We use cookies to enhance the usability of our website. If you continue, we'll assume that you are happy to receive all cookies. More information. Don't show this again.
TRMT10C
HPA
RESOURCES
  • TISSUE
  • BRAIN
  • SINGLE CELL
  • SUBCELLULAR
  • CANCER
  • BLOOD
  • CELL LINE
  • STRUCTURE & INTERACTION
ABOUT
  • INTRODUCTION
  • HISTORY
  • ORGANIZATION
  • PUBLICATIONS
  • ANTIBODY SUBMISSION
  • ANTIBODY AVAILABILITY
  • ACKNOWLEDGMENTS
  • CONTACT
NEWS
  • NEWS ARTICLES
  • PRESS ROOM
LEARN
  • DICTIONARY
  • PROTEIN CLASSES
  • PROTEIN EVIDENCE
  • METHODS
  • EDUCATIONAL VIDEOS
DATA
  • DOWNLOADABLE DATA
  • PUBLICATION DATA
  • RELEASE HISTORY
HELP
  • ANTIBODY VALIDATION
  • ASSAYS & ANNOTATION
  • DISCLAIMER
  • HELP & FAQ
  • PRIVACY STATEMENT
  • LICENCE & CITATION
Fields »
Search result

Field
Term
Gene name
Class
Subclass
Class
Keyword
Chromosome
External id
Tissue
Cell type
Expression
Antibody panel
Tissue
Main location
Patient ID
Annotation
Tissue
Category
Tau score
Cluster
Reliability
Brain region
Category
Tau score
Brain region
Category
Tau score
Brain region
Category
Tau score
Cluster
Reliability
Tissue
Cell type
Enrichment
Cell type
Category
Tau score
Cell type
Category
Tau score
Cell type
Category
Tau score
Cell lineage
Category
Tau score
Cluster
Cluster
Location
Searches
Location
Cell line
Class
Type
Phase
Reliability
Cancer
Prognosis
Cancer
Category
Cancer
Category
Tau score
Cluster
Variants
Interacting gene (ensg_id)
Type
Number of interactions
Pathway
Category
Score
Score
Score
Validation
Validation
Validation
Validation
Antibodies
Data type
Column


  • SUMMARY

  • TISSUE

  • BRAIN

  • SINGLE CELL

  • SUBCELL

  • CANCER

  • BLOOD

  • CELL LINE

  • STRUCT & INT

  • TRMT10C
TISSUE PRIMARY DATA COLON Show tissue menu
ADIPOSE TISSUE ADRENAL GLAND AMYGDALA APPENDIX BASAL GANGLIA BONE MARROW BREAST BRONCHUS CEREBELLUM CEREBRAL CORTEX CERVIX CHOROID PLEXUS COLON DUODENUM
ENDOMETRIUM EPIDIDYMIS ESOPHAGUS FALLOPIAN TUBE GALLBLADDER HEART MUSCLE HIPPOCAMPAL FORMATION HYPOTHALAMUS KIDNEY LIVER LUNG LYMPH NODE MIDBRAIN NASOPHARYNX
ORAL MUCOSA OVARY PANCREAS PARATHYROID GLAND PITUITARY GLAND PLACENTA PROSTATE RECTUM RETINA SALIVARY GLAND SEMINAL VESICLE SKELETAL MUSCLE SKIN SMALL INTESTINE
SMOOTH MUSCLE SOFT TISSUE SPINAL CORD SPLEEN STOMACH TESTIS THYMUS THYROID GLAND TONGUE TONSIL URINARY BLADDER VAGINA
ANTIBODIES
AND
VALIDATION
Dictionary
Colon
Tissue proteome
Intestine
COLON - Expression summary
Protein expression
Coloni

On the top, protein expression in current human tissue, based on all annotated cell types, is reported with the units not detected (n), low (l), medium (m) and high (h). Underneath, protein expression in each annotated cell type are reported using the same units.

Protein expression data is based on knowledge-based annotation. For genes where more than one antibody has been used, a collective score is set.

If knowledge-based annotation could not be performed for a gene, no data is displayed here. View antibody staining data further down this page.

h
m
l
n
Endothelial cells: Not detected
Glandular cells: Medium
RNA expressioni

A summary of mRNA expression data available for current tissue based on several datasets. The mRNA expression levels in human tissues are based on RNA-seq data generated by the Human Protein Atlas (HPA), Genotype-Tissue Expression (GTEx) portal and CAGE data generated by the FANTOM5 consortium. Consensus normalized expression levels for human tissues was created by combining the data from HPA and GTEx datasets.

The mRNA expression levels in pig are based on RNA-seq data generated by the Human Protein Atlas (HPA), and for mouse, HPA data and in situ hybridization generated by the Allen brain atlas are reported.

Scroll down to view mRNA expression data in more detail.
Consensus:14.9 nTPM
HPA:14.9 nTPM
GTEx:11.1 nTPM
FANTOM5:38.3 Scaled Tags Per Million

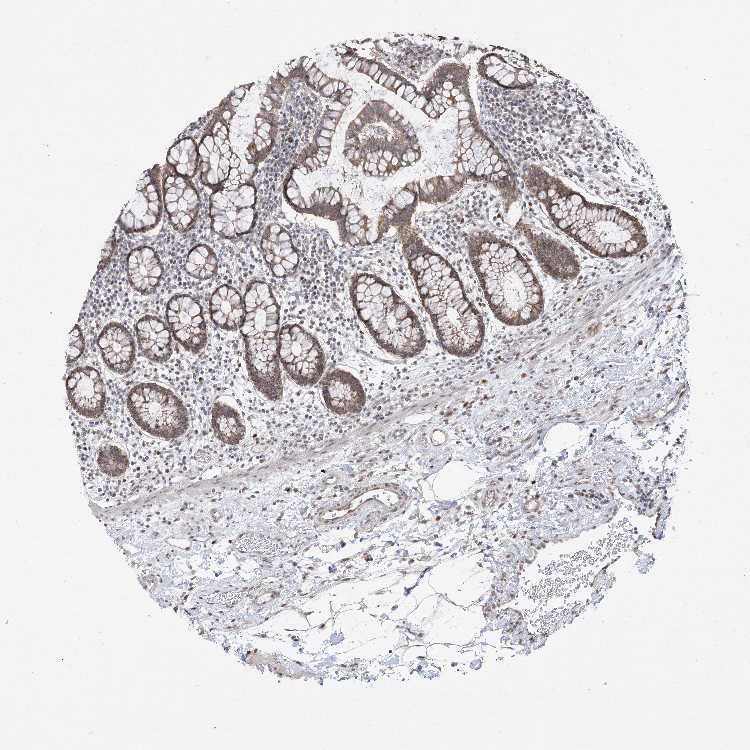
COLON - Antibody stainingi

Antibody staining in the annotated cell types in the current human tissue is reported as not detected, low, medium, or high, based on conventional immunohistochemistry profiling in selected tissues. This score is based on the combination of the staining intensity and fraction of stained cells.

Each image is clickable and will lead to virtual microscopy that enables deeper exploration of all samples and also displays staining intensity scores, fraction scores and subcellular localization as well as patient and tissue information for each sample.

Antibody HPA036671
Endothelial cells Not detected
Glandular cells Medium


COLON - HPA RNA-seqi

The RNA-seq details section shows detailed information about the individual samples used for the transcript profiling and results of the RNA-seq analysis.

Information about each individual sample is listed below, including gender, age, a tissue section image and estimated fractions of cell types. nTPM (normalized transcripts per million) values give a quantification of the gene abundance which is comparable between different genes and samples.
Average nTPMi

Max subtype nTPM is the value for the subtype with the largest average nTPM across the subtype samples.

14.9
overview
Male, age 54
Colon sample 67
nTPM: 12.5
Cell types%
Glandular cells:
65

Smooth muscle cells:
10

Other cell types:
25

overview
Female, age 57
Colon sample 68
nTPM: 12.8
Cell types%
Glandular cells:
40

Smooth muscle cells:
5

Other cell types:
55

overview
Male, age 80
Colon sample 69
nTPM: 16.5
Cell types%
Glandular cells:
55

Smooth muscle cells:
5

Other cell types:
40

overview
Male, age 68
Colon sample 70
nTPM: 14
Cell types%
Glandular cells:
35

Smooth muscle cells:
10

Other cell types:
55

overview
Female, age 68
Colon sample 76
nTPM: 14.9
Cell types%
Glandular cells:
25

Smooth muscle cells:
5

Other cell types:
70

overview
Female, age 61
Colon sample 299
nTPM: 18.3
Cell types%
Glandular cells:
5

Smooth muscle cells:
65

Other cell types:
30

overview
Male, age 80
Colon sample 300
nTPM: 17.2
Cell types%
Glandular cells:
15

Smooth muscle cells:
20

Other cell types:
65

overview
Female, age 78
Colon sample 368
nTPM: 15.2
Cell types%
Glandular cells:
45

Smooth muscle cells:
5

Other cell types:
50

overview
Male, age 84
Colon sample 381
nTPM: 13
Cell types%
Glandular cells:
50

Smooth muscle cells:
15

Other cell types:
35

overview
Male, age 80
Colon sample 384
nTPM: 18.9
Cell types%
Glandular cells:
20

Smooth muscle cells:
35

Other cell types:
45

overview
Female, age 78
Colon sample 389
nTPM: 11.4
Cell types%
Glandular cells:
35

Smooth muscle cells:
10

Other cell types:
55

overview
Female, age 69
Colon sample 391
nTPM: 16.1
Cell types%
Glandular cells:
10

Smooth muscle cells:
45

Other cell types:
45

overview
Female, age 72
Colon sample 403
nTPM: 12.9
Cell types%
Glandular cells:
20

Smooth muscle cells:
15

Other cell types:
65


COLON - GTEx RNA-seqi

RNA-Seq data generated by the Genotype-Tissue Expression (GTEx) project from human tissues is reported as mean nTPM. More information can be found on the GTEx portal.

