We use cookies to enhance the usability of our website. If you continue, we'll assume that you are happy to receive all cookies. More information. Don't show this again.
CORO1B
HPA
RESOURCES
  • TISSUE
  • BRAIN
  • SINGLE CELL
  • SUBCELLULAR
  • CANCER
  • BLOOD
  • CELL LINE
  • STRUCTURE & INTERACTION
ABOUT
  • INTRODUCTION
  • HISTORY
  • ORGANIZATION
  • PUBLICATIONS
  • ANTIBODY SUBMISSION
  • ANTIBODY AVAILABILITY
  • ACKNOWLEDGMENTS
  • CONTACT
NEWS
  • NEWS ARTICLES
  • PRESS ROOM
LEARN
  • DICTIONARY
  • PROTEIN CLASSES
  • PROTEIN EVIDENCE
  • METHODS
  • EDUCATIONAL VIDEOS
DATA
  • DOWNLOADABLE DATA
  • PUBLICATION DATA
  • RELEASE HISTORY
HELP
  • ANTIBODY VALIDATION
  • ASSAYS & ANNOTATION
  • DISCLAIMER
  • HELP & FAQ
  • PRIVACY STATEMENT
  • LICENCE & CITATION
Fields »
Search result

Field
Term
Gene name
Class
Subclass
Class
Keyword
Chromosome
External id
Tissue
Cell type
Expression
Antibody panel
Tissue
Main location
Patient ID
Annotation
Tissue
Category
Tau score
Cluster
Reliability
Brain region
Category
Tau score
Brain region
Category
Tau score
Brain region
Category
Tau score
Cluster
Reliability
Tissue
Cell type
Enrichment
Cell type
Category
Tau score
Cell type
Category
Tau score
Cell type
Category
Tau score
Cell lineage
Category
Tau score
Cluster
Cluster
Location
Searches
Location
Cell line
Class
Type
Phase
Reliability
Cancer
Prognosis
Cancer
Category
Cancer
Category
Tau score
Cluster
Variants
Interacting gene (ensg_id)
Type
Number of interactions
Pathway
Category
Score
Score
Score
Validation
Validation
Validation
Validation
Antibodies
Data type
Column


  • SUMMARY

  • TISSUE

  • BRAIN

  • SINGLE CELL

  • SUBCELL

  • CANCER

  • BLOOD

  • CELL LINE

  • STRUCT & INT

  • CORO1B
TISSUE PRIMARY DATA ESOPHAGUS Show tissue menu
ADIPOSE TISSUE ADRENAL GLAND AMYGDALA APPENDIX BASAL GANGLIA BONE MARROW BREAST BRONCHUS CEREBELLUM CEREBRAL CORTEX CERVIX CHOROID PLEXUS COLON DUODENUM
ENDOMETRIUM EPIDIDYMIS ESOPHAGUS FALLOPIAN TUBE GALLBLADDER HEART MUSCLE HIPPOCAMPAL FORMATION HYPOTHALAMUS KIDNEY LIVER LUNG LYMPH NODE MIDBRAIN NASOPHARYNX
ORAL MUCOSA OVARY PANCREAS PARATHYROID GLAND PITUITARY GLAND PLACENTA PROSTATE RECTUM RETINA SALIVARY GLAND SEMINAL VESICLE SKELETAL MUSCLE SKIN SMALL INTESTINE
SMOOTH MUSCLE SOFT TISSUE SPINAL CORD SPLEEN STOMACH TESTIS THYMUS THYROID GLAND TONGUE TONSIL URINARY BLADDER VAGINA
ANTIBODIES
AND
VALIDATION
Dictionary
Esophagus
Tissue proteome
Esophagus
ESOPHAGUS - Expression summary
Protein expression
Esophagusi

On the top, protein expression in current human tissue, based on all annotated cell types, is reported with the units not detected (n), low (l), medium (m) and high (h). Underneath, protein expression in each annotated cell type are reported using the same units.

Protein expression data is based on knowledge-based annotation. For genes where more than one antibody has been used, a collective score is set.

If knowledge-based annotation could not be performed for a gene, no data is displayed here. View antibody staining data further down this page.

h
m
l
n
Squamous epithelial cells: Not detected
RNA expressioni

A summary of mRNA expression data available for current tissue based on several datasets. The mRNA expression levels in human tissues are based on RNA-seq data generated by the Human Protein Atlas (HPA), Genotype-Tissue Expression (GTEx) portal and CAGE data generated by the FANTOM5 consortium. Consensus normalized expression levels for human tissues was created by combining the data from HPA and GTEx datasets.

The mRNA expression levels in pig are based on RNA-seq data generated by the Human Protein Atlas (HPA), and for mouse, HPA data and in situ hybridization generated by the Allen brain atlas are reported.

Scroll down to view mRNA expression data in more detail.
Consensus:77.9 nTPM
HPA:52.4 nTPM
GTEx:77.9 nTPM
FANTOM5:75.8 Scaled Tags Per Million

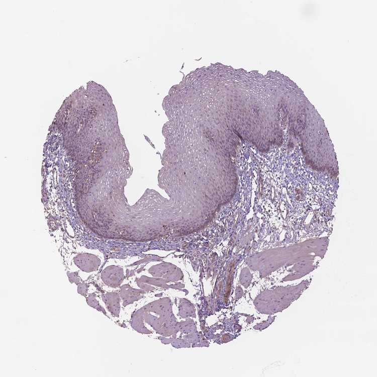
ESOPHAGUS - Antibody stainingi

Antibody staining in the annotated cell types in the current human tissue is reported as not detected, low, medium, or high, based on conventional immunohistochemistry profiling in selected tissues. This score is based on the combination of the staining intensity and fraction of stained cells.

Each image is clickable and will lead to virtual microscopy that enables deeper exploration of all samples and also displays staining intensity scores, fraction scores and subcellular localization as well as patient and tissue information for each sample.

Antibody HPA070456Antibody CAB017616
Squamous epithelial cells Not detectedLow




ESOPHAGUS - HPA RNA-seqi

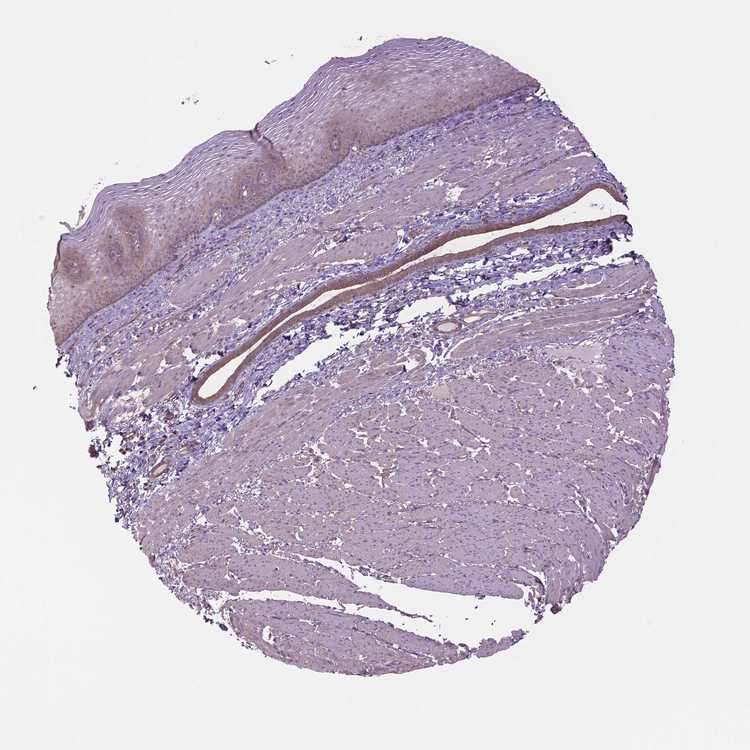
The RNA-seq details section shows detailed information about the individual samples used for the transcript profiling and results of the RNA-seq analysis.

