We use cookies to enhance the usability of our website. If you continue, we'll assume that you are happy to receive all cookies. More information. Don't show this again.
UQCRH
HPA
RESOURCES
  • TISSUE
  • BRAIN
  • SINGLE CELL
  • SUBCELLULAR
  • CANCER
  • BLOOD
  • CELL LINE
  • STRUCTURE & INTERACTION
ABOUT
  • INTRODUCTION
  • HISTORY
  • ORGANIZATION
  • PUBLICATIONS
  • ANTIBODY SUBMISSION
  • ANTIBODY AVAILABILITY
  • ACKNOWLEDGMENTS
  • CONTACT
NEWS
  • NEWS ARTICLES
  • PRESS ROOM
LEARN
  • DICTIONARY
  • PROTEIN CLASSES
  • PROTEIN EVIDENCE
  • METHODS
  • EDUCATIONAL VIDEOS
DATA
  • DOWNLOADABLE DATA
  • PUBLICATION DATA
  • RELEASE HISTORY
HELP
  • ANTIBODY VALIDATION
  • ASSAYS & ANNOTATION
  • DISCLAIMER
  • HELP & FAQ
  • PRIVACY STATEMENT
  • LICENCE & CITATION
Fields »
Search result

Field
Term
Gene name
Class
Subclass
Class
Keyword
Chromosome
External id
Tissue
Cell type
Expression
Antibody panel
Tissue
Main location
Patient ID
Annotation
Tissue
Category
Tau score
Cluster
Reliability
Brain region
Category
Tau score
Brain region
Category
Tau score
Brain region
Category
Tau score
Cluster
Reliability
Tissue
Cell type
Enrichment
Cell type
Category
Tau score
Cell type
Category
Tau score
Cell type
Category
Tau score
Cell lineage
Category
Tau score
Cluster
Cluster
Location
Searches
Location
Cell line
Class
Type
Phase
Reliability
Cancer
Prognosis
Cancer
Category
Cancer
Category
Tau score
Cluster
Variants
Interacting gene (ensg_id)
Type
Number of interactions
Pathway
Category
Score
Score
Score
Validation
Validation
Validation
Validation
Antibodies
Data type
Column


  • SUMMARY

  • TISSUE

  • BRAIN

  • SINGLE CELL

  • SUBCELL

  • CANCER

  • BLOOD

  • CELL LINE

  • STRUCT & INT

  • UQCRH
TISSUE PRIMARY DATA BREAST Show tissue menu
ADIPOSE TISSUE ADRENAL GLAND AMYGDALA APPENDIX BASAL GANGLIA BONE MARROW BREAST BRONCHUS CEREBELLUM CEREBRAL CORTEX CERVIX CHOROID PLEXUS COLON DUODENUM
ENDOMETRIUM EPIDIDYMIS ESOPHAGUS FALLOPIAN TUBE GALLBLADDER HEART MUSCLE HIPPOCAMPAL FORMATION HYPOTHALAMUS KIDNEY LIVER LUNG LYMPH NODE MIDBRAIN NASOPHARYNX
ORAL MUCOSA OVARY PANCREAS PARATHYROID GLAND PITUITARY GLAND PLACENTA PROSTATE RECTUM RETINA SALIVARY GLAND SEMINAL VESICLE SKELETAL MUSCLE SKIN SMALL INTESTINE
SMOOTH MUSCLE SOFT TISSUE SPINAL CORD SPLEEN STOMACH TESTIS THYMUS THYROID GLAND TONGUE TONSIL URINARY BLADDER VAGINA
ANTIBODIES
AND
VALIDATION
Dictionary
Breast
Tissue proteome
Breast
BREAST - Expression summary
Protein expression
Breasti

On the top, protein expression in current human tissue, based on all annotated cell types, is reported with the units not detected (n), low (l), medium (m) and high (h). Underneath, protein expression in each annotated cell type are reported using the same units.

Protein expression data is based on knowledge-based annotation. For genes where more than one antibody has been used, a collective score is set.

If knowledge-based annotation could not be performed for a gene, no data is displayed here. View antibody staining data further down this page.

h
m
l
n
Adipocytes: Not detected
Glandular cells: Medium
Myoepithelial cells: Medium
RNA expressioni

A summary of mRNA expression data available for current tissue based on several datasets. The mRNA expression levels in human tissues are based on RNA-seq data generated by the Human Protein Atlas (HPA), Genotype-Tissue Expression (GTEx) portal and CAGE data generated by the FANTOM5 consortium. Consensus normalized expression levels for human tissues was created by combining the data from HPA and GTEx datasets.

The mRNA expression levels in pig are based on RNA-seq data generated by the Human Protein Atlas (HPA), and for mouse, HPA data and in situ hybridization generated by the Allen brain atlas are reported.

Scroll down to view mRNA expression data in more detail.
Consensus:233.1 nTPM
HPA:233.1 nTPM
GTEx:157.6 nTPM
FANTOM5:237.2 Scaled Tags Per Million