Distribution across the dataset is visualized with box plots, shown as median and 25th and 75th percentiles. Points are displayed as outliers if they are above or below 1.5 times the interquartile range. nTPM values of the individual samples are presented next to the box plot.
Max subtype nTPMi

Max subtype nTPM is the value for the subtype with the largest average nTPM across the subtype samples.

11.1
GTEx sample id Sample description nTPM
Colon - Sigmoid
Average nTPM: 9.1
Samples: 373

Max nTPM: 21.8
Min nTPM: 3.6
Std nTPM: 3.0
Median nTPM: 9.1
GTEX-15RJ7-1726-SM-6PAL3 40-49 years, male 21.8
GTEX-ZTSS-1226-SM-51MSZ 40-49 years, male 19.0
GTEX-1AMEY-1826-SM-72D5L 30-39 years, female 18.9
GTEX-144GM-1126-SM-79OJK 20-29 years, male 17.9
GTEX-11TT1-0926-SM-5GU5M 20-29 years, male 17.5
GTEX-11EM3-1626-SM-5N9CO 20-29 years, female 17.3
GTEX-ZPCL-1626-SM-57WGC 60-69 years, female 16.9
GTEX-15G1A-1926-SM-7KUFF 30-39 years, male 16.9
GTEX-ZYFD-2226-SM-5E43P 50-59 years, male 16.8
GTEX-1F5PL-1926-SM-7MXTP 40-49 years, female 15.9
GTEX-ZPIC-2626-SM-57WE2 40-49 years, female 15.7
GTEX-11I78-1326-SM-5PNY9 50-59 years, female 15.5
GTEX-1L5NE-1926-SM-D3L9R 50-59 years, male 15.2
GTEX-1399U-2226-SM-5KLZI 50-59 years, female 15.1
GTEX-12WSJ-1426-SM-5GCON 40-49 years, female 14.8
GTEX-Y9LG-1326-SM-4VBQB 30-39 years, male 14.7
GTEX-ZA64-1426-SM-5CVMC 20-29 years, male 14.6
GTEX-17EUY-1726-SM-79OK4 20-29 years, male 14.5
GTEX-WXYG-1726-SM-4ONCU 50-59 years, female 14.2
GTEX-X5EB-1126-SM-46MVV 40-49 years, male 14.0
GTEX-ZVT2-1726-SM-51MRO 50-59 years, female 13.9
GTEX-1LBAC-1726-SM-D3L9W 20-29 years, male 13.9
GTEX-WFG7-1626-SM-4LVMF 20-29 years, male 13.8
GTEX-ZT9W-1726-SM-51MS3 50-59 years, male 13.8
GTEX-Y8E4-2326-SM-EAZAZ 40-49 years, male 13.8
GTEX-14E1K-1626-SM-664MO 50-59 years, male 13.7
GTEX-1211K-1826-SM-5EGJ2 60-69 years, female 13.4
GTEX-12BJ1-2026-SM-5FQUH 60-69 years, male 13.4
GTEX-ZLFU-1426-SM-4WWEU 40-49 years, male 13.4
GTEX-15DZA-1026-SM-6PAND 30-39 years, female 13.3
GTEX-15FZZ-1826-SM-6LLJP 30-39 years, female 13.3
GTEX-1KANA-1726-SM-CY8IG 20-29 years, male 13.3
GTEX-1J1R8-1426-SM-CL55O 40-49 years, male 13.2
GTEX-YEC3-2026-SM-DKPOL 50-59 years, male 13.2
GTEX-15RIF-1426-SM-7KUKQ 20-29 years, male 13.1
GTEX-1LGRB-2026-SM-COH47 50-59 years, female 13.0
GTEX-13W3W-2226-SM-5LU4M 60-69 years, female 12.9
GTEX-14BMU-1326-SM-5RQIH 20-29 years, female 12.9
GTEX-16BQI-2026-SM-7KULQ 30-39 years, female 12.9
GTEX-1ICG6-2226-SM-B2LY7 70-79 years, female 12.9
GTEX-1C475-1526-SM-7DHM3 40-49 years, female 12.8
GTEX-1JK1U-1426-SM-CNPOW 60-69 years, male 12.8
GTEX-1PIEJ-1826-SM-EWRMN 20-29 years, female 12.8
GTEX-1339X-1726-SM-5P9J9 40-49 years, male 12.7
GTEX-1CAMR-1026-SM-7P8QI 20-29 years, male 12.7
GTEX-1JKYN-2226-SM-ARZNE 30-39 years, male 12.7
GTEX-11ZTT-1626-SM-5EQKR 60-69 years, female 12.6
GTEX-13FTW-2126-SM-5K7YG 40-49 years, male 12.6
GTEX-117YX-0526-SM-5EGJH 50-59 years, male 12.5
GTEX-13OVI-2126-SM-5KM3U 60-69 years, female 12.5
GTEX-ZLWG-1826-SM-DO11I 50-59 years, female 12.5
GTEX-131XE-1026-SM-5EGKE 50-59 years, male 12.4
GTEX-13FH7-1626-SM-5J2O9 50-59 years, female 12.4
GTEX-XXEK-1826-SM-4BRVC 50-59 years, male 12.4
GTEX-13QBU-2026-SM-5KLZB 40-49 years, female 12.3
GTEX-1QP2A-2226-SM-DTXF6 50-59 years, male 12.2
GTEX-WRHK-1126-SM-4MVOJ 20-29 years, female 12.0
GTEX-Y3I4-1126-SM-4TT7Y 50-59 years, male 12.0
GTEX-11P7K-1826-SM-5HL5A 30-39 years, male 11.9
GTEX-11TUW-2326-SM-5EQMO 60-69 years, male 11.9
GTEX-ZXES-1726-SM-5E43G 30-39 years, female 11.9
GTEX-13VXT-2026-SM-5L3EW 20-29 years, female 11.8
GTEX-1GF9X-1426-SM-7RHGX 40-49 years, female 11.8
GTEX-1J8Q3-2426-SM-CL53S 60-69 years, male 11.8
GTEX-1LSNM-1426-SM-E6CIH 50-59 years, male 11.8
GTEX-14JG6-1626-SM-5YYBC 30-39 years, female 11.7
GTEX-Y114-1626-SM-4TT7I 50-59 years, female 11.7
GTEX-1HSGN-2226-SM-A9SL6 40-49 years, female 11.7
GTEX-1OFPY-1226-SM-E76OM 60-69 years, male 11.7
GTEX-1R7EU-1826-SM-DTX9L 60-69 years, male 11.7
GTEX-VJYA-2126-SM-4KL1O 60-69 years, male 11.6
GTEX-ZF2S-1826-SM-4WKFF 50-59 years, female 11.6
GTEX-1HBPN-2026-SM-B2LWA 50-59 years, male 11.6
GTEX-1QW4Y-1426-SM-E76P3 30-39 years, male 11.6
GTEX-ZZ64-0826-SM-5E449 20-29 years, male 11.5
GTEX-1RMOY-1726-SM-EVYC9 50-59 years, male 11.5
GTEX-1S831-1726-SM-EWROJ 20-29 years, male 11.5
GTEX-13PVR-1726-SM-5Q5EC 60-69 years, female 11.4
GTEX-145ME-1126-SM-5SIAT 40-49 years, female 11.4
GTEX-15RIE-2026-SM-7KFRW 60-69 years, male 11.4
GTEX-1AX9J-2526-SM-73KUY 60-69 years, male 11.4
GTEX-1LGOU-1726-SM-D3L8P 20-29 years, female 11.4
GTEX-15ETS-2326-SM-7KUGC 40-49 years, female 11.3
GTEX-17MFQ-1226-SM-7KFSA 20-29 years, male 11.3
GTEX-WY7C-1926-SM-4ONCI 50-59 years, male 11.3
GTEX-1IDJU-1926-SM-CL53W 60-69 years, female 11.3
GTEX-1LG7Z-1326-SM-DIPF3 30-39 years, male 11.3
GTEX-1QCLY-2026-SM-EVR4C 30-39 years, male 11.3
GTEX-1JKYR-2026-SM-CNPON 20-29 years, male 11.2
GTEX-1PBJI-2526-SM-E6CP4 20-29 years, female 11.2
GTEX-1S82P-2026-SM-E9TIQ 60-69 years, female 11.2
GTEX-ZP4G-1526-SM-57WE5 20-29 years, female 11.1
GTEX-17KNJ-1826-SM-7LT9N 50-59 years, male 11.0
GTEX-1CAMS-2626-SM-7PBY3 40-49 years, female 11.0
GTEX-145LT-0826-SM-5S2QL 40-49 years, male 10.9
GTEX-1B932-2126-SM-7IGMU 40-49 years, female 10.9
GTEX-WYJK-2326-SM-4ONDN 50-59 years, male 10.9
GTEX-1JN76-1326-SM-ARU94 20-29 years, female 10.9
GTEX-1KXAM-1926-SM-D3LAG 60-69 years, male 10.9
GTEX-1PFEY-1726-SM-DPRZ4 30-39 years, male 10.9
GTEX-14PJ4-1826-SM-5YY97 60-69 years, male 10.8
GTEX-WHPG-1626-SM-4M1ZL 50-59 years, male 10.8
GTEX-1LVAM-1726-SM-DHXKQ 50-59 years, female 10.8
GTEX-1S5ZA-1426-SM-E6CJQ 20-29 years, male 10.8
GTEX-111CU-1226-SM-5EGIN 50-59 years, male 10.7
GTEX-1122O-1426-SM-5H11R 60-69 years, female 10.7
GTEX-14PHX-1126-SM-5YYA5 50-59 years, male 10.7
GTEX-14PN3-1926-SM-6EU1Y 60-69 years, female 10.7
GTEX-15UF7-1326-SM-7KUKV 40-49 years, male 10.7
GTEX-WOFM-1926-SM-4OOSP 20-29 years, male 10.7
GTEX-1H1E6-1826-SM-A9G21 30-39 years, male 10.7
GTEX-1PPH8-2226-SM-EWRN7 20-29 years, male 10.7
GTEX-15F5U-1426-SM-7KUN2 40-49 years, male 10.6
GTEX-W5WG-2026-SM-4LMIB 50-59 years, female 10.6
GTEX-Y8LW-1126-SM-4VDS4 50-59 years, female 10.6
