We use cookies to enhance the usability of our website. If you continue, we'll assume that you are happy to receive all cookies. More information. Don't show this again.
MICOS13
HPA
RESOURCES
  • TISSUE
  • BRAIN
  • SINGLE CELL
  • SUBCELLULAR
  • CANCER
  • BLOOD
  • CELL LINE
  • STRUCTURE & INTERACTION
ABOUT
  • INTRODUCTION
  • HISTORY
  • ORGANIZATION
  • PUBLICATIONS
  • ANTIBODY SUBMISSION
  • ANTIBODY AVAILABILITY
  • ACKNOWLEDGMENTS
  • CONTACT
NEWS
  • NEWS ARTICLES
  • PRESS ROOM
LEARN
  • DICTIONARY
  • PROTEIN CLASSES
  • PROTEIN EVIDENCE
  • METHODS
  • EDUCATIONAL VIDEOS
DATA
  • DOWNLOADABLE DATA
  • PUBLICATION DATA
  • RELEASE HISTORY
HELP
  • ANTIBODY VALIDATION
  • ASSAYS & ANNOTATION
  • DISCLAIMER
  • HELP & FAQ
  • PRIVACY STATEMENT
  • LICENCE & CITATION
Fields »
Search result

Field
Term
Gene name
Class
Subclass
Class
Keyword
Chromosome
External id
Tissue
Cell type
Expression
Antibody panel
Tissue
Main location
Patient ID
Annotation
Tissue
Category
Tau score
Cluster
Reliability
Brain region
Category
Tau score
Brain region
Category
Tau score
Brain region
Category
Tau score
Cluster
Reliability
Tissue
Cell type
Enrichment
Cell type
Category
Tau score
Cell type
Category
Tau score
Cell type
Category
Tau score
Cell lineage
Category
Tau score
Cluster
Cluster
Location
Searches
Location
Cell line
Class
Type
Phase
Reliability
Cancer
Prognosis
Cancer
Category
Cancer
Category
Tau score
Cluster
Variants
Interacting gene (ensg_id)
Type
Number of interactions
Pathway
Category
Score
Score
Score
Validation
Validation
Validation
Validation
Antibodies
Data type
Column


  • SUMMARY

  • TISSUE

  • BRAIN

  • SINGLE CELL

  • SUBCELL

  • CANCER

  • BLOOD

  • CELL LINE

  • STRUCT & INT

  • MICOS13
BRAIN CEREBELLUM Show tissue menu
AMYGDALA BASAL GANGLIA CEREBELLUM CEREBRAL CORTEX CHOROID PLEXUS HIPPOCAMPAL FORMATION HYPOTHALAMUS MEDULLA OBLONGATA
MIDBRAIN OLFACTORY BULB PITUITARY GLAND PONS RETINA SPINAL CORD THALAMUS WHITE MATTER
ANTIBODIES
AND
VALIDATION
Brain proteome
Cerebellum
CEREBELLUM - Expression summary
Protein expression
Cerebellumi

On the top, protein expression in current human tissue, based on all annotated cell types, is reported with the units not detected (n), low (l), medium (m) and high (h). Underneath, protein expression in each annotated cell type are reported using the same units.

Protein expression data is based on knowledge-based annotation. For genes where more than one antibody has been used, a collective score is set.

If knowledge-based annotation could not be performed for a gene, no data is displayed here. View antibody staining data further down this page.

h
m
l
n
Cells in granular layer: Low
Cells in molecular layer: Low
Purkinje cells: Medium
RNA expressioni

A summary of mRNA expression data available for current tissue based on several datasets. The mRNA expression levels in human tissues are based on RNA-seq data generated by the Human Protein Atlas (HPA), Genotype-Tissue Expression (GTEx) portal and CAGE data generated by the FANTOM5 consortium. Consensus normalized expression levels for human tissues was created by combining the data from HPA and GTEx datasets.

The mRNA expression levels in pig are based on RNA-seq data generated by the Human Protein Atlas (HPA), and for mouse, HPA data and in situ hybridization generated by the Allen brain atlas are reported.

Scroll down to view mRNA expression data in more detail.
Consensus:40.5 nTPM
HPA Brain:131.2 nTPM
GTEx:40.5 nTPM
FANTOM5:42.7 Scaled Tags Per Million
Pig:17.7 nTPM
Mouse:195.9 nTPM
Allen mouse:0.1 Expression energy

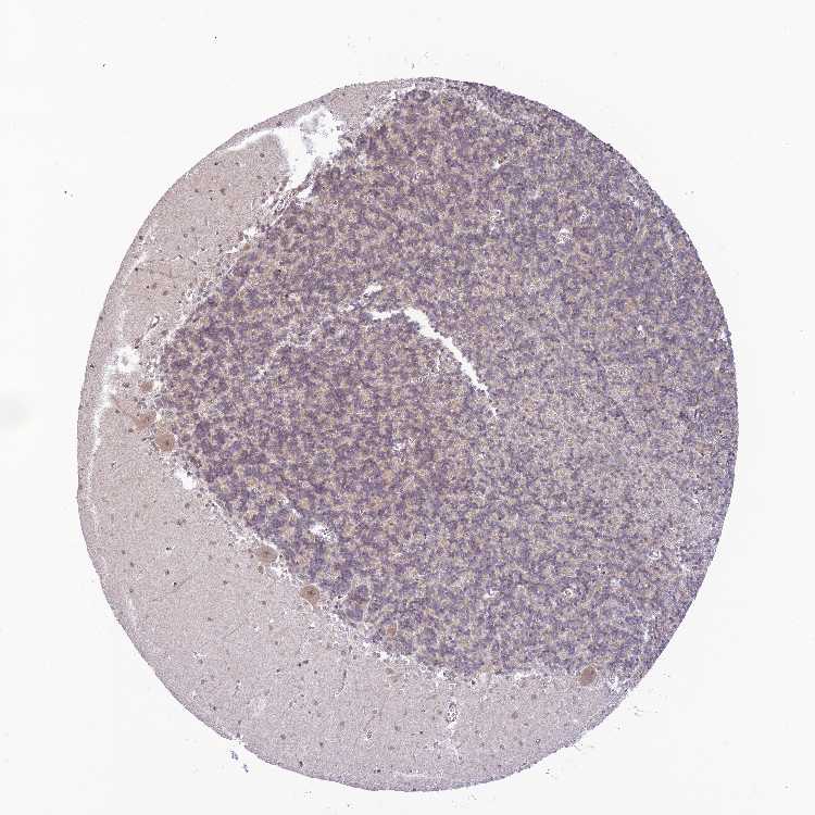
CEREBELLUM - Antibody stainingi

Antibody staining in the annotated cell types in the current human tissue is reported as not detected, low, medium, or high, based on conventional immunohistochemistry profiling in selected tissues. This score is based on the combination of the staining intensity and fraction of stained cells.

