We use cookies to enhance the usability of our website. If you continue, we'll assume that you are happy to receive all cookies. More information. Don't show this again.
ZNRD2
HPA
RESOURCES
  • TISSUE
  • BRAIN
  • SINGLE CELL
  • SUBCELLULAR
  • CANCER
  • BLOOD
  • CELL LINE
  • STRUCTURE & INTERACTION
ABOUT
  • INTRODUCTION
  • HISTORY
  • ORGANIZATION
  • PUBLICATIONS
  • ANTIBODY SUBMISSION
  • ANTIBODY AVAILABILITY
  • ACKNOWLEDGMENTS
  • CONTACT
NEWS
  • NEWS ARTICLES
  • PRESS ROOM
LEARN
  • DICTIONARY
  • PROTEIN CLASSES
  • PROTEIN EVIDENCE
  • METHODS
  • EDUCATIONAL VIDEOS
DATA
  • DOWNLOADABLE DATA
  • PUBLICATION DATA
  • RELEASE HISTORY
HELP
  • ANTIBODY VALIDATION
  • ASSAYS & ANNOTATION
  • DISCLAIMER
  • HELP & FAQ
  • PRIVACY STATEMENT
  • LICENCE & CITATION
Fields »
Search result

Field
Term
Gene name
Class
Subclass
Class
Keyword
Chromosome
External id
Tissue
Cell type
Expression
Antibody panel
Tissue
Main location
Patient ID
Annotation
Tissue
Category
Tau score
Cluster
Reliability
Brain region
Category
Tau score
Brain region
Category
Tau score
Brain region
Category
Tau score
Cluster
Reliability
Tissue
Cell type
Enrichment
Cell type
Category
Tau score
Cell type
Category
Tau score
Cell type
Category
Tau score
Cell lineage
Category
Tau score
Cluster
Cluster
Location
Searches
Location
Cell line
Class
Type
Phase
Reliability
Cancer
Prognosis
Cancer
Category
Cancer
Category
Tau score
Cluster
Variants
Interacting gene (ensg_id)
Type
Number of interactions
Pathway
Category
Score
Score
Score
Validation
Validation
Validation
Validation
Antibodies
Data type
Column


  • SUMMARY

  • TISSUE

  • BRAIN

  • SINGLE CELL

  • SUBCELL

  • CANCER

  • BLOOD

  • CELL LINE

  • STRUCT & INT

  • ZNRD2
BRAIN BASAL GANGLIA Show tissue menu
AMYGDALA BASAL GANGLIA CEREBELLUM CEREBRAL CORTEX CHOROID PLEXUS HIPPOCAMPAL FORMATION HYPOTHALAMUS MEDULLA OBLONGATA
MIDBRAIN OLFACTORY BULB PITUITARY GLAND PONS RETINA SPINAL CORD THALAMUS WHITE MATTER
ANTIBODIES
AND
VALIDATION
Brain proteome
Basal ganglia
BASAL GANGLIA - Expression summary
Protein expression
Caudatei

On the top, protein expression in current human tissue, based on all annotated cell types, is reported with the units not detected (n), low (l), medium (m) and high (h). Underneath, protein expression in each annotated cell type are reported using the same units.

Protein expression data is based on knowledge-based annotation. For genes where more than one antibody has been used, a collective score is set.

If knowledge-based annotation could not be performed for a gene, no data is displayed here. View antibody staining data further down this page.

h
m
l
n
Glial cells: Not detected
Neuronal cells: Low
RNA expressioni

A summary of mRNA expression data available for current tissue based on several datasets. The mRNA expression levels in human tissues are based on RNA-seq data generated by the Human Protein Atlas (HPA), Genotype-Tissue Expression (GTEx) portal and CAGE data generated by the FANTOM5 consortium. Consensus normalized expression levels for human tissues was created by combining the data from HPA and GTEx datasets.

The mRNA expression levels in pig are based on RNA-seq data generated by the Human Protein Atlas (HPA), and for mouse, HPA data and in situ hybridization generated by the Allen brain atlas are reported.

Scroll down to view mRNA expression data in more detail.
Consensus:34.1 nTPM
HPA Brain:36.0 nTPM
GTEx:34.1 nTPM
FANTOM5:55.3 Scaled Tags Per Million
Pig:73.7 nTPM
Mouse:31.6 nTPM
Allen mouse:0.6 Expression energy

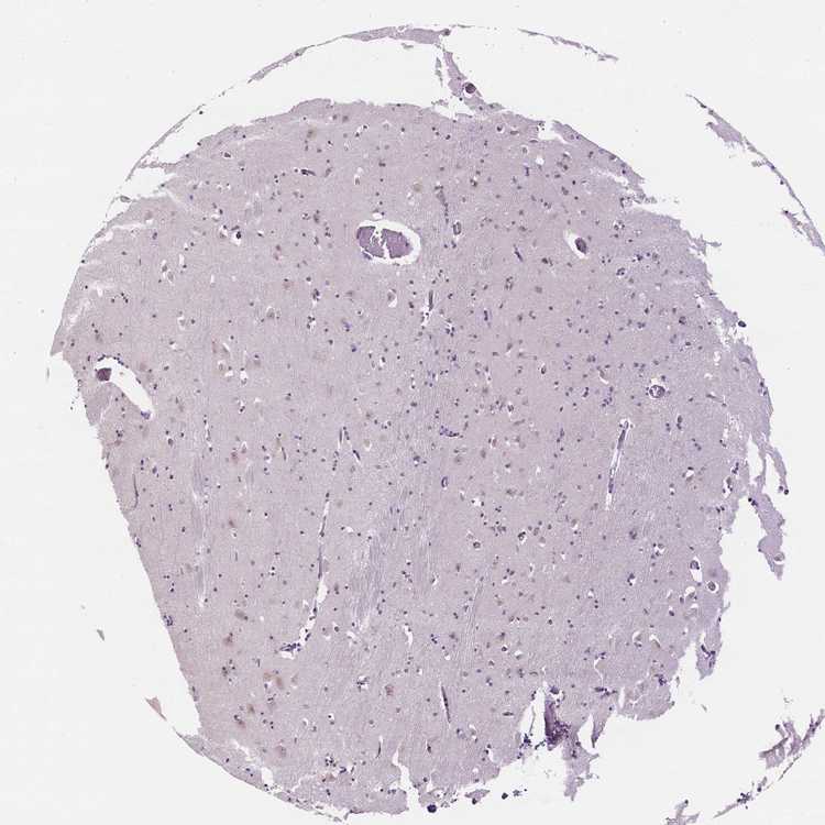
CAUDATE - Antibody stainingi

Antibody staining in the annotated cell types in the current human tissue is reported as not detected, low, medium, or high, based on conventional immunohistochemistry profiling in selected tissues. This score is based on the combination of the staining intensity and fraction of stained cells.

Each image is clickable and will lead to virtual microscopy that enables deeper exploration of all samples and also displays staining intensity scores, fraction scores and subcellular localization as well as patient and tissue information for each sample.

Antibody HPA039789Antibody HPA064670
Glial cells Not detectedNot detected
Neuronal cells LowLow




BASAL GANGLIA - HPA Brain RNA-seq
Max subtype nTPMi

Max subtype nTPM is the value for the subtype with the largest average nTPM across the subtype samples.

36.0
Sample id Sample description nTPM
Caudate nucleus
nTPM: 29.6
1781 Male, age 74, unknown 38.4
2846 Female, age 79, unknown 35.2
1854 Male, age 80, left hemisphere 35.0
1857 Female, age 85, left hemisphere 29.4
2290 Female, age 72, unknown 28.7
2288 Male, age 75, left hemisphere 24.3
2289 Male, age 61, right hemisphere 23.9
2481 Female, age 94, left hemisphere 21.9
Globus pallidus, externus
nTPM: 23.9
2646 Male, age 61, right hemisphere 33.8
2567 Female, age 72, unknown 23.8
2772 Female, age 79, unknown 22.4
2395 Male, age 75, both hemispheres 22.1
1996 Male, age 80, right hemisphere 17.6
Globus pallidus, internus
nTPM: 22.6
2287 Male, age 75, right hemisphere 26.1
2483 Female, age 94, right hemisphere 24.4
2566 Female, age 72, unknown 24.4
2778 Female, age 91, both hemispheres 23.0
2111 Female, age 85, right hemisphere 20.3
2037 Male, age 80, right hemisphere 20.2
1818 Male, age 74, unknown 19.4
Nucleus accumbens
nTPM: 31.5
2824 Male, age 61, right hemisphere 35.4
1806 Female, age 85, left hemisphere 33.6
2698 Female, age 72, unknown 33.4
1856 Female, age 91, right hemisphere 33.0
2286 Male, age 75, left hemisphere 32.2
1783 Male, age 74, unknown 30.5
2391 Female, age 94, left hemisphere 29.9
2732 Male, age 80, right hemisphere 23.8
Nucleus basalis of Meynert
nTPM: 29.1
2484 Female, age 94, left hemisphere 34.3
2821 Male, age 75, both hemispheres 29.9
2393 Male, age 80, right hemisphere 29.7
2569 Male, age 61, both hemispheres 22.2
Nucleus of the diagonal band
nTPM: 36.0
2195 Female, age 85, both hemispheres 42.8
2775 Male, age 80, right hemisphere 41.2
1812 Female, age 91, both hemispheres 37.7
1979 Male, age 74, unknown 32.1
2029 Male, age 61, right hemisphere 26.3
Putamen
nTPM: 33.7
2647 Male, age 75, left hemisphere 40.4
2466 Female, age 79, unknown 37.4
2489 Female, age 72, unknown 36.8
1838 Male, age 80, right hemisphere 33.8
1937 Female, age 91, right hemisphere 30.2
1829 Male, age 74, unknown 30.1
2482 Female, age 94, left hemisphere 27.4
Septal nuclei
nTPM: 35.5
1960 Male, age 74, unknown 49.9
2629 Female, age 94, right hemisphere 44.3
2059 Female, age 85, both hemispheres 33.5
2394 Male, age 61, left hemisphere 32.3
2009 Female, age 91, both hemispheres 31.5
2031 Female, age 72, unknown 29.8
2199 Male, age 80, right hemisphere 27.6
Stria terminalis, bed nucleus
nTPM: 32.7
1974 Female, age 91, both hemispheres 36.4
2486 Female, age 94, both hemispheres 31.1
2201 Male, age 74, unknown 30.7

BASAL GANGLIA - GTEx RNA-seqi

RNA-Seq data generated by the Genotype-Tissue Expression (GTEx) project from human tissues is reported as mean nTPM. More information can be found on the GTEx portal.