GTEX-ZF29-1826-SM-4WKG8 60-69 years, female 10.6
GTEX-1MGNQ-2126-SM-EV7AC 40-49 years, male 10.6
GTEX-1PDJ9-2026-SM-E76PT 20-29 years, male 10.5
GTEX-13U4I-2626-SM-5SI9C 40-49 years, female 10.4
GTEX-YJ8A-1726-SM-5P9IQ 20-29 years, male 10.4
GTEX-ZQUD-1026-SM-4YCEZ 30-39 years, male 10.4
GTEX-1K2DA-1626-SM-CGQGB 50-59 years, male 10.4
GTEX-14PK6-1826-SM-69LOM 70-79 years, female 10.3
GTEX-1B8KE-1526-SM-7DUG2 50-59 years, male 10.3
GTEX-WQUQ-2626-SM-4MVNP 60-69 years, male 10.3
GTEX-1HFI7-1626-SM-9WYTR 50-59 years, female 10.3
GTEX-1N2DV-1826-SM-E6CJ5 40-49 years, male 10.3
GTEX-1C2JI-1726-SM-73KUW 50-59 years, male 10.2
GTEX-YF7O-1626-SM-5IFII 50-59 years, male 10.2
GTEX-1GL5R-1726-SM-9KNUX 50-59 years, male 10.2
GTEX-139T6-1426-SM-5P9J7 50-59 years, male 10.1
GTEX-18A67-2226-SM-7LT9Z 50-59 years, male 10.1
GTEX-18D9A-1326-SM-7LT8P 30-39 years, female 10.1
GTEX-Y5V6-1626-SM-4VDT2 60-69 years, male 10.1
GTEX-YFCO-1526-SM-5YYB8 40-49 years, male 10.1
GTEX-1JMPY-1026-SM-ARZN1 30-39 years, male 10.1
GTEX-ZLV1-1326-SM-DO11Q 60-69 years, female 10.1
GTEX-131XG-1526-SM-5GCNQ 50-59 years, female 10.0
GTEX-132AR-2826-SM-5IJFV 50-59 years, female 10.0
GTEX-13O1R-2426-SM-5KLZZ 60-69 years, male 10.0
GTEX-16MTA-1626-SM-6M47N 50-59 years, male 10.0
GTEX-1AMFI-1826-SM-73KWB 50-59 years, female 9.9
GTEX-XBED-1726-SM-47JYO 60-69 years, male 9.9
GTEX-Y5LM-1426-SM-5RQJL 40-49 years, female 9.9
GTEX-ZAB5-1426-SM-5HL9D 50-59 years, male 9.9
GTEX-ZYFG-1826-SM-5GZWX 60-69 years, female 9.9
GTEX-1H3VY-2526-SM-9KNW1 50-59 years, male 9.9
GTEX-11DXZ-1626-SM-5GIDI 50-59 years, male 9.8
GTEX-WHWD-1526-SM-4OORV 50-59 years, male 9.8
GTEX-ZQG8-2426-SM-57WEE 60-69 years, female 9.8
GTEX-1LVAN-2626-SM-CNPQF 50-59 years, female 9.8
GTEX-1QCLZ-2026-SM-EAZ4A 60-69 years, female 9.8
GTEX-1R9K5-2226-SM-DTX9G 50-59 years, male 9.8
GTEX-17HGU-2626-SM-79OKN 50-59 years, male 9.7
GTEX-18A66-2626-SM-72D67 60-69 years, male 9.7
GTEX-ZY6K-1326-SM-5GZWP 50-59 years, male 9.7
GTEX-1GPI7-1926-SM-9KNUH 20-29 years, male 9.7
GTEX-1H23P-2626-SM-9KNVN 60-69 years, male 9.7
GTEX-1K9T9-2926-SM-E9TKD 50-59 years, female 9.7
GTEX-1OJC3-1826-SM-DTX93 20-29 years, male 9.7
GTEX-111YS-1826-SM-5GIEP 60-69 years, male 9.6
GTEX-1B97I-1526-SM-73KUK 40-49 years, male 9.6
GTEX-1C4CL-1626-SM-7DUF3 30-39 years, male 9.6
GTEX-ZPU1-1726-SM-4WWFV 40-49 years, male 9.6
GTEX-11DXX-1926-SM-5EGJK 60-69 years, female 9.5
GTEX-11EQ9-1526-SM-5PNY7 30-39 years, male 9.5
GTEX-11P81-1426-SM-5P9JN 30-39 years, female 9.5
GTEX-13111-1926-SM-5GCOL 50-59 years, male 9.5
GTEX-13D11-0626-SM-5LZYY 50-59 years, female 9.5
GTEX-1GZ4H-1326-SM-7P8TE 50-59 years, female 9.5
GTEX-1I1GT-2026-SM-CKZPK 60-69 years, female 9.5
GTEX-145MH-2726-SM-5QGQ6 50-59 years, male 9.4
GTEX-146FH-2426-SM-5Q5EW 50-59 years, female 9.4
GTEX-14AS3-1026-SM-5TDD7 40-49 years, female 9.4
GTEX-XUZC-1526-SM-4BRV4 30-39 years, female 9.4
GTEX-1R9JW-2126-SM-E76QT 30-39 years, female 9.4
GTEX-1I1GP-2826-SM-A9SKZ 50-59 years, male 9.3
GTEX-1RAZR-2026-SM-E9TKE 40-49 years, male 9.3
GTEX-1AX9K-1626-SM-73KUS 50-59 years, male 9.2
GTEX-1B996-2726-SM-7DUGG 60-69 years, male 9.2
GTEX-WFG8-1726-SM-4LVM6 20-29 years, male 9.2
GTEX-WFON-1326-SM-4LVMN 40-49 years, male 9.2
GTEX-ZV6S-1126-SM-57WE9 40-49 years, female 9.2
GTEX-1IKOE-2126-SM-A96T5 30-39 years, female 9.2
GTEX-1QP67-1426-SM-E8VOO 40-49 years, female 9.2
GTEX-WHSE-2726-SM-EZ6ML 20-29 years, male 9.2
GTEX-13113-1426-SM-5EGHU 60-69 years, female 9.1
GTEX-XV7Q-2226-SM-4BRVY 40-49 years, female 9.1
GTEX-1GMR2-1826-SM-9KNUP 50-59 years, male 9.1
GTEX-1LG7Y-2226-SM-E9U5K 50-59 years, male 9.1
GTEX-1QPFJ-2426-SM-EVR3L 30-39 years, female 9.1
GTEX-14PJ3-1226-SM-5ZZVY 50-59 years, male 9.0
GTEX-ZDTS-2726-SM-5L3E2 60-69 years, male 9.0
GTEX-XQ8I-2326-SM-4BOQC 50-59 years, male 8.9
GTEX-1399R-2126-SM-5K7WZ 30-39 years, male 8.8
GTEX-13PL7-2426-SM-5J2N3 60-69 years, female 8.8
GTEX-1PIGE-1526-SM-DTXFC 20-29 years, male 8.8
GTEX-148VJ-2426-SM-5NQ9Y 70-79 years, male 8.7
GTEX-14E6E-1726-SM-5S2R6 30-39 years, male 8.7
GTEX-15ER7-2826-SM-6PAN2 20-29 years, female 8.7
GTEX-1F5PK-1726-SM-7RHHW 50-59 years, male 8.7
GTEX-11VI4-1426-SM-5GU6O 40-49 years, female 8.6
GTEX-1A32A-2626-SM-73KX9 50-59 years, female 8.6
GTEX-1A3MX-2326-SM-718B4 60-69 years, male 8.6
GTEX-1AYCT-1926-SM-793AE 50-59 years, male 8.6
GTEX-WH7G-1426-SM-4LVMU 40-49 years, male 8.6
GTEX-1HCUA-1926-SM-B2LWE 50-59 years, female 8.6
GTEX-XAJ8-0726-SM-47JY5 40-49 years, male 8.5
GTEX-13O61-1526-SM-5KM3P 60-69 years, male 8.4
GTEX-17HHE-1626-SM-7DHLN 50-59 years, male 8.4
GTEX-183FY-1426-SM-7DHLM 20-29 years, male 8.4
GTEX-1HB9E-2526-SM-D4P35 50-59 years, male 8.4
GTEX-1I1CD-2826-SM-A9SL4 60-69 years, female 8.4
GTEX-1QP29-2526-SM-E6CQ3 50-59 years, male 8.4
GTEX-1RAZQ-2026-SM-E76P7 30-39 years, male 8.4
GTEX-XUW1-1826-SM-4BOQD 50-59 years, female 8.3
GTEX-ZG7Y-1826-SM-4WWD3 50-59 years, male 8.3
GTEX-1GMR3-2526-SM-7P8QS 40-49 years, male 8.3
GTEX-1I6K6-1926-SM-A96SN 30-39 years, male 8.3
GTEX-1J8QM-1226-SM-CY8HI 60-69 years, female 8.3
GTEX-14C5O-2626-SM-5RQI5 60-69 years, male 8.2
GTEX-V955-1726-SM-4JBHF 60-69 years, male 8.2
GTEX-1HSMQ-2526-SM-A9SMK 50-59 years, male 8.2
GTEX-13OVK-1026-SM-7KFTC 40-49 years, male 8.1
GTEX-18QFQ-1726-SM-731C9 30-39 years, male 8.1
GTEX-1GN73-2726-SM-9WYUB 60-69 years, male 8.1
GTEX-ZF28-2526-SM-57WFH 60-69 years, male 8.0
GTEX-ZVT4-2626-SM-5N9GJ 50-59 years, female 8.0
GTEX-1HCU6-2926-SM-B2LWV 60-69 years, female 8.0
GTEX-12WSL-1826-SM-5LZW9 50-59 years, male 7.9
GTEX-14PKV-1926-SM-686YU 20-29 years, female 7.9
GTEX-17GQL-1626-SM-7LG69 60-69 years, male 7.9
GTEX-WYVS-1126-SM-4SOJX 40-49 years, female 7.9
GTEX-X15G-1526-SM-4PQZM 50-59 years, female 7.9
GTEX-1IDJI-2226-SM-CKZPM 50-59 years, female 7.9
GTEX-1477Z-2126-SM-5Q5CM 60-69 years, male 7.8
GTEX-1A3MV-1026-SM-72D5U 30-39 years, male 7.8
GTEX-1H1DE-1626-SM-9KNU5 20-29 years, male 7.8
GTEX-1JMQJ-2626-SM-CY8HQ 50-59 years, male 7.8
GTEX-15G19-2726-SM-6LPKG 60-69 years, male 7.7
GTEX-16NGA-0926-SM-718AG 40-49 years, female 7.7
GTEX-1H3VE-2326-SM-9KNVU 40-49 years, male 7.7
GTEX-13OW5-2826-SM-5KM1G 60-69 years, male 7.6
GTEX-ZAJG-2626-SM-5S2NU 50-59 years, female 7.6
GTEX-ZC5H-2426-SM-4WAZ6 40-49 years, female 7.6
