We use cookies to enhance the usability of our website. If you continue, we'll assume that you are happy to receive all cookies. More information. Don't show this again.
PNMA1
HPA
RESOURCES
  • TISSUE
  • BRAIN
  • SINGLE CELL
  • SUBCELLULAR
  • CANCER
  • BLOOD
  • CELL LINE
  • STRUCTURE & INTERACTION
ABOUT
  • INTRODUCTION
  • HISTORY
  • ORGANIZATION
  • PUBLICATIONS
  • ANTIBODY SUBMISSION
  • ANTIBODY AVAILABILITY
  • ACKNOWLEDGMENTS
  • CONTACT
NEWS
  • NEWS ARTICLES
  • PRESS ROOM
LEARN
  • DICTIONARY
  • PROTEIN CLASSES
  • PROTEIN EVIDENCE
  • METHODS
  • EDUCATIONAL VIDEOS
DATA
  • DOWNLOADABLE DATA
  • PUBLICATION DATA
  • RELEASE HISTORY
HELP
  • ANTIBODY VALIDATION
  • ASSAYS & ANNOTATION
  • DISCLAIMER
  • HELP & FAQ
  • PRIVACY STATEMENT
  • LICENCE & CITATION
Fields »
Search result

Field
Term
Gene name
Class
Subclass
Class
Keyword
Chromosome
External id
Tissue
Cell type
Expression
Antibody panel
Tissue
Main location
Patient ID
Annotation
Tissue
Category
Tau score
Cluster
Reliability
Brain region
Category
Tau score
Brain region
Category
Tau score
Brain region
Category
Tau score
Cluster
Reliability
Tissue
Cell type
Enrichment
Cell type
Category
Tau score
Cell type
Category
Tau score
Cell type
Category
Tau score
Cell lineage
Category
Tau score
Cluster
Cluster
Location
Searches
Location
Cell line
Class
Type
Phase
Reliability
Cancer
Prognosis
Cancer
Category
Cancer
Category
Tau score
Cluster
Variants
Interacting gene (ensg_id)
Type
Number of interactions
Pathway
Category
Score
Score
Score
Validation
Validation
Validation
Validation
Antibodies
Data type
Column


  • SUMMARY

  • TISSUE

  • BRAIN

  • SINGLE CELL

  • SUBCELL

  • CANCER

  • BLOOD

  • CELL LINE

  • STRUCT & INT

  • PNMA1
TISSUE PRIMARY DATA SKIN Show tissue menu
ADIPOSE TISSUE ADRENAL GLAND AMYGDALA APPENDIX BASAL GANGLIA BONE MARROW BREAST BRONCHUS CEREBELLUM CEREBRAL CORTEX CERVIX CHOROID PLEXUS COLON DUODENUM
ENDOMETRIUM EPIDIDYMIS ESOPHAGUS FALLOPIAN TUBE GALLBLADDER HEART MUSCLE HIPPOCAMPAL FORMATION HYPOTHALAMUS KIDNEY LIVER LUNG LYMPH NODE MIDBRAIN NASOPHARYNX
ORAL MUCOSA OVARY PANCREAS PARATHYROID GLAND PITUITARY GLAND PLACENTA PROSTATE RECTUM RETINA SALIVARY GLAND SEMINAL VESICLE SKELETAL MUSCLE SKIN SMALL INTESTINE
SMOOTH MUSCLE SOFT TISSUE SPINAL CORD SPLEEN STOMACH TESTIS THYMUS THYROID GLAND TONGUE TONSIL URINARY BLADDER VAGINA
ANTIBODIES
AND
VALIDATION
Dictionary
Skin
Tissue proteome
Skin
SKIN - Expression summary
Protein expression
Skini

On the top, protein expression in current human tissue, based on all annotated cell types, is reported with the units not detected (n), low (l), medium (m) and high (h). Underneath, protein expression in each annotated cell type are reported using the same units.

Protein expression data is based on knowledge-based annotation. For genes where more than one antibody has been used, a collective score is set.

If knowledge-based annotation could not be performed for a gene, no data is displayed here. View antibody staining data further down this page.

h
m
l
n
Cells in basal layer: Not detected
Cells in corneal layer: Not detected
Cells in granular layer: Not detected
Cells in spinous layer: Not detected
Endothelial cells: Not detected
Extracellular matrix: Not detected
Fibrohistiocytic cells: Low
Langerhans cells: Not detected
Lymphocytes: High
Melanocytes: Not detected
Vascular mural cells: Not detected
RNA expressioni

A summary of mRNA expression data available for current tissue based on several datasets. The mRNA expression levels in human tissues are based on RNA-seq data generated by the Human Protein Atlas (HPA), Genotype-Tissue Expression (GTEx) portal and CAGE data generated by the FANTOM5 consortium. Consensus normalized expression levels for human tissues was created by combining the data from HPA and GTEx datasets.

The mRNA expression levels in pig are based on RNA-seq data generated by the Human Protein Atlas (HPA), and for mouse, HPA data and in situ hybridization generated by the Allen brain atlas are reported.

Scroll down to view mRNA expression data in more detail.
Consensus:9.5 nTPM
HPA:7.0 nTPM
GTEx:9.5 nTPM

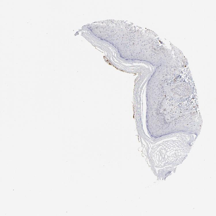
SKIN 1 - Antibody stainingi

Antibody staining in the annotated cell types in the current human tissue is reported as not detected, low, medium, or high, based on conventional immunohistochemistry profiling in selected tissues. This score is based on the combination of the staining intensity and fraction of stained cells.

Each image is clickable and will lead to virtual microscopy that enables deeper exploration of all samples and also displays staining intensity scores, fraction scores and subcellular localization as well as patient and tissue information for each sample.

Antibody HPA003817Antibody HPA015007
Langerhans -Not detected
Cells in basal layer Not detected-
Cells in corneal layer Not detected-
Cells in granular layer Not detected-
Cells in spinous layer Not detected-
Endothelial cells Not detected-
Extracellular matrix Not detected-
Fibroblasts -Not detected
Fibrohistiocytic cells Not detected-
Keratinocytes -Not detected
Langerhans cells Not detected-
Lymphocytes Not detected-
Melanocytes Not detectedLow
Vascular mural cells Not detected-

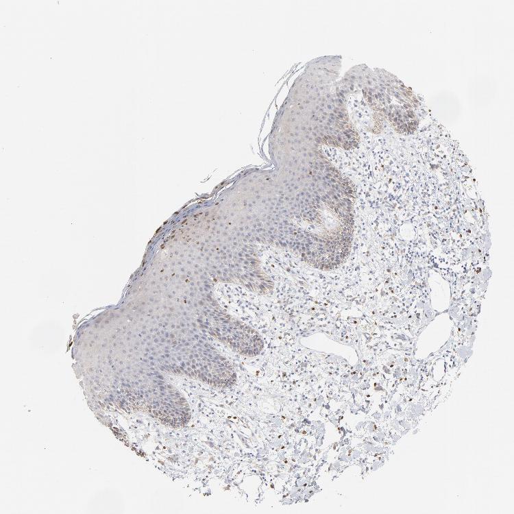
SKIN 2 - Antibody stainingi

Antibody staining in the annotated cell types in the current human tissue is reported as not detected, low, medium, or high, based on conventional immunohistochemistry profiling in selected tissues. This score is based on the combination of the staining intensity and fraction of stained cells.

Each image is clickable and will lead to virtual microscopy that enables deeper exploration of all samples and also displays staining intensity scores, fraction scores and subcellular localization as well as patient and tissue information for each sample.

Antibody HPA003817Antibody HPA015007
Cells in basal layer Not detected-
Cells in corneal layer Not detected-
Cells in granular layer Not detected-
Cells in spinous layer Not detected-
Endothelial cells Not detected-
Epidermal cells -Not detected
Extracellular matrix Not detected-
Fibrohistiocytic cells Low-
Langerhans cells Not detected-
Lymphocytes High-
Melanocytes Not detected-
Vascular mural cells Not detected-
  
  




SKIN - HPA RNA-seqi

The RNA-seq details section shows detailed information about the individual samples used for the transcript profiling and results of the RNA-seq analysis.

Information about each individual sample is listed below, including gender, age, a tissue section image and estimated fractions of cell types. nTPM (normalized transcripts per million) values give a quantification of the gene abundance which is comparable between different genes and samples.
Average nTPMi

Max subtype nTPM is the value for the subtype with the largest average nTPM across the subtype samples.

7.0
overview
Female, age 34
Skin sample 225
nTPM: 7.7
Cell types%
Keratinocytes:
60

Other cell types:
40

overview
Female, age 30
Skin sample 226
nTPM: 6.6
Cell types%
Keratinocytes:
55

Other cell types:
45

N/A
Male, age 57
Skin sample 227
nTPM: 6.6

SKIN - GTEx RNA-seqi

RNA-Seq data generated by the Genotype-Tissue Expression (GTEx) project from human tissues is reported as mean nTPM. More information can be found on the GTEx portal.

Distribution across the dataset is visualized with box plots, shown as median and 25th and 75th percentiles. Points are displayed as outliers if they are above or below 1.5 times the interquartile range. nTPM values of the individual samples are presented next to the box plot.
Max subtype nTPMi

Max subtype nTPM is the value for the subtype with the largest average nTPM across the subtype samples.