Each image is clickable and will lead to virtual microscopy that enables deeper exploration of all samples and also displays staining intensity scores, fraction scores and subcellular localization as well as patient and tissue information for each sample.

Antibody HPA042672
Purkinje cells Medium
Cells in granular layer Low
Cells in molecular layer Low



CEREBELLUM - HPA Brain RNA-seq
Max subtype nTPMi

Max subtype nTPM is the value for the subtype with the largest average nTPM across the subtype samples.

131.2
Sample id Sample description nTPM
Cerebellar cortex
nTPM: 62.7
1768 Female, age 72, unknown 80.4
2101 Male, age 74, right hemisphere 78.9
2003 Female, age 85, right hemisphere 66.1
2055 Female, age 91, right hemisphere 59.9
1788 Male, age 55, unknown 58.0
2006 Male, age 61, right hemisphere 53.2
1774 Male, age 80, left hemisphere 52.9
1769 Male, age 76, right hemisphere 52.1
Cerebellar nuclei
nTPM: 131.2
2783 Female, age 72, unknown 208.7
2177 Female, age 85, both hemispheres 150.6
2882 Male, age 76, left hemisphere 139.0
1871 Male, age 74, unknown 121.8
1879 Male, age 55, unknown 118.8
2175 Male, age 61, right hemisphere 118.8
1966 Female, age 91, left hemisphere 116.7
2005 Male, age 80, left hemisphere 115.1
2318 Male, age 74, left hemisphere 91.7
Flocculonodular lobe
nTPM: 53.7
1792 Male, age 74, unknown 61.0
2176 Female, age 91, right hemisphere 59.8
1765 Male, age 55, unknown 56.7
1835 Female, age 85, right hemisphere 54.6
2004 Male, age 61, right hemisphere 53.2
1771 Male, age 80, left hemisphere 51.3
1767 Male, age 76, left hemisphere 39.5
Vermis
nTPM: 61.1
1928 Female, age 72, unknown 77.3
2834 Male, age 80, left hemisphere 73.7
1766 Male, age 55, unknown 64.9
1751 Male, age 74, right hemisphere 64.3
1778 Female, age 91, left hemisphere 60.0
1825 Male, age 74, unknown 56.0
1770 Male, age 76, left hemisphere 55.3
1988 Female, age 85, left hemisphere 55.2
2460 Male, age 61, both hemispheres 43.6

CEREBELLUM - GTEx RNA-seqi

RNA-Seq data generated by the Genotype-Tissue Expression (GTEx) project from human tissues is reported as mean nTPM. More information can be found on the GTEx portal.

Distribution across the dataset is visualized with box plots, shown as median and 25th and 75th percentiles. Points are displayed as outliers if they are above or below 1.5 times the interquartile range. nTPM values of the individual samples are presented next to the box plot.
Max subtype nTPMi

Max subtype nTPM is the value for the subtype with the largest average nTPM across the subtype samples.

