We use cookies to enhance the usability of our website. If you continue, we'll assume that you are happy to receive all cookies. More information. Don't show this again.
GPR137
HPA
RESOURCES
  • TISSUE
  • BRAIN
  • SINGLE CELL
  • SUBCELLULAR
  • CANCER
  • BLOOD
  • CELL LINE
  • STRUCTURE & INTERACTION
ABOUT
  • INTRODUCTION
  • HISTORY
  • ORGANIZATION
  • PUBLICATIONS
  • ANTIBODY SUBMISSION
  • ANTIBODY AVAILABILITY
  • ACKNOWLEDGMENTS
  • CONTACT
NEWS
  • NEWS ARTICLES
  • PRESS ROOM
LEARN
  • DICTIONARY
  • PROTEIN CLASSES
  • PROTEIN EVIDENCE
  • METHODS
  • EDUCATIONAL VIDEOS
DATA
  • DOWNLOADABLE DATA
  • PUBLICATION DATA
  • RELEASE HISTORY
HELP
  • ANTIBODY VALIDATION
  • ASSAYS & ANNOTATION
  • DISCLAIMER
  • HELP & FAQ
  • PRIVACY STATEMENT
  • LICENCE & CITATION
Fields »
Search result

Field
Term
Gene name
Class
Subclass
Class
Keyword
Chromosome
External id
Tissue
Cell type
Expression
Antibody panel
Tissue
Main location
Patient ID
Annotation
Tissue
Category
Tau score
Cluster
Reliability
Brain region
Category
Tau score
Brain region
Category
Tau score
Brain region
Category
Tau score
Cluster
Reliability
Tissue
Cell type
Enrichment
Cell type
Category
Tau score
Cell type
Category
Tau score
Cell type
Category
Tau score
Cell lineage
Category
Tau score
Cluster
Cluster
Location
Searches
Location
Cell line
Class
Type
Phase
Reliability
Cancer
Prognosis
Cancer
Category
Cancer
Category
Tau score
Cluster
Variants
Interacting gene (ensg_id)
Type
Number of interactions
Pathway
Category
Score
Score
Score
Validation
Validation
Validation
Validation
Antibodies
Data type
Column


  • SUMMARY

  • TISSUE

  • BRAIN

  • SINGLE CELL

  • SUBCELL

  • CANCER

  • BLOOD

  • CELL LINE

  • STRUCT & INT

  • GPR137
TISSUE PRIMARY DATA BREAST Show tissue menu
ADIPOSE TISSUE ADRENAL GLAND AMYGDALA APPENDIX BASAL GANGLIA BONE MARROW BREAST CEREBELLUM CEREBRAL CORTEX CERVIX CHOROID PLEXUS COLON DUODENUM
ENDOMETRIUM EPIDIDYMIS ESOPHAGUS FALLOPIAN TUBE GALLBLADDER HEART MUSCLE HIPPOCAMPAL FORMATION HYPOTHALAMUS KIDNEY LIVER LUNG LYMPH NODE MIDBRAIN
OVARY PANCREAS PARATHYROID GLAND PITUITARY GLAND PLACENTA PROSTATE RECTUM RETINA SALIVARY GLAND SEMINAL VESICLE SKELETAL MUSCLE SKIN SMALL INTESTINE
SMOOTH MUSCLE SPINAL CORD SPLEEN STOMACH TESTIS THYMUS THYROID GLAND TONGUE TONSIL URINARY BLADDER VAGINA
ANTIBODIES
AND
VALIDATION
Dictionary
Breast
Tissue proteome
Breast
BREAST - Expression summary
Protein expressioni

On the top, protein expression in current human tissue, based on all annotated cell types, is reported with the units not detected (n), low (l), medium (m) and high (h). Underneath, protein expression in each annotated cell type are reported using the same units.

Protein expression data is based on knowledge-based annotation. For genes where more than one antibody has been used, a collective score is set.

If knowledge-based annotation could not be performed for a gene, no data is displayed here. View antibody staining data further down this page.

No data
RNA expressioni

A summary of mRNA expression data available for current tissue based on several datasets. The mRNA expression levels in human tissues are based on RNA-seq data generated by the Human Protein Atlas (HPA), Genotype-Tissue Expression (GTEx) portal and CAGE data generated by the FANTOM5 consortium. Consensus normalized expression levels for human tissues was created by combining the data from HPA and GTEx datasets.

The mRNA expression levels in pig are based on RNA-seq data generated by the Human Protein Atlas (HPA), and for mouse, HPA data and in situ hybridization generated by the Allen brain atlas are reported.

Scroll down to view mRNA expression data in more detail.
Consensus:19.0 nTPM
HPA:7.3 nTPM
GTEx:19.0 nTPM
FANTOM5:40.2 Scaled Tags Per Million

BREAST - Annotated protein expression
Pending normal tissue analysis

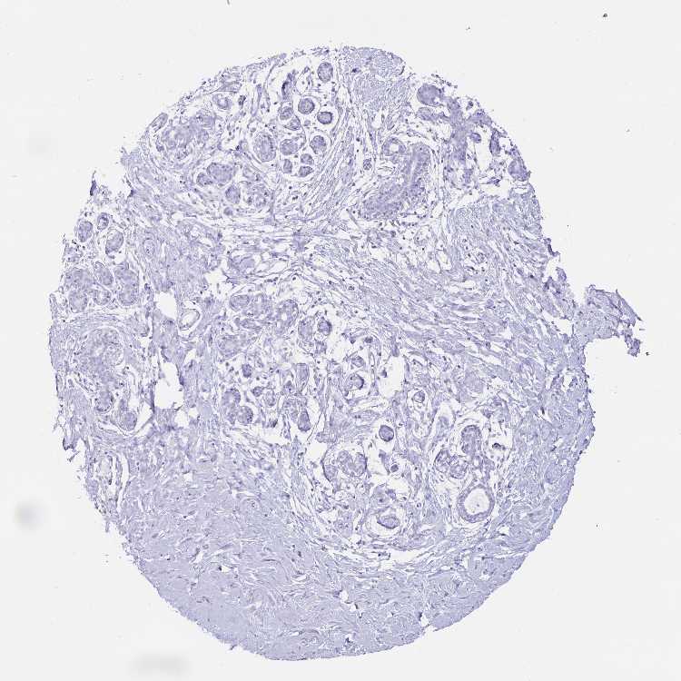
BREAST - Antibody stainingi

Antibody staining in the annotated cell types in the current human tissue is reported as not detected, low, medium, or high, based on conventional immunohistochemistry profiling in selected tissues. This score is based on the combination of the staining intensity and fraction of stained cells.

