We use cookies to enhance the usability of our website. If you continue, we'll assume that you are happy to receive all cookies. More information. Don't show this again.
BASP1
HPA
RESOURCES
  • TISSUE
  • BRAIN
  • SINGLE CELL
  • SUBCELLULAR
  • CANCER
  • BLOOD
  • CELL LINE
  • STRUCTURE & INTERACTION
ABOUT
  • INTRODUCTION
  • HISTORY
  • ORGANIZATION
  • PUBLICATIONS
  • ANTIBODY SUBMISSION
  • ANTIBODY AVAILABILITY
  • ACKNOWLEDGMENTS
  • CONTACT
NEWS
  • NEWS ARTICLES
  • PRESS ROOM
LEARN
  • DICTIONARY
  • PROTEIN CLASSES
  • PROTEIN EVIDENCE
  • METHODS
  • EDUCATIONAL VIDEOS
DATA
  • DOWNLOADABLE DATA
  • PUBLICATION DATA
  • RELEASE HISTORY
HELP
  • ANTIBODY VALIDATION
  • ASSAYS & ANNOTATION
  • DISCLAIMER
  • HELP & FAQ
  • PRIVACY STATEMENT
  • LICENCE & CITATION
Fields »
Search result

Field
Term
Gene name
Class
Subclass
Class
Keyword
Chromosome
External id
Tissue
Cell type
Expression
Antibody panel
Tissue
Main location
Patient ID
Annotation
Tissue
Category
Tau score
Cluster
Reliability
Brain region
Category
Tau score
Brain region
Category
Tau score
Brain region
Category
Tau score
Cluster
Reliability
Tissue
Cell type
Enrichment
Cell type
Category
Tau score
Cell type
Category
Tau score
Cell type
Category
Tau score
Cell lineage
Category
Tau score
Cluster
Cluster
Location
Searches
Location
Cell line
Class
Type
Phase
Reliability
Cancer
Prognosis
Cancer
Category
Cancer
Category
Tau score
Cluster
Variants
Interacting gene (ensg_id)
Type
Number of interactions
Pathway
Category
Score
Score
Score
Validation
Validation
Validation
Validation
Antibodies
Data type
Column


  • SUMMARY

  • TISSUE

  • BRAIN

  • SINGLE CELL

  • SUBCELL

  • CANCER

  • BLOOD

  • CELL LINE

  • STRUCT & INT

  • BASP1
TISSUE PRIMARY DATA THYROID GLAND Show tissue menu
ADIPOSE TISSUE ADRENAL GLAND AMYGDALA APPENDIX BASAL GANGLIA BONE MARROW BREAST BRONCHUS CEREBELLUM CEREBRAL CORTEX CERVIX CHOROID PLEXUS COLON DUODENUM
ENDOMETRIUM EPIDIDYMIS ESOPHAGUS FALLOPIAN TUBE GALLBLADDER HEART MUSCLE HIPPOCAMPAL FORMATION HYPOTHALAMUS KIDNEY LIVER LUNG LYMPH NODE MIDBRAIN ORAL MUCOSA
OVARY PANCREAS PARATHYROID GLAND PITUITARY GLAND PLACENTA PROSTATE RECTUM RETINA SALIVARY GLAND SEMINAL VESICLE SKELETAL MUSCLE SKIN SMALL INTESTINE SMOOTH MUSCLE
SOFT TISSUE SPINAL CORD SPLEEN STOMACH TESTIS THYMUS THYROID GLAND TONGUE TONSIL URINARY BLADDER VAGINA
ANTIBODIES
AND
VALIDATION
Dictionary
Thyroid gland
Tissue proteome
Thyroid gland
THYROID GLAND - Expression summary
Protein expression
Thyroid glandi

On the top, protein expression in current human tissue, based on all annotated cell types, is reported with the units not detected (n), low (l), medium (m) and high (h). Underneath, protein expression in each annotated cell type are reported using the same units.

Protein expression data is based on knowledge-based annotation. For genes where more than one antibody has been used, a collective score is set.

If knowledge-based annotation could not be performed for a gene, no data is displayed here. View antibody staining data further down this page.

h
m
l
n
Glandular cells: Low
RNA expressioni

A summary of mRNA expression data available for current tissue based on several datasets. The mRNA expression levels in human tissues are based on RNA-seq data generated by the Human Protein Atlas (HPA), Genotype-Tissue Expression (GTEx) portal and CAGE data generated by the FANTOM5 consortium. Consensus normalized expression levels for human tissues was created by combining the data from HPA and GTEx datasets.

The mRNA expression levels in pig are based on RNA-seq data generated by the Human Protein Atlas (HPA), and for mouse, HPA data and in situ hybridization generated by the Allen brain atlas are reported.

Scroll down to view mRNA expression data in more detail.
Consensus:11.0 nTPM
HPA:6.3 nTPM
GTEx:11.0 nTPM
FANTOM5:45.5 Scaled Tags Per Million

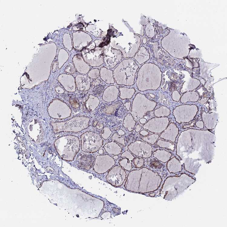
THYROID GLAND - Antibody stainingi

Antibody staining in the annotated cell types in the current human tissue is reported as not detected, low, medium, or high, based on conventional immunohistochemistry profiling in selected tissues. This score is based on the combination of the staining intensity and fraction of stained cells.

Each image is clickable and will lead to virtual microscopy that enables deeper exploration of all samples and also displays staining intensity scores, fraction scores and subcellular localization as well as patient and tissue information for each sample.

Antibody HPA045218Antibody HPA050333
Glandular cells LowLow





THYROID GLAND - HPA RNA-seqi

The RNA-seq details section shows detailed information about the individual samples used for the transcript profiling and results of the RNA-seq analysis.

Information about each individual sample is listed below, including gender, age, a tissue section image and estimated fractions of cell types. nTPM (normalized transcripts per million) values give a quantification of the gene abundance which is comparable between different genes and samples.
Average nTPMi

Max subtype nTPM is the value for the subtype with the largest average nTPM across the subtype samples.

6.3
overview
Female, age 20
Thyroid gland sample 249
nTPM: 4.7
Cell types%
Glandular cells:
70

Endothelial cells:
20

Other cell types:
10

overview
Female, age 55
Thyroid gland sample 250
nTPM: 8.2
Cell types%
Glandular cells:
70

Endothelial cells:
20

Other cell types:
10

overview
Female, age 58
Thyroid gland sample 251
nTPM: 7.2
Cell types%
Glandular cells:
70

Endothelial cells:
15

Other cell types:
15

overview
Female, age 48
Thyroid gland sample 252
nTPM: 5.4
Cell types%
Glandular cells:
70

Endothelial cells:
20

Other cell types:
10

overview
Male, age 21
Thyroid gland sample 363
nTPM: 5.8
Cell types%
Glandular cells:
75

Endothelial cells:
10

Other cell types:
15


THYROID GLAND - GTEx RNA-seqi

RNA-Seq data generated by the Genotype-Tissue Expression (GTEx) project from human tissues is reported as mean nTPM. More information can be found on the GTEx portal.

Distribution across the dataset is visualized with box plots, shown as median and 25th and 75th percentiles. Points are displayed as outliers if they are above or below 1.5 times the interquartile range. nTPM values of the individual samples are presented next to the box plot.
Max subtype nTPMi

Max subtype nTPM is the value for the subtype with the largest average nTPM across the subtype samples.

