We use cookies to enhance the usability of our website. If you continue, we'll assume that you are happy to receive all cookies. More information. Don't show this again.
ZNF266
HPA
RESOURCES
  • TISSUE
  • BRAIN
  • SINGLE CELL
  • SUBCELLULAR
  • CANCER
  • BLOOD
  • CELL LINE
  • STRUCTURE & INTERACTION
ABOUT
  • INTRODUCTION
  • HISTORY
  • ORGANIZATION
  • PUBLICATIONS
  • ANTIBODY SUBMISSION
  • ANTIBODY AVAILABILITY
  • ACKNOWLEDGMENTS
  • CONTACT
NEWS
  • NEWS ARTICLES
  • PRESS ROOM
LEARN
  • DICTIONARY
  • PROTEIN CLASSES
  • PROTEIN EVIDENCE
  • METHODS
  • EDUCATIONAL VIDEOS
DATA
  • DOWNLOADABLE DATA
  • PUBLICATION DATA
  • RELEASE HISTORY
HELP
  • ANTIBODY VALIDATION
  • ASSAYS & ANNOTATION
  • DISCLAIMER
  • HELP & FAQ
  • PRIVACY STATEMENT
  • LICENCE & CITATION
Fields »
Search result

Field
Term
Gene name
Class
Subclass
Class
Keyword
Chromosome
External id
Tissue
Cell type
Expression
Antibody panel
Tissue
Main location
Patient ID
Annotation
Tissue
Category
Tau score
Cluster
Reliability
Brain region
Category
Tau score
Brain region
Category
Tau score
Brain region
Category
Tau score
Cluster
Reliability
Tissue
Cell type
Enrichment
Cell type
Category
Tau score
Cell type
Category
Tau score
Cell type
Category
Tau score
Cell lineage
Category
Tau score
Cluster
Cluster
Location
Searches
Location
Cell line
Class
Type
Phase
Reliability
Cancer
Prognosis
Cancer
Category
Cancer
Category
Tau score
Cluster
Variants
Interacting gene (ensg_id)
Type
Number of interactions
Pathway
Category
Score
Score
Score
Validation
Validation
Validation
Validation
Antibodies
Data type
Column


  • SUMMARY

  • TISSUE

  • BRAIN

  • SINGLE CELL

  • SUBCELL

  • CANCER

  • BLOOD

  • CELL LINE

  • STRUCT & INT

  • ZNF266
TISSUE PRIMARY DATA ESOPHAGUS Show tissue menu
ADIPOSE TISSUE ADRENAL GLAND AMYGDALA APPENDIX BASAL GANGLIA BONE MARROW BREAST BRONCHUS CEREBELLUM CEREBRAL CORTEX CERVIX CHOROID PLEXUS COLON DUODENUM
ENDOMETRIUM EPIDIDYMIS ESOPHAGUS FALLOPIAN TUBE GALLBLADDER HEART MUSCLE HIPPOCAMPAL FORMATION HYPOTHALAMUS KIDNEY LIVER LUNG LYMPH NODE MIDBRAIN NASOPHARYNX
ORAL MUCOSA OVARY PANCREAS PARATHYROID GLAND PITUITARY GLAND PLACENTA PROSTATE RECTUM RETINA SALIVARY GLAND SEMINAL VESICLE SKELETAL MUSCLE SKIN SMALL INTESTINE
SMOOTH MUSCLE SOFT TISSUE SPINAL CORD SPLEEN STOMACH TESTIS THYMUS THYROID GLAND TONGUE TONSIL URINARY BLADDER VAGINA
ANTIBODIES
AND
VALIDATION
Dictionary
Esophagus
Tissue proteome
Esophagus
ESOPHAGUS - Expression summary
Protein expression
Esophagusi

On the top, protein expression in current human tissue, based on all annotated cell types, is reported with the units not detected (n), low (l), medium (m) and high (h). Underneath, protein expression in each annotated cell type are reported using the same units.

Protein expression data is based on knowledge-based annotation. For genes where more than one antibody has been used, a collective score is set.

If knowledge-based annotation could not be performed for a gene, no data is displayed here. View antibody staining data further down this page.

h
m
l
n
Squamous epithelial cells: Low
RNA expressioni

A summary of mRNA expression data available for current tissue based on several datasets. The mRNA expression levels in human tissues are based on RNA-seq data generated by the Human Protein Atlas (HPA), Genotype-Tissue Expression (GTEx) portal and CAGE data generated by the FANTOM5 consortium. Consensus normalized expression levels for human tissues was created by combining the data from HPA and GTEx datasets.

The mRNA expression levels in pig are based on RNA-seq data generated by the Human Protein Atlas (HPA), and for mouse, HPA data and in situ hybridization generated by the Allen brain atlas are reported.

Scroll down to view mRNA expression data in more detail.
Consensus:17.0 nTPM
HPA:9.0 nTPM
GTEx:17.0 nTPM
FANTOM5:14.8 Scaled Tags Per Million

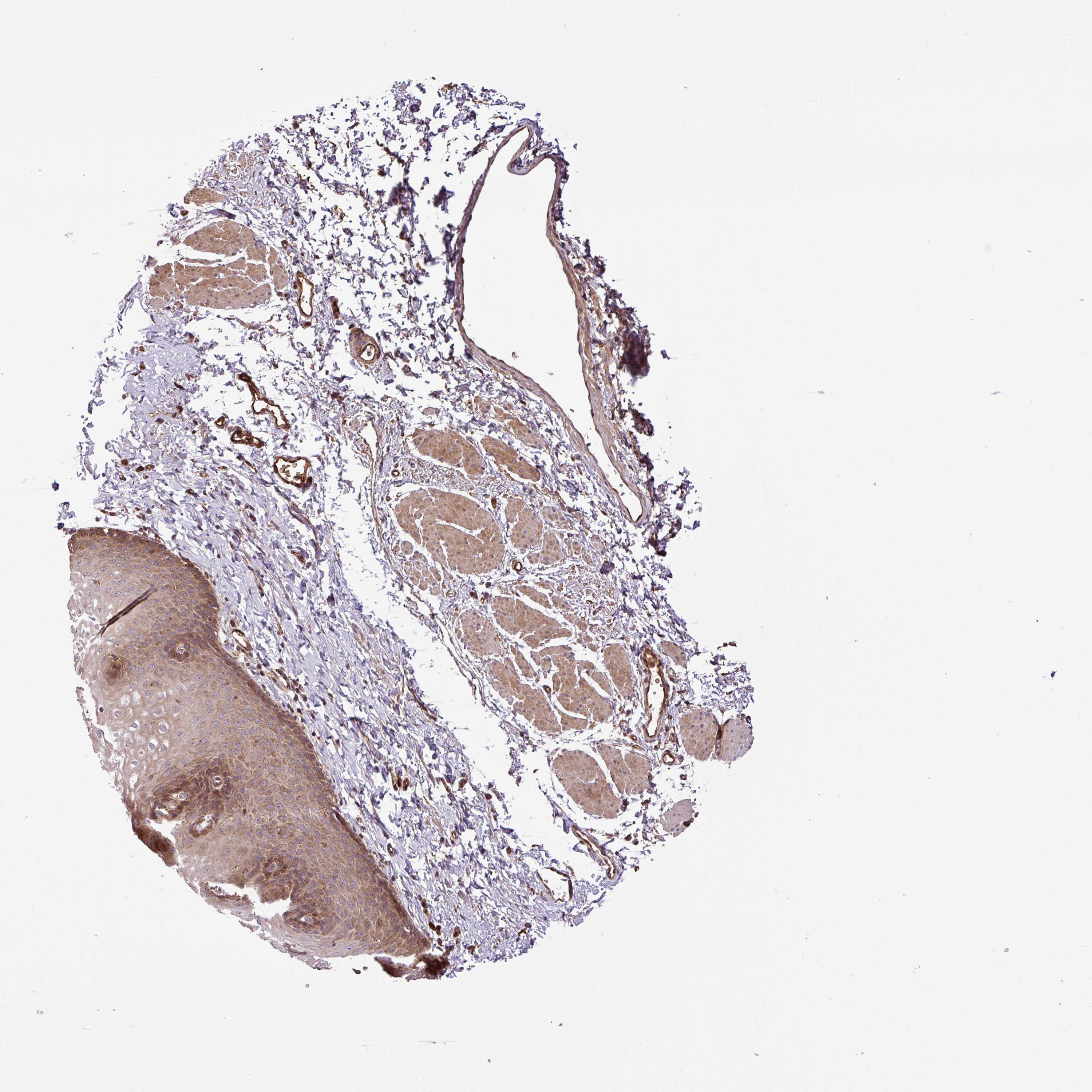
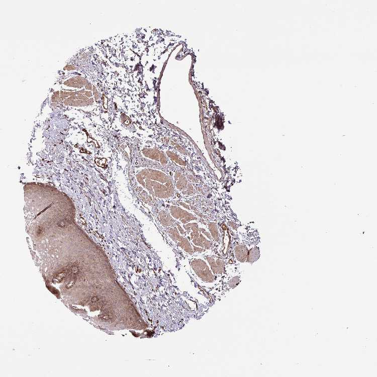
ESOPHAGUS - Antibody stainingi

