We use cookies to enhance the usability of our website. If you continue, we'll assume that you are happy to receive all cookies. More information. Don't show this again.
CCDC106
HPA
RESOURCES
  • TISSUE
  • BRAIN
  • SINGLE CELL
  • SUBCELLULAR
  • CANCER
  • BLOOD
  • CELL LINE
  • STRUCTURE & INTERACTION
ABOUT
  • INTRODUCTION
  • HISTORY
  • ORGANIZATION
  • PUBLICATIONS
  • ANTIBODY SUBMISSION
  • ANTIBODY AVAILABILITY
  • ACKNOWLEDGMENTS
  • CONTACT
NEWS
  • NEWS ARTICLES
  • PRESS ROOM
LEARN
  • DICTIONARY
  • PROTEIN CLASSES
  • PROTEIN EVIDENCE
  • METHODS
  • EDUCATIONAL VIDEOS
DATA
  • DOWNLOADABLE DATA
  • PUBLICATION DATA
  • RELEASE HISTORY
HELP
  • ANTIBODY VALIDATION
  • ASSAYS & ANNOTATION
  • DISCLAIMER
  • HELP & FAQ
  • PRIVACY STATEMENT
  • LICENCE & CITATION
Fields »
Search result

Field
Term
Gene name
Class
Subclass
Class
Keyword
Chromosome
External id
Tissue
Cell type
Expression
Antibody panel
Tissue
Main location
Patient ID
Annotation
Tissue
Category
Tau score
Cluster
Reliability
Brain region
Category
Tau score
Brain region
Category
Tau score
Brain region
Category
Tau score
Cluster
Reliability
Tissue
Cell type
Enrichment
Cell type
Category
Tau score
Cell type
Category
Tau score
Cell type
Category
Tau score
Cell lineage
Category
Tau score
Cluster
Cluster
Location
Searches
Location
Cell line
Class
Type
Phase
Reliability
Cancer
Prognosis
Cancer
Category
Cancer
Category
Tau score
Cluster
Variants
Interacting gene (ensg_id)
Type
Number of interactions
Pathway
Category
Score
Score
Score
Validation
Validation
Validation
Validation
Antibodies
Data type
Column


  • SUMMARY

  • TISSUE

  • BRAIN

  • SINGLE CELL

  • SUBCELL

  • CANCER

  • BLOOD

  • CELL LINE

  • STRUCT & INT

  • CCDC106
TISSUE PRIMARY DATA COLON Show tissue menu
ADIPOSE TISSUE ADRENAL GLAND AMYGDALA APPENDIX BASAL GANGLIA BONE MARROW BREAST CEREBELLUM CEREBRAL CORTEX CERVIX CHOROID PLEXUS COLON DUODENUM
ENDOMETRIUM EPIDIDYMIS ESOPHAGUS FALLOPIAN TUBE GALLBLADDER HEART MUSCLE HIPPOCAMPAL FORMATION HYPOTHALAMUS KIDNEY LIVER LUNG LYMPH NODE MIDBRAIN
OVARY PANCREAS PARATHYROID GLAND PITUITARY GLAND PLACENTA PROSTATE RECTUM RETINA SALIVARY GLAND SEMINAL VESICLE SKELETAL MUSCLE SKIN SMALL INTESTINE
SMOOTH MUSCLE SPINAL CORD SPLEEN STOMACH TESTIS THYMUS THYROID GLAND TONGUE TONSIL URINARY BLADDER VAGINA
ANTIBODIES
AND
VALIDATION
Dictionary
Colon
Tissue proteome
Intestine
COLON - Expression summary
Protein expressioni

On the top, protein expression in current human tissue, based on all annotated cell types, is reported with the units not detected (n), low (l), medium (m) and high (h). Underneath, protein expression in each annotated cell type are reported using the same units.

Protein expression data is based on knowledge-based annotation. For genes where more than one antibody has been used, a collective score is set.

If knowledge-based annotation could not be performed for a gene, no data is displayed here. View antibody staining data further down this page.

No data
RNA expressioni

A summary of mRNA expression data available for current tissue based on several datasets. The mRNA expression levels in human tissues are based on RNA-seq data generated by the Human Protein Atlas (HPA), Genotype-Tissue Expression (GTEx) portal and CAGE data generated by the FANTOM5 consortium. Consensus normalized expression levels for human tissues was created by combining the data from HPA and GTEx datasets.

The mRNA expression levels in pig are based on RNA-seq data generated by the Human Protein Atlas (HPA), and for mouse, HPA data and in situ hybridization generated by the Allen brain atlas are reported.

Scroll down to view mRNA expression data in more detail.
Consensus:18.1 nTPM
HPA:4.7 nTPM
GTEx:18.1 nTPM
FANTOM5:58.1 Scaled Tags Per Million

COLON - Annotated protein expression
Pending normal tissue analysis

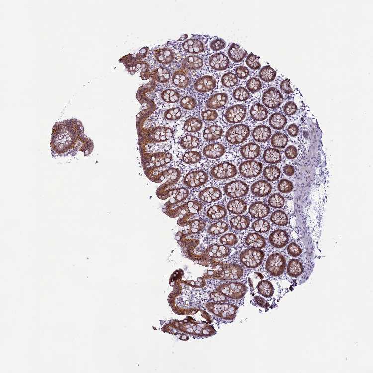
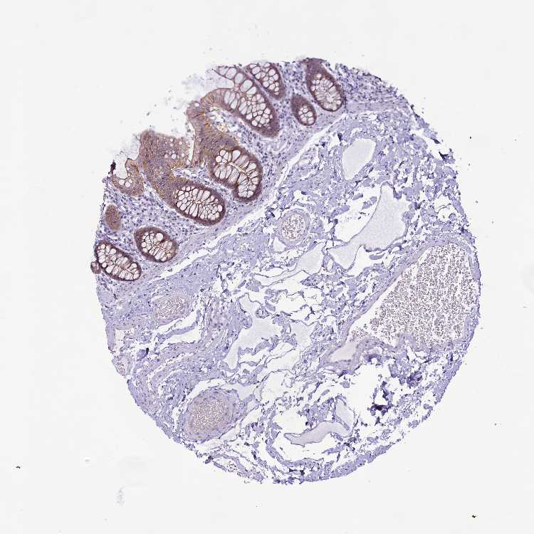
COLON - Antibody stainingi

Antibody staining in the annotated cell types in the current human tissue is reported as not detected, low, medium, or high, based on conventional immunohistochemistry profiling in selected tissues. This score is based on the combination of the staining intensity and fraction of stained cells.

Each image is clickable and will lead to virtual microscopy that enables deeper exploration of all samples and also displays staining intensity scores, fraction scores and subcellular localization as well as patient and tissue information for each sample.

Antibody HPA041925Antibody HPA043219
Endothelial cells Not detectedMedium
Glandular cells MediumHigh
Peripheral nerve/ganglion Not detectedMedium


COLON - HPA RNA-seqi

The RNA-seq details section shows detailed information about the individual samples used for the transcript profiling and results of the RNA-seq analysis.

Information about each individual sample is listed below, including gender, age, a tissue section image and estimated fractions of cell types. nTPM (normalized transcripts per million) values give a quantification of the gene abundance which is comparable between different genes and samples.
Average nTPMi

Max subtype nTPM is the value for the subtype with the largest average nTPM across the subtype samples.

4.7
overview
Male, age 54
Colon sample 67
nTPM: 5
Cell types%
Glandular cells:
65

Smooth muscle cells:
10

Other cell types:
25

overview
Female, age 57
Colon sample 68
nTPM: 3.2
Cell types%
Glandular cells:
40

Smooth muscle cells:
5

Other cell types:
55

overview
Male, age 80
Colon sample 69
nTPM: 4.8
Cell types%
Glandular cells:
55

Smooth muscle cells:
5

Other cell types:
40

overview
Male, age 68
Colon sample 70
nTPM: 4.8
Cell types%
Glandular cells:
35

Smooth muscle cells:
10

Other cell types:
55

overview
Female, age 68
Colon sample 76
nTPM: 4.7
Cell types%
Glandular cells:
25

Smooth muscle cells:
5

Other cell types:
70

overview
Female, age 61
Colon sample 299
nTPM: 6.1
Cell types%
Glandular cells:
5

Smooth muscle cells:
65

Other cell types:
30

overview
Male, age 80
Colon sample 300
nTPM: 3.7
Cell types%
Glandular cells:
15

Smooth muscle cells:
20

Other cell types:
65

overview
Female, age 78
Colon sample 368
nTPM: 4.3
Cell types%
Glandular cells:
45

Smooth muscle cells:
5

Other cell types:
50

overview
Male, age 84
Colon sample 381
nTPM: 5.9
Cell types%
Glandular cells:
50

Smooth muscle cells:
15

Other cell types:
35

overview
Male, age 80
Colon sample 384
nTPM: 4.3
Cell types%
Glandular cells:
20

Smooth muscle cells:
35

Other cell types:
45

overview
Female, age 78
Colon sample 389
nTPM: 3.2
Cell types%
Glandular cells:
35

Smooth muscle cells:
10

Other cell types:
55

overview
Female, age 69
Colon sample 391
nTPM: 4.7
Cell types%
Glandular cells:
10

Smooth muscle cells:
45

Other cell types:
45

overview
Female, age 72
Colon sample 403
nTPM: 6.1
Cell types%
Glandular cells:
20

Smooth muscle cells:
15

Other cell types:
65


COLON - GTEx RNA-seqi

RNA-Seq data generated by the Genotype-Tissue Expression (GTEx) project from human tissues is reported as mean nTPM. More information can be found on the GTEx portal.

