We use cookies to enhance the usability of our website. If you continue, we'll assume that you are happy to receive all cookies. More information. Don't show this again.
MYEOV
HPA
RESOURCES
  • TISSUE
  • BRAIN
  • SINGLE CELL
  • SUBCELLULAR
  • CANCER
  • BLOOD
  • CELL LINE
  • STRUCTURE & INTERACTION
ABOUT
  • INTRODUCTION
  • HISTORY
  • ORGANIZATION
  • PUBLICATIONS
  • ANTIBODY SUBMISSION
  • ANTIBODY AVAILABILITY
  • ACKNOWLEDGMENTS
  • CONTACT
NEWS
  • NEWS ARTICLES
  • PRESS ROOM
LEARN
  • DICTIONARY
  • PROTEIN CLASSES
  • PROTEIN EVIDENCE
  • METHODS
  • EDUCATIONAL VIDEOS
DATA
  • DOWNLOADABLE DATA
  • PUBLICATION DATA
  • RELEASE HISTORY
HELP
  • ANTIBODY VALIDATION
  • ASSAYS & ANNOTATION
  • DISCLAIMER
  • HELP & FAQ
  • PRIVACY STATEMENT
  • LICENCE & CITATION
Fields »
Search result

Field
Term
Gene name
Class
Subclass
Class
Keyword
Chromosome
External id
Tissue
Cell type
Expression
Antibody panel
Tissue
Main location
Patient ID
Annotation
Tissue
Category
Tau score
Cluster
Reliability
Brain region
Category
Tau score
Brain region
Category
Tau score
Brain region
Category
Tau score
Cluster
Reliability
Tissue
Cell type
Enrichment
Cell type
Category
Tau score
Cell type
Category
Tau score
Cell type
Category
Tau score
Cell lineage
Category
Tau score
Cluster
Cluster
Location
Searches
Location
Cell line
Class
Type
Phase
Reliability
Cancer
Prognosis
Cancer
Category
Cancer
Category
Tau score
Cluster
Variants
Interacting gene (ensg_id)
Type
Number of interactions
Pathway
Category
Score
Score
Score
Validation
Validation
Validation
Validation
Antibodies
Data type
Column


  • SUMMARY

  • TISSUE

  • BRAIN

  • SINGLE CELL

  • SUBCELL

  • CANCER

  • BLOOD

  • CELL LINE

  • STRUCT & INT

  • MYEOV
TISSUE PRIMARY DATA ESOPHAGUS Show tissue menu
ADIPOSE TISSUE ADRENAL GLAND AMYGDALA APPENDIX BASAL GANGLIA BONE MARROW BREAST CEREBELLUM CEREBRAL CORTEX CERVIX CHOROID PLEXUS COLON DUODENUM
ENDOMETRIUM EPIDIDYMIS ESOPHAGUS FALLOPIAN TUBE GALLBLADDER HEART MUSCLE HIPPOCAMPAL FORMATION HYPOTHALAMUS KIDNEY LIVER LUNG LYMPH NODE MIDBRAIN
OVARY PANCREAS PARATHYROID GLAND PITUITARY GLAND PLACENTA PROSTATE RECTUM RETINA SALIVARY GLAND SEMINAL VESICLE SKELETAL MUSCLE SKIN SMALL INTESTINE
SMOOTH MUSCLE SPINAL CORD SPLEEN STOMACH TESTIS THYMUS THYROID GLAND TONGUE TONSIL URINARY BLADDER VAGINA
ANTIBODIES
AND
VALIDATION
Dictionary
Esophagus
Tissue proteome
Esophagus
ESOPHAGUS - Expression summary
Protein expressioni

On the top, protein expression in current human tissue, based on all annotated cell types, is reported with the units not detected (n), low (l), medium (m) and high (h). Underneath, protein expression in each annotated cell type are reported using the same units.

Protein expression data is based on knowledge-based annotation. For genes where more than one antibody has been used, a collective score is set.

If knowledge-based annotation could not be performed for a gene, no data is displayed here. View antibody staining data further down this page.

No data
RNA expressioni

A summary of mRNA expression data available for current tissue based on several datasets. The mRNA expression levels in human tissues are based on RNA-seq data generated by the Human Protein Atlas (HPA), Genotype-Tissue Expression (GTEx) portal and CAGE data generated by the FANTOM5 consortium. Consensus normalized expression levels for human tissues was created by combining the data from HPA and GTEx datasets.

The mRNA expression levels in pig are based on RNA-seq data generated by the Human Protein Atlas (HPA), and for mouse, HPA data and in situ hybridization generated by the Allen brain atlas are reported.

Scroll down to view mRNA expression data in more detail.
Consensus:9.3 nTPM
HPA:8.3 nTPM
GTEx:9.3 nTPM
FANTOM5:23.8 Scaled Tags Per Million

ESOPHAGUS - Annotated protein expression
Pending normal tissue analysis

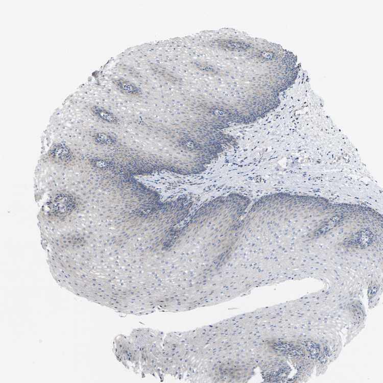
ESOPHAGUS - Antibody stainingi

Antibody staining in the annotated cell types in the current human tissue is reported as not detected, low, medium, or high, based on conventional immunohistochemistry profiling in selected tissues. This score is based on the combination of the staining intensity and fraction of stained cells.

Each image is clickable and will lead to virtual microscopy that enables deeper exploration of all samples and also displays staining intensity scores, fraction scores and subcellular localization as well as patient and tissue information for each sample.

Antibody HPA012949
Squamous epithelial cells Not detected



ESOPHAGUS - HPA RNA-seqi

The RNA-seq details section shows detailed information about the individual samples used for the transcript profiling and results of the RNA-seq analysis.

Information about each individual sample is listed below, including gender, age, a tissue section image and estimated fractions of cell types. nTPM (normalized transcripts per million) values give a quantification of the gene abundance which is comparable between different genes and samples.
Average nTPMi

Max subtype nTPM is the value for the subtype with the largest average nTPM across the subtype samples.

8.3
overview
Female, age 70
Esophagus sample 130
nTPM: 11.4
Cell types%
Squamous epithelial cells:
35

Smooth muscle cells:
15

Skeletal muscle cells:
5

Other cell types:
45

overview
Male, age 38
Esophagus sample 131
nTPM: 5
Cell types%
Squamous epithelial cells:
60

Smooth muscle cells:
20

Other cell types:
20

overview
Male, age 76
Esophagus sample 132
nTPM: 8.4
Cell types%
Squamous epithelial cells:
45

Smooth muscle cells:
15

Other cell types:
40


ESOPHAGUS - GTEx RNA-seqi

RNA-Seq data generated by the Genotype-Tissue Expression (GTEx) project from human tissues is reported as mean nTPM. More information can be found on the GTEx portal.

