We use cookies to enhance the usability of our website. If you continue, we'll assume that you are happy to receive all cookies. More information. Don't show this again.
BPGM
HPA
RESOURCES
  • TISSUE
  • BRAIN
  • SINGLE CELL
  • SUBCELLULAR
  • CANCER
  • BLOOD
  • CELL LINE
  • STRUCTURE & INTERACTION
ABOUT
  • INTRODUCTION
  • HISTORY
  • ORGANIZATION
  • PUBLICATIONS
  • ANTIBODY SUBMISSION
  • ANTIBODY AVAILABILITY
  • ACKNOWLEDGMENTS
  • CONTACT
NEWS
  • NEWS ARTICLES
  • PRESS ROOM
LEARN
  • DICTIONARY
  • PROTEIN CLASSES
  • PROTEIN EVIDENCE
  • METHODS
  • EDUCATIONAL VIDEOS
DATA
  • DOWNLOADABLE DATA
  • PUBLICATION DATA
  • RELEASE HISTORY
HELP
  • ANTIBODY VALIDATION
  • ASSAYS & ANNOTATION
  • DISCLAIMER
  • HELP & FAQ
  • PRIVACY STATEMENT
  • LICENCE & CITATION
Fields »
Search result

Field
Term
Gene name
Class
Subclass
Class
Keyword
Chromosome
External id
Tissue
Cell type
Expression
Antibody panel
Tissue
Main location
Patient ID
Annotation
Tissue
Category
Tau score
Cluster
Reliability
Brain region
Category
Tau score
Brain region
Category
Tau score
Brain region
Category
Tau score
Cluster
Reliability
Tissue
Cell type
Enrichment
Cell type
Category
Tau score
Cell type
Category
Tau score
Cell type
Category
Tau score
Cell lineage
Category
Tau score
Cluster
Cluster
Location
Searches
Location
Cell line
Class
Type
Phase
Reliability
Cancer
Prognosis
Cancer
Category
Cancer
Category
Tau score
Cluster
Variants
Interacting gene (ensg_id)
Type
Number of interactions
Pathway
Category
Score
Score
Score
Validation
Validation
Validation
Validation
Antibodies
Data type
Column


  • SUMMARY

  • TISSUE

  • BRAIN

  • SINGLE CELL

  • SUBCELL

  • CANCER

  • BLOOD

  • CELL LINE

  • STRUCT & INT

  • BPGM
TISSUE PRIMARY DATA SMALL INTESTINE Show tissue menu
ADIPOSE TISSUE ADRENAL GLAND AMYGDALA APPENDIX BASAL GANGLIA BONE MARROW BREAST BRONCHUS CEREBELLUM CEREBRAL CORTEX CERVIX CHOROID PLEXUS COLON DUODENUM
ENDOMETRIUM EPIDIDYMIS ESOPHAGUS FALLOPIAN TUBE GALLBLADDER HEART MUSCLE HIPPOCAMPAL FORMATION HYPOTHALAMUS KIDNEY LIVER LUNG LYMPH NODE MIDBRAIN NASOPHARYNX
ORAL MUCOSA OVARY PANCREAS PARATHYROID GLAND PITUITARY GLAND PLACENTA PROSTATE RECTUM RETINA SALIVARY GLAND SEMINAL VESICLE SKELETAL MUSCLE SKIN SMALL INTESTINE
SMOOTH MUSCLE SOFT TISSUE SPINAL CORD SPLEEN STOMACH TESTIS THYMUS THYROID GLAND TONGUE TONSIL URINARY BLADDER VAGINA
ANTIBODIES
AND
VALIDATION
Dictionary
Small intestine
Tissue proteome
Intestine
SMALL INTESTINE - Expression summary
Protein expression
Small intestinei

On the top, protein expression in current human tissue, based on all annotated cell types, is reported with the units not detected (n), low (l), medium (m) and high (h). Underneath, protein expression in each annotated cell type are reported using the same units.

Protein expression data is based on knowledge-based annotation. For genes where more than one antibody has been used, a collective score is set.