Distribution across the dataset is visualized with box plots, shown as median and 25th and 75th percentiles. Points are displayed as outliers if they are above or below 1.5 times the interquartile range. nTPM values of the individual samples are presented next to the box plot.
Max subtype nTPMi

Max subtype nTPM is the value for the subtype with the largest average nTPM across the subtype samples.

18.1
GTEx sample id Sample description nTPM
Colon - Sigmoid
Average nTPM: 18.1
Samples: 373

Max nTPM: 50.9
Min nTPM: 5.0
Std nTPM: 5.1
Median nTPM: 18.0
GTEX-15RJ7-1726-SM-6PAL3 40-49 years, male 50.9
GTEX-1JN6P-2126-SM-ARL98 60-69 years, male 34.7
GTEX-1PIIG-2126-SM-EXUSD 30-39 years, male 31.7
GTEX-1GMRU-2626-SM-9WPPM 50-59 years, male 30.5
GTEX-1I1GR-2226-SM-ARL7F 60-69 years, male 30.4
GTEX-145MH-2726-SM-5QGQ6 50-59 years, male 30.1
GTEX-11DXY-2026-SM-5N9CZ 60-69 years, male 28.6
GTEX-Z93S-2626-SM-57WBX 50-59 years, male 28.2
GTEX-1RDX4-1926-SM-E6CJJ 50-59 years, female 28.1
GTEX-13X6J-2826-SM-7EPGA 50-59 years, male 27.9
GTEX-1LB8K-2526-SM-DIPEQ 50-59 years, male 27.9
GTEX-145LT-0826-SM-5S2QL 40-49 years, male 27.3
GTEX-1HCU6-2926-SM-B2LWV 60-69 years, female 26.9
GTEX-1PBJJ-2026-SM-DTX8U 30-39 years, male 26.7
GTEX-139TS-2226-SM-5J2N1 60-69 years, male 26.5
GTEX-1OFPY-1226-SM-E76OM 60-69 years, male 26.5
GTEX-1PIEJ-1826-SM-EWRMN 20-29 years, female 26.2
GTEX-WXYG-1726-SM-4ONCU 50-59 years, female 26.0
GTEX-1LVAO-2826-SM-E9TJH 60-69 years, male 25.9
GTEX-1RQEC-2626-SM-EVR3Z 60-69 years, male 25.7
GTEX-1399U-2226-SM-5KLZI 50-59 years, female 25.6
GTEX-1H23P-2626-SM-9KNVN 60-69 years, male 25.6
GTEX-ZPCL-1626-SM-57WGC 60-69 years, female 25.5
GTEX-1HSEH-1926-SM-A96SB 60-69 years, male 25.5
GTEX-13PL7-2426-SM-5J2N3 60-69 years, female 25.4
GTEX-1QP28-2226-SM-DTX8C 50-59 years, female 25.4
GTEX-ZVT3-2826-SM-5GU6A 60-69 years, female 25.1
GTEX-14A5I-2426-SM-5Q5CP 50-59 years, female 25.0
GTEX-13O1R-2426-SM-5KLZZ 60-69 years, male 24.9
GTEX-ZPU1-1726-SM-4WWFV 40-49 years, male 24.9
GTEX-1BAJH-2726-SM-7IGNJ 70-79 years, male 24.8
GTEX-1GN73-2726-SM-9WYUB 60-69 years, male 24.6
GTEX-1QP9N-0826-SM-DTX9O 30-39 years, male 24.6
GTEX-1C4CL-1626-SM-7DUF3 30-39 years, male 24.5
GTEX-17HG3-1126-SM-7DUFC 30-39 years, female 24.3
GTEX-18A67-2226-SM-7LT9Z 50-59 years, male 24.3
GTEX-12ZZX-2726-SM-5N9FT 40-49 years, female 24.1
GTEX-18A6Q-2226-SM-7LG61 60-69 years, male 24.1
GTEX-XUZC-1526-SM-4BRV4 30-39 years, female 24.0
GTEX-YF7O-1626-SM-5IFII 50-59 years, male 24.0
GTEX-1E2YA-2526-SM-7IGOU 50-59 years, male 23.9
GTEX-13CF2-1826-SM-5N9GK 60-69 years, male 23.8
GTEX-147JS-2626-SM-5S2UX 60-69 years, male 23.7
GTEX-ZP4G-1526-SM-57WE5 20-29 years, female 23.7
GTEX-1RAZQ-2026-SM-E76P7 30-39 years, male 23.7
GTEX-14BIN-2426-SM-5TDCF 50-59 years, female 23.6
GTEX-1EH9U-1926-SM-7P8QM 60-69 years, male 23.6
GTEX-ZT9W-1726-SM-51MS3 50-59 years, male 23.5
GTEX-12696-1926-SM-5EGJT 60-69 years, male 23.4
GTEX-Y9LG-1326-SM-4VBQB 30-39 years, male 23.3
GTEX-ZE9C-2126-SM-4WKGY 60-69 years, male 23.3
GTEX-X15G-1526-SM-4PQZM 50-59 years, female 23.2
GTEX-ZLFU-1426-SM-4WWEU 40-49 years, male 23.2
GTEX-139UW-2326-SM-5KM1Y 60-69 years, male 23.1
GTEX-11P7K-1826-SM-5HL5A 30-39 years, male 22.9
GTEX-ZG7Y-1826-SM-4WWD3 50-59 years, male 22.9
GTEX-145MO-2626-SM-5QGPD 60-69 years, male 22.8
GTEX-13G51-2126-SM-5IJD9 60-69 years, male 22.7
GTEX-1339X-1726-SM-5P9J9 40-49 years, male 22.6
GTEX-1HSKV-2326-SM-A9SL9 60-69 years, male 22.6
GTEX-132NY-2726-SM-5PNY2 60-69 years, male 22.5
GTEX-14A5H-1626-SM-5SIAN 60-69 years, male 22.4
GTEX-17GQL-1626-SM-7LG69 60-69 years, male 22.4
GTEX-1JJEA-2526-SM-CY8HJ 60-69 years, male 22.4
GTEX-ZV6S-1126-SM-57WE9 40-49 years, female 22.3
GTEX-17MFQ-1226-SM-7KFSA 20-29 years, male 22.2
GTEX-1CB4F-1926-SM-7MKFN 60-69 years, male 22.2
GTEX-WFG7-1626-SM-4LVMF 20-29 years, male 22.1
GTEX-1IDJH-2826-SM-CJI49 70-79 years, male 22.1
GTEX-1LG7Z-1326-SM-DIPF3 30-39 years, male 22.1
GTEX-131YS-2926-SM-5EGKI 60-69 years, female 22.0
GTEX-13OVI-2126-SM-5KM3U 60-69 years, female 22.0
GTEX-YECK-2826-SM-5IFHF 60-69 years, male 22.0
GTEX-1LSNM-1426-SM-E6CIH 50-59 years, male 22.0
GTEX-1P4AB-2626-SM-DTXEU 50-59 years, male 21.9
GTEX-1A32A-2626-SM-73KX9 50-59 years, female 21.8
GTEX-117XS-2226-SM-5GIE1 60-69 years, male 21.7
GTEX-14PJ4-1826-SM-5YY97 60-69 years, male 21.7
GTEX-1I1CD-2826-SM-A9SL4 60-69 years, female 21.7
GTEX-1N2DV-1826-SM-E6CJ5 40-49 years, male 21.7
GTEX-1B8KE-1526-SM-7DUG2 50-59 years, male 21.6
GTEX-17JCI-2826-SM-7IGNA 60-69 years, female 21.5
GTEX-ZYT6-2826-SM-5GICX 30-39 years, male 21.5
GTEX-1HKZK-2026-SM-9WYUF 40-49 years, male 21.5
GTEX-1LG7Y-2226-SM-E9U5K 50-59 years, male 21.4
GTEX-13OW5-2826-SM-5KM1G 60-69 years, male 21.3
GTEX-14E6C-2226-SM-5QGQG 40-49 years, male 21.2
GTEX-15DYW-2426-SM-7KUG8 60-69 years, female 21.2
GTEX-17F96-2126-SM-7KFSM 70-79 years, male 21.2
GTEX-1C6VQ-2626-SM-7IGMQ 50-59 years, male 21.2
GTEX-1LSNL-1626-SM-E9TJY 50-59 years, male 21.2
GTEX-16XZZ-2726-SM-7EWDO 60-69 years, male 21.1
GTEX-1QCLZ-2026-SM-EAZ4A 60-69 years, female 21.1
GTEX-16BQI-2026-SM-7KULQ 30-39 years, female 21.0
GTEX-YJ8O-1426-SM-5PNV9 40-49 years, female 21.0
GTEX-13PVQ-2726-SM-5L3H7 50-59 years, male 20.9
GTEX-ZE7O-2626-SM-51MSS 50-59 years, female 20.9
GTEX-1HCVE-2326-SM-9WYUD 50-59 years, male 20.9
GTEX-12WSD-2626-SM-5EGJE 60-69 years, female 20.8
GTEX-1ICG6-2226-SM-B2LY7 70-79 years, female 20.8
GTEX-18QFQ-1726-SM-731C9 30-39 years, male 20.7
GTEX-XUW1-1826-SM-4BOQD 50-59 years, female 20.7
GTEX-1R9K5-2226-SM-DTX9G 50-59 years, male 20.7
GTEX-1N2EF-1726-SM-EXUSI 60-69 years, male 20.6
GTEX-13FTW-2126-SM-5K7YG 40-49 years, male 20.5
GTEX-1A3MX-2326-SM-718B4 60-69 years, male 20.5
GTEX-ZVT2-1726-SM-51MRO 50-59 years, female 20.5
GTEX-1K2DA-1626-SM-CGQGB 50-59 years, male 20.5
GTEX-12ZZY-2726-SM-5EQ45 60-69 years, male 20.4
GTEX-11EMC-1426-SM-5N9E4 60-69 years, female 20.3
GTEX-11P81-1426-SM-5P9JN 30-39 years, female 20.3
GTEX-13N2G-2226-SM-5IJCU 60-69 years, male 20.3
GTEX-13OW6-2226-SM-5N9FL 50-59 years, male 20.3
GTEX-14JG6-1626-SM-5YYBC 30-39 years, female 20.3
GTEX-YFCO-1526-SM-5YYB8 40-49 years, male 20.3
GTEX-1KANA-1726-SM-CY8IG 20-29 years, male 20.3
GTEX-1PIGE-1526-SM-DTXFC 20-29 years, male 20.3
