We use cookies to enhance the usability of our website. If you continue, we'll assume that you are happy to receive all cookies. More information. Don't show this again.
HRAS
HPA
RESOURCES
  • TISSUE
  • BRAIN
  • SINGLE CELL
  • SUBCELLULAR
  • CANCER
  • BLOOD
  • CELL LINE
  • STRUCTURE & INTERACTION
ABOUT
  • INTRODUCTION
  • HISTORY
  • ORGANIZATION
  • PUBLICATIONS
  • ANTIBODY SUBMISSION
  • ANTIBODY AVAILABILITY
  • ACKNOWLEDGMENTS
  • CONTACT
NEWS
  • NEWS ARTICLES
  • PRESS ROOM
LEARN
  • DICTIONARY
  • PROTEIN CLASSES
  • PROTEIN EVIDENCE
  • METHODS
  • EDUCATIONAL VIDEOS
DATA
  • DOWNLOADABLE DATA
  • PUBLICATION DATA
  • RELEASE HISTORY
HELP
  • ANTIBODY VALIDATION
  • ASSAYS & ANNOTATION
  • DISCLAIMER
  • HELP & FAQ
  • PRIVACY STATEMENT
  • LICENCE & CITATION
Fields »
Search result

Field
Term
Gene name
Class
Subclass
Class
Keyword
Chromosome
External id
Tissue
Cell type
Expression
Antibody panel
Tissue
Main location
Patient ID
Annotation
Tissue
Category
Tau score
Cluster
Reliability
Brain region
Category
Tau score
Brain region
Category
Tau score
Brain region
Category
Tau score
Cluster
Reliability
Tissue
Cell type
Enrichment
Cell type
Category
Tau score
Cell type
Category
Tau score
Cell type
Category
Tau score
Cell lineage
Category
Tau score
Cluster
Cluster
Location
Searches
Location
Cell line
Class
Type
Phase
Reliability
Cancer
Prognosis
Cancer
Category
Cancer
Category
Tau score
Cluster
Variants
Interacting gene (ensg_id)
Type
Number of interactions
Pathway
Category
Score
Score
Score
Validation
Validation
Validation
Validation
Antibodies
Data type
Column


  • SUMMARY

  • TISSUE

  • BRAIN

  • SINGLE CELL

  • SUBCELL

  • CANCER

  • BLOOD

  • CELL LINE

  • STRUCT & INT

  • HRAS
TISSUE PRIMARY DATA PROSTATE Show tissue menu
ADIPOSE TISSUE ADRENAL GLAND AMYGDALA APPENDIX BASAL GANGLIA BONE MARROW BREAST BRONCHUS CEREBELLUM CEREBRAL CORTEX CERVIX CHOROID PLEXUS COLON DUODENUM
ENDOMETRIUM EPIDIDYMIS ESOPHAGUS FALLOPIAN TUBE GALLBLADDER HEART MUSCLE HIPPOCAMPAL FORMATION HYPOTHALAMUS KIDNEY LIVER LUNG LYMPH NODE MIDBRAIN NASOPHARYNX
ORAL MUCOSA OVARY PANCREAS PARATHYROID GLAND PITUITARY GLAND PLACENTA PROSTATE RECTUM RETINA SALIVARY GLAND SEMINAL VESICLE SKELETAL MUSCLE SKIN SMALL INTESTINE
SMOOTH MUSCLE SOFT TISSUE SPINAL CORD SPLEEN STOMACH TESTIS THYMUS THYROID GLAND TONGUE TONSIL URINARY BLADDER VAGINA
ANTIBODIES
AND
VALIDATION
Dictionary
Prostate
Tissue proteome
Prostate
PROSTATE - Expression summary
Protein expression
Prostatei

On the top, protein expression in current human tissue, based on all annotated cell types, is reported with the units not detected (n), low (l), medium (m) and high (h). Underneath, protein expression in each annotated cell type are reported using the same units.

Protein expression data is based on knowledge-based annotation. For genes where more than one antibody has been used, a collective score is set.

If knowledge-based annotation could not be performed for a gene, no data is displayed here. View antibody staining data further down this page.

h
m
l
n
Glandular cells: Low
RNA expressioni

A summary of mRNA expression data available for current tissue based on several datasets. The mRNA expression levels in human tissues are based on RNA-seq data generated by the Human Protein Atlas (HPA), Genotype-Tissue Expression (GTEx) portal and CAGE data generated by the FANTOM5 consortium. Consensus normalized expression levels for human tissues was created by combining the data from HPA and GTEx datasets.

