We use cookies to enhance the usability of our website. If you continue, we'll assume that you are happy to receive all cookies. More information. Don't show this again.
BANF1
HPA
RESOURCES
  • TISSUE
  • BRAIN
  • SINGLE CELL
  • SUBCELLULAR
  • CANCER
  • BLOOD
  • CELL LINE
  • STRUCTURE & INTERACTION
ABOUT
  • INTRODUCTION
  • HISTORY
  • ORGANIZATION
  • PUBLICATIONS
  • ANTIBODY SUBMISSION
  • ANTIBODY AVAILABILITY
  • ACKNOWLEDGMENTS
  • CONTACT
NEWS
  • NEWS ARTICLES
  • PRESS ROOM
LEARN
  • DICTIONARY
  • PROTEIN CLASSES
  • PROTEIN EVIDENCE
  • METHODS
  • EDUCATIONAL VIDEOS
DATA
  • DOWNLOADABLE DATA
  • PUBLICATION DATA
  • RELEASE HISTORY
HELP
  • ANTIBODY VALIDATION
  • ASSAYS & ANNOTATION
  • DISCLAIMER
  • HELP & FAQ
  • PRIVACY STATEMENT
  • LICENCE & CITATION
Fields »
Search result

Field
Term
Gene name
Class
Subclass
Class
Keyword
Chromosome
External id
Tissue
Cell type
Expression
Antibody panel
Tissue
Main location
Patient ID
Annotation
Tissue
Category
Tau score
Cluster
Reliability
Brain region
Category
Tau score
Brain region
Category
Tau score
Brain region
Category
Tau score
Cluster
Reliability
Tissue
Cell type
Enrichment
Cell type
Category
Tau score
Cell type
Category
Tau score
Cell type
Category
Tau score
Cell lineage
Category
Tau score
Cluster
Cluster
Location
Searches
Location
Cell line
Class
Type
Phase
Reliability
Cancer
Prognosis
Cancer
Category
Cancer
Category
Tau score
Cluster
Variants
Interacting gene (ensg_id)
Type
Number of interactions
Pathway
Category
Score
Score
Score
Validation
Validation
Validation
Validation
Antibodies
Data type
Column


  • SUMMARY

  • TISSUE

  • BRAIN

  • SINGLE CELL

  • SUBCELL

  • CANCER

  • BLOOD

  • CELL LINE

  • STRUCT & INT

  • BANF1
BRAIN CEREBELLUM Show tissue menu
AMYGDALA BASAL GANGLIA CEREBELLUM CEREBRAL CORTEX CHOROID PLEXUS HIPPOCAMPAL FORMATION HYPOTHALAMUS MEDULLA OBLONGATA
MIDBRAIN OLFACTORY BULB PITUITARY GLAND PONS RETINA SPINAL CORD THALAMUS WHITE MATTER
ANTIBODIES
AND
VALIDATION
Brain proteome
Cerebellum
CEREBELLUM - Expression summary
Protein expression
Cerebellumi

On the top, protein expression in current human tissue, based on all annotated cell types, is reported with the units not detected (n), low (l), medium (m) and high (h). Underneath, protein expression in each annotated cell type are reported using the same units.

Protein expression data is based on knowledge-based annotation. For genes where more than one antibody has been used, a collective score is set.

If knowledge-based annotation could not be performed for a gene, no data is displayed here. View antibody staining data further down this page.

h
m
l
n
Cells in granular layer: Low
Cells in molecular layer: Medium
Purkinje cells: High
RNA expressioni

A summary of mRNA expression data available for current tissue based on several datasets. The mRNA expression levels in human tissues are based on RNA-seq data generated by the Human Protein Atlas (HPA), Genotype-Tissue Expression (GTEx) portal and CAGE data generated by the FANTOM5 consortium. Consensus normalized expression levels for human tissues was created by combining the data from HPA and GTEx datasets.

The mRNA expression levels in pig are based on RNA-seq data generated by the Human Protein Atlas (HPA), and for mouse, HPA data and in situ hybridization generated by the Allen brain atlas are reported.

Scroll down to view mRNA expression data in more detail.
Consensus:76.4 nTPM
HPA Brain:112.0 nTPM
GTEx:76.4 nTPM
FANTOM5:84.5 Scaled Tags Per Million
Pig:0.6 nTPM
Mouse:147.8 nTPM
Allen mouse:14.0 Expression energy

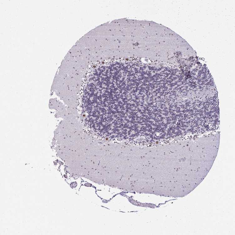
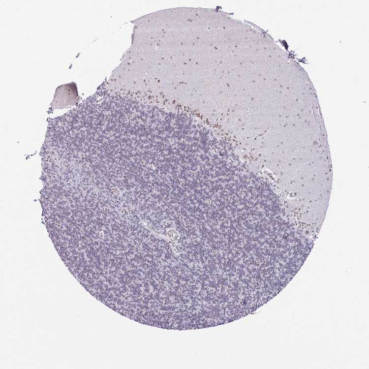
CEREBELLUM - Antibody stainingi

Antibody staining in the annotated cell types in the current human tissue is reported as not detected, low, medium, or high, based on conventional immunohistochemistry profiling in selected tissues. This score is based on the combination of the staining intensity and fraction of stained cells.

Each image is clickable and will lead to virtual microscopy that enables deeper exploration of all samples and also displays staining intensity scores, fraction scores and subcellular localization as well as patient and tissue information for each sample.

Antibody HPA039242Antibody CAB032896
Purkinje cells HighMedium
Cells in granular layer Not detectedLow
Cells in molecular layer LowMedium





CEREBELLUM - HPA Brain RNA-seq
Max subtype nTPMi

Max subtype nTPM is the value for the subtype with the largest average nTPM across the subtype samples.