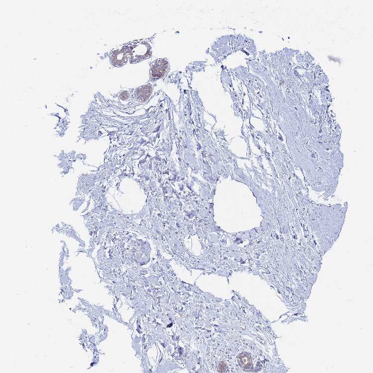
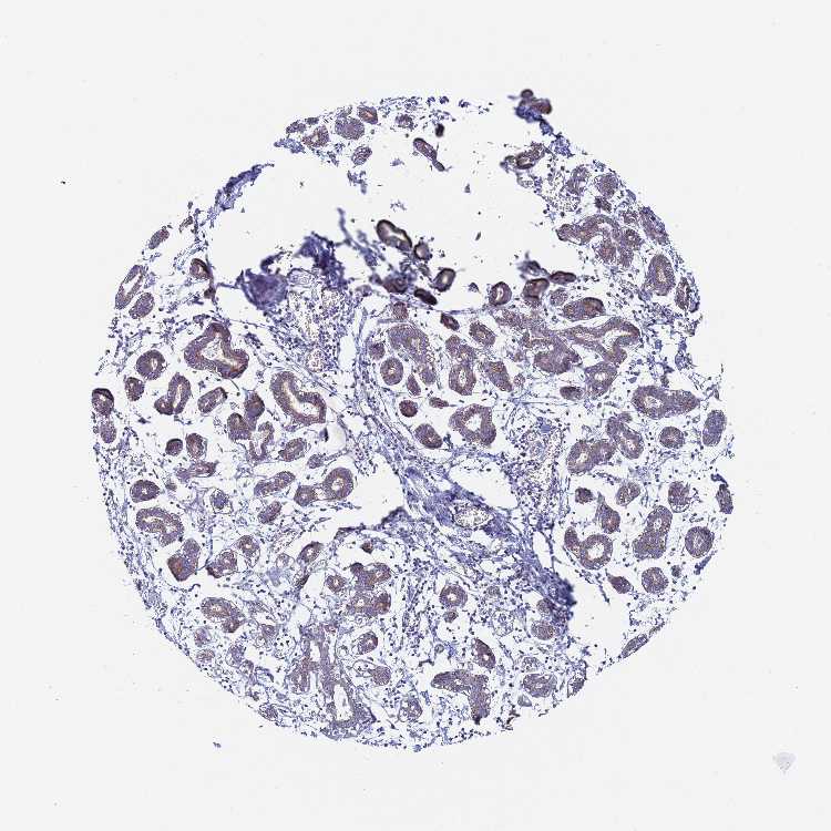
BREAST - Antibody stainingi

Antibody staining in the annotated cell types in the current human tissue is reported as not detected, low, medium, or high, based on conventional immunohistochemistry profiling in selected tissues. This score is based on the combination of the staining intensity and fraction of stained cells.

Each image is clickable and will lead to virtual microscopy that enables deeper exploration of all samples and also displays staining intensity scores, fraction scores and subcellular localization as well as patient and tissue information for each sample.

Antibody HPA042574
Adipocytes Not detected
Glandular cells Medium
Myoepithelial cells Medium



BREAST - HPA RNA-seqi

The RNA-seq details section shows detailed information about the individual samples used for the transcript profiling and results of the RNA-seq analysis.

Information about each individual sample is listed below, including gender, age, a tissue section image and estimated fractions of cell types. nTPM (normalized transcripts per million) values give a quantification of the gene abundance which is comparable between different genes and samples.
Average nTPMi

Max subtype nTPM is the value for the subtype with the largest average nTPM across the subtype samples.

233.1
overview
Female, age 52
Breast sample 373
nTPM: 294.4
Cell types%
Glandular cells:
15

Adipocytes:
5

Other cell types:
80

overview
Female, age 80
Breast sample 390
nTPM: 179.8
Cell types%
Glandular cells:
5

Adipocytes:
15

Other cell types:
80

overview
Female, age 47
Breast sample 405
nTPM: 165.6
Cell types%
Glandular cells:
5

Adipocytes:
5

Other cell types:
90

overview
Female, age 38
Breast sample 410
nTPM: 292.7
Cell types%
Glandular cells:
40

Adipocytes:
5

Other cell types:
55


BREAST - GTEx RNA-seqi

RNA-Seq data generated by the Genotype-Tissue Expression (GTEx) project from human tissues is reported as mean nTPM. More information can be found on the GTEx portal.

Distribution across the dataset is visualized with box plots, shown as median and 25th and 75th percentiles. Points are displayed as outliers if they are above or below 1.5 times the interquartile range. nTPM values of the individual samples are presented next to the box plot.
Max subtype nTPMi

Max subtype nTPM is the value for the subtype with the largest average nTPM across the subtype samples.

