We use cookies to enhance the usability of our website. If you continue, we'll assume that you are happy to receive all cookies. More information. Don't show this again.
PPP1R14B
HPA
RESOURCES
  • TISSUE
  • BRAIN
  • SINGLE CELL
  • SUBCELLULAR
  • CANCER
  • BLOOD
  • CELL LINE
  • STRUCTURE & INTERACTION
ABOUT
  • INTRODUCTION
  • HISTORY
  • ORGANIZATION
  • PUBLICATIONS
  • ANTIBODY SUBMISSION
  • ANTIBODY AVAILABILITY
  • ACKNOWLEDGMENTS
  • CONTACT
NEWS
  • NEWS ARTICLES
  • PRESS ROOM
LEARN
  • DICTIONARY
  • PROTEIN CLASSES
  • PROTEIN EVIDENCE
  • METHODS
  • EDUCATIONAL VIDEOS
DATA
  • DOWNLOADABLE DATA
  • PUBLICATION DATA
  • RELEASE HISTORY
HELP
  • ANTIBODY VALIDATION
  • ASSAYS & ANNOTATION
  • DISCLAIMER
  • HELP & FAQ
  • PRIVACY STATEMENT
  • LICENCE & CITATION
Fields »
Search result

Field
Term
Gene name
Class
Subclass
Class
Keyword
Chromosome
External id
Tissue
Cell type
Expression
Antibody panel
Tissue
Main location
Patient ID
Annotation
Tissue
Category
Tau score
Cluster
Reliability
Brain region
Category
Tau score
Brain region
Category
Tau score
Brain region
Category
Tau score
Cluster
Reliability
Tissue
Cell type
Enrichment
Cell type
Category
Tau score
Cell type
Category
Tau score
Cell type
Category
Tau score
Cell lineage
Category
Tau score
Cluster
Cluster
Location
Searches
Location
Cell line
Class
Type
Phase
Reliability
Cancer
Prognosis
Cancer
Category
Cancer
Category
Tau score
Cluster
Variants
Interacting gene (ensg_id)
Type
Number of interactions
Pathway
Category
Score
Score
Score
Validation
Validation
Validation
Validation
Antibodies
Data type
Column


  • SUMMARY

  • TISSUE

  • BRAIN

  • SINGLE CELL

  • SUBCELL

  • CANCER

  • BLOOD

  • CELL LINE

  • STRUCT & INT

  • PPP1R14B
TISSUE PRIMARY DATA SKIN Show tissue menu
ADIPOSE TISSUE ADRENAL GLAND AMYGDALA APPENDIX BASAL GANGLIA BONE MARROW BREAST BRONCHUS CEREBELLUM CEREBRAL CORTEX CERVIX CHOROID PLEXUS COLON DUODENUM
ENDOMETRIUM EPIDIDYMIS ESOPHAGUS FALLOPIAN TUBE GALLBLADDER HEART MUSCLE HIPPOCAMPAL FORMATION HYPOTHALAMUS KIDNEY LIVER LUNG LYMPH NODE MIDBRAIN NASOPHARYNX
ORAL MUCOSA OVARY PANCREAS PARATHYROID GLAND PITUITARY GLAND PLACENTA PROSTATE RECTUM RETINA SALIVARY GLAND SEMINAL VESICLE SKELETAL MUSCLE SKIN SMALL INTESTINE
SMOOTH MUSCLE SOFT TISSUE SPINAL CORD SPLEEN STOMACH TESTIS THYMUS THYROID GLAND TONGUE TONSIL URINARY BLADDER VAGINA
ANTIBODIES
AND
VALIDATION
Dictionary
Skin
Tissue proteome
Skin
SKIN - Expression summary
Protein expression
Skini

On the top, protein expression in current human tissue, based on all annotated cell types, is reported with the units not detected (n), low (l), medium (m) and high (h). Underneath, protein expression in each annotated cell type are reported using the same units.

Protein expression data is based on knowledge-based annotation. For genes where more than one antibody has been used, a collective score is set.

If knowledge-based annotation could not be performed for a gene, no data is displayed here. View antibody staining data further down this page.

h
m
l
n
Epidermal cells: High
Fibroblasts: High
Keratinocytes: Medium
Langerhans: Medium
Melanocytes: Medium
RNA expressioni

A summary of mRNA expression data available for current tissue based on several datasets. The mRNA expression levels in human tissues are based on RNA-seq data generated by the Human Protein Atlas (HPA), Genotype-Tissue Expression (GTEx) portal and CAGE data generated by the FANTOM5 consortium. Consensus normalized expression levels for human tissues was created by combining the data from HPA and GTEx datasets.

The mRNA expression levels in pig are based on RNA-seq data generated by the Human Protein Atlas (HPA), and for mouse, HPA data and in situ hybridization generated by the Allen brain atlas are reported.

Scroll down to view mRNA expression data in more detail.
Consensus:167.0 nTPM
HPA:71.3 nTPM
GTEx:167.0 nTPM

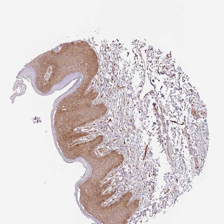
SKIN 1 - Antibody stainingi

Antibody staining in the annotated cell types in the current human tissue is reported as not detected, low, medium, or high, based on conventional immunohistochemistry profiling in selected tissues. This score is based on the combination of the staining intensity and fraction of stained cells.

Each image is clickable and will lead to virtual microscopy that enables deeper exploration of all samples and also displays staining intensity scores, fraction scores and subcellular localization as well as patient and tissue information for each sample.

Antibody HPA053882
Langerhans Medium
Fibroblasts High
Keratinocytes Medium
Melanocytes Medium


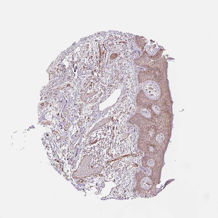
SKIN 2 - Antibody stainingi

Antibody staining in the annotated cell types in the current human tissue is reported as not detected, low, medium, or high, based on conventional immunohistochemistry profiling in selected tissues. This score is based on the combination of the staining intensity and fraction of stained cells.

Each image is clickable and will lead to virtual microscopy that enables deeper exploration of all samples and also displays staining intensity scores, fraction scores and subcellular localization as well as patient and tissue information for each sample.

Antibody HPA053882
Epidermal cells High
 
 
 

SKIN - HPA RNA-seqi

The RNA-seq details section shows detailed information about the individual samples used for the transcript profiling and results of the RNA-seq analysis.

Information about each individual sample is listed below, including gender, age, a tissue section image and estimated fractions of cell types. nTPM (normalized transcripts per million) values give a quantification of the gene abundance which is comparable between different genes and samples.
Average nTPMi

Max subtype nTPM is the value for the subtype with the largest average nTPM across the subtype samples.

71.3
overview
Female, age 34
Skin sample 225
nTPM: 74.8
Cell types%
Keratinocytes:
60

Other cell types:
40

overview
Female, age 30
Skin sample 226
nTPM: 37.6
Cell types%
Keratinocytes:
55

Other cell types:
45

N/A
Male, age 57
Skin sample 227
nTPM: 101.4

SKIN - GTEx RNA-seqi

RNA-Seq data generated by the Genotype-Tissue Expression (GTEx) project from human tissues is reported as mean nTPM. More information can be found on the GTEx portal.

Distribution across the dataset is visualized with box plots, shown as median and 25th and 75th percentiles. Points are displayed as outliers if they are above or below 1.5 times the interquartile range. nTPM values of the individual samples are presented next to the box plot.
Max subtype nTPMi

Max subtype nTPM is the value for the subtype with the largest average nTPM across the subtype samples.

