We use cookies to enhance the usability of our website. If you continue, we'll assume that you are happy to receive all cookies. More information. Don't show this again.
BBS1
HPA
RESOURCES
  • TISSUE
  • BRAIN
  • SINGLE CELL
  • SUBCELLULAR
  • CANCER
  • BLOOD
  • CELL LINE
  • STRUCTURE & INTERACTION
ABOUT
  • INTRODUCTION
  • HISTORY
  • ORGANIZATION
  • PUBLICATIONS
  • ANTIBODY SUBMISSION
  • ANTIBODY AVAILABILITY
  • ACKNOWLEDGMENTS
  • CONTACT
NEWS
  • NEWS ARTICLES
  • PRESS ROOM
LEARN
  • DICTIONARY
  • PROTEIN CLASSES
  • PROTEIN EVIDENCE
  • METHODS
  • EDUCATIONAL VIDEOS
DATA
  • DOWNLOADABLE DATA
  • PUBLICATION DATA
  • RELEASE HISTORY
HELP
  • ANTIBODY VALIDATION
  • ASSAYS & ANNOTATION
  • DISCLAIMER
  • HELP & FAQ
  • PRIVACY STATEMENT
  • LICENCE & CITATION
Fields »
Search result

Field
Term
Gene name
Class
Subclass
Class
Keyword
Chromosome
External id
Tissue
Cell type
Expression
Antibody panel
Tissue
Main location
Patient ID
Annotation
Tissue
Category
Tau score
Cluster
Reliability
Brain region
Category
Tau score
Brain region
Category
Tau score
Brain region
Category
Tau score
Cluster
Reliability
Tissue
Cell type
Enrichment
Cell type
Category
Tau score
Cell type
Category
Tau score
Cell type
Category
Tau score
Cell lineage
Category
Tau score
Cluster
Cluster
Location
Searches
Location
Cell line
Class
Type
Phase
Reliability
Cancer
Prognosis
Cancer
Category
Cancer
Category
Tau score
Cluster
Variants
Interacting gene (ensg_id)
Type
Number of interactions
Pathway
Category
Score
Score
Score
Validation
Validation
Validation
Validation
Antibodies
Data type
Column


  • SUMMARY

  • TISSUE

  • BRAIN

  • SINGLE CELL

  • SUBCELL

  • CANCER

  • BLOOD

  • CELL LINE

  • STRUCT & INT

  • BBS1
TISSUE PRIMARY DATA SKIN Show tissue menu
ADIPOSE TISSUE ADRENAL GLAND AMYGDALA APPENDIX BASAL GANGLIA BONE MARROW BREAST BRONCHUS CEREBELLUM CEREBRAL CORTEX CERVIX CHOROID PLEXUS COLON DUODENUM
ENDOMETRIUM EPIDIDYMIS ESOPHAGUS FALLOPIAN TUBE GALLBLADDER HEART MUSCLE HIPPOCAMPAL FORMATION HYPOTHALAMUS KIDNEY LIVER LUNG LYMPH NODE MIDBRAIN NASOPHARYNX
ORAL MUCOSA OVARY PANCREAS PARATHYROID GLAND PITUITARY GLAND PLACENTA PROSTATE RECTUM RETINA SALIVARY GLAND SEMINAL VESICLE SKELETAL MUSCLE SKIN SMALL INTESTINE
SMOOTH MUSCLE SOFT TISSUE SPINAL CORD SPLEEN STOMACH TESTIS THYMUS THYROID GLAND TONGUE TONSIL URINARY BLADDER VAGINA
ANTIBODIES
AND
VALIDATION
Dictionary
Skin
Tissue proteome
Skin
SKIN - Expression summary
Protein expression
Skini

On the top, protein expression in current human tissue, based on all annotated cell types, is reported with the units not detected (n), low (l), medium (m) and high (h). Underneath, protein expression in each annotated cell type are reported using the same units.

Protein expression data is based on knowledge-based annotation. For genes where more than one antibody has been used, a collective score is set.

If knowledge-based annotation could not be performed for a gene, no data is displayed here. View antibody staining data further down this page.

h
m
l
n
Epidermal cells: Medium
Fibroblasts: Not detected
Keratinocytes: Not detected
Langerhans: Not detected
Melanocytes: Not detected
RNA expressioni

A summary of mRNA expression data available for current tissue based on several datasets. The mRNA expression levels in human tissues are based on RNA-seq data generated by the Human Protein Atlas (HPA), Genotype-Tissue Expression (GTEx) portal and CAGE data generated by the FANTOM5 consortium. Consensus normalized expression levels for human tissues was created by combining the data from HPA and GTEx datasets.

The mRNA expression levels in pig are based on RNA-seq data generated by the Human Protein Atlas (HPA), and for mouse, HPA data and in situ hybridization generated by the Allen brain atlas are reported.

Scroll down to view mRNA expression data in more detail.
Consensus:9.3 nTPM
HPA:8.2 nTPM
GTEx:9.3 nTPM

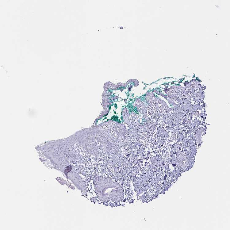
SKIN 1 - Antibody stainingi

Antibody staining in the annotated cell types in the current human tissue is reported as not detected, low, medium, or high, based on conventional immunohistochemistry profiling in selected tissues. This score is based on the combination of the staining intensity and fraction of stained cells.

Each image is clickable and will lead to virtual microscopy that enables deeper exploration of all samples and also displays staining intensity scores, fraction scores and subcellular localization as well as patient and tissue information for each sample.

Antibody HPA058283
Langerhans Not detected
Fibroblasts Not detected
Keratinocytes Not detected
Melanocytes Not detected

SKIN 2 - Antibody stainingi

Antibody staining in the annotated cell types in the current human tissue is reported as not detected, low, medium, or high, based on conventional immunohistochemistry profiling in selected tissues. This score is based on the combination of the staining intensity and fraction of stained cells.

Each image is clickable and will lead to virtual microscopy that enables deeper exploration of all samples and also displays staining intensity scores, fraction scores and subcellular localization as well as patient and tissue information for each sample.

Antibody HPA058283
Epidermal cells Medium
 
 
 



SKIN - HPA RNA-seqi

The RNA-seq details section shows detailed information about the individual samples used for the transcript profiling and results of the RNA-seq analysis.

Information about each individual sample is listed below, including gender, age, a tissue section image and estimated fractions of cell types. nTPM (normalized transcripts per million) values give a quantification of the gene abundance which is comparable between different genes and samples.
Average nTPMi

Max subtype nTPM is the value for the subtype with the largest average nTPM across the subtype samples.

8.2
overview
Female, age 34
Skin sample 225
nTPM: 8.3
Cell types%
Keratinocytes:
60

Other cell types:
40

overview
Female, age 30
Skin sample 226
nTPM: 7.6
Cell types%
Keratinocytes:
55

Other cell types:
45

N/A
Male, age 57
Skin sample 227
nTPM: 8.8

SKIN - GTEx RNA-seqi

RNA-Seq data generated by the Genotype-Tissue Expression (GTEx) project from human tissues is reported as mean nTPM. More information can be found on the GTEx portal.

Distribution across the dataset is visualized with box plots, shown as median and 25th and 75th percentiles. Points are displayed as outliers if they are above or below 1.5 times the interquartile range. nTPM values of the individual samples are presented next to the box plot.
Max subtype nTPMi

Max subtype nTPM is the value for the subtype with the largest average nTPM across the subtype samples.

