We use cookies to enhance the usability of our website. If you continue, we'll assume that you are happy to receive all cookies. More information. Don't show this again.
PPP1CA
HPA
RESOURCES
  • TISSUE
  • BRAIN
  • SINGLE CELL
  • SUBCELLULAR
  • CANCER
  • BLOOD
  • CELL LINE
  • STRUCTURE & INTERACTION
ABOUT
  • INTRODUCTION
  • HISTORY
  • ORGANIZATION
  • PUBLICATIONS
  • ANTIBODY SUBMISSION
  • ANTIBODY AVAILABILITY
  • ACKNOWLEDGMENTS
  • CONTACT
NEWS
  • NEWS ARTICLES
  • PRESS ROOM
LEARN
  • DICTIONARY
  • PROTEIN CLASSES
  • PROTEIN EVIDENCE
  • METHODS
  • EDUCATIONAL VIDEOS
DATA
  • DOWNLOADABLE DATA
  • PUBLICATION DATA
  • RELEASE HISTORY
HELP
  • ANTIBODY VALIDATION
  • ASSAYS & ANNOTATION
  • DISCLAIMER
  • HELP & FAQ
  • PRIVACY STATEMENT
  • LICENCE & CITATION
Fields »
Search result

Field
Term
Gene name
Class
Subclass
Class
Keyword
Chromosome
External id
Tissue
Cell type
Expression
Antibody panel
Tissue
Main location
Patient ID
Annotation
Tissue
Category
Tau score
Cluster
Reliability
Brain region
Category
Tau score
Brain region
Category
Tau score
Brain region
Category
Tau score
Cluster
Reliability
Tissue
Cell type
Enrichment
Cell type
Category
Tau score
Cell type
Category
Tau score
Cell type
Category
Tau score
Cell lineage
Category
Tau score
Cluster
Cluster
Location
Searches
Location
Cell line
Class
Type
Phase
Reliability
Cancer
Prognosis
Cancer
Category
Cancer
Category
Tau score
Cluster
Variants
Interacting gene (ensg_id)
Type
Number of interactions
Pathway
Category
Score
Score
Score
Validation
Validation
Validation
Validation
Antibodies
Data type
Column


  • SUMMARY

  • TISSUE

  • BRAIN

  • SINGLE CELL

  • SUBCELL

  • CANCER

  • BLOOD

  • CELL LINE

  • STRUCT & INT

  • PPP1CA
TISSUE PRIMARY DATA SKIN Show tissue menu
ADIPOSE TISSUE ADRENAL GLAND AMYGDALA APPENDIX BASAL GANGLIA BONE MARROW BREAST BRONCHUS CEREBELLUM CEREBRAL CORTEX CERVIX CHOROID PLEXUS COLON DUODENUM
ENDOMETRIUM EPIDIDYMIS ESOPHAGUS FALLOPIAN TUBE GALLBLADDER HEART MUSCLE HIPPOCAMPAL FORMATION HYPOTHALAMUS KIDNEY LIVER LUNG LYMPH NODE MIDBRAIN NASOPHARYNX
ORAL MUCOSA OVARY PANCREAS PARATHYROID GLAND PITUITARY GLAND PLACENTA PROSTATE RECTUM RETINA SALIVARY GLAND SEMINAL VESICLE SKELETAL MUSCLE SKIN SMALL INTESTINE
SMOOTH MUSCLE SOFT TISSUE SPINAL CORD SPLEEN STOMACH TESTIS THYMUS THYROID GLAND TONGUE TONSIL URINARY BLADDER VAGINA
ANTIBODIES
AND
VALIDATION
Dictionary
Skin
Tissue proteome
Skin
SKIN - Expression summary
Protein expression
Skini

On the top, protein expression in current human tissue, based on all annotated cell types, is reported with the units not detected (n), low (l), medium (m) and high (h). Underneath, protein expression in each annotated cell type are reported using the same units.

Protein expression data is based on knowledge-based annotation. For genes where more than one antibody has been used, a collective score is set.

If knowledge-based annotation could not be performed for a gene, no data is displayed here. View antibody staining data further down this page.

h
m
l
n
Epidermal cells: Medium
Fibroblasts: Medium
Keratinocytes: Low
Langerhans: Low
Melanocytes: Low
RNA expressioni

A summary of mRNA expression data available for current tissue based on several datasets. The mRNA expression levels in human tissues are based on RNA-seq data generated by the Human Protein Atlas (HPA), Genotype-Tissue Expression (GTEx) portal and CAGE data generated by the FANTOM5 consortium. Consensus normalized expression levels for human tissues was created by combining the data from HPA and GTEx datasets.

The mRNA expression levels in pig are based on RNA-seq data generated by the Human Protein Atlas (HPA), and for mouse, HPA data and in situ hybridization generated by the Allen brain atlas are reported.

Scroll down to view mRNA expression data in more detail.
Consensus:102.5 nTPM
HPA:83.2 nTPM
GTEx:102.5 nTPM

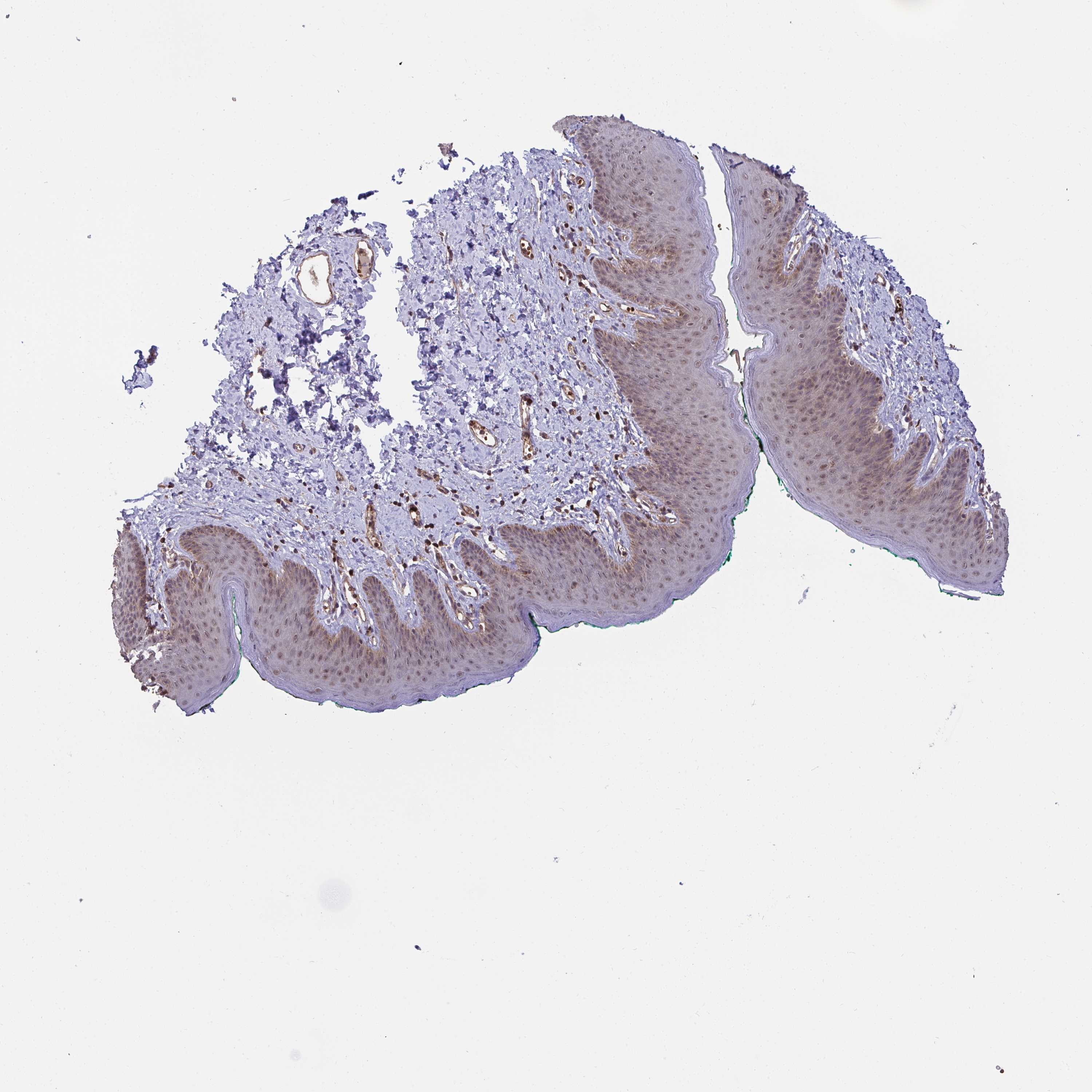
SKIN 1 - Antibody stainingi

Antibody staining in the annotated cell types in the current human tissue is reported as not detected, low, medium, or high, based on conventional immunohistochemistry profiling in selected tissues. This score is based on the combination of the staining intensity and fraction of stained cells.

Each image is clickable and will lead to virtual microscopy that enables deeper exploration of all samples and also displays staining intensity scores, fraction scores and subcellular localization as well as patient and tissue information for each sample.

Antibody HPA046833Antibody CAB004545
Langerhans LowLow
Fibroblasts MediumNot detected
Keratinocytes LowLow
Melanocytes LowLow

SKIN 2 - Antibody stainingi

Antibody staining in the annotated cell types in the current human tissue is reported as not detected, low, medium, or high, based on conventional immunohistochemistry profiling in selected tissues. This score is based on the combination of the staining intensity and fraction of stained cells.

Each image is clickable and will lead to virtual microscopy that enables deeper exploration of all samples and also displays staining intensity scores, fraction scores and subcellular localization as well as patient and tissue information for each sample.

Antibody HPA046833Antibody CAB004545
Epidermal cells MediumLow
  
  
  



SKIN - HPA RNA-seqi

The RNA-seq details section shows detailed information about the individual samples used for the transcript profiling and results of the RNA-seq analysis.

Information about each individual sample is listed below, including gender, age, a tissue section image and estimated fractions of cell types. nTPM (normalized transcripts per million) values give a quantification of the gene abundance which is comparable between different genes and samples.
Average nTPMi

Max subtype nTPM is the value for the subtype with the largest average nTPM across the subtype samples.

83.2
overview
Female, age 34
Skin sample 225
nTPM: 90.5
Cell types%
Keratinocytes:
60

Other cell types:
40

overview
Female, age 30
Skin sample 226
nTPM: 67.9
Cell types%
Keratinocytes:
55

Other cell types:
45

N/A
Male, age 57
Skin sample 227
nTPM: 91.3

SKIN - GTEx RNA-seqi

RNA-Seq data generated by the Genotype-Tissue Expression (GTEx) project from human tissues is reported as mean nTPM. More information can be found on the GTEx portal.

Distribution across the dataset is visualized with box plots, shown as median and 25th and 75th percentiles. Points are displayed as outliers if they are above or below 1.5 times the interquartile range. nTPM values of the individual samples are presented next to the box plot.
Max subtype nTPMi

Max subtype nTPM is the value for the subtype with the largest average nTPM across the subtype samples.

