We use cookies to enhance the usability of our website. If you continue, we'll assume that you are happy to receive all cookies. More information. Don't show this again.
GLIS1
HPA
RESOURCES
  • TISSUE
  • BRAIN
  • SINGLE CELL
  • SUBCELLULAR
  • CANCER
  • BLOOD
  • CELL LINE
  • STRUCTURE & INTERACTION
ABOUT
  • INTRODUCTION
  • HISTORY
  • ORGANIZATION
  • PUBLICATIONS
  • ANTIBODY SUBMISSION
  • ANTIBODY AVAILABILITY
  • ACKNOWLEDGMENTS
  • CONTACT
NEWS
  • NEWS ARTICLES
  • PRESS ROOM
LEARN
  • DICTIONARY
  • PROTEIN CLASSES
  • PROTEIN EVIDENCE
  • METHODS
  • EDUCATIONAL VIDEOS
DATA
  • DOWNLOADABLE DATA
  • PUBLICATION DATA
  • RELEASE HISTORY
HELP
  • ANTIBODY VALIDATION
  • ASSAYS & ANNOTATION
  • DISCLAIMER
  • HELP & FAQ
  • PRIVACY STATEMENT
  • LICENCE & CITATION
Fields »
Search result

Field
Term
Gene name
Class
Subclass
Class
Keyword
Chromosome
External id
Tissue
Cell type
Expression
Antibody panel
Tissue
Main location
Patient ID
Annotation
Tissue
Category
Tau score
Cluster
Reliability
Brain region
Category
Tau score
Brain region
Category
Tau score
Brain region
Category
Tau score
Cluster
Reliability
Tissue
Cell type
Enrichment
Cell type
Category
Tau score
Cell type
Category
Tau score
Cell type
Category
Tau score
Cell lineage
Category
Tau score
Cluster
Cluster
Location
Searches
Location
Cell line
Class
Type
Phase
Reliability
Cancer
Prognosis
Cancer
Category
Cancer
Category
Tau score
Cluster
Variants
Interacting gene (ensg_id)
Type
Number of interactions
Pathway
Category
Score
Score
Score
Validation
Validation
Validation
Validation
Antibodies
Data type
Column


  • SUMMARY

  • TISSUE

  • BRAIN

  • SINGLE CELL

  • SUBCELL

  • CANCER

  • BLOOD

  • CELL LINE

  • STRUCT & INT

  • GLIS1
TISSUE PRIMARY DATA ADIPOSE TISSUE Show tissue menu
ADIPOSE TISSUE ADRENAL GLAND AMYGDALA APPENDIX BASAL GANGLIA BONE MARROW BREAST CEREBELLUM CEREBRAL CORTEX CERVIX CHOROID PLEXUS COLON DUODENUM
ENDOMETRIUM EPIDIDYMIS ESOPHAGUS FALLOPIAN TUBE GALLBLADDER HEART MUSCLE HIPPOCAMPAL FORMATION HYPOTHALAMUS KIDNEY LIVER LUNG LYMPH NODE MIDBRAIN
OVARY PANCREAS PARATHYROID GLAND PITUITARY GLAND PLACENTA PROSTATE RECTUM RETINA SALIVARY GLAND SEMINAL VESICLE SKELETAL MUSCLE SKIN SMALL INTESTINE
SMOOTH MUSCLE SPINAL CORD SPLEEN STOMACH TESTIS THYMUS THYROID GLAND TONGUE TONSIL URINARY BLADDER VAGINA
ANTIBODIES
AND
VALIDATION
Dictionary
Tissue proteome
Adipose tissue
ADIPOSE TISSUE - Expression summary
Protein expressioni

On the top, protein expression in current human tissue, based on all annotated cell types, is reported with the units not detected (n), low (l), medium (m) and high (h). Underneath, protein expression in each annotated cell type are reported using the same units.

Protein expression data is based on knowledge-based annotation. For genes where more than one antibody has been used, a collective score is set.

If knowledge-based annotation could not be performed for a gene, no data is displayed here. View antibody staining data further down this page.

No data
RNA expressioni

A summary of mRNA expression data available for current tissue based on several datasets. The mRNA expression levels in human tissues are based on RNA-seq data generated by the Human Protein Atlas (HPA), Genotype-Tissue Expression (GTEx) portal and CAGE data generated by the FANTOM5 consortium. Consensus normalized expression levels for human tissues was created by combining the data from HPA and GTEx datasets.

The mRNA expression levels in pig are based on RNA-seq data generated by the Human Protein Atlas (HPA), and for mouse, HPA data and in situ hybridization generated by the Allen brain atlas are reported.

Scroll down to view mRNA expression data in more detail.
Consensus:0.9 nTPM
HPA:0.6 nTPM
GTEx:0.9 nTPM
FANTOM5:0.8 Scaled Tags Per Million

ADIPOSE TISSUE - Annotated protein expression
Pending normal tissue analysis

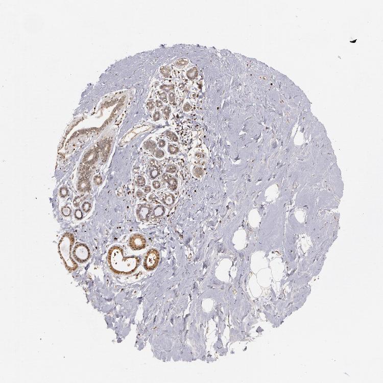
ADIPOSE TISSUE - Antibody stainingi

Antibody staining in the annotated cell types in the current human tissue is reported as not detected, low, medium, or high, based on conventional immunohistochemistry profiling in selected tissues. This score is based on the combination of the staining intensity and fraction of stained cells.

Each image is clickable and will lead to virtual microscopy that enables deeper exploration of all samples and also displays staining intensity scores, fraction scores and subcellular localization as well as patient and tissue information for each sample.

Antibody HPA001409
Adipocytes Low




ADIPOSE TISSUE - HPA RNA-seqi

The RNA-seq details section shows detailed information about the individual samples used for the transcript profiling and results of the RNA-seq analysis.

Information about each individual sample is listed below, including gender, age, a tissue section image and estimated fractions of cell types. nTPM (normalized transcripts per million) values give a quantification of the gene abundance which is comparable between different genes and samples.
Average nTPMi

Max subtype nTPM is the value for the subtype with the largest average nTPM across the subtype samples.

0.6
N/A
Female, age 80
Adipose tissue sample 86
nTPM: 1.7
Cell types%
Adipocytes:
95

Other cell types:
5

N/A
Female, age 45
Adipose tissue sample 115
nTPM: 0.5
N/A
Female, age 57
Adipose tissue sample 137
nTPM: 0.6
Cell types%
Adipocytes:
60

Fibroblasts:
20

Smooth muscle cells:
15

Other cell types:
5

overview
Female, age 74
Adipose tissue sample 329
nTPM: 0.1
Cell types%
Adipocytes:
50

Fibroblasts:
30

Smooth muscle cells:
15

Other cell types:
5

overview
Female, age 59
Adipose tissue sample 331
nTPM: 0
Cell types%
Adipocytes:
40

Fibroblasts:
40

Smooth muscle cells:
15

Other cell types:
5


ADIPOSE TISSUE - GTEx RNA-seqi

RNA-Seq data generated by the Genotype-Tissue Expression (GTEx) project from human tissues is reported as mean nTPM. More information can be found on the GTEx portal.

Distribution across the dataset is visualized with box plots, shown as median and 25th and 75th percentiles. Points are displayed as outliers if they are above or below 1.5 times the interquartile range. nTPM values of the individual samples are presented next to the box plot.
Max subtype nTPMi

Max subtype nTPM is the value for the subtype with the largest average nTPM across the subtype samples.