9.3
GTEx sample id Sample description nTPM
Skin - Not Sun Exposed (Suprapubic)
Average nTPM: 8.5
Samples: 604

Max nTPM: 16.1
Min nTPM: 2.7
Std nTPM: 1.9
Median nTPM: 8.5
GTEX-11P7K-1126-SM-5HL4L 30-39 years, male 16.1
GTEX-11P82-1426-SM-DTXFY 20-29 years, male 14.2
GTEX-11DYG-1526-SM-5A5JS 60-69 years, male 14.0
GTEX-Y8E4-2026-SM-5IFJB 40-49 years, male 14.0
GTEX-1LGOU-1326-SM-D3L8M 20-29 years, female 14.0
GTEX-1OJC3-1226-SM-DTXER 20-29 years, male 13.7
GTEX-Y114-2126-SM-4TT8B 50-59 years, female 13.5
GTEX-11EM3-1226-SM-5N9DD 20-29 years, female 13.2
GTEX-12WSL-2026-SM-5GCML 50-59 years, male 13.1
GTEX-1F75A-0726-SM-7RHHD 50-59 years, male 13.1
GTEX-15RJ7-2126-SM-6PAMD 40-49 years, male 13.0
GTEX-1211K-1526-SM-5FQU4 60-69 years, female 12.9
GTEX-W5X1-2526-SM-3GILC 40-49 years, female 12.9
GTEX-1IDJC-1526-SM-B2LW4 50-59 years, male 12.8
GTEX-1N2DV-1526-SM-DTXEP 40-49 years, male 12.8
GTEX-18D9U-0126-SM-731BM 40-49 years, male 12.7
GTEX-Y3IK-1626-SM-4YCF5 50-59 years, female 12.5
GTEX-YB5K-2026-SM-4VDT3 40-49 years, female 12.5
GTEX-1RAZA-2226-SM-E9U4X 20-29 years, male 12.5
GTEX-YF7O-1526-SM-5IFI6 50-59 years, male 12.4
GTEX-1QP9N-1226-SM-E76QN 30-39 years, male 12.4
GTEX-1L5NE-1126-SM-D3L9P 50-59 years, male 12.3
GTEX-12C56-1526-SM-5FQUQ 20-29 years, male 12.2
GTEX-131XF-2626-SM-5EQ6K 60-69 years, male 12.2
GTEX-146FQ-2126-SM-5RQHU 30-39 years, male 12.2
GTEX-1IY9M-2826-SM-ARU8H 60-69 years, male 12.2
GTEX-13JUV-2026-SM-5K7UA 40-49 years, female 12.1
GTEX-1F6IF-0926-SM-7SB7M 60-69 years, male 12.1
GTEX-1F75I-2226-SM-7SB8U 40-49 years, male 12.1
GTEX-16NGA-0726-SM-731AO 40-49 years, female 12.0
GTEX-ZT9W-1126-SM-57WDR 50-59 years, male 12.0
GTEX-11DXZ-2026-SM-5987S 50-59 years, male 11.9
GTEX-11TT1-1826-SM-5EQLV 20-29 years, male 11.9
GTEX-WHPG-2626-SM-3NMBR 50-59 years, male 11.9
GTEX-1KANC-1226-SM-CYPT7 50-59 years, female 11.9
GTEX-12696-0126-SM-5EQ4L 60-69 years, male 11.8
GTEX-ZLWG-0826-SM-59888 50-59 years, female 11.7
GTEX-1PDJ9-1226-SM-EXUSX 20-29 years, male 11.7
GTEX-18A66-0626-SM-7LT8Z 60-69 years, male 11.6
GTEX-13FH7-1126-SM-5K7UG 50-59 years, female 11.5
GTEX-WXYG-2026-SM-4E3IY 50-59 years, female 11.5
GTEX-YEC3-1326-SM-DO92X 50-59 years, male 11.5
GTEX-11EI6-2826-SM-5H11D 60-69 years, male 11.4
GTEX-UPK5-0426-SM-3GAEK 40-49 years, male 11.3
GTEX-12BJ1-0926-SM-5EQ62 60-69 years, male 11.2
GTEX-131XG-0326-SM-5L3DX 50-59 years, female 11.2
GTEX-ZF2S-1626-SM-57WES 50-59 years, female 11.2
GTEX-1KANA-1326-SM-DIPFA 20-29 years, male 11.2
GTEX-145MN-1526-SM-5SI9T 30-39 years, male 11.1
GTEX-16GPK-0626-SM-7KFSF 60-69 years, male 11.1
GTEX-1AX8Z-0726-SM-73KTS 60-69 years, male 11.1
GTEX-WYVS-1626-SM-3NM9R 40-49 years, female 11.1
GTEX-1C64O-1326-SM-7MGWR 60-69 years, male 11.1
GTEX-1F6I4-2326-SM-7RHGL 60-69 years, male 11.1
GTEX-1JMLX-0626-SM-ARL8T 50-59 years, male 11.1
GTEX-1QCLZ-2426-SM-EVYBW 60-69 years, female 11.1
GTEX-13OVG-1626-SM-5J1NF 60-69 years, male 11.0
GTEX-145ME-1726-SM-5Q5EU 40-49 years, female 11.0
GTEX-X3Y1-2026-SM-3P5YM 40-49 years, male 11.0
GTEX-1CAMR-1326-SM-7PC1F 20-29 years, male 11.0
GTEX-1RAZR-2126-SM-E9U6T 40-49 years, male 11.0
GTEX-13N11-2326-SM-5IJBF 50-59 years, female 10.9
GTEX-X5EB-1926-SM-4E3IW 40-49 years, male 10.9
GTEX-Y8LW-1526-SM-5IFHL 50-59 years, female 10.9
GTEX-ZAK1-0626-SM-5HL8E 50-59 years, female 10.9
GTEX-ZDYS-2426-SM-4WKGI 50-59 years, male 10.9
GTEX-1MJK3-0726-SM-E6CJC 20-29 years, male 10.9
GTEX-14PHX-2226-SM-6EU2P 50-59 years, male 10.8
GTEX-18A7B-2726-SM-7LG56 70-79 years, male 10.8
GTEX-1EH9U-2826-SM-7DUGT 60-69 years, male 10.8
GTEX-WY7C-2126-SM-3NB2R 50-59 years, male 10.8
GTEX-XV7Q-1826-SM-4BRUV 40-49 years, female 10.8
GTEX-ZZ64-1026-SM-5GZXG 20-29 years, male 10.8
GTEX-1F48J-0726-SM-7RHGS 50-59 years, female 10.8
GTEX-1IDJD-2326-SM-ACKWX 30-39 years, male 10.8
GTEX-1JMPY-0226-SM-CKZOK 30-39 years, male 10.8
GTEX-1KWVE-1026-SM-D3L9O 30-39 years, male 10.8
GTEX-11VI4-1126-SM-5EQMD 40-49 years, female 10.7
GTEX-13FTX-1526-SM-5K7VJ 20-29 years, female 10.7
GTEX-16MT8-2926-SM-7DUFO 60-69 years, female 10.7
GTEX-18QFQ-1826-SM-72D52 30-39 years, male 10.7
GTEX-ZYFC-0426-SM-5GICQ 50-59 years, male 10.7
GTEX-14JG6-1426-SM-9WG7C 30-39 years, female 10.7
GTEX-1H1CY-0126-SM-9YFLY 60-69 years, female 10.7
GTEX-1I6K7-1926-SM-B2LXR 40-49 years, male 10.7
GTEX-1QP66-1226-SM-DTX7U 50-59 years, male 10.7
GTEX-13NYB-0126-SM-5J1MD 40-49 years, male 10.6
GTEX-XBEW-1126-SM-4QARW 40-49 years, male 10.6
GTEX-ZTX8-1326-SM-4YCEL 20-29 years, male 10.6
GTEX-1H1E6-0426-SM-9WYUS 30-39 years, male 10.6
GTEX-139TS-2126-SM-5K7XC 60-69 years, male 10.5
GTEX-1AX9I-2226-SM-73KUO 60-69 years, male 10.5
GTEX-WFG8-2126-SM-3GIKQ 20-29 years, male 10.5
GTEX-1IDJE-1426-SM-ADEIW 50-59 years, female 10.5
GTEX-1QCLY-0226-SM-EWRNH 30-39 years, male 10.5
GTEX-1RAZS-2526-SM-E6CHT 50-59 years, male 10.5
GTEX-ZPIC-0526-SM-DO91W 40-49 years, female 10.5
GTEX-11ZTT-2126-SM-5CVLO 60-69 years, female 10.4
GTEX-1399R-1326-SM-5PNYS 30-39 years, male 10.4
GTEX-1399U-1126-SM-5L3DB 50-59 years, female 10.4
GTEX-145LT-0526-SM-5LUB2 40-49 years, male 10.4
GTEX-14E1K-2026-SM-7DUEI 50-59 years, male 10.4
GTEX-14PJ3-1126-SM-5ZZVX 50-59 years, male 10.4
GTEX-1A3MV-1826-SM-731CD 30-39 years, male 10.4
GTEX-XXEK-1626-SM-4BRUZ 50-59 years, male 10.4
GTEX-ZVTK-0226-SM-51MRG 20-29 years, male 10.4
GTEX-1GMR2-0826-SM-7PC3V 50-59 years, male 10.4
GTEX-139TU-0726-SM-5L3EK 60-69 years, male 10.3
GTEX-13D11-0926-SM-5J2NC 50-59 years, female 10.3
GTEX-14BMU-1226-SM-5S2OR 20-29 years, female 10.3
GTEX-16AAH-0626-SM-793C9 50-59 years, male 10.3
GTEX-17HGU-2326-SM-7DUFE 50-59 years, male 10.3
GTEX-18A7A-0126-SM-731AH 50-59 years, female 10.3
GTEX-1C6VQ-1226-SM-73KYD 50-59 years, male 10.3
GTEX-1E1VI-0326-SM-793D1 50-59 years, male 10.3
GTEX-1HSGN-0826-SM-ACKW3 40-49 years, female 10.3
GTEX-1I6K6-1726-SM-CGQFD 30-39 years, male 10.3
GTEX-1RB15-1326-SM-E76Q9 60-69 years, male 10.3
GTEX-111FC-2526-SM-5GZXU 60-69 years, male 10.2
GTEX-13113-1626-SM-5EQ4I 60-69 years, female 10.2
GTEX-145MO-2826-SM-5LU96 60-69 years, male 10.2
GTEX-14PJO-2526-SM-6AJBQ 60-69 years, male 10.2
GTEX-15FZZ-0526-SM-7KUGD 30-39 years, female 10.2
GTEX-1212Z-0126-SM-59HK4 60-69 years, male 10.1
GTEX-17EVQ-0126-SM-7IGLR 70-79 years, male 10.1
GTEX-YJ8O-2526-SM-5HL85 40-49 years, female 10.1
GTEX-ZA64-1026-SM-5HL8R 20-29 years, male 10.1
GTEX-ZVP2-0326-SM-57WBP 50-59 years, male 10.1
GTEX-1J8QM-2426-SM-A9SLS 60-69 years, female 10.1
GTEX-1RLM8-2926-SM-E8VON 50-59 years, male 10.1
GTEX-11EQ9-1626-SM-5PNY8 30-39 years, male 10.0
GTEX-131XH-0126-SM-5LZUY 50-59 years, male 10.0
GTEX-15CHC-1126-SM-6LLHQ 60-69 years, female 10.0
GTEX-1GN1W-2426-SM-9KNUU 50-59 years, female 10.0
GTEX-1IDJF-2026-SM-CL53V 20-29 years, male 10.0
GTEX-1J8Q3-0526-SM-ARL8U 60-69 years, male 10.0
GTEX-1QP29-1826-SM-DTX9S 50-59 years, male 10.0
GTEX-11NSD-0626-SM-5A5LU 20-29 years, male 9.9
GTEX-1B8KZ-0326-SM-73KY4 50-59 years, male 9.9
GTEX-X585-2426-SM-46MW2 50-59 years, male 9.9
GTEX-Y111-0626-SM-4SOIT 50-59 years, male 9.9
GTEX-1A32A-0626-SM-731AQ 50-59 years, female 9.8
GTEX-1B933-2426-SM-7DHMD 50-59 years, female 9.8
GTEX-1EWIQ-0326-SM-7DHMQ 70-79 years, female 9.8
GTEX-1EX96-1026-SM-7MKG2 50-59 years, male 9.8
GTEX-WEY5-2326-SM-3GIKK 40-49 years, female 9.8
GTEX-WHSB-1326-SM-3LK6W 50-59 years, male 9.8
GTEX-1HSMQ-2626-SM-A9SML 50-59 years, male 9.8
GTEX-1I19N-0126-SM-CYPSF 70-79 years, male 9.8
GTEX-1J8JJ-0626-SM-ARZMQ 60-69 years, female 9.8
GTEX-13U4I-2226-SM-5LU5H 40-49 years, female 9.7
GTEX-13X6H-0926-SM-5SIB2 50-59 years, female 9.7
GTEX-UPJH-0226-SM-3GADV 50-59 years, male 9.7
GTEX-WHWD-1826-SM-3LK6I 50-59 years, male 9.7
GTEX-XQ8I-0926-SM-4BOOF 50-59 years, male 9.7
GTEX-1C475-1326-SM-7SB73 40-49 years, female 9.7
GTEX-1F75W-2726-SM-7SB8H 60-69 years, male 9.7
GTEX-1HBPI-2126-SM-ARL9K 50-59 years, male 9.7
GTEX-1HSMP-0926-SM-A9SKX 70-79 years, male 9.7
GTEX-1K2DA-1026-SM-CGQGF 50-59 years, male 9.7
GTEX-111YS-1526-SM-5GZYW 60-69 years, male 9.6
GTEX-13JVG-0726-SM-5KM16 60-69 years, male 9.6
GTEX-13X6K-0626-SM-5LU5D 60-69 years, female 9.6
GTEX-1B8KE-1126-SM-7EPHI 50-59 years, male 9.6
GTEX-1EU9M-1426-SM-793AI 60-69 years, male 9.6
GTEX-WRHU-2826-SM-3MJG8 50-59 years, female 9.6
GTEX-1GZ2Q-0126-SM-9WG6M 40-49 years, male 9.6
GTEX-1HC8U-1326-SM-9YFMJ 40-49 years, female 9.6
GTEX-1HUB1-1426-SM-CGQF5 60-69 years, male 9.6
GTEX-1ICG6-1226-SM-A9SLN 70-79 years, female 9.6
GTEX-1JK1U-0226-SM-ARZMX 60-69 years, male 9.6
GTEX-1JMQI-1726-SM-ARL93 50-59 years, male 9.6
GTEX-1192X-2726-SM-5N9DN 50-59 years, male 9.5
GTEX-12WSD-0626-SM-5GCMW 60-69 years, female 9.5
GTEX-12WSF-1626-SM-7KUG5 70-79 years, male 9.5
GTEX-15G1A-1626-SM-7KUKN 30-39 years, male 9.5
GTEX-17F9E-2326-SM-79OKD 50-59 years, male 9.5
GTEX-1CB4E-0926-SM-7EPHT 60-69 years, male 9.5
GTEX-WK11-2726-SM-3NMAQ 50-59 years, male 9.5
GTEX-ZPU1-1126-SM-4YCF3 40-49 years, male 9.5
GTEX-1HBPN-0126-SM-CGQEF 50-59 years, male 9.5
GTEX-1HFI6-0126-SM-CNPPI 40-49 years, male 9.5
GTEX-1IDJU-1726-SM-CMKHU 60-69 years, female 9.5
GTEX-1LVAM-0726-SM-E6CIL 50-59 years, female 9.5
GTEX-1S82P-2126-SM-E6CI5 60-69 years, female 9.5
GTEX-11DXX-2126-SM-5PNYR 60-69 years, female 9.4
GTEX-11ZU8-0126-SM-5EQ58 60-69 years, male 9.4
GTEX-16NPX-0726-SM-7KULC 50-59 years, male 9.4
GTEX-1CAV2-0126-SM-7IGN7 40-49 years, female 9.4
GTEX-ZUA1-2626-SM-5NQ92 40-49 years, male 9.4
GTEX-1CAMQ-1326-SM-7P8RV 40-49 years, male 9.4
GTEX-1KANB-2826-SM-CY8I6 50-59 years, male 9.4
GTEX-1QEPI-2626-SM-DTXF4 60-69 years, female 9.4
GTEX-11P81-2226-SM-5PNYI 30-39 years, female 9.3
GTEX-12126-0826-SM-5FQTZ 20-29 years, male 9.3
GTEX-12WSJ-1126-SM-5LZVJ 40-49 years, female 9.3
GTEX-13G51-1826-SM-5KLZH 60-69 years, male 9.3
GTEX-17JCI-2926-SM-7DUFF 60-69 years, female 9.3