Distribution across the dataset is visualized with box plots, shown as median and 25th and 75th percentiles. Points are displayed as outliers if they are above or below 1.5 times the interquartile range. nTPM values of the individual samples are presented next to the box plot.
Max subtype nTPMi

Max subtype nTPM is the value for the subtype with the largest average nTPM across the subtype samples.

9.3
GTEx sample id Sample description nTPM
Esophagus - Mucosa
Average nTPM: 9.3
Samples: 555

Max nTPM: 49.1
Min nTPM: 0.0
Std nTPM: 7.8
Median nTPM: 7.4
GTEX-1269C-1026-SM-5N9EY 60-69 years, female 49.1
GTEX-X4XY-1726-SM-46MVO 60-69 years, male 44.7
GTEX-1HSKV-2426-SM-A8N8K 60-69 years, male 44.4
GTEX-1HBPH-1126-SM-A96TU 40-49 years, female 41.8
GTEX-1IDJH-2026-SM-CNNQX 70-79 years, male 40.3
GTEX-ZTSS-0626-SM-59867 40-49 years, male 34.9
GTEX-1CAMQ-2726-SM-7MKGD 40-49 years, male 33.8
GTEX-1EWIQ-1526-SM-79OO7 70-79 years, female 33.7
GTEX-14A6H-1326-SM-5NQBC 30-39 years, male 33.5
GTEX-Q2AG-1326-SM-43V8K 40-49 years, female 33.4
GTEX-ZG7Y-1126-SM-4WWEZ 50-59 years, male 33.2
GTEX-1HBPI-0626-SM-9WPP4 50-59 years, male 32.7
GTEX-1399S-1326-SM-5P9GH 30-39 years, female 32.2
GTEX-1EH9U-2426-SM-7EWFG 60-69 years, male 31.8
GTEX-145LU-0926-SM-79OJL 50-59 years, male 31.6
GTEX-1RDX4-2126-SM-EV7B3 50-59 years, female 31.6
GTEX-OXRP-0926-SM-48TC1 60-69 years, female 30.1
GTEX-ZDTT-1326-SM-4WKFH 60-69 years, male 29.0
GTEX-1I1GU-1426-SM-B2LX3 40-49 years, male 27.8
GTEX-1PPGY-1726-SM-EVR3S 60-69 years, male 27.8
GTEX-S95S-0426-SM-4B64I 60-69 years, male 27.2
GTEX-1MA7X-0726-SM-EV7AB 60-69 years, male 26.7
GTEX-ZTPG-1626-SM-5DUX2 20-29 years, female 26.5
GTEX-13FHP-1526-SM-5IJGE 50-59 years, male 26.4
GTEX-WHSE-1526-SM-4M1XH 20-29 years, male 26.2
GTEX-11ONC-1526-SM-5GU6S 60-69 years, male 25.7
GTEX-1CB4G-1326-SM-7MKFP 60-69 years, male 25.7
GTEX-117YW-1926-SM-5H121 50-59 years, male 25.4
GTEX-1AX9I-1426-SM-7DHM8 60-69 years, male 24.1
GTEX-1KANA-0626-SM-D4P3I 20-29 years, male 23.6
GTEX-15RIF-0826-SM-6M47C 20-29 years, male 23.2
GTEX-OXRN-1726-SM-3NM9B 50-59 years, male 23.1
GTEX-17HII-1526-SM-9OSVD 50-59 years, male 22.9
GTEX-11DXY-1426-SM-5N9CN 60-69 years, male 22.5
GTEX-131YS-1426-SM-5IJF7 60-69 years, female 22.4
GTEX-Y5LM-1026-SM-4VDSQ 40-49 years, female 22.4
GTEX-17EVQ-1926-SM-7IGOF 70-79 years, male 22.1
GTEX-17JCI-1226-SM-793D9 60-69 years, female 22.1
GTEX-1K2DU-1726-SM-EV79S 20-29 years, male 21.8
GTEX-1399Q-1126-SM-5P9JA 40-49 years, male 21.5
GTEX-ZT9W-1326-SM-51MTB 50-59 years, male 21.3
GTEX-11NUK-1326-SM-5P9GN 50-59 years, male 21.1
GTEX-ZUA1-1226-SM-5NQ6O 40-49 years, male 21.0
GTEX-1C64O-1826-SM-7DHM4 60-69 years, male 20.8
GTEX-1I1GR-1326-SM-ARU7B 60-69 years, male 20.6
GTEX-13PVR-1826-SM-5Q5CC 60-69 years, female 20.4
GTEX-VUSG-1226-SM-4KKZF 50-59 years, male 20.4
GTEX-1MCC2-1926-SM-DHXJR 30-39 years, female 20.4
GTEX-RVPV-0526-SM-47JYL 60-69 years, male 20.0
GTEX-13FTX-0526-SM-5IFGS 20-29 years, female 19.9
GTEX-13OW8-2326-SM-5L3I9 60-69 years, male 19.7
GTEX-O5YV-1026-SM-3LK72 60-69 years, female 19.7
GTEX-R55E-1326-SM-48FCR 20-29 years, male 19.7
GTEX-1H23P-1426-SM-9JGH5 60-69 years, male 19.2
GTEX-1JMPY-0826-SM-AHZ4A 30-39 years, male 19.2
GTEX-1LB8K-1326-SM-CXZKB 50-59 years, male 19.1
GTEX-14PJM-1526-SM-664NY 50-59 years, female 19.0
GTEX-ZC5H-1326-SM-5HL7E 40-49 years, female 18.9
GTEX-T2IS-0826-SM-4DM6L 20-29 years, female 18.8
GTEX-1399R-0826-SM-5IJEL 30-39 years, male 18.6
GTEX-QESD-0826-SM-47J4G 20-29 years, male 18.6
GTEX-1MCYP-1026-SM-DPRYB 20-29 years, female 18.5
GTEX-YB5K-0826-SM-5YYB7 40-49 years, female 18.4
GTEX-ZVT2-1326-SM-5E45H 50-59 years, female 18.3
GTEX-1EKGG-1726-SM-7MXUP 60-69 years, male 18.2
GTEX-1H11D-2126-SM-9OSXM 40-49 years, male 18.0
GTEX-11TUW-1326-SM-5EQKV 60-69 years, male 17.9
GTEX-13RTK-0526-SM-5S2QF 20-29 years, male 17.8
GTEX-15RIE-0826-SM-6M47X 60-69 years, male 17.8
GTEX-1HCU8-2226-SM-9WPOV 60-69 years, female 17.8
GTEX-ZE9C-1126-SM-4WWBD 60-69 years, male 17.7