GTEX-1C64O-2426-SM-7P8R3 60-69 years, male 7.5
GTEX-1R9PO-2026-SM-E9J4N 60-69 years, female 7.5
GTEX-15RJE-2226-SM-6M46A 40-49 years, male 7.3
GTEX-183WM-2526-SM-731BP 70-79 years, female 7.3
GTEX-1QP9N-0826-SM-DTX9O 30-39 years, male 7.3
GTEX-13CF3-1326-SM-5LZXZ 60-69 years, female 7.2
GTEX-1QP28-2226-SM-DTX8C 50-59 years, female 7.2
GTEX-12WSM-1426-SM-5GCPA 60-69 years, male 7.1
GTEX-15DYW-2426-SM-7KUG8 60-69 years, female 7.1
GTEX-13N2G-2226-SM-5IJCU 60-69 years, male 7.0
GTEX-13SLW-2826-SM-5Q5ES 70-79 years, male 7.0
GTEX-14A5H-1626-SM-5SIAN 60-69 years, male 7.0
GTEX-1HCVE-2326-SM-9WYUD 50-59 years, male 7.0
GTEX-13X6K-2726-SM-5O9DG 60-69 years, female 6.9
GTEX-14A5I-2426-SM-5Q5CP 50-59 years, female 6.9
GTEX-15UF6-2726-SM-7KULY 70-79 years, female 6.9
GTEX-Z93S-2626-SM-57WBX 50-59 years, male 6.9
GTEX-1JJEA-2526-SM-CY8HJ 60-69 years, male 6.9
GTEX-13RTJ-1926-SM-5YYA2 60-69 years, male 6.8
GTEX-ZE9C-2126-SM-4WKGY 60-69 years, male 6.8
GTEX-1HSEH-1926-SM-A96SB 60-69 years, male 6.8
GTEX-1LSVX-2026-SM-E9TJD 60-69 years, male 6.8
GTEX-1PIIG-2126-SM-EXUSD 30-39 years, male 6.8
GTEX-13G51-2126-SM-5IJD9 60-69 years, male 6.7
GTEX-145MO-2626-SM-5QGPD 60-69 years, male 6.7
GTEX-1IDJH-2826-SM-CJI49 70-79 years, male 6.6
GTEX-1N2EF-1726-SM-EXUSI 60-69 years, male 6.6
GTEX-11DXY-2026-SM-5N9CZ 60-69 years, male 6.5
GTEX-14C39-1626-SM-5S2P4 40-49 years, male 6.5
GTEX-15CHQ-2626-SM-686YZ 60-69 years, male 6.5
GTEX-1HKZK-2026-SM-9WYUF 40-49 years, male 6.5
GTEX-13PVQ-2726-SM-5L3H7 50-59 years, male 6.4
GTEX-17JCI-2826-SM-7IGNA 60-69 years, female 6.4
GTEX-1CB4F-1926-SM-7MKFN 60-69 years, male 6.4
GTEX-1HCU7-2726-SM-A9G3D 50-59 years, male 6.4
GTEX-1JMLX-2526-SM-CY8HX 50-59 years, male 6.4
GTEX-1RQEC-2626-SM-EVR3Z 60-69 years, male 6.4
GTEX-14E6C-2226-SM-5QGQG 40-49 years, male 6.3
GTEX-YJ8O-1426-SM-5PNV9 40-49 years, female 6.3
GTEX-ZVT3-2826-SM-5GU6A 60-69 years, female 6.3
GTEX-1GMRU-2626-SM-9WPPM 50-59 years, male 6.3
GTEX-1HSMO-2526-SM-A9SKP 60-69 years, male 6.3
GTEX-1J1OQ-2826-SM-D3L88 40-49 years, female 6.3
GTEX-1PBJJ-2026-SM-DTX8U 30-39 years, male 6.3
GTEX-1RLM8-1726-SM-E9TKF 50-59 years, male 6.3
GTEX-11EQ8-2626-SM-5N9BO 60-69 years, male 6.2
GTEX-12ZZX-2726-SM-5N9FT 40-49 years, female 6.2
GTEX-131YS-2926-SM-5EGKI 60-69 years, female 6.2
GTEX-139D8-2926-SM-5IJBM 30-39 years, female 6.2
GTEX-ZYT6-2826-SM-5GICX 30-39 years, male 6.2
GTEX-1GTWX-2626-SM-9WPOT 60-69 years, male 6.2
GTEX-1JMPZ-2626-SM-ARU8Z 30-39 years, male 6.2
GTEX-1E2YA-2526-SM-7IGOU 50-59 years, male 6.1
GTEX-1HBPH-2526-SM-ACKXK 40-49 years, female 6.1
GTEX-1212Z-1826-SM-5FQSH 60-69 years, male 6.0
GTEX-13CF2-1826-SM-5N9GK 60-69 years, male 6.0
GTEX-18465-2726-SM-7LT9I 50-59 years, male 6.0
GTEX-1LKK1-2426-SM-DIPES 50-59 years, female 6.0
GTEX-11ZU8-1126-SM-5EQ5K 60-69 years, male 5.9
GTEX-12696-1926-SM-5EGJT 60-69 years, male 5.9
GTEX-17F9Y-2626-SM-7IGN9 70-79 years, female 5.9
GTEX-17HG3-1126-SM-7DUFC 30-39 years, female 5.9
GTEX-WI4N-2226-SM-4OOS9 40-49 years, female 5.9
GTEX-1H3NZ-2526-SM-9KNVO 60-69 years, male 5.9
GTEX-1I1GR-2226-SM-ARL7F 60-69 years, male 5.9
GTEX-147GR-2826-SM-5RQK8 60-69 years, male 5.8
GTEX-1CB4G-2726-SM-79OO4 60-69 years, male 5.8
GTEX-12ZZY-2726-SM-5EQ45 60-69 years, male 5.7
GTEX-ZTTD-2626-SM-57WEX 50-59 years, male 5.7
GTEX-1HBPI-2226-SM-9WYTY 50-59 years, male 5.7
GTEX-1LB8K-2526-SM-DIPEQ 50-59 years, male 5.7
GTEX-16Z82-2426-SM-7KUMS 60-69 years, male 5.6
GTEX-17F96-2126-SM-7KFSM 70-79 years, male 5.6
GTEX-18A6Q-2226-SM-7LG61 60-69 years, male 5.6
GTEX-13OVJ-1826-SM-5KM2D 50-59 years, female 5.5
GTEX-1B8L1-1926-SM-7IGND 60-69 years, male 5.5
GTEX-ZYY3-2226-SM-5E45A 60-69 years, female 5.5
GTEX-16XZZ-2726-SM-7EWDO 60-69 years, male 5.4
GTEX-1F75W-2126-SM-7RHIA 60-69 years, male 5.4
GTEX-1H1ZS-2626-SM-9QEIX 70-79 years, male 5.4
GTEX-1JMQK-2326-SM-ARZN4 60-69 years, male 5.4
GTEX-1RDX4-1926-SM-E6CJJ 50-59 years, female 5.4
GTEX-12WSD-2626-SM-5EGJE 60-69 years, female 5.3
GTEX-12WSG-2426-SM-5EQLZ 50-59 years, female 5.3
GTEX-132NY-2726-SM-5PNY2 60-69 years, male 5.3
GTEX-139TS-2226-SM-5J2N1 60-69 years, male 5.3
GTEX-15EO6-2326-SM-6LPKK 50-59 years, male 5.3
GTEX-ZE7O-2626-SM-51MSS 50-59 years, female 5.3
GTEX-1J8EW-2426-SM-CE6T5 60-69 years, female 5.3
GTEX-11GS4-1826-SM-5HL4T 60-69 years, male 5.2
GTEX-13X6I-2726-SM-5Q5ET 60-69 years, male 5.2
GTEX-1HBPM-2626-SM-9WYU5 60-69 years, female 5.2
GTEX-1P4AB-2626-SM-DTXEU 50-59 years, male 5.2
GTEX-13FHO-2726-SM-5K7VG 60-69 years, male 5.1
GTEX-13OW6-2226-SM-5N9FL 50-59 years, male 5.1
GTEX-13OW8-2726-SM-5L3FZ 60-69 years, male 5.1
GTEX-14BIN-2426-SM-5TDCF 50-59 years, female 5.1
GTEX-1JN6P-2126-SM-ARL98 60-69 years, male 5.1
GTEX-147JS-2626-SM-5S2UX 60-69 years, male 5.0
GTEX-1EH9U-1926-SM-7P8QM 60-69 years, male 5.0
GTEX-1C64N-2226-SM-7SB7C 50-59 years, male 4.9
GTEX-11EI6-2626-SM-5PNVT 60-69 years, male 4.8
GTEX-11PRG-2026-SM-5GU5F 50-59 years, male 4.8
GTEX-1C6VQ-2626-SM-7IGMQ 50-59 years, male 4.8
GTEX-1HSKV-2326-SM-A9SL9 60-69 years, male 4.8
GTEX-1IL2U-2526-SM-C1YQV 60-69 years, male 4.8
GTEX-1LVAO-2826-SM-E9TJH 60-69 years, male 4.8
GTEX-117XS-2226-SM-5GIE1 60-69 years, male 4.7
GTEX-139UW-2326-SM-5KM1Y 60-69 years, male 4.7
GTEX-14DAQ-2926-SM-664MV 60-69 years, female 4.7
GTEX-1EMGI-2626-SM-7IGNR 60-69 years, male 4.7
GTEX-ZAB4-2426-SM-5HL8A 40-49 years, male 4.7
GTEX-ZVZQ-2626-SM-59HLB 60-69 years, female 4.7
GTEX-1LSNL-1626-SM-E9TJY 50-59 years, male 4.7
GTEX-11ZTS-1526-SM-5N9G7 60-69 years, female 4.6
GTEX-1JJE9-2526-SM-ARU8K 70-79 years, male 4.6
GTEX-11EMC-1426-SM-5N9E4 60-69 years, female 4.5
GTEX-13X6J-2826-SM-7EPGA 50-59 years, male 4.5
GTEX-X4EO-2726-SM-4E3HS 60-69 years, female 4.5
GTEX-11ONC-1926-SM-5GU75 60-69 years, male 4.4
GTEX-YECK-2826-SM-5IFHF 60-69 years, male 4.4
GTEX-1GMR8-2926-SM-9KNW5 50-59 years, female 4.3
GTEX-1BAJH-2726-SM-7IGNJ 70-79 years, male 4.1
GTEX-1EU9M-2726-SM-7P8QD 60-69 years, male 4.1
GTEX-12KS4-2326-SM-5EGJB 30-39 years, male 3.9
GTEX-1J8JJ-2426-SM-D4P4A 60-69 years, female 3.9
GTEX-145LS-2926-SM-5O99G 60-69 years, female 3.8
GTEX-12ZZW-2426-SM-5DUWE 50-59 years, male 3.6
Show allShow less
Colon - Transverse
Average nTPM: 11.1
Samples: 406