GTEX-ZYFG-1526-SM-5GZYM 60-69 years, female 9.3
GTEX-ZYW4-0626-SM-59HJR 60-69 years, male 9.3
GTEX-1122O-1026-SM-9WYSF 60-69 years, female 9.3
GTEX-1HR98-2226-SM-ADEI2 60-69 years, male 9.3
GTEX-1I1GT-1026-SM-ARZLV 60-69 years, female 9.3
GTEX-1JMQK-1226-SM-D4P2S 60-69 years, male 9.3
GTEX-1N5O9-0926-SM-E9J3C 60-69 years, male 9.3
GTEX-1QW4Y-1126-SM-DTXE3 30-39 years, male 9.3
GTEX-11LCK-2226-SM-5HL4Q 30-39 years, male 9.2
GTEX-13FHO-0426-SM-5L3F5 60-69 years, male 9.2
GTEX-13VXT-1926-SM-5K7UO 20-29 years, female 9.2
GTEX-147F3-1726-SM-5SIAW 50-59 years, female 9.2
GTEX-1497J-0226-SM-5QGPU 60-69 years, male 9.2
GTEX-178AV-1726-SM-7KUL8 40-49 years, male 9.2
GTEX-1B97I-0626-SM-73KUZ 40-49 years, male 9.2
GTEX-XBED-1926-SM-47JYP 60-69 years, male 9.2
GTEX-Y5V5-0126-SM-5S2NW 60-69 years, female 9.2
GTEX-1C64N-2626-SM-7PC2N 50-59 years, male 9.2
GTEX-1F5PL-0926-SM-7PC2W 40-49 years, female 9.2
GTEX-1H1DE-1326-SM-9KNUG 20-29 years, male 9.2
GTEX-1H3NZ-2726-SM-9WYTQ 60-69 years, male 9.2
GTEX-1HGF4-0126-SM-CNPPX 60-69 years, male 9.2
GTEX-1JKYN-0826-SM-ARU8S 30-39 years, male 9.2
GTEX-132AR-0326-SM-5KM2C 50-59 years, female 9.1
GTEX-13O3Q-0126-SM-5KM34 50-59 years, male 9.1
GTEX-13RTJ-0126-SM-5S2NN 60-69 years, male 9.1
GTEX-14B4R-1326-SM-5Q5EZ 30-39 years, male 9.1
GTEX-14PJ5-1526-SM-6LLIL 60-69 years, female 9.1
GTEX-WFG7-2026-SM-5SI7P 20-29 years, male 9.1
GTEX-YEC4-1826-SM-4W1YP 40-49 years, male 9.1
GTEX-1LG7Z-1626-SM-CXKYR 30-39 years, male 9.1
GTEX-1LSNM-0826-SM-DIPG8 50-59 years, male 9.1
GTEX-1PPGY-1626-SM-EVYBL 60-69 years, male 9.1
GTEX-1S82U-1026-SM-E6CJK 30-39 years, female 9.1
GTEX-ZGAY-1826-SM-DO91Q 40-49 years, female 9.1
GTEX-117YX-1926-SM-5GIEC 50-59 years, male 9.0
GTEX-139TT-2126-SM-5LZWC 60-69 years, male 9.0
GTEX-14DAR-1226-SM-73KYV 50-59 years, male 9.0
GTEX-17F97-2626-SM-7IGM5 50-59 years, male 9.0
GTEX-Y3I4-1726-SM-4TT89 50-59 years, male 9.0
GTEX-ZDTT-0426-SM-4WKFL 60-69 years, male 9.0
GTEX-ZTSS-1426-SM-5985P 40-49 years, male 9.0
GTEX-1HCU9-0426-SM-9WYSD 20-29 years, male 9.0
GTEX-1HKZK-0726-SM-ACKW2 40-49 years, male 9.0
GTEX-1JMOU-1026-SM-CYPSS 60-69 years, female 9.0
GTEX-13X6J-0626-SM-5LU5F 50-59 years, male 8.9
GTEX-15DYW-2726-SM-6EU2I 60-69 years, female 8.9
GTEX-17F96-0126-SM-7EWDU 70-79 years, male 8.9
GTEX-1AX9J-1326-SM-731BJ 60-69 years, male 8.9
GTEX-XUW1-0926-SM-4BONX 50-59 years, female 8.9
GTEX-ZC5H-1526-SM-5HL9Y 40-49 years, female 8.9
GTEX-ZT9X-1526-SM-5DUXD 40-49 years, male 8.9
GTEX-1CB4I-0126-SM-7RHGG 50-59 years, male 8.9
GTEX-1GZHY-0626-SM-9KNVC 50-59 years, female 8.9
GTEX-1IDJH-0126-SM-D3L92 70-79 years, male 8.9
GTEX-11OF3-0126-SM-5PNYF 60-69 years, male 8.8
GTEX-11ZUS-2626-SM-5FQUR 30-39 years, male 8.8
GTEX-13FTW-0326-SM-5K7UW 40-49 years, male 8.8
GTEX-13OVL-0126-SM-5L3GJ 50-59 years, male 8.8
GTEX-13PVR-0426-SM-5RQK2 60-69 years, female 8.8
GTEX-14E6C-2426-SM-5S2NF 40-49 years, male 8.8
GTEX-17MFQ-1526-SM-7KFRR 20-29 years, male 8.8
GTEX-X4EO-2926-SM-4E3JH 60-69 years, female 8.8
GTEX-Y5V6-2326-SM-4VDSA 60-69 years, male 8.8
GTEX-ZZPU-0826-SM-5GZX5 50-59 years, female 8.8
GTEX-1F75B-0726-SM-7PC3R 50-59 years, male 8.8
GTEX-1GTWX-2026-SM-9YFLM 60-69 years, male 8.8
GTEX-1I1GS-2626-SM-B2LY3 60-69 years, male 8.8
GTEX-1JN76-0626-SM-CKZOQ 20-29 years, female 8.8
GTEX-1M4P7-0726-SM-E6CJ3 60-69 years, male 8.8
GTEX-1O9I2-0226-SM-EYYXD 50-59 years, male 8.8
GTEX-12WSM-1926-SM-5BC65 60-69 years, male 8.7
GTEX-14BMV-2826-SM-5TDED 50-59 years, male 8.7
GTEX-14PJN-1826-SM-6AJ98 30-39 years, male 8.7
GTEX-14PKV-1126-SM-6LLJ1 20-29 years, female 8.7
GTEX-17F98-1326-SM-7DUEP 40-49 years, female 8.7
GTEX-183FY-1026-SM-7939A 20-29 years, male 8.7
GTEX-ZDTS-0826-SM-4WKHL 60-69 years, male 8.7
GTEX-18D9A-1426-SM-7LT8M 30-39 years, female 8.7
GTEX-1A3MX-2626-SM-7PC24 60-69 years, male 8.7
GTEX-1HB9E-0126-SM-CM2S5 50-59 years, male 8.7
GTEX-1JKYR-0626-SM-ARL8R 20-29 years, male 8.7
GTEX-1JMQJ-0826-SM-CNPP7 50-59 years, male 8.7
GTEX-13OVK-1426-SM-6PAN7 40-49 years, male 8.6
GTEX-13VXU-0626-SM-5L3F9 50-59 years, male 8.6
GTEX-14E6E-0526-SM-793DN 30-39 years, male 8.6
GTEX-15ER7-0626-SM-6PANF 20-29 years, female 8.6
GTEX-15EU6-2226-SM-6EU2L 50-59 years, male 8.6
GTEX-17HHY-0426-SM-7DHLC 50-59 years, male 8.6
GTEX-1B932-2326-SM-79OL5 40-49 years, female 8.6
GTEX-WYJK-0526-SM-3NM8Z 50-59 years, male 8.6
GTEX-X4EP-0626-SM-3P621 60-69 years, female 8.6
GTEX-ZAJG-1526-SM-5CVML 50-59 years, female 8.6
GTEX-1H1DG-2426-SM-9QEHJ 70-79 years, male 8.6
GTEX-12ZZY-0726-SM-5EQ66 60-69 years, male 8.5
GTEX-13FLV-0126-SM-5K7WT 50-59 years, male 8.5
GTEX-13OVH-0526-SM-5L3E6 70-79 years, male 8.5
GTEX-13PVQ-0626-SM-5LU47 50-59 years, male 8.5
GTEX-14PJ2-0626-SM-6LLII 50-59 years, male 8.5
GTEX-17KNJ-2126-SM-718AM 50-59 years, male 8.5
GTEX-1EN7A-2426-SM-793DB 40-49 years, male 8.5
GTEX-ZP4G-1426-SM-4WWCL 20-29 years, female 8.5
GTEX-1GF9X-1326-SM-7PC2Y 40-49 years, female 8.5
GTEX-1HCUA-0826-SM-ADEHM 50-59 years, female 8.5
GTEX-1K9T9-1526-SM-DIPFR 50-59 years, female 8.5
GTEX-1QMI2-2526-SM-E8VNZ 60-69 years, male 8.5
GTEX-111CU-1126-SM-5EGIM 50-59 years, male 8.4
GTEX-11WQC-1826-SM-5GU59 60-69 years, male 8.4
GTEX-131XW-0626-SM-5PNVD 50-59 years, female 8.4
GTEX-131YS-2826-SM-5EQ47 60-69 years, female 8.4
GTEX-13N2G-0226-SM-5K7VF 60-69 years, male 8.4
GTEX-13O61-1426-SM-5KM3D 60-69 years, male 8.4
GTEX-13OW8-1026-SM-5J1NQ 60-69 years, male 8.4
GTEX-15D1Q-2826-SM-6LLH7 40-49 years, male 8.4
GTEX-18D9B-0926-SM-7LG4U 60-69 years, male 8.4
GTEX-ZTTD-2826-SM-4YCFA 50-59 years, male 8.4
GTEX-1AYD5-2626-SM-7PBXY 50-59 years, male 8.4
GTEX-1GF9U-2026-SM-7SB92 40-49 years, female 8.4
GTEX-1GZ4I-2626-SM-9KNU3 50-59 years, male 8.4
GTEX-1HFI7-2326-SM-CGQFS 50-59 years, female 8.4
GTEX-1J1R8-2026-SM-CL53Y 40-49 years, male 8.4
GTEX-1LB8K-0726-SM-D5OV2 50-59 years, male 8.4
GTEX-1LBAC-0826-SM-CY8IJ 20-29 years, male 8.4
GTEX-1MCC2-1826-SM-DIPEX 30-39 years, female 8.4
GTEX-1QP28-1126-SM-EVYC4 50-59 years, female 8.4
GTEX-11O72-0626-SM-5PNYE 40-49 years, male 8.3
GTEX-1269C-0126-SM-5EQ5L 60-69 years, female 8.3
GTEX-145LU-1926-SM-79OJN 50-59 years, male 8.3
GTEX-18A6Q-0626-SM-7KFRP 60-69 years, male 8.3
GTEX-1A3MW-0626-SM-731CB 60-69 years, female 8.3
GTEX-1F52S-2926-SM-7MKGA 60-69 years, female 8.3
GTEX-Y5LM-0926-SM-6LLJG 40-49 years, female 8.3
GTEX-1H1DF-1126-SM-9WG7G 40-49 years, female 8.3
GTEX-1I1GV-0626-SM-ARL7M 60-69 years, male 8.3
GTEX-1I4MK-0126-SM-CY8G6 50-59 years, female 8.3
GTEX-1KXAM-1626-SM-D3LAD 60-69 years, male 8.3
GTEX-1LVA9-2626-SM-EVYD4 50-59 years, male 8.3
GTEX-12584-0726-SM-5FQTK 40-49 years, male 8.2
GTEX-12KS4-2126-SM-5FQUT 30-39 years, male 8.2
GTEX-147GR-2426-SM-5ZZWQ 60-69 years, male 8.2
GTEX-14C38-0726-SM-5SI6M 50-59 years, male 8.2
GTEX-14PJ6-2626-SM-6EU2T 60-69 years, female 8.2
GTEX-1B8SF-0126-SM-7DUG3 60-69 years, male 8.2
GTEX-ZXG5-2126-SM-59HKD 60-69 years, male 8.2
GTEX-14JFF-0626-SM-5ZZVT 60-69 years, male 8.2
GTEX-1GF9V-0826-SM-9KNUV 60-69 years, male 8.2
GTEX-1HCU6-2526-SM-ADEHL 60-69 years, female 8.2
GTEX-1HSKV-1226-SM-ADEI4 60-69 years, male 8.2
GTEX-1HSMO-0626-SM-ACKXC 60-69 years, male 8.2
GTEX-1KD5A-0126-SM-E9U54 50-59 years, male 8.2
GTEX-1LG7Y-2526-SM-EWRO7 50-59 years, male 8.2
GTEX-1S831-1826-SM-EWROF 20-29 years, male 8.2
GTEX-12WSA-0426-SM-5EQ5X 60-69 years, male 8.1
GTEX-147JS-0226-SM-5S2U9 60-69 years, male 8.1
GTEX-14C39-1726-SM-5RQIL 40-49 years, male 8.1
GTEX-16BQI-1326-SM-6M486 30-39 years, female 8.1
GTEX-WFON-1926-SM-3LK7L 40-49 years, male 8.1
GTEX-YECK-0326-SM-4W1YS 60-69 years, male 8.1
GTEX-YFCO-1226-SM-5LUAT 40-49 years, male 8.1
GTEX-1B8L1-2226-SM-7P8PT 60-69 years, male 8.1
GTEX-1GPI6-1926-SM-9KNV7 60-69 years, male 8.1
GTEX-1MCYP-0526-SM-E9U6Q 20-29 years, female 8.1
GTEX-1S3DN-2126-SM-E9TIN 50-59 years, male 8.1
GTEX-ZF3C-0626-SM-DO92O 50-59 years, female 8.1
GTEX-11NUK-2726-SM-5A5MC 50-59 years, male 8.0
GTEX-12WSH-1526-SM-5BC5W 50-59 years, male 8.0
GTEX-13OVJ-0826-SM-5J1OK 50-59 years, female 8.0
GTEX-145MH-2826-SM-5RQJF 50-59 years, male 8.0
GTEX-16Z82-2626-SM-7KULU 60-69 years, male 8.0
GTEX-1CB4F-1026-SM-7DUH1 60-69 years, male 8.0
GTEX-1GMRU-2126-SM-7P8RA 50-59 years, male 8.0
GTEX-1GN73-0726-SM-7P8TJ 60-69 years, male 8.0
GTEX-1RMOY-1326-SM-E9TIH 50-59 years, male 8.0
GTEX-1S83E-1326-SM-E6CJM 40-49 years, male 8.0
GTEX-11GSP-2326-SM-5HL63 60-69 years, female 7.9
GTEX-139YR-1026-SM-5LZYN 50-59 years, male 7.9
GTEX-13OW6-2726-SM-5J2OE 50-59 years, male 7.9
GTEX-14AS3-1526-SM-5Q5ED 40-49 years, female 7.9
GTEX-14JG1-1526-SM-5YY9X 40-49 years, male 7.9
GTEX-1AMFI-1326-SM-7939R 50-59 years, female 7.9
GTEX-ZYT6-2326-SM-5GZY3 30-39 years, male 7.9
GTEX-1H1ZS-2726-SM-9WG75 70-79 years, male 7.9
GTEX-1I1CD-0626-SM-CE6SW 60-69 years, female 7.9
GTEX-1J8EW-2726-SM-CY8HR 60-69 years, female 7.9
GTEX-1JJE9-2626-SM-ARZMT 70-79 years, male 7.9
GTEX-1PIIG-2326-SM-DTXFR 30-39 years, male 7.9
GTEX-12ZZX-2426-SM-5GCOE 40-49 years, female 7.8
GTEX-13OW5-2326-SM-5L3HO 60-69 years, male 7.8
GTEX-13X6I-1826-SM-5SIAO 60-69 years, male 7.8
GTEX-145MG-1526-SM-5Q5EM 50-59 years, male 7.8
GTEX-15CHR-1126-SM-7EWF4 50-59 years, male 7.8
GTEX-17HG3-2626-SM-7DUF2 30-39 years, female 7.8
GTEX-1F5PK-2226-SM-7SB6N 50-59 years, male 7.8
GTEX-1F88E-1626-SM-7SB8Z 60-69 years, female 7.8
GTEX-1GMR8-0626-SM-7RHI7 50-59 years, female 7.8
GTEX-1HCVE-2726-SM-CL54F 50-59 years, male 7.8
GTEX-1I1GP-1326-SM-A9G28 50-59 years, male 7.8
GTEX-1IL2V-1926-SM-B2LW8 70-79 years, male 7.8
GTEX-1R9PM-1926-SM-EVR3O 20-29 years, male 7.8
GTEX-11GS4-0226-SM-5HL77 60-69 years, male 7.7
GTEX-133LE-2326-SM-5K7W3 20-29 years, female 7.7
GTEX-13QBU-1226-SM-5LU4G 40-49 years, female 7.7
GTEX-XAJ8-1426-SM-47JYM 40-49 years, male 7.7
GTEX-XYKS-1426-SM-4BRUO 60-69 years, female 7.7