112.0
Sample id Sample description nTPM
Cerebellar cortex
nTPM: 84.4
2006 Male, age 61, right hemisphere 115.0
1768 Female, age 72, unknown 101.5
2101 Male, age 74, right hemisphere 87.2
2003 Female, age 85, right hemisphere 80.8
2055 Female, age 91, right hemisphere 79.2
1788 Male, age 55, unknown 76.9
1774 Male, age 80, left hemisphere 71.1
1769 Male, age 76, right hemisphere 63.4
Cerebellar nuclei
nTPM: 112.0
2783 Female, age 72, unknown 136.9
2175 Male, age 61, right hemisphere 133.4
2882 Male, age 76, left hemisphere 113.8
2005 Male, age 80, left hemisphere 113.0
1879 Male, age 55, unknown 107.5
1871 Male, age 74, unknown 106.8
1966 Female, age 91, left hemisphere 105.6
2177 Female, age 85, both hemispheres 104.4
2318 Male, age 74, left hemisphere 86.5
Flocculonodular lobe
nTPM: 71.0
1792 Male, age 74, unknown 85.0
2004 Male, age 61, right hemisphere 80.8
1765 Male, age 55, unknown 80.6
1767 Male, age 76, left hemisphere 67.7
2176 Female, age 91, right hemisphere 66.7
1771 Male, age 80, left hemisphere 58.5
1835 Female, age 85, right hemisphere 57.5
Vermis
nTPM: 73.3
1751 Male, age 74, right hemisphere 92.0
1928 Female, age 72, unknown 86.7
1778 Female, age 91, left hemisphere 81.3
1766 Male, age 55, unknown 78.8
1825 Male, age 74, unknown 78.2
2834 Male, age 80, left hemisphere 73.3
1770 Male, age 76, left hemisphere 64.7
1988 Female, age 85, left hemisphere 56.7
2460 Male, age 61, both hemispheres 48.2

CEREBELLUM - GTEx RNA-seqi

RNA-Seq data generated by the Genotype-Tissue Expression (GTEx) project from human tissues is reported as mean nTPM. More information can be found on the GTEx portal.

Distribution across the dataset is visualized with box plots, shown as median and 25th and 75th percentiles. Points are displayed as outliers if they are above or below 1.5 times the interquartile range. nTPM values of the individual samples are presented next to the box plot.
Max subtype nTPMi

Max subtype nTPM is the value for the subtype with the largest average nTPM across the subtype samples.