Each image is clickable and will lead to virtual microscopy that enables deeper exploration of all samples and also displays staining intensity scores, fraction scores and subcellular localization as well as patient and tissue information for each sample.

Antibody HPA062871
Adipocytes Not detected
Glandular cells Not detected
Myoepithelial cells Not detected



BREAST - HPA RNA-seqi

The RNA-seq details section shows detailed information about the individual samples used for the transcript profiling and results of the RNA-seq analysis.

Information about each individual sample is listed below, including gender, age, a tissue section image and estimated fractions of cell types. nTPM (normalized transcripts per million) values give a quantification of the gene abundance which is comparable between different genes and samples.
Average nTPMi

Max subtype nTPM is the value for the subtype with the largest average nTPM across the subtype samples.

7.3
overview
Female, age 52
Breast sample 373
nTPM: 8
Cell types%
Glandular cells:
15

Adipocytes:
5

Other cell types:
80

overview
Female, age 80
Breast sample 390
nTPM: 7.2
Cell types%
Glandular cells:
5

Adipocytes:
15

Other cell types:
80

overview
Female, age 47
Breast sample 405
nTPM: 10.7
Cell types%
Glandular cells:
5

Adipocytes:
5

Other cell types:
90

overview
Female, age 38
Breast sample 410
nTPM: 3.2
Cell types%
Glandular cells:
40

Adipocytes:
5

Other cell types:
55


BREAST - GTEx RNA-seqi

RNA-Seq data generated by the Genotype-Tissue Expression (GTEx) project from human tissues is reported as mean nTPM. More information can be found on the GTEx portal.

Distribution across the dataset is visualized with box plots, shown as median and 25th and 75th percentiles. Points are displayed as outliers if they are above or below 1.5 times the interquartile range. nTPM values of the individual samples are presented next to the box plot.
Max subtype nTPMi

Max subtype nTPM is the value for the subtype with the largest average nTPM across the subtype samples.

