We use cookies to enhance the usability of our website. If you continue, we'll assume that you are happy to receive all cookies. More information. Don't show this again.
LMNB2
HPA
RESOURCES
  • TISSUE
  • BRAIN
  • SINGLE CELL
  • SUBCELLULAR
  • CANCER
  • BLOOD
  • CELL LINE
  • STRUCTURE & INTERACTION
ABOUT
  • INTRODUCTION
  • HISTORY
  • ORGANIZATION
  • PUBLICATIONS
  • ANTIBODY SUBMISSION
  • ANTIBODY AVAILABILITY
  • ACKNOWLEDGMENTS
  • CONTACT
NEWS
  • NEWS ARTICLES
  • PRESS ROOM
LEARN
  • DICTIONARY
  • PROTEIN CLASSES
  • PROTEIN EVIDENCE
  • METHODS
  • EDUCATIONAL VIDEOS
DATA
  • DOWNLOADABLE DATA
  • PUBLICATION DATA
  • RELEASE HISTORY
HELP
  • ANTIBODY VALIDATION
  • ASSAYS & ANNOTATION
  • DISCLAIMER
  • HELP & FAQ
  • PRIVACY STATEMENT
  • LICENCE & CITATION
Fields »
Search result

Field
Term
Gene name
Class
Subclass
Class
Keyword
Chromosome
External id
Tissue
Cell type
Expression
Antibody panel
Tissue
Main location
Patient ID
Annotation
Tissue
Category
Tau score
Cluster
Reliability
Brain region
Category
Tau score
Brain region
Category
Tau score
Brain region
Category
Tau score
Cluster
Reliability
Tissue
Cell type
Enrichment
Cell type
Category
Tau score
Cell type
Category
Tau score
Cell type
Category
Tau score
Cell lineage
Category
Tau score
Cluster
Cluster
Location
Searches
Location
Cell line
Class
Type
Phase
Reliability
Cancer
Prognosis
Cancer
Category
Cancer
Category
Tau score
Cluster
Variants
Interacting gene (ensg_id)
Type
Number of interactions
Pathway
Category
Score
Score
Score
Validation
Validation
Validation
Validation
Antibodies
Data type
Column


  • SUMMARY

  • TISSUE

  • BRAIN

  • SINGLE CELL

  • SUBCELL

  • CANCER

  • BLOOD

  • CELL LINE

  • STRUCT & INT

  • LMNB2
TISSUE PRIMARY DATA SKIN Show tissue menu
ADIPOSE TISSUE ADRENAL GLAND AMYGDALA APPENDIX BASAL GANGLIA BONE MARROW BREAST BRONCHUS CEREBELLUM CEREBRAL CORTEX CERVIX CHOROID PLEXUS COLON DUODENUM
ENDOMETRIUM EPIDIDYMIS ESOPHAGUS FALLOPIAN TUBE GALLBLADDER HEART MUSCLE HIPPOCAMPAL FORMATION HYPOTHALAMUS KIDNEY LIVER LUNG LYMPH NODE MIDBRAIN NASOPHARYNX
ORAL MUCOSA OVARY PANCREAS PARATHYROID GLAND PITUITARY GLAND PLACENTA PROSTATE RECTUM RETINA SALIVARY GLAND SEMINAL VESICLE SKELETAL MUSCLE SKIN SMALL INTESTINE
SMOOTH MUSCLE SOFT TISSUE SPINAL CORD SPLEEN STOMACH TESTIS THYMUS THYROID GLAND TONGUE TONSIL URINARY BLADDER VAGINA
ANTIBODIES
AND
VALIDATION
Dictionary
Skin
Tissue proteome
Skin
SKIN - Expression summary
Protein expression
Skini

On the top, protein expression in current human tissue, based on all annotated cell types, is reported with the units not detected (n), low (l), medium (m) and high (h). Underneath, protein expression in each annotated cell type are reported using the same units.

Protein expression data is based on knowledge-based annotation. For genes where more than one antibody has been used, a collective score is set.

If knowledge-based annotation could not be performed for a gene, no data is displayed here. View antibody staining data further down this page.

h
m
l
n
Cells in basal layer: Medium
Cells in corneal layer: Not detected
Cells in granular layer: Not detected
Cells in spinous layer: Not detected
Endothelial cells: Low
Extracellular matrix: Not detected
Fibrohistiocytic cells: Not detected
Langerhans cells: Not detected
Lymphocytes: Medium
Melanocytes: Not detected
Vascular mural cells: Not detected
RNA expressioni

A summary of mRNA expression data available for current tissue based on several datasets. The mRNA expression levels in human tissues are based on RNA-seq data generated by the Human Protein Atlas (HPA), Genotype-Tissue Expression (GTEx) portal and CAGE data generated by the FANTOM5 consortium. Consensus normalized expression levels for human tissues was created by combining the data from HPA and GTEx datasets.

The mRNA expression levels in pig are based on RNA-seq data generated by the Human Protein Atlas (HPA), and for mouse, HPA data and in situ hybridization generated by the Allen brain atlas are reported.

Scroll down to view mRNA expression data in more detail.
Consensus:10.3 nTPM
HPA:9.8 nTPM
GTEx:10.3 nTPM

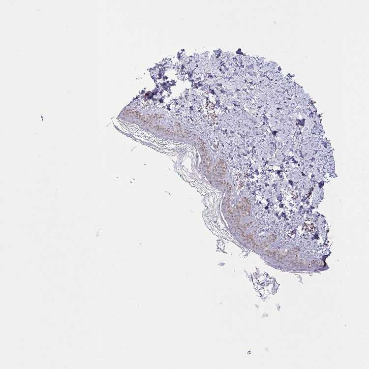
SKIN 1 - Antibody stainingi

Antibody staining in the annotated cell types in the current human tissue is reported as not detected, low, medium, or high, based on conventional immunohistochemistry profiling in selected tissues. This score is based on the combination of the staining intensity and fraction of stained cells.

Each image is clickable and will lead to virtual microscopy that enables deeper exploration of all samples and also displays staining intensity scores, fraction scores and subcellular localization as well as patient and tissue information for each sample.

Antibody HPA047863Antibody HPA062477Antibody CAB022593
Langerhans -HighNot detected
Cells in basal layer Medium--
Cells in corneal layer Not detected--
Cells in granular layer Not detected--
Cells in spinous layer Not detected--
Endothelial cells Low--
Extracellular matrix Not detected--
Fibroblasts -HighNot detected
Fibrohistiocytic cells Not detected--
Keratinocytes -HighNot detected
Langerhans cells Not detected--
Lymphocytes Medium--
Melanocytes Not detectedHighNot detected
Vascular mural cells Not detected--



SKIN 2 - Antibody stainingi

Antibody staining in the annotated cell types in the current human tissue is reported as not detected, low, medium, or high, based on conventional immunohistochemistry profiling in selected tissues. This score is based on the combination of the staining intensity and fraction of stained cells.

Each image is clickable and will lead to virtual microscopy that enables deeper exploration of all samples and also displays staining intensity scores, fraction scores and subcellular localization as well as patient and tissue information for each sample.

Antibody HPA047863Antibody HPA062477
Cells in basal layer Medium-
Cells in corneal layer Not detected-
Cells in granular layer Not detected-
Cells in spinous layer Not detected-
Endothelial cells Low-
Epidermal cells -High
Extracellular matrix Not detected-
Fibrohistiocytic cells Not detected-
Langerhans cells Not detected-
Lymphocytes Medium-
Melanocytes Not detected-
Vascular mural cells Not detected-
  
  



SKIN - HPA RNA-seqi

The RNA-seq details section shows detailed information about the individual samples used for the transcript profiling and results of the RNA-seq analysis.

Information about each individual sample is listed below, including gender, age, a tissue section image and estimated fractions of cell types. nTPM (normalized transcripts per million) values give a quantification of the gene abundance which is comparable between different genes and samples.
Average nTPMi

Max subtype nTPM is the value for the subtype with the largest average nTPM across the subtype samples.

9.8
overview
Female, age 34
Skin sample 225
nTPM: 7.9
Cell types%
Keratinocytes:
60

Other cell types:
40

overview
Female, age 30
Skin sample 226
nTPM: 4.7
Cell types%
Keratinocytes:
55

Other cell types:
45

N/A
Male, age 57
Skin sample 227
nTPM: 16.9

SKIN - GTEx RNA-seqi

RNA-Seq data generated by the Genotype-Tissue Expression (GTEx) project from human tissues is reported as mean nTPM. More information can be found on the GTEx portal.

Distribution across the dataset is visualized with box plots, shown as median and 25th and 75th percentiles. Points are displayed as outliers if they are above or below 1.5 times the interquartile range. nTPM values of the individual samples are presented next to the box plot.
Max subtype nTPMi

Max subtype nTPM is the value for the subtype with the largest average nTPM across the subtype samples.