Information about each individual sample is listed below, including gender, age, a tissue section image and estimated fractions of cell types. nTPM (normalized transcripts per million) values give a quantification of the gene abundance which is comparable between different genes and samples.
Average nTPMi

Max subtype nTPM is the value for the subtype with the largest average nTPM across the subtype samples.

52.4
overview
Female, age 70
Esophagus sample 130
nTPM: 59.3
Cell types%
Squamous epithelial cells:
35

Smooth muscle cells:
15

Skeletal muscle cells:
5

Other cell types:
45

overview
Male, age 38
Esophagus sample 131
nTPM: 35.5
Cell types%
Squamous epithelial cells:
60

Smooth muscle cells:
20

Other cell types:
20

overview
Male, age 76
Esophagus sample 132
nTPM: 62.5
Cell types%
Squamous epithelial cells:
45

Smooth muscle cells:
15

Other cell types:
40


ESOPHAGUS - GTEx RNA-seqi

RNA-Seq data generated by the Genotype-Tissue Expression (GTEx) project from human tissues is reported as mean nTPM. More information can be found on the GTEx portal.

Distribution across the dataset is visualized with box plots, shown as median and 25th and 75th percentiles. Points are displayed as outliers if they are above or below 1.5 times the interquartile range. nTPM values of the individual samples are presented next to the box plot.
Max subtype nTPMi

Max subtype nTPM is the value for the subtype with the largest average nTPM across the subtype samples.

