We use cookies to enhance the usability of our website. If you continue, we'll assume that you are happy to receive all cookies. More information. Don't show this again.
RNASEH2C
HPA
RESOURCES
  • TISSUE
  • BRAIN
  • SINGLE CELL
  • SUBCELLULAR
  • CANCER
  • BLOOD
  • CELL LINE
  • STRUCTURE & INTERACTION
ABOUT
  • INTRODUCTION
  • HISTORY
  • ORGANIZATION
  • PUBLICATIONS
  • ANTIBODY SUBMISSION
  • ANTIBODY AVAILABILITY
  • ACKNOWLEDGMENTS
  • CONTACT
NEWS
  • NEWS ARTICLES
  • PRESS ROOM
LEARN
  • DICTIONARY
  • PROTEIN CLASSES
  • PROTEIN EVIDENCE
  • METHODS
  • EDUCATIONAL VIDEOS
DATA
  • DOWNLOADABLE DATA
  • PUBLICATION DATA
  • RELEASE HISTORY
HELP
  • ANTIBODY VALIDATION
  • ASSAYS & ANNOTATION
  • DISCLAIMER
  • HELP & FAQ
  • PRIVACY STATEMENT
  • LICENCE & CITATION
Fields »
Search result

Field
Term
Gene name
Class
Subclass
Class
Keyword
Chromosome
External id
Tissue
Cell type
Expression
Antibody panel
Tissue
Main location
Patient ID
Annotation
Tissue
Category
Tau score
Cluster
Reliability
Brain region
Category
Tau score
Brain region
Category
Tau score
Brain region
Category
Tau score
Cluster
Reliability
Tissue
Cell type
Enrichment
Cell type
Category
Tau score
Cell type
Category
Tau score
Cell type
Category
Tau score
Cell lineage
Category
Tau score
Cluster
Cluster
Location
Searches
Location
Cell line
Class
Type
Phase
Reliability
Cancer
Prognosis
Cancer
Category
Cancer
Category
Tau score
Cluster
Variants
Interacting gene (ensg_id)
Type
Number of interactions
Pathway
Category
Score
Score
Score
Validation
Validation
Validation
Validation
Antibodies
Data type
Column


  • SUMMARY

  • TISSUE

  • BRAIN

  • SINGLE CELL

  • SUBCELL

  • CANCER

  • BLOOD

  • CELL LINE

  • STRUCT & INT

  • RNASEH2C
TISSUE PRIMARY DATA SKIN Show tissue menu
ADIPOSE TISSUE ADRENAL GLAND AMYGDALA APPENDIX BASAL GANGLIA BONE MARROW BREAST BRONCHUS CEREBELLUM CEREBRAL CORTEX CERVIX CHOROID PLEXUS COLON DUODENUM
ENDOMETRIUM EPIDIDYMIS ESOPHAGUS FALLOPIAN TUBE GALLBLADDER HEART MUSCLE HIPPOCAMPAL FORMATION HYPOTHALAMUS KIDNEY LIVER LUNG LYMPH NODE MIDBRAIN NASOPHARYNX
ORAL MUCOSA OVARY PANCREAS PARATHYROID GLAND PITUITARY GLAND PLACENTA PROSTATE RECTUM RETINA SALIVARY GLAND SEMINAL VESICLE SKELETAL MUSCLE SKIN SMALL INTESTINE
SMOOTH MUSCLE SOFT TISSUE SPINAL CORD SPLEEN STOMACH TESTIS THYMUS THYROID GLAND TONGUE TONSIL URINARY BLADDER VAGINA
ANTIBODIES
AND
VALIDATION
Dictionary
Skin
Tissue proteome
Skin
SKIN - Expression summary
Protein expression
Skini

On the top, protein expression in current human tissue, based on all annotated cell types, is reported with the units not detected (n), low (l), medium (m) and high (h). Underneath, protein expression in each annotated cell type are reported using the same units.

Protein expression data is based on knowledge-based annotation. For genes where more than one antibody has been used, a collective score is set.

If knowledge-based annotation could not be performed for a gene, no data is displayed here. View antibody staining data further down this page.

h
m
l
n
Cells in basal layer: Medium
Cells in corneal layer: Not detected
Cells in granular layer: Not detected
Cells in spinous layer: Low
Endothelial cells: Medium
Extracellular matrix: Not detected
Fibrohistiocytic cells: Low
Langerhans cells: Low
Lymphocytes: High
Melanocytes: Medium
Vascular mural cells: Not detected
RNA expressioni

A summary of mRNA expression data available for current tissue based on several datasets. The mRNA expression levels in human tissues are based on RNA-seq data generated by the Human Protein Atlas (HPA), Genotype-Tissue Expression (GTEx) portal and CAGE data generated by the FANTOM5 consortium. Consensus normalized expression levels for human tissues was created by combining the data from HPA and GTEx datasets.

The mRNA expression levels in pig are based on RNA-seq data generated by the Human Protein Atlas (HPA), and for mouse, HPA data and in situ hybridization generated by the Allen brain atlas are reported.

Scroll down to view mRNA expression data in more detail.
Consensus:11.5 nTPM
HPA:10.5 nTPM
GTEx:11.5 nTPM

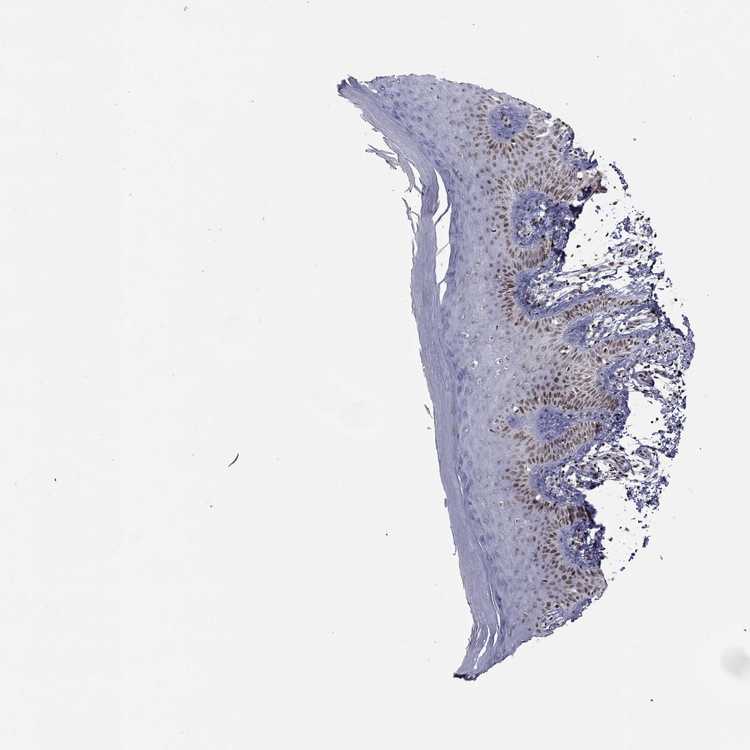
SKIN 1 - Antibody stainingi

Antibody staining in the annotated cell types in the current human tissue is reported as not detected, low, medium, or high, based on conventional immunohistochemistry profiling in selected tissues. This score is based on the combination of the staining intensity and fraction of stained cells.

Each image is clickable and will lead to virtual microscopy that enables deeper exploration of all samples and also displays staining intensity scores, fraction scores and subcellular localization as well as patient and tissue information for each sample.

Antibody HPA065375
Cells in basal layer Medium
Cells in corneal layer Not detected
Cells in granular layer Not detected
Cells in spinous layer Low
Endothelial cells Medium
Extracellular matrix Not detected
Fibrohistiocytic cells Low
Langerhans cells Low
Lymphocytes Medium
Melanocytes Low
Vascular mural cells Not detected


SKIN 2 - Antibody stainingi

Antibody staining in the annotated cell types in the current human tissue is reported as not detected, low, medium, or high, based on conventional immunohistochemistry profiling in selected tissues. This score is based on the combination of the staining intensity and fraction of stained cells.

Each image is clickable and will lead to virtual microscopy that enables deeper exploration of all samples and also displays staining intensity scores, fraction scores and subcellular localization as well as patient and tissue information for each sample.

Antibody HPA065375
Cells in basal layer Medium
Cells in corneal layer Not detected
Cells in granular layer Not detected
Cells in spinous layer Low
Endothelial cells Medium
Extracellular matrix Not detected
Fibrohistiocytic cells Low
Langerhans cells Low
Lymphocytes High
Melanocytes Medium
Vascular mural cells Not detected



SKIN - HPA RNA-seqi

The RNA-seq details section shows detailed information about the individual samples used for the transcript profiling and results of the RNA-seq analysis.

Information about each individual sample is listed below, including gender, age, a tissue section image and estimated fractions of cell types. nTPM (normalized transcripts per million) values give a quantification of the gene abundance which is comparable between different genes and samples.
Average nTPMi

Max subtype nTPM is the value for the subtype with the largest average nTPM across the subtype samples.

10.5
overview
Female, age 34
Skin sample 225
nTPM: 7.7
Cell types%
Keratinocytes:
60

Other cell types:
40

overview
Female, age 30
Skin sample 226
nTPM: 8.3
Cell types%
Keratinocytes:
55

Other cell types:
45

N/A
Male, age 57
Skin sample 227
nTPM: 15.6

SKIN - GTEx RNA-seqi

RNA-Seq data generated by the Genotype-Tissue Expression (GTEx) project from human tissues is reported as mean nTPM. More information can be found on the GTEx portal.

Distribution across the dataset is visualized with box plots, shown as median and 25th and 75th percentiles. Points are displayed as outliers if they are above or below 1.5 times the interquartile range. nTPM values of the individual samples are presented next to the box plot.
Max subtype nTPMi

Max subtype nTPM is the value for the subtype with the largest average nTPM across the subtype samples.

