We use cookies to enhance the usability of our website. If you continue, we'll assume that you are happy to receive all cookies. More information. Don't show this again.
MICOS10
HPA
RESOURCES
  • TISSUE
  • BRAIN
  • SINGLE CELL
  • SUBCELLULAR
  • CANCER
  • BLOOD
  • CELL LINE
  • STRUCTURE & INTERACTION
ABOUT
  • INTRODUCTION
  • HISTORY
  • ORGANIZATION
  • PUBLICATIONS
  • ANTIBODY SUBMISSION
  • ANTIBODY AVAILABILITY
  • ACKNOWLEDGMENTS
  • CONTACT
NEWS
  • NEWS ARTICLES
  • PRESS ROOM
LEARN
  • DICTIONARY
  • PROTEIN CLASSES
  • PROTEIN EVIDENCE
  • METHODS
  • EDUCATIONAL VIDEOS
DATA
  • DOWNLOADABLE DATA
  • PUBLICATION DATA
  • RELEASE HISTORY
HELP
  • ANTIBODY VALIDATION
  • ASSAYS & ANNOTATION
  • DISCLAIMER
  • HELP & FAQ
  • PRIVACY STATEMENT
  • LICENCE & CITATION
Fields »
Search result

Field
Term
Gene name
Class
Subclass
Class
Keyword
Chromosome
External id
Tissue
Cell type
Expression
Antibody panel
Tissue
Main location
Patient ID
Annotation
Tissue
Category
Tau score
Cluster
Reliability
Brain region
Category
Tau score
Brain region
Category
Tau score
Brain region
Category
Tau score
Cluster
Reliability
Tissue
Cell type
Enrichment
Cell type
Category
Tau score
Cell type
Category
Tau score
Cell type
Category
Tau score
Cell lineage
Category
Tau score
Cluster
Cluster
Location
Searches
Location
Cell line
Class
Type
Phase
Reliability
Cancer
Prognosis
Cancer
Category
Cancer
Category
Tau score
Cluster
Variants
Interacting gene (ensg_id)
Type
Number of interactions
Pathway
Category
Score
Score
Score
Validation
Validation
Validation
Validation
Antibodies
Data type
Column


  • SUMMARY

  • TISSUE

  • BRAIN

  • SINGLE CELL

  • SUBCELL

  • CANCER

  • BLOOD

  • CELL LINE

  • STRUCT & INT

  • MICOS10
CANCER STOMACH CANCER Show tissue menu
BREAST CANCER CARCINOID CERVICAL CANCER COLORECTAL CANCER ENDOMETRIAL CANCER GLIOMA HEAD AND NECK CANCER LIVER CANCER LUNG CANCER LYMPHOMA
MELANOMA OVARIAN CANCER PANCREATIC CANCER PROSTATE CANCER RENAL CANCER SKIN CANCER STOMACH CANCER TESTIS CANCER THYROID CANCER UROTHELIAL CANCER
STAD TCGA PROTEIN EXPRESSION
ANTIBODIES
AND
VALIDATION
Dictionary
Stomach cancer
Human cancer
Stomach adenocarcinoma
STOMACH ADENOCARCINOMA (TCGA) - Interactive survival scatter ploti

The Survival Scatter plot shows the clinical status (i.e. dead or alive) for all individuals in the patient cohort, based on the same data that underlies the corresponding Kaplan-Meier plots. Patients that are alive at last time for follow-up are shown in blue and patients who have died during the study are shown in red.

The x-axis shows the expression levels (FPKM) of the investigated gene in the tumor tissue at the time of diagnosis. The y-axis shows the follow-up time after diagnosis (years). Both axes are complimented with kernel density curves demonstrating the data density over the axes. The top density plot shows the expression levels (FPKM) distribution among dead (red) and alive patients (blue). The right density plot shows the data density of the survived years of dead patients with high and low expression levels respectively, stratified using the cutoff indicated by the vertical dashed line through the Survival Scatter plot. This cutoff is automatically defined based on the FPKM cutoff that minimizes the p-score. The cutoff can be changed by dragging the vertical line or by entering a cutoff value in the square labeled "Current cut-off".

Under the Survival Scatter plot the p-score landscape (black curve; left axis) is shown together with dead median separation (red curve; right axis). Dead median separation is the difference in median mRNA expression between patients who have died with high and low expression, respectively. It is calculated as follows: median FPKM expression of dead patients with high expression - median FPKM expression of dead patients with low expression. This is intended to aid the user in visually exploring custom cutoffs and the associated p-scores and dead median separation.

Individual patient data is displayed and can be filtered by clicking on one or more of the category buttons on the top of the page. Categories describing expression level and patient information include: high, low, alive, dead, female, male and tumor stages. The scale of the x-axis can be toggled between linear and log-scale by clicking on the "x log" button. Mouse-over function shows TCGA ID, patient information and mRNA expression (FPKM) for each patient.

& Survival analysisi

Kaplan-Meier plots summarize results from analysis of correlation between mRNA expression level and patient survival. Patients were divided based on level of expression into one of the two groups "low" (under cut off) or "high" (over cut off). X-axis shows time for survival (years) and y-axis shows the probability of survival, where 1.0 corresponds to 100 percent.

MICOS10 is not prognostic in Stomach Adenocarcinoma (TCGA)


Stage:


Survival analysis
Current cut offi

Current cut-off shows the cut-off (FPKM) currently selected. It may be changed manually. When the current cut-off is changed, the vertical dashed line indicating cut-off, the interactive survival scatter plot and the Kaplan-Meier curve will be automatically adjusted to show results accordingly.

:
Best expression cut offi

Based on the FPKM value of each gene, patients were classified into two groups and association between prognosis (survival) and gene expression (FPKM) was examined. The best expression cut-off refers the FPKM value that yields maximal difference with regard to survival between the two groups at the lowest log-rank P-value. Best expression cut-off was selected based on survival analysis .

When clicking on this number, the vertical dashed line indicating cut-off, the interactive survival plot, and the Kaplan-Meier curve will be adjusted to show results based on the best expression cut-off.

: 4.96
Median expressioni

Median expression refers to the median FPKM value calculated based on the gene expression (FPKM) data from all patients in this dataset. When clicking on this number, the vertical dashed line indicating cut-off, the interactive survival plot, and the Kaplan-Meier curve will be adjusted to show results based on the median expression.

: N/A
Median follow up timei

Median follow up time refers to the median time (years) after diagnosis with this type of cancer, based on clinical data from all patients in this dataset.

: N/A
P scorei

Log-rank P value for Kaplan-Meier plot showing results from analysis of correlation between mRNA expression level and patient survival.

N/A
5-year survival highi

5-year survival for patients with higher expression than the expression cutoff.

For melanoma and glioma, 3-year survival is shown.

N/A
5-year survival lowi

5-year survival for patients with lower expression than the expression cutoff.

For melanoma and glioma, 3-year survival is shown.

N/A
TCGA RNA samplesi

RNA-seq data is reported as average FPKM (number Fragments Per Kilobase of exon per Million reads), generated by the The Cancer Genome Atlas (TCGA) .

Normal distribution across the dataset is visualized with box plots, shown as median and 25th and 75th percentiles. Points are displayed as outliers if they are above or below 1.5 times the interquartile range. FPKM values of the individual samples are presented next to the box plot.