Antibody staining in the annotated cell types in the current human tissue is reported as not detected, low, medium, or high, based on conventional immunohistochemistry profiling in selected tissues. This score is based on the combination of the staining intensity and fraction of stained cells.

Each image is clickable and will lead to virtual microscopy that enables deeper exploration of all samples and also displays staining intensity scores, fraction scores and subcellular localization as well as patient and tissue information for each sample.

Antibody HPA026836Antibody HPA054110
Squamous epithelial cells MediumLow



ESOPHAGUS - HPA RNA-seqi

The RNA-seq details section shows detailed information about the individual samples used for the transcript profiling and results of the RNA-seq analysis.

Information about each individual sample is listed below, including gender, age, a tissue section image and estimated fractions of cell types. nTPM (normalized transcripts per million) values give a quantification of the gene abundance which is comparable between different genes and samples.
Average nTPMi

Max subtype nTPM is the value for the subtype with the largest average nTPM across the subtype samples.

9.0
overview
Female, age 70
Esophagus sample 130
nTPM: 6.6
Cell types%
Squamous epithelial cells:
35

Smooth muscle cells:
15

Skeletal muscle cells:
5

Other cell types:
45

overview
Male, age 38
Esophagus sample 131
nTPM: 12.1
Cell types%
Squamous epithelial cells:
60

Smooth muscle cells:
20

Other cell types:
20

overview
Male, age 76
Esophagus sample 132
nTPM: 8.1
Cell types%
Squamous epithelial cells:
45

Smooth muscle cells:
15

Other cell types:
40


ESOPHAGUS - GTEx RNA-seqi

RNA-Seq data generated by the Genotype-Tissue Expression (GTEx) project from human tissues is reported as mean nTPM. More information can be found on the GTEx portal.

Distribution across the dataset is visualized with box plots, shown as median and 25th and 75th percentiles. Points are displayed as outliers if they are above or below 1.5 times the interquartile range. nTPM values of the individual samples are presented next to the box plot.
Max subtype nTPMi

Max subtype nTPM is the value for the subtype with the largest average nTPM across the subtype samples.