11.5
GTEx sample id Sample description nTPM
Skin - Not Sun Exposed (Suprapubic)
Average nTPM: 11.5
Samples: 604

Max nTPM: 27.9
Min nTPM: 3.8
Std nTPM: 3.8
Median nTPM: 10.9
GTEX-1399R-1326-SM-5PNYS 30-39 years, male 27.9
GTEX-1K2DA-1026-SM-CGQGF 50-59 years, male 26.1
GTEX-132AR-0326-SM-5KM2C 50-59 years, female 24.0
GTEX-1RMOY-1326-SM-E9TIH 50-59 years, male 22.8
GTEX-ZVE1-0726-SM-51MRN 50-59 years, female 22.4
GTEX-12WSA-0426-SM-5EQ5X 60-69 years, male 22.0
GTEX-16MT9-0126-SM-7EPI8 60-69 years, female 22.0
GTEX-15RIG-0726-SM-7KUM7 40-49 years, male 21.9
GTEX-XBEC-0726-SM-4QARZ 50-59 years, male 21.9
GTEX-ZPCL-1126-SM-4WWFE 60-69 years, female 21.4
GTEX-XV7Q-1826-SM-4BRUV 40-49 years, female 21.3
GTEX-1I4MK-0126-SM-CY8G6 50-59 years, female 20.9
GTEX-ZZPU-0826-SM-5GZX5 50-59 years, female 20.8
GTEX-1H23P-0626-SM-9WG6T 60-69 years, male 20.8
GTEX-14PHY-1226-SM-5ZZWK 60-69 years, female 20.7
GTEX-1R9PN-0426-SM-DTXDT 40-49 years, female 20.5
GTEX-1HCU8-2526-SM-CE6RX 60-69 years, female 20.2
GTEX-1LBAC-0826-SM-CY8IJ 20-29 years, male 19.9
GTEX-1IDJV-0126-SM-COH3Y 60-69 years, male 19.7
GTEX-1IDJU-1726-SM-CMKHU 60-69 years, female 19.5
GTEX-ZP4G-1426-SM-4WWCL 20-29 years, female 19.3
GTEX-1K9T9-1526-SM-DIPFR 50-59 years, female 19.3
GTEX-ZTSS-1426-SM-5985P 40-49 years, male 19.2
GTEX-1ICG6-1226-SM-A9SLN 70-79 years, female 19.2
GTEX-15CHR-1126-SM-7EWF4 50-59 years, male 19.1
GTEX-17JCI-2926-SM-7DUFF 60-69 years, female 18.9
GTEX-14E6E-0526-SM-793DN 30-39 years, male 18.8
GTEX-1AMEY-0826-SM-72D65 30-39 years, female 18.7
GTEX-XUW1-0926-SM-4BONX 50-59 years, female 18.7
GTEX-11DZ1-2426-SM-5GZZX 50-59 years, male 18.3
GTEX-1OJC4-2726-SM-E76PJ 50-59 years, female 18.2
GTEX-16Z82-2626-SM-7KULU 60-69 years, male 17.9
GTEX-ZYFG-1526-SM-5GZYM 60-69 years, female 17.9
GTEX-14PK6-0226-SM-62LF5 70-79 years, female 17.8
GTEX-Y5V6-2326-SM-4VDSA 60-69 years, male 17.8
GTEX-111FC-2526-SM-5GZXU 60-69 years, male 17.7
GTEX-1313W-0626-SM-5EQ4H 50-59 years, female 17.7
GTEX-X3Y1-2026-SM-3P5YM 40-49 years, male 17.7
GTEX-1LVAM-0726-SM-E6CIL 50-59 years, female 17.6
GTEX-1399S-0126-SM-5IJCF 30-39 years, female 17.5
GTEX-WI4N-2726-SM-3LK7Y 40-49 years, female 17.5
GTEX-1HSGN-0826-SM-ACKW3 40-49 years, female 17.5
GTEX-1QCLZ-2426-SM-EVYBW 60-69 years, female 17.5
GTEX-15CHC-1126-SM-6LLHQ 60-69 years, female 17.4
GTEX-1S82U-1026-SM-E6CJK 30-39 years, female 17.4
GTEX-11TT1-1826-SM-5EQLV 20-29 years, male 17.3
GTEX-XYKS-1426-SM-4BRUO 60-69 years, female 17.1
GTEX-ZU9S-1826-SM-5NQ9E 30-39 years, male 17.1
GTEX-1CAMQ-1326-SM-7P8RV 40-49 years, male 17.1
GTEX-16MTA-0926-SM-6M47Z 50-59 years, male 17.0
GTEX-XQ8I-0926-SM-4BOOF 50-59 years, male 17.0
GTEX-1F88F-0126-SM-9WYSZ 60-69 years, female 17.0
GTEX-1117F-2926-SM-5GZYI 60-69 years, female 16.9
GTEX-13NYS-0626-SM-5L3F1 60-69 years, male 16.9
GTEX-1PIGE-1826-SM-E8VOU 20-29 years, male 16.9
GTEX-13JVG-0726-SM-5KM16 60-69 years, male 16.8
GTEX-1HBPN-0126-SM-CGQEF 50-59 years, male 16.8
GTEX-1212Z-0126-SM-59HK4 60-69 years, male 16.7
GTEX-XXEK-1626-SM-4BRUZ 50-59 years, male 16.7
GTEX-14PJ6-2626-SM-6EU2T 60-69 years, female 16.5
GTEX-11OF3-0126-SM-5PNYF 60-69 years, male 16.4
GTEX-1B8KE-1126-SM-7EPHI 50-59 years, male 16.4
GTEX-117YX-1926-SM-5GIEC 50-59 years, male 16.3
GTEX-145LT-0526-SM-5LUB2 40-49 years, male 16.3
GTEX-17HG3-2626-SM-7DUF2 30-39 years, female 16.3
GTEX-WYJK-0526-SM-3NM8Z 50-59 years, male 16.3
GTEX-ZWKS-0626-SM-5GIDV 30-39 years, male 16.3
GTEX-ZYY3-2926-SM-5GIEB 60-69 years, female 16.3
GTEX-15FZZ-0526-SM-7KUGD 30-39 years, female 16.2
GTEX-YB5K-2026-SM-4VDT3 40-49 years, female 16.2
GTEX-ZVZP-1226-SM-5GID7 50-59 years, male 16.2
GTEX-V1D1-2026-SM-3GAF4 50-59 years, male 16.1
GTEX-ZPU1-1126-SM-4YCF3 40-49 years, male 16.1
GTEX-111VG-1626-SM-5EGIO 60-69 years, male 16.0
GTEX-13O3Q-0126-SM-5KM34 50-59 years, male 16.0
GTEX-17EVP-2626-SM-7IGMA 40-49 years, male 15.9
GTEX-1H1E6-0426-SM-9WYUS 30-39 years, male 15.9
GTEX-XQ3S-1426-SM-4BOPR 20-29 years, male 15.8
GTEX-YFCO-1226-SM-5LUAT 40-49 years, male 15.8
GTEX-1A3MX-2626-SM-7PC24 60-69 years, male 15.8
GTEX-1H1DE-1326-SM-9KNUG 20-29 years, male 15.8
GTEX-1S3DN-2126-SM-E9TIN 50-59 years, male 15.8
GTEX-X4EP-0626-SM-3P621 60-69 years, female 15.7
GTEX-XAJ8-1426-SM-47JYM 40-49 years, male 15.7
GTEX-1C6VR-0126-SM-7RHGB 60-69 years, male 15.7
GTEX-ZAK1-0626-SM-5HL8E 50-59 years, female 15.6
GTEX-ZVTK-0226-SM-51MRG 20-29 years, male 15.6
GTEX-1KD5A-0126-SM-E9U54 50-59 years, male 15.6
GTEX-13NZ8-1226-SM-5KM4A 60-69 years, female 15.5
GTEX-ZVP2-0326-SM-57WBP 50-59 years, male 15.5
GTEX-1CB4I-0126-SM-7RHGG 50-59 years, male 15.5
GTEX-1I1GT-1026-SM-ARZLV 60-69 years, female 15.5
GTEX-1PPH7-1126-SM-DTX9A 40-49 years, male 15.5
GTEX-13NZ9-2626-SM-5L3FK 50-59 years, male 15.4
GTEX-1CB4E-0926-SM-7EPHT 60-69 years, male 15.4
GTEX-ZLWG-0826-SM-59888 50-59 years, female 15.4
GTEX-1GZ4H-0526-SM-9KNU9 50-59 years, female 15.4
GTEX-1LSNM-0826-SM-DIPG8 50-59 years, male 15.4
GTEX-13SLX-2226-SM-62LEP 50-59 years, female 15.3
GTEX-1B932-2326-SM-79OL5 40-49 years, female 15.3
GTEX-13OW8-1026-SM-5J1NQ 60-69 years, male 15.2
GTEX-13W3W-0726-SM-5IJDQ 60-69 years, female 15.2
GTEX-ZF2S-1626-SM-57WES 50-59 years, female 15.2
GTEX-1GF9X-1326-SM-7PC2Y 40-49 years, female 15.1
GTEX-1J1R8-2026-SM-CL53Y 40-49 years, male 15.1
GTEX-1KXAM-1626-SM-D3LAD 60-69 years, male 15.1
GTEX-11VI4-1126-SM-5EQMD 40-49 years, female 15.0
GTEX-11WQK-1026-SM-5EQLX 50-59 years, male 15.0
GTEX-14PKV-1126-SM-6LLJ1 20-29 years, female 15.0
GTEX-ZT9X-1526-SM-5DUXD 40-49 years, male 15.0
GTEX-1IDJD-2326-SM-ACKWX 30-39 years, male 15.0
GTEX-1KANA-1326-SM-DIPFA 20-29 years, male 15.0
GTEX-ZF3C-0626-SM-DO92O 50-59 years, female 15.0
GTEX-11EQ8-0926-SM-5H12V 60-69 years, male 14.9
GTEX-14AS3-1526-SM-5Q5ED 40-49 years, female 14.9
GTEX-17HHE-1326-SM-7EWDZ 50-59 years, male 14.9
GTEX-1C2JI-1026-SM-73KY1 50-59 years, male 14.9
GTEX-Y5V5-0126-SM-5S2NW 60-69 years, female 14.9
GTEX-ZLFU-1826-SM-4WWBV 40-49 years, male 14.9
GTEX-16AAH-0626-SM-793C9 50-59 years, male 14.8
GTEX-Y9LG-1126-SM-4VBQ7 30-39 years, male 14.8
GTEX-1HB9E-0126-SM-CM2S5 50-59 years, male 14.8
GTEX-1IKOE-1426-SM-CE6T7 30-39 years, female 14.8
GTEX-1JN76-0626-SM-CKZOQ 20-29 years, female 14.7
GTEX-1QP2A-1726-SM-E76QC 50-59 years, male 14.7
GTEX-1AX8Z-0726-SM-73KTS 60-69 years, male 14.6
GTEX-1LVAN-0626-SM-CNPOQ 50-59 years, female 14.6
GTEX-17EVQ-0126-SM-7IGLR 70-79 years, male 14.5
GTEX-WXYG-2026-SM-4E3IY 50-59 years, female 14.5
GTEX-1POEN-2326-SM-E9J2L 30-39 years, female 14.5
GTEX-11NSD-0626-SM-5A5LU 20-29 years, male 14.4
GTEX-11ZTT-2126-SM-5CVLO 60-69 years, female 14.4
GTEX-13FTX-1526-SM-5K7VJ 20-29 years, female 14.4
GTEX-13QJC-0126-SM-5ZZWJ 60-69 years, female 14.4
GTEX-ZA64-1026-SM-5HL8R 20-29 years, male 14.4
GTEX-1IDJI-0126-SM-CMKHS 50-59 years, female 14.4
GTEX-11LCK-2226-SM-5HL4Q 30-39 years, male 14.3
GTEX-16GPK-0626-SM-7KFSF 60-69 years, male 14.3
GTEX-1CAMR-1326-SM-7PC1F 20-29 years, male 14.3
GTEX-11DXZ-2026-SM-5987S 50-59 years, male 14.2
GTEX-1GMR2-0826-SM-7PC3V 50-59 years, male 14.2
GTEX-1HFI7-2326-SM-CGQFS 50-59 years, female 14.2
GTEX-1K2DU-1226-SM-CYPT4 20-29 years, male 14.2
GTEX-1KANB-2826-SM-CY8I6 50-59 years, male 14.2
GTEX-1S82P-2126-SM-E6CI5 60-69 years, female 14.2
GTEX-11GS4-0226-SM-5HL77 60-69 years, male 14.1
GTEX-14DAQ-0626-SM-793DS 60-69 years, female 14.1
GTEX-13U4I-2226-SM-5LU5H 40-49 years, female 14.0
GTEX-145MO-2826-SM-5LU96 60-69 years, male 14.0
GTEX-1CAMS-2226-SM-7PBXQ 40-49 years, female 14.0
GTEX-1LG7Z-1626-SM-CXKYR 30-39 years, male 14.0
GTEX-11EM3-1226-SM-5N9DD 20-29 years, female 13.9
GTEX-15RIE-1926-SM-7KUKJ 60-69 years, male 13.9
GTEX-17F96-0126-SM-7EWDU 70-79 years, male 13.8
GTEX-1JKYN-0826-SM-ARU8S 30-39 years, male 13.8
GTEX-13OVK-1426-SM-6PAN7 40-49 years, male 13.7
GTEX-UPK5-0426-SM-3GAEK 40-49 years, male 13.7
GTEX-Y5LM-0926-SM-6LLJG 40-49 years, female 13.7
GTEX-ZVT2-0126-SM-5GIDQ 50-59 years, female 13.7
GTEX-1R7EU-1626-SM-DTXG3 60-69 years, male 13.7
GTEX-13VXU-0626-SM-5L3F9 50-59 years, male 13.6
GTEX-17HGU-2326-SM-7DUFE 50-59 years, male 13.6
GTEX-1GZ2Q-0126-SM-9WG6M 40-49 years, male 13.6
GTEX-1H1ZS-2726-SM-9WG75 70-79 years, male 13.6
GTEX-13FTW-0326-SM-5K7UW 40-49 years, male 13.5
GTEX-Y3IK-1626-SM-4YCF5 50-59 years, female 13.5
GTEX-Y8LW-1526-SM-5IFHL 50-59 years, female 13.5
GTEX-1GL5R-1326-SM-7RHHF 50-59 years, male 13.5
GTEX-1H3VE-0726-SM-9YFL5 40-49 years, male 13.5
GTEX-1HBPM-0726-SM-9YFL7 60-69 years, female 13.5
GTEX-1LKK1-2626-SM-DKPQE 50-59 years, female 13.5
GTEX-14BMU-1226-SM-5S2OR 20-29 years, female 13.4
GTEX-WYVS-1626-SM-3NM9R 40-49 years, female 13.4
GTEX-XPVG-2126-SM-4B667 50-59 years, male 13.4
GTEX-1JMQL-2226-SM-CNPP4 50-59 years, female 13.4
GTEX-VUSG-2326-SM-4KL1U 50-59 years, male 13.3
GTEX-ZDTT-0426-SM-4WKFL 60-69 years, male 13.3
GTEX-1F5PK-2226-SM-7SB6N 50-59 years, male 13.3
GTEX-1O9I2-0226-SM-EYYXD 50-59 years, male 13.3
GTEX-1S831-1826-SM-EWROF 20-29 years, male 13.3
GTEX-11DXX-2126-SM-5PNYR 60-69 years, female 13.2
GTEX-146FQ-2126-SM-5RQHU 30-39 years, male 13.2
GTEX-Y3I4-1726-SM-4TT89 50-59 years, male 13.2
GTEX-ZUA1-2626-SM-5NQ92 40-49 years, male 13.2
GTEX-18D9A-1426-SM-7LT8M 30-39 years, female 13.2
GTEX-1IOXB-2726-SM-CM2RI 50-59 years, male 13.2
GTEX-1JK1U-0226-SM-ARZMX 60-69 years, male 13.2
GTEX-11GSP-2326-SM-5HL63 60-69 years, female 13.1
GTEX-11PRG-0726-SM-5EGL1 50-59 years, male 13.1
GTEX-13JUV-2026-SM-5K7UA 40-49 years, female 13.1
GTEX-XBEW-1126-SM-4QARW 40-49 years, male 13.1
GTEX-1122O-1026-SM-9WYSF 60-69 years, female 13.1
GTEX-1QEPI-2626-SM-DTXF4 60-69 years, female 13.1
GTEX-ZPIC-0526-SM-DO91W 40-49 years, female 13.1
GTEX-14ABY-2026-SM-62LDL 50-59 years, male 13.0
GTEX-ZE7O-2726-SM-51MT5 50-59 years, female 13.0
GTEX-ZT9W-1126-SM-57WDR 50-59 years, male 13.0