Average pTPM 7.0
Number of samples 346
Samples
Sample Description pTPM
TCGA-IN-A6RI-01A 45 years, male, white, stage:Stage I, alive, 559 days 27.4
TCGA-HU-A4GH-01A 75 years, male, asian, stage:Stage IA, alive, 358 days 19.3
TCGA-CD-5799-01A 45 years, male, asian, stage:Stage II, alive, 396 days 17.5
TCGA-VQ-A925-01A 66 years, male, white, stage:Stage IIIA, dead, 138 days 17.2
TCGA-VQ-A8PE-01A 78 years, male, white, stage:Stage IIIB, dead, 675 days 14.4
TCGA-BR-6564-01A 46 years, female, white, stage:Stage IIIA, dead, 794 days 14.0
TCGA-F1-A72C-01A 68 years, male, asian, stage:Stage IIA, alive, 346 days 13.9
TCGA-BR-8381-01A 51 years, male, white, stage:Stage IIB, alive, 224 days 13.5
TCGA-VQ-A928-01A 49 years, male, white, stage:Stage IV, dead, 174 days 13.3
TCGA-D7-A6EV-01A 71 years, female, white, stage:Stage IIB, alive, 342 days 12.8
TCGA-D7-6815-01A 70 years, female, white, stage:Stage IIB, alive, 486 days 12.7
TCGA-IN-7808-01A 59 years, male, white, stage:'--, dead, 105 days 12.6
TCGA-VQ-AA6D-01A 52 years, female, stage:Stage IIIA, alive, 521 days 12.4
TCGA-BR-7901-01A 74 years, male, white, stage:Stage IIB, dead, 105 days 11.9
TCGA-VQ-A91K-01A 69 years, male, white, stage:Stage IIIA, alive, 1862 days 11.8
TCGA-HU-A4GD-01A 56 years, male, asian, stage:Stage IIB, alive, 692 days 11.7
TCGA-HU-A4H4-01A 53 years, female, asian, stage:Stage IIB, alive, 725 days 11.6
TCGA-IN-A7NU-01A 69 years, male, white, stage:Stage IIIB, alive, 356 days 11.4
TCGA-CG-5717-01A 58 years, male, stage:Stage II, dead, 212 days 11.1
TCGA-HU-A4GU-01A 73 years, male, asian, stage:Stage IIB, alive, 200 days 11.0
TCGA-VQ-A924-01A 69 years, male, stage:Stage II, dead, 1686 days 10.9
TCGA-BR-A4IV-01A 47 years, male, asian, stage:Stage IIIB, dead, 869 days 10.9
TCGA-VQ-A8PQ-01A 50 years, female, white, stage:Stage IV, dead, 476 days 10.9
TCGA-BR-8058-01A 53 years, female, white, stage:Stage IIIB, alive, 1133 days 10.8
TCGA-IN-7806-01A 50 years, male, white, stage:Stage IIB, alive, 1106 days 10.7
TCGA-B7-A5TI-01A 52 years, male, white, stage:Stage IIIC, alive, 595 days 10.7
TCGA-BR-8371-01A 62 years, male, white, stage:Stage IIIB, dead, 359 days 10.6
TCGA-BR-A4J5-01A 56 years, male, asian, stage:Stage IIIA, alive, 862 days 10.5
TCGA-BR-8372-01A 63 years, male, white, stage:Stage IIIC, alive, 951 days 10.5
TCGA-BR-A4J9-01A 55 years, male, white, stage:Stage IIA, alive, 14 days 10.5
TCGA-VQ-A8PK-01A 58 years, male, white, stage:Stage IIIB, dead, 543 days 10.4
TCGA-BR-6456-01A 74 years, female, white, stage:Stage IIB, dead, 526 days 10.4
TCGA-BR-8592-01A 63 years, female, white, stage:Stage IIIB, dead, 191 days 10.3
TCGA-HU-A4GC-01A 74 years, male, asian, stage:Stage IIIB, alive, 99 days 10.3
TCGA-HF-A5NB-01A 75 years, female, stage:Stage IIIC, alive, 928 days 10.3
TCGA-VQ-A8PO-01A 74 years, male, white, stage:Stage IIB, dead, 282 days 10.3
TCGA-RD-A7BT-01A 66 years, male, native hawaiian or other pacific islander, stage:Stage IV, dead, 262 days 10.2
TCGA-FP-8631-01A 68 years, male, white, stage:Stage IIIA, alive, 17 days 10.2
TCGA-VQ-A8DT-01A 43 years, male, stage:Stage IIIB, alive, 1484 days 10.1
TCGA-VQ-AA6G-01A 68 years, male, white, stage:Stage IIA, dead, 792 days 10.1
TCGA-F1-6874-01A 79 years, male, white, stage:Stage IB, alive, 440 days 10.1
TCGA-VQ-A8PB-01A 65 years, female, white, stage:Stage II, dead, 1043 days 10.0
TCGA-BR-8284-01A 72 years, female, white, stage:Stage IIIC, dead, 245 days 10.0
TCGA-VQ-A8PX-01A 51 years, male, stage:Stage IA, alive, 1964 days 9.9
TCGA-BR-8382-01A 67 years, female, white, stage:Stage IIIC, dead, 762 days 9.8
TCGA-D7-A747-01A 57 years, male, white, stage:Stage IIB, dead, 255 days 9.8
TCGA-VQ-A91X-01A 74 years, male, white, stage:Stage IIIB, dead, 289 days 9.8
TCGA-HU-A4GT-01A 71 years, female, asian, stage:Stage IIA, alive, 198 days 9.7
TCGA-IN-8663-01A 68 years, male, white, stage:Stage IIB, dead, 103 days 9.7
TCGA-BR-8286-01A 49 years, male, white, stage:Stage II, alive, 895 days 9.5
TCGA-RD-A8NB-01A 80 years, female, white, stage:Stage IIIA, dead, 513 days 9.5
TCGA-VQ-A8E2-01A 57 years, male, asian, stage:Stage IIIB, alive, 1319 days 9.4
TCGA-CD-8528-01A 43 years, female, asian, stage:Stage IIIA, alive, 375 days 9.4
TCGA-BR-A4J7-01A 49 years, male, asian, stage:Stage IIB, alive, 989 days 9.3
TCGA-BR-8296-01A 58 years, female, white, stage:Stage IIIC, dead, 474 days 9.3
TCGA-BR-7707-01A 69 years, female, white, stage:Stage IB, alive, 1090 days 9.3
TCGA-BR-8289-01A 57 years, male, white, stage:Stage IV, dead, 81 days 9.2