If knowledge-based annotation could not be performed for a gene, no data is displayed here. View antibody staining data further down this page.

h
m
l
n
Glandular cells: Low
RNA expressioni

A summary of mRNA expression data available for current tissue based on several datasets. The mRNA expression levels in human tissues are based on RNA-seq data generated by the Human Protein Atlas (HPA), Genotype-Tissue Expression (GTEx) portal and CAGE data generated by the FANTOM5 consortium. Consensus normalized expression levels for human tissues was created by combining the data from HPA and GTEx datasets.

The mRNA expression levels in pig are based on RNA-seq data generated by the Human Protein Atlas (HPA), and for mouse, HPA data and in situ hybridization generated by the Allen brain atlas are reported.

Scroll down to view mRNA expression data in more detail.
Consensus:7.8 nTPM
HPA:6.8 nTPM
GTEx:7.8 nTPM
FANTOM5:19.2 Scaled Tags Per Million

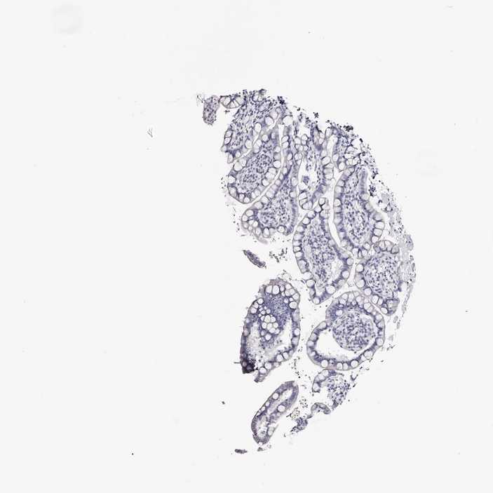
SMALL INTESTINE - Antibody stainingi

Antibody staining in the annotated cell types in the current human tissue is reported as not detected, low, medium, or high, based on conventional immunohistochemistry profiling in selected tissues. This score is based on the combination of the staining intensity and fraction of stained cells.

Each image is clickable and will lead to virtual microscopy that enables deeper exploration of all samples and also displays staining intensity scores, fraction scores and subcellular localization as well as patient and tissue information for each sample.

Antibody HPA016493Antibody HPA028735
Glandular cells LowNot detected





SMALL INTESTINE - HPA RNA-seqi

The RNA-seq details section shows detailed information about the individual samples used for the transcript profiling and results of the RNA-seq analysis.

Information about each individual sample is listed below, including gender, age, a tissue section image and estimated fractions of cell types. nTPM (normalized transcripts per million) values give a quantification of the gene abundance which is comparable between different genes and samples.
Average nTPMi

Max subtype nTPM is the value for the subtype with the largest average nTPM across the subtype samples.

6.8
overview
Male, age 65
Small intestine sample 232
nTPM: 6.1
Cell types%
Glandular cells:
55

Smooth muscle cells:
5

Other cell types:
40

overview
Male, age 39
Small intestine sample 233
nTPM: 6.6
Cell types%
Glandular cells:
40

Smooth muscle cells:
5

Other cell types:
55

overview
Male, age 68
Small intestine sample 234
nTPM: 7
Cell types%
Glandular cells:
30

Smooth muscle cells:
15

Other cell types:
55

N/A
Male, age 85
Small intestine sample 235
nTPM: 7.6

SMALL INTESTINE - GTEx RNA-seqi

RNA-Seq data generated by the Genotype-Tissue Expression (GTEx) project from human tissues is reported as mean nTPM. More information can be found on the GTEx portal.

Distribution across the dataset is visualized with box plots, shown as median and 25th and 75th percentiles. Points are displayed as outliers if they are above or below 1.5 times the interquartile range. nTPM values of the individual samples are presented next to the box plot.
Max subtype nTPMi

Max subtype nTPM is the value for the subtype with the largest average nTPM across the subtype samples.