157.6
GTEx sample id Sample description nTPM
Breast - Mammary Tissue
Average nTPM: 157.6
Samples: 459

Max nTPM: 558.8
Min nTPM: 65.6
Std nTPM: 72.2
Median nTPM: 137.7
GTEX-1ICG6-1326-SM-ACKWR 70-79 years, female 558.8
GTEX-1F5PK-2126-SM-7PC28 50-59 years, male 494.7
GTEX-ZQG8-0726-SM-5P9H9 60-69 years, female 486.9
GTEX-1R9JW-0326-SM-EAZ45 30-39 years, female 483.8
GTEX-WY7C-2726-SM-3NB3P 50-59 years, male 467.7
GTEX-1CAMR-1426-SM-793BO 20-29 years, male 456.6
GTEX-1AMEY-1026-SM-718AA 30-39 years, female 455.9
GTEX-11P82-1326-SM-5HL62 20-29 years, male 426.0
GTEX-1R7EV-1526-SM-E8VOD 40-49 years, male 384.8
GTEX-YB5K-1626-SM-5IFIN 40-49 years, female 378.4
GTEX-14AS3-1626-SM-5S2OY 40-49 years, female 363.5
GTEX-ZLWG-1926-SM-DO92J 50-59 years, female 361.0
GTEX-YB5E-1726-SM-5IFJ3 40-49 years, male 353.7
GTEX-11TT1-2126-SM-5GU5Y 20-29 years, male 332.6
GTEX-11ZTT-2326-SM-5EQLG 60-69 years, female 319.7
GTEX-1HC8U-0826-SM-ADEIL 40-49 years, female 315.6
GTEX-15UF7-0726-SM-6M46D 40-49 years, male 299.1
GTEX-13FTX-1126-SM-5N9EN 20-29 years, female 298.7
GTEX-13FTW-1426-SM-5LZWZ 40-49 years, male 298.0
GTEX-1L5NE-2126-SM-CY8IH 50-59 years, male 297.1
GTEX-117YX-1426-SM-5H12H 50-59 years, male 297.0
GTEX-13113-5013-SM-7SB7G 60-69 years, female 289.0
GTEX-14PN4-0626-SM-62LFP 50-59 years, male 288.3
GTEX-18D9A-1526-SM-7LG4J 30-39 years, female 287.3
GTEX-ZT9W-2026-SM-51MRA 50-59 years, male 279.4
GTEX-14BMV-0626-SM-793AU 50-59 years, male 278.1
GTEX-1ICLZ-0426-SM-B2LW2 60-69 years, male 277.0
GTEX-13CF3-2126-SM-5IFJP 60-69 years, female 274.0
GTEX-1B8SG-1226-SM-7IGPF 50-59 years, male 271.8
GTEX-1JJE9-2326-SM-ARL8Q 70-79 years, male 263.6
GTEX-14ICK-2426-SM-6EU27 40-49 years, male 262.2
GTEX-183WM-0726-SM-7LTAA 70-79 years, female 259.7
GTEX-11EQ9-1826-SM-5Q5AJ 30-39 years, male 259.1
GTEX-1I19N-2826-SM-CL55D 70-79 years, male 259.0
GTEX-ZAB4-2526-SM-5HL8M 40-49 years, male 258.6
GTEX-14ABY-2126-SM-5QGQZ 50-59 years, male 258.2
GTEX-ZPIC-1126-SM-5BC7F 40-49 years, female 258.1
GTEX-13S86-1226-SM-5S2OA 40-49 years, male 256.4
GTEX-1GPI7-0926-SM-7PC3J 20-29 years, male 253.8
GTEX-1NHNU-0926-SM-E9J2T 50-59 years, male 253.5
GTEX-183FY-1126-SM-7DHLJ 20-29 years, male 253.4
GTEX-1S82U-1126-SM-E9U6I 30-39 years, female 251.5
GTEX-1QPFJ-2026-SM-EVYBE 30-39 years, female 249.5
GTEX-1N2EF-2226-SM-E9J33 60-69 years, male 249.0
GTEX-1H11D-1526-SM-9MQJY 40-49 years, male 248.3
GTEX-1QCLZ-2326-SM-DTXDO 60-69 years, female 244.9
GTEX-1KANC-1426-SM-CYPT9 50-59 years, female 244.2
GTEX-ZTPG-2826-SM-57WGA 20-29 years, female 244.2
GTEX-ZZ64-1226-SM-5E43R 20-29 years, male 241.4
GTEX-14PJO-0726-SM-69LO8 60-69 years, male 241.3
GTEX-1IKOE-1326-SM-CE6T6 30-39 years, female 240.6
GTEX-18A66-1726-SM-7LG5N 60-69 years, male 240.2
GTEX-1F75I-2026-SM-7SB7N 40-49 years, male 240.1
GTEX-1IDJU-1826-SM-CMKHV 60-69 years, female 239.2
GTEX-145LT-0726-SM-5S2VM 40-49 years, male 239.1
GTEX-15EOM-5019-SM-793DK 20-29 years, female 237.3
GTEX-ZV6S-1826-SM-5NQ8D 40-49 years, female 236.9
GTEX-1MJK3-1126-SM-E9J3F 20-29 years, male 235.7
GTEX-XYKS-1326-SM-4BRUN 60-69 years, female 231.7
GTEX-Y5V6-2126-SM-4WWFX 60-69 years, male 231.7
GTEX-Y8E4-1626-SM-5S2MW 40-49 years, male 230.5
GTEX-1HFI7-0126-SM-CGQFQ 50-59 years, female 229.4
GTEX-YECK-0726-SM-EZ6LV 60-69 years, male 229.4
GTEX-1S82Z-0726-SM-E6CHX 30-39 years, female 225.5
GTEX-145MF-2226-SM-7EPIR 50-59 years, male 223.9
GTEX-15G19-2126-SM-6M48J 60-69 years, male 222.7
GTEX-139T6-1626-SM-5PNYZ 50-59 years, male 221.3
GTEX-145ME-1526-SM-5Q5F2 40-49 years, female 220.7
GTEX-1GF9U-1726-SM-7MGY5 40-49 years, female 220.5
GTEX-1JJEA-2726-SM-ARL8V 60-69 years, male 217.3
GTEX-1LG7Z-0726-SM-CXKYD 30-39 years, male 217.2
GTEX-11I78-2226-SM-5PNYA 50-59 years, female 216.2
GTEX-1HSEH-2026-SM-ADEHN 60-69 years, male 215.2
GTEX-1I1GP-0426-SM-COH3N 50-59 years, male 215.2
GTEX-Y114-2026-SM-4TT7L 50-59 years, female 214.4
GTEX-1399U-1826-SM-5PNZ1 50-59 years, female 214.2