Max nTPM: 25.0
Min nTPM: 2.9
Std nTPM: 3.5
Median nTPM: 11.0
GTEX-1IKOE-2026-SM-AHZ31 30-39 years, female 25.0
GTEX-WHSB-0926-SM-4M1XJ 50-59 years, male 24.1
GTEX-144GM-1226-SM-5LU52 20-29 years, male 22.2
GTEX-11TT1-1026-SM-5PNW7 20-29 years, male 22.1
GTEX-1PIEJ-2026-SM-E6CPA 20-29 years, female 21.3
GTEX-S4Q7-0826-SM-4AD5E 20-29 years, male 21.1
GTEX-QMRM-1226-SM-447C6 50-59 years, male 19.9
GTEX-R53T-1326-SM-48FCQ 50-59 years, female 19.0
GTEX-14BMU-1526-SM-5TDE6 20-29 years, female 18.9
GTEX-1C4CL-2126-SM-7IGQC 30-39 years, male 18.7
GTEX-146FQ-1926-SM-5NQBY 30-39 years, male 18.6
GTEX-1CB4I-2226-SM-7P8SL 50-59 years, male 18.5
GTEX-111CU-1426-SM-5GZYP 50-59 years, male 18.1
GTEX-T5JW-1126-SM-4DM5V 20-29 years, female 18.1
GTEX-XV7Q-2126-SM-4BRVX 40-49 years, female 18.0
GTEX-15SB6-1226-SM-7KUMP 50-59 years, female 17.9
GTEX-1399R-2226-SM-5P9JB 30-39 years, male 17.6
GTEX-U4B1-1126-SM-4DXV3 40-49 years, male 17.6
GTEX-1PFEY-1426-SM-E9U6U 30-39 years, male 17.5
GTEX-1JMPY-0426-SM-C1YQ3 30-39 years, male 17.3
GTEX-1HFI7-1726-SM-A9G22 50-59 years, female 17.1
GTEX-13W3W-2126-SM-5K7UX 60-69 years, female 16.9
GTEX-1MJK3-0926-SM-EV7AY 20-29 years, male 16.7
GTEX-OOBJ-1426-SM-E6CHH 60-69 years, male 16.7
GTEX-17HHE-1826-SM-79OKE 50-59 years, male 16.6
GTEX-ZPU1-1926-SM-57WDT 40-49 years, male 16.5
GTEX-1RAZR-1926-SM-E6CRF 40-49 years, male 16.4
GTEX-133LE-1526-SM-5IFEN 20-29 years, female 16.3
GTEX-1H3VY-2426-SM-9WPPD 50-59 years, male 16.3
GTEX-18D9A-1126-SM-7KFRJ 30-39 years, female 16.2
GTEX-OXRK-1726-SM-3NB16 50-59 years, female 16.2
GTEX-ZPIC-2226-SM-57WDX 40-49 years, female 16.1
GTEX-1NHNU-2326-SM-E6CQE 50-59 years, male 16.1
GTEX-1JN76-1226-SM-C1YRM 20-29 years, female 16.0
GTEX-QV31-0826-SM-CKZNC 30-39 years, male 16.0
GTEX-11P82-1026-SM-5BC5J 20-29 years, male 15.9
GTEX-O5YT-1426-SM-3MJHC 20-29 years, male 15.7
GTEX-QDVN-1326-SM-48TZ3 50-59 years, male 15.7
GTEX-ZT9W-1826-SM-51MQX 50-59 years, male 15.6
GTEX-1OKEX-1226-SM-DTXEC 60-69 years, male 15.6
GTEX-1GF9X-1526-SM-7P8QP 40-49 years, female 15.5
GTEX-145LT-0926-SM-5LU9C 40-49 years, male 15.3
GTEX-SNOS-1226-SM-4DM5H 40-49 years, male 15.3
GTEX-1QCLY-1726-SM-DPRXY 30-39 years, male 15.3
GTEX-1B8KZ-1326-SM-7DUG6 50-59 years, male 15.2
GTEX-15CHR-1426-SM-7DUGV 50-59 years, male 15.1
GTEX-18A66-2426-SM-7KFSQ 60-69 years, male 15.1
GTEX-18D9U-1926-SM-7KFTM 40-49 years, male 14.9
GTEX-1QP9N-1026-SM-E6CPX 30-39 years, male 14.9
GTEX-ZDTT-1926-SM-5HL5W 60-69 years, male 14.7
GTEX-Q2AI-0926-SM-48U1F 40-49 years, male 14.6
GTEX-15DZA-0926-SM-69LQ3 30-39 years, female 14.5
GTEX-WEY5-1426-SM-4LMJ3 40-49 years, female 14.5
GTEX-XMK1-1726-SM-4B64Z 40-49 years, male 14.5
GTEX-PWCY-1026-SM-48TD4 20-29 years, female 14.4
GTEX-X5EB-0926-SM-46MVT 40-49 years, male 14.4
GTEX-YF7O-1726-SM-5IFJ9 50-59 years, male 14.4
GTEX-1QCLZ-1926-SM-E6CR3 60-69 years, female 14.4
GTEX-14XAO-2026-SM-69LOI 60-69 years, female 14.3
GTEX-XPVG-1826-SM-4B64X 50-59 years, male 14.3
GTEX-YEC3-2426-SM-DO11A 50-59 years, male 14.3
GTEX-13CF3-1426-SM-5K7YY 60-69 years, female 14.2
GTEX-13X6H-1926-SM-7EWD3 50-59 years, female 14.2
GTEX-TML8-1326-SM-4DXTO 40-49 years, female 14.2
GTEX-ZF2S-1926-SM-4WWAN 50-59 years, female 14.2
GTEX-1F5PL-2126-SM-7PC2O 40-49 years, female 14.2
GTEX-1HSMP-2326-SM-D3L8R 70-79 years, male 14.2
GTEX-1K9T9-2826-SM-D4P3F 50-59 years, female 14.2
GTEX-1B8KE-1926-SM-731EE 50-59 years, male 14.1
GTEX-OXRL-1426-SM-3NM9E 50-59 years, male 14.1
GTEX-SNMC-1126-SM-4DM5M 20-29 years, male 14.1
GTEX-11EQ9-1426-SM-5987G 30-39 years, male 14.0
GTEX-ZEX8-1926-SM-4WKFR 50-59 years, male 14.0
GTEX-1H1E6-1926-SM-9OSWD 30-39 years, male 14.0
GTEX-13S86-1626-SM-5Q5C5 40-49 years, male 13.9
GTEX-17EUY-1826-SM-7DUEZ 20-29 years, male 13.9
GTEX-1JK1U-1526-SM-AHZ46 60-69 years, male 13.9
GTEX-1LGRB-1426-SM-CNNPT 50-59 years, female 13.9
GTEX-1S82U-0726-SM-E9TKI 30-39 years, female 13.8
GTEX-XBED-1526-SM-4AT5W 60-69 years, male 13.7
GTEX-Y3IK-1826-SM-4WWDS 50-59 years, female 13.7
GTEX-1J1R8-1126-SM-CNPQ3 40-49 years, male 13.7
GTEX-1HSEH-1726-SM-B2LXH 60-69 years, male 13.6
GTEX-17HGU-2426-SM-7EWDP 50-59 years, male 13.5
GTEX-Q2AH-1226-SM-48TZL 40-49 years, male 13.5
GTEX-UJHI-1126-SM-4IHLN 50-59 years, female 13.5
GTEX-W5WG-2426-SM-4LMI6 50-59 years, female 13.5
GTEX-1IDJC-1326-SM-CL53H 50-59 years, male 13.5
GTEX-132AR-2726-SM-5PNVN 50-59 years, female 13.4
GTEX-145MN-1726-SM-5SIA6 30-39 years, male 13.4
GTEX-1B932-2826-SM-73KUD 40-49 years, female 13.4
GTEX-WFG7-1526-SM-4LVMG 20-29 years, male 13.4
GTEX-1I1GT-1926-SM-ARU7D 60-69 years, female 13.3
GTEX-1399U-1926-SM-5IFH7 50-59 years, female 13.2
GTEX-1AYCT-1826-SM-731EG 50-59 years, male 13.2
GTEX-QCQG-1626-SM-48U26 50-59 years, female 13.2
GTEX-1CAMR-0926-SM-7MXTD 20-29 years, male 13.2
GTEX-1S83E-1626-SM-EV7B9 40-49 years, male 13.2
GTEX-14PK6-1726-SM-6871J 70-79 years, female 13.1
GTEX-17F98-1026-SM-7IGO8 40-49 years, female 13.1
GTEX-PLZ5-1126-SM-3P613 50-59 years, male 13.1
GTEX-1R9PM-1526-SM-DPRY8 20-29 years, male 13.1
GTEX-12BJ1-2126-SM-5BC5O 60-69 years, male 13.0
GTEX-15RIE-1826-SM-6M48P 60-69 years, male 13.0