0.9
GTEx sample id Sample description nTPM
Adipose - Subcutaneous
Average nTPM: 0.9
Samples: 663

Max nTPM: 8.7
Min nTPM: 0.0
Std nTPM: 0.8
Median nTPM: 0.6
GTEX-YB5E-2126-SM-5IFI7 40-49 years, male 8.7
GTEX-11EM3-2326-SM-5H12B 20-29 years, female 6.2
GTEX-1F5PK-2526-SM-9MQKN 50-59 years, male 5.5
GTEX-1R7EV-1926-SM-EVYBF 40-49 years, male 5.4
GTEX-11P7K-2026-SM-5GU74 30-39 years, male 4.4
GTEX-1CAMR-1826-SM-7MXUJ 20-29 years, male 4.4
GTEX-1GPI7-0226-SM-9MQKB 20-29 years, male 4.3
GTEX-1RAZA-0226-SM-E9U4W 20-29 years, male 4.2
GTEX-U4B1-1726-SM-3DB9F 40-49 years, male 4.0
GTEX-18A66-0326-SM-718BE 60-69 years, male 3.8
GTEX-1C2JI-2226-SM-7IGPJ 50-59 years, male 3.8
GTEX-1QP66-1326-SM-DTXDQ 50-59 years, male 3.4
GTEX-11P82-1726-SM-5Q5AT 20-29 years, male 3.3
GTEX-13RTJ-2526-SM-5S2Q3 60-69 years, male 3.3
GTEX-ZT9X-1926-SM-57WE7 40-49 years, male 3.2
GTEX-Z93T-0226-SM-5HL5Z 50-59 years, male 3.0
GTEX-13111-1726-SM-5EGJZ 50-59 years, male 2.9
GTEX-17EUY-0526-SM-7EWDE 20-29 years, male 2.8
GTEX-1QP67-1726-SM-E8VOP 40-49 years, female 2.8
GTEX-1MCYP-1826-SM-E9J2Q 20-29 years, female 2.7
GTEX-1PFEY-1626-SM-E9J3M 30-39 years, male 2.7
GTEX-14PHX-2426-SM-62LEN 50-59 years, male 2.6
GTEX-ZQG8-1526-SM-5HL65 60-69 years, female 2.6
GTEX-1K2DA-2126-SM-CGQGL 50-59 years, male 2.6
GTEX-Y8E5-0226-SM-57WCM 60-69 years, male 2.5
GTEX-13QBU-2526-SM-5LU4X 40-49 years, female 2.4
GTEX-TKQ1-1126-SM-4GIAZ 30-39 years, male 2.4
GTEX-1HB9E-0426-SM-CNPPV 50-59 years, male 2.4
GTEX-1KANA-0826-SM-D3L9J 20-29 years, male 2.4
GTEX-144GM-1926-SM-5LUAN 20-29 years, male 2.3
GTEX-183FY-0326-SM-793BY 20-29 years, male 2.3
GTEX-1HSMP-0226-SM-CGQFI 70-79 years, male 2.3
GTEX-1117F-0226-SM-5GZZ7 60-69 years, female 2.2
GTEX-14PJ3-1926-SM-62LEY 50-59 years, male 2.2
GTEX-WH7G-2226-SM-3NMBN 40-49 years, male 2.2
GTEX-XGQ4-2226-SM-4AT4Y 50-59 years, male 2.2
GTEX-1CAMS-0326-SM-7PC35 40-49 years, female 2.2
GTEX-1PIGE-0526-SM-DTXFA 20-29 years, male 2.2
GTEX-147F3-0626-SM-5NQ9I 50-59 years, female 2.1
GTEX-17HHE-1926-SM-7EPGW 50-59 years, male 2.1
GTEX-QEG5-0326-SM-2S1PB 20-29 years, male 2.1
GTEX-ZXES-2026-SM-5NQ6R 30-39 years, female 2.1
GTEX-1S82P-0226-SM-E6CI6 60-69 years, female 2.1
GTEX-1AYD5-2326-SM-73KXF 50-59 years, male 2.0
GTEX-ZP4G-2326-SM-57WEM 20-29 years, female 2.0
GTEX-1ICLY-0226-SM-ARL7R 50-59 years, male 2.0
GTEX-139YR-2426-SM-5J1OB 50-59 years, male 1.9
GTEX-145MO-0426-SM-5QGP6 60-69 years, male 1.9
GTEX-P44G-2326-SM-2XCCZ 30-39 years, male 1.9
GTEX-T6MO-1726-SM-33HB8 40-49 years, female 1.9
GTEX-P4PP-0226-SM-D4P1Z 30-39 years, female 1.9
GTEX-117YX-2226-SM-5EGJJ 50-59 years, male 1.8
GTEX-12KS4-0426-SM-5EQMC 30-39 years, male 1.8
GTEX-PWCY-1926-SM-3NB25 20-29 years, female 1.8
GTEX-XMK1-2226-SM-4B673 40-49 years, male 1.8
GTEX-YJ8A-0526-SM-5IFHT 20-29 years, male 1.8
GTEX-1MA7W-1926-SM-E6CIO 20-29 years, female 1.8
GTEX-1S83E-0226-SM-EVYCW 40-49 years, male 1.8
GTEX-14BMU-2126-SM-5S2TS 20-29 years, female 1.7
GTEX-15CHQ-0226-SM-6EU2S 60-69 years, male 1.7
GTEX-17F97-0426-SM-7LT9U 50-59 years, male 1.7
GTEX-1C64O-0226-SM-73KXB 60-69 years, male 1.7
GTEX-OOBJ-0226-SM-2YUMM 60-69 years, male 1.7
GTEX-X15G-2326-SM-4PQZS 50-59 years, female 1.7
GTEX-ZZ64-1626-SM-5E43W 20-29 years, male 1.7
GTEX-1FIGZ-1626-SM-7SB8L 40-49 years, male 1.7
GTEX-1GMR2-2526-SM-9MQKW 50-59 years, male 1.7
GTEX-1HSGN-0126-SM-CGQFU 40-49 years, female 1.7
GTEX-1LSNM-2026-SM-E6CIJ 50-59 years, male 1.7
GTEX-1PWST-0326-SM-EAZ42 70-79 years, male 1.7
GTEX-12C56-1626-SM-5FQUO 20-29 years, male 1.6
GTEX-145MN-2626-SM-5NQAH 30-39 years, male 1.6
GTEX-18A67-0226-SM-7LG67 50-59 years, male 1.6
GTEX-SNMC-1326-SM-2XCFK 20-29 years, male 1.6
GTEX-WHPG-2126-SM-4M1ZM 50-59 years, male 1.6
GTEX-XQ8I-0526-SM-4BOPS 50-59 years, male 1.6
GTEX-XUYS-0226-SM-47JX1 50-59 years, male 1.6
GTEX-1IL2U-0326-SM-CE6T9 60-69 years, male 1.6
GTEX-1KAFJ-2426-SM-D4P32 50-59 years, male 1.6
GTEX-WFG8-2326-SM-DIPDX 20-29 years, male 1.6
GTEX-ZLWG-2226-SM-DO92V 50-59 years, female 1.6
GTEX-13N11-2626-SM-5K7UQ 50-59 years, female 1.5
GTEX-1497J-2326-SM-5NQBK 60-69 years, male 1.5
GTEX-14ICK-0326-SM-6LLIZ 40-49 years, male 1.5
GTEX-17HII-0326-SM-7LG4X 50-59 years, male 1.5
GTEX-OHPN-0226-SM-48TBV 60-69 years, female 1.5
GTEX-P78B-0226-SM-3NB1Z 40-49 years, female 1.5
GTEX-REY6-0326-SM-2TF5A 60-69 years, male 1.5
GTEX-T5JC-0526-SM-32PM7 20-29 years, male 1.5
GTEX-1GN73-0326-SM-9KNTW 60-69 years, male 1.5
GTEX-13113-1826-SM-5LZW4 60-69 years, female 1.4
GTEX-1399U-2426-SM-5K7XB 50-59 years, female 1.4
GTEX-139D8-0326-SM-5IJCJ 30-39 years, female 1.4
GTEX-139T6-2126-SM-5KM37 50-59 years, male 1.4
GTEX-13N1W-0226-SM-5K7W6 70-79 years, male 1.4
GTEX-13W3W-2526-SM-5SI9P 60-69 years, female 1.4
GTEX-13YAN-0426-SM-5O9DR 60-69 years, male 1.4
GTEX-QMRM-1726-SM-2S1QG 50-59 years, male 1.4
GTEX-SUCS-1826-SM-32PM1 70-79 years, male 1.4
GTEX-WY7C-2426-SM-3NB2V 50-59 years, male 1.4
GTEX-Y9LG-2026-SM-62LFS 30-39 years, male 1.4
GTEX-ZPIC-1826-SM-57WFE 40-49 years, female 1.4
GTEX-ZVTK-0526-SM-5GZWT 20-29 years, male 1.4
GTEX-169BO-1426-SM-9MQJT 50-59 years, male 1.4
GTEX-1GN1W-0626-SM-9MQK3 50-59 years, female 1.4
GTEX-1MGNQ-0226-SM-EVYCK 40-49 years, male 1.4
GTEX-1PPH8-0626-SM-EWRN9 20-29 years, male 1.4
GTEX-13G51-2626-SM-5LZYW 60-69 years, male 1.3
GTEX-13OVK-2126-SM-6PAN1 40-49 years, male 1.3
GTEX-13PLJ-0126-SM-5L3HU 60-69 years, female 1.3
GTEX-14BMV-0226-SM-5S2N2 50-59 years, male 1.3
GTEX-14H4A-1026-SM-62LDY 40-49 years, female 1.3
GTEX-15ETS-0426-SM-6PANI 40-49 years, female 1.3
GTEX-18D9A-2026-SM-718BL 30-39 years, female 1.3
GTEX-QV31-1326-SM-2S1QE 30-39 years, male 1.3
GTEX-R53T-1626-SM-3GAEW 50-59 years, female 1.3
GTEX-T5JW-1726-SM-3GADN 20-29 years, female 1.3
GTEX-T8EM-1126-SM-3DB7D 40-49 years, male 1.3
GTEX-1HSEH-0226-SM-ACKVV 60-69 years, male 1.3
GTEX-1HSKV-0326-SM-ADEJC 60-69 years, male 1.3
GTEX-1IKK5-0526-SM-CMKGG 60-69 years, male 1.3
GTEX-1JMPY-1426-SM-ARL8Z 30-39 years, male 1.3
GTEX-1KWVE-1326-SM-E6CJ1 30-39 years, male 1.3
GTEX-113IC-0226-SM-5HL5C 60-69 years, male 1.2
GTEX-12696-2526-SM-5EQLN 60-69 years, male 1.2
GTEX-133LE-1926-SM-5N9FV 20-29 years, female 1.2
GTEX-13O61-2426-SM-5J1NV 60-69 years, male 1.2
GTEX-14AS3-2026-SM-5TDD9 40-49 years, female 1.2
GTEX-14PN3-2526-SM-6EU15 60-69 years, female 1.2
GTEX-16BQI-0526-SM-6PAM8 30-39 years, female 1.2
GTEX-PLZ6-1326-SM-3NB24 30-39 years, male 1.2
GTEX-S7SE-0226-SM-2XCD4 50-59 years, male 1.2
GTEX-VUSG-2426-SM-4KKZG 50-59 years, male 1.2
GTEX-X638-0226-SM-47JZ9 70-79 years, female 1.2
GTEX-XUZC-1826-SM-4BRVO 30-39 years, female 1.2
GTEX-ZTPG-0226-SM-5O99I 20-29 years, female 1.2
GTEX-ZVE2-0326-SM-57WFC 50-59 years, male 1.2
GTEX-1H1ZS-0526-SM-9WG5L 70-79 years, male 1.2
GTEX-1I6K7-0226-SM-CJI46 40-49 years, male 1.2
GTEX-1ICG6-2626-SM-CGQG1 70-79 years, female 1.2
GTEX-1JJEA-0226-SM-COH2X 60-69 years, male 1.2
GTEX-1LGOU-2226-SM-E9U56 20-29 years, female 1.2
GTEX-13FHP-0226-SM-5K7WD 50-59 years, male 1.1
GTEX-13FTW-2526-SM-5IJC8 40-49 years, male 1.1
GTEX-13OVL-0326-SM-5IJCS 50-59 years, male 1.1
GTEX-13PVQ-0226-SM-5SIBG 50-59 years, male 1.1
GTEX-13QJ3-0426-SM-5RQHP 50-59 years, male 1.1
GTEX-15G19-0226-SM-6PAL2 60-69 years, male 1.1
GTEX-16NGA-1826-SM-7LG5L 40-49 years, female 1.1
GTEX-1AMEY-1426-SM-7939I 30-39 years, female 1.1
GTEX-OXRK-0326-SM-3NB3R 50-59 years, female 1.1
GTEX-R55G-2426-SM-2TC5I 40-49 years, female 1.1
GTEX-SNOS-1426-SM-32PLY 40-49 years, male 1.1
GTEX-XBEW-0726-SM-4QARX 40-49 years, male 1.1
GTEX-XXEK-2426-SM-4BRUS 50-59 years, male 1.1
GTEX-YECK-0226-SM-4W215 60-69 years, male 1.1
GTEX-18QFQ-0226-SM-731BQ 30-39 years, male 1.1
GTEX-1F88F-2626-SM-9WG5K 60-69 years, female 1.1
GTEX-1H23P-0226-SM-9YFLO 60-69 years, male 1.1
GTEX-1HCU7-0326-SM-CMKGI 50-59 years, male 1.1
GTEX-1HFI6-0326-SM-ADEI5 40-49 years, male 1.1
GTEX-1I1GQ-0226-SM-COH3I 50-59 years, male 1.1
GTEX-1IDJU-2526-SM-CMKGF 60-69 years, female 1.1
GTEX-1JN76-0226-SM-CMKGO 20-29 years, female 1.1