Distribution across the dataset is visualized with box plots, shown as median and 25th and 75th percentiles. Points are displayed as outliers if they are above or below 1.5 times the interquartile range. nTPM values of the individual samples are presented next to the box plot.
Max subtype nTPMi

Max subtype nTPM is the value for the subtype with the largest average nTPM across the subtype samples.

34.1
GTEx sample id Sample description nTPM
Brain - Caudate (basal ganglia)
Average nTPM: 29.0
Samples: 246

Max nTPM: 57.2
Min nTPM: 11.4
Std nTPM: 7.9
Median nTPM: 28.0
GTEX-1B996-0011-R5a-SM-7P8PN 60-69 years, male 57.2
GTEX-139TT-0011-R5b-SM-5K7W8 60-69 years, male 55.9
GTEX-14JG1-0011-R5a-SM-62LED 40-49 years, male 53.0
GTEX-14JIY-0011-R5b-SM-62LE7 60-69 years, male 47.7
GTEX-14C39-0011-R5b-SM-5ZZV1 40-49 years, male 47.3
GTEX-Q2AG-0011-R5A-SM-2HMJH 40-49 years, female 46.3
GTEX-13O3Q-0011-R5b-SM-5P9H4 50-59 years, male 45.8
GTEX-RNOR-0011-R5A-SM-2TF4J 50-59 years, female 45.7
GTEX-1H1DG-0011-R5b-SM-CJI33 70-79 years, male 44.9
GTEX-11DYG-0011-R5a-SM-DO928 60-69 years, male 44.2
GTEX-T6MN-0011-R5A-SM-32QPD 50-59 years, male 44.1
GTEX-1HBPI-0011-R5a-SM-CKZOW 50-59 years, male 43.7
GTEX-13G51-0011-R5a-SM-5L3EB 60-69 years, male 43.4
GTEX-14PN4-0011-R5a-SM-686ZV 50-59 years, male 43.0
GTEX-1GN73-0011-R5a-SM-9QEIM 60-69 years, male 42.7
GTEX-1I1GQ-0011-R5a-SM-CMKHJ 50-59 years, male 42.7
GTEX-12ZZY-0011-R5a-SM-5EGL9 60-69 years, male 42.3
GTEX-1JMPZ-0011-R5b-SM-EYYWY 30-39 years, male 41.5
GTEX-13X6J-0011-R5b-SM-5PNWT 50-59 years, male 41.4
GTEX-1HCVE-0011-R5b-SM-CKZP7 50-59 years, male 41.2
GTEX-1R9K4-0011-R5b-SM-EZ6N8 60-69 years, male 40.6
GTEX-13O3O-0011-R5b-SM-5KM44 60-69 years, female 40.5
GTEX-1AX9I-0011-R5b-SM-793DI 60-69 years, male 40.0
GTEX-1F75A-0011-R5a-SM-ARZMJ 50-59 years, male 39.5
GTEX-11PRG-0011-R5b-SM-DNZZS 50-59 years, male 39.3
GTEX-12WSM-0011-R5a-SM-5EQ4Y 60-69 years, male 39.1
GTEX-14BIM-0011-R5b-SM-5S2RM 60-69 years, female 39.1
GTEX-13RTJ-0011-R5a-SM-5P9HR 60-69 years, male 38.9
GTEX-1J1OQ-0011-R5a-SM-D3L8K 40-49 years, female 38.8
GTEX-14BMV-0011-R5b-SM-62LFT 50-59 years, male 38.0
GTEX-13FHO-0011-R5b-SM-5LZZ3 60-69 years, male 37.9
GTEX-17EVP-0011-R5b-SM-7DHKW 40-49 years, male 37.7
GTEX-17HG3-0011-R5a-SM-7DUEW 30-39 years, female 37.7
GTEX-1GTWX-0011-R5b-SM-CKZO6 60-69 years, male 37.7
GTEX-15DYW-0011-R5a-SM-6M46W 60-69 years, female 37.5
GTEX-145MH-0011-R5a-SM-5P9JT 50-59 years, male 37.2
GTEX-ZUA1-0011-R5b-SM-51MTG 40-49 years, male 37.2
GTEX-15ER7-0011-R5b-SM-6M46T 20-29 years, female 37.1
GTEX-1R9PO-0011-R5a-SM-EZ6NA 60-69 years, female 37.1
GTEX-1HCU6-0011-R5a-SM-ARU76 60-69 years, female 37.0
GTEX-S7SE-0011-R5A-SM-2XCDA 50-59 years, male 36.7
GTEX-1EMGI-0011-R5a-SM-CJI2E 60-69 years, male 36.7
GTEX-14LLW-0011-R5b-SM-5ZZU6 70-79 years, female 36.3
GTEX-N7MS-0011-R5a-SM-2HMK8 60-69 years, male 36.3
GTEX-13OVL-0011-R5b-SM-5L3FU 50-59 years, male 36.0
GTEX-T5JC-0011-R5A-SM-32PLK 20-29 years, male 35.9
GTEX-16YQH-0011-R5b-SM-7938U 30-39 years, male 35.8
GTEX-1H3O1-0011-R5b-SM-ADEH8 60-69 years, male 35.8
GTEX-14PJO-0011-R5a-SM-6AJBZ 60-69 years, male 35.2
GTEX-R55E-0011-R5A-SM-2TC5N 20-29 years, male 35.0
GTEX-1313W-0011-R5b-SM-5L3EP 50-59 years, female 34.8
GTEX-1LG7Y-0011-R5a-SM-EZ6MU 50-59 years, male 34.8
GTEX-1GN1U-0011-R5a-SM-9QEIS 50-59 years, female 34.7
GTEX-14DAQ-0011-R5b-SM-5YYAK 60-69 years, female 34.6
GTEX-1I1GR-0011-R5a-SM-CMKHD 60-69 years, male 34.6
GTEX-131YS-0011-R5b-SM-5K7YB 60-69 years, female 34.5
GTEX-P44G-0011-R5A-SM-2I3FA 30-39 years, male 34.2
GTEX-11OF3-0011-R5a-SM-57WB4 60-69 years, male 34.1
GTEX-1JMQJ-0011-R5a-SM-EYYXO 50-59 years, male 33.8
GTEX-1N2DW-0011-R5a-SM-EYYX3 50-59 years, male 33.7
GTEX-13VXU-0011-R5a-SM-5O9D7 50-59 years, male 33.6
GTEX-ZAB4-0011-R5a-SM-4SOKC 40-49 years, male 33.6
GTEX-13N1W-0011-R5b-SM-5MR5Q 70-79 years, male 33.5
GTEX-13S7M-0011-R5b-SM-5P9HS 60-69 years, female 33.5
GTEX-12ZZZ-0011-R5a-SM-5EQ4M 60-69 years, male 33.4
GTEX-13JUV-0011-R5a-SM-5LZY5 40-49 years, female 33.4
GTEX-1J8Q2-0011-R5b-SM-A9SKH 60-69 years, male 33.4
GTEX-1IKJJ-0011-R5b-SM-CE6SL 60-69 years, male 33.3
GTEX-1399T-0011-R5b-SM-5IJDK 60-69 years, male 33.2
GTEX-13CZV-0011-R5a-SM-5K7XA 60-69 years, male 33.0
GTEX-13OW5-0011-R5b-SM-5L3FR 60-69 years, male 33.0
GTEX-14753-0011-R5a-SM-5S2VW 60-69 years, male 33.0
GTEX-QVJO-0011-R5A-SM-2S1QM 60-69 years, female 33.0
GTEX-15SHU-0011-R5a-SM-7938Q 40-49 years, female 32.9
GTEX-1HT8W-0011-R5b-SM-CJI3P 30-39 years, male 32.8
GTEX-1F7RK-0011-R5b-SM-9WG5S 20-29 years, female 32.7
GTEX-1B8SF-0011-R5a-SM-79OOO 60-69 years, male 32.4
GTEX-1IDJH-0011-R5a-SM-CE6SR 70-79 years, male 32.4
GTEX-12WSF-0011-R5a-SM-5HL8K 70-79 years, male 32.3
GTEX-13X6K-0011-R5b-SM-5PNUE 60-69 years, female 32.3
GTEX-1F6IF-0011-R5b-SM-CM2RH 60-69 years, male 32.1
GTEX-1EX96-0011-R5a-SM-ARU83 50-59 years, male 32.0
GTEX-18464-0011-R5b-SM-718A6 50-59 years, male 31.9
GTEX-11NV4-0011-R5a-SM-5NQ88 60-69 years, male 31.7
GTEX-15CHQ-0011-R5b-SM-6AJAN 60-69 years, male 31.6
GTEX-1I1GS-0011-R5a-SM-CKZPC 60-69 years, male 31.6
GTEX-12ZZW-0011-R5a-SM-5DUVN 50-59 years, male 31.5
GTEX-132Q8-0011-R5a-SM-5IJDM 60-69 years, male 31.4
GTEX-YJ89-0011-R5a-SM-4V6GM 60-69 years, male 31.2
GTEX-13SLX-0011-R5a-SM-5O9BV 50-59 years, female 31.0
GTEX-1IY9M-0011-R5a-SM-A9SLX 60-69 years, male 30.9
GTEX-1A8G6-0011-R5b-SM-7IGQG 60-69 years, male 30.8
GTEX-1I1GV-0011-R5b-SM-CKZPD 60-69 years, male 30.8
GTEX-1J8JJ-0011-R5a-SM-D4P2G 60-69 years, female 30.5
GTEX-139T8-0011-R5b-SM-5J1MO 60-69 years, male 30.2
GTEX-1GN2E-0011-R5b-SM-CJI2M 60-69 years, male 30.2
GTEX-1IL2U-0011-R5a-SM-CE6SN 60-69 years, male 30.2
GTEX-13FXS-0011-R5b-SM-5LZYE 50-59 years, male 30.1
GTEX-13NYB-0011-R5a-SM-5MR45 40-49 years, male 30.1
GTEX-17HHY-0011-R5b-SM-79OMZ 50-59 years, male 30.1
GTEX-UTHO-0011-R5A-SM-3GIJD 60-69 years, male 30.0
GTEX-14E6D-0011-R5b-SM-69LQR 50-59 years, male 29.9
GTEX-RU72-0011-R5A-SM-2TF6U 50-59 years, female 29.7
GTEX-1GF9W-0011-R5a-SM-CKZO4 60-69 years, male 29.7
GTEX-1HGF4-0011-R5b-SM-CM2ST 60-69 years, male 29.6
GTEX-1HSKV-0011-R5b-SM-ARZLN 60-69 years, male 29.6
GTEX-RVPV-0011-R5A-SM-2TF69 60-69 years, male 29.5
GTEX-12WSC-0011-R5b-SM-5CVNS 50-59 years, male 29.3
GTEX-13OW7-0011-R5b-SM-5O9DM 50-59 years, male 29.3
GTEX-1192X-0011-R5a-SM-DNZZA 50-59 years, male 29.2
GTEX-11TTK-0011-R5a-SM-DNZZV 60-69 years, female 29.2
GTEX-14ABY-0011-R5b-SM-5SI7B 50-59 years, male 29.0
GTEX-N7MT-0011-R5a-SM-2I3G6 60-69 years, female 29.0
GTEX-P44H-0011-R5A-SM-2XCEX 40-49 years, male 28.8
GTEX-11NUK-0011-R5a-SM-DO93N 50-59 years, male 28.6
GTEX-15EO6-0011-R5b-SM-7KUDZ 50-59 years, male 28.4
GTEX-17MF6-0011-R5a-SM-731BA 40-49 years, male 28.4
GTEX-WVLH-0011-R5A-SM-3MJFW 50-59 years, male 28.4
