We use cookies to enhance the usability of our website. If you continue, we'll assume that you are happy to receive all cookies. More information. Don't show this again.
RARG
HPA
RESOURCES
  • TISSUE
  • BRAIN
  • SINGLE CELL
  • SUBCELLULAR
  • CANCER
  • BLOOD
  • CELL LINE
  • STRUCTURE & INTERACTION
ABOUT
  • INTRODUCTION
  • HISTORY
  • ORGANIZATION
  • PUBLICATIONS
  • ANTIBODY SUBMISSION
  • ANTIBODY AVAILABILITY
  • ACKNOWLEDGMENTS
  • CONTACT
NEWS
  • NEWS ARTICLES
  • PRESS ROOM
LEARN
  • DICTIONARY
  • PROTEIN CLASSES
  • PROTEIN EVIDENCE
  • METHODS
  • EDUCATIONAL VIDEOS
DATA
  • DOWNLOADABLE DATA
  • PUBLICATION DATA
  • RELEASE HISTORY
HELP
  • ANTIBODY VALIDATION
  • ASSAYS & ANNOTATION
  • DISCLAIMER
  • HELP & FAQ
  • PRIVACY STATEMENT
  • LICENCE & CITATION
Fields »
Search result

Field
Term
Gene name
Class
Subclass
Class
Keyword
Chromosome
External id
Tissue
Cell type
Expression
Antibody panel
Tissue
Main location
Patient ID
Annotation
Tissue
Category
Tau score
Cluster
Reliability
Brain region
Category
Tau score
Brain region
Category
Tau score
Brain region
Category
Tau score
Cluster
Reliability
Tissue
Cell type
Enrichment
Cell type
Category
Tau score
Cell type
Category
Tau score
Cell type
Category
Tau score
Cell lineage
Category
Tau score
Cluster
Cluster
Location
Searches
Location
Cell line
Class
Type
Phase
Reliability
Cancer
Prognosis
Cancer
Category
Cancer
Category
Tau score
Cluster
Variants
Interacting gene (ensg_id)
Type
Number of interactions
Pathway
Category
Score
Score
Score
Validation
Validation
Validation
Validation
Antibodies
Data type
Column


  • SUMMARY

  • TISSUE

  • BRAIN

  • SINGLE CELL

  • SUBCELL

  • CANCER

  • BLOOD

  • CELL LINE

  • STRUCT & INT

  • RARG
TISSUE PRIMARY DATA SKIN Show tissue menu
ADIPOSE TISSUE ADRENAL GLAND AMYGDALA APPENDIX BASAL GANGLIA BONE MARROW BREAST BRONCHUS CEREBELLUM CEREBRAL CORTEX CERVIX CHOROID PLEXUS COLON DUODENUM
ENDOMETRIUM EPIDIDYMIS ESOPHAGUS FALLOPIAN TUBE GALLBLADDER HEART MUSCLE HIPPOCAMPAL FORMATION HYPOTHALAMUS KIDNEY LIVER LUNG LYMPH NODE MIDBRAIN NASOPHARYNX
ORAL MUCOSA OVARY PANCREAS PARATHYROID GLAND PITUITARY GLAND PLACENTA PROSTATE RECTUM RETINA SALIVARY GLAND SEMINAL VESICLE SKELETAL MUSCLE SKIN SMALL INTESTINE
SMOOTH MUSCLE SOFT TISSUE SPINAL CORD SPLEEN STOMACH TESTIS THYMUS THYROID GLAND TONGUE TONSIL URINARY BLADDER VAGINA
ANTIBODIES
AND
VALIDATION
Dictionary
Skin
Tissue proteome
Skin
SKIN - Expression summary
Protein expression
Skini

On the top, protein expression in current human tissue, based on all annotated cell types, is reported with the units not detected (n), low (l), medium (m) and high (h). Underneath, protein expression in each annotated cell type are reported using the same units.

Protein expression data is based on knowledge-based annotation. For genes where more than one antibody has been used, a collective score is set.

If knowledge-based annotation could not be performed for a gene, no data is displayed here. View antibody staining data further down this page.

h
m
l
n
Epidermal cells: Medium
Fibroblasts: Medium
Keratinocytes: Medium
Langerhans: Medium
Melanocytes: Medium
RNA expressioni

A summary of mRNA expression data available for current tissue based on several datasets. The mRNA expression levels in human tissues are based on RNA-seq data generated by the Human Protein Atlas (HPA), Genotype-Tissue Expression (GTEx) portal and CAGE data generated by the FANTOM5 consortium. Consensus normalized expression levels for human tissues was created by combining the data from HPA and GTEx datasets.

The mRNA expression levels in pig are based on RNA-seq data generated by the Human Protein Atlas (HPA), and for mouse, HPA data and in situ hybridization generated by the Allen brain atlas are reported.

Scroll down to view mRNA expression data in more detail.
Consensus:118.2 nTPM
HPA:118.2 nTPM
GTEx:106.5 nTPM

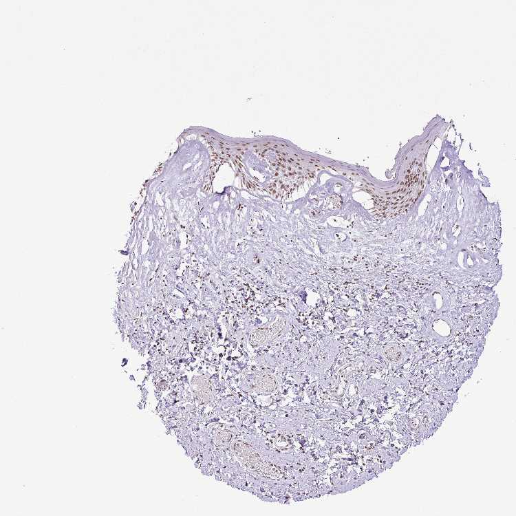
SKIN 1 - Antibody stainingi

Antibody staining in the annotated cell types in the current human tissue is reported as not detected, low, medium, or high, based on conventional immunohistochemistry profiling in selected tissues. This score is based on the combination of the staining intensity and fraction of stained cells.

Each image is clickable and will lead to virtual microscopy that enables deeper exploration of all samples and also displays staining intensity scores, fraction scores and subcellular localization as well as patient and tissue information for each sample.

Antibody HPA053883
Langerhans Medium
Fibroblasts Medium
Keratinocytes Medium
Melanocytes Medium


SKIN 2 - Antibody stainingi

Antibody staining in the annotated cell types in the current human tissue is reported as not detected, low, medium, or high, based on conventional immunohistochemistry profiling in selected tissues. This score is based on the combination of the staining intensity and fraction of stained cells.

Each image is clickable and will lead to virtual microscopy that enables deeper exploration of all samples and also displays staining intensity scores, fraction scores and subcellular localization as well as patient and tissue information for each sample.

Antibody HPA053883
Epidermal cells Medium
 
 
 



SKIN - HPA RNA-seqi

The RNA-seq details section shows detailed information about the individual samples used for the transcript profiling and results of the RNA-seq analysis.

Information about each individual sample is listed below, including gender, age, a tissue section image and estimated fractions of cell types. nTPM (normalized transcripts per million) values give a quantification of the gene abundance which is comparable between different genes and samples.
Average nTPMi

Max subtype nTPM is the value for the subtype with the largest average nTPM across the subtype samples.

118.2
overview
Female, age 34
Skin sample 225
nTPM: 114.8
Cell types%
Keratinocytes:
60

Other cell types:
40

overview
Female, age 30
Skin sample 226
nTPM: 113.6
Cell types%
Keratinocytes:
55

Other cell types:
45

N/A
Male, age 57
Skin sample 227
nTPM: 126.2

SKIN - GTEx RNA-seqi

RNA-Seq data generated by the Genotype-Tissue Expression (GTEx) project from human tissues is reported as mean nTPM. More information can be found on the GTEx portal.

Distribution across the dataset is visualized with box plots, shown as median and 25th and 75th percentiles. Points are displayed as outliers if they are above or below 1.5 times the interquartile range. nTPM values of the individual samples are presented next to the box plot.
Max subtype nTPMi

Max subtype nTPM is the value for the subtype with the largest average nTPM across the subtype samples.