GTEX-1L5NE-2626-SM-E9U6P 50-59 years, male 1.1
GTEX-1NHNU-1126-SM-E9J2C 50-59 years, male 1.1
GTEX-11EQ9-2526-SM-5HL66 30-39 years, male 1.0
GTEX-1212Z-2426-SM-5EQ5D 60-69 years, male 1.0
GTEX-132QS-2526-SM-62LFJ 60-69 years, male 1.0
GTEX-13O3Q-2326-SM-5KM3G 50-59 years, male 1.0
GTEX-145LT-1826-SM-5QGP4 40-49 years, male 1.0
GTEX-16AAH-2026-SM-7LG5F 50-59 years, male 1.0
GTEX-17F96-1726-SM-7IGMB 70-79 years, male 1.0
GTEX-1C475-1926-SM-7DUFV 40-49 years, female 1.0
GTEX-O5YV-0226-SM-48TBY 60-69 years, female 1.0
GTEX-QV44-1825-SM-447CF 50-59 years, male 1.0
GTEX-R55D-0326-SM-48FES 50-59 years, male 1.0
GTEX-S33H-1126-SM-2XCB6 30-39 years, male 1.0
GTEX-U8XE-0426-SM-3DB91 30-39 years, male 1.0
GTEX-WEY5-1926-SM-3GIL8 40-49 years, female 1.0
GTEX-XLM4-0226-SM-4AT4N 60-69 years, male 1.0
GTEX-YB5K-2226-SM-4WWG1 40-49 years, female 1.0
GTEX-ZDTT-2626-SM-5S2OP 60-69 years, male 1.0
GTEX-ZYT6-0326-SM-7LG5R 30-39 years, male 1.0
GTEX-1EH9U-0226-SM-7PBY8 60-69 years, male 1.0
GTEX-1I19N-0426-SM-ACKVY 70-79 years, male 1.0
GTEX-1J1R8-2226-SM-ARZMP 40-49 years, male 1.0
GTEX-1JKYN-1226-SM-CGQG8 30-39 years, male 1.0
GTEX-1JMQI-2026-SM-CMKGP 50-59 years, male 1.0
GTEX-1QCLY-0526-SM-EAZ47 30-39 years, male 1.0
GTEX-1QW4Y-1626-SM-EAZ41 30-39 years, male 1.0
GTEX-1RAZQ-0626-SM-E8VOR 30-39 years, male 1.0
GTEX-1RQEC-0526-SM-E6CHV 60-69 years, male 1.0
GTEX-1S831-0326-SM-EVYD3 20-29 years, male 1.0
GTEX-UTHO-0426-SM-CE6QU 60-69 years, male 1.0
GTEX-11ZTT-2526-SM-5EQM9 60-69 years, female 0.9
GTEX-12126-0426-SM-5Q5AP 20-29 years, male 0.9
GTEX-12ZZY-0326-SM-5LZVQ 60-69 years, male 0.9
GTEX-13NZA-0126-SM-5K7UH 60-69 years, male 0.9
GTEX-144FL-0226-SM-5Q5D4 50-59 years, male 0.9
GTEX-14DAR-1926-SM-5S2NQ 50-59 years, male 0.9
GTEX-17F9Y-0326-SM-7IGLS 70-79 years, female 0.9
GTEX-Q2AI-1426-SM-2S1P5 40-49 years, male 0.9
GTEX-S95S-1326-SM-2XCDK 60-69 years, male 0.9
GTEX-U3ZN-2626-SM-3DB7T 30-39 years, female 0.9
GTEX-XPVG-2726-SM-4B66W 50-59 years, male 0.9
GTEX-XYKS-2726-SM-4E3IC 60-69 years, female 0.9
GTEX-YEC4-2426-SM-57WFO 40-49 years, male 0.9
GTEX-ZAJG-0226-SM-5HL81 50-59 years, female 0.9
GTEX-ZC5H-0126-SM-4WAYL 40-49 years, female 0.9
GTEX-1GF9V-0226-SM-9MQKA 60-69 years, male 0.9
GTEX-1GZ4H-1826-SM-9MQLE 50-59 years, female 0.9
GTEX-1H1E6-2026-SM-9KNVK 30-39 years, male 0.9
GTEX-1HR9M-0226-SM-COH3E 60-69 years, male 0.9
GTEX-1JJ6O-0226-SM-E6CI9 60-69 years, male 0.9
GTEX-1LSVX-0126-SM-EVYCY 60-69 years, male 0.9
GTEX-1QP29-0726-SM-DTXFM 50-59 years, male 0.9
GTEX-1RAZR-0226-SM-EVYC6 40-49 years, male 0.9
GTEX-ZLFU-2626-SM-DO91L 40-49 years, male 0.9
GTEX-111CU-1826-SM-5GZYN 50-59 years, male 0.8
GTEX-11H98-0226-SM-5NQ89 50-59 years, male 0.8
GTEX-12584-0226-SM-5EQL5 40-49 years, male 0.8
GTEX-13112-2726-SM-5DUW5 50-59 years, male 0.8
GTEX-131XE-2426-SM-5EQ5V 50-59 years, male 0.8
GTEX-13IVO-0226-SM-5LZXU 70-79 years, male 0.8
GTEX-13JUV-2826-SM-5LZWU 40-49 years, female 0.8
GTEX-13OVI-1326-SM-5IJBO 60-69 years, female 0.8
GTEX-13U4I-0226-SM-5SIB1 40-49 years, female 0.8
GTEX-13VXT-0226-SM-5LU9Q 20-29 years, female 0.8
GTEX-13X6K-0226-SM-5QGPB 60-69 years, female 0.8
GTEX-146FQ-0226-SM-5NQAL 30-39 years, male 0.8
GTEX-14LLW-0226-SM-62LEL 70-79 years, female 0.8
GTEX-17F98-1126-SM-79OJS 40-49 years, female 0.8
GTEX-17MFQ-1826-SM-7DHLS 20-29 years, male 0.8
GTEX-1B8KZ-1926-SM-7DUG8 50-59 years, male 0.8
GTEX-OIZI-0226-SM-2XCEE 40-49 years, male 0.8
GTEX-QDVN-2126-SM-33HBS 50-59 years, male 0.8
GTEX-T6MN-0226-SM-32PMD 50-59 years, male 0.8
GTEX-TML8-2026-SM-32QOP 40-49 years, female 0.8
GTEX-WFON-2226-SM-3TW8W 40-49 years, male 0.8
GTEX-X5EB-2426-SM-4E3HX 40-49 years, male 0.8
GTEX-X88G-0226-SM-4GIE4 30-39 years, male 0.8
GTEX-XK95-0426-SM-4AT4R 40-49 years, male 0.8
GTEX-XUW1-0526-SM-4BOP3 50-59 years, female 0.8
GTEX-XV7Q-2626-SM-4BRVA 40-49 years, female 0.8
GTEX-Y3IK-2526-SM-4WWDM 50-59 years, female 0.8
GTEX-ZLV1-1826-SM-5FQU5 60-69 years, female 0.8
GTEX-ZPU1-2426-SM-4WWFM 40-49 years, male 0.8
GTEX-ZVZP-2326-SM-59HL4 50-59 years, male 0.8
GTEX-ZYY3-0226-SM-5E45M 60-69 years, female 0.8
GTEX-17KNJ-2226-SM-DKPOU 50-59 years, male 0.8
GTEX-1GN1V-0226-SM-9WYTN 60-69 years, male 0.8
GTEX-1HGF4-2526-SM-ADEIZ 60-69 years, male 0.8
GTEX-1I1GT-0526-SM-CGQEQ 60-69 years, female 0.8
GTEX-1IE54-0226-SM-CMKHX 40-49 years, female 0.8
GTEX-1LBAC-0226-SM-DHXJZ 20-29 years, male 0.8
GTEX-1LG7Z-2026-SM-DLHBP 30-39 years, male 0.8
GTEX-1LVAO-0226-SM-E9U6O 60-69 years, male 0.8
GTEX-1N2DW-0326-SM-E9TK3 50-59 years, male 0.8
GTEX-1QP9N-1526-SM-DTXFK 30-39 years, male 0.8
GTEX-PWN1-0226-SM-DKPO9 40-49 years, female 0.8
GTEX-ZGAY-0626-SM-DO92E 40-49 years, female 0.8
GTEX-11OF3-2426-SM-5Q5AS 60-69 years, male 0.7
GTEX-11P81-2426-SM-5GU65 30-39 years, female 0.7
GTEX-11TUW-2626-SM-5EQKZ 60-69 years, male 0.7
GTEX-11ZTS-0226-SM-5EQKD 60-69 years, female 0.7
GTEX-12WSA-0326-SM-5BC6I 60-69 years, male 0.7
GTEX-12ZZX-0226-SM-5DUXU 40-49 years, female 0.7
GTEX-13O21-1526-SM-5K7W4 50-59 years, male 0.7
GTEX-13O3P-0226-SM-5KM3Z 50-59 years, male 0.7
GTEX-13PDP-0226-SM-5K7W9 60-69 years, male 0.7
GTEX-146FR-1826-SM-5QGPF 60-69 years, female 0.7
GTEX-147JS-0426-SM-5TDD2 60-69 years, male 0.7
GTEX-14E1K-2126-SM-793DU 50-59 years, male 0.7
GTEX-14PJ2-0226-SM-6LLH4 50-59 years, male 0.7
GTEX-14PJM-0326-SM-62LF2 50-59 years, female 0.7
GTEX-18465-0226-SM-7LG5M 50-59 years, male 0.7
GTEX-1AX9K-2426-SM-73KZ4 50-59 years, male 0.7
GTEX-1C4CL-0426-SM-7939N 30-39 years, male 0.7
GTEX-1C6WA-0226-SM-7IGPO 60-69 years, male 0.7
GTEX-N7MS-0326-SM-4E3K2 60-69 years, male 0.7
GTEX-NPJ8-0226-SM-48TBN 40-49 years, male 0.7
GTEX-OXRP-0226-SM-3NB14 60-69 years, female 0.7
GTEX-R55C-1626-SM-48FEG 40-49 years, male 0.7
GTEX-X4EO-0426-SM-4QASA 60-69 years, female 0.7
GTEX-X4XY-0326-SM-46MVZ 60-69 years, male 0.7
GTEX-YF7O-2426-SM-5IFJL 50-59 years, male 0.7
GTEX-YJ89-0226-SM-4TT3Y 60-69 years, male 0.7
GTEX-ZDTS-0226-SM-5HL7Q 60-69 years, male 0.7
GTEX-ZPCL-2126-SM-57WFZ 60-69 years, female 0.7
GTEX-ZTX8-1526-SM-5N9GI 20-29 years, male 0.7
GTEX-ZVP2-1826-SM-5GU62 50-59 years, male 0.7
GTEX-ZVT4-0226-SM-51MSD 50-59 years, female 0.7
GTEX-13NYB-2626-SM-9YFMI 40-49 years, male 0.7
GTEX-1B932-0226-SM-7PBYH 40-49 years, female 0.7
GTEX-1C6VR-2626-SM-7MGX2 60-69 years, male 0.7
GTEX-1CB4F-0526-SM-9KNW2 60-69 years, male 0.7
GTEX-1EKGG-0126-SM-9YFLS 60-69 years, male 0.7
GTEX-1GMR8-0226-SM-9YFL3 50-59 years, female 0.7
GTEX-1GN1U-0226-SM-9YFLQ 50-59 years, female 0.7
GTEX-1H3VY-0226-SM-9YFMF 50-59 years, male 0.7
GTEX-1HUB1-0326-SM-A9SKQ 60-69 years, male 0.7
GTEX-1I1HK-0226-SM-COH4A 60-69 years, male 0.7
GTEX-1I4MK-2026-SM-B2LVR 50-59 years, female 0.7
GTEX-1J8QM-2326-SM-CYPSL 60-69 years, female 0.7
GTEX-1LSNL-0526-SM-DIPFI 50-59 years, male 0.7
GTEX-1LVAN-0126-SM-COH4H 50-59 years, female 0.7
GTEX-1MCC2-2326-SM-E9U5G 30-39 years, female 0.7
GTEX-1N2EF-0626-SM-E9J32 60-69 years, male 0.7
GTEX-1QPFJ-0126-SM-E9J4B 30-39 years, female 0.7
GTEX-OIZF-0226-SM-E9TI3 60-69 years, male 0.7
GTEX-WFG7-2526-SM-EWRM5 20-29 years, male 0.7
GTEX-111YS-2426-SM-5GZZQ 60-69 years, male 0.6
GTEX-1128S-2126-SM-5H12U 60-69 years, female 0.6
GTEX-11EMC-2826-SM-5PNY6 60-69 years, female 0.6
GTEX-11EQ8-0226-SM-5EQ5G 60-69 years, male 0.6
GTEX-11ONC-2526-SM-5986W 60-69 years, male 0.6
GTEX-11WQC-2426-SM-5EQKQ 60-69 years, male 0.6
GTEX-11XUK-2126-SM-5EQLR 40-49 years, female 0.6
GTEX-139TT-0226-SM-5K7YH 60-69 years, male 0.6
GTEX-13FHO-0326-SM-5IJBH 60-69 years, male 0.6
GTEX-13O1R-0226-SM-5K7U5 60-69 years, male 0.6
GTEX-13OVJ-0326-SM-5L3GL 50-59 years, female 0.6
GTEX-13OW6-0526-SM-5L3HY 50-59 years, male 0.6
GTEX-13OW7-0226-SM-5MR3N 50-59 years, male 0.6
GTEX-13PVR-2426-SM-5RQHN 60-69 years, female 0.6
GTEX-14ABY-0326-SM-5TDDK 50-59 years, male 0.6
GTEX-14BIL-0226-SM-5SI9E 50-59 years, male 0.6
GTEX-14C39-2526-SM-5S2UH 40-49 years, male 0.6
GTEX-14C5O-0226-SM-5SI6O 60-69 years, male 0.6
GTEX-14JG6-2326-SM-6LLH3 30-39 years, female 0.6