102.5
GTEx sample id Sample description nTPM
Skin - Not Sun Exposed (Suprapubic)
Average nTPM: 102.5
Samples: 604

Max nTPM: 210.7
Min nTPM: 52.0
Std nTPM: 27.8
Median nTPM: 97.8
GTEX-1OJC3-1226-SM-DTXER 20-29 years, male 210.7
GTEX-WFG7-2026-SM-5SI7P 20-29 years, male 210.0
GTEX-15RIG-0726-SM-7KUM7 40-49 years, male 206.5
GTEX-ZTX8-1326-SM-4YCEL 20-29 years, male 202.5
GTEX-Y114-2126-SM-4TT8B 50-59 years, female 200.8
GTEX-1E2YA-2126-SM-7MXUO 50-59 years, male 198.7
GTEX-11DYG-1526-SM-5A5JS 60-69 years, male 195.2
GTEX-17F97-2626-SM-7IGM5 50-59 years, male 193.3
GTEX-1PIGE-1826-SM-E8VOU 20-29 years, male 191.1
GTEX-1IKOE-1426-SM-CE6T7 30-39 years, female 189.0
GTEX-1PPH8-0126-SM-EWRN8 20-29 years, male 189.0
GTEX-X585-2426-SM-46MW2 50-59 years, male 182.1
GTEX-1399Q-2326-SM-5KM2X 40-49 years, male 181.6
GTEX-ZPCL-1126-SM-4WWFE 60-69 years, female 176.2
GTEX-1F6I4-2326-SM-7RHGL 60-69 years, male 174.5
GTEX-147F4-0726-SM-5TDDD 50-59 years, male 170.3
GTEX-14PJ3-1126-SM-5ZZVX 50-59 years, male 169.9
GTEX-1N2DV-1526-SM-DTXEP 40-49 years, male 166.0
GTEX-11PRG-0726-SM-5EGL1 50-59 years, male 165.9
GTEX-11WQC-1826-SM-5GU59 60-69 years, male 162.3
GTEX-15RIE-1926-SM-7KUKJ 60-69 years, male 160.9
GTEX-12WSJ-1126-SM-5LZVJ 40-49 years, female 160.8
GTEX-111VG-1626-SM-5EGIO 60-69 years, male 160.0
GTEX-Y111-0626-SM-4SOIT 50-59 years, male 157.5
GTEX-YECK-0326-SM-4W1YS 60-69 years, male 157.4
GTEX-14E1K-2026-SM-7DUEI 50-59 years, male 155.9
GTEX-11P7K-1126-SM-5HL4L 30-39 years, male 155.1
GTEX-XBEW-1126-SM-4QARW 40-49 years, male 155.0
GTEX-13G51-1826-SM-5KLZH 60-69 years, male 154.7
GTEX-15RJ7-2126-SM-6PAMD 40-49 years, male 154.6
GTEX-1QP9N-1226-SM-E76QN 30-39 years, male 153.0
GTEX-1399S-0126-SM-5IJCF 30-39 years, female 152.8
GTEX-1HSMP-0926-SM-A9SKX 70-79 years, male 152.0
GTEX-14ICL-1626-SM-5YYAO 30-39 years, male 151.0
GTEX-1R9PM-1926-SM-EVR3O 20-29 years, male 149.9
GTEX-16YQH-2226-SM-7IGM2 30-39 years, male 149.8
GTEX-Y5V6-2326-SM-4VDSA 60-69 years, male 149.7
GTEX-YFCO-1226-SM-5LUAT 40-49 years, male 148.9
GTEX-WH7G-2026-SM-3NMBL 40-49 years, male 148.3
GTEX-16MT9-0126-SM-7EPI8 60-69 years, female 147.5
GTEX-15G19-2426-SM-7KUMR 60-69 years, male 147.2
GTEX-1JJEA-1826-SM-ARU8P 60-69 years, male 147.2
GTEX-1PIIG-2326-SM-DTXFR 30-39 years, male 147.0
GTEX-ZT9X-1526-SM-5DUXD 40-49 years, male 145.8
GTEX-12WSH-1526-SM-5BC5W 50-59 years, male 145.5
GTEX-ZY6K-1426-SM-5GZX2 50-59 years, male 145.5
GTEX-1CAMS-2226-SM-7PBXQ 40-49 years, female 145.5
GTEX-1AYD5-2626-SM-7PBXY 50-59 years, male 145.1
GTEX-1PBJJ-1026-SM-E76OS 30-39 years, male 144.3
GTEX-13NYB-0126-SM-5J1MD 40-49 years, male 144.1
GTEX-1JMQJ-0826-SM-CNPP7 50-59 years, male 144.1
GTEX-1BAJH-2426-SM-7IGP8 70-79 years, male 143.9
GTEX-1JMPY-0226-SM-CKZOK 30-39 years, male 143.3
GTEX-1JMLX-0626-SM-ARL8T 50-59 years, male 143.2
GTEX-ZDTS-0826-SM-4WKHL 60-69 years, male 142.9
GTEX-14PHY-1226-SM-5ZZWK 60-69 years, female 140.1
GTEX-ZYT6-2326-SM-5GZY3 30-39 years, male 140.1
GTEX-17F9E-2326-SM-79OKD 50-59 years, male 140.0
GTEX-1H3O1-1326-SM-9MQLD 60-69 years, male 139.0
GTEX-1R9PN-0426-SM-DTXDT 40-49 years, female 139.0
GTEX-1GN1V-2826-SM-9JGIA 60-69 years, male 138.7
GTEX-18QFQ-1826-SM-72D52 30-39 years, male 138.5
GTEX-1RAZQ-1326-SM-E9TK6 30-39 years, male 138.0
GTEX-18A6Q-0626-SM-7KFRP 60-69 years, male 137.7
GTEX-13IVO-0726-SM-5LZYV 70-79 years, male 137.2
GTEX-145MG-1526-SM-5Q5EM 50-59 years, male 137.2
GTEX-12ZZX-2426-SM-5GCOE 40-49 years, female 136.8
GTEX-1H11D-1826-SM-9QEHM 40-49 years, male 136.5
GTEX-ZPU1-1126-SM-4YCF3 40-49 years, male 135.9
GTEX-1GMRU-2126-SM-7P8RA 50-59 years, male 135.7
GTEX-11DXZ-2026-SM-5987S 50-59 years, male 135.6
GTEX-11ZU8-0126-SM-5EQ58 60-69 years, male 134.8
GTEX-ZP4G-1426-SM-4WWCL 20-29 years, female 134.8
GTEX-11OF3-0126-SM-5PNYF 60-69 years, male 134.6
GTEX-1C6WA-2626-SM-7MKGM 60-69 years, male 134.6
GTEX-11DXX-2126-SM-5PNYR 60-69 years, female 134.5
GTEX-131XH-0126-SM-5LZUY 50-59 years, male 134.5
GTEX-1NSGN-0726-SM-DTXEF 50-59 years, male 133.3
GTEX-1J8EW-2726-SM-CY8HR 60-69 years, female 133.0
GTEX-1J1OQ-0126-SM-D4P2N 40-49 years, female 132.3
GTEX-12126-0826-SM-5FQTZ 20-29 years, male 132.0
GTEX-1313W-0626-SM-5EQ4H 50-59 years, female 131.2
GTEX-17HHE-1326-SM-7EWDZ 50-59 years, male 130.8
GTEX-17HII-1426-SM-7EPGG 50-59 years, male 130.7
GTEX-ZVP2-0326-SM-57WBP 50-59 years, male 130.7
GTEX-147GR-2426-SM-5ZZWQ 60-69 years, male 130.4
GTEX-1HCU6-2526-SM-ADEHL 60-69 years, female 130.1
GTEX-1IKJJ-2226-SM-CJI4C 60-69 years, male 129.7
GTEX-1CAMQ-1326-SM-7P8RV 40-49 years, male 129.4
GTEX-131XG-0326-SM-5L3DX 50-59 years, female 129.3
GTEX-13JVG-0726-SM-5KM16 60-69 years, male 129.0
GTEX-XQ3S-1426-SM-4BOPR 20-29 years, male 128.7
GTEX-1LBAC-0826-SM-CY8IJ 20-29 years, male 128.5
GTEX-17F96-0126-SM-7EWDU 70-79 years, male 128.4
GTEX-W5X1-2526-SM-3GILC 40-49 years, female 128.1
GTEX-WHSB-1326-SM-3LK6W 50-59 years, male 128.1
GTEX-1RMOY-1326-SM-E9TIH 50-59 years, male 128.1
GTEX-1IY9M-2826-SM-ARU8H 60-69 years, male 127.5
GTEX-1QP2A-1726-SM-E76QC 50-59 years, male 127.0
GTEX-1EMGI-2326-SM-7PBYA 60-69 years, male 126.6
GTEX-144FL-0626-SM-5LU43 50-59 years, male 126.5
GTEX-1HGF4-0126-SM-CNPPX 60-69 years, male 126.5
GTEX-18A67-1626-SM-7LT9T 50-59 years, male 126.0
GTEX-ZTTD-2826-SM-4YCFA 50-59 years, male 125.9
GTEX-111CU-1126-SM-5EGIM 50-59 years, male 125.5
GTEX-1QCLY-0226-SM-EWRNH 30-39 years, male 125.4
GTEX-1GF9V-0826-SM-9KNUV 60-69 years, male 125.0
GTEX-1GPI7-1826-SM-9KNU1 20-29 years, male 124.8
GTEX-15SHW-0226-SM-7LTAT 60-69 years, male 124.0
GTEX-13FTY-2126-SM-5IFFB 40-49 years, female 123.9
GTEX-145MH-2826-SM-5RQJF 50-59 years, male 123.8
GTEX-WI4N-2726-SM-3LK7Y 40-49 years, female 123.6
GTEX-15RJE-2826-SM-7KUM9 40-49 years, male 123.5
GTEX-1EX96-1026-SM-7MKG2 50-59 years, male 123.5
GTEX-ZYVF-0926-SM-5E44J 50-59 years, female 123.5
GTEX-ZDTT-0426-SM-4WKFL 60-69 years, male 122.7
GTEX-ZF2S-1626-SM-57WES 50-59 years, female 122.7
GTEX-1LKK1-2626-SM-DKPQE 50-59 years, female 122.6
GTEX-1CAMR-1326-SM-7PC1F 20-29 years, male 122.4
GTEX-1HBPN-0126-SM-CGQEF 50-59 years, male 122.3
GTEX-1MJK3-0726-SM-E6CJC 20-29 years, male 122.0
GTEX-139UW-0326-SM-5J1ML 60-69 years, male 121.9
GTEX-13112-0126-SM-5P9IU 50-59 years, male 121.7
GTEX-ZYW4-0626-SM-59HJR 60-69 years, male 121.7
GTEX-139TS-2126-SM-5K7XC 60-69 years, male 121.6
GTEX-Z93S-1626-SM-5CVMB 50-59 years, male 121.6
GTEX-Y3I4-1726-SM-4TT89 50-59 years, male 121.1
GTEX-1I1GP-1326-SM-A9G28 50-59 years, male 121.1
GTEX-1CB4E-0926-SM-7EPHT 60-69 years, male 121.0
GTEX-16MTA-0926-SM-6M47Z 50-59 years, male 120.9
GTEX-ZC5H-1526-SM-5HL9Y 40-49 years, female 120.6
GTEX-1H2FU-0926-SM-9WPPT 60-69 years, female 120.5
GTEX-139TU-0726-SM-5L3EK 60-69 years, male 120.2
GTEX-1192X-2726-SM-5N9DN 50-59 years, male 120.1
GTEX-Y9LG-1126-SM-4VBQ7 30-39 years, male 120.1
GTEX-15DYW-2726-SM-6EU2I 60-69 years, female 119.9
GTEX-13PL6-1126-SM-5L3IE 40-49 years, female 119.6
GTEX-1HCU7-0726-SM-A9SL1 50-59 years, male 119.2
GTEX-1GZ4H-0526-SM-9KNU9 50-59 years, female 119.0
GTEX-14PII-0726-SM-6EU2B 60-69 years, male 118.9
GTEX-13SLX-2226-SM-62LEP 50-59 years, female 118.6
GTEX-17MFQ-1526-SM-7KFRR 20-29 years, male 118.5
GTEX-18A66-0626-SM-7LT8Z 60-69 years, male 118.4
GTEX-ZE9C-2526-SM-5IJDR 60-69 years, male 118.3
GTEX-139YR-1026-SM-5LZYN 50-59 years, male 118.1
GTEX-12WSD-0626-SM-5GCMW 60-69 years, female 118.0
GTEX-144GL-0626-SM-5LU4D 50-59 years, male 118.0
GTEX-1HSMQ-2626-SM-A9SML 50-59 years, male 118.0
GTEX-1MCYP-0526-SM-E9U6Q 20-29 years, female 118.0
GTEX-1HBPI-2126-SM-ARL9K 50-59 years, male 117.8
GTEX-1HC8U-1326-SM-9YFMJ 40-49 years, female 117.6
GTEX-Y8E4-2026-SM-5IFJB 40-49 years, male 117.5
GTEX-14LZ3-0126-SM-69LPM 60-69 years, female 117.1
GTEX-14PHX-2226-SM-6EU2P 50-59 years, male 117.1
GTEX-14PJO-2526-SM-6AJBQ 60-69 years, male 117.1
GTEX-1POEN-2326-SM-E9J2L 30-39 years, female 117.1
GTEX-ZE7O-2726-SM-51MT5 50-59 years, female 117.0
GTEX-WHWD-1826-SM-3LK6I 50-59 years, male 116.9
GTEX-Y3IK-1626-SM-4YCF5 50-59 years, female 116.9
GTEX-13OVK-1426-SM-6PAN7 40-49 years, male 116.6
GTEX-15ER7-0626-SM-6PANF 20-29 years, female 116.1
GTEX-17F9Y-0126-SM-79OKX 70-79 years, female 116.1
GTEX-13O61-1426-SM-5KM3D 60-69 years, male 116.0
GTEX-1H1ZS-2726-SM-9WG75 70-79 years, male 116.0
GTEX-WXYG-2026-SM-4E3IY 50-59 years, female 115.9
GTEX-11NUK-2726-SM-5A5MC 50-59 years, male 115.6
GTEX-1S3DN-2126-SM-E9TIN 50-59 years, male 115.6
GTEX-ZLFU-1826-SM-4WWBV 40-49 years, male 115.5
GTEX-1S831-1826-SM-EWROF 20-29 years, male 115.4
GTEX-15G1A-1626-SM-7KUKN 30-39 years, male 115.0
GTEX-17F98-1326-SM-7DUEP 40-49 years, female 114.9
GTEX-YEC4-1826-SM-4W1YP 40-49 years, male 114.9
GTEX-11DXY-0126-SM-5H11Q 60-69 years, male 114.5
GTEX-1F75A-0726-SM-7RHHD 50-59 years, male 114.4
GTEX-1OJC4-2726-SM-E76PJ 50-59 years, female 114.3
GTEX-ZF3C-0626-SM-DO92O 50-59 years, female 114.3
GTEX-WHPG-2626-SM-3NMBR 50-59 years, male 114.2
GTEX-1GN73-0726-SM-7P8TJ 60-69 years, male 114.1
GTEX-13FTX-1526-SM-5K7VJ 20-29 years, female 114.0
GTEX-1LVAN-0626-SM-CNPOQ 50-59 years, female 113.9
GTEX-1PPGY-1626-SM-EVYBL 60-69 years, male 113.9
GTEX-148VJ-0626-SM-5LUAW 70-79 years, male 113.6
GTEX-17KNJ-2126-SM-718AM 50-59 years, male 113.5
GTEX-1H1CY-0126-SM-9YFLY 60-69 years, female 113.5
GTEX-1C64N-2626-SM-7PC2N 50-59 years, male 113.4
GTEX-11O72-0626-SM-5PNYE 40-49 years, male 113.2
GTEX-ZXG5-2126-SM-59HKD 60-69 years, male 112.8
GTEX-1I1GV-0626-SM-ARL7M 60-69 years, male 112.8
GTEX-12ZZY-0726-SM-5EQ66 60-69 years, male 112.7
GTEX-ZYFC-0426-SM-5GICQ 50-59 years, male 112.7
GTEX-11NSD-0626-SM-5A5LU 20-29 years, male 112.5
GTEX-13PDP-0726-SM-5L3HP 60-69 years, male 112.4
GTEX-144GO-2026-SM-5O99P 60-69 years, male 112.1
GTEX-1B97I-0626-SM-73KUZ 40-49 years, male 112.0
GTEX-1LVA9-2626-SM-EVYD4 50-59 years, male 111.8
GTEX-15DDE-2926-SM-6LLJ3 50-59 years, female 111.7
GTEX-14ABY-2026-SM-62LDL 50-59 years, male 111.4
GTEX-UPJH-0226-SM-3GADV 50-59 years, male 111.3