167.0
GTEx sample id Sample description nTPM
Skin - Not Sun Exposed (Suprapubic)
Average nTPM: 167.0
Samples: 604

Max nTPM: 369.4
Min nTPM: 59.7
Std nTPM: 51.7
Median nTPM: 160.6
GTEX-1PPH8-0126-SM-EWRN8 20-29 years, male 369.4
GTEX-X585-2426-SM-46MW2 50-59 years, male 362.6
GTEX-1E2YA-2126-SM-7MXUO 50-59 years, male 354.7
GTEX-1OJC3-1226-SM-DTXER 20-29 years, male 347.7
GTEX-1IKOE-1426-SM-CE6T7 30-39 years, female 338.4
GTEX-11PRG-0726-SM-5EGL1 50-59 years, male 338.1
GTEX-1R9PN-0426-SM-DTXDT 40-49 years, female 335.7
GTEX-15RIG-0726-SM-7KUM7 40-49 years, male 328.9
GTEX-WH7G-2026-SM-3NMBL 40-49 years, male 308.9
GTEX-ZPCL-1126-SM-4WWFE 60-69 years, female 306.3
GTEX-Y114-2126-SM-4TT8B 50-59 years, female 304.8
GTEX-111VG-1626-SM-5EGIO 60-69 years, male 303.4
GTEX-WI4N-2726-SM-3LK7Y 40-49 years, female 301.2
GTEX-11OF3-0126-SM-5PNYF 60-69 years, male 299.3
GTEX-15G19-2426-SM-7KUMR 60-69 years, male 295.7
GTEX-ZY6K-1426-SM-5GZX2 50-59 years, male 290.4
GTEX-1399Q-2326-SM-5KM2X 40-49 years, male 287.9
GTEX-11DYG-1526-SM-5A5JS 60-69 years, male 284.4
GTEX-13IVO-0726-SM-5LZYV 70-79 years, male 282.7
GTEX-XYKS-1426-SM-4BRUO 60-69 years, female 282.6
GTEX-15RIE-1926-SM-7KUKJ 60-69 years, male 280.9
GTEX-16YQH-2226-SM-7IGM2 30-39 years, male 280.4
GTEX-14E1K-2026-SM-7DUEI 50-59 years, male 279.9
GTEX-YECK-0326-SM-4W1YS 60-69 years, male 278.0
GTEX-1399S-0126-SM-5IJCF 30-39 years, female 276.7
GTEX-1RAZQ-1326-SM-E9TK6 30-39 years, male 273.7
GTEX-1LKK1-2626-SM-DKPQE 50-59 years, female 266.2
GTEX-Y111-0626-SM-4SOIT 50-59 years, male 265.8
GTEX-YFCO-1226-SM-5LUAT 40-49 years, male 264.9
GTEX-17F97-2626-SM-7IGM5 50-59 years, male 262.9
GTEX-13NYB-0126-SM-5J1MD 40-49 years, male 260.3
GTEX-ZTX8-1326-SM-4YCEL 20-29 years, male 258.2
GTEX-148VJ-0626-SM-5LUAW 70-79 years, male 256.9
GTEX-1ICLZ-0326-SM-ARL82 60-69 years, male 254.5
GTEX-14XAO-1226-SM-6EU1C 60-69 years, female 253.1
GTEX-14C39-1726-SM-5RQIL 40-49 years, male 252.3
GTEX-15RJE-2826-SM-7KUM9 40-49 years, male 252.2
GTEX-14PJ3-1126-SM-5ZZVX 50-59 years, male 251.3
GTEX-13FTY-2126-SM-5IFFB 40-49 years, female 251.2
GTEX-13JVG-0726-SM-5KM16 60-69 years, male 249.8
GTEX-XBEW-1126-SM-4QARW 40-49 years, male 249.6
GTEX-1NSGN-0726-SM-DTXEF 50-59 years, male 247.7
GTEX-1C6WA-2626-SM-7MKGM 60-69 years, male 246.7
GTEX-11WQC-1826-SM-5GU59 60-69 years, male 245.9
GTEX-1JMLX-0626-SM-ARL8T 50-59 years, male 245.8
GTEX-1HSMP-0926-SM-A9SKX 70-79 years, male 245.3
GTEX-ZE7O-2726-SM-51MT5 50-59 years, female 244.9
GTEX-ZF3C-0626-SM-DO92O 50-59 years, female 244.7
GTEX-ZYVF-0926-SM-5E44J 50-59 years, female 244.6
GTEX-131XH-0126-SM-5LZUY 50-59 years, male 243.8
GTEX-XV7Q-1826-SM-4BRUV 40-49 years, female 240.4
GTEX-12126-0826-SM-5FQTZ 20-29 years, male 240.3
GTEX-11DZ1-2426-SM-5GZZX 50-59 years, male 239.1
GTEX-18QFQ-1826-SM-72D52 30-39 years, male 238.8
GTEX-1GN1V-2826-SM-9JGIA 60-69 years, male 238.8
GTEX-1H2FU-0926-SM-9WPPT 60-69 years, female 238.4
GTEX-1J8EW-2726-SM-CY8HR 60-69 years, female 238.0
GTEX-17F9E-2326-SM-79OKD 50-59 years, male 237.3
GTEX-11DXX-2126-SM-5PNYR 60-69 years, female 237.0
GTEX-147F4-0726-SM-5TDDD 50-59 years, male 236.5
GTEX-1MCYP-0526-SM-E9U6Q 20-29 years, female 235.1
GTEX-ZYT6-2326-SM-5GZY3 30-39 years, male 234.4
GTEX-14ICL-1626-SM-5YYAO 30-39 years, male 234.3
GTEX-XQ3S-1426-SM-4BOPR 20-29 years, male 233.6
GTEX-1LBAC-0826-SM-CY8IJ 20-29 years, male 233.6
GTEX-1LVA9-2626-SM-EVYD4 50-59 years, male 233.4
GTEX-17HHE-1326-SM-7EWDZ 50-59 years, male 233.2
GTEX-1IKJJ-2226-SM-CJI4C 60-69 years, male 232.8
GTEX-1S82U-1026-SM-E6CJK 30-39 years, female 232.2
GTEX-1H3O1-1326-SM-9MQLD 60-69 years, male 231.8
GTEX-1POEN-2326-SM-E9J2L 30-39 years, female 230.5
GTEX-17HII-1426-SM-7EPGG 50-59 years, male 227.6
GTEX-13PL6-1126-SM-5L3IE 40-49 years, female 227.4
GTEX-1QP9N-1226-SM-E76QN 30-39 years, male 227.2
GTEX-1PIGE-1826-SM-E8VOU 20-29 years, male 225.6
GTEX-1313W-0626-SM-5EQ4H 50-59 years, female 225.2
GTEX-14PHY-1226-SM-5ZZWK 60-69 years, female 225.2
GTEX-Y3IK-1626-SM-4YCF5 50-59 years, female 225.2
GTEX-1B97I-0626-SM-73KUZ 40-49 years, male 224.0
GTEX-13PDP-0726-SM-5L3HP 60-69 years, male 222.4
GTEX-13SLX-2226-SM-62LEP 50-59 years, female 222.2
GTEX-1JJEA-1826-SM-ARU8P 60-69 years, male 222.2
GTEX-1N2DV-1526-SM-DTXEP 40-49 years, male 221.8
GTEX-13112-0126-SM-5P9IU 50-59 years, male 221.0
GTEX-12WSJ-1126-SM-5LZVJ 40-49 years, female 220.9
GTEX-13YAN-0226-SM-5TDC6 60-69 years, male 220.6
GTEX-144FL-0626-SM-5LU43 50-59 years, male 219.4
GTEX-ZT9X-1526-SM-5DUXD 40-49 years, male 219.1
GTEX-11DXZ-2026-SM-5987S 50-59 years, male 217.7
GTEX-11ZU8-0126-SM-5EQ58 60-69 years, male 217.1
GTEX-1EMGI-2326-SM-7PBYA 60-69 years, male 217.1
GTEX-1GMRU-2126-SM-7P8RA 50-59 years, male 216.6
GTEX-14PII-0726-SM-6EU2B 60-69 years, male 215.9
GTEX-1H11D-1826-SM-9QEHM 40-49 years, male 215.1
GTEX-145MG-1526-SM-5Q5EM 50-59 years, male 214.7
GTEX-1H3VE-0726-SM-9YFL5 40-49 years, male 214.7
GTEX-11DXY-0126-SM-5H11Q 60-69 years, male 214.6
GTEX-1RMOY-1326-SM-E9TIH 50-59 years, male 214.3
GTEX-15DDE-2926-SM-6LLJ3 50-59 years, female 213.7
GTEX-1PBJJ-1026-SM-E76OS 30-39 years, male 213.2
GTEX-ZDTS-0826-SM-4WKHL 60-69 years, male 212.6
GTEX-15DYW-2726-SM-6EU2I 60-69 years, female 212.5
GTEX-1192X-2726-SM-5N9DN 50-59 years, male 212.2
GTEX-144GL-0626-SM-5LU4D 50-59 years, male 211.2
GTEX-1BAJH-2426-SM-7IGP8 70-79 years, male 210.9
GTEX-18465-2826-SM-7LT9J 50-59 years, male 210.8
GTEX-144GM-0526-SM-79OJO 20-29 years, male 209.7
GTEX-ZVE1-0726-SM-51MRN 50-59 years, female 208.0
GTEX-1F6I4-2326-SM-7RHGL 60-69 years, male 207.8
GTEX-13OVK-1426-SM-6PAN7 40-49 years, male 207.7
GTEX-1GPI7-1826-SM-9KNU1 20-29 years, male 207.5
GTEX-1JMQJ-0826-SM-CNPP7 50-59 years, male 207.4
GTEX-144GO-2026-SM-5O99P 60-69 years, male 207.3
GTEX-1F6RS-2026-SM-7RHHC 60-69 years, female 207.3
GTEX-132AR-0326-SM-5KM2C 50-59 years, female 206.9
GTEX-1B8KE-1126-SM-7EPHI 50-59 years, male 206.5
GTEX-13G51-1826-SM-5KLZH 60-69 years, male 206.2
GTEX-1R9PM-1926-SM-EVR3O 20-29 years, male 206.2
GTEX-1JMPY-0226-SM-CKZOK 30-39 years, male 206.0
GTEX-1IDFM-0326-SM-ARL7V 60-69 years, male 205.9
GTEX-139TU-0726-SM-5L3EK 60-69 years, male 205.8
GTEX-WHSB-1326-SM-3LK6W 50-59 years, male 205.0
GTEX-1MCC2-1826-SM-DIPEX 30-39 years, female 205.0
GTEX-WHSE-0126-SM-3NMBT 20-29 years, male 204.6
GTEX-1HFI6-0126-SM-CNPPI 40-49 years, male 204.2
GTEX-16MT9-0126-SM-7EPI8 60-69 years, female 204.1
GTEX-1PIIG-2326-SM-DTXFR 30-39 years, male 204.0
GTEX-14LZ3-0126-SM-69LPM 60-69 years, female 203.7
GTEX-Y3I4-1726-SM-4TT89 50-59 years, male 203.4
GTEX-1J1OQ-0126-SM-D4P2N 40-49 years, female 203.1
GTEX-17MFQ-1526-SM-7KFRR 20-29 years, male 203.0
GTEX-13SLW-0626-SM-5Q5ER 70-79 years, male 202.8
GTEX-18A6Q-0626-SM-7KFRP 60-69 years, male 202.6
GTEX-1I1GT-1026-SM-ARZLV 60-69 years, female 201.5
GTEX-1F88F-0126-SM-9WYSZ 60-69 years, female 201.3
GTEX-WFG7-2026-SM-5SI7P 20-29 years, male 201.2
GTEX-1EKGG-0626-SM-7DUGJ 60-69 years, male 201.1
GTEX-13NYC-0126-SM-5L3F4 60-69 years, male 201.0
GTEX-13O61-1426-SM-5KM3D 60-69 years, male 201.0
GTEX-1HBPN-0126-SM-CGQEF 50-59 years, male 201.0
GTEX-1S3DN-2126-SM-E9TIN 50-59 years, male 200.3
GTEX-1OJC4-2726-SM-E76PJ 50-59 years, female 200.2
GTEX-15SHW-0226-SM-7LTAT 60-69 years, male 199.1
GTEX-11ZUS-2626-SM-5FQUR 30-39 years, male 197.7
GTEX-ZWKS-0626-SM-5GIDV 30-39 years, male 197.6
GTEX-ZXG5-2126-SM-59HKD 60-69 years, male 197.6
GTEX-18A67-1626-SM-7LT9T 50-59 years, male 197.5
GTEX-1HCUA-0826-SM-ADEHM 50-59 years, female 197.1
GTEX-1NV5F-0626-SM-DTXEG 60-69 years, female 197.0
GTEX-139TS-2126-SM-5K7XC 60-69 years, male 196.9
GTEX-WXYG-2026-SM-4E3IY 50-59 years, female 196.9
GTEX-ZYW4-0626-SM-59HJR 60-69 years, male 196.8
GTEX-1LVAN-0626-SM-CNPOQ 50-59 years, female 195.6
GTEX-ZYY3-2926-SM-5GIEB 60-69 years, female 195.1
GTEX-1I1GV-0626-SM-ARL7M 60-69 years, male 194.5
GTEX-131XG-0326-SM-5L3DX 50-59 years, female 193.5
GTEX-13NZ8-1226-SM-5KM4A 60-69 years, female 192.8
GTEX-XK95-0226-SM-4AT58 40-49 years, male 192.8
GTEX-ZF2S-1626-SM-57WES 50-59 years, female 192.8
GTEX-1HT8W-0626-SM-A9G2H 30-39 years, male 192.7
GTEX-1GZ4H-0526-SM-9KNU9 50-59 years, female 192.2
GTEX-1CB4E-0926-SM-7EPHT 60-69 years, male 192.0
GTEX-ZPU1-1126-SM-4YCF3 40-49 years, male 191.7
GTEX-1CAMS-2226-SM-7PBXQ 40-49 years, female 191.5
GTEX-1HGF4-0126-SM-CNPPX 60-69 years, male 190.9
GTEX-1CAMR-1326-SM-7PC1F 20-29 years, male 190.7
GTEX-12ZZX-2426-SM-5GCOE 40-49 years, female 189.4
GTEX-1HCU6-2526-SM-ADEHL 60-69 years, female 189.4
GTEX-1KANB-2826-SM-CY8I6 50-59 years, male 189.4
GTEX-1HB9E-0126-SM-CM2S5 50-59 years, male 189.2
GTEX-1AYD5-2626-SM-7PBXY 50-59 years, male 189.0
GTEX-1C64N-2626-SM-7PC2N 50-59 years, male 188.8
GTEX-1IDJI-0126-SM-CMKHS 50-59 years, female 188.8
GTEX-11P81-2226-SM-5PNYI 30-39 years, female 188.1
GTEX-13NYS-0626-SM-5L3F1 60-69 years, male 187.8
GTEX-W5X1-2526-SM-3GILC 40-49 years, female 187.8
GTEX-14BIN-1126-SM-5RQJZ 50-59 years, female 187.7
GTEX-1QCLY-0226-SM-EWRNH 30-39 years, male 187.4
GTEX-15SKB-2826-SM-6PAMH 60-69 years, male 187.3
GTEX-ZVP2-0326-SM-57WBP 50-59 years, male 186.9
GTEX-18D9A-1426-SM-7LT8M 30-39 years, female 186.6
GTEX-ZC5H-1526-SM-5HL9Y 40-49 years, female 186.2
GTEX-ZVZP-1226-SM-5GID7 50-59 years, male 186.1
GTEX-1IL2V-1926-SM-B2LW8 70-79 years, male 185.9
GTEX-133LE-2326-SM-5K7W3 20-29 years, female 185.6
GTEX-13W3W-0726-SM-5IJDQ 60-69 years, female 185.4
GTEX-Z93S-1626-SM-5CVMB 50-59 years, male 185.4
GTEX-1LSNM-0826-SM-DIPG8 50-59 years, male 185.4
GTEX-15RJ7-2126-SM-6PAMD 40-49 years, male 185.3
GTEX-U8XE-0226-SM-4E3J3 30-39 years, male 185.0
GTEX-16MTA-0926-SM-6M47Z 50-59 years, male 184.9
GTEX-1JMQI-1726-SM-ARL93 50-59 years, male 184.7
GTEX-1CB4J-1326-SM-7P8RX 60-69 years, male 184.5
GTEX-1HCU7-0726-SM-A9SL1 50-59 years, male 184.2
GTEX-1QP2A-1726-SM-E76QC 50-59 years, male 184.2
GTEX-XQ8I-0926-SM-4BOOF 50-59 years, male 184.1
GTEX-15UF6-1926-SM-7KUDV 70-79 years, female 183.5
GTEX-1399R-1326-SM-5PNYS 30-39 years, male 183.4
GTEX-13OVJ-0826-SM-5J1OK 50-59 years, female 183.4