76.4
GTEx sample id Sample description nTPM
Brain - Cerebellar Hemisphere
Average nTPM: 76.4
Samples: 215

Max nTPM: 220.2
Min nTPM: 27.7
Std nTPM: 24.8
Median nTPM: 72.5
GTEX-12WSH-0011-R11a-SM-5LZVM 50-59 years, male 220.2
GTEX-NL4W-0011-R11A-SM-2I3DW 50-59 years, male 196.5
GTEX-WWYW-0011-R11A-SM-3NB38 50-59 years, female 150.9
GTEX-NL3H-0011-R11A-SM-2I3E6 60-69 years, male 149.5
GTEX-13FLV-0011-R11a-SM-5LZZ7 50-59 years, male 146.3
GTEX-1F75W-0011-R11b-SM-AHZ34 60-69 years, male 130.7
GTEX-1B933-0011-R11a-SM-7P8PM 50-59 years, female 126.5
GTEX-12WSD-0011-R11a-SM-9OSVC 60-69 years, female 123.3
GTEX-17EVP-0011-R11a-SM-7EWDL 40-49 years, male 122.6
GTEX-NPJ8-0011-R11A-SM-2YUMS 40-49 years, male 121.2
GTEX-15G19-0011-R11b-SM-6LPIH 60-69 years, male 120.5
GTEX-13NYS-0011-R11b-SM-5MR4P 60-69 years, male 113.2
GTEX-11DZ1-0011-R11b-SM-DO11W 50-59 years, male 111.9
GTEX-1H4P4-0011-R11b-SM-CE6S8 50-59 years, male 111.9
GTEX-16GPK-0011-R11b-SM-7MKFF 60-69 years, male 111.6
GTEX-ZE7O-0011-R11a-SM-57WBC 50-59 years, female 110.9
GTEX-1F7RK-0011-R11b-SM-9QEI2 20-29 years, female 110.7
GTEX-N7MS-0011-R11A-SM-2HMJS 60-69 years, male 108.9
GTEX-16Z82-0011-R11a-SM-79OKJ 60-69 years, male 108.4
GTEX-13X6J-0011-R11a-SM-5P9HE 50-59 years, male 108.3
GTEX-1GMR8-0011-R11b-SM-9OSX2 50-59 years, female 107.8
GTEX-1C64N-0011-R11b-SM-7P8Q6 50-59 years, male 107.7
GTEX-ZE9C-0011-R11a-SM-4WKGG 60-69 years, male 106.9
GTEX-ZF28-0011-R11a-SM-4WWEI 60-69 years, male 106.5
GTEX-1313W-0011-R11a-SM-5DUXN 50-59 years, female 105.3
GTEX-1IGQW-0011-R11a-SM-C1YRV 60-69 years, male 103.8
GTEX-1B8SG-0011-R11a-SM-7P8PF 50-59 years, male 102.8
GTEX-1HGF4-0011-R11a-SM-C1YRR 60-69 years, male 102.8
GTEX-X261-0011-R11A-SM-4E3JY 50-59 years, male 100.2
GTEX-1HBPI-0011-R11b-SM-CE6SH 50-59 years, male 99.0
GTEX-1F52S-0011-R11a-SM-CJI23 60-69 years, female 98.4
GTEX-1CB4G-0011-R11a-SM-9OSWG 60-69 years, male 98.1
GTEX-1F6I4-0011-R11b-SM-9OSWS 60-69 years, male 97.2
GTEX-18A6Q-0011-R11a-SM-72D6H 60-69 years, male 96.0
GTEX-145MH-0011-R11a-SM-5P9HQ 50-59 years, male 94.6
GTEX-11WQC-0011-R11b-SM-57WD6 60-69 years, male 94.4
GTEX-1EKGG-0011-R11a-SM-9QEHZ 60-69 years, male 94.2
GTEX-1R9K4-0011-R11a-SM-EZ6N9 60-69 years, male 91.8
GTEX-139TT-0011-R11b-SM-5LZV1 60-69 years, male 90.6
GTEX-11EI6-0011-R11a-SM-DO11V 60-69 years, male 90.4
GTEX-17JCI-0011-R11a-SM-7189Y 60-69 years, female 90.0
GTEX-11EMC-0011-R11b-SM-DNZZK 60-69 years, female 90.0
GTEX-1I1GV-0011-R11a-SM-CJI3Z 60-69 years, male 89.4
GTEX-13FTY-0011-R11a-SM-5IJEA 40-49 years, female 89.3
GTEX-144GL-0011-R11b-SM-5P9F6 50-59 years, male 89.2
GTEX-12WSF-0011-R11a-SM-5LZVT 70-79 years, male 89.1
GTEX-WL46-0011-R11A-SM-3MJFT 50-59 years, male 89.1
GTEX-N7MT-0011-R11A-SM-2I3DZ 60-69 years, female 89.0
GTEX-14ASI-0011-R11b-SM-6AJBJ 60-69 years, male 88.7
GTEX-1JJ6O-0011-R11b-SM-EXUS2 60-69 years, male 88.1
GTEX-1M4P7-0011-R11b-SM-EXOIK 60-69 years, male 88.1
GTEX-13G51-0011-R11b-SM-5J2NE 60-69 years, male 87.7
GTEX-YJ89-0011-R11a-SM-4SOKA 60-69 years, male 87.4
GTEX-1GZ4I-0011-R11b-SM-9OSWR 50-59 years, male 87.2
GTEX-12WSC-0011-R11a-SM-5GU5J 50-59 years, male 87.1
GTEX-1GF9W-0011-R11b-SM-9OSXG 60-69 years, male 87.0
GTEX-13FXS-0011-R11a-SM-5L3DM 50-59 years, male 86.9
GTEX-ZVZQ-0011-R11a-SM-51MS6 60-69 years, female 86.7
GTEX-17HII-0011-R11b-SM-7KFSX 50-59 years, male 86.2
GTEX-1KD4Q-0011-R11b-SM-EXOIE 40-49 years, male 85.6
GTEX-1HSKV-0011-R11b-SM-AHZ2E 60-69 years, male 85.0
GTEX-1I19N-0011-R11b-SM-ARU6Y 70-79 years, male 85.0
GTEX-13CF2-0011-R11b-SM-5LZXO 60-69 years, male 84.8
GTEX-1E1VI-0011-R11a-SM-9OSWI 50-59 years, male 84.6
GTEX-16YQH-0011-R11b-SM-7LT98 30-39 years, male 84.4
GTEX-12WSI-0011-R11b-SM-5P9EZ 50-59 years, male 84.0
GTEX-14BIN-0011-R11a-SM-5SI79 50-59 years, female 83.9
GTEX-11ZTS-0011-R11a-SM-DO113 60-69 years, female 83.1
GTEX-1H1CY-0011-R11a-SM-C1YQR 60-69 years, female 83.1
GTEX-13OW7-0011-R11a-SM-5O9DY 50-59 years, male 82.9