17.0
GTEx sample id Sample description nTPM
Esophagus - Mucosa
Average nTPM: 17.0
Samples: 555

Max nTPM: 44.3
Min nTPM: 4.5
Std nTPM: 5.8
Median nTPM: 16.2
GTEX-X4EP-1626-SM-4QAS6 60-69 years, female 44.3
GTEX-14C5O-1626-SM-73KYH 60-69 years, male 40.5
GTEX-16MT8-1326-SM-6M47R 60-69 years, female 35.0
GTEX-1QCLY-1526-SM-DPRXX 30-39 years, male 34.9
GTEX-OHPN-1026-SM-E9TI8 60-69 years, female 34.8
GTEX-1LG7Y-1726-SM-EV7AR 50-59 years, male 33.5
GTEX-ZF3C-1626-SM-4WWB4 50-59 years, female 33.3
GTEX-11ZU8-1526-SM-5EGHX 60-69 years, male 32.5
GTEX-OXRP-0926-SM-48TC1 60-69 years, female 31.9
GTEX-1N2DV-2026-SM-EV7BL 40-49 years, male 30.8
GTEX-12KS4-0926-SM-5BC5S 30-39 years, male 30.7
GTEX-1HSGN-1626-SM-A96U2 40-49 years, female 30.3
GTEX-PLZ4-1626-SM-3P618 50-59 years, female 30.1
GTEX-1GMR3-1526-SM-9JGGL 40-49 years, male 30.1
GTEX-1I1GR-1326-SM-ARU7B 60-69 years, male 29.5
GTEX-1R9K4-1926-SM-DPRZW 60-69 years, male 29.5
GTEX-X4EO-1226-SM-4QARR 60-69 years, female 29.3
GTEX-ZVE2-1326-SM-5NQ94 50-59 years, male 29.2
GTEX-1HGF4-0926-SM-9WPP8 60-69 years, male 29.2
GTEX-RTLS-1126-SM-46MUQ 60-69 years, female 28.8
GTEX-ZXES-1126-SM-5GZXN 30-39 years, female 28.7
GTEX-ZAK1-1526-SM-5S2OV 50-59 years, female 28.3
GTEX-1N2DW-1426-SM-EV7AZ 50-59 years, male 27.6
GTEX-139TU-1226-SM-5J2NL 60-69 years, male 27.5
GTEX-13QJ3-1726-SM-5RQK9 50-59 years, male 27.4
GTEX-17HII-1526-SM-9OSVD 50-59 years, male 27.4
GTEX-R55C-0826-SM-48FCL 40-49 years, male 27.3
GTEX-1H1ZS-1526-SM-9OSXR 70-79 years, male 27.1
GTEX-1I1GS-2126-SM-ARU7G 60-69 years, male 27.0
GTEX-RVPV-0526-SM-47JYL 60-69 years, male 26.8
GTEX-15ER7-2126-SM-7939E 20-29 years, female 26.7
GTEX-1QW4Y-0526-SM-EAZ3V 30-39 years, male 26.6
GTEX-13O3Q-0826-SM-5IFGF 50-59 years, male 26.5
GTEX-1IKK5-1326-SM-AHZ2X 60-69 years, male 26.5
GTEX-18465-1126-SM-7LG6E 50-59 years, male 26.2
GTEX-148VJ-1026-SM-5LU98 70-79 years, male 26.1
GTEX-ZZPT-1426-SM-5N9C5 50-59 years, male 26.0
GTEX-XLM4-2326-SM-4AT5E 60-69 years, male 26.0
GTEX-R3RS-1326-SM-48FE7 40-49 years, female 25.9
GTEX-145MO-1426-SM-DTX9W 60-69 years, male 25.9
GTEX-1GMR8-1826-SM-9WYUE 50-59 years, female 25.9
GTEX-144FL-2726-SM-5O98Z 50-59 years, male 25.7
GTEX-145LV-1326-SM-5S2QI 50-59 years, male 25.7
GTEX-WYJK-1926-SM-4ONDP 50-59 years, male 25.7
GTEX-1A8FM-1526-SM-7MXTA 50-59 years, female 25.7
GTEX-1HBPM-1426-SM-9WPPE 60-69 years, female 25.7
GTEX-1AX9J-1826-SM-731FM 60-69 years, male 25.6
GTEX-QVUS-0626-SM-447CC 60-69 years, female 25.6
GTEX-1RAZQ-1726-SM-EAZ4T 30-39 years, male 25.6
GTEX-1CAMQ-2726-SM-7MKGD 40-49 years, male 25.4
GTEX-S4Q7-0626-SM-4AD5M 20-29 years, male 25.2
GTEX-13NZB-1226-SM-5J2MW 30-39 years, male 25.1
GTEX-15EO6-1026-SM-7KUG9 50-59 years, male 25.1
GTEX-1GL5R-1526-SM-7MKHO 50-59 years, male 25.1
GTEX-1HFI6-1226-SM-A96SK 40-49 years, male 25.1
GTEX-1HSKV-2426-SM-A8N8K 60-69 years, male 25.1
GTEX-P4QT-0626-SM-3NMCP 50-59 years, female 25.0
GTEX-1MGNQ-1626-SM-EAZ4Z 40-49 years, male 25.0
GTEX-18D9U-2126-SM-7LG4Y 40-49 years, male 24.9
GTEX-145MN-1026-SM-5NQ9G 30-39 years, male 24.8
GTEX-1EMGI-1926-SM-7938Y 60-69 years, male 24.8
GTEX-1CB4H-1526-SM-7MXU4 60-69 years, female 24.8
GTEX-13YAN-1926-SM-7EPH9 60-69 years, male 24.6
GTEX-ZA64-0626-SM-5HL9O 20-29 years, male 24.6
GTEX-1I1GP-1026-SM-C1YRZ 50-59 years, male 24.6
GTEX-1CB4F-1526-SM-7MKFM 60-69 years, male 24.5
GTEX-WK11-1026-SM-4OOS8 50-59 years, male 24.5
GTEX-ZAB4-1126-SM-5HL86 40-49 years, male 24.5
GTEX-ZYY3-1526-SM-5SIA9 60-69 years, female 24.5
GTEX-132Q8-1826-SM-5EGIY 60-69 years, male 24.4
GTEX-13FLV-1126-SM-5J2NO 50-59 years, male 24.4
GTEX-1NUQO-1126-SM-DTX98 20-29 years, female 24.3
GTEX-12BJ1-1626-SM-5HL8Y 60-69 years, male 24.2
GTEX-X585-1226-SM-46MW7 50-59 years, male 24.2
GTEX-1BAJH-2026-SM-7P8OZ 70-79 years, male 24.2
GTEX-15UF6-2326-SM-6M465 70-79 years, female 24.1
GTEX-X62O-2226-SM-46MW3 50-59 years, male 24.1
GTEX-1CB4J-2426-SM-7MXVC 60-69 years, male 24.1
GTEX-1EX96-2226-SM-7MKGT 50-59 years, male 24.0
GTEX-1HBPH-1126-SM-A96TU 40-49 years, female 23.8
GTEX-11ONC-1526-SM-5GU6S 60-69 years, male 23.7
GTEX-11ZTS-2626-SM-5EGIC 60-69 years, female 23.7
GTEX-1KD4Q-1126-SM-CXZKK 40-49 years, male 23.7
GTEX-11P7K-1326-SM-5BC5G 30-39 years, male 23.6
GTEX-1AX9I-1426-SM-7DHM8 60-69 years, male 23.6
GTEX-WOFM-0626-SM-4OOS3 20-29 years, male 23.4
GTEX-12696-1326-SM-5FQTJ 60-69 years, male 23.3
GTEX-13FHO-1726-SM-DPRZX 60-69 years, male 23.3
GTEX-11DXZ-1226-SM-5H11L 50-59 years, male 23.2
GTEX-15SHU-1426-SM-6LPIN 40-49 years, female 23.2
GTEX-183WM-1726-SM-7KFT5 70-79 years, female 23.2
GTEX-N7MT-0326-SM-48TDP 60-69 years, female 23.2
GTEX-1HCVE-1226-SM-9WPPH 50-59 years, male 23.2