19.0
GTEx sample id Sample description nTPM
Breast - Mammary Tissue
Average nTPM: 19.0
Samples: 459

Max nTPM: 41.2
Min nTPM: 8.1
Std nTPM: 5.0
Median nTPM: 18.5
GTEX-132AR-0826-SM-5EGK6 50-59 years, female 41.2
GTEX-1ICLZ-0426-SM-B2LW2 60-69 years, male 39.9
GTEX-13S86-1226-SM-5S2OA 40-49 years, male 37.3
GTEX-13NZ9-1026-SM-5MR5K 50-59 years, male 34.5
GTEX-1NUQO-2226-SM-E9U68 20-29 years, female 33.8
GTEX-12WSN-1326-SM-5GCNT 40-49 years, male 32.9
GTEX-PSDG-1626-SM-48TCQ 50-59 years, male 31.0
GTEX-1R7EV-1526-SM-E8VOD 40-49 years, male 30.6
GTEX-XUZC-1626-SM-4BRVP 30-39 years, female 29.3
GTEX-14PHY-1926-SM-5YY95 60-69 years, female 29.1
GTEX-11NSD-0926-SM-5N9DR 20-29 years, male 29.0
GTEX-XQ8I-2426-SM-4WAXY 50-59 years, male 28.4
GTEX-YB5E-1726-SM-5IFJ3 40-49 years, male 28.3
GTEX-14PN4-0626-SM-62LFP 50-59 years, male 28.2
GTEX-XMK1-1126-SM-4IHJ8 40-49 years, male 28.2
GTEX-13FTW-1426-SM-5LZWZ 40-49 years, male 28.0
GTEX-WY7C-2726-SM-3NB3P 50-59 years, male 28.0
GTEX-XV7Q-2326-SM-4BRVZ 40-49 years, female 28.0
GTEX-Y5V6-2126-SM-4WWFX 60-69 years, male 28.0
GTEX-11ZTT-2326-SM-5EQLG 60-69 years, female 27.9
GTEX-15G19-2126-SM-6M48J 60-69 years, male 27.9
GTEX-S4Q7-1126-SM-4AD6R 20-29 years, male 27.9
GTEX-1QP9N-1826-SM-E8VMP 30-39 years, male 27.9
GTEX-ZAB4-2526-SM-5HL8M 40-49 years, male 27.7
GTEX-1R9PM-1826-SM-EVYBH 20-29 years, male 27.7
GTEX-145LT-0726-SM-5S2VM 40-49 years, male 27.6
GTEX-1192X-2326-SM-5987X 50-59 years, male 27.4
GTEX-1MJK3-1126-SM-E9J3F 20-29 years, male 27.4
GTEX-11I78-2226-SM-5PNYA 50-59 years, female 27.3
GTEX-U8XE-0826-SM-4E3J1 30-39 years, male 27.3
GTEX-ZWKS-2826-SM-5NQ74 30-39 years, male 27.2
GTEX-S33H-0326-SM-4AD6N 30-39 years, male 27.1
GTEX-14PJ4-2126-SM-6ETZJ 60-69 years, male 27.0
GTEX-VUSG-2226-SM-4KKZO 50-59 years, male 27.0
GTEX-1L5NE-2126-SM-CY8IH 50-59 years, male 26.8
GTEX-13NZB-2126-SM-5MR4Y 30-39 years, male 26.6
GTEX-18D9A-1526-SM-7LG4J 30-39 years, female 26.6
GTEX-YFCO-1826-SM-4W1YH 40-49 years, male 26.5
GTEX-1HSMO-0826-SM-ADEIV 60-69 years, male 26.4
GTEX-17MF6-0326-SM-7EPH5 40-49 years, male 26.2
GTEX-Z9EW-1526-SM-EZ6LU 40-49 years, male 26.2
GTEX-13D11-1026-SM-5IJFB 50-59 years, female 26.1
GTEX-1RQEC-2026-SM-DTXDM 60-69 years, male 26.1
GTEX-14AS3-1626-SM-5S2OY 40-49 years, female 26.0
GTEX-11TT1-2126-SM-5GU5Y 20-29 years, male 25.9
GTEX-R53T-1526-SM-48FEK 50-59 years, female 25.9
GTEX-R55D-0826-SM-48FEA 50-59 years, male 25.9
GTEX-ZT9W-2026-SM-51MRA 50-59 years, male 25.9
GTEX-ZV6S-1826-SM-5NQ8D 40-49 years, female 25.9
GTEX-XGQ4-0926-SM-4AT4U 50-59 years, male 25.8
GTEX-13QJ3-0826-SM-7DHKK 50-59 years, male 25.2
GTEX-14ICK-2426-SM-6EU27 40-49 years, male 25.2
GTEX-1IDJF-2326-SM-ARL86 20-29 years, male 25.2
GTEX-1QP29-1726-SM-E8VMQ 50-59 years, male 25.0
GTEX-ZLWG-1926-SM-DO92J 50-59 years, female 25.0
GTEX-RUSQ-2026-SM-4GIAK 50-59 years, male 24.8
GTEX-TKQ1-0226-SM-33HB5 30-39 years, male 24.8
GTEX-ZZ64-1226-SM-5E43R 20-29 years, male 24.7
GTEX-YFC4-1426-SM-5IFJG 40-49 years, female 24.6
GTEX-17F9E-2526-SM-7MGW2 50-59 years, male 24.6
GTEX-13O61-1826-SM-5KM4I 60-69 years, male 24.5
GTEX-1H4P4-2226-SM-9MQKQ 50-59 years, male 24.5
GTEX-11EQ9-1826-SM-5Q5AJ 30-39 years, male 24.4
GTEX-139T8-0826-SM-5L3DE 60-69 years, male 24.4
GTEX-144GM-0926-SM-5O994 20-29 years, male 24.4
GTEX-1H1DG-0526-SM-9YFLN 70-79 years, male 24.4
GTEX-17HGU-1326-SM-79OKB 50-59 years, male 24.3
GTEX-1I6K6-0826-SM-ARL7Z 30-39 years, male 24.3
GTEX-1R7EU-1226-SM-E8VMR 60-69 years, male 24.3
GTEX-QVJO-1826-SM-447C9 60-69 years, female 24.2
GTEX-S32W-2026-SM-4AD6E 50-59 years, female 24.2
GTEX-V955-2026-SM-3GAFA 60-69 years, male 24.2
GTEX-139T6-1626-SM-5PNYZ 50-59 years, male 24.1
GTEX-14ABY-2126-SM-5QGQZ 50-59 years, male 24.1
GTEX-X62O-0526-SM-EWRMA 50-59 years, male 24.1
GTEX-13O3Q-2226-SM-5KM4O 50-59 years, male 24.0
GTEX-1LC47-1226-SM-D4P44 60-69 years, male 23.9
