We use cookies to enhance the usability of our website. If you continue, we'll assume that you are happy to receive all cookies. More information. Don't show this again.
RCAN2
HPA
RESOURCES
  • TISSUE
  • BRAIN
  • SINGLE CELL
  • SUBCELLULAR
  • CANCER
  • BLOOD
  • CELL LINE
  • STRUCTURE & INTERACTION
ABOUT
  • INTRODUCTION
  • HISTORY
  • ORGANIZATION
  • PUBLICATIONS
  • ANTIBODY SUBMISSION
  • ANTIBODY AVAILABILITY
  • ACKNOWLEDGMENTS
  • CONTACT
NEWS
  • NEWS ARTICLES
  • PRESS ROOM
LEARN
  • DICTIONARY
  • PROTEIN CLASSES
  • PROTEIN EVIDENCE
  • METHODS
  • EDUCATIONAL VIDEOS
DATA
  • DOWNLOADABLE DATA
  • PUBLICATION DATA
  • RELEASE HISTORY
HELP
  • ANTIBODY VALIDATION
  • ASSAYS & ANNOTATION
  • DISCLAIMER
  • HELP & FAQ
  • PRIVACY STATEMENT
  • LICENCE & CITATION
Fields »
Search result

Field
Term
Gene name
Class
Subclass
Class
Keyword
Chromosome
External id
Tissue
Cell type
Expression
Antibody panel
Tissue
Main location
Patient ID
Annotation
Tissue
Category
Tau score
Cluster
Reliability
Brain region
Category
Tau score
Brain region
Category
Tau score
Brain region
Category
Tau score
Cluster
Reliability
Tissue
Cell type
Enrichment
Cell type
Category
Tau score
Cell type
Category
Tau score
Cell type
Category
Tau score
Cell lineage
Category
Tau score
Cluster
Cluster
Location
Searches
Location
Cell line
Class
Type
Phase
Reliability
Cancer
Prognosis
Cancer
Category
Cancer
Category
Tau score
Cluster
Variants
Interacting gene (ensg_id)
Type
Number of interactions
Pathway
Category
Score
Score
Score
Validation
Validation
Validation
Validation
Antibodies
Data type
Column


  • SUMMARY

  • TISSUE

  • BRAIN

  • SINGLE CELL

  • SUBCELL

  • CANCER

  • BLOOD

  • CELL LINE

  • STRUCT & INT

  • RCAN2
TISSUE PRIMARY DATA HEART MUSCLE Show tissue menu
ADIPOSE TISSUE ADRENAL GLAND AMYGDALA APPENDIX BASAL GANGLIA BONE MARROW BREAST BRONCHUS CEREBELLUM CEREBRAL CORTEX CERVIX CHOROID PLEXUS COLON DUODENUM
ENDOMETRIUM EPIDIDYMIS ESOPHAGUS FALLOPIAN TUBE GALLBLADDER HEART MUSCLE HIPPOCAMPAL FORMATION HYPOTHALAMUS KIDNEY LIVER LUNG LYMPH NODE MIDBRAIN NASOPHARYNX
ORAL MUCOSA OVARY PANCREAS PARATHYROID GLAND PITUITARY GLAND PLACENTA PROSTATE RECTUM RETINA SALIVARY GLAND SEMINAL VESICLE SKELETAL MUSCLE SKIN SMALL INTESTINE
SMOOTH MUSCLE SOFT TISSUE SPINAL CORD SPLEEN STOMACH TESTIS THYMUS THYROID GLAND TONGUE TONSIL URINARY BLADDER VAGINA
ANTIBODIES
AND
VALIDATION
Dictionary
Heart muscle
Tissue proteome
Heart
HEART MUSCLE - Expression summary
Protein expression
Heart musclei

On the top, protein expression in current human tissue, based on all annotated cell types, is reported with the units not detected (n), low (l), medium (m) and high (h). Underneath, protein expression in each annotated cell type are reported using the same units.

Protein expression data is based on knowledge-based annotation. For genes where more than one antibody has been used, a collective score is set.

If knowledge-based annotation could not be performed for a gene, no data is displayed here. View antibody staining data further down this page.

h
m
l
n
Cardiomyocytes: Medium
RNA expressioni

A summary of mRNA expression data available for current tissue based on several datasets. The mRNA expression levels in human tissues are based on RNA-seq data generated by the Human Protein Atlas (HPA), Genotype-Tissue Expression (GTEx) portal and CAGE data generated by the FANTOM5 consortium. Consensus normalized expression levels for human tissues was created by combining the data from HPA and GTEx datasets.

The mRNA expression levels in pig are based on RNA-seq data generated by the Human Protein Atlas (HPA), and for mouse, HPA data and in situ hybridization generated by the Allen brain atlas are reported.

Scroll down to view mRNA expression data in more detail.
Consensus:192.5 nTPM
HPA:192.5 nTPM
GTEx:144.8 nTPM
FANTOM5:812.1 Scaled Tags Per Million

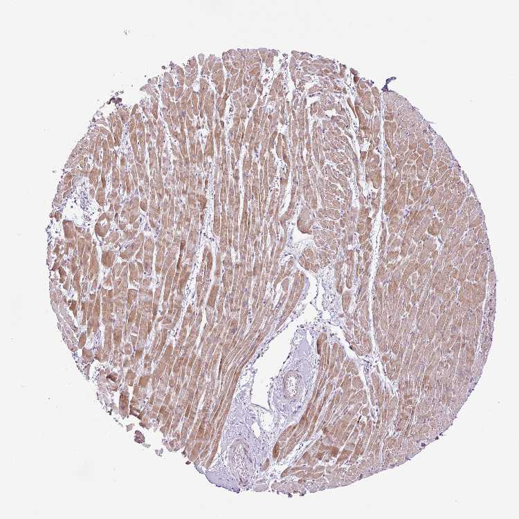
HEART MUSCLE - Antibody stainingi

Antibody staining in the annotated cell types in the current human tissue is reported as not detected, low, medium, or high, based on conventional immunohistochemistry profiling in selected tissues. This score is based on the combination of the staining intensity and fraction of stained cells.

Each image is clickable and will lead to virtual microscopy that enables deeper exploration of all samples and also displays staining intensity scores, fraction scores and subcellular localization as well as patient and tissue information for each sample.

Antibody HPA053880
Cardiomyocytes Medium



HEART MUSCLE - HPA RNA-seqi

The RNA-seq details section shows detailed information about the individual samples used for the transcript profiling and results of the RNA-seq analysis.

Information about each individual sample is listed below, including gender, age, a tissue section image and estimated fractions of cell types. nTPM (normalized transcripts per million) values give a quantification of the gene abundance which is comparable between different genes and samples.
Average nTPMi

Max subtype nTPM is the value for the subtype with the largest average nTPM across the subtype samples.

192.5
overview
Female, age 48
Heart muscle sample 149
nTPM: 213.7
Cell types%
Myocytes:
15

Fibroblasts:
55

Endothelial cells:
25

Other cell types:
5

overview
Female, age 42
Heart muscle sample 150
nTPM: 274.4
Cell types%
Myocytes:
20

Fibroblasts:
45

Endothelial cells:
30

Other cell types:
5

overview
Male, age 53
Heart muscle sample 151
nTPM: 102.6
Cell types%
Myocytes:
20

Fibroblasts:
45

Endothelial cells:
30

Other cell types:
5

overview
Female, age 69
Heart muscle sample 152
nTPM: 179.2
Cell types%
Myocytes:
20

Fibroblasts:
45

Endothelial cells:
30

Other cell types:
5


HEART MUSCLE - GTEx RNA-seqi

RNA-Seq data generated by the Genotype-Tissue Expression (GTEx) project from human tissues is reported as mean nTPM. More information can be found on the GTEx portal.

Distribution across the dataset is visualized with box plots, shown as median and 25th and 75th percentiles. Points are displayed as outliers if they are above or below 1.5 times the interquartile range. nTPM values of the individual samples are presented next to the box plot.
Max subtype nTPMi

Max subtype nTPM is the value for the subtype with the largest average nTPM across the subtype samples.