GTEX-ZYFC-0426-SM-5GICQ 50-59 years, male 183.3
GTEX-ZLV1-1526-SM-DO91J 60-69 years, female 183.2
GTEX-XOT4-0626-SM-4B66L 60-69 years, female 183.0
GTEX-XXEK-1626-SM-4BRUZ 50-59 years, male 181.8
GTEX-15CHR-1126-SM-7EWF4 50-59 years, male 181.7
GTEX-1KAFJ-0126-SM-DIPEK 50-59 years, male 181.7
GTEX-1CAMQ-1326-SM-7P8RV 40-49 years, male 181.2
GTEX-1JN76-0626-SM-CKZOQ 20-29 years, female 180.9
GTEX-ZLFU-1826-SM-4WWBV 40-49 years, male 180.8
GTEX-13O3Q-0126-SM-5KM34 50-59 years, male 180.0
GTEX-1N2EE-0626-SM-E76PW 60-69 years, male 179.8
GTEX-17F96-0126-SM-7EWDU 70-79 years, male 179.3
GTEX-12WSK-2126-SM-5CVNC 40-49 years, female 178.9
GTEX-15G1A-1626-SM-7KUKN 30-39 years, male 178.6
GTEX-1I1GP-1326-SM-A9G28 50-59 years, male 178.6
GTEX-1JK1U-0226-SM-ARZMX 60-69 years, male 178.6
GTEX-ZE9C-2526-SM-5IJDR 60-69 years, male 178.5
GTEX-ZTTD-2826-SM-4YCFA 50-59 years, male 178.2
GTEX-1MJK3-0726-SM-E6CJC 20-29 years, male 178.0
GTEX-11NUK-2726-SM-5A5MC 50-59 years, male 177.8
GTEX-1GN73-0726-SM-7P8TJ 60-69 years, male 177.4
GTEX-ZU9S-1826-SM-5NQ9E 30-39 years, male 177.0
GTEX-145MH-2826-SM-5RQJF 50-59 years, male 176.8
GTEX-13O3O-2326-SM-5IJD6 60-69 years, female 176.7
GTEX-1A8G6-2726-SM-731AR 60-69 years, male 176.7
GTEX-1H1DE-1326-SM-9KNUG 20-29 years, male 176.4
GTEX-16XZZ-0726-SM-7KUF2 60-69 years, male 176.3
GTEX-1H1DG-2426-SM-9QEHJ 70-79 years, male 176.3
GTEX-139YR-1026-SM-5LZYN 50-59 years, male 176.1
GTEX-14JG1-1526-SM-5YY9X 40-49 years, male 175.3
GTEX-Y9LG-1126-SM-4VBQ7 30-39 years, male 175.0
GTEX-14PHX-2226-SM-6EU2P 50-59 years, male 174.2
GTEX-1PPGY-1626-SM-EVYBL 60-69 years, male 174.0
GTEX-1PPH7-1126-SM-DTX9A 40-49 years, male 172.9
GTEX-147GR-2426-SM-5ZZWQ 60-69 years, male 172.8
GTEX-11O72-0626-SM-5PNYE 40-49 years, male 172.3
GTEX-12584-0726-SM-5FQTK 40-49 years, male 172.1
GTEX-18D9U-0126-SM-731BM 40-49 years, male 171.8
GTEX-12WSH-1526-SM-5BC5W 50-59 years, male 171.5
GTEX-17HGU-2326-SM-7DUFE 50-59 years, male 171.4
GTEX-1GF9V-0826-SM-9KNUV 60-69 years, male 171.3
GTEX-XAJ8-1426-SM-47JYM 40-49 years, male 171.1
GTEX-1I1HK-2326-SM-CKZOH 60-69 years, male 170.8
GTEX-1HSMQ-2626-SM-A9SML 50-59 years, male 170.5
GTEX-17EVP-2626-SM-7IGMA 40-49 years, male 170.3
GTEX-XUW1-0926-SM-4BONX 50-59 years, female 170.3
GTEX-12WSF-1626-SM-7KUG5 70-79 years, male 169.7
GTEX-1JMQL-2226-SM-CNPP4 50-59 years, female 169.7
GTEX-12ZZZ-0726-SM-5GCNZ 60-69 years, male 169.6
GTEX-1LGRB-0926-SM-COH3K 50-59 years, female 169.4
GTEX-1J8Q2-2626-SM-ACKWQ 60-69 years, male 169.2
GTEX-WHWD-1826-SM-3LK6I 50-59 years, male 169.0
GTEX-ZDXO-3126-SM-5IJDF 60-69 years, male 169.0
GTEX-1A3MV-1826-SM-731CD 30-39 years, male 168.8
GTEX-1C2JI-1026-SM-73KY1 50-59 years, male 168.7
GTEX-ZVT4-2426-SM-5GIEI 50-59 years, female 168.6
GTEX-14A5H-0826-SM-5QGPJ 60-69 years, male 168.5
GTEX-15CHQ-0326-SM-69LQD 60-69 years, male 168.5
GTEX-ZP4G-1426-SM-4WWCL 20-29 years, female 168.5
GTEX-1JMQK-1226-SM-D4P2S 60-69 years, male 168.5
GTEX-11TT1-1826-SM-5EQLV 20-29 years, male 168.1
GTEX-13FTX-1526-SM-5K7VJ 20-29 years, female 167.8
GTEX-11WQK-1026-SM-5EQLX 50-59 years, male 167.6
GTEX-1I1GU-0926-SM-ACKVS 40-49 years, male 167.6
GTEX-1H23P-0626-SM-9WG6T 60-69 years, male 167.4
GTEX-15ER7-0626-SM-6PANF 20-29 years, female 167.3
GTEX-1JN1M-2726-SM-CY8I4 60-69 years, female 167.3
GTEX-12WSD-0626-SM-5GCMW 60-69 years, female 167.1
GTEX-VUSG-2326-SM-4KL1U 50-59 years, male 166.8
GTEX-13OW7-0426-SM-5K7VK 50-59 years, male 166.6
GTEX-1A3MW-0626-SM-731CB 60-69 years, female 166.6
GTEX-Y5V6-2326-SM-4VDSA 60-69 years, male 166.3
GTEX-111CU-1126-SM-5EGIM 50-59 years, male 165.7
GTEX-1269C-0126-SM-5EQ5L 60-69 years, female 165.5
GTEX-146FQ-2126-SM-5RQHU 30-39 years, male 165.0
GTEX-ZZPU-0826-SM-5GZX5 50-59 years, female 164.6
GTEX-1QW4Y-1126-SM-DTXE3 30-39 years, male 164.5
GTEX-1CB4F-1026-SM-7DUH1 60-69 years, male 164.2
GTEX-WFON-1926-SM-3LK7L 40-49 years, male 164.2
GTEX-1C64O-1326-SM-7MGWR 60-69 years, male 164.1
GTEX-14ABY-2026-SM-62LDL 50-59 years, male 164.0
GTEX-1GF9X-1326-SM-7PC2Y 40-49 years, female 163.8
GTEX-13OVH-0526-SM-5L3E6 70-79 years, male 163.7
GTEX-11EQ8-0926-SM-5H12V 60-69 years, male 163.3
GTEX-1GZ2Q-0126-SM-9WG6M 40-49 years, male 163.3
GTEX-139D8-1126-SM-5LU8W 30-39 years, female 163.1
GTEX-ZF29-0926-SM-4WKFZ 60-69 years, female 162.5
GTEX-ZDYS-2426-SM-4WKGI 50-59 years, male 162.3
GTEX-1GZ4I-2626-SM-9KNU3 50-59 years, male 162.3
GTEX-145LU-1926-SM-79OJN 50-59 years, male 162.2
GTEX-11TUW-0626-SM-5LU9M 60-69 years, male 162.1
GTEX-1F75A-0726-SM-7RHHD 50-59 years, male 162.1
GTEX-139TT-2126-SM-5LZWC 60-69 years, male 161.7
GTEX-1LG7Y-2526-SM-EWRO7 50-59 years, male 161.6
GTEX-17HHY-0426-SM-7DHLC 50-59 years, male 161.5
GTEX-13OW5-2326-SM-5L3HO 60-69 years, male 161.4
GTEX-1LSVX-2526-SM-DIPEU 60-69 years, male 161.3
GTEX-1O9I2-0226-SM-EYYXD 50-59 years, male 161.3
GTEX-13FHO-0426-SM-5L3F5 60-69 years, male 161.2
GTEX-1HR98-2226-SM-ADEI2 60-69 years, male 161.1
GTEX-ZDTT-0426-SM-4WKFL 60-69 years, male 160.8
GTEX-1117F-2926-SM-5GZYI 60-69 years, female 160.7
GTEX-1LB8K-0726-SM-D5OV2 50-59 years, male 160.6
GTEX-1QAET-0326-SM-EVR3U 50-59 years, male 160.6
GTEX-13QJC-0126-SM-5ZZWJ 60-69 years, female 160.4
GTEX-17F9Y-0126-SM-79OKX 70-79 years, female 160.4
GTEX-16AAH-0626-SM-793C9 50-59 years, male 159.8
GTEX-1K2DA-1026-SM-CGQGF 50-59 years, male 159.8
GTEX-13X6J-0626-SM-5LU5F 50-59 years, male 159.5
GTEX-1CB4I-0126-SM-7RHGG 50-59 years, male 159.4
GTEX-1EN7A-2426-SM-793DB 40-49 years, male 159.0
GTEX-14DAR-1226-SM-73KYV 50-59 years, male 158.9
GTEX-12ZZY-0726-SM-5EQ66 60-69 years, male 158.8
GTEX-1RB15-1326-SM-E76Q9 60-69 years, male 158.7
GTEX-183WM-0326-SM-72D5V 70-79 years, female 158.6
GTEX-14JFF-0626-SM-5ZZVT 60-69 years, male 158.5
GTEX-17F98-1326-SM-7DUEP 40-49 years, female 158.1
GTEX-1IOXB-2726-SM-CM2RI 50-59 years, male 158.1
GTEX-1HR9M-2226-SM-CNPPY 60-69 years, male 157.9
GTEX-1E1VI-0326-SM-793D1 50-59 years, male 157.7
GTEX-X8HC-0626-SM-4E3HQ 50-59 years, female 157.6
GTEX-1QPFJ-1926-SM-EVYBD 30-39 years, female 157.6
GTEX-1S82P-2126-SM-E6CI5 60-69 years, female 157.5
GTEX-11VI4-1126-SM-5EQMD 40-49 years, female 157.4
GTEX-ZAB4-2126-SM-5HL8U 40-49 years, male 157.4
GTEX-Y5LM-0926-SM-6LLJG 40-49 years, female 156.9
GTEX-13VXU-0626-SM-5L3F9 50-59 years, male 156.8
GTEX-14PK6-0226-SM-62LF5 70-79 years, female 156.7
GTEX-13OW6-2726-SM-5J2OE 50-59 years, male 156.5
GTEX-1H1CY-0126-SM-9YFLY 60-69 years, female 155.9
GTEX-11NSD-0626-SM-5A5LU 20-29 years, male 155.6
GTEX-11UD2-2526-SM-5CVNU 50-59 years, male 155.5
GTEX-139UW-0326-SM-5J1ML 60-69 years, male 155.5
GTEX-1B8SF-0126-SM-7DUG3 60-69 years, male 155.5
GTEX-1LSNL-2726-SM-E9TKJ 50-59 years, male 155.4
GTEX-18A66-0626-SM-7LT8Z 60-69 years, male 154.8
GTEX-WRHU-2826-SM-3MJG8 50-59 years, female 154.2
GTEX-14753-0726-SM-5QGQO 60-69 years, male 154.1
GTEX-XBED-1926-SM-47JYP 60-69 years, male 153.7
GTEX-1QP28-1126-SM-EVYC4 50-59 years, female 153.7
GTEX-17EVQ-0126-SM-7IGLR 70-79 years, male 153.6
GTEX-117YX-1926-SM-5GIEC 50-59 years, male 153.5
GTEX-X4EP-0626-SM-3P621 60-69 years, female 153.4
GTEX-145MF-0926-SM-5Q5EA 50-59 years, male 153.2
GTEX-11P7K-1126-SM-5HL4L 30-39 years, male 153.0
GTEX-145MN-1526-SM-5SI9T 30-39 years, male 152.4
GTEX-14PJO-2526-SM-6AJBQ 60-69 years, male 152.4
GTEX-WHPG-2626-SM-3NMBR 50-59 years, male 152.3
GTEX-1H1ZS-2726-SM-9WG75 70-79 years, male 152.2
GTEX-1R46S-2426-SM-E76QA 60-69 years, female 152.2
GTEX-1EWIQ-0326-SM-7DHMQ 70-79 years, female 152.1
GTEX-1ICG6-1226-SM-A9SLN 70-79 years, female 151.9
GTEX-1C6VR-0126-SM-7RHGB 60-69 years, male 151.7
GTEX-1GPI6-1926-SM-9KNV7 60-69 years, male 151.5
GTEX-1S831-1826-SM-EWROF 20-29 years, male 151.1
GTEX-Y8E4-2026-SM-5IFJB 40-49 years, male 150.7
GTEX-14PJ5-1526-SM-6LLIL 60-69 years, female 150.6
GTEX-1H4P4-2126-SM-9WYSL 50-59 years, male 150.4
GTEX-13VXT-1926-SM-5K7UO 20-29 years, female 150.3
GTEX-11GS4-0226-SM-5HL77 60-69 years, male 150.0
GTEX-1K9T9-1526-SM-DIPFR 50-59 years, female 150.0
GTEX-13RTJ-0126-SM-5S2NN 60-69 years, male 149.7
GTEX-14C5O-0326-SM-5ZZUX 60-69 years, male 149.5
GTEX-1HBPI-2126-SM-ARL9K 50-59 years, male 149.5
GTEX-ZAK1-0626-SM-5HL8E 50-59 years, female 149.0
GTEX-XPVG-2126-SM-4B667 50-59 years, male 148.9
GTEX-X4EO-2926-SM-4E3JH 60-69 years, female 148.8
GTEX-1J8QM-2426-SM-A9SLS 60-69 years, female 148.7
GTEX-145LS-0626-SM-7EPG7 60-69 years, female 148.4
GTEX-17HG3-2626-SM-7DUF2 30-39 years, female 148.3
GTEX-14AS3-1526-SM-5Q5ED 40-49 years, female 148.1
GTEX-18D9B-0926-SM-7LG4U 60-69 years, male 148.0
GTEX-1IE54-1126-SM-A9G2Z 40-49 years, female 147.9
GTEX-1HBPM-0726-SM-9YFL7 60-69 years, female 147.7
GTEX-1K2DU-1226-SM-CYPT4 20-29 years, male 147.6
GTEX-XBEC-0726-SM-4QARZ 50-59 years, male 147.4
GTEX-1J1R8-2026-SM-CL53Y 40-49 years, male 147.4
GTEX-UPJH-0226-SM-3GADV 50-59 years, male 147.3
GTEX-YEC4-1826-SM-4W1YP 40-49 years, male 147.2
GTEX-13N1W-2426-SM-5IJD1 70-79 years, male 147.1
GTEX-X5EB-1926-SM-4E3IW 40-49 years, male 146.7
GTEX-16MT8-2926-SM-7DUFO 60-69 years, female 146.4
GTEX-1EX96-1026-SM-7MKG2 50-59 years, male 146.4
GTEX-14PJ4-0226-SM-5YY92 60-69 years, male 146.0
GTEX-16Z82-2626-SM-7KULU 60-69 years, male 145.4
GTEX-1GZHY-0626-SM-9KNVC 50-59 years, female 145.1
GTEX-16BQI-1326-SM-6M486 30-39 years, female 144.7
GTEX-11ZTT-2126-SM-5CVLO 60-69 years, female 144.5
GTEX-1EH9U-2826-SM-7DUGT 60-69 years, male 143.8
GTEX-1KANA-1326-SM-DIPFA 20-29 years, male 143.8
GTEX-13PVQ-0626-SM-5LU47 50-59 years, male 143.5
GTEX-131XF-2626-SM-5EQ6K 60-69 years, male 143.0
GTEX-14A6H-2026-SM-5Q5DD 30-39 years, male 142.8
GTEX-1I1CD-0626-SM-CE6SW 60-69 years, female 142.7
GTEX-1QMI2-2526-SM-E8VNZ 60-69 years, male 142.4
GTEX-1JMOU-1026-SM-CYPSS 60-69 years, female 142.3
GTEX-11DXW-0826-SM-5H118 40-49 years, male 142.2
GTEX-15FZZ-0526-SM-7KUGD 30-39 years, female 142.2
GTEX-13FTW-0326-SM-5K7UW 40-49 years, male 142.1
GTEX-1B932-2326-SM-79OL5 40-49 years, female 141.9
GTEX-14PKV-1126-SM-6LLJ1 20-29 years, female 141.8
GTEX-14BMV-2826-SM-5TDED 50-59 years, male 141.7
GTEX-1LVAM-0726-SM-E6CIL 50-59 years, female 141.7
GTEX-1F75B-0726-SM-7PC3R 50-59 years, male 141.3