GTEX-1RAZQ-1226-SM-EWRNL 30-39 years, male 23.9
GTEX-11O72-2126-SM-5N9FO 40-49 years, male 23.8
GTEX-17HG3-0126-SM-7IGNH 30-39 years, female 23.7
GTEX-1QPFJ-2026-SM-EVYBE 30-39 years, female 23.7
GTEX-145MN-1926-SM-5SIAI 30-39 years, male 23.6
GTEX-17F96-2426-SM-7IGLN 70-79 years, male 23.6
GTEX-RU1J-0626-SM-4WAWY 20-29 years, female 23.6
GTEX-11NV4-2026-SM-5N9DG 60-69 years, male 23.5
GTEX-13SLW-2526-SM-62LDQ 70-79 years, male 23.5
GTEX-1HC8U-0826-SM-ADEIL 40-49 years, female 23.4
GTEX-YEC3-1026-SM-5IFI5 50-59 years, male 23.3
GTEX-1M5QR-2526-SM-E9U5P 40-49 years, male 23.3
GTEX-14PKU-0426-SM-6EU1P 40-49 years, female 23.2
GTEX-12BJ1-1826-SM-5HL9N 60-69 years, male 23.1
GTEX-U3ZN-1926-SM-4DXSG 30-39 years, female 23.1
GTEX-1I1GT-1126-SM-ARL7J 60-69 years, female 23.1
GTEX-1B97I-0426-SM-79OL7 40-49 years, male 23.0
GTEX-1H1ZS-0126-SM-9YFKQ 70-79 years, male 23.0
GTEX-11DZ1-0326-SM-5N9BN 50-59 years, male 22.9
GTEX-183WM-0726-SM-7LTAA 70-79 years, female 22.8
GTEX-1S82Z-0726-SM-E6CHX 30-39 years, female 22.8
GTEX-11ZUS-0826-SM-5FQUY 30-39 years, male 22.7
GTEX-1LBAC-0926-SM-CXKY9 20-29 years, male 22.7
GTEX-11ONC-2126-SM-5HL6E 60-69 years, male 22.5
GTEX-1KD4Q-2326-SM-D4P3M 40-49 years, male 22.5
GTEX-ZTPG-2826-SM-57WGA 20-29 years, female 22.5
GTEX-ZY6K-1626-SM-5GZWV 50-59 years, male 22.4
GTEX-1GF9U-1726-SM-7MGY5 40-49 years, female 22.4
GTEX-1GZ2Q-2626-SM-7MXV9 40-49 years, male 22.4
GTEX-ZQUD-1926-SM-51MSA 30-39 years, male 22.3
GTEX-132NY-0826-SM-5K7Y7 60-69 years, male 22.2
GTEX-1399U-1826-SM-5PNZ1 50-59 years, female 22.2
GTEX-17EUY-1926-SM-7DUF6 20-29 years, male 22.2
GTEX-1IDFM-0426-SM-B2LVV 60-69 years, male 22.2
GTEX-11LCK-2426-SM-5HL5F 30-39 years, male 22.0
GTEX-WFON-1826-SM-3GILG 40-49 years, male 22.0
GTEX-Y8E4-1626-SM-5S2MW 40-49 years, male 22.0
GTEX-1GZ4H-0326-SM-7P8QX 50-59 years, female 22.0
GTEX-1HBPN-2326-SM-9WPPU 50-59 years, male 22.0
GTEX-1LNCM-0226-SM-DIPF4 50-59 years, female 22.0
GTEX-14PJO-0726-SM-69LO8 60-69 years, male 21.9
GTEX-ZDYS-1126-SM-5K7UB 50-59 years, male 21.9
GTEX-1HSEH-2026-SM-ADEHN 60-69 years, male 21.9
GTEX-1BAJH-0826-SM-7EWEF 70-79 years, male 21.8
GTEX-ZAJG-0626-SM-5HL8X 50-59 years, female 21.8
GTEX-1F5PK-2126-SM-7PC28 50-59 years, male 21.8
GTEX-13W3W-1226-SM-5LU4H 60-69 years, female 21.7
GTEX-14E6E-1326-SM-5S2NR 30-39 years, male 21.7
GTEX-17GQL-0326-SM-7LG5U 60-69 years, male 21.7
GTEX-1IGQW-0926-SM-ADEH6 60-69 years, male 21.7
GTEX-14DAR-1326-SM-7DUEG 50-59 years, male 21.6
GTEX-183FY-1126-SM-7DHLJ 20-29 years, male 21.5
GTEX-QEL4-2126-SM-447AE 50-59 years, male 21.5
GTEX-SE5C-2126-SM-4BRUJ 40-49 years, female 21.5
GTEX-XQ3S-1326-SM-4BOPQ 20-29 years, male 21.5
GTEX-YB5K-1626-SM-5IFIN 40-49 years, female 21.5
GTEX-1PDJ9-1126-SM-EXUSW 20-29 years, male 21.5
GTEX-1POEN-0926-SM-DTX88 30-39 years, female 21.5
GTEX-1117F-2826-SM-5GZXL 60-69 years, female 21.4
GTEX-11GSO-1926-SM-5A5K3 60-69 years, male 21.4
GTEX-T5JW-2026-SM-4DM63 20-29 years, female 21.4
GTEX-1IDJE-0826-SM-CKZNZ 50-59 years, female 21.4
GTEX-1LVAM-0926-SM-E9TJ2 50-59 years, female 21.4
GTEX-13W46-0826-SM-5LU3H 50-59 years, male 21.2
GTEX-17MFQ-0926-SM-7LG4S 20-29 years, male 21.2
GTEX-X261-0626-SM-3NMD9 50-59 years, male 21.2
GTEX-Y3I4-1526-SM-4TT7K 50-59 years, male 21.2
GTEX-146FH-0826-SM-5SI8T 50-59 years, female 21.1
GTEX-XUW1-2326-SM-4BOO5 50-59 years, female 21.0
GTEX-1F75I-2026-SM-7SB7N 40-49 years, male 21.0
GTEX-1HT8W-2226-SM-CGQEC 30-39 years, male 20.9
GTEX-1I6K7-1026-SM-A9SLK 40-49 years, male 20.9
GTEX-1ICLY-1726-SM-B2LVT 50-59 years, male 20.9
GTEX-11EI6-0626-SM-5985T 60-69 years, male 20.8
GTEX-1QEPI-0926-SM-DTXF3 60-69 years, female 20.8
GTEX-1RLM8-2226-SM-EVYD1 50-59 years, male 20.8
GTEX-WHSB-1926-SM-EXOHH 50-59 years, male 20.8
GTEX-ZDTT-2126-SM-DKPOM 60-69 years, male 20.8
GTEX-1AX8Z-0926-SM-731AW 60-69 years, male 20.7
GTEX-XMD1-0826-SM-4AT52 60-69 years, male 20.7
