We use cookies to enhance the usability of our website. If you continue, we'll assume that you are happy to receive all cookies. More information. Don't show this again.
C1QA
HPA
RESOURCES
  • TISSUE
  • BRAIN
  • SINGLE CELL
  • SUBCELLULAR
  • CANCER
  • BLOOD
  • CELL LINE
  • STRUCTURE & INTERACTION
ABOUT
  • INTRODUCTION
  • HISTORY
  • ORGANIZATION
  • PUBLICATIONS
  • ANTIBODY SUBMISSION
  • ANTIBODY AVAILABILITY
  • ACKNOWLEDGMENTS
  • CONTACT
NEWS
  • NEWS ARTICLES
  • PRESS ROOM
LEARN
  • DICTIONARY
  • PROTEIN CLASSES
  • PROTEIN EVIDENCE
  • METHODS
  • EDUCATIONAL VIDEOS
DATA
  • DOWNLOADABLE DATA
  • PUBLICATION DATA
  • RELEASE HISTORY
HELP
  • ANTIBODY VALIDATION
  • ASSAYS & ANNOTATION
  • DISCLAIMER
  • HELP & FAQ
  • PRIVACY STATEMENT
  • LICENCE & CITATION
Fields »
Search result

Field
Term
Gene name
Class
Subclass
Class
Keyword
Chromosome
External id
Tissue
Cell type
Expression
Antibody panel
Tissue
Main location
Patient ID
Annotation
Tissue
Category
Tau score
Cluster
Reliability
Brain region
Category
Tau score
Brain region
Category
Tau score
Brain region
Category
Tau score
Cluster
Reliability
Tissue
Cell type
Enrichment
Cell type
Category
Tau score
Cell type
Category
Tau score
Cell type
Category
Tau score
Cell lineage
Category
Tau score
Cluster
Cluster
Location
Searches
Location
Cell line
Class
Type
Phase
Reliability
Cancer
Prognosis
Cancer
Category
Cancer
Category
Tau score
Cluster
Variants
Interacting gene (ensg_id)
Type
Number of interactions
Pathway
Category
Score
Score
Score
Validation
Validation
Validation
Validation
Antibodies
Data type
Column


  • SUMMARY

  • TISSUE

  • BRAIN

  • SINGLE CELL

  • SUBCELL

  • CANCER

  • BLOOD

  • CELL LINE

  • STRUCT & INT

  • C1QA
TISSUE PRIMARY DATA SKIN Show tissue menu
ADIPOSE TISSUE ADRENAL GLAND AMYGDALA APPENDIX BASAL GANGLIA BONE MARROW BREAST BRONCHUS CEREBELLUM CEREBRAL CORTEX CERVIX CHOROID PLEXUS COLON DUODENUM
ENDOMETRIUM EPIDIDYMIS ESOPHAGUS FALLOPIAN TUBE GALLBLADDER HEART MUSCLE HIPPOCAMPAL FORMATION HYPOTHALAMUS KIDNEY LIVER LUNG LYMPH NODE MIDBRAIN NASOPHARYNX
ORAL MUCOSA OVARY PANCREAS PARATHYROID GLAND PITUITARY GLAND PLACENTA PROSTATE RECTUM RETINA SALIVARY GLAND SEMINAL VESICLE SKELETAL MUSCLE SKIN SMALL INTESTINE
SMOOTH MUSCLE SOFT TISSUE SPINAL CORD SPLEEN STOMACH TESTIS THYMUS THYROID GLAND TONGUE TONSIL URINARY BLADDER VAGINA
ANTIBODIES
AND
VALIDATION
Dictionary
Skin
Tissue proteome
Skin
SKIN - Expression summary
Protein expression
Skini

On the top, protein expression in current human tissue, based on all annotated cell types, is reported with the units not detected (n), low (l), medium (m) and high (h). Underneath, protein expression in each annotated cell type are reported using the same units.

Protein expression data is based on knowledge-based annotation. For genes where more than one antibody has been used, a collective score is set.

If knowledge-based annotation could not be performed for a gene, no data is displayed here. View antibody staining data further down this page.

h
m
l
n
Arrector pili muscle cells: Not detected
Cells in basal layer: Not detected
Cells in corneal layer: Not detected
Cells in granular layer: Not detected
Cells in spinous layer: Not detected
Endothelial cells: High
Extracellular matrix: Medium
Fibrohistiocytic cells: High
Langerhans cells: Not detected
Lymphocytes: High
Melanocytes: Not detected
Vascular mural cells: Not detected
RNA expressioni

A summary of mRNA expression data available for current tissue based on several datasets. The mRNA expression levels in human tissues are based on RNA-seq data generated by the Human Protein Atlas (HPA), Genotype-Tissue Expression (GTEx) portal and CAGE data generated by the FANTOM5 consortium. Consensus normalized expression levels for human tissues was created by combining the data from HPA and GTEx datasets.

The mRNA expression levels in pig are based on RNA-seq data generated by the Human Protein Atlas (HPA), and for mouse, HPA data and in situ hybridization generated by the Allen brain atlas are reported.

Scroll down to view mRNA expression data in more detail.
Consensus:21.1 nTPM
HPA:14.4 nTPM
GTEx:21.1 nTPM

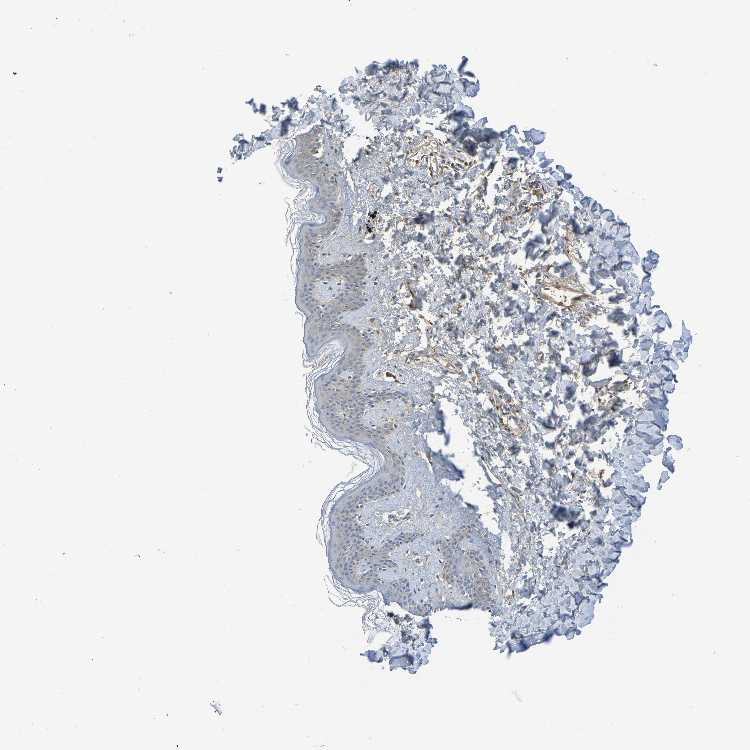
SKIN 1 - Antibody stainingi

Antibody staining in the annotated cell types in the current human tissue is reported as not detected, low, medium, or high, based on conventional immunohistochemistry profiling in selected tissues. This score is based on the combination of the staining intensity and fraction of stained cells.

Each image is clickable and will lead to virtual microscopy that enables deeper exploration of all samples and also displays staining intensity scores, fraction scores and subcellular localization as well as patient and tissue information for each sample.

Antibody HPA002350Antibody CAB009823
Langerhans -Low
Arrector pili muscle cells Not detected-
Cells in basal layer Not detected-
Cells in corneal layer Not detected-
Cells in granular layer Not detected-
Cells in spinous layer Not detected-
Endothelial cells High-
Extracellular matrix Medium-
Fibroblasts -Medium
Fibrohistiocytic cells High-
Keratinocytes -Medium
Langerhans cells Not detected-
Lymphocytes Not detected-
Melanocytes Not detectedLow
Vascular mural cells Not detected-




SKIN 2 - Antibody stainingi

Antibody staining in the annotated cell types in the current human tissue is reported as not detected, low, medium, or high, based on conventional immunohistochemistry profiling in selected tissues. This score is based on the combination of the staining intensity and fraction of stained cells.

Each image is clickable and will lead to virtual microscopy that enables deeper exploration of all samples and also displays staining intensity scores, fraction scores and subcellular localization as well as patient and tissue information for each sample.

Antibody HPA002350Antibody CAB009823
Cells in basal layer Not detected-
Cells in corneal layer Not detected-
Cells in granular layer Not detected-
Cells in spinous layer Not detected-
Endothelial cells Medium-
Epidermal cells -Low
Extracellular matrix Medium-
Fibrohistiocytic cells High-
Langerhans cells Not detected-
Lymphocytes High-
Melanocytes Not detected-
Vascular mural cells Not detected-
  
  
  





SKIN - HPA RNA-seqi

The RNA-seq details section shows detailed information about the individual samples used for the transcript profiling and results of the RNA-seq analysis.

Information about each individual sample is listed below, including gender, age, a tissue section image and estimated fractions of cell types. nTPM (normalized transcripts per million) values give a quantification of the gene abundance which is comparable between different genes and samples.
Average nTPMi

Max subtype nTPM is the value for the subtype with the largest average nTPM across the subtype samples.

14.4
overview
Female, age 34
Skin sample 225
nTPM: 16
Cell types%
Keratinocytes:
60

Other cell types:
40

overview
Female, age 30
Skin sample 226
nTPM: 11.2
Cell types%
Keratinocytes:
55

Other cell types:
45

N/A
Male, age 57
Skin sample 227
nTPM: 16

SKIN - GTEx RNA-seqi

RNA-Seq data generated by the Genotype-Tissue Expression (GTEx) project from human tissues is reported as mean nTPM. More information can be found on the GTEx portal.

Distribution across the dataset is visualized with box plots, shown as median and 25th and 75th percentiles. Points are displayed as outliers if they are above or below 1.5 times the interquartile range. nTPM values of the individual samples are presented next to the box plot.
Max subtype nTPMi

Max subtype nTPM is the value for the subtype with the largest average nTPM across the subtype samples.