GTEX-1JN6P-2926-SM-CL54D 60-69 years, male 141.2
GTEX-1F52S-2926-SM-7MKGA 60-69 years, female 140.9
GTEX-1RAZS-2526-SM-E6CHT 50-59 years, male 140.8
GTEX-1EU9M-1426-SM-793AI 60-69 years, male 140.1
GTEX-1S83E-1326-SM-E6CJM 40-49 years, male 140.1
GTEX-17KNJ-2126-SM-718AM 50-59 years, male 139.9
GTEX-1B933-2426-SM-7DHMD 50-59 years, female 139.5
GTEX-11LCK-2226-SM-5HL4Q 30-39 years, male 139.3
GTEX-12696-0126-SM-5EQ4L 60-69 years, male 138.9
GTEX-111YS-1526-SM-5GZYW 60-69 years, male 138.7
GTEX-14PJN-1826-SM-6AJ98 30-39 years, male 138.7
GTEX-13N11-2326-SM-5IJBF 50-59 years, female 138.5
GTEX-14C38-0726-SM-5SI6M 50-59 years, male 138.0
GTEX-1J8JJ-0626-SM-ARZMQ 60-69 years, female 138.0
GTEX-11EQ9-1626-SM-5PNY8 30-39 years, male 137.9
GTEX-14E6E-0526-SM-793DN 30-39 years, male 137.8
GTEX-15CHC-1126-SM-6LLHQ 60-69 years, female 137.7
GTEX-13FLV-0126-SM-5K7WT 50-59 years, male 137.5
GTEX-11P82-1426-SM-DTXFY 20-29 years, male 137.5
GTEX-1R7EU-1626-SM-DTXG3 60-69 years, male 137.5
GTEX-145ME-1726-SM-5Q5EU 40-49 years, female 137.1
GTEX-ZYFD-0626-SM-5E44E 50-59 years, male 137.1
GTEX-1B8L1-2226-SM-7P8PT 60-69 years, male 137.1
GTEX-X3Y1-2026-SM-3P5YM 40-49 years, male 136.9
GTEX-14PJ6-2626-SM-6EU2T 60-69 years, female 136.8
GTEX-1I1GS-2626-SM-B2LY3 60-69 years, male 136.7
GTEX-13D11-0926-SM-5J2NC 50-59 years, female 136.6
GTEX-12BJ1-0926-SM-5EQ62 60-69 years, male 136.5
GTEX-15D1Q-2826-SM-6LLH7 40-49 years, male 136.5
GTEX-11GSP-2326-SM-5HL63 60-69 years, female 136.2
GTEX-XMD2-2126-SM-4YCF8 60-69 years, female 136.2
GTEX-1R9K4-2826-SM-DTX8F 60-69 years, male 136.2
GTEX-131XW-0626-SM-5PNVD 50-59 years, female 135.0
GTEX-14PKU-0126-SM-6LLHV 40-49 years, female 134.8
GTEX-1399U-1126-SM-5L3DB 50-59 years, female 134.4
GTEX-15EO6-2426-SM-6PALZ 50-59 years, male 134.2
GTEX-1212Z-0126-SM-59HK4 60-69 years, male 134.1
GTEX-1GTWX-2026-SM-9YFLM 60-69 years, male 134.1
GTEX-1C6VQ-1226-SM-73KYD 50-59 years, male 133.9
GTEX-1AX9I-2226-SM-73KUO 60-69 years, male 133.8
GTEX-1LG7Z-1626-SM-CXKYR 30-39 years, male 133.0
GTEX-1H1E6-0426-SM-9WYUS 30-39 years, male 132.6
GTEX-111FC-2526-SM-5GZXU 60-69 years, male 132.5
GTEX-1GMR2-0826-SM-7PC3V 50-59 years, male 132.4
GTEX-13X6H-0926-SM-5SIB2 50-59 years, female 132.3
GTEX-1QEPI-2626-SM-DTXF4 60-69 years, female 132.1
GTEX-1PDJ9-1226-SM-EXUSX 20-29 years, male 132.0
GTEX-1JKYN-0826-SM-ARU8S 30-39 years, male 131.9
GTEX-1A8FM-0626-SM-7PC25 50-59 years, female 131.5
GTEX-1A8G7-1326-SM-73KVM 60-69 years, male 131.3
GTEX-1F75I-2226-SM-7SB8U 40-49 years, male 131.1
GTEX-1RLM8-2926-SM-E8VON 50-59 years, male 131.1
GTEX-1IY9M-2826-SM-ARU8H 60-69 years, male 131.0
GTEX-YJ8O-2526-SM-5HL85 40-49 years, female 130.8
GTEX-YEC3-1326-SM-DO92X 50-59 years, male 130.2
GTEX-ZTSS-1426-SM-5985P 40-49 years, male 129.4
GTEX-12KS4-2126-SM-5FQUT 30-39 years, male 129.2
GTEX-139T8-0626-SM-5KLZX 60-69 years, male 129.0
GTEX-1GN2E-0226-SM-9WG6K 60-69 years, male 128.7
GTEX-1122O-1026-SM-9WYSF 60-69 years, female 128.6
GTEX-1JJE9-2626-SM-ARZMT 70-79 years, male 128.4
GTEX-1F5PK-2226-SM-7SB6N 50-59 years, male 128.2
GTEX-1HSGN-0826-SM-ACKW3 40-49 years, female 127.8
GTEX-13X6I-1826-SM-5SIAO 60-69 years, male 127.4
GTEX-1JKYR-0626-SM-ARL8R 20-29 years, male 127.3
GTEX-14LLW-2626-SM-62LDZ 70-79 years, female 127.2
GTEX-147F3-1726-SM-5SIAW 50-59 years, female 127.1
GTEX-1AX8Z-0726-SM-73KTS 60-69 years, male 126.9
GTEX-145MI-0626-SM-5SI8S 60-69 years, female 126.8
GTEX-1LVAO-2726-SM-E9TJ8 60-69 years, male 126.1
GTEX-ZPIC-0526-SM-DO91W 40-49 years, female 125.8
GTEX-ZAJG-1526-SM-5CVML 50-59 years, female 125.7
GTEX-1HSKV-1226-SM-ADEI4 60-69 years, male 125.6
GTEX-13OVL-0126-SM-5L3GJ 50-59 years, male 125.3
GTEX-WK11-2726-SM-3NMAQ 50-59 years, male 125.1
GTEX-14B4R-1326-SM-5Q5EZ 30-39 years, male 124.9
GTEX-WEY5-2326-SM-3GIKK 40-49 years, female 124.9
GTEX-131YS-2826-SM-5EQ47 60-69 years, female 124.5
GTEX-13NZ9-2626-SM-5L3FK 50-59 years, male 124.4
GTEX-1JJ6O-2726-SM-CNPOG 60-69 years, male 124.3
GTEX-1HCVE-2726-SM-CL54F 50-59 years, male 124.1
GTEX-14E6C-2426-SM-5S2NF 40-49 years, male 123.3
GTEX-16NPX-0726-SM-7KULC 50-59 years, male 123.1
GTEX-1ICLY-0826-SM-CMKG1 50-59 years, male 122.8
GTEX-1KD5A-0126-SM-E9U54 50-59 years, male 122.2
GTEX-1F48J-0726-SM-7RHGS 50-59 years, female 122.0
GTEX-183FY-1026-SM-7939A 20-29 years, male 121.9
GTEX-15EU6-2226-SM-6EU2L 50-59 years, male 121.5
GTEX-1AMEY-0826-SM-72D65 30-39 years, female 121.5
GTEX-1H1DF-1126-SM-9WG7G 40-49 years, female 121.2
GTEX-1IDJH-0126-SM-D3L92 70-79 years, male 121.0
GTEX-1B996-0426-SM-7EWF8 60-69 years, male 120.7
GTEX-1JMPZ-0726-SM-CY8HZ 30-39 years, male 120.4
GTEX-13U4I-2226-SM-5LU5H 40-49 years, female 120.3
GTEX-14BMU-1226-SM-5S2OR 20-29 years, female 120.3
GTEX-1I4MK-0126-SM-CY8G6 50-59 years, female 119.8
GTEX-WY7C-2126-SM-3NB2R 50-59 years, male 119.4
GTEX-1IDJV-0126-SM-COH3Y 60-69 years, male 119.3
GTEX-ZA64-1026-SM-5HL8R 20-29 years, male 119.0
GTEX-1GF9W-1426-SM-7PBYM 60-69 years, male 118.9
GTEX-1N5O9-0926-SM-E9J3C 60-69 years, male 118.5
GTEX-1HC8U-1326-SM-9YFMJ 40-49 years, female 118.1
GTEX-12WSC-2826-SM-5BC5Y 50-59 years, male 117.9
GTEX-1HCU8-2526-SM-CE6RX 60-69 years, female 117.9
GTEX-13X6K-0626-SM-5LU5D 60-69 years, female 117.8
GTEX-12WSA-0426-SM-5EQ5X 60-69 years, male 117.5
GTEX-12WSM-1926-SM-5BC65 60-69 years, male 116.9
GTEX-178AV-1726-SM-7KUL8 40-49 years, male 116.8
GTEX-ZVT2-0126-SM-5GIDQ 50-59 years, female 116.6
GTEX-1GMR8-0626-SM-7RHI7 50-59 years, female 116.2
GTEX-145LT-0526-SM-5LUB2 40-49 years, male 115.4
GTEX-1GMR3-0126-SM-A9SLW 40-49 years, male 115.3
GTEX-1KXAM-1626-SM-D3LAD 60-69 years, male 115.2
GTEX-1RAZR-2126-SM-E9U6T 40-49 years, male 115.0
GTEX-14DAQ-0626-SM-793DS 60-69 years, female 114.4
GTEX-1IDJC-1526-SM-B2LW4 50-59 years, male 114.2
GTEX-18A7B-2726-SM-7LG56 70-79 years, male 113.7
GTEX-1AMFI-1326-SM-7939R 50-59 years, female 113.1
GTEX-Y8LW-1526-SM-5IFHL 50-59 years, female 113.0
GTEX-1GN1U-0626-SM-9MQL9 50-59 years, female 112.5
GTEX-1QP29-1826-SM-DTX9S 50-59 years, male 112.2
GTEX-13113-1626-SM-5EQ4I 60-69 years, female 112.0
GTEX-18A7A-0126-SM-731AH 50-59 years, female 112.0
GTEX-UPK5-0426-SM-3GAEK 40-49 years, male 110.9
GTEX-WYVS-1626-SM-3NM9R 40-49 years, female 110.8
GTEX-1M4P7-0726-SM-E6CJ3 60-69 years, male 110.8
GTEX-1IDJD-2326-SM-ACKWX 30-39 years, male 110.1
GTEX-1CB4H-1126-SM-7MKGL 60-69 years, female 108.9
GTEX-WYJK-0526-SM-3NM8Z 50-59 years, male 108.9
GTEX-1477Z-0326-SM-7IGLA 60-69 years, male 108.5
GTEX-13N2G-0226-SM-5K7VF 60-69 years, male 108.2
GTEX-ZVTK-0226-SM-51MRG 20-29 years, male 108.0
GTEX-1J8Q3-0526-SM-ARL8U 60-69 years, male 108.0
GTEX-1KANC-1226-SM-CYPT7 50-59 years, female 107.3
GTEX-1HFI7-2326-SM-CGQFS 50-59 years, female 106.9
GTEX-YB5K-2026-SM-4VDT3 40-49 years, female 106.5
GTEX-ZUA1-2626-SM-5NQ92 40-49 years, male 106.3
GTEX-1QP66-1226-SM-DTX7U 50-59 years, male 106.3
GTEX-ZLWG-0826-SM-59888 50-59 years, female 106.0
GTEX-1211K-1526-SM-5FQU4 60-69 years, female 105.8
GTEX-1A3MX-2626-SM-7PC24 60-69 years, male 105.8
GTEX-17MF6-2626-SM-79OKQ 40-49 years, male 105.7
GTEX-11EI6-2826-SM-5H11D 60-69 years, male 105.6
GTEX-13OW8-1026-SM-5J1NQ 60-69 years, male 105.5
GTEX-1B8KZ-0326-SM-73KY4 50-59 years, male 105.0
GTEX-1GN1W-2426-SM-9KNUU 50-59 years, female 104.5
GTEX-1HCU9-0426-SM-9WYSD 20-29 years, male 104.2
GTEX-13FH7-1126-SM-5K7UG 50-59 years, female 104.1
GTEX-1CAV2-0126-SM-7IGN7 40-49 years, female 103.8
GTEX-145MO-2826-SM-5LU96 60-69 years, male 103.4
GTEX-13PVR-0426-SM-5RQK2 60-69 years, female 102.9
GTEX-1A32A-0626-SM-731AQ 50-59 years, female 102.3
GTEX-1S5ZU-2526-SM-E6CIF 20-29 years, female 102.3
GTEX-1HKZK-0726-SM-ACKW2 40-49 years, male 102.2
GTEX-1C475-1326-SM-7SB73 40-49 years, female 101.9
GTEX-1314G-1326-SM-5BC6E 30-39 years, male 101.7
GTEX-1497J-0226-SM-5QGPU 60-69 years, male 100.9
GTEX-ZVE2-2826-SM-5GU51 50-59 years, male 100.6
GTEX-13JUV-2026-SM-5K7UA 40-49 years, female 100.1
GTEX-WFG8-2126-SM-3GIKQ 20-29 years, male 100.0
GTEX-ZZ64-1026-SM-5GZXG 20-29 years, male 99.8
GTEX-16GPK-0626-SM-7KFSF 60-69 years, male 99.2
GTEX-1IDJE-1426-SM-ADEIW 50-59 years, female 99.0
GTEX-ZGAY-1826-SM-DO91Q 40-49 years, female 98.7
GTEX-1F88E-1626-SM-7SB8Z 60-69 years, female 98.3
GTEX-1I6K6-1726-SM-CGQFD 30-39 years, male 98.2
GTEX-16NGA-0726-SM-731AO 40-49 years, female 97.5
GTEX-1I6K7-1926-SM-B2LXR 40-49 years, male 97.1
GTEX-1IDJU-1726-SM-CMKHU 60-69 years, female 96.7
GTEX-13OVG-1626-SM-5J1NF 60-69 years, male 96.3
GTEX-1KWVE-1026-SM-D3L9O 30-39 years, male 96.1
GTEX-147JS-0226-SM-5S2U9 60-69 years, male 95.7
GTEX-17JCI-2926-SM-7DUFF 60-69 years, female 95.0
GTEX-1QCLZ-2426-SM-EVYBW 60-69 years, female 93.6
GTEX-1IDJF-2026-SM-CL53V 20-29 years, male 93.4
GTEX-1AX9J-1326-SM-731BJ 60-69 years, male 93.3
GTEX-1RAZA-2226-SM-E9U4X 20-29 years, male 91.7
GTEX-14PJ2-0626-SM-6LLII 50-59 years, male 91.6
GTEX-1I19N-0126-SM-CYPSF 70-79 years, male 90.8
GTEX-1GL5R-1326-SM-7RHHF 50-59 years, male 90.7
GTEX-Y5V5-0126-SM-5S2NW 60-69 years, female 90.0
GTEX-ZYFG-1526-SM-5GZYM 60-69 years, female 89.2
GTEX-1HSMO-0626-SM-ACKXC 60-69 years, male 89.1
GTEX-12C56-1526-SM-5FQUQ 20-29 years, male 89.0
GTEX-12WSL-2026-SM-5GCML 50-59 years, male 88.4
GTEX-WYBS-0626-SM-3NMAS 60-69 years, female 88.3
GTEX-11EM3-1226-SM-5N9DD 20-29 years, female 88.2
GTEX-V1D1-2026-SM-3GAF4 50-59 years, male 87.0
GTEX-14JG6-1426-SM-9WG7C 30-39 years, female 85.4
GTEX-1F5PL-0926-SM-7PC2W 40-49 years, female 85.0
GTEX-1F6IF-0926-SM-7SB7M 60-69 years, male 84.4
GTEX-1LGOU-1326-SM-D3L8M 20-29 years, female 81.5
GTEX-13QBU-1226-SM-5LU4G 40-49 years, female 80.1
GTEX-ZT9W-1126-SM-57WDR 50-59 years, male 79.6
GTEX-1F75W-2726-SM-7SB8H 60-69 years, male 78.8
GTEX-1HUB1-1426-SM-CGQF5 60-69 years, male 75.8
GTEX-VJYA-1526-SM-3GIJV 60-69 years, male 74.9
GTEX-1H3NZ-2726-SM-9WYTQ 60-69 years, male 74.3
GTEX-YF7O-1526-SM-5IFI6 50-59 years, male 73.4
GTEX-1L5NE-1126-SM-D3L9P 50-59 years, male 70.8
GTEX-1GF9U-2026-SM-7SB92 40-49 years, female 59.7
Show allShow less
Skin - Sun Exposed (Lower leg)
Average nTPM: 149.8
Samples: 701