40.5
GTEx sample id Sample description nTPM
Brain - Cerebellar Hemisphere
Average nTPM: 40.5
Samples: 215

Max nTPM: 99.3
Min nTPM: 15.4
Std nTPM: 11.8
Median nTPM: 38.5
GTEX-16Z82-0011-R11a-SM-79OKJ 60-69 years, male 99.3
GTEX-13FLV-0011-R11a-SM-5LZZ7 50-59 years, male 80.5
GTEX-13X6J-0011-R11a-SM-5P9HE 50-59 years, male 78.6
GTEX-17EVP-0011-R11a-SM-7EWDL 40-49 years, male 75.6
GTEX-N7MT-0011-R11A-SM-2I3DZ 60-69 years, female 75.1
GTEX-12WSC-0011-R11a-SM-5GU5J 50-59 years, male 69.7
GTEX-1B933-0011-R11a-SM-7P8PM 50-59 years, female 69.2
GTEX-1313W-0011-R11a-SM-5DUXN 50-59 years, female 68.4
GTEX-14ASI-0011-R11b-SM-6AJBJ 60-69 years, male 62.1
GTEX-139UW-0011-R11a-SM-5IJGN 60-69 years, male 61.9
GTEX-1CAV2-0011-R11a-SM-ARU8D 40-49 years, female 60.8
GTEX-1JJ6O-0011-R11b-SM-EXUS2 60-69 years, male 60.2
GTEX-1IOXB-0011-R11a-SM-A9G1X 50-59 years, male 59.8
GTEX-131XW-0011-R11a-SM-5DUV9 50-59 years, female 59.3
GTEX-1F75W-0011-R11b-SM-AHZ34 60-69 years, male 58.1
GTEX-1HBPI-0011-R11b-SM-CE6SH 50-59 years, male 58.0
GTEX-1LKK1-0011-R11a-SM-EXOIG 50-59 years, female 58.0
GTEX-1F6I4-0011-R11b-SM-9OSWS 60-69 years, male 57.0
GTEX-18A6Q-0011-R11a-SM-72D6H 60-69 years, male 56.9
GTEX-11ZTS-0011-R11a-SM-DO113 60-69 years, female 56.4
GTEX-14E7W-0011-R11a-SM-5ZZVA 70-79 years, male 56.1
GTEX-12WSD-0011-R11a-SM-9OSVC 60-69 years, female 54.8
GTEX-16XZZ-0011-R11a-SM-7EPI3 60-69 years, male 53.8
GTEX-144GL-0011-R11b-SM-5P9F6 50-59 years, male 53.7
GTEX-1R9K4-0011-R11a-SM-EZ6N9 60-69 years, male 53.6
GTEX-14C39-0011-R11b-SM-5YYAF 40-49 years, male 53.2
GTEX-1JJEA-0011-R11a-SM-EXUTE 60-69 years, male 53.1
GTEX-17EVQ-0011-R11a-SM-7LT9C 70-79 years, male 52.3
GTEX-1F7RK-0011-R11b-SM-9QEI2 20-29 years, female 52.3
GTEX-1HUB1-0011-R11b-SM-CE6SC 60-69 years, male 51.2
GTEX-13G51-0011-R11b-SM-5J2NE 60-69 years, male 51.1
GTEX-1IGQW-0011-R11a-SM-C1YRV 60-69 years, male 51.1
GTEX-12WSI-0011-R11b-SM-5P9EZ 50-59 years, male 50.8
GTEX-1B8SG-0011-R11a-SM-7P8PF 50-59 years, male 50.2
GTEX-12ZZZ-0011-R11a-SM-5EGLC 60-69 years, male 49.6
GTEX-15CHQ-0011-R11b-SM-686ZZ 60-69 years, male 49.5
GTEX-1IY9M-0011-R11b-SM-A96TI 60-69 years, male 49.5
GTEX-16GPK-0011-R11b-SM-7MKFF 60-69 years, male 49.2
GTEX-1F75A-0011-R11a-SM-AHZ35 50-59 years, male 49.2
GTEX-1KD4Q-0011-R11b-SM-EXOIE 40-49 years, male 49.2
GTEX-1R9PO-0011-R11b-SM-EZ6NB 60-69 years, female 48.9
GTEX-11EMC-0011-R11b-SM-DNZZK 60-69 years, female 48.8
GTEX-1CB4G-0011-R11a-SM-9OSWG 60-69 years, male 48.7
GTEX-1I1GV-0011-R11a-SM-CJI3Z 60-69 years, male 48.7
GTEX-16YQH-0011-R11b-SM-7LT98 30-39 years, male 48.5
GTEX-WL46-0011-R11A-SM-3MJFT 50-59 years, male 48.3
GTEX-1EKGG-0011-R11a-SM-9QEHZ 60-69 years, male 48.1
GTEX-11DYG-0011-R11a-SM-DNZZP 60-69 years, male 47.9
GTEX-1J8Q2-0011-R11a-SM-A9SKI 60-69 years, male 47.8
GTEX-145MH-0011-R11a-SM-5P9HQ 50-59 years, male 47.2
GTEX-N7MS-0011-R11A-SM-2HMJS 60-69 years, male 47.1
GTEX-17HII-0011-R11b-SM-7KFSX 50-59 years, male 46.7
GTEX-13NYB-0011-R11a-SM-5KM3Q 40-49 years, male 46.3
GTEX-139TT-0011-R11b-SM-5LZV1 60-69 years, male 46.2
GTEX-17JCI-0011-R11a-SM-7189Y 60-69 years, female 45.7
GTEX-13JUV-0011-R11a-SM-5LZYH 40-49 years, female 45.4
GTEX-1GF9W-0011-R11b-SM-9OSXG 60-69 years, male 45.3
GTEX-1GMRU-0011-R11b-SM-C1YQ4 50-59 years, male 45.1
GTEX-1HSKV-0011-R11b-SM-AHZ2E 60-69 years, male 45.1
GTEX-11PRG-0011-R11b-SM-DNZZY 50-59 years, male 44.9
GTEX-1H1CY-0011-R11a-SM-C1YQR 60-69 years, female 44.9
GTEX-ZUA1-0011-R11b-SM-51MTI 40-49 years, male 44.7
GTEX-11WQC-0011-R11b-SM-57WD6 60-69 years, male 44.2
GTEX-13CZV-0011-R11b-SM-5N9FN 60-69 years, male 44.2
GTEX-11ZUS-0011-R11b-SM-5BC7B 30-39 years, male 43.9
GTEX-WZTO-0011-R11A-SM-4E3K9 40-49 years, male 43.9
GTEX-1B8L1-0011-R11b-SM-793DJ 60-69 years, male 43.8
GTEX-1I1GQ-0011-R11b-SM-CKZPA 50-59 years, male 43.6
GTEX-16NPV-0011-R11a-SM-7IGMK 50-59 years, female 43.5
GTEX-1LG7Y-0011-R11a-SM-EXOIH 50-59 years, male 43.4
