We use cookies to enhance the usability of our website. If you continue, we'll assume that you are happy to receive all cookies. More information. Don't show this again.
MCRIP2
HPA
RESOURCES
  • TISSUE
  • BRAIN
  • SINGLE CELL
  • SUBCELLULAR
  • CANCER
  • BLOOD
  • CELL LINE
  • STRUCTURE & INTERACTION
ABOUT
  • INTRODUCTION
  • HISTORY
  • ORGANIZATION
  • PUBLICATIONS
  • ANTIBODY SUBMISSION
  • ANTIBODY AVAILABILITY
  • ACKNOWLEDGMENTS
  • CONTACT
NEWS
  • NEWS ARTICLES
  • PRESS ROOM
LEARN
  • DICTIONARY
  • PROTEIN CLASSES
  • PROTEIN EVIDENCE
  • METHODS
  • EDUCATIONAL VIDEOS
DATA
  • DOWNLOADABLE DATA
  • PUBLICATION DATA
  • RELEASE HISTORY
HELP
  • ANTIBODY VALIDATION
  • ASSAYS & ANNOTATION
  • DISCLAIMER
  • HELP & FAQ
  • PRIVACY STATEMENT
  • LICENCE & CITATION
Fields »
Search result

Field
Term
Gene name
Class
Subclass
Class
Keyword
Chromosome
External id
Tissue
Cell type
Expression
Antibody panel
Tissue
Main location
Patient ID
Annotation
Tissue
Category
Tau score
Cluster
Reliability
Brain region
Category
Tau score
Brain region
Category
Tau score
Brain region
Category
Tau score
Cluster
Reliability
Tissue
Cell type
Enrichment
Cell type
Category
Tau score
Cell type
Category
Tau score
Cell type
Category
Tau score
Cell lineage
Category
Tau score
Cluster
Cluster
Location
Searches
Location
Cell line
Class
Type
Phase
Reliability
Cancer
Prognosis
Cancer
Category
Cancer
Category
Tau score
Cluster
Variants
Interacting gene (ensg_id)
Type
Number of interactions
Pathway
Category
Score
Score
Score
Validation
Validation
Validation
Validation
Antibodies
Data type
Column


  • SUMMARY

  • TISSUE

  • BRAIN

  • SINGLE CELL

  • SUBCELL

  • CANCER

  • BLOOD

  • CELL LINE

  • STRUCT & INT

  • MCRIP2
TISSUE PRIMARY DATA HEART MUSCLE Show tissue menu
ADIPOSE TISSUE ADRENAL GLAND AMYGDALA APPENDIX BASAL GANGLIA BONE MARROW BREAST BRONCHUS CEREBELLUM CEREBRAL CORTEX CERVIX CHOROID PLEXUS COLON DUODENUM
ENDOMETRIUM EPIDIDYMIS ESOPHAGUS FALLOPIAN TUBE GALLBLADDER HEART MUSCLE HIPPOCAMPAL FORMATION HYPOTHALAMUS KIDNEY LIVER LUNG LYMPH NODE MIDBRAIN NASOPHARYNX
ORAL MUCOSA OVARY PANCREAS PARATHYROID GLAND PITUITARY GLAND PLACENTA PROSTATE RECTUM RETINA SALIVARY GLAND SEMINAL VESICLE SKELETAL MUSCLE SKIN SMALL INTESTINE
SMOOTH MUSCLE SOFT TISSUE SPINAL CORD SPLEEN STOMACH TESTIS THYMUS THYROID GLAND TONGUE TONSIL URINARY BLADDER VAGINA
ANTIBODIES
AND
VALIDATION
Dictionary
Heart muscle
Tissue proteome
Heart
HEART MUSCLE - Expression summary
Protein expression
Heart musclei

On the top, protein expression in current human tissue, based on all annotated cell types, is reported with the units not detected (n), low (l), medium (m) and high (h). Underneath, protein expression in each annotated cell type are reported using the same units.

Protein expression data is based on knowledge-based annotation. For genes where more than one antibody has been used, a collective score is set.

If knowledge-based annotation could not be performed for a gene, no data is displayed here. View antibody staining data further down this page.

h
m
l
n
Cardiomyocytes: Medium
RNA expressioni

A summary of mRNA expression data available for current tissue based on several datasets. The mRNA expression levels in human tissues are based on RNA-seq data generated by the Human Protein Atlas (HPA), Genotype-Tissue Expression (GTEx) portal and CAGE data generated by the FANTOM5 consortium. Consensus normalized expression levels for human tissues was created by combining the data from HPA and GTEx datasets.

The mRNA expression levels in pig are based on RNA-seq data generated by the Human Protein Atlas (HPA), and for mouse, HPA data and in situ hybridization generated by the Allen brain atlas are reported.

Scroll down to view mRNA expression data in more detail.
Consensus:46.5 nTPM
HPA:5.1 nTPM
GTEx:46.5 nTPM
FANTOM5:75.1 Scaled Tags Per Million

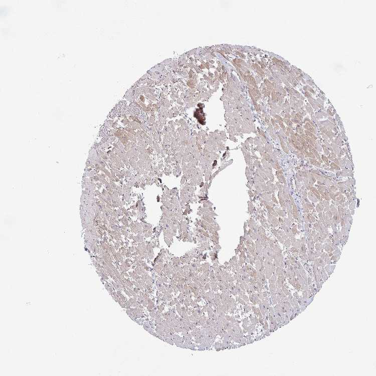
HEART MUSCLE - Antibody stainingi

Antibody staining in the annotated cell types in the current human tissue is reported as not detected, low, medium, or high, based on conventional immunohistochemistry profiling in selected tissues. This score is based on the combination of the staining intensity and fraction of stained cells.

Each image is clickable and will lead to virtual microscopy that enables deeper exploration of all samples and also displays staining intensity scores, fraction scores and subcellular localization as well as patient and tissue information for each sample.

Antibody HPA060363
Cardiomyocytes Medium



HEART MUSCLE - HPA RNA-seqi

The RNA-seq details section shows detailed information about the individual samples used for the transcript profiling and results of the RNA-seq analysis.

Information about each individual sample is listed below, including gender, age, a tissue section image and estimated fractions of cell types. nTPM (normalized transcripts per million) values give a quantification of the gene abundance which is comparable between different genes and samples.
Average nTPMi

Max subtype nTPM is the value for the subtype with the largest average nTPM across the subtype samples.

5.1
overview
Female, age 48
Heart muscle sample 149
nTPM: 8.3
Cell types%
Myocytes:
15

Fibroblasts:
55

Endothelial cells:
25

Other cell types:
5

overview
Female, age 42
Heart muscle sample 150
nTPM: 3
Cell types%
Myocytes:
20

Fibroblasts:
45

Endothelial cells:
30

Other cell types:
5

overview
Male, age 53
Heart muscle sample 151
nTPM: 2.4
Cell types%
Myocytes:
20

Fibroblasts:
45

Endothelial cells:
30

Other cell types:
5

overview
Female, age 69
Heart muscle sample 152
nTPM: 6.8
Cell types%
Myocytes:
20

Fibroblasts:
45

Endothelial cells:
30

Other cell types:
5


HEART MUSCLE - GTEx RNA-seqi

RNA-Seq data generated by the Genotype-Tissue Expression (GTEx) project from human tissues is reported as mean nTPM. More information can be found on the GTEx portal.

Distribution across the dataset is visualized with box plots, shown as median and 25th and 75th percentiles. Points are displayed as outliers if they are above or below 1.5 times the interquartile range. nTPM values of the individual samples are presented next to the box plot.
Max subtype nTPMi

Max subtype nTPM is the value for the subtype with the largest average nTPM across the subtype samples.