GTEX-15RIE-2326-SM-7KFSC 60-69 years, male 0.6
GTEX-15SDE-2426-SM-7KFRC 50-59 years, female 0.6
GTEX-17HHY-0226-SM-793BQ 50-59 years, male 0.6
GTEX-18A7A-0326-SM-731AT 50-59 years, female 0.6
GTEX-1B97I-1726-SM-7939V 40-49 years, male 0.6
GTEX-1BAJH-0426-SM-73KWY 70-79 years, male 0.6
GTEX-O5YT-0226-SM-32PK5 20-29 years, male 0.6
GTEX-OHPM-0226-SM-3LK61 50-59 years, male 0.6
GTEX-OXRN-0226-SM-2I5EJ 50-59 years, male 0.6
GTEX-P4QS-0226-SM-3NB1U 60-69 years, male 0.6
GTEX-QDVJ-1826-SM-2S1P3 50-59 years, male 0.6
GTEX-QESD-1526-SM-2S1QT 20-29 years, male 0.6
GTEX-RWSA-0226-SM-2XCBA 40-49 years, male 0.6
GTEX-SIU8-0226-SM-2XCDS 50-59 years, male 0.6
GTEX-T2IS-0226-SM-32QPH 20-29 years, female 0.6
GTEX-TSE9-0226-SM-3DB84 60-69 years, female 0.6
GTEX-UJHI-1626-SM-3DB9A 50-59 years, female 0.6
GTEX-W5WG-2526-SM-4SOJ2 50-59 years, female 0.6
GTEX-XBEC-0326-SM-4AT4M 50-59 years, male 0.6
GTEX-YJ8O-2426-SM-5HL7S 40-49 years, female 0.6
GTEX-Z9EW-1826-SM-5CVMA 40-49 years, male 0.6
GTEX-ZYFC-0326-SM-5NQ7H 50-59 years, male 0.6
GTEX-ZYW4-0226-SM-5E44M 60-69 years, male 0.6
GTEX-ZZPU-2726-SM-5NQ8O 50-59 years, female 0.6
GTEX-145ME-1926-SM-5MR6T 40-49 years, female 0.6
GTEX-1B8L1-2626-SM-7SB77 60-69 years, male 0.6
GTEX-1B996-0126-SM-7PBYF 60-69 years, male 0.6
GTEX-1CB4H-0326-SM-9WG5G 60-69 years, female 0.6
GTEX-1E2YA-0226-SM-9MQLY 50-59 years, male 0.6
GTEX-1F48J-0226-SM-7SB82 50-59 years, female 0.6
GTEX-1F6I4-0226-SM-9MQMA 60-69 years, male 0.6
GTEX-1F6RS-0226-SM-9MQKO 60-69 years, female 0.6
GTEX-1HCUA-2226-SM-ADEHF 50-59 years, female 0.6
GTEX-1HCVE-0226-SM-CGQEV 50-59 years, male 0.6
GTEX-1I6K6-0226-SM-ADEID 30-39 years, male 0.6
GTEX-1IDJD-1226-SM-CM2TP 30-39 years, male 0.6
GTEX-1IDJF-0226-SM-CMKGE 20-29 years, male 0.6
GTEX-1IGQW-0226-SM-COH43 60-69 years, male 0.6
GTEX-1IY9M-0226-SM-CMKHP 60-69 years, male 0.6
GTEX-1K9T9-0226-SM-E9U6K 50-59 years, female 0.6
GTEX-1LH75-2526-SM-E9U5A 50-59 years, female 0.6
GTEX-1PIIG-0326-SM-EVYBV 30-39 years, male 0.6
GTEX-1QP28-0226-SM-E9J2N 50-59 years, female 0.6
GTEX-1R9K5-0226-SM-EWRNF 50-59 years, male 0.6
GTEX-PLZ4-0226-SM-CYPR1 50-59 years, female 0.6
GTEX-RVPV-1526-SM-EXOHF 60-69 years, male 0.6
GTEX-S4P3-1526-SM-E9J3W 50-59 years, female 0.6
GTEX-ZDYS-2126-SM-5S2P2 50-59 years, male 0.6
GTEX-11DXW-0326-SM-5H11W 40-49 years, male 0.5
GTEX-11EI6-0226-SM-5EQ64 60-69 years, male 0.5
GTEX-11GSO-2326-SM-5A5LX 60-69 years, male 0.5
GTEX-11I78-2626-SM-5Q5AI 50-59 years, female 0.5
GTEX-11UD2-0126-SM-5EQL2 50-59 years, male 0.5
GTEX-11ZUS-0726-SM-59886 30-39 years, male 0.5
GTEX-11ZVC-2626-SM-5FQTA 50-59 years, female 0.5
GTEX-1314G-1626-SM-5EQ67 30-39 years, male 0.5
GTEX-1399R-2626-SM-5KLZ7 30-39 years, male 0.5
GTEX-13CF2-2626-SM-5LZZA 60-69 years, male 0.5
GTEX-13D11-2326-SM-5IJCY 50-59 years, female 0.5
GTEX-13FH7-2226-SM-5IJD4 50-59 years, female 0.5
GTEX-13NYS-0226-SM-5MR49 60-69 years, male 0.5
GTEX-13NZB-2426-SM-5K7UF 30-39 years, male 0.5
GTEX-14DAQ-0226-SM-664MQ 60-69 years, female 0.5
GTEX-15DCD-0226-SM-6LPKC 70-79 years, female 0.5
GTEX-15ER7-0426-SM-6PAM3 20-29 years, female 0.5
GTEX-16GPK-0226-SM-7DUFI 60-69 years, male 0.5
GTEX-16MT8-0526-SM-6PAM6 60-69 years, female 0.5
GTEX-16MTA-2126-SM-6PALC 50-59 years, male 0.5
GTEX-16XZY-2526-SM-7DHL2 70-79 years, male 0.5
GTEX-18D9U-0726-SM-7LG5J 40-49 years, male 0.5
GTEX-1A3MV-2126-SM-718BV 30-39 years, male 0.5
GTEX-1A3MX-0226-SM-731C4 60-69 years, male 0.5
GTEX-1A8G7-0226-SM-731AS 60-69 years, male 0.5
GTEX-1B8KE-2526-SM-73KYQ 50-59 years, male 0.5
GTEX-1B8SG-0226-SM-7939Q 50-59 years, male 0.5
GTEX-1B933-0526-SM-7EPHM 50-59 years, female 0.5
GTEX-1CB4I-0426-SM-7IGPR 50-59 years, male 0.5
GTEX-OHPK-0226-SM-3MJH6 50-59 years, female 0.5
GTEX-OXRO-0226-SM-3LK6F 60-69 years, female 0.5
GTEX-P44H-0326-SM-2XCES 40-49 years, male 0.5
GTEX-QLQ7-1526-SM-2S1QA 60-69 years, male 0.5
GTEX-QLQW-1226-SM-2S1Q9 30-39 years, male 0.5
GTEX-RM2N-1726-SM-2TF55 50-59 years, male 0.5
GTEX-RTLS-0226-SM-2TF5E 60-69 years, female 0.5
GTEX-SJXC-0226-SM-2XCDU 60-69 years, male 0.5
GTEX-TMZS-0226-SM-3DB9N 60-69 years, male 0.5
GTEX-WI4N-1126-SM-3LK7Q 40-49 years, female 0.5
GTEX-WVJS-0226-SM-4MVOU 50-59 years, male 0.5
GTEX-X4LF-1726-SM-3NMBZ 50-59 years, male 0.5
GTEX-XMD2-0226-SM-4WWEE 60-69 years, female 0.5
GTEX-Y114-2326-SM-4TT7X 50-59 years, female 0.5
GTEX-Y5V5-2426-SM-5IFJA 60-69 years, female 0.5
GTEX-Y5V6-2526-SM-5IFJV 60-69 years, male 0.5
GTEX-Y8E4-0726-SM-4WWFN 40-49 years, male 0.5
GTEX-Y8LW-1926-SM-4WWFZ 50-59 years, female 0.5
GTEX-YFC4-0226-SM-57WD2 40-49 years, female 0.5
GTEX-ZF29-2226-SM-4WWB9 60-69 years, female 0.5
GTEX-ZTSS-2026-SM-5987K 40-49 years, male 0.5
GTEX-ZVT2-2226-SM-5NQ6P 50-59 years, female 0.5
GTEX-ZXG5-0226-SM-59HJI 60-69 years, male 0.5
GTEX-1122O-2026-SM-9YFMG 60-69 years, female 0.5
GTEX-11NUK-0326-SM-5HL5K 50-59 years, male 0.5
GTEX-1CB4E-1826-SM-7RHG8 60-69 years, male 0.5
GTEX-1CB4J-1126-SM-7PBY1 60-69 years, male 0.5
GTEX-1EU9M-0326-SM-7RHGF 60-69 years, male 0.5
GTEX-1GTWX-0226-SM-9YFLL 60-69 years, male 0.5
GTEX-1H1CY-2626-SM-9MQKJ 60-69 years, female 0.5
GTEX-1H2FU-0226-SM-9YFKO 60-69 years, female 0.5
GTEX-1HBPH-0526-SM-9YFMN 40-49 years, female 0.5
GTEX-1HBPI-1426-SM-B2LW7 50-59 years, male 0.5
GTEX-1HBPM-0326-SM-CMKGR 60-69 years, female 0.5
GTEX-1HT8W-0226-SM-CMKGT 30-39 years, male 0.5
GTEX-1J8JJ-0326-SM-CMKG6 60-69 years, female 0.5
GTEX-1LGRB-2426-SM-CNPP3 50-59 years, female 0.5
GTEX-1OFPY-2326-SM-E8VNU 60-69 years, male 0.5
GTEX-1OJC4-1726-SM-EXUSV 50-59 years, female 0.5
GTEX-1PBJI-0426-SM-E8VNM 20-29 years, female 0.5
GTEX-1POEN-0226-SM-EYYXE 30-39 years, female 0.5
GTEX-1PPGY-0326-SM-DTXFD 60-69 years, male 0.5
GTEX-1QAET-1126-SM-E8VML 50-59 years, male 0.5
GTEX-PX3G-0226-SM-DKPOF 20-29 years, female 0.5
GTEX-Q2AH-1726-SM-DIPDV 40-49 years, male 0.5
GTEX-U3ZM-1026-SM-EZ6LD 40-49 years, male 0.5
GTEX-11DZ1-0226-SM-5A5KF 50-59 years, male 0.4
GTEX-11LCK-1126-SM-5A5KC 30-39 years, male 0.4
GTEX-11O72-0226-SM-59869 40-49 years, male 0.4
GTEX-11TTK-0226-SM-5N9EC 60-69 years, female 0.4
GTEX-11UD1-0226-SM-5EQKL 40-49 years, female 0.4
GTEX-12WSC-0226-SM-5EQ52 50-59 years, male 0.4
GTEX-1313W-0226-SM-5LZV7 50-59 years, female 0.4
GTEX-131XF-2226-SM-5EQKG 60-69 years, male 0.4
GTEX-139T4-0126-SM-5HL5G 50-59 years, female 0.4
GTEX-139TU-0226-SM-5J1NM 60-69 years, male 0.4
GTEX-13CF3-2326-SM-5IFGL 60-69 years, female 0.4
GTEX-13OW8-1226-SM-5K7XD 60-69 years, male 0.4
GTEX-13SLW-0226-SM-5S2NA 70-79 years, male 0.4
GTEX-13VXU-0226-SM-5SI9R 50-59 years, male 0.4
GTEX-144GL-0226-SM-5QGOX 50-59 years, male 0.4
GTEX-145LS-0226-SM-5O9A5 60-69 years, female 0.4
GTEX-14BIN-0726-SM-793DQ 50-59 years, female 0.4
GTEX-14E6C-0226-SM-5S2N3 40-49 years, male 0.4
GTEX-15UKP-0526-SM-7KFRO 20-29 years, male 0.4
GTEX-16YQH-0226-SM-6PALD 30-39 years, male 0.4
GTEX-17HGU-0326-SM-7DUER 50-59 years, male 0.4
GTEX-1A3MW-0226-SM-7939O 60-69 years, female 0.4
GTEX-NFK9-0326-SM-3MJGV 40-49 years, male 0.4
GTEX-OOBK-0226-SM-2YUMF 40-49 years, male 0.4
GTEX-OXRL-0226-SM-3NB18 50-59 years, male 0.4
GTEX-P4QT-0226-SM-3LK68 50-59 years, female 0.4
GTEX-PLZ5-1826-SM-3NB22 50-59 years, male 0.4
GTEX-Q2AG-0226-SM-2S1P4 40-49 years, female 0.4
GTEX-Q734-1826-SM-2I3EL 40-49 years, female 0.4
GTEX-QCQG-1826-SM-2S1P2 50-59 years, female 0.4
GTEX-QDT8-0226-SM-32PL4 30-39 years, female 0.4
GTEX-QEL4-0326-SM-3GAE5 50-59 years, male 0.4
GTEX-S32W-2226-SM-2XCAY 50-59 years, female 0.4
GTEX-U412-0526-SM-3DB9I 60-69 years, male 0.4
GTEX-W5X1-2626-SM-4LMI8 40-49 years, female 0.4
GTEX-WFJO-1926-SM-3GILA 30-39 years, male 0.4
GTEX-XBED-2326-SM-47JYR 60-69 years, male 0.4
GTEX-XQ3S-1626-SM-4WAYN 20-29 years, male 0.4
GTEX-Y3I4-2226-SM-4TT7O 50-59 years, male 0.4
GTEX-YEC3-1226-SM-5IFI8 50-59 years, male 0.4
GTEX-YFCO-2026-SM-4W21Q 40-49 years, male 0.4
GTEX-Z93S-0226-SM-5HL7R 50-59 years, male 0.4
GTEX-ZDXO-2426-SM-5S2NJ 60-69 years, male 0.4
GTEX-ZF28-0226-SM-5S2OE 60-69 years, male 0.4