144.8
GTEx sample id Sample description nTPM
Heart - Atrial Appendage
Average nTPM: 72.8
Samples: 429

Max nTPM: 252.3
Min nTPM: 8.5
Std nTPM: 33.5
Median nTPM: 68.7
GTEX-1GF9U-0526-SM-7P8SK 40-49 years, female 252.3
GTEX-117YX-0626-SM-5EGJI 50-59 years, male 188.9
GTEX-145MN-0726-SM-5NQBH 30-39 years, male 184.6
GTEX-1GMR2-1326-SM-9KNUT 50-59 years, male 182.5
GTEX-1IDJF-0826-SM-ARU7N 20-29 years, male 178.7
GTEX-1MJIX-0426-SM-DTXEN 40-49 years, male 169.2
GTEX-13YAN-1426-SM-7EPG8 60-69 years, male 166.4
GTEX-16XZY-0526-SM-7DHKY 70-79 years, male 159.4
GTEX-111YS-0326-SM-5GZZ3 60-69 years, male 157.3
GTEX-ZPCL-0526-SM-DO91R 60-69 years, female 145.0
GTEX-1HBPN-0926-SM-CGQEG 50-59 years, male 142.4
GTEX-WFON-0226-SM-3GIKR 40-49 years, male 140.8
GTEX-11TT1-1426-SM-5EGIA 20-29 years, male 133.4
GTEX-X3Y1-0226-SM-3P5Z5 40-49 years, male 133.0
GTEX-WFG7-0826-SM-3GIKU 20-29 years, male 131.9
GTEX-1B8L1-0426-SM-7SB76 60-69 years, male 131.0
GTEX-ZLFU-0326-SM-4WWBK 40-49 years, male 130.9
GTEX-1AYCT-0526-SM-7RHHS 50-59 years, male 130.7
GTEX-1NHNU-0626-SM-E6CP1 50-59 years, male 130.6
GTEX-1QCLZ-1126-SM-EWRNB 60-69 years, female 130.3
GTEX-1B97J-0326-SM-7939H 50-59 years, female 130.1
GTEX-ZDTT-0326-SM-4WKF9 60-69 years, male 129.9
GTEX-Y3I4-0526-SM-4TT6X 50-59 years, male 129.5
GTEX-14PK6-0726-SM-6LLIX 70-79 years, female 129.3
GTEX-13NZB-0426-SM-5KM26 30-39 years, male 128.8
GTEX-YF7O-0526-SM-5P9IO 50-59 years, male 128.8
GTEX-13FH7-0826-SM-5J2NW 50-59 years, female 128.4
GTEX-1KXAM-1426-SM-D3LAC 60-69 years, male 127.8
GTEX-Y3IK-1026-SM-51MR7 50-59 years, female 127.7
GTEX-1JK1U-0626-SM-CKZOJ 60-69 years, male 126.4
GTEX-1GN73-2326-SM-9MQKV 60-69 years, male 126.3
GTEX-1399S-0826-SM-5KM23 30-39 years, female 125.6
GTEX-ZDYS-0326-SM-5HL4W 50-59 years, male 125.1
GTEX-131XG-0526-SM-5DUWF 50-59 years, female 124.9
GTEX-1GZ4I-0826-SM-9WG6O 50-59 years, male 124.9
GTEX-W5X1-0826-SM-3GILN 40-49 years, female 124.7
GTEX-YB5K-0226-SM-5IFJE 40-49 years, female 123.7
GTEX-13OVI-0326-SM-5K7X1 60-69 years, female 122.0
GTEX-14XAO-0926-SM-69LPZ 60-69 years, female 121.8
GTEX-ZF29-0426-SM-4WKFN 60-69 years, female 121.8
GTEX-17F9E-0726-SM-793A1 50-59 years, male 121.7
GTEX-Y114-0126-SM-4TT8K 50-59 years, female 121.6
GTEX-1IKOE-0626-SM-A9G31 30-39 years, female 120.1
GTEX-1LSNM-0426-SM-E9TIZ 50-59 years, male 119.3
GTEX-1IDJD-0226-SM-CKZOA 30-39 years, male 118.6
GTEX-XGQ4-0526-SM-4AT6C 50-59 years, male 117.9
GTEX-13PL7-0726-SM-5KM1S 60-69 years, female 117.0
GTEX-YEC3-0426-SM-CYPS8 50-59 years, male 115.6
GTEX-1R7EV-0426-SM-DTX7Z 40-49 years, male 115.1
GTEX-1KANC-0226-SM-E9TIW 50-59 years, female 114.5
GTEX-14BMV-1026-SM-5SI6B 50-59 years, male 114.1
GTEX-1GN1W-0226-SM-7P8QY 50-59 years, female 112.7
GTEX-YEC4-0226-SM-4W1YG 40-49 years, male 111.8
GTEX-ZYFG-0526-SM-5GZXX 60-69 years, female 111.7
GTEX-1GMR3-0426-SM-7PC17 40-49 years, male 110.5
GTEX-131XF-0426-SM-5HL7U 60-69 years, male 110.1
GTEX-1399U-0726-SM-5KM1D 50-59 years, female 110.0
GTEX-WEY5-0226-SM-3GIKN 40-49 years, female 110.0
GTEX-1HCUA-0626-SM-ACKVT 50-59 years, female 109.8
GTEX-17F96-0826-SM-7DHLU 70-79 years, male 109.2
GTEX-17HGU-1126-SM-793BP 50-59 years, male 109.0
GTEX-ZT9W-0526-SM-57WFG 50-59 years, male 108.4
GTEX-13OVG-0426-SM-5KM2T 60-69 years, male 108.3
GTEX-X5EB-0626-SM-46MVQ 40-49 years, male 108.0
GTEX-1HBPH-0226-SM-9WYSM 40-49 years, female 107.4
GTEX-1B8KE-0326-SM-73KTY 50-59 years, male 107.3
GTEX-13O1R-0926-SM-5L3DS 60-69 years, male 106.1
GTEX-15RIE-1326-SM-6PAMM 60-69 years, male 105.6
GTEX-1J8QM-0326-SM-CL53D 60-69 years, female 105.0
GTEX-12WSK-0526-SM-5CVNA 40-49 years, female 103.6
GTEX-144GL-1026-SM-5O99R 50-59 years, male 103.4
GTEX-WY7C-1126-SM-3NB3A 50-59 years, male 102.9
GTEX-1211K-0226-SM-59HJY 60-69 years, female 102.6
GTEX-1LGRB-1026-SM-CNPQD 50-59 years, female 102.2
GTEX-145LV-0226-SM-5S2QG 50-59 years, male 101.9
GTEX-WH7G-0326-SM-3NMBH 40-49 years, male 101.8
GTEX-ZGAY-0226-SM-4WWAL 40-49 years, female 101.8
GTEX-ZDTS-1226-SM-4WKGL 60-69 years, male 101.7
GTEX-132QS-0526-SM-5IJC7 60-69 years, male 101.1
GTEX-15DCE-0826-SM-7KULW 20-29 years, male 101.1
GTEX-1L5NE-0526-SM-DIPG5 50-59 years, male 101.0
GTEX-1339X-0326-SM-5K7Z8 40-49 years, male 100.8
GTEX-1GL5R-0426-SM-9WPOP 50-59 years, male 100.4
GTEX-18D9U-1426-SM-718BO 40-49 years, male 100.1
GTEX-ZYVF-1826-SM-5E44F 50-59 years, female 99.1
GTEX-1C2JI-0626-SM-7DHM1 50-59 years, male 98.7
GTEX-17JCI-0826-SM-7LT8W 60-69 years, female 98.1
GTEX-ZYT6-0926-SM-5GIEM 30-39 years, male 98.1
GTEX-1HSGN-0926-SM-CNNQM 40-49 years, female 97.8
GTEX-14PN3-0726-SM-6EU14 60-69 years, female 97.5
GTEX-1A32A-1326-SM-73KWW 50-59 years, female 97.3
GTEX-14PJ4-0926-SM-5YY98 60-69 years, male 96.9
GTEX-1MCC2-0226-SM-EVYD5 30-39 years, female 96.7
GTEX-131YS-0826-SM-5PNYV 60-69 years, female 96.5
GTEX-15ER7-0826-SM-6PALW 20-29 years, female 96.4
GTEX-XPVG-0726-SM-4B658 50-59 years, male 95.7
GTEX-11LCK-0826-SM-5PNYD 30-39 years, male 95.4
GTEX-13FHO-1226-SM-5L3EF 60-69 years, male 95.4
GTEX-ZAB5-0126-SM-5CVMT 50-59 years, male 94.9
GTEX-13W3W-0526-SM-5LU3X 60-69 years, female 94.7
GTEX-1OFPY-0926-SM-DTX8Q 60-69 years, male 94.2
GTEX-1IDJH-1126-SM-COH3R 70-79 years, male 94.1
GTEX-14JG1-0826-SM-5ZZWR 40-49 years, male 92.8
GTEX-11P81-0526-SM-59873 30-39 years, female 92.5
GTEX-1F75I-1326-SM-7PBZX 40-49 years, male 92.3
GTEX-1LGOU-0326-SM-D3LAM 20-29 years, female 91.8
GTEX-12WSE-0926-SM-5S2VX 20-29 years, male 91.5
GTEX-11DXZ-0326-SM-5EGH1 50-59 years, male 91.3
GTEX-1399R-1726-SM-5K7YJ 30-39 years, male 91.2
GTEX-14PHX-0626-SM-5YY8Z 50-59 years, male 90.6
GTEX-1P4AB-0926-SM-E76PV 50-59 years, male 90.5
GTEX-1AX9J-0926-SM-73KXA 60-69 years, male 90.0
GTEX-11DXX-0526-SM-5PNVR 60-69 years, female 89.6
GTEX-11DXY-1026-SM-5987V 60-69 years, male 89.6
GTEX-XQ8I-0226-SM-4BOPM 50-59 years, male 89.4
GTEX-1GN1U-1426-SM-7P8TF 50-59 years, female 89.4
GTEX-13X6K-1726-SM-7IGLG 60-69 years, female 88.9
GTEX-13U4I-0626-SM-5LU5L 40-49 years, female 88.5
GTEX-1R9JW-0426-SM-E76QL 30-39 years, female 88.5
GTEX-12WSD-1226-SM-5HL9Q 60-69 years, female 88.4
GTEX-1B933-0826-SM-79OMW 50-59 years, female 88.4
GTEX-ZZPT-0926-SM-5GICZ 50-59 years, male 88.2
GTEX-15EU6-1326-SM-6PANG 50-59 years, male 87.8
GTEX-13N1W-0926-SM-5MR36 70-79 years, male 87.6
GTEX-13PVR-0926-SM-5S2RB 60-69 years, female 87.4
GTEX-ZYFC-1026-SM-5GZX9 50-59 years, male 87.4
GTEX-14H4A-0426-SM-5ZZWO 40-49 years, female 86.8
GTEX-11ZTT-0526-SM-5EQLA 60-69 years, female 86.6
GTEX-1HFI7-0526-SM-A9SMA 50-59 years, female 86.2
GTEX-13NZ9-0126-SM-5K7XV 50-59 years, male 86.0
GTEX-11DYG-1026-SM-5A5JQ 60-69 years, male 85.8
GTEX-14PJM-0826-SM-6LLIW 50-59 years, female 85.8
GTEX-WK11-0626-SM-3NMAV 50-59 years, male 85.8
GTEX-X4EP-0326-SM-3P5Z6 60-69 years, female 85.8
GTEX-11EM3-0426-SM-5N9BZ 20-29 years, female 85.0
GTEX-ZVT2-0926-SM-5GICE 50-59 years, female 85.0
GTEX-V955-0826-SM-CYPR5 60-69 years, male 85.0
GTEX-13OW7-1626-SM-5IJDH 50-59 years, male 84.5
GTEX-1HT8W-1326-SM-CGQEN 30-39 years, male 84.2
GTEX-16NPX-0826-SM-6M489 50-59 years, male 83.9