106.5
GTEx sample id Sample description nTPM
Skin - Not Sun Exposed (Suprapubic)
Average nTPM: 98.8
Samples: 604

Max nTPM: 297.6
Min nTPM: 24.0
Std nTPM: 36.5
Median nTPM: 95.0
GTEX-1OJC3-1226-SM-DTXER 20-29 years, male 297.6
GTEX-X585-2426-SM-46MW2 50-59 years, male 276.8
GTEX-WFG7-2026-SM-5SI7P 20-29 years, male 264.9
GTEX-ZTX8-1326-SM-4YCEL 20-29 years, male 222.5
GTEX-Y111-0626-SM-4SOIT 50-59 years, male 210.7
GTEX-1IKOE-1426-SM-CE6T7 30-39 years, female 208.0
GTEX-11ZU8-0126-SM-5EQ58 60-69 years, male 206.5
GTEX-Y114-2126-SM-4TT8B 50-59 years, female 205.0
GTEX-1PIIG-2326-SM-DTXFR 30-39 years, male 195.5
GTEX-1JMPY-0226-SM-CKZOK 30-39 years, male 193.7
GTEX-WHSB-1326-SM-3LK6W 50-59 years, male 193.1
GTEX-17HII-1426-SM-7EPGG 50-59 years, male 192.9
GTEX-11DXZ-2026-SM-5987S 50-59 years, male 188.0
GTEX-1313W-0626-SM-5EQ4H 50-59 years, female 182.8
GTEX-1NV5F-0626-SM-DTXEG 60-69 years, female 181.7
GTEX-145MH-2826-SM-5RQJF 50-59 years, male 179.6
GTEX-ZYT6-2326-SM-5GZY3 30-39 years, male 176.1
GTEX-1HGF4-0126-SM-CNPPX 60-69 years, male 175.6
GTEX-1399S-0126-SM-5IJCF 30-39 years, female 171.9
GTEX-1PPH8-0126-SM-EWRN8 20-29 years, male 168.7
GTEX-YECK-0326-SM-4W1YS 60-69 years, male 168.4
GTEX-12ZZX-2426-SM-5GCOE 40-49 years, female 167.2
GTEX-ZF2S-1626-SM-57WES 50-59 years, female 164.5
GTEX-ZPCL-1126-SM-4WWFE 60-69 years, female 163.9
GTEX-WHWD-1826-SM-3LK6I 50-59 years, male 162.9
GTEX-1GN1U-0626-SM-9MQL9 50-59 years, female 162.8
GTEX-15CHR-1126-SM-7EWF4 50-59 years, male 161.8
GTEX-1CB4E-0926-SM-7EPHT 60-69 years, male 160.9
GTEX-XBEW-1126-SM-4QARW 40-49 years, male 160.9
GTEX-15DYW-2726-SM-6EU2I 60-69 years, female 159.5
GTEX-YFCO-1226-SM-5LUAT 40-49 years, male 158.8
GTEX-1J8EW-2726-SM-CY8HR 60-69 years, female 158.6
GTEX-1GF9X-1326-SM-7PC2Y 40-49 years, female 157.8
GTEX-1R9PM-1926-SM-EVR3O 20-29 years, male 157.2
GTEX-12ZZY-0726-SM-5EQ66 60-69 years, male 156.8
GTEX-111VG-1626-SM-5EGIO 60-69 years, male 156.1
GTEX-1RMOY-1326-SM-E9TIH 50-59 years, male 155.7
GTEX-11P82-1426-SM-DTXFY 20-29 years, male 154.9
GTEX-WHPG-2626-SM-3NMBR 50-59 years, male 153.7
GTEX-1S82U-1026-SM-E6CJK 30-39 years, female 153.0
GTEX-13NYB-0126-SM-5J1MD 40-49 years, male 152.7
GTEX-UPJH-0226-SM-3GADV 50-59 years, male 152.2
GTEX-1HCU7-0726-SM-A9SL1 50-59 years, male 151.8
GTEX-1HSMQ-2626-SM-A9SML 50-59 years, male 151.6
GTEX-1HBPN-0126-SM-CGQEF 50-59 years, male 150.9
GTEX-1LGRB-0926-SM-COH3K 50-59 years, female 150.5
GTEX-13FTX-1526-SM-5K7VJ 20-29 years, female 149.9
GTEX-17HHE-1326-SM-7EWDZ 50-59 years, male 149.9
GTEX-ZC5H-1526-SM-5HL9Y 40-49 years, female 149.5
GTEX-1QP2A-1726-SM-E76QC 50-59 years, male 149.4
GTEX-11P81-2226-SM-5PNYI 30-39 years, female 149.2
GTEX-1JMQJ-0826-SM-CNPP7 50-59 years, male 148.7
GTEX-13D11-0926-SM-5J2NC 50-59 years, female 148.5
GTEX-131XF-2626-SM-5EQ6K 60-69 years, male 148.1
GTEX-1HT8W-0626-SM-A9G2H 30-39 years, male 148.1
GTEX-12ZZZ-0726-SM-5GCNZ 60-69 years, male 147.6
GTEX-1B8KE-1126-SM-7EPHI 50-59 years, male 147.6
GTEX-1399U-1126-SM-5L3DB 50-59 years, female 147.3
GTEX-1I1GT-1026-SM-ARZLV 60-69 years, female 147.1
GTEX-11GS4-0226-SM-5HL77 60-69 years, male 146.7
GTEX-13IVO-0726-SM-5LZYV 70-79 years, male 146.6
GTEX-13JVG-0726-SM-5KM16 60-69 years, male 146.6
GTEX-1N2DV-1526-SM-DTXEP 40-49 years, male 146.5
GTEX-1QP28-1126-SM-EVYC4 50-59 years, female 146.3
GTEX-1PPGY-1626-SM-EVYBL 60-69 years, male 144.3
GTEX-17HGU-2326-SM-7DUFE 50-59 years, male 143.9
GTEX-ZT9X-1526-SM-5DUXD 40-49 years, male 143.7
GTEX-1GZ4H-0526-SM-9KNU9 50-59 years, female 143.5
GTEX-1QP9N-1226-SM-E76QN 30-39 years, male 143.4
GTEX-1POEN-2326-SM-E9J2L 30-39 years, female 142.6
GTEX-1IKJJ-2226-SM-CJI4C 60-69 years, male 142.3
GTEX-1JK1U-0226-SM-ARZMX 60-69 years, male 142.3
GTEX-13QJC-0126-SM-5ZZWJ 60-69 years, female 142.2
GTEX-1IE54-1126-SM-A9G2Z 40-49 years, female 141.8
GTEX-1QPFJ-1926-SM-EVYBD 30-39 years, female 141.6
GTEX-131XG-0326-SM-5L3DX 50-59 years, female 141.5
GTEX-17F97-2626-SM-7IGM5 50-59 years, male 141.4
GTEX-15ER7-0626-SM-6PANF 20-29 years, female 141.2
GTEX-1GMRU-2126-SM-7P8RA 50-59 years, male 140.7
GTEX-1JMLX-0626-SM-ARL8T 50-59 years, male 140.5
GTEX-1122O-1026-SM-9WYSF 60-69 years, female 140.1
GTEX-1C64N-2626-SM-7PC2N 50-59 years, male 140.0
GTEX-ZE9C-2526-SM-5IJDR 60-69 years, male 139.4
GTEX-Y8E4-2026-SM-5IFJB 40-49 years, male 139.2
GTEX-14E1K-2026-SM-7DUEI 50-59 years, male 138.7
GTEX-18QFQ-1826-SM-72D52 30-39 years, male 138.5
GTEX-1NSGN-0726-SM-DTXEF 50-59 years, male 138.3
GTEX-1B8SF-0126-SM-7DUG3 60-69 years, male 138.0
GTEX-11OF3-0126-SM-5PNYF 60-69 years, male 137.8
GTEX-ZZPU-0826-SM-5GZX5 50-59 years, female 136.8
GTEX-XXEK-1626-SM-4BRUZ 50-59 years, male 136.1
GTEX-1MCYP-0526-SM-E9U6Q 20-29 years, female 136.0
GTEX-147GR-2426-SM-5ZZWQ 60-69 years, male 135.9
GTEX-139YR-1026-SM-5LZYN 50-59 years, male 135.1
GTEX-1F6I4-2326-SM-7RHGL 60-69 years, male 135.1
GTEX-1HCUA-0826-SM-ADEHM 50-59 years, female 134.9
GTEX-13OW5-2326-SM-5L3HO 60-69 years, male 134.5
GTEX-ZF29-0926-SM-4WKFZ 60-69 years, female 134.2
GTEX-14PII-0726-SM-6EU2B 60-69 years, male 133.9
GTEX-14PJ3-1126-SM-5ZZVX 50-59 years, male 133.3
GTEX-1C2JI-1026-SM-73KY1 50-59 years, male 133.2
GTEX-XAJ8-1426-SM-47JYM 40-49 years, male 133.1
GTEX-12WSJ-1126-SM-5LZVJ 40-49 years, female 132.8
GTEX-1GF9V-0826-SM-9KNUV 60-69 years, male 132.4
GTEX-14PHY-1226-SM-5ZZWK 60-69 years, female 132.0
GTEX-1B933-2426-SM-7DHMD 50-59 years, female 131.8
GTEX-13FTY-2126-SM-5IFFB 40-49 years, female 131.7
GTEX-15RIG-0726-SM-7KUM7 40-49 years, male 130.8
GTEX-1I1GV-0626-SM-ARL7M 60-69 years, male 130.2
GTEX-13OVK-1426-SM-6PAN7 40-49 years, male 130.1
GTEX-1CAMS-2226-SM-7PBXQ 40-49 years, female 129.7
GTEX-111CU-1126-SM-5EGIM 50-59 years, male 129.6
GTEX-18A67-1626-SM-7LT9T 50-59 years, male 129.0
GTEX-1H1DE-1326-SM-9KNUG 20-29 years, male 128.9
GTEX-ZYFC-0426-SM-5GICQ 50-59 years, male 128.8
GTEX-13O3Q-0126-SM-5KM34 50-59 years, male 128.2
GTEX-1RAZS-2526-SM-E6CHT 50-59 years, male 127.7
GTEX-13O61-1426-SM-5KM3D 60-69 years, male 127.5
GTEX-13FTW-0326-SM-5K7UW 40-49 years, male 127.4
GTEX-1S82P-2126-SM-E6CI5 60-69 years, female 127.4
GTEX-133LE-2326-SM-5K7W3 20-29 years, female 127.3
GTEX-1192X-2726-SM-5N9DN 50-59 years, male 126.9
GTEX-Y9LG-1126-SM-4VBQ7 30-39 years, male 126.9
GTEX-ZE7O-2726-SM-51MT5 50-59 years, female 126.7
GTEX-ZDTT-0426-SM-4WKFL 60-69 years, male 126.6
GTEX-1JN76-0626-SM-CKZOQ 20-29 years, female 125.8
GTEX-1E2YA-2126-SM-7MXUO 50-59 years, male 125.4
GTEX-Y3I4-1726-SM-4TT89 50-59 years, male 125.2
GTEX-11ZTT-2126-SM-5CVLO 60-69 years, female 124.6
GTEX-1GN73-0726-SM-7P8TJ 60-69 years, male 124.6
GTEX-XYKS-1426-SM-4BRUO 60-69 years, female 124.3
GTEX-144GM-0526-SM-79OJO 20-29 years, male 123.9
GTEX-1H11D-1826-SM-9QEHM 40-49 years, male 123.8
GTEX-15DDE-2926-SM-6LLJ3 50-59 years, female 123.0
GTEX-1R7EU-1626-SM-DTXG3 60-69 years, male 123.0
GTEX-1LVAM-0726-SM-E6CIL 50-59 years, female 122.6
GTEX-147F4-0726-SM-5TDDD 50-59 years, male 122.5
GTEX-12126-0826-SM-5FQTZ 20-29 years, male 122.1
GTEX-ZP4G-1426-SM-4WWCL 20-29 years, female 121.9
GTEX-11DXX-2126-SM-5PNYR 60-69 years, female 121.3
GTEX-1EMGI-2326-SM-7PBYA 60-69 years, male 120.9
GTEX-1IY9M-2826-SM-ARU8H 60-69 years, male 120.5
GTEX-1MJK3-0726-SM-E6CJC 20-29 years, male 120.1
GTEX-1C6VR-0126-SM-7RHGB 60-69 years, male 120.0
GTEX-139TS-2126-SM-5K7XC 60-69 years, male 119.6
GTEX-13FHO-0426-SM-5L3F5 60-69 years, male 119.3
GTEX-1LB8K-0726-SM-D5OV2 50-59 years, male 119.1
GTEX-1F88F-0126-SM-9WYSZ 60-69 years, female 119.0
GTEX-13G51-1826-SM-5KLZH 60-69 years, male 118.2
GTEX-Y3IK-1626-SM-4YCF5 50-59 years, female 118.1
GTEX-WYVS-1626-SM-3NM9R 40-49 years, female 118.0
GTEX-1EWIQ-0326-SM-7DHMQ 70-79 years, female 117.7
GTEX-1F52S-2926-SM-7MKGA 60-69 years, female 117.5
GTEX-X5EB-1926-SM-4E3IW 40-49 years, male 117.5
GTEX-ZAK1-0626-SM-5HL8E 50-59 years, female 117.5
GTEX-W5X1-2526-SM-3GILC 40-49 years, female 117.4
GTEX-16YQH-2226-SM-7IGM2 30-39 years, male 117.3
GTEX-15RJ7-2126-SM-6PAMD 40-49 years, male 117.2
GTEX-17KNJ-2126-SM-718AM 50-59 years, male 117.1
GTEX-1HBPI-2126-SM-ARL9K 50-59 years, male 117.0
GTEX-1CAMQ-1326-SM-7P8RV 40-49 years, male 116.8
GTEX-1R46S-2426-SM-E76QA 60-69 years, female 116.7
GTEX-ZVZP-1226-SM-5GID7 50-59 years, male 116.4
GTEX-1QW4Y-1126-SM-DTXE3 30-39 years, male 116.4
GTEX-1EU9M-1426-SM-793AI 60-69 years, male 115.6
GTEX-14PHX-2226-SM-6EU2P 50-59 years, male 115.5
GTEX-15RJE-2826-SM-7KUM9 40-49 years, male 115.5
GTEX-1H4P4-2126-SM-9WYSL 50-59 years, male 115.5
GTEX-1K9T9-1526-SM-DIPFR 50-59 years, female 115.1
GTEX-ZVP2-0326-SM-57WBP 50-59 years, male 115.0
GTEX-1GPI6-1926-SM-9KNV7 60-69 years, male 115.0
GTEX-14PJ5-1526-SM-6LLIL 60-69 years, female 114.8
GTEX-1BAJH-2426-SM-7IGP8 70-79 years, male 114.6
GTEX-14PJ4-0226-SM-5YY92 60-69 years, male 114.5
GTEX-ZLV1-1526-SM-DO91J 60-69 years, female 114.5
GTEX-16MTA-0926-SM-6M47Z 50-59 years, male 114.4
GTEX-11PRG-0726-SM-5EGL1 50-59 years, male 114.3
GTEX-1H2FU-0926-SM-9WPPT 60-69 years, female 114.3
GTEX-1OJC4-2726-SM-E76PJ 50-59 years, female 114.1
GTEX-ZY6K-1426-SM-5GZX2 50-59 years, male 113.7
GTEX-ZF3C-0626-SM-DO92O 50-59 years, female 112.9
GTEX-1KANB-2826-SM-CY8I6 50-59 years, male 112.8
GTEX-WXYG-2026-SM-4E3IY 50-59 years, female 112.6
GTEX-145LU-1926-SM-79OJN 50-59 years, male 112.2
GTEX-1C6WA-2626-SM-7MKGM 60-69 years, male 112.0
GTEX-11P7K-1126-SM-5HL4L 30-39 years, male 111.9
GTEX-131XH-0126-SM-5LZUY 50-59 years, male 111.9
GTEX-15FZZ-0526-SM-7KUGD 30-39 years, female 111.8
GTEX-1F75A-0726-SM-7RHHD 50-59 years, male 111.5
GTEX-1PIGE-1826-SM-E8VOU 20-29 years, male 111.5
GTEX-14C39-1726-SM-5RQIL 40-49 years, male 111.4
GTEX-16BQI-1326-SM-6M486 30-39 years, female 111.4
GTEX-14ABY-2026-SM-62LDL 50-59 years, male 111.2
GTEX-14C5O-0326-SM-5ZZUX 60-69 years, male 111.1
GTEX-1JJEA-1826-SM-ARU8P 60-69 years, male 111.1
GTEX-1RAZQ-1326-SM-E9TK6 30-39 years, male 111.1
GTEX-1HSKV-1226-SM-ADEI4 60-69 years, male 111.0