11.0
GTEx sample id Sample description nTPM
Thyroid
Average nTPM: 11.0
Samples: 653

Max nTPM: 100.4
Min nTPM: 1.3
Std nTPM: 6.1
Median nTPM: 9.9
GTEX-14JIY-1226-SM-6871R 60-69 years, male 100.4
GTEX-16GPK-0926-SM-6LPJ9 60-69 years, male 53.9
GTEX-OIZF-2626-SM-7P8QZ 60-69 years, male 45.4
GTEX-1QW4Y-0226-SM-EAZ3U 30-39 years, male 35.4
GTEX-1CB4G-1526-SM-7P8QG 60-69 years, male 35.0
GTEX-YFC4-2626-SM-5P9FQ 40-49 years, female 31.8
GTEX-11NV4-0626-SM-5N9BR 60-69 years, male 30.8
GTEX-1I6K6-0726-SM-B2LX4 30-39 years, male 28.5
GTEX-WK11-0926-SM-3NMAU 50-59 years, male 26.6
GTEX-14PJM-1326-SM-664NX 50-59 years, female 25.9
GTEX-1269C-0226-SM-5EGKS 60-69 years, female 24.2
GTEX-1AX8Z-0826-SM-7DUFZ 60-69 years, male 23.8
GTEX-1H3VE-0826-SM-9KNVQ 40-49 years, male 23.8
GTEX-1R9K4-0726-SM-EWRN2 60-69 years, male 23.6
GTEX-R55G-0726-SM-2TC6J 40-49 years, female 23.4
GTEX-1S5ZU-0726-SM-EWROH 20-29 years, female 23.3
GTEX-1GN73-0826-SM-9OSW4 60-69 years, male 22.8
GTEX-11XUK-0226-SM-5EQLW 40-49 years, female 22.7
GTEX-11GSO-0626-SM-5A5LW 60-69 years, male 22.1
GTEX-14ASI-0726-SM-5Q5DC 60-69 years, male 21.9
GTEX-16AAH-0326-SM-7DHML 50-59 years, male 21.9
GTEX-1C475-0226-SM-7MGXM 40-49 years, female 21.9
GTEX-12WSK-0926-SM-5CVNQ 40-49 years, female 21.5
GTEX-13N1W-0826-SM-5MR5J 70-79 years, male 21.4
GTEX-17F9Y-0526-SM-7EWDC 70-79 years, female 21.2
GTEX-11OF3-0626-SM-5BC4Y 60-69 years, male 20.8
GTEX-1RQED-0926-SM-EWRNZ 60-69 years, male 20.0
GTEX-15DZA-0226-SM-7KFS6 30-39 years, female 19.9
GTEX-XMK1-0626-SM-4B65A 40-49 years, male 19.9
GTEX-1EX96-0126-SM-9KNVH 50-59 years, male 19.8
GTEX-1PIIG-2026-SM-EVR43 30-39 years, male 19.7
GTEX-132QS-0326-SM-5IJFN 60-69 years, male 19.6
GTEX-1MJK2-0826-SM-DTXE8 50-59 years, male 19.5
GTEX-16MT8-0626-SM-6M47Q 60-69 years, female 19.1
GTEX-12WSG-0226-SM-5EGIF 50-59 years, female 19.0
GTEX-XV7Q-0326-SM-4BRVM 40-49 years, female 19.0
GTEX-13FXS-0726-SM-5LZXJ 50-59 years, male 18.8
GTEX-11GSP-0126-SM-5A5KU 60-69 years, female 18.4
GTEX-13U4I-0526-SM-5LU59 40-49 years, female 18.4
GTEX-1FIGZ-0226-SM-7P8QR 40-49 years, male 18.4
GTEX-1A8G7-1026-SM-73KVA 60-69 years, male 18.3
GTEX-ZAJG-0726-SM-5HL9A 50-59 years, female 18.3
GTEX-1NV5F-0726-SM-DTXEH 60-69 years, female 18.3
GTEX-WXYG-0226-SM-3NB2Y 50-59 years, female 18.2
GTEX-16BQI-0726-SM-6LPJZ 30-39 years, female 18.1
GTEX-ZVT3-0726-SM-5GICN 60-69 years, female 18.1
GTEX-OHPL-2626-SM-2HMJA 60-69 years, female 18.0
GTEX-1IE54-0926-SM-A9G2Y 40-49 years, female 18.0
GTEX-1HBPI-0826-SM-9WYTX 50-59 years, male 17.9
GTEX-13PDP-1026-SM-5L3FA 60-69 years, male 17.5
GTEX-11DZ1-2726-SM-5A5KH 50-59 years, male 17.4
GTEX-ZLV1-0126-SM-4WWBZ 60-69 years, female 17.4
GTEX-1192X-1126-SM-5EGGU 50-59 years, male 17.2
GTEX-ZF28-0826-SM-4WKGJ 60-69 years, male 17.2
GTEX-14ICK-1626-SM-6ETZX 40-49 years, male 17.0
GTEX-1B8SF-0626-SM-73KVV 60-69 years, male 17.0
GTEX-QDVJ-0226-SM-2I5FV 50-59 years, male 17.0
GTEX-15D1Q-0626-SM-6AJAZ 40-49 years, male 16.9
GTEX-XUZC-0126-SM-4BOO6 30-39 years, female 16.9
GTEX-1LG7Z-0526-SM-D4P3Q 30-39 years, male 16.9
GTEX-ZF3C-0826-SM-DO11E 50-59 years, female 16.9
GTEX-183WM-2626-SM-7KFRY 70-79 years, female 16.8
GTEX-13N11-1026-SM-5K7XQ 50-59 years, female 16.7
GTEX-13NZ9-1126-SM-5MR37 50-59 years, male 16.7
GTEX-13NYC-2426-SM-5MR3K 60-69 years, male 16.6
GTEX-1399T-0126-SM-5KM15 60-69 years, male 16.5
GTEX-13OVJ-0626-SM-5J2O2 50-59 years, female 16.5
GTEX-13NZA-1026-SM-5MR48 60-69 years, male 16.4
GTEX-17HII-1926-SM-79OLB 50-59 years, male 16.2
GTEX-12584-0826-SM-5FQSK 40-49 years, male 16.1
GTEX-12WSC-0826-SM-5EQ5Q 50-59 years, male 16.1
GTEX-1F6IF-1126-SM-9KNV2 60-69 years, male 16.1
GTEX-RN5K-2826-SM-EZ6L3 50-59 years, female 16.1
GTEX-113JC-0126-SM-5EGJW 50-59 years, female 16.0
GTEX-13FHO-0926-SM-5N9EW 60-69 years, male 16.0
GTEX-15UF6-1126-SM-6LPJ3 70-79 years, female 16.0
GTEX-Y5V5-0326-SM-5RQJG 60-69 years, female 15.9
GTEX-178AV-0726-SM-6LPJI 40-49 years, male 15.8
GTEX-18A6Q-0726-SM-7LT8Y 60-69 years, male 15.8
GTEX-1B97I-0326-SM-7DUGB 40-49 years, male 15.8
GTEX-1F52S-0526-SM-7P8TP 60-69 years, female 15.8
GTEX-1N5O9-1026-SM-DTX8Y 60-69 years, male 15.8
GTEX-12ZZX-1226-SM-5EGHS 40-49 years, female 15.7
GTEX-16XZZ-0826-SM-7IGM3 60-69 years, male 15.7
GTEX-1PDJ9-0826-SM-E76PS 20-29 years, male 15.7
GTEX-Z93S-0526-SM-EVYB4 50-59 years, male 15.7
GTEX-OXRO-1226-SM-48TDL 60-69 years, female 15.6
GTEX-13OW7-0826-SM-5L3EL 50-59 years, male 15.5
GTEX-15FZZ-0226-SM-6LLI4 30-39 years, female 15.5
GTEX-1PPGY-1426-SM-EVR3R 60-69 years, male 15.5
GTEX-1RAZR-1126-SM-E6CRC 40-49 years, male 15.5
GTEX-13NYB-0726-SM-5MR4J 40-49 years, male 15.4