GTEX-1H1DG-0526-SM-9YFLN 70-79 years, male 213.6
GTEX-1211K-1926-SM-5EQLB 60-69 years, female 213.4
GTEX-1HCU9-0326-SM-9WYSC 20-29 years, male 213.2
GTEX-ZVT2-1826-SM-5NQ8W 50-59 years, female 211.9
GTEX-145MO-0826-SM-5NQBL 60-69 years, male 211.8
GTEX-UTHO-1026-SM-3GAF7 60-69 years, male 210.9
GTEX-XMK1-1126-SM-4IHJ8 40-49 years, male 210.0
GTEX-17GQL-0326-SM-7LG5U 60-69 years, male 209.8
GTEX-17F97-2526-SM-7EWDV 50-59 years, male 209.7
GTEX-132AR-0826-SM-5EGK6 50-59 years, female 205.0
GTEX-13SLW-2526-SM-62LDQ 70-79 years, male 203.4
GTEX-1QP28-1226-SM-E9J2M 50-59 years, female 203.2
GTEX-SE5C-2126-SM-4BRUJ 40-49 years, female 202.2
GTEX-12KS4-0126-SM-5Q5A5 30-39 years, male 201.7
GTEX-133LE-1726-SM-5K7VQ 20-29 years, female 201.6
GTEX-145MN-1926-SM-5SIAI 30-39 years, male 201.4
GTEX-14PJ4-2126-SM-6ETZJ 60-69 years, male 200.5
GTEX-ZDTT-2126-SM-DKPOM 60-69 years, male 200.1
GTEX-16YQH-2826-SM-6PAMY 30-39 years, male 198.6
GTEX-1QP9N-1826-SM-E8VMP 30-39 years, male 196.6
GTEX-14PKU-0426-SM-6EU1P 40-49 years, female 196.5
GTEX-S32W-2026-SM-4AD6E 50-59 years, female 196.0
GTEX-1RLM8-2226-SM-EVYD1 50-59 years, male 195.3
GTEX-1H3VY-0926-SM-ACKXE 50-59 years, male 195.0
GTEX-REY6-2426-SM-48FF5 60-69 years, male 194.4
GTEX-11DZ1-0326-SM-5N9BN 50-59 years, male 194.0
GTEX-ZDYS-1126-SM-5K7UB 50-59 years, male 193.4
GTEX-PSDG-1626-SM-48TCQ 50-59 years, male 191.7
GTEX-1HSMO-0826-SM-ADEIV 60-69 years, male 190.1
GTEX-11O72-2126-SM-5N9FO 40-49 years, male 189.9
GTEX-R55D-0826-SM-48FEA 50-59 years, male 186.8
GTEX-S4Q7-1126-SM-4AD6R 20-29 years, male 186.6
GTEX-1IDJF-2326-SM-ARL86 20-29 years, male 186.5
GTEX-T5JW-2026-SM-4DM63 20-29 years, female 186.3
GTEX-ZYT6-0126-SM-5E45J 30-39 years, male 185.2
GTEX-14H4A-2526-SM-5YYAY 40-49 years, female 183.8
GTEX-XGQ4-0926-SM-4AT4U 50-59 years, male 183.8
GTEX-1IDJH-2226-SM-E6CJV 70-79 years, male 183.4
GTEX-ZLFU-2126-SM-DO931 40-49 years, male 183.4
GTEX-14B4R-1226-SM-5TDDT 30-39 years, male 183.1
GTEX-1HT8W-2226-SM-CGQEC 30-39 years, male 183.0
GTEX-1H23P-0726-SM-9WG7K 60-69 years, male 181.7
GTEX-Z9EW-1526-SM-EZ6LU 40-49 years, male 181.5
GTEX-ZQUD-1926-SM-51MSA 30-39 years, male 180.9
GTEX-17F96-2426-SM-7IGLN 70-79 years, male 180.7
GTEX-12BJ1-1826-SM-5HL9N 60-69 years, male 180.4
GTEX-14E6C-1326-SM-62LEQ 40-49 years, male 180.1
GTEX-XV7Q-2326-SM-4BRVZ 40-49 years, female 179.8
GTEX-X62O-0526-SM-EWRMA 50-59 years, male 179.6
GTEX-QEL4-2126-SM-447AE 50-59 years, male 177.1
GTEX-T6MO-0326-SM-32QOK 40-49 years, female 176.3
GTEX-QMRM-1626-SM-D4P1U 50-59 years, male 175.0
GTEX-14E6E-1326-SM-5S2NR 30-39 years, male 174.9
GTEX-17MF6-0326-SM-7EPH5 40-49 years, male 173.8
GTEX-1JMOU-2026-SM-CMKGU 60-69 years, female 173.7
GTEX-R53T-1526-SM-48FEK 50-59 years, female 172.7
GTEX-1HCU7-1026-SM-ADEIP 50-59 years, male 172.6
GTEX-1I1GU-1026-SM-ADEHJ 40-49 years, male 172.5
GTEX-RUSQ-2026-SM-4GIAK 50-59 years, male 172.1
GTEX-12WSN-1326-SM-5GCNT 40-49 years, male 171.3
GTEX-1CAMS-1426-SM-7IGPM 40-49 years, female 170.7
GTEX-ZTTD-1026-SM-51MRD 50-59 years, male 169.4
GTEX-146FH-0826-SM-5SI8T 50-59 years, female 169.2
GTEX-12WSK-2226-SM-5GCO5 40-49 years, female 168.9
GTEX-1H1ZS-0126-SM-9YFKQ 70-79 years, male 168.9
GTEX-11DXZ-1926-SM-5GZZL 50-59 years, male 168.2
GTEX-TKQ1-0226-SM-33HB5 30-39 years, male 167.9
GTEX-17MFQ-0926-SM-7LG4S 20-29 years, male 167.1
GTEX-144GM-0926-SM-5O994 20-29 years, male 167.0
GTEX-16BQI-1026-SM-7KUEA 30-39 years, female 166.9
GTEX-11WQK-2426-SM-5GU5C 50-59 years, male 166.8
GTEX-1OKEX-0826-SM-E9J2B 60-69 years, male 166.8
GTEX-Y9LG-1426-SM-5IFJZ 30-39 years, male 166.7
GTEX-ZXES-0826-SM-5E43C 30-39 years, female 166.3
GTEX-1PDJ9-1126-SM-EXUSW 20-29 years, male 166.0
GTEX-XQ3S-1326-SM-4BOPQ 20-29 years, male 165.8
GTEX-X4XY-0926-SM-4E3JD 60-69 years, male 165.4
GTEX-U8XE-0826-SM-4E3J1 30-39 years, male 165.1
GTEX-11GSP-0926-SM-9WYSG 60-69 years, female 164.3
GTEX-1I4MK-1626-SM-CM2TJ 50-59 years, female 164.1