GTEX-1LKK1-2626-SM-DKPQE 50-59 years, female 111.0
GTEX-11WQC-1826-SM-5GU59 60-69 years, male 110.9
GTEX-13VXT-1926-SM-5K7UO 20-29 years, female 110.9
GTEX-1KWVE-1026-SM-D3L9O 30-39 years, male 110.7
GTEX-1EKGG-0626-SM-7DUGJ 60-69 years, male 110.4
GTEX-WY7C-2126-SM-3NB2R 50-59 years, male 110.4
GTEX-14PJN-1826-SM-6AJ98 30-39 years, male 110.0
GTEX-1PBJJ-1026-SM-E76OS 30-39 years, male 109.9
GTEX-1QCLY-0226-SM-EWRNH 30-39 years, male 109.9
GTEX-139TU-0726-SM-5L3EK 60-69 years, male 109.8
GTEX-1HB9E-0126-SM-CM2S5 50-59 years, male 109.7
GTEX-17MFQ-1526-SM-7KFRR 20-29 years, male 109.5
GTEX-11LCK-2226-SM-5HL4Q 30-39 years, male 109.4
GTEX-14ICL-1626-SM-5YYAO 30-39 years, male 109.4
GTEX-16AAH-0626-SM-793C9 50-59 years, male 109.4
GTEX-1IDJU-1726-SM-CMKHU 60-69 years, female 109.4
GTEX-1N2EE-0626-SM-E76PW 60-69 years, male 109.2
GTEX-1AX9I-2226-SM-73KUO 60-69 years, male 108.8
GTEX-1CAMR-1326-SM-7PC1F 20-29 years, male 108.5
GTEX-1JKYR-0626-SM-ARL8R 20-29 years, male 108.5
GTEX-1KXAM-1626-SM-D3LAD 60-69 years, male 108.5
GTEX-14PJ6-2626-SM-6EU2T 60-69 years, female 108.2
GTEX-XQ3S-1426-SM-4BOPR 20-29 years, male 107.7
GTEX-XV7Q-1826-SM-4BRUV 40-49 years, female 107.3
GTEX-1PDJ9-1226-SM-EXUSX 20-29 years, male 106.9
GTEX-1S83E-1326-SM-E6CJM 40-49 years, male 106.7
GTEX-11TUW-0626-SM-5LU9M 60-69 years, male 106.5
GTEX-14AS3-1526-SM-5Q5ED 40-49 years, female 106.3
GTEX-1F5PL-0926-SM-7PC2W 40-49 years, female 106.1
GTEX-1LVA9-2626-SM-EVYD4 50-59 years, male 105.8
GTEX-XUW1-0926-SM-4BONX 50-59 years, female 105.6
GTEX-ZVT2-0126-SM-5GIDQ 50-59 years, female 104.7
GTEX-1HSGN-0826-SM-ACKW3 40-49 years, female 104.7
GTEX-1J1OQ-0126-SM-D4P2N 40-49 years, female 104.6
GTEX-ZLFU-1826-SM-4WWBV 40-49 years, male 104.3
GTEX-XQ8I-0926-SM-4BOOF 50-59 years, male 104.2
GTEX-1B8L1-2226-SM-7P8PT 60-69 years, male 103.6
GTEX-1MCC2-1826-SM-DIPEX 30-39 years, female 103.4
GTEX-ZPU1-1126-SM-4YCF3 40-49 years, male 103.3
GTEX-1B932-2326-SM-79OL5 40-49 years, female 103.1
GTEX-1GN2E-0226-SM-9WG6K 60-69 years, male 103.1
GTEX-ZPIC-0526-SM-DO91W 40-49 years, female 103.1
GTEX-ZDTS-0826-SM-4WKHL 60-69 years, male 103.0
GTEX-1KAFJ-0126-SM-DIPEK 50-59 years, male 103.0
GTEX-1QAET-0326-SM-EVR3U 50-59 years, male 102.9
GTEX-ZYVF-0926-SM-5E44J 50-59 years, female 102.8
GTEX-15CHC-1126-SM-6LLHQ 60-69 years, female 102.4
GTEX-1LBAC-0826-SM-CY8IJ 20-29 years, male 102.4
GTEX-13NYS-0626-SM-5L3F1 60-69 years, male 102.2
GTEX-14BIN-1126-SM-5RQJZ 50-59 years, female 102.2
GTEX-1399Q-2326-SM-5KM2X 40-49 years, male 102.0
GTEX-17F9E-2326-SM-79OKD 50-59 years, male 102.0
GTEX-1A8G6-2726-SM-731AR 60-69 years, male 101.9
GTEX-18A7A-0126-SM-731AH 50-59 years, female 101.8
GTEX-111YS-1526-SM-5GZYW 60-69 years, male 101.7
GTEX-1I1HK-2326-SM-CKZOH 60-69 years, male 101.6
GTEX-13SLX-2226-SM-62LEP 50-59 years, female 101.5
GTEX-17F98-1326-SM-7DUEP 40-49 years, female 101.3
GTEX-Z93S-1626-SM-5CVMB 50-59 years, male 101.3
GTEX-14A6H-2026-SM-5Q5DD 30-39 years, male 101.1
GTEX-17EVP-2626-SM-7IGMA 40-49 years, male 101.0
GTEX-12WSD-0626-SM-5GCMW 60-69 years, female 100.7
GTEX-1CB4H-1126-SM-7MKGL 60-69 years, female 100.7
GTEX-13X6J-0626-SM-5LU5F 50-59 years, male 100.6
GTEX-1HCVE-2726-SM-CL54F 50-59 years, male 100.1
GTEX-1R9PN-0426-SM-DTXDT 40-49 years, female 100.0
GTEX-11NSD-0626-SM-5A5LU 20-29 years, male 99.6
GTEX-1JMQK-1226-SM-D4P2S 60-69 years, male 99.6
GTEX-WEY5-2326-SM-3GIKK 40-49 years, female 99.5
GTEX-13X6H-0926-SM-5SIB2 50-59 years, female 99.4
GTEX-1S3DN-2126-SM-E9TIN 50-59 years, male 99.4
GTEX-15EO6-2426-SM-6PALZ 50-59 years, male 99.3
GTEX-17F96-0126-SM-7EWDU 70-79 years, male 99.1
GTEX-1B97I-0626-SM-73KUZ 40-49 years, male 99.0
GTEX-ZYY3-2926-SM-5GIEB 60-69 years, female 98.6
GTEX-ZAB4-2126-SM-5HL8U 40-49 years, male 98.2
GTEX-1212Z-0126-SM-59HK4 60-69 years, male 98.1
GTEX-15EU6-2226-SM-6EU2L 50-59 years, male 98.0
GTEX-1J8Q2-2626-SM-ACKWQ 60-69 years, male 98.0
GTEX-11DYG-1526-SM-5A5JS 60-69 years, male 97.9
GTEX-12WSH-1526-SM-5BC5W 50-59 years, male 97.9
GTEX-1GN1V-2826-SM-9JGIA 60-69 years, male 97.9
GTEX-Y5V5-0126-SM-5S2NW 60-69 years, female 97.7
GTEX-1AX9J-1326-SM-731BJ 60-69 years, male 97.5
GTEX-1477Z-0326-SM-7IGLA 60-69 years, male 97.3
GTEX-1CB4F-1026-SM-7DUH1 60-69 years, male 97.2
GTEX-ZTTD-2826-SM-4YCFA 50-59 years, male 97.1
GTEX-1K2DA-1026-SM-CGQGF 50-59 years, male 97.1
GTEX-1KD5A-0126-SM-E9U54 50-59 years, male 97.1
GTEX-15RIE-1926-SM-7KUKJ 60-69 years, male 97.0
GTEX-1AYD5-2626-SM-7PBXY 50-59 years, male 97.0
GTEX-12WSM-1926-SM-5BC65 60-69 years, male 96.9
GTEX-YEC3-1326-SM-DO92X 50-59 years, male 96.8
GTEX-1RB15-1326-SM-E76Q9 60-69 years, male 96.7
GTEX-13OVH-0526-SM-5L3E6 70-79 years, male 96.6
GTEX-139TT-2126-SM-5LZWC 60-69 years, male 96.2
GTEX-145MG-1526-SM-5Q5EM 50-59 years, male 96.2
GTEX-1J8QM-2426-SM-A9SLS 60-69 years, female 96.1
GTEX-1JJE9-2626-SM-ARZMT 70-79 years, male 95.9
GTEX-1K2DU-1226-SM-CYPT4 20-29 years, male 95.8
GTEX-11ZUS-2626-SM-5FQUR 30-39 years, male 95.6
GTEX-1CB4J-1326-SM-7P8RX 60-69 years, male 95.6
GTEX-1J1R8-2026-SM-CL53Y 40-49 years, male 95.6
GTEX-11EQ8-0926-SM-5H12V 60-69 years, male 95.3
GTEX-1RAZR-2126-SM-E9U6T 40-49 years, male 95.0
GTEX-Y8LW-1526-SM-5IFHL 50-59 years, female 94.9
GTEX-XOT4-0626-SM-4B66L 60-69 years, female 94.8
GTEX-13VXU-0626-SM-5L3F9 50-59 years, male 94.7
GTEX-14LZ3-0126-SM-69LPM 60-69 years, female 94.7
GTEX-1HSMP-0926-SM-A9SKX 70-79 years, male 94.4
GTEX-1IOXB-2726-SM-CM2RI 50-59 years, male 94.4
GTEX-ZA64-1026-SM-5HL8R 20-29 years, male 93.8
GTEX-1IDJH-0126-SM-D3L92 70-79 years, male 93.7
GTEX-145MF-0926-SM-5Q5EA 50-59 years, male 93.5
GTEX-1I1GP-1326-SM-A9G28 50-59 years, male 93.4
GTEX-17F9Y-0126-SM-79OKX 70-79 years, female 93.3
GTEX-18D9U-0126-SM-731BM 40-49 years, male 93.2
GTEX-1GN1W-2426-SM-9KNUU 50-59 years, female 93.1
GTEX-V1D1-2026-SM-3GAF4 50-59 years, male 93.0
GTEX-1269C-0126-SM-5EQ5L 60-69 years, female 92.7
GTEX-13W3W-0726-SM-5IJDQ 60-69 years, female 92.5
GTEX-145ME-1726-SM-5Q5EU 40-49 years, female 92.4
GTEX-1211K-1526-SM-5FQU4 60-69 years, female 92.3
GTEX-1EH9U-2826-SM-7DUGT 60-69 years, male 92.3
GTEX-13PL6-1126-SM-5L3IE 40-49 years, female 92.2
GTEX-1C475-1326-SM-7SB73 40-49 years, female 92.2
GTEX-1LSNM-0826-SM-DIPG8 50-59 years, male 92.0
GTEX-13OW7-0426-SM-5K7VK 50-59 years, male 91.8
GTEX-12696-0126-SM-5EQ4L 60-69 years, male 91.4
GTEX-VUSG-2326-SM-4KL1U 50-59 years, male 91.4
GTEX-1B8KZ-0326-SM-73KY4 50-59 years, male 91.2
GTEX-17HHY-0426-SM-7DHLC 50-59 years, male 91.1
GTEX-1HFI6-0126-SM-CNPPI 40-49 years, male 91.0
GTEX-YEC4-1826-SM-4W1YP 40-49 years, male 90.9
GTEX-13112-0126-SM-5P9IU 50-59 years, male 90.8
GTEX-14PKU-0126-SM-6LLHV 40-49 years, female 90.6
GTEX-ZDYS-2426-SM-4WKGI 50-59 years, male 90.6
GTEX-1EN7A-2426-SM-793DB 40-49 years, male 90.1
GTEX-1HR98-2226-SM-ADEI2 60-69 years, male 90.0
GTEX-1497J-0226-SM-5QGPU 60-69 years, male 89.9
GTEX-1LVAN-0626-SM-CNPOQ 50-59 years, female 89.9
GTEX-1GZ2Q-0126-SM-9WG6M 40-49 years, male 89.7
GTEX-1N5O9-0926-SM-E9J3C 60-69 years, male 89.7
GTEX-1F6RS-2026-SM-7RHHC 60-69 years, female 89.5
GTEX-XBEC-0726-SM-4QARZ 50-59 years, male 89.3
GTEX-XBED-1926-SM-47JYP 60-69 years, male 89.3
GTEX-13U4I-2226-SM-5LU5H 40-49 years, female 89.2
GTEX-1AMFI-1326-SM-7939R 50-59 years, female 89.1
GTEX-15CHQ-0326-SM-69LQD 60-69 years, male 88.9
GTEX-12WSC-2826-SM-5BC5Y 50-59 years, male 88.5
GTEX-1GL5R-1326-SM-7RHHF 50-59 years, male 88.5
GTEX-1C6VQ-1226-SM-73KYD 50-59 years, male 88.4
GTEX-16Z82-2626-SM-7KULU 60-69 years, male 88.3
GTEX-18A66-0626-SM-7LT8Z 60-69 years, male 88.1
GTEX-1IDJV-0126-SM-COH3Y 60-69 years, male 88.1
GTEX-11O72-0626-SM-5PNYE 40-49 years, male 87.8
GTEX-14PKV-1126-SM-6LLJ1 20-29 years, female 87.8
GTEX-13PDP-0726-SM-5L3HP 60-69 years, male 87.7
GTEX-147JS-0226-SM-5S2U9 60-69 years, male 87.5
GTEX-14B4R-1326-SM-5Q5EZ 30-39 years, male 87.1
GTEX-1J8Q3-0526-SM-ARL8U 60-69 years, male 87.1
GTEX-11GSP-2326-SM-5HL63 60-69 years, female 86.9
GTEX-13PVR-0426-SM-5RQK2 60-69 years, female 86.8
GTEX-183WM-0326-SM-72D5V 70-79 years, female 86.8
GTEX-1S5ZU-2526-SM-E6CIF 20-29 years, female 86.8
GTEX-1QMI2-2526-SM-E8VNZ 60-69 years, male 86.7
GTEX-13OW6-2726-SM-5J2OE 50-59 years, male 86.5
GTEX-1H3O1-1326-SM-9MQLD 60-69 years, male 86.4
GTEX-1GPI7-1826-SM-9KNU1 20-29 years, male 86.1
GTEX-16NPX-0726-SM-7KULC 50-59 years, male 85.7
GTEX-1RLM8-2926-SM-E8VON 50-59 years, male 85.7
GTEX-18A6Q-0626-SM-7KFRP 60-69 years, male 85.6
GTEX-178AV-1726-SM-7KUL8 40-49 years, male 85.4
GTEX-11NUK-2726-SM-5A5MC 50-59 years, male 85.1
GTEX-13X6K-0626-SM-5LU5D 60-69 years, female 85.1
GTEX-14LLW-2626-SM-62LDZ 70-79 years, female 84.8
GTEX-16NGA-0726-SM-731AO 40-49 years, female 84.8
GTEX-13FLV-0126-SM-5K7WT 50-59 years, male 84.6
GTEX-13OVL-0126-SM-5L3GJ 50-59 years, male 84.6
GTEX-WRHU-2826-SM-3MJG8 50-59 years, female 84.5
GTEX-139T8-0626-SM-5KLZX 60-69 years, male 84.3
GTEX-1ICG6-1226-SM-A9SLN 70-79 years, female 84.3
GTEX-12WSK-2126-SM-5CVNC 40-49 years, female 84.2
GTEX-YJ8O-2526-SM-5HL85 40-49 years, female 84.1
GTEX-ZZ64-1026-SM-5GZXG 20-29 years, male 84.1
GTEX-ZVT4-2426-SM-5GIEI 50-59 years, female 84.0
GTEX-1A3MV-1826-SM-731CD 30-39 years, male 83.8
GTEX-15G19-2426-SM-7KUMR 60-69 years, male 83.3
GTEX-X4EP-0626-SM-3P621 60-69 years, female 83.3
GTEX-1F5PK-2226-SM-7SB6N 50-59 years, male 83.3
GTEX-WH7G-2026-SM-3NMBL 40-49 years, male 83.2
GTEX-1LSNL-2726-SM-E9TKJ 50-59 years, male 83.2
GTEX-1GTWX-2026-SM-9YFLM 60-69 years, male 83.1
GTEX-X3Y1-2026-SM-3P5YM 40-49 years, male 82.9
GTEX-1IDJI-0126-SM-CMKHS 50-59 years, female 82.8
GTEX-16MT9-0126-SM-7EPI8 60-69 years, female 82.6
GTEX-1GMR8-0626-SM-7RHI7 50-59 years, female 82.2
GTEX-1I1GU-0926-SM-ACKVS 40-49 years, male 82.2
GTEX-146FQ-2126-SM-5RQHU 30-39 years, male 81.8
GTEX-1HFI7-2326-SM-CGQFS 50-59 years, female 81.6
GTEX-131XW-0626-SM-5PNVD 50-59 years, female 81.2
GTEX-16MT8-2926-SM-7DUFO 60-69 years, female 81.2
GTEX-1QEPI-2626-SM-DTXF4 60-69 years, female 81.1
GTEX-1GZ4I-2626-SM-9KNU3 50-59 years, male 81.0