GTEX-ZUA1-0226-SM-5NQ9Q 40-49 years, male 0.4
GTEX-ZVZO-0226-SM-5A5LA 40-49 years, male 0.4
GTEX-1A8FM-0126-SM-7SB7P 50-59 years, female 0.4
GTEX-1A8G6-0526-SM-7PC1E 60-69 years, male 0.4
GTEX-1AYCT-2226-SM-7SB98 50-59 years, male 0.4
GTEX-1F75A-0226-SM-7PC2K 50-59 years, male 0.4
GTEX-1F88E-0526-SM-7SB8J 60-69 years, female 0.4
GTEX-1GMR3-2026-SM-9MQLG 40-49 years, male 0.4
GTEX-1GMRU-0226-SM-9YFLW 50-59 years, male 0.4
GTEX-1GZ2Q-0326-SM-9WG6N 40-49 years, male 0.4
GTEX-1H3VE-0226-SM-9WYST 40-49 years, male 0.4
GTEX-1HCU6-0226-SM-CGQES 60-69 years, female 0.4
GTEX-1HCU8-0726-SM-ADEIR 60-69 years, female 0.4
GTEX-1HFI7-2026-SM-CGQFR 50-59 years, female 0.4
GTEX-1HSMQ-1426-SM-ADEHT 50-59 years, male 0.4
GTEX-1I1GP-2326-SM-CGQFL 50-59 years, male 0.4
GTEX-1I1GR-0226-SM-CMKHQ 60-69 years, male 0.4
GTEX-1I1GS-0226-SM-B2LVX 60-69 years, male 0.4
GTEX-1J8EW-0226-SM-CYPSW 60-69 years, female 0.4
GTEX-1J8Q3-1526-SM-CMKGB 60-69 years, male 0.4
GTEX-1JK1U-2126-SM-CNPOU 60-69 years, male 0.4
GTEX-1JKYR-0226-SM-CNPOK 20-29 years, male 0.4
GTEX-1MA7X-2126-SM-E6CIX 60-69 years, male 0.4
GTEX-1MJK2-0526-SM-DTXE6 50-59 years, male 0.4
GTEX-1PDJ9-0426-SM-E9J3E 20-29 years, male 0.4
GTEX-1QP2A-0226-SM-EVYBC 50-59 years, male 0.4
GTEX-1S5ZU-0226-SM-E6CHW 20-29 years, female 0.4
GTEX-QEG4-0326-SM-DIPE3 30-39 years, male 0.4
GTEX-XOT4-0226-SM-4B66Z 60-69 years, female 0.4
GTEX-111VG-2326-SM-5N9BK 60-69 years, male 0.3
GTEX-11GS4-2626-SM-5A5LD 60-69 years, male 0.3
GTEX-1211K-2226-SM-5FQU6 60-69 years, female 0.3
GTEX-1269C-2726-SM-5EGJ4 60-69 years, female 0.3
GTEX-12WSD-0226-SM-59HKO 60-69 years, female 0.3
GTEX-12WSL-2426-SM-5GCN7 50-59 years, male 0.3
GTEX-12WSM-0226-SM-5LZV6 60-69 years, male 0.3
GTEX-12ZZZ-0526-SM-5DUX6 60-69 years, male 0.3
GTEX-131XW-0526-SM-5PNXZ 50-59 years, female 0.3
GTEX-131YS-0226-SM-5IJEH 60-69 years, female 0.3
GTEX-132AR-0226-SM-5IJBE 50-59 years, female 0.3
GTEX-13FTY-0626-SM-5L3F8 40-49 years, female 0.3
GTEX-13N2G-2726-SM-5J1MG 60-69 years, male 0.3
GTEX-13NZ8-0926-SM-5MR3U 60-69 years, female 0.3
GTEX-13SLX-0426-SM-5QGRC 50-59 years, female 0.3
GTEX-13X6J-0226-SM-7EPGC 50-59 years, male 0.3
GTEX-145MG-0126-SM-5TDDA 50-59 years, male 0.3
GTEX-146FH-0226-SM-5QGPQ 50-59 years, female 0.3
GTEX-147GR-0426-SM-5S2OL 60-69 years, male 0.3
GTEX-14A5H-0526-SM-5TDCN 60-69 years, male 0.3
GTEX-14E6E-1926-SM-664N4 30-39 years, male 0.3
GTEX-14JG1-0526-SM-6LLHW 40-49 years, male 0.3
GTEX-14JIY-0526-SM-62LFH 60-69 years, male 0.3
GTEX-14PII-0326-SM-6LLIQ 60-69 years, male 0.3
GTEX-14PJ4-2226-SM-6LLIS 60-69 years, male 0.3
GTEX-14PK6-2026-SM-6LLHP 70-79 years, female 0.3
GTEX-17MF6-0226-SM-7LG4G 40-49 years, male 0.3
GTEX-18A6Q-0226-SM-718AS 60-69 years, male 0.3
GTEX-1AX9J-0326-SM-73KXY 60-69 years, male 0.3
GTEX-1E1VI-0226-SM-793CZ 50-59 years, male 0.3
GTEX-1EWIQ-0226-SM-793D3 70-79 years, female 0.3
GTEX-P4PQ-0226-SM-2S1NK 60-69 years, male 0.3
GTEX-WL46-0326-SM-3LK6Y 50-59 years, male 0.3
GTEX-X8HC-0226-SM-4E3K1 50-59 years, female 0.3
GTEX-Y111-0226-SM-4SOIW 50-59 years, male 0.3
GTEX-ZAK1-0226-SM-5CVMX 50-59 years, female 0.3
GTEX-ZF3C-0226-SM-4WWB3 50-59 years, female 0.3
GTEX-ZYVF-0226-SM-5GIEG 50-59 years, female 0.3
GTEX-1EMGI-0226-SM-9MQL1 60-69 years, male 0.3
GTEX-1EX96-1426-SM-7PBZ5 50-59 years, male 0.3
GTEX-1GF9X-1926-SM-ADEIC 40-49 years, female 0.3
GTEX-1GZ4I-0226-SM-7RHHO 50-59 years, male 0.3
GTEX-1H4P4-0226-SM-9YFKT 50-59 years, male 0.3
GTEX-1HR98-0226-SM-CGQEK 60-69 years, male 0.3
GTEX-1I1GU-2326-SM-CGQFB 40-49 years, male 0.3
GTEX-1I1GV-0426-SM-ARZLX 60-69 years, male 0.3
GTEX-1ICLZ-0226-SM-CKZPP 60-69 years, male 0.3
GTEX-1IDFM-0226-SM-CMKFX 60-69 years, male 0.3
GTEX-1JJE9-1226-SM-CNPOI 70-79 years, male 0.3
GTEX-1JMLX-0126-SM-CMKG9 50-59 years, male 0.3
GTEX-1JMQK-0126-SM-CM2S3 60-69 years, male 0.3
GTEX-1JN1M-0126-SM-D4P23 60-69 years, female 0.3
GTEX-1KD5A-0326-SM-D5OVD 50-59 years, male 0.3
GTEX-1KXAM-2326-SM-CYPTD 60-69 years, male 0.3
GTEX-1QEPI-0226-SM-EWRMR 60-69 years, female 0.3
GTEX-1R46S-0526-SM-EVYBZ 60-69 years, female 0.3
GTEX-1RDX4-0226-SM-DTXG1 50-59 years, female 0.3
GTEX-OIZG-0826-SM-E9TI4 50-59 years, male 0.3
GTEX-POMQ-2326-SM-DHXIS 20-29 years, female 0.3
GTEX-R3RS-0226-SM-EYYVE 40-49 years, female 0.3
GTEX-111FC-0226-SM-5N9B8 60-69 years, male 0.2
GTEX-11PRG-0626-SM-5BC56 50-59 years, male 0.2
GTEX-11TT1-2426-SM-5EQMK 20-29 years, male 0.2
GTEX-1399T-2726-SM-5K7XK 60-69 years, male 0.2
GTEX-13JVG-0226-SM-5J1MW 60-69 years, male 0.2
GTEX-13S7M-0226-SM-5S2UG 60-69 years, female 0.2
GTEX-145MF-0526-SM-5LUA6 50-59 years, male 0.2
GTEX-14E6D-0226-SM-62LDW 50-59 years, male 0.2
GTEX-14PJ6-2226-SM-6LLIV 60-69 years, female 0.2
GTEX-15DDE-0226-SM-6LLJ6 50-59 years, female 0.2
GTEX-17HG3-2326-SM-79OKH 30-39 years, female 0.2
GTEX-183WM-0226-SM-7LT8T 70-79 years, female 0.2
GTEX-1A32A-0226-SM-718B2 50-59 years, female 0.2
GTEX-1AMFI-2126-SM-731BT 50-59 years, female 0.2
GTEX-OIZH-0226-SM-2YUMH 50-59 years, male 0.2
GTEX-PSDG-0326-SM-48TCP 50-59 years, male 0.2
GTEX-RU72-1026-SM-46MUG 50-59 years, female 0.2
GTEX-SN8G-0226-SM-4DM6B 50-59 years, female 0.2
GTEX-SSA3-0226-SM-32QPN 60-69 years, male 0.2
GTEX-VJYA-1326-SM-3GIJC 60-69 years, male 0.2
GTEX-WVLH-0226-SM-3MJG6 50-59 years, male 0.2
GTEX-XAJ8-0926-SM-47JXZ 40-49 years, male 0.2
GTEX-ZE9C-2826-SM-5S2MO 60-69 years, male 0.2
GTEX-ZEX8-2326-SM-5S2MN 50-59 years, male 0.2
GTEX-ZV68-0226-SM-59HJF 50-59 years, female 0.2
GTEX-ZYFD-0226-SM-5NQ86 50-59 years, male 0.2
GTEX-11DXX-2326-SM-9YFKS 60-69 years, female 0.2
GTEX-1AX9I-0226-SM-7SB75 60-69 years, male 0.2
GTEX-1C6VQ-0226-SM-7P8S5 50-59 years, male 0.2
GTEX-1CAMQ-0126-SM-7SB7S 40-49 years, male 0.2
GTEX-1CB4G-0326-SM-7SB8R 60-69 years, male 0.2
GTEX-1GN2E-0326-SM-COH3C 60-69 years, male 0.2
GTEX-1H1DE-2026-SM-9WG6Q 20-29 years, male 0.2
GTEX-1H3O1-0526-SM-9MQLS 60-69 years, male 0.2
GTEX-1HSMO-0226-SM-CGQEZ 60-69 years, male 0.2
GTEX-1I1CD-0226-SM-CM2TL 60-69 years, female 0.2
GTEX-1IL2V-0226-SM-CMKI2 70-79 years, male 0.2
GTEX-1IOXB-0226-SM-CMKHY 50-59 years, male 0.2
GTEX-1J1OQ-0326-SM-CYPTJ 40-49 years, female 0.2
GTEX-1JMQL-0326-SM-CNPP6 50-59 years, female 0.2
GTEX-1LB8K-0326-SM-E9TJC 50-59 years, male 0.2
GTEX-1LG7Y-0426-SM-DKPQB 50-59 years, male 0.2
GTEX-1LVA9-0226-SM-E9U5N 50-59 years, male 0.2
GTEX-1MUQO-0526-SM-E9J31 60-69 years, male 0.2
GTEX-1R7EU-0326-SM-EWRNJ 60-69 years, male 0.2
GTEX-1R9PM-2126-SM-E8VOB 20-29 years, male 0.2
GTEX-R45C-0226-SM-EVYAJ 60-69 years, female 0.2
GTEX-VUSH-0226-SM-EXUQV 30-39 years, male 0.2
GTEX-WYJK-0226-SM-EYYV8 50-59 years, male 0.2
GTEX-11ZU8-2426-SM-5EQMV 60-69 years, male 0.1
GTEX-139T8-0226-SM-5L3EA 60-69 years, male 0.1
GTEX-13NZ9-0526-SM-5J1OX 50-59 years, male 0.1
GTEX-144GO-1626-SM-7EPG5 60-69 years, male 0.1
GTEX-145MI-0426-SM-5O99V 60-69 years, female 0.1
GTEX-14753-0326-SM-5QGQB 60-69 years, male 0.1
GTEX-148VI-1726-SM-5S2W9 60-69 years, female 0.1
GTEX-14ICL-2026-SM-62LDN 30-39 years, male 0.1
GTEX-16NPX-0326-SM-7EWDI 50-59 years, male 0.1
GTEX-17EVP-0426-SM-79OKG 40-49 years, male 0.1
GTEX-1B8SF-0526-SM-7939F 60-69 years, male 0.1
GTEX-1C6VS-0426-SM-79OJV 60-69 years, male 0.1
GTEX-POYW-0726-SM-2XCEO 60-69 years, male 0.1
GTEX-X261-0226-SM-3NMD2 50-59 years, male 0.1
GTEX-16XZZ-0226-SM-7MGVJ 60-69 years, male 0.1
GTEX-1F52S-0226-SM-7SB7U 60-69 years, female 0.1
GTEX-1F75I-0426-SM-7PC3S 40-49 years, male 0.1
GTEX-1F75W-0226-SM-9JGGP 60-69 years, male 0.1
GTEX-1IKJJ-0226-SM-COH3T 60-69 years, male 0.1
GTEX-1M5QR-2126-SM-DKPQM 40-49 years, male 0.1
GTEX-1QP6S-0126-SM-E9J4K 40-49 years, male 0.1
GTEX-RNOR-0226-SM-EZ6MF 50-59 years, female 0.1
GTEX-RUSQ-1626-SM-EZ6L4 50-59 years, male 0.1
GTEX-ZE7O-0226-SM-5S2N1 50-59 years, female 0.0
GTEX-1H1DF-0226-SM-ARL9A 40-49 years, female 0.0
GTEX-1JN6P-0226-SM-COH34 60-69 years, male 0.0
GTEX-VJWN-0226-SM-EZ6LF 50-59 years, female 0.0
Show allShow less
Adipose - Visceral (Omentum)
Average nTPM: 0.9
Samples: 541