10.3
GTEx sample id Sample description nTPM
Skin - Not Sun Exposed (Suprapubic)
Average nTPM: 10.3
Samples: 604

Max nTPM: 27.8
Min nTPM: 4.0
Std nTPM: 3.7
Median nTPM: 9.7
GTEX-ZY6K-1426-SM-5GZX2 50-59 years, male 27.8
GTEX-1R9PN-0426-SM-DTXDT 40-49 years, female 27.8
GTEX-14XAO-1226-SM-6EU1C 60-69 years, female 27.6
GTEX-X585-2426-SM-46MW2 50-59 years, male 26.9
GTEX-1PPH8-0126-SM-EWRN8 20-29 years, male 25.5
GTEX-12WSK-2126-SM-5CVNC 40-49 years, female 25.3
GTEX-WHSE-0126-SM-3NMBT 20-29 years, male 25.1
GTEX-XYKS-1426-SM-4BRUO 60-69 years, female 24.7
GTEX-111VG-1626-SM-5EGIO 60-69 years, male 23.7
GTEX-11WQK-1026-SM-5EQLX 50-59 years, male 21.8
GTEX-132AR-0326-SM-5KM2C 50-59 years, female 21.7
GTEX-13NYB-0126-SM-5J1MD 40-49 years, male 21.7
GTEX-14PHY-1226-SM-5ZZWK 60-69 years, female 21.5
GTEX-1ICG6-1226-SM-A9SLN 70-79 years, female 21.5
GTEX-1HSMP-0926-SM-A9SKX 70-79 years, male 20.7
GTEX-11DXX-2126-SM-5PNYR 60-69 years, female 20.2
GTEX-16MT9-0126-SM-7EPI8 60-69 years, female 20.2
GTEX-1F6I4-2326-SM-7RHGL 60-69 years, male 20.0
GTEX-17KNJ-2126-SM-718AM 50-59 years, male 19.8
GTEX-WH7G-2026-SM-3NMBL 40-49 years, male 19.8
GTEX-1H11D-1826-SM-9QEHM 40-49 years, male 19.6
GTEX-1IKOE-1426-SM-CE6T7 30-39 years, female 19.0
GTEX-1I1GU-0926-SM-ACKVS 40-49 years, male 18.9
GTEX-ZVTK-0226-SM-51MRG 20-29 years, male 18.7
GTEX-11DZ1-2426-SM-5GZZX 50-59 years, male 18.0
GTEX-13G51-1826-SM-5KLZH 60-69 years, male 17.9
GTEX-U8XE-0226-SM-4E3J3 30-39 years, male 17.9
GTEX-1399Q-2326-SM-5KM2X 40-49 years, male 17.7
GTEX-1IDJC-1526-SM-B2LW4 50-59 years, male 17.7
GTEX-14PJ3-1126-SM-5ZZVX 50-59 years, male 17.6
GTEX-1QAET-0326-SM-EVR3U 50-59 years, male 17.1
GTEX-1313W-0626-SM-5EQ4H 50-59 years, female 17.0
GTEX-15G1A-1626-SM-7KUKN 30-39 years, male 17.0
GTEX-WFON-1926-SM-3LK7L 40-49 years, male 17.0
GTEX-13FTX-1526-SM-5K7VJ 20-29 years, female 16.8
GTEX-139YR-1026-SM-5LZYN 50-59 years, male 16.7
GTEX-ZT9X-1526-SM-5DUXD 40-49 years, male 16.6
GTEX-15SHW-0226-SM-7LTAT 60-69 years, male 16.5
GTEX-WXYG-2026-SM-4E3IY 50-59 years, female 16.5
GTEX-W5X1-2526-SM-3GILC 40-49 years, female 16.3
GTEX-ZYVF-0926-SM-5E44J 50-59 years, female 16.3
GTEX-1399S-0126-SM-5IJCF 30-39 years, female 16.2
GTEX-1R9PM-1926-SM-EVR3O 20-29 years, male 16.1
GTEX-12WSJ-1126-SM-5LZVJ 40-49 years, female 16.0
GTEX-17HG3-2626-SM-7DUF2 30-39 years, female 16.0
GTEX-XQ3S-1426-SM-4BOPR 20-29 years, male 16.0
GTEX-12ZZX-2426-SM-5GCOE 40-49 years, female 15.9
GTEX-14PK6-0226-SM-62LF5 70-79 years, female 15.9
GTEX-1F6RS-2026-SM-7RHHC 60-69 years, female 15.9
GTEX-13OVK-1426-SM-6PAN7 40-49 years, male 15.8
GTEX-1E2YA-2126-SM-7MXUO 50-59 years, male 15.8
GTEX-12126-0826-SM-5FQTZ 20-29 years, male 15.4
GTEX-1JN76-0626-SM-CKZOQ 20-29 years, female 15.4
GTEX-15RJ7-2126-SM-6PAMD 40-49 years, male 15.3
GTEX-14E1K-2026-SM-7DUEI 50-59 years, male 15.1
GTEX-18A67-1626-SM-7LT9T 50-59 years, male 15.1
GTEX-1HBPN-0126-SM-CGQEF 50-59 years, male 15.1
GTEX-ZTX8-1326-SM-4YCEL 20-29 years, male 15.0
GTEX-XBEW-1126-SM-4QARW 40-49 years, male 14.9
GTEX-ZDTS-0826-SM-4WKHL 60-69 years, male 14.8
GTEX-1HT8W-0626-SM-A9G2H 30-39 years, male 14.8
GTEX-XXEK-1626-SM-4BRUZ 50-59 years, male 14.7
GTEX-1H2FU-0926-SM-9WPPT 60-69 years, female 14.6
GTEX-17F96-0126-SM-7EWDU 70-79 years, male 14.5
GTEX-1AX8Z-0726-SM-73KTS 60-69 years, male 14.3
GTEX-Y111-0626-SM-4SOIT 50-59 years, male 14.3
GTEX-ZVP2-0326-SM-57WBP 50-59 years, male 14.3
GTEX-1H1DE-1326-SM-9KNUG 20-29 years, male 14.3
GTEX-ZP4G-1426-SM-4WWCL 20-29 years, female 14.2
GTEX-1J1OQ-0126-SM-D4P2N 40-49 years, female 14.1
GTEX-17HGU-2326-SM-7DUFE 50-59 years, male 14.0
GTEX-WI4N-2726-SM-3LK7Y 40-49 years, female 14.0
GTEX-131XG-0326-SM-5L3DX 50-59 years, female 13.9
GTEX-1AYD5-2626-SM-7PBXY 50-59 years, male 13.9
GTEX-1J8EW-2726-SM-CY8HR 60-69 years, female 13.9
GTEX-WFG7-2026-SM-5SI7P 20-29 years, male 13.8
GTEX-1PIGE-1826-SM-E8VOU 20-29 years, male 13.8
GTEX-ZYT6-2326-SM-5GZY3 30-39 years, male 13.7
GTEX-1O9I2-0226-SM-EYYXD 50-59 years, male 13.7
GTEX-1AX9J-1326-SM-731BJ 60-69 years, male 13.6
GTEX-1C6WA-2626-SM-7MKGM 60-69 years, male 13.6
GTEX-1JMQK-1226-SM-D4P2S 60-69 years, male 13.6
GTEX-11DXZ-2026-SM-5987S 50-59 years, male 13.5
GTEX-13W3W-0726-SM-5IJDQ 60-69 years, female 13.4
GTEX-15CHR-1126-SM-7EWF4 50-59 years, male 13.4
GTEX-Y114-2126-SM-4TT8B 50-59 years, female 13.4
GTEX-1CAMS-2226-SM-7PBXQ 40-49 years, female 13.4
GTEX-1I1HK-2326-SM-CKZOH 60-69 years, male 13.4
GTEX-1LBAC-0826-SM-CY8IJ 20-29 years, male 13.4
GTEX-1NSGN-0726-SM-DTXEF 50-59 years, male 13.4
GTEX-145MH-2826-SM-5RQJF 50-59 years, male 13.3
GTEX-1HBPI-2126-SM-ARL9K 50-59 years, male 13.3
GTEX-1HC8U-1326-SM-9YFMJ 40-49 years, female 13.3
GTEX-11O72-0626-SM-5PNYE 40-49 years, male 13.2
GTEX-ZC5H-1526-SM-5HL9Y 40-49 years, female 13.2
GTEX-1HCUA-0826-SM-ADEHM 50-59 years, female 13.2
GTEX-ZLV1-1526-SM-DO91J 60-69 years, female 13.2
GTEX-12WSD-0626-SM-5GCMW 60-69 years, female 13.1
GTEX-14ABY-2026-SM-62LDL 50-59 years, male 13.1
GTEX-1J8QM-2426-SM-A9SLS 60-69 years, female 13.1
GTEX-13N11-2326-SM-5IJBF 50-59 years, female 13.0
GTEX-1B8KZ-0326-SM-73KY4 50-59 years, male 13.0
GTEX-1LB8K-0726-SM-D5OV2 50-59 years, male 13.0
GTEX-15RIE-1926-SM-7KUKJ 60-69 years, male 12.9
GTEX-XK95-0226-SM-4AT58 40-49 years, male 12.9
GTEX-Y5LM-0926-SM-6LLJG 40-49 years, female 12.9
GTEX-ZAK1-0626-SM-5HL8E 50-59 years, female 12.9
GTEX-1JMOU-1026-SM-CYPSS 60-69 years, female 12.9
GTEX-1KD5A-0126-SM-E9U54 50-59 years, male 12.9
GTEX-1POEN-2326-SM-E9J2L 30-39 years, female 12.9
GTEX-13NYC-0126-SM-5L3F4 60-69 years, male 12.8
GTEX-1GPI7-1826-SM-9KNU1 20-29 years, male 12.8
GTEX-1H1DG-2426-SM-9QEHJ 70-79 years, male 12.8
GTEX-18A66-0626-SM-7LT8Z 60-69 years, male 12.7
GTEX-131YS-2826-SM-5EQ47 60-69 years, female 12.6
GTEX-14PJ6-2626-SM-6EU2T 60-69 years, female 12.6
GTEX-1EU9M-1426-SM-793AI 60-69 years, male 12.6
GTEX-WY7C-2126-SM-3NB2R 50-59 years, male 12.5
GTEX-1CAMR-1326-SM-7PC1F 20-29 years, male 12.5
GTEX-1MJK3-0726-SM-E6CJC 20-29 years, male 12.5
GTEX-1OJC3-1226-SM-DTXER 20-29 years, male 12.5
GTEX-11DYG-1526-SM-5A5JS 60-69 years, male 12.4
GTEX-1B97I-0626-SM-73KUZ 40-49 years, male 12.4
GTEX-YECK-0326-SM-4W1YS 60-69 years, male 12.4
GTEX-1IY9M-2826-SM-ARU8H 60-69 years, male 12.4
GTEX-1JN1M-2726-SM-CY8I4 60-69 years, female 12.4
GTEX-15G19-2426-SM-7KUMR 60-69 years, male 12.3
GTEX-1CB4F-1026-SM-7DUH1 60-69 years, male 12.3
GTEX-ZDXO-3126-SM-5IJDF 60-69 years, male 12.3
GTEX-145MG-1526-SM-5Q5EM 50-59 years, male 12.2
GTEX-15CHC-1126-SM-6LLHQ 60-69 years, female 12.2
GTEX-16MTA-0926-SM-6M47Z 50-59 years, male 12.2
GTEX-18D9B-0926-SM-7LG4U 60-69 years, male 12.2
GTEX-1BAJH-2426-SM-7IGP8 70-79 years, male 12.2
GTEX-ZWKS-0626-SM-5GIDV 30-39 years, male 12.2
GTEX-1RAZQ-1326-SM-E9TK6 30-39 years, male 12.2
GTEX-1S82U-1026-SM-E6CJK 30-39 years, female 12.2
GTEX-WRHU-2826-SM-3MJG8 50-59 years, female 12.1
GTEX-1RB15-1326-SM-E76Q9 60-69 years, male 12.1
GTEX-11P7K-1126-SM-5HL4L 30-39 years, male 12.0
GTEX-1212Z-0126-SM-59HK4 60-69 years, male 12.0
GTEX-147GR-2426-SM-5ZZWQ 60-69 years, male 12.0
GTEX-16YQH-2226-SM-7IGM2 30-39 years, male 12.0
GTEX-1B932-2326-SM-79OL5 40-49 years, female 12.0
GTEX-1CB4E-0926-SM-7EPHT 60-69 years, male 12.0
GTEX-WHWD-1826-SM-3LK6I 50-59 years, male 12.0
GTEX-XAJ8-1426-SM-47JYM 40-49 years, male 12.0
GTEX-1F5PL-0926-SM-7PC2W 40-49 years, female 12.0
GTEX-145LU-1926-SM-79OJN 50-59 years, male 11.9
GTEX-16GPK-0626-SM-7KFSF 60-69 years, male 11.9
GTEX-ZLFU-1826-SM-4WWBV 40-49 years, male 11.9
GTEX-1I1GP-1326-SM-A9G28 50-59 years, male 11.9
GTEX-1PIIG-2326-SM-DTXFR 30-39 years, male 11.9
GTEX-ZPIC-0526-SM-DO91W 40-49 years, female 11.9
GTEX-ZPCL-1126-SM-4WWFE 60-69 years, female 11.8
GTEX-1GZHY-0626-SM-9KNVC 50-59 years, female 11.8
GTEX-1S83E-1326-SM-E6CJM 40-49 years, male 11.8
GTEX-11EQ8-0926-SM-5H12V 60-69 years, male 11.7
GTEX-11GS4-0226-SM-5HL77 60-69 years, male 11.7
GTEX-131XH-0126-SM-5LZUY 50-59 years, male 11.7
GTEX-15ER7-0626-SM-6PANF 20-29 years, female 11.7
GTEX-1B933-2426-SM-7DHMD 50-59 years, female 11.7
GTEX-1F75A-0726-SM-7RHHD 50-59 years, male 11.7
GTEX-13FTY-2126-SM-5IFFB 40-49 years, female 11.6
GTEX-14C38-0726-SM-5SI6M 50-59 years, male 11.6
GTEX-183FY-1026-SM-7939A 20-29 years, male 11.6
GTEX-ZE9C-2526-SM-5IJDR 60-69 years, male 11.6
GTEX-1KANA-1326-SM-DIPFA 20-29 years, male 11.6
GTEX-12ZZY-0726-SM-5EQ66 60-69 years, male 11.5
GTEX-17HII-1426-SM-7EPGG 50-59 years, male 11.5
GTEX-1EWIQ-0326-SM-7DHMQ 70-79 years, female 11.5
GTEX-YJ8O-2526-SM-5HL85 40-49 years, female 11.5
GTEX-1GN1U-0626-SM-9MQL9 50-59 years, female 11.5
GTEX-1H1DF-1126-SM-9WG7G 40-49 years, female 11.5
GTEX-14ICL-1626-SM-5YYAO 30-39 years, male 11.4
GTEX-16AAH-0626-SM-793C9 50-59 years, male 11.4
GTEX-17MFQ-1526-SM-7KFRR 20-29 years, male 11.4
GTEX-WYJK-0526-SM-3NM8Z 50-59 years, male 11.4
GTEX-1CB4J-1326-SM-7P8RX 60-69 years, male 11.4
GTEX-1K2DA-1026-SM-CGQGF 50-59 years, male 11.4
GTEX-1LG7Z-1626-SM-CXKYR 30-39 years, male 11.4
GTEX-1N2DV-1526-SM-DTXEP 40-49 years, male 11.4
GTEX-12WSC-2826-SM-5BC5Y 50-59 years, male 11.3
GTEX-13RTJ-0126-SM-5S2NN 60-69 years, male 11.3
GTEX-144GO-2026-SM-5O99P 60-69 years, male 11.3
GTEX-1JMQJ-0826-SM-CNPP7 50-59 years, male 11.3
GTEX-1KANB-2826-SM-CY8I6 50-59 years, male 11.3
GTEX-1LSNL-2726-SM-E9TKJ 50-59 years, male 11.3
GTEX-1LSNM-0826-SM-DIPG8 50-59 years, male 11.3
GTEX-1LVAN-0626-SM-CNPOQ 50-59 years, female 11.3
GTEX-1A3MW-0626-SM-731CB 60-69 years, female 11.2
GTEX-1GF9V-0826-SM-9KNUV 60-69 years, male 11.2
GTEX-1ICLZ-0326-SM-ARL82 60-69 years, male 11.2
GTEX-1LVAM-0726-SM-E6CIL 50-59 years, female 11.2
GTEX-1MCC2-1826-SM-DIPEX 30-39 years, female 11.2
GTEX-12WSH-1526-SM-5BC5W 50-59 years, male 11.1
GTEX-139TU-0726-SM-5L3EK 60-69 years, male 11.1