GTEX-13JVG-0011-R5a-SM-5MR4O 60-69 years, male 28.3
GTEX-12WSA-0011-R5b-SM-5GU5I 60-69 years, male 28.2
GTEX-1GZ2Q-0011-R5a-SM-A96RQ 40-49 years, male 28.2
GTEX-WL46-0011-R5A-SM-3LK6V 50-59 years, male 28.1
GTEX-1RNSC-0011-R5a-SM-EZ6N5 60-69 years, male 28.1
GTEX-13NZA-0011-R5b-SM-5KM4K 60-69 years, male 28.0
GTEX-1IGQW-0011-R5b-SM-CJI44 60-69 years, male 28.0
GTEX-13OW6-0011-R5a-SM-5O9BK 50-59 years, male 27.9
GTEX-1H1ZS-0011-R5b-SM-CL53L 70-79 years, male 27.9
GTEX-13NYS-0011-R5a-SM-5MR4D 60-69 years, male 27.8
GTEX-14ASI-0011-R5b-SM-6EU2M 60-69 years, male 27.8
GTEX-1H23P-0011-R5a-SM-CKZOI 60-69 years, male 27.8
GTEX-1F75W-0011-R5b-SM-9QEGV 60-69 years, male 27.7
GTEX-13FLV-0011-R5a-SM-5LZWT 50-59 years, male 27.6
GTEX-13FLW-0011-R5a-SM-5LZX6 50-59 years, male 27.6
GTEX-1A3MX-0011-R5a-SM-79OM5 60-69 years, male 27.6
GTEX-1CB4G-0011-R5a-SM-CKZNM 60-69 years, male 27.6
GTEX-WZTO-0011-R5B-SM-3NMC5 40-49 years, male 27.4
GTEX-13X6I-0011-R5a-SM-5PNWW 60-69 years, male 27.1
GTEX-13FHP-0011-R5b-SM-5LZY2 50-59 years, male 26.9
GTEX-145LS-0011-R5a-SM-5SI65 60-69 years, female 26.8
GTEX-TSE9-0011-R5A-SM-3DB7J 60-69 years, female 26.8
GTEX-1F48J-0011-R5b-SM-9OSVZ 50-59 years, female 26.7
GTEX-1HUB1-0011-R5a-SM-CKZOY 60-69 years, male 26.7
GTEX-16NPV-0011-R5a-SM-7EPGK 50-59 years, female 26.6
GTEX-1B933-0011-R5b-SM-7P8SA 50-59 years, female 26.5
GTEX-1EKGG-0011-R5a-SM-9OSVQ 60-69 years, male 26.5
GTEX-13OVH-0011-R5b-SM-5KM4L 70-79 years, male 26.4
GTEX-11GSP-0011-R5a-SM-57WBE 60-69 years, female 26.3
GTEX-144GO-0011-R5a-SM-5PNUR 60-69 years, male 26.3
GTEX-1HFI6-0011-R5a-SM-A9G1J 40-49 years, male 26.3
GTEX-11H98-0011-R5b-SM-57WCF 50-59 years, male 26.2
GTEX-X585-0011-R5A-SM-46MVI 50-59 years, male 26.2
GTEX-1H1CY-0011-R5a-SM-CM2SN 60-69 years, female 26.1
GTEX-17HII-0011-R5a-SM-7LG51 50-59 years, male 26.0
GTEX-1IKOH-0011-R5a-SM-ARU8C 60-69 years, female 26.0
GTEX-ZVZQ-0011-R5b-SM-57WDC 60-69 years, female 25.9
GTEX-11ONC-0011-R5b-SM-DO93I 60-69 years, male 25.9
GTEX-1J8EW-0011-R5b-SM-ARU8B 60-69 years, female 25.9
GTEX-13CF2-0011-R5a-SM-5LZWS 60-69 years, male 25.8
GTEX-Y8DK-0011-R5B-SM-4RTW6 60-69 years, male 25.8
GTEX-11DXY-0011-R5b-SM-DNZZL 60-69 years, male 25.7
GTEX-NL4W-0011-R5a-SM-2I3GD 50-59 years, male 25.6
GTEX-ZE9C-0011-R5a-SM-5EGLO 60-69 years, male 25.6
GTEX-11O72-0011-R5a-SM-DO922 40-49 years, male 25.6
GTEX-1H3NZ-0011-R5a-SM-CM2SP 60-69 years, male 25.6
GTEX-17F97-0011-R5a-SM-7LG4Z 50-59 years, male 25.5
GTEX-Z93S-0011-R5b-SM-4RGNI 50-59 years, male 25.5
GTEX-1C6VS-0011-R5a-SM-7MXU9 60-69 years, male 25.5
GTEX-13OW8-0011-R5b-SM-5L3FQ 60-69 years, male 25.3
GTEX-1477Z-0011-R5b-SM-5PNUO 60-69 years, male 25.3
GTEX-16Z82-0011-R5a-SM-7EPGB 60-69 years, male 25.2
GTEX-ZE7O-0011-R5a-SM-57WBO 50-59 years, female 25.2
GTEX-1CAV2-0011-R5b-SM-9QEH4 40-49 years, female 25.0
GTEX-1H3VE-0011-R5a-SM-CKZOU 40-49 years, male 25.0
GTEX-1445S-0011-R5a-SM-5PNUS 60-69 years, male 24.9
GTEX-1C6WA-0011-R5a-SM-9WG5X 60-69 years, male 24.7
GTEX-1I19N-0011-R5b-SM-ARU6X 70-79 years, male 24.7
GTEX-12WSD-0011-R5b-SM-5CVNG 60-69 years, female 24.6
GTEX-13OVJ-0011-R5a-SM-5P9H7 50-59 years, female 24.1
GTEX-1C6VR-0011-R5a-SM-9QEH1 60-69 years, male 24.1
GTEX-X261-0011-R5A-SM-3NMB4 50-59 years, male 23.9
GTEX-1F6I4-0011-R5b-SM-9QEHA 60-69 years, male 23.9
GTEX-1GMRU-0011-R5a-SM-CKZNS 50-59 years, male 23.7
GTEX-144GL-0011-R5b-SM-5PNUJ 50-59 years, male 23.6
GTEX-QMR6-0011-R5A-SM-32PKT 50-59 years, male 23.6
GTEX-1GZ4I-0011-R5a-SM-9OSWQ 50-59 years, male 23.2
GTEX-1EN7A-0011-R5a-SM-9QEH6 40-49 years, male 23.1
GTEX-1E2YA-0011-R5a-SM-9QEGT 50-59 years, male 22.9
GTEX-13112-0011-R5b-SM-5DUV8 50-59 years, male 22.3
GTEX-145MG-0011-R5b-SM-5S2VU 50-59 years, male 22.3
GTEX-ZVT3-0011-R5a-SM-51MSI 60-69 years, female 22.1
GTEX-1B8L1-0011-R5a-SM-7DHN5 60-69 years, male 22.0
GTEX-13PL6-0011-R5b-SM-5O9BI 40-49 years, female 21.9
GTEX-PVOW-0011-R5A-SM-32PL7 40-49 years, male 21.8
GTEX-X4XX-0011-R5A-SM-46MWN 60-69 years, male 21.8
GTEX-14BIN-0011-R5b-SM-5SI78 50-59 years, female 21.6
GTEX-1E1VI-0011-R5b-SM-9WG5V 50-59 years, male 21.6
GTEX-13SLW-0011-R5b-SM-5SI6Z 70-79 years, male 21.5
GTEX-1I1HK-0011-R5b-SM-ARU6S 60-69 years, male 21.5
GTEX-1GPI6-0011-R5a-SM-CJI2W 60-69 years, male 21.4
GTEX-13PLJ-0011-R5a-SM-5O9BG 60-69 years, female 21.3
GTEX-1HB9E-0011-R5b-SM-ARU78 50-59 years, male 21.3
GTEX-11DXW-0011-R5b-SM-DO11D 40-49 years, male 21.2
GTEX-1F52S-0011-R5a-SM-CJI22 60-69 years, female 21.2
GTEX-15DCD-0011-R5a-SM-CXZKZ 70-79 years, female 21.0
GTEX-1EH9U-0011-R5a-SM-CJI2K 60-69 years, male 20.7
GTEX-18465-0011-R5a-SM-72D5J 50-59 years, male 20.6
GTEX-YFC4-0011-R5a-SM-4RGLR 40-49 years, female 20.6
GTEX-1HBPH-0011-R5b-SM-A9G1R 40-49 years, female 20.6
GTEX-1IL2V-0011-R5a-SM-ARL78 70-79 years, male 20.6
GTEX-NPJ7-0011-R5a-SM-33HBK 60-69 years, female 20.5
GTEX-12ZZX-0011-R5a-SM-5HL89 40-49 years, female 20.4
GTEX-13CIG-0011-R5b-SM-5L3F2 50-59 years, male 20.4
GTEX-13PVQ-0011-R5b-SM-5O9DI 50-59 years, male 20.4
GTEX-OXRO-0011-R5A-SM-2I5EG 60-69 years, female 20.3
GTEX-1IKK5-0011-R5b-SM-CL55B 60-69 years, male 20.3
GTEX-17EVQ-0011-R5a-SM-7LT92 70-79 years, male 20.1
GTEX-183WM-0011-R5a-SM-718A4 70-79 years, female 20.0
GTEX-11DZ1-0011-R5a-SM-DO11J 50-59 years, male 20.0
GTEX-1GF9V-0011-R5a-SM-9QEI8 60-69 years, male 20.0
GTEX-11WQC-0011-R5a-SM-5BC74 60-69 years, male 19.9
GTEX-ZF28-0011-R5a-SM-4WWCZ 60-69 years, male 19.9
GTEX-1GMR8-0011-R5b-SM-9QEIH 50-59 years, female 19.9
GTEX-ZDXO-0011-R5a-SM-4WKG5 60-69 years, male 19.6
GTEX-S7PM-0011-R5A-SM-3NM8G 60-69 years, male 19.1
GTEX-ZXG5-0011-R5b-SM-57WBN 60-69 years, male 19.1
GTEX-12WSH-0011-R5b-SM-5P9F3 50-59 years, male 18.9
GTEX-ZV68-0011-R5a-SM-4YCDW 50-59 years, female 18.9
GTEX-139TU-0011-R5b-SM-5L3E1 60-69 years, male 18.8
GTEX-14PQA-0011-R5b-SM-6AJC2 50-59 years, female 18.8
GTEX-11UD1-0011-R5b-SM-5P9FP 40-49 years, female 18.6
GTEX-1CB4H-0011-R5b-SM-9QEGN 60-69 years, female 18.6
GTEX-1F75B-0011-R5a-SM-9QEHC 50-59 years, male 18.4
GTEX-139TS-0011-R5b-SM-5J2MZ 60-69 years, male 18.2
GTEX-OXRN-0011-R5A-SM-2I5EF 50-59 years, male 17.9
GTEX-NPJ8-0011-R5a-SM-2HMJY 40-49 years, male 17.1
GTEX-15G19-0011-R5b-SM-6M46P 60-69 years, male 16.9
GTEX-PWO3-0011-R5A-SM-2I5EZ 60-69 years, female 16.8
GTEX-1HR98-0011-R5a-SM-A9G1V 60-69 years, male 16.8
GTEX-T2IS-0011-R5A-SM-32QP4 20-29 years, female 16.6
GTEX-NL3H-0011-R5a-SM-2I3GB 60-69 years, male 15.1
GTEX-XMD1-0011-R5A-SM-4AT47 60-69 years, male 14.8
GTEX-14LZ3-0011-R5b-SM-5ZZV8 60-69 years, female 14.4
GTEX-QDT8-0011-R5A-SM-32PKN 30-39 years, female 14.4
GTEX-WWYW-0011-R5A-SM-3NB3E 50-59 years, female 13.5
GTEX-1HR9M-0011-R5a-SM-ARU72 60-69 years, male 12.1
GTEX-1H2FU-0011-R5b-SM-CL552 60-69 years, female 11.4
Show allShow less
Brain - Nucleus accumbens (basal ganglia)
Average nTPM: 34.1
Samples: 246