GTEX-ZVT2-0126-SM-5GIDQ 50-59 years, female 7.7
GTEX-1H11D-1826-SM-9QEHM 40-49 years, male 7.7
GTEX-1HT8W-0626-SM-A9G2H 30-39 years, male 7.7
GTEX-1IDJI-0126-SM-CMKHS 50-59 years, female 7.7
GTEX-1J8Q2-2626-SM-ACKWQ 60-69 years, male 7.7
GTEX-1JJ6O-2726-SM-CNPOG 60-69 years, male 7.7
GTEX-1JN6P-2926-SM-CL54D 60-69 years, male 7.7
GTEX-111VG-1626-SM-5EGIO 60-69 years, male 7.6
GTEX-144GM-0526-SM-79OJO 20-29 years, male 7.6
GTEX-14ABY-2026-SM-62LDL 50-59 years, male 7.6
GTEX-14PKU-0126-SM-6LLHV 40-49 years, female 7.6
GTEX-1A8G7-1326-SM-73KVM 60-69 years, male 7.6
GTEX-XOT4-0626-SM-4B66L 60-69 years, female 7.6
GTEX-ZDXO-3126-SM-5IJDF 60-69 years, male 7.6
GTEX-ZE7O-2726-SM-51MT5 50-59 years, female 7.6
GTEX-ZLFU-1826-SM-4WWBV 40-49 years, male 7.6
GTEX-1A8FM-0626-SM-7PC25 50-59 years, female 7.6
GTEX-1C6VR-0126-SM-7RHGB 60-69 years, male 7.6
GTEX-1IKOE-1426-SM-CE6T7 30-39 years, female 7.6
GTEX-1K2DU-1226-SM-CYPT4 20-29 years, male 7.6
GTEX-1LSVX-2526-SM-DIPEU 60-69 years, male 7.6
GTEX-1QAET-0326-SM-EVR3U 50-59 years, male 7.6
GTEX-1R7EU-1626-SM-DTXG3 60-69 years, male 7.6
GTEX-1R9K4-2826-SM-DTX8F 60-69 years, male 7.6
GTEX-12ZZZ-0726-SM-5GCNZ 60-69 years, male 7.5
GTEX-14DAQ-0626-SM-793DS 60-69 years, female 7.5
GTEX-16YQH-2226-SM-7IGM2 30-39 years, male 7.5
GTEX-XQ3S-1426-SM-4BOPR 20-29 years, male 7.5
GTEX-1GF9W-1426-SM-7PBYM 60-69 years, male 7.5
GTEX-1I1HK-2326-SM-CKZOH 60-69 years, male 7.5
GTEX-1JJEA-1826-SM-ARU8P 60-69 years, male 7.5
GTEX-1LSNL-2726-SM-E9TKJ 50-59 years, male 7.5
GTEX-144GO-2026-SM-5O99P 60-69 years, male 7.4
GTEX-145MF-0926-SM-5Q5EA 50-59 years, male 7.4
GTEX-XBEC-0726-SM-4QARZ 50-59 years, male 7.4
GTEX-1GL5R-1326-SM-7RHHF 50-59 years, male 7.4
GTEX-1LVAN-0626-SM-CNPOQ 50-59 years, female 7.4
GTEX-1PIGE-1826-SM-E8VOU 20-29 years, male 7.4
GTEX-1RAZQ-1326-SM-E9TK6 30-39 years, male 7.4
GTEX-14PHY-1226-SM-5ZZWK 60-69 years, female 7.3
GTEX-U8XE-0226-SM-4E3J3 30-39 years, male 7.3
GTEX-ZF29-0926-SM-4WKFZ 60-69 years, female 7.3
GTEX-ZYVF-0926-SM-5E44J 50-59 years, female 7.3
GTEX-1GMR3-0126-SM-A9SLW 40-49 years, male 7.3
GTEX-1JMPZ-0726-SM-CY8HZ 30-39 years, male 7.3
GTEX-1JN1M-2726-SM-CY8I4 60-69 years, female 7.3
GTEX-1LKK1-2626-SM-DKPQE 50-59 years, female 7.3
GTEX-1N2EE-0626-SM-E76PW 60-69 years, male 7.3
GTEX-1PPH8-0126-SM-EWRN8 20-29 years, male 7.3
GTEX-1QPFJ-1926-SM-EVYBD 30-39 years, female 7.3
GTEX-11DXY-0126-SM-5H11Q 60-69 years, male 7.2
GTEX-12WSK-2126-SM-5CVNC 40-49 years, female 7.2
GTEX-13OW7-0426-SM-5K7VK 50-59 years, male 7.2
GTEX-14ICL-1626-SM-5YYAO 30-39 years, male 7.2
GTEX-17MF6-2626-SM-79OKQ 40-49 years, male 7.2
GTEX-1A8G6-2726-SM-731AR 60-69 years, male 7.2
GTEX-1C2JI-1026-SM-73KY1 50-59 years, male 7.2
GTEX-1CB4H-1126-SM-7MKGL 60-69 years, female 7.2
GTEX-VJYA-1526-SM-3GIJV 60-69 years, male 7.2
GTEX-WH7G-2026-SM-3NMBL 40-49 years, male 7.2
GTEX-1IE54-1126-SM-A9G2Z 40-49 years, female 7.2
GTEX-1KAFJ-0126-SM-DIPEK 50-59 years, male 7.2
GTEX-13W3W-0726-SM-5IJDQ 60-69 years, female 7.1
GTEX-145LS-0626-SM-7EPG7 60-69 years, female 7.1
GTEX-15RJE-2826-SM-7KUM9 40-49 years, male 7.1
GTEX-183WM-0326-SM-72D5V 70-79 years, female 7.1
GTEX-1CB4J-1326-SM-7P8RX 60-69 years, male 7.1
GTEX-1GN1U-0626-SM-9MQL9 50-59 years, female 7.1
GTEX-1IOXB-2726-SM-CM2RI 50-59 years, male 7.1
GTEX-11DZ1-2426-SM-5GZZX 50-59 years, male 7.0
GTEX-1477Z-0326-SM-7IGLA 60-69 years, male 7.0
GTEX-14C5O-0326-SM-5ZZUX 60-69 years, male 7.0
GTEX-14PK6-0226-SM-62LF5 70-79 years, female 7.0
GTEX-15UF6-1926-SM-7KUDV 70-79 years, female 7.0
GTEX-16MTA-0926-SM-6M47Z 50-59 years, male 7.0
GTEX-1AMEY-0826-SM-72D65 30-39 years, female 7.0
GTEX-V1D1-2026-SM-3GAF4 50-59 years, male 7.0
GTEX-1E2YA-2126-SM-7MXUO 50-59 years, male 7.0
GTEX-1GN2E-0226-SM-9WG6K 60-69 years, male 7.0
GTEX-1HCU7-0726-SM-A9SL1 50-59 years, male 7.0
GTEX-11DXW-0826-SM-5H118 40-49 years, male 6.9
GTEX-11UD2-2526-SM-5CVNU 50-59 years, male 6.9
GTEX-145MI-0626-SM-5SI8S 60-69 years, female 6.9
GTEX-14BIN-1126-SM-5RQJZ 50-59 years, female 6.9
GTEX-14XAO-1226-SM-6EU1C 60-69 years, female 6.9
GTEX-15EO6-2426-SM-6PALZ 50-59 years, male 6.9
GTEX-16XZZ-0726-SM-7KUF2 60-69 years, male 6.9
GTEX-X8HC-0626-SM-4E3HQ 50-59 years, female 6.9
GTEX-ZU9S-1826-SM-5NQ9E 30-39 years, male 6.9
GTEX-1H3O1-1326-SM-9MQLD 60-69 years, male 6.9
GTEX-1LGRB-0926-SM-COH3K 50-59 years, female 6.9
GTEX-1NV5F-0626-SM-DTXEG 60-69 years, female 6.9
GTEX-1PBJJ-1026-SM-E76OS 30-39 years, male 6.9
GTEX-1PPH7-1126-SM-DTX9A 40-49 years, male 6.9
GTEX-17HHE-1326-SM-7EWDZ 50-59 years, male 6.8
GTEX-18A67-1626-SM-7LT9T 50-59 years, male 6.8
GTEX-1BAJH-2426-SM-7IGP8 70-79 years, male 6.8
GTEX-Y9LG-1126-SM-4VBQ7 30-39 years, male 6.8
GTEX-Z93S-1626-SM-5CVMB 50-59 years, male 6.8
GTEX-1GZ4H-0526-SM-9KNU9 50-59 years, female 6.8
GTEX-1HR9M-2226-SM-CNPPY 60-69 years, male 6.8
GTEX-1IKJJ-2226-SM-CJI4C 60-69 years, male 6.8
GTEX-1NSGN-0726-SM-DTXEF 50-59 years, male 6.8
GTEX-12WSC-2826-SM-5BC5Y 50-59 years, male 6.7
GTEX-13FTY-2126-SM-5IFFB 40-49 years, female 6.7
GTEX-18465-2826-SM-7LT9J 50-59 years, male 6.7
GTEX-WYBS-0626-SM-3NMAS 60-69 years, female 6.7
GTEX-ZYFD-0626-SM-5E44E 50-59 years, male 6.7
GTEX-1F88F-0126-SM-9WYSZ 60-69 years, female 6.7
GTEX-1I1GU-0926-SM-ACKVS 40-49 years, male 6.7
GTEX-13PL6-1126-SM-5L3IE 40-49 years, female 6.6
GTEX-144FL-0626-SM-5LU43 50-59 years, male 6.6
GTEX-14A6H-2026-SM-5Q5DD 30-39 years, male 6.6
GTEX-15G19-2426-SM-7KUMR 60-69 years, male 6.6
GTEX-15RIE-1926-SM-7KUKJ 60-69 years, male 6.6
GTEX-15RIG-0726-SM-7KUM7 40-49 years, male 6.6
GTEX-15SHW-0226-SM-7LTAT 60-69 years, male 6.6
GTEX-1GPI7-1826-SM-9KNU1 20-29 years, male 6.6
GTEX-1LVAO-2726-SM-E9TJ8 60-69 years, male 6.6
GTEX-1OJC4-2726-SM-E76PJ 50-59 years, female 6.6
GTEX-1R9PN-0426-SM-DTXDT 40-49 years, female 6.6
GTEX-147F4-0726-SM-5TDDD 50-59 years, male 6.5
GTEX-14PII-0726-SM-6EU2B 60-69 years, male 6.5
GTEX-1B996-0426-SM-7EWF8 60-69 years, male 6.5
GTEX-XPVG-2126-SM-4B667 50-59 years, male 6.5
GTEX-1399S-0126-SM-5IJCF 30-39 years, female 6.4
GTEX-13N1W-2426-SM-5IJD1 70-79 years, male 6.4
GTEX-13SLX-2226-SM-62LEP 50-59 years, female 6.4
GTEX-17EVP-2626-SM-7IGMA 40-49 years, male 6.4
GTEX-WHSE-0126-SM-3NMBT 20-29 years, male 6.4
GTEX-ZPCL-1126-SM-4WWFE 60-69 years, female 6.4
GTEX-1ICLZ-0326-SM-ARL82 60-69 years, male 6.4
GTEX-1EKGG-0626-SM-7DUGJ 60-69 years, male 6.3
GTEX-XMD2-2126-SM-4YCF8 60-69 years, female 6.3
GTEX-1CAMS-2226-SM-7PBXQ 40-49 years, female 6.3
GTEX-ZLV1-1526-SM-DO91J 60-69 years, female 6.3
GTEX-13O3O-2326-SM-5IJD6 60-69 years, female 6.2
GTEX-13YAN-0226-SM-5TDC6 60-69 years, male 6.2
GTEX-14753-0726-SM-5QGQO 60-69 years, male 6.2
GTEX-14LLW-2626-SM-62LDZ 70-79 years, female 6.2
GTEX-14LZ3-0126-SM-69LPM 60-69 years, female 6.2
GTEX-14PJ4-0226-SM-5YY92 60-69 years, male 6.2
GTEX-1HCU8-2526-SM-CE6RX 60-69 years, female 6.2
GTEX-1117F-2926-SM-5GZYI 60-69 years, female 6.1
GTEX-ZE9C-2526-SM-5IJDR 60-69 years, male 6.1
GTEX-1POEN-2326-SM-E9J2L 30-39 years, female 6.1
GTEX-13NZ9-2626-SM-5L3FK 50-59 years, male 6.0
GTEX-13SLW-0626-SM-5Q5ER 70-79 years, male 6.0
GTEX-ZVE2-2826-SM-5GU51 50-59 years, male 6.0
GTEX-ZVZP-1226-SM-5GID7 50-59 years, male 6.0
GTEX-1H4P4-2126-SM-9WYSL 50-59 years, male 6.0
GTEX-1IDJV-0126-SM-COH3Y 60-69 years, male 6.0
GTEX-1R46S-2426-SM-E76QA 60-69 years, female 6.0
GTEX-11PRG-0726-SM-5EGL1 50-59 years, male 5.9
GTEX-17F9Y-0126-SM-79OKX 70-79 years, female 5.9
GTEX-139UW-0326-SM-5J1ML 60-69 years, male 5.8
GTEX-13NYS-0626-SM-5L3F1 60-69 years, male 5.8
GTEX-15DDE-2926-SM-6LLJ3 50-59 years, female 5.8
GTEX-17HII-1426-SM-7EPGG 50-59 years, male 5.8
GTEX-1H2FU-0926-SM-9WPPT 60-69 years, female 5.8
GTEX-1S5ZU-2526-SM-E6CIF 20-29 years, female 5.8
GTEX-13QJC-0126-SM-5ZZWJ 60-69 years, female 5.7
GTEX-148VJ-0626-SM-5LUAW 70-79 years, male 5.7
GTEX-15SKB-2826-SM-6PAMH 60-69 years, male 5.7
GTEX-VUSG-2326-SM-4KL1U 50-59 years, male 5.7
GTEX-ZYY3-2926-SM-5GIEB 60-69 years, female 5.7
GTEX-1QP2A-1726-SM-E76QC 50-59 years, male 5.6
GTEX-13112-0126-SM-5P9IU 50-59 years, male 5.5
GTEX-16MT9-0126-SM-7EPI8 60-69 years, female 5.5
GTEX-1C6WA-2626-SM-7MKGM 60-69 years, male 5.5
GTEX-15CHQ-0326-SM-69LQD 60-69 years, male 5.4
GTEX-ZWKS-0626-SM-5GIDV 30-39 years, male 5.4
GTEX-1J1OQ-0126-SM-D4P2N 40-49 years, female 5.4
GTEX-ZVT4-2426-SM-5GIEI 50-59 years, female 5.3
GTEX-1IDFM-0326-SM-ARL7V 60-69 years, male 5.3
GTEX-1313W-0626-SM-5EQ4H 50-59 years, female 5.2
GTEX-XK95-0226-SM-4AT58 40-49 years, male 5.2
GTEX-ZAB4-2126-SM-5HL8U 40-49 years, male 5.1
GTEX-ZY6K-1426-SM-5GZX2 50-59 years, male 5.0
GTEX-1ICLY-0826-SM-CMKG1 50-59 years, male 5.0
GTEX-1314G-1326-SM-5BC6E 30-39 years, male 4.9
GTEX-WI4N-2726-SM-3LK7Y 40-49 years, female 4.9
GTEX-14A5H-0826-SM-5QGPJ 60-69 years, male 4.8
GTEX-1GN1V-2826-SM-9JGIA 60-69 years, male 4.8
GTEX-11TUW-0626-SM-5LU9M 60-69 years, male 4.7
GTEX-139D8-1126-SM-5LU8W 30-39 years, female 4.7
GTEX-1H23P-0626-SM-9WG6T 60-69 years, male 4.7
GTEX-1H3VE-0726-SM-9YFL5 40-49 years, male 4.6
GTEX-144GL-0626-SM-5LU4D 50-59 years, male 4.4
GTEX-1EMGI-2326-SM-7PBYA 60-69 years, male 4.4
GTEX-1HBPM-0726-SM-9YFL7 60-69 years, female 4.1
GTEX-1399Q-2326-SM-5KM2X 40-49 years, male 3.9
GTEX-1JMQL-2226-SM-CNPP4 50-59 years, female 3.9
GTEX-ZVE1-0726-SM-51MRN 50-59 years, female 3.8
GTEX-139T8-0626-SM-5KLZX 60-69 years, male 3.7
GTEX-13IVO-0726-SM-5LZYV 70-79 years, male 3.4
GTEX-11WQK-1026-SM-5EQLX 50-59 years, male 3.3
GTEX-13NZ8-1226-SM-5KM4A 60-69 years, female 3.3
GTEX-13PDP-0726-SM-5L3HP 60-69 years, male 3.1
GTEX-11EQ8-0926-SM-5H12V 60-69 years, male 3.0
GTEX-13NYC-0126-SM-5L3F4 60-69 years, male 2.9
GTEX-1F6RS-2026-SM-7RHHC 60-69 years, female 2.7
Show allShow less
Skin - Sun Exposed (Lower leg)
Average nTPM: 9.3
Samples: 701