GTEX-PWN1-0626-SM-48TDT 40-49 years, female 17.6
GTEX-OIZG-1026-SM-3LK5X 50-59 years, male 17.5
GTEX-QEG4-0726-SM-CNNRF 30-39 years, male 17.5
GTEX-1NSGN-2026-SM-DPRYM 50-59 years, male 17.4
GTEX-1GMR3-1526-SM-9JGGL 40-49 years, male 17.2
GTEX-1AX9J-1826-SM-731FM 60-69 years, male 17.1
GTEX-ZYVF-2226-SM-5GIDD 50-59 years, female 17.1
GTEX-11P82-0526-SM-5986P 20-29 years, male 17.0
GTEX-1122O-1726-SM-5GICM 60-69 years, female 16.8
GTEX-1EX96-2226-SM-7MKGT 50-59 years, male 16.8
GTEX-U4B1-0826-SM-4DXTW 40-49 years, male 16.8
GTEX-14C5O-1626-SM-73KYH 60-69 years, male 16.7
GTEX-1CB4H-1526-SM-7MXU4 60-69 years, female 16.6
GTEX-YEC4-1026-SM-9WG7N 40-49 years, male 16.6
GTEX-17F98-1726-SM-7938O 40-49 years, female 16.5
GTEX-POYW-1326-SM-48TCG 60-69 years, male 16.5
GTEX-148VJ-1026-SM-5LU98 70-79 years, male 16.4
GTEX-13O1R-1326-SM-5IJF5 60-69 years, male 16.1
GTEX-SNMC-0526-SM-4DM69 20-29 years, male 16.1
GTEX-WVLH-1426-SM-4MVNX 50-59 years, male 16.1
GTEX-14DAR-0826-SM-73KYJ 50-59 years, male 16.0
GTEX-17MFQ-0526-SM-7KFTX 20-29 years, male 15.9
GTEX-1I1CD-1726-SM-A9G3P 60-69 years, female 15.9
GTEX-1RAZS-2626-SM-EV79C 50-59 years, male 15.8
GTEX-1KXAM-0826-SM-CXZK9 60-69 years, male 15.5
GTEX-1AMFI-0226-SM-731D5 50-59 years, female 15.4
GTEX-S4P3-0426-SM-4AD56 50-59 years, female 15.3
GTEX-T2YK-1326-SM-4DM6S 50-59 years, male 15.3
GTEX-WQUQ-1626-SM-4OOSH 60-69 years, male 15.3
GTEX-XQ8I-1526-SM-4BOOH 50-59 years, male 15.3
GTEX-1I1GS-2126-SM-ARU7G 60-69 years, male 15.2
GTEX-11GSP-1826-SM-5N9DQ 60-69 years, female 15.1
GTEX-131XG-1026-SM-5GCMX 50-59 years, female 15.1
GTEX-R55G-1026-SM-48FDI 40-49 years, female 15.1
GTEX-Q2AH-0826-SM-48TZN 40-49 years, male 14.8
GTEX-1A32A-1826-SM-72D5G 50-59 years, female 14.5
GTEX-XBEW-1326-SM-4AT63 40-49 years, male 14.5
GTEX-13OVI-2626-SM-5KM4T 60-69 years, female 14.4
GTEX-15DYW-1826-SM-6LPIY 60-69 years, female 14.4
GTEX-1HFI6-1226-SM-A96SK 40-49 years, male 14.4
GTEX-OIZH-0626-SM-3NB1L 50-59 years, male 14.3
GTEX-RWS6-0826-SM-47JXF 60-69 years, female 14.3
GTEX-PVOW-1626-SM-48TC9 40-49 years, male 14.1
GTEX-1JMQJ-1226-SM-D3L97 50-59 years, male 14.1
GTEX-ZZ64-0226-SM-5E44X 20-29 years, male 14.0
GTEX-13YAN-1926-SM-7EPH9 60-69 years, male 13.8
GTEX-14BMU-0926-SM-5S2QB 20-29 years, female 13.7
GTEX-Y9LG-0626-SM-4WWDH 30-39 years, male 13.7
GTEX-1LG7Y-1726-SM-EV7AR 50-59 years, male 13.7
GTEX-12C56-1226-SM-5FQSU 20-29 years, male 13.5
GTEX-ZF2S-1226-SM-4WWAX 50-59 years, female 13.5
GTEX-T8EM-0526-SM-4DM64 40-49 years, male 13.4
GTEX-18QFQ-1026-SM-7LG6B 30-39 years, male 13.4
GTEX-14PJ4-1526-SM-664OA 60-69 years, male 13.2
GTEX-VJYA-0726-SM-4KL1T 60-69 years, male 13.2
GTEX-QV44-1126-SM-CL55C 50-59 years, male 13.2
GTEX-13X6K-2126-SM-5O9D4 60-69 years, female 13.1
GTEX-146FH-1726-SM-5QGQ2 50-59 years, female 13.1
GTEX-1F88F-1126-SM-7MKHL 60-69 years, female 13.1
GTEX-PWCY-0726-SM-48TCS 20-29 years, female 13.1
GTEX-WYVS-0726-SM-4ONDO 40-49 years, female 13.1
GTEX-1QP2A-1926-SM-EXOJ9 50-59 years, male 13.1
GTEX-13O3Q-0826-SM-5IFGF 50-59 years, male 13.0
GTEX-15EOM-5013-SM-7MKF9 20-29 years, female 13.0
GTEX-1IKOE-1526-SM-C1YSD 30-39 years, female 13.0
GTEX-1J8EW-1326-SM-AHZ3S 60-69 years, female 13.0
GTEX-XYKS-1526-SM-4BRUP 60-69 years, female 12.9
GTEX-1KAFJ-0626-SM-D3L8X 50-59 years, male 12.9
GTEX-T6MO-0526-SM-4DM6R 40-49 years, female 12.8
GTEX-1R9K4-1926-SM-DPRZW 60-69 years, male 12.8
GTEX-13NZB-1226-SM-5J2MW 30-39 years, male 12.7
GTEX-13PL7-0226-SM-731DT 60-69 years, female 12.7
GTEX-QCQG-0626-SM-48U21 50-59 years, female 12.7
GTEX-1MCQQ-1026-SM-EV7AX 60-69 years, male 12.7
GTEX-13QJ3-1726-SM-5RQK9 50-59 years, male 12.6
GTEX-14PJ3-0626-SM-6UGC5 50-59 years, male 12.6
GTEX-1ICG6-1926-SM-ARU7L 70-79 years, female 12.6
GTEX-QVUS-0626-SM-447CC 60-69 years, female 12.5
GTEX-14DAQ-1426-SM-5RQJD 60-69 years, female 12.4
GTEX-SE5C-1226-SM-4BRWV 40-49 years, female 12.4
GTEX-13FLV-1126-SM-5J2NO 50-59 years, male 12.2
GTEX-RU1J-0326-SM-46MUM 20-29 years, female 12.2