GTEX-U3ZN-2126-SM-4DXU1 30-39 years, female 13.0
GTEX-Y114-1526-SM-4TT79 50-59 years, female 13.0
GTEX-144GN-1126-SM-5LU33 50-59 years, male 12.9
GTEX-1L5NE-2026-SM-CXZKR 50-59 years, male 12.9
GTEX-1NSGN-2326-SM-E9U5X 50-59 years, male 12.9
GTEX-147F3-1926-SM-5SIB9 50-59 years, female 12.8
GTEX-XXEK-1926-SM-4BRVD 50-59 years, male 12.8
GTEX-1PIGE-1426-SM-E9U61 20-29 years, male 12.8
GTEX-1QP67-1326-SM-EAZ4D 40-49 years, female 12.8
GTEX-1QW4Y-1326-SM-EWRMZ 30-39 years, male 12.8
GTEX-15DCE-2026-SM-7KUFE 20-29 years, male 12.7
GTEX-1AMFI-1726-SM-7189L 50-59 years, female 12.7
GTEX-ZXES-1626-SM-5NQ7L 30-39 years, female 12.7
GTEX-ZY6K-1226-SM-5GZYL 50-59 years, male 12.7
GTEX-1MGNQ-2026-SM-EAZ51 40-49 years, male 12.7
GTEX-13111-0726-SM-5DUVE 50-59 years, male 12.6
GTEX-15G1A-1826-SM-7KUKO 30-39 years, male 12.6
GTEX-RU1J-1326-SM-46MUL 20-29 years, female 12.6
GTEX-1KXAM-2126-SM-CY8I9 60-69 years, male 12.6
GTEX-1MCC2-1626-SM-DIPEW 30-39 years, female 12.6
GTEX-QDVJ-1326-SM-48U1X 50-59 years, male 12.5
GTEX-1F75I-2426-SM-9WPOY 40-49 years, male 12.5
GTEX-11I78-1226-SM-5A5K6 50-59 years, female 12.4
GTEX-18QFQ-1526-SM-72D57 30-39 years, male 12.4
GTEX-OIZH-1426-SM-3NB1O 50-59 years, male 12.4
GTEX-WY7C-1626-SM-4ONC8 50-59 years, male 12.4
GTEX-ZLWG-1726-SM-DNZZ2 50-59 years, female 12.4
GTEX-XAJ8-0426-SM-47JYJ 40-49 years, male 12.3
GTEX-YEC4-1926-SM-5IFHJ 40-49 years, male 12.3
GTEX-ZP4G-1726-SM-4WWCM 20-29 years, female 12.3
GTEX-11EM3-1526-SM-5A5KN 20-29 years, female 12.2
GTEX-12C56-0626-SM-5EGGC 20-29 years, male 12.2
GTEX-16NGA-1026-SM-7KFS3 40-49 years, female 12.2
GTEX-1AMEY-1926-SM-73KVT 30-39 years, female 12.2
GTEX-ZVP2-1526-SM-5NQ82 50-59 years, male 12.2
GTEX-1K2DA-2026-SM-CGQGK 50-59 years, male 12.2
GTEX-1KANC-0926-SM-D3LA9 50-59 years, female 12.2
GTEX-131XE-0826-SM-5HL9W 50-59 years, male 12.1
GTEX-1C475-1626-SM-731FP 40-49 years, female 12.1
GTEX-1AX8Z-2726-SM-73KUC 60-69 years, male 12.0
GTEX-P4PP-1426-SM-3NM9L 30-39 years, female 12.0
GTEX-TKQ1-0626-SM-4DXTS 30-39 years, male 12.0
GTEX-1H11D-2626-SM-9JGH4 40-49 years, male 12.0
GTEX-1RAZQ-2126-SM-DTX9V 30-39 years, male 12.0
GTEX-12WSJ-1526-SM-5GCNI 40-49 years, female 11.9
GTEX-13OVI-2026-SM-5J1MU 60-69 years, female 11.9
GTEX-14ICL-1226-SM-5S2RD 30-39 years, male 11.9
GTEX-1GMR2-1726-SM-9JGI2 50-59 years, male 11.9
GTEX-1QPFJ-2326-SM-E6CR7 30-39 years, female 11.9
GTEX-X15G-1326-SM-4PQZJ 50-59 years, female 11.8
GTEX-Y8E4-2426-SM-4WWDN 40-49 years, male 11.8
GTEX-ZYFG-1926-SM-5GID5 60-69 years, female 11.8
GTEX-1GPI7-1726-SM-7P8R1 20-29 years, male 11.8
GTEX-1I4MK-1126-SM-B2LWS 50-59 years, female 11.8
GTEX-13FTW-1826-SM-5IJEN 40-49 years, male 11.7
GTEX-S4P3-1226-SM-4AD4Y 50-59 years, female 11.7
GTEX-Y9LG-1526-SM-4WWDR 30-39 years, male 11.7
GTEX-ZGAY-2126-SM-4YCFB 40-49 years, female 11.7
GTEX-1JN1M-2626-SM-CY8I3 60-69 years, female 11.7
GTEX-1MA7W-0626-SM-EV79Z 20-29 years, female 11.7
GTEX-1339X-1626-SM-5IJDN 40-49 years, male 11.6
GTEX-13O61-1626-SM-5KM3T 60-69 years, male 11.6
GTEX-14JG6-1726-SM-69LPL 30-39 years, female 11.6
GTEX-14PHX-1526-SM-68717 50-59 years, male 11.6
GTEX-1A3MV-1126-SM-718BS 30-39 years, male 11.6
GTEX-R55D-1826-SM-48FEF 50-59 years, male 11.6
GTEX-S341-1426-SM-4AD6U 40-49 years, female 11.6
GTEX-WHWD-1226-SM-4OOS1 50-59 years, male 11.6
GTEX-XYKS-2226-SM-4E3IU 60-69 years, female 11.6
GTEX-1HCU9-1326-SM-B2LXT 20-29 years, male 11.6
GTEX-1RAZA-1726-SM-DPS13 20-29 years, male 11.6
GTEX-11LCK-2026-SM-5A5MA 30-39 years, male 11.5
GTEX-RWS6-1826-SM-47JXX 60-69 years, female 11.5
GTEX-XBEW-1926-SM-4SOJO 40-49 years, male 11.5
GTEX-1JKYR-1926-SM-C1YR7 20-29 years, male 11.5
GTEX-1211K-1726-SM-5FQUJ 60-69 years, female 11.4
GTEX-131XG-1826-SM-5LZV4 50-59 years, female 11.4
GTEX-13PL7-2526-SM-5IFGR 60-69 years, female 11.4
GTEX-XGQ4-1226-SM-4AT67 50-59 years, male 11.4
GTEX-1JKYN-2326-SM-CGQG7 30-39 years, male 11.4
GTEX-14PJ3-0926-SM-69LQG 50-59 years, male 11.3
GTEX-178AV-1326-SM-6LPJX 40-49 years, male 11.3
GTEX-QLQW-0426-SM-447A7 30-39 years, male 11.3
GTEX-1GZ4H-1226-SM-9KNUA 50-59 years, female 11.3
GTEX-1HSGN-2626-SM-CE6S1 40-49 years, female 11.3
GTEX-1R7EU-1926-SM-E9U62 60-69 years, male 11.3
GTEX-139TS-1926-SM-5IJFO 60-69 years, male 11.2
GTEX-13OVG-1426-SM-5K7VP 60-69 years, male 11.2
GTEX-14H4A-1926-SM-5ZZWN 40-49 years, female 11.2
GTEX-RM2N-0926-SM-48FD1 50-59 years, male 11.2
GTEX-1F5PK-1926-SM-7MXT7 50-59 years, male 11.2
GTEX-1B996-2626-SM-73KZ1 60-69 years, male 11.1
GTEX-VJYA-2026-SM-4KL1K 60-69 years, male 11.1
GTEX-WFON-1426-SM-4LVMT 40-49 years, male 11.1
GTEX-ZDYS-2326-SM-4WKG6 50-59 years, male 11.1
GTEX-1GL5R-2426-SM-7MXV1 50-59 years, male 11.1
GTEX-PSDG-1826-SM-EAZ2S 50-59 years, male 11.1
GTEX-14DAR-1526-SM-5RQIX 50-59 years, male 11.0
GTEX-14E1K-1826-SM-793DT 50-59 years, male 11.0
GTEX-14PJ4-1926-SM-6LLHG 60-69 years, male 11.0
GTEX-PWN1-1426-SM-48TDF 40-49 years, female 11.0
GTEX-XUZC-1326-SM-4BRV2 30-39 years, female 11.0
GTEX-Y5LM-1526-SM-4VDTA 40-49 years, female 11.0
GTEX-ZPCL-1826-SM-57WF1 60-69 years, female 11.0
GTEX-1LBAC-1626-SM-CXZKV 20-29 years, male 11.0
GTEX-1PPH8-2026-SM-DTX7P 20-29 years, male 11.0