21.1
GTEx sample id Sample description nTPM
Skin - Not Sun Exposed (Suprapubic)
Average nTPM: 18.6
Samples: 604

Max nTPM: 172.8
Min nTPM: 0.9
Std nTPM: 17.0
Median nTPM: 13.8
GTEX-13113-1626-SM-5EQ4I 60-69 years, female 172.8
GTEX-139YR-1026-SM-5LZYN 50-59 years, male 104.5
GTEX-1RLM8-2926-SM-E8VON 50-59 years, male 100.8
GTEX-1477Z-0326-SM-7IGLA 60-69 years, male 100.6
GTEX-Y3IK-1626-SM-4YCF5 50-59 years, female 89.5
GTEX-1399R-1326-SM-5PNYS 30-39 years, male 88.6
GTEX-13OW5-2326-SM-5L3HO 60-69 years, male 84.9
GTEX-13N11-2326-SM-5IJBF 50-59 years, female 84.6
GTEX-17F97-2626-SM-7IGM5 50-59 years, male 78.4
GTEX-1JMOU-1026-SM-CYPSS 60-69 years, female 75.5
GTEX-1H1ZS-2726-SM-9WG75 70-79 years, male 72.6
GTEX-1F48J-0726-SM-7RHGS 50-59 years, female 69.0
GTEX-X3Y1-2026-SM-3P5YM 40-49 years, male 68.6
GTEX-ZYW4-0626-SM-59HJR 60-69 years, male 67.4
GTEX-13OVK-1426-SM-6PAN7 40-49 years, male 62.3
GTEX-11EM3-1226-SM-5N9DD 20-29 years, female 61.8
GTEX-13OVJ-0826-SM-5J1OK 50-59 years, female 61.5
GTEX-ZYFG-1526-SM-5GZYM 60-69 years, female 60.9
GTEX-U8XE-0226-SM-4E3J3 30-39 years, male 60.6
GTEX-1LBAC-0826-SM-CY8IJ 20-29 years, male 58.5
GTEX-1H3NZ-2726-SM-9WYTQ 60-69 years, male 57.7
GTEX-ZZPU-0826-SM-5GZX5 50-59 years, female 56.9
GTEX-1PIGE-1826-SM-E8VOU 20-29 years, male 56.7
GTEX-ZGAY-1826-SM-DO91Q 40-49 years, female 56.3
GTEX-15RJ7-2126-SM-6PAMD 40-49 years, male 54.8
GTEX-YB5K-2026-SM-4VDT3 40-49 years, female 52.9
GTEX-1IDJI-0126-SM-CMKHS 50-59 years, female 52.1
GTEX-X5EB-1926-SM-4E3IW 40-49 years, male 51.2
GTEX-14DAR-1226-SM-73KYV 50-59 years, male 49.1
GTEX-WYVS-1626-SM-3NM9R 40-49 years, female 47.9
GTEX-WXYG-2026-SM-4E3IY 50-59 years, female 47.7
GTEX-X4EP-0626-SM-3P621 60-69 years, female 47.7
GTEX-1JMQL-2226-SM-CNPP4 50-59 years, female 46.8
GTEX-144FL-0626-SM-5LU43 50-59 years, male 46.7
GTEX-14BMU-1226-SM-5S2OR 20-29 years, female 46.0
GTEX-ZT9W-1126-SM-57WDR 50-59 years, male 45.3
GTEX-ZAK1-0626-SM-5HL8E 50-59 years, female 45.1
GTEX-1QCLZ-2426-SM-EVYBW 60-69 years, female 44.7
GTEX-1IDJC-1526-SM-B2LW4 50-59 years, male 44.0
GTEX-1IDJF-2026-SM-CL53V 20-29 years, male 44.0
GTEX-ZLWG-0826-SM-59888 50-59 years, female 43.6
GTEX-18D9B-0926-SM-7LG4U 60-69 years, male 43.1
GTEX-12C56-1526-SM-5FQUQ 20-29 years, male 42.9
GTEX-W5X1-2526-SM-3GILC 40-49 years, female 42.8
GTEX-16YQH-2226-SM-7IGM2 30-39 years, male 42.7
GTEX-11DZ1-2426-SM-5GZZX 50-59 years, male 42.3
GTEX-16BQI-1326-SM-6M486 30-39 years, female 41.7
GTEX-18A66-0626-SM-7LT8Z 60-69 years, male 41.7
GTEX-X8HC-0626-SM-4E3HQ 50-59 years, female 40.5
GTEX-XOT4-0626-SM-4B66L 60-69 years, female 40.3
GTEX-WI4N-2726-SM-3LK7Y 40-49 years, female 40.2
GTEX-ZDXO-3126-SM-5IJDF 60-69 years, male 39.9
GTEX-1B8KE-1126-SM-7EPHI 50-59 years, male 39.5
GTEX-1EWIQ-0326-SM-7DHMQ 70-79 years, female 39.4
GTEX-1314G-1326-SM-5BC6E 30-39 years, male 38.9
GTEX-Y5V6-2326-SM-4VDSA 60-69 years, male 38.9
GTEX-1C475-1326-SM-7SB73 40-49 years, female 38.9
GTEX-1S82P-2126-SM-E6CI5 60-69 years, female 38.8
GTEX-1HUB1-1426-SM-CGQF5 60-69 years, male 38.4
GTEX-1QP29-1826-SM-DTX9S 50-59 years, male 38.3
GTEX-YEC4-1826-SM-4W1YP 40-49 years, male 38.2
GTEX-1JN1M-2726-SM-CY8I4 60-69 years, female 37.8
GTEX-ZVP2-0326-SM-57WBP 50-59 years, male 37.4
GTEX-1IDJE-1426-SM-ADEIW 50-59 years, female 37.3
GTEX-145ME-1726-SM-5Q5EU 40-49 years, female 36.9
GTEX-Y8LW-1526-SM-5IFHL 50-59 years, female 36.9
GTEX-Y3I4-1726-SM-4TT89 50-59 years, male 36.5
GTEX-1J8Q3-0526-SM-ARL8U 60-69 years, male 35.9
GTEX-WY7C-2126-SM-3NB2R 50-59 years, male 35.6
GTEX-XBED-1926-SM-47JYP 60-69 years, male 35.5
GTEX-1GMRU-2126-SM-7P8RA 50-59 years, male 35.5
GTEX-Y8E4-2026-SM-5IFJB 40-49 years, male 35.4
GTEX-ZLFU-1826-SM-4WWBV 40-49 years, male 35.0
GTEX-1JMQK-1226-SM-D4P2S 60-69 years, male 34.9
GTEX-13O61-1426-SM-5KM3D 60-69 years, male 34.8
GTEX-1AX8Z-0726-SM-73KTS 60-69 years, male 34.6
GTEX-WHPG-2626-SM-3NMBR 50-59 years, male 34.4
GTEX-YF7O-1526-SM-5IFI6 50-59 years, male 34.2
GTEX-145MN-1526-SM-5SI9T 30-39 years, male 34.0
GTEX-13QBU-1226-SM-5LU4G 40-49 years, female 33.9
GTEX-14PK6-0226-SM-62LF5 70-79 years, female 33.5
GTEX-1117F-2926-SM-5GZYI 60-69 years, female 33.4
GTEX-15UF6-1926-SM-7KUDV 70-79 years, female 33.3
GTEX-WEY5-2326-SM-3GIKK 40-49 years, female 33.3
GTEX-1L5NE-1126-SM-D3L9P 50-59 years, male 33.3
GTEX-13FHO-0426-SM-5L3F5 60-69 years, male 33.2
GTEX-1HC8U-1326-SM-9YFMJ 40-49 years, female 33.2
GTEX-11NSD-0626-SM-5A5LU 20-29 years, male 33.0
GTEX-139T8-0626-SM-5KLZX 60-69 years, male 33.0
GTEX-13NYS-0626-SM-5L3F1 60-69 years, male 33.0
GTEX-ZA64-1026-SM-5HL8R 20-29 years, male 33.0
GTEX-12584-0726-SM-5FQTK 40-49 years, male 32.7
GTEX-12WSH-1526-SM-5BC5W 50-59 years, male 32.7
GTEX-1QP9N-1226-SM-E76QN 30-39 years, male 32.7
GTEX-1EMGI-2326-SM-7PBYA 60-69 years, male 32.6
GTEX-1497J-0226-SM-5QGPU 60-69 years, male 32.3
GTEX-13VXT-1926-SM-5K7UO 20-29 years, female 32.0
GTEX-1F75A-0726-SM-7RHHD 50-59 years, male 32.0
GTEX-WFG7-2026-SM-5SI7P 20-29 years, male 31.5
GTEX-ZVE2-2826-SM-5GU51 50-59 years, male 31.5
GTEX-1RAZR-2126-SM-E9U6T 40-49 years, male 31.2
GTEX-ZDYS-2426-SM-4WKGI 50-59 years, male 30.9
GTEX-WFG8-2126-SM-3GIKQ 20-29 years, male 30.8
GTEX-15RIG-0726-SM-7KUM7 40-49 years, male 30.6
GTEX-1QP66-1226-SM-DTX7U 50-59 years, male 30.3
GTEX-1A32A-0626-SM-731AQ 50-59 years, female 30.1
GTEX-XYKS-1426-SM-4BRUO 60-69 years, female 30.1
GTEX-WFON-1926-SM-3LK7L 40-49 years, male 29.8
GTEX-14JG6-1426-SM-9WG7C 30-39 years, female 29.5
GTEX-12WSL-2026-SM-5GCML 50-59 years, male 28.8
GTEX-ZZ64-1026-SM-5GZXG 20-29 years, male 28.7
GTEX-14PHX-2226-SM-6EU2P 50-59 years, male 28.6
GTEX-11P82-1426-SM-DTXFY 20-29 years, male 28.6
GTEX-11VI4-1126-SM-5EQMD 40-49 years, female 28.2
GTEX-15CHQ-0326-SM-69LQD 60-69 years, male 27.9
GTEX-YJ8O-2526-SM-5HL85 40-49 years, female 27.5
GTEX-UPK5-0426-SM-3GAEK 40-49 years, male 27.2
GTEX-11ZTT-2126-SM-5CVLO 60-69 years, female 27.0
GTEX-ZTX8-1326-SM-4YCEL 20-29 years, male 26.9
GTEX-1IDJD-2326-SM-ACKWX 30-39 years, male 26.9
GTEX-14A5H-0826-SM-5QGPJ 60-69 years, male 26.6
GTEX-183FY-1026-SM-7939A 20-29 years, male 26.5
GTEX-XPVG-2126-SM-4B667 50-59 years, male 26.5
GTEX-1HSMO-0626-SM-ACKXC 60-69 years, male 26.5
GTEX-1KANC-1226-SM-CYPT7 50-59 years, female 26.4
GTEX-1JMLX-0626-SM-ARL8T 50-59 years, male 26.3
GTEX-12WSJ-1126-SM-5LZVJ 40-49 years, female 26.1
GTEX-1MJK3-0726-SM-E6CJC 20-29 years, male 26.0
GTEX-1AX9I-2226-SM-73KUO 60-69 years, male 25.9
GTEX-1LG7Z-1626-SM-CXKYR 30-39 years, male 25.9
GTEX-ZF3C-0626-SM-DO92O 50-59 years, female 25.8
GTEX-17HII-1426-SM-7EPGG 50-59 years, male 25.7
GTEX-WYBS-0626-SM-3NMAS 60-69 years, female 25.7
GTEX-XBEW-1126-SM-4QARW 40-49 years, male 25.4
GTEX-1JKYN-0826-SM-ARU8S 30-39 years, male 25.4
GTEX-1O9I2-0226-SM-EYYXD 50-59 years, male 25.4
GTEX-17F9E-2326-SM-79OKD 50-59 years, male 25.3
GTEX-1GMR2-0826-SM-7PC3V 50-59 years, male 25.3
GTEX-1BAJH-2426-SM-7IGP8 70-79 years, male 25.2
GTEX-WH7G-2026-SM-3NMBL 40-49 years, male 25.2
GTEX-145LT-0526-SM-5LUB2 40-49 years, male 24.9
GTEX-VJYA-1526-SM-3GIJV 60-69 years, male 24.9
GTEX-1H3VE-0726-SM-9YFL5 40-49 years, male 24.8
GTEX-XV7Q-1826-SM-4BRUV 40-49 years, female 24.6
GTEX-1AYD5-2626-SM-7PBXY 50-59 years, male 24.5
GTEX-12ZZZ-0726-SM-5GCNZ 60-69 years, male 24.4
GTEX-1R9K4-2826-SM-DTX8F 60-69 years, male 24.2
GTEX-14PJN-1826-SM-6AJ98 30-39 years, male 24.0
GTEX-15DYW-2726-SM-6EU2I 60-69 years, female 24.0
GTEX-15G19-2426-SM-7KUMR 60-69 years, male 24.0
GTEX-18D9A-1426-SM-7LT8M 30-39 years, female 23.7
GTEX-146FQ-2126-SM-5RQHU 30-39 years, male 23.6
GTEX-131XF-2626-SM-5EQ6K 60-69 years, male 23.4
GTEX-ZU9S-1826-SM-5NQ9E 30-39 years, male 23.4
GTEX-13X6H-0926-SM-5SIB2 50-59 years, female 23.3
GTEX-1CAMR-1326-SM-7PC1F 20-29 years, male 23.2
GTEX-1GF9W-1426-SM-7PBYM 60-69 years, male 23.1
GTEX-YFCO-1226-SM-5LUAT 40-49 years, male 23.0
GTEX-1R9PN-0426-SM-DTXDT 40-49 years, female 23.0
GTEX-1RAZA-2226-SM-E9U4X 20-29 years, male 22.9
GTEX-1F75I-2226-SM-7SB8U 40-49 years, male 22.6
GTEX-1HBPM-0726-SM-9YFL7 60-69 years, female 22.6
GTEX-133LE-2326-SM-5K7W3 20-29 years, female 22.4
GTEX-147JS-0226-SM-5S2U9 60-69 years, male 22.4
GTEX-ZT9X-1526-SM-5DUXD 40-49 years, male 22.3
GTEX-1GTWX-2026-SM-9YFLM 60-69 years, male 22.3
GTEX-ZAB4-2126-SM-5HL8U 40-49 years, male 22.2
GTEX-1GZHY-0626-SM-9KNVC 50-59 years, female 22.0
GTEX-ZVT2-0126-SM-5GIDQ 50-59 years, female 21.9
GTEX-11EQ8-0926-SM-5H12V 60-69 years, male 21.8
GTEX-15CHC-1126-SM-6LLHQ 60-69 years, female 21.7
GTEX-1I4MK-0126-SM-CY8G6 50-59 years, female 21.7
GTEX-1I6K7-1926-SM-B2LXR 40-49 years, male 21.5
GTEX-1LVAN-0626-SM-CNPOQ 50-59 years, female 21.5
GTEX-XK95-0226-SM-4AT58 40-49 years, male 21.4
GTEX-ZLV1-1526-SM-DO91J 60-69 years, female 21.4
GTEX-11O72-0626-SM-5PNYE 40-49 years, male 21.1
GTEX-11LCK-2226-SM-5HL4Q 30-39 years, male 21.0
GTEX-ZAJG-1526-SM-5CVML 50-59 years, female 20.9
GTEX-1IE54-1126-SM-A9G2Z 40-49 years, female 20.9
GTEX-ZF2S-1626-SM-57WES 50-59 years, female 20.8
GTEX-15EO6-2426-SM-6PALZ 50-59 years, male 20.7
GTEX-111CU-1126-SM-5EGIM 50-59 years, male 20.6
GTEX-15EU6-2226-SM-6EU2L 50-59 years, male 20.6
GTEX-1F75W-2726-SM-7SB8H 60-69 years, male 20.6
GTEX-1K9T9-1526-SM-DIPFR 50-59 years, female 20.5
GTEX-1ICLZ-0326-SM-ARL82 60-69 years, male 20.4
GTEX-1IDJU-1726-SM-CMKHU 60-69 years, female 20.4
GTEX-1S831-1826-SM-EWROF 20-29 years, male 20.4
GTEX-15FZZ-0526-SM-7KUGD 30-39 years, female 20.2
GTEX-15G1A-1626-SM-7KUKN 30-39 years, male 20.2
GTEX-Y5V5-0126-SM-5S2NW 60-69 years, female 20.2
GTEX-1HKZK-0726-SM-ACKW2 40-49 years, male 19.8
GTEX-17HG3-2626-SM-7DUF2 30-39 years, female 19.6
GTEX-1C6WA-2626-SM-7MKGM 60-69 years, male 19.6
GTEX-1F52S-2926-SM-7MKGA 60-69 years, female 19.6
GTEX-1IKOE-1426-SM-CE6T7 30-39 years, female 19.6
GTEX-14E1K-2026-SM-7DUEI 50-59 years, male 19.5