GTEX-ZDXO-0126-SM-5S2ND 60-69 years, male 163.4
GTEX-WOFL-0826-SM-3MJG1 60-69 years, male 162.9
GTEX-1LC47-1226-SM-D4P44 60-69 years, male 162.8
GTEX-1POEN-0926-SM-DTX88 30-39 years, female 162.8
GTEX-1I6K6-0826-SM-ARL7Z 30-39 years, male 162.1
GTEX-1A3MX-2726-SM-718B6 60-69 years, male 161.7
GTEX-1GZ2Q-2626-SM-7MXV9 40-49 years, male 161.4
GTEX-1R9PM-1826-SM-EVYBH 20-29 years, male 160.7
GTEX-1QW4Y-1026-SM-DTXE2 30-39 years, male 160.4
GTEX-WFON-1826-SM-3GILG 40-49 years, male 160.3
GTEX-14BMU-1626-SM-5TDE7 20-29 years, female 159.4
GTEX-13W3W-1226-SM-5LU4H 60-69 years, female 159.0
GTEX-ZGAY-1726-SM-DO91P 40-49 years, female 158.1
GTEX-15RJE-2626-SM-7KFT1 40-49 years, male 157.8
GTEX-14753-2426-SM-5LU8U 60-69 years, male 157.2
GTEX-1F5PL-1026-SM-7RHI1 40-49 years, female 156.5
GTEX-17F98-0526-SM-79OK5 40-49 years, female 156.4
GTEX-1KD5A-1926-SM-DKPQA 50-59 years, male 156.4
GTEX-1ICLY-1726-SM-B2LVT 50-59 years, male 156.1
GTEX-139T8-0826-SM-5L3DE 60-69 years, male 155.6
GTEX-W5X1-2326-SM-3GIL6 40-49 years, female 155.5
GTEX-1313W-0826-SM-5EQ4T 50-59 years, female 155.4
GTEX-1GMR2-1926-SM-9MQLZ 50-59 years, male 155.3
GTEX-1HCU8-0126-SM-ADEHH 60-69 years, female 155.2
GTEX-YEC3-1026-SM-5IFI5 50-59 years, male 154.4
GTEX-ZVT4-1026-SM-57WC4 50-59 years, female 154.4
GTEX-1LBAC-0926-SM-CXKY9 20-29 years, male 154.1
GTEX-13FHO-0826-SM-5L3E8 60-69 years, male 154.0
GTEX-1CB4J-1826-SM-7EWF9 60-69 years, male 153.7
GTEX-1QMI2-0726-SM-E9J4F 60-69 years, male 153.4
GTEX-13QJ3-0826-SM-7DHKK 50-59 years, male 152.5
GTEX-XMD2-0926-SM-4WWEF 60-69 years, female 152.1
GTEX-1I1GV-2426-SM-CGQFM 60-69 years, male 151.9
GTEX-1IDFM-0426-SM-B2LVV 60-69 years, male 151.6
GTEX-18A6Q-0926-SM-7LG4N 60-69 years, male 151.4
GTEX-1IGQW-0926-SM-ADEH6 60-69 years, male 150.7
GTEX-XQ8I-2426-SM-4WAXY 50-59 years, male 149.5
GTEX-13VXU-2826-SM-664MA 50-59 years, male 149.3
GTEX-ZAJG-0626-SM-5HL8X 50-59 years, female 149.2
GTEX-1117F-2826-SM-5GZXL 60-69 years, female 149.0
GTEX-13PVQ-1026-SM-5KM3M 50-59 years, male 148.8
GTEX-11ZUS-0826-SM-5FQUY 30-39 years, male 148.7
GTEX-S4UY-0726-SM-4AD6X 40-49 years, female 148.6
GTEX-1PPH7-0826-SM-E8VNX 40-49 years, male 148.0
GTEX-16NGA-0826-SM-718AF 40-49 years, female 147.9
GTEX-1EKGG-2626-SM-7IGPY 60-69 years, male 147.4
GTEX-ZLV1-1426-SM-DO92Z 60-69 years, female 147.4
GTEX-1HR9M-2426-SM-ACKXI 60-69 years, male 147.2
GTEX-11EM3-1326-SM-5N9C6 20-29 years, female 146.9
GTEX-13SLX-2326-SM-5ZZWE 50-59 years, female 146.8
GTEX-11TUW-1826-SM-5BC5D 60-69 years, male 146.7
GTEX-1JN6P-2426-SM-ARL99 60-69 years, male 146.1
GTEX-17F9E-2526-SM-7MGW2 50-59 years, male 145.9
GTEX-1PPGY-1526-SM-EVYBK 60-69 years, male 145.7
GTEX-17EVQ-0426-SM-7LG57 70-79 years, male 145.6
GTEX-1MA7X-1626-SM-E9U5B 60-69 years, male 145.5
GTEX-1HR98-0426-SM-COH36 60-69 years, male 145.4
GTEX-S33H-0326-SM-4AD6N 30-39 years, male 144.7
GTEX-11DXY-2326-SM-5GICW 60-69 years, male 144.4
GTEX-13O3O-0826-SM-5K7WE 60-69 years, female 143.2
GTEX-XUW1-2326-SM-4BOO5 50-59 years, female 143.2
GTEX-1IOXB-1926-SM-ARL8E 50-59 years, male 143.2
GTEX-1M4P7-2626-SM-E9U5F 60-69 years, male 142.4
GTEX-1JN1M-3026-SM-CMKGK 60-69 years, female 142.0
GTEX-1IDJE-0826-SM-CKZNZ 50-59 years, female 140.5
GTEX-17HGU-1326-SM-79OKB 50-59 years, male 140.4
GTEX-11WQC-1726-SM-5GU4W 60-69 years, male 140.3
GTEX-13NZ8-0126-SM-5IJCT 60-69 years, female 140.2
GTEX-ZYW4-0826-SM-5GIDG 60-69 years, male 140.1
GTEX-13O61-1826-SM-5KM4I 60-69 years, male 140.0
GTEX-1MCC2-2126-SM-EWRON 30-39 years, female 140.0
GTEX-13PL6-2926-SM-5L3I2 40-49 years, female 139.4
GTEX-QVJO-1826-SM-447C9 60-69 years, female 139.3
GTEX-1LVAM-0926-SM-E9TJ2 50-59 years, female 137.7
GTEX-13D11-1026-SM-5IJFB 50-59 years, female 137.6
GTEX-12WSM-1726-SM-5BC6J 60-69 years, male 137.3
GTEX-11P81-1926-SM-5BC53 30-39 years, female 136.8
GTEX-1GN1W-1926-SM-7P8TH 50-59 years, female 136.6
GTEX-1QEPI-0926-SM-DTXF3 60-69 years, female 136.6