GTEX-1HFI6-0126-SM-CNPPI 40-49 years, male 13.0
GTEX-13N2G-0226-SM-5K7VF 60-69 years, male 12.9
GTEX-1AMFI-1326-SM-7939R 50-59 years, female 12.9
GTEX-ZDXO-3126-SM-5IJDF 60-69 years, male 12.9
GTEX-1H1DG-2426-SM-9QEHJ 70-79 years, male 12.9
GTEX-ZLV1-1526-SM-DO91J 60-69 years, female 12.9
GTEX-13113-1626-SM-5EQ4I 60-69 years, female 12.8
GTEX-145ME-1726-SM-5Q5EU 40-49 years, female 12.8
GTEX-18D9B-0926-SM-7LG4U 60-69 years, male 12.8
GTEX-WY7C-2126-SM-3NB2R 50-59 years, male 12.8
GTEX-ZE9C-2526-SM-5IJDR 60-69 years, male 12.8
GTEX-1I6K6-1726-SM-CGQFD 30-39 years, male 12.8
GTEX-1QPFJ-1926-SM-EVYBD 30-39 years, female 12.8
GTEX-ZGAY-1826-SM-DO91Q 40-49 years, female 12.8
GTEX-11EI6-2826-SM-5H11D 60-69 years, male 12.7
GTEX-12BJ1-0926-SM-5EQ62 60-69 years, male 12.7
GTEX-145MN-1526-SM-5SI9T 30-39 years, male 12.7
GTEX-XOT4-0626-SM-4B66L 60-69 years, female 12.7
GTEX-1J8QM-2426-SM-A9SLS 60-69 years, female 12.7
GTEX-1JJ6O-2726-SM-CNPOG 60-69 years, male 12.7
GTEX-1R9PM-1926-SM-EVR3O 20-29 years, male 12.7
GTEX-13PVR-0426-SM-5RQK2 60-69 years, female 12.6
GTEX-13VXT-1926-SM-5K7UO 20-29 years, female 12.6
GTEX-11P81-2226-SM-5PNYI 30-39 years, female 12.5
GTEX-14PJ4-0226-SM-5YY92 60-69 years, male 12.5
GTEX-16YQH-2226-SM-7IGM2 30-39 years, male 12.5
GTEX-XK95-0226-SM-4AT58 40-49 years, male 12.5
GTEX-1F6RS-2026-SM-7RHHC 60-69 years, female 12.5
GTEX-1ICLZ-0326-SM-ARL82 60-69 years, male 12.5
GTEX-1MCC2-1826-SM-DIPEX 30-39 years, female 12.5
GTEX-1399Q-2326-SM-5KM2X 40-49 years, male 12.4
GTEX-18QFQ-1826-SM-72D52 30-39 years, male 12.4
GTEX-11UD2-2526-SM-5CVNU 50-59 years, male 12.3
GTEX-13FH7-1126-SM-5K7UG 50-59 years, female 12.3
GTEX-1JN6P-2926-SM-CL54D 60-69 years, male 12.3
GTEX-1S83E-1326-SM-E6CJM 40-49 years, male 12.3
GTEX-1EKGG-0626-SM-7DUGJ 60-69 years, male 12.2
GTEX-ZDYS-2426-SM-4WKGI 50-59 years, male 12.2
GTEX-1H2FU-0926-SM-9WPPT 60-69 years, female 12.2
GTEX-1J8JJ-0626-SM-ARZMQ 60-69 years, female 12.2
GTEX-YEC3-1326-SM-DO92X 50-59 years, male 12.2
GTEX-13OW7-0426-SM-5K7VK 50-59 years, male 12.1
GTEX-13X6H-0926-SM-5SIB2 50-59 years, female 12.1
GTEX-147GR-2426-SM-5ZZWQ 60-69 years, male 12.1
GTEX-WFG8-2126-SM-3GIKQ 20-29 years, male 12.1
GTEX-1H11D-1826-SM-9QEHM 40-49 years, male 12.1
GTEX-1RAZQ-1326-SM-E9TK6 30-39 years, male 12.1
GTEX-13O61-1426-SM-5KM3D 60-69 years, male 12.0
GTEX-13OVL-0126-SM-5L3GJ 50-59 years, male 12.0
GTEX-111CU-1126-SM-5EGIM 50-59 years, male 11.9
GTEX-11ZUS-2626-SM-5FQUR 30-39 years, male 11.9
GTEX-1269C-0126-SM-5EQ5L 60-69 years, female 11.9
GTEX-12WSJ-1126-SM-5LZVJ 40-49 years, female 11.9
GTEX-14XAO-1226-SM-6EU1C 60-69 years, female 11.9
GTEX-17KNJ-2126-SM-718AM 50-59 years, male 11.8
GTEX-183WM-0326-SM-72D5V 70-79 years, female 11.8
GTEX-11P82-1426-SM-DTXFY 20-29 years, male 11.8
GTEX-1HCUA-0826-SM-ADEHM 50-59 years, female 11.8
GTEX-1I1HK-2326-SM-CKZOH 60-69 years, male 11.8
GTEX-1MCYP-0526-SM-E9U6Q 20-29 years, female 11.8
GTEX-1192X-2726-SM-5N9DN 50-59 years, male 11.7
GTEX-16XZZ-0726-SM-7KUF2 60-69 years, male 11.7
GTEX-1F75W-2726-SM-7SB8H 60-69 years, male 11.7
GTEX-1QP29-1826-SM-DTX9S 50-59 years, male 11.7
GTEX-14A5H-0826-SM-5QGPJ 60-69 years, male 11.6
GTEX-145LS-0626-SM-7EPG7 60-69 years, female 11.5
GTEX-15D1Q-2826-SM-6LLH7 40-49 years, male 11.5
GTEX-1A8G7-1326-SM-73KVM 60-69 years, male 11.5
GTEX-WHPG-2626-SM-3NMBR 50-59 years, male 11.5
GTEX-139T8-0626-SM-5KLZX 60-69 years, male 11.4
GTEX-145MF-0926-SM-5Q5EA 50-59 years, male 11.4
GTEX-147F3-1726-SM-5SIAW 50-59 years, female 11.4
GTEX-15G19-2426-SM-7KUMR 60-69 years, male 11.4
GTEX-WRHU-2826-SM-3MJG8 50-59 years, female 11.4
GTEX-11NUK-2726-SM-5A5MC 50-59 years, male 11.3
GTEX-139D8-1126-SM-5LU8W 30-39 years, female 11.3
GTEX-1477Z-0326-SM-7IGLA 60-69 years, male 11.3
GTEX-14LLW-2626-SM-62LDZ 70-79 years, female 11.3
GTEX-1CB4H-1126-SM-7MKGL 60-69 years, female 11.3
GTEX-1HGF4-0126-SM-CNPPX 60-69 years, male 11.3
GTEX-1LG7Y-2526-SM-EWRO7 50-59 years, male 11.3
GTEX-183FY-1026-SM-7939A 20-29 years, male 11.2
GTEX-1EWIQ-0326-SM-7DHMQ 70-79 years, female 11.2
GTEX-U8XE-0226-SM-4E3J3 30-39 years, male 11.2
GTEX-WHSB-1326-SM-3LK6W 50-59 years, male 11.2
GTEX-1IDJC-1526-SM-B2LW4 50-59 years, male 11.2
GTEX-178AV-1726-SM-7KUL8 40-49 years, male 11.1
GTEX-17MFQ-1526-SM-7KFRR 20-29 years, male 11.1
GTEX-1C475-1326-SM-7SB73 40-49 years, female 11.1
GTEX-1JMOU-1026-SM-CYPSS 60-69 years, female 11.1
GTEX-1LSNL-2726-SM-E9TKJ 50-59 years, male 11.1
GTEX-111YS-1526-SM-5GZYW 60-69 years, male 11.0
GTEX-12WSC-2826-SM-5BC5Y 50-59 years, male 11.0
GTEX-12WSF-1626-SM-7KUG5 70-79 years, male 11.0
GTEX-13IVO-0726-SM-5LZYV 70-79 years, male 11.0
GTEX-1CAV2-0126-SM-7IGN7 40-49 years, female 11.0
GTEX-1EN7A-2426-SM-793DB 40-49 years, male 11.0
GTEX-YF7O-1526-SM-5IFI6 50-59 years, male 11.0
GTEX-1I6K7-1926-SM-B2LXR 40-49 years, male 11.0
GTEX-1LB8K-0726-SM-D5OV2 50-59 years, male 11.0
GTEX-1NSGN-0726-SM-DTXEF 50-59 years, male 11.0
GTEX-11P7K-1126-SM-5HL4L 30-39 years, male 10.9
GTEX-14PHX-2226-SM-6EU2P 50-59 years, male 10.9
GTEX-ZF29-0926-SM-4WKFZ 60-69 years, female 10.9
GTEX-ZTTD-2826-SM-4YCFA 50-59 years, male 10.9
GTEX-1PPH8-0126-SM-EWRN8 20-29 years, male 10.9
GTEX-1QP9N-1226-SM-E76QN 30-39 years, male 10.9
GTEX-11O72-0626-SM-5PNYE 40-49 years, male 10.8
GTEX-12ZZX-2426-SM-5GCOE 40-49 years, female 10.8
GTEX-14PJ2-0626-SM-6LLII 50-59 years, male 10.8
GTEX-14PJO-2526-SM-6AJBQ 60-69 years, male 10.8
GTEX-17F97-2626-SM-7IGM5 50-59 years, male 10.8
GTEX-1A3MW-0626-SM-731CB 60-69 years, female 10.8
GTEX-1F52S-2926-SM-7MKGA 60-69 years, female 10.8
GTEX-W5X1-2526-SM-3GILC 40-49 years, female 10.8
GTEX-ZVE2-2826-SM-5GU51 50-59 years, male 10.8
GTEX-1GF9U-2026-SM-7SB92 40-49 years, female 10.8
GTEX-1HR9M-2226-SM-CNPPY 60-69 years, male 10.8
GTEX-1L5NE-1126-SM-D3L9P 50-59 years, male 10.8
GTEX-1QW4Y-1126-SM-DTXE3 30-39 years, male 10.8
GTEX-14BIN-1126-SM-5RQJZ 50-59 years, female 10.7
GTEX-14E1K-2026-SM-7DUEI 50-59 years, male 10.7
GTEX-14LZ3-0126-SM-69LPM 60-69 years, female 10.7
GTEX-16NGA-0726-SM-731AO 40-49 years, female 10.7
GTEX-ZY6K-1426-SM-5GZX2 50-59 years, male 10.7
GTEX-1N2EE-0626-SM-E76PW 60-69 years, male 10.7
GTEX-X585-2426-SM-46MW2 50-59 years, male 10.6
GTEX-1HKZK-0726-SM-ACKW2 40-49 years, male 10.6
GTEX-12WSH-1526-SM-5BC5W 50-59 years, male 10.5
GTEX-1399U-1126-SM-5L3DB 50-59 years, female 10.5
GTEX-13FTY-2126-SM-5IFFB 40-49 years, female 10.5
GTEX-13OW6-2726-SM-5J2OE 50-59 years, male 10.5
GTEX-WK11-2726-SM-3NMAQ 50-59 years, male 10.5
GTEX-XMD2-2126-SM-4YCF8 60-69 years, female 10.5
GTEX-1HSMQ-2626-SM-A9SML 50-59 years, male 10.5
GTEX-1KANC-1226-SM-CYPT7 50-59 years, female 10.5
GTEX-1LGRB-0926-SM-COH3K 50-59 years, female 10.5
GTEX-1RAZR-2126-SM-E9U6T 40-49 years, male 10.5
GTEX-1RAZS-2526-SM-E6CHT 50-59 years, male 10.5
GTEX-131XH-0126-SM-5LZUY 50-59 years, male 10.4
GTEX-15CHQ-0326-SM-69LQD 60-69 years, male 10.4
GTEX-WEY5-2326-SM-3GIKK 40-49 years, female 10.4
GTEX-WFG7-2026-SM-5SI7P 20-29 years, male 10.4
GTEX-1KAFJ-0126-SM-DIPEK 50-59 years, male 10.4
GTEX-13NYB-0126-SM-5J1MD 40-49 years, male 10.3
GTEX-14BMV-2826-SM-5TDED 50-59 years, male 10.3
GTEX-UPJH-0226-SM-3GADV 50-59 years, male 10.3
GTEX-ZAB4-2126-SM-5HL8U 40-49 years, male 10.3
GTEX-1I19N-0126-SM-CYPSF 70-79 years, male 10.3
GTEX-1QP28-1126-SM-EVYC4 50-59 years, female 10.3
GTEX-13X6I-1826-SM-5SIAO 60-69 years, male 10.2
GTEX-17HHY-0426-SM-7DHLC 50-59 years, male 10.2
GTEX-WHWD-1826-SM-3LK6I 50-59 years, male 10.2
GTEX-Y114-2126-SM-4TT8B 50-59 years, female 10.2
GTEX-1B8L1-2226-SM-7P8PT 60-69 years, male 10.2
GTEX-1C64O-1326-SM-7MGWR 60-69 years, male 10.2
GTEX-1IDJE-1426-SM-ADEIW 50-59 years, female 10.2
GTEX-1LVAO-2726-SM-E9TJ8 60-69 years, male 10.2
GTEX-1QMI2-2526-SM-E8VNZ 60-69 years, male 10.2
GTEX-131YS-2826-SM-5EQ47 60-69 years, female 10.1
GTEX-14A6H-2026-SM-5Q5DD 30-39 years, male 10.1
GTEX-X5EB-1926-SM-4E3IW 40-49 years, male 10.1
GTEX-1F88E-1626-SM-7SB8Z 60-69 years, female 10.1
GTEX-1N2DV-1526-SM-DTXEP 40-49 years, male 10.1
GTEX-12584-0726-SM-5FQTK 40-49 years, male 10.0
GTEX-1314G-1326-SM-5BC6E 30-39 years, male 10.0
GTEX-13N11-2326-SM-5IJBF 50-59 years, female 10.0
GTEX-14JG1-1526-SM-5YY9X 40-49 years, male 10.0
GTEX-VJYA-1526-SM-3GIJV 60-69 years, male 10.0
GTEX-1H3O1-1326-SM-9MQLD 60-69 years, male 10.0
GTEX-1LGOU-1326-SM-D3L8M 20-29 years, female 10.0
GTEX-1RB15-1326-SM-E76Q9 60-69 years, male 10.0
GTEX-139YR-1026-SM-5LZYN 50-59 years, male 9.9
GTEX-13FHO-0426-SM-5L3F5 60-69 years, male 9.9
GTEX-145MI-0626-SM-5SI8S 60-69 years, female 9.9
GTEX-15EO6-2426-SM-6PALZ 50-59 years, male 9.9
GTEX-Y111-0626-SM-4SOIT 50-59 years, male 9.9
GTEX-1H1DF-1126-SM-9WG7G 40-49 years, female 9.9
GTEX-1J8EW-2726-SM-CY8HR 60-69 years, female 9.9
GTEX-131XG-0326-SM-5L3DX 50-59 years, female 9.8
GTEX-14C5O-0326-SM-5ZZUX 60-69 years, male 9.8
GTEX-18D9U-0126-SM-731BM 40-49 years, male 9.8
GTEX-1CB4F-1026-SM-7DUH1 60-69 years, male 9.8
GTEX-WFON-1926-SM-3LK7L 40-49 years, male 9.8
GTEX-Z93S-1626-SM-5CVMB 50-59 years, male 9.8
GTEX-ZTX8-1326-SM-4YCEL 20-29 years, male 9.8
GTEX-1GZ4I-2626-SM-9KNU3 50-59 years, male 9.8
GTEX-1H1CY-0126-SM-9YFLY 60-69 years, female 9.8
GTEX-1HCU7-0726-SM-A9SL1 50-59 years, male 9.8
GTEX-11DXY-0126-SM-5H11Q 60-69 years, male 9.7
GTEX-131XF-2626-SM-5EQ6K 60-69 years, male 9.7
GTEX-15EU6-2226-SM-6EU2L 50-59 years, male 9.7
GTEX-1AX9J-1326-SM-731BJ 60-69 years, male 9.7
GTEX-ZYW4-0626-SM-59HJR 60-69 years, male 9.7
GTEX-14JG6-1426-SM-9WG7C 30-39 years, female 9.7
GTEX-1GMR8-0626-SM-7RHI7 50-59 years, female 9.7
GTEX-1QAET-0326-SM-EVR3U 50-59 years, male 9.7
GTEX-1R46S-2426-SM-E76QA 60-69 years, female 9.7
GTEX-1RAZA-2226-SM-E9U4X 20-29 years, male 9.7
GTEX-13FLV-0126-SM-5K7WT 50-59 years, male 9.6
GTEX-14C39-1726-SM-5RQIL 40-49 years, male 9.6
GTEX-1B97I-0626-SM-73KUZ 40-49 years, male 9.6
GTEX-1ICLY-0826-SM-CMKG1 50-59 years, male 9.6