GTEX-17MF6-0626-SM-7LT8D 40-49 years, male 15.4
GTEX-1LB8K-0626-SM-D4P3Z 50-59 years, male 15.4
GTEX-13O3Q-0626-SM-5IJG1 50-59 years, male 15.3
GTEX-13RTJ-0326-SM-5YYAE 60-69 years, male 15.3
GTEX-17HG3-0226-SM-7EWEA 30-39 years, female 15.3
GTEX-1E1VI-0726-SM-7P8QJ 50-59 years, male 15.3
GTEX-11EI6-0726-SM-59866 60-69 years, male 15.2
GTEX-1QCLZ-0626-SM-E6CR2 60-69 years, female 15.2
GTEX-RN64-0626-SM-2TC5V 50-59 years, male 15.1
GTEX-ZYY3-1926-SM-5GZXS 60-69 years, female 15.0
GTEX-1J8QM-0726-SM-CE6RF 60-69 years, female 15.0
GTEX-1GZ2Q-0826-SM-7P8TK 40-49 years, male 14.9
GTEX-13O3P-0726-SM-5J2OM 50-59 years, male 14.8
GTEX-145MG-0826-SM-5Q5C2 50-59 years, male 14.8
GTEX-1J1OQ-0526-SM-A9G2P 40-49 years, female 14.8
GTEX-1R46S-0426-SM-EVR48 60-69 years, female 14.8
GTEX-144GL-1226-SM-5O9A4 50-59 years, male 14.7
GTEX-15G1A-0326-SM-6M467 30-39 years, male 14.7
GTEX-1KD5A-0426-SM-D4P3X 50-59 years, male 14.7
GTEX-1LGOU-0126-SM-EV79W 20-29 years, female 14.7
GTEX-1PBJJ-1926-SM-DTX8T 30-39 years, male 14.5
GTEX-117YX-1226-SM-5H11S 50-59 years, male 14.4
GTEX-16Z82-0426-SM-7EPGX 60-69 years, male 14.4
GTEX-ZDTS-0926-SM-5YY9D 60-69 years, male 14.4
GTEX-13FLW-0326-SM-5J2M4 50-59 years, male 14.3
GTEX-R3RS-0726-SM-3GIJR 40-49 years, female 14.3
GTEX-RU72-0126-SM-2TF6Z 50-59 years, female 14.3
GTEX-1497J-0126-SM-5Q5BK 60-69 years, male 14.2
GTEX-ZXG5-0926-SM-5NQ8H 60-69 years, male 14.2
GTEX-1EU9M-0626-SM-7MXUT 60-69 years, male 14.2
GTEX-1IKOH-0626-SM-CJI35 60-69 years, female 14.2
GTEX-1IL2V-0626-SM-ARU7S 70-79 years, male 14.2
GTEX-1QEPI-0726-SM-E76QG 60-69 years, female 14.2
GTEX-11NUK-1026-SM-5HL5J 50-59 years, male 14.1
GTEX-13D11-0226-SM-5LZXL 50-59 years, female 14.1
GTEX-14BMU-0226-SM-5S2QA 20-29 years, female 14.1
GTEX-1RNSC-1126-SM-E9TIP 60-69 years, male 14.0
GTEX-11TTK-0826-SM-5N9EG 60-69 years, female 13.9
GTEX-SN8G-1526-SM-4DM79 50-59 years, female 13.9
GTEX-14PHW-2926-SM-6AJBA 60-69 years, female 13.7
GTEX-X261-0726-SM-EZ6MH 50-59 years, male 13.7
GTEX-11DXZ-0926-SM-5N9CG 50-59 years, male 13.6
GTEX-11NSD-0126-SM-5987F 20-29 years, male 13.6
GTEX-RVPV-1226-SM-2TF73 60-69 years, male 13.6
GTEX-1JN6P-0626-SM-ARZN6 60-69 years, male 13.6
GTEX-117YW-0126-SM-5EGGN 50-59 years, male 13.5
GTEX-132AR-1126-SM-5P9GA 50-59 years, female 13.5
GTEX-13IVO-0926-SM-5KLZP 70-79 years, male 13.5
GTEX-N7MS-2326-SM-2HMLD 60-69 years, male 13.5
GTEX-U3ZH-0226-SM-3DB7B 30-39 years, male 13.5
GTEX-1OJC3-0626-SM-E8VMO 20-29 years, male 13.5
GTEX-1GMR3-0726-SM-9WPOF 40-49 years, male 13.4
GTEX-1GN2E-0826-SM-9WYT8 60-69 years, male 13.4
GTEX-1IKOE-0926-SM-ARU7X 30-39 years, female 13.4
GTEX-131XE-0126-SM-5LZVC 50-59 years, male 13.3
GTEX-139YR-1226-SM-5IFEU 50-59 years, male 13.3
GTEX-Y3IK-0526-SM-4WWE3 50-59 years, female 13.3
GTEX-ZTPG-0826-SM-5DUVC 20-29 years, female 13.3
GTEX-1GF9W-0626-SM-7MXVJ 60-69 years, male 13.3
GTEX-13PVQ-0726-SM-5L3GI 50-59 years, male 13.2
GTEX-13VXU-0826-SM-5KLZ2 50-59 years, male 13.2
GTEX-1EH9U-0926-SM-7EWF1 60-69 years, male 13.2
GTEX-OHPM-2626-SM-33HC5 50-59 years, male 13.1
GTEX-PLZ4-1226-SM-2I5FE 50-59 years, female 13.1
GTEX-WRHU-0926-SM-4E3IG 50-59 years, female 13.1
GTEX-YJ89-0726-SM-5P9F7 60-69 years, male 13.1
GTEX-1I1GP-0326-SM-CNPQ4 50-59 years, male 13.1
GTEX-1QP67-0326-SM-EVR45 40-49 years, female 13.1
GTEX-17HHY-0826-SM-7EPID 50-59 years, male 13.0
GTEX-1HR9M-0626-SM-A96S6 60-69 years, male 13.0
GTEX-13OW5-0626-SM-5J2N2 60-69 years, male 12.9
GTEX-14C5O-0826-SM-5TDEG 60-69 years, male 12.9
GTEX-15SHV-0426-SM-6M476 60-69 years, male 12.9
GTEX-1CB4H-0126-SM-7IGN2 60-69 years, female 12.9
GTEX-1I1GU-0826-SM-ARZM5 40-49 years, male 12.9
GTEX-13QJ3-0926-SM-73KX5 50-59 years, male 12.8
GTEX-144GM-0226-SM-5Q5CB 20-29 years, male 12.8
GTEX-147GR-0726-SM-5S2PL 60-69 years, male 12.8
GTEX-X8HC-0726-SM-46MWG 50-59 years, female 12.8
GTEX-14PII-0826-SM-6871S 60-69 years, male 12.7
GTEX-1BAJH-0926-SM-79OO6 70-79 years, male 12.7
GTEX-P78B-0526-SM-2I5F7 40-49 years, female 12.7
GTEX-1JMQL-0926-SM-CJI3F 50-59 years, female 12.7
GTEX-1O9I2-1226-SM-E6CQC 50-59 years, male 12.7
GTEX-12ZZY-0826-SM-5EQMT 60-69 years, male 12.6
GTEX-WYBS-1926-SM-3NM8N 60-69 years, female 12.6
GTEX-1F48J-0926-SM-7P8PZ 50-59 years, female 12.6
GTEX-1J8JJ-0726-SM-AHZ3E 60-69 years, female 12.6
GTEX-111VG-0526-SM-5N9BW 60-69 years, male 12.5
GTEX-14A6H-2426-SM-5Q5BO 30-39 years, male 12.5
GTEX-17HGU-0826-SM-7EWE5 50-59 years, male 12.5
GTEX-TMMY-0826-SM-33HB9 40-49 years, female 12.5
GTEX-ZYW4-1126-SM-5SI99 60-69 years, male 12.5
GTEX-1J8EW-1126-SM-A96T8 60-69 years, female 12.5
GTEX-1LGRB-1226-SM-CNNPS 50-59 years, female 12.5