GTEX-1B8L1-1926-SM-7IGND 60-69 years, male 20.2
GTEX-WFG8-1726-SM-4LVM6 20-29 years, male 20.2
GTEX-1JMQJ-2626-SM-CY8HQ 50-59 years, male 20.2
GTEX-11DXX-1926-SM-5EGJK 60-69 years, female 20.1
GTEX-11EQ9-1526-SM-5PNY7 30-39 years, male 20.1
GTEX-XV7Q-2226-SM-4BRVY 40-49 years, female 20.1
GTEX-1JMPZ-2626-SM-ARU8Z 30-39 years, male 20.1
GTEX-1S5ZA-1426-SM-E6CJQ 20-29 years, male 20.1
GTEX-1GMR2-1826-SM-9KNUP 50-59 years, male 20.0
GTEX-1F5PK-1726-SM-7RHHW 50-59 years, male 19.9
GTEX-1212Z-1826-SM-5FQSH 60-69 years, male 19.8
GTEX-1C2JI-1726-SM-73KUW 50-59 years, male 19.8
GTEX-11EI6-2626-SM-5PNVT 60-69 years, male 19.7
GTEX-13D11-0626-SM-5LZYY 50-59 years, female 19.7
GTEX-14PJ3-1226-SM-5ZZVY 50-59 years, male 19.7
GTEX-1QPFJ-2426-SM-EVR3L 30-39 years, female 19.7
GTEX-11GS4-1826-SM-5HL4T 60-69 years, male 19.6
GTEX-1477Z-2126-SM-5Q5CM 60-69 years, male 19.6
GTEX-ZPIC-2626-SM-57WE2 40-49 years, female 19.6
GTEX-14PKV-1926-SM-686YU 20-29 years, female 19.5
GTEX-183FY-1426-SM-7DHLM 20-29 years, male 19.5
GTEX-1LVAM-1726-SM-DHXKQ 50-59 years, female 19.5
GTEX-1B996-2726-SM-7DUGG 60-69 years, male 19.3
GTEX-WHPG-1626-SM-4M1ZL 50-59 years, male 19.3
GTEX-ZDTS-2726-SM-5L3E2 60-69 years, male 19.3
GTEX-17HHE-1626-SM-7DHLN 50-59 years, male 19.2
GTEX-1I1GP-2826-SM-A9SKZ 50-59 years, male 19.2
GTEX-1JMLX-2526-SM-CY8HX 50-59 years, male 19.2
GTEX-1RAZR-2026-SM-E9TKE 40-49 years, male 19.2
GTEX-14PHX-1126-SM-5YYA5 50-59 years, male 19.1
GTEX-16MTA-1626-SM-6M47N 50-59 years, male 19.1
GTEX-1C64N-2226-SM-7SB7C 50-59 years, male 19.1
GTEX-1I1GT-2026-SM-CKZPK 60-69 years, female 19.1
GTEX-11ZTS-1526-SM-5N9G7 60-69 years, female 19.0
GTEX-13O61-1526-SM-5KM3P 60-69 years, male 19.0
GTEX-1H1ZS-2626-SM-9QEIX 70-79 years, male 19.0
GTEX-11DXZ-1626-SM-5GIDI 50-59 years, male 18.9
GTEX-1LBAC-1726-SM-D3L9W 20-29 years, male 18.9
GTEX-1LSVX-2026-SM-E9TJD 60-69 years, male 18.9
GTEX-13OW8-2726-SM-5L3FZ 60-69 years, male 18.8
GTEX-16NGA-0926-SM-718AG 40-49 years, female 18.8
GTEX-11TUW-2326-SM-5EQMO 60-69 years, male 18.7
GTEX-1CB4G-2726-SM-79OO4 60-69 years, male 18.7
GTEX-1LGRB-2026-SM-COH47 50-59 years, female 18.7
GTEX-15RIF-1426-SM-7KUKQ 20-29 years, male 18.6
GTEX-18D9A-1326-SM-7LT8P 30-39 years, female 18.6
GTEX-13VXT-2026-SM-5L3EW 20-29 years, female 18.5
GTEX-Y3I4-1126-SM-4TT7Y 50-59 years, male 18.5
GTEX-1HSGN-2226-SM-A9SL6 40-49 years, female 18.5
GTEX-1QP29-2526-SM-E6CQ3 50-59 years, male 18.5
GTEX-1B932-2126-SM-7IGMU 40-49 years, female 18.4
GTEX-1I6K6-1926-SM-A96SN 30-39 years, male 18.4
GTEX-1IKOE-2126-SM-A96T5 30-39 years, female 18.4
GTEX-1J8JJ-2426-SM-D4P4A 60-69 years, female 18.4
GTEX-1R7EU-1826-SM-DTX9L 60-69 years, male 18.4
GTEX-ZTSS-1226-SM-51MSZ 40-49 years, male 18.3
GTEX-ZYFG-1826-SM-5GZWX 60-69 years, female 18.3
GTEX-1S82P-2026-SM-E9TIQ 60-69 years, female 18.3
GTEX-13FH7-1626-SM-5J2O9 50-59 years, female 18.2
GTEX-13QBU-2026-SM-5KLZB 40-49 years, female 18.2
GTEX-ZVZQ-2626-SM-59HLB 60-69 years, female 18.2
GTEX-1F75W-2126-SM-7RHIA 60-69 years, male 18.2
GTEX-1GMR3-2526-SM-7P8QS 40-49 years, male 18.2
GTEX-1399R-2126-SM-5K7WZ 30-39 years, male 18.1
GTEX-1JMQK-2326-SM-ARZN4 60-69 years, male 18.1
GTEX-18465-2726-SM-7LT9I 50-59 years, male 18.0
GTEX-XXEK-1826-SM-4BRVC 50-59 years, male 18.0
GTEX-ZY6K-1326-SM-5GZWP 50-59 years, male 18.0
GTEX-1J8Q3-2426-SM-CL53S 60-69 years, male 18.0
GTEX-ZLWG-1826-SM-DO11I 50-59 years, female 18.0
GTEX-1JJE9-2526-SM-ARU8K 70-79 years, male 17.9
GTEX-111CU-1226-SM-5EGIN 50-59 years, male 17.8
GTEX-1GPI7-1926-SM-9KNUH 20-29 years, male 17.8
GTEX-14PK6-1826-SM-69LOM 70-79 years, female 17.7
GTEX-ZAB4-2426-SM-5HL8A 40-49 years, male 17.7
GTEX-ZF29-1826-SM-4WKG8 60-69 years, female 17.7
GTEX-1JN76-1326-SM-ARU94 20-29 years, female 17.7
GTEX-WY7C-1926-SM-4ONCI 50-59 years, male 17.6
GTEX-ZAB5-1426-SM-5HL9D 50-59 years, male 17.6
GTEX-1MGNQ-2126-SM-EV7AC 40-49 years, male 17.6
GTEX-139T6-1426-SM-5P9J7 50-59 years, male 17.5
GTEX-13PVR-1726-SM-5Q5EC 60-69 years, female 17.5
GTEX-15EO6-2326-SM-6LPKK 50-59 years, male 17.5
GTEX-18A66-2626-SM-72D67 60-69 years, male 17.5
GTEX-1HBPN-2026-SM-B2LWA 50-59 years, male 17.5
GTEX-1LVAN-2626-SM-CNPQF 50-59 years, female 17.5
GTEX-1122O-1426-SM-5H11R 60-69 years, female 17.4
GTEX-14C5O-2626-SM-5RQI5 60-69 years, male 17.4
GTEX-1KXAM-1926-SM-D3LAG 60-69 years, male 17.4
GTEX-13111-1926-SM-5GCOL 50-59 years, male 17.3
GTEX-15CHQ-2626-SM-686YZ 60-69 years, male 17.3
GTEX-1AX9K-1626-SM-73KUS 50-59 years, male 17.3
GTEX-WHWD-1526-SM-4OORV 50-59 years, male 17.3
GTEX-1EU9M-2726-SM-7P8QD 60-69 years, male 17.3
GTEX-1R9PO-2026-SM-E9J4N 60-69 years, female 17.3
GTEX-1S831-1726-SM-EWROJ 20-29 years, male 17.3
GTEX-11PRG-2026-SM-5GU5F 50-59 years, male 17.2
GTEX-13OVJ-1826-SM-5KM2D 50-59 years, female 17.2
GTEX-14E6E-1726-SM-5S2R6 30-39 years, male 17.2
GTEX-183WM-2526-SM-731BP 70-79 years, female 17.2
GTEX-1HBPM-2626-SM-9WYU5 60-69 years, female 17.2
GTEX-1PDJ9-2026-SM-E76PT 20-29 years, male 17.2
GTEX-13FHO-2726-SM-5K7VG 60-69 years, male 17.1
GTEX-1GL5R-1726-SM-9KNUX 50-59 years, male 17.1
GTEX-1HBPI-2226-SM-9WYTY 50-59 years, male 17.1
GTEX-1PBJI-2526-SM-E6CP4 20-29 years, female 17.1
GTEX-11ZTT-1626-SM-5EQKR 60-69 years, female 17.0
GTEX-1C475-1526-SM-7DHM3 40-49 years, female 17.0
GTEX-XQ8I-2326-SM-4BOQC 50-59 years, male 17.0
GTEX-1H1DE-1626-SM-9KNU5 20-29 years, male 17.0
GTEX-1IDJU-1926-SM-CL53W 60-69 years, female 17.0
GTEX-ZLV1-1326-SM-DO11Q 60-69 years, female 17.0
GTEX-111YS-1826-SM-5GIEP 60-69 years, male 16.9
GTEX-14E1K-1626-SM-664MO 50-59 years, male 16.9
GTEX-ZXES-1726-SM-5E43G 30-39 years, female 16.9
GTEX-ZYY3-2226-SM-5E45A 60-69 years, female 16.9
GTEX-1QP2A-2226-SM-DTXF6 50-59 years, male 16.9
GTEX-1QP67-1426-SM-E8VOO 40-49 years, female 16.9
GTEX-1J8QM-1226-SM-CY8HI 60-69 years, female 16.8
GTEX-1R9JW-2126-SM-E76QT 30-39 years, female 16.8
GTEX-11I78-1326-SM-5PNY9 50-59 years, female 16.7
GTEX-131XE-1026-SM-5EGKE 50-59 years, male 16.7
GTEX-1H1E6-1826-SM-A9G21 30-39 years, male 16.7
GTEX-131XG-1526-SM-5GCNQ 50-59 years, female 16.6
GTEX-1IDJI-2226-SM-CKZPM 50-59 years, female 16.6
GTEX-1LKK1-2426-SM-DIPES 50-59 years, female 16.6
GTEX-15ETS-2326-SM-7KUGC 40-49 years, female 16.5
GTEX-Y114-1626-SM-4TT7I 50-59 years, female 16.5
GTEX-1GTWX-2626-SM-9WPOT 60-69 years, male 16.5