Max nTPM: 16.1
Min nTPM: 2.7
Std nTPM: 1.8
Median nTPM: 9.3
GTEX-14JIY-0126-SM-6LLH6 60-69 years, male 16.1
GTEX-1QW4Y-1526-SM-EAZ3Z 30-39 years, male 15.4
GTEX-1IKK5-0626-SM-ARL8A 60-69 years, male 15.2
GTEX-1AX8Z-0126-SM-7DHM6 60-69 years, male 15.1
GTEX-1B8KZ-2026-SM-7DHMB 50-59 years, male 15.0
GTEX-1A3MV-1926-SM-718BT 30-39 years, male 14.7
GTEX-11ZUS-0626-SM-59885 30-39 years, male 14.3
GTEX-OXRL-0126-SM-2YUMP 50-59 years, male 14.3
GTEX-Y114-2426-SM-4TT8A 50-59 years, female 14.2
GTEX-1211K-2026-SM-5EQ4Z 60-69 years, female 13.7
GTEX-1F6I4-0126-SM-9MQL2 60-69 years, male 13.7
GTEX-11P7K-2126-SM-5GU7G 30-39 years, male 13.6
GTEX-VJYA-1126-SM-3GIJU 60-69 years, male 13.6
GTEX-1399U-2326-SM-5K7WY 50-59 years, female 13.5
GTEX-1F75I-0326-SM-9YFLU 40-49 years, male 13.5
GTEX-WXYG-2326-SM-4E3I6 50-59 years, female 13.4
GTEX-1R9PO-2126-SM-E9J4O 60-69 years, female 13.3
GTEX-13G51-2526-SM-5LZYK 60-69 years, male 13.2
GTEX-ZVTK-0426-SM-51MRS 20-29 years, male 13.2
GTEX-146FR-1326-SM-E9J48 60-69 years, female 13.2
GTEX-1KANC-1526-SM-D3LAB 50-59 years, female 13.2
GTEX-QLQ7-1626-SM-2S1R8 60-69 years, male 13.0
GTEX-1CAV2-2226-SM-7P8P2 40-49 years, female 13.0
GTEX-1F48J-0126-SM-7P8TT 50-59 years, female 13.0
GTEX-S33H-1026-SM-EZ6L6 30-39 years, male 13.0
GTEX-12WSK-2326-SM-5GCOH 40-49 years, female 12.9
GTEX-1N2DV-0226-SM-E6CJ6 40-49 years, male 12.9
GTEX-1PBJI-0526-SM-E8VNK 20-29 years, female 12.8
GTEX-11EM3-2426-SM-59861 20-29 years, female 12.7
GTEX-QEG4-0226-SM-2S1PY 30-39 years, male 12.7
GTEX-PLZ6-1426-SM-DKPOT 30-39 years, male 12.7
GTEX-1K2DA-1826-SM-CGQGT 50-59 years, male 12.6
GTEX-1AYD5-2426-SM-73KXR 50-59 years, male 12.5
GTEX-T6MN-0126-SM-32PLP 50-59 years, male 12.5
GTEX-WY7C-2326-SM-3NB2U 50-59 years, male 12.5
GTEX-1NHNU-1026-SM-E9J2A 50-59 years, male 12.5
GTEX-11DXZ-2326-SM-5EGGV 50-59 years, male 12.4
GTEX-11OF3-2626-SM-5GU7F 60-69 years, male 12.4
GTEX-11UD1-0126-SM-5PNYG 40-49 years, female 12.4
GTEX-12C56-1726-SM-5EQ61 20-29 years, male 12.4
GTEX-13YAN-0326-SM-5O9DF 60-69 years, male 12.3
GTEX-TKQ1-1026-SM-4GICL 30-39 years, male 12.3
GTEX-1IDJF-0126-SM-CM2RS 20-29 years, male 12.3
GTEX-14A6H-0126-SM-5QGPK 30-39 years, male 12.2
GTEX-TML8-1926-SM-32QOS 40-49 years, female 12.2
GTEX-13111-1626-SM-5EGJY 50-59 years, male 12.1
GTEX-OHPM-0126-SM-2YUN9 50-59 years, male 12.1
GTEX-WRHK-1426-SM-3MJF9 20-29 years, female 12.1
GTEX-1GPI6-0126-SM-9WG69 60-69 years, male 12.1
GTEX-11P81-2326-SM-59875 30-39 years, female 12.0
GTEX-1EMGI-0126-SM-9KNUE 60-69 years, male 12.0
GTEX-1IY9M-0126-SM-D3L8S 60-69 years, male 12.0
GTEX-1JN6P-0126-SM-D3L98 60-69 years, male 12.0
GTEX-113IC-0126-SM-5HL6T 60-69 years, male 11.9
GTEX-12WSD-0126-SM-59HKN 60-69 years, female 11.9
GTEX-1F75A-0126-SM-7RHGM 50-59 years, male 11.9
GTEX-1PPH8-0226-SM-E8VND 20-29 years, male 11.9
GTEX-11ZTT-2426-SM-5EQLS 60-69 years, female 11.8
GTEX-146FQ-0126-SM-5NQA9 30-39 years, male 11.8
GTEX-14PJ3-1826-SM-62LEX 50-59 years, male 11.8
GTEX-PX3G-0126-SM-2I3EN 20-29 years, female 11.8
GTEX-1GN1W-0526-SM-9MQJQ 50-59 years, female 11.8
GTEX-1OJC4-0126-SM-E9J2E 50-59 years, female 11.8
GTEX-U4B1-1826-SM-4DXSU 40-49 years, male 11.7
GTEX-1H3O1-0426-SM-9YFKY 60-69 years, male 11.7
GTEX-1AYCT-2426-SM-7IGQ3 50-59 years, male 11.6
GTEX-SUCS-1926-SM-32PM3 70-79 years, male 11.6
GTEX-ZZ64-1726-SM-5GZYB 20-29 years, male 11.6
GTEX-1IL2U-0226-SM-CE6T8 60-69 years, male 11.6
GTEX-1KANB-0526-SM-E6CJH 50-59 years, male 11.6
GTEX-1QP9N-1426-SM-DTXFL 30-39 years, male 11.6
GTEX-W5X1-3026-SM-EAZAX 40-49 years, female 11.6
GTEX-11GS4-2726-SM-5A5LE 60-69 years, male 11.5
GTEX-S7PM-0126-SM-4AD6S 60-69 years, male 11.5
GTEX-TMZS-0126-SM-3DB9Q 60-69 years, male 11.5
GTEX-XBED-2226-SM-47JYQ 60-69 years, male 11.5
GTEX-1CB4F-0426-SM-9KNV4 60-69 years, male 11.5
GTEX-1CB4G-0226-SM-7PC3O 60-69 years, male 11.5
GTEX-1RLM8-2326-SM-EWRN4 50-59 years, male 11.5
GTEX-11H98-0126-SM-5EGHG 50-59 years, male 11.4
GTEX-13FHP-0126-SM-5IJBG 50-59 years, male 11.4
GTEX-14BIL-0126-SM-5SI92 50-59 years, male 11.4
GTEX-16MT8-0426-SM-7KUEY 60-69 years, female 11.4
GTEX-18A7A-0226-SM-718BH 50-59 years, female 11.4
GTEX-X638-0126-SM-47JZ8 70-79 years, female 11.4
GTEX-Y111-0126-SM-4SOIV 50-59 years, male 11.4
GTEX-1GPI7-0126-SM-9MQL8 20-29 years, male 11.4
GTEX-1HFI6-0226-SM-ADEHZ 40-49 years, male 11.4
GTEX-1MGNQ-0126-SM-EVYCJ 40-49 years, male 11.4
GTEX-16XZZ-0126-SM-793DV 60-69 years, male 11.3
GTEX-R55E-0126-SM-2TC5Y 20-29 years, male 11.3
GTEX-1HCU6-0126-SM-CL54K 60-69 years, female 11.3
GTEX-1HUB1-0426-SM-E9U4U 60-69 years, male 11.3
GTEX-12WSN-5019-SM-79OM6 40-49 years, male 11.2
GTEX-145LV-2126-SM-5LU8N 50-59 years, male 11.2
GTEX-1497J-2426-SM-7IGNX 60-69 years, male 11.2
GTEX-Q2AI-1326-SM-2S1PL 40-49 years, male 11.2
GTEX-UPJH-0326-SM-3GADU 50-59 years, male 11.2
GTEX-ZTPG-0326-SM-5O9AX 20-29 years, female 11.2
GTEX-13OW7-0126-SM-5MR3B 50-59 years, male 11.1
GTEX-14PN3-2426-SM-6LLHS 60-69 years, female 11.1
GTEX-15DDE-0126-SM-6LPKH 50-59 years, female 11.1
GTEX-QV44-1926-SM-2S1RF 50-59 years, male 11.1
GTEX-RU72-0926-SM-2TF6B 50-59 years, female 11.1
GTEX-W5WG-1826-SM-4KL2Y 50-59 years, female 11.1
GTEX-1HBPN-0226-SM-9YFM1 50-59 years, male 11.1
GTEX-1I4MK-2226-SM-ACKWD 50-59 years, female 11.1
GTEX-13CF2-2526-SM-5LZYX 60-69 years, male 11.0
GTEX-16XZY-2126-SM-79OK1 70-79 years, male 11.0
GTEX-1A3MW-0126-SM-73KXX 60-69 years, female 11.0
GTEX-QDT8-0126-SM-48TZ1 30-39 years, female 11.0
GTEX-XQ8I-0426-SM-4BOPO 50-59 years, male 11.0
GTEX-169BO-1326-SM-9MQK2 50-59 years, male 11.0
GTEX-1AX9I-0126-SM-7SB74 60-69 years, male 11.0
GTEX-1HGF4-2426-SM-ACKXM 60-69 years, male 11.0
GTEX-1J8Q3-1626-SM-CMKGC 60-69 years, male 11.0
GTEX-1JMQI-2226-SM-CM2SD 50-59 years, male 11.0
GTEX-131XH-2226-SM-5DUXJ 50-59 years, male 10.9
GTEX-139T4-0226-SM-5HL5S 50-59 years, female 10.9
GTEX-147GR-0526-SM-5S2MY 60-69 years, male 10.9
GTEX-17HHY-0126-SM-7LG5D 50-59 years, male 10.9
GTEX-PLZ5-2026-SM-2S1O4 50-59 years, male 10.9
GTEX-1MA7W-2026-SM-E9TJ6 20-29 years, female 10.9
GTEX-1QP2A-0126-SM-E9J43 50-59 years, male 10.9
GTEX-145MI-0526-SM-5O9A8 60-69 years, female 10.8
GTEX-S7SE-0126-SM-2XCD5 50-59 years, male 10.8
GTEX-U3ZM-1526-SM-3DB9D 40-49 years, male 10.8
GTEX-V1D1-2226-SM-3NMAX 50-59 years, male 10.8
GTEX-YB5K-2126-SM-4WWDJ 40-49 years, female 10.8
GTEX-1H2FU-0126-SM-9WYSI 60-69 years, female 10.8
GTEX-1J8JJ-0226-SM-CL53I 60-69 years, female 10.8
GTEX-1KD4Q-0226-SM-E9TJ9 40-49 years, male 10.8
GTEX-1KWVE-1426-SM-E9TJO 30-39 years, male 10.8
GTEX-1MA7X-2226-SM-E6CIY 60-69 years, male 10.8
GTEX-PWCY-1826-SM-DHXIZ 20-29 years, female 10.8
GTEX-RNOR-0126-SM-E9J4R 50-59 years, female 10.8
GTEX-1192X-0226-SM-5H12D 50-59 years, male 10.7
GTEX-12696-2426-SM-5EQ6H 60-69 years, male 10.7
GTEX-139TU-0126-SM-5K7WH 60-69 years, male 10.7
GTEX-13U4I-0126-SM-5LU38 40-49 years, female 10.7
GTEX-WQUQ-0426-SM-3MJFU 60-69 years, male 10.7
GTEX-X4EO-0326-SM-3P5YO 60-69 years, female 10.7
GTEX-1HSMP-0126-SM-E6CJS 70-79 years, male 10.7
GTEX-1I1HK-0126-SM-COH49 60-69 years, male 10.7
GTEX-1IGQW-0126-SM-COH42 60-69 years, male 10.7
GTEX-1JKYN-1326-SM-CGQG9 30-39 years, male 10.7
GTEX-1RQEC-0426-SM-E6CHU 60-69 years, male 10.7
GTEX-PW2O-1526-SM-7RHHB 20-29 years, male 10.7
GTEX-11LCK-1026-SM-5A5KB 30-39 years, male 10.6
GTEX-11ZVC-2526-SM-5FQTE 50-59 years, female 10.6
GTEX-13FXS-0226-SM-5IJCK 50-59 years, male 10.6
GTEX-17F96-1626-SM-7DUFL 70-79 years, male 10.6
GTEX-O5YW-0126-SM-3LK6D 50-59 years, male 10.6
GTEX-Y3IK-2426-SM-4WWDU 50-59 years, female 10.6
GTEX-Y8DK-0126-SM-4TT3L 60-69 years, male 10.6
GTEX-ZAK1-0126-SM-5IJD3 50-59 years, female 10.6
GTEX-ZDYS-2026-SM-5HL5L 50-59 years, male 10.6
GTEX-ZE7O-0126-SM-57WC1 50-59 years, female 10.6
GTEX-1GZHY-0326-SM-9QEHI 50-59 years, female 10.6
GTEX-1H3VE-0326-SM-9YFLH 40-49 years, male 10.6
GTEX-1I1CD-0126-SM-CM2TK 60-69 years, female 10.6
GTEX-1JMOU-1526-SM-CL54I 60-69 years, female 10.6
GTEX-1S5ZA-0126-SM-EVYCV 20-29 years, male 10.6
GTEX-1S82Y-2026-SM-EVYCM 40-49 years, male 10.6
GTEX-OOBJ-0126-SM-E6CJW 60-69 years, male 10.6
GTEX-13O21-1426-SM-5K7XI 50-59 years, male 10.5
GTEX-X585-0226-SM-4QAS2 50-59 years, male 10.5
GTEX-Z93T-0126-SM-5HL5N 50-59 years, male 10.5
GTEX-ZUA1-0126-SM-5GU76 40-49 years, male 10.5
GTEX-1EU9M-0226-SM-7P8SP 60-69 years, male 10.5
GTEX-1H3VY-0126-SM-ACKXD 50-59 years, male 10.5
GTEX-1HSGN-0226-SM-CGQFV 40-49 years, female 10.5
GTEX-1I1GU-2226-SM-CGQFA 40-49 years, male 10.5
GTEX-1JMQJ-0526-SM-CYPSU 50-59 years, male 10.5
