We use cookies to enhance the usability of our website. If you continue, we'll assume that you are happy to receive all cookies. More information. Don't show this again.
TMEM134
HPA
RESOURCES
  • TISSUE
  • BRAIN
  • SINGLE CELL
  • SUBCELLULAR
  • CANCER
  • BLOOD
  • CELL LINE
  • STRUCTURE & INTERACTION
ABOUT
  • INTRODUCTION
  • HISTORY
  • ORGANIZATION
  • PUBLICATIONS
  • ANTIBODY SUBMISSION
  • ANTIBODY AVAILABILITY
  • ACKNOWLEDGMENTS
  • CONTACT
NEWS
  • NEWS ARTICLES
  • PRESS ROOM
LEARN
  • DICTIONARY
  • PROTEIN CLASSES
  • PROTEIN EVIDENCE
  • METHODS
  • EDUCATIONAL VIDEOS
DATA
  • DOWNLOADABLE DATA
  • PUBLICATION DATA
  • RELEASE HISTORY
HELP
  • ANTIBODY VALIDATION
  • ASSAYS & ANNOTATION
  • DISCLAIMER
  • HELP & FAQ
  • PRIVACY STATEMENT
  • LICENCE & CITATION
Fields »
Search result

Field
Term
Gene name
Class
Subclass
Class
Keyword
Chromosome
External id
Tissue
Cell type
Expression
Antibody panel
Tissue
Main location
Patient ID
Annotation
Tissue
Category
Tau score
Cluster
Reliability
Brain region
Category
Tau score
Brain region
Category
Tau score
Brain region
Category
Tau score
Cluster
Reliability
Tissue
Cell type
Enrichment
Cell type
Category
Tau score
Cell type
Category
Tau score
Cell type
Category
Tau score
Cell lineage
Category
Tau score
Cluster
Cluster
Location
Searches
Location
Cell line
Class
Type
Phase
Reliability
Cancer
Prognosis
Cancer
Category
Cancer
Category
Tau score
Cluster
Variants
Interacting gene (ensg_id)
Type
Number of interactions
Pathway
Category
Score
Score
Score
Validation
Validation
Validation
Validation
Antibodies
Data type
Column


  • SUMMARY

  • TISSUE

  • BRAIN

  • SINGLE CELL

  • SUBCELL

  • CANCER

  • BLOOD

  • CELL LINE

  • STRUCT & INT

  • TMEM134
TISSUE PRIMARY DATA SKIN Show tissue menu
ADIPOSE TISSUE ADRENAL GLAND AMYGDALA APPENDIX BASAL GANGLIA BONE MARROW BREAST CEREBELLUM CEREBRAL CORTEX CERVIX CHOROID PLEXUS COLON DUODENUM ENDOMETRIUM
EPIDIDYMIS ESOPHAGUS FALLOPIAN TUBE GALLBLADDER HEART MUSCLE HIPPOCAMPAL FORMATION HYPOTHALAMUS KIDNEY LIVER LUNG LYMPH NODE MIDBRAIN NASOPHARYNX ORAL MUCOSA
OVARY PANCREAS PARATHYROID GLAND PITUITARY GLAND PLACENTA PROSTATE RECTUM RETINA SALIVARY GLAND SEMINAL VESICLE SKELETAL MUSCLE SKIN SMALL INTESTINE SMOOTH MUSCLE
SOFT TISSUE SPINAL CORD SPLEEN STOMACH TESTIS THYMUS THYROID GLAND TONGUE TONSIL URINARY BLADDER VAGINA
ANTIBODIES
AND
VALIDATION
Dictionary
Skin
Tissue proteome
Skin
SKIN - Expression summary
Protein expression
Skini

On the top, protein expression in current human tissue, based on all annotated cell types, is reported with the units not detected (n), low (l), medium (m) and high (h). Underneath, protein expression in each annotated cell type are reported using the same units.

Protein expression data is based on knowledge-based annotation. For genes where more than one antibody has been used, a collective score is set.

If knowledge-based annotation could not be performed for a gene, no data is displayed here. View antibody staining data further down this page.

h
m
l
n
Epidermal cells: High
Fibroblasts: Not detected
Keratinocytes: High
Langerhans: High
Melanocytes: High
RNA expressioni

A summary of mRNA expression data available for current tissue based on several datasets. The mRNA expression levels in human tissues are based on RNA-seq data generated by the Human Protein Atlas (HPA), Genotype-Tissue Expression (GTEx) portal and CAGE data generated by the FANTOM5 consortium. Consensus normalized expression levels for human tissues was created by combining the data from HPA and GTEx datasets.

The mRNA expression levels in pig are based on RNA-seq data generated by the Human Protein Atlas (HPA), and for mouse, HPA data and in situ hybridization generated by the Allen brain atlas are reported.

Scroll down to view mRNA expression data in more detail.
Consensus:55.7 nTPM
HPA:31.8 nTPM
GTEx:55.7 nTPM

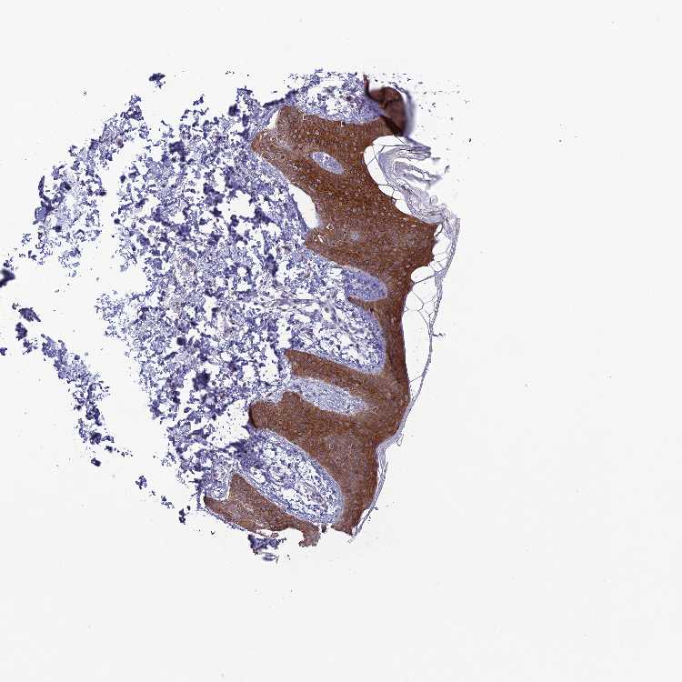
SKIN 1 - Antibody stainingi

Antibody staining in the annotated cell types in the current human tissue is reported as not detected, low, medium, or high, based on conventional immunohistochemistry profiling in selected tissues. This score is based on the combination of the staining intensity and fraction of stained cells.

Each image is clickable and will lead to virtual microscopy that enables deeper exploration of all samples and also displays staining intensity scores, fraction scores and subcellular localization as well as patient and tissue information for each sample.

Antibody HPA043744
Langerhans High
Fibroblasts Not detected
Keratinocytes High
Melanocytes High
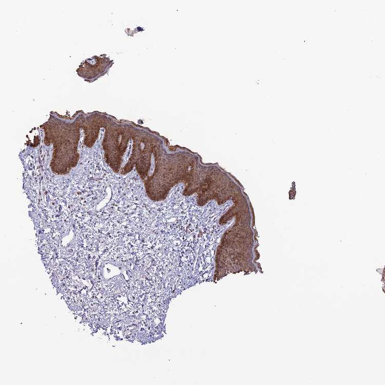
SKIN 2 - Antibody stainingi

Antibody staining in the annotated cell types in the current human tissue is reported as not detected, low, medium, or high, based on conventional immunohistochemistry profiling in selected tissues. This score is based on the combination of the staining intensity and fraction of stained cells.

Each image is clickable and will lead to virtual microscopy that enables deeper exploration of all samples and also displays staining intensity scores, fraction scores and subcellular localization as well as patient and tissue information for each sample.

Antibody HPA043744
Epidermal cells High
 
 
 



SKIN - HPA RNA-seqi

The RNA-seq details section shows detailed information about the individual samples used for the transcript profiling and results of the RNA-seq analysis.

Information about each individual sample is listed below, including gender, age, a tissue section image and estimated fractions of cell types. nTPM (normalized transcripts per million) values give a quantification of the gene abundance which is comparable between different genes and samples.
Average nTPMi

Max subtype nTPM is the value for the subtype with the largest average nTPM across the subtype samples.

31.8
overview
Female, age 34
Skin sample 225
nTPM: 31
Cell types%
Keratinocytes:
60

Other cell types:
40

overview
Female, age 30
Skin sample 226
nTPM: 15.6
Cell types%
Keratinocytes:
55

Other cell types:
45

N/A
Male, age 57
Skin sample 227
nTPM: 48.7

SKIN - GTEx RNA-seqi

RNA-Seq data generated by the Genotype-Tissue Expression (GTEx) project from human tissues is reported as mean nTPM. More information can be found on the GTEx portal.

Distribution across the dataset is visualized with box plots, shown as median and 25th and 75th percentiles. Points are displayed as outliers if they are above or below 1.5 times the interquartile range. nTPM values of the individual samples are presented next to the box plot.
Max subtype nTPMi

Max subtype nTPM is the value for the subtype with the largest average nTPM across the subtype samples.