Max nTPM: 419.5
Min nTPM: 35.9
Std nTPM: 48.0
Median nTPM: 142.6
GTEX-POMQ-2226-SM-2I5FK 20-29 years, female 419.5
GTEX-Y3IK-2426-SM-4WWDU 50-59 years, female 363.2
GTEX-W5X1-3026-SM-EAZAX 40-49 years, female 358.4
GTEX-15SB6-1726-SM-6PAME 50-59 years, female 346.0
GTEX-XUZC-1726-SM-4BRWS 30-39 years, female 331.3
GTEX-1399U-2326-SM-5K7WY 50-59 years, female 309.8
GTEX-P4QT-0126-SM-2I3FL 50-59 years, female 298.9
GTEX-P4PP-0126-SM-3LK69 30-39 years, female 294.8
GTEX-SE5C-1626-SM-2XCE3 40-49 years, female 292.9
GTEX-11DXZ-2326-SM-5EGGV 50-59 years, male 285.5
GTEX-X88G-0126-SM-47JZ3 30-39 years, male 282.2
GTEX-X4XY-0226-SM-4E3IZ 60-69 years, male 269.3
GTEX-O5YT-0126-SM-48TBW 20-29 years, male 267.5
GTEX-11DYG-0126-SM-59883 60-69 years, male 266.6
GTEX-14E6C-0126-SM-5RQIP 40-49 years, male 264.2
GTEX-1497J-2426-SM-7IGNX 60-69 years, male 262.3
GTEX-XYKS-2126-SM-4E3IB 60-69 years, female 261.2
GTEX-11UD1-0126-SM-5PNYG 40-49 years, female 261.0
GTEX-1JMQL-0226-SM-CNPP5 50-59 years, female 258.6
GTEX-RTLS-0126-SM-447CA 60-69 years, female 257.8
GTEX-T2YK-0526-SM-32QPJ 50-59 years, male 257.3
GTEX-1122O-2126-SM-5EGIR 60-69 years, female 256.8
GTEX-117XS-2726-SM-5N9BL 60-69 years, male 255.2
GTEX-WI4N-1026-SM-3LK7N 40-49 years, female 253.7
GTEX-1OJC3-0126-SM-E76QX 20-29 years, male 253.5
GTEX-1PIIG-0226-SM-EWRN6 30-39 years, male 253.4
GTEX-OIZH-0126-SM-2HMIS 50-59 years, male 252.5
GTEX-1I1GV-0526-SM-A9G29 60-69 years, male 250.3
GTEX-T6MN-0126-SM-32PLP 50-59 years, male 249.8
GTEX-131XE-2326-SM-5PNZ2 50-59 years, male 249.5
GTEX-TMZS-0126-SM-3DB9Q 60-69 years, male 249.5
GTEX-ZVZO-0126-SM-5A5L9 40-49 years, male 249.1
GTEX-12126-0326-SM-5PNW3 20-29 years, male 248.3
GTEX-15ER7-0326-SM-7KUEV 20-29 years, female 247.8
GTEX-Y8DK-0126-SM-4TT3L 60-69 years, male 244.4
GTEX-1JMLX-0226-SM-CM2RO 50-59 years, male 243.4
GTEX-1CAV2-2226-SM-7P8P2 40-49 years, female 242.0
GTEX-NPJ8-0126-SM-2YUNR 40-49 years, male 239.9
GTEX-18D9A-1926-SM-7LG6P 30-39 years, female 238.3
GTEX-13NYB-2526-SM-5K7Z6 40-49 years, male 238.2
GTEX-17JCI-0126-SM-7LG5G 60-69 years, female 232.0
GTEX-PX3G-0126-SM-2I3EN 20-29 years, female 232.0
GTEX-139TS-2826-SM-5J1OO 60-69 years, male 231.3
GTEX-13CF2-2526-SM-5LZYX 60-69 years, male 230.2
GTEX-X4EP-0126-SM-3P5YV 60-69 years, female 228.9
GTEX-15RIG-0226-SM-7KFTL 40-49 years, male 228.4
GTEX-OHPL-0126-SM-2HMJ7 60-69 years, female 225.9
GTEX-13FXS-0226-SM-5IJCK 50-59 years, male 225.6
GTEX-146FQ-0126-SM-5NQA9 30-39 years, male 224.6
GTEX-TKQ1-1026-SM-4GICL 30-39 years, male 222.5
GTEX-14PN4-0126-SM-6EU2V 50-59 years, male 221.7
GTEX-13NZB-2526-SM-5J1OM 30-39 years, male 221.0
GTEX-Y114-2426-SM-4TT8A 50-59 years, female 220.6
GTEX-15ETS-0126-SM-7KUMW 40-49 years, female 218.0
GTEX-1MJK2-0426-SM-DTXE5 50-59 years, male 216.4
GTEX-UJHI-1526-SM-3DB99 50-59 years, female 216.3
GTEX-13NZ8-0826-SM-5MR3I 60-69 years, female 215.6
GTEX-1399R-2726-SM-5IJBA 30-39 years, male 214.7
GTEX-O5YW-0126-SM-3LK6D 50-59 years, male 213.7
GTEX-1HBPM-0226-SM-ARL9F 60-69 years, female 213.5
GTEX-139UW-2826-SM-5L3E7 60-69 years, male 213.1
GTEX-RVPV-0126-SM-EAZAW 60-69 years, male 212.8
GTEX-QESD-1426-SM-2S1R9 20-29 years, male 212.7
GTEX-1H1CY-2826-SM-9MQM3 60-69 years, female 210.9
GTEX-Z93S-0126-SM-5HL7M 50-59 years, male 210.0
GTEX-14XAO-2326-SM-6EU1B 60-69 years, female 209.7
GTEX-15UF6-0826-SM-6PALJ 70-79 years, female 209.4
GTEX-X8HC-0126-SM-4E3JW 50-59 years, female 209.4
GTEX-1R9PM-2026-SM-E76OY 20-29 years, male 209.0
GTEX-13PDP-0126-SM-5L3HD 60-69 years, male 208.7
GTEX-XV7Q-2526-SM-4BRV9 40-49 years, female 208.0
GTEX-X585-0226-SM-4QAS2 50-59 years, male 207.1
GTEX-16MT8-0426-SM-7KUEY 60-69 years, female 206.8
GTEX-1B8SF-1426-SM-7DUGL 60-69 years, male 206.3
GTEX-U412-0426-SM-3DB9O 60-69 years, male 206.0
GTEX-WYJK-0126-SM-3NMAB 50-59 years, male 206.0
GTEX-ZVTK-0426-SM-51MRS 20-29 years, male 206.0
GTEX-13OVK-2026-SM-7KUEO 40-49 years, male 205.8
GTEX-1IOXB-0126-SM-ARL8G 50-59 years, male 205.8
GTEX-1J8EW-0126-SM-CJI4F 60-69 years, female 204.0
GTEX-ZF3C-0126-SM-DO92D 50-59 years, female 203.7
GTEX-145MN-2226-SM-5SIAU 30-39 years, male 203.5
GTEX-183WM-0126-SM-7LTAB 70-79 years, female 203.5
GTEX-12WSE-0526-SM-793B2 20-29 years, male 203.2
GTEX-YJ89-0126-SM-4TT3X 60-69 years, male 202.9
GTEX-16GPK-0126-SM-7DHLE 60-69 years, male 202.2
GTEX-T2IS-0126-SM-4DM6O 20-29 years, female 201.6
GTEX-1LG7Z-1726-SM-D3LA4 30-39 years, male 201.2
GTEX-1PPH8-0226-SM-E8VND 20-29 years, male 201.2
GTEX-1HR98-0126-SM-B2LWI 60-69 years, male 201.0
GTEX-X4XX-0126-SM-3NMC2 60-69 years, male 200.8
GTEX-145MO-0326-SM-5Q5B3 60-69 years, male 199.4
GTEX-SN8G-0126-SM-32PLI 50-59 years, female 199.1
GTEX-13OVH-0126-SM-5MR4B 70-79 years, male 198.7
GTEX-1KD4Q-0226-SM-E9TJ9 40-49 years, male 198.2
GTEX-145MF-0626-SM-5LUAI 50-59 years, male 197.5
GTEX-111FC-0126-SM-5N9DL 60-69 years, male 196.6
GTEX-ZXES-1826-SM-5E43S 30-39 years, female 196.6
GTEX-ZV68-0126-SM-59HKS 50-59 years, female 196.3
GTEX-ZAB4-0226-SM-5N9F5 40-49 years, male 196.0
GTEX-1EMGI-0126-SM-9KNUE 60-69 years, male 196.0
GTEX-ZTX8-1426-SM-5DUVO 20-29 years, male 194.9
GTEX-1NV5F-0226-SM-E8VNY 60-69 years, female 194.8
GTEX-145LS-0126-SM-5QGP1 60-69 years, female 194.3
GTEX-1JN1M-0326-SM-CYPT3 60-69 years, female 194.3
GTEX-18A6Q-0126-SM-731BZ 60-69 years, male 193.9
GTEX-ZF2S-2326-SM-4WWCE 50-59 years, female 193.9
GTEX-132NY-0326-SM-5IJBL 60-69 years, male 193.7
GTEX-U8XE-0326-SM-3DB8P 30-39 years, male 193.7
GTEX-SIU8-0126-SM-2XCDT 50-59 years, male 193.5
GTEX-1QP9N-1426-SM-DTXFL 30-39 years, male 193.5
GTEX-14PII-0226-SM-6EU1T 60-69 years, male 193.0
GTEX-13111-1626-SM-5EGJY 50-59 years, male 192.8
GTEX-14JG1-0426-SM-6ETZZ 40-49 years, male 191.8
GTEX-XBEW-0626-SM-4QASP 40-49 years, male 191.6
GTEX-139D8-0226-SM-5KLZO 30-39 years, female 191.5
GTEX-1C64N-0126-SM-793D7 50-59 years, male 190.3
GTEX-1JMPY-1326-SM-ARL8Y 30-39 years, male 190.3
GTEX-131YS-0126-SM-5KM1M 60-69 years, female 190.1
GTEX-1HFI6-0226-SM-ADEHZ 40-49 years, male 190.1
GTEX-WVJS-0126-SM-4MVOT 50-59 years, male 189.9
GTEX-1R46S-0626-SM-E9J41 60-69 years, female 189.7
GTEX-18QFQ-0126-SM-731BE 30-39 years, male 189.4
GTEX-1KANC-1526-SM-D3LAB 50-59 years, female 189.4
GTEX-S7SE-0126-SM-2XCD5 50-59 years, male 189.2
GTEX-P4PQ-0126-SM-2S1NM 60-69 years, male 189.1
GTEX-1K2DU-2326-SM-E9TIV 20-29 years, male 189.0
GTEX-OIZG-0726-SM-33HBL 50-59 years, male 188.7
GTEX-13FTW-2626-SM-5K7WL 40-49 years, male 187.3
GTEX-WQUQ-0426-SM-3MJFU 60-69 years, male 187.0
GTEX-1J1OQ-0226-SM-CYPSH 40-49 years, female 187.0
GTEX-1N2DW-0226-SM-E9TK2 50-59 years, male 187.0
GTEX-1LB8K-0226-SM-EWRNW 50-59 years, male 186.5
GTEX-ZYT6-0226-SM-5NQ6T 30-39 years, male 185.9
GTEX-1LBAC-0126-SM-DIPEZ 20-29 years, male 185.9
GTEX-Z93T-0126-SM-5HL5N 50-59 years, male 185.7
GTEX-1L5NE-2526-SM-E6CIE 50-59 years, male 185.5
GTEX-QV44-1926-SM-2S1RF 50-59 years, male 185.4
GTEX-1IDJH-0326-SM-A9SLQ 70-79 years, male 184.0
GTEX-1RB15-2126-SM-E9TIM 60-69 years, male 183.5
GTEX-14753-0426-SM-5NQAM 60-69 years, male 183.2
GTEX-ZYFD-0126-SM-5GIDL 50-59 years, male 182.9
GTEX-ZU9S-0226-SM-5E441 30-39 years, male 182.7
GTEX-1GN2E-0426-SM-9MQKX 60-69 years, male 182.5
GTEX-XQ3S-1526-SM-4BOOC 20-29 years, male 182.0
GTEX-1IKK5-0626-SM-ARL8A 60-69 years, male 181.6
GTEX-11ZTS-0126-SM-5EQ6M 60-69 years, female 181.3
GTEX-1CB4I-0226-SM-79OLH 50-59 years, male 180.6
GTEX-1PFEY-1526-SM-E76PP 30-39 years, male 180.3
GTEX-ZE7O-0126-SM-57WC1 50-59 years, female 180.2
GTEX-1JMQI-2226-SM-CM2SD 50-59 years, male 180.0
GTEX-12584-0126-SM-5EGKQ 40-49 years, male 179.9
GTEX-14ICK-0226-SM-6EU25 40-49 years, male 179.4
GTEX-PWO3-1526-SM-48TCM 60-69 years, female 179.3
GTEX-1EWIQ-0126-SM-7RHH2 70-79 years, female 178.9
GTEX-1C4CL-0526-SM-73KVK 30-39 years, male 178.6
GTEX-Q734-1926-SM-2I5EV 40-49 years, female 178.6
GTEX-1H4P4-0726-SM-9YFLR 50-59 years, male 178.6
GTEX-YFC4-0126-SM-5CVLY 40-49 years, female 178.3
GTEX-1B8KE-2126-SM-73KYX 50-59 years, male 176.9
GTEX-ZWKS-0126-SM-5SIAA 30-39 years, male 176.9
GTEX-U8T8-0126-SM-3DB94 60-69 years, male 176.6
GTEX-X261-0126-SM-3NMD6 50-59 years, male 176.6
GTEX-NFK9-0226-SM-2HMKQ 40-49 years, male 176.4
GTEX-13IVO-0126-SM-5J1NG 70-79 years, male 176.2
GTEX-13SLW-0126-SM-5SI6C 70-79 years, male 176.1
GTEX-14PK6-1926-SM-6ETZU 70-79 years, female 176.0
GTEX-1GMR3-1926-SM-9KNUZ 40-49 years, male 175.7
GTEX-1399T-2826-SM-5KLYZ 60-69 years, male 175.6
GTEX-18A67-0126-SM-7LG5P 50-59 years, male 175.6
GTEX-1K2DA-1826-SM-CGQGT 50-59 years, male 175.6
GTEX-ZV6S-2326-SM-4YCEY 40-49 years, female 175.1
GTEX-1CB4E-2226-SM-793DC 60-69 years, male 175.0
GTEX-17F98-0626-SM-79OMX 40-49 years, female 174.9
GTEX-1OFPY-2426-SM-DTXEJ 60-69 years, male 174.4
GTEX-WH7G-2326-SM-3NMBC 40-49 years, male 174.1