9.5
GTEx sample id Sample description nTPM
Skin - Not Sun Exposed (Suprapubic)
Average nTPM: 8.8
Samples: 604

Max nTPM: 22.6
Min nTPM: 3.1
Std nTPM: 2.7
Median nTPM: 8.6
GTEX-1L5NE-1126-SM-D3L9P 50-59 years, male 22.6
GTEX-1F75W-2726-SM-7SB8H 60-69 years, male 18.7
GTEX-17EVQ-0126-SM-7IGLR 70-79 years, male 18.3
GTEX-1AX9J-1326-SM-731BJ 60-69 years, male 18.0
GTEX-UPK5-0426-SM-3GAEK 40-49 years, male 17.9
GTEX-18A66-0626-SM-7LT8Z 60-69 years, male 17.6
GTEX-1GF9U-2026-SM-7SB92 40-49 years, female 17.5
GTEX-YF7O-1526-SM-5IFI6 50-59 years, male 17.3
GTEX-YB5K-2026-SM-4VDT3 40-49 years, female 17.0
GTEX-1F6IF-0926-SM-7SB7M 60-69 years, male 15.9
GTEX-1H1CY-0126-SM-9YFLY 60-69 years, female 15.9
GTEX-1IDJE-1426-SM-ADEIW 50-59 years, female 15.9
GTEX-1RB15-1326-SM-E76Q9 60-69 years, male 15.9
GTEX-15RJ7-2126-SM-6PAMD 40-49 years, male 15.7
GTEX-1399R-1326-SM-5PNYS 30-39 years, male 15.6
GTEX-16GPK-0626-SM-7KFSF 60-69 years, male 15.5
GTEX-1I6K7-1926-SM-B2LXR 40-49 years, male 15.4
GTEX-ZVTK-0226-SM-51MRG 20-29 years, male 15.2
GTEX-14PJ2-0626-SM-6LLII 50-59 years, male 14.9
GTEX-17JCI-2926-SM-7DUFF 60-69 years, female 14.8
GTEX-YEC4-1826-SM-4W1YP 40-49 years, male 14.6
GTEX-11DZ1-2426-SM-5GZZX 50-59 years, male 14.3
GTEX-146FQ-2126-SM-5RQHU 30-39 years, male 14.2
GTEX-139YR-1026-SM-5LZYN 50-59 years, male 14.0
GTEX-18D9B-0926-SM-7LG4U 60-69 years, male 14.0
GTEX-1KANB-2826-SM-CY8I6 50-59 years, male 13.9
GTEX-111FC-2526-SM-5GZXU 60-69 years, male 13.8
GTEX-1AX8Z-0726-SM-73KTS 60-69 years, male 13.8
GTEX-VJYA-1526-SM-3GIJV 60-69 years, male 13.7
GTEX-11EQ8-0926-SM-5H12V 60-69 years, male 13.6
GTEX-15RIE-1926-SM-7KUKJ 60-69 years, male 13.6
GTEX-1QP66-1226-SM-DTX7U 50-59 years, male 13.6
GTEX-11DYG-1526-SM-5A5JS 60-69 years, male 13.4
GTEX-1I1GP-1326-SM-A9G28 50-59 years, male 13.3
GTEX-1LBAC-0826-SM-CY8IJ 20-29 years, male 13.3
GTEX-1HSMP-0926-SM-A9SKX 70-79 years, male 13.2
GTEX-1O9I2-0226-SM-EYYXD 50-59 years, male 13.2
GTEX-1RAZR-2126-SM-E9U6T 40-49 years, male 13.2
GTEX-1QP29-1826-SM-DTX9S 50-59 years, male 13.1
GTEX-132AR-0326-SM-5KM2C 50-59 years, female 13.0
GTEX-1B932-2326-SM-79OL5 40-49 years, female 13.0
GTEX-WFON-1926-SM-3LK7L 40-49 years, male 13.0
GTEX-12WSL-2026-SM-5GCML 50-59 years, male 12.9
GTEX-16NGA-0726-SM-731AO 40-49 years, female 12.9
GTEX-1HFI6-0126-SM-CNPPI 40-49 years, male 12.9
GTEX-14E1K-2026-SM-7DUEI 50-59 years, male 12.8
GTEX-1CB4F-1026-SM-7DUH1 60-69 years, male 12.8
GTEX-ZLFU-1826-SM-4WWBV 40-49 years, male 12.8
GTEX-X3Y1-2026-SM-3P5YM 40-49 years, male 12.7
GTEX-1IDJC-1526-SM-B2LW4 50-59 years, male 12.7
GTEX-1PIGE-1826-SM-E8VOU 20-29 years, male 12.7
GTEX-11TT1-1826-SM-5EQLV 20-29 years, male 12.5
GTEX-13JUV-2026-SM-5K7UA 40-49 years, female 12.5
GTEX-14DAR-1226-SM-73KYV 50-59 years, male 12.5
GTEX-XYKS-1426-SM-4BRUO 60-69 years, female 12.5
GTEX-1IDJI-0126-SM-CMKHS 50-59 years, female 12.5
GTEX-1IY9M-2826-SM-ARU8H 60-69 years, male 12.5
GTEX-11NSD-0626-SM-5A5LU 20-29 years, male 12.4
GTEX-WH7G-2026-SM-3NMBL 40-49 years, male 12.4
GTEX-ZZ64-1026-SM-5GZXG 20-29 years, male 12.4
GTEX-1KANC-1226-SM-CYPT7 50-59 years, female 12.4
GTEX-13NZ9-2626-SM-5L3FK 50-59 years, male 12.3
GTEX-W5X1-2526-SM-3GILC 40-49 years, female 12.3
GTEX-1ICLZ-0326-SM-ARL82 60-69 years, male 12.3
GTEX-1RAZA-2226-SM-E9U4X 20-29 years, male 12.3
GTEX-14BMU-1226-SM-5S2OR 20-29 years, female 12.2
GTEX-183FY-1026-SM-7939A 20-29 years, male 12.2
GTEX-1E1VI-0326-SM-793D1 50-59 years, male 12.2
GTEX-ZLWG-0826-SM-59888 50-59 years, female 12.2
GTEX-1IDJD-2326-SM-ACKWX 30-39 years, male 12.2
GTEX-WFG8-2126-SM-3GIKQ 20-29 years, male 12.1
GTEX-WYJK-0526-SM-3NM8Z 50-59 years, male 12.1
GTEX-Y8E4-2026-SM-5IFJB 40-49 years, male 12.1
GTEX-1F6RS-2026-SM-7RHHC 60-69 years, female 12.1
GTEX-145MN-1526-SM-5SI9T 30-39 years, male 12.0
GTEX-YJ8O-2526-SM-5HL85 40-49 years, female 12.0
GTEX-1H3NZ-2726-SM-9WYTQ 60-69 years, male 12.0
GTEX-WHWD-1826-SM-3LK6I 50-59 years, male 11.9
GTEX-1F6I4-2326-SM-7RHGL 60-69 years, male 11.9
GTEX-11EI6-2826-SM-5H11D 60-69 years, male 11.8
GTEX-145LT-0526-SM-5LUB2 40-49 years, male 11.7
GTEX-14A5H-0826-SM-5QGPJ 60-69 years, male 11.7
GTEX-15CHQ-0326-SM-69LQD 60-69 years, male 11.7
GTEX-1A3MV-1826-SM-731CD 30-39 years, male 11.7
GTEX-14JG6-1426-SM-9WG7C 30-39 years, female 11.7
GTEX-11O72-0626-SM-5PNYE 40-49 years, male 11.6
GTEX-17F96-0126-SM-7EWDU 70-79 years, male 11.6
GTEX-ZDTS-0826-SM-4WKHL 60-69 years, male 11.6
GTEX-1HKZK-0726-SM-ACKW2 40-49 years, male 11.6
GTEX-117YX-1926-SM-5GIEC 50-59 years, male 11.5
GTEX-14PKV-1126-SM-6LLJ1 20-29 years, female 11.5
GTEX-ZT9W-1126-SM-57WDR 50-59 years, male 11.5
GTEX-1F75A-0726-SM-7RHHD 50-59 years, male 11.5
GTEX-1I6K6-1726-SM-CGQFD 30-39 years, male 11.5
GTEX-1J8JJ-0626-SM-ARZMQ 60-69 years, female 11.5
GTEX-11DXW-0826-SM-5H118 40-49 years, male 11.4
GTEX-1IDJF-2026-SM-CL53V 20-29 years, male 11.4
GTEX-131XG-0326-SM-5L3DX 50-59 years, female 11.3
GTEX-13X6J-0626-SM-5LU5F 50-59 years, male 11.3
GTEX-1N5O9-0926-SM-E9J3C 60-69 years, male 11.3
GTEX-1R9PM-1926-SM-EVR3O 20-29 years, male 11.3
GTEX-12WSF-1626-SM-7KUG5 70-79 years, male 11.2
GTEX-13SLX-2226-SM-62LEP 50-59 years, female 11.2
GTEX-16MT8-2926-SM-7DUFO 60-69 years, female 11.2
GTEX-Y3IK-1626-SM-4YCF5 50-59 years, female 11.2
GTEX-17F98-1326-SM-7DUEP 40-49 years, female 11.1
GTEX-ZAK1-0626-SM-5HL8E 50-59 years, female 11.1
GTEX-ZYFG-1526-SM-5GZYM 60-69 years, female 11.1
GTEX-1QCLZ-2426-SM-EVYBW 60-69 years, female 11.1
GTEX-1R7EU-1626-SM-DTXG3 60-69 years, male 11.1
GTEX-145MG-1526-SM-5Q5EM 50-59 years, male 11.0
GTEX-ZDXO-3126-SM-5IJDF 60-69 years, male 11.0
GTEX-1ICG6-1226-SM-A9SLN 70-79 years, female 11.0
GTEX-12126-0826-SM-5FQTZ 20-29 years, male 10.9
GTEX-18A7B-2726-SM-7LG56 70-79 years, male 10.9
GTEX-ZUA1-2626-SM-5NQ92 40-49 years, male 10.9
GTEX-ZYW4-0626-SM-59HJR 60-69 years, male 10.9
GTEX-1E2YA-2126-SM-7MXUO 50-59 years, male 10.9
GTEX-1LG7Z-1626-SM-CXKYR 30-39 years, male 10.9
GTEX-14PK6-0226-SM-62LF5 70-79 years, female 10.8
GTEX-15ER7-0626-SM-6PANF 20-29 years, female 10.8
GTEX-WEY5-2326-SM-3GIKK 40-49 years, female 10.8
GTEX-ZVP2-0326-SM-57WBP 50-59 years, male 10.8
GTEX-1LGOU-1326-SM-D3L8M 20-29 years, female 10.8
GTEX-12C56-1526-SM-5FQUQ 20-29 years, male 10.7
GTEX-131YS-2826-SM-5EQ47 60-69 years, female 10.7
GTEX-18QFQ-1826-SM-72D52 30-39 years, male 10.7
GTEX-WXYG-2026-SM-4E3IY 50-59 years, female 10.7
GTEX-WYVS-1626-SM-3NM9R 40-49 years, female 10.7
GTEX-1H1E6-0426-SM-9WYUS 30-39 years, male 10.7
GTEX-1H1ZS-2726-SM-9WG75 70-79 years, male 10.7
GTEX-11DXZ-2026-SM-5987S 50-59 years, male 10.6
GTEX-11EM3-1226-SM-5N9DD 20-29 years, female 10.6
GTEX-1314G-1326-SM-5BC6E 30-39 years, male 10.6
GTEX-13FH7-1126-SM-5K7UG 50-59 years, female 10.6
GTEX-145ME-1726-SM-5Q5EU 40-49 years, female 10.6
GTEX-1EWIQ-0326-SM-7DHMQ 70-79 years, female 10.6
GTEX-1EMGI-2326-SM-7PBYA 60-69 years, male 10.6
GTEX-12WSK-2126-SM-5CVNC 40-49 years, female 10.5
GTEX-13N11-2326-SM-5IJBF 50-59 years, female 10.5
GTEX-16NPX-0726-SM-7KULC 50-59 years, male 10.5
GTEX-1JMQK-1226-SM-D4P2S 60-69 years, male 10.5
GTEX-1HCU8-2526-SM-CE6RX 60-69 years, female 10.4
GTEX-1JMPZ-0726-SM-CY8HZ 30-39 years, male 10.4
GTEX-1KWVE-1026-SM-D3L9O 30-39 years, male 10.4
GTEX-1OJC3-1226-SM-DTXER 20-29 years, male 10.4
GTEX-18A7A-0126-SM-731AH 50-59 years, female 10.3
GTEX-1EN7A-2426-SM-793DB 40-49 years, male 10.3
GTEX-1GF9W-1426-SM-7PBYM 60-69 years, male 10.3
GTEX-1HUB1-1426-SM-CGQF5 60-69 years, male 10.3
GTEX-1I1GS-2626-SM-B2LY3 60-69 years, male 10.3
GTEX-YEC3-1326-SM-DO92X 50-59 years, male 10.3
GTEX-13OVJ-0826-SM-5J1OK 50-59 years, female 10.2
GTEX-13U4I-2226-SM-5LU5H 40-49 years, female 10.2
GTEX-14AS3-1526-SM-5Q5ED 40-49 years, female 10.2
GTEX-1KANA-1326-SM-DIPFA 20-29 years, male 10.2
GTEX-15FZZ-0526-SM-7KUGD 30-39 years, female 10.1
GTEX-17HGU-2326-SM-7DUFE 50-59 years, male 10.1
GTEX-1AX9I-2226-SM-73KUO 60-69 years, male 10.1
GTEX-ZT9X-1526-SM-5DUXD 40-49 years, male 10.1
GTEX-1C64N-2626-SM-7PC2N 50-59 years, male 10.1
GTEX-1JMOU-1026-SM-CYPSS 60-69 years, female 10.1
GTEX-1NSGN-0726-SM-DTXEF 50-59 years, male 10.1
GTEX-12BJ1-0926-SM-5EQ62 60-69 years, male 10.0
GTEX-16Z82-2626-SM-7KULU 60-69 years, male 10.0
GTEX-ZA64-1026-SM-5HL8R 20-29 years, male 10.0
GTEX-1GMR2-0826-SM-7PC3V 50-59 years, male 10.0
GTEX-1GMR3-0126-SM-A9SLW 40-49 years, male 10.0
GTEX-1R9PN-0426-SM-DTXDT 40-49 years, female 10.0
GTEX-11VI4-1126-SM-5EQMD 40-49 years, female 9.9
GTEX-13OVG-1626-SM-5J1NF 60-69 years, male 9.9
GTEX-1A32A-0626-SM-731AQ 50-59 years, female 9.9
GTEX-1BAJH-2426-SM-7IGP8 70-79 years, male 9.9
GTEX-X5EB-1926-SM-4E3IW 40-49 years, male 9.9
GTEX-1GZ2Q-0126-SM-9WG6M 40-49 years, male 9.9
GTEX-1HBPI-2126-SM-ARL9K 50-59 years, male 9.9
GTEX-1J1R8-2026-SM-CL53Y 40-49 years, male 9.9
GTEX-1RLM8-2926-SM-E8VON 50-59 years, male 9.9
GTEX-11P7K-1126-SM-5HL4L 30-39 years, male 9.8
GTEX-178AV-1726-SM-7KUL8 40-49 years, male 9.8
GTEX-17F9E-2326-SM-79OKD 50-59 years, male 9.8
GTEX-1B933-2426-SM-7DHMD 50-59 years, female 9.8
GTEX-WRHU-2826-SM-3MJG8 50-59 years, female 9.8
GTEX-XV7Q-1826-SM-4BRUV 40-49 years, female 9.8
GTEX-1C64O-1326-SM-7MGWR 60-69 years, male 9.8
GTEX-1CB4I-0126-SM-7RHGG 50-59 years, male 9.8
GTEX-1H1DG-2426-SM-9QEHJ 70-79 years, male 9.8
GTEX-1HC8U-1326-SM-9YFMJ 40-49 years, female 9.8
GTEX-14PHX-2226-SM-6EU2P 50-59 years, male 9.7
GTEX-15G1A-1626-SM-7KUKN 30-39 years, male 9.7
GTEX-WHSE-0126-SM-3NMBT 20-29 years, male 9.7
GTEX-XK95-0226-SM-4AT58 40-49 years, male 9.7
GTEX-11P82-1426-SM-DTXFY 20-29 years, male 9.7
GTEX-1JKYN-0826-SM-ARU8S 30-39 years, male 9.7
GTEX-1LSNM-0826-SM-DIPG8 50-59 years, male 9.7
GTEX-1S831-1826-SM-EWROF 20-29 years, male 9.7
GTEX-1117F-2926-SM-5GZYI 60-69 years, female 9.6