TCGA-R5-A7O7-01A 51 years, male, white, stage:Stage IV, alive, 1389 days 9.2
TCGA-BR-6452-01A 78 years, female, white, stage:Stage IIA, alive, 1055 days 9.1
TCGA-VQ-A94U-01A 70 years, male, white, stage:Stage IIB, alive, 819 days 9.1
TCGA-CD-A486-01A 68 years, male, asian, stage:Stage IIA, dead, 192 days 9.0
TCGA-BR-8590-01A 62 years, male, white, stage:Stage IIIC, dead, 284 days 9.0
TCGA-BR-8365-01A 70 years, female, white, stage:Stage IIA, dead, 533 days 9.0
TCGA-BR-8368-01A 84 years, female, white, stage:Stage IB, alive, 131 days 9.0
TCGA-BR-8297-01A 58 years, male, white, stage:Stage IIIC, alive, 225 days 8.9
TCGA-HU-A4H0-01A 72 years, male, asian, stage:Stage IIIC, alive, 64 days 8.9
TCGA-FP-8210-01A 48 years, male, asian, stage:Stage IIIA, dead, 153 days 8.8
TCGA-HU-8602-01A 58 years, female, asian, stage:Stage IIB, alive, 679 days 8.8
TCGA-D7-A6EZ-01A 66 years, male, white, stage:Stage IIIA, dead, 618 days 8.7
TCGA-HU-A4GP-01A 62 years, female, asian, stage:Stage IIA, alive, 273 days 8.7
TCGA-IN-A6RS-01A 76 years, male, white, stage:Stage IA, alive, 383 days 8.6
TCGA-BR-A4PF-01A 72 years, male, white, stage:Stage IIIB, alive, 35 days 8.6
TCGA-D7-A4YU-01A 73 years, male, white, stage:Stage IIIB, alive, 500 days 8.6
TCGA-IN-A6RR-01A 84 years, male, white, stage:'--, dead, 205 days 8.6
TCGA-BR-8384-01A 69 years, male, white, stage:Stage IIIC, alive, 113 days 8.6
TCGA-BR-8367-01A 55 years, male, white, stage:Stage IIIB, dead, 801 days 8.6
TCGA-HJ-7597-01A 71 years, female, white, stage:Stage IB, dead, 805 days 8.6
TCGA-BR-8683-01A 75 years, male, asian, stage:Stage IIIB, dead, 300 days 8.5
TCGA-MX-A5UG-01A 78 years, male, asian, stage:Stage IIIA, dead, 113 days 8.4
TCGA-VQ-A8E3-01A 79 years, male, white, stage:Stage IIA, dead, 661 days 8.4
TCGA-3M-AB46-01A 70 years, male, white, stage:Stage IB, alive, 1765 days 8.4
TCGA-D7-5578-01A 80 years, male, white, stage:Stage IIIA, alive, 385 days 8.4
TCGA-BR-8680-01A 45 years, male, asian, stage:Stage IV, alive, 972 days 8.4
TCGA-RD-A7C1-01A 82 years, male, white, stage:Stage IB, dead, 507 days 8.4
TCGA-IP-7968-01A 74 years, male, white, stage:Stage IIIB, alive, 77 days 8.3
TCGA-VQ-AA6J-01A 75 years, male, black or african american, stage:Stage IIIB, alive, 838 days 8.3
TCGA-FP-8209-01A 49 years, male, white, stage:Stage IB, dead, 1811 days 8.3
TCGA-D7-A4Z0-01A 60 years, female, white, stage:Stage IIB, alive, 449 days 8.3
TCGA-BR-8678-01A 76 years, male, white, stage:Stage IB, alive, 754 days 8.3
TCGA-BR-A44U-01A 70 years, male, white, stage:Stage IIIB, dead, 422 days 8.3
TCGA-HU-A4GY-01A 76 years, female, asian, stage:Stage IIIA, alive, 8 days 8.2
TCGA-HU-A4H2-01A 58 years, female, asian, stage:Stage IIIB, alive, 394 days 8.2
TCGA-VQ-A94R-01A 63 years, male, white, stage:'--, dead, 1294 days 8.2
TCGA-VQ-A92D-01A 67 years, male, white, stage:Stage IB, alive, 2032 days 8.1
TCGA-BR-8081-01A 71 years, female, white, stage:Stage IIB, alive, 981 days 8.1
TCGA-VQ-A8PC-01A 65 years, male, white, stage:Stage IIIA, dead, 1407 days 8.1
TCGA-VQ-A91N-01A 59 years, female, stage:Stage IV, dead, 570 days 8.0
TCGA-BR-8295-01A 60 years, female, white, stage:Stage IIB, dead, 67 days 8.0
TCGA-VQ-AA69-01A 35 years, male, white, stage:Stage IIIA, alive, 864 days 8.0
TCGA-CD-A4MG-01A 76 years, male, asian, stage:Stage IIA, dead, 200 days 8.0
TCGA-BR-8369-01A 76 years, female, white, stage:Stage IIIB, alive, 427 days 8.0
TCGA-D7-A748-01A 41 years, female, white, stage:Stage IV, dead, 132 days 8.0
TCGA-BR-6458-01A 57 years, female, white, stage:Stage IIB, dead, 588 days 8.0
TCGA-BR-8687-01A 67 years, female, white, stage:Stage IIIC, dead, 250 days 8.0
TCGA-BR-8380-01A 55 years, male, white, stage:Stage IIIC, dead, 21 days 8.0
TCGA-D7-8579-01A 66 years, female, white, stage:Stage IIB, alive, 636 days 7.9
TCGA-BR-8682-01A 52 years, male, asian, stage:Stage IIB, alive, 991 days 7.9
TCGA-VQ-AA64-01A 68 years, male, white, stage:Stage IIIB, dead, 560 days 7.9
TCGA-RD-A8N4-01A 58 years, female, white, stage:Stage IIIA, alive, 2171 days 7.9
TCGA-KB-A93J-01A 78 years, male, white, stage:Stage II, alive, 1124 days 7.9
TCGA-VQ-A8PJ-01A 53 years, male, stage:Stage IV, dead, 82 days 7.8
TCGA-MX-A5UJ-01A 86 years, female, white, stage:Stage IIIA, alive, 600 days 7.8
TCGA-VQ-A8P5-01A 67 years, male, white, stage:Stage IIA, dead, 235 days 7.8
TCGA-FP-A9TM-01A 77 years, male, white, stage:'--, alive, 189 days 7.7
TCGA-RD-A7BW-01A 68 years, female, white, stage:Stage IB, dead, 156 days 7.7