Max nTPM: 61.1
Min nTPM: 12.7
Std nTPM: 7.8
Median nTPM: 33.8
GTEX-1RLM8-0011-R6a-SM-EYYXS 50-59 years, male 61.1
GTEX-14753-0011-R6b-SM-5S2UD 60-69 years, male 58.5
GTEX-13O3O-0011-R6b-SM-5P9GY 60-69 years, female 58.4
GTEX-13FHO-0011-R6b-SM-5LZX1 60-69 years, male 57.3
GTEX-1B996-0011-R6b-SM-793AQ 60-69 years, male 52.3
GTEX-11NV4-0011-R6a-SM-57WD5 60-69 years, male 51.0
GTEX-139TT-0011-R6b-SM-5J2ON 60-69 years, male 50.7
GTEX-1J8Q2-0011-R6a-SM-CKZPG 60-69 years, male 49.9
GTEX-12ZZZ-0011-R6b-SM-5EQ5B 60-69 years, male 49.0
GTEX-12WSC-0011-R6b-SM-5LU99 50-59 years, male 48.7
GTEX-N7MS-0011-R6a-SM-2HMJ4 60-69 years, male 48.0
GTEX-14BIN-0011-R6a-SM-5S2RH 50-59 years, female 46.8
GTEX-1MJK2-0011-R6a-SM-EXUS3 50-59 years, male 46.6
GTEX-13N2G-0011-R6b-SM-5MR3P 60-69 years, male 46.3
GTEX-13X6J-0011-R6a-SM-5PNUB 50-59 years, male 46.2
GTEX-147F4-0011-R6b-SM-5S2UP 50-59 years, male 46.2
GTEX-WHSE-0011-R6A-SM-3P5ZP 20-29 years, male 44.9
GTEX-1I1GR-0011-R6a-SM-CMKHI 60-69 years, male 44.9
GTEX-18A6Q-0011-R6a-SM-7LG6R 60-69 years, male 44.8
GTEX-1LC47-0011-R6b-SM-EZ6MI 60-69 years, male 44.8
GTEX-1GF9V-0011-R6b-SM-CJI2Q 60-69 years, male 44.7
GTEX-1I1CD-0011-R6b-SM-CJI3Y 60-69 years, female 44.5
GTEX-1B933-0011-R6b-SM-79OOQ 50-59 years, female 44.2
GTEX-1F6I4-0011-R6a-SM-CE6R4 60-69 years, male 44.0
GTEX-1JJEA-0011-R6a-SM-EXUS1 60-69 years, male 44.0
GTEX-1F75A-0011-R6b-SM-9QEHD 50-59 years, male 43.9
GTEX-1J1OQ-0011-R6a-SM-ARU86 40-49 years, female 43.8
GTEX-13O3Q-0011-R6a-SM-5KM2V 50-59 years, male 43.3
GTEX-13FLW-0011-R6b-SM-5L3EN 50-59 years, male 42.7
GTEX-13FLV-0011-R6a-SM-5KLZ4 50-59 years, male 42.1
GTEX-1F7RK-0011-R6b-SM-ARZMG 20-29 years, female 42.1
GTEX-14JIY-0011-R6b-SM-68714 60-69 years, male 41.8
GTEX-12WSM-0011-R6b-SM-5EQ6N 60-69 years, male 41.7
GTEX-1BAJH-0011-R6b-SM-7MXT2 70-79 years, male 41.6
GTEX-18464-0011-R6a-SM-731CA 50-59 years, male 41.4
GTEX-11OF3-0011-R6b-SM-57WBG 60-69 years, male 41.3
GTEX-1GTWX-0011-R6a-SM-A96RN 60-69 years, male 41.1
GTEX-1IGQW-0011-R6a-SM-CM2TC 60-69 years, male 41.1
GTEX-1H1DG-0011-R6a-SM-A9SK8 70-79 years, male 41.0
GTEX-14JG1-0011-R6b-SM-5YYAU 40-49 years, male 40.7
GTEX-1IDJH-0011-R6a-SM-A9SLZ 70-79 years, male 40.7
GTEX-1LVAO-0011-R6b-SM-EZ6MX 60-69 years, male 40.6
GTEX-14BMV-0011-R6b-SM-5YY9I 50-59 years, male 40.3
GTEX-1GN1U-0011-R6a-SM-CKZNO 50-59 years, female 40.3
GTEX-1LB8K-0011-R6a-SM-EXURT 50-59 years, male 40.2
GTEX-1H1ZS-0011-R6b-SM-A9G1F 70-79 years, male 39.9
GTEX-14PN4-0011-R6b-SM-69LQU 50-59 years, male 39.8
GTEX-1HBPI-0011-R6b-SM-A9G1T 50-59 years, male 39.7
GTEX-145MH-0011-R6a-SM-5PNZ7 50-59 years, male 39.6
GTEX-17EVQ-0011-R6a-SM-7189U 70-79 years, male 39.6
GTEX-X4XY-0011-R6B-SM-46MVB 60-69 years, male 39.6
GTEX-T2IS-0011-R6A-SM-32QP2 20-29 years, female 39.5
GTEX-1GN73-0011-R6b-SM-CJI2T 60-69 years, male 39.5
GTEX-13FHP-0011-R6b-SM-5LZY6 50-59 years, male 39.4
GTEX-1AX9I-0011-R6a-SM-7P8PK 60-69 years, male 39.4
GTEX-1B8SF-0011-R6b-SM-7MXUD 60-69 years, male 39.2
GTEX-147GR-0011-R6b-SM-5S2RO 60-69 years, male 39.1
GTEX-NPJ7-0011-R6a-SM-2I3G7 60-69 years, female 39.1
GTEX-R55E-0011-R6A-SM-2TC5T 20-29 years, male 39.1
GTEX-X4EP-0011-R6A-SM-3P629 60-69 years, female 39.1
GTEX-1CB4H-0011-R6b-SM-CKZNK 60-69 years, female 39.0
GTEX-ZDXO-0011-R6a-SM-4WWCT 60-69 years, male 38.8
GTEX-1EKGG-0011-R6a-SM-CL538 60-69 years, male 38.8
GTEX-Q2AG-0011-R6A-SM-2HML7 40-49 years, female 38.5
GTEX-15CHQ-0011-R6b-SM-69LOX 60-69 years, male 38.4
GTEX-1OJC4-0011-R6a-SM-EXOIM 50-59 years, female 38.3
GTEX-16XZZ-0011-R6a-SM-7IGNE 60-69 years, male 38.2
GTEX-1F75W-0011-R6a-SM-9QEI5 60-69 years, male 38.2
GTEX-WZTO-0011-R6B-SM-4E3J6 40-49 years, male 38.1
GTEX-1CB4G-0011-R6b-SM-9QEGO 60-69 years, male 37.9
GTEX-1LH75-0011-R6a-SM-EXURS 50-59 years, female 37.9
GTEX-14E7W-0011-R6b-SM-5ZZV3 70-79 years, male 37.6
GTEX-13OVL-0011-R6a-SM-5L3G4 50-59 years, male 37.5
GTEX-13SLX-0011-R6a-SM-5PNX4 50-59 years, female 37.5
GTEX-17F97-0011-R6a-SM-7EPGS 50-59 years, male 37.5
GTEX-11DZ1-0011-R6b-SM-DNZZG 50-59 years, male 37.5
GTEX-12ZZY-0011-R6b-SM-5EGLA 60-69 years, male 37.4
GTEX-17HG3-0011-R6b-SM-79OK8 30-39 years, female 37.4
GTEX-12WSE-0011-R6b-SM-5LZV5 20-29 years, male 37.3
GTEX-XLM4-0011-R6A-SM-4AT4B 60-69 years, male 37.2
GTEX-1JMLX-0011-R6b-SM-EXUT9 50-59 years, male 37.2
GTEX-12WSF-0011-R6b-SM-5HL8W 70-79 years, male 37.1
GTEX-13PL6-0011-R6a-SM-5O9C5 40-49 years, female 37.1
GTEX-13VXU-0011-R6a-SM-5SI71 50-59 years, male 37.1
GTEX-14PJM-0011-R6a-SM-6872G 50-59 years, female 37.1
GTEX-S7SE-0011-R6A-SM-2XCD9 50-59 years, male 37.1
GTEX-13N1W-0011-R6a-SM-5MR43 70-79 years, male 37.0
GTEX-X585-0011-R6A-SM-46MVJ 50-59 years, male 37.0
GTEX-13112-0011-R6b-SM-5DUVK 50-59 years, male 36.9
GTEX-13X6K-0011-R6a-SM-5P9K6 60-69 years, female 36.7
GTEX-15ER7-0011-R6a-SM-6M46M 20-29 years, female 36.7
GTEX-131XH-0011-R6a-SM-5KM2G 50-59 years, male 36.6
GTEX-1HBPH-0011-R6a-SM-CKZOV 40-49 years, female 36.6
GTEX-ZVZQ-0011-R6b-SM-57WAY 60-69 years, female 36.5
GTEX-1HUB1-0011-R6b-SM-ARU6W 60-69 years, male 36.4
GTEX-13S7M-0011-R6b-SM-5O9D8 60-69 years, female 36.2
GTEX-1H1CY-0011-R6b-SM-CE6RP 60-69 years, female 36.2
GTEX-1GF9W-0011-R6b-SM-9QEIE 60-69 years, male 36.1
GTEX-13OW6-0011-R6b-SM-5L3GR 50-59 years, male 35.9
GTEX-1HGF4-0011-R6a-SM-A96S1 60-69 years, male 35.9
GTEX-1C64N-0011-R6a-SM-7IGO9 50-59 years, male 35.7
GTEX-11NUK-0011-R6a-SM-DO93O 50-59 years, male 35.7
GTEX-1I1GS-0011-R6b-SM-CMKHE 60-69 years, male 35.7
GTEX-1EMGI-0011-R6a-SM-9OSVR 60-69 years, male 35.5
GTEX-132Q8-0011-R6a-SM-5K7YN 60-69 years, male 35.4
GTEX-13SLW-0011-R6a-SM-5O9BH 70-79 years, male 35.4
GTEX-17MF6-0011-R6b-SM-7LG6G 40-49 years, male 35.4
GTEX-Z93S-0011-R6b-SM-4RGNJ 50-59 years, male 35.4
GTEX-15DYW-0011-R6b-SM-6PALA 60-69 years, female 35.3
GTEX-1I1GV-0011-R6b-SM-ARU6Q 60-69 years, male 35.3
GTEX-14C5O-0011-R6a-SM-5YYB6 60-69 years, male 35.2
GTEX-1GZ4I-0011-R6b-SM-9WG77 50-59 years, male 35.0
GTEX-1CB4J-0011-R6b-SM-9WG7B 60-69 years, male 34.9
GTEX-145LU-0011-R6a-SM-5S2V6 50-59 years, male 34.8
GTEX-1HT8W-0011-R6a-SM-CM2SY 30-39 years, male 34.7
GTEX-13NYB-0011-R6b-SM-5MR51 40-49 years, male 34.5
GTEX-11DXY-0011-R6a-SM-DNZZF 60-69 years, male 34.5
GTEX-T6MN-0011-R6A-SM-32QP8 50-59 years, male 34.4
GTEX-1313W-0011-R6a-SM-5K7XO 50-59 years, female 34.1
GTEX-1GMR8-0011-R6b-SM-CE6RC 50-59 years, female 34.1
GTEX-NL4W-0011-R6a-SM-2I3GA 50-59 years, male 33.9
GTEX-11DXW-0011-R6a-SM-DO11N 40-49 years, male 33.9
GTEX-1C6VR-0011-R6a-SM-7MXU8 60-69 years, male 33.8