GTEX-15CHR-1126-SM-7EWF4 50-59 years, male 111.1
GTEX-16AAH-0626-SM-793C9 50-59 years, male 111.1
GTEX-13OW5-2326-SM-5L3HO 60-69 years, male 110.9
GTEX-ZVZP-1226-SM-5GID7 50-59 years, male 110.9
GTEX-1AX8Z-0726-SM-73KTS 60-69 years, male 110.6
GTEX-XYKS-1426-SM-4BRUO 60-69 years, female 110.6
GTEX-1QAET-0326-SM-EVR3U 50-59 years, male 110.6
GTEX-ZAK1-0626-SM-5HL8E 50-59 years, female 110.3
GTEX-131XF-2626-SM-5EQ6K 60-69 years, male 110.1
GTEX-1B8KE-1126-SM-7EPHI 50-59 years, male 110.0
GTEX-1GZ4I-2626-SM-9KNU3 50-59 years, male 109.8
GTEX-1JN76-0626-SM-CKZOQ 20-29 years, female 109.7
GTEX-14XAO-1226-SM-6EU1C 60-69 years, female 109.5
GTEX-1GF9X-1326-SM-7PC2Y 40-49 years, female 109.5
GTEX-18D9B-0926-SM-7LG4U 60-69 years, male 109.4
GTEX-ZWKS-0626-SM-5GIDV 30-39 years, male 109.3
GTEX-1HCUA-0826-SM-ADEHM 50-59 years, female 109.3
GTEX-ZVT4-2426-SM-5GIEI 50-59 years, female 109.1
GTEX-1C64O-1326-SM-7MGWR 60-69 years, male 109.0
GTEX-1CB4F-1026-SM-7DUH1 60-69 years, male 108.9
GTEX-1C6VR-0126-SM-7RHGB 60-69 years, male 108.7
GTEX-13OW6-2726-SM-5J2OE 50-59 years, male 108.6
GTEX-1KANB-2826-SM-CY8I6 50-59 years, male 108.6
GTEX-1H4P4-2126-SM-9WYSL 50-59 years, male 108.5
GTEX-1HT8W-0626-SM-A9G2H 30-39 years, male 108.5
GTEX-14DAR-1226-SM-73KYV 50-59 years, male 108.4
GTEX-ZLV1-1526-SM-DO91J 60-69 years, female 108.1
GTEX-12ZZZ-0726-SM-5GCNZ 60-69 years, male 107.6
GTEX-145LU-1926-SM-79OJN 50-59 years, male 107.4
GTEX-145MN-1526-SM-5SI9T 30-39 years, male 107.0
GTEX-1LSNM-0826-SM-DIPG8 50-59 years, male 107.0
GTEX-1B8SF-0126-SM-7DUG3 60-69 years, male 106.7
GTEX-1H1DE-1326-SM-9KNUG 20-29 years, male 106.7
GTEX-1I1HK-2326-SM-CKZOH 60-69 years, male 106.7
GTEX-132AR-0326-SM-5KM2C 50-59 years, female 106.6
GTEX-15SKB-2826-SM-6PAMH 60-69 years, male 106.5
GTEX-1LSVX-2526-SM-DIPEU 60-69 years, male 106.1
GTEX-12WSK-2126-SM-5CVNC 40-49 years, female 106.0
GTEX-14BIN-1126-SM-5RQJZ 50-59 years, female 106.0
GTEX-1R9K4-2826-SM-DTX8F 60-69 years, male 106.0
GTEX-1F75I-2226-SM-7SB8U 40-49 years, male 105.9
GTEX-ZDYS-2426-SM-4WKGI 50-59 years, male 105.6
GTEX-1IL2V-1926-SM-B2LW8 70-79 years, male 105.5
GTEX-1S82U-1026-SM-E6CJK 30-39 years, female 105.5
GTEX-1ICLZ-0326-SM-ARL82 60-69 years, male 105.3
GTEX-XXEK-1626-SM-4BRUZ 50-59 years, male 105.2
GTEX-1QPFJ-1926-SM-EVYBD 30-39 years, female 105.0
GTEX-11GS4-0226-SM-5HL77 60-69 years, male 104.9
GTEX-ZF29-0926-SM-4WKFZ 60-69 years, female 104.9
GTEX-14JG1-1526-SM-5YY9X 40-49 years, male 104.7
GTEX-1A3MV-1826-SM-731CD 30-39 years, male 104.6
GTEX-139TT-2126-SM-5LZWC 60-69 years, male 104.1
GTEX-13RTJ-0126-SM-5S2NN 60-69 years, male 104.1
GTEX-1LB8K-0726-SM-D5OV2 50-59 years, male 104.1
GTEX-1AX9J-1326-SM-731BJ 60-69 years, male 103.8
GTEX-1A8G6-2726-SM-731AR 60-69 years, male 103.6
GTEX-1C6VQ-1226-SM-73KYD 50-59 years, male 103.4
GTEX-18D9A-1426-SM-7LT8M 30-39 years, female 103.2
GTEX-1QP28-1126-SM-EVYC4 50-59 years, female 103.0
GTEX-ZZPU-0826-SM-5GZX5 50-59 years, female 102.7
GTEX-1JMQK-1226-SM-D4P2S 60-69 years, male 102.5
GTEX-ZZ64-1026-SM-5GZXG 20-29 years, male 102.3
GTEX-18465-2826-SM-7LT9J 50-59 years, male 102.2
GTEX-1IDJC-1526-SM-B2LW4 50-59 years, male 102.2
GTEX-1KAFJ-0126-SM-DIPEK 50-59 years, male 102.2
GTEX-1EU9M-1426-SM-793AI 60-69 years, male 102.0
GTEX-17HGU-2326-SM-7DUFE 50-59 years, male 101.9
GTEX-11P81-2226-SM-5PNYI 30-39 years, female 101.8
GTEX-14PK6-0226-SM-62LF5 70-79 years, female 101.8
GTEX-1RLM8-2926-SM-E8VON 50-59 years, male 101.8
GTEX-1EKGG-0626-SM-7DUGJ 60-69 years, male 101.6
GTEX-1LSNL-2726-SM-E9TKJ 50-59 years, male 101.6
GTEX-13X6K-0626-SM-5LU5D 60-69 years, female 101.4
GTEX-14C39-1726-SM-5RQIL 40-49 years, male 101.4
GTEX-13SLW-0626-SM-5Q5ER 70-79 years, male 101.2
GTEX-1A3MW-0626-SM-731CB 60-69 years, female 101.2
GTEX-139D8-1126-SM-5LU8W 30-39 years, female 101.1
GTEX-WY7C-2126-SM-3NB2R 50-59 years, male 101.1
GTEX-13W3W-0726-SM-5IJDQ 60-69 years, female 101.0
GTEX-17HHY-0426-SM-7DHLC 50-59 years, male 100.8
GTEX-WHSE-0126-SM-3NMBT 20-29 years, male 100.8
GTEX-1I1GT-1026-SM-ARZLV 60-69 years, female 100.6
GTEX-1K2DA-1026-SM-CGQGF 50-59 years, male 100.4
GTEX-1F52S-2926-SM-7MKGA 60-69 years, female 100.3
GTEX-1N2EE-0626-SM-E76PW 60-69 years, male 100.2
GTEX-13OW7-0426-SM-5K7VK 50-59 years, male 100.1
GTEX-14PKV-1126-SM-6LLJ1 20-29 years, female 100.0
GTEX-1RB15-1326-SM-E76Q9 60-69 years, male 99.9
GTEX-ZDXO-3126-SM-5IJDF 60-69 years, male 99.7
GTEX-XOT4-0626-SM-4B66L 60-69 years, female 99.5
GTEX-ZPIC-0526-SM-DO91W 40-49 years, female 99.5
GTEX-1S82P-2126-SM-E6CI5 60-69 years, female 99.1
GTEX-1J8Q2-2626-SM-ACKWQ 60-69 years, male 99.0
GTEX-11ZTT-2126-SM-5CVLO 60-69 years, female 98.9
GTEX-11P82-1426-SM-DTXFY 20-29 years, male 98.8
GTEX-11DZ1-2426-SM-5GZZX 50-59 years, male 98.6
GTEX-1GPI6-1926-SM-9KNV7 60-69 years, male 98.5
GTEX-13O3O-2326-SM-5IJD6 60-69 years, female 98.3
GTEX-17HG3-2626-SM-7DUF2 30-39 years, female 98.3
GTEX-18D9U-0126-SM-731BM 40-49 years, male 98.2
GTEX-12KS4-2126-SM-5FQUT 30-39 years, male 98.1
GTEX-1IE54-1126-SM-A9G2Z 40-49 years, female 98.0
GTEX-1NV5F-0626-SM-DTXEG 60-69 years, female 98.0
GTEX-YEC3-1326-SM-DO92X 50-59 years, male 97.9
GTEX-1HB9E-0126-SM-CM2S5 50-59 years, male 97.8
GTEX-1QW4Y-1126-SM-DTXE3 30-39 years, male 97.8
GTEX-YJ8O-2526-SM-5HL85 40-49 years, female 97.5
GTEX-11WQK-1026-SM-5EQLX 50-59 years, male 97.4
GTEX-1EWIQ-0326-SM-7DHMQ 70-79 years, female 97.4
GTEX-WRHU-2826-SM-3MJG8 50-59 years, female 97.2
GTEX-146FQ-2126-SM-5RQHU 30-39 years, male 97.1
GTEX-1F5PK-2226-SM-7SB6N 50-59 years, male 97.0
GTEX-12584-0726-SM-5FQTK 40-49 years, male 96.8
GTEX-1212Z-0126-SM-59HK4 60-69 years, male 96.7
GTEX-12WSF-1626-SM-7KUG5 70-79 years, male 96.7
GTEX-1EN7A-2426-SM-793DB 40-49 years, male 96.7
GTEX-14JFF-0626-SM-5ZZVT 60-69 years, male 96.6
GTEX-13OVJ-0826-SM-5J1OK 50-59 years, female 96.5
GTEX-1RAZS-2526-SM-E6CHT 50-59 years, male 96.4
GTEX-111YS-1526-SM-5GZYW 60-69 years, male 96.3
GTEX-14AS3-1526-SM-5Q5ED 40-49 years, female 96.1
GTEX-1I6K7-1926-SM-B2LXR 40-49 years, male 96.1
GTEX-15UF6-1926-SM-7KUDV 70-79 years, female 96.0
GTEX-14A5H-0826-SM-5QGPJ 60-69 years, male 95.8
GTEX-1AX9I-2226-SM-73KUO 60-69 years, male 95.7
GTEX-1GN1U-0626-SM-9MQL9 50-59 years, female 95.7
GTEX-1KD5A-0126-SM-E9U54 50-59 years, male 95.7
GTEX-1399U-1126-SM-5L3DB 50-59 years, female 95.4
GTEX-1F88F-0126-SM-9WYSZ 60-69 years, female 95.3
GTEX-14753-0726-SM-5QGQO 60-69 years, male 95.1
GTEX-131XW-0626-SM-5PNVD 50-59 years, female 94.9
GTEX-11VI4-1126-SM-5EQMD 40-49 years, female 94.8
GTEX-1O9I2-0226-SM-EYYXD 50-59 years, male 94.8
GTEX-144GM-0526-SM-79OJO 20-29 years, male 94.6
GTEX-15CHQ-0326-SM-69LQD 60-69 years, male 94.3
GTEX-16BQI-1326-SM-6M486 30-39 years, female 94.1
GTEX-183WM-0326-SM-72D5V 70-79 years, female 94.1
GTEX-13D11-0926-SM-5J2NC 50-59 years, female 93.9
GTEX-11LCK-2226-SM-5HL4Q 30-39 years, male 93.7
GTEX-13X6J-0626-SM-5LU5F 50-59 years, male 93.7
GTEX-11EQ8-0926-SM-5H12V 60-69 years, male 93.5
GTEX-1C2JI-1026-SM-73KY1 50-59 years, male 93.5
GTEX-1PDJ9-1226-SM-EXUSX 20-29 years, male 93.5
GTEX-1N5O9-0926-SM-E9J3C 60-69 years, male 93.3
GTEX-11ZUS-2626-SM-5FQUR 30-39 years, male 93.1
GTEX-11TUW-0626-SM-5LU9M 60-69 years, male 93.0
GTEX-1H1E6-0426-SM-9WYUS 30-39 years, male 92.8
GTEX-13FLV-0126-SM-5K7WT 50-59 years, male 92.7
GTEX-1CB4I-0126-SM-7RHGG 50-59 years, male 92.7
GTEX-1GN2E-0226-SM-9WG6K 60-69 years, male 92.5
GTEX-18A7A-0126-SM-731AH 50-59 years, female 92.4
GTEX-ZA64-1026-SM-5HL8R 20-29 years, male 92.1
GTEX-17EVP-2626-SM-7IGMA 40-49 years, male 91.8
GTEX-WFON-1926-SM-3LK7L 40-49 years, male 91.8
GTEX-1E1VI-0326-SM-793D1 50-59 years, male 91.7
GTEX-XPVG-2126-SM-4B667 50-59 years, male 91.7
GTEX-1MCC2-1826-SM-DIPEX 30-39 years, female 91.6
GTEX-15EO6-2426-SM-6PALZ 50-59 years, male 91.3
GTEX-16NPX-0726-SM-7KULC 50-59 years, male 91.2
GTEX-1JKYR-0626-SM-ARL8R 20-29 years, male 91.2
GTEX-1JMQI-1726-SM-ARL93 50-59 years, male 91.2
GTEX-1GZHY-0626-SM-9KNVC 50-59 years, female 91.0
GTEX-1K2DU-1226-SM-CYPT4 20-29 years, male 91.0
GTEX-133LE-2326-SM-5K7W3 20-29 years, female 90.9
GTEX-1CB4J-1326-SM-7P8RX 60-69 years, male 90.8
GTEX-13NZ9-2626-SM-5L3FK 50-59 years, male 90.6
GTEX-1B933-2426-SM-7DHMD 50-59 years, female 90.6
GTEX-X3Y1-2026-SM-3P5YM 40-49 years, male 90.3
GTEX-1S83E-1326-SM-E6CJM 40-49 years, male 90.1
GTEX-13N11-2326-SM-5IJBF 50-59 years, female 90.0
GTEX-1LGRB-0926-SM-COH3K 50-59 years, female 90.0
GTEX-178AV-1726-SM-7KUL8 40-49 years, male 89.9
GTEX-1HSKV-1226-SM-ADEI4 60-69 years, male 89.9
GTEX-145MF-0926-SM-5Q5EA 50-59 years, male 89.8
GTEX-14C38-0726-SM-5SI6M 50-59 years, male 89.8
GTEX-16NGA-0726-SM-731AO 40-49 years, female 89.8
GTEX-1I1GS-2626-SM-B2LY3 60-69 years, male 89.8
GTEX-13FTW-0326-SM-5K7UW 40-49 years, male 89.7
GTEX-ZAB4-2126-SM-5HL8U 40-49 years, male 89.7
GTEX-11TT1-1826-SM-5EQLV 20-29 years, male 89.6
GTEX-1GMR2-0826-SM-7PC3V 50-59 years, male 89.6
GTEX-1497J-0226-SM-5QGPU 60-69 years, male 89.5
GTEX-1HR9M-2226-SM-CNPPY 60-69 years, male 89.5
GTEX-1H1DG-2426-SM-9QEHJ 70-79 years, male 89.3
GTEX-1HFI6-0126-SM-CNPPI 40-49 years, male 89.1
GTEX-15EU6-2226-SM-6EU2L 50-59 years, male 89.0
GTEX-X4EO-2926-SM-4E3JH 60-69 years, female 88.9
GTEX-VUSG-2326-SM-4KL1U 50-59 years, male 88.7
GTEX-11GSP-2326-SM-5HL63 60-69 years, female 88.6
GTEX-13NYS-0626-SM-5L3F1 60-69 years, male 88.6
GTEX-1QP29-1826-SM-DTX9S 50-59 years, male 88.6
GTEX-1JKYN-0826-SM-ARU8S 30-39 years, male 88.4
GTEX-Y5LM-0926-SM-6LLJG 40-49 years, female 88.3
GTEX-1IOXB-2726-SM-CM2RI 50-59 years, male 88.3
GTEX-11EQ9-1626-SM-5PNY8 30-39 years, male 88.2
GTEX-14PJ4-0226-SM-5YY92 60-69 years, male 88.2
GTEX-117YX-1926-SM-5GIEC 50-59 years, male 88.1
GTEX-1J8QM-2426-SM-A9SLS 60-69 years, female 88.0
GTEX-13VXU-0626-SM-5L3F9 50-59 years, male 87.9
GTEX-1B8L1-2226-SM-7P8PT 60-69 years, male 87.9
GTEX-14BMV-2826-SM-5TDED 50-59 years, male 87.8
GTEX-X5EB-1926-SM-4E3IW 40-49 years, male 87.8
GTEX-1JN1M-2726-SM-CY8I4 60-69 years, female 87.7
