 years, male 52.0
GTEX-117YW-0426-SM-5GZZZ 50-59 years, male 51.9
GTEX-1IKJJ-0626-SM-CY8GF 60-69 years, male 51.7
GTEX-12WSN-0226-SM-5DUXH 40-49 years, male 51.6
GTEX-WL46-0726-SM-3LK5Z 50-59 years, male 51.6
GTEX-1QP29-1426-SM-DTX9Q 50-59 years, male 51.6
GTEX-11EM3-0426-SM-5N9BZ 20-29 years, female 51.5
GTEX-11TT1-1426-SM-5EGIA 20-29 years, male 51.4
GTEX-13FH7-0826-SM-5J2NW 50-59 years, female 51.4
GTEX-16NPX-0826-SM-6M489 50-59 years, male 51.3
GTEX-17EVP-0526-SM-7EPGY 40-49 years, male 51.2
GTEX-13VXT-0726-SM-5SIAD 20-29 years, female 51.0
GTEX-1E2YA-0626-SM-7P8P4 50-59 years, male 51.0
GTEX-1H2FU-0826-SM-9WYSU 60-69 years, female 50.9
GTEX-XV7Q-0726-SM-4BRV6 40-49 years, female 50.8
GTEX-1QP6S-1026-SM-DTXFW 40-49 years, male 50.8
GTEX-13N1W-0926-SM-5MR36 70-79 years, male 50.7
GTEX-ZVZQ-0726-SM-51MR3 60-69 years, female 50.7
GTEX-1GN73-2326-SM-9MQKV 60-69 years, male 50.7
GTEX-1399U-0726-SM-5KM1D 50-59 years, female 50.6
GTEX-VJWN-1026-SM-4M1ZN 50-59 years, female 50.6
GTEX-ZXG5-0626-SM-5NQ85 60-69 years, male 50.6
GTEX-1399S-0826-SM-5KM23 30-39 years, female 50.5
GTEX-ZF3C-1126-SM-57WEG 50-59 years, female 50.5
GTEX-15ER7-0826-SM-6PALW 20-29 years, female 50.3
GTEX-1212Z-0726-SM-5EGI5 60-69 years, male 50.2
GTEX-145MN-0726-SM-5NQBH 30-39 years, male 50.1
GTEX-14E7W-1126-SM-5ZZVS 70-79 years, male 50.0
GTEX-132Q8-1126-SM-5K7XS 60-69 years, male 49.9
GTEX-11EMC-0826-SM-59862 60-69 years, female 49.7
GTEX-1IKOH-0926-SM-A9SLU 60-69 years, female 49.7
GTEX-17F96-0826-SM-7DHLU 70-79 years, male 49.6
GTEX-1F88F-0326-SM-9KNV3 60-69 years, female 49.6
GTEX-1EWIQ-1126-SM-7EPIK 70-79 years, female 49.5
GTEX-14PJ4-0926-SM-5YY98 60-69 years, male 49.4
GTEX-YB5K-0226-SM-5IFJE 40-49 years, female 49.4
GTEX-1CAMS-1126-SM-7MXUQ 40-49 years, female 49.3
GTEX-1IL2V-1126-SM-CMKGH 70-79 years, male 49.3
GTEX-1H3O1-0226-SM-9WYSW 60-69 years, male 49.2
GTEX-1477Z-1126-SM-5P9GK 60-69 years, male 49.1
GTEX-11P81-0526-SM-59873 30-39 years, female 49.0
GTEX-14E1K-0826-SM-5ZZW9 50-59 years, male 49.0
GTEX-1HFI6-0826-SM-9YFM2 40-49 years, male 49.0
GTEX-1HUB1-0726-SM-CGQF4 60-69 years, male 48.9
GTEX-1399R-1726-SM-5K7YJ 30-39 years, male 48.8
GTEX-1B8SF-1326-SM-7IGQJ 60-69 years, male 48.8
GTEX-13D11-1526-SM-5J2NA 50-59 years, female 48.7
GTEX-13O3Q-0326-SM-5L3FE 50-59 years, male 48.7
GTEX-16GPK-1226-SM-7LTAU 60-69 years, male 48.7
GTEX-1B97J-0326-SM-7939H 50-59 years, female 48.6
GTEX-1J8Q2-1026-SM-ARU8I 60-69 years, male 48.6
GTEX-12BJ1-0326-SM-5FQUB 60-69 years, male 48.5
GTEX-1C64O-0926-SM-79OLN 60-69 years, male 48.5
GTEX-1R9JW-0426-SM-E76QL 30-39 years, female 48.1
GTEX-13X6J-1226-SM-79OMF 50-59 years, male 48.0
GTEX-WI4N-0726-SM-3TW93 40-49 years, female 48.0
GTEX-15CHC-0326-SM-5ZZVP 60-69 years, female 47.9
GTEX-ZZPU-1126-SM-5N9CW 50-59 years, female 47.9
GTEX-1R7EV-0426-SM-DTX7Z 40-49 years, male 47.9
GTEX-14A5I-1026-SM-5Q5E3 50-59 years, female 47.8
GTEX-14E6C-0326-SM-5Q5EE 40-49 years, male 47.7
GTEX-X62O-0826-SM-46MW8 50-59 years, male 47.7
GTEX-ZDYS-0326-SM-5HL4W 50-59 years, male 47.7
GTEX-1I1GR-1026-SM-A9SLC 60-69 years, male 47.7
GTEX-1H3NZ-1026-SM-A9SM5 60-69 years, male 47.6
GTEX-ZT9W-0526-SM-57WFG 50-59 years, male 47.5
GTEX-17HGU-1126-SM-793BP 50-59 years, male 47.3
GTEX-ZUA1-0726-SM-4YCD9 40-49 years, male 47.3
GTEX-131YS-0826-SM-5PNYV 60-69 years, female 47.2
GTEX-13OW6-0926-SM-5L3GM 50-59 years, male 47.2
GTEX-1AX8Z-1126-SM-731CS 60-69 years, male 47.2
GTEX-1QPFJ-0926-SM-EVR3K 30-39 years, female 47.1
GTEX-14BIN-2126-SM-793AX 50-59 years, female 47.0
GTEX-XXEK-2026-SM-4BRVE 50-59 years, male 47.0
GTEX-1AYCT-0526-SM-7RHHS 50-59 years, male 47.0
GTEX-WEY5-0226-SM-3GIKN 40-49 years, female 46.9
GTEX-1JMQK-0926-SM-ARL96 60-69 years, male 46.8
GTEX-1LH75-0526-SM-DIPG2 50-59 years, female 46.8
GTEX-YJ8O-0826-SM-5CVM3 40-49 years, female 46.6
GTEX-132AR-1926-SM-5EGK5 50-59 years, female 46.5
GTEX-1HBPM-1026-SM-ARL9D 60-69 years, female 46.5
GTEX-1QCLZ-1126-SM-EWRNB 60-69 years, female 46.5
GTEX-1IDJD-0226-SM-CKZOA 30-39 years, male 46.4
GTEX-11LCK-0826-SM-5PNYD 30-39 years, male 46.3
GTEX-12WSA-1126-SM-5EGKU 60-69 years, male 46.3