GTEX-1EH9U-2426-SM-7EWFG 60-69 years, male 23.0
GTEX-TKQ1-0326-SM-4DXSM 30-39 years, male 23.0
GTEX-UPJH-1026-SM-EAZB2 50-59 years, male 22.9
GTEX-S7SF-0926-SM-4AD4M 20-29 years, female 22.6
GTEX-1GTWX-1326-SM-9JGHU 60-69 years, male 22.5
GTEX-11GSP-1826-SM-5N9DQ 60-69 years, female 22.4
GTEX-ZYFC-1626-SM-5N9EU 50-59 years, male 22.4
GTEX-1R9JW-1526-SM-DPRZK 30-39 years, female 22.4
GTEX-1EU9M-2326-SM-7MKGS 60-69 years, male 22.3
GTEX-13G51-0926-SM-5IFFU 60-69 years, male 22.2
GTEX-13U4I-1126-SM-5LU3S 40-49 years, female 22.2
GTEX-X4LF-0626-SM-4QASB 50-59 years, male 22.2
GTEX-1QP29-2126-SM-E6CPZ 50-59 years, male 22.0
GTEX-145MF-1426-SM-5O9B6 50-59 years, male 21.9
GTEX-18A7A-2326-SM-7KFRH 50-59 years, female 21.9
GTEX-XQ8I-1526-SM-4BOOH 50-59 years, male 21.9
GTEX-YJ89-1526-SM-5P9IR 60-69 years, male 21.9
GTEX-1H3NZ-1326-SM-9JGHI 60-69 years, male 21.9
GTEX-RWS6-0826-SM-47JXF 60-69 years, female 21.7
GTEX-UPK5-1226-SM-4IHL8 40-49 years, male 21.6
GTEX-17JCI-1226-SM-793D9 60-69 years, female 21.4
GTEX-ZPCL-1426-SM-57WEC 60-69 years, female 21.4
GTEX-1QPFJ-1226-SM-EAZ3M 30-39 years, female 21.4
GTEX-13JVG-2026-SM-5KM1N 60-69 years, male 21.2
GTEX-12WSA-1426-SM-5EGJU 60-69 years, male 21.1
GTEX-1KANA-0626-SM-D4P3I 20-29 years, male 21.1
GTEX-1LG7Z-0926-SM-CXKYK 30-39 years, male 21.1
GTEX-1PPH8-1626-SM-E6CQP 20-29 years, male 21.1
GTEX-13PVQ-1726-SM-5IFF3 50-59 years, male 21.0
GTEX-1E1VI-1526-SM-7IGQ2 50-59 years, male 21.0
GTEX-S95S-0426-SM-4B64I 60-69 years, male 21.0
GTEX-SNMC-0526-SM-4DM69 20-29 years, male 21.0
GTEX-1GN1U-1826-SM-9JGH2 50-59 years, female 21.0
GTEX-1HB9E-1526-SM-D3LA6 50-59 years, male 21.0
GTEX-VUSG-1226-SM-4KKZF 50-59 years, male 20.8
GTEX-1J1R8-0326-SM-AHZ3D 40-49 years, male 20.8
GTEX-1QP2A-1926-SM-EXOJ9 50-59 years, male 20.8
GTEX-T2YK-1326-SM-4DM6S 50-59 years, male 20.7
GTEX-1J8QM-1926-SM-AHZ3Z 60-69 years, female 20.7
GTEX-1JMQK-2026-SM-C1YQN 60-69 years, male 20.7
GTEX-1KXAM-0826-SM-CXZK9 60-69 years, male 20.7
GTEX-1LSVX-1226-SM-DHXJN 60-69 years, male 20.7
GTEX-1MCC2-1926-SM-DHXJR 30-39 years, female 20.7
GTEX-15RJE-0926-SM-6LLHZ 40-49 years, male 20.6
GTEX-1A32A-1826-SM-72D5G 50-59 years, female 20.6
GTEX-1S83E-0826-SM-EV7B7 40-49 years, male 20.6
GTEX-UJMC-0926-SM-4IHLK 50-59 years, male 20.5
GTEX-WFG7-1126-SM-4LMK3 20-29 years, male 20.5
GTEX-14JG6-0926-SM-6871Y 30-39 years, female 20.4
GTEX-14PJ5-0526-SM-664OE 60-69 years, female 20.4
GTEX-17F96-2526-SM-7DHL3 70-79 years, male 20.4
GTEX-OIZF-0626-SM-7MKHG 60-69 years, male 20.4
GTEX-13O61-0926-SM-5IFFE 60-69 years, male 20.3
GTEX-1CB4G-1326-SM-7MKFP 60-69 years, male 20.3
GTEX-1KAFJ-0626-SM-D3L8X 50-59 years, male 20.3
GTEX-V1D1-1026-SM-4JBHE 50-59 years, male 20.2
GTEX-Y8LW-0726-SM-5IFI1 50-59 years, female 20.2
GTEX-1EN7A-1226-SM-7MGX9 40-49 years, male 20.2
GTEX-1PPGY-1726-SM-EVR3S 60-69 years, male 20.1
GTEX-QEG4-0726-SM-CNNRF 30-39 years, male 20.1
GTEX-1A3MV-1326-SM-7LG6C 30-39 years, male 19.9
GTEX-145ME-5004-SM-7MGXP 40-49 years, female 19.9
GTEX-139UW-1126-SM-5IJEJ 60-69 years, male 19.8
GTEX-14DAR-0826-SM-73KYJ 50-59 years, male 19.8
GTEX-OXRN-1726-SM-3NM9B 50-59 years, male 19.8
GTEX-1J1OQ-2526-SM-AHZ3Q 40-49 years, female 19.8
GTEX-1JMLX-2326-SM-CXZJP 50-59 years, male 19.8
GTEX-13PL7-0226-SM-731DT 60-69 years, female 19.7
GTEX-13OVI-2626-SM-5KM4T 60-69 years, female 19.6
GTEX-1AX9K-1126-SM-731DQ 50-59 years, male 19.6
GTEX-1C2JI-1126-SM-731FH 50-59 years, male 19.6
GTEX-WFG8-1226-SM-4V6EI 20-29 years, male 19.6
GTEX-WYVS-0726-SM-4ONDO 40-49 years, female 19.6
GTEX-1LGRB-1626-SM-CNNR7 50-59 years, female 19.6
GTEX-14BIN-2726-SM-5RQIE 50-59 years, female 19.4
GTEX-Y8E4-1726-SM-5LU9G 40-49 years, male 19.4
GTEX-1I1GQ-1726-SM-B2LWZ 50-59 years, male 19.4
GTEX-1J8EW-1326-SM-AHZ3S 60-69 years, female 19.4
GTEX-1PFEY-0826-SM-E9U6A 30-39 years, male 19.4
GTEX-1K9T9-2026-SM-CXZK3 50-59 years, female 19.3
GTEX-1RDX4-2126-SM-EV7B3 50-59 years, female 19.3
GTEX-1B8KE-1826-SM-731FD 50-59 years, male 19.2
GTEX-1GN73-1926-SM-9JGGS 60-69 years, male 19.2
GTEX-1HCUA-1426-SM-9WPP7 50-59 years, female 19.2
GTEX-12ZZY-1426-SM-5N9EI 60-69 years, male 19.1
GTEX-17EVQ-1926-SM-7IGOF 70-79 years, male 19.1
GTEX-17F9E-1926-SM-7IGQF 50-59 years, male 19.1
GTEX-1LVA9-2126-SM-DLHBY 50-59 years, male 19.1
GTEX-YEC4-1026-SM-9WG7N 40-49 years, male 19.1
GTEX-P78B-1026-SM-3NMC4 40-49 years, female 19.0
GTEX-Q2AI-0626-SM-48TZU 40-49 years, male 19.0
GTEX-1M5QR-0726-SM-DHXK7 40-49 years, male 19.0
GTEX-ZLFU-1126-SM-DO11K 40-49 years, male 19.0
GTEX-1I1CD-1726-SM-A9G3P 60-69 years, female 18.9
GTEX-1399S-1326-SM-5P9GH 30-39 years, female 18.8