GTEX-11GSO-1926-SM-5A5K3 60-69 years, male 136.5
GTEX-11NV4-2026-SM-5N9DG 60-69 years, male 136.5
GTEX-11ONC-2126-SM-5HL6E 60-69 years, male 136.5
GTEX-YFCO-1826-SM-4W1YH 40-49 years, male 136.4
GTEX-1C6VQ-0426-SM-79OOX 50-59 years, male 136.0
GTEX-ZA64-1526-SM-5CVMD 20-29 years, male 135.6
GTEX-ZC5H-2626-SM-5J2MG 40-49 years, female 135.2
GTEX-V955-2026-SM-3GAFA 60-69 years, male 134.9
GTEX-ZVZQ-0826-SM-51MRF 60-69 years, female 134.4
GTEX-14E7W-0826-SM-62LEJ 70-79 years, male 133.9
GTEX-WXYG-2226-SM-4E3IM 50-59 years, female 133.8
GTEX-YJ8O-2226-SM-5IFHW 40-49 years, female 133.5
GTEX-ZYFC-0826-SM-5E44K 50-59 years, male 133.5
GTEX-15ER7-1626-SM-6PAMZ 20-29 years, female 133.3
GTEX-1GZ4H-0326-SM-7P8QX 50-59 years, female 133.2
GTEX-1N2EE-2126-SM-E8VNN 60-69 years, male 133.0
GTEX-1R9PN-0326-SM-DTX85 40-49 years, female 132.7
GTEX-ZWKS-2826-SM-5NQ74 30-39 years, male 132.2
GTEX-ZVE2-1226-SM-5NQ8R 50-59 years, male 131.9
GTEX-11OF3-1926-SM-59889 60-69 years, male 131.8
GTEX-1HCUA-0726-SM-ACKVU 50-59 years, female 131.8
GTEX-1JKYR-0926-SM-CMKGJ 20-29 years, male 131.6
GTEX-1314G-1226-SM-5BC6D 30-39 years, male 131.4
GTEX-14PHY-1926-SM-5YY95 60-69 years, female 131.2
GTEX-131XW-0726-SM-5EGK3 50-59 years, female 130.7
GTEX-1R46S-2526-SM-E8VN2 60-69 years, female 130.2
GTEX-13O3P-0826-SM-5L3DH 50-59 years, male 130.0
GTEX-1F75B-0626-SM-7SB8A 50-59 years, male 130.0
GTEX-1NV8Z-2826-SM-E8VME 60-69 years, male 129.9
GTEX-13O3Q-2226-SM-5KM4O 50-59 years, male 129.6
GTEX-1MJK2-2226-SM-EVYCR 50-59 years, male 129.4
GTEX-1A8G7-2426-SM-731AK 60-69 years, male 129.3
GTEX-132NY-0826-SM-5K7Y7 60-69 years, male 129.1
GTEX-17KNJ-2026-SM-7LG53 50-59 years, male 129.1
GTEX-ZVTK-0326-SM-51MRR 20-29 years, male 127.8
GTEX-ZTX8-1226-SM-4YCE9 20-29 years, male 127.6
GTEX-1B8KE-1226-SM-73KWK 50-59 years, male 127.2
GTEX-11NSD-0926-SM-5N9DR 20-29 years, male 126.7
GTEX-18A7B-2626-SM-7LG55 70-79 years, male 126.7
GTEX-1LSVX-2426-SM-E6CJX 60-69 years, male 126.3
GTEX-U412-1826-SM-4DXTJ 60-69 years, male 126.0
GTEX-1JMLX-2026-SM-CMKGN 50-59 years, male 126.0
GTEX-Y3IK-2326-SM-4WWDT 50-59 years, female 125.7
GTEX-Y5LM-1726-SM-4VDSX 40-49 years, female 125.7
GTEX-RU1J-0626-SM-4WAWY 20-29 years, female 125.4
GTEX-1HCVE-2626-SM-ADEJ8 50-59 years, male 125.1
GTEX-Y5V5-2126-SM-4WWFO 60-69 years, female 125.0
GTEX-13NZB-2126-SM-5MR4Y 30-39 years, male 124.9
GTEX-1E2YA-2726-SM-7IGPW 50-59 years, male 124.8
GTEX-1HBPM-0126-SM-ARL9E 60-69 years, female 124.8
GTEX-1EWIQ-1726-SM-7SB7T 70-79 years, female 124.4
GTEX-ZF3C-2326-SM-5S2NC 50-59 years, female 124.1
GTEX-UJHI-1426-SM-3DB9C 50-59 years, female 123.8
GTEX-139TU-0626-SM-5KM3X 60-69 years, male 123.7
GTEX-117XS-1926-SM-5GICO 60-69 years, male 123.2
GTEX-13N1W-0626-SM-5MR4U 70-79 years, male 123.0
GTEX-1122O-1226-SM-5H113 60-69 years, female 122.7
GTEX-1AX8Z-0926-SM-731AW 60-69 years, male 122.2
GTEX-1J8Q3-1326-SM-CMKI1 60-69 years, male 121.8
GTEX-Y3I4-1526-SM-4TT7K 50-59 years, male 121.5
GTEX-1RQEC-2026-SM-DTXDM 60-69 years, male 121.5
GTEX-XMD1-0826-SM-4AT52 60-69 years, male 121.4
GTEX-11P7K-0726-SM-5EGKX 30-39 years, male 121.2
GTEX-15UF6-0126-SM-6PAMB 70-79 years, female 121.2
GTEX-17JCI-0726-SM-7EPH1 60-69 years, female 120.9
GTEX-1C475-1226-SM-7SB72 40-49 years, female 120.5
GTEX-1JMPZ-1626-SM-COH31 30-39 years, male 120.5
GTEX-18A7A-0726-SM-7LTAI 50-59 years, female 120.3
GTEX-1KD4Q-2326-SM-D4P3M 40-49 years, male 119.7
GTEX-169BO-1126-SM-7MGWN 50-59 years, male 119.3
GTEX-17HG3-0126-SM-7IGNH 30-39 years, female 118.5
GTEX-WI4N-1426-SM-3LK7H 40-49 years, female 118.3
GTEX-WFG8-2026-SM-EXOHO 20-29 years, male 118.2
GTEX-1CB4E-0226-SM-79OLW 60-69 years, male 118.1
GTEX-T2YK-2226-SM-32QPT 50-59 years, male 118.1
GTEX-VJWN-0726-SM-3GIJ8 50-59 years, female 117.7
GTEX-15ETS-0626-SM-7KUMX 40-49 years, female 117.6
GTEX-11LCK-2426-SM-5HL5F 30-39 years, male 117.4
GTEX-1LSNL-2826-SM-E9U5L 50-59 years, male 117.0
GTEX-1NUQO-2226-SM-E9U68 20-29 years, female 116.9