GTEX-1PPGY-1626-SM-EVYBL 60-69 years, male 9.6
GTEX-1211K-1526-SM-5FQU4 60-69 years, female 9.5
GTEX-12C56-1526-SM-5FQUQ 20-29 years, male 9.5
GTEX-13G51-1826-SM-5KLZH 60-69 years, male 9.5
GTEX-Y8E4-2026-SM-5IFJB 40-49 years, male 9.5
GTEX-1F6IF-0926-SM-7SB7M 60-69 years, male 9.5
GTEX-1HT8W-0626-SM-A9G2H 30-39 years, male 9.5
GTEX-1IDJF-2026-SM-CL53V 20-29 years, male 9.5
GTEX-1J8Q3-0526-SM-ARL8U 60-69 years, male 9.5
GTEX-13YAN-0226-SM-5TDC6 60-69 years, male 9.4
GTEX-14E6C-2426-SM-5S2NF 40-49 years, male 9.4
GTEX-14PJN-1826-SM-6AJ98 30-39 years, male 9.4
GTEX-15G1A-1626-SM-7KUKN 30-39 years, male 9.4
GTEX-1B996-0426-SM-7EWF8 60-69 years, male 9.4
GTEX-XBED-1926-SM-47JYP 60-69 years, male 9.4
GTEX-ZYFD-0626-SM-5E44E 50-59 years, male 9.4
GTEX-ZZ64-1026-SM-5GZXG 20-29 years, male 9.4
GTEX-1F5PL-0926-SM-7PC2W 40-49 years, female 9.4
GTEX-1IY9M-2826-SM-ARU8H 60-69 years, male 9.4
GTEX-145LU-1926-SM-79OJN 50-59 years, male 9.3
GTEX-14PJ3-1126-SM-5ZZVX 50-59 years, male 9.3
GTEX-18A66-0626-SM-7LT8Z 60-69 years, male 9.3
GTEX-18A7A-0126-SM-731AH 50-59 years, female 9.3
GTEX-18A7B-2726-SM-7LG56 70-79 years, male 9.3
GTEX-1H3NZ-2726-SM-9WYTQ 60-69 years, male 9.3
GTEX-1IL2V-1926-SM-B2LW8 70-79 years, male 9.3
GTEX-1QP66-1226-SM-DTX7U 50-59 years, male 9.3
GTEX-11DXW-0826-SM-5H118 40-49 years, male 9.2
GTEX-131XW-0626-SM-5PNVD 50-59 years, female 9.2
GTEX-139TS-2126-SM-5K7XC 60-69 years, male 9.2
GTEX-13SLW-0626-SM-5Q5ER 70-79 years, male 9.2
GTEX-15DDE-2926-SM-6LLJ3 50-59 years, female 9.2
GTEX-17F9E-2326-SM-79OKD 50-59 years, male 9.2
GTEX-1C6VQ-1226-SM-73KYD 50-59 years, male 9.2
GTEX-ZXG5-2126-SM-59HKD 60-69 years, male 9.2
GTEX-1HCU9-0426-SM-9WYSD 20-29 years, male 9.2
GTEX-1I1GS-2626-SM-B2LY3 60-69 years, male 9.2
GTEX-11ZU8-0126-SM-5EQ58 60-69 years, male 9.1
GTEX-139TT-2126-SM-5LZWC 60-69 years, male 9.1
GTEX-14PKU-0126-SM-6LLHV 40-49 years, female 9.1
GTEX-ZDTS-0826-SM-4WKHL 60-69 years, male 9.1
GTEX-1AYD5-2626-SM-7PBXY 50-59 years, male 9.1
GTEX-1EMGI-2326-SM-7PBYA 60-69 years, male 9.1
GTEX-1H4P4-2126-SM-9WYSL 50-59 years, male 9.1
GTEX-12126-0826-SM-5FQTZ 20-29 years, male 9.0
GTEX-139TU-0726-SM-5L3EK 60-69 years, male 9.0
GTEX-13OVH-0526-SM-5L3E6 70-79 years, male 9.0
GTEX-1GN1W-2426-SM-9KNUU 50-59 years, female 9.0
GTEX-1HSMO-0626-SM-ACKXC 60-69 years, male 9.0
GTEX-11DYG-1526-SM-5A5JS 60-69 years, male 8.9
GTEX-14PII-0726-SM-6EU2B 60-69 years, male 8.9
GTEX-X4EO-2926-SM-4E3JH 60-69 years, female 8.9
GTEX-1GN1V-2826-SM-9JGIA 60-69 years, male 8.9
GTEX-1PBJJ-1026-SM-E76OS 30-39 years, male 8.9
GTEX-133LE-2326-SM-5K7W3 20-29 years, female 8.8
GTEX-14C38-0726-SM-5SI6M 50-59 years, male 8.8
GTEX-1J1OQ-0126-SM-D4P2N 40-49 years, female 8.8
GTEX-1JMPY-0226-SM-CKZOK 30-39 years, male 8.8
GTEX-1JMQK-1226-SM-D4P2S 60-69 years, male 8.8
GTEX-11EQ9-1626-SM-5PNY8 30-39 years, male 8.7
GTEX-14B4R-1326-SM-5Q5EZ 30-39 years, male 8.7
GTEX-15UF6-1926-SM-7KUDV 70-79 years, female 8.7
GTEX-1GPI7-1826-SM-9KNU1 20-29 years, male 8.7
GTEX-13D11-0926-SM-5J2NC 50-59 years, female 8.6
GTEX-147F4-0726-SM-5TDDD 50-59 years, male 8.6
GTEX-14DAR-1226-SM-73KYV 50-59 years, male 8.6
GTEX-WH7G-2026-SM-3NMBL 40-49 years, male 8.6
GTEX-X8HC-0626-SM-4E3HQ 50-59 years, female 8.6
GTEX-12WSL-2026-SM-5GCML 50-59 years, male 8.5
GTEX-18465-2826-SM-7LT9J 50-59 years, male 8.5
GTEX-1GF9V-0826-SM-9KNUV 60-69 years, male 8.5
GTEX-1HC8U-1326-SM-9YFMJ 40-49 years, female 8.5
GTEX-1HCVE-2726-SM-CL54F 50-59 years, male 8.5
GTEX-16BQI-1326-SM-6M486 30-39 years, female 8.4
GTEX-1GTWX-2026-SM-9YFLM 60-69 years, male 8.4
GTEX-YEC4-1826-SM-4W1YP 40-49 years, male 8.3
GTEX-1GN73-0726-SM-7P8TJ 60-69 years, male 8.3
GTEX-1IDJH-0126-SM-D3L92 70-79 years, male 8.3
GTEX-12696-0126-SM-5EQ4L 60-69 years, male 8.2
GTEX-13OVG-1626-SM-5J1NF 60-69 years, male 8.2
GTEX-13PDP-0726-SM-5L3HP 60-69 years, male 8.2
GTEX-17MF6-2626-SM-79OKQ 40-49 years, male 8.2
GTEX-ZYT6-2326-SM-5GZY3 30-39 years, male 8.2
GTEX-1HSMP-0926-SM-A9SKX 70-79 years, male 8.2
GTEX-1NV5F-0626-SM-DTXEG 60-69 years, female 8.2
GTEX-12ZZZ-0726-SM-5GCNZ 60-69 years, male 8.1
GTEX-13X6J-0626-SM-5LU5F 50-59 years, male 8.1
GTEX-WHSE-0126-SM-3NMBT 20-29 years, male 8.1
GTEX-ZAJG-1526-SM-5CVML 50-59 years, female 8.1
GTEX-1A8FM-0626-SM-7PC25 50-59 years, female 8.1
GTEX-13NYC-0126-SM-5L3F4 60-69 years, male 8.0
GTEX-13OVJ-0826-SM-5J1OK 50-59 years, female 8.0
GTEX-14PJ5-1526-SM-6LLIL 60-69 years, female 8.0
GTEX-ZYVF-0926-SM-5E44J 50-59 years, female 8.0
GTEX-1E2YA-2126-SM-7MXUO 50-59 years, male 8.0
GTEX-1F75A-0726-SM-7RHHD 50-59 years, male 8.0
GTEX-1JJE9-2626-SM-ARZMT 70-79 years, male 8.0
GTEX-13O3O-2326-SM-5IJD6 60-69 years, female 7.9
GTEX-13PVQ-0626-SM-5LU47 50-59 years, male 7.9
GTEX-144GL-0626-SM-5LU4D 50-59 years, male 7.9
GTEX-14753-0726-SM-5QGQO 60-69 years, male 7.9
GTEX-1I1CD-0626-SM-CE6SW 60-69 years, female 7.9
GTEX-1B8SF-0126-SM-7DUG3 60-69 years, male 7.8
GTEX-14JFF-0626-SM-5ZZVT 60-69 years, male 7.8
GTEX-1IDFM-0326-SM-ARL7V 60-69 years, male 7.8
GTEX-1JMPZ-0726-SM-CY8HZ 30-39 years, male 7.8
GTEX-144GO-2026-SM-5O99P 60-69 years, male 7.7
GTEX-16NPX-0726-SM-7KULC 50-59 years, male 7.7
GTEX-1C6WA-2626-SM-7MKGM 60-69 years, male 7.7
GTEX-ZYFC-0426-SM-5GICQ 50-59 years, male 7.7
GTEX-1OJC3-1226-SM-DTXER 20-29 years, male 7.7
GTEX-13QBU-1226-SM-5LU4G 40-49 years, female 7.6
GTEX-145MG-1526-SM-5Q5EM 50-59 years, male 7.6
GTEX-1A8G6-2726-SM-731AR 60-69 years, male 7.6
GTEX-1C64N-2626-SM-7PC2N 50-59 years, male 7.6
GTEX-1GF9W-1426-SM-7PBYM 60-69 years, male 7.6
GTEX-1GMR3-0126-SM-A9SLW 40-49 years, male 7.6
GTEX-1JN1M-2726-SM-CY8I4 60-69 years, female 7.6
GTEX-1QCLY-0226-SM-EWRNH 30-39 years, male 7.6
GTEX-144GM-0526-SM-79OJO 20-29 years, male 7.5
GTEX-1497J-0226-SM-5QGPU 60-69 years, male 7.5
GTEX-15ER7-0626-SM-6PANF 20-29 years, female 7.5
GTEX-15RJ7-2126-SM-6PAMD 40-49 years, male 7.5
GTEX-YECK-0326-SM-4W1YS 60-69 years, male 7.5
GTEX-14ICL-1626-SM-5YYAO 30-39 years, male 7.4
GTEX-1BAJH-2426-SM-7IGP8 70-79 years, male 7.4
GTEX-1E1VI-0326-SM-793D1 50-59 years, male 7.4
GTEX-1N5O9-0926-SM-E9J3C 60-69 years, male 7.4
GTEX-12WSK-2126-SM-5CVNC 40-49 years, female 7.3
GTEX-13112-0126-SM-5P9IU 50-59 years, male 7.3
GTEX-1A3MV-1826-SM-731CD 30-39 years, male 7.3
GTEX-1MJK3-0726-SM-E6CJC 20-29 years, male 7.3
GTEX-12ZZY-0726-SM-5EQ66 60-69 years, male 7.2
GTEX-145MH-2826-SM-5RQJF 50-59 years, male 7.2
GTEX-1F6I4-2326-SM-7RHGL 60-69 years, male 7.2
GTEX-12WSM-1926-SM-5BC65 60-69 years, male 7.1
GTEX-144FL-0626-SM-5LU43 50-59 years, male 7.1
GTEX-147JS-0226-SM-5S2U9 60-69 years, male 7.1
GTEX-15SHW-0226-SM-7LTAT 60-69 years, male 7.1
GTEX-ZC5H-1526-SM-5HL9Y 40-49 years, female 7.1
GTEX-1F75I-2226-SM-7SB8U 40-49 years, male 7.1
GTEX-1GMRU-2126-SM-7P8RA 50-59 years, male 7.1
GTEX-1JMQI-1726-SM-ARL93 50-59 years, male 7.1
GTEX-1R9K4-2826-SM-DTX8F 60-69 years, male 7.1
GTEX-12KS4-2126-SM-5FQUT 30-39 years, male 7.0
GTEX-13N1W-2426-SM-5IJD1 70-79 years, male 7.0
GTEX-17F9Y-0126-SM-79OKX 70-79 years, female 7.0
GTEX-15DYW-2726-SM-6EU2I 60-69 years, female 6.9
GTEX-YJ8O-2526-SM-5HL85 40-49 years, female 6.9
GTEX-1GN2E-0226-SM-9WG6K 60-69 years, male 6.9
GTEX-1I1GV-0626-SM-ARL7M 60-69 years, male 6.9
GTEX-1JMLX-0626-SM-ARL8T 50-59 years, male 6.9
GTEX-1KWVE-1026-SM-D3L9O 30-39 years, male 6.9
GTEX-139UW-0326-SM-5J1ML 60-69 years, male 6.8
GTEX-17HII-1426-SM-7EPGG 50-59 years, male 6.8
GTEX-18A67-1626-SM-7LT9T 50-59 years, male 6.8
GTEX-1EX96-1026-SM-7MKG2 50-59 years, male 6.7
GTEX-1GPI6-1926-SM-9KNV7 60-69 years, male 6.7
GTEX-1JMQJ-0826-SM-CNPP7 50-59 years, male 6.7
GTEX-1PDJ9-1226-SM-EXUSX 20-29 years, male 6.7
GTEX-1HSKV-1226-SM-ADEI4 60-69 years, male 6.6
GTEX-1HUB1-1426-SM-CGQF5 60-69 years, male 6.6
GTEX-15RJE-2826-SM-7KUM9 40-49 years, male 6.5
GTEX-16MT8-2926-SM-7DUFO 60-69 years, female 6.5
GTEX-ZVT4-2426-SM-5GIEI 50-59 years, female 6.5
GTEX-1JKYR-0626-SM-ARL8R 20-29 years, male 6.5
GTEX-1M4P7-0726-SM-E6CJ3 60-69 years, male 6.5
GTEX-1B933-2426-SM-7DHMD 50-59 years, female 6.4
GTEX-1PIIG-2326-SM-DTXFR 30-39 years, male 6.4
GTEX-12WSD-0626-SM-5GCMW 60-69 years, female 6.2
GTEX-1F75B-0726-SM-7PC3R 50-59 years, male 6.2
GTEX-1LVA9-2626-SM-EVYD4 50-59 years, male 6.2
GTEX-13RTJ-0126-SM-5S2NN 60-69 years, male 6.1
GTEX-18A6Q-0626-SM-7KFRP 60-69 years, male 6.1
GTEX-1AX9I-2226-SM-73KUO 60-69 years, male 6.1
GTEX-1HR98-2226-SM-ADEI2 60-69 years, male 5.9
GTEX-1JJEA-1826-SM-ARU8P 60-69 years, male 5.9
GTEX-13OW5-2326-SM-5L3HO 60-69 years, male 5.8
GTEX-1RLM8-2926-SM-E8VON 50-59 years, male 5.8
GTEX-1S5ZU-2526-SM-E6CIF 20-29 years, female 5.8
GTEX-11WQC-1826-SM-5GU59 60-69 years, male 5.7
GTEX-1GZHY-0626-SM-9KNVC 50-59 years, female 5.7
GTEX-1HCU6-2526-SM-ADEHL 60-69 years, female 5.7
GTEX-17F98-1326-SM-7DUEP 40-49 years, female 5.4
GTEX-1I1GP-1326-SM-A9G28 50-59 years, male 5.4
GTEX-1EU9M-1426-SM-793AI 60-69 years, male 5.3
GTEX-13X6K-0626-SM-5LU5D 60-69 years, female 5.2
GTEX-1EH9U-2826-SM-7DUGT 60-69 years, male 5.2
GTEX-1HBPI-2126-SM-ARL9K 50-59 years, male 5.2
GTEX-1J8Q2-2626-SM-ACKWQ 60-69 years, male 5.2
GTEX-1LSVX-2526-SM-DIPEU 60-69 years, male 5.1
GTEX-1B8KZ-0326-SM-73KY4 50-59 years, male 5.0
GTEX-1I1GU-0926-SM-ACKVS 40-49 years, male 5.0
GTEX-1IE54-1126-SM-A9G2Z 40-49 years, female 5.0
GTEX-1IKJJ-2226-SM-CJI4C 60-69 years, male 5.0
GTEX-13PL6-1126-SM-5L3IE 40-49 years, female 4.6
GTEX-1F48J-0726-SM-7RHGS 50-59 years, female 4.6
GTEX-15SKB-2826-SM-6PAMH 60-69 years, male 4.5
GTEX-1A32A-0626-SM-731AQ 50-59 years, female 4.4
GTEX-1GN1U-0626-SM-9MQL9 50-59 years, female 4.3
GTEX-148VJ-0626-SM-5LUAW 70-79 years, male 4.2
GTEX-1CB4J-1326-SM-7P8RX 60-69 years, male 4.2
GTEX-WYBS-0626-SM-3NMAS 60-69 years, female 3.9
GTEX-11TUW-0626-SM-5LU9M 60-69 years, male 3.8
Show allShow less
Skin - Sun Exposed (Lower leg)
Average nTPM: 10.0
Samples: 701