GTEX-11EQ9-1626-SM-5PNY8 30-39 years, male 19.3
GTEX-1KANA-1326-SM-DIPFA 20-29 years, male 19.3
GTEX-14LZ3-0126-SM-69LPM 60-69 years, female 19.2
GTEX-X4EO-2926-SM-4E3JH 60-69 years, female 19.2
GTEX-1MCC2-1826-SM-DIPEX 30-39 years, female 19.2
GTEX-1HCU6-2526-SM-ADEHL 60-69 years, female 19.1
GTEX-178AV-1726-SM-7KUL8 40-49 years, male 19.0
GTEX-ZPCL-1126-SM-4WWFE 60-69 years, female 19.0
GTEX-1GZ4H-0526-SM-9KNU9 50-59 years, female 19.0
GTEX-1H1CY-0126-SM-9YFLY 60-69 years, female 19.0
GTEX-ZPIC-0526-SM-DO91W 40-49 years, female 18.9
GTEX-132AR-0326-SM-5KM2C 50-59 years, female 18.7
GTEX-13OVG-1626-SM-5J1NF 60-69 years, male 18.6
GTEX-13U4I-2226-SM-5LU5H 40-49 years, female 18.6
GTEX-13IVO-0726-SM-5LZYV 70-79 years, male 18.5
GTEX-17HGU-2326-SM-7DUFE 50-59 years, male 18.5
GTEX-147F3-1726-SM-5SIAW 50-59 years, female 18.4
GTEX-17EVQ-0126-SM-7IGLR 70-79 years, male 18.3
GTEX-1QAET-0326-SM-EVR3U 50-59 years, male 18.3
GTEX-13FTX-1526-SM-5K7VJ 20-29 years, female 18.2
GTEX-1EU9M-1426-SM-793AI 60-69 years, male 18.2
GTEX-XBEC-0726-SM-4QARZ 50-59 years, male 18.2
GTEX-Y114-2126-SM-4TT8B 50-59 years, female 18.2
GTEX-1HCU8-2526-SM-CE6RX 60-69 years, female 18.2
GTEX-12BJ1-0926-SM-5EQ62 60-69 years, male 18.1
GTEX-11DYG-1526-SM-5A5JS 60-69 years, male 18.0
GTEX-11P81-2226-SM-5PNYI 30-39 years, female 18.0
GTEX-1CAV2-0126-SM-7IGN7 40-49 years, female 18.0
GTEX-1GPI7-1826-SM-9KNU1 20-29 years, male 18.0
GTEX-1J8QM-2426-SM-A9SLS 60-69 years, female 18.0
GTEX-11EI6-2826-SM-5H11D 60-69 years, male 17.7
GTEX-1B8KZ-0326-SM-73KY4 50-59 years, male 17.7
GTEX-1LGOU-1326-SM-D3L8M 20-29 years, female 17.6
GTEX-1K2DA-1026-SM-CGQGF 50-59 years, male 17.5
GTEX-13FTW-0326-SM-5K7UW 40-49 years, male 17.4
GTEX-14PJ5-1526-SM-6LLIL 60-69 years, female 17.4
GTEX-16NGA-0726-SM-731AO 40-49 years, female 17.3
GTEX-1B97I-0626-SM-73KUZ 40-49 years, male 17.3
GTEX-XUW1-0926-SM-4BONX 50-59 years, female 17.3
GTEX-1C64O-1326-SM-7MGWR 60-69 years, male 17.3
GTEX-1GF9U-2026-SM-7SB92 40-49 years, female 17.3
GTEX-1GL5R-1326-SM-7RHHF 50-59 years, male 17.2
GTEX-1IY9M-2826-SM-ARU8H 60-69 years, male 17.2
GTEX-11P7K-1126-SM-5HL4L 30-39 years, male 17.1
GTEX-14PKV-1126-SM-6LLJ1 20-29 years, female 17.1
GTEX-1I1GS-2626-SM-B2LY3 60-69 years, male 17.1
GTEX-131XH-0126-SM-5LZUY 50-59 years, male 17.0
GTEX-14PJ6-2626-SM-6EU2T 60-69 years, female 17.0
GTEX-16MTA-0926-SM-6M47Z 50-59 years, male 17.0
GTEX-ZP4G-1426-SM-4WWCL 20-29 years, female 17.0
GTEX-1F6IF-0926-SM-7SB7M 60-69 years, male 17.0
GTEX-1HCUA-0826-SM-ADEHM 50-59 years, female 17.0
GTEX-17JCI-2926-SM-7DUFF 60-69 years, female 16.9
GTEX-ZPU1-1126-SM-4YCF3 40-49 years, male 16.8
GTEX-1RB15-1326-SM-E76Q9 60-69 years, male 16.8
GTEX-13FH7-1126-SM-5K7UG 50-59 years, female 16.7
GTEX-1E2YA-2126-SM-7MXUO 50-59 years, male 16.7
GTEX-1GN1U-0626-SM-9MQL9 50-59 years, female 16.7
GTEX-1HSMQ-2626-SM-A9SML 50-59 years, male 16.7
GTEX-13PVR-0426-SM-5RQK2 60-69 years, female 16.5
GTEX-18D9U-0126-SM-731BM 40-49 years, male 16.4
GTEX-1H1DG-2426-SM-9QEHJ 70-79 years, male 16.3
GTEX-117YX-1926-SM-5GIEC 50-59 years, male 16.2
GTEX-147F4-0726-SM-5TDDD 50-59 years, male 16.2
GTEX-1JJE9-2626-SM-ARZMT 70-79 years, male 16.2
GTEX-1PDJ9-1226-SM-EXUSX 20-29 years, male 16.2
GTEX-12WSD-0626-SM-5GCMW 60-69 years, female 16.1
GTEX-13O3O-2326-SM-5IJD6 60-69 years, female 15.9
GTEX-1QP28-1126-SM-EVYC4 50-59 years, female 15.8
GTEX-1192X-2726-SM-5N9DN 50-59 years, male 15.7
GTEX-16XZZ-0726-SM-7KUF2 60-69 years, male 15.7
GTEX-1AX9J-1326-SM-731BJ 60-69 years, male 15.7
GTEX-ZDTT-0426-SM-4WKFL 60-69 years, male 15.7
GTEX-1JJ6O-2726-SM-CNPOG 60-69 years, male 15.5
GTEX-1R46S-2426-SM-E76QA 60-69 years, female 15.5
GTEX-1LGRB-0926-SM-COH3K 50-59 years, female 15.2
GTEX-1LSNM-0826-SM-DIPG8 50-59 years, male 15.2
GTEX-1LVAO-2726-SM-E9TJ8 60-69 years, male 15.2
GTEX-1N2EE-0626-SM-E76PW 60-69 years, male 15.2
GTEX-Y5LM-0926-SM-6LLJG 40-49 years, female 15.1
GTEX-15SHW-0226-SM-7LTAT 60-69 years, male 15.0
GTEX-18A7A-0126-SM-731AH 50-59 years, female 14.9
GTEX-ZC5H-1526-SM-5HL9Y 40-49 years, female 14.9
GTEX-ZF29-0926-SM-4WKFZ 60-69 years, female 14.9
GTEX-1F75B-0726-SM-7PC3R 50-59 years, male 14.8
GTEX-12KS4-2126-SM-5FQUT 30-39 years, male 14.7
GTEX-16MT8-2926-SM-7DUFO 60-69 years, female 14.7
GTEX-1OJC3-1226-SM-DTXER 20-29 years, male 14.7
GTEX-17F98-1326-SM-7DUEP 40-49 years, female 14.6
GTEX-Z93S-1626-SM-5CVMB 50-59 years, male 14.6
GTEX-1HCU9-0426-SM-9WYSD 20-29 years, male 14.5
GTEX-1K2DU-1226-SM-CYPT4 20-29 years, male 14.4
GTEX-1R7EU-1626-SM-DTXG3 60-69 years, male 14.4
GTEX-14PII-0726-SM-6EU2B 60-69 years, male 14.3
GTEX-1F5PL-0926-SM-7PC2W 40-49 years, female 14.3
GTEX-1H1DF-1126-SM-9WG7G 40-49 years, female 14.3
GTEX-15RJE-2826-SM-7KUM9 40-49 years, male 14.2
GTEX-1A3MW-0626-SM-731CB 60-69 years, female 14.2
GTEX-1CB4I-0126-SM-7RHGG 50-59 years, male 14.2
GTEX-1JKYR-0626-SM-ARL8R 20-29 years, male 14.1
GTEX-13N2G-0226-SM-5K7VF 60-69 years, male 13.9
GTEX-145MG-1526-SM-5Q5EM 50-59 years, male 13.9
GTEX-17MFQ-1526-SM-7KFRR 20-29 years, male 13.9
GTEX-183WM-0326-SM-72D5V 70-79 years, female 13.9
GTEX-1CB4F-1026-SM-7DUH1 60-69 years, male 13.8
GTEX-1HSKV-1226-SM-ADEI4 60-69 years, male 13.8
GTEX-1ICG6-1226-SM-A9SLN 70-79 years, female 13.8
GTEX-14E6E-0526-SM-793DN 30-39 years, male 13.7
GTEX-14PKU-0126-SM-6LLHV 40-49 years, female 13.6
GTEX-1LSNL-2726-SM-E9TKJ 50-59 years, male 13.6
GTEX-111FC-2526-SM-5GZXU 60-69 years, male 13.5
GTEX-139D8-1126-SM-5LU8W 30-39 years, female 13.5
GTEX-14PHY-1226-SM-5ZZWK 60-69 years, female 13.4
GTEX-1F6I4-2326-SM-7RHGL 60-69 years, male 13.4
GTEX-1PBJJ-1026-SM-E76OS 30-39 years, male 13.4
GTEX-1QMI2-2526-SM-E8VNZ 60-69 years, male 13.4
GTEX-XQ8I-0926-SM-4BOOF 50-59 years, male 13.3
GTEX-1KAFJ-0126-SM-DIPEK 50-59 years, male 13.3
GTEX-13D11-0926-SM-5J2NC 50-59 years, female 13.2
GTEX-16AAH-0626-SM-793C9 50-59 years, male 13.2
GTEX-XXEK-1626-SM-4BRUZ 50-59 years, male 13.1
GTEX-1QEPI-2626-SM-DTXF4 60-69 years, female 13.1
GTEX-18QFQ-1826-SM-72D52 30-39 years, male 13.0
GTEX-1EN7A-2426-SM-793DB 40-49 years, male 13.0
GTEX-13X6I-1826-SM-5SIAO 60-69 years, male 12.9
GTEX-1JK1U-0226-SM-ARZMX 60-69 years, male 12.9
GTEX-YEC3-1326-SM-DO92X 50-59 years, male 12.9
GTEX-ZYVF-0926-SM-5E44J 50-59 years, female 12.8
GTEX-12WSF-1626-SM-7KUG5 70-79 years, male 12.7
GTEX-144GM-0526-SM-79OJO 20-29 years, male 12.7
GTEX-14AS3-1526-SM-5Q5ED 40-49 years, female 12.7
GTEX-139TU-0726-SM-5L3EK 60-69 years, male 12.5
GTEX-1211K-1526-SM-5FQU4 60-69 years, female 12.4
GTEX-17HHY-0426-SM-7DHLC 50-59 years, male 12.4
GTEX-14PJO-2526-SM-6AJBQ 60-69 years, male 12.3
GTEX-1I6K6-1726-SM-CGQFD 30-39 years, male 12.2
GTEX-11DXW-0826-SM-5H118 40-49 years, male 12.1
GTEX-15RIE-1926-SM-7KUKJ 60-69 years, male 12.1
GTEX-1E1VI-0326-SM-793D1 50-59 years, male 12.1
GTEX-V1D1-2026-SM-3GAF4 50-59 years, male 12.1
GTEX-WHWD-1826-SM-3LK6I 50-59 years, male 12.1
GTEX-13N1W-2426-SM-5IJD1 70-79 years, male 12.0
GTEX-1J8Q2-2626-SM-ACKWQ 60-69 years, male 12.0
GTEX-1N2DV-1526-SM-DTXEP 40-49 years, male 12.0
GTEX-17KNJ-2126-SM-718AM 50-59 years, male 11.9
GTEX-1H23P-0626-SM-9WG6T 60-69 years, male 11.9
GTEX-1JJEA-1826-SM-ARU8P 60-69 years, male 11.9
GTEX-15ER7-0626-SM-6PANF 20-29 years, female 11.7
GTEX-16NPX-0726-SM-7KULC 50-59 years, male 11.7
GTEX-Y111-0626-SM-4SOIT 50-59 years, male 11.7
GTEX-14C39-1726-SM-5RQIL 40-49 years, male 11.6
GTEX-11DXX-2126-SM-5PNYR 60-69 years, female 11.5
GTEX-1B8SF-0126-SM-7DUG3 60-69 years, male 11.5
GTEX-ZVT4-2426-SM-5GIEI 50-59 years, female 11.5
GTEX-1S3DN-2126-SM-E9TIN 50-59 years, male 11.5
GTEX-ZXG5-2126-SM-59HKD 60-69 years, male 11.4
GTEX-1HBPN-0126-SM-CGQEF 50-59 years, male 11.4
GTEX-14PJ3-1126-SM-5ZZVX 50-59 years, male 11.3
GTEX-1CB4H-1126-SM-7MKGL 60-69 years, female 11.3
GTEX-11GS4-0226-SM-5HL77 60-69 years, male 11.2
GTEX-ZDTS-0826-SM-4WKHL 60-69 years, male 11.2
GTEX-1F5PK-2226-SM-7SB6N 50-59 years, male 11.2
GTEX-11NUK-2726-SM-5A5MC 50-59 years, male 11.1
GTEX-ZTSS-1426-SM-5985P 40-49 years, male 11.1
GTEX-1CAMS-2226-SM-7PBXQ 40-49 years, female 11.1
GTEX-1JMPZ-0726-SM-CY8HZ 30-39 years, male 11.1
GTEX-14XAO-1226-SM-6EU1C 60-69 years, female 11.0
GTEX-VUSG-2326-SM-4KL1U 50-59 years, male 11.0
GTEX-15D1Q-2826-SM-6LLH7 40-49 years, male 10.9
GTEX-1AMEY-0826-SM-72D65 30-39 years, female 10.9
GTEX-1IKJJ-2226-SM-CJI4C 60-69 years, male 10.9
GTEX-1LB8K-0726-SM-D5OV2 50-59 years, male 10.9
GTEX-1LVA9-2626-SM-EVYD4 50-59 years, male 10.9
GTEX-1GN1W-2426-SM-9KNUU 50-59 years, female 10.8
GTEX-1N5O9-0926-SM-E9J3C 60-69 years, male 10.8
GTEX-1NSGN-0726-SM-DTXEF 50-59 years, male 10.7
GTEX-14B4R-1326-SM-5Q5EZ 30-39 years, male 10.5
GTEX-15CHR-1126-SM-7EWF4 50-59 years, male 10.5
GTEX-1122O-1026-SM-9WYSF 60-69 years, female 10.5
GTEX-1QPFJ-1926-SM-EVYBD 30-39 years, female 10.5
GTEX-17EVP-2626-SM-7IGMA 40-49 years, male 10.4
GTEX-1PPGY-1626-SM-EVYBL 60-69 years, male 10.4
GTEX-13OW6-2726-SM-5J2OE 50-59 years, male 10.3
GTEX-18A6Q-0626-SM-7KFRP 60-69 years, male 10.3
GTEX-1RAZQ-1326-SM-E9TK6 30-39 years, male 10.3
GTEX-YECK-0326-SM-4W1YS 60-69 years, male 10.2
GTEX-1R9PM-1926-SM-EVR3O 20-29 years, male 10.2
GTEX-1CB4E-0926-SM-7EPHT 60-69 years, male 10.1
GTEX-UPJH-0226-SM-3GADV 50-59 years, male 10.1
GTEX-1GN73-0726-SM-7P8TJ 60-69 years, male 10.0
GTEX-13112-0126-SM-5P9IU 50-59 years, male 9.9
GTEX-1EX96-1026-SM-7MKG2 50-59 years, male 9.9
GTEX-139UW-0326-SM-5J1ML 60-69 years, male 9.8
GTEX-14C38-0726-SM-5SI6M 50-59 years, male 9.8
GTEX-14PJ4-0226-SM-5YY92 60-69 years, male 9.8
GTEX-1HSGN-0826-SM-ACKW3 40-49 years, female 9.8
GTEX-1KXAM-1626-SM-D3LAD 60-69 years, male 9.8
GTEX-11DXZ-2026-SM-5987S 50-59 years, male 9.7
GTEX-1H11D-1826-SM-9QEHM 40-49 years, male 9.7
GTEX-1JMQJ-0826-SM-CNPP7 50-59 years, male 9.7
GTEX-1KD5A-0126-SM-E9U54 50-59 years, male 9.7
GTEX-1S82U-1026-SM-E6CJK 30-39 years, female 9.7