GTEX-1OJC3-0126-SM-E76QX 20-29 years, male 10.5
GTEX-1PIGE-0126-SM-EVYBJ 20-29 years, male 10.5
GTEX-1QP67-1626-SM-EAZ3X 40-49 years, female 10.5
GTEX-117YW-2626-SM-5GZZH 50-59 years, male 10.4
GTEX-11GSP-2526-SM-5N9BP 60-69 years, female 10.4
GTEX-11OC5-0126-SM-5HL6A 60-69 years, male 10.4
GTEX-11XUK-2026-SM-5EQLF 40-49 years, female 10.4
GTEX-13OVL-0226-SM-5L3E9 50-59 years, male 10.4
GTEX-15SHW-0326-SM-6PAML 60-69 years, male 10.4
GTEX-18A6Q-0126-SM-731BZ 60-69 years, male 10.4
GTEX-RN64-0126-SM-2TC68 50-59 years, male 10.4
GTEX-RTLS-0126-SM-447CA 60-69 years, female 10.4
GTEX-ZDTS-0126-SM-4WAY5 60-69 years, male 10.4
GTEX-ZF28-0126-SM-4WKGK 60-69 years, male 10.4
GTEX-ZQUD-1426-SM-57WER 30-39 years, male 10.4
GTEX-13FH7-2026-SM-E9J4I 50-59 years, female 10.4
GTEX-1F75B-0126-SM-9KNVL 50-59 years, male 10.4
GTEX-1HBPM-0226-SM-ARL9F 60-69 years, female 10.4
GTEX-1KD5A-0226-SM-D5OV3 50-59 years, male 10.4
GTEX-1PFEY-1526-SM-E76PP 30-39 years, male 10.4
GTEX-ZF29-2326-SM-DO92K 60-69 years, female 10.4
GTEX-13X6H-2126-SM-7EWD5 50-59 years, female 10.3
GTEX-14BIN-0626-SM-793DP 50-59 years, female 10.3
GTEX-14PHX-2326-SM-62LEM 50-59 years, male 10.3
GTEX-15SDE-2226-SM-7IGLO 50-59 years, female 10.3
GTEX-17HGU-0226-SM-7DHKV 50-59 years, male 10.3
GTEX-1CB4E-2226-SM-793DC 60-69 years, male 10.3
GTEX-U3ZH-2026-SM-3DB78 30-39 years, male 10.3
GTEX-WH7G-2326-SM-3NMBC 40-49 years, male 10.3
GTEX-1GN73-0226-SM-9WG67 60-69 years, male 10.3
GTEX-1H1DE-2126-SM-9WG6R 20-29 years, male 10.3
GTEX-1J1R8-1726-SM-ARL8M 40-49 years, male 10.3
GTEX-1269C-2526-SM-5EGJ3 60-69 years, female 10.2
GTEX-15SB6-1726-SM-6PAME 50-59 years, female 10.2
GTEX-16NGA-1726-SM-731B4 40-49 years, female 10.2
GTEX-18D9U-0226-SM-718BP 40-49 years, male 10.2
GTEX-QCQG-1726-SM-3GIJ9 50-59 years, female 10.2
GTEX-RWSA-0126-SM-2XCBB 40-49 years, male 10.2
GTEX-XUYS-0126-SM-47JWZ 50-59 years, male 10.2
GTEX-1B996-0226-SM-7RHGO 60-69 years, male 10.2
GTEX-1I1GS-0126-SM-B2LVW 60-69 years, male 10.2
GTEX-1MUQO-0126-SM-EAZ58 60-69 years, male 10.2
GTEX-1QEPI-0126-SM-EWRMQ 60-69 years, female 10.2
GTEX-11DYG-0126-SM-59883 60-69 years, male 10.1
GTEX-13FHO-0226-SM-5IFGY 60-69 years, male 10.1
GTEX-13VXU-0126-SM-5SI9F 50-59 years, male 10.1
GTEX-16GPK-0126-SM-7DHLE 60-69 years, male 10.1
GTEX-Y3I4-2126-SM-4TT7C 50-59 years, male 10.1
GTEX-1B8L1-2526-SM-9WYTF 60-69 years, male 10.1
GTEX-1C6WA-0126-SM-7PC2B 60-69 years, male 10.1
GTEX-1H1CY-2826-SM-9MQM3 60-69 years, female 10.1
GTEX-1HSMQ-1226-SM-CGQFX 50-59 years, male 10.1
GTEX-1I1GP-2226-SM-CGQFK 50-59 years, male 10.1
GTEX-1MCQQ-0826-SM-DLHC2 60-69 years, male 10.1
GTEX-PSDG-0226-SM-DKPOZ 50-59 years, male 10.1
GTEX-13N11-2526-SM-5K7UE 50-59 years, female 10.0
GTEX-144GN-2326-SM-5LU4F 50-59 years, male 10.0
GTEX-17EVQ-0226-SM-7LG4P 70-79 years, male 10.0
GTEX-OXRP-0126-SM-3NB32 60-69 years, female 10.0
GTEX-WZTO-0126-SM-3NM95 40-49 years, male 10.0
GTEX-1JMPY-1326-SM-ARL8Y 30-39 years, male 10.0
GTEX-1K2DU-2326-SM-E9TIV 20-29 years, male 10.0
GTEX-1R9PM-2026-SM-E76OY 20-29 years, male 10.0
GTEX-1RAZA-0126-SM-E6CI3 20-29 years, male 10.0
GTEX-1RAZQ-0726-SM-EAZ43 30-39 years, male 10.0
GTEX-1S82Z-0826-SM-E6CHY 30-39 years, female 10.0
GTEX-R45C-0126-SM-EAZ2R 60-69 years, female 10.0
GTEX-ZQG8-1626-SM-DHXIT 60-69 years, female 10.0
GTEX-11DXX-2426-SM-5GZZW 60-69 years, female 9.9
GTEX-12ZZX-0126-SM-5EGK9 40-49 years, female 9.9
GTEX-139TS-2826-SM-5J1OO 60-69 years, male 9.9
GTEX-13FTW-2626-SM-5K7WL 40-49 years, male 9.9
GTEX-17F97-0326-SM-7LG5B 50-59 years, male 9.9
GTEX-1AX9K-2326-SM-73KWU 50-59 years, male 9.9
GTEX-SN8G-0126-SM-32PLI 50-59 years, female 9.9
GTEX-WYJK-0126-SM-3NMAB 50-59 years, male 9.9
GTEX-XAJ8-0826-SM-47JY6 40-49 years, male 9.9
GTEX-XUZC-1726-SM-4BRWS 30-39 years, female 9.9
GTEX-11TTK-0126-SM-5987B 60-69 years, female 9.8
GTEX-12KS4-0326-SM-5EQ41 30-39 years, male 9.8
GTEX-12WSJ-1826-SM-5GCNY 40-49 years, female 9.8
GTEX-131YS-0126-SM-5KM1M 60-69 years, female 9.8
GTEX-13D11-2426-SM-5KM1V 50-59 years, female 9.8
GTEX-13OVI-1426-SM-5L3EY 60-69 years, female 9.8
GTEX-13QJ3-0326-SM-5S2RA 50-59 years, male 9.8
GTEX-13W3W-2426-SM-5LU5B 60-69 years, female 9.8
GTEX-15SHU-0126-SM-7KUEH 40-49 years, female 9.8
GTEX-1AMEY-1326-SM-73KYK 30-39 years, female 9.8
GTEX-1C4CL-0526-SM-73KVK 30-39 years, male 9.8
GTEX-PVOW-0126-SM-2XCFA 40-49 years, male 9.8
GTEX-X62O-0126-SM-4E3JN 50-59 years, male 9.8
GTEX-ZEX8-2426-SM-4WKG4 50-59 years, male 9.8
GTEX-ZTSS-1926-SM-57WEW 40-49 years, male 9.8
GTEX-1HCUA-2426-SM-ADEIS 50-59 years, female 9.8
GTEX-1LG7Z-1726-SM-D3LA4 30-39 years, male 9.8
GTEX-1QP66-1726-SM-E8VO1 50-59 years, male 9.8
GTEX-11EMC-2926-SM-5EQ4F 60-69 years, female 9.7
GTEX-11P82-1626-SM-59879 20-29 years, male 9.7
GTEX-11ZU8-2526-SM-5EQKI 60-69 years, male 9.7
GTEX-13N1W-0126-SM-5K7VT 70-79 years, male 9.7
GTEX-14BMU-2226-SM-5TDE9 20-29 years, female 9.7
GTEX-16AAH-1726-SM-7939C 50-59 years, male 9.7
GTEX-17EUY-0426-SM-793BD 20-29 years, male 9.7
GTEX-18D9A-1926-SM-7LG6P 30-39 years, female 9.7
GTEX-1C475-1826-SM-73KWA 40-49 years, female 9.7
GTEX-Y8LW-1826-SM-5S2MV 50-59 years, female 9.7
GTEX-131XF-5016-SM-7MGWE 60-69 years, male 9.7
GTEX-1OFPY-2426-SM-DTXEJ 60-69 years, male 9.7
GTEX-1POEN-0126-SM-EYYXJ 30-39 years, female 9.7
GTEX-132NY-0326-SM-5IJBL 60-69 years, male 9.6
GTEX-13VXT-0126-SM-5LU4I 20-29 years, female 9.6
GTEX-13W46-0226-SM-5SIAG 50-59 years, male 9.6
GTEX-14A5I-0126-SM-5TDEA 50-59 years, female 9.6
GTEX-14LLW-0126-SM-6LLIO 70-79 years, female 9.6
GTEX-14PJM-0226-SM-62LF1 50-59 years, female 9.6
GTEX-17F98-0626-SM-79OMX 40-49 years, female 9.6
GTEX-1A32A-0126-SM-718B1 50-59 years, female 9.6
GTEX-1CAMR-1926-SM-7EPI2 20-29 years, male 9.6
GTEX-P4PQ-0126-SM-2S1NM 60-69 years, male 9.6
GTEX-U3ZN-2326-SM-3DB7W 30-39 years, female 9.6
GTEX-XQ3S-1526-SM-4BOOC 20-29 years, male 9.6
GTEX-1B933-0126-SM-7PC29 50-59 years, female 9.6
GTEX-1GN1U-0126-SM-7PBZK 50-59 years, female 9.6
GTEX-1H3NZ-0126-SM-ACKX7 60-69 years, male 9.6
GTEX-1HBPH-0426-SM-B2LW5 40-49 years, female 9.6
GTEX-1ICG6-2526-SM-CGQFZ 70-79 years, female 9.6
GTEX-1NV5F-0226-SM-E8VNY 60-69 years, female 9.6
GTEX-1S3DN-2226-SM-EVYCD 50-59 years, male 9.6
GTEX-OIZF-0126-SM-7SB8I 60-69 years, male 9.6
GTEX-ZPIC-1726-SM-DHXIU 40-49 years, female 9.6
GTEX-1314G-1526-SM-5EGK2 30-39 years, male 9.5
GTEX-13O1R-0126-SM-5L3EH 60-69 years, male 9.5
GTEX-13OVJ-0126-SM-5KM36 50-59 years, female 9.5
GTEX-13X6J-0126-SM-5QGOU 50-59 years, male 9.5
GTEX-17HG3-2226-SM-7938L 30-39 years, female 9.5
GTEX-1BAJH-0526-SM-793CQ 70-79 years, male 9.5
GTEX-S32W-2126-SM-2XCB1 50-59 years, female 9.5
GTEX-SJXC-0126-SM-2XCFF 60-69 years, male 9.5
GTEX-WYVS-2126-SM-3NMA3 40-49 years, female 9.5
GTEX-ZXG5-0126-SM-5GIEU 60-69 years, male 9.5
GTEX-1C64O-0126-SM-7SB8P 60-69 years, male 9.5
GTEX-1H1E6-1726-SM-ACKVK 30-39 years, male 9.5
GTEX-1H1ZS-0426-SM-9WG6G 70-79 years, male 9.5
GTEX-1LSNM-1926-SM-E6CII 50-59 years, male 9.5
GTEX-1QCLY-0326-SM-E8VOG 30-39 years, male 9.5
GTEX-13NYB-2526-SM-5K7Z6 40-49 years, male 9.4
GTEX-183FY-0126-SM-7LT9P 20-29 years, male 9.4
GTEX-18A66-0226-SM-718BD 60-69 years, male 9.4
GTEX-R55G-2526-SM-2TC6D 40-49 years, female 9.4
GTEX-ZTX8-1426-SM-5DUVO 20-29 years, male 9.4
GTEX-1F6IF-0726-SM-7P8TW 60-69 years, male 9.4
GTEX-1I6K6-0126-SM-A9SLE 30-39 years, male 9.4
GTEX-1ICLY-0126-SM-D4P36 50-59 years, male 9.4
GTEX-1RB15-2126-SM-E9TIM 60-69 years, male 9.4
GTEX-1313W-0126-SM-5LZUN 50-59 years, female 9.3
GTEX-139TT-0126-SM-5K7Y5 60-69 years, male 9.3
GTEX-13RTJ-2426-SM-5S2Q2 60-69 years, male 9.3
GTEX-13RTK-1426-SM-5QGQJ 20-29 years, male 9.3
GTEX-145MO-0326-SM-5Q5B3 60-69 years, male 9.3
GTEX-147F4-0226-SM-5QGPW 50-59 years, male 9.3
GTEX-14DAR-2026-SM-5S2O3 50-59 years, male 9.3
GTEX-14E7W-0126-SM-6LLJ9 70-79 years, male 9.3
GTEX-14ICK-0226-SM-6EU25 40-49 years, male 9.3
GTEX-15D1Q-0126-SM-7KUG6 40-49 years, male 9.3
GTEX-17HHE-2026-SM-79OKF 50-59 years, male 9.3
GTEX-1C6VR-2426-SM-79OLD 60-69 years, male 9.3
GTEX-NFK9-0226-SM-2HMKQ 40-49 years, male 9.3
GTEX-Q2AH-1626-SM-3GAF8 40-49 years, male 9.3
GTEX-RWS6-2026-SM-2XCB5 60-69 years, female 9.3
GTEX-S95S-1226-SM-4GICG 60-69 years, male 9.3
GTEX-ZF2S-2326-SM-4WWCE 50-59 years, female 9.3
GTEX-1CAMS-0426-SM-7P8T2 40-49 years, female 9.3
GTEX-1IKOH-0226-SM-COH4E 60-69 years, female 9.3
GTEX-1J8EW-0126-SM-CJI4F 60-69 years, female 9.3
GTEX-1JJ6O-0126-SM-E6CI8 60-69 years, male 9.3
GTEX-1JMPZ-0226-SM-CNPP1 30-39 years, male 9.3
GTEX-1QAET-0926-SM-E76QM 50-59 years, male 9.3
