We use cookies to enhance the usability of our website. If you continue, we'll assume that you are happy to receive all cookies. More information. Don't show this again.
SGF29
HPA
RESOURCES
  • TISSUE
  • BRAIN
  • SINGLE CELL
  • SUBCELLULAR
  • CANCER
  • BLOOD
  • CELL LINE
  • STRUCTURE & INTERACTION
ABOUT
  • INTRODUCTION
  • HISTORY
  • ORGANIZATION
  • PUBLICATIONS
  • ANTIBODY SUBMISSION
  • ANTIBODY AVAILABILITY
  • ACKNOWLEDGMENTS
  • CONTACT
NEWS
  • NEWS ARTICLES
  • PRESS ROOM
LEARN
  • DICTIONARY
  • PROTEIN CLASSES
  • PROTEIN EVIDENCE
  • METHODS
  • EDUCATIONAL VIDEOS
DATA
  • DOWNLOADABLE DATA
  • PUBLICATION DATA
  • RELEASE HISTORY
HELP
  • ANTIBODY VALIDATION
  • ASSAYS & ANNOTATION
  • DISCLAIMER
  • HELP & FAQ
  • PRIVACY STATEMENT
  • LICENCE & CITATION
Fields »
Search result

Field
Term
Gene name
Class
Subclass
Class
Keyword
Chromosome
External id
Tissue
Cell type
Expression
Antibody panel
Tissue
Main location
Patient ID
Annotation
Tissue
Category
Tau score
Cluster
Reliability
Brain region
Category
Tau score
Brain region
Category
Tau score
Brain region
Category
Tau score
Cluster
Reliability
Tissue
Cell type
Enrichment
Cell type
Category
Tau score
Cell type
Category
Tau score
Cell type
Category
Tau score
Cell lineage
Category
Tau score
Cluster
Cluster
Location
Searches
Location
Cell line
Class
Type
Phase
Reliability
Cancer
Prognosis
Cancer
Category
Cancer
Category
Tau score
Cluster
Variants
Interacting gene (ensg_id)
Type
Number of interactions
Pathway
Category
Score
Score
Score
Validation
Validation
Validation
Validation
Antibodies
Data type
Column


  • SUMMARY

  • TISSUE

  • BRAIN

  • SINGLE CELL

  • SUBCELL

  • CANCER

  • BLOOD

  • CELL LINE

  • STRUCT & INT

  • SGF29
TISSUE PRIMARY DATA ADIPOSE TISSUE Show tissue menu
ADIPOSE TISSUE ADRENAL GLAND AMYGDALA APPENDIX BASAL GANGLIA BONE MARROW BREAST BRONCHUS CEREBELLUM CEREBRAL CORTEX CERVIX CHOROID PLEXUS COLON DUODENUM
ENDOMETRIUM EPIDIDYMIS ESOPHAGUS FALLOPIAN TUBE GALLBLADDER HEART MUSCLE HIPPOCAMPAL FORMATION HYPOTHALAMUS KIDNEY LIVER LUNG LYMPH NODE MIDBRAIN NASOPHARYNX
ORAL MUCOSA OVARY PANCREAS PARATHYROID GLAND PITUITARY GLAND PLACENTA PROSTATE RECTUM RETINA SALIVARY GLAND SEMINAL VESICLE SKELETAL MUSCLE SKIN SMALL INTESTINE
SMOOTH MUSCLE SOFT TISSUE SPINAL CORD SPLEEN STOMACH TESTIS THYMUS THYROID GLAND TONGUE TONSIL URINARY BLADDER VAGINA
ANTIBODIES
AND
VALIDATION
Dictionary
Tissue proteome
Adipose tissue
ADIPOSE TISSUE - Expression summary
Protein expression
Adipose tissuei

On the top, protein expression in current human tissue, based on all annotated cell types, is reported with the units not detected (n), low (l), medium (m) and high (h). Underneath, protein expression in each annotated cell type are reported using the same units.

Protein expression data is based on knowledge-based annotation. For genes where more than one antibody has been used, a collective score is set.

If knowledge-based annotation could not be performed for a gene, no data is displayed here. View antibody staining data further down this page.

h
m
l
n
Adipocytes: Not detected
RNA expressioni

A summary of mRNA expression data available for current tissue based on several datasets. The mRNA expression levels in human tissues are based on RNA-seq data generated by the Human Protein Atlas (HPA), Genotype-Tissue Expression (GTEx) portal and CAGE data generated by the FANTOM5 consortium. Consensus normalized expression levels for human tissues was created by combining the data from HPA and GTEx datasets.

The mRNA expression levels in pig are based on RNA-seq data generated by the Human Protein Atlas (HPA), and for mouse, HPA data and in situ hybridization generated by the Allen brain atlas are reported.

Scroll down to view mRNA expression data in more detail.
Consensus:16.3 nTPM
HPA:9.7 nTPM
GTEx:16.3 nTPM
FANTOM5:27.0 Scaled Tags Per Million

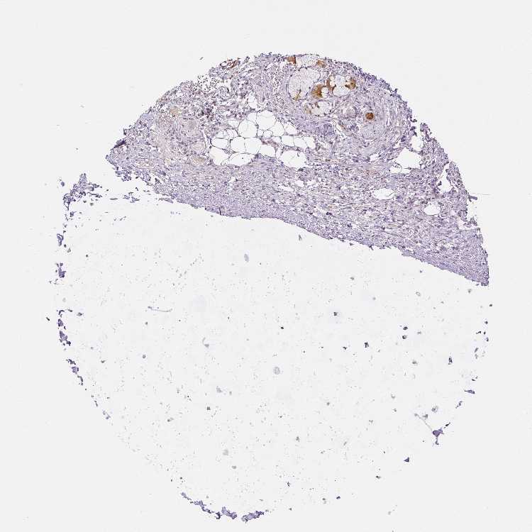
ADIPOSE TISSUE - Antibody stainingi

Antibody staining in the annotated cell types in the current human tissue is reported as not detected, low, medium, or high, based on conventional immunohistochemistry profiling in selected tissues. This score is based on the combination of the staining intensity and fraction of stained cells.

Each image is clickable and will lead to virtual microscopy that enables deeper exploration of all samples and also displays staining intensity scores, fraction scores and subcellular localization as well as patient and tissue information for each sample.

Antibody HPA052590Antibody HPA053608
Adipocytes Not detectedLow







ADIPOSE TISSUE - HPA RNA-seqi

The RNA-seq details section shows detailed information about the individual samples used for the transcript profiling and results of the RNA-seq analysis.

Information about each individual sample is listed below, including gender, age, a tissue section image and estimated fractions of cell types. nTPM (normalized transcripts per million) values give a quantification of the gene abundance which is comparable between different genes and samples.
Average nTPMi

Max subtype nTPM is the value for the subtype with the largest average nTPM across the subtype samples.

9.7
N/A
Female, age 80
Adipose tissue sample 86
nTPM: 12.8
Cell types%
Adipocytes:
95

Other cell types:
5

N/A
Female, age 45
Adipose tissue sample 115
nTPM: 9.4
N/A
Female, age 57
Adipose tissue sample 137
nTPM: 10.3
Cell types%
Adipocytes:
60

Fibroblasts:
20

Smooth muscle cells:
15

Other cell types:
5

overview
Female, age 74
Adipose tissue sample 329
nTPM: 9.1
Cell types%
Adipocytes:
50

Fibroblasts:
30

Smooth muscle cells:
15

Other cell types:
5

overview
Female, age 59
Adipose tissue sample 331
nTPM: 6.9
Cell types%
Adipocytes:
40

Fibroblasts:
40

Smooth muscle cells:
15

Other cell types:
5


ADIPOSE TISSUE - GTEx RNA-seqi

RNA-Seq data generated by the Genotype-Tissue Expression (GTEx) project from human tissues is reported as mean nTPM. More information can be found on the GTEx portal.

Distribution across the dataset is visualized with box plots, shown as median and 25th and 75th percentiles. Points are displayed as outliers if they are above or below 1.5 times the interquartile range. nTPM values of the individual samples are presented next to the box plot.
Max subtype nTPMi

Max subtype nTPM is the value for the subtype with the largest average nTPM across the subtype samples.