GTEX-1GN1W-0226-SM-7P8QY 50-59 years, female 46.3
GTEX-1122O-0626-SM-5N9B9 60-69 years, female 46.1
GTEX-13NYS-1926-SM-5IJCB 60-69 years, male 46.0
GTEX-13O61-0426-SM-5L3ET 60-69 years, male 45.9
GTEX-1CB4H-0626-SM-7IGN3 60-69 years, female 45.8
GTEX-14C39-0726-SM-5RQIK 40-49 years, male 45.6
GTEX-15SHV-0526-SM-7KUEN 60-69 years, male 45.6
GTEX-1I1HK-0626-SM-CNPQM 60-69 years, male 45.5
GTEX-Y3IK-1026-SM-51MR7 50-59 years, female 45.4
GTEX-1IOXB-0726-SM-A9G32 50-59 years, male 45.4
GTEX-1R9K4-1026-SM-EXUT1 60-69 years, male 45.4
GTEX-1192W-0226-SM-5EGGT 60-69 years, male 45.3
GTEX-17GQL-0626-SM-731CN 60-69 years, male 45.3
GTEX-12584-1026-SM-59HK3 40-49 years, male 45.1
GTEX-15CHR-0326-SM-7DHN3 50-59 years, male 45.1
GTEX-1HSGN-0926-SM-CNNQM 40-49 years, female 45.1
GTEX-1OFPY-0926-SM-DTX8Q 60-69 years, male 45.1
GTEX-ZEX8-0326-SM-DO92C 50-59 years, male 45.1
GTEX-1CB4I-1526-SM-7DHMY 50-59 years, male 45.0
GTEX-Y3I4-0526-SM-4TT6X 50-59 years, male 45.0
GTEX-1B8L1-0426-SM-7SB76 60-69 years, male 44.9
GTEX-13FHO-1226-SM-5L3EF 60-69 years, male 44.8
GTEX-1IL2U-1226-SM-CL53P 60-69 years, male 44.8
GTEX-15DCE-0826-SM-7KULW 20-29 years, male 44.7
GTEX-1CB4E-0626-SM-7DHMW 60-69 years, male 44.7
GTEX-1GL5R-0426-SM-9WPOP 50-59 years, male 44.6
GTEX-1JK1U-0626-SM-CKZOJ 60-69 years, male 44.6
GTEX-1B8KE-0326-SM-73KTY 50-59 years, male 44.5
GTEX-1H3VY-1126-SM-A96TP 50-59 years, male 44.4
GTEX-1JMQL-1026-SM-CMKGV 50-59 years, female 44.3
GTEX-1LG7Y-1426-SM-D4P31 50-59 years, male 44.2
GTEX-12WSK-0526-SM-5CVNA 40-49 years, female 44.1
GTEX-1LSNM-0426-SM-E9TIZ 50-59 years, male 44.0
GTEX-11ONC-1026-SM-5GU64 60-69 years, male 43.9
GTEX-131XF-0426-SM-5HL7U 60-69 years, male 43.8
GTEX-14C38-1326-SM-62LDK 50-59 years, male 43.8
GTEX-18D9B-1126-SM-7KFSH 60-69 years, male 43.8
GTEX-14PHY-0326-SM-62LE3 60-69 years, female 43.7
GTEX-Y5V5-0726-SM-4VBPY 60-69 years, female 43.5
GTEX-ZVT2-0926-SM-5GICE 50-59 years, female 43.5
GTEX-139YR-0526-SM-5L3DG 50-59 years, male 43.3
GTEX-ZAB5-0126-SM-5CVMT 50-59 years, male 43.3
GTEX-1KANC-0226-SM-E9TIW 50-59 years, female 43.3
GTEX-13O3P-1426-SM-5L3DT 50-59 years, male 43.2
GTEX-ZG7Y-1426-SM-4WWBM 50-59 years, male 43.2
GTEX-1H11D-1026-SM-9QEIU 40-49 years, male 43.2
GTEX-1HC8U-0626-SM-B2LWB 40-49 years, female 43.2
GTEX-1IKOE-0626-SM-A9G31 30-39 years, female 43.2
GTEX-V1D1-0626-SM-4JBHN 50-59 years, male 43.1
GTEX-1MCC2-0226-SM-EVYD5 30-39 years, female 43.1
GTEX-ZPIC-0426-SM-DO91V 40-49 years, female 43.1
GTEX-13PL7-0726-SM-5KM1S 60-69 years, female 43.0
GTEX-XPVG-0726-SM-4B658 50-59 years, male 43.0
GTEX-13YAN-1426-SM-7EPG8 60-69 years, male 42.9
GTEX-1211K-0226-SM-59HJY 60-69 years, female 42.5
GTEX-13N11-0726-SM-5L3DP 50-59 years, female 42.5
GTEX-13PVR-0926-SM-5S2RB 60-69 years, female 42.5
GTEX-ZAB4-0926-SM-5CVN4 40-49 years, male 42.4
GTEX-ZGAY-0226-SM-4WWAL 40-49 years, female 42.4
GTEX-1I19N-0626-SM-A9SKY 70-79 years, male 42.4
GTEX-ZV7C-0526-SM-9WPNK 50-59 years, male 42.4
GTEX-18A67-1026-SM-731CE 50-59 years, male 42.3
GTEX-18D9U-1426-SM-718BO 40-49 years, male 42.1
GTEX-WHPG-1026-SM-3NMBA 50-59 years, male 42.0
GTEX-ZF29-0426-SM-4WKFN 60-69 years, female 42.0
GTEX-WFON-0226-SM-3GIKR 40-49 years, male 41.9
GTEX-1LGRB-1026-SM-CNPQD 50-59 years, female 41.9
GTEX-146FR-0926-SM-5QGPE 60-69 years, female 41.8
GTEX-WRHU-1026-SM-4E3ID 50-59 years, female 41.8
GTEX-11DXZ-0326-SM-5EGH1 50-59 years, male 41.7
GTEX-16XZZ-1026-SM-7DHKS 60-69 years, male 41.7
GTEX-1B932-1326-SM-79OM4 40-49 years, female 41.7
GTEX-WYJK-1126-SM-3NM9Z 50-59 years, male 41.7
GTEX-WY7C-1126-SM-3NB3A 50-59 years, male 41.4
GTEX-1HCU7-1226-SM-B2LX8 50-59 years, male 41.4
GTEX-X4EP-0326-SM-3P5Z6 60-69 years, female 41.2
GTEX-1HCVE-0826-SM-CM2SF 50-59 years, male 41.2
GTEX-1J8Q3-1126-SM-ARU8N 60-69 years, male 41.1
GTEX-15EU6-1326-SM-6PANG 50-59 years, male 40.9
GTEX-15SHU-0926-SM-6PAMK 40-49 years, female 40.9
GTEX-WH7G-0326-SM-3NMBH 40-49 years, male 40.9
GTEX-ZF2S-0826-SM-4WWBI 50-59 years, female 40.8
GTEX-1JMOU-0326-SM-ARL8X 60-69 years, female 40.8
GTEX-WFG8-0726-SM-3GILP 20-29 years, male 40.6
GTEX-ZDTT-0326-SM-4WKF9 60-69 years, male 40.5