GTEX-1GN1W-2426-SM-9KNUU 50-59 years, female 87.6
GTEX-14PJ6-2626-SM-6EU2T 60-69 years, female 87.5
GTEX-1KANA-1326-SM-DIPFA 20-29 years, male 87.5
GTEX-1IDJH-0126-SM-D3L92 70-79 years, male 87.2
GTEX-YB5K-2026-SM-4VDT3 40-49 years, female 87.1
GTEX-1JMOU-1026-SM-CYPSS 60-69 years, female 87.1
GTEX-13O3Q-0126-SM-5KM34 50-59 years, male 87.0
GTEX-12WSC-2826-SM-5BC5Y 50-59 years, male 86.9
GTEX-13FHO-0426-SM-5L3F5 60-69 years, male 86.9
GTEX-1GTWX-2026-SM-9YFLM 60-69 years, male 86.5
GTEX-1HR98-2226-SM-ADEI2 60-69 years, male 86.5
GTEX-WFG8-2126-SM-3GIKQ 20-29 years, male 86.2
GTEX-1JMPZ-0726-SM-CY8HZ 30-39 years, male 86.2
GTEX-145LT-0526-SM-5LUB2 40-49 years, male 86.1
GTEX-1269C-0126-SM-5EQ5L 60-69 years, female 85.9
GTEX-1C475-1326-SM-7SB73 40-49 years, female 85.8
GTEX-15FZZ-0526-SM-7KUGD 30-39 years, female 85.7
GTEX-183FY-1026-SM-7939A 20-29 years, male 85.5
GTEX-1211K-1526-SM-5FQU4 60-69 years, female 85.4
GTEX-16MT8-2926-SM-7DUFO 60-69 years, female 85.4
GTEX-XBED-1926-SM-47JYP 60-69 years, male 85.4
GTEX-1GMR3-0126-SM-A9SLW 40-49 years, male 85.4
GTEX-12BJ1-0926-SM-5EQ62 60-69 years, male 85.3
GTEX-16Z82-2626-SM-7KULU 60-69 years, male 84.9
GTEX-XAJ8-1426-SM-47JYM 40-49 years, male 84.9
GTEX-13QJC-0126-SM-5ZZWJ 60-69 years, female 84.8
GTEX-Y8LW-1526-SM-5IFHL 50-59 years, female 84.8
GTEX-1LVAM-0726-SM-E6CIL 50-59 years, female 84.6
GTEX-147F3-1726-SM-5SIAW 50-59 years, female 84.3
GTEX-1RAZR-2126-SM-E9U6T 40-49 years, male 84.2
GTEX-14PJ5-1526-SM-6LLIL 60-69 years, female 84.1
GTEX-XK95-0226-SM-4AT58 40-49 years, male 84.1
GTEX-1122O-1026-SM-9WYSF 60-69 years, female 84.1
GTEX-1GL5R-1326-SM-7RHHF 50-59 years, male 84.1
GTEX-1QMI2-2526-SM-E8VNZ 60-69 years, male 84.1
GTEX-131YS-2826-SM-5EQ47 60-69 years, female 84.0
GTEX-11UD2-2526-SM-5CVNU 50-59 years, male 83.7
GTEX-145ME-1726-SM-5Q5EU 40-49 years, female 83.7
GTEX-1B8KZ-0326-SM-73KY4 50-59 years, male 83.5
GTEX-1HCVE-2726-SM-CL54F 50-59 years, male 83.5
GTEX-11DXW-0826-SM-5H118 40-49 years, male 83.3
GTEX-14PJN-1826-SM-6AJ98 30-39 years, male 83.2
GTEX-1B932-2326-SM-79OL5 40-49 years, female 83.1
GTEX-145LS-0626-SM-7EPG7 60-69 years, female 83.0
GTEX-XQ8I-0926-SM-4BOOF 50-59 years, male 82.9
GTEX-1A8FM-0626-SM-7PC25 50-59 years, female 82.8
GTEX-1399R-1326-SM-5PNYS 30-39 years, male 82.7
GTEX-XV7Q-1826-SM-4BRUV 40-49 years, female 82.7
GTEX-1LG7Y-2526-SM-EWRO7 50-59 years, male 82.7
GTEX-12C56-1526-SM-5FQUQ 20-29 years, male 82.6
GTEX-ZYFD-0626-SM-5E44E 50-59 years, male 82.5
GTEX-1ICG6-1226-SM-A9SLN 70-79 years, female 82.5
GTEX-1JK1U-0226-SM-ARZMX 60-69 years, male 82.3
GTEX-13PVQ-0626-SM-5LU47 50-59 years, male 82.1
GTEX-13X6H-0926-SM-5SIB2 50-59 years, female 81.8
GTEX-14C5O-0326-SM-5ZZUX 60-69 years, male 81.7
GTEX-13OVH-0526-SM-5L3E6 70-79 years, male 81.5
GTEX-13U4I-2226-SM-5LU5H 40-49 years, female 81.4
GTEX-1B996-0426-SM-7EWF8 60-69 years, male 81.4
GTEX-13YAN-0226-SM-5TDC6 60-69 years, male 81.2
GTEX-1R7EU-1626-SM-DTXG3 60-69 years, male 81.2
GTEX-U8XE-0226-SM-4E3J3 30-39 years, male 81.1
GTEX-14JG6-1426-SM-9WG7C 30-39 years, female 81.1
GTEX-14A6H-2026-SM-5Q5DD 30-39 years, male 81.0
GTEX-1RAZA-2226-SM-E9U4X 20-29 years, male 81.0
GTEX-13OVG-1626-SM-5J1NF 60-69 years, male 80.9
GTEX-1LG7Z-1626-SM-CXKYR 30-39 years, male 80.9
GTEX-UPK5-0426-SM-3GAEK 40-49 years, male 80.8
GTEX-15CHC-1126-SM-6LLHQ 60-69 years, female 80.7
GTEX-1IDJE-1426-SM-ADEIW 50-59 years, female 80.6
GTEX-12696-0126-SM-5EQ4L 60-69 years, male 80.5
GTEX-18A7B-2726-SM-7LG56 70-79 years, male 80.5
GTEX-13OVL-0126-SM-5L3GJ 50-59 years, male 80.3
GTEX-14B4R-1326-SM-5Q5EZ 30-39 years, male 80.3
GTEX-12WSM-1926-SM-5BC65 60-69 years, male 80.1
GTEX-17EVQ-0126-SM-7IGLR 70-79 years, male 80.1
GTEX-WEY5-2326-SM-3GIKK 40-49 years, female 80.1
GTEX-1R46S-2426-SM-E76QA 60-69 years, female 79.9
GTEX-1H23P-0626-SM-9WG6T 60-69 years, male 79.6
GTEX-1IDJD-2326-SM-ACKWX 30-39 years, male 79.6
GTEX-ZT9W-1126-SM-57WDR 50-59 years, male 79.5
GTEX-ZVTK-0226-SM-51MRG 20-29 years, male 79.5
GTEX-1KXAM-1626-SM-D3LAD 60-69 years, male 79.4
GTEX-16GPK-0626-SM-7KFSF 60-69 years, male 79.1
GTEX-X8HC-0626-SM-4E3HQ 50-59 years, female 79.1
GTEX-XBEC-0726-SM-4QARZ 50-59 years, male 78.9
GTEX-ZVE1-0726-SM-51MRN 50-59 years, female 78.6
GTEX-ZYFG-1526-SM-5GZYM 60-69 years, female 78.4
GTEX-1F48J-0726-SM-7RHGS 50-59 years, female 78.3
GTEX-1IDJF-2026-SM-CL53V 20-29 years, male 78.1
GTEX-1I1GU-0926-SM-ACKVS 40-49 years, male 78.0
GTEX-1117F-2926-SM-5GZYI 60-69 years, female 77.9
GTEX-1HFI7-2326-SM-CGQFS 50-59 years, female 77.9
GTEX-14E6E-0526-SM-793DN 30-39 years, male 77.8
GTEX-13X6I-1826-SM-5SIAO 60-69 years, male 77.7
GTEX-1A8G7-1326-SM-73KVM 60-69 years, male 77.6
GTEX-1KANC-1226-SM-CYPT7 50-59 years, female 77.6
GTEX-1H3VE-0726-SM-9YFL5 40-49 years, male 77.1
GTEX-1I1CD-0626-SM-CE6SW 60-69 years, female 77.1
GTEX-1M4P7-0726-SM-E6CJ3 60-69 years, male 77.1
GTEX-1HCU8-2526-SM-CE6RX 60-69 years, female 76.8
GTEX-139T8-0626-SM-5KLZX 60-69 years, male 76.7
GTEX-1IDJU-1726-SM-CMKHU 60-69 years, female 76.5
GTEX-1QEPI-2626-SM-DTXF4 60-69 years, female 76.5
GTEX-111FC-2526-SM-5GZXU 60-69 years, male 76.4
GTEX-WYVS-1626-SM-3NM9R 40-49 years, female 76.1
GTEX-13PVR-0426-SM-5RQK2 60-69 years, female 75.9
GTEX-14PKU-0126-SM-6LLHV 40-49 years, female 75.8
GTEX-YF7O-1526-SM-5IFI6 50-59 years, male 75.8
GTEX-1K9T9-1526-SM-DIPFR 50-59 years, female 75.8
GTEX-1HBPM-0726-SM-9YFL7 60-69 years, female 75.6
GTEX-1GF9W-1426-SM-7PBYM 60-69 years, male 75.5
GTEX-1HCU9-0426-SM-9WYSD 20-29 years, male 75.4
GTEX-1JMQL-2226-SM-CNPP4 50-59 years, female 74.9
GTEX-13113-1626-SM-5EQ4I 60-69 years, female 74.8
GTEX-13NYC-0126-SM-5L3F4 60-69 years, male 74.8
GTEX-XUW1-0926-SM-4BONX 50-59 years, female 74.6
GTEX-ZTSS-1426-SM-5985P 40-49 years, male 74.6
GTEX-1I6K6-1726-SM-CGQFD 30-39 years, male 74.5
GTEX-WYJK-0526-SM-3NM8Z 50-59 years, male 74.4
GTEX-ZUA1-2626-SM-5NQ92 40-49 years, male 74.4
GTEX-1I4MK-0126-SM-CY8G6 50-59 years, female 74.4
GTEX-WK11-2726-SM-3NMAQ 50-59 years, male 74.3
GTEX-1F6RS-2026-SM-7RHHC 60-69 years, female 74.3
GTEX-14LLW-2626-SM-62LDZ 70-79 years, female 74.2
GTEX-1EH9U-2826-SM-7DUGT 60-69 years, male 74.2
GTEX-ZLWG-0826-SM-59888 50-59 years, female 74.2
GTEX-ZYY3-2926-SM-5GIEB 60-69 years, female 74.2
GTEX-1477Z-0326-SM-7IGLA 60-69 years, male 74.1
GTEX-13N1W-2426-SM-5IJD1 70-79 years, male 73.3
GTEX-1KWVE-1026-SM-D3L9O 30-39 years, male 73.3
GTEX-ZVT2-0126-SM-5GIDQ 50-59 years, female 73.1
GTEX-17JCI-2926-SM-7DUFF 60-69 years, female 73.0
GTEX-12WSL-2026-SM-5GCML 50-59 years, male 72.7
GTEX-1HKZK-0726-SM-ACKW2 40-49 years, male 72.7
GTEX-12WSA-0426-SM-5EQ5X 60-69 years, male 72.4
GTEX-13FH7-1126-SM-5K7UG 50-59 years, female 72.3
GTEX-1F5PL-0926-SM-7PC2W 40-49 years, female 72.2
GTEX-1JN6P-2926-SM-CL54D 60-69 years, male 72.1
GTEX-1HSGN-0826-SM-ACKW3 40-49 years, female 71.9
GTEX-1LVAO-2726-SM-E9TJ8 60-69 years, male 71.7
GTEX-15D1Q-2826-SM-6LLH7 40-49 years, male 71.5
GTEX-VJYA-1526-SM-3GIJV 60-69 years, male 71.4
GTEX-1JJE9-2626-SM-ARZMT 70-79 years, male 71.4
GTEX-1PPH7-1126-SM-DTX9A 40-49 years, male 71.0
GTEX-11EM3-1226-SM-5N9DD 20-29 years, female 70.9
GTEX-145MO-2826-SM-5LU96 60-69 years, male 70.9
GTEX-1GMR8-0626-SM-7RHI7 50-59 years, female 70.9
GTEX-1QP66-1226-SM-DTX7U 50-59 years, male 70.9
GTEX-14BMU-1226-SM-5S2OR 20-29 years, female 70.8
GTEX-X4EP-0626-SM-3P621 60-69 years, female 70.6
GTEX-1L5NE-1126-SM-D3L9P 50-59 years, male 70.2
GTEX-ZU9S-1826-SM-5NQ9E 30-39 years, male 70.0
GTEX-1CB4H-1126-SM-7MKGL 60-69 years, female 69.9
GTEX-1JJ6O-2726-SM-CNPOG 60-69 years, male 69.9
GTEX-17MF6-2626-SM-79OKQ 40-49 years, male 69.7
GTEX-1F75B-0726-SM-7PC3R 50-59 years, male 69.7
GTEX-1LGOU-1326-SM-D3L8M 20-29 years, female 69.7
GTEX-145MI-0626-SM-5SI8S 60-69 years, female 69.6
GTEX-1IDJI-0126-SM-CMKHS 50-59 years, female 69.3
GTEX-1J1R8-2026-SM-CL53Y 40-49 years, male 69.3
GTEX-1F6IF-0926-SM-7SB7M 60-69 years, male 69.2
GTEX-13NZ8-1226-SM-5KM4A 60-69 years, female 69.0
GTEX-1J8JJ-0626-SM-ARZMQ 60-69 years, female 69.0
GTEX-13VXT-1926-SM-5K7UO 20-29 years, female 68.7
GTEX-13OW8-1026-SM-5J1NQ 60-69 years, male 68.6
GTEX-ZAJG-1526-SM-5CVML 50-59 years, female 68.6
GTEX-11EI6-2826-SM-5H11D 60-69 years, male 68.4
GTEX-1IDFM-0326-SM-ARL7V 60-69 years, male 68.4
GTEX-V1D1-2026-SM-3GAF4 50-59 years, male 68.3
GTEX-1A32A-0626-SM-731AQ 50-59 years, female 67.7
GTEX-14E6C-2426-SM-5S2NF 40-49 years, male 67.2
GTEX-1IDJV-0126-SM-COH3Y 60-69 years, male 67.1
GTEX-1GZ2Q-0126-SM-9WG6M 40-49 years, male 67.0
GTEX-16XZZ-0726-SM-7KUF2 60-69 years, male 66.9
GTEX-1I19N-0126-SM-CYPSF 70-79 years, male 66.9
GTEX-1F75W-2726-SM-7SB8H 60-69 years, male 66.3
GTEX-1314G-1326-SM-5BC6E 30-39 years, male 66.1
GTEX-13N2G-0226-SM-5K7VF 60-69 years, male 66.1
GTEX-1AMEY-0826-SM-72D65 30-39 years, female 66.0
GTEX-1H3NZ-2726-SM-9WYTQ 60-69 years, male 65.5
GTEX-ZGAY-1826-SM-DO91Q 40-49 years, female 65.1
GTEX-XMD2-2126-SM-4YCF8 60-69 years, female 65.0
GTEX-13JUV-2026-SM-5K7UA 40-49 years, female 64.3
GTEX-14PJ2-0626-SM-6LLII 50-59 years, male 64.1
GTEX-14DAQ-0626-SM-793DS 60-69 years, female 63.6
GTEX-1S5ZU-2526-SM-E6CIF 20-29 years, female 63.4
GTEX-1QCLZ-2426-SM-EVYBW 60-69 years, female 62.8
GTEX-1GF9U-2026-SM-7SB92 40-49 years, female 62.4
GTEX-1A3MX-2626-SM-7PC24 60-69 years, male 61.2
GTEX-WYBS-0626-SM-3NMAS 60-69 years, female 60.4
GTEX-1H1DF-1126-SM-9WG7G 40-49 years, female 60.2
GTEX-Y5V5-0126-SM-5S2NW 60-69 years, female 60.0
GTEX-1ICLY-0826-SM-CMKG1 50-59 years, male 60.0
GTEX-1AMFI-1326-SM-7939R 50-59 years, female 59.7
GTEX-1J8Q3-0526-SM-ARL8U 60-69 years, male 59.1
GTEX-147JS-0226-SM-5S2U9 60-69 years, male 58.8
GTEX-ZVE2-2826-SM-5GU51 50-59 years, male 58.4
GTEX-1CAV2-0126-SM-7IGN7 40-49 years, female 57.6
GTEX-1F88E-1626-SM-7SB8Z 60-69 years, female 56.7
GTEX-1HSMO-0626-SM-ACKXC 60-69 years, male 55.4
GTEX-13QBU-1226-SM-5LU4G 40-49 years, female 53.8
GTEX-1HUB1-1426-SM-CGQF5 60-69 years, male 52.0
Show allShow less
Skin - Sun Exposed (Lower leg)
Average nTPM: 101.7
Samples: 701