GTEX-13OW6-2726-SM-5J2OE 50-59 years, male 11.1
GTEX-17EVQ-0126-SM-7IGLR 70-79 years, male 11.1
GTEX-1HSMQ-2626-SM-A9SML 50-59 years, male 11.1
GTEX-11DXW-0826-SM-5H118 40-49 years, male 11.0
GTEX-139TS-2126-SM-5K7XC 60-69 years, male 11.0
GTEX-144GM-0526-SM-79OJO 20-29 years, male 11.0
GTEX-1E1VI-0326-SM-793D1 50-59 years, male 11.0
GTEX-1F88F-0126-SM-9WYSZ 60-69 years, female 11.0
GTEX-1GF9X-1326-SM-7PC2Y 40-49 years, female 11.0
GTEX-1OJC4-2726-SM-E76PJ 50-59 years, female 11.0
GTEX-1PPGY-1626-SM-EVYBL 60-69 years, male 11.0
GTEX-11ZTT-2126-SM-5CVLO 60-69 years, female 10.9
GTEX-133LE-2326-SM-5K7W3 20-29 years, female 10.9
GTEX-11ZUS-2626-SM-5FQUR 30-39 years, male 10.8
GTEX-13NZ9-2626-SM-5L3FK 50-59 years, male 10.8
GTEX-14BIN-1126-SM-5RQJZ 50-59 years, female 10.8
GTEX-1B8KE-1126-SM-7EPHI 50-59 years, male 10.8
GTEX-ZE7O-2726-SM-51MT5 50-59 years, female 10.8
GTEX-ZPU1-1126-SM-4YCF3 40-49 years, male 10.8
GTEX-ZTTD-2826-SM-4YCFA 50-59 years, male 10.8
GTEX-1CB4I-0126-SM-7RHGG 50-59 years, male 10.8
GTEX-1GL5R-1326-SM-7RHHF 50-59 years, male 10.8
GTEX-1QP29-1826-SM-DTX9S 50-59 years, male 10.8
GTEX-1RLM8-2926-SM-E8VON 50-59 years, male 10.8
GTEX-14AS3-1526-SM-5Q5ED 40-49 years, female 10.7
GTEX-15DDE-2926-SM-6LLJ3 50-59 years, female 10.7
GTEX-18A6Q-0626-SM-7KFRP 60-69 years, male 10.7
GTEX-ZF2S-1626-SM-57WES 50-59 years, female 10.7
GTEX-ZYFD-0626-SM-5E44E 50-59 years, male 10.7
GTEX-1F48J-0726-SM-7RHGS 50-59 years, female 10.7
GTEX-1F6IF-0926-SM-7SB7M 60-69 years, male 10.7
GTEX-1F75I-2226-SM-7SB8U 40-49 years, male 10.7
GTEX-1LVA9-2626-SM-EVYD4 50-59 years, male 10.7
GTEX-11OF3-0126-SM-5PNYF 60-69 years, male 10.6
GTEX-11WQC-1826-SM-5GU59 60-69 years, male 10.6
GTEX-ZTSS-1426-SM-5985P 40-49 years, male 10.6
GTEX-1GN73-0726-SM-7P8TJ 60-69 years, male 10.6
GTEX-1GZ4H-0526-SM-9KNU9 50-59 years, female 10.6
GTEX-11NSD-0626-SM-5A5LU 20-29 years, male 10.5
GTEX-11PRG-0726-SM-5EGL1 50-59 years, male 10.5
GTEX-14LZ3-0126-SM-69LPM 60-69 years, female 10.5
GTEX-14PHX-2226-SM-6EU2P 50-59 years, male 10.5
GTEX-15DYW-2726-SM-6EU2I 60-69 years, female 10.5
GTEX-WFG8-2126-SM-3GIKQ 20-29 years, male 10.5
GTEX-YFCO-1226-SM-5LUAT 40-49 years, male 10.5
GTEX-1HCU7-0726-SM-A9SL1 50-59 years, male 10.5
GTEX-1JMPY-0226-SM-CKZOK 30-39 years, male 10.5
GTEX-1MCYP-0526-SM-E9U6Q 20-29 years, female 10.5
GTEX-1RAZA-2226-SM-E9U4X 20-29 years, male 10.5
GTEX-1S831-1826-SM-EWROF 20-29 years, male 10.5
GTEX-YEC3-1326-SM-DO92X 50-59 years, male 10.5
GTEX-1192X-2726-SM-5N9DN 50-59 years, male 10.4
GTEX-WYBS-0626-SM-3NMAS 60-69 years, female 10.4
GTEX-X3Y1-2026-SM-3P5YM 40-49 years, male 10.4
GTEX-1B8L1-2226-SM-7P8PT 60-69 years, male 10.4
GTEX-1JJEA-1826-SM-ARU8P 60-69 years, male 10.4
GTEX-1N5O9-0926-SM-E9J3C 60-69 years, male 10.4
GTEX-1QPFJ-1926-SM-EVYBD 30-39 years, female 10.4
GTEX-11TT1-1826-SM-5EQLV 20-29 years, male 10.3
GTEX-13X6J-0626-SM-5LU5F 50-59 years, male 10.3
GTEX-14A5H-0826-SM-5QGPJ 60-69 years, male 10.3
GTEX-14A6H-2026-SM-5Q5DD 30-39 years, male 10.3
GTEX-1EMGI-2326-SM-7PBYA 60-69 years, male 10.3
GTEX-1R7EU-1626-SM-DTXG3 60-69 years, male 10.3
GTEX-11DXY-0126-SM-5H11Q 60-69 years, male 10.2
GTEX-13FTW-0326-SM-5K7UW 40-49 years, male 10.2
GTEX-13PDP-0726-SM-5L3HP 60-69 years, male 10.2
GTEX-145LT-0526-SM-5LUB2 40-49 years, male 10.2
GTEX-145MF-0926-SM-5Q5EA 50-59 years, male 10.2
GTEX-14E6E-0526-SM-793DN 30-39 years, male 10.2
GTEX-1EN7A-2426-SM-793DB 40-49 years, male 10.2
GTEX-WHPG-2626-SM-3NMBR 50-59 years, male 10.2
GTEX-ZDTT-0426-SM-4WKFL 60-69 years, male 10.2
GTEX-1GN1W-2426-SM-9KNUU 50-59 years, female 10.2
GTEX-1RMOY-1326-SM-E9TIH 50-59 years, male 10.2
GTEX-13IVO-0726-SM-5LZYV 70-79 years, male 10.1
GTEX-17F9E-2326-SM-79OKD 50-59 years, male 10.1
GTEX-1B8SF-0126-SM-7DUG3 60-69 years, male 10.1
GTEX-ZDYS-2426-SM-4WKGI 50-59 years, male 10.1
GTEX-1C6VR-0126-SM-7RHGB 60-69 years, male 10.1
GTEX-1H1CY-0126-SM-9YFLY 60-69 years, female 10.1
GTEX-1JKYR-0626-SM-ARL8R 20-29 years, male 10.1
GTEX-11NUK-2726-SM-5A5MC 50-59 years, male 10.0
GTEX-1H1E6-0426-SM-9WYUS 30-39 years, male 10.0
GTEX-1IDJE-1426-SM-ADEIW 50-59 years, female 10.0
GTEX-1QP28-1126-SM-EVYC4 50-59 years, female 10.0
GTEX-1QW4Y-1126-SM-DTXE3 30-39 years, male 10.0
GTEX-111FC-2526-SM-5GZXU 60-69 years, male 9.9
GTEX-13VXU-0626-SM-5L3F9 50-59 years, male 9.9
GTEX-15EU6-2226-SM-6EU2L 50-59 years, male 9.9
GTEX-18A7A-0126-SM-731AH 50-59 years, female 9.9
GTEX-1A8G6-2726-SM-731AR 60-69 years, male 9.9
GTEX-X4EP-0626-SM-3P621 60-69 years, female 9.9
GTEX-1C64N-2626-SM-7PC2N 50-59 years, male 9.9
GTEX-1C64O-1326-SM-7MGWR 60-69 years, male 9.9
GTEX-1JMPZ-0726-SM-CY8HZ 30-39 years, male 9.9
GTEX-1S3DN-2126-SM-E9TIN 50-59 years, male 9.9
GTEX-111YS-1526-SM-5GZYW 60-69 years, male 9.8
GTEX-11VI4-1126-SM-5EQMD 40-49 years, female 9.8
GTEX-13NYS-0626-SM-5L3F1 60-69 years, male 9.8
GTEX-Y3I4-1726-SM-4TT89 50-59 years, male 9.8
GTEX-1IL2V-1926-SM-B2LW8 70-79 years, male 9.8
GTEX-1JMLX-0626-SM-ARL8T 50-59 years, male 9.8
GTEX-1QP66-1226-SM-DTX7U 50-59 years, male 9.8
GTEX-13O3O-2326-SM-5IJD6 60-69 years, female 9.7
GTEX-13X6K-0626-SM-5LU5D 60-69 years, female 9.7
GTEX-VUSG-2326-SM-4KL1U 50-59 years, male 9.7
GTEX-WK11-2726-SM-3NMAQ 50-59 years, male 9.7
GTEX-Y8E4-2026-SM-5IFJB 40-49 years, male 9.7
GTEX-1GMR3-0126-SM-A9SLW 40-49 years, male 9.7
GTEX-1JK1U-0226-SM-ARZMX 60-69 years, male 9.7
GTEX-1L5NE-1126-SM-D3L9P 50-59 years, male 9.7
GTEX-139TT-2126-SM-5LZWC 60-69 years, male 9.6
GTEX-13NZ8-1226-SM-5KM4A 60-69 years, female 9.6
GTEX-147F4-0726-SM-5TDDD 50-59 years, male 9.6
GTEX-17HHY-0426-SM-7DHLC 50-59 years, male 9.6
GTEX-1A32A-0626-SM-731AQ 50-59 years, female 9.6
GTEX-1AX9I-2226-SM-73KUO 60-69 years, male 9.6
GTEX-1EKGG-0626-SM-7DUGJ 60-69 years, male 9.6
GTEX-XV7Q-1826-SM-4BRUV 40-49 years, female 9.6
GTEX-1GN2E-0226-SM-9WG6K 60-69 years, male 9.6
GTEX-1HCU6-2526-SM-ADEHL 60-69 years, female 9.6
GTEX-1IE54-1126-SM-A9G2Z 40-49 years, female 9.6
GTEX-13FHO-0426-SM-5L3F5 60-69 years, male 9.5
GTEX-13O61-1426-SM-5KM3D 60-69 years, male 9.5
GTEX-15RIG-0726-SM-7KUM7 40-49 years, male 9.5
GTEX-16NGA-0726-SM-731AO 40-49 years, female 9.5
GTEX-1GZ4I-2626-SM-9KNU3 50-59 years, male 9.5
GTEX-16NPX-0726-SM-7KULC 50-59 years, male 9.4
GTEX-16Z82-2626-SM-7KULU 60-69 years, male 9.4
GTEX-18QFQ-1826-SM-72D52 30-39 years, male 9.4
GTEX-1AMEY-0826-SM-72D65 30-39 years, female 9.4
GTEX-WHSB-1326-SM-3LK6W 50-59 years, male 9.4
GTEX-WYVS-1626-SM-3NM9R 40-49 years, female 9.4
GTEX-ZYFC-0426-SM-5GICQ 50-59 years, male 9.4
GTEX-1QP2A-1726-SM-E76QC 50-59 years, male 9.4
GTEX-11TUW-0626-SM-5LU9M 60-69 years, male 9.3
GTEX-1314G-1326-SM-5BC6E 30-39 years, male 9.3
GTEX-13OVH-0526-SM-5L3E6 70-79 years, male 9.3
GTEX-YF7O-1526-SM-5IFI6 50-59 years, male 9.3
GTEX-ZZPU-0826-SM-5GZX5 50-59 years, female 9.3
GTEX-1GMRU-2126-SM-7P8RA 50-59 years, male 9.3
GTEX-1HCU9-0426-SM-9WYSD 20-29 years, male 9.3
GTEX-1JJE9-2626-SM-ARZMT 70-79 years, male 9.3
GTEX-11EQ9-1626-SM-5PNY8 30-39 years, male 9.2
GTEX-11ZU8-0126-SM-5EQ58 60-69 years, male 9.2
GTEX-17F98-1326-SM-7DUEP 40-49 years, female 9.2
GTEX-18D9U-0126-SM-731BM 40-49 years, male 9.2
GTEX-1PBJJ-1026-SM-E76OS 30-39 years, male 9.2
GTEX-13SLX-2226-SM-62LEP 50-59 years, female 9.1
GTEX-1GF9U-2026-SM-7SB92 40-49 years, female 9.1
GTEX-1HB9E-0126-SM-CM2S5 50-59 years, male 9.1
GTEX-1I1CD-0626-SM-CE6SW 60-69 years, female 9.1
GTEX-1I6K7-1926-SM-B2LXR 40-49 years, male 9.1
GTEX-1IDJH-0126-SM-D3L92 70-79 years, male 9.1
GTEX-1J8JJ-0626-SM-ARZMQ 60-69 years, female 9.1
GTEX-1QCLY-0226-SM-EWRNH 30-39 years, male 9.1
GTEX-1R9K4-2826-SM-DTX8F 60-69 years, male 9.1
GTEX-117YX-1926-SM-5GIEC 50-59 years, male 9.0
GTEX-11P81-2226-SM-5PNYI 30-39 years, female 9.0
GTEX-1F52S-2926-SM-7MKGA 60-69 years, female 9.0
GTEX-UPJH-0226-SM-3GADV 50-59 years, male 9.0
GTEX-Y9LG-1126-SM-4VBQ7 30-39 years, male 9.0
GTEX-ZAB4-2126-SM-5HL8U 40-49 years, male 9.0
GTEX-ZF29-0926-SM-4WKFZ 60-69 years, female 9.0
GTEX-ZZ64-1026-SM-5GZXG 20-29 years, male 9.0
GTEX-1HR98-2226-SM-ADEI2 60-69 years, male 9.0
GTEX-1399R-1326-SM-5PNYS 30-39 years, male 8.9
GTEX-ZVZP-1226-SM-5GID7 50-59 years, male 8.9
GTEX-1GN1V-2826-SM-9JGIA 60-69 years, male 8.9
GTEX-1I1GV-0626-SM-ARL7M 60-69 years, male 8.9
GTEX-1IDJD-2326-SM-ACKWX 30-39 years, male 8.9
GTEX-13JVG-0726-SM-5KM16 60-69 years, male 8.8
GTEX-14BMV-2826-SM-5TDED 50-59 years, male 8.8
GTEX-16MT8-2926-SM-7DUFO 60-69 years, female 8.8
GTEX-17JCI-2926-SM-7DUFF 60-69 years, female 8.8
GTEX-1F5PK-2226-SM-7SB6N 50-59 years, male 8.8
GTEX-1IKJJ-2226-SM-CJI4C 60-69 years, male 8.8
GTEX-1LKK1-2626-SM-DKPQE 50-59 years, female 8.8
GTEX-1RAZS-2526-SM-E6CHT 50-59 years, male 8.8
GTEX-139D8-1126-SM-5LU8W 30-39 years, female 8.7
GTEX-139T8-0626-SM-5KLZX 60-69 years, male 8.7
GTEX-13OW7-0426-SM-5K7VK 50-59 years, male 8.7
GTEX-17HHE-1326-SM-7EWDZ 50-59 years, male 8.7
GTEX-1HFI6-0126-SM-CNPPI 40-49 years, male 8.7
GTEX-1I6K6-1726-SM-CGQFD 30-39 years, male 8.7
GTEX-12WSA-0426-SM-5EQ5X 60-69 years, male 8.6
GTEX-13PVQ-0626-SM-5LU47 50-59 years, male 8.6
GTEX-13VXT-1926-SM-5K7UO 20-29 years, female 8.6
GTEX-144GL-0626-SM-5LU4D 50-59 years, male 8.6
GTEX-145LS-0626-SM-7EPG7 60-69 years, female 8.6
GTEX-145MN-1526-SM-5SI9T 30-39 years, male 8.6
GTEX-XBED-1926-SM-47JYP 60-69 years, male 8.6
GTEX-XOT4-0626-SM-4B66L 60-69 years, female 8.6
GTEX-ZUA1-2626-SM-5NQ92 40-49 years, male 8.6
GTEX-1GZ2Q-0126-SM-9WG6M 40-49 years, male 8.6
GTEX-1K2DU-1226-SM-CYPT4 20-29 years, male 8.6
GTEX-11GSP-2326-SM-5HL63 60-69 years, female 8.5
GTEX-12584-0726-SM-5FQTK 40-49 years, male 8.5
GTEX-146FQ-2126-SM-5RQHU 30-39 years, male 8.5
GTEX-14B4R-1326-SM-5Q5EZ 30-39 years, male 8.5
GTEX-14PJO-2526-SM-6AJBQ 60-69 years, male 8.5
GTEX-14PKV-1126-SM-6LLJ1 20-29 years, female 8.5
GTEX-ZVT4-2426-SM-5GIEI 50-59 years, female 8.5