GTEX-1192X-2326-SM-5987X 50-59 years, male 116.8
GTEX-S7SE-0826-SM-4AT4D 50-59 years, male 116.4
GTEX-18465-2026-SM-718AP 50-59 years, male 116.1
GTEX-1MA7W-1026-SM-DKPQK 20-29 years, female 115.8
GTEX-1C6WA-2426-SM-7SB86 60-69 years, male 115.6
GTEX-1LGRB-1826-SM-CNPQL 50-59 years, female 115.5
GTEX-14LLW-0626-SM-62LFC 70-79 years, female 115.4
GTEX-1LSNM-1326-SM-E9TJ1 50-59 years, male 115.1
GTEX-1M5QR-2526-SM-E9U5P 40-49 years, male 115.0
GTEX-1B933-2526-SM-7IGO5 50-59 years, female 114.8
GTEX-13NZ9-1026-SM-5MR5K 50-59 years, male 114.7
GTEX-1HBPN-2326-SM-9WPPU 50-59 years, male 114.7
GTEX-1H4P4-2226-SM-9MQKQ 50-59 years, male 114.2
GTEX-1QP29-1726-SM-E8VMQ 50-59 years, male 114.2
GTEX-13PVR-2226-SM-7DHKP 60-69 years, female 114.1
GTEX-1GN2E-2226-SM-9WG6J 60-69 years, male 113.4
GTEX-131YS-0626-SM-5EGKL 60-69 years, female 113.0
GTEX-X4EP-2926-SM-3P5YQ 60-69 years, female 113.0
GTEX-1KAFJ-0226-SM-DIPEL 50-59 years, male 113.0
GTEX-YFC4-1426-SM-5IFJG 40-49 years, female 112.5
GTEX-QDT8-0626-SM-48TYW 30-39 years, female 112.4
GTEX-1GZ4I-2826-SM-9MQK5 50-59 years, male 112.4
GTEX-1JKYN-0726-SM-ARZMY 30-39 years, male 112.1
GTEX-U3ZN-1926-SM-4DXSG 30-39 years, female 111.8
GTEX-1LNCM-0226-SM-DIPF4 50-59 years, female 111.8
GTEX-1GPI6-0626-SM-7RHHJ 60-69 years, male 111.6
GTEX-X15G-1626-SM-3NMB3 50-59 years, female 111.2
GTEX-WHSB-1926-SM-EXOHH 50-59 years, male 111.0
GTEX-ZU9S-1926-SM-5NQBP 30-39 years, male 110.9
GTEX-T2IS-1526-SM-32QPR 20-29 years, female 110.6
GTEX-1P4AB-1826-SM-E76PU 50-59 years, male 110.3
GTEX-X261-0626-SM-3NMD9 50-59 years, male 110.1
GTEX-12ZZX-1126-SM-5EGKB 40-49 years, female 109.9
GTEX-VUSG-2226-SM-4KKZO 50-59 years, male 109.8
GTEX-11DXW-0626-SM-5N9ER 40-49 years, male 108.7
GTEX-1GZHY-0726-SM-9WG6B 50-59 years, female 108.7
GTEX-13OW8-0226-SM-5K7UP 60-69 years, male 108.1
GTEX-TML8-1226-SM-32QON 40-49 years, female 107.7
GTEX-1B8KZ-1526-SM-7DUG7 50-59 years, male 107.6
GTEX-ZY6K-1626-SM-5GZWV 50-59 years, male 107.3
GTEX-1KANA-2026-SM-DIPFB 20-29 years, male 107.0
GTEX-1AX9I-0726-SM-73KWV 60-69 years, male 106.7
GTEX-147F4-2826-SM-5NQBN 50-59 years, male 106.2
GTEX-1GF9X-1026-SM-ACKX2 40-49 years, female 106.1
GTEX-11EI6-0626-SM-5985T 60-69 years, male 105.6
GTEX-Y8LW-1626-SM-5IFHX 50-59 years, female 105.4
GTEX-11PRG-0826-SM-5EQ6A 50-59 years, male 105.0
GTEX-132Q8-1426-SM-5EGK7 60-69 years, male 105.0
GTEX-13N11-1726-SM-5J1OJ 50-59 years, female 104.9
GTEX-1IE54-0626-SM-ARL8D 40-49 years, female 104.5
GTEX-1B97I-0426-SM-79OL7 40-49 years, male 103.5
GTEX-ZUA1-1526-SM-59HLS 40-49 years, male 103.5
GTEX-ZZPU-0626-SM-5E43T 50-59 years, female 103.3
GTEX-13QIC-2326-SM-5LU5N 60-69 years, female 103.2
GTEX-15SHW-1326-SM-6PAL8 60-69 years, male 102.9
GTEX-1GF9V-2526-SM-7SB8K 60-69 years, male 102.4
GTEX-18QFQ-0826-SM-718AX 30-39 years, male 102.2
GTEX-Y111-2026-SM-4SOJA 50-59 years, male 101.6
GTEX-111YS-1926-SM-5GICC 60-69 years, male 101.2
GTEX-1HSGN-1526-SM-A9SMO 40-49 years, female 100.6
GTEX-WRHU-0326-SM-3MJFY 50-59 years, female 100.1
GTEX-1JMQK-2626-SM-COH2W 60-69 years, male 99.9
GTEX-1GMRU-0826-SM-9WYT7 50-59 years, male 99.5
GTEX-1B97J-0426-SM-79OLQ 50-59 years, female 98.9
GTEX-14DAR-1326-SM-7DUEG 50-59 years, male 98.4
GTEX-QEG5-0726-SM-D4P1T 20-29 years, male 98.3
GTEX-15FZZ-0726-SM-7KUFZ 30-39 years, female 98.0
GTEX-Q2AG-0326-SM-48U1O 40-49 years, female 97.9
GTEX-RU72-0626-SM-46MUI 50-59 years, female 97.8
GTEX-17EUY-1926-SM-7DUF6 20-29 years, male 97.7
GTEX-ZV7C-1826-SM-5NQ83 50-59 years, male 97.7
GTEX-1I1GT-1126-SM-ARL7J 60-69 years, female 97.7
GTEX-1GMR8-0726-SM-9KNVI 50-59 years, female 97.5
GTEX-1269C-2426-SM-5FQSN 60-69 years, female 97.4
GTEX-R3RS-0626-SM-48FE1 40-49 years, female 97.4
GTEX-1H1CY-2226-SM-9WG7E 60-69 years, female 97.4
GTEX-1J8Q2-2726-SM-A9G2X 60-69 years, male 97.3
GTEX-1J8QM-2026-SM-ARZMW 60-69 years, female 97.2
GTEX-1C6VS-0726-SM-7EPHF 60-69 years, male 97.0
GTEX-144GL-2026-SM-5LU3O 50-59 years, male 96.1