GTEX-1N2EE-0011-R11b-SM-EXOIJ 60-69 years, male 43.3
GTEX-ZE7O-0011-R11a-SM-57WBC 50-59 years, female 43.2
GTEX-1HGF4-0011-R11a-SM-C1YRR 60-69 years, male 43.2
GTEX-13FXS-0011-R11a-SM-5L3DM 50-59 years, male 43.0
GTEX-ZVZQ-0011-R11a-SM-51MS6 60-69 years, female 43.0
GTEX-1GZ4I-0011-R11b-SM-9OSWR 50-59 years, male 42.9
GTEX-1GMR8-0011-R11b-SM-9OSX2 50-59 years, female 42.8
GTEX-1IL2U-0011-R11a-SM-CE6SO 60-69 years, male 42.8
GTEX-1GZHY-0011-R11a-SM-C1YRQ 50-59 years, female 42.7
GTEX-13VXU-0011-R11b-SM-5O9DJ 50-59 years, male 42.6
GTEX-12WSF-0011-R11a-SM-5LZVT 70-79 years, male 42.5
GTEX-131XH-0011-R11a-SM-5EGLN 50-59 years, male 41.7
GTEX-1GTWX-0011-R11b-SM-C1YQJ 60-69 years, male 41.6
GTEX-YJ89-0011-R11a-SM-4SOKA 60-69 years, male 41.5
GTEX-11DXY-0011-R11a-SM-DNZZN 60-69 years, male 41.5
GTEX-NL4W-0011-R11A-SM-2I3DW 50-59 years, male 41.3
GTEX-12WSM-0011-R11a-SM-5DUX8 60-69 years, male 41.2
GTEX-ZDXO-0011-R11a-SM-4WWD9 60-69 years, male 41.2
GTEX-1IDJH-0011-R11b-SM-C1YRT 70-79 years, male 41.2
GTEX-1C64N-0011-R11b-SM-7P8Q6 50-59 years, male 41.0
GTEX-18465-0011-R11a-SM-72D78 50-59 years, male 40.8
GTEX-S7SE-0011-R11A-SM-2XCDD 50-59 years, male 40.5
GTEX-1399T-0011-R11a-SM-5J2O1 60-69 years, male 40.3
GTEX-13JVG-0011-R11a-SM-5KM53 60-69 years, male 40.2
GTEX-13X6K-0011-R11a-SM-5P9F5 60-69 years, female 40.2
GTEX-1BAJH-0011-R11b-SM-7IGLM 70-79 years, male 40.2
GTEX-17HG3-0011-R11b-SM-7KFT4 30-39 years, female 40.1
GTEX-1EMGI-0011-R11b-SM-9OSWX 60-69 years, male 40.0
GTEX-1A3MX-0011-R11b-SM-7DUGP 60-69 years, male 39.9
GTEX-1I1GR-0011-R11a-SM-CM2T5 60-69 years, male 39.7
GTEX-11EI6-0011-R11a-SM-DO11V 60-69 years, male 39.4
GTEX-1I1GS-0011-R11a-SM-C1YRU 60-69 years, male 39.3
GTEX-1M4P7-0011-R11b-SM-EXOIK 60-69 years, male 39.2
GTEX-1H1DG-0011-R11a-SM-C1YQK 70-79 years, male 39.1
GTEX-1JMQJ-0011-R11a-SM-EXOJY 50-59 years, male 39.0
GTEX-1H3VE-0011-R11b-SM-C1YRP 40-49 years, male 38.8
GTEX-13OW7-0011-R11a-SM-5O9DY 50-59 years, male 38.5
GTEX-1AX9I-0011-R11b-SM-7DHN4 60-69 years, male 38.5
GTEX-14PN4-0011-R11a-SM-686ZW 50-59 years, male 38.4
GTEX-1E1VI-0011-R11a-SM-9OSWI 50-59 years, male 38.3
GTEX-1H3O1-0011-R11a-SM-A96RV 60-69 years, male 38.3
GTEX-13PLJ-0011-R11b-SM-5O9BS 60-69 years, female 38.2
GTEX-15ER7-0011-R11a-SM-6LPIL 20-29 years, female 38.2
GTEX-WWYW-0011-R11A-SM-3NB38 50-59 years, female 38.2
GTEX-15DYW-0011-R11a-SM-6LPIT 60-69 years, female 38.1
GTEX-1GN73-0011-R11b-SM-9OSX4 60-69 years, male 38.1
GTEX-13N2G-0011-R11a-SM-5MR3F 60-69 years, male 38.0
GTEX-13OW8-0011-R11a-SM-5L3GT 60-69 years, male 38.0
GTEX-YFC4-0011-R11a-SM-4SOK6 40-49 years, female 37.9
GTEX-13X6I-0011-R11a-SM-5P9HN 60-69 years, male 37.7
GTEX-13FTY-0011-R11a-SM-5IJEA 40-49 years, female 37.6
GTEX-132Q8-0011-R11b-SM-5DUW9 60-69 years, male 37.5
GTEX-11H98-0011-R11b-SM-5NQ6U 50-59 years, male 37.3
GTEX-14E6D-0011-R11b-SM-664NP 50-59 years, male 37.3
GTEX-1IKK5-0011-R11a-SM-C1YRX 60-69 years, male 36.9
GTEX-1I1HK-0011-R11a-SM-B2LVN 60-69 years, male 36.8
GTEX-ZVT3-0011-R11b-SM-57WBI 60-69 years, female 36.7
GTEX-1IL2V-0011-R11a-SM-ARU6T 70-79 years, male 36.7
GTEX-12126-0011-R11a-SM-5BC6X 20-29 years, male 36.6
GTEX-Y8DK-0011-R11A-SM-4SOK2 60-69 years, male 36.5
GTEX-1LVAO-0011-R11b-SM-EXOI8 60-69 years, male 36.5
GTEX-13CF2-0011-R11b-SM-5LZXO 60-69 years, male 36.4
GTEX-13NZA-0011-R11b-SM-5KM4W 60-69 years, male 36.4
GTEX-13QIC-0011-R11b-SM-5O9BU 60-69 years, female 36.3
GTEX-1J1OQ-0011-R11a-SM-A96S3 40-49 years, female 36.3
GTEX-T2IS-0011-R11A-SM-32QPC 20-29 years, female 36.1
GTEX-1JMOU-0011-R11b-SM-EXUTA 60-69 years, female 36.0
GTEX-15DCD-0011-R11a-SM-D4P1R 70-79 years, female 35.9
GTEX-1HFI6-0011-R11b-SM-A96RU 40-49 years, male 35.7
GTEX-11OF3-0011-R11a-SM-57WCR 60-69 years, male 35.6
GTEX-13O3O-0011-R11b-SM-5KM4G 60-69 years, female 35.5
GTEX-13SLX-0011-R11b-SM-5O9C8 50-59 years, female 35.4
GTEX-1H4P4-0011-R11b-SM-CE6S8 50-59 years, male 35.4