GTEX-13U4I-0626-SM-5LU5L 40-49 years, female 40.4
GTEX-14A6H-0326-SM-5NQAN 30-39 years, male 40.4
GTEX-15UF7-1526-SM-6LPI7 40-49 years, male 40.4
GTEX-XYKS-0226-SM-4BRW3 60-69 years, female 40.3
GTEX-1HBPN-0926-SM-CGQEG 50-59 years, male 40.3
GTEX-1117F-0726-SM-5GIEN 60-69 years, female 40.2
GTEX-15RJE-0726-SM-7KUEG 40-49 years, male 40.2
GTEX-ZYFG-0526-SM-5GZXX 60-69 years, female 40.2
GTEX-13PL6-0826-SM-5IJBI 40-49 years, female 40.1
GTEX-16MT8-0826-SM-7KULO 60-69 years, female 39.9
GTEX-13OVG-0426-SM-5KM2T 60-69 years, male 39.8
GTEX-17MF6-0926-SM-7LTAL 40-49 years, male 39.5
GTEX-Y8E4-0426-SM-4V6GB 40-49 years, male 39.5
GTEX-1GTWX-0926-SM-9MQKM 60-69 years, male 39.5
GTEX-1NSGN-1226-SM-E76OL 50-59 years, male 39.5
GTEX-ZPCL-0526-SM-DO91R 60-69 years, female 39.5
GTEX-1HSMQ-0426-SM-ADEIM 50-59 years, male 39.3
GTEX-11ZVC-0526-SM-5N9G1 50-59 years, female 39.2
GTEX-1I1CD-1326-SM-A9SMM 60-69 years, female 39.2
GTEX-1HCUA-0626-SM-ACKVT 50-59 years, female 39.1
GTEX-1IDJU-0626-SM-CKZOG 60-69 years, female 38.6
GTEX-13OVI-0326-SM-5K7X1 60-69 years, female 38.5
GTEX-14H4A-0426-SM-5ZZWO 40-49 years, female 38.2
GTEX-ZTPG-1326-SM-51MSQ 20-29 years, female 38.2
GTEX-WFG7-0826-SM-3GIKU 20-29 years, male 38.1
GTEX-X5EB-0626-SM-46MVQ 40-49 years, male 38.1
GTEX-1AX9I-1026-SM-73KYF 60-69 years, male 38.0
GTEX-1J8QM-0326-SM-CL53D 60-69 years, female 37.8
GTEX-WHWD-0326-SM-3LK6L 50-59 years, male 37.7
GTEX-1KXAM-1426-SM-D3LAC 60-69 years, male 37.7
GTEX-117YX-0626-SM-5EGJI 50-59 years, male 37.5
GTEX-13O21-0326-SM-5J1N9 50-59 years, male 37.4
GTEX-17F9E-0726-SM-793A1 50-59 years, male 37.4
GTEX-1H1CY-0426-SM-9KNVD 60-69 years, female 37.2
GTEX-14PHX-0626-SM-5YY8Z 50-59 years, male 37.0
GTEX-WWYW-1126-SM-3NB2Q 50-59 years, female 36.9
GTEX-14DAQ-1026-SM-793B1 60-69 years, female 36.8
GTEX-1A3MX-1226-SM-731B3 60-69 years, male 36.8
GTEX-14PJ6-0626-SM-686Z6 60-69 years, female 36.3
GTEX-1M5QR-1626-SM-E9U5O 40-49 years, male 35.5
GTEX-1GMR2-1326-SM-9KNUT 50-59 years, male 35.4
GTEX-1LGOU-0326-SM-D3LAM 20-29 years, female 35.3
GTEX-1F48J-1126-SM-9WYSY 50-59 years, female 35.1
GTEX-15D1Q-0426-SM-6AJ9G 40-49 years, male 34.9
GTEX-UTHO-1226-SM-3GAEE 60-69 years, male 34.8
GTEX-11ZTT-0526-SM-5EQLA 60-69 years, female 34.7
GTEX-XPT6-0226-SM-4B65L 20-29 years, male 34.6
GTEX-V955-0826-SM-CYPR5 60-69 years, male 34.6
GTEX-WOFL-1226-SM-4OOST 60-69 years, male 34.5
GTEX-111YS-0326-SM-5GZZ3 60-69 years, male 34.4
GTEX-YEC3-0426-SM-CYPS8 50-59 years, male 34.4
GTEX-1IDJF-0826-SM-ARU7N 20-29 years, male 33.8
GTEX-1ICG6-0726-SM-B2LY5 70-79 years, female 32.2
GTEX-18A66-1126-SM-731C5 60-69 years, male 31.6
Show allShow less
Heart - Left Ventricle
Average nTPM: 64.0
Samples: 432

Max nTPM: 143.6
Min nTPM: 23.2
Std nTPM: 16.0
Median nTPM: 61.5
GTEX-1POEN-0626-SM-EVR4B 30-39 years, female 143.6
GTEX-1O9I2-1126-SM-DTXEA 50-59 years, male 142.5
GTEX-1RQEC-0926-SM-EWROG 60-69 years, male 117.6
GTEX-X15G-0426-SM-4PQZ6 50-59 years, female 116.0
GTEX-O5YV-0326-SM-2I5H2 60-69 years, female 109.6
GTEX-1N2EF-2826-SM-E6CQF 60-69 years, male 107.9
GTEX-13O3O-1526-SM-5KM1C 60-69 years, female 107.8
GTEX-14XAO-1126-SM-6EU11 60-69 years, female 103.9
GTEX-1HCU7-1326-SM-CNPPW 50-59 years, male 102.3
GTEX-1HBPH-0126-SM-CNNQ7 40-49 years, female 102.2
GTEX-13PVQ-1226-SM-5IJDC 50-59 years, male 101.3
GTEX-11EM3-0626-SM-5H12Z 20-29 years, female 99.6
GTEX-RNOR-0826-SM-2TF5C 50-59 years, female 99.1
GTEX-R45C-0926-SM-3GAD4 60-69 years, female 98.5
GTEX-Y114-0226-SM-4TT8W 50-59 years, female 97.8
GTEX-13112-0426-SM-5PNVC 50-59 years, male 96.9
GTEX-1A3MW-1326-SM-7189P 60-69 years, female 96.7
GTEX-ZPIC-0826-SM-4WWFJ 40-49 years, female 95.5
GTEX-NPJ8-0426-SM-2HMK6 40-49 years, male 95.2
GTEX-13CF2-0426-SM-5KM1H 60-69 years, male 94.4
GTEX-YF7O-0426-SM-5P9FS 50-59 years, male 93.9
GTEX-WH7G-0426-SM-3NMBJ 40-49 years, male 93.4
GTEX-1F6I4-0726-SM-7PC2P 60-69 years, male 92.6
GTEX-XQ3S-0626-SM-4BOOB 20-29 years, male 92.2
GTEX-15DDE-1126-SM-6LLHN 50-59 years, female 90.9
GTEX-1HCU6-1026-SM-A9G25 60-69 years, female 90.8
GTEX-13W3W-0426-SM-5SI9D 60-69 years, female 89.9
