We use cookies to enhance the usability of our website. If you continue, we'll assume that you are happy to receive all cookies. More information. Don't show this again.
CKAP5
HPA
RESOURCES
  • TISSUE
  • BRAIN
  • SINGLE CELL
  • SUBCELLULAR
  • CANCER
  • BLOOD
  • CELL LINE
  • STRUCTURE & INTERACTION
ABOUT
  • INTRODUCTION
  • HISTORY
  • ORGANIZATION
  • PUBLICATIONS
  • ANTIBODY SUBMISSION
  • ANTIBODY AVAILABILITY
  • ACKNOWLEDGMENTS
  • CONTACT
NEWS
  • NEWS ARTICLES
  • PRESS ROOM
LEARN
  • DICTIONARY
  • PROTEIN CLASSES
  • PROTEIN EVIDENCE
  • METHODS
  • EDUCATIONAL VIDEOS
DATA
  • DOWNLOADABLE DATA
  • PUBLICATION DATA
  • RELEASE HISTORY
HELP
  • ANTIBODY VALIDATION
  • ASSAYS & ANNOTATION
  • DISCLAIMER
  • HELP & FAQ
  • PRIVACY STATEMENT
  • LICENCE & CITATION
Fields »
Search result

Field
Term
Gene name
Class
Subclass
Class
Keyword
Chromosome
External id
Tissue
Cell type
Expression
Antibody panel
Tissue
Main location
Patient ID
Annotation
Tissue
Category
Tau score
Cluster
Reliability
Brain region
Category
Tau score
Brain region
Category
Tau score
Brain region
Category
Tau score
Cluster
Reliability
Tissue
Cell type
Enrichment
Cell type
Category
Tau score
Cell type
Category
Tau score
Cell type
Category
Tau score
Cell lineage
Category
Tau score
Cluster
Cluster
Location
Searches
Location
Cell line
Class
Type
Phase
Reliability
Cancer
Prognosis
Cancer
Category
Cancer
Category
Tau score
Cluster
Variants
Interacting gene (ensg_id)
Type
Number of interactions
Pathway
Category
Score
Score
Score
Validation
Validation
Validation
Validation
Antibodies
Data type
Column


  • SUMMARY

  • TISSUE

  • BRAIN

  • SINGLE CELL

  • SUBCELL

  • CANCER

  • BLOOD

  • CELL LINE

  • STRUCT & INT

  • CKAP5
TISSUE PRIMARY DATA SKIN Show tissue menu
ADIPOSE TISSUE ADRENAL GLAND AMYGDALA APPENDIX BASAL GANGLIA BONE MARROW BREAST BRONCHUS CEREBELLUM CEREBRAL CORTEX CERVIX CHOROID PLEXUS COLON DUODENUM
ENDOMETRIUM EPIDIDYMIS ESOPHAGUS FALLOPIAN TUBE GALLBLADDER HEART MUSCLE HIPPOCAMPAL FORMATION HYPOTHALAMUS KIDNEY LIVER LUNG LYMPH NODE MIDBRAIN NASOPHARYNX
ORAL MUCOSA OVARY PANCREAS PARATHYROID GLAND PITUITARY GLAND PLACENTA PROSTATE RECTUM RETINA SALIVARY GLAND SEMINAL VESICLE SKELETAL MUSCLE SKIN SMALL INTESTINE
SMOOTH MUSCLE SOFT TISSUE SPINAL CORD SPLEEN STOMACH TESTIS THYMUS THYROID GLAND TONGUE TONSIL URINARY BLADDER VAGINA
ANTIBODIES
AND
VALIDATION
Dictionary
Skin
Tissue proteome
Skin
SKIN - Expression summary
Protein expression
Skini

On the top, protein expression in current human tissue, based on all annotated cell types, is reported with the units not detected (n), low (l), medium (m) and high (h). Underneath, protein expression in each annotated cell type are reported using the same units.

Protein expression data is based on knowledge-based annotation. For genes where more than one antibody has been used, a collective score is set.

If knowledge-based annotation could not be performed for a gene, no data is displayed here. View antibody staining data further down this page.

h
m
l
n
Arrector pili muscle cells: Medium
Cells in basal layer: High
Cells in corneal layer: High
Cells in granular layer: High
Cells in spinous layer: High
Eccrine glands: Medium
Endothelial cells: High
Extracellular matrix: Not detected
Fibrohistiocytic cells: High
Langerhans cells: High
Lymphocytes: High
Melanocytes: High
Sebaceous glands: Medium
Vascular mural cells: Medium
RNA expressioni

A summary of mRNA expression data available for current tissue based on several datasets. The mRNA expression levels in human tissues are based on RNA-seq data generated by the Human Protein Atlas (HPA), Genotype-Tissue Expression (GTEx) portal and CAGE data generated by the FANTOM5 consortium. Consensus normalized expression levels for human tissues was created by combining the data from HPA and GTEx datasets.

The mRNA expression levels in pig are based on RNA-seq data generated by the Human Protein Atlas (HPA), and for mouse, HPA data and in situ hybridization generated by the Allen brain atlas are reported.

Scroll down to view mRNA expression data in more detail.
Consensus:13.3 nTPM
HPA:13.3 nTPM
GTEx:11.9 nTPM

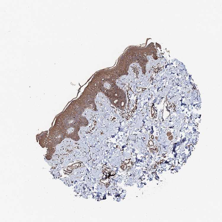
SKIN 1 - Antibody stainingi

Antibody staining in the annotated cell types in the current human tissue is reported as not detected, low, medium, or high, based on conventional immunohistochemistry profiling in selected tissues. This score is based on the combination of the staining intensity and fraction of stained cells.

Each image is clickable and will lead to virtual microscopy that enables deeper exploration of all samples and also displays staining intensity scores, fraction scores and subcellular localization as well as patient and tissue information for each sample.

Antibody HPA039377Antibody HPA040375
Langerhans Medium-
Arrector pili muscle cells -Medium
Cells in basal layer -Medium
Cells in corneal layer -Medium
Cells in granular layer -Medium
Cells in spinous layer -Medium
Eccrine glands -Medium
Endothelial cells -High
Extracellular matrix -Not detected
Fibroblasts Medium-
Fibrohistiocytic cells -High
Keratinocytes Medium-
Langerhans cells -Medium
Lymphocytes -High
Melanocytes MediumHigh
Sebaceous glands -Medium
Vascular mural cells -Not detected




SKIN 2 - Antibody stainingi

Antibody staining in the annotated cell types in the current human tissue is reported as not detected, low, medium, or high, based on conventional immunohistochemistry profiling in selected tissues. This score is based on the combination of the staining intensity and fraction of stained cells.

Each image is clickable and will lead to virtual microscopy that enables deeper exploration of all samples and also displays staining intensity scores, fraction scores and subcellular localization as well as patient and tissue information for each sample.

Antibody HPA039377Antibody HPA040375
Cells in basal layer -High
Cells in corneal layer -High
Cells in granular layer -High
Cells in spinous layer -High
Eccrine glands -Medium
Endothelial cells -High
Epidermal cells High-
Extracellular matrix -Not detected
Fibrohistiocytic cells -High
Langerhans cells -High
Lymphocytes -High
Melanocytes -High
Vascular mural cells -Medium
  
  
  
  



SKIN - HPA RNA-seqi

The RNA-seq details section shows detailed information about the individual samples used for the transcript profiling and results of the RNA-seq analysis.

Information about each individual sample is listed below, including gender, age, a tissue section image and estimated fractions of cell types. nTPM (normalized transcripts per million) values give a quantification of the gene abundance which is comparable between different genes and samples.
Average nTPMi

Max subtype nTPM is the value for the subtype with the largest average nTPM across the subtype samples.

13.3
overview
Female, age 34
Skin sample 225
nTPM: 14.6
Cell types%
Keratinocytes:
60

Other cell types:
40

overview
Female, age 30
Skin sample 226
nTPM: 14.7
Cell types%
Keratinocytes:
55

Other cell types:
45

N/A
Male, age 57
Skin sample 227
nTPM: 10.5

SKIN - GTEx RNA-seqi

RNA-Seq data generated by the Genotype-Tissue Expression (GTEx) project from human tissues is reported as mean nTPM. More information can be found on the GTEx portal.

Distribution across the dataset is visualized with box plots, shown as median and 25th and 75th percentiles. Points are displayed as outliers if they are above or below 1.5 times the interquartile range. nTPM values of the individual samples are presented next to the box plot.
Max subtype nTPMi

Max subtype nTPM is the value for the subtype with the largest average nTPM across the subtype samples.