16.3
GTEx sample id Sample description nTPM
Adipose - Subcutaneous
Average nTPM: 16.3
Samples: 663

Max nTPM: 40.8
Min nTPM: 6.6
Std nTPM: 4.5
Median nTPM: 15.6
GTEX-14E1K-2126-SM-793DU 50-59 years, male 40.8
GTEX-1GTWX-0226-SM-9YFLL 60-69 years, male 35.8
GTEX-1GZ4H-1826-SM-9MQLE 50-59 years, female 34.8
GTEX-1J1R8-2226-SM-ARZMP 40-49 years, male 31.8
GTEX-139D8-0326-SM-5IJCJ 30-39 years, female 31.6
GTEX-OOBJ-0226-SM-2YUMM 60-69 years, male 31.6
GTEX-13RTJ-2526-SM-5S2Q3 60-69 years, male 31.4
GTEX-UJHI-1626-SM-3DB9A 50-59 years, female 30.6
GTEX-TSE9-0226-SM-3DB84 60-69 years, female 30.2
GTEX-Y5V6-2526-SM-5IFJV 60-69 years, male 29.3
GTEX-17KNJ-2226-SM-DKPOU 50-59 years, male 29.1
GTEX-1ICLY-0226-SM-ARL7R 50-59 years, male 28.7
GTEX-P4QT-0226-SM-3LK68 50-59 years, female 28.6
GTEX-13111-1726-SM-5EGJZ 50-59 years, male 28.5
GTEX-139YR-2426-SM-5J1OB 50-59 years, male 28.4
GTEX-X15G-2326-SM-4PQZS 50-59 years, female 27.7
GTEX-ZYFD-0226-SM-5NQ86 50-59 years, male 27.4
GTEX-XQ8I-0526-SM-4BOPS 50-59 years, male 27.1
GTEX-13OVI-1326-SM-5IJBO 60-69 years, female 26.6
GTEX-17MF6-0226-SM-7LG4G 40-49 years, male 26.6
GTEX-OHPM-0226-SM-3LK61 50-59 years, male 26.6
GTEX-1399U-2426-SM-5K7XB 50-59 years, female 26.5
GTEX-YEC3-1226-SM-5IFI8 50-59 years, male 26.5
GTEX-ZVZP-2326-SM-59HL4 50-59 years, male 26.5
GTEX-1LBAC-0226-SM-DHXJZ 20-29 years, male 26.2
GTEX-UTHO-0426-SM-CE6QU 60-69 years, male 26.2
GTEX-1PDJ9-0426-SM-E9J3E 20-29 years, male 26.0
GTEX-XGQ4-2226-SM-4AT4Y 50-59 years, male 25.6
GTEX-11I78-2626-SM-5Q5AI 50-59 years, female 25.2
GTEX-1HSMQ-1426-SM-ADEHT 50-59 years, male 25.1
GTEX-1I6K6-0226-SM-ADEID 30-39 years, male 25.1
GTEX-1QP9N-1526-SM-DTXFK 30-39 years, male 25.0
GTEX-1HUB1-0326-SM-A9SKQ 60-69 years, male 24.9
GTEX-17F9Y-0326-SM-7IGLS 70-79 years, female 24.7
GTEX-1AMFI-2126-SM-731BT 50-59 years, female 24.6
GTEX-1C4CL-0426-SM-7939N 30-39 years, male 24.6
GTEX-148VI-1726-SM-5S2W9 60-69 years, female 24.2
GTEX-OXRO-0226-SM-3LK6F 60-69 years, female 24.2
GTEX-13NZ9-0526-SM-5J1OX 50-59 years, male 24.1
GTEX-132QS-2526-SM-62LFJ 60-69 years, male 24.0
GTEX-1QP66-1326-SM-DTXDQ 50-59 years, male 23.9
GTEX-X638-0226-SM-47JZ9 70-79 years, female 23.8
GTEX-1OJC4-1726-SM-EXUSV 50-59 years, female 23.8
GTEX-14PII-0326-SM-6LLIQ 60-69 years, male 23.6
GTEX-ZDYS-2126-SM-5S2P2 50-59 years, male 23.6
GTEX-YF7O-2426-SM-5IFJL 50-59 years, male 23.4
GTEX-1GMR2-2526-SM-9MQKW 50-59 years, male 23.1
GTEX-1A8G7-0226-SM-731AS 60-69 years, male 23.0
GTEX-14ICL-2026-SM-62LDN 30-39 years, male 22.9
GTEX-15SDE-2426-SM-7KFRC 50-59 years, female 22.9
GTEX-OIZH-0226-SM-2YUMH 50-59 years, male 22.9
GTEX-1S83E-0226-SM-EVYCW 40-49 years, male 22.8
GTEX-17EUY-0526-SM-7EWDE 20-29 years, male 22.7
GTEX-X261-0226-SM-3NMD2 50-59 years, male 22.7
GTEX-1LSNM-2026-SM-E6CIJ 50-59 years, male 22.7
GTEX-1PPGY-0326-SM-DTXFD 60-69 years, male 22.7
GTEX-X4LF-1726-SM-3NMBZ 50-59 years, male 22.6
GTEX-1JKYR-0226-SM-CNPOK 20-29 years, male 22.6
GTEX-13QJ3-0426-SM-5RQHP 50-59 years, male 22.5
GTEX-U4B1-1726-SM-3DB9F 40-49 years, male 22.5
GTEX-15RIE-2326-SM-7KFSC 60-69 years, male 22.4
GTEX-WH7G-2226-SM-3NMBN 40-49 years, male 22.4
GTEX-13N2G-2726-SM-5J1MG 60-69 years, male 22.3
GTEX-1B8KE-2526-SM-73KYQ 50-59 years, male 22.3
GTEX-14PJ3-1926-SM-62LEY 50-59 years, male 22.2
GTEX-13FTW-2526-SM-5IJC8 40-49 years, male 22.1
GTEX-18A67-0226-SM-7LG67 50-59 years, male 22.0
GTEX-1B8KZ-1926-SM-7DUG8 50-59 years, male 22.0
GTEX-Y3I4-2226-SM-4TT7O 50-59 years, male 21.9
GTEX-1IDJU-2526-SM-CMKGF 60-69 years, female 21.9
GTEX-1QP28-0226-SM-E9J2N 50-59 years, female 21.9
GTEX-13W3W-2526-SM-5SI9P 60-69 years, female 21.7
GTEX-1R7EU-0326-SM-EWRNJ 60-69 years, male 21.7
GTEX-14BMV-0226-SM-5S2N2 50-59 years, male 21.6
GTEX-1N2EF-0626-SM-E9J32 60-69 years, male 21.6
GTEX-1PIGE-0526-SM-DTXFA 20-29 years, male 21.6
GTEX-ZLWG-2226-SM-DO92V 50-59 years, female 21.6
GTEX-1OFPY-2326-SM-E8VNU 60-69 years, male 21.5
GTEX-13OVL-0326-SM-5IJCS 50-59 years, male 21.3
GTEX-144GO-1626-SM-7EPG5 60-69 years, male 21.3
GTEX-1IDJD-1226-SM-CM2TP 30-39 years, male 21.3
GTEX-1JMPY-1426-SM-ARL8Z 30-39 years, male 21.3
GTEX-131XF-2226-SM-5EQKG 60-69 years, male 21.2
GTEX-Y8LW-1926-SM-4WWFZ 50-59 years, female 21.2
GTEX-ZXG5-0226-SM-59HJI 60-69 years, male 21.2
GTEX-16AAH-2026-SM-7LG5F 50-59 years, male 21.1
GTEX-16MTA-2126-SM-6PALC 50-59 years, male 21.1
GTEX-Z9EW-1826-SM-5CVMA 40-49 years, male 21.1
GTEX-14PN3-2526-SM-6EU15 60-69 years, female 21.0
GTEX-1QP67-1726-SM-E8VOP 40-49 years, female 21.0
GTEX-1S5ZU-0226-SM-E6CHW 20-29 years, female 21.0
GTEX-13IVO-0226-SM-5LZXU 70-79 years, male 20.9
GTEX-YFCO-2026-SM-4W21Q 40-49 years, male 20.9
GTEX-11P7K-2026-SM-5GU74 30-39 years, male 20.8
GTEX-13O21-1526-SM-5K7W4 50-59 years, male 20.8
GTEX-1LG7Z-2026-SM-DLHBP 30-39 years, male 20.8
GTEX-1LSNL-0526-SM-DIPFI 50-59 years, male 20.8
GTEX-1211K-2226-SM-5FQU6 60-69 years, female 20.7
GTEX-1LH75-2526-SM-E9U5A 50-59 years, female 20.6
GTEX-ZGAY-0626-SM-DO92E 40-49 years, female 20.6
GTEX-1CB4E-1826-SM-7RHG8 60-69 years, male 20.5
GTEX-1JJ6O-0226-SM-E6CI9 60-69 years, male 20.5
GTEX-1JMQI-2026-SM-CMKGP 50-59 years, male 20.5
GTEX-13NZB-2426-SM-5K7UF 30-39 years, male 20.4
GTEX-1I19N-0426-SM-ACKVY 70-79 years, male 20.4
GTEX-113IC-0226-SM-5HL5C 60-69 years, male 20.3
GTEX-18D9U-0726-SM-7LG5J 40-49 years, male 20.3
GTEX-14JG6-2326-SM-6LLH3 30-39 years, female 20.2
GTEX-S95S-1326-SM-2XCDK 60-69 years, male 20.2
GTEX-XBEW-0726-SM-4QARX 40-49 years, male 20.2
GTEX-1I1GT-0526-SM-CGQEQ 60-69 years, female 20.2
GTEX-1IKK5-0526-SM-CMKGG 60-69 years, male 20.2
GTEX-13NZ8-0926-SM-5MR3U 60-69 years, female 20.1
GTEX-17HHE-1926-SM-7EPGW 50-59 years, male 20.1
GTEX-OHPK-0226-SM-3MJH6 50-59 years, female 20.1
GTEX-YB5K-2226-SM-4WWG1 40-49 years, female 20.1
GTEX-145ME-1926-SM-5MR6T 40-49 years, female 20.1
GTEX-1NHNU-1126-SM-E9J2C 50-59 years, male 20.1
GTEX-111FC-0226-SM-5N9B8 60-69 years, male 20.0
GTEX-147GR-0426-SM-5S2OL 60-69 years, male 20.0
GTEX-14PJ4-2226-SM-6LLIS 60-69 years, male 20.0
GTEX-1S82P-0226-SM-E6CI6 60-69 years, female 20.0
GTEX-11LCK-1126-SM-5A5KC 30-39 years, male 19.9
GTEX-139T8-0226-SM-5L3EA 60-69 years, male 19.9
GTEX-14DAR-1926-SM-5S2NQ 50-59 years, male 19.9
GTEX-12WSM-0226-SM-5LZV6 60-69 years, male 19.7
GTEX-133LE-1926-SM-5N9FV 20-29 years, female 19.7
GTEX-1AYD5-2326-SM-73KXF 50-59 years, male 19.7
GTEX-Y5V5-2426-SM-5IFJA 60-69 years, female 19.7
GTEX-ZLFU-2626-SM-DO91L 40-49 years, male 19.7
GTEX-18465-0226-SM-7LG5M 50-59 years, male 19.6
GTEX-1HCU7-0326-SM-CMKGI 50-59 years, male 19.6
GTEX-1IL2V-0226-SM-CMKI2 70-79 years, male 19.6
GTEX-1497J-2326-SM-5NQBK 60-69 years, male 19.5
GTEX-16NGA-1826-SM-7LG5L 40-49 years, female 19.5
GTEX-13NYB-2626-SM-9YFMI 40-49 years, male 19.5
GTEX-1JMLX-0126-SM-CMKG9 50-59 years, male 19.5
GTEX-WYJK-0226-SM-EYYV8 50-59 years, male 19.5
GTEX-ZV68-0226-SM-59HJF 50-59 years, female 19.3
GTEX-VJWN-0226-SM-EZ6LF 50-59 years, female 19.3
GTEX-13U4I-0226-SM-5SIB1 40-49 years, female 19.2
GTEX-16BQI-0526-SM-6PAM8 30-39 years, female 19.2
GTEX-18D9A-2026-SM-718BL 30-39 years, female 19.2
GTEX-OXRK-0326-SM-3NB3R 50-59 years, female 19.2
GTEX-13PVR-2426-SM-5RQHN 60-69 years, female 19.1
GTEX-1B933-0526-SM-7EPHM 50-59 years, female 19.1
GTEX-1I6K7-0226-SM-CJI46 40-49 years, male 19.1
GTEX-1LVAN-0126-SM-COH4H 50-59 years, female 19.1
GTEX-13JUV-2826-SM-5LZWU 40-49 years, female 19.0
GTEX-13OW6-0526-SM-5L3HY 50-59 years, male 19.0
GTEX-SN8G-0226-SM-4DM6B 50-59 years, female 19.0
GTEX-ZEX8-2326-SM-5S2MN 50-59 years, male 19.0
GTEX-1CAMS-0326-SM-7PC35 40-49 years, female 19.0
GTEX-1MJK2-0526-SM-DTXE6 50-59 years, male 19.0
GTEX-OIZG-0826-SM-E9TI4 50-59 years, male 19.0
GTEX-1IGQW-0226-SM-COH43 60-69 years, male 18.9
GTEX-1JN6P-0226-SM-COH34 60-69 years, male 18.9
GTEX-11P82-1726-SM-5Q5AT 20-29 years, male 18.8
GTEX-SNOS-1426-SM-32PLY 40-49 years, male 18.8
GTEX-XAJ8-0926-SM-47JXZ 40-49 years, male 18.8
GTEX-18QFQ-0226-SM-731BQ 30-39 years, male 18.8
GTEX-13SLW-0226-SM-5S2NA 70-79 years, male 18.7
GTEX-15UKP-0526-SM-7KFRO 20-29 years, male 18.7
GTEX-1AX9J-0326-SM-73KXY 60-69 years, male 18.7