GTEX-11ZUS-0011-R11b-SM-5BC7B 30-39 years, male 82.2
GTEX-17EVQ-0011-R11a-SM-7LT9C 70-79 years, male 81.9
GTEX-1H3VE-0011-R11b-SM-C1YRP 40-49 years, male 81.9
GTEX-13JUV-0011-R11a-SM-5LZYH 40-49 years, female 81.8
GTEX-13SLX-0011-R11b-SM-5O9C8 50-59 years, female 80.8
GTEX-1I1HK-0011-R11a-SM-B2LVN 60-69 years, male 80.7
GTEX-12126-0011-R11a-SM-5BC6X 20-29 years, male 80.4
GTEX-1LG7Y-0011-R11a-SM-EXOIH 50-59 years, male 80.1
GTEX-13NZA-0011-R11b-SM-5KM4W 60-69 years, male 80.0
GTEX-1I1GQ-0011-R11b-SM-CKZPA 50-59 years, male 79.9
GTEX-12ZZZ-0011-R11a-SM-5EGLC 60-69 years, male 77.3
GTEX-ZVT3-0011-R11b-SM-57WBI 60-69 years, female 77.2
GTEX-1H3O1-0011-R11a-SM-A96RV 60-69 years, male 76.9
GTEX-13QIC-0011-R11b-SM-5O9BU 60-69 years, female 76.7
GTEX-1IY9M-0011-R11b-SM-A96TI 60-69 years, male 76.1
GTEX-1GZHY-0011-R11a-SM-C1YRQ 50-59 years, female 76.0
GTEX-1EMGI-0011-R11b-SM-9OSWX 60-69 years, male 75.9
GTEX-13O3Q-0011-R11b-SM-5KM2W 50-59 years, male 75.7
GTEX-13JVG-0011-R11a-SM-5KM53 60-69 years, male 75.6
GTEX-18465-0011-R11a-SM-72D78 50-59 years, male 75.6
GTEX-17HG3-0011-R11b-SM-7KFT4 30-39 years, female 75.5
GTEX-1GMRU-0011-R11b-SM-C1YQ4 50-59 years, male 75.5
GTEX-1JJEA-0011-R11a-SM-EXUTE 60-69 years, male 75.5
GTEX-1F75A-0011-R11a-SM-AHZ35 50-59 years, male 75.3
GTEX-11PRG-0011-R11b-SM-DNZZY 50-59 years, male 74.9
GTEX-13N2G-0011-R11a-SM-5MR3F 60-69 years, male 74.8
GTEX-13VXU-0011-R11b-SM-5O9DJ 50-59 years, male 74.7
GTEX-11DYG-0011-R11a-SM-DNZZP 60-69 years, male 74.7
GTEX-1HFI6-0011-R11b-SM-A96RU 40-49 years, male 74.7
GTEX-13OVH-0011-R11b-SM-5KM4X 70-79 years, male 74.0
GTEX-YFC4-0011-R11a-SM-4SOK6 40-49 years, female 74.0
GTEX-1B8L1-0011-R11b-SM-793DJ 60-69 years, male 73.9
GTEX-1IOXB-0011-R11a-SM-A9G1X 50-59 years, male 73.7
GTEX-13PLJ-0011-R11b-SM-5O9BS 60-69 years, female 73.4
GTEX-14E6D-0011-R11b-SM-664NP 50-59 years, male 72.9
GTEX-S7SE-0011-R11A-SM-2XCDD 50-59 years, male 72.8
GTEX-15CHQ-0011-R11b-SM-686ZZ 60-69 years, male 72.5
GTEX-1IKK5-0011-R11a-SM-C1YRX 60-69 years, male 72.5
GTEX-17F97-0011-R11b-SM-7KFRQ 50-59 years, male 72.4
GTEX-1B8SF-0011-R11a-SM-79OOP 60-69 years, male 72.4
GTEX-132Q8-0011-R11b-SM-5DUW9 60-69 years, male 72.2
GTEX-1N2EE-0011-R11b-SM-EXOIJ 60-69 years, male 72.1
GTEX-1I1GR-0011-R11a-SM-CM2T5 60-69 years, male 71.7
GTEX-1ICLZ-0011-R11a-SM-CJI3N 60-69 years, male 71.3
GTEX-13FHP-0011-R11b-SM-5LZXP 50-59 years, male 71.2
GTEX-183WM-0011-R11a-SM-718A5 70-79 years, female 70.9
GTEX-11OF3-0011-R11a-SM-57WCR 60-69 years, male 70.5
GTEX-145LU-0011-R11b-SM-5P9JX 50-59 years, male 70.5
GTEX-1BAJH-0011-R11b-SM-7IGLM 70-79 years, male 70.5
GTEX-X4XX-0011-R11A-SM-46MWQ 60-69 years, male 70.2
GTEX-1IDJH-0011-R11b-SM-C1YRT 70-79 years, male 69.9
GTEX-14E7W-0011-R11a-SM-5ZZVA 70-79 years, male 69.8
GTEX-1IL2U-0011-R11a-SM-CE6SO 60-69 years, male 69.8
GTEX-1LVAO-0011-R11b-SM-EXOI8 60-69 years, male 69.8
GTEX-WZTO-0011-R11A-SM-4E3K9 40-49 years, male 69.6
GTEX-ZUA1-0011-R11b-SM-51MTI 40-49 years, male 69.0
GTEX-13X6I-0011-R11a-SM-5P9HN 60-69 years, male 68.8
GTEX-13X6K-0011-R11a-SM-5P9F5 60-69 years, female 68.4
GTEX-1J8Q2-0011-R11a-SM-A9SKI 60-69 years, male 68.3
GTEX-13NYB-0011-R11a-SM-5KM3Q 40-49 years, male 68.2
GTEX-ZDXO-0011-R11a-SM-4WWD9 60-69 years, male 68.0
GTEX-1IKOH-0011-R11a-SM-AHZ38 60-69 years, female 68.0
GTEX-1JMQJ-0011-R11a-SM-EXOJY 50-59 years, male 67.7
GTEX-14ABY-0011-R11a-SM-5SI7C 50-59 years, male 67.6
GTEX-1R9PO-0011-R11b-SM-EZ6NB 60-69 years, female 67.6
GTEX-1HB9E-0011-R11b-SM-ARU79 50-59 years, male 67.2
GTEX-1N2DW-0011-R11b-SM-EXOIL 50-59 years, male 67.1
GTEX-1J8EW-0011-R11a-SM-AHZ37 60-69 years, female 66.9
GTEX-131XW-0011-R11a-SM-5DUV9 50-59 years, female 66.7
GTEX-13SLW-0011-R11a-SM-5SI8Q 70-79 years, male 66.7
GTEX-13PVQ-0011-R11a-SM-5O9DU 50-59 years, male 66.1
GTEX-14BIM-0011-R11b-SM-5S2RN 60-69 years, female 65.6
GTEX-13OW5-0011-R11b-SM-5L3GG 60-69 years, male 65.1