GTEX-OIZH-0626-SM-3NB1L 50-59 years, male 18.8
GTEX-SNOS-0626-SM-4DM5F 40-49 years, male 18.8
GTEX-1I4MK-0426-SM-B2LWQ 50-59 years, female 18.8
GTEX-1RAZA-1326-SM-DPS12 20-29 years, male 18.8
GTEX-T5JC-1726-SM-4DM6U 20-29 years, male 18.6
GTEX-1MA7X-0726-SM-EV7AB 60-69 years, male 18.6
GTEX-145LS-1826-SM-5LUAZ 60-69 years, female 18.4
GTEX-147F3-0826-SM-5NQA7 50-59 years, female 18.4
GTEX-1CB4I-1026-SM-7MKFZ 50-59 years, male 18.4
GTEX-ZT9W-1326-SM-51MTB 50-59 years, male 18.4
GTEX-1IDJF-1226-SM-C1YPX 20-29 years, male 18.4
GTEX-1IY9M-1626-SM-AHZ39 60-69 years, male 18.4
GTEX-1LVAN-2326-SM-CNNPY 50-59 years, female 18.4
GTEX-13SLX-1726-SM-5Q5E5 50-59 years, female 18.3
GTEX-15RIE-0826-SM-6M47X 60-69 years, male 18.3
GTEX-XBEW-1326-SM-4AT63 40-49 years, male 18.3
GTEX-144GM-1426-SM-5LU31 20-29 years, male 18.2
GTEX-15UF7-0926-SM-6M46F 40-49 years, male 18.2
GTEX-WRHK-0526-SM-4MVOF 20-29 years, female 18.2
GTEX-ZF29-1326-SM-DNZYV 60-69 years, female 18.2
GTEX-14A6H-1326-SM-5NQBC 30-39 years, male 18.1
GTEX-15F5U-5010-SM-AHZ2D 40-49 years, male 18.1
GTEX-1AYD5-0926-SM-793AF 50-59 years, male 18.0
GTEX-OXRK-1326-SM-3NB1A 50-59 years, female 18.0
GTEX-ZVT2-1326-SM-5E45H 50-59 years, female 18.0
GTEX-YEC3-2526-SM-CXZIH 50-59 years, male 18.0
GTEX-13OW8-2326-SM-5L3I9 60-69 years, male 17.9
GTEX-Q2AG-1326-SM-43V8K 40-49 years, female 17.9
GTEX-T2IS-0826-SM-4DM6L 20-29 years, female 17.9
GTEX-Y111-1626-SM-57WCY 50-59 years, male 17.9
GTEX-1269C-1026-SM-5N9EY 60-69 years, female 17.8
GTEX-12ZZW-1726-SM-5DUVD 50-59 years, male 17.8
GTEX-PVOW-1626-SM-48TC9 40-49 years, male 17.8
GTEX-R55D-1126-SM-48FEB 50-59 years, male 17.8
GTEX-1QP28-1826-SM-EAZ4L 50-59 years, female 17.8
GTEX-12WSD-1826-SM-5GCOA 60-69 years, female 17.7
GTEX-12WSG-5007-SM-7DUGZ 50-59 years, female 17.7
GTEX-14ICK-2026-SM-6AJB2 40-49 years, male 17.7
GTEX-144GO-2726-SM-5O9A2 60-69 years, male 17.6
GTEX-18A67-2426-SM-7LT95 50-59 years, male 17.6
GTEX-18D9B-2026-SM-7LT96 60-69 years, male 17.6
GTEX-ZYW4-1326-SM-5E45N 60-69 years, male 17.5
GTEX-1JKYN-1526-SM-CGQGA 30-39 years, male 17.5
GTEX-14JIY-0926-SM-6871D 60-69 years, male 17.4
GTEX-R45C-1226-SM-48FEE 60-69 years, female 17.4
GTEX-1LB8K-1326-SM-CXZKB 50-59 years, male 17.4
GTEX-111CU-0726-SM-5GZYD 50-59 years, male 17.3
GTEX-WHSB-0426-SM-4M1XI 50-59 years, male 17.3
GTEX-1RLM8-0726-SM-E6CRH 50-59 years, male 17.3
GTEX-1122O-1726-SM-5GICM 60-69 years, female 17.2
GTEX-11TUW-1326-SM-5EQKV 60-69 years, male 17.2
GTEX-1EWIQ-1526-SM-79OO7 70-79 years, female 17.2
GTEX-O5YV-1026-SM-3LK72 60-69 years, female 17.2
GTEX-PSDG-1326-SM-48TD2 50-59 years, male 17.2
GTEX-Y5V5-1626-SM-4VDSG 60-69 years, female 17.2
GTEX-1KANB-1826-SM-DHXJU 50-59 years, male 17.2
GTEX-14DAQ-1426-SM-5RQJD 60-69 years, female 17.1
GTEX-14ICL-0526-SM-5RQJ6 30-39 years, male 17.0
GTEX-U3ZM-0526-SM-4DXTB 40-49 years, male 17.0
GTEX-11P82-0526-SM-5986P 20-29 years, male 16.9
GTEX-14PJ6-1026-SM-686ZB 60-69 years, female 16.9
GTEX-PWN1-0626-SM-48TDT 40-49 years, female 16.9
GTEX-T6MO-0526-SM-4DM6R 40-49 years, female 16.9
GTEX-13X6I-1026-SM-5LU4C 60-69 years, male 16.8
GTEX-OIZI-1426-SM-3NB1T 40-49 years, male 16.8
GTEX-QESD-0826-SM-47J4G 20-29 years, male 16.8
GTEX-1LSNL-2226-SM-DHXKM 50-59 years, male 16.8
GTEX-1N2EE-2426-SM-EXOIO 60-69 years, male 16.8
GTEX-148VI-1026-SM-5TDDJ 60-69 years, female 16.7
GTEX-ZYVF-2226-SM-5GIDD 50-59 years, female 16.7
GTEX-NFK9-1126-SM-3LK78 40-49 years, male 16.6
GTEX-RN64-1026-SM-48FDX 50-59 years, male 16.6
GTEX-14PJ3-0626-SM-6UGC5 50-59 years, male 16.6
GTEX-1HCU8-2226-SM-9WPOV 60-69 years, female 16.6
GTEX-1OKEX-1326-SM-E9J2U 60-69 years, male 16.6
GTEX-15ETS-1926-SM-7KUN5 40-49 years, female 16.5
GTEX-1HBPI-0626-SM-9WPP4 50-59 years, male 16.5
GTEX-1I1GU-1426-SM-B2LX3 40-49 years, male 16.5
GTEX-1OJC3-0826-SM-DPRYU 20-29 years, male 16.5
GTEX-QV44-1126-SM-CL55C 50-59 years, male 16.5
GTEX-13FHP-1526-SM-5IJGE 50-59 years, male 16.4
GTEX-WHPG-1126-SM-4M1XT 50-59 years, male 16.4
GTEX-17F97-1326-SM-7MGVO 50-59 years, male 16.4
GTEX-178AV-0526-SM-6LPJH 40-49 years, male 16.3
GTEX-NPJ8-1926-SM-3MJGB 40-49 years, male 16.3
GTEX-S341-0526-SM-4AD5U 40-49 years, female 16.3
GTEX-1HCU6-1326-SM-A96TZ 60-69 years, female 16.3
GTEX-1HKZK-1426-SM-A96U1 40-49 years, male 16.3
GTEX-1LBAC-1226-SM-DHXK1 20-29 years, male 16.3
GTEX-1212Z-2126-SM-5FQTM 60-69 years, male 16.2
GTEX-1R9PM-0926-SM-DPRYA 20-29 years, male 16.2
GTEX-16BQI-1526-SM-6LLIE 30-39 years, female 16.1
GTEX-SUCS-0726-SM-4DM7J 70-79 years, male 16.1
GTEX-ZT9X-0526-SM-5GCOP 40-49 years, male 16.1
GTEX-1HSMQ-2026-SM-B2LY1 50-59 years, male 16.1
GTEX-13RTK-0526-SM-5S2QF 20-29 years, male 16.0