GTEX-1IDJU-0626-SM-CKZOG 60-69 years, female 83.7
GTEX-ZF2S-0826-SM-4WWBI 50-59 years, female 83.6
GTEX-1K2DU-0226-SM-DIPF6 20-29 years, male 83.6
GTEX-13N11-0726-SM-5L3DP 50-59 years, female 83.2
GTEX-13O21-0326-SM-5J1N9 50-59 years, male 83.1
GTEX-15SDE-1826-SM-7KUFN 50-59 years, female 83.1
GTEX-11UD2-0926-SM-5CVL6 50-59 years, male 82.0
GTEX-XLM4-2026-SM-4AT4X 60-69 years, male 81.9
GTEX-14ASI-0826-SM-5Q5EB 60-69 years, male 81.6
GTEX-146FR-0926-SM-5QGPE 60-69 years, female 81.2
GTEX-17KNJ-0626-SM-7LT9L 50-59 years, male 81.0
GTEX-1192X-0726-SM-5987R 50-59 years, male 80.9
GTEX-15SHU-0926-SM-6PAMK 40-49 years, female 80.9
GTEX-1H11D-1026-SM-9QEIU 40-49 years, male 80.8
GTEX-VUSG-0726-SM-3GIK1 50-59 years, male 80.5
GTEX-14E1K-0826-SM-5ZZW9 50-59 years, male 80.2
GTEX-1QPFJ-0926-SM-EVR3K 30-39 years, female 80.0
GTEX-ZG7Y-1426-SM-4WWBM 50-59 years, male 79.9
GTEX-1CB4J-0226-SM-7P8T4 60-69 years, male 79.9
GTEX-15CHC-0326-SM-5ZZVP 60-69 years, female 79.7
GTEX-139YR-0526-SM-5L3DG 50-59 years, male 79.6
GTEX-1IY9M-0626-SM-D4P2L 60-69 years, male 79.3
GTEX-11NV4-0826-SM-5BC4S 60-69 years, male 79.2
GTEX-1399T-0726-SM-5J1MH 60-69 years, male 79.2
GTEX-18A7A-1226-SM-7LTAJ 50-59 years, female 79.1
GTEX-1C64O-0926-SM-79OLN 60-69 years, male 78.9
GTEX-1LB8K-0926-SM-D4P42 50-59 years, male 78.8
GTEX-Y5V5-0726-SM-4VBPY 60-69 years, female 78.4
GTEX-XOT4-1126-SM-4B66E 60-69 years, female 78.2
GTEX-1122O-0626-SM-5N9B9 60-69 years, female 78.0
GTEX-1ICG6-0726-SM-B2LY5 70-79 years, female 77.9
GTEX-183WM-0926-SM-718AN 70-79 years, female 77.8
GTEX-18D9B-1126-SM-7KFSH 60-69 years, male 77.7
GTEX-ZAB4-0926-SM-5CVN4 40-49 years, male 77.5
GTEX-12ZZX-0726-SM-5EGKA 40-49 years, female 76.5
GTEX-13OW6-0926-SM-5L3GM 50-59 years, male 76.1
GTEX-16YQH-0726-SM-7IGM1 30-39 years, male 75.8
GTEX-14PJO-0826-SM-6ETZK 60-69 years, male 75.4
GTEX-1A8G6-1826-SM-73KY8 60-69 years, male 75.3
GTEX-1EH9U-0626-SM-7PC33 60-69 years, male 75.2
GTEX-XXEK-2026-SM-4BRVE 50-59 years, male 75.1
GTEX-WHWD-0326-SM-3LK6L 50-59 years, male 74.9
GTEX-ZTTD-0626-SM-4YCCY 50-59 years, male 74.9
GTEX-12BJ1-0326-SM-5FQUB 60-69 years, male 74.7
GTEX-13NYB-0326-SM-5IJDP 40-49 years, male 74.6
GTEX-1KANB-1126-SM-DHXJT 50-59 years, male 74.6
GTEX-1BAJH-1026-SM-7EWEG 70-79 years, male 74.4
GTEX-U8XE-0926-SM-3DB8V 30-39 years, male 74.0
GTEX-1LVAN-1526-SM-CNPQN 50-59 years, female 73.8
GTEX-12WSG-1226-SM-5EQ4C 50-59 years, female 73.7
GTEX-ZZPU-1126-SM-5N9CW 50-59 years, female 73.4
GTEX-ZTPG-1326-SM-51MSQ 20-29 years, female 73.2
GTEX-1CB4I-1526-SM-7DHMY 50-59 years, male 73.1
GTEX-1GN2E-1426-SM-7RHHI 60-69 years, male 72.9
GTEX-15UF7-1526-SM-6LPI7 40-49 years, male 72.8
GTEX-WFG8-0726-SM-3GILP 20-29 years, male 72.7
GTEX-14A6H-0326-SM-5NQAN 30-39 years, male 72.6
GTEX-1313W-1126-SM-5EQ5U 50-59 years, female 72.4
GTEX-12WSN-0226-SM-5DUXH 40-49 years, male 72.1
GTEX-ZAK1-1126-SM-5PNXU 50-59 years, female 72.0
GTEX-1GMR8-1026-SM-9MQLA 50-59 years, female 72.0
GTEX-13JVG-1126-SM-5KM2M 60-69 years, male 71.4
GTEX-1E1VI-1426-SM-793CY 50-59 years, male 71.3
GTEX-1JJEA-0926-SM-CYPSO 60-69 years, male 71.1
GTEX-XPT6-0226-SM-4B65L 20-29 years, male 70.5
GTEX-1J8Q3-1126-SM-ARU8N 60-69 years, male 70.5
GTEX-12WSC-1026-SM-5EQ5Y 50-59 years, male 70.2
GTEX-ZPU1-0726-SM-5HL6O 40-49 years, male 69.7
GTEX-UPK5-0226-SM-3GAEV 40-49 years, male 69.4
GTEX-ZEX8-0326-SM-DO92C 50-59 years, male 69.4
GTEX-15CHR-0326-SM-7DHN3 50-59 years, male 69.3
GTEX-1IKOH-0926-SM-A9SLU 60-69 years, female 69.1
GTEX-13PVQ-1326-SM-5LU4J 50-59 years, male 68.7
GTEX-18465-0726-SM-7LG4L 50-59 years, male 68.7
GTEX-ZYFD-2026-SM-5E459 50-59 years, male 68.7
GTEX-ZPIC-0426-SM-DO91V 40-49 years, female 68.7
GTEX-14PJ6-0626-SM-686Z6 60-69 years, female 68.6
GTEX-1NSGN-1226-SM-E76OL 50-59 years, male 68.5
GTEX-WZTO-1226-SM-3NMAZ 40-49 years, male 68.2
GTEX-1I1GP-0626-SM-ARL7H 50-59 years, male 67.8
GTEX-ZV7C-0526-SM-9WPNK 50-59 years, male 67.6
GTEX-13O61-0426-SM-5L3ET 60-69 years, male 67.1
GTEX-1CB4E-0626-SM-7DHMW 60-69 years, male 67.1
GTEX-18A67-1026-SM-731CE 50-59 years, male 66.9
GTEX-1CB4G-0726-SM-79OOJ 60-69 years, male 66.9
GTEX-1IL2U-1226-SM-CL53P 60-69 years, male 66.8
GTEX-ZVT3-0826-SM-5GIC8 60-69 years, female 66.6
GTEX-YJ8O-0826-SM-5CVM3 40-49 years, female 66.5
GTEX-132AR-1926-SM-5EGK5 50-59 years, female 66.1
GTEX-1QMI2-1026-SM-DTX7T 60-69 years, male 66.0
GTEX-146FH-1126-SM-5NQAT 50-59 years, female 65.7
GTEX-12ZZY-1226-SM-5GCNK 60-69 years, male 65.4
GTEX-1AX9K-0426-SM-73KUG 50-59 years, male 65.3
GTEX-14PHY-0326-SM-62LE3 60-69 years, female 65.1
GTEX-Z93S-0326-SM-5HL84 50-59 years, male 65.1
GTEX-1I1GQ-1226-SM-CL55J 50-59 years, male 65.0
GTEX-17GQL-0626-SM-731CN 60-69 years, male 64.8
GTEX-1B932-1326-SM-79OM4 40-49 years, female 64.6
GTEX-1HSKV-0726-SM-ACKWE 60-69 years, male 64.3
GTEX-11GSP-1226-SM-5985M 60-69 years, female 63.8
GTEX-1J1OQ-2226-SM-A96SS 40-49 years, female 63.8
GTEX-13112-0526-SM-5EQ4S 50-59 years, male 63.5
GTEX-WHPG-1026-SM-3NMBA 50-59 years, male 63.5
GTEX-14BIM-2726-SM-5Q5EG 60-69 years, female 62.8
GTEX-17MF6-0926-SM-7LTAL 40-49 years, male 62.8
GTEX-WL46-0726-SM-3LK5Z 50-59 years, male 62.8
GTEX-1HSMQ-0426-SM-ADEIM 50-59 years, male 62.8
GTEX-1J8Q2-1026-SM-ARU8I 60-69 years, male 62.7
GTEX-18A6Q-1526-SM-731CO 60-69 years, male 62.2
GTEX-15CHQ-1326-SM-6871Z 60-69 years, male 61.9
GTEX-1F75A-1026-SM-7PC3W 50-59 years, male 61.9
GTEX-13FTW-0826-SM-5K7XR 40-49 years, male 61.8
GTEX-WQUQ-1326-SM-3MJFF 60-69 years, male 61.8
GTEX-1J8EW-0626-SM-CM2TY 60-69 years, female 61.8
GTEX-147JS-1326-SM-5SI6D 60-69 years, male 61.5
GTEX-1H1DG-0826-SM-9QEIW 70-79 years, male 61.4
GTEX-14DAQ-1026-SM-793B1 60-69 years, female 61.2
GTEX-1E2YA-0626-SM-7P8P4 50-59 years, male 61.1
GTEX-ZF3C-1126-SM-57WEG 50-59 years, female 61.0
GTEX-1RB15-0426-SM-E9U4Y 60-69 years, male 61.0
GTEX-1CAMQ-0726-SM-7P8SG 40-49 years, male 60.8
GTEX-18A66-1126-SM-731C5 60-69 years, male 60.7
GTEX-1IKK5-1726-SM-CM2RU 60-69 years, male 60.3
GTEX-16MT8-0826-SM-7KULO 60-69 years, female 59.7
GTEX-1HCVE-0826-SM-CM2SF 50-59 years, male 59.7
GTEX-1H2FU-0826-SM-9WYSU 60-69 years, female 59.6
GTEX-13NYS-1926-SM-5IJCB 60-69 years, male 59.3
GTEX-1H3NZ-1026-SM-A9SM5 60-69 years, male 59.3
GTEX-XBEC-1226-SM-4AT65 50-59 years, male 59.1
GTEX-13SLX-0926-SM-5S2NM 50-59 years, female 59.0
GTEX-111FC-0626-SM-5N9CU 60-69 years, male 58.5
GTEX-12WSA-1126-SM-5EGKU 60-69 years, male 58.5
GTEX-13FHP-0826-SM-5K7V5 50-59 years, male 58.4
GTEX-1EU9M-1926-SM-7RHH4 60-69 years, male 58.3
GTEX-15RJE-0726-SM-7KUEG 40-49 years, male 58.1
GTEX-1GZ2Q-0926-SM-7RHHN 40-49 years, male 58.0
GTEX-1445S-1226-SM-5O9BF 60-69 years, male 57.5
GTEX-148VJ-1426-SM-5TDE3 70-79 years, male 57.2
GTEX-117XS-0726-SM-5H131 60-69 years, male 57.1
GTEX-11ZUS-0326-SM-5EQ4W 30-39 years, male 56.9
GTEX-13QBU-0226-SM-5LU48 40-49 years, female 56.5
GTEX-WYBS-1226-SM-3NM9N 60-69 years, female 56.3
GTEX-14C5O-1226-SM-664N3 60-69 years, male 56.2
GTEX-1192W-0226-SM-5EGGT 60-69 years, male 56.1
GTEX-WI4N-0726-SM-3TW93 40-49 years, female 55.9