GTEX-146FQ-0726-SM-5LUA7 30-39 years, male 12.4
GTEX-14C38-0826-SM-5S2U8 50-59 years, male 12.4
GTEX-15CHQ-0826-SM-69LOT 60-69 years, male 12.4
GTEX-1CB4F-0826-SM-793CV 60-69 years, male 12.4
GTEX-WHSE-0626-SM-4RGNF 20-29 years, male 12.4
GTEX-13NZ8-0226-SM-5J2OK 60-69 years, female 12.3
GTEX-1CAMQ-1126-SM-7EWFE 40-49 years, male 12.2
GTEX-1GN1U-0826-SM-9WPPX 50-59 years, female 12.2
GTEX-14753-0926-SM-5Q5BI 60-69 years, male 12.1
GTEX-1AMEY-0126-SM-73KTX 30-39 years, female 12.1
GTEX-Y111-1926-SM-4SOIS 50-59 years, male 12.1
GTEX-1EWIQ-0826-SM-7MXTH 70-79 years, female 12.1
GTEX-1HGF4-0726-SM-9WYU9 60-69 years, male 12.1
GTEX-1I1GS-0726-SM-C1YS7 60-69 years, male 12.1
GTEX-15EU6-1426-SM-6M48E 50-59 years, male 12.0
GTEX-ZVP2-0426-SM-57WC2 50-59 years, male 12.0
GTEX-1OJC4-0526-SM-E6CQV 50-59 years, female 12.0
GTEX-145MI-1126-SM-5O9AK 60-69 years, female 11.9
GTEX-1CB4E-0326-SM-7MXT3 60-69 years, male 11.9
GTEX-1JMQK-2126-SM-CY8I2 60-69 years, male 11.9
GTEX-17EVP-0126-SM-7EPHW 40-49 years, male 11.8
GTEX-1B8KE-0626-SM-7189H 50-59 years, male 11.8
GTEX-1EN7A-1026-SM-7IGPZ 40-49 years, male 11.8
GTEX-VUSG-0426-SM-3GIKD 50-59 years, male 11.8
GTEX-XLM4-0726-SM-4AT64 60-69 years, male 11.8
GTEX-1F88F-0726-SM-7P8R7 60-69 years, female 11.8
GTEX-148VI-0526-SM-5TDDG 60-69 years, female 11.7
GTEX-TSE9-0626-SM-3DB8B 60-69 years, female 11.7
GTEX-WVLH-0626-SM-3MJG7 50-59 years, male 11.7
GTEX-ZTSS-0226-SM-59877 40-49 years, male 11.7
GTEX-ZV7C-0126-SM-57WDE 50-59 years, male 11.7
GTEX-1F75B-0826-SM-9QEIT 50-59 years, male 11.7
GTEX-1LG7Y-0626-SM-DHXJM 50-59 years, male 11.7
GTEX-11GS4-0826-SM-5986J 60-69 years, male 11.6
GTEX-146FR-0326-SM-5SI8U 60-69 years, female 11.6
GTEX-OXRP-0326-SM-33HBJ 60-69 years, female 11.6
GTEX-1R9K5-0726-SM-EAZ4E 50-59 years, male 11.6
GTEX-1GMR8-0826-SM-9KNUR 50-59 years, female 11.5
GTEX-11O72-2326-SM-5BC7H 40-49 years, male 11.4
GTEX-145LT-0226-SM-5S2QK 40-49 years, male 11.4
GTEX-1477Z-0226-SM-5TDCI 60-69 years, male 11.4
GTEX-14PJ4-0326-SM-664OT 60-69 years, male 11.4
GTEX-1A8G6-0626-SM-7IGNB 60-69 years, male 11.4
GTEX-ZYFD-0826-SM-5NQ9A 50-59 years, male 11.4
GTEX-11EMC-0226-SM-5EGLP 60-69 years, female 11.3
GTEX-15RIE-0426-SM-7KUMH 60-69 years, male 11.3
GTEX-Q2AG-0826-SM-2HMKF 40-49 years, female 11.3
GTEX-1HT8W-1526-SM-CE6S3 30-39 years, male 11.3
GTEX-13W46-0926-SM-5LU3T 50-59 years, male 11.2
GTEX-1B932-0926-SM-73KUP 40-49 years, female 11.2
GTEX-1F5PL-0826-SM-7MXU7 40-49 years, female 11.2
GTEX-1HB9E-0826-SM-CNNQJ 50-59 years, male 11.2
GTEX-1KAFJ-0426-SM-DHXJH 50-59 years, male 11.2
GTEX-1QAET-0226-SM-EVR3T 50-59 years, male 11.2
GTEX-11P82-0226-SM-5HL4O 20-29 years, male 11.1
GTEX-131XH-0526-SM-5DUX7 50-59 years, male 11.1
GTEX-1399U-0326-SM-5P9G5 50-59 years, female 11.1
GTEX-R55E-0826-SM-2TC5M 20-29 years, male 11.1
GTEX-S7SE-0726-SM-2XCD7 50-59 years, male 11.1
GTEX-U3ZM-0126-SM-3DB8M 40-49 years, male 11.1
GTEX-1H2FU-0626-SM-9WPPS 60-69 years, female 11.1
GTEX-1HCU9-0226-SM-9WPNT 20-29 years, male 11.1
GTEX-1JJE9-0226-SM-CY8HU 70-79 years, male 11.1
GTEX-144GO-0126-SM-5LUAO 60-69 years, male 11.0
GTEX-16NPX-1426-SM-6LPK3 50-59 years, male 11.0
GTEX-WL46-0126-SM-3TW8I 50-59 years, male 11.0
GTEX-WYVS-0326-SM-3NM9V 40-49 years, female 11.0
GTEX-1C6VQ-0526-SM-7MGWD 50-59 years, male 11.0
GTEX-1HC8U-1226-SM-9WYUW 40-49 years, female 11.0
GTEX-1PIGE-0726-SM-DPRZD 20-29 years, male 11.0
GTEX-14C39-0226-SM-5TDDW 40-49 years, male 10.9
GTEX-RNOR-0926-SM-2TF56 50-59 years, female 10.9
GTEX-1HSMO-0726-SM-A96TM 60-69 years, male 10.9
GTEX-1PWST-0726-SM-EWRMO 70-79 years, male 10.9
GTEX-1QMI2-0826-SM-EXUT4 60-69 years, male 10.9
GTEX-13JVG-0926-SM-5IJE1 60-69 years, male 10.8
GTEX-15RJE-1326-SM-6LPI6 40-49 years, male 10.8
GTEX-1C6VS-0826-SM-7EWEI 60-69 years, male 10.8
GTEX-1EMGI-0826-SM-7EPHY 60-69 years, male 10.8
GTEX-OOBJ-2626-SM-2I3F6 60-69 years, male 10.8
GTEX-WWYW-0826-SM-3NB2X 50-59 years, female 10.8
GTEX-12ZZZ-1226-SM-59HK1 60-69 years, male 10.7
GTEX-14PQA-1226-SM-6M47A 50-59 years, female 10.7
GTEX-17EVQ-0526-SM-7KFSK 70-79 years, male 10.7
GTEX-1GN1V-0626-SM-7P8QU 60-69 years, male 10.7
GTEX-1HBPM-0926-SM-ARL9C 60-69 years, female 10.7
GTEX-15EO6-0126-SM-6LPKJ 50-59 years, male 10.6
GTEX-18A67-0826-SM-7KFTI 50-59 years, male 10.6
GTEX-1H1ZS-0726-SM-A9G3K 70-79 years, male 10.6
GTEX-1LVAN-0726-SM-CNNPF 50-59 years, female 10.6
GTEX-14ICL-0426-SM-5RQJ3 30-39 years, male 10.5
GTEX-14PN4-1526-SM-6871V 50-59 years, male 10.5
GTEX-17F97-0626-SM-7IGOH 50-59 years, male 10.5
GTEX-S32W-0726-SM-2XCBL 50-59 years, female 10.5
GTEX-UJMC-0326-SM-3GAE2 50-59 years, male 10.5