GTEX-Z93S-0011-R11a-SM-4RGNN 50-59 years, male 65.1
GTEX-T2IS-0011-R11A-SM-32QPC 20-29 years, female 64.5
GTEX-Y8DK-0011-R11A-SM-4SOK2 60-69 years, male 64.5
GTEX-15DCD-0011-R11a-SM-D4P1R 70-79 years, female 64.5
GTEX-13OW6-0011-R11a-SM-5L3H2 50-59 years, male 64.4
GTEX-13S7M-0011-R11b-SM-5P9HU 60-69 years, female 64.4
GTEX-11GSP-0011-R11b-SM-5NQ7V 60-69 years, female 64.2
GTEX-15ER7-0011-R11a-SM-6LPIL 20-29 years, female 64.2
GTEX-13OW8-0011-R11a-SM-5L3GT 60-69 years, male 63.6
GTEX-1H3NZ-0011-R11b-SM-CE6SF 60-69 years, male 63.0
GTEX-15DYW-0011-R11a-SM-6LPIT 60-69 years, female 62.9
GTEX-1399T-0011-R11a-SM-5J2O1 60-69 years, male 62.7
GTEX-11DXY-0011-R11a-SM-DNZZN 60-69 years, male 62.7
GTEX-14PN4-0011-R11a-SM-686ZW 50-59 years, male 62.2
GTEX-1HUB1-0011-R11b-SM-CE6SC 60-69 years, male 62.1
GTEX-1LSVX-0011-R11b-SM-EXOIA 60-69 years, male 62.1
GTEX-NPJ7-0011-R11A-SM-2I3E8 60-69 years, female 62.0
GTEX-WHSE-0011-R11A-SM-3P5YY 20-29 years, male 61.9
GTEX-XMD1-0011-R11A-SM-4AT5J 60-69 years, male 61.1
GTEX-1H1DG-0011-R11a-SM-C1YQK 70-79 years, male 60.9
GTEX-RU72-0011-R11A-SM-CM2U1 50-59 years, female 60.6
GTEX-1IL2V-0011-R11a-SM-ARU6T 70-79 years, male 60.5
GTEX-12WSM-0011-R11a-SM-5DUX8 60-69 years, male 60.4
GTEX-13OVJ-0011-R11a-SM-5P9H8 50-59 years, female 60.3
GTEX-131YS-0011-R11b-SM-5EGLM 60-69 years, female 59.4
GTEX-13OVL-0011-R11b-SM-5L3G7 50-59 years, male 59.1
GTEX-13RTJ-0011-R11a-SM-5O9CK 60-69 years, male 58.9
GTEX-1AX9I-0011-R11b-SM-7DHN4 60-69 years, male 58.4
GTEX-UTHO-0011-R11A-SM-3GIJE 60-69 years, male 58.2
GTEX-12WSE-0011-R11b-SM-5P9JW 20-29 years, male 57.9
GTEX-14DAQ-0011-R11a-SM-664NO 60-69 years, female 57.9
GTEX-X4EP-0011-R11B-SM-4QASK 60-69 years, female 57.9
GTEX-1A3MX-0011-R11b-SM-7DUGP 60-69 years, male 57.2
GTEX-131XH-0011-R11a-SM-5EGLN 50-59 years, male 57.1
GTEX-R55E-0011-R11A-SM-2TC6I 20-29 years, male 56.4
GTEX-145MI-0011-R11a-SM-5P9JZ 60-69 years, female 56.0
GTEX-1F48J-0011-R11b-SM-9OSWV 50-59 years, female 56.0
GTEX-18464-0011-R11a-SM-72D76 50-59 years, male 55.9
GTEX-12ZZX-0011-R11a-SM-5DUVJ 40-49 years, female 55.8
GTEX-Q2AG-0011-R11A-SM-2HMKZ 40-49 years, female 55.7
GTEX-1JMOU-0011-R11b-SM-EXUTA 60-69 years, female 55.7
GTEX-1GN73-0011-R11b-SM-9OSX4 60-69 years, male 55.1
GTEX-13FHO-0011-R11b-SM-5LZYQ 60-69 years, male 54.9
GTEX-1CAV2-0011-R11a-SM-ARU8D 40-49 years, female 54.3
GTEX-16NPV-0011-R11a-SM-7IGMK 50-59 years, female 53.6
GTEX-13CZV-0011-R11b-SM-5N9FN 60-69 years, male 53.3
GTEX-1LKK1-0011-R11a-SM-EXOIG 50-59 years, female 53.3
GTEX-13O3O-0011-R11b-SM-5KM4G 60-69 years, female 52.7
GTEX-139UW-0011-R11a-SM-5IJGN 60-69 years, male 52.4
GTEX-P44G-0011-R11A-SM-2I3FD 30-39 years, male 51.4
GTEX-1J1OQ-0011-R11a-SM-A96S3 40-49 years, female 50.4
GTEX-1HCU6-0011-R11b-SM-AHZ2F 60-69 years, female 49.6
GTEX-T5JC-0011-R11A-SM-32PMB 20-29 years, male 48.5
GTEX-WVLH-0011-R11A-SM-3MJFO 50-59 years, male 48.1
GTEX-11TTK-0011-R11b-SM-DO112 60-69 years, female 48.0
GTEX-X585-0011-R11B-SM-46MUZ 50-59 years, male 47.9
GTEX-15EO6-0011-R11b-SM-6M47M 50-59 years, male 47.8
GTEX-ZAB4-0011-R11a-SM-4SOKI 40-49 years, male 47.8
GTEX-1GTWX-0011-R11b-SM-C1YQJ 60-69 years, male 47.2
GTEX-T6MN-0011-R11A-SM-32QOX 50-59 years, male 47.1
GTEX-16XZZ-0011-R11a-SM-7EPI3 60-69 years, male 46.6
GTEX-11H98-0011-R11b-SM-5NQ6U 50-59 years, male 46.3
GTEX-14C39-0011-R11b-SM-5YYAF 40-49 years, male 45.8
GTEX-1I1GS-0011-R11a-SM-C1YRU 60-69 years, male 45.8
GTEX-RVPV-0011-R11A-SM-2TF6F 60-69 years, male 45.1
GTEX-TSE9-0011-R11A-SM-3DB7N 60-69 years, female 39.3
GTEX-14C5O-0011-R11b-SM-6872H 60-69 years, male 37.4
GTEX-OHPN-0011-R11A-SM-2I5FM 60-69 years, female 35.0
GTEX-QMR6-0011-R11A-SM-32PKK 50-59 years, male 35.0
GTEX-QDT8-0011-R11A-SM-32PKD 30-39 years, female 31.3
GTEX-1H1ZS-0011-R11a-SM-C1YQM 70-79 years, male 30.3
GTEX-P44H-0011-R11A-SM-2XCER 40-49 years, male 27.7
Show allShow less
Brain - Cerebellum
Average nTPM: 65.6
Samples: 241