GTEX-ZDXO-0426-SM-4WKF6 60-69 years, male 55.7
GTEX-XYKS-0226-SM-4BRW3 60-69 years, female 55.3
GTEX-132Q8-1126-SM-5K7XS 60-69 years, male 54.7
GTEX-1B8SF-1326-SM-7IGQJ 60-69 years, male 54.7
GTEX-14PN4-0826-SM-69LON 50-59 years, male 54.6
GTEX-132NY-1426-SM-5J1MJ 60-69 years, male 54.5
GTEX-ZE7O-0626-SM-57WCD 50-59 years, female 54.5
GTEX-13JUV-0226-SM-5IJCC 40-49 years, female 53.5
GTEX-1JMLX-1826-SM-CNPOX 50-59 years, male 53.1
GTEX-1R9K4-1026-SM-EXUT1 60-69 years, male 52.9
GTEX-11NUK-0926-SM-5HL57 50-59 years, male 52.8
GTEX-13RTJ-0526-SM-62LDP 60-69 years, male 52.6
GTEX-1LG7Y-1426-SM-D4P31 50-59 years, male 52.3
GTEX-ZVZQ-0726-SM-51MR3 60-69 years, female 51.9
GTEX-1AX9I-1026-SM-73KYF 60-69 years, male 51.8
GTEX-1I1HK-0626-SM-CNPQM 60-69 years, male 51.7
GTEX-1EMGI-1126-SM-9KNUF 60-69 years, male 51.4
GTEX-WYJK-1126-SM-3NM9Z 50-59 years, male 51.1
GTEX-1CAMS-1126-SM-7MXUQ 40-49 years, female 51.0
GTEX-1IKJJ-0626-SM-CY8GF 60-69 years, male 50.8
GTEX-13O3O-1426-SM-5KM2S 60-69 years, female 50.7
GTEX-1QEPI-1126-SM-E8VN7 60-69 years, female 50.7
GTEX-13SLW-0826-SM-5QGP7 70-79 years, male 50.6
GTEX-1C64N-0826-SM-7RHGQ 50-59 years, male 50.6
GTEX-1212Z-0726-SM-5EGI5 60-69 years, male 50.5
GTEX-13O3P-1426-SM-5L3DT 50-59 years, male 50.5
GTEX-145LS-1326-SM-5Q5EP 60-69 years, female 50.5
GTEX-Y8E4-0426-SM-4V6GB 40-49 years, male 50.5
GTEX-16XZZ-1026-SM-7DHKS 60-69 years, male 50.1
GTEX-1F88F-0326-SM-9KNV3 60-69 years, female 50.1
GTEX-1I1CD-1326-SM-A9SMM 60-69 years, female 49.8
GTEX-1HR98-1026-SM-CKZOM 60-69 years, male 49.7
GTEX-V1D1-0626-SM-4JBHN 50-59 years, male 49.5
GTEX-1I1GR-1026-SM-A9SLC 60-69 years, male 49.1
GTEX-13X6J-1226-SM-79OMF 50-59 years, male 49.0
GTEX-12WSI-0426-SM-5EQ5J 50-59 years, male 48.9
GTEX-13D11-1526-SM-5J2NA 50-59 years, female 48.7
GTEX-1QP29-1426-SM-DTX9Q 50-59 years, male 48.6
GTEX-14PJ2-1126-SM-69LOD 50-59 years, male 48.5
GTEX-XV7Q-0726-SM-4BRV6 40-49 years, female 48.5
GTEX-13FXS-1026-SM-62LFQ 50-59 years, male 48.3
GTEX-117YW-0426-SM-5GZZZ 50-59 years, male 48.2
GTEX-1LH75-0526-SM-DIPG2 50-59 years, female 47.9
GTEX-13S86-0326-SM-5SI6K 40-49 years, male 47.8
GTEX-15SHV-0526-SM-7KUEN 60-69 years, male 47.7
GTEX-1I1GV-1426-SM-B2LXN 60-69 years, male 47.6
GTEX-1AX8Z-1126-SM-731CS 60-69 years, male 47.4
GTEX-1H3VY-1126-SM-A96TP 50-59 years, male 47.3
GTEX-1H1CY-0426-SM-9KNVD 60-69 years, female 47.0
GTEX-VJWN-1026-SM-4M1ZN 50-59 years, female 46.9
GTEX-14PII-1026-SM-5ZZVW 60-69 years, male 46.5
GTEX-14E7W-1126-SM-5ZZVS 70-79 years, male 45.6
GTEX-1EX96-2626-SM-9MQJV 50-59 years, male 45.5
GTEX-1HCU7-1226-SM-B2LX8 50-59 years, male 45.2
GTEX-1EWIQ-1126-SM-7EPIK 70-79 years, female 45.1
GTEX-11EQ8-1326-SM-5EGJQ 60-69 years, male 44.7
GTEX-13VXT-0726-SM-5SIAD 20-29 years, female 44.7
GTEX-XQ3S-0526-SM-4BOQA 20-29 years, male 44.7
GTEX-1GMRU-1326-SM-9WYUI 50-59 years, male 44.7
GTEX-16GPK-1226-SM-7LTAU 60-69 years, male 43.8
GTEX-11GS4-0426-SM-5N9CD 60-69 years, male 43.0
GTEX-1HSMO-1126-SM-CGQF2 60-69 years, male 42.8
GTEX-1JMQK-0926-SM-ARL96 60-69 years, male 42.7
GTEX-13CF2-0226-SM-5L3DV 60-69 years, male 42.6
GTEX-147F4-1126-SM-5TDDE 50-59 years, male 42.3
GTEX-1H1ZS-1026-SM-9WG6E 70-79 years, male 42.2
GTEX-11EMC-0826-SM-59862 60-69 years, female 41.9
GTEX-1LVAO-0626-SM-EWRNT 60-69 years, male 41.8
GTEX-1JJ6O-2226-SM-AHZ3I 60-69 years, male 41.7
GTEX-1PPGY-0926-SM-DTXFF 60-69 years, male 41.7
GTEX-14E6C-0326-SM-5Q5EE 40-49 years, male 41.1
GTEX-17F9Y-1226-SM-7EPGE 70-79 years, female 40.9
GTEX-UTHO-1226-SM-3GAEE 60-69 years, male 40.9
GTEX-131XE-0526-SM-5K7YT 50-59 years, male 40.7
GTEX-1A3MX-1226-SM-731B3 60-69 years, male 40.6
GTEX-ZUA1-0726-SM-4YCD9 40-49 years, male 40.6
GTEX-1HBPM-1026-SM-ARL9D 60-69 years, female 40.6
GTEX-13PDP-1326-SM-5K7U9 60-69 years, male 40.4
GTEX-X62O-0826-SM-46MW8 50-59 years, male 40.3
GTEX-1GF9V-1726-SM-9KNW4 60-69 years, male 40.2
GTEX-1B996-1026-SM-793CF 60-69 years, male 39.9
GTEX-1I19N-0626-SM-A9SKY 70-79 years, male 39.9
GTEX-14A5I-1026-SM-5Q5E3 50-59 years, female 39.7
GTEX-WOFL-1226-SM-4OOST 60-69 years, male 39.5
GTEX-12696-1226-SM-5FQSM 60-69 years, male 39.4
GTEX-13OW5-0926-SM-5L3GZ 60-69 years, male 39.2
GTEX-1F6I4-0826-SM-7RHGK 60-69 years, male 39.2
GTEX-11ONC-1026-SM-5GU64 60-69 years, male 39.1
GTEX-11O72-1026-SM-5986B 40-49 years, male 38.4
GTEX-WHSE-0826-SM-4SOJU 20-29 years, male 38.3
GTEX-YFC4-0426-SM-4TT3J 40-49 years, female 38.1
GTEX-1477Z-1126-SM-5P9GK 60-69 years, male 37.4
GTEX-X4XX-1126-SM-3NMBY 60-69 years, male 37.4
GTEX-1C6VQ-0826-SM-7PBZT 50-59 years, male 36.5
GTEX-17EVP-0526-SM-7EPGY 40-49 years, male 36.4
GTEX-1KD5A-0926-SM-D4P3U 50-59 years, male 35.2
GTEX-13FTZ-0326-SM-5J1O1 60-69 years, male 35.1
GTEX-WWYW-1126-SM-3NB2Q 50-59 years, female 34.9
GTEX-1POEN-0726-SM-DTXDU 30-39 years, female 34.5
GTEX-139TU-1926-SM-5J2OC 60-69 years, male 34.1
GTEX-13NZA-0826-SM-5K7WS 60-69 years, male 34.0
GTEX-111VG-0326-SM-5GZX7 60-69 years, male 33.6
GTEX-1H3O1-0226-SM-9WYSW 60-69 years, male 32.8
GTEX-1HFI6-0826-SM-9YFM2 40-49 years, male 32.7
GTEX-1117F-0726-SM-5GIEN 60-69 years, female 32.6
GTEX-1QP6S-1026-SM-DTXFW 40-49 years, male 31.1
GTEX-ZXG5-0626-SM-5NQ85 60-69 years, male 30.5
GTEX-1HC8U-0626-SM-B2LWB 40-49 years, female 29.5
GTEX-WRHU-1026-SM-4E3ID 50-59 years, female 29.4
GTEX-1B8SG-0726-SM-79ONS 50-59 years, male 29.3
GTEX-14BIN-2126-SM-793AX 50-59 years, female 29.2
GTEX-1CB4H-0626-SM-7IGN3 60-69 years, female 29.2
GTEX-14C39-0726-SM-5RQIK 40-49 years, male 28.4
GTEX-X261-0926-SM-3NMCY 50-59 years, male 28.4
GTEX-ZAJG-0926-SM-5Q5AB 50-59 years, female 28.4
GTEX-1JN6P-0826-SM-ARL97 60-69 years, male 27.8
GTEX-YECK-1226-SM-4W21G 60-69 years, male 27.7
GTEX-1JMQL-1026-SM-CMKGV 50-59 years, female 27.6
GTEX-1GN1V-1026-SM-CNPPS 60-69 years, male 27.3
GTEX-15SKB-0926-SM-7KUFC 60-69 years, male 27.0
GTEX-1F48J-1126-SM-9WYSY 50-59 years, female 26.9
GTEX-1IL2V-1126-SM-CMKGH 70-79 years, male 26.8
GTEX-1F75B-1126-SM-7RHGP 50-59 years, male 26.4
GTEX-1GTWX-0926-SM-9MQKM 60-69 years, male 26.4
GTEX-14C38-1326-SM-62LDK 50-59 years, male 26.2
GTEX-1C6WA-0826-SM-7PBXS 60-69 years, male 26.2
GTEX-11WQK-0226-SM-5EQLI 50-59 years, male 25.5
GTEX-1A8FM-1026-SM-7PC26 50-59 years, female 25.4
GTEX-1RLM8-0226-SM-E6CJY 50-59 years, male 23.4
GTEX-1IOXB-0726-SM-A9G32 50-59 years, male 22.3
GTEX-14BIL-0926-SM-7DHKN 50-59 years, male 21.3
GTEX-1MJK2-1626-SM-EVYCQ 50-59 years, male 21.1
GTEX-13PL6-0826-SM-5IJBI 40-49 years, female 20.1
GTEX-ZVT4-1326-SM-5NQ8E 50-59 years, female 19.3
GTEX-1M5QR-1626-SM-E9U5O 40-49 years, male 19.2
GTEX-X8HC-1026-SM-46MWH 50-59 years, female 18.8
GTEX-1LSNL-0626-SM-DIPFJ 50-59 years, male 18.8
GTEX-1HUB1-0726-SM-CGQF4 60-69 years, male 18.4
GTEX-12584-1026-SM-59HK3 40-49 years, male 17.7
GTEX-1JMOU-0326-SM-ARL8X 60-69 years, female 17.7
GTEX-15D1Q-0426-SM-6AJ9G 40-49 years, male 13.8
GTEX-11TUW-1126-SM-5EQKJ 60-69 years, male 13.4
GTEX-11ZVC-0526-SM-5N9G1 50-59 years, female 12.2
GTEX-13O3Q-0326-SM-5L3FE 50-59 years, male 8.5
Show allShow less
Heart - Left Ventricle
Average nTPM: 144.8
Samples: 432