Max nTPM: 24.0
Min nTPM: 3.1
Std nTPM: 3.2
Median nTPM: 9.5
GTEX-ZZPT-0226-SM-5E43X 50-59 years, male 24.0
GTEX-113IC-0126-SM-5HL6T 60-69 years, male 22.0
GTEX-ZXES-1826-SM-5E43S 30-39 years, female 22.0
GTEX-XUZC-1726-SM-4BRWS 30-39 years, female 20.1
GTEX-1OJC4-0126-SM-E9J2E 50-59 years, female 19.8
GTEX-1K9T9-0126-SM-EVYCF 50-59 years, female 19.5
GTEX-Y8LW-1826-SM-5S2MV 50-59 years, female 19.4
GTEX-ZYFG-2326-SM-5E44B 60-69 years, female 19.0
GTEX-14PJ6-2126-SM-6EU1V 60-69 years, female 18.7
GTEX-P4PP-0126-SM-3LK69 30-39 years, female 18.6
GTEX-14PK6-1926-SM-6ETZU 70-79 years, female 18.5
GTEX-ZY6K-1826-SM-5GZXK 50-59 years, male 18.3
GTEX-U3ZN-2326-SM-3DB7W 30-39 years, female 18.2
GTEX-1QP67-1626-SM-EAZ3X 40-49 years, female 17.9
GTEX-SE5C-1626-SM-2XCE3 40-49 years, female 17.7
GTEX-PW2O-1526-SM-7RHHB 20-29 years, male 17.6
GTEX-139T4-0226-SM-5HL5S 50-59 years, female 17.5
GTEX-Z9EW-1626-SM-5CVMN 40-49 years, male 17.4
GTEX-SUCS-1926-SM-32PM3 70-79 years, male 17.1
GTEX-15CHC-2126-SM-6EU21 60-69 years, female 17.0
GTEX-1CAMQ-0226-SM-7IGPK 40-49 years, male 16.9
GTEX-Y5V6-2426-SM-4VDSB 60-69 years, male 16.8
GTEX-R45C-0126-SM-EAZ2R 60-69 years, female 16.8
GTEX-15RIG-0226-SM-7KFTL 40-49 years, male 16.7
GTEX-WVJS-0126-SM-4MVOT 50-59 years, male 16.7
GTEX-XXEK-2226-SM-4BRUM 50-59 years, male 16.7
GTEX-ZAB5-1826-SM-5HL7C 50-59 years, male 16.7
GTEX-11NSD-2226-SM-5986V 20-29 years, male 16.5
GTEX-PLZ5-2026-SM-2S1O4 50-59 years, male 16.5
GTEX-Q734-1926-SM-2I5EV 40-49 years, female 16.3
GTEX-1IDJU-2626-SM-CM2RT 60-69 years, female 16.3
GTEX-1RQEC-0426-SM-E6CHU 60-69 years, male 16.3
GTEX-147F3-0526-SM-5SI98 50-59 years, female 16.2
GTEX-X638-0126-SM-47JZ8 70-79 years, female 16.1
GTEX-146FR-1326-SM-E9J48 60-69 years, female 16.0
GTEX-18D9B-0526-SM-7LTAS 60-69 years, male 15.8
GTEX-OXRL-0126-SM-2YUMP 50-59 years, male 15.8
GTEX-OXRK-0226-SM-3NB2G 50-59 years, female 15.7
GTEX-1HKZK-0326-SM-9WYUH 40-49 years, male 15.7
GTEX-1JMQL-0226-SM-CNPP5 50-59 years, female 15.7
GTEX-1H1ZS-0426-SM-9WG6G 70-79 years, male 15.6
GTEX-1I1HK-0126-SM-COH49 60-69 years, male 15.5
GTEX-11VI4-1726-SM-5CVLH 40-49 years, female 15.4
GTEX-11ZTT-2426-SM-5EQLS 60-69 years, female 15.4
GTEX-14LZ3-0226-SM-62LET 60-69 years, female 15.3
GTEX-16NGA-1726-SM-731B4 40-49 years, female 15.3
GTEX-XQ8I-0426-SM-4BOPO 50-59 years, male 15.3
GTEX-14JG6-2226-SM-6EU2G 30-39 years, female 15.2
GTEX-TMZS-0126-SM-3DB9Q 60-69 years, male 15.2
GTEX-Y5LM-1926-SM-5RQJH 40-49 years, female 15.2
GTEX-ZAJG-0126-SM-5HL94 50-59 years, female 15.2
GTEX-1F75I-0326-SM-9YFLU 40-49 years, male 15.1
GTEX-OHPM-0126-SM-2YUN9 50-59 years, male 14.9
GTEX-1KANA-0726-SM-D3L9I 20-29 years, male 14.9
GTEX-13O3Q-2426-SM-5IJBR 50-59 years, male 14.8
GTEX-ZF28-0126-SM-4WKGK 60-69 years, male 14.8
GTEX-1JK1U-2026-SM-CM2RZ 60-69 years, male 14.8
GTEX-11WQK-0526-SM-5EQLD 50-59 years, male 14.7
GTEX-1M5QR-1226-SM-EWROB 40-49 years, male 14.7
GTEX-1KANB-0526-SM-E6CJH 50-59 years, male 14.6
GTEX-13FTY-0526-SM-5L3EV 40-49 years, female 14.5
GTEX-YB5E-2026-SM-5IFIS 40-49 years, male 14.5
GTEX-1HCU9-1526-SM-A9SL7 20-29 years, male 14.5
GTEX-1ICG6-2526-SM-CGQFZ 70-79 years, female 14.5
GTEX-1PPH8-0226-SM-E8VND 20-29 years, male 14.5
GTEX-11P7K-2126-SM-5GU7G 30-39 years, male 14.4
GTEX-O5YW-0126-SM-3LK6D 50-59 years, male 14.4
GTEX-PWO3-1526-SM-48TCM 60-69 years, female 14.4
GTEX-Q2AI-1326-SM-2S1PL 40-49 years, male 14.4
GTEX-1HBPH-0426-SM-B2LW5 40-49 years, female 14.4
GTEX-1K2DA-1826-SM-CGQGT 50-59 years, male 14.4
GTEX-1PFEY-1526-SM-E76PP 30-39 years, male 14.4
GTEX-13NZB-2526-SM-5J1OM 30-39 years, male 14.3
GTEX-W5WG-1826-SM-4KL2Y 50-59 years, female 14.3
GTEX-YEC4-2126-SM-5IFJH 40-49 years, male 14.3
GTEX-ZEX8-2426-SM-4WKG4 50-59 years, male 14.3
GTEX-16NPX-0226-SM-79OMT 50-59 years, male 14.2
GTEX-QDT8-0126-SM-48TZ1 30-39 years, female 14.2
GTEX-WY7C-2326-SM-3NB2U 50-59 years, male 14.2
GTEX-XAJ8-0826-SM-47JY6 40-49 years, male 14.2
GTEX-1497J-2426-SM-7IGNX 60-69 years, male 14.1
GTEX-1C6VR-2426-SM-79OLD 60-69 years, male 14.1
GTEX-OIZG-0726-SM-33HBL 50-59 years, male 14.1
GTEX-1LBAC-0126-SM-DIPEZ 20-29 years, male 14.1
GTEX-1AMFI-2026-SM-731BH 50-59 years, female 14.0
GTEX-RUSQ-1526-SM-2TF62 50-59 years, male 14.0
GTEX-U3ZM-1526-SM-3DB9D 40-49 years, male 13.9
GTEX-1F52S-0126-SM-9MQJU 60-69 years, female 13.9
GTEX-1LNCM-1126-SM-E9U5E 50-59 years, female 13.9
GTEX-1192X-0226-SM-5H12D 50-59 years, male 13.8
GTEX-139D8-0226-SM-5KLZO 30-39 years, female 13.8
GTEX-18D9U-0226-SM-718BP 40-49 years, male 13.8
GTEX-1EKGG-0226-SM-9WYTH 60-69 years, male 13.8
GTEX-1AMEY-1326-SM-73KYK 30-39 years, female 13.7
GTEX-1CB4I-0226-SM-79OLH 50-59 years, male 13.7
GTEX-RM2N-1426-SM-2TF4H 50-59 years, male 13.7
GTEX-U4B1-1826-SM-4DXSU 40-49 years, male 13.7
GTEX-X62O-0126-SM-4E3JN 50-59 years, male 13.7
GTEX-X88G-0126-SM-47JZ3 30-39 years, male 13.7
GTEX-1KD5A-0226-SM-D5OV3 50-59 years, male 13.7
GTEX-13N11-2526-SM-5K7UE 50-59 years, female 13.6
GTEX-13W3W-2426-SM-5LU5B 60-69 years, female 13.6
GTEX-P4PQ-0126-SM-2S1NM 60-69 years, male 13.6
GTEX-1I1GT-0626-SM-CGQER 60-69 years, female 13.6
GTEX-1QP2A-0126-SM-E9J43 50-59 years, male 13.6
GTEX-R3RS-0126-SM-3GIJL 40-49 years, female 13.5
GTEX-X4EP-0126-SM-3P5YV 60-69 years, female 13.5
GTEX-XV7Q-2526-SM-4BRV9 40-49 years, female 13.5
GTEX-Z93T-0126-SM-5HL5N 50-59 years, male 13.5
GTEX-1GN1V-0126-SM-9WPOS 60-69 years, male 13.5
GTEX-1LC47-0326-SM-E9TJP 60-69 years, male 13.5
GTEX-11NUK-0126-SM-5A5L3 50-59 years, male 13.4
GTEX-15DCD-0126-SM-7KUEK 70-79 years, female 13.4
GTEX-QDVN-2026-SM-3GAEP 50-59 years, male 13.4
GTEX-ZUA1-0126-SM-5GU76 40-49 years, male 13.4
GTEX-13RTL-0126-SM-7LG5S 40-49 years, male 13.3
GTEX-14PJ3-1826-SM-62LEX 50-59 years, male 13.3
GTEX-ZDXO-3026-SM-5J1N5 60-69 years, male 13.3
GTEX-ZQUD-1426-SM-57WER 30-39 years, male 13.3
GTEX-15SDE-2226-SM-7IGLO 50-59 years, female 13.2
GTEX-R55G-2526-SM-2TC6D 40-49 years, female 13.2
GTEX-X4XX-0126-SM-3NMC2 60-69 years, male 13.2
GTEX-1IE54-0126-SM-CMKHW 40-49 years, female 13.2
GTEX-NPJ8-0126-SM-2YUNR 40-49 years, male 13.1
GTEX-QLQ7-1626-SM-2S1R8 60-69 years, male 13.1
GTEX-WZTO-0126-SM-3NM95 40-49 years, male 13.1
GTEX-XYKS-2126-SM-4E3IB 60-69 years, female 13.1
GTEX-T2YK-0526-SM-32QPJ 50-59 years, male 13.0
GTEX-1HSEH-0126-SM-ACKXN 60-69 years, male 13.0
GTEX-XMD2-0126-SM-4YCDU 60-69 years, female 12.9
GTEX-1LGOU-2026-SM-DIPFF 20-29 years, female 12.9
GTEX-13X6I-0626-SM-5QGP9 60-69 years, male 12.8
GTEX-1JJ6O-0126-SM-E6CI8 60-69 years, male 12.8
GTEX-ZQG8-1626-SM-DHXIT 60-69 years, female 12.8
GTEX-111FC-0126-SM-5N9DL 60-69 years, male 12.7
GTEX-1128S-2326-SM-5GZZY 60-69 years, female 12.7
GTEX-ZV6S-2326-SM-4YCEY 40-49 years, female 12.7
GTEX-1QPFJ-0226-SM-E76PB 30-39 years, female 12.7
GTEX-1314G-1526-SM-5EGK2 30-39 years, male 12.6
GTEX-YJ8A-0426-SM-5IFID 20-29 years, male 12.6
GTEX-1I6K6-0126-SM-A9SLE 30-39 years, male 12.6
GTEX-15EOM-0126-SM-7KUGG 20-29 years, female 12.5
GTEX-17EUY-0426-SM-793BD 20-29 years, male 12.5
GTEX-169BO-1326-SM-9MQK2 50-59 years, male 12.5
GTEX-11EQ9-2426-SM-5HL5T 30-39 years, male 12.4
GTEX-14PHW-0126-SM-6LLJI 60-69 years, female 12.4
GTEX-183WM-0126-SM-7LTAB 70-79 years, female 12.4
GTEX-QCQG-1726-SM-3GIJ9 50-59 years, female 12.4
GTEX-SSA3-0126-SM-32QPU 60-69 years, male 12.4
GTEX-ZXG5-0126-SM-5GIEU 60-69 years, male 12.4
GTEX-147F4-0226-SM-5QGPW 50-59 years, male 12.3
GTEX-14BIM-0226-SM-7IGLD 60-69 years, female 12.3
GTEX-1GN1W-0526-SM-9MQJQ 50-59 years, female 12.3
GTEX-1H11D-0226-SM-9WG6Z 40-49 years, male 12.2
GTEX-1QEPI-0126-SM-EWRMQ 60-69 years, female 12.2
GTEX-14A5H-0426-SM-5QGQF 60-69 years, male 12.1
GTEX-14ICK-0226-SM-6EU25 40-49 years, male 12.1
GTEX-VUSG-2526-SM-4KL1V 50-59 years, male 12.1
GTEX-1J1OQ-0226-SM-CYPSH 40-49 years, female 12.1
GTEX-RNOR-0126-SM-E9J4R 50-59 years, female 12.1
GTEX-11EMC-2926-SM-5EQ4F 60-69 years, female 12.0
GTEX-146FQ-0126-SM-5NQA9 30-39 years, male 12.0
GTEX-16XZY-2126-SM-79OK1 70-79 years, male 12.0
GTEX-RWS6-2026-SM-2XCB5 60-69 years, female 12.0
GTEX-1I1GQ-0126-SM-COH3H 50-59 years, male 12.0
GTEX-1192W-2626-SM-5Q5AF 60-69 years, male 11.9
GTEX-1269C-2526-SM-5EGJ3 60-69 years, female 11.9
GTEX-13O3P-0126-SM-5KM4S 50-59 years, male 11.9
GTEX-14DAQ-0126-SM-5S2MQ 60-69 years, female 11.9
GTEX-ZVT3-0126-SM-5GU6I 60-69 years, female 11.9
GTEX-1GF9X-2026-SM-7PC3A 40-49 years, female 11.9
GTEX-1GZ4H-1726-SM-7PBZJ 50-59 years, female 11.9
GTEX-1MA7W-2026-SM-E9TJ6 20-29 years, female 11.9
GTEX-ZAK1-0126-SM-5IJD3 50-59 years, female 11.8