GTEX-YF7O-0726-SM-4W213 50-59 years, male 10.5
GTEX-ZT9X-0226-SM-51MT2 40-49 years, male 10.5
GTEX-1H1CY-0726-SM-9OSXX 60-69 years, female 10.5
GTEX-1HCU7-0826-SM-B2LX7 50-59 years, male 10.5
GTEX-117XS-0526-SM-5987Q 60-69 years, male 10.4
GTEX-13CF3-0926-SM-5LZZC 60-69 years, female 10.4
GTEX-14B4R-0126-SM-5TDE4 30-39 years, male 10.4
GTEX-14E7W-0926-SM-5YYA4 70-79 years, male 10.4
GTEX-ZC5H-0626-SM-5LU9K 40-49 years, female 10.4
GTEX-ZE7O-1126-SM-57WC8 50-59 years, female 10.4
GTEX-ZVZQ-0626-SM-59HJU 60-69 years, female 10.4
GTEX-1ICLY-0726-SM-A96TB 50-59 years, male 10.4
GTEX-12WSH-0226-SM-5GCOG 50-59 years, male 10.3
GTEX-13111-0226-SM-5EQ55 50-59 years, male 10.3
GTEX-139UW-0126-SM-5KM1B 60-69 years, male 10.3
GTEX-14AS3-0226-SM-5Q5B6 40-49 years, female 10.3
GTEX-15G19-0626-SM-6M474 60-69 years, male 10.3
GTEX-P4PQ-2626-SM-33HC9 60-69 years, male 10.3
GTEX-T6MO-0226-SM-32QOL 40-49 years, female 10.3
GTEX-17GQL-0226-SM-7LTAK 60-69 years, male 10.3
GTEX-1IDJC-1026-SM-A96T2 50-59 years, male 10.3
GTEX-1RMOY-0126-SM-EWRNN 50-59 years, male 10.3
GTEX-1RQEC-1026-SM-EVR5B 60-69 years, male 10.3
GTEX-11P81-0126-SM-5HL5Y 30-39 years, female 10.2
GTEX-11UD2-0626-SM-5GU6L 50-59 years, male 10.2
GTEX-14DAQ-0826-SM-73KWT 60-69 years, female 10.2
GTEX-RU1J-0226-SM-2TF5Y 20-29 years, female 10.2
GTEX-OXRN-1526-SM-E6CHM 50-59 years, male 10.2
GTEX-11I78-0526-SM-5986A 50-59 years, female 10.1
GTEX-12WSD-0926-SM-5GCNL 60-69 years, female 10.1
GTEX-13113-0126-SM-5LZVX 60-69 years, female 10.1
GTEX-13YAN-0926-SM-5O9C3 60-69 years, male 10.1
GTEX-145MH-0426-SM-5LU8T 50-59 years, male 10.1
GTEX-14E6C-2626-SM-5RQJP 40-49 years, male 10.1
GTEX-17JCI-0626-SM-7IGM7 60-69 years, female 10.1
GTEX-QV44-0826-SM-2S1RG 50-59 years, male 10.1
GTEX-1KD4Q-1026-SM-CXZKJ 40-49 years, male 10.1
GTEX-1QP6S-2526-SM-DTX9Z 40-49 years, male 10.1
GTEX-13PL6-1026-SM-5L3E5 40-49 years, female 10.0
GTEX-P44G-0626-SM-2I5EO 30-39 years, male 10.0
GTEX-RM2N-0526-SM-2TF4N 50-59 years, male 10.0
GTEX-WEY5-0526-SM-3GIKZ 40-49 years, female 10.0
GTEX-1PBJI-0726-SM-EXUSQ 20-29 years, female 10.0
GTEX-139TS-0126-SM-5K7XJ 60-69 years, male 9.9
GTEX-13G51-1226-SM-5K7Z3 60-69 years, male 9.9
GTEX-13OW8-0126-SM-5IJE5 60-69 years, male 9.9
GTEX-15DDE-0626-SM-69LOK 50-59 years, female 9.9
GTEX-W5X1-0426-SM-3GILB 40-49 years, female 9.9
GTEX-WOFL-0726-SM-3MJG4 60-69 years, male 9.9
GTEX-11ZTS-1126-SM-5LU9X 60-69 years, female 9.8
GTEX-13X6H-0526-SM-5LU4Q 50-59 years, female 9.8
GTEX-17F96-0526-SM-79OLE 70-79 years, male 9.8
GTEX-1B8SG-1126-SM-7IGMT 50-59 years, male 9.8
GTEX-ZDYS-0626-SM-5J2N5 50-59 years, male 9.8
GTEX-ZUA1-0926-SM-4YCDX 40-49 years, male 9.8
GTEX-11TUW-0226-SM-5LU8X 60-69 years, male 9.7
GTEX-13FHP-0926-SM-5L3EC 50-59 years, male 9.7
GTEX-17F9E-0626-SM-79ON5 50-59 years, male 9.7
GTEX-XBEW-0126-SM-4AT66 40-49 years, male 9.7
GTEX-1F75A-0326-SM-7MXTR 50-59 years, male 9.7
GTEX-1IL2U-0826-SM-CL53Q 60-69 years, male 9.7
GTEX-11DXY-0426-SM-5H12R 60-69 years, male 9.6
GTEX-13FH7-0126-SM-5KLZ1 50-59 years, female 9.6
GTEX-1CB4J-1426-SM-7MKFR 60-69 years, male 9.6
GTEX-WY7C-0226-SM-3NB37 50-59 years, male 9.6
GTEX-ZAB5-0726-SM-5P9JG 50-59 years, male 9.6
GTEX-ZYVF-1126-SM-5E458 50-59 years, female 9.6
GTEX-1MCC2-0526-SM-DHXJS 30-39 years, female 9.6
GTEX-O5YV-1526-SM-EV799 60-69 years, female 9.6
GTEX-14PJ3-0126-SM-69LQP 50-59 years, male 9.5
GTEX-QXCU-0326-SM-2TC63 50-59 years, male 9.5
GTEX-1HSGN-0726-SM-A9G2F 40-49 years, female 9.5
GTEX-14ABY-0926-SM-5Q5DY 50-59 years, male 9.4
GTEX-14XAO-0426-SM-6AJB6 60-69 years, female 9.4
GTEX-16XZY-0726-SM-79OMU 70-79 years, male 9.4
GTEX-Q2AI-0326-SM-2I3EK 40-49 years, male 9.4
GTEX-1JMLX-0826-SM-CNNPP 50-59 years, male 9.4
GTEX-ZF29-0726-SM-DO92H 60-69 years, female 9.4
GTEX-111CU-0226-SM-5GZXC 50-59 years, male 9.3
GTEX-11EQ8-0826-SM-5N9FG 60-69 years, male 9.3
GTEX-13FTW-0626-SM-5IFEX 40-49 years, male 9.3
GTEX-14BMV-0726-SM-73KVE 50-59 years, male 9.3
GTEX-1B8L1-1626-SM-7IGMH 60-69 years, male 9.3
GTEX-S7SF-0226-SM-5SI7H 20-29 years, female 9.3
GTEX-WH7G-0526-SM-3NMBI 40-49 years, male 9.3
GTEX-Y8E4-0126-SM-4VBQ2 40-49 years, male 9.3
GTEX-ZA64-0426-SM-5HL96 20-29 years, male 9.3
GTEX-1H1DF-1026-SM-9QEJ1 40-49 years, female 9.3
GTEX-145ME-0126-SM-5S2QM 40-49 years, female 9.2
GTEX-OXRK-0626-SM-2HMJ5 50-59 years, female 9.2
GTEX-ZY6K-0226-SM-5SIAY 50-59 years, male 9.2
GTEX-1ICLZ-0526-SM-ARZM8 60-69 years, male 9.2
GTEX-1IOXB-1026-SM-CJI4D 50-59 years, male 9.2
GTEX-1O97I-1026-SM-E76PI 60-69 years, male 9.2
GTEX-16NGA-0326-SM-718AJ 40-49 years, female 9.1
GTEX-16YQH-0326-SM-6LPJV 30-39 years, male 9.1
GTEX-REY6-0526-SM-2TF5M 60-69 years, male 9.1