11.9
GTEx sample id Sample description nTPM
Skin - Not Sun Exposed (Suprapubic)
Average nTPM: 11.5
Samples: 604

Max nTPM: 21.5
Min nTPM: 6.5
Std nTPM: 2.2
Median nTPM: 11.2
GTEX-1F6RS-2026-SM-7RHHC 60-69 years, female 21.5
GTEX-1EU9M-1426-SM-793AI 60-69 years, male 19.7
GTEX-ZTX8-1326-SM-4YCEL 20-29 years, male 19.6
GTEX-11WQK-1026-SM-5EQLX 50-59 years, male 19.1
GTEX-1I1GU-0926-SM-ACKVS 40-49 years, male 19.1
GTEX-W5X1-2526-SM-3GILC 40-49 years, female 19.0
GTEX-1IDFM-0326-SM-ARL7V 60-69 years, male 18.5
GTEX-1N2DV-1526-SM-DTXEP 40-49 years, male 17.8
GTEX-148VJ-0626-SM-5LUAW 70-79 years, male 17.6
GTEX-1A3MW-0626-SM-731CB 60-69 years, female 17.4
GTEX-13PDP-0726-SM-5L3HP 60-69 years, male 17.3
GTEX-14C38-0726-SM-5SI6M 50-59 years, male 17.3
GTEX-15SKB-2826-SM-6PAMH 60-69 years, male 16.9
GTEX-1HSMO-0626-SM-ACKXC 60-69 years, male 16.8
GTEX-13NYB-0126-SM-5J1MD 40-49 years, male 16.6
GTEX-14PJ3-1126-SM-5ZZVX 50-59 years, male 16.6
GTEX-17F9Y-0126-SM-79OKX 70-79 years, female 16.6
GTEX-1S5ZU-2526-SM-E6CIF 20-29 years, female 16.5
GTEX-1HSMQ-2626-SM-A9SML 50-59 years, male 16.4
GTEX-1F6I4-2326-SM-7RHGL 60-69 years, male 16.2
GTEX-11P7K-1126-SM-5HL4L 30-39 years, male 16.0
GTEX-17HG3-2626-SM-7DUF2 30-39 years, female 16.0
GTEX-12ZZX-2426-SM-5GCOE 40-49 years, female 15.9
GTEX-12KS4-2126-SM-5FQUT 30-39 years, male 15.5
GTEX-13NZ9-2626-SM-5L3FK 50-59 years, male 15.5
GTEX-WHSE-0126-SM-3NMBT 20-29 years, male 15.5
GTEX-1GN1V-2826-SM-9JGIA 60-69 years, male 15.5
GTEX-1GPI6-1926-SM-9KNV7 60-69 years, male 15.5
GTEX-13X6K-0626-SM-5LU5D 60-69 years, female 15.4
GTEX-1IE54-1126-SM-A9G2Z 40-49 years, female 15.4
GTEX-139UW-0326-SM-5J1ML 60-69 years, male 15.3
GTEX-15SHW-0226-SM-7LTAT 60-69 years, male 15.3
GTEX-ZYVF-0926-SM-5E44J 50-59 years, female 15.3
GTEX-1A8FM-0626-SM-7PC25 50-59 years, female 15.3
GTEX-13PL6-1126-SM-5L3IE 40-49 years, female 15.2
GTEX-1F5PL-0926-SM-7PC2W 40-49 years, female 15.2
GTEX-1F75I-2226-SM-7SB8U 40-49 years, male 15.2
GTEX-13NZ8-1226-SM-5KM4A 60-69 years, female 15.1
GTEX-144FL-0626-SM-5LU43 50-59 years, male 15.1
GTEX-1F52S-2926-SM-7MKGA 60-69 years, female 15.1
GTEX-WEY5-2326-SM-3GIKK 40-49 years, female 15.1
GTEX-WYBS-0626-SM-3NMAS 60-69 years, female 15.1
GTEX-1AYD5-2626-SM-7PBXY 50-59 years, male 15.1
GTEX-1QAET-0326-SM-EVR3U 50-59 years, male 15.1
GTEX-1J1OQ-0126-SM-D4P2N 40-49 years, female 15.0
GTEX-1MJK3-0726-SM-E6CJC 20-29 years, male 15.0
GTEX-111VG-1626-SM-5EGIO 60-69 years, male 14.9
GTEX-13YAN-0226-SM-5TDC6 60-69 years, male 14.9
GTEX-1B933-2426-SM-7DHMD 50-59 years, female 14.9
GTEX-X585-2426-SM-46MW2 50-59 years, male 14.9
GTEX-1HGF4-0126-SM-CNPPX 60-69 years, male 14.9
GTEX-1OJC3-1226-SM-DTXER 20-29 years, male 14.9
GTEX-1AX9I-2226-SM-73KUO 60-69 years, male 14.8
GTEX-1F75B-0726-SM-7PC3R 50-59 years, male 14.8
GTEX-1KANB-2826-SM-CY8I6 50-59 years, male 14.8
GTEX-1399Q-2326-SM-5KM2X 40-49 years, male 14.7
GTEX-15ER7-0626-SM-6PANF 20-29 years, female 14.7
GTEX-1EX96-1026-SM-7MKG2 50-59 years, male 14.7
GTEX-13JVG-0726-SM-5KM16 60-69 years, male 14.6
GTEX-18A66-0626-SM-7LT8Z 60-69 years, male 14.6
GTEX-1C6VQ-1226-SM-73KYD 50-59 years, male 14.6
GTEX-15DDE-2926-SM-6LLJ3 50-59 years, female 14.5
GTEX-1A8G6-2726-SM-731AR 60-69 years, male 14.5
GTEX-WHWD-1826-SM-3LK6I 50-59 years, male 14.5
GTEX-1CB4J-1326-SM-7P8RX 60-69 years, male 14.5
GTEX-1GN1W-2426-SM-9KNUU 50-59 years, female 14.5
GTEX-1J8EW-2726-SM-CY8HR 60-69 years, female 14.5
GTEX-13IVO-0726-SM-5LZYV 70-79 years, male 14.4
GTEX-WFG7-2026-SM-5SI7P 20-29 years, male 14.4
GTEX-WFON-1926-SM-3LK7L 40-49 years, male 14.4
GTEX-11PRG-0726-SM-5EGL1 50-59 years, male 14.3
GTEX-1HCU7-0726-SM-A9SL1 50-59 years, male 14.3
GTEX-1HSMP-0926-SM-A9SKX 70-79 years, male 14.2
GTEX-1LVAM-0726-SM-E6CIL 50-59 years, female 14.2
GTEX-11WQC-1826-SM-5GU59 60-69 years, male 14.1
GTEX-13G51-1826-SM-5KLZH 60-69 years, male 14.1
GTEX-1E1VI-0326-SM-793D1 50-59 years, male 14.1
GTEX-1I1GP-1326-SM-A9G28 50-59 years, male 14.1
GTEX-1IDJC-1526-SM-B2LW4 50-59 years, male 14.1
GTEX-1JJEA-1826-SM-ARU8P 60-69 years, male 14.1
GTEX-13OW5-2326-SM-5L3HO 60-69 years, male 14.0
GTEX-ZUA1-2626-SM-5NQ92 40-49 years, male 14.0
GTEX-1CAMS-2226-SM-7PBXQ 40-49 years, female 14.0
GTEX-1H1DE-1326-SM-9KNUG 20-29 years, male 14.0
GTEX-11DYG-1526-SM-5A5JS 60-69 years, male 13.9
GTEX-16MT9-0126-SM-7EPI8 60-69 years, female 13.9
GTEX-1F75A-0726-SM-7RHHD 50-59 years, male 13.9
GTEX-1HCVE-2726-SM-CL54F 50-59 years, male 13.9
GTEX-1HT8W-0626-SM-A9G2H 30-39 years, male 13.9
GTEX-1RAZS-2526-SM-E6CHT 50-59 years, male 13.9
GTEX-1HBPI-2126-SM-ARL9K 50-59 years, male 13.8
GTEX-1IY9M-2826-SM-ARU8H 60-69 years, male 13.8
GTEX-12WSD-0626-SM-5GCMW 60-69 years, female 13.7
GTEX-18A67-1626-SM-7LT9T 50-59 years, male 13.7
GTEX-1I1GV-0626-SM-ARL7M 60-69 years, male 13.7
GTEX-11GS4-0226-SM-5HL77 60-69 years, male 13.6
GTEX-139D8-1126-SM-5LU8W 30-39 years, female 13.6
GTEX-13OW6-2726-SM-5J2OE 50-59 years, male 13.6
GTEX-ZAB4-2126-SM-5HL8U 40-49 years, male 13.6
GTEX-1H1DF-1126-SM-9WG7G 40-49 years, female 13.6
GTEX-1H3O1-1326-SM-9MQLD 60-69 years, male 13.6
GTEX-1IL2V-1926-SM-B2LW8 70-79 years, male 13.6
GTEX-145MF-0926-SM-5Q5EA 50-59 years, male 13.5
GTEX-1JMPY-0226-SM-CKZOK 30-39 years, male 13.5
GTEX-1M4P7-0726-SM-E6CJ3 60-69 years, male 13.5
GTEX-15RJ7-2126-SM-6PAMD 40-49 years, male 13.4
GTEX-18A6Q-0626-SM-7KFRP 60-69 years, male 13.4
GTEX-ZC5H-1526-SM-5HL9Y 40-49 years, female 13.4
GTEX-11P82-1426-SM-DTXFY 20-29 years, male 13.4
GTEX-1H1CY-0126-SM-9YFLY 60-69 years, female 13.4
GTEX-1H2FU-0926-SM-9WPPT 60-69 years, female 13.4
GTEX-1I1HK-2326-SM-CKZOH 60-69 years, male 13.4
GTEX-WXYG-2026-SM-4E3IY 50-59 years, female 13.3
GTEX-WY7C-2126-SM-3NB2R 50-59 years, male 13.3
GTEX-Y111-0626-SM-4SOIT 50-59 years, male 13.3
GTEX-ZXG5-2126-SM-59HKD 60-69 years, male 13.3
GTEX-ZYFC-0426-SM-5GICQ 50-59 years, male 13.3
GTEX-1GZ4I-2626-SM-9KNU3 50-59 years, male 13.3
GTEX-11DXX-2126-SM-5PNYR 60-69 years, female 13.2
GTEX-14LZ3-0126-SM-69LPM 60-69 years, female 13.2
GTEX-17F98-1326-SM-7DUEP 40-49 years, female 13.2
GTEX-14JFF-0626-SM-5ZZVT 60-69 years, male 13.2
GTEX-1GMR3-0126-SM-A9SLW 40-49 years, male 13.2
GTEX-1IKOE-1426-SM-CE6T7 30-39 years, female 13.2
GTEX-1JMQI-1726-SM-ARL93 50-59 years, male 13.2
GTEX-1R9K4-2826-SM-DTX8F 60-69 years, male 13.2
GTEX-13N11-2326-SM-5IJBF 50-59 years, female 13.1
GTEX-144GL-0626-SM-5LU4D 50-59 years, male 13.1
GTEX-17F97-2626-SM-7IGM5 50-59 years, male 13.1
GTEX-18A7B-2726-SM-7LG56 70-79 years, male 13.1
GTEX-1AX9J-1326-SM-731BJ 60-69 years, male 13.1
GTEX-ZDTS-0826-SM-4WKHL 60-69 years, male 13.1
GTEX-ZWKS-0626-SM-5GIDV 30-39 years, male 13.1
GTEX-1HR98-2226-SM-ADEI2 60-69 years, male 13.1
GTEX-1JMQL-2226-SM-CNPP4 50-59 years, female 13.1
GTEX-1LSNL-2726-SM-E9TKJ 50-59 years, male 13.1
GTEX-1S83E-1326-SM-E6CJM 40-49 years, male 13.1
GTEX-111YS-1526-SM-5GZYW 60-69 years, male 13.0
GTEX-13FTX-1526-SM-5K7VJ 20-29 years, female 13.0
GTEX-145MO-2826-SM-5LU96 60-69 years, male 13.0
GTEX-1B8KZ-0326-SM-73KY4 50-59 years, male 13.0
GTEX-1GN1U-0626-SM-9MQL9 50-59 years, female 13.0
GTEX-1HC8U-1326-SM-9YFMJ 40-49 years, female 13.0
GTEX-1JN76-0626-SM-CKZOQ 20-29 years, female 13.0
GTEX-1313W-0626-SM-5EQ4H 50-59 years, female 12.9
GTEX-131XH-0126-SM-5LZUY 50-59 years, male 12.9
GTEX-13FHO-0426-SM-5L3F5 60-69 years, male 12.9
GTEX-14PJO-2526-SM-6AJBQ 60-69 years, male 12.9
GTEX-17HGU-2326-SM-7DUFE 50-59 years, male 12.9
GTEX-17KNJ-2126-SM-718AM 50-59 years, male 12.9
GTEX-1A8G7-1326-SM-73KVM 60-69 years, male 12.9
GTEX-1C64O-1326-SM-7MGWR 60-69 years, male 12.9
GTEX-1CAMQ-1326-SM-7P8RV 40-49 years, male 12.9
GTEX-1F88F-0126-SM-9WYSZ 60-69 years, female 12.9
GTEX-1J8Q3-0526-SM-ARL8U 60-69 years, male 12.9
GTEX-1JK1U-0226-SM-ARZMX 60-69 years, male 12.9
GTEX-1269C-0126-SM-5EQ5L 60-69 years, female 12.8
GTEX-139YR-1026-SM-5LZYN 50-59 years, male 12.8
GTEX-17HHY-0426-SM-7DHLC 50-59 years, male 12.8
GTEX-18A7A-0126-SM-731AH 50-59 years, female 12.8
GTEX-1NV5F-0626-SM-DTXEG 60-69 years, female 12.8
GTEX-1PIIG-2326-SM-DTXFR 30-39 years, male 12.8
GTEX-1R9PM-1926-SM-EVR3O 20-29 years, male 12.8
GTEX-12WSK-2126-SM-5CVNC 40-49 years, female 12.7
GTEX-12ZZY-0726-SM-5EQ66 60-69 years, male 12.7
GTEX-14XAO-1226-SM-6EU1C 60-69 years, female 12.7
GTEX-17EVQ-0126-SM-7IGLR 70-79 years, male 12.7
GTEX-ZTTD-2826-SM-4YCFA 50-59 years, male 12.7
GTEX-1E2YA-2126-SM-7MXUO 50-59 years, male 12.7
GTEX-1IOXB-2726-SM-CM2RI 50-59 years, male 12.7
GTEX-1LSVX-2526-SM-DIPEU 60-69 years, male 12.7
GTEX-1192X-2726-SM-5N9DN 50-59 years, male 12.6
GTEX-131XF-2626-SM-5EQ6K 60-69 years, male 12.6
GTEX-139TU-0726-SM-5L3EK 60-69 years, male 12.6
GTEX-13X6J-0626-SM-5LU5F 50-59 years, male 12.6
GTEX-14PJ5-1526-SM-6LLIL 60-69 years, female 12.6
GTEX-17F96-0126-SM-7EWDU 70-79 years, male 12.6
GTEX-1HBPM-0726-SM-9YFL7 60-69 years, female 12.6
GTEX-1IDJF-2026-SM-CL53V 20-29 years, male 12.6
GTEX-1JMLX-0626-SM-ARL8T 50-59 years, male 12.6
GTEX-11EQ8-0926-SM-5H12V 60-69 years, male 12.5
GTEX-139TS-2126-SM-5K7XC 60-69 years, male 12.5
GTEX-14753-0726-SM-5QGQO 60-69 years, male 12.5
GTEX-15G1A-1626-SM-7KUKN 30-39 years, male 12.5
GTEX-16GPK-0626-SM-7KFSF 60-69 years, male 12.5
GTEX-1B97I-0626-SM-73KUZ 40-49 years, male 12.5
GTEX-UPK5-0426-SM-3GAEK 40-49 years, male 12.5
GTEX-ZVT4-2426-SM-5GIEI 50-59 years, female 12.5
GTEX-1C64N-2626-SM-7PC2N 50-59 years, male 12.5
GTEX-1GMR8-0626-SM-7RHI7 50-59 years, female 12.5
GTEX-1PBJJ-1026-SM-E76OS 30-39 years, male 12.5
GTEX-1PPGY-1626-SM-EVYBL 60-69 years, male 12.5
GTEX-144GO-2026-SM-5O99P 60-69 years, male 12.4
GTEX-14C39-1726-SM-5RQIL 40-49 years, male 12.4
GTEX-183WM-0326-SM-72D5V 70-79 years, female 12.4
GTEX-YJ8O-2526-SM-5HL85 40-49 years, female 12.4
GTEX-1F88E-1626-SM-7SB8Z 60-69 years, female 12.4
GTEX-1GF9X-1326-SM-7PC2Y 40-49 years, female 12.4