GTEX-11P82-1426-SM-DTXFY 20-29 years, male 8.5
GTEX-1H3NZ-2726-SM-9WYTQ 60-69 years, male 8.5
GTEX-1H3O1-1326-SM-9MQLD 60-69 years, male 8.5
GTEX-1N2EE-0626-SM-E76PW 60-69 years, male 8.5
GTEX-1PDJ9-1226-SM-EXUSX 20-29 years, male 8.5
GTEX-12KS4-2126-SM-5FQUT 30-39 years, male 8.4
GTEX-178AV-1726-SM-7KUL8 40-49 years, male 8.4
GTEX-17F9Y-0126-SM-79OKX 70-79 years, female 8.4
GTEX-ZVE1-0726-SM-51MRN 50-59 years, female 8.4
GTEX-1IDJF-2026-SM-CL53V 20-29 years, male 8.4
GTEX-1LVAO-2726-SM-E9TJ8 60-69 years, male 8.4
GTEX-1QP9N-1226-SM-E76QN 30-39 years, male 8.4
GTEX-13X6I-1826-SM-5SIAO 60-69 years, male 8.3
GTEX-XPVG-2126-SM-4B667 50-59 years, male 8.3
GTEX-1HKZK-0726-SM-ACKW2 40-49 years, male 8.3
GTEX-111CU-1126-SM-5EGIM 50-59 years, male 8.2
GTEX-13FLV-0126-SM-5K7WT 50-59 years, male 8.2
GTEX-13OW5-2326-SM-5L3HO 60-69 years, male 8.2
GTEX-147JS-0226-SM-5S2U9 60-69 years, male 8.2
GTEX-14C5O-0326-SM-5ZZUX 60-69 years, male 8.2
GTEX-15EO6-2426-SM-6PALZ 50-59 years, male 8.2
GTEX-ZLWG-0826-SM-59888 50-59 years, female 8.2
GTEX-1IOXB-2726-SM-CM2RI 50-59 years, male 8.2
GTEX-1KWVE-1026-SM-D3L9O 30-39 years, male 8.2
GTEX-1QMI2-2526-SM-E8VNZ 60-69 years, male 8.2
GTEX-1RAZR-2126-SM-E9U6T 40-49 years, male 8.2
GTEX-1S82P-2126-SM-E6CI5 60-69 years, female 8.2
GTEX-13112-0126-SM-5P9IU 50-59 years, male 8.1
GTEX-13113-1626-SM-5EQ4I 60-69 years, female 8.1
GTEX-13OW8-1026-SM-5J1NQ 60-69 years, male 8.1
GTEX-13U4I-2226-SM-5LU5H 40-49 years, female 8.1
GTEX-14PKU-0126-SM-6LLHV 40-49 years, female 8.1
GTEX-1A8G7-1326-SM-73KVM 60-69 years, male 8.1
GTEX-1C2JI-1026-SM-73KY1 50-59 years, male 8.1
GTEX-Z93S-1626-SM-5CVMB 50-59 years, male 8.1
GTEX-1A3MX-2626-SM-7PC24 60-69 years, male 8.1
GTEX-1C475-1326-SM-7SB73 40-49 years, female 8.1
GTEX-1IDJV-0126-SM-COH3Y 60-69 years, male 8.1
GTEX-1KAFJ-0126-SM-DIPEK 50-59 years, male 8.1
GTEX-13D11-0926-SM-5J2NC 50-59 years, female 8.0
GTEX-13FH7-1126-SM-5K7UG 50-59 years, female 8.0
GTEX-13PL6-1126-SM-5L3IE 40-49 years, female 8.0
GTEX-14PJ4-0226-SM-5YY92 60-69 years, male 8.0
GTEX-17F97-2626-SM-7IGM5 50-59 years, male 8.0
GTEX-XQ8I-0926-SM-4BOOF 50-59 years, male 8.0
GTEX-YEC4-1826-SM-4W1YP 40-49 years, male 8.0
GTEX-1122O-1026-SM-9WYSF 60-69 years, female 8.0
GTEX-1HSKV-1226-SM-ADEI4 60-69 years, male 8.0
GTEX-14PII-0726-SM-6EU2B 60-69 years, male 7.9
GTEX-Y3IK-1626-SM-4YCF5 50-59 years, female 7.9
GTEX-15RJE-2826-SM-7KUM9 40-49 years, male 7.8
GTEX-1CB4H-1126-SM-7MKGL 60-69 years, female 7.8
GTEX-1F75B-0726-SM-7PC3R 50-59 years, male 7.8
GTEX-1IDFM-0326-SM-ARL7V 60-69 years, male 7.8
GTEX-13O3Q-0126-SM-5KM34 50-59 years, male 7.7
GTEX-14JG1-1526-SM-5YY9X 40-49 years, male 7.7
GTEX-1B996-0426-SM-7EWF8 60-69 years, male 7.7
GTEX-1EH9U-2826-SM-7DUGT 60-69 years, male 7.7
GTEX-X4EO-2926-SM-4E3JH 60-69 years, female 7.7
GTEX-XBEC-0726-SM-4QARZ 50-59 years, male 7.7
GTEX-1F75W-2726-SM-7SB8H 60-69 years, male 7.7
GTEX-1JKYN-0826-SM-ARU8S 30-39 years, male 7.7
GTEX-1QEPI-2626-SM-DTXF4 60-69 years, female 7.7
GTEX-12ZZZ-0726-SM-5GCNZ 60-69 years, male 7.6
GTEX-183WM-0326-SM-72D5V 70-79 years, female 7.6
GTEX-WEY5-2326-SM-3GIKK 40-49 years, female 7.6
GTEX-X5EB-1926-SM-4E3IW 40-49 years, male 7.6
GTEX-ZVT2-0126-SM-5GIDQ 50-59 years, female 7.6
GTEX-1CAMQ-1326-SM-7P8RV 40-49 years, male 7.6
GTEX-1I19N-0126-SM-CYPSF 70-79 years, male 7.6
GTEX-ZF3C-0626-SM-DO92O 50-59 years, female 7.6
GTEX-Y5V6-2326-SM-4VDSA 60-69 years, male 7.5
GTEX-1F88E-1626-SM-7SB8Z 60-69 years, female 7.5
GTEX-1HGF4-0126-SM-CNPPX 60-69 years, male 7.5
GTEX-1HSMO-0626-SM-ACKXC 60-69 years, male 7.5
GTEX-12C56-1526-SM-5FQUQ 20-29 years, male 7.4
GTEX-12WSF-1626-SM-7KUG5 70-79 years, male 7.4
GTEX-131XW-0626-SM-5PNVD 50-59 years, female 7.4
GTEX-ZYY3-2926-SM-5GIEB 60-69 years, female 7.4
GTEX-1K9T9-1526-SM-DIPFR 50-59 years, female 7.4
GTEX-1KXAM-1626-SM-D3LAD 60-69 years, male 7.4
GTEX-1LGRB-0926-SM-COH3K 50-59 years, female 7.4
GTEX-1LSVX-2526-SM-DIPEU 60-69 years, male 7.4
GTEX-13OVL-0126-SM-5L3GJ 50-59 years, male 7.3
GTEX-145ME-1726-SM-5Q5EU 40-49 years, female 7.3
GTEX-1477Z-0326-SM-7IGLA 60-69 years, male 7.3
GTEX-1C6VQ-1226-SM-73KYD 50-59 years, male 7.3
GTEX-ZU9S-1826-SM-5NQ9E 30-39 years, male 7.3
GTEX-1H23P-0626-SM-9WG6T 60-69 years, male 7.3
GTEX-1KANC-1226-SM-CYPT7 50-59 years, female 7.3
GTEX-11UD2-2526-SM-5CVNU 50-59 years, male 7.2
GTEX-12WSM-1926-SM-5BC65 60-69 years, male 7.2
GTEX-18465-2826-SM-7LT9J 50-59 years, male 7.2
GTEX-ZAJG-1526-SM-5CVML 50-59 years, female 7.2
GTEX-1H4P4-2126-SM-9WYSL 50-59 years, male 7.2
GTEX-1QCLZ-2426-SM-EVYBW 60-69 years, female 7.2
GTEX-1R46S-2426-SM-E76QA 60-69 years, female 7.2
GTEX-1EX96-1026-SM-7MKG2 50-59 years, male 7.1
GTEX-V1D1-2026-SM-3GAF4 50-59 years, male 7.1
GTEX-VJYA-1526-SM-3GIJV 60-69 years, male 7.1
GTEX-12BJ1-0926-SM-5EQ62 60-69 years, male 7.0
GTEX-13N2G-0226-SM-5K7VF 60-69 years, male 7.0
GTEX-13OVJ-0826-SM-5J1OK 50-59 years, female 7.0
GTEX-15CHQ-0326-SM-69LQD 60-69 years, male 7.0
GTEX-16BQI-1326-SM-6M486 30-39 years, female 7.0
GTEX-ZYW4-0626-SM-59HJR 60-69 years, male 7.0
GTEX-1GTWX-2026-SM-9YFLM 60-69 years, male 7.0
GTEX-1HCVE-2726-SM-CL54F 50-59 years, male 7.0
GTEX-144FL-0626-SM-5LU43 50-59 years, male 6.9
GTEX-14E6C-2426-SM-5S2NF 40-49 years, male 6.9
GTEX-XUW1-0926-SM-4BONX 50-59 years, female 6.9
GTEX-ZYFG-1526-SM-5GZYM 60-69 years, female 6.9
GTEX-1HCU8-2526-SM-CE6RX 60-69 years, female 6.9
GTEX-1S5ZU-2526-SM-E6CIF 20-29 years, female 6.9
GTEX-1211K-1526-SM-5FQU4 60-69 years, female 6.8
GTEX-12696-0126-SM-5EQ4L 60-69 years, male 6.8
GTEX-1399U-1126-SM-5L3DB 50-59 years, female 6.8
GTEX-13PVR-0426-SM-5RQK2 60-69 years, female 6.8
GTEX-1J1R8-2026-SM-CL53Y 40-49 years, male 6.8
GTEX-1HSGN-0826-SM-ACKW3 40-49 years, female 6.7
GTEX-1I4MK-0126-SM-CY8G6 50-59 years, female 6.7
GTEX-13OVG-1626-SM-5J1NF 60-69 years, male 6.6
GTEX-145MO-2826-SM-5LU96 60-69 years, male 6.6
GTEX-UPK5-0426-SM-3GAEK 40-49 years, male 6.6
GTEX-Y5V5-0126-SM-5S2NW 60-69 years, female 6.6
GTEX-14JG6-1426-SM-9WG7C 30-39 years, female 6.6
GTEX-1269C-0126-SM-5EQ5L 60-69 years, female 6.5
GTEX-13QBU-1226-SM-5LU4G 40-49 years, female 6.5
GTEX-17EVP-2626-SM-7IGMA 40-49 years, male 6.5
GTEX-14JFF-0626-SM-5ZZVT 60-69 years, male 6.5
GTEX-1H1ZS-2726-SM-9WG75 70-79 years, male 6.5
GTEX-1NV5F-0626-SM-DTXEG 60-69 years, female 6.5
GTEX-ZGAY-1826-SM-DO91Q 40-49 years, female 6.5
GTEX-14BMU-1226-SM-5S2OR 20-29 years, female 6.4
GTEX-14DAR-1226-SM-73KYV 50-59 years, male 6.4
GTEX-14PJ5-1526-SM-6LLIL 60-69 years, female 6.4
GTEX-14PJN-1826-SM-6AJ98 30-39 years, male 6.4
GTEX-18D9A-1426-SM-7LT8M 30-39 years, female 6.4
GTEX-1JMQI-1726-SM-ARL93 50-59 years, male 6.4
GTEX-1117F-2926-SM-5GZYI 60-69 years, female 6.3
GTEX-13SLW-0626-SM-5Q5ER 70-79 years, male 6.3
GTEX-1497J-0226-SM-5QGPU 60-69 years, male 6.3
GTEX-1AMFI-1326-SM-7939R 50-59 years, female 6.3
GTEX-Y8LW-1526-SM-5IFHL 50-59 years, female 6.3
GTEX-1GPI6-1926-SM-9KNV7 60-69 years, male 6.3
GTEX-1J8Q2-2626-SM-ACKWQ 60-69 years, male 6.3
GTEX-1JMQL-2226-SM-CNPP4 50-59 years, female 6.3
GTEX-YB5K-2026-SM-4VDT3 40-49 years, female 6.2
GTEX-ZT9W-1126-SM-57WDR 50-59 years, male 6.2
GTEX-1HBPM-0726-SM-9YFL7 60-69 years, female 6.2
GTEX-1I1GT-1026-SM-ARZLV 60-69 years, female 6.2
GTEX-1IDJI-0126-SM-CMKHS 50-59 years, female 6.2
GTEX-1LG7Y-2526-SM-EWRO7 50-59 years, male 6.2
GTEX-12WSL-2026-SM-5GCML 50-59 years, male 6.1
GTEX-1A3MV-1826-SM-731CD 30-39 years, male 6.1
GTEX-11EI6-2826-SM-5H11D 60-69 years, male 6.0
GTEX-13X6H-0926-SM-5SIB2 50-59 years, female 6.0
GTEX-15D1Q-2826-SM-6LLH7 40-49 years, male 6.0
GTEX-15UF6-1926-SM-7KUDV 70-79 years, female 6.0
GTEX-1GMR2-0826-SM-7PC3V 50-59 years, male 6.0
GTEX-11LCK-2226-SM-5HL4Q 30-39 years, male 5.9
GTEX-18A7B-2726-SM-7LG56 70-79 years, male 5.9
GTEX-13JUV-2026-SM-5K7UA 40-49 years, female 5.8
GTEX-1CAV2-0126-SM-7IGN7 40-49 years, female 5.8
GTEX-1M4P7-0726-SM-E6CJ3 60-69 years, male 5.8
GTEX-131XF-2626-SM-5EQ6K 60-69 years, male 5.7
GTEX-1HR9M-2226-SM-CNPPY 60-69 years, male 5.7
GTEX-1IDJU-1726-SM-CMKHU 60-69 years, female 5.7
GTEX-1J8Q3-0526-SM-ARL8U 60-69 years, male 5.7
GTEX-1LGOU-1326-SM-D3L8M 20-29 years, female 5.7
GTEX-139UW-0326-SM-5J1ML 60-69 years, male 5.6
GTEX-13N1W-2426-SM-5IJD1 70-79 years, male 5.6
GTEX-14C39-1726-SM-5RQIL 40-49 years, male 5.6
GTEX-14DAQ-0626-SM-793DS 60-69 years, female 5.5
GTEX-ZA64-1026-SM-5HL8R 20-29 years, male 5.5
GTEX-1HFI7-2326-SM-CGQFS 50-59 years, female 5.5
GTEX-1PPH7-1126-SM-DTX9A 40-49 years, male 5.5
GTEX-1A8FM-0626-SM-7PC25 50-59 years, female 5.4
GTEX-1ICLY-0826-SM-CMKG1 50-59 years, male 5.4
GTEX-13QJC-0126-SM-5ZZWJ 60-69 years, female 5.3
GTEX-17MF6-2626-SM-79OKQ 40-49 years, male 5.3
GTEX-XMD2-2126-SM-4YCF8 60-69 years, female 5.3
GTEX-1GF9W-1426-SM-7PBYM 60-69 years, male 5.3
GTEX-1JN6P-2926-SM-CL54D 60-69 years, male 5.3
GTEX-14753-0726-SM-5QGQO 60-69 years, male 5.2
GTEX-15FZZ-0526-SM-7KUGD 30-39 years, female 5.1
GTEX-ZXG5-2126-SM-59HKD 60-69 years, male 5.1
GTEX-14PJ2-0626-SM-6LLII 50-59 years, male 5.0
GTEX-1I1GS-2626-SM-B2LY3 60-69 years, male 5.0
GTEX-145MI-0626-SM-5SI8S 60-69 years, female 4.9
GTEX-13YAN-0226-SM-5TDC6 60-69 years, male 4.8
GTEX-147F3-1726-SM-5SIAW 50-59 years, female 4.8
GTEX-14LLW-2626-SM-62LDZ 70-79 years, female 4.8
GTEX-16XZZ-0726-SM-7KUF2 60-69 years, male 4.8
GTEX-11EM3-1226-SM-5N9DD 20-29 years, female 4.7
GTEX-1GMR8-0626-SM-7RHI7 50-59 years, female 4.7
GTEX-ZVE2-2826-SM-5GU51 50-59 years, male 4.5
GTEX-1HUB1-1426-SM-CGQF5 60-69 years, male 4.5
GTEX-1JJ6O-2726-SM-CNPOG 60-69 years, male 4.4
GTEX-148VJ-0626-SM-5LUAW 70-79 years, male 4.3
GTEX-X8HC-0626-SM-4E3HQ 50-59 years, female 4.3
GTEX-1H3VE-0726-SM-9YFL5 40-49 years, male 4.1
GTEX-15SKB-2826-SM-6PAMH 60-69 years, male 4.0
Show allShow less
Skin - Sun Exposed (Lower leg)
Average nTPM: 9.7
Samples: 701