Max nTPM: 151.1
Min nTPM: 27.2
Std nTPM: 16.4
Median nTPM: 65.0
GTEX-12WSH-3126-SM-5LZW8 50-59 years, male 151.1
GTEX-ZAJG-3026-SM-5HL92 50-59 years, female 135.6
GTEX-WWYW-3026-SM-3NB36 50-59 years, female 132.7
GTEX-1HSMO-2926-SM-C1YR5 60-69 years, male 121.7
GTEX-15G19-2826-SM-6M48K 60-69 years, male 119.2
GTEX-1C6WA-3326-SM-7MKGN 60-69 years, male 102.1
GTEX-ZF28-2926-SM-4WKG1 60-69 years, male 98.8
GTEX-X261-3126-SM-4PQZC 50-59 years, male 98.1
GTEX-11DZ1-2926-SM-5A5KI 50-59 years, male 94.2
GTEX-1JN1M-3126-SM-AHZ4E 60-69 years, female 91.6
GTEX-1MJK2-3026-SM-EV7A5 50-59 years, male 88.9
GTEX-183WM-2726-SM-7KFRF 70-79 years, female 87.0
GTEX-147GR-3126-SM-5S2PM 60-69 years, male 86.8
GTEX-1F6I4-3026-SM-7P8SI 60-69 years, male 86.8
GTEX-14JIY-2326-SM-6AJAJ 60-69 years, male 86.5
GTEX-11ZVC-3026-SM-59HJM 50-59 years, female 86.3
GTEX-1128S-2826-SM-5N9DI 60-69 years, female 85.9
GTEX-11EI6-2926-SM-5985U 60-69 years, male 84.2
GTEX-1QEPI-3026-SM-EXOIW 60-69 years, female 83.9
GTEX-1192X-3226-SM-5987D 50-59 years, male 83.6
GTEX-13OW7-2926-SM-5MR3Z 50-59 years, male 83.6
GTEX-1C6VR-3026-SM-7IGLW 60-69 years, male 83.6
GTEX-1RNSC-3126-SM-EVR4V 60-69 years, male 83.4
GTEX-NPJ8-2626-SM-2D7W2 40-49 years, male 83.0
GTEX-1POEN-2726-SM-E9U6B 30-39 years, female 82.9
GTEX-145MG-3126-SM-5Q5D3 50-59 years, male 80.8
GTEX-1F75W-3126-SM-7P8SJ 60-69 years, male 80.6
GTEX-ZYFD-2926-SM-5GID9 50-59 years, male 80.4
GTEX-11O72-2826-SM-5HL6W 40-49 years, male 80.0
GTEX-12ZZZ-3126-SM-5LZU6 60-69 years, male 79.2
GTEX-Y111-2826-SM-4TT3O 50-59 years, male 78.9
GTEX-1F6IF-3026-SM-7P8QN 60-69 years, male 78.9
GTEX-1JJE9-3026-SM-CNNPA 70-79 years, male 78.9
GTEX-11EMC-3326-SM-5P9JH 60-69 years, female 78.8
GTEX-R55E-2526-SM-2TC6H 20-29 years, male 78.5
GTEX-1313W-3026-SM-5LZUZ 50-59 years, female 78.4
GTEX-13FHP-2926-SM-5IJG9 50-59 years, male 78.4
GTEX-1HB9E-3126-SM-AHZ4M 50-59 years, male 78.3
GTEX-1H4P4-2726-SM-9JGGB 50-59 years, male 78.0
GTEX-139TS-3126-SM-5LZWX 60-69 years, male 77.3
GTEX-1GF9V-3026-SM-7P8R8 60-69 years, male 77.0
GTEX-17HG3-2826-SM-7EPGO 30-39 years, female 76.8
GTEX-1NV8Z-3026-SM-DTX8Z 60-69 years, male 76.8
GTEX-11GSP-3126-SM-5A5LL 60-69 years, female 76.6
GTEX-1IKOH-2826-SM-CNNRC 60-69 years, female 76.4
GTEX-14A5I-2826-SM-5SIBF 50-59 years, female 76.2
GTEX-1F75A-2926-SM-7MXVN 50-59 years, male 76.2
GTEX-1399T-3126-SM-5IJFS 60-69 years, male 75.9
GTEX-13112-2926-SM-5DUWT 50-59 years, male 75.5
GTEX-1E1VI-2926-SM-7IGLT 50-59 years, male 75.3
GTEX-13OW5-3126-SM-5MR3Y 60-69 years, male 75.2
GTEX-13SLX-3226-SM-5YYA6 50-59 years, female 75.1
GTEX-14E6D-2926-SM-664OP 50-59 years, male 75.0
GTEX-1CB4G-2926-SM-7MKFQ 60-69 years, male 75.0
GTEX-1F52S-3026-SM-7P8PV 60-69 years, female 74.7
GTEX-13G51-3126-SM-5IJG7 60-69 years, male 74.5
GTEX-1H1CY-3026-SM-9OSW7 60-69 years, female 74.5
GTEX-144GL-2926-SM-5O99F 50-59 years, male 74.3
GTEX-1A8G7-3026-SM-73KTT 60-69 years, male 74.3
GTEX-11GSO-3026-SM-5Q5AL 60-69 years, male 74.1
GTEX-12ZZY-2926-SM-5DUXO 60-69 years, male 74.0
GTEX-12126-0926-SM-5FQTW 20-29 years, male 73.8
GTEX-WL46-2826-SM-3LK81 50-59 years, male 73.8
GTEX-13O3Q-3026-SM-5IJGD 50-59 years, male 73.7
GTEX-1EMGI-3126-SM-7MXUR 60-69 years, male 73.4
GTEX-13CF2-3026-SM-5IFFX 60-69 years, male 73.3
GTEX-13N2G-3126-SM-5IJGL 60-69 years, male 73.3
GTEX-13NYB-3226-SM-5J2ND 40-49 years, male 73.3
GTEX-1KD4Q-3026-SM-EV7A7 40-49 years, male 73.0
GTEX-1JMQJ-3126-SM-EV79G 50-59 years, male 72.6
GTEX-ZYY3-3026-SM-5GIEJ 60-69 years, female 72.2
GTEX-N7MS-2526-SM-2D7W3 60-69 years, male 71.9
GTEX-145LU-2626-SM-5LU9Z 50-59 years, male 71.4
GTEX-T6MN-2526-SM-32PMN 50-59 years, male 71.2
GTEX-12WSC-2926-SM-5BC5Z 50-59 years, male 71.1
GTEX-147F4-3026-SM-5Q5BJ 50-59 years, male 71.1
GTEX-1GZHY-3026-SM-7MXVA 50-59 years, female 71.1
GTEX-X4XX-2926-SM-3NMB1 60-69 years, male 71.0
GTEX-13OVH-2926-SM-5IJFH 70-79 years, male 70.8
GTEX-1I1GV-3026-SM-CNNR9 60-69 years, male 70.8
GTEX-1EU9M-2926-SM-793DF 60-69 years, male 70.6
GTEX-11DXW-1026-SM-5H11K 40-49 years, male 70.5
GTEX-131YS-3026-SM-5EGHY 60-69 years, female 70.4
GTEX-11NUK-3026-SM-5986K 50-59 years, male 70.0
GTEX-1B8SG-1926-SM-73KUB 50-59 years, male 69.8
GTEX-1IL2V-3026-SM-CYPSA 70-79 years, male 69.8
GTEX-14BIM-3126-SM-5Q5C7 60-69 years, female 69.6
GTEX-145MH-2926-SM-5Q5D2 50-59 years, male 69.5
GTEX-13QIC-3026-SM-5LU58 60-69 years, female 69.4
GTEX-14DAQ-3026-SM-5S2QZ 60-69 years, female 69.2
GTEX-UTHO-2926-SM-3P5Z9 60-69 years, male 69.0
GTEX-14JFF-2826-SM-6871Q 60-69 years, male 68.6
GTEX-15DYW-3026-SM-7KFRM 60-69 years, female 68.6
GTEX-18465-2926-SM-7KFSE 50-59 years, male 68.5
GTEX-1H3VE-2826-SM-9WPOL 40-49 years, male 68.5
GTEX-15ER7-3026-SM-6M47W 20-29 years, female 68.4
GTEX-1PIIG-2826-SM-DTX7O 30-39 years, male 68.4
GTEX-1B8L1-3226-SM-7P8OX 60-69 years, male 68.2
GTEX-PWO3-1026-SM-2I5F2 60-69 years, female 67.8
GTEX-13FXS-3026-SM-5LZYO 50-59 years, male 67.6
GTEX-14ASI-2926-SM-5Q5DG 60-69 years, male 67.4
GTEX-11ONC-3026-SM-5985W 60-69 years, male 67.2
GTEX-17F97-2926-SM-7DUEQ 50-59 years, male 67.1
GTEX-YJ89-2926-SM-5P9IT 60-69 years, male 66.8
GTEX-1269C-3126-SM-5EGI6 60-69 years, female 66.6
GTEX-1R9PO-2826-SM-E6CPV 60-69 years, female 66.6
GTEX-117XS-3126-SM-5GIDP 60-69 years, male 66.5
GTEX-111FC-3326-SM-5GZYV 60-69 years, male 66.4
GTEX-1F48J-2726-SM-7P8PW 50-59 years, female 66.3
GTEX-13JVG-3226-SM-5IJGJ 60-69 years, male 66.2
GTEX-ZAK1-2926-SM-5HL9S 50-59 years, female 66.1
GTEX-131XH-2926-SM-5LZU4 50-59 years, male 65.7
GTEX-13PVQ-2926-SM-5L3HJ 50-59 years, male 65.7
GTEX-14E7W-2926-SM-5S2R8 70-79 years, male 65.7
GTEX-18A6Q-2826-SM-7LTAO 60-69 years, male 65.7
GTEX-1EX96-3126-SM-9JGGC 50-59 years, male 65.7
GTEX-1B8SF-3026-SM-731DX 60-69 years, male 65.6
GTEX-11DXY-3126-SM-5N9BT 60-69 years, male 65.1
GTEX-YFC4-3026-SM-5IFJK 40-49 years, female 65.1
GTEX-13OVL-3026-SM-5IJF1 50-59 years, male 65.0