7.8
GTEx sample id Sample description nTPM
Small Intestine - Terminal Ileum
Average nTPM: 7.8
Samples: 187

Max nTPM: 14.7
Min nTPM: 4.6
Std nTPM: 2.3
Median nTPM: 7.1
GTEX-1BAJH-2526-SM-7IGOT 70-79 years, male 14.7
GTEX-1NSGN-2126-SM-DPRYN 50-59 years, male 14.6
GTEX-Y111-2226-SM-4SOJB 50-59 years, male 14.3
GTEX-1OKEX-1126-SM-DTXEB 60-69 years, male 13.8
GTEX-131XE-0926-SM-5HL7J 50-59 years, male 13.7
GTEX-1R9K5-2026-SM-E6CPS 50-59 years, male 13.3
GTEX-13NYB-1826-SM-5J1N3 40-49 years, male 13.0
GTEX-ZAB5-1526-SM-5HL9P 50-59 years, male 13.0
GTEX-1S82Z-1826-SM-E9TIK 30-39 years, female 13.0
GTEX-1I1GT-1826-SM-ARZLW 60-69 years, female 12.8
GTEX-1R9PM-1626-SM-DPRY9 20-29 years, male 12.7
GTEX-13W3W-2026-SM-5K7UL 60-69 years, female 12.3
GTEX-1LH75-1926-SM-DIPGD 50-59 years, female 12.1
GTEX-1192X-2526-SM-59868 50-59 years, male 12.0
GTEX-WFON-1526-SM-4LVMP 40-49 years, male 11.9
GTEX-11LCK-1926-SM-5A5KE 30-39 years, male 11.6
GTEX-15EU6-1826-SM-7PC1W 50-59 years, male 11.5
GTEX-1MUQO-2426-SM-EAZ5A 60-69 years, male 11.5
GTEX-1JJE9-2226-SM-CXZJM 70-79 years, male 11.4
GTEX-1JMQK-2426-SM-CXZJU 60-69 years, male 11.3
GTEX-1R9JW-1926-SM-EVR4J 30-39 years, female 11.3
GTEX-1C64O-2526-SM-79ONO 60-69 years, male 11.2
GTEX-1R7EV-1226-SM-DTX82 40-49 years, male 10.9
GTEX-1K9T9-2726-SM-D4P3E 50-59 years, female 10.8
GTEX-14C39-1826-SM-5ZZW4 40-49 years, male 10.6
GTEX-12WSK-1526-SM-5CVNO 40-49 years, female 10.5
GTEX-14PJ6-1726-SM-6AJBN 60-69 years, female 10.5
GTEX-XPVG-1726-SM-4B65W 50-59 years, male 10.5
GTEX-111CU-1326-SM-5NQ8L 50-59 years, male 10.4
GTEX-117YX-0326-SM-5GICL 50-59 years, male 10.4
GTEX-17KNJ-1626-SM-718AL 50-59 years, male 10.3
GTEX-ZF2S-1726-SM-57WFT 50-59 years, female 10.2
GTEX-1QW4Y-1226-SM-EWRMY 30-39 years, male 10.2
GTEX-Y5V5-1826-SM-4VDS5 60-69 years, female 10.1
GTEX-1QCLZ-2126-SM-EWRNC 60-69 years, female 10.0
GTEX-17MFQ-1026-SM-7KFSZ 20-29 years, male 9.9
GTEX-ZPCL-1726-SM-57WEO 60-69 years, female 9.9
GTEX-ZTPG-2626-SM-57WFX 20-29 years, female 9.9
GTEX-Y3IK-1726-SM-4YCCR 50-59 years, female 9.8
GTEX-ZQUD-0926-SM-57WE3 30-39 years, male 9.8
GTEX-1JK1U-1226-SM-CNNPN 60-69 years, male 9.7
GTEX-XMK1-1826-SM-4B66F 40-49 years, male 9.5
GTEX-1B8KZ-1126-SM-7IGLX 50-59 years, male 9.3
GTEX-1EMGI-2826-SM-7IGMR 60-69 years, male 9.3
GTEX-WEY5-1526-SM-4LMJF 40-49 years, female 9.1
GTEX-WYJK-1526-SM-4ONCW 50-59 years, male 9.1
GTEX-Y3I4-1326-SM-4TT8Z 50-59 years, male 9.1
GTEX-1RAZR-1826-SM-E6CRE 40-49 years, male 9.0