Max nTPM: 46.0
Min nTPM: 2.8
Std nTPM: 3.6
Median nTPM: 9.2
GTEX-POMQ-2226-SM-2I5FK 20-29 years, female 46.0
GTEX-XYKS-2126-SM-4E3IB 60-69 years, female 26.6
GTEX-ZVZO-0126-SM-5A5L9 40-49 years, male 24.6
GTEX-1LBAC-0126-SM-DIPEZ 20-29 years, male 23.7
GTEX-X88G-0126-SM-47JZ3 30-39 years, male 21.5
GTEX-W5X1-3026-SM-EAZAX 40-49 years, female 20.9
GTEX-11DXZ-2326-SM-5EGGV 50-59 years, male 20.8
GTEX-1R9K4-0126-SM-DTX9X 60-69 years, male 20.5
GTEX-1MJK2-0426-SM-DTXE5 50-59 years, male 20.4
GTEX-1HR98-0126-SM-B2LWI 60-69 years, male 20.3
GTEX-OHPL-0126-SM-2HMJ7 60-69 years, female 19.9
GTEX-ZU9S-0226-SM-5E441 30-39 years, male 19.6
GTEX-18A7A-0226-SM-718BH 50-59 years, female 19.5
GTEX-1R9PM-2026-SM-E76OY 20-29 years, male 19.4
GTEX-14E6E-1826-SM-5S2R7 30-39 years, male 18.8
GTEX-Q734-1926-SM-2I5EV 40-49 years, female 18.6
GTEX-Y3IK-2426-SM-4WWDU 50-59 years, female 18.4
GTEX-11WQK-0526-SM-5EQLD 50-59 years, male 18.3
GTEX-ZVTK-0426-SM-51MRS 20-29 years, male 18.3
GTEX-O5YT-0126-SM-48TBW 20-29 years, male 18.1
GTEX-T2YK-0526-SM-32QPJ 50-59 years, male 18.1
GTEX-SE5C-1626-SM-2XCE3 40-49 years, female 18.0
GTEX-1J8EW-0126-SM-CJI4F 60-69 years, female 17.9
GTEX-Y8DK-0126-SM-4TT3L 60-69 years, male 17.8
GTEX-13G51-2526-SM-5LZYK 60-69 years, male 17.6
GTEX-1A3MX-0126-SM-731BR 60-69 years, male 17.5
GTEX-ZWKS-0126-SM-5SIAA 30-39 years, male 17.2
GTEX-14XAO-2326-SM-6EU1B 60-69 years, female 17.1
GTEX-1F5PL-0326-SM-7P8PQ 40-49 years, female 16.6
GTEX-T6MN-0126-SM-32PLP 50-59 years, male 16.5
GTEX-1H3VE-0326-SM-9YFLH 40-49 years, male 16.3
GTEX-1HFI6-0226-SM-ADEHZ 40-49 years, male 16.3
GTEX-PX3G-0126-SM-2I3EN 20-29 years, female 16.2
GTEX-1KD5A-0226-SM-D5OV3 50-59 years, male 16.1
GTEX-12126-0326-SM-5PNW3 20-29 years, male 15.9
GTEX-13OW6-0426-SM-5L3HM 50-59 years, male 15.9
GTEX-17JCI-0126-SM-7LG5G 60-69 years, female 15.9
GTEX-XUZC-1726-SM-4BRWS 30-39 years, female 15.9
GTEX-1EMGI-0126-SM-9KNUE 60-69 years, male 15.9
GTEX-1ICG6-2526-SM-CGQFZ 70-79 years, female 15.9
GTEX-S7SE-0126-SM-2XCD5 50-59 years, male 15.8
GTEX-11TT1-2526-SM-5EGIB 20-29 years, male 15.7
GTEX-13FHP-0126-SM-5IJBG 50-59 years, male 15.5
GTEX-ZV68-0126-SM-59HKS 50-59 years, female 15.5
GTEX-144FL-0126-SM-5TDC8 50-59 years, male 15.2
GTEX-11DYG-0126-SM-59883 60-69 years, male 15.1
GTEX-Z93S-0126-SM-5HL7M 50-59 years, male 15.1
GTEX-1B8L1-2526-SM-9WYTF 60-69 years, male 15.1
GTEX-1JMLX-0226-SM-CM2RO 50-59 years, male 15.1
GTEX-1KD4Q-0226-SM-E9TJ9 40-49 years, male 15.1
GTEX-ZYT6-0226-SM-5NQ6T 30-39 years, male 15.0
GTEX-1399T-2826-SM-5KLYZ 60-69 years, male 14.9
GTEX-NPJ8-0126-SM-2YUNR 40-49 years, male 14.8
GTEX-X4XX-0126-SM-3NMC2 60-69 years, male 14.7
GTEX-1GF9X-2026-SM-7PC3A 40-49 years, female 14.7
GTEX-1GZHY-0326-SM-9QEHI 50-59 years, female 14.6
GTEX-144GN-2326-SM-5LU4F 50-59 years, male 14.4
GTEX-1M5QR-1226-SM-EWROB 40-49 years, male 14.4
GTEX-1192W-2626-SM-5Q5AF 60-69 years, male 14.3
GTEX-12ZZX-0126-SM-5EGK9 40-49 years, female 14.3
GTEX-14PK6-1926-SM-6ETZU 70-79 years, female 14.3
GTEX-17KNJ-2326-SM-7DHLQ 50-59 years, male 14.3
GTEX-TMZS-0126-SM-3DB9Q 60-69 years, male 14.3
GTEX-117XS-2726-SM-5N9BL 60-69 years, male 14.2
GTEX-11ZTS-0126-SM-5EQ6M 60-69 years, female 14.1
GTEX-WI4N-1026-SM-3LK7N 40-49 years, female 14.1
GTEX-1EWIQ-0126-SM-7RHH2 70-79 years, female 14.1
GTEX-13FXS-0226-SM-5IJCK 50-59 years, male 14.0
GTEX-13NYB-2526-SM-5K7Z6 40-49 years, male 14.0
GTEX-1KANB-0526-SM-E6CJH 50-59 years, male 14.0
GTEX-111VG-2426-SM-5GZXD 60-69 years, male 13.9
GTEX-18A6Q-0126-SM-731BZ 60-69 years, male 13.8
GTEX-1EKGG-0226-SM-9WYTH 60-69 years, male 13.8
GTEX-1EX96-1626-SM-7PBXR 50-59 years, male 13.8
GTEX-12WSL-2526-SM-5GCNJ 50-59 years, male 13.7
GTEX-14JG1-0426-SM-6ETZZ 40-49 years, male 13.7
GTEX-132NY-0326-SM-5IJBL 60-69 years, male 13.6
GTEX-14BIN-0626-SM-793DP 50-59 years, female 13.6
GTEX-1GMR3-1926-SM-9KNUZ 40-49 years, male 13.6
GTEX-16GPK-0126-SM-7DHLE 60-69 years, male 13.5
GTEX-U8XE-0326-SM-3DB8P 30-39 years, male 13.5
GTEX-WZTO-0126-SM-3NM95 40-49 years, male 13.5
GTEX-ZE7O-0126-SM-57WC1 50-59 years, female 13.5
GTEX-1HBPN-0226-SM-9YFM1 50-59 years, male 13.5
GTEX-12ZZY-0226-SM-5LZVE 60-69 years, male 13.4
GTEX-1C475-1826-SM-73KWA 40-49 years, female 13.4
GTEX-RUSQ-1526-SM-2TF62 50-59 years, male 13.4
GTEX-U8T8-0126-SM-3DB94 60-69 years, male 13.4
GTEX-X585-0226-SM-4QAS2 50-59 years, male 13.4
GTEX-1212Z-2526-SM-5EGKP 60-69 years, male 13.3
GTEX-13CF2-2526-SM-5LZYX 60-69 years, male 13.3
GTEX-111FC-0126-SM-5N9DL 60-69 years, male 13.2
GTEX-14PJM-0226-SM-62LF1 50-59 years, female 13.2
GTEX-15SHU-0126-SM-7KUEH 40-49 years, female 13.1
GTEX-XXEK-2226-SM-4BRUM 50-59 years, male 13.1
GTEX-1CB4F-0426-SM-9KNV4 60-69 years, male 13.1
GTEX-1JMPZ-0226-SM-CNPP1 30-39 years, male 13.1
GTEX-11UD1-0126-SM-5PNYG 40-49 years, female 13.0
GTEX-15ER7-0326-SM-7KUEV 20-29 years, female 12.9
GTEX-1A32A-0126-SM-718B1 50-59 years, female 12.9
GTEX-OIZH-0126-SM-2HMIS 50-59 years, male 12.9
GTEX-Y111-0126-SM-4SOIV 50-59 years, male 12.9
GTEX-1J1OQ-0226-SM-CYPSH 40-49 years, female 12.9
GTEX-11NUK-0126-SM-5A5L3 50-59 years, male 12.8
GTEX-15UKP-0426-SM-7KUFQ 20-29 years, male 12.8
GTEX-13CF3-2426-SM-5IFGX 60-69 years, female 12.7
GTEX-13N11-2526-SM-5K7UE 50-59 years, female 12.7
GTEX-QESD-1426-SM-2S1R9 20-29 years, male 12.7
GTEX-XQ3S-1526-SM-4BOOC 20-29 years, male 12.7
GTEX-1JMQK-0226-SM-CL543 60-69 years, male 12.7
GTEX-14E6D-0126-SM-62LDV 50-59 years, male 12.6
GTEX-T2IS-0126-SM-4DM6O 20-29 years, female 12.6
GTEX-1399R-2726-SM-5IJBA 30-39 years, male 12.5
GTEX-14BMV-0126-SM-5S2PO 50-59 years, male 12.5
GTEX-14PN4-0126-SM-6EU2V 50-59 years, male 12.5
GTEX-WY7C-2326-SM-3NB2U 50-59 years, male 12.5
GTEX-ZDXO-3026-SM-5J1N5 60-69 years, male 12.5
GTEX-ZVT3-0126-SM-5GU6I 60-69 years, female 12.5
GTEX-RVPV-0126-SM-EAZAW 60-69 years, male 12.5
GTEX-131YS-0126-SM-5KM1M 60-69 years, female 12.4
GTEX-13RTJ-2426-SM-5S2Q2 60-69 years, male 12.4
GTEX-183WM-0126-SM-7LTAB 70-79 years, female 12.4
GTEX-1B8SG-0126-SM-73KZ3 50-59 years, male 12.4
GTEX-ZAK1-0126-SM-5IJD3 50-59 years, female 12.4
GTEX-1HB9E-0226-SM-E9U4R 50-59 years, male 12.4
GTEX-15G19-0126-SM-6PANQ 60-69 years, male 12.3
GTEX-ZQUD-1426-SM-57WER 30-39 years, male 12.3
GTEX-1LG7Z-1726-SM-D3LA4 30-39 years, male 12.3
GTEX-1192X-0226-SM-5H12D 50-59 years, male 12.2
GTEX-12584-0126-SM-5EGKQ 40-49 years, male 12.2
GTEX-ZC5H-0226-SM-4WAY9 40-49 years, female 12.2
GTEX-ZTPG-0326-SM-5O9AX 20-29 years, female 12.2
GTEX-1H1CY-2826-SM-9MQM3 60-69 years, female 12.2
GTEX-13112-2826-SM-5DUWH 50-59 years, male 12.1
GTEX-17F96-1626-SM-7DUFL 70-79 years, male 12.1
GTEX-S7PM-0126-SM-4AD6S 60-69 years, male 12.1
GTEX-X4XY-0226-SM-4E3IZ 60-69 years, male 12.1
GTEX-1CAMS-0426-SM-7P8T2 40-49 years, female 12.1
GTEX-1I6K6-0126-SM-A9SLE 30-39 years, male 12.1
GTEX-1PIIG-0226-SM-EWRN6 30-39 years, male 12.1
GTEX-14BIM-0226-SM-7IGLD 60-69 years, female 12.0
GTEX-15SB6-1726-SM-6PAME 50-59 years, female 12.0
GTEX-12WSE-0526-SM-793B2 20-29 years, male 11.9
GTEX-14PJ6-2126-SM-6EU1V 60-69 years, female 11.9
GTEX-1C64N-0126-SM-793D7 50-59 years, male 11.9
GTEX-XUYS-0126-SM-47JWZ 50-59 years, male 11.9
GTEX-Y3I4-2126-SM-4TT7C 50-59 years, male 11.9
GTEX-12ZZZ-0626-SM-5DUXI 60-69 years, male 11.8
GTEX-11NSD-2226-SM-5986V 20-29 years, male 11.7
GTEX-11OF3-2626-SM-5GU7F 60-69 years, male 11.7
GTEX-13FTW-2626-SM-5K7WL 40-49 years, male 11.7
GTEX-SIU8-0126-SM-2XCDT 50-59 years, male 11.7
GTEX-U412-0426-SM-3DB9O 60-69 years, male 11.7
GTEX-WFON-2126-SM-3LK7O 40-49 years, male 11.7
GTEX-YJ89-0126-SM-4TT3X 60-69 years, male 11.7
GTEX-11TUW-2726-SM-E9J4M 60-69 years, male 11.7
GTEX-1IL2V-0126-SM-CM2TX 70-79 years, male 11.7
GTEX-1QAET-0926-SM-E76QM 50-59 years, male 11.7
GTEX-11OC5-0126-SM-5HL6A 60-69 years, male 11.6
GTEX-1ICLZ-0126-SM-CKZPO 60-69 years, male 11.6
GTEX-1K2DA-1826-SM-CGQGT 50-59 years, male 11.6
GTEX-1KWVE-1426-SM-E9TJO 30-39 years, male 11.6
GTEX-11P7K-2126-SM-5GU7G 30-39 years, male 11.5
GTEX-T5JC-0426-SM-32PLO 20-29 years, male 11.5
GTEX-1H11D-0226-SM-9WG6Z 40-49 years, male 11.5
GTEX-1LB8K-0226-SM-EWRNW 50-59 years, male 11.5
GTEX-13NYS-0126-SM-5MR3W 60-69 years, male 11.4
GTEX-14A5H-0426-SM-5QGQF 60-69 years, male 11.4
GTEX-15SDE-2226-SM-7IGLO 50-59 years, female 11.4
GTEX-1CB4I-0226-SM-79OLH 50-59 years, male 11.4
GTEX-1IDJH-0326-SM-A9SLQ 70-79 years, male 11.4
GTEX-1RQEC-0426-SM-E6CHU 60-69 years, male 11.4
GTEX-11O72-0126-SM-59887 40-49 years, male 11.3
GTEX-1314G-1526-SM-5EGK2 30-39 years, male 11.3