GTEX-1JMPY-1026-SM-ARZN1 30-39 years, male 16.5
GTEX-1QW4Y-1426-SM-E76P3 30-39 years, male 16.5
GTEX-1RMOY-1726-SM-EVYC9 50-59 years, male 16.5
GTEX-139D8-2926-SM-5IJBM 30-39 years, female 16.4
GTEX-13X6K-2726-SM-5O9DG 60-69 years, female 16.4
GTEX-17F9Y-2626-SM-7IGN9 70-79 years, female 16.3
GTEX-WQUQ-2626-SM-4MVNP 60-69 years, male 16.3
GTEX-12BJ1-2026-SM-5FQUH 60-69 years, male 16.2
GTEX-12WSM-1426-SM-5GCPA 60-69 years, male 16.2
GTEX-17HGU-2626-SM-79OKN 50-59 years, male 16.1
GTEX-WRHK-1126-SM-4MVOJ 20-29 years, female 16.1
GTEX-ZZ64-0826-SM-5E449 20-29 years, male 16.1
GTEX-1GZ4H-1326-SM-7P8TE 50-59 years, female 16.1
GTEX-1HFI7-1626-SM-9WYTR 50-59 years, female 16.1
GTEX-1HSMO-2526-SM-A9SKP 60-69 years, male 16.1
GTEX-1211K-1826-SM-5EGJ2 60-69 years, female 16.0
GTEX-15UF6-2726-SM-7KULY 70-79 years, female 16.0
GTEX-1AX9J-2526-SM-73KUY 60-69 years, male 16.0
GTEX-ZVT4-2626-SM-5N9GJ 50-59 years, female 16.0
GTEX-ZC5H-2426-SM-4WAZ6 40-49 years, female 15.9
GTEX-1B97I-1526-SM-73KUK 40-49 years, male 15.8
GTEX-11ONC-1926-SM-5GU75 60-69 years, male 15.7
GTEX-12WSJ-1426-SM-5GCON 40-49 years, female 15.7
GTEX-147GR-2826-SM-5RQK8 60-69 years, male 15.7
GTEX-WYVS-1126-SM-4SOJX 40-49 years, female 15.7
GTEX-Y8LW-1126-SM-4VDS4 50-59 years, female 15.7
GTEX-1CAMR-1026-SM-7P8QI 20-29 years, male 15.7
GTEX-1JK1U-1426-SM-CNPOW 60-69 years, male 15.7
GTEX-1AMFI-1826-SM-73KWB 50-59 years, female 15.5
GTEX-1HCUA-1926-SM-B2LWE 50-59 years, female 15.5
GTEX-15RJE-2226-SM-6M46A 40-49 years, male 15.4
GTEX-1GF9X-1426-SM-7RHGX 40-49 years, female 15.4
GTEX-117YX-0526-SM-5EGJH 50-59 years, male 15.3
GTEX-13SLW-2826-SM-5Q5ES 70-79 years, male 15.3
GTEX-1EMGI-2626-SM-7IGNR 60-69 years, male 15.3
GTEX-1H3VY-2526-SM-9KNW1 50-59 years, male 15.3
GTEX-ZQG8-2426-SM-57WEE 60-69 years, female 15.2
GTEX-XAJ8-0726-SM-47JY5 40-49 years, male 15.1
GTEX-ZF28-2526-SM-57WFH 60-69 years, male 15.1
GTEX-1HSMQ-2526-SM-A9SMK 50-59 years, male 15.1
GTEX-145LS-2926-SM-5O99G 60-69 years, female 15.0
GTEX-14DAQ-2926-SM-664MV 60-69 years, female 15.0
GTEX-YJ8A-1726-SM-5P9IQ 20-29 years, male 15.0
GTEX-YEC3-2026-SM-DKPOL 50-59 years, male 15.0
GTEX-1LGOU-1726-SM-D3L8P 20-29 years, female 14.9
GTEX-16Z82-2426-SM-7KUMS 60-69 years, male 14.8
GTEX-WFON-1326-SM-4LVMN 40-49 years, male 14.7
GTEX-1GMR8-2926-SM-9KNW5 50-59 years, female 14.6
GTEX-1H3NZ-2526-SM-9KNVO 60-69 years, male 14.6
GTEX-13OVK-1026-SM-7KFTC 40-49 years, male 14.5
GTEX-14PN3-1926-SM-6EU1Y 60-69 years, female 14.4
GTEX-X4EO-2726-SM-4E3HS 60-69 years, female 14.4
GTEX-148VJ-2426-SM-5NQ9Y 70-79 years, male 14.3
GTEX-12WSL-1826-SM-5LZW9 50-59 years, male 14.1
GTEX-1QCLY-2026-SM-EVR4C 30-39 years, male 14.1
GTEX-12WSG-2426-SM-5EQLZ 50-59 years, female 14.0
GTEX-15ER7-2826-SM-6PAN2 20-29 years, female 14.0
GTEX-ZF2S-1826-SM-4WKFF 50-59 years, female 13.8
GTEX-V955-1726-SM-4JBHF 60-69 years, male 13.6
GTEX-WI4N-2226-SM-4OOS9 40-49 years, female 13.6
GTEX-ZA64-1426-SM-5CVMC 20-29 years, male 13.6
GTEX-1IL2U-2526-SM-C1YQV 60-69 years, male 13.6
GTEX-12ZZW-2426-SM-5DUWE 50-59 years, male 13.5
GTEX-11EM3-1626-SM-5N9CO 20-29 years, female 13.3
GTEX-1A3MV-1026-SM-72D5U 30-39 years, male 13.3
GTEX-1H3VE-2326-SM-9KNVU 40-49 years, male 13.3
GTEX-11ZU8-1126-SM-5EQ5K 60-69 years, male 13.2
GTEX-13RTJ-1926-SM-5YYA2 60-69 years, male 13.2
GTEX-1J8EW-2426-SM-CE6T5 60-69 years, female 13.2
GTEX-15UF7-1326-SM-7KUKV 40-49 years, male 13.1
GTEX-15DZA-1026-SM-6PAND 30-39 years, female 13.0
GTEX-1PFEY-1726-SM-DPRZ4 30-39 years, male 13.0
GTEX-11TT1-0926-SM-5GU5M 20-29 years, male 12.9
GTEX-146FH-2426-SM-5Q5EW 50-59 years, female 12.8
GTEX-14BMU-1326-SM-5RQIH 20-29 years, female 12.8
GTEX-14C39-1626-SM-5S2P4 40-49 years, male 12.8
GTEX-17KNJ-1826-SM-7LT9N 50-59 years, male 12.8
GTEX-ZTTD-2626-SM-57WEX 50-59 years, male 12.8
GTEX-15G1A-1926-SM-7KUFF 30-39 years, male 12.8
GTEX-1L5NE-1926-SM-D3L9R 50-59 years, male 12.8
GTEX-1HCU7-2726-SM-A9G3D 50-59 years, male 12.7
GTEX-1J1OQ-2826-SM-D3L88 40-49 years, female 12.7
GTEX-12KS4-2326-SM-5EGJB 30-39 years, male 12.6
GTEX-1F5PL-1926-SM-7MXTP 40-49 years, female 12.6
GTEX-13U4I-2626-SM-5SI9C 40-49 years, female 12.4
GTEX-1PPH8-2226-SM-EWRN7 20-29 years, male 12.3
GTEX-13CF3-1326-SM-5LZXZ 60-69 years, female 12.2
GTEX-1CAMS-2626-SM-7PBY3 40-49 years, female 12.2
GTEX-1J1R8-1426-SM-CL55O 40-49 years, male 12.2
GTEX-1JKYN-2226-SM-ARZNE 30-39 years, male 12.2
GTEX-145ME-1126-SM-5SIAT 40-49 years, female 12.0
GTEX-1AYCT-1926-SM-793AE 50-59 years, male 12.0
GTEX-Y5LM-1426-SM-5RQJL 40-49 years, female 11.8
GTEX-ZAJG-2626-SM-5S2NU 50-59 years, female 11.7
GTEX-14AS3-1026-SM-5TDD7 40-49 years, female 11.5
GTEX-13X6I-2726-SM-5Q5ET 60-69 years, male 11.4
GTEX-15RIE-2026-SM-7KFRW 60-69 years, male 11.2
GTEX-1RLM8-1726-SM-E9TKF 50-59 years, male 11.2
GTEX-1JKYR-2026-SM-CNPON 20-29 years, male 11.1
GTEX-11VI4-1426-SM-5GU6O 40-49 years, female 10.9
GTEX-15G19-2726-SM-6LPKG 60-69 years, male 10.8
GTEX-17EUY-1726-SM-79OK4 20-29 years, male 10.2
GTEX-WH7G-1426-SM-4LVMU 40-49 years, male 9.8
GTEX-1OJC3-1826-SM-DTX93 20-29 years, male 9.4
GTEX-Y8E4-2326-SM-EAZAZ 40-49 years, male 9.3
GTEX-XBED-1726-SM-47JYO 60-69 years, male 9.2
GTEX-1K9T9-2926-SM-E9TKD 50-59 years, female 9.2
GTEX-ZYFD-2226-SM-5E43P 50-59 years, male 9.0
GTEX-WHSE-2726-SM-EZ6ML 20-29 years, male 9.0
GTEX-VJYA-2126-SM-4KL1O 60-69 years, male 8.8
GTEX-15F5U-1426-SM-7KUN2 40-49 years, male 8.7
GTEX-WOFM-1926-SM-4OOSP 20-29 years, male 8.6
GTEX-11EQ8-2626-SM-5N9BO 60-69 years, male 8.5
GTEX-1HBPH-2526-SM-ACKXK 40-49 years, female 8.4
GTEX-13113-1426-SM-5EGHU 60-69 years, female 7.5
GTEX-WYJK-2326-SM-4ONDN 50-59 years, male 7.5
GTEX-Y5V6-1626-SM-4VDT2 60-69 years, male 7.5
GTEX-1C64O-2426-SM-7P8R3 60-69 years, male 7.5
GTEX-144GM-1126-SM-79OJK 20-29 years, male 7.3
GTEX-1HB9E-2526-SM-D4P35 50-59 years, male 7.1
GTEX-X5EB-1126-SM-46MVV 40-49 years, male 6.2
GTEX-132AR-2826-SM-5IJFV 50-59 years, female 6.1
GTEX-ZQUD-1026-SM-4YCEZ 30-39 years, male 6.0
GTEX-13W3W-2226-SM-5LU4M 60-69 years, female 5.6
GTEX-15FZZ-1826-SM-6LLJP 30-39 years, female 5.6
GTEX-W5WG-2026-SM-4LMIB 50-59 years, female 5.2
GTEX-1AMEY-1826-SM-72D5L 30-39 years, female 5.0
Show allShow less
Colon - Transverse
Average nTPM: 11.2
Samples: 406