46.5
GTEx sample id Sample description nTPM
Heart - Atrial Appendage
Average nTPM: 28.3
Samples: 429

Max nTPM: 125.2
Min nTPM: 3.4
Std nTPM: 18.6
Median nTPM: 22.9
GTEX-ZZPT-0926-SM-5GICZ 50-59 years, male 125.2
GTEX-13NYS-1926-SM-5IJCB 60-69 years, male 113.2
GTEX-1GF9U-0526-SM-7P8SK 40-49 years, female 110.1
GTEX-1GMR8-1026-SM-9MQLA 50-59 years, female 109.0
GTEX-13PDP-1326-SM-5K7U9 60-69 years, male 107.8
GTEX-14BIM-2726-SM-5Q5EG 60-69 years, female 85.9
GTEX-X62O-0826-SM-46MW8 50-59 years, male 85.1
GTEX-145LV-0226-SM-5S2QG 50-59 years, male 83.3
GTEX-11O72-1026-SM-5986B 40-49 years, male 81.9
GTEX-12WSA-1126-SM-5EGKU 60-69 years, male 78.8
GTEX-1P4AB-0926-SM-E76PV 50-59 years, male 78.1
GTEX-15SKB-0926-SM-7KUFC 60-69 years, male 75.4
GTEX-14PJM-0826-SM-6LLIW 50-59 years, female 73.8
GTEX-1HSMO-1126-SM-CGQF2 60-69 years, male 73.2
GTEX-146FH-1126-SM-5NQAT 50-59 years, female 71.3
GTEX-1J1OQ-2226-SM-A96SS 40-49 years, female 70.5
GTEX-1HR98-1026-SM-CKZOM 60-69 years, male 68.9
GTEX-11EQ8-1326-SM-5EGJQ 60-69 years, male 68.3
GTEX-ZE7O-0626-SM-57WCD 50-59 years, female 68.0
GTEX-ZYVF-1826-SM-5E44F 50-59 years, female 65.1
GTEX-XOT4-1126-SM-4B66E 60-69 years, female 63.7
GTEX-1KANB-1126-SM-DHXJT 50-59 years, male 63.1
GTEX-131XG-0526-SM-5DUWF 50-59 years, female 62.8
GTEX-13OW5-0926-SM-5L3GZ 60-69 years, male 62.4
GTEX-14PN4-0826-SM-69LON 50-59 years, male 62.4
GTEX-1LVAO-0626-SM-EWRNT 60-69 years, male 62.3
GTEX-ZF3C-1126-SM-57WEG 50-59 years, female 59.5
GTEX-1HFI7-0526-SM-A9SMA 50-59 years, female 59.2
GTEX-1JJ6O-2226-SM-AHZ3I 60-69 years, male 59.2
GTEX-1212Z-0726-SM-5EGI5 60-69 years, male 58.6
GTEX-14C5O-1226-SM-664N3 60-69 years, male 57.9
GTEX-1H2FU-0826-SM-9WYSU 60-69 years, female 57.7
GTEX-XBEC-1226-SM-4AT65 50-59 years, male 57.0
GTEX-1EH9U-0626-SM-7PC33 60-69 years, male 56.9
GTEX-11ONC-1026-SM-5GU64 60-69 years, male 56.1
GTEX-17F9Y-1226-SM-7EPGE 70-79 years, female 56.0
GTEX-15RIE-1326-SM-6PAMM 60-69 years, male 54.9
GTEX-1RLM8-0226-SM-E6CJY 50-59 years, male 54.7
GTEX-XQ8I-0226-SM-4BOPM 50-59 years, male 53.7
GTEX-16MT8-0826-SM-7KULO 60-69 years, female 53.3
GTEX-13O3P-1426-SM-5L3DT 50-59 years, male 53.2
GTEX-1LSNM-0426-SM-E9TIZ 50-59 years, male 51.6
GTEX-1MJIX-0426-SM-DTXEN 40-49 years, male 51.3
GTEX-1BAJH-1026-SM-7EWEG 70-79 years, male 51.2
GTEX-ZLFU-0326-SM-4WWBK 40-49 years, male 50.4
GTEX-132AR-1926-SM-5EGK5 50-59 years, female 50.2
GTEX-1GN1U-1426-SM-7P8TF 50-59 years, female 50.2
GTEX-ZDTS-1226-SM-4WKGL 60-69 years, male 50.1
GTEX-13JUV-0226-SM-5IJCC 40-49 years, female 49.8
GTEX-1CB4H-0626-SM-7IGN3 60-69 years, female 49.6
GTEX-XV7Q-0726-SM-4BRV6 40-49 years, female 49.5
GTEX-YF7O-0526-SM-5P9IO 50-59 years, male 49.4
GTEX-1QEPI-1126-SM-E8VN7 60-69 years, female 49.0
GTEX-183WM-0926-SM-718AN 70-79 years, female 48.8
GTEX-Y114-0126-SM-4TT8K 50-59 years, female 48.6
GTEX-147F4-1126-SM-5TDDE 50-59 years, male 48.4
GTEX-XLM4-2026-SM-4AT4X 60-69 years, male 47.6
GTEX-11EMC-0826-SM-59862 60-69 years, female 46.5
GTEX-11DXX-0526-SM-5PNVR 60-69 years, female 46.0
GTEX-XPVG-0726-SM-4B658 50-59 years, male 46.0
GTEX-12ZZX-0726-SM-5EGKA 40-49 years, female 45.9
GTEX-1JMLX-1826-SM-CNPOX 50-59 years, male 45.7
GTEX-1I1GP-0626-SM-ARL7H 50-59 years, male 45.6
GTEX-13S86-0326-SM-5SI6K 40-49 years, male 45.4
GTEX-14PII-1026-SM-5ZZVW 60-69 years, male 45.4
GTEX-1B996-1026-SM-793CF 60-69 years, male 45.4
GTEX-Z93S-0326-SM-5HL84 50-59 years, male 44.9
GTEX-145MN-0726-SM-5NQBH 30-39 years, male 44.8
GTEX-X4XX-1126-SM-3NMBY 60-69 years, male 44.7
GTEX-13RTJ-0526-SM-62LDP 60-69 years, male 44.6
GTEX-XYKS-0226-SM-4BRW3 60-69 years, female 44.6
GTEX-1IY9M-0626-SM-D4P2L 60-69 years, male 44.6
GTEX-13FHP-0826-SM-5K7V5 50-59 years, male 44.4
GTEX-1OFPY-0926-SM-DTX8Q 60-69 years, male 43.7
GTEX-139YR-0526-SM-5L3DG 50-59 years, male 43.6
GTEX-1QCLZ-1126-SM-EWRNB 60-69 years, female 43.6
GTEX-14PK6-0726-SM-6LLIX 70-79 years, female 42.9
GTEX-ZAJG-0926-SM-5Q5AB 50-59 years, female 42.9
GTEX-144GL-1026-SM-5O99R 50-59 years, male 42.4
GTEX-111FC-0626-SM-5N9CU 60-69 years, male 42.0
GTEX-1EMGI-1126-SM-9KNUF 60-69 years, male 42.0
GTEX-1E2YA-0626-SM-7P8P4 50-59 years, male 41.9
GTEX-1IKOE-0626-SM-A9G31 30-39 years, female 41.9
GTEX-1F88F-0326-SM-9KNV3 60-69 years, female 41.6
GTEX-1192X-0726-SM-5987R 50-59 years, male 41.5
GTEX-14PJ2-1126-SM-69LOD 50-59 years, male 41.5
GTEX-WOFL-1226-SM-4OOST 60-69 years, male 41.2
GTEX-11P81-0526-SM-59873 30-39 years, female 41.0
GTEX-XQ3S-0526-SM-4BOQA 20-29 years, male 41.0
GTEX-1GZ4I-0826-SM-9WG6O 50-59 years, male 40.9
GTEX-1C2JI-0626-SM-7DHM1 50-59 years, male 40.7
GTEX-V1D1-0626-SM-4JBHN 50-59 years, male 39.8
GTEX-1477Z-1126-SM-5P9GK 60-69 years, male 39.5
GTEX-1F75B-1126-SM-7RHGP 50-59 years, male 39.5
GTEX-14C39-0726-SM-5RQIK 40-49 years, male 39.1
GTEX-13SLX-0926-SM-5S2NM 50-59 years, female 38.9
GTEX-1IDJF-0826-SM-ARU7N 20-29 years, male 38.6
GTEX-13O61-0426-SM-5L3ET 60-69 years, male 38.5
GTEX-1IKK5-1726-SM-CM2RU 60-69 years, male 38.5
GTEX-ZG7Y-1426-SM-4WWBM 50-59 years, male 38.4
GTEX-1KANC-0226-SM-E9TIW 50-59 years, female 38.1
GTEX-13W3W-0526-SM-5LU3X 60-69 years, female 38.0
GTEX-1IDJH-1126-SM-COH3R 70-79 years, male 37.7
GTEX-17F96-0826-SM-7DHLU 70-79 years, male 37.2
GTEX-16YQH-0726-SM-7IGM1 30-39 years, male 37.1
GTEX-WI4N-0726-SM-3TW93 40-49 years, female 36.6
GTEX-WHWD-0326-SM-3LK6L 50-59 years, male 36.5
GTEX-1H1DG-0826-SM-9QEIW 70-79 years, male 36.5
GTEX-ZYFG-0526-SM-5GZXX 60-69 years, female 36.4
GTEX-132Q8-1126-SM-5K7XS 60-69 years, male 35.5
GTEX-WRHU-1026-SM-4E3ID 50-59 years, female 35.3
GTEX-1GN2E-1426-SM-7RHHI 60-69 years, male 35.2
GTEX-13PVQ-1326-SM-5LU4J 50-59 years, male 35.0
GTEX-145LS-1326-SM-5Q5EP 60-69 years, female 35.0
GTEX-1A8G6-1826-SM-73KY8 60-69 years, male 35.0
GTEX-13QBU-0226-SM-5LU48 40-49 years, female 34.9
GTEX-13D11-1526-SM-5J2NA 50-59 years, female 34.5
GTEX-1399U-0726-SM-5KM1D 50-59 years, female 34.4
GTEX-13PL7-0726-SM-5KM1S 60-69 years, female 34.4
GTEX-14PN3-0726-SM-6EU14 60-69 years, female 34.3
GTEX-1A8FM-1026-SM-7PC26 50-59 years, female 34.0
GTEX-1GN73-2326-SM-9MQKV 60-69 years, male 33.9
GTEX-1399R-1726-SM-5K7YJ 30-39 years, male 33.7
GTEX-12ZZY-1226-SM-5GCNK 60-69 years, male 33.5
GTEX-1GF9V-1726-SM-9KNW4 60-69 years, male 33.5
GTEX-ZYFD-2026-SM-5E459 50-59 years, male 33.4
GTEX-YFC4-0426-SM-4TT3J 40-49 years, female 33.0
GTEX-11LCK-0826-SM-5PNYD 30-39 years, male 32.9
GTEX-13CF2-0226-SM-5L3DV 60-69 years, male 32.6
GTEX-ZPU1-0726-SM-5HL6O 40-49 years, male 32.6
GTEX-VUSG-0726-SM-3GIK1 50-59 years, male 32.4
GTEX-1CAMQ-0726-SM-7P8SG 40-49 years, male 32.3
GTEX-1399S-0826-SM-5KM23 30-39 years, female 32.2
GTEX-13VXT-0726-SM-5SIAD 20-29 years, female 31.6
GTEX-11ZUS-0326-SM-5EQ4W 30-39 years, male 31.2
GTEX-11GS4-0426-SM-5N9CD 60-69 years, male 31.0
GTEX-1211K-0226-SM-59HJY 60-69 years, female 31.0
GTEX-XGQ4-0526-SM-4AT6C 50-59 years, male 30.8
GTEX-148VJ-1426-SM-5TDE3 70-79 years, male 30.6
GTEX-12WSK-0526-SM-5CVNA 40-49 years, female 30.4
GTEX-1HBPH-0226-SM-9WYSM 40-49 years, female 30.4