GTEX-T2IS-0626-SM-32QP6 20-29 years, female 9.1
GTEX-ZYFC-0926-SM-5GZWW 50-59 years, male 9.1
GTEX-1GZ4I-0626-SM-9WPPN 50-59 years, male 9.1
GTEX-1IGQW-0626-SM-C1YR9 60-69 years, male 9.1
GTEX-1JMQJ-2026-SM-CNPP9 50-59 years, male 9.1
GTEX-1MA7X-0926-SM-DIPEJ 60-69 years, male 9.1
GTEX-1MJK3-0326-SM-DTX96 20-29 years, male 9.1
GTEX-14E6E-0326-SM-73KY6 30-39 years, male 9.0
GTEX-ZPCL-0126-SM-4WWC8 60-69 years, female 9.0
GTEX-1I6K7-1126-SM-A96SW 40-49 years, male 9.0
GTEX-1R9JW-0226-SM-EVR4K 30-39 years, female 9.0
GTEX-1RDX4-0926-SM-E9U6D 50-59 years, female 9.0
GTEX-13PVR-0626-SM-5S2RC 60-69 years, female 8.9
GTEX-148VJ-0726-SM-5LU8J 70-79 years, male 8.9
GTEX-PWCY-2326-SM-2I3EQ 20-29 years, female 8.9
GTEX-QEL4-0726-SM-3GIJ5 50-59 years, male 8.9
GTEX-1PPH8-0926-SM-DTX9U 20-29 years, male 8.9
GTEX-1QP28-0626-SM-E76P5 50-59 years, female 8.9
GTEX-WFG7-0326-SM-DKPO8 20-29 years, male 8.9
GTEX-131YS-0726-SM-5P9G9 60-69 years, female 8.8
GTEX-13OVI-0826-SM-5KLZ8 60-69 years, female 8.8
GTEX-18D9A-0126-SM-7KFSI 30-39 years, female 8.8
GTEX-OIZI-0726-SM-2XCEI 40-49 years, male 8.8
GTEX-WFJO-0226-SM-3GIKW 30-39 years, male 8.8
GTEX-YEC3-0826-SM-4WWFP 50-59 years, male 8.8
GTEX-1H11D-0626-SM-9WPQ1 40-49 years, male 8.8
GTEX-1RAZS-1026-SM-E9TID 50-59 years, male 8.8
GTEX-1212Z-0426-SM-5FQT6 60-69 years, male 8.7
GTEX-OHPK-2626-SM-2HMK9 50-59 years, female 8.7
GTEX-Y114-0626-SM-4TT98 50-59 years, female 8.7
GTEX-ZQG8-0926-SM-57WFF 60-69 years, female 8.7
GTEX-1K9T9-0826-SM-EAZ4X 50-59 years, female 8.7
GTEX-13QJC-0826-SM-5RQKC 60-69 years, female 8.6
GTEX-13X6J-0826-SM-5LU32 50-59 years, male 8.6
GTEX-18D9B-0726-SM-72D6K 60-69 years, male 8.6
GTEX-1AX9I-0626-SM-72D54 60-69 years, male 8.6
GTEX-T8EM-0226-SM-3DB7C 40-49 years, male 8.6
GTEX-Y9LG-0426-SM-4VBRT 30-39 years, male 8.6
GTEX-14JG6-1326-SM-9OSXU 30-39 years, female 8.6
GTEX-1B933-1026-SM-7P8RO 50-59 years, female 8.6
GTEX-1IKJJ-1026-SM-A96SQ 60-69 years, male 8.6
GTEX-1S83E-0726-SM-EV7B6 40-49 years, male 8.6
GTEX-132NY-1026-SM-5P9IY 60-69 years, male 8.5
GTEX-13OVK-0226-SM-6M472 40-49 years, male 8.5
GTEX-1A8FM-0726-SM-7DUGK 50-59 years, female 8.5
GTEX-1IY9M-1026-SM-A96TG 60-69 years, male 8.5
GTEX-1P4AB-1126-SM-DTX94 50-59 years, male 8.5
GTEX-139T6-0326-SM-5J2LY 50-59 years, male 8.4
GTEX-14PJO-0626-SM-6LLHH 60-69 years, male 8.4
GTEX-17KNJ-1026-SM-79ONK 50-59 years, male 8.4
GTEX-1C4CL-0726-SM-7IGP9 30-39 years, male 8.4
GTEX-1C64N-1026-SM-79ONM 50-59 years, male 8.4
GTEX-RTLS-0626-SM-5SI7Z 60-69 years, female 8.4
GTEX-1QPFJ-0626-SM-DTX7Y 30-39 years, female 8.4
GTEX-13112-0326-SM-5P9IW 50-59 years, male 8.3
GTEX-13FTY-0726-SM-5J2OH 40-49 years, female 8.3
GTEX-13RTK-0326-SM-5RQHS 20-29 years, male 8.3
GTEX-1AYCT-0226-SM-73KVB 50-59 years, male 8.3
GTEX-WHPG-0226-SM-3NMB9 50-59 years, male 8.3
GTEX-YB5E-0626-SM-4VDSE 40-49 years, male 8.3
GTEX-1HCVE-0726-SM-A96SH 50-59 years, male 8.3
GTEX-1JK1U-0326-SM-CXZJH 60-69 years, male 8.3
GTEX-1399R-0126-SM-5IFEV 30-39 years, male 8.2
GTEX-14BIN-0126-SM-5TDCG 50-59 years, female 8.2
GTEX-OIZG-0226-SM-2TC5L 50-59 years, male 8.2
GTEX-QEG5-0826-SM-2I5GF 20-29 years, male 8.2
GTEX-YB5K-0526-SM-5LUAS 40-49 years, female 8.2
GTEX-1HUB1-1226-SM-B2LWX 60-69 years, male 8.2
GTEX-1I1GV-0726-SM-ARZLY 60-69 years, male 8.2
GTEX-QDT8-1226-SM-EVR35 30-39 years, female 8.2
GTEX-14PN3-0826-SM-69LOS 60-69 years, female 8.1
GTEX-15SB6-1526-SM-7KUMQ 50-59 years, female 8.1
GTEX-1GTWX-0726-SM-9WPPA 60-69 years, male 8.1
GTEX-1I19N-0226-SM-CE6ST 70-79 years, male 8.1
GTEX-1I1GQ-0826-SM-CNNQR 50-59 years, male 8.1
GTEX-1QP66-0326-SM-DTX7V 50-59 years, male 8.1
GTEX-1R9PM-0226-SM-DPRY7 20-29 years, male 8.1
GTEX-13FLV-0226-SM-5J2OF 50-59 years, male 8.0
GTEX-13OW6-0726-SM-5L3FX 50-59 years, male 8.0
GTEX-18D9U-1026-SM-72D5R 40-49 years, male 8.0
GTEX-Z9EW-0226-SM-5CVM7 40-49 years, male 8.0
GTEX-1CAMS-0826-SM-7P8P1 40-49 years, female 8.0
GTEX-1HBPH-0926-SM-A9SME 40-49 years, female 8.0
GTEX-1192W-0126-SM-5EGGS 60-69 years, male 7.9
GTEX-18A7A-0826-SM-7KFTJ 50-59 years, female 7.9
GTEX-SJXC-0726-SM-2XCFJ 60-69 years, male 7.9
GTEX-1JJEA-0626-SM-D3L96 60-69 years, male 7.9
GTEX-1M4P7-0626-SM-EVR51 60-69 years, male 7.9
GTEX-1OFPY-1526-SM-DTX8R 60-69 years, male 7.9
GTEX-11DYG-0826-SM-5N9GH 60-69 years, male 7.8
GTEX-1313W-0726-SM-5EGK1 50-59 years, female 7.8
GTEX-145LU-0426-SM-5O9AH 50-59 years, male 7.8
GTEX-14A5H-0726-SM-5Q5DW 60-69 years, male 7.8
GTEX-ZPU1-0426-SM-4WWCA 40-49 years, male 7.8
GTEX-1GF9U-0226-SM-7P8TY 40-49 years, female 7.8
GTEX-1HSMQ-0526-SM-A96TY 50-59 years, male 7.8
GTEX-11ZVC-0126-SM-5986G 50-59 years, female 7.7