GTEX-1J8EW-0011-R11a-SM-AHZ37 60-69 years, female 35.4
GTEX-13OW6-0011-R11a-SM-5L3H2 50-59 years, male 35.3
GTEX-14BIN-0011-R11a-SM-5SI79 50-59 years, female 35.1
GTEX-1B8SF-0011-R11a-SM-79OOP 60-69 years, male 35.1
GTEX-11TTK-0011-R11b-SM-DO112 60-69 years, female 35.0
GTEX-13OVH-0011-R11b-SM-5KM4X 70-79 years, male 34.8
GTEX-14ABY-0011-R11a-SM-5SI7C 50-59 years, male 34.8
GTEX-T5JC-0011-R11A-SM-32PMB 20-29 years, male 34.8
GTEX-13S7M-0011-R11b-SM-5P9HU 60-69 years, female 34.7
GTEX-ZF28-0011-R11a-SM-4WWEI 60-69 years, male 34.7
GTEX-13PVQ-0011-R11a-SM-5O9DU 50-59 years, male 34.6
GTEX-Z93S-0011-R11a-SM-4RGNN 50-59 years, male 34.3
GTEX-17F97-0011-R11b-SM-7KFRQ 50-59 years, male 34.1
GTEX-12ZZX-0011-R11a-SM-5DUVJ 40-49 years, female 33.9
GTEX-13FHP-0011-R11b-SM-5LZXP 50-59 years, male 33.9
GTEX-WHSE-0011-R11A-SM-3P5YY 20-29 years, male 33.8
GTEX-X261-0011-R11A-SM-4E3JY 50-59 years, male 33.8
GTEX-12WSE-0011-R11b-SM-5P9JW 20-29 years, male 33.6
GTEX-13O3Q-0011-R11b-SM-5KM2W 50-59 years, male 33.6
GTEX-14DAQ-0011-R11a-SM-664NO 60-69 years, female 33.4
GTEX-1H3NZ-0011-R11b-SM-CE6SF 60-69 years, male 33.0
GTEX-RVPV-0011-R11A-SM-2TF6F 60-69 years, male 32.9
GTEX-13RTJ-0011-R11a-SM-5O9CK 60-69 years, male 32.8
GTEX-145LU-0011-R11b-SM-5P9JX 50-59 years, male 32.7
GTEX-1I19N-0011-R11b-SM-ARU6Y 70-79 years, male 32.6
GTEX-1LSVX-0011-R11b-SM-EXOIA 60-69 years, male 32.6
GTEX-13FHO-0011-R11b-SM-5LZYQ 60-69 years, male 32.5
GTEX-1N2DW-0011-R11b-SM-EXOIL 50-59 years, male 32.2
GTEX-131YS-0011-R11b-SM-5EGLM 60-69 years, female 31.8
GTEX-14C5O-0011-R11b-SM-6872H 60-69 years, male 31.8
GTEX-1HCU6-0011-R11b-SM-AHZ2F 60-69 years, female 31.7
GTEX-WVLH-0011-R11A-SM-3MJFO 50-59 years, male 31.6
GTEX-1F52S-0011-R11a-SM-CJI23 60-69 years, female 31.6
GTEX-15EO6-0011-R11b-SM-6M47M 50-59 years, male 31.5
GTEX-ZE9C-0011-R11a-SM-4WKGG 60-69 years, male 31.2
GTEX-1H1ZS-0011-R11a-SM-C1YQM 70-79 years, male 30.9
GTEX-RU72-0011-R11A-SM-CM2U1 50-59 years, female 30.3
GTEX-1IKOH-0011-R11a-SM-AHZ38 60-69 years, female 29.9
GTEX-1F48J-0011-R11b-SM-9OSWV 50-59 years, female 29.5
GTEX-13OVL-0011-R11b-SM-5L3G7 50-59 years, male 29.3
GTEX-14BIM-0011-R11b-SM-5S2RN 60-69 years, female 29.1
GTEX-11GSP-0011-R11b-SM-5NQ7V 60-69 years, female 28.9
GTEX-1ICLZ-0011-R11a-SM-CJI3N 60-69 years, male 28.6
GTEX-1HB9E-0011-R11b-SM-ARU79 50-59 years, male 28.4
GTEX-Q2AG-0011-R11A-SM-2HMKZ 40-49 years, female 28.0
GTEX-ZAB4-0011-R11a-SM-4SOKI 40-49 years, male 28.0
GTEX-13OVJ-0011-R11a-SM-5P9H8 50-59 years, female 27.8
GTEX-13SLW-0011-R11a-SM-5SI8Q 70-79 years, male 27.5
GTEX-P44G-0011-R11A-SM-2I3FD 30-39 years, male 27.5
GTEX-X4EP-0011-R11B-SM-4QASK 60-69 years, female 27.3
GTEX-12WSH-0011-R11a-SM-5LZVM 50-59 years, male 27.2
GTEX-OHPN-0011-R11A-SM-2I5FM 60-69 years, female 27.1
GTEX-15G19-0011-R11b-SM-6LPIH 60-69 years, male 27.0
GTEX-NPJ7-0011-R11A-SM-2I3E8 60-69 years, female 27.0
GTEX-18464-0011-R11a-SM-72D76 50-59 years, male 26.9
GTEX-T6MN-0011-R11A-SM-32QOX 50-59 years, male 26.0
GTEX-P44H-0011-R11A-SM-2XCER 40-49 years, male 25.7
GTEX-11DZ1-0011-R11b-SM-DO11W 50-59 years, male 25.4
GTEX-145MI-0011-R11a-SM-5P9JZ 60-69 years, female 25.3
GTEX-R55E-0011-R11A-SM-2TC6I 20-29 years, male 25.3
GTEX-13NYS-0011-R11b-SM-5MR4P 60-69 years, male 24.9
GTEX-NPJ8-0011-R11A-SM-2YUMS 40-49 years, male 24.5
GTEX-13OW5-0011-R11b-SM-5L3GG 60-69 years, male 24.0
GTEX-183WM-0011-R11a-SM-718A5 70-79 years, female 24.0
GTEX-QMR6-0011-R11A-SM-32PKK 50-59 years, male 23.1
GTEX-X4XX-0011-R11A-SM-46MWQ 60-69 years, male 22.7
GTEX-X585-0011-R11B-SM-46MUZ 50-59 years, male 22.5
GTEX-TSE9-0011-R11A-SM-3DB7N 60-69 years, female 21.9
GTEX-NL3H-0011-R11A-SM-2I3E6 60-69 years, male 18.3
GTEX-UTHO-0011-R11A-SM-3GIJE 60-69 years, male 17.7
GTEX-XMD1-0011-R11A-SM-4AT5J 60-69 years, male 16.2
GTEX-QDT8-0011-R11A-SM-32PKD 30-39 years, female 15.4
Show allShow less
Brain - Cerebellum
Average nTPM: 40.2
Samples: 241