GTEX-ZE7O-0226-SM-5S2N1 50-59 years, female 18.7
GTEX-ZT9X-1926-SM-57WE7 40-49 years, male 18.7
GTEX-1KAFJ-2426-SM-D4P32 50-59 years, male 18.7
GTEX-SUCS-1826-SM-32PM1 70-79 years, male 18.6
GTEX-ZDTS-0226-SM-5HL7Q 60-69 years, male 18.6
GTEX-ZZ64-1626-SM-5E43W 20-29 years, male 18.6
GTEX-146FR-1826-SM-5QGPF 60-69 years, female 18.5
GTEX-P78B-0226-SM-3NB1Z 40-49 years, female 18.5
GTEX-R55D-0326-SM-48FES 50-59 years, male 18.5
GTEX-XXEK-2426-SM-4BRUS 50-59 years, male 18.5
GTEX-11P81-2426-SM-5GU65 30-39 years, female 18.4
GTEX-1314G-1626-SM-5EQ67 30-39 years, male 18.4
GTEX-139T4-0126-SM-5HL5G 50-59 years, female 18.4
GTEX-13D11-2326-SM-5IJCY 50-59 years, female 18.4
GTEX-ZTSS-2026-SM-5987K 40-49 years, male 18.4
GTEX-11DXX-2326-SM-9YFKS 60-69 years, female 18.4
GTEX-R3RS-0226-SM-EYYVE 40-49 years, female 18.4
GTEX-14753-0326-SM-5QGQB 60-69 years, male 18.3
GTEX-14BMU-2126-SM-5S2TS 20-29 years, female 18.3
GTEX-PLZ5-1826-SM-3NB22 50-59 years, male 18.3
GTEX-X5EB-2426-SM-4E3HX 40-49 years, male 18.3
GTEX-1HSMO-0226-SM-CGQEZ 60-69 years, male 18.3
GTEX-1IE54-0226-SM-CMKHX 40-49 years, female 18.3
GTEX-14H4A-1026-SM-62LDY 40-49 years, female 18.2
GTEX-Y8E4-0726-SM-4WWFN 40-49 years, male 18.2
GTEX-1QP2A-0226-SM-EVYBC 50-59 years, male 18.2
GTEX-11EQ9-2526-SM-5HL66 30-39 years, male 18.1
GTEX-12WSA-0326-SM-5BC6I 60-69 years, male 18.1
GTEX-POYW-0726-SM-2XCEO 60-69 years, male 18.1
GTEX-XBEC-0326-SM-4AT4M 50-59 years, male 18.1
GTEX-ZVP2-1826-SM-5GU62 50-59 years, male 18.1
GTEX-ZYT6-0326-SM-7LG5R 30-39 years, male 18.1
GTEX-1IDFM-0226-SM-CMKFX 60-69 years, male 18.1
GTEX-1KWVE-1326-SM-E6CJ1 30-39 years, male 18.1
GTEX-1LVAO-0226-SM-E9U6O 60-69 years, male 18.1
GTEX-145LS-0226-SM-5O9A5 60-69 years, female 18.0
GTEX-ZE9C-2826-SM-5S2MO 60-69 years, male 18.0
GTEX-1JJEA-0226-SM-COH2X 60-69 years, male 18.0
GTEX-1MUQO-0526-SM-E9J31 60-69 years, male 18.0
GTEX-1QP29-0726-SM-DTXFM 50-59 years, male 18.0
GTEX-15CHQ-0226-SM-6EU2S 60-69 years, male 17.9
GTEX-1A3MV-2126-SM-718BV 30-39 years, male 17.9
GTEX-1F75I-0426-SM-7PC3S 40-49 years, male 17.9
GTEX-11EMC-2826-SM-5PNY6 60-69 years, female 17.8
GTEX-16MT8-0526-SM-6PAM6 60-69 years, female 17.8
GTEX-17F96-1726-SM-7IGMB 70-79 years, male 17.8
GTEX-U3ZN-2626-SM-3DB7T 30-39 years, female 17.8
GTEX-1H1DF-0226-SM-ARL9A 40-49 years, female 17.8
GTEX-1H1E6-2026-SM-9KNVK 30-39 years, male 17.8
GTEX-1H23P-0226-SM-9YFLO 60-69 years, male 17.8
GTEX-12C56-1626-SM-5FQUO 20-29 years, male 17.7
GTEX-Y111-0226-SM-4SOIW 50-59 years, male 17.7
GTEX-Y114-2326-SM-4TT7X 50-59 years, female 17.7
GTEX-1HGF4-2526-SM-ADEIZ 60-69 years, male 17.7
GTEX-TML8-2026-SM-32QOP 40-49 years, female 17.6
GTEX-WFON-2226-SM-3TW8W 40-49 years, male 17.6
GTEX-XQ3S-1626-SM-4WAYN 20-29 years, male 17.6
GTEX-XUW1-0526-SM-4BOP3 50-59 years, female 17.6
GTEX-YJ89-0226-SM-4TT3Y 60-69 years, male 17.6
GTEX-ZVT2-2226-SM-5NQ6P 50-59 years, female 17.6
GTEX-ZVTK-0526-SM-5GZWT 20-29 years, male 17.6
GTEX-1F6RS-0226-SM-9MQKO 60-69 years, female 17.6
GTEX-145MN-2626-SM-5NQAH 30-39 years, male 17.5
GTEX-W5WG-2526-SM-4SOJ2 50-59 years, female 17.5
GTEX-XLM4-0226-SM-4AT4N 60-69 years, male 17.5
GTEX-1QCLY-0526-SM-EAZ47 30-39 years, male 17.5
GTEX-ZP4G-2326-SM-57WEM 20-29 years, female 17.4
GTEX-169BO-1426-SM-9MQJT 50-59 years, male 17.4
GTEX-13112-2726-SM-5DUW5 50-59 years, male 17.3
GTEX-YEC4-2426-SM-57WFO 40-49 years, male 17.3
GTEX-117YX-2226-SM-5EGJJ 50-59 years, male 17.2
GTEX-1C475-1926-SM-7DUFV 40-49 years, female 17.2
GTEX-ZYW4-0226-SM-5E44M 60-69 years, male 17.2
GTEX-1F5PK-2526-SM-9MQKN 50-59 years, male 17.2
GTEX-145MF-0526-SM-5LUA6 50-59 years, male 17.1
GTEX-14BIL-0226-SM-5SI9E 50-59 years, male 17.0
GTEX-XK95-0426-SM-4AT4R 40-49 years, male 17.0
GTEX-XMD2-0226-SM-4WWEE 60-69 years, female 17.0
GTEX-YECK-0226-SM-4W215 60-69 years, male 17.0
GTEX-1EH9U-0226-SM-7PBY8 60-69 years, male 17.0
GTEX-1H3VY-0226-SM-9YFMF 50-59 years, male 17.0
GTEX-1I4MK-2026-SM-B2LVR 50-59 years, female 17.0
GTEX-1C2JI-2226-SM-7IGPJ 50-59 years, male 16.9
GTEX-QESD-1526-SM-2S1QT 20-29 years, male 16.9
GTEX-1HSEH-0226-SM-ACKVV 60-69 years, male 16.9
GTEX-12696-2526-SM-5EQLN 60-69 years, male 16.8
GTEX-XUYS-0226-SM-47JX1 50-59 years, male 16.8
GTEX-ZC5H-0126-SM-4WAYL 40-49 years, female 16.8
GTEX-1GN1W-0626-SM-9MQK3 50-59 years, female 16.8
GTEX-1GN2E-0326-SM-COH3C 60-69 years, male 16.8
GTEX-1RQEC-0526-SM-E6CHV 60-69 years, male 16.8
GTEX-P4PP-0226-SM-D4P1Z 30-39 years, female 16.8
GTEX-13SLX-0426-SM-5QGRC 50-59 years, female 16.7
GTEX-147F3-0626-SM-5NQ9I 50-59 years, female 16.7
GTEX-17F97-0426-SM-7LT9U 50-59 years, male 16.7
GTEX-U412-0526-SM-3DB9I 60-69 years, male 16.7
GTEX-WVJS-0226-SM-4MVOU 50-59 years, male 16.7
GTEX-YJ8A-0526-SM-5IFHT 20-29 years, male 16.7
GTEX-ZPIC-1826-SM-57WFE 40-49 years, female 16.7
GTEX-1122O-2026-SM-9YFMG 60-69 years, female 16.7
GTEX-1CAMR-1826-SM-7MXUJ 20-29 years, male 16.7
GTEX-1R9K5-0226-SM-EWRNF 50-59 years, male 16.7
GTEX-1A3MX-0226-SM-731C4 60-69 years, male 16.6
GTEX-ZF29-2226-SM-4WWB9 60-69 years, female 16.6
GTEX-ZPCL-2126-SM-57WFZ 60-69 years, female 16.6
GTEX-1AYCT-2226-SM-7SB98 50-59 years, male 16.6
GTEX-1GMR3-2026-SM-9MQLG 40-49 years, male 16.6
GTEX-1H2FU-0226-SM-9YFKO 60-69 years, female 16.6
GTEX-1RAZA-0226-SM-E9U4W 20-29 years, male 16.6
GTEX-13FTY-0626-SM-5L3F8 40-49 years, female 16.5
GTEX-ZF3C-0226-SM-4WWB3 50-59 years, female 16.5
GTEX-1GF9X-1926-SM-ADEIC 40-49 years, female 16.5
GTEX-QEG4-0326-SM-DIPE3 30-39 years, male 16.5
GTEX-1399T-2726-SM-5K7XK 60-69 years, male 16.4
GTEX-13QBU-2526-SM-5LU4X 40-49 years, female 16.4
GTEX-145MO-0426-SM-5QGP6 60-69 years, male 16.4
GTEX-14ICK-0326-SM-6LLIZ 40-49 years, male 16.3
GTEX-QDVJ-1826-SM-2S1P3 50-59 years, male 16.3
GTEX-ZZPU-2726-SM-5NQ8O 50-59 years, female 16.3
GTEX-1GMR8-0226-SM-9YFL3 50-59 years, female 16.3
GTEX-1GPI7-0226-SM-9MQKB 20-29 years, male 16.3
GTEX-OIZF-0226-SM-E9TI3 60-69 years, male 16.3
GTEX-11ZUS-0726-SM-59886 30-39 years, male 16.2
GTEX-1212Z-2426-SM-5EQ5D 60-69 years, male 16.2
GTEX-12ZZY-0326-SM-5LZVQ 60-69 years, male 16.2
GTEX-P4QS-0226-SM-3NB1U 60-69 years, male 16.2
GTEX-RU72-1026-SM-46MUG 50-59 years, female 16.2
GTEX-ZPU1-2426-SM-4WWFM 40-49 years, male 16.2
GTEX-1C6VR-2626-SM-7MGX2 60-69 years, male 16.2
GTEX-1HFI7-2026-SM-CGQFR 50-59 years, female 16.2
GTEX-1LG7Y-0426-SM-DKPQB 50-59 years, male 16.2
GTEX-1PFEY-1626-SM-E9J3M 30-39 years, male 16.2
GTEX-131YS-0226-SM-5IJEH 60-69 years, female 16.1
GTEX-14PHX-2426-SM-62LEN 50-59 years, male 16.1
GTEX-15ETS-0426-SM-6PANI 40-49 years, female 16.1
GTEX-O5YV-0226-SM-48TBY 60-69 years, female 16.1
GTEX-ZAJG-0226-SM-5HL81 50-59 years, female 16.1
GTEX-1IL2U-0326-SM-CE6T9 60-69 years, male 16.1
GTEX-1LSVX-0126-SM-EVYCY 60-69 years, male 16.1
GTEX-11EI6-0226-SM-5EQ64 60-69 years, male 16.0
GTEX-12WSD-0226-SM-59HKO 60-69 years, female 16.0
GTEX-15ER7-0426-SM-6PAM3 20-29 years, female 16.0
GTEX-PSDG-0326-SM-48TCP 50-59 years, male 16.0
GTEX-R55G-2426-SM-2TC5I 40-49 years, female 16.0
GTEX-1H4P4-0226-SM-9YFKT 50-59 years, male 16.0
GTEX-1I1GQ-0226-SM-COH3I 50-59 years, male 16.0
GTEX-1JKYN-1226-SM-CGQG8 30-39 years, male 16.0
GTEX-1LGOU-2226-SM-E9U56 20-29 years, female 16.0
GTEX-1PPH8-0626-SM-EWRN9 20-29 years, male 16.0
GTEX-1RAZR-0226-SM-EVYC6 40-49 years, male 16.0
GTEX-PWN1-0226-SM-DKPO9 40-49 years, female 16.0
GTEX-13G51-2626-SM-5LZYW 60-69 years, male 15.9
GTEX-OXRL-0226-SM-3NB18 50-59 years, male 15.9
GTEX-W5X1-2626-SM-4LMI8 40-49 years, female 15.9
GTEX-1I1HK-0226-SM-COH4A 60-69 years, male 15.9
GTEX-T8EM-1126-SM-3DB7D 40-49 years, male 15.8
GTEX-WI4N-1126-SM-3LK7Q 40-49 years, female 15.8
GTEX-1IKJJ-0226-SM-COH3T 60-69 years, male 15.8
GTEX-11ONC-2526-SM-5986W 60-69 years, male 15.7
GTEX-17HGU-0326-SM-7DUER 50-59 years, male 15.7
GTEX-183WM-0226-SM-7LT8T 70-79 years, female 15.7
GTEX-T5JW-1726-SM-3GADN 20-29 years, female 15.7
GTEX-1A8FM-0126-SM-7SB7P 50-59 years, female 15.7
GTEX-1EMGI-0226-SM-9MQL1 60-69 years, male 15.7
GTEX-1HFI6-0326-SM-ADEI5 40-49 years, male 15.7
GTEX-1117F-0226-SM-5GZZ7 60-69 years, female 15.6