GTEX-1KD5A-0126-SM-E9U54 50-59 years, male 12.4
GTEX-1OJC4-2726-SM-E76PJ 50-59 years, female 12.4
GTEX-1R9PN-0426-SM-DTXDT 40-49 years, female 12.4
GTEX-11ZU8-0126-SM-5EQ58 60-69 years, male 12.3
GTEX-139TT-2126-SM-5LZWC 60-69 years, male 12.3
GTEX-13D11-0926-SM-5J2NC 50-59 years, female 12.3
GTEX-147GR-2426-SM-5ZZWQ 60-69 years, male 12.3
GTEX-15G19-2426-SM-7KUMR 60-69 years, male 12.3
GTEX-15RJE-2826-SM-7KUM9 40-49 years, male 12.3
GTEX-1BAJH-2426-SM-7IGP8 70-79 years, male 12.3
GTEX-ZE9C-2526-SM-5IJDR 60-69 years, male 12.3
GTEX-1GMRU-2126-SM-7P8RA 50-59 years, male 12.3
GTEX-1JMQJ-0826-SM-CNPP7 50-59 years, male 12.3
GTEX-1PPH8-0126-SM-EWRN8 20-29 years, male 12.3
GTEX-1RAZR-2126-SM-E9U6T 40-49 years, male 12.3
GTEX-1399S-0126-SM-5IJCF 30-39 years, female 12.2
GTEX-145LU-1926-SM-79OJN 50-59 years, male 12.2
GTEX-16AAH-0626-SM-793C9 50-59 years, male 12.2
GTEX-183FY-1026-SM-7939A 20-29 years, male 12.2
GTEX-1EH9U-2826-SM-7DUGT 60-69 years, male 12.2
GTEX-Y114-2126-SM-4TT8B 50-59 years, female 12.2
GTEX-ZYT6-2326-SM-5GZY3 30-39 years, male 12.2
GTEX-1I1CD-0626-SM-CE6SW 60-69 years, female 12.2
GTEX-1JMPZ-0726-SM-CY8HZ 30-39 years, male 12.2
GTEX-1LVA9-2626-SM-EVYD4 50-59 years, male 12.2
GTEX-12WSM-1926-SM-5BC65 60-69 years, male 12.1
GTEX-147F4-0726-SM-5TDDD 50-59 years, male 12.1
GTEX-ZE7O-2726-SM-51MT5 50-59 years, female 12.1
GTEX-1IKJJ-2226-SM-CJI4C 60-69 years, male 12.1
GTEX-13SLW-0626-SM-5Q5ER 70-79 years, male 12.0
GTEX-14C5O-0326-SM-5ZZUX 60-69 years, male 12.0
GTEX-WHPG-2626-SM-3NMBR 50-59 years, male 12.0
GTEX-1GF9U-2026-SM-7SB92 40-49 years, female 12.0
GTEX-1J8JJ-0626-SM-ARZMQ 60-69 years, female 12.0
GTEX-1JKYR-0626-SM-ARL8R 20-29 years, male 12.0
GTEX-1S82P-2126-SM-E6CI5 60-69 years, female 12.0
GTEX-11DXW-0826-SM-5H118 40-49 years, male 11.9
GTEX-11DXY-0126-SM-5H11Q 60-69 years, male 11.9
GTEX-11ZUS-2626-SM-5FQUR 30-39 years, male 11.9
GTEX-14BMV-2826-SM-5TDED 50-59 years, male 11.9
GTEX-15EO6-2426-SM-6PALZ 50-59 years, male 11.9
GTEX-16NGA-0726-SM-731AO 40-49 years, female 11.9
GTEX-13NYC-0126-SM-5L3F4 60-69 years, male 11.8
GTEX-13OVL-0126-SM-5L3GJ 50-59 years, male 11.8
GTEX-UPJH-0226-SM-3GADV 50-59 years, male 11.8
GTEX-ZVE2-2826-SM-5GU51 50-59 years, male 11.8
GTEX-ZVTK-0226-SM-51MRG 20-29 years, male 11.8
GTEX-1GZ4H-0526-SM-9KNU9 50-59 years, female 11.8
GTEX-1MCYP-0526-SM-E9U6Q 20-29 years, female 11.8
GTEX-13VXU-0626-SM-5L3F9 50-59 years, male 11.7
GTEX-145MH-2826-SM-5RQJF 50-59 years, male 11.7
GTEX-14PKU-0126-SM-6LLHV 40-49 years, female 11.7
GTEX-18465-2826-SM-7LT9J 50-59 years, male 11.7
GTEX-1CB4H-1126-SM-7MKGL 60-69 years, female 11.7
GTEX-1GL5R-1326-SM-7RHHF 50-59 years, male 11.7
GTEX-1JMOU-1026-SM-CYPSS 60-69 years, female 11.7
GTEX-1LGOU-1326-SM-D3L8M 20-29 years, female 11.7
GTEX-1QP66-1226-SM-DTX7U 50-59 years, male 11.7
GTEX-1R46S-2426-SM-E76QA 60-69 years, female 11.7
GTEX-12126-0826-SM-5FQTZ 20-29 years, male 11.6
GTEX-14PII-0726-SM-6EU2B 60-69 years, male 11.6
GTEX-15UF6-1926-SM-7KUDV 70-79 years, female 11.6
GTEX-18D9U-0126-SM-731BM 40-49 years, male 11.6
GTEX-Y8E4-2026-SM-5IFJB 40-49 years, male 11.6
GTEX-1C6VR-0126-SM-7RHGB 60-69 years, male 11.6
GTEX-1GF9V-0826-SM-9KNUV 60-69 years, male 11.6
GTEX-1GN2E-0226-SM-9WG6K 60-69 years, male 11.6
GTEX-1HCU6-2526-SM-ADEHL 60-69 years, female 11.6
GTEX-1JN1M-2726-SM-CY8I4 60-69 years, female 11.6
GTEX-14ICL-1626-SM-5YYAO 30-39 years, male 11.5
GTEX-14PHY-1226-SM-5ZZWK 60-69 years, female 11.5
GTEX-V1D1-2026-SM-3GAF4 50-59 years, male 11.5
GTEX-ZDTT-0426-SM-4WKFL 60-69 years, male 11.5
GTEX-ZT9X-1526-SM-5DUXD 40-49 years, male 11.5
GTEX-1CAMR-1326-SM-7PC1F 20-29 years, male 11.5
GTEX-1H3NZ-2726-SM-9WYTQ 60-69 years, male 11.5
GTEX-1HB9E-0126-SM-CM2S5 50-59 years, male 11.5
GTEX-1HR9M-2226-SM-CNPPY 60-69 years, male 11.5
GTEX-1I1GS-2626-SM-B2LY3 60-69 years, male 11.5
GTEX-1IDJV-0126-SM-COH3Y 60-69 years, male 11.5
GTEX-1LKK1-2626-SM-DKPQE 50-59 years, female 11.5
GTEX-1QPFJ-1926-SM-EVYBD 30-39 years, female 11.5
GTEX-12696-0126-SM-5EQ4L 60-69 years, male 11.4
GTEX-13QJC-0126-SM-5ZZWJ 60-69 years, female 11.4
GTEX-13W3W-0726-SM-5IJDQ 60-69 years, female 11.4
GTEX-ZLWG-0826-SM-59888 50-59 years, female 11.4
GTEX-1GZ2Q-0126-SM-9WG6M 40-49 years, male 11.4
GTEX-1I19N-0126-SM-CYPSF 70-79 years, male 11.4
GTEX-1J8Q2-2626-SM-ACKWQ 60-69 years, male 11.4
GTEX-1LB8K-0726-SM-D5OV2 50-59 years, male 11.4
GTEX-1S82U-1026-SM-E6CJK 30-39 years, female 11.4
GTEX-11DXZ-2026-SM-5987S 50-59 years, male 11.3
GTEX-11GSP-2326-SM-5HL63 60-69 years, female 11.3
GTEX-1399U-1126-SM-5L3DB 50-59 years, female 11.3
GTEX-14A6H-2026-SM-5Q5DD 30-39 years, male 11.3
GTEX-14DAQ-0626-SM-793DS 60-69 years, female 11.3
GTEX-14JG1-1526-SM-5YY9X 40-49 years, male 11.3
GTEX-16NPX-0726-SM-7KULC 50-59 years, male 11.3
GTEX-1N5O9-0926-SM-E9J3C 60-69 years, male 11.3
GTEX-11TUW-0626-SM-5LU9M 60-69 years, male 11.2
GTEX-12C56-1526-SM-5FQUQ 20-29 years, male 11.2
GTEX-13RTJ-0126-SM-5S2NN 60-69 years, male 11.2
GTEX-14PJ4-0226-SM-5YY92 60-69 years, male 11.2
GTEX-18D9B-0926-SM-7LG4U 60-69 years, male 11.2
GTEX-1B8SF-0126-SM-7DUG3 60-69 years, male 11.2
GTEX-1CB4E-0926-SM-7EPHT 60-69 years, male 11.2
GTEX-WYVS-1626-SM-3NM9R 40-49 years, female 11.2
GTEX-1HFI6-0126-SM-CNPPI 40-49 years, male 11.2
GTEX-1HSKV-1226-SM-ADEI4 60-69 years, male 11.2
GTEX-1IDJH-0126-SM-D3L92 70-79 years, male 11.2
GTEX-1N2EE-0626-SM-E76PW 60-69 years, male 11.2
GTEX-1PDJ9-1226-SM-EXUSX 20-29 years, male 11.2
GTEX-1QP2A-1726-SM-E76QC 50-59 years, male 11.2
GTEX-145MI-0626-SM-5SI8S 60-69 years, female 11.1
GTEX-147JS-0226-SM-5S2U9 60-69 years, male 11.1
GTEX-14BIN-1126-SM-5RQJZ 50-59 years, female 11.1
GTEX-15EU6-2226-SM-6EU2L 50-59 years, male 11.1
GTEX-1AMFI-1326-SM-7939R 50-59 years, female 11.1
GTEX-XBEW-1126-SM-4QARW 40-49 years, male 11.1
GTEX-XQ3S-1426-SM-4BOPR 20-29 years, male 11.1
GTEX-ZYFD-0626-SM-5E44E 50-59 years, male 11.1
GTEX-1LGRB-0926-SM-COH3K 50-59 years, female 11.1
GTEX-1O9I2-0226-SM-EYYXD 50-59 years, male 11.1
GTEX-11NUK-2726-SM-5A5MC 50-59 years, male 11.0
GTEX-1314G-1326-SM-5BC6E 30-39 years, male 11.0
GTEX-13FLV-0126-SM-5K7WT 50-59 years, male 11.0
GTEX-14PHX-2226-SM-6EU2P 50-59 years, male 11.0
GTEX-1AX8Z-0726-SM-73KTS 60-69 years, male 11.0
GTEX-U8XE-0226-SM-4E3J3 30-39 years, male 11.0
GTEX-WK11-2726-SM-3NMAQ 50-59 years, male 11.0
GTEX-1122O-1026-SM-9WYSF 60-69 years, female 11.0
GTEX-1JJ6O-2726-SM-CNPOG 60-69 years, male 11.0
GTEX-1RLM8-2926-SM-E8VON 50-59 years, male 11.0
GTEX-111CU-1126-SM-5EGIM 50-59 years, male 10.9
GTEX-11VI4-1126-SM-5EQMD 40-49 years, female 10.9
GTEX-133LE-2326-SM-5K7W3 20-29 years, female 10.9
GTEX-13JUV-2026-SM-5K7UA 40-49 years, female 10.9
GTEX-13VXT-1926-SM-5K7UO 20-29 years, female 10.9
GTEX-145LS-0626-SM-7EPG7 60-69 years, female 10.9
GTEX-YF7O-1526-SM-5IFI6 50-59 years, male 10.9
GTEX-1F48J-0726-SM-7RHGS 50-59 years, female 10.9
GTEX-1I1GT-1026-SM-ARZLV 60-69 years, female 10.9
GTEX-1IDJU-1726-SM-CMKHU 60-69 years, female 10.9
GTEX-1K2DU-1226-SM-CYPT4 20-29 years, male 10.9
GTEX-1KXAM-1626-SM-D3LAD 60-69 years, male 10.9
GTEX-1QMI2-2526-SM-E8VNZ 60-69 years, male 10.9
GTEX-14LLW-2626-SM-62LDZ 70-79 years, female 10.8
GTEX-15RIG-0726-SM-7KUM7 40-49 years, male 10.8
GTEX-16MT8-2926-SM-7DUFO 60-69 years, female 10.8
GTEX-16YQH-2226-SM-7IGM2 30-39 years, male 10.8
GTEX-18QFQ-1826-SM-72D52 30-39 years, male 10.8
GTEX-1CB4F-1026-SM-7DUH1 60-69 years, male 10.8
GTEX-XK95-0226-SM-4AT58 40-49 years, male 10.8
GTEX-XMD2-2126-SM-4YCF8 60-69 years, female 10.8
GTEX-1B8L1-2226-SM-7P8PT 60-69 years, male 10.8
GTEX-1H4P4-2126-SM-9WYSL 50-59 years, male 10.8
GTEX-1ICLY-0826-SM-CMKG1 50-59 years, male 10.8
GTEX-1IDJE-1426-SM-ADEIW 50-59 years, female 10.8
GTEX-1KANA-1326-SM-DIPFA 20-29 years, male 10.8
GTEX-1QEPI-2626-SM-DTXF4 60-69 years, female 10.8
GTEX-1QP28-1126-SM-EVYC4 50-59 years, female 10.8
GTEX-13O3O-2326-SM-5IJD6 60-69 years, female 10.7
GTEX-13X6H-0926-SM-5SIB2 50-59 years, female 10.7
GTEX-14PJ2-0626-SM-6LLII 50-59 years, male 10.7
GTEX-1A3MV-1826-SM-731CD 30-39 years, male 10.7
GTEX-ZAK1-0626-SM-5HL8E 50-59 years, female 10.7
GTEX-ZVE1-0726-SM-51MRN 50-59 years, female 10.7
GTEX-1JJE9-2626-SM-ARZMT 70-79 years, male 10.7
GTEX-1KWVE-1026-SM-D3L9O 30-39 years, male 10.7
GTEX-1POEN-2326-SM-E9J2L 30-39 years, female 10.7
GTEX-1QP29-1826-SM-DTX9S 50-59 years, male 10.7
GTEX-1R7EU-1626-SM-DTXG3 60-69 years, male 10.7
GTEX-117YX-1926-SM-5GIEC 50-59 years, male 10.6
GTEX-14E1K-2026-SM-7DUEI 50-59 years, male 10.6
GTEX-1EN7A-2426-SM-793DB 40-49 years, male 10.6
GTEX-VUSG-2326-SM-4KL1U 50-59 years, male 10.6
GTEX-X4EO-2926-SM-4E3JH 60-69 years, female 10.6
GTEX-Y3IK-1626-SM-4YCF5 50-59 years, female 10.6
GTEX-ZY6K-1426-SM-5GZX2 50-59 years, male 10.6
GTEX-ZZ64-1026-SM-5GZXG 20-29 years, male 10.6
GTEX-1F75W-2726-SM-7SB8H 60-69 years, male 10.6
GTEX-1GN73-0726-SM-7P8TJ 60-69 years, male 10.6
GTEX-1LBAC-0826-SM-CY8IJ 20-29 years, male 10.6
GTEX-11O72-0626-SM-5PNYE 40-49 years, male 10.5
GTEX-1212Z-0126-SM-59HK4 60-69 years, male 10.5
GTEX-12WSC-2826-SM-5BC5Y 50-59 years, male 10.5
GTEX-12WSJ-1126-SM-5LZVJ 40-49 years, female 10.5
GTEX-145ME-1726-SM-5Q5EU 40-49 years, female 10.5
GTEX-15CHR-1126-SM-7EWF4 50-59 years, male 10.5
GTEX-17EVP-2626-SM-7IGMA 40-49 years, male 10.5
GTEX-ZVT2-0126-SM-5GIDQ 50-59 years, female 10.5
GTEX-1H1DG-2426-SM-9QEHJ 70-79 years, male 10.5
GTEX-1HCU9-0426-SM-9WYSD 20-29 years, male 10.5
GTEX-1I6K7-1926-SM-B2LXR 40-49 years, male 10.5
GTEX-1KAFJ-0126-SM-DIPEK 50-59 years, male 10.5
GTEX-1LG7Y-2526-SM-EWRO7 50-59 years, male 10.5
GTEX-12WSA-0426-SM-5EQ5X 60-69 years, male 10.4
GTEX-132AR-0326-SM-5KM2C 50-59 years, female 10.4
GTEX-13FTY-2126-SM-5IFFB 40-49 years, female 10.4
GTEX-13OVK-1426-SM-6PAN7 40-49 years, male 10.4
GTEX-13PVQ-0626-SM-5LU47 50-59 years, male 10.4
GTEX-13SLX-2226-SM-62LEP 50-59 years, female 10.4