GTEX-12ZZY-0726-SM-5EQ66 60-69 years, male 9.6
GTEX-1497J-0226-SM-5QGPU 60-69 years, male 9.6
GTEX-ZF2S-1626-SM-57WES 50-59 years, female 9.6
GTEX-18D9A-1426-SM-7LT8M 30-39 years, female 9.6
GTEX-1GZHY-0626-SM-9KNVC 50-59 years, female 9.6
GTEX-1QW4Y-1126-SM-DTXE3 30-39 years, male 9.6
GTEX-ZGAY-1826-SM-DO91Q 40-49 years, female 9.6
GTEX-12584-0726-SM-5FQTK 40-49 years, male 9.5
GTEX-13OVK-1426-SM-6PAN7 40-49 years, male 9.5
GTEX-14JG1-1526-SM-5YY9X 40-49 years, male 9.5
GTEX-14LZ3-0126-SM-69LPM 60-69 years, female 9.5
GTEX-14PJO-2526-SM-6AJBQ 60-69 years, male 9.5
GTEX-16BQI-1326-SM-6M486 30-39 years, female 9.5
GTEX-WHPG-2626-SM-3NMBR 50-59 years, male 9.5
GTEX-XOT4-0626-SM-4B66L 60-69 years, female 9.5
GTEX-ZAJG-1526-SM-5CVML 50-59 years, female 9.5
GTEX-ZPU1-1126-SM-4YCF3 40-49 years, male 9.5
GTEX-14ABY-2026-SM-62LDL 50-59 years, male 9.4
GTEX-17MFQ-1526-SM-7KFRR 20-29 years, male 9.4
GTEX-WK11-2726-SM-3NMAQ 50-59 years, male 9.4
GTEX-Y5V5-0126-SM-5S2NW 60-69 years, female 9.4
GTEX-1LSNL-2726-SM-E9TKJ 50-59 years, male 9.4
GTEX-147F4-0726-SM-5TDDD 50-59 years, male 9.3
GTEX-15UF6-1926-SM-7KUDV 70-79 years, female 9.3
GTEX-XBEW-1126-SM-4QARW 40-49 years, male 9.3
GTEX-1C475-1326-SM-7SB73 40-49 years, female 9.3
GTEX-1GF9V-0826-SM-9KNUV 60-69 years, male 9.3
GTEX-1H1DE-1326-SM-9KNUG 20-29 years, male 9.3
GTEX-1HR98-2226-SM-ADEI2 60-69 years, male 9.3
GTEX-11EQ9-1626-SM-5PNY8 30-39 years, male 9.2
GTEX-11WQC-1826-SM-5GU59 60-69 years, male 9.2
GTEX-1211K-1526-SM-5FQU4 60-69 years, female 9.2
GTEX-12ZZX-2426-SM-5GCOE 40-49 years, female 9.2
GTEX-139T8-0626-SM-5KLZX 60-69 years, male 9.2
GTEX-13FTY-2126-SM-5IFFB 40-49 years, female 9.2
GTEX-14ICL-1626-SM-5YYAO 30-39 years, male 9.2
GTEX-15DYW-2726-SM-6EU2I 60-69 years, female 9.2
GTEX-17HHY-0426-SM-7DHLC 50-59 years, male 9.2
GTEX-1CB4H-1126-SM-7MKGL 60-69 years, female 9.2
GTEX-Y5LM-0926-SM-6LLJG 40-49 years, female 9.2
GTEX-Z93S-1626-SM-5CVMB 50-59 years, male 9.2
GTEX-ZYFC-0426-SM-5GICQ 50-59 years, male 9.2
GTEX-1KD5A-0126-SM-E9U54 50-59 years, male 9.2
GTEX-12WSD-0626-SM-5GCMW 60-69 years, female 9.1
GTEX-15SHW-0226-SM-7LTAT 60-69 years, male 9.1
GTEX-16XZZ-0726-SM-7KUF2 60-69 years, male 9.1
GTEX-17KNJ-2126-SM-718AM 50-59 years, male 9.1
GTEX-1B996-0426-SM-7EWF8 60-69 years, male 9.1
GTEX-1F52S-2926-SM-7MKGA 60-69 years, female 9.1
GTEX-1H4P4-2126-SM-9WYSL 50-59 years, male 9.1
GTEX-1I4MK-0126-SM-CY8G6 50-59 years, female 9.1
GTEX-13FTW-0326-SM-5K7UW 40-49 years, male 9.0
GTEX-13G51-1826-SM-5KLZH 60-69 years, male 9.0
GTEX-13X6K-0626-SM-5LU5D 60-69 years, female 9.0
GTEX-144GM-0526-SM-79OJO 20-29 years, male 9.0
GTEX-18A6Q-0626-SM-7KFRP 60-69 years, male 9.0
GTEX-ZU9S-1826-SM-5NQ9E 30-39 years, male 9.0
GTEX-1CAMR-1326-SM-7PC1F 20-29 years, male 9.0
GTEX-1313W-0626-SM-5EQ4H 50-59 years, female 8.9
GTEX-13PVR-0426-SM-5RQK2 60-69 years, female 8.9
GTEX-13VXU-0626-SM-5L3F9 50-59 years, male 8.9
GTEX-14E6C-2426-SM-5S2NF 40-49 years, male 8.9
GTEX-14PHY-1226-SM-5ZZWK 60-69 years, female 8.9
GTEX-14PJ5-1526-SM-6LLIL 60-69 years, female 8.9
GTEX-16MTA-0926-SM-6M47Z 50-59 years, male 8.9
GTEX-17HG3-2626-SM-7DUF2 30-39 years, female 8.9
GTEX-17MF6-2626-SM-79OKQ 40-49 years, male 8.9
GTEX-ZWKS-0626-SM-5GIDV 30-39 years, male 8.9
GTEX-1GMRU-2126-SM-7P8RA 50-59 years, male 8.9
GTEX-1IDJH-0126-SM-D3L92 70-79 years, male 8.9
GTEX-1LVAN-0626-SM-CNPOQ 50-59 years, female 8.9
GTEX-1QCLY-0226-SM-EWRNH 30-39 years, male 8.9
GTEX-ZLV1-1526-SM-DO91J 60-69 years, female 8.9
GTEX-139TS-2126-SM-5K7XC 60-69 years, male 8.8
GTEX-13FHO-0426-SM-5L3F5 60-69 years, male 8.8
GTEX-13N2G-0226-SM-5K7VF 60-69 years, male 8.8
GTEX-145MO-2826-SM-5LU96 60-69 years, male 8.8
GTEX-147F3-1726-SM-5SIAW 50-59 years, female 8.8
GTEX-15CHR-1126-SM-7EWF4 50-59 years, male 8.8
GTEX-18465-2826-SM-7LT9J 50-59 years, male 8.8
GTEX-Y5V6-2326-SM-4VDSA 60-69 years, male 8.8
GTEX-1F48J-0726-SM-7RHGS 50-59 years, female 8.8
GTEX-1JN6P-2926-SM-CL54D 60-69 years, male 8.8
GTEX-1JN76-0626-SM-CKZOQ 20-29 years, female 8.8
GTEX-1LVA9-2626-SM-EVYD4 50-59 years, male 8.8
GTEX-1N2DV-1526-SM-DTXEP 40-49 years, male 8.8
GTEX-1POEN-2326-SM-E9J2L 30-39 years, female 8.8
GTEX-12WSA-0426-SM-5EQ5X 60-69 years, male 8.7
GTEX-12WSC-2826-SM-5BC5Y 50-59 years, male 8.7
GTEX-12WSH-1526-SM-5BC5W 50-59 years, male 8.7
GTEX-13113-1626-SM-5EQ4I 60-69 years, female 8.7
GTEX-145MH-2826-SM-5RQJF 50-59 years, male 8.7
GTEX-15D1Q-2826-SM-6LLH7 40-49 years, male 8.7
GTEX-15RIG-0726-SM-7KUM7 40-49 years, male 8.7
GTEX-XQ3S-1426-SM-4BOPR 20-29 years, male 8.7
GTEX-1GPI7-1826-SM-9KNU1 20-29 years, male 8.7
GTEX-1H2FU-0926-SM-9WPPT 60-69 years, female 8.7
GTEX-1HCU9-0426-SM-9WYSD 20-29 years, male 8.7
GTEX-1HFI7-2326-SM-CGQFS 50-59 years, female 8.7
GTEX-1PIIG-2326-SM-DTXFR 30-39 years, male 8.7
GTEX-1PPGY-1626-SM-EVYBL 60-69 years, male 8.7
GTEX-1QEPI-2626-SM-DTXF4 60-69 years, female 8.7
GTEX-131XW-0626-SM-5PNVD 50-59 years, female 8.6
GTEX-13O61-1426-SM-5KM3D 60-69 years, male 8.6
GTEX-13QBU-1226-SM-5LU4G 40-49 years, female 8.6
GTEX-16YQH-2226-SM-7IGM2 30-39 years, male 8.6
GTEX-1A8G6-2726-SM-731AR 60-69 years, male 8.6
GTEX-XPVG-2126-SM-4B667 50-59 years, male 8.6
GTEX-1LVAO-2726-SM-E9TJ8 60-69 years, male 8.6
GTEX-1RAZS-2526-SM-E6CHT 50-59 years, male 8.6
GTEX-131XF-2626-SM-5EQ6K 60-69 years, male 8.5
GTEX-13OVL-0126-SM-5L3GJ 50-59 years, male 8.5
GTEX-147JS-0226-SM-5S2U9 60-69 years, male 8.5
GTEX-Y8LW-1526-SM-5IFHL 50-59 years, female 8.5
GTEX-ZVE1-0726-SM-51MRN 50-59 years, female 8.5
GTEX-ZYVF-0926-SM-5E44J 50-59 years, female 8.5
GTEX-1GN1W-2426-SM-9KNUU 50-59 years, female 8.5
GTEX-131XH-0126-SM-5LZUY 50-59 years, male 8.4
GTEX-13IVO-0726-SM-5LZYV 70-79 years, male 8.4
GTEX-144GO-2026-SM-5O99P 60-69 years, male 8.4
GTEX-14PJ3-1126-SM-5ZZVX 50-59 years, male 8.4
GTEX-16AAH-0626-SM-793C9 50-59 years, male 8.4
GTEX-ZDYS-2426-SM-4WKGI 50-59 years, male 8.4
GTEX-1GF9X-1326-SM-7PC2Y 40-49 years, female 8.4
GTEX-1H23P-0626-SM-9WG6T 60-69 years, male 8.4
GTEX-1I19N-0126-SM-CYPSF 70-79 years, male 8.4
GTEX-1IL2V-1926-SM-B2LW8 70-79 years, male 8.4
GTEX-133LE-2326-SM-5K7W3 20-29 years, female 8.3
GTEX-139TU-0726-SM-5L3EK 60-69 years, male 8.3
GTEX-13YAN-0226-SM-5TDC6 60-69 years, male 8.3
GTEX-14E6E-0526-SM-793DN 30-39 years, male 8.3
GTEX-1EU9M-1426-SM-793AI 60-69 years, male 8.3
GTEX-ZP4G-1426-SM-4WWCL 20-29 years, female 8.3
GTEX-1HSMO-0626-SM-ACKXC 60-69 years, male 8.3
GTEX-1JN1M-2726-SM-CY8I4 60-69 years, female 8.3
GTEX-1QP9N-1226-SM-E76QN 30-39 years, male 8.3
GTEX-11DXX-2126-SM-5PNYR 60-69 years, female 8.2
GTEX-12KS4-2126-SM-5FQUT 30-39 years, male 8.2
GTEX-13FTX-1526-SM-5K7VJ 20-29 years, female 8.2
GTEX-1477Z-0326-SM-7IGLA 60-69 years, male 8.2
GTEX-15EO6-2426-SM-6PALZ 50-59 years, male 8.2
GTEX-17F97-2626-SM-7IGM5 50-59 years, male 8.2
GTEX-UPJH-0226-SM-3GADV 50-59 years, male 8.2
GTEX-X585-2426-SM-46MW2 50-59 years, male 8.2
GTEX-XXEK-1626-SM-4BRUZ 50-59 years, male 8.2
GTEX-1JKYR-0626-SM-ARL8R 20-29 years, male 8.2
GTEX-11ZTT-2126-SM-5CVLO 60-69 years, female 8.1
GTEX-13W3W-0726-SM-5IJDQ 60-69 years, female 8.1
GTEX-14DAQ-0626-SM-793DS 60-69 years, female 8.1
GTEX-183WM-0326-SM-72D5V 70-79 years, female 8.1
GTEX-18A67-1626-SM-7LT9T 50-59 years, male 8.1
GTEX-ZTSS-1426-SM-5985P 40-49 years, male 8.1
GTEX-1GL5R-1326-SM-7RHHF 50-59 years, male 8.1
GTEX-1GTWX-2026-SM-9YFLM 60-69 years, male 8.1
GTEX-1H11D-1826-SM-9QEHM 40-49 years, male 8.1
GTEX-1I1HK-2326-SM-CKZOH 60-69 years, male 8.1
GTEX-1K9T9-1526-SM-DIPFR 50-59 years, female 8.1
GTEX-1LGRB-0926-SM-COH3K 50-59 years, female 8.1
GTEX-111YS-1526-SM-5GZYW 60-69 years, male 8.0
GTEX-13OW7-0426-SM-5K7VK 50-59 years, male 8.0
GTEX-13VXT-1926-SM-5K7UO 20-29 years, female 8.0
GTEX-18D9U-0126-SM-731BM 40-49 years, male 8.0
GTEX-YECK-0326-SM-4W1YS 60-69 years, male 8.0
GTEX-ZAB4-2126-SM-5HL8U 40-49 years, male 8.0
GTEX-1F75I-2226-SM-7SB8U 40-49 years, male 8.0
GTEX-1LKK1-2626-SM-DKPQE 50-59 years, female 8.0
GTEX-11P81-2226-SM-5PNYI 30-39 years, female 7.9
GTEX-13D11-0926-SM-5J2NC 50-59 years, female 7.9
GTEX-13PVQ-0626-SM-5LU47 50-59 years, male 7.9
GTEX-13X6H-0926-SM-5SIB2 50-59 years, female 7.9
GTEX-1C6WA-2626-SM-7MKGM 60-69 years, male 7.9
GTEX-1S3DN-2126-SM-E9TIN 50-59 years, male 7.9
GTEX-11ZUS-2626-SM-5FQUR 30-39 years, male 7.8
GTEX-145MF-0926-SM-5Q5EA 50-59 years, male 7.8
GTEX-1B8KZ-0326-SM-73KY4 50-59 years, male 7.8
GTEX-XQ8I-0926-SM-4BOOF 50-59 years, male 7.8
GTEX-1A8FM-0626-SM-7PC25 50-59 years, female 7.8
GTEX-1HCU7-0726-SM-A9SL1 50-59 years, male 7.8
GTEX-1HSMQ-2626-SM-A9SML 50-59 years, male 7.8
GTEX-ZPIC-0526-SM-DO91W 40-49 years, female 7.8
GTEX-15EU6-2226-SM-6EU2L 50-59 years, male 7.7
GTEX-1CAV2-0126-SM-7IGN7 40-49 years, female 7.7
GTEX-XUW1-0926-SM-4BONX 50-59 years, female 7.7
GTEX-1GN2E-0226-SM-9WG6K 60-69 years, male 7.7
GTEX-1M4P7-0726-SM-E6CJ3 60-69 years, male 7.7
GTEX-1PBJJ-1026-SM-E76OS 30-39 years, male 7.7
GTEX-111CU-1126-SM-5EGIM 50-59 years, male 7.6
GTEX-11DXY-0126-SM-5H11Q 60-69 years, male 7.6
GTEX-1B8SF-0126-SM-7DUG3 60-69 years, male 7.6
GTEX-1C2JI-1026-SM-73KY1 50-59 years, male 7.6
GTEX-1HSKV-1226-SM-ADEI4 60-69 years, male 7.6
GTEX-1MCC2-1826-SM-DIPEX 30-39 years, female 7.6
GTEX-1QAET-0326-SM-EVR3U 50-59 years, male 7.6
GTEX-1QMI2-2526-SM-E8VNZ 60-69 years, male 7.6
GTEX-1QPFJ-1926-SM-EVYBD 30-39 years, female 7.6
GTEX-1R9K4-2826-SM-DTX8F 60-69 years, male 7.6
GTEX-145LU-1926-SM-79OJN 50-59 years, male 7.5
GTEX-14BMV-2826-SM-5TDED 50-59 years, male 7.5
GTEX-15DDE-2926-SM-6LLJ3 50-59 years, female 7.5
GTEX-WFG7-2026-SM-5SI7P 20-29 years, male 7.5
GTEX-XBEC-0726-SM-4QARZ 50-59 years, male 7.5
GTEX-ZYFD-0626-SM-5E44E 50-59 years, male 7.5
GTEX-1CAMQ-1326-SM-7P8RV 40-49 years, male 7.5
GTEX-1JMLX-0626-SM-ARL8T 50-59 years, male 7.5
GTEX-1PDJ9-1226-SM-EXUSX 20-29 years, male 7.5