GTEX-145LT-1126-SM-5LUA1 40-49 years, male 16.0
GTEX-P4QS-0626-SM-3NMD1 60-69 years, male 16.0
GTEX-XK95-1026-SM-4GIDV 40-49 years, male 16.0
GTEX-13X6K-2126-SM-5O9D4 60-69 years, female 15.8
GTEX-18A6Q-1226-SM-7KFS9 60-69 years, male 15.8
GTEX-N7MS-1225-SM-3LK5G 60-69 years, male 15.8
GTEX-S32W-0926-SM-4AD5X 50-59 years, female 15.8
GTEX-U3ZH-1026-SM-4DXUZ 30-39 years, male 15.8
GTEX-WVLH-1426-SM-4MVNX 50-59 years, male 15.8
GTEX-Y3IK-1126-SM-51MSV 50-59 years, female 15.8
GTEX-ZVP2-1326-SM-57WCE 50-59 years, male 15.8
GTEX-1H1DG-1226-SM-9JGH3 70-79 years, male 15.8
GTEX-11I78-1526-SM-5A5K7 50-59 years, female 15.7
GTEX-16NGA-1426-SM-718AC 40-49 years, female 15.7
GTEX-P4PQ-0626-SM-3NMCU 60-69 years, male 15.7
GTEX-RM2N-0726-SM-48FD5 50-59 years, male 15.7
GTEX-1L5NE-1426-SM-DHXKV 50-59 years, male 15.7
GTEX-1R9K5-1526-SM-DPRZA 50-59 years, male 15.7
GTEX-11VI4-0526-SM-5EQ48 40-49 years, female 15.6
GTEX-13W3W-1626-SM-5LU35 60-69 years, female 15.6
GTEX-QEL4-1426-SM-447AC 50-59 years, male 15.6
GTEX-11NUK-1326-SM-5P9GN 50-59 years, male 15.5
GTEX-WFON-0826-SM-4LVMI 40-49 years, male 15.5
GTEX-XUZC-0426-SM-4BOPE 30-39 years, female 15.5
GTEX-1QEPI-1826-SM-EAZ3J 60-69 years, female 15.5
GTEX-QLQW-0526-SM-4R1KS 30-39 years, male 15.4
GTEX-SE5C-1226-SM-4BRWV 40-49 years, female 15.4
GTEX-WQUQ-1626-SM-4OOSH 60-69 years, male 15.4
GTEX-14BIM-1326-SM-7EWD1 60-69 years, female 15.3
GTEX-17KNJ-1326-SM-7KFTG 50-59 years, male 15.3
GTEX-S3XE-0926-SM-4AD4S 50-59 years, male 15.3
GTEX-T8EM-0526-SM-4DM64 40-49 years, male 15.3
GTEX-ZAB5-0926-SM-5CVMV 50-59 years, male 15.2
GTEX-1B97J-1026-SM-7MXTE 50-59 years, female 15.2
GTEX-1H11D-2126-SM-9OSXM 40-49 years, male 15.2
GTEX-11DYG-1326-SM-5N9DO 60-69 years, male 15.1
GTEX-PLZ6-0526-SM-3P61C 30-39 years, male 15.1
GTEX-R55E-1326-SM-48FCR 20-29 years, male 15.1
GTEX-XBED-1026-SM-48TCB 60-69 years, male 15.1
GTEX-ZTSS-0626-SM-59867 40-49 years, male 15.1
GTEX-14PHY-0626-SM-664NN 60-69 years, female 15.0
GTEX-1C475-0926-SM-7MKFI 40-49 years, female 15.0
GTEX-13X6H-1326-SM-5LU42 50-59 years, female 14.9
GTEX-U4B1-0826-SM-4DXTW 40-49 years, male 14.9
GTEX-YB5K-0826-SM-5YYB7 40-49 years, female 14.9
GTEX-ZDYS-0826-SM-4WWCR 50-59 years, male 14.9
GTEX-1JKYR-2126-SM-CNNPC 20-29 years, male 14.9
GTEX-131XF-0826-SM-5GICG 60-69 years, male 14.8
GTEX-V955-1126-SM-4JBH3 60-69 years, male 14.8
GTEX-1IKOE-1526-SM-C1YSD 30-39 years, female 14.8
GTEX-1MCYP-1026-SM-DPRYB 20-29 years, female 14.8
GTEX-15DYW-1826-SM-6LPIY 60-69 years, female 14.7
GTEX-QLQ7-0926-SM-447BC 60-69 years, male 14.7
GTEX-11P81-0826-SM-5P9GR 30-39 years, female 14.6
GTEX-1F52S-1426-SM-7P8PU 60-69 years, female 14.6
GTEX-11EI6-1526-SM-5P9GL 60-69 years, male 14.5
GTEX-18D9A-0526-SM-7KFSW 30-39 years, female 14.5
GTEX-U8XE-1726-SM-4E3IF 30-39 years, male 14.5
GTEX-WFJO-0826-SM-4LVM5 30-39 years, male 14.5
GTEX-117YW-1926-SM-5H121 50-59 years, male 14.4
GTEX-131YS-1426-SM-5IJF7 60-69 years, female 14.4
GTEX-X15G-0826-SM-4PQZD 50-59 years, female 14.4
GTEX-Y114-0926-SM-4TT7J 50-59 years, female 14.4
GTEX-ZG7Y-1126-SM-4WWEZ 50-59 years, male 14.4
GTEX-1QP9N-0926-SM-E9U5S 30-39 years, male 14.4
GTEX-11DXY-1426-SM-5N9CN 60-69 years, male 14.3
GTEX-QDVN-1026-SM-48TZA 50-59 years, male 14.3
GTEX-VJYA-0726-SM-4KL1T 60-69 years, male 14.3
GTEX-YF7O-0926-SM-5IFIF 50-59 years, male 14.3
GTEX-ZE9C-1126-SM-4WWBD 60-69 years, male 14.3
GTEX-1RAZS-2626-SM-EV79C 50-59 years, male 14.3
GTEX-13CF3-1626-SM-5IFG9 60-69 years, female 14.2
GTEX-14C38-2126-SM-5RQJO 50-59 years, male 14.2
GTEX-14H4A-1626-SM-5SI69 40-49 years, female 14.2
GTEX-1GPI7-1026-SM-7MGY2 20-29 years, male 14.2
GTEX-1MA7W-0426-SM-E9TJ5 20-29 years, female 14.2
GTEX-139T6-0626-SM-5IFF9 50-59 years, male 14.1
GTEX-1497J-2726-SM-5SI9W 60-69 years, male 14.1
GTEX-1IDJD-1626-SM-C1YRC 30-39 years, male 14.1
GTEX-1S82Y-1226-SM-EV7BD 40-49 years, male 14.1
GTEX-13111-0826-SM-5LZV3 50-59 years, male 14.0
GTEX-13FH7-0526-SM-5IJF8 50-59 years, female 14.0
GTEX-13W46-1926-SM-5J2MF 50-59 years, male 14.0
GTEX-12ZZX-1326-SM-5DUWI 40-49 years, female 13.9
GTEX-13FTX-0526-SM-5IFGS 20-29 years, female 13.9
GTEX-PWCY-0726-SM-48TCS 20-29 years, female 13.9
GTEX-WXYG-1226-SM-4ONCJ 50-59 years, female 13.9
GTEX-XMD2-1326-SM-4YCET 60-69 years, female 13.9
GTEX-XQ3S-1126-SM-4BOPK 20-29 years, male 13.9
GTEX-Y5LM-1026-SM-4VDSQ 40-49 years, female 13.9
GTEX-Z9EW-0526-SM-5HL8S 40-49 years, male 13.9
GTEX-144GN-0626-SM-5O9B2 50-59 years, male 13.8
GTEX-OXRL-0626-SM-3NM9C 50-59 years, male 13.8
GTEX-18QFQ-1026-SM-7LG6B 30-39 years, male 13.8
GTEX-1LNCM-0626-SM-EV7AI 50-59 years, female 13.8
GTEX-13D11-1926-SM-5IFGB 50-59 years, female 13.7