GTEX-15D1Q-2826-SM-6LLH7 40-49 years, male 10.4
GTEX-ZYY3-2926-SM-5GIEB 60-69 years, female 10.4
GTEX-1C475-1326-SM-7SB73 40-49 years, female 10.4
GTEX-1IDJD-2326-SM-ACKWX 30-39 years, male 10.4
GTEX-13N1W-2426-SM-5IJD1 70-79 years, male 10.3
GTEX-13NYS-0626-SM-5L3F1 60-69 years, male 10.3
GTEX-14AS3-1526-SM-5Q5ED 40-49 years, female 10.3
GTEX-1CAV2-0126-SM-7IGN7 40-49 years, female 10.3
GTEX-WRHU-2826-SM-3MJG8 50-59 years, female 10.3
GTEX-XBED-1926-SM-47JYP 60-69 years, male 10.3
GTEX-YECK-0326-SM-4W1YS 60-69 years, male 10.3
GTEX-ZAJG-1526-SM-5CVML 50-59 years, female 10.3
GTEX-1GPI7-1826-SM-9KNU1 20-29 years, male 10.3
GTEX-1H1E6-0426-SM-9WYUS 30-39 years, male 10.3
GTEX-1ICG6-1226-SM-A9SLN 70-79 years, female 10.3
GTEX-YEC3-1326-SM-DO92X 50-59 years, male 10.3
GTEX-ZPIC-0526-SM-DO91W 40-49 years, female 10.3
GTEX-12WSF-1626-SM-7KUG5 70-79 years, male 10.2
GTEX-139T8-0626-SM-5KLZX 60-69 years, male 10.2
GTEX-13FTW-0326-SM-5K7UW 40-49 years, male 10.2
GTEX-1A32A-0626-SM-731AQ 50-59 years, female 10.2
GTEX-1C2JI-1026-SM-73KY1 50-59 years, male 10.2
GTEX-VJYA-1526-SM-3GIJV 60-69 years, male 10.2
GTEX-ZDXO-3126-SM-5IJDF 60-69 years, male 10.2
GTEX-ZVP2-0326-SM-57WBP 50-59 years, male 10.2
GTEX-14JG6-1426-SM-9WG7C 30-39 years, female 10.2
GTEX-1HCU8-2526-SM-CE6RX 60-69 years, female 10.2
GTEX-1J1R8-2026-SM-CL53Y 40-49 years, male 10.2
GTEX-11OF3-0126-SM-5PNYF 60-69 years, male 10.1
GTEX-12584-0726-SM-5FQTK 40-49 years, male 10.1
GTEX-13OW7-0426-SM-5K7VK 50-59 years, male 10.1
GTEX-146FQ-2126-SM-5RQHU 30-39 years, male 10.1
GTEX-17MFQ-1526-SM-7KFRR 20-29 years, male 10.1
GTEX-Y5LM-0926-SM-6LLJG 40-49 years, female 10.1
GTEX-ZPU1-1126-SM-4YCF3 40-49 years, male 10.1
GTEX-11EI6-2826-SM-5H11D 60-69 years, male 10.0
GTEX-11ZTT-2126-SM-5CVLO 60-69 years, female 10.0
GTEX-1477Z-0326-SM-7IGLA 60-69 years, male 10.0
GTEX-14PKV-1126-SM-6LLJ1 20-29 years, female 10.0
GTEX-1EWIQ-0326-SM-7DHMQ 70-79 years, female 10.0
GTEX-WH7G-2026-SM-3NMBL 40-49 years, male 10.0
GTEX-Y5V5-0126-SM-5S2NW 60-69 years, female 10.0
GTEX-1A3MX-2626-SM-7PC24 60-69 years, male 10.0
GTEX-1EMGI-2326-SM-7PBYA 60-69 years, male 10.0
GTEX-1GF9W-1426-SM-7PBYM 60-69 years, male 10.0
GTEX-1I6K6-1726-SM-CGQFD 30-39 years, male 10.0
GTEX-1JMQK-1226-SM-D4P2S 60-69 years, male 10.0
GTEX-1JN6P-2926-SM-CL54D 60-69 years, male 10.0
GTEX-1K2DA-1026-SM-CGQGF 50-59 years, male 10.0
GTEX-13OW8-1026-SM-5J1NQ 60-69 years, male 9.9
GTEX-147F3-1726-SM-5SIAW 50-59 years, female 9.9
GTEX-14B4R-1326-SM-5Q5EZ 30-39 years, male 9.9
GTEX-X3Y1-2026-SM-3P5YM 40-49 years, male 9.9
GTEX-ZU9S-1826-SM-5NQ9E 30-39 years, male 9.9
GTEX-1GTWX-2026-SM-9YFLM 60-69 years, male 9.9
GTEX-1J8QM-2426-SM-A9SLS 60-69 years, female 9.9
GTEX-1L5NE-1126-SM-D3L9P 50-59 years, male 9.9
GTEX-1RAZA-2226-SM-E9U4X 20-29 years, male 9.9
GTEX-12WSH-1526-SM-5BC5W 50-59 years, male 9.8
GTEX-131XW-0626-SM-5PNVD 50-59 years, female 9.8
GTEX-1497J-0226-SM-5QGPU 60-69 years, male 9.8
GTEX-16Z82-2626-SM-7KULU 60-69 years, male 9.8
GTEX-17JCI-2926-SM-7DUFF 60-69 years, female 9.8
GTEX-1EKGG-0626-SM-7DUGJ 60-69 years, male 9.8
GTEX-XXEK-1626-SM-4BRUZ 50-59 years, male 9.8
GTEX-ZA64-1026-SM-5HL8R 20-29 years, male 9.8
GTEX-ZT9W-1126-SM-57WDR 50-59 years, male 9.8
GTEX-ZZPU-0826-SM-5GZX5 50-59 years, female 9.8
GTEX-1GMR2-0826-SM-7PC3V 50-59 years, male 9.8
GTEX-1GZHY-0626-SM-9KNVC 50-59 years, female 9.8
GTEX-1H3VE-0726-SM-9YFL5 40-49 years, male 9.8
GTEX-1HSGN-0826-SM-ACKW3 40-49 years, female 9.8
GTEX-1117F-2926-SM-5GZYI 60-69 years, female 9.7
GTEX-11TT1-1826-SM-5EQLV 20-29 years, male 9.7
GTEX-13O61-1426-SM-5KM3D 60-69 years, male 9.7
GTEX-14PJ6-2626-SM-6EU2T 60-69 years, female 9.7
GTEX-14PJN-1826-SM-6AJ98 30-39 years, male 9.7
GTEX-15CHC-1126-SM-6LLHQ 60-69 years, female 9.7
GTEX-17F9E-2326-SM-79OKD 50-59 years, male 9.7
GTEX-17HHE-1326-SM-7EWDZ 50-59 years, male 9.7
GTEX-1B8KE-1126-SM-7EPHI 50-59 years, male 9.7
GTEX-XAJ8-1426-SM-47JYM 40-49 years, male 9.7
GTEX-XBEC-0726-SM-4QARZ 50-59 years, male 9.7
GTEX-XYKS-1426-SM-4BRUO 60-69 years, female 9.7
GTEX-1F6IF-0926-SM-7SB7M 60-69 years, male 9.7
GTEX-1RAZQ-1326-SM-E9TK6 30-39 years, male 9.7
GTEX-11DZ1-2426-SM-5GZZX 50-59 years, male 9.6
GTEX-11NSD-0626-SM-5A5LU 20-29 years, male 9.6
GTEX-13QBU-1226-SM-5LU4G 40-49 years, female 9.6
GTEX-16XZZ-0726-SM-7KUF2 60-69 years, male 9.6
GTEX-178AV-1726-SM-7KUL8 40-49 years, male 9.6
GTEX-1C6WA-2626-SM-7MKGM 60-69 years, male 9.6
GTEX-YFCO-1226-SM-5LUAT 40-49 years, male 9.6
GTEX-1CB4I-0126-SM-7RHGG 50-59 years, male 9.6
GTEX-1F5PK-2226-SM-7SB6N 50-59 years, male 9.6
GTEX-1HBPN-0126-SM-CGQEF 50-59 years, male 9.6
GTEX-1HKZK-0726-SM-ACKW2 40-49 years, male 9.6
GTEX-1ICLZ-0326-SM-ARL82 60-69 years, male 9.6
GTEX-1PPH7-1126-SM-DTX9A 40-49 years, male 9.6
GTEX-1RB15-1326-SM-E76Q9 60-69 years, male 9.6
GTEX-1S831-1826-SM-EWROF 20-29 years, male 9.6
GTEX-11P81-2226-SM-5PNYI 30-39 years, female 9.5
GTEX-12ZZZ-0726-SM-5GCNZ 60-69 years, male 9.5
GTEX-13112-0126-SM-5P9IU 50-59 years, male 9.5
GTEX-131YS-2826-SM-5EQ47 60-69 years, female 9.5
GTEX-13OVH-0526-SM-5L3E6 70-79 years, male 9.5
GTEX-13PVR-0426-SM-5RQK2 60-69 years, female 9.5
GTEX-13X6I-1826-SM-5SIAO 60-69 years, male 9.5
GTEX-145MG-1526-SM-5Q5EM 50-59 years, male 9.5
GTEX-145MN-1526-SM-5SI9T 30-39 years, male 9.5
GTEX-15RIE-1926-SM-7KUKJ 60-69 years, male 9.5
GTEX-WYJK-0526-SM-3NM8Z 50-59 years, male 9.5
GTEX-X8HC-0626-SM-4E3HQ 50-59 years, female 9.5
GTEX-1HUB1-1426-SM-CGQF5 60-69 years, male 9.5
GTEX-ZGAY-1826-SM-DO91Q 40-49 years, female 9.5
GTEX-12WSL-2026-SM-5GCML 50-59 years, male 9.4
GTEX-131XG-0326-SM-5L3DX 50-59 years, female 9.4
GTEX-144GM-0526-SM-79OJO 20-29 years, male 9.4
GTEX-14ABY-2026-SM-62LDL 50-59 years, male 9.4
GTEX-16BQI-1326-SM-6M486 30-39 years, female 9.4
GTEX-ZP4G-1426-SM-4WWCL 20-29 years, female 9.4
GTEX-1HCUA-0826-SM-ADEHM 50-59 years, female 9.4
GTEX-11UD2-2526-SM-5CVNU 50-59 years, male 9.3
GTEX-13N2G-0226-SM-5K7VF 60-69 years, male 9.3
GTEX-13OVJ-0826-SM-5J1OK 50-59 years, female 9.3
GTEX-14E6C-2426-SM-5S2NF 40-49 years, male 9.3
GTEX-ZF2S-1626-SM-57WES 50-59 years, female 9.3
GTEX-ZPCL-1126-SM-4WWFE 60-69 years, female 9.3
GTEX-18D9A-1426-SM-7LT8M 30-39 years, female 9.3
GTEX-1H11D-1826-SM-9QEHM 40-49 years, male 9.3
GTEX-1KANC-1226-SM-CYPT7 50-59 years, female 9.3
GTEX-1LG7Z-1626-SM-CXKYR 30-39 years, male 9.3
GTEX-1QW4Y-1126-SM-DTXE3 30-39 years, male 9.3
GTEX-14E6E-0526-SM-793DN 30-39 years, male 9.2
GTEX-17HII-1426-SM-7EPGG 50-59 years, male 9.2
GTEX-ZDYS-2426-SM-4WKGI 50-59 years, male 9.2
GTEX-1K9T9-1526-SM-DIPFR 50-59 years, female 9.2
GTEX-1211K-1526-SM-5FQU4 60-69 years, female 9.1
GTEX-WFG8-2126-SM-3GIKQ 20-29 years, male 9.1
GTEX-ZF29-0926-SM-4WKFZ 60-69 years, female 9.1
GTEX-1HFI7-2326-SM-CGQFS 50-59 years, female 9.1
GTEX-1LSNM-0826-SM-DIPG8 50-59 years, male 9.1
GTEX-1LVAN-0626-SM-CNPOQ 50-59 years, female 9.1
GTEX-ZLV1-1526-SM-DO91J 60-69 years, female 9.1
GTEX-13O3Q-0126-SM-5KM34 50-59 years, male 9.0
GTEX-1B932-2326-SM-79OL5 40-49 years, female 9.0
GTEX-XQ8I-0926-SM-4BOOF 50-59 years, male 9.0
GTEX-XV7Q-1826-SM-4BRUV 40-49 years, female 9.0
GTEX-1LVAO-2726-SM-E9TJ8 60-69 years, male 9.0
GTEX-13FH7-1126-SM-5K7UG 50-59 years, female 8.9
GTEX-X5EB-1926-SM-4E3IW 40-49 years, male 8.9
GTEX-1QCLZ-2426-SM-EVYBW 60-69 years, female 8.9
GTEX-11EQ9-1626-SM-5PNY8 30-39 years, male 8.8
GTEX-13U4I-2226-SM-5LU5H 40-49 years, female 8.8
GTEX-XOT4-0626-SM-4B66L 60-69 years, female 8.8
GTEX-1IDJI-0126-SM-CMKHS 50-59 years, female 8.8
GTEX-1MCC2-1826-SM-DIPEX 30-39 years, female 8.8
GTEX-111FC-2526-SM-5GZXU 60-69 years, male 8.7
GTEX-11LCK-2226-SM-5HL4Q 30-39 years, male 8.7
GTEX-1AMEY-0826-SM-72D65 30-39 years, female 8.7
GTEX-XUW1-0926-SM-4BONX 50-59 years, female 8.7
GTEX-1RMOY-1326-SM-E9TIH 50-59 years, male 8.7
GTEX-12BJ1-0926-SM-5EQ62 60-69 years, male 8.6
GTEX-13113-1626-SM-5EQ4I 60-69 years, female 8.6
GTEX-14BMU-1226-SM-5S2OR 20-29 years, female 8.6
GTEX-14PK6-0226-SM-62LF5 70-79 years, female 8.6
GTEX-16MTA-0926-SM-6M47Z 50-59 years, male 8.6
GTEX-ZYFG-1526-SM-5GZYM 60-69 years, female 8.6
GTEX-ZYW4-0626-SM-59HJR 60-69 years, male 8.6
GTEX-15CHQ-0326-SM-69LQD 60-69 years, male 8.5
GTEX-17MF6-2626-SM-79OKQ 40-49 years, male 8.5
GTEX-Z93S-1626-SM-5CVMB 50-59 years, male 8.5
GTEX-ZVZP-1226-SM-5GID7 50-59 years, male 8.5
GTEX-1NSGN-0726-SM-DTXEF 50-59 years, male 8.5
GTEX-1QCLY-0226-SM-EWRNH 30-39 years, male 8.5
GTEX-WHSB-1326-SM-3LK6W 50-59 years, male 8.4
GTEX-X4EP-0626-SM-3P621 60-69 years, female 8.4
GTEX-ZLFU-1826-SM-4WWBV 40-49 years, male 8.4
GTEX-1H23P-0626-SM-9WG6T 60-69 years, male 8.4
GTEX-1I4MK-0126-SM-CY8G6 50-59 years, female 8.4
GTEX-145LT-0526-SM-5LUB2 40-49 years, male 8.3
GTEX-15FZZ-0526-SM-7KUGD 30-39 years, female 8.3
GTEX-1QP9N-1226-SM-E76QN 30-39 years, male 8.3
GTEX-13OVG-1626-SM-5J1NF 60-69 years, male 8.2
GTEX-14A5H-0826-SM-5QGPJ 60-69 years, male 8.2
GTEX-XPVG-2126-SM-4B667 50-59 years, male 8.2
GTEX-1S3DN-2126-SM-E9TIN 50-59 years, male 8.1
GTEX-WI4N-2726-SM-3LK7Y 40-49 years, female 8.0
GTEX-1PIGE-1826-SM-E8VOU 20-29 years, male 7.9
GTEX-Y8LW-1526-SM-5IFHL 50-59 years, female 7.8
GTEX-1399R-1326-SM-5PNYS 30-39 years, male 7.7
GTEX-15DYW-2726-SM-6EU2I 60-69 years, female 7.7
GTEX-Y3I4-1726-SM-4TT89 50-59 years, male 7.7
GTEX-ZTSS-1426-SM-5985P 40-49 years, male 7.5
GTEX-ZF3C-0626-SM-DO92O 50-59 years, female 7.5
GTEX-1B996-0426-SM-7EWF8 60-69 years, male 7.4
GTEX-1JKYN-0826-SM-ARU8S 30-39 years, male 7.4
GTEX-11EM3-1226-SM-5N9DD 20-29 years, female 7.3
GTEX-Y9LG-1126-SM-4VBQ7 30-39 years, male 7.2
GTEX-1H1ZS-2726-SM-9WG75 70-79 years, male 7.2
GTEX-Y5V6-2326-SM-4VDSA 60-69 years, male 6.9
GTEX-YB5K-2026-SM-4VDT3 40-49 years, female 6.9
GTEX-YEC4-1826-SM-4W1YP 40-49 years, male 6.9
GTEX-14DAR-1226-SM-73KYV 50-59 years, male 6.5
Show allShow less
Skin - Sun Exposed (Lower leg)
Average nTPM: 11.9
Samples: 701