55.7
GTEx sample id Sample description nTPM
Skin - Not Sun Exposed (Suprapubic)
Average nTPM: 55.7
Samples: 604

Max nTPM: 123.3
Min nTPM: 15.9
Std nTPM: 17.7
Median nTPM: 54.0
GTEX-Y114-2126-SM-4TT8B 50-59 years, female 123.3
GTEX-1IKOE-1426-SM-CE6T7 30-39 years, female 122.3
GTEX-WI4N-2726-SM-3LK7Y 40-49 years, female 122.2
GTEX-1OJC3-1226-SM-DTXER 20-29 years, male 118.5
GTEX-147F4-0726-SM-5TDDD 50-59 years, male 116.0
GTEX-YECK-0326-SM-4W1YS 60-69 years, male 109.0
GTEX-1PIGE-1826-SM-E8VOU 20-29 years, male 104.7
GTEX-Y9LG-1126-SM-4VBQ7 30-39 years, male 103.7
GTEX-ZPCL-1126-SM-4WWFE 60-69 years, female 101.5
GTEX-Y111-0626-SM-4SOIT 50-59 years, male 101.3
GTEX-ZTX8-1326-SM-4YCEL 20-29 years, male 100.0
GTEX-1JMPY-0226-SM-CKZOK 30-39 years, male 99.3
GTEX-WFG7-2026-SM-5SI7P 20-29 years, male 98.5
GTEX-1QP9N-1226-SM-E76QN 30-39 years, male 97.9
GTEX-1IKJJ-2226-SM-CJI4C 60-69 years, male 97.5
GTEX-ZF3C-0626-SM-DO92O 50-59 years, female 97.3
GTEX-15RIG-0726-SM-7KUM7 40-49 years, male 95.9
GTEX-11TUW-0626-SM-5LU9M 60-69 years, male 94.6
GTEX-1E2YA-2126-SM-7MXUO 50-59 years, male 94.4
GTEX-YEC4-1826-SM-4W1YP 40-49 years, male 94.1
GTEX-139UW-0326-SM-5J1ML 60-69 years, male 92.8
GTEX-13JVG-0726-SM-5KM16 60-69 years, male 92.4
GTEX-1PIIG-2326-SM-DTXFR 30-39 years, male 91.9
GTEX-17HHE-1326-SM-7EWDZ 50-59 years, male 91.3
GTEX-XBEW-1126-SM-4QARW 40-49 years, male 90.3
GTEX-14ICL-1626-SM-5YYAO 30-39 years, male 89.4
GTEX-13NYB-0126-SM-5J1MD 40-49 years, male 89.2
GTEX-1S3DN-2126-SM-E9TIN 50-59 years, male 89.2
GTEX-1C6WA-2626-SM-7MKGM 60-69 years, male 88.6
GTEX-1QW4Y-1126-SM-DTXE3 30-39 years, male 88.6
GTEX-1PPH8-0126-SM-EWRN8 20-29 years, male 88.5
GTEX-11OF3-0126-SM-5PNYF 60-69 years, male 88.1
GTEX-1399S-0126-SM-5IJCF 30-39 years, female 87.6
GTEX-131XG-0326-SM-5L3DX 50-59 years, female 87.3
GTEX-ZE7O-2726-SM-51MT5 50-59 years, female 87.2
GTEX-WHSB-1326-SM-3LK6W 50-59 years, male 87.1
GTEX-17HII-1426-SM-7EPGG 50-59 years, male 86.8
GTEX-1JN6P-2926-SM-CL54D 60-69 years, male 86.5
GTEX-1RAZQ-1326-SM-E9TK6 30-39 years, male 86.5
GTEX-ZVZP-1226-SM-5GID7 50-59 years, male 86.0
GTEX-1313W-0626-SM-5EQ4H 50-59 years, female 85.9
GTEX-148VJ-0626-SM-5LUAW 70-79 years, male 84.7
GTEX-16YQH-2226-SM-7IGM2 30-39 years, male 83.8
GTEX-131XH-0126-SM-5LZUY 50-59 years, male 83.3
GTEX-1399Q-2326-SM-5KM2X 40-49 years, male 82.3
GTEX-ZYT6-2326-SM-5GZY3 30-39 years, male 81.8
GTEX-1JMQJ-0826-SM-CNPP7 50-59 years, male 81.7
GTEX-11PRG-0726-SM-5EGL1 50-59 years, male 81.4
GTEX-1JMLX-0626-SM-ARL8T 50-59 years, male 81.3
GTEX-ZTTD-2826-SM-4YCFA 50-59 years, male 80.8
GTEX-1HGF4-0126-SM-CNPPX 60-69 years, male 80.6
GTEX-X585-2426-SM-46MW2 50-59 years, male 80.4
GTEX-ZT9X-1526-SM-5DUXD 40-49 years, male 80.3
GTEX-1GN1U-0626-SM-9MQL9 50-59 years, female 80.3
GTEX-Y3I4-1726-SM-4TT89 50-59 years, male 80.2
GTEX-1HBPN-0126-SM-CGQEF 50-59 years, male 80.1
GTEX-13SLX-2226-SM-62LEP 50-59 years, female 79.9
GTEX-Y5V6-2326-SM-4VDSA 60-69 years, male 79.4
GTEX-1192X-2726-SM-5N9DN 50-59 years, male 78.8
GTEX-14PJ3-1126-SM-5ZZVX 50-59 years, male 78.7
GTEX-17F97-2626-SM-7IGM5 50-59 years, male 78.7
GTEX-1JJEA-1826-SM-ARU8P 60-69 years, male 78.7
GTEX-1A8G7-1326-SM-73KVM 60-69 years, male 78.5
GTEX-14PII-0726-SM-6EU2B 60-69 years, male 78.1
GTEX-1H3O1-1326-SM-9MQLD 60-69 years, male 78.1
GTEX-1JMQL-2226-SM-CNPP4 50-59 years, female 78.0
GTEX-1GN1V-2826-SM-9JGIA 60-69 years, male 77.8
GTEX-1K2DA-1026-SM-CGQGF 50-59 years, male 77.7
GTEX-14C39-1726-SM-5RQIL 40-49 years, male 77.5
GTEX-11WQC-1826-SM-5GU59 60-69 years, male 77.0
GTEX-1AYD5-2626-SM-7PBXY 50-59 years, male 76.9
GTEX-13112-0126-SM-5P9IU 50-59 years, male 76.7
GTEX-1CAMR-1326-SM-7PC1F 20-29 years, male 76.5
GTEX-ZDTS-0826-SM-4WKHL 60-69 years, male 75.4
GTEX-1LVA9-2626-SM-EVYD4 50-59 years, male 75.3
GTEX-Z93S-1626-SM-5CVMB 50-59 years, male 75.1
GTEX-ZF29-0926-SM-4WKFZ 60-69 years, female 74.7
GTEX-ZPU1-1126-SM-4YCF3 40-49 years, male 74.5
GTEX-1N2DV-1526-SM-DTXEP 40-49 years, male 74.5
GTEX-15DYW-2726-SM-6EU2I 60-69 years, female 74.4
GTEX-147GR-2426-SM-5ZZWQ 60-69 years, male 74.3
GTEX-15RIE-1926-SM-7KUKJ 60-69 years, male 74.3
GTEX-12WSJ-1126-SM-5LZVJ 40-49 years, female 74.1
GTEX-11DYG-1526-SM-5A5JS 60-69 years, male 74.0
GTEX-13FTY-2126-SM-5IFFB 40-49 years, female 74.0
GTEX-1N2EE-0626-SM-E76PW 60-69 years, male 73.8
GTEX-1QCLY-0226-SM-EWRNH 30-39 years, male 73.6
GTEX-11O72-0626-SM-5PNYE 40-49 years, male 73.4
GTEX-ZAB4-2126-SM-5HL8U 40-49 years, male 73.3
GTEX-1EMGI-2326-SM-7PBYA 60-69 years, male 73.3
GTEX-18A67-1626-SM-7LT9T 50-59 years, male 73.1
GTEX-18QFQ-1826-SM-72D52 30-39 years, male 73.1
GTEX-14C38-0726-SM-5SI6M 50-59 years, male 73.0
GTEX-15SKB-2826-SM-6PAMH 60-69 years, male 72.9
GTEX-X8HC-0626-SM-4E3HQ 50-59 years, female 72.9
GTEX-11DXZ-2026-SM-5987S 50-59 years, male 72.7
GTEX-1C2JI-1026-SM-73KY1 50-59 years, male 72.2
GTEX-11DXY-0126-SM-5H11Q 60-69 years, male 72.1
GTEX-144FL-0626-SM-5LU43 50-59 years, male 72.1
GTEX-1BAJH-2426-SM-7IGP8 70-79 years, male 72.0
GTEX-WXYG-2026-SM-4E3IY 50-59 years, female 71.7
GTEX-1H4P4-2126-SM-9WYSL 50-59 years, male 71.7
GTEX-1399U-1126-SM-5L3DB 50-59 years, female 71.6
GTEX-1CAMS-2226-SM-7PBXQ 40-49 years, female 71.6
GTEX-1RMOY-1326-SM-E9TIH 50-59 years, male 71.2
GTEX-1B8KE-1126-SM-7EPHI 50-59 years, male 71.1
GTEX-1J8EW-2726-SM-CY8HR 60-69 years, female 71.1
GTEX-13PL6-1126-SM-5L3IE 40-49 years, female 70.9
GTEX-15RJE-2826-SM-7KUM9 40-49 years, male 70.9
GTEX-11ZU8-0126-SM-5EQ58 60-69 years, male 70.8
GTEX-13RTJ-0126-SM-5S2NN 60-69 years, male 70.7
GTEX-1H23P-0626-SM-9WG6T 60-69 years, male 70.2
GTEX-17EVP-2626-SM-7IGMA 40-49 years, male 70.0
GTEX-1LSVX-2526-SM-DIPEU 60-69 years, male 70.0
GTEX-1LG7Y-2526-SM-EWRO7 50-59 years, male 69.9
GTEX-ZYVF-0926-SM-5E44J 50-59 years, female 69.7
GTEX-1ICLZ-0326-SM-ARL82 60-69 years, male 69.6
GTEX-111CU-1126-SM-5EGIM 50-59 years, male 69.4
GTEX-17MFQ-1526-SM-7KFRR 20-29 years, male 69.4
GTEX-14DAR-1226-SM-73KYV 50-59 years, male 69.3
GTEX-ZDTT-0426-SM-4WKFL 60-69 years, male 69.2
GTEX-145MH-2826-SM-5RQJF 50-59 years, male 69.0
GTEX-1H1DG-2426-SM-9QEHJ 70-79 years, male 68.8
GTEX-X4EO-2926-SM-4E3JH 60-69 years, female 68.6
GTEX-11P82-1426-SM-DTXFY 20-29 years, male 68.6
GTEX-1QPFJ-1926-SM-EVYBD 30-39 years, female 68.5
GTEX-144GM-0526-SM-79OJO 20-29 years, male 68.4
GTEX-1LVAN-0626-SM-CNPOQ 50-59 years, female 68.4
GTEX-1I1GP-1326-SM-A9G28 50-59 years, male 68.2
GTEX-ZP4G-1426-SM-4WWCL 20-29 years, female 68.1
GTEX-1GPI7-1826-SM-9KNU1 20-29 years, male 67.9
GTEX-12ZZZ-0726-SM-5GCNZ 60-69 years, male 67.7
GTEX-1HBPI-2126-SM-ARL9K 50-59 years, male 67.7
GTEX-14E1K-2026-SM-7DUEI 50-59 years, male 67.6
GTEX-1LKK1-2626-SM-DKPQE 50-59 years, female 67.6
GTEX-15CHR-1126-SM-7EWF4 50-59 years, male 67.4
GTEX-ZYW4-0626-SM-59HJR 60-69 years, male 67.4
GTEX-1C6VQ-1226-SM-73KYD 50-59 years, male 67.2
GTEX-1R9PM-1926-SM-EVR3O 20-29 years, male 67.1
GTEX-139TS-2126-SM-5K7XC 60-69 years, male 66.9
GTEX-1CB4J-1326-SM-7P8RX 60-69 years, male 66.9
GTEX-1HCUA-0826-SM-ADEHM 50-59 years, female 66.9
GTEX-1LSNL-2726-SM-E9TKJ 50-59 years, male 66.7
GTEX-139TU-0726-SM-5L3EK 60-69 years, male 66.3
GTEX-17KNJ-2126-SM-718AM 50-59 years, male 66.2
GTEX-12126-0826-SM-5FQTZ 20-29 years, male 66.1
GTEX-17F9E-2326-SM-79OKD 50-59 years, male 66.1
GTEX-1B8KZ-0326-SM-73KY4 50-59 years, male 66.0
GTEX-12WSH-1526-SM-5BC5W 50-59 years, male 65.9
GTEX-XOT4-0626-SM-4B66L 60-69 years, female 65.9
GTEX-1B97I-0626-SM-73KUZ 40-49 years, male 65.8
GTEX-13O61-1426-SM-5KM3D 60-69 years, male 65.7
GTEX-14PHY-1226-SM-5ZZWK 60-69 years, female 65.7
GTEX-1GF9V-0826-SM-9KNUV 60-69 years, male 65.7
GTEX-1HT8W-0626-SM-A9G2H 30-39 years, male 65.7
GTEX-1A3MV-1826-SM-731CD 30-39 years, male 65.5
GTEX-1I1HK-2326-SM-CKZOH 60-69 years, male 65.4
GTEX-1KAFJ-0126-SM-DIPEK 50-59 years, male 65.4
GTEX-14PJO-2526-SM-6AJBQ 60-69 years, male 65.3
GTEX-15FZZ-0526-SM-7KUGD 30-39 years, female 65.3
GTEX-1CB4F-1026-SM-7DUH1 60-69 years, male 65.3
GTEX-13OVK-1426-SM-6PAN7 40-49 years, male 65.1
GTEX-1NSGN-0726-SM-DTXEF 50-59 years, male 65.0
GTEX-ZPIC-0526-SM-DO91W 40-49 years, female 65.0
GTEX-14PJN-1826-SM-6AJ98 30-39 years, male 64.8
GTEX-14JFF-0626-SM-5ZZVT 60-69 years, male 64.7
GTEX-16MTA-0926-SM-6M47Z 50-59 years, male 64.6
GTEX-13G51-1826-SM-5KLZH 60-69 years, male 64.5
GTEX-1EN7A-2426-SM-793DB 40-49 years, male 64.5
GTEX-1PPGY-1626-SM-EVYBL 60-69 years, male 64.5
GTEX-1I1GV-0626-SM-ARL7M 60-69 years, male 64.2
GTEX-1AX9I-2226-SM-73KUO 60-69 years, male 64.1
GTEX-1B8SF-0126-SM-7DUG3 60-69 years, male 64.0
GTEX-ZC5H-1526-SM-5HL9Y 40-49 years, female 64.0
GTEX-1F88F-0126-SM-9WYSZ 60-69 years, female 64.0
GTEX-1I1GS-2626-SM-B2LY3 60-69 years, male 64.0
GTEX-1IY9M-2826-SM-ARU8H 60-69 years, male 63.9
GTEX-1JMQK-1226-SM-D4P2S 60-69 years, male 63.9
GTEX-1HCU6-2526-SM-ADEHL 60-69 years, female 63.8
GTEX-YEC3-1326-SM-DO92X 50-59 years, male 63.8
GTEX-XV7Q-1826-SM-4BRUV 40-49 years, female 63.7
GTEX-1C64N-2626-SM-7PC2N 50-59 years, male 63.7
GTEX-1J1OQ-0126-SM-D4P2N 40-49 years, female 63.6
GTEX-1GMRU-2126-SM-7P8RA 50-59 years, male 63.5
GTEX-XK95-0226-SM-4AT58 40-49 years, male 63.4
GTEX-14LLW-2626-SM-62LDZ 70-79 years, female 63.2
GTEX-ZF2S-1626-SM-57WES 50-59 years, female 62.9
GTEX-ZVP2-0326-SM-57WBP 50-59 years, male 62.8
GTEX-1EU9M-1426-SM-793AI 60-69 years, male 62.7
GTEX-1JN76-0626-SM-CKZOQ 20-29 years, female 62.7
GTEX-12696-0126-SM-5EQ4L 60-69 years, male 62.5
GTEX-XBEC-0726-SM-4QARZ 50-59 years, male 62.5
GTEX-14PJ6-2626-SM-6EU2T 60-69 years, female 62.3
GTEX-15UF6-1926-SM-7KUDV 70-79 years, female 62.2
GTEX-UPJH-0226-SM-3GADV 50-59 years, male 62.2
GTEX-1A8G6-2726-SM-731AR 60-69 years, male 62.1
GTEX-11DXX-2126-SM-5PNYR 60-69 years, female 62.0
GTEX-13OW7-0426-SM-5K7VK 50-59 years, male 62.0
GTEX-1F5PK-2226-SM-7SB6N 50-59 years, male 61.8
GTEX-1OJC4-2726-SM-E76PJ 50-59 years, female 61.8