The mRNA expression levels in pig are based on RNA-seq data generated by the Human Protein Atlas (HPA), and for mouse, HPA data and in situ hybridization generated by the Allen brain atlas are reported.

Scroll down to view mRNA expression data in more detail.
Consensus:37.1 nTPM
HPA:6.9 nTPM
GTEx:37.1 nTPM
FANTOM5:25.9 Scaled Tags Per Million

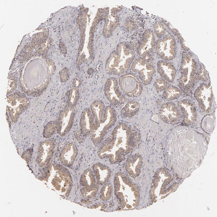
PROSTATE - Antibody stainingi

Antibody staining in the annotated cell types in the current human tissue is reported as not detected, low, medium, or high, based on conventional immunohistochemistry profiling in selected tissues. This score is based on the combination of the staining intensity and fraction of stained cells.

Each image is clickable and will lead to virtual microscopy that enables deeper exploration of all samples and also displays staining intensity scores, fraction scores and subcellular localization as well as patient and tissue information for each sample.

Antibody HPA049830Antibody CAB002015Antibody CAB080330Antibody CAB080331Antibody CAB080332
Glandular cells LowLowMediumMediumMedium










PROSTATE - HPA RNA-seqi

The RNA-seq details section shows detailed information about the individual samples used for the transcript profiling and results of the RNA-seq analysis.

Information about each individual sample is listed below, including gender, age, a tissue section image and estimated fractions of cell types. nTPM (normalized transcripts per million) values give a quantification of the gene abundance which is comparable between different genes and samples.
Average nTPMi

Max subtype nTPM is the value for the subtype with the largest average nTPM across the subtype samples.

6.9
overview
Male, age 62
Prostate sample 59
nTPM: 12
Cell types%
Glandular cells:
30

Smooth muscle cells:
55

Skeletal muscle cells:
5

Other cell types:
10

N/A
Male, age 65
Prostate sample 205
nTPM: 3.9
Cell types%
Glandular cells:
20

Smooth muscle cells:
60

Other cell types:
20

overview
Male, age 65
Prostate sample 206
nTPM: 0.7
Cell types%
Glandular cells:
30

Smooth muscle cells:
65

Other cell types:
5

overview
Male, age 68
Prostate sample 207
nTPM: 3.6
Cell types%
Glandular cells:
30

Smooth muscle cells:
65

Other cell types:
5

overview
Male, age 60
Prostate sample 361
nTPM: 8.1
Cell types%
Glandular cells:
40

Smooth muscle cells:
55

Other cell types:
5

overview
Male, age 66
Prostate sample 364
nTPM: 9.1
Cell types%
Glandular cells:
50

Smooth muscle cells:
45

Other cell types:
5

overview
Male, age 63
Prostate sample 365
nTPM: 9.3
Cell types%
Glandular cells:
60

Smooth muscle cells:
35

Other cell types:
5

overview
Male, age 66
Prostate sample 388
nTPM: 10.7
Cell types%
Glandular cells:
65

Smooth muscle cells:
30

Other cell types:
5

overview
Male, age 58
Prostate sample 412
nTPM: 4.2
Cell types%
Glandular cells:
45

Smooth muscle cells:
50

Other cell types:
5


PROSTATE - GTEx RNA-seqi

RNA-Seq data generated by the Genotype-Tissue Expression (GTEx) project from human tissues is reported as mean nTPM. More information can be found on the GTEx portal.

Distribution across the dataset is visualized with box plots, shown as median and 25th and 75th percentiles. Points are displayed as outliers if they are above or below 1.5 times the interquartile range. nTPM values of the individual samples are presented next to the box plot.
Max subtype nTPMi

Max subtype nTPM is the value for the subtype with the largest average nTPM across the subtype samples.