GTEX-15ER7-0726-SM-7KUMF 20-29 years, female 7.7
GTEX-P4QS-2626-SM-2I3EV 60-69 years, male 7.7
GTEX-T6MN-0626-SM-32PM9 50-59 years, male 7.7
GTEX-1GF9X-0126-SM-A9G38 40-49 years, female 7.7
GTEX-1LH75-0626-SM-DIPG3 50-59 years, female 7.7
GTEX-133LE-0326-SM-5P9G4 20-29 years, female 7.6
GTEX-13N2G-0726-SM-5MR38 60-69 years, male 7.6
GTEX-15CHC-0126-SM-5YYBA 60-69 years, female 7.6
GTEX-18A66-0826-SM-72D5Z 60-69 years, male 7.6
GTEX-X4XY-0826-SM-4E3JM 60-69 years, male 7.6
GTEX-ZZPU-1326-SM-5GZWS 50-59 years, female 7.6
GTEX-ZDXO-1726-SM-5HL6L 60-69 years, male 7.6
GTEX-1128S-0126-SM-5H12S 60-69 years, female 7.5
GTEX-12WSE-1226-SM-73KUF 20-29 years, male 7.5
GTEX-1A3MV-0326-SM-73KW7 30-39 years, male 7.5
GTEX-U3ZN-0326-SM-3DB86 30-39 years, female 7.5
GTEX-1JKYR-0826-SM-ARU8L 20-29 years, male 7.5
GTEX-11VI4-0226-SM-5GU6C 40-49 years, female 7.4
GTEX-11ZTT-1026-SM-5EQKF 60-69 years, female 7.4
GTEX-13O3O-0926-SM-5KM1F 60-69 years, female 7.4
GTEX-W5WG-1426-SM-4KKZP 50-59 years, female 7.4
GTEX-X4XX-0926-SM-46MV7 60-69 years, male 7.4
GTEX-YFCO-0326-SM-4W1ZP 40-49 years, male 7.4
GTEX-1HCUA-0126-SM-B2LWC 50-59 years, female 7.4
GTEX-1HFI6-1326-SM-A9SL8 40-49 years, male 7.4
GTEX-1MUQO-0726-SM-E9TJM 60-69 years, male 7.4
GTEX-ZPIC-0226-SM-DO91T 40-49 years, female 7.4
GTEX-15SHU-0726-SM-7KUFI 40-49 years, female 7.3
GTEX-17HHE-0426-SM-79OK3 50-59 years, male 7.3
GTEX-183FY-0626-SM-79OKR 20-29 years, male 7.3
GTEX-1C6VR-0426-SM-7IGN6 60-69 years, male 7.3
GTEX-OXRL-2626-SM-2I3F1 50-59 years, male 7.3
GTEX-RUSQ-1026-SM-2TF6V 50-59 years, male 7.3
GTEX-SE5C-0726-SM-4BRWY 40-49 years, female 7.3
GTEX-ZAK1-0726-SM-5HL8Q 50-59 years, female 7.3
GTEX-ZTX8-0626-SM-59HKC 20-29 years, male 7.3
GTEX-1HR98-0326-SM-CGQEL 60-69 years, male 7.3
GTEX-12696-0326-SM-5EGL4 60-69 years, male 7.2
GTEX-RWSA-0826-SM-2XCBF 40-49 years, male 7.2
GTEX-SIU8-0626-SM-2XCDN 50-59 years, male 7.2
GTEX-ZYT6-0426-SM-5GID3 30-39 years, male 7.2
GTEX-1GMRU-1126-SM-9KNV1 50-59 years, male 7.2
GTEX-1I1GR-1126-SM-A9G2I 60-69 years, male 7.2
GTEX-111FC-1026-SM-5GZX1 60-69 years, male 7.1
GTEX-14PJ6-0326-SM-6871H 60-69 years, female 7.1
GTEX-SUCS-0226-SM-32PLQ 70-79 years, male 7.1
GTEX-1GPI7-0726-SM-9WG84 20-29 years, male 7.1
GTEX-1H1DG-0726-SM-A96TN 70-79 years, male 7.1
GTEX-ZLWG-0526-SM-4WWFB 50-59 years, female 7.0
GTEX-ZQUD-0126-SM-7EPIS 30-39 years, male 7.0
GTEX-1IDJH-0826-SM-CE6SY 70-79 years, male 7.0
GTEX-1JJ6O-0626-SM-AHZ3H 60-69 years, male 7.0
GTEX-1MGNQ-0726-SM-DPRYH 40-49 years, male 7.0
GTEX-131XF-1826-SM-5EGKG 60-69 years, male 6.9
GTEX-13O61-0226-SM-5KM52 60-69 years, male 6.9
GTEX-18465-1426-SM-7KFTF 50-59 years, male 6.9
GTEX-V1D1-0926-SM-4JBHQ 50-59 years, male 6.9
GTEX-X15G-0526-SM-3NMB7 50-59 years, female 6.9
GTEX-1F75I-0926-SM-7MXUU 40-49 years, male 6.9
GTEX-1HSKV-1026-SM-B2LWK 60-69 years, male 6.9
GTEX-12WSJ-0326-SM-5GCMT 40-49 years, female 6.8
GTEX-15RJ7-0326-SM-6M47H 40-49 years, male 6.8
GTEX-U8T8-2326-SM-3DB96 60-69 years, male 6.8
GTEX-1QP2A-0626-SM-DTX9C 50-59 years, male 6.8
GTEX-169BO-0326-SM-7EPIM 50-59 years, male 6.7
GTEX-1C2JI-0326-SM-7EWFD 50-59 years, male 6.7
GTEX-P4QT-2626-SM-2I3FM 50-59 years, female 6.7
GTEX-WYJK-1626-SM-3NM9J 50-59 years, male 6.7
GTEX-ZV6S-0226-SM-59HJT 40-49 years, female 6.7
GTEX-1GZHY-1426-SM-9WG5H 50-59 years, female 6.7
GTEX-13QBU-0626-SM-5J2OG 40-49 years, female 6.6
GTEX-Q734-0526-SM-2I3EH 40-49 years, female 6.6
GTEX-1GF9V-0926-SM-9KNW7 60-69 years, male 6.6
GTEX-1HKZK-0826-SM-A9G2C 40-49 years, male 6.6
GTEX-1RAZQ-0926-SM-EAZ4Q 30-39 years, male 6.6
GTEX-12BJ1-0426-SM-5FQSO 60-69 years, male 6.5
GTEX-12WSN-0726-SM-5GCMS 40-49 years, male 6.5
GTEX-18QFQ-0726-SM-7LG6D 30-39 years, male 6.5
GTEX-1AX9J-2126-SM-731DD 60-69 years, male 6.5
GTEX-13O1R-0826-SM-5J2MB 60-69 years, male 6.4
GTEX-147F4-0826-SM-5QGRB 50-59 years, male 6.4
GTEX-15CHR-1726-SM-7DUGW 50-59 years, male 6.4
GTEX-POYW-0826-SM-2XCEM 60-69 years, male 6.4
GTEX-SNOS-0226-SM-32PLR 40-49 years, male 6.4
GTEX-1H1DE-0226-SM-ARZN8 20-29 years, male 6.4
GTEX-1JMPY-0126-SM-CJI39 30-39 years, male 6.4
GTEX-13OVG-0226-SM-5LU93 60-69 years, male 6.3
GTEX-NFK9-0726-SM-2HMJW 40-49 years, male 6.3
GTEX-U4B1-0626-SM-3DB8L 40-49 years, male 6.3
GTEX-Y5LM-0626-SM-4V6G4 40-49 years, female 6.3
GTEX-YEC4-0626-SM-5CVLU 40-49 years, male 6.3
GTEX-ZLFU-0626-SM-4WWBO 40-49 years, male 6.3
GTEX-1J1R8-0126-SM-CJI36 40-49 years, male 6.3
GTEX-1LVAM-0826-SM-EV79X 50-59 years, female 6.3
GTEX-XOT4-1526-SM-EAZ2W 60-69 years, female 6.3
GTEX-1AX9K-0626-SM-73KVD 50-59 years, male 6.2
GTEX-QDVN-0626-SM-2I3FP 50-59 years, male 6.2
GTEX-WHSB-1626-SM-3LK6J 50-59 years, male 6.2