GTEX-1QP28-1126-SM-EVYC4 50-59 years, female 7.5
GTEX-12WSM-1926-SM-5BC65 60-69 years, male 7.4
GTEX-139TT-2126-SM-5LZWC 60-69 years, male 7.4
GTEX-13OVH-0526-SM-5L3E6 70-79 years, male 7.4
GTEX-14A6H-2026-SM-5Q5DD 30-39 years, male 7.4
GTEX-14B4R-1326-SM-5Q5EZ 30-39 years, male 7.4
GTEX-15CHC-1126-SM-6LLHQ 60-69 years, female 7.4
GTEX-15G19-2426-SM-7KUMR 60-69 years, male 7.4
GTEX-17HHE-1326-SM-7EWDZ 50-59 years, male 7.4
GTEX-1JMQJ-0826-SM-CNPP7 50-59 years, male 7.4
GTEX-1212Z-0126-SM-59HK4 60-69 years, male 7.3
GTEX-13112-0126-SM-5P9IU 50-59 years, male 7.3
GTEX-VUSG-2326-SM-4KL1U 50-59 years, male 7.3
GTEX-ZY6K-1426-SM-5GZX2 50-59 years, male 7.3
GTEX-1AYD5-2626-SM-7PBXY 50-59 years, male 7.3
GTEX-1HCU6-2526-SM-ADEHL 60-69 years, female 7.3
GTEX-1HCVE-2726-SM-CL54F 50-59 years, male 7.3
GTEX-1J8Q3-0526-SM-ARL8U 60-69 years, male 7.3
GTEX-1192X-2726-SM-5N9DN 50-59 years, male 7.2
GTEX-13NYB-0126-SM-5J1MD 40-49 years, male 7.2
GTEX-13OW5-2326-SM-5L3HO 60-69 years, male 7.2
GTEX-WY7C-2126-SM-3NB2R 50-59 years, male 7.2
GTEX-YFCO-1226-SM-5LUAT 40-49 years, male 7.2
GTEX-ZVE2-2826-SM-5GU51 50-59 years, male 7.2
GTEX-1A3MX-2626-SM-7PC24 60-69 years, male 7.2
GTEX-1F5PL-0926-SM-7PC2W 40-49 years, female 7.2
GTEX-1H1DF-1126-SM-9WG7G 40-49 years, female 7.2
GTEX-1HBPN-0126-SM-CGQEF 50-59 years, male 7.2
GTEX-1HT8W-0626-SM-A9G2H 30-39 years, male 7.2
GTEX-1KXAM-1626-SM-D3LAD 60-69 years, male 7.2
GTEX-1LSVX-2526-SM-DIPEU 60-69 years, male 7.2
GTEX-XBED-1926-SM-47JYP 60-69 years, male 7.1
GTEX-1CAMS-2226-SM-7PBXQ 40-49 years, female 7.1
GTEX-1IKOE-1426-SM-CE6T7 30-39 years, female 7.1
GTEX-1J8QM-2426-SM-A9SLS 60-69 years, female 7.1
GTEX-ZF3C-0626-SM-DO92O 50-59 years, female 7.1
GTEX-11LCK-2226-SM-5HL4Q 30-39 years, male 7.0
GTEX-11OF3-0126-SM-5PNYF 60-69 years, male 7.0
GTEX-13FLV-0126-SM-5K7WT 50-59 years, male 7.0
GTEX-13NYS-0626-SM-5L3F1 60-69 years, male 7.0
GTEX-13OW8-1026-SM-5J1NQ 60-69 years, male 7.0
GTEX-XAJ8-1426-SM-47JYM 40-49 years, male 7.0
GTEX-Y114-2126-SM-4TT8B 50-59 years, female 7.0
GTEX-ZDTT-0426-SM-4WKFL 60-69 years, male 7.0
GTEX-ZTX8-1326-SM-4YCEL 20-29 years, male 7.0
GTEX-ZYY3-2926-SM-5GIEB 60-69 years, female 7.0
GTEX-1I1GV-0626-SM-ARL7M 60-69 years, male 7.0
GTEX-111VG-1626-SM-5EGIO 60-69 years, male 6.9
GTEX-V1D1-2026-SM-3GAF4 50-59 years, male 6.9
GTEX-X4EP-0626-SM-3P621 60-69 years, female 6.9
GTEX-ZE9C-2526-SM-5IJDR 60-69 years, male 6.9
GTEX-ZTTD-2826-SM-4YCFA 50-59 years, male 6.9
GTEX-1GMR8-0626-SM-7RHI7 50-59 years, female 6.9
GTEX-1H3VE-0726-SM-9YFL5 40-49 years, male 6.9
GTEX-1IE54-1126-SM-A9G2Z 40-49 years, female 6.9
GTEX-11NUK-2726-SM-5A5MC 50-59 years, male 6.8
GTEX-1399U-1126-SM-5L3DB 50-59 years, female 6.8
GTEX-14PJN-1826-SM-6AJ98 30-39 years, male 6.8
GTEX-17F9Y-0126-SM-79OKX 70-79 years, female 6.8
GTEX-1B8KE-1126-SM-7EPHI 50-59 years, male 6.8
GTEX-1B97I-0626-SM-73KUZ 40-49 years, male 6.8
GTEX-1EKGG-0626-SM-7DUGJ 60-69 years, male 6.8
GTEX-X4EO-2926-SM-4E3JH 60-69 years, female 6.8
GTEX-14JFF-0626-SM-5ZZVT 60-69 years, male 6.8
GTEX-1F75B-0726-SM-7PC3R 50-59 years, male 6.8
GTEX-1RAZQ-1326-SM-E9TK6 30-39 years, male 6.8
GTEX-1S82P-2126-SM-E6CI5 60-69 years, female 6.8
GTEX-1AMEY-0826-SM-72D65 30-39 years, female 6.7
GTEX-1CB4E-0926-SM-7EPHT 60-69 years, male 6.7
GTEX-1EX96-1026-SM-7MKG2 50-59 years, male 6.7
GTEX-1GZ4I-2626-SM-9KNU3 50-59 years, male 6.7
GTEX-1IDJU-1726-SM-CMKHU 60-69 years, female 6.7
GTEX-13NZ8-1226-SM-5KM4A 60-69 years, female 6.6
GTEX-13OW6-2726-SM-5J2OE 50-59 years, male 6.6
GTEX-147GR-2426-SM-5ZZWQ 60-69 years, male 6.6
GTEX-1HSGN-0826-SM-ACKW3 40-49 years, female 6.6
GTEX-1JMQI-1726-SM-ARL93 50-59 years, male 6.6
GTEX-1N2EE-0626-SM-E76PW 60-69 years, male 6.6
GTEX-13NYC-0126-SM-5L3F4 60-69 years, male 6.5
GTEX-U8XE-0226-SM-4E3J3 30-39 years, male 6.5
GTEX-ZE7O-2726-SM-51MT5 50-59 years, female 6.5
GTEX-ZXG5-2126-SM-59HKD 60-69 years, male 6.5
GTEX-ZZPU-0826-SM-5GZX5 50-59 years, female 6.5
GTEX-1F5PK-2226-SM-7SB6N 50-59 years, male 6.5
GTEX-1HCUA-0826-SM-ADEHM 50-59 years, female 6.5
GTEX-1JJE9-2626-SM-ARZMT 70-79 years, male 6.5
GTEX-1K2DA-1026-SM-CGQGF 50-59 years, male 6.5
GTEX-1LB8K-0726-SM-D5OV2 50-59 years, male 6.5
GTEX-1LG7Y-2526-SM-EWRO7 50-59 years, male 6.5
GTEX-1MJK3-0726-SM-E6CJC 20-29 years, male 6.5
GTEX-1NV5F-0626-SM-DTXEG 60-69 years, female 6.5
GTEX-1S82U-1026-SM-E6CJK 30-39 years, female 6.5
GTEX-144FL-0626-SM-5LU43 50-59 years, male 6.4
GTEX-14PJ6-2626-SM-6EU2T 60-69 years, female 6.4
GTEX-XMD2-2126-SM-4YCF8 60-69 years, female 6.4
GTEX-1HB9E-0126-SM-CM2S5 50-59 years, male 6.4
GTEX-1QP2A-1726-SM-E76QC 50-59 years, male 6.4
GTEX-12WSJ-1126-SM-5LZVJ 40-49 years, female 6.3
GTEX-13O3O-2326-SM-5IJD6 60-69 years, female 6.3
GTEX-13X6I-1826-SM-5SIAO 60-69 years, male 6.3
GTEX-145LS-0626-SM-7EPG7 60-69 years, female 6.3
GTEX-14PKU-0126-SM-6LLHV 40-49 years, female 6.3
GTEX-1A3MW-0626-SM-731CB 60-69 years, female 6.3
GTEX-ZF29-0926-SM-4WKFZ 60-69 years, female 6.3
GTEX-1H3O1-1326-SM-9MQLD 60-69 years, male 6.3
GTEX-1I1CD-0626-SM-CE6SW 60-69 years, female 6.3
GTEX-1JMPY-0226-SM-CKZOK 30-39 years, male 6.3
GTEX-12696-0126-SM-5EQ4L 60-69 years, male 6.2
GTEX-139D8-1126-SM-5LU8W 30-39 years, female 6.2
GTEX-14BIN-1126-SM-5RQJZ 50-59 years, female 6.2
GTEX-Y3I4-1726-SM-4TT89 50-59 years, male 6.2
GTEX-ZVZP-1226-SM-5GID7 50-59 years, male 6.2
GTEX-ZYT6-2326-SM-5GZY3 30-39 years, male 6.2
GTEX-1IOXB-2726-SM-CM2RI 50-59 years, male 6.2
GTEX-1JJ6O-2726-SM-CNPOG 60-69 years, male 6.2
GTEX-1JK1U-0226-SM-ARZMX 60-69 years, male 6.2
GTEX-11GS4-0226-SM-5HL77 60-69 years, male 6.1
GTEX-11UD2-2526-SM-5CVNU 50-59 years, male 6.1
GTEX-1A8G7-1326-SM-73KVM 60-69 years, male 6.1
GTEX-Y9LG-1126-SM-4VBQ7 30-39 years, male 6.1
GTEX-ZVT4-2426-SM-5GIEI 50-59 years, female 6.1
GTEX-1CB4J-1326-SM-7P8RX 60-69 years, male 6.1
GTEX-1K2DU-1226-SM-CYPT4 20-29 years, male 6.1
GTEX-17EVP-2626-SM-7IGMA 40-49 years, male 6.0
GTEX-WYBS-0626-SM-3NMAS 60-69 years, female 6.0
GTEX-X8HC-0626-SM-4E3HQ 50-59 years, female 6.0
GTEX-1J8EW-2726-SM-CY8HR 60-69 years, female 6.0
GTEX-12ZZZ-0726-SM-5GCNZ 60-69 years, male 5.9
GTEX-13PL6-1126-SM-5L3IE 40-49 years, female 5.9
GTEX-ZPCL-1126-SM-4WWFE 60-69 years, female 5.9
GTEX-1C6VR-0126-SM-7RHGB 60-69 years, male 5.9
GTEX-1PPH8-0126-SM-EWRN8 20-29 years, male 5.9
GTEX-14753-0726-SM-5QGQO 60-69 years, male 5.8
GTEX-1B8L1-2226-SM-7P8PT 60-69 years, male 5.8
GTEX-1F88F-0126-SM-9WYSZ 60-69 years, female 5.8
GTEX-1RMOY-1326-SM-E9TIH 50-59 years, male 5.8
GTEX-11ZU8-0126-SM-5EQ58 60-69 years, male 5.7
GTEX-14C39-1726-SM-5RQIL 40-49 years, male 5.7
GTEX-14XAO-1226-SM-6EU1C 60-69 years, female 5.7
GTEX-17HII-1426-SM-7EPGG 50-59 years, male 5.7
GTEX-ZC5H-1526-SM-5HL9Y 40-49 years, female 5.7
GTEX-1GN73-0726-SM-7P8TJ 60-69 years, male 5.7
GTEX-1J8Q2-2626-SM-ACKWQ 60-69 years, male 5.7
GTEX-1PPH7-1126-SM-DTX9A 40-49 years, male 5.6
GTEX-1S83E-1326-SM-E6CJM 40-49 years, male 5.6
GTEX-11PRG-0726-SM-5EGL1 50-59 years, male 5.5
GTEX-1AMFI-1326-SM-7939R 50-59 years, female 5.5
GTEX-WI4N-2726-SM-3LK7Y 40-49 years, female 5.5
GTEX-ZVT2-0126-SM-5GIDQ 50-59 years, female 5.5
GTEX-11TUW-0626-SM-5LU9M 60-69 years, male 5.4
GTEX-15RJE-2826-SM-7KUM9 40-49 years, male 5.4
GTEX-1F88E-1626-SM-7SB8Z 60-69 years, female 5.4
GTEX-1HGF4-0126-SM-CNPPX 60-69 years, male 5.4
GTEX-1I1GT-1026-SM-ARZLV 60-69 years, female 5.4
GTEX-1C6VQ-1226-SM-73KYD 50-59 years, male 5.3
GTEX-1GZ4H-0526-SM-9KNU9 50-59 years, female 5.3
GTEX-1LVAM-0726-SM-E6CIL 50-59 years, female 5.3
GTEX-1R46S-2426-SM-E76QA 60-69 years, female 5.3
GTEX-11GSP-2326-SM-5HL63 60-69 years, female 5.2
GTEX-13N1W-2426-SM-5IJD1 70-79 years, male 5.2
GTEX-1EH9U-2826-SM-7DUGT 60-69 years, male 5.2
GTEX-Y111-0626-SM-4SOIT 50-59 years, male 5.2
GTEX-1IKJJ-2226-SM-CJI4C 60-69 years, male 5.2
GTEX-1JJEA-1826-SM-ARU8P 60-69 years, male 5.2
GTEX-11WQK-1026-SM-5EQLX 50-59 years, male 5.1
GTEX-14C5O-0326-SM-5ZZUX 60-69 years, male 5.1
GTEX-1IDFM-0326-SM-ARL7V 60-69 years, male 5.1
GTEX-1IDJV-0126-SM-COH3Y 60-69 years, male 5.1
GTEX-1269C-0126-SM-5EQ5L 60-69 years, female 5.0
GTEX-144GL-0626-SM-5LU4D 50-59 years, male 5.0
GTEX-16MT9-0126-SM-7EPI8 60-69 years, female 5.0
GTEX-1JMQL-2226-SM-CNPP4 50-59 years, female 5.0
GTEX-1399Q-2326-SM-5KM2X 40-49 years, male 4.9
GTEX-14LLW-2626-SM-62LDZ 70-79 years, female 4.9
GTEX-1GN1U-0626-SM-9MQL9 50-59 years, female 4.9
GTEX-13JVG-0726-SM-5KM16 60-69 years, male 4.8
GTEX-13O3Q-0126-SM-5KM34 50-59 years, male 4.8
GTEX-1GN1V-2826-SM-9JGIA 60-69 years, male 4.8
GTEX-1GPI6-1926-SM-9KNV7 60-69 years, male 4.8
GTEX-1MCYP-0526-SM-E9U6Q 20-29 years, female 4.8
GTEX-13RTJ-0126-SM-5S2NN 60-69 years, male 4.7
GTEX-1HR9M-2226-SM-CNPPY 60-69 years, male 4.7
GTEX-1ICLY-0826-SM-CMKG1 50-59 years, male 4.7
GTEX-1399S-0126-SM-5IJCF 30-39 years, female 4.6
GTEX-1KAFJ-0126-SM-DIPEK 50-59 years, male 4.6
GTEX-1OJC4-2726-SM-E76PJ 50-59 years, female 4.6
GTEX-1S5ZU-2526-SM-E6CIF 20-29 years, female 4.6
GTEX-14PII-0726-SM-6EU2B 60-69 years, male 4.5
GTEX-14PJ4-0226-SM-5YY92 60-69 years, male 4.5
GTEX-1HBPM-0726-SM-9YFL7 60-69 years, female 4.5
GTEX-13SLW-0626-SM-5Q5ER 70-79 years, male 4.4
GTEX-145MI-0626-SM-5SI8S 60-69 years, female 4.3
GTEX-1122O-1026-SM-9WYSF 60-69 years, female 4.3
GTEX-1I1GU-0926-SM-ACKVS 40-49 years, male 4.3
GTEX-13PDP-0726-SM-5L3HP 60-69 years, male 4.2
GTEX-13QJC-0126-SM-5ZZWJ 60-69 years, female 4.2
GTEX-15SKB-2826-SM-6PAMH 60-69 years, male 4.0
GTEX-WHSB-1326-SM-3LK6W 50-59 years, male 4.0
GTEX-139UW-0326-SM-5J1ML 60-69 years, male 3.9
GTEX-148VJ-0626-SM-5LUAW 70-79 years, male 3.9
GTEX-1J1OQ-0126-SM-D4P2N 40-49 years, female 3.9
GTEX-14C38-0726-SM-5SI6M 50-59 years, male 3.1
Show allShow less
Skin - Sun Exposed (Lower leg)
Average nTPM: 9.5
Samples: 701