GTEX-TML8-1526-SM-4DXUX 40-49 years, female 12.2
GTEX-1LVAN-2326-SM-CNNPY 50-59 years, female 12.2
GTEX-1MGNQ-1626-SM-EAZ4Z 40-49 years, male 12.2
GTEX-S4Q7-0626-SM-4AD5M 20-29 years, male 12.1
GTEX-1GN1W-2226-SM-9JGI5 50-59 years, female 12.1
GTEX-11EQ9-0726-SM-5A5K2 30-39 years, male 12.0
GTEX-X4EP-1626-SM-4QAS6 60-69 years, female 12.0
GTEX-ZVP2-1326-SM-57WCE 50-59 years, male 12.0
GTEX-17HHE-0926-SM-7938K 50-59 years, male 11.9
GTEX-1GPI7-1026-SM-7MGY2 20-29 years, male 11.9
GTEX-P4PQ-0626-SM-3NMCU 60-69 years, male 11.8
GTEX-W5WG-1626-SM-4LMKG 50-59 years, female 11.8
GTEX-14PJ5-0526-SM-664OE 60-69 years, female 11.7
GTEX-P4QT-0626-SM-3NMCP 50-59 years, female 11.7
GTEX-Q2AI-0626-SM-48TZU 40-49 years, male 11.7
GTEX-RN64-1026-SM-48FDX 50-59 years, male 11.7
GTEX-ZLWG-1326-SM-DNZYZ 50-59 years, female 11.7
GTEX-1211K-0926-SM-5FQTL 60-69 years, female 11.6
GTEX-ZPCL-1426-SM-57WEC 60-69 years, female 11.6
GTEX-R53T-1126-SM-48FD4 50-59 years, female 11.5
GTEX-11NSD-1126-SM-5N9BQ 20-29 years, male 11.4
GTEX-12ZZY-1426-SM-5N9EI 60-69 years, male 11.4
GTEX-PLZ6-0526-SM-3P61C 30-39 years, male 11.3
GTEX-1HCVE-1226-SM-9WPPH 50-59 years, male 11.3
GTEX-1IDFM-1126-SM-A96SY 60-69 years, male 11.3
GTEX-1L5NE-1426-SM-DHXKV 50-59 years, male 11.3
GTEX-13G51-0926-SM-5IFFU 60-69 years, male 11.2
GTEX-14AS3-0626-SM-5QGQD 40-49 years, female 11.2
GTEX-18D9B-2026-SM-7LT96 60-69 years, male 11.2
GTEX-1CB4J-2426-SM-7MXVC 60-69 years, male 11.2
GTEX-1KANB-1826-SM-DHXJU 50-59 years, male 11.2
GTEX-11ZTS-2626-SM-5EGIC 60-69 years, female 11.1
GTEX-12BJ1-1626-SM-5HL8Y 60-69 years, male 11.1
GTEX-131XE-1426-SM-5HL7V 50-59 years, male 11.1
GTEX-1K2DA-0626-SM-CGQGO 50-59 years, male 11.1
GTEX-13FH7-0526-SM-5IJF8 50-59 years, female 11.0
GTEX-14H4A-1626-SM-5SI69 40-49 years, female 10.9
GTEX-14PKV-1726-SM-6871U 20-29 years, female 10.9
GTEX-N7MT-0326-SM-48TDP 60-69 years, female 10.9
GTEX-S33H-0826-SM-4AD5Y 30-39 years, male 10.9
GTEX-1I1GQ-1726-SM-B2LWZ 50-59 years, male 10.9
GTEX-NFK9-1126-SM-3LK78 40-49 years, male 10.8
GTEX-ZLV1-0526-SM-4WWD4 60-69 years, female 10.8
GTEX-1S82Y-1226-SM-EV7BD 40-49 years, male 10.8
GTEX-12696-1326-SM-5FQTJ 60-69 years, male 10.6
GTEX-14C38-2126-SM-5RQJO 50-59 years, male 10.5
GTEX-WRHK-0526-SM-4MVOF 20-29 years, female 10.5
GTEX-Z9EW-0526-SM-5HL8S 40-49 years, male 10.5
GTEX-1CB4E-1026-SM-793AB 60-69 years, male 10.4
GTEX-1H1ZS-1526-SM-9OSXR 70-79 years, male 10.4
GTEX-ZAK1-1526-SM-5S2OV 50-59 years, female 10.3
GTEX-13NYB-0926-SM-5IFFA 40-49 years, male 10.2
GTEX-13S86-0826-SM-5SI6J 40-49 years, male 10.2
GTEX-11P7K-1326-SM-5BC5G 30-39 years, male 10.1
GTEX-13OVK-1126-SM-6PAMR 40-49 years, male 10.1
GTEX-18D9A-0526-SM-7KFSW 30-39 years, female 10.1
GTEX-YB5E-0926-SM-4WWDQ 40-49 years, male 10.1
GTEX-14B4R-0326-SM-5TDDP 30-39 years, male 9.9
GTEX-ZF29-1326-SM-DNZYV 60-69 years, female 9.9
GTEX-XQ3S-1126-SM-4BOPK 20-29 years, male 9.8
GTEX-YFC4-1226-SM-5LU9R 40-49 years, female 9.8
GTEX-X15G-0826-SM-4PQZD 50-59 years, female 9.7
GTEX-1HKZK-1426-SM-A96U1 40-49 years, male 9.7
GTEX-18A6Q-1226-SM-7KFS9 60-69 years, male 9.6
GTEX-UPK5-1226-SM-4IHL8 40-49 years, male 9.6
GTEX-X3Y1-1326-SM-4PQZB 40-49 years, male 9.6
GTEX-XV7Q-1126-SM-4BRVS 40-49 years, female 9.6
GTEX-183FY-1526-SM-7IGOW 20-29 years, male 9.5
GTEX-XK95-1026-SM-4GIDV 40-49 years, male 9.5
GTEX-1QEPI-1826-SM-EAZ3J 60-69 years, female 9.5
GTEX-111YS-0926-SM-5EGGI 60-69 years, male 9.4
GTEX-13D11-1926-SM-5IFGB 50-59 years, female 9.4
GTEX-15RJE-0926-SM-6LLHZ 40-49 years, male 9.4
GTEX-1HB9E-1526-SM-D3LA6 50-59 years, male 9.4
GTEX-1IY9M-1626-SM-AHZ39 60-69 years, male 9.4
GTEX-12ZZX-1326-SM-5DUWI 40-49 years, female 9.3
GTEX-RM2N-0726-SM-48FD5 50-59 years, male 9.3
GTEX-146FR-0426-SM-5SI97 60-69 years, female 9.2
GTEX-ZA64-0626-SM-5HL9O 20-29 years, male 9.2
GTEX-1HBPM-1426-SM-9WPPE 60-69 years, female 9.2
GTEX-QLQ7-0926-SM-447BC 60-69 years, male 9.1
GTEX-X62O-2226-SM-46MW3 50-59 years, male 9.1
GTEX-UJHI-0826-SM-4IHLM 50-59 years, female 9.0