GTEX-XUW1-1026-SM-4BONY 50-59 years, female 6.2
GTEX-1B97J-0626-SM-7P8RU 50-59 years, female 6.2
GTEX-1ICG6-0426-SM-ARU7M 70-79 years, female 6.2
GTEX-1LSVX-0726-SM-E9TJG 60-69 years, male 6.2
GTEX-1122O-0226-SM-5N9DA 60-69 years, female 6.1
GTEX-11LCK-0526-SM-5A5M9 30-39 years, male 6.1
GTEX-PX3G-2626-SM-2I3EG 20-29 years, female 6.1
GTEX-1RAZA-0826-SM-EAZ4I 20-29 years, male 6.1
GTEX-ZT9W-0226-SM-7SB6H 50-59 years, male 6.1
GTEX-12WSL-0626-SM-5GCOY 50-59 years, male 6.0
GTEX-13S86-1126-SM-5RQJX 40-49 years, male 6.0
GTEX-1CB4I-0726-SM-7DUGS 50-59 years, male 6.0
GTEX-X5EB-0726-SM-46MVR 40-49 years, male 6.0
GTEX-ZGAY-1026-SM-4WWBR 40-49 years, female 6.0
GTEX-1GL5R-0626-SM-7PBZY 50-59 years, male 6.0
GTEX-1HBPN-1226-SM-B2LW9 50-59 years, male 6.0
GTEX-1PFEY-0226-SM-EVR3M 30-39 years, male 6.0
GTEX-1B8KZ-0426-SM-731DP 50-59 years, male 5.9
GTEX-Y3I4-0226-SM-4TT27 50-59 years, male 5.9
GTEX-U412-0726-SM-EVR2Y 60-69 years, male 5.9
GTEX-11DXX-0226-SM-5P9HL 60-69 years, female 5.8
GTEX-131XG-0226-SM-5IFG1 50-59 years, female 5.8
GTEX-XBED-0126-SM-47JY7 60-69 years, male 5.8
GTEX-ZVZP-1026-SM-5GICI 50-59 years, male 5.8
GTEX-ZYFG-0626-SM-5GZYA 60-69 years, female 5.8
GTEX-15RIF-0326-SM-7KUFR 20-29 years, male 5.8
GTEX-11EM3-0126-SM-5985K 20-29 years, female 5.7
GTEX-R53T-0526-SM-3GADL 50-59 years, female 5.7
GTEX-V955-0426-SM-3GAEL 60-69 years, male 5.7
GTEX-XXEK-1326-SM-4BRV1 50-59 years, male 5.7
GTEX-ZZ64-0126-SM-5GZXA 20-29 years, male 5.7
GTEX-1HFI7-0326-SM-9WPOX 50-59 years, female 5.7
GTEX-S341-0226-SM-D4P1Y 40-49 years, female 5.7
GTEX-14PKU-0326-SM-6AJA7 40-49 years, female 5.6
GTEX-16MTA-0726-SM-7KUL4 50-59 years, male 5.6
GTEX-11P7K-0226-SM-5986Z 30-39 years, male 5.5
GTEX-14PKV-0626-SM-6AJA2 20-29 years, female 5.5
GTEX-QLQ7-0726-SM-2I5G2 60-69 years, male 5.4
GTEX-WFG8-0426-SM-3GILD 20-29 years, male 5.4
GTEX-1GN1W-0126-SM-7MXV7 50-59 years, female 5.4
GTEX-1LBAC-0726-SM-D3L9U 20-29 years, male 5.4
GTEX-13O21-2226-SM-5MR3L 50-59 years, male 5.3
GTEX-14PK6-0426-SM-6EU1J 70-79 years, female 5.3
GTEX-X4LF-0426-SM-3NMB5 50-59 years, male 5.3
GTEX-1QCLY-0826-SM-DTX8A 30-39 years, male 5.3
GTEX-1I1GT-0826-SM-B2LWO 60-69 years, female 5.2
GTEX-1KANC-0826-SM-D3LA8 50-59 years, female 5.2
GTEX-1211K-0726-SM-5FQUW 60-69 years, female 5.1
GTEX-13VXT-0626-SM-5SIA1 20-29 years, female 5.1
GTEX-RWS6-0626-SM-2XCAS 60-69 years, female 5.1
GTEX-TKQ1-0126-SM-33HB3 30-39 years, male 5.1
GTEX-1JMPZ-0626-SM-CY8HY 30-39 years, male 5.1
GTEX-1QP9N-0126-SM-DPRZS 30-39 years, male 5.1
GTEX-Q2AH-0726-SM-2I3EA 40-49 years, male 5.0
GTEX-XGQ4-0426-SM-4AT4I 50-59 years, male 5.0
GTEX-Y5V6-0526-SM-4VBRV 60-69 years, male 5.0
GTEX-1K2DA-1526-SM-CGQGQ 50-59 years, male 5.0
GTEX-11EQ9-0626-SM-5A5K1 30-39 years, male 4.9
GTEX-QV31-0726-SM-3GAEG 30-39 years, male 4.9
GTEX-1NUQO-0926-SM-DTXEX 20-29 years, female 4.9
GTEX-111YS-0726-SM-5GZY8 60-69 years, male 4.8
GTEX-1EKGG-0726-SM-7IGPX 60-69 years, male 4.8
GTEX-PWN1-2626-SM-2I3FH 40-49 years, female 4.8
GTEX-R55C-0626-SM-2TF4Q 40-49 years, male 4.8
GTEX-1H1E6-0326-SM-9OSWE 30-39 years, male 4.8
GTEX-15ETS-0526-SM-6PAN3 40-49 years, female 4.7
GTEX-11TT1-1126-SM-5P9GV 20-29 years, male 4.6
GTEX-1CAMR-0226-SM-7DUGO 20-29 years, male 4.4
GTEX-T5JW-1226-SM-3GACY 20-29 years, female 4.2
GTEX-VJYA-0426-SM-3GIJK 60-69 years, male 4.2
GTEX-1IDJU-1626-SM-CJI4B 60-69 years, female 4.2
GTEX-1J8Q3-0226-SM-C1YR4 60-69 years, male 4.2
GTEX-1K2DU-0126-SM-E9TIU 20-29 years, male 4.2
GTEX-1HSEH-0826-SM-B2LXE 60-69 years, male 4.1
GTEX-1JKYN-1126-SM-CGQG5 30-39 years, male 4.1
GTEX-1KXAM-1726-SM-D3LAE 60-69 years, male 3.5
GTEX-XYKS-0826-SM-4BRVF 60-69 years, female 2.5
GTEX-1AMFI-0526-SM-7189M 50-59 years, female 2.4
GTEX-1GZ4H-0226-SM-9JGGJ 50-59 years, female 1.3
Show allShow less

THYROID GLAND - FANTOM5 CAGEi

RNA expression in human tissues obtained through Cap Analysis of Gene Expression (CAGE) generated by the FANTOM5 project are reported as Scaled Tags Per Million.

Max subtype Scaled Tags Per Millioni

Max subtype Scaled Tags Per Million is the value for the subtype with the largest average Scaled Tags Per Million across the subtype samples.

45.5
FANTOM5 sample id Sample description Scaled Tags Per Million
Thyroid
Scaled Tags Per Million: 45.5
FF:10028-101E1 67,68,78 years, mixed 45.5

Contact

  • NEWS ARTICLES
  • PRESS ROOM

The Project

  • INTRODUCTION
  • ORGANIZATION
  • PUBLICATIONS

The Human Protein Atlas

  • DOWNLOADABLE DATA
  • LICENCE & CITATION
  • HELP & FAQ
The Human Protein Atlas project is funded
by the Knut & Alice Wallenberg Foundation.


contact@proteinatlas.org