37.1
GTEx sample id Sample description nTPM
Prostate
Average nTPM: 37.1
Samples: 245

Max nTPM: 73.8
Min nTPM: 17.4
Std nTPM: 10.2
Median nTPM: 35.4
GTEX-1EH9U-1826-SM-7P8QL 60-69 years, male 73.8
GTEX-1CAMQ-2226-SM-7MGWS 40-49 years, male 71.6
GTEX-1LSNL-2326-SM-DHXKN 50-59 years, male 65.1
GTEX-1I1GP-2026-SM-CE6SZ 50-59 years, male 63.8
GTEX-1E1VI-2726-SM-7MXVH 50-59 years, male 62.8
GTEX-1LBAC-1926-SM-DHXK2 20-29 years, male 62.6
GTEX-1PPH8-1426-SM-DTXA3 20-29 years, male 62.6
GTEX-17HGU-2226-SM-7IGLI 50-59 years, male 59.5
GTEX-145LT-0626-SM-5O99E 40-49 years, male 56.8
GTEX-WZTO-0926-SM-4PQZ3 40-49 years, male 56.5
GTEX-V1D1-1926-SM-4JBGX 50-59 years, male 56.1
GTEX-ZUA1-2826-SM-59HLE 40-49 years, male 55.6
GTEX-18QFQ-2026-SM-72D7J 30-39 years, male 55.5
GTEX-1EKGG-2826-SM-7MGXA 60-69 years, male 55.5
GTEX-1A3MV-0826-SM-72D6J 30-39 years, male 55.4
GTEX-17HHY-2526-SM-7IGME 50-59 years, male 54.8
GTEX-NFK9-2226-SM-3MJGP 40-49 years, male 54.2
GTEX-11TUW-2126-SM-5GU7B 60-69 years, male 54.0
GTEX-1MJK2-0726-SM-DTXE7 50-59 years, male 53.7
GTEX-145LV-1226-SM-5S2QH 50-59 years, male 52.2
GTEX-1HKZK-1626-SM-B2LWH 40-49 years, male 50.8
GTEX-14BIL-2126-SM-73KW3 50-59 years, male 50.6
GTEX-1IDJD-2026-SM-A96TC 30-39 years, male 50.4
GTEX-11WQK-2726-SM-5EQMU 50-59 years, male 50.3
GTEX-16YQH-2326-SM-7EWDS 30-39 years, male 50.3
GTEX-XQ8I-2526-SM-EAZB3 50-59 years, male 49.8
GTEX-OIZH-2026-SM-3NB1M 50-59 years, male 49.6
GTEX-1KANB-2026-SM-DIPEY 50-59 years, male 49.6
GTEX-SNMC-0926-SM-4DM5U 20-29 years, male 49.4
GTEX-1MUQO-1526-SM-DPRYK 60-69 years, male 49.2
GTEX-ZG7Y-2226-SM-DO92I 50-59 years, male 49.2
GTEX-OOBK-2025-SM-3LK5S 40-49 years, male 49.0
GTEX-U8XE-2526-SM-4E3IT 30-39 years, male 49.0
GTEX-16MTA-1426-SM-6PALY 50-59 years, male 48.8
GTEX-U412-2026-SM-4DXSI 60-69 years, male 48.1
GTEX-1KAFJ-1226-SM-D4P46 50-59 years, male 48.0
GTEX-1CB4E-1726-SM-7IGMS 60-69 years, male 47.7
GTEX-132QS-1126-SM-5P9GC 60-69 years, male 47.4
GTEX-1C6WA-2326-SM-7P8OW 60-69 years, male 47.1
GTEX-U3ZM-0926-SM-4DXSW 40-49 years, male 46.9
GTEX-1LG7Y-2426-SM-EVR57 50-59 years, male 46.9
GTEX-11DYG-2526-SM-5N9BB 60-69 years, male 46.7
GTEX-UTHO-2726-SM-4JBH9 60-69 years, male 46.7
GTEX-1CB4J-1526-SM-7MXVB 60-69 years, male 46.2
GTEX-1KWVE-1226-SM-EV7AG 30-39 years, male 45.9
GTEX-132NY-2826-SM-5P9G2 60-69 years, male 45.8
GTEX-S33H-1826-SM-4AD65 30-39 years, male 45.4
GTEX-WFG8-1826-SM-4LVM4 20-29 years, male 45.4
GTEX-YF7O-1926-SM-4W1YQ 50-59 years, male 45.4
GTEX-1QP29-0526-SM-EAZ3T 50-59 years, male 45.4