GTEX-111YS-1526-SM-5GZYW 60-69 years, male 9.6
GTEX-14E6C-2426-SM-5S2NF 40-49 years, male 9.6
GTEX-1A3MV-1826-SM-731CD 30-39 years, male 9.6
GTEX-1A8G7-1326-SM-73KVM 60-69 years, male 9.6
GTEX-1C2JI-1026-SM-73KY1 50-59 years, male 9.6
GTEX-1QW4Y-1126-SM-DTXE3 30-39 years, male 9.6
GTEX-11GSP-2326-SM-5HL63 60-69 years, female 9.5
GTEX-13OW8-1026-SM-5J1NQ 60-69 years, male 9.5
GTEX-X585-2426-SM-46MW2 50-59 years, male 9.5
GTEX-1GPI6-1926-SM-9KNV7 60-69 years, male 9.5
GTEX-13YAN-0226-SM-5TDC6 60-69 years, male 9.4
GTEX-1IDJV-0126-SM-COH3Y 60-69 years, male 9.4
GTEX-145LU-1926-SM-79OJN 50-59 years, male 9.3
GTEX-1I1GV-0626-SM-ARL7M 60-69 years, male 9.3
GTEX-17HHE-1326-SM-7EWDZ 50-59 years, male 9.2
GTEX-1C64N-2626-SM-7PC2N 50-59 years, male 9.1
GTEX-1HFI7-2326-SM-CGQFS 50-59 years, female 9.1
GTEX-1GMR3-0126-SM-A9SLW 40-49 years, male 9.0
GTEX-1KWVE-1026-SM-D3L9O 30-39 years, male 9.0
GTEX-15SKB-2826-SM-6PAMH 60-69 years, male 8.9
GTEX-1H2FU-0926-SM-9WPPT 60-69 years, female 8.9
GTEX-131YS-2826-SM-5EQ47 60-69 years, female 8.8
GTEX-1GF9X-1326-SM-7PC2Y 40-49 years, female 8.8
GTEX-1H1E6-0426-SM-9WYUS 30-39 years, male 8.8
GTEX-1J8JJ-0626-SM-ARZMQ 60-69 years, female 8.8
GTEX-Y9LG-1126-SM-4VBQ7 30-39 years, male 8.6
GTEX-ZY6K-1426-SM-5GZX2 50-59 years, male 8.6
GTEX-1H1DE-1326-SM-9KNUG 20-29 years, male 8.6
GTEX-12WSK-2126-SM-5CVNC 40-49 years, female 8.5
GTEX-12WSM-1926-SM-5BC65 60-69 years, male 8.5
GTEX-16Z82-2626-SM-7KULU 60-69 years, male 8.5
GTEX-131XG-0326-SM-5L3DX 50-59 years, female 8.4
GTEX-ZYFC-0426-SM-5GICQ 50-59 years, male 8.4
GTEX-12WSC-2826-SM-5BC5Y 50-59 years, male 8.3
GTEX-13JVG-0726-SM-5KM16 60-69 years, male 8.3
GTEX-145MO-2826-SM-5LU96 60-69 years, male 8.3
GTEX-14753-0726-SM-5QGQO 60-69 years, male 8.3
GTEX-17F9Y-0126-SM-79OKX 70-79 years, female 8.3
GTEX-XAJ8-1426-SM-47JYM 40-49 years, male 8.3
GTEX-13OW7-0426-SM-5K7VK 50-59 years, male 8.2
GTEX-1EKGG-0626-SM-7DUGJ 60-69 years, male 8.2
GTEX-13SLX-2226-SM-62LEP 50-59 years, female 8.1
GTEX-WYJK-0526-SM-3NM8Z 50-59 years, male 8.1
GTEX-1313W-0626-SM-5EQ4H 50-59 years, female 8.0
GTEX-1B996-0426-SM-7EWF8 60-69 years, male 8.0
GTEX-1JN76-0626-SM-CKZOQ 20-29 years, female 7.9
GTEX-11ZU8-0126-SM-5EQ58 60-69 years, male 7.8
GTEX-13PVQ-0626-SM-5LU47 50-59 years, male 7.8
GTEX-14C5O-0326-SM-5ZZUX 60-69 years, male 7.8
GTEX-1B932-2326-SM-79OL5 40-49 years, female 7.8
GTEX-1HCVE-2726-SM-CL54F 50-59 years, male 7.8
GTEX-13OVH-0526-SM-5L3E6 70-79 years, male 7.7
GTEX-14ICL-1626-SM-5YYAO 30-39 years, male 7.7
GTEX-1GF9V-0826-SM-9KNUV 60-69 years, male 7.7
GTEX-1HB9E-0126-SM-CM2S5 50-59 years, male 7.7
GTEX-1J1R8-2026-SM-CL53Y 40-49 years, male 7.7
GTEX-WHSE-0126-SM-3NMBT 20-29 years, male 7.6
GTEX-1IL2V-1926-SM-B2LW8 70-79 years, male 7.6
GTEX-1POEN-2326-SM-E9J2L 30-39 years, female 7.6
GTEX-14ABY-2026-SM-62LDL 50-59 years, male 7.5
GTEX-1I1GT-1026-SM-ARZLV 60-69 years, female 7.5
GTEX-1C6VQ-1226-SM-73KYD 50-59 years, male 7.4
GTEX-1A3MX-2626-SM-7PC24 60-69 years, male 7.4
GTEX-1I1HK-2326-SM-CKZOH 60-69 years, male 7.4
GTEX-1QCLY-0226-SM-EWRNH 30-39 years, male 7.4
GTEX-1B933-2426-SM-7DHMD 50-59 years, female 7.3
GTEX-139TS-2126-SM-5K7XC 60-69 years, male 7.2
GTEX-13NYC-0126-SM-5L3F4 60-69 years, male 7.2
GTEX-17F96-0126-SM-7EWDU 70-79 years, male 7.2
GTEX-11OF3-0126-SM-5PNYF 60-69 years, male 7.1
GTEX-145MH-2826-SM-5RQJF 50-59 years, male 7.1
GTEX-14BMV-2826-SM-5TDED 50-59 years, male 7.1
GTEX-1PPH7-1126-SM-DTX9A 40-49 years, male 7.1
GTEX-18A7B-2726-SM-7LG56 70-79 years, male 7.0
GTEX-1CB4J-1326-SM-7P8RX 60-69 years, male 7.0
GTEX-13JUV-2026-SM-5K7UA 40-49 years, female 6.9
GTEX-13X6K-0626-SM-5LU5D 60-69 years, female 6.9
GTEX-1RMOY-1326-SM-E9TIH 50-59 years, male 6.9
GTEX-1MCYP-0526-SM-E9U6Q 20-29 years, female 6.8
GTEX-131XW-0626-SM-5PNVD 50-59 years, female 6.7
GTEX-13FLV-0126-SM-5K7WT 50-59 years, male 6.6
GTEX-13NZ9-2626-SM-5L3FK 50-59 years, male 6.6
GTEX-17MF6-2626-SM-79OKQ 40-49 years, male 6.6
GTEX-1M4P7-0726-SM-E6CJ3 60-69 years, male 6.5
GTEX-13OVL-0126-SM-5L3GJ 50-59 years, male 6.4
GTEX-1GMR8-0626-SM-7RHI7 50-59 years, female 6.4
GTEX-1LG7Y-2526-SM-EWRO7 50-59 years, male 6.4
GTEX-13X6J-0626-SM-5LU5F 50-59 years, male 6.3
GTEX-WHSB-1326-SM-3LK6W 50-59 years, male 6.3
GTEX-1I1GU-0926-SM-ACKVS 40-49 years, male 6.3
GTEX-145LS-0626-SM-7EPG7 60-69 years, female 6.2
GTEX-1A8FM-0626-SM-7PC25 50-59 years, female 6.2
GTEX-1GN2E-0226-SM-9WG6K 60-69 years, male 6.2
GTEX-1I1CD-0626-SM-CE6SW 60-69 years, female 6.2
GTEX-1HSMP-0926-SM-A9SKX 70-79 years, male 6.1
GTEX-144GL-0626-SM-5LU4D 50-59 years, male 6.0
GTEX-1399U-1126-SM-5L3DB 50-59 years, female 5.9
GTEX-1H3O1-1326-SM-9MQLD 60-69 years, male 5.9
GTEX-12ZZY-0726-SM-5EQ66 60-69 years, male 5.8
GTEX-1I19N-0126-SM-CYPSF 70-79 years, male 5.7
GTEX-1JN6P-2926-SM-CL54D 60-69 years, male 5.7
GTEX-111VG-1626-SM-5EGIO 60-69 years, male 5.6
GTEX-13SLW-0626-SM-5Q5ER 70-79 years, male 5.5
GTEX-1GZ4I-2626-SM-9KNU3 50-59 years, male 5.5
GTEX-1HCU7-0726-SM-A9SL1 50-59 years, male 5.5
GTEX-1JMQI-1726-SM-ARL93 50-59 years, male 5.5
GTEX-11DXY-0126-SM-5H11Q 60-69 years, male 5.4
GTEX-11TT1-1826-SM-5EQLV 20-29 years, male 5.4
GTEX-12696-0126-SM-5EQ4L 60-69 years, male 5.4
GTEX-12126-0826-SM-5FQTZ 20-29 years, male 5.3
GTEX-13FTY-2126-SM-5IFFB 40-49 years, female 5.3
GTEX-13W3W-0726-SM-5IJDQ 60-69 years, female 5.3
GTEX-ZVTK-0226-SM-51MRG 20-29 years, male 5.3
GTEX-144GO-2026-SM-5O99P 60-69 years, male 5.2
GTEX-ZYY3-2926-SM-5GIEB 60-69 years, female 5.2
GTEX-1LVAM-0726-SM-E6CIL 50-59 years, female 5.1
GTEX-1S5ZU-2526-SM-E6CIF 20-29 years, female 5.1
GTEX-1269C-0126-SM-5EQ5L 60-69 years, female 5.0
GTEX-1AMFI-1326-SM-7939R 50-59 years, female 5.0
GTEX-1CAMQ-1326-SM-7P8RV 40-49 years, male 5.0
GTEX-13O3Q-0126-SM-5KM34 50-59 years, male 4.9
GTEX-XQ3S-1426-SM-4BOPR 20-29 years, male 4.9
GTEX-ZVZP-1226-SM-5GID7 50-59 years, male 4.9
GTEX-ZYFD-0626-SM-5E44E 50-59 years, male 4.9
GTEX-1HBPI-2126-SM-ARL9K 50-59 years, male 4.9
GTEX-11UD2-2526-SM-5CVNU 50-59 years, male 4.8
GTEX-WRHU-2826-SM-3MJG8 50-59 years, female 4.8
GTEX-ZTTD-2826-SM-4YCFA 50-59 years, male 4.8
GTEX-12ZZX-2426-SM-5GCOE 40-49 years, female 4.7
GTEX-147GR-2426-SM-5ZZWQ 60-69 years, male 4.7
GTEX-18465-2826-SM-7LT9J 50-59 years, male 4.7
GTEX-ZUA1-2626-SM-5NQ92 40-49 years, male 4.7
GTEX-11WQC-1826-SM-5GU59 60-69 years, male 4.6
GTEX-1H4P4-2126-SM-9WYSL 50-59 years, male 4.6
GTEX-13NYB-0126-SM-5J1MD 40-49 years, male 4.5
GTEX-13PL6-1126-SM-5L3IE 40-49 years, female 4.5
GTEX-14DAQ-0626-SM-793DS 60-69 years, female 4.5
GTEX-16MT9-0126-SM-7EPI8 60-69 years, female 4.5
GTEX-1B8L1-2226-SM-7P8PT 60-69 years, male 4.5
GTEX-1ICLY-0826-SM-CMKG1 50-59 years, male 4.5
GTEX-139TT-2126-SM-5LZWC 60-69 years, male 4.4
GTEX-1HGF4-0126-SM-CNPPX 60-69 years, male 4.4
GTEX-1JMPY-0226-SM-CKZOK 30-39 years, male 4.4
GTEX-12WSA-0426-SM-5EQ5X 60-69 years, male 4.3
GTEX-1399S-0126-SM-5IJCF 30-39 years, female 4.3
GTEX-14BIN-1126-SM-5RQJZ 50-59 years, female 4.3
GTEX-14JG1-1526-SM-5YY9X 40-49 years, male 4.3
GTEX-16GPK-0626-SM-7KFSF 60-69 years, male 4.3
GTEX-1J8EW-2726-SM-CY8HR 60-69 years, female 4.3
GTEX-1J1OQ-0126-SM-D4P2N 40-49 years, female 4.2
GTEX-13QJC-0126-SM-5ZZWJ 60-69 years, female 4.1
GTEX-1NV5F-0626-SM-DTXEG 60-69 years, female 4.1
GTEX-13RTJ-0126-SM-5S2NN 60-69 years, male 4.0
GTEX-14JFF-0626-SM-5ZZVT 60-69 years, male 4.0
GTEX-1PPH8-0126-SM-EWRN8 20-29 years, male 4.0
GTEX-11WQK-1026-SM-5EQLX 50-59 years, male 3.9
GTEX-11ZUS-2626-SM-5FQUR 30-39 years, male 3.9
GTEX-14PJ2-0626-SM-6LLII 50-59 years, male 3.9
GTEX-18A67-1626-SM-7LT9T 50-59 years, male 3.9
GTEX-WK11-2726-SM-3NMAQ 50-59 years, male 3.9
GTEX-1I1GP-1326-SM-A9G28 50-59 years, male 3.9
GTEX-1IDJH-0126-SM-D3L92 70-79 years, male 3.9
GTEX-1QP2A-1726-SM-E76QC 50-59 years, male 3.9
GTEX-1212Z-0126-SM-59HK4 60-69 years, male 3.8
GTEX-145MF-0926-SM-5Q5EA 50-59 years, male 3.7
GTEX-ZYT6-2326-SM-5GZY3 30-39 years, male 3.7
GTEX-1IDFM-0326-SM-ARL7V 60-69 years, male 3.7
GTEX-13VXU-0626-SM-5L3F9 50-59 years, male 3.6
GTEX-1OJC4-2726-SM-E76PJ 50-59 years, female 3.5
GTEX-13PDP-0726-SM-5L3HP 60-69 years, male 3.4
GTEX-11PRG-0726-SM-5EGL1 50-59 years, male 3.3
GTEX-14A6H-2026-SM-5Q5DD 30-39 years, male 3.3
GTEX-14LLW-2626-SM-62LDZ 70-79 years, female 3.3
GTEX-XMD2-2126-SM-4YCF8 60-69 years, female 3.3
GTEX-ZVE1-0726-SM-51MRN 50-59 years, female 3.2
GTEX-1LKK1-2626-SM-DKPQE 50-59 years, female 3.2
GTEX-1LSVX-2526-SM-DIPEU 60-69 years, male 3.2
GTEX-1399Q-2326-SM-5KM2X 40-49 years, male 3.1
GTEX-15DDE-2926-SM-6LLJ3 50-59 years, female 3.0
GTEX-148VJ-0626-SM-5LUAW 70-79 years, male 2.9
GTEX-1C6VR-0126-SM-7RHGB 60-69 years, male 2.9
GTEX-1RAZS-2526-SM-E6CHT 50-59 years, male 2.9
GTEX-13G51-1826-SM-5KLZH 60-69 years, male 2.8
GTEX-1A8G6-2726-SM-731AR 60-69 years, male 2.8
GTEX-1HR9M-2226-SM-CNPPY 60-69 years, male 2.8
GTEX-1HT8W-0626-SM-A9G2H 30-39 years, male 2.8
GTEX-11TUW-0626-SM-5LU9M 60-69 years, male 2.7
GTEX-1PIIG-2326-SM-DTXFR 30-39 years, male 2.7
GTEX-1HFI6-0126-SM-CNPPI 40-49 years, male 2.6
GTEX-145MI-0626-SM-5SI8S 60-69 years, female 2.5
GTEX-ZE9C-2526-SM-5IJDR 60-69 years, male 2.5
GTEX-1F88F-0126-SM-9WYSZ 60-69 years, female 2.3
GTEX-1KANB-2826-SM-CY8I6 50-59 years, male 2.3
GTEX-1S83E-1326-SM-E6CJM 40-49 years, male 2.1
GTEX-1F6RS-2026-SM-7RHHC 60-69 years, female 2.0
GTEX-1GN1V-2826-SM-9JGIA 60-69 years, male 2.0
GTEX-ZE7O-2726-SM-51MT5 50-59 years, female 1.9
GTEX-1IOXB-2726-SM-CM2RI 50-59 years, male 1.9
GTEX-1F88E-1626-SM-7SB8Z 60-69 years, female 1.8
GTEX-1GZ2Q-0126-SM-9WG6M 40-49 years, male 1.8
GTEX-1EH9U-2826-SM-7DUGT 60-69 years, male 1.4
GTEX-ZWKS-0626-SM-5GIDV 30-39 years, male 1.4
GTEX-1HR98-2226-SM-ADEI2 60-69 years, male 1.3
GTEX-13NZ8-1226-SM-5KM4A 60-69 years, female 0.9
Show allShow less
Skin - Sun Exposed (Lower leg)
Average nTPM: 21.1
Samples: 701