GTEX-139TU-0126-SM-5K7WH 60-69 years, male 11.3
GTEX-13OVL-0226-SM-5L3E9 50-59 years, male 11.3
GTEX-1BAJH-0526-SM-793CQ 70-79 years, male 11.3
GTEX-Y114-2426-SM-4TT8A 50-59 years, female 11.3
GTEX-ZE9C-2726-SM-57WB5 60-69 years, male 11.3
GTEX-117YW-2626-SM-5GZZH 50-59 years, male 11.2
GTEX-13SLX-0526-SM-5S2ON 50-59 years, female 11.2
GTEX-XMD2-0126-SM-4YCDU 60-69 years, female 11.2
GTEX-YJ8A-0426-SM-5IFID 20-29 years, male 11.2
GTEX-1C6WA-0126-SM-7PC2B 60-69 years, male 11.2
GTEX-1I1GV-0526-SM-A9G29 60-69 years, male 11.2
GTEX-PSDG-0226-SM-DKPOZ 50-59 years, male 11.2
GTEX-13O3P-0126-SM-5KM4S 50-59 years, male 11.1
GTEX-15SHW-0326-SM-6PAML 60-69 years, male 11.1
GTEX-16YQH-0126-SM-7DUFJ 30-39 years, male 11.1
GTEX-1GZ2Q-0226-SM-7P8TL 40-49 years, male 11.1
GTEX-139TS-2826-SM-5J1OO 60-69 years, male 11.0
GTEX-13N2G-2626-SM-5J1OT 60-69 years, male 11.0
GTEX-1AYD5-2426-SM-73KXR 50-59 years, male 11.0
GTEX-OOBK-0126-SM-2YUND 40-49 years, male 11.0
GTEX-1F6IF-0726-SM-7P8TW 60-69 years, male 11.0
GTEX-1IL2U-0226-SM-CE6T8 60-69 years, male 11.0
GTEX-1QMI2-0226-SM-EVYBX 60-69 years, male 11.0
GTEX-139T8-0126-SM-5K7XZ 60-69 years, male 10.9
GTEX-14ABY-0226-SM-5TDCQ 50-59 years, male 10.9
GTEX-15EOM-0126-SM-7KUGG 20-29 years, female 10.9
GTEX-1CB4E-2226-SM-793DC 60-69 years, male 10.9
GTEX-1F6I4-0126-SM-9MQL2 60-69 years, male 10.9
GTEX-11DXX-2426-SM-5GZZW 60-69 years, female 10.8
GTEX-13X6J-0126-SM-5QGOU 50-59 years, male 10.8
GTEX-145LU-0126-SM-5TDCB 50-59 years, male 10.8
GTEX-183FY-0126-SM-7LT9P 20-29 years, male 10.8
GTEX-18A67-0126-SM-7LG5P 50-59 years, male 10.8
GTEX-1CB4J-0626-SM-7DHMP 60-69 years, male 10.8
GTEX-1HSKV-0226-SM-A9SKJ 60-69 years, male 10.8
GTEX-1L5NE-2526-SM-E6CIE 50-59 years, male 10.8
GTEX-ZQG8-1626-SM-DHXIT 60-69 years, female 10.8
GTEX-12WSK-2326-SM-5GCOH 40-49 years, female 10.7
GTEX-13OVH-0126-SM-5MR4B 70-79 years, male 10.7
GTEX-145MI-0526-SM-5O9A8 60-69 years, female 10.7
GTEX-17HHY-0126-SM-7LG5D 50-59 years, male 10.7
GTEX-WXYG-2326-SM-4E3I6 50-59 years, female 10.7
GTEX-ZTX8-1426-SM-5DUVO 20-29 years, male 10.7
GTEX-1GN73-0226-SM-9WG67 60-69 years, male 10.7
GTEX-11DXW-0226-SM-5H122 40-49 years, male 10.6
GTEX-1B8SF-1426-SM-7DUGL 60-69 years, male 10.6
GTEX-QLQW-1126-SM-2S1Q8 30-39 years, male 10.6
GTEX-RN64-0126-SM-2TC68 50-59 years, male 10.6
GTEX-ZYFC-0226-SM-5NQ75 50-59 years, male 10.6
GTEX-169BO-1326-SM-9MQK2 50-59 years, male 10.6
GTEX-1IKJJ-0126-SM-CNPQB 60-69 years, male 10.6
GTEX-1N2DW-0226-SM-E9TK2 50-59 years, male 10.6
GTEX-Q2AI-1326-SM-2S1PL 40-49 years, male 10.5
GTEX-1HCUA-2426-SM-ADEIS 50-59 years, female 10.5
GTEX-1I1GU-2226-SM-CGQFA 40-49 years, male 10.5
GTEX-1QEPI-0126-SM-EWRMQ 60-69 years, female 10.5
GTEX-11EI6-0126-SM-5985R 60-69 years, male 10.4
GTEX-11XUK-2026-SM-5EQLF 40-49 years, female 10.4
GTEX-12WSJ-1826-SM-5GCNY 40-49 years, female 10.4
GTEX-1C6VR-2426-SM-79OLD 60-69 years, male 10.4
GTEX-1CAV2-2226-SM-7P8P2 40-49 years, female 10.4
GTEX-1IOXB-0126-SM-ARL8G 50-59 years, male 10.4
GTEX-1LNCM-1126-SM-E9U5E 50-59 years, female 10.4
GTEX-11UD2-0226-SM-5EQKY 50-59 years, male 10.3
GTEX-1313W-0126-SM-5LZUN 50-59 years, female 10.3
GTEX-13OVK-2026-SM-7KUEO 40-49 years, male 10.3
GTEX-1CAMR-1926-SM-7EPI2 20-29 years, male 10.3
GTEX-QEG4-0226-SM-2S1PY 30-39 years, male 10.3
GTEX-SUCS-1926-SM-32PM3 70-79 years, male 10.3
GTEX-ZDTS-0126-SM-4WAY5 60-69 years, male 10.3
GTEX-ZYFD-0126-SM-5GIDL 50-59 years, male 10.3
GTEX-1E2YA-0126-SM-9KNUC 50-59 years, male 10.3
GTEX-1H1DG-0126-SM-9WYU2 70-79 years, male 10.3
GTEX-1JMQJ-0526-SM-CYPSU 50-59 years, male 10.3
GTEX-1LGOU-2026-SM-DIPFF 20-29 years, female 10.3
GTEX-1MCQQ-0826-SM-DLHC2 60-69 years, male 10.3
GTEX-11DZ1-0126-SM-5985Q 50-59 years, male 10.2
GTEX-145MF-0626-SM-5LUAI 50-59 years, male 10.2
GTEX-15DCD-0126-SM-7KUEK 70-79 years, female 10.2
GTEX-TKQ1-1026-SM-4GICL 30-39 years, male 10.2
GTEX-XAJ8-0826-SM-47JY6 40-49 years, male 10.2
GTEX-YB5K-2126-SM-4WWDJ 40-49 years, female 10.2
GTEX-YFC4-0126-SM-5CVLY 40-49 years, female 10.2
GTEX-1CB4H-0226-SM-7PBXM 60-69 years, female 10.2
GTEX-1GMRU-0126-SM-9YFLV 50-59 years, male 10.2
GTEX-1GN2E-0426-SM-9MQKX 60-69 years, male 10.2
GTEX-1PDJ9-0326-SM-DTX95 20-29 years, male 10.2
GTEX-1QP9N-1426-SM-DTXFL 30-39 years, male 10.2
GTEX-13VXU-0126-SM-5SI9F 50-59 years, male 10.1
GTEX-145ME-1826-SM-5SI9G 40-49 years, female 10.1
GTEX-14LZ3-0226-SM-62LET 60-69 years, female 10.1
GTEX-Z9EW-1626-SM-5CVMN 40-49 years, male 10.1
GTEX-13OW5-0126-SM-DTXFS 60-69 years, male 10.1
GTEX-1GF9V-0326-SM-7RHI5 60-69 years, male 10.1
GTEX-1O97I-0326-SM-EYYX7 60-69 years, male 10.1
GTEX-117YX-2326-SM-5H12W 50-59 years, male 10.0
GTEX-11EMC-2926-SM-5EQ4F 60-69 years, female 10.0
GTEX-13FHO-0226-SM-5IFGY 60-69 years, male 10.0
GTEX-15DYW-0126-SM-7KULE 60-69 years, female 10.0
GTEX-Y5V5-2326-SM-4V6GA 60-69 years, female 10.0
GTEX-Z93T-0126-SM-5HL5N 50-59 years, male 10.0
GTEX-1EU9M-0226-SM-7P8SP 60-69 years, male 10.0
GTEX-1F6RS-0126-SM-9MQKZ 60-69 years, female 10.0
GTEX-1H3NZ-0126-SM-ACKX7 60-69 years, male 10.0
GTEX-1122O-2126-SM-5EGIR 60-69 years, female 9.9
GTEX-12WSC-0126-SM-5EQ4P 50-59 years, male 9.9
GTEX-139UW-2826-SM-5L3E7 60-69 years, male 9.9
GTEX-146FH-0126-SM-5QGPP 50-59 years, female 9.9
GTEX-1GL5R-1826-SM-9KNUY 50-59 years, male 9.9
GTEX-1J8JJ-0226-SM-CL53I 60-69 years, female 9.9
GTEX-1PIGE-0126-SM-EVYBJ 20-29 years, male 9.9
GTEX-1PPH8-0226-SM-E8VND 20-29 years, male 9.9
GTEX-ZF3C-0126-SM-DO92D 50-59 years, female 9.9
GTEX-12WSA-0226-SM-5BC5V 60-69 years, male 9.8
GTEX-13X6I-0626-SM-5QGP9 60-69 years, male 9.8
GTEX-OXRP-0126-SM-3NB32 60-69 years, female 9.8
GTEX-ZF2S-2326-SM-4WWCE 50-59 years, female 9.8
GTEX-1JMQL-0226-SM-CNPP5 50-59 years, female 9.8
GTEX-11GSP-2526-SM-5N9BP 60-69 years, female 9.7
GTEX-145LV-2126-SM-5LU8N 50-59 years, male 9.7
GTEX-17HG3-2226-SM-7938L 30-39 years, female 9.7
GTEX-1GF9W-0326-SM-9KNUN 60-69 years, male 9.7
GTEX-1H3VY-0126-SM-ACKXD 50-59 years, male 9.7
GTEX-1HT8W-0126-SM-CNPPP 30-39 years, male 9.7
GTEX-1IY9M-0126-SM-D3L8S 60-69 years, male 9.7
GTEX-1S3DN-2226-SM-EVYCD 50-59 years, male 9.7
GTEX-OOBJ-0126-SM-E6CJW 60-69 years, male 9.7
GTEX-RNOR-0126-SM-E9J4R 50-59 years, female 9.7
GTEX-12KS4-0326-SM-5EQ41 30-39 years, male 9.6
GTEX-13X6H-2126-SM-7EWD5 50-59 years, female 9.6
GTEX-17MFQ-1726-SM-793C7 20-29 years, male 9.6
GTEX-RWSA-0126-SM-2XCBB 40-49 years, male 9.6
GTEX-Y5V6-2426-SM-4VDSB 60-69 years, male 9.6
GTEX-1B996-0226-SM-7RHGO 60-69 years, male 9.6
GTEX-1F52S-0126-SM-9MQJU 60-69 years, female 9.6
GTEX-1K9T9-0126-SM-EVYCF 50-59 years, female 9.6
GTEX-13QJ3-0326-SM-5S2RA 50-59 years, male 9.5
GTEX-18D9B-0526-SM-7LTAS 60-69 years, male 9.5
GTEX-VUSG-2526-SM-4KL1V 50-59 years, male 9.5
GTEX-ZTSS-1926-SM-57WEW 40-49 years, male 9.5
GTEX-1AX9I-0126-SM-7SB74 60-69 years, male 9.5
GTEX-1IKK5-0626-SM-ARL8A 60-69 years, male 9.5
GTEX-1RDX4-0126-SM-E9J4P 50-59 years, female 9.5
GTEX-1RLM8-2326-SM-EWRN4 50-59 years, male 9.5
GTEX-11P81-2326-SM-59875 30-39 years, female 9.4
GTEX-12WSD-0126-SM-59HKN 60-69 years, female 9.4
GTEX-15CHC-2126-SM-6EU21 60-69 years, female 9.4
GTEX-U3ZH-2026-SM-3DB78 30-39 years, male 9.4
GTEX-YEC4-2126-SM-5IFJH 40-49 years, male 9.4
GTEX-ZDYS-2026-SM-5HL5L 50-59 years, male 9.4
GTEX-ZUA1-0126-SM-5GU76 40-49 years, male 9.4
GTEX-ZY6K-1826-SM-5GZXK 50-59 years, male 9.4
GTEX-1HBPM-0226-SM-ARL9F 60-69 years, female 9.4
GTEX-1OJC3-0126-SM-E76QX 20-29 years, male 9.4
GTEX-131XH-2226-SM-5DUXJ 50-59 years, male 9.3
GTEX-133LE-1826-SM-5J1MV 20-29 years, female 9.3
GTEX-1399U-2326-SM-5K7WY 50-59 years, female 9.3
GTEX-1497J-2426-SM-7IGNX 60-69 years, male 9.3
GTEX-14PJ3-1826-SM-62LEX 50-59 years, male 9.3
GTEX-16NGA-1726-SM-731B4 40-49 years, female 9.3
GTEX-1AX9J-0226-SM-73KXM 60-69 years, male 9.3
GTEX-WQUQ-0426-SM-3MJFU 60-69 years, male 9.3
GTEX-1B933-0126-SM-7PC29 50-59 years, female 9.3
GTEX-1HSMP-0126-SM-E6CJS 70-79 years, male 9.3
GTEX-1RAZA-0126-SM-E6CI3 20-29 years, male 9.3
GTEX-11GS4-2726-SM-5A5LE 60-69 years, male 9.2
GTEX-146FQ-0126-SM-5NQA9 30-39 years, male 9.2
GTEX-16BQI-0226-SM-7KUEX 30-39 years, female 9.2
GTEX-PLZ4-0126-SM-5SI8O 50-59 years, female 9.2
GTEX-X638-0126-SM-47JZ8 70-79 years, female 9.2
GTEX-XQ8I-0426-SM-4BOPO 50-59 years, male 9.2
GTEX-Y8E4-0626-SM-4WWDL 40-49 years, male 9.2
GTEX-1A8FM-0226-SM-7SB7Q 50-59 years, female 9.2
GTEX-1EN7A-0126-SM-7SB81 40-49 years, male 9.2
GTEX-1F7RK-0126-SM-7PC2S 20-29 years, female 9.2
GTEX-1HBPI-1526-SM-C1YQ1 50-59 years, male 9.2
GTEX-1JJEA-0326-SM-CNPOT 60-69 years, male 9.2