GTEX-13N11-2626-SM-5K7UQ 50-59 years, female 15.6
GTEX-1CB4I-0426-SM-7IGPR 50-59 years, male 15.6
GTEX-QMRM-1726-SM-2S1QG 50-59 years, male 15.6
GTEX-XYKS-2726-SM-4E3IC 60-69 years, female 15.6
GTEX-13OW7-0226-SM-5MR3N 50-59 years, male 15.5
GTEX-16NPX-0326-SM-7EWDI 50-59 years, male 15.5
GTEX-1B97I-1726-SM-7939V 40-49 years, male 15.5
GTEX-QLQ7-1526-SM-2S1QA 60-69 years, male 15.5
GTEX-1H3VE-0226-SM-9WYST 40-49 years, male 15.5
GTEX-1HBPM-0326-SM-CMKGR 60-69 years, female 15.5
GTEX-ZVE2-0326-SM-57WFC 50-59 years, male 15.4
GTEX-1ICLZ-0226-SM-CKZPP 60-69 years, male 15.4
GTEX-14LLW-0226-SM-62LEL 70-79 years, female 15.3
GTEX-OXRN-0226-SM-2I5EJ 50-59 years, male 15.3
GTEX-1CAMQ-0126-SM-7SB7S 40-49 years, male 15.3
GTEX-11ZU8-2426-SM-5EQMV 60-69 years, male 15.2
GTEX-1C6VS-0426-SM-79OJV 60-69 years, male 15.2
GTEX-1EKGG-0126-SM-9YFLS 60-69 years, male 15.2
GTEX-WFG8-2326-SM-DIPDX 20-29 years, male 15.2
GTEX-12ZZZ-0526-SM-5DUX6 60-69 years, male 15.1
GTEX-13FH7-2226-SM-5IJD4 50-59 years, female 15.1
GTEX-145LT-1826-SM-5QGP4 40-49 years, male 15.1
GTEX-14PJ2-0226-SM-6LLH4 50-59 years, male 15.1
GTEX-14PK6-2026-SM-6LLHP 70-79 years, female 15.1
GTEX-NFK9-0326-SM-3MJGV 40-49 years, male 15.1
GTEX-1H1ZS-0526-SM-9WG5L 70-79 years, male 15.1
GTEX-1HR9M-0226-SM-COH3E 60-69 years, male 15.1
GTEX-1I1GR-0226-SM-CMKHQ 60-69 years, male 15.1
GTEX-146FH-0226-SM-5QGPQ 50-59 years, female 15.0
GTEX-TMZS-0226-SM-3DB9N 60-69 years, male 15.0
GTEX-WL46-0326-SM-3LK6Y 50-59 years, male 15.0
GTEX-1JJE9-1226-SM-CNPOI 70-79 years, male 15.0
GTEX-1R9PM-2126-SM-E8VOB 20-29 years, male 15.0
GTEX-U3ZM-1026-SM-EZ6LD 40-49 years, male 15.0
GTEX-14E6D-0226-SM-62LDW 50-59 years, male 14.9
GTEX-1A3MW-0226-SM-7939O 60-69 years, female 14.9
GTEX-1F75A-0226-SM-7PC2K 50-59 years, male 14.9
GTEX-1J8JJ-0326-SM-CMKG6 60-69 years, female 14.9
GTEX-1QEPI-0226-SM-EWRMR 60-69 years, female 14.9
GTEX-Q2AH-1726-SM-DIPDV 40-49 years, male 14.9
GTEX-11EM3-2326-SM-5H12B 20-29 years, female 14.8
GTEX-11OF3-2426-SM-5Q5AS 60-69 years, male 14.8
GTEX-1MA7X-2126-SM-E6CIX 60-69 years, male 14.8
GTEX-111CU-1826-SM-5GZYN 50-59 years, male 14.7
GTEX-12584-0226-SM-5EQL5 40-49 years, male 14.7
GTEX-OOBK-0226-SM-2YUMF 40-49 years, male 14.7
GTEX-S32W-2226-SM-2XCAY 50-59 years, female 14.7
GTEX-X4EO-0426-SM-4QASA 60-69 years, female 14.7
GTEX-ZXES-2026-SM-5NQ6R 30-39 years, female 14.7
GTEX-1GMRU-0226-SM-9YFLW 50-59 years, male 14.7
GTEX-1K2DA-2126-SM-CGQGL 50-59 years, male 14.7
GTEX-131XW-0526-SM-5PNXZ 50-59 years, female 14.6
GTEX-144GL-0226-SM-5QGOX 50-59 years, male 14.6
GTEX-14AS3-2026-SM-5TDD9 40-49 years, female 14.6
GTEX-1E1VI-0226-SM-793CZ 50-59 years, male 14.6
GTEX-WEY5-1926-SM-3GIL8 40-49 years, female 14.6
GTEX-1CB4F-0526-SM-9KNW2 60-69 years, male 14.6
GTEX-1K9T9-0226-SM-E9U6K 50-59 years, female 14.6
GTEX-1LB8K-0326-SM-E9TJC 50-59 years, male 14.6
GTEX-1MGNQ-0226-SM-EVYCK 40-49 years, male 14.6
GTEX-R45C-0226-SM-EVYAJ 60-69 years, female 14.6
GTEX-11UD1-0226-SM-5EQKL 40-49 years, female 14.5
GTEX-14ABY-0326-SM-5TDDK 50-59 years, male 14.5
GTEX-Y9LG-2026-SM-62LFS 30-39 years, male 14.5
GTEX-ZF28-0226-SM-5S2OE 60-69 years, male 14.5
GTEX-1B8L1-2626-SM-7SB77 60-69 years, male 14.5
GTEX-1IY9M-0226-SM-CMKHP 60-69 years, male 14.5
GTEX-1KANA-0826-SM-D3L9J 20-29 years, male 14.5
GTEX-1KXAM-2326-SM-CYPTD 60-69 years, male 14.5
GTEX-1RAZQ-0626-SM-E8VOR 30-39 years, male 14.5
GTEX-11EQ8-0226-SM-5EQ5G 60-69 years, male 14.4
GTEX-QCQG-1826-SM-2S1P2 50-59 years, female 14.4
GTEX-Z93T-0226-SM-5HL5Z 50-59 years, male 14.4
GTEX-1H1CY-2626-SM-9MQKJ 60-69 years, female 14.4
GTEX-1H1DE-2026-SM-9WG6Q 20-29 years, male 14.4
GTEX-1MCYP-1826-SM-E9J2Q 20-29 years, female 14.4
GTEX-146FQ-0226-SM-5NQAL 30-39 years, male 14.3
GTEX-15G19-0226-SM-6PAL2 60-69 years, male 14.3
GTEX-16GPK-0226-SM-7DUFI 60-69 years, male 14.3
GTEX-X4XY-0326-SM-46MVZ 60-69 years, male 14.3
GTEX-1EU9M-0326-SM-7RHGF 60-69 years, male 14.3
GTEX-XOT4-0226-SM-4B66Z 60-69 years, female 14.3
GTEX-111YS-2426-SM-5GZZQ 60-69 years, male 14.2
GTEX-11TTK-0226-SM-5N9EC 60-69 years, female 14.2
GTEX-13OVK-2126-SM-6PAN1 40-49 years, male 14.2
GTEX-13PVQ-0226-SM-5SIBG 50-59 years, male 14.2
GTEX-17EVP-0426-SM-79OKG 40-49 years, male 14.2
GTEX-1EWIQ-0226-SM-793D3 70-79 years, female 14.2
GTEX-QV44-1825-SM-447CF 50-59 years, male 14.2
GTEX-R55C-1626-SM-48FEG 40-49 years, male 14.2
GTEX-XPVG-2726-SM-4B66W 50-59 years, male 14.2
GTEX-ZQG8-1526-SM-5HL65 60-69 years, female 14.2
GTEX-1HBPH-0526-SM-9YFMN 40-49 years, female 14.2
GTEX-1HCUA-2226-SM-ADEHF 50-59 years, female 14.2
GTEX-1QPFJ-0126-SM-E9J4B 30-39 years, female 14.2
GTEX-11DZ1-0226-SM-5A5KF 50-59 years, male 14.1
GTEX-11XUK-2126-SM-5EQLR 40-49 years, female 14.1
GTEX-1399R-2626-SM-5KLZ7 30-39 years, male 14.1
GTEX-14E6C-0226-SM-5S2N3 40-49 years, male 14.1
GTEX-17MFQ-1826-SM-7DHLS 20-29 years, male 14.1
GTEX-1HCVE-0226-SM-CGQEV 50-59 years, male 14.1
GTEX-1MA7W-1926-SM-E6CIO 20-29 years, female 14.1
GTEX-1R7EV-1926-SM-EVYBF 40-49 years, male 14.1
GTEX-1128S-2126-SM-5H12U 60-69 years, female 14.0
GTEX-13X6K-0226-SM-5QGPB 60-69 years, female 14.0
GTEX-1BAJH-0426-SM-73KWY 70-79 years, male 14.0
GTEX-QDVN-2126-SM-33HBS 50-59 years, male 14.0
GTEX-U8XE-0426-SM-3DB91 30-39 years, male 14.0
GTEX-ZUA1-0226-SM-5NQ9Q 40-49 years, male 14.0
GTEX-1F52S-0226-SM-7SB7U 60-69 years, female 14.0
GTEX-1GN73-0326-SM-9KNTW 60-69 years, male 14.0
GTEX-1I1GP-2326-SM-CGQFL 50-59 years, male 14.0
GTEX-1I1GS-0226-SM-B2LVX 60-69 years, male 14.0
GTEX-1L5NE-2626-SM-E9U6P 50-59 years, male 14.0
GTEX-1QW4Y-1626-SM-EAZ41 30-39 years, male 14.0
GTEX-13PDP-0226-SM-5K7W9 60-69 years, male 13.9
GTEX-15DDE-0226-SM-6LLJ6 50-59 years, female 13.9
GTEX-1AMEY-1426-SM-7939I 30-39 years, female 13.9
GTEX-SIU8-0226-SM-2XCDS 50-59 years, male 13.9
GTEX-ZTPG-0226-SM-5O99I 20-29 years, female 13.9
GTEX-S4P3-1526-SM-E9J3W 50-59 years, female 13.9
GTEX-1269C-2726-SM-5EGJ4 60-69 years, female 13.8
GTEX-13S7M-0226-SM-5S2UG 60-69 years, female 13.8
GTEX-QEL4-0326-SM-3GAE5 50-59 years, male 13.8
GTEX-XMK1-2226-SM-4B673 40-49 years, male 13.8
GTEX-1JMQL-0326-SM-CNPP6 50-59 years, female 13.8
GTEX-11GSO-2326-SM-5A5LX 60-69 years, male 13.7
GTEX-P44G-2326-SM-2XCCZ 30-39 years, male 13.7
GTEX-1CB4H-0326-SM-9WG5G 60-69 years, female 13.7
GTEX-1I1GU-2326-SM-CGQFB 40-49 years, male 13.7
GTEX-11H98-0226-SM-5NQ89 50-59 years, male 13.6
GTEX-13CF3-2326-SM-5IFGL 60-69 years, female 13.6
GTEX-13OW8-1226-SM-5K7XD 60-69 years, male 13.6
GTEX-QDT8-0226-SM-32PL4 30-39 years, female 13.6
GTEX-XUZC-1826-SM-4BRVO 30-39 years, female 13.6
GTEX-YB5E-2126-SM-5IFI7 40-49 years, male 13.6
GTEX-YFC4-0226-SM-57WD2 40-49 years, female 13.6
GTEX-1F88F-2626-SM-9WG5K 60-69 years, female 13.6
GTEX-11DXW-0326-SM-5H11W 40-49 years, male 13.5
GTEX-13O61-2426-SM-5J1NV 60-69 years, male 13.5
GTEX-NPJ8-0226-SM-48TBN 40-49 years, male 13.5
GTEX-Q2AG-0226-SM-2S1P4 40-49 years, female 13.5
GTEX-1CB4J-1126-SM-7PBY1 60-69 years, male 13.5
GTEX-1JK1U-2126-SM-CNPOU 60-69 years, male 13.5
GTEX-11TT1-2426-SM-5EQMK 20-29 years, male 13.4
GTEX-11ZVC-2626-SM-5FQTA 50-59 years, female 13.4
GTEX-17HII-0326-SM-7LG4X 50-59 years, male 13.4
GTEX-18A6Q-0226-SM-718AS 60-69 years, male 13.4
GTEX-1C64O-0226-SM-73KXB 60-69 years, male 13.4
GTEX-S7SE-0226-SM-2XCD4 50-59 years, male 13.4
GTEX-Z93S-0226-SM-5HL7R 50-59 years, male 13.4
GTEX-13113-1826-SM-5LZW4 60-69 years, female 13.3
GTEX-13O3P-0226-SM-5KM3Z 50-59 years, male 13.3
GTEX-1H3O1-0526-SM-9MQLS 60-69 years, male 13.3
GTEX-1HB9E-0426-SM-CNPPV 50-59 years, male 13.3
GTEX-1JMQK-0126-SM-CM2S3 60-69 years, male 13.3
GTEX-11ZTT-2526-SM-5EQM9 60-69 years, female 13.2
GTEX-13CF2-2626-SM-5LZZA 60-69 years, male 13.2
GTEX-13O3Q-2326-SM-5KM3G 50-59 years, male 13.2
GTEX-14C39-2526-SM-5S2UH 40-49 years, male 13.2
GTEX-14PJM-0326-SM-62LF2 50-59 years, female 13.2
GTEX-1A32A-0226-SM-718B2 50-59 years, female 13.2
GTEX-S33H-1126-SM-2XCB6 30-39 years, male 13.2
GTEX-XBED-2326-SM-47JYR 60-69 years, male 13.2
GTEX-1ICG6-2626-SM-CGQG1 70-79 years, female 13.2
GTEX-1S831-0326-SM-EVYD3 20-29 years, male 13.2
GTEX-RUSQ-1626-SM-EZ6L4 50-59 years, male 13.2