Max nTPM: 337.1
Min nTPM: 11.6
Std nTPM: 85.6
Median nTPM: 147.8
GTEX-OHPL-0326-SM-33HC8 60-69 years, female 337.1
GTEX-1L5NE-0426-SM-E9TIX 50-59 years, male 333.8
GTEX-1RB15-0326-SM-E6CQB 60-69 years, male 331.1
GTEX-1GMR2-1426-SM-7RHHK 50-59 years, male 330.6
GTEX-P4PP-0326-SM-33HC4 30-39 years, female 322.6
GTEX-1B97J-0726-SM-7RHG3 50-59 years, female 320.8
GTEX-Q2AH-0526-SM-2I3ED 40-49 years, male 310.2
GTEX-ZLFU-0226-SM-4WWFH 40-49 years, male 307.9
GTEX-O5YT-0326-SM-32PKA 20-29 years, male 305.7
GTEX-1QCLZ-0926-SM-E6CQZ 60-69 years, female 302.0
GTEX-146FR-0626-SM-5RQJ1 60-69 years, female 301.3
GTEX-1GL5R-0326-SM-9WYTJ 50-59 years, male 299.7
GTEX-1399S-1026-SM-5KLZ9 30-39 years, female 299.2
GTEX-SE5C-0626-SM-2XCDV 40-49 years, female 298.8
GTEX-WHPG-0826-SM-3NMBF 50-59 years, male 297.0
GTEX-SUCS-0326-SM-32PLL 70-79 years, male 295.8
GTEX-ZPCL-0426-SM-DNZZ4 60-69 years, female 295.1
GTEX-YEC3-0726-SM-CMKFH 50-59 years, male 292.4
GTEX-1B8KE-0126-SM-793AM 50-59 years, male 291.0
GTEX-12BJ1-0226-SM-5LUA2 60-69 years, male 289.2
GTEX-14PN3-0526-SM-69LQF 60-69 years, female 289.1
GTEX-15CHC-0426-SM-6LLHI 60-69 years, female 286.5
GTEX-YEC4-0326-SM-4W216 40-49 years, male 285.8
GTEX-1399R-1926-SM-5K7X8 30-39 years, male 283.3
GTEX-14PK6-0826-SM-5ZZVO 70-79 years, female 283.2
GTEX-OHPK-0326-SM-2HMJO 50-59 years, female 278.6
GTEX-UJMC-0526-SM-3GAE3 50-59 years, male 276.4
GTEX-11I78-0826-SM-5A5K4 50-59 years, female 274.9
GTEX-1KANC-0426-SM-CXZK5 50-59 years, female 274.7
GTEX-131XF-5001-SM-7DHLY 60-69 years, male 273.7
GTEX-1J8QM-0426-SM-AHZ3X 60-69 years, female 273.0
GTEX-1CB4I-1626-SM-7RHGV 50-59 years, male 272.0
GTEX-OHPM-0326-SM-33HCA 50-59 years, male 270.9
GTEX-Y3IK-0826-SM-51MT8 50-59 years, female 269.2
GTEX-Y3I4-0626-SM-4TT7A 50-59 years, male 262.0
GTEX-1F5PK-0326-SM-9KNUD 50-59 years, male 261.4
GTEX-P4PQ-0326-SM-2HMJ8 60-69 years, male 261.0
GTEX-145MN-0626-SM-5QGRH 30-39 years, male 260.0
GTEX-117YX-1126-SM-5H128 50-59 years, male 259.3
GTEX-17KNJ-0826-SM-793A4 50-59 years, male 258.8
GTEX-POMQ-0326-SM-2I5FO 20-29 years, female 257.0
GTEX-15RIE-1726-SM-7KUMU 60-69 years, male 256.4
GTEX-18A67-1226-SM-7KFRS 50-59 years, male 256.0
GTEX-1LVAN-1726-SM-CNNR1 50-59 years, female 256.0
GTEX-Y5V6-0826-SM-4VBRU 60-69 years, male 255.8
GTEX-1MCC2-0326-SM-EV7AK 30-39 years, female 254.1
GTEX-QMRM-0526-SM-2I5GA 50-59 years, male 252.5
GTEX-WFON-0326-SM-3GIKX 40-49 years, male 251.7
GTEX-Y114-0226-SM-4TT8W 50-59 years, female 251.7
GTEX-15RJ7-0226-SM-7KUMN 40-49 years, male 251.0
GTEX-WHWD-0426-SM-3LK83 50-59 years, male 248.3
GTEX-12WSK-0626-SM-5LZUJ 40-49 years, female 248.0
GTEX-ZG7Y-0926-SM-5EQ6O 50-59 years, male 247.9
GTEX-U3ZN-1426-SM-3DB87 30-39 years, female 247.8
GTEX-XXEK-0926-SM-4BRWH 50-59 years, male 247.6
GTEX-QLQ7-0526-SM-2I5G3 60-69 years, male 247.3
GTEX-OOBJ-0326-SM-33HBO 60-69 years, male 246.6
GTEX-ZF29-0226-SM-4WKHO 60-69 years, female 246.1
GTEX-XGQ4-0326-SM-4GIEE 50-59 years, male 245.5
GTEX-1JK1U-0526-SM-CYPSQ 60-69 years, male 242.9
GTEX-11TT1-1326-SM-5PNYM 20-29 years, male 242.7
GTEX-1AX8Z-5007-SM-AHZ36 60-69 years, male 241.8
GTEX-ZVZP-0226-SM-5NQ73 50-59 years, male 241.0
GTEX-1J8Q3-1226-SM-CKZPT 60-69 years, male 240.6
GTEX-OXRK-0826-SM-2HMK7 50-59 years, female 239.2
GTEX-1LSNM-0526-SM-DIPG6 50-59 years, male 238.8
GTEX-1AYCT-0426-SM-73KVZ 50-59 years, male 238.6
GTEX-18D9U-1126-SM-72D5Y 40-49 years, male 238.2
GTEX-ZYFG-0426-SM-5E43M 60-69 years, female 237.9
GTEX-1KXAM-1326-SM-E9TJW 60-69 years, male 235.8
GTEX-11DXX-0326-SM-5PNWC 60-69 years, female 235.1
GTEX-13PVR-1026-SM-5QGQW 60-69 years, female 233.9
GTEX-ZDTT-0726-SM-4WKFK 60-69 years, male 233.9
GTEX-14PJ6-0726-SM-69LOL 60-69 years, female 233.5
GTEX-1339X-0426-SM-5KLZY 40-49 years, male 233.2
GTEX-1HCUA-0526-SM-A9SMH 50-59 years, female 233.2
GTEX-13O21-2326-SM-5MR3X 50-59 years, male 232.8
GTEX-R55C-0326-SM-3GAF1 40-49 years, male 232.5
GTEX-OIZH-0326-SM-2HMKC 50-59 years, male 231.8
GTEX-13S86-0226-SM-5S2PJ 40-49 years, male 231.3
GTEX-1MUQO-1226-SM-E9TJK 60-69 years, male 231.1
GTEX-1RMOY-0626-SM-E9TIE 50-59 years, male 230.1
GTEX-1399U-0526-SM-5K7YM 50-59 years, female 229.7
GTEX-SNMC-0126-SM-2XCFO 20-29 years, male 228.2
GTEX-12WSN-5001-SM-7DHMK 40-49 years, male 227.6
GTEX-S32W-0626-SM-2XCBG 50-59 years, female 227.6
GTEX-OIZF-0326-SM-3MJGY 60-69 years, male 226.9
GTEX-13U4I-0826-SM-5SIBD 40-49 years, female 226.2
GTEX-13OVG-0526-SM-5K7YD 60-69 years, male 224.4
GTEX-XBED-0526-SM-47JY3 60-69 years, male 224.3
GTEX-14PJ4-1126-SM-5YY91 60-69 years, male 223.8
GTEX-1122O-0826-SM-5GICV 60-69 years, female 223.6
GTEX-13X6H-0426-SM-5LU4E 50-59 years, female 223.6
GTEX-ZDYS-0226-SM-5HL4K 50-59 years, male 223.4
GTEX-YF7O-0426-SM-5P9FS 50-59 years, male 223.3
GTEX-1CB4E-0526-SM-7MXTK 60-69 years, male 223.3
GTEX-11LCK-0926-SM-5A5KA 30-39 years, male 223.0
GTEX-139YR-0826-SM-5LZXY 50-59 years, male 222.2
GTEX-ZV7C-0326-SM-57WB1 50-59 years, male 222.1
GTEX-PWCY-0526-SM-5P9HG 20-29 years, female 221.7
GTEX-RUSQ-0526-SM-2TF72 50-59 years, male 221.1
GTEX-1GF9U-0426-SM-7RHHA 40-49 years, female 220.9
GTEX-YB5K-0126-SM-5IFJ2 40-49 years, female 220.8
GTEX-1IDJU-0726-SM-CNPQ9 60-69 years, female 220.2
GTEX-1AX9J-1026-SM-72D6E 60-69 years, male 219.8
GTEX-13FH7-0926-SM-5J2MR 50-59 years, female 219.2
GTEX-1I6K7-0626-SM-ARL7Q 40-49 years, male 218.1
GTEX-ZGAY-0326-SM-57WF5 40-49 years, female 217.0
GTEX-12696-1126-SM-5FQTI 60-69 years, male 216.6
GTEX-1C2JI-0526-SM-7EWEQ 50-59 years, male 216.5
GTEX-1OFPY-1026-SM-EXUSO 60-69 years, male 216.1