Max nTPM: 143.0
Min nTPM: 1.2
Std nTPM: 18.2
Median nTPM: 16.3
GTEX-13OVJ-0126-SM-5KM36 50-59 years, female 143.0
GTEX-X88G-0126-SM-47JZ3 30-39 years, male 123.4
GTEX-PLZ4-0126-SM-5SI8O 50-59 years, female 113.0
GTEX-X4EP-0126-SM-3P5YV 60-69 years, female 112.3
GTEX-1H2FU-0126-SM-9WYSI 60-69 years, female 110.2
GTEX-Y3I4-2126-SM-4TT7C 50-59 years, male 108.7
GTEX-ZTPG-0326-SM-5O9AX 20-29 years, female 104.3
GTEX-1QP67-1626-SM-EAZ3X 40-49 years, female 96.0
GTEX-WI4N-1026-SM-3LK7N 40-49 years, female 95.0
GTEX-1H3VE-0326-SM-9YFLH 40-49 years, male 89.6
GTEX-1F48J-0126-SM-7P8TT 50-59 years, female 83.3
GTEX-113IC-0126-SM-5HL6T 60-69 years, male 82.0
GTEX-11EMC-2926-SM-5EQ4F 60-69 years, female 76.2
GTEX-13NYS-0126-SM-5MR3W 60-69 years, male 72.6
GTEX-145MO-0326-SM-5Q5B3 60-69 years, male 69.8
GTEX-1ICLZ-0126-SM-CKZPO 60-69 years, male 69.8
GTEX-1PWST-0226-SM-E76QJ 70-79 years, male 69.8
GTEX-1R46S-0626-SM-E9J41 60-69 years, female 69.2
GTEX-14BIL-0126-SM-5SI92 50-59 years, male 69.0
GTEX-SN8G-0126-SM-32PLI 50-59 years, female 68.5
GTEX-1AYD5-2426-SM-73KXR 50-59 years, male 68.4
GTEX-Q734-1926-SM-2I5EV 40-49 years, female 67.8
GTEX-13OVG-1926-SM-5L3DK 60-69 years, male 66.4
GTEX-U4B1-1826-SM-4DXSU 40-49 years, male 65.5
GTEX-OOBK-0126-SM-2YUND 40-49 years, male 65.4
GTEX-14JIY-0126-SM-6LLH6 60-69 years, male 60.6
GTEX-17F97-0326-SM-7LG5B 50-59 years, male 60.6
GTEX-144GN-2326-SM-5LU4F 50-59 years, male 60.2
GTEX-18A66-0226-SM-718BD 60-69 years, male 59.3
GTEX-QDVN-2026-SM-3GAEP 50-59 years, male 59.3
GTEX-QDT8-0126-SM-48TZ1 30-39 years, female 58.6
GTEX-RUSQ-1526-SM-2TF62 50-59 years, male 58.1
GTEX-13CF2-2526-SM-5LZYX 60-69 years, male 57.0
GTEX-1497J-2426-SM-7IGNX 60-69 years, male 56.4
GTEX-13D11-2426-SM-5KM1V 50-59 years, female 56.3
GTEX-1HBPM-0226-SM-ARL9F 60-69 years, female 56.3
GTEX-WY7C-2326-SM-3NB2U 50-59 years, male 56.0
GTEX-13N11-2526-SM-5K7UE 50-59 years, female 55.9
GTEX-1399U-2326-SM-5K7WY 50-59 years, female 54.4
GTEX-ZF28-0126-SM-4WKGK 60-69 years, male 54.1
GTEX-XV7Q-2526-SM-4BRV9 40-49 years, female 53.9
GTEX-ZF3C-0126-SM-DO92D 50-59 years, female 53.8
GTEX-1CAV2-2226-SM-7P8P2 40-49 years, female 53.7
GTEX-1HGF4-2426-SM-ACKXM 60-69 years, male 53.2
GTEX-15SB6-1726-SM-6PAME 50-59 years, female 52.4
GTEX-1211K-2026-SM-5EQ4Z 60-69 years, female 52.3
GTEX-11TTK-0126-SM-5987B 60-69 years, female 51.7
GTEX-14753-0426-SM-5NQAM 60-69 years, male 51.7
GTEX-X638-0126-SM-47JZ8 70-79 years, female 51.4
GTEX-ZQG8-1626-SM-DHXIT 60-69 years, female 50.6
GTEX-1JKYN-1326-SM-CGQG9 30-39 years, male 50.5
GTEX-1192X-0226-SM-5H12D 50-59 years, male 49.5
GTEX-12584-0126-SM-5EGKQ 40-49 years, male 49.4
GTEX-139D8-0226-SM-5KLZO 30-39 years, female 48.7
GTEX-1HUB1-0426-SM-E9U4U 60-69 years, male 48.0
GTEX-Q2AG-0126-SM-33HBV 40-49 years, female 47.8
GTEX-1AX8Z-0126-SM-7DHM6 60-69 years, male 47.7
GTEX-Y3IK-2426-SM-4WWDU 50-59 years, female 47.7
GTEX-1C6VQ-0126-SM-7P8RI 50-59 years, male 47.7
GTEX-1HB9E-0226-SM-E9U4R 50-59 years, male 47.7
GTEX-U8T8-0126-SM-3DB94 60-69 years, male 47.5
GTEX-1HCU6-0126-SM-CL54K 60-69 years, female 47.0
GTEX-ZAB4-0226-SM-5N9F5 40-49 years, male 46.9
GTEX-ZVT2-2526-SM-51MT1 50-59 years, female 46.3
GTEX-12KS4-0326-SM-5EQ41 30-39 years, male 46.1
GTEX-113JC-2326-SM-5EQ4E 50-59 years, female 44.3
GTEX-ZC5H-0226-SM-4WAY9 40-49 years, female 43.9
GTEX-111VG-2426-SM-5GZXD 60-69 years, male 43.5
GTEX-11DZ1-0126-SM-5985Q 50-59 years, male 43.5
GTEX-13VXT-0126-SM-5LU4I 20-29 years, female 43.4
GTEX-13FHO-0226-SM-5IFGY 60-69 years, male 43.0
GTEX-18QFQ-0126-SM-731BE 30-39 years, male 42.6
GTEX-1ICG6-2526-SM-CGQFZ 70-79 years, female 42.0
GTEX-144FL-0126-SM-5TDC8 50-59 years, male 41.9
GTEX-ZY6K-1826-SM-5GZXK 50-59 years, male 41.6
GTEX-14PHX-2326-SM-62LEM 50-59 years, male 41.4
GTEX-14PK6-1926-SM-6ETZU 70-79 years, female 41.3
GTEX-ZDXO-3026-SM-5J1N5 60-69 years, male 40.5
GTEX-XBED-2226-SM-47JYQ 60-69 years, male 40.4
GTEX-1JK1U-2026-SM-CM2RZ 60-69 years, male 40.3
GTEX-11ZVC-2526-SM-5FQTE 50-59 years, female 40.0
GTEX-TMZS-0126-SM-3DB9Q 60-69 years, male 40.0
GTEX-1GMR8-0126-SM-9WYTM 50-59 years, female 39.8
GTEX-13RTJ-2426-SM-5S2Q2 60-69 years, male 39.1
GTEX-X8HC-0126-SM-4E3JW 50-59 years, female 38.5
GTEX-1CB4G-0226-SM-7PC3O 60-69 years, male 38.3
GTEX-13O1R-0126-SM-5L3EH 60-69 years, male 38.2
GTEX-SE5C-1626-SM-2XCE3 40-49 years, female 38.2
GTEX-14PN4-0126-SM-6EU2V 50-59 years, male 37.8
GTEX-RTLS-0126-SM-447CA 60-69 years, female 37.6
GTEX-S7PM-0126-SM-4AD6S 60-69 years, male 37.5
GTEX-PLZ5-2026-SM-2S1O4 50-59 years, male 37.4
GTEX-U412-0426-SM-3DB9O 60-69 years, male 37.4
GTEX-ZVE2-0226-SM-59HJB 50-59 years, male 36.9
GTEX-11DXX-2426-SM-5GZZW 60-69 years, female 36.8
GTEX-OXRN-0126-SM-48TDM 50-59 years, male 36.6
GTEX-1C64O-0126-SM-7SB8P 60-69 years, male 36.6
GTEX-1R9K4-0126-SM-DTX9X 60-69 years, male 36.4
GTEX-ZVT3-0126-SM-5GU6I 60-69 years, female 36.3
GTEX-T2YK-0526-SM-32QPJ 50-59 years, male 36.0
GTEX-13OW7-0126-SM-5MR3B 50-59 years, male 35.7
GTEX-183WM-0126-SM-7LTAB 70-79 years, female 35.7
GTEX-131XF-5016-SM-7MGWE 60-69 years, male 35.2
GTEX-X62O-0126-SM-4E3JN 50-59 years, male 35.1
GTEX-1JMOU-1526-SM-CL54I 60-69 years, female 34.9
GTEX-13YAN-0326-SM-5O9DF 60-69 years, male 34.8
GTEX-YEC4-2126-SM-5IFJH 40-49 years, male 34.6
GTEX-ZYW4-0126-SM-5E44A 60-69 years, male 34.5
GTEX-ZDYS-2026-SM-5HL5L 50-59 years, male 34.3
GTEX-1J1OQ-0226-SM-CYPSH 40-49 years, female 34.3
GTEX-1269C-2526-SM-5EGJ3 60-69 years, female 33.8
GTEX-ZAJG-0126-SM-5HL94 50-59 years, female 33.7
GTEX-QVJO-1626-SM-2S1QW 60-69 years, female 33.5
GTEX-15UF6-0826-SM-6PALJ 70-79 years, female 33.3
GTEX-1I1GS-0126-SM-B2LVW 60-69 years, male 33.3
GTEX-T2IS-0126-SM-4DM6O 20-29 years, female 33.0
GTEX-11ZTT-2426-SM-5EQLS 60-69 years, female 32.9
GTEX-13RTL-0126-SM-7LG5S 40-49 years, male 32.5
GTEX-R45C-0126-SM-EAZ2R 60-69 years, female 32.5
GTEX-ZF29-2326-SM-DO92K 60-69 years, female 32.4
GTEX-17EVQ-0226-SM-7LG4P 70-79 years, male 32.2
GTEX-146FQ-0126-SM-5NQA9 30-39 years, male 32.0
GTEX-1H3NZ-0126-SM-ACKX7 60-69 years, male 32.0
GTEX-O5YW-0126-SM-3LK6D 50-59 years, male 31.8
GTEX-139T8-0126-SM-5K7XZ 60-69 years, male 31.7
GTEX-1LNCM-1126-SM-E9U5E 50-59 years, female 31.3
GTEX-1GZ4H-1726-SM-7PBZJ 50-59 years, female 31.2
GTEX-1H1DG-0126-SM-9WYU2 70-79 years, male 30.8
GTEX-1RAZQ-0726-SM-EAZ43 30-39 years, male 30.7
GTEX-QDVJ-1726-SM-2I5FX 50-59 years, male 30.6
GTEX-OXRK-0226-SM-3NB2G 50-59 years, female 30.5
GTEX-13NZA-0226-SM-5K7Z7 60-69 years, male 30.4
GTEX-1C6WA-0126-SM-7PC2B 60-69 years, male 30.4
GTEX-Y5LM-1926-SM-5RQJH 40-49 years, female 30.2
GTEX-TML8-1926-SM-32QOS 40-49 years, female 30.0
GTEX-1F6I4-0126-SM-9MQL2 60-69 years, male 30.0
GTEX-Y8E4-0626-SM-4WWDL 40-49 years, male 29.9
GTEX-1QP66-1726-SM-E8VO1 50-59 years, male 29.8
GTEX-146FR-1326-SM-E9J48 60-69 years, female 29.7
GTEX-WH7G-2326-SM-3NMBC 40-49 years, male 29.6
GTEX-14LLW-0126-SM-6LLIO 70-79 years, female 29.5
GTEX-13O3O-0126-SM-E9J49 60-69 years, female 29.5
GTEX-1PIGE-0126-SM-EVYBJ 20-29 years, male 29.5
GTEX-1C6VS-0526-SM-7DUEN 60-69 years, male 29.4
GTEX-U3ZM-1526-SM-3DB9D 40-49 years, male 28.9
GTEX-O5YT-0126-SM-48TBW 20-29 years, male 28.8
GTEX-11H98-0126-SM-5EGHG 50-59 years, male 28.7
GTEX-13SLX-0526-SM-5S2ON 50-59 years, female 28.6
GTEX-14E6C-0126-SM-5RQIP 40-49 years, male 28.5
GTEX-16MT8-0426-SM-7KUEY 60-69 years, female 28.5
GTEX-1IDJF-0126-SM-CM2RS 20-29 years, male 28.5
GTEX-18A7A-0226-SM-718BH 50-59 years, female 28.4
GTEX-QEG4-0226-SM-2S1PY 30-39 years, male 28.2
GTEX-1RLM8-2326-SM-EWRN4 50-59 years, male 28.2
GTEX-Z93T-0126-SM-5HL5N 50-59 years, male 27.9
GTEX-11P7K-2126-SM-5GU7G 30-39 years, male 27.8
GTEX-1I1CD-0126-SM-CM2TK 60-69 years, female 27.8
GTEX-ZGAY-0526-SM-4WWBB 40-49 years, female 27.6
GTEX-12WSN-5019-SM-79OM6 40-49 years, male 27.4
GTEX-13RTK-1426-SM-5QGQJ 20-29 years, male 27.4
GTEX-15SDE-2226-SM-7IGLO 50-59 years, female 27.4
GTEX-1F5PK-2426-SM-7RHHY 50-59 years, male 27.3
GTEX-1RB15-2126-SM-E9TIM 60-69 years, male 27.1
GTEX-17HII-0226-SM-7LG4E 50-59 years, male 26.9
GTEX-1J8EW-0126-SM-CJI4F 60-69 years, female 26.8
GTEX-11EM3-2426-SM-59861 20-29 years, female 26.6
GTEX-1QPFJ-0226-SM-E76PB 30-39 years, female 26.6
GTEX-139TT-0126-SM-5K7Y5 60-69 years, male 26.5
GTEX-R55E-0126-SM-2TC5Y 20-29 years, male 26.4
GTEX-ZAB5-1826-SM-5HL7C 50-59 years, male 26.4
GTEX-X5EB-2226-SM-46MW4 40-49 years, male 26.1
GTEX-Y114-2426-SM-4TT8A 50-59 years, female 26.1
GTEX-1S82Z-0826-SM-E6CHY 30-39 years, female 26.1
GTEX-OIZF-0126-SM-7SB8I 60-69 years, male 26.1
GTEX-145MN-2226-SM-5SIAU 30-39 years, male 25.9