GTEX-15DCD-0226-SM-6LPKC 70-79 years, female 13.1
GTEX-QV31-1326-SM-2S1QE 30-39 years, male 13.1
GTEX-1HSMP-0226-SM-CGQFI 70-79 years, male 13.1
GTEX-1J8EW-0226-SM-CYPSW 60-69 years, female 13.1
GTEX-11TUW-2626-SM-5EQKZ 60-69 years, male 13.0
GTEX-13YAN-0426-SM-5O9DR 60-69 years, male 13.0
GTEX-14C5O-0226-SM-5SI6O 60-69 years, male 13.0
GTEX-1JN1M-0126-SM-D4P23 60-69 years, female 13.0
GTEX-139TT-0226-SM-5K7YH 60-69 years, male 12.9
GTEX-13NZA-0126-SM-5K7UH 60-69 years, male 12.9
GTEX-13VXT-0226-SM-5LU9Q 20-29 years, female 12.9
GTEX-14JIY-0526-SM-62LFH 60-69 years, male 12.9
GTEX-14PJ6-2226-SM-6LLIV 60-69 years, female 12.9
GTEX-N7MS-0326-SM-4E3K2 60-69 years, male 12.9
GTEX-PWCY-1926-SM-3NB25 20-29 years, female 12.9
GTEX-1A8G6-0526-SM-7PC1E 60-69 years, male 12.9
GTEX-1I1CD-0226-SM-CM2TL 60-69 years, female 12.9
GTEX-1IDJF-0226-SM-CMKGE 20-29 years, male 12.9
GTEX-PLZ4-0226-SM-CYPR1 50-59 years, female 12.9
GTEX-11WQC-2426-SM-5EQKQ 60-69 years, male 12.8
GTEX-131XE-2426-SM-5EQ5V 50-59 years, male 12.8
GTEX-13X6J-0226-SM-7EPGC 50-59 years, male 12.8
GTEX-1AX9I-0226-SM-7SB75 60-69 years, male 12.8
GTEX-1E2YA-0226-SM-9MQLY 50-59 years, male 12.8
GTEX-1RDX4-0226-SM-DTXG1 50-59 years, female 12.8
GTEX-13N1W-0226-SM-5K7W6 70-79 years, male 12.7
GTEX-13VXU-0226-SM-5SI9R 50-59 years, male 12.7
GTEX-1C6WA-0226-SM-7IGPO 60-69 years, male 12.7
GTEX-TKQ1-1126-SM-4GIAZ 30-39 years, male 12.7
GTEX-1HCU8-0726-SM-ADEIR 60-69 years, female 12.7
GTEX-1I1GV-0426-SM-ARZLX 60-69 years, male 12.7
GTEX-12WSC-0226-SM-5EQ52 50-59 years, male 12.6
GTEX-14DAQ-0226-SM-664MQ 60-69 years, female 12.6
GTEX-1M5QR-2126-SM-DKPQM 40-49 years, male 12.6
GTEX-145MG-0126-SM-5TDDA 50-59 years, male 12.5
GTEX-VJYA-1326-SM-3GIJC 60-69 years, male 12.5
GTEX-WHPG-2126-SM-4M1ZM 50-59 years, male 12.5
GTEX-1F48J-0226-SM-7SB82 50-59 years, female 12.5
GTEX-1J8QM-2326-SM-CYPSL 60-69 years, female 12.5
GTEX-1KD5A-0326-SM-D5OVD 50-59 years, male 12.5
GTEX-13NYS-0226-SM-5MR49 60-69 years, male 12.4
GTEX-11NUK-0326-SM-5HL5K 50-59 years, male 12.4
GTEX-11ZTS-0226-SM-5EQKD 60-69 years, female 12.3
GTEX-14JG1-0526-SM-6LLHW 40-49 years, male 12.3
GTEX-1B8SF-0526-SM-7939F 60-69 years, male 12.3
GTEX-1GN1V-0226-SM-9WYTN 60-69 years, male 12.3
GTEX-1HSGN-0126-SM-CGQFU 40-49 years, female 12.3
GTEX-1LVA9-0226-SM-E9U5N 50-59 years, male 12.3
GTEX-144GM-1926-SM-5LUAN 20-29 years, male 12.2
GTEX-RTLS-0226-SM-2TF5E 60-69 years, female 12.2
GTEX-VUSG-2426-SM-4KKZG 50-59 years, male 12.2
GTEX-ZYY3-0226-SM-5E45M 60-69 years, female 12.2
GTEX-1HSKV-0326-SM-ADEJC 60-69 years, male 12.2
GTEX-1QAET-1126-SM-E8VML 50-59 years, male 12.2
GTEX-12126-0426-SM-5Q5AP 20-29 years, male 12.1
GTEX-12KS4-0426-SM-5EQMC 30-39 years, male 12.1
GTEX-139TU-0226-SM-5J1NM 60-69 years, male 12.1
GTEX-147JS-0426-SM-5TDD2 60-69 years, male 12.1
GTEX-RM2N-1726-SM-2TF55 50-59 years, male 12.1
GTEX-SJXC-0226-SM-2XCDU 60-69 years, male 12.1
GTEX-1J1OQ-0326-SM-CYPTJ 40-49 years, female 12.1
GTEX-139T6-2126-SM-5KM37 50-59 years, male 12.0
GTEX-14BIN-0726-SM-793DQ 50-59 years, female 12.0
GTEX-18A66-0326-SM-718BE 60-69 years, male 12.0
GTEX-1AX9K-2426-SM-73KZ4 50-59 years, male 12.0
GTEX-RWSA-0226-SM-2XCBA 40-49 years, male 12.0
GTEX-Y8E5-0226-SM-57WCM 60-69 years, male 12.0
GTEX-12WSL-2426-SM-5GCN7 50-59 years, male 11.9
GTEX-145MI-0426-SM-5O99V 60-69 years, female 11.9
GTEX-183FY-0326-SM-793BY 20-29 years, male 11.9
GTEX-SNMC-1326-SM-2XCFK 20-29 years, male 11.9
GTEX-WY7C-2426-SM-3NB2V 50-59 years, male 11.9
GTEX-X88G-0226-SM-4GIE4 30-39 years, male 11.9
GTEX-Y3IK-2526-SM-4WWDM 50-59 years, female 11.9
GTEX-ZDTT-2626-SM-5S2OP 60-69 years, male 11.9
GTEX-1HCU6-0226-SM-CGQES 60-69 years, female 11.9
GTEX-1R46S-0526-SM-EVYBZ 60-69 years, female 11.9
GTEX-111VG-2326-SM-5N9BK 60-69 years, male 11.8
GTEX-17F98-1126-SM-79OJS 40-49 years, female 11.8
GTEX-OIZI-0226-SM-2XCEE 40-49 years, male 11.8
GTEX-ZYVF-0226-SM-5GIEG 50-59 years, female 11.8
GTEX-1B932-0226-SM-7PBYH 40-49 years, female 11.8
GTEX-1B996-0126-SM-7PBYF 60-69 years, male 11.8
GTEX-1FIGZ-1626-SM-7SB8L 40-49 years, male 11.8
GTEX-12ZZX-0226-SM-5DUXU 40-49 years, female 11.7
GTEX-1313W-0226-SM-5LZV7 50-59 years, female 11.7
GTEX-17HHY-0226-SM-793BQ 50-59 years, male 11.7
GTEX-QEG5-0326-SM-2S1PB 20-29 years, male 11.7
GTEX-T5JC-0526-SM-32PM7 20-29 years, male 11.7
GTEX-ZAK1-0226-SM-5CVMX 50-59 years, female 11.7
GTEX-1J8Q3-1526-SM-CMKGB 60-69 years, male 11.7
GTEX-RVPV-1526-SM-EXOHF 60-69 years, male 11.7
GTEX-13O1R-0226-SM-5K7U5 60-69 years, male 11.6
GTEX-1B8SG-0226-SM-7939Q 50-59 years, male 11.6
GTEX-T6MO-1726-SM-33HB8 40-49 years, female 11.6
GTEX-XV7Q-2626-SM-4BRVA 40-49 years, female 11.6
GTEX-ZYFC-0326-SM-5NQ7H 50-59 years, male 11.6
GTEX-RNOR-0226-SM-EZ6MF 50-59 years, female 11.6
GTEX-13FHP-0226-SM-5K7WD 50-59 years, male 11.5
GTEX-16XZZ-0226-SM-7MGVJ 60-69 years, male 11.5
GTEX-1F6I4-0226-SM-9MQMA 60-69 years, male 11.5
GTEX-1JN76-0226-SM-CMKGO 20-29 years, female 11.5
GTEX-11GS4-2626-SM-5A5LD 60-69 years, male 11.4
GTEX-REY6-0326-SM-2TF5A 60-69 years, male 11.4
GTEX-WFJO-1926-SM-3GILA 30-39 years, male 11.4
GTEX-YJ8O-2426-SM-5HL7S 40-49 years, female 11.4
GTEX-1PIIG-0326-SM-EVYBV 30-39 years, male 11.4
GTEX-1QP6S-0126-SM-E9J4K 40-49 years, male 11.4
GTEX-P4PQ-0226-SM-2S1NK 60-69 years, male 11.3
GTEX-T2IS-0226-SM-32QPH 20-29 years, female 11.3
GTEX-ZDXO-2426-SM-5S2NJ 60-69 years, male 11.3
GTEX-1F75W-0226-SM-9JGGP 60-69 years, male 11.3
GTEX-1IOXB-0226-SM-CMKHY 50-59 years, male 11.3
GTEX-1LGRB-2426-SM-CNPP3 50-59 years, female 11.3
GTEX-1GZ2Q-0326-SM-9WG6N 40-49 years, male 11.2
GTEX-Q2AI-1426-SM-2S1P5 40-49 years, male 11.1
GTEX-PX3G-0226-SM-DKPOF 20-29 years, female 11.1
GTEX-WFG7-2526-SM-EWRM5 20-29 years, male 11.1
GTEX-1GF9V-0226-SM-9MQKA 60-69 years, male 11.0
GTEX-1PBJI-0426-SM-E8VNM 20-29 years, female 11.0
GTEX-16YQH-0226-SM-6PALD 30-39 years, male 10.9
GTEX-13JVG-0226-SM-5J1MW 60-69 years, male 10.8
GTEX-1GN1U-0226-SM-9YFLQ 50-59 years, female 10.8
GTEX-ZTX8-1526-SM-5N9GI 20-29 years, male 10.7
GTEX-ZVT4-0226-SM-51MSD 50-59 years, female 10.7
GTEX-PLZ6-1326-SM-3NB24 30-39 years, male 10.6
GTEX-18A7A-0326-SM-731AT 50-59 years, female 10.5
GTEX-1POEN-0226-SM-EYYXE 30-39 years, female 10.5
GTEX-POMQ-2326-SM-DHXIS 20-29 years, female 10.5
GTEX-P44H-0326-SM-2XCES 40-49 years, male 10.4
GTEX-SSA3-0226-SM-32QPN 60-69 years, male 10.4
GTEX-1MCC2-2326-SM-E9U5G 30-39 years, female 10.4
GTEX-13OVJ-0326-SM-5L3GL 50-59 years, female 10.3
GTEX-R53T-1626-SM-3GAEW 50-59 years, female 10.3
GTEX-WVLH-0226-SM-3MJG6 50-59 years, male 10.3
GTEX-1CB4G-0326-SM-7SB8R 60-69 years, male 10.3
GTEX-VUSH-0226-SM-EXUQV 30-39 years, male 10.3
GTEX-Q734-1826-SM-2I3EL 40-49 years, female 10.2
GTEX-X8HC-0226-SM-4E3K1 50-59 years, female 10.2
GTEX-1HBPI-1426-SM-B2LW7 50-59 years, male 10.1
GTEX-1F88E-0526-SM-7SB8J 60-69 years, female 10.0
GTEX-13PLJ-0126-SM-5L3HU 60-69 years, female 9.9
GTEX-ZLV1-1826-SM-5FQU5 60-69 years, female 9.9
GTEX-1GZ4I-0226-SM-7RHHO 50-59 years, male 9.7
GTEX-1HT8W-0226-SM-CMKGT 30-39 years, male 9.6
GTEX-ZVZO-0226-SM-5A5LA 40-49 years, male 9.5
GTEX-14E6E-1926-SM-664N4 30-39 years, male 9.4
GTEX-OXRP-0226-SM-3NB14 60-69 years, female 9.3
GTEX-1C6VQ-0226-SM-7P8S5 50-59 years, male 9.2
GTEX-T6MN-0226-SM-32PMD 50-59 years, male 9.1
GTEX-144FL-0226-SM-5Q5D4 50-59 years, male 8.9
GTEX-11UD2-0126-SM-5EQL2 50-59 years, male 8.8
GTEX-132AR-0226-SM-5IJBE 50-59 years, female 8.8
GTEX-17HG3-2326-SM-79OKH 30-39 years, female 8.7
GTEX-OHPN-0226-SM-48TBV 60-69 years, female 8.7
GTEX-11PRG-0626-SM-5BC56 50-59 years, male 8.5
GTEX-14A5H-0526-SM-5TDCN 60-69 years, male 8.5
GTEX-16XZY-2526-SM-7DHL2 70-79 years, male 8.5
GTEX-1HR98-0226-SM-CGQEK 60-69 years, male 8.5
GTEX-1EX96-1426-SM-7PBZ5 50-59 years, male 7.9
GTEX-QLQW-1226-SM-2S1Q9 30-39 years, male 7.6
GTEX-1N2DW-0326-SM-E9TK3 50-59 years, male 7.6
GTEX-1PWST-0326-SM-EAZ42 70-79 years, male 7.5
GTEX-13FHO-0326-SM-5IJBH 60-69 years, male 7.3
GTEX-O5YT-0226-SM-32PK5 20-29 years, male 7.0
GTEX-11O72-0226-SM-59869 40-49 years, male 6.6
Show allShow less
Adipose - Visceral (Omentum)
Average nTPM: 13.5
Samples: 541