Max nTPM: 27.2
Min nTPM: 3.3
Std nTPM: 3.3
Median nTPM: 9.0
GTEX-1AYD5-2426-SM-73KXR 50-59 years, male 27.2
GTEX-1OJC4-0126-SM-E9J2E 50-59 years, female 26.4
GTEX-ZZPT-0226-SM-5E43X 50-59 years, male 26.3
GTEX-14JIY-0126-SM-6LLH6 60-69 years, male 25.8
GTEX-1AYCT-2426-SM-7IGQ3 50-59 years, male 25.6
GTEX-146FR-1326-SM-E9J48 60-69 years, female 25.6
GTEX-SE5C-1626-SM-2XCE3 40-49 years, female 22.9
GTEX-1RAZQ-0726-SM-EAZ43 30-39 years, male 22.1
GTEX-1LBAC-0126-SM-DIPEZ 20-29 years, male 21.4
GTEX-1I1HK-0126-SM-COH49 60-69 years, male 21.0
GTEX-14A6H-0126-SM-5QGPK 30-39 years, male 20.6
GTEX-Q734-1926-SM-2I5EV 40-49 years, female 20.5
GTEX-1LNCM-1126-SM-E9U5E 50-59 years, female 19.9
GTEX-113IC-0126-SM-5HL6T 60-69 years, male 19.7
GTEX-ZEX8-2426-SM-4WKG4 50-59 years, male 19.6
GTEX-1GN1W-0526-SM-9MQJQ 50-59 years, female 19.5
GTEX-1F6I4-0126-SM-9MQL2 60-69 years, male 19.4
GTEX-1HUB1-0426-SM-E9U4U 60-69 years, male 19.2
GTEX-V1D1-2226-SM-3NMAX 50-59 years, male 19.0
GTEX-11ZUS-0626-SM-59885 30-39 years, male 18.1
GTEX-1QP67-1626-SM-EAZ3X 40-49 years, female 18.0
GTEX-R55E-0126-SM-2TC5Y 20-29 years, male 17.9
GTEX-147F4-0226-SM-5QGPW 50-59 years, male 17.7
GTEX-15SDE-2226-SM-7IGLO 50-59 years, female 17.5
GTEX-144GN-2326-SM-5LU4F 50-59 years, male 17.4
GTEX-1R9PO-2126-SM-E9J4O 60-69 years, female 17.4
GTEX-11GSP-2526-SM-5N9BP 60-69 years, female 16.7
GTEX-WH7G-2326-SM-3NMBC 40-49 years, male 16.7
GTEX-11GS4-2726-SM-5A5LE 60-69 years, male 16.3
GTEX-1F6IF-0726-SM-7P8TW 60-69 years, male 16.3
GTEX-1QW4Y-1526-SM-EAZ3Z 30-39 years, male 16.3
GTEX-15EOM-0126-SM-7KUGG 20-29 years, female 16.1
GTEX-X638-0126-SM-47JZ8 70-79 years, female 15.7
GTEX-117YW-2626-SM-5GZZH 50-59 years, male 15.6
GTEX-1F75A-0126-SM-7RHGM 50-59 years, male 15.4
GTEX-13CF2-2526-SM-5LZYX 60-69 years, male 15.3
GTEX-13OW7-0126-SM-5MR3B 50-59 years, male 15.3
GTEX-1PBJI-0526-SM-E8VNK 20-29 years, female 15.1
GTEX-1C6WA-0126-SM-7PC2B 60-69 years, male 15.0
GTEX-16YQH-0126-SM-7DUFJ 30-39 years, male 14.9
GTEX-1HFI6-0226-SM-ADEHZ 40-49 years, male 14.9
GTEX-XV7Q-2526-SM-4BRV9 40-49 years, female 14.7
GTEX-18A7A-0226-SM-718BH 50-59 years, female 14.5
GTEX-QLQW-1126-SM-2S1Q8 30-39 years, male 14.5
GTEX-18A67-0126-SM-7LG5P 50-59 years, male 14.4
GTEX-145LU-0126-SM-5TDCB 50-59 years, male 14.3
GTEX-PLZ4-0126-SM-5SI8O 50-59 years, female 14.3
GTEX-X88G-0126-SM-47JZ3 30-39 years, male 14.3
GTEX-15SB6-1726-SM-6PAME 50-59 years, female 14.1
GTEX-ZE9C-2726-SM-57WB5 60-69 years, male 14.1
GTEX-139T4-0226-SM-5HL5S 50-59 years, female 14.0
GTEX-QEG4-0226-SM-2S1PY 30-39 years, male 14.0
GTEX-1PIGE-0126-SM-EVYBJ 20-29 years, male 13.9
GTEX-RUSQ-1526-SM-2TF62 50-59 years, male 13.8
GTEX-1CB4F-0426-SM-9KNV4 60-69 years, male 13.8
GTEX-1QCLY-0326-SM-E8VOG 30-39 years, male 13.7
GTEX-132NY-0326-SM-5IJBL 60-69 years, male 13.6
GTEX-139TT-0126-SM-5K7Y5 60-69 years, male 13.6
GTEX-1497J-2426-SM-7IGNX 60-69 years, male 13.5
GTEX-11TTK-0126-SM-5987B 60-69 years, female 13.4
GTEX-1B8L1-2526-SM-9WYTF 60-69 years, male 13.4
GTEX-1IY9M-0126-SM-D3L8S 60-69 years, male 13.4
GTEX-R45C-0126-SM-EAZ2R 60-69 years, female 13.4
GTEX-131XG-2626-SM-5KM17 50-59 years, female 13.3
GTEX-14ABY-0226-SM-5TDCQ 50-59 years, male 13.3
GTEX-16XZY-2126-SM-79OK1 70-79 years, male 13.3
GTEX-XYKS-2126-SM-4E3IB 60-69 years, female 13.3
GTEX-YJ8A-0426-SM-5IFID 20-29 years, male 13.3
GTEX-ZUA1-0126-SM-5GU76 40-49 years, male 13.3
GTEX-1H1CY-2826-SM-9MQM3 60-69 years, female 13.3
GTEX-12ZZX-0126-SM-5EGK9 40-49 years, female 13.1
GTEX-1HBPH-0426-SM-B2LW5 40-49 years, female 13.1
GTEX-1AMEY-1326-SM-73KYK 30-39 years, female 12.9
GTEX-RN64-0126-SM-2TC68 50-59 years, male 12.9
GTEX-ZDXO-3026-SM-5J1N5 60-69 years, male 12.9
GTEX-12WSG-2826-SM-E9J4H 50-59 years, female 12.9
GTEX-11P82-1626-SM-59879 20-29 years, male 12.8
GTEX-1AX8Z-0126-SM-7DHM6 60-69 years, male 12.8
GTEX-QCQG-1726-SM-3GIJ9 50-59 years, female 12.8
GTEX-VJYA-1126-SM-3GIJU 60-69 years, male 12.8
GTEX-13OVL-0226-SM-5L3E9 50-59 years, male 12.7
GTEX-18QFQ-0126-SM-731BE 30-39 years, male 12.7
GTEX-1EKGG-0226-SM-9WYTH 60-69 years, male 12.7
GTEX-1MGNQ-0126-SM-EVYCJ 40-49 years, male 12.7
GTEX-1POEN-0126-SM-EYYXJ 30-39 years, female 12.7
GTEX-139T8-0126-SM-5K7XZ 60-69 years, male 12.6
GTEX-1I1GP-2226-SM-CGQFK 50-59 years, male 12.6
GTEX-12WSD-0126-SM-59HKN 60-69 years, female 12.5
GTEX-13W46-0226-SM-5SIAG 50-59 years, male 12.4
GTEX-1C6VS-0526-SM-7DUEN 60-69 years, male 12.4
GTEX-X585-0226-SM-4QAS2 50-59 years, male 12.4
GTEX-Z93T-0126-SM-5HL5N 50-59 years, male 12.4
GTEX-1F7RK-0126-SM-7PC2S 20-29 years, female 12.4
GTEX-1H2FU-0126-SM-9WYSI 60-69 years, female 12.4
GTEX-1RLM8-2326-SM-EWRN4 50-59 years, male 12.4
GTEX-17HHE-2026-SM-79OKF 50-59 years, male 12.3
GTEX-RU72-0926-SM-2TF6B 50-59 years, female 12.3
GTEX-14BIM-0226-SM-7IGLD 60-69 years, female 12.2
GTEX-16MT8-0426-SM-7KUEY 60-69 years, female 12.2
GTEX-17MF6-0126-SM-7LG4F 40-49 years, male 12.2
GTEX-ZDTS-0126-SM-4WAY5 60-69 years, male 12.2
GTEX-12126-0326-SM-5PNW3 20-29 years, male 12.1
GTEX-14PHW-0126-SM-6LLJI 60-69 years, female 12.1
GTEX-P44H-0226-SM-2XCEU 40-49 years, male 12.1
GTEX-1EMGI-0126-SM-9KNUE 60-69 years, male 12.1
GTEX-1F48J-0126-SM-7P8TT 50-59 years, female 12.1
GTEX-W5X1-3026-SM-EAZAX 40-49 years, female 12.1
GTEX-11DZ1-0126-SM-5985Q 50-59 years, male 12.0
GTEX-13OVI-1426-SM-5L3EY 60-69 years, female 12.0
GTEX-13X6J-0126-SM-5QGOU 50-59 years, male 12.0
GTEX-16NGA-1726-SM-731B4 40-49 years, female 12.0
GTEX-1A32A-0126-SM-718B1 50-59 years, female 12.0
GTEX-TMZS-0126-SM-3DB9Q 60-69 years, male 12.0
GTEX-XAJ8-0826-SM-47JY6 40-49 years, male 12.0
GTEX-RNOR-0126-SM-E9J4R 50-59 years, female 12.0
GTEX-15DYW-0126-SM-7KULE 60-69 years, female 11.9
GTEX-S7PM-0126-SM-4AD6S 60-69 years, male 11.9
GTEX-1H1ZS-0426-SM-9WG6G 70-79 years, male 11.9
GTEX-13N1W-0126-SM-5K7VT 70-79 years, male 11.8
GTEX-16GPK-0126-SM-7DHLE 60-69 years, male 11.8
GTEX-RWS6-2026-SM-2XCB5 60-69 years, female 11.8
GTEX-ZF29-2326-SM-DO92K 60-69 years, female 11.8
GTEX-1C4CL-0526-SM-73KVK 30-39 years, male 11.7
GTEX-RWSA-0126-SM-2XCBB 40-49 years, male 11.7
GTEX-T2IS-0126-SM-4DM6O 20-29 years, female 11.7
GTEX-YEC4-2126-SM-5IFJH 40-49 years, male 11.7
GTEX-1JN76-0126-SM-CNPPE 20-29 years, female 11.7
GTEX-1KD5A-0226-SM-D5OV3 50-59 years, male 11.7
GTEX-1QEPI-0126-SM-EWRMQ 60-69 years, female 11.7
GTEX-13G51-2526-SM-5LZYK 60-69 years, male 11.6
GTEX-Q2AG-0126-SM-33HBV 40-49 years, female 11.6
GTEX-1AX9I-0126-SM-7SB74 60-69 years, male 11.6
GTEX-S33H-1026-SM-EZ6L6 30-39 years, male 11.6
GTEX-183FY-0126-SM-7LT9P 20-29 years, male 11.5
GTEX-PLZ5-2026-SM-2S1O4 50-59 years, male 11.5
GTEX-ZVT3-0126-SM-5GU6I 60-69 years, female 11.5
GTEX-1GPI6-0126-SM-9WG69 60-69 years, male 11.5
GTEX-11DYG-0126-SM-59883 60-69 years, male 11.4
GTEX-14PK6-1926-SM-6ETZU 70-79 years, female 11.4
GTEX-1S82Y-2026-SM-EVYCM 40-49 years, male 11.4
GTEX-15SHW-0326-SM-6PAML 60-69 years, male 11.3
GTEX-ZAB4-0226-SM-5N9F5 40-49 years, male 11.3
GTEX-14E6C-0126-SM-5RQIP 40-49 years, male 11.2
GTEX-QVJO-1626-SM-2S1QW 60-69 years, female 11.2
GTEX-SIU8-0126-SM-2XCDT 50-59 years, male 11.2
GTEX-WZTO-0126-SM-3NM95 40-49 years, male 11.2
GTEX-13N11-2526-SM-5K7UE 50-59 years, female 11.1
GTEX-14LLW-0126-SM-6LLIO 70-79 years, female 11.1
GTEX-1GF9X-2026-SM-7PC3A 40-49 years, female 11.1
GTEX-1H3O1-0426-SM-9YFKY 60-69 years, male 11.1
GTEX-1HBPI-1526-SM-C1YQ1 50-59 years, male 11.1
GTEX-1J8EW-0126-SM-CJI4F 60-69 years, female 11.1
GTEX-1192X-0226-SM-5H12D 50-59 years, male 11.0
GTEX-145LT-1726-SM-5QGP3 40-49 years, male 11.0
GTEX-18A66-0226-SM-718BD 60-69 years, male 11.0
GTEX-QDT8-0126-SM-48TZ1 30-39 years, female 11.0
GTEX-QV44-1926-SM-2S1RF 50-59 years, male 11.0
GTEX-X62O-0126-SM-4E3JN 50-59 years, male 11.0
GTEX-Y3I4-2126-SM-4TT7C 50-59 years, male 11.0
GTEX-ZAK1-0126-SM-5IJD3 50-59 years, female 11.0
GTEX-ZE7O-0126-SM-57WC1 50-59 years, female 11.0
GTEX-1HSMO-0126-SM-CL547 60-69 years, male 11.0
GTEX-1I19N-0326-SM-ACKVX 70-79 years, male 11.0
GTEX-1NHNU-1026-SM-E9J2A 50-59 years, male 11.0
GTEX-1C6VQ-0126-SM-7P8RI 50-59 years, male 10.9
GTEX-1CB4G-0226-SM-7PC3O 60-69 years, male 10.9
GTEX-11P7K-2126-SM-5GU7G 30-39 years, male 10.8
GTEX-145LV-2126-SM-5LU8N 50-59 years, male 10.8
GTEX-148VI-1626-SM-5SI6E 60-69 years, female 10.8
GTEX-RTLS-0126-SM-447CA 60-69 years, female 10.8
GTEX-ZQUD-1426-SM-57WER 30-39 years, male 10.8
GTEX-ZTPG-0326-SM-5O9AX 20-29 years, female 10.8
GTEX-1GPI7-0126-SM-9MQL8 20-29 years, male 10.8
GTEX-11DXW-0226-SM-5H122 40-49 years, male 10.7