GTEX-QLQ7-1126-SM-CYPRB 60-69 years, male 11.0
GTEX-111YS-1626-SM-5GZZ9 60-69 years, male 10.9
GTEX-13OVJ-1726-SM-5IJDZ 50-59 years, female 10.9
GTEX-P4QT-1426-SM-3NMCX 50-59 years, female 10.9
GTEX-U3ZM-1126-SM-4DXUB 40-49 years, male 10.9
GTEX-V955-1626-SM-4JBHJ 60-69 years, male 10.9
GTEX-1I6K6-1826-SM-B2LX5 30-39 years, male 10.9
GTEX-139T6-1326-SM-5IFFO 50-59 years, male 10.8
GTEX-13O21-2426-SM-5MR4A 50-59 years, male 10.8
GTEX-13OW6-2126-SM-5N9GL 50-59 years, male 10.8
GTEX-NFK9-2026-SM-3LK5K 40-49 years, male 10.8
GTEX-Q734-1126-SM-48TZY 40-49 years, female 10.8
GTEX-S7SF-1926-SM-4AT5B 20-29 years, female 10.8
GTEX-ZZ64-0726-SM-5GZX4 20-29 years, male 10.8
GTEX-13QBU-1826-SM-5IJG3 40-49 years, female 10.7
GTEX-1C64O-2326-SM-73KU8 60-69 years, male 10.7
GTEX-TKQ2-1326-SM-4DXT9 50-59 years, male 10.7
GTEX-WOFM-2026-SM-4OOSQ 20-29 years, male 10.7
GTEX-X3Y1-1726-SM-4PQZL 40-49 years, male 10.7
GTEX-ZF29-1726-SM-4WKFV 60-69 years, female 10.7
GTEX-1LGOU-1626-SM-D3LAK 20-29 years, female 10.7
GTEX-1RMOY-1626-SM-EVYC8 50-59 years, male 10.7
GTEX-13PVR-1626-SM-73KVF 60-69 years, female 10.6
GTEX-1MUQO-2626-SM-EWRO3 60-69 years, male 10.6
GTEX-11DXX-1826-SM-5H126 60-69 years, female 10.5
GTEX-11TUW-2026-SM-5EQL8 60-69 years, male 10.5
GTEX-1399S-1926-SM-5J2M5 30-39 years, female 10.5
GTEX-14AS3-1126-SM-5Q5CR 40-49 years, female 10.5
GTEX-PLZ6-0926-SM-3P5ZQ 30-39 years, male 10.5
GTEX-WQUQ-2526-SM-4MVNO 60-69 years, male 10.5
GTEX-1LVAM-1626-SM-EV79Y 50-59 years, female 10.5
GTEX-ZTSS-1126-SM-5985O 40-49 years, male 10.4
GTEX-1GF9U-1526-SM-7MXUW 40-49 years, female 10.4
GTEX-13D11-0826-SM-5KLZJ 50-59 years, female 10.3
GTEX-S4UY-0826-SM-4AD4Z 40-49 years, female 10.3
GTEX-T6MO-0826-SM-4DM51 40-49 years, female 10.3
GTEX-UJMC-1326-SM-4IHLS 50-59 years, male 10.3
GTEX-WH7G-1326-SM-4LVMS 40-49 years, male 10.3
GTEX-139YR-2126-SM-5KM11 50-59 years, male 10.2
GTEX-13FH7-1526-SM-5J2N6 50-59 years, female 10.2
GTEX-15RIF-1326-SM-6LPKO 20-29 years, male 10.2
GTEX-Y8LW-1226-SM-4WWDP 50-59 years, female 10.2
GTEX-1HSMQ-2726-SM-C1YRE 50-59 years, male 10.2
GTEX-1IDJF-1826-SM-CKZOE 20-29 years, male 10.2
GTEX-1LVAN-2526-SM-CNPPC 50-59 years, female 10.2
GTEX-OHPN-2026-SM-E9TIA 60-69 years, female 10.2
GTEX-12WSL-1626-SM-5GCMU 50-59 years, male 10.1
GTEX-145ME-0826-SM-5O9AF 40-49 years, female 10.1
GTEX-14PKV-2126-SM-664O3 20-29 years, female 10.1
GTEX-R55G-1226-SM-48FDC 40-49 years, female 10.1
GTEX-SE5C-1526-SM-4BRWU 40-49 years, female 10.1
GTEX-Y3I4-1426-SM-4TT9C 50-59 years, male 10.1
GTEX-1LG7Z-1426-SM-CXKYV 30-39 years, male 10.1
GTEX-11P81-1126-SM-5GU5G 30-39 years, female 10.0
GTEX-17KNJ-1726-SM-7LG6A 50-59 years, male 10.0
GTEX-P78B-1726-SM-3P5ZV 40-49 years, female 10.0
GTEX-117YX-0826-SM-5H11J 50-59 years, male 9.9
GTEX-11NSD-1626-SM-5986U 20-29 years, male 9.9
GTEX-11VI4-1526-SM-5EQKC 40-49 years, female 9.9
GTEX-13VXT-2426-SM-5LU46 20-29 years, female 9.9
GTEX-15CHC-1626-SM-5ZZWS 60-69 years, female 9.9
GTEX-17F9E-1826-SM-7IGMC 50-59 years, male 9.9
GTEX-1CB4F-2026-SM-79OLU 60-69 years, male 9.9
GTEX-S3XE-1126-SM-4AD4N 50-59 years, male 9.9
GTEX-WYVS-1826-SM-4OND6 40-49 years, female 9.9
GTEX-OIZF-1426-SM-2HML2 60-69 years, male 9.9
GTEX-PX3G-1426-SM-48U1J 20-29 years, female 9.8
GTEX-ZV7C-1526-SM-5NQ72 50-59 years, male 9.8
GTEX-1N5O9-2726-SM-E76QH 60-69 years, male 9.8
GTEX-11DXZ-1726-SM-5H12M 50-59 years, male 9.7
GTEX-QEL4-1926-SM-D3L8D 50-59 years, male 9.7
GTEX-11P7K-1526-SM-5EGI7 30-39 years, male 9.6
GTEX-WYJK-2226-SM-4ONDJ 50-59 years, male 9.6
GTEX-16AAH-1326-SM-7KFRG 50-59 years, male 9.5
GTEX-1C2JI-1626-SM-7EPHC 50-59 years, male 9.5
GTEX-1H1DG-2226-SM-9WPPC 70-79 years, male 9.5
GTEX-1KANA-1926-SM-DHXKF 20-29 years, male 9.5
GTEX-15ER7-2926-SM-7KUFK 20-29 years, female 9.4
GTEX-R55C-1126-SM-48FCJ 40-49 years, male 9.4
GTEX-1H1DE-1526-SM-ARL9B 20-29 years, male 9.3
GTEX-1N2EF-1926-SM-DTX8M 60-69 years, male 9.3
GTEX-1R9JW-2026-SM-EAZ4O 30-39 years, female 9.3
GTEX-1128S-1626-SM-5H12O 60-69 years, female 9.2
GTEX-ZG7Y-2126-SM-DO117 50-59 years, male 9.2
GTEX-13OVK-0826-SM-7KULZ 40-49 years, male 9.1
GTEX-13U4I-2426-SM-5LU34 40-49 years, female 9.1
GTEX-ZLV1-1226-SM-4WWBX 60-69 years, female 9.1
GTEX-1LSVX-1726-SM-DHXJP 60-69 years, male 9.1
GTEX-1N2DV-1426-SM-DPRYQ 40-49 years, male 9.1
GTEX-18D9B-2526-SM-718BN 60-69 years, male 9.0
GTEX-1CAMS-2526-SM-7EPH7 40-49 years, female 9.0
GTEX-YB5E-1626-SM-5IFIQ 40-49 years, male 9.0
GTEX-ZVT2-1926-SM-5GU5T 50-59 years, female 9.0
GTEX-1GN73-2626-SM-9KNUQ 60-69 years, male 9.0
GTEX-1HCU6-2726-SM-A9SKV 60-69 years, female 9.0
GTEX-14ICK-1026-SM-6AJA4 40-49 years, male 8.9
GTEX-17GQL-1526-SM-7LTAC 60-69 years, male 8.9
GTEX-XUW1-1926-SM-4BOP1 50-59 years, female 8.9
GTEX-1IDJU-2026-SM-A9SLM 60-69 years, female 8.9
GTEX-OHPM-1426-SM-3TW8Y 50-59 years, male 8.8
GTEX-147GR-2726-SM-664OO 60-69 years, male 8.7
GTEX-1AX9I-2626-SM-73KU5 60-69 years, male 8.7
GTEX-ZV6S-1226-SM-59HLH 40-49 years, female 8.7
GTEX-1I1GR-2526-SM-CNNQF 60-69 years, male 8.7
GTEX-1LH75-2126-SM-EVR5F 50-59 years, female 8.7
GTEX-14E6E-1526-SM-5RQIG 30-39 years, male 8.6