Max nTPM: 36.8
Min nTPM: 5.7
Std nTPM: 3.3
Median nTPM: 13.0
GTEX-14PN3-0326-SM-6EU1X 60-69 years, female 36.8
GTEX-1399S-1426-SM-5PNYQ 30-39 years, female 26.8
GTEX-13IVO-2426-SM-5K7V9 70-79 years, male 23.9
GTEX-YJ89-1926-SM-5IFJ6 60-69 years, male 23.6
GTEX-1I1GT-1326-SM-ACKWB 60-69 years, female 23.3
GTEX-14PJ3-0726-SM-69LQE 50-59 years, male 22.7
GTEX-1CAV2-0226-SM-7IGPQ 40-49 years, female 22.7
GTEX-132QS-0826-SM-5K7WV 60-69 years, male 22.5
GTEX-145ME-0726-SM-5O9A3 40-49 years, female 22.1
GTEX-1R9K4-1426-SM-DPRY4 60-69 years, male 21.9
GTEX-ZQG8-1026-SM-51MR9 60-69 years, female 21.6
GTEX-11I78-0226-SM-5HL6R 50-59 years, female 21.5
GTEX-139D8-1626-SM-5IJFZ 30-39 years, female 21.5
GTEX-11EQ9-1126-SM-5987I 30-39 years, male 21.2
GTEX-XQ8I-1426-SM-4BOPW 50-59 years, male 21.2
GTEX-X585-2526-SM-4QAS1 50-59 years, male 21.0
GTEX-11DXX-2026-SM-5EGJL 60-69 years, female 20.8
GTEX-1HUB1-1526-SM-CGQF6 60-69 years, male 20.8
GTEX-1L5NE-1726-SM-DHXKX 50-59 years, male 20.7
GTEX-1GF9X-0926-SM-7PC2X 40-49 years, female 20.6
GTEX-1RMOY-0826-SM-E9TIF 50-59 years, male 20.6
GTEX-1H1DF-1426-SM-9YFMC 40-49 years, female 20.1
GTEX-15RIE-0126-SM-7KUF8 60-69 years, male 20.0
GTEX-1GMR2-0226-SM-9JGHO 50-59 years, male 20.0
GTEX-13OW7-1126-SM-5K7V6 50-59 years, male 19.8
GTEX-145LV-1026-SM-5O9AE 50-59 years, male 19.8
GTEX-17F97-1226-SM-79OJT 50-59 years, male 19.8
GTEX-UTHO-1826-SM-3GAFE 60-69 years, male 19.8
GTEX-1H11D-1126-SM-9YFM5 40-49 years, male 19.6
GTEX-1JMLX-1026-SM-D3L8U 50-59 years, male 19.3
GTEX-113JC-0726-SM-5GZZR 50-59 years, female 19.2
GTEX-ZVT2-0226-SM-5GIE3 50-59 years, female 19.2
GTEX-14E1K-0426-SM-5S2PF 50-59 years, male 19.0
GTEX-XGQ4-1026-SM-4AT4L 50-59 years, male 19.0
GTEX-13VXU-1026-SM-5KLZE 50-59 years, male 18.9
GTEX-1RB15-1126-SM-E8VMX 60-69 years, male 18.9
GTEX-12WSA-1626-SM-5EGJV 60-69 years, male 18.8
GTEX-1HGF4-0226-SM-CNNQL 60-69 years, male 18.8
GTEX-1MCQQ-1426-SM-E6CJA 60-69 years, male 18.8
GTEX-11GSP-1026-SM-9WYSH 60-69 years, female 18.6
GTEX-1KWVE-0226-SM-E9TKK 30-39 years, male 18.6
GTEX-17F9Y-0726-SM-7LT9G 70-79 years, female 18.5
GTEX-1N2DV-0626-SM-E9U5H 40-49 years, male 18.5
GTEX-1QP9N-0426-SM-DTXFT 30-39 years, male 18.5
GTEX-1445S-2426-SM-79ON2 60-69 years, male 18.4
GTEX-1HBPN-1526-SM-9WYSB 50-59 years, male 18.4
GTEX-1I1CD-1026-SM-COH3G 60-69 years, female 18.4
GTEX-1IDJU-0926-SM-ARL88 60-69 years, female 18.3
GTEX-15ER7-1026-SM-7KUMD 20-29 years, female 18.2
GTEX-16BQI-1126-SM-7KULF 30-39 years, female 18.1
GTEX-1GF9U-1226-SM-ARL9I 40-49 years, female 18.1
GTEX-1GL5R-0726-SM-9MQL5 50-59 years, male 18.1
GTEX-1IL2U-2726-SM-C1YSG 60-69 years, male 18.1
GTEX-13W46-1226-SM-5SIAS 50-59 years, male 18.0
GTEX-139TU-1426-SM-5LZY9 60-69 years, male 17.9
GTEX-WL46-2026-SM-3LK7U 50-59 years, male 17.9
GTEX-XUZC-1126-SM-4BOPZ 30-39 years, female 17.9
GTEX-1H1CY-0826-SM-9WYTU 60-69 years, female 17.9
GTEX-ZDYS-2226-SM-5S2MI 50-59 years, male 17.7
GTEX-1LSNM-0626-SM-DIPG7 50-59 years, male 17.6
GTEX-1212Z-0526-SM-5FQSQ 60-69 years, male 17.5
GTEX-13W3W-1126-SM-5L3DO 60-69 years, female 17.5
GTEX-ZE7O-1526-SM-5J1NH 50-59 years, female 17.5
GTEX-ZVP2-0226-SM-57WBD 50-59 years, male 17.5
GTEX-1HCU8-1126-SM-CM2SA 60-69 years, female 17.5
GTEX-13PDP-1226-SM-5K7TW 60-69 years, male 17.4
GTEX-16NGA-0526-SM-731AJ 40-49 years, female 17.4
GTEX-1QP66-0626-SM-E76PD 50-59 years, male 17.4
GTEX-13VXT-0926-SM-5LU5K 20-29 years, female 17.3
GTEX-11VI4-1226-SM-5EQMP 40-49 years, female 17.2
GTEX-WYBS-1026-SM-4ONCY 60-69 years, female 17.2
GTEX-ZF28-1426-SM-5S2OG 60-69 years, male 17.1
GTEX-13S7M-0826-SM-5QGQX 60-69 years, female 17.0
GTEX-145MI-0826-SM-5SI95 60-69 years, female 17.0
GTEX-18D9A-0726-SM-7LTA7 30-39 years, female 17.0
GTEX-1GZ4H-0926-SM-9WG6Y 50-59 years, female 16.9
GTEX-1ICG6-1726-SM-ARU7K 70-79 years, female 16.9
GTEX-1J1OQ-1526-SM-CJI4E 40-49 years, female 16.9
GTEX-1P4AB-1226-SM-DTXET 50-59 years, male 16.9
GTEX-13OVK-0326-SM-7KUEJ 40-49 years, male 16.8
GTEX-18QFQ-1326-SM-731CF 30-39 years, male 16.8
GTEX-1I6K6-1526-SM-CGQFC 30-39 years, male 16.7
GTEX-1K2DA-1126-SM-CGQGG 50-59 years, male 16.7
GTEX-1QP28-0926-SM-EVR4D 50-59 years, female 16.7
GTEX-1RAZR-1026-SM-E8VOJ 40-49 years, male 16.7
GTEX-1B8KE-0826-SM-72D6S 50-59 years, male 16.6
GTEX-1I6K7-1826-SM-CGQFO 40-49 years, male 16.6
GTEX-1RAZA-0926-SM-E6CQ8 20-29 years, male 16.6
GTEX-13NZB-0826-SM-5K7X5 30-39 years, male 16.5
GTEX-ZDXO-2326-SM-5LU9W 60-69 years, male 16.5
GTEX-1JKYR-1226-SM-CM2S7 20-29 years, male 16.5
GTEX-1QP67-1126-SM-EAZ4C 40-49 years, female 16.5
GTEX-13OW6-2426-SM-5K7WO 50-59 years, male 16.4
GTEX-12WSI-1526-SM-5GCNM 50-59 years, male 16.3
GTEX-1HR9M-1426-SM-A9SMB 60-69 years, male 16.3
GTEX-1I19N-1026-SM-A96TT 70-79 years, male 16.3
GTEX-14JIY-1426-SM-6EU29 60-69 years, male 16.1
GTEX-XXEK-1426-SM-4BRW1 50-59 years, male 16.1
GTEX-1NV5F-2526-SM-EXUSK 60-69 years, female 16.1
GTEX-11NUK-2026-SM-5PNVZ 50-59 years, male 16.0
GTEX-12ZZW-2326-SM-5DUW2 50-59 years, male 16.0
GTEX-131YS-1726-SM-5HL7G 60-69 years, female 16.0
GTEX-146FR-0226-SM-5Q5F6 60-69 years, female 16.0
GTEX-14BIN-1226-SM-5S2OM 50-59 years, female 16.0
GTEX-XLM4-1026-SM-4AT51 60-69 years, male 16.0
GTEX-ZPCL-1026-SM-5GCOX 60-69 years, female 16.0
GTEX-13PVR-0526-SM-5S2OB 60-69 years, female 15.9
GTEX-XQ3S-2426-SM-4WAYB 20-29 years, male 15.9
GTEX-1F52S-1326-SM-7SB6Q 60-69 years, female 15.9
GTEX-ZTSS-1026-SM-5985N 40-49 years, male 15.7
GTEX-ZVE2-1826-SM-51MRZ 50-59 years, male 15.7
GTEX-ZLWG-0726-SM-5S2N4 50-59 years, female 15.7
GTEX-13O61-1926-SM-5KM1R 60-69 years, male 15.6
GTEX-Y8E4-1226-SM-5IFIM 40-49 years, male 15.6
GTEX-ZG7Y-1626-SM-5S2NO 50-59 years, male 15.6
GTEX-ZYFG-1426-SM-5GICS 60-69 years, female 15.6
GTEX-13FTW-0426-SM-5K7X2 40-49 years, male 15.5
GTEX-14DAR-0426-SM-664MW 50-59 years, male 15.5
GTEX-15CHC-0826-SM-686YW 60-69 years, female 15.5
GTEX-1CB4G-2126-SM-7IGQ8 60-69 years, male 15.5
GTEX-ZT9W-1026-SM-57WG5 50-59 years, male 15.5
GTEX-1QP29-1626-SM-EXUSZ 50-59 years, male 15.5
GTEX-1RAZQ-1526-SM-E6CJI 30-39 years, male 15.5
GTEX-14AS3-0426-SM-5QGQK 40-49 years, female 15.4
GTEX-16MTA-1326-SM-6PALX 50-59 years, male 15.4
GTEX-1S82P-0926-SM-EWRNP 60-69 years, female 15.4
GTEX-XOT4-0826-SM-4B66Y 60-69 years, female 15.3
GTEX-1H2FU-1426-SM-9WPO6 60-69 years, female 15.3
GTEX-11GS4-1026-SM-5N9DE 60-69 years, male 15.2
GTEX-13YAN-1126-SM-5TDC7 60-69 years, male 15.2
GTEX-14PJ5-0426-SM-5ZZW2 60-69 years, female 15.2
GTEX-1C2JI-0826-SM-7EPHB 50-59 years, male 15.2
GTEX-1EH9U-1326-SM-79OM3 60-69 years, male 15.2
GTEX-WRHK-0826-SM-3MJFG 20-29 years, female 15.2
GTEX-1GN1W-1226-SM-9MQLW 50-59 years, female 15.2
GTEX-16AAH-1526-SM-7LT9W 50-59 years, male 15.1
GTEX-1LGOU-0826-SM-DHXKL 20-29 years, female 15.1
GTEX-14DAQ-2526-SM-5RQIO 60-69 years, female 15.0
GTEX-14E6D-1326-SM-62LES 50-59 years, male 15.0
GTEX-ZPIC-0726-SM-57WFM 40-49 years, female 15.0
GTEX-1HCU9-0626-SM-ACKW6 20-29 years, male 15.0
GTEX-1PFEY-0726-SM-E76PO 30-39 years, male 15.0
GTEX-12696-1826-SM-5EGJS 60-69 years, male 14.9
GTEX-131XG-0126-SM-5K7UJ 50-59 years, female 14.9
GTEX-14753-2526-SM-5LU97 60-69 years, male 14.9
GTEX-14JG6-0526-SM-6LLIH 30-39 years, female 14.9
GTEX-16NPV-0626-SM-7IGOR 50-59 years, female 14.9
GTEX-17F96-0726-SM-793CB 70-79 years, male 14.9
GTEX-WXYG-0926-SM-3NB2O 50-59 years, female 14.9
GTEX-ZLV1-0926-SM-5S2MR 60-69 years, female 14.9
GTEX-1PPH8-1026-SM-DPRXN 20-29 years, male 14.9
GTEX-11GSO-0226-SM-5A5LV 60-69 years, male 14.8
GTEX-132Q8-1726-SM-5EGK8 60-69 years, male 14.8
GTEX-14ICL-0926-SM-5S2TU 30-39 years, male 14.8
GTEX-Y5V6-0626-SM-4WWFY 60-69 years, male 14.8
GTEX-1GZ4I-2326-SM-9YFMO 50-59 years, male 14.8
GTEX-1S5ZA-1026-SM-EWRO2 20-29 years, male 14.8
GTEX-1399T-1326-SM-5PNVH 60-69 years, male 14.7
GTEX-13FXS-1326-SM-62LFR 50-59 years, male 14.7
GTEX-13PL7-1226-SM-5SIAR 60-69 years, female 14.7
GTEX-X3Y1-0926-SM-3P5YT 40-49 years, male 14.7
GTEX-XBEC-1826-SM-4QASN 50-59 years, male 14.7
GTEX-ZXES-0926-SM-5E43O 30-39 years, female 14.7
GTEX-ZXG5-1626-SM-59HJK 60-69 years, male 14.7
GTEX-1HBPH-2226-SM-9WYSO 40-49 years, female 14.7
GTEX-11XUK-1726-SM-5GU61 40-49 years, female 14.6
GTEX-13113-1126-SM-5LZU9 60-69 years, female 14.6
GTEX-13OVL-0826-SM-5L3GV 50-59 years, male 14.6
GTEX-13RTK-0726-SM-5Q5EN 20-29 years, male 14.6
GTEX-ZUA1-2126-SM-57YRB 40-49 years, male 14.6
GTEX-1F75B-1226-SM-7MXTW 50-59 years, male 14.6
GTEX-111YS-1326-SM-5EGGK 60-69 years, male 14.5
GTEX-11DYG-2026-SM-5EGGX 60-69 years, male 14.5
GTEX-13D11-0526-SM-5LZYM 50-59 years, female 14.5
GTEX-17EVP-1426-SM-79OMN 40-49 years, male 14.5
GTEX-1GPI7-0826-SM-9JGG7 20-29 years, male 14.5
GTEX-1IDJI-0926-SM-ACKWZ 50-59 years, female 14.5
GTEX-1OKEX-0926-SM-E8VNJ 60-69 years, male 14.5
GTEX-1RQEC-2526-SM-EVYD2 60-69 years, male 14.5
GTEX-1AX9K-0926-SM-7939G 50-59 years, male 14.4
GTEX-1GF9V-1126-SM-9MQM7 60-69 years, male 14.4
GTEX-1H1E6-1126-SM-9JGGV 30-39 years, male 14.4
GTEX-1HSMO-1426-SM-CNNQN 60-69 years, male 14.4
GTEX-1KANB-2426-SM-EV7BE 50-59 years, male 14.4