GTEX-13NZ8-0826-SM-5MR3I 60-69 years, female 10.7
GTEX-18A6Q-0126-SM-731BZ 60-69 years, male 10.7
GTEX-UPJH-0326-SM-3GADU 50-59 years, male 10.7
GTEX-XUYS-0126-SM-47JWZ 50-59 years, male 10.7
GTEX-1F75I-0326-SM-9YFLU 40-49 years, male 10.7
GTEX-1HKZK-0326-SM-9WYUH 40-49 years, male 10.7
GTEX-1I1GS-0126-SM-B2LVW 60-69 years, male 10.7
GTEX-1MCYP-1926-SM-E9J2R 20-29 years, female 10.7
GTEX-1NV5F-0226-SM-E8VNY 60-69 years, female 10.7
GTEX-1399U-2326-SM-5K7WY 50-59 years, female 10.6
GTEX-ZYFC-0226-SM-5NQ75 50-59 years, male 10.6
GTEX-1GTWX-0126-SM-9YFLK 60-69 years, male 10.6
GTEX-13RTK-1426-SM-5QGQJ 20-29 years, male 10.5
GTEX-145MO-0326-SM-5Q5B3 60-69 years, male 10.5
GTEX-146FH-0126-SM-5QGPP 50-59 years, female 10.5
GTEX-SSA3-0126-SM-32QPU 60-69 years, male 10.5
GTEX-WXYG-2326-SM-4E3I6 50-59 years, female 10.5
GTEX-Y111-0126-SM-4SOIV 50-59 years, male 10.5
GTEX-Y5LM-1926-SM-5RQJH 40-49 years, female 10.5
GTEX-1B933-0126-SM-7PC29 50-59 years, female 10.5
GTEX-1F88F-2726-SM-7PBZZ 60-69 years, female 10.5
GTEX-1H3NZ-0126-SM-ACKX7 60-69 years, male 10.5
GTEX-1JN6P-0126-SM-D3L98 60-69 years, male 10.5
GTEX-1K9T9-0126-SM-EVYCF 50-59 years, female 10.5
GTEX-1OJC3-0126-SM-E76QX 20-29 years, male 10.5
GTEX-111VG-2426-SM-5GZXD 60-69 years, male 10.4
GTEX-11VI4-1726-SM-5CVLH 40-49 years, female 10.4
GTEX-13OVG-1926-SM-5L3DK 60-69 years, male 10.4
GTEX-1B8KZ-2026-SM-7DHMB 50-59 years, male 10.4
GTEX-Y3IK-2426-SM-4WWDU 50-59 years, female 10.4
GTEX-1EU9M-0226-SM-7P8SP 60-69 years, male 10.4
GTEX-1IDFM-0126-SM-COH2V 60-69 years, male 10.4
GTEX-1R7EU-0226-SM-EVR4G 60-69 years, male 10.4
GTEX-11NUK-0126-SM-5A5L3 50-59 years, male 10.3
GTEX-11TT1-2526-SM-5EGIB 20-29 years, male 10.3
GTEX-17HHY-0126-SM-7LG5D 50-59 years, male 10.3
GTEX-Q2AH-1626-SM-3GAF8 40-49 years, male 10.3
GTEX-1GZ2Q-0226-SM-7P8TL 40-49 years, male 10.3
GTEX-11DXZ-2326-SM-5EGGV 50-59 years, male 10.2
GTEX-146FQ-0126-SM-5NQA9 30-39 years, male 10.2
GTEX-14BMU-2226-SM-5TDE9 20-29 years, female 10.2
GTEX-1C2JI-1826-SM-73KXC 50-59 years, male 10.2
GTEX-1C64N-0126-SM-793D7 50-59 years, male 10.2
GTEX-OXRK-0226-SM-3NB2G 50-59 years, female 10.2
GTEX-ZF28-0126-SM-4WKGK 60-69 years, male 10.2
GTEX-1A8FM-0226-SM-7SB7Q 50-59 years, female 10.2
GTEX-1MUQO-0126-SM-EAZ58 60-69 years, male 10.2
GTEX-1314G-1526-SM-5EGK2 30-39 years, male 10.1
GTEX-145ME-1826-SM-5SI9G 40-49 years, female 10.1
GTEX-14E7W-0126-SM-6LLJ9 70-79 years, male 10.1
GTEX-17HG3-2226-SM-7938L 30-39 years, female 10.1
GTEX-SUCS-1926-SM-32PM3 70-79 years, male 10.1
GTEX-U3ZM-1526-SM-3DB9D 40-49 years, male 10.1
GTEX-WVJS-0126-SM-4MVOT 50-59 years, male 10.1
GTEX-Z93S-0126-SM-5HL7M 50-59 years, male 10.1
GTEX-1IKK5-0626-SM-ARL8A 60-69 years, male 10.1
GTEX-1N2EF-0226-SM-EYYXB 60-69 years, male 10.1
GTEX-PW2O-1526-SM-7RHHB 20-29 years, male 10.1
GTEX-11EMC-2926-SM-5EQ4F 60-69 years, female 10.0
GTEX-14PJ3-1826-SM-62LEX 50-59 years, male 10.0
GTEX-17F98-0626-SM-79OMX 40-49 years, female 10.0
GTEX-TML8-1926-SM-32QOS 40-49 years, female 10.0
GTEX-X5EB-2226-SM-46MW4 40-49 years, male 10.0
GTEX-1GN73-0226-SM-9WG67 60-69 years, male 10.0
GTEX-1QP29-0626-SM-EWRMX 50-59 years, male 10.0
GTEX-11UD1-0126-SM-5PNYG 40-49 years, female 9.9
GTEX-1A3MV-1926-SM-718BT 30-39 years, male 9.9
GTEX-R55G-2526-SM-2TC6D 40-49 years, female 9.9
GTEX-T5JC-0426-SM-32PLO 20-29 years, male 9.9
GTEX-WQUQ-0426-SM-3MJFU 60-69 years, male 9.9
GTEX-1HCU6-0126-SM-CL54K 60-69 years, female 9.9
GTEX-1ICG6-2526-SM-CGQFZ 70-79 years, female 9.9
GTEX-1RQEC-0426-SM-E6CHU 60-69 years, male 9.9
GTEX-131XH-2226-SM-5DUXJ 50-59 years, male 9.8
GTEX-13FHO-0226-SM-5IFGY 60-69 years, male 9.8
GTEX-147GR-0526-SM-5S2MY 60-69 years, male 9.8
GTEX-1AX9K-2326-SM-73KWU 50-59 years, male 9.8
GTEX-1BAJH-0526-SM-793CQ 70-79 years, male 9.8
GTEX-Z9EW-1626-SM-5CVMN 40-49 years, male 9.8
GTEX-ZYW4-0126-SM-5E44A 60-69 years, male 9.8
GTEX-1GN1V-0126-SM-9WPOS 60-69 years, male 9.8
GTEX-1J1R8-1726-SM-ARL8M 40-49 years, male 9.8
GTEX-1JMOU-1526-SM-CL54I 60-69 years, female 9.8
GTEX-11NSD-2226-SM-5986V 20-29 years, male 9.7
GTEX-11OC5-0126-SM-5HL6A 60-69 years, male 9.7
GTEX-13FTX-1826-SM-5J1NX 20-29 years, female 9.7
GTEX-13NZB-2526-SM-5J1OM 30-39 years, male 9.7
GTEX-13OVJ-0126-SM-5KM36 50-59 years, female 9.7
GTEX-OHPM-0126-SM-2YUN9 50-59 years, male 9.7
GTEX-OOBK-0126-SM-2YUND 40-49 years, male 9.7
GTEX-OXRP-0126-SM-3NB32 60-69 years, female 9.7
GTEX-S95S-1226-SM-4GICG 60-69 years, male 9.7
GTEX-U4B1-1826-SM-4DXSU 40-49 years, male 9.7
GTEX-1EWIQ-0126-SM-7RHH2 70-79 years, female 9.7
GTEX-1H3VY-0126-SM-ACKXD 50-59 years, male 9.7
GTEX-RVPV-0126-SM-EAZAW 60-69 years, male 9.7
GTEX-13VXT-0126-SM-5LU4I 20-29 years, female 9.6
GTEX-15DCD-0126-SM-7KUEK 70-79 years, female 9.6
GTEX-P4PQ-0126-SM-2S1NM 60-69 years, male 9.6
GTEX-QESD-1426-SM-2S1R9 20-29 years, male 9.6
GTEX-169BO-1326-SM-9MQK2 50-59 years, male 9.6
GTEX-1CAMS-0426-SM-7P8T2 40-49 years, female 9.6
GTEX-1H1DG-0126-SM-9WYU2 70-79 years, male 9.6
GTEX-1IE54-0126-SM-CMKHW 40-49 years, female 9.6
GTEX-1KD4Q-0226-SM-E9TJ9 40-49 years, male 9.6
GTEX-1MCQQ-0826-SM-DLHC2 60-69 years, male 9.6
GTEX-14JG6-2226-SM-6EU2G 30-39 years, female 9.5
GTEX-15ER7-0326-SM-7KUEV 20-29 years, female 9.5
GTEX-1CAMR-1926-SM-7EPI2 20-29 years, male 9.5
GTEX-WYVS-2126-SM-3NMA3 40-49 years, female 9.5
GTEX-XUW1-0426-SM-4BOOT 50-59 years, female 9.5
GTEX-ZAB5-1826-SM-5HL7C 50-59 years, male 9.5
GTEX-1C64O-0126-SM-7SB8P 60-69 years, male 9.5
GTEX-1J8JJ-0226-SM-CL53I 60-69 years, female 9.5
GTEX-1N2DW-0226-SM-E9TK2 50-59 years, male 9.5
GTEX-1S5ZA-0126-SM-EVYCV 20-29 years, male 9.5
GTEX-11EM3-2426-SM-59861 20-29 years, female 9.4
GTEX-11ZVC-2526-SM-5FQTE 50-59 years, female 9.4
GTEX-139D8-0226-SM-5KLZO 30-39 years, female 9.4
GTEX-139TU-0126-SM-5K7WH 60-69 years, male 9.4
GTEX-13U4I-0126-SM-5LU38 40-49 years, female 9.4
GTEX-13X6I-0626-SM-5QGP9 60-69 years, male 9.4
GTEX-17EVQ-0226-SM-7LG4P 70-79 years, male 9.4
GTEX-Q2AI-1326-SM-2S1PL 40-49 years, male 9.4
GTEX-ZC5H-0226-SM-4WAY9 40-49 years, female 9.4
GTEX-ZDYS-2026-SM-5HL5L 50-59 years, male 9.4
GTEX-1JMPY-1326-SM-ARL8Y 30-39 years, male 9.4
GTEX-PWCY-1826-SM-DHXIZ 20-29 years, female 9.4
GTEX-1192W-2626-SM-5Q5AF 60-69 years, male 9.3
GTEX-13O1R-0126-SM-5L3EH 60-69 years, male 9.3
GTEX-13QJ3-0326-SM-5S2RA 50-59 years, male 9.3
GTEX-14BIL-0126-SM-5SI92 50-59 years, male 9.3
GTEX-14E6D-0126-SM-62LDV 50-59 years, male 9.3
GTEX-17MFQ-1726-SM-793C7 20-29 years, male 9.3
GTEX-OXRL-0126-SM-2YUMP 50-59 years, male 9.3
GTEX-U3ZH-2026-SM-3DB78 30-39 years, male 9.3
GTEX-ZVE2-0226-SM-59HJB 50-59 years, male 9.3
GTEX-131XF-5016-SM-7MGWE 60-69 years, male 9.3
GTEX-1H1E6-1726-SM-ACKVK 30-39 years, male 9.3
GTEX-1HSMP-0126-SM-E6CJS 70-79 years, male 9.3
GTEX-1LB8K-0226-SM-EWRNW 50-59 years, male 9.3
GTEX-1R46S-0626-SM-E9J41 60-69 years, female 9.3
GTEX-11P81-2326-SM-59875 30-39 years, female 9.2
GTEX-12584-0126-SM-5EGKQ 40-49 years, male 9.2
GTEX-12C56-1726-SM-5EQ61 20-29 years, male 9.2
GTEX-12WSN-5019-SM-79OM6 40-49 years, male 9.2
GTEX-1313W-0126-SM-5LZUN 50-59 years, female 9.2
GTEX-1399T-2826-SM-5KLYZ 60-69 years, male 9.2
GTEX-13OVK-2026-SM-7KUEO 40-49 years, male 9.2
GTEX-14PN3-2426-SM-6LLHS 60-69 years, female 9.2
GTEX-17HII-0226-SM-7LG4E 50-59 years, male 9.2
GTEX-OIZG-0726-SM-33HBL 50-59 years, male 9.2
GTEX-U3ZN-2326-SM-3DB7W 30-39 years, female 9.2
GTEX-ZGAY-0526-SM-4WWBB 40-49 years, female 9.2
GTEX-1GZHY-0326-SM-9QEHI 50-59 years, female 9.2
GTEX-1I1CD-0126-SM-CM2TK 60-69 years, female 9.2
GTEX-1JMQK-0226-SM-CL543 60-69 years, male 9.2
GTEX-117YX-2326-SM-5H12W 50-59 years, male 9.1
GTEX-13VXU-0126-SM-5SI9F 50-59 years, male 9.1
GTEX-15ETS-0126-SM-7KUMW 40-49 years, female 9.1
GTEX-17F97-0326-SM-7LG5B 50-59 years, male 9.1
GTEX-18D9B-0526-SM-7LTAS 60-69 years, male 9.1
GTEX-SJXC-0126-SM-2XCFF 60-69 years, male 9.1
GTEX-T2YK-0526-SM-32QPJ 50-59 years, male 9.1
GTEX-X4EO-0326-SM-3P5YO 60-69 years, female 9.1
GTEX-XQ8I-0426-SM-4BOPO 50-59 years, male 9.1
GTEX-YB5K-2126-SM-4WWDJ 40-49 years, female 9.1
GTEX-ZVT2-2526-SM-51MT1 50-59 years, female 9.1
GTEX-1CAV2-2226-SM-7P8P2 40-49 years, female 9.1
GTEX-1LG7Y-0526-SM-DKPQC 50-59 years, male 9.1
GTEX-1RAZA-0126-SM-E6CI3 20-29 years, male 9.1
GTEX-13FTY-0526-SM-5L3EV 40-49 years, female 9.0
GTEX-13YAN-0326-SM-5O9DF 60-69 years, male 9.0
GTEX-144FL-0126-SM-5TDC8 50-59 years, male 9.0
GTEX-147F3-0526-SM-5SI98 50-59 years, female 9.0
GTEX-16NPX-0226-SM-79OMT 50-59 years, male 9.0
GTEX-1B8SG-0126-SM-73KZ3 50-59 years, male 9.0