Max nTPM: 67.9
Min nTPM: 19.3
Std nTPM: 8.5
Median nTPM: 40.0
GTEX-1EH9U-3126-SM-7MXU5 60-69 years, male 67.9
GTEX-Y111-2826-SM-4TT3O 50-59 years, male 64.2
GTEX-1BAJH-3126-SM-7MGXY 70-79 years, male 62.3
GTEX-1HB9E-3126-SM-AHZ4M 50-59 years, male 60.4
GTEX-1RQEC-3026-SM-DPRXM 60-69 years, male 59.4
GTEX-1F6I4-3026-SM-7P8SI 60-69 years, male 57.7
GTEX-15ER7-3026-SM-6M47W 20-29 years, female 57.2
GTEX-14PJO-2926-SM-686ZI 60-69 years, male 56.5
GTEX-11ZTS-3226-SM-5EGID 60-69 years, female 56.4
GTEX-1GTWX-2926-SM-7MXV4 60-69 years, male 56.1
GTEX-17HG3-2826-SM-7EPGO 30-39 years, female 55.5
GTEX-1EWIQ-3026-SM-7IGOJ 70-79 years, female 54.9
GTEX-T6MN-2526-SM-32PMN 50-59 years, male 54.8
GTEX-1KANB-3226-SM-D4P3G 50-59 years, male 54.7
GTEX-144GL-2926-SM-5O99F 50-59 years, male 54.0
GTEX-13G51-3126-SM-5IJG7 60-69 years, male 53.7
GTEX-13112-2926-SM-5DUWT 50-59 years, male 53.6
GTEX-11EMC-3326-SM-5P9JH 60-69 years, female 52.2
GTEX-13OW7-2926-SM-5MR3Z 50-59 years, male 52.0
GTEX-1B996-2926-SM-7MXUH 60-69 years, male 51.9
GTEX-1E2YA-2926-SM-7MGWX 50-59 years, male 51.9
GTEX-13NYB-3226-SM-5J2ND 40-49 years, male 51.7
GTEX-13FHP-2926-SM-5IJG9 50-59 years, male 51.1
GTEX-11DXY-3126-SM-5N9BT 60-69 years, male 51.0
GTEX-1F48J-2726-SM-7P8PW 50-59 years, female 50.5
GTEX-17HII-2926-SM-79OMK 50-59 years, male 50.3
GTEX-1MJK2-3026-SM-EV7A5 50-59 years, male 50.3
GTEX-1KD4Q-3026-SM-EV7A7 40-49 years, male 50.0
GTEX-1C6VR-3026-SM-7IGLW 60-69 years, male 49.9
GTEX-12WSM-2126-SM-5GCOC 60-69 years, male 49.4
GTEX-18A6Q-2826-SM-7LTAO 60-69 years, male 49.2
GTEX-1E1VI-2926-SM-7IGLT 50-59 years, male 49.0
GTEX-1R46S-3126-SM-DPRZ9 60-69 years, female 49.0
GTEX-16Z82-2926-SM-6LPJJ 60-69 years, male 48.8
GTEX-WHSE-2926-SM-3NMBG 20-29 years, male 48.8
GTEX-14A5I-2826-SM-5SIBF 50-59 years, female 48.7
GTEX-145MG-3126-SM-5Q5D3 50-59 years, male 48.6
GTEX-1B8L1-3226-SM-7P8OX 60-69 years, male 48.5
GTEX-13RTJ-3126-SM-5S2Q4 60-69 years, male 48.4
GTEX-1GF9V-3026-SM-7P8R8 60-69 years, male 48.4
GTEX-1313W-3026-SM-5LZUZ 50-59 years, female 47.7
GTEX-15DYW-3026-SM-7KFRM 60-69 years, female 47.7
GTEX-WL46-2826-SM-3LK81 50-59 years, male 47.7
GTEX-Y8DK-0726-SM-4TT3S 60-69 years, male 47.7
GTEX-1CB4G-2926-SM-7MKFQ 60-69 years, male 47.6
GTEX-1JMPZ-2826-SM-C1YRA 30-39 years, male 47.6
GTEX-XLM4-2926-SM-4AT59 60-69 years, male 47.3
GTEX-1NV8Z-3026-SM-DTX8Z 60-69 years, male 47.3
GTEX-13OVL-3026-SM-5IJF1 50-59 years, male 47.2
GTEX-WVLH-2926-SM-3MJG5 50-59 years, male 47.2
GTEX-13OW5-3126-SM-5MR3Y 60-69 years, male 47.0
GTEX-13FHO-2926-SM-5L3ES 60-69 years, male 46.7
GTEX-145MF-2826-SM-7EPGU 50-59 years, male 46.6
GTEX-1399T-3126-SM-5IJFS 60-69 years, male 46.5
GTEX-12ZZZ-3126-SM-5LZU6 60-69 years, male 46.4
GTEX-1H3O1-1826-SM-A96TO 60-69 years, male 46.3
GTEX-16XZZ-2926-SM-6LPK4 60-69 years, male 46.2
GTEX-YFC4-3026-SM-5IFJK 40-49 years, female 46.1
GTEX-11ZVC-3026-SM-59HJM 50-59 years, female 45.7
GTEX-1F75A-2926-SM-7MXVN 50-59 years, male 45.5
GTEX-ZDXO-2926-SM-4WKFM 60-69 years, male 45.3
GTEX-11EI6-2926-SM-5985U 60-69 years, male 45.2
GTEX-131YS-3026-SM-5EGHY 60-69 years, female 45.2
GTEX-12ZZY-2926-SM-5DUXO 60-69 years, male 45.1
GTEX-1GZHY-3026-SM-7MXVA 50-59 years, female 45.1
GTEX-1HBPI-2726-SM-9WPPF 50-59 years, male 45.0
GTEX-111FC-3326-SM-5GZYV 60-69 years, male 44.9
GTEX-15SHU-3026-SM-6LPIB 40-49 years, female 44.9
GTEX-1C6WA-3326-SM-7MKGN 60-69 years, male 44.9
GTEX-1HSKV-2926-SM-B2LWJ 60-69 years, male 44.8
GTEX-1F6IF-3026-SM-7P8QN 60-69 years, male 44.7
GTEX-ZAK1-2926-SM-5HL9S 50-59 years, female 44.6
GTEX-11ONC-3026-SM-5985W 60-69 years, male 44.3
GTEX-1H3VE-2826-SM-9WPOL 40-49 years, male 44.2
GTEX-12WSD-3026-SM-5LZU7 60-69 years, female 44.1
GTEX-14JIY-2326-SM-6AJAJ 60-69 years, male 44.1
GTEX-17JCI-3026-SM-7EWDR 60-69 years, female 44.0
GTEX-1H1CY-3026-SM-9OSW7 60-69 years, female 44.0
GTEX-13VXU-3026-SM-5LU3K 50-59 years, male 43.8
GTEX-14JG1-2926-SM-686ZK 40-49 years, male 43.8
GTEX-WWYW-3026-SM-3NB36 50-59 years, female 43.7
GTEX-11GSO-3026-SM-5Q5AL 60-69 years, male 43.6
GTEX-1HBPH-3026-SM-9WPNY 40-49 years, female 43.6
GTEX-1A3MX-2926-SM-718B7 60-69 years, male 43.5
GTEX-13FXS-3026-SM-5LZYO 50-59 years, male 43.4
GTEX-14C39-3026-SM-5S2QE 40-49 years, male 43.4
GTEX-11TTK-2826-SM-5GU5K 60-69 years, female 43.3
GTEX-11ZUS-2826-SM-5EQKW 30-39 years, male 43.2
GTEX-13X6K-2826-SM-5O9DS 60-69 years, female 43.2
GTEX-18465-2926-SM-7KFSE 50-59 years, male 43.2
GTEX-1PWST-3026-SM-EAZ3H 70-79 years, male 43.0
GTEX-14E6D-2926-SM-664OP 50-59 years, male 42.9
GTEX-R55E-2526-SM-2TC6H 20-29 years, male 42.7
GTEX-1EMGI-3126-SM-7MXUR 60-69 years, male 42.7
GTEX-13CF2-3026-SM-5IFFX 60-69 years, male 42.4
GTEX-1RNSC-3126-SM-EVR4V 60-69 years, male 42.4
GTEX-1JMQJ-3126-SM-EV79G 50-59 years, male 42.3
GTEX-14JFF-2826-SM-6871Q 60-69 years, male 42.0
GTEX-1F75W-3126-SM-7P8SJ 60-69 years, male 42.0
GTEX-1POEN-2726-SM-E9U6B 30-39 years, female 41.9
GTEX-12126-0926-SM-5FQTW 20-29 years, male 41.7
GTEX-1RDX4-3226-SM-DPS14 50-59 years, female 41.6
GTEX-13OW8-2926-SM-5L3FV 60-69 years, male 41.2
GTEX-1GF9W-2726-SM-9JGGW 60-69 years, male 41.1
GTEX-13N2G-3126-SM-5IJGL 60-69 years, male 40.9
GTEX-139TT-2626-SM-5LZUB 60-69 years, male 40.7
GTEX-14E7W-2926-SM-5S2R8 70-79 years, male 40.7
GTEX-YJ89-2926-SM-5P9IT 60-69 years, male 40.7
GTEX-14PJM-3026-SM-6LLHM 50-59 years, female 40.6
GTEX-1JJ6O-3026-SM-C1YQH 60-69 years, male 40.6
GTEX-11DXW-1026-SM-5H11K 40-49 years, male 40.5
GTEX-17HHY-2926-SM-79OJW 50-59 years, male 40.5
GTEX-N7MT-1226-SM-DKPOK 60-69 years, female 40.5
GTEX-1QP6S-3026-SM-EAZ4N 40-49 years, male 40.4
GTEX-1GN73-3026-SM-7MXV8 60-69 years, male 40.3
GTEX-RU72-2926-SM-2TF66 50-59 years, female 40.2
GTEX-131XH-2926-SM-5LZU4 50-59 years, male 40.1
GTEX-1JJE9-3026-SM-CNNPA 70-79 years, male 40.1
GTEX-1LSVX-2826-SM-EVR58 60-69 years, male 40.1
GTEX-1269C-3126-SM-5EGI6 60-69 years, female 40.0