GTEX-1HC8U-0626-SM-B2LWB 40-49 years, female 30.2
GTEX-Y3I4-0526-SM-4TT6X 50-59 years, male 29.9
GTEX-17F9E-0726-SM-793A1 50-59 years, male 29.8
GTEX-13NZ9-0126-SM-5K7XV 50-59 years, male 29.6
GTEX-1I19N-0626-SM-A9SKY 70-79 years, male 29.6
GTEX-1GTWX-0926-SM-9MQKM 60-69 years, male 29.4
GTEX-131XF-0426-SM-5HL7U 60-69 years, male 29.3
GTEX-131XE-0526-SM-5K7YT 50-59 years, male 29.1
GTEX-1EU9M-1926-SM-7RHH4 60-69 years, male 29.1
GTEX-12WSI-0426-SM-5EQ5J 50-59 years, male 28.9
GTEX-ZVT4-1326-SM-5NQ8E 50-59 years, female 28.9
GTEX-1HUB1-0726-SM-CGQF4 60-69 years, male 28.9
GTEX-17GQL-0626-SM-731CN 60-69 years, male 28.8
GTEX-1K2DU-0226-SM-DIPF6 20-29 years, male 28.8
GTEX-13FH7-0826-SM-5J2NW 50-59 years, female 28.7
GTEX-WYBS-1226-SM-3NM9N 60-69 years, female 28.5
GTEX-ZAK1-1126-SM-5PNXU 50-59 years, female 28.4
GTEX-1B933-0826-SM-79OMW 50-59 years, female 28.3
GTEX-1H3VY-1126-SM-A96TP 50-59 years, male 28.3
GTEX-13JVG-1126-SM-5KM2M 60-69 years, male 28.2
GTEX-11DXY-1026-SM-5987V 60-69 years, male 28.1
GTEX-1RB15-0426-SM-E9U4Y 60-69 years, male 28.1
GTEX-1KD5A-0926-SM-D4P3U 50-59 years, male 28.0
GTEX-12WSG-1226-SM-5EQ4C 50-59 years, female 27.9
GTEX-13OW6-0926-SM-5L3GM 50-59 years, male 27.9
GTEX-1B97J-0326-SM-7939H 50-59 years, female 27.9
GTEX-XPT6-0226-SM-4B65L 20-29 years, male 27.8
GTEX-18D9B-1126-SM-7KFSH 60-69 years, male 27.5
GTEX-X5EB-0626-SM-46MVQ 40-49 years, male 27.5
GTEX-1HSGN-0926-SM-CNNQM 40-49 years, female 27.2
GTEX-ZYFC-1026-SM-5GZX9 50-59 years, male 27.1
GTEX-ZAB4-0926-SM-5CVN4 40-49 years, male 26.9
GTEX-13O1R-0926-SM-5L3DS 60-69 years, male 26.8
GTEX-13NZB-0426-SM-5KM26 30-39 years, male 26.7
GTEX-1CB4G-0726-SM-79OOJ 60-69 years, male 26.6
GTEX-11EM3-0426-SM-5N9BZ 20-29 years, female 26.5
GTEX-13112-0526-SM-5EQ4S 50-59 years, male 26.5
GTEX-11DXZ-0326-SM-5EGH1 50-59 years, male 26.4
GTEX-X3Y1-0226-SM-3P5Z5 40-49 years, male 26.4
GTEX-1CAMS-1126-SM-7MXUQ 40-49 years, female 26.4
GTEX-1EX96-2626-SM-9MQJV 50-59 years, male 26.4
GTEX-14E1K-0826-SM-5ZZW9 50-59 years, male 26.2
GTEX-16XZY-0526-SM-7DHKY 70-79 years, male 26.2
GTEX-1F75I-1326-SM-7PBZX 40-49 years, male 26.1
GTEX-12WSC-1026-SM-5EQ5Y 50-59 years, male 26.0
GTEX-WHSE-0826-SM-4SOJU 20-29 years, male 26.0
GTEX-XXEK-2026-SM-4BRVE 50-59 years, male 26.0
GTEX-Y3IK-1026-SM-51MR7 50-59 years, female 25.9
GTEX-WWYW-1126-SM-3NB2Q 50-59 years, female 25.8
GTEX-ZT9W-0526-SM-57WFG 50-59 years, male 25.8
GTEX-1KXAM-1426-SM-D3LAC 60-69 years, male 25.8
GTEX-132QS-0526-SM-5IJC7 60-69 years, male 25.4
GTEX-14A5I-1026-SM-5Q5E3 50-59 years, female 25.3
GTEX-18465-0726-SM-7LG4L 50-59 years, male 25.3
GTEX-117YX-0626-SM-5EGJI 50-59 years, male 25.1
GTEX-1GZ2Q-0926-SM-7RHHN 40-49 years, male 24.9
GTEX-1JN6P-0826-SM-ARL97 60-69 years, male 24.9
GTEX-X261-0926-SM-3NMCY 50-59 years, male 24.7
GTEX-12BJ1-0326-SM-5FQUB 60-69 years, male 24.6
GTEX-1R7EV-0426-SM-DTX7Z 40-49 years, male 24.6
GTEX-1JJEA-0926-SM-CYPSO 60-69 years, male 24.5
GTEX-ZF2S-0826-SM-4WWBI 50-59 years, female 24.2
GTEX-117XS-0726-SM-5H131 60-69 years, male 23.6
GTEX-1PPGY-0926-SM-DTXFF 60-69 years, male 23.6
GTEX-1339X-0326-SM-5K7Z8 40-49 years, male 23.5
GTEX-ZVT3-0826-SM-5GIC8 60-69 years, female 23.5
GTEX-1F75A-1026-SM-7PC3W 50-59 years, male 23.4
GTEX-13SLW-0826-SM-5QGP7 70-79 years, male 23.3
GTEX-14PJ4-0926-SM-5YY98 60-69 years, male 23.2
GTEX-VJWN-1026-SM-4M1ZN 50-59 years, female 23.1
GTEX-1J8Q2-1026-SM-ARU8I 60-69 years, male 23.1
GTEX-15SHV-0526-SM-7KUEN 60-69 years, male 23.0
GTEX-1B932-1326-SM-79OM4 40-49 years, female 22.9
GTEX-1JK1U-0626-SM-CKZOJ 60-69 years, male 22.9
GTEX-13FTW-0826-SM-5K7XR 40-49 years, male 22.8
GTEX-18D9U-1426-SM-718BO 40-49 years, male 22.7
GTEX-1HSMQ-0426-SM-ADEIM 50-59 years, male 22.7
GTEX-ZEX8-0326-SM-DO92C 50-59 years, male 22.7
GTEX-12WSN-0226-SM-5DUXH 40-49 years, male 22.6
GTEX-1313W-1126-SM-5EQ5U 50-59 years, female 22.5
GTEX-13OW7-1626-SM-5IJDH 50-59 years, male 22.5
GTEX-14A6H-0326-SM-5NQAN 30-39 years, male 22.5
GTEX-WQUQ-1326-SM-3MJFF 60-69 years, male 22.5
GTEX-1GL5R-0426-SM-9WPOP 50-59 years, male 22.4
GTEX-1C64O-0926-SM-79OLN 60-69 years, male 22.3
GTEX-1QP29-1426-SM-DTX9Q 50-59 years, male 22.0
GTEX-111YS-0326-SM-5GZZ3 60-69 years, male 21.9
GTEX-1AX9J-0926-SM-73KXA 60-69 years, male 21.9
GTEX-ZZPU-1126-SM-5N9CW 50-59 years, female 21.7
GTEX-132NY-1426-SM-5J1MJ 60-69 years, male 21.6
GTEX-1J8Q3-1126-SM-ARU8N 60-69 years, male 21.6
GTEX-13FHO-1226-SM-5L3EF 60-69 years, male 21.5
GTEX-1E1VI-1426-SM-793CY 50-59 years, male 21.5
GTEX-1IL2U-1226-SM-CL53P 60-69 years, male 21.5
GTEX-1R9JW-0426-SM-E76QL 30-39 years, female 21.4
GTEX-1HBPN-0926-SM-CGQEG 50-59 years, male 21.3
GTEX-14ASI-0826-SM-5Q5EB 60-69 years, male 21.2
GTEX-1A32A-1326-SM-73KWW 50-59 years, female 21.2
GTEX-1H3NZ-1026-SM-A9SM5 60-69 years, male 21.1
GTEX-13X6K-1726-SM-7IGLG 60-69 years, female 20.9
GTEX-1AX8Z-1126-SM-731CS 60-69 years, male 20.8
GTEX-1C6VQ-0826-SM-7PBZT 50-59 years, male 20.8
GTEX-1HT8W-1326-SM-CGQEN 30-39 years, male 20.7
GTEX-1I1GQ-1226-SM-CL55J 50-59 years, male 20.7
GTEX-1IDJU-0626-SM-CKZOG 60-69 years, female 20.6
GTEX-1R9K4-1026-SM-EXUT1 60-69 years, male 20.5
GTEX-13YAN-1426-SM-7EPG8 60-69 years, male 20.4
GTEX-15CHR-0326-SM-7DHN3 50-59 years, male 20.4
GTEX-18A67-1026-SM-731CE 50-59 years, male 20.4
GTEX-ZDTT-0326-SM-4WKF9 60-69 years, male 20.4
GTEX-1IKOH-0926-SM-A9SLU 60-69 years, female 20.4
GTEX-YEC4-0226-SM-4W1YG 40-49 years, male 20.3
GTEX-1B8L1-0426-SM-7SB76 60-69 years, male 20.3
GTEX-1GMR3-0426-SM-7PC17 40-49 years, male 20.3
GTEX-13O21-0326-SM-5J1N9 50-59 years, male 20.2
GTEX-15CHC-0326-SM-5ZZVP 60-69 years, female 20.0
GTEX-1HFI6-0826-SM-9YFM2 40-49 years, male 20.0
GTEX-1LVAN-1526-SM-CNPQN 50-59 years, female 19.9
GTEX-12WSE-0926-SM-5S2VX 20-29 years, male 19.8
GTEX-1IDJD-0226-SM-CKZOA 30-39 years, male 19.8
GTEX-WL46-0726-SM-3LK5Z 50-59 years, male 19.7
GTEX-16NPX-0826-SM-6M489 50-59 years, male 19.6
GTEX-11DYG-1026-SM-5A5JQ 60-69 years, male 19.5
GTEX-ZTPG-1326-SM-51MSQ 20-29 years, female 19.5
GTEX-1F6I4-0826-SM-7RHGK 60-69 years, male 19.5
GTEX-14PHY-0326-SM-62LE3 60-69 years, female 19.4
GTEX-1C64N-0826-SM-7RHGQ 50-59 years, male 19.4
GTEX-1I1GV-1426-SM-B2LXN 60-69 years, male 19.4
GTEX-1IKJJ-0626-SM-CY8GF 60-69 years, male 19.4
GTEX-1L5NE-0526-SM-DIPG5 50-59 years, male 19.4
GTEX-11ZTT-0526-SM-5EQLA 60-69 years, female 19.3
GTEX-131YS-0826-SM-5PNYV 60-69 years, female 19.3
GTEX-13N11-0726-SM-5L3DP 50-59 years, female 19.3
GTEX-18A7A-1226-SM-7LTAJ 50-59 years, female 19.3
GTEX-146FR-0926-SM-5QGPE 60-69 years, female 19.1
GTEX-14JG1-0826-SM-5ZZWR 40-49 years, male 19.1
GTEX-17KNJ-0626-SM-7LT9L 50-59 years, male 19.1
GTEX-ZAB5-0126-SM-5CVMT 50-59 years, male 18.7
GTEX-15ER7-0826-SM-6PALW 20-29 years, female 18.5
GTEX-WYJK-1126-SM-3NM9Z 50-59 years, male 18.5
GTEX-1HCU7-1226-SM-B2LX8 50-59 years, male 18.5
GTEX-1LB8K-0926-SM-D4P42 50-59 years, male 18.4
GTEX-1QPFJ-0926-SM-EVR3K 30-39 years, female 18.4
GTEX-1HBPM-1026-SM-ARL9D 60-69 years, female 18.2