77.9
GTEx sample id Sample description nTPM
Esophagus - Mucosa
Average nTPM: 77.9
Samples: 555

Max nTPM: 189.6
Min nTPM: 37.1
Std nTPM: 19.1
Median nTPM: 76.2
GTEX-1269C-1026-SM-5N9EY 60-69 years, female 189.6
GTEX-15RIF-0826-SM-6M47C 20-29 years, male 169.8
GTEX-1EH9U-2426-SM-7EWFG 60-69 years, male 157.3
GTEX-Q2AG-1326-SM-43V8K 40-49 years, female 154.8
GTEX-1CAMQ-2726-SM-7MKGD 40-49 years, male 142.1
GTEX-OIZG-1026-SM-3LK5X 50-59 years, male 138.5
GTEX-14PJ5-0526-SM-664OE 60-69 years, female 138.4
GTEX-O5YV-1026-SM-3LK72 60-69 years, female 131.8
GTEX-X4XY-1726-SM-46MVO 60-69 years, male 128.6
GTEX-1RDX4-2126-SM-EV7B3 50-59 years, female 127.0
GTEX-1HSKV-2426-SM-A8N8K 60-69 years, male 122.1
GTEX-14ICK-2026-SM-6AJB2 40-49 years, male 121.6
GTEX-XQ3S-1126-SM-4BOPK 20-29 years, male 120.4
GTEX-1NSGN-2026-SM-DPRYM 50-59 years, male 120.4
GTEX-WVLH-1426-SM-4MVNX 50-59 years, male 117.7
GTEX-1CB4H-1526-SM-7MXU4 60-69 years, female 117.2
GTEX-OXRN-1726-SM-3NM9B 50-59 years, male 116.8
GTEX-POYW-1326-SM-48TCG 60-69 years, male 115.9
GTEX-YEC4-1026-SM-9WG7N 40-49 years, male 114.5
GTEX-1399Q-1126-SM-5P9JA 40-49 years, male 114.1
GTEX-X4EP-1626-SM-4QAS6 60-69 years, female 114.0
GTEX-S4Q7-0626-SM-4AD5M 20-29 years, male 113.7
GTEX-145LU-0926-SM-79OJL 50-59 years, male 112.9
GTEX-16Z82-1926-SM-6M47U 60-69 years, male 112.2
GTEX-PLZ4-1626-SM-3P618 50-59 years, female 112.1
GTEX-1399S-1326-SM-5P9GH 30-39 years, female 111.8
GTEX-1GMR3-1526-SM-9JGGL 40-49 years, male 111.3
GTEX-1EKGG-1726-SM-7MXUP 60-69 years, male 111.1
GTEX-WYVS-0726-SM-4ONDO 40-49 years, female 110.5
GTEX-13FHP-1526-SM-5IJGE 50-59 years, male 110.4
GTEX-17HII-1526-SM-9OSVD 50-59 years, male 110.0
GTEX-ZXES-1126-SM-5GZXN 30-39 years, female 109.7
GTEX-15EOM-5013-SM-7MKF9 20-29 years, female 109.4
GTEX-1K2DU-1726-SM-EV79S 20-29 years, male 109.4
GTEX-SE5C-1226-SM-4BRWV 40-49 years, female 109.2
GTEX-17EVQ-1926-SM-7IGOF 70-79 years, male 108.6
GTEX-ZTSS-0626-SM-59867 40-49 years, male 108.0
GTEX-1KANB-1826-SM-DHXJU 50-59 years, male 107.5
GTEX-117YW-1926-SM-5H121 50-59 years, male 107.1
GTEX-1K2DA-0626-SM-CGQGO 50-59 years, male 106.7
GTEX-1EWIQ-1526-SM-79OO7 70-79 years, female 106.6
GTEX-1MCQQ-1026-SM-EV7AX 60-69 years, male 106.4
GTEX-13NZB-1226-SM-5J2MW 30-39 years, male 106.1
GTEX-18465-1126-SM-7LG6E 50-59 years, male 106.1
GTEX-13OVI-2626-SM-5KM4T 60-69 years, female 105.6
GTEX-13NYB-0926-SM-5IFFA 40-49 years, male 104.4
GTEX-ZLV1-0526-SM-4WWD4 60-69 years, female 104.3
GTEX-1F88F-1126-SM-7MKHL 60-69 years, female 104.0
GTEX-1122O-1726-SM-5GICM 60-69 years, female 103.8
GTEX-ZC5H-1326-SM-5HL7E 40-49 years, female 103.6
GTEX-17JCI-1226-SM-793D9 60-69 years, female 102.6
GTEX-UPK5-1226-SM-4IHL8 40-49 years, male 102.2
GTEX-1LB8K-1326-SM-CXZKB 50-59 years, male 101.9
GTEX-14JIY-0926-SM-6871D 60-69 years, male 101.2
GTEX-1EX96-2226-SM-7MKGT 50-59 years, male 101.2
GTEX-XBEW-1326-SM-4AT63 40-49 years, male 100.4
GTEX-T8EM-0526-SM-4DM64 40-49 years, male 100.3
GTEX-1IDJH-2026-SM-CNNQX 70-79 years, male 99.9
GTEX-11ONC-1526-SM-5GU6S 60-69 years, male 99.5
GTEX-1RAZA-1326-SM-DPS12 20-29 years, male 99.1
GTEX-14BIN-2726-SM-5RQIE 50-59 years, female 98.8
GTEX-PLZ6-0526-SM-3P61C 30-39 years, male 98.4
GTEX-1R9PM-0926-SM-DPRYA 20-29 years, male 98.3
GTEX-1KANA-0626-SM-D4P3I 20-29 years, male 98.1
GTEX-XQ8I-1526-SM-4BOOH 50-59 years, male 98.0
GTEX-U3ZN-1726-SM-4DXUQ 30-39 years, female 97.8
GTEX-X4LF-0626-SM-4QASB 50-59 years, male 97.8
GTEX-R55G-1026-SM-48FDI 40-49 years, female 97.7
GTEX-1LVAN-2326-SM-CNNPY 50-59 years, female 97.6
GTEX-W5WG-1626-SM-4LMKG 50-59 years, female 97.5
GTEX-1HFI6-1226-SM-A96SK 40-49 years, male 97.3
GTEX-12BJ1-1626-SM-5HL8Y 60-69 years, male 97.2
GTEX-11GSP-1826-SM-5N9DQ 60-69 years, female 96.6
GTEX-YEC3-2526-SM-CXZIH 50-59 years, male 96.3
GTEX-15RJE-0926-SM-6LLHZ 40-49 years, male 96.1
GTEX-ZVT2-1326-SM-5E45H 50-59 years, female 95.9
GTEX-1L5NE-1426-SM-DHXKV 50-59 years, male 95.9
GTEX-1N2DV-2026-SM-EV7BL 40-49 years, male 95.8
GTEX-1MCC2-1926-SM-DHXJR 30-39 years, female 95.2
GTEX-13RTK-0526-SM-5S2QF 20-29 years, male 95.0
GTEX-Y5LM-1026-SM-4VDSQ 40-49 years, female 94.9
GTEX-1KAFJ-0626-SM-D3L8X 50-59 years, male 94.6
GTEX-1LG7Y-1726-SM-EV7AR 50-59 years, male 94.5
GTEX-1R9JW-1526-SM-DPRZK 30-39 years, female 94.5
GTEX-14A6H-1326-SM-5NQBC 30-39 years, male 94.4
GTEX-ZDTT-1326-SM-4WKFH 60-69 years, male 94.4
GTEX-1MGNQ-1626-SM-EAZ4Z 40-49 years, male 94.2
GTEX-148VJ-1026-SM-5LU98 70-79 years, male 94.0
GTEX-NFK9-1126-SM-3LK78 40-49 years, male 93.7
GTEX-QEG5-1426-SM-447AS 20-29 years, male 93.7
GTEX-1C2JI-1126-SM-731FH 50-59 years, male 93.5
GTEX-WRHK-0526-SM-4MVOF 20-29 years, female 93.5