GTEX-15D1Q-2826-SM-6LLH7 40-49 years, male 61.6
GTEX-XAJ8-1426-SM-47JYM 40-49 years, male 61.6
GTEX-1S82U-1026-SM-E6CJK 30-39 years, female 61.6
GTEX-1KANB-2826-SM-CY8I6 50-59 years, male 61.5
GTEX-Y8E4-2026-SM-5IFJB 40-49 years, male 61.2
GTEX-13OVJ-0826-SM-5J1OK 50-59 years, female 61.1
GTEX-14PHX-2226-SM-6EU2P 50-59 years, male 61.1
GTEX-1JK1U-0226-SM-ARZMX 60-69 years, male 61.0
GTEX-1122O-1026-SM-9WYSF 60-69 years, female 60.8
GTEX-18465-2826-SM-7LT9J 50-59 years, male 60.7
GTEX-WH7G-2026-SM-3NMBL 40-49 years, male 60.7
GTEX-1POEN-2326-SM-E9J2L 30-39 years, female 60.7
GTEX-13NYS-0626-SM-5L3F1 60-69 years, male 60.6
GTEX-1MCYP-0526-SM-E9U6Q 20-29 years, female 60.5
GTEX-1N5O9-0926-SM-E9J3C 60-69 years, male 60.5
GTEX-111VG-1626-SM-5EGIO 60-69 years, male 60.4
GTEX-16MT8-2926-SM-7DUFO 60-69 years, female 60.4
GTEX-1F6I4-2326-SM-7RHGL 60-69 years, male 60.4
GTEX-1HCU7-0726-SM-A9SL1 50-59 years, male 60.1
GTEX-1HSMQ-2626-SM-A9SML 50-59 years, male 60.1
GTEX-1LGRB-0926-SM-COH3K 50-59 years, female 60.1
GTEX-145LS-0626-SM-7EPG7 60-69 years, female 60.0
GTEX-13N1W-2426-SM-5IJD1 70-79 years, male 59.9
GTEX-XPVG-2126-SM-4B667 50-59 years, male 59.9
GTEX-1LBAC-0826-SM-CY8IJ 20-29 years, male 59.9
GTEX-1PBJJ-1026-SM-E76OS 30-39 years, male 59.8
GTEX-1QP2A-1726-SM-E76QC 50-59 years, male 59.8
GTEX-ZXG5-2126-SM-59HKD 60-69 years, male 59.5
GTEX-13SLW-0626-SM-5Q5ER 70-79 years, male 59.4
GTEX-1B933-2426-SM-7DHMD 50-59 years, female 59.3
GTEX-X5EB-1926-SM-4E3IW 40-49 years, male 59.3
GTEX-1IOXB-2726-SM-CM2RI 50-59 years, male 59.3
GTEX-11ZUS-2626-SM-5FQUR 30-39 years, male 59.0
GTEX-139TT-2126-SM-5LZWC 60-69 years, male 59.0
GTEX-1LSNM-0826-SM-DIPG8 50-59 years, male 58.9
GTEX-131XF-2626-SM-5EQ6K 60-69 years, male 58.8
GTEX-1H2FU-0926-SM-9WPPT 60-69 years, female 58.8
GTEX-1I1GT-1026-SM-ARZLV 60-69 years, female 58.8
GTEX-13D11-0926-SM-5J2NC 50-59 years, female 58.6
GTEX-14BIN-1126-SM-5RQJZ 50-59 years, female 58.6
GTEX-XXEK-1626-SM-4BRUZ 50-59 years, male 58.6
GTEX-11GSP-2326-SM-5HL63 60-69 years, female 58.5
GTEX-1E1VI-0326-SM-793D1 50-59 years, male 58.5
GTEX-1R46S-2426-SM-E76QA 60-69 years, female 58.5
GTEX-13VXU-0626-SM-5L3F9 50-59 years, male 58.3
GTEX-13X6J-0626-SM-5LU5F 50-59 years, male 58.3
GTEX-1IE54-1126-SM-A9G2Z 40-49 years, female 58.3
GTEX-1269C-0126-SM-5EQ5L 60-69 years, female 58.1
GTEX-1EKGG-0626-SM-7DUGJ 60-69 years, male 58.0
GTEX-1GZ2Q-0126-SM-9WG6M 40-49 years, male 58.0
GTEX-1NV5F-0626-SM-DTXEG 60-69 years, female 58.0
GTEX-11NUK-2726-SM-5A5MC 50-59 years, male 57.9
GTEX-18A6Q-0626-SM-7KFRP 60-69 years, male 57.9
GTEX-1J1R8-2026-SM-CL53Y 40-49 years, male 57.6
GTEX-14C5O-0326-SM-5ZZUX 60-69 years, male 57.5
GTEX-15CHQ-0326-SM-69LQD 60-69 years, male 57.5
GTEX-14753-0726-SM-5QGQO 60-69 years, male 57.4
GTEX-13FHO-0426-SM-5L3F5 60-69 years, male 57.3
GTEX-1MJK3-0726-SM-E6CJC 20-29 years, male 57.2
GTEX-16NPX-0726-SM-7KULC 50-59 years, male 57.1
GTEX-1B996-0426-SM-7EWF8 60-69 years, male 57.1
GTEX-ZDYS-2426-SM-4WKGI 50-59 years, male 56.9
GTEX-1H11D-1826-SM-9QEHM 40-49 years, male 56.9
GTEX-ZDXO-3126-SM-5IJDF 60-69 years, male 56.8
GTEX-XQ8I-0926-SM-4BOOF 50-59 years, male 56.7
GTEX-145LU-1926-SM-79OJN 50-59 years, male 56.6
GTEX-14ABY-2026-SM-62LDL 50-59 years, male 56.6
GTEX-178AV-1726-SM-7KUL8 40-49 years, male 56.6
GTEX-ZYY3-2926-SM-5GIEB 60-69 years, female 56.4
GTEX-14JG1-1526-SM-5YY9X 40-49 years, male 56.3
GTEX-15RJ7-2126-SM-6PAMD 40-49 years, male 56.2
GTEX-11ZTT-2126-SM-5CVLO 60-69 years, female 56.1
GTEX-145MF-0926-SM-5Q5EA 50-59 years, male 56.0
GTEX-16NGA-0726-SM-731AO 40-49 years, female 56.0
GTEX-ZY6K-1426-SM-5GZX2 50-59 years, male 56.0
GTEX-1S82P-2126-SM-E6CI5 60-69 years, female 56.0
GTEX-11P81-2226-SM-5PNYI 30-39 years, female 55.9
GTEX-12WSF-1626-SM-7KUG5 70-79 years, male 55.9
GTEX-13O3Q-0126-SM-5KM34 50-59 years, male 55.9
GTEX-1IDFM-0326-SM-ARL7V 60-69 years, male 55.8
GTEX-131XW-0626-SM-5PNVD 50-59 years, female 55.7
GTEX-1CB4E-0926-SM-7EPHT 60-69 years, male 55.6
GTEX-14E6C-2426-SM-5S2NF 40-49 years, male 55.5
GTEX-17F98-1326-SM-7DUEP 40-49 years, female 55.5
GTEX-13NYC-0126-SM-5L3F4 60-69 years, male 55.4
GTEX-1S5ZU-2526-SM-E6CIF 20-29 years, female 55.4
GTEX-11P7K-1126-SM-5HL4L 30-39 years, male 55.3
GTEX-1K9T9-1526-SM-DIPFR 50-59 years, female 55.3
GTEX-11UD2-2526-SM-5CVNU 50-59 years, male 55.2
GTEX-1C6VR-0126-SM-7RHGB 60-69 years, male 55.2
GTEX-1QMI2-2526-SM-E8VNZ 60-69 years, male 55.2
GTEX-ZVT4-2426-SM-5GIEI 50-59 years, female 55.1
GTEX-144GO-2026-SM-5O99P 60-69 years, male 55.0
GTEX-1QP28-1126-SM-EVYC4 50-59 years, female 55.0
GTEX-1CAMQ-1326-SM-7P8RV 40-49 years, male 54.8
GTEX-1F75B-0726-SM-7PC3R 50-59 years, male 54.6
GTEX-111YS-1526-SM-5GZYW 60-69 years, male 54.4
GTEX-13OW5-2326-SM-5L3HO 60-69 years, male 54.4
GTEX-1HB9E-0126-SM-CM2S5 50-59 years, male 54.4
GTEX-15G19-2426-SM-7KUMR 60-69 years, male 54.3
GTEX-ZE9C-2526-SM-5IJDR 60-69 years, male 54.1
GTEX-12WSM-1926-SM-5BC65 60-69 years, male 54.0
GTEX-13OW6-2726-SM-5J2OE 50-59 years, male 54.0
GTEX-1PPH7-1126-SM-DTX9A 40-49 years, male 53.9
GTEX-15SHW-0226-SM-7LTAT 60-69 years, male 53.8
GTEX-1HFI6-0126-SM-CNPPI 40-49 years, male 53.8
GTEX-13PVQ-0626-SM-5LU47 50-59 years, male 53.6
GTEX-18D9U-0126-SM-731BM 40-49 years, male 53.6
GTEX-1HSMP-0926-SM-A9SKX 70-79 years, male 53.6
GTEX-1LB8K-0726-SM-D5OV2 50-59 years, male 53.5
GTEX-V1D1-2026-SM-3GAF4 50-59 years, male 53.0
GTEX-1H3VE-0726-SM-9YFL5 40-49 years, male 53.0
GTEX-1JMPZ-0726-SM-CY8HZ 30-39 years, male 53.0
GTEX-13U4I-2226-SM-5LU5H 40-49 years, female 52.9
GTEX-1GZ4I-2626-SM-9KNU3 50-59 years, male 52.7
GTEX-1KWVE-1026-SM-D3L9O 30-39 years, male 52.6
GTEX-13OVG-1626-SM-5J1NF 60-69 years, male 52.5
GTEX-14LZ3-0126-SM-69LPM 60-69 years, female 52.5
GTEX-1I6K7-1926-SM-B2LXR 40-49 years, male 52.5
GTEX-15G1A-1626-SM-7KUKN 30-39 years, male 52.4
GTEX-XQ3S-1426-SM-4BOPR 20-29 years, male 52.4
GTEX-1GN2E-0226-SM-9WG6K 60-69 years, male 52.4
GTEX-VUSG-2326-SM-4KL1U 50-59 years, male 52.2
GTEX-1IL2V-1926-SM-B2LW8 70-79 years, male 52.2
GTEX-13X6I-1826-SM-5SIAO 60-69 years, male 52.1
GTEX-1HCVE-2726-SM-CL54F 50-59 years, male 52.1
GTEX-1EH9U-2826-SM-7DUGT 60-69 years, male 52.0
GTEX-WHWD-1826-SM-3LK6I 50-59 years, male 52.0
GTEX-1HC8U-1326-SM-9YFMJ 40-49 years, female 52.0
GTEX-15ER7-0626-SM-6PANF 20-29 years, female 51.9
GTEX-XUW1-0926-SM-4BONX 50-59 years, female 51.9
GTEX-1B8L1-2226-SM-7P8PT 60-69 years, male 51.9
GTEX-18D9A-1426-SM-7LT8M 30-39 years, female 51.7
GTEX-1KXAM-1626-SM-D3LAD 60-69 years, male 51.7
GTEX-13IVO-0726-SM-5LZYV 70-79 years, male 51.6
GTEX-1R7EU-1626-SM-DTXG3 60-69 years, male 51.6
GTEX-183WM-0326-SM-72D5V 70-79 years, female 51.5
GTEX-Y3IK-1626-SM-4YCF5 50-59 years, female 51.5
GTEX-Y8LW-1526-SM-5IFHL 50-59 years, female 51.5
GTEX-1GTWX-2026-SM-9YFLM 60-69 years, male 51.5
GTEX-1JJ6O-2726-SM-CNPOG 60-69 years, male 51.5
GTEX-12BJ1-0926-SM-5EQ62 60-69 years, male 51.4
GTEX-1CB4I-0126-SM-7RHGG 50-59 years, male 51.3
GTEX-1RLM8-2926-SM-E8VON 50-59 years, male 51.3
GTEX-ZZPU-0826-SM-5GZX5 50-59 years, female 51.1
GTEX-1R9PN-0426-SM-DTXDT 40-49 years, female 51.1
GTEX-11GS4-0226-SM-5HL77 60-69 years, male 50.8
GTEX-U8XE-0226-SM-4E3J3 30-39 years, male 50.8
GTEX-WHPG-2626-SM-3NMBR 50-59 years, male 50.8
GTEX-1QEPI-2626-SM-DTXF4 60-69 years, female 50.7
GTEX-1IDJU-1726-SM-CMKHU 60-69 years, female 50.5
GTEX-1LVAO-2726-SM-E9TJ8 60-69 years, male 50.4
GTEX-139T8-0626-SM-5KLZX 60-69 years, male 50.1
GTEX-144GL-0626-SM-5LU4D 50-59 years, male 50.1
GTEX-1S83E-1326-SM-E6CJM 40-49 years, male 50.1
GTEX-131YS-2826-SM-5EQ47 60-69 years, female 49.9
GTEX-1GN73-0726-SM-7P8TJ 60-69 years, male 49.9
GTEX-1HSKV-1226-SM-ADEI4 60-69 years, male 49.8
GTEX-11NSD-0626-SM-5A5LU 20-29 years, male 49.7
GTEX-1I1GU-0926-SM-ACKVS 40-49 years, male 49.7
GTEX-13FTX-1526-SM-5K7VJ 20-29 years, female 49.5
GTEX-145LT-0526-SM-5LUB2 40-49 years, male 49.5
GTEX-1EX96-1026-SM-7MKG2 50-59 years, male 49.5
GTEX-1HR98-2226-SM-ADEI2 60-69 years, male 49.5
GTEX-1R9K4-2826-SM-DTX8F 60-69 years, male 49.5
GTEX-1H1ZS-2726-SM-9WG75 70-79 years, male 49.3
GTEX-1HFI7-2326-SM-CGQFS 50-59 years, female 49.3
GTEX-13O3O-2326-SM-5IJD6 60-69 years, female 49.2
GTEX-13W3W-0726-SM-5IJDQ 60-69 years, female 49.2
GTEX-14BMV-2826-SM-5TDED 50-59 years, male 49.2
GTEX-16BQI-1326-SM-6M486 30-39 years, female 49.2
GTEX-11LCK-2226-SM-5HL4Q 30-39 years, male 49.1
GTEX-ZZ64-1026-SM-5GZXG 20-29 years, male 49.1
GTEX-1GMR3-0126-SM-A9SLW 40-49 years, male 49.0
GTEX-13OVH-0526-SM-5L3E6 70-79 years, male 48.9
GTEX-17HGU-2326-SM-7DUFE 50-59 years, male 48.9
GTEX-13FTW-0326-SM-5K7UW 40-49 years, male 48.8
GTEX-14E6E-0526-SM-793DN 30-39 years, male 48.8
GTEX-1A3MW-0626-SM-731CB 60-69 years, female 48.7
GTEX-ZA64-1026-SM-5HL8R 20-29 years, male 48.4
GTEX-1K2DU-1226-SM-CYPT4 20-29 years, male 48.4
GTEX-XBED-1926-SM-47JYP 60-69 years, male 48.1
GTEX-ZLFU-1826-SM-4WWBV 40-49 years, male 48.0
GTEX-1AX8Z-0726-SM-73KTS 60-69 years, male 47.9
GTEX-ZVE2-2826-SM-5GU51 50-59 years, male 47.9
GTEX-13NZ8-1226-SM-5KM4A 60-69 years, female 47.8
GTEX-11TT1-1826-SM-5EQLV 20-29 years, male 47.7
GTEX-14PJ5-1526-SM-6LLIL 60-69 years, female 47.7
GTEX-12WSD-0626-SM-5GCMW 60-69 years, female 47.6
GTEX-13YAN-0226-SM-5TDC6 60-69 years, male 47.6
GTEX-15EO6-2426-SM-6PALZ 50-59 years, male 47.5
GTEX-12ZZY-0726-SM-5EQ66 60-69 years, male 47.4
GTEX-17F9Y-0126-SM-79OKX 70-79 years, female 47.4
GTEX-145MG-1526-SM-5Q5EM 50-59 years, male 47.2
GTEX-1GF9W-1426-SM-7PBYM 60-69 years, male 47.2
GTEX-1JMOU-1026-SM-CYPSS 60-69 years, female 46.9
GTEX-1EWIQ-0326-SM-7DHMQ 70-79 years, female 46.8
GTEX-ZYFC-0426-SM-5GICQ 50-59 years, male 46.8
GTEX-13FLV-0126-SM-5K7WT 50-59 years, male 46.7
GTEX-14PK6-0226-SM-62LF5 70-79 years, female 46.6
GTEX-WK11-2726-SM-3NMAQ 50-59 years, male 46.6
GTEX-1F75A-0726-SM-7RHHD 50-59 years, male 46.6
GTEX-1QAET-0326-SM-EVR3U 50-59 years, male 46.5
GTEX-ZU9S-1826-SM-5NQ9E 30-39 years, male 46.4