GTEX-1C6VQ-2426-SM-7EWEU 50-59 years, male 45.0
GTEX-NPJ8-2426-SM-3MJHL 40-49 years, male 44.9
GTEX-XQ3S-2526-SM-4BOOG 20-29 years, male 44.8
GTEX-12WSN-5007-SM-7MGWH 40-49 years, male 44.8
GTEX-1QCLY-1826-SM-DTX89 30-39 years, male 44.7
GTEX-11ZUS-2126-SM-5N9E6 30-39 years, male 44.6
GTEX-XXEK-1226-SM-4BRUY 50-59 years, male 44.6
GTEX-1GZ2Q-2426-SM-9KNV8 40-49 years, male 44.3
GTEX-1IL2U-2826-SM-A96SR 60-69 years, male 44.3
GTEX-WYJK-0626-SM-4ONCZ 50-59 years, male 44.0
GTEX-1BAJH-0626-SM-7P8OY 70-79 years, male 44.0
GTEX-14PJO-2826-SM-6AJA6 60-69 years, male 43.8
GTEX-1H3VY-2726-SM-A96TL 50-59 years, male 43.5
GTEX-15CHR-1226-SM-79OON 50-59 years, male 43.1
GTEX-1P4AB-1926-SM-E6CQL 50-59 years, male 43.0
GTEX-P4PQ-2026-SM-E9U4E 60-69 years, male 43.0
GTEX-131XF-5013-SM-7EWFI 60-69 years, male 42.7
GTEX-1GF9W-2026-SM-7MXVO 60-69 years, male 42.2
GTEX-1HSMO-2326-SM-CGQF3 60-69 years, male 42.2
GTEX-148VJ-1826-SM-5Q5DV 70-79 years, male 42.1
GTEX-ZTX8-1026-SM-5EGHD 20-29 years, male 42.1
GTEX-13RTJ-2126-SM-5S2PZ 60-69 years, male 41.9
GTEX-1I6K7-2326-SM-ARZM2 40-49 years, male 41.9
GTEX-1LG7Z-0826-SM-CXKYN 30-39 years, male 41.9
GTEX-13FXS-2826-SM-5LZYC 50-59 years, male 41.7
GTEX-1RAZQ-0826-SM-EVR4L 30-39 years, male 41.7
GTEX-1JMQK-2226-SM-ARU8U 60-69 years, male 41.6
GTEX-1HSKV-1726-SM-C1YRO 60-69 years, male 41.5
GTEX-OIZF-2026-SM-3MJH1 60-69 years, male 41.4
GTEX-SIU8-2226-SM-EAZ2T 50-59 years, male 41.3
GTEX-1OKEX-1826-SM-DTX8J 60-69 years, male 41.2
GTEX-17MFQ-1326-SM-718BX 20-29 years, male 41.1
GTEX-144GM-0826-SM-5O98R 20-29 years, male 40.7
GTEX-1B97I-0826-SM-731DN 40-49 years, male 40.7
GTEX-Y9LG-1826-SM-4VBQC 30-39 years, male 40.6
GTEX-111FC-2026-SM-5GZYO 60-69 years, male 40.5
GTEX-YJ8A-1126-SM-5IFJU 20-29 years, male 40.3
GTEX-RM2N-1126-SM-48FCY 50-59 years, male 40.2
GTEX-1GN2E-2026-SM-9JGGG 60-69 years, male 40.2
GTEX-QEG5-2426-SM-EYYVC 20-29 years, male 40.2
GTEX-117YW-1426-SM-5EGGO 50-59 years, male 39.8
GTEX-111CU-1526-SM-5N9FS 50-59 years, male 39.6
GTEX-147JS-2826-SM-5YYA7 60-69 years, male 39.5
GTEX-Q2AI-1126-SM-48U19 40-49 years, male 39.4
GTEX-11EQ9-1726-SM-5HL6U 30-39 years, male 39.2
GTEX-X5EB-1826-SM-4E3K8 40-49 years, male 39.2
GTEX-1C64O-2026-SM-7IGPA 60-69 years, male 39.1
GTEX-16GPK-2826-SM-6LPJ6 60-69 years, male 38.5
GTEX-YB5E-1826-SM-5IFI4 40-49 years, male 38.5
GTEX-1KXAM-1126-SM-E9TJU 60-69 years, male 38.3
GTEX-12696-2226-SM-5EQ65 60-69 years, male 38.1
GTEX-1B8KZ-1626-SM-73KUU 50-59 years, male 38.0
GTEX-V955-1826-SM-4JBIL 60-69 years, male 38.0