Max nTPM: 22.3
Min nTPM: 7.3
Std nTPM: 2.3
Median nTPM: 11.6
GTEX-14E6E-1826-SM-5S2R7 30-39 years, male 22.3
GTEX-SE5C-1626-SM-2XCE3 40-49 years, female 20.5
GTEX-POMQ-2226-SM-2I5FK 20-29 years, female 20.0
GTEX-13NYC-0326-SM-E9J4S 60-69 years, male 19.6
GTEX-13FHP-0126-SM-5IJBG 50-59 years, male 19.5
GTEX-ZTX8-1426-SM-5DUVO 20-29 years, male 19.4
GTEX-139UW-2826-SM-5L3E7 60-69 years, male 19.2
GTEX-13FXS-0226-SM-5IJCK 50-59 years, male 19.2
GTEX-1C475-1826-SM-73KWA 40-49 years, female 19.2
GTEX-SJXC-0126-SM-2XCFF 60-69 years, male 19.1
GTEX-15F5U-1526-SM-6PANO 40-49 years, male 18.8
GTEX-1B97I-1626-SM-73KYO 40-49 years, male 18.6
GTEX-PVOW-0126-SM-2XCFA 40-49 years, male 18.5
GTEX-1GMR3-1926-SM-9KNUZ 40-49 years, male 18.4
GTEX-11WQK-0526-SM-5EQLD 50-59 years, male 17.7
GTEX-1R9PM-2026-SM-E76OY 20-29 years, male 17.4
GTEX-183WM-0126-SM-7LTAB 70-79 years, female 17.3
GTEX-1L5NE-2526-SM-E6CIE 50-59 years, male 17.3
GTEX-QCQG-1726-SM-3GIJ9 50-59 years, female 17.0
GTEX-13OW5-0126-SM-DTXFS 60-69 years, male 17.0
GTEX-1PDJ9-0326-SM-DTX95 20-29 years, male 16.9
GTEX-11DXZ-2326-SM-5EGGV 50-59 years, male 16.8
GTEX-1F6RS-0126-SM-9MQKZ 60-69 years, female 16.8
GTEX-1LG7Z-1726-SM-D3LA4 30-39 years, male 16.8
GTEX-XYKS-2126-SM-4E3IB 60-69 years, female 16.7
GTEX-1EMGI-0126-SM-9KNUE 60-69 years, male 16.7
GTEX-1S82Z-0826-SM-E6CHY 30-39 years, female 16.6
GTEX-ZVZO-0126-SM-5A5L9 40-49 years, male 16.5
GTEX-1HFI6-0226-SM-ADEHZ 40-49 years, male 16.5
GTEX-1IKJJ-0126-SM-CNPQB 60-69 years, male 16.5
GTEX-1R9K4-0126-SM-DTX9X 60-69 years, male 16.5
GTEX-13YAN-0326-SM-5O9DF 60-69 years, male 16.4
GTEX-ZYFD-0126-SM-5GIDL 50-59 years, male 16.4
GTEX-14XAO-2326-SM-6EU1B 60-69 years, female 16.3
GTEX-WFG8-2226-SM-3GIL9 20-29 years, male 16.3
GTEX-1F75B-0126-SM-9KNVL 50-59 years, male 16.3
GTEX-1E2YA-0126-SM-9KNUC 50-59 years, male 16.2
GTEX-13111-1626-SM-5EGJY 50-59 years, male 16.1
GTEX-P44H-0226-SM-2XCEU 40-49 years, male 16.1
GTEX-11WQC-2526-SM-5CVLE 60-69 years, male 16.0
GTEX-139TS-2826-SM-5J1OO 60-69 years, male 16.0
GTEX-144FL-0126-SM-5TDC8 50-59 years, male 16.0
GTEX-1H3VE-0326-SM-9YFLH 40-49 years, male 16.0
GTEX-16AAH-1726-SM-7939C 50-59 years, male 15.9
GTEX-11TUW-2726-SM-E9J4M 60-69 years, male 15.9
GTEX-ZYT6-0226-SM-5NQ6T 30-39 years, male 15.8
GTEX-1JMQL-0226-SM-CNPP5 50-59 years, female 15.8
GTEX-W5X1-3026-SM-EAZAX 40-49 years, female 15.8
GTEX-1I6K6-0126-SM-A9SLE 30-39 years, male 15.7
GTEX-15G19-0126-SM-6PANQ 60-69 years, male 15.6
GTEX-1KANB-0526-SM-E6CJH 50-59 years, male 15.6
GTEX-SNMC-1226-SM-2XCFP 20-29 years, male 15.5
GTEX-1N2DW-0226-SM-E9TK2 50-59 years, male 15.5
GTEX-117YX-2326-SM-5H12W 50-59 years, male 15.4
GTEX-14PN4-0126-SM-6EU2V 50-59 years, male 15.4
GTEX-1F5PL-0326-SM-7P8PQ 40-49 years, female 15.4
GTEX-1HT8W-0126-SM-CNPPP 30-39 years, male 15.4
GTEX-1MJK2-0426-SM-DTXE5 50-59 years, male 15.4
GTEX-1QAET-0926-SM-E76QM 50-59 years, male 15.4
GTEX-Y8DK-0126-SM-4TT3L 60-69 years, male 15.3
GTEX-ZF2S-2326-SM-4WWCE 50-59 years, female 15.3
GTEX-ZV68-0126-SM-59HKS 50-59 years, female 15.3
GTEX-12KS4-0326-SM-5EQ41 30-39 years, male 15.2
GTEX-15SHU-0126-SM-7KUEH 40-49 years, female 15.2
GTEX-17HG3-2226-SM-7938L 30-39 years, female 15.2
GTEX-1KD4Q-0226-SM-E9TJ9 40-49 years, male 15.2
GTEX-YJ89-0126-SM-4TT3X 60-69 years, male 15.1
GTEX-1CB4F-0426-SM-9KNV4 60-69 years, male 15.1
GTEX-1I1GV-0526-SM-A9G29 60-69 years, male 15.1
GTEX-1JMLX-0226-SM-CM2RO 50-59 years, male 15.1
GTEX-1R7EU-0226-SM-EVR4G 60-69 years, male 15.1
GTEX-T6MO-1626-SM-32QOM 40-49 years, female 15.0
GTEX-1HFI7-1826-SM-ACKXH 50-59 years, female 15.0
GTEX-1JN6P-0126-SM-D3L98 60-69 years, male 15.0
GTEX-12ZZX-0126-SM-5EGK9 40-49 years, female 14.9
GTEX-1C6VR-2426-SM-79OLD 60-69 years, male 14.9
GTEX-1GF9X-2026-SM-7PC3A 40-49 years, female 14.9
GTEX-1GL5R-1826-SM-9KNUY 50-59 years, male 14.9
GTEX-1MA7X-2226-SM-E6CIY 60-69 years, male 14.9
GTEX-12584-0126-SM-5EGKQ 40-49 years, male 14.8
GTEX-1BAJH-0526-SM-793CQ 70-79 years, male 14.8
GTEX-1KANC-1526-SM-D3LAB 50-59 years, female 14.8
GTEX-17HII-0226-SM-7LG4E 50-59 years, male 14.7
GTEX-WFON-2126-SM-3LK7O 40-49 years, male 14.7
GTEX-Y3IK-2426-SM-4WWDU 50-59 years, female 14.7
GTEX-ZWKS-0126-SM-5SIAA 30-39 years, male 14.7
GTEX-1ICLZ-0126-SM-CKZPO 60-69 years, male 14.7
GTEX-1RQEC-0426-SM-E6CHU 60-69 years, male 14.7
GTEX-11OF3-2626-SM-5GU7F 60-69 years, male 14.6
GTEX-12WSJ-1826-SM-5GCNY 40-49 years, female 14.6
GTEX-14BIN-0626-SM-793DP 50-59 years, female 14.6
GTEX-ZU9S-0226-SM-5E441 30-39 years, male 14.6
GTEX-1AX9I-0126-SM-7SB74 60-69 years, male 14.6
GTEX-1HBPI-1526-SM-C1YQ1 50-59 years, male 14.6
GTEX-1HSKV-0226-SM-A9SKJ 60-69 years, male 14.6
GTEX-11TT1-2526-SM-5EGIB 20-29 years, male 14.5
GTEX-12WSL-2526-SM-5GCNJ 50-59 years, male 14.5
GTEX-13CF3-2426-SM-5IFGX 60-69 years, female 14.5
GTEX-1HSGN-0226-SM-CGQFV 40-49 years, female 14.5
GTEX-1LGOU-2026-SM-DIPFF 20-29 years, female 14.5
GTEX-13FTW-2626-SM-5K7WL 40-49 years, male 14.4
GTEX-1B8KE-2126-SM-73KYX 50-59 years, male 14.4
GTEX-TKQ1-1026-SM-4GICL 30-39 years, male 14.4
GTEX-1JJ6O-0126-SM-E6CI8 60-69 years, male 14.4
GTEX-12WSC-0126-SM-5EQ4P 50-59 years, male 14.3
GTEX-13JUV-2726-SM-5LZZ8 40-49 years, female 14.3
GTEX-16GPK-0126-SM-7DHLE 60-69 years, male 14.3
GTEX-1A3MX-0126-SM-731BR 60-69 years, male 14.3
GTEX-1CB4E-2226-SM-793DC 60-69 years, male 14.3
GTEX-11P7K-2126-SM-5GU7G 30-39 years, male 14.2
GTEX-1LSNM-1926-SM-E6CII 50-59 years, male 14.2
GTEX-1M5QR-1226-SM-EWROB 40-49 years, male 14.2
GTEX-1QMI2-0226-SM-EVYBX 60-69 years, male 14.2
GTEX-11XUK-2026-SM-5EQLF 40-49 years, female 14.1
GTEX-1399T-2826-SM-5KLYZ 60-69 years, male 14.1
GTEX-13NYB-2526-SM-5K7Z6 40-49 years, male 14.1
GTEX-1B8L1-2526-SM-9WYTF 60-69 years, male 14.1
GTEX-1F6IF-0726-SM-7P8TW 60-69 years, male 14.1
GTEX-1LBAC-0126-SM-DIPEZ 20-29 years, male 14.1
GTEX-18A7A-0226-SM-718BH 50-59 years, female 14.0
GTEX-1C64N-0126-SM-793D7 50-59 years, male 14.0
GTEX-QDVN-2026-SM-3GAEP 50-59 years, male 14.0
GTEX-1F6I4-0126-SM-9MQL2 60-69 years, male 14.0
GTEX-1GN1U-0126-SM-7PBZK 50-59 years, female 14.0
GTEX-1HR98-0126-SM-B2LWI 60-69 years, male 14.0
GTEX-OIZF-0126-SM-7SB8I 60-69 years, male 14.0
GTEX-11O72-0126-SM-59887 40-49 years, male 13.9
GTEX-15UKP-0426-SM-7KUFQ 20-29 years, male 13.9
GTEX-VJYA-1126-SM-3GIJU 60-69 years, male 13.9
GTEX-ZVE2-0226-SM-59HJB 50-59 years, male 13.9
GTEX-1EX96-1626-SM-7PBXR 50-59 years, male 13.9
GTEX-1HCU7-0226-SM-CL545 50-59 years, male 13.9
GTEX-13G51-2526-SM-5LZYK 60-69 years, male 13.8
GTEX-13VXU-0126-SM-5SI9F 50-59 years, male 13.8
GTEX-1CB4J-0626-SM-7DHMP 60-69 years, male 13.8
GTEX-1CB4G-0226-SM-7PC3O 60-69 years, male 13.8
GTEX-1GF9W-0326-SM-9KNUN 60-69 years, male 13.8
GTEX-1H3O1-0426-SM-9YFKY 60-69 years, male 13.8
GTEX-1J8JJ-0226-SM-CL53I 60-69 years, female 13.8
GTEX-1JJEA-0326-SM-CNPOT 60-69 years, male 13.8
GTEX-OOBJ-0126-SM-E6CJW 60-69 years, male 13.8
GTEX-13NYS-0126-SM-5MR3W 60-69 years, male 13.7
GTEX-1HSMQ-1226-SM-CGQFX 50-59 years, male 13.7
GTEX-QLQW-1126-SM-2S1Q8 30-39 years, male 13.6
GTEX-1H1CY-2826-SM-9MQM3 60-69 years, female 13.6
GTEX-1H3VY-0126-SM-ACKXD 50-59 years, male 13.6
GTEX-1IL2U-0226-SM-CE6T8 60-69 years, male 13.6
GTEX-1PPH8-0226-SM-E8VND 20-29 years, male 13.6
GTEX-11P81-2326-SM-59875 30-39 years, female 13.5
GTEX-1B8SG-0126-SM-73KZ3 50-59 years, male 13.5
GTEX-X4XY-0226-SM-4E3IZ 60-69 years, male 13.5
GTEX-1I1GU-2226-SM-CGQFA 40-49 years, male 13.5
GTEX-1K2DA-1826-SM-CGQGT 50-59 years, male 13.5
GTEX-13X6H-2126-SM-7EWD5 50-59 years, female 13.4
GTEX-17GQL-2026-SM-718BA 60-69 years, male 13.4
GTEX-Y114-2426-SM-4TT8A 50-59 years, female 13.4
GTEX-1IE54-0126-SM-CMKHW 40-49 years, female 13.4
GTEX-1IOXB-0126-SM-ARL8G 50-59 years, male 13.4
GTEX-1M4P7-0226-SM-DIPEV 60-69 years, male 13.4
GTEX-13SLW-0126-SM-5SI6C 70-79 years, male 13.3
GTEX-14C5O-0126-SM-5SI6N 60-69 years, male 13.3
GTEX-18D9A-1926-SM-7LG6P 30-39 years, female 13.3
GTEX-NPJ8-0126-SM-2YUNR 40-49 years, male 13.3
GTEX-X261-0126-SM-3NMD6 50-59 years, male 13.3
GTEX-1CB4H-0226-SM-7PBXM 60-69 years, female 13.3
GTEX-1LGRB-2526-SM-CNPPQ 50-59 years, female 13.3
GTEX-1OJC3-0126-SM-E76QX 20-29 years, male 13.3
GTEX-1RAZA-0126-SM-E6CI3 20-29 years, male 13.3
GTEX-145MF-0626-SM-5LUAI 50-59 years, male 13.2
GTEX-14PII-0226-SM-6EU1T 60-69 years, male 13.2
GTEX-15ETS-0126-SM-7KUMW 40-49 years, female 13.2
GTEX-Q734-1926-SM-2I5EV 40-49 years, female 13.2
GTEX-ZTPG-0326-SM-5O9AX 20-29 years, female 13.2
GTEX-1GMR8-0126-SM-9WYTM 50-59 years, female 13.2
GTEX-1GMRU-0126-SM-9YFLV 50-59 years, male 13.2
GTEX-1HB9E-0226-SM-E9U4R 50-59 years, male 13.2