GTEX-14DAR-1226-SM-73KYV 50-59 years, male 80.7
GTEX-Y5V6-2326-SM-4VDSA 60-69 years, male 80.6
GTEX-1CB4I-0126-SM-7RHGG 50-59 years, male 80.2
GTEX-1S831-1826-SM-EWROF 20-29 years, male 80.0
GTEX-1HC8U-1326-SM-9YFMJ 40-49 years, female 79.3
GTEX-1H1E6-0426-SM-9WYUS 30-39 years, male 78.8
GTEX-14XAO-1226-SM-6EU1C 60-69 years, female 78.5
GTEX-WI4N-2726-SM-3LK7Y 40-49 years, female 78.3
GTEX-1R9K4-2826-SM-DTX8F 60-69 years, male 78.2
GTEX-1JMOU-1026-SM-CYPSS 60-69 years, female 78.1
GTEX-13N11-2326-SM-5IJBF 50-59 years, female 78.0
GTEX-X4EO-2926-SM-4E3JH 60-69 years, female 77.8
GTEX-1I6K7-1926-SM-B2LXR 40-49 years, male 77.3
GTEX-132AR-0326-SM-5KM2C 50-59 years, female 77.1
GTEX-1EX96-1026-SM-7MKG2 50-59 years, male 77.1
GTEX-1F75I-2226-SM-7SB8U 40-49 years, male 77.1
GTEX-1I1GS-2626-SM-B2LY3 60-69 years, male 76.9
GTEX-1PPH7-1126-SM-DTX9A 40-49 years, male 76.8
GTEX-WK11-2726-SM-3NMAQ 50-59 years, male 76.7
GTEX-11EQ9-1626-SM-5PNY8 30-39 years, male 76.6
GTEX-WYJK-0526-SM-3NM8Z 50-59 years, male 76.5
GTEX-1C64O-1326-SM-7MGWR 60-69 years, male 76.5
GTEX-14753-0726-SM-5QGQO 60-69 years, male 76.2
GTEX-14E6E-0526-SM-793DN 30-39 years, male 76.2
GTEX-1H1CY-0126-SM-9YFLY 60-69 years, female 76.2
GTEX-1I4MK-0126-SM-CY8G6 50-59 years, female 76.2
GTEX-ZGAY-1826-SM-DO91Q 40-49 years, female 76.2
GTEX-13X6I-1826-SM-5SIAO 60-69 years, male 75.9
GTEX-1GF9W-1426-SM-7PBYM 60-69 years, male 75.9
GTEX-1M4P7-0726-SM-E6CJ3 60-69 years, male 75.8
GTEX-1HCU9-0426-SM-9WYSD 20-29 years, male 75.7
GTEX-1IDJD-2326-SM-ACKWX 30-39 years, male 75.6
GTEX-ZWKS-0626-SM-5GIDV 30-39 years, male 75.4
GTEX-14PJO-2526-SM-6AJBQ 60-69 years, male 75.3
GTEX-1JN6P-2926-SM-CL54D 60-69 years, male 75.3
GTEX-144GO-2026-SM-5O99P 60-69 years, male 75.2
GTEX-12WSA-0426-SM-5EQ5X 60-69 years, male 75.0
GTEX-1AMEY-0826-SM-72D65 30-39 years, female 75.0
GTEX-13OVJ-0826-SM-5J1OK 50-59 years, female 74.8
GTEX-18465-2826-SM-7LT9J 50-59 years, male 74.8
GTEX-1H1ZS-2726-SM-9WG75 70-79 years, male 74.8
GTEX-18D9A-1426-SM-7LT8M 30-39 years, female 74.7
GTEX-1117F-2926-SM-5GZYI 60-69 years, female 74.6
GTEX-14PK6-0226-SM-62LF5 70-79 years, female 74.4
GTEX-11DXY-0126-SM-5H11Q 60-69 years, male 73.9
GTEX-XPVG-2126-SM-4B667 50-59 years, male 73.9
GTEX-ZYW4-0626-SM-59HJR 60-69 years, male 73.8
GTEX-139D8-1126-SM-5LU8W 30-39 years, female 73.2
GTEX-14JG1-1526-SM-5YY9X 40-49 years, male 73.2
GTEX-145MN-1526-SM-5SI9T 30-39 years, male 73.1
GTEX-147F3-1726-SM-5SIAW 50-59 years, female 73.1
GTEX-13OW8-1026-SM-5J1NQ 60-69 years, male 73.0
GTEX-12WSF-1626-SM-7KUG5 70-79 years, male 72.8
GTEX-15UF6-1926-SM-7KUDV 70-79 years, female 72.8
GTEX-WFON-1926-SM-3LK7L 40-49 years, male 72.7
GTEX-14JG6-1426-SM-9WG7C 30-39 years, female 72.5
GTEX-11VI4-1126-SM-5EQMD 40-49 years, female 72.4
GTEX-11UD2-2526-SM-5CVNU 50-59 years, male 72.1
GTEX-111FC-2526-SM-5GZXU 60-69 years, male 71.9
GTEX-XK95-0226-SM-4AT58 40-49 years, male 71.9
GTEX-13N2G-0226-SM-5K7VF 60-69 years, male 71.7
GTEX-1HCU8-2526-SM-CE6RX 60-69 years, female 71.6
GTEX-17EVQ-0126-SM-7IGLR 70-79 years, male 71.4
GTEX-12C56-1526-SM-5FQUQ 20-29 years, male 71.1
GTEX-1AX8Z-0726-SM-73KTS 60-69 years, male 71.1
GTEX-1HR9M-2226-SM-CNPPY 60-69 years, male 70.9
GTEX-1H3VE-0726-SM-9YFL5 40-49 years, male 70.6
GTEX-15SHW-0226-SM-7LTAT 60-69 years, male 70.4
GTEX-ZVTK-0226-SM-51MRG 20-29 years, male 70.1
GTEX-1IDJC-1526-SM-B2LW4 50-59 years, male 69.9
GTEX-1314G-1326-SM-5BC6E 30-39 years, male 69.8
GTEX-13OVG-1626-SM-5J1NF 60-69 years, male 69.8
GTEX-1JKYN-0826-SM-ARU8S 30-39 years, male 69.7
GTEX-1A8G7-1326-SM-73KVM 60-69 years, male 69.2
GTEX-1KANC-1226-SM-CYPT7 50-59 years, female 69.2
GTEX-183FY-1026-SM-7939A 20-29 years, male 69.0
GTEX-1KANA-1326-SM-DIPFA 20-29 years, male 68.8
GTEX-145LT-0526-SM-5LUB2 40-49 years, male 68.6
GTEX-1JJ6O-2726-SM-CNPOG 60-69 years, male 68.6
GTEX-11EI6-2826-SM-5H11D 60-69 years, male 68.4
GTEX-1H1DF-1126-SM-9WG7G 40-49 years, female 68.3
GTEX-15D1Q-2826-SM-6LLH7 40-49 years, male 68.2
GTEX-ZXG5-2126-SM-59HKD 60-69 years, male 68.2
GTEX-15G1A-1626-SM-7KUKN 30-39 years, male 68.1
GTEX-1QCLZ-2426-SM-EVYBW 60-69 years, female 67.6
GTEX-17HG3-2626-SM-7DUF2 30-39 years, female 67.5
GTEX-1HKZK-0726-SM-ACKW2 40-49 years, male 67.4
GTEX-1H1DG-2426-SM-9QEHJ 70-79 years, male 66.6
GTEX-1B996-0426-SM-7EWF8 60-69 years, male 66.5
GTEX-ZLWG-0826-SM-59888 50-59 years, female 66.5
GTEX-11DXW-0826-SM-5H118 40-49 years, male 66.0
GTEX-131YS-2826-SM-5EQ47 60-69 years, female 66.0
GTEX-1H23P-0626-SM-9WG6T 60-69 years, male 66.0
GTEX-WHSE-0126-SM-3NMBT 20-29 years, male 65.9
GTEX-1HBPM-0726-SM-9YFL7 60-69 years, female 65.6
GTEX-1F48J-0726-SM-7RHGS 50-59 years, female 65.5
GTEX-ZYFG-1526-SM-5GZYM 60-69 years, female 65.1
GTEX-1I6K6-1726-SM-CGQFD 30-39 years, male 64.8
GTEX-1QP29-1826-SM-DTX9S 50-59 years, male 64.8
GTEX-1GZHY-0626-SM-9KNVC 50-59 years, female 64.5
GTEX-1IDJF-2026-SM-CL53V 20-29 years, male 64.5
GTEX-14JFF-0626-SM-5ZZVT 60-69 years, male 64.3
GTEX-145MI-0626-SM-5SI8S 60-69 years, female 64.1
GTEX-1LSVX-2526-SM-DIPEU 60-69 years, male 64.0
GTEX-ZVE1-0726-SM-51MRN 50-59 years, female 63.6
GTEX-1GMR2-0826-SM-7PC3V 50-59 years, male 63.3
GTEX-1LG7Y-2526-SM-EWRO7 50-59 years, male 63.1
GTEX-145LS-0626-SM-7EPG7 60-69 years, female 63.0
GTEX-1JN1M-2726-SM-CY8I4 60-69 years, female 62.7
GTEX-14BMU-1226-SM-5S2OR 20-29 years, female 62.5
GTEX-139UW-0326-SM-5J1ML 60-69 years, male 62.3
GTEX-ZTSS-1426-SM-5985P 40-49 years, male 62.2
GTEX-13NZ9-2626-SM-5L3FK 50-59 years, male 62.1
GTEX-1IL2V-1926-SM-B2LW8 70-79 years, male 61.7
GTEX-13SLW-0626-SM-5Q5ER 70-79 years, male 61.6
GTEX-1I1CD-0626-SM-CE6SW 60-69 years, female 61.6
GTEX-12BJ1-0926-SM-5EQ62 60-69 years, male 61.5
GTEX-13N1W-2426-SM-5IJD1 70-79 years, male 61.4
GTEX-13113-1626-SM-5EQ4I 60-69 years, female 61.2
GTEX-UPK5-0426-SM-3GAEK 40-49 years, male 61.0
GTEX-18D9B-0926-SM-7LG4U 60-69 years, male 60.4
GTEX-1J8JJ-0626-SM-ARZMQ 60-69 years, female 60.3
GTEX-13PVQ-0626-SM-5LU47 50-59 years, male 60.0
GTEX-1A32A-0626-SM-731AQ 50-59 years, female 60.0
GTEX-1JMQI-1726-SM-ARL93 50-59 years, male 60.0
GTEX-1A3MX-2626-SM-7PC24 60-69 years, male 59.8
GTEX-ZDXO-3126-SM-5IJDF 60-69 years, male 59.2
GTEX-1GMR3-0126-SM-A9SLW 40-49 years, male 59.1
GTEX-12584-0726-SM-5FQTK 40-49 years, male 58.9
GTEX-VJYA-1526-SM-3GIJV 60-69 years, male 58.9
GTEX-16GPK-0626-SM-7KFSF 60-69 years, male 58.4
GTEX-1LG7Z-1626-SM-CXKYR 30-39 years, male 58.3
GTEX-1E1VI-0326-SM-793D1 50-59 years, male 58.0
GTEX-1F6IF-0926-SM-7SB7M 60-69 years, male 58.0
GTEX-17MF6-2626-SM-79OKQ 40-49 years, male 57.9
GTEX-144GL-0626-SM-5LU4D 50-59 years, male 57.7
GTEX-1HCU6-2526-SM-ADEHL 60-69 years, female 57.7
GTEX-1IDJE-1426-SM-ADEIW 50-59 years, female 57.3
GTEX-1JMPZ-0726-SM-CY8HZ 30-39 years, male 57.1
GTEX-13JUV-2026-SM-5K7UA 40-49 years, female 57.0
GTEX-145MO-2826-SM-5LU96 60-69 years, male 57.0
GTEX-13QBU-1226-SM-5LU4G 40-49 years, female 56.5
GTEX-13RTJ-0126-SM-5S2NN 60-69 years, male 55.6
GTEX-1LGOU-1326-SM-D3L8M 20-29 years, female 55.6
GTEX-ZU9S-1826-SM-5NQ9E 30-39 years, male 55.4
GTEX-1ICLZ-0326-SM-ARL82 60-69 years, male 55.3
GTEX-1F75B-0726-SM-7PC3R 50-59 years, male 54.7
GTEX-17JCI-2926-SM-7DUFF 60-69 years, female 54.4
GTEX-13O3O-2326-SM-5IJD6 60-69 years, female 54.2
GTEX-14DAQ-0626-SM-793DS 60-69 years, female 54.2
GTEX-1O9I2-0226-SM-EYYXD 50-59 years, male 54.1
GTEX-12KS4-2126-SM-5FQUT 30-39 years, male 54.0
GTEX-U8XE-0226-SM-4E3J3 30-39 years, male 53.8
GTEX-ZUA1-2626-SM-5NQ92 40-49 years, male 53.7
GTEX-14BMV-2826-SM-5TDED 50-59 years, male 53.3
GTEX-1IDFM-0326-SM-ARL7V 60-69 years, male 53.0
GTEX-12WSL-2026-SM-5GCML 50-59 years, male 52.5
GTEX-WFG8-2126-SM-3GIKQ 20-29 years, male 52.4
GTEX-X8HC-0626-SM-4E3HQ 50-59 years, female 52.4
GTEX-117YX-1926-SM-5GIEC 50-59 years, male 52.2
GTEX-18A7B-2726-SM-7LG56 70-79 years, male 52.1
GTEX-YF7O-1526-SM-5IFI6 50-59 years, male 51.1
GTEX-WYBS-0626-SM-3NMAS 60-69 years, female 50.8
GTEX-1HSMO-0626-SM-ACKXC 60-69 years, male 49.9
GTEX-1HUB1-1426-SM-CGQF5 60-69 years, male 49.7
GTEX-1399R-1326-SM-5PNYS 30-39 years, male 49.5
GTEX-1RAZA-2226-SM-E9U4X 20-29 years, male 49.4
GTEX-13FH7-1126-SM-5K7UG 50-59 years, female 48.8
GTEX-14PJ2-0626-SM-6LLII 50-59 years, male 48.8
GTEX-1A3MW-0626-SM-731CB 60-69 years, female 48.1
GTEX-1H3NZ-2726-SM-9WYTQ 60-69 years, male 47.8
GTEX-11TT1-1826-SM-5EQLV 20-29 years, male 47.7
GTEX-11WQK-1026-SM-5EQLX 50-59 years, male 47.6
GTEX-ZYFD-0626-SM-5E44E 50-59 years, male 47.0
GTEX-1ICLY-0826-SM-CMKG1 50-59 years, male 47.0
GTEX-14C38-0726-SM-5SI6M 50-59 years, male 46.8
GTEX-Y5LM-0926-SM-6LLJG 40-49 years, female 46.7
GTEX-11DZ1-2426-SM-5GZZX 50-59 years, male 46.3
GTEX-144FL-0626-SM-5LU43 50-59 years, male 46.0
GTEX-1QP66-1226-SM-DTX7U 50-59 years, male 45.9
GTEX-1I19N-0126-SM-CYPSF 70-79 years, male 45.5
GTEX-11EM3-1226-SM-5N9DD 20-29 years, female 45.3
GTEX-ZT9W-1126-SM-57WDR 50-59 years, male 45.1
GTEX-1LVAO-2726-SM-E9TJ8 60-69 years, male 45.0
GTEX-XMD2-2126-SM-4YCF8 60-69 years, female 44.4
GTEX-13NZ8-1226-SM-5KM4A 60-69 years, female 43.9
GTEX-13NYC-0126-SM-5L3F4 60-69 years, male 43.5
GTEX-YB5K-2026-SM-4VDT3 40-49 years, female 43.5
GTEX-1JMQL-2226-SM-CNPP4 50-59 years, female 43.5
GTEX-ZAJG-1526-SM-5CVML 50-59 years, female 43.1
GTEX-13YAN-0226-SM-5TDC6 60-69 years, male 42.8
GTEX-1GF9U-2026-SM-7SB92 40-49 years, female 42.8
GTEX-15SKB-2826-SM-6PAMH 60-69 years, male 40.8
GTEX-ZVE2-2826-SM-5GU51 50-59 years, male 40.4
GTEX-148VJ-0626-SM-5LUAW 70-79 years, male 40.3
GTEX-1F75W-2726-SM-7SB8H 60-69 years, male 40.0
GTEX-16XZZ-0726-SM-7KUF2 60-69 years, male 38.9
GTEX-1A8FM-0626-SM-7PC25 50-59 years, female 36.5
GTEX-14A5H-0826-SM-5QGPJ 60-69 years, male 36.2
GTEX-1CAV2-0126-SM-7IGN7 40-49 years, female 34.2
GTEX-1L5NE-1126-SM-D3L9P 50-59 years, male 31.0
GTEX-14E6C-2426-SM-5S2NF 40-49 years, male 24.6
GTEX-1F88E-1626-SM-7SB8Z 60-69 years, female 24.0
Show allShow less
Skin - Sun Exposed (Lower leg)
Average nTPM: 106.5
Samples: 701