Max nTPM: 7.6
Min nTPM: 0.0
Std nTPM: 0.8
Median nTPM: 0.6
GTEX-18A66-1926-SM-7LTAG 60-69 years, male 7.6
GTEX-1K2DA-1126-SM-CGQGG 50-59 years, male 5.4
GTEX-11P82-0326-SM-5HL51 20-29 years, male 4.1
GTEX-1HC8U-0926-SM-A9G3L 40-49 years, female 4.0
GTEX-145LV-1026-SM-5O9AE 50-59 years, male 3.9
GTEX-1H1DE-0826-SM-ARU8V 20-29 years, male 3.8
GTEX-1OJC3-1326-SM-E9J3D 20-29 years, male 3.8
GTEX-1PFEY-0726-SM-E76PO 30-39 years, male 3.8
GTEX-1RNTQ-0826-SM-E9TK8 20-29 years, female 3.6
GTEX-ZLWG-0726-SM-5S2N4 50-59 years, female 3.6
GTEX-1R7EV-1026-SM-DTX81 40-49 years, male 3.5
GTEX-1CAMS-0926-SM-7SB7F 40-49 years, female 3.3
GTEX-1GMR2-0226-SM-9JGHO 50-59 years, male 3.3
GTEX-1399S-1426-SM-5PNYQ 30-39 years, female 3.2
GTEX-14E1K-0426-SM-5S2PF 50-59 years, male 3.2
GTEX-ZYFG-1426-SM-5GICS 60-69 years, female 3.2
GTEX-1GPI7-0826-SM-9JGG7 20-29 years, male 3.2
GTEX-1LGOU-0826-SM-DHXKL 20-29 years, female 3.2
GTEX-13111-0626-SM-5LZVR 50-59 years, male 3.1
GTEX-14BMU-0626-SM-73KZ6 20-29 years, female 3.1
GTEX-14ICK-1726-SM-6AJA5 40-49 years, male 3.0
GTEX-1MA7W-0526-SM-E6CIN 20-29 years, female 3.0
GTEX-13O21-3126-SM-5J1OI 50-59 years, male 2.9
GTEX-Y5LM-0826-SM-4VDSW 40-49 years, female 2.9
GTEX-ZA64-0926-SM-5HL7H 20-29 years, male 2.9
GTEX-1122O-0926-SM-9YFLC 60-69 years, female 2.9
GTEX-1HSEH-1326-SM-ADEI1 60-69 years, male 2.8
GTEX-1MJK3-0626-SM-E6CJB 20-29 years, male 2.8
GTEX-ZZ64-0626-SM-5GZWR 20-29 years, male 2.7
GTEX-1QP66-0626-SM-E76PD 50-59 years, male 2.7
GTEX-1211K-1226-SM-5EQ4N 60-69 years, female 2.6
GTEX-1339X-0726-SM-5L3FF 40-49 years, male 2.6
GTEX-1JMLX-1026-SM-D3L8U 50-59 years, male 2.6
GTEX-1OKEX-0926-SM-E8VNJ 60-69 years, male 2.6
GTEX-139D8-1626-SM-5IJFZ 30-39 years, female 2.5
GTEX-WH7G-1126-SM-3NMBK 40-49 years, male 2.5
GTEX-ZF2S-1526-SM-5S2OO 50-59 years, female 2.5
GTEX-1JKYR-1226-SM-CM2S7 20-29 years, male 2.5
GTEX-139YR-0326-SM-5J1MC 50-59 years, male 2.4
GTEX-16NGA-0526-SM-731AJ 40-49 years, female 2.4
GTEX-17F9E-1326-SM-7DHL4 50-59 years, male 2.4
GTEX-17HHE-1526-SM-793AS 50-59 years, male 2.4
GTEX-1ICG6-1726-SM-ARU7K 70-79 years, female 2.4
GTEX-1LSNM-0626-SM-DIPG7 50-59 years, male 2.4
GTEX-13CF3-1126-SM-5LZXB 60-69 years, female 2.3
GTEX-13RTK-0726-SM-5Q5EN 20-29 years, male 2.3
GTEX-14PHX-1626-SM-69LQB 50-59 years, male 2.3
GTEX-XV7Q-1726-SM-4BRUU 40-49 years, female 2.3
GTEX-1399U-2026-SM-9WPNN 50-59 years, female 2.3
GTEX-1N2DV-0626-SM-E9U5H 40-49 years, male 2.3
GTEX-111YS-1326-SM-5EGGK 60-69 years, male 2.2
GTEX-11I78-0226-SM-5HL6R 50-59 years, female 2.2
GTEX-12C56-0826-SM-5EGJ5 20-29 years, male 2.2
GTEX-ZP4G-1326-SM-5EGIW 20-29 years, female 2.2
GTEX-1HSMQ-1026-SM-ADEHU 50-59 years, male 2.2
GTEX-1POEN-1626-SM-EVYC2 30-39 years, female 2.2
GTEX-1QW4Y-0826-SM-DTXE1 30-39 years, male 2.2
GTEX-13FTX-0626-SM-5J2NS 20-29 years, female 2.1
GTEX-13QBU-1326-SM-5LU4K 40-49 years, female 2.1
GTEX-WEY5-1326-SM-3GILS 40-49 years, female 2.1
GTEX-WRHK-0826-SM-3MJFG 20-29 years, female 2.1
GTEX-13FH7-1926-SM-5J2OL 50-59 years, female 2.0
GTEX-14JG6-0526-SM-6LLIH 30-39 years, female 2.0
GTEX-14PJ5-0426-SM-5ZZW2 60-69 years, female 2.0
GTEX-17F98-0326-SM-7DHLH 40-49 years, female 2.0
GTEX-18D9B-1726-SM-7LTAP 60-69 years, male 2.0
GTEX-1C2JI-0826-SM-7EPHB 50-59 years, male 2.0
GTEX-ZXES-0926-SM-5E43O 30-39 years, female 2.0
GTEX-1H23P-1726-SM-A9SMN 60-69 years, male 2.0
GTEX-1HCU8-1126-SM-CM2SA 60-69 years, female 2.0
GTEX-111CU-1026-SM-5EGIL 50-59 years, male 1.9
GTEX-13VXT-0926-SM-5LU5K 20-29 years, female 1.9
GTEX-14PJO-1626-SM-69LPQ 60-69 years, male 1.9
GTEX-W5X1-1426-SM-3GIKH 40-49 years, female 1.9
GTEX-Z9EW-0826-SM-5HL9T 40-49 years, male 1.9
GTEX-ZQG8-1026-SM-51MR9 60-69 years, female 1.9
GTEX-1LSNL-1426-SM-E6CJ9 50-59 years, male 1.9
GTEX-1QP28-0926-SM-EVR4D 50-59 years, female 1.9
GTEX-14PN3-0326-SM-6EU1X 60-69 years, female 1.8
GTEX-14PN4-1426-SM-6LLJ4 50-59 years, male 1.8
GTEX-1CAMR-0326-SM-793AH 20-29 years, male 1.8
GTEX-XGQ4-1026-SM-4AT4L 50-59 years, male 1.8
GTEX-Y8LW-0926-SM-4VBQ8 50-59 years, female 1.8
GTEX-ZLV1-0926-SM-5S2MR 60-69 years, female 1.8
GTEX-1PIGE-1226-SM-EVR3Q 20-29 years, male 1.8
GTEX-1QP67-1126-SM-EAZ4C 40-49 years, female 1.8
GTEX-11P81-0726-SM-5PNYH 30-39 years, female 1.7
GTEX-132QS-0826-SM-5K7WV 60-69 years, male 1.7
GTEX-145LT-1526-SM-5O98P 40-49 years, male 1.7
GTEX-WHWD-0826-SM-3LK6R 50-59 years, male 1.7
GTEX-ZV6S-1626-SM-5NQ81 40-49 years, female 1.7
GTEX-1RAZA-0926-SM-E6CQ8 20-29 years, male 1.7
GTEX-1RAZR-1026-SM-E8VOJ 40-49 years, male 1.7
GTEX-133LE-0926-SM-5P9J1 20-29 years, female 1.6
GTEX-1I6K7-1826-SM-CGQFO 40-49 years, male 1.6
GTEX-1S82P-0926-SM-EWRNP 60-69 years, female 1.6
GTEX-11EQ9-1126-SM-5987I 30-39 years, male 1.5
GTEX-14PKU-0226-SM-6EU16 40-49 years, female 1.5
GTEX-15EU6-1726-SM-6M48H 50-59 years, male 1.5
GTEX-1CB4F-1126-SM-79OLG 60-69 years, male 1.5
GTEX-XMK1-0926-SM-4B66X 40-49 years, male 1.5
GTEX-ZPIC-0726-SM-57WFM 40-49 years, female 1.5
GTEX-1L5NE-1726-SM-DHXKX 50-59 years, male 1.5
GTEX-13D11-0526-SM-5LZYM 50-59 years, female 1.4
GTEX-13X6H-1726-SM-5Q5EH 50-59 years, female 1.4
GTEX-14AS3-0426-SM-5QGQK 40-49 years, female 1.4
GTEX-14PJ2-1426-SM-62LFF 50-59 years, male 1.4
GTEX-Y111-0926-SM-4SOIU 50-59 years, male 1.4
GTEX-ZTSS-1026-SM-5985N 40-49 years, male 1.4
GTEX-1HCUA-0926-SM-ADEIX 50-59 years, female 1.4
GTEX-1I6K6-1526-SM-CGQFC 30-39 years, male 1.4
GTEX-1K9T9-1626-SM-DIPFS 50-59 years, female 1.4
GTEX-1KWVE-0226-SM-E9TKK 30-39 years, male 1.4
GTEX-1QP29-1626-SM-EXUSZ 50-59 years, male 1.4
GTEX-1313W-1626-SM-5J1OE 50-59 years, female 1.3
GTEX-13G51-0526-SM-5IJCQ 60-69 years, male 1.3
GTEX-145MF-1026-SM-5Q5EQ 50-59 years, male 1.3
GTEX-14DAQ-2526-SM-5RQIO 60-69 years, female 1.3
GTEX-14E6E-0226-SM-7DUEF 30-39 years, male 1.3
GTEX-17GQL-0826-SM-731AM 60-69 years, male 1.3
GTEX-XXEK-1426-SM-4BRW1 50-59 years, male 1.3
GTEX-ZQUD-0526-SM-57WG4 30-39 years, male 1.3
GTEX-ZT9W-1026-SM-57WG5 50-59 years, male 1.3
GTEX-ZVP2-0226-SM-57WBD 50-59 years, male 1.3
GTEX-1KANA-1426-SM-CY8IF 20-29 years, male 1.3
GTEX-1RAZQ-1526-SM-E6CJI 30-39 years, male 1.3
GTEX-11TT1-1926-SM-5PNYN 20-29 years, male 1.2
GTEX-13PVQ-2226-SM-5L3G9 50-59 years, male 1.2
GTEX-14BIM-1626-SM-7EWD2 60-69 years, female 1.2
GTEX-14BMV-1626-SM-73KVQ 50-59 years, male 1.2
GTEX-15DYW-1526-SM-7KUEP 60-69 years, female 1.2
GTEX-18465-1826-SM-731BB 50-59 years, male 1.2
GTEX-18A67-1326-SM-7LT8V 50-59 years, male 1.2
GTEX-1B97I-0526-SM-73KXE 40-49 years, male 1.2
GTEX-WHPG-0626-SM-3NMBD 50-59 years, male 1.2
GTEX-XYKS-1826-SM-4E3JV 60-69 years, female 1.2
GTEX-ZF28-1426-SM-5S2OG 60-69 years, male 1.2
GTEX-ZVE2-1826-SM-51MRZ 50-59 years, male 1.2
GTEX-1H1E6-1126-SM-9JGGV 30-39 years, male 1.2
GTEX-1HBPH-2226-SM-9WYSO 40-49 years, female 1.2
GTEX-1HR9M-1426-SM-A9SMB 60-69 years, male 1.2
GTEX-1IDJF-1726-SM-A9SLL 20-29 years, male 1.2
GTEX-1JN76-1026-SM-ARZNI 20-29 years, female 1.2
GTEX-1LH75-1026-SM-EWROK 50-59 years, female 1.2
GTEX-1MCC2-0626-SM-DKPQI 30-39 years, female 1.2
GTEX-1OFPY-0826-SM-DTX8P 60-69 years, male 1.2
GTEX-1RQEC-2526-SM-EVYD2 60-69 years, male 1.2
GTEX-1S3DN-1626-SM-EVYCC 50-59 years, male 1.2
GTEX-1S5ZA-1026-SM-EWRO2 20-29 years, male 1.2
GTEX-12696-1826-SM-5EGJS 60-69 years, male 1.1
GTEX-146FH-2026-SM-5SI9I 50-59 years, female 1.1
GTEX-14PJ3-0726-SM-69LQE 50-59 years, male 1.1
GTEX-16BQI-1126-SM-7KULF 30-39 years, female 1.1
GTEX-16MTA-1326-SM-6PALX 50-59 years, male 1.1
GTEX-178AV-0626-SM-6PAM1 40-49 years, male 1.1
GTEX-17HGU-1726-SM-79OKM 50-59 years, male 1.1
GTEX-18A7A-0926-SM-7LT8H 50-59 years, female 1.1
GTEX-18D9U-0426-SM-731AN 40-49 years, male 1.1
GTEX-1AMFI-1026-SM-73KYM 50-59 years, female 1.1
GTEX-1B8KE-0826-SM-72D6S 50-59 years, male 1.1
GTEX-1B8SG-1426-SM-7EWEM 50-59 years, male 1.1
GTEX-1CB4E-0826-SM-793CS 60-69 years, male 1.1
GTEX-WWTW-1326-SM-4MVNT 50-59 years, male 1.1
GTEX-ZDTS-1826-SM-5S2N6 60-69 years, male 1.1
GTEX-ZDTT-0526-SM-5HL4M 60-69 years, male 1.1
GTEX-ZTPG-2326-SM-57WFL 20-29 years, female 1.1
GTEX-1CB4I-0826-SM-7MGX1 50-59 years, male 1.1
GTEX-1GF9W-1026-SM-7SB8X 60-69 years, male 1.1
GTEX-1H1ZS-1326-SM-9WG74 70-79 years, male 1.1
GTEX-1HCU7-2026-SM-A9G2B 50-59 years, male 1.1
GTEX-1HGF4-0226-SM-CNNQL 60-69 years, male 1.1
GTEX-1J1R8-0526-SM-ACKWO 40-49 years, male 1.1
GTEX-1LVAN-0926-SM-CNNQ2 50-59 years, female 1.1
GTEX-1PPH8-1026-SM-DPRXN 20-29 years, male 1.1
GTEX-1212Z-0526-SM-5FQSQ 60-69 years, male 1.0
GTEX-12ZZX-1726-SM-5BC63 40-49 years, female 1.0
GTEX-13113-1126-SM-5LZU9 60-69 years, female 1.0
GTEX-131YS-1726-SM-5HL7G 60-69 years, female 1.0
GTEX-132AR-0526-SM-5J2MJ 50-59 years, female 1.0
GTEX-132NY-1126-SM-5PNVE 60-69 years, male 1.0
GTEX-13FHO-2026-SM-5J1OA 60-69 years, male 1.0
GTEX-13FTW-0426-SM-5K7X2 40-49 years, male 1.0
GTEX-13N1W-1226-SM-5K7UM 70-79 years, male 1.0
GTEX-13O61-1926-SM-5KM1R 60-69 years, male 1.0
GTEX-145LU-1226-SM-5LU9B 50-59 years, male 1.0