Max nTPM: 24.8
Min nTPM: 2.3
Std nTPM: 4.8
Median nTPM: 10.3
GTEX-1HCVE-2526-SM-A9G2G 50-59 years, male 24.8
GTEX-X5EB-0926-SM-46MVT 40-49 years, male 24.3
GTEX-13FH7-1526-SM-5J2N6 50-59 years, female 24.1
GTEX-18QFQ-1526-SM-72D57 30-39 years, male 23.8
GTEX-1JMLX-2726-SM-CM2SB 50-59 years, male 23.4
GTEX-11TTK-2426-SM-5PNYO 60-69 years, female 23.0
GTEX-13OVI-2026-SM-5J1MU 60-69 years, female 23.0
GTEX-14PJ3-0926-SM-69LQG 50-59 years, male 22.5
GTEX-YEC4-1926-SM-5IFHJ 40-49 years, male 22.3
GTEX-1S82U-0726-SM-E9TKI 30-39 years, female 22.3
GTEX-1C2JI-1626-SM-7EPHC 50-59 years, male 22.2
GTEX-11TUW-2026-SM-5EQL8 60-69 years, male 22.1
GTEX-145MO-2426-SM-5NQ9W 60-69 years, male 21.9
GTEX-15CHC-1626-SM-5ZZWS 60-69 years, female 21.8
GTEX-11GSP-1626-SM-5986N 60-69 years, female 21.7
GTEX-1HCU6-2726-SM-A9SKV 60-69 years, female 21.6
GTEX-Y8LW-1226-SM-4WWDP 50-59 years, female 21.2
GTEX-RWS6-1826-SM-47JXX 60-69 years, female 21.1
GTEX-18A7B-2026-SM-72D71 70-79 years, male 20.8
GTEX-1GMR2-1726-SM-9JGI2 50-59 years, male 20.6
GTEX-16Z82-2226-SM-6LPJ7 60-69 years, male 20.3
GTEX-148VJ-2626-SM-5QGPI 70-79 years, male 20.2
GTEX-1N2EF-1926-SM-DTX8M 60-69 years, male 20.1
GTEX-1QMI2-2626-SM-E6CR4 60-69 years, male 19.9
GTEX-12ZZZ-2426-SM-5GCNN 60-69 years, male 19.7
GTEX-ZF29-1726-SM-4WKFV 60-69 years, female 19.5
GTEX-1PPGY-2826-SM-DTX9H 60-69 years, male 19.4
GTEX-13OW5-2626-SM-5MR3M 60-69 years, male 19.2
GTEX-14C5O-2526-SM-73KU2 60-69 years, male 19.2
GTEX-14E1K-1826-SM-793DT 50-59 years, male 19.2
GTEX-18D9B-2526-SM-718BN 60-69 years, male 19.1
GTEX-1LG7Y-2126-SM-DIPER 50-59 years, male 19.0
GTEX-OXRN-2026-SM-E6CHK 50-59 years, male 19.0
GTEX-147JS-2526-SM-5S2Q8 60-69 years, male 18.9
GTEX-OXRL-1426-SM-3NM9E 50-59 years, male 18.6
GTEX-WEY5-1426-SM-4LMJ3 40-49 years, female 18.6
GTEX-SNMC-1126-SM-4DM5M 20-29 years, male 18.4
GTEX-1GL5R-2426-SM-7MXV1 50-59 years, male 18.2
GTEX-S341-1426-SM-4AD6U 40-49 years, female 18.1
GTEX-XAJ8-0426-SM-47JYJ 40-49 years, male 17.9
GTEX-15DZA-0926-SM-69LQ3 30-39 years, female 17.7
GTEX-NFK9-2026-SM-3LK5K 40-49 years, male 17.7
GTEX-1MUQO-2626-SM-EWRO3 60-69 years, male 17.7
GTEX-ZYFG-1926-SM-5GID5 60-69 years, female 17.4
GTEX-13VXT-2426-SM-5LU46 20-29 years, female 17.3
GTEX-ZYFC-2626-SM-5NQ6S 50-59 years, male 17.2
GTEX-111YS-1626-SM-5GZZ9 60-69 years, male 17.1
GTEX-TKQ1-0626-SM-4DXTS 30-39 years, male 17.1
GTEX-1EH9U-2026-SM-7PBYS 60-69 years, male 17.1
GTEX-14BMV-2426-SM-5S2PP 50-59 years, male 17.0
GTEX-1AYD5-1726-SM-7RHFW 50-59 years, male 17.0
GTEX-1BAJH-2326-SM-7IGMO 70-79 years, male 16.9
GTEX-14BIN-3026-SM-5ZZUS 50-59 years, female 16.8
GTEX-XYKS-2226-SM-4E3IU 60-69 years, female 16.8
GTEX-11ONC-2026-SM-5HL61 60-69 years, male 16.7
GTEX-1C64O-2326-SM-73KU8 60-69 years, male 16.6
GTEX-T6MO-0826-SM-4DM51 40-49 years, female 16.6
GTEX-1ICLZ-2426-SM-CKZOD 60-69 years, male 16.5
GTEX-17F9E-1826-SM-7IGMC 50-59 years, male 16.4
GTEX-1LBAC-1626-SM-CXZKV 20-29 years, male 16.4
GTEX-17F96-2026-SM-79ON4 70-79 years, male 16.3
GTEX-WQUQ-2526-SM-4MVNO 60-69 years, male 16.3
GTEX-1HKZK-2126-SM-A9SL3 40-49 years, male 16.3
GTEX-1LH75-2126-SM-EVR5F 50-59 years, female 16.3
GTEX-1NV5F-2226-SM-DTX8O 60-69 years, female 16.3
GTEX-144GL-2526-SM-5TDDL 50-59 years, male 16.2
GTEX-15SHU-2526-SM-6M47D 40-49 years, female 16.2
GTEX-1GN73-2626-SM-9KNUQ 60-69 years, male 16.2
GTEX-1S5VW-2926-SM-E9U6H 60-69 years, male 16.2
GTEX-Y114-1526-SM-4TT79 50-59 years, female 16.1
GTEX-1QW4Y-1326-SM-EWRMZ 30-39 years, male 16.1
GTEX-U3ZH-1326-SM-4DXSF 30-39 years, male 16.0
GTEX-13U4I-2426-SM-5LU34 40-49 years, female 15.9
GTEX-1IDJC-1326-SM-CL53H 50-59 years, male 15.9
GTEX-11P81-1126-SM-5GU5G 30-39 years, female 15.8
GTEX-U3ZM-1126-SM-4DXUB 40-49 years, male 15.7
GTEX-1POEN-2026-SM-E6CRL 30-39 years, female 15.7
GTEX-1RAZQ-2126-SM-DTX9V 30-39 years, male 15.7
GTEX-X4EO-2526-SM-EWRM8 60-69 years, female 15.7
GTEX-U412-1726-SM-EZ6KX 60-69 years, male 15.6
GTEX-12WSL-1626-SM-5GCMU 50-59 years, male 15.5
GTEX-RU1J-1326-SM-46MUL 20-29 years, female 15.4
GTEX-Y3I4-1426-SM-4TT9C 50-59 years, male 15.2
GTEX-ZV6S-1226-SM-59HLH 40-49 years, female 15.2
GTEX-14DAQ-2726-SM-5S2QY 60-69 years, female 15.1
GTEX-17JCI-2626-SM-7EWE6 60-69 years, female 15.1
GTEX-V955-1626-SM-4JBHJ 60-69 years, male 15.1
GTEX-1IGQW-2326-SM-CE6RV 60-69 years, male 15.1
GTEX-Z93S-2426-SM-5HL8N 50-59 years, male 15.0
GTEX-1HSMP-2326-SM-D3L8R 70-79 years, male 15.0
GTEX-1JMPZ-2426-SM-C1YQP 30-39 years, male 15.0
GTEX-117YX-0826-SM-5H11J 50-59 years, male 14.9
GTEX-11EQ9-1426-SM-5987G 30-39 years, male 14.9
GTEX-14ICL-1226-SM-5S2RD 30-39 years, male 14.9
GTEX-11ZVC-2126-SM-5EGJ1 50-59 years, female 14.8
GTEX-13FHP-2426-SM-5KLZ5 50-59 years, male 14.8
GTEX-13O61-1626-SM-5KM3T 60-69 years, male 14.8
GTEX-WVJS-2426-SM-EZ6LI 50-59 years, male 14.8
GTEX-1LVAN-2526-SM-CNPPC 50-59 years, female 14.6
GTEX-1MJK3-0926-SM-EV7AY 20-29 years, male 14.6
GTEX-1R9K5-2126-SM-E8VN1 50-59 years, male 14.6
GTEX-18A7A-2226-SM-7LT8K 50-59 years, female 14.5
GTEX-1A3MV-1126-SM-718BS 30-39 years, male 14.5
GTEX-17HII-2726-SM-7MGVM 50-59 years, male 14.5