GTEX-1LSNL-2226-SM-DHXKM 50-59 years, male 9.0
GTEX-1N2EE-2426-SM-EXOIO 60-69 years, male 9.0
GTEX-1QP28-1826-SM-EAZ4L 50-59 years, female 9.0
GTEX-15UF7-0926-SM-6M46F 40-49 years, male 8.9
GTEX-17KNJ-1326-SM-7KFTG 50-59 years, male 8.9
GTEX-1IDJD-1626-SM-C1YRC 30-39 years, male 8.9
GTEX-WEY5-0926-SM-4LMI4 40-49 years, female 8.7
GTEX-1R9K5-1526-SM-DPRZA 50-59 years, male 8.7
GTEX-132QS-1426-SM-5P9GE 60-69 years, male 8.6
GTEX-U8XE-1726-SM-4E3IF 30-39 years, male 8.6
GTEX-16A39-1026-SM-6LPJU 30-39 years, female 8.5
GTEX-U3ZM-0526-SM-4DXTB 40-49 years, male 8.5
GTEX-WFON-0826-SM-4LVMI 40-49 years, male 8.5
GTEX-WHPG-1126-SM-4M1XT 50-59 years, male 8.5
GTEX-1J1OQ-2526-SM-AHZ3Q 40-49 years, female 8.5
GTEX-1JMLX-2326-SM-CXZJP 50-59 years, male 8.5
GTEX-1QPFJ-1226-SM-EAZ3M 30-39 years, female 8.5
GTEX-RTLS-1126-SM-46MUQ 60-69 years, female 8.4
GTEX-Y5V5-1626-SM-4VDSG 60-69 years, female 8.4
GTEX-1QCLY-1526-SM-DPRXX 30-39 years, male 8.3
GTEX-1R7EU-0826-SM-DPRZL 60-69 years, male 8.3
GTEX-ZLFU-1126-SM-DO11K 40-49 years, male 8.2
GTEX-12WSA-1426-SM-5EGJU 60-69 years, male 8.1
GTEX-15ER7-2126-SM-7939E 20-29 years, female 8.0
GTEX-14BIN-2726-SM-5RQIE 50-59 years, female 7.9
GTEX-1C2JI-1126-SM-731FH 50-59 years, male 7.9
GTEX-1E1VI-1526-SM-7IGQ2 50-59 years, male 7.8
GTEX-QDVJ-0726-SM-48U1W 50-59 years, male 7.8
GTEX-YJ89-1526-SM-5P9IR 60-69 years, male 7.8
GTEX-ZPU1-1426-SM-4WWFU 40-49 years, male 7.7
GTEX-ZY6K-0626-SM-59HJL 50-59 years, male 7.7
GTEX-1RAZA-1326-SM-DPS12 20-29 years, male 7.7
GTEX-111CU-0726-SM-5GZYD 50-59 years, male 7.6
GTEX-13QBU-1026-SM-5LU3R 40-49 years, female 7.6
GTEX-14ICK-2026-SM-6AJB2 40-49 years, male 7.6
GTEX-16NPX-1626-SM-6LLI5 50-59 years, male 7.6
GTEX-1B8KE-1826-SM-731FD 50-59 years, male 7.6
GTEX-ZYFG-1126-SM-5GICY 60-69 years, female 7.6
GTEX-17F96-2526-SM-7DHL3 70-79 years, male 7.5
GTEX-Y3I4-1226-SM-4TT8N 50-59 years, male 7.5
GTEX-1PIGE-0926-SM-E9U5Z 20-29 years, male 7.5
GTEX-132AR-2226-SM-5J2NT 50-59 years, female 7.4
GTEX-13FTW-1626-SM-5KM4N 40-49 years, male 7.4
GTEX-18A66-1426-SM-7KFRT 60-69 years, male 7.4
GTEX-S7SF-0926-SM-4AD4M 20-29 years, female 7.4
GTEX-1B996-1826-SM-7MGY6 60-69 years, male 7.4
GTEX-1I1GV-2226-SM-ARU7E 60-69 years, male 7.4
GTEX-OOBK-0625-SM-3LK5P 40-49 years, male 7.3
GTEX-OXRK-1326-SM-3NB1A 50-59 years, female 7.3
GTEX-WYJK-1926-SM-4ONDP 50-59 years, male 7.3
GTEX-XUZC-0426-SM-4BOPE 30-39 years, female 7.3
GTEX-139YR-1726-SM-5IFFK 50-59 years, male 7.2
GTEX-XMK1-1326-SM-4B65Q 40-49 years, male 7.2
GTEX-ZF3C-1626-SM-4WWB4 50-59 years, female 7.2
GTEX-145ME-5004-SM-7MGXP 40-49 years, female 7.2
GTEX-1QP9N-0926-SM-E9U5S 30-39 years, male 7.2
GTEX-X4EO-1226-SM-4QARR 60-69 years, female 7.1
GTEX-XGQ4-1526-SM-4AT6H 50-59 years, male 7.1
GTEX-ZXES-1126-SM-5GZXN 30-39 years, female 7.1
GTEX-1IDJF-1226-SM-C1YPX 20-29 years, male 7.1
GTEX-YEC3-2526-SM-CXZIH 50-59 years, male 7.1
GTEX-11DXX-1126-SM-5GZZK 60-69 years, female 7.0
GTEX-V1D1-1026-SM-4JBHE 50-59 years, male 7.0
GTEX-11I78-1526-SM-5A5K7 50-59 years, female 6.9
GTEX-R55C-0826-SM-48FCL 40-49 years, male 6.9
GTEX-S3XE-0926-SM-4AD4S 50-59 years, male 6.9
GTEX-14JIY-0926-SM-6871D 60-69 years, male 6.8
GTEX-16Z82-1926-SM-6M47U 60-69 years, male 6.8
GTEX-1H1DG-1226-SM-9JGH3 70-79 years, male 6.8
GTEX-139T6-0626-SM-5IFF9 50-59 years, male 6.7
GTEX-1497J-2726-SM-5SI9W 60-69 years, male 6.7
GTEX-T5JC-1726-SM-4DM6U 20-29 years, male 6.7
GTEX-1IKK5-1326-SM-AHZ2X 60-69 years, male 6.7
GTEX-YECK-1626-SM-5IFHQ 60-69 years, male 6.6
GTEX-ZGAY-1126-SM-4WWBS 40-49 years, female 6.6
GTEX-15ETS-1926-SM-7KUN5 40-49 years, female 6.5
GTEX-R3RS-1326-SM-48FE7 40-49 years, female 6.5
GTEX-1LBAC-1226-SM-DHXK1 20-29 years, male 6.5
GTEX-QEG5-1426-SM-447AS 20-29 years, male 6.4
GTEX-UPJH-1026-SM-EAZB2 50-59 years, male 6.4
GTEX-17HGU-1426-SM-7938G 50-59 years, male 6.3
GTEX-WH7G-0926-SM-4LVMJ 40-49 years, male 6.3
GTEX-13X6H-1326-SM-5LU42 50-59 years, female 6.2
GTEX-TKQ1-0326-SM-4DXSM 30-39 years, male 6.2
GTEX-1LG7Z-0926-SM-CXKYK 30-39 years, male 6.2