GTEX-15CHC-0826-SM-686YW 60-69 years, female 1.0
GTEX-17F9Y-0726-SM-7LT9G 70-79 years, female 1.0
GTEX-1EU9M-1126-SM-793DE 60-69 years, male 1.0
GTEX-VUSG-1426-SM-3GIJN 50-59 years, male 1.0
GTEX-XBEW-1726-SM-4RGMA 40-49 years, male 1.0
GTEX-ZYFC-1826-SM-5GZZA 50-59 years, male 1.0
GTEX-1HFI7-0726-SM-ACKVN 50-59 years, female 1.0
GTEX-1I1GU-0626-SM-CMKHR 40-49 years, male 1.0
GTEX-1IKK5-0826-SM-ACKWN 60-69 years, male 1.0
GTEX-1LGRB-0526-SM-COH3A 50-59 years, female 1.0
GTEX-11LCK-0326-SM-5A5M7 30-39 years, male 0.9
GTEX-12BJ1-0826-SM-5EQ5P 60-69 years, male 0.9
GTEX-131XE-2026-SM-5LZW1 50-59 years, male 0.9
GTEX-131XG-0126-SM-5K7UJ 50-59 years, female 0.9
GTEX-13O3Q-1126-SM-5K7YK 50-59 years, male 0.9
GTEX-144GM-0626-SM-79OKY 20-29 years, male 0.9
GTEX-15ER7-1026-SM-7KUMD 20-29 years, female 0.9
GTEX-WFON-1226-SM-3TW8F 40-49 years, male 0.9
GTEX-WXYG-0926-SM-3NB2O 50-59 years, female 0.9
GTEX-YFCO-1126-SM-5S2N9 40-49 years, male 0.9
GTEX-ZPU1-1226-SM-5HL71 40-49 years, male 0.9
GTEX-ZYT6-2126-SM-5GZZ4 30-39 years, male 0.9
GTEX-1GZ2Q-1226-SM-9MQM8 40-49 years, male 0.9
GTEX-1HBPI-1826-SM-ADEHE 50-59 years, male 0.9
GTEX-1HT8W-0726-SM-A9SLB 30-39 years, male 0.9
GTEX-1IL2U-2726-SM-C1YSG 60-69 years, male 0.9
GTEX-1LBAC-1026-SM-CXKYA 20-29 years, male 0.9
GTEX-1MUQO-0826-SM-EVYCZ 60-69 years, male 0.9
GTEX-1RMOY-0826-SM-E9TIF 50-59 years, male 0.9
GTEX-1117F-1326-SM-5EGHH 60-69 years, female 0.8
GTEX-117YX-0726-SM-5GIET 50-59 years, male 0.8
GTEX-11EM3-1126-SM-5A5KM 20-29 years, female 0.8
GTEX-12584-2126-SM-5FQUM 40-49 years, male 0.8
GTEX-12KS4-1526-SM-5EQ6E 30-39 years, male 0.8
GTEX-12ZZW-2326-SM-5DUW2 50-59 years, male 0.8
GTEX-13112-1126-SM-5GCMY 50-59 years, male 0.8
GTEX-132Q8-1726-SM-5EGK8 60-69 years, male 0.8
GTEX-13OVG-1326-SM-5K7Y3 60-69 years, male 0.8
GTEX-13PL7-1226-SM-5SIAR 60-69 years, female 0.8
GTEX-13X6K-0726-SM-5LU2Z 60-69 years, female 0.8
GTEX-15EOM-2326-SM-7KUMV 20-29 years, female 0.8
GTEX-17MF6-1326-SM-79ONE 40-49 years, male 0.8
GTEX-1CB4G-2126-SM-7IGQ8 60-69 years, male 0.8
GTEX-XOT4-0826-SM-4B66Y 60-69 years, female 0.8
GTEX-YEC4-0926-SM-5PNXY 40-49 years, male 0.8
GTEX-ZV7C-0826-SM-59HK8 50-59 years, male 0.8
GTEX-1C475-0326-SM-7SB8O 40-49 years, female 0.8
GTEX-1GF9U-1226-SM-ARL9I 40-49 years, female 0.8
GTEX-1H2FU-1426-SM-9WPO6 60-69 years, female 0.8
GTEX-1KANB-2426-SM-EV7BE 50-59 years, male 0.8
GTEX-1LKK1-1526-SM-EVYCO 50-59 years, female 0.8
GTEX-1QCLY-1226-SM-EVYC3 30-39 years, male 0.8
GTEX-ZF29-0826-SM-5S2O2 60-69 years, female 0.8
GTEX-11ZUS-1826-SM-5FQTR 30-39 years, male 0.7
GTEX-13NZB-0826-SM-5K7X5 30-39 years, male 0.7
GTEX-13OVK-0326-SM-7KUEJ 40-49 years, male 0.7
GTEX-13OW7-1126-SM-5K7V6 50-59 years, male 0.7
GTEX-13OW8-0326-SM-5L3FB 60-69 years, male 0.7
GTEX-13PVR-0526-SM-5S2OB 60-69 years, female 0.7
GTEX-146FR-0226-SM-5Q5F6 60-69 years, female 0.7
GTEX-14BIN-1226-SM-5S2OM 50-59 years, female 0.7
GTEX-14E7W-2326-SM-69LQC 70-79 years, male 0.7
GTEX-14PHY-1026-SM-62LEV 60-69 years, female 0.7
GTEX-14PJN-0626-SM-6EU13 30-39 years, male 0.7
GTEX-14PK6-0926-SM-62LF4 70-79 years, female 0.7
GTEX-17MFQ-1126-SM-7LT9O 20-29 years, male 0.7
GTEX-1AMEY-0526-SM-72D62 30-39 years, female 0.7
GTEX-1AX9K-0926-SM-7939G 50-59 years, male 0.7
GTEX-1AYD5-0126-SM-7DUG5 50-59 years, male 0.7
GTEX-1B932-1726-SM-793A5 40-49 years, female 0.7
GTEX-U8XE-1926-SM-3DB98 30-39 years, male 0.7
GTEX-Y5V5-0226-SM-5S2N8 60-69 years, female 0.7
GTEX-ZF3C-1026-SM-5S2OC 50-59 years, female 0.7
GTEX-ZG7Y-1626-SM-5S2NO 50-59 years, male 0.7
GTEX-1F75B-1226-SM-7MXTW 50-59 years, male 0.7
GTEX-1GL5R-0726-SM-9MQL5 50-59 years, male 0.7
GTEX-1GN1U-0726-SM-9MQKL 50-59 years, female 0.7
GTEX-1HCU6-1626-SM-CMKGW 60-69 years, female 0.7
GTEX-1HSMO-1426-SM-CNNQN 60-69 years, male 0.7
GTEX-1IDJC-0226-SM-CMKG2 50-59 years, male 0.7
GTEX-1IDJI-0926-SM-ACKWZ 50-59 years, female 0.7
GTEX-1JJ6O-2826-SM-CNNP7 60-69 years, male 0.7
GTEX-1QPFJ-2126-SM-EXOJV 30-39 years, female 0.7
GTEX-Y3I4-0726-SM-E9J3Y 50-59 years, male 0.7
GTEX-12WSL-1126-SM-5CVNK 50-59 years, male 0.6
GTEX-12WSM-0626-SM-5GCOK 60-69 years, male 0.6
GTEX-131XH-0826-SM-5GCN8 50-59 years, male 0.6
GTEX-139T6-0526-SM-5IJC9 50-59 years, male 0.6
GTEX-13VXU-1026-SM-5KLZE 50-59 years, male 0.6
GTEX-13X6I-1526-SM-5SIAC 60-69 years, male 0.6
GTEX-144GN-0726-SM-5O98O 50-59 years, male 0.6
GTEX-14JIY-1426-SM-6EU29 60-69 years, male 0.6
GTEX-14PJ4-0126-SM-62LEZ 60-69 years, male 0.6
GTEX-15UKP-1426-SM-7KUDX 20-29 years, male 0.6
GTEX-169BO-0426-SM-7EPI1 50-59 years, male 0.6
GTEX-17HHY-1026-SM-7LG5E 50-59 years, male 0.6
GTEX-18QFQ-1326-SM-731CF 30-39 years, male 0.6
GTEX-1A3MX-0826-SM-72D64 60-69 years, male 0.6
GTEX-1AYCT-1126-SM-79OO8 50-59 years, male 0.6
GTEX-1B933-1326-SM-7939U 50-59 years, female 0.6
GTEX-1B996-1226-SM-73KWZ 60-69 years, male 0.6
GTEX-1BAJH-2126-SM-7EWFB 70-79 years, male 0.6
GTEX-WK11-2426-SM-3NMAA 50-59 years, male 0.6
GTEX-XAJ8-0226-SM-4GIB2 40-49 years, male 0.6
GTEX-XQ8I-1426-SM-4BOPW 50-59 years, male 0.6
GTEX-Y114-1326-SM-4TT9A 50-59 years, female 0.6
GTEX-YJ89-1926-SM-5IFJ6 60-69 years, male 0.6
GTEX-ZAJG-1626-SM-5HL7I 50-59 years, female 0.6
GTEX-ZTX8-0726-SM-59HL9 20-29 years, male 0.6
GTEX-ZVT2-0226-SM-5GIE3 50-59 years, female 0.6
GTEX-ZXG5-1626-SM-59HJK 60-69 years, male 0.6
GTEX-ZYVF-1026-SM-5E44V 50-59 years, female 0.6
GTEX-1A8FM-2126-SM-7PC27 50-59 years, female 0.6
GTEX-1C64N-1326-SM-7SB7D 50-59 years, male 0.6
GTEX-1E1VI-1826-SM-9WG5J 50-59 years, male 0.6
GTEX-1HBPN-1526-SM-9WYSB 50-59 years, male 0.6
GTEX-1HUB1-1526-SM-CGQF6 60-69 years, male 0.6
GTEX-1I1GT-1326-SM-ACKWB 60-69 years, female 0.6
GTEX-1I4MK-0726-SM-ACKWC 50-59 years, female 0.6
GTEX-1ICLY-1426-SM-CJI48 50-59 years, male 0.6
GTEX-1IDJD-0926-SM-ACKWW 30-39 years, male 0.6
GTEX-1IDJU-0926-SM-ARL88 60-69 years, female 0.6
GTEX-1IKOE-1726-SM-CNNQ6 30-39 years, female 0.6
GTEX-1IY9M-1226-SM-ACKX1 60-69 years, male 0.6
GTEX-1R9K4-1426-SM-DPRY4 60-69 years, male 0.6
GTEX-XPVG-1626-SM-EYYVK 50-59 years, male 0.6
GTEX-11DXY-0326-SM-5H12F 60-69 years, male 0.5
GTEX-11DXZ-1426-SM-5H12A 50-59 years, male 0.5
GTEX-11GS4-1026-SM-5N9DE 60-69 years, male 0.5
GTEX-11NUK-2026-SM-5PNVZ 50-59 years, male 0.5
GTEX-11OF3-0826-SM-5BC51 60-69 years, male 0.5
GTEX-11P7K-0826-SM-5BC5F 30-39 years, male 0.5
GTEX-11XUK-1726-SM-5GU61 40-49 years, female 0.5
GTEX-12WSA-1626-SM-5EGJV 60-69 years, male 0.5
GTEX-131XF-0726-SM-5GIE5 60-69 years, male 0.5
GTEX-1399T-1326-SM-5PNVH 60-69 years, male 0.5
GTEX-13IVO-2426-SM-5K7V9 70-79 years, male 0.5
GTEX-13YAN-1126-SM-5TDC7 60-69 years, male 0.5
GTEX-14B4R-0526-SM-5QGQT 30-39 years, male 0.5
GTEX-14C39-0826-SM-5TDDU 40-49 years, male 0.5
GTEX-15RIE-0126-SM-7KUF8 60-69 years, male 0.5
GTEX-17F97-1226-SM-79OJT 50-59 years, male 0.5
GTEX-1C6VR-1126-SM-7EPHD 60-69 years, male 0.5
GTEX-WOFM-0726-SM-3MJF8 20-29 years, male 0.5
GTEX-WYVS-0626-SM-4SOJY 40-49 years, female 0.5
GTEX-X3Y1-0926-SM-3P5YT 40-49 years, male 0.5
GTEX-XBED-1326-SM-4AT4F 60-69 years, male 0.5
GTEX-Y8E4-1226-SM-5IFIM 40-49 years, male 0.5
GTEX-YEC3-0926-SM-5Q5AC 50-59 years, male 0.5
GTEX-YECK-1426-SM-5IFHE 60-69 years, male 0.5
GTEX-ZAB5-1126-SM-5Q5AD 50-59 years, male 0.5
GTEX-ZC5H-1626-SM-5HL7L 40-49 years, female 0.5
GTEX-ZYW4-2226-SM-5GZYG 60-69 years, male 0.5
GTEX-1F6I4-2126-SM-7PC2J 60-69 years, male 0.5
GTEX-1GF9V-1126-SM-9MQM7 60-69 years, male 0.5
GTEX-1H1DG-2026-SM-9QEIV 70-79 years, male 0.5
GTEX-1HFI6-1726-SM-CGQFH 40-49 years, male 0.5
GTEX-1IE54-1426-SM-CL53C 40-49 years, female 0.5
GTEX-1KANC-0526-SM-D4P3T 50-59 years, female 0.5
GTEX-1KD5A-1326-SM-CYPTB 50-59 years, male 0.5
GTEX-1O9I2-1326-SM-E6CQD 50-59 years, male 0.5
GTEX-1QMI2-1626-SM-EYYXK 60-69 years, male 0.5
GTEX-1QP9N-0426-SM-DTXFT 30-39 years, male 0.5
GTEX-11GSO-0226-SM-5A5LV 60-69 years, male 0.4
GTEX-11VI4-1226-SM-5EQMP 40-49 years, female 0.4
GTEX-11WQK-1526-SM-5EGKN 50-59 years, male 0.4
GTEX-12WSF-1526-SM-6PAN6 70-79 years, male 0.4
GTEX-12WSK-1026-SM-5CVNR 40-49 years, female 0.4
GTEX-13JUV-0626-SM-5J1MQ 40-49 years, female 0.4
GTEX-13N11-1826-SM-5IJDS 50-59 years, female 0.4
GTEX-13OVJ-0926-SM-5K7U1 50-59 years, female 0.4
GTEX-13PDP-1226-SM-5K7TW 60-69 years, male 0.4
GTEX-13X6J-1926-SM-5TDCU 50-59 years, male 0.4
GTEX-14753-2526-SM-5LU97 60-69 years, male 0.4
GTEX-14DAR-0426-SM-664MW 50-59 years, male 0.4
GTEX-15CHQ-1126-SM-686YY 60-69 years, male 0.4
GTEX-15DZA-0626-SM-6PANC 30-39 years, female 0.4
GTEX-15SHU-2326-SM-7KUMC 40-49 years, female 0.4
GTEX-16AAH-1526-SM-7LT9W 50-59 years, male 0.4
GTEX-17F96-0726-SM-793CB 70-79 years, male 0.4
GTEX-1A3MV-0626-SM-731CH 30-39 years, male 0.4
GTEX-1C6VQ-1526-SM-73KU9 50-59 years, male 0.4
GTEX-1CAV2-0226-SM-7IGPQ 40-49 years, female 0.4
GTEX-1EWIQ-2526-SM-7EPIJ 70-79 years, female 0.4
GTEX-UPK5-1826-SM-3GAEB 40-49 years, male 0.4
GTEX-WYJK-1426-SM-3NM8V 50-59 years, male 0.4
GTEX-X585-2526-SM-4QAS1 50-59 years, male 0.4