GTEX-ZDTT-2726-SM-4WKF8 60-69 years, male 11.8
GTEX-1HCVE-0126-SM-CGQEU 50-59 years, male 11.8
GTEX-1K2DU-2326-SM-E9TIV 20-29 years, male 11.8
GTEX-1PBJI-0526-SM-E8VNK 20-29 years, female 11.8
GTEX-13VXT-0126-SM-5LU4I 20-29 years, female 11.7
GTEX-18A67-0126-SM-7LG5P 50-59 years, male 11.7
GTEX-S95S-1226-SM-4GICG 60-69 years, male 11.7
GTEX-V1D1-2226-SM-3NMAX 50-59 years, male 11.7
GTEX-1QP29-0626-SM-EWRMX 50-59 years, male 11.7
GTEX-11GSP-2526-SM-5N9BP 60-69 years, female 11.6
GTEX-11P82-1626-SM-59879 20-29 years, male 11.6
GTEX-13FTX-1826-SM-5J1NX 20-29 years, female 11.6
GTEX-13NZ8-0826-SM-5MR3I 60-69 years, female 11.6
GTEX-T6MN-0126-SM-32PLP 50-59 years, male 11.6
GTEX-1HR98-0126-SM-B2LWI 60-69 years, male 11.6
GTEX-1N2DV-0226-SM-E6CJ6 40-49 years, male 11.6
GTEX-14BMU-2226-SM-5TDE9 20-29 years, female 11.5
GTEX-SIU8-0126-SM-2XCDT 50-59 years, male 11.5
GTEX-T5JW-1626-SM-3GADZ 20-29 years, female 11.5
GTEX-1C64O-0126-SM-7SB8P 60-69 years, male 11.5
GTEX-1H3NZ-0126-SM-ACKX7 60-69 years, male 11.5
GTEX-1RAZQ-0726-SM-EAZ43 30-39 years, male 11.5
GTEX-12C56-1726-SM-5EQ61 20-29 years, male 11.4
GTEX-13N2G-2626-SM-5J1OT 60-69 years, male 11.4
GTEX-13O21-1426-SM-5K7XI 50-59 years, male 11.4
GTEX-QLQW-1126-SM-2S1Q8 30-39 years, male 11.4
GTEX-ZVZP-2426-SM-59HKJ 50-59 years, male 11.4
GTEX-1I1GS-0126-SM-B2LVW 60-69 years, male 11.4
GTEX-1IL2V-0126-SM-CM2TX 70-79 years, male 11.4
GTEX-1LVAN-0226-SM-COH3S 50-59 years, female 11.4
GTEX-1RAZA-0126-SM-E6CI3 20-29 years, male 11.4
GTEX-1399T-2826-SM-5KLYZ 60-69 years, male 11.3
GTEX-1CAMR-1926-SM-7EPI2 20-29 years, male 11.3
GTEX-OHPL-0126-SM-2HMJ7 60-69 years, female 11.3
GTEX-PLZ4-0126-SM-5SI8O 50-59 years, female 11.3
GTEX-WYJK-0126-SM-3NMAB 50-59 years, male 11.3
GTEX-ZWKS-0126-SM-5SIAA 30-39 years, male 11.3
GTEX-1QCLY-0326-SM-E8VOG 30-39 years, male 11.3
GTEX-1R7EU-0226-SM-EVR4G 60-69 years, male 11.3
GTEX-1AYCT-2426-SM-7IGQ3 50-59 years, male 11.2
GTEX-S7SE-0126-SM-2XCD5 50-59 years, male 11.2
GTEX-Y5V5-2326-SM-4V6GA 60-69 years, female 11.2
GTEX-1F5PL-0326-SM-7P8PQ 40-49 years, female 11.2
GTEX-145LV-2126-SM-5LU8N 50-59 years, male 11.1
GTEX-14ABY-0226-SM-5TDCQ 50-59 years, male 11.1
GTEX-14LLW-0126-SM-6LLIO 70-79 years, female 11.1
GTEX-18QFQ-0126-SM-731BE 30-39 years, male 11.1
GTEX-QESD-1426-SM-2S1R9 20-29 years, male 11.1
GTEX-RN64-0126-SM-2TC68 50-59 years, male 11.1
GTEX-ZVE2-0226-SM-59HJB 50-59 years, male 11.1
GTEX-ZYFC-0226-SM-5NQ75 50-59 years, male 11.1
GTEX-1GTWX-0126-SM-9YFLK 60-69 years, male 11.1
GTEX-1H23P-0126-SM-ADEJ3 60-69 years, male 11.1
GTEX-113JC-2326-SM-5EQ4E 50-59 years, female 11.0
GTEX-QV44-1926-SM-2S1RF 50-59 years, male 11.0
GTEX-T6MO-1626-SM-32QOM 40-49 years, female 11.0
GTEX-YFC4-0126-SM-5CVLY 40-49 years, female 11.0
GTEX-1HSMP-0126-SM-E6CJS 70-79 years, male 11.0
GTEX-1JJE9-0326-SM-CL53Z 70-79 years, male 11.0
GTEX-1LSNM-1926-SM-E6CII 50-59 years, male 11.0
GTEX-1R9K4-0126-SM-DTX9X 60-69 years, male 11.0
GTEX-1122O-2126-SM-5EGIR 60-69 years, female 10.9
GTEX-TMMY-0226-SM-33HBA 40-49 years, female 10.9
GTEX-UJHI-1526-SM-3DB99 50-59 years, female 10.9
GTEX-WH7G-2326-SM-3NMBC 40-49 years, male 10.9
GTEX-ZC5H-0226-SM-4WAY9 40-49 years, female 10.9
GTEX-ZGAY-0526-SM-4WWBB 40-49 years, female 10.9
GTEX-1F88F-2726-SM-7PBZZ 60-69 years, female 10.9
GTEX-1GPI7-0126-SM-9MQL8 20-29 years, male 10.9
GTEX-1HSGN-0226-SM-CGQFV 40-49 years, female 10.9
GTEX-1IOXB-0126-SM-ARL8G 50-59 years, male 10.9
GTEX-1PPH7-2326-SM-EVYB8 40-49 years, male 10.9
GTEX-1QP9N-1426-SM-DTXFL 30-39 years, male 10.9
GTEX-13NYS-0126-SM-5MR3W 60-69 years, male 10.8
GTEX-16BQI-0226-SM-7KUEX 30-39 years, female 10.8
GTEX-Q2AG-0126-SM-33HBV 40-49 years, female 10.8
GTEX-1CAMS-0426-SM-7P8T2 40-49 years, female 10.8
GTEX-1J8Q3-1626-SM-CMKGC 60-69 years, male 10.8
GTEX-1KXAM-2226-SM-CYPTC 60-69 years, male 10.8
GTEX-1S3DN-2226-SM-EVYCD 50-59 years, male 10.8
GTEX-1S83E-0126-SM-EWRO4 40-49 years, male 10.8
GTEX-11ZUS-0626-SM-59885 30-39 years, male 10.7
GTEX-147GR-0526-SM-5S2MY 60-69 years, male 10.7
GTEX-QDVJ-1726-SM-2I5FX 50-59 years, male 10.7
GTEX-TKQ1-1026-SM-4GICL 30-39 years, male 10.7
GTEX-WOFL-0126-SM-3MJG2 60-69 years, male 10.7
GTEX-131XF-5016-SM-7MGWE 60-69 years, male 10.7
GTEX-1HB9E-0226-SM-E9U4R 50-59 years, male 10.7
GTEX-1IDJH-0326-SM-A9SLQ 70-79 years, male 10.7
GTEX-1MCYP-1926-SM-E9J2R 20-29 years, female 10.7
GTEX-12ZZZ-0626-SM-5DUXI 60-69 years, male 10.6
GTEX-1313W-0126-SM-5LZUN 50-59 years, female 10.6
GTEX-139T8-0126-SM-5K7XZ 60-69 years, male 10.6
GTEX-1CB4E-2226-SM-793DC 60-69 years, male 10.6
GTEX-OOBK-0126-SM-2YUND 40-49 years, male 10.6
GTEX-1J8EW-0126-SM-CJI4F 60-69 years, female 10.6
GTEX-11TT1-2526-SM-5EGIB 20-29 years, male 10.5
GTEX-14A6H-0126-SM-5QGPK 30-39 years, male 10.5
GTEX-XBED-2226-SM-47JYQ 60-69 years, male 10.5
GTEX-1GL5R-1826-SM-9KNUY 50-59 years, male 10.5
GTEX-111VG-2426-SM-5GZXD 60-69 years, male 10.4
GTEX-11XUK-2026-SM-5EQLF 40-49 years, female 10.4
GTEX-13NYB-2526-SM-5K7Z6 40-49 years, male 10.4
GTEX-13SLX-0526-SM-5S2ON 50-59 years, female 10.4
GTEX-14PN3-2426-SM-6LLHS 60-69 years, female 10.4
GTEX-15SB6-1726-SM-6PAME 50-59 years, female 10.4
GTEX-R55E-0126-SM-2TC5Y 20-29 years, male 10.4
GTEX-ZVZO-0126-SM-5A5L9 40-49 years, male 10.4
GTEX-PLZ6-1426-SM-DKPOT 30-39 years, male 10.4
GTEX-RVPV-0126-SM-EAZAW 60-69 years, male 10.4
GTEX-11DXX-2426-SM-5GZZW 60-69 years, female 10.3
GTEX-11DXY-2626-SM-5GIE7 60-69 years, male 10.3
GTEX-12WSN-5019-SM-79OM6 40-49 years, male 10.3
GTEX-13113-5016-SM-7EPIP 60-69 years, female 10.3
GTEX-14BMV-0126-SM-5S2PO 50-59 years, male 10.3
GTEX-1A3MW-0126-SM-73KXX 60-69 years, female 10.3
GTEX-1IGQW-0126-SM-COH42 60-69 years, male 10.3
GTEX-1R9PM-2026-SM-E76OY 20-29 years, male 10.3
GTEX-11UD2-0226-SM-5EQKY 50-59 years, male 10.2
GTEX-13OVI-1426-SM-5L3EY 60-69 years, female 10.2
GTEX-13SLW-0126-SM-5SI6C 70-79 years, male 10.2
GTEX-17KNJ-2326-SM-7DHLQ 50-59 years, male 10.2
GTEX-WI4N-1026-SM-3LK7N 40-49 years, female 10.2
GTEX-ZYY3-0126-SM-5GZY5 60-69 years, female 10.2
GTEX-1ICLY-0126-SM-D4P36 50-59 years, male 10.2
GTEX-11EI6-0126-SM-5985R 60-69 years, male 10.1
GTEX-1212Z-2526-SM-5EGKP 60-69 years, male 10.1
GTEX-13CF3-2426-SM-5IFGX 60-69 years, female 10.1
GTEX-145MN-2226-SM-5SIAU 30-39 years, male 10.1
GTEX-1C64N-0126-SM-793D7 50-59 years, male 10.1
GTEX-Y111-0126-SM-4SOIV 50-59 years, male 10.1
GTEX-ZVTK-0426-SM-51MRS 20-29 years, male 10.1
GTEX-1IDFM-0126-SM-COH2V 60-69 years, male 10.1
GTEX-1KD4Q-0226-SM-E9TJ9 40-49 years, male 10.1
GTEX-1NHNU-1026-SM-E9J2A 50-59 years, male 10.1
GTEX-1PDJ9-0326-SM-DTX95 20-29 years, male 10.1
GTEX-1S82Z-0826-SM-E6CHY 30-39 years, female 10.1
GTEX-S33H-1026-SM-EZ6L6 30-39 years, male 10.1
GTEX-11OC5-0126-SM-5HL6A 60-69 years, male 10.0
GTEX-13RTK-1426-SM-5QGQJ 20-29 years, male 10.0
GTEX-13VXU-0126-SM-5SI9F 50-59 years, male 10.0
GTEX-17HHY-0126-SM-7LG5D 50-59 years, male 10.0
GTEX-WFON-2126-SM-3LK7O 40-49 years, male 10.0
GTEX-XBEW-0626-SM-4QASP 40-49 years, male 10.0
GTEX-Y3I4-2126-SM-4TT7C 50-59 years, male 10.0
GTEX-1IL2U-0226-SM-CE6T8 60-69 years, male 10.0
GTEX-1O97I-0326-SM-EYYX7 60-69 years, male 10.0
GTEX-OOBJ-0126-SM-E6CJW 60-69 years, male 10.0
GTEX-PWCY-1826-SM-DHXIZ 20-29 years, female 10.0
GTEX-W5X1-3026-SM-EAZAX 40-49 years, female 10.0
GTEX-132NY-0326-SM-5IJBL 60-69 years, male 9.9
GTEX-139TT-0126-SM-5K7Y5 60-69 years, male 9.9
GTEX-144GN-2326-SM-5LU4F 50-59 years, male 9.9
GTEX-17JCI-0126-SM-7LG5G 60-69 years, female 9.9
GTEX-17MFQ-1726-SM-793C7 20-29 years, male 9.9
GTEX-1F6RS-0126-SM-9MQKZ 60-69 years, female 9.9
GTEX-1H1E6-1726-SM-ACKVK 30-39 years, male 9.9
GTEX-1JN76-0126-SM-CNPPE 20-29 years, female 9.9
GTEX-1LG7Y-0526-SM-DKPQC 50-59 years, male 9.9
GTEX-13IVO-0126-SM-5J1NG 70-79 years, male 9.8
GTEX-O5YT-0126-SM-48TBW 20-29 years, male 9.8
GTEX-1HBPN-0226-SM-9YFM1 50-59 years, male 9.8
GTEX-1KAFJ-2026-SM-CY8ID 50-59 years, male 9.8
GTEX-17F96-1626-SM-7DUFL 70-79 years, male 9.7
GTEX-XUW1-0426-SM-4BOOT 50-59 years, female 9.7
GTEX-13O3O-0126-SM-E9J49 60-69 years, female 9.7
GTEX-1F7RK-0126-SM-7PC2S 20-29 years, female 9.7
GTEX-11GSO-2426-SM-5A5LY 60-69 years, male 9.6
GTEX-1211K-2026-SM-5EQ4Z 60-69 years, female 9.6
GTEX-13PDP-0126-SM-5L3HD 60-69 years, male 9.6
GTEX-13PVR-2326-SM-5QGR1 60-69 years, female 9.6
GTEX-13RTJ-2426-SM-5S2Q2 60-69 years, male 9.6
GTEX-18A7A-0226-SM-718BH 50-59 years, female 9.6
GTEX-1OFPY-2426-SM-DTXEJ 60-69 years, male 9.6
GTEX-1OJC3-0126-SM-E76QX 20-29 years, male 9.6
GTEX-13FHO-0226-SM-5IFGY 60-69 years, male 9.5