GTEX-1B8SG-1926-SM-73KUB 50-59 years, male 40.0
GTEX-1IKOH-2826-SM-CNNRC 60-69 years, female 40.0
GTEX-1I1GV-3026-SM-CNNR9 60-69 years, male 39.9
GTEX-ZVT3-2926-SM-5GU6M 60-69 years, female 39.8
GTEX-117XS-3126-SM-5GIDP 60-69 years, male 39.7
GTEX-1B933-3026-SM-731DB 50-59 years, female 39.4
GTEX-1C64N-3126-SM-79OO3 50-59 years, male 39.4
GTEX-X261-3126-SM-4PQZC 50-59 years, male 39.4
GTEX-1HCVE-2926-SM-9WPPJ 50-59 years, male 39.4
GTEX-14BIM-3126-SM-5Q5C7 60-69 years, female 39.2
GTEX-N7MS-2526-SM-2D7W3 60-69 years, male 39.2
GTEX-ZYFD-2926-SM-5GID9 50-59 years, male 39.2
GTEX-1EKGG-3126-SM-9WPO5 60-69 years, male 39.2
GTEX-13OVH-2926-SM-5IJFH 70-79 years, male 39.1
GTEX-1JJEA-2926-SM-C1YSK 60-69 years, male 39.1
GTEX-14ASI-2926-SM-5Q5DG 60-69 years, male 39.0
GTEX-13O3O-3026-SM-5KM42 60-69 years, female 38.8
GTEX-1PIIG-2826-SM-DTX7O 30-39 years, male 38.8
GTEX-145MH-2926-SM-5Q5D2 50-59 years, male 38.7
GTEX-S7SE-2526-SM-2XCDL 50-59 years, male 38.7
GTEX-1KWVE-2226-SM-CXZKN 30-39 years, male 38.7
GTEX-13O3Q-3026-SM-5IJGD 50-59 years, male 38.6
GTEX-1EX96-3126-SM-9JGGC 50-59 years, male 38.5
GTEX-1128S-2826-SM-5N9DI 60-69 years, female 38.4
GTEX-13JUV-3026-SM-5K7WX 40-49 years, female 38.4
GTEX-1EU9M-2926-SM-793DF 60-69 years, male 38.4
GTEX-14ABY-3026-SM-664NE 50-59 years, male 38.3
GTEX-UTHO-2926-SM-3P5Z9 60-69 years, male 38.2
GTEX-14BMV-2926-SM-5TDEE 50-59 years, male 38.1
GTEX-1H4P4-2726-SM-9JGGB 50-59 years, male 38.1
GTEX-ZYY3-3026-SM-5GIEJ 60-69 years, female 38.0
GTEX-1GZ4I-2926-SM-9JGGO 50-59 years, male 38.0
GTEX-1192X-3226-SM-5987D 50-59 years, male 37.8
GTEX-147GR-3126-SM-5S2PM 60-69 years, male 37.8
GTEX-147F4-3026-SM-5Q5BJ 50-59 years, male 37.7
GTEX-Z93S-2826-SM-57WBL 50-59 years, male 37.4
GTEX-11DYG-2926-SM-5H132 60-69 years, male 37.3
GTEX-139TS-3126-SM-5LZWX 60-69 years, male 37.2
GTEX-13X6I-2926-SM-5Q5C3 60-69 years, male 37.2
GTEX-14PN4-3026-SM-664O4 50-59 years, male 37.2
GTEX-ZUA1-2926-SM-59HL3 40-49 years, male 37.2
GTEX-14DAQ-3026-SM-5S2QZ 60-69 years, female 37.0
GTEX-11NUK-3026-SM-5986K 50-59 years, male 36.9
GTEX-13OW6-2926-SM-5KM29 50-59 years, male 36.9
GTEX-13QIC-3026-SM-5LU58 60-69 years, female 36.9
GTEX-RNOR-2226-SM-2TF5O 50-59 years, female 36.9
GTEX-1JMLX-3026-SM-EV79Q 50-59 years, male 36.9
GTEX-12WSE-2926-SM-5RQJ9 20-29 years, male 36.8
GTEX-1IL2V-3026-SM-CYPSA 70-79 years, male 36.5
GTEX-1LG7Y-3126-SM-EV7AS 50-59 years, male 36.5
GTEX-16YQH-2926-SM-6LPJE 30-39 years, male 36.4
GTEX-17F97-2926-SM-7DUEQ 50-59 years, male 36.3
GTEX-WZTO-2826-SM-3NM8P 40-49 years, male 36.3
GTEX-11O72-2826-SM-5HL6W 40-49 years, male 36.2
GTEX-X4EP-3026-SM-3P5YP 60-69 years, female 36.2
GTEX-11GSP-3126-SM-5A5LL 60-69 years, female 36.0
GTEX-13OVJ-2726-SM-5IJG6 50-59 years, female 35.9
GTEX-1H1DG-2826-SM-9JGHB 70-79 years, male 35.7
GTEX-13SLX-3226-SM-5YYA6 50-59 years, female 35.5
GTEX-1B8SF-3026-SM-731DX 60-69 years, male 35.3
GTEX-1QEPI-3026-SM-EXOIW 60-69 years, female 35.3
GTEX-17EVP-2926-SM-793BU 40-49 years, male 35.2
GTEX-1JMOU-2826-SM-EV79R 60-69 years, female 35.1
GTEX-1IDJH-3126-SM-C1YQS 70-79 years, male 34.9
GTEX-1I1CD-2926-SM-A96SJ 60-69 years, female 34.5
GTEX-1A8G7-3026-SM-73KTT 60-69 years, male 34.4
GTEX-ZAB4-2926-SM-57WCV 40-49 years, male 34.4
GTEX-145LU-2626-SM-5LU9Z 50-59 years, male 34.3
GTEX-13JVG-3226-SM-5IJGJ 60-69 years, male 34.2
GTEX-T5JC-2326-SM-32PMR 20-29 years, male 34.2
GTEX-1H1ZS-2926-SM-9WPP2 70-79 years, male 34.2
GTEX-14BIN-3326-SM-5Q5E6 50-59 years, female 34.1
GTEX-145LS-3026-SM-5O99S 60-69 years, female 33.7
GTEX-1R9PO-2826-SM-E6CPV 60-69 years, female 33.3
GTEX-12WSC-2926-SM-5BC5Z 50-59 years, male 32.7
GTEX-13S7M-3026-SM-5S2QQ 60-69 years, female 32.6
GTEX-ZZPT-2926-SM-5EQ5S 50-59 years, male 32.5
GTEX-1I1HK-2726-SM-AHZ2M 60-69 years, male 32.4
GTEX-ZAJG-3026-SM-5HL92 50-59 years, female 32.1
GTEX-12WSH-3126-SM-5LZW8 50-59 years, male 32.0
GTEX-1JMQK-2926-SM-D4P2T 60-69 years, male 31.9
GTEX-11PRG-2826-SM-5BC54 50-59 years, male 31.7
GTEX-XMD1-2826-SM-4AT5F 60-69 years, male 31.1
GTEX-15G19-2826-SM-6M48K 60-69 years, male 31.0
GTEX-1GZ2Q-3026-SM-9JGG3 40-49 years, male 31.0
GTEX-1CB4H-3026-SM-79OLX 60-69 years, female 30.9
GTEX-1HSMO-2926-SM-C1YR5 60-69 years, male 30.9
GTEX-13PVQ-2926-SM-5L3HJ 50-59 years, male 30.3
GTEX-14C5O-2926-SM-5RQI1 60-69 years, male 30.3
GTEX-T2IS-2926-SM-32QPO 20-29 years, female 30.1
GTEX-1IY9M-3126-SM-AHZ3A 60-69 years, male 29.8
GTEX-Q2AG-2826-SM-2HMJQ 40-49 years, female 29.1
GTEX-1A8G6-3126-SM-731D8 60-69 years, male 28.9
GTEX-1P4AB-3026-SM-EXOJS 50-59 years, male 28.6
GTEX-183WM-2726-SM-7KFRF 70-79 years, female 28.5
GTEX-QVJO-1325-SM-2S1QX 60-69 years, female 28.5
GTEX-1J1OQ-3126-SM-D4P2O 40-49 years, female 28.5
GTEX-13X6J-2926-SM-7EPGP 50-59 years, male 28.4
GTEX-X4XX-2926-SM-3NMB1 60-69 years, male 28.2
GTEX-OHPN-2626-SM-2I5H1 60-69 years, female 28.1
GTEX-11NV4-2226-SM-5BC4T 60-69 years, male 28.0
GTEX-11OC5-0626-SM-5HL6M 60-69 years, male 27.6
GTEX-ZF28-2926-SM-4WKG1 60-69 years, male 27.1
GTEX-12ZZX-2826-SM-5BC6K 40-49 years, female 27.0
GTEX-NPJ8-2626-SM-2D7W2 40-49 years, male 26.8
GTEX-1JN1M-3126-SM-AHZ4E 60-69 years, female 26.7
GTEX-PWO3-1026-SM-2I5F2 60-69 years, female 26.6
GTEX-1F52S-3026-SM-7P8PV 60-69 years, female 26.6
GTEX-17EVQ-2726-SM-7EWDT 70-79 years, male 26.4
GTEX-15EO6-2926-SM-6M48D 50-59 years, male 26.1
GTEX-QVUS-2926-SM-3GIJB 60-69 years, female 26.1
GTEX-132Q8-2926-SM-5IFFP 60-69 years, male 25.8
GTEX-P44G-2526-SM-2I5EK 30-39 years, male 25.0
GTEX-11DZ1-2926-SM-5A5KI 50-59 years, male 24.6
GTEX-NPJ7-2826-SM-2I3FU 60-69 years, female 23.9
GTEX-TSE9-2926-SM-3DB77 60-69 years, female 23.1
GTEX-PVOW-2626-SM-32PL8 40-49 years, male 21.8
GTEX-QDT8-3026-SM-32PKB 30-39 years, female 21.8
GTEX-1H3NZ-2926-SM-9WPQ8 60-69 years, male 20.5
GTEX-P44H-2426-SM-2XCEJ 40-49 years, male 20.4
GTEX-QMR6-1326-SM-32PLB 50-59 years, male 19.3
Show allShow less