GTEX-14H4A-1926-SM-5ZZWN 40-49 years, female 14.4
GTEX-1EMGI-2726-SM-7P8S4 60-69 years, male 14.4
GTEX-1I1GT-1926-SM-ARU7D 60-69 years, female 14.4
GTEX-17GQL-1526-SM-7LTAC 60-69 years, male 14.3
GTEX-1E2YA-2626-SM-7MGWW 50-59 years, male 14.3
GTEX-1KANB-1526-SM-CXZK4 50-59 years, male 14.3
GTEX-1MCC2-1626-SM-DIPEW 30-39 years, female 14.3
GTEX-OHPN-2026-SM-E9TIA 60-69 years, female 14.3
GTEX-17EVQ-1826-SM-7IGPH 70-79 years, male 14.1
GTEX-1JJE9-2426-SM-D3L8T 70-79 years, male 14.1
GTEX-111VG-2226-SM-5N9DU 60-69 years, male 14.0
GTEX-1NHNU-2326-SM-E6CQE 50-59 years, male 14.0
GTEX-XXEK-1926-SM-4BRVD 50-59 years, male 13.9
GTEX-15ER7-2926-SM-7KUFK 20-29 years, female 13.8
GTEX-SJXC-2226-SM-EVYAK 60-69 years, male 13.8
GTEX-15CHQ-2526-SM-6EU24 60-69 years, male 13.7
GTEX-15DYW-2326-SM-6PAMU 60-69 years, female 13.7
GTEX-SE5C-1526-SM-4BRWU 40-49 years, female 13.7
GTEX-ZP4G-1726-SM-4WWCM 20-29 years, female 13.7
GTEX-1N5O9-2726-SM-E76QH 60-69 years, male 13.7
GTEX-QLQ7-1126-SM-CYPRB 60-69 years, male 13.7
GTEX-16NGA-1026-SM-7KFS3 40-49 years, female 13.6
GTEX-16NPV-2626-SM-6M484 50-59 years, female 13.6
GTEX-1339X-1626-SM-5IJDN 40-49 years, male 13.5
GTEX-WH7G-1326-SM-4LVMS 40-49 years, male 13.5
GTEX-WYJK-2226-SM-4ONDJ 50-59 years, male 13.4
GTEX-1H1DG-2226-SM-9WPPC 70-79 years, male 13.4
GTEX-145LS-2726-SM-5Q5D8 60-69 years, female 13.3
GTEX-14C39-1926-SM-5ZZW5 40-49 years, male 13.1
GTEX-VJYA-2026-SM-4KL1K 60-69 years, male 13.1
GTEX-1F75B-2726-SM-7P8QO 50-59 years, male 13.1
GTEX-1HSMQ-2726-SM-C1YRE 50-59 years, male 13.1
GTEX-1I1GR-2526-SM-CNNQF 60-69 years, male 13.1
GTEX-1IDJF-1826-SM-CKZOE 20-29 years, male 13.1
GTEX-15G1A-1826-SM-7KUKO 30-39 years, male 13.0
GTEX-145ME-0826-SM-5O9AF 40-49 years, female 12.9
GTEX-15UF6-2626-SM-6M466 70-79 years, female 12.8
GTEX-SNOS-1226-SM-4DM5H 40-49 years, male 12.8
GTEX-1CB4I-2226-SM-7P8SL 50-59 years, male 12.8
GTEX-1RMOY-1626-SM-EVYC8 50-59 years, male 12.8
GTEX-12WSJ-1526-SM-5GCNI 40-49 years, female 12.6
GTEX-13W3W-2126-SM-5K7UX 60-69 years, female 12.6
GTEX-1CB4F-2026-SM-79OLU 60-69 years, male 12.6
GTEX-1GZ4I-2426-SM-9WPPP 50-59 years, male 12.6
GTEX-1B996-2626-SM-73KZ1 60-69 years, male 12.5
GTEX-1AX9I-2626-SM-73KU5 60-69 years, male 12.4
GTEX-14PJ5-0926-SM-6LLIK 60-69 years, female 12.3
GTEX-15DCE-2026-SM-7KUFE 20-29 years, male 12.3
GTEX-17MF6-2426-SM-7LTAM 40-49 years, male 12.3
GTEX-17EUY-1826-SM-7DUEZ 20-29 years, male 12.2
GTEX-1HSGN-2626-SM-CE6S1 40-49 years, female 12.2
GTEX-S3XE-1126-SM-4AD4N 50-59 years, male 12.1
GTEX-1OKEX-1226-SM-DTXEC 60-69 years, male 12.1
GTEX-1PPH8-2026-SM-DTX7P 20-29 years, male 12.1
GTEX-XUW1-1926-SM-4BOP1 50-59 years, female 12.0
GTEX-XGQ4-1226-SM-4AT67 50-59 years, male 11.9
GTEX-ZGAY-2126-SM-4YCFB 40-49 years, female 11.9
GTEX-1JJ6O-2426-SM-ARU8J 60-69 years, male 11.9
GTEX-1RDX4-1826-SM-EVR54 50-59 years, female 11.7
GTEX-14AS3-1126-SM-5Q5CR 40-49 years, female 11.6
GTEX-P78B-1726-SM-3P5ZV 40-49 years, female 11.6
GTEX-PX3G-1426-SM-48U1J 20-29 years, female 11.6
GTEX-13PVR-1626-SM-73KVF 60-69 years, female 11.5
GTEX-145LT-0926-SM-5LU9C 40-49 years, male 11.5
GTEX-1C6VQ-2726-SM-73KUL 50-59 years, male 11.5
GTEX-1GZ4H-1226-SM-9KNUA 50-59 years, female 11.5
GTEX-1I6K6-1826-SM-B2LX5 30-39 years, male 11.5
GTEX-1IKK5-2726-SM-CNPQ6 60-69 years, male 11.5
GTEX-1HCU9-1326-SM-B2LXT 20-29 years, male 11.4
GTEX-14PJM-2626-SM-686ZD 50-59 years, female 11.3
GTEX-Y9LG-1526-SM-4WWDR 30-39 years, male 11.3
GTEX-ZAB4-2226-SM-5HL97 40-49 years, male 11.3
GTEX-1LGRB-1426-SM-CNNPT 50-59 years, female 11.3
GTEX-11NSD-1626-SM-5986U 20-29 years, male 11.2
GTEX-XBEW-1926-SM-4SOJO 40-49 years, male 11.2
GTEX-1R9JW-2026-SM-EAZ4O 30-39 years, female 11.2
GTEX-PSDG-1826-SM-EAZ2S 50-59 years, male 11.1
GTEX-17KNJ-1726-SM-7LG6A 50-59 years, male 10.9
GTEX-16MT8-2726-SM-7IGLJ 60-69 years, female 10.8
GTEX-ZPCL-1826-SM-57WF1 60-69 years, female 10.8
GTEX-1GF9X-1526-SM-7P8QP 40-49 years, female 10.8
GTEX-15SB6-1226-SM-7KUMP 50-59 years, female 10.7
GTEX-QLQW-0426-SM-447A7 30-39 years, male 10.7
GTEX-ZYVF-2826-SM-5GIDK 50-59 years, female 10.7
GTEX-1GPI7-1726-SM-7P8R1 20-29 years, male 10.7
GTEX-1KANA-1926-SM-DHXKF 20-29 years, male 10.7
GTEX-OOBJ-1426-SM-E6CHH 60-69 years, male 10.7
GTEX-1AX8Z-2726-SM-73KUC 60-69 years, male 10.6
GTEX-11O72-2226-SM-5PNW2 40-49 years, male 10.5
GTEX-13OW6-2126-SM-5N9GL 50-59 years, male 10.5
GTEX-14JG6-1726-SM-69LPL 30-39 years, female 10.5
GTEX-1GF9U-1526-SM-7MXUW 40-49 years, female 10.5
GTEX-1K9T9-2826-SM-D4P3F 50-59 years, female 10.5
GTEX-16XZZ-2626-SM-6M47S 60-69 years, male 10.4
GTEX-O5YW-1426-SM-3MJHF 50-59 years, male 10.4
GTEX-Y8E4-2426-SM-4WWDN 40-49 years, male 10.4
GTEX-ZY6K-1226-SM-5GZYL 50-59 years, male 10.4
GTEX-1JMPY-0426-SM-C1YQ3 30-39 years, male 10.4
GTEX-ZZ64-0726-SM-5GZX4 20-29 years, male 10.3
GTEX-13O3O-2526-SM-5L3DR 60-69 years, female 10.2
GTEX-13OVG-1426-SM-5K7VP 60-69 years, male 10.2
GTEX-S7SF-1926-SM-4AT5B 20-29 years, female 10.2
GTEX-WY7C-1626-SM-4ONC8 50-59 years, male 10.2
GTEX-WYVS-1826-SM-4OND6 40-49 years, female 10.2
GTEX-1H1DE-1526-SM-ARL9B 20-29 years, male 10.2