GTEX-1JJE9-2326-SM-ARL8Q 70-79 years, male 20.7
GTEX-1CAMR-1426-SM-793BO 20-29 years, male 20.6
GTEX-WOFL-0826-SM-3MJG1 60-69 years, male 20.6
GTEX-1HCU8-0126-SM-ADEHH 60-69 years, female 20.6
GTEX-13FTX-1126-SM-5N9EN 20-29 years, female 20.5
GTEX-18A7B-2626-SM-7LG55 70-79 years, male 20.5
GTEX-S4UY-0726-SM-4AD6X 40-49 years, female 20.5
GTEX-T2YK-2226-SM-32QPT 50-59 years, male 20.5
GTEX-13NZ8-0126-SM-5IJCT 60-69 years, female 20.4
GTEX-1IKOE-1326-SM-CE6T6 30-39 years, female 20.4
GTEX-1NHNU-0926-SM-E9J2T 50-59 years, male 20.4
GTEX-13CF3-2126-SM-5IFJP 60-69 years, female 20.3
GTEX-Y5LM-1726-SM-4VDSX 40-49 years, female 20.3
GTEX-1HFI7-0126-SM-CGQFQ 50-59 years, female 20.3
GTEX-UPK5-2326-SM-3P5Z8 40-49 years, male 20.2
GTEX-1HBPM-0126-SM-ARL9E 60-69 years, female 20.2
GTEX-1KANA-2026-SM-DIPFB 20-29 years, male 20.2
GTEX-ZLV1-1426-SM-DO92Z 60-69 years, female 20.2
GTEX-13OW5-2226-SM-5L3HC 60-69 years, male 20.1
GTEX-1HCU9-0326-SM-9WYSC 20-29 years, male 20.1
GTEX-1E2YA-2726-SM-7IGPW 50-59 years, male 20.0
GTEX-1JK1U-1826-SM-ARL8W 60-69 years, male 20.0
GTEX-16YQH-2826-SM-6PAMY 30-39 years, male 19.9
GTEX-ZEX8-2226-SM-57WC6 50-59 years, male 19.9
GTEX-14BMV-0626-SM-793AU 50-59 years, male 19.8
GTEX-16BQI-1026-SM-7KUEA 30-39 years, female 19.8
GTEX-WI4N-1426-SM-3LK7H 40-49 years, female 19.8
GTEX-TKQ2-1826-SM-33HB2 50-59 years, male 19.7
GTEX-1I1GU-1026-SM-ADEHJ 40-49 years, male 19.6
GTEX-ZA64-1526-SM-5CVMD 20-29 years, male 19.5
GTEX-1GN2E-2226-SM-9WG6J 60-69 years, male 19.5
GTEX-12KS4-0126-SM-5Q5A5 30-39 years, male 19.4
GTEX-T2IS-1526-SM-32QPR 20-29 years, female 19.4
GTEX-1JJEA-2726-SM-ARL8V 60-69 years, male 19.4
GTEX-1LSNM-1326-SM-E9TJ1 50-59 years, male 19.4
GTEX-1CAMS-1426-SM-7IGPM 40-49 years, female 19.3
GTEX-1PPH7-0826-SM-E8VNX 40-49 years, male 19.3
GTEX-1QW4Y-1026-SM-DTXE2 30-39 years, male 19.3
GTEX-17HHE-1426-SM-7EPH4 50-59 years, male 19.2
GTEX-1CB4J-1826-SM-7EWF9 60-69 years, male 19.2
GTEX-UJHI-1426-SM-3DB9C 50-59 years, female 19.2
GTEX-1IE54-0626-SM-ARL8D 40-49 years, female 19.2
GTEX-1R9PN-0326-SM-DTX85 40-49 years, female 19.2
GTEX-133LE-1726-SM-5K7VQ 20-29 years, female 19.1
GTEX-13O3P-0826-SM-5L3DH 50-59 years, male 19.1
GTEX-14BMU-1626-SM-5TDE7 20-29 years, female 19.1
GTEX-ZVE2-1226-SM-5NQ8R 50-59 years, male 19.1
GTEX-1GPI7-0926-SM-7PC3J 20-29 years, male 19.1
GTEX-1JN1M-3026-SM-CMKGK 60-69 years, female 19.1
GTEX-Y114-2026-SM-4TT7L 50-59 years, female 19.0
GTEX-QMRM-1626-SM-D4P1U 50-59 years, male 19.0
GTEX-1C6VQ-0426-SM-79OOX 50-59 years, male 18.9
GTEX-1H1E6-0926-SM-9YFLT 30-39 years, male 18.9
GTEX-1IDJU-1826-SM-CMKHV 60-69 years, female 18.9
GTEX-1K9T9-1426-SM-DIPFQ 50-59 years, female 18.9
GTEX-1OKEX-0826-SM-E9J2B 60-69 years, male 18.9
GTEX-15RJE-2626-SM-7KFT1 40-49 years, male 18.8
GTEX-S341-1526-SM-4AD6K 40-49 years, female 18.8
GTEX-1R9JW-0326-SM-EAZ45 30-39 years, female 18.8
GTEX-117YX-1426-SM-5H12H 50-59 years, male 18.7
GTEX-17KNJ-2026-SM-7LG53 50-59 years, male 18.7
GTEX-1AMEY-1026-SM-718AA 30-39 years, female 18.7
GTEX-1I1HK-2426-SM-ADEHX 60-69 years, male 18.7
GTEX-1JKYR-0926-SM-CMKGJ 20-29 years, male 18.7
GTEX-14B4R-1226-SM-5TDDT 30-39 years, male 18.6
GTEX-ZQG8-0726-SM-5P9H9 60-69 years, female 18.6
GTEX-1KXAM-1026-SM-CY8IA 60-69 years, male 18.6
GTEX-11DXZ-1926-SM-5GZZL 50-59 years, male 18.5
GTEX-12WSK-2226-SM-5GCO5 40-49 years, female 18.5
GTEX-ZC5H-2626-SM-5J2MG 40-49 years, female 18.5
GTEX-ZYW4-0826-SM-5GIDG 60-69 years, male 18.5
GTEX-1HKZK-1826-SM-ADEJ2 40-49 years, male 18.5
GTEX-1I19N-2826-SM-CL55D 70-79 years, male 18.5
GTEX-1KAFJ-0226-SM-DIPEL 50-59 years, male 18.5
GTEX-1KANC-1426-SM-CYPT9 50-59 years, female 18.5
GTEX-13FHO-0826-SM-5L3E8 60-69 years, male 18.4
GTEX-1H11D-1526-SM-9MQJY 40-49 years, male 18.4
GTEX-ZLFU-2126-SM-DO931 40-49 years, male 18.4
GTEX-18QFQ-0826-SM-718AX 30-39 years, male 18.3
GTEX-ZYFC-0826-SM-5E44K 50-59 years, male 18.3