Max nTPM: 272.5
Min nTPM: 38.2
Std nTPM: 29.5
Median nTPM: 97.1
GTEX-POMQ-2226-SM-2I5FK 20-29 years, female 272.5
GTEX-Y3IK-2426-SM-4WWDU 50-59 years, female 223.2
GTEX-15SB6-1726-SM-6PAME 50-59 years, female 212.9
GTEX-X88G-0126-SM-47JZ3 30-39 years, male 207.3
GTEX-1JMLX-0226-SM-CM2RO 50-59 years, male 201.8
GTEX-1399U-2326-SM-5K7WY 50-59 years, female 201.3
GTEX-ZVTK-0426-SM-51MRS 20-29 years, male 198.0
GTEX-1I1GV-0526-SM-A9G29 60-69 years, male 196.9
GTEX-P4QT-0126-SM-2I3FL 50-59 years, female 196.0
GTEX-T6MN-0126-SM-32PLP 50-59 years, male 193.2
GTEX-W5X1-3026-SM-EAZAX 40-49 years, female 190.4
GTEX-11DYG-0126-SM-59883 60-69 years, male 186.4
GTEX-11DXZ-2326-SM-5EGGV 50-59 years, male 185.4
GTEX-13FXS-0226-SM-5IJCK 50-59 years, male 184.8
GTEX-13FTW-2626-SM-5K7WL 40-49 years, male 179.0
GTEX-139UW-2826-SM-5L3E7 60-69 years, male 177.5
GTEX-1R9PM-2026-SM-E76OY 20-29 years, male 175.3
GTEX-XUZC-1726-SM-4BRWS 30-39 years, female 174.6
GTEX-17JCI-0126-SM-7LG5G 60-69 years, female 174.2
GTEX-13CF2-2526-SM-5LZYX 60-69 years, male 173.8
GTEX-OIZH-0126-SM-2HMIS 50-59 years, male 173.4
GTEX-PX3G-0126-SM-2I3EN 20-29 years, female 169.8
GTEX-139TS-2826-SM-5J1OO 60-69 years, male 166.3
GTEX-1PIIG-0226-SM-EWRN6 30-39 years, male 166.3
GTEX-131XE-2326-SM-5PNZ2 50-59 years, male 166.1
GTEX-12126-0326-SM-5PNW3 20-29 years, male 165.3
GTEX-1H1CY-2826-SM-9MQM3 60-69 years, female 164.0
GTEX-1CAV2-2226-SM-7P8P2 40-49 years, female 163.6
GTEX-YJ89-0126-SM-4TT3X 60-69 years, male 162.4
GTEX-Y114-2426-SM-4TT8A 50-59 years, female 161.9
GTEX-15ER7-0326-SM-7KUEV 20-29 years, female 161.1
GTEX-ZVZO-0126-SM-5A5L9 40-49 years, male 161.1
GTEX-PSDG-0226-SM-DKPOZ 50-59 years, male 160.6
GTEX-1MJK2-0426-SM-DTXE5 50-59 years, male 159.9
GTEX-Y8DK-0126-SM-4TT3L 60-69 years, male 159.3
GTEX-U412-0426-SM-3DB9O 60-69 years, male 156.9
GTEX-O5YT-0126-SM-48TBW 20-29 years, male 156.2
GTEX-1122O-2126-SM-5EGIR 60-69 years, female 156.1
GTEX-1EMGI-0126-SM-9KNUE 60-69 years, male 155.4
GTEX-1OJC3-0126-SM-E76QX 20-29 years, male 155.4
GTEX-S33H-1026-SM-EZ6L6 30-39 years, male 153.2
GTEX-11UD1-0126-SM-5PNYG 40-49 years, female 153.1
GTEX-OIZG-0726-SM-33HBL 50-59 years, male 152.1
GTEX-18A6Q-0126-SM-731BZ 60-69 years, male 150.4
GTEX-13G51-2526-SM-5LZYK 60-69 years, male 150.0
GTEX-13FHP-0126-SM-5IJBG 50-59 years, male 149.9
GTEX-1B8SF-1426-SM-7DUGL 60-69 years, male 149.3
GTEX-T2YK-0526-SM-32QPJ 50-59 years, male 149.0
GTEX-Y5V6-2426-SM-4VDSB 60-69 years, male 149.0
GTEX-1K2DA-1826-SM-CGQGT 50-59 years, male 148.7
GTEX-1KD4Q-0226-SM-E9TJ9 40-49 years, male 147.9
GTEX-1497J-2426-SM-7IGNX 60-69 years, male 146.9
GTEX-111FC-0126-SM-5N9DL 60-69 years, male 146.5
GTEX-117XS-2726-SM-5N9BL 60-69 years, male 146.4
GTEX-1QP9N-1426-SM-DTXFL 30-39 years, male 146.4
GTEX-1EWIQ-0126-SM-7RHH2 70-79 years, female 146.2
GTEX-1IDJH-0326-SM-A9SLQ 70-79 years, male 144.8
GTEX-1LBAC-0126-SM-DIPEZ 20-29 years, male 144.2
GTEX-18QFQ-0126-SM-731BE 30-39 years, male 144.0
GTEX-ZYFD-0126-SM-5GIDL 50-59 years, male 143.0
GTEX-14PII-0226-SM-6EU1T 60-69 years, male 142.8
GTEX-ZTX8-1426-SM-5DUVO 20-29 years, male 142.3
GTEX-ZXES-1826-SM-5E43S 30-39 years, female 142.2
GTEX-Z93S-0126-SM-5HL7M 50-59 years, male 142.1
GTEX-1GN2E-0426-SM-9MQKX 60-69 years, male 141.2
GTEX-ZV68-0126-SM-59HKS 50-59 years, female 140.7
GTEX-ZVT2-2526-SM-51MT1 50-59 years, female 139.9
GTEX-1399R-2726-SM-5IJBA 30-39 years, male 139.6
GTEX-ZE9C-2726-SM-57WB5 60-69 years, male 139.6
GTEX-ZYT6-0226-SM-5NQ6T 30-39 years, male 139.5
GTEX-RVPV-0126-SM-EAZAW 60-69 years, male 138.9
GTEX-13111-1626-SM-5EGJY 50-59 years, male 138.8
GTEX-18D9A-1926-SM-7LG6P 30-39 years, female 137.8
GTEX-13NYB-2526-SM-5K7Z6 40-49 years, male 137.3
GTEX-14JG1-0426-SM-6ETZZ 40-49 years, male 137.0
GTEX-UJHI-1526-SM-3DB99 50-59 years, female 136.8
GTEX-1LG7Z-1726-SM-D3LA4 30-39 years, male 136.6
GTEX-P4PP-0126-SM-3LK69 30-39 years, female 136.1
GTEX-1LB8K-0226-SM-EWRNW 50-59 years, male 136.1
GTEX-1JMPY-1326-SM-ARL8Y 30-39 years, male 135.3
GTEX-YB5E-2026-SM-5IFIS 40-49 years, male 135.0
GTEX-1GF9X-2026-SM-7PC3A 40-49 years, female 134.3
GTEX-NFK9-0226-SM-2HMKQ 40-49 years, male 133.8
GTEX-1B8L1-2526-SM-9WYTF 60-69 years, male 133.8
GTEX-1NV5F-0226-SM-E8VNY 60-69 years, female 133.8
GTEX-YB5K-2126-SM-4WWDJ 40-49 years, female 133.6
GTEX-12WSJ-1826-SM-5GCNY 40-49 years, female 131.6
GTEX-QESD-1426-SM-2S1R9 20-29 years, male 131.0
GTEX-ZAK1-0126-SM-5IJD3 50-59 years, female 131.0
GTEX-1QAET-0926-SM-E76QM 50-59 years, male 131.0
GTEX-S7SE-0126-SM-2XCD5 50-59 years, male 130.9
GTEX-SE5C-1626-SM-2XCE3 40-49 years, female 130.3
GTEX-12ZZX-0126-SM-5EGK9 40-49 years, female 130.1
GTEX-1IL2U-0226-SM-CE6T8 60-69 years, male 130.0
GTEX-ZF3C-0126-SM-DO92D 50-59 years, female 130.0
GTEX-X4XX-0126-SM-3NMC2 60-69 years, male 129.9
GTEX-TMZS-0126-SM-3DB9Q 60-69 years, male 129.8
GTEX-1HFI6-0226-SM-ADEHZ 40-49 years, male 129.5
GTEX-145MN-2226-SM-5SIAU 30-39 years, male 128.7
GTEX-1H3VE-0326-SM-9YFLH 40-49 years, male 128.2
GTEX-1IKK5-0626-SM-ARL8A 60-69 years, male 128.1
GTEX-1HR98-0126-SM-B2LWI 60-69 years, male 127.9
GTEX-1N2DW-0226-SM-E9TK2 50-59 years, male 127.9
GTEX-14ICK-0226-SM-6EU25 40-49 years, male 127.8
GTEX-14PN4-0126-SM-6EU2V 50-59 years, male 127.8
GTEX-12WSE-0526-SM-793B2 20-29 years, male 127.5
GTEX-1GZHY-0326-SM-9QEHI 50-59 years, female 127.5
GTEX-14753-0426-SM-5NQAM 60-69 years, male 127.4
GTEX-1JJEA-0326-SM-CNPOT 60-69 years, male 127.4
GTEX-1313W-0126-SM-5LZUN 50-59 years, female 127.0
GTEX-YFC4-0126-SM-5CVLY 40-49 years, female 127.0
GTEX-1KANC-1526-SM-D3LAB 50-59 years, female 127.0
GTEX-17F98-0626-SM-79OMX 40-49 years, female 126.7
GTEX-1GMR3-1926-SM-9KNUZ 40-49 years, male 126.7
GTEX-ZF2S-2326-SM-4WWCE 50-59 years, female 126.5
GTEX-Y111-0126-SM-4SOIV 50-59 years, male 126.3
GTEX-131YS-0126-SM-5KM1M 60-69 years, female 126.1
GTEX-ZWKS-0126-SM-5SIAA 30-39 years, male 125.9
GTEX-1L5NE-2526-SM-E6CIE 50-59 years, male 125.8
GTEX-16GPK-0126-SM-7DHLE 60-69 years, male 125.7
GTEX-WYJK-0126-SM-3NMAB 50-59 years, male 125.7
GTEX-1J8EW-0126-SM-CJI4F 60-69 years, female 125.7
GTEX-1H4P4-0726-SM-9YFLR 50-59 years, male 125.3
GTEX-NPJ8-0126-SM-2YUNR 40-49 years, male 124.9
GTEX-18A7A-0226-SM-718BH 50-59 years, female 124.6
GTEX-XBEW-0626-SM-4QASP 40-49 years, male 124.6
GTEX-1PPH8-0226-SM-E8VND 20-29 years, male 124.6
GTEX-ZDTS-0126-SM-4WAY5 60-69 years, male 124.2
GTEX-1F6IF-0726-SM-7P8TW 60-69 years, male 123.9
GTEX-13X6J-0126-SM-5QGOU 50-59 years, male 123.8
GTEX-TKQ1-1026-SM-4GICL 30-39 years, male 123.8
GTEX-15RIG-0226-SM-7KFTL 40-49 years, male 123.7
GTEX-S7PM-0126-SM-4AD6S 60-69 years, male 123.7
GTEX-1GF9V-0326-SM-7RHI5 60-69 years, male 123.5
GTEX-Z93T-0126-SM-5HL5N 50-59 years, male 123.4
GTEX-T5JW-1626-SM-3GADZ 20-29 years, female 123.1
GTEX-WQUQ-0426-SM-3MJFU 60-69 years, male 123.1
GTEX-1IOXB-0126-SM-ARL8G 50-59 years, male 123.1
GTEX-132NY-0326-SM-5IJBL 60-69 years, male 123.0
GTEX-1C64N-0126-SM-793D7 50-59 years, male 122.9
GTEX-1JN6P-0126-SM-D3L98 60-69 years, male 122.6
GTEX-X8HC-0126-SM-4E3JW 50-59 years, female 121.9
GTEX-1JMQJ-0526-SM-CYPSU 50-59 years, male 121.9
GTEX-ZYFC-0226-SM-5NQ75 50-59 years, male 121.8
GTEX-1H1DG-0126-SM-9WYU2 70-79 years, male 121.2
GTEX-XQ3S-1526-SM-4BOOC 20-29 years, male 120.9
GTEX-1EX96-1626-SM-7PBXR 50-59 years, male 120.7
GTEX-1HSKV-0226-SM-A9SKJ 60-69 years, male 120.7
GTEX-14E6D-0126-SM-62LDV 50-59 years, male 120.6
GTEX-U8XE-0326-SM-3DB8P 30-39 years, male 120.2
GTEX-145MO-0326-SM-5Q5B3 60-69 years, male 120.1
GTEX-O5YW-0126-SM-3LK6D 50-59 years, male 119.8
GTEX-Y8E4-0626-SM-4WWDL 40-49 years, male 119.8
GTEX-1CB4F-0426-SM-9KNV4 60-69 years, male 119.8
GTEX-1F6I4-0126-SM-9MQL2 60-69 years, male 119.8
GTEX-ZGAY-0526-SM-4WWBB 40-49 years, female 119.7
GTEX-1GMRU-0126-SM-9YFLV 50-59 years, male 119.6
GTEX-11DXW-0226-SM-5H122 40-49 years, male 119.4
GTEX-OHPL-0126-SM-2HMJ7 60-69 years, female 119.3
GTEX-13OW6-0426-SM-5L3HM 50-59 years, male 119.0
GTEX-15SHU-0126-SM-7KUEH 40-49 years, female 118.9
GTEX-1F5PL-0326-SM-7P8PQ 40-49 years, female 118.7
GTEX-1BAJH-0526-SM-793CQ 70-79 years, male 118.6
GTEX-11ZTS-0126-SM-5EQ6M 60-69 years, female 118.3
GTEX-1QMI2-0226-SM-EVYBX 60-69 years, male 118.1
GTEX-131XH-2226-SM-5DUXJ 50-59 years, male 118.0
GTEX-T2IS-0126-SM-4DM6O 20-29 years, female 118.0
GTEX-13OVK-2026-SM-7KUEO 40-49 years, male 117.8
GTEX-SIU8-0126-SM-2XCDT 50-59 years, male 117.8
GTEX-1ICLZ-0126-SM-CKZPO 60-69 years, male 117.7
GTEX-1S83E-0126-SM-EWRO4 40-49 years, male 117.7
GTEX-14PHX-2326-SM-62LEM 50-59 years, male 117.6
GTEX-14PJM-0226-SM-62LF1 50-59 years, female 117.6
GTEX-117YW-2626-SM-5GZZH 50-59 years, male 117.3
GTEX-15ETS-0126-SM-7KUMW 40-49 years, female 117.1