TCGA-ZA-A8F6-01A 71 years, male, white, stage:Stage IB, alive, 525 days 7.7
TCGA-CD-A489-01A 58 years, male, asian, stage:Stage IIA, dead, 344 days 7.7
TCGA-BR-6852-01A 64 years, female, white, stage:Stage IIA, alive, 1367 days 7.6
TCGA-CD-8535-01A 59 years, male, asian, stage:Stage IIIA, alive, 390 days 7.6
TCGA-BR-8588-01A 55 years, female, white, stage:Stage IIB, alive, 389 days 7.6
TCGA-VQ-A94P-01A 57 years, male, white, stage:'--, dead, 81 days 7.6
TCGA-BR-8677-01A 74 years, female, white, stage:Stage IIIB, alive, 813 days 7.6
TCGA-BR-8591-01A 79 years, male, white, stage:Stage IIIC, alive, 856 days 7.6
TCGA-HU-A4G2-01A 45 years, male, asian, stage:Stage IIB, alive, 739 days 7.6
TCGA-BR-8059-01A 72 years, male, white, stage:Stage III, dead, 439 days 7.5
TCGA-D7-6521-01A 65 years, male, white, stage:'--, alive, 564 days 7.5
TCGA-BR-A4J8-01A 71 years, female, white, stage:Stage IIIB, alive, 411 days 7.5
TCGA-BR-8364-01A 42 years, female, white, stage:Stage IIIC, alive, 675 days 7.5
TCGA-VQ-A8P8-01A 72 years, female, black or african american, stage:Stage IIB, alive, 942 days 7.5
TCGA-HU-8610-01A 75 years, male, asian, stage:Stage IA, alive, 23 days 7.5
TCGA-BR-8291-01A 61 years, male, white, stage:Stage IIB, dead, 607 days 7.4
TCGA-BR-8487-01A 64 years, female, white, stage:Stage IIA, alive, 34 days 7.4
TCGA-HU-8244-01A 77 years, female, asian, stage:Stage IA, alive, 742 days 7.4
TCGA-HF-7132-01A male, stage:Stage II, alive, 2351 days 7.4
TCGA-VQ-A8PD-01A 69 years, male, white, stage:Stage IIIC, dead, 496 days 7.4
TCGA-VQ-A922-01A 70 years, male, stage:Stage IV, dead, 275 days 7.4
TCGA-BR-6705-01A 68 years, female, white, stage:Stage IIIB, dead, 779 days 7.4
TCGA-BR-7851-01A 74 years, male, white, stage:Stage IIB, dead, 574 days 7.4
TCGA-D7-8576-01A 54 years, female, white, stage:Stage IIIB, dead, 446 days 7.3
TCGA-D7-6524-01A 53 years, male, white, stage:Stage II, alive, 543 days 7.3
TCGA-RD-A8N2-01A 59 years, female, white, stage:Stage IB, alive, 3540 days 7.3
TCGA-VQ-A8P2-01A 68 years, male, white, stage:Stage IIIA, alive, 1160 days 7.3
TCGA-HU-A4GX-01A 70 years, female, asian, stage:Stage IIIC, alive, 616 days 7.2
TCGA-VQ-A91V-01A 58 years, male, stage:Stage IIIA, alive, 1297 days 7.2
TCGA-D7-A6EX-01A 72 years, female, white, stage:Stage IIIA, alive, 344 days 7.2
TCGA-CD-A4MH-01A 86 years, female, asian, stage:Stage IIA, alive, 371 days 7.2
TCGA-IN-A6RN-01A 72 years, female, white, stage:Stage IIA, alive, 594 days 7.2
TCGA-BR-8366-01A 80 years, female, white, stage:Stage IIA, alive, 29 days 7.1
TCGA-MX-A666-01A 61 years, male, white, stage:Stage IIA, alive, 427 days 7.1
TCGA-BR-8589-01A 56 years, male, white, stage:Stage IIIB, alive, 825 days 7.1
TCGA-HU-A4HD-01A 73 years, male, asian, stage:Stage IIIA, alive, 1016 days 7.1
TCGA-CD-8530-01A 51 years, male, asian, stage:Stage II, alive, 377 days 7.1
TCGA-CD-8527-01A 72 years, female, asian, stage:Stage II, dead, 218 days 7.1
TCGA-D7-6528-01A 70 years, female, white, stage:Stage IB, alive, 463 days 7.1
TCGA-CG-5720-01A 71 years, male, stage:Stage IB, dead, 30 days 7.0
TCGA-D7-A4YX-01A 63 years, male, white, stage:Stage IIB, alive, 1108 days 7.0
TCGA-D7-A6F0-01A 79 years, female, white, stage:Stage IB, alive, 678 days 7.0
TCGA-BR-A4J6-01A 69 years, female, white, stage:Stage IIA, alive, 20 days 7.0
TCGA-CD-5800-01A 51 years, female, asian, stage:Stage II, alive, 400 days 7.0
TCGA-HU-A4H6-01A 72 years, female, asian, stage:Stage IIIA, alive, 644 days 7.0
TCGA-BR-7957-01A 50 years, female, white, stage:Stage IV, dead, 276 days 6.9
TCGA-VQ-A91Y-01A 67 years, male, white, stage:Stage IIIC, dead, 296 days 6.9
TCGA-CG-5718-01A 78 years, female, stage:Stage II, dead, 1095 days 6.9
TCGA-VQ-A91A-01A 67 years, male, white, stage:Stage IIIB, alive, 1200 days 6.9
TCGA-HU-A4G8-01A 71 years, female, asian, stage:Stage IIB, alive, 690 days 6.9
TCGA-KB-A93G-01A 68 years, male, white, stage:Stage IB, alive, 613 days 6.8
TCGA-BR-A4CS-01A 77 years, male, white, stage:Stage IIIC, dead, 45 days 6.8
TCGA-D7-6818-01A 53 years, male, white, stage:Stage IIIA, dead, 376 days 6.8
TCGA-D7-6520-01A 53 years, male, white, stage:Stage IIIA, alive, 573 days 6.8
TCGA-FP-7829-01A 69 years, male, white, stage:Stage IIB, alive, 594 days 6.8
TCGA-HU-A4H3-01A 56 years, female, asian, stage:Stage IIIC, alive, 882 days 6.8
TCGA-BR-6803-01A 54 years, female, white, stage:Stage IIA, alive, 949 days 6.7
TCGA-VQ-A8P3-01A 72 years, male, white, stage:Stage IIIA, alive, 1132 days 6.7