GTEX-1HCVE-0826-SM-CM2SF 50-59 years, male 18.2
GTEX-18A6Q-1526-SM-731CO 60-69 years, male 17.8
GTEX-WH7G-0326-SM-3NMBH 40-49 years, male 17.8
GTEX-1GMR2-1326-SM-9KNUT 50-59 years, male 17.8
GTEX-1HSKV-0726-SM-ACKWE 60-69 years, male 17.8
GTEX-1NHNU-0626-SM-E6CP1 50-59 years, male 17.7
GTEX-1QMI2-1026-SM-DTX7T 60-69 years, male 17.7
GTEX-11GSP-1226-SM-5985M 60-69 years, female 17.6
GTEX-ZDYS-0326-SM-5HL4W 50-59 years, male 17.6
GTEX-14XAO-0926-SM-69LPZ 60-69 years, female 17.5
GTEX-1AYCT-0526-SM-7RHHS 50-59 years, male 17.5
GTEX-117YW-0426-SM-5GZZZ 50-59 years, male 17.4
GTEX-13PVR-0926-SM-5S2RB 60-69 years, female 17.4
GTEX-1AX9K-0426-SM-73KUG 50-59 years, male 17.4
GTEX-ZPCL-0526-SM-DO91R 60-69 years, female 17.4
GTEX-15DCE-0826-SM-7KULW 20-29 years, male 17.3
GTEX-1I1GR-1026-SM-A9SLC 60-69 years, male 17.3
GTEX-1POEN-0726-SM-DTXDU 30-39 years, female 17.0
GTEX-11UD2-0926-SM-5CVL6 50-59 years, male 16.9
GTEX-1H11D-1026-SM-9QEIU 40-49 years, male 16.9
GTEX-1JMQK-0926-SM-ARL96 60-69 years, male 16.9
GTEX-YEC3-0426-SM-CYPS8 50-59 years, male 16.9
GTEX-ZTTD-0626-SM-4YCCY 50-59 years, male 16.8
GTEX-YECK-1226-SM-4W21G 60-69 years, male 16.6
GTEX-1LG7Y-1426-SM-D4P31 50-59 years, male 16.6
GTEX-11TT1-1426-SM-5EGIA 20-29 years, male 16.5
GTEX-X8HC-1026-SM-46MWH 50-59 years, female 16.5
GTEX-ZYT6-0926-SM-5GIEM 30-39 years, male 16.5
GTEX-1ICG6-0726-SM-B2LY5 70-79 years, female 16.2
GTEX-11WQK-0226-SM-5EQLI 50-59 years, male 16.1
GTEX-15SHU-0926-SM-6PAMK 40-49 years, female 16.1
GTEX-1GMRU-1326-SM-9WYUI 50-59 years, male 15.9
GTEX-139TU-1926-SM-5J2OC 60-69 years, male 15.8
GTEX-YJ8O-0826-SM-5CVM3 40-49 years, female 15.8
GTEX-ZVT2-0926-SM-5GICE 50-59 years, female 15.7
GTEX-V955-0826-SM-CYPR5 60-69 years, male 15.7
GTEX-15RJE-0726-SM-7KUEG 40-49 years, male 15.5
GTEX-1J8QM-0326-SM-CL53D 60-69 years, female 15.5
GTEX-1JMQL-1026-SM-CMKGV 50-59 years, female 15.5
GTEX-17JCI-0826-SM-7LT8W 60-69 years, female 15.4
GTEX-Y5V5-0726-SM-4VBPY 60-69 years, female 15.4
GTEX-13O3O-1426-SM-5KM2S 60-69 years, female 15.3
GTEX-111VG-0326-SM-5GZX7 60-69 years, male 15.1
GTEX-1CB4I-1526-SM-7DHMY 50-59 years, male 15.1
GTEX-WY7C-1126-SM-3NB3A 50-59 years, male 15.1
GTEX-Y8E4-0426-SM-4V6GB 40-49 years, male 15.1
GTEX-ZDXO-0426-SM-4WKF6 60-69 years, male 15.1
GTEX-12584-1026-SM-59HK3 40-49 years, male 15.0
GTEX-1LH75-0526-SM-DIPG2 50-59 years, female 15.0
GTEX-1445S-1226-SM-5O9BF 60-69 years, male 14.9
GTEX-ZPIC-0426-SM-DO91V 40-49 years, female 14.9
GTEX-1HCUA-0626-SM-ACKVT 50-59 years, female 14.8
GTEX-14BIL-0926-SM-7DHKN 50-59 years, male 14.7
GTEX-WEY5-0226-SM-3GIKN 40-49 years, female 14.6
GTEX-15SDE-1826-SM-7KUFN 50-59 years, female 14.3
GTEX-WZTO-1226-SM-3NMAZ 40-49 years, male 14.3
GTEX-11NUK-0926-SM-5HL57 50-59 years, male 14.2
GTEX-15CHQ-1326-SM-6871Z 60-69 years, male 14.2
GTEX-X4EP-0326-SM-3P5Z6 60-69 years, female 14.2
GTEX-ZF29-0426-SM-4WKFN 60-69 years, female 14.2
GTEX-1399T-0726-SM-5J1MH 60-69 years, male 14.1
GTEX-13FTZ-0326-SM-5J1O1 60-69 years, male 14.1
GTEX-1MCC2-0226-SM-EVYD5 30-39 years, female 14.1
GTEX-13OVI-0326-SM-5K7X1 60-69 years, female 14.0
GTEX-17HGU-1126-SM-793BP 50-59 years, male 14.0
GTEX-1H1ZS-1026-SM-9WG6E 70-79 years, male 14.0
GTEX-1122O-0626-SM-5N9B9 60-69 years, female 13.7
GTEX-1192W-0226-SM-5EGGT 60-69 years, male 13.6
GTEX-147JS-1326-SM-5SI6D 60-69 years, male 13.6
GTEX-1F48J-1126-SM-9WYSY 50-59 years, female 13.5
GTEX-ZVZQ-0726-SM-51MR3 60-69 years, female 13.4
GTEX-1AX9I-1026-SM-73KYF 60-69 years, male 13.3
GTEX-ZGAY-0226-SM-4WWAL 40-49 years, female 13.2
GTEX-1GN1W-0226-SM-7P8QY 50-59 years, female 13.2
GTEX-13NZA-0826-SM-5K7WS 60-69 years, male 13.1
GTEX-1CB4J-0226-SM-7P8T4 60-69 years, male 13.1
GTEX-12WSD-1226-SM-5HL9Q 60-69 years, female 13.0
GTEX-13FXS-1026-SM-62LFQ 50-59 years, male 13.0
GTEX-13N1W-0926-SM-5MR36 70-79 years, male 13.0
GTEX-W5X1-0826-SM-3GILN 40-49 years, female 13.0
GTEX-1GN1V-1026-SM-CNPPS 60-69 years, male 13.0
GTEX-YB5K-0226-SM-5IFJE 40-49 years, female 12.9
GTEX-1I1HK-0626-SM-CNPQM 60-69 years, male 12.8
GTEX-13OVG-0426-SM-5KM2T 60-69 years, male 12.7
GTEX-1B8SG-0726-SM-79ONS 50-59 years, male 12.2
GTEX-14E6C-0326-SM-5Q5EE 40-49 years, male 12.1
GTEX-1EWIQ-1126-SM-7EPIK 70-79 years, female 12.0
GTEX-11NV4-0826-SM-5BC4S 60-69 years, male 11.9
GTEX-WFG7-0826-SM-3GIKU 20-29 years, male 11.8
GTEX-ZV7C-0526-SM-9WPNK 50-59 years, male 11.8
GTEX-1MJK2-1626-SM-EVYCQ 50-59 years, male 11.7
GTEX-U8XE-0926-SM-3DB8V 30-39 years, male 11.6
GTEX-1B8KE-0326-SM-73KTY 50-59 years, male 11.5
GTEX-1JMOU-0326-SM-ARL8X 60-69 years, female 11.5
GTEX-14BMV-1026-SM-5SI6B 50-59 years, male 11.4
GTEX-1LGRB-1026-SM-CNPQD 50-59 years, female 11.3
GTEX-13PL6-0826-SM-5IJBI 40-49 years, female 10.9
GTEX-1A3MX-1226-SM-731B3 60-69 years, male 10.8
GTEX-WK11-0626-SM-3NMAV 50-59 years, male 10.8
GTEX-13NYB-0326-SM-5IJDP 40-49 years, male 10.7
GTEX-UPK5-0226-SM-3GAEV 40-49 years, male 10.7
GTEX-17MF6-0926-SM-7LTAL 40-49 years, male 10.4
GTEX-ZXG5-0626-SM-5NQ85 60-69 years, male 10.4
GTEX-1QP6S-1026-SM-DTXFW 40-49 years, male 10.4
GTEX-14E7W-1126-SM-5ZZVS 70-79 years, male 10.2
GTEX-13U4I-0626-SM-5LU5L 40-49 years, female 10.1
GTEX-1117F-0726-SM-5GIEN 60-69 years, female 10.0
GTEX-13X6J-1226-SM-79OMF 50-59 years, male 10.0
GTEX-1J8EW-0626-SM-CM2TY 60-69 years, female 10.0
GTEX-1H3O1-0226-SM-9WYSW 60-69 years, male 9.8
GTEX-1B8SF-1326-SM-7IGQJ 60-69 years, male 9.6
GTEX-1IOXB-0726-SM-A9G32 50-59 years, male 9.5
GTEX-15EU6-1326-SM-6PANG 50-59 years, male 9.3
GTEX-16XZZ-1026-SM-7DHKS 60-69 years, male 9.2
GTEX-18A66-1126-SM-731C5 60-69 years, male 9.2
GTEX-1NSGN-1226-SM-E76OL 50-59 years, male 9.2
GTEX-14PJ6-0626-SM-686Z6 60-69 years, female 9.0
GTEX-ZUA1-0726-SM-4YCD9 40-49 years, male 8.8
GTEX-17EVP-0526-SM-7EPGY 40-49 years, male 8.1
GTEX-12696-1226-SM-5FQSM 60-69 years, male 7.8
GTEX-13O3Q-0326-SM-5L3FE 50-59 years, male 7.5
GTEX-14PJO-0826-SM-6ETZK 60-69 years, male 7.5
GTEX-1IL2V-1126-SM-CMKGH 70-79 years, male 7.5
GTEX-1I1CD-1326-SM-A9SMM 60-69 years, female 7.4
GTEX-1CB4E-0626-SM-7DHMW 60-69 years, male 7.2
GTEX-1H1CY-0426-SM-9KNVD 60-69 years, female 7.2
GTEX-1LSNL-0626-SM-DIPFJ 50-59 years, male 7.1
GTEX-1M5QR-1626-SM-E9U5O 40-49 years, male 7.1
GTEX-11ZVC-0526-SM-5N9G1 50-59 years, female 7.0
GTEX-1C6WA-0826-SM-7PBXS 60-69 years, male 6.9
GTEX-14PHX-0626-SM-5YY8Z 50-59 years, male 6.8
GTEX-14DAQ-1026-SM-793B1 60-69 years, female 6.6
GTEX-15UF7-1526-SM-6LPI7 40-49 years, male 6.6
GTEX-11TUW-1126-SM-5EQKJ 60-69 years, male 6.5
GTEX-15D1Q-0426-SM-6AJ9G 40-49 years, male 6.1
GTEX-1LGOU-0326-SM-D3LAM 20-29 years, female 6.1
GTEX-14H4A-0426-SM-5ZZWO 40-49 years, female 6.0
GTEX-UTHO-1226-SM-3GAEE 60-69 years, male 4.8
GTEX-14C38-1326-SM-62LDK 50-59 years, male 4.2
GTEX-16GPK-1226-SM-7LTAU 60-69 years, male 4.2
GTEX-WFG8-0726-SM-3GILP 20-29 years, male 4.2
GTEX-14BIN-2126-SM-793AX 50-59 years, female 4.0
GTEX-WFON-0226-SM-3GIKR 40-49 years, male 3.8
GTEX-WHPG-1026-SM-3NMBA 50-59 years, male 3.4
Show allShow less
Heart - Left Ventricle
Average nTPM: 46.5
Samples: 432