GTEX-139T6-1526-SM-5P9G6 50-59 years, male 37.8
GTEX-Q2AH-1426-SM-EXOHC 40-49 years, male 37.8
GTEX-1J8Q3-0926-SM-A96SU 60-69 years, male 37.6
GTEX-1B8KE-1026-SM-731EQ 50-59 years, male 37.4
GTEX-117YX-1526-SM-5H12T 50-59 years, male 37.2
GTEX-T6MN-2126-SM-EZ6LC 50-59 years, male 37.2
GTEX-1GPI7-1626-SM-7P8TN 20-29 years, male 37.1
GTEX-ZDYS-1226-SM-5IJF3 50-59 years, male 37.0
GTEX-XPVG-2026-SM-4B65E 50-59 years, male 36.7
GTEX-1HBPI-0326-SM-A9G3N 50-59 years, male 36.7
GTEX-ZT9W-1626-SM-4YCDQ 50-59 years, male 36.6
GTEX-1JN6P-2626-SM-D4P3C 60-69 years, male 36.5
GTEX-WY7C-2026-SM-4ONCM 50-59 years, male 36.4
GTEX-13OW8-0426-SM-5J2NR 60-69 years, male 35.9
GTEX-1F6I4-1326-SM-7P8QQ 60-69 years, male 35.8
GTEX-1QP2A-1526-SM-E6CPN 50-59 years, male 35.8
GTEX-RWSA-2026-SM-47JX8 40-49 years, male 35.7
GTEX-S95S-1026-SM-4B64M 60-69 years, male 35.7
GTEX-1I1GU-1126-SM-A96S9 40-49 years, male 35.4
GTEX-1JMLX-1226-SM-CY8HW 50-59 years, male 35.4
GTEX-16XZZ-2426-SM-7KULN 60-69 years, male 35.3
GTEX-U3ZH-0926-SM-4DXU4 30-39 years, male 35.3
GTEX-QLQ7-1326-SM-CNNOR 60-69 years, male 35.2
GTEX-17HII-2526-SM-7LT8C 50-59 years, male 35.0
GTEX-ZYFD-2526-SM-5E45L 50-59 years, male 34.9
GTEX-1AX9K-1526-SM-73KVP 50-59 years, male 34.7
GTEX-1N2EE-1026-SM-EXUS8 60-69 years, male 34.6
GTEX-ZPU1-2026-SM-57WFI 40-49 years, male 34.5
GTEX-ZTTD-2726-SM-57WFA 50-59 years, male 34.5
GTEX-1I6K6-2126-SM-B2LX6 30-39 years, male 34.5
GTEX-1CAMR-1626-SM-79OLC 20-29 years, male 34.4
GTEX-1KANA-1026-SM-D3L9L 20-29 years, male 34.3
GTEX-12C56-1326-SM-5FQSV 20-29 years, male 34.2
GTEX-T5JC-1226-SM-4DM7C 20-29 years, male 34.2
GTEX-QEG4-2226-SM-CXZJD 30-39 years, male 34.1
GTEX-14E6C-2826-SM-664NC 40-49 years, male 34.0
GTEX-ZY6K-1526-SM-5GZXE 50-59 years, male 34.0
GTEX-146FQ-1726-SM-5QGPX 30-39 years, male 33.9
GTEX-XMK1-1026-SM-4B65H 40-49 years, male 33.9
GTEX-ZZ64-0926-SM-5E44L 20-29 years, male 33.9
GTEX-QV31-1026-SM-CNNOS 30-39 years, male 33.9
GTEX-XAJ8-0626-SM-47JY4 40-49 years, male 33.8
GTEX-WK11-2626-SM-4OOSK 50-59 years, male 33.3
GTEX-1JMPZ-2326-SM-CE6RW 30-39 years, male 33.3
GTEX-11O72-2726-SM-5HL6K 40-49 years, male 33.1
GTEX-WOFM-0326-SM-4OOSL 20-29 years, male 32.9
GTEX-1JK1U-0926-SM-AHZ43 60-69 years, male 32.9
GTEX-1PIGE-1726-SM-E6CQH 20-29 years, male 32.9
GTEX-1S5ZA-1626-SM-E9TKG 20-29 years, male 32.9
GTEX-17EUY-2026-SM-79OMV 20-29 years, male 32.7
GTEX-1HSMQ-1826-SM-A9SMJ 50-59 years, male 32.7
GTEX-14BMV-2326-SM-5RQJ4 50-59 years, male 32.6
GTEX-14PJ2-2126-SM-5YY96 50-59 years, male 32.6