GTEX-1S82Y-1226-SM-EV7BD 40-49 years, male 93.4
GTEX-1LBAC-1226-SM-DHXK1 20-29 years, male 93.2
GTEX-ZT9W-1326-SM-51MTB 50-59 years, male 92.9
GTEX-14H4A-1626-SM-5SI69 40-49 years, female 92.6
GTEX-ZPCL-1426-SM-57WEC 60-69 years, female 92.4
GTEX-1F5PK-1526-SM-7MKGV 50-59 years, male 92.3
GTEX-1J1R8-0326-SM-AHZ3D 40-49 years, male 92.3
GTEX-1AX9I-1426-SM-7DHM8 60-69 years, male 92.2
GTEX-QDVN-1026-SM-48TZA 50-59 years, male 92.2
GTEX-18A66-1426-SM-7KFRT 60-69 years, male 91.9
GTEX-11NUK-1326-SM-5P9GN 50-59 years, male 91.5
GTEX-13YAN-1926-SM-7EPH9 60-69 years, male 91.4
GTEX-13QJ3-1726-SM-5RQK9 50-59 years, male 91.3
GTEX-PWCY-0726-SM-48TCS 20-29 years, female 91.1
GTEX-15DYW-1826-SM-6LPIY 60-69 years, female 90.9
GTEX-RWS6-0826-SM-47JXF 60-69 years, female 90.9
GTEX-1KXAM-0826-SM-CXZK9 60-69 years, male 90.9
GTEX-1QCLY-1526-SM-DPRXX 30-39 years, male 90.8
GTEX-OIZH-0626-SM-3NB1L 50-59 years, male 90.6
GTEX-T6MO-0526-SM-4DM6R 40-49 years, female 90.6
GTEX-1IKOE-1526-SM-C1YSD 30-39 years, female 90.6
GTEX-RN64-1026-SM-48FDX 50-59 years, male 90.5
GTEX-SUCS-0726-SM-4DM7J 70-79 years, male 90.5
GTEX-YB5E-0926-SM-4WWDQ 40-49 years, male 90.3
GTEX-14PKV-1726-SM-6871U 20-29 years, female 90.0
GTEX-1C64O-1826-SM-7DHM4 60-69 years, male 90.0
GTEX-ZF2S-1226-SM-4WWAX 50-59 years, female 89.9
GTEX-14ICL-0526-SM-5RQJ6 30-39 years, male 89.8
GTEX-QCQG-0626-SM-48U21 50-59 years, female 89.8
GTEX-11EI6-1526-SM-5P9GL 60-69 years, male 89.4
GTEX-18D9A-0526-SM-7KFSW 30-39 years, female 89.4
GTEX-1CB4E-1026-SM-793AB 60-69 years, male 89.3
GTEX-1HBPI-0626-SM-9WPP4 50-59 years, male 89.2
GTEX-1AMFI-0226-SM-731D5 50-59 years, female 89.1
GTEX-1MA7X-0726-SM-EV7AB 60-69 years, male 89.1
GTEX-WYJK-1926-SM-4ONDP 50-59 years, male 89.0
GTEX-1H23P-1426-SM-9JGH5 60-69 years, male 88.9
GTEX-SNMC-0526-SM-4DM69 20-29 years, male 88.8
GTEX-11ZTS-2626-SM-5EGIC 60-69 years, female 88.6
GTEX-1RAZR-1226-SM-E6CRD 40-49 years, male 88.6
GTEX-11P7K-1326-SM-5BC5G 30-39 years, male 88.5
GTEX-1B97I-0926-SM-731DZ 40-49 years, male 88.4
GTEX-X3Y1-1326-SM-4PQZB 40-49 years, male 88.4
GTEX-1I1GR-1326-SM-ARU7B 60-69 years, male 88.4
GTEX-OOBK-0625-SM-3LK5P 40-49 years, male 88.1
GTEX-14PJN-0526-SM-68724 30-39 years, male 88.0
GTEX-WFG8-1226-SM-4V6EI 20-29 years, male 87.7
GTEX-XMK1-1326-SM-4B65Q 40-49 years, male 87.7
GTEX-14DAR-0826-SM-73KYJ 50-59 years, male 87.5
GTEX-TML8-1526-SM-4DXUX 40-49 years, female 87.5
GTEX-U4B1-0826-SM-4DXTW 40-49 years, male 87.4
GTEX-13PVR-1826-SM-5Q5CC 60-69 years, female 87.2
GTEX-1HB9E-1526-SM-D3LA6 50-59 years, male 87.1
GTEX-14C5O-1626-SM-73KYH 60-69 years, male 87.0
GTEX-WQUQ-1626-SM-4OOSH 60-69 years, male 87.0
GTEX-1B97J-1026-SM-7MXTE 50-59 years, female 87.0
GTEX-1EN7A-1226-SM-7MGX9 40-49 years, male 87.0
GTEX-15ER7-2126-SM-7939E 20-29 years, female 86.7
GTEX-16BQI-1526-SM-6LLIE 30-39 years, female 86.7
GTEX-15F5U-5010-SM-AHZ2D 40-49 years, male 86.7
GTEX-13OW8-2326-SM-5L3I9 60-69 years, male 86.5
GTEX-UJHI-0826-SM-4IHLM 50-59 years, female 86.4
GTEX-131XG-1026-SM-5GCMX 50-59 years, female 86.1
GTEX-Y5V5-1626-SM-4VDSG 60-69 years, female 85.9
GTEX-14E1K-1226-SM-5S2PD 50-59 years, male 85.8
GTEX-1A32A-1826-SM-72D5G 50-59 years, female 85.8
GTEX-ZYFG-1126-SM-5GICY 60-69 years, female 85.8
GTEX-13FLV-1126-SM-5J2NO 50-59 years, male 85.7
GTEX-QLQW-0526-SM-4R1KS 30-39 years, male 85.7
GTEX-Z9EW-0526-SM-5HL8S 40-49 years, male 85.6
GTEX-ZLWG-1326-SM-DNZYZ 50-59 years, female 85.6
GTEX-12ZZX-1326-SM-5DUWI 40-49 years, female 85.1
GTEX-PVOW-1626-SM-48TC9 40-49 years, male 85.1
GTEX-1LG7Z-0926-SM-CXKYK 30-39 years, male 85.1
GTEX-1LSNL-2226-SM-DHXKM 50-59 years, male 85.1
GTEX-1S83E-0826-SM-EV7B7 40-49 years, male 85.1
GTEX-QV44-1126-SM-CL55C 50-59 years, male 85.1
GTEX-144GM-1426-SM-5LU31 20-29 years, male 85.0
GTEX-WHSE-1526-SM-4M1XH 20-29 years, male 84.8
GTEX-1J8EW-1326-SM-AHZ3S 60-69 years, female 84.8
GTEX-12WSG-5007-SM-7DUGZ 50-59 years, female 84.5
GTEX-12WSK-1126-SM-5LZV8 40-49 years, female 84.2
GTEX-13FTW-1626-SM-5KM4N 40-49 years, male 84.1
GTEX-1OKEX-1326-SM-E9J2U 60-69 years, male 84.0
GTEX-15RIE-0826-SM-6M47X 60-69 years, male 83.9
GTEX-TKQ1-0326-SM-4DXSM 30-39 years, male 83.8
GTEX-14AS3-0626-SM-5QGQD 40-49 years, female 83.7
GTEX-ZE9C-1126-SM-4WWBD 60-69 years, male 83.5
GTEX-132AR-2226-SM-5J2NT 50-59 years, female 83.4
GTEX-U3ZM-0526-SM-4DXTB 40-49 years, male 83.3
GTEX-YFC4-1226-SM-5LU9R 40-49 years, female 83.3
GTEX-17F96-2526-SM-7DHL3 70-79 years, male 83.2
GTEX-WHPG-1126-SM-4M1XT 50-59 years, male 83.2
GTEX-14DAQ-1426-SM-5RQJD 60-69 years, female 83.1
GTEX-17HHE-0926-SM-7938K 50-59 years, male 83.0
GTEX-132QS-1426-SM-5P9GE 60-69 years, male 82.9