GTEX-11GSO-2426-SM-5A5LY 60-69 years, male 9.2
GTEX-11VI4-1726-SM-5CVLH 40-49 years, female 9.2
GTEX-13RTL-0126-SM-7LG5S 40-49 years, male 9.2
GTEX-14ABY-0226-SM-5TDCQ 50-59 years, male 9.2
GTEX-15UF6-0826-SM-6PALJ 70-79 years, female 9.2
GTEX-PWO3-1526-SM-48TCM 60-69 years, female 9.2
GTEX-RUSQ-1526-SM-2TF62 50-59 years, male 9.2
GTEX-WOFL-0126-SM-3MJG2 60-69 years, male 9.2
GTEX-Y8E4-0626-SM-4WWDL 40-49 years, male 9.2
GTEX-ZDXO-3026-SM-5J1N5 60-69 years, male 9.2
GTEX-1HBPI-1526-SM-C1YQ1 50-59 years, male 9.2
GTEX-1HFI7-1826-SM-ACKXH 50-59 years, female 9.2
GTEX-1HSKV-0226-SM-A9SKJ 60-69 years, male 9.2
GTEX-1IOXB-0126-SM-ARL8G 50-59 years, male 9.2
GTEX-1J8QM-2126-SM-CYPSJ 60-69 years, female 9.2
GTEX-1LG7Y-0526-SM-DKPQC 50-59 years, male 9.2
GTEX-117YX-2326-SM-5H12W 50-59 years, male 9.1
GTEX-11NUK-0126-SM-5A5L3 50-59 years, male 9.1
GTEX-13FTX-1826-SM-5J1NX 20-29 years, female 9.1
GTEX-14PN4-0126-SM-6EU2V 50-59 years, male 9.1
GTEX-15DCD-0126-SM-7KUEK 70-79 years, female 9.1
GTEX-15F5U-1526-SM-6PANO 40-49 years, male 9.1
GTEX-1B97I-1626-SM-73KYO 40-49 years, male 9.1
GTEX-1C2JI-1826-SM-73KXC 50-59 years, male 9.1
GTEX-1EKGG-0226-SM-9WYTH 60-69 years, male 9.1
GTEX-1EWIQ-0126-SM-7RHH2 70-79 years, female 9.1
GTEX-1J8Q2-0526-SM-CM2RW 60-69 years, male 9.1
GTEX-1JJEA-0326-SM-CNPOT 60-69 years, male 9.1
GTEX-1JKYR-0126-SM-CNPOJ 20-29 years, male 9.1
GTEX-1LNCM-1126-SM-E9U5E 50-59 years, female 9.1
GTEX-1QP29-0626-SM-EWRMX 50-59 years, male 9.1
GTEX-1128S-2326-SM-5GZZY 60-69 years, female 9.0
GTEX-12126-0326-SM-5PNW3 20-29 years, male 9.0
GTEX-145MN-2226-SM-5SIAU 30-39 years, male 9.0
GTEX-SSA3-0126-SM-32QPU 60-69 years, male 9.0
GTEX-T5JC-0426-SM-32PLO 20-29 years, male 9.0
GTEX-YEC4-2126-SM-5IFJH 40-49 years, male 9.0
GTEX-ZV68-0126-SM-59HKS 50-59 years, female 9.0
GTEX-ZYT6-0226-SM-5NQ6T 30-39 years, male 9.0
GTEX-1GL5R-1826-SM-9KNUY 50-59 years, male 9.0
GTEX-1H11D-0226-SM-9WG6Z 40-49 years, male 9.0
GTEX-1K9T9-0126-SM-EVYCF 50-59 years, female 9.0
GTEX-1PDJ9-0326-SM-DTX95 20-29 years, male 9.0
GTEX-13X6I-0626-SM-5QGP9 60-69 years, male 8.9
GTEX-145MF-0626-SM-5LUAI 50-59 years, male 8.9
GTEX-Q2AG-0126-SM-33HBV 40-49 years, female 8.9
GTEX-QVJO-1626-SM-2S1QW 60-69 years, female 8.9
GTEX-SIU8-0126-SM-2XCDT 50-59 years, male 8.9
GTEX-XPVG-2626-SM-4B669 50-59 years, male 8.9
GTEX-Y5V5-2326-SM-4V6GA 60-69 years, female 8.9
GTEX-YB5E-2026-SM-5IFIS 40-49 years, male 8.9
GTEX-Z9EW-1626-SM-5CVMN 40-49 years, male 8.9
GTEX-ZC5H-0226-SM-4WAY9 40-49 years, female 8.9
GTEX-1HKZK-0326-SM-9WYUH 40-49 years, male 8.9
GTEX-1I19N-0326-SM-ACKVX 70-79 years, male 8.9
GTEX-1J1OQ-0226-SM-CYPSH 40-49 years, female 8.9
GTEX-1LC47-0326-SM-E9TJP 60-69 years, male 8.9
GTEX-1PPH7-2326-SM-EVYB8 40-49 years, male 8.9
GTEX-11DZ1-0126-SM-5985Q 50-59 years, male 8.8
GTEX-11WQC-2526-SM-5CVLE 60-69 years, male 8.8
GTEX-13OW8-1326-SM-5J1OW 60-69 years, male 8.8
GTEX-13SLW-0126-SM-5SI6C 70-79 years, male 8.8
GTEX-15CHC-2126-SM-6EU21 60-69 years, female 8.8
GTEX-1CB4J-0626-SM-7DHMP 60-69 years, male 8.8
GTEX-T6MO-1626-SM-32QOM 40-49 years, female 8.8
GTEX-ZGAY-0526-SM-4WWBB 40-49 years, female 8.8
GTEX-1GZ4H-1726-SM-7PBZJ 50-59 years, female 8.8
GTEX-ZF3C-0126-SM-DO92D 50-59 years, female 8.8
GTEX-OXRK-0226-SM-3NB2G 50-59 years, female 8.7
GTEX-OXRN-0126-SM-48TDM 50-59 years, male 8.7
GTEX-T2IS-0126-SM-4DM6O 20-29 years, female 8.7
GTEX-X8HC-0126-SM-4E3JW 50-59 years, female 8.7
GTEX-XYKS-2126-SM-4E3IB 60-69 years, female 8.7
GTEX-YFC4-0126-SM-5CVLY 40-49 years, female 8.7
GTEX-ZAB4-0226-SM-5N9F5 40-49 years, male 8.7
GTEX-1H1DG-0126-SM-9WYU2 70-79 years, male 8.7
GTEX-1H23P-0126-SM-ADEJ3 60-69 years, male 8.7
GTEX-1IL2V-0126-SM-CM2TX 70-79 years, male 8.7
GTEX-1JMQK-0226-SM-CL543 60-69 years, male 8.7
GTEX-1KAFJ-2026-SM-CY8ID 50-59 years, male 8.7
GTEX-13NZA-0226-SM-5K7Z7 60-69 years, male 8.6
GTEX-14DAQ-0126-SM-5S2MQ 60-69 years, female 8.6
GTEX-15ETS-0126-SM-7KUMW 40-49 years, female 8.6
GTEX-16YQH-0126-SM-7DUFJ 30-39 years, male 8.6
GTEX-18465-0126-SM-731BN 50-59 years, male 8.6
GTEX-1A3MX-0126-SM-731BR 60-69 years, male 8.6
GTEX-1B8KE-2126-SM-73KYX 50-59 years, male 8.6
GTEX-1CB4I-0226-SM-79OLH 50-59 years, male 8.6
GTEX-OHPL-0126-SM-2HMJ7 60-69 years, female 8.6
GTEX-VJWN-0126-SM-3GIK7 50-59 years, female 8.6
GTEX-WFON-2126-SM-3LK7O 40-49 years, male 8.6
GTEX-X5EB-2226-SM-46MW4 40-49 years, male 8.6
GTEX-XUW1-0426-SM-4BOOT 50-59 years, female 8.6
GTEX-13O3O-0126-SM-E9J49 60-69 years, female 8.6
GTEX-1GMRU-0126-SM-9YFLV 50-59 years, male 8.6
GTEX-1JK1U-2026-SM-CM2RZ 60-69 years, male 8.6
GTEX-113JC-2326-SM-5EQ4E 50-59 years, female 8.5
GTEX-1399R-2726-SM-5IJBA 30-39 years, male 8.5
GTEX-13NZB-2526-SM-5J1OM 30-39 years, male 8.5
GTEX-145LU-0126-SM-5TDCB 50-59 years, male 8.5
GTEX-146FH-0126-SM-5QGPP 50-59 years, female 8.5
GTEX-14BMV-0126-SM-5S2PO 50-59 years, male 8.5
GTEX-14PJ6-2126-SM-6EU1V 60-69 years, female 8.5
GTEX-15DYW-0126-SM-7KULE 60-69 years, female 8.5
GTEX-16BQI-0226-SM-7KUEX 30-39 years, female 8.5
GTEX-1AX9J-0226-SM-73KXM 60-69 years, male 8.5
GTEX-PLZ4-0126-SM-5SI8O 50-59 years, female 8.5
GTEX-WVJS-0126-SM-4MVOT 50-59 years, male 8.5
GTEX-Y5V6-2426-SM-4VDSB 60-69 years, male 8.5
GTEX-ZDTT-2726-SM-4WKF8 60-69 years, male 8.5
GTEX-ZYFD-0126-SM-5GIDL 50-59 years, male 8.5
GTEX-1C6VQ-0126-SM-7P8RI 50-59 years, male 8.5
GTEX-1N2DW-0226-SM-E9TK2 50-59 years, male 8.5
GTEX-RVPV-0126-SM-EAZAW 60-69 years, male 8.5
GTEX-117XS-2726-SM-5N9BL 60-69 years, male 8.4
GTEX-12WSE-0526-SM-793B2 20-29 years, male 8.4
GTEX-147F3-0526-SM-5SI98 50-59 years, female 8.4
GTEX-17HII-0226-SM-7LG4E 50-59 years, male 8.4
GTEX-1B8SF-1426-SM-7DUGL 60-69 years, male 8.4
GTEX-P44H-0226-SM-2XCEU 40-49 years, male 8.4
GTEX-T8EM-1026-SM-3DB7M 40-49 years, male 8.4
GTEX-1F88F-2726-SM-7PBZZ 60-69 years, female 8.4
GTEX-1GTWX-0126-SM-9YFLK 60-69 years, male 8.4
GTEX-1I1GQ-0126-SM-COH3H 50-59 years, male 8.4
GTEX-1I1GV-0526-SM-A9G29 60-69 years, male 8.4
GTEX-1212Z-2526-SM-5EGKP 60-69 years, male 8.3
GTEX-12ZZZ-0626-SM-5DUXI 60-69 years, male 8.3
GTEX-13IVO-0126-SM-5J1NG 70-79 years, male 8.3
GTEX-145LT-1726-SM-5QGP3 40-49 years, male 8.3
GTEX-16NPX-0226-SM-79OMT 50-59 years, male 8.3
GTEX-1AMFI-2026-SM-731BH 50-59 years, female 8.3
GTEX-P4QT-0126-SM-2I3FL 50-59 years, female 8.3
GTEX-U8T8-0126-SM-3DB94 60-69 years, male 8.3
GTEX-ZVT3-0126-SM-5GU6I 60-69 years, female 8.3
GTEX-ZVZO-0126-SM-5A5L9 40-49 years, male 8.3
GTEX-1F7RK-0126-SM-7PC2S 20-29 years, female 8.3
GTEX-1GZ2Q-0226-SM-7P8TL 40-49 years, male 8.3
GTEX-1HR98-0126-SM-B2LWI 60-69 years, male 8.3
GTEX-1ICLZ-0126-SM-CKZPO 60-69 years, male 8.3
GTEX-1S83E-0126-SM-EWRO4 40-49 years, male 8.3
GTEX-11ZTS-0126-SM-5EQ6M 60-69 years, female 8.2
GTEX-131XW-0426-SM-5LZWP 50-59 years, female 8.2
GTEX-13OVK-2026-SM-7KUEO 40-49 years, male 8.2
GTEX-14PII-0226-SM-6EU1T 60-69 years, male 8.2
GTEX-1E1VI-0126-SM-7DHMZ 50-59 years, male 8.2
GTEX-OOBK-0126-SM-2YUND 40-49 years, male 8.2
GTEX-T5JW-1626-SM-3GADZ 20-29 years, female 8.2
GTEX-X88G-0126-SM-47JZ3 30-39 years, male 8.2
GTEX-ZAB5-1826-SM-5HL7C 50-59 years, male 8.2
GTEX-ZVE2-0226-SM-59HJB 50-59 years, male 8.2
GTEX-1A8FM-0226-SM-7SB7Q 50-59 years, female 8.2
GTEX-1F5PK-2426-SM-7RHHY 50-59 years, male 8.2
GTEX-1F5PL-0326-SM-7P8PQ 40-49 years, female 8.2
GTEX-1HSMO-0126-SM-CL547 60-69 years, male 8.2
GTEX-1IDJH-0326-SM-A9SLQ 70-79 years, male 8.2
GTEX-111VG-2426-SM-5GZXD 60-69 years, male 8.1
GTEX-13113-5016-SM-7EPIP 60-69 years, female 8.1
GTEX-131XG-2626-SM-5KM17 50-59 years, female 8.1
GTEX-13CF3-2426-SM-5IFGX 60-69 years, female 8.1
GTEX-13FTY-0526-SM-5L3EV 40-49 years, female 8.1
GTEX-13PVR-2326-SM-5QGR1 60-69 years, female 8.1
GTEX-144FL-0126-SM-5TDC8 50-59 years, male 8.1
GTEX-14C5O-0126-SM-5SI6N 60-69 years, male 8.1
GTEX-QDVJ-1726-SM-2I5FX 50-59 years, male 8.1
GTEX-X261-0126-SM-3NMD6 50-59 years, male 8.1
GTEX-XBEW-0626-SM-4QASP 40-49 years, male 8.1
GTEX-XXEK-2226-SM-4BRUM 50-59 years, male 8.1
GTEX-ZYY3-0126-SM-5GZY5 60-69 years, female 8.1
GTEX-1HCU7-0226-SM-CL545 50-59 years, male 8.1
GTEX-1IDJU-2626-SM-CM2RT 60-69 years, female 8.1
GTEX-1LH75-2426-SM-E9TJE 50-59 years, female 8.1
GTEX-1O97I-0326-SM-EYYX7 60-69 years, male 8.1
GTEX-11O72-0126-SM-59887 40-49 years, male 8.0
GTEX-12ZZY-0226-SM-5LZVE 60-69 years, male 8.0
GTEX-139D8-0226-SM-5KLZO 30-39 years, female 8.0
GTEX-13O3Q-2426-SM-5IJBR 50-59 years, male 8.0
GTEX-13OVG-1926-SM-5L3DK 60-69 years, male 8.0
GTEX-14JG6-2226-SM-6EU2G 30-39 years, female 8.0