GTEX-1JN1M-2626-SM-CY8I3 60-69 years, female 10.2
GTEX-1LSVX-1726-SM-DHXJP 60-69 years, male 10.2
GTEX-OXRO-0726-SM-E9U4C 60-69 years, female 10.2
GTEX-P4QT-1426-SM-3NMCX 50-59 years, female 10.1
GTEX-1GMR3-2826-SM-9WPOG 40-49 years, male 10.1
GTEX-1HCU7-2626-SM-C1YQO 50-59 years, male 10.1
GTEX-1IDJD-2226-SM-A96TD 30-39 years, male 10.1
GTEX-QMRM-1226-SM-447C6 50-59 years, male 10.0
GTEX-1PWST-2426-SM-EWRMP 70-79 years, male 9.9
GTEX-Y3IK-1826-SM-4WWDS 50-59 years, female 9.8
GTEX-ZTSS-1126-SM-5985O 40-49 years, male 9.8
GTEX-1R9PM-1526-SM-DPRY8 20-29 years, male 9.8
GTEX-R55C-1126-SM-48FCJ 40-49 years, male 9.7
GTEX-S4P3-1226-SM-4AD4Y 50-59 years, female 9.7
GTEX-WOFM-2026-SM-4OOSQ 20-29 years, male 9.7
GTEX-1R7EU-1926-SM-E9U62 60-69 years, male 9.7
GTEX-1S3DN-1826-SM-EV79K 50-59 years, male 9.7
GTEX-YEC3-2426-SM-DO11A 50-59 years, male 9.7
GTEX-139TS-1926-SM-5IJFO 60-69 years, male 9.6
GTEX-X3Y1-1726-SM-4PQZL 40-49 years, male 9.6
GTEX-13O3P-2326-SM-5KM55 50-59 years, male 9.5
GTEX-13QBU-1826-SM-5IJG3 40-49 years, female 9.5
GTEX-QDVJ-1326-SM-48U1X 50-59 years, male 9.5
GTEX-PLZ6-0926-SM-3P5ZQ 30-39 years, male 9.4
GTEX-UJMC-1326-SM-4IHLS 50-59 years, male 9.4
GTEX-1HSEH-1726-SM-B2LXH 60-69 years, male 9.4
GTEX-13QJ3-2626-SM-9OSXQ 50-59 years, male 9.3
GTEX-OIZH-1426-SM-3NB1O 50-59 years, male 9.2
GTEX-12KS4-2426-SM-5LU8P 30-39 years, male 9.1
GTEX-13D11-0826-SM-5KLZJ 50-59 years, female 9.1
GTEX-13OVK-0826-SM-7KULZ 40-49 years, male 9.1
GTEX-14PJ4-1926-SM-6LLHG 60-69 years, male 9.1
GTEX-1KXAM-2126-SM-CY8I9 60-69 years, male 9.1
GTEX-1128S-1626-SM-5H12O 60-69 years, female 9.0
GTEX-1399U-1926-SM-5IFH7 50-59 years, female 9.0
GTEX-13CF3-1426-SM-5K7YY 60-69 years, female 9.0
GTEX-1399S-1926-SM-5J2M5 30-39 years, female 8.9
GTEX-1CAMS-2526-SM-7EPH7 40-49 years, female 8.9
GTEX-P4PP-1426-SM-3NM9L 30-39 years, female 8.9
GTEX-1LGOU-1626-SM-D3LAK 20-29 years, female 8.9
GTEX-14PKV-2126-SM-664O3 20-29 years, female 8.8
GTEX-17F98-1026-SM-7IGO8 40-49 years, female 8.8
GTEX-18D9U-1926-SM-7KFTM 40-49 years, male 8.8
GTEX-PWN1-1426-SM-48TDF 40-49 years, female 8.8
GTEX-1K2DA-2026-SM-CGQGK 50-59 years, male 8.8
GTEX-X15G-1326-SM-4PQZJ 50-59 years, female 8.7
GTEX-ZPU1-1926-SM-57WDT 40-49 years, male 8.7
GTEX-1CAMR-0926-SM-7MXTD 20-29 years, male 8.7
GTEX-S4UY-0826-SM-4AD4Z 40-49 years, female 8.6
GTEX-XV7Q-2126-SM-4BRVX 40-49 years, female 8.6
GTEX-1QCLZ-1926-SM-E6CR3 60-69 years, female 8.6
GTEX-11DXX-1826-SM-5H126 60-69 years, female 8.5
GTEX-W5WG-2426-SM-4LMI6 50-59 years, female 8.5
GTEX-ZXES-1626-SM-5NQ7L 30-39 years, female 8.5
GTEX-1J1OQ-2726-SM-AHZ3R 40-49 years, female 8.5
GTEX-1399R-2226-SM-5P9JB 30-39 years, male 8.3
GTEX-XPVG-1826-SM-4B64X 50-59 years, male 8.3
GTEX-18A66-2426-SM-7KFSQ 60-69 years, male 8.2
GTEX-PWCY-1026-SM-48TD4 20-29 years, female 8.2
GTEX-TKQ2-1326-SM-4DXT9 50-59 years, male 8.2
GTEX-1QP9N-1026-SM-E6CPX 30-39 years, male 8.2
GTEX-R45C-2126-SM-EZ6KZ 60-69 years, female 8.2
GTEX-11I78-1226-SM-5A5K6 50-59 years, female 8.1
GTEX-1AMFI-1726-SM-7189L 50-59 years, female 8.1
GTEX-S4Q7-0826-SM-4AD5E 20-29 years, male 8.1
GTEX-139T6-1326-SM-5IFFO 50-59 years, male 8.0
GTEX-1MA7W-0626-SM-EV79Z 20-29 years, female 8.0
GTEX-ZG7Y-2126-SM-DO117 50-59 years, male 7.9
GTEX-178AV-1326-SM-6LPJX 40-49 years, male 7.8
GTEX-ZDYS-2326-SM-4WKG6 50-59 years, male 7.8
GTEX-1211K-1726-SM-5FQUJ 60-69 years, female 7.7
GTEX-1AMEY-1926-SM-73KVT 30-39 years, female 7.7
GTEX-1AYCT-1826-SM-731EG 50-59 years, male 7.7
GTEX-1F5PL-2126-SM-7PC2O 40-49 years, female 7.7
GTEX-OIZF-1426-SM-2HML2 60-69 years, male 7.7
GTEX-146FQ-1926-SM-5NQBY 30-39 years, male 7.6
GTEX-O5YT-1426-SM-3MJHC 20-29 years, male 7.6
GTEX-OHPM-1426-SM-3TW8Y 50-59 years, male 7.6
GTEX-XBED-1526-SM-4AT5W 60-69 years, male 7.5
GTEX-YF7O-1726-SM-5IFJ9 50-59 years, male 7.5
GTEX-ZEX8-1926-SM-4WKFR 50-59 years, male 7.5
GTEX-1I4MK-1126-SM-B2LWS 50-59 years, female 7.5
GTEX-1IOXB-2626-SM-CJI2N 50-59 years, male 7.5
GTEX-1JKYR-1926-SM-C1YR7 20-29 years, male 7.5
GTEX-1QCLY-1726-SM-DPRXY 30-39 years, male 7.5
GTEX-18D9A-1126-SM-7KFRJ 30-39 years, female 7.4
GTEX-R55G-1226-SM-48FDC 40-49 years, female 7.4
GTEX-1B8KE-1926-SM-731EE 50-59 years, male 7.3
GTEX-ZLV1-1226-SM-4WWBX 60-69 years, female 7.3
GTEX-12C56-0626-SM-5EGGC 20-29 years, male 7.2
GTEX-13S86-1626-SM-5Q5C5 40-49 years, male 7.2
GTEX-13X6H-1926-SM-7EWD3 50-59 years, female 7.2
GTEX-14PHX-1526-SM-68717 50-59 years, male 7.2
GTEX-17HGU-2426-SM-7EWDP 50-59 years, male 7.2
GTEX-1C4CL-2126-SM-7IGQC 30-39 years, male 7.2
GTEX-XQ8I-2126-SM-4BOOM 50-59 years, male 7.2
GTEX-ZF2S-1926-SM-4WWAN 50-59 years, female 7.2
GTEX-ZPIC-2226-SM-57WDX 40-49 years, female 7.2
GTEX-1IDJU-2026-SM-A9SLM 60-69 years, female 7.2
GTEX-12BJ1-2126-SM-5BC5O 60-69 years, male 7.1
GTEX-14DAR-1526-SM-5RQIX 50-59 years, male 7.1
GTEX-WFON-1426-SM-4LVMT 40-49 years, male 7.1
GTEX-1L5NE-2026-SM-CXZKR 50-59 years, male 7.1
GTEX-1PIGE-1426-SM-E9U61 20-29 years, male 7.1
GTEX-133LE-1526-SM-5IFEN 20-29 years, female 7.0
GTEX-ZV7C-1526-SM-5NQ72 50-59 years, male 7.0
GTEX-QDVN-1326-SM-48TZ3 50-59 years, male 6.9