GTEX-PLZ6-1126-SM-3P5ZR 30-39 years, male 32.5
GTEX-11OF3-1726-SM-5GU5Q 60-69 years, male 32.2
GTEX-1JJ6O-0726-SM-CY8HS 60-69 years, male 32.2
GTEX-T8EM-1826-SM-4DM7F 40-49 years, male 32.1
GTEX-12ZZZ-2026-SM-5LZWJ 60-69 years, male 32.0
GTEX-15RIF-1526-SM-6M46K 20-29 years, male 32.0
GTEX-14PJ4-1226-SM-5YY9U 60-69 years, male 31.9
GTEX-WH7G-1726-SM-4LVKY 40-49 years, male 31.7
GTEX-QV44-1526-SM-DHXIP 50-59 years, male 31.7
GTEX-RVPV-2526-SM-EYYVL 60-69 years, male 31.7
GTEX-SJXC-2026-SM-4DM6N 60-69 years, male 31.5
GTEX-OXRL-2026-SM-E6CHN 50-59 years, male 31.5
GTEX-111YS-1726-SM-5GIED 60-69 years, male 31.4
GTEX-14E6E-1126-SM-5S2R4 30-39 years, male 31.4
GTEX-1GN73-1626-SM-9WYTS 60-69 years, male 31.3
GTEX-13FTW-1226-SM-5LZZ1 40-49 years, male 30.9
GTEX-XGQ4-1826-SM-4AT6F 50-59 years, male 30.9
GTEX-1PWST-2626-SM-E8VN8 70-79 years, male 30.8
GTEX-1JKYR-1726-SM-C1YR6 20-29 years, male 30.7
GTEX-178AV-0426-SM-6LPJG 40-49 years, male 30.6
GTEX-13111-1326-SM-5GCNO 50-59 years, male 30.5
GTEX-1MGNQ-2226-SM-EV7A2 40-49 years, male 30.5
GTEX-11TT1-2026-SM-5EQM8 20-29 years, male 30.3
GTEX-1HBPN-2126-SM-9WPNQ 50-59 years, male 30.3
GTEX-1PFEY-0626-SM-E76PH 30-39 years, male 30.3
GTEX-1HFI6-2326-SM-9WYUN 40-49 years, male 30.2
GTEX-S3XE-1326-SM-4AD4H 50-59 years, male 30.1
GTEX-11NSD-0826-SM-5986S 20-29 years, male 30.0
GTEX-145LU-2126-SM-5Q5E9 50-59 years, male 30.0
GTEX-13O21-1126-SM-5N9EV 50-59 years, male 29.9
GTEX-14PJ3-1726-SM-5ZZVH 50-59 years, male 29.5
GTEX-Y8E4-2126-SM-5RQHO 40-49 years, male 29.5
GTEX-1H1E6-0526-SM-9WPQ3 30-39 years, male 29.5
GTEX-13FHO-2826-SM-5K7ZA 60-69 years, male 29.4
GTEX-13G51-2326-SM-5LZXV 60-69 years, male 29.3
GTEX-17HHE-1126-SM-793BS 50-59 years, male 29.2
GTEX-1399T-1226-SM-5P9J5 60-69 years, male 29.1
GTEX-1R7EU-0126-SM-EVR4F 60-69 years, male 29.1
GTEX-1AX8Z-5019-SM-AHZ2C 60-69 years, male 28.7
GTEX-1JJE9-0426-SM-D4P2P 70-79 years, male 28.7
GTEX-14C5O-2826-SM-5RQI6 60-69 years, male 28.5
GTEX-S4Q7-1026-SM-4AD75 20-29 years, male 28.4
GTEX-1I1GV-1926-SM-CNPQH 60-69 years, male 28.3
GTEX-1ICLZ-2626-SM-A9G2K 60-69 years, male 28.2
GTEX-14ABY-0726-SM-5Q5DF 50-59 years, male 28.1
GTEX-1K2DA-1226-SM-CGQGH 50-59 years, male 28.1
GTEX-QMRM-1426-SM-CM2U2 50-59 years, male 27.9
GTEX-1CB4G-2526-SM-7MXTG 60-69 years, male 27.7
GTEX-11P82-1126-SM-5BC5K 20-29 years, male 27.4
GTEX-13O61-1726-SM-5KM46 60-69 years, male 27.1
GTEX-ZEX8-2026-SM-4WKF3 50-59 years, male 26.2
GTEX-1S831-1226-SM-EVR5D 20-29 years, male 26.1
GTEX-ZLFU-1726-SM-4WWBU 40-49 years, male 26.0