TCGA-VQ-A91S-01A 63 years, male, black or african american, stage:Stage IIIB, alive, 1000 days 6.7
TCGA-VQ-A8DZ-01A 70 years, male, black or african american, stage:Stage IV, dead, 396 days 6.7
TCGA-CD-5798-01A 82 years, male, asian, stage:Stage II, alive, 408 days 6.7
TCGA-B7-A5TN-01A 60 years, male, white, stage:Stage IIB, alive, 287 days 6.7
TCGA-VQ-A91Q-01A 61 years, male, stage:Stage IV, dead, 633 days 6.6
TCGA-CD-A487-01A 51 years, male, asian, stage:Stage IIB, alive, 374 days 6.6
TCGA-B7-A5TK-01A 51 years, male, white, stage:Stage IIIA, alive, 288 days 6.5
TCGA-BR-8373-01A 65 years, female, white, stage:Stage IIIA, alive, 450 days 6.5
TCGA-BR-8484-01A 61 years, male, white, stage:Stage IIIA, dead, 766 days 6.5
TCGA-BR-7197-01A 69 years, male, white, stage:Stage II, alive, 280 days 6.5
TCGA-VQ-A8DU-01A 63 years, male, white, stage:Stage IIIA, dead, 166 days 6.5
TCGA-D7-8574-01A 72 years, male, white, stage:Stage IIIA, alive, 523 days 6.5
TCGA-HU-A4GQ-01A 71 years, male, asian, stage:Stage IIIC, dead, 3 days 6.5
TCGA-VQ-A94T-01A 73 years, male, stage:Stage IIIB, dead, 342 days 6.5
TCGA-CD-8524-01A 61 years, female, asian, stage:Stage II, alive, 388 days 6.5
TCGA-RD-A8MW-01A 72 years, male, white, stage:Stage IIIB, dead, 1153 days 6.5
TCGA-VQ-A8PP-01A 76 years, male, stage:Stage IV, dead, 712 days 6.5
TCGA-VQ-A8E0-01A 68 years, male, black or african american, stage:Stage IIIA, dead, 562 days 6.5
TCGA-HU-A4GF-01A 69 years, male, asian, stage:Stage IIA, alive, 785 days 6.5
TCGA-IN-8462-01A 80 years, male, white, stage:Stage IIB, alive, 572 days 6.4
TCGA-RD-A8N9-01A 63 years, female, asian, stage:Stage II, alive, 1083 days 6.4
TCGA-CD-8532-01A 52 years, male, asian, stage:Stage II, dead, 354 days 6.4
TCGA-SW-A7EB-01A 45 years, male, white, stage:Stage IIIA, alive, 176 days 6.4
TCGA-IN-AB1X-01A 78 years, female, white, stage:Stage IIA, alive, 411 days 6.4
TCGA-CG-5721-01A 58 years, male, stage:Stage IV, alive, 183 days 6.4
TCGA-RD-A8N6-01A 78 years, female, white, stage:Stage IIIA, dead, 272 days 6.4
TCGA-D7-8578-01A 72 years, male, white, stage:Stage IB, alive, 643 days 6.3
TCGA-IN-A6RL-01A 84 years, male, white, stage:'--, dead, 406 days 6.3
TCGA-HU-A4G9-01A 67 years, female, asian, stage:Stage IA, alive, 736 days 6.3
TCGA-CG-5723-01A 83 years, male, stage:Stage II, alive, 2496 days 6.3
TCGA-CG-5724-01A 59 years, male, stage:Stage IV, dead, 366 days 6.3
TCGA-BR-8485-01A 68 years, female, white, stage:Stage IIIC, alive, 280 days 6.3
TCGA-VQ-A8PU-01A 72 years, female, white, stage:Stage IIIA, dead, 832 days 6.2
TCGA-BR-A44T-01A 53 years, female, white, stage:Stage IIA, alive, 1038 days 6.2
TCGA-BR-7958-01A 60 years, male, white, stage:Stage IIIB, alive, 899 days 6.2
TCGA-BR-8676-01A 59 years, male, white, stage:Stage IIIB, alive, 229 days 6.2
TCGA-KB-A6F7-01A 54 years, female, stage:Stage IB, alive, 1935 days 6.2
TCGA-CG-5726-01A 73 years, male, stage:Stage IA, dead, 881 days 6.2
TCGA-EQ-8122-01A 71 years, female, white, stage:Stage IIB, dead, 243 days 6.2
TCGA-BR-6565-01A 67 years, male, white, stage:Stage IIB, dead, 279 days 6.2
TCGA-BR-A4J4-01A 39 years, male, asian, stage:Stage IIIB, alive, 16 days 6.1
TCGA-F1-A448-01A 70 years, male, white, stage:Stage IIIB, alive, 647 days 6.1
TCGA-VQ-AA6K-01A 59 years, male, white, stage:Stage IIIC, dead, 378 days 6.1
TCGA-CG-5732-01A 66 years, male, stage:Stage IV, dead, 2100 days 6.1
TCGA-VQ-A8PM-01A 56 years, male, white, stage:Stage IV, dead, 57 days 6.0
TCGA-D7-A6EY-01A 72 years, female, white, stage:Stage IIIB, dead, 348 days 6.0
TCGA-BR-8077-01A 58 years, female, white, stage:Stage IIIB, alive, 21 days 6.0
TCGA-CD-8533-01A 48 years, male, asian, stage:Stage II, alive, 468 days 6.0
TCGA-RD-A8N1-01A 70 years, male, white, stage:Stage IIIB, alive, 3519 days 6.0
TCGA-KB-A93H-01A 79 years, female, asian, stage:Stage IIB, alive, 1145 days 6.0
TCGA-R5-A7ZF-01A 65 years, female, black or african american, stage:Stage IV, dead, 259 days 6.0
TCGA-VQ-AA68-01A 52 years, female, white, stage:Stage IIIC, alive, 1328 days 5.9
TCGA-BR-6802-01A 65 years, male, white, stage:Stage IIIA, alive, 940 days 5.9
TCGA-VQ-A8PF-01A 76 years, male, stage:Stage IIIB, dead, 76 days 5.9
TCGA-BR-4280-01A 78 years, female, white, stage:Stage III, dead, 201 days 5.9
TCGA-D7-A6F2-01A 62 years, male, white, stage:Stage IB, alive, 476 days 5.9
TCGA-D7-5577-01A 53 years, female, white, stage:Stage IIIA, dead, 782 days 5.8
TCGA-BR-8080-01A 72 years, female, white, stage:Stage IIIC, dead, 292 days 5.8
TCGA-BR-8361-01A 71 years, female, white, stage:Stage IIIC, alive, 946 days 5.8