Max nTPM: 189.4
Min nTPM: 0.0
Std nTPM: 31.7
Median nTPM: 40.2
GTEX-XQ8I-0126-SM-4BOPL 50-59 years, male 189.4
GTEX-ZAJG-0826-SM-5PNVA 50-59 years, female 188.4
GTEX-1O9I2-1126-SM-DTXEA 50-59 years, male 180.2
GTEX-13S86-0226-SM-5S2PJ 40-49 years, male 173.0
GTEX-ZF3C-1226-SM-4WWCB 50-59 years, female 163.4
GTEX-145LV-0326-SM-5Q5BW 50-59 years, male 163.1
GTEX-15DDE-1126-SM-6LLHN 50-59 years, female 150.2
GTEX-1CB4I-1626-SM-7RHGV 50-59 years, male 136.1
GTEX-13O3O-1526-SM-5KM1C 60-69 years, female 134.0
GTEX-X15G-0426-SM-4PQZ6 50-59 years, female 131.1
GTEX-13NZB-0226-SM-5KM1T 30-39 years, male 128.4
GTEX-146FH-1026-SM-5RQIF 50-59 years, female 128.1
GTEX-1M5QR-1026-SM-DHXK9 40-49 years, male 123.7
GTEX-1AX9K-0526-SM-73KV1 50-59 years, male 120.5
GTEX-1IKOE-1026-SM-ARZMF 30-39 years, female 117.3
GTEX-1POEN-0626-SM-EVR4B 30-39 years, female 115.2
GTEX-13X6I-1426-SM-5SI9Z 60-69 years, male 113.1
GTEX-11ONC-0126-SM-5PNW6 60-69 years, male 110.1
GTEX-1497J-1226-SM-5Q5BL 60-69 years, male 109.4
GTEX-111YS-0426-SM-5987O 60-69 years, male 109.0
GTEX-139YR-0826-SM-5LZXY 50-59 years, male 105.1
GTEX-1C2JI-0526-SM-7EWEQ 50-59 years, male 104.9
GTEX-1L5NE-0426-SM-E9TIX 50-59 years, male 104.0
GTEX-1314G-0126-SM-5LZUL 30-39 years, male 101.5
GTEX-1ICG6-0626-SM-ACKWS 70-79 years, female 101.2
GTEX-1GZ4I-1026-SM-9KNV5 50-59 years, male 100.5
GTEX-13RTJ-0726-SM-5QGQN 60-69 years, male 99.3
GTEX-YFC4-0526-SM-5ZZVI 40-49 years, female 98.2
GTEX-1R9JW-0526-SM-EWRNK 30-39 years, female 97.4
GTEX-Y8E4-0326-SM-4VBRR 40-49 years, male 96.4
GTEX-1MUQO-1226-SM-E9TJK 60-69 years, male 95.9
GTEX-15CHR-0226-SM-7PC2Z 50-59 years, male 95.1
GTEX-17F9E-0926-SM-7IGMG 50-59 years, male 93.6
GTEX-14A6H-0226-SM-5Q5DX 30-39 years, male 93.4
GTEX-1313W-1426-SM-5KLZU 50-59 years, female 92.4
GTEX-WI4N-0626-SM-3TW8Z 40-49 years, female 91.4
GTEX-1F5PK-0326-SM-9KNUD 50-59 years, male 91.3
GTEX-132NY-1726-SM-5EGKK 60-69 years, male 90.6
GTEX-1LGOU-0726-SM-E9TIY 20-29 years, female 90.1
GTEX-1GMR3-0326-SM-7P8QT 40-49 years, male 89.9
GTEX-12WSG-0526-SM-5FQTH 50-59 years, female 89.1
GTEX-17F9Y-1326-SM-7MGW9 70-79 years, female 89.1
GTEX-ZAB5-0226-SM-5CVMH 50-59 years, male 88.7
GTEX-131XE-0626-SM-5HL98 50-59 years, male 88.6
GTEX-XPVG-0826-SM-4B654 50-59 years, male 88.6
GTEX-1OKEX-0726-SM-DPRYE 60-69 years, male 87.2
GTEX-1JK1U-0526-SM-CYPSQ 60-69 years, male 86.8
GTEX-XBED-0526-SM-47JY3 60-69 years, male 85.0
GTEX-1JMPZ-1426-SM-CJI3C 30-39 years, male 84.6
GTEX-XQ3S-0626-SM-4BOOB 20-29 years, male 84.5
GTEX-1C64O-0826-SM-79OKZ 60-69 years, male 84.1
GTEX-NPJ8-0426-SM-2HMK6 40-49 years, male 83.9
GTEX-1A3MW-1326-SM-7189P 60-69 years, female 82.3
GTEX-R55E-1026-SM-2TC5S 20-29 years, male 82.1
GTEX-1HCU7-1326-SM-CNPPW 50-59 years, male 80.7
GTEX-WHSE-0926-SM-3NMBS 20-29 years, male 80.6
GTEX-13O3P-1626-SM-5K7X3 50-59 years, male 80.4
GTEX-1F6I4-0726-SM-7PC2P 60-69 years, male 79.5
GTEX-11DXX-0326-SM-5PNWC 60-69 years, female 79.4
GTEX-1HBPH-0126-SM-CNNQ7 40-49 years, female 76.9
GTEX-11EMC-0726-SM-5EGJO 60-69 years, female 76.8
GTEX-ZDXO-0726-SM-57WBT 60-69 years, male 76.7
GTEX-1MCC2-0326-SM-EV7AK 30-39 years, female 76.6
GTEX-13OVL-0526-SM-5KLZQ 50-59 years, male 76.5
GTEX-1JJEA-0826-SM-CL53T 60-69 years, male 76.5
GTEX-1B932-1026-SM-793CL 40-49 years, female 76.2
GTEX-UPK5-0326-SM-CYPR4 40-49 years, male 74.6
GTEX-1KD5A-1026-SM-CY8I8 50-59 years, male 73.8
GTEX-13CF2-0426-SM-5KM1H 60-69 years, male 73.0
GTEX-131XH-0226-SM-5LZVB 50-59 years, male 72.6
GTEX-R45C-0926-SM-3GAD4 60-69 years, female 72.3
GTEX-1R9K4-1326-SM-DTX8G 60-69 years, male 72.1
GTEX-1R9K5-1326-SM-E6CPR 50-59 years, male 71.0
GTEX-OIZH-0326-SM-2HMKC 50-59 years, male 70.4
GTEX-1IL2U-1326-SM-A9G2O 60-69 years, male 69.6
GTEX-17GQL-0526-SM-72D5N 60-69 years, male 69.0
GTEX-1GF9U-0426-SM-7RHHA 40-49 years, female 68.7
GTEX-13OW5-1126-SM-5J1NR 60-69 years, male 68.6
GTEX-1IDJF-0726-SM-CJI1U 20-29 years, male 68.2
GTEX-1339X-0426-SM-5KLZY 40-49 years, male 67.9
GTEX-1CB4E-0526-SM-7MXTK 60-69 years, male 67.9
GTEX-13N11-0426-SM-5KM3O 50-59 years, female 67.1
GTEX-132AR-2026-SM-5IJG4 50-59 years, female 67.0
GTEX-Y114-0226-SM-4TT8W 50-59 years, female 66.9
GTEX-15SHU-1126-SM-7KUMB 40-49 years, female 66.4
GTEX-15RIE-1726-SM-7KUMU 60-69 years, male 66.2
GTEX-1J8QM-0426-SM-AHZ3X 60-69 years, female 66.0
GTEX-13FH7-0926-SM-5J2MR 50-59 years, female 65.9
GTEX-14JG1-1026-SM-6ETZY 40-49 years, male 65.8
GTEX-1HFI7-0826-SM-A9G23 50-59 years, female 65.7
GTEX-12ZZY-1126-SM-5DUWQ 60-69 years, male 65.4
GTEX-RNOR-0826-SM-2TF5C 50-59 years, female 65.4
GTEX-ZLFU-0226-SM-4WWFH 40-49 years, male 65.2
GTEX-18D9B-1226-SM-72D6V 60-69 years, male 64.9
GTEX-1ICLY-1326-SM-CJI47 50-59 years, male 64.7
GTEX-1HSMQ-0226-SM-C1YQL 50-59 years, male 64.4
GTEX-18D9U-1126-SM-72D5Y 40-49 years, male 64.2
GTEX-1B8KE-0126-SM-793AM 50-59 years, male 64.2
GTEX-18A67-1226-SM-7KFRS 50-59 years, male 63.7
GTEX-117YX-1126-SM-5H128 50-59 years, male 63.0
GTEX-ZPU1-0626-SM-4YCDM 40-49 years, male 63.0
GTEX-1AX8Z-5007-SM-AHZ36 60-69 years, male 62.9
GTEX-1RMOY-0626-SM-E9TIE 50-59 years, male 62.7
GTEX-PSDG-0926-SM-2I5FP 50-59 years, male 62.5
GTEX-XPT6-0126-SM-4B65S 20-29 years, male 62.1
GTEX-1IDJE-0326-SM-CM2TD 50-59 years, female 61.8
GTEX-14C5O-1326-SM-5S2UW 60-69 years, male 61.5
GTEX-11LCK-0926-SM-5A5KA 30-39 years, male 61.4
GTEX-1J8EW-0926-SM-A9G33 60-69 years, female 61.3
GTEX-14E1K-1026-SM-73KUR 50-59 years, male 61.1
GTEX-P78B-0426-SM-2I5F5 40-49 years, female 61.1