GTEX-1C64N-3126-SM-79OO3 50-59 years, male 65.0
GTEX-1EH9U-3126-SM-7MXU5 60-69 years, male 65.0
GTEX-14BMV-2926-SM-5TDEE 50-59 years, male 64.7
GTEX-12WSM-2126-SM-5GCOC 60-69 years, male 64.3
GTEX-1RQEC-3026-SM-DPRXM 60-69 years, male 64.1
GTEX-14BIN-3326-SM-5Q5E6 50-59 years, female 63.6
GTEX-11ZUS-2826-SM-5EQKW 30-39 years, male 63.4
GTEX-145MF-2826-SM-7EPGU 50-59 years, male 63.4
GTEX-WVLH-2926-SM-3MJG5 50-59 years, male 63.3
GTEX-16Z82-2926-SM-6LPJJ 60-69 years, male 63.0
GTEX-XMD1-2826-SM-4AT5F 60-69 years, male 63.0
GTEX-14JG1-2926-SM-686ZK 40-49 years, male 62.9
GTEX-ZUA1-2926-SM-59HL3 40-49 years, male 62.9
GTEX-1HBPI-2726-SM-9WPPF 50-59 years, male 62.8
GTEX-1LG7Y-3126-SM-EV7AS 50-59 years, male 62.6
GTEX-13S7M-3026-SM-5S2QQ 60-69 years, female 62.4
GTEX-1RDX4-3226-SM-DPS14 50-59 years, female 62.4
GTEX-13X6K-2826-SM-5O9DS 60-69 years, female 62.3
GTEX-ZDXO-2926-SM-4WKFM 60-69 years, male 62.3
GTEX-11PRG-2826-SM-5BC54 50-59 years, male 62.2
GTEX-1EWIQ-3026-SM-7IGOJ 70-79 years, female 62.1
GTEX-1BAJH-3126-SM-7MGXY 70-79 years, male 62.0
GTEX-12WSD-3026-SM-5LZU7 60-69 years, female 61.8
GTEX-139TT-2626-SM-5LZUB 60-69 years, male 61.8
GTEX-1R46S-3126-SM-DPRZ9 60-69 years, female 61.8
GTEX-13X6I-2926-SM-5Q5C3 60-69 years, male 61.7
GTEX-13VXU-3026-SM-5LU3K 50-59 years, male 61.5
GTEX-1H3O1-1826-SM-A96TO 60-69 years, male 61.4
GTEX-14ABY-3026-SM-664NE 50-59 years, male 61.3
GTEX-QVJO-1325-SM-2S1QX 60-69 years, female 61.3
GTEX-1GF9W-2726-SM-9JGGW 60-69 years, male 61.1
GTEX-145LS-3026-SM-5O99S 60-69 years, female 60.8
GTEX-13OVJ-2726-SM-5IJG6 50-59 years, female 60.6
GTEX-Y8DK-0726-SM-4TT3S 60-69 years, male 60.6
GTEX-ZVT3-2926-SM-5GU6M 60-69 years, female 60.6
GTEX-16YQH-2926-SM-6LPJE 30-39 years, male 60.5
GTEX-RU72-2926-SM-2TF66 50-59 years, female 60.5
GTEX-1B933-3026-SM-731DB 50-59 years, female 60.4
GTEX-12WSE-2926-SM-5RQJ9 20-29 years, male 60.3
GTEX-1LSVX-2826-SM-EVR58 60-69 years, male 60.3
GTEX-1QP6S-3026-SM-EAZ4N 40-49 years, male 60.3
GTEX-1HSKV-2926-SM-B2LWJ 60-69 years, male 59.9
GTEX-17HII-2926-SM-79OMK 50-59 years, male 59.6
GTEX-1GZ4I-2926-SM-9JGGO 50-59 years, male 59.5
GTEX-11ZTS-3226-SM-5EGID 60-69 years, female 59.4
GTEX-XLM4-2926-SM-4AT59 60-69 years, male 58.8
GTEX-13OW6-2926-SM-5KM29 50-59 years, male 58.7
GTEX-N7MT-1226-SM-DKPOK 60-69 years, female 58.4
GTEX-13RTJ-3126-SM-5S2Q4 60-69 years, male 58.3
GTEX-T2IS-2926-SM-32QPO 20-29 years, female 58.1
GTEX-WHSE-2926-SM-3NMBG 20-29 years, male 58.1
GTEX-1I1HK-2726-SM-AHZ2M 60-69 years, male 57.4
GTEX-1KWVE-2226-SM-CXZKN 30-39 years, male 57.4
GTEX-1JJEA-2926-SM-C1YSK 60-69 years, male 57.1
GTEX-Z93S-2826-SM-57WBL 50-59 years, male 56.7
GTEX-11DYG-2926-SM-5H132 60-69 years, male 56.6
GTEX-15EO6-2926-SM-6M48D 50-59 years, male 56.5
GTEX-ZAB4-2926-SM-57WCV 40-49 years, male 56.5
GTEX-15SHU-3026-SM-6LPIB 40-49 years, female 56.2
GTEX-1HBPH-3026-SM-9WPNY 40-49 years, female 56.0
GTEX-17JCI-3026-SM-7EWDR 60-69 years, female 55.9
GTEX-13OW8-2926-SM-5L3FV 60-69 years, male 55.8
GTEX-1A3MX-2926-SM-718B7 60-69 years, male 55.3
GTEX-1I1CD-2926-SM-A96SJ 60-69 years, female 55.3
GTEX-S7SE-2526-SM-2XCDL 50-59 years, male 55.1
GTEX-1H1DG-2826-SM-9JGHB 70-79 years, male 54.8
GTEX-1IDJH-3126-SM-C1YQS 70-79 years, male 54.8
GTEX-1JJ6O-3026-SM-C1YQH 60-69 years, male 54.7
GTEX-1JMLX-3026-SM-EV79Q 50-59 years, male 54.7
GTEX-1EKGG-3126-SM-9WPO5 60-69 years, male 54.5
GTEX-WZTO-2826-SM-3NM8P 40-49 years, male 54.3
GTEX-14PJM-3026-SM-6LLHM 50-59 years, female 53.3
GTEX-11NV4-2226-SM-5BC4T 60-69 years, male 53.2
GTEX-17EVQ-2726-SM-7EWDT 70-79 years, male 53.2
GTEX-X4EP-3026-SM-3P5YP 60-69 years, female 53.0
GTEX-1A8G6-3126-SM-731D8 60-69 years, male 52.8
GTEX-RNOR-2226-SM-2TF5O 50-59 years, female 52.8
GTEX-1B996-2926-SM-7MXUH 60-69 years, male 52.4
GTEX-1JMQK-2926-SM-D4P2T 60-69 years, male 52.4
GTEX-1P4AB-3026-SM-EXOJS 50-59 years, male 52.4
GTEX-1H3NZ-2926-SM-9WPQ8 60-69 years, male 52.1
GTEX-1JMOU-2826-SM-EV79R 60-69 years, female 52.1
GTEX-14C39-3026-SM-5S2QE 40-49 years, male 51.6
GTEX-1CB4H-3026-SM-79OLX 60-69 years, female 51.6
GTEX-13JUV-3026-SM-5K7WX 40-49 years, female 51.5
GTEX-13O3O-3026-SM-5KM42 60-69 years, female 51.0
GTEX-12ZZX-2826-SM-5BC6K 40-49 years, female 50.6
GTEX-PVOW-2626-SM-32PL8 40-49 years, male 50.5
GTEX-Q2AG-2826-SM-2HMJQ 40-49 years, female 50.5
GTEX-1J1OQ-3126-SM-D4P2O 40-49 years, female 50.5
GTEX-17HHY-2926-SM-79OJW 50-59 years, male 50.3
GTEX-1GZ2Q-3026-SM-9JGG3 40-49 years, male 50.2
GTEX-1IY9M-3126-SM-AHZ3A 60-69 years, male 49.8
GTEX-1KANB-3226-SM-D4P3G 50-59 years, male 49.3
GTEX-17EVP-2926-SM-793BU 40-49 years, male 49.2
GTEX-13FHO-2926-SM-5L3ES 60-69 years, male 49.1
GTEX-T5JC-2326-SM-32PMR 20-29 years, male 48.6
GTEX-1E2YA-2926-SM-7MGWX 50-59 years, male 47.9
GTEX-11OC5-0626-SM-5HL6M 60-69 years, male 47.5
GTEX-11TTK-2826-SM-5GU5K 60-69 years, female 47.2
GTEX-14PN4-3026-SM-664O4 50-59 years, male 46.8
GTEX-1GTWX-2926-SM-7MXV4 60-69 years, male 46.5
GTEX-1HCVE-2926-SM-9WPPJ 50-59 years, male 44.3
GTEX-13X6J-2926-SM-7EPGP 50-59 years, male 44.0
GTEX-1JMPZ-2826-SM-C1YRA 30-39 years, male 43.2
GTEX-ZZPT-2926-SM-5EQ5S 50-59 years, male 42.7
GTEX-1GN73-3026-SM-7MXV8 60-69 years, male 42.4
GTEX-QVUS-2926-SM-3GIJB 60-69 years, female 40.7
GTEX-16XZZ-2926-SM-6LPK4 60-69 years, male 40.0
GTEX-14PJO-2926-SM-686ZI 60-69 years, male 39.9
GTEX-TSE9-2926-SM-3DB77 60-69 years, female 39.7
GTEX-P44G-2526-SM-2I5EK 30-39 years, male 39.1
GTEX-132Q8-2926-SM-5IFFP 60-69 years, male 37.0
GTEX-QDT8-3026-SM-32PKB 30-39 years, female 36.4
GTEX-14C5O-2926-SM-5RQI1 60-69 years, male 34.7
GTEX-1H1ZS-2926-SM-9WPP2 70-79 years, male 34.7
GTEX-NPJ7-2826-SM-2I3FU 60-69 years, female 34.6
GTEX-OHPN-2626-SM-2I5H1 60-69 years, female 34.1
GTEX-QMR6-1326-SM-32PLB 50-59 years, male 28.9
GTEX-1PWST-3026-SM-EAZ3H 70-79 years, male 28.6
GTEX-P44H-2426-SM-2XCEJ 40-49 years, male 27.2
Show allShow less