Max nTPM: 309.0
Min nTPM: 13.2
Std nTPM: 41.8
Median nTPM: 101.7
GTEX-P4QT-0126-SM-2I3FL 50-59 years, female 309.0
GTEX-1JMLX-0226-SM-CM2RO 50-59 years, male 259.1
GTEX-1PIIG-0226-SM-EWRN6 30-39 years, male 247.9
GTEX-XUZC-1726-SM-4BRWS 30-39 years, female 244.5
GTEX-Y3IK-2426-SM-4WWDU 50-59 years, female 243.7
GTEX-ZVTK-0426-SM-51MRS 20-29 years, male 238.2
GTEX-T6MN-0126-SM-32PLP 50-59 years, male 233.9
GTEX-11DXZ-2326-SM-5EGGV 50-59 years, male 228.9
GTEX-1R9PM-2026-SM-E76OY 20-29 years, male 226.8
GTEX-PX3G-0126-SM-2I3EN 20-29 years, female 226.5
GTEX-ZTX8-1426-SM-5DUVO 20-29 years, male 226.5
GTEX-13111-1626-SM-5EGJY 50-59 years, male 216.6
GTEX-ZGAY-0526-SM-4WWBB 40-49 years, female 213.8
GTEX-117XS-2726-SM-5N9BL 60-69 years, male 210.4
GTEX-OIZH-0126-SM-2HMIS 50-59 years, male 205.2
GTEX-ZV68-0126-SM-59HKS 50-59 years, female 204.8
GTEX-T5JW-1626-SM-3GADZ 20-29 years, female 204.0
GTEX-ZF2S-2326-SM-4WWCE 50-59 years, female 201.4
GTEX-PSDG-0226-SM-DKPOZ 50-59 years, male 200.9
GTEX-18D9A-1926-SM-7LG6P 30-39 years, female 199.2
GTEX-1OJC3-0126-SM-E76QX 20-29 years, male 198.2
GTEX-13FTW-2626-SM-5K7WL 40-49 years, male 197.9
GTEX-1C475-1826-SM-73KWA 40-49 years, female 196.4
GTEX-131XE-2326-SM-5PNZ2 50-59 years, male 195.9
GTEX-15ER7-0326-SM-7KUEV 20-29 years, female 195.2
GTEX-1LBAC-0126-SM-DIPEZ 20-29 years, male 187.7
GTEX-1LG7Z-1726-SM-D3LA4 30-39 years, male 187.2
GTEX-Y8DK-0126-SM-4TT3L 60-69 years, male 185.6
GTEX-1EWIQ-0126-SM-7RHH2 70-79 years, female 184.7
GTEX-1399U-2326-SM-5K7WY 50-59 years, female 182.7
GTEX-12WSJ-1826-SM-5GCNY 40-49 years, female 182.3
GTEX-1KANC-1526-SM-D3LAB 50-59 years, female 181.8
GTEX-TML8-1926-SM-32QOS 40-49 years, female 180.8
GTEX-X88G-0126-SM-47JZ3 30-39 years, male 178.9
GTEX-TKQ1-1026-SM-4GICL 30-39 years, male 178.5
GTEX-1JN6P-0126-SM-D3L98 60-69 years, male 178.4
GTEX-1S83E-0126-SM-EWRO4 40-49 years, male 177.7
GTEX-1S3DN-2226-SM-EVYCD 50-59 years, male 175.5
GTEX-YB5E-2026-SM-5IFIS 40-49 years, male 175.1
GTEX-1IL2U-0226-SM-CE6T8 60-69 years, male 174.7
GTEX-1CB4I-0226-SM-79OLH 50-59 years, male 174.5
GTEX-UJHI-1526-SM-3DB99 50-59 years, female 174.1
GTEX-Y114-2426-SM-4TT8A 50-59 years, female 173.6
GTEX-1QP9N-1426-SM-DTXFL 30-39 years, male 172.3
GTEX-WFON-2126-SM-3LK7O 40-49 years, male 172.0
GTEX-1KWVE-1426-SM-E9TJO 30-39 years, male 171.5
GTEX-SUCS-1926-SM-32PM3 70-79 years, male 170.3
GTEX-13NYB-2526-SM-5K7Z6 40-49 years, male 170.2
GTEX-1GN1U-0126-SM-7PBZK 50-59 years, female 170.0
GTEX-1122O-2126-SM-5EGIR 60-69 years, female 169.2
GTEX-13FXS-0226-SM-5IJCK 50-59 years, male 168.0
GTEX-1EMGI-0126-SM-9KNUE 60-69 years, male 167.8
GTEX-17GQL-2026-SM-718BA 60-69 years, male 167.7
GTEX-1B8KE-2126-SM-73KYX 50-59 years, male 167.0
GTEX-Y111-0126-SM-4SOIV 50-59 years, male 166.9
GTEX-1H4P4-0726-SM-9YFLR 50-59 years, male 166.5
GTEX-1313W-0126-SM-5LZUN 50-59 years, female 165.0
GTEX-1OFPY-2426-SM-DTXEJ 60-69 years, male 165.0
GTEX-1B97I-1626-SM-73KYO 40-49 years, male 164.6
GTEX-1F5PL-0326-SM-7P8PQ 40-49 years, female 164.6
GTEX-1QAET-0926-SM-E76QM 50-59 years, male 163.9
GTEX-1L5NE-2526-SM-E6CIE 50-59 years, male 163.1
GTEX-OOBJ-0126-SM-E6CJW 60-69 years, male 163.1
GTEX-ZDTS-0126-SM-4WAY5 60-69 years, male 163.0
GTEX-1I1GV-0526-SM-A9G29 60-69 years, male 162.7
GTEX-139TS-2826-SM-5J1OO 60-69 years, male 162.3
GTEX-ZXES-1826-SM-5E43S 30-39 years, female 161.9
GTEX-ZYT6-0226-SM-5NQ6T 30-39 years, male 161.0
GTEX-1LGOU-2026-SM-DIPFF 20-29 years, female 160.9
GTEX-1MA7W-2026-SM-E9TJ6 20-29 years, female 159.7
GTEX-111FC-0126-SM-5N9DL 60-69 years, male 159.0
GTEX-1PPH8-0226-SM-E8VND 20-29 years, male 158.9
GTEX-Y5V5-2326-SM-4V6GA 60-69 years, female 158.8
GTEX-P4PP-0126-SM-3LK69 30-39 years, female 158.6
GTEX-S33H-1026-SM-EZ6L6 30-39 years, male 157.7
GTEX-17JCI-0126-SM-7LG5G 60-69 years, female 157.6
GTEX-T2IS-0126-SM-4DM6O 20-29 years, female 157.5
GTEX-1MJK2-0426-SM-DTXE5 50-59 years, male 156.7
GTEX-NFK9-0226-SM-2HMKQ 40-49 years, male 156.5
GTEX-131YS-0126-SM-5KM1M 60-69 years, female 156.2
GTEX-18A6Q-0126-SM-731BZ 60-69 years, male 155.4
GTEX-XYKS-2126-SM-4E3IB 60-69 years, female 155.4
GTEX-13JUV-2726-SM-5LZZ8 40-49 years, female 155.0
GTEX-14JG1-0426-SM-6ETZZ 40-49 years, male 154.4
GTEX-ZTSS-1926-SM-57WEW 40-49 years, male 154.4
GTEX-Y8E4-0626-SM-4WWDL 40-49 years, male 153.5
GTEX-1K2DA-1826-SM-CGQGT 50-59 years, male 153.4
GTEX-1CB4E-2226-SM-793DC 60-69 years, male 153.2
GTEX-12696-2426-SM-5EQ6H 60-69 years, male 153.0
GTEX-XQ3S-1526-SM-4BOOC 20-29 years, male 153.0
GTEX-133LE-1826-SM-5J1MV 20-29 years, female 152.9
GTEX-15ETS-0126-SM-7KUMW 40-49 years, female 152.8
GTEX-1B8SF-1426-SM-7DUGL 60-69 years, male 152.8
GTEX-14A5I-0126-SM-5TDEA 50-59 years, female 152.6
GTEX-ZYFC-0226-SM-5NQ75 50-59 years, male 152.3
GTEX-1CAV2-2226-SM-7P8P2 40-49 years, female 151.8
GTEX-ZWKS-0126-SM-5SIAA 30-39 years, male 151.1
GTEX-1J1OQ-0226-SM-CYPSH 40-49 years, female 151.1
GTEX-14PHX-2326-SM-62LEM 50-59 years, male 150.9
GTEX-16GPK-0126-SM-7DHLE 60-69 years, male 150.5
GTEX-1GMR3-1926-SM-9KNUZ 40-49 years, male 150.1
GTEX-1NV5F-0226-SM-E8VNY 60-69 years, female 149.4
GTEX-O5YW-0126-SM-3LK6D 50-59 years, male 149.3
GTEX-14PN4-0126-SM-6EU2V 50-59 years, male 149.2
GTEX-1KXAM-2226-SM-CYPTC 60-69 years, male 149.2
GTEX-11DYG-0126-SM-59883 60-69 years, male 149.0
GTEX-X4XX-0126-SM-3NMC2 60-69 years, male 148.5
GTEX-1PDJ9-0326-SM-DTX95 20-29 years, male 148.2
GTEX-XPVG-2626-SM-4B669 50-59 years, male 148.1
GTEX-1JMPY-1326-SM-ARL8Y 30-39 years, male 148.1
GTEX-1AX9J-0226-SM-73KXM 60-69 years, male 148.0
GTEX-1E2YA-0126-SM-9KNUC 50-59 years, male 147.6
GTEX-11EQ9-2426-SM-5HL5T 30-39 years, male 147.3
GTEX-1PFEY-1526-SM-E76PP 30-39 years, male 146.5
GTEX-RWSA-0126-SM-2XCBB 40-49 years, male 145.5
GTEX-WYJK-0126-SM-3NMAB 50-59 years, male 145.5
GTEX-1H11D-0226-SM-9WG6Z 40-49 years, male 145.0
GTEX-1HSGN-0226-SM-CGQFV 40-49 years, female 144.9
GTEX-S32W-2126-SM-2XCB1 50-59 years, female 144.0
GTEX-1399R-2726-SM-5IJBA 30-39 years, male 143.7
GTEX-1O97I-0326-SM-EYYX7 60-69 years, male 143.6
GTEX-OIZG-0726-SM-33HBL 50-59 years, male 143.0
GTEX-ZVZP-2426-SM-59HKJ 50-59 years, male 142.4
GTEX-13CF2-2526-SM-5LZYX 60-69 years, male 142.3
GTEX-13O3P-0126-SM-5KM4S 50-59 years, male 142.3
GTEX-145MN-2226-SM-5SIAU 30-39 years, male 141.3
GTEX-W5X1-3026-SM-EAZAX 40-49 years, female 141.2
GTEX-12ZZZ-0626-SM-5DUXI 60-69 years, male 141.0
GTEX-1C4CL-0526-SM-73KVK 30-39 years, male 141.0
GTEX-1211K-2026-SM-5EQ4Z 60-69 years, female 140.5
GTEX-Z93T-0126-SM-5HL5N 50-59 years, male 140.5
GTEX-YJ89-0126-SM-4TT3X 60-69 years, male 140.4
GTEX-1KANA-0726-SM-D3L9I 20-29 years, male 140.3
GTEX-X585-0226-SM-4QAS2 50-59 years, male 140.2
GTEX-145LS-0126-SM-5QGP1 60-69 years, female 140.0
GTEX-1IKK5-0626-SM-ARL8A 60-69 years, male 139.7
GTEX-1LVAN-0226-SM-COH3S 50-59 years, female 139.4
GTEX-12ZZY-0226-SM-5LZVE 60-69 years, male 139.3
GTEX-1BAJH-0526-SM-793CQ 70-79 years, male 139.1
GTEX-1PIGE-0126-SM-EVYBJ 20-29 years, male 139.0
GTEX-1LGRB-2526-SM-CNPPQ 50-59 years, female 138.7
GTEX-1RDX4-0126-SM-E9J4P 50-59 years, female 138.7
GTEX-13OVH-0126-SM-5MR4B 70-79 years, male 138.3
GTEX-15RIG-0226-SM-7KFTL 40-49 years, male 138.1
GTEX-POMQ-2226-SM-2I5FK 20-29 years, female 138.1
GTEX-1IDJH-0326-SM-A9SLQ 70-79 years, male 138.1
GTEX-13FHP-0126-SM-5IJBG 50-59 years, male 137.9
GTEX-14PII-0226-SM-6EU1T 60-69 years, male 137.9
GTEX-RNOR-0126-SM-E9J4R 50-59 years, female 137.5
GTEX-1269C-2526-SM-5EGJ3 60-69 years, female 137.4
GTEX-13X6J-0126-SM-5QGOU 50-59 years, male 137.1
GTEX-17HG3-2226-SM-7938L 30-39 years, female 136.7
GTEX-13OW5-0126-SM-DTXFS 60-69 years, male 136.5
GTEX-1KD4Q-0226-SM-E9TJ9 40-49 years, male 136.3
GTEX-O5YT-0126-SM-48TBW 20-29 years, male 135.9
GTEX-1S5ZA-0126-SM-EVYCV 20-29 years, male 135.8
GTEX-1H1CY-2826-SM-9MQM3 60-69 years, female 135.5
GTEX-18D9U-0226-SM-718BP 40-49 years, male 135.4
GTEX-1IKJJ-0126-SM-CNPQB 60-69 years, male 134.8
GTEX-QV44-1926-SM-2S1RF 50-59 years, male 134.7
GTEX-1I1GT-0626-SM-CGQER 60-69 years, female 134.3
GTEX-1RB15-2126-SM-E9TIM 60-69 years, male 134.0
GTEX-1212Z-2526-SM-5EGKP 60-69 years, male 133.9
GTEX-15SHU-0126-SM-7KUEH 40-49 years, female 133.8
GTEX-WXYG-2326-SM-4E3I6 50-59 years, female 133.7
GTEX-YB5K-2126-SM-4WWDJ 40-49 years, female 133.7
GTEX-13OVK-2026-SM-7KUEO 40-49 years, male 133.6
GTEX-144GL-0126-SM-5TDE2 50-59 years, male 133.1
GTEX-X8HC-0126-SM-4E3JW 50-59 years, female 133.1
GTEX-1M5QR-1226-SM-EWROB 40-49 years, male 133.1
GTEX-12WSE-0526-SM-793B2 20-29 years, male 133.0
GTEX-W5WG-1826-SM-4KL2Y 50-59 years, female 132.6
GTEX-13PVR-2326-SM-5QGR1 60-69 years, female 132.4
GTEX-1JJEA-0326-SM-CNPOT 60-69 years, male 132.2