GTEX-XBED-1626-SM-47JYN 60-69 years, male 95.1
GTEX-1GN1U-0526-SM-9KNTT 50-59 years, female 95.0
GTEX-1A3MV-1626-SM-731C1 30-39 years, male 94.9
GTEX-ZAK1-1326-SM-EVYAS 50-59 years, female 94.4
GTEX-1RAZS-1226-SM-E8VMT 50-59 years, male 94.0
GTEX-1KXAM-1026-SM-CY8IA 60-69 years, male 93.6
GTEX-UPK5-2326-SM-3P5Z8 40-49 years, male 93.4
GTEX-TKQ2-1826-SM-33HB2 50-59 years, male 93.0
GTEX-ZEX8-2226-SM-57WC6 50-59 years, male 92.9
GTEX-1IKOH-2326-SM-CM2TW 60-69 years, female 92.4
GTEX-S341-1526-SM-4AD6K 40-49 years, female 92.2
GTEX-1B8L1-2426-SM-9WYTE 60-69 years, male 92.1
GTEX-1GMR3-2626-SM-7RHHG 40-49 years, male 91.5
GTEX-WYJK-1326-SM-3NB2T 50-59 years, male 91.2
GTEX-1MCYP-0126-SM-E6CIS 20-29 years, female 91.2
GTEX-1R7EU-1226-SM-E8VMR 60-69 years, male 91.2
GTEX-1EU9M-2826-SM-7EWFH 60-69 years, male 91.0
GTEX-1K2DA-1726-SM-CGQGS 50-59 years, male 90.9
GTEX-1LVAN-1326-SM-CNPQE 50-59 years, female 90.9
GTEX-1AX9J-1126-SM-731B7 60-69 years, male 90.8
GTEX-1J8EW-2626-SM-CL53E 60-69 years, female 90.8
GTEX-1HUB1-1626-SM-CM2SL 60-69 years, male 90.4
GTEX-1H1E6-0926-SM-9YFLT 30-39 years, male 89.6
GTEX-WYVS-1726-SM-3NMAY 40-49 years, female 89.5
GTEX-13W46-0826-SM-5LU3H 50-59 years, male 89.3
GTEX-1IKJJ-2326-SM-COH3U 60-69 years, male 89.1
GTEX-1C64O-0726-SM-7DUFU 60-69 years, male 88.3
GTEX-WYBS-0926-SM-3NM94 60-69 years, female 88.2
GTEX-11EMC-2026-SM-5A5JV 60-69 years, female 87.8
GTEX-1I1HK-2426-SM-ADEHX 60-69 years, male 87.8
GTEX-13OW5-2226-SM-5L3HC 60-69 years, male 87.7
GTEX-17EVP-0226-SM-79OND 40-49 years, male 87.0
GTEX-1B932-0826-SM-73KXG 40-49 years, female 86.9
GTEX-1QCLY-1626-SM-DTXDW 30-39 years, male 86.6
GTEX-XOT4-0726-SM-4GIAW 60-69 years, female 86.5
GTEX-17HHE-1426-SM-7EPH4 50-59 years, male 86.4
GTEX-13CF2-2026-SM-5K7VI 60-69 years, male 86.1
GTEX-1F6I4-2526-SM-7SB8F 60-69 years, male 85.4
GTEX-ZF2S-2026-SM-5E461 50-59 years, female 85.2
GTEX-1BAJH-0826-SM-7EWEF 70-79 years, male 84.2
GTEX-1CB4G-2326-SM-79OOI 60-69 years, male 84.1
GTEX-1N5O9-1126-SM-DTXEQ 60-69 years, male 83.8
GTEX-11GS4-2126-SM-5A5KR 60-69 years, male 83.6
GTEX-TMMY-0726-SM-33HBE 40-49 years, female 83.1
GTEX-1I6K7-1026-SM-A9SLK 40-49 years, male 82.9
GTEX-1K9T9-1426-SM-DIPFQ 50-59 years, female 82.4
GTEX-RWS6-1926-SM-47JXY 60-69 years, female 82.0
GTEX-14A5I-0726-SM-5TDEB 50-59 years, female 81.6
GTEX-1HKZK-1826-SM-ADEJ2 40-49 years, male 81.4
GTEX-S4P3-1326-SM-4AD6V 50-59 years, female 80.2
GTEX-XUZC-1626-SM-4BRVP 30-39 years, female 79.0
GTEX-ZF29-1926-SM-5S2P1 60-69 years, female 78.6
GTEX-1IY9M-2726-SM-CMKG5 60-69 years, male 78.6
GTEX-1JK1U-1826-SM-ARL8W 60-69 years, male 78.0
GTEX-1F75A-1826-SM-7SB8G 50-59 years, male 76.7
GTEX-1JMPY-0526-SM-CL54O 30-39 years, male 76.0
GTEX-13FTY-2226-SM-5J1ND 40-49 years, female 75.1
GTEX-17HHY-0926-SM-793C1 50-59 years, male 74.6
GTEX-T5JC-2126-SM-32PMO 20-29 years, male 71.3
GTEX-1EN7A-1426-SM-7PBY4 40-49 years, male 71.0
GTEX-1RAZQ-1226-SM-EWRNL 30-39 years, male 69.8
GTEX-1HSKV-2026-SM-CMKGX 60-69 years, male 69.6
GTEX-U3ZH-1426-SM-4DXSR 30-39 years, male 67.3
GTEX-T6MN-0726-SM-32PML 50-59 years, male 65.6
Show allShow less

BREAST - FANTOM5 CAGEi

RNA expression in human tissues obtained through Cap Analysis of Gene Expression (CAGE) generated by the FANTOM5 project are reported as Scaled Tags Per Million.

Max subtype Scaled Tags Per Millioni

Max subtype Scaled Tags Per Million is the value for the subtype with the largest average Scaled Tags Per Million across the subtype samples.

237.2
FANTOM5 sample id Sample description Scaled Tags Per Million
Breast
Scaled Tags Per Million: 237.2
FF:10080-102A8 77 years, female 237.2

Contact

  • NEWS ARTICLES
  • PRESS ROOM

The Project

  • INTRODUCTION
  • ORGANIZATION
  • PUBLICATIONS

The Human Protein Atlas

  • DOWNLOADABLE DATA
  • LICENCE & CITATION
  • HELP & FAQ
The Human Protein Atlas project is funded
by the Knut & Alice Wallenberg Foundation.


contact@proteinatlas.org