GTEX-1JMQK-0626-SM-D4P2R 60-69 years, male 61.1
GTEX-XXEK-0926-SM-4BRWH 50-59 years, male 60.8
GTEX-16NPX-0926-SM-7KUEZ 50-59 years, male 60.6
GTEX-1B97J-0726-SM-7RHG3 50-59 years, female 60.6
GTEX-PLZ5-0626-SM-2I5F8 50-59 years, male 59.8
GTEX-1JJ6O-2126-SM-CNNP6 60-69 years, male 59.7
GTEX-1J8Q2-1226-SM-A9G2W 60-69 years, male 59.6
GTEX-131XF-5001-SM-7DHLY 60-69 years, male 59.5
GTEX-YEC4-0326-SM-4W216 40-49 years, male 59.5
GTEX-WYJK-1026-SM-3NM8W 50-59 years, male 59.3
GTEX-1QP2A-1126-SM-EVR3H 50-59 years, male 58.9
GTEX-O5YV-0326-SM-2I5H2 60-69 years, female 58.6
GTEX-1269C-0826-SM-5N9EM 60-69 years, female 58.4
GTEX-1HBPM-1226-SM-A9SM8 60-69 years, female 58.2
GTEX-1AX9J-1026-SM-72D6E 60-69 years, male 58.0
GTEX-1I6K7-0626-SM-ARL7Q 40-49 years, male 57.8
GTEX-1F75I-1126-SM-9WYUO 40-49 years, male 57.5
GTEX-1OFPY-1026-SM-EXUSO 60-69 years, male 57.4
GTEX-1RQEC-0926-SM-EWROG 60-69 years, male 57.4
GTEX-11I78-0826-SM-5A5K4 50-59 years, female 57.3
GTEX-1KXAM-1326-SM-E9TJW 60-69 years, male 57.0
GTEX-1R7EV-0326-SM-E76PA 40-49 years, male 56.7
GTEX-13N1W-1026-SM-5IJC5 70-79 years, male 56.5
GTEX-146FR-0626-SM-5RQJ1 60-69 years, female 55.6
GTEX-NFK9-0926-SM-2HMJU 40-49 years, male 55.6
GTEX-1JMLX-1626-SM-ARZMV 50-59 years, male 55.6
GTEX-14PK6-0826-SM-5ZZVO 70-79 years, female 55.5
GTEX-13112-0426-SM-5PNVC 50-59 years, male 55.3
GTEX-WQUQ-1426-SM-3MJFD 60-69 years, male 55.2
GTEX-1LH75-0426-SM-E9TJF 50-59 years, female 55.0
GTEX-11O72-1126-SM-5N9E2 40-49 years, male 54.9
GTEX-12ZZZ-1726-SM-59HK5 60-69 years, male 54.8
GTEX-11ZUS-0226-SM-5FQT8 30-39 years, male 54.5
GTEX-13O61-0526-SM-5J2M1 60-69 years, male 54.5
GTEX-1I1GQ-1426-SM-B2LWY 50-59 years, male 54.3
GTEX-145MO-1126-SM-5NQBX 60-69 years, male 53.9
GTEX-17HGU-1026-SM-79OKL 50-59 years, male 53.8
GTEX-13O1R-1226-SM-5J1NU 60-69 years, male 53.7
GTEX-XV7Q-0826-SM-4BRV7 40-49 years, female 53.6
GTEX-WRHU-1226-SM-4E3IJ 50-59 years, female 53.5
GTEX-1PPGY-1126-SM-E76OU 60-69 years, male 52.4
GTEX-ZGAY-0326-SM-57WF5 40-49 years, female 51.9
GTEX-13OW6-1126-SM-5L3HL 50-59 years, male 51.5
GTEX-1QPFJ-1026-SM-E6CR6 30-39 years, female 51.1
GTEX-1F48J-1026-SM-7P8SO 50-59 years, female 51.0
GTEX-OXRK-0826-SM-2HMK7 50-59 years, female 50.9
GTEX-14PN3-0526-SM-69LQF 60-69 years, female 50.7
GTEX-Y3I4-0626-SM-4TT7A 50-59 years, male 50.7
GTEX-16YQH-0926-SM-793BC 30-39 years, male 50.6
GTEX-17JCI-1126-SM-7IGMM 60-69 years, female 50.5
GTEX-1HCU6-1026-SM-A9G25 60-69 years, female 50.5
GTEX-YF7O-0426-SM-5P9FS 50-59 years, male 49.8
GTEX-1JN1M-1026-SM-CNPOS 60-69 years, female 49.4
GTEX-1EU9M-1826-SM-7DUGU 60-69 years, male 49.3
GTEX-17HHY-1426-SM-7EWDQ 50-59 years, male 49.1
GTEX-WEY5-0426-SM-3GIKT 40-49 years, female 49.1
GTEX-QEL4-0926-SM-3GAD1 50-59 years, male 49.0
GTEX-1R9PO-0326-SM-DTXA1 60-69 years, female 48.5
GTEX-12WSC-1126-SM-5EQ4G 50-59 years, male 48.1
GTEX-12584-0926-SM-5FQTN 40-49 years, male 47.9
GTEX-12WSD-1126-SM-5EGJD 60-69 years, female 47.8
GTEX-1A8G6-1626-SM-7MGWO 60-69 years, male 47.8
GTEX-13FTW-1026-SM-5L3E3 40-49 years, male 47.5
GTEX-R53T-0926-SM-3GADH 50-59 years, female 47.2
GTEX-13FTZ-0226-SM-5K7X6 60-69 years, male 46.6
GTEX-15ER7-1726-SM-6PAMX 20-29 years, female 46.2
GTEX-15RJE-0626-SM-7KUKR 40-49 years, male 46.2
GTEX-1KANC-0426-SM-CXZK5 50-59 years, female 46.0
GTEX-1ICLZ-1026-SM-A9SLF 60-69 years, male 45.9
GTEX-12BJ1-0226-SM-5LUA2 60-69 years, male 45.8
GTEX-ZZPU-0926-SM-5GZYT 50-59 years, female 45.8
GTEX-1IDJI-1026-SM-A96TE 50-59 years, female 45.6
GTEX-18465-0926-SM-731AY 50-59 years, male 45.5
GTEX-ZVZP-0226-SM-5NQ73 50-59 years, male 45.5
GTEX-ZYFC-1126-SM-5E44W 50-59 years, male 45.5
GTEX-15CHC-0426-SM-6LLHI 60-69 years, female 45.4
GTEX-13FLV-0926-SM-5L3DZ 50-59 years, male 45.2
GTEX-ZAB4-1026-SM-5HL7T 40-49 years, male 45.1
GTEX-1EH9U-0826-SM-7IGPT 60-69 years, male 44.5
GTEX-14DAQ-1126-SM-664MT 60-69 years, female 44.4
GTEX-QV44-0526-SM-2S1RE 50-59 years, male 43.9
GTEX-OXRL-0326-SM-2I3F2 50-59 years, male 43.8
GTEX-13PVQ-1226-SM-5IJDC 50-59 years, male 43.2
GTEX-ZPIC-0826-SM-4WWFJ 40-49 years, female 43.1
GTEX-ZPCL-0426-SM-DNZZ4 60-69 years, female 43.1
GTEX-1399S-1026-SM-5KLZ9 30-39 years, female 43.0
GTEX-1GMR2-1426-SM-7RHHK 50-59 years, male 42.6
GTEX-X8HC-1626-SM-46MWE 50-59 years, female 42.5
GTEX-12WSK-0626-SM-5LZUJ 40-49 years, female 42.4
GTEX-1CAMS-1326-SM-79OJR 40-49 years, female 42.4
GTEX-14H4A-0626-SM-5ZZUT 40-49 years, female 42.3
GTEX-1122O-0826-SM-5GICV 60-69 years, female 42.0
GTEX-13OVG-0526-SM-5K7YD 60-69 years, male 42.0
GTEX-1LGRB-1126-SM-CNPP2 50-59 years, female 41.4
GTEX-SIU8-0826-SM-2XCDQ 50-59 years, male 41.3
GTEX-OIZF-0326-SM-3MJGY 60-69 years, male 41.1
GTEX-XGQ4-0326-SM-4GIEE 50-59 years, male 41.0
GTEX-1H11D-1226-SM-9WPQ2 40-49 years, male 41.0
GTEX-OOBJ-0326-SM-33HBO 60-69 years, male 40.9
GTEX-1212Z-0626-SM-5FQTB 60-69 years, male 40.7
GTEX-13O21-2326-SM-5MR3X 50-59 years, male 40.5
GTEX-ZF2S-1026-SM-9QEGK 50-59 years, female 40.5
GTEX-WHWD-0426-SM-3LK83 50-59 years, male 40.4
GTEX-1N2EF-2826-SM-E6CQF 60-69 years, male 40.3
GTEX-SE5C-0626-SM-2XCDV 40-49 years, female 40.2
GTEX-1RB15-0326-SM-E6CQB 60-69 years, male 40.1
GTEX-S33H-0526-SM-COH1W 30-39 years, male 39.9
GTEX-1BAJH-1626-SM-73KUV 70-79 years, male 39.7
GTEX-WL46-0926-SM-3LK7T 50-59 years, male 39.7
GTEX-YEC3-0726-SM-CMKFH 50-59 years, male 39.2
GTEX-ZDTT-0726-SM-4WKFK 60-69 years, male 39.1
GTEX-1QCLZ-0926-SM-E6CQZ 60-69 years, female 39.0
GTEX-1S3DN-0726-SM-E9TIO 50-59 years, male 39.0
GTEX-X3Y1-0426-SM-3P5Z4 40-49 years, male 38.7