GTEX-1J1OQ-0226-SM-CYPSH 40-49 years, female 116.9
GTEX-1GZ2Q-0226-SM-7P8TL 40-49 years, male 116.7
GTEX-13VXU-0126-SM-5SI9F 50-59 years, male 116.5
GTEX-OOBJ-0126-SM-E6CJW 60-69 years, male 116.2
GTEX-13NZB-2526-SM-5J1OM 30-39 years, male 116.1
GTEX-1J8JJ-0226-SM-CL53I 60-69 years, female 116.1
GTEX-1R9K4-0126-SM-DTX9X 60-69 years, male 116.1
GTEX-TML8-1926-SM-32QOS 40-49 years, female 116.0
GTEX-1PIGE-0126-SM-EVYBJ 20-29 years, male 116.0
GTEX-1KWVE-1426-SM-E9TJO 30-39 years, male 115.8
GTEX-13PDP-0126-SM-5L3HD 60-69 years, male 115.7
GTEX-1JMPZ-0226-SM-CNPP1 30-39 years, male 115.7
GTEX-RTLS-0126-SM-447CA 60-69 years, female 115.6
GTEX-QEG4-0226-SM-2S1PY 30-39 years, male 115.5
GTEX-1C6VQ-0126-SM-7P8RI 50-59 years, male 115.5
GTEX-1MA7W-2026-SM-E9TJ6 20-29 years, female 115.3
GTEX-1PFEY-1526-SM-E76PP 30-39 years, male 115.1
GTEX-14BIN-0626-SM-793DP 50-59 years, female 115.0
GTEX-17HG3-2226-SM-7938L 30-39 years, female 114.7
GTEX-146FQ-0126-SM-5NQA9 30-39 years, male 114.5
GTEX-ZU9S-0226-SM-5E441 30-39 years, male 114.4
GTEX-1M5QR-1226-SM-EWROB 40-49 years, male 114.4
GTEX-XYKS-2126-SM-4E3IB 60-69 years, female 113.9
GTEX-1HGF4-2426-SM-ACKXM 60-69 years, male 113.7
GTEX-1399T-2826-SM-5KLYZ 60-69 years, male 113.6
GTEX-13SLW-0126-SM-5SI6C 70-79 years, male 113.4
GTEX-18D9U-0226-SM-718BP 40-49 years, male 113.4
GTEX-1F6RS-0126-SM-9MQKZ 60-69 years, female 113.4
GTEX-1S5ZA-0126-SM-EVYCV 20-29 years, male 113.3
GTEX-1HBPI-1526-SM-C1YQ1 50-59 years, male 113.0
GTEX-1192W-2626-SM-5Q5AF 60-69 years, male 112.8
GTEX-WI4N-1026-SM-3LK7N 40-49 years, female 112.8
GTEX-1B8KE-2126-SM-73KYX 50-59 years, male 112.7
GTEX-11TUW-2726-SM-E9J4M 60-69 years, male 112.6
GTEX-13OVH-0126-SM-5MR4B 70-79 years, male 112.1
GTEX-1CB4E-2226-SM-793DC 60-69 years, male 111.6
GTEX-Q2AI-1326-SM-2S1PL 40-49 years, male 111.6
GTEX-1CB4G-0226-SM-7PC3O 60-69 years, male 111.4
GTEX-Q734-1926-SM-2I5EV 40-49 years, female 110.4
GTEX-1HCUA-2426-SM-ADEIS 50-59 years, female 110.2
GTEX-1LGRB-2526-SM-CNPPQ 50-59 years, female 110.2
GTEX-13O3P-0126-SM-5KM4S 50-59 years, male 110.0
GTEX-1I4MK-2226-SM-ACKWD 50-59 years, female 110.0
GTEX-1GN73-0226-SM-9WG67 60-69 years, male 109.9
GTEX-1211K-2026-SM-5EQ4Z 60-69 years, female 109.8
GTEX-1S3DN-2226-SM-EVYCD 50-59 years, male 109.8
GTEX-1CAMS-0426-SM-7P8T2 40-49 years, female 109.6
GTEX-11UD2-0226-SM-5EQKY 50-59 years, male 109.5
GTEX-12WSK-2326-SM-5GCOH 40-49 years, female 109.3
GTEX-139D8-0226-SM-5KLZO 30-39 years, female 109.2
GTEX-WVJS-0126-SM-4MVOT 50-59 years, male 108.9
GTEX-1HCU8-0626-SM-A9SM9 60-69 years, female 108.9
GTEX-1RDX4-0126-SM-E9J4P 50-59 years, female 108.9
GTEX-SUCS-1926-SM-32PM3 70-79 years, male 108.7
GTEX-13112-2826-SM-5DUWH 50-59 years, male 108.6
GTEX-1HT8W-0126-SM-CNPPP 30-39 years, male 108.6
GTEX-1CB4I-0226-SM-79OLH 50-59 years, male 108.5
GTEX-1JMQI-2226-SM-CM2SD 50-59 years, male 108.3
GTEX-131XF-5016-SM-7MGWE 60-69 years, male 108.1
GTEX-1C4CL-0526-SM-73KVK 30-39 years, male 108.0
GTEX-1JMQL-0226-SM-CNPP5 50-59 years, female 108.0
GTEX-1PDJ9-0326-SM-DTX95 20-29 years, male 108.0
GTEX-1OFPY-2426-SM-DTXEJ 60-69 years, male 107.9
GTEX-13JUV-2726-SM-5LZZ8 40-49 years, female 107.8
GTEX-13NZ8-0826-SM-5MR3I 60-69 years, female 107.5
GTEX-1GZ4H-1726-SM-7PBZJ 50-59 years, female 107.3
GTEX-145LT-1726-SM-5QGP3 40-49 years, male 107.1
GTEX-145MF-0626-SM-5LUAI 50-59 years, male 106.9
GTEX-1A32A-0126-SM-718B1 50-59 years, female 106.8
GTEX-1KAFJ-2026-SM-CY8ID 50-59 years, male 106.8
GTEX-1GN1U-0126-SM-7PBZK 50-59 years, female 106.7
GTEX-1HCU6-0126-SM-CL54K 60-69 years, female 106.7
GTEX-XQ8I-0426-SM-4BOPO 50-59 years, male 106.6
GTEX-11P7K-2126-SM-5GU7G 30-39 years, male 106.5
GTEX-1H11D-0226-SM-9WG6Z 40-49 years, male 106.4
GTEX-144FL-0126-SM-5TDC8 50-59 years, male 106.3
GTEX-QVJO-1626-SM-2S1QW 60-69 years, female 106.2
GTEX-Y5LM-1926-SM-5RQJH 40-49 years, female 106.2
GTEX-17HHY-0126-SM-7LG5D 50-59 years, male 106.1
GTEX-ZV6S-2326-SM-4YCEY 40-49 years, female 106.1
GTEX-1F75B-0126-SM-9KNVL 50-59 years, male 106.1
GTEX-1JMQK-0226-SM-CL543 60-69 years, male 106.0
GTEX-139TU-0126-SM-5K7WH 60-69 years, male 105.9
GTEX-14BMV-0126-SM-5S2PO 50-59 years, male 105.8
GTEX-12ZZY-0226-SM-5LZVE 60-69 years, male 105.7
GTEX-ZVZP-2426-SM-59HKJ 50-59 years, male 105.7
GTEX-Y5V5-2326-SM-4V6GA 60-69 years, female 105.4
GTEX-14BMU-2226-SM-5TDE9 20-29 years, female 105.3
GTEX-U8T8-0126-SM-3DB94 60-69 years, male 105.3
GTEX-1RB15-2126-SM-E9TIM 60-69 years, male 105.2
GTEX-13X6H-2126-SM-7EWD5 50-59 years, female 105.1
GTEX-1212Z-2526-SM-5EGKP 60-69 years, male 104.9
GTEX-12696-2426-SM-5EQ6H 60-69 years, male 104.9
GTEX-1C6VR-2426-SM-79OLD 60-69 years, male 104.9
GTEX-1H2FU-0126-SM-9WYSI 60-69 years, female 104.9
GTEX-14XAO-2326-SM-6EU1B 60-69 years, female 104.8
GTEX-ZPIC-1726-SM-DHXIU 40-49 years, female 104.8
GTEX-1314G-1526-SM-5EGK2 30-39 years, male 104.4
GTEX-XXEK-2226-SM-4BRUM 50-59 years, male 104.4
GTEX-1LVAN-0226-SM-COH3S 50-59 years, female 104.4
GTEX-1192X-0226-SM-5H12D 50-59 years, male 104.3
GTEX-PWCY-1826-SM-DHXIZ 20-29 years, female 104.2
GTEX-W5WG-1826-SM-4KL2Y 50-59 years, female 104.1
GTEX-XAJ8-0826-SM-47JY6 40-49 years, male 103.8
GTEX-17F96-1626-SM-7DUFL 70-79 years, male 103.6
GTEX-X585-0226-SM-4QAS2 50-59 years, male 103.6
GTEX-1I6K6-0126-SM-A9SLE 30-39 years, male 103.6
GTEX-11GS4-2726-SM-5A5LE 60-69 years, male 103.5
GTEX-13O3Q-2426-SM-5IJBR 50-59 years, male 103.5
GTEX-145LV-2126-SM-5LU8N 50-59 years, male 103.4
GTEX-13O21-1426-SM-5K7XI 50-59 years, male 103.3
GTEX-11OF3-2626-SM-5GU7F 60-69 years, male 103.2
GTEX-X5EB-2226-SM-46MW4 40-49 years, male 103.2
GTEX-1R7EU-0226-SM-EVR4G 60-69 years, male 103.2
GTEX-1GF9W-0326-SM-9KNUN 60-69 years, male 103.1
GTEX-1C475-1826-SM-73KWA 40-49 years, female 102.9
GTEX-1HB9E-0226-SM-E9U4R 50-59 years, male 102.9
GTEX-12584-0126-SM-5EGKQ 40-49 years, male 102.8
GTEX-12ZZZ-0626-SM-5DUXI 60-69 years, male 102.7
GTEX-1ICG6-2526-SM-CGQFZ 70-79 years, female 102.6
GTEX-1F75A-0126-SM-7RHGM 50-59 years, male 102.5
GTEX-1269C-2526-SM-5EGJ3 60-69 years, female 102.4
GTEX-ZYFG-2326-SM-5E44B 60-69 years, female 102.4
GTEX-1MCQQ-0826-SM-DLHC2 60-69 years, male 102.4
GTEX-1O97I-0326-SM-EYYX7 60-69 years, male 102.4
GTEX-1HSGN-0226-SM-CGQFV 40-49 years, female 102.3
GTEX-13D11-2426-SM-5KM1V 50-59 years, female 102.0
GTEX-15F5U-1526-SM-6PANO 40-49 years, male 102.0
GTEX-WFON-2126-SM-3LK7O 40-49 years, male 101.9
GTEX-12WSD-0126-SM-59HKN 60-69 years, female 101.8
GTEX-Y3I4-2126-SM-4TT7C 50-59 years, male 101.8
GTEX-13OVL-0226-SM-5L3E9 50-59 years, male 101.7
GTEX-17EVP-0326-SM-7DHLG 40-49 years, male 101.7
GTEX-WYVS-2126-SM-3NMA3 40-49 years, female 101.6
GTEX-1F52S-0126-SM-9MQJU 60-69 years, female 101.6
GTEX-1AX8Z-0126-SM-7DHM6 60-69 years, male 101.5
GTEX-RNOR-0126-SM-E9J4R 50-59 years, female 101.5
GTEX-13OW5-0126-SM-DTXFS 60-69 years, male 101.4
GTEX-18465-0126-SM-731BN 50-59 years, male 101.2
GTEX-13YAN-0326-SM-5O9DF 60-69 years, male 101.1
GTEX-QV44-1926-SM-2S1RF 50-59 years, male 101.1
GTEX-P4PQ-0126-SM-2S1NM 60-69 years, male 101.0
GTEX-ZDYS-2026-SM-5HL5L 50-59 years, male 101.0
GTEX-1QCLY-0326-SM-E8VOG 30-39 years, male 101.0
GTEX-144GN-2326-SM-5LU4F 50-59 years, male 100.8
GTEX-18A67-0126-SM-7LG5P 50-59 years, male 100.7
GTEX-SN8G-0126-SM-32PLI 50-59 years, female 100.7
GTEX-1JKYR-0126-SM-CNPOJ 20-29 years, male 100.7
GTEX-RWSA-0126-SM-2XCBB 40-49 years, male 100.5
GTEX-17HII-0226-SM-7LG4E 50-59 years, male 100.1
GTEX-145LS-0126-SM-5QGP1 60-69 years, female 100.0
GTEX-15G19-0126-SM-6PANQ 60-69 years, male 100.0
GTEX-ZTPG-0326-SM-5O9AX 20-29 years, female 100.0
GTEX-17KNJ-2326-SM-7DHLQ 50-59 years, male 99.8
GTEX-11GSO-2426-SM-5A5LY 60-69 years, male 99.7
GTEX-1GPI7-0126-SM-9MQL8 20-29 years, male 99.6
GTEX-14E6C-0126-SM-5RQIP 40-49 years, male 99.5
GTEX-1LSNM-1926-SM-E6CII 50-59 years, male 99.4
GTEX-13N11-2526-SM-5K7UE 50-59 years, female 98.9
GTEX-111VG-2426-SM-5GZXD 60-69 years, male 98.8
GTEX-11XUK-2026-SM-5EQLF 40-49 years, female 98.8
GTEX-1JN1M-0326-SM-CYPT3 60-69 years, female 98.8
GTEX-15UF6-0826-SM-6PALJ 70-79 years, female 98.3
GTEX-169BO-1326-SM-9MQK2 50-59 years, male 98.0
GTEX-1KXAM-2226-SM-CYPTC 60-69 years, male 98.0
GTEX-148VI-1626-SM-5SI6E 60-69 years, female 97.9
GTEX-14PK6-1926-SM-6ETZU 70-79 years, female 97.8
GTEX-UPJH-0326-SM-3GADU 50-59 years, male 97.8
GTEX-13FHO-0226-SM-5IFGY 60-69 years, male 97.7
GTEX-1IKJJ-0126-SM-CNPQB 60-69 years, male 97.6
GTEX-WXYG-2326-SM-4E3I6 50-59 years, female 97.4
GTEX-1B933-0126-SM-7PC29 50-59 years, female 97.4
GTEX-1H3VY-0126-SM-ACKXD 50-59 years, male 97.4
GTEX-11WQC-2526-SM-5CVLE 60-69 years, male 97.3
GTEX-1HBPM-0226-SM-ARL9F 60-69 years, female 97.3