GTEX-111VG-2426-SM-5GZXD 60-69 years, male 174.0
GTEX-131XH-2226-SM-5DUXJ 50-59 years, male 173.0
GTEX-Y5LM-1926-SM-5RQJH 40-49 years, female 173.0
GTEX-ZDTS-0126-SM-4WAY5 60-69 years, male 173.0
GTEX-1HCU6-0126-SM-CL54K 60-69 years, female 172.5
GTEX-13N2G-2626-SM-5J1OT 60-69 years, male 172.0
GTEX-1LVAN-0226-SM-COH3S 50-59 years, female 171.8
GTEX-1GF9V-0326-SM-7RHI5 60-69 years, male 171.6
GTEX-PSDG-0226-SM-DKPOZ 50-59 years, male 171.3
GTEX-1313W-0126-SM-5LZUN 50-59 years, female 170.9
GTEX-145LT-1726-SM-5QGP3 40-49 years, male 170.7
GTEX-OOBK-0126-SM-2YUND 40-49 years, male 170.7
GTEX-ZE9C-2726-SM-57WB5 60-69 years, male 170.5
GTEX-13NYS-0126-SM-5MR3W 60-69 years, male 170.3
GTEX-11OC5-0126-SM-5HL6A 60-69 years, male 170.1
GTEX-1F6RS-0126-SM-9MQKZ 60-69 years, female 170.0
GTEX-11UD2-0226-SM-5EQKY 50-59 years, male 169.7
GTEX-SUCS-1926-SM-32PM3 70-79 years, male 169.6
GTEX-131XF-5016-SM-7MGWE 60-69 years, male 169.6
GTEX-1GZHY-0326-SM-9QEHI 50-59 years, female 169.6
GTEX-13O3Q-2426-SM-5IJBR 50-59 years, male 169.2
GTEX-117YW-2626-SM-5GZZH 50-59 years, male 169.0
GTEX-14E6D-0126-SM-62LDV 50-59 years, male 169.0
GTEX-ZY6K-1826-SM-5GZXK 50-59 years, male 169.0
GTEX-11TT1-2526-SM-5EGIB 20-29 years, male 168.8
GTEX-1QAET-0926-SM-E76QM 50-59 years, male 168.5
GTEX-133LE-1826-SM-5J1MV 20-29 years, female 168.1
GTEX-11DXW-0226-SM-5H122 40-49 years, male 168.0
GTEX-1212Z-2526-SM-5EGKP 60-69 years, male 168.0
GTEX-1KWVE-1426-SM-E9TJO 30-39 years, male 168.0
GTEX-QVJO-1626-SM-2S1QW 60-69 years, female 167.9
GTEX-1JN6P-0126-SM-D3L98 60-69 years, male 167.5
GTEX-13YAN-0326-SM-5O9DF 60-69 years, male 167.0
GTEX-1A3MX-0126-SM-731BR 60-69 years, male 167.0
GTEX-1GF9X-2026-SM-7PC3A 40-49 years, female 167.0
GTEX-S7PM-0126-SM-4AD6S 60-69 years, male 166.7
GTEX-Y111-0126-SM-4SOIV 50-59 years, male 166.5
GTEX-XAJ8-0826-SM-47JY6 40-49 years, male 166.3
GTEX-13OW6-0426-SM-5L3HM 50-59 years, male 166.1
GTEX-1JJEA-0326-SM-CNPOT 60-69 years, male 166.1
GTEX-VUSG-2526-SM-4KL1V 50-59 years, male 165.9
GTEX-XQ8I-0426-SM-4BOPO 50-59 years, male 165.9
GTEX-14BIN-0626-SM-793DP 50-59 years, female 165.8
GTEX-1JMQJ-0526-SM-CYPSU 50-59 years, male 165.8
GTEX-1GZ2Q-0226-SM-7P8TL 40-49 years, male 165.6
GTEX-1LSNM-1926-SM-E6CII 50-59 years, male 165.2
GTEX-1M5QR-1226-SM-EWROB 40-49 years, male 165.2
GTEX-1QP66-1726-SM-E8VO1 50-59 years, male 165.1
GTEX-145LV-2126-SM-5LU8N 50-59 years, male 164.9
GTEX-1GF9W-0326-SM-9KNUN 60-69 years, male 164.8
GTEX-Y5V6-2426-SM-4VDSB 60-69 years, male 163.9
GTEX-1H1DG-0126-SM-9WYU2 70-79 years, male 163.8
GTEX-1BAJH-0526-SM-793CQ 70-79 years, male 163.6
GTEX-YB5E-2026-SM-5IFIS 40-49 years, male 163.6
GTEX-ZYFG-2326-SM-5E44B 60-69 years, female 163.5
GTEX-17KNJ-2326-SM-7DHLQ 50-59 years, male 163.0
GTEX-OOBJ-0126-SM-E6CJW 60-69 years, male 163.0
GTEX-1S5ZA-0126-SM-EVYCV 20-29 years, male 162.7
GTEX-13VXU-0126-SM-5SI9F 50-59 years, male 162.5
GTEX-1S83E-0126-SM-EWRO4 40-49 years, male 162.1
GTEX-1192X-0226-SM-5H12D 50-59 years, male 162.0
GTEX-ZDYS-2026-SM-5HL5L 50-59 years, male 161.9
GTEX-13FHP-0126-SM-5IJBG 50-59 years, male 161.8
GTEX-14LZ3-0226-SM-62LET 60-69 years, female 161.6
GTEX-ZAJG-0126-SM-5HL94 50-59 years, female 161.6
GTEX-1HBPI-1526-SM-C1YQ1 50-59 years, male 161.2
GTEX-T5JW-1626-SM-3GADZ 20-29 years, female 160.9
GTEX-1JMPZ-0226-SM-CNPP1 30-39 years, male 160.8
GTEX-14BMV-0126-SM-5S2PO 50-59 years, male 160.7
GTEX-ZTSS-1926-SM-57WEW 40-49 years, male 160.6
GTEX-1MA7W-2026-SM-E9TJ6 20-29 years, female 160.6
GTEX-QEG4-0226-SM-2S1PY 30-39 years, male 160.5
GTEX-13O3P-0126-SM-5KM4S 50-59 years, male 160.4
GTEX-17GQL-2026-SM-718BA 60-69 years, male 160.1
GTEX-OXRN-0126-SM-48TDM 50-59 years, male 160.1
GTEX-1HSMO-0126-SM-CL547 60-69 years, male 159.8
GTEX-PWCY-1826-SM-DHXIZ 20-29 years, female 159.7
GTEX-15G19-0126-SM-6PANQ 60-69 years, male 159.6
GTEX-XXEK-2226-SM-4BRUM 50-59 years, male 159.6
GTEX-13113-5016-SM-7EPIP 60-69 years, female 159.1
GTEX-ZGAY-0526-SM-4WWBB 40-49 years, female 159.1
GTEX-ZVT2-2526-SM-51MT1 50-59 years, female 159.1
GTEX-17HHY-0126-SM-7LG5D 50-59 years, male 159.0
GTEX-18A7A-0226-SM-718BH 50-59 years, female 158.7
GTEX-1HCU7-0226-SM-CL545 50-59 years, male 158.1
GTEX-11OF3-2626-SM-5GU7F 60-69 years, male 157.4
GTEX-15EOM-0126-SM-7KUGG 20-29 years, female 157.3
GTEX-ZTPG-0326-SM-5O9AX 20-29 years, female 157.3
GTEX-XPVG-2626-SM-4B669 50-59 years, male 157.2
GTEX-1KXAM-2226-SM-CYPTC 60-69 years, male 156.6
GTEX-1B8L1-2526-SM-9WYTF 60-69 years, male 156.4
GTEX-11H98-0126-SM-5EGHG 50-59 years, male 156.2
GTEX-1HCU8-0626-SM-A9SM9 60-69 years, female 156.2
GTEX-14BMU-2226-SM-5TDE9 20-29 years, female 155.6
GTEX-1HSKV-0226-SM-A9SKJ 60-69 years, male 155.6
GTEX-1192W-2626-SM-5Q5AF 60-69 years, male 155.5
GTEX-14E6E-1826-SM-5S2R7 30-39 years, male 155.5
GTEX-ZVT4-0126-SM-DTXFN 50-59 years, female 155.5
GTEX-XUYS-0126-SM-47JWZ 50-59 years, male 155.2
GTEX-13G51-2526-SM-5LZYK 60-69 years, male 155.0
GTEX-T5JC-0426-SM-32PLO 20-29 years, male 155.0
GTEX-WFON-2126-SM-3LK7O 40-49 years, male 154.9
GTEX-RUSQ-1526-SM-2TF62 50-59 years, male 154.6
GTEX-11DZ1-0126-SM-5985Q 50-59 years, male 154.5
GTEX-1IKJJ-0126-SM-CNPQB 60-69 years, male 154.4
GTEX-1HBPN-0226-SM-9YFM1 50-59 years, male 153.9
GTEX-169BO-1326-SM-9MQK2 50-59 years, male 153.8
GTEX-ZYFC-0226-SM-5NQ75 50-59 years, male 153.5
GTEX-1H3VE-0326-SM-9YFLH 40-49 years, male 153.5
GTEX-13X6J-0126-SM-5QGOU 50-59 years, male 153.0
GTEX-1B8SG-0126-SM-73KZ3 50-59 years, male 152.7
GTEX-1S3DN-2226-SM-EVYCD 50-59 years, male 152.6
GTEX-14PJ6-2126-SM-6EU1V 60-69 years, female 152.5
GTEX-1HSMP-0126-SM-E6CJS 70-79 years, male 151.9
GTEX-ZAK1-0126-SM-5IJD3 50-59 years, female 151.8
GTEX-13N11-2526-SM-5K7UE 50-59 years, female 151.7
GTEX-1269C-2526-SM-5EGJ3 60-69 years, female 151.5
GTEX-17EVQ-0226-SM-7LG4P 70-79 years, male 151.5
GTEX-1B97I-1626-SM-73KYO 40-49 years, male 151.4
GTEX-1HGF4-2426-SM-ACKXM 60-69 years, male 151.3
GTEX-UPJH-0326-SM-3GADU 50-59 years, male 151.2
GTEX-11TUW-2726-SM-E9J4M 60-69 years, male 150.9
GTEX-1HSGN-0226-SM-CGQFV 40-49 years, female 150.8
GTEX-1PDJ9-0326-SM-DTX95 20-29 years, male 150.4
GTEX-11GSO-2426-SM-5A5LY 60-69 years, male 150.3
GTEX-1IL2U-0226-SM-CE6T8 60-69 years, male 150.0
GTEX-1KAFJ-2026-SM-CY8ID 50-59 years, male 149.8
GTEX-14PJM-0226-SM-62LF1 50-59 years, female 149.5
GTEX-17MFQ-1726-SM-793C7 20-29 years, male 149.4
GTEX-15SHU-0126-SM-7KUEH 40-49 years, female 149.3
GTEX-WYVS-2126-SM-3NMA3 40-49 years, female 149.3
GTEX-1HCU9-1526-SM-A9SL7 20-29 years, male 149.3
GTEX-1R7EU-0226-SM-EVR4G 60-69 years, male 149.3
GTEX-11EQ9-2426-SM-5HL5T 30-39 years, male 148.7
GTEX-1CB4F-0426-SM-9KNV4 60-69 years, male 148.7
GTEX-1H3O1-0426-SM-9YFKY 60-69 years, male 148.4
GTEX-1S82Y-2026-SM-EVYCM 40-49 years, male 148.3
GTEX-18D9U-0226-SM-718BP 40-49 years, male 148.2
GTEX-1LGRB-2526-SM-CNPPQ 50-59 years, female 148.1
GTEX-13112-2826-SM-5DUWH 50-59 years, male 147.8
GTEX-144FL-0126-SM-5TDC8 50-59 years, male 147.8
GTEX-14A5I-0126-SM-5TDEA 50-59 years, female 147.7
GTEX-1H11D-0226-SM-9WG6Z 40-49 years, male 147.6
GTEX-ZPIC-1726-SM-DHXIU 40-49 years, female 147.5
GTEX-1O97I-0326-SM-EYYX7 60-69 years, male 147.4
GTEX-Y3I4-2126-SM-4TT7C 50-59 years, male 147.3
GTEX-13X6H-2126-SM-7EWD5 50-59 years, female 147.2
GTEX-1JJ6O-0126-SM-E6CI8 60-69 years, male 146.8
GTEX-12696-2426-SM-5EQ6H 60-69 years, male 146.6
GTEX-RU72-0926-SM-2TF6B 50-59 years, female 146.4
GTEX-15CHC-2126-SM-6EU21 60-69 years, female 146.2
GTEX-X4EO-0326-SM-3P5YO 60-69 years, female 146.1
GTEX-1F75B-0126-SM-9KNVL 50-59 years, male 146.1
GTEX-ZEX8-2426-SM-4WKG4 50-59 years, male 146.0
GTEX-1GMRU-0126-SM-9YFLV 50-59 years, male 146.0
GTEX-QLQW-1126-SM-2S1Q8 30-39 years, male 145.9
GTEX-18465-0126-SM-731BN 50-59 years, male 145.5
GTEX-W5WG-1826-SM-4KL2Y 50-59 years, female 145.3
GTEX-1CB4G-0226-SM-7PC3O 60-69 years, male 145.3
GTEX-1QPFJ-0226-SM-E76PB 30-39 years, female 145.1
GTEX-16YQH-0126-SM-7DUFJ 30-39 years, male 145.0
GTEX-ZVZP-2426-SM-59HKJ 50-59 years, male 145.0
GTEX-1J8JJ-0226-SM-CL53I 60-69 years, female 144.8
GTEX-Y8E4-0626-SM-4WWDL 40-49 years, male 144.6
GTEX-OHPM-0126-SM-2YUN9 50-59 years, male 144.3
GTEX-X5EB-2226-SM-46MW4 40-49 years, male 144.3
GTEX-145MI-0526-SM-5O9A8 60-69 years, female 143.7
GTEX-183FY-0126-SM-7LT9P 20-29 years, male 143.7
GTEX-14A5H-0426-SM-5QGQF 60-69 years, male 143.6
GTEX-PLZ4-0126-SM-5SI8O 50-59 years, female 143.6
GTEX-1POEN-0126-SM-EYYXJ 30-39 years, female 143.6
GTEX-11GSP-2526-SM-5N9BP 60-69 years, female 143.4
GTEX-1E2YA-0126-SM-9KNUC 50-59 years, male 143.2
GTEX-13FTY-0526-SM-5L3EV 40-49 years, female 142.6
GTEX-Q2AI-1326-SM-2S1PL 40-49 years, male 142.6
GTEX-1C6VQ-0126-SM-7P8RI 50-59 years, male 142.6
GTEX-1A32A-0126-SM-718B1 50-59 years, female 142.5