GTEX-OXRN-0126-SM-48TDM 50-59 years, male 9.0
GTEX-PVOW-0126-SM-2XCFA 40-49 years, male 9.0
GTEX-1H11D-0226-SM-9WG6Z 40-49 years, male 9.0
GTEX-1H1DE-2126-SM-9WG6R 20-29 years, male 9.0
GTEX-1HR98-0126-SM-B2LWI 60-69 years, male 9.0
GTEX-1ICLY-0126-SM-D4P36 50-59 years, male 9.0
GTEX-1IGQW-0126-SM-COH42 60-69 years, male 9.0
GTEX-1KANB-0526-SM-E6CJH 50-59 years, male 9.0
GTEX-1QP2A-0126-SM-E9J43 50-59 years, male 9.0
GTEX-113JC-2326-SM-5EQ4E 50-59 years, female 8.9
GTEX-131YS-0126-SM-5KM1M 60-69 years, female 8.9
GTEX-13NZA-0226-SM-5K7Z7 60-69 years, male 8.9
GTEX-13SLX-0526-SM-5S2ON 50-59 years, female 8.9
GTEX-14PJM-0226-SM-62LF1 50-59 years, female 8.9
GTEX-NPJ8-0126-SM-2YUNR 40-49 years, male 8.9
GTEX-O5YW-0126-SM-3LK6D 50-59 years, male 8.9
GTEX-Y8DK-0126-SM-4TT3L 60-69 years, male 8.9
GTEX-YFC4-0126-SM-5CVLY 40-49 years, female 8.9
GTEX-1GN2E-0426-SM-9MQKX 60-69 years, male 8.9
GTEX-1IL2V-0126-SM-CM2TX 70-79 years, male 8.9
GTEX-1LC47-0326-SM-E9TJP 60-69 years, male 8.9
GTEX-1QP66-1726-SM-E8VO1 50-59 years, male 8.9
GTEX-11OF3-2626-SM-5GU7F 60-69 years, male 8.8
GTEX-12ZZY-0226-SM-5LZVE 60-69 years, male 8.8
GTEX-13D11-2426-SM-5KM1V 50-59 years, female 8.8
GTEX-13NYS-0126-SM-5MR3W 60-69 years, male 8.8
GTEX-14DAQ-0126-SM-5S2MQ 60-69 years, female 8.8
GTEX-18A7B-0126-SM-7LG64 70-79 years, male 8.8
GTEX-QDVJ-1726-SM-2I5FX 50-59 years, male 8.8
GTEX-U8T8-0126-SM-3DB94 60-69 years, male 8.8
GTEX-1EN7A-0126-SM-7SB81 40-49 years, male 8.8
GTEX-1HSEH-0126-SM-ACKXN 60-69 years, male 8.8
GTEX-1HSKV-0226-SM-A9SKJ 60-69 years, male 8.8
GTEX-1HT8W-0126-SM-CNPPP 30-39 years, male 8.8
GTEX-1I6K6-0126-SM-A9SLE 30-39 years, male 8.8
GTEX-1IOXB-0126-SM-ARL8G 50-59 years, male 8.8
GTEX-1JMPZ-0226-SM-CNPP1 30-39 years, male 8.8
GTEX-1JMQJ-0526-SM-CYPSU 50-59 years, male 8.8
GTEX-13O21-1426-SM-5K7XI 50-59 years, male 8.7
GTEX-15D1Q-0126-SM-7KUG6 40-49 years, male 8.7
GTEX-15DDE-0126-SM-6LPKH 50-59 years, female 8.7
GTEX-R3RS-0126-SM-3GIJL 40-49 years, female 8.7
GTEX-13O3O-0126-SM-E9J49 60-69 years, female 8.7
GTEX-1B996-0226-SM-7RHGO 60-69 years, male 8.7
GTEX-1ICLZ-0126-SM-CKZPO 60-69 years, male 8.7
GTEX-1N2DV-0226-SM-E6CJ6 40-49 years, male 8.7
GTEX-14JG1-0426-SM-6ETZZ 40-49 years, male 8.6
GTEX-14PHX-2326-SM-62LEM 50-59 years, male 8.6
GTEX-17EUY-0426-SM-793BD 20-29 years, male 8.6
GTEX-18465-0126-SM-731BN 50-59 years, male 8.6
GTEX-OHPL-0126-SM-2HMJ7 60-69 years, female 8.6
GTEX-1HCU8-0626-SM-A9SM9 60-69 years, female 8.6
GTEX-1HSMQ-1226-SM-CGQFX 50-59 years, male 8.6
GTEX-1MA7X-2226-SM-E6CIY 60-69 years, male 8.6
GTEX-OIZF-0126-SM-7SB8I 60-69 years, male 8.6
GTEX-13O3P-0126-SM-5KM4S 50-59 years, male 8.5
GTEX-13O3Q-2426-SM-5IJBR 50-59 years, male 8.5
GTEX-13OW6-0426-SM-5L3HM 50-59 years, male 8.5
GTEX-13W3W-2426-SM-5LU5B 60-69 years, female 8.5
GTEX-NFK9-0226-SM-2HMKQ 40-49 years, male 8.5
GTEX-S7SE-0126-SM-2XCD5 50-59 years, male 8.5
GTEX-W5WG-1826-SM-4KL2Y 50-59 years, female 8.5
GTEX-1GF9V-0326-SM-7RHI5 60-69 years, male 8.5
GTEX-1K2DU-2326-SM-E9TIV 20-29 years, male 8.5
GTEX-1PPH7-2326-SM-EVYB8 40-49 years, male 8.5
GTEX-11DXY-2626-SM-5GIE7 60-69 years, male 8.4
GTEX-11H98-0126-SM-5EGHG 50-59 years, male 8.4
GTEX-12WSA-0226-SM-5BC5V 60-69 years, male 8.4
GTEX-14ICK-0226-SM-6EU25 40-49 years, male 8.4
GTEX-16BQI-0226-SM-7KUEX 30-39 years, female 8.4
GTEX-1CB4J-0626-SM-7DHMP 60-69 years, male 8.4
GTEX-XQ3S-1526-SM-4BOOC 20-29 years, male 8.4
GTEX-1IDJF-0126-SM-CM2RS 20-29 years, male 8.4
GTEX-1KWVE-1426-SM-E9TJO 30-39 years, male 8.4
GTEX-15SHU-0126-SM-7KUEH 40-49 years, female 8.3
GTEX-SNMC-1226-SM-2XCFP 20-29 years, male 8.3
GTEX-1F6RS-0126-SM-9MQKZ 60-69 years, female 8.3
GTEX-1GMRU-0126-SM-9YFLV 50-59 years, male 8.3
GTEX-1I1GR-0126-SM-CL55F 60-69 years, male 8.3
GTEX-11ZU8-2526-SM-5EQKI 60-69 years, male 8.2
GTEX-17HGU-0226-SM-7DHKV 50-59 years, male 8.2
GTEX-1B8SF-1426-SM-7DUGL 60-69 years, male 8.2
GTEX-SN8G-0126-SM-32PLI 50-59 years, female 8.2
GTEX-T6MO-1626-SM-32QOM 40-49 years, female 8.2
GTEX-1F52S-0126-SM-9MQJU 60-69 years, female 8.2
GTEX-1GMR8-0126-SM-9WYTM 50-59 years, female 8.2
GTEX-1HCUA-2426-SM-ADEIS 50-59 years, female 8.2
GTEX-1JKYR-0126-SM-CNPOJ 20-29 years, male 8.2
GTEX-1RDX4-0126-SM-E9J4P 50-59 years, female 8.2
GTEX-145MN-2226-SM-5SIAU 30-39 years, male 8.1
GTEX-14DAR-2026-SM-5S2O3 50-59 years, male 8.1
GTEX-14PN4-0126-SM-6EU2V 50-59 years, male 8.1
GTEX-XXEK-2226-SM-4BRUM 50-59 years, male 8.1
GTEX-1H4P4-0726-SM-9YFLR 50-59 years, male 8.1
GTEX-1I1GV-0526-SM-A9G29 60-69 years, male 8.1
GTEX-1I4MK-2226-SM-ACKWD 50-59 years, female 8.1
GTEX-1J1OQ-0226-SM-CYPSH 40-49 years, female 8.1
GTEX-1KAFJ-2026-SM-CY8ID 50-59 years, male 8.1
GTEX-1M4P7-0226-SM-DIPEV 60-69 years, male 8.1
GTEX-11O72-0126-SM-59887 40-49 years, male 8.0
GTEX-11ZTT-2426-SM-5EQLS 60-69 years, female 8.0
GTEX-15CHC-2126-SM-6EU21 60-69 years, female 8.0
GTEX-Y8LW-1826-SM-5S2MV 50-59 years, female 8.0
GTEX-ZU9S-0226-SM-5E441 30-39 years, male 8.0
GTEX-11TUW-2726-SM-E9J4M 60-69 years, male 8.0
GTEX-1EX96-1626-SM-7PBXR 50-59 years, male 8.0
GTEX-1HFI7-1826-SM-ACKXH 50-59 years, female 8.0
GTEX-1JK1U-2026-SM-CM2RZ 60-69 years, male 8.0
GTEX-1JKYN-1326-SM-CGQG9 30-39 years, male 8.0
GTEX-11ZTS-0126-SM-5EQ6M 60-69 years, female 7.9
GTEX-13OW8-1326-SM-5J1OW 60-69 years, male 7.9
GTEX-QLQ7-1626-SM-2S1R8 60-69 years, male 7.9
GTEX-T5JW-1626-SM-3GADZ 20-29 years, female 7.9
GTEX-TMMY-0226-SM-33HBA 40-49 years, female 7.9
GTEX-WY7C-2326-SM-3NB2U 50-59 years, male 7.9
GTEX-X4XY-0226-SM-4E3IZ 60-69 years, male 7.9
GTEX-ZXES-1826-SM-5E43S 30-39 years, female 7.9
GTEX-ZY6K-1826-SM-5GZXK 50-59 years, male 7.9
GTEX-1211K-2026-SM-5EQ4Z 60-69 years, female 7.8
GTEX-12ZZZ-0626-SM-5DUXI 60-69 years, male 7.8
GTEX-131XE-2326-SM-5PNZ2 50-59 years, male 7.8
GTEX-144GL-0126-SM-5TDE2 50-59 years, male 7.8
GTEX-T6MN-0126-SM-32PLP 50-59 years, male 7.8
GTEX-X4XX-0126-SM-3NMC2 60-69 years, male 7.8
GTEX-ZDTT-2726-SM-4WKF8 60-69 years, male 7.8
GTEX-1PPH8-0226-SM-E8VND 20-29 years, male 7.8
GTEX-1QP9N-1426-SM-DTXFL 30-39 years, male 7.8
GTEX-11WQC-2526-SM-5CVLE 60-69 years, male 7.7
GTEX-12WSC-0126-SM-5EQ4P 50-59 years, male 7.7
GTEX-13113-5016-SM-7EPIP 60-69 years, female 7.7
GTEX-P4PP-0126-SM-3LK69 30-39 years, female 7.7
GTEX-PWO3-1526-SM-48TCM 60-69 years, female 7.7
GTEX-PX3G-0126-SM-2I3EN 20-29 years, female 7.7
GTEX-QDVN-2026-SM-3GAEP 50-59 years, male 7.7
GTEX-1GN1U-0126-SM-7PBZK 50-59 years, female 7.7
GTEX-1HBPM-0226-SM-ARL9F 60-69 years, female 7.7
GTEX-1S3DN-2226-SM-EVYCD 50-59 years, male 7.7
GTEX-ZQG8-1626-SM-DHXIT 60-69 years, female 7.7
GTEX-111FC-0126-SM-5N9DL 60-69 years, male 7.6
GTEX-11XUK-2026-SM-5EQLF 40-49 years, female 7.6
GTEX-1269C-2526-SM-5EGJ3 60-69 years, female 7.6
GTEX-12WSJ-1826-SM-5GCNY 40-49 years, female 7.6
GTEX-13RTL-0126-SM-7LG5S 40-49 years, male 7.6
GTEX-14BIN-0626-SM-793DP 50-59 years, female 7.6
GTEX-TKQ1-1026-SM-4GICL 30-39 years, male 7.6
GTEX-WRHK-1426-SM-3MJF9 20-29 years, female 7.6
GTEX-X8HC-0126-SM-4E3JW 50-59 years, female 7.6
GTEX-XBEW-0626-SM-4QASP 40-49 years, male 7.6
GTEX-Y5V5-2326-SM-4V6GA 60-69 years, female 7.6
GTEX-Y8E4-0626-SM-4WWDL 40-49 years, male 7.6
GTEX-ZZ64-1726-SM-5GZYB 20-29 years, male 7.6
GTEX-1GF9W-0326-SM-9KNUN 60-69 years, male 7.6
GTEX-1IKOH-0226-SM-COH4E 60-69 years, female 7.6
GTEX-1LVAN-0226-SM-COH3S 50-59 years, female 7.6
GTEX-PLZ6-1426-SM-DKPOT 30-39 years, male 7.6
GTEX-13111-1626-SM-5EGJY 50-59 years, male 7.5
GTEX-1399R-2726-SM-5IJBA 30-39 years, male 7.5
GTEX-13X6H-2126-SM-7EWD5 50-59 years, female 7.5
GTEX-VUSG-2526-SM-4KL1V 50-59 years, male 7.5
GTEX-1H3VE-0326-SM-9YFLH 40-49 years, male 7.5
GTEX-1HGF4-2426-SM-ACKXM 60-69 years, male 7.5
GTEX-1K2DA-1826-SM-CGQGT 50-59 years, male 7.5
GTEX-11DXX-2426-SM-5GZZW 60-69 years, female 7.4
GTEX-131XW-0426-SM-5LZWP 50-59 years, female 7.4
GTEX-13FTW-2626-SM-5K7WL 40-49 years, male 7.4
GTEX-13S7M-0126-SM-5SI6A 60-69 years, female 7.4
GTEX-T8EM-1026-SM-3DB7M 40-49 years, male 7.4
GTEX-WYJK-0126-SM-3NMAB 50-59 years, male 7.4
GTEX-X4EP-0126-SM-3P5YV 60-69 years, female 7.4
GTEX-XMD2-0126-SM-4YCDU 60-69 years, female 7.4
GTEX-YJ89-0126-SM-4TT3X 60-69 years, male 7.4
GTEX-ZVTK-0426-SM-51MRS 20-29 years, male 7.4
GTEX-1GF9U-2126-SM-7SB7L 40-49 years, female 7.4
GTEX-1I1GU-2226-SM-CGQFA 40-49 years, male 7.4
GTEX-13PVR-2326-SM-5QGR1 60-69 years, female 7.3
GTEX-1CB4E-2226-SM-793DC 60-69 years, male 7.3
GTEX-1E1VI-0126-SM-7DHMZ 50-59 years, male 7.3
GTEX-U412-0426-SM-3DB9O 60-69 years, male 7.3