GTEX-1PWST-0226-SM-E76QJ 70-79 years, male 9.2
GTEX-13FTY-0526-SM-5L3EV 40-49 years, female 9.1
GTEX-13PVR-2326-SM-5QGR1 60-69 years, female 9.1
GTEX-13SLW-0126-SM-5SI6C 70-79 years, male 9.1
GTEX-1C4CL-0526-SM-73KVK 30-39 years, male 9.1
GTEX-1E1VI-0126-SM-7DHMZ 50-59 years, male 9.1
GTEX-13FH7-2026-SM-E9J4I 50-59 years, female 9.1
GTEX-1KANA-0726-SM-D3L9I 20-29 years, male 9.1
GTEX-1POEN-0126-SM-EYYXJ 30-39 years, female 9.1
GTEX-12696-2426-SM-5EQ6H 60-69 years, male 9.0
GTEX-16XZY-2126-SM-79OK1 70-79 years, male 9.0
GTEX-17F98-0626-SM-79OMX 40-49 years, female 9.0
GTEX-17HGU-0226-SM-7DHKV 50-59 years, male 9.0
GTEX-QV44-1926-SM-2S1RF 50-59 years, male 9.0
GTEX-WVJS-0126-SM-4MVOT 50-59 years, male 9.0
GTEX-XV7Q-2526-SM-4BRV9 40-49 years, female 9.0
GTEX-ZGAY-0526-SM-4WWBB 40-49 years, female 9.0
GTEX-1F75A-0126-SM-7RHGM 50-59 years, male 9.0
GTEX-1GN1U-0126-SM-7PBZK 50-59 years, female 9.0
GTEX-1IDJF-0126-SM-CM2RS 20-29 years, male 9.0
GTEX-1K2DU-2326-SM-E9TIV 20-29 years, male 9.0
GTEX-13RTK-1426-SM-5QGQJ 20-29 years, male 8.9
GTEX-145LS-0126-SM-5QGP1 60-69 years, female 8.9
GTEX-145MN-2226-SM-5SIAU 30-39 years, male 8.9
GTEX-147GR-0526-SM-5S2MY 60-69 years, male 8.9
GTEX-VJYA-1126-SM-3GIJU 60-69 years, male 8.9
GTEX-YB5E-2026-SM-5IFIS 40-49 years, male 8.9
GTEX-1I1GQ-0126-SM-COH3H 50-59 years, male 8.9
GTEX-1OFPY-2426-SM-DTXEJ 60-69 years, male 8.9
GTEX-1S83E-0126-SM-EWRO4 40-49 years, male 8.9
GTEX-1128S-2326-SM-5GZZY 60-69 years, female 8.8
GTEX-11EQ9-2426-SM-5HL5T 30-39 years, male 8.8
GTEX-139TT-0126-SM-5K7Y5 60-69 years, male 8.8
GTEX-14C5O-0126-SM-5SI6N 60-69 years, male 8.8
GTEX-14ICK-0226-SM-6EU25 40-49 years, male 8.8
GTEX-18465-0126-SM-731BN 50-59 years, male 8.8
GTEX-P4QT-0126-SM-2I3FL 50-59 years, female 8.8
GTEX-QVJO-1626-SM-2S1QW 60-69 years, female 8.8
GTEX-UJHI-1526-SM-3DB99 50-59 years, female 8.8
GTEX-WFG8-2226-SM-3GIL9 20-29 years, male 8.8
GTEX-X4EP-0126-SM-3P5YV 60-69 years, female 8.8
GTEX-1CB4G-0226-SM-7PC3O 60-69 years, male 8.8
GTEX-1KXAM-2226-SM-CYPTC 60-69 years, male 8.8
GTEX-PW2O-1526-SM-7RHHB 20-29 years, male 8.8
GTEX-13S7M-0126-SM-5SI6A 60-69 years, female 8.7
GTEX-18QFQ-0126-SM-731BE 30-39 years, male 8.7
GTEX-WH7G-2326-SM-3NMBC 40-49 years, male 8.7
GTEX-WYJK-0126-SM-3NMAB 50-59 years, male 8.7
GTEX-ZXES-1826-SM-5E43S 30-39 years, female 8.7
GTEX-1JMQI-2226-SM-CM2SD 50-59 years, male 8.7
GTEX-1M4P7-0226-SM-DIPEV 60-69 years, male 8.7
GTEX-1N2EF-0226-SM-EYYXB 60-69 years, male 8.7
GTEX-11DXY-2626-SM-5GIE7 60-69 years, male 8.6
GTEX-11WQC-2526-SM-5CVLE 60-69 years, male 8.6
GTEX-139D8-0226-SM-5KLZO 30-39 years, female 8.6
GTEX-13IVO-0126-SM-5J1NG 70-79 years, male 8.6
GTEX-144GL-0126-SM-5TDE2 50-59 years, male 8.6
GTEX-147F4-0226-SM-5QGPW 50-59 years, male 8.6
GTEX-1A3MW-0126-SM-73KXX 60-69 years, female 8.6
GTEX-SSA3-0126-SM-32QPU 60-69 years, male 8.6
GTEX-WYVS-2126-SM-3NMA3 40-49 years, female 8.6
GTEX-13O3O-0126-SM-E9J49 60-69 years, female 8.6
GTEX-1HCU6-0126-SM-CL54K 60-69 years, female 8.6
GTEX-ZVT4-0126-SM-DTXFN 50-59 years, female 8.6
GTEX-14PII-0226-SM-6EU1T 60-69 years, male 8.5
GTEX-1AX8Z-0126-SM-7DHM6 60-69 years, male 8.5
GTEX-1B8KE-2126-SM-73KYX 50-59 years, male 8.5
GTEX-P4PP-0126-SM-3LK69 30-39 years, female 8.5
GTEX-PVOW-0126-SM-2XCFA 40-49 years, male 8.5
GTEX-QDVJ-1726-SM-2I5FX 50-59 years, male 8.5
GTEX-RM2N-1426-SM-2TF4H 50-59 years, male 8.5
GTEX-1HBPH-0426-SM-B2LW5 40-49 years, female 8.5
GTEX-1HSMO-0126-SM-CL547 60-69 years, male 8.5
GTEX-1R7EU-0226-SM-EVR4G 60-69 years, male 8.5
GTEX-18D9A-1926-SM-7LG6P 30-39 years, female 8.4
GTEX-1HCVE-0126-SM-CGQEU 50-59 years, male 8.4
GTEX-1S5ZA-0126-SM-EVYCV 20-29 years, male 8.4
GTEX-11P82-1626-SM-59879 20-29 years, male 8.3
GTEX-13RTL-0126-SM-7LG5S 40-49 years, male 8.3
GTEX-1H1DE-2126-SM-9WG6R 20-29 years, male 8.3
GTEX-1H4P4-0726-SM-9YFLR 50-59 years, male 8.3
GTEX-1I1GP-2226-SM-CGQFK 50-59 years, male 8.3
GTEX-1QPFJ-0226-SM-E76PB 30-39 years, female 8.3
GTEX-113JC-2326-SM-5EQ4E 50-59 years, female 8.2
GTEX-131XG-2626-SM-5KM17 50-59 years, female 8.2
GTEX-13FTX-1826-SM-5J1NX 20-29 years, female 8.2
GTEX-13NZB-2526-SM-5J1OM 30-39 years, male 8.2
GTEX-14BMU-2226-SM-5TDE9 20-29 years, female 8.2
GTEX-NFK9-0226-SM-2HMKQ 40-49 years, male 8.2
GTEX-T5JW-1626-SM-3GADZ 20-29 years, female 8.2
GTEX-W5WG-1826-SM-4KL2Y 50-59 years, female 8.2
GTEX-X5EB-2226-SM-46MW4 40-49 years, male 8.2
GTEX-13NYC-0326-SM-E9J4S 60-69 years, male 8.2
GTEX-1JN6P-0126-SM-D3L98 60-69 years, male 8.2
GTEX-1KAFJ-2026-SM-CY8ID 50-59 years, male 8.2
GTEX-1211K-2026-SM-5EQ4Z 60-69 years, female 8.1
GTEX-13111-1626-SM-5EGJY 50-59 years, male 8.1
GTEX-13OW8-1326-SM-5J1OW 60-69 years, male 8.1
GTEX-16NPX-0226-SM-79OMT 50-59 years, male 8.1
GTEX-18D9U-0226-SM-718BP 40-49 years, male 8.1
GTEX-OIZG-0726-SM-33HBL 50-59 years, male 8.1
GTEX-ZAB5-1826-SM-5HL7C 50-59 years, male 8.1
GTEX-1LG7Y-0526-SM-DKPQC 50-59 years, male 8.1
GTEX-13O3Q-2426-SM-5IJBR 50-59 years, male 8.0
GTEX-17MF6-0126-SM-7LG4F 40-49 years, male 8.0
GTEX-1B8KZ-2026-SM-7DHMB 50-59 years, male 8.0
GTEX-ZVZP-2426-SM-59HKJ 50-59 years, male 8.0
GTEX-1GMR8-0126-SM-9WYTM 50-59 years, female 8.0
GTEX-1JJE9-0326-SM-CL53Z 70-79 years, male 8.0
GTEX-1LC47-0326-SM-E9TJP 60-69 years, male 8.0
GTEX-S33H-1026-SM-EZ6L6 30-39 years, male 8.0
GTEX-13W3W-2426-SM-5LU5B 60-69 years, female 7.9
GTEX-OXRK-0226-SM-3NB2G 50-59 years, female 7.9
GTEX-OXRN-0126-SM-48TDM 50-59 years, male 7.9
GTEX-R55E-0126-SM-2TC5Y 20-29 years, male 7.9
GTEX-RWS6-2026-SM-2XCB5 60-69 years, female 7.9
GTEX-ZYW4-0126-SM-5E44A 60-69 years, male 7.9
GTEX-1C64O-0126-SM-7SB8P 60-69 years, male 7.9
GTEX-1H1ZS-0426-SM-9WG6G 70-79 years, male 7.9
GTEX-1H23P-0126-SM-ADEJ3 60-69 years, male 7.9
GTEX-1HCU9-1526-SM-A9SL7 20-29 years, male 7.9
GTEX-1HKZK-0326-SM-9WYUH 40-49 years, male 7.9
GTEX-1JK1U-2026-SM-CM2RZ 60-69 years, male 7.9
GTEX-1JMPY-1326-SM-ARL8Y 30-39 years, male 7.9
GTEX-1MA7X-2226-SM-E6CIY 60-69 years, male 7.9
GTEX-1PBJI-0526-SM-E8VNK 20-29 years, female 7.9
GTEX-139T4-0226-SM-5HL5S 50-59 years, female 7.8
GTEX-147F3-0526-SM-5SI98 50-59 years, female 7.8
GTEX-17EUY-0426-SM-793BD 20-29 years, male 7.8
GTEX-R55G-2526-SM-2TC6D 40-49 years, female 7.8
GTEX-X4EO-0326-SM-3P5YO 60-69 years, female 7.8
GTEX-XBEW-0626-SM-4QASP 40-49 years, male 7.8
GTEX-1F48J-0126-SM-7P8TT 50-59 years, female 7.8
GTEX-1NV5F-0226-SM-E8VNY 60-69 years, female 7.8
GTEX-11ZTT-2426-SM-5EQLS 60-69 years, female 7.7
GTEX-1269C-2526-SM-5EGJ3 60-69 years, female 7.7
GTEX-13JUV-2726-SM-5LZZ8 40-49 years, female 7.7
GTEX-16MT8-0426-SM-7KUEY 60-69 years, female 7.7
GTEX-RU72-0926-SM-2TF6B 50-59 years, female 7.7
GTEX-SJXC-0126-SM-2XCFF 60-69 years, male 7.7
GTEX-Y5LM-1926-SM-5RQJH 40-49 years, female 7.7
GTEX-11GSO-2426-SM-5A5LY 60-69 years, male 7.6
GTEX-14DAQ-0126-SM-5S2MQ 60-69 years, female 7.6
GTEX-15UF6-0826-SM-6PALJ 70-79 years, female 7.6
GTEX-17EVP-0326-SM-7DHLG 40-49 years, male 7.6
GTEX-QLQ7-1626-SM-2S1R8 60-69 years, male 7.6
GTEX-1GN1V-0126-SM-9WPOS 60-69 years, male 7.6
GTEX-1H2FU-0126-SM-9WYSI 60-69 years, female 7.6
GTEX-1HCU8-0626-SM-A9SM9 60-69 years, female 7.6
GTEX-1HSMQ-1226-SM-CGQFX 50-59 years, male 7.6
GTEX-11H98-0126-SM-5EGHG 50-59 years, male 7.5
GTEX-11ZVC-2526-SM-5FQTE 50-59 years, female 7.5
GTEX-13OW7-0126-SM-5MR3B 50-59 years, male 7.5
GTEX-17F97-0326-SM-7LG5B 50-59 years, male 7.5
GTEX-ZYFG-2326-SM-5E44B 60-69 years, female 7.5
GTEX-1F88F-2726-SM-7PBZZ 60-69 years, female 7.5
GTEX-1H3O1-0426-SM-9YFKY 60-69 years, male 7.5
GTEX-1I1GR-0126-SM-CL55F 60-69 years, male 7.5
GTEX-1I1HK-0126-SM-COH49 60-69 years, male 7.5
GTEX-1JN1M-0326-SM-CYPT3 60-69 years, female 7.5
GTEX-13NZ8-0826-SM-5MR3I 60-69 years, female 7.4
GTEX-13U4I-0126-SM-5LU38 40-49 years, female 7.4
GTEX-1AYCT-2426-SM-7IGQ3 50-59 years, male 7.4
GTEX-P4PQ-0126-SM-2S1NM 60-69 years, male 7.4
GTEX-1GZ4H-1726-SM-7PBZJ 50-59 years, female 7.4
GTEX-1HSEH-0126-SM-ACKXN 60-69 years, male 7.4
GTEX-1IE54-0126-SM-CMKHW 40-49 years, female 7.4
GTEX-1MGNQ-0126-SM-EVYCJ 40-49 years, male 7.4
GTEX-1PFEY-1526-SM-E76PP 30-39 years, male 7.4
GTEX-1QP66-1726-SM-E8VO1 50-59 years, male 7.4
GTEX-1RB15-2126-SM-E9TIM 60-69 years, male 7.4
GTEX-OIZF-0126-SM-7SB8I 60-69 years, male 7.4
GTEX-OHPM-0126-SM-2YUN9 50-59 years, male 7.3
GTEX-OXRO-0126-SM-2YUN4 60-69 years, female 7.3
GTEX-XPVG-2626-SM-4B669 50-59 years, male 7.3
GTEX-ZV6S-2326-SM-4YCEY 40-49 years, female 7.3
GTEX-ZZPT-0226-SM-5E43X 50-59 years, male 7.3
GTEX-12WSG-2826-SM-E9J4H 50-59 years, female 7.3