GTEX-17EVP-0326-SM-7DHLG 40-49 years, male 142.2
GTEX-1LC47-0326-SM-E9TJP 60-69 years, male 142.2
GTEX-1AYCT-2426-SM-7IGQ3 50-59 years, male 142.1
GTEX-11DXY-2626-SM-5GIE7 60-69 years, male 141.7
GTEX-1F7RK-0126-SM-7PC2S 20-29 years, female 141.7
GTEX-15UKP-0426-SM-7KUFQ 20-29 years, male 141.3
GTEX-Y5V5-2326-SM-4V6GA 60-69 years, female 140.9
GTEX-RNOR-0126-SM-E9J4R 50-59 years, female 140.8
GTEX-1F5PL-0326-SM-7P8PQ 40-49 years, female 140.4
GTEX-1F75A-0126-SM-7RHGM 50-59 years, male 140.4
GTEX-1KD5A-0226-SM-D5OV3 50-59 years, male 140.4
GTEX-13OW5-0126-SM-DTXFS 60-69 years, male 140.3
GTEX-1314G-1526-SM-5EGK2 30-39 years, male 140.0
GTEX-12ZZZ-0626-SM-5DUXI 60-69 years, male 139.9
GTEX-1GZ4H-1726-SM-7PBZJ 50-59 years, female 139.9
GTEX-TML8-1926-SM-32QOS 40-49 years, female 139.7
GTEX-1ICG6-2526-SM-CGQFZ 70-79 years, female 139.6
GTEX-1HCUA-2426-SM-ADEIS 50-59 years, female 139.5
GTEX-1HT8W-0126-SM-CNPPP 30-39 years, male 139.5
GTEX-17F96-1626-SM-7DUFL 70-79 years, male 139.3
GTEX-1JMQK-0226-SM-CL543 60-69 years, male 139.3
GTEX-1QMI2-0226-SM-EVYBX 60-69 years, male 139.2
GTEX-ZYY3-0126-SM-5GZY5 60-69 years, female 139.1
GTEX-1I6K6-0126-SM-A9SLE 30-39 years, male 139.1
GTEX-12WSJ-1826-SM-5GCNY 40-49 years, female 139.0
GTEX-11DXX-2426-SM-5GZZW 60-69 years, female 138.9
GTEX-ZDTT-2726-SM-4WKF8 60-69 years, male 138.8
GTEX-13QJ3-0326-SM-5S2RA 50-59 years, male 138.5
GTEX-1EX96-1626-SM-7PBXR 50-59 years, male 138.5
GTEX-14PHX-2326-SM-62LEM 50-59 years, male 138.4
GTEX-15D1Q-0126-SM-7KUG6 40-49 years, male 138.4
GTEX-1RDX4-0126-SM-E9J4P 50-59 years, female 138.4
GTEX-12ZZX-0126-SM-5EGK9 40-49 years, female 138.3
GTEX-PLZ6-1426-SM-DKPOT 30-39 years, male 137.8
GTEX-13CF3-2426-SM-5IFGX 60-69 years, female 137.7
GTEX-1I1GT-0626-SM-CGQER 60-69 years, female 137.6
GTEX-15DDE-0126-SM-6LPKH 50-59 years, female 137.4
GTEX-1128S-2326-SM-5GZZY 60-69 years, female 137.2
GTEX-1CB4H-0226-SM-7PBXM 60-69 years, female 137.2
GTEX-131XG-2626-SM-5KM17 50-59 years, female 136.9
GTEX-1QCLY-0326-SM-E8VOG 30-39 years, male 136.8
GTEX-117YX-2326-SM-5H12W 50-59 years, male 136.7
GTEX-144GL-0126-SM-5TDE2 50-59 years, male 136.7
GTEX-WZTO-0126-SM-3NM95 40-49 years, male 136.7
GTEX-1KANA-0726-SM-D3L9I 20-29 years, male 136.6
GTEX-1N2EF-0226-SM-EYYXB 60-69 years, male 136.5
GTEX-QDVJ-1726-SM-2I5FX 50-59 years, male 136.1
GTEX-1211K-2026-SM-5EQ4Z 60-69 years, female 135.8
GTEX-16XZZ-0126-SM-793DV 60-69 years, male 135.8
GTEX-1MCQQ-0826-SM-DLHC2 60-69 years, male 135.7
GTEX-OXRK-0226-SM-3NB2G 50-59 years, female 135.5
GTEX-1M4P7-0226-SM-DIPEV 60-69 years, male 135.5
GTEX-1B933-0126-SM-7PC29 50-59 years, female 135.0
GTEX-YB5K-2126-SM-4WWDJ 40-49 years, female 134.9
GTEX-11O72-0126-SM-59887 40-49 years, male 134.8
GTEX-1GPI7-0126-SM-9MQL8 20-29 years, male 134.8
GTEX-1CAMS-0426-SM-7P8T2 40-49 years, female 134.7
GTEX-11EI6-0126-SM-5985R 60-69 years, male 134.6
GTEX-1C6VR-2426-SM-79OLD 60-69 years, male 134.5
GTEX-1CAMR-1926-SM-7EPI2 20-29 years, male 134.3
GTEX-11XUK-2026-SM-5EQLF 40-49 years, female 134.0
GTEX-12WSD-0126-SM-59HKN 60-69 years, female 133.6
GTEX-WY7C-2326-SM-3NB2U 50-59 years, male 133.5
GTEX-ZAB5-1826-SM-5HL7C 50-59 years, male 133.5
GTEX-12WSC-0126-SM-5EQ4P 50-59 years, male 133.4
GTEX-1J1R8-1726-SM-ARL8M 40-49 years, male 132.9
GTEX-1JKYR-0126-SM-CNPOJ 20-29 years, male 132.8
GTEX-1MCYP-1926-SM-E9J2R 20-29 years, female 132.8
GTEX-XBED-2226-SM-47JYQ 60-69 years, male 132.5
GTEX-12WSK-2326-SM-5GCOH 40-49 years, female 132.4
GTEX-144GN-2326-SM-5LU4F 50-59 years, male 132.4
GTEX-13OW7-0126-SM-5MR3B 50-59 years, male 132.1
GTEX-15F5U-1526-SM-6PANO 40-49 years, male 131.9
GTEX-PLZ5-2026-SM-2S1O4 50-59 years, male 131.9
GTEX-WXYG-2326-SM-4E3I6 50-59 years, female 131.7
GTEX-1CAMQ-0226-SM-7IGPK 40-49 years, male 131.6
GTEX-ZXG5-0126-SM-5GIEU 60-69 years, male 131.6
GTEX-1PWST-0226-SM-E76QJ 70-79 years, male 131.6
GTEX-11GS4-2726-SM-5A5LE 60-69 years, male 131.3
GTEX-1I4MK-2226-SM-ACKWD 50-59 years, female 131.3
GTEX-1E1VI-0126-SM-7DHMZ 50-59 years, male 131.2
GTEX-13O1R-0126-SM-5L3EH 60-69 years, male 131.1
GTEX-13RTJ-2426-SM-5S2Q2 60-69 years, male 130.9
GTEX-13O21-1426-SM-5K7XI 50-59 years, male 130.8
GTEX-ZVT3-0126-SM-5GU6I 60-69 years, female 130.8
GTEX-1MGNQ-0126-SM-EVYCJ 40-49 years, male 130.6
GTEX-1GN73-0226-SM-9WG67 60-69 years, male 130.5
GTEX-131XW-0426-SM-5LZWP 50-59 years, female 130.2
GTEX-12WSG-2826-SM-E9J4H 50-59 years, female 130.1
GTEX-R55G-2526-SM-2TC6D 40-49 years, female 129.8
GTEX-XMD2-0126-SM-4YCDU 60-69 years, female 129.8
GTEX-1IL2V-0126-SM-CM2TX 70-79 years, male 129.8
GTEX-1HB9E-0226-SM-E9U4R 50-59 years, male 129.7
GTEX-17EUY-0426-SM-793BD 20-29 years, male 129.5
GTEX-1IDJF-0126-SM-CM2RS 20-29 years, male 129.4
GTEX-113JC-2326-SM-5EQ4E 50-59 years, female 129.3
GTEX-13SLX-0526-SM-5S2ON 50-59 years, female 129.3
GTEX-S33H-1026-SM-EZ6L6 30-39 years, male 129.3
GTEX-18A66-0226-SM-718BD 60-69 years, male 129.2
GTEX-13U4I-0126-SM-5LU38 40-49 years, female 129.1
GTEX-1KANB-0526-SM-E6CJH 50-59 years, male 128.8
GTEX-13D11-2426-SM-5KM1V 50-59 years, female 128.7
GTEX-S95S-1226-SM-4GICG 60-69 years, male 128.7
GTEX-WRHK-1426-SM-3MJF9 20-29 years, female 128.7
GTEX-139TU-0126-SM-5K7WH 60-69 years, male 128.5
GTEX-14BIM-0226-SM-7IGLD 60-69 years, female 128.3
GTEX-1F52S-0126-SM-9MQJU 60-69 years, female 127.9
GTEX-YJ8A-0426-SM-5IFID 20-29 years, male 127.7
GTEX-1F6IF-0726-SM-7P8TW 60-69 years, male 127.7
GTEX-T8EM-1026-SM-3DB7M 40-49 years, male 127.6
GTEX-1H1DE-2126-SM-9WG6R 20-29 years, male 127.6
GTEX-148VI-1626-SM-5SI6E 60-69 years, female 127.4
GTEX-15DYW-0126-SM-7KULE 60-69 years, female 127.4
GTEX-145ME-1826-SM-5SI9G 40-49 years, female 127.2
GTEX-1H1ZS-0426-SM-9WG6G 70-79 years, male 127.2
GTEX-1F6I4-0126-SM-9MQL2 60-69 years, male 126.4
GTEX-17MF6-0126-SM-7LG4F 40-49 years, male 126.1
GTEX-S32W-2126-SM-2XCB1 50-59 years, female 126.1
GTEX-R45C-0126-SM-EAZ2R 60-69 years, female 126.1
GTEX-13JUV-2726-SM-5LZZ8 40-49 years, female 125.8
GTEX-11WQC-2526-SM-5CVLE 60-69 years, male 125.6
GTEX-QDT8-0126-SM-48TZ1 30-39 years, female 125.5
GTEX-13S7M-0126-SM-5SI6A 60-69 years, female 125.4
GTEX-12WSL-2526-SM-5GCNJ 50-59 years, male 125.1
GTEX-1HSEH-0126-SM-ACKXN 60-69 years, male 125.0
GTEX-1H2FU-0126-SM-9WYSI 60-69 years, female 124.9
GTEX-16BQI-0226-SM-7KUEX 30-39 years, female 124.7
GTEX-13PVR-2326-SM-5QGR1 60-69 years, female 124.6
GTEX-17HG3-2226-SM-7938L 30-39 years, female 124.2
GTEX-R3RS-0126-SM-3GIJL 40-49 years, female 124.0
GTEX-1CB4J-0626-SM-7DHMP 60-69 years, male 123.7
GTEX-11NSD-2226-SM-5986V 20-29 years, male 123.6
GTEX-RWSA-0126-SM-2XCBB 40-49 years, male 123.6
GTEX-13RTK-1426-SM-5QGQJ 20-29 years, male 123.5
GTEX-14C5O-0126-SM-5SI6N 60-69 years, male 123.5
GTEX-17F97-0326-SM-7LG5B 50-59 years, male 123.5
GTEX-1K9T9-0126-SM-EVYCF 50-59 years, female 123.4
GTEX-1PIGE-0126-SM-EVYBJ 20-29 years, male 123.4
GTEX-13FHO-0226-SM-5IFGY 60-69 years, male 123.3
GTEX-11TTK-0126-SM-5987B 60-69 years, female 123.0
GTEX-1GF9U-2126-SM-7SB7L 40-49 years, female 122.9
GTEX-1GN1U-0126-SM-7PBZK 50-59 years, female 122.9
GTEX-XUW1-0426-SM-4BOOT 50-59 years, female 122.7
GTEX-139T8-0126-SM-5K7XZ 60-69 years, male 122.4
GTEX-14DAR-2026-SM-5S2O3 50-59 years, male 122.4
GTEX-1A3MV-1926-SM-718BT 30-39 years, male 122.4
GTEX-17HII-0226-SM-7LG4E 50-59 years, male 122.3
GTEX-1RAZA-0126-SM-E6CI3 20-29 years, male 122.3
GTEX-13X6I-0626-SM-5QGP9 60-69 years, male 121.8
GTEX-ZF29-2326-SM-DO92K 60-69 years, female 121.7
GTEX-15SDE-2226-SM-7IGLO 50-59 years, female 121.2
GTEX-13FTX-1826-SM-5J1NX 20-29 years, female 121.1
GTEX-1IDFM-0126-SM-COH2V 60-69 years, male 121.1
GTEX-14PJ3-1826-SM-62LEX 50-59 years, male 121.0
GTEX-1LH75-2426-SM-E9TJE 50-59 years, female 120.8
GTEX-1I1GP-2226-SM-CGQFK 50-59 years, male 120.7
GTEX-11P7K-2126-SM-5GU7G 30-39 years, male 120.6
GTEX-ZQG8-1626-SM-DHXIT 60-69 years, female 120.6
GTEX-X638-0126-SM-47JZ8 70-79 years, female 120.5
GTEX-1GMR8-0126-SM-9WYTM 50-59 years, female 120.5
GTEX-1AX8Z-0126-SM-7DHM6 60-69 years, male 120.4
GTEX-1HCVE-0126-SM-CGQEU 50-59 years, male 120.4
GTEX-OXRL-0126-SM-2YUMP 50-59 years, male 120.3
GTEX-16NPX-0226-SM-79OMT 50-59 years, male 119.9
GTEX-ZC5H-0226-SM-4WAY9 40-49 years, female 119.9
GTEX-1J8Q2-0526-SM-CM2RW 60-69 years, male 119.9
GTEX-1R9K4-0126-SM-DTX9X 60-69 years, male 119.9
GTEX-1LGOU-2026-SM-DIPFF 20-29 years, female 119.8
GTEX-147F4-0226-SM-5QGPW 50-59 years, male 119.7
GTEX-1ICLZ-0126-SM-CKZPO 60-69 years, male 119.7
GTEX-11WQK-0526-SM-5EQLD 50-59 years, male 119.6
GTEX-17HGU-0226-SM-7DHKV 50-59 years, male 119.5
GTEX-ZDXO-3026-SM-5J1N5 60-69 years, male 119.3
GTEX-1GN1V-0126-SM-9WPOS 60-69 years, male 119.1
GTEX-ZZ64-1726-SM-5GZYB 20-29 years, male 119.0
GTEX-1MUQO-0126-SM-EAZ58 60-69 years, male 118.9