GTEX-13OW6-0426-SM-5L3HM 50-59 years, male 9.5
GTEX-13OW7-0126-SM-5MR3B 50-59 years, male 9.5
GTEX-145LU-0126-SM-5TDCB 50-59 years, male 9.5
GTEX-14JIY-0126-SM-6LLH6 60-69 years, male 9.5
GTEX-16GPK-0126-SM-7DHLE 60-69 years, male 9.5
GTEX-17HGU-0226-SM-7DHKV 50-59 years, male 9.5
GTEX-1BAJH-0526-SM-793CQ 70-79 years, male 9.5
GTEX-1C2JI-1826-SM-73KXC 50-59 years, male 9.5
GTEX-13FH7-2026-SM-E9J4I 50-59 years, female 9.5
GTEX-1F5PK-2426-SM-7RHHY 50-59 years, male 9.5
GTEX-1GMR8-0126-SM-9WYTM 50-59 years, female 9.5
GTEX-1GZ2Q-0226-SM-7P8TL 40-49 years, male 9.5
GTEX-1HSMQ-1226-SM-CGQFX 50-59 years, male 9.5
GTEX-1LGRB-2526-SM-CNPPQ 50-59 years, female 9.5
GTEX-11ZTS-0126-SM-5EQ6M 60-69 years, female 9.4
GTEX-12WSK-2326-SM-5GCOH 40-49 years, female 9.4
GTEX-15UKP-0426-SM-7KUFQ 20-29 years, male 9.4
GTEX-T2IS-0126-SM-4DM6O 20-29 years, female 9.4
GTEX-VJYA-1126-SM-3GIJU 60-69 years, male 9.4
GTEX-XUYS-0126-SM-47JWZ 50-59 years, male 9.4
GTEX-1HCU8-0626-SM-A9SM9 60-69 years, female 9.4
GTEX-1J1R8-1726-SM-ARL8M 40-49 years, male 9.4
GTEX-1KWVE-1426-SM-E9TJO 30-39 years, male 9.4
GTEX-1L5NE-2526-SM-E6CIE 50-59 years, male 9.4
GTEX-14BIN-0626-SM-793DP 50-59 years, female 9.3
GTEX-1E1VI-0126-SM-7DHMZ 50-59 years, male 9.3
GTEX-1B8L1-2526-SM-9WYTF 60-69 years, male 9.3
GTEX-1EU9M-0226-SM-7P8SP 60-69 years, male 9.3
GTEX-1HSMO-0126-SM-CL547 60-69 years, male 9.3
GTEX-1JKYN-1326-SM-CGQG9 30-39 years, male 9.3
GTEX-1MJK2-0426-SM-DTXE5 50-59 years, male 9.3
GTEX-11OF3-2626-SM-5GU7F 60-69 years, male 9.2
GTEX-131XG-2626-SM-5KM17 50-59 years, female 9.2
GTEX-13FTW-2626-SM-5K7WL 40-49 years, male 9.2
GTEX-14DAR-2026-SM-5S2O3 50-59 years, male 9.2
GTEX-17F97-0326-SM-7LG5B 50-59 years, male 9.2
GTEX-17F98-0626-SM-79OMX 40-49 years, female 9.2
GTEX-17MF6-0126-SM-7LG4F 40-49 years, male 9.2
GTEX-1AX9K-2326-SM-73KWU 50-59 years, male 9.2
GTEX-Z93S-0126-SM-5HL7M 50-59 years, male 9.2
GTEX-ZE7O-0126-SM-57WC1 50-59 years, female 9.2
GTEX-ZTSS-1926-SM-57WEW 40-49 years, male 9.2
GTEX-ZVT2-2526-SM-51MT1 50-59 years, female 9.2
GTEX-1B996-0226-SM-7RHGO 60-69 years, male 9.2
GTEX-1GF9U-2126-SM-7SB7L 40-49 years, female 9.2
GTEX-1HFI7-1826-SM-ACKXH 50-59 years, female 9.2
GTEX-1MA7X-2226-SM-E6CIY 60-69 years, male 9.2
GTEX-11LCK-1026-SM-5A5KB 30-39 years, male 9.1
GTEX-13D11-2426-SM-5KM1V 50-59 years, female 9.1
GTEX-145LT-1726-SM-5QGP3 40-49 years, male 9.1
GTEX-TML8-1926-SM-32QOS 40-49 years, female 9.1
GTEX-WXYG-2326-SM-4E3I6 50-59 years, female 9.1
GTEX-ZE9C-2726-SM-57WB5 60-69 years, male 9.1
GTEX-1H4P4-0726-SM-9YFLR 50-59 years, male 9.1
GTEX-12WSJ-1826-SM-5GCNY 40-49 years, female 9.0
GTEX-139TS-2826-SM-5J1OO 60-69 years, male 9.0
GTEX-13OVG-1926-SM-5L3DK 60-69 years, male 9.0
GTEX-14C5O-0126-SM-5SI6N 60-69 years, male 9.0
GTEX-14PHX-2326-SM-62LEM 50-59 years, male 9.0
GTEX-NFK9-0226-SM-2HMKQ 40-49 years, male 9.0
GTEX-ZZ64-1726-SM-5GZYB 20-29 years, male 9.0
GTEX-1MGNQ-0126-SM-EVYCJ 40-49 years, male 9.0
GTEX-1NV5F-0226-SM-E8VNY 60-69 years, female 9.0
GTEX-12ZZX-0126-SM-5EGK9 40-49 years, female 8.9
GTEX-1399U-2326-SM-5K7WY 50-59 years, female 8.9
GTEX-1AX8Z-0126-SM-7DHM6 60-69 years, male 8.9
GTEX-PX3G-0126-SM-2I3EN 20-29 years, female 8.9
GTEX-QEG4-0226-SM-2S1PY 30-39 years, male 8.9
GTEX-RTLS-0126-SM-447CA 60-69 years, female 8.9
GTEX-1F6I4-0126-SM-9MQL2 60-69 years, male 8.9
GTEX-1IKOH-0226-SM-COH4E 60-69 years, female 8.9
GTEX-1LH75-2426-SM-E9TJE 50-59 years, female 8.9
GTEX-ZF29-2326-SM-DO92K 60-69 years, female 8.9
GTEX-117YX-2326-SM-5H12W 50-59 years, male 8.8
GTEX-11EM3-2426-SM-59861 20-29 years, female 8.8
GTEX-11O72-0126-SM-59887 40-49 years, male 8.8
GTEX-133LE-1826-SM-5J1MV 20-29 years, female 8.8
GTEX-1C4CL-0526-SM-73KVK 30-39 years, male 8.8
GTEX-POMQ-2226-SM-2I5FK 20-29 years, female 8.8
GTEX-RU72-0926-SM-2TF6B 50-59 years, female 8.8
GTEX-YB5K-2126-SM-4WWDJ 40-49 years, female 8.8
GTEX-ZTPG-0326-SM-5O9AX 20-29 years, female 8.8
GTEX-1GPI6-0126-SM-9WG69 60-69 years, male 8.8
GTEX-1J8QM-2126-SM-CYPSJ 60-69 years, female 8.8
GTEX-1LB8K-0226-SM-EWRNW 50-59 years, male 8.8
GTEX-OIZF-0126-SM-7SB8I 60-69 years, male 8.8
GTEX-11TTK-0126-SM-5987B 60-69 years, female 8.7
GTEX-13OVJ-0126-SM-5KM36 50-59 years, female 8.7
GTEX-17HHE-2026-SM-79OKF 50-59 years, male 8.7
GTEX-XPVG-2626-SM-4B669 50-59 years, male 8.7
GTEX-13OW5-0126-SM-DTXFS 60-69 years, male 8.7
GTEX-1I1GV-0526-SM-A9G29 60-69 years, male 8.7
GTEX-1JKYR-0126-SM-CNPOJ 20-29 years, male 8.7
GTEX-1MUQO-0126-SM-EAZ58 60-69 years, male 8.7
GTEX-1R9PO-2126-SM-E9J4O 60-69 years, female 8.7
GTEX-1S82Y-2026-SM-EVYCM 40-49 years, male 8.7
GTEX-ZPIC-1726-SM-DHXIU 40-49 years, female 8.7
GTEX-13OVK-2026-SM-7KUEO 40-49 years, male 8.6
GTEX-13W46-0226-SM-5SIAG 50-59 years, male 8.6
GTEX-14E6D-0126-SM-62LDV 50-59 years, male 8.6
GTEX-183FY-0126-SM-7LT9P 20-29 years, male 8.6
GTEX-U3ZH-2026-SM-3DB78 30-39 years, male 8.6
GTEX-X585-0226-SM-4QAS2 50-59 years, male 8.6
GTEX-XQ3S-1526-SM-4BOOC 20-29 years, male 8.6
GTEX-1I19N-0326-SM-ACKVX 70-79 years, male 8.6
GTEX-1LG7Z-1726-SM-D3LA4 30-39 years, male 8.6
GTEX-12WSD-0126-SM-59HKN 60-69 years, female 8.5
GTEX-1AYD5-2426-SM-73KXR 50-59 years, male 8.5
GTEX-1H1DG-0126-SM-9WYU2 70-79 years, male 8.5
GTEX-1QW4Y-1526-SM-EAZ3Z 30-39 years, male 8.5
GTEX-1R7EV-2426-SM-EVYBG 40-49 years, male 8.5
GTEX-14753-0426-SM-5NQAM 60-69 years, male 8.4
GTEX-14JG1-0426-SM-6ETZZ 40-49 years, male 8.4
GTEX-1B8SG-0126-SM-73KZ3 50-59 years, male 8.4
GTEX-TSE9-0126-SM-3DB83 60-69 years, female 8.4
GTEX-ZV68-0126-SM-59HKS 50-59 years, female 8.4
GTEX-1GF9W-0326-SM-9KNUN 60-69 years, male 8.4
GTEX-1HBPM-0226-SM-ARL9F 60-69 years, female 8.4
GTEX-1HFI6-0226-SM-ADEHZ 40-49 years, male 8.4
GTEX-1IKK5-0626-SM-ARL8A 60-69 years, male 8.4
GTEX-1JN1M-0326-SM-CYPT3 60-69 years, female 8.4
GTEX-11P81-2326-SM-59875 30-39 years, female 8.3
GTEX-12KS4-0326-SM-5EQ41 30-39 years, male 8.3
GTEX-X4XY-0226-SM-4E3IZ 60-69 years, male 8.3
GTEX-Y114-2426-SM-4TT8A 50-59 years, female 8.3
GTEX-Y8E4-0626-SM-4WWDL 40-49 years, male 8.3
GTEX-144FL-0126-SM-5TDC8 50-59 years, male 8.2
GTEX-1B933-0126-SM-7PC29 50-59 years, female 8.2
GTEX-1CB4H-0226-SM-7PBXM 60-69 years, female 8.2
GTEX-1HCUA-2426-SM-ADEIS 50-59 years, female 8.2
GTEX-13CF2-2526-SM-5LZYX 60-69 years, male 8.1
GTEX-145MF-0626-SM-5LUAI 50-59 years, male 8.1
GTEX-16YQH-0126-SM-7DUFJ 30-39 years, male 8.1
GTEX-1B97I-1626-SM-73KYO 40-49 years, male 8.1
GTEX-OXRN-0126-SM-48TDM 50-59 years, male 8.1
GTEX-WQUQ-0426-SM-3MJFU 60-69 years, male 8.1
GTEX-1F6IF-0726-SM-7P8TW 60-69 years, male 8.1
GTEX-1S5ZA-0126-SM-EVYCV 20-29 years, male 8.1
GTEX-117YW-2626-SM-5GZZH 50-59 years, male 8.0
GTEX-11DXW-0226-SM-5H122 40-49 years, male 8.0
GTEX-11ZVC-2526-SM-5FQTE 50-59 years, female 8.0
GTEX-131XE-2326-SM-5PNZ2 50-59 years, male 8.0
GTEX-13OVL-0226-SM-5L3E9 50-59 years, male 8.0
GTEX-ZDYS-2026-SM-5HL5L 50-59 years, male 8.0
GTEX-ZTX8-1426-SM-5DUVO 20-29 years, male 8.0
GTEX-1I1GP-2226-SM-CGQFK 50-59 years, male 8.0
GTEX-1RLM8-2326-SM-EWRN4 50-59 years, male 8.0
GTEX-11ZU8-2526-SM-5EQKI 60-69 years, male 7.9
GTEX-12WSC-0126-SM-5EQ4P 50-59 years, male 7.9
GTEX-131YS-0126-SM-5KM1M 60-69 years, female 7.9
GTEX-16AAH-1726-SM-7939C 50-59 years, male 7.9
GTEX-X261-0126-SM-3NMD6 50-59 years, male 7.9
GTEX-1JMQI-2226-SM-CM2SD 50-59 years, male 7.9
GTEX-13NZA-0226-SM-5K7Z7 60-69 years, male 7.8
GTEX-13OVH-0126-SM-5MR4B 70-79 years, male 7.8
GTEX-145ME-1826-SM-5SI9G 40-49 years, female 7.8
GTEX-17EVP-0326-SM-7DHLG 40-49 years, male 7.8
GTEX-VJWN-0126-SM-3GIK7 50-59 years, female 7.8
GTEX-1CAV2-2226-SM-7P8P2 40-49 years, female 7.8
GTEX-1HUB1-0426-SM-E9U4U 60-69 years, male 7.8
GTEX-11UD1-0126-SM-5PNYG 40-49 years, female 7.7
GTEX-13U4I-0126-SM-5LU38 40-49 years, female 7.7
GTEX-T5JC-0426-SM-32PLO 20-29 years, male 7.7
GTEX-1EX96-1626-SM-7PBXR 50-59 years, male 7.7
GTEX-1JJEA-0326-SM-CNPOT 60-69 years, male 7.7
GTEX-1QAET-0926-SM-E76QM 50-59 years, male 7.7
GTEX-139UW-2826-SM-5L3E7 60-69 years, male 7.6
GTEX-14E7W-0126-SM-6LLJ9 70-79 years, male 7.6
GTEX-14XAO-2326-SM-6EU1B 60-69 years, female 7.6
GTEX-15F5U-1526-SM-6PANO 40-49 years, male 7.6
GTEX-18A7B-0126-SM-7LG64 70-79 years, male 7.6
GTEX-18D9A-1926-SM-7LG6P 30-39 years, female 7.6
GTEX-U8XE-0326-SM-3DB8P 30-39 years, male 7.6
GTEX-WYVS-2126-SM-3NMA3 40-49 years, female 7.6
GTEX-ZDTS-0126-SM-4WAY5 60-69 years, male 7.6
GTEX-1QP66-1726-SM-E8VO1 50-59 years, male 7.6
GTEX-13G51-2526-SM-5LZYK 60-69 years, male 7.5
GTEX-146FH-0126-SM-5QGPP 50-59 years, female 7.5
GTEX-15DYW-0126-SM-7KULE 60-69 years, female 7.5