GTEX-1I19N-0326-SM-ACKVX 70-79 years, male 7.3
GTEX-1LH75-2426-SM-E9TJE 50-59 years, female 7.3
GTEX-148VI-1626-SM-5SI6E 60-69 years, female 7.2
GTEX-14A6H-0126-SM-5QGPK 30-39 years, male 7.2
GTEX-XBED-2226-SM-47JYQ 60-69 years, male 7.2
GTEX-ZEX8-2426-SM-4WKG4 50-59 years, male 7.2
GTEX-1GTWX-0126-SM-9YFLK 60-69 years, male 7.2
GTEX-PWCY-1826-SM-DHXIZ 20-29 years, female 7.2
GTEX-11ZU8-2526-SM-5EQKI 60-69 years, male 7.1
GTEX-13O1R-0126-SM-5L3EH 60-69 years, male 7.1
GTEX-15EU6-0426-SM-6PAN5 50-59 years, male 7.1
GTEX-PLZ5-2026-SM-2S1O4 50-59 years, male 7.1
GTEX-XUW1-0426-SM-4BOOT 50-59 years, female 7.1
GTEX-1HSGN-0226-SM-CGQFV 40-49 years, female 7.1
GTEX-1I1CD-0126-SM-CM2TK 60-69 years, female 7.1
GTEX-1J8Q2-0526-SM-CM2RW 60-69 years, male 7.1
GTEX-1KANC-1526-SM-D3LAB 50-59 years, female 7.1
GTEX-ZPIC-1726-SM-DHXIU 40-49 years, female 7.1
GTEX-12C56-1726-SM-5EQ61 20-29 years, male 7.0
GTEX-131XE-2326-SM-5PNZ2 50-59 years, male 7.0
GTEX-13D11-2426-SM-5KM1V 50-59 years, female 7.0
GTEX-16AAH-1726-SM-7939C 50-59 years, male 7.0
GTEX-17HII-0226-SM-7LG4E 50-59 years, male 7.0
GTEX-1B97I-1626-SM-73KYO 40-49 years, male 7.0
GTEX-1IKOH-0226-SM-COH4E 60-69 years, female 7.0
GTEX-1LVAN-0226-SM-COH3S 50-59 years, female 7.0
GTEX-1MUQO-0126-SM-EAZ58 60-69 years, male 7.0
GTEX-1QP2A-0126-SM-E9J43 50-59 years, male 7.0
GTEX-11TTK-0126-SM-5987B 60-69 years, female 6.9
GTEX-13NZA-0226-SM-5K7Z7 60-69 years, male 6.9
GTEX-14PHX-2326-SM-62LEM 50-59 years, male 6.9
GTEX-17EVQ-0226-SM-7LG4P 70-79 years, male 6.9
GTEX-18A66-0226-SM-718BD 60-69 years, male 6.9
GTEX-QDVN-2026-SM-3GAEP 50-59 years, male 6.9
GTEX-WOFL-0126-SM-3MJG2 60-69 years, male 6.9
GTEX-ZVT2-2526-SM-51MT1 50-59 years, female 6.9
GTEX-1GPI6-0126-SM-9WG69 60-69 years, male 6.9
GTEX-1I1GS-0126-SM-B2LVW 60-69 years, male 6.9
GTEX-1QP29-0626-SM-EWRMX 50-59 years, male 6.9
GTEX-13VXT-0126-SM-5LU4I 20-29 years, female 6.8
GTEX-15DDE-0126-SM-6LPKH 50-59 years, female 6.8
GTEX-1C2JI-1826-SM-73KXC 50-59 years, male 6.8
GTEX-RTLS-0126-SM-447CA 60-69 years, female 6.8
GTEX-V1D1-2226-SM-3NMAX 50-59 years, male 6.8
GTEX-ZDTT-2726-SM-4WKF8 60-69 years, male 6.8
GTEX-1GPI7-0126-SM-9MQL8 20-29 years, male 6.8
GTEX-1HCU7-0226-SM-CL545 50-59 years, male 6.8
GTEX-1QCLY-0326-SM-E8VOG 30-39 years, male 6.8
GTEX-131XW-0426-SM-5LZWP 50-59 years, female 6.7
GTEX-ZZ64-1726-SM-5GZYB 20-29 years, male 6.7
GTEX-1RAZQ-0726-SM-EAZ43 30-39 years, male 6.7
GTEX-1S82Y-2026-SM-EVYCM 40-49 years, male 6.7
GTEX-R45C-0126-SM-EAZ2R 60-69 years, female 6.7
GTEX-13O21-1426-SM-5K7XI 50-59 years, male 6.6
GTEX-13YAN-0326-SM-5O9DF 60-69 years, male 6.6
GTEX-1AX9K-2326-SM-73KWU 50-59 years, male 6.6
GTEX-1IGQW-0126-SM-COH42 60-69 years, male 6.6
GTEX-14PHW-0126-SM-6LLJI 60-69 years, female 6.5
GTEX-S32W-2126-SM-2XCB1 50-59 years, female 6.5
GTEX-ZXG5-0126-SM-5GIEU 60-69 years, male 6.5
GTEX-1J8Q3-1626-SM-CMKGC 60-69 years, male 6.5
GTEX-1R46S-0626-SM-E9J41 60-69 years, female 6.5
GTEX-1S82Z-0826-SM-E6CHY 30-39 years, female 6.5
GTEX-11VI4-1726-SM-5CVLH 40-49 years, female 6.4
GTEX-145LT-1726-SM-5QGP3 40-49 years, male 6.4
GTEX-14DAR-2026-SM-5S2O3 50-59 years, male 6.4
GTEX-16XZZ-0126-SM-793DV 60-69 years, male 6.4
GTEX-QDT8-0126-SM-48TZ1 30-39 years, female 6.4
GTEX-1HGF4-2426-SM-ACKXM 60-69 years, male 6.4
GTEX-1JKYN-1326-SM-CGQG9 30-39 years, male 6.4
GTEX-1MA7W-2026-SM-E9TJ6 20-29 years, female 6.4
GTEX-U3ZN-2326-SM-3DB7W 30-39 years, female 6.3
GTEX-X8HC-0126-SM-4E3JW 50-59 years, female 6.3
GTEX-ZYY3-0126-SM-5GZY5 60-69 years, female 6.3
GTEX-1H1E6-1726-SM-ACKVK 30-39 years, male 6.3
GTEX-1ICLY-0126-SM-D4P36 50-59 years, male 6.3
GTEX-1LGRB-2526-SM-CNPPQ 50-59 years, female 6.3
GTEX-1LSNM-1926-SM-E6CII 50-59 years, male 6.3
GTEX-13PDP-0126-SM-5L3HD 60-69 years, male 6.2
GTEX-14753-0426-SM-5NQAM 60-69 years, male 6.2
GTEX-14E6C-0126-SM-5RQIP 40-49 years, male 6.2
GTEX-14JG6-2226-SM-6EU2G 30-39 years, female 6.2
GTEX-18A7B-0126-SM-7LG64 70-79 years, male 6.2
GTEX-O5YW-0126-SM-3LK6D 50-59 years, male 6.2
GTEX-Q2AH-1626-SM-3GAF8 40-49 years, male 6.2
GTEX-QCQG-1726-SM-3GIJ9 50-59 years, female 6.2
GTEX-R3RS-0126-SM-3GIJL 40-49 years, female 6.2
GTEX-TSE9-0126-SM-3DB83 60-69 years, female 6.2
GTEX-UPJH-0326-SM-3GADU 50-59 years, male 6.2
GTEX-131XF-5016-SM-7MGWE 60-69 years, male 6.2
GTEX-1GF9U-2126-SM-7SB7L 40-49 years, female 6.2
GTEX-1I4MK-2226-SM-ACKWD 50-59 years, female 6.2
GTEX-1JKYR-0126-SM-CNPOJ 20-29 years, male 6.2
GTEX-ZF29-2326-SM-DO92K 60-69 years, female 6.2
GTEX-13N1W-0126-SM-5K7VT 70-79 years, male 6.1
GTEX-14A5I-0126-SM-5TDEA 50-59 years, female 6.1
GTEX-X261-0126-SM-3NMD6 50-59 years, male 6.1
GTEX-ZAJG-0126-SM-5HL94 50-59 years, female 6.1
GTEX-ZVE2-0226-SM-59HJB 50-59 years, male 6.1
GTEX-1F5PK-2426-SM-7RHHY 50-59 years, male 6.1
GTEX-13OVJ-0126-SM-5KM36 50-59 years, female 6.0
GTEX-14E7W-0126-SM-6LLJ9 70-79 years, male 6.0
GTEX-14JIY-0126-SM-6LLH6 60-69 years, male 6.0
GTEX-15F5U-1526-SM-6PANO 40-49 years, male 6.0
GTEX-17GQL-2026-SM-718BA 60-69 years, male 6.0
GTEX-WRHK-1426-SM-3MJF9 20-29 years, female 6.0
GTEX-ZF28-0126-SM-4WKGK 60-69 years, male 6.0
GTEX-1C6VQ-0126-SM-7P8RI 50-59 years, male 6.0
GTEX-1F75B-0126-SM-9KNVL 50-59 years, male 6.0
GTEX-1NHNU-1026-SM-E9J2A 50-59 years, male 6.0
GTEX-14PN3-2426-SM-6LLHS 60-69 years, female 5.9
GTEX-1MCYP-1926-SM-E9J2R 20-29 years, female 5.9
GTEX-13113-5016-SM-7EPIP 60-69 years, female 5.8
GTEX-13OVG-1926-SM-5L3DK 60-69 years, male 5.8
GTEX-OXRL-0126-SM-2YUMP 50-59 years, male 5.8
GTEX-PWO3-1526-SM-48TCM 60-69 years, female 5.8
GTEX-U3ZM-1526-SM-3DB9D 40-49 years, male 5.8
GTEX-1C6VS-0526-SM-7DUEN 60-69 years, male 5.7
GTEX-1CAMQ-0226-SM-7IGPK 40-49 years, male 5.7
GTEX-P44H-0226-SM-2XCEU 40-49 years, male 5.7
GTEX-Q2AG-0126-SM-33HBV 40-49 years, female 5.7
GTEX-1JJ6O-0126-SM-E6CI8 60-69 years, male 5.7
GTEX-1N2DV-0226-SM-E6CJ6 40-49 years, male 5.7
GTEX-1AMFI-2026-SM-731BH 50-59 years, female 5.6
GTEX-S95S-1226-SM-4GICG 60-69 years, male 5.6
GTEX-T6MO-1626-SM-32QOM 40-49 years, female 5.6
GTEX-TML8-1926-SM-32QOS 40-49 years, female 5.6
GTEX-1HUB1-0426-SM-E9U4U 60-69 years, male 5.6
GTEX-1IDJU-2626-SM-CM2RT 60-69 years, female 5.6
GTEX-1JMOU-1526-SM-CL54I 60-69 years, female 5.6
GTEX-12WSN-5019-SM-79OM6 40-49 years, male 5.5
GTEX-U4B1-1826-SM-4DXSU 40-49 years, male 5.5
GTEX-ZAB4-0226-SM-5N9F5 40-49 years, male 5.5
GTEX-1F75I-0326-SM-9YFLU 40-49 years, male 5.5
GTEX-1R7EV-2426-SM-EVYBG 40-49 years, male 5.5
GTEX-15ETS-0126-SM-7KUMW 40-49 years, female 5.4
GTEX-1AMEY-1326-SM-73KYK 30-39 years, female 5.4
GTEX-T8EM-1026-SM-3DB7M 40-49 years, male 5.4
GTEX-Y8LW-1826-SM-5S2MV 50-59 years, female 5.4
GTEX-1GN1W-0526-SM-9MQJQ 50-59 years, female 5.4
GTEX-1OJC4-0126-SM-E9J2E 50-59 years, female 5.4
GTEX-113IC-0126-SM-5HL6T 60-69 years, male 5.3
GTEX-11ZUS-0626-SM-59885 30-39 years, male 5.3
GTEX-1PPH7-2326-SM-EVYB8 40-49 years, male 5.3
GTEX-11LCK-1026-SM-5A5KB 30-39 years, male 5.2
GTEX-13OVI-1426-SM-5L3EY 60-69 years, female 5.2
GTEX-14LLW-0126-SM-6LLIO 70-79 years, female 5.2
GTEX-15RIG-0226-SM-7KFTL 40-49 years, male 5.2
GTEX-X62O-0126-SM-4E3JN 50-59 years, male 5.2
GTEX-1J1R8-1726-SM-ARL8M 40-49 years, male 5.2
GTEX-145MO-0326-SM-5Q5B3 60-69 years, male 5.1
GTEX-15D1Q-0126-SM-7KUG6 40-49 years, male 5.1
GTEX-1A3MV-1926-SM-718BT 30-39 years, male 5.1
GTEX-1JN76-0126-SM-CNPPE 20-29 years, female 5.1
GTEX-SNMC-1226-SM-2XCFP 20-29 years, male 5.0
GTEX-1IDFM-0126-SM-COH2V 60-69 years, male 5.0
GTEX-11EM3-2426-SM-59861 20-29 years, female 4.8
GTEX-TMMY-0226-SM-33HBA 40-49 years, female 4.8
GTEX-17HHE-2026-SM-79OKF 50-59 years, male 4.7
GTEX-SN8G-0126-SM-32PLI 50-59 years, female 4.7
GTEX-1I1GT-0626-SM-CGQER 60-69 years, female 4.7
GTEX-1J8QM-2126-SM-CYPSJ 60-69 years, female 4.6
GTEX-PLZ6-1426-SM-DKPOT 30-39 years, male 4.6
GTEX-1R9PO-2126-SM-E9J4O 60-69 years, female 4.4
GTEX-13W46-0226-SM-5SIAG 50-59 years, male 4.3
GTEX-1HFI7-1826-SM-ACKXH 50-59 years, female 4.2
GTEX-14BIL-0126-SM-5SI92 50-59 years, male 4.1
GTEX-1QP67-1626-SM-EAZ3X 40-49 years, female 4.1
GTEX-1QW4Y-1526-SM-EAZ3Z 30-39 years, male 4.0
GTEX-146FR-1326-SM-E9J48 60-69 years, female 3.9
GTEX-VJWN-0126-SM-3GIK7 50-59 years, female 3.6
GTEX-148VJ-0126-SM-5TDDN 70-79 years, male 2.8
Show allShow less

Contact

  • NEWS ARTICLES
  • PRESS ROOM

The Project

  • INTRODUCTION
  • ORGANIZATION
  • PUBLICATIONS

The Human Protein Atlas

  • DOWNLOADABLE DATA
  • LICENCE & CITATION
  • HELP & FAQ
The Human Protein Atlas project is funded
by the Knut & Alice Wallenberg Foundation.


contact@proteinatlas.org