GTEX-1HBPM-1226-SM-A9SM8 60-69 years, female 89.7
GTEX-13NZB-0226-SM-5KM1T 30-39 years, male 89.6
GTEX-YB5K-0126-SM-5IFJ2 40-49 years, female 89.3
GTEX-132NY-1726-SM-5EGKK 60-69 years, male 88.2
GTEX-1IDJE-0326-SM-CM2TD 50-59 years, female 88.2
GTEX-R55E-1026-SM-2TC5S 20-29 years, male 87.9
GTEX-1GN1W-0326-SM-9JGHF 50-59 years, female 87.8
GTEX-ZDXO-0726-SM-57WBT 60-69 years, male 87.3
GTEX-1CB4J-0326-SM-7PBZO 60-69 years, male 87.1
GTEX-1JJEA-0826-SM-CL53T 60-69 years, male 87.0
GTEX-1K9T9-1126-SM-D3L9E 50-59 years, female 86.9
GTEX-1JJ6O-2126-SM-CNNP6 60-69 years, male 86.8
GTEX-11DXX-0326-SM-5PNWC 60-69 years, female 84.4
GTEX-14JG1-1026-SM-6ETZY 40-49 years, male 83.7
GTEX-XQ8I-0126-SM-4BOPL 50-59 years, male 83.3
GTEX-1LGOU-0726-SM-E9TIY 20-29 years, female 83.1
GTEX-UPK5-0326-SM-CYPR4 40-49 years, male 83.1
GTEX-1IDJU-0726-SM-CNPQ9 60-69 years, female 82.8
GTEX-1IKOE-1026-SM-ARZMF 30-39 years, female 82.5
GTEX-17F9E-0926-SM-7IGMG 50-59 years, male 82.2
GTEX-1KD5A-1026-SM-CY8I8 50-59 years, male 82.0
GTEX-WHSE-0926-SM-3NMBS 20-29 years, male 81.3
GTEX-XV7Q-0826-SM-4BRV7 40-49 years, female 81.3
GTEX-1R9PO-0326-SM-DTXA1 60-69 years, female 81.0
GTEX-12WSG-0526-SM-5FQTH 50-59 years, female 80.7
GTEX-12ZZZ-1726-SM-59HK5 60-69 years, male 80.7
GTEX-1314G-0126-SM-5LZUL 30-39 years, male 80.3
GTEX-PWCY-0526-SM-5P9HG 20-29 years, female 80.1
GTEX-13SLX-1026-SM-5ZZUQ 50-59 years, female 79.6
GTEX-WZTO-1326-SM-3NM8X 40-49 years, male 79.6
GTEX-1J8EW-0926-SM-A9G33 60-69 years, female 79.6
GTEX-1313W-1426-SM-5KLZU 50-59 years, female 79.5
GTEX-WY7C-0526-SM-3NB3D 50-59 years, male 79.4
GTEX-1OKEX-0726-SM-DPRYE 60-69 years, male 79.4
GTEX-12WSD-1126-SM-5EGJD 60-69 years, female 79.1
GTEX-SUCS-0326-SM-32PLL 70-79 years, male 79.1
GTEX-1QCLZ-0926-SM-E6CQZ 60-69 years, female 79.1
GTEX-13OVL-0526-SM-5KLZQ 50-59 years, male 78.9
GTEX-1CB4I-1626-SM-7RHGV 50-59 years, male 78.8
GTEX-P44G-0826-SM-2I5ES 30-39 years, male 78.7
GTEX-1LVAN-1726-SM-CNNR1 50-59 years, female 78.4
GTEX-1QP2A-1126-SM-EVR3H 50-59 years, male 78.4
GTEX-11ONC-0126-SM-5PNW6 60-69 years, male 78.3
GTEX-P78B-0426-SM-2I5F5 40-49 years, female 78.2
GTEX-1AX9K-0526-SM-73KV1 50-59 years, male 78.1
GTEX-131XE-0626-SM-5HL98 50-59 years, male 78.0
GTEX-13O61-0526-SM-5J2M1 60-69 years, male 77.8
GTEX-16YQH-0926-SM-793BC 30-39 years, male 77.8
GTEX-11I78-0826-SM-5A5K4 50-59 years, female 77.7
GTEX-1C64O-0826-SM-79OKZ 60-69 years, male 77.5
GTEX-145MO-1126-SM-5NQBX 60-69 years, male 77.4
GTEX-1MUQO-1226-SM-E9TJK 60-69 years, male 77.3
GTEX-146FH-1026-SM-5RQIF 50-59 years, female 77.2
GTEX-13FTW-1026-SM-5L3E3 40-49 years, male 76.8
GTEX-ZAB5-0226-SM-5CVMH 50-59 years, male 76.7
GTEX-11ZUS-0226-SM-5FQT8 30-39 years, male 76.6
GTEX-RWS6-0326-SM-2XCAP 60-69 years, female 76.3
GTEX-1R9K4-1326-SM-DTX8G 60-69 years, male 76.2
GTEX-WL46-0926-SM-3LK7T 50-59 years, male 76.1
GTEX-1GF9V-1626-SM-7PBXL 60-69 years, male 76.1
GTEX-1M5QR-1026-SM-DHXK9 40-49 years, male 76.1
GTEX-1R9JW-0526-SM-EWRNK 30-39 years, female 75.9
GTEX-U4B1-0326-SM-3DB8K 40-49 years, male 75.5
GTEX-ZDTS-1326-SM-6LLHE 60-69 years, male 75.5
GTEX-1LH75-0426-SM-E9TJF 50-59 years, female 75.5
GTEX-O5YW-0326-SM-2I5EI 50-59 years, male 75.4
GTEX-145LV-0326-SM-5Q5BW 50-59 years, male 75.3
GTEX-1R9K5-1326-SM-E6CPR 50-59 years, male 75.3
GTEX-ZYFC-1126-SM-5E44W 50-59 years, male 75.0
GTEX-15SHU-1126-SM-7KUMB 40-49 years, female 74.8
GTEX-YEC4-0326-SM-4W216 40-49 years, male 74.8
GTEX-17F9Y-1326-SM-7MGW9 70-79 years, female 74.8
GTEX-17GQL-0526-SM-72D5N 60-69 years, male 74.0
GTEX-14PK6-0826-SM-5ZZVO 70-79 years, female 73.9
GTEX-Y3I4-0626-SM-4TT7A 50-59 years, male 73.8
GTEX-1GMR3-0326-SM-7P8QT 40-49 years, male 73.8
GTEX-1QPFJ-1026-SM-E6CR6 30-39 years, female 73.8
GTEX-1EU9M-1826-SM-7DUGU 60-69 years, male 73.7
GTEX-13YAN-1326-SM-5Q5F1 60-69 years, male 73.6
GTEX-1C2JI-0526-SM-7EWEQ 50-59 years, male 73.6
GTEX-WQUQ-1426-SM-3MJFD 60-69 years, male 73.5
GTEX-OXRO-2026-SM-2YUMZ 60-69 years, female 73.3
GTEX-YFC4-0526-SM-5ZZVI 40-49 years, female 73.1
GTEX-1F75I-1126-SM-9WYUO 40-49 years, male 72.9
GTEX-1ICLY-1326-SM-CJI47 50-59 years, male 72.9