GTEX-S341-0526-SM-4AD5U 40-49 years, female 82.9
GTEX-1OJC3-0826-SM-DPRYU 20-29 years, male 82.8
GTEX-1J1OQ-2526-SM-AHZ3Q 40-49 years, female 82.7
GTEX-V1D1-1026-SM-4JBHE 50-59 years, male 82.6
GTEX-WOFM-0626-SM-4OOS3 20-29 years, male 82.6
GTEX-P4PQ-0626-SM-3NMCU 60-69 years, male 82.5
GTEX-R55C-0826-SM-48FCL 40-49 years, male 82.5
GTEX-1N2EE-2426-SM-EXOIO 60-69 years, male 82.5
GTEX-145LV-1326-SM-5S2QI 50-59 years, male 82.3
GTEX-P4QT-0626-SM-3NMCP 50-59 years, female 82.3
GTEX-RVPV-0526-SM-47JYL 60-69 years, male 82.3
GTEX-WHSB-0426-SM-4M1XI 50-59 years, male 82.3
GTEX-WXYG-1226-SM-4ONCJ 50-59 years, female 82.2
GTEX-Y8E4-1726-SM-5LU9G 40-49 years, male 82.2
GTEX-131XE-1426-SM-5HL7V 50-59 years, male 82.1
GTEX-QDVJ-0726-SM-48U1W 50-59 years, male 82.1
GTEX-XBED-1026-SM-48TCB 60-69 years, male 81.9
GTEX-1RAZS-2626-SM-EV79C 50-59 years, male 81.8
GTEX-1399R-0826-SM-5IJEL 30-39 years, male 81.7
GTEX-18D9U-2126-SM-7LG4Y 40-49 years, male 81.7
GTEX-WH7G-0926-SM-4LVMJ 40-49 years, male 81.7
GTEX-11I78-1526-SM-5A5K7 50-59 years, female 81.5
GTEX-11TT1-0526-SM-5P9JO 20-29 years, male 81.5
GTEX-T2YK-1326-SM-4DM6S 50-59 years, male 81.4
GTEX-15UF7-0926-SM-6M46F 40-49 years, male 81.3
GTEX-1IDJD-1626-SM-C1YRC 30-39 years, male 81.3
GTEX-1QCLZ-1626-SM-E9U5R 60-69 years, female 81.3
GTEX-P4PP-0626-SM-3NM9X 30-39 years, female 81.2
GTEX-S7SF-0926-SM-4AD4M 20-29 years, female 81.1
GTEX-15SB6-0726-SM-6M48F 50-59 years, female 80.9
GTEX-1LSVX-1226-SM-DHXJN 60-69 years, male 80.9
GTEX-S95S-0426-SM-4B64I 60-69 years, male 80.7
GTEX-13111-0826-SM-5LZV3 50-59 years, male 80.6
GTEX-145ME-5004-SM-7MGXP 40-49 years, female 80.5
GTEX-1R9K5-1526-SM-DPRZA 50-59 years, male 80.5
GTEX-1GPI7-1026-SM-7MGY2 20-29 years, male 80.3
GTEX-1HCVE-1226-SM-9WPPH 50-59 years, male 80.3
GTEX-1R7EU-0826-SM-DPRZL 60-69 years, male 80.1
GTEX-1HKZK-1426-SM-A96U1 40-49 years, male 80.0
GTEX-WFON-0826-SM-4LVMI 40-49 years, male 79.9
GTEX-1I1GQ-1726-SM-B2LWZ 50-59 years, male 79.9
GTEX-RM2N-0726-SM-48FD5 50-59 years, male 79.8
GTEX-X62O-2226-SM-46MW3 50-59 years, male 79.8
GTEX-13FHO-1726-SM-DPRZX 60-69 years, male 79.8
GTEX-1HGF4-0926-SM-9WPP8 60-69 years, male 79.8
GTEX-U8XE-1726-SM-4E3IF 30-39 years, male 79.7
GTEX-PWN1-0626-SM-48TDT 40-49 years, female 79.6
GTEX-Q2AH-0826-SM-48TZN 40-49 years, male 79.6
GTEX-1CB4G-1326-SM-7MKFP 60-69 years, male 79.5
GTEX-N7MT-0326-SM-48TDP 60-69 years, female 79.5
GTEX-1GN1W-2226-SM-9JGI5 50-59 years, female 79.5
GTEX-12WSD-1826-SM-5GCOA 60-69 years, female 79.3
GTEX-13QBU-1026-SM-5LU3R 40-49 years, female 79.2
GTEX-1B996-1826-SM-7MGY6 60-69 years, male 79.2
GTEX-1NUQO-1126-SM-DTX98 20-29 years, female 79.2
GTEX-11DXZ-1226-SM-5H11L 50-59 years, male 79.1
GTEX-11P82-0526-SM-5986P 20-29 years, male 79.0
GTEX-16A39-1026-SM-6LPJU 30-39 years, female 79.0
GTEX-ZF29-1326-SM-DNZYV 60-69 years, female 79.0
GTEX-ZGAY-1126-SM-4WWBS 40-49 years, female 78.9
GTEX-Y114-0926-SM-4TT7J 50-59 years, female 78.8
GTEX-YB5K-0826-SM-5YYB7 40-49 years, female 78.8
GTEX-Q2AI-0626-SM-48TZU 40-49 years, male 78.7
GTEX-11EQ9-0726-SM-5A5K2 30-39 years, male 78.5
GTEX-13OVG-0626-SM-5IFEP 60-69 years, male 78.5
GTEX-QEL4-1426-SM-447AC 50-59 years, male 78.5
GTEX-1H11D-2126-SM-9OSXM 40-49 years, male 78.4
GTEX-1LNCM-0626-SM-EV7AI 50-59 years, female 78.3
GTEX-111CU-0726-SM-5GZYD 50-59 years, male 78.0
GTEX-Y5V6-1026-SM-4VBS2 60-69 years, male 77.9
GTEX-ZTX8-0226-SM-5E44D 20-29 years, male 77.9
GTEX-1GF9U-0826-SM-7MXTZ 40-49 years, female 77.9
GTEX-15DCD-1626-SM-6AJBH 70-79 years, female 77.8
GTEX-1MJIX-0826-SM-DTXEO 40-49 years, male 77.8
GTEX-18A7A-2326-SM-7KFRH 50-59 years, female 77.6
GTEX-1RLM8-0726-SM-E6CRH 50-59 years, male 77.5
GTEX-WFG7-1126-SM-4LMK3 20-29 years, male 77.4
GTEX-1J8QM-1926-SM-AHZ3Z 60-69 years, female 77.4
GTEX-145LT-1126-SM-5LUA1 40-49 years, male 77.3
GTEX-13OVK-1126-SM-6PAMR 40-49 years, male 77.2
GTEX-ZUA1-1226-SM-5NQ6O 40-49 years, male 77.2
GTEX-14JG6-0926-SM-6871Y 30-39 years, female 77.1
GTEX-S33H-0826-SM-4AD5Y 30-39 years, male 77.0
GTEX-ZEX8-1426-SM-4WKHQ 50-59 years, male 76.8
GTEX-15EU6-1626-SM-6LPKF 50-59 years, male 76.7
GTEX-XGQ4-1526-SM-4AT6H 50-59 years, male 76.5
GTEX-Y3IK-1126-SM-51MSV 50-59 years, female 76.4
GTEX-QLQ7-0926-SM-447BC 60-69 years, male 76.3
GTEX-13FTX-0526-SM-5IFGS 20-29 years, female 76.2
GTEX-14B4R-0326-SM-5TDDP 30-39 years, male 76.2
GTEX-1QP2A-1926-SM-EXOJ9 50-59 years, male 76.0
GTEX-13X6H-1326-SM-5LU42 50-59 years, female 75.9
GTEX-14PJ4-1526-SM-664OA 60-69 years, male 75.8
GTEX-16NGA-1426-SM-718AC 40-49 years, female 75.8
GTEX-17F98-1726-SM-7938O 40-49 years, female 75.7
GTEX-111YS-0926-SM-5EGGI 60-69 years, male 75.6