GTEX-15EU6-0426-SM-6PAN5 50-59 years, male 8.0
GTEX-18QFQ-0126-SM-731BE 30-39 years, male 8.0
GTEX-OXRO-0126-SM-2YUN4 60-69 years, female 8.0
GTEX-U8XE-0326-SM-3DB8P 30-39 years, male 8.0
GTEX-ZYFC-0226-SM-5NQ75 50-59 years, male 8.0
GTEX-11TUW-2726-SM-E9J4M 60-69 years, male 8.0
GTEX-1GF9X-2026-SM-7PC3A 40-49 years, female 8.0
GTEX-1R7EU-0226-SM-EVR4G 60-69 years, male 8.0
GTEX-1R7EV-2426-SM-EVYBG 40-49 years, male 8.0
GTEX-131XE-2326-SM-5PNZ2 50-59 years, male 7.9
GTEX-13N2G-2626-SM-5J1OT 60-69 years, male 7.9
GTEX-13OW6-0426-SM-5L3HM 50-59 years, male 7.9
GTEX-148VI-1626-SM-5SI6E 60-69 years, female 7.9
GTEX-14JG1-0426-SM-6ETZZ 40-49 years, male 7.9
GTEX-QDVN-2026-SM-3GAEP 50-59 years, male 7.9
GTEX-QLQW-1126-SM-2S1Q8 30-39 years, male 7.9
GTEX-VUSG-2526-SM-4KL1V 50-59 years, male 7.9
GTEX-WFG8-2226-SM-3GIL9 20-29 years, male 7.9
GTEX-X4EP-0126-SM-3P5YV 60-69 years, female 7.9
GTEX-ZE9C-2726-SM-57WB5 60-69 years, male 7.9
GTEX-1GN1V-0126-SM-9WPOS 60-69 years, male 7.9
GTEX-1HSEH-0126-SM-ACKXN 60-69 years, male 7.9
GTEX-1I1GR-0126-SM-CL55F 60-69 years, male 7.9
GTEX-1LB8K-0226-SM-EWRNW 50-59 years, male 7.9
GTEX-1MJK2-0426-SM-DTXE5 50-59 years, male 7.9
GTEX-1QMI2-0226-SM-EVYBX 60-69 years, male 7.9
GTEX-11EI6-0126-SM-5985R 60-69 years, male 7.8
GTEX-12WSC-0126-SM-5EQ4P 50-59 years, male 7.8
GTEX-14753-0426-SM-5NQAM 60-69 years, male 7.8
GTEX-148VJ-0126-SM-5TDDN 70-79 years, male 7.8
GTEX-TMMY-0226-SM-33HBA 40-49 years, female 7.8
GTEX-XV7Q-2526-SM-4BRV9 40-49 years, female 7.8
GTEX-ZVT2-2526-SM-51MT1 50-59 years, female 7.8
GTEX-12WSG-2826-SM-E9J4H 50-59 years, female 7.8
GTEX-1H4P4-0726-SM-9YFLR 50-59 years, male 7.8
GTEX-1HB9E-0226-SM-E9U4R 50-59 years, male 7.8
GTEX-1HCU9-1526-SM-A9SL7 20-29 years, male 7.8
GTEX-15ER7-0326-SM-7KUEV 20-29 years, female 7.7
GTEX-15G19-0126-SM-6PANQ 60-69 years, male 7.7
GTEX-17JCI-0126-SM-7LG5G 60-69 years, female 7.7
GTEX-Y5LM-1926-SM-5RQJH 40-49 years, female 7.7
GTEX-ZXES-1826-SM-5E43S 30-39 years, female 7.7
GTEX-1PWST-0226-SM-E76QJ 70-79 years, male 7.7
GTEX-11DXW-0226-SM-5H122 40-49 years, male 7.6
GTEX-11TT1-2526-SM-5EGIB 20-29 years, male 7.6
GTEX-13OVH-0126-SM-5MR4B 70-79 years, male 7.6
GTEX-13S7M-0126-SM-5SI6A 60-69 years, female 7.6
GTEX-13SLX-0526-SM-5S2ON 50-59 years, female 7.6
GTEX-14E6E-1826-SM-5S2R7 30-39 years, male 7.6
GTEX-UJHI-1526-SM-3DB99 50-59 years, female 7.6
GTEX-1EN7A-0126-SM-7SB81 40-49 years, male 7.6
GTEX-1GF9W-0326-SM-9KNUN 60-69 years, male 7.6
GTEX-1I1GT-0626-SM-CGQER 60-69 years, female 7.6
GTEX-1IDFM-0126-SM-COH2V 60-69 years, male 7.6
GTEX-1LVAN-0226-SM-COH3S 50-59 years, female 7.6
GTEX-1MCYP-1926-SM-E9J2R 20-29 years, female 7.6
GTEX-12WSL-2526-SM-5GCNJ 50-59 years, male 7.5
GTEX-15RIG-0226-SM-7KFTL 40-49 years, male 7.5
GTEX-15UKP-0426-SM-7KUFQ 20-29 years, male 7.5
GTEX-17GQL-2026-SM-718BA 60-69 years, male 7.5
GTEX-1C6VS-0526-SM-7DUEN 60-69 years, male 7.5
GTEX-RM2N-1426-SM-2TF4H 50-59 years, male 7.5
GTEX-X4XX-0126-SM-3NMC2 60-69 years, male 7.5
GTEX-ZZPT-0226-SM-5E43X 50-59 years, male 7.5
GTEX-1GF9U-2126-SM-7SB7L 40-49 years, female 7.5
GTEX-1JMLX-0226-SM-CM2RO 50-59 years, male 7.5
GTEX-12584-0126-SM-5EGKQ 40-49 years, male 7.4
GTEX-17KNJ-2326-SM-7DHLQ 50-59 years, male 7.4
GTEX-18A67-0126-SM-7LG5P 50-59 years, male 7.4
GTEX-18A7B-0126-SM-7LG64 70-79 years, male 7.4
GTEX-P4PP-0126-SM-3LK69 30-39 years, female 7.4
GTEX-144GL-0126-SM-5TDE2 50-59 years, male 7.3
GTEX-O5YT-0126-SM-48TBW 20-29 years, male 7.3
GTEX-X4XY-0226-SM-4E3IZ 60-69 years, male 7.3
GTEX-YJ89-0126-SM-4TT3X 60-69 years, male 7.3
GTEX-1GMR3-1926-SM-9KNUZ 40-49 years, male 7.3
GTEX-1HT8W-0126-SM-CNPPP 30-39 years, male 7.3
GTEX-1LGOU-2026-SM-DIPFF 20-29 years, female 7.3
GTEX-1R46S-0626-SM-E9J41 60-69 years, female 7.3
GTEX-111FC-0126-SM-5N9DL 60-69 years, male 7.2
GTEX-139T8-0126-SM-5K7XZ 60-69 years, male 7.2
GTEX-14XAO-2326-SM-6EU1B 60-69 years, female 7.2
GTEX-13JUV-2726-SM-5LZZ8 40-49 years, female 7.1
GTEX-145LS-0126-SM-5QGP1 60-69 years, female 7.1
GTEX-1CAMQ-0226-SM-7IGPK 40-49 years, male 7.1
GTEX-SNMC-1226-SM-2XCFP 20-29 years, male 7.1
GTEX-U412-0426-SM-3DB9O 60-69 years, male 7.1
GTEX-ZAJG-0126-SM-5HL94 50-59 years, female 7.1
GTEX-1GMR8-0126-SM-9WYTM 50-59 years, female 7.1
GTEX-1IKJJ-0126-SM-CNPQB 60-69 years, male 7.1
GTEX-1M5QR-1226-SM-EWROB 40-49 years, male 7.1
GTEX-1PIIG-0226-SM-EWRN6 30-39 years, male 7.1
GTEX-14E6D-0126-SM-62LDV 50-59 years, male 7.0
GTEX-1C64N-0126-SM-793D7 50-59 years, male 7.0
GTEX-YJ8A-0426-SM-5IFID 20-29 years, male 7.0
GTEX-Z93S-0126-SM-5HL7M 50-59 years, male 7.0
GTEX-ZV6S-2326-SM-4YCEY 40-49 years, female 7.0
GTEX-13OW5-0126-SM-DTXFS 60-69 years, male 7.0
GTEX-1KANA-0726-SM-D3L9I 20-29 years, male 7.0
GTEX-1N2EF-0226-SM-EYYXB 60-69 years, male 7.0
GTEX-13112-2826-SM-5DUWH 50-59 years, male 6.9
GTEX-17EVP-0326-SM-7DHLG 40-49 years, male 6.9
GTEX-17MF6-0126-SM-7LG4F 40-49 years, male 6.9
GTEX-TSE9-0126-SM-3DB83 60-69 years, female 6.9
GTEX-XMD2-0126-SM-4YCDU 60-69 years, female 6.9
GTEX-ZYFG-2326-SM-5E44B 60-69 years, female 6.9
GTEX-13NYC-0326-SM-E9J4S 60-69 years, male 6.9
GTEX-1GF9V-0326-SM-7RHI5 60-69 years, male 6.9
GTEX-1GN2E-0426-SM-9MQKX 60-69 years, male 6.9
GTEX-1JN76-0126-SM-CNPPE 20-29 years, female 6.9
GTEX-1LGRB-2526-SM-CNPPQ 50-59 years, female 6.9
GTEX-12WSA-0226-SM-5BC5V 60-69 years, male 6.8
GTEX-139UW-2826-SM-5L3E7 60-69 years, male 6.8
GTEX-17MFQ-1726-SM-793C7 20-29 years, male 6.8
GTEX-OIZG-0726-SM-33HBL 50-59 years, male 6.8
GTEX-T2YK-0526-SM-32QPJ 50-59 years, male 6.8
GTEX-ZY6K-1826-SM-5GZXK 50-59 years, male 6.8
GTEX-ZYW4-0126-SM-5E44A 60-69 years, male 6.8
GTEX-1EX96-1626-SM-7PBXR 50-59 years, male 6.8
GTEX-1IE54-0126-SM-CMKHW 40-49 years, female 6.8
GTEX-1R9K4-0126-SM-DTX9X 60-69 years, male 6.8
GTEX-11EQ9-2426-SM-5HL5T 30-39 years, male 6.7
GTEX-13NZ8-0826-SM-5MR3I 60-69 years, female 6.7
GTEX-13O3P-0126-SM-5KM4S 50-59 years, male 6.7
GTEX-1B8SG-0126-SM-73KZ3 50-59 years, male 6.7
GTEX-SE5C-1626-SM-2XCE3 40-49 years, female 6.7
GTEX-11DXY-2626-SM-5GIE7 60-69 years, male 6.6
GTEX-14A5H-0426-SM-5QGQF 60-69 years, male 6.6
GTEX-14PHW-0126-SM-6LLJI 60-69 years, female 6.6
GTEX-QESD-1426-SM-2S1R9 20-29 years, male 6.6
GTEX-WI4N-1026-SM-3LK7N 40-49 years, female 6.6
GTEX-1HCVE-0126-SM-CGQEU 50-59 years, male 6.6
GTEX-1JJE9-0326-SM-CL53Z 70-79 years, male 6.6
GTEX-1L5NE-2526-SM-E6CIE 50-59 years, male 6.6
GTEX-18D9B-0526-SM-7LTAS 60-69 years, male 6.5
GTEX-NPJ8-0126-SM-2YUNR 40-49 years, male 6.5
GTEX-11NSD-2226-SM-5986V 20-29 years, male 6.4
GTEX-ZVZP-2426-SM-59HKJ 50-59 years, male 6.4
GTEX-1CB4H-0226-SM-7PBXM 60-69 years, female 6.4
GTEX-1F6RS-0126-SM-9MQKZ 60-69 years, female 6.4
GTEX-1122O-2126-SM-5EGIR 60-69 years, female 6.3
GTEX-133LE-1826-SM-5J1MV 20-29 years, female 6.3
GTEX-ZWKS-0126-SM-5SIAA 30-39 years, male 6.3
GTEX-1F52S-0126-SM-9MQJU 60-69 years, female 6.3
GTEX-1M4P7-0226-SM-DIPEV 60-69 years, male 6.2
GTEX-145ME-1826-SM-5SI9G 40-49 years, female 6.1
GTEX-1QPFJ-0226-SM-E76PB 30-39 years, female 6.1
GTEX-Q734-1926-SM-2I5EV 40-49 years, female 6.0
GTEX-R3RS-0126-SM-3GIJL 40-49 years, female 6.0
GTEX-1RDX4-0126-SM-E9J4P 50-59 years, female 6.0
GTEX-1192W-2626-SM-5Q5AF 60-69 years, male 5.9
GTEX-11UD2-0226-SM-5EQKY 50-59 years, male 5.9
GTEX-13NYS-0126-SM-5MR3W 60-69 years, male 5.9
GTEX-13PDP-0126-SM-5L3HD 60-69 years, male 5.8
GTEX-14BIM-0226-SM-7IGLD 60-69 years, female 5.7
GTEX-1KXAM-2226-SM-CYPTC 60-69 years, male 5.7
GTEX-14E6C-0126-SM-5RQIP 40-49 years, male 5.6
GTEX-1399T-2826-SM-5KLYZ 60-69 years, male 5.5
GTEX-1HCU8-0626-SM-A9SM9 60-69 years, female 5.5
GTEX-1E2YA-0126-SM-9KNUC 50-59 years, male 5.4
GTEX-ZVT4-0126-SM-DTXFN 50-59 years, female 5.4
GTEX-OIZH-0126-SM-2HMIS 50-59 years, male 5.3
GTEX-ZU9S-0226-SM-5E441 30-39 years, male 5.2
GTEX-1JN1M-0326-SM-CYPT3 60-69 years, female 5.2
GTEX-14LZ3-0226-SM-62LET 60-69 years, female 5.1
GTEX-1LBAC-0126-SM-DIPEZ 20-29 years, male 5.1
GTEX-POMQ-2226-SM-2I5FK 20-29 years, female 5.0
GTEX-14PK6-1926-SM-6ETZU 70-79 years, female 4.9
GTEX-1JMQL-0226-SM-CNPP5 50-59 years, female 4.2
GTEX-11WQK-0526-SM-5EQLD 50-59 years, male 3.7
GTEX-15EOM-0126-SM-7KUGG 20-29 years, female 3.6
GTEX-183WM-0126-SM-7LTAB 70-79 years, female 2.7
Show allShow less

Contact

  • NEWS ARTICLES
  • PRESS ROOM

The Project

  • INTRODUCTION
  • ORGANIZATION
  • PUBLICATIONS

The Human Protein Atlas

  • DOWNLOADABLE DATA
  • LICENCE & CITATION
  • HELP & FAQ
The Human Protein Atlas project is funded
by the Knut & Alice Wallenberg Foundation.


contact@proteinatlas.org