GTEX-1AX8Z-2526-SM-731E3 60-69 years, male 8.8
GTEX-1CAMS-2426-SM-7DHMV 40-49 years, female 8.6
GTEX-1RAZA-1826-SM-DTXA2 20-29 years, male 8.5
GTEX-14PKV-2026-SM-6AJ9A 20-29 years, female 8.3
GTEX-13OVI-1926-SM-5IJCG 60-69 years, female 8.2
GTEX-1MGNQ-2326-SM-EV7BG 40-49 years, male 8.2
GTEX-1R7EU-1326-SM-E6CQ6 60-69 years, male 8.2
GTEX-ZPIC-2326-SM-57WDW 40-49 years, female 8.1
GTEX-1CB4F-1826-SM-7MGXI 60-69 years, male 8.1
GTEX-1PIEJ-1526-SM-E6CP8 20-29 years, female 8.1
GTEX-16MTA-1526-SM-6LPJB 50-59 years, male 8.0
GTEX-18A66-2526-SM-7KFTZ 60-69 years, male 8.0
GTEX-ZC5H-2326-SM-4WAYT 40-49 years, female 8.0
GTEX-ZLV1-1126-SM-4WWBW 60-69 years, female 8.0
GTEX-1H1DE-1426-SM-9JGHV 20-29 years, male 8.0
GTEX-145LT-1026-SM-5LU9O 40-49 years, male 7.9
GTEX-16AAH-1426-SM-7KFTR 50-59 years, male 7.9
GTEX-17HHE-1726-SM-79OKT 50-59 years, male 7.9
GTEX-183FY-1626-SM-793D8 20-29 years, male 7.9
GTEX-VUSG-1726-SM-4KKZL 50-59 years, male 7.9
GTEX-1H11D-2526-SM-9JGGU 40-49 years, male 7.9
GTEX-13111-1426-SM-5DUW3 50-59 years, male 7.8
GTEX-13D11-0726-SM-5LZZB 50-59 years, female 7.8
GTEX-15G1A-1726-SM-6LPI4 30-39 years, male 7.8
GTEX-148VJ-2226-SM-5NQ9M 70-79 years, male 7.7
GTEX-16A39-1426-SM-6LLI6 30-39 years, female 7.7
GTEX-WFG7-1726-SM-4LVME 20-29 years, male 7.7
GTEX-ZQG8-2526-SM-57WEQ 60-69 years, female 7.7
GTEX-13O21-1026-SM-5IJDU 50-59 years, male 7.6
GTEX-1AMFI-1926-SM-731F2 50-59 years, female 7.6
GTEX-139YR-2226-SM-5IFFW 50-59 years, male 7.5
GTEX-1CAMR-0826-SM-7MKFK 20-29 years, male 7.5
GTEX-UPK5-2026-SM-4JBIM 40-49 years, male 7.5
GTEX-YEC4-1726-SM-4W21E 40-49 years, male 7.5
GTEX-1LBAC-1526-SM-CXZKU 20-29 years, male 7.5
GTEX-XGQ4-1326-SM-4GIDU 50-59 years, male 7.4
GTEX-11VI4-1626-SM-5EQKO 40-49 years, female 7.3
GTEX-1GL5R-2026-SM-7MKHP 50-59 years, male 7.3
GTEX-YFCO-1326-SM-664NV 40-49 years, male 7.3
GTEX-1R9K4-2326-SM-E6CRB 60-69 years, male 7.3
GTEX-14PN3-2026-SM-68729 60-69 years, female 7.2
GTEX-1QP28-1726-SM-E6CRK 50-59 years, female 7.2
GTEX-1S5ZA-1326-SM-EV7BB 20-29 years, male 7.2
GTEX-ZLWG-1626-SM-DNZZ1 50-59 years, female 7.2
GTEX-13FTW-2026-SM-5IJE2 40-49 years, male 7.1
GTEX-1497J-1926-SM-5TDCC 60-69 years, male 7.1
GTEX-18QFQ-1626-SM-72D7H 30-39 years, male 7.1
GTEX-WFG8-1626-SM-4LVMB 20-29 years, male 7.1
GTEX-1RAZQ-2226-SM-DPRZR 30-39 years, male 7.1
GTEX-145ME-0926-SM-5O9AR 40-49 years, female 7.0
GTEX-Y114-1426-SM-4TT6W 50-59 years, female 7.0
GTEX-ZA64-1226-SM-5HL7B 20-29 years, male 7.0