GTEX-1LG7Z-1626-SM-CXKYR 30-39 years, male 46.3
GTEX-1GMR2-0826-SM-7PC3V 50-59 years, male 46.2
GTEX-132AR-0326-SM-5KM2C 50-59 years, female 46.1
GTEX-139YR-1026-SM-5LZYN 50-59 years, male 46.1
GTEX-13QJC-0126-SM-5ZZWJ 60-69 years, female 46.0
GTEX-16Z82-2626-SM-7KULU 60-69 years, male 46.0
GTEX-133LE-2326-SM-5K7W3 20-29 years, female 45.8
GTEX-14A5H-0826-SM-5QGPJ 60-69 years, male 45.7
GTEX-1A8FM-0626-SM-7PC25 50-59 years, female 45.7
GTEX-1GL5R-1326-SM-7RHHF 50-59 years, male 45.6
GTEX-1I19N-0126-SM-CYPSF 70-79 years, male 45.6
GTEX-13X6K-0626-SM-5LU5D 60-69 years, female 45.5
GTEX-17HHY-0426-SM-7DHLC 50-59 years, male 45.5
GTEX-WY7C-2126-SM-3NB2R 50-59 years, male 45.5
GTEX-13OVL-0126-SM-5L3GJ 50-59 years, male 45.4
GTEX-1JMQI-1726-SM-ARL93 50-59 years, male 45.4
GTEX-1GZ4H-0526-SM-9KNU9 50-59 years, female 45.3
GTEX-14PKU-0126-SM-6LLHV 40-49 years, female 45.2
GTEX-1O9I2-0226-SM-EYYXD 50-59 years, male 45.2
GTEX-1212Z-0126-SM-59HK4 60-69 years, male 45.1
GTEX-16MT9-0126-SM-7EPI8 60-69 years, female 45.0
GTEX-16XZZ-0726-SM-7KUF2 60-69 years, male 45.0
GTEX-145MI-0626-SM-5SI8S 60-69 years, female 44.8
GTEX-17F96-0126-SM-7EWDU 70-79 years, male 44.8
GTEX-ZWKS-0626-SM-5GIDV 30-39 years, male 44.8
GTEX-1I1CD-0626-SM-CE6SW 60-69 years, female 44.8
GTEX-1497J-0226-SM-5QGPU 60-69 years, male 44.7
GTEX-1H1E6-0426-SM-9WYUS 30-39 years, male 44.7
GTEX-12ZZX-2426-SM-5GCOE 40-49 years, female 44.6
GTEX-146FQ-2126-SM-5RQHU 30-39 years, male 44.5
GTEX-W5X1-2526-SM-3GILC 40-49 years, female 44.5
GTEX-XMD2-2126-SM-4YCF8 60-69 years, female 44.3
GTEX-145MN-1526-SM-5SI9T 30-39 years, male 44.2
GTEX-14B4R-1326-SM-5Q5EZ 30-39 years, male 44.2
GTEX-1C64O-1326-SM-7MGWR 60-69 years, male 43.9
GTEX-18A7A-0126-SM-731AH 50-59 years, female 43.8
GTEX-13NZ9-2626-SM-5L3FK 50-59 years, male 43.7
GTEX-YFCO-1226-SM-5LUAT 40-49 years, male 43.7
GTEX-1GF9X-1326-SM-7PC2Y 40-49 years, female 43.7
GTEX-1RB15-1326-SM-E76Q9 60-69 years, male 43.7
GTEX-1IDJH-0126-SM-D3L92 70-79 years, male 43.6
GTEX-1KANA-1326-SM-DIPFA 20-29 years, male 43.6
GTEX-X4EP-0626-SM-3P621 60-69 years, female 43.5
GTEX-12KS4-2126-SM-5FQUT 30-39 years, male 43.4
GTEX-WRHU-2826-SM-3MJG8 50-59 years, female 43.2
GTEX-11EQ9-1626-SM-5PNY8 30-39 years, male 43.1
GTEX-15EU6-2226-SM-6EU2L 50-59 years, male 43.1
GTEX-1PDJ9-1226-SM-EXUSX 20-29 years, male 43.1
GTEX-1S831-1826-SM-EWROF 20-29 years, male 43.0
GTEX-13FH7-1126-SM-5K7UG 50-59 years, female 42.9
GTEX-1JJE9-2626-SM-ARZMT 70-79 years, male 42.9
GTEX-1JN1M-2726-SM-CY8I4 60-69 years, female 42.9
GTEX-1H1CY-0126-SM-9YFLY 60-69 years, female 42.8
GTEX-12WSA-0426-SM-5EQ5X 60-69 years, male 42.7
GTEX-ZVT2-0126-SM-5GIDQ 50-59 years, female 42.7
GTEX-1HKZK-0726-SM-ACKW2 40-49 years, male 42.6
GTEX-11VI4-1126-SM-5EQMD 40-49 years, female 42.3
GTEX-13PDP-0726-SM-5L3HP 60-69 years, male 42.2
GTEX-WEY5-2326-SM-3GIKK 40-49 years, female 42.2
GTEX-WFON-1926-SM-3LK7L 40-49 years, male 42.2
GTEX-ZAK1-0626-SM-5HL8E 50-59 years, female 42.2
GTEX-1RAZA-2226-SM-E9U4X 20-29 years, male 42.2
GTEX-1C475-1326-SM-7SB73 40-49 years, female 42.1
GTEX-1GZHY-0626-SM-9KNVC 50-59 years, female 42.1
GTEX-1I4MK-0126-SM-CY8G6 50-59 years, female 42.0
GTEX-1J8JJ-0626-SM-ARZMQ 60-69 years, female 42.0
GTEX-13OW8-1026-SM-5J1NQ 60-69 years, male 41.8
GTEX-1J8QM-2426-SM-A9SLS 60-69 years, female 41.8
GTEX-1H1DE-1326-SM-9KNUG 20-29 years, male 41.6
GTEX-1HSGN-0826-SM-ACKW3 40-49 years, female 41.6
GTEX-13VXT-1926-SM-5K7UO 20-29 years, female 41.5
GTEX-14A6H-2026-SM-5Q5DD 30-39 years, male 41.5
GTEX-ZYFG-1526-SM-5GZYM 60-69 years, female 41.4
GTEX-1ICLY-0826-SM-CMKG1 50-59 years, male 41.4
GTEX-15DDE-2926-SM-6LLJ3 50-59 years, female 41.3
GTEX-1F5PL-0926-SM-7PC2W 40-49 years, female 41.3
GTEX-1HR9M-2226-SM-CNPPY 60-69 years, male 41.2
GTEX-145ME-1726-SM-5Q5EU 40-49 years, female 41.1
GTEX-XYKS-1426-SM-4BRUO 60-69 years, female 41.1
GTEX-1IDJF-2026-SM-CL53V 20-29 years, male 41.1
GTEX-1KD5A-0126-SM-E9U54 50-59 years, male 41.1
GTEX-1J8Q2-2626-SM-ACKWQ 60-69 years, male 41.0
GTEX-1F52S-2926-SM-7MKGA 60-69 years, female 40.9
GTEX-1GPI6-1926-SM-9KNV7 60-69 years, male 40.9
GTEX-11DXW-0826-SM-5H118 40-49 years, male 40.5
GTEX-1HUB1-1426-SM-CGQF5 60-69 years, male 40.4
GTEX-17HG3-2626-SM-7DUF2 30-39 years, female 40.1
GTEX-14XAO-1226-SM-6EU1C 60-69 years, female 40.0
GTEX-Y5LM-0926-SM-6LLJG 40-49 years, female 40.0
GTEX-WYVS-1626-SM-3NM9R 40-49 years, female 39.9
GTEX-147JS-0226-SM-5S2U9 60-69 years, male 39.8
GTEX-1477Z-0326-SM-7IGLA 60-69 years, male 39.4
GTEX-ZTSS-1426-SM-5985P 40-49 years, male 39.4
GTEX-1I6K6-1726-SM-CGQFD 30-39 years, male 39.4
GTEX-1IDJV-0126-SM-COH3Y 60-69 years, male 39.4
GTEX-1117F-2926-SM-5GZYI 60-69 years, female 39.2
GTEX-12WSC-2826-SM-5BC5Y 50-59 years, male 39.2
GTEX-145MO-2826-SM-5LU96 60-69 years, male 39.2
GTEX-1MCC2-1826-SM-DIPEX 30-39 years, female 39.2
GTEX-1RAZR-2126-SM-E9U6T 40-49 years, male 39.2
GTEX-X3Y1-2026-SM-3P5YM 40-49 years, male 39.1
GTEX-YJ8O-2526-SM-5HL85 40-49 years, female 39.1
GTEX-13N11-2326-SM-5IJBF 50-59 years, female 38.9
GTEX-117YX-1926-SM-5GIEC 50-59 years, male 38.3
GTEX-1QP29-1826-SM-DTX9S 50-59 years, male 38.3
GTEX-14PKV-1126-SM-6LLJ1 20-29 years, female 38.1
GTEX-1RAZS-2526-SM-E6CHT 50-59 years, male 38.1
GTEX-1LVAM-0726-SM-E6CIL 50-59 years, female 38.0
GTEX-UPK5-0426-SM-3GAEK 40-49 years, male 37.9
GTEX-12WSK-2126-SM-5CVNC 40-49 years, female 37.7
GTEX-1F6IF-0926-SM-7SB7M 60-69 years, male 37.7
GTEX-1B932-2326-SM-79OL5 40-49 years, female 37.4
GTEX-1HCU8-2526-SM-CE6RX 60-69 years, female 37.4
GTEX-ZLV1-1526-SM-DO91J 60-69 years, female 37.3
GTEX-18A66-0626-SM-7LT8Z 60-69 years, male 37.2
GTEX-WFG8-2126-SM-3GIKQ 20-29 years, male 37.1
GTEX-1314G-1326-SM-5BC6E 30-39 years, male 37.0
GTEX-16AAH-0626-SM-793C9 50-59 years, male 37.0
GTEX-18A7B-2726-SM-7LG56 70-79 years, male 37.0
GTEX-WYJK-0526-SM-3NM8Z 50-59 years, male 37.0
GTEX-1ICG6-1226-SM-A9SLN 70-79 years, female 37.0
GTEX-1GMR8-0626-SM-7RHI7 50-59 years, female 36.7
GTEX-1211K-1526-SM-5FQU4 60-69 years, female 36.5
GTEX-13PVR-0426-SM-5RQK2 60-69 years, female 36.5
GTEX-1IDJC-1526-SM-B2LW4 50-59 years, male 36.5
GTEX-1M4P7-0726-SM-E6CJ3 60-69 years, male 36.5
GTEX-14PJ4-0226-SM-5YY92 60-69 years, male 36.4
GTEX-1IDJD-2326-SM-ACKWX 30-39 years, male 36.4
GTEX-1AMEY-0826-SM-72D65 30-39 years, female 36.3
GTEX-1QP66-1226-SM-DTX7U 50-59 years, male 36.2
GTEX-11DZ1-2426-SM-5GZZX 50-59 years, male 36.1
GTEX-147F3-1726-SM-5SIAW 50-59 years, female 36.1
GTEX-1KANC-1226-SM-CYPT7 50-59 years, female 36.1
GTEX-15CHC-1126-SM-6LLHQ 60-69 years, female 35.9
GTEX-1F48J-0726-SM-7RHGS 50-59 years, female 35.9
GTEX-14DAQ-0626-SM-793DS 60-69 years, female 35.6
GTEX-183FY-1026-SM-7939A 20-29 years, male 35.5
GTEX-1JKYR-0626-SM-ARL8R 20-29 years, male 35.5
GTEX-1CAV2-0126-SM-7IGN7 40-49 years, female 35.4
GTEX-1A32A-0626-SM-731AQ 50-59 years, female 34.8
GTEX-1J8Q3-0526-SM-ARL8U 60-69 years, male 34.7
GTEX-1JKYN-0826-SM-ARU8S 30-39 years, male 34.7
GTEX-13X6H-0926-SM-5SIB2 50-59 years, female 34.6
GTEX-111FC-2526-SM-5GZXU 60-69 years, male 34.5
GTEX-11EM3-1226-SM-5N9DD 20-29 years, female 34.2
GTEX-17JCI-2926-SM-7DUFF 60-69 years, female 34.2
GTEX-1GN1W-2426-SM-9KNUU 50-59 years, female 34.1
GTEX-1HCU9-0426-SM-9WYSD 20-29 years, male 34.0
GTEX-17MF6-2626-SM-79OKQ 40-49 years, male 33.9
GTEX-1IDJI-0126-SM-CMKHS 50-59 years, female 33.9
GTEX-ZAJG-1526-SM-5CVML 50-59 years, female 33.6
GTEX-1AMFI-1326-SM-7939R 50-59 years, female 33.4
GTEX-YB5K-2026-SM-4VDT3 40-49 years, female 33.0
GTEX-1F75I-2226-SM-7SB8U 40-49 years, male 32.5
GTEX-12WSL-2026-SM-5GCML 50-59 years, male 32.1
GTEX-14AS3-1526-SM-5Q5ED 40-49 years, female 32.1
GTEX-ZYFD-0626-SM-5E44E 50-59 years, male 32.1
GTEX-12C56-1526-SM-5FQUQ 20-29 years, male 32.0
GTEX-13113-1626-SM-5EQ4I 60-69 years, female 32.0
GTEX-14JG6-1426-SM-9WG7C 30-39 years, female 32.0
GTEX-ZT9W-1126-SM-57WDR 50-59 years, male 31.8
GTEX-1HBPM-0726-SM-9YFL7 60-69 years, female 31.6
GTEX-1399R-1326-SM-5PNYS 30-39 years, male 31.4
GTEX-1H1DF-1126-SM-9WG7G 40-49 years, female 30.9
GTEX-139D8-1126-SM-5LU8W 30-39 years, female 30.7
GTEX-ZGAY-1826-SM-DO91Q 40-49 years, female 30.5
GTEX-ZVTK-0226-SM-51MRG 20-29 years, male 30.1
GTEX-14PJ2-0626-SM-6LLII 50-59 years, male 30.0
GTEX-Y5V5-0126-SM-5S2NW 60-69 years, female 29.8
GTEX-1CB4H-1126-SM-7MKGL 60-69 years, female 29.7
GTEX-1F75W-2726-SM-7SB8H 60-69 years, male 29.7
GTEX-11WQK-1026-SM-5EQLX 50-59 years, male 29.5
GTEX-ZUA1-2626-SM-5NQ92 40-49 years, male 29.4
GTEX-1A3MX-2626-SM-7PC24 60-69 years, male 29.2
GTEX-11EI6-2826-SM-5H11D 60-69 years, male 29.0
GTEX-12584-0726-SM-5FQTK 40-49 years, male 28.8
GTEX-16GPK-0626-SM-7KFSF 60-69 years, male 28.8
GTEX-1AX9J-1326-SM-731BJ 60-69 years, male 28.5
GTEX-1H3NZ-2726-SM-9WYTQ 60-69 years, male 28.1
GTEX-1LGOU-1326-SM-D3L8M 20-29 years, female 28.1
GTEX-1IDJE-1426-SM-ADEIW 50-59 years, female 27.7
GTEX-13N2G-0226-SM-5K7VF 60-69 years, male 27.6
GTEX-14BMU-1226-SM-5S2OR 20-29 years, female 27.6
GTEX-VJYA-1526-SM-3GIJV 60-69 years, male 27.6
GTEX-WHSE-0126-SM-3NMBT 20-29 years, male 27.5
GTEX-17EVQ-0126-SM-7IGLR 70-79 years, male 27.3
GTEX-1F6RS-2026-SM-7RHHC 60-69 years, female 27.2
GTEX-13JUV-2026-SM-5K7UA 40-49 years, female 27.0
GTEX-YF7O-1526-SM-5IFI6 50-59 years, male 26.6
GTEX-WYBS-0626-SM-3NMAS 60-69 years, female 26.4
GTEX-11EQ8-0926-SM-5H12V 60-69 years, male 26.3
GTEX-1F88E-1626-SM-7SB8Z 60-69 years, female 25.7
GTEX-13QBU-1226-SM-5LU4G 40-49 years, female 24.4
GTEX-18D9B-0926-SM-7LG4U 60-69 years, male 23.9
GTEX-ZLWG-0826-SM-59888 50-59 years, female 23.8
GTEX-ZVE1-0726-SM-51MRN 50-59 years, female 23.0
GTEX-1QCLZ-2426-SM-EVYBW 60-69 years, female 23.0
GTEX-1L5NE-1126-SM-D3L9P 50-59 years, male 19.8
GTEX-1HSMO-0626-SM-ACKXC 60-69 years, male 18.6
GTEX-1GF9U-2026-SM-7SB92 40-49 years, female 15.9
Show allShow less
Skin - Sun Exposed (Lower leg)
Average nTPM: 51.4
Samples: 701