GTEX-XBEW-0626-SM-4QASP 40-49 years, male 25.9
GTEX-147GR-0526-SM-5S2MY 60-69 years, male 25.7
GTEX-11OF3-2626-SM-5GU7F 60-69 years, male 25.6
GTEX-OXRL-0126-SM-2YUMP 50-59 years, male 25.6
GTEX-ZDTT-2726-SM-4WKF8 60-69 years, male 25.6
GTEX-P44H-0226-SM-2XCEU 40-49 years, male 25.5
GTEX-1IY9M-0126-SM-D3L8S 60-69 years, male 25.4
GTEX-XUW1-0426-SM-4BOOT 50-59 years, female 25.3
GTEX-1F6IF-0726-SM-7P8TW 60-69 years, male 25.3
GTEX-1LC47-0326-SM-E9TJP 60-69 years, male 25.3
GTEX-RWS6-2026-SM-2XCB5 60-69 years, female 25.2
GTEX-12C56-1726-SM-5EQ61 20-29 years, male 24.9
GTEX-13X6I-0626-SM-5QGP9 60-69 years, male 24.9
GTEX-1OJC4-0126-SM-E9J2E 50-59 years, female 24.9
GTEX-12WSD-0126-SM-59HKN 60-69 years, female 24.7
GTEX-11P82-1626-SM-59879 20-29 years, male 24.6
GTEX-11GS4-2726-SM-5A5LE 60-69 years, male 24.5
GTEX-1QW4Y-1526-SM-EAZ3Z 30-39 years, male 24.5
GTEX-1JMQK-0226-SM-CL543 60-69 years, male 24.3
GTEX-XUYS-0126-SM-47JWZ 50-59 years, male 24.0
GTEX-133LE-1826-SM-5J1MV 20-29 years, female 23.9
GTEX-YB5K-2126-SM-4WWDJ 40-49 years, female 23.9
GTEX-SSA3-0126-SM-32QPU 60-69 years, male 23.8
GTEX-YFC4-0126-SM-5CVLY 40-49 years, female 23.8
GTEX-PSDG-0226-SM-DKPOZ 50-59 years, male 23.8
GTEX-145LV-2126-SM-5LU8N 50-59 years, male 23.7
GTEX-13SLW-0126-SM-5SI6C 70-79 years, male 23.6
GTEX-1HR98-0126-SM-B2LWI 60-69 years, male 23.6
GTEX-1B8KE-2126-SM-73KYX 50-59 years, male 23.5
GTEX-1B933-0126-SM-7PC29 50-59 years, female 23.5
GTEX-1PPH7-2326-SM-EVYB8 40-49 years, male 23.5
GTEX-13QJ3-0326-SM-5S2RA 50-59 years, male 23.4
GTEX-1R9PO-2126-SM-E9J4O 60-69 years, female 23.3
GTEX-NPJ8-0126-SM-2YUNR 40-49 years, male 23.2
GTEX-X585-0226-SM-4QAS2 50-59 years, male 23.2
GTEX-15EOM-0126-SM-7KUGG 20-29 years, female 23.1
GTEX-P4PQ-0126-SM-2S1NM 60-69 years, male 23.1
GTEX-ZEX8-2426-SM-4WKG4 50-59 years, male 23.0
GTEX-13W46-0226-SM-5SIAG 50-59 years, male 22.8
GTEX-14PJM-0226-SM-62LF1 50-59 years, female 22.8
GTEX-1A8FM-0226-SM-7SB7Q 50-59 years, female 22.8
GTEX-183FY-0126-SM-7LT9P 20-29 years, male 22.7
GTEX-Q2AI-1326-SM-2S1PL 40-49 years, male 22.6
GTEX-Y111-0126-SM-4SOIV 50-59 years, male 22.6
GTEX-1POEN-0126-SM-EYYXJ 30-39 years, female 22.4
GTEX-PWCY-1826-SM-DHXIZ 20-29 years, female 22.4
GTEX-W5X1-3026-SM-EAZAX 40-49 years, female 22.4
GTEX-14ABY-0226-SM-5TDCQ 50-59 years, male 22.3
GTEX-15DYW-0126-SM-7KULE 60-69 years, female 22.3
GTEX-18D9U-0226-SM-718BP 40-49 years, male 22.3
GTEX-T8EM-1026-SM-3DB7M 40-49 years, male 22.2
GTEX-18A6Q-0126-SM-731BZ 60-69 years, male 22.1
GTEX-ZVT4-0126-SM-DTXFN 50-59 years, female 22.1
GTEX-RNOR-0126-SM-E9J4R 50-59 years, female 22.0
GTEX-16XZZ-0126-SM-793DV 60-69 years, male 21.9
GTEX-ZYY3-0126-SM-5GZY5 60-69 years, female 21.9
GTEX-NFK9-0226-SM-2HMKQ 40-49 years, male 21.8
GTEX-146FH-0126-SM-5QGPP 50-59 years, female 21.7
GTEX-14BMU-2226-SM-5TDE9 20-29 years, female 21.7
GTEX-1HCUA-2426-SM-ADEIS 50-59 years, female 21.7
GTEX-U3ZH-2026-SM-3DB78 30-39 years, male 21.6
GTEX-1192W-2626-SM-5Q5AF 60-69 years, male 21.4
GTEX-17EUY-0426-SM-793BD 20-29 years, male 21.4
GTEX-14PJ3-1826-SM-62LEX 50-59 years, male 21.3
GTEX-VUSG-2526-SM-4KL1V 50-59 years, male 21.2
GTEX-X4EO-0326-SM-3P5YO 60-69 years, female 21.2
GTEX-12WSJ-1826-SM-5GCNY 40-49 years, female 21.1
GTEX-12WSL-2526-SM-5GCNJ 50-59 years, male 21.1
GTEX-1KD5A-0226-SM-D5OV3 50-59 years, male 21.1
GTEX-11DXW-0226-SM-5H122 40-49 years, male 21.0
GTEX-W5WG-1826-SM-4KL2Y 50-59 years, female 21.0
GTEX-1JMQJ-0526-SM-CYPSU 50-59 years, male 20.9
GTEX-11EI6-0126-SM-5985R 60-69 years, male 20.7
GTEX-13IVO-0126-SM-5J1NG 70-79 years, male 20.7
GTEX-U3ZN-2326-SM-3DB7W 30-39 years, female 20.6
GTEX-XMD2-0126-SM-4YCDU 60-69 years, female 20.6
GTEX-1J8Q3-1626-SM-CMKGC 60-69 years, male 20.6
GTEX-13OVI-1426-SM-5L3EY 60-69 years, female 20.5
GTEX-XYKS-2126-SM-4E3IB 60-69 years, female 20.5
GTEX-145LT-1726-SM-5QGP3 40-49 years, male 20.4
GTEX-OXRP-0126-SM-3NB32 60-69 years, female 20.4
GTEX-QCQG-1726-SM-3GIJ9 50-59 years, female 20.4
GTEX-ZYFD-0126-SM-5GIDL 50-59 years, male 20.3
GTEX-16XZY-2126-SM-79OK1 70-79 years, male 20.2
GTEX-Y8LW-1826-SM-5S2MV 50-59 years, female 20.2
GTEX-WYJK-0126-SM-3NMAB 50-59 years, male 20.1
GTEX-ZVTK-0426-SM-51MRS 20-29 years, male 20.1
GTEX-1CAMS-0426-SM-7P8T2 40-49 years, female 20.1
GTEX-1MGNQ-0126-SM-EVYCJ 40-49 years, male 20.1
GTEX-1GN1V-0126-SM-9WPOS 60-69 years, male 19.9
GTEX-S33H-1026-SM-EZ6L6 30-39 years, male 19.9
GTEX-11P81-2326-SM-59875 30-39 years, female 19.8
GTEX-VJYA-1126-SM-3GIJU 60-69 years, male 19.7
GTEX-1M4P7-0226-SM-DIPEV 60-69 years, male 19.7
GTEX-13N1W-0126-SM-5K7VT 70-79 years, male 19.6
GTEX-148VJ-0126-SM-5TDDN 70-79 years, male 19.6
GTEX-RN64-0126-SM-2TC68 50-59 years, male 19.6
GTEX-1314G-1526-SM-5EGK2 30-39 years, male 19.5
GTEX-11DXZ-2326-SM-5EGGV 50-59 years, male 19.3
GTEX-X4XX-0126-SM-3NMC2 60-69 years, male 19.3
GTEX-1EX96-1626-SM-7PBXR 50-59 years, male 19.3
GTEX-1H11D-0226-SM-9WG6Z 40-49 years, male 19.3
GTEX-11O72-0126-SM-59887 40-49 years, male 19.2
GTEX-11UD1-0126-SM-5PNYG 40-49 years, female 19.1
GTEX-15ER7-0326-SM-7KUEV 20-29 years, female 19.1
GTEX-XXEK-2226-SM-4BRUM 50-59 years, male 19.1
GTEX-1ICLY-0126-SM-D4P36 50-59 years, male 19.0
GTEX-S95S-1226-SM-4GICG 60-69 years, male 18.8
GTEX-WVJS-0126-SM-4MVOT 50-59 years, male 18.8
GTEX-XAJ8-0826-SM-47JY6 40-49 years, male 18.8
GTEX-17MFQ-1726-SM-793C7 20-29 years, male 18.7
GTEX-UPJH-0326-SM-3GADU 50-59 years, male 18.7
GTEX-ZAK1-0126-SM-5IJD3 50-59 years, female 18.7
GTEX-1313W-0126-SM-5LZUN 50-59 years, female 18.6
GTEX-TMMY-0226-SM-33HBA 40-49 years, female 18.6
GTEX-QLQW-1126-SM-2S1Q8 30-39 years, male 18.5
GTEX-1GTWX-0126-SM-9YFLK 60-69 years, male 18.4
GTEX-1JKYR-0126-SM-CNPOJ 20-29 years, male 18.4
GTEX-1A3MX-0126-SM-731BR 60-69 years, male 18.3
GTEX-14PII-0226-SM-6EU1T 60-69 years, male 18.2
GTEX-YJ8A-0426-SM-5IFID 20-29 years, male 18.2
GTEX-1HCU8-0626-SM-A9SM9 60-69 years, female 18.2
GTEX-1JN1M-0326-SM-CYPT3 60-69 years, female 18.2
GTEX-15D1Q-0126-SM-7KUG6 40-49 years, male 18.1
GTEX-Q2AH-1626-SM-3GAF8 40-49 years, male 18.1
GTEX-SUCS-1926-SM-32PM3 70-79 years, male 18.1
GTEX-11NUK-0126-SM-5A5L3 50-59 years, male 18.0
GTEX-13OVL-0226-SM-5L3E9 50-59 years, male 18.0
GTEX-1F7RK-0126-SM-7PC2S 20-29 years, female 18.0
GTEX-1GN2E-0426-SM-9MQKX 60-69 years, male 17.9
GTEX-1IE54-0126-SM-CMKHW 40-49 years, female 17.9
GTEX-1A32A-0126-SM-718B1 50-59 years, female 17.7
GTEX-11XUK-2026-SM-5EQLF 40-49 years, female 17.6
GTEX-11GSO-2426-SM-5A5LY 60-69 years, male 17.5
GTEX-13113-5016-SM-7EPIP 60-69 years, female 17.5
GTEX-13VXU-0126-SM-5SI9F 50-59 years, male 17.5
GTEX-15SHW-0326-SM-6PAML 60-69 years, male 17.5
GTEX-1H23P-0126-SM-ADEJ3 60-69 years, male 17.5
GTEX-13U4I-0126-SM-5LU38 40-49 years, female 17.4
GTEX-11ZTS-0126-SM-5EQ6M 60-69 years, female 17.2
GTEX-1AX9K-2326-SM-73KWU 50-59 years, male 17.2
GTEX-1C2JI-1826-SM-73KXC 50-59 years, male 17.2
GTEX-R3RS-0126-SM-3GIJL 40-49 years, female 17.2
GTEX-1NHNU-1026-SM-E9J2A 50-59 years, male 17.2
GTEX-11GSP-2526-SM-5N9BP 60-69 years, female 17.1
GTEX-ZXES-1826-SM-5E43S 30-39 years, female 17.1
GTEX-148VI-1626-SM-5SI6E 60-69 years, female 17.0
GTEX-PWO3-1526-SM-48TCM 60-69 years, female 17.0
GTEX-T5JC-0426-SM-32PLO 20-29 years, male 17.0
GTEX-1QP9N-1426-SM-DTXFL 30-39 years, male 17.0
GTEX-139T4-0226-SM-5HL5S 50-59 years, female 16.9
GTEX-13N2G-2626-SM-5J1OT 60-69 years, male 16.9
GTEX-13O21-1426-SM-5K7XI 50-59 years, male 16.9
GTEX-1AX9J-0226-SM-73KXM 60-69 years, male 16.9
GTEX-VJWN-0126-SM-3GIK7 50-59 years, female 16.9
GTEX-1A3MW-0126-SM-73KXX 60-69 years, female 16.8
GTEX-15SHU-0126-SM-7KUEH 40-49 years, female 16.7
GTEX-WQUQ-0426-SM-3MJFU 60-69 years, male 16.7
GTEX-WYVS-2126-SM-3NMA3 40-49 years, female 16.7
GTEX-X4XY-0226-SM-4E3IZ 60-69 years, male 16.7
GTEX-1GMRU-0126-SM-9YFLV 50-59 years, male 16.7
GTEX-14ICK-0226-SM-6EU25 40-49 years, male 16.6
GTEX-14PHW-0126-SM-6LLJI 60-69 years, female 16.6
GTEX-1LBAC-0126-SM-DIPEZ 20-29 years, male 16.6
GTEX-RVPV-0126-SM-EAZAW 60-69 years, male 16.6
GTEX-13G51-2526-SM-5LZYK 60-69 years, male 16.5
GTEX-1GF9W-0326-SM-9KNUN 60-69 years, male 16.5
GTEX-1I1GR-0126-SM-CL55F 60-69 years, male 16.5
GTEX-11OC5-0126-SM-5HL6A 60-69 years, male 16.4
GTEX-14BIM-0226-SM-7IGLD 60-69 years, female 16.4
GTEX-1CB4E-2226-SM-793DC 60-69 years, male 16.4
GTEX-13OW5-0126-SM-DTXFS 60-69 years, male 16.4
GTEX-1NV5F-0226-SM-E8VNY 60-69 years, female 16.4
GTEX-1PFEY-1526-SM-E76PP 30-39 years, male 16.4
GTEX-1CB4J-0626-SM-7DHMP 60-69 years, male 16.3
GTEX-ZVZP-2426-SM-59HKJ 50-59 years, male 16.3