GTEX-1211K-1226-SM-5EQ4N 60-69 years, female 14.3
GTEX-13S86-0926-SM-5SI6I 40-49 years, male 14.3
GTEX-1AYD5-0126-SM-7DUG5 50-59 years, male 14.3
GTEX-ZQUD-0526-SM-57WG4 30-39 years, male 14.3
GTEX-1399U-2026-SM-9WPNN 50-59 years, female 14.3
GTEX-1HFI6-1726-SM-CGQFH 40-49 years, male 14.3
GTEX-1IE54-1426-SM-CL53C 40-49 years, female 14.3
GTEX-1LVAM-1026-SM-DIPFK 50-59 years, female 14.3
GTEX-1MCC2-0626-SM-DKPQI 30-39 years, female 14.3
GTEX-1OFPY-0826-SM-DTX8P 60-69 years, male 14.3
GTEX-12C56-0826-SM-5EGJ5 20-29 years, male 14.2
GTEX-13CF3-1126-SM-5LZXB 60-69 years, female 14.2
GTEX-14BIM-1626-SM-7EWD2 60-69 years, female 14.2
GTEX-16GPK-1326-SM-7KUE4 60-69 years, male 14.2
GTEX-17MF6-1326-SM-79ONE 40-49 years, male 14.2
GTEX-1HSEH-1326-SM-ADEI1 60-69 years, male 14.2
GTEX-1K9T9-1626-SM-DIPFS 50-59 years, female 14.2
GTEX-YJ8A-1926-SM-EZ6LQ 20-29 years, male 14.2
GTEX-1117F-1326-SM-5EGHH 60-69 years, female 14.1
GTEX-13X6H-1726-SM-5Q5EH 50-59 years, female 14.1
GTEX-15SHU-2326-SM-7KUMC 40-49 years, female 14.1
GTEX-178AV-0626-SM-6PAM1 40-49 years, male 14.1
GTEX-17HHY-1026-SM-7LG5E 50-59 years, male 14.1
GTEX-ZTPG-2326-SM-57WFL 20-29 years, female 14.1
GTEX-1LSNL-1426-SM-E6CJ9 50-59 years, male 14.1
GTEX-13112-1126-SM-5GCMY 50-59 years, male 14.0
GTEX-169BO-0426-SM-7EPI1 50-59 years, male 14.0
GTEX-1122O-0926-SM-9YFLC 60-69 years, female 14.0
GTEX-1GN1U-0726-SM-9MQKL 50-59 years, female 14.0
GTEX-1192X-1526-SM-5H11I 50-59 years, male 13.9
GTEX-13111-0626-SM-5LZVR 50-59 years, male 13.9
GTEX-147JS-1026-SM-5S2MP 60-69 years, male 13.9
GTEX-15UKP-1426-SM-7KUDX 20-29 years, male 13.9
GTEX-18465-1826-SM-731BB 50-59 years, male 13.9
GTEX-1A8G6-2026-SM-73KYC 60-69 years, male 13.9
GTEX-1AMFI-1026-SM-73KYM 50-59 years, female 13.9
GTEX-WOFM-0726-SM-3MJF8 20-29 years, male 13.9
GTEX-XBEW-1726-SM-4RGMA 40-49 years, male 13.9
GTEX-XMK1-0926-SM-4B66X 40-49 years, male 13.9
GTEX-Y5V5-0226-SM-5S2N8 60-69 years, female 13.9
GTEX-1KANC-0526-SM-D4P3T 50-59 years, female 13.9
GTEX-1LBAC-1026-SM-CXKYA 20-29 years, male 13.9
GTEX-1R9PO-0926-SM-E9U4Q 60-69 years, female 13.9
GTEX-11TT1-1926-SM-5PNYN 20-29 years, male 13.8
GTEX-139YR-0326-SM-5J1MC 50-59 years, male 13.8
GTEX-13NZ9-2026-SM-5KM1U 50-59 years, male 13.8
GTEX-14PK6-0926-SM-62LF4 70-79 years, female 13.8
GTEX-1LG7Z-0226-SM-E6CIG 30-39 years, male 13.8
GTEX-13PVQ-2226-SM-5L3G9 50-59 years, male 13.7
GTEX-ZEX8-1226-SM-5S2OK 50-59 years, male 13.7
GTEX-1I1GQ-1026-SM-CNNQS 50-59 years, male 13.7
GTEX-1ICLZ-1626-SM-CE6SS 60-69 years, male 13.7
GTEX-13FH7-1926-SM-5J2OL 50-59 years, female 13.6
GTEX-14E7W-2326-SM-69LQC 70-79 years, male 13.6
GTEX-14PJM-1226-SM-686Z7 50-59 years, female 13.6
GTEX-18A7B-1226-SM-718AU 70-79 years, male 13.6
GTEX-1HSMQ-1026-SM-ADEHU 50-59 years, male 13.6
GTEX-14ICK-1726-SM-6AJA5 40-49 years, male 13.5
GTEX-1A32A-0926-SM-718AB 50-59 years, female 13.5
GTEX-Y5LM-0826-SM-4VDSW 40-49 years, female 13.5
GTEX-1E1VI-1826-SM-9WG5J 50-59 years, male 13.5
GTEX-VJYA-1626-SM-EXOHL 60-69 years, male 13.5
GTEX-13FTX-0626-SM-5J2NS 20-29 years, female 13.4
GTEX-17GQL-0826-SM-731AM 60-69 years, male 13.4
GTEX-WHWD-0826-SM-3LK6R 50-59 years, male 13.4
GTEX-ZC5H-1626-SM-5HL7L 40-49 years, female 13.4
GTEX-14PHY-1026-SM-62LEV 60-69 years, female 13.3
GTEX-15CHQ-1126-SM-686YY 60-69 years, male 13.3
GTEX-WH7G-1126-SM-3NMBK 40-49 years, male 13.3
GTEX-WYVS-0626-SM-4SOJY 40-49 years, female 13.3
GTEX-ZZ64-0626-SM-5GZWR 20-29 years, male 13.3
GTEX-1I1GU-0626-SM-CMKHR 40-49 years, male 13.3
GTEX-133LE-0926-SM-5P9J1 20-29 years, female 13.2
GTEX-1B933-1326-SM-7939U 50-59 years, female 13.2
GTEX-YEC3-0926-SM-5Q5AC 50-59 years, male 13.2
GTEX-XPVG-1626-SM-EYYVK 50-59 years, male 13.2
GTEX-14PKU-0226-SM-6EU16 40-49 years, female 13.1
GTEX-ZE9C-1326-SM-5S2OW 60-69 years, male 13.1
GTEX-ZYT6-2126-SM-5GZZ4 30-39 years, male 13.1
GTEX-1CAMS-0926-SM-7SB7F 40-49 years, female 13.1
GTEX-1F6IF-2026-SM-7P8SE 60-69 years, male 13.1
GTEX-1HCU7-2026-SM-A9G2B 50-59 years, male 13.1
GTEX-1QEPI-2226-SM-E8VN6 60-69 years, female 13.1
GTEX-18A66-1926-SM-7LTAG 60-69 years, male 13.0
GTEX-WFON-1226-SM-3TW8F 40-49 years, male 13.0
GTEX-WWTW-1326-SM-4MVNT 50-59 years, male 13.0
GTEX-ZDTT-0526-SM-5HL4M 60-69 years, male 13.0
GTEX-1QP6S-1626-SM-EVYC5 40-49 years, male 13.0
GTEX-131XF-0726-SM-5GIE5 60-69 years, male 12.9
GTEX-14PJ2-1426-SM-62LFF 50-59 years, male 12.9
GTEX-17HII-0826-SM-7DUFH 50-59 years, male 12.9
GTEX-1A8G7-1226-SM-73KYP 60-69 years, male 12.9
GTEX-1EWIQ-2526-SM-7EPIJ 70-79 years, female 12.9
GTEX-ZAJG-1626-SM-5HL7I 50-59 years, female 12.9
GTEX-1GMR3-0826-SM-9WYT4 40-49 years, male 12.9
GTEX-1JMPY-0326-SM-CM2S2 30-39 years, male 12.9
GTEX-1LGRB-0526-SM-COH3A 50-59 years, female 12.9
GTEX-1MA7W-0526-SM-E6CIN 20-29 years, female 12.9
GTEX-13JUV-0626-SM-5J1MQ 40-49 years, female 12.8
GTEX-145LT-1526-SM-5O98P 40-49 years, male 12.8
GTEX-1AMEY-0526-SM-72D62 30-39 years, female 12.8
GTEX-1N2DW-0726-SM-DTX97 50-59 years, male 12.8
GTEX-11P82-0326-SM-5HL51 20-29 years, male 12.7
GTEX-YECK-1426-SM-5IFHE 60-69 years, male 12.7
GTEX-1HCUA-0926-SM-ADEIX 50-59 years, female 12.7
GTEX-1LVAO-2126-SM-DIPGA 60-69 years, male 12.7
GTEX-Y3I4-0726-SM-E9J3Y 50-59 years, male 12.7
GTEX-14B4R-0526-SM-5QGQT 30-39 years, male 12.6
GTEX-14PJO-1626-SM-69LPQ 60-69 years, male 12.6
GTEX-18A7A-0926-SM-7LT8H 50-59 years, female 12.6
GTEX-ZYVF-1026-SM-5E44V 50-59 years, female 12.6
GTEX-1A8FM-2126-SM-7PC27 50-59 years, female 12.6
GTEX-1B8L1-0126-SM-9KNVS 60-69 years, male 12.6
GTEX-1JJE9-1526-SM-CM2RR 70-79 years, male 12.6
GTEX-1KANA-1426-SM-CY8IF 20-29 years, male 12.6
GTEX-1MUQO-0826-SM-EVYCZ 60-69 years, male 12.6
GTEX-1RNTQ-0826-SM-E9TK8 20-29 years, female 12.6
GTEX-12BJ1-0826-SM-5EQ5P 60-69 years, male 12.5
GTEX-13O3Q-1126-SM-5K7YK 50-59 years, male 12.5
GTEX-14PHW-1626-SM-6EU2H 60-69 years, female 12.5
GTEX-1CB4E-0826-SM-793CS 60-69 years, male 12.5
GTEX-ZGAY-1326-SM-5S2NS 40-49 years, female 12.5
GTEX-1EMGI-0726-SM-7PBZ4 60-69 years, male 12.5
GTEX-1GTWX-1526-SM-9MQLF 60-69 years, male 12.5
GTEX-1J8EW-1526-SM-CMKFZ 60-69 years, female 12.5
GTEX-1JN76-1026-SM-ARZNI 20-29 years, female 12.5
GTEX-1KAFJ-0826-SM-CYPTF 50-59 years, male 12.5
GTEX-11P7K-0826-SM-5BC5F 30-39 years, male 12.4
GTEX-13N2G-1926-SM-5J1O3 60-69 years, male 12.4
GTEX-14BIL-2426-SM-5QGQR 50-59 years, male 12.4
GTEX-16XZZ-1626-SM-7KUEC 60-69 years, male 12.4
GTEX-17F9E-1326-SM-7DHL4 50-59 years, male 12.4
GTEX-17MFQ-1126-SM-7LT9O 20-29 years, male 12.4
GTEX-XAJ8-0226-SM-4GIB2 40-49 years, male 12.4
GTEX-Y111-0926-SM-4SOIU 50-59 years, male 12.4
GTEX-Y8LW-0926-SM-4VBQ8 50-59 years, female 12.4
GTEX-1B97J-1126-SM-7SB79 50-59 years, female 12.4
GTEX-1HKZK-1726-SM-ADEJ9 40-49 years, male 12.4
GTEX-1JJ6O-2826-SM-CNNP7 60-69 years, male 12.4
GTEX-11NV4-1426-SM-5BC4W 60-69 years, male 12.3
GTEX-12WSM-0626-SM-5GCOK 60-69 years, male 12.3
GTEX-13X6K-0726-SM-5LU2Z 60-69 years, female 12.3
GTEX-1C6VS-1826-SM-73KXN 60-69 years, male 12.3
GTEX-1J1R8-0526-SM-ACKWO 40-49 years, male 12.3
GTEX-131XH-0826-SM-5GCN8 50-59 years, male 12.2
GTEX-145LU-1226-SM-5LU9B 50-59 years, male 12.2
GTEX-WEY5-1326-SM-3GILS 40-49 years, female 12.2
GTEX-YFCO-1126-SM-5S2N9 40-49 years, male 12.2
GTEX-1GN73-0626-SM-7PC3I 60-69 years, male 12.2
GTEX-1QW4Y-0826-SM-DTXE1 30-39 years, male 12.2
GTEX-117YW-0826-SM-5H11O 50-59 years, male 12.1
GTEX-11EM3-1126-SM-5A5KM 20-29 years, female 12.1
GTEX-1339X-0726-SM-5L3FF 40-49 years, male 12.1
GTEX-15DYW-1526-SM-7KUEP 60-69 years, female 12.1
GTEX-17JCI-1626-SM-7EPGZ 60-69 years, female 12.1
GTEX-1I1GS-0926-SM-A9SL5 60-69 years, male 12.1
GTEX-1LG7Y-1126-SM-CYPTE 50-59 years, male 12.1
GTEX-132AR-0526-SM-5J2MJ 50-59 years, female 12.0
GTEX-14BMV-1626-SM-73KVQ 50-59 years, male 12.0
GTEX-15G19-1126-SM-7KUEL 60-69 years, male 12.0
GTEX-VUSG-1426-SM-3GIJN 50-59 years, male 12.0
GTEX-1JN6P-1626-SM-CYPSV 60-69 years, male 12.0
GTEX-1LH75-1026-SM-EWROK 50-59 years, female 12.0
GTEX-1PBJI-1326-SM-E9J2V 20-29 years, female 12.0
GTEX-11ZUS-1826-SM-5FQTR 30-39 years, male 11.9
GTEX-139T6-0526-SM-5IJC9 50-59 years, male 11.9
GTEX-14ABY-1926-SM-62LDJ 50-59 years, male 11.9
GTEX-1BAJH-2126-SM-7EWFB 70-79 years, male 11.9
GTEX-U8XE-1926-SM-3DB98 30-39 years, male 11.9
GTEX-WYJK-1426-SM-3NM8V 50-59 years, male 11.9
GTEX-YEC4-0926-SM-5PNXY 40-49 years, male 11.9
GTEX-ZAB5-1126-SM-5Q5AD 50-59 years, male 11.9
GTEX-ZV6S-1626-SM-5NQ81 40-49 years, female 11.9
GTEX-1H1DE-0826-SM-ARU8V 20-29 years, male 11.9
GTEX-1PIGE-1226-SM-EVR3Q 20-29 years, male 11.9
GTEX-11DXZ-1426-SM-5H12A 50-59 years, male 11.8
GTEX-11ZTS-1326-SM-5EQMA 60-69 years, female 11.8
GTEX-132NY-1126-SM-5PNVE 60-69 years, male 11.8
GTEX-13OW8-0326-SM-5L3FB 60-69 years, male 11.8
GTEX-17HGU-1726-SM-79OKM 50-59 years, male 11.8
GTEX-1A3MX-0826-SM-72D64 60-69 years, male 11.8
GTEX-XV7Q-1726-SM-4BRUU 40-49 years, female 11.8
GTEX-1IKOE-1726-SM-CNNQ6 30-39 years, female 11.8
GTEX-1R7EV-1026-SM-DTX81 40-49 years, male 11.8
GTEX-ZF29-0826-SM-5S2O2 60-69 years, female 11.8
GTEX-12584-2126-SM-5FQUM 40-49 years, male 11.7
GTEX-13PL6-0926-SM-5KLYY 40-49 years, female 11.7