GTEX-XBED-2226-SM-47JYQ 60-69 years, male 7.3
GTEX-1GZ4H-1726-SM-7PBZJ 50-59 years, female 7.3
GTEX-1JMQI-2226-SM-CM2SD 50-59 years, male 7.3
GTEX-1LGRB-2526-SM-CNPPQ 50-59 years, female 7.3
GTEX-11EI6-0126-SM-5985R 60-69 years, male 7.2
GTEX-13FXS-0226-SM-5IJCK 50-59 years, male 7.2
GTEX-14PII-0226-SM-6EU1T 60-69 years, male 7.2
GTEX-15UKP-0426-SM-7KUFQ 20-29 years, male 7.2
GTEX-17F96-1626-SM-7DUFL 70-79 years, male 7.2
GTEX-1AMFI-2026-SM-731BH 50-59 years, female 7.2
GTEX-1HCVE-0126-SM-CGQEU 50-59 years, male 7.2
GTEX-1J8Q3-1626-SM-CMKGC 60-69 years, male 7.2
GTEX-1JMLX-0226-SM-CM2RO 50-59 years, male 7.2
GTEX-1LSNM-1926-SM-E6CII 50-59 years, male 7.2
GTEX-1R9K4-0126-SM-DTX9X 60-69 years, male 7.2
GTEX-13112-2826-SM-5DUWH 50-59 years, male 7.1
GTEX-13FHP-0126-SM-5IJBG 50-59 years, male 7.1
GTEX-13JUV-2726-SM-5LZZ8 40-49 years, female 7.1
GTEX-14BMV-0126-SM-5S2PO 50-59 years, male 7.1
GTEX-1A3MW-0126-SM-73KXX 60-69 years, female 7.1
GTEX-1C6VR-2426-SM-79OLD 60-69 years, male 7.1
GTEX-ZVZO-0126-SM-5A5L9 40-49 years, male 7.1
GTEX-ZYT6-0226-SM-5NQ6T 30-39 years, male 7.1
GTEX-1F5PK-2426-SM-7RHHY 50-59 years, male 7.1
GTEX-1PFEY-1526-SM-E76PP 30-39 years, male 7.1
GTEX-PSDG-0226-SM-DKPOZ 50-59 years, male 7.1
GTEX-11UD2-0226-SM-5EQKY 50-59 years, male 7.0
GTEX-11WQK-0526-SM-5EQLD 50-59 years, male 7.0
GTEX-12WSK-2326-SM-5GCOH 40-49 years, female 7.0
GTEX-139TS-2826-SM-5J1OO 60-69 years, male 7.0
GTEX-1H23P-0126-SM-ADEJ3 60-69 years, male 7.0
GTEX-1I1GQ-0126-SM-COH3H 50-59 years, male 7.0
GTEX-1JJEA-0326-SM-CNPOT 60-69 years, male 7.0
GTEX-1PWST-0226-SM-E76QJ 70-79 years, male 7.0
GTEX-1R7EV-2426-SM-EVYBG 40-49 years, male 7.0
GTEX-1S82Z-0826-SM-E6CHY 30-39 years, female 7.0
GTEX-11GSO-2426-SM-5A5LY 60-69 years, male 6.9
GTEX-11LCK-1026-SM-5A5KB 30-39 years, male 6.9
GTEX-1212Z-2526-SM-5EGKP 60-69 years, male 6.9
GTEX-12KS4-0326-SM-5EQ41 30-39 years, male 6.9
GTEX-13OVH-0126-SM-5MR4B 70-79 years, male 6.9
GTEX-13RTJ-2426-SM-5S2Q2 60-69 years, male 6.9
GTEX-14C5O-0126-SM-5SI6N 60-69 years, male 6.9
GTEX-183WM-0126-SM-7LTAB 70-79 years, female 6.9
GTEX-1A3MX-0126-SM-731BR 60-69 years, male 6.9
GTEX-POMQ-2226-SM-2I5FK 20-29 years, female 6.9
GTEX-Y5V6-2426-SM-4VDSB 60-69 years, male 6.9
GTEX-ZTSS-1926-SM-57WEW 40-49 years, male 6.9
GTEX-ZYFD-0126-SM-5GIDL 50-59 years, male 6.9
GTEX-1HB9E-0226-SM-E9U4R 50-59 years, male 6.9
GTEX-1JJE9-0326-SM-CL53Z 70-79 years, male 6.9
GTEX-1LGOU-2026-SM-DIPFF 20-29 years, female 6.9
GTEX-13N2G-2626-SM-5J1OT 60-69 years, male 6.8
GTEX-15G19-0126-SM-6PANQ 60-69 years, male 6.8
GTEX-16XZZ-0126-SM-793DV 60-69 years, male 6.8
GTEX-ZYY3-0126-SM-5GZY5 60-69 years, female 6.8
GTEX-1MJK2-0426-SM-DTXE5 50-59 years, male 6.8
GTEX-1O97I-0326-SM-EYYX7 60-69 years, male 6.8
GTEX-1QMI2-0226-SM-EVYBX 60-69 years, male 6.8
GTEX-133LE-1826-SM-5J1MV 20-29 years, female 6.7
GTEX-13SLW-0126-SM-5SI6C 70-79 years, male 6.7
GTEX-145MF-0626-SM-5LUAI 50-59 years, male 6.7
GTEX-15F5U-1526-SM-6PANO 40-49 years, male 6.7
GTEX-18D9U-0226-SM-718BP 40-49 years, male 6.7
GTEX-1B8KE-2126-SM-73KYX 50-59 years, male 6.7
GTEX-13FH7-2026-SM-E9J4I 50-59 years, female 6.7
GTEX-1HBPN-0226-SM-9YFM1 50-59 years, male 6.7
GTEX-1IL2U-0226-SM-CE6T8 60-69 years, male 6.7
GTEX-15RIG-0226-SM-7KFTL 40-49 years, male 6.6
GTEX-ZPIC-1726-SM-DHXIU 40-49 years, female 6.6
GTEX-12WSL-2526-SM-5GCNJ 50-59 years, male 6.5
GTEX-1RB15-2126-SM-E9TIM 60-69 years, male 6.5
GTEX-13IVO-0126-SM-5J1NG 70-79 years, male 6.4
GTEX-15EU6-0426-SM-6PAN5 50-59 years, male 6.4
GTEX-16AAH-1726-SM-7939C 50-59 years, male 6.4
GTEX-OXRO-0126-SM-2YUN4 60-69 years, female 6.4
GTEX-UJHI-1526-SM-3DB99 50-59 years, female 6.4
GTEX-1HSGN-0226-SM-CGQFV 40-49 years, female 6.4
GTEX-1J8QM-2126-SM-CYPSJ 60-69 years, female 6.4
GTEX-1KANC-1526-SM-D3LAB 50-59 years, female 6.4
GTEX-1OFPY-2426-SM-DTXEJ 60-69 years, male 6.4
GTEX-14A5H-0426-SM-5QGQF 60-69 years, male 6.3
GTEX-14XAO-2326-SM-6EU1B 60-69 years, female 6.3
GTEX-RM2N-1426-SM-2TF4H 50-59 years, male 6.3
GTEX-WOFL-0126-SM-3MJG2 60-69 years, male 6.3
GTEX-YB5E-2026-SM-5IFIS 40-49 years, male 6.3
GTEX-1R9PM-2026-SM-E76OY 20-29 years, male 6.3
GTEX-ZVT4-0126-SM-DTXFN 50-59 years, female 6.3
GTEX-17KNJ-2326-SM-7DHLQ 50-59 years, male 6.2
GTEX-1CB4I-0226-SM-79OLH 50-59 years, male 6.2
GTEX-ZV6S-2326-SM-4YCEY 40-49 years, female 6.2
GTEX-1HCU7-0226-SM-CL545 50-59 years, male 6.2
GTEX-1IDJH-0326-SM-A9SLQ 70-79 years, male 6.2
GTEX-1122O-2126-SM-5EGIR 60-69 years, female 6.1
GTEX-12696-2426-SM-5EQ6H 60-69 years, male 6.1
GTEX-15UF6-0826-SM-6PALJ 70-79 years, female 6.1
GTEX-17EVP-0326-SM-7DHLG 40-49 years, male 6.1
GTEX-ZAJG-0126-SM-5HL94 50-59 years, female 6.1
GTEX-13OW5-0126-SM-DTXFS 60-69 years, male 6.1
GTEX-1JN1M-0326-SM-CYPT3 60-69 years, female 6.1
GTEX-X261-0126-SM-3NMD6 50-59 years, male 6.0
GTEX-1GL5R-1826-SM-9KNUY 50-59 years, male 6.0
GTEX-148VJ-0126-SM-5TDDN 70-79 years, male 5.9
GTEX-OIZH-0126-SM-2HMIS 50-59 years, male 5.9
GTEX-ZVZP-2426-SM-59HKJ 50-59 years, male 5.9
GTEX-ZXG5-0126-SM-5GIEU 60-69 years, male 5.9
GTEX-1KANA-0726-SM-D3L9I 20-29 years, male 5.9
GTEX-1PIIG-0226-SM-EWRN6 30-39 years, male 5.9
GTEX-VJWN-0126-SM-3GIK7 50-59 years, female 5.8
GTEX-ZWKS-0126-SM-5SIAA 30-39 years, male 5.8
GTEX-1F5PL-0326-SM-7P8PQ 40-49 years, female 5.8
GTEX-11EQ9-2426-SM-5HL5T 30-39 years, male 5.7
GTEX-13PDP-0126-SM-5L3HD 60-69 years, male 5.7
GTEX-14LZ3-0226-SM-62LET 60-69 years, female 5.7
GTEX-P4QT-0126-SM-2I3FL 50-59 years, female 5.7
GTEX-Y114-2426-SM-4TT8A 50-59 years, female 5.7
GTEX-1F75B-0126-SM-9KNVL 50-59 years, male 5.7
GTEX-1IDJU-2626-SM-CM2RT 60-69 years, female 5.7
GTEX-OOBJ-0126-SM-E6CJW 60-69 years, male 5.7
GTEX-1AX9J-0226-SM-73KXM 60-69 years, male 5.6
GTEX-ZYFG-2326-SM-5E44B 60-69 years, female 5.6
GTEX-1I1GT-0626-SM-CGQER 60-69 years, female 5.6
GTEX-117XS-2726-SM-5N9BL 60-69 years, male 5.5
GTEX-12WSE-0526-SM-793B2 20-29 years, male 5.5
GTEX-14E6E-1826-SM-5S2R7 30-39 years, male 5.5
GTEX-U8XE-0326-SM-3DB8P 30-39 years, male 5.5
GTEX-1MA7W-2026-SM-E9TJ6 20-29 years, female 5.5
GTEX-1QPFJ-0226-SM-E76PB 30-39 years, female 5.5
GTEX-1S83E-0126-SM-EWRO4 40-49 years, male 5.5
GTEX-14753-0426-SM-5NQAM 60-69 years, male 5.4
GTEX-WFG8-2226-SM-3GIL9 20-29 years, male 5.4
GTEX-ZV68-0126-SM-59HKS 50-59 years, female 5.4
GTEX-1PDJ9-0326-SM-DTX95 20-29 years, male 5.4
GTEX-17JCI-0126-SM-7LG5G 60-69 years, female 5.3
GTEX-1CAMQ-0226-SM-7IGPK 40-49 years, male 5.3
GTEX-TSE9-0126-SM-3DB83 60-69 years, female 5.3
GTEX-ZF2S-2326-SM-4WWCE 50-59 years, female 5.3
GTEX-1J8Q2-0526-SM-CM2RW 60-69 years, male 5.3
GTEX-1L5NE-2526-SM-E6CIE 50-59 years, male 5.3
GTEX-1128S-2326-SM-5GZZY 60-69 years, female 5.2
GTEX-1GMR3-1926-SM-9KNUZ 40-49 years, male 5.2
GTEX-1IKJJ-0126-SM-CNPQB 60-69 years, male 5.2
GTEX-1KXAM-2226-SM-CYPTC 60-69 years, male 5.2
GTEX-1M5QR-1226-SM-EWROB 40-49 years, male 5.2
GTEX-14A5I-0126-SM-5TDEA 50-59 years, female 5.1
GTEX-XUZC-1726-SM-4BRWS 30-39 years, female 5.1
GTEX-1CB4H-0226-SM-7PBXM 60-69 years, female 5.1
GTEX-1HCU9-1526-SM-A9SL7 20-29 years, male 5.1
GTEX-145MI-0526-SM-5O9A8 60-69 years, female 5.0
GTEX-S32W-2126-SM-2XCB1 50-59 years, female 5.0
GTEX-XPVG-2626-SM-4B669 50-59 years, male 5.0
GTEX-1LH75-2426-SM-E9TJE 50-59 years, female 5.0
GTEX-1QAET-0926-SM-E76QM 50-59 years, male 5.0
GTEX-18D9A-1926-SM-7LG6P 30-39 years, female 4.9
GTEX-WI4N-1026-SM-3LK7N 40-49 years, female 4.8
GTEX-13CF3-2426-SM-5IFGX 60-69 years, female 4.7
GTEX-13NYB-2526-SM-5K7Z6 40-49 years, male 4.7
GTEX-1C475-1826-SM-73KWA 40-49 years, female 4.7
GTEX-1LG7Z-1726-SM-D3LA4 30-39 years, male 4.6
GTEX-ZF3C-0126-SM-DO92D 50-59 years, female 4.6
GTEX-1B97I-1626-SM-73KYO 40-49 years, male 4.5
GTEX-O5YT-0126-SM-48TBW 20-29 years, male 4.5
GTEX-WFON-2126-SM-3LK7O 40-49 years, male 4.5
GTEX-14PJ6-2126-SM-6EU1V 60-69 years, female 4.3
GTEX-17GQL-2026-SM-718BA 60-69 years, male 4.3
GTEX-139UW-2826-SM-5L3E7 60-69 years, male 4.2
GTEX-1E2YA-0126-SM-9KNUC 50-59 years, male 3.9
GTEX-13NYC-0326-SM-E9J4S 60-69 years, male 3.8
GTEX-145LS-0126-SM-5QGP1 60-69 years, female 3.6
GTEX-ZTX8-1426-SM-5DUVO 20-29 years, male 3.5
GTEX-1JMQL-0226-SM-CNPP5 50-59 years, female 3.5
GTEX-1JJ6O-0126-SM-E6CI8 60-69 years, male 3.3
Show allShow less

Contact

  • NEWS ARTICLES
  • PRESS ROOM

The Project

  • INTRODUCTION
  • ORGANIZATION
  • PUBLICATIONS

The Human Protein Atlas

  • DOWNLOADABLE DATA
  • LICENCE & CITATION
  • HELP & FAQ
The Human Protein Atlas project is funded
by the Knut & Alice Wallenberg Foundation.


contact@proteinatlas.org