GTEX-ZZPT-0226-SM-5E43X 50-59 years, male 16.3
GTEX-1N2DV-0226-SM-E6CJ6 40-49 years, male 16.3
GTEX-17HHE-2026-SM-79OKF 50-59 years, male 16.2
GTEX-R55G-2526-SM-2TC6D 40-49 years, female 16.2
GTEX-WXYG-2326-SM-4E3I6 50-59 years, female 16.2
GTEX-1HBPH-0426-SM-B2LW5 40-49 years, female 16.2
GTEX-17HHY-0126-SM-7LG5D 50-59 years, male 16.0
GTEX-T6MO-1626-SM-32QOM 40-49 years, female 16.0
GTEX-139TS-2826-SM-5J1OO 60-69 years, male 15.9
GTEX-P4PP-0126-SM-3LK69 30-39 years, female 15.9
GTEX-1HSMQ-1226-SM-CGQFX 50-59 years, male 15.9
GTEX-ZXG5-0126-SM-5GIEU 60-69 years, male 15.8
GTEX-1QP29-0626-SM-EWRMX 50-59 years, male 15.8
GTEX-14DAR-2026-SM-5S2O3 50-59 years, male 15.7
GTEX-RM2N-1426-SM-2TF4H 50-59 years, male 15.7
GTEX-11ZU8-2526-SM-5EQKI 60-69 years, male 15.6
GTEX-1I1GU-2226-SM-CGQFA 40-49 years, male 15.6
GTEX-ZPIC-1726-SM-DHXIU 40-49 years, female 15.6
GTEX-ZU9S-0226-SM-5E441 30-39 years, male 15.5
GTEX-14E6D-0126-SM-62LDV 50-59 years, male 15.4
GTEX-13112-2826-SM-5DUWH 50-59 years, male 15.3
GTEX-1HCVE-0126-SM-CGQEU 50-59 years, male 15.3
GTEX-1K9T9-0126-SM-EVYCF 50-59 years, female 15.3
GTEX-PVOW-0126-SM-2XCFA 40-49 years, male 15.2
GTEX-1CB4H-0226-SM-7PBXM 60-69 years, female 15.2
GTEX-1GF9X-2026-SM-7PC3A 40-49 years, female 15.1
GTEX-1S82Y-2026-SM-EVYCM 40-49 years, male 15.1
GTEX-117XS-2726-SM-5N9BL 60-69 years, male 15.0
GTEX-11VI4-1726-SM-5CVLH 40-49 years, female 15.0
GTEX-18A67-0126-SM-7LG5P 50-59 years, male 14.9
GTEX-18A7B-0126-SM-7LG64 70-79 years, male 14.9
GTEX-YB5E-2026-SM-5IFIS 40-49 years, male 14.9
GTEX-11WQC-2526-SM-5CVLE 60-69 years, male 14.8
GTEX-16BQI-0226-SM-7KUEX 30-39 years, female 14.8
GTEX-ZTSS-1926-SM-57WEW 40-49 years, male 14.8
GTEX-1GN73-0226-SM-9WG67 60-69 years, male 14.8
GTEX-1JN76-0126-SM-CNPPE 20-29 years, female 14.8
GTEX-1N2DW-0226-SM-E9TK2 50-59 years, male 14.8
GTEX-17HGU-0226-SM-7DHKV 50-59 years, male 14.7
GTEX-18D9B-0526-SM-7LTAS 60-69 years, male 14.7
GTEX-131XW-0426-SM-5LZWP 50-59 years, female 14.6
GTEX-13NZ8-0826-SM-5MR3I 60-69 years, female 14.6
GTEX-1JMPZ-0226-SM-CNPP1 30-39 years, male 14.6
GTEX-15G19-0126-SM-6PANQ 60-69 years, male 14.5
GTEX-1F88F-2726-SM-7PBZZ 60-69 years, female 14.5
GTEX-11ZUS-0626-SM-59885 30-39 years, male 14.4
GTEX-U8XE-0326-SM-3DB8P 30-39 years, male 14.4
GTEX-1GN1U-0126-SM-7PBZK 50-59 years, female 14.3
GTEX-1JMPY-1326-SM-ARL8Y 30-39 years, male 14.3
GTEX-13NZB-2526-SM-5J1OM 30-39 years, male 14.2
GTEX-SIU8-0126-SM-2XCDT 50-59 years, male 14.2
GTEX-ZQUD-1426-SM-57WER 30-39 years, male 14.2
GTEX-ZDTS-0126-SM-4WAY5 60-69 years, male 14.0
GTEX-13S7M-0126-SM-5SI6A 60-69 years, female 13.9
GTEX-ZUA1-0126-SM-5GU76 40-49 years, male 13.9
GTEX-1QEPI-0126-SM-EWRMQ 60-69 years, female 13.9
GTEX-1JN6P-0126-SM-D3L98 60-69 years, male 13.8
GTEX-13PVR-2326-SM-5QGR1 60-69 years, female 13.7
GTEX-1EU9M-0226-SM-7P8SP 60-69 years, male 13.7
GTEX-1GN1W-0526-SM-9MQJQ 50-59 years, female 13.7
GTEX-117YX-2326-SM-5H12W 50-59 years, male 13.6
GTEX-16GPK-0126-SM-7DHLE 60-69 years, male 13.6
GTEX-POMQ-2226-SM-2I5FK 20-29 years, female 13.6
GTEX-1K2DA-1826-SM-CGQGT 50-59 years, male 13.6
GTEX-1LG7Y-0526-SM-DKPQC 50-59 years, male 13.6
GTEX-11LCK-1026-SM-5A5KB 30-39 years, male 13.5
GTEX-15DDE-0126-SM-6LPKH 50-59 years, female 13.5
GTEX-17GQL-2026-SM-718BA 60-69 years, male 13.5
GTEX-RU72-0926-SM-2TF6B 50-59 years, female 13.4
GTEX-1J1R8-1726-SM-ARL8M 40-49 years, male 13.4
GTEX-17F98-0626-SM-79OMX 40-49 years, female 13.3
GTEX-12ZZZ-0626-SM-5DUXI 60-69 years, male 13.2
GTEX-131XG-2626-SM-5KM17 50-59 years, female 13.2
GTEX-13CF3-2426-SM-5IFGX 60-69 years, female 13.2
GTEX-13X6H-2126-SM-7EWD5 50-59 years, female 13.2
GTEX-14A6H-0126-SM-5QGPK 30-39 years, male 13.2
GTEX-16YQH-0126-SM-7DUFJ 30-39 years, male 13.2
GTEX-17HG3-2226-SM-7938L 30-39 years, female 13.2
GTEX-13O3P-0126-SM-5KM4S 50-59 years, male 13.1
GTEX-1R7EV-2426-SM-EVYBG 40-49 years, male 13.1
GTEX-1H1E6-1726-SM-ACKVK 30-39 years, male 13.0
GTEX-12WSC-0126-SM-5EQ4P 50-59 years, male 12.9
GTEX-OIZG-0726-SM-33HBL 50-59 years, male 12.9
GTEX-1HKZK-0326-SM-9WYUH 40-49 years, male 12.9
GTEX-1I1GV-0526-SM-A9G29 60-69 years, male 12.9
GTEX-1B996-0226-SM-7RHGO 60-69 years, male 12.8
GTEX-1IDJU-2626-SM-CM2RT 60-69 years, female 12.8
GTEX-12696-2426-SM-5EQ6H 60-69 years, male 12.7
GTEX-1AMEY-1326-SM-73KYK 30-39 years, female 12.7
GTEX-SJXC-0126-SM-2XCFF 60-69 years, male 12.7
GTEX-ZZ64-1726-SM-5GZYB 20-29 years, male 12.7
GTEX-15DCD-0126-SM-7KUEK 70-79 years, female 12.6
GTEX-XPVG-2626-SM-4B669 50-59 years, male 12.6
GTEX-1EWIQ-0126-SM-7RHH2 70-79 years, female 12.6
GTEX-Y5V6-2426-SM-4VDSB 60-69 years, male 12.5
GTEX-Z9EW-1626-SM-5CVMN 40-49 years, male 12.5
GTEX-OOBJ-0126-SM-E6CJW 60-69 years, male 12.5
GTEX-12WSG-2826-SM-E9J4H 50-59 years, female 12.4
GTEX-RWSA-0126-SM-2XCBB 40-49 years, male 12.3
GTEX-WRHK-1426-SM-3MJF9 20-29 years, female 12.3
GTEX-1HSGN-0226-SM-CGQFV 40-49 years, female 12.2
GTEX-1S5ZA-0126-SM-EVYCV 20-29 years, male 12.2
GTEX-117YW-2626-SM-5GZZH 50-59 years, male 12.1
GTEX-16AAH-1726-SM-7939C 50-59 years, male 12.1
GTEX-1AX9I-0126-SM-7SB74 60-69 years, male 12.1
GTEX-1IDFM-0126-SM-COH2V 60-69 years, male 12.1
GTEX-Z93S-0126-SM-5HL7M 50-59 years, male 12.0
GTEX-ZYFG-2326-SM-5E44B 60-69 years, female 12.0
GTEX-1I1GT-0626-SM-CGQER 60-69 years, female 12.0
GTEX-1I1HK-0126-SM-COH49 60-69 years, male 12.0
GTEX-132NY-0326-SM-5IJBL 60-69 years, male 11.9
GTEX-14JG6-2226-SM-6EU2G 30-39 years, female 11.9
GTEX-17EVP-0326-SM-7DHLG 40-49 years, male 11.9
GTEX-1I1GP-2226-SM-CGQFK 50-59 years, male 11.9
GTEX-1J8JJ-0226-SM-CL53I 60-69 years, female 11.9
GTEX-1QMI2-0226-SM-EVYBX 60-69 years, male 11.9
GTEX-1AYCT-2426-SM-7IGQ3 50-59 years, male 11.8
GTEX-WFG8-2226-SM-3GIL9 20-29 years, male 11.8
GTEX-1GZHY-0326-SM-9QEHI 50-59 years, female 11.8
GTEX-1HFI6-0226-SM-ADEHZ 40-49 years, male 11.7
GTEX-145MI-0526-SM-5O9A8 60-69 years, female 11.6
GTEX-QLQ7-1626-SM-2S1R8 60-69 years, male 11.6
GTEX-13OW6-0426-SM-5L3HM 50-59 years, male 11.5
GTEX-Y8DK-0126-SM-4TT3L 60-69 years, male 11.5
GTEX-14BIN-0626-SM-793DP 50-59 years, female 11.4
GTEX-1B8KZ-2026-SM-7DHMB 50-59 years, male 11.4
GTEX-1GPI7-0126-SM-9MQL8 20-29 years, male 11.4
GTEX-1IL2U-0226-SM-CE6T8 60-69 years, male 11.4
GTEX-1LVAN-0226-SM-COH3S 50-59 years, female 11.4
GTEX-1E1VI-0126-SM-7DHMZ 50-59 years, male 11.3
GTEX-1JMQI-2226-SM-CM2SD 50-59 years, male 11.1
GTEX-1128S-2326-SM-5GZZY 60-69 years, female 11.0
GTEX-11WQK-0526-SM-5EQLD 50-59 years, male 11.0
GTEX-WZTO-0126-SM-3NM95 40-49 years, male 11.0
GTEX-1F6RS-0126-SM-9MQKZ 60-69 years, female 11.0
GTEX-13FTY-0526-SM-5L3EV 40-49 years, female 10.9
GTEX-1MUQO-0126-SM-EAZ58 60-69 years, male 10.9
GTEX-13FTX-1826-SM-5J1NX 20-29 years, female 10.8
GTEX-1I4MK-2226-SM-ACKWD 50-59 years, female 10.8
GTEX-1F75I-0326-SM-9YFLU 40-49 years, male 10.7
GTEX-145LU-0126-SM-5TDCB 50-59 years, male 10.6
GTEX-16NPX-0226-SM-79OMT 50-59 years, male 10.6
GTEX-1O97I-0326-SM-EYYX7 60-69 years, male 10.5
GTEX-1RQEC-0426-SM-E6CHU 60-69 years, male 10.5
GTEX-12ZZX-0126-SM-5EGK9 40-49 years, female 10.4
GTEX-ZYFC-0226-SM-5NQ75 50-59 years, male 10.4
GTEX-1GF9U-2126-SM-7SB7L 40-49 years, female 10.4
GTEX-1IKK5-0626-SM-ARL8A 60-69 years, male 10.4
GTEX-131YS-0126-SM-5KM1M 60-69 years, female 10.3
GTEX-147F4-0226-SM-5QGPW 50-59 years, male 10.3
GTEX-18D9A-1926-SM-7LG6P 30-39 years, female 10.3
GTEX-1CAMR-1926-SM-7EPI2 20-29 years, male 10.3
GTEX-1IGQW-0126-SM-COH42 60-69 years, male 10.3
GTEX-15F5U-1526-SM-6PANO 40-49 years, male 10.2
GTEX-ZV68-0126-SM-59HKS 50-59 years, female 10.2
GTEX-1LB8K-0226-SM-EWRNW 50-59 years, male 10.1
GTEX-1I6K6-0126-SM-A9SLE 30-39 years, male 10.0
GTEX-1PDJ9-0326-SM-DTX95 20-29 years, male 10.0
GTEX-131XH-2226-SM-5DUXJ 50-59 years, male 9.9
GTEX-Y5V5-2326-SM-4V6GA 60-69 years, female 9.9
GTEX-ZV6S-2326-SM-4YCEY 40-49 years, female 9.9
GTEX-1B8L1-2526-SM-9WYTF 60-69 years, male 9.9
GTEX-1HCU9-1526-SM-A9SL7 20-29 years, male 9.9
GTEX-1MA7X-2226-SM-E6CIY 60-69 years, male 9.9
GTEX-1N2EF-0226-SM-EYYXB 60-69 years, male 9.9
GTEX-11EQ9-2426-SM-5HL5T 30-39 years, male 9.8
GTEX-12WSK-2326-SM-5GCOH 40-49 years, female 9.8
GTEX-1IKOH-0226-SM-COH4E 60-69 years, female 9.8
GTEX-1E2YA-0126-SM-9KNUC 50-59 years, male 9.7
GTEX-1EMGI-0126-SM-9KNUE 60-69 years, male 9.7
GTEX-11DXY-2626-SM-5GIE7 60-69 years, male 9.6
GTEX-13FTW-2626-SM-5K7WL 40-49 years, male 9.5
GTEX-17F96-1626-SM-7DUFL 70-79 years, male 9.5
GTEX-OHPL-0126-SM-2HMJ7 60-69 years, female 9.5
GTEX-13W3W-2426-SM-5LU5B 60-69 years, female 9.4
GTEX-1HBPN-0226-SM-9YFM1 50-59 years, male 9.4