GTEX-YF7O-0926-SM-5IFIF 50-59 years, male 6.1
GTEX-13SLX-1726-SM-5Q5E5 50-59 years, female 6.0
GTEX-14PHY-0626-SM-664NN 60-69 years, female 6.0
GTEX-11DXZ-1226-SM-5H11L 50-59 years, male 5.9
GTEX-11P81-0826-SM-5P9GR 30-39 years, female 5.9
GTEX-11ZU8-1526-SM-5EGHX 60-69 years, male 5.9
GTEX-12WSK-1126-SM-5LZV8 40-49 years, female 5.9
GTEX-11LCK-1726-SM-5S2OQ 30-39 years, male 5.8
GTEX-14E6E-0726-SM-5S2R3 30-39 years, male 5.8
GTEX-1JKYN-1526-SM-CGQGA 30-39 years, male 5.8
GTEX-1S83E-0826-SM-EV7B7 40-49 years, male 5.8
GTEX-18A7A-2326-SM-7KFRH 50-59 years, female 5.7
GTEX-1AYD5-0926-SM-793AF 50-59 years, male 5.7
GTEX-ZDYS-0826-SM-4WWCR 50-59 years, male 5.7
GTEX-QLQW-0526-SM-4R1KS 30-39 years, male 5.6
GTEX-1HSMQ-2026-SM-B2LY1 50-59 years, male 5.6
GTEX-U3ZN-1726-SM-4DXUQ 30-39 years, female 5.5
GTEX-13W46-1926-SM-5J2MF 50-59 years, male 5.4
GTEX-P4PP-0626-SM-3NM9X 30-39 years, female 5.4
GTEX-ZQUD-0426-SM-57WFR 30-39 years, male 5.4
GTEX-11EM3-0826-SM-5N9CC 20-29 years, female 5.3
GTEX-1LGOU-0526-SM-D3LAO 20-29 years, female 5.3
GTEX-WFG8-1226-SM-4V6EI 20-29 years, male 5.2
GTEX-1EN7A-1226-SM-7MGX9 40-49 years, male 5.2
GTEX-1H1DE-1026-SM-9JGH6 20-29 years, male 5.2
GTEX-1JK1U-1726-SM-CNNPM 60-69 years, male 5.2
GTEX-1N2DV-2026-SM-EV7BL 40-49 years, male 5.2
GTEX-144GM-1426-SM-5LU31 20-29 years, male 5.1
GTEX-15SB6-0726-SM-6M48F 50-59 years, female 5.1
GTEX-PLZ4-1626-SM-3P618 50-59 years, female 5.1
GTEX-11TT1-0526-SM-5P9JO 20-29 years, male 5.0
GTEX-16MTA-0826-SM-6LLIC 50-59 years, male 5.0
GTEX-18A67-2426-SM-7LT95 50-59 years, male 5.0
GTEX-WK11-1026-SM-4OOS8 50-59 years, male 5.0
GTEX-ZV68-0926-SM-59HK7 50-59 years, female 5.0
GTEX-OIZF-0626-SM-7MKHG 60-69 years, male 5.0
GTEX-OXRL-0626-SM-3NM9C 50-59 years, male 4.9
GTEX-1PPH8-1626-SM-E6CQP 20-29 years, male 4.9
GTEX-13W3W-1626-SM-5LU35 60-69 years, female 4.8
GTEX-1AMEY-0226-SM-7189Q 30-39 years, female 4.8
GTEX-QDVN-1026-SM-48TZA 50-59 years, male 4.8
GTEX-XMD2-1326-SM-4YCET 60-69 years, female 4.8
GTEX-XXEK-0326-SM-4BRVV 50-59 years, male 4.8
GTEX-11XUK-0826-SM-5GU6P 40-49 years, female 4.7
GTEX-1C475-0926-SM-7MKFI 40-49 years, female 4.7
GTEX-1RAZR-1226-SM-E6CRD 40-49 years, male 4.7
GTEX-139UW-1126-SM-5IJEJ 60-69 years, male 4.6
GTEX-16NGA-1426-SM-718AC 40-49 years, female 4.6
GTEX-SJXC-1426-SM-EYYVB 60-69 years, male 4.6
GTEX-Y114-0926-SM-4TT7J 50-59 years, female 4.5
GTEX-1J8QM-1926-SM-AHZ3Z 60-69 years, female 4.5
GTEX-14E1K-1226-SM-5S2PD 50-59 years, male 4.4
GTEX-14PJN-0526-SM-68724 30-39 years, male 4.4
GTEX-WFG7-1126-SM-4LMK3 20-29 years, male 4.4
GTEX-XBED-1026-SM-48TCB 60-69 years, male 4.4
GTEX-1LVA9-2126-SM-DLHBY 50-59 years, male 4.4
GTEX-1OJC3-0826-SM-DPRYU 20-29 years, male 4.4
GTEX-17EUY-1426-SM-7938X 20-29 years, male 4.3
GTEX-1A3MV-1326-SM-7LG6C 30-39 years, male 4.3
GTEX-1F75I-1726-SM-7MKGW 40-49 years, male 4.3
GTEX-WXYG-1226-SM-4ONCJ 50-59 years, female 4.3
GTEX-1B8KZ-0726-SM-7938W 50-59 years, male 4.2
GTEX-1CB4F-1526-SM-7MKFM 60-69 years, male 4.2
GTEX-1HCUA-1426-SM-9WPP7 50-59 years, female 4.2
GTEX-12WSD-1826-SM-5GCOA 60-69 years, female 4.1
GTEX-14BIM-1326-SM-7EWD1 60-69 years, female 4.1
GTEX-Y3IK-1126-SM-51MSV 50-59 years, female 4.1
GTEX-Y5V6-1026-SM-4VBS2 60-69 years, male 4.1
GTEX-1RAZQ-1726-SM-EAZ4T 30-39 years, male 4.1
GTEX-11EMC-2226-SM-5A5JW 60-69 years, female 4.0
GTEX-13OVG-0626-SM-5IFEP 60-69 years, male 4.0
GTEX-144GN-0626-SM-5O9B2 50-59 years, male 4.0
GTEX-13O61-0926-SM-5IFFE 60-69 years, male 3.9
GTEX-1CB4I-1026-SM-7MKFZ 50-59 years, male 3.9
GTEX-ZYT6-1126-SM-5GZYR 30-39 years, male 3.9
GTEX-145MO-1426-SM-DTX9W 60-69 years, male 3.9
GTEX-1HCU6-1326-SM-A96TZ 60-69 years, female 3.9
GTEX-1N2DW-1426-SM-EV7AZ 50-59 years, male 3.9
GTEX-QEL4-1426-SM-447AC 50-59 years, male 3.8
GTEX-RNOR-1226-SM-48FDQ 50-59 years, female 3.8
GTEX-WHSB-0426-SM-4M1XI 50-59 years, male 3.8
GTEX-1GN73-1926-SM-9JGGS 60-69 years, male 3.8
GTEX-1OKEX-1326-SM-E9J2U 60-69 years, male 3.8
GTEX-147F3-0826-SM-5NQA7 50-59 years, female 3.7