GTEX-WEY5-0926-SM-4LMI4 40-49 years, female 13.7
GTEX-132QS-1426-SM-5P9GE 60-69 years, male 13.6
GTEX-1B8KZ-0726-SM-7938W 50-59 years, male 13.5
GTEX-PLZ5-0926-SM-3TW8L 50-59 years, male 13.5
GTEX-1K2DU-1726-SM-EV79S 20-29 years, male 13.5
GTEX-1R7EU-0826-SM-DPRZL 60-69 years, male 13.5
GTEX-SJXC-1426-SM-EYYVB 60-69 years, male 13.5
GTEX-11XUK-0826-SM-5GU6P 40-49 years, female 13.4
GTEX-14AS3-0626-SM-5QGQD 40-49 years, female 13.4
GTEX-1H1DE-1026-SM-9JGH6 20-29 years, male 13.4
GTEX-OOBK-0625-SM-3LK5P 40-49 years, male 13.3
GTEX-RU1J-0326-SM-46MUM 20-29 years, female 13.3
GTEX-YECK-1626-SM-5IFHQ 60-69 years, male 13.3
GTEX-ZYFG-1126-SM-5GICY 60-69 years, female 13.3
GTEX-13O21-0626-SM-5IJDI 50-59 years, male 13.2
GTEX-15EU6-1626-SM-6LPKF 50-59 years, male 13.2
GTEX-16XZY-0926-SM-7938M 70-79 years, male 13.2
GTEX-11EMC-2226-SM-5A5JW 60-69 years, female 13.1
GTEX-13OVJ-1226-SM-5L3HA 50-59 years, female 13.1
GTEX-ZAJG-1326-SM-5S2NV 50-59 years, female 13.1
GTEX-ZF2S-1226-SM-4WWAX 50-59 years, female 13.1
GTEX-1F7RK-1526-SM-7P8T6 20-29 years, female 13.1
GTEX-1HCU7-2126-SM-A96SG 50-59 years, male 13.1
GTEX-1NSGN-2026-SM-DPRYM 50-59 years, male 13.1
GTEX-14PKV-1726-SM-6871U 20-29 years, female 13.0
GTEX-169BO-0526-SM-793AK 50-59 years, male 13.0
GTEX-17EUY-1426-SM-7938X 20-29 years, male 13.0
GTEX-17MFQ-0526-SM-7KFTX 20-29 years, male 12.9
GTEX-T5JW-1326-SM-4DM5G 20-29 years, female 12.8
GTEX-1F5PL-1726-SM-9QEGL 40-49 years, female 12.8
GTEX-REY6-1326-SM-48FDO 60-69 years, male 12.7
GTEX-ZDTT-1326-SM-4WKFH 60-69 years, male 12.7
GTEX-14PJ4-1526-SM-664OA 60-69 years, male 12.6
GTEX-15SB6-0726-SM-6M48F 50-59 years, female 12.6
GTEX-UJHI-0826-SM-4IHLM 50-59 years, female 12.6
GTEX-1GF9U-0826-SM-7MXTZ 40-49 years, female 12.6
GTEX-12C56-1226-SM-5FQSU 20-29 years, male 12.5
GTEX-15RIF-0826-SM-6M47C 20-29 years, male 12.5
GTEX-15RJ7-0926-SM-6LPJO 40-49 years, male 12.5
GTEX-16Z82-1926-SM-6M47U 60-69 years, male 12.5
GTEX-1JMPY-0826-SM-AHZ4A 30-39 years, male 12.5
GTEX-1JMPZ-2026-SM-C1YR8 30-39 years, male 12.5
GTEX-1211K-0926-SM-5FQTL 60-69 years, female 12.4
GTEX-1F75I-1726-SM-7MKGW 40-49 years, male 12.4
GTEX-YB5E-0926-SM-4WWDQ 40-49 years, male 12.4
GTEX-1JMQJ-1226-SM-D3L97 50-59 years, male 12.4
GTEX-1QCLZ-1626-SM-E9U5R 60-69 years, female 12.4
GTEX-14E6E-0726-SM-5S2R3 30-39 years, male 12.3
GTEX-ZGAY-1126-SM-4WWBS 40-49 years, female 12.3
GTEX-ZZ64-0226-SM-5E44X 20-29 years, male 12.3
GTEX-1RAZR-1226-SM-E6CRD 40-49 years, male 12.3
GTEX-13QBU-1026-SM-5LU3R 40-49 years, female 12.2
GTEX-146FQ-1026-SM-5LU8I 30-39 years, male 12.2
GTEX-14E1K-1226-SM-5S2PD 50-59 years, male 12.2
GTEX-1CB4E-1026-SM-793AB 60-69 years, male 12.1
GTEX-1PIGE-0926-SM-E9U5Z 20-29 years, male 12.1
GTEX-12WSK-1126-SM-5LZV8 40-49 years, female 12.0
GTEX-15EOM-5013-SM-7MKF9 20-29 years, female 12.0
GTEX-QDVJ-0726-SM-48U1W 50-59 years, male 12.0
GTEX-11EQ9-0726-SM-5A5K2 30-39 years, male 11.9
GTEX-1399R-0826-SM-5IJEL 30-39 years, male 11.9
GTEX-Y9LG-0626-SM-4WWDH 30-39 years, male 11.9
GTEX-ZUA1-1226-SM-5NQ6O 40-49 years, male 11.9
GTEX-ZYT6-1126-SM-5GZYR 30-39 years, male 11.9
GTEX-133LE-0626-SM-5IFFJ 20-29 years, female 11.7
GTEX-1399U-1026-SM-5J1OC 50-59 years, female 11.7
GTEX-16A39-1026-SM-6LPJU 30-39 years, female 11.7
GTEX-1C64O-1826-SM-7DHM4 60-69 years, male 11.7
GTEX-YFC4-1226-SM-5LU9R 40-49 years, female 11.7
GTEX-1GMR2-1526-SM-7MXV6 50-59 years, male 11.6
GTEX-P4PP-0626-SM-3NM9X 30-39 years, female 11.5
GTEX-XMK1-1326-SM-4B65Q 40-49 years, male 11.5
GTEX-ZLWG-1326-SM-DNZYZ 50-59 years, female 11.5
GTEX-WHSE-1526-SM-4M1XH 20-29 years, male 11.4
GTEX-1H23P-1426-SM-9JGH5 60-69 years, male 11.4
GTEX-11LCK-1726-SM-5S2OQ 30-39 years, male 11.3
GTEX-132AR-2226-SM-5J2NT 50-59 years, female 11.3
GTEX-1399Q-1126-SM-5P9JA 40-49 years, male 11.3
GTEX-1AMEY-0226-SM-7189Q 30-39 years, female 11.3
GTEX-S4P3-0426-SM-4AD56 50-59 years, female 11.3
GTEX-XGQ4-1526-SM-4AT6H 50-59 years, male 11.3
GTEX-ZLV1-0526-SM-4WWD4 60-69 years, female 11.3
GTEX-1B996-1826-SM-7MGY6 60-69 years, male 11.3
GTEX-Q2AH-0826-SM-48TZN 40-49 years, male 11.2
GTEX-1ICG6-1926-SM-ARU7L 70-79 years, female 11.2
GTEX-16NPX-1626-SM-6LLI5 50-59 years, male 11.1
GTEX-1B97I-0926-SM-731DZ 40-49 years, male 11.1
GTEX-RNOR-1226-SM-48FDQ 50-59 years, female 11.1
GTEX-TML8-1526-SM-4DXUX 40-49 years, female 11.1
GTEX-X4XY-1726-SM-46MVO 60-69 years, male 11.1
GTEX-ZEX8-1426-SM-4WKHQ 50-59 years, male 11.1
GTEX-1GN1W-2226-SM-9JGI5 50-59 years, female 11.1
GTEX-1I6K7-1426-SM-B2LXP 40-49 years, male 11.1
GTEX-18A66-1426-SM-7KFRT 60-69 years, male 11.0
GTEX-XV7Q-1126-SM-4BRVS 40-49 years, female 11.0
GTEX-13OVG-0626-SM-5IFEP 60-69 years, male 10.9