GTEX-15CHR-0226-SM-7PC2Z 50-59 years, male 72.7
GTEX-1JMQK-0626-SM-D4P2R 60-69 years, male 72.7
GTEX-ZPU1-0626-SM-4YCDM 40-49 years, male 72.3
GTEX-18A67-1226-SM-7KFRS 50-59 years, male 72.2
GTEX-13VXT-1126-SM-5LU3A 20-29 years, female 72.0
GTEX-1I1GQ-1426-SM-B2LWY 50-59 years, male 72.0
GTEX-OOBJ-0326-SM-33HBO 60-69 years, male 71.9
GTEX-1HFI7-0826-SM-A9G23 50-59 years, female 71.8
GTEX-1AX9I-1126-SM-7EPHH 60-69 years, male 71.6
GTEX-1PPGY-1126-SM-E76OU 60-69 years, male 71.6
GTEX-1RMOY-0626-SM-E9TIE 50-59 years, male 71.5
GTEX-18465-0926-SM-731AY 50-59 years, male 71.2
GTEX-ZAJG-0826-SM-5PNVA 50-59 years, female 71.1
GTEX-1GZ4I-1026-SM-9KNV5 50-59 years, male 71.1
GTEX-1JMLX-1626-SM-ARZMV 50-59 years, male 71.1
GTEX-17JCI-1126-SM-7IGMM 60-69 years, female 71.0
GTEX-OIZH-0326-SM-2HMKC 50-59 years, male 70.8
GTEX-ZPCL-0426-SM-DNZZ4 60-69 years, female 70.5
GTEX-13FLV-0926-SM-5L3DZ 50-59 years, male 70.2
GTEX-Y8E4-0326-SM-4VBRR 40-49 years, male 70.2
GTEX-16BQI-0926-SM-6M485 30-39 years, female 70.1
GTEX-QEG5-0926-SM-2TC64 20-29 years, male 70.1
GTEX-1GF9U-0426-SM-7RHHA 40-49 years, female 69.9
GTEX-1I6K7-0626-SM-ARL7Q 40-49 years, male 69.9
GTEX-1LB8K-1026-SM-DHXJJ 50-59 years, male 69.7
GTEX-14A6H-0226-SM-5Q5DX 30-39 years, male 69.6
GTEX-1MJIX-0326-SM-EVR42 40-49 years, male 69.6
GTEX-147F4-1226-SM-5NQAY 50-59 years, male 69.5
GTEX-ZVZP-0226-SM-5NQ73 50-59 years, male 69.5
GTEX-12ZZY-1126-SM-5DUWQ 60-69 years, male 69.4
GTEX-148VI-0326-SM-5RQK7 60-69 years, female 69.4
GTEX-16NPX-0926-SM-7KUEZ 50-59 years, male 69.2
GTEX-13S86-0226-SM-5S2PJ 40-49 years, male 69.1
GTEX-1GN1V-0826-SM-9KNU6 60-69 years, male 69.1
GTEX-1H23P-1226-SM-9QEJ2 60-69 years, male 69.1
GTEX-1399S-1026-SM-5KLZ9 30-39 years, female 68.9
GTEX-WI4N-0626-SM-3TW8Z 40-49 years, female 68.8
GTEX-11GSP-1326-SM-5A5KY 60-69 years, female 68.4
GTEX-12584-0926-SM-5FQTN 40-49 years, male 68.1
GTEX-13FTZ-0226-SM-5K7X6 60-69 years, male 68.1
GTEX-13RTJ-0726-SM-5QGQN 60-69 years, male 68.0
GTEX-11EMC-0726-SM-5EGJO 60-69 years, female 67.8
GTEX-1211K-0626-SM-5FQUZ 60-69 years, female 67.8
GTEX-U8XE-1126-SM-3DB8W 30-39 years, male 67.8
GTEX-ZF3C-1226-SM-4WWCB 50-59 years, female 67.7
GTEX-11ZVC-0426-SM-5CVLD 50-59 years, female 67.6
GTEX-13X6H-0426-SM-5LU4E 50-59 years, female 67.6
GTEX-1497J-1226-SM-5Q5BL 60-69 years, male 67.6
GTEX-ZYW4-0926-SM-59HJS 60-69 years, male 67.6
GTEX-1IL2U-1326-SM-A9G2O 60-69 years, male 67.6
GTEX-15ER7-1726-SM-6PAMX 20-29 years, female 67.5
GTEX-11O72-1126-SM-5N9E2 40-49 years, male 66.9
GTEX-1AYCT-0426-SM-73KVZ 50-59 years, male 66.5
GTEX-1E1VI-1326-SM-7IGQD 50-59 years, male 66.4
GTEX-1LGRB-1126-SM-CNPP2 50-59 years, female 66.4
GTEX-132QS-0426-SM-5KLZ6 60-69 years, male 66.2
GTEX-13N1W-1026-SM-5IJC5 70-79 years, male 66.1
GTEX-1I1HK-0726-SM-B2LY4 60-69 years, male 66.0
GTEX-12WSN-5001-SM-7DHMK 40-49 years, male 65.6
GTEX-ZQUD-1526-SM-7IGO2 30-39 years, male 65.6
GTEX-QESD-0526-SM-2I5G5 20-29 years, male 65.4
GTEX-1J8Q2-1226-SM-A9G2W 60-69 years, male 65.4
GTEX-12WSC-1126-SM-5EQ4G 50-59 years, male 65.3
GTEX-147JS-1526-SM-5ZZWF 60-69 years, male 65.2
GTEX-15CHC-0426-SM-6LLHI 60-69 years, female 65.0
GTEX-1CB4E-0526-SM-7MXTK 60-69 years, male 65.0
GTEX-1S3DN-0726-SM-E9TIO 50-59 years, male 64.7
GTEX-14DAQ-1126-SM-664MT 60-69 years, female 64.6
GTEX-15DYW-1126-SM-6LPK5 60-69 years, female 64.6
GTEX-12WSK-0626-SM-5LZUJ 40-49 years, female 64.4
GTEX-13O1R-1226-SM-5J1NU 60-69 years, male 64.4
GTEX-1BAJH-1626-SM-73KUV 70-79 years, male 64.3
GTEX-1R7EV-0326-SM-E76PA 40-49 years, male 64.3
GTEX-1B97J-0726-SM-7RHG3 50-59 years, female 64.2
GTEX-1122O-0826-SM-5GICV 60-69 years, female 64.1
GTEX-1F5PK-0326-SM-9KNUD 50-59 years, male 64.0
GTEX-PSDG-0926-SM-2I5FP 50-59 years, male 63.9
GTEX-12696-1126-SM-5FQTI 60-69 years, male 63.8
GTEX-146FR-0626-SM-5RQJ1 60-69 years, female 63.8
GTEX-14C5O-1326-SM-5S2UW 60-69 years, male 63.8
GTEX-1J8QM-0426-SM-AHZ3X 60-69 years, female 63.8
GTEX-131XG-0626-SM-5GCMP 50-59 years, female 63.6
GTEX-1AX9J-1026-SM-72D6E 60-69 years, male 63.5
GTEX-1IDJI-1026-SM-A96TE 50-59 years, female 63.4
GTEX-1ICG6-0626-SM-ACKWS 70-79 years, female 63.3