GTEX-14PQA-0011-R6b-SM-6AJAM 50-59 years, female 33.7
GTEX-ZE9C-0011-R6a-SM-4WWCW 60-69 years, male 33.6
GTEX-1GMRU-0011-R6b-SM-A9G3B 50-59 years, male 33.6
GTEX-13FXS-0011-R6b-SM-5L3F7 50-59 years, male 33.5
GTEX-1R46S-0011-R6a-SM-EZ6N6 60-69 years, female 33.5
GTEX-13JVG-0011-R6a-SM-5MR3E 60-69 years, male 33.4
GTEX-145LS-0011-R6b-SM-5PNWL 60-69 years, female 33.3
GTEX-Y8DK-0011-R6A-SM-4V6EG 60-69 years, male 33.3
GTEX-YJ89-0011-R6a-SM-4V6GN 60-69 years, male 33.3
GTEX-ZXG5-0011-R6a-SM-57WBZ 60-69 years, male 33.3
GTEX-12584-0011-R6a-SM-5NQ7C 40-49 years, male 33.1
GTEX-13G51-0011-R6b-SM-5LZX4 60-69 years, male 33.1
GTEX-1IY9M-0011-R6a-SM-D4P28 60-69 years, male 33.0
GTEX-1ICLZ-0011-R6b-SM-A9G3A 60-69 years, male 32.9
GTEX-14ABY-0011-R6a-SM-5PNWR 50-59 years, male 32.7
GTEX-11O72-0011-R6a-SM-DNZZQ 40-49 years, male 32.6
GTEX-1F6IF-0011-R6a-SM-9QEIO 60-69 years, male 32.6
GTEX-1N2DW-0011-R6a-SM-EZ6MW 50-59 years, male 32.6
GTEX-12ZZW-0011-R6a-SM-5DUVZ 50-59 years, male 32.4
GTEX-18465-0011-R6a-SM-7LG6M 50-59 years, male 32.4
GTEX-11TTK-0011-R6b-SM-DNZZW 60-69 years, female 32.4
GTEX-15RJE-0011-R6a-SM-7DHL8 40-49 years, male 32.3
GTEX-1H3VE-0011-R6b-SM-A9G1M 40-49 years, male 32.2
GTEX-1EX96-0011-R6a-SM-9OSVV 50-59 years, male 32.0
GTEX-144GL-0011-R6a-SM-5P9HW 50-59 years, male 31.9
GTEX-1LVA9-0011-R6a-SM-EYYWH 50-59 years, male 31.9
GTEX-13RTJ-0011-R6a-SM-5SI74 60-69 years, male 31.8
GTEX-14BIM-0011-R6b-SM-5S2VB 60-69 years, female 31.7
GTEX-15DCD-0011-R6b-SM-6M46L 70-79 years, female 31.4
GTEX-1F48J-0011-R6a-SM-CJI2F 50-59 years, female 31.3
GTEX-TSE9-0011-R6A-SM-3DB7L 60-69 years, female 31.2
GTEX-14ASI-0011-R6a-SM-5S2UZ 60-69 years, male 31.0
GTEX-17HHY-0011-R6b-SM-7189Z 50-59 years, male 31.0
GTEX-17JCI-0011-R6a-SM-72D6D 60-69 years, female 31.0
GTEX-P44G-0011-R6A-SM-2XCD3 30-39 years, male 31.0
GTEX-WWYW-0011-R6A-SM-3NB3G 50-59 years, female 31.0
GTEX-1EH9U-0011-R6a-SM-CJI2C 60-69 years, male 30.9
GTEX-16YQH-0011-R6b-SM-7938T 30-39 years, male 30.8
GTEX-N7MT-0011-R6a-SM-2I3G3 60-69 years, female 30.7
GTEX-UTHO-0011-R6A-SM-3GIJW 60-69 years, male 30.7
GTEX-1GZ2Q-0011-R6a-SM-9OSWM 40-49 years, male 30.7
GTEX-11ONC-0011-R6a-SM-DO12A 60-69 years, male 30.6
GTEX-1H3NZ-0011-R6b-SM-A9G1N 60-69 years, male 30.6
GTEX-QVJO-0011-R6A-SM-2S1QN 60-69 years, female 30.5
GTEX-1HBPM-0011-R6b-SM-ARU73 60-69 years, female 30.5
GTEX-RU72-0011-R6A-SM-2TF71 50-59 years, female 30.3
GTEX-12WSH-0011-R6b-SM-5P9F4 50-59 years, male 30.1
GTEX-139TS-0011-R6a-SM-5J2OB 60-69 years, male 30.1
GTEX-QVUS-0011-R6A-SM-3GACX 60-69 years, female 30.0
GTEX-12ZZX-0011-R6a-SM-5HL8L 40-49 years, female 29.9
GTEX-17EVP-0011-R6b-SM-7LT99 40-49 years, male 29.9
GTEX-1HB9E-0011-R6b-SM-A9G1P 50-59 years, male 29.8
GTEX-1399T-0011-R6b-SM-5K7YL 60-69 years, male 29.7
GTEX-13NYS-0011-R6b-SM-5MR3R 60-69 years, male 29.7
GTEX-1MA7X-0011-R6a-SM-EYYWR 60-69 years, male 29.7
GTEX-11PRG-0011-R6b-SM-DO923 50-59 years, male 29.6
GTEX-XMD1-0011-R6A-SM-4AT5K 60-69 years, male 29.5
GTEX-1A3MX-0011-R6a-SM-7P8S9 60-69 years, male 29.5
GTEX-1EN7A-0011-R6b-SM-9QEHW 40-49 years, male 29.4
GTEX-1445S-0011-R6b-SM-5PNUF 60-69 years, male 29.3
GTEX-1IL2U-0011-R6a-SM-ARZLG 60-69 years, male 29.3
GTEX-ZV68-0011-R6a-SM-51MSR 50-59 years, female 29.2
GTEX-13OVH-0011-R6b-SM-5LUAX 70-79 years, male 29.1
GTEX-144GO-0011-R6b-SM-5S2V7 60-69 years, male 29.1
GTEX-1I1GQ-0011-R6b-SM-CE6SE 50-59 years, male 28.9
GTEX-1E2YA-0011-R6b-SM-CE6R2 50-59 years, male 28.8
GTEX-1HR9M-0011-R6a-SM-ARU6Z 60-69 years, male 28.8
GTEX-1GZHY-0011-R6a-SM-9OSWL 50-59 years, female 28.4
GTEX-14PHW-0011-R6b-SM-5YYAR 60-69 years, female 28.3
GTEX-QMR6-0011-R6A-SM-32PKP 50-59 years, male 28.1
GTEX-13JUV-0011-R6b-SM-5LZYG 40-49 years, female 28.0
GTEX-1GN2E-0011-R6b-SM-9QEII 60-69 years, male 28.0
GTEX-1H23P-0011-R6b-SM-A9G1H 60-69 years, male 27.9
GTEX-1B8L1-0011-R6b-SM-7P8SU 60-69 years, male 27.8
GTEX-WL46-0011-R6A-SM-3LK6X 50-59 years, male 27.7
GTEX-1192X-0011-R6a-SM-DNZZB 50-59 years, male 27.6
GTEX-12WSD-0011-R6b-SM-5P9JU 60-69 years, female 27.5
GTEX-1H4P4-0011-R6a-SM-ARZLR 50-59 years, male 27.5
GTEX-1IKK5-0011-R6b-SM-A9SLY 60-69 years, male 27.5
GTEX-11WQC-0011-R6a-SM-5BC77 60-69 years, male 27.4
GTEX-183WM-0011-R6b-SM-72D66 70-79 years, female 27.4
GTEX-S7PM-0011-R6A-SM-3NM8F 60-69 years, male 27.4
GTEX-ZVT3-0011-R6a-SM-51MSU 60-69 years, female 27.4
GTEX-X4XX-0011-R6B-SM-46MWP 60-69 years, male 27.3
GTEX-ZE7O-0011-R6a-SM-57WCI 50-59 years, female 27.3
GTEX-1EWIQ-0011-R6a-SM-ARU8G 70-79 years, female 27.3
GTEX-1E1VI-0011-R6a-SM-9OSVJ 50-59 years, male 27.2
GTEX-13OW5-0011-R6b-SM-5O9BW 60-69 years, male 26.6
GTEX-NPJ8-0011-R6a-SM-2HMKB 40-49 years, male 26.6
GTEX-1I19N-0011-R6b-SM-CY8GC 70-79 years, male 26.5
GTEX-11DYG-0011-R6a-SM-DO936 60-69 years, male 26.2
GTEX-1A8G6-0011-R6b-SM-7P8PE 60-69 years, male 26.2
GTEX-ZAB4-0011-R6a-SM-4SOKD 40-49 years, male 26.0
GTEX-T5JC-0011-R6A-SM-D3L87 20-29 years, male 25.9
GTEX-WVLH-0011-R6A-SM-3MJFZ 50-59 years, male 25.7
GTEX-14LZ3-0011-R6a-SM-D3L8C 60-69 years, female 25.1
GTEX-13QJC-0011-R6a-SM-5S2VI 60-69 years, female 24.6
GTEX-15EO6-0011-R6a-SM-7KULK 50-59 years, male 24.6
GTEX-1F88E-0011-R6a-SM-CKZNW 60-69 years, female 24.6
GTEX-13OVJ-0011-R6b-SM-5L3GH 50-59 years, female 24.5
GTEX-13OW8-0011-R6b-SM-5L3I3 60-69 years, male 24.5
GTEX-P44H-0011-R6A-SM-2XCF3 40-49 years, male 24.1
GTEX-1H3O1-0011-R6b-SM-CL54U 60-69 years, male 24.0
GTEX-16Z82-0011-R6a-SM-7IGLV 60-69 years, male 23.8
GTEX-145MI-0011-R6a-SM-5PNZA 60-69 years, female 23.5
GTEX-1IKOH-0011-R6b-SM-A9G1W 60-69 years, female 22.8
GTEX-NL3H-0011-R6a-SM-2I3G8 60-69 years, male 22.2
GTEX-1I1HK-0011-R6b-SM-CM2T9 60-69 years, male 22.2
GTEX-X261-0011-R6B-SM-4E3J8 50-59 years, male 21.9
GTEX-11GSP-0011-R6b-SM-57WBQ 60-69 years, female 21.8
GTEX-1HFI6-0011-R6b-SM-CM2SR 40-49 years, male 21.5
GTEX-OHPN-0011-R6A-SM-2I5FH 60-69 years, female 21.4
GTEX-YFC4-0011-R6b-SM-4V6E1 40-49 years, female 21.1
GTEX-QDT8-0011-R6A-SM-32PKI 30-39 years, female 20.4
GTEX-131XW-0011-R6b-SM-5K7XY 50-59 years, female 20.3
GTEX-13IVO-0011-R6b-SM-5K7X9 70-79 years, male 19.1
GTEX-ZUA1-0011-R6b-SM-4YCDD 40-49 years, male 18.9
GTEX-1C6WA-0011-R6a-SM-7PBYP 60-69 years, male 18.7
GTEX-15G19-0011-R6b-SM-7KUM3 60-69 years, male 17.4
GTEX-1F75B-0011-R6a-SM-ARZMI 50-59 years, male 15.0
GTEX-13PDP-0011-R6b-SM-5O9D5 60-69 years, male 14.8
GTEX-ZF28-0011-R6a-SM-4WKHI 60-69 years, male 14.2
GTEX-PWO3-0011-R6A-SM-2I5F3 60-69 years, female 12.7
Show allShow less
Brain - Putamen (basal ganglia)
Average nTPM: 29.1
Samples: 205