GTEX-11EQ9-2426-SM-5HL5T 30-39 years, male 97.1
GTEX-133LE-1826-SM-5J1MV 20-29 years, female 97.0
GTEX-WH7G-2326-SM-3NMBC 40-49 years, male 97.0
GTEX-13NYS-0126-SM-5MR3W 60-69 years, male 96.8
GTEX-13S7M-0126-SM-5SI6A 60-69 years, female 96.8
GTEX-RU72-0926-SM-2TF6B 50-59 years, female 96.8
GTEX-ZQG8-1626-SM-DHXIT 60-69 years, female 96.7
GTEX-183WM-0126-SM-7LTAB 70-79 years, female 96.6
GTEX-OXRN-0126-SM-48TDM 50-59 years, male 96.6
GTEX-13IVO-0126-SM-5J1NG 70-79 years, male 96.5
GTEX-144GL-0126-SM-5TDE2 50-59 years, male 96.5
GTEX-1QPFJ-0226-SM-E76PB 30-39 years, female 96.4
GTEX-ZVT4-0126-SM-DTXFN 50-59 years, female 96.4
GTEX-14A5H-0426-SM-5QGQF 60-69 years, male 96.3
GTEX-XUYS-0126-SM-47JWZ 50-59 years, male 96.3
GTEX-WFG8-2226-SM-3GIL9 20-29 years, male 96.2
GTEX-RM2N-1426-SM-2TF4H 50-59 years, male 96.1
GTEX-11OC5-0126-SM-5HL6A 60-69 years, male 96.0
GTEX-ZAB4-0226-SM-5N9F5 40-49 years, male 96.0
GTEX-WZTO-0126-SM-3NM95 40-49 years, male 95.9
GTEX-1POEN-0126-SM-EYYXJ 30-39 years, female 95.9
GTEX-YEC4-2126-SM-5IFJH 40-49 years, male 95.8
GTEX-1CB4H-0226-SM-7PBXM 60-69 years, female 95.8
GTEX-145LU-0126-SM-5TDCB 50-59 years, male 95.6
GTEX-139T8-0126-SM-5K7XZ 60-69 years, male 95.5
GTEX-17EVQ-0226-SM-7LG4P 70-79 years, male 95.5
GTEX-1AX9J-0226-SM-73KXM 60-69 years, male 95.5
GTEX-ZVT3-0126-SM-5GU6I 60-69 years, female 95.5
GTEX-13113-5016-SM-7EPIP 60-69 years, female 95.3
GTEX-17F97-0326-SM-7LG5B 50-59 years, male 95.2
GTEX-183FY-0126-SM-7LT9P 20-29 years, male 95.2
GTEX-11NSD-2226-SM-5986V 20-29 years, male 95.1
GTEX-16MT8-0426-SM-7KUEY 60-69 years, female 95.1
GTEX-T5JC-0426-SM-32PLO 20-29 years, male 94.9
GTEX-SJXC-0126-SM-2XCFF 60-69 years, male 94.8
GTEX-11GSP-2526-SM-5N9BP 60-69 years, female 94.6
GTEX-1E2YA-0126-SM-9KNUC 50-59 years, male 94.6
GTEX-17GQL-2026-SM-718BA 60-69 years, male 94.5
GTEX-QCQG-1726-SM-3GIJ9 50-59 years, female 94.5
GTEX-1PWST-0226-SM-E76QJ 70-79 years, male 94.3
GTEX-1A3MX-0126-SM-731BR 60-69 years, male 94.2
GTEX-PVOW-0126-SM-2XCFA 40-49 years, male 94.2
GTEX-13CF3-2426-SM-5IFGX 60-69 years, female 94.0
GTEX-OHPM-0126-SM-2YUN9 50-59 years, male 94.0
GTEX-X4EP-0126-SM-3P5YV 60-69 years, female 94.0
GTEX-1EKGG-0226-SM-9WYTH 60-69 years, male 93.9
GTEX-117YX-2326-SM-5H12W 50-59 years, male 93.8
GTEX-13PVR-2326-SM-5QGR1 60-69 years, female 93.7
GTEX-ZE7O-0126-SM-57WC1 50-59 years, female 93.6
GTEX-ZTSS-1926-SM-57WEW 40-49 years, male 93.6
GTEX-1AX9I-0126-SM-7SB74 60-69 years, male 93.4
GTEX-1KANA-0726-SM-D3L9I 20-29 years, male 93.1
GTEX-11TT1-2526-SM-5EGIB 20-29 years, male 92.9
GTEX-1H3O1-0426-SM-9YFKY 60-69 years, male 92.8
GTEX-13RTK-1426-SM-5QGQJ 20-29 years, male 92.7
GTEX-13SLX-0526-SM-5S2ON 50-59 years, female 92.7
GTEX-1HSEH-0126-SM-ACKXN 60-69 years, male 92.7
GTEX-14E6E-1826-SM-5S2R7 30-39 years, male 92.5
GTEX-13OVJ-0126-SM-5KM36 50-59 years, female 92.4
GTEX-15DYW-0126-SM-7KULE 60-69 years, female 92.1
GTEX-113JC-2326-SM-5EQ4E 50-59 years, female 92.0
GTEX-1B8SG-0126-SM-73KZ3 50-59 years, male 92.0
GTEX-145ME-1826-SM-5SI9G 40-49 years, female 91.9
GTEX-1HCU9-1526-SM-A9SL7 20-29 years, male 91.9
GTEX-1QP66-1726-SM-E8VO1 50-59 years, male 91.9
GTEX-1C6WA-0126-SM-7PC2B 60-69 years, male 91.8
GTEX-1F7RK-0126-SM-7PC2S 20-29 years, female 91.8
GTEX-S95S-1226-SM-4GICG 60-69 years, male 91.7
GTEX-1KD5A-0226-SM-D5OV3 50-59 years, male 91.7
GTEX-1CAMR-1926-SM-7EPI2 20-29 years, male 91.3
GTEX-T8EM-1026-SM-3DB7M 40-49 years, male 91.3
GTEX-17MFQ-1726-SM-793C7 20-29 years, male 91.1
GTEX-T6MO-1626-SM-32QOM 40-49 years, female 90.9
GTEX-16YQH-0126-SM-7DUFJ 30-39 years, male 90.5
GTEX-14DAR-2026-SM-5S2O3 50-59 years, male 90.4
GTEX-QLQW-1126-SM-2S1Q8 30-39 years, male 90.4
GTEX-1EU9M-0226-SM-7P8SP 60-69 years, male 90.4
GTEX-1J1R8-1726-SM-ARL8M 40-49 years, male 90.3
GTEX-ZDTT-2726-SM-4WKF8 60-69 years, male 90.1
GTEX-1I1GR-0126-SM-CL55F 60-69 years, male 89.8
GTEX-14PJ3-1826-SM-62LEX 50-59 years, male 89.7
GTEX-X261-0126-SM-3NMD6 50-59 years, male 89.7
GTEX-1I1GT-0626-SM-CGQER 60-69 years, female 89.7
GTEX-X4EO-0326-SM-3P5YO 60-69 years, female 89.6
GTEX-ZZ64-1726-SM-5GZYB 20-29 years, male 89.6
GTEX-11P81-2326-SM-59875 30-39 years, female 89.5
GTEX-11ZVC-2526-SM-5FQTE 50-59 years, female 89.5
GTEX-ZDXO-3026-SM-5J1N5 60-69 years, male 89.5
GTEX-1IL2V-0126-SM-CM2TX 70-79 years, male 89.5
GTEX-1KANB-0526-SM-E6CJH 50-59 years, male 89.2
GTEX-1S82Y-2026-SM-EVYCM 40-49 years, male 89.2
GTEX-ZF29-2326-SM-DO92K 60-69 years, female 89.2
GTEX-12WSC-0126-SM-5EQ4P 50-59 years, male 89.1
GTEX-17MF6-0126-SM-7LG4F 40-49 years, male 89.1
GTEX-12KS4-0326-SM-5EQ41 30-39 years, male 88.9
GTEX-17EUY-0426-SM-793BD 20-29 years, male 88.9
GTEX-14LZ3-0226-SM-62LET 60-69 years, female 88.7
GTEX-1JJ6O-0126-SM-E6CI8 60-69 years, male 88.6
GTEX-13U4I-0126-SM-5LU38 40-49 years, female 88.4
GTEX-PWO3-1526-SM-48TCM 60-69 years, female 88.4
GTEX-WY7C-2326-SM-3NB2U 50-59 years, male 88.3
GTEX-1IDJF-0126-SM-CM2RS 20-29 years, male 88.3
GTEX-1J8QM-2126-SM-CYPSJ 60-69 years, female 88.3
GTEX-PLZ6-1426-SM-DKPOT 30-39 years, male 88.3
GTEX-11NUK-0126-SM-5A5L3 50-59 years, male 88.2
GTEX-15DDE-0126-SM-6LPKH 50-59 years, female 88.2
GTEX-R3RS-0126-SM-3GIJL 40-49 years, female 88.1
GTEX-16NGA-1726-SM-731B4 40-49 years, female 88.0
GTEX-1RAZA-0126-SM-E6CI3 20-29 years, male 88.0
GTEX-16XZZ-0126-SM-793DV 60-69 years, male 87.5
GTEX-WRHK-1426-SM-3MJF9 20-29 years, female 87.5
GTEX-11DXX-2426-SM-5GZZW 60-69 years, female 87.4
GTEX-14A5I-0126-SM-5TDEA 50-59 years, female 87.4
GTEX-16BQI-0226-SM-7KUEX 30-39 years, female 87.4
GTEX-1MUQO-0126-SM-EAZ58 60-69 years, male 87.2
GTEX-OOBK-0126-SM-2YUND 40-49 years, male 87.0
GTEX-1B996-0226-SM-7RHGO 60-69 years, male 87.0
GTEX-1LGOU-2026-SM-DIPFF 20-29 years, female 86.8
GTEX-11DXY-2626-SM-5GIE7 60-69 years, male 86.7
GTEX-11DZ1-0126-SM-5985Q 50-59 years, male 86.6
GTEX-1HBPN-0226-SM-9YFM1 50-59 years, male 86.5
GTEX-1R46S-0626-SM-E9J41 60-69 years, female 86.5
GTEX-13FTY-0526-SM-5L3EV 40-49 years, female 86.4
GTEX-145MI-0526-SM-5O9A8 60-69 years, female 86.4
GTEX-1JN76-0126-SM-CNPPE 20-29 years, female 86.3
GTEX-11EM3-2426-SM-59861 20-29 years, female 86.1
GTEX-14PJ6-2126-SM-6EU1V 60-69 years, female 86.1
GTEX-OXRK-0226-SM-3NB2G 50-59 years, female 86.0
GTEX-PW2O-1526-SM-7RHHB 20-29 years, male 85.9
GTEX-13OW7-0126-SM-5MR3B 50-59 years, male 85.8
GTEX-ZAJG-0126-SM-5HL94 50-59 years, female 85.7
GTEX-1HSMQ-1226-SM-CGQFX 50-59 years, male 85.7
GTEX-ZAB5-1826-SM-5HL7C 50-59 years, male 85.6
GTEX-12WSG-2826-SM-E9J4H 50-59 years, female 85.5
GTEX-1H1DE-2126-SM-9WG6R 20-29 years, male 85.5
GTEX-XUW1-0426-SM-4BOOT 50-59 years, female 85.4
GTEX-13O3O-0126-SM-E9J49 60-69 years, female 85.3
GTEX-1I1GP-2226-SM-CGQFK 50-59 years, male 85.3
GTEX-1IKOH-0226-SM-COH4E 60-69 years, female 85.3
GTEX-1LG7Y-0526-SM-DKPQC 50-59 years, male 85.3
GTEX-1MGNQ-0126-SM-EVYCJ 40-49 years, male 85.1
GTEX-1GL5R-1826-SM-9KNUY 50-59 years, male 85.0
GTEX-SNMC-1226-SM-2XCFP 20-29 years, male 84.9
GTEX-12WSA-0226-SM-5BC5V 60-69 years, male 84.8
GTEX-14C5O-0126-SM-5SI6N 60-69 years, male 84.7
GTEX-11H98-0126-SM-5EGHG 50-59 years, male 84.6
GTEX-X4XY-0226-SM-4E3IZ 60-69 years, male 84.6
GTEX-ZQUD-1426-SM-57WER 30-39 years, male 84.6
GTEX-15SDE-2226-SM-7IGLO 50-59 years, female 84.3
GTEX-1128S-2326-SM-5GZZY 60-69 years, female 84.1
GTEX-13OW8-1326-SM-5J1OW 60-69 years, male 84.1
GTEX-16NPX-0226-SM-79OMT 50-59 years, male 84.0
GTEX-OXRO-0126-SM-2YUN4 60-69 years, female 83.8
GTEX-1HCVE-0126-SM-CGQEU 50-59 years, male 83.8
GTEX-18A66-0226-SM-718BD 60-69 years, male 83.7
GTEX-1CAMQ-0226-SM-7IGPK 40-49 years, male 83.7
GTEX-1HCU7-0226-SM-CL545 50-59 years, male 83.7
GTEX-12C56-1726-SM-5EQ61 20-29 years, male 83.6
GTEX-13RTJ-2426-SM-5S2Q2 60-69 years, male 83.6
GTEX-13QJ3-0326-SM-5S2RA 50-59 years, male 83.5
GTEX-11O72-0126-SM-59887 40-49 years, male 83.4
GTEX-1RQEC-0426-SM-E6CHU 60-69 years, male 83.4
GTEX-1GMR8-0126-SM-9WYTM 50-59 years, female 83.3
GTEX-1GTWX-0126-SM-9YFLK 60-69 years, male 83.1
GTEX-18A7B-0126-SM-7LG64 70-79 years, male 83.0
GTEX-1F88F-2726-SM-7PBZZ 60-69 years, female 83.0
GTEX-11EI6-0126-SM-5985R 60-69 years, male 82.9
GTEX-131XW-0426-SM-5LZWP 50-59 years, female 82.9
GTEX-1I1GS-0126-SM-B2LVW 60-69 years, male 82.5
GTEX-1M4P7-0226-SM-DIPEV 60-69 years, male 82.5
GTEX-13FH7-2026-SM-E9J4I 50-59 years, female 82.4
GTEX-R55G-2526-SM-2TC6D 40-49 years, female 82.2
GTEX-1K2DU-2326-SM-E9TIV 20-29 years, male 82.2
GTEX-1IY9M-0126-SM-D3L8S 60-69 years, male 82.1
GTEX-1A3MV-1926-SM-718BT 30-39 years, male 81.9
GTEX-1I1GQ-0126-SM-COH3H 50-59 years, male 81.8
GTEX-ZEX8-2426-SM-4WKG4 50-59 years, male 81.6
GTEX-YJ8A-0426-SM-5IFID 20-29 years, male 81.5
GTEX-1QEPI-0126-SM-EWRMQ 60-69 years, female 81.5