CEREBELLUM - FANTOM5 CAGEi

RNA expression in human tissues obtained through Cap Analysis of Gene Expression (CAGE) generated by the FANTOM5 project are reported as Scaled Tags Per Million.

Max subtype Scaled Tags Per Millioni

Max subtype Scaled Tags Per Million is the value for the subtype with the largest average Scaled Tags Per Million across the subtype samples.

42.7
FANTOM5 sample id Sample description Scaled Tags Per Million
Cerebellum
Scaled Tags Per Million: 42.7
FF:10083-102B2 22-68 years, mixed 62.8
FF:10166-103B4 76 years, female 22.7

CEREBELLUM - Pig RNA-seqi

RNA-seq data obtained from pig brain is reported as nTPM .

Normal distribution across the dataset is visualized with box plots, shown as median and 25th and 75th percentiles. Points are displayed as outliers if they are above or below 1.5 times the interquartile range. nTPM values of the individual samples are presented next to the box plot.
Max subtype nTPMi

Max subtype nTPM is the value for the subtype with the largest average nTPM across the subtype samples.

17.7
Pig sample Sample description nTPM
Cerebellum
nTPM: 17.7
Samples: 4

Max nTPM: 30.0
Min nTPM: 12.4
Sample A Female 30.0
Sample B Female 12.4
Sample C Male 14.2
Sample D Male 14.1

CEREBELLUM - Mouse RNA-seqi

RNA-seq data obtained from mouse brain is reported as nTPM .

Normal distribution across the dataset is visualized with box plots, shown as median and 25th and 75th percentiles. Points are displayed as outliers if they are above or below 1.5 times the interquartile range. nTPM values of the individual samples are presented next to the box plot.
Max subtype nTPMi

Max subtype nTPM is the value for the subtype with the largest average nTPM across the subtype samples.

195.9
Mouse sample Sample description nTPM
Cerebellum
nTPM: 196.0
Samples: 4

Max nTPM: 207.5
Min nTPM: 177.4
Sample A Male 177.4
Sample B Male 199.2
Sample C Female 207.5
Sample D Female 199.7

CEREBELLUM - Allen Mouse ISHi

In situ hybridization (ISH) data generated by the Allen brain atlas from mouse brain is reported as expression energy. For more details about a particular experiment, click on the corresponding Allen experiment ID.

Max subtype Expression energyi

Max subtype Expression energy is the value for the subtype with the largest average Expression energy across the subtype samples.

0.1
Allen experiment id Experiment description Expression energy
Cerebellum
Expression energy: 0.1
68844217 Antisense, RP_050222_01_B06, Mouse strain C57BL/6J (56 days, male) 0.1

Contact

  • NEWS ARTICLES
  • PRESS ROOM

The Project

  • INTRODUCTION
  • ORGANIZATION
  • PUBLICATIONS

The Human Protein Atlas

  • DOWNLOADABLE DATA
  • LICENCE & CITATION
  • HELP & FAQ
The Human Protein Atlas project is funded
by the Knut & Alice Wallenberg Foundation.


contact@proteinatlas.org