GTEX-144GN-0726-SM-5O98O 50-59 years, male 11.7
GTEX-146FH-2026-SM-5SI9I 50-59 years, female 11.7
GTEX-1B8SF-1726-SM-73KZ5 60-69 years, male 11.7
GTEX-ZA64-0926-SM-5HL7H 20-29 years, male 11.7
GTEX-1HT8W-0726-SM-A9SLB 30-39 years, male 11.7
GTEX-145MF-1026-SM-5Q5EQ 50-59 years, male 11.6
GTEX-18A6Q-1026-SM-7LT9S 60-69 years, male 11.6
GTEX-XBED-1326-SM-4AT4F 60-69 years, male 11.6
GTEX-ZTX8-0726-SM-59HL9 20-29 years, male 11.6
GTEX-1IDJD-0926-SM-ACKWW 30-39 years, male 11.6
GTEX-1JMQJ-1926-SM-D4P3A 50-59 years, male 11.6
GTEX-1LSVX-1326-SM-DIPET 60-69 years, male 11.6
GTEX-1OJC3-1326-SM-E9J3D 20-29 years, male 11.6
GTEX-14C38-1026-SM-73KY7 50-59 years, male 11.5
GTEX-1CB4F-1126-SM-79OLG 60-69 years, male 11.5
GTEX-1MA7X-1026-SM-DKPQ8 60-69 years, male 11.5
GTEX-1N2EF-0926-SM-E8VNW 60-69 years, male 11.5
GTEX-13G51-0526-SM-5IJCQ 60-69 years, male 11.4
GTEX-13X6J-1926-SM-5TDCU 50-59 years, male 11.4
GTEX-1C64N-1326-SM-7SB7D 50-59 years, male 11.4
GTEX-1F5PL-1326-SM-7SB83 40-49 years, female 11.4
GTEX-13OVG-1326-SM-5K7Y3 60-69 years, male 11.3
GTEX-14PN4-1426-SM-6LLJ4 50-59 years, male 11.3
GTEX-18A67-1326-SM-7LT8V 50-59 years, male 11.3
GTEX-1AX9I-1726-SM-731BX 60-69 years, male 11.3
GTEX-1EN7A-1626-SM-79OLV 40-49 years, male 11.3
GTEX-1CB4I-0826-SM-7MGX1 50-59 years, male 11.3
GTEX-1H3VE-1926-SM-9YFL4 40-49 years, male 11.3
GTEX-1JMQK-1326-SM-CNPOR 60-69 years, male 11.3
GTEX-11OF3-0826-SM-5BC51 60-69 years, male 11.2
GTEX-14PJN-0626-SM-6EU13 30-39 years, male 11.2
GTEX-15D1Q-1326-SM-69LOA 40-49 years, male 11.2
GTEX-15SKB-1626-SM-6PAL6 60-69 years, male 11.2
GTEX-ZDTS-1826-SM-5S2N6 60-69 years, male 11.2
GTEX-1J8Q2-2226-SM-CM2TZ 60-69 years, male 11.2
GTEX-1LVAN-0926-SM-CNNQ2 50-59 years, female 11.2
GTEX-1S5VW-2426-SM-EAZ52 60-69 years, male 11.2
GTEX-12WSG-0426-SM-5FQSE 50-59 years, female 11.1
GTEX-13N1W-1226-SM-5K7UM 70-79 years, male 11.1
GTEX-14C5O-0926-SM-793DM 60-69 years, male 11.1
GTEX-1AX9J-2226-SM-731CW 60-69 years, male 11.1
GTEX-ZP4G-1326-SM-5EGIW 20-29 years, female 11.1
GTEX-1HCU6-1626-SM-CMKGW 60-69 years, female 11.1
GTEX-1MJK3-0626-SM-E6CJB 20-29 years, male 11.1
GTEX-1S3DN-1626-SM-EVYCC 50-59 years, male 11.1
GTEX-WHPG-0626-SM-3NMBD 50-59 years, male 11.0
GTEX-Y9LG-1226-SM-4VBQA 30-39 years, male 11.0
GTEX-Z9EW-0826-SM-5HL9T 40-49 years, male 11.0
GTEX-1KXAM-0526-SM-DKPQN 60-69 years, male 11.0
GTEX-1S831-1926-SM-EV79P 20-29 years, male 11.0
GTEX-12WSC-1726-SM-5GCN3 50-59 years, male 10.9
GTEX-13OVJ-0926-SM-5K7U1 50-59 years, female 10.9
GTEX-1B8SG-1426-SM-7EWEM 50-59 years, male 10.9
GTEX-WK11-2426-SM-3NMAA 50-59 years, male 10.9
GTEX-ZPU1-1226-SM-5HL71 40-49 years, male 10.9
GTEX-ZT9X-0926-SM-5O9C4 40-49 years, male 10.9
GTEX-ZVZP-1126-SM-5GICU 50-59 years, male 10.9
GTEX-1IDJF-1726-SM-A9SLL 20-29 years, male 10.9
GTEX-1IKK5-0826-SM-ACKWN 60-69 years, male 10.9
GTEX-1JMQI-1026-SM-COH2U 50-59 years, male 10.9
GTEX-117YX-0726-SM-5GIET 50-59 years, male 10.8
GTEX-12WSL-1126-SM-5CVNK 50-59 years, male 10.8
GTEX-WY7C-0926-SM-3NB34 50-59 years, male 10.8
GTEX-ZF2S-1526-SM-5S2OO 50-59 years, female 10.8
GTEX-1HC8U-0926-SM-A9G3L 40-49 years, female 10.8
GTEX-1C6VR-1126-SM-7EPHD 60-69 years, male 10.7
GTEX-1GZ2Q-1226-SM-9MQM8 40-49 years, male 10.7
GTEX-12ZZX-1726-SM-5BC63 40-49 years, female 10.6
GTEX-13U4I-1726-SM-5J1MF 40-49 years, female 10.6
GTEX-14E6E-0226-SM-7DUEF 30-39 years, male 10.6
GTEX-ZYW4-2226-SM-5GZYG 60-69 years, male 10.6
GTEX-16NPX-1026-SM-6PAM7 50-59 years, male 10.5
GTEX-17HHE-1526-SM-793AS 50-59 years, male 10.5
GTEX-1QMI2-1626-SM-EYYXK 60-69 years, male 10.5
GTEX-131XE-2026-SM-5LZW1 50-59 years, male 10.4
GTEX-13X6I-1526-SM-5SIAC 60-69 years, male 10.4
GTEX-W5X1-1426-SM-3GIKH 40-49 years, female 10.4
GTEX-1F6I4-2126-SM-7PC2J 60-69 years, male 10.4
GTEX-1IDJC-0226-SM-CMKG2 50-59 years, male 10.4
GTEX-1KD4Q-1426-SM-D4P3K 40-49 years, male 10.4
GTEX-1KD5A-1326-SM-CYPTB 50-59 years, male 10.4
GTEX-1QAET-1226-SM-DTX9I 50-59 years, male 10.4
GTEX-13O21-3126-SM-5J1OI 50-59 years, male 10.3
GTEX-1A3MV-0626-SM-731CH 30-39 years, male 10.3
GTEX-ZZPU-0326-SM-5N9BJ 50-59 years, female 10.3
GTEX-1F75I-1026-SM-7SB8B 40-49 years, male 10.3
GTEX-1HB9E-0526-SM-ARZNM 50-59 years, male 10.3
GTEX-1QPFJ-2126-SM-EXOJV 30-39 years, female 10.3
GTEX-11LCK-0326-SM-5A5M7 30-39 years, male 10.2
GTEX-14BMU-0626-SM-73KZ6 20-29 years, female 10.2
GTEX-14PJ4-0126-SM-62LEZ 60-69 years, male 10.2
GTEX-17F98-0326-SM-7DHLH 40-49 years, female 10.2
GTEX-1B97I-0526-SM-73KXE 40-49 years, male 10.2
GTEX-X8HC-2326-SM-4QAS4 50-59 years, female 10.2
GTEX-Y114-1326-SM-4TT9A 50-59 years, female 10.2
GTEX-1H1ZS-1326-SM-9WG74 70-79 years, male 10.2
GTEX-WVLH-1626-SM-EXURN 50-59 years, male 10.2
GTEX-1AYCT-1126-SM-79OO8 50-59 years, male 10.1
GTEX-1B932-1726-SM-793A5 40-49 years, female 10.1
GTEX-1HFI7-0726-SM-ACKVN 50-59 years, female 10.1
GTEX-1I1GR-1726-SM-COH39 60-69 years, male 10.1
GTEX-1IY9M-1226-SM-ACKX1 60-69 years, male 10.1
GTEX-1JKYN-0526-SM-CGQG3 30-39 years, male 10.1
GTEX-1N2EE-1526-SM-DTXE9 60-69 years, male 10.1
GTEX-1POEN-1626-SM-EVYC2 30-39 years, female 10.1
GTEX-11DXY-0326-SM-5H12F 60-69 years, male 10.0
GTEX-11PRG-1526-SM-5HL6Z 50-59 years, male 10.0
GTEX-15DZA-0626-SM-6PANC 30-39 years, female 10.0
GTEX-17KNJ-0426-SM-718AK 50-59 years, male 10.0
GTEX-1H4P4-0326-SM-9WYTD 50-59 years, male 10.0
GTEX-1C475-0326-SM-7SB8O 40-49 years, female 9.9
GTEX-1HBPI-1826-SM-ADEHE 50-59 years, male 9.9
GTEX-1128S-0926-SM-5GZZU 60-69 years, female 9.8
GTEX-18D9U-0426-SM-731AN 40-49 years, male 9.8
GTEX-VJWN-2326-SM-EVYAP 50-59 years, female 9.8
GTEX-144GM-0626-SM-79OKY 20-29 years, male 9.7
GTEX-1C6VQ-1526-SM-73KU9 50-59 years, male 9.7
GTEX-1HSMP-1126-SM-B2LXJ 70-79 years, male 9.7
GTEX-1IDJH-1626-SM-A9SLP 70-79 years, male 9.7
GTEX-11P81-0726-SM-5PNYH 30-39 years, female 9.6
GTEX-1313W-1626-SM-5J1OE 50-59 years, female 9.6
GTEX-15EU6-1726-SM-6M48H 50-59 years, male 9.6
GTEX-WI4N-1526-SM-EZ6LG 40-49 years, female 9.6
GTEX-12WSF-1526-SM-6PAN6 70-79 years, male 9.5
GTEX-13OVH-1126-SM-5K7YP 70-79 years, male 9.5
GTEX-ZV7C-0826-SM-59HK8 50-59 years, male 9.5
GTEX-1F48J-1826-SM-7SB8T 50-59 years, female 9.5
GTEX-13O3P-0926-SM-5IFFI 50-59 years, male 9.4
GTEX-17EVQ-0626-SM-7KFTB 70-79 years, male 9.4
GTEX-UPK5-1826-SM-3GAEB 40-49 years, male 9.4
GTEX-XYKS-1826-SM-4E3JV 60-69 years, female 9.4
GTEX-1I4MK-0726-SM-ACKWC 50-59 years, female 9.4
GTEX-13NYS-0726-SM-5J1OR 60-69 years, male 9.3
GTEX-1ICLY-1426-SM-CJI48 50-59 years, male 9.3
GTEX-1QCLY-1226-SM-EVYC3 30-39 years, male 9.3
GTEX-111CU-1026-SM-5EGIL 50-59 years, male 9.2
GTEX-1EKGG-1426-SM-7PBY2 60-69 years, male 9.2
GTEX-183FY-1226-SM-7DHLK 20-29 years, male 9.1
GTEX-1CAMQ-1226-SM-7SB7E 40-49 years, male 9.1
GTEX-1HSGN-1926-SM-CMKGS 40-49 years, female 9.1
GTEX-1HSKV-1926-SM-CNPPN 60-69 years, male 9.1
GTEX-13QBU-1326-SM-5LU4K 40-49 years, female 9.0
GTEX-1B996-1226-SM-73KWZ 60-69 years, male 9.0
GTEX-1K2DU-0726-SM-DIPF7 20-29 years, male 9.0
GTEX-1B8KZ-1026-SM-73KYN 50-59 years, male 8.9
GTEX-1CAMR-0326-SM-793AH 20-29 years, male 8.9
GTEX-1H23P-1726-SM-A9SMN 60-69 years, male 8.9
GTEX-18D9B-1726-SM-7LTAP 60-69 years, male 8.8
GTEX-ZAB4-1426-SM-5CVN6 40-49 years, male 8.8
GTEX-1GF9W-1026-SM-7SB8X 60-69 years, male 8.8
GTEX-ZYFC-1826-SM-5GZZA 50-59 years, male 8.7
GTEX-15EOM-2326-SM-7KUMV 20-29 years, female 8.6
GTEX-ZF3C-1026-SM-5S2OC 50-59 years, female 8.5
GTEX-1GMRU-0726-SM-7PBZH 50-59 years, male 8.5
GTEX-11WQK-1526-SM-5EGKN 50-59 years, male 8.4
GTEX-1LKK1-1526-SM-EVYCO 50-59 years, female 8.4
GTEX-12KS4-1526-SM-5EQ6E 30-39 years, male 8.3
GTEX-1H1DG-2026-SM-9QEIV 70-79 years, male 8.2
GTEX-14E6C-1226-SM-5ZZUN 40-49 years, male 8.0
GTEX-1RLM8-1026-SM-EWROE 50-59 years, male 8.0
GTEX-12WSK-1026-SM-5CVNR 40-49 years, female 7.9
GTEX-1EU9M-1126-SM-793DE 60-69 years, male 7.9
GTEX-1I1GP-1426-SM-ACKVZ 50-59 years, male 7.6
GTEX-14PHX-1626-SM-69LQB 50-59 years, male 7.3
GTEX-WFJO-1026-SM-3GIKL 30-39 years, male 7.3
GTEX-1AX8Z-1626-SM-73KWD 60-69 years, male 7.2
GTEX-13N11-1826-SM-5IJDS 50-59 years, female 7.0
GTEX-1O9I2-1326-SM-E6CQD 50-59 years, male 6.9
GTEX-13FHO-2026-SM-5J1OA 60-69 years, male 6.5
GTEX-14C39-0826-SM-5TDDU 40-49 years, male 5.7
Show allShow less

ADIPOSE TISSUE - FANTOM5 CAGEi

RNA expression in human tissues obtained through Cap Analysis of Gene Expression (CAGE) generated by the FANTOM5 project are reported as Scaled Tags Per Million.

Max subtype Scaled Tags Per Millioni

Max subtype Scaled Tags Per Million is the value for the subtype with the largest average Scaled Tags Per Million across the subtype samples.

27.0
FANTOM5 sample id Sample description Scaled Tags Per Million
Adipose tissue
Scaled Tags Per Million: 27.0
FF:10010-101C1 65,65,76 years, mixed 27.0

Contact

  • NEWS ARTICLES
  • PRESS ROOM

The Project

  • INTRODUCTION
  • ORGANIZATION
  • PUBLICATIONS

The Human Protein Atlas

  • DOWNLOADABLE DATA
  • LICENCE & CITATION
  • HELP & FAQ
The Human Protein Atlas project is funded
by the Knut & Alice Wallenberg Foundation.


contact@proteinatlas.org