GTEX-15EU6-1626-SM-6LPKF 50-59 years, male 3.7
GTEX-Y8E4-1726-SM-5LU9G 40-49 years, male 3.7
GTEX-S341-0526-SM-4AD5U 40-49 years, female 3.6
GTEX-X4LF-0626-SM-4QASB 50-59 years, male 3.6
GTEX-13FHO-1726-SM-DPRZX 60-69 years, male 3.6
GTEX-1J1R8-0326-SM-AHZ3D 40-49 years, male 3.6
GTEX-12WSL-1526-SM-5GCP8 50-59 years, male 3.5
GTEX-133LE-0626-SM-5IFFJ 20-29 years, female 3.5
GTEX-X585-1226-SM-46MW7 50-59 years, male 3.5
GTEX-ZEX8-1426-SM-4WKHQ 50-59 years, male 3.5
GTEX-1I4MK-0426-SM-B2LWQ 50-59 years, female 3.5
GTEX-1R9PM-0926-SM-DPRYA 20-29 years, male 3.5
GTEX-18465-1126-SM-7LG6E 50-59 years, male 3.4
GTEX-1R9JW-1526-SM-DPRZK 30-39 years, female 3.4
GTEX-11VI4-0526-SM-5EQ48 40-49 years, female 3.3
GTEX-12ZZW-1726-SM-5DUVD 50-59 years, male 3.3
GTEX-1F5PK-1526-SM-7MKGV 50-59 years, male 3.3
GTEX-1JMPZ-2026-SM-C1YR8 30-39 years, male 3.3
GTEX-1B97I-0926-SM-731DZ 40-49 years, male 3.2
GTEX-ZAB4-1126-SM-5HL86 40-49 years, male 3.2
GTEX-1A8FM-1526-SM-7MXTA 50-59 years, female 3.2
GTEX-1GTWX-1326-SM-9JGHU 60-69 years, male 3.2
GTEX-12KS4-0926-SM-5BC5S 30-39 years, male 3.1
GTEX-13111-0826-SM-5LZV3 50-59 years, male 3.1
GTEX-144FL-2726-SM-5O98Z 50-59 years, male 3.1
GTEX-14PK6-1326-SM-686ZE 70-79 years, female 3.1
GTEX-OIZI-1426-SM-3NB1T 40-49 years, male 3.1
GTEX-REY6-1326-SM-48FDO 60-69 years, male 3.1
GTEX-WOFM-0626-SM-4OOS3 20-29 years, male 3.1
GTEX-ZT9X-0526-SM-5GCOP 40-49 years, male 3.1
GTEX-1GF9U-0826-SM-7MXTZ 40-49 years, female 3.1
GTEX-14ICL-0526-SM-5RQJ6 30-39 years, male 3.0
GTEX-1LVAM-1126-SM-DHXKP 50-59 years, female 3.0
GTEX-ZYW4-1326-SM-5E45N 60-69 years, male 2.9
GTEX-1JKYR-2126-SM-CNNPC 20-29 years, male 2.9
GTEX-1EMGI-1926-SM-7938Y 60-69 years, male 2.8
GTEX-1MA7W-0426-SM-E9TJ5 20-29 years, female 2.8
GTEX-14PJ6-1026-SM-686ZB 60-69 years, female 2.7
GTEX-15SHU-1426-SM-6LPIN 40-49 years, female 2.7
GTEX-U3ZH-1026-SM-4DXUZ 30-39 years, male 2.7
GTEX-1NUQO-1126-SM-DTX98 20-29 years, female 2.7
GTEX-1212Z-2126-SM-5FQTM 60-69 years, male 2.6
GTEX-13PVQ-1726-SM-5IFF3 50-59 years, male 2.6
GTEX-145LV-1326-SM-5S2QI 50-59 years, male 2.6
GTEX-169BO-0526-SM-793AK 50-59 years, male 2.6
GTEX-1C6VQ-1826-SM-7EWEH 50-59 years, male 2.6
GTEX-1EU9M-2326-SM-7MKGS 60-69 years, male 2.6
GTEX-Y111-1626-SM-57WCY 50-59 years, male 2.6
GTEX-1B97J-1026-SM-7MXTE 50-59 years, female 2.6
GTEX-1K9T9-2026-SM-CXZK3 50-59 years, female 2.6
GTEX-1LGRB-1626-SM-CNNR7 50-59 years, female 2.6
GTEX-1QP29-2126-SM-E6CPZ 50-59 years, male 2.6
GTEX-16BQI-1526-SM-6LLIE 30-39 years, female 2.5
GTEX-16XZY-0926-SM-7938M 70-79 years, male 2.4
GTEX-18D9U-2126-SM-7LG4Y 40-49 years, male 2.4
GTEX-148VI-1026-SM-5TDDJ 60-69 years, female 2.3
GTEX-R45C-1226-SM-48FEE 60-69 years, female 2.3
GTEX-1HGF4-0926-SM-9WPP8 60-69 years, male 2.3
GTEX-145LS-1826-SM-5LUAZ 60-69 years, female 2.2
GTEX-145LT-1126-SM-5LUA1 40-49 years, male 2.2
GTEX-ZAJG-1326-SM-5S2NV 50-59 years, female 2.2
GTEX-1I6K7-1426-SM-B2LXP 40-49 years, male 2.2
GTEX-15RJ7-0926-SM-6LPJO 40-49 years, male 2.1
GTEX-1GL5R-1526-SM-7MKHO 50-59 years, male 2.1
GTEX-SUCS-0726-SM-4DM7J 70-79 years, male 2.1
GTEX-T5JW-1326-SM-4DM5G 20-29 years, female 2.1
GTEX-1HC8U-1526-SM-9WPO4 40-49 years, female 2.1
GTEX-11EI6-1526-SM-5P9GL 60-69 years, male 2.0
GTEX-145MN-1026-SM-5NQ9G 30-39 years, male 2.0
GTEX-WFJO-0826-SM-4LVM5 30-39 years, male 2.0
GTEX-ZTX8-0226-SM-5E44D 20-29 years, male 2.0
GTEX-ZVE2-1326-SM-5NQ94 50-59 years, male 2.0
GTEX-13CF3-1626-SM-5IFG9 60-69 years, female 1.9
GTEX-13OVJ-1226-SM-5L3HA 50-59 years, female 1.9
GTEX-146FQ-1026-SM-5LU8I 30-39 years, male 1.9
GTEX-TSE9-1226-SM-4DXTM 60-69 years, female 1.9
GTEX-15F5U-5010-SM-AHZ2D 40-49 years, male 1.9
GTEX-131XF-0826-SM-5GICG 60-69 years, male 1.8
GTEX-13O21-0626-SM-5IJDI 50-59 years, male 1.8
GTEX-15EO6-1026-SM-7KUG9 50-59 years, male 1.8
GTEX-UJMC-0926-SM-4IHLK 50-59 years, male 1.8
GTEX-1F52S-1426-SM-7P8PU 60-69 years, female 1.8
GTEX-1QP67-0726-SM-DPRY1 40-49 years, female 1.8
GTEX-16AAH-0726-SM-793A9 50-59 years, male 1.7