GTEX-1122O-2126-SM-5EGIR 60-69 years, female 9.2
GTEX-1H3VY-0126-SM-ACKXD 50-59 years, male 9.2
GTEX-13FXS-0226-SM-5IJCK 50-59 years, male 9.1
GTEX-QESD-1426-SM-2S1R9 20-29 years, male 9.1
GTEX-UJHI-1526-SM-3DB99 50-59 years, female 9.1
GTEX-WOFL-0126-SM-3MJG2 60-69 years, male 9.1
GTEX-1C6VR-2426-SM-79OLD 60-69 years, male 9.0
GTEX-1F75A-0126-SM-7RHGM 50-59 years, male 9.0
GTEX-1HSEH-0126-SM-ACKXN 60-69 years, male 9.0
GTEX-1OJC3-0126-SM-E76QX 20-29 years, male 9.0
GTEX-15RIG-0226-SM-7KFTL 40-49 years, male 8.9
GTEX-139TU-0126-SM-5K7WH 60-69 years, male 8.8
GTEX-13X6J-0126-SM-5QGOU 50-59 years, male 8.8
GTEX-OIZH-0126-SM-2HMIS 50-59 years, male 8.8
GTEX-1JJE9-0326-SM-CL53Z 70-79 years, male 8.8
GTEX-14PN3-2426-SM-6LLHS 60-69 years, female 8.7
GTEX-ZVZO-0126-SM-5A5L9 40-49 years, male 8.7
GTEX-1GF9V-0326-SM-7RHI5 60-69 years, male 8.7
GTEX-1MCQQ-0826-SM-DLHC2 60-69 years, male 8.7
GTEX-OHPM-0126-SM-2YUN9 50-59 years, male 8.6
GTEX-1KAFJ-2026-SM-CY8ID 50-59 years, male 8.6
GTEX-15UKP-0426-SM-7KUFQ 20-29 years, male 8.5
GTEX-V1D1-2226-SM-3NMAX 50-59 years, male 8.4
GTEX-1PBJI-0526-SM-E8VNK 20-29 years, female 8.4
GTEX-1QAET-0926-SM-E76QM 50-59 years, male 8.4
GTEX-1RDX4-0126-SM-E9J4P 50-59 years, female 8.4
GTEX-169BO-1326-SM-9MQK2 50-59 years, male 8.3
GTEX-1LGOU-2026-SM-DIPFF 20-29 years, female 8.3
GTEX-14C5O-0126-SM-5SI6N 60-69 years, male 8.2
GTEX-14LZ3-0226-SM-62LET 60-69 years, female 8.2
GTEX-14PJ6-2126-SM-6EU1V 60-69 years, female 8.2
GTEX-TSE9-0126-SM-3DB83 60-69 years, female 8.1
GTEX-1F52S-0126-SM-9MQJU 60-69 years, female 8.1
GTEX-17MF6-0126-SM-7LG4F 40-49 years, male 8.0
GTEX-1GPI6-0126-SM-9WG69 60-69 years, male 8.0
GTEX-1KD4Q-0226-SM-E9TJ9 40-49 years, male 8.0
GTEX-PLZ6-1426-SM-DKPOT 30-39 years, male 8.0
GTEX-13O3Q-2426-SM-5IJBR 50-59 years, male 7.9
GTEX-1HSMO-0126-SM-CL547 60-69 years, male 7.9
GTEX-18465-0126-SM-731BN 50-59 years, male 7.8
GTEX-XQ8I-0426-SM-4BOPO 50-59 years, male 7.8
GTEX-1J8Q2-0526-SM-CM2RW 60-69 years, male 7.8
GTEX-1LG7Z-1726-SM-D3LA4 30-39 years, male 7.8
GTEX-1M5QR-1226-SM-EWROB 40-49 years, male 7.7
GTEX-14BMV-0126-SM-5S2PO 50-59 years, male 7.5
GTEX-1B8SF-1426-SM-7DUGL 60-69 years, male 7.5
GTEX-1HSKV-0226-SM-A9SKJ 60-69 years, male 7.5
GTEX-1IOXB-0126-SM-ARL8G 50-59 years, male 7.5
GTEX-1R7EU-0226-SM-EVR4G 60-69 years, male 7.5
GTEX-1RAZA-0126-SM-E6CI3 20-29 years, male 7.5
GTEX-11DYG-0126-SM-59883 60-69 years, male 7.4
GTEX-11UD2-0226-SM-5EQKY 50-59 years, male 7.4
GTEX-15ETS-0126-SM-7KUMW 40-49 years, female 7.4
GTEX-1BAJH-0526-SM-793CQ 70-79 years, male 7.3
GTEX-ZTX8-1426-SM-5DUVO 20-29 years, male 7.3
GTEX-1EKGG-0226-SM-9WYTH 60-69 years, male 7.3
GTEX-1F75B-0126-SM-9KNVL 50-59 years, male 7.3
GTEX-S7SE-0126-SM-2XCD5 50-59 years, male 7.1
GTEX-T6MN-0126-SM-32PLP 50-59 years, male 7.1
GTEX-XUZC-1726-SM-4BRWS 30-39 years, female 7.1
GTEX-14DAQ-0126-SM-5S2MQ 60-69 years, female 7.0
GTEX-1QP2A-0126-SM-E9J43 50-59 years, male 7.0
GTEX-131XE-2326-SM-5PNZ2 50-59 years, male 6.9
GTEX-1OFPY-2426-SM-DTXEJ 60-69 years, male 6.9
GTEX-PW2O-1526-SM-7RHHB 20-29 years, male 6.9
GTEX-1A3MV-1926-SM-718BT 30-39 years, male 6.8
GTEX-XQ3S-1526-SM-4BOOC 20-29 years, male 6.8
GTEX-1HCU7-0226-SM-CL545 50-59 years, male 6.8
GTEX-1K2DU-2326-SM-E9TIV 20-29 years, male 6.8
GTEX-1MA7W-2026-SM-E9TJ6 20-29 years, female 6.8
GTEX-1399R-2726-SM-5IJBA 30-39 years, male 6.7
GTEX-1B8SG-0126-SM-73KZ3 50-59 years, male 6.7
GTEX-OXRO-0126-SM-2YUN4 60-69 years, female 6.7
GTEX-13FH7-2026-SM-E9J4I 50-59 years, female 6.7
GTEX-1HSMP-0126-SM-E6CJS 70-79 years, male 6.7
GTEX-1JMLX-0226-SM-CM2RO 50-59 years, male 6.7
GTEX-TKQ1-1026-SM-4GICL 30-39 years, male 6.6
GTEX-ZE9C-2726-SM-57WB5 60-69 years, male 6.6
GTEX-1CB4F-0426-SM-9KNV4 60-69 years, male 6.6
GTEX-13PDP-0126-SM-5L3HD 60-69 years, male 6.5
GTEX-1C4CL-0526-SM-73KVK 30-39 years, male 6.5
GTEX-1MCYP-1926-SM-E9J2R 20-29 years, female 6.4
GTEX-12ZZY-0226-SM-5LZVE 60-69 years, male 6.3
GTEX-14E7W-0126-SM-6LLJ9 70-79 years, male 6.3
GTEX-11TT1-2526-SM-5EGIB 20-29 years, male 6.1
GTEX-14A5I-0126-SM-5TDEA 50-59 years, female 6.1
GTEX-1CB4I-0226-SM-79OLH 50-59 years, male 6.1
GTEX-13OVH-0126-SM-5MR4B 70-79 years, male 6.0
GTEX-P4QT-0126-SM-2I3FL 50-59 years, female 6.0
GTEX-1H3O1-0426-SM-9YFKY 60-69 years, male 6.0
GTEX-1HBPI-1526-SM-C1YQ1 50-59 years, male 6.0
GTEX-1212Z-2526-SM-5EGKP 60-69 years, male 5.9
GTEX-1H1CY-2826-SM-9MQM3 60-69 years, female 5.9
GTEX-16NGA-1726-SM-731B4 40-49 years, female 5.8
GTEX-ZE7O-0126-SM-57WC1 50-59 years, female 5.8
GTEX-13NYC-0326-SM-E9J4S 60-69 years, male 5.8
GTEX-1H1DE-2126-SM-9WG6R 20-29 years, male 5.8
GTEX-1KANC-1526-SM-D3LAB 50-59 years, female 5.8
GTEX-1QCLY-0326-SM-E8VOG 30-39 years, male 5.8
GTEX-11NSD-2226-SM-5986V 20-29 years, male 5.6
GTEX-14JG1-0426-SM-6ETZZ 40-49 years, male 5.5
GTEX-1B97I-1626-SM-73KYO 40-49 years, male 5.5
GTEX-1F5PL-0326-SM-7P8PQ 40-49 years, female 5.5
GTEX-1R9PM-2026-SM-E76OY 20-29 years, male 5.5
GTEX-ZWKS-0126-SM-5SIAA 30-39 years, male 5.4
GTEX-1S3DN-2226-SM-EVYCD 50-59 years, male 5.4
GTEX-X261-0126-SM-3NMD6 50-59 years, male 5.3
GTEX-11TUW-2726-SM-E9J4M 60-69 years, male 5.2
GTEX-1C64N-0126-SM-793D7 50-59 years, male 5.1
GTEX-SNMC-1226-SM-2XCFP 20-29 years, male 5.1
GTEX-1HT8W-0126-SM-CNPPP 30-39 years, male 5.1
GTEX-147F3-0526-SM-5SI98 50-59 years, female 5.0
GTEX-ZYT6-0226-SM-5NQ6T 30-39 years, male 5.0
GTEX-1GZ2Q-0226-SM-7P8TL 40-49 years, male 5.0
GTEX-13OW8-1326-SM-5J1OW 60-69 years, male 4.9
GTEX-145ME-1826-SM-5SI9G 40-49 years, female 4.9
GTEX-14XAO-2326-SM-6EU1B 60-69 years, female 4.9
GTEX-15CHC-2126-SM-6EU21 60-69 years, female 4.9
GTEX-YJ89-0126-SM-4TT3X 60-69 years, male 4.9
GTEX-1IL2V-0126-SM-CM2TX 70-79 years, male 4.8
GTEX-1EN7A-0126-SM-7SB81 40-49 years, male 4.6
GTEX-1H4P4-0726-SM-9YFLR 50-59 years, male 4.6
GTEX-1I19N-0326-SM-ACKVX 70-79 years, male 4.6
GTEX-1399T-2826-SM-5KLYZ 60-69 years, male 4.5
GTEX-T5JW-1626-SM-3GADZ 20-29 years, female 4.5
GTEX-13OVK-2026-SM-7KUEO 40-49 years, male 4.4
GTEX-145LS-0126-SM-5QGP1 60-69 years, female 4.4
GTEX-1J8QM-2126-SM-CYPSJ 60-69 years, female 4.4
GTEX-13111-1626-SM-5EGJY 50-59 years, male 4.3
GTEX-QV44-1926-SM-2S1RF 50-59 years, male 4.3
GTEX-WFON-2126-SM-3LK7O 40-49 years, male 4.3
GTEX-ZF2S-2326-SM-4WWCE 50-59 years, female 4.3
GTEX-1I1GQ-0126-SM-COH3H 50-59 years, male 4.3
GTEX-1KWVE-1426-SM-E9TJO 30-39 years, male 4.3
GTEX-1MJK2-0426-SM-DTXE5 50-59 years, male 4.3
GTEX-111FC-0126-SM-5N9DL 60-69 years, male 4.2
GTEX-17KNJ-2326-SM-7DHLQ 50-59 years, male 4.2
GTEX-1JJEA-0326-SM-CNPOT 60-69 years, male 4.2
GTEX-14E6E-1826-SM-5S2R7 30-39 years, male 4.1
GTEX-1LH75-2426-SM-E9TJE 50-59 years, female 4.0
GTEX-1S83E-0126-SM-EWRO4 40-49 years, male 4.0
GTEX-1H1ZS-0426-SM-9WG6G 70-79 years, male 3.9
GTEX-17JCI-0126-SM-7LG5G 60-69 years, female 3.8
GTEX-PX3G-0126-SM-2I3EN 20-29 years, female 3.8
GTEX-1LGRB-2526-SM-CNPPQ 50-59 years, female 3.8
GTEX-12126-0326-SM-5PNW3 20-29 years, male 3.7
GTEX-1KANB-0526-SM-E6CJH 50-59 years, male 3.7
GTEX-1GL5R-1826-SM-9KNUY 50-59 years, male 3.6
GTEX-139UW-2826-SM-5L3E7 60-69 years, male 3.5
GTEX-144GL-0126-SM-5TDE2 50-59 years, male 3.5
GTEX-145MF-0626-SM-5LUAI 50-59 years, male 3.4
GTEX-1PPH8-0226-SM-E8VND 20-29 years, male 3.3
GTEX-13FHP-0126-SM-5IJBG 50-59 years, male 3.1
GTEX-1GMR3-1926-SM-9KNUZ 40-49 years, male 3.0
GTEX-1IKJJ-0126-SM-CNPQB 60-69 years, male 3.0
GTEX-1KXAM-2226-SM-CYPTC 60-69 years, male 3.0
GTEX-15EU6-0426-SM-6PAN5 50-59 years, male 2.9
GTEX-13NYB-2526-SM-5K7Z6 40-49 years, male 2.7
GTEX-14A5H-0426-SM-5QGQF 60-69 years, male 2.6
GTEX-1CAMQ-0226-SM-7IGPK 40-49 years, male 2.6
GTEX-S32W-2126-SM-2XCB1 50-59 years, female 2.5
GTEX-1JMQL-0226-SM-CNPP5 50-59 years, female 2.5
GTEX-1KANA-0726-SM-D3L9I 20-29 years, male 2.5
GTEX-1C475-1826-SM-73KWA 40-49 years, female 2.4
GTEX-1LSNM-1926-SM-E6CII 50-59 years, male 2.4
GTEX-1HFI7-1826-SM-ACKXH 50-59 years, female 2.2
GTEX-1IDJH-0326-SM-A9SLQ 70-79 years, male 2.1
GTEX-1PIIG-0226-SM-EWRN6 30-39 years, male 2.1
GTEX-1JJ6O-0126-SM-E6CI8 60-69 years, male 1.7
GTEX-13JUV-2726-SM-5LZZ8 40-49 years, female 1.6
GTEX-12WSA-0226-SM-5BC5V 60-69 years, male 1.5
GTEX-1AMFI-2026-SM-731BH 50-59 years, female 1.4
GTEX-12WSE-0526-SM-793B2 20-29 years, male 1.3
GTEX-1L5NE-2526-SM-E6CIE 50-59 years, male 1.2
Show allShow less

Contact

  • NEWS ARTICLES
  • PRESS ROOM

The Project

  • INTRODUCTION
  • ORGANIZATION
  • PUBLICATIONS

The Human Protein Atlas

  • DOWNLOADABLE DATA
  • LICENCE & CITATION
  • HELP & FAQ
The Human Protein Atlas project is funded
by the Knut & Alice Wallenberg Foundation.


contact@proteinatlas.org