GTEX-X15G-0826-SM-4PQZD 50-59 years, female 75.6
GTEX-12ZZY-1426-SM-5N9EI 60-69 years, male 75.5
GTEX-R55D-1126-SM-48FEB 50-59 years, male 75.3
GTEX-16NPX-1626-SM-6LLI5 50-59 years, male 75.2
GTEX-14C38-2126-SM-5RQJO 50-59 years, male 75.1
GTEX-1JMPY-0826-SM-AHZ4A 30-39 years, male 75.1
GTEX-1MCYP-1026-SM-DPRYB 20-29 years, female 75.0
GTEX-1PPGY-1726-SM-EVR3S 60-69 years, male 75.0
GTEX-11EM3-0826-SM-5N9CC 20-29 years, female 74.9
GTEX-13PL7-0226-SM-731DT 60-69 years, female 74.9
GTEX-1AMEY-0226-SM-7189Q 30-39 years, female 74.9
GTEX-183FY-1526-SM-7IGOW 20-29 years, male 74.8
GTEX-18D9B-2026-SM-7LT96 60-69 years, male 74.8
GTEX-XK95-1026-SM-4GIDV 40-49 years, male 74.8
GTEX-1MA7W-0426-SM-E9TJ5 20-29 years, female 74.8
GTEX-11TUW-1326-SM-5EQKV 60-69 years, male 74.7
GTEX-1HCU8-2226-SM-9WPOV 60-69 years, female 74.7
GTEX-13G51-0926-SM-5IFFU 60-69 years, male 74.5
GTEX-131XF-0826-SM-5GICG 60-69 years, male 74.3
GTEX-ZF3C-1626-SM-4WWB4 50-59 years, female 74.3
GTEX-ZYVF-2226-SM-5GIDD 50-59 years, female 74.2
GTEX-1H1ZS-1526-SM-9OSXR 70-79 years, male 74.2
GTEX-1N2DW-1426-SM-EV7AZ 50-59 years, male 74.1
GTEX-145MN-1026-SM-5NQ9G 30-39 years, male 74.0
GTEX-131YS-1426-SM-5IJF7 60-69 years, female 73.9
GTEX-139UW-1126-SM-5IJEJ 60-69 years, male 73.9
GTEX-145MF-1426-SM-5O9B6 50-59 years, male 73.9
GTEX-YECK-1626-SM-5IFHQ 60-69 years, male 73.9
GTEX-QVUS-0626-SM-447CC 60-69 years, female 73.8
GTEX-ZG7Y-1126-SM-4WWEZ 50-59 years, male 73.8
GTEX-1JKYR-2126-SM-CNNPC 20-29 years, male 73.8
GTEX-1B933-2026-SM-7EWFC 50-59 years, female 73.5
GTEX-ZA64-0626-SM-5HL9O 20-29 years, male 73.5
GTEX-ZPU1-1426-SM-4WWFU 40-49 years, male 73.5
GTEX-14PJM-1526-SM-664NY 50-59 years, female 73.4
GTEX-1JK1U-1726-SM-CNNPM 60-69 years, male 73.4
GTEX-11DXY-1426-SM-5N9CN 60-69 years, male 73.3
GTEX-1AX9J-1826-SM-731FM 60-69 years, male 73.1
GTEX-UPJH-1026-SM-EAZB2 50-59 years, male 73.1
GTEX-12ZZW-1726-SM-5DUVD 50-59 years, male 73.0
GTEX-T2IS-0826-SM-4DM6L 20-29 years, female 73.0
GTEX-1A3MV-1326-SM-7LG6C 30-39 years, male 72.8
GTEX-ZAK1-1526-SM-5S2OV 50-59 years, female 72.8
GTEX-1A8FM-1526-SM-7MXTA 50-59 years, female 72.8
GTEX-1QP67-0726-SM-DPRY1 40-49 years, female 72.8
GTEX-11XUK-0826-SM-5GU6P 40-49 years, female 72.7
GTEX-12696-1326-SM-5FQTJ 60-69 years, male 72.7
GTEX-139YR-1726-SM-5IFFK 50-59 years, male 72.7
GTEX-18A6Q-1226-SM-7KFS9 60-69 years, male 72.7
GTEX-XXEK-0326-SM-4BRVV 50-59 years, male 72.5
GTEX-YF7O-0926-SM-5IFIF 50-59 years, male 72.5
GTEX-15SHU-1426-SM-6LPIN 40-49 years, female 72.3
GTEX-11NSD-1126-SM-5N9BQ 20-29 years, male 72.1
GTEX-YJ89-1526-SM-5P9IR 60-69 years, male 72.0
GTEX-12WSL-1526-SM-5GCP8 50-59 years, male 71.8
GTEX-17EUY-1426-SM-7938X 20-29 years, male 71.8
GTEX-S3XE-0926-SM-4AD4S 50-59 years, male 71.8
GTEX-XUZC-0426-SM-4BOPE 30-39 years, female 71.8
GTEX-ZV68-0926-SM-59HK7 50-59 years, female 71.8
GTEX-1M5QR-0726-SM-DHXK7 40-49 years, male 71.7
GTEX-13O3Q-0826-SM-5IFGF 50-59 years, male 71.6
GTEX-PLZ5-0926-SM-3TW8L 50-59 years, male 71.6
GTEX-T5JC-1726-SM-4DM6U 20-29 years, male 71.6
GTEX-V955-1126-SM-4JBH3 60-69 years, male 71.6
GTEX-Y9LG-0626-SM-4WWDH 30-39 years, male 71.6
GTEX-1PPH8-1626-SM-E6CQP 20-29 years, male 71.6
GTEX-1HBPM-1426-SM-9WPPE 60-69 years, female 71.4
GTEX-1HSMQ-2026-SM-B2LY1 50-59 years, male 71.4
GTEX-13S86-0826-SM-5SI6J 40-49 years, male 71.3
GTEX-146FH-1726-SM-5QGQ2 50-59 years, female 71.3
GTEX-OIZF-0626-SM-7MKHG 60-69 years, male 71.3
GTEX-11ZU8-1526-SM-5EGHX 60-69 years, male 70.9
GTEX-13D11-1926-SM-5IFGB 50-59 years, female 70.9
GTEX-RNOR-1226-SM-48FDQ 50-59 years, female 70.7
GTEX-VUSG-1226-SM-4KKZF 50-59 years, male 70.7
GTEX-1HCU7-2126-SM-A96SG 50-59 years, male 70.5
GTEX-OXRK-1326-SM-3NB1A 50-59 years, female 70.4
GTEX-139TU-1226-SM-5J2NL 60-69 years, male 70.2
GTEX-WFJO-0826-SM-4LVM5 30-39 years, male 70.2
GTEX-1LVAM-1126-SM-DHXKP 50-59 years, female 70.2
GTEX-S4P3-0426-SM-4AD56 50-59 years, female 70.1
GTEX-1GL5R-1526-SM-7MKHO 50-59 years, male 69.9
GTEX-1F75I-1726-SM-7MKGW 40-49 years, male 69.8
GTEX-1KD4Q-1126-SM-CXZKK 40-49 years, male 69.8
GTEX-1AX9K-1126-SM-731DQ 50-59 years, male 69.4
GTEX-1I1GU-1426-SM-B2LX3 40-49 years, male 69.4
GTEX-T5JW-1326-SM-4DM5G 20-29 years, female 69.0
GTEX-1HBPH-1126-SM-A96TU 40-49 years, female 69.0
GTEX-14PK6-1326-SM-686ZE 70-79 years, female 68.9
GTEX-R53T-1126-SM-48FD4 50-59 years, female 68.8
GTEX-1I1GV-2226-SM-ARU7E 60-69 years, male 68.7
GTEX-PSDG-1326-SM-48TD2 50-59 years, male 68.6
GTEX-XYKS-1526-SM-4BRUP 60-69 years, female 68.4
GTEX-1QPFJ-1226-SM-EAZ3M 30-39 years, female 68.4
GTEX-13W46-1926-SM-5J2MF 50-59 years, male 68.3
GTEX-178AV-0526-SM-6LPJH 40-49 years, male 68.3