GTEX-ZEX8-0426-SM-DO92Y 50-59 years, male 38.7
GTEX-13SLX-1026-SM-5ZZUQ 50-59 years, female 38.4
GTEX-14PJ4-1126-SM-5YY91 60-69 years, male 38.4
GTEX-ZYFG-0426-SM-5E43M 60-69 years, female 38.2
GTEX-1GN1W-0326-SM-9JGHF 50-59 years, female 38.1
GTEX-13PVR-1026-SM-5QGQW 60-69 years, female 38.0
GTEX-1B8L1-0526-SM-79ONX 60-69 years, male 38.0
GTEX-Y5V6-0826-SM-4VBRU 60-69 years, male 38.0
GTEX-11GSP-1326-SM-5A5KY 60-69 years, female 37.9
GTEX-1H1ZS-1126-SM-9MQLJ 70-79 years, male 37.7
GTEX-13X6H-0426-SM-5LU4E 50-59 years, female 37.5
GTEX-1LVAN-1726-SM-CNNR1 50-59 years, female 37.5
GTEX-11ZVC-0426-SM-5CVLD 50-59 years, female 37.2
GTEX-1HC8U-0726-SM-ACKXL 40-49 years, female 37.0
GTEX-ZTPG-1226-SM-4YCDO 20-29 years, female 36.6
GTEX-1MJIX-0326-SM-EVR42 40-49 years, male 36.4
GTEX-V1D1-0526-SM-4JBGW 50-59 years, male 36.3
GTEX-1EMGI-1226-SM-793DD 60-69 years, male 36.0
GTEX-147F4-1226-SM-5NQAY 50-59 years, male 35.9
GTEX-1399R-1926-SM-5K7X8 30-39 years, male 35.7
GTEX-QDVJ-0426-SM-2I5FW 50-59 years, male 35.4
GTEX-13CF3-0726-SM-5J2MY 60-69 years, female 35.2
GTEX-13X6K-1826-SM-5O9CR 60-69 years, female 35.1
GTEX-POMQ-0326-SM-2I5FO 20-29 years, female 35.1
GTEX-1GL5R-0326-SM-9WYTJ 50-59 years, male 35.0
GTEX-ZDTS-1326-SM-6LLHE 60-69 years, male 34.9
GTEX-1GMRU-1526-SM-9WYT5 50-59 years, male 34.7
GTEX-14PHY-0226-SM-5ZZWM 60-69 years, female 34.5
GTEX-1K9T9-1126-SM-D3L9E 50-59 years, female 34.5
GTEX-1JN6P-1126-SM-CKZON 60-69 years, male 34.4
GTEX-1I1HK-0726-SM-B2LY4 60-69 years, male 34.2
GTEX-117YW-0326-SM-5N9CY 50-59 years, male 34.0
GTEX-RWS6-0326-SM-2XCAP 60-69 years, female 33.9
GTEX-15RJ7-0226-SM-7KUMN 40-49 years, male 33.7
GTEX-12WSN-5001-SM-7DHMK 40-49 years, male 33.6
GTEX-1AYCT-0426-SM-73KVZ 50-59 years, male 33.2
GTEX-WH7G-0426-SM-3NMBJ 40-49 years, male 33.2
GTEX-13U4I-0826-SM-5SIBD 40-49 years, female 32.9
GTEX-WFON-0326-SM-3GIKX 40-49 years, male 32.8
GTEX-14PJ6-0726-SM-69LOL 60-69 years, female 32.4
GTEX-1AX9I-1126-SM-7EPHH 60-69 years, male 32.4
GTEX-OIZG-1126-SM-2HMIU 50-59 years, male 32.0
GTEX-Q2AH-0526-SM-2I3ED 40-49 years, male 32.0
GTEX-11TT1-1326-SM-5PNYM 20-29 years, male 31.9
GTEX-13VXT-1126-SM-5LU3A 20-29 years, female 31.9
GTEX-Y5V5-0626-SM-4VBPX 60-69 years, female 31.8
GTEX-PWCY-0526-SM-5P9HG 20-29 years, female 31.7
GTEX-1A3MX-1326-SM-72D58 60-69 years, male 31.6
GTEX-14PHX-2126-SM-6EU2U 50-59 years, male 31.5
GTEX-WZTO-1326-SM-3NM8X 40-49 years, male 31.5
GTEX-11DXZ-0626-SM-5GU77 50-59 years, male 31.4
GTEX-WHPG-0826-SM-3NMBF 50-59 years, male 31.3
GTEX-13W3W-0426-SM-5SI9D 60-69 years, female 31.2
GTEX-13QBU-0426-SM-5J2O4 40-49 years, female 30.4
GTEX-OXRO-2026-SM-2YUMZ 60-69 years, female 30.3
GTEX-1IDJU-0726-SM-CNPQ9 60-69 years, female 30.3
GTEX-17MF6-0726-SM-7LT8E 40-49 years, male 30.2
GTEX-11DXY-0826-SM-5EGGR 60-69 years, male 29.6
GTEX-P4PQ-0326-SM-2HMJ8 60-69 years, male 29.5
GTEX-UJHI-0426-SM-3DB8Y 50-59 years, female 29.5
GTEX-ZG7Y-0926-SM-5EQ6O 50-59 years, male 29.4
GTEX-1LSNM-0526-SM-DIPG6 50-59 years, male 29.4
GTEX-1HCUA-0526-SM-A9SMH 50-59 years, female 29.2
GTEX-132QS-0426-SM-5KLZ6 60-69 years, male 29.1
GTEX-17KNJ-0826-SM-793A4 50-59 years, male 28.7
GTEX-18A66-1226-SM-7LT8G 60-69 years, male 28.5
GTEX-1GN1V-0826-SM-9KNU6 60-69 years, male 28.5
GTEX-12696-1126-SM-5FQTI 60-69 years, male 28.4
GTEX-1CB4G-0826-SM-7DUGF 60-69 years, male 28.3
GTEX-18A6Q-1626-SM-7KFTA 60-69 years, male 28.2
GTEX-1QP29-1526-SM-EXUSY 50-59 years, male 28.2
GTEX-1HSGN-1126-SM-CJI4G 40-49 years, female 28.1
GTEX-1GN73-2426-SM-7RHFQ 60-69 years, male 27.7
GTEX-ZQUD-1526-SM-7IGO2 30-39 years, male 27.6
GTEX-N7MS-0826-SM-2HML4 60-69 years, male 27.5
GTEX-R55G-0526-SM-2TC5O 40-49 years, female 27.5
GTEX-1LB8K-1026-SM-DHXJJ 50-59 years, male 27.5
GTEX-O5YW-0326-SM-2I5EI 50-59 years, male 27.4
GTEX-1H23P-1226-SM-9QEJ2 60-69 years, male 27.1
GTEX-WWYW-1326-SM-3NB2S 50-59 years, female 27.0
GTEX-XBEC-1326-SM-4AT69 50-59 years, male 26.9
GTEX-OHPK-0326-SM-2HMJO 50-59 years, female 26.7
GTEX-T6MN-0926-SM-32PLX 50-59 years, male 26.7
GTEX-11GS4-0526-SM-5A5KQ 60-69 years, male 26.5
GTEX-WY7C-0526-SM-3NB3D 50-59 years, male 26.5
GTEX-YJ8O-0926-SM-EAZ2Z 40-49 years, female 26.5
GTEX-QMRM-0526-SM-2I5GA 50-59 years, male 26.4
GTEX-QEG5-0926-SM-2TC64 20-29 years, male 26.1
GTEX-1LC47-1026-SM-D3LAH 60-69 years, male 26.1
GTEX-ZF29-0226-SM-4WKHO 60-69 years, female 25.9
GTEX-147JS-1526-SM-5ZZWF 60-69 years, male 25.7
GTEX-U4B1-0326-SM-3DB8K 40-49 years, male 25.6
GTEX-14C38-1426-SM-5RQHZ 50-59 years, male 25.5
GTEX-SUCS-0326-SM-32PLL 70-79 years, male 24.9
GTEX-13OW8-2126-SM-5J1OS 60-69 years, male 24.6
GTEX-ZDYS-0226-SM-5HL4K 50-59 years, male 24.5
GTEX-1O97I-0826-SM-E8VNE 60-69 years, male 24.5
GTEX-ZV7C-0326-SM-57WB1 50-59 years, male 24.4
GTEX-1399U-0526-SM-5K7YM 50-59 years, female 24.2
GTEX-Y3IK-0826-SM-51MT8 50-59 years, female 24.2
GTEX-14XAO-1126-SM-6EU11 60-69 years, female 23.9
GTEX-1GF9V-1626-SM-7PBXL 60-69 years, male 23.9
GTEX-OIZI-0926-SM-E6CHF 40-49 years, male 23.3
GTEX-QDVN-0326-SM-2I3FS 50-59 years, male 23.1
GTEX-13D11-1726-SM-5IFGQ 50-59 years, female 23.0
GTEX-1IKK5-1526-SM-CKZPW 60-69 years, male 22.7
GTEX-14E6C-0426-SM-5YYA8 40-49 years, male 22.4
GTEX-QLQ7-0526-SM-2I5G3 60-69 years, male 22.4
GTEX-111FC-0826-SM-5GZWO 60-69 years, male 22.0
GTEX-U8XE-1126-SM-3DB8W 30-39 years, male 21.7
GTEX-16BQI-0926-SM-6M485 30-39 years, female 21.6
GTEX-1B8SG-0826-SM-7EWF7 50-59 years, male 21.5
GTEX-1I1GV-1326-SM-A96SE 60-69 years, male 21.1