GTEX-1NV5F-0226-SM-E8VNY 60-69 years, female 13.2
GTEX-11DYG-0126-SM-59883 60-69 years, male 13.1
GTEX-12WSE-0526-SM-793B2 20-29 years, male 13.1
GTEX-12WSK-2326-SM-5GCOH 40-49 years, female 13.1
GTEX-131XH-2226-SM-5DUXJ 50-59 years, male 13.1
GTEX-13SLX-0526-SM-5S2ON 50-59 years, female 13.1
GTEX-14PJM-0226-SM-62LF1 50-59 years, female 13.1
GTEX-17JCI-0126-SM-7LG5G 60-69 years, female 13.1
GTEX-1IKK5-0626-SM-ARL8A 60-69 years, male 13.1
GTEX-1J1OQ-0226-SM-CYPSH 40-49 years, female 13.1
GTEX-1PIGE-0126-SM-EVYBJ 20-29 years, male 13.1
GTEX-1QPFJ-0226-SM-E76PB 30-39 years, female 13.1
GTEX-132NY-0326-SM-5IJBL 60-69 years, male 13.0
GTEX-139TU-0126-SM-5K7WH 60-69 years, male 13.0
GTEX-15SHW-0326-SM-6PAML 60-69 years, male 13.0
GTEX-1A3MW-0126-SM-73KXX 60-69 years, female 13.0
GTEX-U3ZH-2026-SM-3DB78 30-39 years, male 13.0
GTEX-U8XE-0326-SM-3DB8P 30-39 years, male 13.0
GTEX-1PIIG-0226-SM-EWRN6 30-39 years, male 13.0
GTEX-PSDG-0226-SM-DKPOZ 50-59 years, male 13.0
GTEX-13112-2826-SM-5DUWH 50-59 years, male 12.9
GTEX-14DAQ-0126-SM-5S2MQ 60-69 years, female 12.9
GTEX-15EU6-0426-SM-6PAN5 50-59 years, male 12.9
GTEX-1EU9M-0226-SM-7P8SP 60-69 years, male 12.9
GTEX-1F5PK-2426-SM-7RHHY 50-59 years, male 12.9
GTEX-1H2FU-0126-SM-9WYSI 60-69 years, female 12.9
GTEX-1I4MK-2226-SM-ACKWD 50-59 years, female 12.9
GTEX-1399U-2326-SM-5K7WY 50-59 years, female 12.8
GTEX-14BMV-0126-SM-5S2PO 50-59 years, male 12.8
GTEX-17EVP-0326-SM-7DHLG 40-49 years, male 12.8
GTEX-17KNJ-2326-SM-7DHLQ 50-59 years, male 12.8
GTEX-1CB4I-0226-SM-79OLH 50-59 years, male 12.8
GTEX-1A8FM-0226-SM-7SB7Q 50-59 years, female 12.8
GTEX-1CAMS-0426-SM-7P8T2 40-49 years, female 12.8
GTEX-1GN2E-0426-SM-9MQKX 60-69 years, male 12.8
GTEX-1HCU9-1526-SM-A9SL7 20-29 years, male 12.8
GTEX-1I1GR-0126-SM-CL55F 60-69 years, male 12.7
GTEX-1IDJF-0126-SM-CM2RS 20-29 years, male 12.7
GTEX-1JMPZ-0226-SM-CNPP1 30-39 years, male 12.7
GTEX-1KD5A-0226-SM-D5OV3 50-59 years, male 12.7
GTEX-ZF3C-0126-SM-DO92D 50-59 years, female 12.7
GTEX-11ZU8-2526-SM-5EQKI 60-69 years, male 12.6
GTEX-139T8-0126-SM-5K7XZ 60-69 years, male 12.6
GTEX-18465-0126-SM-731BN 50-59 years, male 12.6
GTEX-1C4CL-0526-SM-73KVK 30-39 years, male 12.6
GTEX-OXRP-0126-SM-3NB32 60-69 years, female 12.6
GTEX-Y5V5-2326-SM-4V6GA 60-69 years, female 12.6
GTEX-YB5E-2026-SM-5IFIS 40-49 years, male 12.6
GTEX-ZQUD-1426-SM-57WER 30-39 years, male 12.6
GTEX-ZV6S-2326-SM-4YCEY 40-49 years, female 12.6
GTEX-ZVTK-0426-SM-51MRS 20-29 years, male 12.6
GTEX-1H3NZ-0126-SM-ACKX7 60-69 years, male 12.6
GTEX-1RDX4-0126-SM-E9J4P 50-59 years, female 12.6
GTEX-12ZZZ-0626-SM-5DUXI 60-69 years, male 12.5
GTEX-145LU-0126-SM-5TDCB 50-59 years, male 12.5
GTEX-14PHX-2326-SM-62LEM 50-59 years, male 12.5
GTEX-18D9U-0226-SM-718BP 40-49 years, male 12.5
GTEX-OXRK-0226-SM-3NB2G 50-59 years, female 12.5
GTEX-PX3G-0126-SM-2I3EN 20-29 years, female 12.5
GTEX-QDVJ-1726-SM-2I5FX 50-59 years, male 12.5
GTEX-Y111-0126-SM-4SOIV 50-59 years, male 12.5
GTEX-Z9EW-1626-SM-5CVMN 40-49 years, male 12.5
GTEX-ZGAY-0526-SM-4WWBB 40-49 years, female 12.5
GTEX-1GZ2Q-0226-SM-7P8TL 40-49 years, male 12.5
GTEX-1I19N-0326-SM-ACKVX 70-79 years, male 12.5
GTEX-1IY9M-0126-SM-D3L8S 60-69 years, male 12.5
GTEX-1JMQI-2226-SM-CM2SD 50-59 years, male 12.5
GTEX-11UD1-0126-SM-5PNYG 40-49 years, female 12.4
GTEX-13CF2-2526-SM-5LZYX 60-69 years, male 12.4
GTEX-14LZ3-0226-SM-62LET 60-69 years, female 12.4
GTEX-16XZZ-0126-SM-793DV 60-69 years, male 12.4
GTEX-18A66-0226-SM-718BD 60-69 years, male 12.4
GTEX-1AX9J-0226-SM-73KXM 60-69 years, male 12.4
GTEX-1E1VI-0126-SM-7DHMZ 50-59 years, male 12.4
GTEX-QLQ7-1626-SM-2S1R8 60-69 years, male 12.4
GTEX-WXYG-2326-SM-4E3I6 50-59 years, female 12.4
GTEX-1H11D-0226-SM-9WG6Z 40-49 years, male 12.4
GTEX-1MUQO-0126-SM-EAZ58 60-69 years, male 12.4
GTEX-1S83E-0126-SM-EWRO4 40-49 years, male 12.4
GTEX-ZQG8-1626-SM-DHXIT 60-69 years, female 12.4
GTEX-11ZUS-0626-SM-59885 30-39 years, male 12.3
GTEX-1212Z-2526-SM-5EGKP 60-69 years, male 12.3
GTEX-OHPM-0126-SM-2YUN9 50-59 years, male 12.3
GTEX-XBEW-0626-SM-4QASP 40-49 years, male 12.3
GTEX-1H1E6-1726-SM-ACKVK 30-39 years, male 12.3
GTEX-12ZZY-0226-SM-5LZVE 60-69 years, male 12.2
GTEX-1313W-0126-SM-5LZUN 50-59 years, female 12.2
GTEX-1399R-2726-SM-5IJBA 30-39 years, male 12.2
GTEX-14A5I-0126-SM-5TDEA 50-59 years, female 12.2
GTEX-15ER7-0326-SM-7KUEV 20-29 years, female 12.2
GTEX-18A6Q-0126-SM-731BZ 60-69 years, male 12.2
GTEX-1B996-0226-SM-7RHGO 60-69 years, male 12.2
GTEX-1F48J-0126-SM-7P8TT 50-59 years, female 12.2
GTEX-1IL2V-0126-SM-CM2TX 70-79 years, male 12.2
GTEX-1KXAM-2226-SM-CYPTC 60-69 years, male 12.2
GTEX-1PFEY-1526-SM-E76PP 30-39 years, male 12.2
GTEX-11GS4-2726-SM-5A5LE 60-69 years, male 12.1
GTEX-11UD2-0226-SM-5EQKY 50-59 years, male 12.1
GTEX-13FTX-1826-SM-5J1NX 20-29 years, female 12.1
GTEX-145ME-1826-SM-5SI9G 40-49 years, female 12.1
GTEX-17F96-1626-SM-7DUFL 70-79 years, male 12.1
GTEX-1AX9K-2326-SM-73KWU 50-59 years, male 12.1
GTEX-1B8KZ-2026-SM-7DHMB 50-59 years, male 12.1
GTEX-Q2AG-0126-SM-33HBV 40-49 years, female 12.1
GTEX-1F52S-0126-SM-9MQJU 60-69 years, female 12.1
GTEX-1F88F-2726-SM-7PBZZ 60-69 years, female 12.1
GTEX-1GZHY-0326-SM-9QEHI 50-59 years, female 12.1
GTEX-1JK1U-2026-SM-CM2RZ 60-69 years, male 12.1
GTEX-1KAFJ-2026-SM-CY8ID 50-59 years, male 12.1
GTEX-1N2DV-0226-SM-E6CJ6 40-49 years, male 12.1
GTEX-1OFPY-2426-SM-DTXEJ 60-69 years, male 12.1
GTEX-1QP9N-1426-SM-DTXFL 30-39 years, male 12.1
GTEX-1S82Y-2026-SM-EVYCM 40-49 years, male 12.1
GTEX-1192X-0226-SM-5H12D 50-59 years, male 12.0
GTEX-11ZTS-0126-SM-5EQ6M 60-69 years, female 12.0
GTEX-147GR-0526-SM-5S2MY 60-69 years, male 12.0
GTEX-17EUY-0426-SM-793BD 20-29 years, male 12.0
GTEX-RM2N-1426-SM-2TF4H 50-59 years, male 12.0
GTEX-RWS6-2026-SM-2XCB5 60-69 years, female 12.0
GTEX-TSE9-0126-SM-3DB83 60-69 years, female 12.0
GTEX-U412-0426-SM-3DB9O 60-69 years, male 12.0
GTEX-W5WG-1826-SM-4KL2Y 50-59 years, female 12.0
GTEX-XUYS-0126-SM-47JWZ 50-59 years, male 12.0
GTEX-ZAK1-0126-SM-5IJD3 50-59 years, female 12.0
GTEX-ZC5H-0226-SM-4WAY9 40-49 years, female 12.0
GTEX-1EWIQ-0126-SM-7RHH2 70-79 years, female 12.0
GTEX-1F75A-0126-SM-7RHGM 50-59 years, male 12.0
GTEX-1I1GQ-0126-SM-COH3H 50-59 years, male 12.0
GTEX-1O97I-0326-SM-EYYX7 60-69 years, male 12.0
GTEX-1POEN-0126-SM-EYYXJ 30-39 years, female 12.0
GTEX-1314G-1526-SM-5EGK2 30-39 years, male 11.9
GTEX-131YS-0126-SM-5KM1M 60-69 years, female 11.9
GTEX-148VJ-0126-SM-5TDDN 70-79 years, male 11.9
GTEX-16NGA-1726-SM-731B4 40-49 years, female 11.9
GTEX-17HGU-0226-SM-7DHKV 50-59 years, male 11.9
GTEX-183FY-0126-SM-7LT9P 20-29 years, male 11.9
GTEX-OOBK-0126-SM-2YUND 40-49 years, male 11.9
GTEX-WRHK-1426-SM-3MJF9 20-29 years, female 11.9
GTEX-ZE7O-0126-SM-57WC1 50-59 years, female 11.9
GTEX-1EN7A-0126-SM-7SB81 40-49 years, male 11.9
GTEX-1GN1W-0526-SM-9MQJQ 50-59 years, female 11.9
GTEX-1GZ4H-1726-SM-7PBZJ 50-59 years, female 11.9
GTEX-1JMQJ-0526-SM-CYPSU 50-59 years, male 11.9
GTEX-1MA7W-2026-SM-E9TJ6 20-29 years, female 11.9
GTEX-13OVL-0226-SM-5L3E9 50-59 years, male 11.8
GTEX-15DDE-0126-SM-6LPKH 50-59 years, female 11.8
GTEX-1A3MV-1926-SM-718BT 30-39 years, male 11.8
GTEX-TML8-1926-SM-32QOS 40-49 years, female 11.8
GTEX-XUZC-1726-SM-4BRWS 30-39 years, female 11.8
GTEX-1H1DE-2126-SM-9WG6R 20-29 years, male 11.8
GTEX-1HCUA-2426-SM-ADEIS 50-59 years, female 11.8
GTEX-ZVT4-0126-SM-DTXFN 50-59 years, female 11.8
GTEX-145LS-0126-SM-5QGP1 60-69 years, female 11.7
GTEX-145LV-2126-SM-5LU8N 50-59 years, male 11.7
GTEX-R3RS-0126-SM-3GIJL 40-49 years, female 11.7
GTEX-ZZ64-1726-SM-5GZYB 20-29 years, male 11.7
GTEX-1GN73-0226-SM-9WG67 60-69 years, male 11.7
GTEX-1HSMO-0126-SM-CL547 60-69 years, male 11.7
GTEX-1HSMP-0126-SM-E6CJS 70-79 years, male 11.7
GTEX-1IDFM-0126-SM-COH2V 60-69 years, male 11.7
GTEX-1J8EW-0126-SM-CJI4F 60-69 years, female 11.7
GTEX-1J8Q3-1626-SM-CMKGC 60-69 years, male 11.7
GTEX-1JN76-0126-SM-CNPPE 20-29 years, female 11.7
GTEX-11NSD-2226-SM-5986V 20-29 years, male 11.6
GTEX-11NUK-0126-SM-5A5L3 50-59 years, male 11.6
GTEX-12126-0326-SM-5PNW3 20-29 years, male 11.6
GTEX-12696-2426-SM-5EQ6H 60-69 years, male 11.6
GTEX-13PDP-0126-SM-5L3HD 60-69 years, male 11.6
GTEX-13VXT-0126-SM-5LU4I 20-29 years, female 11.6
GTEX-14PJ3-1826-SM-62LEX 50-59 years, male 11.6
GTEX-14PN3-2426-SM-6LLHS 60-69 years, female 11.6
GTEX-16XZY-2126-SM-79OK1 70-79 years, male 11.6
GTEX-S7PM-0126-SM-4AD6S 60-69 years, male 11.6
GTEX-T5JC-0426-SM-32PLO 20-29 years, male 11.6
GTEX-T6MN-0126-SM-32PLP 50-59 years, male 11.6
GTEX-1I1CD-0126-SM-CM2TK 60-69 years, female 11.6