GTEX-15F5U-1526-SM-6PANO 40-49 years, male 132.0
GTEX-1CB4G-0226-SM-7PC3O 60-69 years, male 131.2
GTEX-1R7EU-0226-SM-EVR4G 60-69 years, male 131.2
GTEX-UPJH-0326-SM-3GADU 50-59 years, male 131.1
GTEX-12ZZX-0126-SM-5EGK9 40-49 years, female 130.8
GTEX-ZYFG-2326-SM-5E44B 60-69 years, female 130.8
GTEX-17F96-1626-SM-7DUFL 70-79 years, male 130.4
GTEX-NPJ8-0126-SM-2YUNR 40-49 years, male 129.9
GTEX-Z93S-0126-SM-5HL7M 50-59 years, male 129.9
GTEX-1CB4F-0426-SM-9KNV4 60-69 years, male 129.6
GTEX-1GZHY-0326-SM-9QEHI 50-59 years, female 129.6
GTEX-14BMU-2226-SM-5TDE9 20-29 years, female 129.4
GTEX-QEG4-0226-SM-2S1PY 30-39 years, male 129.3
GTEX-XBEW-0626-SM-4QASP 40-49 years, male 129.2
GTEX-1QPFJ-0226-SM-E76PB 30-39 years, female 129.2
GTEX-1HSKV-0226-SM-A9SKJ 60-69 years, male 129.1
GTEX-1HT8W-0126-SM-CNPPP 30-39 years, male 129.1
GTEX-ZAK1-0126-SM-5IJD3 50-59 years, female 128.9
GTEX-1JJ6O-0126-SM-E6CI8 60-69 years, male 127.8
GTEX-15SB6-1726-SM-6PAME 50-59 years, female 127.7
GTEX-1H3VE-0326-SM-9YFLH 40-49 years, male 127.7
GTEX-T6MO-1626-SM-32QOM 40-49 years, female 127.6
GTEX-11UD1-0126-SM-5PNYG 40-49 years, female 127.5
GTEX-12WSC-0126-SM-5EQ4P 50-59 years, male 127.5
GTEX-131XH-2226-SM-5DUXJ 50-59 years, male 127.5
GTEX-1QCLY-0326-SM-E8VOG 30-39 years, male 127.4
GTEX-YFC4-0126-SM-5CVLY 40-49 years, female 127.3
GTEX-1HCU9-1526-SM-A9SL7 20-29 years, male 127.2
GTEX-SIU8-0126-SM-2XCDT 50-59 years, male 126.9
GTEX-14PJ6-2126-SM-6EU1V 60-69 years, female 126.7
GTEX-17EVP-0326-SM-7DHLG 40-49 years, male 126.7
GTEX-ZDTT-2726-SM-4WKF8 60-69 years, male 126.7
GTEX-1GMRU-0126-SM-9YFLV 50-59 years, male 126.5
GTEX-S7SE-0126-SM-2XCD5 50-59 years, male 126.3
GTEX-1I4MK-2226-SM-ACKWD 50-59 years, female 125.9
GTEX-XUYS-0126-SM-47JWZ 50-59 years, male 125.6
GTEX-11EI6-0126-SM-5985R 60-69 years, male 125.1
GTEX-1C64N-0126-SM-793D7 50-59 years, male 125.1
GTEX-1I1GQ-0126-SM-COH3H 50-59 years, male 124.8
GTEX-17KNJ-2326-SM-7DHLQ 50-59 years, male 124.7
GTEX-U412-0426-SM-3DB9O 60-69 years, male 124.7
GTEX-RTLS-0126-SM-447CA 60-69 years, female 124.5
GTEX-U8T8-0126-SM-3DB94 60-69 years, male 124.5
GTEX-1B8L1-2526-SM-9WYTF 60-69 years, male 124.3
GTEX-1E1VI-0126-SM-7DHMZ 50-59 years, male 123.8
GTEX-1IOXB-0126-SM-ARL8G 50-59 years, male 123.3
GTEX-1GF9X-2026-SM-7PC3A 40-49 years, female 123.1
GTEX-1JMQJ-0526-SM-CYPSU 50-59 years, male 122.2
GTEX-132NY-0326-SM-5IJBL 60-69 years, male 121.6
GTEX-13112-2826-SM-5DUWH 50-59 years, male 121.4
GTEX-T8EM-1026-SM-3DB7M 40-49 years, male 121.0
GTEX-11XUK-2026-SM-5EQLF 40-49 years, female 120.9
GTEX-1399T-2826-SM-5KLYZ 60-69 years, male 120.7
GTEX-15DDE-0126-SM-6LPKH 50-59 years, female 120.6
GTEX-17F98-0626-SM-79OMX 40-49 years, female 120.6
GTEX-1LB8K-0226-SM-EWRNW 50-59 years, male 120.6
GTEX-1GF9V-0326-SM-7RHI5 60-69 years, male 120.3
GTEX-X4EO-0326-SM-3P5YO 60-69 years, female 119.8
GTEX-12WSA-0226-SM-5BC5V 60-69 years, male 119.5
GTEX-1POEN-0126-SM-EYYXJ 30-39 years, female 119.2
GTEX-Y5LM-1926-SM-5RQJH 40-49 years, female 119.0
GTEX-11TUW-2726-SM-E9J4M 60-69 years, male 118.9
GTEX-RU72-0926-SM-2TF6B 50-59 years, female 118.7
GTEX-18QFQ-0126-SM-731BE 30-39 years, male 118.2
GTEX-XAJ8-0826-SM-47JY6 40-49 years, male 118.2
GTEX-139TU-0126-SM-5K7WH 60-69 years, male 117.8
GTEX-13SLW-0126-SM-5SI6C 70-79 years, male 117.7
GTEX-14DAR-2026-SM-5S2O3 50-59 years, male 117.4
GTEX-13CF3-2426-SM-5IFGX 60-69 years, female 117.3
GTEX-18A7A-0226-SM-718BH 50-59 years, female 117.2
GTEX-VUSG-2526-SM-4KL1V 50-59 years, male 117.2
GTEX-RM2N-1426-SM-2TF4H 50-59 years, male 117.1
GTEX-1I6K6-0126-SM-A9SLE 30-39 years, male 116.9
GTEX-1KAFJ-2026-SM-CY8ID 50-59 years, male 116.9
GTEX-14E6D-0126-SM-62LDV 50-59 years, male 116.6
GTEX-17HGU-0226-SM-7DHKV 50-59 years, male 116.4
GTEX-1CAMQ-0226-SM-7IGPK 40-49 years, male 116.1
GTEX-1GL5R-1826-SM-9KNUY 50-59 years, male 116.0
GTEX-1H1DG-0126-SM-9WYU2 70-79 years, male 115.9
GTEX-1B8SG-0126-SM-73KZ3 50-59 years, male 115.8
GTEX-WYVS-2126-SM-3NMA3 40-49 years, female 115.8
GTEX-1CB4H-0226-SM-7PBXM 60-69 years, female 115.8
GTEX-11ZTS-0126-SM-5EQ6M 60-69 years, female 115.7
GTEX-145MF-0626-SM-5LUAI 50-59 years, male 115.7
GTEX-ZC5H-0226-SM-4WAY9 40-49 years, female 115.5
GTEX-146FQ-0126-SM-5NQA9 30-39 years, male 115.1
GTEX-12WSG-2826-SM-E9J4H 50-59 years, female 114.8
GTEX-14PJM-0226-SM-62LF1 50-59 years, female 114.7
GTEX-TMZS-0126-SM-3DB9Q 60-69 years, male 114.7
GTEX-ZZ64-1726-SM-5GZYB 20-29 years, male 114.5
GTEX-1314G-1526-SM-5EGK2 30-39 years, male 114.4
GTEX-12126-0326-SM-5PNW3 20-29 years, male 114.1
GTEX-145ME-1826-SM-5SI9G 40-49 years, female 113.9
GTEX-16XZZ-0126-SM-793DV 60-69 years, male 113.8
GTEX-1HCUA-2426-SM-ADEIS 50-59 years, female 113.8
GTEX-11P81-2326-SM-59875 30-39 years, female 113.6
GTEX-X4EP-0126-SM-3P5YV 60-69 years, female 113.6
GTEX-ZVT2-2526-SM-51MT1 50-59 years, female 113.2
GTEX-1GF9W-0326-SM-9KNUN 60-69 years, male 113.0
GTEX-1CAMR-1926-SM-7EPI2 20-29 years, male 112.8
GTEX-18A66-0226-SM-718BD 60-69 years, male 112.6
GTEX-145MI-0526-SM-5O9A8 60-69 years, female 112.5
GTEX-ZY6K-1826-SM-5GZXK 50-59 years, male 112.5
GTEX-1RAZA-0126-SM-E6CI3 20-29 years, male 112.5
GTEX-VJYA-1126-SM-3GIJU 60-69 years, male 112.2
GTEX-13YAN-0326-SM-5O9DF 60-69 years, male 112.1
GTEX-17HHY-0126-SM-7LG5D 50-59 years, male 112.1
GTEX-1HBPN-0226-SM-9YFM1 50-59 years, male 111.9
GTEX-1S82Y-2026-SM-EVYCM 40-49 years, male 111.6
GTEX-14LZ3-0226-SM-62LET 60-69 years, female 111.4
GTEX-Y5V6-2426-SM-4VDSB 60-69 years, male 111.3
GTEX-11UD2-0226-SM-5EQKY 50-59 years, male 110.9
GTEX-1J8EW-0126-SM-CJI4F 60-69 years, female 110.8
GTEX-13D11-2426-SM-5KM1V 50-59 years, female 110.5
GTEX-13RTK-1426-SM-5QGQJ 20-29 years, male 110.5
GTEX-131XF-5016-SM-7MGWE 60-69 years, male 109.9
GTEX-1K2DU-2326-SM-E9TIV 20-29 years, male 109.9
GTEX-RVPV-0126-SM-EAZAW 60-69 years, male 109.7
GTEX-ZV6S-2326-SM-4YCEY 40-49 years, female 109.6
GTEX-1H2FU-0126-SM-9WYSI 60-69 years, female 109.6
GTEX-14BIN-0626-SM-793DP 50-59 years, female 109.5
GTEX-13NZB-2526-SM-5J1OM 30-39 years, male 109.2
GTEX-ZXG5-0126-SM-5GIEU 60-69 years, male 109.1
GTEX-1HBPI-1526-SM-C1YQ1 50-59 years, male 108.7
GTEX-1MCQQ-0826-SM-DLHC2 60-69 years, male 108.7
GTEX-1JN76-0126-SM-CNPPE 20-29 years, female 108.5
GTEX-18A67-0126-SM-7LG5P 50-59 years, male 108.4
GTEX-1HGF4-2426-SM-ACKXM 60-69 years, male 108.4
GTEX-WQUQ-0426-SM-3MJFU 60-69 years, male 108.1
GTEX-1QMI2-0226-SM-EVYBX 60-69 years, male 108.1
GTEX-PLZ6-1426-SM-DKPOT 30-39 years, male 108.1
GTEX-1C6VR-2426-SM-79OLD 60-69 years, male 108.0
GTEX-1HSEH-0126-SM-ACKXN 60-69 years, male 107.9
GTEX-13N2G-2626-SM-5J1OT 60-69 years, male 107.5
GTEX-QVJO-1626-SM-2S1QW 60-69 years, female 107.4
GTEX-1HCU8-0626-SM-A9SM9 60-69 years, female 106.8
GTEX-1N2EF-0226-SM-EYYXB 60-69 years, male 106.8
GTEX-ZVZO-0126-SM-5A5L9 40-49 years, male 106.7
GTEX-XXEK-2226-SM-4BRUM 50-59 years, male 106.6
GTEX-1IDJF-0126-SM-CM2RS 20-29 years, male 106.5
GTEX-16AAH-1726-SM-7939C 50-59 years, male 106.4
GTEX-1HFI6-0226-SM-ADEHZ 40-49 years, male 106.4
GTEX-OHPL-0126-SM-2HMJ7 60-69 years, female 106.2
GTEX-12WSD-0126-SM-59HKN 60-69 years, female 106.1
GTEX-13FTX-1826-SM-5J1NX 20-29 years, female 106.1
GTEX-SN8G-0126-SM-32PLI 50-59 years, female 106.0
GTEX-ZE9C-2726-SM-57WB5 60-69 years, male 105.9
GTEX-11GS4-2726-SM-5A5LE 60-69 years, male 105.7
GTEX-13OW8-1326-SM-5J1OW 60-69 years, male 105.7
GTEX-1HCU6-0126-SM-CL54K 60-69 years, female 105.7
GTEX-12KS4-0326-SM-5EQ41 30-39 years, male 105.4
GTEX-148VI-1626-SM-5SI6E 60-69 years, female 105.2
GTEX-R3RS-0126-SM-3GIJL 40-49 years, female 104.9
GTEX-13OW6-0426-SM-5L3HM 50-59 years, male 104.8
GTEX-1J8QM-2126-SM-CYPSJ 60-69 years, female 104.7
GTEX-X261-0126-SM-3NMD6 50-59 years, male 104.6
GTEX-1GMR8-0126-SM-9WYTM 50-59 years, female 104.6
GTEX-11OF3-2626-SM-5GU7F 60-69 years, male 104.5
GTEX-1HCU7-0226-SM-CL545 50-59 years, male 104.5
GTEX-1MUQO-0126-SM-EAZ58 60-69 years, male 104.4
GTEX-WZTO-0126-SM-3NM95 40-49 years, male 104.3
GTEX-17MFQ-1726-SM-793C7 20-29 years, male 104.2
GTEX-XUW1-0426-SM-4BOOT 50-59 years, female 104.1
GTEX-T5JC-0426-SM-32PLO 20-29 years, male 103.6
GTEX-1HFI7-1826-SM-ACKXH 50-59 years, female 103.4
GTEX-1HR98-0126-SM-B2LWI 60-69 years, male 103.4
GTEX-1192X-0226-SM-5H12D 50-59 years, male 103.1
GTEX-1LSNM-1926-SM-E6CII 50-59 years, male 103.0
GTEX-12WSK-2326-SM-5GCOH 40-49 years, female 102.9
GTEX-13X6H-2126-SM-7EWD5 50-59 years, female 102.9
GTEX-13VXU-0126-SM-5SI9F 50-59 years, male 102.6
GTEX-15DYW-0126-SM-7KULE 60-69 years, female 102.3
GTEX-1F6RS-0126-SM-9MQKZ 60-69 years, female 102.2
GTEX-13SLX-0526-SM-5S2ON 50-59 years, female 102.1
GTEX-13S7M-0126-SM-5SI6A 60-69 years, female 102.0
GTEX-1JMQI-2226-SM-CM2SD 50-59 years, male 101.8