GTEX-1B996-1126-SM-73KWN 60-69 years, male 21.0
GTEX-1F6IF-2526-SM-7P8TV 60-69 years, male 20.8
GTEX-148VJ-1526-SM-5Q5DU 70-79 years, male 20.6
GTEX-15DYW-1126-SM-6LPK5 60-69 years, female 20.5
GTEX-WFG8-0626-SM-3GILJ 20-29 years, male 20.4
GTEX-16XZY-0426-SM-793BI 70-79 years, male 20.1
GTEX-1J8Q3-1226-SM-CKZPT 60-69 years, male 19.7
GTEX-14E7W-1226-SM-5RQIU 70-79 years, male 19.6
GTEX-14PJ2-1026-SM-6EU1M 50-59 years, male 19.5
GTEX-P44H-0726-SM-48TBT 40-49 years, male 19.5
GTEX-RN64-0826-SM-2TC62 50-59 years, male 19.5
GTEX-PVOW-0426-SM-5MR5R 40-49 years, male 19.4
GTEX-RWSA-0626-SM-2XCBD 40-49 years, male 19.4
GTEX-U3ZN-1426-SM-3DB87 30-39 years, female 19.3
GTEX-RTLS-0826-SM-2TF5Q 60-69 years, female 19.2
GTEX-1EKGG-1126-SM-7MGXB 60-69 years, male 18.8
GTEX-131XG-0626-SM-5GCMP 50-59 years, female 18.6
GTEX-ZYW4-0926-SM-59HJS 60-69 years, male 18.5
GTEX-1HSMO-1226-SM-CL548 60-69 years, male 18.5
GTEX-REY6-1026-SM-2TF4Y 60-69 years, male 18.2
GTEX-1HT8W-1726-SM-CNNQB 30-39 years, male 18.1
GTEX-1PWST-1026-SM-DTXF2 70-79 years, male 18.1
GTEX-13YAN-1326-SM-5Q5F1 60-69 years, male 17.8
GTEX-YB5K-0126-SM-5IFJ2 40-49 years, female 17.8
GTEX-RU72-0326-SM-2TF5T 50-59 years, female 17.5
GTEX-WK11-0826-SM-EZ6LH 50-59 years, male 17.4
GTEX-1211K-0626-SM-5FQUZ 60-69 years, female 17.2
GTEX-11TUW-1026-SM-5GU7D 60-69 years, male 17.1
GTEX-148VI-0326-SM-5RQK7 60-69 years, female 16.8
GTEX-QESD-0526-SM-2I5G5 20-29 years, male 16.8
GTEX-13FHP-1026-SM-5K7Y2 50-59 years, male 16.2
GTEX-1EN7A-0726-SM-7PBXT 40-49 years, male 16.2
GTEX-1H3NZ-1126-SM-9WYT9 60-69 years, male 16.2
GTEX-1LG7Y-1226-SM-CXZKD 50-59 years, male 16.2
GTEX-14C39-0926-SM-5TDDV 40-49 years, male 15.8
GTEX-P44G-0826-SM-2I5ES 30-39 years, male 15.8
GTEX-ZVT2-1026-SM-5GU55 50-59 years, female 15.7
GTEX-ZYT6-1726-SM-5E44P 30-39 years, male 15.7
GTEX-145MN-0626-SM-5QGRH 30-39 years, male 15.4
GTEX-1E1VI-1326-SM-7IGQD 50-59 years, male 15.4
GTEX-O5YT-0326-SM-32PKA 20-29 years, male 14.9
GTEX-QEG4-0426-SM-33HC3 30-39 years, male 14.9
GTEX-PX3G-0326-SM-2I3EO 20-29 years, female 14.7
GTEX-14PJM-1126-SM-6LLHK 50-59 years, female 14.6
GTEX-U3ZH-0326-SM-3DB7A 30-39 years, male 14.6
GTEX-OHPM-0326-SM-33HCA 50-59 years, male 14.5
GTEX-RUSQ-0526-SM-2TF72 50-59 years, male 13.8
GTEX-1CB4J-0326-SM-7PBZO 60-69 years, male 13.8
GTEX-14A5I-1226-SM-5NQBW 50-59 years, female 13.5
GTEX-S32W-0626-SM-2XCBG 50-59 years, female 13.4
GTEX-13JVG-1326-SM-5N9F8 60-69 years, male 13.3
GTEX-R55C-0326-SM-3GAF1 40-49 years, male 13.3
GTEX-WFG7-0726-SM-3GIKO 20-29 years, male 13.2
GTEX-15SHW-1226-SM-6M46C 60-69 years, male 12.7
GTEX-16MT8-0926-SM-6M487 60-69 years, female 12.0
GTEX-14BIN-2226-SM-5YYA1 50-59 years, female 11.8
GTEX-P4QS-0326-SM-2I3EU 60-69 years, male 11.5
GTEX-T2IS-0426-SM-32QPE 20-29 years, female 11.5
GTEX-SNMC-0126-SM-2XCFO 20-29 years, male 11.3
GTEX-QVJO-1926-SM-2S1QZ 60-69 years, female 10.8
GTEX-1JMOU-0226-SM-CNNPD 60-69 years, female 10.7
GTEX-1399T-0426-SM-5PNVJ 60-69 years, male 10.4
GTEX-UJMC-0526-SM-3GAE3 50-59 years, male 10.1
GTEX-14JIY-1126-SM-6EU28 60-69 years, male 9.8
GTEX-15EOM-5007-SM-793DG 20-29 years, female 9.6
GTEX-1H1CY-0326-SM-9QEIZ 60-69 years, female 9.6
GTEX-1IKJJ-0826-SM-A96SP 60-69 years, male 9.6
GTEX-OHPL-0326-SM-33HC8 60-69 years, female 9.3
GTEX-11EM3-0626-SM-5H12Z 20-29 years, female 9.2
GTEX-1GTWX-1026-SM-7P8QW 60-69 years, male 9.2
GTEX-1GN2E-1326-SM-9KNVG 60-69 years, male 9.1
GTEX-1EWIQ-1426-SM-7IGOS 70-79 years, female 9.0
GTEX-X261-1426-SM-4PQZ1 50-59 years, male 8.8
GTEX-1HCVE-1126-SM-9WPPG 50-59 years, male 8.6
GTEX-1I1GP-0826-SM-A96SD 50-59 years, male 8.2
GTEX-V955-0726-SM-3GAFG 60-69 years, male 8.0
GTEX-1LVA9-0926-SM-EVR5G 50-59 years, male 8.0
GTEX-1EX96-2526-SM-7RHGW 50-59 years, male 7.9
GTEX-1C6VQ-1126-SM-7EWET 50-59 years, male 7.7
GTEX-ZUA1-0826-SM-4YCDL 40-49 years, male 7.6
GTEX-14BIL-1126-SM-79OMC 50-59 years, male 7.1
GTEX-17HII-1326-SM-7IGOB 50-59 years, male 6.7
GTEX-1JJE9-1426-SM-ARL8P 70-79 years, male 6.7
GTEX-P4PP-0326-SM-33HC4 30-39 years, female 6.6
GTEX-15CHQ-1526-SM-69LPW 60-69 years, male 6.5
GTEX-N7MT-1326-SM-2I3FV 60-69 years, female 6.4
GTEX-14E6D-0926-SM-5S2QV 50-59 years, male 5.6
GTEX-1PPH7-2026-SM-E9J3N 40-49 years, male 5.2
GTEX-12ZZW-1026-SM-5GCMM 50-59 years, male 5.0
GTEX-1KD4Q-0726-SM-DIPGE 40-49 years, male 4.8
GTEX-1RAZS-0826-SM-E76QP 50-59 years, male 3.9
GTEX-1NV8Z-1526-SM-DTX8X 60-69 years, male 2.8
GTEX-1IDJH-1026-SM-E9TKH 70-79 years, male 2.1
GTEX-13NYB-0226-SM-5N9G4 40-49 years, male 0.0
Show allShow less

HEART MUSCLE - FANTOM5 CAGEi

RNA expression in human tissues obtained through Cap Analysis of Gene Expression (CAGE) generated by the FANTOM5 project are reported as Scaled Tags Per Million.

Max subtype Scaled Tags Per Millioni

Max subtype Scaled Tags Per Million is the value for the subtype with the largest average Scaled Tags Per Million across the subtype samples.

75.1
FANTOM5 sample id Sample description Scaled Tags Per Million
Heart
Scaled Tags Per Million: 73.6
FF:10016-101C7 70,73,74 years, mixed 73.6
Left atrium
Scaled Tags Per Million: 48.3
FF:10079-102A7 40 years, male 48.3
Left ventricle
Scaled Tags Per Million: 75.1
FF:10078-102A6 73 years, female 75.1

Contact

  • NEWS ARTICLES
  • PRESS ROOM

The Project

  • INTRODUCTION
  • ORGANIZATION
  • PUBLICATIONS

The Human Protein Atlas

  • DOWNLOADABLE DATA
  • LICENCE & CITATION
  • HELP & FAQ
The Human Protein Atlas project is funded
by the Knut & Alice Wallenberg Foundation.


contact@proteinatlas.org