GTEX-15DCD-0126-SM-7KUEK 70-79 years, female 81.4
GTEX-VUSG-2526-SM-4KL1V 50-59 years, male 81.4
GTEX-U3ZM-1526-SM-3DB9D 40-49 years, male 81.3
GTEX-15SHW-0326-SM-6PAML 60-69 years, male 81.2
GTEX-1I1CD-0126-SM-CM2TK 60-69 years, female 81.2
GTEX-147GR-0526-SM-5S2MY 60-69 years, male 81.1
GTEX-13N2G-2626-SM-5J1OT 60-69 years, male 81.0
GTEX-QDVJ-1726-SM-2I5FX 50-59 years, male 81.0
GTEX-RUSQ-1526-SM-2TF62 50-59 years, male 81.0
GTEX-14PN3-2426-SM-6LLHS 60-69 years, female 80.9
GTEX-ZC5H-0226-SM-4WAY9 40-49 years, female 80.8
GTEX-1EN7A-0126-SM-7SB81 40-49 years, male 80.8
GTEX-PLZ5-2026-SM-2S1O4 50-59 years, male 80.5
GTEX-TMMY-0226-SM-33HBA 40-49 years, female 80.5
GTEX-ZY6K-1826-SM-5GZXK 50-59 years, male 80.4
GTEX-15EU6-0426-SM-6PAN5 50-59 years, male 80.1
GTEX-Q2AH-1626-SM-3GAF8 40-49 years, male 79.9
GTEX-1HFI7-1826-SM-ACKXH 50-59 years, female 79.7
GTEX-147F4-0226-SM-5QGPW 50-59 years, male 79.5
GTEX-14BIM-0226-SM-7IGLD 60-69 years, female 79.4
GTEX-17HHE-2026-SM-79OKF 50-59 years, male 79.3
GTEX-XMD2-0126-SM-4YCDU 60-69 years, female 79.2
GTEX-XPVG-2626-SM-4B669 50-59 years, male 79.1
GTEX-15UKP-0426-SM-7KUFQ 20-29 years, male 79.0
GTEX-U3ZH-2026-SM-3DB78 30-39 years, male 78.9
GTEX-1N2EF-0226-SM-EYYXB 60-69 years, male 78.9
GTEX-RN64-0126-SM-2TC68 50-59 years, male 78.8
GTEX-14JG6-2226-SM-6EU2G 30-39 years, female 78.7
GTEX-1K9T9-0126-SM-EVYCF 50-59 years, female 78.6
GTEX-131XG-2626-SM-5KM17 50-59 years, female 78.5
GTEX-17HGU-0226-SM-7DHKV 50-59 years, male 78.5
GTEX-1GF9U-2126-SM-7SB7L 40-49 years, female 78.4
GTEX-1H3NZ-0126-SM-ACKX7 60-69 years, male 78.4
GTEX-QDVN-2026-SM-3GAEP 50-59 years, male 78.2
GTEX-14ABY-0226-SM-5TDCQ 50-59 years, male 78.0
GTEX-VJYA-1126-SM-3GIJU 60-69 years, male 77.9
GTEX-1B8KZ-2026-SM-7DHMB 50-59 years, male 77.7
GTEX-1B97I-1626-SM-73KYO 40-49 years, male 77.7
GTEX-SSA3-0126-SM-32QPU 60-69 years, male 77.7
GTEX-1HSMP-0126-SM-E6CJS 70-79 years, male 77.5
GTEX-1GN1V-0126-SM-9WPOS 60-69 years, male 77.4
GTEX-14DAQ-0126-SM-5S2MQ 60-69 years, female 77.3
GTEX-PLZ4-0126-SM-5SI8O 50-59 years, female 77.1
GTEX-12WSL-2526-SM-5GCNJ 50-59 years, male 77.0
GTEX-Q2AG-0126-SM-33HBV 40-49 years, female 77.0
GTEX-S32W-2126-SM-2XCB1 50-59 years, female 76.9
GTEX-1MCYP-1926-SM-E9J2R 20-29 years, female 76.9
GTEX-139TT-0126-SM-5K7Y5 60-69 years, male 76.8
GTEX-1HKZK-0326-SM-9WYUH 40-49 years, male 76.8
GTEX-1I19N-0326-SM-ACKVX 70-79 years, male 76.7
GTEX-1J8Q2-0526-SM-CM2RW 60-69 years, male 76.7
GTEX-11EMC-2926-SM-5EQ4F 60-69 years, female 76.6
GTEX-1IDFM-0126-SM-COH2V 60-69 years, male 76.6
GTEX-11ZU8-2526-SM-5EQKI 60-69 years, male 76.4
GTEX-13OVI-1426-SM-5L3EY 60-69 years, female 76.4
GTEX-1IGQW-0126-SM-COH42 60-69 years, male 76.4
GTEX-1RLM8-2326-SM-EWRN4 50-59 years, male 76.3
GTEX-13FTX-1826-SM-5J1NX 20-29 years, female 76.2
GTEX-13O1R-0126-SM-5L3EH 60-69 years, male 76.2
GTEX-Z9EW-1626-SM-5CVMN 40-49 years, male 76.2
GTEX-1A8FM-0226-SM-7SB7Q 50-59 years, female 76.0
GTEX-13W46-0226-SM-5SIAG 50-59 years, male 75.9
GTEX-1E1VI-0126-SM-7DHMZ 50-59 years, male 75.9
GTEX-11WQK-0526-SM-5EQLD 50-59 years, male 75.8
GTEX-1AYD5-2426-SM-73KXR 50-59 years, male 75.8
GTEX-1C2JI-1826-SM-73KXC 50-59 years, male 75.8
GTEX-XBED-2226-SM-47JYQ 60-69 years, male 75.6
GTEX-146FH-0126-SM-5QGPP 50-59 years, female 75.3
GTEX-XV7Q-2526-SM-4BRV9 40-49 years, female 75.3
GTEX-147F3-0526-SM-5SI98 50-59 years, female 75.2
GTEX-QLQ7-1626-SM-2S1R8 60-69 years, male 75.1
GTEX-R55E-0126-SM-2TC5Y 20-29 years, male 75.1
GTEX-13N1W-0126-SM-5K7VT 70-79 years, male 75.0
GTEX-11P82-1626-SM-59879 20-29 years, male 74.9
GTEX-RWS6-2026-SM-2XCB5 60-69 years, female 74.9
GTEX-18D9B-0526-SM-7LTAS 60-69 years, male 74.8
GTEX-QDT8-0126-SM-48TZ1 30-39 years, female 74.7
GTEX-11LCK-1026-SM-5A5KB 30-39 years, male 74.4
GTEX-ZVE2-0226-SM-59HJB 50-59 years, male 74.2
GTEX-1R7EV-2426-SM-EVYBG 40-49 years, male 74.2
GTEX-1LC47-0326-SM-E9TJP 60-69 years, male 74.1
GTEX-13X6I-0626-SM-5QGP9 60-69 years, male 73.8
GTEX-ZYW4-0126-SM-5E44A 60-69 years, male 73.8
GTEX-1S82Z-0826-SM-E6CHY 30-39 years, female 73.8
GTEX-1AYCT-2426-SM-7IGQ3 50-59 years, male 73.7
GTEX-ZYY3-0126-SM-5GZY5 60-69 years, female 73.3
GTEX-1JKYN-1326-SM-CGQG9 30-39 years, male 73.3
GTEX-16AAH-1726-SM-7939C 50-59 years, male 73.2
GTEX-1C64O-0126-SM-7SB8P 60-69 years, male 73.2
GTEX-1LNCM-1126-SM-E9U5E 50-59 years, female 73.0
GTEX-OXRP-0126-SM-3NB32 60-69 years, female 72.8
GTEX-1H23P-0126-SM-ADEJ3 60-69 years, male 72.8
GTEX-1ICLY-0126-SM-D4P36 50-59 years, male 72.8
GTEX-1IDJU-2626-SM-CM2RT 60-69 years, female 72.5
GTEX-15CHC-2126-SM-6EU21 60-69 years, female 72.3
GTEX-1CB4J-0626-SM-7DHMP 60-69 years, male 71.7
GTEX-ZXG5-0126-SM-5GIEU 60-69 years, male 71.7
GTEX-1MA7X-2226-SM-E6CIY 60-69 years, male 71.0
GTEX-13OVG-1926-SM-5L3DK 60-69 years, male 70.7
GTEX-13NZA-0226-SM-5K7Z7 60-69 years, male 70.6
GTEX-14E7W-0126-SM-6LLJ9 70-79 years, male 70.3
GTEX-15D1Q-0126-SM-7KUG6 40-49 years, male 70.2
GTEX-1H1ZS-0426-SM-9WG6G 70-79 years, male 70.2
GTEX-OXRL-0126-SM-2YUMP 50-59 years, male 70.0
GTEX-R45C-0126-SM-EAZ2R 60-69 years, female 70.0
GTEX-1F48J-0126-SM-7P8TT 50-59 years, female 69.8
GTEX-1GPI6-0126-SM-9WG69 60-69 years, male 69.8
GTEX-OIZF-0126-SM-7SB8I 60-69 years, male 69.7
GTEX-WOFL-0126-SM-3MJG2 60-69 years, male 68.5
GTEX-X638-0126-SM-47JZ8 70-79 years, female 68.5
GTEX-13VXT-0126-SM-5LU4I 20-29 years, female 68.2
GTEX-11VI4-1726-SM-5CVLH 40-49 years, female 68.0
GTEX-1F5PK-2426-SM-7RHHY 50-59 years, male 68.0
GTEX-1N2DV-0226-SM-E6CJ6 40-49 years, male 67.0
GTEX-1QP29-0626-SM-EWRMX 50-59 years, male 66.7
GTEX-1NHNU-1026-SM-E9J2A 50-59 years, male 66.4
GTEX-ZF28-0126-SM-4WKGK 60-69 years, male 66.3
GTEX-1PBJI-0526-SM-E8VNK 20-29 years, female 66.1
GTEX-1JK1U-2026-SM-CM2RZ 60-69 years, male 65.9
GTEX-1QP2A-0126-SM-E9J43 50-59 years, male 65.9
GTEX-TSE9-0126-SM-3DB83 60-69 years, female 65.6
GTEX-1H1E6-1726-SM-ACKVK 30-39 years, male 65.6
GTEX-P44H-0226-SM-2XCEU 40-49 years, male 65.3
GTEX-1AMEY-1326-SM-73KYK 30-39 years, female 65.0
GTEX-13NYC-0326-SM-E9J4S 60-69 years, male 64.4
GTEX-1I1HK-0126-SM-COH49 60-69 years, male 64.4
GTEX-13RTL-0126-SM-7LG5S 40-49 years, male 64.1
GTEX-16XZY-2126-SM-79OK1 70-79 years, male 64.1
GTEX-13W3W-2426-SM-5LU5B 60-69 years, female 63.9
GTEX-14PHW-0126-SM-6LLJI 60-69 years, female 62.7
GTEX-14LLW-0126-SM-6LLIO 70-79 years, female 62.4
GTEX-U3ZN-2326-SM-3DB7W 30-39 years, female 62.0
GTEX-11ZTT-2426-SM-5EQLS 60-69 years, female 61.9
GTEX-1PPH7-2326-SM-EVYB8 40-49 years, male 61.9
GTEX-ZUA1-0126-SM-5GU76 40-49 years, male 61.8
GTEX-1AMFI-2026-SM-731BH 50-59 years, female 61.6
GTEX-1LH75-2426-SM-E9TJE 50-59 years, female 61.5
GTEX-148VJ-0126-SM-5TDDN 70-79 years, male 61.4
GTEX-14BIL-0126-SM-5SI92 50-59 years, male 61.0
GTEX-139T4-0226-SM-5HL5S 50-59 years, female 60.7
GTEX-Y8LW-1826-SM-5S2MV 50-59 years, female 60.4
GTEX-1GN1W-0526-SM-9MQJQ 50-59 years, female 60.1
GTEX-1F75I-0326-SM-9YFLU 40-49 years, male 59.6
GTEX-ZZPT-0226-SM-5E43X 50-59 years, male 58.8
GTEX-12WSN-5019-SM-79OM6 40-49 years, male 58.7
GTEX-14A6H-0126-SM-5QGPK 30-39 years, male 58.3
GTEX-1OJC4-0126-SM-E9J2E 50-59 years, female 57.6
GTEX-1J8Q3-1626-SM-CMKGC 60-69 years, male 57.4
GTEX-1JJE9-0326-SM-CL53Z 70-79 years, male 57.2
GTEX-1AX9K-2326-SM-73KWU 50-59 years, male 57.1
GTEX-1QP67-1626-SM-EAZ3X 40-49 years, female 56.9
GTEX-11ZUS-0626-SM-59885 30-39 years, male 55.9
GTEX-V1D1-2226-SM-3NMAX 50-59 years, male 55.9
GTEX-VJWN-0126-SM-3GIK7 50-59 years, female 55.8
GTEX-1C6VS-0526-SM-7DUEN 60-69 years, male 55.4
GTEX-14JIY-0126-SM-6LLH6 60-69 years, male 55.1
GTEX-1A3MW-0126-SM-73KXX 60-69 years, female 54.6
GTEX-113IC-0126-SM-5HL6T 60-69 years, male 54.5
GTEX-1I1GU-2226-SM-CGQFA 40-49 years, male 54.5
GTEX-11TTK-0126-SM-5987B 60-69 years, female 54.4
GTEX-U4B1-1826-SM-4DXSU 40-49 years, male 54.1
GTEX-1HUB1-0426-SM-E9U4U 60-69 years, male 52.4
GTEX-1RAZQ-0726-SM-EAZ43 30-39 years, male 52.1
GTEX-1IE54-0126-SM-CMKHW 40-49 years, female 51.9
GTEX-1JMOU-1526-SM-CL54I 60-69 years, female 51.9
GTEX-1R9PO-2126-SM-E9J4O 60-69 years, female 49.8
GTEX-X62O-0126-SM-4E3JN 50-59 years, male 49.1
GTEX-1HSMO-0126-SM-CL547 60-69 years, male 48.2
GTEX-1QW4Y-1526-SM-EAZ3Z 30-39 years, male 46.0
GTEX-1HBPH-0426-SM-B2LW5 40-49 years, female 39.5
GTEX-15EOM-0126-SM-7KUGG 20-29 years, female 38.7
GTEX-146FR-1326-SM-E9J48 60-69 years, female 38.2
Show allShow less

Contact

  • NEWS ARTICLES
  • PRESS ROOM

The Project

  • INTRODUCTION
  • ORGANIZATION
  • PUBLICATIONS

The Human Protein Atlas

  • DOWNLOADABLE DATA
  • LICENCE & CITATION
  • HELP & FAQ
The Human Protein Atlas project is funded
by the Knut & Alice Wallenberg Foundation.


contact@proteinatlas.org