Max nTPM: 60.2
Min nTPM: 9.5
Std nTPM: 7.4
Median nTPM: 28.4
GTEX-1B996-0011-R7b-SM-7IGNT 60-69 years, male 60.2
GTEX-1HCU6-0011-R7b-SM-ARL77 60-69 years, female 50.2
GTEX-12WSI-0011-R7b-SM-5GU78 50-59 years, male 49.9
GTEX-13O3O-0011-R7b-SM-5P9GZ 60-69 years, female 48.2
GTEX-13FHO-0011-R7b-SM-5LZXD 60-69 years, male 48.1
GTEX-14PN4-0011-R7b-SM-69LQQ 50-59 years, male 46.4
GTEX-13N2G-0011-R7a-SM-5MR42 60-69 years, male 46.2
GTEX-S7SE-0011-R7A-SM-2XCDI 50-59 years, male 45.9
GTEX-P44G-0011-R7A-SM-2I3F9 30-39 years, male 44.1
GTEX-RNOR-0011-R7A-SM-2TF4V 50-59 years, female 43.6
GTEX-1JMQK-0011-R7b-SM-EXUTF 60-69 years, male 43.3
GTEX-1H3O1-0011-R7a-SM-CE6SJ 60-69 years, male 42.8
GTEX-11NV4-0011-R7a-SM-57WDH 60-69 years, male 42.3
GTEX-17EVP-0011-R7a-SM-7LTAN 40-49 years, male 41.5
GTEX-WHSE-0011-R7A-SM-3P5YZ 20-29 years, male 41.5
GTEX-14BIN-0011-R7b-SM-5S2RI 50-59 years, female 40.5
GTEX-1I1GS-0011-R7a-SM-CM2T6 60-69 years, male 40.0
GTEX-13CF2-0011-R7b-SM-5K7UV 60-69 years, male 39.2
GTEX-XLM4-0011-R7A-SM-4AT5L 60-69 years, male 39.2
GTEX-13O3Q-0011-R7a-SM-5KM38 50-59 years, male 39.0
GTEX-1GTWX-0011-R7a-SM-A96RO 60-69 years, male 39.0
GTEX-T5JC-0011-R7A-SM-32PME 20-29 years, male 38.9
GTEX-11PRG-0011-R7a-SM-DNZZT 50-59 years, male 37.5
GTEX-15CHQ-0011-R7b-SM-D4P1Q 60-69 years, male 37.4
GTEX-13G51-0011-R7b-SM-5LZXG 60-69 years, male 36.9
GTEX-1J8Q2-0011-R7a-SM-CKZPF 60-69 years, male 36.9
GTEX-12WSA-0011-R7b-SM-5GU5U 60-69 years, male 36.5
GTEX-1H1ZS-0011-R7a-SM-CL54P 70-79 years, male 36.5
GTEX-1F75A-0011-R7b-SM-9QEHE 50-59 years, male 36.3
GTEX-1GN73-0011-R7a-SM-CJI2U 60-69 years, male 36.1
GTEX-WL46-0011-R7A-SM-3LK7X 50-59 years, male 35.8
GTEX-13N1W-0011-R7b-SM-5MR4F 70-79 years, male 35.7
GTEX-1B933-0011-R7a-SM-7DUGX 50-59 years, female 35.6
GTEX-145MH-0011-R7a-SM-5PNWH 50-59 years, male 35.5
GTEX-1IDJH-0011-R7a-SM-A9SM1 70-79 years, male 35.5
GTEX-1IKK5-0011-R7b-SM-A9G39 60-69 years, male 35.5
GTEX-13OW6-0011-R7b-SM-5L3H4 50-59 years, male 35.4
GTEX-11DYG-0011-R7b-SM-EXUS6 60-69 years, male 35.4
GTEX-12ZZZ-0011-R7b-SM-5EGLE 60-69 years, male 35.3
GTEX-1IY9M-0011-R7a-SM-D4P49 60-69 years, male 35.3
GTEX-139TT-0011-R7b-SM-5J2MN 60-69 years, male 35.2
GTEX-16YQH-0011-R7a-SM-79ON1 30-39 years, male 35.0
GTEX-1HCVE-0011-R7b-SM-A9G1I 50-59 years, male 35.0
GTEX-12WSM-0011-R7b-SM-5EGLD 60-69 years, male 34.9
GTEX-1H1DG-0011-R7b-SM-A96RR 70-79 years, male 34.5
GTEX-13RTJ-0011-R7b-SM-5P9JS 60-69 years, male 34.4
GTEX-T6MN-0011-R7A-SM-32QP5 50-59 years, male 33.8
GTEX-13X6K-0011-R7b-SM-5P9K7 60-69 years, female 33.7
GTEX-15RJE-0011-R7a-SM-7DHL9 40-49 years, male 33.4
GTEX-12ZZW-0011-R7a-SM-5DUWC 50-59 years, male 33.3
GTEX-1I1GQ-0011-R7a-SM-CJI41 50-59 years, male 33.2
GTEX-11ONC-0011-R7b-SM-DO93J 60-69 years, male 33.0
GTEX-Q2AG-0011-R7A-SM-2HMJP 40-49 years, female 32.9
GTEX-1IKJJ-0011-R7a-SM-ARZLH 60-69 years, male 32.9
GTEX-13X6I-0011-R7b-SM-5PNWP 60-69 years, male 32.8
GTEX-1R46S-0011-R7b-SM-EXUTH 60-69 years, female 32.6
GTEX-13X6J-0011-R7b-SM-5PNUC 50-59 years, male 32.5
GTEX-14E7W-0011-R7b-SM-5ZZV4 70-79 years, male 32.3
GTEX-17EVQ-0011-R7a-SM-7EWDA 70-79 years, male 32.2
GTEX-1AX9I-0011-R7b-SM-7P8Q3 60-69 years, male 32.2
GTEX-1EKGG-0011-R7a-SM-CKZNN 60-69 years, male 32.1
GTEX-N7MT-0011-R7a-SM-2I3FZ 60-69 years, female 31.7
GTEX-14C5O-0011-R7b-SM-5YYAH 60-69 years, male 31.5
GTEX-ZDXO-0011-R7a-SM-4WWCU 60-69 years, male 31.5
GTEX-132Q8-0011-R7b-SM-5N9F1 60-69 years, male 31.1
GTEX-1A3MX-0011-R7a-SM-7DUEM 60-69 years, male 31.1
GTEX-QDT8-0011-R7A-SM-32PKF 30-39 years, female 31.0
GTEX-1CB4H-0011-R7b-SM-CJI27 60-69 years, female 30.8
GTEX-131YS-0011-R7a-SM-5IJDA 60-69 years, female 30.7
GTEX-11TTK-0011-R7b-SM-DNZZZ 60-69 years, female 30.7
GTEX-ZAB4-0011-R7a-SM-4SOKE 40-49 years, male 30.6
GTEX-1HGF4-0011-R7a-SM-A96S2 60-69 years, male 30.5
GTEX-N7MS-0011-R7a-SM-2HMKN 60-69 years, male 30.4
GTEX-1HFI6-0011-R7b-SM-CM2SS 40-49 years, male 30.3
GTEX-1ICLZ-0011-R7a-SM-ARZLU 60-69 years, male 30.3
GTEX-11OF3-0011-R7a-SM-57WCG 60-69 years, male 30.1
GTEX-13FXS-0011-R7a-SM-5L3FC 50-59 years, male 30.1
GTEX-13JVG-0011-R7b-SM-5MR3Q 60-69 years, male 30.0
GTEX-1445S-0011-R7b-SM-5PNUG 60-69 years, male 30.0
GTEX-16Z82-0011-R7a-SM-7MKGJ 60-69 years, male 30.0
GTEX-11NUK-0011-R7a-SM-DO93P 50-59 years, male 30.0
GTEX-1B8L1-0011-R7b-SM-9OSVK 60-69 years, male 30.0
GTEX-1IKOH-0011-R7b-SM-CKZPH 60-69 years, female 30.0
GTEX-1JJ6O-0011-R7b-SM-EXUTB 60-69 years, male 30.0
GTEX-13OVL-0011-R7a-SM-5P9GW 50-59 years, male 29.8
GTEX-15ER7-0011-R7a-SM-6M46N 20-29 years, female 29.8
GTEX-1H23P-0011-R7b-SM-CKZP2 60-69 years, male 29.8
GTEX-145MG-0011-R7b-SM-5P9JY 50-59 years, male 29.7
GTEX-1LVAO-0011-R7a-SM-EYYWZ 60-69 years, male 29.7
GTEX-1LH75-0011-R7a-SM-EXOIF 50-59 years, female 29.6
GTEX-1HT8W-0011-R7b-SM-CMKH8 30-39 years, male 29.4
GTEX-13112-0011-R7b-SM-5DUVW 50-59 years, male 29.3
GTEX-18464-0011-R7b-SM-731CM 50-59 years, male 29.2
GTEX-1GF9V-0011-R7a-SM-CJI2R 60-69 years, male 29.1
GTEX-YJ89-0011-R7a-SM-4V6GO 60-69 years, male 28.9
GTEX-1GF9W-0011-R7b-SM-9QEIF 60-69 years, male 28.9
GTEX-1GZ4I-0011-R7b-SM-ARU71 50-59 years, male 28.9
GTEX-1MJK2-0011-R7a-SM-EXUS4 50-59 years, male 28.8
GTEX-144GL-0011-R7b-SM-5P9HX 50-59 years, male 28.6
GTEX-14ASI-0011-R7b-SM-5YY9G 60-69 years, male 28.5
GTEX-11DZ1-0011-R7a-SM-DNZZH 50-59 years, male 28.5
GTEX-14PJO-0011-R7a-SM-664NR 60-69 years, male 28.4