TCGA-FP-A4BF-01A 68 years, male, white, stage:Stage IIIA, dead, 168 days 5.8
TCGA-BR-8686-01A 69 years, male, asian, stage:Stage IIIB, dead, 635 days 5.8
TCGA-MX-A663-01A 66 years, male, white, stage:Stage IIA, dead, 300 days 5.7
TCGA-VQ-A94O-01A 74 years, male, black or african american, stage:Stage IIIC, dead, 640 days 5.7
TCGA-FP-8099-01A 79 years, male, white, stage:Stage IIA, alive, 519 days 5.7
TCGA-CD-8526-01A 73 years, female, asian, stage:Stage IIIA, alive, 381 days 5.6
TCGA-HU-8608-01A 70 years, male, asian, stage:Stage IIIB, alive, 641 days 5.6
TCGA-VQ-AA6A-01A 56 years, male, white, stage:Stage IIIC, alive, 1184 days 5.6
TCGA-IN-AB1V-01A 63 years, male, white, stage:Stage IA, alive, 479 days 5.5
TCGA-VQ-A8PH-01A 62 years, male, white, stage:Stage IIIB, dead, 389 days 5.5
TCGA-FP-A8CX-01A 60 years, male, white, stage:Stage IIIC, alive, 7 days 5.5
TCGA-CG-5722-01A 67 years, female, stage:Stage IV, alive, 30 days 5.4
TCGA-IN-A7NR-01A 64 years, female, white, stage:Stage IV, alive, 198 days 5.4
TCGA-F1-6875-01A 79 years, male, black or african american, stage:Stage IA, dead, 2197 days 5.4
TCGA-VQ-A927-01A 81 years, male, white, stage:Stage IIIB, dead, 200 days 5.4
TCGA-BR-8060-01A 75 years, female, white, stage:Stage IIB, dead, 348 days 5.3
TCGA-CD-A48A-01A 57 years, male, asian, stage:Stage IIA, alive, 378 days 5.3
TCGA-HU-A4GJ-01A 60 years, female, asian, stage:Stage IIIC, alive, 650 days 5.3
TCGA-BR-7196-01A 64 years, male, white, stage:Stage IV, alive, 666 days 5.3
TCGA-BR-7704-01A 69 years, female, white, stage:Stage II, alive, 1072 days 5.3
TCGA-HF-7134-01A male, stage:Stage IA, alive, 1588 days 5.3
TCGA-D7-8573-01A 57 years, male, white, stage:Stage IIA, alive, 593 days 5.3
TCGA-D7-8570-01A 44 years, male, white, stage:Stage IIIB, alive, 752 days 5.2
TCGA-CG-5719-01A 54 years, female, stage:Stage IV, alive, 31 days 5.2
TCGA-CD-8531-01A 66 years, female, asian, stage:Stage IIIA, alive, 383 days 5.2
TCGA-CG-4475-01A 76 years, male, stage:Stage IIB, alive, 699 days 5.2
TCGA-BR-6707-01A 75 years, male, white, stage:Stage IIA, dead, 605 days 5.2
TCGA-VQ-A91Z-01A 67 years, female, white, stage:Stage IIIA, alive, 1690 days 5.1
TCGA-CD-8534-01A 41 years, male, asian, stage:Stage II, alive, 367 days 5.1
TCGA-BR-6801-01A 70 years, male, white, stage:Stage IIA, alive, 1223 days 5.1
TCGA-BR-7722-01A 62 years, male, white, stage:Stage IIB, dead, 466 days 5.1
TCGA-BR-7959-01A 59 years, male, white, stage:Stage IIIA, alive, 1010 days 5.1
TCGA-CD-A48C-01A 79 years, female, asian, stage:Stage IIB, dead, 353 days 5.1
TCGA-D7-A74A-01A 61 years, female, white, stage:Stage IIIA, alive, 607 days 5.1
TCGA-CD-5801-01A 69 years, male, asian, stage:Stage IIIA, dead, 401 days 5.1
TCGA-RD-A7BS-01A 46 years, male, white, stage:Stage IIIA, dead, 336 days 5.1
TCGA-VQ-A91E-01A 67 years, female, white, stage:Stage IIIB, alive, 664 days 5.1
TCGA-BR-A4QL-01A 75 years, female, white, stage:Stage IIIB, dead, 491 days 5.1
TCGA-SW-A7EA-01A 61 years, female, white, stage:Stage IB, alive, 579 days 5.0
TCGA-BR-7716-01A 62 years, female, white, stage:Stage IIB, alive, 1210 days 5.0
TCGA-BR-6566-01A 64 years, female, white, stage:Stage IIA, alive, 997 days 5.0
TCGA-CD-8529-01A 65 years, male, asian, stage:Stage IV, alive, 374 days 5.0
TCGA-BR-6457-01A 69 years, male, white, stage:Stage IIA, alive, 416 days 5.0
TCGA-BR-6453-01A 54 years, male, white, stage:Stage IIA, alive, 485 days 5.0
TCGA-B7-5818-01A 62 years, male, white, stage:Stage IB, alive, 356 days 4.9
TCGA-FP-7735-01A 77 years, male, black or african american, stage:Stage IB, dead, 106 days 4.9
TCGA-CD-8525-01A 82 years, female, asian, stage:Stage IIIA, alive, 383 days 4.8
TCGA-CD-5803-01A 78 years, female, asian, stage:Stage II, dead, 341 days 4.8
TCGA-CG-4441-01A 83 years, male, stage:Stage IIIA, dead, 426 days 4.8
TCGA-CG-5734-01A 68 years, male, stage:Stage IIIA, dead, 243 days 4.8
TCGA-BR-7715-01A 65 years, male, white, stage:Stage IIA, alive, 1023 days 4.8
TCGA-D7-6526-01A 67 years, female, white, stage:Stage IIIA, alive, 523 days 4.7
TCGA-HU-A4G3-01A 54 years, male, asian, stage:Stage IIB, alive, 170 days 4.7
TCGA-ZQ-A9CR-01A 79 years, female, white, stage:Stage IIIC, dead, 24 days 4.7
TCGA-R5-A7ZI-01A 44 years, female, white, stage:Stage IV, alive, 2267 days 4.7
TCGA-IN-A6RJ-01A 64 years, male, white, stage:Stage IA, alive, 379 days 4.7
TCGA-BR-8483-01A 59 years, male, white, stage:Stage IIIA, alive, 164 days 4.6
TCGA-HU-A4HB-01A 68 years, male, asian, stage:Stage IIB, dead, 477 days 4.6