GTEX-1GF9V-0726-SM-9KNU4 60-69 years, male 26.0
GTEX-1H3NZ-2826-SM-9WPQ7 60-69 years, male 25.9
GTEX-1GZ4I-2226-SM-9WPPO 50-59 years, male 25.8
GTEX-13NYS-1026-SM-5KLZT 60-69 years, male 25.7
GTEX-1OJC3-1926-SM-DPRYV 20-29 years, male 25.4
GTEX-WFG7-1826-SM-3GIL1 20-29 years, male 25.2
GTEX-1IDJF-2126-SM-AHZ2S 20-29 years, male 25.2
GTEX-11DXZ-1826-SM-5H12Y 50-59 years, male 25.1
GTEX-SNOS-1026-SM-4DM4Y 40-49 years, male 25.1
GTEX-SUCS-1126-SM-4DM61 70-79 years, male 25.1
GTEX-1JKYN-0926-SM-AHZ47 30-39 years, male 25.0
GTEX-1477Z-2226-SM-5QGPG 60-69 years, male 24.9
GTEX-18A66-2326-SM-7LT8Q 60-69 years, male 24.8
GTEX-1EU9M-1526-SM-79OLI 60-69 years, male 24.8
GTEX-1CB4F-2326-SM-7MKFO 60-69 years, male 24.6
GTEX-1AX9J-1426-SM-731BV 60-69 years, male 24.4
GTEX-14DAR-1026-SM-73KV3 50-59 years, male 24.2
GTEX-11P7K-0626-SM-5985Z 30-39 years, male 24.1
GTEX-14ICK-1826-SM-69LOP 40-49 years, male 24.1
GTEX-1399R-0526-SM-5IJEF 30-39 years, male 24.0
GTEX-1IDJH-2426-SM-CNNQW 70-79 years, male 23.4
GTEX-13N2G-1826-SM-5KM1I 60-69 years, male 23.3
GTEX-P4QS-2026-SM-3NMCG 60-69 years, male 23.2
GTEX-REY6-2126-SM-48FD9 60-69 years, male 22.8
GTEX-OOBJ-2026-SM-3NB1R 60-69 years, male 21.9
GTEX-ZVP2-0826-SM-59HJ6 50-59 years, male 21.9
GTEX-U4B1-1426-SM-4DXTX 40-49 years, male 21.7
GTEX-1GL5R-1226-SM-7MXUY 50-59 years, male 21.3
GTEX-VJYA-1226-SM-3GIJ6 60-69 years, male 21.1
GTEX-12BJ1-1226-SM-5LUAE 60-69 years, male 20.5
GTEX-WFON-1626-SM-4LVMV 40-49 years, male 20.0
GTEX-1S3DN-1926-SM-E6CIR 50-59 years, male 20.0
GTEX-1I19N-2226-SM-A96TS 70-79 years, male 19.5
GTEX-1L5NE-1026-SM-D3LAP 50-59 years, male 18.5
GTEX-1AX9I-2326-SM-7PBXV 60-69 years, male 18.0
GTEX-1QP6S-0726-SM-E76QS 40-49 years, male 17.4
Show allShow less

PROSTATE - FANTOM5 CAGEi

RNA expression in human tissues obtained through Cap Analysis of Gene Expression (CAGE) generated by the FANTOM5 project are reported as Scaled Tags Per Million.

Max subtype Scaled Tags Per Millioni

Max subtype Scaled Tags Per Million is the value for the subtype with the largest average Scaled Tags Per Million across the subtype samples.

25.9
FANTOM5 sample id Sample description Scaled Tags Per Million
Prostate
Scaled Tags Per Million: 25.9
FF:10022-101D4 73,79,93 years, male 25.9

Contact

  • NEWS ARTICLES
  • PRESS ROOM

The Project

  • INTRODUCTION
  • ORGANIZATION
  • PUBLICATIONS

The Human Protein Atlas

  • DOWNLOADABLE DATA
  • LICENCE & CITATION
  • HELP & FAQ
The Human Protein Atlas project is funded
by the Knut & Alice Wallenberg Foundation.


contact@proteinatlas.org