GTEX-18A6Q-0926-SM-7LG4N 60-69 years, male 18.2
GTEX-Q2AG-0326-SM-48U1O 40-49 years, female 18.2
GTEX-RU72-0626-SM-46MUI 50-59 years, female 18.2
GTEX-1GF9X-1026-SM-ACKX2 40-49 years, female 18.2
GTEX-11OF3-1926-SM-59889 60-69 years, male 18.1
GTEX-17F98-0526-SM-79OK5 40-49 years, female 18.1
GTEX-1F5PL-1026-SM-7RHI1 40-49 years, female 18.1
GTEX-1IOXB-1926-SM-ARL8E 50-59 years, male 18.1
GTEX-1MCC2-2126-SM-EWRON 30-39 years, female 18.1
GTEX-145MF-2226-SM-7EPIR 50-59 years, male 18.0
GTEX-169BO-1126-SM-7MGWN 50-59 years, male 18.0
GTEX-11P7K-0726-SM-5EGKX 30-39 years, male 17.9
GTEX-S7SE-0826-SM-4AT4D 50-59 years, male 17.9
GTEX-1I1GV-2426-SM-CGQFM 60-69 years, male 17.9
GTEX-1JKYN-0726-SM-ARZMY 30-39 years, male 17.9
GTEX-139TU-0626-SM-5KM3X 60-69 years, male 17.8
GTEX-13N11-1726-SM-5J1OJ 50-59 years, female 17.8
GTEX-13OW8-0226-SM-5K7UP 60-69 years, male 17.8
GTEX-X15G-1626-SM-3NMB3 50-59 years, female 17.8
GTEX-Y111-2026-SM-4SOJA 50-59 years, male 17.8
GTEX-18A66-1726-SM-7LG5N 60-69 years, male 17.8
GTEX-1C6WA-2426-SM-7SB86 60-69 years, male 17.8
GTEX-1J8Q3-1326-SM-CMKI1 60-69 years, male 17.8
GTEX-1B932-0826-SM-73KXG 40-49 years, female 17.7
GTEX-RWS6-1926-SM-47JXY 60-69 years, female 17.7
GTEX-1KD5A-1926-SM-DKPQA 50-59 years, male 17.7
GTEX-1A8G7-2426-SM-731AK 60-69 years, male 17.6
GTEX-Y9LG-1426-SM-5IFJZ 30-39 years, male 17.6
GTEX-1H3VY-0926-SM-ACKXE 50-59 years, male 17.6
GTEX-17F97-2526-SM-7EWDV 50-59 years, male 17.5
GTEX-11EMC-2026-SM-5A5JV 60-69 years, female 17.4
GTEX-T6MN-0726-SM-32PML 50-59 years, male 17.4
GTEX-15ETS-0626-SM-7KUMX 40-49 years, female 17.3
GTEX-ZV7C-1826-SM-5NQ83 50-59 years, male 17.3
GTEX-11P82-1326-SM-5HL62 20-29 years, male 17.2
GTEX-13CF2-2026-SM-5K7VI 60-69 years, male 17.2
GTEX-13FTY-2226-SM-5J1ND 40-49 years, female 17.2
GTEX-1C64O-0726-SM-7DUFU 60-69 years, male 17.2
GTEX-XMD2-0926-SM-4WWEF 60-69 years, female 17.2
GTEX-1I4MK-1626-SM-CM2TJ 50-59 years, female 17.2
GTEX-REY6-2426-SM-48FF5 60-69 years, male 17.1
GTEX-ZTTD-1026-SM-51MRD 50-59 years, male 17.1
GTEX-1LSVX-2426-SM-E6CJX 60-69 years, male 17.1
GTEX-1P4AB-1826-SM-E76PU 50-59 years, male 17.1
GTEX-1122O-1226-SM-5H113 60-69 years, female 17.0
GTEX-1LG7Z-0726-SM-CXKYD 30-39 years, male 17.0
GTEX-13VXU-2826-SM-664MA 50-59 years, male 16.9
GTEX-14H4A-2526-SM-5YYAY 40-49 years, female 16.9
GTEX-ZZPU-0626-SM-5E43T 50-59 years, female 16.9
GTEX-1QCLZ-2326-SM-DTXDO 60-69 years, female 16.9
GTEX-QEG5-0726-SM-D4P1T 20-29 years, male 16.9
GTEX-11DXY-2326-SM-5GICW 60-69 years, male 16.8
GTEX-1314G-1226-SM-5BC6D 30-39 years, male 16.8
GTEX-S4P3-1326-SM-4AD6V 50-59 years, female 16.8
GTEX-1I1GP-0426-SM-COH3N 50-59 years, male 16.8
GTEX-1JMOU-2026-SM-CMKGU 60-69 years, female 16.8
GTEX-1MA7X-1626-SM-E9U5B 60-69 years, male 16.8
GTEX-1RAZS-1226-SM-E8VMT 50-59 years, male 16.8
GTEX-13PL6-2926-SM-5L3I2 40-49 years, female 16.7
GTEX-145MO-0826-SM-5NQBL 60-69 years, male 16.7
GTEX-14E6C-1326-SM-62LEQ 40-49 years, male 16.7
GTEX-ZVT2-1826-SM-5NQ8W 50-59 years, female 16.7
GTEX-ZYT6-0126-SM-5E45J 30-39 years, male 16.7
GTEX-111YS-1926-SM-5GICC 60-69 years, male 16.6
GTEX-11PRG-0826-SM-5EQ6A 50-59 years, male 16.6
GTEX-T6MO-0326-SM-32QOK 40-49 years, female 16.6
GTEX-X4XY-0926-SM-4E3JD 60-69 years, male 16.5
GTEX-1HCU7-1026-SM-ADEIP 50-59 years, male 16.5
GTEX-ZAK1-1326-SM-EVYAS 50-59 years, female 16.5
GTEX-15UF7-0726-SM-6M46D 40-49 years, male 16.4
GTEX-13PVR-2226-SM-7DHKP 60-69 years, female 16.3
GTEX-T5JC-2126-SM-32PMO 20-29 years, male 16.3
GTEX-Y5V5-2126-SM-4WWFO 60-69 years, female 16.3
GTEX-13113-5013-SM-7SB7G 60-69 years, female 16.3
GTEX-1HSGN-1526-SM-A9SMO 40-49 years, female 16.3
GTEX-1J8EW-2626-SM-CL53E 60-69 years, female 16.3
GTEX-11EM3-1326-SM-5N9C6 20-29 years, female 16.2
GTEX-UTHO-1026-SM-3GAF7 60-69 years, male 16.2
GTEX-1GN1W-1926-SM-7P8TH 50-59 years, female 16.2
GTEX-117XS-1926-SM-5GICO 60-69 years, male 16.1