GTEX-ZF29-2326-SM-DO92K 60-69 years, female 11.6
GTEX-111FC-0126-SM-5N9DL 60-69 years, male 11.5
GTEX-11DXX-2426-SM-5GZZW 60-69 years, female 11.5
GTEX-13OW6-0426-SM-5L3HM 50-59 years, male 11.5
GTEX-13X6J-0126-SM-5QGOU 50-59 years, male 11.5
GTEX-144GN-2326-SM-5LU4F 50-59 years, male 11.5
GTEX-14ABY-0226-SM-5TDCQ 50-59 years, male 11.5
GTEX-15SDE-2226-SM-7IGLO 50-59 years, female 11.5
GTEX-15UF6-0826-SM-6PALJ 70-79 years, female 11.5
GTEX-1AYD5-2426-SM-73KXR 50-59 years, male 11.5
GTEX-1CAMR-1926-SM-7EPI2 20-29 years, male 11.5
GTEX-T2IS-0126-SM-4DM6O 20-29 years, female 11.5
GTEX-T8EM-1026-SM-3DB7M 40-49 years, male 11.5
GTEX-Y8E4-0626-SM-4WWDL 40-49 years, male 11.5
GTEX-ZE9C-2726-SM-57WB5 60-69 years, male 11.5
GTEX-1HBPN-0226-SM-9YFM1 50-59 years, male 11.5
GTEX-1JKYR-0126-SM-CNPOJ 20-29 years, male 11.5
GTEX-1KANA-0726-SM-D3L9I 20-29 years, male 11.5
GTEX-1LB8K-0226-SM-EWRNW 50-59 years, male 11.5
GTEX-1QP2A-0126-SM-E9J43 50-59 years, male 11.5
GTEX-117XS-2726-SM-5N9BL 60-69 years, male 11.4
GTEX-13OVK-2026-SM-7KUEO 40-49 years, male 11.4
GTEX-13RTK-1426-SM-5QGQJ 20-29 years, male 11.4
GTEX-13W3W-2426-SM-5LU5B 60-69 years, female 11.4
GTEX-18A67-0126-SM-7LG5P 50-59 years, male 11.4
GTEX-OIZG-0726-SM-33HBL 50-59 years, male 11.4
GTEX-T5JW-1626-SM-3GADZ 20-29 years, female 11.4
GTEX-Y5V6-2426-SM-4VDSB 60-69 years, male 11.4
GTEX-YB5K-2126-SM-4WWDJ 40-49 years, female 11.4
GTEX-YJ8A-0426-SM-5IFID 20-29 years, male 11.4
GTEX-ZEX8-2426-SM-4WKG4 50-59 years, male 11.4
GTEX-1HCU6-0126-SM-CL54K 60-69 years, female 11.4
GTEX-1HCU8-0626-SM-A9SM9 60-69 years, female 11.4
GTEX-1J8Q2-0526-SM-CM2RW 60-69 years, male 11.4
GTEX-1LVAN-0226-SM-COH3S 50-59 years, female 11.4
GTEX-1211K-2026-SM-5EQ4Z 60-69 years, female 11.3
GTEX-13O3P-0126-SM-5KM4S 50-59 years, male 11.3
GTEX-14753-0426-SM-5NQAM 60-69 years, male 11.3
GTEX-XQ3S-1526-SM-4BOOC 20-29 years, male 11.3
GTEX-XV7Q-2526-SM-4BRV9 40-49 years, female 11.3
GTEX-Y5LM-1926-SM-5RQJH 40-49 years, female 11.3
GTEX-1GN1V-0126-SM-9WPOS 60-69 years, male 11.3
GTEX-1IGQW-0126-SM-COH42 60-69 years, male 11.3
GTEX-1JMPY-1326-SM-ARL8Y 30-39 years, male 11.3
GTEX-1S5ZA-0126-SM-EVYCV 20-29 years, male 11.3
GTEX-13N11-2526-SM-5K7UE 50-59 years, female 11.2
GTEX-17MF6-0126-SM-7LG4F 40-49 years, male 11.2
GTEX-O5YT-0126-SM-48TBW 20-29 years, male 11.2
GTEX-XMD2-0126-SM-4YCDU 60-69 years, female 11.2
GTEX-Y3I4-2126-SM-4TT7C 50-59 years, male 11.2
GTEX-1GPI6-0126-SM-9WG69 60-69 years, male 11.2
GTEX-1GPI7-0126-SM-9MQL8 20-29 years, male 11.2
GTEX-1H1DG-0126-SM-9WYU2 70-79 years, male 11.2
GTEX-1J1R8-1726-SM-ARL8M 40-49 years, male 11.2
GTEX-131XW-0426-SM-5LZWP 50-59 years, female 11.1
GTEX-147F3-0526-SM-5SI98 50-59 years, female 11.1
GTEX-15DCD-0126-SM-7KUEK 70-79 years, female 11.1
GTEX-18D9B-0526-SM-7LTAS 60-69 years, male 11.1
GTEX-1C2JI-1826-SM-73KXC 50-59 years, male 11.1
GTEX-UPJH-0326-SM-3GADU 50-59 years, male 11.1
GTEX-VJWN-0126-SM-3GIK7 50-59 years, female 11.1
GTEX-WQUQ-0426-SM-3MJFU 60-69 years, male 11.1
GTEX-ZUA1-0126-SM-5GU76 40-49 years, male 11.1
GTEX-1CAV2-2226-SM-7P8P2 40-49 years, female 11.1
GTEX-1EKGG-0226-SM-9WYTH 60-69 years, male 11.1
GTEX-1JKYN-1326-SM-CGQG9 30-39 years, male 11.1
GTEX-1QCLY-0326-SM-E8VOG 30-39 years, male 11.1
GTEX-1RB15-2126-SM-E9TIM 60-69 years, male 11.1
GTEX-1192W-2626-SM-5Q5AF 60-69 years, male 11.0
GTEX-13S7M-0126-SM-5SI6A 60-69 years, female 11.0
GTEX-14BMU-2226-SM-5TDE9 20-29 years, female 11.0
GTEX-16BQI-0226-SM-7KUEX 30-39 years, female 11.0
GTEX-1CAMQ-0226-SM-7IGPK 40-49 years, male 11.0
GTEX-OIZH-0126-SM-2HMIS 50-59 years, male 11.0
GTEX-OXRN-0126-SM-48TDM 50-59 years, male 11.0
GTEX-QVJO-1626-SM-2S1QW 60-69 years, female 11.0
GTEX-YFC4-0126-SM-5CVLY 40-49 years, female 11.0
GTEX-ZTSS-1926-SM-57WEW 40-49 years, male 11.0
GTEX-1JJE9-0326-SM-CL53Z 70-79 years, male 11.0
GTEX-1K2DU-2326-SM-E9TIV 20-29 years, male 11.0
GTEX-1PWST-0226-SM-E76QJ 70-79 years, male 11.0
GTEX-11EI6-0126-SM-5985R 60-69 years, male 10.9
GTEX-144GL-0126-SM-5TDE2 50-59 years, male 10.9
GTEX-145MI-0526-SM-5O9A8 60-69 years, female 10.9
GTEX-146FQ-0126-SM-5NQA9 30-39 years, male 10.9
GTEX-14JG1-0426-SM-6ETZZ 40-49 years, male 10.9
GTEX-17MFQ-1726-SM-793C7 20-29 years, male 10.9
GTEX-18QFQ-0126-SM-731BE 30-39 years, male 10.9
GTEX-1HGF4-2426-SM-ACKXM 60-69 years, male 10.9
GTEX-1LG7Y-0526-SM-DKPQC 50-59 years, male 10.9
GTEX-11ZVC-2526-SM-5FQTE 50-59 years, female 10.8
GTEX-12WSA-0226-SM-5BC5V 60-69 years, male 10.8
GTEX-13IVO-0126-SM-5J1NG 70-79 years, male 10.8
GTEX-13N2G-2626-SM-5J1OT 60-69 years, male 10.8
GTEX-13X6I-0626-SM-5QGP9 60-69 years, male 10.8
GTEX-1497J-2426-SM-7IGNX 60-69 years, male 10.8
GTEX-14ICK-0226-SM-6EU25 40-49 years, male 10.8
GTEX-WYJK-0126-SM-3NMAB 50-59 years, male 10.8
GTEX-ZVT3-0126-SM-5GU6I 60-69 years, female 10.8
GTEX-1IKOH-0226-SM-COH4E 60-69 years, female 10.8
GTEX-12C56-1726-SM-5EQ61 20-29 years, male 10.7
GTEX-1AX8Z-0126-SM-7DHM6 60-69 years, male 10.7
GTEX-NFK9-0226-SM-2HMKQ 40-49 years, male 10.7
GTEX-Q2AI-1326-SM-2S1PL 40-49 years, male 10.7
GTEX-SIU8-0126-SM-2XCDT 50-59 years, male 10.7
GTEX-12WSG-2826-SM-E9J4H 50-59 years, female 10.7
GTEX-1I1GS-0126-SM-B2LVW 60-69 years, male 10.7
GTEX-1NHNU-1026-SM-E9J2A 50-59 years, male 10.7
GTEX-RNOR-0126-SM-E9J4R 50-59 years, female 10.7
GTEX-131XE-2326-SM-5PNZ2 50-59 years, male 10.6
GTEX-14DAR-2026-SM-5S2O3 50-59 years, male 10.6
GTEX-14E6D-0126-SM-62LDV 50-59 years, male 10.6
GTEX-14E7W-0126-SM-6LLJ9 70-79 years, male 10.6
GTEX-14JG6-2226-SM-6EU2G 30-39 years, female 10.6
GTEX-17F97-0326-SM-7LG5B 50-59 years, male 10.6
GTEX-RUSQ-1526-SM-2TF62 50-59 years, male 10.6
GTEX-S32W-2126-SM-2XCB1 50-59 years, female 10.6
GTEX-XAJ8-0826-SM-47JY6 40-49 years, male 10.6
GTEX-1H4P4-0726-SM-9YFLR 50-59 years, male 10.6
GTEX-1HUB1-0426-SM-E9U4U 60-69 years, male 10.6
GTEX-1JMQK-0226-SM-CL543 60-69 years, male 10.6
GTEX-1S3DN-2226-SM-EVYCD 50-59 years, male 10.6
GTEX-111VG-2426-SM-5GZXD 60-69 years, male 10.5
GTEX-1128S-2326-SM-5GZZY 60-69 years, female 10.5
GTEX-117YW-2626-SM-5GZZH 50-59 years, male 10.5
GTEX-145MN-2226-SM-5SIAU 30-39 years, male 10.5
GTEX-17F98-0626-SM-79OMX 40-49 years, female 10.5
GTEX-17HHY-0126-SM-7LG5D 50-59 years, male 10.5
GTEX-V1D1-2226-SM-3NMAX 50-59 years, male 10.5
GTEX-WOFL-0126-SM-3MJG2 60-69 years, male 10.5
GTEX-X585-0226-SM-4QAS2 50-59 years, male 10.5
GTEX-ZDTS-0126-SM-4WAY5 60-69 years, male 10.5
GTEX-ZVZP-2426-SM-59HKJ 50-59 years, male 10.5
GTEX-146FR-1326-SM-E9J48 60-69 years, female 10.5
GTEX-1F75I-0326-SM-9YFLU 40-49 years, male 10.5
GTEX-1IDJH-0326-SM-A9SLQ 70-79 years, male 10.5
GTEX-11H98-0126-SM-5EGHG 50-59 years, male 10.4
GTEX-1269C-2526-SM-5EGJ3 60-69 years, female 10.4
GTEX-139D8-0226-SM-5KLZO 30-39 years, female 10.4
GTEX-13N1W-0126-SM-5K7VT 70-79 years, male 10.4
GTEX-13OVG-1926-SM-5L3DK 60-69 years, male 10.4
GTEX-13PVR-2326-SM-5QGR1 60-69 years, female 10.4
GTEX-14BIL-0126-SM-5SI92 50-59 years, male 10.4
GTEX-15D1Q-0126-SM-7KUG6 40-49 years, male 10.4
GTEX-UJHI-1526-SM-3DB99 50-59 years, female 10.4
GTEX-XBED-2226-SM-47JYQ 60-69 years, male 10.4
GTEX-XPVG-2626-SM-4B669 50-59 years, male 10.4
GTEX-ZDXO-3026-SM-5J1N5 60-69 years, male 10.4
GTEX-13FH7-2026-SM-E9J4I 50-59 years, female 10.4
GTEX-1H23P-0126-SM-ADEJ3 60-69 years, male 10.4
GTEX-11VI4-1726-SM-5CVLH 40-49 years, female 10.3
GTEX-13FHO-0226-SM-5IFGY 60-69 years, male 10.3
GTEX-13OW8-1326-SM-5J1OW 60-69 years, male 10.3
GTEX-OXRO-0126-SM-2YUN4 60-69 years, female 10.3
GTEX-WVJS-0126-SM-4MVOT 50-59 years, male 10.3
GTEX-WY7C-2326-SM-3NB2U 50-59 years, male 10.3
GTEX-X88G-0126-SM-47JZ3 30-39 years, male 10.3
GTEX-Z93T-0126-SM-5HL5N 50-59 years, male 10.3
GTEX-ZAB5-1826-SM-5HL7C 50-59 years, male 10.3
GTEX-ZDTT-2726-SM-4WKF8 60-69 years, male 10.3
GTEX-1J8QM-2126-SM-CYPSJ 60-69 years, female 10.3
GTEX-1LC47-0326-SM-E9TJP 60-69 years, male 10.3
GTEX-1N2EF-0226-SM-EYYXB 60-69 years, male 10.3
GTEX-11EM3-2426-SM-59861 20-29 years, female 10.2
GTEX-11GSO-2426-SM-5A5LY 60-69 years, male 10.2
GTEX-11P82-1626-SM-59879 20-29 years, male 10.2
GTEX-12WSD-0126-SM-59HKN 60-69 years, female 10.2
GTEX-139TT-0126-SM-5K7Y5 60-69 years, male 10.2
GTEX-13NZA-0226-SM-5K7Z7 60-69 years, male 10.2
GTEX-QESD-1426-SM-2S1R9 20-29 years, male 10.2
GTEX-RN64-0126-SM-2TC68 50-59 years, male 10.2
GTEX-S7SE-0126-SM-2XCD5 50-59 years, male 10.2
GTEX-SUCS-1926-SM-32PM3 70-79 years, male 10.2
GTEX-XXEK-2226-SM-4BRUM 50-59 years, male 10.2
GTEX-ZY6K-1826-SM-5GZXK 50-59 years, male 10.2
GTEX-1C64O-0126-SM-7SB8P 60-69 years, male 10.2
GTEX-1MGNQ-0126-SM-EVYCJ 40-49 years, male 10.2