GTEX-RWS6-0326-SM-2XCAP 60-69 years, female 214.8
GTEX-1HSGN-1126-SM-CJI4G 40-49 years, female 214.1
GTEX-ZQUD-1526-SM-7IGO2 30-39 years, male 214.0
GTEX-132QS-0426-SM-5KLZ6 60-69 years, male 213.7
GTEX-UJHI-0426-SM-3DB8Y 50-59 years, female 213.7
GTEX-PX3G-0326-SM-2I3EO 20-29 years, female 212.7
GTEX-1R7EV-0326-SM-E76PA 40-49 years, male 212.0
GTEX-13VXT-1126-SM-5LU3A 20-29 years, female 211.2
GTEX-ZPU1-0626-SM-4YCDM 40-49 years, male 209.2
GTEX-14XAO-1126-SM-6EU11 60-69 years, female 208.7
GTEX-111YS-0426-SM-5987O 60-69 years, male 208.4
GTEX-145LV-0326-SM-5Q5BW 50-59 years, male 208.1
GTEX-V955-0726-SM-3GAFG 60-69 years, male 207.0
GTEX-17F9E-0926-SM-7IGMG 50-59 years, male 206.9
GTEX-13QBU-0426-SM-5J2O4 40-49 years, female 205.6
GTEX-15EOM-5007-SM-793DG 20-29 years, female 204.8
GTEX-1QPFJ-1026-SM-E6CR6 30-39 years, female 203.3
GTEX-14A6H-0226-SM-5Q5DX 30-39 years, male 202.9
GTEX-131XG-0626-SM-5GCMP 50-59 years, female 202.0
GTEX-14PHY-0226-SM-5ZZWM 60-69 years, female 201.6
GTEX-16XZY-0426-SM-793BI 70-79 years, male 201.1
GTEX-1OKEX-0726-SM-DPRYE 60-69 years, male 201.0
GTEX-1RQEC-0926-SM-EWROG 60-69 years, male 201.0
GTEX-PLZ5-0626-SM-2I5F8 50-59 years, male 199.5
GTEX-1J8EW-0926-SM-A9G33 60-69 years, female 199.3
GTEX-NFK9-0926-SM-2HMJU 40-49 years, male 199.2
GTEX-1LGOU-0726-SM-E9TIY 20-29 years, female 198.9
GTEX-ZF2S-1026-SM-9QEGK 50-59 years, female 198.4
GTEX-1HSMQ-0226-SM-C1YQL 50-59 years, male 197.9
GTEX-1GN1W-0326-SM-9JGHF 50-59 years, female 197.5
GTEX-ZZPU-0926-SM-5GZYT 50-59 years, female 196.4
GTEX-ZAB5-0226-SM-5CVMH 50-59 years, male 196.3
GTEX-13FTW-1026-SM-5L3E3 40-49 years, male 195.8
GTEX-14PHX-2126-SM-6EU2U 50-59 years, male 195.8
GTEX-1F75I-1126-SM-9WYUO 40-49 years, male 194.7
GTEX-ZVT2-1026-SM-5GU55 50-59 years, female 194.1
GTEX-1EU9M-1826-SM-7DUGU 60-69 years, male 193.9
GTEX-X3Y1-0426-SM-3P5Z4 40-49 years, male 193.9
GTEX-U4B1-0326-SM-3DB8K 40-49 years, male 192.7
GTEX-13D11-1726-SM-5IFGQ 50-59 years, female 190.5
GTEX-WFG8-0626-SM-3GILJ 20-29 years, male 190.5
GTEX-O5YW-0326-SM-2I5EI 50-59 years, male 190.0
GTEX-1LH75-0426-SM-E9TJF 50-59 years, female 189.0
GTEX-1IDJI-1026-SM-A96TE 50-59 years, female 188.5
GTEX-WH7G-0426-SM-3NMBJ 40-49 years, male 188.2
GTEX-16BQI-0926-SM-6M485 30-39 years, female 187.7
GTEX-WEY5-0426-SM-3GIKT 40-49 years, female 187.5
GTEX-13O61-0526-SM-5J2M1 60-69 years, male 185.9
GTEX-QV44-0526-SM-2S1RE 50-59 years, male 185.6
GTEX-U3ZH-0326-SM-3DB7A 30-39 years, male 185.2
GTEX-13CF3-0726-SM-5J2MY 60-69 years, female 184.6
GTEX-WFG7-0726-SM-3GIKO 20-29 years, male 184.2
GTEX-1LGRB-1126-SM-CNPP2 50-59 years, female 184.2
GTEX-1HFI7-0826-SM-A9G23 50-59 years, female 183.7
GTEX-1IKOE-1026-SM-ARZMF 30-39 years, female 182.5
GTEX-1CB4J-0326-SM-7PBZO 60-69 years, male 181.6
GTEX-11DXZ-0626-SM-5GU77 50-59 years, male 180.7
GTEX-13OVL-0526-SM-5KLZQ 50-59 years, male 180.5
GTEX-X15G-0426-SM-4PQZ6 50-59 years, female 180.3
GTEX-QDVJ-0426-SM-2I5FW 50-59 years, male 180.2
GTEX-Y8E4-0326-SM-4VBRR 40-49 years, male 180.2
GTEX-1R9JW-0526-SM-EWRNK 30-39 years, female 179.6
GTEX-1211K-0626-SM-5FQUZ 60-69 years, female 176.9
GTEX-15CHR-0226-SM-7PC2Z 50-59 years, male 176.5
GTEX-11ZUS-0226-SM-5FQT8 30-39 years, male 176.0
GTEX-QESD-0526-SM-2I5G5 20-29 years, male 174.9
GTEX-XPT6-0126-SM-4B65S 20-29 years, male 174.1
GTEX-XPVG-0826-SM-4B654 50-59 years, male 174.0
GTEX-R53T-0926-SM-3GADH 50-59 years, female 173.8
GTEX-ZEX8-0426-SM-DO92Y 50-59 years, male 173.1
GTEX-ZTPG-1226-SM-4YCDO 20-29 years, female 172.7
GTEX-U8XE-1126-SM-3DB8W 30-39 years, male 172.3
GTEX-1H11D-1226-SM-9WPQ2 40-49 years, male 172.3
GTEX-11EM3-0626-SM-5H12Z 20-29 years, female 172.0
GTEX-132NY-1726-SM-5EGKK 60-69 years, male 171.4
GTEX-14H4A-0626-SM-5ZZUT 40-49 years, female 171.3
GTEX-QDVN-0326-SM-2I3FS 50-59 years, male 170.7
GTEX-1GN73-2426-SM-7RHFQ 60-69 years, male 167.9
GTEX-WY7C-0526-SM-3NB3D 50-59 years, male 167.4
GTEX-1R9PO-0326-SM-DTXA1 60-69 years, female 166.8
GTEX-XQ3S-0626-SM-4BOOB 20-29 years, male 166.7
GTEX-1HBPH-0126-SM-CNNQ7 40-49 years, female 165.6
GTEX-146FH-1026-SM-5RQIF 50-59 years, female 165.3
GTEX-WZTO-1326-SM-3NM8X 40-49 years, male 164.7
GTEX-1ICG6-0626-SM-ACKWS 70-79 years, female 164.1
GTEX-1GMR3-0326-SM-7P8QT 40-49 years, male 164.0
GTEX-OXRL-0326-SM-2I3F2 50-59 years, male 163.4
GTEX-1IDJE-0326-SM-CM2TD 50-59 years, female 161.0
GTEX-1S3DN-0726-SM-E9TIO 50-59 years, male 160.7
GTEX-17HGU-1026-SM-79OKL 50-59 years, male 160.0
GTEX-1CAMS-1326-SM-79OJR 40-49 years, female 159.5
GTEX-1R9K5-1326-SM-E6CPR 50-59 years, male 159.0
GTEX-ZDXO-0726-SM-57WBT 60-69 years, male 157.3
GTEX-RNOR-0826-SM-2TF5C 50-59 years, female 155.7
GTEX-1QP29-1526-SM-EXUSY 50-59 years, male 155.7
GTEX-1IDJF-0726-SM-CJI1U 20-29 years, male 154.4
GTEX-14E1K-1026-SM-73KUR 50-59 years, male 154.2
GTEX-18D9B-1226-SM-72D6V 60-69 years, male 153.5
GTEX-WYJK-1026-SM-3NM8W 50-59 years, male 151.7
GTEX-1KD5A-1026-SM-CY8I8 50-59 years, male 150.2
GTEX-R55G-0526-SM-2TC5O 40-49 years, female 149.0
GTEX-R45C-0926-SM-3GAD4 60-69 years, female 148.9
GTEX-RU72-0326-SM-2TF5T 50-59 years, female 148.9
GTEX-O5YV-0326-SM-2I5H2 60-69 years, female 148.7
GTEX-QEG4-0426-SM-33HC3 30-39 years, male 148.1
GTEX-R55E-1026-SM-2TC5S 20-29 years, male 147.6
GTEX-V1D1-0526-SM-4JBGW 50-59 years, male 147.1
GTEX-XQ8I-0126-SM-4BOPL 50-59 years, male 146.1
GTEX-12ZZZ-1726-SM-59HK5 60-69 years, male 144.0
GTEX-PSDG-0926-SM-2I5FP 50-59 years, male 142.9
GTEX-13W3W-0426-SM-5SI9D 60-69 years, female 142.8
GTEX-1QP2A-1126-SM-EVR3H 50-59 years, male 142.2
GTEX-1JMQK-0626-SM-D4P2R 60-69 years, male 141.1