Max nTPM: 122.0
Min nTPM: 8.1
Std nTPM: 18.8
Median nTPM: 49.2
GTEX-1JMLX-0226-SM-CM2RO 50-59 years, male 122.0
GTEX-Y3IK-2426-SM-4WWDU 50-59 years, female 113.1
GTEX-ZXES-1826-SM-5E43S 30-39 years, female 113.1
GTEX-139TS-2826-SM-5J1OO 60-69 years, male 109.3
GTEX-1399U-2326-SM-5K7WY 50-59 years, female 106.4
GTEX-X8HC-0126-SM-4E3JW 50-59 years, female 105.9
GTEX-14E6C-0126-SM-5RQIP 40-49 years, male 103.5
GTEX-13NYB-2526-SM-5K7Z6 40-49 years, male 100.3
GTEX-P4QT-0126-SM-2I3FL 50-59 years, female 99.8
GTEX-XUZC-1726-SM-4BRWS 30-39 years, female 99.7
GTEX-139UW-2826-SM-5L3E7 60-69 years, male 99.6
GTEX-131XE-2326-SM-5PNZ2 50-59 years, male 99.3
GTEX-OIZG-0726-SM-33HBL 50-59 years, male 98.7
GTEX-RVPV-0126-SM-EAZAW 60-69 years, male 96.0
GTEX-111FC-0126-SM-5N9DL 60-69 years, male 94.9
GTEX-ZGAY-0526-SM-4WWBB 40-49 years, female 94.4
GTEX-O5YW-0126-SM-3LK6D 50-59 years, male 94.3
GTEX-WI4N-1026-SM-3LK7N 40-49 years, female 94.2
GTEX-13CF2-2526-SM-5LZYX 60-69 years, male 92.6
GTEX-ZDTS-0126-SM-4WAY5 60-69 years, male 92.5
GTEX-1IKK5-0626-SM-ARL8A 60-69 years, male 92.0
GTEX-15SB6-1726-SM-6PAME 50-59 years, female 91.9
GTEX-Y8DK-0126-SM-4TT3L 60-69 years, male 91.0
GTEX-1MJK2-0426-SM-DTXE5 50-59 years, male 90.6
GTEX-T6MN-0126-SM-32PLP 50-59 years, male 90.5
GTEX-1PIIG-0226-SM-EWRN6 30-39 years, male 90.3
GTEX-1KWVE-1426-SM-E9TJO 30-39 years, male 90.1
GTEX-ZF3C-0126-SM-DO92D 50-59 years, female 90.1
GTEX-RTLS-0126-SM-447CA 60-69 years, female 89.7
GTEX-1QP9N-1426-SM-DTXFL 30-39 years, male 89.5
GTEX-1OJC3-0126-SM-E76QX 20-29 years, male 89.2
GTEX-U412-0426-SM-3DB9O 60-69 years, male 88.7
GTEX-X585-0226-SM-4QAS2 50-59 years, male 88.0
GTEX-1J8EW-0126-SM-CJI4F 60-69 years, female 88.0
GTEX-O5YT-0126-SM-48TBW 20-29 years, male 87.9
GTEX-YJ89-0126-SM-4TT3X 60-69 years, male 87.7
GTEX-Y114-2426-SM-4TT8A 50-59 years, female 87.4
GTEX-1JMQL-0226-SM-CNPP5 50-59 years, female 85.9
GTEX-145LS-0126-SM-5QGP1 60-69 years, female 84.6
GTEX-14PN4-0126-SM-6EU2V 50-59 years, male 84.4
GTEX-SN8G-0126-SM-32PLI 50-59 years, female 84.3
GTEX-W5X1-3026-SM-EAZAX 40-49 years, female 84.2
GTEX-117XS-2726-SM-5N9BL 60-69 years, male 84.0
GTEX-1122O-2126-SM-5EGIR 60-69 years, female 83.8
GTEX-1CAV2-2226-SM-7P8P2 40-49 years, female 83.8
GTEX-1GF9V-0326-SM-7RHI5 60-69 years, male 83.5
GTEX-Y111-0126-SM-4SOIV 50-59 years, male 83.4
GTEX-S33H-1026-SM-EZ6L6 30-39 years, male 83.4
GTEX-ZVTK-0426-SM-51MRS 20-29 years, male 82.8
GTEX-1QAET-0926-SM-E76QM 50-59 years, male 82.7
GTEX-1H4P4-0726-SM-9YFLR 50-59 years, male 82.5
GTEX-1K2DA-1826-SM-CGQGT 50-59 years, male 82.2
GTEX-U8T8-0126-SM-3DB94 60-69 years, male 82.1
GTEX-1I1GV-0526-SM-A9G29 60-69 years, male 82.0
GTEX-145MF-0626-SM-5LUAI 50-59 years, male 81.8
GTEX-145MO-0326-SM-5Q5B3 60-69 years, male 81.6
GTEX-1JMQJ-0526-SM-CYPSU 50-59 years, male 81.5
GTEX-11DYG-0126-SM-59883 60-69 years, male 80.5
GTEX-1JN1M-0326-SM-CYPT3 60-69 years, female 80.5
GTEX-13FXS-0226-SM-5IJCK 50-59 years, male 80.3
GTEX-1R9PM-2026-SM-E76OY 20-29 years, male 80.3
GTEX-13NZ8-0826-SM-5MR3I 60-69 years, female 80.1
GTEX-ZPIC-1726-SM-DHXIU 40-49 years, female 80.0
GTEX-1IOXB-0126-SM-ARL8G 50-59 years, male 79.7
GTEX-1RDX4-0126-SM-E9J4P 50-59 years, female 79.5
GTEX-1QP66-1726-SM-E8VO1 50-59 years, male 79.1
GTEX-13111-1626-SM-5EGJY 50-59 years, male 78.8
GTEX-ZYFC-0226-SM-5NQ75 50-59 years, male 78.3
GTEX-1C64N-0126-SM-793D7 50-59 years, male 78.2
GTEX-13NZB-2526-SM-5J1OM 30-39 years, male 77.9
GTEX-PX3G-0126-SM-2I3EN 20-29 years, female 77.8
GTEX-1C4CL-0526-SM-73KVK 30-39 years, male 77.4
GTEX-ZF2S-2326-SM-4WWCE 50-59 years, female 76.9
GTEX-11DXZ-2326-SM-5EGGV 50-59 years, male 76.8
GTEX-X4EP-0126-SM-3P5YV 60-69 years, female 76.8
GTEX-12WSE-0526-SM-793B2 20-29 years, male 76.6
GTEX-1IDJH-0326-SM-A9SLQ 70-79 years, male 76.6
GTEX-14XAO-2326-SM-6EU1B 60-69 years, female 76.2
GTEX-17JCI-0126-SM-7LG5G 60-69 years, female 76.1
GTEX-1KD4Q-0226-SM-E9TJ9 40-49 years, male 75.8
GTEX-RNOR-0126-SM-E9J4R 50-59 years, female 75.8
GTEX-1JMPY-1326-SM-ARL8Y 30-39 years, male 75.7
GTEX-U8XE-0326-SM-3DB8P 30-39 years, male 75.3
GTEX-1JN6P-0126-SM-D3L98 60-69 years, male 74.9
GTEX-13O21-1426-SM-5K7XI 50-59 years, male 74.1
GTEX-1KANC-1526-SM-D3LAB 50-59 years, female 74.1
GTEX-1H1CY-2826-SM-9MQM3 60-69 years, female 73.9
GTEX-12696-2426-SM-5EQ6H 60-69 years, male 73.8
GTEX-11UD1-0126-SM-5PNYG 40-49 years, female 73.5
GTEX-13OW8-1326-SM-5J1OW 60-69 years, male 73.4
GTEX-1399R-2726-SM-5IJBA 30-39 years, male 73.2
GTEX-145LT-1726-SM-5QGP3 40-49 years, male 73.2
GTEX-13X6J-0126-SM-5QGOU 50-59 years, male 73.0
GTEX-1S83E-0126-SM-EWRO4 40-49 years, male 73.0
GTEX-13OVH-0126-SM-5MR4B 70-79 years, male 72.9
GTEX-UJHI-1526-SM-3DB99 50-59 years, female 72.9
GTEX-12126-0326-SM-5PNW3 20-29 years, male 72.7
GTEX-1313W-0126-SM-5LZUN 50-59 years, female 72.6
GTEX-13CF3-2426-SM-5IFGX 60-69 years, female 72.6
GTEX-14PII-0226-SM-6EU1T 60-69 years, male 72.4
GTEX-15UF6-0826-SM-6PALJ 70-79 years, female 72.0
GTEX-X88G-0126-SM-47JZ3 30-39 years, male 71.8
GTEX-17EVP-0326-SM-7DHLG 40-49 years, male 71.7
GTEX-1F5PL-0326-SM-7P8PQ 40-49 years, female 71.4
GTEX-15ER7-0326-SM-7KUEV 20-29 years, female 70.9
GTEX-1HCU6-0126-SM-CL54K 60-69 years, female 70.9
GTEX-1212Z-2526-SM-5EGKP 60-69 years, male 70.7
GTEX-18D9A-1926-SM-7LG6P 30-39 years, female 70.7
GTEX-1LB8K-0226-SM-EWRNW 50-59 years, male 70.7
GTEX-11DXW-0226-SM-5H122 40-49 years, male 70.5
GTEX-1J1OQ-0226-SM-CYPSH 40-49 years, female 70.4
GTEX-11TUW-2726-SM-E9J4M 60-69 years, male 70.3
GTEX-1HT8W-0126-SM-CNPPP 30-39 years, male 70.3
GTEX-ZVZO-0126-SM-5A5L9 40-49 years, male 70.2
GTEX-T5JW-1626-SM-3GADZ 20-29 years, female 70.0
GTEX-13FTW-2626-SM-5K7WL 40-49 years, male 69.9
GTEX-169BO-1326-SM-9MQK2 50-59 years, male 69.9
GTEX-17HG3-2226-SM-7938L 30-39 years, female 69.8
GTEX-P4PP-0126-SM-3LK69 30-39 years, female 69.8
GTEX-ZAB4-0226-SM-5N9F5 40-49 years, male 69.7
GTEX-14JG1-0426-SM-6ETZZ 40-49 years, male 69.6
GTEX-13O3Q-2426-SM-5IJBR 50-59 years, male 69.2
GTEX-13IVO-0126-SM-5J1NG 70-79 years, male 69.1
GTEX-SIU8-0126-SM-2XCDT 50-59 years, male 69.1
GTEX-1N2DW-0226-SM-E9TK2 50-59 years, male 68.4
GTEX-11UD2-0226-SM-5EQKY 50-59 years, male 68.3
GTEX-OIZH-0126-SM-2HMIS 50-59 years, male 68.3
GTEX-1B8SF-1426-SM-7DUGL 60-69 years, male 68.2
GTEX-1PDJ9-0326-SM-DTX95 20-29 years, male 68.2
GTEX-14753-0426-SM-5NQAM 60-69 years, male 68.1
GTEX-1IL2U-0226-SM-CE6T8 60-69 years, male 68.1
GTEX-131XF-5016-SM-7MGWE 60-69 years, male 68.0
GTEX-1HBPI-1526-SM-C1YQ1 50-59 years, male 68.0
GTEX-1BAJH-0526-SM-793CQ 70-79 years, male 67.8
GTEX-1GZ2Q-0226-SM-7P8TL 40-49 years, male 67.7
GTEX-1KXAM-2226-SM-CYPTC 60-69 years, male 67.5
GTEX-1RB15-2126-SM-E9TIM 60-69 years, male 67.4
GTEX-16YQH-0126-SM-7DUFJ 30-39 years, male 67.1
GTEX-17F98-0626-SM-79OMX 40-49 years, female 66.9
GTEX-18A6Q-0126-SM-731BZ 60-69 years, male 66.5
GTEX-X4EO-0326-SM-3P5YO 60-69 years, female 66.4
GTEX-1I1GQ-0126-SM-COH3H 50-59 years, male 66.4
GTEX-ZVT4-0126-SM-DTXFN 50-59 years, female 66.4
GTEX-144GL-0126-SM-5TDE2 50-59 years, male 66.2
GTEX-TMZS-0126-SM-3DB9Q 60-69 years, male 66.1
GTEX-ZTX8-1426-SM-5DUVO 20-29 years, male 66.1
GTEX-YB5E-2026-SM-5IFIS 40-49 years, male 66.0
GTEX-1GN2E-0426-SM-9MQKX 60-69 years, male 66.0
GTEX-1OFPY-2426-SM-DTXEJ 60-69 years, male 66.0
GTEX-1HR98-0126-SM-B2LWI 60-69 years, male 65.5
GTEX-131XH-2226-SM-5DUXJ 50-59 years, male 65.4
GTEX-1GMR3-1926-SM-9KNUZ 40-49 years, male 65.3
GTEX-PSDG-0226-SM-DKPOZ 50-59 years, male 65.3
GTEX-13FTY-0526-SM-5L3EV 40-49 years, female 65.1
GTEX-QESD-1426-SM-2S1R9 20-29 years, male 65.0
GTEX-S95S-1226-SM-4GICG 60-69 years, male 64.7
GTEX-132NY-0326-SM-5IJBL 60-69 years, male 64.6
GTEX-S7PM-0126-SM-4AD6S 60-69 years, male 64.4
GTEX-WVJS-0126-SM-4MVOT 50-59 years, male 64.3
GTEX-1HGF4-2426-SM-ACKXM 60-69 years, male 64.0
GTEX-T2IS-0126-SM-4DM6O 20-29 years, female 63.9
GTEX-1EWIQ-0126-SM-7RHH2 70-79 years, female 63.9
GTEX-1H1DG-0126-SM-9WYU2 70-79 years, male 63.8
GTEX-14PHX-2326-SM-62LEM 50-59 years, male 63.6
GTEX-1I1GP-2226-SM-CGQFK 50-59 years, male 63.6
GTEX-13SLW-0126-SM-5SI6C 70-79 years, male 63.5
GTEX-14ICK-0226-SM-6EU25 40-49 years, male 63.2
GTEX-S7SE-0126-SM-2XCD5 50-59 years, male 63.1
GTEX-ZVZP-2426-SM-59HKJ 50-59 years, male 63.1
GTEX-1GN1U-0126-SM-7PBZK 50-59 years, female 63.1
GTEX-17MFQ-1726-SM-793C7 20-29 years, male 63.0
GTEX-Y8E4-0626-SM-4WWDL 40-49 years, male 62.9
GTEX-ZAJG-0126-SM-5HL94 50-59 years, female 62.7
GTEX-1CB4E-2226-SM-793DC 60-69 years, male 62.6
GTEX-ZYFD-0126-SM-5GIDL 50-59 years, male 62.6
GTEX-15ETS-0126-SM-7KUMW 40-49 years, female 62.5