GTEX-17HG3-0011-R7b-SM-7EPGR 30-39 years, female 28.4
GTEX-12WSC-0011-R7b-SM-5LU9L 50-59 years, male 28.3
GTEX-Z93S-0011-R7b-SM-4RGNK 50-59 years, male 28.3
GTEX-14BMV-0011-R7b-SM-5YY9J 50-59 years, male 28.2
GTEX-ZUA1-0011-R7b-SM-4YCDP 40-49 years, male 28.0
GTEX-1J1OQ-0011-R7b-SM-ARU87 40-49 years, female 27.9
GTEX-1H4P4-0011-R7b-SM-ARU77 50-59 years, male 27.5
GTEX-12WSD-0011-R7b-SM-5PNWE 60-69 years, female 27.4
GTEX-18465-0011-R7b-SM-7LG6V 50-59 years, male 27.4
GTEX-11DXY-0011-R7a-SM-DO11L 60-69 years, male 27.4
GTEX-1F48J-0011-R7a-SM-CJI2G 50-59 years, female 27.3
GTEX-Y8DK-0011-R7A-SM-4SOJZ 60-69 years, male 27.0
GTEX-145LS-0011-R7a-SM-5PNWM 60-69 years, female 26.9
GTEX-13CZV-0011-R7b-SM-5LZXH 60-69 years, male 26.6
GTEX-R55E-0011-R7A-SM-2TC5Z 20-29 years, male 26.6
GTEX-14PJM-0011-R7a-SM-6AJBX 50-59 years, female 26.5
GTEX-1EN7A-0011-R7b-SM-9QEHX 40-49 years, male 26.5
GTEX-13FLV-0011-R7b-SM-5K7WW 50-59 years, male 26.4
GTEX-17MF6-0011-R7b-SM-7LG6J 40-49 years, male 26.4
GTEX-12WSF-0011-R7b-SM-5HL99 70-79 years, male 26.2
GTEX-WWYW-0011-R7A-SM-3NB3H 50-59 years, female 26.2
GTEX-ZE9C-0011-R7a-SM-4WWCX 60-69 years, male 26.2
GTEX-1EMGI-0011-R7b-SM-9QEH5 60-69 years, male 26.2
GTEX-13OVJ-0011-R7a-SM-5L3G1 50-59 years, female 26.1
GTEX-17F97-0011-R7b-SM-7MGVY 50-59 years, male 26.1
GTEX-1IOXB-0011-R7b-SM-CE6SM 50-59 years, male 26.1
GTEX-13S7M-0011-R7a-SM-5O9DK 60-69 years, female 26.0
GTEX-TSE9-0011-R7A-SM-3DB7P 60-69 years, female 26.0
GTEX-1H3NZ-0011-R7a-SM-A9SKD 60-69 years, male 25.9
GTEX-ZE7O-0011-R7a-SM-57WCU 50-59 years, female 25.8
GTEX-NPJ7-0011-R7a-SM-EV79B 60-69 years, female 25.8
GTEX-17HHY-0011-R7a-SM-718A1 50-59 years, male 25.6
GTEX-13OW8-0011-R7a-SM-5L3FP 60-69 years, male 25.4
GTEX-17HII-0011-R7a-SM-79OMS 50-59 years, male 25.4
GTEX-13QJC-0011-R7b-SM-5PNUM 60-69 years, female 25.2
GTEX-13VXU-0011-R7b-SM-5SI72 50-59 years, male 25.2
GTEX-1C64N-0011-R7a-SM-7IGOI 50-59 years, male 25.2
GTEX-RU72-0011-R7A-SM-2TF5U 50-59 years, female 25.2
GTEX-12WSE-0011-R7a-SM-5PNWF 20-29 years, male 24.9
GTEX-13FLW-0011-R7b-SM-5L3EZ 50-59 years, male 24.8
GTEX-147GR-0011-R7a-SM-5S2RP 60-69 years, male 24.8
GTEX-1H3VE-0011-R7b-SM-CE6S9 40-49 years, male 24.7
GTEX-1313W-0011-R7b-SM-5DUWL 50-59 years, female 24.6
GTEX-1LSNL-0011-R7a-SM-EYYWI 50-59 years, male 24.6
GTEX-12ZZY-0011-R7a-SM-5EGLB 60-69 years, male 24.5
GTEX-139TS-0011-R7a-SM-5K7X7 60-69 years, male 24.5
GTEX-1MA7X-0011-R7b-SM-EYYWS 60-69 years, male 24.4
GTEX-1C6WA-0011-R7b-SM-7P8S8 60-69 years, male 24.3
GTEX-1LVA9-0011-R7a-SM-EYYWG 50-59 years, male 24.3
GTEX-13NYB-0011-R7a-SM-5MR5D 40-49 years, male 24.2
GTEX-1OJC4-0011-R7a-SM-EYYX4 50-59 years, female 24.2
GTEX-1HB9E-0011-R7b-SM-A9G1Q 50-59 years, male 24.1
GTEX-ZV68-0011-R7a-SM-51MT4 50-59 years, female 24.0
GTEX-NPJ8-0011-R7a-SM-2HMJV 40-49 years, male 23.9
GTEX-X261-0011-R7A-SM-4E3JJ 50-59 years, male 23.9
GTEX-13FHP-0011-R7b-SM-5LZYI 50-59 years, male 23.8
GTEX-13JUV-0011-R7b-SM-5LZZG 40-49 years, female 23.8
GTEX-15EO6-0011-R7a-SM-6M46Q 50-59 years, male 23.8
GTEX-OHPN-0011-R7A-SM-2I5FI 60-69 years, female 23.8
GTEX-13PVQ-0011-R7a-SM-5L3G3 50-59 years, male 23.6
GTEX-YFC4-0011-R7b-SM-4V6E2 40-49 years, female 23.6
GTEX-1I1CD-0011-R7a-SM-CMKHA 60-69 years, female 23.5
GTEX-15DYW-0011-R7a-SM-7KULG 60-69 years, female 23.4
GTEX-1GZ2Q-0011-R7b-SM-9OSWN 40-49 years, male 23.4
GTEX-ZVT3-0011-R7a-SM-57WCO 60-69 years, female 23.3
GTEX-1I1GV-0011-R7a-SM-ARU6R 60-69 years, male 23.3
GTEX-1GMR8-0011-R7b-SM-CJI2I 50-59 years, female 23.2
GTEX-WVLH-0011-R7A-SM-3MJFB 50-59 years, male 23.0
GTEX-11DXW-0011-R7b-SM-DO119 40-49 years, male 23.0
GTEX-13OW5-0011-R7a-SM-5O9C9 60-69 years, male 22.9
GTEX-1EH9U-0011-R7a-SM-9QEGU 60-69 years, male 22.9
GTEX-1EX96-0011-R7a-SM-9OSVW 50-59 years, male 22.5
GTEX-1GN2E-0011-R7b-SM-9QEIJ 60-69 years, male 22.4
GTEX-1B8SF-0011-R7b-SM-9OSVM 60-69 years, male 22.3
GTEX-1E2YA-0011-R7a-SM-CJI1Z 50-59 years, male 22.3
GTEX-1GMRU-0011-R7b-SM-A96TJ 50-59 years, male 22.3
GTEX-WZTO-0011-R7B-SM-4E3IS 40-49 years, male 22.1
GTEX-14ABY-0011-R7b-SM-5PNWS 50-59 years, male 21.8
GTEX-15DCD-0011-R7b-SM-6LPID 70-79 years, female 21.8
GTEX-11GSP-0011-R7b-SM-57WC3 60-69 years, female 21.6
GTEX-QVJO-0011-R7A-SM-2S1QO 60-69 years, female 21.6
GTEX-14JG1-0011-R7b-SM-5YYAV 40-49 years, male 21.3
GTEX-1CB4G-0011-R7b-SM-9QEGP 60-69 years, male 20.8
GTEX-1F75W-0011-R7a-SM-9QEI6 60-69 years, male 20.8
GTEX-1F6I4-0011-R7a-SM-CJI24 60-69 years, male 20.4
GTEX-1192X-0011-R7b-SM-DNZZC 50-59 years, male 20.1
GTEX-11WQC-0011-R7b-SM-5BC7A 60-69 years, male 19.9
GTEX-1H1CY-0011-R7a-SM-CJI32 60-69 years, female 19.9
GTEX-1EU9M-0011-R7b-SM-9OSVU 60-69 years, male 19.8
GTEX-1F75B-0011-R7a-SM-ARU84 50-59 years, male 19.8
GTEX-QMR6-0011-R7A-SM-32PKL 50-59 years, male 19.7
GTEX-ZVZQ-0011-R7b-SM-57WBB 60-69 years, female 19.7
GTEX-12ZZX-0011-R7b-SM-5DUVV 40-49 years, female 19.3
GTEX-144GO-0011-R7b-SM-5S2TT 60-69 years, male 19.2
GTEX-1A8G6-0011-R7b-SM-7MXTV 60-69 years, male 18.2
GTEX-1E1VI-0011-R7b-SM-9QEGR 50-59 years, male 17.9
GTEX-ZXG5-0011-R7b-SM-57WCC 60-69 years, male 17.7
GTEX-183WM-0011-R7b-SM-731AX 70-79 years, female 17.4
GTEX-1F52S-0011-R7b-SM-9QEH8 60-69 years, female 16.6
GTEX-15G19-0011-R7b-SM-6M479 60-69 years, male 15.8
GTEX-14LZ3-0011-R7a-SM-69LQN 60-69 years, female 14.0
GTEX-ZF28-0011-R7a-SM-4WKF5 60-69 years, male 13.1
GTEX-NL3H-0011-R7a-SM-2I3G5 60-69 years, male 9.5
Show allShow less