GTEX-16MT8-0426-SM-7KUEY 60-69 years, female 7.5
GTEX-1A3MV-1926-SM-718BT 30-39 years, male 7.5
GTEX-1A3MX-0126-SM-731BR 60-69 years, male 7.5
GTEX-SN8G-0126-SM-32PLI 50-59 years, female 7.5
GTEX-YJ89-0126-SM-4TT3X 60-69 years, male 7.5
GTEX-1HCU7-0226-SM-CL545 50-59 years, male 7.5
GTEX-1M4P7-0226-SM-DIPEV 60-69 years, male 7.5
GTEX-1N2DW-0226-SM-E9TK2 50-59 years, male 7.5
GTEX-1RB15-2126-SM-E9TIM 60-69 years, male 7.5
GTEX-PSDG-0226-SM-DKPOZ 50-59 years, male 7.5
GTEX-1399R-2726-SM-5IJBA 30-39 years, male 7.4
GTEX-13OW8-1326-SM-5J1OW 60-69 years, male 7.4
GTEX-15D1Q-0126-SM-7KUG6 40-49 years, male 7.4
GTEX-17HG3-2226-SM-7938L 30-39 years, female 7.4
GTEX-Q2AH-1626-SM-3GAF8 40-49 years, male 7.4
GTEX-Y3IK-2426-SM-4WWDU 50-59 years, female 7.4
GTEX-1CB4F-0426-SM-9KNV4 60-69 years, male 7.4
GTEX-1KANC-1526-SM-D3LAB 50-59 years, female 7.4
GTEX-1MCQQ-0826-SM-DLHC2 60-69 years, male 7.4
GTEX-117XS-2726-SM-5N9BL 60-69 years, male 7.3
GTEX-11GS4-2726-SM-5A5LE 60-69 years, male 7.3
GTEX-13111-1626-SM-5EGJY 50-59 years, male 7.3
GTEX-15ETS-0126-SM-7KUMW 40-49 years, female 7.3
GTEX-18A66-0226-SM-718BD 60-69 years, male 7.3
GTEX-SJXC-0126-SM-2XCFF 60-69 years, male 7.3
GTEX-1C6WA-0126-SM-7PC2B 60-69 years, male 7.3
GTEX-1I1GU-2226-SM-CGQFA 40-49 years, male 7.3
GTEX-11DZ1-0126-SM-5985Q 50-59 years, male 7.2
GTEX-12696-2426-SM-5EQ6H 60-69 years, male 7.2
GTEX-13QJ3-0326-SM-5S2RA 50-59 years, male 7.2
GTEX-14PII-0226-SM-6EU1T 60-69 years, male 7.2
GTEX-1F75A-0126-SM-7RHGM 50-59 years, male 7.2
GTEX-1HT8W-0126-SM-CNPPP 30-39 years, male 7.2
GTEX-1IDJF-0126-SM-CM2RS 20-29 years, male 7.2
GTEX-13N1W-0126-SM-5K7VT 70-79 years, male 7.1
GTEX-144GL-0126-SM-5TDE2 50-59 years, male 7.1
GTEX-1B8SF-1426-SM-7DUGL 60-69 years, male 7.1
GTEX-1C6VS-0526-SM-7DUEN 60-69 years, male 7.1
GTEX-1GN2E-0426-SM-9MQKX 60-69 years, male 7.1
GTEX-1GN73-0226-SM-9WG67 60-69 years, male 7.1
GTEX-1ICLZ-0126-SM-CKZPO 60-69 years, male 7.1
GTEX-ZF3C-0126-SM-DO92D 50-59 years, female 7.1
GTEX-12126-0326-SM-5PNW3 20-29 years, male 7.0
GTEX-13S7M-0126-SM-5SI6A 60-69 years, female 7.0
GTEX-15SHU-0126-SM-7KUEH 40-49 years, female 7.0
GTEX-18465-0126-SM-731BN 50-59 years, male 7.0
GTEX-ZF2S-2326-SM-4WWCE 50-59 years, female 7.0
GTEX-1J8JJ-0226-SM-CL53I 60-69 years, female 7.0
GTEX-1JMPY-1326-SM-ARL8Y 30-39 years, male 7.0
GTEX-11WQC-2526-SM-5CVLE 60-69 years, male 6.9
GTEX-131XH-2226-SM-5DUXJ 50-59 years, male 6.9
GTEX-13FHP-0126-SM-5IJBG 50-59 years, male 6.9
GTEX-14E6E-1826-SM-5S2R7 30-39 years, male 6.9
GTEX-14PJM-0226-SM-62LF1 50-59 years, female 6.9
GTEX-16XZZ-0126-SM-793DV 60-69 years, male 6.9
GTEX-T8EM-1026-SM-3DB7M 40-49 years, male 6.9
GTEX-1GMRU-0126-SM-9YFLV 50-59 years, male 6.9
GTEX-1IY9M-0126-SM-D3L8S 60-69 years, male 6.9
GTEX-1J8Q2-0526-SM-CM2RW 60-69 years, male 6.9
GTEX-14BIL-0126-SM-5SI92 50-59 years, male 6.8
GTEX-15G19-0126-SM-6PANQ 60-69 years, male 6.8
GTEX-PVOW-0126-SM-2XCFA 40-49 years, male 6.8
GTEX-1CB4G-0226-SM-7PC3O 60-69 years, male 6.8
GTEX-1EN7A-0126-SM-7SB81 40-49 years, male 6.8
GTEX-148VI-1626-SM-5SI6E 60-69 years, female 6.7
GTEX-15EU6-0426-SM-6PAN5 50-59 years, male 6.7
GTEX-15SHW-0326-SM-6PAML 60-69 years, male 6.7
GTEX-U412-0426-SM-3DB9O 60-69 years, male 6.7
GTEX-X4EO-0326-SM-3P5YO 60-69 years, female 6.7
GTEX-Y8DK-0126-SM-4TT3L 60-69 years, male 6.7
GTEX-11DXZ-2326-SM-5EGGV 50-59 years, male 6.6
GTEX-13X6J-0126-SM-5QGOU 50-59 years, male 6.6
GTEX-P4QT-0126-SM-2I3FL 50-59 years, female 6.6
GTEX-QVJO-1626-SM-2S1QW 60-69 years, female 6.6
GTEX-ZAB4-0226-SM-5N9F5 40-49 years, male 6.6
GTEX-1GF9V-0326-SM-7RHI5 60-69 years, male 6.6
GTEX-1I1CD-0126-SM-CM2TK 60-69 years, female 6.6
GTEX-ZYT6-0226-SM-5NQ6T 30-39 years, male 6.5
GTEX-1EMGI-0126-SM-9KNUE 60-69 years, male 6.5
GTEX-1H3VY-0126-SM-ACKXD 50-59 years, male 6.5
GTEX-1JMLX-0226-SM-CM2RO 50-59 years, male 6.5
GTEX-1JMQK-0226-SM-CL543 60-69 years, male 6.5
GTEX-1R46S-0626-SM-E9J41 60-69 years, female 6.5
GTEX-11DYG-0126-SM-59883 60-69 years, male 6.4
GTEX-11H98-0126-SM-5EGHG 50-59 years, male 6.4
GTEX-12ZZY-0226-SM-5LZVE 60-69 years, male 6.4
GTEX-OIZH-0126-SM-2HMIS 50-59 years, male 6.4
GTEX-12WSG-2826-SM-E9J4H 50-59 years, female 6.4
GTEX-1H2FU-0126-SM-9WYSI 60-69 years, female 6.4
GTEX-1I4MK-2226-SM-ACKWD 50-59 years, female 6.4
GTEX-1N2EF-0226-SM-EYYXB 60-69 years, male 6.4
GTEX-145MI-0526-SM-5O9A8 60-69 years, female 6.3
GTEX-1A32A-0126-SM-718B1 50-59 years, female 6.3
GTEX-WFG8-2226-SM-3GIL9 20-29 years, male 6.3
GTEX-1C6VQ-0126-SM-7P8RI 50-59 years, male 6.3
GTEX-1PIGE-0126-SM-EVYBJ 20-29 years, male 6.3
GTEX-1QMI2-0226-SM-EVYBX 60-69 years, male 6.3
GTEX-RWSA-0126-SM-2XCBB 40-49 years, male 6.2
GTEX-SNMC-1226-SM-2XCFP 20-29 years, male 6.2
GTEX-1JMOU-1526-SM-CL54I 60-69 years, female 6.2
GTEX-1JMQJ-0526-SM-CYPSU 50-59 years, male 6.2
GTEX-14E6C-0126-SM-5RQIP 40-49 years, male 6.1
GTEX-1AX9J-0226-SM-73KXM 60-69 years, male 6.1
GTEX-WRHK-1426-SM-3MJF9 20-29 years, female 6.1
GTEX-ZYW4-0126-SM-5E44A 60-69 years, male 6.1
GTEX-1HCU6-0126-SM-CL54K 60-69 years, female 6.1
GTEX-1HSKV-0226-SM-A9SKJ 60-69 years, male 6.1
GTEX-13JUV-2726-SM-5LZZ8 40-49 years, female 6.0
GTEX-15UF6-0826-SM-6PALJ 70-79 years, female 6.0
GTEX-18A6Q-0126-SM-731BZ 60-69 years, male 6.0
GTEX-1B8KE-2126-SM-73KYX 50-59 years, male 6.0
GTEX-X8HC-0126-SM-4E3JW 50-59 years, female 6.0
GTEX-13NYC-0326-SM-E9J4S 60-69 years, male 6.0
GTEX-1EWIQ-0126-SM-7RHH2 70-79 years, female 6.0
GTEX-1HBPI-1526-SM-C1YQ1 50-59 years, male 6.0
GTEX-148VJ-0126-SM-5TDDN 70-79 years, male 5.9
GTEX-OXRO-0126-SM-2YUN4 60-69 years, female 5.9
GTEX-X5EB-2226-SM-46MW4 40-49 years, male 5.9
GTEX-1H1CY-2826-SM-9MQM3 60-69 years, female 5.9
GTEX-12WSA-0226-SM-5BC5V 60-69 years, male 5.8
GTEX-14PN4-0126-SM-6EU2V 50-59 years, male 5.8
GTEX-1H1DE-2126-SM-9WG6R 20-29 years, male 5.8
GTEX-15ER7-0326-SM-7KUEV 20-29 years, female 5.7
GTEX-17EVQ-0226-SM-7LG4P 70-79 years, male 5.7
GTEX-1C475-1826-SM-73KWA 40-49 years, female 5.7
GTEX-1CB4J-0626-SM-7DHMP 60-69 years, male 5.7
GTEX-13O1R-0126-SM-5L3EH 60-69 years, male 5.6
GTEX-145LS-0126-SM-5QGP1 60-69 years, female 5.6
GTEX-13X6H-2126-SM-7EWD5 50-59 years, female 5.5
GTEX-1B8KZ-2026-SM-7DHMB 50-59 years, male 5.5
GTEX-S32W-2126-SM-2XCB1 50-59 years, female 5.5
GTEX-S7PM-0126-SM-4AD6S 60-69 years, male 5.5
GTEX-ZYFD-0126-SM-5GIDL 50-59 years, male 5.5
GTEX-1POEN-0126-SM-EYYXJ 30-39 years, female 5.5
GTEX-12584-0126-SM-5EGKQ 40-49 years, male 5.4
GTEX-1AX9I-0126-SM-7SB74 60-69 years, male 5.4
GTEX-1H3VE-0326-SM-9YFLH 40-49 years, male 5.4
GTEX-12WSE-0526-SM-793B2 20-29 years, male 5.3
GTEX-13FXS-0226-SM-5IJCK 50-59 years, male 5.3
GTEX-17GQL-2026-SM-718BA 60-69 years, male 5.3
GTEX-UPJH-0326-SM-3GADU 50-59 years, male 5.3
GTEX-1E2YA-0126-SM-9KNUC 50-59 years, male 5.3
GTEX-1GMR3-1926-SM-9KNUZ 40-49 years, male 5.3
GTEX-12WSL-2526-SM-5GCNJ 50-59 years, male 5.2
GTEX-13112-2826-SM-5DUWH 50-59 years, male 5.2
GTEX-11TUW-2726-SM-E9J4M 60-69 years, male 5.2
GTEX-1A8FM-0226-SM-7SB7Q 50-59 years, female 5.2
GTEX-1F48J-0126-SM-7P8TT 50-59 years, female 5.2
GTEX-1GZHY-0326-SM-9QEHI 50-59 years, female 5.2
GTEX-1H3O1-0426-SM-9YFKY 60-69 years, male 5.2
GTEX-1IKJJ-0126-SM-CNPQB 60-69 years, male 5.2
GTEX-1RDX4-0126-SM-E9J4P 50-59 years, female 5.2
GTEX-OXRP-0126-SM-3NB32 60-69 years, female 5.1
GTEX-U8T8-0126-SM-3DB94 60-69 years, male 5.1
GTEX-ZU9S-0226-SM-5E441 30-39 years, male 5.1
GTEX-1F75B-0126-SM-9KNVL 50-59 years, male 5.1
GTEX-1I1GR-0126-SM-CL55F 60-69 years, male 5.1
GTEX-1JMPZ-0226-SM-CNPP1 30-39 years, male 4.9
GTEX-13YAN-0326-SM-5O9DF 60-69 years, male 4.8
GTEX-139TU-0126-SM-5K7WH 60-69 years, male 4.7
GTEX-P44H-0226-SM-2XCEU 40-49 years, male 4.7
GTEX-1PWST-0226-SM-E76QJ 70-79 years, male 4.7
GTEX-ZVT4-0126-SM-DTXFN 50-59 years, female 4.7
GTEX-14A5I-0126-SM-5TDEA 50-59 years, female 4.6
GTEX-1HGF4-2426-SM-ACKXM 60-69 years, male 4.5
GTEX-1JN6P-0126-SM-D3L98 60-69 years, male 4.4
GTEX-145MO-0326-SM-5Q5B3 60-69 years, male 4.3
GTEX-15DDE-0126-SM-6LPKH 50-59 years, female 4.3
GTEX-1PIIG-0226-SM-EWRN6 30-39 years, male 4.2
GTEX-131XW-0426-SM-5LZWP 50-59 years, female 3.7
GTEX-1GN1U-0126-SM-7PBZK 50-59 years, female 3.5
GTEX-17HII-0226-SM-7LG4E 50-59 years, male 3.1
Show allShow less

Contact

  • NEWS ARTICLES
  • PRESS ROOM

The Project

  • INTRODUCTION
  • ORGANIZATION
  • PUBLICATIONS

The Human Protein Atlas

  • DOWNLOADABLE DATA
  • LICENCE & CITATION
  • HELP & FAQ
The Human Protein Atlas project is funded
by the Knut & Alice Wallenberg Foundation.


contact@proteinatlas.org