GTEX-14A5I-0126-SM-5TDEA 50-59 years, female 62.4
GTEX-T5JC-0426-SM-32PLO 20-29 years, male 62.3
GTEX-1C6VQ-0126-SM-7P8RI 50-59 years, male 62.3
GTEX-1PWST-0226-SM-E76QJ 70-79 years, male 62.3
GTEX-17KNJ-2326-SM-7DHLQ 50-59 years, male 62.2
GTEX-1B8KE-2126-SM-73KYX 50-59 years, male 62.1
GTEX-ZYFG-2326-SM-5E44B 60-69 years, female 62.1
GTEX-Y5V6-2426-SM-4VDSB 60-69 years, male 62.0
GTEX-131YS-0126-SM-5KM1M 60-69 years, female 61.8
GTEX-1A3MX-0126-SM-731BR 60-69 years, male 61.7
GTEX-XQ3S-1526-SM-4BOOC 20-29 years, male 61.6
GTEX-1H3VE-0326-SM-9YFLH 40-49 years, male 61.3
GTEX-1GMRU-0126-SM-9YFLV 50-59 years, male 61.2
GTEX-144FL-0126-SM-5TDC8 50-59 years, male 61.0
GTEX-1CB4H-0226-SM-7PBXM 60-69 years, female 60.9
GTEX-1LG7Z-1726-SM-D3LA4 30-39 years, male 60.9
GTEX-1O97I-0326-SM-EYYX7 60-69 years, male 60.9
GTEX-1HCVE-0126-SM-CGQEU 50-59 years, male 60.8
GTEX-1QCLY-0326-SM-E8VOG 30-39 years, male 60.7
GTEX-1LH75-2426-SM-E9TJE 50-59 years, female 60.6
GTEX-13QJ3-0326-SM-5S2RA 50-59 years, male 60.5
GTEX-ZYT6-0226-SM-5NQ6T 30-39 years, male 60.4
GTEX-XUYS-0126-SM-47JWZ 50-59 years, male 60.0
GTEX-ZVT2-2526-SM-51MT1 50-59 years, female 60.0
GTEX-ZAK1-0126-SM-5IJD3 50-59 years, female 59.9
GTEX-1J1R8-1726-SM-ARL8M 40-49 years, male 59.9
GTEX-1HSKV-0226-SM-A9SKJ 60-69 years, male 59.8
GTEX-18465-0126-SM-731BN 50-59 years, male 59.6
GTEX-1R46S-0626-SM-E9J41 60-69 years, female 59.6
GTEX-15D1Q-0126-SM-7KUG6 40-49 years, male 59.5
GTEX-QEG4-0226-SM-2S1PY 30-39 years, male 59.5
GTEX-146FQ-0126-SM-5NQA9 30-39 years, male 59.3
GTEX-1PPH8-0226-SM-E8VND 20-29 years, male 59.3
GTEX-1S3DN-2226-SM-EVYCD 50-59 years, male 59.1
GTEX-16GPK-0126-SM-7DHLE 60-69 years, male 59.0
GTEX-1CB4I-0226-SM-79OLH 50-59 years, male 58.9
GTEX-11GSO-2426-SM-5A5LY 60-69 years, male 58.8
GTEX-1CAMR-1926-SM-7EPI2 20-29 years, male 58.8
GTEX-X5EB-2226-SM-46MW4 40-49 years, male 58.8
GTEX-Y5V5-2326-SM-4V6GA 60-69 years, female 58.8
GTEX-1497J-2426-SM-7IGNX 60-69 years, male 58.7
GTEX-12WSG-2826-SM-E9J4H 50-59 years, female 58.3
GTEX-13JUV-2726-SM-5LZZ8 40-49 years, female 58.2
GTEX-1LVAN-0226-SM-COH3S 50-59 years, female 58.2
GTEX-TML8-1926-SM-32QOS 40-49 years, female 57.9
GTEX-1MCQQ-0826-SM-DLHC2 60-69 years, male 57.9
GTEX-WZTO-0126-SM-3NM95 40-49 years, male 57.7
GTEX-PWO3-1526-SM-48TCM 60-69 years, female 57.6
GTEX-QVJO-1626-SM-2S1QW 60-69 years, female 57.6
GTEX-ZTSS-1926-SM-57WEW 40-49 years, male 57.6
GTEX-1GPI7-0126-SM-9MQL8 20-29 years, male 57.5
GTEX-1L5NE-2526-SM-E6CIE 50-59 years, male 57.5
GTEX-1QMI2-0226-SM-EVYBX 60-69 years, male 57.5
GTEX-1269C-2526-SM-5EGJ3 60-69 years, female 57.4
GTEX-13O3P-0126-SM-5KM4S 50-59 years, male 57.4
GTEX-14PJ6-2126-SM-6EU1V 60-69 years, female 57.4
GTEX-TKQ1-1026-SM-4GICL 30-39 years, male 57.3
GTEX-16XZZ-0126-SM-793DV 60-69 years, male 57.1
GTEX-1KAFJ-2026-SM-CY8ID 50-59 years, male 56.7
GTEX-1JJEA-0326-SM-CNPOT 60-69 years, male 56.6
GTEX-13S7M-0126-SM-5SI6A 60-69 years, female 56.5
GTEX-16MT8-0426-SM-7KUEY 60-69 years, female 56.5
GTEX-13W46-0226-SM-5SIAG 50-59 years, male 56.4
GTEX-1I1GT-0626-SM-CGQER 60-69 years, female 56.2
GTEX-13O3O-0126-SM-E9J49 60-69 years, female 56.1
GTEX-1F7RK-0126-SM-7PC2S 20-29 years, female 56.1
GTEX-1399T-2826-SM-5KLYZ 60-69 years, male 56.0
GTEX-1F6RS-0126-SM-9MQKZ 60-69 years, female 56.0
GTEX-1JMPZ-0226-SM-CNPP1 30-39 years, male 55.7
GTEX-145MI-0526-SM-5O9A8 60-69 years, female 55.6
GTEX-15RIG-0226-SM-7KFTL 40-49 years, male 55.6
GTEX-POMQ-2226-SM-2I5FK 20-29 years, female 55.3
GTEX-X4XX-0126-SM-3NMC2 60-69 years, male 55.2
GTEX-1MA7W-2026-SM-E9TJ6 20-29 years, female 55.2
GTEX-17EUY-0426-SM-793BD 20-29 years, male 55.1
GTEX-ZV68-0126-SM-59HKS 50-59 years, female 55.1
GTEX-1IDJF-0126-SM-CM2RS 20-29 years, male 54.9
GTEX-1NV5F-0226-SM-E8VNY 60-69 years, female 54.9
GTEX-YFC4-0126-SM-5CVLY 40-49 years, female 54.8
GTEX-1HSGN-0226-SM-CGQFV 40-49 years, female 54.8
GTEX-XBED-2226-SM-47JYQ 60-69 years, male 54.7
GTEX-14BMV-0126-SM-5S2PO 50-59 years, male 54.6
GTEX-18QFQ-0126-SM-731BE 30-39 years, male 54.6
GTEX-1LGRB-2526-SM-CNPPQ 50-59 years, female 54.6
GTEX-13PDP-0126-SM-5L3HD 60-69 years, male 54.5
GTEX-1ICLY-0126-SM-D4P36 50-59 years, male 54.4
GTEX-13OW5-0126-SM-DTXFS 60-69 years, male 54.3
GTEX-1JJ6O-0126-SM-E6CI8 60-69 years, male 54.3
GTEX-15DDE-0126-SM-6LPKH 50-59 years, female 54.2
GTEX-1C475-1826-SM-73KWA 40-49 years, female 54.2
GTEX-17GQL-2026-SM-718BA 60-69 years, male 54.1
GTEX-1HCU9-1526-SM-A9SL7 20-29 years, male 54.1
GTEX-1IKJJ-0126-SM-CNPQB 60-69 years, male 54.1
GTEX-1CB4F-0426-SM-9KNV4 60-69 years, male 54.0
GTEX-14C5O-0126-SM-5SI6N 60-69 years, male 53.9
GTEX-XXEK-2226-SM-4BRUM 50-59 years, male 53.9
GTEX-139D8-0226-SM-5KLZO 30-39 years, female 53.8
GTEX-1QPFJ-0226-SM-E76PB 30-39 years, female 53.8
GTEX-13OVK-2026-SM-7KUEO 40-49 years, male 53.5
GTEX-13RTK-1426-SM-5QGQJ 20-29 years, male 53.5
GTEX-1A3MV-1926-SM-718BT 30-39 years, male 53.5
GTEX-ZDTT-2726-SM-4WKF8 60-69 years, male 53.5
GTEX-13FHP-0126-SM-5IJBG 50-59 years, male 53.4
GTEX-17F96-1626-SM-7DUFL 70-79 years, male 53.4
GTEX-RU72-0926-SM-2TF6B 50-59 years, female 53.3
GTEX-131XW-0426-SM-5LZWP 50-59 years, female 53.2
GTEX-PWCY-1826-SM-DHXIZ 20-29 years, female 53.2
GTEX-13RTJ-2426-SM-5S2Q2 60-69 years, male 53.1
GTEX-1AX9J-0226-SM-73KXM 60-69 years, male 53.1
GTEX-OHPL-0126-SM-2HMJ7 60-69 years, female 53.1
GTEX-OXRO-0126-SM-2YUN4 60-69 years, female 53.1
GTEX-WYJK-0126-SM-3NMAB 50-59 years, male 53.1
GTEX-ZWKS-0126-SM-5SIAA 30-39 years, male 53.1
GTEX-11OF3-2626-SM-5GU7F 60-69 years, male 53.0
GTEX-148VI-1626-SM-5SI6E 60-69 years, female 52.9
GTEX-1H3O1-0426-SM-9YFKY 60-69 years, male 52.9
GTEX-1J8JJ-0226-SM-CL53I 60-69 years, female 52.9
GTEX-1R7EU-0226-SM-EVR4G 60-69 years, male 52.9
GTEX-13113-5016-SM-7EPIP 60-69 years, female 52.6
GTEX-1CAMQ-0226-SM-7IGPK 40-49 years, male 52.6
GTEX-1GZHY-0326-SM-9QEHI 50-59 years, female 52.6
GTEX-1PFEY-1526-SM-E76PP 30-39 years, male 52.6
GTEX-PLZ6-1426-SM-DKPOT 30-39 years, male 52.6
GTEX-UPJH-0326-SM-3GADU 50-59 years, male 52.5
GTEX-1B8SG-0126-SM-73KZ3 50-59 years, male 52.3
GTEX-1B8KZ-2026-SM-7DHMB 50-59 years, male 52.1
GTEX-11EQ9-2426-SM-5HL5T 30-39 years, male 52.0
GTEX-11ZTS-0126-SM-5EQ6M 60-69 years, female 52.0
GTEX-147GR-0526-SM-5S2MY 60-69 years, male 52.0
GTEX-XAJ8-0826-SM-47JY6 40-49 years, male 52.0
GTEX-1M5QR-1226-SM-EWROB 40-49 years, male 52.0
GTEX-ZE9C-2726-SM-57WB5 60-69 years, male 51.9
GTEX-1JMQI-2226-SM-CM2SD 50-59 years, male 51.9
GTEX-117YW-2626-SM-5GZZH 50-59 years, male 51.8
GTEX-14BIN-0626-SM-793DP 50-59 years, female 51.8
GTEX-X4XY-0226-SM-4E3IZ 60-69 years, male 51.8
GTEX-VJYA-1126-SM-3GIJU 60-69 years, male 51.7
GTEX-T8EM-1026-SM-3DB7M 40-49 years, male 51.6
GTEX-1HSMO-0126-SM-CL547 60-69 years, male 51.6
GTEX-1LG7Y-0526-SM-DKPQC 50-59 years, male 51.6
GTEX-13SLX-0526-SM-5S2ON 50-59 years, female 51.5
GTEX-Z93T-0126-SM-5HL5N 50-59 years, male 51.5
GTEX-1E2YA-0126-SM-9KNUC 50-59 years, male 51.5
GTEX-13YAN-0326-SM-5O9DF 60-69 years, male 51.4
GTEX-14A5H-0426-SM-5QGQF 60-69 years, male 51.4
GTEX-1J8QM-2126-SM-CYPSJ 60-69 years, female 51.4
GTEX-1JN76-0126-SM-CNPPE 20-29 years, female 51.4
GTEX-139TU-0126-SM-5K7WH 60-69 years, male 51.3
GTEX-1KANA-0726-SM-D3L9I 20-29 years, male 51.2
GTEX-145MN-2226-SM-5SIAU 30-39 years, male 51.1
GTEX-T2YK-0526-SM-32QPJ 50-59 years, male 51.1
GTEX-14E6D-0126-SM-62LDV 50-59 years, male 51.0
GTEX-SUCS-1926-SM-32PM3 70-79 years, male 50.9
GTEX-1IGQW-0126-SM-COH42 60-69 years, male 50.9
GTEX-NFK9-0226-SM-2HMKQ 40-49 years, male 50.7
GTEX-11OC5-0126-SM-5HL6A 60-69 years, male 50.4
GTEX-YB5K-2126-SM-4WWDJ 40-49 years, female 50.4
GTEX-Z93S-0126-SM-5HL7M 50-59 years, male 50.4
GTEX-1K2DU-2326-SM-E9TIV 20-29 years, male 50.4
GTEX-11H98-0126-SM-5EGHG 50-59 years, male 50.3
GTEX-13VXU-0126-SM-5SI9F 50-59 years, male 50.2
GTEX-12ZZZ-0626-SM-5DUXI 60-69 years, male 50.1
GTEX-OXRN-0126-SM-48TDM 50-59 years, male 50.0
GTEX-1HCU8-0626-SM-A9SM9 60-69 years, female 49.9
GTEX-11GS4-2726-SM-5A5LE 60-69 years, male 49.8
GTEX-14DAR-2026-SM-5S2O3 50-59 years, male 49.8
GTEX-1C2JI-1826-SM-73KXC 50-59 years, male 49.8
GTEX-13FH7-2026-SM-E9J4I 50-59 years, female 49.8
GTEX-1N2EF-0226-SM-EYYXB 60-69 years, male 49.8
GTEX-13U4I-0126-SM-5LU38 40-49 years, female 49.7
GTEX-XBEW-0626-SM-4QASP 40-49 years, male 49.6
GTEX-1S5ZA-0126-SM-EVYCV 20-29 years, male 49.6
GTEX-NPJ8-0126-SM-2YUNR 40-49 years, male 49.5
GTEX-1EMGI-0126-SM-9KNUE 60-69 years, male 49.4
GTEX-RWSA-0126-SM-2XCBB 40-49 years, male 49.2
GTEX-1F6I4-0126-SM-9MQL2 60-69 years, male 49.1
GTEX-1LGOU-2026-SM-DIPFF 20-29 years, female 49.0
GTEX-OOBJ-0126-SM-E6CJW 60-69 years, male 49.0