GTEX-1EU9M-2826-SM-7EWFH 60-69 years, male 16.1
GTEX-TMMY-0726-SM-33HBE 40-49 years, female 16.1
GTEX-ZF2S-2026-SM-5E461 50-59 years, female 16.1
GTEX-ZXES-0826-SM-5E43C 30-39 years, female 16.1
GTEX-1HCVE-2626-SM-ADEJ8 50-59 years, male 16.1
GTEX-1R46S-2526-SM-E8VN2 60-69 years, female 16.1
GTEX-ZF3C-2326-SM-5S2NC 50-59 years, female 16.1
GTEX-12ZZX-1126-SM-5EGKB 40-49 years, female 16.0
GTEX-WYJK-1326-SM-3NB2T 50-59 years, male 16.0
GTEX-ZUA1-1526-SM-59HLS 40-49 years, male 15.9
GTEX-1K2DA-1726-SM-CGQGS 50-59 years, male 15.9
GTEX-YECK-0726-SM-EZ6LV 60-69 years, male 15.9
GTEX-1IDJH-2226-SM-E6CJV 70-79 years, male 15.8
GTEX-131YS-0626-SM-5EGKL 60-69 years, female 15.7
GTEX-145ME-1526-SM-5Q5F2 40-49 years, female 15.7
GTEX-17EVQ-0426-SM-7LG57 70-79 years, male 15.7
GTEX-18465-2026-SM-718AP 50-59 years, male 15.7
GTEX-YJ8O-2226-SM-5IFHW 40-49 years, female 15.7
GTEX-1LVAN-1326-SM-CNPQE 50-59 years, female 15.7
GTEX-1N2EE-2126-SM-E8VNN 60-69 years, male 15.6
GTEX-ZVTK-0326-SM-51MRR 20-29 years, male 15.5
GTEX-1HCUA-0726-SM-ACKVU 50-59 years, female 15.5
GTEX-13QIC-2326-SM-5LU5N 60-69 years, female 15.4
GTEX-ZTX8-1226-SM-4YCE9 20-29 years, male 15.4
GTEX-1S82U-1126-SM-E9U6I 30-39 years, female 15.4
GTEX-ZGAY-1726-SM-DO91P 40-49 years, female 15.4
GTEX-1QCLY-1626-SM-DTXDW 30-39 years, male 15.3
GTEX-11WQC-1726-SM-5GU4W 60-69 years, male 15.2
GTEX-15UF6-0126-SM-6PAMB 70-79 years, female 15.2
GTEX-U3ZH-1426-SM-4DXSR 30-39 years, male 15.2
GTEX-1F75B-0626-SM-7SB8A 50-59 years, male 15.2
GTEX-1HR98-0426-SM-COH36 60-69 years, male 15.2
GTEX-1QP28-1226-SM-E9J2M 50-59 years, female 15.2
GTEX-132Q8-1426-SM-5EGK7 60-69 years, male 15.1
GTEX-13N1W-0626-SM-5MR4U 70-79 years, male 15.1
GTEX-15SHW-1326-SM-6PAL8 60-69 years, male 15.1
GTEX-XYKS-1326-SM-4BRUN 60-69 years, female 15.1
GTEX-ZDXO-0126-SM-5S2ND 60-69 years, male 15.1
GTEX-ZVZQ-0826-SM-51MRF 60-69 years, female 15.0
GTEX-14E7W-0826-SM-62LEJ 70-79 years, male 14.9
GTEX-14LLW-0626-SM-62LFC 70-79 years, female 14.9
GTEX-15FZZ-0726-SM-7KUFZ 30-39 years, female 14.9
GTEX-ZPIC-1126-SM-5BC7F 40-49 years, female 14.9
GTEX-1GMR2-1926-SM-9MQLZ 50-59 years, male 14.9
GTEX-1JMLX-2026-SM-CMKGN 50-59 years, male 14.9
GTEX-1N5O9-1126-SM-DTXEQ 60-69 years, male 14.9
GTEX-WFG8-2026-SM-EXOHO 20-29 years, male 14.9
GTEX-Y3IK-2326-SM-4WWDT 50-59 years, female 14.8
GTEX-1GN1U-0526-SM-9KNTT 50-59 years, female 14.8
GTEX-1PPGY-1526-SM-EVYBK 60-69 years, male 14.8
GTEX-1ICG6-1326-SM-ACKWR 70-79 years, female 14.7
GTEX-1JMQK-2626-SM-COH2W 60-69 years, male 14.7
GTEX-R3RS-0626-SM-48FE1 40-49 years, female 14.6
GTEX-1GMR8-0726-SM-9KNVI 50-59 years, female 14.6
GTEX-1HR9M-2426-SM-ACKXI 60-69 years, male 14.6
GTEX-1JN6P-2426-SM-ARL99 60-69 years, male 14.6
GTEX-TML8-1226-SM-32QON 40-49 years, female 14.5
GTEX-1B8L1-2426-SM-9WYTE 60-69 years, male 14.5
GTEX-11DXW-0626-SM-5N9ER 40-49 years, male 14.4
GTEX-144GL-2026-SM-5LU3O 50-59 years, male 14.4
GTEX-147F4-2826-SM-5NQBN 50-59 years, male 14.4
GTEX-1B8SG-1226-SM-7IGPF 50-59 years, male 14.4
GTEX-1B97J-0426-SM-79OLQ 50-59 years, female 14.3
GTEX-WXYG-2226-SM-4E3IM 50-59 years, female 14.3
GTEX-11P81-1926-SM-5BC53 30-39 years, female 14.1
GTEX-1211K-1926-SM-5EQLB 60-69 years, female 14.1
GTEX-1EKGG-2626-SM-7IGPY 60-69 years, male 14.1
GTEX-1C475-1226-SM-7SB72 40-49 years, female 14.1
GTEX-1HSKV-2026-SM-CMKGX 60-69 years, male 14.1
GTEX-1B8KE-1226-SM-73KWK 50-59 years, male 14.0
GTEX-1MJK2-2226-SM-EVYCR 50-59 years, male 14.0
GTEX-1A3MV-1626-SM-731C1 30-39 years, male 13.9
GTEX-1A3MX-2726-SM-718B6 60-69 years, male 13.9
GTEX-WRHU-0326-SM-3MJFY 50-59 years, female 13.9
GTEX-1JMPZ-1626-SM-COH31 30-39 years, male 13.8
GTEX-1269C-2426-SM-5FQSN 60-69 years, female 13.7
GTEX-16NGA-0826-SM-718AF 40-49 years, female 13.7
GTEX-1F6I4-2526-SM-7SB8F 60-69 years, male 13.7
GTEX-1M4P7-2626-SM-E9U5F 60-69 years, male 13.7