GTEX-XBEC-1826-SM-4QASN 50-59 years, male 0.4
GTEX-XUZC-1126-SM-4BOPZ 30-39 years, female 0.4
GTEX-Y5V6-0626-SM-4WWFY 60-69 years, male 0.4
GTEX-ZDXO-2326-SM-5LU9W 60-69 years, male 0.4
GTEX-ZDYS-2226-SM-5S2MI 50-59 years, male 0.4
GTEX-ZE7O-1526-SM-5J1NH 50-59 years, female 0.4
GTEX-ZZPU-0326-SM-5N9BJ 50-59 years, female 0.4
GTEX-11GSP-1026-SM-9WYSH 60-69 years, female 0.4
GTEX-1B8L1-0126-SM-9KNVS 60-69 years, male 0.4
GTEX-1EKGG-1426-SM-7PBY2 60-69 years, male 0.4
GTEX-1EMGI-0726-SM-7PBZ4 60-69 years, male 0.4
GTEX-1GMR3-0826-SM-9WYT4 40-49 years, male 0.4
GTEX-1GN1W-1226-SM-9MQLW 50-59 years, female 0.4
GTEX-1GN73-0626-SM-7PC3I 60-69 years, male 0.4
GTEX-1GTWX-1526-SM-9MQLF 60-69 years, male 0.4
GTEX-1H11D-1126-SM-9YFM5 40-49 years, male 0.4
GTEX-1H1CY-0826-SM-9WYTU 60-69 years, female 0.4
GTEX-1H4P4-0326-SM-9WYTD 50-59 years, male 0.4
GTEX-1HCU9-0626-SM-ACKW6 20-29 years, male 0.4
GTEX-1I1GQ-1026-SM-CNNQS 50-59 years, male 0.4
GTEX-1IDJH-1626-SM-A9SLP 70-79 years, male 0.4
GTEX-1KAFJ-0826-SM-CYPTF 50-59 years, male 0.4
GTEX-1KXAM-0526-SM-DKPQN 60-69 years, male 0.4
GTEX-1LG7Y-1126-SM-CYPTE 50-59 years, male 0.4
GTEX-1MCQQ-1426-SM-E6CJA 60-69 years, male 0.4
GTEX-1N2EF-0926-SM-E8VNW 60-69 years, male 0.4
GTEX-1QEPI-2226-SM-E8VN6 60-69 years, female 0.4
GTEX-WI4N-1526-SM-EZ6LG 40-49 years, female 0.4
GTEX-11DXX-2026-SM-5EGJL 60-69 years, female 0.3
GTEX-11NV4-1426-SM-5BC4W 60-69 years, male 0.3
GTEX-11ZTS-1326-SM-5EQMA 60-69 years, female 0.3
GTEX-12WSC-1726-SM-5GCN3 50-59 years, male 0.3
GTEX-12WSI-1526-SM-5GCNM 50-59 years, male 0.3
GTEX-13PL6-0926-SM-5KLYY 40-49 years, female 0.3
GTEX-13U4I-1726-SM-5J1MF 40-49 years, female 0.3
GTEX-13W46-1226-SM-5SIAS 50-59 years, male 0.3
GTEX-147JS-1026-SM-5S2MP 60-69 years, male 0.3
GTEX-14ABY-1926-SM-62LDJ 50-59 years, male 0.3
GTEX-14BIL-2426-SM-5QGQR 50-59 years, male 0.3
GTEX-14E6C-1226-SM-5ZZUN 40-49 years, male 0.3
GTEX-14PHW-1626-SM-6EU2H 60-69 years, female 0.3
GTEX-15G19-1126-SM-7KUEL 60-69 years, male 0.3
GTEX-16XZZ-1626-SM-7KUEC 60-69 years, male 0.3
GTEX-17KNJ-0426-SM-718AK 50-59 years, male 0.3
GTEX-1A8G7-1226-SM-73KYP 60-69 years, male 0.3
GTEX-1EH9U-1326-SM-79OM3 60-69 years, male 0.3
GTEX-1EN7A-1626-SM-79OLV 40-49 years, male 0.3
GTEX-UTHO-1826-SM-3GAFE 60-69 years, male 0.3
GTEX-WY7C-0926-SM-3NB34 50-59 years, male 0.3
GTEX-XLM4-1026-SM-4AT51 60-69 years, male 0.3
GTEX-XQ3S-2426-SM-4WAYB 20-29 years, male 0.3
GTEX-ZGAY-1326-SM-5S2NS 40-49 years, female 0.3
GTEX-ZPCL-1026-SM-5GCOX 60-69 years, female 0.3
GTEX-ZT9X-0926-SM-5O9C4 40-49 years, male 0.3
GTEX-ZUA1-2126-SM-57YRB 40-49 years, male 0.3
GTEX-1F48J-1826-SM-7SB8T 50-59 years, female 0.3
GTEX-1HB9E-0526-SM-ARZNM 50-59 years, male 0.3
GTEX-1HKZK-1726-SM-ADEJ9 40-49 years, male 0.3
GTEX-1HSKV-1926-SM-CNPPN 60-69 years, male 0.3
GTEX-1I19N-1026-SM-A96TT 70-79 years, male 0.3
GTEX-1I1GP-1426-SM-ACKVZ 50-59 years, male 0.3
GTEX-1ICLZ-1626-SM-CE6SS 60-69 years, male 0.3
GTEX-1J8EW-1526-SM-CMKFZ 60-69 years, female 0.3
GTEX-1J8Q2-2226-SM-CM2TZ 60-69 years, male 0.3
GTEX-1JMPY-0326-SM-CM2S2 30-39 years, male 0.3
GTEX-1KD4Q-1426-SM-D4P3K 40-49 years, male 0.3
GTEX-1MA7X-1026-SM-DKPQ8 60-69 years, male 0.3
GTEX-1PBJI-1326-SM-E9J2V 20-29 years, female 0.3
GTEX-1R9PO-0926-SM-E9U4Q 60-69 years, female 0.3
GTEX-1S831-1926-SM-EV79P 20-29 years, male 0.3
GTEX-WVLH-1626-SM-EXURN 50-59 years, male 0.3
GTEX-1128S-0926-SM-5GZZU 60-69 years, female 0.2
GTEX-113JC-0726-SM-5GZZR 50-59 years, female 0.2
GTEX-117YW-0826-SM-5H11O 50-59 years, male 0.2
GTEX-11PRG-1526-SM-5HL6Z 50-59 years, male 0.2
GTEX-12WSG-0426-SM-5FQSE 50-59 years, female 0.2
GTEX-13N2G-1926-SM-5J1O3 60-69 years, male 0.2
GTEX-13NYS-0726-SM-5J1OR 60-69 years, male 0.2
GTEX-13NZ9-2026-SM-5KM1U 50-59 years, male 0.2
GTEX-13OVL-0826-SM-5L3GV 50-59 years, male 0.2
GTEX-13OW6-2426-SM-5K7WO 50-59 years, male 0.2
GTEX-13S86-0926-SM-5SI6I 40-49 years, male 0.2
GTEX-13W3W-1126-SM-5L3DO 60-69 years, female 0.2
GTEX-1445S-2426-SM-79ON2 60-69 years, male 0.2
GTEX-145MI-0826-SM-5SI95 60-69 years, female 0.2
GTEX-14C38-1026-SM-73KY7 50-59 years, male 0.2
GTEX-14C5O-0926-SM-793DM 60-69 years, male 0.2
GTEX-14PJM-1226-SM-686Z7 50-59 years, female 0.2
GTEX-15D1Q-1326-SM-69LOA 40-49 years, male 0.2
GTEX-15SKB-1626-SM-6PAL6 60-69 years, male 0.2
GTEX-16NPV-0626-SM-7IGOR 50-59 years, female 0.2
GTEX-17EVP-1426-SM-79OMN 40-49 years, male 0.2
GTEX-17EVQ-0626-SM-7KFTB 70-79 years, male 0.2
GTEX-17HII-0826-SM-7DUFH 50-59 years, male 0.2
GTEX-17JCI-1626-SM-7EPGZ 60-69 years, female 0.2
GTEX-183FY-1226-SM-7DHLK 20-29 years, male 0.2
GTEX-1A8G6-2026-SM-73KYC 60-69 years, male 0.2
GTEX-1AX8Z-1626-SM-73KWD 60-69 years, male 0.2
GTEX-1AX9I-1726-SM-731BX 60-69 years, male 0.2
GTEX-1AX9J-2226-SM-731CW 60-69 years, male 0.2
GTEX-1B8KZ-1026-SM-73KYN 50-59 years, male 0.2
GTEX-1C6VS-1826-SM-73KXN 60-69 years, male 0.2
GTEX-WFJO-1026-SM-3GIKL 30-39 years, male 0.2
GTEX-WL46-2026-SM-3LK7U 50-59 years, male 0.2
GTEX-X8HC-2326-SM-4QAS4 50-59 years, female 0.2
GTEX-Y9LG-1226-SM-4VBQA 30-39 years, male 0.2
GTEX-ZAB4-1426-SM-5CVN6 40-49 years, male 0.2
GTEX-ZE9C-1326-SM-5S2OW 60-69 years, male 0.2
GTEX-ZEX8-1226-SM-5S2OK 50-59 years, male 0.2
GTEX-1F52S-1326-SM-7SB6Q 60-69 years, female 0.2
GTEX-1F5PL-1326-SM-7SB83 40-49 years, female 0.2
GTEX-1F6IF-2026-SM-7P8SE 60-69 years, male 0.2
GTEX-1GF9X-0926-SM-7PC2X 40-49 years, female 0.2
GTEX-1GZ4H-0926-SM-9WG6Y 50-59 years, female 0.2
GTEX-1H1DF-1426-SM-9YFMC 40-49 years, female 0.2
GTEX-1I1GS-0926-SM-A9SL5 60-69 years, male 0.2
GTEX-1JKYN-0526-SM-CGQG3 30-39 years, male 0.2
GTEX-1JMQK-1326-SM-CNPOR 60-69 years, male 0.2
GTEX-1LVAM-1026-SM-DIPFK 50-59 years, female 0.2
GTEX-1N2DW-0726-SM-DTX97 50-59 years, male 0.2
GTEX-1N2EE-1526-SM-DTXE9 60-69 years, male 0.2
GTEX-1NV5F-2526-SM-EXUSK 60-69 years, female 0.2
GTEX-1RB15-1126-SM-E8VMX 60-69 years, male 0.2
GTEX-1RLM8-1026-SM-EWROE 50-59 years, male 0.2
GTEX-VJYA-1626-SM-EXOHL 60-69 years, male 0.2
GTEX-1192X-1526-SM-5H11I 50-59 years, male 0.1
GTEX-11DYG-2026-SM-5EGGX 60-69 years, male 0.1
GTEX-139TU-1426-SM-5LZY9 60-69 years, male 0.1
GTEX-13FXS-1326-SM-62LFR 50-59 years, male 0.1
GTEX-13O3P-0926-SM-5IFFI 50-59 years, male 0.1
GTEX-13OVH-1126-SM-5K7YP 70-79 years, male 0.1
GTEX-13S7M-0826-SM-5QGQX 60-69 years, female 0.1
GTEX-145ME-0726-SM-5O9A3 40-49 years, female 0.1
GTEX-14ICL-0926-SM-5S2TU 30-39 years, male 0.1
GTEX-16GPK-1326-SM-7KUE4 60-69 years, male 0.1
GTEX-18A6Q-1026-SM-7LT9S 60-69 years, male 0.1
GTEX-18D9A-0726-SM-7LTA7 30-39 years, female 0.1
GTEX-1A32A-0926-SM-718AB 50-59 years, female 0.1
GTEX-1B8SF-1726-SM-73KZ5 60-69 years, male 0.1
GTEX-WYBS-1026-SM-4ONCY 60-69 years, female 0.1
GTEX-ZVZP-1126-SM-5GICU 50-59 years, male 0.1
GTEX-1B97J-1126-SM-7SB79 50-59 years, female 0.1
GTEX-1CAMQ-1226-SM-7SB7E 40-49 years, male 0.1
GTEX-1F75I-1026-SM-7SB8B 40-49 years, male 0.1
GTEX-1GMRU-0726-SM-7PBZH 50-59 years, male 0.1
GTEX-1GZ4I-2326-SM-9YFMO 50-59 years, male 0.1
GTEX-1HSGN-1926-SM-CMKGS 40-49 years, female 0.1
GTEX-1HSMP-1126-SM-B2LXJ 70-79 years, male 0.1
GTEX-1I1CD-1026-SM-COH3G 60-69 years, female 0.1
GTEX-1I1GR-1726-SM-COH39 60-69 years, male 0.1
GTEX-1J1OQ-1526-SM-CJI4E 40-49 years, female 0.1
GTEX-1JJE9-1526-SM-CM2RR 70-79 years, male 0.1
GTEX-1JMQI-1026-SM-COH2U 50-59 years, male 0.1
GTEX-1JN6P-1626-SM-CYPSV 60-69 years, male 0.1
GTEX-1LSVX-1326-SM-DIPET 60-69 years, male 0.1
GTEX-1LVAO-2126-SM-DIPGA 60-69 years, male 0.1
GTEX-1P4AB-1226-SM-DTXET 50-59 years, male 0.1
GTEX-1QAET-1226-SM-DTX9I 50-59 years, male 0.1
GTEX-1S5VW-2426-SM-EAZ52 60-69 years, male 0.1
GTEX-14E6D-1326-SM-62LES 50-59 years, male 0.0
GTEX-16NPX-1026-SM-6PAM7 50-59 years, male 0.0
GTEX-18A7B-1226-SM-718AU 70-79 years, male 0.0
GTEX-1H3VE-1926-SM-9YFL4 40-49 years, male 0.0
GTEX-1JMQJ-1926-SM-D4P3A 50-59 years, male 0.0
GTEX-1K2DU-0726-SM-DIPF7 20-29 years, male 0.0
GTEX-1LG7Z-0226-SM-E6CIG 30-39 years, male 0.0
GTEX-1QP6S-1626-SM-EVYC5 40-49 years, male 0.0
GTEX-VJWN-2326-SM-EVYAP 50-59 years, female 0.0
GTEX-YJ8A-1926-SM-EZ6LQ 20-29 years, male 0.0
Show allShow less

ADIPOSE TISSUE - FANTOM5 CAGEi

RNA expression in human tissues obtained through Cap Analysis of Gene Expression (CAGE) generated by the FANTOM5 project are reported as Scaled Tags Per Million.

Max subtype Scaled Tags Per Millioni

Max subtype Scaled Tags Per Million is the value for the subtype with the largest average Scaled Tags Per Million across the subtype samples.

0.8
FANTOM5 sample id Sample description Scaled Tags Per Million
Adipose tissue
Scaled Tags Per Million: 0.8
FF:10010-101C1 65,65,76 years, mixed 0.8

Contact

  • NEWS ARTICLES
  • PRESS ROOM

The Project

  • INTRODUCTION
  • ORGANIZATION
  • PUBLICATIONS

The Human Protein Atlas

  • DOWNLOADABLE DATA
  • LICENCE & CITATION
  • HELP & FAQ
The Human Protein Atlas project is funded
by the Knut & Alice Wallenberg Foundation.


contact@proteinatlas.org