GTEX-13FTW-1626-SM-5KM4N 40-49 years, male 10.8
GTEX-ZQUD-0426-SM-57WFR 30-39 years, male 10.8
GTEX-1IDJH-2026-SM-CNNQX 70-79 years, male 10.8
GTEX-1K2DA-0626-SM-CGQGO 50-59 years, male 10.8
GTEX-1LGOU-0526-SM-D3LAO 20-29 years, female 10.8
GTEX-131XE-1426-SM-5HL7V 50-59 years, male 10.7
GTEX-15DCD-1626-SM-6AJBH 70-79 years, female 10.7
GTEX-1F5PK-1526-SM-7MKGV 50-59 years, male 10.6
GTEX-ZPU1-1426-SM-4WWFU 40-49 years, male 10.6
GTEX-145LU-0926-SM-79OJL 50-59 years, male 10.4
GTEX-14PJM-1526-SM-664NY 50-59 years, female 10.4
GTEX-17HHE-0926-SM-7938K 50-59 years, male 10.4
GTEX-TMMY-1126-SM-4DXSX 40-49 years, female 10.4
GTEX-1IDFM-1126-SM-A96SY 60-69 years, male 10.4
GTEX-1MCQQ-1026-SM-EV7AX 60-69 years, male 10.4
GTEX-146FH-1726-SM-5QGQ2 50-59 years, female 10.3
GTEX-ZTPG-1626-SM-5DUX2 20-29 years, female 10.3
GTEX-ZTX8-0226-SM-5E44D 20-29 years, male 10.3
GTEX-1HC8U-1526-SM-9WPO4 40-49 years, female 10.3
GTEX-R53T-1126-SM-48FD4 50-59 years, female 10.2
GTEX-S33H-0826-SM-4AD5Y 30-39 years, male 10.2
GTEX-TSE9-1226-SM-4DXTM 60-69 years, female 10.2
GTEX-WH7G-0926-SM-4LVMJ 40-49 years, male 10.2
GTEX-Y3I4-1226-SM-4TT8N 50-59 years, male 10.2
GTEX-16AAH-0726-SM-793A9 50-59 years, male 10.1
GTEX-1B933-2026-SM-7EWFC 50-59 years, female 10.1
GTEX-11EM3-0826-SM-5N9CC 20-29 years, female 10.0
GTEX-13S86-0826-SM-5SI6J 40-49 years, male 10.0
GTEX-17HGU-1426-SM-7938G 50-59 years, male 10.0
GTEX-QCQG-0626-SM-48U21 50-59 years, female 10.0
GTEX-XYKS-1526-SM-4BRUP 60-69 years, female 10.0
GTEX-1MJIX-0826-SM-DTXEO 40-49 years, male 10.0
GTEX-111YS-0926-SM-5EGGI 60-69 years, male 9.9
GTEX-POYW-1326-SM-48TCG 60-69 years, male 9.9
GTEX-1I1GV-2226-SM-ARU7E 60-69 years, male 9.9
GTEX-13O1R-1326-SM-5IJF5 60-69 years, male 9.8
GTEX-RUSQ-0826-SM-47JWW 50-59 years, male 9.8
GTEX-XXEK-0326-SM-4BRVV 50-59 years, male 9.8
GTEX-ZC5H-1326-SM-5HL7E 40-49 years, female 9.8
GTEX-13OVK-1126-SM-6PAMR 40-49 years, male 9.7
GTEX-W5WG-1626-SM-4LMKG 50-59 years, female 9.7
GTEX-1EKGG-1726-SM-7MXUP 60-69 years, male 9.6
GTEX-11DZ1-2026-SM-5A5KG 50-59 years, male 9.5
GTEX-139YR-1726-SM-5IFFK 50-59 years, male 9.4
GTEX-1QP67-0726-SM-DPRY1 40-49 years, female 9.4
GTEX-146FR-0426-SM-5SI97 60-69 years, female 9.3
GTEX-OIZG-1026-SM-3LK5X 50-59 years, male 9.3
GTEX-ZY6K-0626-SM-59HJL 50-59 years, male 9.1
GTEX-131XG-1026-SM-5GCMX 50-59 years, female 9.0
GTEX-13PVR-1826-SM-5Q5CC 60-69 years, female 9.0
GTEX-U3ZN-1726-SM-4DXUQ 30-39 years, female 9.0
GTEX-1H3VY-2026-SM-9JGHK 50-59 years, male 8.9
GTEX-X3Y1-1326-SM-4PQZB 40-49 years, male 8.7
GTEX-Y5V6-1026-SM-4VBS2 60-69 years, male 8.7
GTEX-11DXX-1126-SM-5GZZK 60-69 years, female 8.6
GTEX-12WSN-5013-SM-7P8P9 40-49 years, male 8.6
GTEX-14PJN-0526-SM-68724 30-39 years, male 8.5
GTEX-183FY-1526-SM-7IGOW 20-29 years, male 8.5
GTEX-1JK1U-1726-SM-CNNPM 60-69 years, male 8.5
GTEX-15DCE-1326-SM-6LPJL 20-29 years, male 8.4
GTEX-16MTA-0826-SM-6LLIC 50-59 years, male 8.4
GTEX-ZV68-0926-SM-59HK7 50-59 years, female 8.3
GTEX-1F88F-1126-SM-7MKHL 60-69 years, female 8.0
GTEX-RU72-0726-SM-46MUW 50-59 years, female 8.0
GTEX-1AX8Z-5016-SM-AHZ2B 60-69 years, male 8.0
GTEX-1AMFI-0226-SM-731D5 50-59 years, female 7.9
GTEX-14B4R-0326-SM-5TDDP 30-39 years, male 7.8
GTEX-QEG5-1426-SM-447AS 20-29 years, male 7.7
GTEX-1LVAM-1126-SM-DHXKP 50-59 years, female 7.5
GTEX-1C6VQ-1826-SM-7EWEH 50-59 years, male 7.3
GTEX-R55G-1026-SM-48FDI 40-49 years, female 7.2
GTEX-12WSL-1526-SM-5GCP8 50-59 years, male 7.1
GTEX-17F98-1726-SM-7938O 40-49 years, female 7.1
GTEX-11NSD-1126-SM-5N9BQ 20-29 years, male 6.9
GTEX-14BMU-0926-SM-5S2QB 20-29 years, female 5.8
GTEX-14PK6-1326-SM-686ZE 70-79 years, female 5.4
GTEX-11TT1-0526-SM-5P9JO 20-29 years, male 4.9
GTEX-13NYB-0926-SM-5IFFA 40-49 years, male 4.7
GTEX-WHWD-0926-SM-4OORY 50-59 years, male 4.5
Show allShow less

ESOPHAGUS - FANTOM5 CAGEi

RNA expression in human tissues obtained through Cap Analysis of Gene Expression (CAGE) generated by the FANTOM5 project are reported as Scaled Tags Per Million.

Max subtype Scaled Tags Per Millioni

Max subtype Scaled Tags Per Million is the value for the subtype with the largest average Scaled Tags Per Million across the subtype samples.

14.8
FANTOM5 sample id Sample description Scaled Tags Per Million
Esophagus
Scaled Tags Per Million: 14.8
FF:10015-101C6 68,74,75 years, mixed 14.8

Contact

  • NEWS ARTICLES
  • PRESS ROOM

The Project

  • INTRODUCTION
  • ORGANIZATION
  • PUBLICATIONS

The Human Protein Atlas

  • DOWNLOADABLE DATA
  • LICENCE & CITATION
  • HELP & FAQ
The Human Protein Atlas project is funded
by the Knut & Alice Wallenberg Foundation.


contact@proteinatlas.org