GTEX-1LC47-1026-SM-D3LAH 60-69 years, male 63.3
GTEX-NFK9-0926-SM-2HMJU 40-49 years, male 63.0
GTEX-1269C-0826-SM-5N9EM 60-69 years, female 62.9
GTEX-111FC-0826-SM-5GZWO 60-69 years, male 62.8
GTEX-1F6IF-2526-SM-7P8TV 60-69 years, male 62.5
GTEX-13O3P-1626-SM-5K7X3 50-59 years, male 62.3
GTEX-15RJ7-0226-SM-7KUMN 40-49 years, male 62.3
GTEX-POMQ-0326-SM-2I5FO 20-29 years, female 62.2
GTEX-WYJK-1026-SM-3NM8W 50-59 years, male 62.0
GTEX-1HSGN-1126-SM-CJI4G 40-49 years, female 62.0
GTEX-1LVA9-0926-SM-EVR5G 50-59 years, male 62.0
GTEX-1PWST-1026-SM-DTXF2 70-79 years, male 62.0
GTEX-13CF3-0726-SM-5J2MY 60-69 years, female 61.8
GTEX-Y5V5-0626-SM-4VBPX 60-69 years, female 61.8
GTEX-1A8G6-1626-SM-7MGWO 60-69 years, male 61.8
GTEX-WFON-0326-SM-3GIKX 40-49 years, male 61.6
GTEX-ZDTT-0726-SM-4WKFK 60-69 years, male 61.6
GTEX-11TUW-1026-SM-5GU7D 60-69 years, male 61.5
GTEX-14PJ4-1126-SM-5YY91 60-69 years, male 61.5
GTEX-PLZ5-0626-SM-2I5F8 50-59 years, male 61.5
GTEX-S33H-0526-SM-COH1W 30-39 years, male 61.5
GTEX-14PN3-0526-SM-69LQF 60-69 years, female 61.2
GTEX-1HC8U-0726-SM-ACKXL 40-49 years, female 61.0
GTEX-14H4A-0626-SM-5ZZUT 40-49 years, female 60.9
GTEX-13X6I-1426-SM-5SI9Z 60-69 years, male 60.8
GTEX-WHPG-0826-SM-3NMBF 50-59 years, male 60.8
GTEX-WEY5-0426-SM-3GIKT 40-49 years, female 60.7
GTEX-1IKK5-1526-SM-CKZPW 60-69 years, male 60.7
GTEX-1LSNM-0526-SM-DIPG6 50-59 years, male 60.6
GTEX-T6MN-0926-SM-32PLX 50-59 years, male 60.4
GTEX-OIZG-1126-SM-2HMIU 50-59 years, male 60.3
GTEX-1I1GP-0826-SM-A96SD 50-59 years, male 60.2
GTEX-ZTPG-1226-SM-4YCDO 20-29 years, female 60.1
GTEX-14JIY-1126-SM-6EU28 60-69 years, male 60.0
GTEX-QDVN-0326-SM-2I3FS 50-59 years, male 60.0
GTEX-WRHU-1226-SM-4E3IJ 50-59 years, female 60.0
GTEX-117YX-1126-SM-5H128 50-59 years, male 59.8
GTEX-QEG4-0426-SM-33HC3 30-39 years, male 59.8
GTEX-1L5NE-0426-SM-E9TIX 50-59 years, male 59.8
GTEX-ZF29-0226-SM-4WKHO 60-69 years, female 59.7
GTEX-14PJ6-0726-SM-69LOL 60-69 years, female 59.6
GTEX-ZZPU-0926-SM-5GZYT 50-59 years, female 59.6
GTEX-13OW5-1126-SM-5J1NR 60-69 years, male 59.5
GTEX-14PHY-0226-SM-5ZZWM 60-69 years, female 59.3
GTEX-139YR-0826-SM-5LZXY 50-59 years, male 59.2
GTEX-1EMGI-1226-SM-793DD 60-69 years, male 59.2
GTEX-1GN73-2426-SM-7RHFQ 60-69 years, male 59.2
GTEX-1AX8Z-5007-SM-AHZ36 60-69 years, male 59.1
GTEX-17KNJ-0826-SM-793A4 50-59 years, male 59.0
GTEX-1JK1U-0526-SM-CYPSQ 60-69 years, male 59.0
GTEX-17HGU-1026-SM-79OKL 50-59 years, male 58.9
GTEX-14E6C-0426-SM-5YYA8 40-49 years, male 58.7
GTEX-18D9B-1226-SM-72D6V 60-69 years, male 58.7
GTEX-RWSA-0626-SM-2XCBD 40-49 years, male 58.7
GTEX-1HSMQ-0226-SM-C1YQL 50-59 years, male 58.7
GTEX-1B8KE-0126-SM-793AM 50-59 years, male 58.6
GTEX-RUSQ-0526-SM-2TF72 50-59 years, male 58.6
GTEX-ZAB4-1026-SM-5HL7T 40-49 years, male 58.6
GTEX-13PVR-1026-SM-5QGQW 60-69 years, female 58.5
GTEX-SE5C-0626-SM-2XCDV 40-49 years, female 58.5
GTEX-WFG8-0626-SM-3GILJ 20-29 years, male 58.5
GTEX-1399R-1926-SM-5K7X8 30-39 years, male 58.4
GTEX-1JN1M-1026-SM-CNPOS 60-69 years, female 58.4
GTEX-14E1K-1026-SM-73KUR 50-59 years, male 58.3
GTEX-1CAMS-1326-SM-79OJR 40-49 years, female 58.2
GTEX-XPVG-0826-SM-4B654 50-59 years, male 58.2
GTEX-ZYFG-0426-SM-5E43M 60-69 years, female 58.2
GTEX-13O21-2326-SM-5MR3X 50-59 years, male 57.9
GTEX-X8HC-1626-SM-46MWE 50-59 years, female 57.9
GTEX-13FH7-0926-SM-5J2MR 50-59 years, female 57.7
GTEX-QMRM-0526-SM-2I5GA 50-59 years, male 57.7
GTEX-OIZF-0326-SM-3MJGY 60-69 years, male 57.7
GTEX-117YW-0326-SM-5N9CY 50-59 years, male 57.6
GTEX-1GMRU-1526-SM-9WYT5 50-59 years, male 57.6
GTEX-OXRK-0826-SM-2HMK7 50-59 years, female 57.5
GTEX-1H1ZS-1126-SM-9MQLJ 70-79 years, male 57.5
GTEX-1I1GV-1326-SM-A96SE 60-69 years, male 57.5
GTEX-S32W-0626-SM-2XCBG 50-59 years, female 57.4
GTEX-132AR-2026-SM-5IJG4 50-59 years, female 57.3
GTEX-QV44-0526-SM-2S1RE 50-59 years, male 57.3
GTEX-ZF2S-1026-SM-9QEGK 50-59 years, female 57.3
GTEX-XPT6-0126-SM-4B65S 20-29 years, male 57.2
GTEX-131XH-0226-SM-5LZVB 50-59 years, male 57.0
GTEX-N7MS-0826-SM-2HML4 60-69 years, male 57.0
GTEX-XBED-0526-SM-47JY3 60-69 years, male 57.0