GTEX-11DXX-1626-SM-5H11H 60-69 years, female 6.9
GTEX-14DAR-1426-SM-5RQIR 50-59 years, male 6.9
GTEX-16NGA-1126-SM-7KFSY 40-49 years, female 6.9
GTEX-ZVT2-2126-SM-5NQ93 50-59 years, female 6.9
GTEX-ZVZP-1826-SM-5GZXB 50-59 years, male 6.9
GTEX-ZYFG-2026-SM-5E43Y 60-69 years, female 6.9
GTEX-YB5E-1526-SM-5IFIE 40-49 years, male 6.8
GTEX-1122O-1326-SM-5H11F 60-69 years, female 6.7
GTEX-14BMU-1426-SM-5TDE5 20-29 years, female 6.7
GTEX-X15G-1426-SM-4PQZK 50-59 years, female 6.7
GTEX-XBED-1426-SM-4AT4G 60-69 years, male 6.7
GTEX-XXEK-1026-SM-4BRUW 50-59 years, male 6.7
GTEX-ZDTT-1726-SM-5HL69 60-69 years, male 6.7
GTEX-1399R-2026-SM-5K7WN 30-39 years, male 6.6
GTEX-Y5LM-1626-SM-4VDTB 40-49 years, female 6.6
GTEX-Z9EW-0926-SM-5CVMM 40-49 years, male 6.6
GTEX-1OJC3-1626-SM-E9U65 20-29 years, male 6.6
GTEX-ZG7Y-1926-SM-DNZZ5 50-59 years, male 6.6
GTEX-13113-1226-SM-5EGHT 60-69 years, female 6.5
GTEX-13RTK-0826-SM-5Q5C6 20-29 years, male 6.5
GTEX-14PJ3-1326-SM-664O7 50-59 years, male 6.5
GTEX-14PK6-1626-SM-6871I 70-79 years, female 6.5
GTEX-ZZ64-0526-SM-5GZXM 20-29 years, male 6.5
GTEX-139T6-1026-SM-5IJGC 50-59 years, male 6.4
GTEX-ZTX8-0526-SM-59HLD 20-29 years, male 6.4
GTEX-1L5NE-1826-SM-EV79T 50-59 years, male 6.4
GTEX-11EQ9-1326-SM-5985X 30-39 years, male 6.3
GTEX-WY7C-1826-SM-4ONCE 50-59 years, male 6.3
GTEX-1HSMQ-2226-SM-C1YRD 50-59 years, male 6.3
GTEX-1JN76-1126-SM-C1YRL 20-29 years, female 6.3
GTEX-X5EB-1626-SM-4E3IV 40-49 years, male 6.2
GTEX-1J8QM-1026-SM-C1YQA 60-69 years, female 6.2
GTEX-111YS-1426-SM-5GID8 60-69 years, male 6.1
GTEX-11DXZ-1326-SM-5H11X 50-59 years, male 6.1
GTEX-131XF-1326-SM-5GCMQ 60-69 years, male 6.1
GTEX-13QBU-1926-SM-5IJEW 40-49 years, female 6.1
GTEX-14PKU-1626-SM-6871C 40-49 years, female 6.1
GTEX-11NSD-1726-SM-5N9C3 20-29 years, male 6.0
GTEX-131XG-1726-SM-5LZUR 50-59 years, female 6.0
GTEX-1399S-2026-SM-5KM4B 30-39 years, female 6.0
GTEX-1GMR2-1026-SM-7MKHJ 50-59 years, male 6.0
GTEX-WQUQ-2426-SM-4MVNW 60-69 years, male 6.0
GTEX-XUZC-1426-SM-4BRV3 30-39 years, female 6.0
GTEX-ZP4G-1626-SM-57WGD 20-29 years, female 6.0
GTEX-1IKOE-1926-SM-ARU7V 30-39 years, female 6.0
GTEX-1J8Q3-2526-SM-CNNQ4 60-69 years, male 6.0
GTEX-11P82-0826-SM-5P9GU 20-29 years, male 5.9
GTEX-14E6E-1626-SM-5RQI7 30-39 years, male 5.9
GTEX-1C475-1426-SM-793CH 40-49 years, female 5.9
GTEX-ZTSS-0926-SM-59865 40-49 years, male 5.9
GTEX-1KXAM-2026-SM-DHXKI 60-69 years, male 5.9
GTEX-14PJN-0826-SM-686ZL 30-39 years, male 5.8
GTEX-ZXES-1526-SM-5NQ95 30-39 years, female 5.8