GTEX-16MT8-1326-SM-6M47R 60-69 years, female 1.7
GTEX-ZAB5-0926-SM-5CVMV 50-59 years, male 1.7
GTEX-ZZPT-1426-SM-5N9C5 50-59 years, male 1.7
GTEX-OHPN-1026-SM-E9TI8 60-69 years, female 1.7
GTEX-R55D-1126-SM-48FEB 50-59 years, male 1.6
GTEX-1LSVX-1226-SM-DHXJN 60-69 years, male 1.6
GTEX-12WSG-5007-SM-7DUGZ 50-59 years, female 1.5
GTEX-14JG6-0926-SM-6871Y 30-39 years, female 1.5
GTEX-1B933-2026-SM-7EWFC 50-59 years, female 1.5
GTEX-PLZ5-0926-SM-3TW8L 50-59 years, male 1.5
GTEX-13U4I-1126-SM-5LU3S 40-49 years, female 1.4
GTEX-178AV-0526-SM-6LPJH 40-49 years, male 1.4
GTEX-PSDG-1326-SM-48TD2 50-59 years, male 1.4
GTEX-RU72-0726-SM-46MUW 50-59 years, female 1.4
GTEX-1RLM8-0726-SM-E6CRH 50-59 years, male 1.4
GTEX-132Q8-1826-SM-5EGIY 60-69 years, male 1.3
GTEX-1HCU7-2126-SM-A96SG 50-59 years, male 1.3
GTEX-1KD4Q-1126-SM-CXZKK 40-49 years, male 1.3
GTEX-1399U-1026-SM-5J1OC 50-59 years, female 1.2
GTEX-139TU-1226-SM-5J2NL 60-69 years, male 1.2
GTEX-S32W-0926-SM-4AD5X 50-59 years, female 1.2
GTEX-Y8LW-0726-SM-5IFI1 50-59 years, female 1.2
GTEX-1F7RK-1526-SM-7P8T6 20-29 years, female 1.2
GTEX-1QW4Y-0526-SM-EAZ3V 30-39 years, male 1.2
GTEX-15DCE-1326-SM-6LPJL 20-29 years, male 1.1
GTEX-N7MS-1225-SM-3LK5G 60-69 years, male 1.1
GTEX-12WSN-5013-SM-7P8P9 40-49 years, male 1.1
GTEX-V955-1126-SM-4JBH3 60-69 years, male 1.0
GTEX-ZYY3-1526-SM-5SIA9 60-69 years, female 1.0
GTEX-1GMR2-1526-SM-7MXV6 50-59 years, male 1.0
GTEX-1JMQK-2026-SM-C1YQN 60-69 years, male 1.0
GTEX-17F97-1326-SM-7MGVO 50-59 years, male 0.9
GTEX-1LNCM-0626-SM-EV7AI 50-59 years, female 0.9
GTEX-1QCLZ-1626-SM-E9U5R 60-69 years, female 0.9
GTEX-NPJ8-1926-SM-3MJGB 40-49 years, male 0.8
GTEX-TMMY-1126-SM-4DXSX 40-49 years, female 0.8
GTEX-1HSGN-1626-SM-A96U2 40-49 years, female 0.8
GTEX-11DYG-1326-SM-5N9DO 60-69 years, male 0.7
GTEX-P78B-1026-SM-3NMC4 40-49 years, female 0.7
GTEX-WHWD-0926-SM-4OORY 50-59 years, male 0.7
GTEX-1I1GP-1026-SM-C1YRZ 50-59 years, male 0.7
GTEX-13JVG-2026-SM-5KM1N 60-69 years, male 0.6
GTEX-13X6I-1026-SM-5LU4C 60-69 years, male 0.6
GTEX-144GO-2726-SM-5O9A2 60-69 years, male 0.6
GTEX-1AX9K-1126-SM-731DQ 50-59 years, male 0.6
GTEX-11DZ1-2026-SM-5A5KG 50-59 years, male 0.5
GTEX-15UF6-2326-SM-6M465 70-79 years, female 0.5
GTEX-17F9E-1926-SM-7IGQF 50-59 years, male 0.5
GTEX-ZYFC-1626-SM-5N9EU 50-59 years, male 0.5
GTEX-1GMR8-1826-SM-9WYUE 50-59 years, female 0.5
GTEX-1PFEY-0826-SM-E9U6A 30-39 years, male 0.5
GTEX-1GN1U-1826-SM-9JGH2 50-59 years, female 0.4
GTEX-1H3NZ-1326-SM-9JGHI 60-69 years, male 0.4
GTEX-1MJIX-0826-SM-DTXEO 40-49 years, male 0.4
GTEX-145MF-1426-SM-5O9B6 50-59 years, male 0.3
GTEX-1F5PL-1726-SM-9QEGL 40-49 years, female 0.3
GTEX-1M5QR-0726-SM-DHXK7 40-49 years, male 0.3
GTEX-183WM-1726-SM-7KFT5 70-79 years, female 0.2
GTEX-P4QS-0626-SM-3NMD1 60-69 years, male 0.2
GTEX-SNOS-0626-SM-4DM5F 40-49 years, male 0.2
GTEX-1AX8Z-5016-SM-AHZ2B 60-69 years, male 0.2
GTEX-1H3VY-2026-SM-9JGHK 50-59 years, male 0.2
GTEX-15DCD-1626-SM-6AJBH 70-79 years, female 0.1
GTEX-RUSQ-0826-SM-47JWW 50-59 years, male 0.1
GTEX-XLM4-2326-SM-4AT5E 60-69 years, male 0.1
GTEX-1BAJH-2026-SM-7P8OZ 70-79 years, male 0.0
Show allShow less

ESOPHAGUS - FANTOM5 CAGEi

RNA expression in human tissues obtained through Cap Analysis of Gene Expression (CAGE) generated by the FANTOM5 project are reported as Scaled Tags Per Million.

Max subtype Scaled Tags Per Millioni

Max subtype Scaled Tags Per Million is the value for the subtype with the largest average Scaled Tags Per Million across the subtype samples.

23.8
FANTOM5 sample id Sample description Scaled Tags Per Million
Esophagus
Scaled Tags Per Million: 23.8
FF:10015-101C6 68,74,75 years, mixed 23.8

Contact

  • NEWS ARTICLES
  • PRESS ROOM

The Project

  • INTRODUCTION
  • ORGANIZATION
  • PUBLICATIONS

The Human Protein Atlas

  • DOWNLOADABLE DATA
  • LICENCE & CITATION
  • HELP & FAQ
The Human Protein Atlas project is funded
by the Knut & Alice Wallenberg Foundation.


contact@proteinatlas.org