GTEX-1POEN-0626-SM-EVR4B 30-39 years, female 140.3
GTEX-P78B-0426-SM-2I5F5 40-49 years, female 138.9
GTEX-1IKK5-1526-SM-CKZPW 60-69 years, male 137.9
GTEX-13SLX-1026-SM-5ZZUQ 50-59 years, female 136.5
GTEX-16YQH-0926-SM-793BC 30-39 years, male 136.2
GTEX-1GMRU-1526-SM-9WYT5 50-59 years, male 135.8
GTEX-13O3O-1526-SM-5KM1C 60-69 years, female 134.4
GTEX-1EMGI-1226-SM-793DD 60-69 years, male 131.5
GTEX-ZPIC-0826-SM-4WWFJ 40-49 years, female 131.1
GTEX-131XE-0626-SM-5HL98 50-59 years, male 129.2
GTEX-1R9K4-1326-SM-DTX8G 60-69 years, male 128.8
GTEX-13NZB-0226-SM-5KM1T 30-39 years, male 128.5
GTEX-ZDTS-1326-SM-6LLHE 60-69 years, male 128.1
GTEX-17GQL-0526-SM-72D5N 60-69 years, male 127.3
GTEX-1GZ4I-1026-SM-9KNV5 50-59 years, male 127.3
GTEX-13FLV-0926-SM-5L3DZ 50-59 years, male 126.6
GTEX-18A66-1226-SM-7LT8G 60-69 years, male 126.6
GTEX-14JG1-1026-SM-6ETZY 40-49 years, male 123.8
GTEX-WQUQ-1426-SM-3MJFD 60-69 years, male 123.7
GTEX-WHSE-0926-SM-3NMBS 20-29 years, male 122.9
GTEX-13N11-0426-SM-5KM3O 50-59 years, female 122.5
GTEX-OIZI-0926-SM-E6CHF 40-49 years, male 122.5
GTEX-12WSG-0526-SM-5FQTH 50-59 years, female 121.4
GTEX-1O9I2-1126-SM-DTXEA 50-59 years, male 119.8
GTEX-1HBPM-1226-SM-A9SM8 60-69 years, female 118.3
GTEX-XV7Q-0826-SM-4BRV7 40-49 years, female 118.2
GTEX-12WSC-1126-SM-5EQ4G 50-59 years, male 117.6
GTEX-ZYFC-1126-SM-5E44W 50-59 years, male 117.3
GTEX-1HC8U-0726-SM-ACKXL 40-49 years, female 116.6
GTEX-1MJIX-0326-SM-EVR42 40-49 years, male 116.1
GTEX-111FC-0826-SM-5GZWO 60-69 years, male 115.7
GTEX-WI4N-0626-SM-3TW8Z 40-49 years, female 115.3
GTEX-QEG5-0926-SM-2TC64 20-29 years, male 113.6
GTEX-T6MN-0926-SM-32PLX 50-59 years, male 113.1
GTEX-1B932-1026-SM-793CL 40-49 years, female 112.7
GTEX-UPK5-0326-SM-CYPR4 40-49 years, male 112.3
GTEX-1AX9K-0526-SM-73KV1 50-59 years, male 111.9
GTEX-13RTJ-0726-SM-5QGQN 60-69 years, male 109.2
GTEX-1CB4G-0826-SM-7DUGF 60-69 years, male 108.2
GTEX-12WSD-1126-SM-5EGJD 60-69 years, female 107.7
GTEX-132AR-2026-SM-5IJG4 50-59 years, female 107.3
GTEX-1JJEA-0826-SM-CL53T 60-69 years, male 106.3
GTEX-1I1GQ-1426-SM-B2LWY 50-59 years, male 105.1
GTEX-WL46-0926-SM-3LK7T 50-59 years, male 104.4
GTEX-1A3MW-1326-SM-7189P 60-69 years, female 102.9
GTEX-OIZG-1126-SM-2HMIU 50-59 years, male 101.9
GTEX-RWSA-0626-SM-2XCBD 40-49 years, male 98.7
GTEX-1C64O-0826-SM-79OKZ 60-69 years, male 97.4
GTEX-13112-0426-SM-5PNVC 50-59 years, male 96.7
GTEX-QEL4-0926-SM-3GAD1 50-59 years, male 96.5
GTEX-1F6I4-0726-SM-7PC2P 60-69 years, male 96.4
GTEX-NPJ8-0426-SM-2HMK6 40-49 years, male 95.2
GTEX-13OW6-1126-SM-5L3HL 50-59 years, male 95.1
GTEX-1E1VI-1326-SM-7IGQD 50-59 years, male 93.1
GTEX-1313W-1426-SM-5KLZU 50-59 years, female 92.2
GTEX-1LC47-1026-SM-D3LAH 60-69 years, male 92.0
GTEX-P4QS-0326-SM-2I3EU 60-69 years, male 91.5
GTEX-Y5V5-0626-SM-4VBPX 60-69 years, female 91.4
GTEX-11EMC-0726-SM-5EGJO 60-69 years, female 90.9
GTEX-1PPGY-1126-SM-E76OU 60-69 years, male 90.1
GTEX-REY6-1026-SM-2TF4Y 60-69 years, male 89.6
GTEX-ZAB4-1026-SM-5HL7T 40-49 years, male 89.2
GTEX-148VI-0326-SM-5RQK7 60-69 years, female 88.8
GTEX-15DDE-1126-SM-6LLHN 50-59 years, female 87.5
GTEX-P44H-0726-SM-48TBT 40-49 years, male 86.5
GTEX-YFC4-0526-SM-5ZZVI 40-49 years, female 85.5
GTEX-14C38-1426-SM-5RQHZ 50-59 years, male 84.0
GTEX-13X6I-1426-SM-5SI9Z 60-69 years, male 83.2
GTEX-13YAN-1326-SM-5Q5F1 60-69 years, male 83.1
GTEX-1HCU7-1326-SM-CNPPW 50-59 years, male 82.1
GTEX-1AX9I-1126-SM-7EPHH 60-69 years, male 81.6
GTEX-1JJ6O-2126-SM-CNNP6 60-69 years, male 81.3
GTEX-1BAJH-1626-SM-73KUV 70-79 years, male 79.7
GTEX-S33H-0526-SM-COH1W 30-39 years, male 79.7
GTEX-11GS4-0526-SM-5A5KQ 60-69 years, male 78.6
GTEX-11ZVC-0426-SM-5CVLD 50-59 years, female 75.5
GTEX-13PVQ-1226-SM-5IJDC 50-59 years, male 75.2
GTEX-1GN1V-0826-SM-9KNU6 60-69 years, male 75.2
GTEX-1M5QR-1026-SM-DHXK9 40-49 years, male 74.9
GTEX-1314G-0126-SM-5LZUL 30-39 years, male 74.7
GTEX-131XH-0226-SM-5LZVB 50-59 years, male 74.6
GTEX-1H23P-1226-SM-9QEJ2 60-69 years, male 74.4
GTEX-16NPX-0926-SM-7KUEZ 50-59 years, male 74.3
GTEX-1GF9V-1626-SM-7PBXL 60-69 years, male 74.1
GTEX-1PWST-1026-SM-DTXF2 70-79 years, male 74.1
GTEX-1H1ZS-1126-SM-9MQLJ 70-79 years, male 73.7
GTEX-1F6IF-2526-SM-7P8TV 60-69 years, male 73.1
GTEX-1F48J-1026-SM-7P8SO 50-59 years, female 72.6
GTEX-14E6C-0426-SM-5YYA8 40-49 years, male 72.4
GTEX-1K9T9-1126-SM-D3L9E 50-59 years, female 71.3
GTEX-N7MS-0826-SM-2HML4 60-69 years, male 71.2
GTEX-18A6Q-1626-SM-7KFTA 60-69 years, male 67.8
GTEX-1JMPZ-1426-SM-CJI3C 30-39 years, male 67.7
GTEX-15ER7-1726-SM-6PAMX 20-29 years, female 67.3
GTEX-13FTZ-0226-SM-5K7X6 60-69 years, male 66.6
GTEX-15SHU-1126-SM-7KUMB 40-49 years, female 64.9
GTEX-1212Z-0626-SM-5FQTB 60-69 years, male 64.3
GTEX-17MF6-0726-SM-7LT8E 40-49 years, male 64.2
GTEX-1J8Q2-1226-SM-A9G2W 60-69 years, male 63.7
GTEX-16MT8-0926-SM-6M487 60-69 years, female 63.3
GTEX-X8HC-1626-SM-46MWE 50-59 years, female 63.3
GTEX-ZAJG-0826-SM-5PNVA 50-59 years, female 62.3
GTEX-1ICLY-1326-SM-CJI47 50-59 years, male 62.2
GTEX-1I1HK-0726-SM-B2LY4 60-69 years, male 61.9
GTEX-145MO-1126-SM-5NQBX 60-69 years, male 61.6
GTEX-1N2EF-2826-SM-E6CQF 60-69 years, male 61.6
GTEX-13O3P-1626-SM-5K7X3 50-59 years, male 60.7
GTEX-12ZZY-1126-SM-5DUWQ 60-69 years, male 60.0
GTEX-14DAQ-1126-SM-664MT 60-69 years, female 60.0
GTEX-13CF2-0426-SM-5KM1H 60-69 years, male 59.7
GTEX-1IL2U-1326-SM-A9G2O 60-69 years, male 58.2
GTEX-1497J-1226-SM-5Q5BL 60-69 years, male 57.8
GTEX-QVJO-1926-SM-2S1QZ 60-69 years, female 56.5
GTEX-1I1GV-1326-SM-A96SE 60-69 years, male 55.7