GTEX-1LGOU-1426-SM-D3L8N 20-29 years, female 5.8
GTEX-1PDJ9-1826-SM-E9U66 20-29 years, male 5.8
GTEX-11TUW-1926-SM-5BC58 60-69 years, male 5.7
GTEX-13O61-1326-SM-5KM31 60-69 years, male 5.7
GTEX-144GM-1026-SM-79OKU 20-29 years, male 5.7
GTEX-VJYA-0926-SM-4KL1N 60-69 years, male 5.7
GTEX-11P7K-1626-SM-5GU63 30-39 years, male 5.6
GTEX-12BJ1-1926-SM-5HL9Z 60-69 years, male 5.6
GTEX-WHSB-1026-SM-4M1XN 50-59 years, male 5.6
GTEX-YF7O-1826-SM-5IFIU 50-59 years, male 5.6
GTEX-1QPFJ-2626-SM-DPRZU 30-39 years, female 5.6
GTEX-1QP2A-2426-SM-EXOJA 50-59 years, male 5.5
GTEX-11I78-1126-SM-5A5K5 50-59 years, female 5.4
GTEX-13X6H-1826-SM-7EWCZ 50-59 years, female 5.4
GTEX-XAJ8-0526-SM-47JYK 40-49 years, male 5.4
GTEX-14XAO-1926-SM-6ETZO 60-69 years, female 5.3
GTEX-1GMR3-2726-SM-7MKFB 40-49 years, male 5.3
GTEX-ZEX8-1826-SM-57WBH 50-59 years, male 5.3
GTEX-133LE-1426-SM-5IFH1 20-29 years, female 5.2
GTEX-ZLFU-1526-SM-4WWBT 40-49 years, male 5.2
GTEX-11XUK-1426-SM-5EQMG 40-49 years, female 5.1
GTEX-13FH7-1226-SM-5IJFK 50-59 years, female 5.1
GTEX-Y9LG-1626-SM-5IFHM 30-39 years, male 5.1
GTEX-ZVP2-1726-SM-5GU5P 50-59 years, male 5.1
GTEX-WH7G-1626-SM-4LVMY 40-49 years, male 5.0
GTEX-13PL7-2626-SM-5IFH4 60-69 years, female 4.9
GTEX-WRHK-1026-SM-4MVOD 20-29 years, female 4.9
GTEX-1F75I-2526-SM-9WPOZ 40-49 years, male 4.9
GTEX-1399U-2126-SM-5IFEZ 50-59 years, female 4.8
GTEX-15DZA-0826-SM-6AJBF 30-39 years, female 4.8
GTEX-1B8KE-1726-SM-7IGMN 50-59 years, male 4.8
GTEX-ZF29-1626-SM-4WKFJ 60-69 years, female 4.8
GTEX-WFJO-0926-SM-4LVM2 30-39 years, male 4.7
GTEX-13CF3-1226-SM-5LZXN 60-69 years, female 4.6
Show allShow less

SMALL INTESTINE - FANTOM5 CAGEi

RNA expression in human tissues obtained through Cap Analysis of Gene Expression (CAGE) generated by the FANTOM5 project are reported as Scaled Tags Per Million.

Max subtype Scaled Tags Per Millioni

Max subtype Scaled Tags Per Million is the value for the subtype with the largest average Scaled Tags Per Million across the subtype samples.

19.2
FANTOM5 sample id Sample description Scaled Tags Per Million
Small intestine
Scaled Tags Per Million: 19.2
FF:10024-101D6 15,40,85 years, mixed 19.2

Contact

  • NEWS ARTICLES
  • PRESS ROOM

The Project

  • INTRODUCTION
  • ORGANIZATION
  • PUBLICATIONS

The Human Protein Atlas

  • DOWNLOADABLE DATA
  • LICENCE & CITATION
  • HELP & FAQ
The Human Protein Atlas project is funded
by the Knut & Alice Wallenberg Foundation.


contact@proteinatlas.org