GTEX-1I1GQ-0126-SM-COH3H 50-59 years, male 118.5
GTEX-1GTWX-0126-SM-9YFLK 60-69 years, male 118.4
GTEX-1H3VY-0126-SM-ACKXD 50-59 years, male 118.4
GTEX-13W46-0226-SM-5SIAG 50-59 years, male 118.2
GTEX-12WSA-0226-SM-5BC5V 60-69 years, male 118.1
GTEX-1C475-1826-SM-73KWA 40-49 years, female 118.0
GTEX-13VXT-0126-SM-5LU4I 20-29 years, female 117.7
GTEX-RM2N-1426-SM-2TF4H 50-59 years, male 117.2
GTEX-11NUK-0126-SM-5A5L3 50-59 years, male 117.0
GTEX-18A7B-0126-SM-7LG64 70-79 years, male 116.7
GTEX-13O3O-0126-SM-E9J49 60-69 years, female 116.7
GTEX-13FH7-2026-SM-E9J4I 50-59 years, female 116.6
GTEX-1J8QM-2126-SM-CYPSJ 60-69 years, female 116.6
GTEX-X62O-0126-SM-4E3JN 50-59 years, male 116.3
GTEX-1LNCM-1126-SM-E9U5E 50-59 years, female 116.0
GTEX-OXRP-0126-SM-3NB32 60-69 years, female 115.9
GTEX-ZQUD-1426-SM-57WER 30-39 years, male 115.8
GTEX-145LU-0126-SM-5TDCB 50-59 years, male 115.7
GTEX-1LG7Y-0526-SM-DKPQC 50-59 years, male 115.7
GTEX-ZYW4-0126-SM-5E44A 60-69 years, male 115.6
GTEX-1B996-0226-SM-7RHGO 60-69 years, male 115.5
GTEX-13OVL-0226-SM-5L3E9 50-59 years, male 115.3
GTEX-1EU9M-0226-SM-7P8SP 60-69 years, male 115.1
GTEX-1JN76-0126-SM-CNPPE 20-29 years, female 115.0
GTEX-ZVE2-0226-SM-59HJB 50-59 years, male 114.7
GTEX-1AX9J-0226-SM-73KXM 60-69 years, male 114.6
GTEX-1IGQW-0126-SM-COH42 60-69 years, male 114.2
GTEX-13NZA-0226-SM-5K7Z7 60-69 years, male 113.7
GTEX-12ZZY-0226-SM-5LZVE 60-69 years, male 113.4
GTEX-T6MO-1626-SM-32QOM 40-49 years, female 113.3
GTEX-18D9B-0526-SM-7LTAS 60-69 years, male 113.2
GTEX-13OVI-1426-SM-5L3EY 60-69 years, female 113.1
GTEX-1I1CD-0126-SM-CM2TK 60-69 years, female 113.1
GTEX-1IKOH-0226-SM-COH4E 60-69 years, female 112.4
GTEX-1AYD5-2426-SM-73KXR 50-59 years, male 112.0
GTEX-1C64O-0126-SM-7SB8P 60-69 years, male 111.8
GTEX-148VJ-0126-SM-5TDDN 70-79 years, male 111.7
GTEX-17HHE-2026-SM-79OKF 50-59 years, male 111.4
GTEX-1RQEC-0426-SM-E6CHU 60-69 years, male 111.2
GTEX-15DCD-0126-SM-7KUEK 70-79 years, female 111.0
GTEX-146FH-0126-SM-5QGPP 50-59 years, female 110.6
GTEX-1I1GR-0126-SM-CL55F 60-69 years, male 110.6
GTEX-SJXC-0126-SM-2XCFF 60-69 years, male 110.5
GTEX-QLQ7-1626-SM-2S1R8 60-69 years, male 109.0
GTEX-1H3NZ-0126-SM-ACKX7 60-69 years, male 108.9
GTEX-13OVJ-0126-SM-5KM36 50-59 years, female 108.8
GTEX-RN64-0126-SM-2TC68 50-59 years, male 108.7
GTEX-1EKGG-0226-SM-9WYTH 60-69 years, male 108.7
GTEX-1A8FM-0226-SM-7SB7Q 50-59 years, female 108.6
GTEX-VJWN-0126-SM-3GIK7 50-59 years, female 107.8
GTEX-YEC4-2126-SM-5IFJH 40-49 years, male 107.8
GTEX-11ZVC-2526-SM-5FQTE 50-59 years, female 107.6
GTEX-1ICLY-0126-SM-D4P36 50-59 years, male 107.5
GTEX-147GR-0526-SM-5S2MY 60-69 years, male 107.3
GTEX-14JG6-2226-SM-6EU2G 30-39 years, female 106.9
GTEX-1R7EV-2426-SM-EVYBG 40-49 years, male 106.9
GTEX-OXRO-0126-SM-2YUN4 60-69 years, female 106.8
GTEX-11P81-2326-SM-59875 30-39 years, female 106.4
GTEX-12KS4-0326-SM-5EQ41 30-39 years, male 106.4
GTEX-1I1GS-0126-SM-B2LVW 60-69 years, male 106.1
GTEX-TMMY-0226-SM-33HBA 40-49 years, female 106.0
GTEX-WFG8-2226-SM-3GIL9 20-29 years, male 106.0
GTEX-13OW8-1326-SM-5J1OW 60-69 years, male 105.7
GTEX-13N1W-0126-SM-5K7VT 70-79 years, male 105.6
GTEX-1H23P-0126-SM-ADEJ3 60-69 years, male 105.5
GTEX-139TT-0126-SM-5K7Y5 60-69 years, male 105.4
GTEX-14A6H-0126-SM-5QGPK 30-39 years, male 105.4
GTEX-14DAQ-0126-SM-5S2MQ 60-69 years, female 105.2
GTEX-15EU6-0426-SM-6PAN5 50-59 years, male 104.2
GTEX-11EM3-2426-SM-59861 20-29 years, female 104.0
GTEX-1AX9I-0126-SM-7SB74 60-69 years, male 103.4
GTEX-11EMC-2926-SM-5EQ4F 60-69 years, female 103.2
GTEX-13RTL-0126-SM-7LG5S 40-49 years, male 102.5
GTEX-14PN3-2426-SM-6LLHS 60-69 years, female 102.3
GTEX-1JK1U-2026-SM-CM2RZ 60-69 years, male 102.2
GTEX-1C6WA-0126-SM-7PC2B 60-69 years, male 102.1
GTEX-VJYA-1126-SM-3GIJU 60-69 years, male 102.0
GTEX-Q2AH-1626-SM-3GAF8 40-49 years, male 101.4
GTEX-RWS6-2026-SM-2XCB5 60-69 years, female 101.1
GTEX-1NHNU-1026-SM-E9J2A 50-59 years, male 101.1
GTEX-PVOW-0126-SM-2XCFA 40-49 years, male 101.0
GTEX-Z9EW-1626-SM-5CVMN 40-49 years, male 101.0
GTEX-11P82-1626-SM-59879 20-29 years, male 100.4
GTEX-147F3-0526-SM-5SI98 50-59 years, female 100.3
GTEX-11LCK-1026-SM-5A5KB 30-39 years, male 100.0
GTEX-PW2O-1526-SM-7RHHB 20-29 years, male 99.8
GTEX-SSA3-0126-SM-32QPU 60-69 years, male 99.3
GTEX-16NGA-1726-SM-731B4 40-49 years, female 99.2
GTEX-1AMEY-1326-SM-73KYK 30-39 years, female 99.2
GTEX-1PPH7-2326-SM-EVYB8 40-49 years, male 99.1
GTEX-15SHW-0326-SM-6PAML 60-69 years, male 98.4
GTEX-11ZU8-2526-SM-5EQKI 60-69 years, male 98.2
GTEX-1A3MW-0126-SM-73KXX 60-69 years, female 98.2
GTEX-1QEPI-0126-SM-EWRMQ 60-69 years, female 98.0
GTEX-11VI4-1726-SM-5CVLH 40-49 years, female 97.9
GTEX-1RLM8-2326-SM-EWRN4 50-59 years, male 97.3
GTEX-U3ZM-1526-SM-3DB9D 40-49 years, male 97.2
GTEX-1AMFI-2026-SM-731BH 50-59 years, female 96.8
GTEX-1S82Z-0826-SM-E6CHY 30-39 years, female 96.5
GTEX-1C2JI-1826-SM-73KXC 50-59 years, male 96.2
GTEX-1HSMQ-1226-SM-CGQFX 50-59 years, male 95.2
GTEX-1QP29-0626-SM-EWRMX 50-59 years, male 95.0
GTEX-QDVN-2026-SM-3GAEP 50-59 years, male 94.9
GTEX-14ABY-0226-SM-5TDCQ 50-59 years, male 94.7
GTEX-1IDJU-2626-SM-CM2RT 60-69 years, female 94.6
GTEX-16AAH-1726-SM-7939C 50-59 years, male 94.4
GTEX-U3ZN-2326-SM-3DB7W 30-39 years, female 94.0
GTEX-14LLW-0126-SM-6LLIO 70-79 years, female 93.6
GTEX-1EN7A-0126-SM-7SB81 40-49 years, male 93.5
GTEX-Q2AG-0126-SM-33HBV 40-49 years, female 93.2
GTEX-SNMC-1226-SM-2XCFP 20-29 years, male 93.1
GTEX-13W3W-2426-SM-5LU5B 60-69 years, female 93.0
GTEX-ZF28-0126-SM-4WKGK 60-69 years, male 93.0
GTEX-12C56-1726-SM-5EQ61 20-29 years, male 92.9
GTEX-13NYC-0326-SM-E9J4S 60-69 years, male 92.5
GTEX-1MA7X-2226-SM-E6CIY 60-69 years, male 92.5
GTEX-1F48J-0126-SM-7P8TT 50-59 years, female 92.3
GTEX-1GPI6-0126-SM-9WG69 60-69 years, male 90.7
GTEX-1J8Q3-1626-SM-CMKGC 60-69 years, male 90.2
GTEX-ZUA1-0126-SM-5GU76 40-49 years, male 89.8
GTEX-1F88F-2726-SM-7PBZZ 60-69 years, female 89.6
GTEX-1HKZK-0326-SM-9WYUH 40-49 years, male 89.2
GTEX-1I1GU-2226-SM-CGQFA 40-49 years, male 89.1
GTEX-R55E-0126-SM-2TC5Y 20-29 years, male 88.9
GTEX-V1D1-2226-SM-3NMAX 50-59 years, male 88.8
GTEX-U3ZH-2026-SM-3DB78 30-39 years, male 88.7
GTEX-139T4-0226-SM-5HL5S 50-59 years, female 88.2
GTEX-1JJE9-0326-SM-CL53Z 70-79 years, male 88.2
GTEX-1I19N-0326-SM-ACKVX 70-79 years, male 88.0
GTEX-16XZY-2126-SM-79OK1 70-79 years, male 87.5
GTEX-1B8KZ-2026-SM-7DHMB 50-59 years, male 87.2
GTEX-1IY9M-0126-SM-D3L8S 60-69 years, male 87.1
GTEX-13OVG-1926-SM-5L3DK 60-69 years, male 87.0
GTEX-OIZF-0126-SM-7SB8I 60-69 years, male 87.0
GTEX-1JKYN-1326-SM-CGQG9 30-39 years, male 86.8
GTEX-WOFL-0126-SM-3MJG2 60-69 years, male 86.3
GTEX-14E7W-0126-SM-6LLJ9 70-79 years, male 86.2
GTEX-QCQG-1726-SM-3GIJ9 50-59 years, female 85.1
GTEX-1H1E6-1726-SM-ACKVK 30-39 years, male 83.0
GTEX-Y8LW-1826-SM-5S2MV 50-59 years, female 82.7
GTEX-1I1HK-0126-SM-COH49 60-69 years, male 82.6
GTEX-1HFI7-1826-SM-ACKXH 50-59 years, female 82.5
GTEX-1GL5R-1826-SM-9KNUY 50-59 years, male 82.2
GTEX-1QP2A-0126-SM-E9J43 50-59 years, male 82.1
GTEX-1AX9K-2326-SM-73KWU 50-59 years, male 81.9
GTEX-11ZTT-2426-SM-5EQLS 60-69 years, female 81.8
GTEX-1N2DV-0226-SM-E6CJ6 40-49 years, male 81.4
GTEX-1F5PK-2426-SM-7RHHY 50-59 years, male 80.4
GTEX-1JMOU-1526-SM-CL54I 60-69 years, female 79.6
GTEX-1IE54-0126-SM-CMKHW 40-49 years, female 77.0
GTEX-TSE9-0126-SM-3DB83 60-69 years, female 76.9
GTEX-P44H-0226-SM-2XCEU 40-49 years, male 76.1
GTEX-ZZPT-0226-SM-5E43X 50-59 years, male 74.9
GTEX-12WSN-5019-SM-79OM6 40-49 years, male 73.8
GTEX-1PBJI-0526-SM-E8VNK 20-29 years, female 73.3
GTEX-1C6VS-0526-SM-7DUEN 60-69 years, male 71.5
GTEX-1RAZQ-0726-SM-EAZ43 30-39 years, male 70.9
GTEX-14PHW-0126-SM-6LLJI 60-69 years, female 70.8
GTEX-1OJC4-0126-SM-E9J2E 50-59 years, female 70.7
GTEX-1R9PO-2126-SM-E9J4O 60-69 years, female 68.7
GTEX-113IC-0126-SM-5HL6T 60-69 years, male 68.0
GTEX-14JIY-0126-SM-6LLH6 60-69 years, male 65.5
GTEX-1HBPH-0426-SM-B2LW5 40-49 years, female 64.1
GTEX-14BIL-0126-SM-5SI92 50-59 years, male 62.4
GTEX-1HUB1-0426-SM-E9U4U 60-69 years, male 62.4
GTEX-U4B1-1826-SM-4DXSU 40-49 years, male 62.2
GTEX-1QW4Y-1526-SM-EAZ3Z 30-39 years, male 61.9
GTEX-1QP67-1626-SM-EAZ3X 40-49 years, female 60.6
GTEX-1F75I-0326-SM-9YFLU 40-49 years, male 60.1
GTEX-1GN1W-0526-SM-9MQJQ 50-59 years, female 58.7
GTEX-11ZUS-0626-SM-59885 30-39 years, male 57.5
GTEX-146FR-1326-SM-E9J48 60-69 years, female 35.9
Show allShow less

Contact

  • NEWS ARTICLES
  • PRESS ROOM

The Project

  • INTRODUCTION
  • ORGANIZATION
  • PUBLICATIONS

The Human Protein Atlas

  • DOWNLOADABLE DATA
  • LICENCE & CITATION
  • HELP & FAQ
The Human Protein Atlas project is funded
by the Knut & Alice Wallenberg Foundation.


contact@proteinatlas.org