GTEX-11DXY-0826-SM-5EGGR 60-69 years, male 56.8
GTEX-1JN6P-1126-SM-CKZON 60-69 years, male 56.8
GTEX-ZG7Y-0926-SM-5EQ6O 50-59 years, male 56.7
GTEX-1GMR2-1426-SM-7RHHK 50-59 years, male 56.7
GTEX-1KANC-0426-SM-CXZK5 50-59 years, female 56.7
GTEX-1MCC2-0326-SM-EV7AK 30-39 years, female 56.6
GTEX-SIU8-0826-SM-2XCDQ 50-59 years, male 56.5
GTEX-1212Z-0626-SM-5FQTB 60-69 years, male 56.4
GTEX-18A6Q-1626-SM-7KFTA 60-69 years, male 56.3
GTEX-13QBU-0426-SM-5J2O4 40-49 years, female 56.2
GTEX-QVJO-1926-SM-2S1QZ 60-69 years, female 56.1
GTEX-V1D1-0526-SM-4JBGW 50-59 years, male 56.0
GTEX-R55C-0326-SM-3GAF1 40-49 years, male 55.9
GTEX-1A3MX-1326-SM-72D58 60-69 years, male 55.8
GTEX-11DXZ-0626-SM-5GU77 50-59 years, male 55.6
GTEX-1339X-0426-SM-5KLZY 40-49 years, male 55.6
GTEX-1B996-1126-SM-73KWN 60-69 years, male 55.6
GTEX-QEL4-0926-SM-3GAD1 50-59 years, male 55.6
GTEX-1QP29-1526-SM-EXUSY 50-59 years, male 55.4
GTEX-QLQ7-0526-SM-2I5G3 60-69 years, male 55.1
GTEX-14PJ2-1026-SM-6EU1M 50-59 years, male 54.9
GTEX-1OFPY-1026-SM-EXUSO 60-69 years, male 54.9
GTEX-SNMC-0126-SM-2XCFO 20-29 years, male 54.7
GTEX-1IDJF-0726-SM-CJI1U 20-29 years, male 54.7
GTEX-1ICLZ-1026-SM-A9SLF 60-69 years, male 54.6
GTEX-PVOW-0426-SM-5MR5R 40-49 years, male 54.5
GTEX-1H11D-1226-SM-9WPQ2 40-49 years, male 54.5
GTEX-131XF-5001-SM-7DHLY 60-69 years, male 54.4
GTEX-1CB4G-0826-SM-7DUGF 60-69 years, male 54.4
GTEX-1JJE9-1426-SM-ARL8P 70-79 years, male 54.3
GTEX-RTLS-0826-SM-2TF5Q 60-69 years, female 54.2
GTEX-11TT1-1326-SM-5PNYM 20-29 years, male 54.1
GTEX-1EN7A-0726-SM-7PBXT 40-49 years, male 54.0
GTEX-18D9U-1126-SM-72D5Y 40-49 years, male 53.9
GTEX-OHPL-0326-SM-33HC8 60-69 years, female 53.9
GTEX-XXEK-0926-SM-4BRWH 50-59 years, male 53.9
GTEX-1399U-0526-SM-5K7YM 50-59 years, female 53.8
GTEX-13OVG-0526-SM-5K7YD 60-69 years, male 53.8
GTEX-13OW6-1126-SM-5L3HL 50-59 years, male 53.8
GTEX-148VJ-1526-SM-5Q5DU 70-79 years, male 53.8
GTEX-111YS-0426-SM-5987O 60-69 years, male 53.5
GTEX-OXRL-0326-SM-2I3F2 50-59 years, male 53.5
GTEX-1JMOU-0226-SM-CNNPD 60-69 years, female 53.5
GTEX-Y5V6-0826-SM-4VBRU 60-69 years, male 53.3
GTEX-13X6K-1826-SM-5O9CR 60-69 years, female 53.0
GTEX-1O97I-0826-SM-E8VNE 60-69 years, male 53.0
GTEX-ZEX8-0426-SM-DO92Y 50-59 years, male 53.0
GTEX-P4PQ-0326-SM-2HMJ8 60-69 years, male 52.9
GTEX-Y3IK-0826-SM-51MT8 50-59 years, female 52.8
GTEX-15SHW-1226-SM-6M46C 60-69 years, male 52.7
GTEX-1B932-1026-SM-793CL 40-49 years, female 52.7
GTEX-14PHX-2126-SM-6EU2U 50-59 years, male 52.6
GTEX-1F48J-1026-SM-7P8SO 50-59 years, female 52.6
GTEX-1B8SG-0826-SM-7EWF7 50-59 years, male 52.4
GTEX-ZLFU-0226-SM-4WWFH 40-49 years, male 52.4
GTEX-17HII-1326-SM-7IGOB 50-59 years, male 52.3
GTEX-15RIE-1726-SM-7KUMU 60-69 years, male 52.2
GTEX-1B8L1-0526-SM-79ONX 60-69 years, male 52.1
GTEX-1JMPZ-1426-SM-CJI3C 30-39 years, male 52.1
GTEX-1RB15-0326-SM-E6CQB 60-69 years, male 52.1
GTEX-OHPM-0326-SM-33HCA 50-59 years, male 52.0
GTEX-13N11-0426-SM-5KM3O 50-59 years, female 51.9
GTEX-OHPK-0326-SM-2HMJO 50-59 years, female 51.8
GTEX-1J8Q3-1226-SM-CKZPT 60-69 years, male 51.8
GTEX-WK11-0826-SM-EZ6LH 50-59 years, male 51.7
GTEX-XGQ4-0326-SM-4GIEE 50-59 years, male 51.6
GTEX-13U4I-0826-SM-5SIBD 40-49 years, female 51.4
GTEX-WHWD-0426-SM-3LK83 50-59 years, male 51.4
GTEX-1EKGG-1126-SM-7MGXB 60-69 years, male 51.4
GTEX-16XZY-0426-SM-793BI 70-79 years, male 51.3
GTEX-RU72-0326-SM-2TF5T 50-59 years, female 51.3
GTEX-1HCUA-0526-SM-A9SMH 50-59 years, female 51.3
GTEX-ZV7C-0326-SM-57WB1 50-59 years, male 51.1
GTEX-PX3G-0326-SM-2I3EO 20-29 years, female 50.9
GTEX-X3Y1-0426-SM-3P5Z4 40-49 years, male 50.9
GTEX-REY6-1026-SM-2TF4Y 60-69 years, male 50.6
GTEX-ZGAY-0326-SM-57WF5 40-49 years, female 50.5
GTEX-14C38-1426-SM-5RQHZ 50-59 years, male 50.4
GTEX-11LCK-0926-SM-5A5KA 30-39 years, male 50.2
GTEX-YEC3-0726-SM-CMKFH 50-59 years, male 50.0
GTEX-1KXAM-1326-SM-E9TJW 60-69 years, male 49.6
GTEX-14E6D-0926-SM-5S2QV 50-59 years, male 49.5
GTEX-1EWIQ-1426-SM-7IGOS 70-79 years, female 49.2
GTEX-U3ZN-1426-SM-3DB87 30-39 years, female 49.2
GTEX-R53T-0926-SM-3GADH 50-59 years, female 48.9