GTEX-1AX9I-0126-SM-7SB74 60-69 years, male 101.7
GTEX-17F97-0326-SM-7LG5B 50-59 years, male 101.6
GTEX-1128S-2326-SM-5GZZY 60-69 years, female 101.5
GTEX-1JN1M-0326-SM-CYPT3 60-69 years, female 101.4
GTEX-11DXW-0226-SM-5H122 40-49 years, male 101.3
GTEX-13FTY-0526-SM-5L3EV 40-49 years, female 101.1
GTEX-11OC5-0126-SM-5HL6A 60-69 years, male 100.9
GTEX-1GZ4H-1726-SM-7PBZJ 50-59 years, female 100.3
GTEX-11GSP-2526-SM-5N9BP 60-69 years, female 100.1
GTEX-ZAB5-1826-SM-5HL7C 50-59 years, male 100.0
GTEX-S7PM-0126-SM-4AD6S 60-69 years, male 99.9
GTEX-ZPIC-1726-SM-DHXIU 40-49 years, female 99.8
GTEX-11LCK-1026-SM-5A5KB 30-39 years, male 99.5
GTEX-17EUY-0426-SM-793BD 20-29 years, male 99.4
GTEX-139TT-0126-SM-5K7Y5 60-69 years, male 99.3
GTEX-13G51-2526-SM-5LZYK 60-69 years, male 99.2
GTEX-U3ZH-2026-SM-3DB78 30-39 years, male 99.2
GTEX-13N11-2526-SM-5K7UE 50-59 years, female 99.1
GTEX-16MT8-0426-SM-7KUEY 60-69 years, female 99.1
GTEX-ZU9S-0226-SM-5E441 30-39 years, male 99.1
GTEX-PW2O-1526-SM-7RHHB 20-29 years, male 99.1
GTEX-117YX-2326-SM-5H12W 50-59 years, male 99.0
GTEX-1JMPZ-0226-SM-CNPP1 30-39 years, male 99.0
GTEX-131XG-2626-SM-5KM17 50-59 years, female 98.2
GTEX-11GSO-2426-SM-5A5LY 60-69 years, male 98.1
GTEX-XQ8I-0426-SM-4BOPO 50-59 years, male 98.1
GTEX-1GN73-0226-SM-9WG67 60-69 years, male 98.0
GTEX-1MGNQ-0126-SM-EVYCJ 40-49 years, male 98.0
GTEX-1F7RK-0126-SM-7PC2S 20-29 years, female 97.5
GTEX-1J1R8-1726-SM-ARL8M 40-49 years, male 97.5
GTEX-U3ZN-2326-SM-3DB7W 30-39 years, female 97.4
GTEX-1EN7A-0126-SM-7SB81 40-49 years, male 97.4
GTEX-X5EB-2226-SM-46MW4 40-49 years, male 97.0
GTEX-1QP66-1726-SM-E8VO1 50-59 years, male 97.0
GTEX-1I1GR-0126-SM-CL55F 60-69 years, male 96.9
GTEX-14753-0426-SM-5NQAM 60-69 years, male 96.8
GTEX-11EM3-2426-SM-59861 20-29 years, female 96.6
GTEX-13O3O-0126-SM-E9J49 60-69 years, female 96.6
GTEX-1H3VY-0126-SM-ACKXD 50-59 years, male 96.6
GTEX-13O21-1426-SM-5K7XI 50-59 years, male 96.4
GTEX-16NGA-1726-SM-731B4 40-49 years, female 95.9
GTEX-1EKGG-0226-SM-9WYTH 60-69 years, male 95.8
GTEX-13FHO-0226-SM-5IFGY 60-69 years, male 95.3
GTEX-1IL2V-0126-SM-CM2TX 70-79 years, male 95.2
GTEX-ZEX8-2426-SM-4WKG4 50-59 years, male 95.1
GTEX-1KANB-0526-SM-E6CJH 50-59 years, male 95.1
GTEX-YEC4-2126-SM-5IFJH 40-49 years, male 95.0
GTEX-1AMFI-2026-SM-731BH 50-59 years, female 94.9
GTEX-SNMC-1226-SM-2XCFP 20-29 years, male 94.6
GTEX-139D8-0226-SM-5KLZO 30-39 years, female 94.5
GTEX-1GPI7-0126-SM-9MQL8 20-29 years, male 94.5
GTEX-PVOW-0126-SM-2XCFA 40-49 years, male 94.3
GTEX-ZAB4-0226-SM-5N9F5 40-49 years, male 94.3
GTEX-ZQUD-1426-SM-57WER 30-39 years, male 94.2
GTEX-145MO-0326-SM-5Q5B3 60-69 years, male 94.1
GTEX-OXRN-0126-SM-48TDM 50-59 years, male 94.0
GTEX-13FH7-2026-SM-E9J4I 50-59 years, female 94.0
GTEX-14ICK-0226-SM-6EU25 40-49 years, male 93.8
GTEX-QCQG-1726-SM-3GIJ9 50-59 years, female 93.8
GTEX-13IVO-0126-SM-5J1NG 70-79 years, male 93.6
GTEX-WY7C-2326-SM-3NB2U 50-59 years, male 93.5
GTEX-17HII-0226-SM-7LG4E 50-59 years, male 93.4
GTEX-1HCVE-0126-SM-CGQEU 50-59 years, male 93.4
GTEX-11DXX-2426-SM-5GZZW 60-69 years, female 93.3
GTEX-117YW-2626-SM-5GZZH 50-59 years, male 93.2
GTEX-1HBPM-0226-SM-ARL9F 60-69 years, female 93.2
GTEX-14BMV-0126-SM-5S2PO 50-59 years, male 93.1
GTEX-QESD-1426-SM-2S1R9 20-29 years, male 93.0
GTEX-ZF29-2326-SM-DO92K 60-69 years, female 92.8
GTEX-11NSD-2226-SM-5986V 20-29 years, male 92.7
GTEX-ZYY3-0126-SM-5GZY5 60-69 years, female 92.7
GTEX-1CAMS-0426-SM-7P8T2 40-49 years, female 92.7
GTEX-18465-0126-SM-731BN 50-59 years, male 92.5
GTEX-1KD5A-0226-SM-D5OV3 50-59 years, male 92.5
GTEX-1IDJU-2626-SM-CM2RT 60-69 years, female 92.4
GTEX-1RQEC-0426-SM-E6CHU 60-69 years, male 92.0
GTEX-1A3MV-1926-SM-718BT 30-39 years, male 91.6
GTEX-T2YK-0526-SM-32QPJ 50-59 years, male 91.6
GTEX-147GR-0526-SM-5S2MY 60-69 years, male 91.5
GTEX-Q2AI-1326-SM-2S1PL 40-49 years, male 91.5
GTEX-1JK1U-2026-SM-CM2RZ 60-69 years, male 91.5
GTEX-14C5O-0126-SM-5SI6N 60-69 years, male 91.3
GTEX-1F52S-0126-SM-9MQJU 60-69 years, female 91.3
GTEX-1S82Z-0826-SM-E6CHY 30-39 years, female 91.2
GTEX-1IKOH-0226-SM-COH4E 60-69 years, female 91.0
GTEX-WFG8-2226-SM-3GIL9 20-29 years, male 90.9
GTEX-11P7K-2126-SM-5GU7G 30-39 years, male 90.8
GTEX-1JKYR-0126-SM-CNPOJ 20-29 years, male 90.7
GTEX-15EU6-0426-SM-6PAN5 50-59 years, male 90.3
GTEX-1C2JI-1826-SM-73KXC 50-59 years, male 90.2
GTEX-17HHE-2026-SM-79OKF 50-59 years, male 90.1
GTEX-ZDYS-2026-SM-5HL5L 50-59 years, male 90.1
GTEX-12C56-1726-SM-5EQ61 20-29 years, male 90.0
GTEX-11DXY-2626-SM-5GIE7 60-69 years, male 89.9
GTEX-1J8JJ-0226-SM-CL53I 60-69 years, female 89.8
GTEX-13U4I-0126-SM-5LU38 40-49 years, female 89.4
GTEX-SSA3-0126-SM-32QPU 60-69 years, male 89.2
GTEX-14A5H-0426-SM-5QGQF 60-69 years, male 89.1
GTEX-ZF3C-0126-SM-DO92D 50-59 years, female 89.0
GTEX-111VG-2426-SM-5GZXD 60-69 years, male 88.9
GTEX-WRHK-1426-SM-3MJF9 20-29 years, female 88.9
GTEX-1GN2E-0426-SM-9MQKX 60-69 years, male 88.8
GTEX-1ICG6-2526-SM-CGQFZ 70-79 years, female 88.7
GTEX-14JG6-2226-SM-6EU2G 30-39 years, female 88.5
GTEX-1F6IF-0726-SM-7P8TW 60-69 years, male 88.5
GTEX-11ZVC-2526-SM-5FQTE 50-59 years, female 88.4
GTEX-Z9EW-1626-SM-5CVMN 40-49 years, male 88.4
GTEX-1JMQK-0226-SM-CL543 60-69 years, male 88.2
GTEX-OHPM-0126-SM-2YUN9 50-59 years, male 88.1
GTEX-WVJS-0126-SM-4MVOT 50-59 years, male 87.9
GTEX-1F6I4-0126-SM-9MQL2 60-69 years, male 87.3
GTEX-1JMQL-0226-SM-CNPP5 50-59 years, female 87.3
GTEX-13O3Q-2426-SM-5IJBR 50-59 years, male 87.2
GTEX-145LV-2126-SM-5LU8N 50-59 years, male 87.2
GTEX-1R46S-0626-SM-E9J41 60-69 years, female 87.2
GTEX-1K9T9-0126-SM-EVYCF 50-59 years, female 87.1
GTEX-11H98-0126-SM-5EGHG 50-59 years, male 86.9
GTEX-1EU9M-0226-SM-7P8SP 60-69 years, male 86.9
GTEX-1AYD5-2426-SM-73KXR 50-59 years, male 86.8
GTEX-15CHC-2126-SM-6EU21 60-69 years, female 86.7
GTEX-SJXC-0126-SM-2XCFF 60-69 years, male 86.7
GTEX-1LH75-2426-SM-E9TJE 50-59 years, female 86.6
GTEX-13113-5016-SM-7EPIP 60-69 years, female 86.2
GTEX-1B8KZ-2026-SM-7DHMB 50-59 years, male 86.2
GTEX-R55G-2526-SM-2TC6D 40-49 years, female 86.2
GTEX-16NPX-0226-SM-79OMT 50-59 years, male 86.1
GTEX-14E7W-0126-SM-6LLJ9 70-79 years, male 85.9
GTEX-1H3O1-0426-SM-9YFKY 60-69 years, male 85.6
GTEX-ZYFD-0126-SM-5GIDL 50-59 years, male 85.5
GTEX-TSE9-0126-SM-3DB83 60-69 years, female 85.4
GTEX-13OVL-0226-SM-5L3E9 50-59 years, male 85.3
GTEX-15DCD-0126-SM-7KUEK 70-79 years, female 85.3
GTEX-OXRK-0226-SM-3NB2G 50-59 years, female 85.3
GTEX-1B996-0226-SM-7RHGO 60-69 years, male 85.3
GTEX-14PN3-2426-SM-6LLHS 60-69 years, female 85.0
GTEX-13NZ8-0826-SM-5MR3I 60-69 years, female 84.8
GTEX-18A7B-0126-SM-7LG64 70-79 years, male 84.2
GTEX-1497J-2426-SM-7IGNX 60-69 years, male 84.1
GTEX-R55E-0126-SM-2TC5Y 20-29 years, male 84.0
GTEX-1H1DE-2126-SM-9WG6R 20-29 years, male 84.0
GTEX-11ZU8-2526-SM-5EQKI 60-69 years, male 83.9
GTEX-OXRP-0126-SM-3NB32 60-69 years, female 83.9
GTEX-1HSMP-0126-SM-E6CJS 70-79 years, male 83.7
GTEX-11P82-1626-SM-59879 20-29 years, male 83.5
GTEX-1F5PK-2426-SM-7RHHY 50-59 years, male 83.4
GTEX-Q2AG-0126-SM-33HBV 40-49 years, female 83.2
GTEX-U3ZM-1526-SM-3DB9D 40-49 years, male 83.2
GTEX-ZVT4-0126-SM-DTXFN 50-59 years, female 83.2
GTEX-13OW7-0126-SM-5MR3B 50-59 years, male 83.1
GTEX-1QEPI-0126-SM-EWRMQ 60-69 years, female 82.8
GTEX-1J8Q2-0526-SM-CM2RW 60-69 years, male 82.5
GTEX-145LT-1726-SM-5QGP3 40-49 years, male 82.4
GTEX-XBED-2226-SM-47JYQ 60-69 years, male 82.4
GTEX-RWS6-2026-SM-2XCB5 60-69 years, female 82.3
GTEX-13PDP-0126-SM-5L3HD 60-69 years, male 82.2
GTEX-1IY9M-0126-SM-D3L8S 60-69 years, male 82.0
GTEX-1B933-0126-SM-7PC29 50-59 years, female 81.9
GTEX-139UW-2826-SM-5L3E7 60-69 years, male 81.6
GTEX-113JC-2326-SM-5EQ4E 50-59 years, female 81.5
GTEX-1GZ2Q-0226-SM-7P8TL 40-49 years, male 81.4
GTEX-1HSMQ-1226-SM-CGQFX 50-59 years, male 81.3
GTEX-ZQG8-1626-SM-DHXIT 60-69 years, female 81.0
GTEX-PLZ5-2026-SM-2S1O4 50-59 years, male 80.8
GTEX-11VI4-1726-SM-5CVLH 40-49 years, female 80.7
GTEX-WH7G-2326-SM-3NMBC 40-49 years, male 80.6
GTEX-1J8Q3-1626-SM-CMKGC 60-69 years, male 80.6
GTEX-1QP29-0626-SM-EWRMX 50-59 years, male 80.3
GTEX-1N2DW-0226-SM-E9TK2 50-59 years, male 80.2
GTEX-PWCY-1826-SM-DHXIZ 20-29 years, female 80.2
GTEX-RN64-0126-SM-2TC68 50-59 years, male 80.1
GTEX-15SDE-2226-SM-7IGLO 50-59 years, female 79.8
GTEX-S95S-1226-SM-4GICG 60-69 years, male 79.3
GTEX-13QJ3-0326-SM-5S2RA 50-59 years, male 79.2
GTEX-P4PQ-0126-SM-2S1NM 60-69 years, male 79.1
GTEX-ZE7O-0126-SM-57WC1 50-59 years, female 79.1
GTEX-13RTL-0126-SM-7LG5S 40-49 years, male 78.4
GTEX-1H3NZ-0126-SM-ACKX7 60-69 years, male 78.2
GTEX-16BQI-0226-SM-7KUEX 30-39 years, female 78.1
GTEX-1ICLY-0126-SM-D4P36 50-59 years, male 78.1