GTEX-SNOS-0626-SM-4DM5F 40-49 years, male 68.3
GTEX-ZVP2-1326-SM-57WCE 50-59 years, male 68.3
GTEX-16XZY-0926-SM-7938M 70-79 years, male 67.9
GTEX-139T6-0626-SM-5IFF9 50-59 years, male 67.8
GTEX-XLM4-2326-SM-4AT5E 60-69 years, male 67.8
GTEX-11P81-0826-SM-5P9GR 30-39 years, female 67.6
GTEX-14PHY-0626-SM-664NN 60-69 years, female 67.6
GTEX-18A67-2426-SM-7LT95 50-59 years, male 67.6
GTEX-147F3-0826-SM-5NQA7 50-59 years, female 67.5
GTEX-17MFQ-0526-SM-7KFTX 20-29 years, male 67.5
GTEX-12C56-1226-SM-5FQSU 20-29 years, male 67.4
GTEX-1ICG6-1926-SM-ARU7L 70-79 years, female 67.3
GTEX-U3ZH-1026-SM-4DXUZ 30-39 years, male 67.2
GTEX-1GN1U-1826-SM-9JGH2 50-59 years, female 67.2
GTEX-1IKK5-1326-SM-AHZ2X 60-69 years, male 67.2
GTEX-11LCK-1726-SM-5S2OQ 30-39 years, male 67.0
GTEX-1R9K4-1926-SM-DPRZW 60-69 years, male 67.0
GTEX-15ETS-1926-SM-7KUN5 40-49 years, female 66.9
GTEX-11DXX-1126-SM-5GZZK 60-69 years, female 66.8
GTEX-1I1CD-1726-SM-A9G3P 60-69 years, female 66.8
GTEX-13FH7-0526-SM-5IJF8 50-59 years, female 66.7
GTEX-17HGU-1426-SM-7938G 50-59 years, male 66.7
GTEX-1JMQJ-1226-SM-D3L97 50-59 years, male 66.6
GTEX-1QW4Y-0526-SM-EAZ3V 30-39 years, male 66.5
GTEX-WEY5-0926-SM-4LMI4 40-49 years, female 66.3
GTEX-14PJ3-0626-SM-6UGC5 50-59 years, male 66.3
GTEX-1IY9M-1626-SM-AHZ39 60-69 years, male 66.2
GTEX-1B8KZ-0726-SM-7938W 50-59 years, male 66.1
GTEX-OXRL-0626-SM-3NM9C 50-59 years, male 66.1
GTEX-1JKYN-1526-SM-CGQGA 30-39 years, male 66.1
GTEX-Y3I4-1226-SM-4TT8N 50-59 years, male 66.0
GTEX-144GN-0626-SM-5O9B2 50-59 years, male 65.9
GTEX-1212Z-2126-SM-5FQTM 60-69 years, male 65.8
GTEX-11VI4-0526-SM-5EQ48 40-49 years, female 65.7
GTEX-UJMC-0926-SM-4IHLK 50-59 years, male 65.6
GTEX-XV7Q-1126-SM-4BRVS 40-49 years, female 65.6
GTEX-TMMY-1126-SM-4DXSX 40-49 years, female 65.5
GTEX-RU1J-0326-SM-46MUM 20-29 years, female 65.4
GTEX-14E6E-0726-SM-5S2R3 30-39 years, male 65.3
GTEX-1GMR2-1526-SM-7MXV6 50-59 years, male 65.3
GTEX-1HC8U-1526-SM-9WPO4 40-49 years, female 65.3
GTEX-13SLX-1726-SM-5Q5E5 50-59 years, female 65.2
GTEX-R55E-1326-SM-48FCR 20-29 years, male 65.1
GTEX-ZTPG-1626-SM-5DUX2 20-29 years, female 65.1
GTEX-WHWD-0926-SM-4OORY 50-59 years, male 65.0
GTEX-1399U-1026-SM-5J1OC 50-59 years, female 64.9
GTEX-144FL-2726-SM-5O98Z 50-59 years, male 64.9
GTEX-TSE9-1226-SM-4DXTM 60-69 years, female 64.7
GTEX-ZYT6-1126-SM-5GZYR 30-39 years, male 64.7
GTEX-S32W-0926-SM-4AD5X 50-59 years, female 64.6
GTEX-1RAZQ-1726-SM-EAZ4T 30-39 years, male 64.4
GTEX-146FR-0426-SM-5SI97 60-69 years, female 64.2
GTEX-132Q8-1826-SM-5EGIY 60-69 years, male 64.1
GTEX-169BO-0526-SM-793AK 50-59 years, male 64.1
GTEX-1I4MK-0426-SM-B2LWQ 50-59 years, female 63.9
GTEX-VJYA-0726-SM-4KL1T 60-69 years, male 63.8
GTEX-Y8LW-0726-SM-5IFI1 50-59 years, female 63.8
GTEX-ZAB4-1126-SM-5HL86 40-49 years, male 63.6
GTEX-1I6K7-1426-SM-B2LXP 40-49 years, male 63.5
GTEX-1JMPZ-2026-SM-C1YR8 30-39 years, male 63.4
GTEX-1QEPI-1826-SM-EAZ3J 60-69 years, female 63.3
GTEX-1B8KE-1826-SM-731FD 50-59 years, male 63.2
GTEX-1CB4I-1026-SM-7MKFZ 50-59 years, male 62.9
GTEX-1HCU6-1326-SM-A96TZ 60-69 years, female 62.9
GTEX-SJXC-1426-SM-EYYVB 60-69 years, male 62.9
GTEX-1IDJF-1226-SM-C1YPX 20-29 years, male 62.8
GTEX-12KS4-0926-SM-5BC5S 30-39 years, male 62.7
GTEX-QESD-0826-SM-47J4G 20-29 years, male 62.5
GTEX-13O61-0926-SM-5IFFE 60-69 years, male 62.2
GTEX-13U4I-1126-SM-5LU3S 40-49 years, female 62.1
GTEX-13X6I-1026-SM-5LU4C 60-69 years, male 62.1
GTEX-OIZI-1426-SM-3NB1T 40-49 years, male 62.0
GTEX-1H1DG-1226-SM-9JGH3 70-79 years, male 62.0
GTEX-1LVA9-2126-SM-DLHBY 50-59 years, male 62.0
GTEX-14BMU-0926-SM-5S2QB 20-29 years, female 61.8
GTEX-1CB4F-1526-SM-7MKFM 60-69 years, male 61.8
GTEX-1LGOU-0526-SM-D3LAO 20-29 years, female 61.6
GTEX-16MTA-0826-SM-6LLIC 50-59 years, male 61.3
GTEX-145MO-1426-SM-DTX9W 60-69 years, male 61.3
GTEX-13W3W-1626-SM-5LU35 60-69 years, female 61.2
GTEX-RTLS-1126-SM-46MUQ 60-69 years, female 61.0
GTEX-X4EO-1226-SM-4QARR 60-69 years, female 61.0
GTEX-1H1DE-1026-SM-9JGH6 20-29 years, male 61.0
GTEX-ZLFU-1126-SM-DO11K 40-49 years, male 61.0
GTEX-R3RS-1326-SM-48FE7 40-49 years, female 60.9
GTEX-1C475-0926-SM-7MKFI 40-49 years, female 60.8
GTEX-ZYY3-1526-SM-5SIA9 60-69 years, female 60.7
GTEX-1JMLX-2326-SM-CXZJP 50-59 years, male 60.4
GTEX-1LGRB-1626-SM-CNNR7 50-59 years, female 60.4
GTEX-1HCUA-1426-SM-9WPP7 50-59 years, female 60.3
GTEX-13CF3-1626-SM-5IFG9 60-69 years, female 60.1
GTEX-1QP28-1826-SM-EAZ4L 50-59 years, female 60.1
GTEX-X585-1226-SM-46MW7 50-59 years, male 60.0
GTEX-1HSGN-1626-SM-A96U2 40-49 years, female 60.0
GTEX-ZY6K-0626-SM-59HJL 50-59 years, male 59.8
GTEX-1QP9N-0926-SM-E9U5S 30-39 years, male 59.8