GTEX-11GSP-0926-SM-9WYSG 60-69 years, female 13.6
GTEX-15ER7-1626-SM-6PAMZ 20-29 years, female 13.5
GTEX-17HHY-0926-SM-793C1 50-59 years, male 13.5
GTEX-1HUB1-1626-SM-CM2SL 60-69 years, male 13.5
GTEX-1MCYP-0126-SM-E6CIS 20-29 years, female 13.5
GTEX-QDT8-0626-SM-48TYW 30-39 years, female 13.4
GTEX-11GS4-2126-SM-5A5KR 60-69 years, male 13.3
GTEX-14753-2426-SM-5LU8U 60-69 years, male 13.3
GTEX-VJWN-0726-SM-3GIJ8 50-59 years, female 13.3
GTEX-1GZ4I-2826-SM-9MQK5 50-59 years, male 13.3
GTEX-12WSM-1726-SM-5BC6J 60-69 years, male 13.1
GTEX-13O3O-0826-SM-5K7WE 60-69 years, female 13.1
GTEX-X4EP-2926-SM-3P5YQ 60-69 years, female 13.1
GTEX-1CB4E-0226-SM-79OLW 60-69 years, male 13.0
GTEX-1H1CY-2226-SM-9WG7E 60-69 years, female 13.0
GTEX-1LGRB-1826-SM-CNPQL 50-59 years, female 13.0
GTEX-1EWIQ-1726-SM-7SB7T 70-79 years, female 12.9
GTEX-1GMRU-0826-SM-9WYT7 50-59 years, male 12.9
GTEX-1MA7W-1026-SM-DKPQK 20-29 years, female 12.9
GTEX-1AX9J-1126-SM-731B7 60-69 years, male 12.8
GTEX-WYBS-0926-SM-3NM94 60-69 years, female 12.7
GTEX-Y8LW-1626-SM-5IFHX 50-59 years, female 12.7
GTEX-ZU9S-1926-SM-5NQBP 30-39 years, male 12.7
GTEX-1J8QM-2026-SM-ARZMW 60-69 years, female 12.7
GTEX-1C6VS-0726-SM-7EPHF 60-69 years, male 12.6
GTEX-1IKOH-2326-SM-CM2TW 60-69 years, female 12.6
GTEX-1QMI2-0726-SM-E9J4F 60-69 years, male 12.6
GTEX-1313W-0826-SM-5EQ4T 50-59 years, female 12.5
GTEX-13SLX-2326-SM-5ZZWE 50-59 years, female 12.5
GTEX-1EN7A-1426-SM-7PBY4 40-49 years, male 12.5
GTEX-17JCI-0726-SM-7EPH1 60-69 years, female 12.4
GTEX-13PVQ-1026-SM-5KM3M 50-59 years, male 12.2
GTEX-18A7A-0726-SM-7LTAI 50-59 years, female 12.2
GTEX-1B8KZ-1526-SM-7DUG7 50-59 years, male 12.1
GTEX-1CB4G-2326-SM-79OOI 60-69 years, male 12.1
GTEX-XBED-1626-SM-47JYN 60-69 years, male 12.1
GTEX-ZF29-1926-SM-5S2P1 60-69 years, female 12.1
GTEX-14A5I-0726-SM-5TDEB 50-59 years, female 12.0
GTEX-1AX9I-0726-SM-73KWV 60-69 years, male 12.0
GTEX-ZVT4-1026-SM-57WC4 50-59 years, female 11.9
GTEX-1GZHY-0726-SM-9WG6B 50-59 years, female 11.9
GTEX-U412-1826-SM-4DXTJ 60-69 years, male 11.8
GTEX-1JMPY-0526-SM-CL54O 30-39 years, male 11.8
GTEX-1GMR3-2626-SM-7RHHG 40-49 years, male 11.7
GTEX-1IY9M-2726-SM-CMKG5 60-69 years, male 11.7
GTEX-11TUW-1826-SM-5BC5D 60-69 years, male 11.3
GTEX-1H23P-0726-SM-9WG7K 60-69 years, male 11.3
GTEX-1NV8Z-2826-SM-E8VME 60-69 years, male 11.3
GTEX-17EVP-0226-SM-79OND 40-49 years, male 11.0
GTEX-WYVS-1726-SM-3NMAY 40-49 years, female 11.0
GTEX-1GPI6-0626-SM-7RHHJ 60-69 years, male 11.0
GTEX-131XW-0726-SM-5EGK3 50-59 years, female 10.8
GTEX-1B933-2526-SM-7IGO5 50-59 years, female 10.7
GTEX-1IKJJ-2326-SM-COH3U 60-69 years, male 10.6
GTEX-1J8Q2-2726-SM-A9G2X 60-69 years, male 10.6
GTEX-1N2EF-2226-SM-E9J33 60-69 years, male 10.3
GTEX-11WQK-2426-SM-5GU5C 50-59 years, male 10.1
GTEX-XOT4-0726-SM-4GIAW 60-69 years, female 10.0
GTEX-1F75A-1826-SM-7SB8G 50-59 years, male 9.9
GTEX-1GF9V-2526-SM-7SB8K 60-69 years, male 9.6
GTEX-15EOM-5019-SM-793DK 20-29 years, female 9.5
GTEX-1LSNL-2826-SM-E9U5L 50-59 years, male 9.5
GTEX-W5X1-2326-SM-3GIL6 40-49 years, female 8.1
Show allShow less

BREAST - FANTOM5 CAGEi

RNA expression in human tissues obtained through Cap Analysis of Gene Expression (CAGE) generated by the FANTOM5 project are reported as Scaled Tags Per Million.

Max subtype Scaled Tags Per Millioni

Max subtype Scaled Tags Per Million is the value for the subtype with the largest average Scaled Tags Per Million across the subtype samples.

40.2
FANTOM5 sample id Sample description Scaled Tags Per Million
Breast
Scaled Tags Per Million: 40.2
FF:10080-102A8 77 years, female 40.2

Contact

  • NEWS ARTICLES
  • PRESS ROOM

The Project

  • INTRODUCTION
  • ORGANIZATION
  • PUBLICATIONS

The Human Protein Atlas

  • DOWNLOADABLE DATA
  • LICENCE & CITATION
  • HELP & FAQ
The Human Protein Atlas project is funded
by the Knut & Alice Wallenberg Foundation.


contact@proteinatlas.org