GTEX-1QEPI-0126-SM-EWRMQ 60-69 years, female 10.2
GTEX-1R7EV-2426-SM-EVYBG 40-49 years, male 10.2
GTEX-16NPX-0226-SM-79OMT 50-59 years, male 10.1
GTEX-18A7B-0126-SM-7LG64 70-79 years, male 10.1
GTEX-1A32A-0126-SM-718B1 50-59 years, female 10.1
GTEX-1B8SF-1426-SM-7DUGL 60-69 years, male 10.1
GTEX-ZXG5-0126-SM-5GIEU 60-69 years, male 10.1
GTEX-ZYFC-0226-SM-5NQ75 50-59 years, male 10.1
GTEX-ZZPT-0226-SM-5E43X 50-59 years, male 10.1
GTEX-169BO-1326-SM-9MQK2 50-59 years, male 10.1
GTEX-1C6WA-0126-SM-7PC2B 60-69 years, male 10.1
GTEX-1I1GP-2226-SM-CGQFK 50-59 years, male 10.1
GTEX-1I1GT-0626-SM-CGQER 60-69 years, female 10.1
GTEX-1IDJU-2626-SM-CM2RT 60-69 years, female 10.1
GTEX-1KWVE-1426-SM-E9TJO 30-39 years, male 10.1
GTEX-PW2O-1526-SM-7RHHB 20-29 years, male 10.1
GTEX-11LCK-1026-SM-5A5KB 30-39 years, male 10.0
GTEX-133LE-1826-SM-5J1MV 20-29 years, female 10.0
GTEX-13D11-2426-SM-5KM1V 50-59 years, female 10.0
GTEX-13NZ8-0826-SM-5MR3I 60-69 years, female 10.0
GTEX-13O21-1426-SM-5K7XI 50-59 years, male 10.0
GTEX-15DYW-0126-SM-7KULE 60-69 years, female 10.0
GTEX-17HHE-2026-SM-79OKF 50-59 years, male 10.0
GTEX-1AMEY-1326-SM-73KYK 30-39 years, female 10.0
GTEX-1AYCT-2426-SM-7IGQ3 50-59 years, male 10.0
GTEX-OHPL-0126-SM-2HMJ7 60-69 years, female 10.0
GTEX-WZTO-0126-SM-3NM95 40-49 years, male 10.0
GTEX-1HBPH-0426-SM-B2LW5 40-49 years, female 10.0
GTEX-1122O-2126-SM-5EGIR 60-69 years, female 9.9
GTEX-11DXW-0226-SM-5H122 40-49 years, male 9.9
GTEX-SSA3-0126-SM-32QPU 60-69 years, male 9.9
GTEX-ZAJG-0126-SM-5HL94 50-59 years, female 9.9
GTEX-1GF9U-2126-SM-7SB7L 40-49 years, female 9.9
GTEX-1LH75-2426-SM-E9TJE 50-59 years, female 9.9
GTEX-11ZTT-2426-SM-5EQLS 60-69 years, female 9.8
GTEX-14PHW-0126-SM-6LLJI 60-69 years, female 9.8
GTEX-15RIG-0226-SM-7KFTL 40-49 years, male 9.8
GTEX-1C6VS-0526-SM-7DUEN 60-69 years, male 9.8
GTEX-X4EO-0326-SM-3P5YO 60-69 years, female 9.8
GTEX-YEC4-2126-SM-5IFJH 40-49 years, male 9.8
GTEX-1B933-0126-SM-7PC29 50-59 years, female 9.8
GTEX-1HKZK-0326-SM-9WYUH 40-49 years, male 9.8
GTEX-1LNCM-1126-SM-E9U5E 50-59 years, female 9.8
GTEX-12WSN-5019-SM-79OM6 40-49 years, male 9.7
GTEX-14BIM-0226-SM-7IGLD 60-69 years, female 9.7
GTEX-15SB6-1726-SM-6PAME 50-59 years, female 9.7
GTEX-R55G-2526-SM-2TC6D 40-49 years, female 9.7
GTEX-X4XX-0126-SM-3NMC2 60-69 years, male 9.7
GTEX-1K9T9-0126-SM-EVYCF 50-59 years, female 9.7
GTEX-11DXY-2626-SM-5GIE7 60-69 years, male 9.6
GTEX-13U4I-0126-SM-5LU38 40-49 years, female 9.6
GTEX-RU72-0926-SM-2TF6B 50-59 years, female 9.6
GTEX-ZAB4-0226-SM-5N9F5 40-49 years, male 9.6
GTEX-1HSEH-0126-SM-ACKXN 60-69 years, male 9.6
GTEX-1QP29-0626-SM-EWRMX 50-59 years, male 9.6
GTEX-13FTY-0526-SM-5L3EV 40-49 years, female 9.5
GTEX-13O3Q-2426-SM-5IJBR 50-59 years, male 9.5
GTEX-146FH-0126-SM-5QGPP 50-59 years, female 9.5
GTEX-14PJ6-2126-SM-6EU1V 60-69 years, female 9.5
GTEX-QEG4-0226-SM-2S1PY 30-39 years, male 9.5
GTEX-ZDYS-2026-SM-5HL5L 50-59 years, male 9.5
GTEX-1HBPM-0226-SM-ARL9F 60-69 years, female 9.5
GTEX-1JMOU-1526-SM-CL54I 60-69 years, female 9.5
GTEX-11EQ9-2426-SM-5HL5T 30-39 years, male 9.4
GTEX-13OW7-0126-SM-5MR3B 50-59 years, male 9.4
GTEX-14A5H-0426-SM-5QGQF 60-69 years, male 9.4
GTEX-ZXES-1826-SM-5E43S 30-39 years, female 9.4
GTEX-13O3O-0126-SM-E9J49 60-69 years, female 9.4
GTEX-1QP67-1626-SM-EAZ3X 40-49 years, female 9.4
GTEX-1R46S-0626-SM-E9J41 60-69 years, female 9.4
GTEX-1RLM8-2326-SM-EWRN4 50-59 years, male 9.4
GTEX-11OC5-0126-SM-5HL6A 60-69 years, male 9.3
GTEX-139T4-0226-SM-5HL5S 50-59 years, female 9.3
GTEX-13OVI-1426-SM-5L3EY 60-69 years, female 9.3
GTEX-14E6C-0126-SM-5RQIP 40-49 years, male 9.3
GTEX-17EVQ-0226-SM-7LG4P 70-79 years, male 9.3
GTEX-RTLS-0126-SM-447CA 60-69 years, female 9.3
GTEX-ZYW4-0126-SM-5E44A 60-69 years, male 9.3
GTEX-1ICG6-2526-SM-CGQFZ 70-79 years, female 9.3
GTEX-1PPH7-2326-SM-EVYB8 40-49 years, male 9.3
GTEX-PLZ6-1426-SM-DKPOT 30-39 years, male 9.3
GTEX-RVPV-0126-SM-EAZAW 60-69 years, male 9.3
GTEX-S33H-1026-SM-EZ6L6 30-39 years, male 9.3
GTEX-148VI-1626-SM-5SI6E 60-69 years, female 9.2
GTEX-P4QT-0126-SM-2I3FL 50-59 years, female 9.2
GTEX-Q2AH-1626-SM-3GAF8 40-49 years, male 9.2
GTEX-RWSA-0126-SM-2XCBB 40-49 years, male 9.2
GTEX-X62O-0126-SM-4E3JN 50-59 years, male 9.2
GTEX-Z93S-0126-SM-5HL7M 50-59 years, male 9.2
GTEX-ZYY3-0126-SM-5GZY5 60-69 years, female 9.2
GTEX-1MCQQ-0826-SM-DLHC2 60-69 years, male 9.2
GTEX-113JC-2326-SM-5EQ4E 50-59 years, female 9.1
GTEX-11DZ1-0126-SM-5985Q 50-59 years, male 9.1
GTEX-14JIY-0126-SM-6LLH6 60-69 years, male 9.1
GTEX-PWO3-1526-SM-48TCM 60-69 years, female 9.1
GTEX-QV44-1926-SM-2S1RF 50-59 years, male 9.1
GTEX-VUSG-2526-SM-4KL1V 50-59 years, male 9.1
GTEX-XQ8I-0426-SM-4BOPO 50-59 years, male 9.1
GTEX-1PBJI-0526-SM-E8VNK 20-29 years, female 9.1
GTEX-13O1R-0126-SM-5L3EH 60-69 years, male 9.0
GTEX-13OVH-0126-SM-5MR4B 70-79 years, male 9.0
GTEX-145MO-0326-SM-5Q5B3 60-69 years, male 9.0
GTEX-U3ZN-2326-SM-3DB7W 30-39 years, female 9.0
GTEX-1GF9V-0326-SM-7RHI5 60-69 years, male 9.0
GTEX-1H1ZS-0426-SM-9WG6G 70-79 years, male 9.0
GTEX-1HCVE-0126-SM-CGQEU 50-59 years, male 9.0
GTEX-11EMC-2926-SM-5EQ4F 60-69 years, female 8.9
GTEX-13OVJ-0126-SM-5KM36 50-59 years, female 8.9
GTEX-147F4-0226-SM-5QGPW 50-59 years, male 8.9
GTEX-P4PQ-0126-SM-2S1NM 60-69 years, male 8.9
GTEX-1F7RK-0126-SM-7PC2S 20-29 years, female 8.9
GTEX-11GSP-2526-SM-5N9BP 60-69 years, female 8.8
GTEX-14LLW-0126-SM-6LLIO 70-79 years, female 8.8
GTEX-OXRL-0126-SM-2YUMP 50-59 years, male 8.8
GTEX-R55E-0126-SM-2TC5Y 20-29 years, male 8.8
GTEX-SN8G-0126-SM-32PLI 50-59 years, female 8.8
GTEX-ZYFG-2326-SM-5E44B 60-69 years, female 8.8
GTEX-1I1HK-0126-SM-COH49 60-69 years, male 8.8
GTEX-R45C-0126-SM-EAZ2R 60-69 years, female 8.8
GTEX-16MT8-0426-SM-7KUEY 60-69 years, female 8.7
GTEX-PLZ5-2026-SM-2S1O4 50-59 years, male 8.7
GTEX-U3ZM-1526-SM-3DB9D 40-49 years, male 8.7
GTEX-U4B1-1826-SM-4DXSU 40-49 years, male 8.7
GTEX-1QW4Y-1526-SM-EAZ3Z 30-39 years, male 8.7
GTEX-145LT-1726-SM-5QGP3 40-49 years, male 8.6
GTEX-14PK6-1926-SM-6ETZU 70-79 years, female 8.6
GTEX-15EOM-0126-SM-7KUGG 20-29 years, female 8.6
GTEX-WH7G-2326-SM-3NMBC 40-49 years, male 8.6
GTEX-WYVS-2126-SM-3NMA3 40-49 years, female 8.6
GTEX-XUW1-0426-SM-4BOOT 50-59 years, female 8.6
GTEX-1C6VQ-0126-SM-7P8RI 50-59 years, male 8.6
GTEX-1JN1M-0326-SM-CYPT3 60-69 years, female 8.6
GTEX-11TTK-0126-SM-5987B 60-69 years, female 8.5
GTEX-131XG-2626-SM-5KM17 50-59 years, female 8.5
GTEX-U8T8-0126-SM-3DB94 60-69 years, male 8.5
GTEX-ZF28-0126-SM-4WKGK 60-69 years, male 8.5
GTEX-ZVT2-2526-SM-51MT1 50-59 years, female 8.5
GTEX-1GTWX-0126-SM-9YFLK 60-69 years, male 8.5
GTEX-1ICLY-0126-SM-D4P36 50-59 years, male 8.5
GTEX-1QP66-1726-SM-E8VO1 50-59 years, male 8.5
GTEX-PWCY-1826-SM-DHXIZ 20-29 years, female 8.5
GTEX-ZPIC-1726-SM-DHXIU 40-49 years, female 8.5
GTEX-14A6H-0126-SM-5QGPK 30-39 years, male 8.4
GTEX-16YQH-0126-SM-7DUFJ 30-39 years, male 8.4
GTEX-S95S-1226-SM-4GICG 60-69 years, male 8.4
GTEX-1MCYP-1926-SM-E9J2R 20-29 years, female 8.4
GTEX-13RTJ-2426-SM-5S2Q2 60-69 years, male 8.3
GTEX-13RTL-0126-SM-7LG5S 40-49 years, male 8.3
GTEX-15CHC-2126-SM-6EU21 60-69 years, female 8.3
GTEX-13NZB-2526-SM-5J1OM 30-39 years, male 8.2
GTEX-1AMFI-2026-SM-731BH 50-59 years, female 8.2
GTEX-X4EP-0126-SM-3P5YV 60-69 years, female 8.2
GTEX-TMMY-0226-SM-33HBA 40-49 years, female 8.1
GTEX-X8HC-0126-SM-4E3JW 50-59 years, female 8.1
GTEX-O5YW-0126-SM-3LK6D 50-59 years, male 8.0
GTEX-P4PP-0126-SM-3LK69 30-39 years, female 8.0
GTEX-PLZ4-0126-SM-5SI8O 50-59 years, female 8.0
GTEX-1OJC4-0126-SM-E9J2E 50-59 years, female 8.0
GTEX-1R9PO-2126-SM-E9J4O 60-69 years, female 8.0
GTEX-1RAZQ-0726-SM-EAZ43 30-39 years, male 8.0
GTEX-13QJ3-0326-SM-5S2RA 50-59 years, male 7.9
GTEX-13113-5016-SM-7EPIP 60-69 years, female 7.8
GTEX-QDT8-0126-SM-48TZ1 30-39 years, female 7.8
GTEX-X5EB-2226-SM-46MW4 40-49 years, male 7.8
GTEX-13W46-0226-SM-5SIAG 50-59 years, male 7.7
GTEX-X638-0126-SM-47JZ8 70-79 years, female 7.7
GTEX-Y8LW-1826-SM-5S2MV 50-59 years, female 7.7
GTEX-TMZS-0126-SM-3DB9Q 60-69 years, male 7.6
GTEX-T2YK-0526-SM-32QPJ 50-59 years, male 7.5
GTEX-WI4N-1026-SM-3LK7N 40-49 years, female 7.5
GTEX-113IC-0126-SM-5HL6T 60-69 years, male 7.4
GTEX-131XF-5016-SM-7MGWE 60-69 years, male 7.3
Show allShow less

Contact

  • NEWS ARTICLES
  • PRESS ROOM

The Project

  • INTRODUCTION
  • ORGANIZATION
  • PUBLICATIONS

The Human Protein Atlas

  • DOWNLOADABLE DATA
  • LICENCE & CITATION
  • HELP & FAQ
The Human Protein Atlas project is funded
by the Knut & Alice Wallenberg Foundation.


contact@proteinatlas.org