GTEX-14C5O-1326-SM-5S2UW 60-69 years, male 55.6
GTEX-15RJE-0626-SM-7KUKR 40-49 years, male 55.6
GTEX-RTLS-0826-SM-2TF5Q 60-69 years, female 54.6
GTEX-13N1W-1026-SM-5IJC5 70-79 years, male 53.6
GTEX-1B996-1126-SM-73KWN 60-69 years, male 52.3
GTEX-WWYW-1326-SM-3NB2S 50-59 years, female 52.0
GTEX-15DYW-1126-SM-6LPK5 60-69 years, female 51.6
GTEX-PVOW-0426-SM-5MR5R 40-49 years, male 51.5
GTEX-13X6K-1826-SM-5O9CR 60-69 years, female 51.3
GTEX-T2IS-0426-SM-32QPE 20-29 years, female 51.1
GTEX-17JCI-1126-SM-7IGMM 60-69 years, female 50.7
GTEX-17F9Y-1326-SM-7MGW9 70-79 years, female 50.6
GTEX-1JMLX-1626-SM-ARZMV 50-59 years, male 50.4
GTEX-1HT8W-1726-SM-CNNQB 30-39 years, male 49.9
GTEX-1A3MX-1326-SM-72D58 60-69 years, male 49.5
GTEX-11O72-1126-SM-5N9E2 40-49 years, male 49.2
GTEX-11ONC-0126-SM-5PNW6 60-69 years, male 48.9
GTEX-1ICLZ-1026-SM-A9SLF 60-69 years, male 48.9
GTEX-1LB8K-1026-SM-DHXJJ 50-59 years, male 48.6
GTEX-1LVA9-0926-SM-EVR5G 50-59 years, male 48.4
GTEX-12584-0926-SM-5FQTN 40-49 years, male 47.8
GTEX-1269C-0826-SM-5N9EM 60-69 years, female 47.1
GTEX-1EH9U-0826-SM-7IGPT 60-69 years, male 46.6
GTEX-18465-0926-SM-731AY 50-59 years, male 46.4
GTEX-SIU8-0826-SM-2XCDQ 50-59 years, male 46.3
GTEX-117YW-0326-SM-5N9CY 50-59 years, male 45.6
GTEX-1B8L1-0526-SM-79ONX 60-69 years, male 45.3
GTEX-147F4-1226-SM-5NQAY 50-59 years, male 43.9
GTEX-1HCU6-1026-SM-A9G25 60-69 years, female 43.9
GTEX-13OW8-2126-SM-5J1OS 60-69 years, male 42.8
GTEX-14E6D-0926-SM-5S2QV 50-59 years, male 42.5
GTEX-OXRO-2026-SM-2YUMZ 60-69 years, female 41.5
GTEX-RN64-0826-SM-2TC62 50-59 years, male 40.6
GTEX-YJ8O-0926-SM-EAZ2Z 40-49 years, female 40.4
GTEX-XBEC-1326-SM-4AT69 50-59 years, male 40.1
GTEX-11GSP-1326-SM-5A5KY 60-69 years, female 39.4
GTEX-1HSMO-1226-SM-CL548 60-69 years, male 38.7
GTEX-11DXY-0826-SM-5EGGR 60-69 years, male 38.4
GTEX-147JS-1526-SM-5ZZWF 60-69 years, male 37.8
GTEX-1H1CY-0326-SM-9QEIZ 60-69 years, female 37.6
GTEX-17HHY-1426-SM-7EWDQ 50-59 years, male 37.5
GTEX-11TUW-1026-SM-5GU7D 60-69 years, male 37.3
GTEX-13O1R-1226-SM-5J1NU 60-69 years, male 36.9
GTEX-15SHW-1226-SM-6M46C 60-69 years, male 36.2
GTEX-1JN1M-1026-SM-CNPOS 60-69 years, female 35.9
GTEX-1EN7A-0726-SM-7PBXT 40-49 years, male 35.4
GTEX-WRHU-1226-SM-4E3IJ 50-59 years, female 35.3
GTEX-P44G-0826-SM-2I5ES 30-39 years, male 34.6
GTEX-ZYW4-0926-SM-59HJS 60-69 years, male 33.1
GTEX-1B8SG-0826-SM-7EWF7 50-59 years, male 32.9
GTEX-1O97I-0826-SM-E8VNE 60-69 years, male 32.2
GTEX-ZYT6-1726-SM-5E44P 30-39 years, male 31.9
GTEX-14C39-0926-SM-5TDDV 40-49 years, male 30.7
GTEX-14PJM-1126-SM-6LLHK 50-59 years, female 30.6
GTEX-1JJE9-1426-SM-ARL8P 70-79 years, male 30.4
GTEX-1A8G6-1626-SM-7MGWO 60-69 years, male 30.2
GTEX-13FHP-1026-SM-5K7Y2 50-59 years, male 28.4
GTEX-1JMOU-0226-SM-CNNPD 60-69 years, female 27.2
GTEX-14A5I-1226-SM-5NQBW 50-59 years, female 26.4
GTEX-1PPH7-2026-SM-E9J3N 40-49 years, male 25.9
GTEX-1EWIQ-1426-SM-7IGOS 70-79 years, female 25.7
GTEX-13OW5-1126-SM-5J1NR 60-69 years, male 25.2
GTEX-WK11-0826-SM-EZ6LH 50-59 years, male 24.8
GTEX-1JN6P-1126-SM-CKZON 60-69 years, male 24.7
GTEX-148VJ-1526-SM-5Q5DU 70-79 years, male 24.3
GTEX-ZF3C-1226-SM-4WWCB 50-59 years, female 24.3
GTEX-1GN2E-1326-SM-9KNVG 60-69 years, male 23.0
GTEX-14BIN-2226-SM-5YYA1 50-59 years, female 22.5
GTEX-1KD4Q-0726-SM-DIPGE 40-49 years, male 22.5
GTEX-1HCVE-1126-SM-9WPPG 50-59 years, male 22.3
GTEX-1LG7Y-1226-SM-CXZKD 50-59 years, male 22.2
GTEX-14PJ2-1026-SM-6EU1M 50-59 years, male 22.0
GTEX-N7MT-1326-SM-2I3FV 60-69 years, female 21.8
GTEX-1IKJJ-0826-SM-A96SP 60-69 years, male 21.8
GTEX-1EKGG-1126-SM-7MGXB 60-69 years, male 21.6
GTEX-12ZZW-1026-SM-5GCMM 50-59 years, male 21.5
GTEX-14E7W-1226-SM-5RQIU 70-79 years, male 20.3
GTEX-14BIL-1126-SM-79OMC 50-59 years, male 19.5
GTEX-1I1GP-0826-SM-A96SD 50-59 years, male 19.5
GTEX-1EX96-2526-SM-7RHGW 50-59 years, male 19.1
GTEX-1H3NZ-1126-SM-9WYT9 60-69 years, male 18.8
GTEX-1RAZS-0826-SM-E76QP 50-59 years, male 18.5
GTEX-1C6VQ-1126-SM-7EWET 50-59 years, male 17.7
GTEX-13JVG-1326-SM-5N9F8 60-69 years, male 17.3
GTEX-14JIY-1126-SM-6EU28 60-69 years, male 17.2
GTEX-13NYB-0226-SM-5N9G4 40-49 years, male 16.2
GTEX-ZUA1-0826-SM-4YCDL 40-49 years, male 16.1
GTEX-1399T-0426-SM-5PNVJ 60-69 years, male 15.8
GTEX-X261-1426-SM-4PQZ1 50-59 years, male 15.4
GTEX-1GTWX-1026-SM-7P8QW 60-69 years, male 15.3
GTEX-1NV8Z-1526-SM-DTX8X 60-69 years, male 15.3
GTEX-1IDJH-1026-SM-E9TKH 70-79 years, male 13.8
GTEX-15CHQ-1526-SM-69LPW 60-69 years, male 13.6
GTEX-17HII-1326-SM-7IGOB 50-59 years, male 11.6
Show allShow less

HEART MUSCLE - FANTOM5 CAGEi

RNA expression in human tissues obtained through Cap Analysis of Gene Expression (CAGE) generated by the FANTOM5 project are reported as Scaled Tags Per Million.

Max subtype Scaled Tags Per Millioni

Max subtype Scaled Tags Per Million is the value for the subtype with the largest average Scaled Tags Per Million across the subtype samples.

812.1
FANTOM5 sample id Sample description Scaled Tags Per Million
Heart
Scaled Tags Per Million: 812.1
FF:10016-101C7 70,73,74 years, mixed 812.1
Left atrium
Scaled Tags Per Million: 211.5
FF:10079-102A7 40 years, male 211.5
Left ventricle
Scaled Tags Per Million: 423.1
FF:10078-102A6 73 years, female 423.1

Contact

  • NEWS ARTICLES
  • PRESS ROOM

The Project

  • INTRODUCTION
  • ORGANIZATION
  • PUBLICATIONS

The Human Protein Atlas

  • DOWNLOADABLE DATA
  • LICENCE & CITATION
  • HELP & FAQ
The Human Protein Atlas project is funded
by the Knut & Alice Wallenberg Foundation.


contact@proteinatlas.org