GTEX-11EI6-0126-SM-5985R 60-69 years, male 48.9
GTEX-13G51-2526-SM-5LZYK 60-69 years, male 48.9
GTEX-WFON-2126-SM-3LK7O 40-49 years, male 48.9
GTEX-14BMU-2226-SM-5TDE9 20-29 years, female 48.8
GTEX-1H1DE-2126-SM-9WG6R 20-29 years, male 48.6
GTEX-1314G-1526-SM-5EGK2 30-39 years, male 48.5
GTEX-18A7B-0126-SM-7LG64 70-79 years, male 48.5
GTEX-1R7EV-2426-SM-EVYBG 40-49 years, male 48.5
GTEX-148VJ-0126-SM-5TDDN 70-79 years, male 48.4
GTEX-1E1VI-0126-SM-7DHMZ 50-59 years, male 48.4
GTEX-14E6E-1826-SM-5S2R7 30-39 years, male 48.3
GTEX-VUSG-2526-SM-4KL1V 50-59 years, male 48.2
GTEX-113JC-2326-SM-5EQ4E 50-59 years, female 48.1
GTEX-YJ8A-0426-SM-5IFID 20-29 years, male 48.1
GTEX-ZV6S-2326-SM-4YCEY 40-49 years, female 48.1
GTEX-1HBPM-0226-SM-ARL9F 60-69 years, female 48.1
GTEX-18A66-0226-SM-718BD 60-69 years, male 48.0
GTEX-ZU9S-0226-SM-5E441 30-39 years, male 48.0
GTEX-1S82Y-2026-SM-EVYCM 40-49 years, male 48.0
GTEX-15F5U-1526-SM-6PANO 40-49 years, male 47.9
GTEX-1H3VY-0126-SM-ACKXD 50-59 years, male 47.9
GTEX-16NPX-0226-SM-79OMT 50-59 years, male 47.8
GTEX-1211K-2026-SM-5EQ4Z 60-69 years, female 47.7
GTEX-ZE7O-0126-SM-57WC1 50-59 years, female 47.7
GTEX-XYKS-2126-SM-4E3IB 60-69 years, female 47.6
GTEX-ZDYS-2026-SM-5HL5L 50-59 years, male 47.6
GTEX-ZF29-2326-SM-DO92K 60-69 years, female 47.6
GTEX-12ZZY-0226-SM-5LZVE 60-69 years, male 47.5
GTEX-Y5LM-1926-SM-5RQJH 40-49 years, female 47.5
GTEX-15DCD-0126-SM-7KUEK 70-79 years, female 47.3
GTEX-13X6H-2126-SM-7EWD5 50-59 years, female 47.1
GTEX-1I1GR-0126-SM-CL55F 60-69 years, male 47.1
GTEX-1LBAC-0126-SM-DIPEZ 20-29 years, male 47.1
GTEX-17HII-0226-SM-7LG4E 50-59 years, male 46.9
GTEX-1GF9W-0326-SM-9KNUN 60-69 years, male 46.9
GTEX-1IKOH-0226-SM-COH4E 60-69 years, female 46.7
GTEX-1A32A-0126-SM-718B1 50-59 years, female 46.6
GTEX-WXYG-2326-SM-4E3I6 50-59 years, female 46.6
GTEX-WYVS-2126-SM-3NMA3 40-49 years, female 46.6
GTEX-ZXG5-0126-SM-5GIEU 60-69 years, male 46.6
GTEX-1AMFI-2026-SM-731BH 50-59 years, female 46.3
GTEX-1PIGE-0126-SM-EVYBJ 20-29 years, male 46.2
GTEX-14DAQ-0126-SM-5S2MQ 60-69 years, female 46.1
GTEX-1JMQK-0226-SM-CL543 60-69 years, male 46.0
GTEX-1HB9E-0226-SM-E9U4R 50-59 years, male 45.9
GTEX-11DXY-2626-SM-5GIE7 60-69 years, male 45.8
GTEX-131XG-2626-SM-5KM17 50-59 years, female 45.8
GTEX-1GTWX-0126-SM-9YFLK 60-69 years, male 45.8
GTEX-11EM3-2426-SM-59861 20-29 years, female 45.7
GTEX-11TT1-2526-SM-5EGIB 20-29 years, male 45.6
GTEX-1F75B-0126-SM-9KNVL 50-59 years, male 45.6
GTEX-14PJM-0226-SM-62LF1 50-59 years, female 45.5
GTEX-13X6I-0626-SM-5QGP9 60-69 years, male 45.4
GTEX-11XUK-2026-SM-5EQLF 40-49 years, female 45.3
GTEX-12WSC-0126-SM-5EQ4P 50-59 years, male 45.3
GTEX-15EU6-0426-SM-6PAN5 50-59 years, male 44.8
GTEX-12WSK-2326-SM-5GCOH 40-49 years, female 44.6
GTEX-14LLW-0126-SM-6LLIO 70-79 years, female 44.6
GTEX-18D9U-0226-SM-718BP 40-49 years, male 44.6
GTEX-1EN7A-0126-SM-7SB81 40-49 years, male 44.6
GTEX-13NZA-0226-SM-5K7Z7 60-69 years, male 44.5
GTEX-17HGU-0226-SM-7DHKV 50-59 years, male 44.5
GTEX-1F6IF-0726-SM-7P8TW 60-69 years, male 44.5
GTEX-17HHE-2026-SM-79OKF 50-59 years, male 44.4
GTEX-1HFI6-0226-SM-ADEHZ 40-49 years, male 44.4
GTEX-1C6VR-2426-SM-79OLD 60-69 years, male 44.3
GTEX-ZZ64-1726-SM-5GZYB 20-29 years, male 44.3
GTEX-1CB4G-0226-SM-7PC3O 60-69 years, male 44.3
GTEX-1R9K4-0126-SM-DTX9X 60-69 years, male 44.2
GTEX-14E7W-0126-SM-6LLJ9 70-79 years, male 44.0
GTEX-ZC5H-0226-SM-4WAY9 40-49 years, female 44.0
GTEX-145LV-2126-SM-5LU8N 50-59 years, male 43.8
GTEX-XPVG-2626-SM-4B669 50-59 years, male 43.8
GTEX-133LE-1826-SM-5J1MV 20-29 years, female 43.6
GTEX-1B97I-1626-SM-73KYO 40-49 years, male 43.6
GTEX-WQUQ-0426-SM-3MJFU 60-69 years, male 43.4
GTEX-11LCK-1026-SM-5A5KB 30-39 years, male 43.3
GTEX-13NYC-0326-SM-E9J4S 60-69 years, male 43.3
GTEX-1B8L1-2526-SM-9WYTF 60-69 years, male 43.3
GTEX-1MGNQ-0126-SM-EVYCJ 40-49 years, male 43.3
GTEX-12ZZX-0126-SM-5EGK9 40-49 years, female 43.2
GTEX-15SHU-0126-SM-7KUEH 40-49 years, female 43.2
GTEX-SJXC-0126-SM-2XCFF 60-69 years, male 43.2
GTEX-XQ8I-0426-SM-4BOPO 50-59 years, male 43.2
GTEX-11GSP-2526-SM-5N9BP 60-69 years, female 42.9
GTEX-12WSD-0126-SM-59HKN 60-69 years, female 42.9
GTEX-13OW6-0426-SM-5L3HM 50-59 years, male 42.9
GTEX-13PVR-2326-SM-5QGR1 60-69 years, female 42.9
GTEX-14PJ3-1826-SM-62LEX 50-59 years, male 42.9
GTEX-1MUQO-0126-SM-EAZ58 60-69 years, male 42.9
GTEX-PW2O-1526-SM-7RHHB 20-29 years, male 42.9
GTEX-12KS4-0326-SM-5EQ41 30-39 years, male 42.7
GTEX-111VG-2426-SM-5GZXD 60-69 years, male 42.6
GTEX-1H11D-0226-SM-9WG6Z 40-49 years, male 42.6
GTEX-1HSEH-0126-SM-ACKXN 60-69 years, male 42.6
GTEX-13OVJ-0126-SM-5KM36 50-59 years, female 42.5
GTEX-1GN1V-0126-SM-9WPOS 60-69 years, male 42.5
GTEX-1ICG6-2526-SM-CGQFZ 70-79 years, female 42.5
GTEX-QDVN-2026-SM-3GAEP 50-59 years, male 42.4
GTEX-145ME-1826-SM-5SI9G 40-49 years, female 42.3
GTEX-VJWN-0126-SM-3GIK7 50-59 years, female 42.3
GTEX-ZDXO-3026-SM-5J1N5 60-69 years, male 42.3
GTEX-13FHO-0226-SM-5IFGY 60-69 years, male 42.1
GTEX-1B933-0126-SM-7PC29 50-59 years, female 42.1
GTEX-12WSA-0226-SM-5BC5V 60-69 years, male 42.0
GTEX-1POEN-0126-SM-EYYXJ 30-39 years, female 41.9
GTEX-13OVL-0226-SM-5L3E9 50-59 years, male 41.7
GTEX-145LU-0126-SM-5TDCB 50-59 years, male 41.6
GTEX-1I1CD-0126-SM-CM2TK 60-69 years, female 41.6
GTEX-U3ZN-2326-SM-3DB7W 30-39 years, female 41.5
GTEX-1I4MK-2226-SM-ACKWD 50-59 years, female 41.4
GTEX-1ICLZ-0126-SM-CKZPO 60-69 years, male 41.4
GTEX-ZY6K-1826-SM-5GZXK 50-59 years, male 41.2
GTEX-1RQEC-0426-SM-E6CHU 60-69 years, male 41.2
GTEX-SE5C-1626-SM-2XCE3 40-49 years, female 41.2
GTEX-1H23P-0126-SM-ADEJ3 60-69 years, male 41.1
GTEX-13D11-2426-SM-5KM1V 50-59 years, female 41.0
GTEX-1HBPN-0226-SM-9YFM1 50-59 years, male 41.0
GTEX-17HHY-0126-SM-7LG5D 50-59 years, male 40.9
GTEX-QDT8-0126-SM-48TZ1 30-39 years, female 40.9
GTEX-U3ZM-1526-SM-3DB9D 40-49 years, male 40.9
GTEX-13112-2826-SM-5DUWH 50-59 years, male 40.8
GTEX-X261-0126-SM-3NMD6 50-59 years, male 40.8
GTEX-1HSMP-0126-SM-E6CJS 70-79 years, male 40.8
GTEX-X638-0126-SM-47JZ8 70-79 years, female 40.7
GTEX-1AX9I-0126-SM-7SB74 60-69 years, male 40.6
GTEX-147F4-0226-SM-5QGPW 50-59 years, male 40.5
GTEX-1F75A-0126-SM-7RHGM 50-59 years, male 40.5
GTEX-1I19N-0326-SM-ACKVX 70-79 years, male 40.5
GTEX-1A3MW-0126-SM-73KXX 60-69 years, female 40.3
GTEX-1IL2V-0126-SM-CM2TX 70-79 years, male 40.3
GTEX-15SDE-2226-SM-7IGLO 50-59 years, female 40.2
GTEX-OXRP-0126-SM-3NB32 60-69 years, female 40.2
GTEX-ZVT3-0126-SM-5GU6I 60-69 years, female 40.2
GTEX-1GN73-0226-SM-9WG67 60-69 years, male 40.2
GTEX-12584-0126-SM-5EGKQ 40-49 years, male 40.1
GTEX-14LZ3-0226-SM-62LET 60-69 years, female 40.1
GTEX-QCQG-1726-SM-3GIJ9 50-59 years, female 40.1
GTEX-13N1W-0126-SM-5K7VT 70-79 years, male 40.0
GTEX-WFG8-2226-SM-3GIL9 20-29 years, male 40.0
GTEX-1I1GS-0126-SM-B2LVW 60-69 years, male 40.0
GTEX-T6MO-1626-SM-32QOM 40-49 years, female 39.9
GTEX-18A67-0126-SM-7LG5P 50-59 years, male 39.8
GTEX-1QP29-0626-SM-EWRMX 50-59 years, male 39.8
GTEX-16NGA-1726-SM-731B4 40-49 years, female 39.7
GTEX-1EX96-1626-SM-7PBXR 50-59 years, male 39.7
GTEX-1B996-0226-SM-7RHGO 60-69 years, male 39.6
GTEX-1H2FU-0126-SM-9WYSI 60-69 years, female 39.6
GTEX-1192X-0226-SM-5H12D 50-59 years, male 39.5
GTEX-11P7K-2126-SM-5GU7G 30-39 years, male 39.4
GTEX-Y8LW-1826-SM-5S2MV 50-59 years, female 39.3
GTEX-1GF9U-2126-SM-7SB7L 40-49 years, female 39.3
GTEX-139TT-0126-SM-5K7Y5 60-69 years, male 39.2
GTEX-ZEX8-2426-SM-4WKG4 50-59 years, male 39.2
GTEX-1GZ4H-1726-SM-7PBZJ 50-59 years, female 39.2
GTEX-1JKYR-0126-SM-CNPOJ 20-29 years, male 39.2
GTEX-14PK6-1926-SM-6ETZU 70-79 years, female 39.1
GTEX-WH7G-2326-SM-3NMBC 40-49 years, male 39.0
GTEX-ZYY3-0126-SM-5GZY5 60-69 years, female 39.0
GTEX-18A7A-0226-SM-718BH 50-59 years, female 38.9
GTEX-11DZ1-0126-SM-5985Q 50-59 years, male 38.8
GTEX-13N2G-2626-SM-5J1OT 60-69 years, male 38.8
GTEX-P4PQ-0126-SM-2S1NM 60-69 years, male 38.8
GTEX-PVOW-0126-SM-2XCFA 40-49 years, male 38.8
GTEX-WRHK-1426-SM-3MJF9 20-29 years, female 38.8
GTEX-ZF28-0126-SM-4WKGK 60-69 years, male 38.6
GTEX-11VI4-1726-SM-5CVLH 40-49 years, female 38.5
GTEX-1H1ZS-0426-SM-9WG6G 70-79 years, male 38.5
GTEX-1AYCT-2426-SM-7IGQ3 50-59 years, male 38.4
GTEX-1IY9M-0126-SM-D3L8S 60-69 years, male 38.3
GTEX-1I6K6-0126-SM-A9SLE 30-39 years, male 38.2
GTEX-W5WG-1826-SM-4KL2Y 50-59 years, female 38.1
GTEX-1JJE9-0326-SM-CL53Z 70-79 years, male 38.1
GTEX-1192W-2626-SM-5Q5AF 60-69 years, male 38.0
GTEX-15CHC-2126-SM-6EU21 60-69 years, female 37.9
GTEX-1J8Q2-0526-SM-CM2RW 60-69 years, male 37.9
GTEX-13FTX-1826-SM-5J1NX 20-29 years, female 37.8