GTEX-14PJM-1126-SM-6LLHK 50-59 years, female 48.6
GTEX-P44H-0726-SM-48TBT 40-49 years, male 48.5
GTEX-145MN-0626-SM-5QGRH 30-39 years, male 48.4
GTEX-O5YT-0326-SM-32PKA 20-29 years, male 48.4
GTEX-T2IS-0426-SM-32QPE 20-29 years, female 48.3
GTEX-12BJ1-0226-SM-5LUA2 60-69 years, male 48.1
GTEX-17MF6-0726-SM-7LT8E 40-49 years, male 48.1
GTEX-11GS4-0526-SM-5A5KQ 60-69 years, male 48.0
GTEX-17HHY-1426-SM-7EWDQ 50-59 years, male 48.0
GTEX-16MT8-0926-SM-6M487 60-69 years, female 47.9
GTEX-UJHI-0426-SM-3DB8Y 50-59 years, female 47.8
GTEX-WWYW-1326-SM-3NB2S 50-59 years, female 47.8
GTEX-OIZI-0926-SM-E6CHF 40-49 years, male 47.8
GTEX-XBEC-1326-SM-4AT69 50-59 years, male 47.6
GTEX-14E7W-1226-SM-5RQIU 70-79 years, male 47.4
GTEX-QDVJ-0426-SM-2I5FW 50-59 years, male 47.0
GTEX-WFG7-0726-SM-3GIKO 20-29 years, male 46.9
GTEX-U3ZH-0326-SM-3DB7A 30-39 years, male 46.8
GTEX-ZDYS-0226-SM-5HL4K 50-59 years, male 46.6
GTEX-14BIN-2226-SM-5YYA1 50-59 years, female 46.3
GTEX-1H3NZ-1126-SM-9WYT9 60-69 years, male 46.2
GTEX-1LG7Y-1226-SM-CXZKD 50-59 years, male 46.2
GTEX-1RAZS-0826-SM-E76QP 50-59 years, male 46.2
GTEX-18A66-1226-SM-7LT8G 60-69 years, male 46.0
GTEX-R55G-0526-SM-2TC5O 40-49 years, female 45.3
GTEX-ZVT2-1026-SM-5GU55 50-59 years, female 45.1
GTEX-1HT8W-1726-SM-CNNQB 30-39 years, male 44.9
GTEX-14C39-0926-SM-5TDDV 40-49 years, male 44.8
GTEX-1EH9U-0826-SM-7IGPT 60-69 years, male 44.7
GTEX-ZYT6-1726-SM-5E44P 30-39 years, male 44.7
GTEX-13FHP-1026-SM-5K7Y2 50-59 years, male 44.3
GTEX-1KD4Q-0726-SM-DIPGE 40-49 years, male 44.3
GTEX-1399T-0426-SM-5PNVJ 60-69 years, male 44.1
GTEX-YJ8O-0926-SM-EAZ2Z 40-49 years, female 44.0
GTEX-1GL5R-0326-SM-9WYTJ 50-59 years, male 43.6
GTEX-RN64-0826-SM-2TC62 50-59 years, male 43.2
GTEX-P4PP-0326-SM-33HC4 30-39 years, female 42.9
GTEX-1HSMO-1226-SM-CL548 60-69 years, male 42.7
GTEX-UJMC-0526-SM-3GAE3 50-59 years, male 42.6
GTEX-14A5I-1226-SM-5NQBW 50-59 years, female 42.2
GTEX-Q2AH-0526-SM-2I3ED 40-49 years, male 42.2
GTEX-1EX96-2526-SM-7RHGW 50-59 years, male 41.8
GTEX-1H1CY-0326-SM-9QEIZ 60-69 years, female 41.8
GTEX-13D11-1726-SM-5IFGQ 50-59 years, female 41.6
GTEX-15CHQ-1526-SM-69LPW 60-69 years, male 41.0
GTEX-1HCVE-1126-SM-9WPPG 50-59 years, male 40.6
GTEX-15RJE-0626-SM-7KUKR 40-49 years, male 40.1
GTEX-13OW8-2126-SM-5J1OS 60-69 years, male 39.9
GTEX-12ZZW-1026-SM-5GCMM 50-59 years, male 39.8
GTEX-1IKJJ-0826-SM-A96SP 60-69 years, male 39.8
GTEX-1GN2E-1326-SM-9KNVG 60-69 years, male 39.5
GTEX-1PPH7-2026-SM-E9J3N 40-49 years, male 38.8
GTEX-N7MT-1326-SM-2I3FV 60-69 years, female 38.1
GTEX-V955-0726-SM-3GAFG 60-69 years, male 37.9
GTEX-P4QS-0326-SM-2I3EU 60-69 years, male 37.3
GTEX-1IDJH-1026-SM-E9TKH 70-79 years, male 37.3
GTEX-15EOM-5007-SM-793DG 20-29 years, female 35.9
GTEX-X261-1426-SM-4PQZ1 50-59 years, male 35.1
GTEX-ZUA1-0826-SM-4YCDL 40-49 years, male 35.1
GTEX-13NYB-0226-SM-5N9G4 40-49 years, male 35.0
GTEX-1NV8Z-1526-SM-DTX8X 60-69 years, male 35.0
GTEX-1GTWX-1026-SM-7P8QW 60-69 years, male 33.4
GTEX-13JVG-1326-SM-5N9F8 60-69 years, male 32.6
GTEX-14BIL-1126-SM-79OMC 50-59 years, male 28.8
GTEX-1C6VQ-1126-SM-7EWET 50-59 years, male 23.2
Show allShow less

HEART MUSCLE - FANTOM5 CAGEi

RNA expression in human tissues obtained through Cap Analysis of Gene Expression (CAGE) generated by the FANTOM5 project are reported as Scaled Tags Per Million.

Max subtype Scaled Tags Per Millioni

Max subtype Scaled Tags Per Million is the value for the subtype with the largest average Scaled Tags Per Million across the subtype samples.

102.2
FANTOM5 sample id Sample description Scaled Tags Per Million
Heart
Scaled Tags Per Million: 102.2
FF:10016-101C7 70,73,74 years, mixed 102.2
Left atrium
Scaled Tags Per Million: 101.7
FF:10079-102A7 40 years, male 101.7
Left ventricle
Scaled Tags Per Million: 76.1
FF:10078-102A6 73 years, female 76.1

Contact

  • NEWS ARTICLES
  • PRESS ROOM

The Project

  • INTRODUCTION
  • ORGANIZATION
  • PUBLICATIONS

The Human Protein Atlas

  • DOWNLOADABLE DATA
  • LICENCE & CITATION
  • HELP & FAQ
The Human Protein Atlas project is funded
by the Knut & Alice Wallenberg Foundation.


contact@proteinatlas.org