TCGA-RD-A8N5-01A 78 years, male, white, stage:Stage IIIA, dead, 1747 days 4.6
TCGA-B7-A5TJ-01A 74 years, male, white, stage:Stage IIB, alive, 335 days 4.6
TCGA-FP-7998-01A 77 years, male, white, stage:Stage IIIC, alive, 678 days 4.5
TCGA-FP-8211-01A 62 years, male, white, stage:Stage IIB, alive, 413 days 4.5
TCGA-HU-8238-01A 56 years, male, asian, stage:'--, alive, 46 days 4.5
TCGA-HU-8249-01A 76 years, male, asian, stage:Stage IIIA, alive, 881 days 4.5
TCGA-R5-A805-01A 71 years, male, white, stage:Stage IIIB, dead, 281 days 4.5
TCGA-D7-6525-01A 58 years, male, white, stage:Stage IIIA, dead, 406 days 4.4
TCGA-FP-7916-01A 77 years, male, asian, stage:Stage IIIC, dead, 428 days 4.4
TCGA-CG-4444-01A 76 years, male, stage:Stage IIIA, alive, 1431 days 4.4
TCGA-D7-6519-01A 64 years, female, white, stage:'--, alive, 625 days 4.4
TCGA-BR-6455-01A 59 years, male, white, stage:Stage IIB, dead, 422 days 4.3
TCGA-BR-4187-01A 56 years, male, white, stage:'--, dead, 141 days 4.3
TCGA-BR-8690-01A 54 years, female, white, stage:Stage IIIB, alive, 325 days 4.3
TCGA-D7-6522-01A 58 years, male, white, stage:Stage IB, alive, 566 days 4.3
TCGA-HU-A4H5-01A 71 years, male, asian, stage:Stage IB, alive, 724 days 4.3
TCGA-CG-4437-01A 83 years, male, stage:Stage II, alive, 245 days 4.2
TCGA-CD-5813-01A 60 years, male, asian, stage:Stage II, dead, 377 days 4.2
TCGA-BR-7717-01A 63 years, male, white, stage:Stage IV, dead, 552 days 4.1
TCGA-VQ-A91U-01A 78 years, male, asian, stage:Stage IIIA, dead, 52 days 4.1
TCGA-R5-A7ZR-01A 70 years, female, black or african american, stage:Stage III, dead, 185 days 4.1
TCGA-BR-4256-01A 80 years, male, white, stage:'--, dead, 284 days 4.1
TCGA-BR-4191-01A 72 years, male, white, stage:'--, dead, 558 days 4.1
TCGA-D7-8572-01A 57 years, male, white, stage:Stage IIB, alive, 511 days 4.1
TCGA-BR-6563-01A 60 years, male, white, stage:Stage IIB, alive, 1190 days 4.0
TCGA-HU-8604-01A 82 years, female, asian, stage:Stage IIA, alive, 694 days 4.0
TCGA-BR-7723-01A 59 years, male, white, stage:Stage IIIB, dead, 874 days 4.0
TCGA-CG-4466-01A 81 years, female, stage:Stage IB, alive, 577 days 4.0
TCGA-VQ-A8DV-01A 48 years, male, white, stage:Stage IB, dead, 403 days 4.0
TCGA-D7-6822-01A 77 years, male, white, stage:Stage IB, alive, 375 days 3.8
TCGA-CG-5725-01A 72 years, male, stage:Stage IB, dead, 457 days 3.7
TCGA-D7-8575-01A 75 years, male, white, stage:Stage IIIA, dead, 554 days 3.5
TCGA-BR-4257-01A 79 years, female, white, stage:'--, dead, 294 days 3.5
TCGA-IN-A7NT-01A 73 years, female, white, stage:Stage IIB, alive, 323 days 3.4
TCGA-RD-A8N0-01A 53 years, female, white, stage:Stage IIIB, alive, 1236 days 3.4
TCGA-VQ-AA6F-01A 57 years, male, white, stage:Stage IIB, alive, 1646 days 3.2
TCGA-HF-7133-01A female, stage:Stage IV, alive, 1918 days 3.2
TCGA-BR-6709-01A 57 years, female, white, stage:Stage IIIB, dead, 370 days 3.2
TCGA-D7-6527-01A 62 years, male, white, stage:Stage II, dead, 312 days 3.1
TCGA-CG-4443-01A 68 years, male, stage:Stage IA, alive, 912 days 3.1
TCGA-CG-4477-01A 58 years, female, stage:Stage IB, alive, 942 days 3.0
TCGA-CG-4306-01A 90 years, male, stage:Stage IV, dead, 1 days 2.8
TCGA-CG-4438-01A 56 years, male, stage:Stage IV, alive, 1645 days 2.7
TCGA-CG-4440-01A 68 years, female, stage:Stage IV, dead, 122 days 2.7
TCGA-BR-4201-01A 66 years, female, white, stage:'--, dead, 940 days 2.6
TCGA-CG-4469-01A 70 years, male, stage:Stage IV, dead, 215 days 2.5
TCGA-CG-4465-01A 69 years, female, stage:Stage IV, dead, 274 days 2.4
TCGA-BR-6710-01A 41 years, male, white, stage:Stage IB, alive, 273 days 2.4
TCGA-CG-4305-01A 69 years, male, stage:Stage II, alive, 485 days 2.1
TCGA-RD-A8MV-01A 56 years, male, white, stage:Stage IIIB, alive, 3720 days 2.1
TCGA-CG-4460-01A 66 years, female, stage:Stage IV, dead, 669 days 2.0
TCGA-CG-4436-01A 57 years, male, stage:Stage IB, alive, 243 days 1.9
TCGA-CG-4301-01A 75 years, female, stage:Stage IV, alive, 92 days 1.9
TCGA-BR-4279-01A 43 years, male, white, stage:Stage II, dead, 291 days 1.9
TCGA-BR-4267-01A 51 years, male, white, stage:Stage IB, dead, 188 days 1.8
TCGA-BR-4253-01A 80 years, female, white, stage:Stage IIIA, dead, 124 days 1.4
Show allShow less
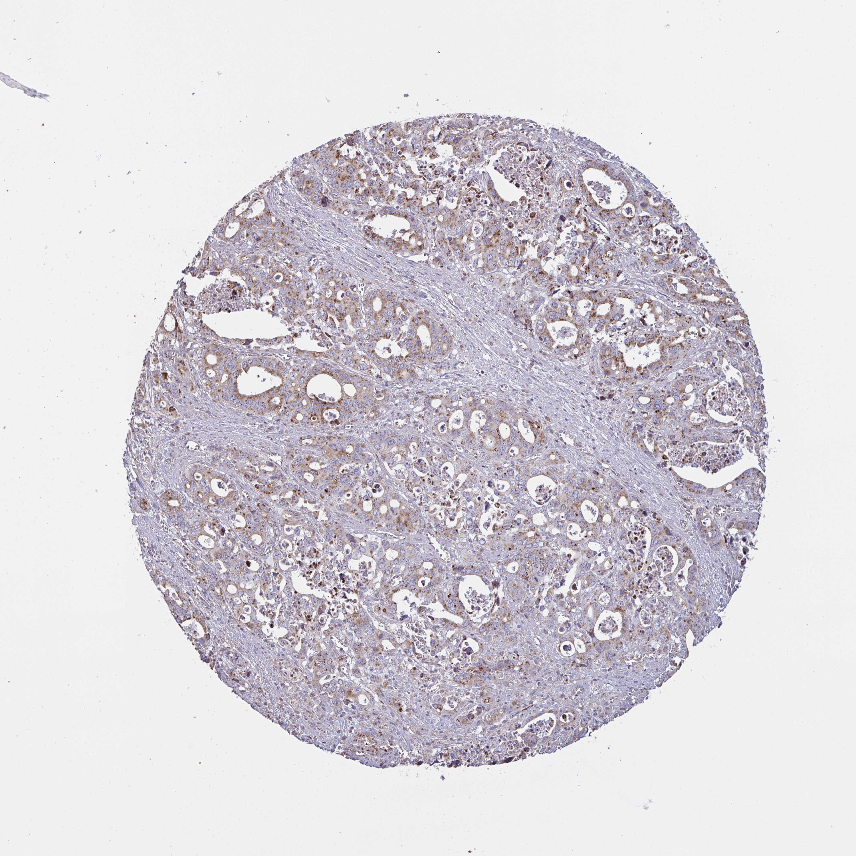
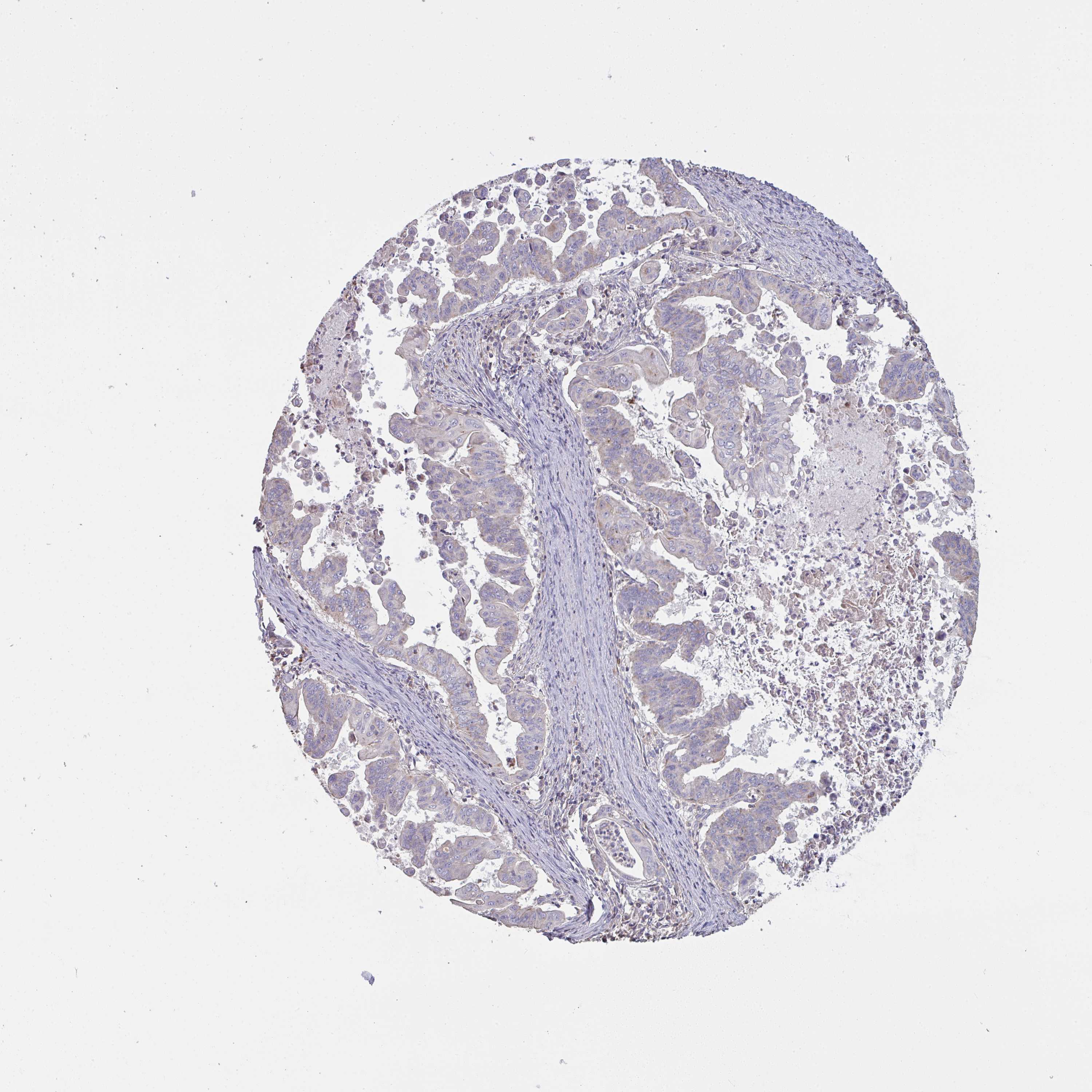
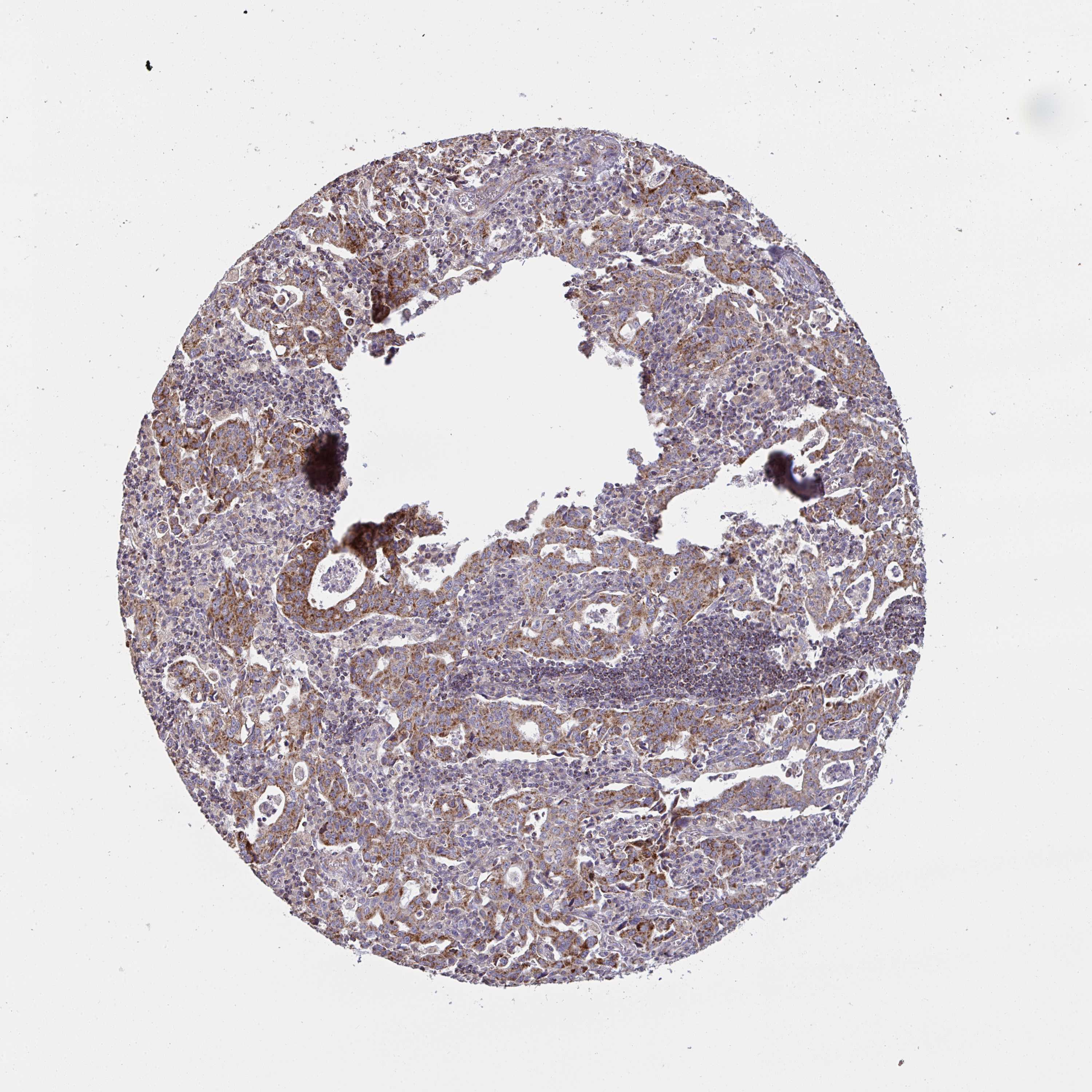
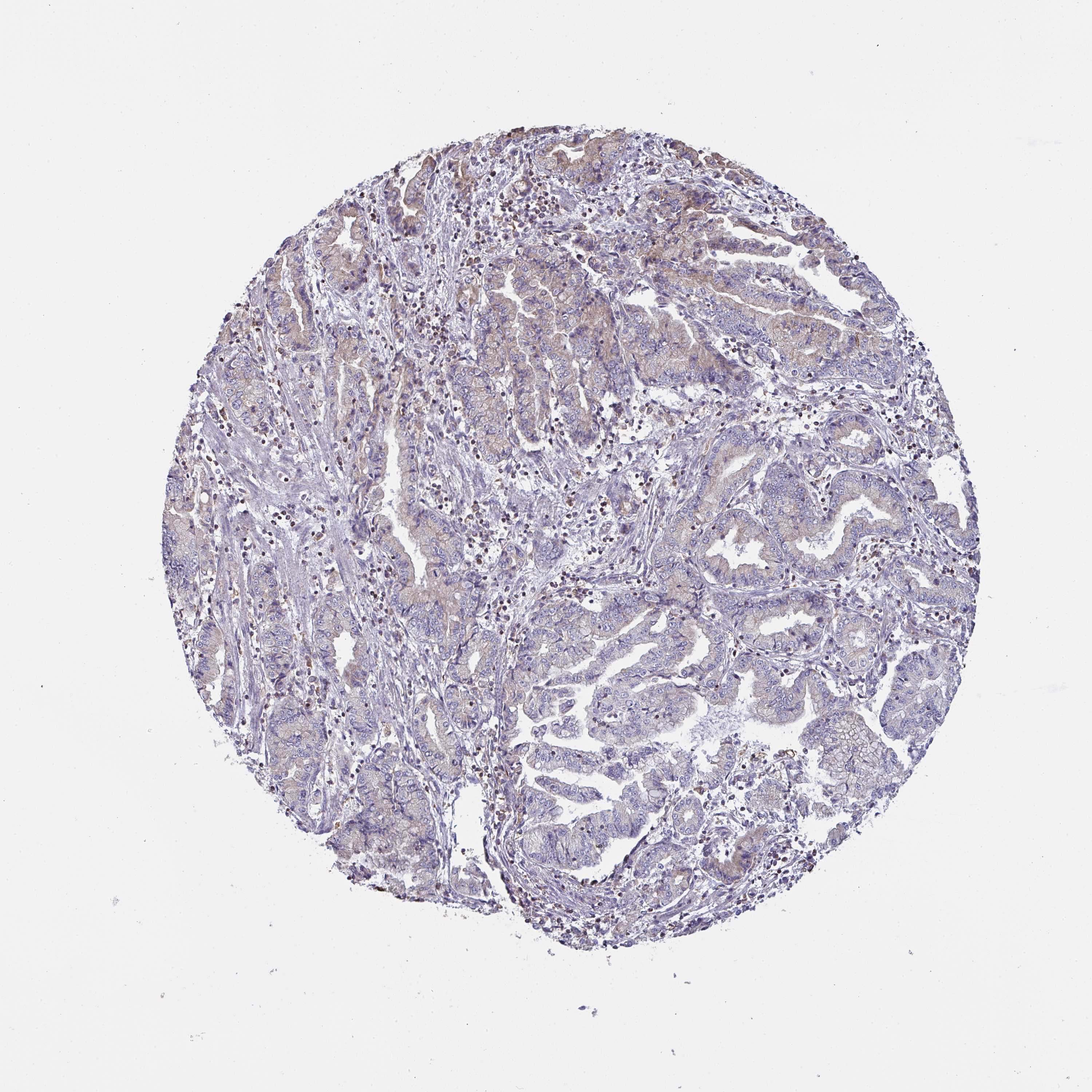
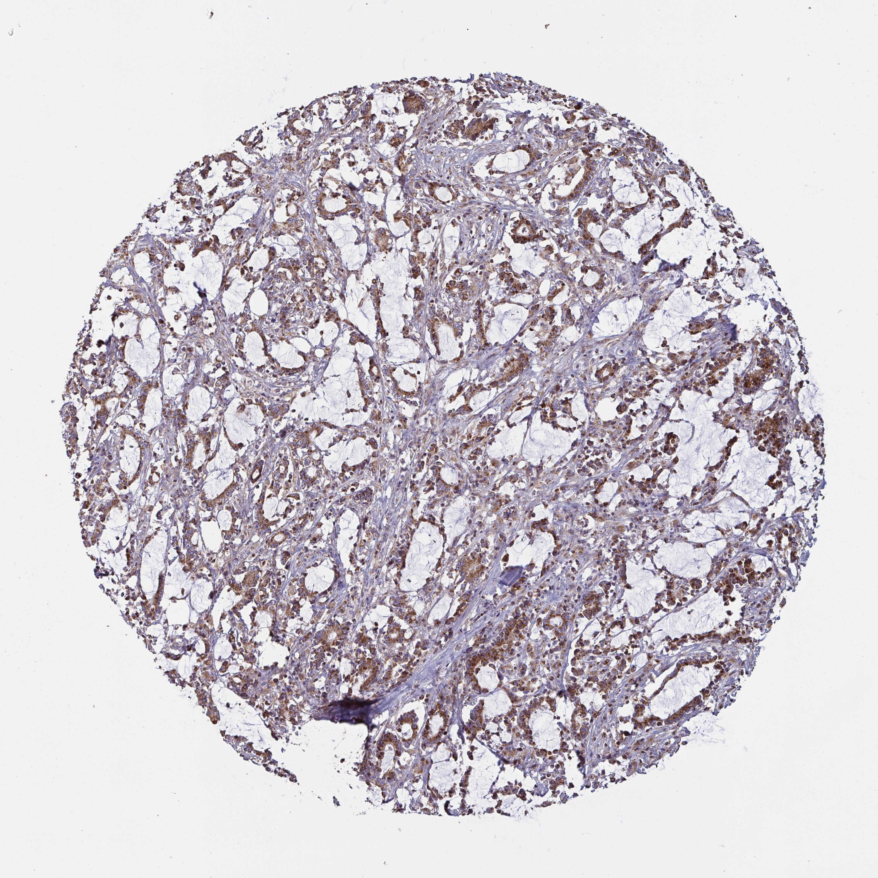
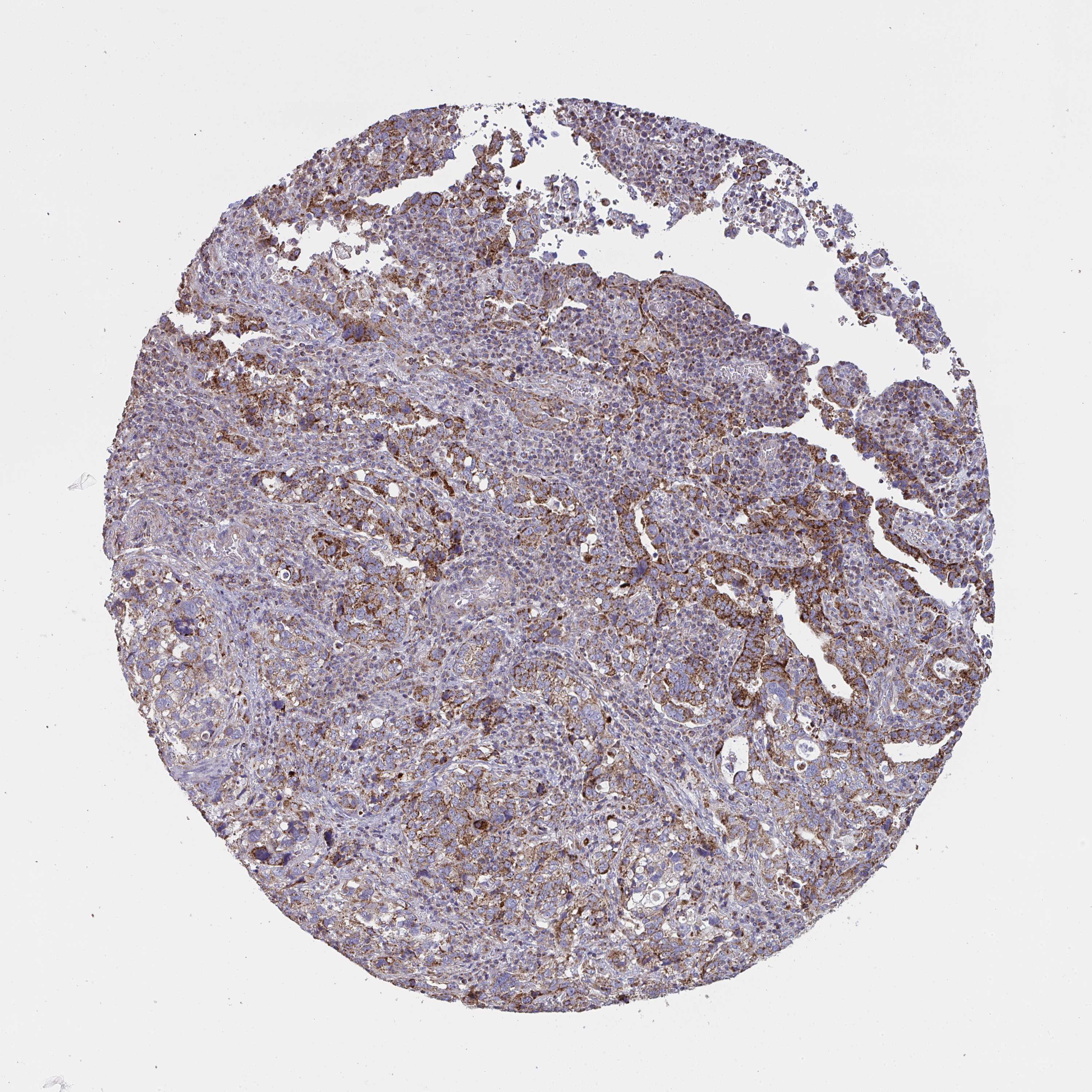
STOMACH CANCER - Protein expressioni