GTEX-145LU-0126-SM-5TDCB 50-59 years, male 77.5
GTEX-Y3I4-2126-SM-4TT7C 50-59 years, male 77.0
GTEX-1A32A-0126-SM-718B1 50-59 years, female 76.8
GTEX-ZVT3-0126-SM-5GU6I 60-69 years, female 76.8
GTEX-1MA7X-2226-SM-E6CIY 60-69 years, male 76.8
GTEX-QLQW-1126-SM-2S1Q8 30-39 years, male 76.7
GTEX-TMMY-0226-SM-33HBA 40-49 years, female 76.3
GTEX-1HB9E-0226-SM-E9U4R 50-59 years, male 76.2
GTEX-Q2AH-1626-SM-3GAF8 40-49 years, male 76.0
GTEX-1EX96-1626-SM-7PBXR 50-59 years, male 75.9
GTEX-1F75B-0126-SM-9KNVL 50-59 years, male 75.9
GTEX-13NZA-0226-SM-5K7Z7 60-69 years, male 75.1
GTEX-1I1CD-0126-SM-CM2TK 60-69 years, female 75.0
GTEX-X638-0126-SM-47JZ8 70-79 years, female 74.9
GTEX-QLQ7-1626-SM-2S1R8 60-69 years, male 74.8
GTEX-15SHW-0326-SM-6PAML 60-69 years, male 74.7
GTEX-1192W-2626-SM-5Q5AF 60-69 years, male 74.3
GTEX-1GF9U-2126-SM-7SB7L 40-49 years, female 74.0
GTEX-OIZF-0126-SM-7SB8I 60-69 years, male 74.0
GTEX-16YQH-0126-SM-7DUFJ 30-39 years, male 73.8
GTEX-169BO-1326-SM-9MQK2 50-59 years, male 73.5
GTEX-1A8FM-0226-SM-7SB7Q 50-59 years, female 73.5
GTEX-QDVJ-1726-SM-2I5FX 50-59 years, male 73.4
GTEX-ZDXO-3026-SM-5J1N5 60-69 years, male 73.2
GTEX-12584-0126-SM-5EGKQ 40-49 years, male 72.8
GTEX-1QP2A-0126-SM-E9J43 50-59 years, male 72.8
GTEX-PWO3-1526-SM-48TCM 60-69 years, female 72.7
GTEX-144FL-0126-SM-5TDC8 50-59 years, male 72.6
GTEX-1HKZK-0326-SM-9WYUH 40-49 years, male 72.5
GTEX-14BIM-0226-SM-7IGLD 60-69 years, female 72.2
GTEX-1LG7Y-0526-SM-DKPQC 50-59 years, male 72.2
GTEX-13X6I-0626-SM-5QGP9 60-69 years, male 72.1
GTEX-15G19-0126-SM-6PANQ 60-69 years, male 72.0
GTEX-1F75A-0126-SM-7RHGM 50-59 years, male 71.9
GTEX-1I1GP-2226-SM-CGQFK 50-59 years, male 71.8
GTEX-1F88F-2726-SM-7PBZZ 60-69 years, female 71.7
GTEX-1LNCM-1126-SM-E9U5E 50-59 years, female 71.6
GTEX-1GN1V-0126-SM-9WPOS 60-69 years, male 71.3
GTEX-1JKYN-1326-SM-CGQG9 30-39 years, male 71.3
GTEX-11NUK-0126-SM-5A5L3 50-59 years, male 71.2
GTEX-147F3-0526-SM-5SI98 50-59 years, female 70.8
GTEX-14PJ3-1826-SM-62LEX 50-59 years, male 70.8
GTEX-QDT8-0126-SM-48TZ1 30-39 years, female 70.7
GTEX-1IGQW-0126-SM-COH42 60-69 years, male 70.7
GTEX-1JJE9-0326-SM-CL53Z 70-79 years, male 70.5
GTEX-1PWST-0226-SM-E76QJ 70-79 years, male 70.5
GTEX-13OVJ-0126-SM-5KM36 50-59 years, female 70.4
GTEX-14LLW-0126-SM-6LLIO 70-79 years, female 70.1
GTEX-11TT1-2526-SM-5EGIB 20-29 years, male 69.8
GTEX-13NYS-0126-SM-5MR3W 60-69 years, male 69.8
GTEX-13OVI-1426-SM-5L3EY 60-69 years, female 69.7
GTEX-WI4N-1026-SM-3LK7N 40-49 years, female 69.2
GTEX-XMD2-0126-SM-4YCDU 60-69 years, female 69.1
GTEX-14E6E-1826-SM-5S2R7 30-39 years, male 68.5
GTEX-1C64O-0126-SM-7SB8P 60-69 years, male 68.4
GTEX-1MCYP-1926-SM-E9J2R 20-29 years, female 68.3
GTEX-139T8-0126-SM-5K7XZ 60-69 years, male 68.2
GTEX-QDVN-2026-SM-3GAEP 50-59 years, male 68.1
GTEX-13W46-0226-SM-5SIAG 50-59 years, male 67.8
GTEX-1GPI6-0126-SM-9WG69 60-69 years, male 67.8
GTEX-183FY-0126-SM-7LT9P 20-29 years, male 67.7
GTEX-1H1E6-1726-SM-ACKVK 30-39 years, male 67.7
GTEX-P44H-0226-SM-2XCEU 40-49 years, male 67.2
GTEX-OOBK-0126-SM-2YUND 40-49 years, male 67.1
GTEX-XV7Q-2526-SM-4BRV9 40-49 years, female 67.0
GTEX-1ICLZ-0126-SM-CKZPO 60-69 years, male 66.8
GTEX-14DAQ-0126-SM-5S2MQ 60-69 years, female 66.5
GTEX-1C6WA-0126-SM-7PC2B 60-69 years, male 66.5
GTEX-1H1ZS-0426-SM-9WG6G 70-79 years, male 66.4
GTEX-1I1HK-0126-SM-COH49 60-69 years, male 66.3
GTEX-17EVQ-0226-SM-7LG4P 70-79 years, male 65.5
GTEX-Y8LW-1826-SM-5S2MV 50-59 years, female 65.5
GTEX-13OVG-1926-SM-5L3DK 60-69 years, male 65.3
GTEX-14ABY-0226-SM-5TDCQ 50-59 years, male 65.3
GTEX-Q734-1926-SM-2I5EV 40-49 years, female 64.8
GTEX-1I1GS-0126-SM-B2LVW 60-69 years, male 64.7
GTEX-1R7EV-2426-SM-EVYBG 40-49 years, male 63.8
GTEX-1A3MX-0126-SM-731BR 60-69 years, male 63.7
GTEX-1H23P-0126-SM-ADEJ3 60-69 years, male 63.6
GTEX-1GTWX-0126-SM-9YFLK 60-69 years, male 63.4
GTEX-147F4-0226-SM-5QGPW 50-59 years, male 63.3
GTEX-1LC47-0326-SM-E9TJP 60-69 years, male 63.2
GTEX-131XW-0426-SM-5LZWP 50-59 years, female 63.0
GTEX-R45C-0126-SM-EAZ2R 60-69 years, female 62.9
GTEX-11DZ1-0126-SM-5985Q 50-59 years, male 62.5
GTEX-13O1R-0126-SM-5L3EH 60-69 years, male 62.4
GTEX-1CB4J-0626-SM-7DHMP 60-69 years, male 61.9
GTEX-11EMC-2926-SM-5EQ4F 60-69 years, female 61.3
GTEX-ZYW4-0126-SM-5E44A 60-69 years, male 60.8
GTEX-1AX9K-2326-SM-73KWU 50-59 years, male 60.7
GTEX-13VXT-0126-SM-5LU4I 20-29 years, female 60.5
GTEX-1NHNU-1026-SM-E9J2A 50-59 years, male 60.5
GTEX-1AX8Z-0126-SM-7DHM6 60-69 years, male 60.1
GTEX-1I19N-0326-SM-ACKVX 70-79 years, male 60.0
GTEX-13W3W-2426-SM-5LU5B 60-69 years, female 59.9
GTEX-U8XE-0326-SM-3DB8P 30-39 years, male 59.4
GTEX-ZF28-0126-SM-4WKGK 60-69 years, male 59.3
GTEX-11ZTT-2426-SM-5EQLS 60-69 years, female 58.9
GTEX-11WQK-0526-SM-5EQLD 50-59 years, male 58.6
GTEX-14XAO-2326-SM-6EU1B 60-69 years, female 58.3
GTEX-1OJC4-0126-SM-E9J2E 50-59 years, female 58.0
GTEX-13RTJ-2426-SM-5S2Q2 60-69 years, male 57.7
GTEX-1AYCT-2426-SM-7IGQ3 50-59 years, male 57.4
GTEX-1C6VQ-0126-SM-7P8RI 50-59 years, male 56.5
GTEX-13N1W-0126-SM-5K7VT 70-79 years, male 55.3
GTEX-VJWN-0126-SM-3GIK7 50-59 years, female 55.1
GTEX-OXRO-0126-SM-2YUN4 60-69 years, female 54.8
GTEX-11WQC-2526-SM-5CVLE 60-69 years, male 54.5
GTEX-1JMOU-1526-SM-CL54I 60-69 years, female 54.3
GTEX-YJ8A-0426-SM-5IFID 20-29 years, male 54.2
GTEX-1N2DV-0226-SM-E6CJ6 40-49 years, male 54.2
GTEX-OXRL-0126-SM-2YUMP 50-59 years, male 53.7
GTEX-12WSL-2526-SM-5GCNJ 50-59 years, male 53.4
GTEX-18D9B-0526-SM-7LTAS 60-69 years, male 53.2
GTEX-ZTPG-0326-SM-5O9AX 20-29 years, female 53.0
GTEX-1F48J-0126-SM-7P8TT 50-59 years, female 52.9
GTEX-1IE54-0126-SM-CMKHW 40-49 years, female 52.7
GTEX-17MF6-0126-SM-7LG4F 40-49 years, male 52.4
GTEX-ZUA1-0126-SM-5GU76 40-49 years, male 52.1
GTEX-ZAJG-0126-SM-5HL94 50-59 years, female 51.5
GTEX-1R9K4-0126-SM-DTX9X 60-69 years, male 51.2
GTEX-14A6H-0126-SM-5QGPK 30-39 years, male 50.4
GTEX-14BIL-0126-SM-5SI92 50-59 years, male 50.3
GTEX-13NYC-0326-SM-E9J4S 60-69 years, male 49.8
GTEX-1PPH7-2326-SM-EVYB8 40-49 years, male 49.8
GTEX-1GN1W-0526-SM-9MQJQ 50-59 years, female 49.5
GTEX-ZVE2-0226-SM-59HJB 50-59 years, male 49.3
GTEX-1AMEY-1326-SM-73KYK 30-39 years, female 49.0
GTEX-1HUB1-0426-SM-E9U4U 60-69 years, male 48.2
GTEX-113IC-0126-SM-5HL6T 60-69 years, male 48.0
GTEX-V1D1-2226-SM-3NMAX 50-59 years, male 47.5
GTEX-14PHW-0126-SM-6LLJI 60-69 years, female 47.0
GTEX-144GN-2326-SM-5LU4F 50-59 years, male 46.5
GTEX-1M4P7-0226-SM-DIPEV 60-69 years, male 46.3
GTEX-15UF6-0826-SM-6PALJ 70-79 years, female 45.6
GTEX-15UKP-0426-SM-7KUFQ 20-29 years, male 45.5
GTEX-146FH-0126-SM-5QGPP 50-59 years, female 44.9
GTEX-14E6C-0126-SM-5RQIP 40-49 years, male 44.8
GTEX-PLZ4-0126-SM-5SI8O 50-59 years, female 44.8
GTEX-14PK6-1926-SM-6ETZU 70-79 years, female 43.9
GTEX-148VJ-0126-SM-5TDDN 70-79 years, male 43.5
GTEX-16XZY-2126-SM-79OK1 70-79 years, male 43.0
GTEX-139T4-0226-SM-5HL5S 50-59 years, female 42.5
GTEX-WOFL-0126-SM-3MJG2 60-69 years, male 41.8
GTEX-11O72-0126-SM-59887 40-49 years, male 41.5
GTEX-11TTK-0126-SM-5987B 60-69 years, female 39.3
GTEX-1IDFM-0126-SM-COH2V 60-69 years, male 38.6
GTEX-1PBJI-0526-SM-E8VNK 20-29 years, female 38.2
GTEX-1RLM8-2326-SM-EWRN4 50-59 years, male 37.9
GTEX-1I1GU-2226-SM-CGQFA 40-49 years, male 37.2
GTEX-15D1Q-0126-SM-7KUG6 40-49 years, male 37.1
GTEX-11ZUS-0626-SM-59885 30-39 years, male 34.2
GTEX-12WSN-5019-SM-79OM6 40-49 years, male 34.1
GTEX-1C6VS-0526-SM-7DUEN 60-69 years, male 34.1
GTEX-1HBPH-0426-SM-B2LW5 40-49 years, female 33.6
GTEX-1HSMO-0126-SM-CL547 60-69 years, male 33.4
GTEX-1A3MW-0126-SM-73KXX 60-69 years, female 33.2
GTEX-X62O-0126-SM-4E3JN 50-59 years, male 32.7
GTEX-1F75I-0326-SM-9YFLU 40-49 years, male 32.5
GTEX-RUSQ-1526-SM-2TF62 50-59 years, male 31.8
GTEX-15EOM-0126-SM-7KUGG 20-29 years, female 31.4
GTEX-ZZPT-0226-SM-5E43X 50-59 years, male 31.0
GTEX-14JIY-0126-SM-6LLH6 60-69 years, male 26.5
GTEX-X4XY-0226-SM-4E3IZ 60-69 years, male 25.9
GTEX-1R9PO-2126-SM-E9J4O 60-69 years, female 24.0
GTEX-1QW4Y-1526-SM-EAZ3Z 30-39 years, male 20.1
GTEX-SE5C-1626-SM-2XCE3 40-49 years, female 19.4
GTEX-183WM-0126-SM-7LTAB 70-79 years, female 19.3
GTEX-1QP67-1626-SM-EAZ3X 40-49 years, female 18.3
GTEX-146FR-1326-SM-E9J48 60-69 years, female 16.4
GTEX-U4B1-1826-SM-4DXSU 40-49 years, male 15.9
GTEX-1RAZQ-0726-SM-EAZ43 30-39 years, male 13.2
Show allShow less

Contact

  • NEWS ARTICLES
  • PRESS ROOM

The Project

  • INTRODUCTION
  • ORGANIZATION
  • PUBLICATIONS

The Human Protein Atlas

  • DOWNLOADABLE DATA
  • LICENCE & CITATION
  • HELP & FAQ
The Human Protein Atlas project is funded
by the Knut & Alice Wallenberg Foundation.


contact@proteinatlas.org