BASAL GANGLIA - FANTOM5 CAGEi

RNA expression in human tissues obtained through Cap Analysis of Gene Expression (CAGE) generated by the FANTOM5 project are reported as Scaled Tags Per Million.

Max subtype Scaled Tags Per Millioni

Max subtype Scaled Tags Per Million is the value for the subtype with the largest average Scaled Tags Per Million across the subtype samples.

55.3
FANTOM5 sample id Sample description Scaled Tags Per Million
Caudate nucleus
Scaled Tags Per Million: 38.9
FF:10164-103B2 76 years, female 38.9
Nucleus accumbens
Scaled Tags Per Million: 55.3
FF:10037-101F1 23-56 years, mixed 55.3
Putamen
Scaled Tags Per Million: 50.7
FF:10176-103C5 60 years, female 50.7
Globus pallidus
Scaled Tags Per Million: 29.5
FF:10161-103A8 76 years, female 33.9
FF:10175-103C4 60 years, female 25.1

BASAL GANGLIA - Pig RNA-seqi

RNA-seq data obtained from pig brain is reported as nTPM .

Normal distribution across the dataset is visualized with box plots, shown as median and 25th and 75th percentiles. Points are displayed as outliers if they are above or below 1.5 times the interquartile range. nTPM values of the individual samples are presented next to the box plot.
Max subtype nTPMi

Max subtype nTPM is the value for the subtype with the largest average nTPM across the subtype samples.

73.7
Pig sample Sample description nTPM
Caudate
nTPM: 73.7
Samples: 4

Max nTPM: 86.1
Min nTPM: 63.9
Sample A Female 67.3
Sample B Female 77.4
Sample C Male 86.1
Sample D Male 63.9
Putamen
nTPM: 71.4
Samples: 4

Max nTPM: 87.2
Min nTPM: 50.0
Sample A Female 50.0
Sample B Female 68.9
Sample C Male 87.2
Sample D Male 79.4
Septum
nTPM: 57.8
Samples: 4

Max nTPM: 69.8
Min nTPM: 53.4
Sample A Female 69.8
Sample B Female 54.6
Sample C Male 53.5
Sample D Male 53.4
Ventral pallidum
nTPM: 63.5
Samples: 4

Max nTPM: 67.3
Min nTPM: 55.2
Sample A Female 67.3
Sample B Female 66.1
Sample C Male 65.5
Sample D Male 55.2

BASAL GANGLIA - Mouse RNA-seqi

RNA-seq data obtained from mouse brain is reported as nTPM .

Normal distribution across the dataset is visualized with box plots, shown as median and 25th and 75th percentiles. Points are displayed as outliers if they are above or below 1.5 times the interquartile range. nTPM values of the individual samples are presented next to the box plot.
Max subtype nTPMi

Max subtype nTPM is the value for the subtype with the largest average nTPM across the subtype samples.

31.6
Mouse sample Sample description nTPM
Caudate putamen
nTPM: 23.3
Samples: 4

Max nTPM: 40.1
Min nTPM: 12.2
Sample A Male 24.7
Sample B Male 40.1
Sample C Female 12.2
Sample D Female 16.1
Septum
nTPM: 31.6
Samples: 4

Max nTPM: 34.7
Min nTPM: 24.5
Sample A Male 34.7
Sample B Male 32.8
Sample C Female 34.3
Sample D Female 24.5
Ventral forebrain
nTPM: 28.3
Samples: 4

Max nTPM: 39.6
Min nTPM: 15.2
Sample A Male 31.3
Sample B Male 27.2
Sample C Female 39.6
Sample D Female 15.2

BASAL GANGLIA - Allen Mouse ISHi

In situ hybridization (ISH) data generated by the Allen brain atlas from mouse brain is reported as expression energy. For more details about a particular experiment, click on the corresponding Allen experiment ID.

Max subtype Expression energyi

Max subtype Expression energy is the value for the subtype with the largest average Expression energy across the subtype samples.

0.6
Allen experiment id Experiment description Expression energy
Striatum
Expression energy: 0.6
76098397 Antisense, RP_060626_01_G10, Mouse strain C57BL/6J (56 days, male) 1.6
79556714 Antisense, RP_071204_01_D12, Mouse strain C57BL/6J (56 days, male) 0.1
2633 Antisense, RP_040604_01_A06, Mouse strain C57BL/6J (56 days, male) 0.0
2634 Antisense, RP_040604_01_A06, Mouse strain C57BL/6J (56 days, male) 0.0
Pallidum
Expression energy: 0.5
76098397 Antisense, RP_060626_01_G10, Mouse strain C57BL/6J (56 days, male) 1.4
2633 Antisense, RP_040604_01_A06, Mouse strain C57BL/6J (56 days, male) 0.1
79556714 Antisense, RP_071204_01_D12, Mouse strain C57BL/6J (56 days, male) 0.1
2634 Antisense, RP_040604_01_A06, Mouse strain C57BL/6J (56 days, male) 0.0

Contact

  • NEWS ARTICLES
  • PRESS ROOM

The Project

  • INTRODUCTION
  • ORGANIZATION
  • PUBLICATIONS

The Human Protein Atlas

  • DOWNLOADABLE DATA
  • LICENCE & CITATION
  • HELP & FAQ
The Human Protein Atlas project is funded
by the Knut & Alice Wallenberg Foundation.


contact@proteinatlas.org