CEREBELLUM - FANTOM5 CAGEi

RNA expression in human tissues obtained through Cap Analysis of Gene Expression (CAGE) generated by the FANTOM5 project are reported as Scaled Tags Per Million.

Max subtype Scaled Tags Per Millioni

Max subtype Scaled Tags Per Million is the value for the subtype with the largest average Scaled Tags Per Million across the subtype samples.

84.5
FANTOM5 sample id Sample description Scaled Tags Per Million
Cerebellum
Scaled Tags Per Million: 84.5
FF:10166-103B4 76 years, female 84.5
FF:10083-102B2 22-68 years, mixed 84.4

CEREBELLUM - Pig RNA-seqi

RNA-seq data obtained from pig brain is reported as nTPM .

Normal distribution across the dataset is visualized with box plots, shown as median and 25th and 75th percentiles. Points are displayed as outliers if they are above or below 1.5 times the interquartile range. nTPM values of the individual samples are presented next to the box plot.
Max subtype nTPMi

Max subtype nTPM is the value for the subtype with the largest average nTPM across the subtype samples.

0.6
Pig sample Sample description nTPM
Cerebellum
nTPM: 0.7
Samples: 4

Max nTPM: 1.1
Min nTPM: 0.0
Sample A Female 0.0
Sample B Female 1.1
Sample C Male 0.5
Sample D Male 1.0

CEREBELLUM - Mouse RNA-seqi

RNA-seq data obtained from mouse brain is reported as nTPM .

Normal distribution across the dataset is visualized with box plots, shown as median and 25th and 75th percentiles. Points are displayed as outliers if they are above or below 1.5 times the interquartile range. nTPM values of the individual samples are presented next to the box plot.
Max subtype nTPMi

Max subtype nTPM is the value for the subtype with the largest average nTPM across the subtype samples.

147.8
Mouse sample Sample description nTPM
Cerebellum
nTPM: 147.8
Samples: 4

Max nTPM: 163.0
Min nTPM: 133.2
Sample A Male 133.2
Sample B Male 146.1
Sample C Female 148.9
Sample D Female 163.0

CEREBELLUM - Allen Mouse ISHi

In situ hybridization (ISH) data generated by the Allen brain atlas from mouse brain is reported as expression energy. For more details about a particular experiment, click on the corresponding Allen experiment ID.

Max subtype Expression energyi

Max subtype Expression energy is the value for the subtype with the largest average Expression energy across the subtype samples.

14.0
Allen experiment id Experiment description Expression energy
Cerebellum
Expression energy: 14.0
68910955 Antisense, RP_041208_02_A09, Mouse strain C57BL/6J (56 days, male) 14.0

Contact

  • NEWS ARTICLES
  • PRESS ROOM

The Project

  • INTRODUCTION
  • ORGANIZATION
  • PUBLICATIONS

The Human Protein Atlas

  • DOWNLOADABLE DATA
  • LICENCE & CITATION
  • HELP & FAQ
The Human Protein Atlas project is funded
by the Knut & Alice Wallenberg Foundation.


contact@proteinatlas.org