GTEX-O5YW-1426-SM-3MJHF 50-59 years, male 8.6
GTEX-1KANB-1526-SM-CXZK4 50-59 years, male 8.6
GTEX-X4EO-2526-SM-EWRM8 60-69 years, female 8.5
GTEX-11ZVC-2126-SM-5EGJ1 50-59 years, female 8.4
GTEX-18A7B-2026-SM-72D71 70-79 years, male 8.4
GTEX-1J1OQ-2726-SM-AHZ3R 40-49 years, female 8.4
GTEX-1PWST-2426-SM-EWRMP 70-79 years, male 8.4
GTEX-148VJ-2626-SM-5QGPI 70-79 years, male 8.3
GTEX-15CHQ-2526-SM-6EU24 60-69 years, male 8.3
GTEX-U3ZH-1326-SM-4DXSF 30-39 years, male 8.3
GTEX-1F75B-2726-SM-7P8QO 50-59 years, male 8.3
GTEX-1S5VW-2926-SM-E9U6H 60-69 years, male 8.3
GTEX-1IDJD-2226-SM-A96TD 30-39 years, male 8.2
GTEX-1R9K5-2126-SM-E8VN1 50-59 years, male 8.2
GTEX-1122O-1526-SM-5N9CL 60-69 years, female 8.0
GTEX-11TTK-2426-SM-5PNYO 60-69 years, female 8.0
GTEX-1RDX4-1826-SM-EVR54 50-59 years, female 7.9
GTEX-14JIY-3326-SM-6871E 60-69 years, male 7.8
GTEX-144GL-2526-SM-5TDDL 50-59 years, male 7.7
GTEX-17MF6-2426-SM-7LTAM 40-49 years, male 7.7
GTEX-14PJ5-0926-SM-6LLIK 60-69 years, female 7.6
GTEX-14PJM-2626-SM-686ZD 50-59 years, female 7.6
GTEX-1HKZK-2126-SM-A9SL3 40-49 years, male 7.5
GTEX-15DYW-2326-SM-6PAMU 60-69 years, female 7.3
GTEX-1LG7Y-2126-SM-DIPER 50-59 years, male 7.3
GTEX-1S3DN-1826-SM-EV79K 50-59 years, male 7.3
GTEX-1ICLZ-2426-SM-CKZOD 60-69 years, male 7.2
GTEX-Z93S-2426-SM-5HL8N 50-59 years, male 7.1
GTEX-1POEN-2026-SM-E6CRL 30-39 years, female 7.1
GTEX-16NPV-2626-SM-6M484 50-59 years, female 7.0
GTEX-17HII-2726-SM-7MGVM 50-59 years, male 7.0
GTEX-1GZ4I-2426-SM-9WPPP 50-59 years, male 7.0
GTEX-1BAJH-2326-SM-7IGMO 70-79 years, male 6.9
GTEX-1JMLX-2726-SM-CM2SB 50-59 years, male 6.9
GTEX-U412-1726-SM-EZ6KX 60-69 years, male 6.9
GTEX-1E2YA-2626-SM-7MGWW 50-59 years, male 6.8
GTEX-1GMR3-2826-SM-9WPOG 40-49 years, male 6.8
GTEX-OXRO-0726-SM-E9U4C 60-69 years, female 6.8
GTEX-ZYFC-2626-SM-5NQ6S 50-59 years, male 6.7
GTEX-WVJS-2426-SM-EZ6LI 50-59 years, male 6.7
GTEX-12KS4-2426-SM-5LU8P 30-39 years, male 6.6
GTEX-16Z82-2226-SM-6LPJ7 60-69 years, male 6.6
GTEX-15UF6-2626-SM-6M466 70-79 years, female 6.5
GTEX-1AYD5-1726-SM-7RHFW 50-59 years, male 6.5
GTEX-14C39-1926-SM-5ZZW5 40-49 years, male 6.4
GTEX-XQ8I-2126-SM-4BOOM 50-59 years, male 6.4
GTEX-1JJE9-2426-SM-D3L8T 70-79 years, male 6.4
GTEX-1JMPZ-2426-SM-C1YQP 30-39 years, male 6.4
GTEX-13OW5-2626-SM-5MR3M 60-69 years, male 6.3
GTEX-17EVQ-1826-SM-7IGPH 70-79 years, male 6.3
GTEX-ZAB4-2226-SM-5HL97 40-49 years, male 6.3
GTEX-1HCVE-2526-SM-A9G2G 50-59 years, male 6.3
GTEX-1IKK5-2726-SM-CNPQ6 60-69 years, male 6.3
GTEX-SJXC-2226-SM-EVYAK 60-69 years, male 6.3
GTEX-15SHU-2526-SM-6M47D 40-49 years, female 6.2
GTEX-1C6VQ-2726-SM-73KUL 50-59 years, male 6.2
GTEX-R45C-2126-SM-EZ6KZ 60-69 years, female 6.2
GTEX-14C5O-2526-SM-73KU2 60-69 years, male 6.1
GTEX-1EH9U-2026-SM-7PBYS 60-69 years, male 6.1
GTEX-1IGQW-2326-SM-CE6RV 60-69 years, male 6.1
GTEX-1NV5F-2226-SM-DTX8O 60-69 years, female 6.1
GTEX-OXRN-2026-SM-E6CHK 50-59 years, male 6.1
GTEX-13O3P-2326-SM-5KM55 50-59 years, male 6.0
GTEX-14BIN-3026-SM-5ZZUS 50-59 years, female 6.0
GTEX-18A7A-2226-SM-7LT8K 50-59 years, female 6.0
GTEX-1JJ6O-2426-SM-ARU8J 60-69 years, male 6.0
GTEX-16MT8-2726-SM-7IGLJ 60-69 years, female 5.9
GTEX-1HCU7-2626-SM-C1YQO 50-59 years, male 5.8
GTEX-111VG-2226-SM-5N9DU 60-69 years, male 5.7
GTEX-11O72-2226-SM-5PNW2 40-49 years, male 5.7
GTEX-1PPGY-2826-SM-DTX9H 60-69 years, male 5.6
GTEX-1QMI2-2626-SM-E6CR4 60-69 years, male 5.4
GTEX-1EMGI-2726-SM-7P8S4 60-69 years, male 5.2
GTEX-ZYVF-2826-SM-5GIDK 50-59 years, female 5.1
GTEX-12ZZZ-2426-SM-5GCNN 60-69 years, male 5.0
GTEX-13FHP-2426-SM-5KLZ5 50-59 years, male 5.0
GTEX-13O3O-2526-SM-5L3DR 60-69 years, female 5.0
GTEX-14BMV-2426-SM-5S2PP 50-59 years, male 4.9
GTEX-145MO-2426-SM-5NQ9W 60-69 years, male 4.8
GTEX-17F96-2026-SM-79ON4 70-79 years, male 4.8
GTEX-17JCI-2626-SM-7EWE6 60-69 years, female 4.8
GTEX-13QJ3-2626-SM-9OSXQ 50-59 years, male 4.8
GTEX-1IOXB-2626-SM-CJI2N 50-59 years, male 4.8
GTEX-145LS-2726-SM-5Q5D8 60-69 years, female 4.6
GTEX-14DAQ-2726-SM-5S2QY 60-69 years, female 4.4
GTEX-11GSP-1626-SM-5986N 60-69 years, female 4.3
GTEX-11ONC-2026-SM-5HL61 60-69 years, male 4.3
GTEX-147JS-2526-SM-5S2Q8 60-69 years, male 3.9
GTEX-117YW-1826-SM-5PNY5 50-59 years, male 3.4
GTEX-16XZZ-2626-SM-6M47S 60-69 years, male 2.9
Show allShow less

COLON - FANTOM5 CAGEi

RNA expression in human tissues obtained through Cap Analysis of Gene Expression (CAGE) generated by the FANTOM5 project are reported as Scaled Tags Per Million.

Max subtype Scaled Tags Per Millioni

Max subtype Scaled Tags Per Million is the value for the subtype with the largest average Scaled Tags Per Million across the subtype samples.

38.3
FANTOM5 sample id Sample description Scaled Tags Per Million
Colon
Scaled Tags Per Million: 38.3
FF:10014-101C5 62,83,84 years, mixed 38.3

Contact

  • NEWS ARTICLES
  • PRESS ROOM

The Project

  • INTRODUCTION
  • ORGANIZATION
  • PUBLICATIONS

The Human Protein Atlas

  • DOWNLOADABLE DATA
  • LICENCE & CITATION
  • HELP & FAQ
The Human Protein Atlas project is funded
by the Knut & Alice Wallenberg Foundation.


contact@proteinatlas.org