A mouse-over function shows sample information and annotation data. Click on an image to view it in a full screen mode. Samples can be filtered based on level of antibody staining by selecting one or several of the following categories: high, medium, low and not detected. The assay and annotation is described here.

Note that samples used for immunohistochemistry by the Human Protein Atlas do not correspond to samples in the TCGA dataset.

 

Antibody stainingi

Antibody staining in the annotated cell types in the current human tissue is reported as not detected, low, medium, or high, based on conventional immunohistochemistry profiling in selected tissues. This score is based on the combination of the staining intensity and fraction of stained cells.

Each image is clickable and will lead to virtual microscopy that enables deeper exploration of all samples and also displays staining intensity scores, fraction scores and subcellular localization as well as patient and tissue information for each sample.


Antibody HPA059930
 Staining
  High
  Medium
  Low
  Not detected
 Intensity
  Strong
  Moderate
  Weak
  Negative
 Quantity
  >75%
  75%-25%
  <25%
  None
 Location
  Nuclear
  Cytoplasmic/membranous
  Cytoplasmic/membranous,nuclear
  None
Adenocarcinoma, NOS

Contact

  • NEWS ARTICLES
  • PRESS ROOM

The Project

  • INTRODUCTION
  • ORGANIZATION
  • PUBLICATIONS

The Human Protein Atlas

  • DOWNLOADABLE DATA
  • LICENCE & CITATION
  • HELP & FAQ
The Human Protein Atlas project is funded
by the Knut & Alice Wallenberg Foundation.


contact@proteinatlas.org