GTEX-1C64O-0126-SM-7SB8P 60-69 years, male 37.8
GTEX-15DYW-0126-SM-7KULE 60-69 years, female 37.6
GTEX-1F52S-0126-SM-9MQJU 60-69 years, female 37.5
GTEX-146FH-0126-SM-5QGPP 50-59 years, female 37.4
GTEX-11ZU8-2526-SM-5EQKI 60-69 years, male 37.3
GTEX-12WSJ-1826-SM-5GCNY 40-49 years, female 37.3
GTEX-U3ZH-2026-SM-3DB78 30-39 years, male 37.3
GTEX-Y3I4-2126-SM-4TT7C 50-59 years, male 37.0
GTEX-1MCYP-1926-SM-E9J2R 20-29 years, female 37.0
GTEX-15UKP-0426-SM-7KUFQ 20-29 years, male 36.8
GTEX-11ZVC-2526-SM-5FQTE 50-59 years, female 36.7
GTEX-1HFI7-1826-SM-ACKXH 50-59 years, female 36.7
GTEX-1IDFM-0126-SM-COH2V 60-69 years, male 36.7
GTEX-1NHNU-1026-SM-E9J2A 50-59 years, male 36.7
GTEX-117YX-2326-SM-5H12W 50-59 years, male 36.6
GTEX-13OW7-0126-SM-5MR3B 50-59 years, male 36.6
GTEX-RWS6-2026-SM-2XCB5 60-69 years, female 36.5
GTEX-1HCU7-0226-SM-CL545 50-59 years, male 36.5
GTEX-QV44-1926-SM-2S1RF 50-59 years, male 36.4
GTEX-1HSMQ-1226-SM-CGQFX 50-59 years, male 36.4
GTEX-11NUK-0126-SM-5A5L3 50-59 years, male 36.3
GTEX-14JG6-2226-SM-6EU2G 30-39 years, female 36.3
GTEX-1AX8Z-0126-SM-7DHM6 60-69 years, male 36.3
GTEX-S32W-2126-SM-2XCB1 50-59 years, female 36.3
GTEX-1JKYN-1326-SM-CGQG9 30-39 years, male 36.3
GTEX-12C56-1726-SM-5EQ61 20-29 years, male 36.2
GTEX-183WM-0126-SM-7LTAB 70-79 years, female 36.1
GTEX-ZYW4-0126-SM-5E44A 60-69 years, male 36.1
GTEX-Q2AG-0126-SM-33HBV 40-49 years, female 36.0
GTEX-R3RS-0126-SM-3GIJL 40-49 years, female 35.9
GTEX-ZAB5-1826-SM-5HL7C 50-59 years, male 35.8
GTEX-YEC4-2126-SM-5IFJH 40-49 years, male 35.7
GTEX-R55G-2526-SM-2TC6D 40-49 years, female 35.6
GTEX-1HCUA-2426-SM-ADEIS 50-59 years, female 35.6
GTEX-139T8-0126-SM-5K7XZ 60-69 years, male 35.5
GTEX-183FY-0126-SM-7LT9P 20-29 years, male 35.5
GTEX-17F97-0326-SM-7LG5B 50-59 years, male 35.0
GTEX-1CAMS-0426-SM-7P8T2 40-49 years, female 35.0
GTEX-ZQG8-1626-SM-DHXIT 60-69 years, female 35.0
GTEX-PLZ5-2026-SM-2S1O4 50-59 years, male 34.9
GTEX-13O1R-0126-SM-5L3EH 60-69 years, male 34.7
GTEX-ZTPG-0326-SM-5O9AX 20-29 years, female 34.7
GTEX-1A8FM-0226-SM-7SB7Q 50-59 years, female 34.7
GTEX-1128S-2326-SM-5GZZY 60-69 years, female 34.4
GTEX-11DXX-2426-SM-5GZZW 60-69 years, female 34.4
GTEX-1CB4J-0626-SM-7DHMP 60-69 years, male 34.4
GTEX-WY7C-2326-SM-3NB2U 50-59 years, male 34.4
GTEX-1PPH7-2326-SM-EVYB8 40-49 years, male 34.4
GTEX-13NYS-0126-SM-5MR3W 60-69 years, male 34.2
GTEX-1I1HK-0126-SM-COH49 60-69 years, male 34.1
GTEX-1EU9M-0226-SM-7P8SP 60-69 years, male 34.0
GTEX-11EMC-2926-SM-5EQ4F 60-69 years, female 33.9
GTEX-1IDJU-2626-SM-CM2RT 60-69 years, female 33.9
GTEX-11NSD-2226-SM-5986V 20-29 years, male 33.8
GTEX-1JMOU-1526-SM-CL54I 60-69 years, female 33.8
GTEX-P44H-0226-SM-2XCEU 40-49 years, male 33.6
GTEX-XV7Q-2526-SM-4BRV9 40-49 years, female 33.6
GTEX-13OVI-1426-SM-5L3EY 60-69 years, female 33.3
GTEX-13W3W-2426-SM-5LU5B 60-69 years, female 33.3
GTEX-OHPM-0126-SM-2YUN9 50-59 years, male 33.3
GTEX-1J8Q3-1626-SM-CMKGC 60-69 years, male 33.2
GTEX-13N11-2526-SM-5K7UE 50-59 years, female 33.1
GTEX-11O72-0126-SM-59887 40-49 years, male 32.9
GTEX-OXRL-0126-SM-2YUMP 50-59 years, male 32.9
GTEX-X62O-0126-SM-4E3JN 50-59 years, male 32.9
GTEX-1GMR8-0126-SM-9WYTM 50-59 years, female 32.9
GTEX-ZQUD-1426-SM-57WER 30-39 years, male 32.7
GTEX-1EKGG-0226-SM-9WYTH 60-69 years, male 32.7
GTEX-13OVG-1926-SM-5L3DK 60-69 years, male 32.6
GTEX-13RTL-0126-SM-7LG5S 40-49 years, male 32.6
GTEX-1F88F-2726-SM-7PBZZ 60-69 years, female 32.6
GTEX-TSE9-0126-SM-3DB83 60-69 years, female 32.5
GTEX-Q2AI-1326-SM-2S1PL 40-49 years, male 32.2
GTEX-1AMEY-1326-SM-73KYK 30-39 years, female 32.1
GTEX-1GL5R-1826-SM-9KNUY 50-59 years, male 32.0
GTEX-14A6H-0126-SM-5QGPK 30-39 years, male 31.9
GTEX-1C6VS-0526-SM-7DUEN 60-69 years, male 31.9
GTEX-R55E-0126-SM-2TC5Y 20-29 years, male 31.9
GTEX-1JK1U-2026-SM-CM2RZ 60-69 years, male 31.9
GTEX-1QEPI-0126-SM-EWRMQ 60-69 years, female 31.9
GTEX-OIZF-0126-SM-7SB8I 60-69 years, male 31.9
GTEX-V1D1-2226-SM-3NMAX 50-59 years, male 31.8
GTEX-16AAH-1726-SM-7939C 50-59 years, male 31.7
GTEX-XUW1-0426-SM-4BOOT 50-59 years, female 31.7
GTEX-1K9T9-0126-SM-EVYCF 50-59 years, female 31.7
GTEX-1C6WA-0126-SM-7PC2B 60-69 years, male 31.6
GTEX-1KANB-0526-SM-E6CJH 50-59 years, male 31.6
GTEX-1KD5A-0226-SM-D5OV3 50-59 years, male 31.6
GTEX-1AYD5-2426-SM-73KXR 50-59 years, male 31.5
GTEX-17EVQ-0226-SM-7LG4P 70-79 years, male 31.4
GTEX-RN64-0126-SM-2TC68 50-59 years, male 30.9
GTEX-R45C-0126-SM-EAZ2R 60-69 years, female 30.9
GTEX-11WQC-2526-SM-5CVLE 60-69 years, male 30.7
GTEX-14PN3-2426-SM-6LLHS 60-69 years, female 30.7
GTEX-1LNCM-1126-SM-E9U5E 50-59 years, female 30.4
GTEX-XMD2-0126-SM-4YCDU 60-69 years, female 30.2
GTEX-1HKZK-0326-SM-9WYUH 40-49 years, male 30.2
GTEX-PLZ4-0126-SM-5SI8O 50-59 years, female 30.1
GTEX-1PBJI-0526-SM-E8VNK 20-29 years, female 29.9
GTEX-14BIM-0226-SM-7IGLD 60-69 years, female 29.7
GTEX-1RAZA-0126-SM-E6CI3 20-29 years, male 29.7
GTEX-1AX9K-2326-SM-73KWU 50-59 years, male 29.6
GTEX-15SHW-0326-SM-6PAML 60-69 years, male 29.5
GTEX-14ABY-0226-SM-5TDCQ 50-59 years, male 29.2
GTEX-11P81-2326-SM-59875 30-39 years, female 29.1
GTEX-15G19-0126-SM-6PANQ 60-69 years, male 28.8
GTEX-1H3NZ-0126-SM-ACKX7 60-69 years, male 28.6
GTEX-11WQK-0526-SM-5EQLD 50-59 years, male 28.4
GTEX-Q2AH-1626-SM-3GAF8 40-49 years, male 28.4
GTEX-1I1GU-2226-SM-CGQFA 40-49 years, male 28.4
GTEX-1F5PK-2426-SM-7RHHY 50-59 years, male 28.2
GTEX-1S82Z-0826-SM-E6CHY 30-39 years, female 28.1
GTEX-147F3-0526-SM-5SI98 50-59 years, female 27.9
GTEX-1QP2A-0126-SM-E9J43 50-59 years, male 27.9
GTEX-11TTK-0126-SM-5987B 60-69 years, female 27.7
GTEX-RM2N-1426-SM-2TF4H 50-59 years, male 27.7
GTEX-1GPI6-0126-SM-9WG69 60-69 years, male 27.5
GTEX-1LSNM-1926-SM-E6CII 50-59 years, male 27.4
GTEX-1M4P7-0226-SM-DIPEV 60-69 years, male 27.4
GTEX-QLQ7-1626-SM-2S1R8 60-69 years, male 27.3
GTEX-SNMC-1226-SM-2XCFP 20-29 years, male 27.0
GTEX-144GN-2326-SM-5LU4F 50-59 years, male 26.9
GTEX-WOFL-0126-SM-3MJG2 60-69 years, male 26.8
GTEX-14BIL-0126-SM-5SI92 50-59 years, male 26.7
GTEX-1GF9X-2026-SM-7PC3A 40-49 years, female 26.7
GTEX-17MF6-0126-SM-7LG4F 40-49 years, male 26.6
GTEX-11P82-1626-SM-59879 20-29 years, male 26.5
GTEX-ZUA1-0126-SM-5GU76 40-49 years, male 26.1
GTEX-1R9PO-2126-SM-E9J4O 60-69 years, female 25.9
GTEX-11ZTT-2426-SM-5EQLS 60-69 years, female 25.8
GTEX-ZVE2-0226-SM-59HJB 50-59 years, male 25.5
GTEX-12WSL-2526-SM-5GCNJ 50-59 years, male 25.4
GTEX-16BQI-0226-SM-7KUEX 30-39 years, female 25.4
GTEX-QDVJ-1726-SM-2I5FX 50-59 years, male 25.2
GTEX-Z9EW-1626-SM-5CVMN 40-49 years, male 24.6
GTEX-113IC-0126-SM-5HL6T 60-69 years, male 24.5
GTEX-SSA3-0126-SM-32QPU 60-69 years, male 24.3
GTEX-1LC47-0326-SM-E9TJP 60-69 years, male 24.2
GTEX-OOBK-0126-SM-2YUND 40-49 years, male 24.1
GTEX-12WSN-5019-SM-79OM6 40-49 years, male 23.6
GTEX-1OJC4-0126-SM-E9J2E 50-59 years, female 23.5
GTEX-18D9B-0526-SM-7LTAS 60-69 years, male 23.2
GTEX-139T4-0226-SM-5HL5S 50-59 years, female 23.1
GTEX-16XZY-2126-SM-79OK1 70-79 years, male 22.7
GTEX-1MA7X-2226-SM-E6CIY 60-69 years, male 22.7
GTEX-1N2DV-0226-SM-E6CJ6 40-49 years, male 22.7
GTEX-OXRK-0226-SM-3NB2G 50-59 years, female 22.4
GTEX-13VXT-0126-SM-5LU4I 20-29 years, female 22.1
GTEX-1F48J-0126-SM-7P8TT 50-59 years, female 21.5
GTEX-1QW4Y-1526-SM-EAZ3Z 30-39 years, male 21.4
GTEX-11ZUS-0626-SM-59885 30-39 years, male 21.1
GTEX-TMMY-0226-SM-33HBA 40-49 years, female 20.7
GTEX-1H1E6-1726-SM-ACKVK 30-39 years, male 20.6
GTEX-1HUB1-0426-SM-E9U4U 60-69 years, male 20.2
GTEX-1GN1W-0526-SM-9MQJQ 50-59 years, female 20.1
GTEX-QLQW-1126-SM-2S1Q8 30-39 years, male 19.5
GTEX-1RLM8-2326-SM-EWRN4 50-59 years, male 19.4
GTEX-14PHW-0126-SM-6LLJI 60-69 years, female 19.0
GTEX-RUSQ-1526-SM-2TF62 50-59 years, male 17.5
GTEX-15EOM-0126-SM-7KUGG 20-29 years, female 17.4
GTEX-1HBPH-0426-SM-B2LW5 40-49 years, female 17.0
GTEX-ZZPT-0226-SM-5E43X 50-59 years, male 16.6
GTEX-1F75I-0326-SM-9YFLU 40-49 years, male 16.3
GTEX-1IE54-0126-SM-CMKHW 40-49 years, female 15.5
GTEX-Q734-1926-SM-2I5EV 40-49 years, female 15.0
GTEX-U4B1-1826-SM-4DXSU 40-49 years, male 14.5
GTEX-1QP67-1626-SM-EAZ3X 40-49 years, female 12.9
GTEX-1RAZQ-0726-SM-EAZ43 30-39 years, male 12.9
GTEX-14JIY-0126-SM-6LLH6 60-69 years, male 12.2
GTEX-146FR-1326-SM-E9J48 60-69 years, female 8.1
Show allShow less

Contact

  • NEWS ARTICLES
  • PRESS ROOM

The Project

  • INTRODUCTION
  • ORGANIZATION
  • PUBLICATIONS

The Human Protein Atlas

  • DOWNLOADABLE DATA
  • LICENCE & CITATION
  • HELP & FAQ
The Human Protein Atlas project is funded
by the Knut & Alice Wallenberg Foundation.


contact@proteinatlas.org