GTEX-RU72-0726-SM-46MUW 50-59 years, female 59.7
GTEX-ZQUD-0426-SM-57WFR 30-39 years, male 59.3
GTEX-12WSA-1426-SM-5EGJU 60-69 years, male 59.1
GTEX-15UF6-2326-SM-6M465 70-79 years, female 59.0
GTEX-1EU9M-2326-SM-7MKGS 60-69 years, male 59.0
GTEX-RUSQ-0826-SM-47JWW 50-59 years, male 58.6
GTEX-WK11-1026-SM-4OOS8 50-59 years, male 58.5
GTEX-1K9T9-2026-SM-CXZK3 50-59 years, female 58.2
GTEX-1211K-0926-SM-5FQTL 60-69 years, female 58.1
GTEX-16MT8-1326-SM-6M47R 60-69 years, female 58.0
GTEX-13X6K-2126-SM-5O9D4 60-69 years, female 57.9
GTEX-ZZ64-0226-SM-5E44X 20-29 years, male 57.9
GTEX-13O21-0626-SM-5IJDI 50-59 years, male 57.4
GTEX-15DCE-1326-SM-6LPJL 20-29 years, male 57.4
GTEX-ZT9X-0526-SM-5GCOP 40-49 years, male 57.3
GTEX-14BIM-1326-SM-7EWD1 60-69 years, female 57.1
GTEX-17KNJ-1326-SM-7KFTG 50-59 years, male 57.1
GTEX-13O1R-1326-SM-5IJF5 60-69 years, male 57.0
GTEX-OXRP-0926-SM-48TC1 60-69 years, female 57.0
GTEX-14PJ6-1026-SM-686ZB 60-69 years, female 56.6
GTEX-148VI-1026-SM-5TDDJ 60-69 years, female 56.0
GTEX-1AYD5-0926-SM-793AF 50-59 years, male 55.5
GTEX-1497J-2726-SM-5SI9W 60-69 years, male 55.4
GTEX-1JMQK-2026-SM-C1YQN 60-69 years, male 55.2
GTEX-12WSN-5013-SM-7P8P9 40-49 years, male 55.0
GTEX-ZDYS-0826-SM-4WWCR 50-59 years, male 54.9
GTEX-N7MS-1225-SM-3LK5G 60-69 years, male 54.6
GTEX-P78B-1026-SM-3NMC4 40-49 years, female 54.4
GTEX-ZYFC-1626-SM-5N9EU 50-59 years, male 54.4
GTEX-1EMGI-1926-SM-7938Y 60-69 years, male 54.1
GTEX-1BAJH-2026-SM-7P8OZ 70-79 years, male 54.1
GTEX-13PVQ-1726-SM-5IFF3 50-59 years, male 53.5
GTEX-16AAH-0726-SM-793A9 50-59 years, male 53.4
GTEX-146FQ-1026-SM-5LU8I 30-39 years, male 53.3
GTEX-1CB4J-2426-SM-7MXVC 60-69 years, male 53.1
GTEX-1F52S-1426-SM-7P8PU 60-69 years, female 53.1
GTEX-1GN73-1926-SM-9JGGS 60-69 years, male 52.7
GTEX-1GTWX-1326-SM-9JGHU 60-69 years, male 52.7
GTEX-1H3VY-2026-SM-9JGHK 50-59 years, male 52.7
GTEX-OHPN-1026-SM-E9TI8 60-69 years, female 52.7
GTEX-R45C-1226-SM-48FEE 60-69 years, female 52.6
GTEX-133LE-0626-SM-5IFFJ 20-29 years, female 52.4
GTEX-ZVE2-1326-SM-5NQ94 50-59 years, male 52.3
GTEX-QEG4-0726-SM-CNNRF 30-39 years, male 52.2
GTEX-15RJ7-0926-SM-6LPJO 40-49 years, male 51.9
GTEX-144GO-2726-SM-5O9A2 60-69 years, male 51.8
GTEX-P4QS-0626-SM-3NMD1 60-69 years, male 51.8
GTEX-13JVG-2026-SM-5KM1N 60-69 years, male 51.7
GTEX-17F9E-1926-SM-7IGQF 50-59 years, male 51.4
GTEX-145LS-1826-SM-5LUAZ 60-69 years, female 51.0
GTEX-1F5PL-1726-SM-9QEGL 40-49 years, female 51.0
GTEX-REY6-1326-SM-48FDO 60-69 years, male 50.6
GTEX-1E1VI-1526-SM-7IGQ2 50-59 years, male 50.2
GTEX-ZAB5-0926-SM-5CVMV 50-59 years, male 49.5
GTEX-18QFQ-1026-SM-7LG6B 30-39 years, male 49.5
GTEX-XMD2-1326-SM-4YCET 60-69 years, female 49.3
GTEX-1PIGE-0926-SM-E9U5Z 20-29 years, male 49.1
GTEX-ZYW4-1326-SM-5E45N 60-69 years, male 49.0
GTEX-1AX8Z-5016-SM-AHZ2B 60-69 years, male 49.0
GTEX-1QP29-2126-SM-E6CPZ 50-59 years, male 48.1
GTEX-183WM-1726-SM-7KFT5 70-79 years, female 47.5
GTEX-13OVJ-1226-SM-5L3HA 50-59 years, female 47.0
GTEX-1GMR8-1826-SM-9WYUE 50-59 years, female 46.0
GTEX-ZZPT-1426-SM-5N9C5 50-59 years, male 45.1
GTEX-1I1GS-2126-SM-ARU7G 60-69 years, male 45.0
GTEX-1PFEY-0826-SM-E9U6A 30-39 years, male 44.6
GTEX-17F97-1326-SM-7MGVO 50-59 years, male 44.1
GTEX-1I1GP-1026-SM-C1YRZ 50-59 years, male 44.0
GTEX-11DYG-1326-SM-5N9DO 60-69 years, male 43.9
GTEX-11EMC-2226-SM-5A5JW 60-69 years, female 43.8
GTEX-15EO6-1026-SM-7KUG9 50-59 years, male 43.2
GTEX-Y111-1626-SM-57WCY 50-59 years, male 42.1
GTEX-11DZ1-2026-SM-5A5KG 50-59 years, male 41.9
GTEX-1C6VQ-1826-SM-7EWEH 50-59 years, male 41.0
GTEX-ZAJG-1326-SM-5S2NV 50-59 years, female 40.6
GTEX-1F7RK-1526-SM-7P8T6 20-29 years, female 39.2
GTEX-1H3NZ-1326-SM-9JGHI 60-69 years, male 39.2
GTEX-NPJ8-1926-SM-3MJGB 40-49 years, male 38.6
GTEX-1IDFM-1126-SM-A96SY 60-69 years, male 37.1
Show allShow less

ESOPHAGUS - FANTOM5 CAGEi

RNA expression in human tissues obtained through Cap Analysis of Gene Expression (CAGE) generated by the FANTOM5 project are reported as Scaled Tags Per Million.

Max subtype Scaled Tags Per Millioni

Max subtype Scaled Tags Per Million is the value for the subtype with the largest average Scaled Tags Per Million across the subtype samples.

75.8
FANTOM5 sample id Sample description Scaled Tags Per Million
Esophagus
Scaled Tags Per Million: 75.8
FF:10015-101C6 68,74,75 years, mixed 75.8

Contact

  • NEWS ARTICLES
  • PRESS ROOM

The Project

  • INTRODUCTION
  • ORGANIZATION
  • PUBLICATIONS

The Human Protein Atlas

  • DOWNLOADABLE DATA
  • LICENCE & CITATION
  • HELP & FAQ
The Human Protein Atlas project is funded
by the Knut & Alice Wallenberg Foundation.


contact@proteinatlas.org