GTEX-1QPFJ-2326-SM-E6CR7 30-39 years, female 6.9
GTEX-11P7K-1526-SM-5EGI7 30-39 years, male 6.8
GTEX-131XE-0826-SM-5HL9W 50-59 years, male 6.8
GTEX-UJHI-1126-SM-4IHLN 50-59 years, female 6.8
GTEX-ZVT2-1926-SM-5GU5T 50-59 years, female 6.8
GTEX-1JK1U-1526-SM-AHZ46 60-69 years, male 6.8
GTEX-ZDTT-1926-SM-5HL5W 60-69 years, male 6.8
GTEX-11DXZ-1726-SM-5H12M 50-59 years, male 6.7
GTEX-11LCK-2026-SM-5A5MA 30-39 years, male 6.7
GTEX-13OVJ-1726-SM-5IJDZ 50-59 years, female 6.7
GTEX-ZT9W-1826-SM-51MQX 50-59 years, male 6.7
GTEX-1F5PK-1926-SM-7MXT7 50-59 years, male 6.7
GTEX-1KANC-0926-SM-D3LA9 50-59 years, female 6.7
GTEX-13111-0726-SM-5DUVE 50-59 years, male 6.6
GTEX-Q2AI-0926-SM-48U1F 40-49 years, male 6.6
GTEX-QCQG-1626-SM-48U26 50-59 years, female 6.6
GTEX-1J1R8-1126-SM-CNPQ3 40-49 years, male 6.6
GTEX-1JKYN-2326-SM-CGQG7 30-39 years, male 6.6
GTEX-PLZ5-1126-SM-3P613 50-59 years, male 6.5
GTEX-13PL7-2526-SM-5IFGR 60-69 years, female 6.4
GTEX-1MGNQ-2026-SM-EAZ51 40-49 years, male 6.4
GTEX-1122O-1526-SM-5N9CL 60-69 years, female 6.3
GTEX-1LVAM-1626-SM-EV79Y 50-59 years, female 6.3
GTEX-15CHR-1426-SM-7DUGV 50-59 years, male 6.2
GTEX-1B932-2826-SM-73KUD 40-49 years, female 6.2
GTEX-Q2AH-1226-SM-48TZL 40-49 years, male 6.2
GTEX-1JN76-1226-SM-C1YRM 20-29 years, female 6.2
GTEX-R55D-1826-SM-48FEF 50-59 years, male 6.1
GTEX-1H1E6-1926-SM-9OSWD 30-39 years, male 6.1
GTEX-1NSGN-2326-SM-E9U5X 50-59 years, male 6.1
GTEX-TML8-1326-SM-4DXTO 40-49 years, female 6.0
GTEX-YB5E-1626-SM-5IFIQ 40-49 years, male 6.0
GTEX-1H3VY-2426-SM-9WPPD 50-59 years, male 6.0
GTEX-1S83E-1626-SM-EV7B9 40-49 years, male 6.0
GTEX-147F3-1926-SM-5SIB9 50-59 years, female 5.9
GTEX-17HHE-1826-SM-79OKE 50-59 years, male 5.9
GTEX-14ICK-1026-SM-6AJA4 40-49 years, male 5.8
GTEX-U3ZN-2126-SM-4DXU1 30-39 years, female 5.8
GTEX-1HFI7-1726-SM-A9G22 50-59 years, female 5.8
GTEX-QEL4-1926-SM-D3L8D 50-59 years, male 5.8
GTEX-RM2N-0926-SM-48FD1 50-59 years, male 5.7
GTEX-Y5LM-1526-SM-4VDTA 40-49 years, female 5.7
GTEX-1H11D-2626-SM-9JGH4 40-49 years, male 5.7
GTEX-131XG-1826-SM-5LZV4 50-59 years, female 5.6
GTEX-13O21-2426-SM-5MR4A 50-59 years, male 5.6
GTEX-T5JW-1126-SM-4DM5V 20-29 years, female 5.6
GTEX-WHWD-1226-SM-4OOS1 50-59 years, male 5.6
GTEX-11VI4-1526-SM-5EQKC 40-49 years, female 5.5
GTEX-13FTW-1826-SM-5IJEN 40-49 years, male 5.5
GTEX-14PK6-1726-SM-6871J 70-79 years, female 5.5
GTEX-15RIF-1326-SM-6LPKO 20-29 years, male 5.5
GTEX-1B8KZ-1326-SM-7DUG6 50-59 years, male 5.5
GTEX-117YW-1826-SM-5PNY5 50-59 years, male 5.4
GTEX-147GR-2726-SM-664OO 60-69 years, male 5.4
GTEX-Q734-1126-SM-48TZY 40-49 years, female 5.4
GTEX-1N2DV-1426-SM-DPRYQ 40-49 years, male 5.4
GTEX-1PIEJ-2026-SM-E6CPA 20-29 years, female 5.4
GTEX-R53T-1326-SM-48FCQ 50-59 years, female 5.3
GTEX-WFG7-1526-SM-4LVMG 20-29 years, male 5.3
GTEX-1LG7Z-1426-SM-CXKYV 30-39 years, male 5.3
GTEX-15RIE-1826-SM-6M48P 60-69 years, male 5.2
GTEX-16AAH-1326-SM-7KFRG 50-59 years, male 5.2
GTEX-ZLWG-1726-SM-DNZZ2 50-59 years, female 5.2
GTEX-144GN-1126-SM-5LU33 50-59 years, male 5.1
GTEX-XUZC-1326-SM-4BRV2 30-39 years, female 5.1
GTEX-ZVP2-1526-SM-5NQ82 50-59 years, male 5.1
GTEX-1PFEY-1426-SM-E9U6U 30-39 years, male 5.1
GTEX-1RAZR-1926-SM-E6CRF 40-49 years, male 5.1
GTEX-139YR-2126-SM-5KM11 50-59 years, male 5.0
GTEX-OXRK-1726-SM-3NB16 50-59 years, female 5.0
GTEX-1F75I-2426-SM-9WPOY 40-49 years, male 5.0
GTEX-11P82-1026-SM-5BC5J 20-29 years, male 4.9
GTEX-145MN-1726-SM-5SIA6 30-39 years, male 4.8
GTEX-XMK1-1726-SM-4B64Z 40-49 years, male 4.8
GTEX-11EM3-1526-SM-5A5KN 20-29 years, female 4.7
GTEX-1QP67-1326-SM-EAZ4D 40-49 years, female 4.7
GTEX-QV31-0826-SM-CKZNC 30-39 years, male 4.6
GTEX-1C475-1626-SM-731FP 40-49 years, female 4.5
GTEX-1RAZA-1726-SM-DPS13 20-29 years, male 4.5
GTEX-14E6E-1526-SM-5RQIG 30-39 years, male 4.3
GTEX-14BMU-1526-SM-5TDE6 20-29 years, female 4.2
GTEX-144GM-1226-SM-5LU52 20-29 years, male 3.9
GTEX-111CU-1426-SM-5GZYP 50-59 years, male 3.8
GTEX-WHSB-0926-SM-4M1XJ 50-59 years, male 3.8
GTEX-14JIY-3326-SM-6871E 60-69 years, male 3.7
GTEX-U4B1-1126-SM-4DXV3 40-49 years, male 3.6
GTEX-11TT1-1026-SM-5PNW7 20-29 years, male 3.5
GTEX-14XAO-2026-SM-69LOI 60-69 years, female 3.5
GTEX-132AR-2726-SM-5PNVN 50-59 years, female 3.1
GTEX-1IKOE-2026-SM-AHZ31 30-39 years, female 2.3
Show allShow less

COLON - FANTOM5 CAGEi

RNA expression in human tissues obtained through Cap Analysis of Gene Expression (CAGE) generated by the FANTOM5 project are reported as Scaled Tags Per Million.

Max subtype Scaled Tags Per Millioni

Max subtype Scaled Tags Per Million is the value for the subtype with the largest average Scaled Tags Per Million across the subtype samples.

58.1
FANTOM5 sample id Sample description Scaled Tags Per Million
Colon
Scaled Tags Per Million: 58.1
FF:10014-101C5 62,83,84 years, mixed 58.1

Contact

  • NEWS ARTICLES
  • PRESS ROOM

The Project

  • INTRODUCTION
  • ORGANIZATION
  • PUBLICATIONS

The Human Protein Atlas

  • DOWNLOADABLE DATA
  • LICENCE & CITATION
  • HELP & FAQ
The Human Protein Atlas project is funded
by the Knut & Alice Wallenberg Foundation.


contact@proteinatlas.org